We use cookies to enhance the usability of our website. If you continue, we'll assume that you are happy to receive all cookies. More information. Don't show this again.
MTX3
HPA
RESOURCES
  • TISSUE
  • BRAIN
  • SINGLE CELL
  • SUBCELLULAR
  • CANCER
  • BLOOD
  • CELL LINE
  • STRUCTURE & INTERACTION
ABOUT
  • INTRODUCTION
  • HISTORY
  • ORGANIZATION
  • PUBLICATIONS
  • ANTIBODY SUBMISSION
  • ANTIBODY AVAILABILITY
  • ACKNOWLEDGMENTS
  • CONTACT
NEWS
  • NEWS ARTICLES
  • PRESS ROOM
LEARN
  • DICTIONARY
  • PROTEIN CLASSES
  • PROTEIN EVIDENCE
  • METHODS
  • EDUCATIONAL VIDEOS
DATA
  • DOWNLOADABLE DATA
  • PUBLICATION DATA
  • RELEASE HISTORY
HELP
  • ANTIBODY VALIDATION
  • ASSAYS & ANNOTATION
  • DISCLAIMER
  • HELP & FAQ
  • PRIVACY STATEMENT
  • LICENCE & CITATION
Fields »
Search result

Field
Term
Gene name
Class
Subclass
Class
Keyword
Chromosome
External id
Tissue
Cell type
Expression
Antibody panel
Tissue
Main location
Patient ID
Annotation
Tissue
Category
Tau score
Cluster
Reliability
Brain region
Category
Tau score
Brain region
Category
Tau score
Brain region
Category
Tau score
Cluster
Reliability
Tissue
Cell type
Enrichment
Cell type
Category
Tau score
Cell type
Category
Tau score
Cell type
Category
Tau score
Cell lineage
Category
Tau score
Cluster
Cluster
Location
Searches
Location
Cell line
Class
Type
Phase
Reliability
Cancer
Prognosis
Cancer
Category
Cancer
Category
Tau score
Cluster
Variants
Interacting gene (ensg_id)
Type
Number of interactions
Pathway
Category
Score
Score
Score
Validation
Validation
Validation
Validation
Antibodies
Data type
Column


  • SUMMARY

  • TISSUE

  • BRAIN

  • SINGLE CELL

  • SUBCELL

  • CANCER

  • BLOOD

  • CELL LINE

  • STRUCT & INT

  • MTX3
BRAIN CEREBELLUM Show tissue menu
AMYGDALA BASAL GANGLIA CEREBELLUM CEREBRAL CORTEX CHOROID PLEXUS HIPPOCAMPAL FORMATION HYPOTHALAMUS MEDULLA OBLONGATA
MIDBRAIN OLFACTORY BULB PITUITARY GLAND PONS RETINA SPINAL CORD THALAMUS WHITE MATTER
ANTIBODIES
AND
VALIDATION
Brain proteome
Cerebellum
CEREBELLUM - Expression summary
Protein expression
Cerebellumi

On the top, protein expression in current human tissue, based on all annotated cell types, is reported with the units not detected (n), low (l), medium (m) and high (h). Underneath, protein expression in each annotated cell type are reported using the same units.

Protein expression data is based on knowledge-based annotation. For genes where more than one antibody has been used, a collective score is set.

If knowledge-based annotation could not be performed for a gene, no data is displayed here. View antibody staining data further down this page.

h
m
l
n
Cells in granular layer: Medium
Cells in molecular layer: Not detected
Purkinje cells: High
RNA expressioni

A summary of mRNA expression data available for current tissue based on several datasets. The mRNA expression levels in human tissues are based on RNA-seq data generated by the Human Protein Atlas (HPA), Genotype-Tissue Expression (GTEx) portal and CAGE data generated by the FANTOM5 consortium. Consensus normalized expression levels for human tissues was created by combining the data from HPA and GTEx datasets.

The mRNA expression levels in pig are based on RNA-seq data generated by the Human Protein Atlas (HPA), and for mouse, HPA data and in situ hybridization generated by the Allen brain atlas are reported.

Scroll down to view mRNA expression data in more detail.
Consensus:9.9 nTPM
HPA Brain:16.7 nTPM
GTEx:9.9 nTPM
FANTOM5:17.4 Scaled Tags Per Million
Pig:28.2 nTPM
Mouse:15.9 nTPM

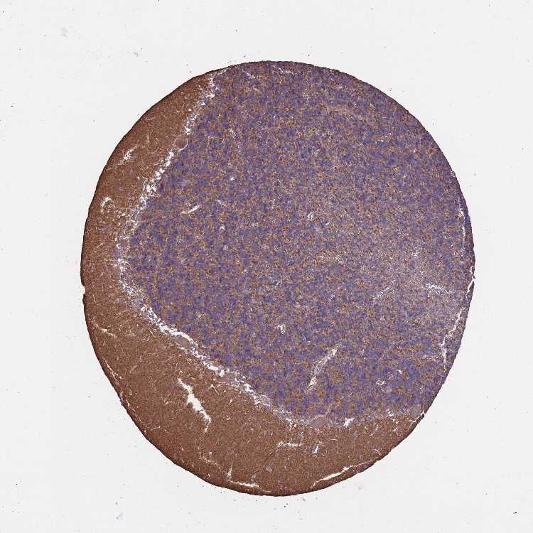
CEREBELLUM - Antibody stainingi

Antibody staining in the annotated cell types in the current human tissue is reported as not detected, low, medium, or high, based on conventional immunohistochemistry profiling in selected tissues. This score is based on the combination of the staining intensity and fraction of stained cells.

Each image is clickable and will lead to virtual microscopy that enables deeper exploration of all samples and also displays staining intensity scores, fraction scores and subcellular localization as well as patient and tissue information for each sample.

Antibody HPA047858
Purkinje cells High
Cells in granular layer Medium
Cells in molecular layer Not detected



CEREBELLUM - HPA Brain RNA-seq
Max subtype nTPMi

Max subtype nTPM is the value for the subtype with the largest average nTPM across the subtype samples.

16.7
Sample id Sample description nTPM
Cerebellar cortex
nTPM: 14.1
2101 Male, age 74, right hemisphere 18.1
1768 Female, age 72, unknown 15.0
2003 Female, age 85, right hemisphere 14.5
2006 Male, age 61, right hemisphere 14.3
1774 Male, age 80, left hemisphere 14.0
2055 Female, age 91, right hemisphere 13.3
1788 Male, age 55, unknown 13.0
1769 Male, age 76, right hemisphere 10.9
Cerebellar nuclei
nTPM: 16.7
2177 Female, age 85, both hemispheres 20.5
1879 Male, age 55, unknown 18.2
2783 Female, age 72, unknown 18.1
2882 Male, age 76, left hemisphere 16.8
1966 Female, age 91, left hemisphere 16.3
1871 Male, age 74, unknown 16.1
2175 Male, age 61, right hemisphere 15.1
2318 Male, age 74, left hemisphere 15.1
2005 Male, age 80, left hemisphere 14.5
Flocculonodular lobe
nTPM: 12.5
2176 Female, age 91, right hemisphere 14.5
1835 Female, age 85, right hemisphere 14.3
1771 Male, age 80, left hemisphere 13.2
1792 Male, age 74, unknown 12.6
1765 Male, age 55, unknown 12.2
1767 Male, age 76, left hemisphere 11.0
2004 Male, age 61, right hemisphere 9.8
Vermis
nTPM: 13.8
1751 Male, age 74, right hemisphere 17.4
2834 Male, age 80, left hemisphere 16.1
1928 Female, age 72, unknown 15.7
1778 Female, age 91, left hemisphere 14.1
1766 Male, age 55, unknown 12.7
1825 Male, age 74, unknown 12.3
1988 Female, age 85, left hemisphere 12.3
2460 Male, age 61, both hemispheres 12.2
1770 Male, age 76, left hemisphere 11.3

CEREBELLUM - GTEx RNA-seqi

RNA-Seq data generated by the Genotype-Tissue Expression (GTEx) project from human tissues is reported as mean nTPM. More information can be found on the GTEx portal.

Distribution across the dataset is visualized with box plots, shown as median and 25th and 75th percentiles. Points are displayed as outliers if they are above or below 1.5 times the interquartile range. nTPM values of the individual samples are presented next to the box plot.
Max subtype nTPMi

Max subtype nTPM is the value for the subtype with the largest average nTPM across the subtype samples.

9.9
GTEx sample id Sample description nTPM
Brain - Cerebellar Hemisphere
Average nTPM: 9.6
Samples: 215

Max nTPM: 17.0
Min nTPM: 5.9
Std nTPM: 1.9
Median nTPM: 9.3
GTEX-QDT8-0011-R11A-SM-32PKD 30-39 years, female 17.0
GTEX-P44H-0011-R11A-SM-2XCER 40-49 years, male 16.3
GTEX-QMR6-0011-R11A-SM-32PKK 50-59 years, male 15.3
GTEX-XMD1-0011-R11A-SM-4AT5J 60-69 years, male 14.7
GTEX-T6MN-0011-R11A-SM-32QOX 50-59 years, male 14.6
GTEX-1H1ZS-0011-R11a-SM-C1YQM 70-79 years, male 14.6
GTEX-15EO6-0011-R11b-SM-6M47M 50-59 years, male 14.5
GTEX-11TTK-0011-R11b-SM-DO112 60-69 years, female 14.0
GTEX-1LVAO-0011-R11b-SM-EXOI8 60-69 years, male 13.9
GTEX-1JMQJ-0011-R11a-SM-EXOJY 50-59 years, male 13.7
GTEX-18464-0011-R11a-SM-72D76 50-59 years, male 13.6
GTEX-131YS-0011-R11b-SM-5EGLM 60-69 years, female 13.5
GTEX-WVLH-0011-R11A-SM-3MJFO 50-59 years, male 13.5
GTEX-T5JC-0011-R11A-SM-32PMB 20-29 years, male 13.1
GTEX-1IKOH-0011-R11a-SM-AHZ38 60-69 years, female 13.1
GTEX-1N2DW-0011-R11b-SM-EXOIL 50-59 years, male 13.1
GTEX-T2IS-0011-R11A-SM-32QPC 20-29 years, female 12.4
GTEX-1HCU6-0011-R11b-SM-AHZ2F 60-69 years, female 12.3
GTEX-14DAQ-0011-R11a-SM-664NO 60-69 years, female 12.2
GTEX-Y8DK-0011-R11A-SM-4SOK2 60-69 years, male 12.2
GTEX-ZAB4-0011-R11a-SM-4SOKI 40-49 years, male 12.2
GTEX-12WSE-0011-R11b-SM-5P9JW 20-29 years, male 12.0
GTEX-1AX9I-0011-R11b-SM-7DHN4 60-69 years, male 11.9
GTEX-13O3Q-0011-R11b-SM-5KM2W 50-59 years, male 11.8
GTEX-17F97-0011-R11b-SM-7KFRQ 50-59 years, male 11.8
GTEX-17HG3-0011-R11b-SM-7KFT4 30-39 years, female 11.8
GTEX-1F7RK-0011-R11b-SM-9QEI2 20-29 years, female 11.7
GTEX-1F75A-0011-R11a-SM-AHZ35 50-59 years, male 11.6
GTEX-1I19N-0011-R11b-SM-ARU6Y 70-79 years, male 11.6
GTEX-1N2EE-0011-R11b-SM-EXOIJ 60-69 years, male 11.6
GTEX-14C5O-0011-R11b-SM-6872H 60-69 years, male 11.4
GTEX-11DXY-0011-R11a-SM-DNZZN 60-69 years, male 11.4
GTEX-13FTY-0011-R11a-SM-5IJEA 40-49 years, female 11.3
GTEX-11OF3-0011-R11a-SM-57WCR 60-69 years, male 11.2
GTEX-12WSC-0011-R11a-SM-5GU5J 50-59 years, male 11.1
GTEX-14BIM-0011-R11b-SM-5S2RN 60-69 years, female 11.1
GTEX-17HII-0011-R11b-SM-7KFSX 50-59 years, male 11.1
GTEX-P44G-0011-R11A-SM-2I3FD 30-39 years, male 11.0
GTEX-Q2AG-0011-R11A-SM-2HMKZ 40-49 years, female 11.0
GTEX-R55E-0011-R11A-SM-2TC6I 20-29 years, male 11.0
GTEX-1J1OQ-0011-R11a-SM-A96S3 40-49 years, female 11.0
GTEX-1J8EW-0011-R11a-SM-AHZ37 60-69 years, female 11.0
GTEX-1B8SF-0011-R11a-SM-79OOP 60-69 years, male 10.9
GTEX-RVPV-0011-R11A-SM-2TF6F 60-69 years, male 10.9
GTEX-131XH-0011-R11a-SM-5EGLN 50-59 years, male 10.8
GTEX-13CF2-0011-R11b-SM-5LZXO 60-69 years, male 10.8
GTEX-13OVL-0011-R11b-SM-5L3G7 50-59 years, male 10.8
GTEX-145LU-0011-R11b-SM-5P9JX 50-59 years, male 10.8
GTEX-UTHO-0011-R11A-SM-3GIJE 60-69 years, male 10.8
GTEX-WL46-0011-R11A-SM-3MJFT 50-59 years, male 10.8
GTEX-X4EP-0011-R11B-SM-4QASK 60-69 years, female 10.8
GTEX-YFC4-0011-R11a-SM-4SOK6 40-49 years, female 10.8
GTEX-11PRG-0011-R11b-SM-DNZZY 50-59 years, male 10.8
GTEX-1LG7Y-0011-R11a-SM-EXOIH 50-59 years, male 10.8
GTEX-12WSI-0011-R11b-SM-5P9EZ 50-59 years, male 10.7
GTEX-1399T-0011-R11a-SM-5J2O1 60-69 years, male 10.7
GTEX-1JMOU-0011-R11b-SM-EXUTA 60-69 years, female 10.7
GTEX-1I1GS-0011-R11a-SM-C1YRU 60-69 years, male 10.6
GTEX-16YQH-0011-R11b-SM-7LT98 30-39 years, male 10.5
GTEX-11H98-0011-R11b-SM-5NQ6U 50-59 years, male 10.4
GTEX-12WSM-0011-R11a-SM-5DUX8 60-69 years, male 10.4
GTEX-13FHO-0011-R11b-SM-5LZYQ 60-69 years, male 10.4
GTEX-183WM-0011-R11a-SM-718A5 70-79 years, female 10.4
GTEX-1F48J-0011-R11b-SM-9OSWV 50-59 years, female 10.4
GTEX-1GTWX-0011-R11b-SM-C1YQJ 60-69 years, male 10.4
GTEX-1I1HK-0011-R11a-SM-B2LVN 60-69 years, male 10.4
GTEX-12ZZX-0011-R11a-SM-5DUVJ 40-49 years, female 10.3
GTEX-14ABY-0011-R11a-SM-5SI7C 50-59 years, male 10.3
GTEX-11DYG-0011-R11a-SM-DNZZP 60-69 years, male 10.3
GTEX-1HFI6-0011-R11b-SM-A96RU 40-49 years, male 10.3
GTEX-18465-0011-R11a-SM-72D78 50-59 years, male 10.2
GTEX-1I1GR-0011-R11a-SM-CM2T5 60-69 years, male 10.2
GTEX-11GSP-0011-R11b-SM-5NQ7V 60-69 years, female 10.1
GTEX-ZUA1-0011-R11b-SM-51MTI 40-49 years, male 10.1
GTEX-1IL2V-0011-R11a-SM-ARU6T 70-79 years, male 10.1
GTEX-1M4P7-0011-R11b-SM-EXOIK 60-69 years, male 10.1
GTEX-11ZUS-0011-R11b-SM-5BC7B 30-39 years, male 10.0
GTEX-14PN4-0011-R11a-SM-686ZW 50-59 years, male 10.0
GTEX-1ICLZ-0011-R11a-SM-CJI3N 60-69 years, male 10.0
GTEX-RU72-0011-R11A-SM-CM2U1 50-59 years, female 10.0
GTEX-13OW6-0011-R11a-SM-5L3H2 50-59 years, male 9.9
GTEX-13OW7-0011-R11a-SM-5O9DY 50-59 years, male 9.9
GTEX-145MH-0011-R11a-SM-5P9HQ 50-59 years, male 9.9
GTEX-ZVZQ-0011-R11a-SM-51MS6 60-69 years, female 9.9
GTEX-1H3NZ-0011-R11b-SM-CE6SF 60-69 years, male 9.9
GTEX-12ZZZ-0011-R11a-SM-5EGLC 60-69 years, male 9.8
GTEX-13FHP-0011-R11b-SM-5LZXP 50-59 years, male 9.8
GTEX-14BIN-0011-R11a-SM-5SI79 50-59 years, female 9.7
GTEX-11DZ1-0011-R11b-SM-DO11W 50-59 years, male 9.7
GTEX-15DCD-0011-R11a-SM-D4P1R 70-79 years, female 9.7
GTEX-13VXU-0011-R11b-SM-5O9DJ 50-59 years, male 9.6
GTEX-15DYW-0011-R11a-SM-6LPIT 60-69 years, female 9.6
GTEX-1B8L1-0011-R11b-SM-793DJ 60-69 years, male 9.6
GTEX-12126-0011-R11a-SM-5BC6X 20-29 years, male 9.5
GTEX-13OVJ-0011-R11a-SM-5P9H8 50-59 years, female 9.5
GTEX-13OW8-0011-R11a-SM-5L3GT 60-69 years, male 9.5
GTEX-S7SE-0011-R11A-SM-2XCDD 50-59 years, male 9.5
GTEX-ZDXO-0011-R11a-SM-4WWD9 60-69 years, male 9.5
GTEX-11EMC-0011-R11b-SM-DNZZK 60-69 years, female 9.5
GTEX-1GZ4I-0011-R11b-SM-9OSWR 50-59 years, male 9.5
GTEX-1H1CY-0011-R11a-SM-C1YQR 60-69 years, female 9.5
GTEX-12WSF-0011-R11a-SM-5LZVT 70-79 years, male 9.4
GTEX-13X6K-0011-R11a-SM-5P9F5 60-69 years, female 9.4
GTEX-15ER7-0011-R11a-SM-6LPIL 20-29 years, female 9.4
GTEX-15G19-0011-R11b-SM-6LPIH 60-69 years, male 9.4
GTEX-1B8SG-0011-R11a-SM-7P8PF 50-59 years, male 9.4
GTEX-13NYB-0011-R11a-SM-5KM3Q 40-49 years, male 9.3
GTEX-13OW5-0011-R11b-SM-5L3GG 60-69 years, male 9.3
GTEX-WWYW-0011-R11A-SM-3NB38 50-59 years, female 9.3
GTEX-1H3O1-0011-R11a-SM-A96RV 60-69 years, male 9.3
GTEX-1IY9M-0011-R11b-SM-A96TI 60-69 years, male 9.3
GTEX-145MI-0011-R11a-SM-5P9JZ 60-69 years, female 9.2
GTEX-N7MS-0011-R11A-SM-2HMJS 60-69 years, male 9.2
GTEX-1E1VI-0011-R11a-SM-9OSWI 50-59 years, male 9.2
GTEX-1I1GQ-0011-R11b-SM-CKZPA 50-59 years, male 9.2
GTEX-13NYS-0011-R11b-SM-5MR4P 60-69 years, male 9.1
GTEX-13RTJ-0011-R11a-SM-5O9CK 60-69 years, male 9.1
GTEX-13SLW-0011-R11a-SM-5SI8Q 70-79 years, male 9.1
GTEX-1A3MX-0011-R11b-SM-7DUGP 60-69 years, male 9.1
GTEX-YJ89-0011-R11a-SM-4SOKA 60-69 years, male 9.1
GTEX-ZE9C-0011-R11a-SM-4WKGG 60-69 years, male 9.1
GTEX-15CHQ-0011-R11b-SM-686ZZ 60-69 years, male 9.0
GTEX-Z93S-0011-R11a-SM-4RGNN 50-59 years, male 9.0
GTEX-1IDJH-0011-R11b-SM-C1YRT 70-79 years, male 9.0
GTEX-13S7M-0011-R11b-SM-5P9HU 60-69 years, female 8.9
GTEX-18A6Q-0011-R11a-SM-72D6H 60-69 years, male 8.9
GTEX-1CB4G-0011-R11a-SM-9OSWG 60-69 years, male 8.9
GTEX-1HGF4-0011-R11a-SM-C1YRR 60-69 years, male 8.9
GTEX-1LSVX-0011-R11b-SM-EXOIA 60-69 years, male 8.9
GTEX-132Q8-0011-R11b-SM-5DUW9 60-69 years, male 8.8
GTEX-13X6J-0011-R11a-SM-5P9HE 50-59 years, male 8.8
GTEX-14ASI-0011-R11b-SM-6AJBJ 60-69 years, male 8.8
GTEX-1C64N-0011-R11b-SM-7P8Q6 50-59 years, male 8.8
GTEX-1F6I4-0011-R11b-SM-9OSWS 60-69 years, male 8.8
GTEX-1IL2U-0011-R11a-SM-CE6SO 60-69 years, male 8.8
GTEX-ZVT3-0011-R11b-SM-57WBI 60-69 years, female 8.7
GTEX-1H3VE-0011-R11b-SM-C1YRP 40-49 years, male 8.7
GTEX-13G51-0011-R11b-SM-5J2NE 60-69 years, male 8.6
GTEX-13NZA-0011-R11b-SM-5KM4W 60-69 years, male 8.6
GTEX-14E6D-0011-R11b-SM-664NP 50-59 years, male 8.6
GTEX-11EI6-0011-R11a-SM-DO11V 60-69 years, male 8.6
GTEX-1B933-0011-R11a-SM-7P8PM 50-59 years, female 8.6
GTEX-1EKGG-0011-R11a-SM-9QEHZ 60-69 years, male 8.6
GTEX-1GN73-0011-R11b-SM-9OSX4 60-69 years, male 8.6
GTEX-1HB9E-0011-R11b-SM-ARU79 50-59 years, male 8.6
GTEX-1JJEA-0011-R11a-SM-EXUTE 60-69 years, male 8.6
GTEX-12WSH-0011-R11a-SM-5LZVM 50-59 years, male 8.5
GTEX-WZTO-0011-R11A-SM-4E3K9 40-49 years, male 8.5
GTEX-ZF28-0011-R11a-SM-4WWEI 60-69 years, male 8.5
GTEX-1GZHY-0011-R11a-SM-C1YRQ 50-59 years, female 8.5
GTEX-1H4P4-0011-R11b-SM-CE6S8 50-59 years, male 8.5
GTEX-13FXS-0011-R11a-SM-5L3DM 50-59 years, male 8.4
GTEX-1BAJH-0011-R11b-SM-7IGLM 70-79 years, male 8.4
GTEX-WHSE-0011-R11A-SM-3P5YY 20-29 years, male 8.4
GTEX-13CZV-0011-R11b-SM-5N9FN 60-69 years, male 8.3
GTEX-1KD4Q-0011-R11b-SM-EXOIE 40-49 years, male 8.3
GTEX-ZE7O-0011-R11a-SM-57WBC 50-59 years, female 8.2
GTEX-13JVG-0011-R11a-SM-5KM53 60-69 years, male 8.1
GTEX-13PLJ-0011-R11b-SM-5O9BS 60-69 years, female 8.1
GTEX-NL3H-0011-R11A-SM-2I3E6 60-69 years, male 8.1
GTEX-TSE9-0011-R11A-SM-3DB7N 60-69 years, female 8.1
GTEX-X261-0011-R11A-SM-4E3JY 50-59 years, male 8.1
GTEX-X4XX-0011-R11A-SM-46MWQ 60-69 years, male 8.1
GTEX-1GMR8-0011-R11b-SM-9OSX2 50-59 years, female 8.1
GTEX-1313W-0011-R11a-SM-5DUXN 50-59 years, female 8.0
GTEX-13X6I-0011-R11a-SM-5P9HN 60-69 years, male 8.0
GTEX-16GPK-0011-R11b-SM-7MKFF 60-69 years, male 8.0
GTEX-1EMGI-0011-R11b-SM-9OSWX 60-69 years, male 8.0
GTEX-13OVH-0011-R11b-SM-5KM4X 70-79 years, male 7.9
GTEX-13QIC-0011-R11b-SM-5O9BU 60-69 years, female 7.9
GTEX-1GMRU-0011-R11b-SM-C1YQ4 50-59 years, male 7.9
GTEX-1HBPI-0011-R11b-SM-CE6SH 50-59 years, male 7.9
GTEX-1HSKV-0011-R11b-SM-AHZ2E 60-69 years, male 7.9
GTEX-1HUB1-0011-R11b-SM-CE6SC 60-69 years, male 7.9
GTEX-1IGQW-0011-R11a-SM-C1YRV 60-69 years, male 7.9
GTEX-1IOXB-0011-R11a-SM-A9G1X 50-59 years, male 7.9
GTEX-13O3O-0011-R11b-SM-5KM4G 60-69 years, female 7.8
GTEX-1H1DG-0011-R11a-SM-C1YQK 70-79 years, male 7.8
GTEX-1IKK5-0011-R11a-SM-C1YRX 60-69 years, male 7.8
GTEX-1R9PO-0011-R11b-SM-EZ6NB 60-69 years, female 7.8
GTEX-14E7W-0011-R11a-SM-5ZZVA 70-79 years, male 7.7
GTEX-17JCI-0011-R11a-SM-7189Y 60-69 years, female 7.7
GTEX-1I1GV-0011-R11a-SM-CJI3Z 60-69 years, male 7.7
GTEX-139TT-0011-R11b-SM-5LZV1 60-69 years, male 7.6
GTEX-13N2G-0011-R11a-SM-5MR3F 60-69 years, male 7.6
GTEX-1JJ6O-0011-R11b-SM-EXUS2 60-69 years, male 7.6
GTEX-144GL-0011-R11b-SM-5P9F6 50-59 years, male 7.5
GTEX-11WQC-0011-R11b-SM-57WD6 60-69 years, male 7.4
GTEX-13SLX-0011-R11b-SM-5O9C8 50-59 years, female 7.4
GTEX-1J8Q2-0011-R11a-SM-A9SKI 60-69 years, male 7.4
GTEX-N7MT-0011-R11A-SM-2I3DZ 60-69 years, female 7.3
GTEX-16NPV-0011-R11a-SM-7IGMK 50-59 years, female 7.3
GTEX-1GF9W-0011-R11b-SM-9OSXG 60-69 years, male 7.3
GTEX-1R9K4-0011-R11a-SM-EZ6N9 60-69 years, male 7.3
GTEX-13PVQ-0011-R11a-SM-5O9DU 50-59 years, male 7.2
GTEX-14C39-0011-R11b-SM-5YYAF 40-49 years, male 7.2
GTEX-NPJ8-0011-R11A-SM-2YUMS 40-49 years, male 7.2
GTEX-13JUV-0011-R11a-SM-5LZYH 40-49 years, female 7.1
GTEX-OHPN-0011-R11A-SM-2I5FM 60-69 years, female 7.1
GTEX-NPJ7-0011-R11A-SM-2I3E8 60-69 years, female 7.0
GTEX-1CAV2-0011-R11a-SM-ARU8D 40-49 years, female 7.0
GTEX-131XW-0011-R11a-SM-5DUV9 50-59 years, female 6.9
GTEX-NL4W-0011-R11A-SM-2I3DW 50-59 years, male 6.9
GTEX-11ZTS-0011-R11a-SM-DO113 60-69 years, female 6.9
GTEX-1F52S-0011-R11a-SM-CJI23 60-69 years, female 6.9
GTEX-1LKK1-0011-R11a-SM-EXOIG 50-59 years, female 6.8
GTEX-17EVQ-0011-R11a-SM-7LT9C 70-79 years, male 6.7
GTEX-16XZZ-0011-R11a-SM-7EPI3 60-69 years, male 6.6
GTEX-139UW-0011-R11a-SM-5IJGN 60-69 years, male 6.4
GTEX-X585-0011-R11B-SM-46MUZ 50-59 years, male 6.4
GTEX-16Z82-0011-R11a-SM-79OKJ 60-69 years, male 6.2
GTEX-1F75W-0011-R11b-SM-AHZ34 60-69 years, male 6.2
GTEX-13FLV-0011-R11a-SM-5LZZ7 50-59 years, male 6.1
GTEX-17EVP-0011-R11a-SM-7EWDL 40-49 years, male 6.0
GTEX-12WSD-0011-R11a-SM-9OSVC 60-69 years, female 5.9
Show allShow less
Brain - Cerebellum
Average nTPM: 9.9
Samples: 241

Max nTPM: 17.7
Min nTPM: 4.4
Std nTPM: 1.6
Median nTPM: 9.7
GTEX-QMR6-1326-SM-32PLB 50-59 years, male 17.7
GTEX-P44H-2426-SM-2XCEJ 40-49 years, male 16.9
GTEX-PVOW-2626-SM-32PL8 40-49 years, male 15.1
GTEX-13X6J-2926-SM-7EPGP 50-59 years, male 14.9
GTEX-QDT8-3026-SM-32PKB 30-39 years, female 14.7
GTEX-QVUS-2926-SM-3GIJB 60-69 years, female 14.3
GTEX-1GZ2Q-3026-SM-9JGG3 40-49 years, male 13.5
GTEX-T5JC-2326-SM-32PMR 20-29 years, male 13.4
GTEX-11NV4-2226-SM-5BC4T 60-69 years, male 13.3
GTEX-1P4AB-3026-SM-EXOJS 50-59 years, male 13.3
GTEX-1H3NZ-2926-SM-9WPQ8 60-69 years, male 13.1
GTEX-1B933-3026-SM-731DB 50-59 years, female 12.9
GTEX-132Q8-2926-SM-5IFFP 60-69 years, male 12.5
GTEX-P44G-2526-SM-2I5EK 30-39 years, male 12.5
GTEX-1HBPH-3026-SM-9WPNY 40-49 years, female 12.5
GTEX-1JMPZ-2826-SM-C1YRA 30-39 years, male 12.5
GTEX-11DYG-2926-SM-5H132 60-69 years, male 12.3
GTEX-1JJ6O-3026-SM-C1YQH 60-69 years, male 12.3
GTEX-1QP6S-3026-SM-EAZ4N 40-49 years, male 12.3
GTEX-T2IS-2926-SM-32QPO 20-29 years, female 12.2
GTEX-14C5O-2926-SM-5RQI1 60-69 years, male 12.1
GTEX-16YQH-2926-SM-6LPJE 30-39 years, male 12.1
GTEX-13FHO-2926-SM-5L3ES 60-69 years, male 12.0
GTEX-15EO6-2926-SM-6M48D 50-59 years, male 11.9
GTEX-XMD1-2826-SM-4AT5F 60-69 years, male 11.9
GTEX-11PRG-2826-SM-5BC54 50-59 years, male 11.7
GTEX-145MH-2926-SM-5Q5D2 50-59 years, male 11.7
GTEX-14DAQ-3026-SM-5S2QZ 60-69 years, female 11.7
GTEX-1HCVE-2926-SM-9WPPJ 50-59 years, male 11.7
GTEX-1LG7Y-3126-SM-EV7AS 50-59 years, male 11.7
GTEX-14ASI-2926-SM-5Q5DG 60-69 years, male 11.6
GTEX-12ZZX-2826-SM-5BC6K 40-49 years, female 11.5
GTEX-QVJO-1325-SM-2S1QX 60-69 years, female 11.5
GTEX-13OW8-2926-SM-5L3FV 60-69 years, male 11.4
GTEX-14BIM-3126-SM-5Q5C7 60-69 years, female 11.4
GTEX-1J1OQ-3126-SM-D4P2O 40-49 years, female 11.4
GTEX-1JMOU-2826-SM-EV79R 60-69 years, female 11.4
GTEX-131XH-2926-SM-5LZU4 50-59 years, male 11.3
GTEX-1CB4H-3026-SM-79OLX 60-69 years, female 11.3
GTEX-13X6K-2826-SM-5O9DS 60-69 years, female 11.2
GTEX-145LS-3026-SM-5O99S 60-69 years, female 11.2
GTEX-S7SE-2526-SM-2XCDL 50-59 years, male 11.2
GTEX-13S7M-3026-SM-5S2QQ 60-69 years, female 11.1
GTEX-14JG1-2926-SM-686ZK 40-49 years, male 11.1
GTEX-N7MT-1226-SM-DKPOK 60-69 years, female 11.1
GTEX-X4EP-3026-SM-3P5YP 60-69 years, female 11.0
GTEX-1I1HK-2726-SM-AHZ2M 60-69 years, male 11.0
GTEX-1IY9M-3126-SM-AHZ3A 60-69 years, male 11.0
GTEX-1JJEA-2926-SM-C1YSK 60-69 years, male 11.0
GTEX-1JMQK-2926-SM-D4P2T 60-69 years, male 11.0
GTEX-12ZZY-2926-SM-5DUXO 60-69 years, male 10.9
GTEX-13OW6-2926-SM-5KM29 50-59 years, male 10.9
GTEX-15G19-2826-SM-6M48K 60-69 years, male 10.9
GTEX-11DXW-1026-SM-5H11K 40-49 years, male 10.8
GTEX-13G51-3126-SM-5IJG7 60-69 years, male 10.8
GTEX-ZUA1-2926-SM-59HL3 40-49 years, male 10.8
GTEX-11DXY-3126-SM-5N9BT 60-69 years, male 10.7
GTEX-17EVP-2926-SM-793BU 40-49 years, male 10.7
GTEX-17EVQ-2726-SM-7EWDT 70-79 years, male 10.7
GTEX-YFC4-3026-SM-5IFJK 40-49 years, female 10.7
GTEX-1KWVE-2226-SM-CXZKN 30-39 years, male 10.7
GTEX-11ZUS-2826-SM-5EQKW 30-39 years, male 10.6
GTEX-14BIN-3326-SM-5Q5E6 50-59 years, female 10.6
GTEX-WHSE-2926-SM-3NMBG 20-29 years, male 10.6
GTEX-12WSC-2926-SM-5BC5Z 50-59 years, male 10.5
GTEX-13O3Q-3026-SM-5IJGD 50-59 years, male 10.5
GTEX-147F4-3026-SM-5Q5BJ 50-59 years, male 10.5
GTEX-1EU9M-2926-SM-793DF 60-69 years, male 10.5
GTEX-Y8DK-0726-SM-4TT3S 60-69 years, male 10.5
GTEX-1GZ4I-2926-SM-9JGGO 50-59 years, male 10.5
GTEX-1H1ZS-2926-SM-9WPP2 70-79 years, male 10.5
GTEX-1IDJH-3126-SM-C1YQS 70-79 years, male 10.5
GTEX-1JMQJ-3126-SM-EV79G 50-59 years, male 10.5
GTEX-13OVL-3026-SM-5IJF1 50-59 years, male 10.4
GTEX-147GR-3126-SM-5S2PM 60-69 years, male 10.4
GTEX-14PN4-3026-SM-664O4 50-59 years, male 10.4
GTEX-18465-2926-SM-7KFSE 50-59 years, male 10.4
GTEX-1B8SF-3026-SM-731DX 60-69 years, male 10.4
GTEX-WZTO-2826-SM-3NM8P 40-49 years, male 10.4
GTEX-1PWST-3026-SM-EAZ3H 70-79 years, male 10.4
GTEX-13CF2-3026-SM-5IFFX 60-69 years, male 10.3
GTEX-13X6I-2926-SM-5Q5C3 60-69 years, male 10.3
GTEX-11O72-2826-SM-5HL6W 40-49 years, male 10.2
GTEX-11TTK-2826-SM-5GU5K 60-69 years, female 10.2
GTEX-13JUV-3026-SM-5K7WX 40-49 years, female 10.2
GTEX-145LU-2626-SM-5LU9Z 50-59 years, male 10.2
GTEX-14E7W-2926-SM-5S2R8 70-79 years, male 10.2
GTEX-17F97-2926-SM-7DUEQ 50-59 years, male 10.2
GTEX-NPJ7-2826-SM-2I3FU 60-69 years, female 10.2
GTEX-1313W-3026-SM-5LZUZ 50-59 years, female 10.1
GTEX-14C39-3026-SM-5S2QE 40-49 years, male 10.1
GTEX-18A6Q-2826-SM-7LTAO 60-69 years, male 10.1
GTEX-RNOR-2226-SM-2TF5O 50-59 years, female 10.1
GTEX-UTHO-2926-SM-3P5Z9 60-69 years, male 10.1
GTEX-ZAB4-2926-SM-57WCV 40-49 years, male 10.1
GTEX-1F75A-2926-SM-7MXVN 50-59 years, male 10.1
GTEX-1GN73-3026-SM-7MXV8 60-69 years, male 10.1
GTEX-1IKOH-2826-SM-CNNRC 60-69 years, female 10.1
GTEX-117XS-3126-SM-5GIDP 60-69 years, male 10.0
GTEX-145MF-2826-SM-7EPGU 50-59 years, male 10.0
GTEX-15DYW-3026-SM-7KFRM 60-69 years, female 10.0
GTEX-1A8G6-3126-SM-731D8 60-69 years, male 10.0
GTEX-TSE9-2926-SM-3DB77 60-69 years, female 10.0
GTEX-12126-0926-SM-5FQTW 20-29 years, male 9.9
GTEX-14A5I-2826-SM-5SIBF 50-59 years, female 9.9
GTEX-1EKGG-3126-SM-9WPO5 60-69 years, male 9.9
GTEX-1H3O1-1826-SM-A96TO 60-69 years, male 9.9
GTEX-1JJE9-3026-SM-CNNPA 70-79 years, male 9.9
GTEX-139TT-2626-SM-5LZUB 60-69 years, male 9.8
GTEX-14JIY-2326-SM-6AJAJ 60-69 years, male 9.8
GTEX-1CB4G-2926-SM-7MKFQ 60-69 years, male 9.8
GTEX-ZYFD-2926-SM-5GID9 50-59 years, male 9.8
GTEX-1B8L1-3226-SM-7P8OX 60-69 years, male 9.8
GTEX-1EX96-3126-SM-9JGGC 50-59 years, male 9.8
GTEX-1R9PO-2826-SM-E6CPV 60-69 years, female 9.8
GTEX-111FC-3326-SM-5GZYV 60-69 years, male 9.7
GTEX-131YS-3026-SM-5EGHY 60-69 years, female 9.7
GTEX-13OVH-2926-SM-5IJFH 70-79 years, male 9.7
GTEX-17HII-2926-SM-79OMK 50-59 years, male 9.7
GTEX-N7MS-2526-SM-2D7W3 60-69 years, male 9.7
GTEX-ZF28-2926-SM-4WKG1 60-69 years, male 9.7
GTEX-1I1GV-3026-SM-CNNR9 60-69 years, male 9.7
GTEX-1399T-3126-SM-5IJFS 60-69 years, male 9.6
GTEX-139TS-3126-SM-5LZWX 60-69 years, male 9.6
GTEX-13NYB-3226-SM-5J2ND 40-49 years, male 9.6
GTEX-13O3O-3026-SM-5KM42 60-69 years, female 9.6
GTEX-13PVQ-2926-SM-5L3HJ 50-59 years, male 9.6
GTEX-14PJM-3026-SM-6LLHM 50-59 years, female 9.6
GTEX-15ER7-3026-SM-6M47W 20-29 years, female 9.6
GTEX-183WM-2726-SM-7KFRF 70-79 years, female 9.6
GTEX-OHPN-2626-SM-2I5H1 60-69 years, female 9.6
GTEX-Z93S-2826-SM-57WBL 50-59 years, male 9.6
GTEX-1H4P4-2726-SM-9JGGB 50-59 years, male 9.6
GTEX-1128S-2826-SM-5N9DI 60-69 years, female 9.5
GTEX-13QIC-3026-SM-5LU58 60-69 years, female 9.5
GTEX-ZDXO-2926-SM-4WKFM 60-69 years, male 9.5
GTEX-1H1CY-3026-SM-9OSW7 60-69 years, female 9.5
GTEX-1C6WA-3326-SM-7MKGN 60-69 years, male 9.4
GTEX-WVLH-2926-SM-3MJG5 50-59 years, male 9.4
GTEX-XLM4-2926-SM-4AT59 60-69 years, male 9.4
GTEX-ZAK1-2926-SM-5HL9S 50-59 years, female 9.4
GTEX-ZYY3-3026-SM-5GIEJ 60-69 years, female 9.4
GTEX-1RQEC-3026-SM-DPRXM 60-69 years, male 9.4
GTEX-12WSE-2926-SM-5RQJ9 20-29 years, male 9.3
GTEX-14ABY-3026-SM-664NE 50-59 years, male 9.3
GTEX-ZAJG-3026-SM-5HL92 50-59 years, female 9.3
GTEX-1HBPI-2726-SM-9WPPF 50-59 years, male 9.3
GTEX-1I1CD-2926-SM-A96SJ 60-69 years, female 9.3
GTEX-1JMLX-3026-SM-EV79Q 50-59 years, male 9.3
GTEX-11GSO-3026-SM-5Q5AL 60-69 years, male 9.2
GTEX-144GL-2926-SM-5O99F 50-59 years, male 9.2
GTEX-14BMV-2926-SM-5TDEE 50-59 years, male 9.2
GTEX-Q2AG-2826-SM-2HMJQ 40-49 years, female 9.2
GTEX-WL46-2826-SM-3LK81 50-59 years, male 9.2
GTEX-X4XX-2926-SM-3NMB1 60-69 years, male 9.2
GTEX-Y111-2826-SM-4TT3O 50-59 years, male 9.2
GTEX-ZZPT-2926-SM-5EQ5S 50-59 years, male 9.2
GTEX-1H1DG-2826-SM-9JGHB 70-79 years, male 9.2
GTEX-1PIIG-2826-SM-DTX7O 30-39 years, male 9.2
GTEX-1R46S-3126-SM-DPRZ9 60-69 years, female 9.2
GTEX-11ZVC-3026-SM-59HJM 50-59 years, female 9.1
GTEX-14JFF-2826-SM-6871Q 60-69 years, male 9.1
GTEX-16Z82-2926-SM-6LPJJ 60-69 years, male 9.1
GTEX-1A3MX-2926-SM-718B7 60-69 years, male 9.1
GTEX-YJ89-2926-SM-5P9IT 60-69 years, male 9.1
GTEX-1GF9V-3026-SM-7P8R8 60-69 years, male 9.1
GTEX-11GSP-3126-SM-5A5LL 60-69 years, female 9.0
GTEX-145MG-3126-SM-5Q5D3 50-59 years, male 9.0
GTEX-17JCI-3026-SM-7EWDR 60-69 years, female 9.0
GTEX-1B8SG-1926-SM-73KUB 50-59 years, male 9.0
GTEX-PWO3-1026-SM-2I5F2 60-69 years, female 9.0
GTEX-1F52S-3026-SM-7P8PV 60-69 years, female 9.0
GTEX-1GTWX-2926-SM-7MXV4 60-69 years, male 9.0
GTEX-1HSMO-2926-SM-C1YR5 60-69 years, male 9.0
GTEX-1POEN-2726-SM-E9U6B 30-39 years, female 9.0
GTEX-13JVG-3226-SM-5IJGJ 60-69 years, male 8.9
GTEX-13VXU-3026-SM-5LU3K 50-59 years, male 8.9
GTEX-15SHU-3026-SM-6LPIB 40-49 years, female 8.9
GTEX-17HHY-2926-SM-79OJW 50-59 years, male 8.9
GTEX-1F6I4-3026-SM-7P8SI 60-69 years, male 8.9
GTEX-1F75W-3126-SM-7P8SJ 60-69 years, male 8.9
GTEX-1IL2V-3026-SM-CYPSA 70-79 years, male 8.9
GTEX-1NV8Z-3026-SM-DTX8Z 60-69 years, male 8.9
GTEX-1RNSC-3126-SM-EVR4V 60-69 years, male 8.9
GTEX-11EI6-2926-SM-5985U 60-69 years, male 8.8
GTEX-11EMC-3326-SM-5P9JH 60-69 years, female 8.8
GTEX-12WSM-2126-SM-5GCOC 60-69 years, male 8.8
GTEX-13OVJ-2726-SM-5IJG6 50-59 years, female 8.8
GTEX-13RTJ-3126-SM-5S2Q4 60-69 years, male 8.8
GTEX-14E6D-2926-SM-664OP 50-59 years, male 8.8
GTEX-17HG3-2826-SM-7EPGO 30-39 years, female 8.8
GTEX-ZVT3-2926-SM-5GU6M 60-69 years, female 8.8
GTEX-1B996-2926-SM-7MXUH 60-69 years, male 8.8
GTEX-1192X-3226-SM-5987D 50-59 years, male 8.7
GTEX-11NUK-3026-SM-5986K 50-59 years, male 8.7
GTEX-13SLX-3226-SM-5YYA6 50-59 years, female 8.7
GTEX-WWYW-3026-SM-3NB36 50-59 years, female 8.7
GTEX-13FHP-2926-SM-5IJG9 50-59 years, male 8.6
GTEX-13FXS-3026-SM-5LZYO 50-59 years, male 8.6
GTEX-1C6VR-3026-SM-7IGLW 60-69 years, male 8.6
GTEX-RU72-2926-SM-2TF66 50-59 years, female 8.6
GTEX-T6MN-2526-SM-32PMN 50-59 years, male 8.6
GTEX-12WSD-3026-SM-5LZU7 60-69 years, female 8.5
GTEX-14PJO-2926-SM-686ZI 60-69 years, male 8.5
GTEX-1HSKV-2926-SM-B2LWJ 60-69 years, male 8.5
GTEX-1KANB-3226-SM-D4P3G 50-59 years, male 8.5
GTEX-13OW5-3126-SM-5MR3Y 60-69 years, male 8.4
GTEX-13OW7-2926-SM-5MR3Z 50-59 years, male 8.4
GTEX-NPJ8-2626-SM-2D7W2 40-49 years, male 8.4
GTEX-R55E-2526-SM-2TC6H 20-29 years, male 8.4
GTEX-1GZHY-3026-SM-7MXVA 50-59 years, female 8.4
GTEX-12ZZZ-3126-SM-5LZU6 60-69 years, male 8.3
GTEX-1JN1M-3126-SM-AHZ4E 60-69 years, female 8.3
GTEX-1MJK2-3026-SM-EV7A5 50-59 years, male 8.3
GTEX-1QEPI-3026-SM-EXOIW 60-69 years, female 8.3
GTEX-1C64N-3126-SM-79OO3 50-59 years, male 8.2
GTEX-1EMGI-3126-SM-7MXUR 60-69 years, male 8.2
GTEX-1F6IF-3026-SM-7P8QN 60-69 years, male 8.2
GTEX-1LSVX-2826-SM-EVR58 60-69 years, male 8.2
GTEX-12WSH-3126-SM-5LZW8 50-59 years, male 8.1
GTEX-13112-2926-SM-5DUWT 50-59 years, male 8.1
GTEX-11ZTS-3226-SM-5EGID 60-69 years, female 8.0
GTEX-1EWIQ-3026-SM-7IGOJ 70-79 years, female 8.0
GTEX-11DZ1-2926-SM-5A5KI 50-59 years, male 7.9
GTEX-X261-3126-SM-4PQZC 50-59 years, male 7.9
GTEX-1E2YA-2926-SM-7MGWX 50-59 years, male 7.9
GTEX-1F48J-2726-SM-7P8PW 50-59 years, female 7.9
GTEX-11ONC-3026-SM-5985W 60-69 years, male 7.8
GTEX-13N2G-3126-SM-5IJGL 60-69 years, male 7.8
GTEX-1KD4Q-3026-SM-EV7A7 40-49 years, male 7.8
GTEX-1A8G7-3026-SM-73KTT 60-69 years, male 7.7
GTEX-1BAJH-3126-SM-7MGXY 70-79 years, male 7.6
GTEX-1RDX4-3226-SM-DPS14 50-59 years, female 7.5
GTEX-1H3VE-2826-SM-9WPOL 40-49 years, male 7.3
GTEX-1E1VI-2926-SM-7IGLT 50-59 years, male 7.2
GTEX-1HB9E-3126-SM-AHZ4M 50-59 years, male 6.9
GTEX-1GF9W-2726-SM-9JGGW 60-69 years, male 6.8
GTEX-1269C-3126-SM-5EGI6 60-69 years, female 6.6
GTEX-1EH9U-3126-SM-7MXU5 60-69 years, male 6.0
GTEX-16XZZ-2926-SM-6LPK4 60-69 years, male 5.1
GTEX-11OC5-0626-SM-5HL6M 60-69 years, male 4.4
Show allShow less

CEREBELLUM - FANTOM5 CAGEi

RNA expression in human tissues obtained through Cap Analysis of Gene Expression (CAGE) generated by the FANTOM5 project are reported as Scaled Tags Per Million.

Max subtype Scaled Tags Per Millioni

Max subtype Scaled Tags Per Million is the value for the subtype with the largest average Scaled Tags Per Million across the subtype samples.

17.4
FANTOM5 sample id Sample description Scaled Tags Per Million
Cerebellum
Scaled Tags Per Million: 17.4
FF:10083-102B2 22-68 years, mixed 17.6
FF:10166-103B4 76 years, female 17.2

CEREBELLUM - Pig RNA-seqi

RNA-seq data obtained from pig brain is reported as nTPM .

Normal distribution across the dataset is visualized with box plots, shown as median and 25th and 75th percentiles. Points are displayed as outliers if they are above or below 1.5 times the interquartile range. nTPM values of the individual samples are presented next to the box plot.
Max subtype nTPMi

Max subtype nTPM is the value for the subtype with the largest average nTPM across the subtype samples.

28.2
Pig sample Sample description nTPM
Cerebellum
nTPM: 28.2
Samples: 4

Max nTPM: 31.3
Min nTPM: 25.4
Sample A Female 25.4
Sample B Female 29.4
Sample C Male 31.3
Sample D Male 26.7

CEREBELLUM - Mouse RNA-seqi

RNA-seq data obtained from mouse brain is reported as nTPM .

Normal distribution across the dataset is visualized with box plots, shown as median and 25th and 75th percentiles. Points are displayed as outliers if they are above or below 1.5 times the interquartile range. nTPM values of the individual samples are presented next to the box plot.
Max subtype nTPMi

Max subtype nTPM is the value for the subtype with the largest average nTPM across the subtype samples.

15.9
Mouse sample Sample description nTPM
Cerebellum
nTPM: 15.9
Samples: 4

Max nTPM: 16.6
Min nTPM: 14.9
Sample A Male 16.2
Sample B Male 16.6
Sample C Female 14.9
Sample D Female 15.9

Contact

  • NEWS ARTICLES
  • PRESS ROOM

The Project

  • INTRODUCTION
  • ORGANIZATION
  • PUBLICATIONS

The Human Protein Atlas

  • DOWNLOADABLE DATA
  • LICENCE & CITATION
  • HELP & FAQ
The Human Protein Atlas project is funded
by the Knut & Alice Wallenberg Foundation.


contact@proteinatlas.org