We use cookies to enhance the usability of our website. If you continue, we'll assume that you are happy to receive all cookies. More information. Don't show this again.
HIC1
HPA
RESOURCES
  • TISSUE
  • BRAIN
  • SINGLE CELL
  • SUBCELLULAR
  • CANCER
  • BLOOD
  • CELL LINE
  • STRUCTURE & INTERACTION
ABOUT
  • INTRODUCTION
  • HISTORY
  • ORGANIZATION
  • PUBLICATIONS
  • ANTIBODY SUBMISSION
  • ANTIBODY AVAILABILITY
  • ACKNOWLEDGMENTS
  • CONTACT
NEWS
  • NEWS ARTICLES
  • PRESS ROOM
LEARN
  • DICTIONARY
  • PROTEIN CLASSES
  • PROTEIN EVIDENCE
  • METHODS
  • EDUCATIONAL VIDEOS
DATA
  • DOWNLOADABLE DATA
  • PUBLICATION DATA
  • RELEASE HISTORY
HELP
  • ANTIBODY VALIDATION
  • ASSAYS & ANNOTATION
  • DISCLAIMER
  • HELP & FAQ
  • PRIVACY STATEMENT
  • LICENCE & CITATION
Fields »
Search result

Field
Term
Gene name
Class
Subclass
Class
Keyword
Chromosome
External id
Tissue
Cell type
Expression
Antibody panel
Tissue
Main location
Patient ID
Annotation
Tissue
Category
Tau score
Cluster
Reliability
Brain region
Category
Tau score
Brain region
Category
Tau score
Brain region
Category
Tau score
Cluster
Reliability
Tissue
Cell type
Enrichment
Cell type
Category
Tau score
Cell type
Category
Tau score
Cell type
Category
Tau score
Cell lineage
Category
Tau score
Cluster
Cluster
Location
Searches
Location
Cell line
Class
Type
Phase
Reliability
Cancer
Prognosis
Cancer
Category
Cancer
Category
Tau score
Cluster
Variants
Interacting gene (ensg_id)
Type
Number of interactions
Pathway
Category
Score
Score
Score
Validation
Validation
Validation
Validation
Antibodies
Data type
Column


  • SUMMARY

  • TISSUE

  • BRAIN

  • SINGLE CELL

  • SUBCELL

  • CANCER

  • BLOOD

  • CELL LINE

  • STRUCT & INT

  • HIC1
TISSUE PRIMARY DATA BREAST Show tissue menu
ADIPOSE TISSUE ADRENAL GLAND AMYGDALA APPENDIX BASAL GANGLIA BONE MARROW BREAST BRONCHUS CEREBELLUM CEREBRAL CORTEX CERVIX CHOROID PLEXUS COLON DUODENUM
ENDOMETRIUM EPIDIDYMIS ESOPHAGUS FALLOPIAN TUBE GALLBLADDER HEART MUSCLE HIPPOCAMPAL FORMATION HYPOTHALAMUS KIDNEY LIVER LUNG LYMPH NODE MIDBRAIN NASOPHARYNX
ORAL MUCOSA OVARY PANCREAS PARATHYROID GLAND PITUITARY GLAND PLACENTA PROSTATE RECTUM RETINA SALIVARY GLAND SEMINAL VESICLE SKELETAL MUSCLE SKIN SMALL INTESTINE
SMOOTH MUSCLE SOFT TISSUE SPINAL CORD SPLEEN STOMACH TESTIS THYMUS THYROID GLAND TONGUE TONSIL URINARY BLADDER VAGINA
ANTIBODIES
AND
VALIDATION
Dictionary
Breast
Tissue proteome
Breast
BREAST - Expression summary
Protein expression
Breasti

On the top, protein expression in current human tissue, based on all annotated cell types, is reported with the units not detected (n), low (l), medium (m) and high (h). Underneath, protein expression in each annotated cell type are reported using the same units.

Protein expression data is based on knowledge-based annotation. For genes where more than one antibody has been used, a collective score is set.

If knowledge-based annotation could not be performed for a gene, no data is displayed here. View antibody staining data further down this page.

h
m
l
n
Adipocytes: Low
Glandular cells: Not detected
Myoepithelial cells: Low
RNA expressioni

A summary of mRNA expression data available for current tissue based on several datasets. The mRNA expression levels in human tissues are based on RNA-seq data generated by the Human Protein Atlas (HPA), Genotype-Tissue Expression (GTEx) portal and CAGE data generated by the FANTOM5 consortium. Consensus normalized expression levels for human tissues was created by combining the data from HPA and GTEx datasets.

The mRNA expression levels in pig are based on RNA-seq data generated by the Human Protein Atlas (HPA), and for mouse, HPA data and in situ hybridization generated by the Allen brain atlas are reported.

Scroll down to view mRNA expression data in more detail.
Consensus:16.0 nTPM
HPA:1.3 nTPM
GTEx:16.0 nTPM
FANTOM5:136.1 Scaled Tags Per Million

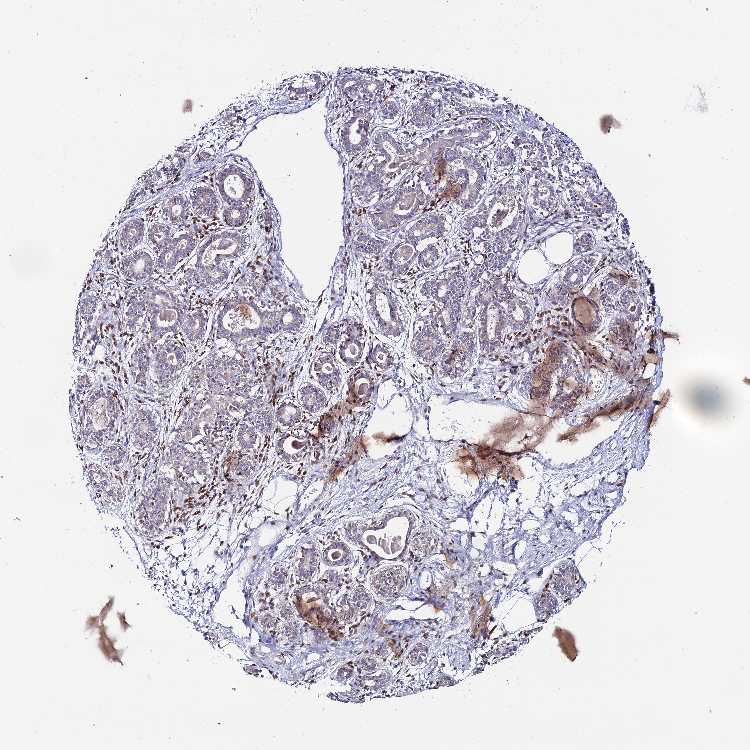
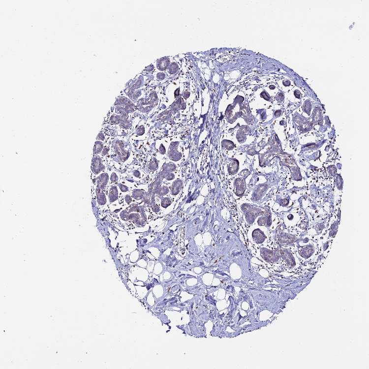
BREAST - Antibody stainingi

Antibody staining in the annotated cell types in the current human tissue is reported as not detected, low, medium, or high, based on conventional immunohistochemistry profiling in selected tissues. This score is based on the combination of the staining intensity and fraction of stained cells.

Each image is clickable and will lead to virtual microscopy that enables deeper exploration of all samples and also displays staining intensity scores, fraction scores and subcellular localization as well as patient and tissue information for each sample.

Antibody HPA043372
Adipocytes Low
Glandular cells Not detected
Myoepithelial cells Low



BREAST - HPA RNA-seqi

The RNA-seq details section shows detailed information about the individual samples used for the transcript profiling and results of the RNA-seq analysis.

Information about each individual sample is listed below, including gender, age, a tissue section image and estimated fractions of cell types. nTPM (normalized transcripts per million) values give a quantification of the gene abundance which is comparable between different genes and samples.
Average nTPMi

Max subtype nTPM is the value for the subtype with the largest average nTPM across the subtype samples.

1.3
overview
Female, age 52
Breast sample 373
nTPM: 2.4
Cell types%
Glandular cells:
15

Adipocytes:
5

Other cell types:
80

overview
Female, age 80
Breast sample 390
nTPM: 2.2
Cell types%
Glandular cells:
5

Adipocytes:
15

Other cell types:
80

overview
Female, age 47
Breast sample 405
nTPM: 0.2
Cell types%
Glandular cells:
5

Adipocytes:
5

Other cell types:
90

overview
Female, age 38
Breast sample 410
nTPM: 0.5
Cell types%
Glandular cells:
40

Adipocytes:
5

Other cell types:
55


BREAST - GTEx RNA-seqi

RNA-Seq data generated by the Genotype-Tissue Expression (GTEx) project from human tissues is reported as mean nTPM. More information can be found on the GTEx portal.

Distribution across the dataset is visualized with box plots, shown as median and 25th and 75th percentiles. Points are displayed as outliers if they are above or below 1.5 times the interquartile range. nTPM values of the individual samples are presented next to the box plot.
Max subtype nTPMi

Max subtype nTPM is the value for the subtype with the largest average nTPM across the subtype samples.

16.0
GTEx sample id Sample description nTPM
Breast - Mammary Tissue
Average nTPM: 16.0
Samples: 459

Max nTPM: 57.3
Min nTPM: 3.5
Std nTPM: 9.0
Median nTPM: 13.6
GTEX-1HR98-0426-SM-COH36 60-69 years, male 57.3
GTEX-13O3Q-2226-SM-5KM4O 50-59 years, male 49.8
GTEX-1IOXB-1926-SM-ARL8E 50-59 years, male 48.3
GTEX-1IDJH-2226-SM-E6CJV 70-79 years, male 44.3
GTEX-1EKGG-2626-SM-7IGPY 60-69 years, male 43.5
GTEX-132NY-0826-SM-5K7Y7 60-69 years, male 43.4
GTEX-13W46-0826-SM-5LU3H 50-59 years, male 42.3
GTEX-144GL-2026-SM-5LU3O 50-59 years, male 42.0
GTEX-1HCU8-0126-SM-ADEHH 60-69 years, female 41.2
GTEX-14E7W-0826-SM-62LEJ 70-79 years, male 40.9
GTEX-1JN1M-3026-SM-CMKGK 60-69 years, female 40.0
GTEX-WI4N-1426-SM-3LK7H 40-49 years, female 39.6
GTEX-11O72-2126-SM-5N9FO 40-49 years, male 38.3
GTEX-1PPGY-1526-SM-EVYBK 60-69 years, male 37.8
GTEX-X4EP-2926-SM-3P5YQ 60-69 years, female 37.5
GTEX-1E2YA-2726-SM-7IGPW 50-59 years, male 36.9
GTEX-1JN6P-2426-SM-ARL99 60-69 years, male 36.5
GTEX-QVJO-1826-SM-447C9 60-69 years, female 36.1
GTEX-ZYFC-0826-SM-5E44K 50-59 years, male 36.0
GTEX-1N2EF-2226-SM-E9J33 60-69 years, male 35.6
GTEX-11WQC-1726-SM-5GU4W 60-69 years, male 35.2
GTEX-S7SE-0826-SM-4AT4D 50-59 years, male 35.2
GTEX-11GSP-0926-SM-9WYSG 60-69 years, female 35.2
GTEX-11NV4-2026-SM-5N9DG 60-69 years, male 34.8
GTEX-131YS-0626-SM-5EGKL 60-69 years, female 33.8
GTEX-ZYT6-0126-SM-5E45J 30-39 years, male 33.5
GTEX-1MA7X-1626-SM-E9U5B 60-69 years, male 33.0
GTEX-17MFQ-0926-SM-7LG4S 20-29 years, male 32.8
GTEX-11GS4-2126-SM-5A5KR 60-69 years, male 32.5
GTEX-R3RS-0626-SM-48FE1 40-49 years, female 31.9
GTEX-117XS-1926-SM-5GICO 60-69 years, male 31.4
GTEX-18A6Q-0926-SM-7LG4N 60-69 years, male 31.4
GTEX-1I1GV-2426-SM-CGQFM 60-69 years, male 31.4
GTEX-ZUA1-1526-SM-59HLS 40-49 years, male 31.0
GTEX-147F4-2826-SM-5NQBN 50-59 years, male 30.9
GTEX-ZVT4-1026-SM-57WC4 50-59 years, female 30.9
GTEX-13PVQ-1026-SM-5KM3M 50-59 years, male 30.5
GTEX-XMD2-0926-SM-4WWEF 60-69 years, female 30.5
GTEX-1LNCM-0226-SM-DIPF4 50-59 years, female 30.4
GTEX-1I1HK-2426-SM-ADEHX 60-69 years, male 30.2
GTEX-1HC8U-0826-SM-ADEIL 40-49 years, female 29.8
GTEX-15FZZ-0726-SM-7KUFZ 30-39 years, female 29.7
GTEX-1HSMO-0826-SM-ADEIV 60-69 years, male 29.7
GTEX-18465-2026-SM-718AP 50-59 years, male 29.1
GTEX-13VXU-2826-SM-664MA 50-59 years, male 29.0
GTEX-1QMI2-0726-SM-E9J4F 60-69 years, male 28.9
GTEX-1BAJH-0826-SM-7EWEF 70-79 years, male 28.6
GTEX-1QEPI-0926-SM-DTXF3 60-69 years, female 28.5
GTEX-1M4P7-2626-SM-E9U5F 60-69 years, male 28.2
GTEX-11DXZ-1926-SM-5GZZL 50-59 years, male 28.0
GTEX-1IGQW-0926-SM-ADEH6 60-69 years, male 27.9
GTEX-11EI6-0626-SM-5985T 60-69 years, male 27.7
GTEX-1F75A-1826-SM-7SB8G 50-59 years, male 27.5
GTEX-X62O-0526-SM-EWRMA 50-59 years, male 27.4
GTEX-Q2AG-0326-SM-48U1O 40-49 years, female 27.3
GTEX-1GZ2Q-2626-SM-7MXV9 40-49 years, male 27.1
GTEX-13SLW-2526-SM-62LDQ 70-79 years, male 26.7
GTEX-WRHU-0326-SM-3MJFY 50-59 years, female 26.6
GTEX-1313W-0826-SM-5EQ4T 50-59 years, female 26.5
GTEX-1CB4G-2326-SM-79OOI 60-69 years, male 26.5
GTEX-13NZ9-1026-SM-5MR5K 50-59 years, male 26.4
GTEX-145MF-2226-SM-7EPIR 50-59 years, male 26.4
GTEX-11ONC-2126-SM-5HL6E 60-69 years, male 26.3
GTEX-U8XE-0826-SM-4E3J1 30-39 years, male 25.9
GTEX-11DXY-2326-SM-5GICW 60-69 years, male 25.8
GTEX-1GMRU-0826-SM-9WYT7 50-59 years, male 25.8
GTEX-1I1GP-0426-SM-COH3N 50-59 years, male 25.5
GTEX-1NV8Z-2826-SM-E8VME 60-69 years, male 25.5
GTEX-X4XY-0926-SM-4E3JD 60-69 years, male 25.4
GTEX-1GF9V-2526-SM-7SB8K 60-69 years, male 24.9
GTEX-1GN2E-2226-SM-9WG6J 60-69 years, male 24.9
GTEX-183FY-1126-SM-7DHLJ 20-29 years, male 24.8
GTEX-11DXW-0626-SM-5N9ER 40-49 years, male 24.7
GTEX-13D11-1026-SM-5IJFB 50-59 years, female 24.7
GTEX-REY6-2426-SM-48FF5 60-69 years, male 24.7
GTEX-ZAK1-1326-SM-EVYAS 50-59 years, female 24.7
GTEX-1H4P4-2226-SM-9MQKQ 50-59 years, male 24.6
GTEX-11OF3-1926-SM-59889 60-69 years, male 24.5
GTEX-1KD5A-1926-SM-DKPQA 50-59 years, male 24.4
GTEX-1C6WA-2426-SM-7SB86 60-69 years, male 24.3
GTEX-14753-2426-SM-5LU8U 60-69 years, male 24.2
GTEX-ZEX8-2226-SM-57WC6 50-59 years, male 24.2
GTEX-1MJK2-2226-SM-EVYCR 50-59 years, male 24.0
GTEX-13CF2-2026-SM-5K7VI 60-69 years, male 23.8
GTEX-11ZUS-0826-SM-5FQUY 30-39 years, male 23.7
GTEX-1AX8Z-0926-SM-731AW 60-69 years, male 23.6
GTEX-XMK1-1126-SM-4IHJ8 40-49 years, male 23.6
GTEX-17EVQ-0426-SM-7LG57 70-79 years, male 23.5
GTEX-17HHY-0926-SM-793C1 50-59 years, male 23.2
GTEX-R53T-1526-SM-48FEK 50-59 years, female 23.2
GTEX-1H1DG-0526-SM-9YFLN 70-79 years, male 23.2
GTEX-17HHE-1426-SM-7EPH4 50-59 years, male 23.1
GTEX-1I6K6-0826-SM-ARL7Z 30-39 years, male 22.9
GTEX-17JCI-0726-SM-7EPH1 60-69 years, female 22.7
GTEX-17HGU-1326-SM-79OKB 50-59 years, male 22.5
GTEX-132AR-0826-SM-5EGK6 50-59 years, female 22.0
GTEX-ZVZQ-0826-SM-51MRF 60-69 years, female 22.0
GTEX-S33H-0326-SM-4AD6N 30-39 years, male 21.8
GTEX-13NZ8-0126-SM-5IJCT 60-69 years, female 21.6
GTEX-U3ZH-1426-SM-4DXSR 30-39 years, male 21.6
GTEX-1GPI6-0626-SM-7RHHJ 60-69 years, male 21.6
GTEX-1ICLY-1726-SM-B2LVT 50-59 years, male 21.6
GTEX-X261-0626-SM-3NMD9 50-59 years, male 21.5
GTEX-14BMV-0626-SM-793AU 50-59 years, male 21.4
GTEX-1KAFJ-0226-SM-DIPEL 50-59 years, male 21.3
GTEX-XQ3S-1326-SM-4BOPQ 20-29 years, male 21.2
GTEX-15SHW-1326-SM-6PAL8 60-69 years, male 21.1
GTEX-YECK-0726-SM-EZ6LV 60-69 years, male 21.1
GTEX-11PRG-0826-SM-5EQ6A 50-59 years, male 21.0
GTEX-1EWIQ-1726-SM-7SB7T 70-79 years, female 20.9
GTEX-ZY6K-1626-SM-5GZWV 50-59 years, male 20.8
GTEX-15ER7-1626-SM-6PAMZ 20-29 years, female 20.6
GTEX-1K9T9-1426-SM-DIPFQ 50-59 years, female 20.6
GTEX-131XW-0726-SM-5EGK3 50-59 years, female 20.5
GTEX-1R46S-2526-SM-E8VN2 60-69 years, female 20.5
GTEX-WOFL-0826-SM-3MJG1 60-69 years, male 20.4
GTEX-VUSG-2226-SM-4KKZO 50-59 years, male 20.3
GTEX-1HCU7-1026-SM-ADEIP 50-59 years, male 20.2
GTEX-YJ8O-2226-SM-5IFHW 40-49 years, female 20.1
GTEX-T6MN-0726-SM-32PML 50-59 years, male 20.0
GTEX-1HUB1-1626-SM-CM2SL 60-69 years, male 20.0
GTEX-1LG7Z-0726-SM-CXKYD 30-39 years, male 20.0
GTEX-1HT8W-2226-SM-CGQEC 30-39 years, male 19.9
GTEX-146FH-0826-SM-5SI8T 50-59 years, female 19.8
GTEX-14E6C-1326-SM-62LEQ 40-49 years, male 19.8
GTEX-17HG3-0126-SM-7IGNH 30-39 years, female 19.4
GTEX-T5JW-2026-SM-4DM63 20-29 years, female 19.3
GTEX-WYVS-1726-SM-3NMAY 40-49 years, female 19.2
GTEX-1LBAC-0926-SM-CXKY9 20-29 years, male 19.2
GTEX-16YQH-2826-SM-6PAMY 30-39 years, male 19.1
GTEX-ZF2S-2026-SM-5E461 50-59 years, female 19.1
GTEX-1B8L1-2426-SM-9WYTE 60-69 years, male 19.1
GTEX-11NSD-0926-SM-5N9DR 20-29 years, male 19.0
GTEX-ZV6S-1826-SM-5NQ8D 40-49 years, female 19.0
GTEX-1EN7A-1426-SM-7PBY4 40-49 years, male 19.0
GTEX-1JMOU-2026-SM-CMKGU 60-69 years, female 18.8
GTEX-18A7A-0726-SM-7LTAI 50-59 years, female 18.7
GTEX-17MF6-0326-SM-7EPH5 40-49 years, male 18.6
GTEX-1KD4Q-2326-SM-D4P3M 40-49 years, male 18.6
GTEX-1GF9X-1026-SM-ACKX2 40-49 years, female 18.5
GTEX-1I19N-2826-SM-CL55D 70-79 years, male 18.3
GTEX-1JJEA-2726-SM-ARL8V 60-69 years, male 18.3
GTEX-13FHO-0826-SM-5L3E8 60-69 years, male 18.1
GTEX-1C64O-0726-SM-7DUFU 60-69 years, male 18.1
GTEX-ZVTK-0326-SM-51MRR 20-29 years, male 18.1
GTEX-WY7C-2726-SM-3NB3P 50-59 years, male 17.9
GTEX-1GZHY-0726-SM-9WG6B 50-59 years, female 17.9
GTEX-11DZ1-0326-SM-5N9BN 50-59 years, male 17.8
GTEX-15UF6-0126-SM-6PAMB 70-79 years, female 17.8
GTEX-1F6I4-2526-SM-7SB8F 60-69 years, male 17.8
GTEX-12WSM-1726-SM-5BC6J 60-69 years, male 17.7
GTEX-XQ8I-2426-SM-4WAXY 50-59 years, male 17.7
GTEX-13O3O-0826-SM-5K7WE 60-69 years, female 17.6
GTEX-14PKU-0426-SM-6EU1P 40-49 years, female 17.6
GTEX-1R9JW-0326-SM-EAZ45 30-39 years, female 17.6
GTEX-11WQK-2426-SM-5GU5C 50-59 years, male 17.4
GTEX-XMD1-0826-SM-4AT52 60-69 years, male 17.4
GTEX-1J8Q2-2726-SM-A9G2X 60-69 years, male 17.3
GTEX-1J8QM-2026-SM-ARZMW 60-69 years, female 17.3
GTEX-YB5E-1726-SM-5IFJ3 40-49 years, male 17.0
GTEX-1GZ4I-2826-SM-9MQK5 50-59 years, male 17.0
GTEX-ZTTD-1026-SM-51MRD 50-59 years, male 16.9
GTEX-14ABY-2126-SM-5QGQZ 50-59 years, male 16.8
GTEX-1GF9U-1726-SM-7MGY5 40-49 years, female 16.7
GTEX-1N2EE-2126-SM-E8VNN 60-69 years, male 16.7
GTEX-1R9PN-0326-SM-DTX85 40-49 years, female 16.7
GTEX-13N1W-0626-SM-5MR4U 70-79 years, male 16.6
GTEX-144GM-0926-SM-5O994 20-29 years, male 16.6
GTEX-11LCK-2426-SM-5HL5F 30-39 years, male 16.5
GTEX-13FTW-1426-SM-5LZWZ 40-49 years, male 16.5
GTEX-13OW5-2226-SM-5L3HC 60-69 years, male 16.5
GTEX-1122O-1226-SM-5H113 60-69 years, female 16.4
GTEX-1H11D-1526-SM-9MQJY 40-49 years, male 16.4
GTEX-1IDFM-0426-SM-B2LVV 60-69 years, male 16.3
GTEX-1B933-2526-SM-7IGO5 50-59 years, female 16.2
GTEX-S4P3-1326-SM-4AD6V 50-59 years, female 16.2
GTEX-UPK5-2326-SM-3P5Z8 40-49 years, male 16.2
GTEX-13113-5013-SM-7SB7G 60-69 years, female 16.2
GTEX-1IY9M-2726-SM-CMKG5 60-69 years, male 16.2
GTEX-11GSO-1926-SM-5A5K3 60-69 years, male 16.1
GTEX-1H1CY-2226-SM-9WG7E 60-69 years, female 16.1
GTEX-1R9PM-1826-SM-EVYBH 20-29 years, male 16.1
GTEX-1QPFJ-2026-SM-EVYBE 30-39 years, female 16.0
GTEX-ZAB4-2526-SM-5HL8M 40-49 years, male 15.8
GTEX-12ZZX-1126-SM-5EGKB 40-49 years, female 15.7
GTEX-18A7B-2626-SM-7LG55 70-79 years, male 15.7
GTEX-1A8G7-2426-SM-731AK 60-69 years, male 15.7
GTEX-1HCVE-2626-SM-ADEJ8 50-59 years, male 15.7
GTEX-145MN-1926-SM-5SIAI 30-39 years, male 15.6
GTEX-Y5V5-2126-SM-4WWFO 60-69 years, female 15.6
GTEX-17F96-2426-SM-7IGLN 70-79 years, male 15.4
GTEX-1MCYP-0126-SM-E6CIS 20-29 years, female 15.4
GTEX-13NZB-2126-SM-5MR4Y 30-39 years, male 15.3
GTEX-13OW8-0226-SM-5K7UP 60-69 years, male 15.3
GTEX-U3ZN-1926-SM-4DXSG 30-39 years, female 15.2
GTEX-YFCO-1826-SM-4W1YH 40-49 years, male 15.2
GTEX-13S86-1226-SM-5S2OA 40-49 years, male 15.1
GTEX-R55D-0826-SM-48FEA 50-59 years, male 15.1
GTEX-TKQ2-1826-SM-33HB2 50-59 years, male 15.1
GTEX-1269C-2426-SM-5FQSN 60-69 years, female 14.8
GTEX-YFC4-1426-SM-5IFJG 40-49 years, female 14.8
GTEX-17KNJ-2026-SM-7LG53 50-59 years, male 14.7
GTEX-1PPH7-0826-SM-E8VNX 40-49 years, male 14.7
GTEX-U412-1826-SM-4DXTJ 60-69 years, male 14.5
GTEX-UJHI-1426-SM-3DB9C 50-59 years, female 14.5
GTEX-XV7Q-2326-SM-4BRVZ 40-49 years, female 14.5
GTEX-Y8E4-1626-SM-5S2MW 40-49 years, male 14.5
GTEX-17EVP-0226-SM-79OND 40-49 years, male 14.4
GTEX-TML8-1226-SM-32QON 40-49 years, female 14.4
GTEX-1I4MK-1626-SM-CM2TJ 50-59 years, female 14.4
GTEX-T2IS-1526-SM-32QPR 20-29 years, female 14.3
GTEX-1F75B-0626-SM-7SB8A 50-59 years, male 14.3
GTEX-1H23P-0726-SM-9WG7K 60-69 years, male 14.3
GTEX-XOT4-0726-SM-4GIAW 60-69 years, female 14.2
GTEX-ZU9S-1926-SM-5NQBP 30-39 years, male 14.2
GTEX-ZV7C-1826-SM-5NQ83 50-59 years, male 14.2
GTEX-S341-1526-SM-4AD6K 40-49 years, female 14.1
GTEX-X15G-1626-SM-3NMB3 50-59 years, female 14.1
GTEX-WHSB-1926-SM-EXOHH 50-59 years, male 14.1
GTEX-ZAJG-0626-SM-5HL8X 50-59 years, female 14.0
GTEX-ZZPU-0626-SM-5E43T 50-59 years, female 14.0
GTEX-13QIC-2326-SM-5LU5N 60-69 years, female 13.9
GTEX-1IKJJ-2326-SM-COH3U 60-69 years, male 13.9
GTEX-1LSVX-2426-SM-E6CJX 60-69 years, male 13.9
GTEX-11I78-2226-SM-5PNYA 50-59 years, female 13.7
GTEX-1AX9I-0726-SM-73KWV 60-69 years, male 13.7
GTEX-1HFI7-0126-SM-CGQFQ 50-59 years, female 13.7
GTEX-Z9EW-1526-SM-EZ6LU 40-49 years, male 13.7
GTEX-14AS3-1626-SM-5S2OY 40-49 years, female 13.6
GTEX-1A3MX-2726-SM-718B6 60-69 years, male 13.6
GTEX-XGQ4-0926-SM-4AT4U 50-59 years, male 13.6
GTEX-1H3VY-0926-SM-ACKXE 50-59 years, male 13.6
GTEX-1HR9M-2426-SM-ACKXI 60-69 years, male 13.6
GTEX-Y8LW-1626-SM-5IFHX 50-59 years, female 13.5
GTEX-18A66-1726-SM-7LG5N 60-69 years, male 13.5
GTEX-1GMR3-2626-SM-7RHHG 40-49 years, male 13.5
GTEX-1RAZS-1226-SM-E8VMT 50-59 years, male 13.5
GTEX-1JKYR-0926-SM-CMKGJ 20-29 years, male 13.4
GTEX-1LSNL-2826-SM-E9U5L 50-59 years, male 13.4
GTEX-11EQ9-1826-SM-5Q5AJ 30-39 years, male 13.3
GTEX-11TUW-1826-SM-5BC5D 60-69 years, male 13.3
GTEX-13N11-1726-SM-5J1OJ 50-59 years, female 13.3
GTEX-13PL6-2926-SM-5L3I2 40-49 years, female 13.3
GTEX-Y111-2026-SM-4SOJA 50-59 years, male 13.2
GTEX-1ICLZ-0426-SM-B2LW2 60-69 years, male 13.2
GTEX-1MA7W-1026-SM-DKPQK 20-29 years, female 13.2
GTEX-ZDTT-2126-SM-DKPOM 60-69 years, male 13.2
GTEX-1IE54-0626-SM-ARL8D 40-49 years, female 13.1
GTEX-1JMPZ-1626-SM-COH31 30-39 years, male 13.1
GTEX-14DAR-1326-SM-7DUEG 50-59 years, male 13.0
GTEX-ZDXO-0126-SM-5S2ND 60-69 years, male 13.0
GTEX-1LC47-1226-SM-D4P44 60-69 years, male 13.0
GTEX-12WSK-2226-SM-5GCO5 40-49 years, female 12.9
GTEX-S32W-2026-SM-4AD6E 50-59 years, female 12.9
GTEX-1HSKV-2026-SM-CMKGX 60-69 years, male 12.9
GTEX-1IDJE-0826-SM-CKZNZ 50-59 years, female 12.9
GTEX-14PN4-0626-SM-62LFP 50-59 years, male 12.8
GTEX-1HBPM-0126-SM-ARL9E 60-69 years, female 12.8
GTEX-ZLFU-2126-SM-DO931 40-49 years, male 12.8
GTEX-13FTX-1126-SM-5N9EN 20-29 years, female 12.7
GTEX-15UF7-0726-SM-6M46D 40-49 years, male 12.7
GTEX-1B8KZ-1526-SM-7DUG7 50-59 years, male 12.7
GTEX-1B932-0826-SM-73KXG 40-49 years, female 12.7
GTEX-1JJE9-2326-SM-ARL8Q 70-79 years, male 12.7
GTEX-12KS4-0126-SM-5Q5A5 30-39 years, male 12.6
GTEX-RU72-0626-SM-46MUI 50-59 years, female 12.6
GTEX-Y3IK-2326-SM-4WWDT 50-59 years, female 12.6
GTEX-1GZ4H-0326-SM-7P8QX 50-59 years, female 12.6
GTEX-13O61-1826-SM-5KM4I 60-69 years, male 12.5
GTEX-1N5O9-1126-SM-DTXEQ 60-69 years, male 12.5
GTEX-1NHNU-0926-SM-E9J2T 50-59 years, male 12.5
GTEX-ZC5H-2626-SM-5J2MG 40-49 years, female 12.4
GTEX-11P81-1926-SM-5BC53 30-39 years, female 12.3
GTEX-1EU9M-2826-SM-7EWFH 60-69 years, male 12.3
GTEX-1192X-2326-SM-5987X 50-59 years, male 12.2
GTEX-1C6VS-0726-SM-7EPHF 60-69 years, male 12.2
GTEX-ZVE2-1226-SM-5NQ8R 50-59 years, male 12.1
GTEX-1POEN-0926-SM-DTX88 30-39 years, female 12.1
GTEX-13O3P-0826-SM-5L3DH 50-59 years, male 12.0
GTEX-14PJ4-2126-SM-6ETZJ 60-69 years, male 12.0
GTEX-ZF3C-2326-SM-5S2NC 50-59 years, female 12.0
GTEX-11TT1-2126-SM-5GU5Y 20-29 years, male 11.8
GTEX-183WM-0726-SM-7LTAA 70-79 years, female 11.7
GTEX-13QJ3-0826-SM-7DHKK 50-59 years, male 11.5
GTEX-13SLX-2326-SM-5ZZWE 50-59 years, female 11.5
GTEX-WXYG-2226-SM-4E3IM 50-59 years, female 11.5
GTEX-1GN1U-0526-SM-9KNTT 50-59 years, female 11.5
GTEX-14PHY-1926-SM-5YY95 60-69 years, female 11.4
GTEX-RWS6-1926-SM-47JXY 60-69 years, female 11.4
GTEX-1JMLX-2026-SM-CMKGN 50-59 years, male 11.4
GTEX-1P4AB-1826-SM-E76PU 50-59 years, male 11.4
GTEX-11EMC-2026-SM-5A5JV 60-69 years, female 11.2
GTEX-1JMQK-2626-SM-COH2W 60-69 years, male 11.2
GTEX-1F5PK-2126-SM-7PC28 50-59 years, male 11.1
GTEX-PSDG-1626-SM-48TCQ 50-59 years, male 10.9
GTEX-15G19-2126-SM-6M48J 60-69 years, male 10.8
GTEX-17F97-2526-SM-7EWDV 50-59 years, male 10.8
GTEX-SE5C-2126-SM-4BRUJ 40-49 years, female 10.8
GTEX-ZA64-1526-SM-5CVMD 20-29 years, male 10.8
GTEX-17F9E-2526-SM-7MGW2 50-59 years, male 10.8
GTEX-15EOM-5019-SM-793DK 20-29 years, female 10.7
GTEX-17GQL-0326-SM-7LG5U 60-69 years, male 10.6
GTEX-1GN1W-1926-SM-7P8TH 50-59 years, female 10.6
GTEX-1S82Z-0726-SM-E6CHX 30-39 years, female 10.6
GTEX-14E6E-1326-SM-5S2NR 30-39 years, male 10.5
GTEX-1QCLZ-2326-SM-DTXDO 60-69 years, female 10.5
GTEX-ZGAY-1726-SM-DO91P 40-49 years, female 10.5
GTEX-1B97J-0426-SM-79OLQ 50-59 years, female 10.4
GTEX-WYBS-0926-SM-3NM94 60-69 years, female 10.4
GTEX-YEC3-1026-SM-5IFI5 50-59 years, male 10.4
GTEX-1LVAM-0926-SM-E9TJ2 50-59 years, female 10.4
GTEX-ZLV1-1426-SM-DO92Z 60-69 years, female 10.3
GTEX-13W3W-1226-SM-5LU4H 60-69 years, female 10.2
GTEX-XUW1-2326-SM-4BOO5 50-59 years, female 10.2
GTEX-ZYW4-0826-SM-5GIDG 60-69 years, male 10.2
GTEX-1J8EW-2626-SM-CL53E 60-69 years, female 10.2
GTEX-117YX-1426-SM-5H12H 50-59 years, male 10.1
GTEX-YB5K-1626-SM-5IFIN 40-49 years, female 10.1
GTEX-ZPIC-1126-SM-5BC7F 40-49 years, female 10.1
GTEX-139TU-0626-SM-5KM3X 60-69 years, male 10.0
GTEX-1HCUA-0726-SM-ACKVU 50-59 years, female 10.0
GTEX-1I6K7-1026-SM-A9SLK 40-49 years, male 10.0
GTEX-1IDJF-2326-SM-ARL86 20-29 years, male 10.0
GTEX-1B8SG-1226-SM-7IGPF 50-59 years, male 9.9
GTEX-1CB4J-1826-SM-7EWF9 60-69 years, male 9.9
GTEX-Y3I4-1526-SM-4TT7K 50-59 years, male 9.9
GTEX-ZTPG-2826-SM-57WGA 20-29 years, female 9.9
GTEX-133LE-1726-SM-5K7VQ 20-29 years, female 9.8
GTEX-1B97I-0426-SM-79OL7 40-49 years, male 9.8
GTEX-S4Q7-1126-SM-4AD6R 20-29 years, male 9.8
GTEX-1MJK3-1126-SM-E9J3F 20-29 years, male 9.8
GTEX-139T8-0826-SM-5L3DE 60-69 years, male 9.7
GTEX-15RJE-2626-SM-7KFT1 40-49 years, male 9.7
GTEX-ZQG8-0726-SM-5P9H9 60-69 years, female 9.7
GTEX-1I1GT-1126-SM-ARL7J 60-69 years, female 9.7
GTEX-1117F-2826-SM-5GZXL 60-69 years, female 9.5
GTEX-QDT8-0626-SM-48TYW 30-39 years, female 9.5
GTEX-1KANC-1426-SM-CYPT9 50-59 years, female 9.5
GTEX-ZTX8-1226-SM-4YCE9 20-29 years, male 9.4
GTEX-1JK1U-1826-SM-ARL8W 60-69 years, male 9.4
GTEX-17F98-0526-SM-79OK5 40-49 years, female 9.3
GTEX-WFON-1826-SM-3GILG 40-49 years, male 9.3
GTEX-1IKOH-2326-SM-CM2TW 60-69 years, female 9.3
GTEX-1C475-1226-SM-7SB72 40-49 years, female 9.2
GTEX-1GPI7-0926-SM-7PC3J 20-29 years, male 9.2
GTEX-14A5I-0726-SM-5TDEB 50-59 years, female 9.1
GTEX-Y5V6-2126-SM-4WWFX 60-69 years, male 9.1
GTEX-ZWKS-2826-SM-5NQ74 30-39 years, male 9.1
GTEX-16BQI-1026-SM-7KUEA 30-39 years, female 9.0
GTEX-RUSQ-2026-SM-4GIAK 50-59 years, male 9.0
GTEX-Y5LM-1726-SM-4VDSX 40-49 years, female 9.0
GTEX-1IDJU-1826-SM-CMKHV 60-69 years, female 9.0
GTEX-139T6-1626-SM-5PNYZ 50-59 years, male 8.9
GTEX-18QFQ-0826-SM-718AX 30-39 years, male 8.9
GTEX-TKQ1-0226-SM-33HB5 30-39 years, male 8.9
GTEX-145LT-0726-SM-5S2VM 40-49 years, male 8.8
GTEX-XYKS-1326-SM-4BRUN 60-69 years, female 8.8
GTEX-169BO-1126-SM-7MGWN 50-59 years, male 8.8
GTEX-1H1ZS-0126-SM-9YFKQ 70-79 years, male 8.8
GTEX-13FTY-2226-SM-5J1ND 40-49 years, female 8.7
GTEX-T5JC-2126-SM-32PMO 20-29 years, male 8.7
GTEX-11P82-1326-SM-5HL62 20-29 years, male 8.6
GTEX-ZDYS-1126-SM-5K7UB 50-59 years, male 8.6
GTEX-1QCLY-1626-SM-DTXDW 30-39 years, male 8.6
GTEX-18D9A-1526-SM-7LG4J 30-39 years, female 8.5
GTEX-1JMPY-0526-SM-CL54O 30-39 years, male 8.5
GTEX-11P7K-0726-SM-5EGKX 30-39 years, male 8.4
GTEX-13CF3-2126-SM-5IFJP 60-69 years, female 8.4
GTEX-145MO-0826-SM-5NQBL 60-69 years, male 8.4
GTEX-S4UY-0726-SM-4AD6X 40-49 years, female 8.4
GTEX-1M5QR-2526-SM-E9U5P 40-49 years, male 8.4
GTEX-QMRM-1626-SM-D4P1U 50-59 years, male 8.4
GTEX-XBED-1626-SM-47JYN 60-69 years, male 8.3
GTEX-1KXAM-1026-SM-CY8IA 60-69 years, male 8.3
GTEX-QEG5-0726-SM-D4P1T 20-29 years, male 8.3
GTEX-WYJK-1326-SM-3NB2T 50-59 years, male 8.2
GTEX-1S82U-1126-SM-E9U6I 30-39 years, female 8.1
GTEX-1C6VQ-0426-SM-79OOX 50-59 years, male 8.0
GTEX-1K2DA-1726-SM-CGQGS 50-59 years, male 8.0
GTEX-1RQEC-2026-SM-DTXDM 60-69 years, male 8.0
GTEX-ZLWG-1926-SM-DO92J 50-59 years, female 8.0
GTEX-ZXES-0826-SM-5E43C 30-39 years, female 7.9
GTEX-1I1GU-1026-SM-ADEHJ 40-49 years, male 7.9
GTEX-14B4R-1226-SM-5TDDT 30-39 years, male 7.8
GTEX-1JKYN-0726-SM-ARZMY 30-39 years, male 7.8
GTEX-17EUY-1926-SM-7DUF6 20-29 years, male 7.7
GTEX-1CB4E-0226-SM-79OLW 60-69 years, male 7.7
GTEX-1HSGN-1526-SM-A9SMO 40-49 years, female 7.7
GTEX-1KANA-2026-SM-DIPFB 20-29 years, male 7.7
GTEX-1MCC2-2126-SM-EWRON 30-39 years, female 7.7
GTEX-11EM3-1326-SM-5N9C6 20-29 years, female 7.6
GTEX-13PVR-2226-SM-7DHKP 60-69 years, female 7.6
GTEX-14H4A-2526-SM-5YYAY 40-49 years, female 7.6
GTEX-T2YK-2226-SM-32QPT 50-59 years, male 7.5
GTEX-1B8KE-1226-SM-73KWK 50-59 years, male 7.4
GTEX-RU1J-0626-SM-4WAWY 20-29 years, female 7.4
GTEX-1PDJ9-1126-SM-EXUSW 20-29 years, male 7.4
GTEX-11ZTT-2326-SM-5EQLG 60-69 years, female 7.3
GTEX-1211K-1926-SM-5EQLB 60-69 years, female 7.3
GTEX-1314G-1226-SM-5BC6D 30-39 years, male 7.3
GTEX-15ETS-0626-SM-7KUMX 40-49 years, female 7.2
GTEX-1QP9N-1826-SM-E8VMP 30-39 years, male 7.2
GTEX-1RAZQ-1226-SM-EWRNL 30-39 years, male 7.2
GTEX-14PJO-0726-SM-69LO8 60-69 years, male 7.1
GTEX-16NGA-0826-SM-718AF 40-49 years, female 7.1
GTEX-VJWN-0726-SM-3GIJ8 50-59 years, female 7.1
GTEX-1ICG6-1326-SM-ACKWR 70-79 years, female 7.1
GTEX-1A3MV-1626-SM-731C1 30-39 years, male 7.0
GTEX-V955-2026-SM-3GAFA 60-69 years, male 7.0
GTEX-ZQUD-1926-SM-51MSA 30-39 years, male 6.9
GTEX-1H1E6-0926-SM-9YFLT 30-39 years, male 6.9
GTEX-WFG8-2026-SM-EXOHO 20-29 years, male 6.9
GTEX-1399U-1826-SM-5PNZ1 50-59 years, female 6.8
GTEX-QEL4-2126-SM-447AE 50-59 years, male 6.8
GTEX-14BMU-1626-SM-5TDE7 20-29 years, female 6.7
GTEX-1AMEY-1026-SM-718AA 30-39 years, female 6.7
GTEX-W5X1-2326-SM-3GIL6 40-49 years, female 6.7
GTEX-1F75I-2026-SM-7SB7N 40-49 years, male 6.6
GTEX-111YS-1926-SM-5GICC 60-69 years, male 6.5
GTEX-1F5PL-1026-SM-7RHI1 40-49 years, female 6.5
GTEX-1R7EV-1526-SM-E8VOD 40-49 years, male 6.5
GTEX-1HCU9-0326-SM-9WYSC 20-29 years, male 6.4
GTEX-1LSNM-1326-SM-E9TJ1 50-59 years, male 6.4
GTEX-14LLW-0626-SM-62LFC 70-79 years, female 6.3
GTEX-1CAMR-1426-SM-793BO 20-29 years, male 6.3
GTEX-1HSEH-2026-SM-ADEHN 60-69 years, male 6.3
GTEX-Y114-2026-SM-4TT7L 50-59 years, female 6.2
GTEX-ZF29-1926-SM-5S2P1 60-69 years, female 6.2
GTEX-1RLM8-2226-SM-EVYD1 50-59 years, male 6.1
GTEX-12WSN-1326-SM-5GCNT 40-49 years, male 6.0
GTEX-14ICK-2426-SM-6EU27 40-49 years, male 6.0
GTEX-1CAMS-1426-SM-7IGPM 40-49 years, female 6.0
GTEX-1NUQO-2226-SM-E9U68 20-29 years, female 6.0
GTEX-ZT9W-2026-SM-51MRA 50-59 years, male 5.9
GTEX-1GMR8-0726-SM-9KNVI 50-59 years, female 5.9
GTEX-1J8Q3-1326-SM-CMKI1 60-69 years, male 5.8
GTEX-1L5NE-2126-SM-CY8IH 50-59 years, male 5.8
GTEX-1OKEX-0826-SM-E9J2B 60-69 years, male 5.8
GTEX-1R7EU-1226-SM-E8VMR 60-69 years, male 5.6
GTEX-145ME-1526-SM-5Q5F2 40-49 years, female 5.4
GTEX-ZVT2-1826-SM-5NQ8W 50-59 years, female 5.4
GTEX-1QP28-1226-SM-E9J2M 50-59 years, female 5.4
GTEX-132Q8-1426-SM-5EGK7 60-69 years, male 5.3
GTEX-1AX9J-1126-SM-731B7 60-69 years, male 5.2
GTEX-ZZ64-1226-SM-5E43R 20-29 years, male 5.2
GTEX-1HKZK-1826-SM-ADEJ2 40-49 years, male 5.2
GTEX-12BJ1-1826-SM-5HL9N 60-69 years, male 5.1
GTEX-1IKOE-1326-SM-CE6T6 30-39 years, female 5.1
GTEX-1LGRB-1826-SM-CNPQL 50-59 years, female 5.1
GTEX-1LVAN-1326-SM-CNPQE 50-59 years, female 5.1
GTEX-XUZC-1626-SM-4BRVP 30-39 years, female 4.9
GTEX-1GMR2-1926-SM-9MQLZ 50-59 years, male 4.9
GTEX-1QP29-1726-SM-E8VMQ 50-59 years, male 4.8
GTEX-1QW4Y-1026-SM-DTXE2 30-39 years, male 4.7
GTEX-Y9LG-1426-SM-5IFJZ 30-39 years, male 4.6
GTEX-TMMY-0726-SM-33HBE 40-49 years, female 4.5
GTEX-UTHO-1026-SM-3GAF7 60-69 years, male 4.4
GTEX-1HBPN-2326-SM-9WPPU 50-59 years, male 4.4
GTEX-T6MO-0326-SM-32QOK 40-49 years, female 3.5
Show allShow less

BREAST - FANTOM5 CAGEi

RNA expression in human tissues obtained through Cap Analysis of Gene Expression (CAGE) generated by the FANTOM5 project are reported as Scaled Tags Per Million.

Max subtype Scaled Tags Per Millioni

Max subtype Scaled Tags Per Million is the value for the subtype with the largest average Scaled Tags Per Million across the subtype samples.

136.1
FANTOM5 sample id Sample description Scaled Tags Per Million
Breast
Scaled Tags Per Million: 136.1
FF:10080-102A8 77 years, female 136.1

Contact

  • NEWS ARTICLES
  • PRESS ROOM

The Project

  • INTRODUCTION
  • ORGANIZATION
  • PUBLICATIONS

The Human Protein Atlas

  • DOWNLOADABLE DATA
  • LICENCE & CITATION
  • HELP & FAQ
The Human Protein Atlas project is funded
by the Knut & Alice Wallenberg Foundation.


contact@proteinatlas.org