We use cookies to enhance the usability of our website. If you continue, we'll assume that you are happy to receive all cookies. More information. Don't show this again.
CD163
HPA
RESOURCES
  • TISSUE
  • BRAIN
  • SINGLE CELL
  • SUBCELLULAR
  • CANCER
  • BLOOD
  • CELL LINE
  • STRUCTURE & INTERACTION
ABOUT
  • INTRODUCTION
  • HISTORY
  • ORGANIZATION
  • PUBLICATIONS
  • ANTIBODY SUBMISSION
  • ANTIBODY AVAILABILITY
  • ACKNOWLEDGMENTS
  • CONTACT
NEWS
  • NEWS ARTICLES
  • PRESS ROOM
LEARN
  • DICTIONARY
  • PROTEIN CLASSES
  • PROTEIN EVIDENCE
  • METHODS
  • EDUCATIONAL VIDEOS
DATA
  • DOWNLOADABLE DATA
  • PUBLICATION DATA
  • RELEASE HISTORY
HELP
  • ANTIBODY VALIDATION
  • ASSAYS & ANNOTATION
  • DISCLAIMER
  • HELP & FAQ
  • PRIVACY STATEMENT
  • LICENCE & CITATION
Fields »
Search result

Field
Term
Gene name
Class
Subclass
Class
Keyword
Chromosome
External id
Tissue
Cell type
Expression
Antibody panel
Tissue
Main location
Patient ID
Annotation
Tissue
Category
Tau score
Cluster
Reliability
Brain region
Category
Tau score
Brain region
Category
Tau score
Brain region
Category
Tau score
Cluster
Reliability
Tissue
Cell type
Enrichment
Cell type
Category
Tau score
Cell type
Category
Tau score
Cell type
Category
Tau score
Cell lineage
Category
Tau score
Cluster
Cluster
Location
Searches
Location
Cell line
Class
Type
Phase
Reliability
Cancer
Prognosis
Cancer
Category
Cancer
Category
Tau score
Cluster
Variants
Interacting gene (ensg_id)
Type
Number of interactions
Pathway
Category
Score
Score
Score
Validation
Validation
Validation
Validation
Antibodies
Data type
Column


  • SUMMARY

  • TISSUE

  • BRAIN

  • SINGLE CELL

  • SUBCELL

  • CANCER

  • BLOOD

  • CELL LINE

  • STRUCT & INT

  • CD163
BRAIN CEREBELLUM Show tissue menu
AMYGDALA BASAL GANGLIA CEREBELLUM CEREBRAL CORTEX CHOROID PLEXUS HIPPOCAMPAL FORMATION HYPOTHALAMUS MEDULLA OBLONGATA
MIDBRAIN OLFACTORY BULB PITUITARY GLAND PONS RETINA SPINAL CORD THALAMUS WHITE MATTER
ANTIBODIES
AND
VALIDATION
Brain proteome
Cerebellum
CEREBELLUM - Expression summary
Protein expression
Cerebellumi

On the top, protein expression in current human tissue, based on all annotated cell types, is reported with the units not detected (n), low (l), medium (m) and high (h). Underneath, protein expression in each annotated cell type are reported using the same units.

Protein expression data is based on knowledge-based annotation. For genes where more than one antibody has been used, a collective score is set.

If knowledge-based annotation could not be performed for a gene, no data is displayed here. View antibody staining data further down this page.

h
m
l
n
Cells in granular layer: Not detected
Cells in molecular layer: Not detected
Purkinje cells: Not detected
RNA expressioni

A summary of mRNA expression data available for current tissue based on several datasets. The mRNA expression levels in human tissues are based on RNA-seq data generated by the Human Protein Atlas (HPA), Genotype-Tissue Expression (GTEx) portal and CAGE data generated by the FANTOM5 consortium. Consensus normalized expression levels for human tissues was created by combining the data from HPA and GTEx datasets.

The mRNA expression levels in pig are based on RNA-seq data generated by the Human Protein Atlas (HPA), and for mouse, HPA data and in situ hybridization generated by the Allen brain atlas are reported.

Scroll down to view mRNA expression data in more detail.
Consensus:1.0 nTPM
HPA Brain:3.3 nTPM
GTEx:1.0 nTPM
FANTOM5:7.7 Scaled Tags Per Million
Pig:1.4 nTPM
Mouse:0.4 nTPM
Allen mouse:0.1 Expression energy

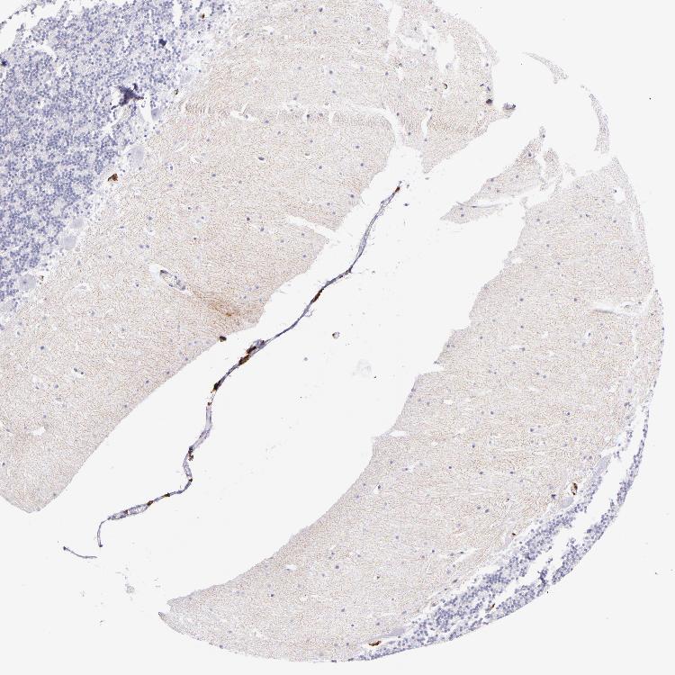
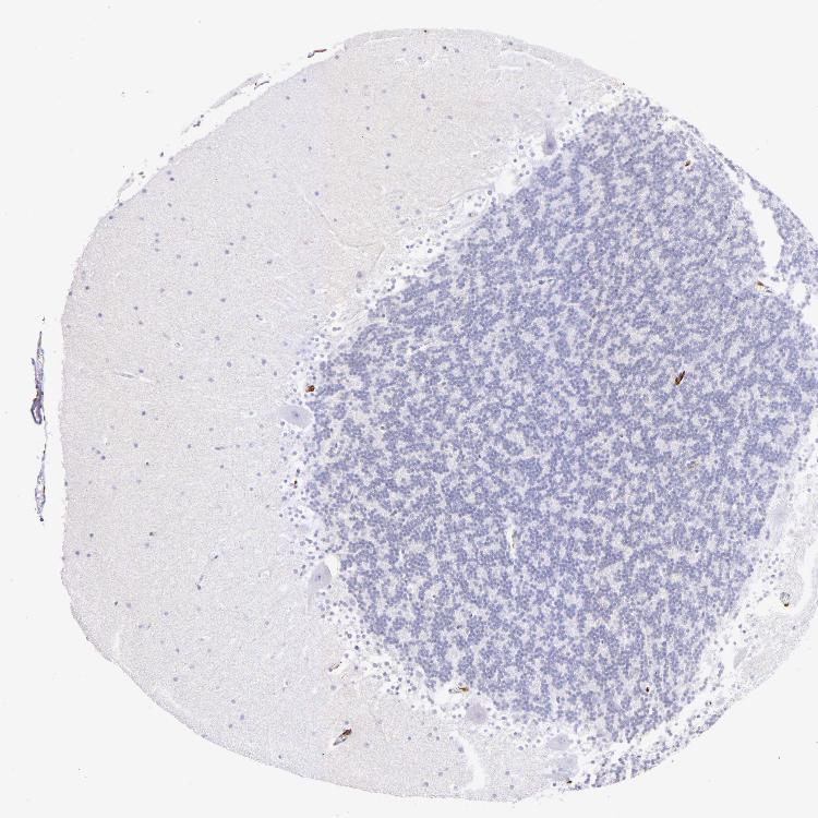
CEREBELLUM - Antibody stainingi

Antibody staining in the annotated cell types in the current human tissue is reported as not detected, low, medium, or high, based on conventional immunohistochemistry profiling in selected tissues. This score is based on the combination of the staining intensity and fraction of stained cells.

Each image is clickable and will lead to virtual microscopy that enables deeper exploration of all samples and also displays staining intensity scores, fraction scores and subcellular localization as well as patient and tissue information for each sample.

Antibody HPA046404Antibody HPA051974Antibody CAB002432
Purkinje cells LowNot detectedNot detected
Cells in granular layer Not detectedNot detectedNot detected
Cells in molecular layer Not detectedNot detectedNot detected







CEREBELLUM - HPA Brain RNA-seq
Max subtype nTPMi

Max subtype nTPM is the value for the subtype with the largest average nTPM across the subtype samples.

3.3
Sample id Sample description nTPM
Cerebellar cortex
nTPM: 0.6
1788 Male, age 55, unknown 1.3
2003 Female, age 85, right hemisphere 1.3
2055 Female, age 91, right hemisphere 0.9
1769 Male, age 76, right hemisphere 0.7
1768 Female, age 72, unknown 0.6
1774 Male, age 80, left hemisphere 0.1
2006 Male, age 61, right hemisphere 0.0
2101 Male, age 74, right hemisphere 0.0
Cerebellar nuclei
nTPM: 3.3
2882 Male, age 76, left hemisphere 5.7
2783 Female, age 72, unknown 5.3
1966 Female, age 91, left hemisphere 3.9
2175 Male, age 61, right hemisphere 3.9
1879 Male, age 55, unknown 3.4
2005 Male, age 80, left hemisphere 2.9
2177 Female, age 85, both hemispheres 2.0
1871 Male, age 74, unknown 1.9
2318 Male, age 74, left hemisphere 0.9
Flocculonodular lobe
nTPM: 2.3
2004 Male, age 61, right hemisphere 12.8
1765 Male, age 55, unknown 1.3
1792 Male, age 74, unknown 0.8
2176 Female, age 91, right hemisphere 0.7
1767 Male, age 76, left hemisphere 0.1
1771 Male, age 80, left hemisphere 0.0
1835 Female, age 85, right hemisphere 0.0
Vermis
nTPM: 1.0
1825 Male, age 74, unknown 3.2
2460 Male, age 61, both hemispheres 1.9
1766 Male, age 55, unknown 1.8
2834 Male, age 80, left hemisphere 0.8
1770 Male, age 76, left hemisphere 0.5
1928 Female, age 72, unknown 0.5
1751 Male, age 74, right hemisphere 0.0
1778 Female, age 91, left hemisphere 0.0
1988 Female, age 85, left hemisphere 0.0

CEREBELLUM - GTEx RNA-seqi

RNA-Seq data generated by the Genotype-Tissue Expression (GTEx) project from human tissues is reported as mean nTPM. More information can be found on the GTEx portal.

Distribution across the dataset is visualized with box plots, shown as median and 25th and 75th percentiles. Points are displayed as outliers if they are above or below 1.5 times the interquartile range. nTPM values of the individual samples are presented next to the box plot.
Max subtype nTPMi

Max subtype nTPM is the value for the subtype with the largest average nTPM across the subtype samples.

1.0
GTEx sample id Sample description nTPM
Brain - Cerebellar Hemisphere
Average nTPM: 1.0
Samples: 215

Max nTPM: 24.5
Min nTPM: 0.0
Std nTPM: 2.3
Median nTPM: 0.4
GTEX-X585-0011-R11B-SM-46MUZ 50-59 years, male 24.5
GTEX-15DCD-0011-R11a-SM-D4P1R 70-79 years, female 14.2
GTEX-132Q8-0011-R11b-SM-5DUW9 60-69 years, male 9.9
GTEX-1JMOU-0011-R11b-SM-EXUTA 60-69 years, female 9.5
GTEX-1H1DG-0011-R11a-SM-C1YQK 70-79 years, male 9.4
GTEX-1JJ6O-0011-R11b-SM-EXUS2 60-69 years, male 6.8
GTEX-1F48J-0011-R11b-SM-9OSWV 50-59 years, female 5.7
GTEX-14PN4-0011-R11a-SM-686ZW 50-59 years, male 5.5
GTEX-NPJ8-0011-R11A-SM-2YUMS 40-49 years, male 5.3
GTEX-16NPV-0011-R11a-SM-7IGMK 50-59 years, female 4.7
GTEX-13NYS-0011-R11b-SM-5MR4P 60-69 years, male 4.5
GTEX-13X6I-0011-R11a-SM-5P9HN 60-69 years, male 4.5
GTEX-16XZZ-0011-R11a-SM-7EPI3 60-69 years, male 4.0
GTEX-1HB9E-0011-R11b-SM-ARU79 50-59 years, male 3.6
GTEX-1LVAO-0011-R11b-SM-EXOI8 60-69 years, male 3.2
GTEX-1F52S-0011-R11a-SM-CJI23 60-69 years, female 3.0
GTEX-14C5O-0011-R11b-SM-6872H 60-69 years, male 2.8
GTEX-WWYW-0011-R11A-SM-3NB38 50-59 years, female 2.8
GTEX-1LKK1-0011-R11a-SM-EXOIG 50-59 years, female 2.6
GTEX-NL4W-0011-R11A-SM-2I3DW 50-59 years, male 2.5
GTEX-N7MT-0011-R11A-SM-2I3DZ 60-69 years, female 2.3
GTEX-1HGF4-0011-R11a-SM-C1YRR 60-69 years, male 2.0
GTEX-13CZV-0011-R11b-SM-5N9FN 60-69 years, male 1.9
GTEX-13OVJ-0011-R11a-SM-5P9H8 50-59 years, female 1.9
GTEX-17F97-0011-R11b-SM-7KFRQ 50-59 years, male 1.9
GTEX-NPJ7-0011-R11A-SM-2I3E8 60-69 years, female 1.8
GTEX-13OW5-0011-R11b-SM-5L3GG 60-69 years, male 1.7
GTEX-14C39-0011-R11b-SM-5YYAF 40-49 years, male 1.7
GTEX-1A3MX-0011-R11b-SM-7DUGP 60-69 years, male 1.7
GTEX-OHPN-0011-R11A-SM-2I5FM 60-69 years, female 1.7
GTEX-TSE9-0011-R11A-SM-3DB7N 60-69 years, female 1.7
GTEX-13N2G-0011-R11a-SM-5MR3F 60-69 years, male 1.6
GTEX-X4EP-0011-R11B-SM-4QASK 60-69 years, female 1.6
GTEX-ZF28-0011-R11a-SM-4WWEI 60-69 years, male 1.6
GTEX-1AX9I-0011-R11b-SM-7DHN4 60-69 years, male 1.5
GTEX-YFC4-0011-R11a-SM-4SOK6 40-49 years, female 1.5
GTEX-12WSF-0011-R11a-SM-5LZVT 70-79 years, male 1.4
GTEX-15EO6-0011-R11b-SM-6M47M 50-59 years, male 1.4
GTEX-X261-0011-R11A-SM-4E3JY 50-59 years, male 1.4
GTEX-XMD1-0011-R11A-SM-4AT5J 60-69 years, male 1.4
GTEX-14E7W-0011-R11a-SM-5ZZVA 70-79 years, male 1.3
GTEX-P44G-0011-R11A-SM-2I3FD 30-39 years, male 1.3
GTEX-13RTJ-0011-R11a-SM-5O9CK 60-69 years, male 1.2
GTEX-T5JC-0011-R11A-SM-32PMB 20-29 years, male 1.2
GTEX-S7SE-0011-R11A-SM-2XCDD 50-59 years, male 1.1
GTEX-12WSH-0011-R11a-SM-5LZVM 50-59 years, male 1.0
GTEX-11TTK-0011-R11b-SM-DO112 60-69 years, female 1.0
GTEX-139UW-0011-R11a-SM-5IJGN 60-69 years, male 0.9
GTEX-14BIM-0011-R11b-SM-5S2RN 60-69 years, female 0.9
GTEX-15CHQ-0011-R11b-SM-686ZZ 60-69 years, male 0.9
GTEX-15G19-0011-R11b-SM-6LPIH 60-69 years, male 0.9
GTEX-Q2AG-0011-R11A-SM-2HMKZ 40-49 years, female 0.9
GTEX-1H3NZ-0011-R11b-SM-CE6SF 60-69 years, male 0.9
GTEX-1J1OQ-0011-R11a-SM-A96S3 40-49 years, female 0.9
GTEX-1LSVX-0011-R11b-SM-EXOIA 60-69 years, male 0.9
GTEX-131XW-0011-R11a-SM-5DUV9 50-59 years, female 0.8
GTEX-13X6K-0011-R11a-SM-5P9F5 60-69 years, female 0.8
GTEX-17HII-0011-R11b-SM-7KFSX 50-59 years, male 0.8
GTEX-183WM-0011-R11a-SM-718A5 70-79 years, female 0.8
GTEX-WL46-0011-R11A-SM-3MJFT 50-59 years, male 0.8
GTEX-X4XX-0011-R11A-SM-46MWQ 60-69 years, male 0.8
GTEX-ZE9C-0011-R11a-SM-4WKGG 60-69 years, male 0.8
GTEX-11ZTS-0011-R11a-SM-DO113 60-69 years, female 0.8
GTEX-1B8SG-0011-R11a-SM-7P8PF 50-59 years, male 0.8
GTEX-1HCU6-0011-R11b-SM-AHZ2F 60-69 years, female 0.8
GTEX-1I19N-0011-R11b-SM-ARU6Y 70-79 years, male 0.8
GTEX-1IL2U-0011-R11a-SM-CE6SO 60-69 years, male 0.8
GTEX-1N2EE-0011-R11b-SM-EXOIJ 60-69 years, male 0.8
GTEX-11ZUS-0011-R11b-SM-5BC7B 30-39 years, male 0.7
GTEX-13O3O-0011-R11b-SM-5KM4G 60-69 years, female 0.7
GTEX-17EVQ-0011-R11a-SM-7LT9C 70-79 years, male 0.7
GTEX-R55E-0011-R11A-SM-2TC6I 20-29 years, male 0.7
GTEX-1CAV2-0011-R11a-SM-ARU8D 40-49 years, female 0.7
GTEX-13FTY-0011-R11a-SM-5IJEA 40-49 years, female 0.6
GTEX-13S7M-0011-R11b-SM-5P9HU 60-69 years, female 0.6
GTEX-1B8L1-0011-R11b-SM-793DJ 60-69 years, male 0.6
GTEX-NL3H-0011-R11A-SM-2I3E6 60-69 years, male 0.6
GTEX-WHSE-0011-R11A-SM-3P5YY 20-29 years, male 0.6
GTEX-1J8Q2-0011-R11a-SM-A9SKI 60-69 years, male 0.6
GTEX-RU72-0011-R11A-SM-CM2U1 50-59 years, female 0.6
GTEX-11H98-0011-R11b-SM-5NQ6U 50-59 years, male 0.5
GTEX-1313W-0011-R11a-SM-5DUXN 50-59 years, female 0.5
GTEX-15DYW-0011-R11a-SM-6LPIT 60-69 years, female 0.5
GTEX-17HG3-0011-R11b-SM-7KFT4 30-39 years, female 0.5
GTEX-18465-0011-R11a-SM-72D78 50-59 years, male 0.5
GTEX-N7MS-0011-R11A-SM-2HMJS 60-69 years, male 0.5
GTEX-P44H-0011-R11A-SM-2XCER 40-49 years, male 0.5
GTEX-QMR6-0011-R11A-SM-32PKK 50-59 years, male 0.5
GTEX-WZTO-0011-R11A-SM-4E3K9 40-49 years, male 0.5
GTEX-Y8DK-0011-R11A-SM-4SOK2 60-69 years, male 0.5
GTEX-1GF9W-0011-R11b-SM-9OSXG 60-69 years, male 0.5
GTEX-1R9K4-0011-R11a-SM-EZ6N9 60-69 years, male 0.5
GTEX-1R9PO-0011-R11b-SM-EZ6NB 60-69 years, female 0.5
GTEX-139TT-0011-R11b-SM-5LZV1 60-69 years, male 0.4
GTEX-13FHO-0011-R11b-SM-5LZYQ 60-69 years, male 0.4
GTEX-13NZA-0011-R11b-SM-5KM4W 60-69 years, male 0.4
GTEX-13OVH-0011-R11b-SM-5KM4X 70-79 years, male 0.4
GTEX-13PLJ-0011-R11b-SM-5O9BS 60-69 years, female 0.4
GTEX-13VXU-0011-R11b-SM-5O9DJ 50-59 years, male 0.4
GTEX-16GPK-0011-R11b-SM-7MKFF 60-69 years, male 0.4
GTEX-16Z82-0011-R11a-SM-79OKJ 60-69 years, male 0.4
GTEX-UTHO-0011-R11A-SM-3GIJE 60-69 years, male 0.4
GTEX-WVLH-0011-R11A-SM-3MJFO 50-59 years, male 0.4
GTEX-ZAB4-0011-R11a-SM-4SOKI 40-49 years, male 0.4
GTEX-11EI6-0011-R11a-SM-DO11V 60-69 years, male 0.4
GTEX-1B933-0011-R11a-SM-7P8PM 50-59 years, female 0.4
GTEX-1H3VE-0011-R11b-SM-C1YRP 40-49 years, male 0.4
GTEX-1HSKV-0011-R11b-SM-AHZ2E 60-69 years, male 0.4
GTEX-1I1HK-0011-R11a-SM-B2LVN 60-69 years, male 0.4
GTEX-1IL2V-0011-R11a-SM-ARU6T 70-79 years, male 0.4
GTEX-1LG7Y-0011-R11a-SM-EXOIH 50-59 years, male 0.4
GTEX-1M4P7-0011-R11b-SM-EXOIK 60-69 years, male 0.4
GTEX-11OF3-0011-R11a-SM-57WCR 60-69 years, male 0.3
GTEX-12WSI-0011-R11b-SM-5P9EZ 50-59 years, male 0.3
GTEX-12ZZX-0011-R11a-SM-5DUVJ 40-49 years, female 0.3
GTEX-13FXS-0011-R11a-SM-5L3DM 50-59 years, male 0.3
GTEX-145MI-0011-R11a-SM-5P9JZ 60-69 years, female 0.3
GTEX-16YQH-0011-R11b-SM-7LT98 30-39 years, male 0.3
GTEX-18A6Q-0011-R11a-SM-72D6H 60-69 years, male 0.3
GTEX-ZE7O-0011-R11a-SM-57WBC 50-59 years, female 0.3
GTEX-ZUA1-0011-R11b-SM-51MTI 40-49 years, male 0.3
GTEX-ZVT3-0011-R11b-SM-57WBI 60-69 years, female 0.3
GTEX-11DZ1-0011-R11b-SM-DO11W 50-59 years, male 0.3
GTEX-1EMGI-0011-R11b-SM-9OSWX 60-69 years, male 0.3
GTEX-1F6I4-0011-R11b-SM-9OSWS 60-69 years, male 0.3
GTEX-1F75W-0011-R11b-SM-AHZ34 60-69 years, male 0.3
GTEX-1GTWX-0011-R11b-SM-C1YQJ 60-69 years, male 0.3
GTEX-1I1GS-0011-R11a-SM-C1YRU 60-69 years, male 0.3
GTEX-1ICLZ-0011-R11a-SM-CJI3N 60-69 years, male 0.3
GTEX-1IDJH-0011-R11b-SM-C1YRT 70-79 years, male 0.3
GTEX-11GSP-0011-R11b-SM-5NQ7V 60-69 years, female 0.2
GTEX-11WQC-0011-R11b-SM-57WD6 60-69 years, male 0.2
GTEX-12WSC-0011-R11a-SM-5GU5J 50-59 years, male 0.2
GTEX-12WSM-0011-R11a-SM-5DUX8 60-69 years, male 0.2
GTEX-12ZZZ-0011-R11a-SM-5EGLC 60-69 years, male 0.2
GTEX-13CF2-0011-R11b-SM-5LZXO 60-69 years, male 0.2
GTEX-13PVQ-0011-R11a-SM-5O9DU 50-59 years, male 0.2
GTEX-13SLX-0011-R11b-SM-5O9C8 50-59 years, female 0.2
GTEX-145MH-0011-R11a-SM-5P9HQ 50-59 years, male 0.2
GTEX-14DAQ-0011-R11a-SM-664NO 60-69 years, female 0.2
GTEX-14E6D-0011-R11b-SM-664NP 50-59 years, male 0.2
GTEX-17EVP-0011-R11a-SM-7EWDL 40-49 years, male 0.2
GTEX-1BAJH-0011-R11b-SM-7IGLM 70-79 years, male 0.2
GTEX-RVPV-0011-R11A-SM-2TF6F 60-69 years, male 0.2
GTEX-T2IS-0011-R11A-SM-32QPC 20-29 years, female 0.2
GTEX-T6MN-0011-R11A-SM-32QOX 50-59 years, male 0.2
GTEX-ZDXO-0011-R11a-SM-4WWD9 60-69 years, male 0.2
GTEX-ZVZQ-0011-R11a-SM-51MS6 60-69 years, female 0.2
GTEX-11EMC-0011-R11b-SM-DNZZK 60-69 years, female 0.2
GTEX-11PRG-0011-R11b-SM-DNZZY 50-59 years, male 0.2
GTEX-12WSD-0011-R11a-SM-9OSVC 60-69 years, female 0.2
GTEX-1GMR8-0011-R11b-SM-9OSX2 50-59 years, female 0.2
GTEX-1GN73-0011-R11b-SM-9OSX4 60-69 years, male 0.2
GTEX-1I1GR-0011-R11a-SM-CM2T5 60-69 years, male 0.2
GTEX-1I1GV-0011-R11a-SM-CJI3Z 60-69 years, male 0.2
GTEX-1IGQW-0011-R11a-SM-C1YRV 60-69 years, male 0.2
GTEX-1JJEA-0011-R11a-SM-EXUTE 60-69 years, male 0.2
GTEX-1JMQJ-0011-R11a-SM-EXOJY 50-59 years, male 0.2
GTEX-1N2DW-0011-R11b-SM-EXOIL 50-59 years, male 0.2
GTEX-12126-0011-R11a-SM-5BC6X 20-29 years, male 0.1
GTEX-131XH-0011-R11a-SM-5EGLN 50-59 years, male 0.1
GTEX-131YS-0011-R11b-SM-5EGLM 60-69 years, female 0.1
GTEX-1399T-0011-R11a-SM-5J2O1 60-69 years, male 0.1
GTEX-13G51-0011-R11b-SM-5J2NE 60-69 years, male 0.1
GTEX-13JUV-0011-R11a-SM-5LZYH 40-49 years, female 0.1
GTEX-13JVG-0011-R11a-SM-5KM53 60-69 years, male 0.1
GTEX-13O3Q-0011-R11b-SM-5KM2W 50-59 years, male 0.1
GTEX-13OW6-0011-R11a-SM-5L3H2 50-59 years, male 0.1
GTEX-13OW7-0011-R11a-SM-5O9DY 50-59 years, male 0.1
GTEX-13OW8-0011-R11a-SM-5L3GT 60-69 years, male 0.1
GTEX-13QIC-0011-R11b-SM-5O9BU 60-69 years, female 0.1
GTEX-13X6J-0011-R11a-SM-5P9HE 50-59 years, male 0.1
GTEX-145LU-0011-R11b-SM-5P9JX 50-59 years, male 0.1
GTEX-14ABY-0011-R11a-SM-5SI7C 50-59 years, male 0.1
GTEX-14ASI-0011-R11b-SM-6AJBJ 60-69 years, male 0.1
GTEX-14BIN-0011-R11a-SM-5SI79 50-59 years, female 0.1
GTEX-17JCI-0011-R11a-SM-7189Y 60-69 years, female 0.1
GTEX-18464-0011-R11a-SM-72D76 50-59 years, male 0.1
GTEX-1B8SF-0011-R11a-SM-79OOP 60-69 years, male 0.1
GTEX-QDT8-0011-R11A-SM-32PKD 30-39 years, female 0.1
GTEX-YJ89-0011-R11a-SM-4SOKA 60-69 years, male 0.1
GTEX-Z93S-0011-R11a-SM-4RGNN 50-59 years, male 0.1
GTEX-11DXY-0011-R11a-SM-DNZZN 60-69 years, male 0.1
GTEX-11DYG-0011-R11a-SM-DNZZP 60-69 years, male 0.1
GTEX-1E1VI-0011-R11a-SM-9OSWI 50-59 years, male 0.1
GTEX-1EKGG-0011-R11a-SM-9QEHZ 60-69 years, male 0.1
GTEX-1F75A-0011-R11a-SM-AHZ35 50-59 years, male 0.1
GTEX-1H1CY-0011-R11a-SM-C1YQR 60-69 years, female 0.1
GTEX-1H3O1-0011-R11a-SM-A96RV 60-69 years, male 0.1
GTEX-1IKK5-0011-R11a-SM-C1YRX 60-69 years, male 0.1
GTEX-1IKOH-0011-R11a-SM-AHZ38 60-69 years, female 0.1
GTEX-1IOXB-0011-R11a-SM-A9G1X 50-59 years, male 0.1
GTEX-1J8EW-0011-R11a-SM-AHZ37 60-69 years, female 0.1
GTEX-12WSE-0011-R11b-SM-5P9JW 20-29 years, male 0.0
GTEX-13FHP-0011-R11b-SM-5LZXP 50-59 years, male 0.0
GTEX-13FLV-0011-R11a-SM-5LZZ7 50-59 years, male 0.0
GTEX-13NYB-0011-R11a-SM-5KM3Q 40-49 years, male 0.0
GTEX-13OVL-0011-R11b-SM-5L3G7 50-59 years, male 0.0
GTEX-13SLW-0011-R11a-SM-5SI8Q 70-79 years, male 0.0
GTEX-144GL-0011-R11b-SM-5P9F6 50-59 years, male 0.0
GTEX-15ER7-0011-R11a-SM-6LPIL 20-29 years, female 0.0
GTEX-1C64N-0011-R11b-SM-7P8Q6 50-59 years, male 0.0
GTEX-1CB4G-0011-R11a-SM-9OSWG 60-69 years, male 0.0
GTEX-1F7RK-0011-R11b-SM-9QEI2 20-29 years, female 0.0
GTEX-1GMRU-0011-R11b-SM-C1YQ4 50-59 years, male 0.0
GTEX-1GZ4I-0011-R11b-SM-9OSWR 50-59 years, male 0.0
GTEX-1GZHY-0011-R11a-SM-C1YRQ 50-59 years, female 0.0
GTEX-1H1ZS-0011-R11a-SM-C1YQM 70-79 years, male 0.0
GTEX-1H4P4-0011-R11b-SM-CE6S8 50-59 years, male 0.0
GTEX-1HBPI-0011-R11b-SM-CE6SH 50-59 years, male 0.0
GTEX-1HFI6-0011-R11b-SM-A96RU 40-49 years, male 0.0
GTEX-1HUB1-0011-R11b-SM-CE6SC 60-69 years, male 0.0
GTEX-1I1GQ-0011-R11b-SM-CKZPA 50-59 years, male 0.0
GTEX-1IY9M-0011-R11b-SM-A96TI 60-69 years, male 0.0
GTEX-1KD4Q-0011-R11b-SM-EXOIE 40-49 years, male 0.0
Show allShow less
Brain - Cerebellum
Average nTPM: 0.8
Samples: 241

Max nTPM: 16.7
Min nTPM: 0.0
Std nTPM: 1.5
Median nTPM: 0.3
GTEX-1HB9E-3126-SM-AHZ4M 50-59 years, male 16.7
GTEX-1H3VE-2826-SM-9WPOL 40-49 years, male 6.8
GTEX-X4EP-3026-SM-3P5YP 60-69 years, female 6.2
GTEX-11OC5-0626-SM-5HL6M 60-69 years, male 6.0
GTEX-14BIM-3126-SM-5Q5C7 60-69 years, female 5.9
GTEX-1EH9U-3126-SM-7MXU5 60-69 years, male 5.7
GTEX-132Q8-2926-SM-5IFFP 60-69 years, male 5.4
GTEX-1GF9W-2726-SM-9JGGW 60-69 years, male 4.9
GTEX-15SHU-3026-SM-6LPIB 40-49 years, female 4.2
GTEX-14PN4-3026-SM-664O4 50-59 years, male 4.0
GTEX-13X6I-2926-SM-5Q5C3 60-69 years, male 3.9
GTEX-R55E-2526-SM-2TC6H 20-29 years, male 3.8
GTEX-TSE9-2926-SM-3DB77 60-69 years, female 2.9
GTEX-1JMOU-2826-SM-EV79R 60-69 years, female 2.8
GTEX-1PWST-3026-SM-EAZ3H 70-79 years, male 2.6
GTEX-11EI6-2926-SM-5985U 60-69 years, male 2.4
GTEX-1269C-3126-SM-5EGI6 60-69 years, female 2.4
GTEX-YFC4-3026-SM-5IFJK 40-49 years, female 2.4
GTEX-NPJ7-2826-SM-2I3FU 60-69 years, female 2.1
GTEX-NPJ8-2626-SM-2D7W2 40-49 years, male 2.0
GTEX-1A3MX-2926-SM-718B7 60-69 years, male 1.9
GTEX-1H1DG-2826-SM-9JGHB 70-79 years, male 1.9
GTEX-11DZ1-2926-SM-5A5KI 50-59 years, male 1.8
GTEX-1CB4H-3026-SM-79OLX 60-69 years, female 1.8
GTEX-RU72-2926-SM-2TF66 50-59 years, female 1.8
GTEX-1JN1M-3126-SM-AHZ4E 60-69 years, female 1.8
GTEX-14BMV-2926-SM-5TDEE 50-59 years, male 1.7
GTEX-16XZZ-2926-SM-6LPK4 60-69 years, male 1.7
GTEX-ZYFD-2926-SM-5GID9 50-59 years, male 1.6
GTEX-1JJE9-3026-SM-CNNPA 70-79 years, male 1.6
GTEX-14C5O-2926-SM-5RQI1 60-69 years, male 1.5
GTEX-ZF28-2926-SM-4WKG1 60-69 years, male 1.5
GTEX-1F48J-2726-SM-7P8PW 50-59 years, female 1.5
GTEX-1JJ6O-3026-SM-C1YQH 60-69 years, male 1.4
GTEX-13OVJ-2726-SM-5IJG6 50-59 years, female 1.2
GTEX-15DYW-3026-SM-7KFRM 60-69 years, female 1.2
GTEX-16Z82-2926-SM-6LPJJ 60-69 years, male 1.2
GTEX-PWO3-1026-SM-2I5F2 60-69 years, female 1.2
GTEX-ZZPT-2926-SM-5EQ5S 50-59 years, male 1.2
GTEX-N7MT-1226-SM-DKPOK 60-69 years, female 1.2
GTEX-11TTK-2826-SM-5GU5K 60-69 years, female 1.1
GTEX-WWYW-3026-SM-3NB36 50-59 years, female 1.1
GTEX-XMD1-2826-SM-4AT5F 60-69 years, male 1.1
GTEX-111FC-3326-SM-5GZYV 60-69 years, male 1.0
GTEX-1E2YA-2926-SM-7MGWX 50-59 years, male 1.0
GTEX-1HSMO-2926-SM-C1YR5 60-69 years, male 1.0
GTEX-13JUV-3026-SM-5K7WX 40-49 years, female 0.9
GTEX-1E1VI-2926-SM-7IGLT 50-59 years, male 0.9
GTEX-1GN73-3026-SM-7MXV8 60-69 years, male 0.9
GTEX-14A5I-2826-SM-5SIBF 50-59 years, female 0.8
GTEX-ZAJG-3026-SM-5HL92 50-59 years, female 0.8
GTEX-ZYY3-3026-SM-5GIEJ 60-69 years, female 0.8
GTEX-1F6IF-3026-SM-7P8QN 60-69 years, male 0.8
GTEX-1192X-3226-SM-5987D 50-59 years, male 0.7
GTEX-11ZUS-2826-SM-5EQKW 30-39 years, male 0.7
GTEX-13OW5-3126-SM-5MR3Y 60-69 years, male 0.7
GTEX-145MG-3126-SM-5Q5D3 50-59 years, male 0.7
GTEX-17JCI-3026-SM-7EWDR 60-69 years, female 0.7
GTEX-18A6Q-2826-SM-7LTAO 60-69 years, male 0.7
GTEX-P44G-2526-SM-2I5EK 30-39 years, male 0.7
GTEX-P44H-2426-SM-2XCEJ 40-49 years, male 0.7
GTEX-T5JC-2326-SM-32PMR 20-29 years, male 0.7
GTEX-X261-3126-SM-4PQZC 50-59 years, male 0.7
GTEX-1B996-2926-SM-7MXUH 60-69 years, male 0.7
GTEX-1GF9V-3026-SM-7P8R8 60-69 years, male 0.7
GTEX-1IL2V-3026-SM-CYPSA 70-79 years, male 0.7
GTEX-1LSVX-2826-SM-EVR58 60-69 years, male 0.7
GTEX-11O72-2826-SM-5HL6W 40-49 years, male 0.6
GTEX-11ONC-3026-SM-5985W 60-69 years, male 0.6
GTEX-13CF2-3026-SM-5IFFX 60-69 years, male 0.6
GTEX-13O3Q-3026-SM-5IJGD 50-59 years, male 0.6
GTEX-13VXU-3026-SM-5LU3K 50-59 years, male 0.6
GTEX-14PJO-2926-SM-686ZI 60-69 years, male 0.6
GTEX-15EO6-2926-SM-6M48D 50-59 years, male 0.6
GTEX-17F97-2926-SM-7DUEQ 50-59 years, male 0.6
GTEX-183WM-2726-SM-7KFRF 70-79 years, female 0.6
GTEX-1A8G6-3126-SM-731D8 60-69 years, male 0.6
GTEX-1B8SG-1926-SM-73KUB 50-59 years, male 0.6
GTEX-Q2AG-2826-SM-2HMJQ 40-49 years, female 0.6
GTEX-RNOR-2226-SM-2TF5O 50-59 years, female 0.6
GTEX-T2IS-2926-SM-32QPO 20-29 years, female 0.6
GTEX-X4XX-2926-SM-3NMB1 60-69 years, male 0.6
GTEX-1R46S-3126-SM-DPRZ9 60-69 years, female 0.6
GTEX-1RQEC-3026-SM-DPRXM 60-69 years, male 0.6
GTEX-12ZZZ-3126-SM-5LZU6 60-69 years, male 0.5
GTEX-139TT-2626-SM-5LZUB 60-69 years, male 0.5
GTEX-13O3O-3026-SM-5KM42 60-69 years, female 0.5
GTEX-13OVH-2926-SM-5IJFH 70-79 years, male 0.5
GTEX-144GL-2926-SM-5O99F 50-59 years, male 0.5
GTEX-1A8G7-3026-SM-73KTT 60-69 years, male 0.5
GTEX-1C6WA-3326-SM-7MKGN 60-69 years, male 0.5
GTEX-1CB4G-2926-SM-7MKFQ 60-69 years, male 0.5
GTEX-1EWIQ-3026-SM-7IGOJ 70-79 years, female 0.5
GTEX-PVOW-2626-SM-32PL8 40-49 years, male 0.5
GTEX-UTHO-2926-SM-3P5Z9 60-69 years, male 0.5
GTEX-WVLH-2926-SM-3MJG5 50-59 years, male 0.5
GTEX-ZAB4-2926-SM-57WCV 40-49 years, male 0.5
GTEX-ZDXO-2926-SM-4WKFM 60-69 years, male 0.5
GTEX-1EX96-3126-SM-9JGGC 50-59 years, male 0.5
GTEX-117XS-3126-SM-5GIDP 60-69 years, male 0.4
GTEX-131YS-3026-SM-5EGHY 60-69 years, female 0.4
GTEX-13RTJ-3126-SM-5S2Q4 60-69 years, male 0.4
GTEX-14ABY-3026-SM-664NE 50-59 years, male 0.4
GTEX-14ASI-2926-SM-5Q5DG 60-69 years, male 0.4
GTEX-14E6D-2926-SM-664OP 50-59 years, male 0.4
GTEX-14JIY-2326-SM-6AJAJ 60-69 years, male 0.4
GTEX-14PJM-3026-SM-6LLHM 50-59 years, female 0.4
GTEX-16YQH-2926-SM-6LPJE 30-39 years, male 0.4
GTEX-QMR6-1326-SM-32PLB 50-59 years, male 0.4
GTEX-1BAJH-3126-SM-7MGXY 70-79 years, male 0.4
GTEX-1EMGI-3126-SM-7MXUR 60-69 years, male 0.4
GTEX-1F52S-3026-SM-7P8PV 60-69 years, female 0.4
GTEX-1F75A-2926-SM-7MXVN 50-59 years, male 0.4
GTEX-1GZ2Q-3026-SM-9JGG3 40-49 years, male 0.4
GTEX-1H3NZ-2926-SM-9WPQ8 60-69 years, male 0.4
GTEX-1JMQJ-3126-SM-EV79G 50-59 years, male 0.4
GTEX-1POEN-2726-SM-E9U6B 30-39 years, female 0.4
GTEX-1RNSC-3126-SM-EVR4V 60-69 years, male 0.4
GTEX-12126-0926-SM-5FQTW 20-29 years, male 0.3
GTEX-12WSM-2126-SM-5GCOC 60-69 years, male 0.3
GTEX-13112-2926-SM-5DUWT 50-59 years, male 0.3
GTEX-1313W-3026-SM-5LZUZ 50-59 years, female 0.3
GTEX-139TS-3126-SM-5LZWX 60-69 years, male 0.3
GTEX-13FHO-2926-SM-5L3ES 60-69 years, male 0.3
GTEX-13FXS-3026-SM-5LZYO 50-59 years, male 0.3
GTEX-13G51-3126-SM-5IJG7 60-69 years, male 0.3
GTEX-13JVG-3226-SM-5IJGJ 60-69 years, male 0.3
GTEX-13N2G-3126-SM-5IJGL 60-69 years, male 0.3
GTEX-13NYB-3226-SM-5J2ND 40-49 years, male 0.3
GTEX-13QIC-3026-SM-5LU58 60-69 years, female 0.3
GTEX-145LS-3026-SM-5O99S 60-69 years, female 0.3
GTEX-147F4-3026-SM-5Q5BJ 50-59 years, male 0.3
GTEX-15ER7-3026-SM-6M47W 20-29 years, female 0.3
GTEX-15G19-2826-SM-6M48K 60-69 years, male 0.3
GTEX-17EVQ-2726-SM-7EWDT 70-79 years, male 0.3
GTEX-17HG3-2826-SM-7EPGO 30-39 years, female 0.3
GTEX-17HII-2926-SM-79OMK 50-59 years, male 0.3
GTEX-OHPN-2626-SM-2I5H1 60-69 years, female 0.3
GTEX-QVJO-1325-SM-2S1QX 60-69 years, female 0.3
GTEX-T6MN-2526-SM-32PMN 50-59 years, male 0.3
GTEX-WHSE-2926-SM-3NMBG 20-29 years, male 0.3
GTEX-Y8DK-0726-SM-4TT3S 60-69 years, male 0.3
GTEX-ZUA1-2926-SM-59HL3 40-49 years, male 0.3
GTEX-1F75W-3126-SM-7P8SJ 60-69 years, male 0.3
GTEX-1I1GV-3026-SM-CNNR9 60-69 years, male 0.3
GTEX-1J1OQ-3126-SM-D4P2O 40-49 years, female 0.3
GTEX-1JMQK-2926-SM-D4P2T 60-69 years, male 0.3
GTEX-1KD4Q-3026-SM-EV7A7 40-49 years, male 0.3
GTEX-1128S-2826-SM-5N9DI 60-69 years, female 0.2
GTEX-11DXY-3126-SM-5N9BT 60-69 years, male 0.2
GTEX-11DYG-2926-SM-5H132 60-69 years, male 0.2
GTEX-11EMC-3326-SM-5P9JH 60-69 years, female 0.2
GTEX-11NV4-2226-SM-5BC4T 60-69 years, male 0.2
GTEX-11ZVC-3026-SM-59HJM 50-59 years, female 0.2
GTEX-12ZZX-2826-SM-5BC6K 40-49 years, female 0.2
GTEX-1399T-3126-SM-5IJFS 60-69 years, male 0.2
GTEX-13FHP-2926-SM-5IJG9 50-59 years, male 0.2
GTEX-13OVL-3026-SM-5IJF1 50-59 years, male 0.2
GTEX-13OW6-2926-SM-5KM29 50-59 years, male 0.2
GTEX-145LU-2626-SM-5LU9Z 50-59 years, male 0.2
GTEX-145MH-2926-SM-5Q5D2 50-59 years, male 0.2
GTEX-14C39-3026-SM-5S2QE 40-49 years, male 0.2
GTEX-14E7W-2926-SM-5S2R8 70-79 years, male 0.2
GTEX-17EVP-2926-SM-793BU 40-49 years, male 0.2
GTEX-17HHY-2926-SM-79OJW 50-59 years, male 0.2
GTEX-N7MS-2526-SM-2D7W3 60-69 years, male 0.2
GTEX-XLM4-2926-SM-4AT59 60-69 years, male 0.2
GTEX-1GZ4I-2926-SM-9JGGO 50-59 years, male 0.2
GTEX-1HBPH-3026-SM-9WPNY 40-49 years, female 0.2
GTEX-1HCVE-2926-SM-9WPPJ 50-59 years, male 0.2
GTEX-1HSKV-2926-SM-B2LWJ 60-69 years, male 0.2
GTEX-1IKOH-2826-SM-CNNRC 60-69 years, female 0.2
GTEX-1IY9M-3126-SM-AHZ3A 60-69 years, male 0.2
GTEX-1JMLX-3026-SM-EV79Q 50-59 years, male 0.2
GTEX-1MJK2-3026-SM-EV7A5 50-59 years, male 0.2
GTEX-1R9PO-2826-SM-E6CPV 60-69 years, female 0.2
GTEX-11GSO-3026-SM-5Q5AL 60-69 years, male 0.1
GTEX-11GSP-3126-SM-5A5LL 60-69 years, female 0.1
GTEX-11ZTS-3226-SM-5EGID 60-69 years, female 0.1
GTEX-12WSC-2926-SM-5BC5Z 50-59 years, male 0.1
GTEX-12WSD-3026-SM-5LZU7 60-69 years, female 0.1
GTEX-12ZZY-2926-SM-5DUXO 60-69 years, male 0.1
GTEX-131XH-2926-SM-5LZU4 50-59 years, male 0.1
GTEX-13PVQ-2926-SM-5L3HJ 50-59 years, male 0.1
GTEX-13X6J-2926-SM-7EPGP 50-59 years, male 0.1
GTEX-13X6K-2826-SM-5O9DS 60-69 years, female 0.1
GTEX-145MF-2826-SM-7EPGU 50-59 years, male 0.1
GTEX-14BIN-3326-SM-5Q5E6 50-59 years, female 0.1
GTEX-14DAQ-3026-SM-5S2QZ 60-69 years, female 0.1
GTEX-14JFF-2826-SM-6871Q 60-69 years, male 0.1
GTEX-14JG1-2926-SM-686ZK 40-49 years, male 0.1
GTEX-1B933-3026-SM-731DB 50-59 years, female 0.1
GTEX-1C64N-3126-SM-79OO3 50-59 years, male 0.1
GTEX-1EU9M-2926-SM-793DF 60-69 years, male 0.1
GTEX-QVUS-2926-SM-3GIJB 60-69 years, female 0.1
GTEX-S7SE-2526-SM-2XCDL 50-59 years, male 0.1
GTEX-WL46-2826-SM-3LK81 50-59 years, male 0.1
GTEX-WZTO-2826-SM-3NM8P 40-49 years, male 0.1
GTEX-Y111-2826-SM-4TT3O 50-59 years, male 0.1
GTEX-YJ89-2926-SM-5P9IT 60-69 years, male 0.1
GTEX-1F6I4-3026-SM-7P8SI 60-69 years, male 0.1
GTEX-1GTWX-2926-SM-7MXV4 60-69 years, male 0.1
GTEX-1H1CY-3026-SM-9OSW7 60-69 years, female 0.1
GTEX-1H4P4-2726-SM-9JGGB 50-59 years, male 0.1
GTEX-1I1CD-2926-SM-A96SJ 60-69 years, female 0.1
GTEX-1IDJH-3126-SM-C1YQS 70-79 years, male 0.1
GTEX-1KANB-3226-SM-D4P3G 50-59 years, male 0.1
GTEX-1KWVE-2226-SM-CXZKN 30-39 years, male 0.1
GTEX-1LG7Y-3126-SM-EV7AS 50-59 years, male 0.1
GTEX-1P4AB-3026-SM-EXOJS 50-59 years, male 0.1
GTEX-1PIIG-2826-SM-DTX7O 30-39 years, male 0.1
GTEX-1QEPI-3026-SM-EXOIW 60-69 years, female 0.1
GTEX-1QP6S-3026-SM-EAZ4N 40-49 years, male 0.1
GTEX-11DXW-1026-SM-5H11K 40-49 years, male 0.0
GTEX-11NUK-3026-SM-5986K 50-59 years, male 0.0
GTEX-11PRG-2826-SM-5BC54 50-59 years, male 0.0
GTEX-12WSE-2926-SM-5RQJ9 20-29 years, male 0.0
GTEX-12WSH-3126-SM-5LZW8 50-59 years, male 0.0
GTEX-13OW7-2926-SM-5MR3Z 50-59 years, male 0.0
GTEX-13OW8-2926-SM-5L3FV 60-69 years, male 0.0
GTEX-13S7M-3026-SM-5S2QQ 60-69 years, female 0.0
GTEX-13SLX-3226-SM-5YYA6 50-59 years, female 0.0
GTEX-147GR-3126-SM-5S2PM 60-69 years, male 0.0
GTEX-18465-2926-SM-7KFSE 50-59 years, male 0.0
GTEX-1B8SF-3026-SM-731DX 60-69 years, male 0.0
GTEX-1C6VR-3026-SM-7IGLW 60-69 years, male 0.0
GTEX-QDT8-3026-SM-32PKB 30-39 years, female 0.0
GTEX-Z93S-2826-SM-57WBL 50-59 years, male 0.0
GTEX-ZAK1-2926-SM-5HL9S 50-59 years, female 0.0
GTEX-ZVT3-2926-SM-5GU6M 60-69 years, female 0.0
GTEX-1B8L1-3226-SM-7P8OX 60-69 years, male 0.0
GTEX-1EKGG-3126-SM-9WPO5 60-69 years, male 0.0
GTEX-1GZHY-3026-SM-7MXVA 50-59 years, female 0.0
GTEX-1H1ZS-2926-SM-9WPP2 70-79 years, male 0.0
GTEX-1H3O1-1826-SM-A96TO 60-69 years, male 0.0
GTEX-1HBPI-2726-SM-9WPPF 50-59 years, male 0.0
GTEX-1I1HK-2726-SM-AHZ2M 60-69 years, male 0.0
GTEX-1JJEA-2926-SM-C1YSK 60-69 years, male 0.0
GTEX-1JMPZ-2826-SM-C1YRA 30-39 years, male 0.0
GTEX-1NV8Z-3026-SM-DTX8Z 60-69 years, male 0.0
GTEX-1RDX4-3226-SM-DPS14 50-59 years, female 0.0
Show allShow less

CEREBELLUM - FANTOM5 CAGEi

RNA expression in human tissues obtained through Cap Analysis of Gene Expression (CAGE) generated by the FANTOM5 project are reported as Scaled Tags Per Million.

Max subtype Scaled Tags Per Millioni

Max subtype Scaled Tags Per Million is the value for the subtype with the largest average Scaled Tags Per Million across the subtype samples.

7.7
FANTOM5 sample id Sample description Scaled Tags Per Million
Cerebellum
Scaled Tags Per Million: 7.7
FF:10166-103B4 76 years, female 14.2
FF:10083-102B2 22-68 years, mixed 1.2

CEREBELLUM - Pig RNA-seqi

RNA-seq data obtained from pig brain is reported as nTPM .

Normal distribution across the dataset is visualized with box plots, shown as median and 25th and 75th percentiles. Points are displayed as outliers if they are above or below 1.5 times the interquartile range. nTPM values of the individual samples are presented next to the box plot.
Max subtype nTPMi

Max subtype nTPM is the value for the subtype with the largest average nTPM across the subtype samples.

1.4
Pig sample Sample description nTPM
Cerebellum
nTPM: 1.5
Samples: 4

Max nTPM: 1.7
Min nTPM: 1.1
Sample A Female 1.1
Sample B Female 1.7
Sample C Male 1.3
Sample D Male 1.7

CEREBELLUM - Mouse RNA-seqi

RNA-seq data obtained from mouse brain is reported as nTPM .

Normal distribution across the dataset is visualized with box plots, shown as median and 25th and 75th percentiles. Points are displayed as outliers if they are above or below 1.5 times the interquartile range. nTPM values of the individual samples are presented next to the box plot.
Max subtype nTPMi

Max subtype nTPM is the value for the subtype with the largest average nTPM across the subtype samples.

0.4
Mouse sample Sample description nTPM
Cerebellum
nTPM: 0.4
Samples: 4

Max nTPM: 0.7
Min nTPM: 0.3
Sample A Male 0.3
Sample B Male 0.4
Sample C Female 0.7
Sample D Female 0.3

CEREBELLUM - Allen Mouse ISHi

In situ hybridization (ISH) data generated by the Allen brain atlas from mouse brain is reported as expression energy. For more details about a particular experiment, click on the corresponding Allen experiment ID.

Max subtype Expression energyi

Max subtype Expression energy is the value for the subtype with the largest average Expression energy across the subtype samples.

0.1
Allen experiment id Experiment description Expression energy
Cerebellum
Expression energy: 0.1
76003514 Antisense, RP_060608_02_E07, Mouse strain C57BL/6J (56 days, male) 0.1

Contact

  • NEWS ARTICLES
  • PRESS ROOM

The Project

  • INTRODUCTION
  • ORGANIZATION
  • PUBLICATIONS

The Human Protein Atlas

  • DOWNLOADABLE DATA
  • LICENCE & CITATION
  • HELP & FAQ
The Human Protein Atlas project is funded
by the Knut & Alice Wallenberg Foundation.


contact@proteinatlas.org