We use cookies to enhance the usability of our website. If you continue, we'll assume that you are happy to receive all cookies. More information. Don't show this again.
C18orf32
HPA
RESOURCES
  • TISSUE
  • BRAIN
  • SINGLE CELL
  • SUBCELLULAR
  • CANCER
  • BLOOD
  • CELL LINE
  • STRUCTURE & INTERACTION
ABOUT
  • INTRODUCTION
  • HISTORY
  • ORGANIZATION
  • PUBLICATIONS
  • ANTIBODY SUBMISSION
  • ANTIBODY AVAILABILITY
  • ACKNOWLEDGMENTS
  • CONTACT
NEWS
  • NEWS ARTICLES
  • PRESS ROOM
LEARN
  • DICTIONARY
  • PROTEIN CLASSES
  • PROTEIN EVIDENCE
  • METHODS
  • EDUCATIONAL VIDEOS
DATA
  • DOWNLOADABLE DATA
  • PUBLICATION DATA
  • RELEASE HISTORY
HELP
  • ANTIBODY VALIDATION
  • ASSAYS & ANNOTATION
  • DISCLAIMER
  • HELP & FAQ
  • PRIVACY STATEMENT
  • LICENCE & CITATION
Fields »
Search result

Field
Term
Gene name
Class
Subclass
Class
Keyword
Chromosome
External id
Tissue
Cell type
Expression
Antibody panel
Tissue
Main location
Patient ID
Annotation
Tissue
Category
Tau score
Cluster
Reliability
Brain region
Category
Tau score
Brain region
Category
Tau score
Brain region
Category
Tau score
Cluster
Reliability
Tissue
Cell type
Enrichment
Cell type
Category
Tau score
Cell type
Category
Tau score
Cell type
Category
Tau score
Cell lineage
Category
Tau score
Cluster
Cluster
Location
Searches
Location
Cell line
Class
Type
Phase
Reliability
Cancer
Prognosis
Cancer
Category
Cancer
Category
Tau score
Cluster
Variants
Interacting gene (ensg_id)
Type
Number of interactions
Pathway
Category
Score
Score
Score
Validation
Validation
Validation
Validation
Antibodies
Data type
Column


  • SUMMARY

  • TISSUE

  • BRAIN

  • SINGLE CELL

  • SUBCELL

  • CANCER

  • BLOOD

  • CELL LINE

  • STRUCT & INT

  • C18orf32
TISSUE PRIMARY DATA ADIPOSE TISSUE Show tissue menu
ADIPOSE TISSUE ADRENAL GLAND AMYGDALA APPENDIX BASAL GANGLIA BONE MARROW BREAST BRONCHUS CEREBELLUM CEREBRAL CORTEX CERVIX CHOROID PLEXUS COLON DUODENUM
ENDOMETRIUM EPIDIDYMIS ESOPHAGUS FALLOPIAN TUBE GALLBLADDER HEART MUSCLE HIPPOCAMPAL FORMATION HYPOTHALAMUS KIDNEY LIVER LUNG LYMPH NODE MIDBRAIN NASOPHARYNX
ORAL MUCOSA OVARY PANCREAS PARATHYROID GLAND PITUITARY GLAND PLACENTA PROSTATE RECTUM RETINA SALIVARY GLAND SEMINAL VESICLE SKELETAL MUSCLE SKIN SMALL INTESTINE
SMOOTH MUSCLE SOFT TISSUE SPINAL CORD SPLEEN STOMACH TESTIS THYMUS THYROID GLAND TONGUE TONSIL URINARY BLADDER VAGINA
ANTIBODIES
AND
VALIDATION
Dictionary
Tissue proteome
Adipose tissue
ADIPOSE TISSUE - Expression summary
Protein expression
Adipose tissuei

On the top, protein expression in current human tissue, based on all annotated cell types, is reported with the units not detected (n), low (l), medium (m) and high (h). Underneath, protein expression in each annotated cell type are reported using the same units.

Protein expression data is based on knowledge-based annotation. For genes where more than one antibody has been used, a collective score is set.

If knowledge-based annotation could not be performed for a gene, no data is displayed here. View antibody staining data further down this page.

h
m
l
n
Adipocytes: Not detected
RNA expressioni

A summary of mRNA expression data available for current tissue based on several datasets. The mRNA expression levels in human tissues are based on RNA-seq data generated by the Human Protein Atlas (HPA), Genotype-Tissue Expression (GTEx) portal and CAGE data generated by the FANTOM5 consortium. Consensus normalized expression levels for human tissues was created by combining the data from HPA and GTEx datasets.

The mRNA expression levels in pig are based on RNA-seq data generated by the Human Protein Atlas (HPA), and for mouse, HPA data and in situ hybridization generated by the Allen brain atlas are reported.

Scroll down to view mRNA expression data in more detail.
Consensus:40.1 nTPM
HPA:6.9 nTPM
GTEx:40.1 nTPM
FANTOM5:60.2 Scaled Tags Per Million

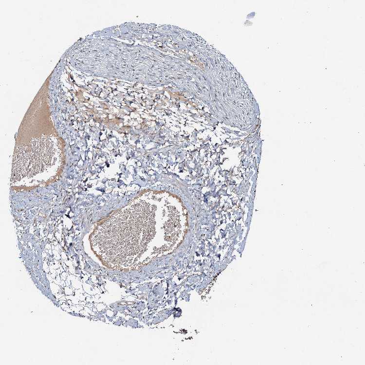
ADIPOSE TISSUE - Antibody stainingi

Antibody staining in the annotated cell types in the current human tissue is reported as not detected, low, medium, or high, based on conventional immunohistochemistry profiling in selected tissues. This score is based on the combination of the staining intensity and fraction of stained cells.

Each image is clickable and will lead to virtual microscopy that enables deeper exploration of all samples and also displays staining intensity scores, fraction scores and subcellular localization as well as patient and tissue information for each sample.

Antibody HPA040921
Adipocytes Not detected






ADIPOSE TISSUE - HPA RNA-seqi

The RNA-seq details section shows detailed information about the individual samples used for the transcript profiling and results of the RNA-seq analysis.

Information about each individual sample is listed below, including gender, age, a tissue section image and estimated fractions of cell types. nTPM (normalized transcripts per million) values give a quantification of the gene abundance which is comparable between different genes and samples.
Average nTPMi

Max subtype nTPM is the value for the subtype with the largest average nTPM across the subtype samples.

6.9
N/A
Female, age 80
Adipose tissue sample 86
nTPM: 4
Cell types%
Adipocytes:
95

Other cell types:
5

N/A
Female, age 45
Adipose tissue sample 115
nTPM: 6.4
N/A
Female, age 57
Adipose tissue sample 137
nTPM: 8.5
Cell types%
Adipocytes:
60

Fibroblasts:
20

Smooth muscle cells:
15

Other cell types:
5

overview
Female, age 74
Adipose tissue sample 329
nTPM: 8.6
Cell types%
Adipocytes:
50

Fibroblasts:
30

Smooth muscle cells:
15

Other cell types:
5

overview
Female, age 59
Adipose tissue sample 331
nTPM: 7
Cell types%
Adipocytes:
40

Fibroblasts:
40

Smooth muscle cells:
15

Other cell types:
5


ADIPOSE TISSUE - GTEx RNA-seqi

RNA-Seq data generated by the Genotype-Tissue Expression (GTEx) project from human tissues is reported as mean nTPM. More information can be found on the GTEx portal.

Distribution across the dataset is visualized with box plots, shown as median and 25th and 75th percentiles. Points are displayed as outliers if they are above or below 1.5 times the interquartile range. nTPM values of the individual samples are presented next to the box plot.
Max subtype nTPMi

Max subtype nTPM is the value for the subtype with the largest average nTPM across the subtype samples.

40.1
GTEx sample id Sample description nTPM
Adipose - Subcutaneous
Average nTPM: 39.9
Samples: 663

Max nTPM: 75.8
Min nTPM: 16.8
Std nTPM: 7.4
Median nTPM: 39.5
GTEX-Y5V6-2526-SM-5IFJV 60-69 years, male 75.8
GTEX-17KNJ-2226-SM-DKPOU 50-59 years, male 73.5
GTEX-15UKP-0526-SM-7KFRO 20-29 years, male 70.2
GTEX-1GTWX-0226-SM-9YFLL 60-69 years, male 67.4
GTEX-1HCU6-0226-SM-CGQES 60-69 years, female 64.5
GTEX-1JN76-0226-SM-CMKGO 20-29 years, female 64.4
GTEX-1GZ4H-1826-SM-9MQLE 50-59 years, female 60.7
GTEX-ZVT4-0226-SM-51MSD 50-59 years, female 59.8
GTEX-1HSMO-0226-SM-CGQEZ 60-69 years, male 59.5
GTEX-11H98-0226-SM-5NQ89 50-59 years, male 58.9
GTEX-ZC5H-0126-SM-4WAYL 40-49 years, female 58.3
GTEX-1399U-2426-SM-5K7XB 50-59 years, female 58.1
GTEX-1PWST-0326-SM-EAZ42 70-79 years, male 57.3
GTEX-T5JW-1726-SM-3GADN 20-29 years, female 57.2
GTEX-14ICK-0326-SM-6LLIZ 40-49 years, male 57.0
GTEX-ZYFD-0226-SM-5NQ86 50-59 years, male 56.6
GTEX-WEY5-1926-SM-3GIL8 40-49 years, female 56.4
GTEX-S4P3-1526-SM-E9J3W 50-59 years, female 55.4
GTEX-1JN6P-0226-SM-COH34 60-69 years, male 55.1
GTEX-13G51-2626-SM-5LZYW 60-69 years, male 54.9
GTEX-13OW8-1226-SM-5K7XD 60-69 years, male 54.6
GTEX-1JMQL-0326-SM-CNPP6 50-59 years, female 54.4
GTEX-TSE9-0226-SM-3DB84 60-69 years, female 54.2
GTEX-WY7C-2426-SM-3NB2V 50-59 years, male 54.2
GTEX-13FHP-0226-SM-5K7WD 50-59 years, male 53.5
GTEX-14E1K-2126-SM-793DU 50-59 years, male 53.5
GTEX-YB5K-2226-SM-4WWG1 40-49 years, female 53.4
GTEX-OHPK-0226-SM-3MJH6 50-59 years, female 53.3
GTEX-139YR-2426-SM-5J1OB 50-59 years, male 53.2
GTEX-1MCYP-1826-SM-E9J2Q 20-29 years, female 53.2
GTEX-QDT8-0226-SM-32PL4 30-39 years, female 52.8
GTEX-1IL2V-0226-SM-CMKI2 70-79 years, male 52.6
GTEX-147GR-0426-SM-5S2OL 60-69 years, male 52.1
GTEX-1K9T9-0226-SM-E9U6K 50-59 years, female 52.1
GTEX-13JVG-0226-SM-5J1MW 60-69 years, male 51.5
GTEX-SN8G-0226-SM-4DM6B 50-59 years, female 51.3
GTEX-1MCC2-2326-SM-E9U5G 30-39 years, female 51.3
GTEX-1OFPY-2326-SM-E8VNU 60-69 years, male 51.3
GTEX-1I1GT-0526-SM-CGQEQ 60-69 years, female 51.2
GTEX-ZE7O-0226-SM-5S2N1 50-59 years, female 51.1
GTEX-1CAMR-1826-SM-7MXUJ 20-29 years, male 51.1
GTEX-12696-2526-SM-5EQLN 60-69 years, male 51.0
GTEX-1K2DA-2126-SM-CGQGL 50-59 years, male 51.0
GTEX-1N2EF-0626-SM-E9J32 60-69 years, male 50.9
GTEX-1QW4Y-1626-SM-EAZ41 30-39 years, male 50.9
GTEX-OXRO-0226-SM-3LK6F 60-69 years, female 50.8
GTEX-Y8LW-1926-SM-4WWFZ 50-59 years, female 50.8
GTEX-145ME-1926-SM-5MR6T 40-49 years, female 50.8
GTEX-1JN1M-0126-SM-D4P23 60-69 years, female 50.8
GTEX-14ICL-2026-SM-62LDN 30-39 years, male 50.7
GTEX-1B996-0126-SM-7PBYF 60-69 years, male 50.7
GTEX-1JMPY-1426-SM-ARL8Z 30-39 years, male 50.5
GTEX-1JMQK-0126-SM-CM2S3 60-69 years, male 50.5
GTEX-1KD5A-0326-SM-D5OVD 50-59 years, male 50.4
GTEX-XLM4-0226-SM-4AT4N 60-69 years, male 50.1
GTEX-1I1GP-2326-SM-CGQFL 50-59 years, male 50.0
GTEX-SIU8-0226-SM-2XCDS 50-59 years, male 49.9
GTEX-1C6VQ-0226-SM-7P8S5 50-59 years, male 49.9
GTEX-13RTJ-2526-SM-5S2Q3 60-69 years, male 49.8
GTEX-ZQG8-1526-SM-5HL65 60-69 years, female 49.7
GTEX-1E2YA-0226-SM-9MQLY 50-59 years, male 49.7
GTEX-14C39-2526-SM-5S2UH 40-49 years, male 49.6
GTEX-1GN2E-0326-SM-COH3C 60-69 years, male 49.6
GTEX-145MI-0426-SM-5O99V 60-69 years, female 49.4
GTEX-12126-0426-SM-5Q5AP 20-29 years, male 49.1
GTEX-ZF29-2226-SM-4WWB9 60-69 years, female 49.1
GTEX-PWN1-0226-SM-DKPO9 40-49 years, female 49.1
GTEX-13VXT-0226-SM-5LU9Q 20-29 years, female 49.0
GTEX-ZP4G-2326-SM-57WEM 20-29 years, female 49.0
GTEX-VJWN-0226-SM-EZ6LF 50-59 years, female 48.9
GTEX-13OVI-1326-SM-5IJBO 60-69 years, female 48.8
GTEX-1117F-0226-SM-5GZZ7 60-69 years, female 48.7
GTEX-13OVL-0326-SM-5IJCS 50-59 years, male 48.7
GTEX-ZYFC-0326-SM-5NQ7H 50-59 years, male 48.6
GTEX-1KANA-0826-SM-D3L9J 20-29 years, male 48.6
GTEX-XUZC-1826-SM-4BRVO 30-39 years, female 48.5
GTEX-ZUA1-0226-SM-5NQ9Q 40-49 years, male 48.5
GTEX-S95S-1326-SM-2XCDK 60-69 years, male 48.4
GTEX-ZPIC-1826-SM-57WFE 40-49 years, female 48.4
GTEX-1IDJD-1226-SM-CM2TP 30-39 years, male 48.4
GTEX-1POEN-0226-SM-EYYXE 30-39 years, female 48.4
GTEX-16BQI-0526-SM-6PAM8 30-39 years, female 48.3
GTEX-X15G-2326-SM-4PQZS 50-59 years, female 48.2
GTEX-1HSMP-0226-SM-CGQFI 70-79 years, male 48.2
GTEX-XBEC-0326-SM-4AT4M 50-59 years, male 48.1
GTEX-1PBJI-0426-SM-E8VNM 20-29 years, female 48.1
GTEX-1128S-2126-SM-5H12U 60-69 years, female 48.0
GTEX-11WQC-2426-SM-5EQKQ 60-69 years, male 48.0
GTEX-1C475-1926-SM-7DUFV 40-49 years, female 47.9
GTEX-ZTPG-0226-SM-5O99I 20-29 years, female 47.9
GTEX-13X6K-0226-SM-5QGPB 60-69 years, female 47.8
GTEX-14A5H-0526-SM-5TDCN 60-69 years, male 47.8
GTEX-1F5PK-2526-SM-9MQKN 50-59 years, male 47.8
GTEX-1GN73-0326-SM-9KNTW 60-69 years, male 47.8
GTEX-1QP6S-0126-SM-E9J4K 40-49 years, male 47.8
GTEX-11TUW-2626-SM-5EQKZ 60-69 years, male 47.7
GTEX-1I4MK-2026-SM-B2LVR 50-59 years, female 47.7
GTEX-1I1GQ-0226-SM-COH3I 50-59 years, male 47.6
GTEX-12584-0226-SM-5EQL5 40-49 years, male 47.5
GTEX-13O1R-0226-SM-5K7U5 60-69 years, male 47.5
GTEX-11DXX-2326-SM-9YFKS 60-69 years, female 47.4
GTEX-1EX96-1426-SM-7PBZ5 50-59 years, male 47.2
GTEX-13NZ8-0926-SM-5MR3U 60-69 years, female 47.1
GTEX-14BIL-0226-SM-5SI9E 50-59 years, male 47.1
GTEX-14DAR-1926-SM-5S2NQ 50-59 years, male 47.1
GTEX-1NHNU-1126-SM-E9J2C 50-59 years, male 47.1
GTEX-1QP28-0226-SM-E9J2N 50-59 years, female 47.1
GTEX-13X6J-0226-SM-7EPGC 50-59 years, male 47.0
GTEX-14H4A-1026-SM-62LDY 40-49 years, female 47.0
GTEX-147JS-0426-SM-5TDD2 60-69 years, male 46.9
GTEX-14PJM-0326-SM-62LF2 50-59 years, female 46.8
GTEX-1H3O1-0526-SM-9MQLS 60-69 years, male 46.8
GTEX-1IDFM-0226-SM-CMKFX 60-69 years, male 46.7
GTEX-ZDTT-2626-SM-5S2OP 60-69 years, male 46.6
GTEX-1JK1U-2126-SM-CNPOU 60-69 years, male 46.6
GTEX-PWCY-1926-SM-3NB25 20-29 years, female 46.5
GTEX-YB5E-2126-SM-5IFI7 40-49 years, male 46.5
GTEX-14PJ4-2226-SM-6LLIS 60-69 years, male 46.4
GTEX-TMZS-0226-SM-3DB9N 60-69 years, male 46.4
GTEX-13FH7-2226-SM-5IJD4 50-59 years, female 46.3
GTEX-18A6Q-0226-SM-718AS 60-69 years, male 46.3
GTEX-REY6-0326-SM-2TF5A 60-69 years, male 46.2
GTEX-X5EB-2426-SM-4E3HX 40-49 years, male 46.2
GTEX-XYKS-2726-SM-4E3IC 60-69 years, female 46.2
GTEX-1LH75-2526-SM-E9U5A 50-59 years, female 46.2
GTEX-13CF3-2326-SM-5IFGL 60-69 years, female 46.1
GTEX-T5JC-0526-SM-32PM7 20-29 years, male 46.1
GTEX-XBED-2326-SM-47JYR 60-69 years, male 46.1
GTEX-1H1ZS-0526-SM-9WG5L 70-79 years, male 46.1
GTEX-1399T-2726-SM-5K7XK 60-69 years, male 46.0
GTEX-145LS-0226-SM-5O9A5 60-69 years, female 46.0
GTEX-XQ3S-1626-SM-4WAYN 20-29 years, male 46.0
GTEX-111VG-2326-SM-5N9BK 60-69 years, male 45.9
GTEX-132QS-2526-SM-62LFJ 60-69 years, male 45.9
GTEX-ZAK1-0226-SM-5CVMX 50-59 years, female 45.9
GTEX-1HCVE-0226-SM-CGQEV 50-59 years, male 45.9
GTEX-13O61-2426-SM-5J1NV 60-69 years, male 45.8
GTEX-1ICG6-2626-SM-CGQG1 70-79 years, female 45.8
GTEX-1B8SG-0226-SM-7939Q 50-59 years, male 45.7
GTEX-WH7G-2226-SM-3NMBN 40-49 years, male 45.7
GTEX-13111-1726-SM-5EGJZ 50-59 years, male 45.6
GTEX-1GMRU-0226-SM-9YFLW 50-59 years, male 45.6
GTEX-1IY9M-0226-SM-CMKHP 60-69 years, male 45.5
GTEX-ZZPU-2726-SM-5NQ8O 50-59 years, female 45.4
GTEX-1IGQW-0226-SM-COH43 60-69 years, male 45.4
GTEX-ZAJG-0226-SM-5HL81 50-59 years, female 45.3
GTEX-1HSGN-0126-SM-CGQFU 40-49 years, female 45.3
GTEX-1A8FM-0126-SM-7SB7P 50-59 years, female 45.2
GTEX-VUSH-0226-SM-EXUQV 30-39 years, male 45.2
GTEX-1CB4J-1126-SM-7PBY1 60-69 years, male 45.1
GTEX-16NGA-1826-SM-7LG5L 40-49 years, female 45.0
GTEX-T2IS-0226-SM-32QPH 20-29 years, female 45.0
GTEX-1I1GV-0426-SM-ARZLX 60-69 years, male 45.0
GTEX-1PPGY-0326-SM-DTXFD 60-69 years, male 45.0
GTEX-1H23P-0226-SM-9YFLO 60-69 years, male 44.9
GTEX-1C2JI-2226-SM-7IGPJ 50-59 years, male 44.8
GTEX-Y3IK-2526-SM-4WWDM 50-59 years, female 44.8
GTEX-ZYY3-0226-SM-5E45M 60-69 years, female 44.8
GTEX-1R46S-0526-SM-EVYBZ 60-69 years, female 44.8
GTEX-1R7EV-1926-SM-EVYBF 40-49 years, male 44.8
GTEX-1B8KE-2526-SM-73KYQ 50-59 years, male 44.7
GTEX-1H1CY-2626-SM-9MQKJ 60-69 years, female 44.7
GTEX-131YS-0226-SM-5IJEH 60-69 years, female 44.6
GTEX-14LLW-0226-SM-62LEL 70-79 years, female 44.6
GTEX-T6MO-1726-SM-33HB8 40-49 years, female 44.5
GTEX-XXEK-2426-SM-4BRUS 50-59 years, male 44.5
GTEX-ZDXO-2426-SM-5S2NJ 60-69 years, male 44.5
GTEX-1C6VS-0426-SM-79OJV 60-69 years, male 44.4
GTEX-1CAMS-0326-SM-7PC35 40-49 years, female 44.4
GTEX-1JJE9-1226-SM-CNPOI 70-79 years, male 44.4
GTEX-13OW6-0526-SM-5L3HY 50-59 years, male 44.3
GTEX-14BMV-0226-SM-5S2N2 50-59 years, male 44.3
GTEX-ZYW4-0226-SM-5E44M 60-69 years, male 44.3
GTEX-1QEPI-0226-SM-EWRMR 60-69 years, female 44.3
GTEX-18465-0226-SM-7LG5M 50-59 years, male 44.2
GTEX-U3ZN-2626-SM-3DB7T 30-39 years, female 44.2
GTEX-11PRG-0626-SM-5BC56 50-59 years, male 44.1
GTEX-1AX9J-0326-SM-73KXY 60-69 years, male 44.1
GTEX-144GO-1626-SM-7EPG5 60-69 years, male 44.0
GTEX-YFC4-0226-SM-57WD2 40-49 years, female 44.0
GTEX-1F6I4-0226-SM-9MQMA 60-69 years, male 44.0
GTEX-1GN1W-0626-SM-9MQK3 50-59 years, female 44.0
GTEX-1JJEA-0226-SM-COH2X 60-69 years, male 44.0
GTEX-13W3W-2526-SM-5SI9P 60-69 years, female 43.9
GTEX-1GMR2-2526-SM-9MQKW 50-59 years, male 43.9
GTEX-PLZ6-1326-SM-3NB24 30-39 years, male 43.8
GTEX-YJ8A-0526-SM-5IFHT 20-29 years, male 43.7
GTEX-11OF3-2426-SM-5Q5AS 60-69 years, male 43.6
GTEX-147F3-0626-SM-5NQ9I 50-59 years, female 43.6
GTEX-145MO-0426-SM-5QGP6 60-69 years, male 43.5
GTEX-14PJ6-2226-SM-6LLIV 60-69 years, female 43.5
GTEX-RU72-1026-SM-46MUG 50-59 years, female 43.5
GTEX-ZTSS-2026-SM-5987K 40-49 years, male 43.5
GTEX-ZE9C-2826-SM-5S2MO 60-69 years, male 43.4
GTEX-11TT1-2426-SM-5EQMK 20-29 years, male 43.3
GTEX-1LVA9-0226-SM-E9U5N 50-59 years, male 43.3
GTEX-1PDJ9-0426-SM-E9J3E 20-29 years, male 43.3
GTEX-18A66-0326-SM-718BE 60-69 years, male 43.2
GTEX-13QBU-2526-SM-5LU4X 40-49 years, female 43.1
GTEX-1EWIQ-0226-SM-793D3 70-79 years, female 43.1
GTEX-11ZTT-2526-SM-5EQM9 60-69 years, female 43.0
GTEX-1KXAM-2326-SM-CYPTD 60-69 years, male 43.0
GTEX-13D11-2326-SM-5IJCY 50-59 years, female 42.9
GTEX-15ETS-0426-SM-6PANI 40-49 years, female 42.9
GTEX-ZXES-2026-SM-5NQ6R 30-39 years, female 42.9
GTEX-1313W-0226-SM-5LZV7 50-59 years, female 42.8
GTEX-146FH-0226-SM-5QGPQ 50-59 years, female 42.8
GTEX-X4LF-1726-SM-3NMBZ 50-59 years, male 42.8
GTEX-RVPV-1526-SM-EXOHF 60-69 years, male 42.8
GTEX-139T6-2126-SM-5KM37 50-59 years, male 42.7
GTEX-1A32A-0226-SM-718B2 50-59 years, female 42.7
GTEX-1122O-2026-SM-9YFMG 60-69 years, female 42.7
GTEX-1R7EU-0326-SM-EWRNJ 60-69 years, male 42.7
GTEX-1CB4I-0426-SM-7IGPR 50-59 years, male 42.6
GTEX-Y114-2326-SM-4TT7X 50-59 years, female 42.6
GTEX-YJ8O-2426-SM-5HL7S 40-49 years, female 42.6
GTEX-13PVQ-0226-SM-5SIBG 50-59 years, male 42.5
GTEX-1LSNL-0526-SM-DIPFI 50-59 years, male 42.5
GTEX-ZDYS-2126-SM-5S2P2 50-59 years, male 42.5
GTEX-U412-0526-SM-3DB9I 60-69 years, male 42.4
GTEX-X4EO-0426-SM-4QASA 60-69 years, female 42.4
GTEX-1J1OQ-0326-SM-CYPTJ 40-49 years, female 42.4
GTEX-1LVAO-0226-SM-E9U6O 60-69 years, male 42.4
GTEX-14JG1-0526-SM-6LLHW 40-49 years, male 42.3
GTEX-PLZ5-1826-SM-3NB22 50-59 years, male 42.3
GTEX-14JIY-0526-SM-62LFH 60-69 years, male 42.2
GTEX-1HB9E-0426-SM-CNPPV 50-59 years, male 42.2
GTEX-XMD2-0226-SM-4WWEE 60-69 years, female 42.1
GTEX-16MT8-0526-SM-6PAM6 60-69 years, female 42.0
GTEX-OXRP-0226-SM-3NB14 60-69 years, female 42.0
GTEX-Z93T-0226-SM-5HL5Z 50-59 years, male 42.0
GTEX-ZPCL-2126-SM-57WFZ 60-69 years, female 42.0
GTEX-1JKYR-0226-SM-CNPOK 20-29 years, male 42.0
GTEX-WFG7-2526-SM-EWRM5 20-29 years, male 42.0
GTEX-12WSA-0326-SM-5BC6I 60-69 years, male 41.9
GTEX-146FQ-0226-SM-5NQAL 30-39 years, male 41.9
GTEX-SUCS-1826-SM-32PM1 70-79 years, male 41.9
GTEX-ZVZP-2326-SM-59HL4 50-59 years, male 41.9
GTEX-1MUQO-0526-SM-E9J31 60-69 years, male 41.9
GTEX-14BIN-0726-SM-793DQ 50-59 years, female 41.8
GTEX-15RIE-2326-SM-7KFSC 60-69 years, male 41.8
GTEX-1I1GU-2326-SM-CGQFB 40-49 years, male 41.8
GTEX-R55C-1626-SM-48FEG 40-49 years, male 41.7
GTEX-1PIIG-0326-SM-EVYBV 30-39 years, male 41.7
GTEX-11EMC-2826-SM-5PNY6 60-69 years, female 41.6
GTEX-145MF-0526-SM-5LUA6 50-59 years, male 41.6
GTEX-1GPI7-0226-SM-9MQKB 20-29 years, male 41.6
GTEX-13IVO-0226-SM-5LZXU 70-79 years, male 41.5
GTEX-15ER7-0426-SM-6PAM3 20-29 years, female 41.5
GTEX-1QPFJ-0126-SM-E9J4B 30-39 years, female 41.5
GTEX-13VXU-0226-SM-5SI9R 50-59 years, male 41.4
GTEX-17F98-1126-SM-79OJS 40-49 years, female 41.4
GTEX-S32W-2226-SM-2XCAY 50-59 years, female 41.4
GTEX-XUYS-0226-SM-47JX1 50-59 years, male 41.4
GTEX-13112-2726-SM-5DUW5 50-59 years, male 41.3
GTEX-13113-1826-SM-5LZW4 60-69 years, female 41.3
GTEX-1399R-2626-SM-5KLZ7 30-39 years, male 41.3
GTEX-16GPK-0226-SM-7DUFI 60-69 years, male 41.3
GTEX-U8XE-0426-SM-3DB91 30-39 years, male 41.3
GTEX-ZZ64-1626-SM-5E43W 20-29 years, male 41.3
GTEX-1CAMQ-0126-SM-7SB7S 40-49 years, male 41.3
GTEX-1F6RS-0226-SM-9MQKO 60-69 years, female 41.3
GTEX-1269C-2726-SM-5EGJ4 60-69 years, female 41.2
GTEX-U4B1-1726-SM-3DB9F 40-49 years, male 41.2
GTEX-XBEW-0726-SM-4QARX 40-49 years, male 41.2
GTEX-WYJK-0226-SM-EYYV8 50-59 years, male 41.2
GTEX-ZGAY-0626-SM-DO92E 40-49 years, female 41.2
GTEX-113IC-0226-SM-5HL5C 60-69 years, male 41.0
GTEX-13N1W-0226-SM-5K7W6 70-79 years, male 41.0
GTEX-TKQ1-1126-SM-4GIAZ 30-39 years, male 41.0
GTEX-1LVAN-0126-SM-COH4H 50-59 years, female 41.0
GTEX-Y3I4-2226-SM-4TT7O 50-59 years, male 40.9
GTEX-1RAZA-0226-SM-E9U4W 20-29 years, male 40.9
GTEX-RWSA-0226-SM-2XCBA 40-49 years, male 40.8
GTEX-WVLH-0226-SM-3MJG6 50-59 years, male 40.8
GTEX-11EM3-2326-SM-5H12B 20-29 years, female 40.7
GTEX-12WSL-2426-SM-5GCN7 50-59 years, male 40.7
GTEX-1A8G7-0226-SM-731AS 60-69 years, male 40.7
GTEX-ZVTK-0526-SM-5GZWT 20-29 years, male 40.7
GTEX-13NYS-0226-SM-5MR49 60-69 years, male 40.6
GTEX-14753-0326-SM-5QGQB 60-69 years, male 40.6
GTEX-14ABY-0326-SM-5TDDK 50-59 years, male 40.6
GTEX-POYW-0726-SM-2XCEO 60-69 years, male 40.6
GTEX-XK95-0426-SM-4AT4R 40-49 years, male 40.6
GTEX-14E6C-0226-SM-5S2N3 40-49 years, male 40.5
GTEX-183WM-0226-SM-7LT8T 70-79 years, female 40.5
GTEX-1I1CD-0226-SM-CM2TL 60-69 years, female 40.5
GTEX-1I1HK-0226-SM-COH4A 60-69 years, male 40.5
GTEX-1QP67-1726-SM-E8VOP 40-49 years, female 40.5
GTEX-13S7M-0226-SM-5S2UG 60-69 years, female 40.4
GTEX-14E6D-0226-SM-62LDW 50-59 years, male 40.4
GTEX-YECK-0226-SM-4W215 60-69 years, male 40.4
GTEX-1GF9V-0226-SM-9MQKA 60-69 years, male 40.4
GTEX-1J8Q3-1526-SM-CMKGB 60-69 years, male 40.4
GTEX-11EQ9-2526-SM-5HL66 30-39 years, male 40.3
GTEX-11ONC-2526-SM-5986W 60-69 years, male 40.3
GTEX-11UD2-0126-SM-5EQL2 50-59 years, male 40.3
GTEX-13FTW-2526-SM-5IJC8 40-49 years, male 40.3
GTEX-17HII-0326-SM-7LG4X 50-59 years, male 40.3
GTEX-R55G-2426-SM-2TC5I 40-49 years, female 40.3
GTEX-T8EM-1126-SM-3DB7D 40-49 years, male 40.3
GTEX-WI4N-1126-SM-3LK7Q 40-49 years, female 40.3
GTEX-Z93S-0226-SM-5HL7R 50-59 years, male 40.3
GTEX-169BO-1426-SM-9MQJT 50-59 years, male 40.2
GTEX-16XZZ-0226-SM-7MGVJ 60-69 years, male 40.2
GTEX-1HCUA-2226-SM-ADEHF 50-59 years, female 40.2
GTEX-1I1GR-0226-SM-CMKHQ 60-69 years, male 40.2
GTEX-1IKJJ-0226-SM-COH3T 60-69 years, male 40.2
GTEX-11XUK-2126-SM-5EQLR 40-49 years, female 40.1
GTEX-13YAN-0426-SM-5O9DR 60-69 years, male 40.1
GTEX-144FL-0226-SM-5Q5D4 50-59 years, male 40.1
GTEX-1J8QM-2326-SM-CYPSL 60-69 years, female 40.1
GTEX-1S831-0326-SM-EVYD3 20-29 years, male 40.1
GTEX-1212Z-2426-SM-5EQ5D 60-69 years, male 40.0
GTEX-18D9A-2026-SM-718BL 30-39 years, female 40.0
GTEX-ZF3C-0226-SM-4WWB3 50-59 years, female 40.0
GTEX-11NUK-0326-SM-5HL5K 50-59 years, male 40.0
GTEX-1ICLY-0226-SM-ARL7R 50-59 years, male 40.0
GTEX-U3ZM-1026-SM-EZ6LD 40-49 years, male 40.0
GTEX-11DXW-0326-SM-5H11W 40-49 years, male 39.9
GTEX-17HHY-0226-SM-793BQ 50-59 years, male 39.9
GTEX-1GN1U-0226-SM-9YFLQ 50-59 years, female 39.9
GTEX-17HGU-0326-SM-7DUER 50-59 years, male 39.8
GTEX-1LGOU-2226-SM-E9U56 20-29 years, female 39.8
GTEX-111YS-2426-SM-5GZZQ 60-69 years, male 39.7
GTEX-11P81-2426-SM-5GU65 30-39 years, female 39.6
GTEX-14PN3-2526-SM-6EU15 60-69 years, female 39.6
GTEX-X88G-0226-SM-4GIE4 30-39 years, male 39.6
GTEX-144GM-1926-SM-5LUAN 20-29 years, male 39.5
GTEX-XPVG-2726-SM-4B66W 50-59 years, male 39.5
GTEX-1F75A-0226-SM-7PC2K 50-59 years, male 39.5
GTEX-1GMR3-2026-SM-9MQLG 40-49 years, male 39.5
GTEX-1JMQI-2026-SM-CMKGP 50-59 years, male 39.5
GTEX-Q2AH-1726-SM-DIPDV 40-49 years, male 39.5
GTEX-139TU-0226-SM-5J1NM 60-69 years, male 39.4
GTEX-QV44-1825-SM-447CF 50-59 years, male 39.4
GTEX-X8HC-0226-SM-4E3K1 50-59 years, female 39.4
GTEX-1MJK2-0526-SM-DTXE6 50-59 years, male 39.4
GTEX-1R9K5-0226-SM-EWRNF 50-59 years, male 39.4
GTEX-W5WG-2526-SM-4SOJ2 50-59 years, female 39.3
GTEX-1GZ4I-0226-SM-7RHHO 50-59 years, male 39.3
GTEX-1HUB1-0326-SM-A9SKQ 60-69 years, male 39.3
GTEX-1OJC4-1726-SM-EXUSV 50-59 years, female 39.3
GTEX-ZLFU-2626-SM-DO91L 40-49 years, male 39.3
GTEX-12ZZZ-0526-SM-5DUX6 60-69 years, male 39.2
GTEX-145MN-2626-SM-5NQAH 30-39 years, male 39.2
GTEX-ZPU1-2426-SM-4WWFM 40-49 years, male 39.2
GTEX-1JMLX-0126-SM-CMKG9 50-59 years, male 39.2
GTEX-12WSM-0226-SM-5LZV6 60-69 years, male 39.1
GTEX-131XW-0526-SM-5PNXZ 50-59 years, female 39.1
GTEX-13OVK-2126-SM-6PAN1 40-49 years, male 39.1
GTEX-1H2FU-0226-SM-9YFKO 60-69 years, female 39.1
GTEX-11I78-2626-SM-5Q5AI 50-59 years, female 39.0
GTEX-18D9U-0726-SM-7LG5J 40-49 years, male 39.0
GTEX-13OVJ-0326-SM-5L3GL 50-59 years, female 38.8
GTEX-17HHE-1926-SM-7EPGW 50-59 years, male 38.8
GTEX-1LB8K-0326-SM-E9TJC 50-59 years, male 38.8
GTEX-ZDTS-0226-SM-5HL7Q 60-69 years, male 38.7
GTEX-1B932-0226-SM-7PBYH 40-49 years, female 38.7
GTEX-1PFEY-1626-SM-E9J3M 30-39 years, male 38.7
GTEX-13CF2-2626-SM-5LZZA 60-69 years, male 38.6
GTEX-YEC3-1226-SM-5IFI8 50-59 years, male 38.6
GTEX-11GS4-2626-SM-5A5LD 60-69 years, male 38.5
GTEX-139T4-0126-SM-5HL5G 50-59 years, female 38.5
GTEX-148VI-1726-SM-5S2W9 60-69 years, female 38.5
GTEX-16YQH-0226-SM-6PALD 30-39 years, male 38.5
GTEX-X4XY-0326-SM-46MVZ 60-69 years, male 38.4
GTEX-YJ89-0226-SM-4TT3Y 60-69 years, male 38.4
GTEX-ZVT2-2226-SM-5NQ6P 50-59 years, female 38.4
GTEX-18QFQ-0226-SM-731BQ 30-39 years, male 38.4
GTEX-1IOXB-0226-SM-CMKHY 50-59 years, male 38.4
GTEX-11TTK-0226-SM-5N9EC 60-69 years, female 38.3
GTEX-14PHX-2426-SM-62LEN 50-59 years, male 38.3
GTEX-12ZZY-0326-SM-5LZVQ 60-69 years, male 38.2
GTEX-13N11-2626-SM-5K7UQ 50-59 years, female 38.2
GTEX-P78B-0226-SM-3NB1Z 40-49 years, female 38.2
GTEX-13PVR-2426-SM-5RQHN 60-69 years, female 38.1
GTEX-13SLW-0226-SM-5S2NA 70-79 years, male 38.1
GTEX-1E1VI-0226-SM-793CZ 50-59 years, male 38.1
GTEX-1HFI7-2026-SM-CGQFR 50-59 years, female 38.1
GTEX-1HR9M-0226-SM-COH3E 60-69 years, male 38.1
GTEX-1MGNQ-0226-SM-EVYCK 40-49 years, male 38.1
GTEX-1QP29-0726-SM-DTXFM 50-59 years, male 38.0
GTEX-ZTX8-1526-SM-5N9GI 20-29 years, male 37.9
GTEX-1JJ6O-0226-SM-E6CI9 60-69 years, male 37.9
GTEX-PX3G-0226-SM-DKPOF 20-29 years, female 37.9
GTEX-12ZZX-0226-SM-5DUXU 40-49 years, female 37.8
GTEX-14BMU-2126-SM-5S2TS 20-29 years, female 37.8
GTEX-VJYA-1326-SM-3GIJC 60-69 years, male 37.8
GTEX-1IKK5-0526-SM-CMKGG 60-69 years, male 37.8
GTEX-12WSD-0226-SM-59HKO 60-69 years, female 37.7
GTEX-145LT-1826-SM-5QGP4 40-49 years, male 37.7
GTEX-P4QT-0226-SM-3LK68 50-59 years, female 37.7
GTEX-1HBPM-0326-SM-CMKGR 60-69 years, female 37.7
GTEX-1B8KZ-1926-SM-7DUG8 50-59 years, male 37.6
GTEX-ZVP2-1826-SM-5GU62 50-59 years, male 37.6
GTEX-13QJ3-0426-SM-5RQHP 50-59 years, male 37.5
GTEX-17EVP-0426-SM-79OKG 40-49 years, male 37.5
GTEX-SNOS-1426-SM-32PLY 40-49 years, male 37.5
GTEX-1HCU8-0726-SM-ADEIR 60-69 years, female 37.5
GTEX-145MG-0126-SM-5TDDA 50-59 years, male 37.4
GTEX-17EUY-0526-SM-7EWDE 20-29 years, male 37.4
GTEX-XAJ8-0926-SM-47JXZ 40-49 years, male 37.4
GTEX-ZVE2-0326-SM-57WFC 50-59 years, male 37.4
GTEX-1LG7Y-0426-SM-DKPQB 50-59 years, male 37.4
GTEX-11P82-1726-SM-5Q5AT 20-29 years, male 37.2
GTEX-1AMFI-2126-SM-731BT 50-59 years, female 37.2
GTEX-WFJO-1926-SM-3GILA 30-39 years, male 37.2
GTEX-1MA7W-1926-SM-E6CIO 20-29 years, female 37.2
GTEX-139TT-0226-SM-5K7YH 60-69 years, male 37.1
GTEX-Q2AG-0226-SM-2S1P4 40-49 years, female 37.1
GTEX-XUW1-0526-SM-4BOP3 50-59 years, female 37.1
GTEX-1FIGZ-1626-SM-7SB8L 40-49 years, male 37.1
GTEX-Y9LG-2026-SM-62LFS 30-39 years, male 37.0
GTEX-11EQ8-0226-SM-5EQ5G 60-69 years, male 36.9
GTEX-146FR-1826-SM-5QGPF 60-69 years, female 36.9
GTEX-14E6E-1926-SM-664N4 30-39 years, male 36.9
GTEX-NFK9-0326-SM-3MJGV 40-49 years, male 36.9
GTEX-RTLS-0226-SM-2TF5E 60-69 years, female 36.9
GTEX-P4PP-0226-SM-D4P1Z 30-39 years, female 36.9
GTEX-11DZ1-0226-SM-5A5KF 50-59 years, male 36.8
GTEX-1211K-2226-SM-5FQU6 60-69 years, female 36.8
GTEX-17HG3-2326-SM-79OKH 30-39 years, female 36.8
GTEX-18A7A-0326-SM-731AT 50-59 years, female 36.8
GTEX-WHPG-2126-SM-4M1ZM 50-59 years, male 36.8
GTEX-1EMGI-0226-SM-9MQL1 60-69 years, male 36.8
GTEX-1AYD5-2326-SM-73KXF 50-59 years, male 36.7
GTEX-1HSEH-0226-SM-ACKVV 60-69 years, male 36.7
GTEX-P44G-2326-SM-2XCCZ 30-39 years, male 36.6
GTEX-ZYVF-0226-SM-5GIEG 50-59 years, female 36.6
GTEX-1H4P4-0226-SM-9YFKT 50-59 years, male 36.6
GTEX-1HT8W-0226-SM-CMKGT 30-39 years, male 36.6
GTEX-1EU9M-0326-SM-7RHGF 60-69 years, male 36.5
GTEX-1QAET-1126-SM-E8VML 50-59 years, male 36.5
GTEX-17F96-1726-SM-7IGMB 70-79 years, male 36.4
GTEX-1A3MW-0226-SM-7939O 60-69 years, female 36.4
GTEX-1C64O-0226-SM-73KXB 60-69 years, male 36.4
GTEX-WL46-0326-SM-3LK6Y 50-59 years, male 36.4
GTEX-ZF28-0226-SM-5S2OE 60-69 years, male 36.4
GTEX-1JKYN-1226-SM-CGQG8 30-39 years, male 36.4
GTEX-1RDX4-0226-SM-DTXG1 50-59 years, female 36.4
GTEX-13U4I-0226-SM-5SIB1 40-49 years, female 36.3
GTEX-P44H-0326-SM-2XCES 40-49 years, male 36.3
GTEX-12C56-1626-SM-5FQUO 20-29 years, male 36.2
GTEX-13OW7-0226-SM-5MR3N 50-59 years, male 36.2
GTEX-1497J-2326-SM-5NQBK 60-69 years, male 36.2
GTEX-Y111-0226-SM-4SOIW 50-59 years, male 36.2
GTEX-ZT9X-1926-SM-57WE7 40-49 years, male 36.2
GTEX-12WSC-0226-SM-5EQ52 50-59 years, male 36.1
GTEX-1C4CL-0426-SM-7939N 30-39 years, male 36.1
GTEX-13O21-1526-SM-5K7W4 50-59 years, male 36.0
GTEX-Z9EW-1826-SM-5CVMA 40-49 years, male 36.0
GTEX-1F88F-2626-SM-9WG5K 60-69 years, female 36.0
GTEX-1EH9U-0226-SM-7PBY8 60-69 years, male 35.9
GTEX-14DAQ-0226-SM-664MQ 60-69 years, female 35.8
GTEX-OIZI-0226-SM-2XCEE 40-49 years, male 35.8
GTEX-13NZB-2426-SM-5K7UF 30-39 years, male 35.7
GTEX-13PLJ-0126-SM-5L3HU 60-69 years, female 35.7
GTEX-XV7Q-2626-SM-4BRVA 40-49 years, female 35.7
GTEX-1B8L1-2626-SM-7SB77 60-69 years, male 35.7
GTEX-1CB4E-1826-SM-7RHG8 60-69 years, male 35.7
GTEX-1KWVE-1326-SM-E6CJ1 30-39 years, male 35.7
GTEX-SSA3-0226-SM-32QPN 60-69 years, male 35.6
GTEX-TML8-2026-SM-32QOP 40-49 years, female 35.6
GTEX-Y5V5-2426-SM-5IFJA 60-69 years, female 35.6
GTEX-1F52S-0226-SM-7SB7U 60-69 years, female 35.6
GTEX-1HSKV-0326-SM-ADEJC 60-69 years, male 35.6
GTEX-1KAFJ-2426-SM-D4P32 50-59 years, male 35.6
GTEX-14PJ2-0226-SM-6LLH4 50-59 years, male 35.5
GTEX-N7MS-0326-SM-4E3K2 60-69 years, male 35.5
GTEX-OXRK-0326-SM-3NB3R 50-59 years, female 35.5
GTEX-13NYB-2626-SM-9YFMI 40-49 years, male 35.5
GTEX-1QP2A-0226-SM-EVYBC 50-59 years, male 35.5
GTEX-11ZU8-2426-SM-5EQMV 60-69 years, male 35.4
GTEX-QV31-1326-SM-2S1QE 30-39 years, male 35.4
GTEX-T6MN-0226-SM-32PMD 50-59 years, male 35.4
GTEX-139D8-0326-SM-5IJCJ 30-39 years, female 35.2
GTEX-OHPN-0226-SM-48TBV 60-69 years, female 35.2
GTEX-1GF9X-1926-SM-ADEIC 40-49 years, female 35.2
GTEX-OIZG-0826-SM-E9TI4 50-59 years, male 35.2
GTEX-ZLWG-2226-SM-DO92V 50-59 years, female 35.2
GTEX-111CU-1826-SM-5GZYN 50-59 years, male 35.1
GTEX-13N2G-2726-SM-5J1MG 60-69 years, male 35.1
GTEX-1C6WA-0226-SM-7IGPO 60-69 years, male 35.1
GTEX-PLZ4-0226-SM-CYPR1 50-59 years, female 35.1
GTEX-1B933-0526-SM-7EPHM 50-59 years, female 35.0
GTEX-O5YT-0226-SM-32PK5 20-29 years, male 35.0
GTEX-R55D-0326-SM-48FES 50-59 years, male 35.0
GTEX-1N2DW-0326-SM-E9TK3 50-59 years, male 35.0
GTEX-RNOR-0226-SM-EZ6MF 50-59 years, female 35.0
GTEX-131XE-2426-SM-5EQ5V 50-59 years, male 34.9
GTEX-13PDP-0226-SM-5K7W9 60-69 years, male 34.9
GTEX-14PK6-2026-SM-6LLHP 70-79 years, female 34.9
GTEX-ZXG5-0226-SM-59HJI 60-69 years, male 34.9
GTEX-RUSQ-1626-SM-EZ6L4 50-59 years, male 34.9
GTEX-12KS4-0426-SM-5EQMC 30-39 years, male 34.8
GTEX-13JUV-2826-SM-5LZWU 40-49 years, female 34.8
GTEX-14JG6-2326-SM-6LLH3 30-39 years, female 34.8
GTEX-Y8E5-0226-SM-57WCM 60-69 years, male 34.8
GTEX-1CB4H-0326-SM-9WG5G 60-69 years, female 34.8
GTEX-14PII-0326-SM-6LLIQ 60-69 years, male 34.7
GTEX-16NPX-0326-SM-7EWDI 50-59 years, male 34.7
GTEX-1A3MX-0226-SM-731C4 60-69 years, male 34.7
GTEX-YEC4-2426-SM-57WFO 40-49 years, male 34.7
GTEX-1S5ZU-0226-SM-E6CHW 20-29 years, female 34.7
GTEX-15DDE-0226-SM-6LLJ6 50-59 years, female 34.6
GTEX-QMRM-1726-SM-2S1QG 50-59 years, male 34.6
GTEX-XMK1-2226-SM-4B673 40-49 years, male 34.6
GTEX-1HGF4-2526-SM-ADEIZ 60-69 years, male 34.6
GTEX-1IE54-0226-SM-CMKHX 40-49 years, female 34.6
GTEX-13NZ9-0526-SM-5J1OX 50-59 years, male 34.5
GTEX-16XZY-2526-SM-7DHL2 70-79 years, male 34.5
GTEX-SJXC-0226-SM-2XCDU 60-69 years, male 34.5
GTEX-1PIGE-0526-SM-DTXFA 20-29 years, male 34.5
GTEX-1H1DE-2026-SM-9WG6Q 20-29 years, male 34.4
GTEX-1IDJF-0226-SM-CMKGE 20-29 years, male 34.4
GTEX-1S83E-0226-SM-EVYCW 40-49 years, male 34.4
GTEX-13O3P-0226-SM-5KM3Z 50-59 years, male 34.3
GTEX-QEL4-0326-SM-3GAE5 50-59 years, male 34.3
GTEX-UJHI-1626-SM-3DB9A 50-59 years, female 34.3
GTEX-R3RS-0226-SM-EYYVE 40-49 years, female 34.3
GTEX-1BAJH-0426-SM-73KWY 70-79 years, male 34.2
GTEX-1GMR8-0226-SM-9YFL3 50-59 years, female 34.2
GTEX-1L5NE-2626-SM-E9U6P 50-59 years, male 34.2
GTEX-X638-0226-SM-47JZ9 70-79 years, female 34.1
GTEX-QEG4-0326-SM-DIPE3 30-39 years, male 34.1
GTEX-11O72-0226-SM-59869 40-49 years, male 34.0
GTEX-14AS3-2026-SM-5TDD9 40-49 years, female 34.0
GTEX-YFCO-2026-SM-4W21Q 40-49 years, male 34.0
GTEX-OIZF-0226-SM-E9TI3 60-69 years, male 34.0
GTEX-1AYCT-2226-SM-7SB98 50-59 years, male 33.9
GTEX-1F88E-0526-SM-7SB8J 60-69 years, female 33.9
GTEX-139T8-0226-SM-5L3EA 60-69 years, male 33.7
GTEX-15CHQ-0226-SM-6EU2S 60-69 years, male 33.7
GTEX-ZLV1-1826-SM-5FQU5 60-69 years, female 33.7
GTEX-11ZTS-0226-SM-5EQKD 60-69 years, female 33.6
GTEX-144GL-0226-SM-5QGOX 50-59 years, male 33.6
GTEX-17F9Y-0326-SM-7IGLS 70-79 years, female 33.6
GTEX-11ZVC-2626-SM-5FQTA 50-59 years, female 33.4
GTEX-13NZA-0126-SM-5K7UH 60-69 years, male 33.4
GTEX-17MFQ-1826-SM-7DHLS 20-29 years, male 33.4
GTEX-ZVZO-0226-SM-5A5LA 40-49 years, male 33.3
GTEX-11ZUS-0726-SM-59886 30-39 years, male 33.2
GTEX-11P7K-2026-SM-5GU74 30-39 years, male 33.1
GTEX-P4QS-0226-SM-3NB1U 60-69 years, male 33.1
GTEX-1CB4G-0326-SM-7SB8R 60-69 years, male 33.1
GTEX-1IDJU-2526-SM-CMKGF 60-69 years, female 33.1
GTEX-1RQEC-0526-SM-E6CHV 60-69 years, male 33.1
GTEX-1F75I-0426-SM-7PC3S 40-49 years, male 33.0
GTEX-1H3VE-0226-SM-9WYST 40-49 years, male 33.0
GTEX-11GSO-2326-SM-5A5LX 60-69 years, male 32.9
GTEX-14C5O-0226-SM-5SI6O 60-69 years, male 32.9
GTEX-15SDE-2426-SM-7KFRC 50-59 years, female 32.9
GTEX-PSDG-0326-SM-48TCP 50-59 years, male 32.9
GTEX-1I6K7-0226-SM-CJI46 40-49 years, male 32.9
GTEX-13FHO-0326-SM-5IJBH 60-69 years, male 32.7
GTEX-1AMEY-1426-SM-7939I 30-39 years, female 32.7
GTEX-1B97I-1726-SM-7939V 40-49 years, male 32.7
GTEX-YF7O-2426-SM-5IFJL 50-59 years, male 32.7
GTEX-1A3MV-2126-SM-718BV 30-39 years, male 32.6
GTEX-R53T-1626-SM-3GAEW 50-59 years, female 32.6
GTEX-1A8G6-0526-SM-7PC1E 60-69 years, male 32.6
GTEX-1HSMQ-1426-SM-ADEHT 50-59 years, male 32.6
GTEX-SNMC-1326-SM-2XCFK 20-29 years, male 32.5
GTEX-1GZ2Q-0326-SM-9WG6N 40-49 years, male 32.5
GTEX-OXRL-0226-SM-3NB18 50-59 years, male 32.4
GTEX-1F75W-0226-SM-9JGGP 60-69 years, male 32.4
GTEX-1H1E6-2026-SM-9KNVK 30-39 years, male 32.4
GTEX-13SLX-0426-SM-5QGRC 50-59 years, female 32.3
GTEX-O5YV-0226-SM-48TBY 60-69 years, female 32.3
GTEX-Y8E4-0726-SM-4WWFN 40-49 years, male 32.3
GTEX-1EKGG-0126-SM-9YFLS 60-69 years, male 32.3
GTEX-1HCU7-0326-SM-CMKGI 50-59 years, male 32.3
GTEX-1LG7Z-2026-SM-DLHBP 30-39 years, male 32.3
GTEX-1LGRB-2426-SM-CNPP3 50-59 years, female 32.3
GTEX-1PPH8-0626-SM-EWRN9 20-29 years, male 32.3
GTEX-133LE-1926-SM-5N9FV 20-29 years, female 32.2
GTEX-14PJ3-1926-SM-62LEY 50-59 years, male 32.2
GTEX-17F97-0426-SM-7LT9U 50-59 years, male 32.2
GTEX-VUSG-2426-SM-4KKZG 50-59 years, male 32.2
GTEX-ZYT6-0326-SM-7LG5R 30-39 years, male 32.2
GTEX-11LCK-1126-SM-5A5KC 30-39 years, male 32.1
GTEX-WVJS-0226-SM-4MVOU 50-59 years, male 32.1
GTEX-16MTA-2126-SM-6PALC 50-59 years, male 32.0
GTEX-OHPM-0226-SM-3LK61 50-59 years, male 32.0
GTEX-11EI6-0226-SM-5EQ64 60-69 years, male 31.9
GTEX-1GN1V-0226-SM-9WYTN 60-69 years, male 31.9
GTEX-131XF-2226-SM-5EQKG 60-69 years, male 31.8
GTEX-18A67-0226-SM-7LG67 50-59 years, male 31.8
GTEX-W5X1-2626-SM-4LMI8 40-49 years, female 31.8
GTEX-1CB4F-0526-SM-9KNW2 60-69 years, male 31.8
GTEX-13FTY-0626-SM-5L3F8 40-49 years, female 31.7
GTEX-13O3Q-2326-SM-5KM3G 50-59 years, male 31.7
GTEX-1H3VY-0226-SM-9YFMF 50-59 years, male 31.6
GTEX-1J8EW-0226-SM-CYPSW 60-69 years, female 31.6
GTEX-1QP66-1326-SM-DTXDQ 50-59 years, male 31.6
GTEX-11UD1-0226-SM-5EQKL 40-49 years, female 31.5
GTEX-XQ8I-0526-SM-4BOPS 50-59 years, male 31.5
GTEX-1I19N-0426-SM-ACKVY 70-79 years, male 31.5
GTEX-1I6K6-0226-SM-ADEID 30-39 years, male 31.5
GTEX-1J8JJ-0326-SM-CMKG6 60-69 years, female 31.5
GTEX-17MF6-0226-SM-7LG4G 40-49 years, male 31.4
GTEX-XGQ4-2226-SM-4AT4Y 50-59 years, male 31.4
GTEX-ZEX8-2326-SM-5S2MN 50-59 years, male 31.3
GTEX-1C6VR-2626-SM-7MGX2 60-69 years, male 31.3
GTEX-WFG8-2326-SM-DIPDX 20-29 years, male 31.3
GTEX-QDVN-2126-SM-33HBS 50-59 years, male 31.1
GTEX-1HBPI-1426-SM-B2LW7 50-59 years, male 31.1
GTEX-1M5QR-2126-SM-DKPQM 40-49 years, male 31.1
GTEX-1QCLY-0526-SM-EAZ47 30-39 years, male 31.1
GTEX-X261-0226-SM-3NMD2 50-59 years, male 31.0
GTEX-1I1GS-0226-SM-B2LVX 60-69 years, male 30.9
GTEX-QESD-1526-SM-2S1QT 20-29 years, male 30.7
GTEX-1F48J-0226-SM-7SB82 50-59 years, female 30.7
GTEX-1314G-1626-SM-5EQ67 30-39 years, male 30.5
GTEX-1AX9I-0226-SM-7SB75 60-69 years, male 30.5
GTEX-1LSVX-0126-SM-EVYCY 60-69 years, male 30.5
GTEX-1RAZR-0226-SM-EVYC6 40-49 years, male 30.5
GTEX-WFON-2226-SM-3TW8W 40-49 years, male 30.4
GTEX-1B8SF-0526-SM-7939F 60-69 years, male 30.2
GTEX-1IL2U-0326-SM-CE6T9 60-69 years, male 30.2
GTEX-1LBAC-0226-SM-DHXJZ 20-29 years, male 30.2
GTEX-1QP9N-1526-SM-DTXFK 30-39 years, male 30.2
GTEX-1S82P-0226-SM-E6CI6 60-69 years, female 30.2
GTEX-1ICLZ-0226-SM-CKZPP 60-69 years, male 30.1
GTEX-POMQ-2326-SM-DHXIS 20-29 years, female 30.1
GTEX-132AR-0226-SM-5IJBE 50-59 years, female 30.0
GTEX-15G19-0226-SM-6PAL2 60-69 years, male 30.0
GTEX-1RAZQ-0626-SM-E8VOR 30-39 years, male 30.0
GTEX-1R9PM-2126-SM-E8VOB 20-29 years, male 29.9
GTEX-111FC-0226-SM-5N9B8 60-69 years, male 29.8
GTEX-QCQG-1826-SM-2S1P2 50-59 years, female 29.8
GTEX-S33H-1126-SM-2XCB6 30-39 years, male 29.7
GTEX-16AAH-2026-SM-7LG5F 50-59 years, male 29.4
GTEX-15DCD-0226-SM-6LPKC 70-79 years, female 29.2
GTEX-1LSNM-2026-SM-E6CIJ 50-59 years, male 28.9
GTEX-1MA7X-2126-SM-E6CIX 60-69 years, male 28.9
GTEX-1HR98-0226-SM-CGQEK 60-69 years, male 28.7
GTEX-183FY-0326-SM-793BY 20-29 years, male 28.1
GTEX-OOBJ-0226-SM-2YUMM 60-69 years, male 28.1
GTEX-1J1R8-2226-SM-ARZMP 40-49 years, male 28.1
GTEX-117YX-2226-SM-5EGJJ 50-59 years, male 27.8
GTEX-R45C-0226-SM-EVYAJ 60-69 years, female 27.7
GTEX-ZV68-0226-SM-59HJF 50-59 years, female 27.3
GTEX-OXRN-0226-SM-2I5EJ 50-59 years, male 27.2
GTEX-P4PQ-0226-SM-2S1NK 60-69 years, male 27.2
GTEX-S7SE-0226-SM-2XCD4 50-59 years, male 27.0
GTEX-Q734-1826-SM-2I3EL 40-49 years, female 26.8
GTEX-UTHO-0426-SM-CE6QU 60-69 years, male 26.8
GTEX-XOT4-0226-SM-4B66Z 60-69 years, female 26.3
GTEX-OIZH-0226-SM-2YUMH 50-59 years, male 26.1
GTEX-QLQW-1226-SM-2S1Q9 30-39 years, male 26.1
GTEX-1AX9K-2426-SM-73KZ4 50-59 years, male 25.8
GTEX-1HFI6-0326-SM-ADEI5 40-49 years, male 25.1
GTEX-OOBK-0226-SM-2YUMF 40-49 years, male 24.3
GTEX-NPJ8-0226-SM-48TBN 40-49 years, male 23.9
GTEX-1HBPH-0526-SM-9YFMN 40-49 years, female 23.8
GTEX-QEG5-0326-SM-2S1PB 20-29 years, male 21.5
GTEX-QLQ7-1526-SM-2S1QA 60-69 years, male 20.8
GTEX-RM2N-1726-SM-2TF55 50-59 years, male 20.5
GTEX-1H1DF-0226-SM-ARL9A 40-49 years, female 20.4
GTEX-Q2AI-1426-SM-2S1P5 40-49 years, male 17.3
GTEX-QDVJ-1826-SM-2S1P3 50-59 years, male 16.8
Show allShow less
Adipose - Visceral (Omentum)
Average nTPM: 40.1
Samples: 541

Max nTPM: 72.0
Min nTPM: 13.0
Std nTPM: 7.8
Median nTPM: 39.1
GTEX-11EQ9-1126-SM-5987I 30-39 years, male 72.0
GTEX-1POEN-1626-SM-EVYC2 30-39 years, female 68.1
GTEX-12ZZX-1726-SM-5BC63 40-49 years, female 67.8
GTEX-14E6C-1226-SM-5ZZUN 40-49 years, male 65.9
GTEX-1C64N-1326-SM-7SB7D 50-59 years, male 60.4
GTEX-1445S-2426-SM-79ON2 60-69 years, male 60.3
GTEX-16XZZ-1626-SM-7KUEC 60-69 years, male 59.9
GTEX-131XG-0126-SM-5K7UJ 50-59 years, female 59.7
GTEX-1313W-1626-SM-5J1OE 50-59 years, female 58.8
GTEX-12WSI-1526-SM-5GCNM 50-59 years, male 58.7
GTEX-1399S-1426-SM-5PNYQ 30-39 years, female 58.4
GTEX-13OW8-0326-SM-5L3FB 60-69 years, male 58.2
GTEX-ZF29-0826-SM-5S2O2 60-69 years, female 58.0
GTEX-13N2G-1926-SM-5J1O3 60-69 years, male 57.5
GTEX-13O21-3126-SM-5J1OI 50-59 years, male 56.9
GTEX-13IVO-2426-SM-5K7V9 70-79 years, male 56.8
GTEX-ZYVF-1026-SM-5E44V 50-59 years, female 56.7
GTEX-Y9LG-1226-SM-4VBQA 30-39 years, male 56.6
GTEX-145MF-1026-SM-5Q5EQ 50-59 years, male 55.8
GTEX-13OVL-0826-SM-5L3GV 50-59 years, male 55.6
GTEX-1S5ZA-1026-SM-EWRO2 20-29 years, male 55.6
GTEX-Y5LM-0826-SM-4VDSW 40-49 years, female 54.6
GTEX-1GF9W-1026-SM-7SB8X 60-69 years, male 54.4
GTEX-13X6J-1926-SM-5TDCU 50-59 years, male 54.3
GTEX-13X6H-1726-SM-5Q5EH 50-59 years, female 54.2
GTEX-1212Z-0526-SM-5FQSQ 60-69 years, male 54.1
GTEX-146FH-2026-SM-5SI9I 50-59 years, female 54.1
GTEX-1C475-0326-SM-7SB8O 40-49 years, female 54.1
GTEX-13O61-1926-SM-5KM1R 60-69 years, male 53.7
GTEX-13FHO-2026-SM-5J1OA 60-69 years, male 53.6
GTEX-14PN4-1426-SM-6LLJ4 50-59 years, male 53.5
GTEX-14E6D-1326-SM-62LES 50-59 years, male 53.1
GTEX-1JMQJ-1926-SM-D4P3A 50-59 years, male 53.1
GTEX-1KD4Q-1426-SM-D4P3K 40-49 years, male 53.0
GTEX-WK11-2426-SM-3NMAA 50-59 years, male 52.8
GTEX-ZV7C-0826-SM-59HK8 50-59 years, male 52.7
GTEX-1JMLX-1026-SM-D3L8U 50-59 years, male 52.7
GTEX-ZE7O-1526-SM-5J1NH 50-59 years, female 52.5
GTEX-1LBAC-1026-SM-CXKYA 20-29 years, male 52.3
GTEX-1GL5R-0726-SM-9MQL5 50-59 years, male 52.1
GTEX-14PN3-0326-SM-6EU1X 60-69 years, female 52.0
GTEX-Y8LW-0926-SM-4VBQ8 50-59 years, female 52.0
GTEX-14BIM-1626-SM-7EWD2 60-69 years, female 51.9
GTEX-14PHW-1626-SM-6EU2H 60-69 years, female 51.9
GTEX-14BIL-2426-SM-5QGQR 50-59 years, male 51.7
GTEX-XAJ8-0226-SM-4GIB2 40-49 years, male 51.7
GTEX-WWTW-1326-SM-4MVNT 50-59 years, male 51.6
GTEX-113JC-0726-SM-5GZZR 50-59 years, female 51.3
GTEX-14ICL-0926-SM-5S2TU 30-39 years, male 51.3
GTEX-1AMFI-1026-SM-73KYM 50-59 years, female 51.2
GTEX-132QS-0826-SM-5K7WV 60-69 years, male 51.1
GTEX-1QEPI-2226-SM-E8VN6 60-69 years, female 50.8
GTEX-YJ8A-1926-SM-EZ6LQ 20-29 years, male 50.7
GTEX-1H3VE-1926-SM-9YFL4 40-49 years, male 50.5
GTEX-1MUQO-0826-SM-EVYCZ 60-69 years, male 50.5
GTEX-14ABY-1926-SM-62LDJ 50-59 years, male 50.4
GTEX-X585-2526-SM-4QAS1 50-59 years, male 50.4
GTEX-1LG7Y-1126-SM-CYPTE 50-59 years, male 50.3
GTEX-XBED-1326-SM-4AT4F 60-69 years, male 50.2
GTEX-1128S-0926-SM-5GZZU 60-69 years, female 50.0
GTEX-1I1GP-1426-SM-ACKVZ 50-59 years, male 50.0
GTEX-1N2EF-0926-SM-E8VNW 60-69 years, male 49.9
GTEX-1122O-0926-SM-9YFLC 60-69 years, female 49.8
GTEX-11TT1-1926-SM-5PNYN 20-29 years, male 49.6
GTEX-1EN7A-1626-SM-79OLV 40-49 years, male 49.5
GTEX-ZE9C-1326-SM-5S2OW 60-69 years, male 49.4
GTEX-16NPX-1026-SM-6PAM7 50-59 years, male 49.2
GTEX-ZVZP-1126-SM-5GICU 50-59 years, male 49.2
GTEX-1HSEH-1326-SM-ADEI1 60-69 years, male 49.2
GTEX-117YW-0826-SM-5H11O 50-59 years, male 49.1
GTEX-12WSL-1126-SM-5CVNK 50-59 years, male 48.8
GTEX-1A8FM-2126-SM-7PC27 50-59 years, female 48.8
GTEX-1JMQI-1026-SM-COH2U 50-59 years, male 48.8
GTEX-1JMQK-1326-SM-CNPOR 60-69 years, male 48.7
GTEX-ZQG8-1026-SM-51MR9 60-69 years, female 48.6
GTEX-11PRG-1526-SM-5HL6Z 50-59 years, male 48.5
GTEX-11WQK-1526-SM-5EGKN 50-59 years, male 48.5
GTEX-14PK6-0926-SM-62LF4 70-79 years, female 48.5
GTEX-13NYS-0726-SM-5J1OR 60-69 years, male 48.4
GTEX-16BQI-1126-SM-7KULF 30-39 years, female 48.4
GTEX-1J8EW-1526-SM-CMKFZ 60-69 years, female 48.4
GTEX-16MTA-1326-SM-6PALX 50-59 years, male 48.3
GTEX-ZPU1-1226-SM-5HL71 40-49 years, male 48.3
GTEX-1CAV2-0226-SM-7IGPQ 40-49 years, female 48.0
GTEX-1JMPY-0326-SM-CM2S2 30-39 years, male 48.0
GTEX-ZGAY-1326-SM-5S2NS 40-49 years, female 47.9
GTEX-111CU-1026-SM-5EGIL 50-59 years, male 47.8
GTEX-1HSKV-1926-SM-CNPPN 60-69 years, male 47.8
GTEX-11OF3-0826-SM-5BC51 60-69 years, male 47.7
GTEX-1R9PO-0926-SM-E9U4Q 60-69 years, female 47.6
GTEX-13PDP-1226-SM-5K7TW 60-69 years, male 47.5
GTEX-17EVP-1426-SM-79OMN 40-49 years, male 47.5
GTEX-12696-1826-SM-5EGJS 60-69 years, male 47.4
GTEX-1GTWX-1526-SM-9MQLF 60-69 years, male 47.4
GTEX-1I1GR-1726-SM-COH39 60-69 years, male 47.4
GTEX-WFJO-1026-SM-3GIKL 30-39 years, male 47.3
GTEX-14PJO-1626-SM-69LPQ 60-69 years, male 47.0
GTEX-1HCU6-1626-SM-CMKGW 60-69 years, female 47.0
GTEX-13OVH-1126-SM-5K7YP 70-79 years, male 46.9
GTEX-14B4R-0526-SM-5QGQT 30-39 years, male 46.9
GTEX-1I1CD-1026-SM-COH3G 60-69 years, female 46.8
GTEX-13FTW-0426-SM-5K7X2 40-49 years, male 46.7
GTEX-14C38-1026-SM-73KY7 50-59 years, male 46.6
GTEX-14C39-0826-SM-5TDDU 40-49 years, male 46.6
GTEX-1C6VR-1126-SM-7EPHD 60-69 years, male 46.6
GTEX-145MI-0826-SM-5SI95 60-69 years, female 46.5
GTEX-15CHQ-1126-SM-686YY 60-69 years, male 46.5
GTEX-YEC3-0926-SM-5Q5AC 50-59 years, male 46.5
GTEX-Z9EW-0826-SM-5HL9T 40-49 years, male 46.5
GTEX-13OW6-2426-SM-5K7WO 50-59 years, male 46.4
GTEX-ZYFC-1826-SM-5GZZA 50-59 years, male 46.3
GTEX-13112-1126-SM-5GCMY 50-59 years, male 46.2
GTEX-1HSMO-1426-SM-CNNQN 60-69 years, male 46.2
GTEX-YJ89-1926-SM-5IFJ6 60-69 years, male 46.0
GTEX-1RLM8-1026-SM-EWROE 50-59 years, male 46.0
GTEX-14753-2526-SM-5LU97 60-69 years, male 45.9
GTEX-ZQUD-0526-SM-57WG4 30-39 years, male 45.9
GTEX-ZXG5-1626-SM-59HJK 60-69 years, male 45.9
GTEX-1GZ4H-0926-SM-9WG6Y 50-59 years, female 45.9
GTEX-14JG6-0526-SM-6LLIH 30-39 years, female 45.8
GTEX-Y111-0926-SM-4SOIU 50-59 years, male 45.8
GTEX-XPVG-1626-SM-EYYVK 50-59 years, male 45.8
GTEX-13111-0626-SM-5LZVR 50-59 years, male 45.7
GTEX-145LU-1226-SM-5LU9B 50-59 years, male 45.7
GTEX-18A7B-1226-SM-718AU 70-79 years, male 45.7
GTEX-13D11-0526-SM-5LZYM 50-59 years, female 45.5
GTEX-1HT8W-0726-SM-A9SLB 30-39 years, male 45.5
GTEX-1QMI2-1626-SM-EYYXK 60-69 years, male 45.5
GTEX-13YAN-1126-SM-5TDC7 60-69 years, male 45.4
GTEX-ZVE2-1826-SM-51MRZ 50-59 years, male 45.4
GTEX-13PL7-1226-SM-5SIAR 60-69 years, female 45.3
GTEX-ZTSS-1026-SM-5985N 40-49 years, male 45.3
GTEX-1GMRU-0726-SM-7PBZH 50-59 years, male 45.3
GTEX-11I78-0226-SM-5HL6R 50-59 years, female 45.2
GTEX-13OVJ-0926-SM-5K7U1 50-59 years, female 45.2
GTEX-1192X-1526-SM-5H11I 50-59 years, male 45.1
GTEX-1HFI7-0726-SM-ACKVN 50-59 years, female 45.1
GTEX-14PJ4-0126-SM-62LEZ 60-69 years, male 45.0
GTEX-1B996-1226-SM-73KWZ 60-69 years, male 45.0
GTEX-1H4P4-0326-SM-9WYTD 50-59 years, male 45.0
GTEX-1PBJI-1326-SM-E9J2V 20-29 years, female 45.0
GTEX-14BIN-1226-SM-5S2OM 50-59 years, female 44.9
GTEX-11GSP-1026-SM-9WYSH 60-69 years, female 44.9
GTEX-1S5VW-2426-SM-EAZ52 60-69 years, male 44.9
GTEX-11GSO-0226-SM-5A5LV 60-69 years, male 44.8
GTEX-1B933-1326-SM-7939U 50-59 years, female 44.8
GTEX-1F52S-1326-SM-7SB6Q 60-69 years, female 44.8
GTEX-146FR-0226-SM-5Q5F6 60-69 years, female 44.7
GTEX-1QCLY-1226-SM-EVYC3 30-39 years, male 44.7
GTEX-11XUK-1726-SM-5GU61 40-49 years, female 44.6
GTEX-1B8KE-0826-SM-72D6S 50-59 years, male 44.6
GTEX-XQ8I-1426-SM-4BOPW 50-59 years, male 44.6
GTEX-1EKGG-1426-SM-7PBY2 60-69 years, male 44.5
GTEX-11DXX-2026-SM-5EGJL 60-69 years, female 44.4
GTEX-13JUV-0626-SM-5J1MQ 40-49 years, female 44.4
GTEX-13OVG-1326-SM-5K7Y3 60-69 years, male 44.4
GTEX-ZPCL-1026-SM-5GCOX 60-69 years, female 44.3
GTEX-1QP6S-1626-SM-EVYC5 40-49 years, male 44.3
GTEX-1KXAM-0526-SM-DKPQN 60-69 years, male 44.1
GTEX-ZF3C-1026-SM-5S2OC 50-59 years, female 44.0
GTEX-ZPIC-0726-SM-57WFM 40-49 years, female 43.9
GTEX-1LVAN-0926-SM-CNNQ2 50-59 years, female 43.9
GTEX-17F98-0326-SM-7DHLH 40-49 years, female 43.8
GTEX-1S82P-0926-SM-EWRNP 60-69 years, female 43.8
GTEX-13OW7-1126-SM-5K7V6 50-59 years, male 43.7
GTEX-1LGRB-0526-SM-COH3A 50-59 years, female 43.7
GTEX-1GF9V-1126-SM-9MQM7 60-69 years, male 43.6
GTEX-1F6I4-2126-SM-7PC2J 60-69 years, male 43.5
GTEX-1HUB1-1526-SM-CGQF6 60-69 years, male 43.4
GTEX-17EVQ-0626-SM-7KFTB 70-79 years, male 43.3
GTEX-17HGU-1726-SM-79OKM 50-59 years, male 43.2
GTEX-13VXU-1026-SM-5KLZE 50-59 years, male 43.1
GTEX-YFCO-1126-SM-5S2N9 40-49 years, male 43.1
GTEX-ZDYS-2226-SM-5S2MI 50-59 years, male 43.1
GTEX-1F6IF-2026-SM-7P8SE 60-69 years, male 43.1
GTEX-WXYG-0926-SM-3NB2O 50-59 years, female 43.0
GTEX-1I1GU-0626-SM-CMKHR 40-49 years, male 43.0
GTEX-1N2EE-1526-SM-DTXE9 60-69 years, male 43.0
GTEX-12WSA-1626-SM-5EGJV 60-69 years, male 42.9
GTEX-139T6-0526-SM-5IJC9 50-59 years, male 42.9
GTEX-ZDTS-1826-SM-5S2N6 60-69 years, male 42.9
GTEX-ZYT6-2126-SM-5GZZ4 30-39 years, male 42.9
GTEX-1CAMQ-1226-SM-7SB7E 40-49 years, male 42.9
GTEX-13N1W-1226-SM-5K7UM 70-79 years, male 42.8
GTEX-1HCU8-1126-SM-CM2SA 60-69 years, female 42.8
GTEX-17F97-1226-SM-79OJT 50-59 years, male 42.7
GTEX-1E1VI-1826-SM-9WG5J 50-59 years, male 42.6
GTEX-1IDJU-0926-SM-ARL88 60-69 years, female 42.6
GTEX-ZLWG-0726-SM-5S2N4 50-59 years, female 42.6
GTEX-1IKK5-0826-SM-ACKWN 60-69 years, male 42.5
GTEX-12WSC-1726-SM-5GCN3 50-59 years, male 42.4
GTEX-131XF-0726-SM-5GIE5 60-69 years, male 42.4
GTEX-1I6K7-1826-SM-CGQFO 40-49 years, male 42.3
GTEX-XBEW-1726-SM-4RGMA 40-49 years, male 42.2
GTEX-1JKYN-0526-SM-CGQG3 30-39 years, male 42.2
GTEX-13PVR-0526-SM-5S2OB 60-69 years, female 42.1
GTEX-14PJ2-1426-SM-62LFF 50-59 years, male 42.1
GTEX-1EMGI-0726-SM-7PBZ4 60-69 years, male 42.1
GTEX-1HCUA-0926-SM-ADEIX 50-59 years, female 42.1
GTEX-13G51-0526-SM-5IJCQ 60-69 years, male 42.0
GTEX-14PJN-0626-SM-6EU13 30-39 years, male 42.0
GTEX-YEC4-0926-SM-5PNXY 40-49 years, male 42.0
GTEX-131XE-2026-SM-5LZW1 50-59 years, male 41.9
GTEX-1GF9X-0926-SM-7PC2X 40-49 years, female 41.9
GTEX-ZTPG-2326-SM-57WFL 20-29 years, female 41.8
GTEX-1LKK1-1526-SM-EVYCO 50-59 years, female 41.8
GTEX-15D1Q-1326-SM-69LOA 40-49 years, male 41.7
GTEX-WYJK-1426-SM-3NM8V 50-59 years, male 41.7
GTEX-X8HC-2326-SM-4QAS4 50-59 years, female 41.7
GTEX-Y114-1326-SM-4TT9A 50-59 years, female 41.7
GTEX-Y5V5-0226-SM-5S2N8 60-69 years, female 41.7
GTEX-11LCK-0326-SM-5A5M7 30-39 years, male 41.6
GTEX-1B97I-0526-SM-73KXE 40-49 years, male 41.6
GTEX-1B97J-1126-SM-7SB79 50-59 years, female 41.6
GTEX-131XH-0826-SM-5GCN8 50-59 years, male 41.5
GTEX-13O3Q-1126-SM-5K7YK 50-59 years, male 41.5
GTEX-145LT-1526-SM-5O98P 40-49 years, male 41.5
GTEX-Y3I4-0726-SM-E9J3Y 50-59 years, male 41.5
GTEX-15UKP-1426-SM-7KUDX 20-29 years, male 41.4
GTEX-ZTX8-0726-SM-59HL9 20-29 years, male 41.4
GTEX-ZV6S-1626-SM-5NQ81 40-49 years, female 41.4
GTEX-1IE54-1426-SM-CL53C 40-49 years, female 41.4
GTEX-WVLH-1626-SM-EXURN 50-59 years, male 41.4
GTEX-ZF2S-1526-SM-5S2OO 50-59 years, female 41.3
GTEX-1JJ6O-2826-SM-CNNP7 60-69 years, male 41.3
GTEX-1RQEC-2526-SM-EVYD2 60-69 years, male 41.3
GTEX-1C6VS-1826-SM-73KXN 60-69 years, male 41.2
GTEX-111YS-1326-SM-5EGGK 60-69 years, male 41.1
GTEX-1F75I-1026-SM-7SB8B 40-49 years, male 41.0
GTEX-14PJM-1226-SM-686Z7 50-59 years, female 40.9
GTEX-VJWN-2326-SM-EVYAP 50-59 years, female 40.9
GTEX-WH7G-1126-SM-3NMBK 40-49 years, male 40.8
GTEX-YECK-1426-SM-5IFHE 60-69 years, male 40.8
GTEX-1I1GT-1326-SM-ACKWB 60-69 years, female 40.7
GTEX-WHPG-0626-SM-3NMBD 50-59 years, male 40.6
GTEX-1KANC-0526-SM-D4P3T 50-59 years, female 40.6
GTEX-11ZTS-1326-SM-5EQMA 60-69 years, female 40.5
GTEX-ZP4G-1326-SM-5EGIW 20-29 years, female 40.5
GTEX-1GZ4I-2326-SM-9YFMO 50-59 years, male 40.5
GTEX-11P7K-0826-SM-5BC5F 30-39 years, male 40.4
GTEX-12WSG-0426-SM-5FQSE 50-59 years, female 40.4
GTEX-ZZPU-0326-SM-5N9BJ 50-59 years, female 40.4
GTEX-132Q8-1726-SM-5EGK8 60-69 years, male 40.3
GTEX-13FH7-1926-SM-5J2OL 50-59 years, female 40.2
GTEX-15DZA-0626-SM-6PANC 30-39 years, female 40.2
GTEX-ZDXO-2326-SM-5LU9W 60-69 years, male 40.1
GTEX-1PIGE-1226-SM-EVR3Q 20-29 years, male 40.1
GTEX-12584-2126-SM-5FQUM 40-49 years, male 40.0
GTEX-1JJE9-1526-SM-CM2RR 70-79 years, male 40.0
GTEX-1R7EV-1026-SM-DTX81 40-49 years, male 40.0
GTEX-11ZUS-1826-SM-5FQTR 30-39 years, male 39.9
GTEX-1211K-1226-SM-5EQ4N 60-69 years, female 39.9
GTEX-1CB4I-0826-SM-7MGX1 50-59 years, male 39.9
GTEX-1H1CY-0826-SM-9WYTU 60-69 years, female 39.9
GTEX-11DYG-2026-SM-5EGGX 60-69 years, male 39.8
GTEX-1A3MV-0626-SM-731CH 30-39 years, male 39.8
GTEX-12BJ1-0826-SM-5EQ5P 60-69 years, male 39.7
GTEX-UTHO-1826-SM-3GAFE 60-69 years, male 39.7
GTEX-ZVT2-0226-SM-5GIE3 50-59 years, female 39.7
GTEX-1O9I2-1326-SM-E6CQD 50-59 years, male 39.7
GTEX-13NZB-0826-SM-5K7X5 30-39 years, male 39.6
GTEX-1MA7X-1026-SM-DKPQ8 60-69 years, male 39.6
GTEX-1QP67-1126-SM-EAZ4C 40-49 years, female 39.6
GTEX-ZYFG-1426-SM-5GICS 60-69 years, female 39.5
GTEX-1HSMQ-1026-SM-ADEHU 50-59 years, male 39.5
GTEX-13FTX-0626-SM-5J2NS 20-29 years, female 39.4
GTEX-11NV4-1426-SM-5BC4W 60-69 years, male 39.3
GTEX-1A8G7-1226-SM-73KYP 60-69 years, male 39.2
GTEX-14DAR-0426-SM-664MW 50-59 years, male 39.1
GTEX-1B8SG-1426-SM-7EWEM 50-59 years, male 39.1
GTEX-1LSVX-1326-SM-DIPET 60-69 years, male 39.1
GTEX-X3Y1-0926-SM-3P5YT 40-49 years, male 39.0
GTEX-ZDTT-0526-SM-5HL4M 60-69 years, male 39.0
GTEX-ZG7Y-1626-SM-5S2NO 50-59 years, male 39.0
GTEX-ZUA1-2126-SM-57YRB 40-49 years, male 39.0
GTEX-ZYW4-2226-SM-5GZYG 60-69 years, male 39.0
GTEX-13FXS-1326-SM-62LFR 50-59 years, male 38.9
GTEX-XXEK-1426-SM-4BRW1 50-59 years, male 38.9
GTEX-1OJC3-1326-SM-E9J3D 20-29 years, male 38.8
GTEX-1PFEY-0726-SM-E76PO 30-39 years, male 38.8
GTEX-1S3DN-1626-SM-EVYCC 50-59 years, male 38.8
GTEX-11GS4-1026-SM-5N9DE 60-69 years, male 38.6
GTEX-13113-1126-SM-5LZU9 60-69 years, female 38.6
GTEX-13QBU-1326-SM-5LU4K 40-49 years, female 38.6
GTEX-ZT9W-1026-SM-57WG5 50-59 years, male 38.6
GTEX-XUZC-1126-SM-4BOPZ 30-39 years, female 38.5
GTEX-ZAB5-1126-SM-5Q5AD 50-59 years, male 38.5
GTEX-1117F-1326-SM-5EGHH 60-69 years, female 38.4
GTEX-13NZ9-2026-SM-5KM1U 50-59 years, male 38.4
GTEX-17HHY-1026-SM-7LG5E 50-59 years, male 38.4
GTEX-ZEX8-1226-SM-5S2OK 50-59 years, male 38.4
GTEX-1GN73-0626-SM-7PC3I 60-69 years, male 38.4
GTEX-1LH75-1026-SM-EWROK 50-59 years, female 38.4
GTEX-13X6K-0726-SM-5LU2Z 60-69 years, female 38.3
GTEX-16GPK-1326-SM-7KUE4 60-69 years, male 38.3
GTEX-1H23P-1726-SM-A9SMN 60-69 years, male 38.3
GTEX-1I6K6-1526-SM-CGQFC 30-39 years, male 38.3
GTEX-1IY9M-1226-SM-ACKX1 60-69 years, male 38.3
GTEX-1JN6P-1626-SM-CYPSV 60-69 years, male 38.3
GTEX-1QW4Y-0826-SM-DTXE1 30-39 years, male 38.3
GTEX-1AYCT-1126-SM-79OO8 50-59 years, male 38.2
GTEX-XYKS-1826-SM-4E3JV 60-69 years, female 38.2
GTEX-1H2FU-1426-SM-9WPO6 60-69 years, female 38.2
GTEX-13W3W-1126-SM-5L3DO 60-69 years, female 38.1
GTEX-1F48J-1826-SM-7SB8T 50-59 years, female 38.1
GTEX-1C2JI-0826-SM-7EPHB 50-59 years, male 38.0
GTEX-1C6VQ-1526-SM-73KU9 50-59 years, male 38.0
GTEX-1GN1W-1226-SM-9MQLW 50-59 years, female 38.0
GTEX-1H1DG-2026-SM-9QEIV 70-79 years, male 38.0
GTEX-1HBPI-1826-SM-ADEHE 50-59 years, male 38.0
GTEX-11VI4-1226-SM-5EQMP 40-49 years, female 37.9
GTEX-1A32A-0926-SM-718AB 50-59 years, female 37.9
GTEX-ZF28-1426-SM-5S2OG 60-69 years, male 37.9
GTEX-1QAET-1226-SM-DTX9I 50-59 years, male 37.9
GTEX-1CB4E-0826-SM-793CS 60-69 years, male 37.8
GTEX-U8XE-1926-SM-3DB98 30-39 years, male 37.8
GTEX-1QP28-0926-SM-EVR4D 50-59 years, female 37.8
GTEX-13W46-1226-SM-5SIAS 50-59 years, male 37.7
GTEX-147JS-1026-SM-5S2MP 60-69 years, male 37.7
GTEX-1A3MX-0826-SM-72D64 60-69 years, male 37.7
GTEX-1F75B-1226-SM-7MXTW 50-59 years, male 37.7
GTEX-WY7C-0926-SM-3NB34 50-59 years, male 37.6
GTEX-XLM4-1026-SM-4AT51 60-69 years, male 37.6
GTEX-1HGF4-0226-SM-CNNQL 60-69 years, male 37.6
GTEX-1IKOE-1726-SM-CNNQ6 30-39 years, female 37.5
GTEX-1J8Q2-2226-SM-CM2TZ 60-69 years, male 37.5
GTEX-13RTK-0726-SM-5Q5EN 20-29 years, male 37.4
GTEX-1HC8U-0926-SM-A9G3L 40-49 years, female 37.4
GTEX-1QP9N-0426-SM-DTXFT 30-39 years, male 37.4
GTEX-17KNJ-0426-SM-718AK 50-59 years, male 37.3
GTEX-18A66-1926-SM-7LTAG 60-69 years, male 37.3
GTEX-1GZ2Q-1226-SM-9MQM8 40-49 years, male 37.3
GTEX-1OKEX-0926-SM-E8VNJ 60-69 years, male 37.3
GTEX-13PVQ-2226-SM-5L3G9 50-59 years, male 37.2
GTEX-14JIY-1426-SM-6EU29 60-69 years, male 37.2
GTEX-15SHU-2326-SM-7KUMC 40-49 years, female 37.2
GTEX-1HSGN-1926-SM-CMKGS 40-49 years, female 37.2
GTEX-1KAFJ-0826-SM-CYPTF 50-59 years, male 37.2
GTEX-XV7Q-1726-SM-4BRUU 40-49 years, female 37.1
GTEX-1HR9M-1426-SM-A9SMB 60-69 years, male 37.1
GTEX-1J1OQ-1526-SM-CJI4E 40-49 years, female 37.1
GTEX-15SKB-1626-SM-6PAL6 60-69 years, male 37.0
GTEX-16AAH-1526-SM-7LT9W 50-59 years, male 36.9
GTEX-1AYD5-0126-SM-7DUG5 50-59 years, male 36.9
GTEX-WRHK-0826-SM-3MJFG 20-29 years, female 36.9
GTEX-WI4N-1526-SM-EZ6LG 40-49 years, female 36.9
GTEX-13PL6-0926-SM-5KLYY 40-49 years, female 36.8
GTEX-14PHY-1026-SM-62LEV 60-69 years, female 36.8
GTEX-WFON-1226-SM-3TW8F 40-49 years, male 36.8
GTEX-1H1ZS-1326-SM-9WG74 70-79 years, male 36.8
GTEX-16NPV-0626-SM-7IGOR 50-59 years, female 36.7
GTEX-1A8G6-2026-SM-73KYC 60-69 years, male 36.7
GTEX-Y5V6-0626-SM-4WWFY 60-69 years, male 36.7
GTEX-1HB9E-0526-SM-ARZNM 50-59 years, male 36.7
GTEX-1J1R8-0526-SM-ACKWO 40-49 years, male 36.7
GTEX-1QP29-1626-SM-EXUSZ 50-59 years, male 36.7
GTEX-1K2DA-1126-SM-CGQGG 50-59 years, male 36.6
GTEX-15G19-1126-SM-7KUEL 60-69 years, male 36.5
GTEX-1I4MK-0726-SM-ACKWC 50-59 years, female 36.5
GTEX-WOFM-0726-SM-3MJF8 20-29 years, male 36.4
GTEX-ZT9X-0926-SM-5O9C4 40-49 years, male 36.4
GTEX-1HSMP-1126-SM-B2LXJ 70-79 years, male 36.4
GTEX-11P81-0726-SM-5PNYH 30-39 years, female 36.3
GTEX-14PKU-0226-SM-6EU16 40-49 years, female 36.3
GTEX-ZAB4-1426-SM-5CVN6 40-49 years, male 36.3
GTEX-17GQL-0826-SM-731AM 60-69 years, male 36.2
GTEX-18D9B-1726-SM-7LTAP 60-69 years, male 36.2
GTEX-12WSM-0626-SM-5GCOK 60-69 years, male 36.1
GTEX-17MFQ-1126-SM-7LT9O 20-29 years, male 36.0
GTEX-1LSNL-1426-SM-E6CJ9 50-59 years, male 36.0
GTEX-13X6I-1526-SM-5SIAC 60-69 years, male 35.9
GTEX-1BAJH-2126-SM-7EWFB 70-79 years, male 35.9
GTEX-XOT4-0826-SM-4B66Y 60-69 years, female 35.9
GTEX-117YX-0726-SM-5GIET 50-59 years, male 35.8
GTEX-1HCU9-0626-SM-ACKW6 20-29 years, male 35.8
GTEX-VJYA-1626-SM-EXOHL 60-69 years, male 35.8
GTEX-1399T-1326-SM-5PNVH 60-69 years, male 35.7
GTEX-14PJ3-0726-SM-69LQE 50-59 years, male 35.7
GTEX-17F96-0726-SM-793CB 70-79 years, male 35.7
GTEX-17F9Y-0726-SM-7LT9G 70-79 years, female 35.7
GTEX-1IDJD-0926-SM-ACKWW 30-39 years, male 35.7
GTEX-1QPFJ-2126-SM-EXOJV 30-39 years, female 35.7
GTEX-11P82-0326-SM-5HL51 20-29 years, male 35.6
GTEX-15DYW-1526-SM-7KUEP 60-69 years, female 35.6
GTEX-15CHC-0826-SM-686YW 60-69 years, female 35.5
GTEX-18QFQ-1326-SM-731CF 30-39 years, male 35.5
GTEX-ZAJG-1626-SM-5HL7I 50-59 years, female 35.5
GTEX-1IDJC-0226-SM-CMKG2 50-59 years, male 35.5
GTEX-1JKYR-1226-SM-CM2S7 20-29 years, male 35.5
GTEX-18A67-1326-SM-7LT8V 50-59 years, male 35.4
GTEX-XQ3S-2426-SM-4WAYB 20-29 years, male 35.4
GTEX-1F5PL-1326-SM-7SB83 40-49 years, female 35.4
GTEX-18465-1826-SM-731BB 50-59 years, male 35.3
GTEX-1B8SF-1726-SM-73KZ5 60-69 years, male 35.3
GTEX-1CB4G-2126-SM-7IGQ8 60-69 years, male 35.3
GTEX-1EU9M-1126-SM-793DE 60-69 years, male 35.2
GTEX-12ZZW-2326-SM-5DUW2 50-59 years, male 35.1
GTEX-13CF3-1126-SM-5LZXB 60-69 years, female 35.1
GTEX-11DXY-0326-SM-5H12F 60-69 years, male 35.0
GTEX-11DXZ-1426-SM-5H12A 50-59 years, male 35.0
GTEX-14ICK-1726-SM-6AJA5 40-49 years, male 34.9
GTEX-1IDJH-1626-SM-A9SLP 70-79 years, male 34.9
GTEX-1JN76-1026-SM-ARZNI 20-29 years, female 34.9
GTEX-18D9A-0726-SM-7LTA7 30-39 years, female 34.7
GTEX-18D9U-0426-SM-731AN 40-49 years, male 34.7
GTEX-1IDJF-1726-SM-A9SLL 20-29 years, male 34.7
GTEX-17JCI-1626-SM-7EPGZ 60-69 years, female 34.6
GTEX-1CB4F-1126-SM-79OLG 60-69 years, male 34.6
GTEX-ZXES-0926-SM-5E43O 30-39 years, female 34.6
GTEX-1AMEY-0526-SM-72D62 30-39 years, female 34.5
GTEX-WYBS-1026-SM-4ONCY 60-69 years, female 34.5
GTEX-1GN1U-0726-SM-9MQKL 50-59 years, female 34.5
GTEX-1KANB-2426-SM-EV7BE 50-59 years, male 34.5
GTEX-1LVAM-1026-SM-DIPFK 50-59 years, female 34.5
GTEX-13U4I-1726-SM-5J1MF 40-49 years, female 34.4
GTEX-XGQ4-1026-SM-4AT4L 50-59 years, male 34.4
GTEX-1OFPY-0826-SM-DTX8P 60-69 years, male 34.3
GTEX-139YR-0326-SM-5J1MC 50-59 years, male 34.1
GTEX-1HBPN-1526-SM-9WYSB 50-59 years, male 34.1
GTEX-1QP66-0626-SM-E76PD 50-59 years, male 34.1
GTEX-1RNTQ-0826-SM-E9TK8 20-29 years, female 34.1
GTEX-1AX9K-0926-SM-7939G 50-59 years, male 34.0
GTEX-1K9T9-1626-SM-DIPFS 50-59 years, female 34.0
GTEX-17HHE-1526-SM-793AS 50-59 years, male 33.9
GTEX-ZVP2-0226-SM-57WBD 50-59 years, male 33.9
GTEX-1GF9U-1226-SM-ARL9I 40-49 years, female 33.9
GTEX-14AS3-0426-SM-5QGQK 40-49 years, female 33.8
GTEX-WEY5-1326-SM-3GILS 40-49 years, female 33.7
GTEX-XBEC-1826-SM-4QASN 50-59 years, male 33.7
GTEX-1I1GQ-1026-SM-CNNQS 50-59 years, male 33.7
GTEX-VUSG-1426-SM-3GIJN 50-59 years, male 33.6
GTEX-1HFI6-1726-SM-CGQFH 40-49 years, male 33.6
GTEX-1AX9I-1726-SM-731BX 60-69 years, male 33.5
GTEX-14BMU-0626-SM-73KZ6 20-29 years, female 33.4
GTEX-ZA64-0926-SM-5HL7H 20-29 years, male 33.4
GTEX-18A6Q-1026-SM-7LT9S 60-69 years, male 33.3
GTEX-WL46-2026-SM-3LK7U 50-59 years, male 33.3
GTEX-1RMOY-0826-SM-E9TIF 50-59 years, male 33.3
GTEX-13OVK-0326-SM-7KUEJ 40-49 years, male 33.2
GTEX-144GM-0626-SM-79OKY 20-29 years, male 33.2
GTEX-15EOM-2326-SM-7KUMV 20-29 years, female 33.2
GTEX-1ICG6-1726-SM-ARU7K 70-79 years, female 33.2
GTEX-131YS-1726-SM-5HL7G 60-69 years, female 33.1
GTEX-1B8KZ-1026-SM-73KYN 50-59 years, male 33.1
GTEX-1LSNM-0626-SM-DIPG7 50-59 years, male 33.1
GTEX-139TU-1426-SM-5LZY9 60-69 years, male 33.0
GTEX-15ER7-1026-SM-7KUMD 20-29 years, female 33.0
GTEX-1KD5A-1326-SM-CYPTB 50-59 years, male 33.0
GTEX-14PJ5-0426-SM-5ZZW2 60-69 years, female 32.9
GTEX-13VXT-0926-SM-5LU5K 20-29 years, female 32.8
GTEX-1MA7W-0526-SM-E6CIN 20-29 years, female 32.8
GTEX-1MCC2-0626-SM-DKPQI 30-39 years, female 32.8
GTEX-1P4AB-1226-SM-DTXET 50-59 years, male 32.8
GTEX-12WSK-1026-SM-5CVNR 40-49 years, female 32.6
GTEX-132AR-0526-SM-5J2MJ 50-59 years, female 32.6
GTEX-14E1K-0426-SM-5S2PF 50-59 years, male 32.4
GTEX-14BMV-1626-SM-73KVQ 50-59 years, male 32.3
GTEX-14E7W-2326-SM-69LQC 70-79 years, male 32.3
GTEX-WHWD-0826-SM-3LK6R 50-59 years, male 32.3
GTEX-11NUK-2026-SM-5PNVZ 50-59 years, male 32.2
GTEX-1LGOU-0826-SM-DHXKL 20-29 years, female 32.2
GTEX-145LV-1026-SM-5O9AE 50-59 years, male 32.1
GTEX-178AV-0626-SM-6PAM1 40-49 years, male 32.1
GTEX-XMK1-0926-SM-4B66X 40-49 years, male 31.9
GTEX-139D8-1626-SM-5IJFZ 30-39 years, female 31.8
GTEX-1K2DU-0726-SM-DIPF7 20-29 years, male 31.8
GTEX-14E6E-0226-SM-7DUEF 30-39 years, male 31.7
GTEX-1EWIQ-2526-SM-7EPIJ 70-79 years, female 31.7
GTEX-1H1DE-0826-SM-ARU8V 20-29 years, male 31.7
GTEX-1IL2U-2726-SM-C1YSG 60-69 years, male 31.7
GTEX-14C5O-0926-SM-793DM 60-69 years, male 31.6
GTEX-17F9E-1326-SM-7DHL4 50-59 years, male 31.6
GTEX-1MCQQ-1426-SM-E6CJA 60-69 years, male 31.6
GTEX-Y8E4-1226-SM-5IFIM 40-49 years, male 31.5
GTEX-1CAMS-0926-SM-7SB7F 40-49 years, female 31.5
GTEX-1MJK3-0626-SM-E6CJB 20-29 years, male 31.4
GTEX-1NV5F-2526-SM-EXUSK 60-69 years, female 31.4
GTEX-145ME-0726-SM-5O9A3 40-49 years, female 31.3
GTEX-W5X1-1426-SM-3GIKH 40-49 years, female 31.3
GTEX-1HKZK-1726-SM-ADEJ9 40-49 years, male 31.3
GTEX-1N2DV-0626-SM-E9U5H 40-49 years, male 31.3
GTEX-11EM3-1126-SM-5A5KM 20-29 years, female 31.2
GTEX-1HCU7-2026-SM-A9G2B 50-59 years, male 31.2
GTEX-1R9K4-1426-SM-DPRY4 60-69 years, male 31.2
GTEX-1N2DW-0726-SM-DTX97 50-59 years, male 31.1
GTEX-16NGA-0526-SM-731AJ 40-49 years, female 31.0
GTEX-132NY-1126-SM-5PNVE 60-69 years, male 30.9
GTEX-17HII-0826-SM-7DUFH 50-59 years, male 30.9
GTEX-18A7A-0926-SM-7LT8H 50-59 years, female 30.9
GTEX-1I1GS-0926-SM-A9SL5 60-69 years, male 30.9
GTEX-1ICLZ-1626-SM-CE6SS 60-69 years, male 30.9
GTEX-1AX9J-2226-SM-731CW 60-69 years, male 30.8
GTEX-1EH9U-1326-SM-79OM3 60-69 years, male 30.7
GTEX-1H1DF-1426-SM-9YFMC 40-49 years, female 30.6
GTEX-15RIE-0126-SM-7KUF8 60-69 years, male 30.5
GTEX-12C56-0826-SM-5EGJ5 20-29 years, male 30.4
GTEX-14PHX-1626-SM-69LQB 50-59 years, male 30.2
GTEX-UPK5-1826-SM-3GAEB 40-49 years, male 30.2
GTEX-1B8L1-0126-SM-9KNVS 60-69 years, male 30.2
GTEX-133LE-0926-SM-5P9J1 20-29 years, female 30.1
GTEX-1399U-2026-SM-9WPNN 50-59 years, female 30.1
GTEX-1S831-1926-SM-EV79P 20-29 years, male 30.1
GTEX-13S7M-0826-SM-5QGQX 60-69 years, female 29.9
GTEX-1GPI7-0826-SM-9JGG7 20-29 years, male 29.7
GTEX-ZLV1-0926-SM-5S2MR 60-69 years, female 29.6
GTEX-1H1E6-1126-SM-9JGGV 30-39 years, male 29.6
GTEX-13O3P-0926-SM-5IFFI 50-59 years, male 29.4
GTEX-ZZ64-0626-SM-5GZWR 20-29 years, male 29.2
GTEX-1GMR2-0226-SM-9JGHO 50-59 years, male 29.2
GTEX-1HBPH-2226-SM-9WYSO 40-49 years, female 29.1
GTEX-1GMR3-0826-SM-9WYT4 40-49 years, male 29.0
GTEX-1IDJI-0926-SM-ACKWZ 50-59 years, female 29.0
GTEX-1B932-1726-SM-793A5 40-49 years, female 28.8
GTEX-1L5NE-1726-SM-DHXKX 50-59 years, male 28.8
GTEX-13S86-0926-SM-5SI6I 40-49 years, male 28.7
GTEX-1AX8Z-1626-SM-73KWD 60-69 years, male 28.7
GTEX-13N11-1826-SM-5IJDS 50-59 years, female 28.4
GTEX-12KS4-1526-SM-5EQ6E 30-39 years, male 28.3
GTEX-1KWVE-0226-SM-E9TKK 30-39 years, male 28.3
GTEX-15EU6-1726-SM-6M48H 50-59 years, male 28.2
GTEX-1I19N-1026-SM-A96TT 70-79 years, male 28.0
GTEX-WYVS-0626-SM-4SOJY 40-49 years, female 27.9
GTEX-1RAZA-0926-SM-E6CQ8 20-29 years, male 27.9
GTEX-12WSF-1526-SM-6PAN6 70-79 years, male 27.8
GTEX-17MF6-1326-SM-79ONE 40-49 years, male 27.8
GTEX-14DAQ-2526-SM-5RQIO 60-69 years, female 27.7
GTEX-1LG7Z-0226-SM-E6CIG 30-39 years, male 27.4
GTEX-1KANA-1426-SM-CY8IF 20-29 years, male 27.3
GTEX-1LVAO-2126-SM-DIPGA 60-69 years, male 26.2
GTEX-144GN-0726-SM-5O98O 50-59 years, male 26.0
GTEX-1CAMR-0326-SM-793AH 20-29 years, male 25.9
GTEX-1H11D-1126-SM-9YFM5 40-49 years, male 25.3
GTEX-ZC5H-1626-SM-5HL7L 40-49 years, female 25.2
GTEX-169BO-0426-SM-7EPI1 50-59 years, male 25.1
GTEX-1RAZQ-1526-SM-E6CJI 30-39 years, male 24.9
GTEX-1ICLY-1426-SM-CJI48 50-59 years, male 23.9
GTEX-1339X-0726-SM-5L3FF 40-49 years, male 23.6
GTEX-1PPH8-1026-SM-DPRXN 20-29 years, male 23.6
GTEX-183FY-1226-SM-7DHLK 20-29 years, male 23.3
GTEX-1RB15-1126-SM-E8VMX 60-69 years, male 21.6
GTEX-1RAZR-1026-SM-E8VOJ 40-49 years, male 13.0
Show allShow less

ADIPOSE TISSUE - FANTOM5 CAGEi

RNA expression in human tissues obtained through Cap Analysis of Gene Expression (CAGE) generated by the FANTOM5 project are reported as Scaled Tags Per Million.

Max subtype Scaled Tags Per Millioni

Max subtype Scaled Tags Per Million is the value for the subtype with the largest average Scaled Tags Per Million across the subtype samples.

60.2
FANTOM5 sample id Sample description Scaled Tags Per Million
Adipose tissue
Scaled Tags Per Million: 60.2
FF:10010-101C1 65,65,76 years, mixed 60.2

Contact

  • NEWS ARTICLES
  • PRESS ROOM

The Project

  • INTRODUCTION
  • ORGANIZATION
  • PUBLICATIONS

The Human Protein Atlas

  • DOWNLOADABLE DATA
  • LICENCE & CITATION
  • HELP & FAQ
The Human Protein Atlas project is funded
by the Knut & Alice Wallenberg Foundation.


contact@proteinatlas.org