We use cookies to enhance the usability of our website. If you continue, we'll assume that you are happy to receive all cookies. More information. Don't show this again.
TMEM94
HPA
RESOURCES
  • TISSUE
  • BRAIN
  • SINGLE CELL
  • SUBCELLULAR
  • CANCER
  • BLOOD
  • CELL LINE
  • STRUCTURE & INTERACTION
ABOUT
  • INTRODUCTION
  • HISTORY
  • ORGANIZATION
  • PUBLICATIONS
  • ANTIBODY SUBMISSION
  • ANTIBODY AVAILABILITY
  • ACKNOWLEDGMENTS
  • CONTACT
NEWS
  • NEWS ARTICLES
  • PRESS ROOM
LEARN
  • DICTIONARY
  • PROTEIN CLASSES
  • PROTEIN EVIDENCE
  • METHODS
  • EDUCATIONAL VIDEOS
DATA
  • DOWNLOADABLE DATA
  • PUBLICATION DATA
  • RELEASE HISTORY
HELP
  • ANTIBODY VALIDATION
  • ASSAYS & ANNOTATION
  • DISCLAIMER
  • HELP & FAQ
  • PRIVACY STATEMENT
  • LICENCE & CITATION
Fields »
Search result

Field
Term
Gene name
Class
Subclass
Class
Keyword
Chromosome
External id
Tissue
Cell type
Expression
Antibody panel
Tissue
Main location
Patient ID
Annotation
Tissue
Category
Tau score
Cluster
Reliability
Brain region
Category
Tau score
Brain region
Category
Tau score
Brain region
Category
Tau score
Cluster
Reliability
Tissue
Cell type
Enrichment
Cell type
Category
Tau score
Cell type
Category
Tau score
Cell type
Category
Tau score
Cell lineage
Category
Tau score
Cluster
Cluster
Location
Searches
Location
Cell line
Class
Type
Phase
Reliability
Cancer
Prognosis
Cancer
Category
Cancer
Category
Tau score
Cluster
Variants
Interacting gene (ensg_id)
Type
Number of interactions
Pathway
Category
Score
Score
Score
Validation
Validation
Validation
Validation
Antibodies
Data type
Column


  • SUMMARY

  • TISSUE

  • BRAIN

  • SINGLE CELL

  • SUBCELL

  • CANCER

  • BLOOD

  • CELL LINE

  • STRUCT & INT

  • TMEM94
TISSUE PRIMARY DATA SKELETAL MUSCLE Show tissue menu
ADIPOSE TISSUE ADRENAL GLAND AMYGDALA APPENDIX BASAL GANGLIA BONE MARROW BREAST BRONCHUS CEREBELLUM CEREBRAL CORTEX CERVIX CHOROID PLEXUS COLON DUODENUM
ENDOMETRIUM EPIDIDYMIS ESOPHAGUS FALLOPIAN TUBE GALLBLADDER HEART MUSCLE HIPPOCAMPAL FORMATION HYPOTHALAMUS KIDNEY LIVER LUNG LYMPH NODE MIDBRAIN NASOPHARYNX
ORAL MUCOSA OVARY PANCREAS PARATHYROID GLAND PITUITARY GLAND PLACENTA PROSTATE RECTUM RETINA SALIVARY GLAND SEMINAL VESICLE SKELETAL MUSCLE SKIN SMALL INTESTINE
SMOOTH MUSCLE SOFT TISSUE SPINAL CORD SPLEEN STOMACH TESTIS THYMUS THYROID GLAND TONGUE TONSIL URINARY BLADDER VAGINA
ANTIBODIES
AND
VALIDATION
Dictionary
Skeletal muscle
Tissue proteome
Skeletal muscle
SKELETAL MUSCLE - Expression summary
Protein expression
Skeletal musclei

On the top, protein expression in current human tissue, based on all annotated cell types, is reported with the units not detected (n), low (l), medium (m) and high (h). Underneath, protein expression in each annotated cell type are reported using the same units.

Protein expression data is based on knowledge-based annotation. For genes where more than one antibody has been used, a collective score is set.

If knowledge-based annotation could not be performed for a gene, no data is displayed here. View antibody staining data further down this page.

h
m
l
n
Myocytes: Low
RNA expressioni

A summary of mRNA expression data available for current tissue based on several datasets. The mRNA expression levels in human tissues are based on RNA-seq data generated by the Human Protein Atlas (HPA), Genotype-Tissue Expression (GTEx) portal and CAGE data generated by the FANTOM5 consortium. Consensus normalized expression levels for human tissues was created by combining the data from HPA and GTEx datasets.

The mRNA expression levels in pig are based on RNA-seq data generated by the Human Protein Atlas (HPA), and for mouse, HPA data and in situ hybridization generated by the Allen brain atlas are reported.

Scroll down to view mRNA expression data in more detail.
Consensus:61.1 nTPM
HPA:37.2 nTPM
GTEx:61.1 nTPM
FANTOM5:61.1 Scaled Tags Per Million

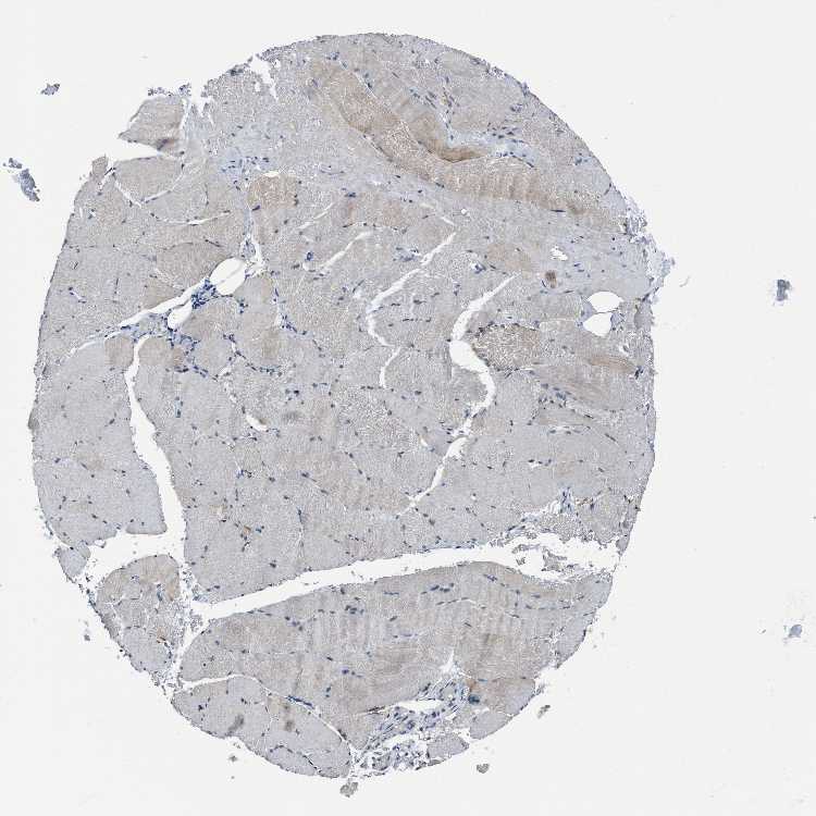
SKELETAL MUSCLE - Antibody stainingi

Antibody staining in the annotated cell types in the current human tissue is reported as not detected, low, medium, or high, based on conventional immunohistochemistry profiling in selected tissues. This score is based on the combination of the staining intensity and fraction of stained cells.

Each image is clickable and will lead to virtual microscopy that enables deeper exploration of all samples and also displays staining intensity scores, fraction scores and subcellular localization as well as patient and tissue information for each sample.

Antibody HPA008423
Myocytes Low


SKELETAL MUSCLE - HPA RNA-seqi

The RNA-seq details section shows detailed information about the individual samples used for the transcript profiling and results of the RNA-seq analysis.

Information about each individual sample is listed below, including gender, age, a tissue section image and estimated fractions of cell types. nTPM (normalized transcripts per million) values give a quantification of the gene abundance which is comparable between different genes and samples.
Average nTPMi

Max subtype nTPM is the value for the subtype with the largest average nTPM across the subtype samples.

37.2
N/A
Male, age 23
Skeletal muscle sample 339
nTPM: 33.4
N/A
Female, age 25
Skeletal muscle sample 340
nTPM: 30.8
N/A
Female, age -
Skeletal muscle sample 341
nTPM: 40.1
N/A
Female, age 22
Skeletal muscle sample 342
nTPM: 33.6
N/A
Male, age 29
Skeletal muscle sample 343
nTPM: 48.3

SKELETAL MUSCLE - GTEx RNA-seqi

RNA-Seq data generated by the Genotype-Tissue Expression (GTEx) project from human tissues is reported as mean nTPM. More information can be found on the GTEx portal.

Distribution across the dataset is visualized with box plots, shown as median and 25th and 75th percentiles. Points are displayed as outliers if they are above or below 1.5 times the interquartile range. nTPM values of the individual samples are presented next to the box plot.
Max subtype nTPMi

Max subtype nTPM is the value for the subtype with the largest average nTPM across the subtype samples.

61.1
GTEx sample id Sample description nTPM
Muscle - Skeletal
Average nTPM: 61.1
Samples: 803

Max nTPM: 130.1
Min nTPM: 17.7
Std nTPM: 16.1
Median nTPM: 59.8
GTEX-1314G-1726-SM-5LZUX 30-39 years, male 130.1
GTEX-11NV4-0326-SM-5HL58 60-69 years, male 128.7
GTEX-1LG7Y-0126-SM-E6CJ8 50-59 years, male 126.9
GTEX-1JMQJ-0126-SM-E6CI2 50-59 years, male 125.0
GTEX-1S82U-1426-SM-E6CJL 30-39 years, female 116.6
GTEX-ZAB4-0426-SM-5HL7N 40-49 years, male 107.3
GTEX-15UF7-2226-SM-6PAMQ 40-49 years, male 106.7
GTEX-1H4P4-0626-SM-9YFKZ 50-59 years, male 106.5
GTEX-13FHP-0526-SM-5K7UY 50-59 years, male 106.0
GTEX-1AX8Z-5004-SM-ARZLD 60-69 years, male 105.3
GTEX-1S5VW-0526-SM-E6CHL 60-69 years, male 101.6
GTEX-1EMGI-0326-SM-9MQM5 60-69 years, male 101.0
GTEX-PX3G-1626-SM-2S1PT 20-29 years, female 98.3
GTEX-ZVT3-0526-SM-5GIE9 60-69 years, female 97.8
GTEX-1399R-2526-SM-5IFG2 30-39 years, male 96.6
GTEX-QEG4-0626-SM-2S1OY 30-39 years, male 96.6
GTEX-11DXZ-2426-SM-5N9DT 50-59 years, male 96.4
GTEX-14PK6-2126-SM-6ETZV 70-79 years, female 96.0
GTEX-1212Z-2626-SM-5YY8P 60-69 years, male 95.9
GTEX-U412-0326-SM-3DB9L 60-69 years, male 95.8
GTEX-14JG1-0126-SM-5ZZUP 40-49 years, male 95.7
GTEX-1HCU9-1926-SM-9WYSE 20-29 years, male 95.4
GTEX-OIZF-1626-SM-2YUNE 60-69 years, male 94.9
GTEX-TMZS-0326-SM-3DB9P 60-69 years, male 94.4
GTEX-1445S-0626-SM-5LU3C 60-69 years, male 93.7
GTEX-147GR-0126-SM-62LER 60-69 years, male 93.2
GTEX-14E1K-2326-SM-664MP 50-59 years, male 92.9
GTEX-14E6D-0326-SM-62LDX 50-59 years, male 92.7
GTEX-1QCLY-0426-SM-E8VOH 30-39 years, male 92.0
GTEX-OXRP-2326-SM-2S1NL 60-69 years, female 91.9
GTEX-12WSJ-1726-SM-5LZVV 40-49 years, female 91.8
GTEX-TMMY-0426-SM-33HBB 40-49 years, female 91.4
GTEX-1399T-2426-SM-5L3FJ 60-69 years, male 91.1
GTEX-14ABY-0126-SM-62LDI 50-59 years, male 90.7
GTEX-12WSG-5016-SM-7SB84 50-59 years, female 90.7
GTEX-UJHI-1726-SM-3DB9B 50-59 years, female 90.4
GTEX-1R9PN-1826-SM-E8VO4 40-49 years, female 89.6
GTEX-OHPK-1626-SM-2YUN3 50-59 years, female 89.4
GTEX-145LS-0526-SM-5LU8Y 60-69 years, female 89.2
GTEX-OXRN-1326-SM-3LK5V 50-59 years, male 88.9
GTEX-1S82P-0326-SM-E9TIR 60-69 years, female 88.7
GTEX-11NSD-2026-SM-5HL5U 20-29 years, male 88.3
GTEX-WYVS-2326-SM-3NMAI 40-49 years, female 87.6
GTEX-XQ3S-0426-SM-4BOOA 20-29 years, male 87.4
GTEX-15SB6-1826-SM-6PALN 50-59 years, female 87.3
GTEX-Z93S-1326-SM-5CVMR 50-59 years, male 87.3
GTEX-UPJH-0526-SM-4IHK8 50-59 years, male 87.2
GTEX-11ONC-2426-SM-5GU7H 60-69 years, male 87.1
GTEX-ZV68-0526-SM-59HKI 50-59 years, female 87.1
GTEX-13QIC-1226-SM-5K7YR 60-69 years, female 86.7
GTEX-1HGF4-2626-SM-CM2SJ 60-69 years, male 86.7
GTEX-ZYT6-1626-SM-5E45R 30-39 years, male 86.6
GTEX-1192X-0426-SM-5GIEE 50-59 years, male 86.1
GTEX-Y8DK-0326-SM-4TT3P 60-69 years, male 86.0
GTEX-14DAQ-0326-SM-664MR 60-69 years, female 85.9
GTEX-147F4-0326-SM-5TDCK 50-59 years, male 85.6
GTEX-11ZVC-2726-SM-5FQSZ 50-59 years, female 85.3
GTEX-1GPI7-0426-SM-7RHHP 20-29 years, male 85.2
GTEX-U3ZG-0326-SM-47JXN 50-59 years, male 85.1
GTEX-1LNCM-1226-SM-E9U5C 50-59 years, female 85.1
GTEX-1RB15-2226-SM-DTXFZ 60-69 years, male 85.0
GTEX-12126-0526-SM-5PNW4 20-29 years, male 84.9
GTEX-1B8SG-0326-SM-73KXW 50-59 years, male 84.7
GTEX-Y111-0326-SM-4SOIX 50-59 years, male 84.6
GTEX-13JVG-0126-SM-5L3D3 60-69 years, male 84.5
GTEX-ZAJG-0526-SM-5S2MT 50-59 years, female 84.5
GTEX-11NUK-0226-SM-5A5L4 50-59 years, male 84.1
GTEX-117XS-2526-SM-5H11G 60-69 years, male 83.9
GTEX-15SDE-2326-SM-6PAL4 50-59 years, female 83.7
GTEX-WHPG-2226-SM-3NMBO 50-59 years, male 83.7
GTEX-XOT4-0526-SM-4B66O 60-69 years, female 83.7
GTEX-1128S-2426-SM-5H11B 60-69 years, female 83.5
GTEX-OOBK-1626-SM-2HMKG 40-49 years, male 83.4
GTEX-144GM-2026-SM-5LU3D 20-29 years, male 83.0
GTEX-1PBJJ-0326-SM-E8VNT 30-39 years, male 83.0
GTEX-1H1ZS-0626-SM-CNPPU 70-79 years, male 82.7
GTEX-1HUB1-0526-SM-CL54N 60-69 years, male 82.7
GTEX-13N1W-0526-SM-5MR4I 70-79 years, male 82.2
GTEX-147JS-0526-SM-5TDD3 60-69 years, male 82.2
GTEX-1A8FM-0526-SM-7P8SF 50-59 years, female 82.2
GTEX-15F5U-1826-SM-6LLJF 40-49 years, male 82.1
GTEX-ZF3C-0326-SM-4WWBF 50-59 years, female 82.1
GTEX-145MO-0726-SM-5NQB9 60-69 years, male 81.9
GTEX-Y8E5-0326-SM-57WBM 60-69 years, male 81.7
GTEX-OIZG-1326-SM-2HMIQ 50-59 years, male 81.0
GTEX-11EI6-0326-SM-5EQ6G 60-69 years, male 80.9
GTEX-XBEC-0626-SM-4QARY 50-59 years, male 80.9
GTEX-1C64N-0326-SM-7P8QC 50-59 years, male 80.8
GTEX-TKQ2-0826-SM-33HB6 50-59 years, male 80.4
GTEX-YFC4-1026-SM-5RQJM 40-49 years, female 80.2
GTEX-15ER7-0226-SM-7KUEU 20-29 years, female 80.0
GTEX-1RQED-0426-SM-E6CJP 60-69 years, male 79.9
GTEX-145MG-0226-SM-5TDDB 50-59 years, male 79.8
GTEX-SIU8-0526-SM-2XCDP 50-59 years, male 79.7
GTEX-ZVZO-0326-SM-5HL4N 40-49 years, male 79.7
GTEX-11DXY-2726-SM-5GID2 60-69 years, male 79.6
GTEX-1AYD5-2226-SM-73KX3 50-59 years, male 79.4
GTEX-P78B-1626-SM-5SI85 40-49 years, female 79.4
GTEX-13X6H-2326-SM-7EWEB 50-59 years, female 79.3
GTEX-ZAB5-2126-SM-5K7UN 50-59 years, male 79.3
GTEX-11GSP-2726-SM-5A5LJ 60-69 years, female 79.1
GTEX-WHSB-1826-SM-3TW8M 50-59 years, male 79.1
GTEX-1HSKV-0126-SM-E6CI1 60-69 years, male 79.1
GTEX-16MT8-0326-SM-6PAM5 60-69 years, female 79.0
GTEX-1F48J-0526-SM-9WYSX 50-59 years, female 79.0
GTEX-ZDTS-0526-SM-4WKH9 60-69 years, male 78.9
GTEX-13OW6-0626-SM-5L3IB 50-59 years, male 78.8
GTEX-13OW7-0326-SM-5J1MP 50-59 years, male 78.8
GTEX-18A7A-0626-SM-718BJ 50-59 years, female 78.8
GTEX-1I1GS-0326-SM-ARL7X 60-69 years, male 78.7
GTEX-Y9LG-1926-SM-5IFHY 30-39 years, male 78.6
GTEX-1KWVE-0926-SM-CXZKP 30-39 years, male 78.6
GTEX-13FXS-0326-SM-5K7TV 50-59 years, male 78.5
GTEX-QVUS-0226-SM-3GIJY 60-69 years, female 78.5
GTEX-11TTK-0326-SM-5BC5N 60-69 years, female 78.4
GTEX-S33H-2226-SM-DKPOP 30-39 years, male 78.3
GTEX-1RQEC-0126-SM-E9J2H 60-69 years, male 78.1
GTEX-QESD-1626-SM-2S1RB 20-29 years, male 77.9
GTEX-S7PM-0526-SM-3NM92 60-69 years, male 77.9
GTEX-13OVH-0626-SM-5L3EI 70-79 years, male 77.8
GTEX-1CAV2-2426-SM-7P8QF 40-49 years, female 77.8
GTEX-PWCY-2026-SM-5SI8R 20-29 years, female 77.7
GTEX-1C4CL-0326-SM-7DHMH 30-39 years, male 77.4
GTEX-139TU-0526-SM-5J2M8 60-69 years, male 77.1
GTEX-ZVTK-0626-SM-5GU6Y 20-29 years, male 77.0
GTEX-1PPGY-0426-SM-DTXFE 60-69 years, male 76.8
GTEX-1RAZA-0526-SM-E76R2 20-29 years, male 76.8
GTEX-1QP6S-0426-SM-DTXG4 40-49 years, male 76.7
GTEX-12KS4-0826-SM-5BC5R 30-39 years, male 76.6
GTEX-1B932-0526-SM-73KU7 40-49 years, female 76.4
GTEX-1CAMQ-0326-SM-7MXUI 40-49 years, male 76.4
GTEX-13OVJ-0226-SM-5L3GK 50-59 years, female 76.3
GTEX-1117F-0426-SM-5EGHI 60-69 years, female 76.2
GTEX-1KANB-0126-SM-E6CJT 50-59 years, male 76.1
GTEX-1EH9U-0326-SM-7P8S2 60-69 years, male 76.0
GTEX-RNOR-0526-SM-2TF4O 50-59 years, female 75.9
GTEX-111VG-2626-SM-5GZY2 60-69 years, male 75.8
GTEX-17KNJ-2426-SM-7DHLR 50-59 years, male 75.8
GTEX-ZXG5-0326-SM-5GICH 60-69 years, male 75.6
GTEX-ZYW4-0526-SM-5GZZ5 60-69 years, male 75.5
GTEX-1BAJH-0126-SM-7DHMF 70-79 years, male 75.4
GTEX-T2IS-2626-SM-32QPP 20-29 years, female 75.3
GTEX-11PRG-0326-SM-5GU53 50-59 years, male 75.2
GTEX-1S82Y-2226-SM-EWRNV 40-49 years, male 75.2
GTEX-1J8JJ-0126-SM-D3L93 60-69 years, female 75.0
GTEX-1313W-0526-SM-5P9FZ 50-59 years, female 74.9
GTEX-N7MS-0426-SM-2YUN6 60-69 years, male 74.9
GTEX-Q734-2026-SM-3GADA 40-49 years, female 74.9
GTEX-1JN6P-0526-SM-COH33 60-69 years, male 74.9
GTEX-1KD4Q-0326-SM-E9TJA 40-49 years, male 74.9
GTEX-13N11-2726-SM-5L3ER 50-59 years, female 74.7
GTEX-13NZB-2626-SM-5J2M7 30-39 years, male 74.7
GTEX-17JCI-0326-SM-7LG5H 60-69 years, female 74.6
GTEX-13NZA-0526-SM-5L3D7 60-69 years, male 74.4
GTEX-13QJ3-0726-SM-5SI68 50-59 years, male 74.3
GTEX-OOBJ-1626-SM-2I3F7 60-69 years, male 74.3
GTEX-X4EO-0526-SM-3P5Z3 60-69 years, female 74.2
GTEX-14PJ2-0326-SM-6EU2Q 50-59 years, male 74.1
GTEX-13OW5-0326-SM-5L3HK 60-69 years, male 74.0
GTEX-1GMRU-0326-SM-9WYT6 50-59 years, male 74.0
GTEX-131XE-2726-SM-5P9G7 50-59 years, male 73.9
GTEX-139TS-2626-SM-5J1MT 60-69 years, male 73.9
GTEX-144GO-1326-SM-5Q5EL 60-69 years, male 73.9
GTEX-1HR9M-0326-SM-CL549 60-69 years, male 73.9
GTEX-PW2O-1726-SM-2S1OO 20-29 years, male 73.8
GTEX-1C6VQ-0326-SM-7DHMS 50-59 years, male 73.7
GTEX-11UD2-0326-SM-5EQLE 50-59 years, male 73.5
GTEX-1LB8K-0126-SM-EVYCN 50-59 years, male 73.5
GTEX-13NYB-2726-SM-5J2MT 40-49 years, male 73.4
GTEX-17EVP-1326-SM-7DHMR 40-49 years, male 73.3
GTEX-OXRK-1826-SM-2HMJE 50-59 years, female 73.3
GTEX-144FL-0326-SM-5O99O 50-59 years, male 73.1
GTEX-183FY-0226-SM-7LG54 20-29 years, male 73.1
GTEX-1NHNU-1226-SM-DTX8I 50-59 years, male 73.1
GTEX-17F98-1626-SM-7938R 40-49 years, female 73.0
GTEX-WK11-2526-SM-3NM9Y 50-59 years, male 72.9
GTEX-ZTX8-1626-SM-51MRY 20-29 years, male 72.9
GTEX-SNOS-1526-SM-32PLW 40-49 years, male 72.8
GTEX-Y3I4-2326-SM-4TT81 50-59 years, male 72.8
GTEX-1H3O1-0626-SM-9MQM4 60-69 years, male 72.8
GTEX-11P81-2526-SM-5GU6H 30-39 years, female 72.6
GTEX-13O3O-0526-SM-5J1NL 60-69 years, female 72.5
GTEX-17HHE-2126-SM-7DHLO 50-59 years, male 72.5
GTEX-1GPI6-0326-SM-9MQM6 60-69 years, male 72.5
GTEX-1PPH7-2526-SM-E76OJ 40-49 years, male 72.4
GTEX-YB5E-2226-SM-5IFJ5 40-49 years, male 72.3
GTEX-14BMV-0326-SM-5RQHW 50-59 years, male 72.2
GTEX-1GMR3-2126-SM-9WYTZ 40-49 years, male 72.2
GTEX-1LSNL-0126-SM-EWRNR 50-59 years, male 72.2
GTEX-13X6J-0326-SM-7EPGD 50-59 years, male 71.9
GTEX-131YS-0526-SM-5EGKJ 60-69 years, female 71.7
GTEX-14AS3-2126-SM-5S2MK 40-49 years, female 71.7
GTEX-18465-0326-SM-7LTAD 50-59 years, male 71.7
GTEX-POMQ-1926-SM-3NB1Y 20-29 years, female 71.7
GTEX-11DXW-0726-SM-5H12J 40-49 years, male 71.6
GTEX-1I1GR-0326-SM-CKZPI 60-69 years, male 71.5
GTEX-131XG-2326-SM-5HL8F 50-59 years, female 71.4
GTEX-139YR-2526-SM-5IJC6 50-59 years, male 71.4
GTEX-1JMLX-0326-SM-CM2RP 50-59 years, male 71.4
GTEX-1F88F-2526-SM-7PC2R 60-69 years, female 71.3
GTEX-16MTA-2026-SM-7KUL3 50-59 years, male 71.2
GTEX-XUYS-0326-SM-47JX2 50-59 years, male 71.1
GTEX-16GPK-0526-SM-7KUER 60-69 years, male 70.9
GTEX-1MCQQ-0626-SM-E9U5Q 60-69 years, male 70.9
GTEX-11ZUS-1426-SM-5FQSP 30-39 years, male 70.8
GTEX-RWSA-0726-SM-2XCBE 40-49 years, male 70.8
GTEX-12ZZY-0626-SM-5EQ5T 60-69 years, male 70.5
GTEX-15UF6-1026-SM-7KUF7 70-79 years, female 70.5
GTEX-ZYY3-0526-SM-5E45G 60-69 years, female 70.4
GTEX-1I19N-2026-SM-ACKXJ 70-79 years, male 70.4
GTEX-13U4I-1826-SM-5IJD2 40-49 years, female 70.3
GTEX-16NPX-0626-SM-7KULB 50-59 years, male 70.3
GTEX-PLZ4-0926-SM-2S1OI 50-59 years, female 70.3
GTEX-RN64-0326-SM-2TC5J 50-59 years, male 70.3
GTEX-ZUA1-0326-SM-5NQA3 40-49 years, male 70.1
GTEX-WL46-0626-SM-3LK7R 50-59 years, male 70.0
GTEX-1RAZQ-0426-SM-DTXFQ 30-39 years, male 70.0
GTEX-1B933-0426-SM-7DHMC 50-59 years, female 69.9
GTEX-11OC5-0326-SM-5PNW5 60-69 years, male 69.8
GTEX-12BJ1-2526-SM-5FQUE 60-69 years, male 69.7
GTEX-1HBPH-0826-SM-ARZNB 40-49 years, female 69.7
GTEX-11GS4-2526-SM-5A5KT 60-69 years, male 69.6
GTEX-13CF2-2726-SM-5LZWW 60-69 years, male 69.6
GTEX-X5EB-2326-SM-46MW5 40-49 years, male 69.6
GTEX-YJ8O-2826-SM-5CVM4 40-49 years, female 69.5
GTEX-1B97I-2026-SM-7DHN2 40-49 years, male 69.3
GTEX-1PPH8-0326-SM-E76PR 20-29 years, male 69.3
GTEX-1S83E-2126-SM-EWRO6 40-49 years, male 69.3
GTEX-13FTZ-2226-SM-5LZXI 60-69 years, male 69.2
GTEX-1H3NZ-0326-SM-9MQL6 60-69 years, male 69.1
GTEX-1JJEA-0126-SM-D3L8A 60-69 years, male 69.1
GTEX-15SKB-2526-SM-6PALP 60-69 years, male 68.9
GTEX-1GZHY-0126-SM-9WYUQ 50-59 years, female 68.8
GTEX-17EUY-0626-SM-793BE 20-29 years, male 68.7
GTEX-P44H-0426-SM-2XCEZ 40-49 years, male 68.6
GTEX-YECK-0626-SM-4W1ZE 60-69 years, male 68.6
GTEX-ZYFC-0526-SM-5GIDF 50-59 years, male 68.6
GTEX-1HT8W-0326-SM-CM2SG 30-39 years, male 68.6
GTEX-1PIIG-0126-SM-E9J46 30-39 years, male 68.4
GTEX-139UW-2626-SM-5K7W1 60-69 years, male 68.3
GTEX-RTLS-0526-SM-2TF64 60-69 years, female 68.3
GTEX-13NZ9-0626-SM-5IJCO 50-59 years, male 68.2
GTEX-11ZTS-0526-SM-5CVL9 60-69 years, female 68.0
GTEX-1GTWX-0326-SM-9WYTP 60-69 years, male 67.9
GTEX-12C56-1926-SM-5FQUG 20-29 years, male 67.8
GTEX-12WSC-0326-SM-5EQ5E 50-59 years, male 67.8
GTEX-RU72-1326-SM-2TF6T 50-59 years, female 67.8
GTEX-11ZTT-2626-SM-5EQKK 60-69 years, female 67.6
GTEX-XBEW-1026-SM-4QARV 40-49 years, male 67.4
GTEX-18QFQ-0326-SM-731C3 30-39 years, male 67.2
GTEX-12WSF-0926-SM-6PALU 70-79 years, male 67.1
GTEX-15CHC-2426-SM-6EU22 60-69 years, female 67.1
GTEX-1R9JW-2426-SM-DTXFI 30-39 years, female 67.1
GTEX-P4QT-1626-SM-DHXIR 50-59 years, female 67.1
GTEX-13RTK-1626-SM-5QGQS 20-29 years, male 67.0
GTEX-SJXC-0526-SM-2XCFG 60-69 years, male 66.9
GTEX-ZVT2-2426-SM-57WCQ 50-59 years, female 66.9
GTEX-1GN2E-0726-SM-9MQLU 60-69 years, male 66.9
GTEX-QCQG-2126-SM-DTXFV 50-59 years, female 66.9
GTEX-117YW-2426-SM-5Q5AE 50-59 years, male 66.8
GTEX-12ZZX-0326-SM-5DUVH 40-49 years, female 66.8
GTEX-131XW-0326-SM-5KM1J 50-59 years, female 66.8
GTEX-1399S-2726-SM-5KM22 30-39 years, female 66.8
GTEX-13OVK-1926-SM-6M48G 40-49 years, male 66.8
GTEX-15EO6-2826-SM-6PANB 50-59 years, male 66.7
GTEX-11I78-2426-SM-5A5K9 50-59 years, female 66.6
GTEX-11UD1-0326-SM-5EQKX 40-49 years, female 66.6
GTEX-WFON-2326-SM-3LK7M 40-49 years, male 66.6
GTEX-1H11D-0326-SM-9WG71 40-49 years, male 66.6
GTEX-14LLW-0526-SM-62LFB 70-79 years, female 66.5
GTEX-1B8KE-2226-SM-7939K 50-59 years, male 66.5
GTEX-1KD5A-0726-SM-DIPEO 50-59 years, male 66.5
GTEX-1I1GP-2126-SM-CKZPJ 50-59 years, male 66.4
GTEX-OIZI-0626-SM-2XCEH 40-49 years, male 66.2
GTEX-TML8-1826-SM-32QOR 40-49 years, female 66.1
GTEX-Y3IK-2626-SM-4WWDK 50-59 years, female 66.1
GTEX-VUSG-2626-SM-4KKZI 50-59 years, male 66.0
GTEX-1LH75-2626-SM-E9TKL 50-59 years, female 66.0
GTEX-13O3Q-2726-SM-5KM51 50-59 years, male 65.9
GTEX-ZTPG-0126-SM-5O9AL 20-29 years, female 65.9
GTEX-1HCU6-0526-SM-A9SKU 60-69 years, female 65.9
GTEX-1KANC-1626-SM-E6CIA 50-59 years, female 65.8
GTEX-Y5V6-2626-SM-5IFIX 60-69 years, male 65.7
GTEX-13PVQ-0326-SM-5K7YF 50-59 years, male 65.6
GTEX-16Z82-0126-SM-7DHLF 60-69 years, male 65.6
GTEX-R55E-0526-SM-2TC6B 20-29 years, male 65.6
GTEX-Y8E4-1026-SM-4VBQ5 40-49 years, male 65.6
GTEX-XPT6-2026-SM-4B64V 20-29 years, male 65.5
GTEX-18A67-0326-SM-7LG5X 50-59 years, male 65.4
GTEX-1JMPY-1226-SM-CJI3A 30-39 years, male 65.4
GTEX-QLQ7-1726-SM-2S1QQ 60-69 years, male 65.3
GTEX-1FIGZ-1726-SM-9MQKS 40-49 years, male 65.3
GTEX-12584-0526-SM-5FQTS 40-49 years, male 65.2
GTEX-YB5K-2326-SM-5IFHD 40-49 years, female 65.2
GTEX-ZE9C-2326-SM-5J1NT 60-69 years, male 65.2
GTEX-18D9A-1826-SM-718BK 30-39 years, female 65.1
GTEX-1R9PM-2226-SM-E8VOC 20-29 years, male 65.1
GTEX-11O72-0326-SM-5986D 40-49 years, male 65.0
GTEX-14753-0526-SM-5QGPR 60-69 years, male 65.0
GTEX-17HII-0426-SM-793A3 50-59 years, male 65.0
GTEX-Q2AG-0426-SM-2S1PU 40-49 years, female 65.0
GTEX-1KXAM-2426-SM-DIPFC 60-69 years, male 65.0
GTEX-145LU-2026-SM-5Q5E8 50-59 years, male 64.9
GTEX-14PJM-0426-SM-5ZZVN 50-59 years, female 64.9
GTEX-1GZ2Q-0426-SM-9WPOU 40-49 years, male 64.9
GTEX-1H1CY-2726-SM-9MQLR 60-69 years, female 64.9
GTEX-12WSD-0526-SM-5EQ6F 60-69 years, female 64.8
GTEX-1477Z-1626-SM-5SIA8 60-69 years, male 64.8
GTEX-18A66-0126-SM-731CQ 60-69 years, male 64.8
GTEX-U3ZN-2226-SM-3DB88 30-39 years, female 64.8
GTEX-ZEX8-2526-SM-DO92M 50-59 years, male 64.8
GTEX-145MH-0326-SM-5LU8H 50-59 years, male 64.7
GTEX-15SHU-0626-SM-7KUFH 40-49 years, female 64.7
GTEX-ZYFG-2426-SM-5GIE8 60-69 years, female 64.7
GTEX-1MA7W-1826-SM-DIPFP 20-29 years, female 64.7
GTEX-18A6Q-0326-SM-718AT 60-69 years, male 64.6
GTEX-ZF2S-2126-SM-4WWAY 50-59 years, female 64.6
GTEX-XV7Q-2926-SM-4BRUL 40-49 years, female 64.5
GTEX-ZAKK-0326-SM-5EGHA 70-79 years, male 64.5
GTEX-1F6I4-0326-SM-7P8T8 60-69 years, male 64.5
GTEX-ZGAY-0726-SM-DO91O 40-49 years, female 64.3
GTEX-QXCU-1726-SM-2TC6L 50-59 years, male 64.2
GTEX-1I4MK-2326-SM-ADEHR 50-59 years, female 64.2
GTEX-15RIE-2426-SM-7KUDS 60-69 years, male 64.1
GTEX-1C64O-0326-SM-73KVW 60-69 years, male 64.0
GTEX-169BO-1526-SM-9KNVR 50-59 years, male 64.0
GTEX-1QP66-1626-SM-E76PC 50-59 years, male 64.0
GTEX-14PJ6-2326-SM-6ETZR 60-69 years, female 63.9
GTEX-WXYG-2526-SM-3NB3F 50-59 years, female 63.9
GTEX-R53T-1826-SM-3GIJX 50-59 years, female 63.8
GTEX-1PIGE-0226-SM-E76OT 20-29 years, male 63.8
GTEX-14PJO-0526-SM-6EU2O 60-69 years, male 63.7
GTEX-14PQA-0526-SM-7KUFS 50-59 years, female 63.7
GTEX-1C6VS-0126-SM-7PC2H 60-69 years, male 63.7
GTEX-1E2YA-0526-SM-7P8RY 50-59 years, male 63.7
GTEX-1IL2V-0526-SM-ARL8B 70-79 years, male 63.7
GTEX-148VJ-0326-SM-5QGQE 70-79 years, male 63.5
GTEX-YBZK-0326-SM-59HLN 50-59 years, female 63.5
GTEX-139T6-2026-SM-5IFFL 50-59 years, male 63.4
GTEX-QLQW-1326-SM-2S1QS 30-39 years, male 63.4
GTEX-1B97J-1226-SM-7PBZR 50-59 years, female 63.2
GTEX-1J1R8-2326-SM-CKZPS 40-49 years, male 63.2
GTEX-133LE-2026-SM-5K7WM 20-29 years, female 63.1
GTEX-1399U-2526-SM-5L3DL 50-59 years, female 63.1
GTEX-1GMR2-2126-SM-7P8TX 50-59 years, male 63.1
GTEX-ZLWG-2126-SM-DO91M 50-59 years, female 63.1
GTEX-13PL6-0326-SM-5IJCP 40-49 years, female 63.0
GTEX-R55C-1726-SM-3GADJ 40-49 years, male 63.0
GTEX-1K2DA-2226-SM-CGQGM 50-59 years, male 63.0
GTEX-14PJ3-2026-SM-5ZZVK 50-59 years, male 62.8
GTEX-15D79-0526-SM-6ETZP 50-59 years, male 62.8
GTEX-1GZ4H-1626-SM-7PC3F 50-59 years, female 62.8
GTEX-11ZU8-2326-SM-5EQMJ 60-69 years, male 62.7
GTEX-12WSA-0726-SM-5FQU2 60-69 years, male 62.7
GTEX-1A8G6-0126-SM-7DUFY 60-69 years, male 62.7
GTEX-1EU9M-0126-SM-7P8P8 60-69 years, male 62.7
GTEX-14A6H-5019-SM-793DH 30-39 years, male 62.5
GTEX-17HG3-2726-SM-7DHL5 30-39 years, female 62.5
GTEX-1CB4I-0326-SM-7DHMM 50-59 years, male 62.5
GTEX-14BIL-0326-SM-5SI9Q 50-59 years, male 62.4
GTEX-1EX96-1526-SM-7PBXK 50-59 years, male 62.4
GTEX-RU1J-1726-SM-2TF5S 20-29 years, female 62.0
GTEX-1PWST-0426-SM-E76QV 70-79 years, male 62.0
GTEX-1LBAC-0326-SM-DIPF1 20-29 years, male 61.9
GTEX-P4PP-1626-SM-2HMJF 30-39 years, female 61.8
GTEX-1EN7A-0326-SM-7P8T1 40-49 years, male 61.8
GTEX-1GF9V-0126-SM-9WYT2 60-69 years, male 61.8
GTEX-13VXU-0326-SM-5LU36 50-59 years, male 61.6
GTEX-14C39-2426-SM-5S2U5 40-49 years, male 61.6
GTEX-13SLX-0326-SM-5Q5E4 50-59 years, female 61.5
GTEX-1N2DW-0426-SM-E9TK4 50-59 years, male 61.5
GTEX-13111-2226-SM-5LZUE 50-59 years, male 61.4
GTEX-13G51-2726-SM-5LZZ9 60-69 years, male 61.4
GTEX-15SHV-2526-SM-6PAMG 60-69 years, male 61.4
GTEX-16YQH-0426-SM-7KUL7 30-39 years, male 61.4
GTEX-ZAK1-0526-SM-5K7X4 50-59 years, female 61.4
GTEX-1IKOH-0126-SM-COH4D 60-69 years, female 61.4
GTEX-14LZ3-0626-SM-5ZZWP 60-69 years, female 61.3
GTEX-1CB4E-2126-SM-793AP 60-69 years, male 61.2
GTEX-132NY-0726-SM-5KLZM 60-69 years, male 61.1
GTEX-1O9I2-0526-SM-EYYXI 50-59 years, male 61.1
GTEX-11EMC-2626-SM-59864 60-69 years, female 61.0
GTEX-13PLJ-0326-SM-5L3I7 60-69 years, female 61.0
GTEX-11OF3-2526-SM-5P9JL 60-69 years, male 60.9
GTEX-17HHY-0326-SM-7938H 50-59 years, male 60.8
GTEX-U4B1-1626-SM-3DB8N 40-49 years, male 60.8
GTEX-1E1VI-0426-SM-7DHN1 50-59 years, male 60.7
GTEX-T8EM-1326-SM-3DB7G 40-49 years, male 60.7
GTEX-1JJ6O-0926-SM-CYPT1 60-69 years, male 60.7
GTEX-1JN1M-0526-SM-CJI3D 60-69 years, female 60.7
GTEX-1PIEJ-0326-SM-EVYB5 20-29 years, female 60.5
GTEX-REY6-0826-SM-2TF4S 60-69 years, male 60.4
GTEX-11H98-0326-SM-5HL4S 50-59 years, male 60.3
GTEX-13VXT-0326-SM-5LU4U 20-29 years, female 60.2
GTEX-14BIM-0326-SM-5SI9B 60-69 years, female 60.1
GTEX-ZYFD-0326-SM-5NQ8I 50-59 years, male 60.1
GTEX-1KAFJ-2326-SM-D3L8Z 50-59 years, male 60.1
GTEX-1CB4F-0326-SM-9MQKD 60-69 years, male 60.0
GTEX-1F75W-0326-SM-7PC2Q 60-69 years, male 59.9
GTEX-1H3VE-0126-SM-9WYTW 40-49 years, male 59.9
GTEX-PLZ6-1526-SM-2S1OC 30-39 years, male 59.8
GTEX-ZA64-2026-SM-5PNXT 20-29 years, male 59.8
GTEX-139TT-0426-SM-5IJFA 60-69 years, male 59.7
GTEX-13RTJ-2726-SM-73KVG 60-69 years, male 59.7
GTEX-14JIY-0426-SM-62LF7 60-69 years, male 59.7
GTEX-1M5QR-1326-SM-EWROC 40-49 years, male 59.7
GTEX-111FC-0326-SM-5GZZ1 60-69 years, male 59.6
GTEX-15RIF-2126-SM-7KUM8 20-29 years, male 59.6
GTEX-1B996-0326-SM-7DHMU 60-69 years, male 59.6
GTEX-1LVAM-0326-SM-DIPFL 50-59 years, female 59.6
GTEX-15RJ7-2426-SM-6M48L 40-49 years, male 59.5
GTEX-11GSO-2526-SM-5PNVX 60-69 years, male 59.3
GTEX-11P82-1826-SM-5PNYJ 20-29 years, male 59.3
GTEX-WY7C-2526-SM-3NB2N 50-59 years, male 59.3
GTEX-1CB4G-0426-SM-7MXUN 60-69 years, male 59.3
GTEX-1I1GT-0726-SM-B2LWN 60-69 years, female 59.3
GTEX-145LT-1626-SM-5O992 40-49 years, male 59.2
GTEX-144GL-0326-SM-5QGOY 50-59 years, male 59.1
GTEX-1I1GQ-0326-SM-A9SKS 50-59 years, male 59.1
GTEX-1R7EV-2026-SM-DTX83 40-49 years, male 59.1
GTEX-15ETS-0326-SM-6PANH 40-49 years, female 59.0
GTEX-144GN-2426-SM-5LU4R 50-59 years, male 58.9
GTEX-12696-2826-SM-5FQTY 60-69 years, male 58.8
GTEX-1IKJJ-0326-SM-CL55L 60-69 years, male 58.8
GTEX-1JKYN-1826-SM-ARZMZ 30-39 years, male 58.8
GTEX-16BQI-0326-SM-6PAM4 30-39 years, female 58.7
GTEX-QV44-2026-SM-2S1RD 50-59 years, male 58.5
GTEX-1F75B-0526-SM-7P8T5 50-59 years, male 58.5
GTEX-11EQ8-0526-SM-5N9BC 60-69 years, male 58.4
GTEX-U8XE-0726-SM-3DB8O 30-39 years, male 58.3
GTEX-PLZ5-1726-SM-2I5F6 50-59 years, male 58.2
GTEX-WZTO-0826-SM-3NM8Q 40-49 years, male 58.2
GTEX-YFCO-1926-SM-4W212 40-49 years, male 58.2
GTEX-13OVL-1426-SM-5IJC1 50-59 years, male 58.1
GTEX-13W46-0726-SM-5LU3Z 50-59 years, male 58.0
GTEX-17HGU-0626-SM-7939Y 50-59 years, male 58.0
GTEX-PSDG-0426-SM-5SI86 50-59 years, male 58.0
GTEX-1H1DE-1726-SM-A9G3G 20-29 years, male 58.0
GTEX-1IDJH-0226-SM-CYPSB 70-79 years, male 57.9
GTEX-131XH-2726-SM-5GCO2 50-59 years, male 57.6
GTEX-14JG6-2126-SM-6EU2F 30-39 years, female 57.6
GTEX-1C2JI-2126-SM-793CG 50-59 years, male 57.6
GTEX-ZQUD-1726-SM-7P8ON 30-39 years, male 57.6
GTEX-T5JW-1826-SM-3GAE1 20-29 years, female 57.5
GTEX-13112-2626-SM-5BC66 50-59 years, male 57.4
GTEX-W5WG-1926-SM-4KKZK 50-59 years, female 57.4
GTEX-ZE7O-0326-SM-51MTH 50-59 years, female 57.4
GTEX-13RTL-0326-SM-7LT89 40-49 years, male 57.3
GTEX-1IKK5-0426-SM-CL53X 60-69 years, male 57.3
GTEX-1RAZR-0326-SM-EWRNM 40-49 years, male 57.3
GTEX-UJMC-1826-SM-3GADT 50-59 years, male 57.1
GTEX-ZV7C-2426-SM-5NQ7Q 50-59 years, male 57.0
GTEX-1HFI6-0426-SM-B2LXB 40-49 years, male 57.0
GTEX-1I6K7-0326-SM-B2LXO 40-49 years, male 57.0
GTEX-UTHO-0726-SM-3GAEN 60-69 years, male 56.9
GTEX-1I6K6-0326-SM-CJI4A 30-39 years, male 56.9
GTEX-11TUW-2526-SM-5EQKN 60-69 years, male 56.8
GTEX-11VI4-1926-SM-5CVLI 40-49 years, female 56.8
GTEX-13113-5019-SM-7EPH2 60-69 years, female 56.8
GTEX-1GF9W-0526-SM-9MQJP 60-69 years, male 56.8
GTEX-X8HC-0526-SM-4E3JA 50-59 years, female 56.7
GTEX-1QP28-0526-SM-E8VNR 50-59 years, female 56.7
GTEX-1C6WA-0326-SM-7DUGE 60-69 years, male 56.6
GTEX-R3RS-0526-SM-3GADG 40-49 years, female 56.6
GTEX-1GN1U-2226-SM-9MQK1 50-59 years, female 56.6
GTEX-15DDE-0526-SM-6ETZQ 50-59 years, female 56.5
GTEX-O5YV-2026-SM-2D7VS 60-69 years, female 56.4
GTEX-SUCS-1626-SM-32PLS 70-79 years, male 56.4
GTEX-1IDJF-0326-SM-ADEIG 20-29 years, male 56.4
GTEX-13S7M-0326-SM-5S2PH 60-69 years, female 56.3
GTEX-OIZH-1626-SM-2HMKI 50-59 years, male 56.2
GTEX-1GN73-0126-SM-CNPPT 60-69 years, male 56.2
GTEX-13S86-2326-SM-5RQK1 40-49 years, male 56.1
GTEX-1GMR8-0326-SM-9KNUO 50-59 years, female 56.1
GTEX-1F7RK-0326-SM-7RHH7 20-29 years, female 56.0
GTEX-14C5O-0626-SM-664N2 60-69 years, male 55.9
GTEX-QV31-1426-SM-2S1QD 30-39 years, male 55.9
GTEX-13YAN-0526-SM-5O9BE 60-69 years, male 55.8
GTEX-14BMU-2026-SM-5S2W6 20-29 years, female 55.8
GTEX-Q2AH-1826-SM-2S1Q2 40-49 years, male 55.8
GTEX-QDT8-0526-SM-3NMD8 30-39 years, female 55.8
GTEX-1QP9N-1926-SM-E6CPY 30-39 years, male 55.8
GTEX-U3ZM-1226-SM-3DB9G 40-49 years, male 55.7
GTEX-13X6K-0326-SM-5Q5D6 60-69 years, female 55.6
GTEX-146FQ-0326-SM-5NQAX 30-39 years, male 55.6
GTEX-O5YT-1626-SM-32PK6 20-29 years, male 55.5
GTEX-WYJK-1726-SM-3NM9U 50-59 years, male 55.5
GTEX-XAJ8-1026-SM-47JY9 40-49 years, male 55.5
GTEX-1HCUA-2326-SM-ACKVJ 50-59 years, female 55.5
GTEX-1HBPM-0426-SM-CKZOO 60-69 years, female 55.4
GTEX-1JMQK-0326-SM-ARZN5 60-69 years, male 55.4
GTEX-13FH7-2126-SM-5L3DJ 50-59 years, female 55.3
GTEX-1R46S-0326-SM-EWRNE 60-69 years, female 55.3
GTEX-1C475-1726-SM-73KVX 40-49 years, female 55.2
GTEX-11P7K-1926-SM-5GU6R 30-39 years, male 55.1
GTEX-ZVE2-0626-SM-5GU7I 50-59 years, male 55.1
GTEX-1IE54-0326-SM-ARZMD 40-49 years, female 55.1
GTEX-VJWN-0426-SM-3GIJI 50-59 years, female 55.0
GTEX-ZC5H-0326-SM-5HL9F 40-49 years, female 55.0
GTEX-ZF29-2426-SM-DO92G 60-69 years, female 55.0
GTEX-1MCC2-2726-SM-EWRN3 30-39 years, female 54.9
GTEX-1M4P7-0126-SM-DKPQF 60-69 years, male 54.8
GTEX-OHPL-1626-SM-2HMIR 60-69 years, female 54.7
GTEX-1R9PO-2426-SM-EVYBS 60-69 years, female 54.7
GTEX-17F97-0526-SM-7DUF8 50-59 years, male 54.6
GTEX-S95S-1426-SM-2XCDM 60-69 years, male 54.5
GTEX-1HSGN-0326-SM-ACKXQ 40-49 years, female 54.5
GTEX-145LV-2326-SM-5LU8Z 50-59 years, male 54.4
GTEX-XPVG-2526-SM-4B66D 50-59 years, male 54.4
GTEX-ZQG8-1226-SM-51MRX 60-69 years, female 54.4
GTEX-1R9K4-0626-SM-E76OZ 60-69 years, male 54.4
GTEX-1J8Q2-0126-SM-E9J2G 60-69 years, male 54.3
GTEX-13OW8-1426-SM-5IJDT 60-69 years, male 54.2
GTEX-XYKS-2426-SM-4AT43 60-69 years, female 54.2
GTEX-1QMI2-0526-SM-DTXFU 60-69 years, male 54.2
GTEX-1QP67-1826-SM-DTX8D 40-49 years, female 54.1
GTEX-P44G-0526-SM-2XCD1 30-39 years, male 53.9
GTEX-13FTW-2326-SM-5K7YS 40-49 years, male 53.8
GTEX-14DAR-1826-SM-664N1 50-59 years, male 53.8
GTEX-16XZZ-0526-SM-7KUF1 60-69 years, male 53.7
GTEX-T5JC-0626-SM-3NMA6 20-29 years, male 53.7
GTEX-T6MN-0526-SM-32PMS 50-59 years, male 53.7
GTEX-1F88E-1826-SM-9MQLV 60-69 years, female 53.7
GTEX-1ICLY-0326-SM-ARL7S 50-59 years, male 53.7
GTEX-1HSMQ-1326-SM-ADEHS 50-59 years, male 53.6
GTEX-1LVA9-0326-SM-DLHBU 50-59 years, male 53.6
GTEX-1QW4Y-1726-SM-EWRN1 30-39 years, male 53.6
GTEX-TKQ1-1426-SM-4GICK 30-39 years, male 53.5
GTEX-1A3MX-0526-SM-718A9 60-69 years, male 53.4
GTEX-12WSN-2526-SM-5LZU8 40-49 years, male 53.3
GTEX-1A3MW-0526-SM-731BY 60-69 years, female 53.2
GTEX-113JC-2726-SM-5EGIS 50-59 years, female 53.1
GTEX-13O61-2326-SM-5J1NJ 60-69 years, male 53.1
GTEX-OXRL-1626-SM-2YUMU 50-59 years, male 53.1
GTEX-1LGOU-2126-SM-DIPFG 20-29 years, female 53.1
GTEX-11DXX-2726-SM-5PNXO 60-69 years, female 53.0
GTEX-15SHW-0726-SM-7KUEI 60-69 years, male 53.0
GTEX-1I1HK-0326-SM-ACKW5 60-69 years, male 53.0
GTEX-1MCYP-2026-SM-DTXE4 20-29 years, female 53.0
GTEX-14E6E-2026-SM-664N5 30-39 years, male 52.9
GTEX-11WQC-2626-SM-5CVLF 60-69 years, male 52.8
GTEX-15DZA-2026-SM-6PANE 30-39 years, female 52.8
GTEX-1AX9J-0126-SM-73KY2 60-69 years, male 52.8
GTEX-YF7O-2526-SM-5IFJX 50-59 years, male 52.7
GTEX-ZLV1-2126-SM-4WWD2 60-69 years, female 52.6
GTEX-1211K-2126-SM-59HJZ 60-69 years, female 52.5
GTEX-ZDYS-1726-SM-5HL4Y 50-59 years, male 52.4
GTEX-13PVR-2526-SM-5RQIT 60-69 years, female 52.2
GTEX-PWN1-1626-SM-2S1OL 40-49 years, female 52.2
GTEX-ZV6S-2126-SM-4YCEM 40-49 years, female 52.2
GTEX-14ICL-1926-SM-5RQIZ 30-39 years, male 52.1
GTEX-18D9U-0626-SM-7LTA4 40-49 years, male 52.1
GTEX-ZT9X-1826-SM-57WDU 40-49 years, male 52.1
GTEX-1GN1V-0326-SM-9WYTO 60-69 years, male 52.1
GTEX-1IOXB-0326-SM-CL55M 50-59 years, male 52.1
GTEX-1MJK3-1426-SM-E9TK1 20-29 years, male 52.1
GTEX-1QP2A-0526-SM-E8VN5 50-59 years, male 52.1
GTEX-WWYW-0526-SM-3NB2W 50-59 years, female 52.0
GTEX-16NGA-1926-SM-7LTA6 40-49 years, female 51.8
GTEX-1A3MV-2026-SM-718BU 30-39 years, male 51.8
GTEX-P4QS-1626-SM-2S1NH 60-69 years, male 51.8
GTEX-ZVT4-0326-SM-51MS5 50-59 years, female 51.7
GTEX-ZLFU-2526-SM-DO91K 40-49 years, male 51.7
GTEX-111CU-2026-SM-5GZZC 50-59 years, male 51.6
GTEX-1A32A-0526-SM-731B9 50-59 years, female 51.6
GTEX-1F75I-0526-SM-7RHI3 40-49 years, male 51.6
GTEX-1HBPI-0226-SM-ADEJ7 50-59 years, male 51.6
GTEX-1R9K5-0326-SM-EWRNG 50-59 years, male 51.6
GTEX-Y114-2526-SM-4TT8M 50-59 years, female 51.5
GTEX-1PDJ9-0526-SM-DTXDL 20-29 years, male 51.5
GTEX-1EWIQ-0626-SM-7PBYW 70-79 years, female 51.4
GTEX-1B8SF-0426-SM-79OL4 60-69 years, male 51.3
GTEX-1HSMO-0526-SM-ACKXB 60-69 years, male 51.3
GTEX-1K2DU-2526-SM-D3L8V 20-29 years, male 51.3
GTEX-TSE9-0526-SM-3DB7Z 60-69 years, female 51.2
GTEX-V1D1-2426-SM-3GAER 50-59 years, male 51.2
GTEX-1HKZK-0226-SM-9WYUG 40-49 years, male 51.2
GTEX-1NUQO-0726-SM-E9J3K 20-29 years, female 51.2
GTEX-13QBU-2426-SM-5LU4L 40-49 years, female 51.1
GTEX-14H4A-0926-SM-5ZZUU 40-49 years, female 51.1
GTEX-14A5I-0326-SM-5NQ9J 50-59 years, female 51.0
GTEX-183WM-0426-SM-731B1 70-79 years, female 51.0
GTEX-SSA3-0326-SM-32QPS 60-69 years, male 50.9
GTEX-WRHU-0826-SM-3MJFN 50-59 years, female 50.9
GTEX-13JUV-2326-SM-5IJCE 40-49 years, female 50.7
GTEX-13OVI-1726-SM-5L3DW 60-69 years, female 50.7
GTEX-14XAO-2226-SM-6LLHU 60-69 years, female 50.7
GTEX-1AMFI-2226-SM-731C6 50-59 years, female 50.6
GTEX-1LVAN-0526-SM-CNNQ1 50-59 years, female 50.6
GTEX-145MN-2426-SM-5NQA5 30-39 years, male 50.5
GTEX-1AX9I-0326-SM-73KXQ 60-69 years, male 50.5
GTEX-WRHK-1626-SM-3MJFH 20-29 years, female 50.5
GTEX-1GF9U-2326-SM-7RHH9 40-49 years, female 50.5
GTEX-13O3P-0626-SM-5L3D5 50-59 years, male 50.4
GTEX-1H1DG-0326-SM-9QEHK 70-79 years, male 50.4
GTEX-12WSM-0326-SM-5LZVI 60-69 years, male 50.3
GTEX-13FHO-0726-SM-5IJDG 60-69 years, male 50.2
GTEX-16XZY-2226-SM-7938N 70-79 years, male 50.2
GTEX-1122O-2426-SM-5GIDN 60-69 years, female 50.0
GTEX-14A5H-0326-SM-5RQIB 60-69 years, male 50.0
GTEX-14PN4-0326-SM-6EU2N 50-59 years, male 50.0
GTEX-1CAMR-1726-SM-793CU 20-29 years, male 50.0
GTEX-1J8QM-2226-SM-CYPSK 60-69 years, female 49.9
GTEX-1K9T9-0326-SM-EWRNQ 50-59 years, female 49.9
GTEX-18A7B-0326-SM-7LG65 70-79 years, male 49.7
GTEX-1OFPY-2526-SM-DTXEK 60-69 years, male 49.7
GTEX-SN8G-0326-SM-32PLG 50-59 years, female 49.6
GTEX-WFG8-2426-SM-3GILL 20-29 years, male 49.6
GTEX-1JKYR-0326-SM-CNPOL 20-29 years, male 49.6
GTEX-13PL7-0626-SM-5IJCD 60-69 years, female 49.5
GTEX-147F3-0226-SM-5NQBV 50-59 years, female 49.5
GTEX-1HFI7-1926-SM-A96TQ 50-59 years, female 49.5
GTEX-15CHR-2426-SM-7DUFX 50-59 years, male 49.4
GTEX-1IDJU-2426-SM-ARZM9 60-69 years, female 49.4
GTEX-1H3VY-0326-SM-9WYU6 50-59 years, male 49.3
GTEX-1JK1U-2226-SM-CNNPL 60-69 years, male 49.1
GTEX-132Q8-0626-SM-5L3F3 60-69 years, male 49.0
GTEX-12ZZZ-0226-SM-59HKU 60-69 years, male 48.9
GTEX-Y5V5-2526-SM-4VBQ4 60-69 years, female 48.9
GTEX-ZPCL-2026-SM-57WFD 60-69 years, female 48.9
GTEX-1B8L1-2726-SM-793AL 60-69 years, male 48.8
GTEX-SNMC-1426-SM-2XCFM 20-29 years, male 48.8
GTEX-1AX9K-2726-SM-7DHMA 50-59 years, male 48.7
GTEX-1C6VR-2526-SM-7DHMT 60-69 years, male 48.7
GTEX-RM2N-1626-SM-2TF5N 50-59 years, male 48.7
GTEX-1S5ZA-0526-SM-EWRO1 20-29 years, male 48.7
GTEX-1F75A-0626-SM-7PBYI 50-59 years, male 48.6
GTEX-ZVP2-2126-SM-5GU6E 50-59 years, male 48.5
GTEX-1H1E6-2126-SM-9KNVM 30-39 years, male 48.5
GTEX-11EQ9-2126-SM-5PNVW 30-39 years, male 48.4
GTEX-139T8-0526-SM-5KLZL 60-69 years, male 48.4
GTEX-13O21-1726-SM-5MR5A 50-59 years, male 48.4
GTEX-15DCD-0626-SM-7KUG7 70-79 years, female 48.4
GTEX-1CAMS-0126-SM-79396 40-49 years, female 48.4
GTEX-1B8KZ-2126-SM-73KYG 50-59 years, male 48.3
GTEX-RWS6-2126-SM-2XCAV 60-69 years, female 48.3
GTEX-1GF9X-2126-SM-7PBXN 40-49 years, female 48.3
GTEX-1QAET-2026-SM-E9J3S 50-59 years, male 48.3
GTEX-1497J-2626-SM-5SI9K 60-69 years, male 48.2
GTEX-15RIG-0426-SM-7KUF4 40-49 years, male 48.2
GTEX-1GN1W-0726-SM-9KNTV 50-59 years, female 48.2
GTEX-1QEPI-0526-SM-E76QF 60-69 years, female 48.2
GTEX-WEY5-2026-SM-CYPRC 40-49 years, female 48.2
GTEX-1269C-2626-SM-5EQ5C 60-69 years, female 48.1
GTEX-14PJ4-2426-SM-6EU1U 60-69 years, male 48.1
GTEX-17MF6-2026-SM-7LG5I 40-49 years, male 48.1
GTEX-NFK9-0626-SM-2HMIV 40-49 years, male 48.0
GTEX-XGQ4-2326-SM-4AT53 50-59 years, male 48.0
GTEX-12WSH-2526-SM-5CVNH 50-59 years, male 47.8
GTEX-14PJ5-2026-SM-6LLIN 60-69 years, female 47.8
GTEX-11DZ1-0926-SM-5EQ5R 50-59 years, male 47.6
GTEX-14PJN-2126-SM-6AJBM 30-39 years, male 47.5
GTEX-1I1GV-0126-SM-CL55G 60-69 years, male 47.3
GTEX-13N2G-2326-SM-5J1ON 60-69 years, male 47.2
GTEX-13FTY-0226-SM-5IJBW 40-49 years, female 47.1
GTEX-1HSEH-0326-SM-A9G26 60-69 years, male 47.1
GTEX-145ME-2026-SM-5SIA5 40-49 years, female 47.0
GTEX-1IL2U-0726-SM-EAZ2Y 60-69 years, male 47.0
GTEX-XBED-2626-SM-4E3J5 60-69 years, male 46.9
GTEX-ZZPU-2626-SM-5E45Y 50-59 years, female 46.8
GTEX-145MI-0326-SM-5Q5EV 60-69 years, female 46.7
GTEX-13D11-2526-SM-5KM28 50-59 years, female 46.6
GTEX-XQ8I-0626-SM-4BOPT 50-59 years, male 46.6
GTEX-1HBPN-0526-SM-A9SM6 50-59 years, male 46.6
GTEX-1JN76-0326-SM-ARZNJ 20-29 years, female 46.6
GTEX-14E6C-1526-SM-664ND 40-49 years, male 46.4
GTEX-16AAH-1826-SM-7939D 50-59 years, male 46.4
GTEX-XUW1-0826-SM-4BOP6 50-59 years, female 46.4
GTEX-ZZ64-1526-SM-5E43K 20-29 years, male 46.4
GTEX-13IVO-0626-SM-5LZYJ 70-79 years, male 46.3
GTEX-QEG5-0426-SM-2I5GJ 20-29 years, male 46.3
GTEX-1JMQI-2126-SM-CM2SC 50-59 years, male 46.3
GTEX-XMD1-0626-SM-EZ6MC 60-69 years, male 46.2
GTEX-1IDJC-2026-SM-ADEIK 50-59 years, male 46.1
GTEX-17F9E-0226-SM-79OKK 50-59 years, male 45.9
GTEX-13PDP-0326-SM-5K7XP 60-69 years, male 45.8
GTEX-X88G-0326-SM-47JZ4 30-39 years, male 45.8
GTEX-1LGRB-2626-SM-CNPPR 50-59 years, female 45.8
GTEX-14PII-0626-SM-69LPY 60-69 years, male 45.7
GTEX-1J8Q3-1426-SM-CKZPU 60-69 years, male 45.7
GTEX-13X6I-0526-SM-5QGP8 60-69 years, male 45.6
GTEX-146FR-1726-SM-5Q5DT 60-69 years, female 45.6
GTEX-1F6IF-0226-SM-7PBZ6 60-69 years, male 45.6
GTEX-1IDJE-2426-SM-ACKWF 50-59 years, female 45.6
GTEX-P4PQ-1626-SM-2HMKK 60-69 years, male 45.5
GTEX-1HC8U-2626-SM-CNPPH 40-49 years, female 45.5
GTEX-1JMPZ-0126-SM-CNPOZ 30-39 years, male 45.5
GTEX-WOFM-1326-SM-3MJFR 20-29 years, male 45.4
GTEX-ZVZP-2526-SM-57WBR 50-59 years, male 45.3
GTEX-1QPFJ-0326-SM-E8VO2 30-39 years, female 45.3
GTEX-1AMEY-1526-SM-73KYW 30-39 years, female 45.0
GTEX-1HCVE-0326-SM-CGQEW 50-59 years, male 45.0
GTEX-139D8-0726-SM-5P9GJ 30-39 years, female 44.8
GTEX-1HCU7-0426-SM-D3L8Q 50-59 years, male 44.7
GTEX-1P4AB-0326-SM-EXUT3 50-59 years, male 44.7
GTEX-15G1A-2026-SM-7KUFG 30-39 years, male 44.6
GTEX-ZY6K-2026-SM-5GZXQ 50-59 years, male 44.6
GTEX-146FH-0526-SM-5QGQ3 50-59 years, female 44.4
GTEX-1A8G7-0326-SM-72D5B 60-69 years, male 44.4
GTEX-1KANA-0926-SM-D3L9K 20-29 years, male 44.1
GTEX-1IY9M-0326-SM-ARZMN 60-69 years, male 44.0
GTEX-1QCLZ-0326-SM-DTXG2 60-69 years, female 44.0
GTEX-1IDJV-0426-SM-COH3Z 60-69 years, male 43.8
GTEX-ZP4G-2026-SM-57WEH 20-29 years, female 43.7
GTEX-QVJO-0126-SM-3GIK4 60-69 years, female 43.3
GTEX-U3ZH-1926-SM-4DXTR 30-39 years, male 43.3
GTEX-1GZ4I-0526-SM-9YFLX 50-59 years, male 43.3
GTEX-ZDXO-0326-SM-4WKHJ 60-69 years, male 43.1
GTEX-13FTX-2026-SM-5L3D6 20-29 years, female 43.0
GTEX-17EVQ-1226-SM-7LG59 70-79 years, male 43.0
GTEX-1J1OQ-0426-SM-A9SLI 40-49 years, female 43.0
GTEX-13O1R-0526-SM-5K7XU 60-69 years, male 42.9
GTEX-ZVE1-0526-SM-5NQ71 50-59 years, female 42.9
GTEX-1F5PL-0426-SM-7P8PR 40-49 years, female 42.9
GTEX-1IDJD-1326-SM-CM2TQ 30-39 years, male 42.8
GTEX-131XF-2326-SM-5BC6B 60-69 years, male 42.7
GTEX-17MFQ-1926-SM-793A6 20-29 years, male 42.4
GTEX-ZWKS-0326-SM-5NQ7G 30-39 years, male 42.1
GTEX-1F52S-0826-SM-7P8TQ 60-69 years, female 42.1
GTEX-QDVN-2426-SM-2S1Q4 50-59 years, male 42.0
GTEX-ZZPT-0626-SM-5GZXT 50-59 years, male 41.8
GTEX-1F5PK-2626-SM-7RHH6 50-59 years, male 41.8
GTEX-1ICG6-2726-SM-CKZPN 70-79 years, female 41.8
GTEX-1JMQL-0126-SM-CY8HN 50-59 years, female 41.7
GTEX-11EM3-2126-SM-5H11M 20-29 years, female 41.6
GTEX-13NYC-0726-SM-5J2NQ 60-69 years, male 41.6
GTEX-1HSMP-0326-SM-A9SMC 70-79 years, male 41.5
GTEX-1L5NE-2226-SM-CXZKS 50-59 years, male 41.5
GTEX-RUSQ-1726-SM-2TF68 50-59 years, male 41.3
GTEX-ZPIC-2526-SM-57WDP 40-49 years, female 41.3
GTEX-13NYS-0326-SM-5MR4L 60-69 years, male 41.1
GTEX-Z9EW-1726-SM-5CVMO 40-49 years, male 41.1
GTEX-111YS-2326-SM-5987L 60-69 years, male 40.7
GTEX-1HB9E-0326-SM-D3LA5 50-59 years, male 40.6
GTEX-14ASI-0526-SM-5QGQP 60-69 years, male 40.4
GTEX-16NPV-2426-SM-6M482 50-59 years, female 40.4
GTEX-1I1GU-2126-SM-CGQF9 40-49 years, male 40.3
GTEX-R55D-0626-SM-3GAD5 50-59 years, male 40.2
GTEX-QEL4-0626-SM-3GIJM 50-59 years, male 40.1
GTEX-Y8LW-2026-SM-4V6G8 50-59 years, female 40.1
GTEX-17F96-2726-SM-7LT9F 70-79 years, male 40.0
GTEX-SE5C-1826-SM-2XCE4 40-49 years, female 39.9
GTEX-1LSNM-2326-SM-EWRO8 50-59 years, male 39.9
GTEX-1MUQO-0226-SM-E9TJL 60-69 years, male 39.9
GTEX-11LCK-1226-SM-5Q5AM 30-39 years, male 39.8
GTEX-ZF28-0526-SM-4WKGW 60-69 years, male 39.8
GTEX-15CHQ-0726-SM-6EU18 60-69 years, male 39.4
GTEX-117YX-2526-SM-5EQ4Q 50-59 years, male 39.1
GTEX-1N2DV-0526-SM-DTX8W 40-49 years, male 39.1
GTEX-X4XX-0626-SM-3NMC1 60-69 years, male 39.0
GTEX-X638-0326-SM-47JY1 70-79 years, female 39.0
GTEX-XMD2-0526-SM-4YCDI 60-69 years, female 39.0
GTEX-13OVG-2126-SM-5KM1K 60-69 years, male 38.9
GTEX-WWTW-0626-SM-4MVNS 50-59 years, male 38.5
GTEX-XUZC-2126-SM-4BRW8 30-39 years, female 38.3
GTEX-1R7EU-0626-SM-DTX9N 60-69 years, male 37.8
GTEX-13W3W-2626-SM-5SIA2 60-69 years, female 37.7
GTEX-1LC47-0626-SM-DIPFE 60-69 years, male 37.7
GTEX-12WSL-2726-SM-5CVNL 50-59 years, male 37.5
GTEX-1IGQW-0526-SM-CKZO3 60-69 years, male 37.5
GTEX-13SLW-0326-SM-5RQK5 70-79 years, male 37.4
GTEX-1399Q-2426-SM-5J2MO 40-49 years, male 37.3
GTEX-1H2FU-0526-SM-ACKXO 60-69 years, female 37.2
GTEX-132AR-1026-SM-5PNVL 50-59 years, female 37.1
GTEX-1MJIX-2126-SM-E9J3A 40-49 years, male 37.0
GTEX-WHSE-0526-SM-5GZZD 20-29 years, male 36.9
GTEX-X261-0326-SM-3NMD4 50-59 years, male 36.9
GTEX-YEC3-2126-SM-4YCDB 50-59 years, male 36.6
GTEX-1N2EF-0526-SM-E76OK 60-69 years, male 36.5
GTEX-1LG7Z-2126-SM-CXKYU 30-39 years, male 36.3
GTEX-17GQL-1926-SM-718B9 60-69 years, male 36.2
GTEX-WFG7-2226-SM-3GIKP 20-29 years, male 35.7
GTEX-1ICLZ-0626-SM-ARL83 60-69 years, male 35.3
GTEX-13CF3-1826-SM-5J1NK 60-69 years, female 34.8
GTEX-S32W-2326-SM-2XCAW 50-59 years, female 34.6
GTEX-YEC4-2226-SM-5IFJT 40-49 years, male 34.5
GTEX-15G19-0526-SM-6PAMT 60-69 years, male 34.4
GTEX-1339X-2426-SM-5KLYU 40-49 years, male 34.0
GTEX-OHPN-2726-SM-2I5H4 60-69 years, female 33.6
GTEX-R55G-2326-SM-2TC61 40-49 years, female 33.6
GTEX-Y5LM-2126-SM-4VDSY 40-49 years, female 33.5
GTEX-1J8EW-0326-SM-CYPSX 60-69 years, female 33.0
GTEX-11WQK-0726-SM-5GU71 50-59 years, male 32.8
GTEX-U8T8-1426-SM-3DB9H 60-69 years, male 32.8
GTEX-OXRO-1726-SM-3LK6C 60-69 years, female 32.6
GTEX-WOFL-0626-SM-3MJG3 60-69 years, male 32.4
GTEX-1IDFM-1526-SM-ARL7U 60-69 years, male 32.0
GTEX-11XUK-2226-SM-5CVLL 40-49 years, female 31.5
GTEX-X4XY-0626-SM-4E3IN 60-69 years, male 31.5
GTEX-15UKP-0326-SM-7KUFP 20-29 years, male 31.1
GTEX-1CB4J-1226-SM-7P8P3 60-69 years, male 31.1
GTEX-POYW-0526-SM-2XCEY 60-69 years, male 31.0
GTEX-QDVJ-1926-SM-2S1PJ 50-59 years, male 30.3
GTEX-1CB4H-0426-SM-7MXTL 60-69 years, female 29.9
GTEX-18D9B-0426-SM-7LTAR 60-69 years, male 28.3
GTEX-V955-2426-SM-3GAEF 60-69 years, male 28.3
GTEX-139T4-0326-SM-5K7XN 50-59 years, female 27.4
GTEX-14C38-0426-SM-5TDDZ 50-59 years, male 27.4
GTEX-1LVAO-0526-SM-EWRNS 60-69 years, male 27.3
GTEX-Q2AI-1526-SM-3GIJ3 40-49 years, male 26.8
GTEX-VJYA-1926-SM-3GIJJ 60-69 years, male 25.3
GTEX-1H23P-0526-SM-9WG6S 60-69 years, male 22.0
GTEX-11TT1-2326-SM-5GU6N 20-29 years, male 17.7
Show allShow less

SKELETAL MUSCLE - FANTOM5 CAGEi

RNA expression in human tissues obtained through Cap Analysis of Gene Expression (CAGE) generated by the FANTOM5 project are reported as Scaled Tags Per Million.

Max subtype Scaled Tags Per Millioni

Max subtype Scaled Tags Per Million is the value for the subtype with the largest average Scaled Tags Per Million across the subtype samples.

61.1
FANTOM5 sample id Sample description Scaled Tags Per Million
Skeletal muscle
Scaled Tags Per Million: 61.1
FF:10023-101D5 55,79,79 years, mixed 61.1
Skeletal muscle - soleus muscle
Scaled Tags Per Million: 28.7
FF:10282-104F3 male 28.7

Contact

  • NEWS ARTICLES
  • PRESS ROOM

The Project

  • INTRODUCTION
  • ORGANIZATION
  • PUBLICATIONS

The Human Protein Atlas

  • DOWNLOADABLE DATA
  • LICENCE & CITATION
  • HELP & FAQ
The Human Protein Atlas project is funded
by the Knut & Alice Wallenberg Foundation.


contact@proteinatlas.org