We use cookies to enhance the usability of our website. If you continue, we'll assume that you are happy to receive all cookies. More information. Don't show this again.
BET1L
HPA
RESOURCES
  • TISSUE
  • BRAIN
  • SINGLE CELL
  • SUBCELLULAR
  • CANCER
  • BLOOD
  • CELL LINE
  • STRUCTURE & INTERACTION
ABOUT
  • INTRODUCTION
  • HISTORY
  • ORGANIZATION
  • PUBLICATIONS
  • ANTIBODY SUBMISSION
  • ANTIBODY AVAILABILITY
  • ACKNOWLEDGMENTS
  • CONTACT
NEWS
  • NEWS ARTICLES
  • PRESS ROOM
LEARN
  • DICTIONARY
  • PROTEIN CLASSES
  • PROTEIN EVIDENCE
  • METHODS
  • EDUCATIONAL VIDEOS
DATA
  • DOWNLOADABLE DATA
  • PUBLICATION DATA
  • RELEASE HISTORY
HELP
  • ANTIBODY VALIDATION
  • ASSAYS & ANNOTATION
  • DISCLAIMER
  • HELP & FAQ
  • PRIVACY STATEMENT
  • LICENCE & CITATION
Fields »
Search result

Field
Term
Gene name
Class
Subclass
Class
Keyword
Chromosome
External id
Tissue
Cell type
Expression
Antibody panel
Tissue
Main location
Patient ID
Annotation
Tissue
Category
Tau score
Cluster
Reliability
Brain region
Category
Tau score
Brain region
Category
Tau score
Brain region
Category
Tau score
Cluster
Reliability
Tissue
Cell type
Enrichment
Cell type
Category
Tau score
Cell type
Category
Tau score
Cell type
Category
Tau score
Cell lineage
Category
Tau score
Cluster
Cluster
Location
Searches
Location
Cell line
Class
Type
Phase
Reliability
Cancer
Prognosis
Cancer
Category
Cancer
Category
Tau score
Cluster
Variants
Interacting gene (ensg_id)
Type
Number of interactions
Pathway
Category
Score
Score
Score
Validation
Validation
Validation
Validation
Antibodies
Data type
Column


  • SUMMARY

  • TISSUE

  • BRAIN

  • SINGLE CELL

  • SUBCELL

  • CANCER

  • BLOOD

  • CELL LINE

  • STRUCT & INT

  • BET1L
TISSUE PRIMARY DATA STOMACH Show tissue menu
ADIPOSE TISSUE ADRENAL GLAND AMYGDALA APPENDIX BASAL GANGLIA BONE MARROW BREAST BRONCHUS CEREBELLUM CEREBRAL CORTEX CERVIX CHOROID PLEXUS COLON DUODENUM
ENDOMETRIUM EPIDIDYMIS ESOPHAGUS FALLOPIAN TUBE GALLBLADDER HEART MUSCLE HIPPOCAMPAL FORMATION HYPOTHALAMUS KIDNEY LIVER LUNG LYMPH NODE MIDBRAIN NASOPHARYNX
ORAL MUCOSA OVARY PANCREAS PARATHYROID GLAND PITUITARY GLAND PLACENTA PROSTATE RECTUM RETINA SALIVARY GLAND SEMINAL VESICLE SKELETAL MUSCLE SKIN SMALL INTESTINE
SMOOTH MUSCLE SOFT TISSUE SPINAL CORD SPLEEN STOMACH TESTIS THYMUS THYROID GLAND TONGUE TONSIL URINARY BLADDER VAGINA
ANTIBODIES
AND
VALIDATION
Dictionary
Tissue proteome
Stomach
STOMACH - Expression summary
Protein expression
Stomachi

On the top, protein expression in current human tissue, based on all annotated cell types, is reported with the units not detected (n), low (l), medium (m) and high (h). Underneath, protein expression in each annotated cell type are reported using the same units.

Protein expression data is based on knowledge-based annotation. For genes where more than one antibody has been used, a collective score is set.

If knowledge-based annotation could not be performed for a gene, no data is displayed here. View antibody staining data further down this page.

h
m
l
n
Glandular cells: High
RNA expressioni

A summary of mRNA expression data available for current tissue based on several datasets. The mRNA expression levels in human tissues are based on RNA-seq data generated by the Human Protein Atlas (HPA), Genotype-Tissue Expression (GTEx) portal and CAGE data generated by the FANTOM5 consortium. Consensus normalized expression levels for human tissues was created by combining the data from HPA and GTEx datasets.

The mRNA expression levels in pig are based on RNA-seq data generated by the Human Protein Atlas (HPA), and for mouse, HPA data and in situ hybridization generated by the Allen brain atlas are reported.

Scroll down to view mRNA expression data in more detail.
Consensus:42.2 nTPM
HPA:42.2 nTPM
GTEx:41.9 nTPM

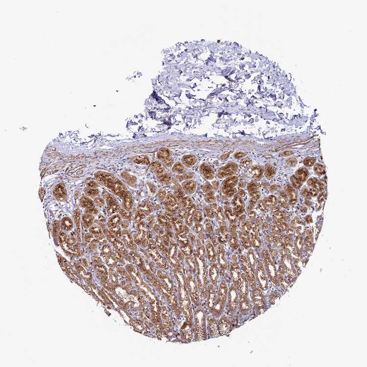
STOMACH 1 - Antibody stainingi

Antibody staining in the annotated cell types in the current human tissue is reported as not detected, low, medium, or high, based on conventional immunohistochemistry profiling in selected tissues. This score is based on the combination of the staining intensity and fraction of stained cells.

Each image is clickable and will lead to virtual microscopy that enables deeper exploration of all samples and also displays staining intensity scores, fraction scores and subcellular localization as well as patient and tissue information for each sample.

Antibody HPA039819
Glandular cells High


STOMACH 2 - Antibody stainingi

Antibody staining in the annotated cell types in the current human tissue is reported as not detected, low, medium, or high, based on conventional immunohistochemistry profiling in selected tissues. This score is based on the combination of the staining intensity and fraction of stained cells.

Each image is clickable and will lead to virtual microscopy that enables deeper exploration of all samples and also displays staining intensity scores, fraction scores and subcellular localization as well as patient and tissue information for each sample.

Antibody HPA039819
Glandular cells High



STOMACH - HPA RNA-seqi

The RNA-seq details section shows detailed information about the individual samples used for the transcript profiling and results of the RNA-seq analysis.

Information about each individual sample is listed below, including gender, age, a tissue section image and estimated fractions of cell types. nTPM (normalized transcripts per million) values give a quantification of the gene abundance which is comparable between different genes and samples.
Average nTPMi

Max subtype nTPM is the value for the subtype with the largest average nTPM across the subtype samples.

42.2
overview
Female, age 33
Stomach sample 61
nTPM: 36
Cell types%
Glandular cells:
60

Smooth muscle cells:
5

Other cell types:
35

N/A
Male, age 82
Stomach sample 240
nTPM: 44
Cell types%
Glandular cells:
65

Smooth muscle cells:
5

Other cell types:
30

overview
Male, age 71
Stomach sample 241
nTPM: 48.1
Cell types%
Glandular cells:
50

Smooth muscle cells:
5

Other cell types:
45

overview
Female, age 66
Stomach sample 369
nTPM: 40.7
Cell types%
Glandular cells:
50

Smooth muscle cells:
10

Other cell types:
40


STOMACH - GTEx RNA-seqi

RNA-Seq data generated by the Genotype-Tissue Expression (GTEx) project from human tissues is reported as mean nTPM. More information can be found on the GTEx portal.

Distribution across the dataset is visualized with box plots, shown as median and 25th and 75th percentiles. Points are displayed as outliers if they are above or below 1.5 times the interquartile range. nTPM values of the individual samples are presented next to the box plot.
Max subtype nTPMi

Max subtype nTPM is the value for the subtype with the largest average nTPM across the subtype samples.

41.9
GTEx sample id Sample description nTPM
Stomach
Average nTPM: 41.9
Samples: 359

Max nTPM: 93.2
Min nTPM: 20.5
Std nTPM: 9.4
Median nTPM: 40.5
GTEX-ZAB4-1526-SM-5CVN7 40-49 years, male 93.2
GTEX-17HII-2426-SM-7KFTT 50-59 years, male 73.8
GTEX-144GM-1726-SM-5O9AS 20-29 years, male 69.7
GTEX-QLQW-0726-SM-447AA 30-39 years, male 67.5
GTEX-ZA64-0826-SM-5HL9U 20-29 years, male 67.2
GTEX-14PJ4-1626-SM-664OB 60-69 years, male 66.4
GTEX-OXRL-1526-SM-E6CHQ 50-59 years, male 65.6
GTEX-X15G-1126-SM-4PQZG 50-59 years, female 64.8
GTEX-1GF9U-1126-SM-AHZ4H 40-49 years, female 64.8
GTEX-1H23P-2726-SM-9JGHN 60-69 years, male 63.7
GTEX-1AYCT-1326-SM-7MKHB 50-59 years, male 63.2
GTEX-13CF3-1926-SM-5K7WF 60-69 years, female 63.1
GTEX-1LSNM-1026-SM-DHXL2 50-59 years, male 62.8
GTEX-14PKV-1826-SM-69LO9 20-29 years, female 61.7
GTEX-12696-1726-SM-5EQLH 60-69 years, male 60.7
GTEX-1LGOU-1526-SM-D3LAJ 20-29 years, female 59.7
GTEX-XBED-1226-SM-4AT5V 60-69 years, male 59.1
GTEX-1B97I-1226-SM-7MGWQ 40-49 years, male 59.1
GTEX-WFG8-1326-SM-4LVN3 20-29 years, male 59.0
GTEX-13PVR-2126-SM-73KVR 60-69 years, female 58.9
GTEX-T5JW-0926-SM-4DM5K 20-29 years, female 58.2
GTEX-T6MO-0726-SM-4DM58 40-49 years, female 58.0
GTEX-12WSG-2026-SM-5FQUU 50-59 years, female 57.6
GTEX-UJMC-1226-SM-4IHLI 50-59 years, male 57.5
GTEX-ZT9W-1526-SM-4YCDE 50-59 years, male 57.1
GTEX-W5WG-1726-SM-4LMI5 50-59 years, female 56.9
GTEX-1C475-1026-SM-7MKFJ 40-49 years, female 56.6
GTEX-Q2AI-0826-SM-48TZO 40-49 years, male 56.2
GTEX-1IDJD-2426-SM-C1YS6 30-39 years, male 56.2
GTEX-ZDYS-1926-SM-5HL59 50-59 years, male 55.4
GTEX-1H1E6-1626-SM-9OSWC 30-39 years, male 55.2
GTEX-O5YV-1926-SM-EV797 60-69 years, female 55.2
GTEX-1RB15-1026-SM-E9U6V 60-69 years, male 55.0
GTEX-ZZ64-0426-SM-5E43F 20-29 years, male 54.6
GTEX-Y8LW-0826-SM-4WWDO 50-59 years, female 54.5
GTEX-ZV7C-1626-SM-5NQ7E 50-59 years, male 54.5
GTEX-ZQUD-0826-SM-57WDQ 30-39 years, male 54.4
GTEX-ZF29-1526-SM-4WKF7 60-69 years, female 53.7
GTEX-11NSD-1426-SM-5HL67 20-29 years, male 53.4
GTEX-VJYA-1026-SM-4KL21 60-69 years, male 53.3
GTEX-Q2AH-1126-SM-48TZM 40-49 years, male 53.2
GTEX-1QCLZ-1826-SM-DPRXP 60-69 years, female 53.2
GTEX-ZLFU-1326-SM-DO11R 40-49 years, male 53.1
GTEX-ZVT2-1626-SM-51MRC 50-59 years, female 52.8
GTEX-1J8JJ-1726-SM-C1YQG 60-69 years, female 52.8
GTEX-1B8KE-1326-SM-73KVI 50-59 years, male 52.7
GTEX-QLQ7-0826-SM-447B3 60-69 years, male 52.7
GTEX-XXEK-0826-SM-4BRWG 50-59 years, male 51.5
GTEX-1HKZK-1526-SM-B2LWG 40-49 years, male 51.5
GTEX-11TT1-0726-SM-5GU5A 20-29 years, male 51.4
GTEX-1H1DG-2126-SM-9WPPB 70-79 years, male 51.4
GTEX-1J8Q3-1926-SM-C1YSJ 60-69 years, male 51.4
GTEX-ZY6K-0726-SM-5A5L8 50-59 years, male 51.3
GTEX-Y5V6-1326-SM-4VDTF 60-69 years, male 50.9
GTEX-13QBU-1126-SM-5LU44 40-49 years, female 50.8
GTEX-17MF6-2126-SM-7KFS7 40-49 years, male 50.8
GTEX-15UF7-1226-SM-6M46G 40-49 years, male 49.9
GTEX-PWCY-0926-SM-48TD7 20-29 years, female 49.9
GTEX-PWN1-1526-SM-48TDA 40-49 years, female 49.9
GTEX-1MJIX-1126-SM-EV7AO 40-49 years, male 49.9
GTEX-QDVN-1226-SM-48TZ5 50-59 years, male 49.7
GTEX-S3XE-1026-SM-4AD4O 50-59 years, male 49.7
GTEX-13FH7-1026-SM-5IJGF 50-59 years, female 49.6
GTEX-1LVAN-2426-SM-CNNPZ 50-59 years, female 49.6
GTEX-PLZ6-0826-SM-3P61K 30-39 years, male 49.4
GTEX-14DAR-0926-SM-73KUQ 50-59 years, male 49.3
GTEX-ZEX8-1626-SM-4WKG7 50-59 years, male 49.3
GTEX-131XG-1226-SM-5EGH9 50-59 years, female 49.1
GTEX-1QP2A-2126-SM-DPRZ7 50-59 years, male 49.0
GTEX-S4Q7-0726-SM-4AD5F 20-29 years, male 48.9
GTEX-1JKYN-1726-SM-AHZ48 30-39 years, male 48.9
GTEX-13FTW-1726-SM-5KM2B 40-49 years, male 48.7
GTEX-S95S-0826-SM-4B64N 60-69 years, male 48.6
GTEX-12BJ1-1726-SM-5HL9B 60-69 years, male 48.2
GTEX-11EM3-1026-SM-5A5KL 20-29 years, female 48.1
GTEX-132QS-1826-SM-5IFFN 60-69 years, male 48.0
GTEX-14JG6-1226-SM-664O6 30-39 years, female 47.9
GTEX-111CU-0926-SM-5EGIK 50-59 years, male 47.8
GTEX-XUZC-0726-SM-4BOPH 30-39 years, female 47.8
GTEX-1ICG6-1826-SM-AHZ2O 70-79 years, female 47.8
GTEX-OHPK-1526-SM-3MJGM 50-59 years, female 47.7
GTEX-146FR-2026-SM-5NQAI 60-69 years, female 47.3
GTEX-ZPU1-1626-SM-4WWB2 40-49 years, male 47.3
GTEX-RWS6-0926-SM-47JXE 60-69 years, female 47.2
GTEX-YEC4-1426-SM-5IFHS 40-49 years, male 47.2
GTEX-13N1W-2026-SM-5K7YU 70-79 years, male 47.1
GTEX-WEY5-1226-SM-4LMIQ 40-49 years, female 47.1
GTEX-WYVS-1326-SM-4ONCQ 40-49 years, female 46.9
GTEX-PLZ5-1226-SM-EXOHA 50-59 years, male 46.9
GTEX-QV44-1226-SM-CJI1S 50-59 years, male 46.8
GTEX-1AMFI-1226-SM-731CZ 50-59 years, female 46.6
GTEX-14B4R-0726-SM-5TDDR 30-39 years, male 46.5
GTEX-WRHK-0626-SM-4MVOE 20-29 years, female 46.5
GTEX-1399U-1626-SM-5P9J3 50-59 years, female 46.4
GTEX-PX3G-1526-SM-48U11 20-29 years, female 46.4
GTEX-139YR-1926-SM-5LZXM 50-59 years, male 46.2
GTEX-14PN3-1326-SM-6AJ9U 60-69 years, female 46.2
GTEX-1LGRB-1726-SM-CNNRA 50-59 years, female 46.2
GTEX-YJ8A-1526-SM-5P9FT 20-29 years, male 46.1
GTEX-1211K-1426-SM-5FQTF 60-69 years, female 46.0
GTEX-Y9LG-1026-SM-5IFJN 30-39 years, male 46.0
GTEX-1LG7Z-1226-SM-DHXK4 30-39 years, male 46.0
GTEX-145LT-1426-SM-5O9B3 40-49 years, male 45.9
GTEX-R53T-1226-SM-48FCT 50-59 years, female 45.9
GTEX-1J8QM-1126-SM-C1YQB 60-69 years, female 45.8
GTEX-13OVK-0926-SM-7KUFX 40-49 years, male 45.7
GTEX-QV31-0626-SM-447C5 30-39 years, male 45.7
GTEX-1E1VI-2826-SM-7MGWU 50-59 years, male 45.7
GTEX-OIZF-1526-SM-2I5GR 60-69 years, male 45.6
GTEX-1A3MX-1926-SM-72D7F 60-69 years, male 45.5
GTEX-Y3I4-1626-SM-4TT7W 50-59 years, male 45.5
GTEX-1I6K7-1726-SM-B2LXQ 40-49 years, male 45.5
GTEX-1I1HK-2026-SM-CNNRB 60-69 years, male 45.4
GTEX-1JMLX-2426-SM-CXZJQ 50-59 years, male 45.4
GTEX-1A3MV-1226-SM-718BW 30-39 years, male 45.3
GTEX-WXYG-1626-SM-4ONCR 50-59 years, female 45.3
GTEX-Y114-1226-SM-4TT88 50-59 years, female 45.3
GTEX-XQ8I-2026-SM-4BOOL 50-59 years, male 45.2
GTEX-14BMU-1126-SM-5RQJ8 20-29 years, female 45.1
GTEX-1F5PL-1426-SM-7MKFH 40-49 years, female 45.1
GTEX-QMRM-1126-SM-447BN 50-59 years, male 44.8
GTEX-V1D1-1726-SM-4JBHB 50-59 years, male 44.8
GTEX-Y5LM-1326-SM-5RQIS 40-49 years, female 44.8
GTEX-13D11-2126-SM-5IFH2 50-59 years, female 44.7
GTEX-OXRK-1626-SM-3NB17 50-59 years, female 44.7
GTEX-14BIL-1926-SM-73KYI 50-59 years, male 44.5
GTEX-WZTO-2126-SM-4PQYW 40-49 years, male 44.5
GTEX-15CHR-1326-SM-79OLT 50-59 years, male 44.4
GTEX-P78B-1826-SM-3P5YX 40-49 years, female 44.4
GTEX-1R9K5-1026-SM-EAZ4F 50-59 years, male 44.4
GTEX-13U4I-2526-SM-5SI8Z 40-49 years, female 44.3
GTEX-PW2O-1226-SM-48TCH 20-29 years, male 44.1
GTEX-145MN-1326-SM-5NQ9S 30-39 years, male 44.0
GTEX-14DAQ-2826-SM-664MU 60-69 years, female 44.0
GTEX-15G19-1526-SM-6LPKP 60-69 years, male 44.0
GTEX-14E6E-0926-SM-664N8 30-39 years, male 43.8
GTEX-16AAH-1226-SM-79OO9 50-59 years, male 43.7
GTEX-14PJ3-1426-SM-664O8 50-59 years, male 43.6
GTEX-Q734-1026-SM-48U16 40-49 years, female 43.6
GTEX-1MGNQ-1826-SM-DPRYI 40-49 years, male 43.5
GTEX-1RQEC-2126-SM-DPS15 60-69 years, male 43.5
GTEX-P4PP-1526-SM-3P61M 30-39 years, female 43.4
GTEX-1122O-1926-SM-5EGIQ 60-69 years, female 43.3
GTEX-13OVI-2426-SM-5KM4J 60-69 years, female 43.3
GTEX-11GSP-2126-SM-5HL5E 60-69 years, female 43.1
GTEX-1399R-1126-SM-5IFIO 30-39 years, male 43.1
GTEX-14PHX-1026-SM-664OL 50-59 years, male 43.1
GTEX-RM2N-0826-SM-48FD3 50-59 years, male 43.0
GTEX-1R7EU-1126-SM-EAZ4M 60-69 years, male 42.9
GTEX-ZXES-1426-SM-5NQ8S 30-39 years, female 42.8
GTEX-U4B1-1026-SM-4DXT1 40-49 years, male 42.6
GTEX-1IDJF-1426-SM-ACKWK 20-29 years, male 42.6
GTEX-WHPG-0426-SM-4M1XW 50-59 years, male 42.5
GTEX-WHWD-1426-SM-4OORU 50-59 years, male 42.5
GTEX-1QP28-2126-SM-DTX8B 50-59 years, female 42.4
GTEX-XPVG-1526-SM-4B66C 50-59 years, male 42.3
GTEX-ZVZP-1726-SM-5GZWY 50-59 years, male 42.3
GTEX-145ME-1026-SM-5O9B4 40-49 years, female 42.2
GTEX-17EUY-1526-SM-793CA 20-29 years, male 42.1
GTEX-SNOS-0826-SM-4DM5N 40-49 years, male 42.1
GTEX-1HBPN-1626-SM-9WPNP 50-59 years, male 42.1
GTEX-13PVQ-2126-SM-5L3FW 50-59 years, male 41.9
GTEX-18A66-2226-SM-7189E 60-69 years, male 41.9
GTEX-1RAZR-1526-SM-EAZ4U 40-49 years, male 41.8
GTEX-QDT8-2026-SM-EZ6LS 30-39 years, female 41.8
GTEX-ZGAY-1626-SM-DNZZ3 40-49 years, female 41.8
GTEX-ZP4G-1226-SM-4WWCJ 20-29 years, female 41.7
GTEX-1GZ4H-1026-SM-9OSXL 50-59 years, female 41.7
GTEX-111YS-1126-SM-5GZYQ 60-69 years, male 41.5
GTEX-15DZA-1126-SM-6LPK8 30-39 years, female 41.5
GTEX-SUCS-0926-SM-4DM4Z 70-79 years, male 41.5
GTEX-18QFQ-1226-SM-718AE 30-39 years, male 41.1
GTEX-U3ZN-2026-SM-4DXUC 30-39 years, female 41.1
GTEX-1JK1U-1326-SM-AHZ45 60-69 years, male 41.1
GTEX-131XF-1226-SM-5HL8V 60-69 years, male 40.9
GTEX-1KXAM-0926-SM-CXZKA 60-69 years, male 40.8
GTEX-1QP67-1026-SM-EVR47 40-49 years, female 40.8
GTEX-12WSK-1426-SM-5CVNN 40-49 years, female 40.6
GTEX-1S82Z-1726-SM-E6CHZ 30-39 years, female 40.6
GTEX-QCQG-0526-SM-48U2A 50-59 years, female 40.5
GTEX-1JMQJ-1326-SM-D4P3B 50-59 years, male 40.5
GTEX-1B8KZ-1226-SM-793CP 50-59 years, male 40.4
GTEX-16NGA-1526-SM-72D56 40-49 years, female 40.3
GTEX-TKQ2-0926-SM-4DXU5 50-59 years, male 40.3
GTEX-1PPH8-1326-SM-DTXFO 20-29 years, male 40.3
GTEX-1339X-1426-SM-5K7YO 40-49 years, male 40.2
GTEX-P4PQ-1526-SM-3NMCK 60-69 years, male 40.2
GTEX-YB5E-1126-SM-664NU 40-49 years, male 40.2
GTEX-1399S-1626-SM-5P9GI 30-39 years, female 40.1
GTEX-ZZPU-1426-SM-5GZZ6 50-59 years, female 40.1
GTEX-13FTX-0726-SM-5N9BI 20-29 years, female 39.9
GTEX-XMK1-1526-SM-EYYVO 40-49 years, male 39.9
GTEX-12C56-0526-SM-5FQST 20-29 years, male 39.8
GTEX-1CAMR-0726-SM-7EPIE 20-29 years, male 39.8
GTEX-S341-0626-SM-4AD5T 40-49 years, female 39.8
GTEX-POMQ-0826-SM-3P61H 20-29 years, female 39.7
GTEX-QDVJ-1426-SM-48U1Y 50-59 years, male 39.7
GTEX-1MUQO-1926-SM-EAZ59 60-69 years, male 39.7
GTEX-13O21-0926-SM-5IFGT 50-59 years, male 39.6
GTEX-ZLWG-1526-SM-DO12F 50-59 years, female 39.6
GTEX-17F9E-2226-SM-7IGNC 50-59 years, male 39.5
GTEX-14ICL-0826-SM-5YY9W 30-39 years, male 39.1
GTEX-144GN-1226-SM-5O991 50-59 years, male 39.0
GTEX-15G1A-1226-SM-7KUF3 30-39 years, male 39.0
GTEX-1LVAM-1426-SM-E9TJ4 50-59 years, female 38.9
GTEX-11P82-0726-SM-5PNYL 20-29 years, male 38.8
GTEX-14PKU-1126-SM-69LOU 40-49 years, female 38.8
GTEX-1IDJU-1526-SM-CNNR3 60-69 years, female 38.8
GTEX-1N2DV-0926-SM-E9TJT 40-49 years, male 38.8
GTEX-SNMC-0626-SM-4DM6H 20-29 years, male 38.7
GTEX-1HR9M-2326-SM-CNPPZ 60-69 years, male 38.7
GTEX-1AMEY-1226-SM-731DU 30-39 years, female 38.6
GTEX-ZVP2-1626-SM-5GU5D 50-59 years, male 38.6
GTEX-1I1GT-1726-SM-C1YS3 60-69 years, female 38.6
GTEX-YEC3-1426-SM-D4P1S 50-59 years, male 38.6
GTEX-17HGU-2126-SM-7IGOV 50-59 years, male 38.5
GTEX-1A8G6-1426-SM-731EZ 60-69 years, male 38.5
GTEX-1QPFJ-1526-SM-DPRXT 30-39 years, female 38.5
GTEX-11EQ9-1226-SM-5987E 30-39 years, male 38.4
GTEX-V955-1326-SM-4JBHR 60-69 years, male 38.4
GTEX-WHSB-1226-SM-4M1XR 50-59 years, male 38.4
GTEX-1LBAC-1426-SM-CXZKT 20-29 years, male 38.4
GTEX-11I78-1726-SM-5A5M3 50-59 years, female 38.3
GTEX-13111-1226-SM-5GCNC 50-59 years, male 38.3
GTEX-13X6H-1626-SM-5Q5CT 50-59 years, female 38.3
GTEX-WH7G-1526-SM-4LVMX 40-49 years, male 38.3
GTEX-117YX-1026-SM-5H11V 50-59 years, male 38.2
GTEX-11P7K-1726-SM-5GU6F 30-39 years, male 38.1
GTEX-WFON-1126-SM-4LVMA 40-49 years, male 38.1
GTEX-WFG7-1326-SM-4LMK1 20-29 years, male 37.9
GTEX-1H3NZ-2226-SM-9WYUT 60-69 years, male 37.9
GTEX-15DCE-1626-SM-6LPJM 20-29 years, male 37.8
GTEX-1CB4H-2426-SM-7PBYR 60-69 years, female 37.8
GTEX-ZF2S-1426-SM-57WET 50-59 years, female 37.7
GTEX-QXCU-1926-SM-48FE4 50-59 years, male 37.6
GTEX-13O61-1126-SM-5L3FI 60-69 years, male 37.5
GTEX-17F98-1526-SM-7EWD8 40-49 years, female 37.5
GTEX-S4UY-1626-SM-4AD55 40-49 years, female 37.5
GTEX-18D9A-0626-SM-7KFTY 30-39 years, female 37.4
GTEX-15RIE-1026-SM-6LPJQ 60-69 years, male 37.3
GTEX-1HFI7-1526-SM-9WG7W 50-59 years, female 37.3
GTEX-1QP29-2326-SM-EXOJO 50-59 years, male 37.2
GTEX-O5YW-1526-SM-3MJGL 50-59 years, male 37.1
GTEX-S7SF-0626-SM-4AD4V 20-29 years, female 37.1
GTEX-P4QT-1526-SM-3NMCT 50-59 years, female 37.0
GTEX-13QJ3-2726-SM-5SI6L 50-59 years, male 36.9
GTEX-TKQ1-0526-SM-4DXTG 30-39 years, male 36.9
GTEX-12WSJ-0926-SM-5P9JD 40-49 years, female 36.7
GTEX-13113-0726-SM-5LZUF 60-69 years, female 36.7
GTEX-18A67-2626-SM-718AD 50-59 years, male 36.7
GTEX-1QW4Y-0726-SM-DTX8E 30-39 years, male 36.6
GTEX-YFCO-0826-SM-5LUAG 40-49 years, male 36.5
GTEX-1GL5R-1926-SM-9WG7U 50-59 years, male 36.5
GTEX-ZYFG-1326-SM-5GICJ 60-69 years, female 36.4
GTEX-1H3VY-2326-SM-9WG81 50-59 years, male 36.3
GTEX-1KANA-1126-SM-D3L9M 20-29 years, male 36.3
GTEX-XV7Q-1326-SM-4BRWM 40-49 years, female 36.2
GTEX-Y8E4-1526-SM-4WWDI 40-49 years, male 36.2
GTEX-WYJK-2526-SM-4ONDF 50-59 years, male 36.1
GTEX-11WQK-2626-SM-5EQ4K 50-59 years, male 36.0
GTEX-1L5NE-1526-SM-DIPFW 50-59 years, male 36.0
GTEX-15EU6-2526-SM-7KUGB 50-59 years, male 35.8
GTEX-1KD5A-1426-SM-D4P3V 50-59 years, male 35.7
GTEX-11DXX-1326-SM-5GIDZ 60-69 years, female 35.5
GTEX-11VI4-0326-SM-5EQ6L 40-49 years, female 35.5
GTEX-NFK9-1526-SM-3LK7B 40-49 years, male 35.4
GTEX-ZLV1-0826-SM-DO11P 60-69 years, female 35.4
GTEX-T8EM-1226-SM-4DM5J 40-49 years, male 35.2
GTEX-ZE7O-3026-SM-51MS4 50-59 years, female 35.2
GTEX-14PJ5-0826-SM-6AJAR 60-69 years, female 35.1
GTEX-1GPI7-1326-SM-9KNVA 20-29 years, male 35.1
GTEX-1S831-1126-SM-EWROI 20-29 years, male 35.1
GTEX-1F75I-1826-SM-7MKGX 40-49 years, male 35.0
GTEX-1I4MK-0926-SM-A9SLD 50-59 years, female 34.9
GTEX-1MCYP-1126-SM-E9J2P 20-29 years, female 34.9
GTEX-OHPM-1526-SM-EV796 50-59 years, male 34.9
GTEX-17HHE-1026-SM-79ON6 50-59 years, male 34.8
GTEX-1RMOY-1126-SM-EV79E 50-59 years, male 34.7
GTEX-13S7M-1826-SM-5RQK6 60-69 years, female 34.6
GTEX-18A7A-2726-SM-7LG6U 50-59 years, female 34.6
GTEX-133LE-1326-SM-5IFGO 20-29 years, female 34.5
GTEX-145MO-2226-SM-5Q5BN 60-69 years, male 34.3
GTEX-ZTX8-0426-SM-59HLG 20-29 years, male 34.3
GTEX-1K2DA-0826-SM-CGQGD 50-59 years, male 34.3
GTEX-T5JC-1926-SM-4DM6Q 20-29 years, male 34.2
GTEX-14PJ6-0826-SM-686Z9 60-69 years, female 34.1
GTEX-1HCU8-1326-SM-C1YQQ 60-69 years, female 33.9
GTEX-117YW-2226-SM-5N9DB 50-59 years, male 33.8
GTEX-1J8EW-2226-SM-AHZ3T 60-69 years, female 33.8
GTEX-17GQL-1226-SM-7KFTS 60-69 years, male 33.7
GTEX-R55D-1526-SM-48FEJ 50-59 years, male 33.7
GTEX-13RTK-0226-SM-5RQHR 20-29 years, male 33.6
GTEX-17KNJ-1526-SM-7LTA9 50-59 years, male 33.6
GTEX-15RIF-1126-SM-7KUG2 20-29 years, male 33.5
GTEX-OOBJ-1526-SM-3NB1Q 60-69 years, male 33.5
GTEX-13OW6-2526-SM-5IJEC 50-59 years, male 33.4
GTEX-1AX9J-2626-SM-731EK 60-69 years, male 33.4
GTEX-TMMY-1626-SM-4DXTY 40-49 years, female 33.2
GTEX-WY7C-1726-SM-4ONCC 50-59 years, male 33.2
GTEX-XAJ8-0326-SM-47JYI 40-49 years, male 33.2
GTEX-1JN76-0926-SM-ARZNH 20-29 years, female 33.2
GTEX-1QCLY-1126-SM-EAZ4J 30-39 years, male 33.2
GTEX-1S3DN-1526-SM-EVYCB 50-59 years, male 33.1
GTEX-1F5PK-1826-SM-7RHHX 50-59 years, male 33.0
GTEX-1JN1M-2926-SM-CNNPJ 60-69 years, female 33.0
GTEX-ZPIC-2026-SM-57WG3 40-49 years, female 32.8
GTEX-1H11D-2226-SM-9OSXN 40-49 years, male 32.8
GTEX-1CB4E-1326-SM-7DUGD 60-69 years, male 32.7
GTEX-17JCI-2226-SM-7LTA1 60-69 years, female 32.2
GTEX-1B8L1-1526-SM-79OLK 60-69 years, male 32.2
GTEX-ZV6S-0926-SM-57WGB 40-49 years, female 32.2
GTEX-ZYY3-1726-SM-5EGH3 60-69 years, female 32.1
GTEX-1GN1W-2126-SM-9JGI7 50-59 years, female 32.1
GTEX-14E1K-1526-SM-664MN 50-59 years, male 31.9
GTEX-11EI6-2426-SM-5PNVS 60-69 years, male 31.8
GTEX-18D9B-2226-SM-718BM 60-69 years, male 31.7
GTEX-1HBPI-0726-SM-9WG7Z 50-59 years, male 31.6
GTEX-RU1J-0526-SM-46MUT 20-29 years, female 31.4
GTEX-14PHY-0926-SM-5ZZWL 60-69 years, female 31.3
GTEX-UJHI-1026-SM-4IHJP 50-59 years, female 31.0
GTEX-Y3IK-1426-SM-4YCES 50-59 years, female 31.0
GTEX-139D8-2326-SM-5IFGE 30-39 years, female 30.9
GTEX-OIZH-1526-SM-3NB1J 50-59 years, male 30.8
GTEX-UPK5-2126-SM-4JBJK 40-49 years, male 30.7
GTEX-1B97J-1826-SM-7IGPP 50-59 years, female 30.6
GTEX-R55C-1026-SM-48FCM 40-49 years, male 30.5
GTEX-RUSQ-1126-SM-EAZAU 50-59 years, male 30.5
GTEX-14BMV-2226-SM-5RQHX 50-59 years, male 30.4
GTEX-1HT8W-2326-SM-A9SLA 30-39 years, male 30.4
GTEX-XBEW-1826-SM-4RTWX 40-49 years, male 30.3
GTEX-1PIGE-1126-SM-EWRMV 20-29 years, male 30.3
GTEX-15SHW-2126-SM-6M46Y 60-69 years, male 30.2
GTEX-ZVT3-2126-SM-59HL2 60-69 years, female 30.2
GTEX-131XE-2226-SM-5PNYX 50-59 years, male 30.1
GTEX-13O3Q-2126-SM-5KM4C 50-59 years, male 30.1
GTEX-1E2YA-2426-SM-7EPIG 50-59 years, male 30.1
GTEX-1HCUA-1626-SM-A9SMG 50-59 years, female 29.9
GTEX-WFJO-1126-SM-4LVLZ 30-39 years, male 29.6
GTEX-1HSMQ-2426-SM-CE6RY 50-59 years, male 29.6
GTEX-RTLS-2626-SM-46MUJ 60-69 years, female 28.8
GTEX-1HSEH-1526-SM-B2LXG 60-69 years, male 28.8
GTEX-1JMPZ-1826-SM-CXZJT 30-39 years, male 28.7
GTEX-1C64O-2226-SM-73KTV 60-69 years, male 28.6
GTEX-R55G-1126-SM-48FDG 40-49 years, female 28.1
GTEX-1H1DE-1226-SM-9JGHH 20-29 years, male 27.8
GTEX-S4Z8-1226-SM-4AD6W 60-69 years, male 27.5
GTEX-132AR-2426-SM-5IFFD 50-59 years, female 27.3
GTEX-1JMPY-0926-SM-ARL92 30-39 years, male 26.1
GTEX-S4P3-0726-SM-4AD57 50-59 years, female 26.0
GTEX-13X6J-2126-SM-5TDCV 50-59 years, male 25.8
GTEX-1GMRU-2526-SM-9WG7T 50-59 years, male 25.7
GTEX-1QMI2-2126-SM-DPRXQ 60-69 years, male 25.7
GTEX-ZYVF-2726-SM-5GID4 50-59 years, female 25.4
GTEX-11NUK-2426-SM-5BC4U 50-59 years, male 25.3
GTEX-12WSD-2326-SM-59HKQ 60-69 years, female 25.3
GTEX-146FH-2126-SM-5SI9U 50-59 years, female 24.3
GTEX-1EH9U-2226-SM-7PBXX 60-69 years, male 23.6
GTEX-1NSGN-1926-SM-E9J36 50-59 years, male 23.6
GTEX-1IL2V-2026-SM-ARZMA 70-79 years, male 20.5
Show allShow less

Contact

  • NEWS ARTICLES
  • PRESS ROOM

The Project

  • INTRODUCTION
  • ORGANIZATION
  • PUBLICATIONS

The Human Protein Atlas

  • DOWNLOADABLE DATA
  • LICENCE & CITATION
  • HELP & FAQ
The Human Protein Atlas project is funded
by the Knut & Alice Wallenberg Foundation.


contact@proteinatlas.org