We use cookies to enhance the usability of our website. If you continue, we'll assume that you are happy to receive all cookies. More information. Don't show this again.
C2orf73
HPA
RESOURCES
  • TISSUE
  • BRAIN
  • SINGLE CELL
  • SUBCELLULAR
  • CANCER
  • BLOOD
  • CELL LINE
  • STRUCTURE & INTERACTION
ABOUT
  • INTRODUCTION
  • HISTORY
  • ORGANIZATION
  • PUBLICATIONS
  • ANTIBODY SUBMISSION
  • ANTIBODY AVAILABILITY
  • ACKNOWLEDGMENTS
  • CONTACT
NEWS
  • NEWS ARTICLES
  • PRESS ROOM
LEARN
  • DICTIONARY
  • PROTEIN CLASSES
  • PROTEIN EVIDENCE
  • METHODS
  • EDUCATIONAL VIDEOS
DATA
  • DOWNLOADABLE DATA
  • PUBLICATION DATA
  • RELEASE HISTORY
HELP
  • ANTIBODY VALIDATION
  • ASSAYS & ANNOTATION
  • DISCLAIMER
  • HELP & FAQ
  • PRIVACY STATEMENT
  • LICENCE & CITATION
Fields »
Search result

Field
Term
Gene name
Class
Subclass
Class
Keyword
Chromosome
External id
Tissue
Cell type
Expression
Antibody panel
Tissue
Main location
Patient ID
Annotation
Tissue
Category
Tau score
Cluster
Reliability
Brain region
Category
Tau score
Brain region
Category
Tau score
Brain region
Category
Tau score
Cluster
Reliability
Tissue
Cell type
Enrichment
Cell type
Category
Tau score
Cell type
Category
Tau score
Cell type
Category
Tau score
Cell lineage
Category
Tau score
Cluster
Cluster
Location
Searches
Location
Cell line
Class
Type
Phase
Reliability
Cancer
Prognosis
Cancer
Category
Cancer
Category
Tau score
Cluster
Variants
Interacting gene (ensg_id)
Type
Number of interactions
Pathway
Category
Score
Score
Score
Validation
Validation
Validation
Validation
Antibodies
Data type
Column


  • SUMMARY

  • TISSUE

  • BRAIN

  • SINGLE CELL

  • SUBCELL

  • CANCER

  • BLOOD

  • CELL LINE

  • STRUCT & INT

  • C2orf73
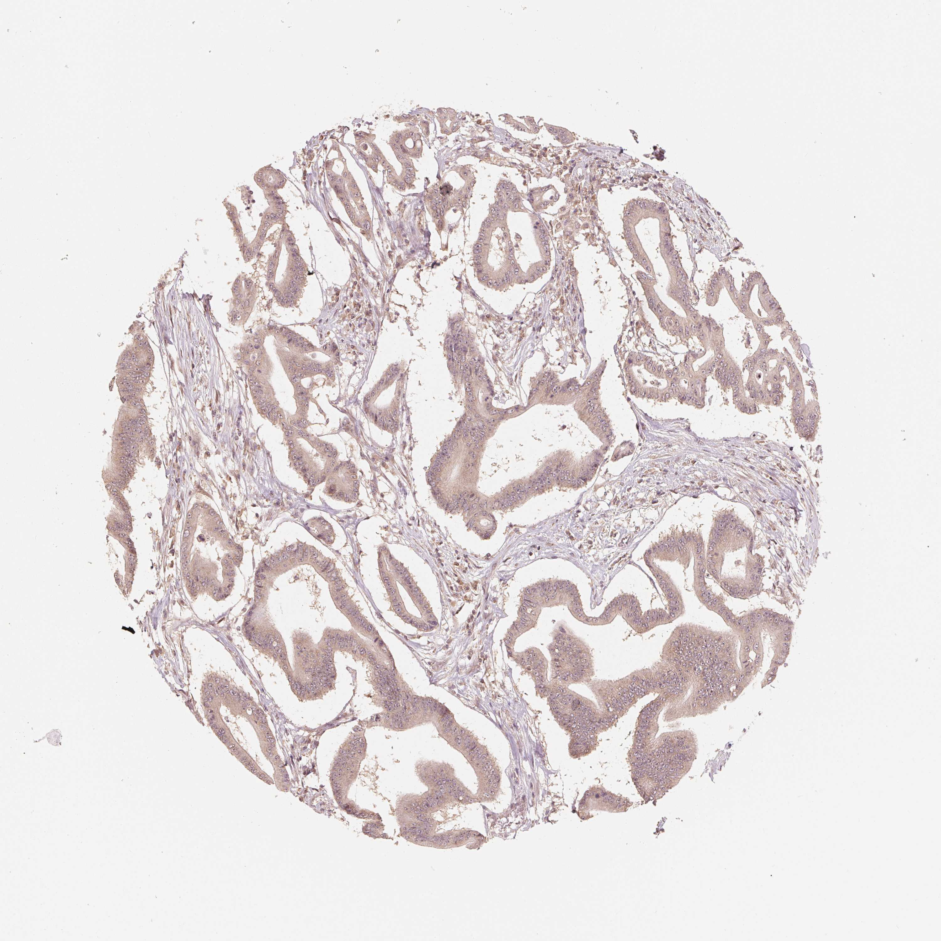
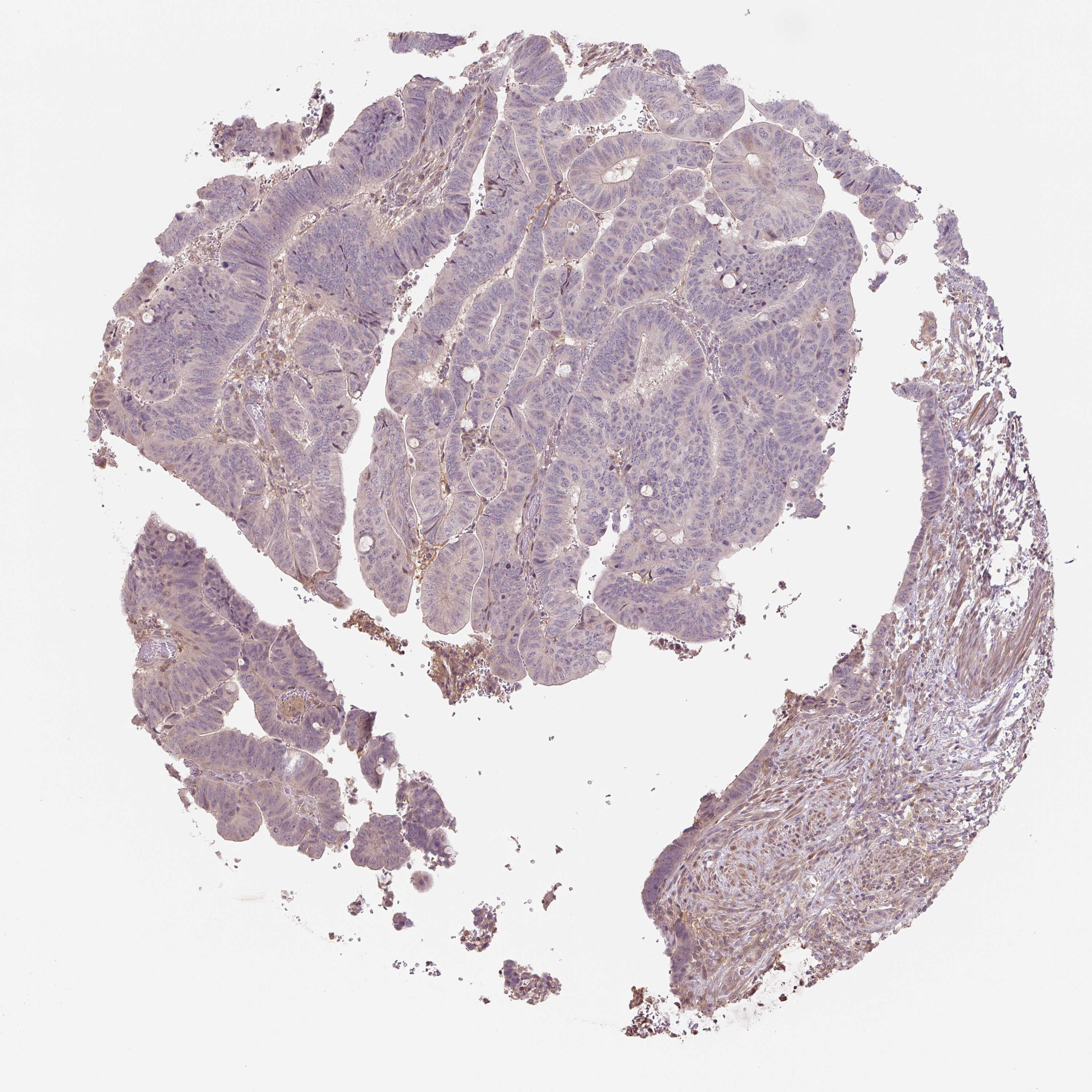
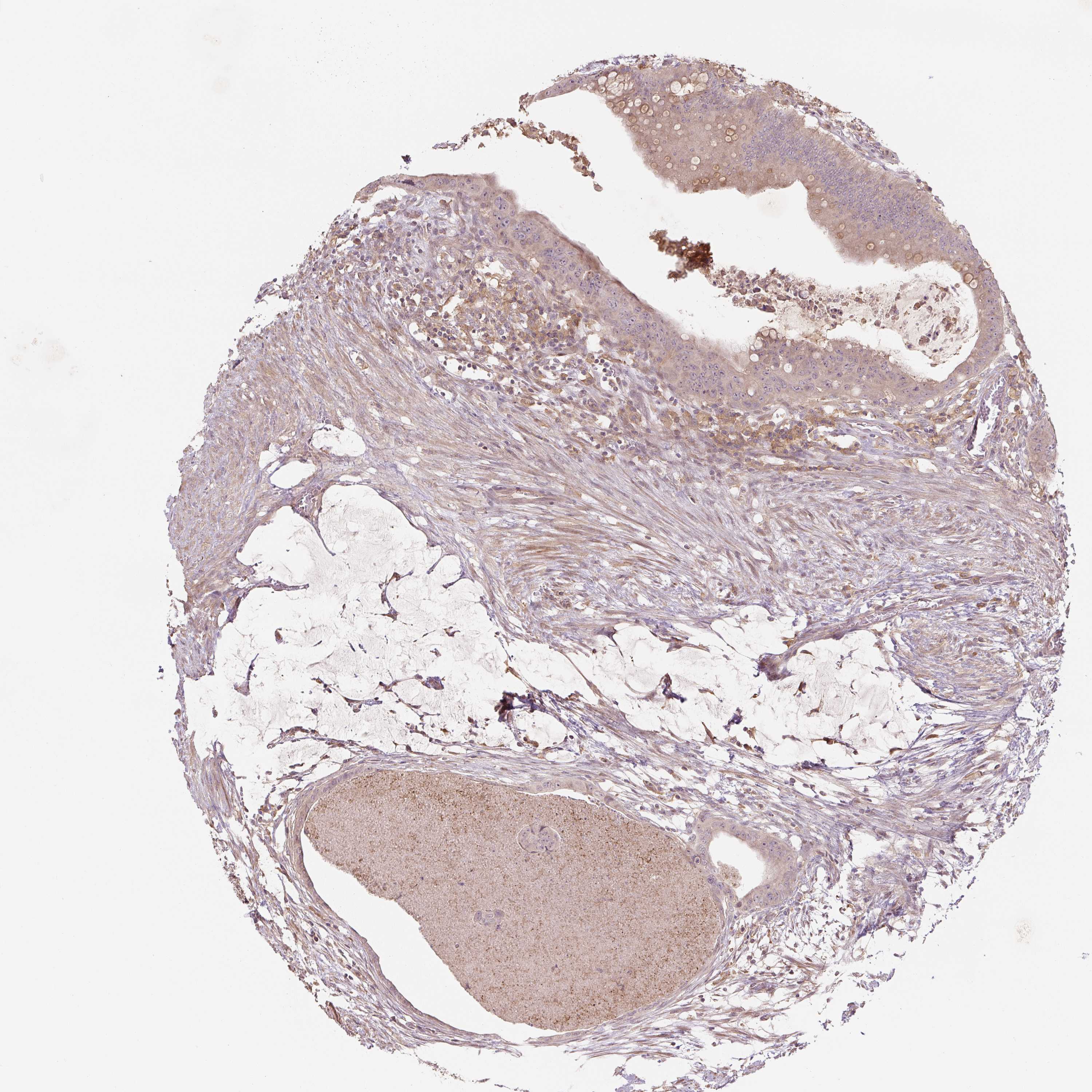
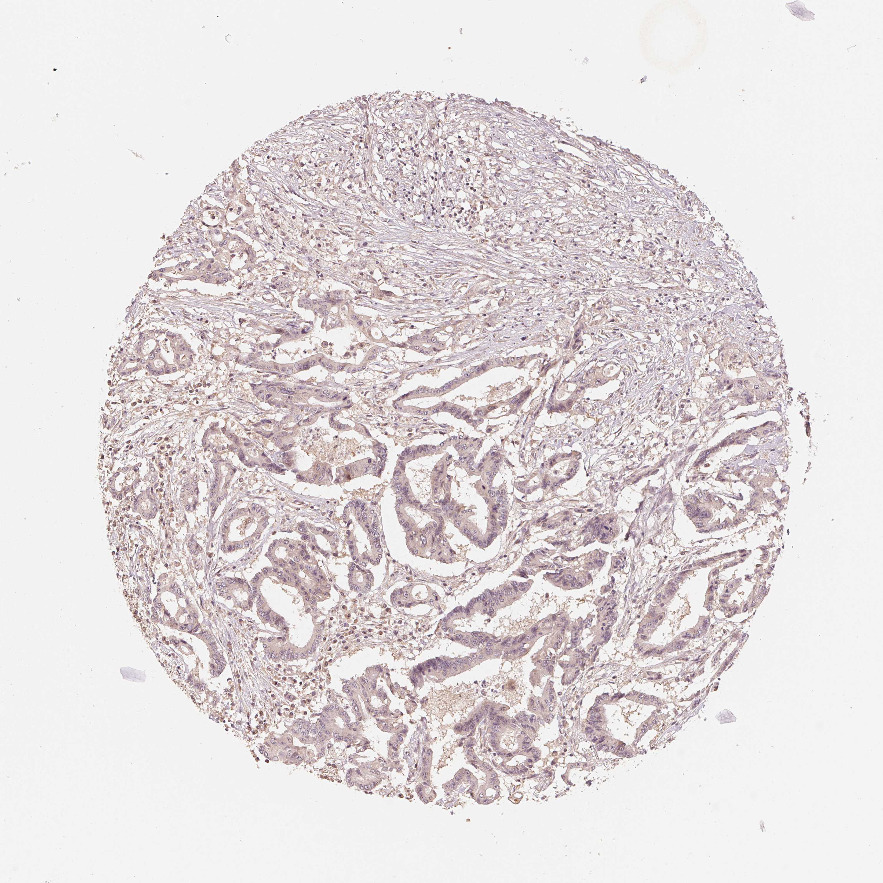
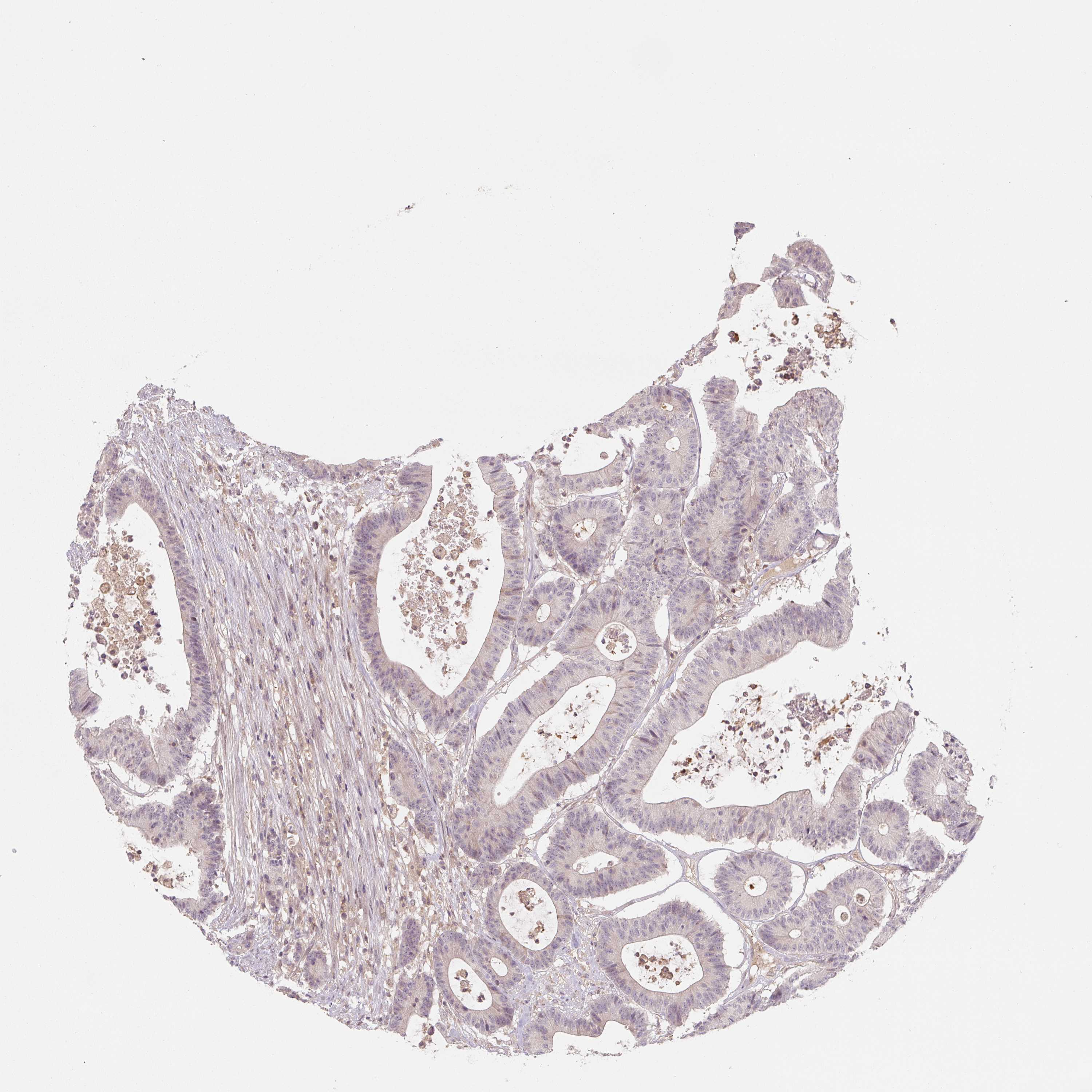
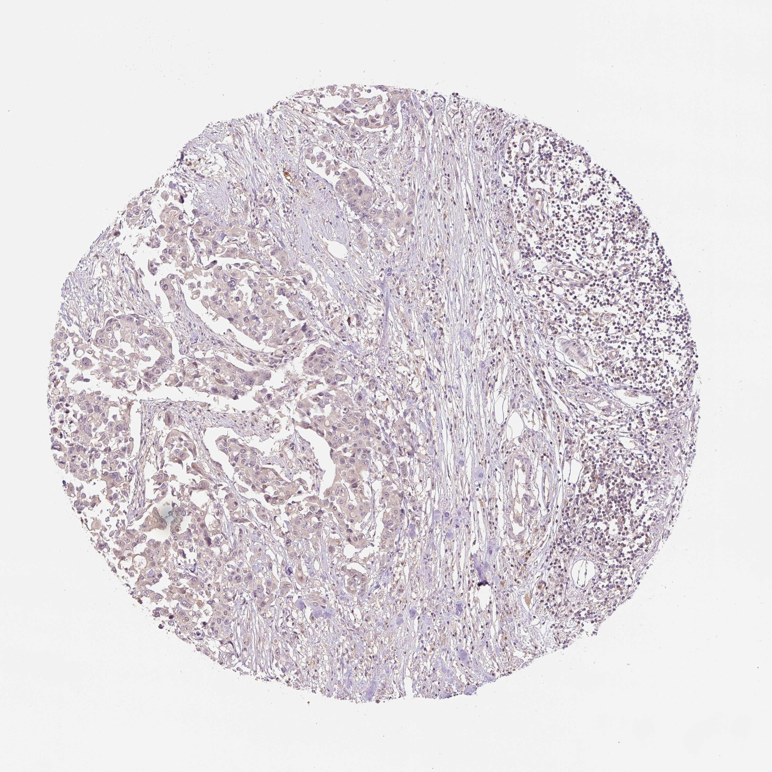
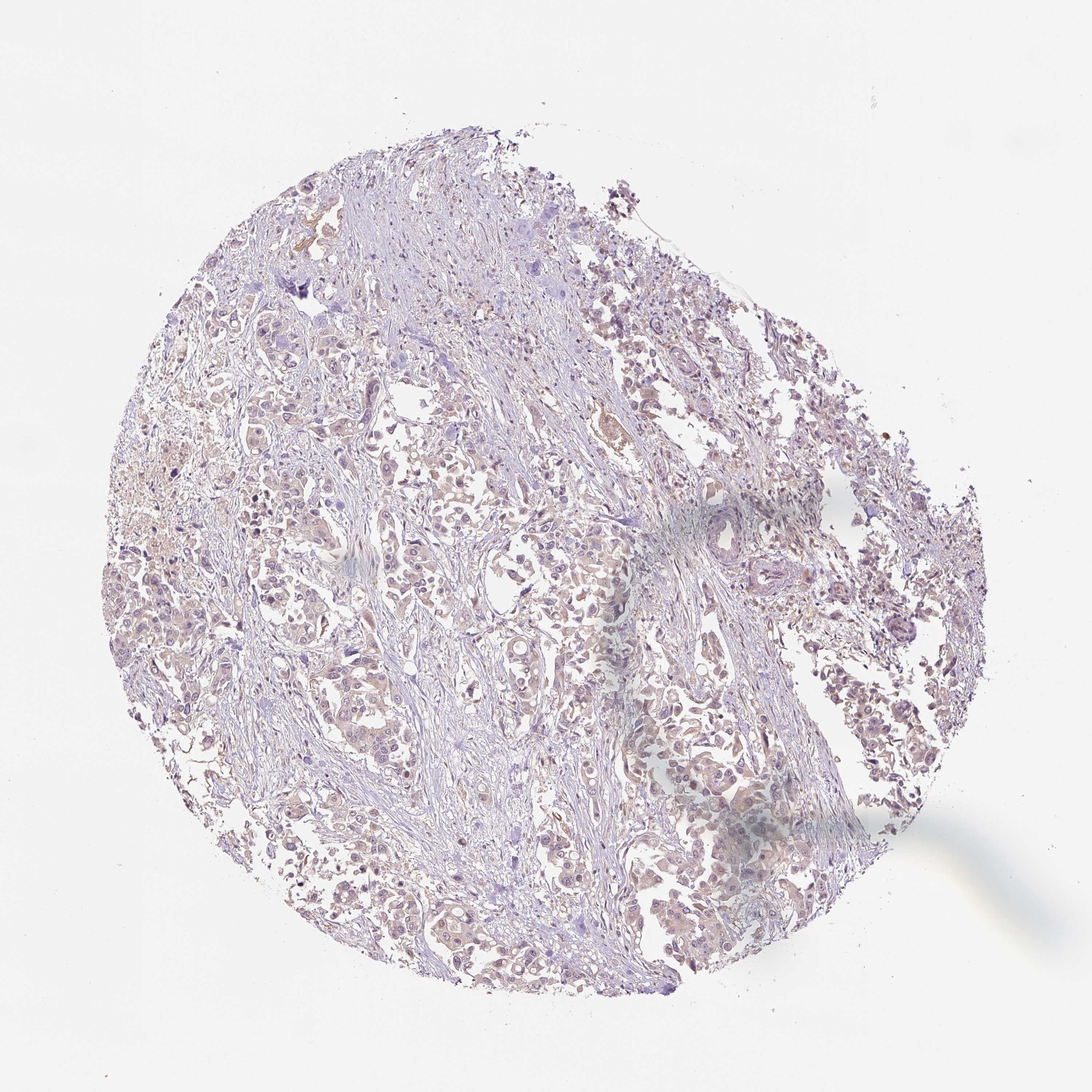
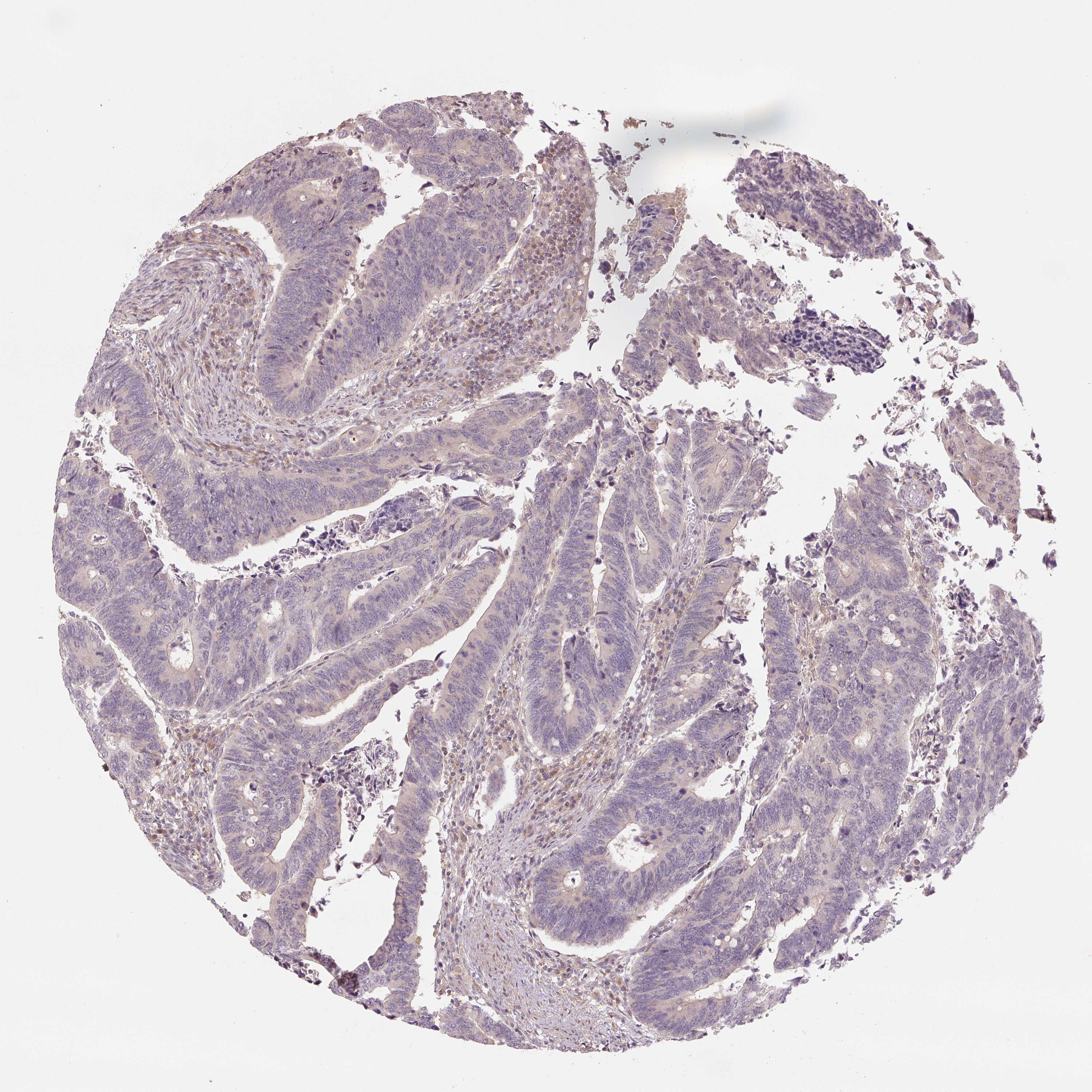
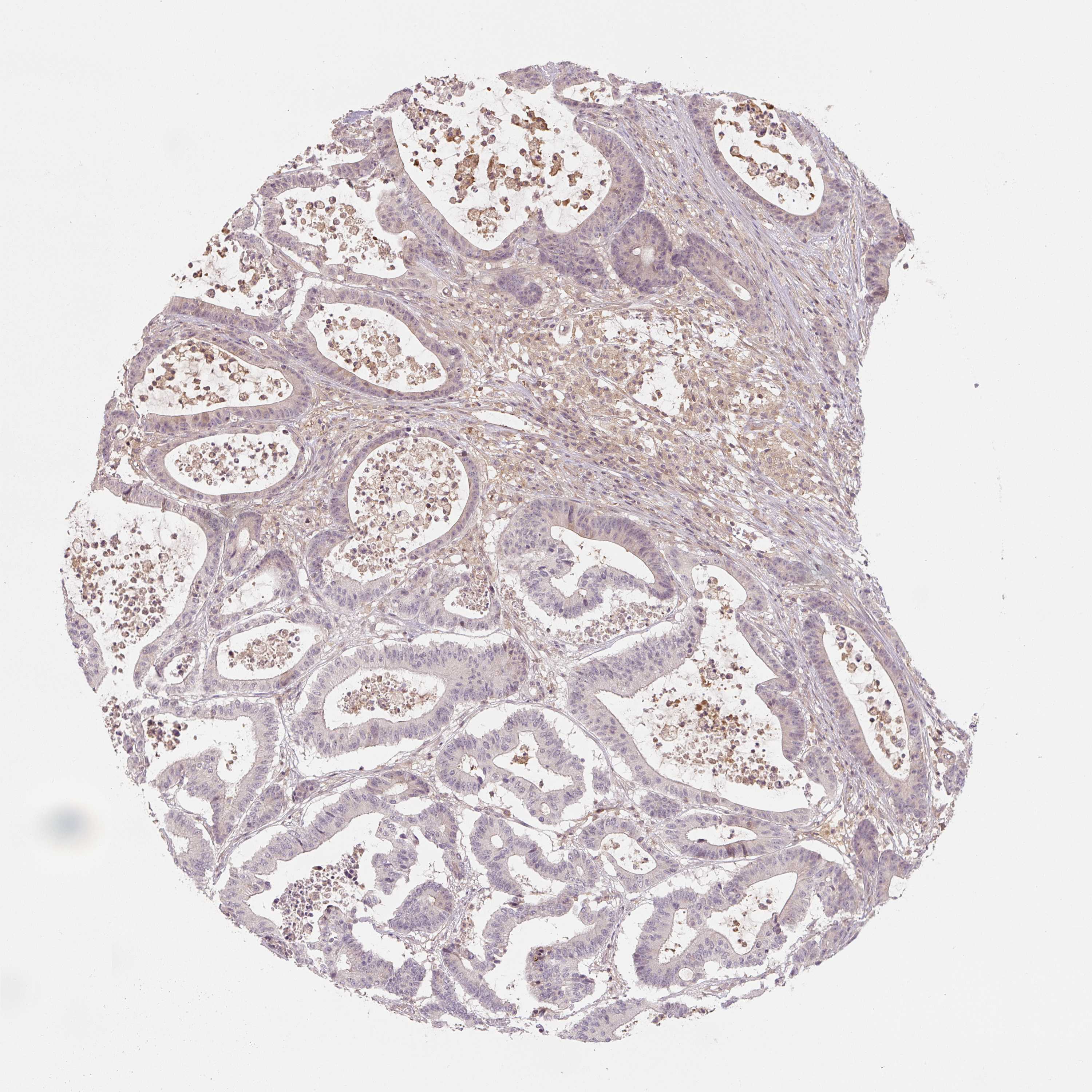
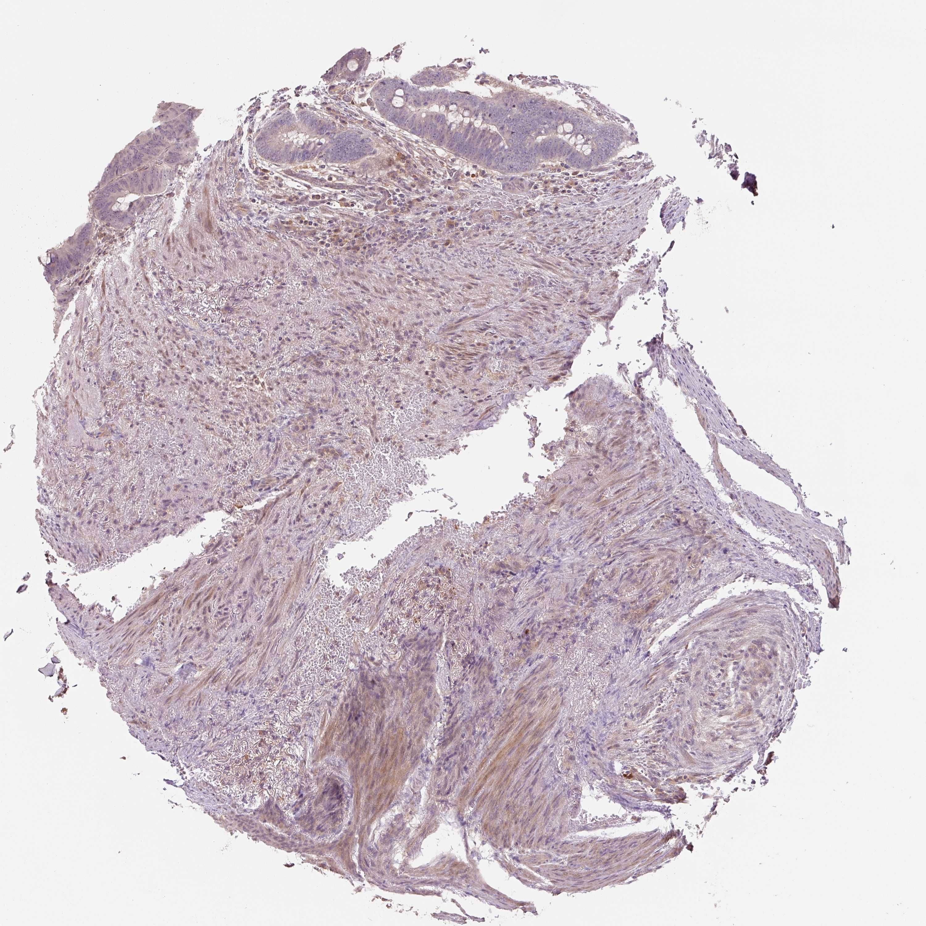
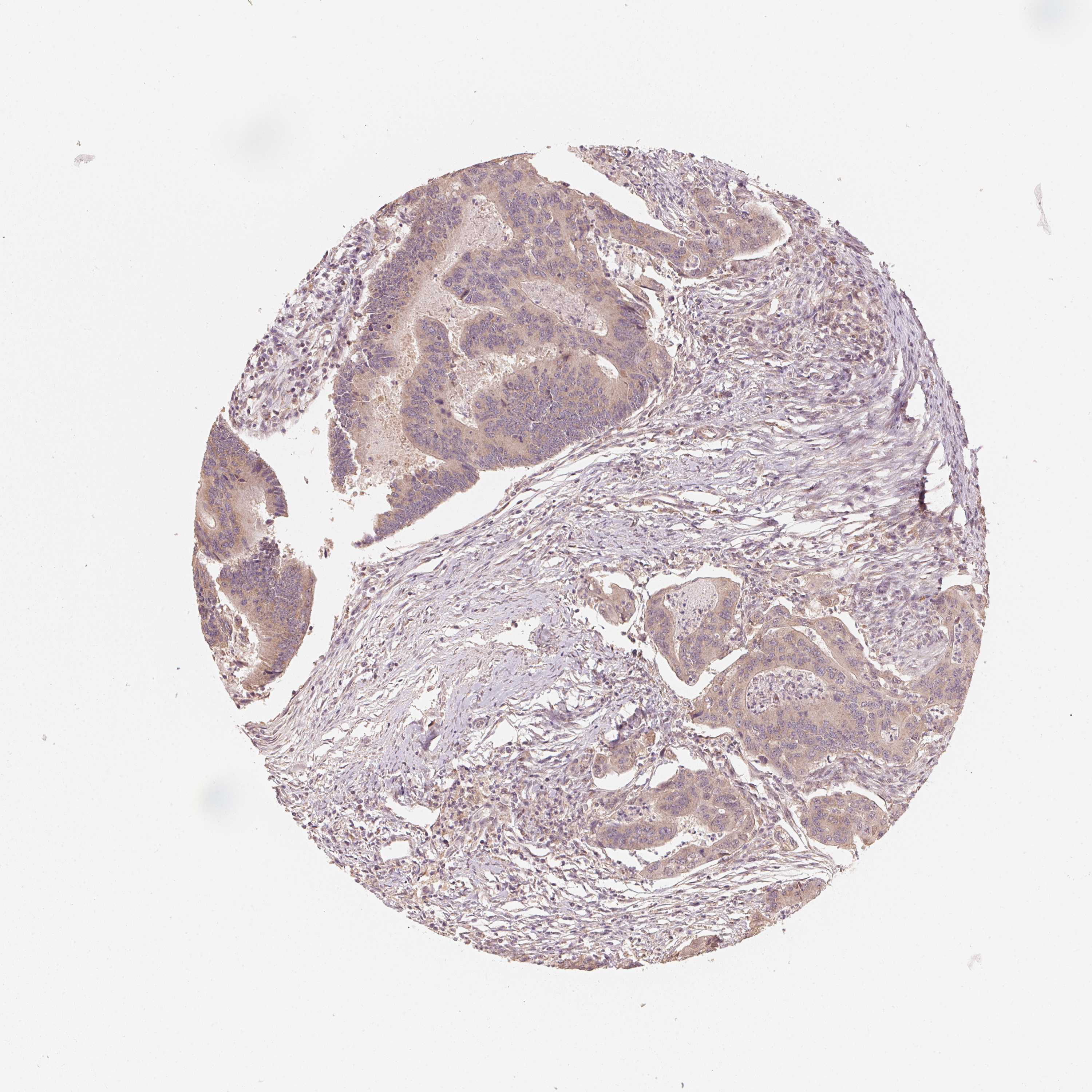
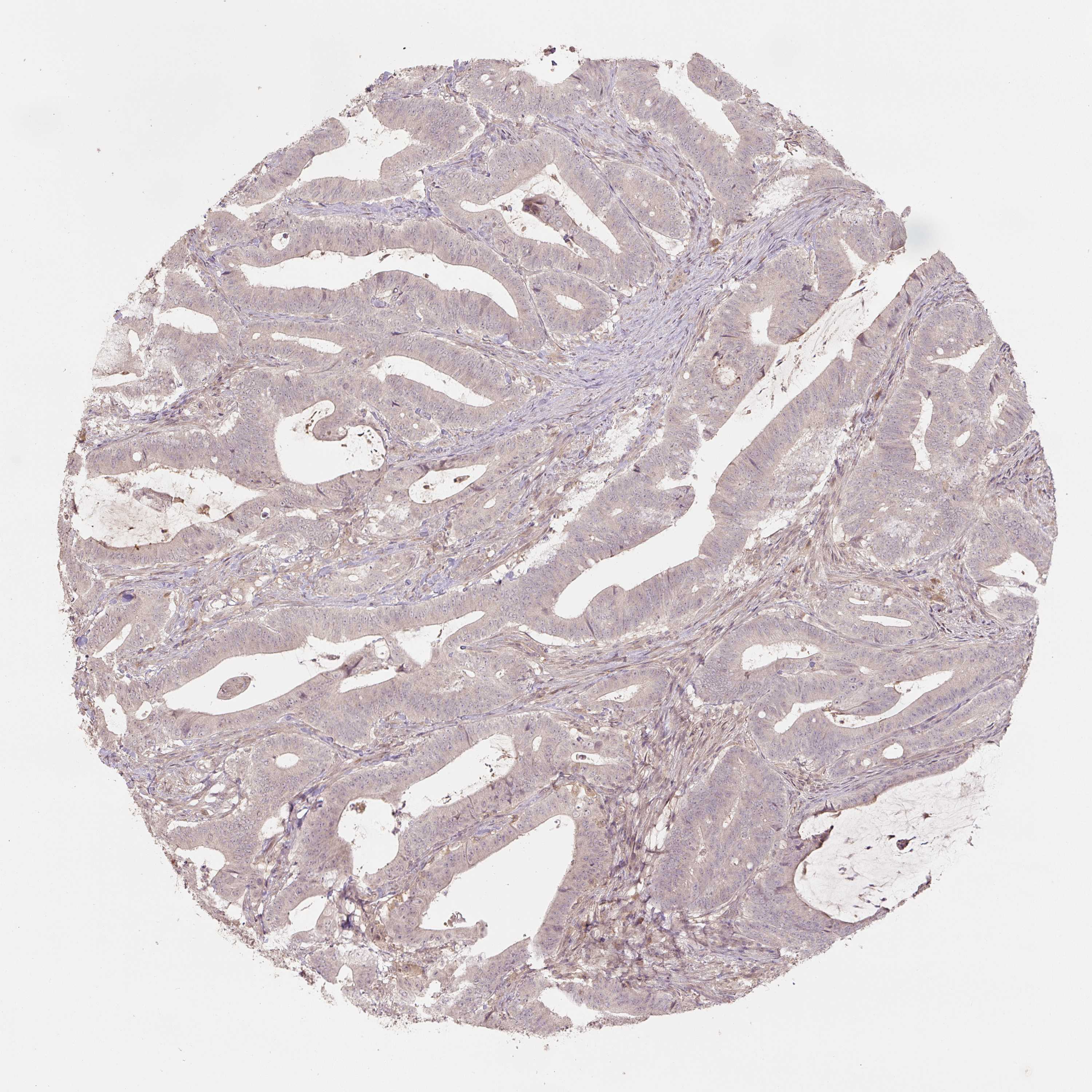
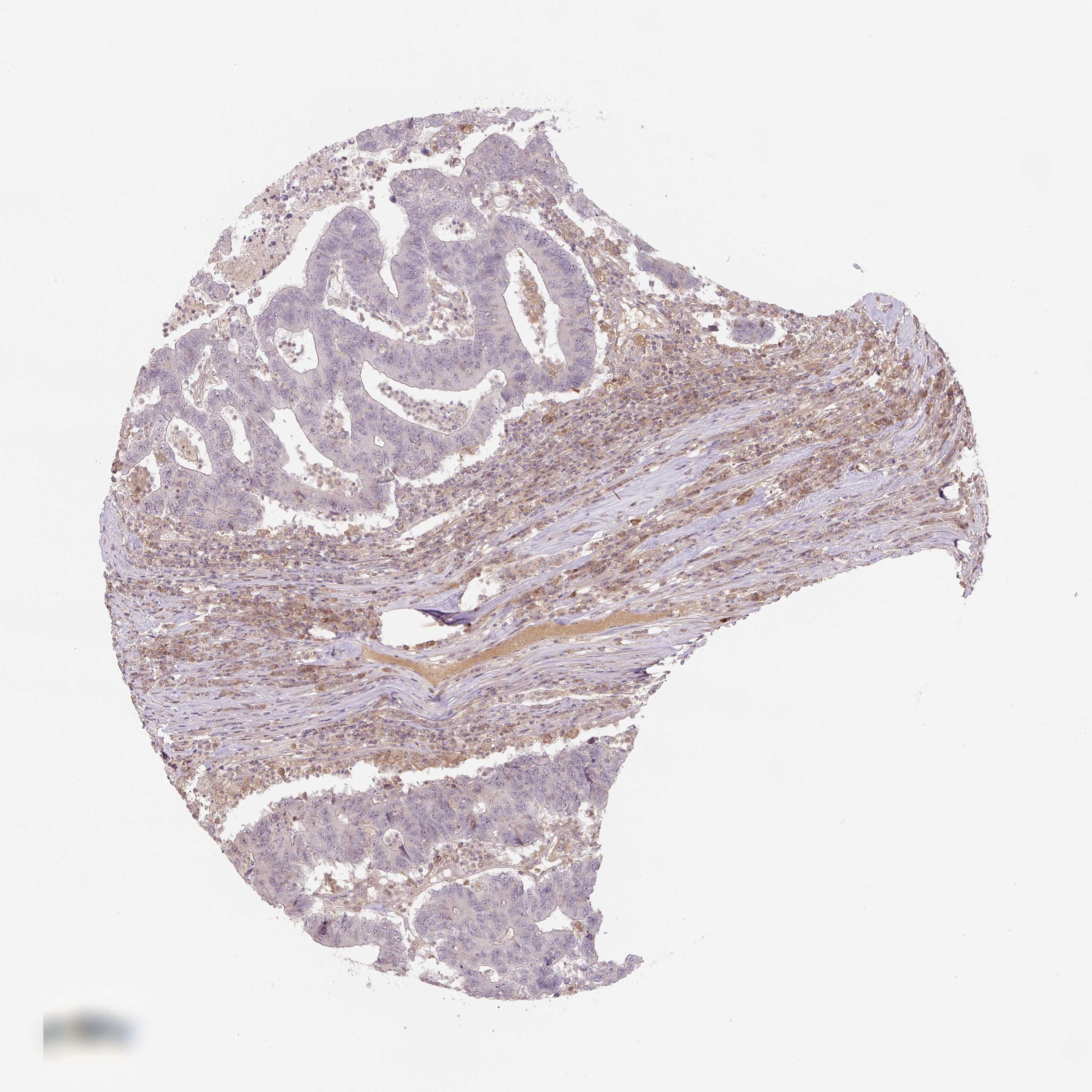
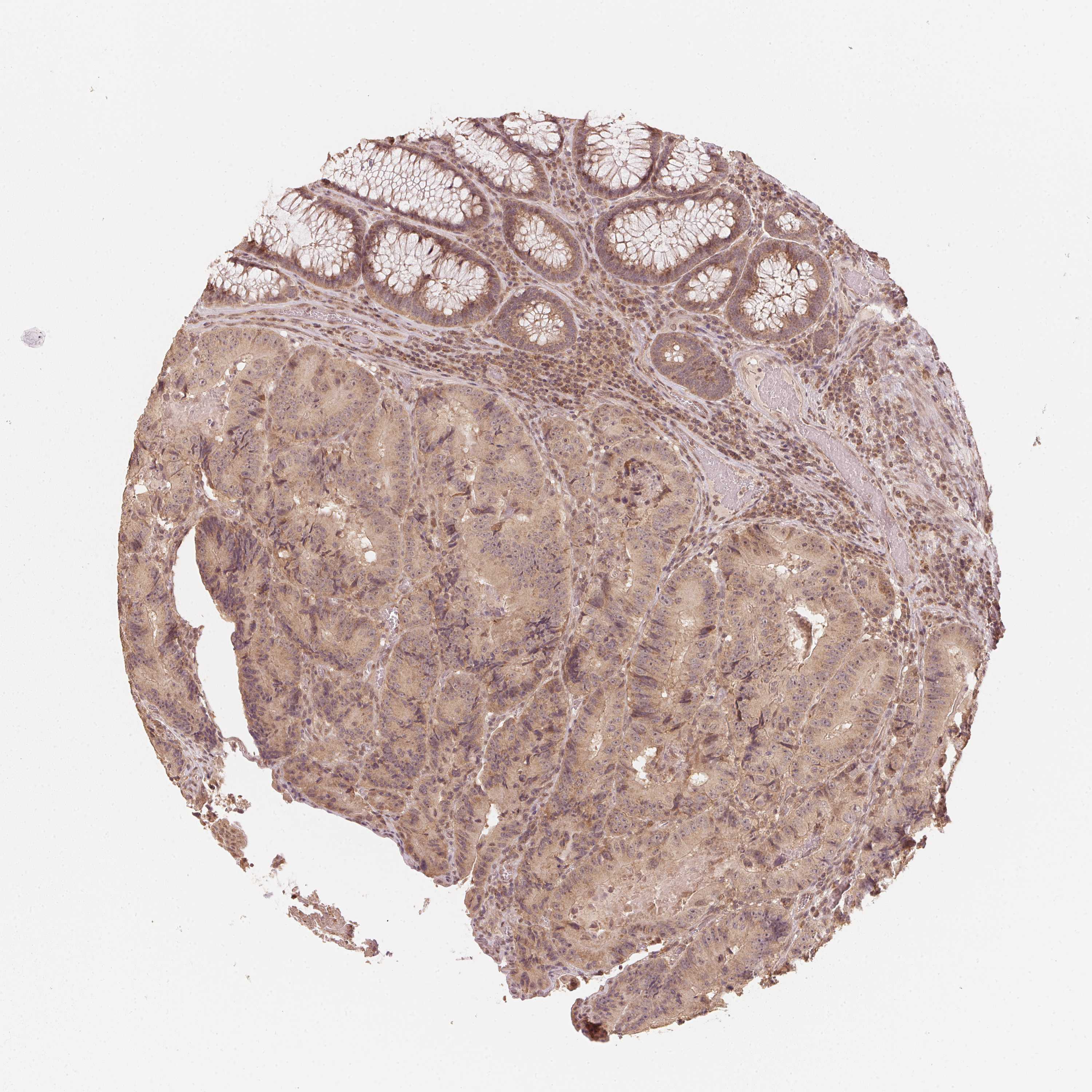
CANCER COLORECTAL CANCER Show tissue menu
BREAST CANCER CARCINOID CERVICAL CANCER COLORECTAL CANCER ENDOMETRIAL CANCER GLIOMA HEAD AND NECK CANCER LIVER CANCER LUNG CANCER LYMPHOMA
MELANOMA OVARIAN CANCER PANCREATIC CANCER PROSTATE CANCER RENAL CANCER SKIN CANCER STOMACH CANCER TESTIS CANCER THYROID CANCER UROTHELIAL CANCER
COAD TCGA COAD VALIDATION READ TCGA READ VALIDATION PROTEIN COAD CPTAC PROTEIN EXPRESSION
ANTIBODIES
AND
VALIDATION
Dictionary
Colorectal cancer
Human cancer
Colon adenocarcinoma
Rectum adenocarcinoma
COLON ADENOCARCINOMA (TCGA) - Interactive survival scatter ploti

The Survival Scatter plot shows the clinical status (i.e. dead or alive) for all individuals in the patient cohort, based on the same data that underlies the corresponding Kaplan-Meier plots. Patients that are alive at last time for follow-up are shown in blue and patients who have died during the study are shown in red.

The x-axis shows the expression levels (FPKM) of the investigated gene in the tumor tissue at the time of diagnosis. The y-axis shows the follow-up time after diagnosis (years). Both axes are complimented with kernel density curves demonstrating the data density over the axes. The top density plot shows the expression levels (FPKM) distribution among dead (red) and alive patients (blue). The right density plot shows the data density of the survived years of dead patients with high and low expression levels respectively, stratified using the cutoff indicated by the vertical dashed line through the Survival Scatter plot. This cutoff is automatically defined based on the FPKM cutoff that minimizes the p-score. The cutoff can be changed by dragging the vertical line or by entering a cutoff value in the square labeled "Current cut-off".

Under the Survival Scatter plot the p-score landscape (black curve; left axis) is shown together with dead median separation (red curve; right axis). Dead median separation is the difference in median mRNA expression between patients who have died with high and low expression, respectively. It is calculated as follows: median FPKM expression of dead patients with high expression - median FPKM expression of dead patients with low expression. This is intended to aid the user in visually exploring custom cutoffs and the associated p-scores and dead median separation.

Individual patient data is displayed and can be filtered by clicking on one or more of the category buttons on the top of the page. Categories describing expression level and patient information include: high, low, alive, dead, female, male and tumor stages. The scale of the x-axis can be toggled between linear and log-scale by clicking on the "x log" button. Mouse-over function shows TCGA ID, patient information and mRNA expression (FPKM) for each patient.

& Survival analysisi

Kaplan-Meier plots summarize results from analysis of correlation between mRNA expression level and patient survival. Patients were divided based on level of expression into one of the two groups "low" (under cut off) or "high" (over cut off). X-axis shows time for survival (years) and y-axis shows the probability of survival, where 1.0 corresponds to 100 percent.

  Survival analysis data not available.
TCGA RNA samplesi

RNA-seq data is reported as average FPKM (number Fragments Per Kilobase of exon per Million reads), generated by the The Cancer Genome Atlas (TCGA) .

Normal distribution across the dataset is visualized with box plots, shown as median and 25th and 75th percentiles. Points are displayed as outliers if they are above or below 1.5 times the interquartile range. FPKM values of the individual samples are presented next to the box plot.

Average pTPM 0.0
Number of samples 254
Samples
Sample Description pTPM
TCGA-A6-3810-01A 62 years, male, white, stage:Stage IIA, alive, 1111 days 0.4
TCGA-CM-6674-01A 39 years, male, white, stage:Stage IIA, alive, 394 days 0.3
TCGA-AZ-6599-01A 72 years, male, white, stage:Stage I, dead, 206 days 0.3
TCGA-CM-6675-01A 35 years, male, black or african american, stage:Stage IVB, alive, 397 days 0.3
TCGA-DM-A0XD-01A 65 years, male, white, stage:Stage IIA, dead, 743 days 0.3
TCGA-F4-6856-01A 45 years, male, white, stage:Stage I, alive, 1074 days 0.3
TCGA-AM-5820-01A 59 years, female, white, stage:Stage IVA, alive, 14 days 0.2
TCGA-CM-6678-01A 63 years, female, white, stage:Stage IVA, alive, 335 days 0.2
TCGA-AA-3675-01A 84 years, male, stage:Stage II, alive, 1431 days 0.2
TCGA-5M-AAT4-01A 74 years, male, black or african american, stage:Stage IV, dead, 49 days 0.2
TCGA-F4-6806-01A 59 years, female, white, stage:Stage I, alive, 1260 days 0.2
TCGA-CM-6680-01A 78 years, female, white, stage:Stage IIIB, alive, 366 days 0.2
TCGA-A6-6654-01A 65 years, female, white, stage:Stage IIIB, alive, 726 days 0.2
TCGA-5M-AAT6-01A 40 years, female, black or african american, stage:Stage IV, dead, 290 days 0.2
TCGA-CM-5864-01A 60 years, male, white, stage:Stage I, alive, 457 days 0.1
TCGA-AA-3663-01A 42 years, male, stage:Stage II, alive, 212 days 0.1
TCGA-AZ-4323-01A 37 years, male, white, stage:Stage IV, dead, 43 days 0.1
TCGA-G4-6317-01A 51 years, female, white, stage:Stage IIIC, alive, 1095 days 0.1
TCGA-A6-5662-01A 46 years, male, white, stage:Stage IVA, alive, 718 days 0.1
TCGA-NH-A8F7-01A 53 years, female, black or african american, stage:Stage IIA, alive, 543 days 0.1
TCGA-AA-3713-01A 68 years, male, stage:Stage IV, alive, 579 days 0.1
TCGA-DM-A1HB-01A 75 years, male, white, stage:Stage IIIB, alive, 4126 days 0.1
TCGA-A6-6781-01A 43 years, male, white, stage:Stage IIIC, alive, 598 days 0.1
TCGA-QG-A5Z2-01A 61 years, male, black or african american, stage:Stage I, alive, 952 days 0.1
TCGA-A6-6138-01A 61 years, male, white, stage:Stage I, alive, 685 days 0.1
TCGA-CM-6171-01A 77 years, female, white, stage:Stage I, alive, 427 days 0.1
TCGA-AD-6889-01A 76 years, male, asian, stage:Stage IIA, dead, 2532 days 0.1
TCGA-AA-3526-01A 57 years, male, stage:Stage I, alive, 580 days 0.1
TCGA-AY-A71X-01A 54 years, female, black or african american, stage:Stage I, alive, 588 days 0.1
TCGA-DM-A1D9-01A 67 years, female, white, stage:Stage IIA, alive, 4270 days 0.1
TCGA-G4-6323-01A 50 years, male, black or african american, stage:Stage IA, alive, 419 days 0.1
TCGA-3L-AA1B-01A 61 years, female, black or african american, stage:Stage I, alive, 475 days 0.1
TCGA-NH-A50V-01A 69 years, male, black or african american, stage:Stage IIIB, alive, 588 days 0.1
TCGA-A6-5657-01A 65 years, male, black or african american, stage:Stage IIIB, alive, 962 days 0.1
TCGA-4T-AA8H-01A 42 years, female, black or african american, stage:Stage IIA, alive, 385 days 0.1
TCGA-A6-6652-01A 59 years, male, black or african american, stage:Stage IVA, alive, 751 days 0.1
TCGA-D5-6920-01A 77 years, female, white, stage:Stage IIA, alive, 377 days 0.1
TCGA-A6-6142-01A 56 years, female, white, stage:Stage IVA, alive, 763 days 0.1
TCGA-AU-3779-01A 80 years, female, white, stage:Stage IIA, alive, 441 days 0.1
TCGA-A6-A566-01A 55 years, female, black or african american, stage:Stage IIIB, dead, 758 days 0.1
TCGA-A6-6141-01A 31 years, male, black or african american, stage:Stage IIA, alive, 255 days 0.1
TCGA-AA-3655-01A 68 years, male, stage:Stage II, alive, 1856 days 0.1
TCGA-CM-5861-01A 63 years, female, white, stage:Stage IIA, alive, 457 days 0.1
TCGA-D5-6540-01A 66 years, male, white, stage:Stage I, alive, 491 days 0.1
TCGA-G4-6625-01A 77 years, female, white, stage:Stage IIA, alive, 2792 days 0.1
TCGA-G4-6321-01A 60 years, female, white, stage:Stage III, alive, 672 days 0.1
TCGA-A6-6780-01A 74 years, male, white, stage:Stage IIA, alive, 612 days 0.1
TCGA-A6-A565-01A 34 years, female, black or african american, stage:Stage IIIC, dead, 494 days 0.1
TCGA-A6-5664-01A 80 years, male, black or african american, stage:Stage IIIC, alive, 672 days 0.1
TCGA-A6-6649-01A 66 years, male, white, stage:Stage IIIB, alive, 735 days 0.1
TCGA-F4-6461-01A 41 years, female, white, stage:Stage IIIC, dead, 338 days 0.1
TCGA-A6-5666-01A 78 years, male, white, stage:Stage IIC, alive, 995 days 0.1
TCGA-F4-6460-01A 51 years, female, white, stage:Stage IIIB, dead, 972 days 0.1
TCGA-G4-6307-01A 37 years, female, white, stage:Stage IIIB, alive, 1674 days 0.1
TCGA-CM-5348-01A 72 years, male, white, stage:Stage IIIB, alive, 699 days 0.1
TCGA-F4-6570-01A 78 years, female, white, stage:Stage IIA, dead, 188 days 0.1
TCGA-D5-6932-01A 69 years, male, white, stage:Stage IIA, alive, 346 days 0.1
TCGA-D5-6536-01A 73 years, male, white, stage:Stage IIA, alive, 543 days 0.1
TCGA-AD-6899-01A 84 years, male, white, stage:Stage IIIC, dead, 176 days 0.1
TCGA-D5-6530-01A 53 years, male, white, stage:Stage I, alive, 621 days 0.1
TCGA-AM-5821-01A 68 years, female, white, stage:Stage IIA, alive, 28 days 0.1
TCGA-DM-A28A-01A 78 years, male, white, stage:Stage IIIC, dead, 805 days 0.1
TCGA-AY-6197-01A 60 years, male, white, stage:Stage IIA, alive, 652 days 0.1
TCGA-CK-6751-01A 88 years, female, white, stage:Stage I, alive, 518 days 0.1
TCGA-CA-6716-01A 65 years, male, asian, stage:Stage IIA, alive, 371 days 0.1
TCGA-CA-5797-01A 56 years, male, asian, stage:Stage IIA, alive, 383 days 0.1
TCGA-CK-4952-01A 48 years, female, white, stage:Stage IIIC, alive, 475 days 0.1
TCGA-D5-7000-01A 79 years, female, white, stage:Stage I, alive, 312 days 0.1
TCGA-AZ-4616-01A 82 years, female, white, stage:Stage IV, dead, 156 days 0.1
TCGA-A6-5659-01A 82 years, male, white, stage:Stage I, alive, 926 days 0.1
TCGA-CM-6172-01A 70 years, female, white, stage:Stage IIIB, alive, 335 days 0.1
TCGA-AZ-6606-01A 81 years, male, white, stage:Stage IV, dead, 357 days 0.1
TCGA-DM-A28E-01A 72 years, female, white, stage:Stage IIA, alive, 3648 days 0.1
TCGA-F4-6459-01A 61 years, female, white, stage:Stage IIIB, dead, 262 days 0.1
TCGA-A6-5656-01A 74 years, male, white, stage:Stage I, alive, 1001 days 0.1
TCGA-CK-5913-01A 58 years, female, white, stage:Stage IIA, alive, 1561 days 0.0
TCGA-AY-A8YK-01A 44 years, male, black or african american, stage:Stage IVA, alive, 573 days 0.0
TCGA-A6-6651-01A 55 years, female, white, stage:Stage IIIB, alive, 662 days 0.0
TCGA-AD-6964-01A 58 years, male, white, stage:'--, dead, 331 days 0.0
TCGA-CM-6170-01A 73 years, female, white, stage:Stage I, alive, 457 days 0.0
TCGA-G4-6628-01A 78 years, male, white, stage:Stage I, alive, 2424 days 0.0
TCGA-AA-A02Y-01A 73 years, male, stage:Stage I, alive, 1216 days 0.0
TCGA-AD-6895-01A 84 years, male, white, stage:Stage IIIB, alive, 763 days 0.0
TCGA-A6-6782-01A 82 years, male, white, stage:Stage IIB, alive, 617 days 0.0
TCGA-D5-6931-01A 77 years, male, white, stage:Stage IIIC, alive, 365 days 0.0
TCGA-CM-6163-01A 74 years, male, white, stage:Stage I, alive, 427 days 0.0
TCGA-AD-A5EK-01A 51 years, male, black or african american, stage:Stage I, alive, 500 days 0.0
TCGA-G4-6293-01A 49 years, female, white, stage:Stage III, alive, 4051 days 0.0
TCGA-DM-A1HA-01A 82 years, male, white, stage:Stage IIIC, alive, 2600 days 0.0
TCGA-A6-A5ZU-01A 59 years, male, black or african american, stage:Stage IIIB, alive, 293 days 0.0
TCGA-G4-6322-01A 65 years, male, white, stage:Stage IIIB, alive, 792 days 0.0
TCGA-DM-A1D0-01A 79 years, female, white, stage:Stage IIA, alive, 3974 days 0.0
TCGA-AZ-5407-01A 51 years, female, white, stage:Stage I, alive, 2683 days 0.0
TCGA-SS-A7HO-01A 44 years, female, black or african american, stage:Stage IIB, alive, 1829 days 0.0
TCGA-DM-A1D8-01A 50 years, female, white, stage:'--, dead, 383 days 0.0
TCGA-F4-6855-01A 70 years, female, white, stage:Stage IIA, alive, 1442 days 0.0
TCGA-F4-6805-01A 58 years, female, white, stage:Stage IIA, alive, 1047 days 0.0
TCGA-CM-4744-01A 69 years, male, white, stage:Stage I, alive, 609 days 0.0
TCGA-G4-6309-01A 40 years, female, black or african american, stage:Stage IIIB, alive, 2600 days 0.0
TCGA-CM-5863-01A 60 years, female, white, stage:Stage IIIB, alive, 457 days 0.0
TCGA-F4-6704-01A 60 years, male, american indian or alaska native, stage:Stage IIIC, alive, 47 days 0.0
TCGA-CK-5916-01A 71 years, female, white, stage:Stage I, dead, 643 days 0.0
TCGA-CM-6162-01A 48 years, female, white, stage:Stage IIIB, alive, 365 days 0.0
TCGA-4N-A93T-01A 67 years, male, black or african american, stage:Stage IIIB, alive, 146 days 0.0
TCGA-DM-A1D6-01A 88 years, male, white, stage:Stage IIA, dead, 570 days 0.0
TCGA-WS-AB45-01A 52 years, female, black or african american, stage:Stage IIA, alive, 2130 days 0.0
TCGA-A6-4105-01A 79 years, male, white, stage:Stage IIA, dead, 442 days 0.0
TCGA-CA-6718-01A 46 years, male, asian, stage:Stage IIA, dead, 306 days 0.0
TCGA-AZ-6598-01A 77 years, female, white, stage:Stage II, dead, 1503 days 0.0
TCGA-AY-6386-01A 66 years, female, black or african american, stage:Stage IIIB, alive, 542 days 0.0
TCGA-A6-5665-01A 84 years, female, white, stage:Stage IIA, alive, 671 days 0.0
TCGA-D5-6531-01A 75 years, male, white, stage:Stage IIA, alive, 540 days 0.0
TCGA-CM-4751-01A 62 years, male, white, stage:Stage IIIB, alive, 822 days 0.0
TCGA-T9-A92H-01A 82 years, male, black or african american, stage:Stage IIA, alive, 362 days 0.0
TCGA-F4-6569-01A 60 years, male, white, stage:Stage I, alive, 1087 days 0.0
TCGA-D5-6928-01A 80 years, male, white, stage:Stage IIA, alive, 354 days 0.0
TCGA-CM-6679-01A 58 years, male, white, stage:Stage IIA, alive, 306 days 0.0
TCGA-CM-6165-01A 74 years, male, white, stage:Stage IIA, alive, 488 days 0.0
TCGA-AA-3511-01A 64 years, male, stage:Stage II, alive, 212 days 0.0
TCGA-CK-6748-01A 45 years, female, white, stage:Stage IV, alive, 61 days 0.0
TCGA-F4-6809-01A 52 years, female, white, stage:Stage IVA, dead, 403 days 0.0
TCGA-D5-6930-01A 67 years, male, white, stage:Stage IIA, alive, 406 days 0.0
TCGA-QG-A5YW-01A 55 years, female, black or african american, stage:Stage IIIC, alive, 896 days 0.0
TCGA-DM-A1D7-01A 82 years, male, white, stage:Stage IIA, dead, 405 days 0.0
TCGA-DM-A28M-01A 63 years, male, white, stage:Stage IIA, alive, 2895 days 0.0
TCGA-NH-A50T-01A 68 years, female, black or african american, stage:Stage IIA, alive, 553 days 0.0
TCGA-DM-A282-01A 60 years, female, white, stage:Stage IIA, alive, 4233 days 0.0
TCGA-D5-5538-01A 60 years, female, white, stage:Stage IIIB, dead, 1661 days 0.0
TCGA-G4-6314-01A 76 years, female, white, stage:Stage IV, alive, 1093 days 0.0
TCGA-CK-4950-01A 68 years, female, black or african american, stage:Stage IIIB, alive, 2599 days 0.0
TCGA-G4-6315-01A 66 years, male, white, stage:Stage IV, alive, 1883 days 0.0
TCGA-DM-A28G-01A 75 years, male, white, stage:Stage IIA, dead, 1849 days 0.0
TCGA-G4-6586-01A 73 years, female, white, stage:Stage IIA, alive, 1089 days 0.0
TCGA-A6-A56B-01A 57 years, male, black or african american, stage:Stage IIIB, dead, 1711 days 0.0
TCGA-AA-3697-01A 77 years, male, stage:Stage II, alive, 2587 days 0.0
TCGA-F4-6463-01A 51 years, male, white, stage:Stage IIA, alive, 1087 days 0.0
TCGA-CM-5860-01A 44 years, male, white, stage:Stage IIA, alive, 974 days 0.0
TCGA-F4-6808-01A 54 years, female, white, stage:Stage I, alive, 1024 days 0.0
TCGA-A6-5661-01A 80 years, female, black or african american, stage:Stage IIA, alive, 1020 days 0.0
TCGA-AY-5543-01A 65 years, female, black or african american, stage:Stage IVA, alive, 1004 days 0.0
TCGA-QG-A5YX-01A 61 years, female, black or african american, stage:Stage IIA, alive, 1003 days 0.0
TCGA-A6-3809-01A 71 years, female, white, stage:Stage IIB, alive, 996 days 0.0
TCGA-AA-3660-01A 51 years, female, stage:Stage II, alive, 2375 days 0.0
TCGA-DM-A28F-01A 73 years, male, white, stage:Stage IIIB, dead, 1094 days 0.0
TCGA-DM-A1D4-01A 80 years, male, white, stage:Stage IIA, dead, 2821 days 0.0
TCGA-D5-5537-01A 83 years, male, white, stage:'--, dead, 1381 days 0.0
TCGA-5M-AATE-01A 76 years, male, black or african american, stage:Stage IIA, alive, 1200 days 0.0
TCGA-F4-6807-01A 51 years, female, white, stage:Stage IIIC, alive, 1309 days 0.0
TCGA-D5-6534-01A 62 years, female, white, stage:Stage IIA, alive, 1316 days 0.0
TCGA-AZ-5403-01A 43 years, male, white, stage:Stage II, dead, 1910 days 0.0
TCGA-DM-A28K-01A 75 years, male, white, stage:Stage IIA, alive, 2988 days 0.0
TCGA-QG-A5YV-01A 64 years, female, black or african american, stage:Stage IIIC, alive, 1301 days 0.0
TCGA-AZ-6601-01A 68 years, male, white, stage:Stage II, dead, 3042 days 0.0
TCGA-F4-6703-01A 64 years, male, white, stage:Stage IIA, alive, 1456 days 0.0
TCGA-G4-6310-01A 69 years, male, white, stage:Stage IIIB, alive, 1935 days 0.0
TCGA-G4-6303-01A 54 years, female, white, stage:Stage IV, dead, 2003 days 0.0
TCGA-CK-5912-01A 81 years, male, white, stage:Stage I, dead, 1493 days 0.0
TCGA-DM-A28C-01A 74 years, male, white, stage:Stage IIA, dead, 2475 days 0.0
TCGA-A6-2675-01A 78 years, male, white, stage:Stage IIA, alive, 1321 days 0.0
TCGA-G4-6627-01A 84 years, male, white, stage:Stage IIA, alive, 2175 days 0.0
TCGA-G4-6304-01A 66 years, female, white, stage:Stage IIB, alive, 1631 days 0.0
TCGA-A6-2674-01A 71 years, male, white, stage:Stage IV, alive, 1331 days 0.0
TCGA-G4-6311-01A 80 years, male, white, stage:Stage III, alive, 1199 days 0.0
TCGA-RU-A8FL-01A 51 years, male, black or african american, stage:Stage IIIB, alive, 1177 days 0.0
TCGA-DM-A0XF-01A 68 years, female, white, stage:Stage IIIC, dead, 1162 days 0.0
TCGA-AA-3685-01A 69 years, male, stage:Stage II, alive, 1127 days 0.0
TCGA-A6-A567-01A 56 years, male, black or african american, stage:Stage IV, dead, 1881 days 0.0
TCGA-G4-6299-01A 69 years, male, white, stage:Stage IIIC, alive, 2268 days 0.0
TCGA-DM-A1DB-01A 68 years, male, white, stage:Stage IIA, dead, 1348 days 0.0
TCGA-A6-2686-01A 81 years, female, white, stage:Stage IIA, dead, 1126 days 0.0
TCGA-DM-A28H-01A 50 years, male, white, stage:Stage IIIC, alive, 3561 days 0.0
TCGA-G4-6297-01A 55 years, female, white, stage:Stage IV, alive, 2506 days 0.0
TCGA-DM-A0X9-01A 71 years, female, white, stage:Stage IIA, alive, 3641 days 0.0
TCGA-G4-6306-01A 71 years, male, white, stage:'--, alive, 1359 days 0.0
TCGA-G4-6626-01A 90 years, male, white, stage:Stage IIA, dead, 1 days 0.0
TCGA-CM-5349-01A 68 years, female, white, stage:Stage IIA, alive, 915 days 0.0
TCGA-CA-6715-01A 63 years, male, asian, stage:Stage IIIB, alive, 383 days 0.0
TCGA-CM-6676-01A 82 years, male, white, stage:Stage I, alive, 337 days 0.0
TCGA-CM-6677-01A 75 years, female, white, stage:Stage IIA, alive, 337 days 0.0
TCGA-AZ-6600-01A 64 years, male, black or african american, stage:Stage IV, dead, 368 days 0.0
TCGA-AD-5900-01A 67 years, male, white, stage:Stage I, alive, 370 days 0.0
TCGA-CA-5255-01A 45 years, male, asian, stage:Stage IIA, alive, 376 days 0.0
TCGA-D5-6923-01A 57 years, male, white, stage:Stage I, alive, 378 days 0.0
TCGA-D5-6539-01A 45 years, female, white, stage:'--, alive, 380 days 0.0
TCGA-CA-5254-01A 42 years, female, asian, stage:Stage IIA, alive, 386 days 0.0
TCGA-D5-6922-01A 76 years, male, white, stage:Stage IIIA, alive, 308 days 0.0
TCGA-CA-6717-01A 57 years, male, asian, stage:Stage IIA, alive, 388 days 0.0
TCGA-NH-A6GC-01A 66 years, female, black or african american, stage:Stage IVB, alive, 389 days 0.0
TCGA-CM-6168-01A 84 years, female, black or african american, stage:Stage IIA, alive, 395 days 0.0
TCGA-CM-6169-01A 67 years, male, black or african american, stage:Stage IIA, alive, 396 days 0.0
TCGA-D5-6929-01A 49 years, female, white, stage:Stage IV, alive, 408 days 0.0
TCGA-AA-A02K-01A 50 years, male, stage:Stage IV, dead, 426 days 0.0
TCGA-DM-A288-01A 68 years, male, white, stage:Stage IIIC, dead, 427 days 0.0
TCGA-NH-A50U-01A 42 years, male, black or african american, stage:Stage IVA, dead, 334 days 0.0
TCGA-NH-A6GA-01A 58 years, male, black or african american, stage:Stage IIIC, dead, 302 days 0.0
TCGA-D5-6924-01A 68 years, male, white, stage:Stage IIA, alive, 435 days 0.0
TCGA-DM-A285-01A 71 years, female, white, stage:Stage IV, dead, 179 days 0.0
TCGA-F4-6854-01A 77 years, female, white, stage:Stage IIA, alive, 16 days 0.0
TCGA-AA-3496-01A 83 years, female, stage:Stage II, alive, 31 days 0.0
TCGA-AZ-6608-01A 55 years, female, white, stage:Stage IIIA, dead, 59 days 0.0
TCGA-AZ-6607-01A 69 years, male, white, stage:Stage IV, dead, 97 days 0.0
TCGA-D5-6537-01A 64 years, male, white, stage:Stage IIIB, dead, 146 days 0.0
TCGA-CM-5862-01A 80 years, male, white, stage:Stage IVA, dead, 153 days 0.0
TCGA-AZ-6605-01A 77 years, male, white, stage:Stage IIIB, dead, 159 days 0.0
TCGA-AA-3662-01A 80 years, female, stage:Stage IV, alive, 184 days 0.0
TCGA-D5-6927-01A 34 years, male, white, stage:Stage IIA, alive, 287 days 0.0
TCGA-AA-3489-01A 75 years, male, stage:Stage II, dead, 214 days 0.0
TCGA-DM-A1DA-01A 71 years, female, white, stage:Stage IIIC, dead, 228 days 0.0
TCGA-D5-6898-01A 51 years, female, white, stage:Stage I, alive, 229 days 0.0
TCGA-DM-A280-01A 70 years, female, white, stage:Stage IIA, dead, 236 days 0.0
TCGA-G4-6295-01A 70 years, female, white, stage:Stage II, alive, 254 days 0.0
TCGA-QG-A5Z1-01A 71 years, male, black or african american, stage:Stage IIIB, dead, 256 days 0.0
TCGA-D5-6926-01A 65 years, male, white, stage:Stage IIIB, alive, 275 days 0.0
TCGA-CA-6719-01A 77 years, male, asian, stage:Stage IIA, alive, 435 days 0.0
TCGA-CM-6167-01A 57 years, female, black or african american, stage:Stage IIIC, alive, 456 days 0.0
TCGA-AZ-6603-01A 77 years, female, white, stage:'--, dead, 899 days 0.0
TCGA-AD-6965-01A 62 years, male, white, stage:Stage IIIC, alive, 805 days 0.0
TCGA-A6-6140-01A 62 years, male, white, stage:Stage IIA, alive, 734 days 0.0
TCGA-A6-6653-01A 82 years, male, white, stage:Stage I, alive, 742 days 0.0
TCGA-AD-6890-01A 65 years, male, white, stage:'--, alive, 746 days 0.0
TCGA-A6-6648-01A 56 years, male, white, stage:Stage IVA, alive, 766 days 0.0
TCGA-D5-6533-01A 68 years, female, white, stage:'--, alive, 775 days 0.0
TCGA-G4-6588-01A 58 years, female, white, stage:Stage IIA, alive, 796 days 0.0
TCGA-G4-6320-01A 73 years, male, white, stage:Stage III, alive, 804 days 0.0
TCGA-CK-6747-01A 87 years, female, white, stage:Stage IIA, alive, 820 days 0.0
TCGA-AD-6901-01A 78 years, male, white, stage:'--, dead, 682 days 0.0
TCGA-A6-6137-01A 55 years, male, white, stage:Stage IIIB, alive, 824 days 0.0
TCGA-AU-6004-01A 69 years, female, white, stage:Stage I, alive, 824 days 0.0
TCGA-AD-6963-01A 58 years, male, white, stage:'--, alive, 834 days 0.0
TCGA-G4-6294-01A 75 years, male, white, stage:Stage IV, dead, 858 days 0.0
TCGA-CM-6164-01A 46 years, female, white, stage:Stage IIA, alive, 883 days 0.0
TCGA-A6-5667-01A 40 years, female, white, stage:Stage IIIB, alive, 887 days 0.0
TCGA-A6-5660-01A 73 years, male, black or african american, stage:Stage IIIC, alive, 888 days 0.0
TCGA-CM-4743-01A 69 years, male, white, stage:Stage IIA, alive, 701 days 0.0
TCGA-CM-5344-01A 39 years, female, white, stage:Stage IIIB, alive, 670 days 0.0
TCGA-CM-6161-01A 36 years, female, white, stage:Stage I, alive, 457 days 0.0
TCGA-AY-A54L-01A 74 years, female, black or african american, stage:Stage I, alive, 525 days 0.0
TCGA-D5-6535-01A 80 years, female, white, stage:Stage IIIB, alive, 460 days 0.0
TCGA-AD-6888-01A 73 years, male, white, stage:Stage IIIB, dead, 472 days 0.0
TCGA-D5-6541-01A 49 years, male, white, stage:Stage IIA, alive, 474 days 0.0
TCGA-NH-A6GB-01A 71 years, female, black or african american, stage:Stage IIIC, alive, 476 days 0.0
TCGA-NH-A8F8-01A 79 years, male, black or african american, stage:Stage IV, dead, 511 days 0.0
TCGA-CM-5868-01A 59 years, female, white, stage:Stage IVA, alive, 518 days 0.0
TCGA-D5-6538-01A 79 years, female, white, stage:Stage IIIB, alive, 521 days 0.0
TCGA-AY-A69D-01A 55 years, female, black or african american, stage:Stage IIA, alive, 543 days 0.0
TCGA-CM-6166-01A 48 years, female, white, stage:Stage I, alive, 669 days 0.0
TCGA-D5-6532-01A 61 years, male, white, stage:Stage IIA, alive, 555 days 0.0
TCGA-D5-5539-01A 60 years, male, white, stage:Stage IIIA, alive, 596 days 0.0
TCGA-D5-6529-01A 69 years, male, white, stage:Stage IIA, alive, 614 days 0.0
TCGA-AY-6196-01A 47 years, male, white, stage:Stage IIIC, alive, 6 days 0.0
TCGA-AD-6548-01A 81 years, female, white, stage:Stage I, alive, 650 days 0.0
TCGA-QL-A97D-01A 84 years, female, black or african american, stage:Stage I, alive, 666 days 0.0
TCGA-CK-5914-01A 81 years, male, white, stage:Stage IIIB, alive, 669 days 0.0
TCGA-A6-6650-01A 69 years, female, black or african american, stage:Stage IIA, alive, 627 days 0.0
Show allShow less
COLON ADENOCARCINOMA (VALIDATION) - Interactive survival scatter ploti

The Survival Scatter plot shows the clinical status (i.e. dead or alive) for all individuals in the patient cohort, based on the same data that underlies the corresponding Kaplan-Meier plots. Patients that are alive at last time for follow-up are shown in blue and patients who have died during the study are shown in red.

The x-axis shows the expression levels (FPKM) of the investigated gene in the tumor tissue at the time of diagnosis. The y-axis shows the follow-up time after diagnosis (years). Both axes are complimented with kernel density curves demonstrating the data density over the axes. The top density plot shows the expression levels (FPKM) distribution among dead (red) and alive patients (blue). The right density plot shows the data density of the survived years of dead patients with high and low expression levels respectively, stratified using the cutoff indicated by the vertical dashed line through the Survival Scatter plot. This cutoff is automatically defined based on the FPKM cutoff that minimizes the p-score. The cutoff can be changed by dragging the vertical line or by entering a cutoff value in the square labeled "Current cut-off".

Under the Survival Scatter plot the p-score landscape (black curve; left axis) is shown together with dead median separation (red curve; right axis). Dead median separation is the difference in median mRNA expression between patients who have died with high and low expression, respectively. It is calculated as follows: median FPKM expression of dead patients with high expression - median FPKM expression of dead patients with low expression. This is intended to aid the user in visually exploring custom cutoffs and the associated p-scores and dead median separation.

Individual patient data is displayed and can be filtered by clicking on one or more of the category buttons on the top of the page. Categories describing expression level and patient information include: high, low, alive, dead, female, male and tumor stages. The scale of the x-axis can be toggled between linear and log-scale by clicking on the "x log" button. Mouse-over function shows TCGA ID, patient information and mRNA expression (FPKM) for each patient.

& Survival analysisi

Kaplan-Meier plots summarize results from analysis of correlation between mRNA expression level and patient survival. Patients were divided based on level of expression into one of the two groups "low" (under cut off) or "high" (over cut off). X-axis shows time for survival (years) and y-axis shows the probability of survival, where 1.0 corresponds to 100 percent.

  Survival analysis data not available.
TCGA RNA samplesi

RNA-seq data is reported as average FPKM (number Fragments Per Kilobase of exon per Million reads), generated by the The Cancer Genome Atlas (TCGA) .

Normal distribution across the dataset is visualized with box plots, shown as median and 25th and 75th percentiles. Points are displayed as outliers if they are above or below 1.5 times the interquartile range. FPKM values of the individual samples are presented next to the box plot.

Average pTPM 0.0
Number of samples 486
Samples
Sample Description pTPM
U1099 77 years, female, NA, stage:T3N0M0, alive, 2068 days 0.7
U2902 86 years, female, NA, stage:T2N0M0, alive, 596 days 0.6
U2842 60 years, female, NA, stage:T4N2M0, alive, 675 days 0.6
U0365 68 years, female, NA, stage:T4N1M0, dead, 313 days 0.6
U1041 81 years, male, NA, stage:T2N0M0, alive, 1108 days 0.5
U0104 87 years, female, NA, stage:T4N0M0, dead, 1639 days 0.5
U0002 82 years, female, NA, stage:T3N2M0, alive, 3691 days 0.4
U0589 56 years, female, NA, stage:T3N0M0, alive, 1176 days 0.4
U0131 81 years, female, NA, stage:T4N2M1, alive, 238 days 0.4
U0240 75 years, female, NA, stage:T3N1M0, dead, 800 days 0.4
U0426 59 years, male, NA, stage:T3N0M0, dead, 976 days 0.4
U0185 80 years, male, NA, stage:T1N0M0, alive, 1248 days 0.4
U3050 61 years, female, NA, stage:T3N0M0, alive, 407 days 0.4
U3038 82 years, male, NA, stage:T3N0M0, alive, 328 days 0.4
U0352 62 years, female, NA, stage:T4N2M0, dead, 385 days 0.4
U1212 74 years, female, NA, stage:T2N0M0, alive, 69 days 0.4
U0248 72 years, male, NA, stage:T3N0M0, alive, 1870 days 0.4
U0465 43 years, male, NA, stage:T3N0M0, alive, 2383 days 0.4
U0107 82 years, male, NA, stage:T3N0M0, dead, 2354 days 0.4
U0976 82 years, female, NA, stage:T3N2M0, dead, 97 days 0.4
U2964 84 years, male, NA, stage:T3N1M0, alive, 637 days 0.3
U0991 83 years, male, NA, stage:T4N2M0, dead, 534 days 0.3
U1130 78 years, male, NA, stage:T2N1M0, alive, 913 days 0.3
U1074 77 years, male, NA, stage:T3N0M0, dead, 1043 days 0.3
U2837 76 years, female, NA, stage:T4N1M0, alive, 681 days 0.3
U0235 75 years, female, NA, stage:T3N0M0, alive, 1327 days 0.3
U1188 72 years, female, NA, stage:T3N0M0, dead, 967 days 0.3
U0323 69 years, male, NA, stage:T2N0M0, dead, 1016 days 0.3
U0146 79 years, female, NA, stage:T3N2M0, dead, 733 days 0.3
U0354 69 years, male, NA, stage:T3N1M0, alive, 430 days 0.3
U1317 68 years, male, NA, stage:T4N1M0, alive, 965 days 0.3
U2896 81 years, female, NA, stage:T3N1M0, alive, 609 days 0.3
U0250 74 years, female, NA, stage:T4N0M0, dead, 906 days 0.3
U0966 84 years, male, NA, stage:T4N0M0, dead, 1513 days 0.3
U0348 69 years, female, NA, stage:T3N0M0, alive, 533 days 0.3
U0067 92 years, female, NA, stage:T3N0M0, alive, 2180 days 0.3
U0355 67 years, male, NA, stage:T4N1M0, dead, 1038 days 0.3
U1474 45 years, female, NA, stage:T1N0MX, alive, 2012 days 0.2
U1072 80 years, male, NA, stage:T1N0M0, alive, 1446 days 0.2
U1046 78 years, female, NA, stage:T4N2M1, dead, 697 days 0.2
U0209 74 years, male, NA, stage:T3N1M0, alive, 2109 days 0.2
U0915 88 years, female, NA, stage:T3N0M0, alive, 1613 days 0.2
U0176 76 years, male, NA, stage:T3N1M0, alive, 2600 days 0.2
U0072 88 years, male, NA, stage:T3N0M0, alive, 2772 days 0.2
U1034 80 years, male, NA, stage:T4N0M0, alive, 1575 days 0.2
U1094 79 years, female, NA, stage:T4N1M0, alive, 1267 days 0.2
U0987 82 years, female, NA, stage:T3N0M0, alive, 2482 days 0.2
U0199 78 years, female, NA, stage:T4N2M0, alive, 1372 days 0.2
U0357 64 years, female, NA, stage:T3N0M0, alive, 2285 days 0.2
U0182 79 years, female, NA, stage:T4N1M0, dead, 260 days 0.2
U0094 89 years, female, NA, stage:T3N2M0, alive, 741 days 0.2
U0117 83 years, female, NA, stage:T2N0M0, dead, 1078 days 0.2
U0392 64 years, male, NA, stage:T3N2M0, alive, 489 days 0.2
U0121 86 years, male, NA, stage:T4N2M0, alive, 655 days 0.2
U1017 82 years, male, NA, stage:T3N0M0, alive, 615 days 0.2
U0450 52 years, female, NA, stage:T3N1M0, alive, 763 days 0.2
U0245 71 years, female, NA, stage:T3N1M0, dead, 564 days 0.2
U0180 74 years, male, NA, stage:T3N0M1, dead, 965 days 0.2
U0087 87 years, female, NA, stage:T3N2M0, dead, 337 days 0.2
U0074 89 years, female, NA, stage:T3N0M0, dead, 1438 days 0.2
U0326 64 years, female, NA, stage:T3N0M0, alive, 3178 days 0.2
U1332 65 years, male, NA, stage:T3N0M0, alive, 1672 days 0.2
U0295 67 years, male, NA, stage:T3N0M0, dead, 2572 days 0.2
U1483 43 years, female, NA, stage:T3N0M0, alive, 1094 days 0.2
U2947 77 years, female, NA, stage:T3N0M0, alive, 543 days 0.2
U0222 72 years, female, NA, stage:T3N2M1, alive, 1779 days 0.2
U0338 68 years, female, NA, stage:T3N0M0, alive, 1016 days 0.2
U0123 83 years, male, NA, stage:T3N0M0, dead, 1880 days 0.2
U0084 86 years, male, NA, stage:T3N0M0, dead, 1662 days 0.2
U0158 76 years, male, NA, stage:T1N0M0, dead, 3101 days 0.2
U1107 80 years, male, NA, stage:T3N0M0, alive, 329 days 0.2
U0278 73 years, female, NA, stage:T2N0M0, alive, 763 days 0.2
U1486 39 years, female, NA, stage:T4N0M0, alive, 1606 days 0.2
U2848 67 years, female, NA, stage:T4N2M0, alive, 669 days 0.2
U1239 69 years, male, NA, stage:T2N0M0, dead, 1998 days 0.2
U3043 68 years, female, NA, stage:T3N2M0, alive, 287 days 0.2
U0474 30 years, male, NA, stage:T3N1M0, alive, 1017 days 0.2
U0236 72 years, male, NA, stage:T3N1M0, alive, 1842 days 0.2
U0459 49 years, female, NA, stage:T3N0M0, alive, 966 days 0.2
U3037 63 years, male, NA, stage:T3N1M0, alive, 405 days 0.2
U1067 79 years, male, NA, stage:T3N0M0, alive, 1570 days 0.2
U0377 59 years, female, NA, stage:T3N2M0, alive, 3720 days 0.2
U1301 66 years, female, NA, stage:T4N2M0, dead, 877 days 0.2
U0183 74 years, male, NA, stage:T3N1M1, dead, 2957 days 0.2
U0297 67 years, female, NA, stage:T3N2M0, alive, 1196 days 0.2
U2856 71 years, female, NA, stage:T4N1M1, alive, 660 days 0.2
U0929 85 years, male, NA, stage:T4N1M0, alive, 436 days 0.2
U0333 66 years, female, NA, stage:T3N2M0, dead, 1959 days 0.2
U1338 67 years, female, NA, stage:T4N1M0, dead, 716 days 0.2
U0082 85 years, female, NA, stage:T3N1M0, dead, 2339 days 0.2
U3048 57 years, male, NA, stage:T4N2M0, alive, 535 days 0.2
U0942 88 years, male, NA, stage:T3N0M0, alive, 665 days 0.2
U0336 68 years, female, NA, stage:T3N0M0, alive, 1100 days 0.2
U1292 69 years, female, NA, stage:T4N1M0, alive, 1147 days 0.1
U1073 79 years, female, NA, stage:T3N1M0, alive, 1359 days 0.1
U0358 64 years, female, NA, stage:T4N1M0, alive, 2290 days 0.1
U0445 51 years, female, NA, stage:T3N0M0, alive, 1851 days 0.1
U0473 33 years, male, NA, stage:T3N1M0, alive, 786 days 0.1
U0416 61 years, male, NA, stage:T1N1M0, alive, 1228 days 0.1
U1369 63 years, male, NA, stage:T3N0M0, dead, 1604 days 0.1
U0196 75 years, male, NA, stage:T3N0M0, alive, 2086 days 0.1
U1220 70 years, male, NA, stage:T3N2M0, dead, 1953 days 0.1
U1349 63 years, female, NA, stage:T3N1M0, alive, 1899 days 0.1
U0167 79 years, male, NA, stage:T3N1M0, alive, 1820 days 0.1
U0153 80 years, female, NA, stage:T3N0M0, dead, 1718 days 0.1
U1104 78 years, female, NA, stage:T4N0M0, alive, 1109 days 0.1
U0091 90 years, male, NA, stage:T3N0M0, alive, 520 days 0.1
U0229 70 years, female, NA, stage:TXN2M1, dead, 2115 days 0.1
U0335 65 years, female, NA, stage:T3N1M0, alive, 2464 days 0.1
U2747 85 years, female, NA, stage:T4N1M0, dead, 54 days 0.1
U0327 70 years, male, NA, stage:T4N0M0, alive, 833 days 0.1
U0467 38 years, female, NA, stage:T3N0M0, alive, 1848 days 0.1
U0967 84 years, male, NA, stage:T2N0M0, dead, 1691 days 0.1
U0939 82 years, male, NA, stage:T3N1M0, alive, 2960 days 0.1
U0217 76 years, female, NA, stage:T3N0M0, dead, 538 days 0.1
U1264 69 years, female, NA, stage:T3N0M0, dead, 1583 days 0.1
U1228 71 years, male, NA, stage:T3N0M0, alive, 1333 days 0.1
U0125 86 years, female, NA, stage:T1N0M0, dead, 668 days 0.1
U0449 50 years, female, NA, stage:T3N0M0, alive, 1851 days 0.1
U0178 76 years, female, NA, stage:T3N1M0, dead, 2096 days 0.1
U1059 77 years, male, NA, stage:T3N1M0, alive, 2790 days 0.1
U0143 80 years, male, NA, stage:T3N2M0, alive, 2313 days 0.1
U1448 53 years, male, NA, stage:T3N0M1, dead, 1512 days 0.1
U0175 77 years, male, NA, stage:T3N2M0, alive, 1875 days 0.1
U3030 77 years, female, NA, stage:T3N0M0, alive, 380 days 0.1
U1327 66 years, female, NA, stage:T3N0M0, alive, 1613 days 0.1
U0332 66 years, female, NA, stage:T3N0M0, alive, 2101 days 0.1
U2979 73 years, male, NA, stage:T3N2M0, alive, 616 days 0.1
U0148 80 years, male, NA, stage:T3N0M0, alive, 1780 days 0.1
U3032 61 years, female, NA, stage:T3N1M0, alive, 449 days 0.1
U1184 70 years, male, NA, stage:T4N1M0, alive, 290 days 0.1
U0233 71 years, female, NA, stage:T3N1M0, alive, 975 days 0.1
U0089 85 years, female, NA, stage:T1NXM0, dead, 2365 days 0.1
U0972 83 years, female, NA, stage:T1N0M0, alive, 2473 days 0.1
U0385 65 years, male, NA, stage:T3N0M0, alive, 902 days 0.1
U0462 45 years, female, NA, stage:T4N1M0, alive, 1017 days 0.1
U0378 66 years, female, NA, stage:T4N1M0, dead, 815 days 0.1
U1183 73 years, male, NA, stage:T4N2M0, alive, 959 days 0.1
U0136 79 years, female, NA, stage:T3N0M0, dead, 2795 days 0.1
U1276 66 years, male, NA, stage:T3N0M0, alive, 2474 days 0.1
U1022 81 years, male, NA, stage:T4N2M0, dead, 61 days 0.1
U0441 50 years, female, NA, stage:T2N1M0, alive, 2738 days 0.1
U0444 52 years, female, NA, stage:T4N1M0, alive, 1841 days 0.1
U0464 49 years, male, NA, stage:T3N0M0, alive, 918 days 0.1
U0177 81 years, female, NA, stage:T3N0M0, alive, 355 days 0.1
U1346 66 years, female, NA, stage:T3N0M0, alive, 1137 days 0.1
U0456 46 years, male, NA, stage:T4N0M0, dead, 2222 days 0.1
U0204 78 years, male, NA, stage:T3N0M0, dead, 770 days 0.1
U0360 67 years, female, NA, stage:T3N0M0, dead, 1016 days 0.1
U1071 78 years, female, NA, stage:T4N0M1, alive, 1514 days 0.1
U2999 79 years, female, NA, stage:T2N0M0, alive, 581 days 0.1
U0440 51 years, female, NA, stage:T4N0M0, dead, 2743 days 0.1
U0435 52 years, female, NA, stage:T2N0M0, alive, 3616 days 0.1
U0381 60 years, male, NA, stage:T3N1M0, dead, 71 days 0.1
U1141 71 years, female, NA, stage:T4N1M1, dead, 596 days 0.1
U1158 76 years, female, NA, stage:T3N1M0, alive, 721 days 0.1
U0290 72 years, male, NA, stage:T4N2M0, dead, 593 days 0.1
U0396 59 years, male, NA, stage:T4N2M0, alive, 2243 days 0.1
U0163 81 years, male, NA, stage:T4N0M0, alive, 697 days 0.1
U0214 72 years, male, NA, stage:T4N1M1, alive, 788 days 0.1
U0172 78 years, male, NA, stage:T4N0M0, dead, 678 days 0.1
U0253 74 years, female, NA, stage:T3N0M0, alive, 958 days 0.1
U0090 85 years, female, NA, stage:T3N0M0, dead, 1258 days 0.1
U0882 93 years, male, NA, stage:T3N0M0, alive, 1675 days 0.1
U0933 85 years, male, NA, stage:T3N2M0, dead, 1960 days 0.1
U0170 77 years, male, NA, stage:T4N1M0, dead, 832 days 0.1
U0413 61 years, male, NA, stage:T2N0M0, alive, 1228 days 0.1
U0400 62 years, male, NA, stage:T4N0M0, dead, 1073 days 0.1
U0469 42 years, male, NA, stage:T3N0M0, dead, 409 days 0.1
U0267 73 years, male, NA, stage:T4N0M0, dead, 445 days 0.0
U1086 73 years, female, NA, stage:T1N0M0, alive, 2907 days 0.0
U0471 38 years, female, NA, stage:T3N1M0, alive, 1673 days 0.0
U0408 56 years, female, NA, stage:T4N0M0, dead, 2100 days 0.0
U0307 65 years, male, NA, stage:T3N0M0, alive, 2921 days 0.0
U0292 71 years, male, NA, stage:T4N1M0, alive, 1666 days 0.0
U0397 62 years, male, NA, stage:T4N0M0, alive, 1663 days 0.0
U1065 75 years, female, NA, stage:T3N2M0, alive, 2954 days 0.0
U0260 69 years, male, NA, stage:T1N0M1, alive, 2928 days 0.0
U1267 65 years, male, NA, stage:T3N1M0, dead, 2869 days 0.0
U0126 79 years, male, NA, stage:T3N0M0, dead, 2876 days 0.0
U1122 75 years, female, NA, stage:T3N2M0, alive, 1675 days 0.0
U0443 54 years, male, NA, stage:T3N0M0, alive, 1677 days 0.0
U1062 78 years, female, NA, stage:T4N0M0, alive, 1689 days 0.0
U1037 80 years, male, NA, stage:T4N0M0, alive, 1658 days 0.0
U0414 60 years, male, NA, stage:T3N0M0, alive, 1691 days 0.0
U0453 46 years, male, NA, stage:T3N0M0, alive, 2859 days 0.0
U0303 67 years, female, NA, stage:T3N0M0, alive, 2847 days 0.0
U1018 81 years, male, NA, stage:T4N1M1, dead, 1693 days 0.0
U0319 65 years, male, NA, stage:T3N0M0, alive, 2801 days 0.0
U0085 88 years, male, NA, stage:T4N1M0, dead, 1698 days 0.0
U0165 81 years, female, NA, stage:T2N0M0, alive, 1702 days 0.0
U0149 82 years, female, NA, stage:T3N2M0, alive, 1715 days 0.0
U0092 84 years, male, NA, stage:T3N0M0, alive, 2779 days 0.0
U1429 58 years, female, NA, stage:T3N0M0, alive, 1660 days 0.0
U0367 61 years, female, NA, stage:T3N1M0, alive, 3075 days 0.0
U0268 67 years, male, NA, stage:T3N0M0, alive, 2978 days 0.0
U0274 70 years, male, NA, stage:T3N0M0, dead, 1570 days 0.0
U1201 72 years, male, NA, stage:T3N2M0, alive, 1484 days 0.0
U0162 82 years, female, NA, stage:T3N0M0, alive, 1488 days 0.0
U0004 61 years, female, NA, stage:T4N0M0, alive, 3649 days 0.0
U0181 74 years, female, NA, stage:T1N0M0, alive, 3623 days 0.0
U0288 72 years, male, NA, stage:T1N0M0, alive, 1513 days 0.0
U1392 61 years, male, NA, stage:T3N0M0, alive, 1513 days 0.0
U0448 46 years, male, NA, stage:T3N2M0, alive, 3615 days 0.0
U0363 61 years, male, NA, stage:T3N1M0, alive, 3601 days 0.0
U1386 62 years, male, NA, stage:T3N1M0, alive, 1518 days 0.0
U1473 46 years, female, NA, stage:T3N0M0, alive, 1553 days 0.0
U1047 75 years, female, NA, stage:T4N2M0, alive, 3592 days 0.0
U1160 74 years, male, NA, stage:T3N1M0, alive, 1557 days 0.0
U0937 86 years, male, NA, stage:T2N0M0, dead, 1558 days 0.0
U0289 66 years, female, NA, stage:T3N0M0, alive, 3511 days 0.0
U0187 77 years, male, NA, stage:T3N2M0, alive, 1632 days 0.0
U0156 82 years, female, NA, stage:T4N1M0, alive, 1573 days 0.0
U1127 71 years, female, NA, stage:T3N0M0, alive, 3465 days 0.0
U0916 88 years, female, NA, stage:T3N0M0, alive, 1578 days 0.0
U0195 73 years, male, NA, stage:T3N0M0, alive, 3326 days 0.0
U0119 81 years, female, NA, stage:T3N0M0, alive, 3259 days 0.0
U0317 64 years, female, NA, stage:T3N2M0, alive, 3209 days 0.0
U0244 69 years, female, NA, stage:T3N1M0, alive, 3184 days 0.0
U3100 89 years, male, NA, stage:T3N1M0, dead, 1608 days 0.0
U1343 62 years, female, NA, stage:T4N2M0, alive, 3178 days 0.0
U1044 76 years, male, NA, stage:T4N0M0, alive, 3146 days 0.0
U1031 80 years, male, NA, stage:T1N1M0, alive, 1625 days 0.0
U1111 76 years, female, NA, stage:T3N0M0, dead, 1631 days 0.0
U0451 47 years, female, NA, stage:T4N2M0, alive, 3023 days 0.0
U0401 60 years, male, NA, stage:T4N1M0, alive, 1715 days 0.0
U0063 95 years, male, NA, stage:T1N0M0, dead, 1779 days 0.0
U0127 80 years, female, NA, stage:T3N0M0, dead, 2753 days 0.0
U0068 92 years, female, NA, stage:T3N1M0, alive, 1991 days 0.0
U0142 80 years, female, NA, stage:T4N1M0, alive, 2340 days 0.0
U1446 53 years, female, NA, stage:T3N0M0, alive, 2314 days 0.0
U0101 84 years, male, NA, stage:T3N1M1, alive, 1878 days 0.0
U1303 66 years, male, NA, stage:T4N1M0, alive, 2283 days 0.0
U0287 69 years, female, NA, stage:T2N0M0, alive, 1897 days 0.0
U0309 68 years, female, NA, stage:T3N0M0, dead, 1898 days 0.0
U1421 59 years, female, NA, stage:T3N1M0, alive, 1905 days 0.0
U0100 85 years, female, NA, stage:T3N0M0, dead, 1920 days 0.0
U0171 78 years, female, NA, stage:T3N1M0, dead, 1920 days 0.0
U0266 70 years, female, NA, stage:T3N1M0, dead, 2221 days 0.0
U1204 71 years, male, NA, stage:T4N2M0, alive, 2214 days 0.0
U0424 56 years, male, NA, stage:T3N0M0, alive, 2192 days 0.0
U0315 65 years, female, NA, stage:T2N0M0, alive, 1973 days 0.0
U1069 77 years, female, NA, stage:T3N0M0, dead, 2187 days 0.0
U0224 72 years, female, NA, stage:T3N0M0, alive, 2367 days 0.0
U0270 70 years, female, NA, stage:T1N0M0, alive, 2187 days 0.0
U0955 83 years, female, NA, stage:T3N0M0, alive, 2170 days 0.0
U1291 68 years, female, NA, stage:T3N0M0, alive, 2000 days 0.0
U0134 82 years, male, NA, stage:T3N0M0, alive, 2009 days 0.0
U0438 53 years, female, NA, stage:T3N0M0, alive, 2009 days 0.0
U1366 63 years, male, NA, stage:T3N1M0, alive, 2010 days 0.0
U0316 68 years, male, NA, stage:T3N2M0, alive, 2012 days 0.0
U0285 69 years, female, NA, stage:T3N0M0, alive, 2165 days 0.0
U0105 82 years, female, NA, stage:T2N0M0, dead, 2158 days 0.0
U0151 80 years, female, NA, stage:T3N0M0, alive, 2014 days 0.0
U0460 43 years, female, NA, stage:T3N0M0, dead, 2069 days 0.0
U0141 81 years, male, NA, stage:T3N2M0, alive, 2079 days 0.0
U0345 65 years, female, NA, stage:T3N0M0, alive, 2127 days 0.0
U1032 80 years, male, NA, stage:T3N1M0, alive, 2113 days 0.0
U0411 59 years, female, NA, stage:T3N1M0, alive, 1868 days 0.0
U1095 76 years, female, NA, stage:T3N1M1, alive, 2425 days 0.0
U0115 84 years, female, NA, stage:T3N0M0, dead, 1738 days 0.0
U0379 63 years, male, NA, stage:T2N0M0, alive, 1819 days 0.0
U0135 82 years, female, NA, stage:T3N0M0, alive, 1738 days 0.0
U1436 56 years, female, NA, stage:T3N0M0, alive, 1745 days 0.0
U0280 68 years, male, NA, stage:T3N1M1, alive, 2731 days 0.0
U0349 63 years, male, NA, stage:T3N1M0, alive, 2682 days 0.0
U0252 70 years, male, NA, stage:T3N1M0, dead, 1761 days 0.0
U0202 73 years, male, NA, stage:T3N0M0, dead, 2670 days 0.0
U0273 68 years, male, NA, stage:T2N1M0, alive, 2641 days 0.0
U0200 73 years, female, NA, stage:T3N0M0, alive, 2614 days 0.0
U0207 73 years, female, NA, stage:T3N0M0, dead, 2593 days 0.0
U0210 75 years, male, NA, stage:T3N0M0, dead, 1800 days 0.0
U0403 60 years, male, NA, stage:T3N1M1, dead, 1809 days 0.0
U0223 71 years, male, NA, stage:T4N1M0, alive, 1812 days 0.0
U1155 75 years, male, NA, stage:T4N1M0, alive, 1815 days 0.0
U0386 60 years, female, NA, stage:T4N1M1, alive, 2592 days 0.0
U1321 65 years, male, NA, stage:T3N1M0, alive, 2578 days 0.0
U0124 81 years, female, NA, stage:T1N0M0, alive, 2430 days 0.0
U0447 51 years, male, NA, stage:T4N1M0, dead, 1819 days 0.0
U0382 61 years, female, NA, stage:T3N0M0, alive, 2550 days 0.0
U0247 70 years, female, NA, stage:T3N1M0, alive, 2538 days 0.0
U0262 69 years, female, NA, stage:T2N0M0, alive, 2534 days 0.0
U0269 69 years, female, NA, stage:T3N0M0, alive, 2530 days 0.0
U0373 64 years, female, NA, stage:T3N0M0, alive, 1822 days 0.0
U0257 69 years, male, NA, stage:T3N1M0, dead, 2508 days 0.0
U0189 74 years, female, NA, stage:T3N0M0, dead, 1823 days 0.0
U0066 93 years, male, NA, stage:T3N0M0, dead, 2486 days 0.0
U0950 86 years, female, NA, stage:T4N1M0, alive, 1834 days 0.0
U0098 84 years, male, NA, stage:T3N0M0, dead, 2473 days 0.0
U0455 47 years, female, NA, stage:T3N2M0, alive, 2445 days 0.0
U1060 78 years, male, NA, stage:T3N0M0, alive, 2442 days 0.0
U0314 67 years, female, NA, stage:T1N0M0, dead, 2436 days 0.0
U1401 60 years, female, NA, stage:T3N0M0, alive, 1482 days 0.0
U0075 88 years, male, NA, stage:T3N0M0, dead, 3 days 0.0
U1344 65 years, female, NA, stage:T3N1M0, alive, 1450 days 0.0
U0112 86 years, female, NA, stage:T3N0M1, alive, 551 days 0.0
U0949 84 years, female, NA, stage:T3N0M1, dead, 594 days 0.0
U3000 69 years, female, NA, stage:T3N0M0, alive, 584 days 0.0
U0225 77 years, male, NA, stage:T3N1M0, alive, 581 days 0.0
U1432 60 years, female, NA, stage:T3N1M0, alive, 577 days 0.0
U0221 77 years, male, NA, stage:T3N0M0, alive, 569 days 0.0
U2927 51 years, male, NA, stage:T3N1M0, alive, 564 days 0.0
U2928 52 years, male, NA, stage:T2N0M0, alive, 563 days 0.0
U1213 73 years, female, NA, stage:T2N0M0, alive, 560 days 0.0
U2935 70 years, male, NA, stage:T4N1M0, alive, 555 days 0.0
U2942 74 years, male, NA, stage:T2N0M0, alive, 549 days 0.0
U1250 70 years, male, NA, stage:T2N0M0, alive, 597 days 0.0
U0275 69 years, female, NA, stage:T3N2M0, alive, 549 days 0.0
U0399 63 years, female, NA, stage:T4N2M0, dead, 547 days 0.0
U2948 74 years, female, NA, stage:T3N1M0, alive, 543 days 0.0
U0472 32 years, male, NA, stage:TXN2M0, alive, 542 days 0.0
U2953 55 years, female, NA, stage:T4aN0M0, alive, 541 days 0.0
U2956 86 years, female, NA, stage:T3N0M0, alive, 540 days 0.0
U2959 63 years, male, NA, stage:T3N2M0, alive, 536 days 0.0
U2958 84 years, female, NA, stage:T1N0M0, alive, 536 days 0.0
U0356 68 years, male, NA, stage:T4N1M0, alive, 536 days 0.0
U0383 60 years, male, NA, stage:T3N2M1, dead, 595 days 0.0
U0169 82 years, male, NA, stage:T4N2M0, alive, 616 days 0.0
U2975 85 years, male, NA, stage:T4N1M0, alive, 514 days 0.0
U0375 66 years, male, NA, stage:T3N0M0, dead, 666 days 0.0
U0398 63 years, female, NA, stage:T3N0M0, alive, 721 days 0.0
U2815 82 years, female, NA, stage:T3N0M0, alive, 717 days 0.0
U0306 71 years, male, NA, stage:T3N1M0, dead, 717 days 0.0
U0218 77 years, female, NA, stage:T3N0M0, alive, 714 days 0.0
U2819 86 years, female, NA, stage:T3N0M0, alive, 708 days 0.0
U0361 63 years, male, NA, stage:T3N0M0, alive, 686 days 0.0
U2843 89 years, female, NA, stage:T3N0M0, alive, 674 days 0.0
U0421 60 years, male, NA, stage:T3N1M0, alive, 674 days 0.0
U0102 87 years, female, NA, stage:T4N2M0, dead, 670 days 0.0
U0590 75 years, female, NA, stage:T3N0M0, alive, 661 days 0.0
U0442 56 years, male, NA, stage:T3N0M0, alive, 619 days 0.0
U0254 75 years, female, NA, stage:T3N1M0, alive, 659 days 0.0
U0106 82 years, female, NA, stage:T3N1M0, dead, 653 days 0.0
U2861 78 years, male, NA, stage:T3N0M0, alive, 652 days 0.0
U2882 65 years, female, NA, stage:T3N1M0, alive, 637 days 0.0
U2971 62 years, male, NA, stage:T4aN0M0, alive, 629 days 0.0
U0347 68 years, female, NA, stage:T4N1M1, alive, 628 days 0.0
U2889 77 years, male, NA, stage:T4N0M0, alive, 623 days 0.0
U0145 81 years, male, NA, stage:T3N1M1, alive, 623 days 0.0
U2891 81 years, male, NA, stage:T3N1M0, alive, 619 days 0.0
U0108 84 years, female, NA, stage:T3N0M1, alive, 535 days 0.0
U2981 74 years, male, NA, stage:T3N0M0, alive, 508 days 0.0
U0256 74 years, male, NA, stage:T3N0M0, alive, 738 days 0.0
U0977 84 years, female, NA, stage:T4N2M0, dead, 140 days 0.0
U0227 72 years, female, NA, stage:T4N2M0, alive, 291 days 0.0
U1147 73 years, male, NA, stage:T3N0M0, dead, 282 days 0.0
U0277 72 years, male, NA, stage:T2N1M0, alive, 270 days 0.0
U0081 87 years, male, NA, stage:T3N2M0, dead, 248 days 0.0
U0404 57 years, female, NA, stage:T3N2M0, dead, 204 days 0.0
U0320 66 years, female, NA, stage:T4N2M1, alive, 188 days 0.0
U1253 68 years, female, NA, stage:T3N0M0, dead, 165 days 0.0
U0122 85 years, female, NA, stage:T2N0M0, dead, 159 days 0.0
U0109 82 years, female, NA, stage:T4N2M1, alive, 144 days 0.0
U0069 94 years, female, NA, stage:T4N2M0, dead, 135 days 0.0
U0073 87 years, male, NA, stage:T4N0MX, dead, 318 days 0.0
U0157 83 years, male, NA, stage:T4N0M0, dead, 131 days 0.0
U1251 69 years, male, NA, stage:T4N2M0, alive, 126 days 0.0
U1129 74 years, male, NA, stage:T3N0M0, dead, 118 days 0.0
U3122 85 years, female, NA, stage:T3N0M1, dead, 91 days 0.0
U0259 68 years, female, NA, stage:T4N2M0, alive, 76 days 0.0
U0239 76 years, male, NA, stage:T2N0M0, alive, 67 days 0.0
U1241 70 years, male, NA, stage:T3N1M0, dead, 49 days 0.0
U0161 78 years, male, NA, stage:T4N2M1, alive, 42 days 0.0
U0908 89 years, female, NA, stage:T3N0M1, dead, 40 days 0.0
U0342 68 years, male, NA, stage:T4N2M0, alive, 305 days 0.0
U3042 62 years, male, NA, stage:T3N0M0, alive, 324 days 0.0
U0312 65 years, female, NA, stage:T4N2M1, alive, 499 days 0.0
U1145 74 years, female, NA, stage:T3N0M0, dead, 445 days 0.0
U2995 81 years, female, NA, stage:T3N1M0, alive, 491 days 0.0
U3022 77 years, male, NA, stage:T2N0M0, alive, 484 days 0.0
U3005 74 years, male, NA, stage:T3N0M0, alive, 478 days 0.0
U3029 84 years, male, NA, stage:T2N0M0, alive, 475 days 0.0
U3008 82 years, female, NA, stage:T2N0M0, alive, 473 days 0.0
U1114 76 years, female, NA, stage:TXNXM1, dead, 473 days 0.0
U3012 66 years, male, NA, stage:T3N0M0, alive, 472 days 0.0
U3024 76 years, female, NA, stage:T3N0M0, alive, 463 days 0.0
U3018 67 years, male, NA, stage:T4N1M0, alive, 463 days 0.0
U3034 64 years, female, NA, stage:T3N1M0, alive, 443 days 0.0
U0898 90 years, female, NA, stage:T4aN0M0, dead, 340 days 0.0
U0433 58 years, male, NA, stage:T4N1M1, dead, 440 days 0.0
U0340 69 years, female, NA, stage:T4N2M1, dead, 438 days 0.0
U0420 56 years, male, NA, stage:T4N1M1, alive, 417 days 0.0
U3051 48 years, male, NA, stage:T3N2M0, alive, 415 days 0.0
U1454 54 years, female, NA, stage:T3N0M0, alive, 393 days 0.0
U3025 68 years, male, NA, stage:T4N2M1, alive, 377 days 0.0
U3039 74 years, male, NA, stage:T4N1M1, dead, 366 days 0.0
U0263 69 years, female, NA, stage:T3N0M1, alive, 362 days 0.0
U1162 73 years, male, NA, stage:T2N1M0, dead, 354 days 0.0
U0083 88 years, male, NA, stage:T4N0M0, dead, 731 days 0.0
U1352 61 years, male, NA, stage:T3N2M1, dead, 741 days 0.0
U0446 53 years, male, NA, stage:T2N0M0, alive, 1446 days 0.0
U0362 66 years, male, NA, stage:T3N0M0, alive, 1148 days 0.0
U0144 84 years, male, NA, stage:T3N0M0, alive, 1218 days 0.0
U1049 82 years, female, NA, stage:T3N1M0, alive, 1200 days 0.0
U1274 69 years, male, NA, stage:T2N1M0, alive, 1198 days 0.0
U0103 88 years, female, NA, stage:T3N1M0, alive, 1197 days 0.0
U0427 59 years, male, NA, stage:T2N0M0, alive, 1193 days 0.0
U0246 74 years, female, NA, stage:T4N0M0, dead, 1192 days 0.0
U0934 87 years, female, NA, stage:T3N0M0, alive, 1185 days 0.0
U0078 91 years, female, NA, stage:T3N0M0, alive, 1183 days 0.0
U1396 62 years, female, NA, stage:T4N0M0, alive, 1168 days 0.0
U0313 70 years, male, NA, stage:T4N1M0, dead, 1142 days 0.0
U0208 76 years, female, NA, stage:T3N1M0, dead, 1233 days 0.0
U1150 75 years, female, NA, stage:T3N0M0, alive, 15 days 0.0
U0111 88 years, male, NA, stage:T2N0M0, alive, 1117 days 0.0
U0113 88 years, male, NA, stage:T4N2M0, alive, 1102 days 0.0
U0429 58 years, female, NA, stage:T3N0M1, alive, 1099 days 0.0
U0369 66 years, female, NA, stage:T3N0M0, dead, 1095 days 0.0
U1304 69 years, female, NA, stage:TXNXM0, alive, 1081 days 0.0
U0308 72 years, male, NA, stage:T4N1M0, alive, 1075 days 0.0
U0370 67 years, female, NA, stage:T3N0M0, alive, 1047 days 0.0
U0179 75 years, male, NA, stage:T3N1M0, dead, 1043 days 0.0
U0938 86 years, female, NA, stage:T3N0M0, dead, 1231 days 0.0
U0211 76 years, female, NA, stage:T3N1M0, alive, 1236 days 0.0
U1040 83 years, male, NA, stage:T2N0M0, alive, 1029 days 0.0
U1384 62 years, male, NA, stage:T4N1M0, alive, 1319 days 0.0
U1246 70 years, female, NA, stage:T3N0M0, alive, 1441 days 0.0
U1013 82 years, female, NA, stage:T2N1M0, alive, 1439 days 0.0
U0439 56 years, male, NA, stage:T3N1M0, alive, 1418 days 0.0
U1347 65 years, female, NA, stage:T3N0M0, alive, 1401 days 0.0
U1258 70 years, male, NA, stage:T3N1M0, alive, 1373 days 0.0
U0328 66 years, male, NA, stage:T4N0M0, dead, 1362 days 0.0
U1102 77 years, male, NA, stage:T2N0M0, alive, 1354 days 0.0
U1007 82 years, male, NA, stage:T3N0M0, alive, 1333 days 0.0
U0387 65 years, male, NA, stage:T2N0M0, alive, 1327 days 0.0
U1235 71 years, female, NA, stage:T2N0M0, alive, 1319 days 0.0
U1045 80 years, female, NA, stage:T4N2M0, alive, 1239 days 0.0
U0070 89 years, male, NA, stage:T1N0M0, dead, 1319 days 0.0
U1472 47 years, female, NA, stage:T3N1M0, alive, 1316 days 0.0
U1252 70 years, female, NA, stage:T4N2M0, alive, 1309 days 0.0
U1075 78 years, female, NA, stage:T3N0M0, alive, 1290 days 0.0
U0984 84 years, female, NA, stage:T4N0M0, alive, 1287 days 0.0
U0198 77 years, male, NA, stage:T3N1M0, alive, 1272 days 0.0
U0215 77 years, male, NA, stage:T3N0M0, alive, 1269 days 0.0
U0993 83 years, male, NA, stage:T4N2M0, alive, 1267 days 0.0
U0129 82 years, male, NA, stage:T4N0M0, dead, 1265 days 0.0
U0095 86 years, male, NA, stage:T4N1M0, dead, 1034 days 0.0
U0321 70 years, female, NA, stage:T3N0M0, alive, 1029 days 0.0
U2803 66 years, male, NA, stage:T3N1M0, alive, 744 days 0.0
U0368 67 years, male, NA, stage:T2N0M0, alive, 801 days 0.0
U1208 74 years, female, NA, stage:T1N0M0, alive, 834 days 0.0
U1257 71 years, male, NA, stage:T3N0M0, alive, 833 days 0.0
U1374 66 years, male, NA, stage:T4N0M0, alive, 827 days 0.0
U0203 77 years, male, NA, stage:T3N0M0, dead, 827 days 0.0
U1120 76 years, male, NA, stage:T4N1M1, alive, 823 days 0.0
U0154 83 years, male, NA, stage:T3N0M0, alive, 820 days 0.0
U0344 69 years, male, NA, stage:T2N1M0, dead, 818 days 0.0
U2753 81 years, female, NA, stage:T2N0M0, alive, 813 days 0.0
U2754 81 years, male, NA, stage:T4N0M0, alive, 809 days 0.0
U2774 66 years, female, NA, stage:T3N0M0, alive, 783 days 0.0
U0390 64 years, male, NA, stage:T3N1M0, alive, 871 days 0.0
U2780 75 years, male, NA, stage:T3N0M0, alive, 778 days 0.0
U2782 79 years, male, NA, stage:T3N1M1, alive, 773 days 0.0
U0133 85 years, female, NA, stage:T3N0M0, alive, 773 days 0.0
U0350 68 years, female, NA, stage:T4N0M0, alive, 770 days 0.0
U1240 70 years, male, NA, stage:T4N0M0, alive, 765 days 0.0
U0166 82 years, female, NA, stage:T3N0M0, alive, 763 days 0.0
U0318 71 years, male, NA, stage:T3N0M0, alive, 762 days 0.0
U2792 68 years, male, NA, stage:T2N1M0, alive, 758 days 0.0
U2798 68 years, male, NA, stage:T3N0M0, alive, 751 days 0.0
U0999 84 years, male, NA, stage:T3N2M0, alive, 860 days 0.0
U0249 75 years, female, NA, stage:T4N2M0, dead, 874 days 0.0
U0384 64 years, male, NA, stage:T2N1M1, alive, 1024 days 0.0
U0300 71 years, male, NA, stage:T2N0M0, alive, 974 days 0.0
U1078 80 years, female, NA, stage:T3N0M0, alive, 1016 days 0.0
U0428 60 years, male, NA, stage:T4N1M1, alive, 1016 days 0.0
U0960 86 years, male, NA, stage:T3N0M0, alive, 1009 days 0.0
U0231 77 years, female, NA, stage:T2N0M0, alive, 991 days 0.0
U0234 75 years, male, NA, stage:T1N1M0, alive, 990 days 0.0
U0152 82 years, male, NA, stage:T3N1M0, alive, 989 days 0.0
U1447 57 years, male, NA, stage:T4N1M0, alive, 988 days 0.0
U0099 85 years, female, NA, stage:T3N0M0, dead, 986 days 0.0
U1103 76 years, female, NA, stage:T4N2M0, alive, 975 days 0.0
U0394 65 years, male, NA, stage:T2N1M0, alive, 969 days 0.0
U0193 76 years, male, NA, stage:T3N1M0, dead, 876 days 0.0
U0376 66 years, male, NA, stage:T2N1M0, alive, 965 days 0.0
U0436 59 years, male, NA, stage:T4N1M1, alive, 960 days 0.0
U0168 81 years, male, NA, stage:T3N0M0, dead, 948 days 0.0
U0463 49 years, male, NA, stage:T3N0M0, alive, 946 days 0.0
U0970 86 years, female, NA, stage:T4N1M0, alive, 939 days 0.0
U0281 72 years, male, NA, stage:T3N2M0, alive, 933 days 0.0
U0389 64 years, female, NA, stage:T3N1M0, dead, 927 days 0.0
U0191 80 years, male, NA, stage:T3N1M0, alive, 900 days 0.0
U0302 73 years, male, NA, stage:T1N0M0, alive, 892 days 0.0
U0110 87 years, female, NA, stage:T3N1M1, dead, 878 days 0.0
U0186 73 years, female, NA, stage:T2N0M0, alive, 3726 days 0.0
Show allShow less
RECTUM ADENOCARCINOMA (TCGA) - Interactive survival scatter ploti

The Survival Scatter plot shows the clinical status (i.e. dead or alive) for all individuals in the patient cohort, based on the same data that underlies the corresponding Kaplan-Meier plots. Patients that are alive at last time for follow-up are shown in blue and patients who have died during the study are shown in red.

The x-axis shows the expression levels (FPKM) of the investigated gene in the tumor tissue at the time of diagnosis. The y-axis shows the follow-up time after diagnosis (years). Both axes are complimented with kernel density curves demonstrating the data density over the axes. The top density plot shows the expression levels (FPKM) distribution among dead (red) and alive patients (blue). The right density plot shows the data density of the survived years of dead patients with high and low expression levels respectively, stratified using the cutoff indicated by the vertical dashed line through the Survival Scatter plot. This cutoff is automatically defined based on the FPKM cutoff that minimizes the p-score. The cutoff can be changed by dragging the vertical line or by entering a cutoff value in the square labeled "Current cut-off".

Under the Survival Scatter plot the p-score landscape (black curve; left axis) is shown together with dead median separation (red curve; right axis). Dead median separation is the difference in median mRNA expression between patients who have died with high and low expression, respectively. It is calculated as follows: median FPKM expression of dead patients with high expression - median FPKM expression of dead patients with low expression. This is intended to aid the user in visually exploring custom cutoffs and the associated p-scores and dead median separation.

Individual patient data is displayed and can be filtered by clicking on one or more of the category buttons on the top of the page. Categories describing expression level and patient information include: high, low, alive, dead, female, male and tumor stages. The scale of the x-axis can be toggled between linear and log-scale by clicking on the "x log" button. Mouse-over function shows TCGA ID, patient information and mRNA expression (FPKM) for each patient.

& Survival analysisi

Kaplan-Meier plots summarize results from analysis of correlation between mRNA expression level and patient survival. Patients were divided based on level of expression into one of the two groups "low" (under cut off) or "high" (over cut off). X-axis shows time for survival (years) and y-axis shows the probability of survival, where 1.0 corresponds to 100 percent.

C2orf73 is not prognostic in Rectum Adenocarcinoma (TCGA)


Stage:


Survival analysis
Current cut offi

Current cut-off shows the cut-off (FPKM) currently selected. It may be changed manually. When the current cut-off is changed, the vertical dashed line indicating cut-off, the interactive survival scatter plot and the Kaplan-Meier curve will be automatically adjusted to show results accordingly.

:
Best expression cut offi

Based on the FPKM value of each gene, patients were classified into two groups and association between prognosis (survival) and gene expression (FPKM) was examined. The best expression cut-off refers the FPKM value that yields maximal difference with regard to survival between the two groups at the lowest log-rank P-value. Best expression cut-off was selected based on survival analysis .

When clicking on this number, the vertical dashed line indicating cut-off, the interactive survival plot, and the Kaplan-Meier curve will be adjusted to show results based on the best expression cut-off.

: N/A
Median expressioni

Median expression refers to the median FPKM value calculated based on the gene expression (FPKM) data from all patients in this dataset. When clicking on this number, the vertical dashed line indicating cut-off, the interactive survival plot, and the Kaplan-Meier curve will be adjusted to show results based on the median expression.

: N/A
Median follow up timei

Median follow up time refers to the median time (years) after diagnosis with this type of cancer, based on clinical data from all patients in this dataset.

: N/A
P scorei

Log-rank P value for Kaplan-Meier plot showing results from analysis of correlation between mRNA expression level and patient survival.

N/A
5-year survival highi

5-year survival for patients with higher expression than the expression cutoff.

For melanoma and glioma, 3-year survival is shown.

N/A
5-year survival lowi

5-year survival for patients with lower expression than the expression cutoff.

For melanoma and glioma, 3-year survival is shown.

N/A
TCGA RNA samplesi

RNA-seq data is reported as average FPKM (number Fragments Per Kilobase of exon per Million reads), generated by the The Cancer Genome Atlas (TCGA) .

Normal distribution across the dataset is visualized with box plots, shown as median and 25th and 75th percentiles. Points are displayed as outliers if they are above or below 1.5 times the interquartile range. FPKM values of the individual samples are presented next to the box plot.

Average pTPM 0.0
Number of samples 88
Samples
Sample Description pTPM
TCGA-AG-3731-01A 65 years, male, stage:Stage IV, alive, 1126 days 0.2
TCGA-F5-6465-01A 64 years, female, white, stage:Stage IIA, alive, 1506 days 0.1
TCGA-DY-A1DG-01A 75 years, male, white, stage:Stage IVA, dead, 1566 days 0.1
TCGA-EI-6884-01A 71 years, male, white, stage:Stage IIIA, alive, 328 days 0.1
TCGA-G5-6572-01A 56 years, male, white, stage:'--, dead, 1432 days 0.1
TCGA-DY-A1DC-01A 72 years, female, white, stage:Stage IIA, dead, 1258 days 0.1
TCGA-DC-6156-01A 62 years, male, white, stage:Stage IVA, alive, 943 days 0.1
TCGA-EI-6510-01A 77 years, female, white, stage:'--, alive, 556 days 0.1
TCGA-DY-A1DF-01A 73 years, female, white, stage:Stage IIIC, dead, 734 days 0.1
TCGA-EI-7004-01A 37 years, female, white, stage:'--, alive, 257 days 0.1
TCGA-EI-6508-01A 48 years, female, white, stage:Stage IIIB, alive, 636 days 0.1
TCGA-AF-3911-01A 48 years, male, white, stage:Stage IIIC, alive, 1148 days 0.1
TCGA-AH-6644-01A 73 years, male, white, stage:'--, alive, 838 days 0.1
TCGA-DC-6681-01A 70 years, female, white, stage:Stage IVA, alive, 790 days 0.1
TCGA-DT-5265-01A 51 years, male, asian, stage:Stage II, alive, 384 days 0.1
TCGA-CL-5917-01A 71 years, female, white, stage:Stage IIIC, alive, 2376 days 0.1
TCGA-AF-2687-01A 57 years, male, white, stage:Stage IIIC, alive, 1427 days 0.1
TCGA-G5-6233-01A 74 years, male, white, stage:'--, dead, 556 days 0.1
TCGA-AH-6903-01A 46 years, male, white, stage:Stage IIIB, alive, 592 days 0.1
TCGA-AH-6547-01A 79 years, female, white, stage:'--, dead, 76 days 0.1
TCGA-AH-6643-01A 50 years, male, white, stage:Stage IIIC, dead, 1314 days 0.1
TCGA-AH-6544-01A 60 years, male, white, stage:'--, alive, 1173 days 0.1
TCGA-F5-6864-01A 74 years, female, white, stage:Stage IIIB, alive, 379 days 0.1
TCGA-EI-6881-01A 60 years, male, white, stage:Stage IIIA, alive, 499 days 0.1
TCGA-AF-2693-01A 75 years, male, white, stage:Stage I, alive, 1155 days 0.1
TCGA-AH-6549-01A 66 years, male, white, stage:'--, alive, 532 days 0.0
TCGA-EI-6883-01A 63 years, male, white, stage:Stage IIC, alive, 350 days 0.0
TCGA-EI-7002-01A 58 years, male, white, stage:Stage IV, alive, 364 days 0.0
TCGA-AF-5654-01A 73 years, female, white, stage:Stage I, dead, 512 days 0.0
TCGA-BM-6198-01A 73 years, male, white, stage:Stage IIIB, alive, 646 days 0.0
TCGA-CL-4957-01A 79 years, female, stage:'--, dead, 425 days 0.0
TCGA-G5-6641-01A 67 years, male, white, stage:Stage IIIA, alive, 804 days 0.0
TCGA-AG-3591-01A 66 years, female, stage:Stage IIA, alive, 1035 days 0.0
TCGA-AF-A56K-01A 56 years, male, black or african american, stage:Stage IIA, alive, 2635 days 0.0
TCGA-AG-3902-01A 61 years, male, stage:Stage IIA, alive, 974 days 0.0
TCGA-DC-4745-01A 49 years, female, white, stage:Stage IIIB, alive, 639 days 0.0
TCGA-AG-4021-01A 84 years, female, stage:Stage IV, dead, 121 days 0.0
TCGA-F5-6812-01A 67 years, male, white, stage:Stage IIA, alive, 1110 days 0.0
TCGA-DC-6682-01A 57 years, male, white, stage:Stage IIA, alive, 762 days 0.0
TCGA-EF-5830-01A 54 years, male, white, stage:Stage IIB, alive, 106 days 0.0
TCGA-F5-6863-01A 71 years, female, white, stage:Stage IIIB, dead, 361 days 0.0
TCGA-EI-6511-01A 52 years, male, white, stage:Stage IIIB, alive, 482 days 0.0
TCGA-EI-6509-01A 53 years, male, white, stage:Stage IIIC, alive, 517 days 0.0
TCGA-EI-6513-01A 59 years, male, white, stage:Stage IIIB, alive, 497 days 0.0
TCGA-F5-6814-01A 57 years, male, white, stage:Stage IIA, alive, 1131 days 0.0
TCGA-AG-3592-01A 68 years, male, stage:Stage IIA, alive, 1035 days 0.0
TCGA-DY-A0XA-01A 57 years, female, white, stage:Stage IIA, alive, 3846 days 0.0
TCGA-CI-6622-01A 74 years, male, white, stage:Stage IIB, alive, 1362 days 0.0
TCGA-AF-A56L-01A 48 years, female, black or african american, stage:Stage IIIC, alive, 2007 days 0.0
TCGA-DY-A1DD-01A 77 years, female, white, stage:Stage IIIB, dead, 1741 days 0.0
TCGA-DC-6160-01A 68 years, male, white, stage:Stage I, alive, 1339 days 0.0
TCGA-G5-6235-01A 72 years, male, white, stage:Stage IIIB, alive, 1696 days 0.0
TCGA-F5-6861-01A 60 years, female, white, stage:Stage IIA, alive, 1160 days 0.0
TCGA-DC-6157-01A 48 years, male, black or african american, stage:Stage I, alive, 1581 days 0.0
TCGA-AG-4022-01A 59 years, female, stage:Stage II, alive, 1400 days 0.0
TCGA-F5-6571-01A 62 years, female, white, stage:Stage IIA, alive, 1288 days 0.0
TCGA-CI-6620-01A 41 years, female, white, stage:Stage IVA, alive, 1009 days 0.0
TCGA-AG-3742-01A 85 years, female, stage:Stage I, alive, 30 days 0.0
TCGA-DC-4749-01A 57 years, male, white, stage:Stage I, alive, 762 days 0.0
TCGA-AG-3732-01A 78 years, female, stage:Stage I, alive, 1003 days 0.0
TCGA-EI-6512-01A 64 years, female, white, stage:Stage IIIB, alive, 538 days 0.0
TCGA-EF-5831-01A 72 years, male, white, stage:Stage IIA, alive, 127 days 0.0
TCGA-EI-6882-01A 59 years, male, white, stage:Stage IIA, alive, 262 days 0.0
TCGA-F5-6464-01A 77 years, female, white, stage:Stage IIIC, dead, 303 days 0.0
TCGA-DC-6158-01A 70 years, male, white, stage:Stage I, dead, 334 days 0.0
TCGA-AF-A56N-01A 47 years, female, black or african american, stage:Stage IIA, alive, 360 days 0.0
TCGA-DC-6154-01A 57 years, female, white, stage:Stage IVA, alive, 365 days 0.0
TCGA-EI-6885-01A 57 years, female, white, stage:Stage IV, alive, 415 days 0.0
TCGA-CI-6621-01A 63 years, male, white, stage:Stage IIIB, alive, 419 days 0.0
TCGA-DC-6155-01A 31 years, female, white, stage:Stage IIIA, alive, 425 days 0.0
TCGA-EI-6514-01A 59 years, female, white, stage:Stage IIA, alive, 496 days 0.0
TCGA-AF-2690-01A 76 years, female, white, stage:Stage IIIC, dead, 524 days 0.0
TCGA-EI-6917-01A 33 years, male, white, stage:Stage IIIA, alive, 531 days 0.0
TCGA-F5-6813-01A 70 years, male, white, stage:Stage IIIC, dead, 598 days 0.0
TCGA-DY-A1H8-01A 77 years, female, white, stage:Stage IIIA, dead, 992 days 0.0
TCGA-EI-6507-01A 60 years, male, white, stage:Stage IIA, alive, 607 days 0.0
TCGA-AF-6655-01A 66 years, male, white, stage:Stage IIIA, alive, 609 days 0.0
TCGA-EI-6506-01A 78 years, female, white, stage:Stage IIA, alive, 625 days 0.0
TCGA-AF-6136-01A 72 years, female, white, stage:Stage IIIB, alive, 741 days 0.0
TCGA-AF-6672-01A 43 years, male, white, stage:Stage IV, alive, 748 days 0.0
TCGA-DC-6683-01A 43 years, male, white, stage:Stage IIIB, alive, 762 days 0.0
TCGA-DC-5337-01A 69 years, male, white, stage:Stage I, alive, 792 days 0.0
TCGA-AH-6897-01A 48 years, male, white, stage:Stage I, alive, 804 days 0.0
TCGA-F5-6702-01A 71 years, male, white, stage:Stage IVA, dead, 869 days 0.0
TCGA-AF-4110-01A 77 years, male, white, stage:Stage IVA, alive, 912 days 0.0
TCGA-DC-5869-01A 62 years, female, black or african american, stage:Stage IIIB, alive, 943 days 0.0
TCGA-F5-6811-01A 72 years, female, white, stage:Stage IIA, alive, 979 days 0.0
TCGA-DY-A1DE-01A 56 years, female, white, stage:Stage IIA, alive, 3932 days 0.0
Show allShow less
RECTUM ADENOCARCINOMA (VALIDATION) - Interactive survival scatter ploti

The Survival Scatter plot shows the clinical status (i.e. dead or alive) for all individuals in the patient cohort, based on the same data that underlies the corresponding Kaplan-Meier plots. Patients that are alive at last time for follow-up are shown in blue and patients who have died during the study are shown in red.

The x-axis shows the expression levels (FPKM) of the investigated gene in the tumor tissue at the time of diagnosis. The y-axis shows the follow-up time after diagnosis (years). Both axes are complimented with kernel density curves demonstrating the data density over the axes. The top density plot shows the expression levels (FPKM) distribution among dead (red) and alive patients (blue). The right density plot shows the data density of the survived years of dead patients with high and low expression levels respectively, stratified using the cutoff indicated by the vertical dashed line through the Survival Scatter plot. This cutoff is automatically defined based on the FPKM cutoff that minimizes the p-score. The cutoff can be changed by dragging the vertical line or by entering a cutoff value in the square labeled "Current cut-off".

Under the Survival Scatter plot the p-score landscape (black curve; left axis) is shown together with dead median separation (red curve; right axis). Dead median separation is the difference in median mRNA expression between patients who have died with high and low expression, respectively. It is calculated as follows: median FPKM expression of dead patients with high expression - median FPKM expression of dead patients with low expression. This is intended to aid the user in visually exploring custom cutoffs and the associated p-scores and dead median separation.

Individual patient data is displayed and can be filtered by clicking on one or more of the category buttons on the top of the page. Categories describing expression level and patient information include: high, low, alive, dead, female, male and tumor stages. The scale of the x-axis can be toggled between linear and log-scale by clicking on the "x log" button. Mouse-over function shows TCGA ID, patient information and mRNA expression (FPKM) for each patient.

& Survival analysisi

Kaplan-Meier plots summarize results from analysis of correlation between mRNA expression level and patient survival. Patients were divided based on level of expression into one of the two groups "low" (under cut off) or "high" (over cut off). X-axis shows time for survival (years) and y-axis shows the probability of survival, where 1.0 corresponds to 100 percent.

  Survival analysis data not available.
TCGA RNA samplesi

RNA-seq data is reported as average FPKM (number Fragments Per Kilobase of exon per Million reads), generated by the The Cancer Genome Atlas (TCGA) .

Normal distribution across the dataset is visualized with box plots, shown as median and 25th and 75th percentiles. Points are displayed as outliers if they are above or below 1.5 times the interquartile range. FPKM values of the individual samples are presented next to the box plot.

Average pTPM 0.2
Number of samples 207
Samples
Sample Description pTPM
U0093 85 years, male, NA, stage:T3N2M0, dead, 1118 days 29.6
U0508 70 years, male, NA, stage:T3N1M0, alive, 1120 days 0.6
U0694 85 years, male, NA, stage:T4N0M0, dead, 489 days 0.5
U0640 64 years, male, NA, stage:T2N0M0, alive, 1696 days 0.4
U0572 67 years, female, NA, stage:T3N1M0, alive, 2621 days 0.4
U0334 64 years, male, NA, stage:T3N1M0, alive, 3171 days 0.3
U0604 67 years, male, NA, stage:T3N1M0, alive, 1522 days 0.3
U0120 80 years, female, NA, stage:T3N0M0, alive, 3233 days 0.3
U3047 70 years, male, NA, stage:T3N2M0, alive, 205 days 0.3
U0188 76 years, female, NA, stage:T3N1M0, alive, 2134 days 0.3
U0558 63 years, female, NA, stage:T3N2M0, alive, 2011 days 0.3
U0255 68 years, female, NA, stage:T3N2M0, dead, 1079 days 0.3
U0641 61 years, female, NA, stage:T3N0M0, dead, 1626 days 0.3
U0294 73 years, male, NA, stage:T4N0M1, alive, 561 days 0.3
U0637 56 years, male, NA, stage:T3N1M0, alive, 1997 days 0.3
U0562 58 years, female, NA, stage:T3N1M0, alive, 3092 days 0.2
U0353 62 years, female, NA, stage:T1N0M0, alive, 2912 days 0.2
U0454 46 years, male, NA, stage:T3N1M0, alive, 2997 days 0.2
U0502 65 years, male, NA, stage:T4N1M0, alive, 1065 days 0.2
U2761 74 years, female, NA, stage:T3N1M0, alive, 447 days 0.2
U0852 36 years, male, NA, stage:T3N2M1, alive, 1651 days 0.2
U0802 70 years, male, NA, stage:T3N2M1, dead, 338 days 0.2
U0434 54 years, male, NA, stage:T2N0M0, alive, 2558 days 0.2
U0418 60 years, male, NA, stage:T4N1M0, alive, 1246 days 0.2
U0406 58 years, female, NA, stage:T4N2M1, dead, 778 days 0.2
U0324 70 years, female, NA, stage:T4N1M0, alive, 938 days 0.2
U0849 81 years, female, NA, stage:T4N0M1, dead, 267 days 0.2
U0545 62 years, male, NA, stage:T3N0M0, alive, 2340 days 0.2
U2836 87 years, male, NA, stage:T3N0M0, alive, 322 days 0.2
U0602 79 years, male, NA, stage:T2N0M0, alive, 1385 days 0.2
U0584 66 years, male, NA, stage:T3N2M0, alive, 2705 days 0.2
U0079 86 years, male, NA, stage:T4N2M0, dead, 1891 days 0.2
U0800 74 years, male, NA, stage:T3N2M1, dead, 411 days 0.2
U0216 72 years, male, NA, stage:T2N0M0, alive, 2684 days 0.2
U0577 59 years, female, NA, stage:T3N2M0, alive, 2474 days 0.2
U0457 50 years, male, NA, stage:T3N0M0, alive, 833 days 0.2
U0359 64 years, male, NA, stage:T3N2M0, dead, 2443 days 0.2
U0230 70 years, female, NA, stage:T1N1M0, alive, 3152 days 0.2
U0535 54 years, female, NA, stage:T4N1M0, alive, 2473 days 0.2
U2972 91 years, male, NA, stage:T3N0M0, alive, 161 days 0.2
U0532 72 years, male, NA, stage:T3N0M0, dead, 730 days 0.1
U0407 59 years, male, NA, stage:T3N1M0, dead, 2027 days 0.1
U0600 72 years, male, NA, stage:T3N1M0, alive, 1659 days 0.1
U0533 68 years, male, NA, stage:T3N2M0, alive, 2248 days 0.1
U0174 81 years, male, NA, stage:T3N0M0, alive, 450 days 0.1
U0380 62 years, male, NA, stage:T2N0M0, alive, 2155 days 0.1
U0539 66 years, male, NA, stage:T4N2M0, alive, 2017 days 0.1
U0213 71 years, male, NA, stage:T3N1M0, alive, 3018 days 0.1
U0237 71 years, male, NA, stage:T3N1M0, alive, 2492 days 0.1
U0096 88 years, female, NA, stage:T4N2M1, dead, 257 days 0.1
U0374 65 years, female, NA, stage:T2N0M0, alive, 1067 days 0.1
U0366 67 years, male, NA, stage:T3NXM1, alive, 895 days 0.1
U0147 78 years, female, NA, stage:T3N0M0, dead, 2085 days 0.1
U0192 76 years, male, NA, stage:T3N0M0, alive, 2081 days 0.1
U0311 70 years, female, NA, stage:T3N1M0, alive, 1176 days 0.1
U0686 77 years, female, NA, stage:T4bN0M0, dead, 123 days 0.1
U0804 66 years, female, NA, stage:T3N2M1, dead, 380 days 0.1
U0137 80 years, male, NA, stage:T3N1M0, dead, 1799 days 0.1
U0793 80 years, male, NA, stage:T3N1M1, dead, 195 days 0.1
U2764 65 years, male, NA, stage:T3N2M0, alive, 440 days 0.1
U0542 68 years, male, NA, stage:T3N2M0, dead, 1482 days 0.1
U0642 87 years, male, NA, stage:T3N0M0, alive, 1603 days 0.1
U0114 84 years, male, NA, stage:T3N0M0, alive, 1910 days 0.1
U0581 66 years, female, NA, stage:T3N2M0, alive, 1660 days 0.1
U0296 67 years, male, NA, stage:T3N0M0, alive, 2610 days 0.1
U0654 72 years, male, NA, stage:T3N2M0, alive, 1220 days 0.1
U0128 86 years, female, NA, stage:T3N1M0, alive, 449 days 0.1
U0402 58 years, female, NA, stage:T3N1M0, dead, 2487 days 0.1
U0592 90 years, female, NA, stage:T2N0M0, dead, 670 days 0.1
U0658 75 years, male, NA, stage:T3N2M0, alive, 1108 days 0.1
U0331 64 years, male, NA, stage:T3N1M1, dead, 906 days 0.1
U0595 71 years, male, NA, stage:T2N0M0, alive, 2535 days 0.1
U0603 73 years, male, NA, stage:T2N1M0, alive, 1904 days 0.1
U0645 60 years, male, NA, stage:T3N0M0, alive, 1567 days 0.1
U0555 60 years, male, NA, stage:T3N2M0, alive, 2043 days 0.1
U0511 92 years, female, NA, stage:T3N0M0, dead, 2387 days 0.1
U0671 93 years, male, NA, stage:T3N1M0, dead, 785 days 0.1
U0862 75 years, male, NA, stage:T4N2M1, dead, 1064 days 0.1
U0088 86 years, male, NA, stage:T3N1M1, dead, 260 days 0.1
U0809 85 years, female, NA, stage:T3N1M1, dead, 275 days 0.1
U0232 71 years, female, NA, stage:T2N0M0, dead, 994 days 0.0
U0861 62 years, female, NA, stage:T4N2M1, dead, 184 days 0.0
U0282 70 years, male, NA, stage:T3N2M0, dead, 1869 days 0.0
U0132 82 years, male, NA, stage:T3N1M0, alive, 1798 days 0.0
U0422 56 years, female, NA, stage:T3N2M1, dead, 1710 days 0.0
U0578 42 years, male, NA, stage:T2N2M0, alive, 1724 days 0.0
U0557 51 years, female, NA, stage:T3N2M0, alive, 2009 days 0.0
U0553 68 years, female, NA, stage:T3N2M0, alive, 1704 days 0.0
U0325 67 years, male, NA, stage:T3N0M0, dead, 1947 days 0.0
U0264 69 years, male, NA, stage:T4N2M0, alive, 2020 days 0.0
U0498 72 years, female, NA, stage:T4N1M0, alive, 1906 days 0.0
U0251 71 years, male, NA, stage:T2N0M0, alive, 1906 days 0.0
U0638 52 years, male, NA, stage:T2N0M0, alive, 1801 days 0.0
U0468 38 years, female, NA, stage:T3N0M0, alive, 1921 days 0.0
U0675 84 years, female, NA, stage:T4N1M0, dead, 89 days 0.0
U0556 66 years, male, NA, stage:T3N2M0, alive, 2037 days 0.0
U0305 66 years, male, NA, stage:T3N1M0, alive, 2676 days 0.0
U0001 69 years, female, NA, stage:T3N0M0, alive, 3188 days 0.0
U0205 72 years, female, NA, stage:T3N2M0, alive, 2984 days 0.0
U0243 69 years, female, NA, stage:T3N2M0, alive, 2975 days 0.0
U0242 69 years, male, NA, stage:T3N0M0, alive, 2950 days 0.0
U0097 83 years, male, NA, stage:T3N0M1, dead, 2903 days 0.0
U0351 63 years, female, NA, stage:T3N2M0, alive, 2886 days 0.0
U0594 71 years, male, NA, stage:T3N0M0, alive, 2852 days 0.0
U0579 65 years, female, NA, stage:T4aN0M0, alive, 2845 days 0.0
U0514 52 years, female, NA, stage:T2N2M0, alive, 2799 days 0.0
U0485 74 years, male, NA, stage:T3N0M0, dead, 2737 days 0.0
U0423 55 years, female, NA, stage:T4N2M0, alive, 2735 days 0.0
U0293 67 years, male, NA, stage:T3N1M0, alive, 2717 days 0.0
U0371 62 years, female, NA, stage:T3N0M0, alive, 2688 days 0.0
U0140 80 years, male, NA, stage:T3N2M0, alive, 2655 days 0.0
U0478 75 years, male, NA, stage:T4N2M0, alive, 2051 days 0.0
U0512 65 years, male, NA, stage:T3N0M0, alive, 2550 days 0.0
U0576 69 years, male, NA, stage:T3N2M0, alive, 2540 days 0.0
U0415 56 years, male, NA, stage:T3N1M0, alive, 2526 days 0.0
U0430 55 years, male, NA, stage:T3N2M0, dead, 2472 days 0.0
U0138 80 years, male, NA, stage:T3N1M0, dead, 2472 days 0.0
U0776 62 years, male, NA, stage:T4N2M0, alive, 1702 days 0.0
U0173 77 years, male, NA, stage:T2N0M0, dead, 2375 days 0.0
U0190 75 years, male, NA, stage:T3N0M0, alive, 2367 days 0.0
U0596 61 years, male, NA, stage:T3N0M0, alive, 2233 days 0.0
U0550 43 years, male, NA, stage:T3N2M0, alive, 2191 days 0.0
U0388 61 years, male, NA, stage:T2N1M0, alive, 2186 days 0.0
U0339 64 years, male, NA, stage:T3N2M0, alive, 2155 days 0.0
U0587 47 years, male, NA, stage:T3N1M0, alive, 2107 days 0.0
U0304 68 years, male, NA, stage:T3N2M0, alive, 2065 days 0.0
U0271 69 years, female, NA, stage:T3N1M0, alive, 2414 days 0.0
U0534 69 years, female, NA, stage:T3N2M0, alive, 1361 days 0.0
U0552 67 years, male, NA, stage:T3N2M0, alive, 1701 days 0.0
U0431 59 years, female, NA, stage:T3N1M0, alive, 695 days 0.0
U0241 76 years, female, NA, stage:T2N1M0, alive, 552 days 0.0
U0695 85 years, male, NA, stage:T3N0M0, alive, 566 days 0.0
U0284 73 years, male, NA, stage:T3N2M0, alive, 581 days 0.0
U0077 86 years, female, NA, stage:T2N0M0, dead, 588 days 0.0
U0086 86 years, female, NA, stage:T3N1M0, dead, 594 days 0.0
U0820 74 years, male, NA, stage:T3NXM1, dead, 622 days 0.0
U0194 79 years, male, NA, stage:T3N1M0, alive, 680 days 0.0
U0343 69 years, female, NA, stage:T2N0M0, alive, 701 days 0.0
U0519 69 years, male, NA, stage:T4N2M0, dead, 519 days 0.0
U0666 59 years, male, NA, stage:T3N1M0, alive, 709 days 0.0
U0805 65 years, male, NA, stage:T3N1M1, dead, 731 days 0.0
U0663 78 years, female, NA, stage:T3N1M0, alive, 762 days 0.0
U0329 70 years, male, NA, stage:T3N1M0, dead, 805 days 0.0
U0405 63 years, male, NA, stage:T3N1M0, alive, 829 days 0.0
U0437 57 years, male, NA, stage:T1N1M0, alive, 849 days 0.0
U0865 72 years, female, NA, stage:T3N1M1, dead, 856 days 0.0
U3049 72 years, male, NA, stage:T2N0M0, alive, 533 days 0.0
U0707 59 years, male, NA, stage:T3N1M0, alive, 518 days 0.0
U0593 74 years, male, NA, stage:T4bN0M0, alive, 876 days 0.0
U0258 73 years, male, NA, stage:T4N1M2, dead, 195 days 0.0
U2994 70 years, female, NA, stage:T4N1M0, alive, 132 days 0.0
U2991 77 years, female, NA, stage:T1N0M0, alive, 135 days 0.0
U0364 67 years, female, NA, stage:T4N2M1, dead, 151 days 0.0
U0279 74 years, male, NA, stage:T2N1M0, dead, 176 days 0.0
U2960 52 years, male, NA, stage:T3N1M0, alive, 176 days 0.0
U2955 50 years, male, NA, stage:T3N1M0, alive, 181 days 0.0
U2943 79 years, male, NA, stage:T3N0M0, alive, 189 days 0.0
U2834 70 years, male, NA, stage:T3N1M0, alive, 323 days 0.0
U0298 72 years, male, NA, stage:T3N1M0, alive, 513 days 0.0
U0118 81 years, female, NA, stage:T3N2M0, dead, 350 days 0.0
U0713 63 years, male, NA, stage:T2N0M0, alive, 359 days 0.0
U3023 63 years, female, NA, stage:T2N0M0, alive, 404 days 0.0
U2779 74 years, male, NA, stage:T3N0M0, alive, 419 days 0.0
U0814 80 years, female, NA, stage:T3N1M1, dead, 482 days 0.0
U0080 86 years, female, NA, stage:T3N0M0, dead, 489 days 0.0
U0803 68 years, female, NA, stage:T3N1M1, dead, 495 days 0.0
U0238 73 years, male, NA, stage:T3N0M0, dead, 868 days 0.0
U0417 54 years, female, NA, stage:T3N2M1, dead, 893 days 0.0
U0322 67 years, male, NA, stage:T4N2M0, alive, 1694 days 0.0
U0497 66 years, female, NA, stage:T3N1M0, alive, 1414 days 0.0
U0652 76 years, male, NA, stage:T3N0M0, alive, 1319 days 0.0
U0212 77 years, male, NA, stage:T3N0M1, alive, 1330 days 0.0
U0650 57 years, female, NA, stage:T2N2M0, alive, 1331 days 0.0
U0651 70 years, male, NA, stage:T3N0M0, alive, 1354 days 0.0
U0601 75 years, female, NA, stage:T4N1M0, alive, 1368 days 0.0
U0466 40 years, male, NA, stage:T3N0M0, alive, 1381 days 0.0
U0750 64 years, female, NA, stage:T3N2M0, dead, 1393 days 0.0
U0648 65 years, female, NA, stage:T3N0M0, alive, 1415 days 0.0
U0494 73 years, male, NA, stage:T4N2M0, alive, 1290 days 0.0
U0649 67 years, male, NA, stage:T2N0M0, alive, 1424 days 0.0
U0565 84 years, male, NA, stage:T4N1M0, alive, 1452 days 0.0
U0647 85 years, female, NA, stage:T3N0M0, alive, 1476 days 0.0
U0159 79 years, female, NA, stage:T3N1M0, alive, 1517 days 0.0
U0561 68 years, female, NA, stage:T3N2M0, alive, 1577 days 0.0
U0643 58 years, female, NA, stage:T2N1M0, dead, 1583 days 0.0
U0155 77 years, male, NA, stage:T2N0M0, dead, 1672 days 0.0
U0538 73 years, female, NA, stage:T3N1M0, alive, 1308 days 0.0
U0568 59 years, male, NA, stage:T4N1M0, alive, 1287 days 0.0
U0116 85 years, male, NA, stage:T3N1M0, dead, 930 days 0.0
U0591 81 years, male, NA, stage:T2N0M0, alive, 1023 days 0.0
U0276 73 years, male, NA, stage:T3N1M1, alive, 934 days 0.0
U0409 61 years, female, NA, stage:T3N1M0, alive, 934 days 0.0
U0605 74 years, male, NA, stage:T2N0M0, alive, 952 days 0.0
U0857 76 years, male, NA, stage:T4N2M1, dead, 954 days 0.0
U0470 39 years, female, NA, stage:T2N2M0, alive, 961 days 0.0
U0228 76 years, male, NA, stage:T2N0M0, alive, 963 days 0.0
U0030 82 years, female, NA, stage:T2N0M0, dead, 987 days 0.0
U0220 76 years, male, NA, stage:T2N0M0, alive, 1066 days 0.0
U0484 55 years, male, NA, stage:T4N2M0, alive, 1275 days 0.0
U0458 49 years, male, NA, stage:T3N2M0, alive, 1073 days 0.0
U0657 46 years, female, NA, stage:T2N0M0, dead, 1109 days 0.0
U0492 63 years, male, NA, stage:T3N2M0, alive, 1114 days 0.0
U0346 67 years, male, NA, stage:T4N2M0, alive, 1148 days 0.0
U0656 68 years, male, NA, stage:T3N2M0, alive, 1150 days 0.0
U0391 64 years, female, NA, stage:T3N0M0, alive, 1179 days 0.0
U0848 86 years, male, NA, stage:T3N1M1, dead, 1185 days 0.0
U0299 71 years, female, NA, stage:T4N2M0, alive, 43426 days 0.0
Show allShow less
COLON ADENOCARCINOMA - Protein relative expression (CPTAC)
Number of samples 197
Samples
Sample ID Sample type nRPX
8cc7e656-0152-4359-8566-0581c3 Tumor N/A
5c70e654-583c-4dd3-ad42-0d9b39_D2 Normal N/A
0065bfd9-e1b9-43a8-9379-9658ba_D3 Tumor N/A
d8805fa4-30f9-4417-907e-fdc50c_D2 Normal N/A
58a92726-4d1f-4e44-8938-52b97d_D3 Tumor N/A
591fb460-703a-437d-8d9a-ff2a35_D3 Tumor N/A
a90eb718-6a8f-4cbf-89c1-f9e9bd_D2 Tumor N/A
5a3aa99d-ca10-45f6-939f-12392a_D2 Normal N/A
8fab37a4-cdf9-4ce8-9081-7b9148_D2 Normal N/A
6797a69d-2f74-44b9-8147-cd4fac_D2 Normal N/A
ea6df59d-5240-4927-b19d-d44590_D2 Tumor N/A
e8faa3a7-9fc7-428e-9334-a0afd0_D3 Tumor N/A
b2978e90-cd2a-4665-b1bf-508a99_D2 Normal N/A
e0068ac5-f557-443a-bd4b-bdfcef_D3 Tumor N/A
2167c594-c33f-4795-b95b-69bd07_D2 Tumor N/A
16ac8458-5200-4302-9ad0-b311df_D2 Normal N/A
0784c7b3-e6a4-42a8-9288-eb4ba0_D2 Normal N/A
64ed43a2-f083-43cb-9d0d-118495_D2 Normal N/A
9a48cf57-e1f0-4ea1-9804-d563f2_D2 Normal N/A
d0511ea6-43c3-4c61-b08e-cf49b7_D3 Tumor N/A
526c3664-5b9b-4a2b-a00e-a14623_D2 Tumor N/A
7bdfa5c9-d11f-4600-9c44-a87996_D2 Normal N/A
853ecf90-71e6-4156-a56f-a34b65_D2 Normal N/A
e070ff10-058b-4733-93ab-bdd702_D2 Normal N/A
092c5a37-325b-4181-b230-2d8fff_D2 Tumor N/A
154115ac-2ec2-439d-b55e-0464ee_D2 Normal N/A
963fc8db-f412-4427-a198-23f660_D2 Normal N/A
79097be1-cd36-4a23-99d1-3d744f_D2 Tumor N/A
8b9e4266-7754-4f2c-ac9e-329905_D2 Tumor N/A
642fc6c3-8d4a-4e3d-ad0a-cc088a_D2 Tumor N/A
e196a0b4-2a05-43de-bb30-ceb761_D2 Tumor N/A
54565eae-05c5-4dae-bde9-ae4874_D2 Normal N/A
f4bccfe4-98d0-466b-a6d7-44341b_D3 Tumor N/A
47d2a435-b203-4438-ae72-53c424_D2 Normal N/A
51590333-cfe5-4ce5-b8ff-58fa3c_D2 Normal N/A
9a6879b1-4f78-4ac6-9fca-dad049_D2 Normal N/A
f6173181-0993-4a5f-a4cd-5f30b1_D2 Tumor N/A
bc574f73-89ba-44d7-992e-82622c_D3 Tumor N/A
82157a70-12f1-4913-b548-d98881_D2 Normal N/A
573048dd-2502-40e0-8e8c-c41bb8_D3 Tumor N/A
63c1f7ac-b1ae-4c28-95aa-ce21e5_D2 Normal N/A
6e20c8e9-ab75-4996-9296-445b00_D2 Tumor N/A
c7aeb685-31b3-445e-8177-a3e729_D3 Tumor N/A
8af80ae9-2088-4124-91fb-8d6c17_D3 Tumor N/A
cd89ffbb-574a-4052-bd9a-00c890_D2 Tumor N/A
c1b66358-d103-493c-b8ec-92c43b_D1 Tumor N/A
98742d96-cc2f-43f0-9de2-bc7afe_D3 Tumor N/A
e3c012aa-51c2-42b0-a478-bd620f_D2 Normal N/A
ec9afcc4-ccf7-4226-b0e8-d6897d_D3 Tumor N/A
b2400046-1d25-429d-a821-6040a6 Tumor N/A
2b810478-7956-4a8b-870d-184859_D2 Tumor N/A
722378ea-d1a7-4cfc-aca5-ba45f9_D8 Tumor N/A
42216d99-e8ff-43c9-b6db-28c3a6_D3 Tumor N/A
87b0e853-43ea-4efb-8a22-dd221f_D2 Normal N/A
5557e478-3e6f-475b-8acc-1b4159_D8 Tumor N/A
a2f03d85-5f1a-4b3e-9dbf-74e67e_D3 Tumor N/A
7fd386f0-e7f6-4ee1-9cd7-b3318a_D2 Normal N/A
62627b73-1763-48bc-8eea-e5bd76_D2 Normal N/A
f6b1079b-9d67-4c63-b3d0-d562b5_D2 Tumor N/A
e2e83b72-b14b-4b06-9461-1115d6_D2 Tumor N/A
aa0f5b40-3290-4255-8f4d-f45d4e_D3 Tumor N/A
04ded2cd-3b57-4aec-9c11-48f58e_D2 Normal N/A
1425a1a1-c835-47a2-a9b9-4db5d0_D8 Tumor N/A
1c070992-647b-4173-a481-904c4d_D2 Normal N/A
5de06adb-e00d-4114-8d76-04bd30_D2 Normal N/A
d7608884-a0d6-4e9e-aac7-6cd813_D3 Tumor N/A
26acb513-3ffe-49ad-8581-9dfc97_D2 Normal N/A
c307b7b0-534a-45fa-a420-35f773_D2 Normal N/A
5e886f1c-8165-4232-9591-d80799_D2 Normal N/A
cfb4831f-e9ee-4e11-80fb-958f6f_D2 Tumor N/A
f9d6fb1b-988e-4D88-9272-cc672f_D8 Tumor N/A
2666323d-522f-4f0a-823c-ff8866_D2 Normal N/A
8c73f3a5-fea8-4942-90c0-966f66_D3 Tumor N/A
4cdeecb5-19fb-493c-91f5-eb0efc_D3 Tumor N/A
88c621d7-7fb3-4825-abbe-82ae4c_D2 Normal N/A
067db520-1b1f-4569-9414-e37a6e_D2 Normal N/A
23e938d0-92b8-4aea-90c1-4385df_D2 Normal N/A
21cab01c-e968-42cc-9651-1e53c0_D3 Tumor N/A
76498650-fdbf-4f5d-a19a-cce9a2_D2 Normal N/A
dfdf03a6-c324-4d8c-a909-ea7345_D2 Tumor N/A
a5c8bf1d-776c-406f-82a3-2d9ce6_D2 Normal N/A
a467b905-fc0b-427b-8753-6d38dd_D3 Tumor N/A
f6afe41c-111d-4818-8485-fe95e0_D2 Tumor N/A
b6b41ba2-6415-41aa-b5f5-4d47db_D2 Normal N/A
3d797911-d476-436f-9cce-33e20c_D8 Tumor N/A
b4e91300-405e-4239-b8da-5e1a42_D2 Tumor N/A
71b2c1cc-0a31-4ca8-8beb-251e17_D2 Normal N/A
9bf309bc-0fb6-4060-aba2-888eb3_D2 Tumor N/A
0630ecb0-b664-4e75-bb3c-fb62ee_D3 Tumor N/A
176d1b96-8c6e-44fe-8a32-e15194_D2 Normal N/A
8980bb9d-65c1-41cb-9f90-dddd5f_D2 Normal N/A
b871c0c1-a97b-4ac1-887c-0317b6_D2 Normal N/A
e515eb5c-8005-416a-9b42-59de9d_D8 Tumor N/A
cd6a4013-2958-44b9-a4f1-45c9e4_D2 Tumor N/A
d80408d6-598d-4411-ab34-eb2545_D2 Normal N/A
799893aa-d523-4a08-9ea7-611cca_D3 Tumor N/A
1ab06c24-ffc0-4323-a0cc-e9f5c5_D2 Tumor N/A
0aef1fe8-ca61-4113-81d0-d82ee7_D2 Tumor N/A
a84149b1-8453-45f0-8400-d7b12f_D2 Normal N/A
41a04113-2061-4923-bca5-da586c_D2 Normal N/A
cc271b3d-ed33-481f-9d23-15f2f6_D2 Normal N/A
df479b07-bbf6-472d-a580-c3fd0c_D2 Normal N/A
a313f6ef-5994-4d49-9e66-c26911_D2 Normal N/A
4bb08fad-fa5e-471e-978b-6b09ab_D2 Tumor N/A
6b0a3188-d8ca-4d50-a377-a8fe4c_D2 Normal N/A
c8694e31-2c8f-4eb6-a7ef-a137d9_D3 Tumor N/A
019cd0c0-733d-4b25-90e3-d54ce0_D2 Normal N/A
1f79fed9-f0d4-4c45-acd2-ea1441_D2 Normal N/A
fc9b09af-23b8-4ffe-b6c6-41236d_D2 Normal N/A
e1cd3d70-132b-452f-ba10-026721_D2 Tumor N/A
92c1ebb5-ac1d-4bf5-a14f-516e1d_D3 Tumor N/A
3a17283c-a0f4-4514-956b-080d11_D2 Normal N/A
66b57abc-0d49-46bb-a390-0e11a9_D2 Tumor N/A
efee6bb9-69dd-46c2-85b3-b55962_D2 Normal N/A
02cde0c0-6840-495b-9b11-007d82_D2 Normal N/A
974e136f-7020-4a38-b9c1-094df9_D2 Normal N/A
903d5fe0-970a-47be-a97f-3cc914_D2 Normal N/A
c9730cb4-b52c-4ca8-9652-4509d0_D2 Tumor N/A
5cf5e61d-21ff-4678-9126-14e9bb_D2 Normal N/A
f5ed5ebc-881d-456a-80d7-42c9e7_D2 Normal N/A
cbd0e774-c741-4753-9c9e-391a7d_D2 Normal N/A
1136008b-97ce-49b0-bf24-abbea6_D2 Normal N/A
5347d2ce-df0c-4d81-a3e2-22db11_D2 Normal N/A
da95f6f8-be46-4ed8-a493-2c99f0_D2 Normal N/A
694e8df1-d9ee-473b-bec1-4f9237_D2 Normal N/A
6d9f8b06-f28c-4e9b-823b-33ebb7_D2 Normal N/A
820a3f08-5bb1-44b3-a133-ee167e_D2 Tumor N/A
bed27f66-ef3b-4868-b4ad-205018_D2 Normal N/A
3765c09a-fff7-4b37-bf2b-452b23_D2 Normal N/A
411d9597-c785-4de5-b449-29a80d_D2 Normal N/A
0d5554d1-1653-4589-a44f-43113e_D2 Normal N/A
b3696374-c6c0-49dd-833e-596e26_D2 Normal N/A
66b829db-1cdd-460d-b2f3-0e9ca9_D3 Tumor N/A
325b5314-6f3c-4d79-9b36-4e7ded_D2 Normal N/A
8960a27e-69d8-4ec8-a795-c6cf8a_D3 Tumor N/A
43192517-085e-450e-9481-0a6713_D3 Tumor N/A
01d1ffca-4235-4dfe-bf62-56f71d_D3 Tumor N/A
a27cf22d-836e-49a7-802f-47c1db_D2 Normal N/A
372c900a-fced-4eef-9dc4-7282ec_D2 Tumor N/A
e14c2cbe-eca0-4745-97f6-8f27bd_D2 Normal N/A
359f5c81-2575-497e-8630-e4866f_D2 Normal N/A
da747cee-5026-4923-af63-ad9f81_D2 Normal N/A
cd3a9d59-bf13-48f3-ae97-bdbca4_D2 Normal N/A
c6ae57a7-65a0-438e-bae2-97b1c8_D3 Tumor N/A
05a33362-82bb-48ac-8feb-ad2ea1_D2 Tumor N/A
206f3bd9-f62c-4663-8fdb-5b731b_D2 Normal N/A
d6584b4a-ca99-4a2a-8b4e-c8b22e_D3 Tumor N/A
db3f5ad9-d14d-4126-a3e7-d80faa_D3 Tumor N/A
c9f0f144-47f3-4d64-b29f-bcedfa_D2 Normal N/A
7cc7f69f-99f5-4b23-a9e0-ba0dc8_D8 Tumor N/A
87408d9e-4029-4e8f-b14c-8efc04_D3 Tumor N/A
4b263734-430f-41dc-a296-8691f0_D3 Tumor N/A
515040a4-bbfb-4a15-9e53-e7b6e6_D2 Normal N/A
bd67de01-ad7d-431a-9ad6-4dd5a1 Tumor N/A
a243b765-61ab-4aa6-88e1-226896_D2 Normal N/A
e74089a9-f78c-4ffe-8174-aef71b_D2 Normal N/A
b4dd4a04-5eda-43dd-8298-215b07_D3 Tumor N/A
c65afd57-530c-4366-b2c8-463a46_D2 Tumor N/A
4c9dcc8c-ccdc-4336-8e23-107feb_D2 Normal N/A
7fd2eea8-bf99-4f97-8b9e-fb703f_D2 Normal N/A
348f6009-e1be-44d2-a093-9ca844_D2 Normal N/A
803736b3-9ca9-4f9f-bdfe-8783e3_D3 Tumor N/A
7478980a-60fb-4f5e-aa1c-2d7941_D2 Normal N/A
5f823547-ee16-45b7-a6a0-ef25d6_D3 Tumor N/A
0f238226-864c-4de0-8c61-01e729_D2 Tumor N/A
b605fafc-f7dd-44cc-9c86-da04e3_D2 Tumor N/A
2cc46aec-6142-4fb9-aca5-c442b9_D2 Normal N/A
7784e2e5-c0e1-4b85-8cc1-7faac8_D2 Normal N/A
f69deaeb-6b6f-4c61-8900-fd0f26_D3 Tumor N/A
dffcac99-9eac-4717-aeb6-f4a2e7_D8 Tumor N/A
5da00abd-5fa7-4deb-95f1-7982e0_D3 Tumor N/A
c2c53076-b5db-4b7d-983c-a35740_D3 Tumor N/A
3e8019e8-125f-4615-a1fa-a448e9_D2 Normal N/A
2f8b02e4-1848-4abc-a95e-dd9eb5_D3 Tumor N/A
1bf00d93-240f-47e8-8055-f546b0_D2 Normal N/A
f635496c-0046-4ecd-89bc-7a4f33_D2 Tumor N/A
bda3787a-1397-4716-bb17-4992a8_D2 Normal N/A
43bc845e-d22e-4c10-b3e8-bc54e6_D2 Normal N/A
321fb3b2-ebb6-4ea5-b737-081264_D2 Tumor N/A
2d266d2d-4bb3-436c-a3e7-06acb2_D3 Tumor N/A
65867ab1-5eab-44a8-b2bb-d27263_D2 Normal N/A
059a7065-3a5f-4eea-97e5-85ab01_D2 Normal N/A
1563ef63-d2e6-406f-adc1-255949_D3 Tumor N/A
695b0b00-a86b-43c0-a6c8-50a840_D3 Tumor N/A
92f7419c-c57a-4b50-bdc9-4d09ca_D2 Tumor N/A
41ee934e-f7a3-4ef5-8a83-e2ac56_D2 Tumor N/A
1fbb1add-4660-4ec1-b8c2-360f9f_D2 Normal N/A
211cbcef-cb1f-4c80-a1c8-a76d3c_D2 Normal N/A
377cdd37-d1bd-4042-997e-478a0f_D2 Normal N/A
233ec093-9a30-4ef4-a12c-91757e_D2 Normal N/A
0f757044-9bc8-4ed4-90f3-e0a49a_D3 Tumor N/A
0c330883-ab58-4a5a-bff7-07d283_D2 Normal N/A
d3078fa8-0692-411f-8441-0c7c48_D8 Tumor N/A
37219a7c-6fe2-4684-a494-d0be08_D2 Tumor N/A
5271982c-5de1-4d6e-b414-b1f3ef_D2 Tumor N/A
46dfc1e4-0110-4d9f-888e-6a29ab_D2 Normal N/A
6e0d04fc-e6a8-41ed-b6f3-45537d_D2 Normal N/A
Show allShow less
COLORECTAL CANCER - Protein expressioni

A mouse-over function shows sample information and annotation data. Click on an image to view it in a full screen mode. Samples can be filtered based on level of antibody staining by selecting one or several of the following categories: high, medium, low and not detected. The assay and annotation is described here.

Note that samples used for immunohistochemistry by the Human Protein Atlas do not correspond to samples in the TCGA dataset.

 

Antibody stainingi

Antibody staining in the annotated cell types in the current human tissue is reported as not detected, low, medium, or high, based on conventional immunohistochemistry profiling in selected tissues. This score is based on the combination of the staining intensity and fraction of stained cells.

Each image is clickable and will lead to virtual microscopy that enables deeper exploration of all samples and also displays staining intensity scores, fraction scores and subcellular localization as well as patient and tissue information for each sample.


Antibody HPA055221

Antibody HPA059596
 Staining
  High
  Medium
  Low
  Not detected
 Intensity
  Strong
  Moderate
  Weak
  Negative
 Quantity
  >75%
  75%-25%
  <25%
  None
 Location
  Nuclear
  Cytoplasmic/membranous
  Cytoplasmic/membranous,nuclear
  None
Adenocarcinoma, NOS

Contact

  • NEWS ARTICLES
  • PRESS ROOM

The Project

  • INTRODUCTION
  • ORGANIZATION
  • PUBLICATIONS

The Human Protein Atlas

  • DOWNLOADABLE DATA
  • LICENCE & CITATION
  • HELP & FAQ
The Human Protein Atlas project is funded
by the Knut & Alice Wallenberg Foundation.


contact@proteinatlas.org