We use cookies to enhance the usability of our website. If you continue, we'll assume that you are happy to receive all cookies. More information. Don't show this again.
NDUFAF3
HPA
RESOURCES
  • TISSUE
  • BRAIN
  • SINGLE CELL
  • SUBCELLULAR
  • CANCER
  • BLOOD
  • CELL LINE
  • STRUCTURE & INTERACTION
ABOUT
  • INTRODUCTION
  • HISTORY
  • ORGANIZATION
  • PUBLICATIONS
  • ANTIBODY SUBMISSION
  • ANTIBODY AVAILABILITY
  • ACKNOWLEDGMENTS
  • CONTACT
NEWS
  • NEWS ARTICLES
  • PRESS ROOM
LEARN
  • DICTIONARY
  • PROTEIN CLASSES
  • PROTEIN EVIDENCE
  • METHODS
  • EDUCATIONAL VIDEOS
DATA
  • DOWNLOADABLE DATA
  • PUBLICATION DATA
  • RELEASE HISTORY
HELP
  • ANTIBODY VALIDATION
  • ASSAYS & ANNOTATION
  • DISCLAIMER
  • HELP & FAQ
  • PRIVACY STATEMENT
  • LICENCE & CITATION
Fields »
Search result

Field
Term
Gene name
Class
Subclass
Class
Keyword
Chromosome
External id
Tissue
Cell type
Expression
Antibody panel
Tissue
Main location
Patient ID
Annotation
Tissue
Category
Tau score
Cluster
Reliability
Brain region
Category
Tau score
Brain region
Category
Tau score
Brain region
Category
Tau score
Cluster
Reliability
Tissue
Cell type
Enrichment
Cell type
Category
Tau score
Cell type
Category
Tau score
Cell type
Category
Tau score
Cell lineage
Category
Tau score
Cluster
Cluster
Location
Searches
Location
Cell line
Class
Type
Phase
Reliability
Cancer
Prognosis
Cancer
Category
Cancer
Category
Tau score
Cluster
Variants
Interacting gene (ensg_id)
Type
Number of interactions
Pathway
Category
Score
Score
Score
Validation
Validation
Validation
Validation
Antibodies
Data type
Column


  • SUMMARY

  • TISSUE

  • BRAIN

  • SINGLE CELL

  • SUBCELL

  • CANCER

  • BLOOD

  • CELL LINE

  • STRUCT & INT

  • NDUFAF3
TISSUE PRIMARY DATA ADIPOSE TISSUE Show tissue menu
ADIPOSE TISSUE ADRENAL GLAND AMYGDALA APPENDIX BASAL GANGLIA BONE MARROW BREAST BRONCHUS CEREBELLUM CEREBRAL CORTEX CERVIX CHOROID PLEXUS COLON DUODENUM
ENDOMETRIUM EPIDIDYMIS ESOPHAGUS FALLOPIAN TUBE GALLBLADDER HEART MUSCLE HIPPOCAMPAL FORMATION HYPOTHALAMUS KIDNEY LIVER LUNG LYMPH NODE MIDBRAIN NASOPHARYNX
ORAL MUCOSA OVARY PANCREAS PARATHYROID GLAND PITUITARY GLAND PLACENTA PROSTATE RECTUM RETINA SALIVARY GLAND SEMINAL VESICLE SKELETAL MUSCLE SKIN SMALL INTESTINE
SMOOTH MUSCLE SOFT TISSUE SPINAL CORD SPLEEN STOMACH TESTIS THYMUS THYROID GLAND TONGUE TONSIL URINARY BLADDER VAGINA
ANTIBODIES
AND
VALIDATION
Dictionary
Tissue proteome
Adipose tissue
ADIPOSE TISSUE - Expression summary
Protein expression
Adipose tissuei

On the top, protein expression in current human tissue, based on all annotated cell types, is reported with the units not detected (n), low (l), medium (m) and high (h). Underneath, protein expression in each annotated cell type are reported using the same units.

Protein expression data is based on knowledge-based annotation. For genes where more than one antibody has been used, a collective score is set.

If knowledge-based annotation could not be performed for a gene, no data is displayed here. View antibody staining data further down this page.

h
m
l
n
Adipocytes: Medium
RNA expressioni

A summary of mRNA expression data available for current tissue based on several datasets. The mRNA expression levels in human tissues are based on RNA-seq data generated by the Human Protein Atlas (HPA), Genotype-Tissue Expression (GTEx) portal and CAGE data generated by the FANTOM5 consortium. Consensus normalized expression levels for human tissues was created by combining the data from HPA and GTEx datasets.

The mRNA expression levels in pig are based on RNA-seq data generated by the Human Protein Atlas (HPA), and for mouse, HPA data and in situ hybridization generated by the Allen brain atlas are reported.

Scroll down to view mRNA expression data in more detail.
Consensus:66.8 nTPM
HPA:53.7 nTPM
GTEx:66.8 nTPM
FANTOM5:126.0 Scaled Tags Per Million

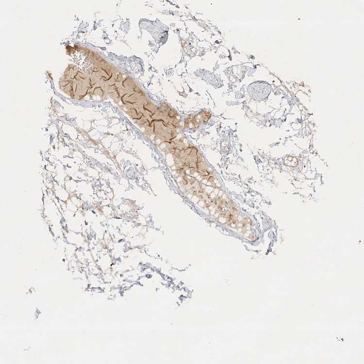
ADIPOSE TISSUE - Antibody stainingi

Antibody staining in the annotated cell types in the current human tissue is reported as not detected, low, medium, or high, based on conventional immunohistochemistry profiling in selected tissues. This score is based on the combination of the staining intensity and fraction of stained cells.

Each image is clickable and will lead to virtual microscopy that enables deeper exploration of all samples and also displays staining intensity scores, fraction scores and subcellular localization as well as patient and tissue information for each sample.

Antibody HPA035376Antibody HPA035377
Adipocytes MediumLow








ADIPOSE TISSUE - HPA RNA-seqi

The RNA-seq details section shows detailed information about the individual samples used for the transcript profiling and results of the RNA-seq analysis.

Information about each individual sample is listed below, including gender, age, a tissue section image and estimated fractions of cell types. nTPM (normalized transcripts per million) values give a quantification of the gene abundance which is comparable between different genes and samples.
Average nTPMi

Max subtype nTPM is the value for the subtype with the largest average nTPM across the subtype samples.

53.7
N/A
Female, age 80
Adipose tissue sample 86
nTPM: 71.9
Cell types%
Adipocytes:
95

Other cell types:
5

N/A
Female, age 45
Adipose tissue sample 115
nTPM: 54.4
N/A
Female, age 57
Adipose tissue sample 137
nTPM: 54.9
Cell types%
Adipocytes:
60

Fibroblasts:
20

Smooth muscle cells:
15

Other cell types:
5

overview
Female, age 74
Adipose tissue sample 329
nTPM: 43.5
Cell types%
Adipocytes:
50

Fibroblasts:
30

Smooth muscle cells:
15

Other cell types:
5

overview
Female, age 59
Adipose tissue sample 331
nTPM: 43.7
Cell types%
Adipocytes:
40

Fibroblasts:
40

Smooth muscle cells:
15

Other cell types:
5


ADIPOSE TISSUE - GTEx RNA-seqi

RNA-Seq data generated by the Genotype-Tissue Expression (GTEx) project from human tissues is reported as mean nTPM. More information can be found on the GTEx portal.

Distribution across the dataset is visualized with box plots, shown as median and 25th and 75th percentiles. Points are displayed as outliers if they are above or below 1.5 times the interquartile range. nTPM values of the individual samples are presented next to the box plot.
Max subtype nTPMi

Max subtype nTPM is the value for the subtype with the largest average nTPM across the subtype samples.

66.8
GTEx sample id Sample description nTPM
Adipose - Subcutaneous
Average nTPM: 54.7
Samples: 663

Max nTPM: 133.3
Min nTPM: 15.5
Std nTPM: 17.0
Median nTPM: 52.1
GTEX-1R7EV-1926-SM-EVYBF 40-49 years, male 133.3
GTEX-Y5V6-2526-SM-5IFJV 60-69 years, male 127.5
GTEX-11P82-1726-SM-5Q5AT 20-29 years, male 121.1
GTEX-YB5E-2126-SM-5IFI7 40-49 years, male 120.7
GTEX-132QS-2526-SM-62LFJ 60-69 years, male 119.0
GTEX-1CAMR-1826-SM-7MXUJ 20-29 years, male 118.0
GTEX-11EM3-2326-SM-5H12B 20-29 years, female 110.1
GTEX-Y9LG-2026-SM-62LFS 30-39 years, male 109.9
GTEX-ZP4G-2326-SM-57WEM 20-29 years, female 109.2
GTEX-15UKP-0526-SM-7KFRO 20-29 years, male 108.4
GTEX-1QP66-1326-SM-DTXDQ 50-59 years, male 104.5
GTEX-1399U-2426-SM-5K7XB 50-59 years, female 100.8
GTEX-14PHX-2426-SM-62LEN 50-59 years, male 100.6
GTEX-X15G-2326-SM-4PQZS 50-59 years, female 96.1
GTEX-PWN1-0226-SM-DKPO9 40-49 years, female 96.0
GTEX-117YX-2226-SM-5EGJJ 50-59 years, male 94.4
GTEX-U8XE-0426-SM-3DB91 30-39 years, male 92.7
GTEX-ZZ64-1626-SM-5E43W 20-29 years, male 92.7
GTEX-ZGAY-0626-SM-DO92E 40-49 years, female 92.6
GTEX-ZXES-2026-SM-5NQ6R 30-39 years, female 91.8
GTEX-XUZC-1826-SM-4BRVO 30-39 years, female 90.7
GTEX-11EMC-2826-SM-5PNY6 60-69 years, female 89.9
GTEX-1MA7W-1926-SM-E6CIO 20-29 years, female 89.9
GTEX-ZQG8-1526-SM-5HL65 60-69 years, female 89.5
GTEX-11TT1-2426-SM-5EQMK 20-29 years, male 89.4
GTEX-1CAMS-0326-SM-7PC35 40-49 years, female 89.0
GTEX-12C56-1626-SM-5FQUO 20-29 years, male 88.3
GTEX-11DXX-2326-SM-9YFKS 60-69 years, female 88.2
GTEX-145ME-1926-SM-5MR6T 40-49 years, female 87.9
GTEX-13QBU-2526-SM-5LU4X 40-49 years, female 87.3
GTEX-18A66-0326-SM-718BE 60-69 years, male 86.8
GTEX-XGQ4-2226-SM-4AT4Y 50-59 years, male 85.4
GTEX-145MN-2626-SM-5NQAH 30-39 years, male 85.2
GTEX-NPJ8-0226-SM-48TBN 40-49 years, male 85.1
GTEX-P4PP-0226-SM-D4P1Z 30-39 years, female 84.8
GTEX-14E1K-2126-SM-793DU 50-59 years, male 84.7
GTEX-O5YV-0226-SM-48TBY 60-69 years, female 84.7
GTEX-14ICK-0326-SM-6LLIZ 40-49 years, male 83.9
GTEX-1RAZQ-0626-SM-E8VOR 30-39 years, male 83.8
GTEX-1MCYP-1826-SM-E9J2Q 20-29 years, female 83.6
GTEX-ZDYS-2126-SM-5S2P2 50-59 years, male 83.4
GTEX-13RTJ-2526-SM-5S2Q3 60-69 years, male 83.0
GTEX-Q2AH-1726-SM-DIPDV 40-49 years, male 82.7
GTEX-17KNJ-2226-SM-DKPOU 50-59 years, male 82.6
GTEX-PLZ6-1326-SM-3NB24 30-39 years, male 82.4
GTEX-TMZS-0226-SM-3DB9N 60-69 years, male 82.2
GTEX-1S82P-0226-SM-E6CI6 60-69 years, female 82.2
GTEX-1QP29-0726-SM-DTXFM 50-59 years, male 81.9
GTEX-YF7O-2426-SM-5IFJL 50-59 years, male 80.9
GTEX-1ICG6-2626-SM-CGQG1 70-79 years, female 80.8
GTEX-11ZTT-2526-SM-5EQM9 60-69 years, female 80.6
GTEX-SUCS-1826-SM-32PM1 70-79 years, male 80.6
GTEX-139T6-2126-SM-5KM37 50-59 years, male 80.2
GTEX-XYKS-2726-SM-4E3IC 60-69 years, female 80.1
GTEX-POMQ-2326-SM-DHXIS 20-29 years, female 80.1
GTEX-ZTPG-0226-SM-5O99I 20-29 years, female 80.0
GTEX-12126-0426-SM-5Q5AP 20-29 years, male 79.9
GTEX-1HCU6-0226-SM-CGQES 60-69 years, female 79.9
GTEX-145LT-1826-SM-5QGP4 40-49 years, male 79.5
GTEX-1K2DA-2126-SM-CGQGL 50-59 years, male 79.5
GTEX-Y114-2326-SM-4TT7X 50-59 years, female 79.4
GTEX-13NZA-0126-SM-5K7UH 60-69 years, male 79.3
GTEX-ZDTT-2626-SM-5S2OP 60-69 years, male 79.3
GTEX-13YAN-0426-SM-5O9DR 60-69 years, male 79.0
GTEX-ZYVF-0226-SM-5GIEG 50-59 years, female 78.8
GTEX-T5JW-1726-SM-3GADN 20-29 years, female 78.7
GTEX-1PWST-0326-SM-EAZ42 70-79 years, male 78.7
GTEX-13113-1826-SM-5LZW4 60-69 years, female 78.4
GTEX-R55G-2426-SM-2TC5I 40-49 years, female 78.3
GTEX-1GMR2-2526-SM-9MQKW 50-59 years, male 78.0
GTEX-13CF3-2326-SM-5IFGL 60-69 years, female 77.8
GTEX-12584-0226-SM-5EQL5 40-49 years, male 77.6
GTEX-1ICLY-0226-SM-ARL7R 50-59 years, male 77.4
GTEX-16NGA-1826-SM-7LG5L 40-49 years, female 77.3
GTEX-1H23P-0226-SM-9YFLO 60-69 years, male 76.1
GTEX-OOBK-0226-SM-2YUMF 40-49 years, male 76.0
GTEX-XUYS-0226-SM-47JX1 50-59 years, male 75.9
GTEX-147F3-0626-SM-5NQ9I 50-59 years, female 75.6
GTEX-ZT9X-1926-SM-57WE7 40-49 years, male 75.4
GTEX-14BMU-2126-SM-5S2TS 20-29 years, female 75.1
GTEX-11I78-2626-SM-5Q5AI 50-59 years, female 75.0
GTEX-ZLWG-2226-SM-DO92V 50-59 years, female 75.0
GTEX-1122O-2026-SM-9YFMG 60-69 years, female 74.9
GTEX-14BMV-0226-SM-5S2N2 50-59 years, male 74.5
GTEX-15ETS-0426-SM-6PANI 40-49 years, female 74.1
GTEX-11ZTS-0226-SM-5EQKD 60-69 years, female 73.9
GTEX-WFG8-2326-SM-DIPDX 20-29 years, male 73.3
GTEX-R55D-0326-SM-48FES 50-59 years, male 73.1
GTEX-1497J-2326-SM-5NQBK 60-69 years, male 72.8
GTEX-1I4MK-2026-SM-B2LVR 50-59 years, female 72.8
GTEX-S4P3-1526-SM-E9J3W 50-59 years, female 72.7
GTEX-169BO-1426-SM-9MQJT 50-59 years, male 72.5
GTEX-1C2JI-2226-SM-7IGPJ 50-59 years, male 72.4
GTEX-XUW1-0526-SM-4BOP3 50-59 years, female 72.3
GTEX-139YR-2426-SM-5J1OB 50-59 years, male 72.2
GTEX-14PJ6-2226-SM-6LLIV 60-69 years, female 72.2
GTEX-1PPGY-0326-SM-DTXFD 60-69 years, male 72.2
GTEX-14LLW-0226-SM-62LEL 70-79 years, female 72.1
GTEX-15SDE-2426-SM-7KFRC 50-59 years, female 72.1
GTEX-QLQW-1226-SM-2S1Q9 30-39 years, male 72.1
GTEX-ZVT2-2226-SM-5NQ6P 50-59 years, female 71.7
GTEX-13X6J-0226-SM-7EPGC 50-59 years, male 71.6
GTEX-ZC5H-0126-SM-4WAYL 40-49 years, female 71.6
GTEX-11GSO-2326-SM-5A5LX 60-69 years, male 71.2
GTEX-13O21-1526-SM-5K7W4 50-59 years, male 70.9
GTEX-183FY-0326-SM-793BY 20-29 years, male 70.5
GTEX-1J8QM-2326-SM-CYPSL 60-69 years, female 70.5
GTEX-13N1W-0226-SM-5K7W6 70-79 years, male 70.4
GTEX-XBED-2326-SM-47JYR 60-69 years, male 70.2
GTEX-1A3MV-2126-SM-718BV 30-39 years, male 69.5
GTEX-OHPN-0226-SM-48TBV 60-69 years, female 69.4
GTEX-QESD-1526-SM-2S1QT 20-29 years, male 69.4
GTEX-1JJ6O-0226-SM-E6CI9 60-69 years, male 69.2
GTEX-14E6C-0226-SM-5S2N3 40-49 years, male 69.0
GTEX-ZF3C-0226-SM-4WWB3 50-59 years, female 68.9
GTEX-1K9T9-0226-SM-E9U6K 50-59 years, female 68.6
GTEX-11TUW-2626-SM-5EQKZ 60-69 years, male 68.5
GTEX-ZPCL-2126-SM-57WFZ 60-69 years, female 68.5
GTEX-1J1R8-2226-SM-ARZMP 40-49 years, male 68.5
GTEX-QV44-1825-SM-447CF 50-59 years, male 68.1
GTEX-ZPIC-1826-SM-57WFE 40-49 years, female 67.9
GTEX-ZTSS-2026-SM-5987K 40-49 years, male 67.9
GTEX-1GPI7-0226-SM-9MQKB 20-29 years, male 67.9
GTEX-18A67-0226-SM-7LG67 50-59 years, male 67.6
GTEX-ZAJG-0226-SM-5HL81 50-59 years, female 67.6
GTEX-ZAK1-0226-SM-5CVMX 50-59 years, female 67.1
GTEX-ZLFU-2626-SM-DO91L 40-49 years, male 67.1
GTEX-11EQ9-2526-SM-5HL66 30-39 years, male 66.8
GTEX-U412-0526-SM-3DB9I 60-69 years, male 66.7
GTEX-ZVTK-0526-SM-5GZWT 20-29 years, male 66.7
GTEX-13FH7-2226-SM-5IJD4 50-59 years, female 66.6
GTEX-132AR-0226-SM-5IJBE 50-59 years, female 66.5
GTEX-1PFEY-1626-SM-E9J3M 30-39 years, male 66.5
GTEX-1F88F-2626-SM-9WG5K 60-69 years, female 66.4
GTEX-111CU-1826-SM-5GZYN 50-59 years, male 66.3
GTEX-12ZZY-0326-SM-5LZVQ 60-69 years, male 66.3
GTEX-1HSMP-0226-SM-CGQFI 70-79 years, male 66.3
GTEX-XBEW-0726-SM-4QARX 40-49 years, male 66.2
GTEX-1QP67-1726-SM-E8VOP 40-49 years, female 65.9
GTEX-16BQI-0526-SM-6PAM8 30-39 years, female 65.8
GTEX-17EUY-0526-SM-7EWDE 20-29 years, male 65.5
GTEX-1LG7Z-2026-SM-DLHBP 30-39 years, male 65.5
GTEX-11P7K-2026-SM-5GU74 30-39 years, male 65.3
GTEX-13SLW-0226-SM-5S2NA 70-79 years, male 65.3
GTEX-1RQEC-0526-SM-E6CHV 60-69 years, male 65.3
GTEX-XV7Q-2626-SM-4BRVA 40-49 years, female 65.1
GTEX-1RAZA-0226-SM-E9U4W 20-29 years, male 65.1
GTEX-14PJM-0326-SM-62LF2 50-59 years, female 65.0
GTEX-Y8LW-1926-SM-4WWFZ 50-59 years, female 64.9
GTEX-17F98-1126-SM-79OJS 40-49 years, female 64.6
GTEX-WY7C-2426-SM-3NB2V 50-59 years, male 64.6
GTEX-14DAR-1926-SM-5S2NQ 50-59 years, male 64.5
GTEX-XQ8I-0526-SM-4BOPS 50-59 years, male 64.5
GTEX-Y8E5-0226-SM-57WCM 60-69 years, male 64.5
GTEX-YB5K-2226-SM-4WWG1 40-49 years, female 64.4
GTEX-ZVT4-0226-SM-51MSD 50-59 years, female 64.4
GTEX-11XUK-2126-SM-5EQLR 40-49 years, female 64.3
GTEX-1313W-0226-SM-5LZV7 50-59 years, female 64.3
GTEX-WH7G-2226-SM-3NMBN 40-49 years, male 64.2
GTEX-13W3W-2526-SM-5SI9P 60-69 years, female 64.0
GTEX-1FIGZ-1626-SM-7SB8L 40-49 years, male 64.0
GTEX-1269C-2726-SM-5EGJ4 60-69 years, female 63.9
GTEX-16GPK-0226-SM-7DUFI 60-69 years, male 63.8
GTEX-144GM-1926-SM-5LUAN 20-29 years, male 63.6
GTEX-1QP6S-0126-SM-E9J4K 40-49 years, male 63.6
GTEX-1F5PK-2526-SM-9MQKN 50-59 years, male 63.5
GTEX-1GN1W-0626-SM-9MQK3 50-59 years, female 63.5
GTEX-1S831-0326-SM-EVYD3 20-29 years, male 63.5
GTEX-147GR-0426-SM-5S2OL 60-69 years, male 63.3
GTEX-1MGNQ-0226-SM-EVYCK 40-49 years, male 63.2
GTEX-13NYS-0226-SM-5MR49 60-69 years, male 62.9
GTEX-ZF29-2226-SM-4WWB9 60-69 years, female 62.9
GTEX-1HSGN-0126-SM-CGQFU 40-49 years, female 62.9
GTEX-13O1R-0226-SM-5K7U5 60-69 years, male 62.8
GTEX-QDVJ-1826-SM-2S1P3 50-59 years, male 62.8
GTEX-1PIGE-0526-SM-DTXFA 20-29 years, male 62.8
GTEX-1NHNU-1126-SM-E9J2C 50-59 years, male 62.5
GTEX-YJ8O-2426-SM-5HL7S 40-49 years, female 62.3
GTEX-1POEN-0226-SM-EYYXE 30-39 years, female 62.3
GTEX-T6MO-1726-SM-33HB8 40-49 years, female 62.2
GTEX-WFG7-2526-SM-EWRM5 20-29 years, male 61.9
GTEX-17F96-1726-SM-7IGMB 70-79 years, male 61.8
GTEX-145MO-0426-SM-5QGP6 60-69 years, male 61.7
GTEX-18A6Q-0226-SM-718AS 60-69 years, male 61.7
GTEX-11H98-0226-SM-5NQ89 50-59 years, male 61.5
GTEX-11OF3-2426-SM-5Q5AS 60-69 years, male 61.4
GTEX-13O61-2426-SM-5J1NV 60-69 years, male 61.4
GTEX-1KXAM-2326-SM-CYPTD 60-69 years, male 61.4
GTEX-PWCY-1926-SM-3NB25 20-29 years, female 61.3
GTEX-ZVZP-2326-SM-59HL4 50-59 years, male 61.3
GTEX-13FHP-0226-SM-5K7WD 50-59 years, male 61.2
GTEX-ZPU1-2426-SM-4WWFM 40-49 years, male 61.0
GTEX-1H1ZS-0526-SM-9WG5L 70-79 years, male 61.0
GTEX-OXRP-0226-SM-3NB14 60-69 years, female 60.9
GTEX-1LGOU-2226-SM-E9U56 20-29 years, female 60.9
GTEX-13D11-2326-SM-5IJCY 50-59 years, female 60.7
GTEX-ZYY3-0226-SM-5E45M 60-69 years, female 60.6
GTEX-Z93T-0226-SM-5HL5Z 50-59 years, male 60.5
GTEX-1I1GQ-0226-SM-COH3I 50-59 years, male 60.5
GTEX-1RAZR-0226-SM-EVYC6 40-49 years, male 60.5
GTEX-1128S-2126-SM-5H12U 60-69 years, female 60.4
GTEX-YJ8A-0526-SM-5IFHT 20-29 years, male 60.4
GTEX-13IVO-0226-SM-5LZXU 70-79 years, male 60.3
GTEX-YEC3-1226-SM-5IFI8 50-59 years, male 60.3
GTEX-1IDJD-1226-SM-CM2TP 30-39 years, male 60.1
GTEX-11DZ1-0226-SM-5A5KF 50-59 years, male 60.0
GTEX-XAJ8-0926-SM-47JXZ 40-49 years, male 60.0
GTEX-1L5NE-2626-SM-E9U6P 50-59 years, male 59.8
GTEX-131XE-2426-SM-5EQ5V 50-59 years, male 59.7
GTEX-1H3VY-0226-SM-9YFMF 50-59 years, male 59.7
GTEX-13CF2-2626-SM-5LZZA 60-69 years, male 59.5
GTEX-X8HC-0226-SM-4E3K1 50-59 years, female 59.5
GTEX-PX3G-0226-SM-DKPOF 20-29 years, female 59.5
GTEX-11DXW-0326-SM-5H11W 40-49 years, male 59.4
GTEX-146FQ-0226-SM-5NQAL 30-39 years, male 59.4
GTEX-UJHI-1626-SM-3DB9A 50-59 years, female 59.4
GTEX-YFCO-2026-SM-4W21Q 40-49 years, male 59.4
GTEX-ZVZO-0226-SM-5A5LA 40-49 years, male 59.3
GTEX-1QAET-1126-SM-E8VML 50-59 years, male 59.3
GTEX-S95S-1326-SM-2XCDK 60-69 years, male 59.2
GTEX-YFC4-0226-SM-57WD2 40-49 years, female 59.2
GTEX-1E2YA-0226-SM-9MQLY 50-59 years, male 59.1
GTEX-14PN3-2526-SM-6EU15 60-69 years, female 58.9
GTEX-14PJ3-1926-SM-62LEY 50-59 years, male 58.8
GTEX-1EKGG-0126-SM-9YFLS 60-69 years, male 58.8
GTEX-1GN2E-0326-SM-COH3C 60-69 years, male 58.8
GTEX-1QP9N-1526-SM-DTXFK 30-39 years, male 58.8
GTEX-131XW-0526-SM-5PNXZ 50-59 years, female 58.7
GTEX-WI4N-1126-SM-3LK7Q 40-49 years, female 58.7
GTEX-1314G-1626-SM-5EQ67 30-39 years, male 58.6
GTEX-133LE-1926-SM-5N9FV 20-29 years, female 58.5
GTEX-13VXT-0226-SM-5LU9Q 20-29 years, female 58.4
GTEX-1C64O-0226-SM-73KXB 60-69 years, male 58.3
GTEX-R55C-1626-SM-48FEG 40-49 years, male 58.2
GTEX-Y3IK-2526-SM-4WWDM 50-59 years, female 58.1
GTEX-14H4A-1026-SM-62LDY 40-49 years, female 58.0
GTEX-1LVAN-0126-SM-COH4H 50-59 years, female 58.0
GTEX-14BIN-0726-SM-793DQ 50-59 years, female 57.9
GTEX-X4LF-1726-SM-3NMBZ 50-59 years, male 57.9
GTEX-12KS4-0426-SM-5EQMC 30-39 years, male 57.8
GTEX-OIZH-0226-SM-2YUMH 50-59 years, male 57.7
GTEX-U4B1-1726-SM-3DB9F 40-49 years, male 57.7
GTEX-W5WG-2526-SM-4SOJ2 50-59 years, female 57.7
GTEX-XXEK-2426-SM-4BRUS 50-59 years, male 57.7
GTEX-1MA7X-2126-SM-E6CIX 60-69 years, male 57.7
GTEX-18D9U-0726-SM-7LG5J 40-49 years, male 57.6
GTEX-111YS-2426-SM-5GZZQ 60-69 years, male 57.4
GTEX-15CHQ-0226-SM-6EU2S 60-69 years, male 57.4
GTEX-XK95-0426-SM-4AT4R 40-49 years, male 57.4
GTEX-13PVR-2426-SM-5RQHN 60-69 years, female 57.2
GTEX-X4EO-0426-SM-4QASA 60-69 years, female 57.1
GTEX-1LBAC-0226-SM-DHXJZ 20-29 years, male 57.1
GTEX-VJWN-0226-SM-EZ6LF 50-59 years, female 57.1
GTEX-13FHO-0326-SM-5IJBH 60-69 years, male 57.0
GTEX-X88G-0226-SM-4GIE4 30-39 years, male 57.0
GTEX-TKQ1-1126-SM-4GIAZ 30-39 years, male 56.9
GTEX-ZDTS-0226-SM-5HL7Q 60-69 years, male 56.9
GTEX-ZYT6-0326-SM-7LG5R 30-39 years, male 56.9
GTEX-1R9K5-0226-SM-EWRNF 50-59 years, male 56.7
GTEX-17HHE-1926-SM-7EPGW 50-59 years, male 56.6
GTEX-QEG5-0326-SM-2S1PB 20-29 years, male 56.5
GTEX-1HCUA-2226-SM-ADEHF 50-59 years, female 56.5
GTEX-R3RS-0226-SM-EYYVE 40-49 years, female 56.5
GTEX-VUSG-2426-SM-4KKZG 50-59 years, male 56.4
GTEX-WVLH-0226-SM-3MJG6 50-59 years, male 56.4
GTEX-1CB4H-0326-SM-9WG5G 60-69 years, female 56.4
GTEX-13SLX-0426-SM-5QGRC 50-59 years, female 56.2
GTEX-146FR-1826-SM-5QGPF 60-69 years, female 56.2
GTEX-T2IS-0226-SM-32QPH 20-29 years, female 56.2
GTEX-13O3P-0226-SM-5KM3Z 50-59 years, male 56.1
GTEX-13OVJ-0326-SM-5L3GL 50-59 years, female 56.1
GTEX-16XZZ-0226-SM-7MGVJ 60-69 years, male 56.1
GTEX-1PPH8-0626-SM-EWRN9 20-29 years, male 56.1
GTEX-139T4-0126-SM-5HL5G 50-59 years, female 56.0
GTEX-1I1GU-2326-SM-CGQFB 40-49 years, male 56.0
GTEX-XPVG-2726-SM-4B66W 50-59 years, male 55.9
GTEX-18D9A-2026-SM-718BL 30-39 years, female 55.8
GTEX-QMRM-1726-SM-2S1QG 50-59 years, male 55.7
GTEX-13NZ8-0926-SM-5MR3U 60-69 years, female 55.4
GTEX-ZVP2-1826-SM-5GU62 50-59 years, male 55.4
GTEX-1HBPH-0526-SM-9YFMN 40-49 years, female 55.3
GTEX-1N2DW-0326-SM-E9TK3 50-59 years, male 55.2
GTEX-1HB9E-0426-SM-CNPPV 50-59 years, male 55.1
GTEX-111VG-2326-SM-5N9BK 60-69 years, male 55.0
GTEX-1JN76-0226-SM-CMKGO 20-29 years, female 55.0
GTEX-1GN1V-0226-SM-9WYTN 60-69 years, male 54.9
GTEX-ZTX8-1526-SM-5N9GI 20-29 years, male 54.8
GTEX-1HSEH-0226-SM-ACKVV 60-69 years, male 54.8
GTEX-1N2EF-0626-SM-E9J32 60-69 years, male 54.8
GTEX-13U4I-0226-SM-5SIB1 40-49 years, female 54.6
GTEX-OXRL-0226-SM-3NB18 50-59 years, male 54.6
GTEX-1IDJU-2526-SM-CMKGF 60-69 years, female 54.6
GTEX-1CB4J-1126-SM-7PBY1 60-69 years, male 54.5
GTEX-1LSNM-2026-SM-E6CIJ 50-59 years, male 54.3
GTEX-13OVK-2126-SM-6PAN1 40-49 years, male 54.2
GTEX-13FTW-2526-SM-5IJC8 40-49 years, male 54.1
GTEX-13PVQ-0226-SM-5SIBG 50-59 years, male 54.1
GTEX-14C39-2526-SM-5S2UH 40-49 years, male 54.0
GTEX-15RIE-2326-SM-7KFSC 60-69 years, male 53.9
GTEX-QCQG-1826-SM-2S1P2 50-59 years, female 53.9
GTEX-12ZZZ-0526-SM-5DUX6 60-69 years, male 53.8
GTEX-13NZB-2426-SM-5K7UF 30-39 years, male 53.8
GTEX-QV31-1326-SM-2S1QE 30-39 years, male 53.8
GTEX-XMK1-2226-SM-4B673 40-49 years, male 53.7
GTEX-YJ89-0226-SM-4TT3Y 60-69 years, male 53.7
GTEX-17MFQ-1826-SM-7DHLS 20-29 years, male 53.5
GTEX-OHPK-0226-SM-3MJH6 50-59 years, female 53.5
GTEX-PSDG-0326-SM-48TCP 50-59 years, male 53.5
GTEX-ZZPU-2726-SM-5NQ8O 50-59 years, female 53.5
GTEX-S32W-2226-SM-2XCAY 50-59 years, female 53.4
GTEX-1GTWX-0226-SM-9YFLL 60-69 years, male 53.4
GTEX-145MF-0526-SM-5LUA6 50-59 years, male 53.3
GTEX-16MTA-2126-SM-6PALC 50-59 years, male 53.3
GTEX-RTLS-0226-SM-2TF5E 60-69 years, female 53.3
GTEX-1I6K7-0226-SM-CJI46 40-49 years, male 53.1
GTEX-XLM4-0226-SM-4AT4N 60-69 years, male 52.9
GTEX-1GMRU-0226-SM-9YFLW 50-59 years, male 52.9
GTEX-14JG6-2326-SM-6LLH3 30-39 years, female 52.8
GTEX-18465-0226-SM-7LG5M 50-59 years, male 52.8
GTEX-1GMR3-2026-SM-9MQLG 40-49 years, male 52.7
GTEX-1HBPI-1426-SM-B2LW7 50-59 years, male 52.7
GTEX-16AAH-2026-SM-7LG5F 50-59 years, male 52.6
GTEX-1R7EU-0326-SM-EWRNJ 60-69 years, male 52.6
GTEX-11ONC-2526-SM-5986W 60-69 years, male 52.5
GTEX-1IY9M-0226-SM-CMKHP 60-69 years, male 52.5
GTEX-1S83E-0226-SM-EVYCW 40-49 years, male 52.5
GTEX-11ZVC-2626-SM-5FQTA 50-59 years, female 52.4
GTEX-QEG4-0326-SM-DIPE3 30-39 years, male 52.4
GTEX-14DAQ-0226-SM-664MQ 60-69 years, female 52.3
GTEX-13OW6-0526-SM-5L3HY 50-59 years, male 52.1
GTEX-P4PQ-0226-SM-2S1NK 60-69 years, male 52.1
GTEX-QLQ7-1526-SM-2S1QA 60-69 years, male 52.1
GTEX-ZYFC-0326-SM-5NQ7H 50-59 years, male 52.1
GTEX-11O72-0226-SM-59869 40-49 years, male 52.0
GTEX-X638-0226-SM-47JZ9 70-79 years, female 51.9
GTEX-1I1GS-0226-SM-B2LVX 60-69 years, male 51.9
GTEX-WHPG-2126-SM-4M1ZM 50-59 years, male 51.8
GTEX-16YQH-0226-SM-6PALD 30-39 years, male 51.7
GTEX-1AMEY-1426-SM-7939I 30-39 years, female 51.7
GTEX-1PDJ9-0426-SM-E9J3E 20-29 years, male 51.7
GTEX-1R46S-0526-SM-EVYBZ 60-69 years, female 51.7
GTEX-VUSH-0226-SM-EXUQV 30-39 years, male 51.7
GTEX-144FL-0226-SM-5Q5D4 50-59 years, male 51.6
GTEX-T5JC-0526-SM-32PM7 20-29 years, male 51.5
GTEX-1QPFJ-0126-SM-E9J4B 30-39 years, female 51.5
GTEX-12696-2526-SM-5EQLN 60-69 years, male 51.2
GTEX-X4XY-0326-SM-46MVZ 60-69 years, male 51.1
GTEX-13G51-2626-SM-5LZYW 60-69 years, male 51.0
GTEX-W5X1-2626-SM-4LMI8 40-49 years, female 51.0
GTEX-ZUA1-0226-SM-5NQ9Q 40-49 years, male 50.9
GTEX-RVPV-1526-SM-EXOHF 60-69 years, male 50.8
GTEX-Q2AG-0226-SM-2S1P4 40-49 years, female 50.7
GTEX-ZDXO-2426-SM-5S2NJ 60-69 years, male 50.7
GTEX-1399R-2626-SM-5KLZ7 30-39 years, male 50.6
GTEX-1C475-1926-SM-7DUFV 40-49 years, female 50.3
GTEX-1GN1U-0226-SM-9YFLQ 50-59 years, female 50.2
GTEX-1IDFM-0226-SM-CMKFX 60-69 years, male 50.2
GTEX-ZE7O-0226-SM-5S2N1 50-59 years, female 50.1
GTEX-1J8EW-0226-SM-CYPSW 60-69 years, female 50.1
GTEX-15ER7-0426-SM-6PAM3 20-29 years, female 49.9
GTEX-OOBJ-0226-SM-2YUMM 60-69 years, male 49.9
GTEX-13112-2726-SM-5DUW5 50-59 years, male 49.8
GTEX-14PJ2-0226-SM-6LLH4 50-59 years, male 49.8
GTEX-SNOS-1426-SM-32PLY 40-49 years, male 49.8
GTEX-1QW4Y-1626-SM-EAZ41 30-39 years, male 49.8
GTEX-12WSL-2426-SM-5GCN7 50-59 years, male 49.7
GTEX-1I1GT-0526-SM-CGQEQ 60-69 years, female 49.7
GTEX-1F6RS-0226-SM-9MQKO 60-69 years, female 49.6
GTEX-1IDJF-0226-SM-CMKGE 20-29 years, male 49.6
GTEX-1C6VR-2626-SM-7MGX2 60-69 years, male 49.4
GTEX-1J1OQ-0326-SM-CYPTJ 40-49 years, female 49.4
GTEX-1A3MX-0226-SM-731C4 60-69 years, male 49.3
GTEX-1B933-0526-SM-7EPHM 50-59 years, female 49.3
GTEX-Y3I4-2226-SM-4TT7O 50-59 years, male 49.3
GTEX-1I6K6-0226-SM-ADEID 30-39 years, male 49.3
GTEX-1RDX4-0226-SM-DTXG1 50-59 years, female 49.3
GTEX-1211K-2226-SM-5FQU6 60-69 years, female 49.2
GTEX-146FH-0226-SM-5QGPQ 50-59 years, female 49.2
GTEX-VJYA-1326-SM-3GIJC 60-69 years, male 49.2
GTEX-Y5V5-2426-SM-5IFJA 60-69 years, female 49.2
GTEX-1HSMO-0226-SM-CGQEZ 60-69 years, male 49.2
GTEX-1JKYN-1226-SM-CGQG8 30-39 years, male 49.2
GTEX-1AYD5-2326-SM-73KXF 50-59 years, male 49.1
GTEX-1EWIQ-0226-SM-793D3 70-79 years, female 49.1
GTEX-ZF28-0226-SM-5S2OE 60-69 years, male 49.1
GTEX-1KD5A-0326-SM-D5OVD 50-59 years, male 49.1
GTEX-ZVE2-0326-SM-57WFC 50-59 years, male 49.0
GTEX-18QFQ-0226-SM-731BQ 30-39 years, male 48.9
GTEX-1H3VE-0226-SM-9WYST 40-49 years, male 48.9
GTEX-1JK1U-2126-SM-CNPOU 60-69 years, male 48.9
GTEX-1B97I-1726-SM-7939V 40-49 years, male 48.7
GTEX-12WSM-0226-SM-5LZV6 60-69 years, male 48.6
GTEX-11LCK-1126-SM-5A5KC 30-39 years, male 48.5
GTEX-1KWVE-1326-SM-E6CJ1 30-39 years, male 48.5
GTEX-16MT8-0526-SM-6PAM6 60-69 years, female 48.4
GTEX-1MJK2-0526-SM-DTXE6 50-59 years, male 48.4
GTEX-1PIIG-0326-SM-EVYBV 30-39 years, male 48.4
GTEX-17HII-0326-SM-7LG4X 50-59 years, male 48.3
GTEX-1HCU8-0726-SM-ADEIR 60-69 years, female 48.2
GTEX-1HSKV-0326-SM-ADEJC 60-69 years, male 48.2
GTEX-113IC-0226-SM-5HL5C 60-69 years, male 48.1
GTEX-145LS-0226-SM-5O9A5 60-69 years, female 48.1
GTEX-131YS-0226-SM-5IJEH 60-69 years, female 48.0
GTEX-WFON-2226-SM-3TW8W 40-49 years, male 47.9
GTEX-1GMR8-0226-SM-9YFL3 50-59 years, female 47.9
GTEX-1PBJI-0426-SM-E8VNM 20-29 years, female 47.9
GTEX-18A7A-0326-SM-731AT 50-59 years, female 47.8
GTEX-WEY5-1926-SM-3GIL8 40-49 years, female 47.8
GTEX-OIZG-0826-SM-E9TI4 50-59 years, male 47.8
GTEX-1H1DE-2026-SM-9WG6Q 20-29 years, male 47.7
GTEX-145MI-0426-SM-5O99V 60-69 years, female 47.6
GTEX-14PK6-2026-SM-6LLHP 70-79 years, female 47.6
GTEX-1AX9K-2426-SM-73KZ4 50-59 years, male 47.5
GTEX-13JVG-0226-SM-5J1MW 60-69 years, male 47.4
GTEX-16XZY-2526-SM-7DHL2 70-79 years, male 47.3
GTEX-1M5QR-2126-SM-DKPQM 40-49 years, male 47.3
GTEX-15DCD-0226-SM-6LPKC 70-79 years, female 47.2
GTEX-ZEX8-2326-SM-5S2MN 50-59 years, male 47.2
GTEX-13VXU-0226-SM-5SI9R 50-59 years, male 47.1
GTEX-1LSNL-0526-SM-DIPFI 50-59 years, male 47.1
GTEX-13OW7-0226-SM-5MR3N 50-59 years, male 47.0
GTEX-12WSD-0226-SM-59HKO 60-69 years, female 46.9
GTEX-1EH9U-0226-SM-7PBY8 60-69 years, male 46.9
GTEX-1H2FU-0226-SM-9YFKO 60-69 years, female 46.9
GTEX-Q2AI-1426-SM-2S1P5 40-49 years, male 46.8
GTEX-11ZUS-0726-SM-59886 30-39 years, male 46.5
GTEX-1AX9J-0326-SM-73KXY 60-69 years, male 46.5
GTEX-P78B-0226-SM-3NB1Z 40-49 years, female 46.5
GTEX-YECK-0226-SM-4W215 60-69 years, male 46.5
GTEX-S33H-1126-SM-2XCB6 30-39 years, male 46.4
GTEX-1J8Q3-1526-SM-CMKGB 60-69 years, male 46.3
GTEX-PLZ5-1826-SM-3NB22 50-59 years, male 46.2
GTEX-1HR98-0226-SM-CGQEK 60-69 years, male 46.2
GTEX-13QJ3-0426-SM-5RQHP 50-59 years, male 46.1
GTEX-14JIY-0526-SM-62LFH 60-69 years, male 46.1
GTEX-1S5ZU-0226-SM-E6CHW 20-29 years, female 46.1
GTEX-Q734-1826-SM-2I3EL 40-49 years, female 45.8
GTEX-Z93S-0226-SM-5HL7R 50-59 years, male 45.8
GTEX-1CB4E-1826-SM-7RHG8 60-69 years, male 45.8
GTEX-1HGF4-2526-SM-ADEIZ 60-69 years, male 45.8
GTEX-13FTY-0626-SM-5L3F8 40-49 years, female 45.7
GTEX-1E1VI-0226-SM-793CZ 50-59 years, male 45.7
GTEX-WYJK-0226-SM-EYYV8 50-59 years, male 45.7
GTEX-14PJ4-2226-SM-6LLIS 60-69 years, male 45.5
GTEX-1C6VQ-0226-SM-7P8S5 50-59 years, male 45.5
GTEX-1I1GR-0226-SM-CMKHQ 60-69 years, male 45.5
GTEX-1KANA-0826-SM-D3L9J 20-29 years, male 45.5
GTEX-XOT4-0226-SM-4B66Z 60-69 years, female 45.5
GTEX-1CB4F-0526-SM-9KNW2 60-69 years, male 45.4
GTEX-11UD1-0226-SM-5EQKL 40-49 years, female 45.2
GTEX-1HSMQ-1426-SM-ADEHT 50-59 years, male 45.2
GTEX-P4QT-0226-SM-3LK68 50-59 years, female 45.1
GTEX-N7MS-0326-SM-4E3K2 60-69 years, male 45.0
GTEX-ZYW4-0226-SM-5E44M 60-69 years, male 45.0
GTEX-1QP28-0226-SM-E9J2N 50-59 years, female 45.0
GTEX-1IL2V-0226-SM-CMKI2 70-79 years, male 44.8
GTEX-1JMQL-0326-SM-CNPP6 50-59 years, female 44.8
GTEX-12ZZX-0226-SM-5DUXU 40-49 years, female 44.7
GTEX-1HFI6-0326-SM-ADEI5 40-49 years, male 44.7
GTEX-U3ZM-1026-SM-EZ6LD 40-49 years, male 44.7
GTEX-11WQC-2426-SM-5EQKQ 60-69 years, male 44.6
GTEX-1F6I4-0226-SM-9MQMA 60-69 years, male 44.6
GTEX-1JMPY-1426-SM-ARL8Z 30-39 years, male 44.6
GTEX-1HCU7-0326-SM-CMKGI 50-59 years, male 44.5
GTEX-1IOXB-0226-SM-CMKHY 50-59 years, male 44.5
GTEX-P44G-2326-SM-2XCCZ 30-39 years, male 44.4
GTEX-11GS4-2626-SM-5A5LD 60-69 years, male 44.3
GTEX-SSA3-0226-SM-32QPN 60-69 years, male 44.3
GTEX-1GZ4I-0226-SM-7RHHO 50-59 years, male 44.3
GTEX-11EI6-0226-SM-5EQ64 60-69 years, male 44.2
GTEX-1212Z-2426-SM-5EQ5D 60-69 years, male 44.2
GTEX-RU72-1026-SM-46MUG 50-59 years, female 44.2
GTEX-1EX96-1426-SM-7PBZ5 50-59 years, male 44.2
GTEX-14E6E-1926-SM-664N4 30-39 years, male 44.1
GTEX-YEC4-2426-SM-57WFO 40-49 years, male 44.1
GTEX-1F48J-0226-SM-7SB82 50-59 years, female 44.0
GTEX-17HGU-0326-SM-7DUER 50-59 years, male 43.8
GTEX-WL46-0326-SM-3LK6Y 50-59 years, male 43.8
GTEX-ZLV1-1826-SM-5FQU5 60-69 years, female 43.8
GTEX-1AMFI-2126-SM-731BT 50-59 years, female 43.6
GTEX-1C6WA-0226-SM-7IGPO 60-69 years, male 43.6
GTEX-XQ3S-1626-SM-4WAYN 20-29 years, male 43.6
GTEX-1GZ4H-1826-SM-9MQLE 50-59 years, female 43.6
GTEX-144GO-1626-SM-7EPG5 60-69 years, male 43.3
GTEX-ZV68-0226-SM-59HJF 50-59 years, female 43.3
GTEX-1JN1M-0126-SM-D4P23 60-69 years, female 43.3
GTEX-1LSVX-0126-SM-EVYCY 60-69 years, male 43.3
GTEX-1QEPI-0226-SM-EWRMR 60-69 years, female 43.3
GTEX-1CAMQ-0126-SM-7SB7S 40-49 years, male 43.2
GTEX-Z9EW-1826-SM-5CVMA 40-49 years, male 43.1
GTEX-1GZ2Q-0326-SM-9WG6N 40-49 years, male 43.1
GTEX-OIZF-0226-SM-E9TI3 60-69 years, male 43.0
GTEX-14AS3-2026-SM-5TDD9 40-49 years, female 42.9
GTEX-1A32A-0226-SM-718B2 50-59 years, female 42.9
GTEX-RUSQ-1626-SM-EZ6L4 50-59 years, male 42.9
GTEX-13111-1726-SM-5EGJZ 50-59 years, male 42.8
GTEX-1HFI7-2026-SM-CGQFR 50-59 years, female 42.8
GTEX-139TU-0226-SM-5J1NM 60-69 years, male 42.7
GTEX-13X6K-0226-SM-5QGPB 60-69 years, female 42.7
GTEX-14A5H-0526-SM-5TDCN 60-69 years, male 42.7
GTEX-1CB4G-0326-SM-7SB8R 60-69 years, male 42.7
GTEX-1I1GV-0426-SM-ARZLX 60-69 years, male 42.7
GTEX-14ICL-2026-SM-62LDN 30-39 years, male 42.5
GTEX-1A3MW-0226-SM-7939O 60-69 years, female 42.4
GTEX-144GL-0226-SM-5QGOX 50-59 years, male 42.3
GTEX-1HCVE-0226-SM-CGQEV 50-59 years, male 42.3
GTEX-1LH75-2526-SM-E9U5A 50-59 years, female 42.1
GTEX-1LVA9-0226-SM-E9U5N 50-59 years, male 42.1
GTEX-14BIL-0226-SM-5SI9E 50-59 years, male 41.9
GTEX-1BAJH-0426-SM-73KWY 70-79 years, male 41.9
GTEX-12WSC-0226-SM-5EQ52 50-59 years, male 41.6
GTEX-QDT8-0226-SM-32PL4 30-39 years, female 41.6
GTEX-S7SE-0226-SM-2XCD4 50-59 years, male 41.5
GTEX-1B8KZ-1926-SM-7DUG8 50-59 years, male 41.4
GTEX-ZYFD-0226-SM-5NQ86 50-59 years, male 41.4
GTEX-1H1DF-0226-SM-ARL9A 40-49 years, female 41.4
GTEX-TML8-2026-SM-32QOP 40-49 years, female 41.3
GTEX-1I1GP-2326-SM-CGQFL 50-59 years, male 41.3
GTEX-148VI-1726-SM-5S2W9 60-69 years, female 41.1
GTEX-11ZU8-2426-SM-5EQMV 60-69 years, male 41.0
GTEX-1B8KE-2526-SM-73KYQ 50-59 years, male 41.0
GTEX-11UD2-0126-SM-5EQL2 50-59 years, male 40.9
GTEX-13O3Q-2326-SM-5KM3G 50-59 years, male 40.9
GTEX-13NYB-2626-SM-9YFMI 40-49 years, male 40.9
GTEX-14JG1-0526-SM-6LLHW 40-49 years, male 40.8
GTEX-XBEC-0326-SM-4AT4M 50-59 years, male 40.8
GTEX-1B996-0126-SM-7PBYF 60-69 years, male 40.8
GTEX-1I1CD-0226-SM-CM2TL 60-69 years, female 40.8
GTEX-13OW8-1226-SM-5K7XD 60-69 years, male 40.6
GTEX-1HR9M-0226-SM-COH3E 60-69 years, male 40.6
GTEX-183WM-0226-SM-7LT8T 70-79 years, female 40.5
GTEX-1F75A-0226-SM-7PC2K 50-59 years, male 40.5
GTEX-PLZ4-0226-SM-CYPR1 50-59 years, female 40.5
GTEX-1EU9M-0326-SM-7RHGF 60-69 years, male 40.4
GTEX-WFJO-1926-SM-3GILA 30-39 years, male 40.3
GTEX-13S7M-0226-SM-5S2UG 60-69 years, female 40.2
GTEX-SJXC-0226-SM-2XCDU 60-69 years, male 40.2
GTEX-OXRN-0226-SM-2I5EJ 50-59 years, male 40.1
GTEX-1JMQK-0126-SM-CM2S3 60-69 years, male 40.1
GTEX-RM2N-1726-SM-2TF55 50-59 years, male 40.0
GTEX-1A8G7-0226-SM-731AS 60-69 years, male 39.9
GTEX-145MG-0126-SM-5TDDA 50-59 years, male 39.8
GTEX-X261-0226-SM-3NMD2 50-59 years, male 39.8
GTEX-1H1CY-2626-SM-9MQKJ 60-69 years, female 39.8
GTEX-1117F-0226-SM-5GZZ7 60-69 years, female 39.7
GTEX-1A8G6-0526-SM-7PC1E 60-69 years, male 39.7
GTEX-13PDP-0226-SM-5K7W9 60-69 years, male 39.6
GTEX-13PLJ-0126-SM-5L3HU 60-69 years, female 39.6
GTEX-17F9Y-0326-SM-7IGLS 70-79 years, female 39.6
GTEX-1B8SF-0526-SM-7939F 60-69 years, male 39.6
GTEX-1MCC2-2326-SM-E9U5G 30-39 years, female 39.5
GTEX-11TTK-0226-SM-5N9EC 60-69 years, female 39.4
GTEX-17HG3-2326-SM-79OKH 30-39 years, female 39.3
GTEX-1IGQW-0226-SM-COH43 60-69 years, male 39.3
GTEX-1GF9V-0226-SM-9MQKA 60-69 years, male 39.2
GTEX-1C4CL-0426-SM-7939N 30-39 years, male 39.1
GTEX-1F75W-0226-SM-9JGGP 60-69 years, male 39.1
GTEX-1HUB1-0326-SM-A9SKQ 60-69 years, male 39.1
GTEX-17HHY-0226-SM-793BQ 50-59 years, male 38.8
GTEX-15G19-0226-SM-6PAL2 60-69 years, male 38.7
GTEX-XMD2-0226-SM-4WWEE 60-69 years, female 38.7
GTEX-1HT8W-0226-SM-CMKGT 30-39 years, male 38.7
GTEX-1OFPY-2326-SM-E8VNU 60-69 years, male 38.7
GTEX-13N11-2626-SM-5K7UQ 50-59 years, female 38.6
GTEX-14E6D-0226-SM-62LDW 50-59 years, male 38.5
GTEX-1B932-0226-SM-7PBYH 40-49 years, female 38.5
GTEX-11P81-2426-SM-5GU65 30-39 years, female 38.4
GTEX-1399T-2726-SM-5K7XK 60-69 years, male 38.3
GTEX-1MUQO-0526-SM-E9J31 60-69 years, male 38.1
GTEX-REY6-0326-SM-2TF5A 60-69 years, male 38.0
GTEX-1F88E-0526-SM-7SB8J 60-69 years, female 37.9
GTEX-1GF9X-1926-SM-ADEIC 40-49 years, female 37.9
GTEX-1IKK5-0526-SM-CMKGG 60-69 years, male 37.9
GTEX-1LVAO-0226-SM-E9U6O 60-69 years, male 37.9
GTEX-1JMQI-2026-SM-CMKGP 50-59 years, male 37.8
GTEX-1I19N-0426-SM-ACKVY 70-79 years, male 37.6
GTEX-1IKJJ-0226-SM-COH3T 60-69 years, male 37.6
GTEX-1R9PM-2126-SM-E8VOB 20-29 years, male 37.5
GTEX-RWSA-0226-SM-2XCBA 40-49 years, male 37.4
GTEX-131XF-2226-SM-5EQKG 60-69 years, male 37.3
GTEX-X5EB-2426-SM-4E3HX 40-49 years, male 37.3
GTEX-111FC-0226-SM-5N9B8 60-69 years, male 37.2
GTEX-Y8E4-0726-SM-4WWFN 40-49 years, male 37.1
GTEX-1LGRB-2426-SM-CNPP3 50-59 years, female 37.1
GTEX-1H1E6-2026-SM-9KNVK 30-39 years, male 37.0
GTEX-14PII-0326-SM-6LLIQ 60-69 years, male 36.8
GTEX-139T8-0226-SM-5L3EA 60-69 years, male 36.7
GTEX-OHPM-0226-SM-3LK61 50-59 years, male 36.6
GTEX-1J8JJ-0326-SM-CMKG6 60-69 years, female 36.6
GTEX-P4QS-0226-SM-3NB1U 60-69 years, male 36.5
GTEX-13OVL-0326-SM-5IJCS 50-59 years, male 36.3
GTEX-15DDE-0226-SM-6LLJ6 50-59 years, female 36.3
GTEX-1CB4I-0426-SM-7IGPR 50-59 years, male 36.3
GTEX-1F75I-0426-SM-7PC3S 40-49 years, male 36.0
GTEX-1H3O1-0526-SM-9MQLS 60-69 years, male 36.0
GTEX-1GN73-0326-SM-9KNTW 60-69 years, male 35.9
GTEX-1C6VS-0426-SM-79OJV 60-69 years, male 35.8
GTEX-1EMGI-0226-SM-9MQL1 60-69 years, male 35.7
GTEX-1I1HK-0226-SM-COH4A 60-69 years, male 35.7
GTEX-Y111-0226-SM-4SOIW 50-59 years, male 35.5
GTEX-1AYCT-2226-SM-7SB98 50-59 years, male 35.5
GTEX-SIU8-0226-SM-2XCDS 50-59 years, male 35.0
GTEX-SNMC-1326-SM-2XCFK 20-29 years, male 35.0
GTEX-1IE54-0226-SM-CMKHX 40-49 years, female 34.9
GTEX-1B8SG-0226-SM-7939Q 50-59 years, male 34.8
GTEX-R45C-0226-SM-EVYAJ 60-69 years, female 34.8
GTEX-1AX9I-0226-SM-7SB75 60-69 years, male 34.7
GTEX-1HBPM-0326-SM-CMKGR 60-69 years, female 34.4
GTEX-17EVP-0426-SM-79OKG 40-49 years, male 34.3
GTEX-17F97-0426-SM-7LT9U 50-59 years, male 34.3
GTEX-OXRK-0326-SM-3NB3R 50-59 years, female 34.3
GTEX-T8EM-1126-SM-3DB7D 40-49 years, male 34.3
GTEX-T6MN-0226-SM-32PMD 50-59 years, male 34.2
GTEX-1JJEA-0226-SM-COH2X 60-69 years, male 34.2
GTEX-O5YT-0226-SM-32PK5 20-29 years, male 34.1
GTEX-1QP2A-0226-SM-EVYBC 50-59 years, male 34.1
GTEX-NFK9-0326-SM-3MJGV 40-49 years, male 34.0
GTEX-1LG7Y-0426-SM-DKPQB 50-59 years, male 34.0
GTEX-ZE9C-2826-SM-5S2MO 60-69 years, male 33.9
GTEX-11EQ8-0226-SM-5EQ5G 60-69 years, male 33.7
GTEX-13OVI-1326-SM-5IJBO 60-69 years, female 33.6
GTEX-16NPX-0326-SM-7EWDI 50-59 years, male 33.6
GTEX-1OJC4-1726-SM-EXUSV 50-59 years, female 33.5
GTEX-14ABY-0326-SM-5TDDK 50-59 years, male 33.4
GTEX-OXRO-0226-SM-3LK6F 60-69 years, female 33.3
GTEX-SN8G-0226-SM-4DM6B 50-59 years, female 33.1
GTEX-ZXG5-0226-SM-59HJI 60-69 years, male 32.8
GTEX-1JMLX-0126-SM-CMKG9 50-59 years, male 32.8
GTEX-RNOR-0226-SM-EZ6MF 50-59 years, female 32.8
GTEX-147JS-0426-SM-5TDD2 60-69 years, male 32.7
GTEX-1JJE9-1226-SM-CNPOI 70-79 years, male 32.7
GTEX-R53T-1626-SM-3GAEW 50-59 years, female 32.6
GTEX-1H4P4-0226-SM-9YFKT 50-59 years, male 32.6
GTEX-1KAFJ-2426-SM-D4P32 50-59 years, male 32.5
GTEX-1QCLY-0526-SM-EAZ47 30-39 years, male 32.1
GTEX-1LB8K-0326-SM-E9TJC 50-59 years, male 32.0
GTEX-UTHO-0426-SM-CE6QU 60-69 years, male 31.9
GTEX-1IL2U-0326-SM-CE6T9 60-69 years, male 31.6
GTEX-14753-0326-SM-5QGQB 60-69 years, male 31.5
GTEX-1A8FM-0126-SM-7SB7P 50-59 years, female 31.5
GTEX-14C5O-0226-SM-5SI6O 60-69 years, male 31.4
GTEX-WVJS-0226-SM-4MVOU 50-59 years, male 31.4
GTEX-1JN6P-0226-SM-COH34 60-69 years, male 30.8
GTEX-1ICLZ-0226-SM-CKZPP 60-69 years, male 30.6
GTEX-139TT-0226-SM-5K7YH 60-69 years, male 30.3
GTEX-11PRG-0626-SM-5BC56 50-59 years, male 30.2
GTEX-OIZI-0226-SM-2XCEE 40-49 years, male 30.2
GTEX-139D8-0326-SM-5IJCJ 30-39 years, female 30.1
GTEX-13JUV-2826-SM-5LZWU 40-49 years, female 29.7
GTEX-1JKYR-0226-SM-CNPOK 20-29 years, male 28.6
GTEX-QEL4-0326-SM-3GAE5 50-59 years, male 28.4
GTEX-13N2G-2726-SM-5J1MG 60-69 years, male 28.3
GTEX-1F52S-0226-SM-7SB7U 60-69 years, female 28.0
GTEX-13NZ9-0526-SM-5J1OX 50-59 years, male 27.7
GTEX-U3ZN-2626-SM-3DB7T 30-39 years, female 27.5
GTEX-1B8L1-2626-SM-7SB77 60-69 years, male 26.9
GTEX-POYW-0726-SM-2XCEO 60-69 years, male 25.4
GTEX-TSE9-0226-SM-3DB84 60-69 years, female 23.9
GTEX-P44H-0326-SM-2XCES 40-49 years, male 23.3
GTEX-17MF6-0226-SM-7LG4G 40-49 years, male 23.0
GTEX-11NUK-0326-SM-5HL5K 50-59 years, male 22.1
GTEX-QDVN-2126-SM-33HBS 50-59 years, male 17.5
GTEX-12WSA-0326-SM-5BC6I 60-69 years, male 15.5
Show allShow less
Adipose - Visceral (Omentum)
Average nTPM: 66.8
Samples: 541

Max nTPM: 161.6
Min nTPM: 30.0
Std nTPM: 18.7
Median nTPM: 63.7
GTEX-14PN3-0326-SM-6EU1X 60-69 years, female 161.6
GTEX-Y5LM-0826-SM-4VDSW 40-49 years, female 155.0
GTEX-11P82-0326-SM-5HL51 20-29 years, male 131.2
GTEX-1399S-1426-SM-5PNYQ 30-39 years, female 129.6
GTEX-13X6H-1726-SM-5Q5EH 50-59 years, female 129.5
GTEX-132QS-0826-SM-5K7WV 60-69 years, male 123.7
GTEX-1MA7W-0526-SM-E6CIN 20-29 years, female 123.4
GTEX-1LGOU-0826-SM-DHXKL 20-29 years, female 121.9
GTEX-1PFEY-0726-SM-E76PO 30-39 years, male 118.2
GTEX-1122O-0926-SM-9YFLC 60-69 years, female 117.7
GTEX-1RNTQ-0826-SM-E9TK8 20-29 years, female 116.8
GTEX-13111-0626-SM-5LZVR 50-59 years, male 116.0
GTEX-12696-1826-SM-5EGJS 60-69 years, male 113.6
GTEX-1POEN-1626-SM-EVYC2 30-39 years, female 112.0
GTEX-1HC8U-0926-SM-A9G3L 40-49 years, female 109.4
GTEX-1211K-1226-SM-5EQ4N 60-69 years, female 109.0
GTEX-ZP4G-1326-SM-5EGIW 20-29 years, female 107.6
GTEX-1LSNL-1426-SM-E6CJ9 50-59 years, male 107.3
GTEX-14PJO-1626-SM-69LPQ 60-69 years, male 106.2
GTEX-131XG-0126-SM-5K7UJ 50-59 years, female 105.9
GTEX-1H1DE-0826-SM-ARU8V 20-29 years, male 105.4
GTEX-14ICK-1726-SM-6AJA5 40-49 years, male 103.8
GTEX-13OW8-0326-SM-5L3FB 60-69 years, male 103.4
GTEX-18A66-1926-SM-7LTAG 60-69 years, male 103.0
GTEX-145MF-1026-SM-5Q5EQ 50-59 years, male 102.3
GTEX-13O21-3126-SM-5J1OI 50-59 years, male 102.0
GTEX-131XH-0826-SM-5GCN8 50-59 years, male 101.8
GTEX-ZQG8-1026-SM-51MR9 60-69 years, female 101.4
GTEX-1212Z-0526-SM-5FQSQ 60-69 years, male 101.3
GTEX-1K2DA-1126-SM-CGQGG 50-59 years, male 101.2
GTEX-U8XE-1926-SM-3DB98 30-39 years, male 100.4
GTEX-13FTW-0426-SM-5K7X2 40-49 years, male 99.9
GTEX-ZF2S-1526-SM-5S2OO 50-59 years, female 98.9
GTEX-1RB15-1126-SM-E8VMX 60-69 years, male 98.0
GTEX-1QP66-0626-SM-E76PD 50-59 years, male 97.6
GTEX-1ICG6-1726-SM-ARU7K 70-79 years, female 97.1
GTEX-1399U-2026-SM-9WPNN 50-59 years, female 96.9
GTEX-111YS-1326-SM-5EGGK 60-69 years, male 96.8
GTEX-ZPIC-0726-SM-57WFM 40-49 years, female 95.9
GTEX-1RAZQ-1526-SM-E6CJI 30-39 years, male 95.6
GTEX-14PKU-0226-SM-6EU16 40-49 years, female 95.4
GTEX-1R7EV-1026-SM-DTX81 40-49 years, male 95.2
GTEX-11I78-0226-SM-5HL6R 50-59 years, female 94.6
GTEX-ZA64-0926-SM-5HL7H 20-29 years, male 94.3
GTEX-ZT9W-1026-SM-57WG5 50-59 years, male 94.1
GTEX-ZVT2-0226-SM-5GIE3 50-59 years, female 94.1
GTEX-13112-1126-SM-5GCMY 50-59 years, male 93.9
GTEX-1B933-1326-SM-7939U 50-59 years, female 92.4
GTEX-14PJ2-1426-SM-62LFF 50-59 years, male 92.3
GTEX-11TT1-1926-SM-5PNYN 20-29 years, male 92.1
GTEX-1QP29-1626-SM-EXUSZ 50-59 years, male 90.9
GTEX-17F98-0326-SM-7DHLH 40-49 years, female 90.7
GTEX-ZPCL-1026-SM-5GCOX 60-69 years, female 90.7
GTEX-1MCQQ-1426-SM-E6CJA 60-69 years, male 90.6
GTEX-14JG6-0526-SM-6LLIH 30-39 years, female 90.4
GTEX-14PN4-1426-SM-6LLJ4 50-59 years, male 90.2
GTEX-1GPI7-0826-SM-9JGG7 20-29 years, male 90.0
GTEX-1OJC3-1326-SM-E9J3D 20-29 years, male 90.0
GTEX-1HSMQ-1026-SM-ADEHU 50-59 years, male 89.7
GTEX-ZYFC-1826-SM-5GZZA 50-59 years, male 89.5
GTEX-1B97I-0526-SM-73KXE 40-49 years, male 89.4
GTEX-ZZ64-0626-SM-5GZWR 20-29 years, male 89.3
GTEX-XV7Q-1726-SM-4BRUU 40-49 years, female 89.2
GTEX-Z9EW-0826-SM-5HL9T 40-49 years, male 88.9
GTEX-1MJK3-0626-SM-E6CJB 20-29 years, male 88.7
GTEX-1I1GP-1426-SM-ACKVZ 50-59 years, male 88.6
GTEX-13113-1126-SM-5LZU9 60-69 years, female 88.3
GTEX-12C56-0826-SM-5EGJ5 20-29 years, male 88.2
GTEX-16MTA-1326-SM-6PALX 50-59 years, male 88.0
GTEX-14PJ5-0426-SM-5ZZW2 60-69 years, female 87.8
GTEX-1HSEH-1326-SM-ADEI1 60-69 years, male 87.2
GTEX-ZYT6-2126-SM-5GZZ4 30-39 years, male 86.8
GTEX-14PJ3-0726-SM-69LQE 50-59 years, male 86.6
GTEX-11EQ9-1126-SM-5987I 30-39 years, male 86.5
GTEX-1LH75-1026-SM-EWROK 50-59 years, female 86.5
GTEX-146FH-2026-SM-5SI9I 50-59 years, female 86.4
GTEX-11DXX-2026-SM-5EGJL 60-69 years, female 86.3
GTEX-1ICLY-1426-SM-CJI48 50-59 years, male 86.3
GTEX-14PJ4-0126-SM-62LEZ 60-69 years, male 86.2
GTEX-XGQ4-1026-SM-4AT4L 50-59 years, male 86.0
GTEX-111CU-1026-SM-5EGIL 50-59 years, male 85.9
GTEX-1GMR2-0226-SM-9JGHO 50-59 years, male 85.8
GTEX-ZLWG-0726-SM-5S2N4 50-59 years, female 85.5
GTEX-XXEK-1426-SM-4BRW1 50-59 years, male 85.4
GTEX-1C6VR-1126-SM-7EPHD 60-69 years, male 85.2
GTEX-139YR-0326-SM-5J1MC 50-59 years, male 84.7
GTEX-17HHY-1026-SM-7LG5E 50-59 years, male 84.7
GTEX-YEC4-0926-SM-5PNXY 40-49 years, male 84.4
GTEX-1339X-0726-SM-5L3FF 40-49 years, male 84.3
GTEX-12584-2126-SM-5FQUM 40-49 years, male 84.2
GTEX-13CF3-1126-SM-5LZXB 60-69 years, female 84.1
GTEX-14E6C-1226-SM-5ZZUN 40-49 years, male 83.8
GTEX-17GQL-0826-SM-731AM 60-69 years, male 83.7
GTEX-1313W-1626-SM-5J1OE 50-59 years, female 83.5
GTEX-14E1K-0426-SM-5S2PF 50-59 years, male 83.3
GTEX-1QW4Y-0826-SM-DTXE1 30-39 years, male 83.3
GTEX-1HBPI-1826-SM-ADEHE 50-59 years, male 83.1
GTEX-139D8-1626-SM-5IJFZ 30-39 years, female 83.0
GTEX-16BQI-1126-SM-7KULF 30-39 years, female 82.9
GTEX-1CAMS-0926-SM-7SB7F 40-49 years, female 82.7
GTEX-14BIM-1626-SM-7EWD2 60-69 years, female 82.0
GTEX-YEC3-0926-SM-5Q5AC 50-59 years, male 81.9
GTEX-ZDTT-0526-SM-5HL4M 60-69 years, male 81.9
GTEX-1MCC2-0626-SM-DKPQI 30-39 years, female 81.6
GTEX-12ZZX-1726-SM-5BC63 40-49 years, female 81.3
GTEX-145LT-1526-SM-5O98P 40-49 years, male 81.3
GTEX-1JMLX-1026-SM-D3L8U 50-59 years, male 81.2
GTEX-1L5NE-1726-SM-DHXKX 50-59 years, male 81.1
GTEX-1LG7Y-1126-SM-CYPTE 50-59 years, male 80.9
GTEX-1445S-2426-SM-79ON2 60-69 years, male 80.7
GTEX-1GF9W-1026-SM-7SB8X 60-69 years, male 80.7
GTEX-11GSO-0226-SM-5A5LV 60-69 years, male 80.6
GTEX-ZYVF-1026-SM-5E44V 50-59 years, female 80.6
GTEX-13FH7-1926-SM-5J2OL 50-59 years, female 80.4
GTEX-13PVQ-2226-SM-5L3G9 50-59 years, male 80.4
GTEX-11WQK-1526-SM-5EGKN 50-59 years, male 78.8
GTEX-ZTSS-1026-SM-5985N 40-49 years, male 78.6
GTEX-1N2DV-0626-SM-E9U5H 40-49 years, male 78.6
GTEX-ZPU1-1226-SM-5HL71 40-49 years, male 78.5
GTEX-1RQEC-2526-SM-EVYD2 60-69 years, male 78.3
GTEX-14E6E-0226-SM-7DUEF 30-39 years, male 78.1
GTEX-XPVG-1626-SM-EYYVK 50-59 years, male 78.1
GTEX-1F75B-1226-SM-7MXTW 50-59 years, male 78.0
GTEX-1MUQO-0826-SM-EVYCZ 60-69 years, male 77.9
GTEX-14ABY-1926-SM-62LDJ 50-59 years, male 77.7
GTEX-15DYW-1526-SM-7KUEP 60-69 years, female 77.7
GTEX-ZYFG-1426-SM-5GICS 60-69 years, female 77.6
GTEX-W5X1-1426-SM-3GIKH 40-49 years, female 77.3
GTEX-WRHK-0826-SM-3MJFG 20-29 years, female 77.2
GTEX-14PHX-1626-SM-69LQB 50-59 years, male 77.1
GTEX-WI4N-1526-SM-EZ6LG 40-49 years, female 77.1
GTEX-ZQUD-0526-SM-57WG4 30-39 years, male 76.9
GTEX-1H23P-1726-SM-A9SMN 60-69 years, male 76.8
GTEX-14BMV-1626-SM-73KVQ 50-59 years, male 76.7
GTEX-XMK1-0926-SM-4B66X 40-49 years, male 76.7
GTEX-17F9E-1326-SM-7DHL4 50-59 years, male 76.6
GTEX-1CB4G-2126-SM-7IGQ8 60-69 years, male 76.5
GTEX-15CHC-0826-SM-686YW 60-69 years, female 76.3
GTEX-16GPK-1326-SM-7KUE4 60-69 years, male 76.2
GTEX-1C64N-1326-SM-7SB7D 50-59 years, male 76.1
GTEX-1PIGE-1226-SM-EVR3Q 20-29 years, male 76.0
GTEX-13QBU-1326-SM-5LU4K 40-49 years, female 75.7
GTEX-14C39-0826-SM-5TDDU 40-49 years, male 75.7
GTEX-13PL7-1226-SM-5SIAR 60-69 years, female 75.2
GTEX-ZV6S-1626-SM-5NQ81 40-49 years, female 75.1
GTEX-11XUK-1726-SM-5GU61 40-49 years, female 74.9
GTEX-XBED-1326-SM-4AT4F 60-69 years, male 74.9
GTEX-1B8KE-0826-SM-72D6S 50-59 years, male 74.8
GTEX-XQ8I-1426-SM-4BOPW 50-59 years, male 74.8
GTEX-1LSNM-0626-SM-DIPG7 50-59 years, male 74.5
GTEX-ZF3C-1026-SM-5S2OC 50-59 years, female 74.3
GTEX-1RAZR-1026-SM-E8VOJ 40-49 years, male 74.2
GTEX-1S82P-0926-SM-EWRNP 60-69 years, female 74.2
GTEX-17EVP-1426-SM-79OMN 40-49 years, male 74.1
GTEX-1B996-1226-SM-73KWZ 60-69 years, male 74.0
GTEX-14PHY-1026-SM-62LEV 60-69 years, female 73.9
GTEX-WH7G-1126-SM-3NMBK 40-49 years, male 73.7
GTEX-1QP28-0926-SM-EVR4D 50-59 years, female 73.7
GTEX-15UKP-1426-SM-7KUDX 20-29 years, male 73.6
GTEX-X8HC-2326-SM-4QAS4 50-59 years, female 73.6
GTEX-1K9T9-1626-SM-DIPFS 50-59 years, female 73.5
GTEX-13N1W-1226-SM-5K7UM 70-79 years, male 73.3
GTEX-13VXT-0926-SM-5LU5K 20-29 years, female 73.3
GTEX-ZXES-0926-SM-5E43O 30-39 years, female 73.3
GTEX-1IL2U-2726-SM-C1YSG 60-69 years, male 73.0
GTEX-18A7A-0926-SM-7LT8H 50-59 years, female 72.9
GTEX-Y8LW-0926-SM-4VBQ8 50-59 years, female 72.9
GTEX-1KWVE-0226-SM-E9TKK 30-39 years, male 72.9
GTEX-14JIY-1426-SM-6EU29 60-69 years, male 72.7
GTEX-1LVAN-0926-SM-CNNQ2 50-59 years, female 72.7
GTEX-XAJ8-0226-SM-4GIB2 40-49 years, male 72.6
GTEX-16XZZ-1626-SM-7KUEC 60-69 years, male 72.4
GTEX-13G51-0526-SM-5IJCQ 60-69 years, male 72.3
GTEX-16NGA-0526-SM-731AJ 40-49 years, female 72.3
GTEX-XBEW-1726-SM-4RGMA 40-49 years, male 72.2
GTEX-Y114-1326-SM-4TT9A 50-59 years, female 72.2
GTEX-1HCUA-0926-SM-ADEIX 50-59 years, female 72.2
GTEX-13FTX-0626-SM-5J2NS 20-29 years, female 71.9
GTEX-1J1R8-0526-SM-ACKWO 40-49 years, male 71.7
GTEX-1GF9V-1126-SM-9MQM7 60-69 years, male 71.6
GTEX-YJ89-1926-SM-5IFJ6 60-69 years, male 71.4
GTEX-1JJ6O-2826-SM-CNNP7 60-69 years, male 71.4
GTEX-17HHE-1526-SM-793AS 50-59 years, male 71.2
GTEX-1S5VW-2426-SM-EAZ52 60-69 years, male 71.1
GTEX-13OW6-2426-SM-5K7WO 50-59 years, male 71.0
GTEX-1I19N-1026-SM-A96TT 70-79 years, male 71.0
GTEX-1OKEX-0926-SM-E8VNJ 60-69 years, male 71.0
GTEX-12WSC-1726-SM-5GCN3 50-59 years, male 70.8
GTEX-14C38-1026-SM-73KY7 50-59 years, male 70.7
GTEX-17MFQ-1126-SM-7LT9O 20-29 years, male 70.6
GTEX-1EWIQ-2526-SM-7EPIJ 70-79 years, female 70.6
GTEX-1I6K7-1826-SM-CGQFO 40-49 years, male 70.6
GTEX-14BMU-0626-SM-73KZ6 20-29 years, female 70.1
GTEX-1BAJH-2126-SM-7EWFB 70-79 years, male 70.0
GTEX-WFON-1226-SM-3TW8F 40-49 years, male 70.0
GTEX-1LGRB-0526-SM-COH3A 50-59 years, female 69.9
GTEX-147JS-1026-SM-5S2MP 60-69 years, male 69.8
GTEX-17JCI-1626-SM-7EPGZ 60-69 years, female 69.7
GTEX-1S3DN-1626-SM-EVYCC 50-59 years, male 69.6
GTEX-13VXU-1026-SM-5KLZE 50-59 years, male 69.5
GTEX-1GMR3-0826-SM-9WYT4 40-49 years, male 69.2
GTEX-132NY-1126-SM-5PNVE 60-69 years, male 69.0
GTEX-Y111-0926-SM-4SOIU 50-59 years, male 69.0
GTEX-WK11-2426-SM-3NMAA 50-59 years, male 68.7
GTEX-1H4P4-0326-SM-9WYTD 50-59 years, male 68.6
GTEX-1HFI7-0726-SM-ACKVN 50-59 years, female 68.6
GTEX-13OVL-0826-SM-5L3GV 50-59 years, male 68.5
GTEX-1B8SG-1426-SM-7EWEM 50-59 years, male 68.5
GTEX-13OVJ-0926-SM-5K7U1 50-59 years, female 68.3
GTEX-14PJN-0626-SM-6EU13 30-39 years, male 68.3
GTEX-Y5V5-0226-SM-5S2N8 60-69 years, female 68.3
GTEX-1IKOE-1726-SM-CNNQ6 30-39 years, female 68.2
GTEX-1OFPY-0826-SM-DTX8P 60-69 years, male 68.2
GTEX-1F6I4-2126-SM-7PC2J 60-69 years, male 68.0
GTEX-131YS-1726-SM-5HL7G 60-69 years, female 67.9
GTEX-14PK6-0926-SM-62LF4 70-79 years, female 67.8
GTEX-XOT4-0826-SM-4B66Y 60-69 years, female 67.8
GTEX-ZE7O-1526-SM-5J1NH 50-59 years, female 67.8
GTEX-1C475-0326-SM-7SB8O 40-49 years, female 67.6
GTEX-12WSI-1526-SM-5GCNM 50-59 years, male 67.4
GTEX-1N2EF-0926-SM-E8VNW 60-69 years, male 67.4
GTEX-1I1GU-0626-SM-CMKHR 40-49 years, male 67.3
GTEX-ZF29-0826-SM-5S2O2 60-69 years, female 67.2
GTEX-133LE-0926-SM-5P9J1 20-29 years, female 67.1
GTEX-1CB4F-1126-SM-79OLG 60-69 years, male 67.1
GTEX-1A32A-0926-SM-718AB 50-59 years, female 67.0
GTEX-12BJ1-0826-SM-5EQ5P 60-69 years, male 66.9
GTEX-1LKK1-1526-SM-EVYCO 50-59 years, female 66.9
GTEX-1JN76-1026-SM-ARZNI 20-29 years, female 66.8
GTEX-1KANC-0526-SM-D4P3T 50-59 years, female 66.8
GTEX-14PHW-1626-SM-6EU2H 60-69 years, female 66.7
GTEX-15DZA-0626-SM-6PANC 30-39 years, female 66.6
GTEX-ZVP2-0226-SM-57WBD 50-59 years, male 66.6
GTEX-15CHQ-1126-SM-686YY 60-69 years, male 66.5
GTEX-13X6J-1926-SM-5TDCU 50-59 years, male 66.4
GTEX-131XE-2026-SM-5LZW1 50-59 years, male 66.3
GTEX-13O3Q-1126-SM-5K7YK 50-59 years, male 66.3
GTEX-XUZC-1126-SM-4BOPZ 30-39 years, female 66.3
GTEX-ZAJG-1626-SM-5HL7I 50-59 years, female 66.3
GTEX-1128S-0926-SM-5GZZU 60-69 years, female 66.2
GTEX-1CAV2-0226-SM-7IGPQ 40-49 years, female 66.2
GTEX-1AX9K-0926-SM-7939G 50-59 years, male 66.1
GTEX-1EU9M-1126-SM-793DE 60-69 years, male 66.0
GTEX-1HCU6-1626-SM-CMKGW 60-69 years, female 65.9
GTEX-1LVAO-2126-SM-DIPGA 60-69 years, male 65.9
GTEX-13YAN-1126-SM-5TDC7 60-69 years, male 65.8
GTEX-1H1ZS-1326-SM-9WG74 70-79 years, male 65.8
GTEX-169BO-0426-SM-7EPI1 50-59 years, male 65.6
GTEX-1S5ZA-1026-SM-EWRO2 20-29 years, male 65.6
GTEX-1E1VI-1826-SM-9WG5J 50-59 years, male 65.5
GTEX-1I1GQ-1026-SM-CNNQS 50-59 years, male 65.5
GTEX-117YX-0726-SM-5GIET 50-59 years, male 65.4
GTEX-18D9B-1726-SM-7LTAP 60-69 years, male 65.3
GTEX-Y5V6-0626-SM-4WWFY 60-69 years, male 65.2
GTEX-1RMOY-0826-SM-E9TIF 50-59 years, male 65.1
GTEX-1JN6P-1626-SM-CYPSV 60-69 years, male 65.0
GTEX-WHWD-0826-SM-3LK6R 50-59 years, male 64.9
GTEX-15RIE-0126-SM-7KUF8 60-69 years, male 64.8
GTEX-16NPV-0626-SM-7IGOR 50-59 years, female 64.8
GTEX-1KAFJ-0826-SM-CYPTF 50-59 years, male 64.8
GTEX-1KXAM-0526-SM-DKPQN 60-69 years, male 64.7
GTEX-11ZUS-1826-SM-5FQTR 30-39 years, male 64.5
GTEX-ZTPG-2326-SM-57WFL 20-29 years, female 64.5
GTEX-1HCU9-0626-SM-ACKW6 20-29 years, male 64.5
GTEX-1IDJU-0926-SM-ARL88 60-69 years, female 64.5
GTEX-11GS4-1026-SM-5N9DE 60-69 years, male 64.2
GTEX-12WSF-1526-SM-6PAN6 70-79 years, male 64.1
GTEX-1GF9U-1226-SM-ARL9I 40-49 years, female 64.0
GTEX-1N2EE-1526-SM-DTXE9 60-69 years, male 63.8
GTEX-13PVR-0526-SM-5S2OB 60-69 years, female 63.7
GTEX-15EOM-2326-SM-7KUMV 20-29 years, female 63.7
GTEX-12WSK-1026-SM-5CVNR 40-49 years, female 63.6
GTEX-18A67-1326-SM-7LT8V 50-59 years, male 63.6
GTEX-1C2JI-0826-SM-7EPHB 50-59 years, male 63.6
GTEX-1QPFJ-2126-SM-EXOJV 30-39 years, female 63.6
GTEX-11NUK-2026-SM-5PNVZ 50-59 years, male 63.5
GTEX-VJWN-2326-SM-EVYAP 50-59 years, female 63.4
GTEX-YJ8A-1926-SM-EZ6LQ 20-29 years, male 63.4
GTEX-14BIL-2426-SM-5QGQR 50-59 years, male 63.3
GTEX-1IY9M-1226-SM-ACKX1 60-69 years, male 63.3
GTEX-131XF-0726-SM-5GIE5 60-69 years, male 63.2
GTEX-1AYD5-0126-SM-7DUG5 50-59 years, male 63.2
GTEX-132Q8-1726-SM-5EGK8 60-69 years, male 63.0
GTEX-13FXS-1326-SM-62LFR 50-59 years, male 63.0
GTEX-13OW7-1126-SM-5K7V6 50-59 years, male 63.0
GTEX-18A7B-1226-SM-718AU 70-79 years, male 62.8
GTEX-ZZPU-0326-SM-5N9BJ 50-59 years, female 62.8
GTEX-1H1DG-2026-SM-9QEIV 70-79 years, male 62.8
GTEX-1RLM8-1026-SM-EWROE 50-59 years, male 62.6
GTEX-12KS4-1526-SM-5EQ6E 30-39 years, male 62.4
GTEX-12WSG-0426-SM-5FQSE 50-59 years, female 62.4
GTEX-15ER7-1026-SM-7KUMD 20-29 years, female 62.2
GTEX-13O61-1926-SM-5KM1R 60-69 years, male 62.1
GTEX-14C5O-0926-SM-793DM 60-69 years, male 62.1
GTEX-ZVE2-1826-SM-51MRZ 50-59 years, male 62.1
GTEX-15EU6-1726-SM-6M48H 50-59 years, male 62.0
GTEX-1AMEY-0526-SM-72D62 30-39 years, female 61.8
GTEX-VJYA-1626-SM-EXOHL 60-69 years, male 61.7
GTEX-X585-2526-SM-4QAS1 50-59 years, male 61.6
GTEX-12WSM-0626-SM-5GCOK 60-69 years, male 61.5
GTEX-13RTK-0726-SM-5Q5EN 20-29 years, male 61.5
GTEX-1GF9X-0926-SM-7PC2X 40-49 years, female 61.5
GTEX-145LU-1226-SM-5LU9B 50-59 years, male 61.4
GTEX-ZDTS-1826-SM-5S2N6 60-69 years, male 61.4
GTEX-Y3I4-0726-SM-E9J3Y 50-59 years, male 61.4
GTEX-113JC-0726-SM-5GZZR 50-59 years, female 61.3
GTEX-13N2G-1926-SM-5J1O3 60-69 years, male 61.3
GTEX-ZG7Y-1626-SM-5S2NO 50-59 years, male 61.3
GTEX-1R9PO-0926-SM-E9U4Q 60-69 years, female 61.2
GTEX-139T6-0526-SM-5IJC9 50-59 years, male 61.0
GTEX-17F97-1226-SM-79OJT 50-59 years, male 61.0
GTEX-17HGU-1726-SM-79OKM 50-59 years, male 61.0
GTEX-11DXY-0326-SM-5H12F 60-69 years, male 60.9
GTEX-13OVG-1326-SM-5K7Y3 60-69 years, male 60.9
GTEX-11P81-0726-SM-5PNYH 30-39 years, female 60.7
GTEX-1AYCT-1126-SM-79OO8 50-59 years, male 60.7
GTEX-1CAMR-0326-SM-793AH 20-29 years, male 60.7
GTEX-13OVH-1126-SM-5K7YP 70-79 years, male 60.6
GTEX-WHPG-0626-SM-3NMBD 50-59 years, male 60.5
GTEX-ZUA1-2126-SM-57YRB 40-49 years, male 60.4
GTEX-1RAZA-0926-SM-E6CQ8 20-29 years, male 60.3
GTEX-14E6D-1326-SM-62LES 50-59 years, male 60.0
GTEX-WWTW-1326-SM-4MVNT 50-59 years, male 60.0
GTEX-145LV-1026-SM-5O9AE 50-59 years, male 59.9
GTEX-14DAQ-2526-SM-5RQIO 60-69 years, female 59.8
GTEX-1CB4I-0826-SM-7MGX1 50-59 years, male 59.8
GTEX-1H11D-1126-SM-9YFM5 40-49 years, male 59.8
GTEX-1JKYR-1226-SM-CM2S7 20-29 years, male 59.8
GTEX-11PRG-1526-SM-5HL6Z 50-59 years, male 59.5
GTEX-15SKB-1626-SM-6PAL6 60-69 years, male 59.4
GTEX-146FR-0226-SM-5Q5F6 60-69 years, female 59.1
GTEX-ZGAY-1326-SM-5S2NS 40-49 years, female 59.1
GTEX-11OF3-0826-SM-5BC51 60-69 years, male 59.0
GTEX-17F9Y-0726-SM-7LT9G 70-79 years, female 59.0
GTEX-117YW-0826-SM-5H11O 50-59 years, male 58.9
GTEX-1A3MV-0626-SM-731CH 30-39 years, male 58.9
GTEX-XBEC-1826-SM-4QASN 50-59 years, male 58.9
GTEX-14B4R-0526-SM-5QGQT 30-39 years, male 58.8
GTEX-ZXG5-1626-SM-59HJK 60-69 years, male 58.8
GTEX-1H1DF-1426-SM-9YFMC 40-49 years, female 58.8
GTEX-XYKS-1826-SM-4E3JV 60-69 years, female 58.7
GTEX-WVLH-1626-SM-EXURN 50-59 years, male 58.4
GTEX-1J8Q2-2226-SM-CM2TZ 60-69 years, male 58.3
GTEX-145MI-0826-SM-5SI95 60-69 years, female 58.1
GTEX-ZEX8-1226-SM-5S2OK 50-59 years, male 58.1
GTEX-WYJK-1426-SM-3NM8V 50-59 years, male 57.9
GTEX-1EH9U-1326-SM-79OM3 60-69 years, male 57.7
GTEX-WEY5-1326-SM-3GILS 40-49 years, female 57.7
GTEX-11LCK-0326-SM-5A5M7 30-39 years, male 57.6
GTEX-13X6K-0726-SM-5LU2Z 60-69 years, female 57.6
GTEX-1GL5R-0726-SM-9MQL5 50-59 years, male 57.5
GTEX-1KANA-1426-SM-CY8IF 20-29 years, male 57.4
GTEX-11ZTS-1326-SM-5EQMA 60-69 years, female 57.3
GTEX-14BIN-1226-SM-5S2OM 50-59 years, female 57.3
GTEX-1AMFI-1026-SM-73KYM 50-59 years, female 57.3
GTEX-ZLV1-0926-SM-5S2MR 60-69 years, female 57.3
GTEX-1J1OQ-1526-SM-CJI4E 40-49 years, female 57.2
GTEX-1K2DU-0726-SM-DIPF7 20-29 years, male 57.2
GTEX-1LG7Z-0226-SM-E6CIG 30-39 years, male 57.2
GTEX-16AAH-1526-SM-7LT9W 50-59 years, male 57.1
GTEX-1GN73-0626-SM-7PC3I 60-69 years, male 57.1
GTEX-1HT8W-0726-SM-A9SLB 30-39 years, male 57.1
GTEX-1J8EW-1526-SM-CMKFZ 60-69 years, female 57.1
GTEX-13FHO-2026-SM-5J1OA 60-69 years, male 57.0
GTEX-13IVO-2426-SM-5K7V9 70-79 years, male 56.9
GTEX-1CB4E-0826-SM-793CS 60-69 years, male 56.9
GTEX-1I6K6-1526-SM-CGQFC 30-39 years, male 56.9
GTEX-12ZZW-2326-SM-5DUW2 50-59 years, male 56.8
GTEX-ZDXO-2326-SM-5LU9W 60-69 years, male 56.7
GTEX-1HSMO-1426-SM-CNNQN 60-69 years, male 56.7
GTEX-13D11-0526-SM-5LZYM 50-59 years, female 56.6
GTEX-14753-2526-SM-5LU97 60-69 years, male 56.5
GTEX-18465-1826-SM-731BB 50-59 years, male 56.5
GTEX-WL46-2026-SM-3LK7U 50-59 years, male 56.5
GTEX-1B97J-1126-SM-7SB79 50-59 years, female 56.5
GTEX-1KD4Q-1426-SM-D4P3K 40-49 years, male 56.5
GTEX-18A6Q-1026-SM-7LT9S 60-69 years, male 56.4
GTEX-YFCO-1126-SM-5S2N9 40-49 years, male 56.3
GTEX-1B932-1726-SM-793A5 40-49 years, female 56.2
GTEX-1HBPN-1526-SM-9WYSB 50-59 years, male 56.2
GTEX-1IKK5-0826-SM-ACKWN 60-69 years, male 56.1
GTEX-1IDJH-1626-SM-A9SLP 70-79 years, male 56.0
GTEX-178AV-0626-SM-6PAM1 40-49 years, male 55.9
GTEX-1HCU7-2026-SM-A9G2B 50-59 years, male 55.9
GTEX-13OVK-0326-SM-7KUEJ 40-49 years, male 55.8
GTEX-1A8FM-2126-SM-7PC27 50-59 years, female 55.8
GTEX-144GN-0726-SM-5O98O 50-59 years, male 55.7
GTEX-11P7K-0826-SM-5BC5F 30-39 years, male 55.6
GTEX-14E7W-2326-SM-69LQC 70-79 years, male 55.6
GTEX-13NZ9-2026-SM-5KM1U 50-59 years, male 55.5
GTEX-1IDJF-1726-SM-A9SLL 20-29 years, male 55.5
GTEX-1GN1U-0726-SM-9MQKL 50-59 years, female 55.2
GTEX-1JMQI-1026-SM-COH2U 50-59 years, male 55.0
GTEX-13PDP-1226-SM-5K7TW 60-69 years, male 54.9
GTEX-WXYG-0926-SM-3NB2O 50-59 years, female 54.9
GTEX-12WSL-1126-SM-5CVNK 50-59 years, male 54.7
GTEX-13S86-0926-SM-5SI6I 40-49 years, male 54.5
GTEX-XLM4-1026-SM-4AT51 60-69 years, male 54.3
GTEX-11DXZ-1426-SM-5H12A 50-59 years, male 54.2
GTEX-11DYG-2026-SM-5EGGX 60-69 years, male 54.2
GTEX-132AR-0526-SM-5J2MJ 50-59 years, female 54.2
GTEX-14PJM-1226-SM-686Z7 50-59 years, female 54.2
GTEX-11GSP-1026-SM-9WYSH 60-69 years, female 54.2
GTEX-1H1E6-1126-SM-9JGGV 30-39 years, male 54.2
GTEX-1QCLY-1226-SM-EVYC3 30-39 years, male 54.1
GTEX-13NZB-0826-SM-5K7X5 30-39 years, male 53.8
GTEX-13X6I-1526-SM-5SIAC 60-69 years, male 53.7
GTEX-17KNJ-0426-SM-718AK 50-59 years, male 53.7
GTEX-ZE9C-1326-SM-5S2OW 60-69 years, male 53.7
GTEX-X3Y1-0926-SM-3P5YT 40-49 years, male 53.4
GTEX-1H3VE-1926-SM-9YFL4 40-49 years, male 53.3
GTEX-1O9I2-1326-SM-E6CQD 50-59 years, male 53.2
GTEX-13U4I-1726-SM-5J1MF 40-49 years, female 53.1
GTEX-15G19-1126-SM-7KUEL 60-69 years, male 53.1
GTEX-1HCU8-1126-SM-CM2SA 60-69 years, female 53.0
GTEX-1QMI2-1626-SM-EYYXK 60-69 years, male 53.0
GTEX-18D9U-0426-SM-731AN 40-49 years, male 52.9
GTEX-1I1GR-1726-SM-COH39 60-69 years, male 52.8
GTEX-1MA7X-1026-SM-DKPQ8 60-69 years, male 52.8
GTEX-1399T-1326-SM-5PNVH 60-69 years, male 52.6
GTEX-13S7M-0826-SM-5QGQX 60-69 years, female 52.5
GTEX-1F6IF-2026-SM-7P8SE 60-69 years, male 52.5
GTEX-WYBS-1026-SM-4ONCY 60-69 years, female 52.4
GTEX-1R9K4-1426-SM-DPRY4 60-69 years, male 52.3
GTEX-1JKYN-0526-SM-CGQG3 30-39 years, male 52.2
GTEX-1HB9E-0526-SM-ARZNM 50-59 years, male 52.1
GTEX-1IDJD-0926-SM-ACKWW 30-39 years, male 52.0
GTEX-1LVAM-1026-SM-DIPFK 50-59 years, female 51.9
GTEX-1GN1W-1226-SM-9MQLW 50-59 years, female 51.8
GTEX-1GTWX-1526-SM-9MQLF 60-69 years, male 51.8
GTEX-1P4AB-1226-SM-DTXET 50-59 years, male 51.6
GTEX-1LSVX-1326-SM-DIPET 60-69 years, male 51.5
GTEX-XQ3S-2426-SM-4WAYB 20-29 years, male 51.3
GTEX-14DAR-0426-SM-664MW 50-59 years, male 51.2
GTEX-15D1Q-1326-SM-69LOA 40-49 years, male 51.2
GTEX-ZV7C-0826-SM-59HK8 50-59 years, male 51.2
GTEX-1C6VQ-1526-SM-73KU9 50-59 years, male 51.1
GTEX-11EM3-1126-SM-5A5KM 20-29 years, female 51.0
GTEX-15SHU-2326-SM-7KUMC 40-49 years, female 51.0
GTEX-1F5PL-1326-SM-7SB83 40-49 years, female 51.0
GTEX-1I4MK-0726-SM-ACKWC 50-59 years, female 51.0
GTEX-1HBPH-2226-SM-9WYSO 40-49 years, female 50.8
GTEX-1HGF4-0226-SM-CNNQL 60-69 years, male 50.7
GTEX-1F75I-1026-SM-7SB8B 40-49 years, male 50.4
GTEX-183FY-1226-SM-7DHLK 20-29 years, male 50.3
GTEX-1HSGN-1926-SM-CMKGS 40-49 years, female 50.3
GTEX-1PPH8-1026-SM-DPRXN 20-29 years, male 50.3
GTEX-12WSA-1626-SM-5EGJV 60-69 years, male 50.2
GTEX-WOFM-0726-SM-3MJF8 20-29 years, male 50.2
GTEX-1I1GT-1326-SM-ACKWB 60-69 years, female 50.2
GTEX-1117F-1326-SM-5EGHH 60-69 years, female 50.1
GTEX-1GZ4I-2326-SM-9YFMO 50-59 years, male 50.1
GTEX-1GZ2Q-1226-SM-9MQM8 40-49 years, male 49.9
GTEX-VUSG-1426-SM-3GIJN 50-59 years, male 49.7
GTEX-1PBJI-1326-SM-E9J2V 20-29 years, female 49.6
GTEX-11VI4-1226-SM-5EQMP 40-49 years, female 49.5
GTEX-13W46-1226-SM-5SIAS 50-59 years, male 49.5
GTEX-ZC5H-1626-SM-5HL7L 40-49 years, female 49.5
GTEX-13JUV-0626-SM-5J1MQ 40-49 years, female 49.4
GTEX-1QP9N-0426-SM-DTXFT 30-39 years, male 49.4
GTEX-1B8L1-0126-SM-9KNVS 60-69 years, male 49.3
GTEX-1EN7A-1626-SM-79OLV 40-49 years, male 49.2
GTEX-1I1CD-1026-SM-COH3G 60-69 years, female 49.1
GTEX-1QP6S-1626-SM-EVYC5 40-49 years, male 49.0
GTEX-1EMGI-0726-SM-7PBZ4 60-69 years, male 48.9
GTEX-17EVQ-0626-SM-7KFTB 70-79 years, male 48.8
GTEX-1F48J-1826-SM-7SB8T 50-59 years, female 48.8
GTEX-1192X-1526-SM-5H11I 50-59 years, male 48.4
GTEX-1HR9M-1426-SM-A9SMB 60-69 years, male 48.3
GTEX-ZF28-1426-SM-5S2OG 60-69 years, male 47.8
GTEX-1H1CY-0826-SM-9WYTU 60-69 years, female 47.8
GTEX-1HUB1-1526-SM-CGQF6 60-69 years, male 47.6
GTEX-1JJE9-1526-SM-CM2RR 70-79 years, male 47.6
GTEX-1HFI6-1726-SM-CGQFH 40-49 years, male 47.1
GTEX-1HSKV-1926-SM-CNPPN 60-69 years, male 47.1
GTEX-1QP67-1126-SM-EAZ4C 40-49 years, female 46.8
GTEX-13W3W-1126-SM-5L3DO 60-69 years, female 46.7
GTEX-13N11-1826-SM-5IJDS 50-59 years, female 46.6
GTEX-13PL6-0926-SM-5KLYY 40-49 years, female 46.6
GTEX-1GZ4H-0926-SM-9WG6Y 50-59 years, female 46.3
GTEX-13NYS-0726-SM-5J1OR 60-69 years, male 46.2
GTEX-145ME-0726-SM-5O9A3 40-49 years, female 46.1
GTEX-ZYW4-2226-SM-5GZYG 60-69 years, male 46.1
GTEX-18QFQ-1326-SM-731CF 30-39 years, male 46.0
GTEX-1N2DW-0726-SM-DTX97 50-59 years, male 46.0
GTEX-11NV4-1426-SM-5BC4W 60-69 years, male 45.8
GTEX-ZDYS-2226-SM-5S2MI 50-59 years, male 45.8
GTEX-1I1GS-0926-SM-A9SL5 60-69 years, male 45.8
GTEX-ZTX8-0726-SM-59HL9 20-29 years, male 45.7
GTEX-1KANB-2426-SM-EV7BE 50-59 years, male 45.7
GTEX-1HKZK-1726-SM-ADEJ9 40-49 years, male 45.6
GTEX-ZAB4-1426-SM-5CVN6 40-49 years, male 45.5
GTEX-1A3MX-0826-SM-72D64 60-69 years, male 45.3
GTEX-17HII-0826-SM-7DUFH 50-59 years, male 45.1
GTEX-17F96-0726-SM-793CB 70-79 years, male 45.0
GTEX-WY7C-0926-SM-3NB34 50-59 years, male 44.9
GTEX-144GM-0626-SM-79OKY 20-29 years, male 44.7
GTEX-Y9LG-1226-SM-4VBQA 30-39 years, male 44.7
GTEX-1S831-1926-SM-EV79P 20-29 years, male 44.6
GTEX-Y8E4-1226-SM-5IFIM 40-49 years, male 44.4
GTEX-1EKGG-1426-SM-7PBY2 60-69 years, male 44.3
GTEX-1AX8Z-1626-SM-73KWD 60-69 years, male 44.0
GTEX-14AS3-0426-SM-5QGQK 40-49 years, female 43.9
GTEX-1JMQJ-1926-SM-D4P3A 50-59 years, male 43.9
GTEX-1IDJC-0226-SM-CMKG2 50-59 years, male 43.7
GTEX-139TU-1426-SM-5LZY9 60-69 years, male 43.6
GTEX-1AX9J-2226-SM-731CW 60-69 years, male 43.5
GTEX-1C6VS-1826-SM-73KXN 60-69 years, male 43.5
GTEX-1IDJI-0926-SM-ACKWZ 50-59 years, female 43.5
GTEX-16NPX-1026-SM-6PAM7 50-59 years, male 43.2
GTEX-1A8G6-2026-SM-73KYC 60-69 years, male 43.2
GTEX-1B8SF-1726-SM-73KZ5 60-69 years, male 43.2
GTEX-ZVZP-1126-SM-5GICU 50-59 years, male 42.5
GTEX-1F52S-1326-SM-7SB6Q 60-69 years, female 42.3
GTEX-1AX9I-1726-SM-731BX 60-69 years, male 42.2
GTEX-ZT9X-0926-SM-5O9C4 40-49 years, male 42.2
GTEX-1KD5A-1326-SM-CYPTB 50-59 years, male 42.1
GTEX-1A8G7-1226-SM-73KYP 60-69 years, male 41.9
GTEX-14ICL-0926-SM-5S2TU 30-39 years, male 41.5
GTEX-1QEPI-2226-SM-E8VN6 60-69 years, female 41.5
GTEX-18D9A-0726-SM-7LTA7 30-39 years, female 41.2
GTEX-1GMRU-0726-SM-7PBZH 50-59 years, male 41.2
GTEX-1JMPY-0326-SM-CM2S2 30-39 years, male 41.2
GTEX-1H2FU-1426-SM-9WPO6 60-69 years, female 41.0
GTEX-ZAB5-1126-SM-5Q5AD 50-59 years, male 40.8
GTEX-YECK-1426-SM-5IFHE 60-69 years, male 40.3
GTEX-1HSMP-1126-SM-B2LXJ 70-79 years, male 39.9
GTEX-1ICLZ-1626-SM-CE6SS 60-69 years, male 38.5
GTEX-1JMQK-1326-SM-CNPOR 60-69 years, male 38.4
GTEX-13O3P-0926-SM-5IFFI 50-59 years, male 37.5
GTEX-1NV5F-2526-SM-EXUSK 60-69 years, female 37.2
GTEX-WYVS-0626-SM-4SOJY 40-49 years, female 36.6
GTEX-WFJO-1026-SM-3GIKL 30-39 years, male 36.3
GTEX-1CAMQ-1226-SM-7SB7E 40-49 years, male 35.9
GTEX-1QAET-1226-SM-DTX9I 50-59 years, male 34.8
GTEX-1IE54-1426-SM-CL53C 40-49 years, female 34.2
GTEX-1LBAC-1026-SM-CXKYA 20-29 years, male 34.1
GTEX-UPK5-1826-SM-3GAEB 40-49 years, male 31.0
GTEX-1B8KZ-1026-SM-73KYN 50-59 years, male 30.7
GTEX-17MF6-1326-SM-79ONE 40-49 years, male 30.4
GTEX-UTHO-1826-SM-3GAFE 60-69 years, male 30.0
Show allShow less

ADIPOSE TISSUE - FANTOM5 CAGEi

RNA expression in human tissues obtained through Cap Analysis of Gene Expression (CAGE) generated by the FANTOM5 project are reported as Scaled Tags Per Million.

Max subtype Scaled Tags Per Millioni

Max subtype Scaled Tags Per Million is the value for the subtype with the largest average Scaled Tags Per Million across the subtype samples.

126.0
FANTOM5 sample id Sample description Scaled Tags Per Million
Adipose tissue
Scaled Tags Per Million: 126.0
FF:10010-101C1 65,65,76 years, mixed 126.0

Contact

  • NEWS ARTICLES
  • PRESS ROOM

The Project

  • INTRODUCTION
  • ORGANIZATION
  • PUBLICATIONS

The Human Protein Atlas

  • DOWNLOADABLE DATA
  • LICENCE & CITATION
  • HELP & FAQ
The Human Protein Atlas project is funded
by the Knut & Alice Wallenberg Foundation.


contact@proteinatlas.org