We use cookies to enhance the usability of our website. If you continue, we'll assume that you are happy to receive all cookies. More information. Don't show this again.
THBD
HPA
RESOURCES
  • TISSUE
  • BRAIN
  • SINGLE CELL
  • SUBCELLULAR
  • CANCER
  • BLOOD
  • CELL LINE
  • STRUCTURE & INTERACTION
ABOUT
  • INTRODUCTION
  • HISTORY
  • ORGANIZATION
  • PUBLICATIONS
  • ANTIBODY SUBMISSION
  • ANTIBODY AVAILABILITY
  • ACKNOWLEDGMENTS
  • CONTACT
NEWS
  • NEWS ARTICLES
  • PRESS ROOM
LEARN
  • DICTIONARY
  • PROTEIN CLASSES
  • PROTEIN EVIDENCE
  • METHODS
  • EDUCATIONAL VIDEOS
DATA
  • DOWNLOADABLE DATA
  • PUBLICATION DATA
  • RELEASE HISTORY
HELP
  • ANTIBODY VALIDATION
  • ASSAYS & ANNOTATION
  • DISCLAIMER
  • HELP & FAQ
  • PRIVACY STATEMENT
  • LICENCE & CITATION
Fields »
Search result

Field
Term
Gene name
Class
Subclass
Class
Keyword
Chromosome
External id
Tissue
Cell type
Expression
Antibody panel
Tissue
Main location
Patient ID
Annotation
Tissue
Category
Tau score
Cluster
Reliability
Brain region
Category
Tau score
Brain region
Category
Tau score
Brain region
Category
Tau score
Cluster
Reliability
Tissue
Cell type
Enrichment
Cell type
Category
Tau score
Cell type
Category
Tau score
Cell type
Category
Tau score
Cell lineage
Category
Tau score
Cluster
Cluster
Location
Searches
Location
Cell line
Class
Type
Phase
Reliability
Cancer
Prognosis
Cancer
Category
Cancer
Category
Tau score
Cluster
Variants
Interacting gene (ensg_id)
Type
Number of interactions
Pathway
Category
Score
Score
Score
Validation
Validation
Validation
Validation
Antibodies
Data type
Column


  • SUMMARY

  • TISSUE

  • BRAIN

  • SINGLE CELL

  • SUBCELL

  • CANCER

  • BLOOD

  • CELL LINE

  • STRUCT & INT

  • THBD
TISSUE PRIMARY DATA SMALL INTESTINE Show tissue menu
ADIPOSE TISSUE ADRENAL GLAND AMYGDALA APPENDIX BASAL GANGLIA BONE MARROW BREAST CEREBELLUM CEREBRAL CORTEX CERVIX CHOROID PLEXUS COLON DUODENUM ENDOMETRIUM
EPIDIDYMIS ESOPHAGUS FALLOPIAN TUBE GALLBLADDER HEART MUSCLE HIPPOCAMPAL FORMATION HYPOTHALAMUS KIDNEY LIVER LUNG LYMPH NODE MIDBRAIN NASOPHARYNX ORAL MUCOSA
OVARY PANCREAS PARATHYROID GLAND PITUITARY GLAND PLACENTA PROSTATE RECTUM RETINA SALIVARY GLAND SEMINAL VESICLE SKELETAL MUSCLE SKIN SMALL INTESTINE SMOOTH MUSCLE
SOFT TISSUE SPINAL CORD SPLEEN STOMACH TESTIS THYMUS THYROID GLAND TONGUE TONSIL URINARY BLADDER VAGINA
ANTIBODIES
AND
VALIDATION
Dictionary
Small intestine
Tissue proteome
Intestine
SMALL INTESTINE - Expression summary
Protein expression
Small intestinei

On the top, protein expression in current human tissue, based on all annotated cell types, is reported with the units not detected (n), low (l), medium (m) and high (h). Underneath, protein expression in each annotated cell type are reported using the same units.

Protein expression data is based on knowledge-based annotation. For genes where more than one antibody has been used, a collective score is set.

If knowledge-based annotation could not be performed for a gene, no data is displayed here. View antibody staining data further down this page.

h
m
l
n
Endocrine cells: Not detected
Enterocytes: Not detected
Enterocytes - Microvilli: Not detected
Goblet cells: Not detected
RNA expressioni

A summary of mRNA expression data available for current tissue based on several datasets. The mRNA expression levels in human tissues are based on RNA-seq data generated by the Human Protein Atlas (HPA), Genotype-Tissue Expression (GTEx) portal and CAGE data generated by the FANTOM5 consortium. Consensus normalized expression levels for human tissues was created by combining the data from HPA and GTEx datasets.

The mRNA expression levels in pig are based on RNA-seq data generated by the Human Protein Atlas (HPA), and for mouse, HPA data and in situ hybridization generated by the Allen brain atlas are reported.

Scroll down to view mRNA expression data in more detail.
Consensus:19.4 nTPM
HPA:8.2 nTPM
GTEx:19.4 nTPM
FANTOM5:49.5 Scaled Tags Per Million

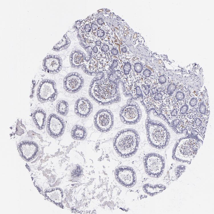
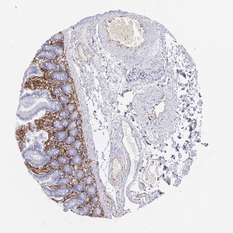
SMALL INTESTINE - Antibody stainingi

Antibody staining in the annotated cell types in the current human tissue is reported as not detected, low, medium, or high, based on conventional immunohistochemistry profiling in selected tissues. This score is based on the combination of the staining intensity and fraction of stained cells.

Each image is clickable and will lead to virtual microscopy that enables deeper exploration of all samples and also displays staining intensity scores, fraction scores and subcellular localization as well as patient and tissue information for each sample.

Antibody HPA002982Antibody CAB002425
Endocrine cells Not detected-
Enterocytes Not detected-
Enterocytes - Microvilli Not detected-
Glandular cells -Not detected
Goblet cells Not detected-




SMALL INTESTINE - HPA RNA-seqi

The RNA-seq details section shows detailed information about the individual samples used for the transcript profiling and results of the RNA-seq analysis.

Information about each individual sample is listed below, including gender, age, a tissue section image and estimated fractions of cell types. nTPM (normalized transcripts per million) values give a quantification of the gene abundance which is comparable between different genes and samples.
Average nTPMi

Max subtype nTPM is the value for the subtype with the largest average nTPM across the subtype samples.

8.2
overview
Male, age 65
Small intestine sample 232
nTPM: 7.1
Cell types%
Glandular cells:
55

Smooth muscle cells:
5

Other cell types:
40

overview
Male, age 39
Small intestine sample 233
nTPM: 6.1
Cell types%
Glandular cells:
40

Smooth muscle cells:
5

Other cell types:
55

overview
Male, age 68
Small intestine sample 234
nTPM: 10.6
Cell types%
Glandular cells:
30

Smooth muscle cells:
15

Other cell types:
55

N/A
Male, age 85
Small intestine sample 235
nTPM: 9

SMALL INTESTINE - GTEx RNA-seqi

RNA-Seq data generated by the Genotype-Tissue Expression (GTEx) project from human tissues is reported as mean nTPM. More information can be found on the GTEx portal.

Distribution across the dataset is visualized with box plots, shown as median and 25th and 75th percentiles. Points are displayed as outliers if they are above or below 1.5 times the interquartile range. nTPM values of the individual samples are presented next to the box plot.
Max subtype nTPMi

Max subtype nTPM is the value for the subtype with the largest average nTPM across the subtype samples.

19.4
GTEx sample id Sample description nTPM
Small Intestine - Terminal Ileum
Average nTPM: 19.4
Samples: 187

Max nTPM: 107.6
Min nTPM: 3.5
Std nTPM: 14.8
Median nTPM: 15.8
GTEX-1R7EV-1226-SM-DTX82 40-49 years, male 107.6
GTEX-WYJK-1526-SM-4ONCW 50-59 years, male 95.2
GTEX-1MUQO-2426-SM-EAZ5A 60-69 years, male 68.7
GTEX-Y3I4-1326-SM-4TT8Z 50-59 years, male 67.7
GTEX-1497J-1926-SM-5TDCC 60-69 years, male 66.3
GTEX-1C64O-2526-SM-79ONO 60-69 years, male 65.1
GTEX-13O21-1026-SM-5IJDU 50-59 years, male 56.4
GTEX-15EU6-1826-SM-7PC1W 50-59 years, male 54.0
GTEX-ZQG8-2526-SM-57WEQ 60-69 years, female 48.4
GTEX-1192X-2526-SM-59868 50-59 years, male 47.0
GTEX-13RTK-0826-SM-5Q5C6 20-29 years, male 46.8
GTEX-14PJN-0826-SM-686ZL 30-39 years, male 39.6
GTEX-WFG7-1726-SM-4LVME 20-29 years, male 39.2
GTEX-ZQUD-0926-SM-57WE3 30-39 years, male 39.1
GTEX-ZLV1-1126-SM-4WWBW 60-69 years, female 37.0
GTEX-1S82Z-1826-SM-E9TIK 30-39 years, female 37.0
GTEX-117YX-0326-SM-5GICL 50-59 years, male 36.1
GTEX-13W3W-2026-SM-5K7UL 60-69 years, female 34.6
GTEX-1QP28-1726-SM-E6CRK 50-59 years, female 32.2
GTEX-13PL7-2626-SM-5IFH4 60-69 years, female 31.9
GTEX-13113-1226-SM-5EGHT 60-69 years, female 31.6
GTEX-WFG8-1626-SM-4LVMB 20-29 years, male 31.3
GTEX-1OKEX-1126-SM-DTXEB 60-69 years, male 31.2
GTEX-13OVI-1926-SM-5IJCG 60-69 years, female 30.7
GTEX-1CAMS-2426-SM-7DHMV 40-49 years, female 30.7
GTEX-14PJ3-1326-SM-664O7 50-59 years, male 29.3
GTEX-WY7C-1826-SM-4ONCE 50-59 years, male 29.1
GTEX-139T6-1026-SM-5IJGC 50-59 years, male 28.9
GTEX-16AAH-1426-SM-7KFTR 50-59 years, male 28.8
GTEX-13111-1426-SM-5DUW3 50-59 years, male 28.5
GTEX-1PDJ9-1826-SM-E9U66 20-29 years, male 28.4
GTEX-148VJ-2226-SM-5NQ9M 70-79 years, male 28.3
GTEX-13QBU-1926-SM-5IJEW 40-49 years, female 28.2
GTEX-1HSMQ-2226-SM-C1YRD 50-59 years, male 28.2
GTEX-145ME-0926-SM-5O9AR 40-49 years, female 28.0
GTEX-13X6H-1826-SM-7EWCZ 50-59 years, female 27.8
GTEX-XBED-1426-SM-4AT4G 60-69 years, male 27.5
GTEX-XPVG-1726-SM-4B65W 50-59 years, male 26.3
GTEX-Y5LM-1626-SM-4VDTB 40-49 years, female 25.8
GTEX-1QCLZ-2126-SM-EWRNC 60-69 years, female 25.5
GTEX-WEY5-1526-SM-4LMJF 40-49 years, female 25.1
GTEX-1R9K4-2326-SM-E6CRB 60-69 years, male 24.7
GTEX-1JMQK-2426-SM-CXZJU 60-69 years, male 24.2
GTEX-14C39-1826-SM-5ZZW4 40-49 years, male 23.9
GTEX-131XF-1326-SM-5GCMQ 60-69 years, male 23.6
GTEX-XGQ4-1326-SM-4GIDU 50-59 years, male 23.6
GTEX-1I1GT-1826-SM-ARZLW 60-69 years, female 23.4
GTEX-17KNJ-1626-SM-718AL 50-59 years, male 22.5
GTEX-YEC4-1726-SM-4W21E 40-49 years, male 22.5
GTEX-14PKV-2026-SM-6AJ9A 20-29 years, female 22.4
GTEX-1B8KZ-1126-SM-7IGLX 50-59 years, male 21.9
GTEX-1QP2A-2426-SM-EXOJA 50-59 years, male 21.9
GTEX-ZTSS-0926-SM-59865 40-49 years, male 21.8
GTEX-111CU-1326-SM-5NQ8L 50-59 years, male 21.7
GTEX-ZXES-1526-SM-5NQ95 30-39 years, female 21.5
GTEX-13D11-0726-SM-5LZZB 50-59 years, female 21.2
GTEX-1S5ZA-1326-SM-EV7BB 20-29 years, male 21.2
GTEX-14DAR-1426-SM-5RQIR 50-59 years, male 21.1
GTEX-ZYFG-2026-SM-5E43Y 60-69 years, female 21.1
GTEX-ZG7Y-1926-SM-DNZZ5 50-59 years, male 21.1
GTEX-ZP4G-1626-SM-57WGD 20-29 years, female 20.9
GTEX-1R7EU-1326-SM-E6CQ6 60-69 years, male 20.7
GTEX-YB5E-1526-SM-5IFIE 40-49 years, male 20.2
GTEX-1AMFI-1926-SM-731F2 50-59 years, female 20.1
GTEX-1GMR2-1026-SM-7MKHJ 50-59 years, male 19.9
GTEX-ZZ64-0526-SM-5GZXM 20-29 years, male 19.5
GTEX-ZPIC-2326-SM-57WDW 40-49 years, female 19.4
GTEX-1L5NE-1826-SM-EV79T 50-59 years, male 19.4
GTEX-12WSK-1526-SM-5CVNO 40-49 years, female 19.3
GTEX-1R9K5-2026-SM-E6CPS 50-59 years, male 19.3
GTEX-XUZC-1426-SM-4BRV3 30-39 years, female 19.2
GTEX-1J8QM-1026-SM-C1YQA 60-69 years, female 19.1
GTEX-11EQ9-1326-SM-5985X 30-39 years, male 19.0
GTEX-15G1A-1726-SM-6LPI4 30-39 years, male 18.9
GTEX-1JK1U-1226-SM-CNNPN 60-69 years, male 18.8
GTEX-1RAZA-1826-SM-DTXA2 20-29 years, male 18.8
GTEX-1BAJH-2526-SM-7IGOT 70-79 years, male 18.5
GTEX-11LCK-1926-SM-5A5KE 30-39 years, male 18.1
GTEX-133LE-1426-SM-5IFH1 20-29 years, female 17.9
GTEX-11TUW-1926-SM-5BC58 60-69 years, male 17.6
GTEX-1MGNQ-2326-SM-EV7BG 40-49 years, male 17.5
GTEX-ZTX8-0526-SM-59HLD 20-29 years, male 17.3
GTEX-WQUQ-2426-SM-4MVNW 60-69 years, male 17.2
GTEX-11P7K-1626-SM-5GU63 30-39 years, male 17.1
GTEX-13FTW-2026-SM-5IJE2 40-49 years, male 16.6
GTEX-1C475-1426-SM-793CH 40-49 years, female 16.6
GTEX-ZLWG-1626-SM-DNZZ1 50-59 years, female 16.6
GTEX-14PJ6-1726-SM-6AJBN 60-69 years, female 16.5
GTEX-YF7O-1826-SM-5IFIU 50-59 years, male 16.3
GTEX-14PKU-1626-SM-6871C 40-49 years, female 16.1
GTEX-ZLFU-1526-SM-4WWBT 40-49 years, male 16.1
GTEX-XAJ8-0526-SM-47JYK 40-49 years, male 15.9
GTEX-WFON-1526-SM-4LVMP 40-49 years, male 15.8
GTEX-1QPFJ-2626-SM-DPRZU 30-39 years, female 15.8
GTEX-UPK5-2026-SM-4JBIM 40-49 years, male 15.5
GTEX-1LGOU-1426-SM-D3L8N 20-29 years, female 15.5
GTEX-ZVT2-2126-SM-5NQ93 50-59 years, female 15.3
GTEX-1JN76-1126-SM-C1YRL 20-29 years, female 15.0
GTEX-131XG-1726-SM-5LZUR 50-59 years, female 14.7
GTEX-ZVZP-1826-SM-5GZXB 50-59 years, male 14.7
GTEX-13NYB-1826-SM-5J1N3 40-49 years, male 14.6
GTEX-13CF3-1226-SM-5LZXN 60-69 years, female 14.5
GTEX-X5EB-1626-SM-4E3IV 40-49 years, male 14.5
GTEX-WHSB-1026-SM-4M1XN 50-59 years, male 14.3
GTEX-12BJ1-1926-SM-5HL9Z 60-69 years, male 14.2
GTEX-1122O-1326-SM-5H11F 60-69 years, female 14.0
GTEX-1399U-2126-SM-5IFEZ 50-59 years, female 14.0
GTEX-1QW4Y-1226-SM-EWRMY 30-39 years, male 14.0
GTEX-WRHK-1026-SM-4MVOD 20-29 years, female 13.8
GTEX-1JJE9-2226-SM-CXZJM 70-79 years, male 13.7
GTEX-XMK1-1826-SM-4B66F 40-49 years, male 13.6
GTEX-16MTA-1526-SM-6LPJB 50-59 years, male 13.5
GTEX-1B8KE-1726-SM-7IGMN 50-59 years, male 13.4
GTEX-1F75I-2526-SM-9WPOZ 40-49 years, male 13.3
GTEX-17MFQ-1026-SM-7KFSZ 20-29 years, male 13.2
GTEX-16NGA-1126-SM-7KFSY 40-49 years, female 13.0
GTEX-Y114-1426-SM-4TT6W 50-59 years, female 13.0
GTEX-ZA64-1226-SM-5HL7B 20-29 years, male 12.9
GTEX-18QFQ-1626-SM-72D7H 30-39 years, male 12.8
GTEX-YFCO-1326-SM-664NV 40-49 years, male 12.7
GTEX-145LT-1026-SM-5LU9O 40-49 years, male 12.6
GTEX-1CAMR-0826-SM-7MKFK 20-29 years, male 12.5
GTEX-15DZA-0826-SM-6AJBF 30-39 years, female 12.3
GTEX-18A66-2526-SM-7KFTZ 60-69 years, male 12.3
GTEX-Z9EW-0926-SM-5CVMM 40-49 years, male 12.2
GTEX-14PN3-2026-SM-68729 60-69 years, female 12.1
GTEX-1J8Q3-2526-SM-CNNQ4 60-69 years, male 12.0
GTEX-WH7G-1626-SM-4LVMY 40-49 years, male 11.7
GTEX-1NSGN-2126-SM-DPRYN 50-59 years, male 11.6
GTEX-Y3IK-1726-SM-4YCCR 50-59 years, female 11.5
GTEX-1K9T9-2726-SM-D4P3E 50-59 years, female 11.5
GTEX-Y9LG-1626-SM-5IFHM 30-39 years, male 11.4
GTEX-ZDTT-1726-SM-5HL69 60-69 years, male 11.2
GTEX-14XAO-1926-SM-6ETZO 60-69 years, female 11.1
GTEX-1KXAM-2026-SM-DHXKI 60-69 years, male 11.0
GTEX-1OJC3-1626-SM-E9U65 20-29 years, male 10.9
GTEX-1PIEJ-1526-SM-E6CP8 20-29 years, female 10.7
GTEX-Y111-2226-SM-4SOJB 50-59 years, male 10.6
GTEX-11VI4-1626-SM-5EQKO 40-49 years, female 10.4
GTEX-1399S-2026-SM-5KM4B 30-39 years, female 10.4
GTEX-XXEK-1026-SM-4BRUW 50-59 years, male 10.4
GTEX-VJYA-0926-SM-4KL1N 60-69 years, male 10.3
GTEX-ZVP2-1726-SM-5GU5P 50-59 years, male 10.3
GTEX-144GM-1026-SM-79OKU 20-29 years, male 10.1
GTEX-14BMU-1426-SM-5TDE5 20-29 years, female 10.1
GTEX-WFJO-0926-SM-4LVM2 30-39 years, male 10.1
GTEX-111YS-1426-SM-5GID8 60-69 years, male 9.9
GTEX-ZF29-1626-SM-4WKFJ 60-69 years, female 9.4
GTEX-1GMR3-2726-SM-7MKFB 40-49 years, male 9.3
GTEX-1LH75-1926-SM-DIPGD 50-59 years, female 9.3
GTEX-11DXX-1626-SM-5H11H 60-69 years, female 9.2
GTEX-13O61-1326-SM-5KM31 60-69 years, male 9.2
GTEX-ZTPG-2626-SM-57WFX 20-29 years, female 9.1
GTEX-16A39-1426-SM-6LLI6 30-39 years, female 9.0
GTEX-1RAZQ-2226-SM-DPRZR 30-39 years, male 9.0
GTEX-13FH7-1226-SM-5IJFK 50-59 years, female 8.9
GTEX-139YR-2226-SM-5IFFW 50-59 years, male 8.8
GTEX-11P82-0826-SM-5P9GU 20-29 years, male 8.6
GTEX-11I78-1126-SM-5A5K5 50-59 years, female 8.4
GTEX-ZPCL-1726-SM-57WEO 60-69 years, female 8.3
GTEX-1R9JW-1926-SM-EVR4J 30-39 years, female 8.0
GTEX-1399R-2026-SM-5K7WN 30-39 years, male 7.9
GTEX-1AX8Z-2526-SM-731E3 60-69 years, male 7.9
GTEX-1GL5R-2026-SM-7MKHP 50-59 years, male 7.8
GTEX-1R9PM-1626-SM-DPRY9 20-29 years, male 7.8
GTEX-Y5V5-1826-SM-4VDS5 60-69 years, female 7.7
GTEX-1H1DE-1426-SM-9JGHV 20-29 years, male 7.7
GTEX-14PK6-1626-SM-6871I 70-79 years, female 7.3
GTEX-11XUK-1426-SM-5EQMG 40-49 years, female 7.2
GTEX-131XE-0926-SM-5HL7J 50-59 years, male 7.0
GTEX-X15G-1426-SM-4PQZK 50-59 years, female 6.8
GTEX-1EMGI-2826-SM-7IGMR 60-69 years, male 6.7
GTEX-1IKOE-1926-SM-ARU7V 30-39 years, female 6.6
GTEX-14E6E-1626-SM-5RQI7 30-39 years, male 6.4
GTEX-ZF2S-1726-SM-57WFT 50-59 years, female 6.1
GTEX-ZC5H-2326-SM-4WAYT 40-49 years, female 6.0
GTEX-1RAZR-1826-SM-E6CRE 40-49 years, male 5.8
GTEX-17HHE-1726-SM-79OKT 50-59 years, male 5.0
GTEX-ZAB5-1526-SM-5HL9P 50-59 years, male 4.8
GTEX-183FY-1626-SM-793D8 20-29 years, male 4.6
GTEX-1CB4F-1826-SM-7MGXI 60-69 years, male 4.4
GTEX-11DXZ-1326-SM-5H11X 50-59 years, male 4.3
GTEX-11NSD-1726-SM-5N9C3 20-29 years, male 4.3
GTEX-VUSG-1726-SM-4KKZL 50-59 years, male 4.3
GTEX-1H11D-2526-SM-9JGGU 40-49 years, male 4.3
GTEX-1LBAC-1526-SM-CXZKU 20-29 years, male 4.2
GTEX-ZEX8-1826-SM-57WBH 50-59 years, male 3.5
Show allShow less

SMALL INTESTINE - FANTOM5 CAGEi

RNA expression in human tissues obtained through Cap Analysis of Gene Expression (CAGE) generated by the FANTOM5 project are reported as Scaled Tags Per Million.

Max subtype Scaled Tags Per Millioni

Max subtype Scaled Tags Per Million is the value for the subtype with the largest average Scaled Tags Per Million across the subtype samples.

49.5
FANTOM5 sample id Sample description Scaled Tags Per Million
Small intestine
Scaled Tags Per Million: 49.5
FF:10024-101D6 15,40,85 years, mixed 49.5

Contact

  • NEWS ARTICLES
  • PRESS ROOM

The Project

  • INTRODUCTION
  • ORGANIZATION
  • PUBLICATIONS

The Human Protein Atlas

  • DOWNLOADABLE DATA
  • LICENCE & CITATION
  • HELP & FAQ
The Human Protein Atlas project is funded
by the Knut & Alice Wallenberg Foundation.


contact@proteinatlas.org