We use cookies to enhance the usability of our website. If you continue, we'll assume that you are happy to receive all cookies. More information. Don't show this again.
TRIM73
HPA
RESOURCES
  • TISSUE
  • BRAIN
  • SINGLE CELL
  • SUBCELLULAR
  • CANCER
  • BLOOD
  • CELL LINE
  • STRUCTURE & INTERACTION
ABOUT
  • INTRODUCTION
  • HISTORY
  • ORGANIZATION
  • PUBLICATIONS
  • ANTIBODY SUBMISSION
  • ANTIBODY AVAILABILITY
  • ACKNOWLEDGMENTS
  • CONTACT
NEWS
  • NEWS ARTICLES
  • PRESS ROOM
LEARN
  • DICTIONARY
  • PROTEIN CLASSES
  • PROTEIN EVIDENCE
  • METHODS
  • EDUCATIONAL VIDEOS
DATA
  • DOWNLOADABLE DATA
  • PUBLICATION DATA
  • RELEASE HISTORY
HELP
  • ANTIBODY VALIDATION
  • ASSAYS & ANNOTATION
  • DISCLAIMER
  • HELP & FAQ
  • PRIVACY STATEMENT
  • LICENCE & CITATION
Fields »
Search result

Field
Term
Gene name
Class
Subclass
Class
Keyword
Chromosome
External id
Tissue
Cell type
Expression
Antibody panel
Tissue
Main location
Patient ID
Annotation
Tissue
Category
Tau score
Cluster
Reliability
Brain region
Category
Tau score
Brain region
Category
Tau score
Brain region
Category
Tau score
Cluster
Reliability
Tissue
Cell type
Enrichment
Cell type
Category
Tau score
Cell type
Category
Tau score
Cell type
Category
Tau score
Cell lineage
Category
Tau score
Cluster
Cluster
Location
Searches
Location
Cell line
Class
Type
Phase
Reliability
Cancer
Prognosis
Cancer
Category
Cancer
Category
Tau score
Cluster
Variants
Interacting gene (ensg_id)
Type
Number of interactions
Pathway
Category
Score
Score
Score
Validation
Validation
Validation
Validation
Antibodies
Data type
Column


  • SUMMARY

  • TISSUE

  • BRAIN

  • SINGLE CELL

  • SUBCELL

  • CANCER

  • BLOOD

  • CELL LINE

  • STRUCT & INT

  • TRIM73
TISSUE PRIMARY DATA BREAST Show tissue menu
ADIPOSE TISSUE ADRENAL GLAND AMYGDALA APPENDIX BASAL GANGLIA BONE MARROW BREAST CEREBELLUM CEREBRAL CORTEX CERVIX CHOROID PLEXUS COLON DUODENUM
ENDOMETRIUM EPIDIDYMIS ESOPHAGUS FALLOPIAN TUBE GALLBLADDER HEART MUSCLE HIPPOCAMPAL FORMATION HYPOTHALAMUS KIDNEY LIVER LUNG LYMPH NODE MIDBRAIN
OVARY PANCREAS PARATHYROID GLAND PITUITARY GLAND PLACENTA PROSTATE RECTUM RETINA SALIVARY GLAND SEMINAL VESICLE SKELETAL MUSCLE SKIN SMALL INTESTINE
SMOOTH MUSCLE SPINAL CORD SPLEEN STOMACH TESTIS THYMUS THYROID GLAND TONGUE TONSIL URINARY BLADDER VAGINA
ANTIBODIES
AND
VALIDATION
Dictionary
Breast
Tissue proteome
Breast
BREAST - Expression summary
Protein expressioni

On the top, protein expression in current human tissue, based on all annotated cell types, is reported with the units not detected (n), low (l), medium (m) and high (h). Underneath, protein expression in each annotated cell type are reported using the same units.

Protein expression data is based on knowledge-based annotation. For genes where more than one antibody has been used, a collective score is set.

If knowledge-based annotation could not be performed for a gene, no data is displayed here. View antibody staining data further down this page.

No data
RNA expressioni

A summary of mRNA expression data available for current tissue based on several datasets. The mRNA expression levels in human tissues are based on RNA-seq data generated by the Human Protein Atlas (HPA), Genotype-Tissue Expression (GTEx) portal and CAGE data generated by the FANTOM5 consortium. Consensus normalized expression levels for human tissues was created by combining the data from HPA and GTEx datasets.

The mRNA expression levels in pig are based on RNA-seq data generated by the Human Protein Atlas (HPA), and for mouse, HPA data and in situ hybridization generated by the Allen brain atlas are reported.

Scroll down to view mRNA expression data in more detail.
Consensus:3.2 nTPM
HPA:2.1 nTPM
GTEx:3.2 nTPM

BREAST - Annotated protein expression
Pending normal tissue analysis

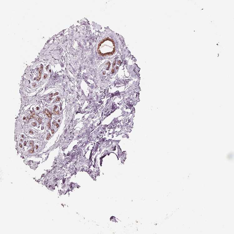
BREAST - Antibody stainingi

Antibody staining in the annotated cell types in the current human tissue is reported as not detected, low, medium, or high, based on conventional immunohistochemistry profiling in selected tissues. This score is based on the combination of the staining intensity and fraction of stained cells.

Each image is clickable and will lead to virtual microscopy that enables deeper exploration of all samples and also displays staining intensity scores, fraction scores and subcellular localization as well as patient and tissue information for each sample.

Antibody HPA051845
Adipocytes Not detected
Glandular cells High
Myoepithelial cells High


BREAST - HPA RNA-seqi

The RNA-seq details section shows detailed information about the individual samples used for the transcript profiling and results of the RNA-seq analysis.

Information about each individual sample is listed below, including gender, age, a tissue section image and estimated fractions of cell types. nTPM (normalized transcripts per million) values give a quantification of the gene abundance which is comparable between different genes and samples.
Average nTPMi

Max subtype nTPM is the value for the subtype with the largest average nTPM across the subtype samples.

2.1
overview
Female, age 52
Breast sample 373
nTPM: 2.6
Cell types%
Glandular cells:
15

Adipocytes:
5

Other cell types:
80

overview
Female, age 80
Breast sample 390
nTPM: 3.3
Cell types%
Glandular cells:
5

Adipocytes:
15

Other cell types:
80

overview
Female, age 47
Breast sample 405
nTPM: 1.5
Cell types%
Glandular cells:
5

Adipocytes:
5

Other cell types:
90

overview
Female, age 38
Breast sample 410
nTPM: 1.1
Cell types%
Glandular cells:
40

Adipocytes:
5

Other cell types:
55


BREAST - GTEx RNA-seqi

RNA-Seq data generated by the Genotype-Tissue Expression (GTEx) project from human tissues is reported as mean nTPM. More information can be found on the GTEx portal.

Distribution across the dataset is visualized with box plots, shown as median and 25th and 75th percentiles. Points are displayed as outliers if they are above or below 1.5 times the interquartile range. nTPM values of the individual samples are presented next to the box plot.
Max subtype nTPMi

Max subtype nTPM is the value for the subtype with the largest average nTPM across the subtype samples.

3.2
GTEx sample id Sample description nTPM
Breast - Mammary Tissue
Average nTPM: 3.2
Samples: 459

Max nTPM: 8.6
Min nTPM: 0.4
Std nTPM: 1.4
Median nTPM: 3.0
GTEX-11EMC-2026-SM-5A5JV 60-69 years, female 8.6
GTEX-11PRG-0826-SM-5EQ6A 50-59 years, male 8.4
GTEX-XMD1-0826-SM-4AT52 60-69 years, male 8.2
GTEX-RU1J-0626-SM-4WAWY 20-29 years, female 8.0
GTEX-1IKOH-2326-SM-CM2TW 60-69 years, female 7.3
GTEX-1JMPZ-1626-SM-COH31 30-39 years, male 7.3
GTEX-13FTY-2226-SM-5J1ND 40-49 years, female 7.1
GTEX-X15G-1626-SM-3NMB3 50-59 years, female 7.1
GTEX-132Q8-1426-SM-5EGK7 60-69 years, male 6.9
GTEX-1JN6P-2426-SM-ARL99 60-69 years, male 6.9
GTEX-Y5LM-1726-SM-4VDSX 40-49 years, female 6.8
GTEX-1GN1U-0526-SM-9KNTT 50-59 years, female 6.4
GTEX-1IOXB-1926-SM-ARL8E 50-59 years, male 6.4
GTEX-1K9T9-1426-SM-DIPFQ 50-59 years, female 6.4
GTEX-ZAJG-0626-SM-5HL8X 50-59 years, female 6.2
GTEX-1RAZS-1226-SM-E8VMT 50-59 years, male 6.2
GTEX-13N11-1726-SM-5J1OJ 50-59 years, female 6.1
GTEX-13SLX-2326-SM-5ZZWE 50-59 years, female 6.1
GTEX-13CF2-2026-SM-5K7VI 60-69 years, male 6.0
GTEX-1I1GT-1126-SM-ARL7J 60-69 years, female 6.0
GTEX-131XW-0726-SM-5EGK3 50-59 years, female 5.9
GTEX-ZAK1-1326-SM-EVYAS 50-59 years, female 5.9
GTEX-11DXY-2326-SM-5GICW 60-69 years, male 5.8
GTEX-14H4A-2526-SM-5YYAY 40-49 years, female 5.8
GTEX-1CAMS-1426-SM-7IGPM 40-49 years, female 5.8
GTEX-13D11-1026-SM-5IJFB 50-59 years, female 5.7
GTEX-15ER7-1626-SM-6PAMZ 20-29 years, female 5.7
GTEX-17MF6-0326-SM-7EPH5 40-49 years, male 5.7
GTEX-1JMQK-2626-SM-COH2W 60-69 years, male 5.7
GTEX-1N5O9-1126-SM-DTXEQ 60-69 years, male 5.7
GTEX-14LLW-0626-SM-62LFC 70-79 years, female 5.6
GTEX-1JJEA-2726-SM-ARL8V 60-69 years, male 5.6
GTEX-1HUB1-1626-SM-CM2SL 60-69 years, male 5.4
GTEX-1RQEC-2026-SM-DTXDM 60-69 years, male 5.4
GTEX-12ZZX-1126-SM-5EGKB 40-49 years, female 5.3
GTEX-139T8-0826-SM-5L3DE 60-69 years, male 5.3
GTEX-139TU-0626-SM-5KM3X 60-69 years, male 5.3
GTEX-S4P3-1326-SM-4AD6V 50-59 years, female 5.3
GTEX-ZXES-0826-SM-5E43C 30-39 years, female 5.3
GTEX-1HCVE-2626-SM-ADEJ8 50-59 years, male 5.3
GTEX-1MA7X-1626-SM-E9U5B 60-69 years, male 5.3
GTEX-131YS-0626-SM-5EGKL 60-69 years, female 5.2
GTEX-13PL6-2926-SM-5L3I2 40-49 years, female 5.2
GTEX-T2IS-1526-SM-32QPR 20-29 years, female 5.2
GTEX-YFC4-1426-SM-5IFJG 40-49 years, female 5.2
GTEX-ZYT6-0126-SM-5E45J 30-39 years, male 5.2
GTEX-1I1HK-2426-SM-ADEHX 60-69 years, male 5.2
GTEX-1JJE9-2326-SM-ARL8Q 70-79 years, male 5.2
GTEX-1HSGN-1526-SM-A9SMO 40-49 years, female 5.1
GTEX-1P4AB-1826-SM-E76PU 50-59 years, male 5.1
GTEX-11LCK-2426-SM-5HL5F 30-39 years, male 5.0
GTEX-133LE-1726-SM-5K7VQ 20-29 years, female 5.0
GTEX-1CB4J-1826-SM-7EWF9 60-69 years, male 5.0
GTEX-T6MN-0726-SM-32PML 50-59 years, male 5.0
GTEX-XUW1-2326-SM-4BOO5 50-59 years, female 5.0
GTEX-1HBPM-0126-SM-ARL9E 60-69 years, female 5.0
GTEX-1HT8W-2226-SM-CGQEC 30-39 years, male 5.0
GTEX-11DXZ-1926-SM-5GZZL 50-59 years, male 4.9
GTEX-11GS4-2126-SM-5A5KR 60-69 years, male 4.9
GTEX-13OW8-0226-SM-5K7UP 60-69 years, male 4.9
GTEX-Y111-2026-SM-4SOJA 50-59 years, male 4.9
GTEX-1JMLX-2026-SM-CMKGN 50-59 years, male 4.9
GTEX-1M5QR-2526-SM-E9U5P 40-49 years, male 4.9
GTEX-1RAZQ-1226-SM-EWRNL 30-39 years, male 4.9
GTEX-T6MO-0326-SM-32QOK 40-49 years, female 4.8
GTEX-WI4N-1426-SM-3LK7H 40-49 years, female 4.8
GTEX-X4EP-2926-SM-3P5YQ 60-69 years, female 4.8
GTEX-1GPI6-0626-SM-7RHHJ 60-69 years, male 4.8
GTEX-ZGAY-1726-SM-DO91P 40-49 years, female 4.8
GTEX-U3ZN-1926-SM-4DXSG 30-39 years, female 4.7
GTEX-U412-1826-SM-4DXTJ 60-69 years, male 4.7
GTEX-XUZC-1626-SM-4BRVP 30-39 years, female 4.7
GTEX-1GMR2-1926-SM-9MQLZ 50-59 years, male 4.7
GTEX-1HR98-0426-SM-COH36 60-69 years, male 4.7
GTEX-144GL-2026-SM-5LU3O 50-59 years, male 4.6
GTEX-14PJO-0726-SM-69LO8 60-69 years, male 4.6
GTEX-17HG3-0126-SM-7IGNH 30-39 years, female 4.6
GTEX-1BAJH-0826-SM-7EWEF 70-79 years, male 4.6
GTEX-T5JC-2126-SM-32PMO 20-29 years, male 4.6
GTEX-ZVE2-1226-SM-5NQ8R 50-59 years, male 4.6
GTEX-1LVAM-0926-SM-E9TJ2 50-59 years, female 4.6
GTEX-1NV8Z-2826-SM-E8VME 60-69 years, male 4.6
GTEX-11I78-2226-SM-5PNYA 50-59 years, female 4.5
GTEX-1A8G7-2426-SM-731AK 60-69 years, male 4.5
GTEX-1B8SG-1226-SM-7IGPF 50-59 years, male 4.5
GTEX-1C64O-0726-SM-7DUFU 60-69 years, male 4.5
GTEX-1IDJE-0826-SM-CKZNZ 50-59 years, female 4.5
GTEX-15UF6-0126-SM-6PAMB 70-79 years, female 4.4
GTEX-ZUA1-1526-SM-59HLS 40-49 years, male 4.4
GTEX-1F5PL-1026-SM-7RHI1 40-49 years, female 4.4
GTEX-1JKYR-0926-SM-CMKGJ 20-29 years, male 4.4
GTEX-17EVP-0226-SM-79OND 40-49 years, male 4.3
GTEX-1E2YA-2726-SM-7IGPW 50-59 years, male 4.3
GTEX-RWS6-1926-SM-47JXY 60-69 years, female 4.3
GTEX-XGQ4-0926-SM-4AT4U 50-59 years, male 4.3
GTEX-XQ3S-1326-SM-4BOPQ 20-29 years, male 4.3
GTEX-Y8LW-1626-SM-5IFHX 50-59 years, female 4.3
GTEX-1F6I4-2526-SM-7SB8F 60-69 years, male 4.3
GTEX-1GZ4H-0326-SM-7P8QX 50-59 years, female 4.3
GTEX-1LVAN-1326-SM-CNPQE 50-59 years, female 4.3
GTEX-1M4P7-2626-SM-E9U5F 60-69 years, male 4.3
GTEX-1R7EU-1226-SM-E8VMR 60-69 years, male 4.3
GTEX-14PHY-1926-SM-5YY95 60-69 years, female 4.2
GTEX-17JCI-0726-SM-7EPH1 60-69 years, female 4.2
GTEX-18465-2026-SM-718AP 50-59 years, male 4.2
GTEX-1AX9I-0726-SM-73KWV 60-69 years, male 4.2
GTEX-Y3I4-1526-SM-4TT7K 50-59 years, male 4.2
GTEX-ZYW4-0826-SM-5GIDG 60-69 years, male 4.2
GTEX-1IDFM-0426-SM-B2LVV 60-69 years, male 4.2
GTEX-1LSNM-1326-SM-E9TJ1 50-59 years, male 4.2
GTEX-111YS-1926-SM-5GICC 60-69 years, male 4.1
GTEX-14ABY-2126-SM-5QGQZ 50-59 years, male 4.1
GTEX-U3ZH-1426-SM-4DXSR 30-39 years, male 4.1
GTEX-WYBS-0926-SM-3NM94 60-69 years, female 4.1
GTEX-ZVTK-0326-SM-51MRR 20-29 years, male 4.1
GTEX-1J8Q2-2726-SM-A9G2X 60-69 years, male 4.1
GTEX-1KAFJ-0226-SM-DIPEL 50-59 years, male 4.1
GTEX-1KANA-2026-SM-DIPFB 20-29 years, male 4.1
GTEX-1QP29-1726-SM-E8VMQ 50-59 years, male 4.1
GTEX-17HHE-1426-SM-7EPH4 50-59 years, male 4.0
GTEX-17KNJ-2026-SM-7LG53 50-59 years, male 4.0
GTEX-S7SE-0826-SM-4AT4D 50-59 years, male 4.0
GTEX-ZF2S-2026-SM-5E461 50-59 years, female 4.0
GTEX-169BO-1126-SM-7MGWN 50-59 years, male 4.0
GTEX-1EN7A-1426-SM-7PBY4 40-49 years, male 4.0
GTEX-1HCU9-0326-SM-9WYSC 20-29 years, male 4.0
GTEX-11GSO-1926-SM-5A5K3 60-69 years, male 3.9
GTEX-11P7K-0726-SM-5EGKX 30-39 years, male 3.9
GTEX-12KS4-0126-SM-5Q5A5 30-39 years, male 3.9
GTEX-14BMV-0626-SM-793AU 50-59 years, male 3.9
GTEX-RU72-0626-SM-46MUI 50-59 years, female 3.9
GTEX-T2YK-2226-SM-32QPT 50-59 years, male 3.9
GTEX-TML8-1226-SM-32QON 40-49 years, female 3.9
GTEX-WYVS-1726-SM-3NMAY 40-49 years, female 3.9
GTEX-1MCYP-0126-SM-E6CIS 20-29 years, female 3.9
GTEX-1R9PM-1826-SM-EVYBH 20-29 years, male 3.9
GTEX-11WQC-1726-SM-5GU4W 60-69 years, male 3.8
GTEX-13OW5-2226-SM-5L3HC 60-69 years, male 3.8
GTEX-13W3W-1226-SM-5LU4H 60-69 years, female 3.8
GTEX-14E7W-0826-SM-62LEJ 70-79 years, male 3.8
GTEX-15RJE-2626-SM-7KFT1 40-49 years, male 3.8
GTEX-17HHY-0926-SM-793C1 50-59 years, male 3.8
GTEX-S341-1526-SM-4AD6K 40-49 years, female 3.8
GTEX-XQ8I-2426-SM-4WAXY 50-59 years, male 3.8
GTEX-ZF29-1926-SM-5S2P1 60-69 years, female 3.8
GTEX-11GSP-0926-SM-9WYSG 60-69 years, female 3.8
GTEX-1EWIQ-1726-SM-7SB7T 70-79 years, female 3.8
GTEX-1GZ4I-2826-SM-9MQK5 50-59 years, male 3.8
GTEX-1R9PN-0326-SM-DTX85 40-49 years, female 3.8
GTEX-1CB4E-0226-SM-79OLW 60-69 years, male 3.7
GTEX-1CB4G-2326-SM-79OOI 60-69 years, male 3.7
GTEX-XBED-1626-SM-47JYN 60-69 years, male 3.7
GTEX-11NV4-2026-SM-5N9DG 60-69 years, male 3.6
GTEX-13PVR-2226-SM-7DHKP 60-69 years, female 3.6
GTEX-14AS3-1626-SM-5S2OY 40-49 years, female 3.6
GTEX-1B8KE-1226-SM-73KWK 50-59 years, male 3.6
GTEX-1B8KZ-1526-SM-7DUG7 50-59 years, male 3.6
GTEX-S4UY-0726-SM-4AD6X 40-49 years, female 3.6
GTEX-VUSG-2226-SM-4KKZO 50-59 years, male 3.6
GTEX-XOT4-0726-SM-4GIAW 60-69 years, female 3.6
GTEX-Y3IK-2326-SM-4WWDT 50-59 years, female 3.6
GTEX-1I4MK-1626-SM-CM2TJ 50-59 years, female 3.6
GTEX-1IKJJ-2326-SM-COH3U 60-69 years, male 3.6
GTEX-1LGRB-1826-SM-CNPQL 50-59 years, female 3.6
GTEX-11EM3-1326-SM-5N9C6 20-29 years, female 3.5
GTEX-16YQH-2826-SM-6PAMY 30-39 years, male 3.5
GTEX-T5JW-2026-SM-4DM63 20-29 years, female 3.5
GTEX-TMMY-0726-SM-33HBE 40-49 years, female 3.5
GTEX-1GN2E-2226-SM-9WG6J 60-69 years, male 3.5
GTEX-1H4P4-2226-SM-9MQKQ 50-59 years, male 3.5
GTEX-1HSKV-2026-SM-CMKGX 60-69 years, male 3.5
GTEX-1I19N-2826-SM-CL55D 70-79 years, male 3.5
GTEX-1JMPY-0526-SM-CL54O 30-39 years, male 3.5
GTEX-1KD4Q-2326-SM-D4P3M 40-49 years, male 3.5
GTEX-117XS-1926-SM-5GICO 60-69 years, male 3.4
GTEX-132NY-0826-SM-5K7Y7 60-69 years, male 3.4
GTEX-145MF-2226-SM-7EPIR 50-59 years, male 3.4
GTEX-147F4-2826-SM-5NQBN 50-59 years, male 3.4
GTEX-Q2AG-0326-SM-48U1O 40-49 years, female 3.4
GTEX-UJHI-1426-SM-3DB9C 50-59 years, female 3.4
GTEX-WOFL-0826-SM-3MJG1 60-69 years, male 3.4
GTEX-WYJK-1326-SM-3NB2T 50-59 years, male 3.4
GTEX-ZVZQ-0826-SM-51MRF 60-69 years, female 3.4
GTEX-1F75I-2026-SM-7SB7N 40-49 years, male 3.4
GTEX-1JKYN-0726-SM-ARZMY 30-39 years, male 3.4
GTEX-1N2EE-2126-SM-E8VNN 60-69 years, male 3.4
GTEX-1QP9N-1826-SM-E8VMP 30-39 years, male 3.4
GTEX-1399U-1826-SM-5PNZ1 50-59 years, female 3.3
GTEX-13QIC-2326-SM-5LU5N 60-69 years, female 3.3
GTEX-14A5I-0726-SM-5TDEB 50-59 years, female 3.3
GTEX-XMK1-1126-SM-4IHJ8 40-49 years, male 3.3
GTEX-YB5E-1726-SM-5IFJ3 40-49 years, male 3.3
GTEX-1GMR8-0726-SM-9KNVI 50-59 years, female 3.3
GTEX-1LNCM-0226-SM-DIPF4 50-59 years, female 3.3
GTEX-1POEN-0926-SM-DTX88 30-39 years, female 3.3
GTEX-QMRM-1626-SM-D4P1U 50-59 years, male 3.3
GTEX-ZF3C-2326-SM-5S2NC 50-59 years, female 3.3
GTEX-11NSD-0926-SM-5N9DR 20-29 years, male 3.2
GTEX-11ZUS-0826-SM-5FQUY 30-39 years, male 3.2
GTEX-14753-2426-SM-5LU8U 60-69 years, male 3.2
GTEX-18QFQ-0826-SM-718AX 30-39 years, male 3.2
GTEX-QVJO-1826-SM-447C9 60-69 years, female 3.2
GTEX-UPK5-2326-SM-3P5Z8 40-49 years, male 3.2
GTEX-YB5K-1626-SM-5IFIN 40-49 years, female 3.2
GTEX-1GMRU-0826-SM-9WYT7 50-59 years, male 3.2
GTEX-1IDJU-1826-SM-CMKHV 60-69 years, female 3.2
GTEX-1J8EW-2626-SM-CL53E 60-69 years, female 3.2
GTEX-1MA7W-1026-SM-DKPQK 20-29 years, female 3.2
GTEX-1R7EV-1526-SM-E8VOD 40-49 years, male 3.2
GTEX-X62O-0526-SM-EWRMA 50-59 years, male 3.2
GTEX-YECK-0726-SM-EZ6LV 60-69 years, male 3.2
GTEX-ZLV1-1426-SM-DO92Z 60-69 years, female 3.2
GTEX-1192X-2326-SM-5987X 50-59 years, male 3.1
GTEX-11OF3-1926-SM-59889 60-69 years, male 3.1
GTEX-1269C-2426-SM-5FQSN 60-69 years, female 3.1
GTEX-145MN-1926-SM-5SIAI 30-39 years, male 3.1
GTEX-14BMU-1626-SM-5TDE7 20-29 years, female 3.1
GTEX-15EOM-5019-SM-793DK 20-29 years, female 3.1
GTEX-15SHW-1326-SM-6PAL8 60-69 years, male 3.1
GTEX-1B933-2526-SM-7IGO5 50-59 years, female 3.1
GTEX-1B97I-0426-SM-79OL7 40-49 years, male 3.1
GTEX-WXYG-2226-SM-4E3IM 50-59 years, female 3.1
GTEX-ZA64-1526-SM-5CVMD 20-29 years, male 3.1
GTEX-ZAB4-2526-SM-5HL8M 40-49 years, male 3.1
GTEX-1H1E6-0926-SM-9YFLT 30-39 years, male 3.1
GTEX-1QCLY-1626-SM-DTXDW 30-39 years, male 3.1
GTEX-1122O-1226-SM-5H113 60-69 years, female 3.0
GTEX-15FZZ-0726-SM-7KUFZ 30-39 years, female 3.0
GTEX-QEL4-2126-SM-447AE 50-59 years, male 3.0
GTEX-SE5C-2126-SM-4BRUJ 40-49 years, female 3.0
GTEX-ZU9S-1926-SM-5NQBP 30-39 years, male 3.0
GTEX-ZVT2-1826-SM-5NQ8W 50-59 years, female 3.0
GTEX-ZYFC-0826-SM-5E44K 50-59 years, male 3.0
GTEX-17F9E-2526-SM-7MGW2 50-59 years, male 3.0
GTEX-1F75A-1826-SM-7SB8G 50-59 years, male 3.0
GTEX-1GMR3-2626-SM-7RHHG 40-49 years, male 3.0
GTEX-1H1ZS-0126-SM-9YFKQ 70-79 years, male 3.0
GTEX-1IE54-0626-SM-ARL8D 40-49 years, female 3.0
GTEX-1IY9M-2726-SM-CMKG5 60-69 years, male 3.0
GTEX-1QCLZ-2326-SM-DTXDO 60-69 years, female 3.0
GTEX-11P81-1926-SM-5BC53 30-39 years, female 2.9
GTEX-13SLW-2526-SM-62LDQ 70-79 years, male 2.9
GTEX-18A7B-2626-SM-7LG55 70-79 years, male 2.9
GTEX-1CAMR-1426-SM-793BO 20-29 years, male 2.9
GTEX-1EKGG-2626-SM-7IGPY 60-69 years, male 2.9
GTEX-V955-2026-SM-3GAFA 60-69 years, male 2.9
GTEX-ZDXO-0126-SM-5S2ND 60-69 years, male 2.9
GTEX-ZEX8-2226-SM-57WC6 50-59 years, male 2.9
GTEX-ZTX8-1226-SM-4YCE9 20-29 years, male 2.9
GTEX-ZV7C-1826-SM-5NQ83 50-59 years, male 2.9
GTEX-1C475-1226-SM-7SB72 40-49 years, female 2.9
GTEX-1F75B-0626-SM-7SB8A 50-59 years, male 2.9
GTEX-1GN1W-1926-SM-7P8TH 50-59 years, female 2.9
GTEX-1GZ2Q-2626-SM-7MXV9 40-49 years, male 2.9
GTEX-1HC8U-0826-SM-ADEIL 40-49 years, female 2.9
GTEX-1IDJH-2226-SM-E6CJV 70-79 years, male 2.9
GTEX-11WQK-2426-SM-5GU5C 50-59 years, male 2.8
GTEX-1211K-1926-SM-5EQLB 60-69 years, female 2.8
GTEX-1313W-0826-SM-5EQ4T 50-59 years, female 2.8
GTEX-13O61-1826-SM-5KM4I 60-69 years, male 2.8
GTEX-1A3MX-2726-SM-718B6 60-69 years, male 2.8
GTEX-QDT8-0626-SM-48TYW 30-39 years, female 2.8
GTEX-ZZPU-0626-SM-5E43T 50-59 years, female 2.8
GTEX-15ETS-0626-SM-7KUMX 40-49 years, female 2.7
GTEX-17HGU-1326-SM-79OKB 50-59 years, male 2.7
GTEX-17MFQ-0926-SM-7LG4S 20-29 years, male 2.7
GTEX-183WM-0726-SM-7LTAA 70-79 years, female 2.7
GTEX-18A6Q-0926-SM-7LG4N 60-69 years, male 2.7
GTEX-WRHU-0326-SM-3MJFY 50-59 years, female 2.7
GTEX-XMD2-0926-SM-4WWEF 60-69 years, female 2.7
GTEX-1HCUA-0726-SM-ACKVU 50-59 years, female 2.7
GTEX-1KD5A-1926-SM-DKPQA 50-59 years, male 2.7
GTEX-1LG7Z-0726-SM-CXKYD 30-39 years, male 2.7
GTEX-ZDTT-2126-SM-DKPOM 60-69 years, male 2.7
GTEX-11DXW-0626-SM-5N9ER 40-49 years, male 2.6
GTEX-11P82-1326-SM-5HL62 20-29 years, male 2.6
GTEX-13FHO-0826-SM-5L3E8 60-69 years, male 2.6
GTEX-13NZ9-1026-SM-5MR5K 50-59 years, male 2.6
GTEX-14E6C-1326-SM-62LEQ 40-49 years, male 2.6
GTEX-14PKU-0426-SM-6EU1P 40-49 years, female 2.6
GTEX-XV7Q-2326-SM-4BRVZ 40-49 years, female 2.6
GTEX-1B8L1-2426-SM-9WYTE 60-69 years, male 2.6
GTEX-1F5PK-2126-SM-7PC28 50-59 years, male 2.6
GTEX-1GF9X-1026-SM-ACKX2 40-49 years, female 2.6
GTEX-1HCU8-0126-SM-ADEHH 60-69 years, female 2.6
GTEX-1HKZK-1826-SM-ADEJ2 40-49 years, male 2.6
GTEX-1I1GP-0426-SM-COH3N 50-59 years, male 2.6
GTEX-1K2DA-1726-SM-CGQGS 50-59 years, male 2.6
GTEX-13NZB-2126-SM-5MR4Y 30-39 years, male 2.5
GTEX-145MO-0826-SM-5NQBL 60-69 years, male 2.5
GTEX-14B4R-1226-SM-5TDDT 30-39 years, male 2.5
GTEX-1A3MV-1626-SM-731C1 30-39 years, male 2.5
GTEX-YFCO-1826-SM-4W1YH 40-49 years, male 2.5
GTEX-YJ8O-2226-SM-5IFHW 40-49 years, female 2.5
GTEX-ZC5H-2626-SM-5J2MG 40-49 years, female 2.5
GTEX-1H1CY-2226-SM-9WG7E 60-69 years, female 2.5
GTEX-1HR9M-2426-SM-ACKXI 60-69 years, male 2.5
GTEX-1IKOE-1326-SM-CE6T6 30-39 years, female 2.5
GTEX-1J8Q3-1326-SM-CMKI1 60-69 years, male 2.5
GTEX-1QW4Y-1026-SM-DTXE2 30-39 years, male 2.5
GTEX-WFG8-2026-SM-EXOHO 20-29 years, male 2.5
GTEX-11EI6-0626-SM-5985T 60-69 years, male 2.4
GTEX-11ONC-2126-SM-5HL6E 60-69 years, male 2.4
GTEX-16BQI-1026-SM-7KUEA 30-39 years, female 2.4
GTEX-1B97J-0426-SM-79OLQ 50-59 years, female 2.4
GTEX-1C6VQ-0426-SM-79OOX 50-59 years, male 2.4
GTEX-S4Q7-1126-SM-4AD6R 20-29 years, male 2.4
GTEX-W5X1-2326-SM-3GIL6 40-49 years, female 2.4
GTEX-1I6K7-1026-SM-A9SLK 40-49 years, male 2.4
GTEX-1ICG6-1326-SM-ACKWR 70-79 years, female 2.4
GTEX-1QEPI-0926-SM-DTXF3 60-69 years, female 2.4
GTEX-1QMI2-0726-SM-E9J4F 60-69 years, male 2.4
GTEX-1R46S-2526-SM-E8VN2 60-69 years, female 2.4
GTEX-1R9JW-0326-SM-EAZ45 30-39 years, female 2.4
GTEX-1117F-2826-SM-5GZXL 60-69 years, female 2.3
GTEX-139T6-1626-SM-5PNYZ 50-59 years, male 2.3
GTEX-13N1W-0626-SM-5MR4U 70-79 years, male 2.3
GTEX-13O3P-0826-SM-5L3DH 50-59 years, male 2.3
GTEX-17EUY-1926-SM-7DUF6 20-29 years, male 2.3
GTEX-18A7A-0726-SM-7LTAI 50-59 years, female 2.3
GTEX-18D9A-1526-SM-7LG4J 30-39 years, female 2.3
GTEX-1EU9M-2826-SM-7EWFH 60-69 years, male 2.3
GTEX-R3RS-0626-SM-48FE1 40-49 years, female 2.3
GTEX-ZY6K-1626-SM-5GZWV 50-59 years, male 2.3
GTEX-1GF9V-2526-SM-7SB8K 60-69 years, male 2.3
GTEX-1H11D-1526-SM-9MQJY 40-49 years, male 2.3
GTEX-QEG5-0726-SM-D4P1T 20-29 years, male 2.3
GTEX-13O3O-0826-SM-5K7WE 60-69 years, female 2.2
GTEX-145ME-1526-SM-5Q5F2 40-49 years, female 2.2
GTEX-1B932-0826-SM-73KXG 40-49 years, female 2.2
GTEX-X261-0626-SM-3NMD9 50-59 years, male 2.2
GTEX-1C6WA-2426-SM-7SB86 60-69 years, male 2.2
GTEX-1I1GV-2426-SM-CGQFM 60-69 years, male 2.2
GTEX-1J8QM-2026-SM-ARZMW 60-69 years, female 2.2
GTEX-1KXAM-1026-SM-CY8IA 60-69 years, male 2.2
GTEX-1MJK2-2226-SM-EVYCR 50-59 years, male 2.2
GTEX-1PDJ9-1126-SM-EXUSW 20-29 years, male 2.2
GTEX-11EQ9-1826-SM-5Q5AJ 30-39 years, male 2.1
GTEX-13FTW-1426-SM-5LZWZ 40-49 years, male 2.1
GTEX-14DAR-1326-SM-7DUEG 50-59 years, male 2.1
GTEX-14PN4-0626-SM-62LFP 50-59 years, male 2.1
GTEX-16NGA-0826-SM-718AF 40-49 years, female 2.1
GTEX-17EVQ-0426-SM-7LG57 70-79 years, male 2.1
GTEX-1AX8Z-0926-SM-731AW 60-69 years, male 2.1
GTEX-1AX9J-1126-SM-731B7 60-69 years, male 2.1
GTEX-R53T-1526-SM-48FEK 50-59 years, female 2.1
GTEX-VJWN-0726-SM-3GIJ8 50-59 years, female 2.1
GTEX-ZWKS-2826-SM-5NQ74 30-39 years, male 2.1
GTEX-1IDJF-2326-SM-ARL86 20-29 years, male 2.1
GTEX-1JK1U-1826-SM-ARL8W 60-69 years, male 2.1
GTEX-1QPFJ-2026-SM-EVYBE 30-39 years, female 2.1
GTEX-1RLM8-2226-SM-EVYD1 50-59 years, male 2.1
GTEX-11O72-2126-SM-5N9FO 40-49 years, male 2.0
GTEX-12WSN-1326-SM-5GCNT 40-49 years, male 2.0
GTEX-13NZ8-0126-SM-5IJCT 60-69 years, female 2.0
GTEX-13PVQ-1026-SM-5KM3M 50-59 years, male 2.0
GTEX-UTHO-1026-SM-3GAF7 60-69 years, male 2.0
GTEX-ZPIC-1126-SM-5BC7F 40-49 years, female 2.0
GTEX-ZQG8-0726-SM-5P9H9 60-69 years, female 2.0
GTEX-ZZ64-1226-SM-5E43R 20-29 years, male 2.0
GTEX-1GZHY-0726-SM-9WG6B 50-59 years, female 2.0
GTEX-1HFI7-0126-SM-CGQFQ 50-59 years, female 2.0
GTEX-1L5NE-2126-SM-CY8IH 50-59 years, male 2.0
GTEX-1OKEX-0826-SM-E9J2B 60-69 years, male 2.0
GTEX-1QP28-1226-SM-E9J2M 50-59 years, female 2.0
GTEX-1S82U-1126-SM-E9U6I 30-39 years, female 2.0
GTEX-WHSB-1926-SM-EXOHH 50-59 years, male 2.0
GTEX-17F97-2526-SM-7EWDV 50-59 years, male 1.9
GTEX-1C6VS-0726-SM-7EPHF 60-69 years, male 1.9
GTEX-1ICLY-1726-SM-B2LVT 50-59 years, male 1.9
GTEX-Z9EW-1526-SM-EZ6LU 40-49 years, male 1.9
GTEX-12BJ1-1826-SM-5HL9N 60-69 years, male 1.8
GTEX-14ICK-2426-SM-6EU27 40-49 years, male 1.8
GTEX-R55D-0826-SM-48FEA 50-59 years, male 1.8
GTEX-Y8E4-1626-SM-5S2MW 40-49 years, male 1.8
GTEX-ZQUD-1926-SM-51MSA 30-39 years, male 1.8
GTEX-ZTTD-1026-SM-51MRD 50-59 years, male 1.8
GTEX-1HSEH-2026-SM-ADEHN 60-69 years, male 1.8
GTEX-1KANC-1426-SM-CYPT9 50-59 years, female 1.8
GTEX-1LSNL-2826-SM-E9U5L 50-59 years, male 1.8
GTEX-1MCC2-2126-SM-EWRON 30-39 years, female 1.8
GTEX-1NHNU-0926-SM-E9J2T 50-59 years, male 1.8
GTEX-1PPGY-1526-SM-EVYBK 60-69 years, male 1.8
GTEX-11TT1-2126-SM-5GU5Y 20-29 years, male 1.7
GTEX-12WSM-1726-SM-5BC6J 60-69 years, male 1.7
GTEX-144GM-0926-SM-5O994 20-29 years, male 1.7
GTEX-17GQL-0326-SM-7LG5U 60-69 years, male 1.7
GTEX-WY7C-2726-SM-3NB3P 50-59 years, male 1.7
GTEX-1H23P-0726-SM-9WG7K 60-69 years, male 1.7
GTEX-1PPH7-0826-SM-E8VNX 40-49 years, male 1.7
GTEX-13CF3-2126-SM-5IFJP 60-69 years, female 1.6
GTEX-145LT-0726-SM-5S2VM 40-49 years, male 1.6
GTEX-15UF7-0726-SM-6M46D 40-49 years, male 1.6
GTEX-17F96-2426-SM-7IGLN 70-79 years, male 1.6
GTEX-XYKS-1326-SM-4BRUN 60-69 years, female 1.6
GTEX-Y114-2026-SM-4TT7L 50-59 years, female 1.6
GTEX-ZT9W-2026-SM-51MRA 50-59 years, male 1.6
GTEX-1JMOU-2026-SM-CMKGU 60-69 years, female 1.6
GTEX-1N2EF-2226-SM-E9J33 60-69 years, male 1.6
GTEX-ZLWG-1926-SM-DO92J 50-59 years, female 1.6
GTEX-13FTX-1126-SM-5N9EN 20-29 years, female 1.5
GTEX-13VXU-2826-SM-664MA 50-59 years, male 1.5
GTEX-13W46-0826-SM-5LU3H 50-59 years, male 1.5
GTEX-14PJ4-2126-SM-6ETZJ 60-69 years, male 1.5
GTEX-1AMEY-1026-SM-718AA 30-39 years, female 1.5
GTEX-WFON-1826-SM-3GILG 40-49 years, male 1.5
GTEX-Y9LG-1426-SM-5IFJZ 30-39 years, male 1.5
GTEX-1ICLZ-0426-SM-B2LW2 60-69 years, male 1.5
GTEX-ZTPG-2826-SM-57WGA 20-29 years, female 1.5
GTEX-11DZ1-0326-SM-5N9BN 50-59 years, male 1.4
GTEX-PSDG-1626-SM-48TCQ 50-59 years, male 1.4
GTEX-U8XE-0826-SM-4E3J1 30-39 years, male 1.4
GTEX-Y5V5-2126-SM-4WWFO 60-69 years, female 1.4
GTEX-ZVT4-1026-SM-57WC4 50-59 years, female 1.4
GTEX-18A66-1726-SM-7LG5N 60-69 years, male 1.4
GTEX-1GPI7-0926-SM-7PC3J 20-29 years, male 1.4
GTEX-1HCU7-1026-SM-ADEIP 50-59 years, male 1.4
GTEX-1LSVX-2426-SM-E6CJX 60-69 years, male 1.4
GTEX-1MJK3-1126-SM-E9J3F 20-29 years, male 1.4
GTEX-1NUQO-2226-SM-E9U68 20-29 years, female 1.4
GTEX-117YX-1426-SM-5H12H 50-59 years, male 1.3
GTEX-11ZTT-2326-SM-5EQLG 60-69 years, female 1.3
GTEX-14E6E-1326-SM-5S2NR 30-39 years, male 1.3
GTEX-Y5V6-2126-SM-4WWFX 60-69 years, male 1.3
GTEX-ZV6S-1826-SM-5NQ8D 40-49 years, female 1.3
GTEX-1H3VY-0926-SM-ACKXE 50-59 years, male 1.3
GTEX-1HSMO-0826-SM-ADEIV 60-69 years, male 1.3
GTEX-1S82Z-0726-SM-E6CHX 30-39 years, female 1.3
GTEX-ZLFU-2126-SM-DO931 40-49 years, male 1.3
GTEX-13O3Q-2226-SM-5KM4O 50-59 years, male 1.2
GTEX-146FH-0826-SM-5SI8T 50-59 years, female 1.2
GTEX-S32W-2026-SM-4AD6E 50-59 years, female 1.2
GTEX-TKQ2-1826-SM-33HB2 50-59 years, male 1.2
GTEX-1GF9U-1726-SM-7MGY5 40-49 years, female 1.2
GTEX-1H1DG-0526-SM-9YFLN 70-79 years, male 1.2
GTEX-1HBPN-2326-SM-9WPPU 50-59 years, male 1.2
GTEX-15G19-2126-SM-6M48J 60-69 years, male 1.1
GTEX-17F98-0526-SM-79OK5 40-49 years, female 1.1
GTEX-183FY-1126-SM-7DHLJ 20-29 years, male 1.1
GTEX-13113-5013-SM-7SB7G 60-69 years, female 1.1
GTEX-13QJ3-0826-SM-7DHKK 50-59 years, male 1.0
GTEX-REY6-2426-SM-48FF5 60-69 years, male 1.0
GTEX-TKQ1-0226-SM-33HB5 30-39 years, male 1.0
GTEX-YEC3-1026-SM-5IFI5 50-59 years, male 1.0
GTEX-ZDYS-1126-SM-5K7UB 50-59 years, male 1.0
GTEX-1IGQW-0926-SM-ADEH6 60-69 years, male 1.0
GTEX-RUSQ-2026-SM-4GIAK 50-59 years, male 0.9
GTEX-S33H-0326-SM-4AD6N 30-39 years, male 0.9
GTEX-X4XY-0926-SM-4E3JD 60-69 years, male 0.9
GTEX-1LBAC-0926-SM-CXKY9 20-29 years, male 0.9
GTEX-1314G-1226-SM-5BC6D 30-39 years, male 0.8
GTEX-1I1GU-1026-SM-ADEHJ 40-49 years, male 0.8
GTEX-1LC47-1226-SM-D4P44 60-69 years, male 0.7
GTEX-11TUW-1826-SM-5BC5D 60-69 years, male 0.6
GTEX-12WSK-2226-SM-5GCO5 40-49 years, female 0.6
GTEX-132AR-0826-SM-5EGK6 50-59 years, female 0.6
GTEX-1I6K6-0826-SM-ARL7Z 30-39 years, male 0.6
GTEX-13S86-1226-SM-5S2OA 40-49 years, male 0.5
GTEX-1JN1M-3026-SM-CMKGK 60-69 years, female 0.4
Show allShow less

Contact

  • NEWS ARTICLES
  • PRESS ROOM

The Project

  • INTRODUCTION
  • ORGANIZATION
  • PUBLICATIONS

The Human Protein Atlas

  • DOWNLOADABLE DATA
  • LICENCE & CITATION
  • HELP & FAQ
The Human Protein Atlas project is funded
by the Knut & Alice Wallenberg Foundation.


contact@proteinatlas.org