We use cookies to enhance the usability of our website. If you continue, we'll assume that you are happy to receive all cookies. More information. Don't show this again.
APOLD1
HPA
RESOURCES
  • TISSUE
  • BRAIN
  • SINGLE CELL
  • SUBCELLULAR
  • CANCER
  • BLOOD
  • CELL LINE
  • STRUCTURE & INTERACTION
ABOUT
  • INTRODUCTION
  • HISTORY
  • ORGANIZATION
  • PUBLICATIONS
  • ANTIBODY SUBMISSION
  • ANTIBODY AVAILABILITY
  • ACKNOWLEDGMENTS
  • CONTACT
NEWS
  • NEWS ARTICLES
  • PRESS ROOM
LEARN
  • DICTIONARY
  • PROTEIN CLASSES
  • PROTEIN EVIDENCE
  • METHODS
  • EDUCATIONAL VIDEOS
DATA
  • DOWNLOADABLE DATA
  • PUBLICATION DATA
  • RELEASE HISTORY
HELP
  • ANTIBODY VALIDATION
  • ASSAYS & ANNOTATION
  • DISCLAIMER
  • HELP & FAQ
  • PRIVACY STATEMENT
  • LICENCE & CITATION
Fields »
Search result

Field
Term
Gene name
Class
Subclass
Class
Keyword
Chromosome
External id
Tissue
Cell type
Expression
Antibody panel
Tissue
Main location
Patient ID
Annotation
Tissue
Category
Tau score
Cluster
Reliability
Brain region
Category
Tau score
Brain region
Category
Tau score
Brain region
Category
Tau score
Cluster
Reliability
Tissue
Cell type
Enrichment
Cell type
Category
Tau score
Cell type
Category
Tau score
Cell type
Category
Tau score
Cell lineage
Category
Tau score
Cluster
Cluster
Location
Searches
Location
Cell line
Class
Type
Phase
Reliability
Cancer
Prognosis
Cancer
Category
Cancer
Category
Tau score
Cluster
Variants
Interacting gene (ensg_id)
Type
Number of interactions
Pathway
Category
Score
Score
Score
Validation
Validation
Validation
Validation
Antibodies
Data type
Column


  • SUMMARY

  • TISSUE

  • BRAIN

  • SINGLE CELL

  • SUBCELL

  • CANCER

  • BLOOD

  • CELL LINE

  • STRUCT & INT

  • APOLD1
TISSUE PRIMARY DATA BREAST Show tissue menu
ADIPOSE TISSUE ADRENAL GLAND AMYGDALA APPENDIX BASAL GANGLIA BONE MARROW BREAST BRONCHUS CEREBELLUM CEREBRAL CORTEX CERVIX CHOROID PLEXUS COLON DUODENUM
ENDOMETRIUM EPIDIDYMIS ESOPHAGUS FALLOPIAN TUBE GALLBLADDER HEART MUSCLE HIPPOCAMPAL FORMATION HYPOTHALAMUS KIDNEY LIVER LUNG LYMPH NODE MIDBRAIN NASOPHARYNX
ORAL MUCOSA OVARY PANCREAS PARATHYROID GLAND PITUITARY GLAND PLACENTA PROSTATE RECTUM RETINA SALIVARY GLAND SEMINAL VESICLE SKELETAL MUSCLE SKIN SMALL INTESTINE
SMOOTH MUSCLE SOFT TISSUE SPINAL CORD SPLEEN STOMACH TESTIS THYMUS THYROID GLAND TONGUE TONSIL URINARY BLADDER VAGINA
ANTIBODIES
AND
VALIDATION
Dictionary
Breast
Tissue proteome
Breast
BREAST - Expression summary
Protein expression
Breasti

On the top, protein expression in current human tissue, based on all annotated cell types, is reported with the units not detected (n), low (l), medium (m) and high (h). Underneath, protein expression in each annotated cell type are reported using the same units.

Protein expression data is based on knowledge-based annotation. For genes where more than one antibody has been used, a collective score is set.

If knowledge-based annotation could not be performed for a gene, no data is displayed here. View antibody staining data further down this page.

h
m
l
n
Adipocytes: Not detected
Glandular cells: Low
Myoepithelial cells: Low
RNA expressioni

A summary of mRNA expression data available for current tissue based on several datasets. The mRNA expression levels in human tissues are based on RNA-seq data generated by the Human Protein Atlas (HPA), Genotype-Tissue Expression (GTEx) portal and CAGE data generated by the FANTOM5 consortium. Consensus normalized expression levels for human tissues was created by combining the data from HPA and GTEx datasets.

The mRNA expression levels in pig are based on RNA-seq data generated by the Human Protein Atlas (HPA), and for mouse, HPA data and in situ hybridization generated by the Allen brain atlas are reported.

Scroll down to view mRNA expression data in more detail.
Consensus:87.6 nTPM
HPA:22.2 nTPM
GTEx:87.6 nTPM
FANTOM5:124.8 Scaled Tags Per Million

BREAST - Antibody stainingi

Antibody staining in the annotated cell types in the current human tissue is reported as not detected, low, medium, or high, based on conventional immunohistochemistry profiling in selected tissues. This score is based on the combination of the staining intensity and fraction of stained cells.

Each image is clickable and will lead to virtual microscopy that enables deeper exploration of all samples and also displays staining intensity scores, fraction scores and subcellular localization as well as patient and tissue information for each sample.

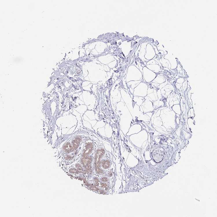
Antibody HPA052462
Adipocytes Not detected
Glandular cells Low
Myoepithelial cells Low


BREAST - HPA RNA-seqi

The RNA-seq details section shows detailed information about the individual samples used for the transcript profiling and results of the RNA-seq analysis.

Information about each individual sample is listed below, including gender, age, a tissue section image and estimated fractions of cell types. nTPM (normalized transcripts per million) values give a quantification of the gene abundance which is comparable between different genes and samples.
Average nTPMi

Max subtype nTPM is the value for the subtype with the largest average nTPM across the subtype samples.

22.2
overview
Female, age 52
Breast sample 373
nTPM: 25
Cell types%
Glandular cells:
15

Adipocytes:
5

Other cell types:
80

overview
Female, age 80
Breast sample 390
nTPM: 38.9
Cell types%
Glandular cells:
5

Adipocytes:
15

Other cell types:
80

overview
Female, age 47
Breast sample 405
nTPM: 2.9
Cell types%
Glandular cells:
5

Adipocytes:
5

Other cell types:
90

overview
Female, age 38
Breast sample 410
nTPM: 21.9
Cell types%
Glandular cells:
40

Adipocytes:
5

Other cell types:
55


BREAST - GTEx RNA-seqi

RNA-Seq data generated by the Genotype-Tissue Expression (GTEx) project from human tissues is reported as mean nTPM. More information can be found on the GTEx portal.

Distribution across the dataset is visualized with box plots, shown as median and 25th and 75th percentiles. Points are displayed as outliers if they are above or below 1.5 times the interquartile range. nTPM values of the individual samples are presented next to the box plot.
Max subtype nTPMi

Max subtype nTPM is the value for the subtype with the largest average nTPM across the subtype samples.

87.6
GTEx sample id Sample description nTPM
Breast - Mammary Tissue
Average nTPM: 87.6
Samples: 459

Max nTPM: 482.0
Min nTPM: 5.4
Std nTPM: 75.0
Median nTPM: 64.8
GTEX-13PVQ-1026-SM-5KM3M 50-59 years, male 482.0
GTEX-1HCU8-0126-SM-ADEHH 60-69 years, female 395.8
GTEX-1ICLY-1726-SM-B2LVT 50-59 years, male 390.6
GTEX-14753-2426-SM-5LU8U 60-69 years, male 369.2
GTEX-17MF6-0326-SM-7EPH5 40-49 years, male 356.1
GTEX-12KS4-0126-SM-5Q5A5 30-39 years, male 352.5
GTEX-11O72-2126-SM-5N9FO 40-49 years, male 339.1
GTEX-16YQH-2826-SM-6PAMY 30-39 years, male 314.5
GTEX-ZT9W-2026-SM-51MRA 50-59 years, male 300.7
GTEX-1AX9I-0726-SM-73KWV 60-69 years, male 293.4
GTEX-1H23P-0726-SM-9WG7K 60-69 years, male 286.2
GTEX-13VXU-2826-SM-664MA 50-59 years, male 285.2
GTEX-1F75B-0626-SM-7SB8A 50-59 years, male 284.6
GTEX-17F9E-2526-SM-7MGW2 50-59 years, male 279.2
GTEX-UTHO-1026-SM-3GAF7 60-69 years, male 275.9
GTEX-13N1W-0626-SM-5MR4U 70-79 years, male 273.2
GTEX-1C6WA-2426-SM-7SB86 60-69 years, male 263.9
GTEX-145MO-0826-SM-5NQBL 60-69 years, male 263.1
GTEX-YEC3-1026-SM-5IFI5 50-59 years, male 259.8
GTEX-11DXY-2326-SM-5GICW 60-69 years, male 253.8
GTEX-1RLM8-2226-SM-EVYD1 50-59 years, male 252.4
GTEX-13CF3-2126-SM-5IFJP 60-69 years, female 248.3
GTEX-1HCU7-1026-SM-ADEIP 50-59 years, male 246.2
GTEX-13OW8-0226-SM-5K7UP 60-69 years, male 243.0
GTEX-11DZ1-0326-SM-5N9BN 50-59 years, male 242.4
GTEX-1QMI2-0726-SM-E9J4F 60-69 years, male 242.4
GTEX-18A7B-2626-SM-7LG55 70-79 years, male 242.3
GTEX-ZVT4-1026-SM-57WC4 50-59 years, female 235.2
GTEX-REY6-2426-SM-48FF5 60-69 years, male 228.8
GTEX-RUSQ-2026-SM-4GIAK 50-59 years, male 227.7
GTEX-1HBPM-0126-SM-ARL9E 60-69 years, female 226.9
GTEX-1GF9V-2526-SM-7SB8K 60-69 years, male 225.3
GTEX-WHSB-1926-SM-EXOHH 50-59 years, male 225.1
GTEX-1MA7X-1626-SM-E9U5B 60-69 years, male 223.9
GTEX-15RJE-2626-SM-7KFT1 40-49 years, male 221.3
GTEX-1LSVX-2426-SM-E6CJX 60-69 years, male 219.2
GTEX-1B8KE-1226-SM-73KWK 50-59 years, male 217.9
GTEX-1JMLX-2026-SM-CMKGN 50-59 years, male 217.9
GTEX-1I1GU-1026-SM-ADEHJ 40-49 years, male 217.0
GTEX-13113-5013-SM-7SB7G 60-69 years, female 216.9
GTEX-1PPH7-0826-SM-E8VNX 40-49 years, male 207.8
GTEX-V955-2026-SM-3GAFA 60-69 years, male 207.6
GTEX-1EKGG-2626-SM-7IGPY 60-69 years, male 207.4
GTEX-11WQK-2426-SM-5GU5C 50-59 years, male 203.9
GTEX-ZLFU-2126-SM-DO931 40-49 years, male 198.8
GTEX-YECK-0726-SM-EZ6LV 60-69 years, male 198.2
GTEX-145ME-1526-SM-5Q5F2 40-49 years, female 196.9
GTEX-WOFL-0826-SM-3MJG1 60-69 years, male 191.1
GTEX-1KANC-1426-SM-CYPT9 50-59 years, female 190.2
GTEX-1IOXB-1926-SM-ARL8E 50-59 years, male 188.1
GTEX-14E6C-1326-SM-62LEQ 40-49 years, male 187.4
GTEX-12WSM-1726-SM-5BC6J 60-69 years, male 186.3
GTEX-1LC47-1226-SM-D4P44 60-69 years, male 184.7
GTEX-1IDFM-0426-SM-B2LVV 60-69 years, male 183.9
GTEX-PSDG-1626-SM-48TCQ 50-59 years, male 180.6
GTEX-1MJK3-1126-SM-E9J3F 20-29 years, male 180.0
GTEX-1LSNL-2826-SM-E9U5L 50-59 years, male 179.5
GTEX-1KD5A-1926-SM-DKPQA 50-59 years, male 174.8
GTEX-17F97-2526-SM-7EWDV 50-59 years, male 170.9
GTEX-XQ3S-1326-SM-4BOPQ 20-29 years, male 169.1
GTEX-1IDJH-2226-SM-E6CJV 70-79 years, male 168.3
GTEX-13FTX-1126-SM-5N9EN 20-29 years, female 166.1
GTEX-S32W-2026-SM-4AD6E 50-59 years, female 165.5
GTEX-1J8Q2-2726-SM-A9G2X 60-69 years, male 163.3
GTEX-1HSEH-2026-SM-ADEHN 60-69 years, male 162.1
GTEX-183WM-0726-SM-7LTAA 70-79 years, female 161.9
GTEX-1AX9J-1126-SM-731B7 60-69 years, male 160.4
GTEX-1H11D-1526-SM-9MQJY 40-49 years, male 159.6
GTEX-13S86-1226-SM-5S2OA 40-49 years, male 158.5
GTEX-117XS-1926-SM-5GICO 60-69 years, male 156.3
GTEX-Y9LG-1426-SM-5IFJZ 30-39 years, male 156.2
GTEX-X261-0626-SM-3NMD9 50-59 years, male 153.8
GTEX-1GZ4I-2826-SM-9MQK5 50-59 years, male 152.9
GTEX-1LGRB-1826-SM-CNPQL 50-59 years, female 152.0
GTEX-S7SE-0826-SM-4AT4D 50-59 years, male 148.1
GTEX-1E2YA-2726-SM-7IGPW 50-59 years, male 147.9
GTEX-1JN6P-2426-SM-ARL99 60-69 years, male 146.8
GTEX-139T6-1626-SM-5PNYZ 50-59 years, male 146.6
GTEX-1I1GV-2426-SM-CGQFM 60-69 years, male 145.8
GTEX-18465-2026-SM-718AP 50-59 years, male 145.1
GTEX-14E6E-1326-SM-5S2NR 30-39 years, male 143.7
GTEX-1GF9U-1726-SM-7MGY5 40-49 years, female 143.5
GTEX-ZZ64-1226-SM-5E43R 20-29 years, male 141.4
GTEX-ZF3C-2326-SM-5S2NC 50-59 years, female 139.8
GTEX-18A66-1726-SM-7LG5N 60-69 years, male 138.4
GTEX-YFCO-1826-SM-4W1YH 40-49 years, male 137.5
GTEX-QMRM-1626-SM-D4P1U 50-59 years, male 136.5
GTEX-17EVP-0226-SM-79OND 40-49 years, male 136.3
GTEX-YB5E-1726-SM-5IFJ3 40-49 years, male 136.2
GTEX-U412-1826-SM-4DXTJ 60-69 years, male 136.1
GTEX-1B8KZ-1526-SM-7DUG7 50-59 years, male 135.3
GTEX-1IDJF-2326-SM-ARL86 20-29 years, male 134.8
GTEX-XMD1-0826-SM-4AT52 60-69 years, male 133.2
GTEX-1IDJU-1826-SM-CMKHV 60-69 years, female 128.3
GTEX-ZYFC-0826-SM-5E44K 50-59 years, male 127.0
GTEX-1NV8Z-2826-SM-E8VME 60-69 years, male 126.9
GTEX-X62O-0526-SM-EWRMA 50-59 years, male 126.8
GTEX-ZUA1-1526-SM-59HLS 40-49 years, male 126.7
GTEX-1I4MK-1626-SM-CM2TJ 50-59 years, female 125.6
GTEX-XQ8I-2426-SM-4WAXY 50-59 years, male 125.2
GTEX-1313W-0826-SM-5EQ4T 50-59 years, female 124.4
GTEX-14ICK-2426-SM-6EU27 40-49 years, male 124.3
GTEX-1KD4Q-2326-SM-D4P3M 40-49 years, male 124.2
GTEX-ZQG8-0726-SM-5P9H9 60-69 years, female 122.9
GTEX-1JMOU-2026-SM-CMKGU 60-69 years, female 122.7
GTEX-R55D-0826-SM-48FEA 50-59 years, male 122.0
GTEX-139TU-0626-SM-5KM3X 60-69 years, male 121.5
GTEX-ZLWG-1926-SM-DO92J 50-59 years, female 120.0
GTEX-1R46S-2526-SM-E8VN2 60-69 years, female 119.5
GTEX-1H3VY-0926-SM-ACKXE 50-59 years, male 117.6
GTEX-169BO-1126-SM-7MGWN 50-59 years, male 116.8
GTEX-1C6VQ-0426-SM-79OOX 50-59 years, male 116.3
GTEX-1QW4Y-1026-SM-DTXE2 30-39 years, male 115.8
GTEX-1EN7A-1426-SM-7PBY4 40-49 years, male 113.8
GTEX-WRHU-0326-SM-3MJFY 50-59 years, female 113.4
GTEX-13O61-1826-SM-5KM4I 60-69 years, male 113.0
GTEX-1PPGY-1526-SM-EVYBK 60-69 years, male 112.0
GTEX-1QP28-1226-SM-E9J2M 50-59 years, female 111.9
GTEX-1A3MX-2726-SM-718B6 60-69 years, male 111.8
GTEX-1I1GP-0426-SM-COH3N 50-59 years, male 110.4
GTEX-1HR98-0426-SM-COH36 60-69 years, male 109.6
GTEX-1C6VS-0726-SM-7EPHF 60-69 years, male 108.9
GTEX-ZWKS-2826-SM-5NQ74 30-39 years, male 108.3
GTEX-1IKJJ-2326-SM-COH3U 60-69 years, male 108.0
GTEX-11OF3-1926-SM-59889 60-69 years, male 107.6
GTEX-1EU9M-2826-SM-7EWFH 60-69 years, male 107.2
GTEX-1B8L1-2426-SM-9WYTE 60-69 years, male 107.1
GTEX-1S82U-1126-SM-E9U6I 30-39 years, female 106.1
GTEX-14B4R-1226-SM-5TDDT 30-39 years, male 105.8
GTEX-1HCU9-0326-SM-9WYSC 20-29 years, male 105.4
GTEX-1H1DG-0526-SM-9YFLN 70-79 years, male 105.2
GTEX-144GM-0926-SM-5O994 20-29 years, male 103.0
GTEX-144GL-2026-SM-5LU3O 50-59 years, male 102.1
GTEX-1KAFJ-0226-SM-DIPEL 50-59 years, male 101.1
GTEX-1M4P7-2626-SM-E9U5F 60-69 years, male 100.5
GTEX-WFON-1826-SM-3GILG 40-49 years, male 98.3
GTEX-11GSO-1926-SM-5A5K3 60-69 years, male 98.2
GTEX-1L5NE-2126-SM-CY8IH 50-59 years, male 97.9
GTEX-1B97J-0426-SM-79OLQ 50-59 years, female 96.2
GTEX-1HSMO-0826-SM-ADEIV 60-69 years, male 95.7
GTEX-1GZHY-0726-SM-9WG6B 50-59 years, female 95.4
GTEX-ZY6K-1626-SM-5GZWV 50-59 years, male 95.2
GTEX-ZA64-1526-SM-5CVMD 20-29 years, male 94.2
GTEX-11P82-1326-SM-5HL62 20-29 years, male 94.1
GTEX-11LCK-2426-SM-5HL5F 30-39 years, male 93.9
GTEX-XGQ4-0926-SM-4AT4U 50-59 years, male 93.0
GTEX-ZDXO-0126-SM-5S2ND 60-69 years, male 92.7
GTEX-14E7W-0826-SM-62LEJ 70-79 years, male 92.6
GTEX-1R9PM-1826-SM-EVYBH 20-29 years, male 91.8
GTEX-1CAMR-1426-SM-793BO 20-29 years, male 91.7
GTEX-1N2EF-2226-SM-E9J33 60-69 years, male 90.6
GTEX-1A8G7-2426-SM-731AK 60-69 years, male 90.3
GTEX-1J8Q3-1326-SM-CMKI1 60-69 years, male 89.4
GTEX-17JCI-0726-SM-7EPH1 60-69 years, female 89.3
GTEX-13O3Q-2226-SM-5KM4O 50-59 years, male 89.1
GTEX-1NHNU-0926-SM-E9J2T 50-59 years, male 88.6
GTEX-1QPFJ-2026-SM-EVYBE 30-39 years, female 88.1
GTEX-15UF6-0126-SM-6PAMB 70-79 years, female 87.8
GTEX-1N5O9-1126-SM-DTXEQ 60-69 years, male 86.9
GTEX-13SLW-2526-SM-62LDQ 70-79 years, male 86.6
GTEX-ZV6S-1826-SM-5NQ8D 40-49 years, female 86.6
GTEX-12WSN-1326-SM-5GCNT 40-49 years, male 85.7
GTEX-1HUB1-1626-SM-CM2SL 60-69 years, male 85.0
GTEX-111YS-1926-SM-5GICC 60-69 years, male 84.7
GTEX-11ONC-2126-SM-5HL6E 60-69 years, male 84.3
GTEX-ZQUD-1926-SM-51MSA 30-39 years, male 83.6
GTEX-14PJ4-2126-SM-6ETZJ 60-69 years, male 83.2
GTEX-WI4N-1426-SM-3LK7H 40-49 years, female 82.9
GTEX-1F5PL-1026-SM-7RHI1 40-49 years, female 82.8
GTEX-11ZUS-0826-SM-5FQUY 30-39 years, male 82.7
GTEX-1JMQK-2626-SM-COH2W 60-69 years, male 82.2
GTEX-12BJ1-1826-SM-5HL9N 60-69 years, male 82.0
GTEX-ZVZQ-0826-SM-51MRF 60-69 years, female 81.9
GTEX-1J8EW-2626-SM-CL53E 60-69 years, female 81.6
GTEX-1F5PK-2126-SM-7PC28 50-59 years, male 81.2
GTEX-1OKEX-0826-SM-E9J2B 60-69 years, male 81.0
GTEX-1117F-2826-SM-5GZXL 60-69 years, female 80.8
GTEX-ZDYS-1126-SM-5K7UB 50-59 years, male 80.8
GTEX-TKQ1-0226-SM-33HB5 30-39 years, male 80.3
GTEX-15UF7-0726-SM-6M46D 40-49 years, male 79.6
GTEX-ZTTD-1026-SM-51MRD 50-59 years, male 79.6
GTEX-183FY-1126-SM-7DHLJ 20-29 years, male 79.5
GTEX-11DXZ-1926-SM-5GZZL 50-59 years, male 79.0
GTEX-1C64O-0726-SM-7DUFU 60-69 years, male 78.8
GTEX-11ZTT-2326-SM-5EQLG 60-69 years, female 78.7
GTEX-XUW1-2326-SM-4BOO5 50-59 years, female 78.7
GTEX-1RAZS-1226-SM-E8VMT 50-59 years, male 77.9
GTEX-1GMR2-1926-SM-9MQLZ 50-59 years, male 77.6
GTEX-15EOM-5019-SM-793DK 20-29 years, female 77.2
GTEX-1P4AB-1826-SM-E76PU 50-59 years, male 76.7
GTEX-1HR9M-2426-SM-ACKXI 60-69 years, male 76.5
GTEX-12WSK-2226-SM-5GCO5 40-49 years, female 76.2
GTEX-ZAK1-1326-SM-EVYAS 50-59 years, female 76.2
GTEX-11TUW-1826-SM-5BC5D 60-69 years, male 76.1
GTEX-1IE54-0626-SM-ARL8D 40-49 years, female 76.1
GTEX-ZDTT-2126-SM-DKPOM 60-69 years, male 76.0
GTEX-ZU9S-1926-SM-5NQBP 30-39 years, male 75.8
GTEX-14DAR-1326-SM-7DUEG 50-59 years, male 75.6
GTEX-16BQI-1026-SM-7KUEA 30-39 years, female 75.6
GTEX-1269C-2426-SM-5FQSN 60-69 years, female 75.4
GTEX-1AMEY-1026-SM-718AA 30-39 years, female 75.3
GTEX-13PVR-2226-SM-7DHKP 60-69 years, female 75.0
GTEX-1JN1M-3026-SM-CMKGK 60-69 years, female 74.8
GTEX-S4Q7-1126-SM-4AD6R 20-29 years, male 74.7
GTEX-14PKU-0426-SM-6EU1P 40-49 years, female 74.5
GTEX-QVJO-1826-SM-447C9 60-69 years, female 74.4
GTEX-1A3MV-1626-SM-731C1 30-39 years, male 74.0
GTEX-ZLV1-1426-SM-DO92Z 60-69 years, female 74.0
GTEX-17EVQ-0426-SM-7LG57 70-79 years, male 73.8
GTEX-YJ8O-2226-SM-5IFHW 40-49 years, female 73.0
GTEX-Z9EW-1526-SM-EZ6LU 40-49 years, male 72.3
GTEX-17HGU-1326-SM-79OKB 50-59 years, male 71.4
GTEX-13OW5-2226-SM-5L3HC 60-69 years, male 71.1
GTEX-13QIC-2326-SM-5LU5N 60-69 years, female 70.5
GTEX-1HCVE-2626-SM-ADEJ8 50-59 years, male 69.0
GTEX-ZV7C-1826-SM-5NQ83 50-59 years, male 68.4
GTEX-11NSD-0926-SM-5N9DR 20-29 years, male 68.1
GTEX-XMD2-0926-SM-4WWEF 60-69 years, female 68.1
GTEX-Y114-2026-SM-4TT7L 50-59 years, female 67.6
GTEX-1H4P4-2226-SM-9MQKQ 50-59 years, male 67.5
GTEX-1GPI7-0926-SM-7PC3J 20-29 years, male 66.8
GTEX-U8XE-0826-SM-4E3J1 30-39 years, male 66.5
GTEX-1EWIQ-1726-SM-7SB7T 70-79 years, female 66.4
GTEX-UPK5-2326-SM-3P5Z8 40-49 years, male 66.2
GTEX-17MFQ-0926-SM-7LG4S 20-29 years, male 65.9
GTEX-1K9T9-1426-SM-DIPFQ 50-59 years, female 65.8
GTEX-14A5I-0726-SM-5TDEB 50-59 years, female 65.3
GTEX-1HT8W-2226-SM-CGQEC 30-39 years, male 65.3
GTEX-1GN2E-2226-SM-9WG6J 60-69 years, male 65.2
GTEX-17GQL-0326-SM-7LG5U 60-69 years, male 64.8
GTEX-13N11-1726-SM-5J1OJ 50-59 years, female 64.6
GTEX-17F96-2426-SM-7IGLN 70-79 years, male 64.1
GTEX-1H1ZS-0126-SM-9YFKQ 70-79 years, male 64.0
GTEX-1KXAM-1026-SM-CY8IA 60-69 years, male 63.8
GTEX-11EMC-2026-SM-5A5JV 60-69 years, female 63.3
GTEX-18D9A-1526-SM-7LG4J 30-39 years, female 63.1
GTEX-17F98-0526-SM-79OK5 40-49 years, female 62.6
GTEX-QEG5-0726-SM-D4P1T 20-29 years, male 62.5
GTEX-11DXW-0626-SM-5N9ER 40-49 years, male 61.8
GTEX-15G19-2126-SM-6M48J 60-69 years, male 60.8
GTEX-1IKOH-2326-SM-CM2TW 60-69 years, female 60.8
GTEX-1JKYN-0726-SM-ARZMY 30-39 years, male 60.4
GTEX-1IKOE-1326-SM-CE6T6 30-39 years, female 60.2
GTEX-T6MO-0326-SM-32QOK 40-49 years, female 59.7
GTEX-1HFI7-0126-SM-CGQFQ 50-59 years, female 59.5
GTEX-Y8LW-1626-SM-5IFHX 50-59 years, female 59.1
GTEX-S4UY-0726-SM-4AD6X 40-49 years, female 58.7
GTEX-XV7Q-2326-SM-4BRVZ 40-49 years, female 58.7
GTEX-QEL4-2126-SM-447AE 50-59 years, male 58.3
GTEX-S4P3-1326-SM-4AD6V 50-59 years, female 58.3
GTEX-12ZZX-1126-SM-5EGKB 40-49 years, female 58.2
GTEX-13W46-0826-SM-5LU3H 50-59 years, male 58.1
GTEX-R53T-1526-SM-48FEK 50-59 years, female 57.6
GTEX-1C475-1226-SM-7SB72 40-49 years, female 57.6
GTEX-147F4-2826-SM-5NQBN 50-59 years, male 57.4
GTEX-17HHY-0926-SM-793C1 50-59 years, male 56.7
GTEX-145MF-2226-SM-7EPIR 50-59 years, male 56.2
GTEX-1314G-1226-SM-5BC6D 30-39 years, male 56.0
GTEX-RWS6-1926-SM-47JXY 60-69 years, female 56.0
GTEX-TMMY-0726-SM-33HBE 40-49 years, female 55.8
GTEX-T2YK-2226-SM-32QPT 50-59 years, male 55.6
GTEX-1GMRU-0826-SM-9WYT7 50-59 years, male 55.6
GTEX-18A6Q-0926-SM-7LG4N 60-69 years, male 55.2
GTEX-1GF9X-1026-SM-ACKX2 40-49 years, female 54.6
GTEX-133LE-1726-SM-5K7VQ 20-29 years, female 54.3
GTEX-14PN4-0626-SM-62LFP 50-59 years, male 54.3
GTEX-WY7C-2726-SM-3NB3P 50-59 years, male 54.1
GTEX-1HSKV-2026-SM-CMKGX 60-69 years, male 53.9
GTEX-18QFQ-0826-SM-718AX 30-39 years, male 53.3
GTEX-14BMV-0626-SM-793AU 50-59 years, male 53.2
GTEX-1JK1U-1826-SM-ARL8W 60-69 years, male 53.2
GTEX-13O3O-0826-SM-5K7WE 60-69 years, female 52.5
GTEX-146FH-0826-SM-5SI8T 50-59 years, female 52.0
GTEX-145MN-1926-SM-5SIAI 30-39 years, male 51.7
GTEX-Y8E4-1626-SM-5S2MW 40-49 years, male 51.4
GTEX-1F75A-1826-SM-7SB8G 50-59 years, male 51.3
GTEX-Y5LM-1726-SM-4VDSX 40-49 years, female 51.2
GTEX-1M5QR-2526-SM-E9U5P 40-49 years, male 51.1
GTEX-1IGQW-0926-SM-ADEH6 60-69 years, male 50.9
GTEX-TML8-1226-SM-32QON 40-49 years, female 50.6
GTEX-11EI6-0626-SM-5985T 60-69 years, male 50.5
GTEX-15SHW-1326-SM-6PAL8 60-69 years, male 50.5
GTEX-11I78-2226-SM-5PNYA 50-59 years, female 50.2
GTEX-132Q8-1426-SM-5EGK7 60-69 years, male 50.1
GTEX-Y5V5-2126-SM-4WWFO 60-69 years, female 49.9
GTEX-ZYW4-0826-SM-5GIDG 60-69 years, male 49.8
GTEX-13FTW-1426-SM-5LZWZ 40-49 years, male 49.6
GTEX-1R9JW-0326-SM-EAZ45 30-39 years, female 49.4
GTEX-15ETS-0626-SM-7KUMX 40-49 years, female 48.6
GTEX-1S82Z-0726-SM-E6CHX 30-39 years, female 48.5
GTEX-TKQ2-1826-SM-33HB2 50-59 years, male 48.4
GTEX-1GZ2Q-2626-SM-7MXV9 40-49 years, male 48.2
GTEX-1I6K6-0826-SM-ARL7Z 30-39 years, male 47.6
GTEX-1122O-1226-SM-5H113 60-69 years, female 47.3
GTEX-RU72-0626-SM-46MUI 50-59 years, female 47.2
GTEX-1ICG6-1326-SM-ACKWR 70-79 years, female 46.6
GTEX-1LG7Z-0726-SM-CXKYD 30-39 years, male 46.2
GTEX-ZF29-1926-SM-5S2P1 60-69 years, female 46.1
GTEX-S33H-0326-SM-4AD6N 30-39 years, male 45.0
GTEX-14PJO-0726-SM-69LO8 60-69 years, male 44.8
GTEX-18A7A-0726-SM-7LTAI 50-59 years, female 44.5
GTEX-132NY-0826-SM-5K7Y7 60-69 years, male 44.2
GTEX-WFG8-2026-SM-EXOHO 20-29 years, male 44.2
GTEX-11NV4-2026-SM-5N9DG 60-69 years, male 43.8
GTEX-1H1E6-0926-SM-9YFLT 30-39 years, male 43.8
GTEX-1B933-2526-SM-7IGO5 50-59 years, female 43.6
GTEX-T5JC-2126-SM-32PMO 20-29 years, male 43.6
GTEX-ZAB4-2526-SM-5HL8M 40-49 years, male 43.3
GTEX-1JMPZ-1626-SM-COH31 30-39 years, male 43.3
GTEX-1CAMS-1426-SM-7IGPM 40-49 years, female 43.2
GTEX-11P81-1926-SM-5BC53 30-39 years, female 42.6
GTEX-1399U-1826-SM-5PNZ1 50-59 years, female 42.6
GTEX-Y111-2026-SM-4SOJA 50-59 years, male 42.6
GTEX-X4XY-0926-SM-4E3JD 60-69 years, male 41.8
GTEX-13NZB-2126-SM-5MR4Y 30-39 years, male 41.5
GTEX-17EUY-1926-SM-7DUF6 20-29 years, male 41.3
GTEX-11GS4-2126-SM-5A5KR 60-69 years, male 41.2
GTEX-Y3IK-2326-SM-4WWDT 50-59 years, female 41.1
GTEX-1MCC2-2126-SM-EWRON 30-39 years, female 41.1
GTEX-11EQ9-1826-SM-5Q5AJ 30-39 years, male 40.9
GTEX-RU1J-0626-SM-4WAWY 20-29 years, female 40.8
GTEX-1JJE9-2326-SM-ARL8Q 70-79 years, male 40.7
GTEX-1JJEA-2726-SM-ARL8V 60-69 years, male 40.6
GTEX-1JMPY-0526-SM-CL54O 30-39 years, male 40.5
GTEX-1192X-2326-SM-5987X 50-59 years, male 40.0
GTEX-1I1HK-2426-SM-ADEHX 60-69 years, male 39.6
GTEX-X4EP-2926-SM-3P5YQ 60-69 years, female 39.4
GTEX-Y5V6-2126-SM-4WWFX 60-69 years, male 39.2
GTEX-1F75I-2026-SM-7SB7N 40-49 years, male 39.1
GTEX-132AR-0826-SM-5EGK6 50-59 years, female 39.0
GTEX-117YX-1426-SM-5H12H 50-59 years, male 38.6
GTEX-13CF2-2026-SM-5K7VI 60-69 years, male 38.0
GTEX-14LLW-0626-SM-62LFC 70-79 years, female 37.9
GTEX-1QEPI-0926-SM-DTXF3 60-69 years, female 37.7
GTEX-1GZ4H-0326-SM-7P8QX 50-59 years, female 37.5
GTEX-VJWN-0726-SM-3GIJ8 50-59 years, female 37.2
GTEX-1JKYR-0926-SM-CMKGJ 20-29 years, male 37.2
GTEX-11TT1-2126-SM-5GU5Y 20-29 years, male 37.1
GTEX-1LBAC-0926-SM-CXKY9 20-29 years, male 37.1
GTEX-1CB4J-1826-SM-7EWF9 60-69 years, male 36.4
GTEX-1QP9N-1826-SM-E8VMP 30-39 years, male 36.1
GTEX-1GPI6-0626-SM-7RHHJ 60-69 years, male 36.0
GTEX-1LSNM-1326-SM-E9TJ1 50-59 years, male 36.0
GTEX-1R7EV-1526-SM-E8VOD 40-49 years, male 36.0
GTEX-SE5C-2126-SM-4BRUJ 40-49 years, female 35.9
GTEX-13O3P-0826-SM-5L3DH 50-59 years, male 35.8
GTEX-ZVE2-1226-SM-5NQ8R 50-59 years, male 35.6
GTEX-1K2DA-1726-SM-CGQGS 50-59 years, male 35.6
GTEX-1211K-1926-SM-5EQLB 60-69 years, female 35.5
GTEX-1QCLZ-2326-SM-DTXDO 60-69 years, female 35.4
GTEX-1IY9M-2726-SM-CMKG5 60-69 years, male 35.1
GTEX-1GMR8-0726-SM-9KNVI 50-59 years, female 34.9
GTEX-1HSGN-1526-SM-A9SMO 40-49 years, female 34.9
GTEX-1I19N-2826-SM-CL55D 70-79 years, male 34.9
GTEX-1GMR3-2626-SM-7RHHG 40-49 years, male 34.1
GTEX-ZYT6-0126-SM-5E45J 30-39 years, male 33.8
GTEX-14AS3-1626-SM-5S2OY 40-49 years, female 33.6
GTEX-13QJ3-0826-SM-7DHKK 50-59 years, male 33.5
GTEX-1R7EU-1226-SM-E8VMR 60-69 years, male 33.4
GTEX-Y3I4-1526-SM-4TT7K 50-59 years, male 33.2
GTEX-11GSP-0926-SM-9WYSG 60-69 years, female 33.2
GTEX-1HC8U-0826-SM-ADEIL 40-49 years, female 32.8
GTEX-1HKZK-1826-SM-ADEJ2 40-49 years, male 32.8
GTEX-14PHY-1926-SM-5YY95 60-69 years, female 32.7
GTEX-XYKS-1326-SM-4BRUN 60-69 years, female 32.2
GTEX-WYJK-1326-SM-3NB2T 50-59 years, male 31.8
GTEX-1H1CY-2226-SM-9WG7E 60-69 years, female 31.5
GTEX-13W3W-1226-SM-5LU4H 60-69 years, female 31.3
GTEX-15ER7-1626-SM-6PAMZ 20-29 years, female 31.2
GTEX-1MJK2-2226-SM-EVYCR 50-59 years, male 30.3
GTEX-1R9PN-0326-SM-DTX85 40-49 years, female 30.3
GTEX-1GN1U-0526-SM-9KNTT 50-59 years, female 29.7
GTEX-1BAJH-0826-SM-7EWEF 70-79 years, male 29.5
GTEX-Q2AG-0326-SM-48U1O 40-49 years, female 29.5
GTEX-13NZ8-0126-SM-5IJCT 60-69 years, female 29.1
GTEX-1I1GT-1126-SM-ARL7J 60-69 years, female 28.7
GTEX-UJHI-1426-SM-3DB9C 50-59 years, female 28.1
GTEX-1KANA-2026-SM-DIPFB 20-29 years, male 28.1
GTEX-ZEX8-2226-SM-57WC6 50-59 years, male 27.6
GTEX-XBED-1626-SM-47JYN 60-69 years, male 27.5
GTEX-1F6I4-2526-SM-7SB8F 60-69 years, male 27.5
GTEX-13D11-1026-SM-5IJFB 50-59 years, female 27.3
GTEX-1QP29-1726-SM-E8VMQ 50-59 years, male 27.3
GTEX-1J8QM-2026-SM-ARZMW 60-69 years, female 27.0
GTEX-145LT-0726-SM-5S2VM 40-49 years, male 26.8
GTEX-1I6K7-1026-SM-A9SLK 40-49 years, male 26.8
GTEX-1CB4E-0226-SM-79OLW 60-69 years, male 26.7
GTEX-WXYG-2226-SM-4E3IM 50-59 years, female 26.2
GTEX-13FHO-0826-SM-5L3E8 60-69 years, male 26.0
GTEX-17KNJ-2026-SM-7LG53 50-59 years, male 25.9
GTEX-1AX8Z-0926-SM-731AW 60-69 years, male 25.5
GTEX-ZPIC-1126-SM-5BC7F 40-49 years, female 25.5
GTEX-YB5K-1626-SM-5IFIN 40-49 years, female 25.4
GTEX-ZTX8-1226-SM-4YCE9 20-29 years, male 25.4
GTEX-13SLX-2326-SM-5ZZWE 50-59 years, female 24.7
GTEX-1ICLZ-0426-SM-B2LW2 60-69 years, male 24.7
GTEX-ZVTK-0326-SM-51MRR 20-29 years, male 24.6
GTEX-WYVS-1726-SM-3NMAY 40-49 years, female 24.5
GTEX-17HHE-1426-SM-7EPH4 50-59 years, male 24.0
GTEX-1LVAN-1326-SM-CNPQE 50-59 years, female 24.0
GTEX-1B97I-0426-SM-79OL7 40-49 years, male 23.7
GTEX-WYBS-0926-SM-3NM94 60-69 years, female 23.5
GTEX-1B932-0826-SM-73KXG 40-49 years, female 23.4
GTEX-1MA7W-1026-SM-DKPQK 20-29 years, female 23.0
GTEX-XMK1-1126-SM-4IHJ8 40-49 years, male 22.9
GTEX-11WQC-1726-SM-5GU4W 60-69 years, male 22.3
GTEX-X15G-1626-SM-3NMB3 50-59 years, female 22.2
GTEX-1GN1W-1926-SM-7P8TH 50-59 years, female 21.8
GTEX-1MCYP-0126-SM-E6CIS 20-29 years, female 21.5
GTEX-1RAZQ-1226-SM-EWRNL 30-39 years, male 21.3
GTEX-11EM3-1326-SM-5N9C6 20-29 years, female 21.1
GTEX-ZVT2-1826-SM-5NQ8W 50-59 years, female 20.9
GTEX-1QCLY-1626-SM-DTXDW 30-39 years, male 20.0
GTEX-1CB4G-2326-SM-79OOI 60-69 years, male 19.9
GTEX-1HCUA-0726-SM-ACKVU 50-59 years, female 19.8
GTEX-1PDJ9-1126-SM-EXUSW 20-29 years, male 19.7
GTEX-131XW-0726-SM-5EGK3 50-59 years, female 19.5
GTEX-QDT8-0626-SM-48TYW 30-39 years, female 19.3
GTEX-1N2EE-2126-SM-E8VNN 60-69 years, male 19.2
GTEX-1B8SG-1226-SM-7IGPF 50-59 years, male 18.9
GTEX-11PRG-0826-SM-5EQ6A 50-59 years, male 18.4
GTEX-T5JW-2026-SM-4DM63 20-29 years, female 18.1
GTEX-ZAJG-0626-SM-5HL8X 50-59 years, female 17.7
GTEX-VUSG-2226-SM-4KKZO 50-59 years, male 17.4
GTEX-13NZ9-1026-SM-5MR5K 50-59 years, male 16.4
GTEX-T6MN-0726-SM-32PML 50-59 years, male 16.4
GTEX-1RQEC-2026-SM-DTXDM 60-69 years, male 16.4
GTEX-14BMU-1626-SM-5TDE7 20-29 years, female 15.6
GTEX-U3ZH-1426-SM-4DXSR 30-39 years, male 15.6
GTEX-1POEN-0926-SM-DTX88 30-39 years, female 15.5
GTEX-W5X1-2326-SM-3GIL6 40-49 years, female 15.1
GTEX-S341-1526-SM-4AD6K 40-49 years, female 15.0
GTEX-ZGAY-1726-SM-DO91P 40-49 years, female 14.6
GTEX-ZZPU-0626-SM-5E43T 50-59 years, female 14.3
GTEX-139T8-0826-SM-5L3DE 60-69 years, male 14.1
GTEX-17HG3-0126-SM-7IGNH 30-39 years, female 13.3
GTEX-16NGA-0826-SM-718AF 40-49 years, female 13.0
GTEX-1LNCM-0226-SM-DIPF4 50-59 years, female 12.2
GTEX-XOT4-0726-SM-4GIAW 60-69 years, female 11.9
GTEX-ZF2S-2026-SM-5E461 50-59 years, female 11.9
GTEX-R3RS-0626-SM-48FE1 40-49 years, female 11.6
GTEX-11P7K-0726-SM-5EGKX 30-39 years, male 11.4
GTEX-U3ZN-1926-SM-4DXSG 30-39 years, female 11.2
GTEX-1LVAM-0926-SM-E9TJ2 50-59 years, female 11.1
GTEX-XUZC-1626-SM-4BRVP 30-39 years, female 10.5
GTEX-14H4A-2526-SM-5YYAY 40-49 years, female 10.2
GTEX-1IDJE-0826-SM-CKZNZ 50-59 years, female 10.2
GTEX-14ABY-2126-SM-5QGQZ 50-59 years, male 9.7
GTEX-1HBPN-2326-SM-9WPPU 50-59 years, male 9.7
GTEX-YFC4-1426-SM-5IFJG 40-49 years, female 9.3
GTEX-131YS-0626-SM-5EGKL 60-69 years, female 8.8
GTEX-13FTY-2226-SM-5J1ND 40-49 years, female 8.8
GTEX-ZC5H-2626-SM-5J2MG 40-49 years, female 8.7
GTEX-ZXES-0826-SM-5E43C 30-39 years, female 8.1
GTEX-13PL6-2926-SM-5L3I2 40-49 years, female 7.7
GTEX-T2IS-1526-SM-32QPR 20-29 years, female 7.1
GTEX-1NUQO-2226-SM-E9U68 20-29 years, female 7.1
GTEX-15FZZ-0726-SM-7KUFZ 30-39 years, female 5.5
GTEX-ZTPG-2826-SM-57WGA 20-29 years, female 5.4
Show allShow less

BREAST - FANTOM5 CAGEi

RNA expression in human tissues obtained through Cap Analysis of Gene Expression (CAGE) generated by the FANTOM5 project are reported as Scaled Tags Per Million.

Max subtype Scaled Tags Per Millioni

Max subtype Scaled Tags Per Million is the value for the subtype with the largest average Scaled Tags Per Million across the subtype samples.

124.8
FANTOM5 sample id Sample description Scaled Tags Per Million
Breast
Scaled Tags Per Million: 124.8
FF:10080-102A8 77 years, female 124.8

Contact

  • NEWS ARTICLES
  • PRESS ROOM

The Project

  • INTRODUCTION
  • ORGANIZATION
  • PUBLICATIONS

The Human Protein Atlas

  • DOWNLOADABLE DATA
  • LICENCE & CITATION
  • HELP & FAQ
The Human Protein Atlas project is funded
by the Knut & Alice Wallenberg Foundation.


contact@proteinatlas.org