We use cookies to enhance the usability of our website. If you continue, we'll assume that you are happy to receive all cookies. More information. Don't show this again.
CALR
HPA
RESOURCES
  • TISSUE
  • BRAIN
  • SINGLE CELL
  • SUBCELLULAR
  • CANCER
  • BLOOD
  • CELL LINE
  • STRUCTURE & INTERACTION
ABOUT
  • INTRODUCTION
  • HISTORY
  • ORGANIZATION
  • PUBLICATIONS
  • ANTIBODY SUBMISSION
  • ANTIBODY AVAILABILITY
  • ACKNOWLEDGMENTS
  • CONTACT
NEWS
  • NEWS ARTICLES
  • PRESS ROOM
LEARN
  • DICTIONARY
  • PROTEIN CLASSES
  • PROTEIN EVIDENCE
  • METHODS
  • EDUCATIONAL VIDEOS
DATA
  • DOWNLOADABLE DATA
  • PUBLICATION DATA
  • RELEASE HISTORY
HELP
  • ANTIBODY VALIDATION
  • ASSAYS & ANNOTATION
  • DISCLAIMER
  • HELP & FAQ
  • PRIVACY STATEMENT
  • LICENCE & CITATION
Fields »
Search result

Field
Term
Gene name
Class
Subclass
Class
Keyword
Chromosome
External id
Tissue
Cell type
Expression
Antibody panel
Tissue
Main location
Patient ID
Annotation
Tissue
Category
Tau score
Cluster
Reliability
Brain region
Category
Tau score
Brain region
Category
Tau score
Brain region
Category
Tau score
Cluster
Reliability
Tissue
Cell type
Enrichment
Cell type
Category
Tau score
Cell type
Category
Tau score
Cell type
Category
Tau score
Cell lineage
Category
Tau score
Cluster
Cluster
Location
Searches
Location
Cell line
Class
Type
Phase
Reliability
Cancer
Prognosis
Cancer
Category
Cancer
Category
Tau score
Cluster
Variants
Interacting gene (ensg_id)
Type
Number of interactions
Pathway
Category
Score
Score
Score
Validation
Validation
Validation
Validation
Antibodies
Data type
Column


  • SUMMARY

  • TISSUE

  • BRAIN

  • SINGLE CELL

  • SUBCELL

  • CANCER

  • BLOOD

  • CELL LINE

  • STRUCT & INT

  • CALR
TISSUE PRIMARY DATA HEART MUSCLE Show tissue menu
ADIPOSE TISSUE ADRENAL GLAND AMYGDALA APPENDIX BASAL GANGLIA BONE MARROW BREAST CEREBELLUM CEREBRAL CORTEX CERVIX CHOROID PLEXUS COLON DUODENUM
ENDOMETRIUM EPIDIDYMIS ESOPHAGUS FALLOPIAN TUBE GALLBLADDER HEART MUSCLE HIPPOCAMPAL FORMATION HYPOTHALAMUS KIDNEY LIVER LUNG LYMPH NODE MIDBRAIN
ORAL MUCOSA OVARY PANCREAS PARATHYROID GLAND PITUITARY GLAND PLACENTA PROSTATE RECTUM RETINA SALIVARY GLAND SEMINAL VESICLE SKELETAL MUSCLE SKIN
SMALL INTESTINE SMOOTH MUSCLE SOFT TISSUE SPINAL CORD SPLEEN STOMACH TESTIS THYMUS THYROID GLAND TONGUE TONSIL URINARY BLADDER VAGINA
ANTIBODIES
AND
VALIDATION
Dictionary
Heart muscle
Tissue proteome
Heart
HEART MUSCLE - Expression summary
Protein expression
Heart musclei

On the top, protein expression in current human tissue, based on all annotated cell types, is reported with the units not detected (n), low (l), medium (m) and high (h). Underneath, protein expression in each annotated cell type are reported using the same units.

Protein expression data is based on knowledge-based annotation. For genes where more than one antibody has been used, a collective score is set.

If knowledge-based annotation could not be performed for a gene, no data is displayed here. View antibody staining data further down this page.

h
m
l
n
Cardiomyocytes: High
RNA expressioni

A summary of mRNA expression data available for current tissue based on several datasets. The mRNA expression levels in human tissues are based on RNA-seq data generated by the Human Protein Atlas (HPA), Genotype-Tissue Expression (GTEx) portal and CAGE data generated by the FANTOM5 consortium. Consensus normalized expression levels for human tissues was created by combining the data from HPA and GTEx datasets.

The mRNA expression levels in pig are based on RNA-seq data generated by the Human Protein Atlas (HPA), and for mouse, HPA data and in situ hybridization generated by the Allen brain atlas are reported.

Scroll down to view mRNA expression data in more detail.
Consensus:293.2 nTPM
HPA:193.1 nTPM
GTEx:293.2 nTPM
FANTOM5:933.0 Scaled Tags Per Million

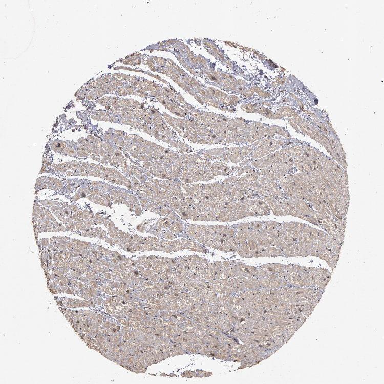
HEART MUSCLE - Antibody stainingi

Antibody staining in the annotated cell types in the current human tissue is reported as not detected, low, medium, or high, based on conventional immunohistochemistry profiling in selected tissues. This score is based on the combination of the staining intensity and fraction of stained cells.

Each image is clickable and will lead to virtual microscopy that enables deeper exploration of all samples and also displays staining intensity scores, fraction scores and subcellular localization as well as patient and tissue information for each sample.

Antibody HPA002242Antibody CAB001513Antibody CAB019952Antibody CAB080301
Cardiomyocytes Not detectedNot detectedLowHigh









HEART MUSCLE - HPA RNA-seqi

The RNA-seq details section shows detailed information about the individual samples used for the transcript profiling and results of the RNA-seq analysis.

Information about each individual sample is listed below, including gender, age, a tissue section image and estimated fractions of cell types. nTPM (normalized transcripts per million) values give a quantification of the gene abundance which is comparable between different genes and samples.
Average nTPMi

Max subtype nTPM is the value for the subtype with the largest average nTPM across the subtype samples.

193.1
overview
Female, age 48
Heart muscle sample 149
nTPM: 222.5
Cell types%
Myocytes:
15

Fibroblasts:
55

Endothelial cells:
25

Other cell types:
5

overview
Female, age 42
Heart muscle sample 150
nTPM: 157.9
Cell types%
Myocytes:
20

Fibroblasts:
45

Endothelial cells:
30

Other cell types:
5

overview
Male, age 53
Heart muscle sample 151
nTPM: 184.9
Cell types%
Myocytes:
20

Fibroblasts:
45

Endothelial cells:
30

Other cell types:
5

overview
Female, age 69
Heart muscle sample 152
nTPM: 207.1
Cell types%
Myocytes:
20

Fibroblasts:
45

Endothelial cells:
30

Other cell types:
5


HEART MUSCLE - GTEx RNA-seqi

RNA-Seq data generated by the Genotype-Tissue Expression (GTEx) project from human tissues is reported as mean nTPM. More information can be found on the GTEx portal.

Distribution across the dataset is visualized with box plots, shown as median and 25th and 75th percentiles. Points are displayed as outliers if they are above or below 1.5 times the interquartile range. nTPM values of the individual samples are presented next to the box plot.
Max subtype nTPMi

Max subtype nTPM is the value for the subtype with the largest average nTPM across the subtype samples.

293.2
GTEx sample id Sample description nTPM
Heart - Atrial Appendage
Average nTPM: 293.2
Samples: 429

Max nTPM: 1084.0
Min nTPM: 122.9
Std nTPM: 104.0
Median nTPM: 275.8
GTEX-132AR-1926-SM-5EGK5 50-59 years, female 1084.0
GTEX-139TU-1926-SM-5J2OC 60-69 years, male 757.5
GTEX-131XE-0526-SM-5K7YT 50-59 years, male 724.3
GTEX-13O3Q-0326-SM-5L3FE 50-59 years, male 708.4
GTEX-14XAO-0926-SM-69LPZ 60-69 years, female 707.0
GTEX-13S86-0326-SM-5SI6K 40-49 years, male 676.3
GTEX-13D11-1526-SM-5J2NA 50-59 years, female 621.6
GTEX-XV7Q-0726-SM-4BRV6 40-49 years, female 605.7
GTEX-ZTPG-1326-SM-51MSQ 20-29 years, female 581.2
GTEX-1H2FU-0826-SM-9WYSU 60-69 years, female 565.3
GTEX-WI4N-0726-SM-3TW93 40-49 years, female 554.1
GTEX-1HSMO-1126-SM-CGQF2 60-69 years, male 549.3
GTEX-ZAJG-0926-SM-5Q5AB 50-59 years, female 547.0
GTEX-12BJ1-0326-SM-5FQUB 60-69 years, male 543.8
GTEX-13OW5-0926-SM-5L3GZ 60-69 years, male 542.1
GTEX-WWYW-1126-SM-3NB2Q 50-59 years, female 517.5
GTEX-16MT8-0826-SM-7KULO 60-69 years, female 513.5
GTEX-ZYFD-2026-SM-5E459 50-59 years, male 510.2
GTEX-X62O-0826-SM-46MW8 50-59 years, male 505.5
GTEX-17F9Y-1226-SM-7EPGE 70-79 years, female 494.5
GTEX-1C6WA-0826-SM-7PBXS 60-69 years, male 493.1
GTEX-X8HC-1026-SM-46MWH 50-59 years, female 488.7
GTEX-14PN4-0826-SM-69LON 50-59 years, male 474.0
GTEX-14PJM-0826-SM-6LLIW 50-59 years, female 463.8
GTEX-145LS-1326-SM-5Q5EP 60-69 years, female 460.6
GTEX-14PII-1026-SM-5ZZVW 60-69 years, male 459.2
GTEX-14BIM-2726-SM-5Q5EG 60-69 years, female 455.6
GTEX-15UF7-1526-SM-6LPI7 40-49 years, male 450.0
GTEX-146FH-1126-SM-5NQAT 50-59 years, female 449.4
GTEX-13FH7-0826-SM-5J2NW 50-59 years, female 443.3
GTEX-ZYVF-1826-SM-5E44F 50-59 years, female 442.0
GTEX-1GN1W-0226-SM-7P8QY 50-59 years, female 434.7
GTEX-1IKK5-1726-SM-CM2RU 60-69 years, male 431.8
GTEX-1ICG6-0726-SM-B2LY5 70-79 years, female 427.1
GTEX-11TT1-1426-SM-5EGIA 20-29 years, male 419.3
GTEX-1J1OQ-2226-SM-A96SS 40-49 years, female 418.0
GTEX-1F75B-1126-SM-7RHGP 50-59 years, male 416.3
GTEX-YF7O-0526-SM-5P9IO 50-59 years, male 410.1
GTEX-1RLM8-0226-SM-E6CJY 50-59 years, male 409.8
GTEX-X4XX-1126-SM-3NMBY 60-69 years, male 409.4
GTEX-UTHO-1226-SM-3GAEE 60-69 years, male 408.6
GTEX-15SKB-0926-SM-7KUFC 60-69 years, male 407.2
GTEX-1IKOE-0626-SM-A9G31 30-39 years, female 407.0
GTEX-131YS-0826-SM-5PNYV 60-69 years, female 405.6
GTEX-14PJ4-0926-SM-5YY98 60-69 years, male 404.4
GTEX-14BIL-0926-SM-7DHKN 50-59 years, male 404.1
GTEX-1GTWX-0926-SM-9MQKM 60-69 years, male 403.3
GTEX-1HCUA-0626-SM-ACKVT 50-59 years, female 403.2
GTEX-11O72-1026-SM-5986B 40-49 years, male 397.4
GTEX-15ER7-0826-SM-6PALW 20-29 years, female 397.1
GTEX-15CHR-0326-SM-7DHN3 50-59 years, male 393.6
GTEX-YB5K-0226-SM-5IFJE 40-49 years, female 393.3
GTEX-12WSN-0226-SM-5DUXH 40-49 years, male 392.8
GTEX-1I19N-0626-SM-A9SKY 70-79 years, male 389.4
GTEX-XYKS-0226-SM-4BRW3 60-69 years, female 385.5
GTEX-13X6K-1726-SM-7IGLG 60-69 years, female 383.3
GTEX-14PHX-0626-SM-5YY8Z 50-59 years, male 379.1
GTEX-1R9K4-1026-SM-EXUT1 60-69 years, male 377.9
GTEX-XXEK-2026-SM-4BRVE 50-59 years, male 375.9
GTEX-1LGOU-0326-SM-D3LAM 20-29 years, female 375.6
GTEX-18D9B-1126-SM-7KFSH 60-69 years, male 372.5
GTEX-1C6VQ-0826-SM-7PBZT 50-59 years, male 371.6
GTEX-1JK1U-0626-SM-CKZOJ 60-69 years, male 370.8
GTEX-17KNJ-0626-SM-7LT9L 50-59 years, male 367.5
GTEX-1B996-1026-SM-793CF 60-69 years, male 367.5
GTEX-14C39-0726-SM-5RQIK 40-49 years, male 366.8
GTEX-13O61-0426-SM-5L3ET 60-69 years, male 366.5
GTEX-13W3W-0526-SM-5LU3X 60-69 years, female 365.0
GTEX-1HCU7-1226-SM-B2LX8 50-59 years, male 364.3
GTEX-13PVQ-1326-SM-5LU4J 50-59 years, male 363.8
GTEX-13PL7-0726-SM-5KM1S 60-69 years, female 361.2
GTEX-1HFI7-0526-SM-A9SMA 50-59 years, female 360.2
GTEX-1K2DU-0226-SM-DIPF6 20-29 years, male 360.2
GTEX-13NZ9-0126-SM-5K7XV 50-59 years, male 359.0
GTEX-ZV7C-0526-SM-9WPNK 50-59 years, male 358.8
GTEX-11EM3-0426-SM-5N9BZ 20-29 years, female 358.6
GTEX-WHPG-1026-SM-3NMBA 50-59 years, male 358.5
GTEX-ZPIC-0426-SM-DO91V 40-49 years, female 358.0
GTEX-1GZ2Q-0926-SM-7RHHN 40-49 years, male 357.1
GTEX-1H3VY-1126-SM-A96TP 50-59 years, male 354.3
GTEX-11GSP-1226-SM-5985M 60-69 years, female 353.9
GTEX-14PHY-0326-SM-62LE3 60-69 years, female 352.7
GTEX-1GMR8-1026-SM-9MQLA 50-59 years, female 351.3
GTEX-ZDTT-0326-SM-4WKF9 60-69 years, male 351.1
GTEX-14C38-1326-SM-62LDK 50-59 years, male 348.7
GTEX-11LCK-0826-SM-5PNYD 30-39 years, male 348.1
GTEX-1211K-0226-SM-59HJY 60-69 years, female 348.0
GTEX-13FTZ-0326-SM-5J1O1 60-69 years, male 346.9
GTEX-11UD2-0926-SM-5CVL6 50-59 years, male 346.7
GTEX-14PK6-0726-SM-6LLIX 70-79 years, female 346.6
GTEX-XQ3S-0526-SM-4BOQA 20-29 years, male 345.3
GTEX-132NY-1426-SM-5J1MJ 60-69 years, male 344.8
GTEX-1OFPY-0926-SM-DTX8Q 60-69 years, male 344.3
GTEX-1HSMQ-0426-SM-ADEIM 50-59 years, male 343.5
GTEX-132QS-0526-SM-5IJC7 60-69 years, male 343.3
GTEX-11EQ8-1326-SM-5EGJQ 60-69 years, male 341.1
GTEX-XPT6-0226-SM-4B65L 20-29 years, male 340.0
GTEX-1339X-0326-SM-5K7Z8 40-49 years, male 339.7
GTEX-13JVG-1126-SM-5KM2M 60-69 years, male 339.7
GTEX-1H1DG-0826-SM-9QEIW 70-79 years, male 339.2
GTEX-U8XE-0926-SM-3DB8V 30-39 years, male 338.5
GTEX-13PDP-1326-SM-5K7U9 60-69 years, male 337.5
GTEX-13O3P-1426-SM-5L3DT 50-59 years, male 336.5
GTEX-1L5NE-0526-SM-DIPG5 50-59 years, male 336.2
GTEX-YFC4-0426-SM-4TT3J 40-49 years, female 334.7
GTEX-1212Z-0726-SM-5EGI5 60-69 years, male 333.9
GTEX-ZVT4-1326-SM-5NQ8E 50-59 years, female 333.2
GTEX-1GF9U-0526-SM-7P8SK 40-49 years, female 333.1
GTEX-1QCLZ-1126-SM-EWRNB 60-69 years, female 332.1
GTEX-WY7C-1126-SM-3NB3A 50-59 years, male 331.8
GTEX-13X6J-1226-SM-79OMF 50-59 years, male 331.3
GTEX-ZYFC-1026-SM-5GZX9 50-59 years, male 331.2
GTEX-XQ8I-0226-SM-4BOPM 50-59 years, male 329.3
GTEX-12WSI-0426-SM-5EQ5J 50-59 years, male 329.1
GTEX-1192W-0226-SM-5EGGT 60-69 years, male 328.2
GTEX-1CB4E-0626-SM-7DHMW 60-69 years, male 328.2
GTEX-WEY5-0226-SM-3GIKN 40-49 years, female 328.1
GTEX-14PJO-0826-SM-6ETZK 60-69 years, male 327.9
GTEX-14E1K-0826-SM-5ZZW9 50-59 years, male 327.8
GTEX-1AX8Z-1126-SM-731CS 60-69 years, male 326.7
GTEX-12ZZY-1226-SM-5GCNK 60-69 years, male 325.8
GTEX-1IDJD-0226-SM-CKZOA 30-39 years, male 324.3
GTEX-13SLX-0926-SM-5S2NM 50-59 years, female 324.1
GTEX-1445S-1226-SM-5O9BF 60-69 years, male 324.1
GTEX-13QBU-0226-SM-5LU48 40-49 years, female 323.7
GTEX-14H4A-0426-SM-5ZZWO 40-49 years, female 322.9
GTEX-15D1Q-0426-SM-6AJ9G 40-49 years, male 321.5
GTEX-14A5I-1026-SM-5Q5E3 50-59 years, female 321.0
GTEX-1GN1U-1426-SM-7P8TF 50-59 years, female 317.2
GTEX-XOT4-1126-SM-4B66E 60-69 years, female 317.0
GTEX-XBEC-1226-SM-4AT65 50-59 years, male 316.1
GTEX-1F75I-1326-SM-7PBZX 40-49 years, male 314.1
GTEX-13N11-0726-SM-5L3DP 50-59 years, female 313.6
GTEX-Y5V5-0726-SM-4VBPY 60-69 years, female 313.4
GTEX-1122O-0626-SM-5N9B9 60-69 years, female 313.0
GTEX-1KD5A-0926-SM-D4P3U 50-59 years, male 312.2
GTEX-1M5QR-1626-SM-E9U5O 40-49 years, male 311.8
GTEX-11WQK-0226-SM-5EQLI 50-59 years, male 311.1
GTEX-13NYS-1926-SM-5IJCB 60-69 years, male 308.6
GTEX-1399R-1726-SM-5K7YJ 30-39 years, male 307.9
GTEX-1399S-0826-SM-5KM23 30-39 years, female 306.9
GTEX-1HR98-1026-SM-CKZOM 60-69 years, male 306.9
GTEX-16XZZ-1026-SM-7DHKS 60-69 years, male 306.7
GTEX-WQUQ-1326-SM-3MJFF 60-69 years, male 306.6
GTEX-ZE7O-0626-SM-57WCD 50-59 years, female 306.5
GTEX-1F6I4-0826-SM-7RHGK 60-69 years, male 306.2
GTEX-V955-0826-SM-CYPR5 60-69 years, male 305.7
GTEX-WFG8-0726-SM-3GILP 20-29 years, male 305.6
GTEX-1QEPI-1126-SM-E8VN7 60-69 years, female 305.3
GTEX-1CAMS-1126-SM-7MXUQ 40-49 years, female 305.2
GTEX-13OVG-0426-SM-5KM2T 60-69 years, male 305.0
GTEX-1HT8W-1326-SM-CGQEN 30-39 years, male 304.9
GTEX-UPK5-0226-SM-3GAEV 40-49 years, male 304.8
GTEX-1J8Q3-1126-SM-ARU8N 60-69 years, male 304.5
GTEX-WHSE-0826-SM-4SOJU 20-29 years, male 304.4
GTEX-1IL2U-1226-SM-CL53P 60-69 years, male 303.6
GTEX-1A3MX-1226-SM-731B3 60-69 years, male 303.1
GTEX-13SLW-0826-SM-5QGP7 70-79 years, male 303.0
GTEX-1LH75-0526-SM-DIPG2 50-59 years, female 302.5
GTEX-1GN1V-1026-SM-CNPPS 60-69 years, male 302.4
GTEX-1JMQL-1026-SM-CMKGV 50-59 years, female 302.4
GTEX-1R9JW-0426-SM-E76QL 30-39 years, female 302.4
GTEX-13NYB-0326-SM-5IJDP 40-49 years, male 302.3
GTEX-XLM4-2026-SM-4AT4X 60-69 years, male 301.6
GTEX-Y3I4-0526-SM-4TT6X 50-59 years, male 301.4
GTEX-ZPU1-0726-SM-5HL6O 40-49 years, male 301.1
GTEX-17GQL-0626-SM-731CN 60-69 years, male 300.8
GTEX-147JS-1326-SM-5SI6D 60-69 years, male 300.7
GTEX-13PVR-0926-SM-5S2RB 60-69 years, female 299.9
GTEX-ZF2S-0826-SM-4WWBI 50-59 years, female 299.5
GTEX-11ZVC-0526-SM-5N9G1 50-59 years, female 298.4
GTEX-1IDJF-0826-SM-ARU7N 20-29 years, male 298.3
GTEX-1HFI6-0826-SM-9YFM2 40-49 years, male 297.7
GTEX-ZXG5-0626-SM-5NQ85 60-69 years, male 297.5
GTEX-15SHV-0526-SM-7KUEN 60-69 years, male 296.6
GTEX-1H3NZ-1026-SM-A9SM5 60-69 years, male 296.6
GTEX-18D9U-1426-SM-718BO 40-49 years, male 296.4
GTEX-139YR-0526-SM-5L3DG 50-59 years, male 296.3
GTEX-1GZ4I-0826-SM-9WG6O 50-59 years, male 296.2
GTEX-14JG1-0826-SM-5ZZWR 40-49 years, male 294.7
GTEX-1JJ6O-2226-SM-AHZ3I 60-69 years, male 294.2
GTEX-11DXX-0526-SM-5PNVR 60-69 years, female 293.9
GTEX-11EMC-0826-SM-59862 60-69 years, female 293.9
GTEX-16NPX-0826-SM-6M489 50-59 years, male 292.0
GTEX-13PL6-0826-SM-5IJBI 40-49 years, female 291.8
GTEX-1B8SF-1326-SM-7IGQJ 60-69 years, male 290.5
GTEX-12WSD-1226-SM-5HL9Q 60-69 years, female 290.2
GTEX-1EMGI-1126-SM-9KNUF 60-69 years, male 289.9
GTEX-VUSG-0726-SM-3GIK1 50-59 years, male 289.7
GTEX-13CF2-0226-SM-5L3DV 60-69 years, male 289.6
GTEX-12WSG-1226-SM-5EQ4C 50-59 years, female 288.9
GTEX-14BIN-2126-SM-793AX 50-59 years, female 288.3
GTEX-Z93S-0326-SM-5HL84 50-59 years, male 287.2
GTEX-1GMRU-1326-SM-9WYUI 50-59 years, male 286.6
GTEX-1GMR3-0426-SM-7PC17 40-49 years, male 286.1
GTEX-ZVZQ-0726-SM-51MR3 60-69 years, female 285.6
GTEX-WHWD-0326-SM-3LK6L 50-59 years, male 285.2
GTEX-1PPGY-0926-SM-DTXFF 60-69 years, male 285.2
GTEX-1B932-1326-SM-79OM4 40-49 years, female 284.0
GTEX-1RB15-0426-SM-E9U4Y 60-69 years, male 283.5
GTEX-1H1ZS-1026-SM-9WG6E 70-79 years, male 283.4
GTEX-13FHP-0826-SM-5K7V5 50-59 years, male 283.3
GTEX-1AX9K-0426-SM-73KUG 50-59 years, male 282.7
GTEX-1313W-1126-SM-5EQ5U 50-59 years, female 282.6
GTEX-1192X-0726-SM-5987R 50-59 years, male 281.4
GTEX-16XZY-0526-SM-7DHKY 70-79 years, male 280.5
GTEX-1QPFJ-0926-SM-EVR3K 30-39 years, female 280.0
GTEX-1AYCT-0526-SM-7RHHS 50-59 years, male 278.5
GTEX-Y8E4-0426-SM-4V6GB 40-49 years, male 278.3
GTEX-13OW7-1626-SM-5IJDH 50-59 years, male 277.9
GTEX-14DAQ-1026-SM-793B1 60-69 years, female 277.5
GTEX-13YAN-1426-SM-7EPG8 60-69 years, male 276.5
GTEX-12WSC-1026-SM-5EQ5Y 50-59 years, male 276.4
GTEX-11P81-0526-SM-59873 30-39 years, female 276.0
GTEX-1CB4I-1526-SM-7DHMY 50-59 years, male 275.8
GTEX-13O21-0326-SM-5J1N9 50-59 years, male 274.7
GTEX-1JMLX-1826-SM-CNPOX 50-59 years, male 274.3
GTEX-146FR-0926-SM-5QGPE 60-69 years, female 274.2
GTEX-ZVT2-0926-SM-5GICE 50-59 years, female 272.9
GTEX-18A66-1126-SM-731C5 60-69 years, male 272.7
GTEX-15RIE-1326-SM-6PAMM 60-69 years, male 272.6
GTEX-1QMI2-1026-SM-DTX7T 60-69 years, male 272.4
GTEX-XGQ4-0526-SM-4AT6C 50-59 years, male 272.0
GTEX-14PJ2-1126-SM-69LOD 50-59 years, male 271.3
GTEX-1HBPM-1026-SM-ARL9D 60-69 years, female 271.2
GTEX-11TUW-1126-SM-5EQKJ 60-69 years, male 270.8
GTEX-11ONC-1026-SM-5GU64 60-69 years, male 270.5
GTEX-13NZA-0826-SM-5K7WS 60-69 years, male 270.5
GTEX-1POEN-0726-SM-DTXDU 30-39 years, female 270.2
GTEX-18A7A-1226-SM-7LTAJ 50-59 years, female 270.1
GTEX-ZDYS-0326-SM-5HL4W 50-59 years, male 269.6
GTEX-13FTW-0826-SM-5K7XR 40-49 years, male 269.3
GTEX-13NZB-0426-SM-5KM26 30-39 years, male 268.9
GTEX-12696-1226-SM-5FQSM 60-69 years, male 267.4
GTEX-Y3IK-1026-SM-51MR7 50-59 years, female 267.3
GTEX-1EU9M-1926-SM-7RHH4 60-69 years, male 267.1
GTEX-13N1W-0926-SM-5MR36 70-79 years, male 266.6
GTEX-ZZPU-1126-SM-5N9CW 50-59 years, female 264.9
GTEX-X261-0926-SM-3NMCY 50-59 years, male 264.0
GTEX-17F96-0826-SM-7DHLU 70-79 years, male 262.5
GTEX-14A6H-0326-SM-5NQAN 30-39 years, male 262.1
GTEX-1LVAO-0626-SM-EWRNT 60-69 years, male 261.9
GTEX-ZAB5-0126-SM-5CVMT 50-59 years, male 261.6
GTEX-11DXZ-0326-SM-5EGH1 50-59 years, male 261.5
GTEX-15SHU-0926-SM-6PAMK 40-49 years, female 261.3
GTEX-17EVP-0526-SM-7EPGY 40-49 years, male 260.7
GTEX-1GF9V-1726-SM-9KNW4 60-69 years, male 260.4
GTEX-ZVT3-0826-SM-5GIC8 60-69 years, female 257.8
GTEX-1IL2V-1126-SM-CMKGH 70-79 years, male 257.7
GTEX-ZEX8-0326-SM-DO92C 50-59 years, male 257.6
GTEX-14PN3-0726-SM-6EU14 60-69 years, female 257.3
GTEX-ZAB4-0926-SM-5CVN4 40-49 years, male 256.5
GTEX-1KANC-0226-SM-E9TIW 50-59 years, female 255.5
GTEX-1GN73-2326-SM-9MQKV 60-69 years, male 255.4
GTEX-145LV-0226-SM-5S2QG 50-59 years, male 254.9
GTEX-1HUB1-0726-SM-CGQF4 60-69 years, male 254.8
GTEX-132Q8-1126-SM-5K7XS 60-69 years, male 254.1
GTEX-X3Y1-0226-SM-3P5Z5 40-49 years, male 254.0
GTEX-1F88F-0326-SM-9KNV3 60-69 years, female 253.7
GTEX-15DCE-0826-SM-7KULW 20-29 years, male 253.3
GTEX-YJ8O-0826-SM-5CVM3 40-49 years, female 252.7
GTEX-15CHC-0326-SM-5ZZVP 60-69 years, female 252.6
GTEX-1HSGN-0926-SM-CNNQM 40-49 years, female 252.6
GTEX-1J8EW-0626-SM-CM2TY 60-69 years, female 252.3
GTEX-11ZTT-0526-SM-5EQLA 60-69 years, female 251.3
GTEX-1I1GP-0626-SM-ARL7H 50-59 years, male 250.5
GTEX-ZYFG-0526-SM-5GZXX 60-69 years, female 250.2
GTEX-13OW6-0926-SM-5L3GM 50-59 years, male 249.2
GTEX-18A67-1026-SM-731CE 50-59 years, male 248.5
GTEX-17JCI-0826-SM-7LT8W 60-69 years, female 248.4
GTEX-ZDXO-0426-SM-4WKF6 60-69 years, male 247.9
GTEX-1LSNM-0426-SM-E9TIZ 50-59 years, male 247.5
GTEX-18A6Q-1526-SM-731CO 60-69 years, male 247.4
GTEX-12ZZX-0726-SM-5EGKA 40-49 years, female 247.1
GTEX-18465-0726-SM-7LG4L 50-59 years, male 246.7
GTEX-1MCC2-0226-SM-EVYD5 30-39 years, female 246.4
GTEX-16YQH-0726-SM-7IGM1 30-39 years, male 245.1
GTEX-ZG7Y-1426-SM-4WWBM 50-59 years, male 244.9
GTEX-1MJK2-1626-SM-EVYCQ 50-59 years, male 243.6
GTEX-16GPK-1226-SM-7LTAU 60-69 years, male 243.4
GTEX-1BAJH-1026-SM-7EWEG 70-79 years, male 243.4
GTEX-1F48J-1126-SM-9WYSY 50-59 years, female 243.3
GTEX-WFG7-0826-SM-3GIKU 20-29 years, male 242.3
GTEX-131XG-0526-SM-5DUWF 50-59 years, female 242.2
GTEX-1IKOH-0926-SM-A9SLU 60-69 years, female 241.8
GTEX-13O1R-0926-SM-5L3DS 60-69 years, male 240.3
GTEX-ZTTD-0626-SM-4YCCY 50-59 years, male 240.2
GTEX-183WM-0926-SM-718AN 70-79 years, female 239.2
GTEX-1IDJU-0626-SM-CKZOG 60-69 years, female 238.8
GTEX-1NHNU-0626-SM-E6CP1 50-59 years, male 238.8
GTEX-17HGU-1126-SM-793BP 50-59 years, male 238.1
GTEX-11GS4-0426-SM-5N9CD 60-69 years, male 237.9
GTEX-1H1CY-0426-SM-9KNVD 60-69 years, female 237.8
GTEX-1NSGN-1226-SM-E76OL 50-59 years, male 237.7
GTEX-ZPCL-0526-SM-DO91R 60-69 years, female 237.5
GTEX-1117F-0726-SM-5GIEN 60-69 years, female 237.2
GTEX-1KXAM-1426-SM-D3LAC 60-69 years, male 237.0
GTEX-ZAK1-1126-SM-5PNXU 50-59 years, female 236.7
GTEX-1JMQK-0926-SM-ARL96 60-69 years, male 236.5
GTEX-1E2YA-0626-SM-7P8P4 50-59 years, male 236.2
GTEX-1LB8K-0926-SM-D4P42 50-59 years, male 235.3
GTEX-12584-1026-SM-59HK3 40-49 years, male 235.2
GTEX-1IDJH-1126-SM-COH3R 70-79 years, male 234.8
GTEX-111YS-0326-SM-5GZZ3 60-69 years, male 234.2
GTEX-ZDTS-1226-SM-4WKGL 60-69 years, male 234.2
GTEX-XPVG-0726-SM-4B658 50-59 years, male 233.8
GTEX-1HBPN-0926-SM-CGQEG 50-59 years, male 233.0
GTEX-WL46-0726-SM-3LK5Z 50-59 years, male 232.6
GTEX-1MJIX-0426-SM-DTXEN 40-49 years, male 232.1
GTEX-X5EB-0626-SM-46MVQ 40-49 years, male 231.7
GTEX-1399T-0726-SM-5J1MH 60-69 years, male 231.6
GTEX-17F9E-0726-SM-793A1 50-59 years, male 231.4
GTEX-11DXY-1026-SM-5987V 60-69 years, male 231.3
GTEX-12WSK-0526-SM-5CVNA 40-49 years, female 230.8
GTEX-1P4AB-0926-SM-E76PV 50-59 years, male 230.8
GTEX-145MN-0726-SM-5NQBH 30-39 years, male 230.7
GTEX-1C2JI-0626-SM-7DHM1 50-59 years, male 229.8
GTEX-1IKJJ-0626-SM-CY8GF 60-69 years, male 229.8
GTEX-1LGRB-1026-SM-CNPQD 50-59 years, female 229.0
GTEX-1EWIQ-1126-SM-7EPIK 70-79 years, female 228.1
GTEX-13O3O-1426-SM-5KM2S 60-69 years, female 227.9
GTEX-1H11D-1026-SM-9QEIU 40-49 years, male 227.8
GTEX-15EU6-1326-SM-6PANG 50-59 years, male 227.7
GTEX-13FHO-1226-SM-5L3EF 60-69 years, male 227.1
GTEX-13RTJ-0526-SM-62LDP 60-69 years, male 226.9
GTEX-1I1HK-0626-SM-CNPQM 60-69 years, male 226.9
GTEX-1HSKV-0726-SM-ACKWE 60-69 years, male 226.7
GTEX-1HBPH-0226-SM-9WYSM 40-49 years, female 226.6
GTEX-15CHQ-1326-SM-6871Z 60-69 years, male 226.2
GTEX-1GN2E-1426-SM-7RHHI 60-69 years, male 224.6
GTEX-1J8QM-0326-SM-CL53D 60-69 years, female 224.5
GTEX-YEC4-0226-SM-4W1YG 40-49 years, male 224.3
GTEX-1AX9I-1026-SM-73KYF 60-69 years, male 223.9
GTEX-144GL-1026-SM-5O99R 50-59 years, male 222.4
GTEX-1A8FM-1026-SM-7PC26 50-59 years, female 222.3
GTEX-1JJEA-0926-SM-CYPSO 60-69 years, male 222.3
GTEX-1C64O-0926-SM-79OLN 60-69 years, male 221.4
GTEX-ZUA1-0726-SM-4YCD9 40-49 years, male 219.3
GTEX-1HCVE-0826-SM-CM2SF 50-59 years, male 219.0
GTEX-13VXT-0726-SM-5SIAD 20-29 years, female 218.3
GTEX-111FC-0626-SM-5N9CU 60-69 years, male 218.0
GTEX-1B97J-0326-SM-7939H 50-59 years, female 216.6
GTEX-14PJ6-0626-SM-686Z6 60-69 years, female 215.9
GTEX-13JUV-0226-SM-5IJCC 40-49 years, female 215.7
GTEX-117YW-0426-SM-5GZZZ 50-59 years, male 215.6
GTEX-1QP6S-1026-SM-DTXFW 40-49 years, male 215.3
GTEX-1C64N-0826-SM-7RHGQ 50-59 years, male 215.1
GTEX-ZGAY-0226-SM-4WWAL 40-49 years, female 214.6
GTEX-Y114-0126-SM-4TT8K 50-59 years, female 214.1
GTEX-WH7G-0326-SM-3NMBH 40-49 years, male 213.7
GTEX-14E7W-1126-SM-5ZZVS 70-79 years, male 213.1
GTEX-1B8L1-0426-SM-7SB76 60-69 years, male 213.0
GTEX-131XF-0426-SM-5HL7U 60-69 years, male 212.8
GTEX-1E1VI-1426-SM-793CY 50-59 years, male 212.6
GTEX-YEC3-0426-SM-CYPS8 50-59 years, male 211.5
GTEX-1EH9U-0626-SM-7PC33 60-69 years, male 210.0
GTEX-1R7EV-0426-SM-DTX7Z 40-49 years, male 209.4
GTEX-148VJ-1426-SM-5TDE3 70-79 years, male 208.1
GTEX-111VG-0326-SM-5GZX7 60-69 years, male 207.5
GTEX-WK11-0626-SM-3NMAV 50-59 years, male 207.2
GTEX-1LG7Y-1426-SM-D4P31 50-59 years, male 207.1
GTEX-14ASI-0826-SM-5Q5EB 60-69 years, male 207.0
GTEX-WFON-0226-SM-3GIKR 40-49 years, male 206.9
GTEX-ZYT6-0926-SM-5GIEM 30-39 years, male 206.7
GTEX-1JN6P-0826-SM-ARL97 60-69 years, male 206.0
GTEX-ZT9W-0526-SM-57WFG 50-59 years, male 205.9
GTEX-15SDE-1826-SM-7KUFN 50-59 years, female 204.7
GTEX-1J8Q2-1026-SM-ARU8I 60-69 years, male 204.5
GTEX-11DYG-1026-SM-5A5JQ 60-69 years, male 204.4
GTEX-13U4I-0626-SM-5LU5L 40-49 years, female 203.2
GTEX-13112-0526-SM-5EQ4S 50-59 years, male 202.5
GTEX-1CB4G-0726-SM-79OOJ 60-69 years, male 202.4
GTEX-1LVAN-1526-SM-CNPQN 50-59 years, female 201.6
GTEX-1HC8U-0626-SM-B2LWB 40-49 years, female 201.4
GTEX-1LSNL-0626-SM-DIPFJ 50-59 years, male 201.1
GTEX-13FXS-1026-SM-62LFQ 50-59 years, male 200.5
GTEX-WRHU-1026-SM-4E3ID 50-59 years, female 199.7
GTEX-117XS-0726-SM-5H131 60-69 years, male 199.4
GTEX-1GMR2-1326-SM-9KNUT 50-59 years, male 199.1
GTEX-117YX-0626-SM-5EGJI 50-59 years, male 198.7
GTEX-1GL5R-0426-SM-9WPOP 50-59 years, male 197.7
GTEX-ZF29-0426-SM-4WKFN 60-69 years, female 197.5
GTEX-1EX96-2626-SM-9MQJV 50-59 years, male 196.5
GTEX-1A32A-1326-SM-73KWW 50-59 years, female 196.2
GTEX-W5X1-0826-SM-3GILN 40-49 years, female 195.7
GTEX-VJWN-1026-SM-4M1ZN 50-59 years, female 195.2
GTEX-1IOXB-0726-SM-A9G32 50-59 years, male 195.2
GTEX-1KANB-1126-SM-DHXJT 50-59 years, male 193.0
GTEX-14BMV-1026-SM-5SI6B 50-59 years, male 192.1
GTEX-X4EP-0326-SM-3P5Z6 60-69 years, female 192.0
GTEX-1CAMQ-0726-SM-7P8SG 40-49 years, male 191.6
GTEX-147F4-1126-SM-5TDDE 50-59 years, male 190.8
GTEX-1IY9M-0626-SM-D4P2L 60-69 years, male 190.1
GTEX-1B933-0826-SM-79OMW 50-59 years, female 189.8
GTEX-1I1CD-1326-SM-A9SMM 60-69 years, female 186.2
GTEX-V1D1-0626-SM-4JBHN 50-59 years, male 186.1
GTEX-1I1GQ-1226-SM-CL55J 50-59 years, male 184.9
GTEX-1QP29-1426-SM-DTX9Q 50-59 years, male 182.5
GTEX-WZTO-1226-SM-3NMAZ 40-49 years, male 181.9
GTEX-14C5O-1226-SM-664N3 60-69 years, male 181.4
GTEX-1F75A-1026-SM-7PC3W 50-59 years, male 180.5
GTEX-11NV4-0826-SM-5BC4S 60-69 years, male 180.3
GTEX-1I1GR-1026-SM-A9SLC 60-69 years, male 180.3
GTEX-1H3O1-0226-SM-9WYSW 60-69 years, male 178.6
GTEX-1CB4H-0626-SM-7IGN3 60-69 years, female 176.7
GTEX-1399U-0726-SM-5KM1D 50-59 years, female 176.5
GTEX-11NUK-0926-SM-5HL57 50-59 years, male 175.0
GTEX-1A8G6-1826-SM-73KY8 60-69 years, male 172.1
GTEX-1AX9J-0926-SM-73KXA 60-69 years, male 171.5
GTEX-1477Z-1126-SM-5P9GK 60-69 years, male 171.1
GTEX-1B8KE-0326-SM-73KTY 50-59 years, male 169.9
GTEX-14E6C-0326-SM-5Q5EE 40-49 years, male 169.0
GTEX-11ZUS-0326-SM-5EQ4W 30-39 years, male 168.1
GTEX-13OVI-0326-SM-5K7X1 60-69 years, female 166.2
GTEX-1I1GV-1426-SM-B2LXN 60-69 years, male 163.0
GTEX-YECK-1226-SM-4W21G 60-69 years, male 162.9
GTEX-ZF3C-1126-SM-57WEG 50-59 years, female 162.7
GTEX-12WSE-0926-SM-5S2VX 20-29 years, male 162.1
GTEX-WOFL-1226-SM-4OOST 60-69 years, male 157.4
GTEX-WYJK-1126-SM-3NM9Z 50-59 years, male 150.1
GTEX-12WSA-1126-SM-5EGKU 60-69 years, male 149.4
GTEX-WYBS-1226-SM-3NM9N 60-69 years, female 148.3
GTEX-1B8SG-0726-SM-79ONS 50-59 years, male 142.8
GTEX-1JMOU-0326-SM-ARL8X 60-69 years, female 138.9
GTEX-1CB4J-0226-SM-7P8T4 60-69 years, male 137.5
GTEX-ZZPT-0926-SM-5GICZ 50-59 years, male 128.6
GTEX-ZLFU-0326-SM-4WWBK 40-49 years, male 126.4
GTEX-15RJE-0726-SM-7KUEG 40-49 years, male 125.3
GTEX-17MF6-0926-SM-7LTAL 40-49 years, male 122.9
Show allShow less
Heart - Left Ventricle
Average nTPM: 278.0
Samples: 432

Max nTPM: 958.1
Min nTPM: 97.3
Std nTPM: 123.5
Median nTPM: 239.5
GTEX-P4QS-0326-SM-2I3EU 60-69 years, male 958.1
GTEX-132AR-2026-SM-5IJG4 50-59 years, female 914.5
GTEX-11EM3-0626-SM-5H12Z 20-29 years, female 815.5
GTEX-1GN1W-0326-SM-9JGHF 50-59 years, female 794.5
GTEX-O5YV-0326-SM-2I5H2 60-69 years, female 717.9
GTEX-R55G-0526-SM-2TC5O 40-49 years, female 714.9
GTEX-14XAO-1126-SM-6EU11 60-69 years, female 713.2
GTEX-OXRO-2026-SM-2YUMZ 60-69 years, female 704.0
GTEX-1HSMO-1226-SM-CL548 60-69 years, male 687.4
GTEX-ZPIC-0826-SM-4WWFJ 40-49 years, female 671.1
GTEX-18A66-1226-SM-7LT8G 60-69 years, male 663.3
GTEX-YF7O-0426-SM-5P9FS 50-59 years, male 656.5
GTEX-1I6K7-0626-SM-ARL7Q 40-49 years, male 654.7
GTEX-SUCS-0326-SM-32PLL 70-79 years, male 631.6
GTEX-U4B1-0326-SM-3DB8K 40-49 years, male 627.6
GTEX-1LC47-1026-SM-D3LAH 60-69 years, male 574.8
GTEX-1211K-0626-SM-5FQUZ 60-69 years, female 565.5
GTEX-P44G-0826-SM-2I5ES 30-39 years, male 565.1
GTEX-XV7Q-0826-SM-4BRV7 40-49 years, female 560.1
GTEX-PWCY-0526-SM-5P9HG 20-29 years, female 545.1
GTEX-NPJ8-0426-SM-2HMK6 40-49 years, male 538.0
GTEX-15DDE-1126-SM-6LLHN 50-59 years, female 533.1
GTEX-ZAJG-0826-SM-5PNVA 50-59 years, female 516.6
GTEX-RU72-0326-SM-2TF5T 50-59 years, female 511.6
GTEX-1IDJU-0726-SM-CNPQ9 60-69 years, female 498.3
GTEX-145MN-0626-SM-5QGRH 30-39 years, male 493.0
GTEX-1J8QM-0426-SM-AHZ3X 60-69 years, female 492.5
GTEX-QEG5-0926-SM-2TC64 20-29 years, male 482.4
GTEX-14PJ4-1126-SM-5YY91 60-69 years, male 478.6
GTEX-WH7G-0426-SM-3NMBJ 40-49 years, male 469.6
GTEX-S32W-0626-SM-2XCBG 50-59 years, female 467.6
GTEX-OIZI-0926-SM-E6CHF 40-49 years, male 445.3
GTEX-146FH-1026-SM-5RQIF 50-59 years, female 438.6
GTEX-11ONC-0126-SM-5PNW6 60-69 years, male 436.7
GTEX-13O1R-1226-SM-5J1NU 60-69 years, male 436.6
GTEX-11TT1-1326-SM-5PNYM 20-29 years, male 435.0
GTEX-X15G-0426-SM-4PQZ6 50-59 years, female 433.6
GTEX-13W3W-0426-SM-5SI9D 60-69 years, female 428.2
GTEX-1JK1U-0526-SM-CYPSQ 60-69 years, male 426.3
GTEX-QDVJ-0426-SM-2I5FW 50-59 years, male 424.9
GTEX-131XE-0626-SM-5HL98 50-59 years, male 418.2
GTEX-13FH7-0926-SM-5J2MR 50-59 years, female 418.2
GTEX-1A3MW-1326-SM-7189P 60-69 years, female 417.0
GTEX-1LGOU-0726-SM-E9TIY 20-29 years, female 411.8
GTEX-11TUW-1026-SM-5GU7D 60-69 years, male 408.3
GTEX-QDVN-0326-SM-2I3FS 50-59 years, male 407.5
GTEX-13QBU-0426-SM-5J2O4 40-49 years, female 406.5
GTEX-ZTPG-1226-SM-4YCDO 20-29 years, female 406.2
GTEX-ZF2S-1026-SM-9QEGK 50-59 years, female 404.7
GTEX-18D9B-1226-SM-72D6V 60-69 years, male 404.3
GTEX-PLZ5-0626-SM-2I5F8 50-59 years, male 402.5
GTEX-15EOM-5007-SM-793DG 20-29 years, female 401.9
GTEX-Y3I4-0626-SM-4TT7A 50-59 years, male 399.4
GTEX-13NYB-0226-SM-5N9G4 40-49 years, male 398.6
GTEX-QLQ7-0526-SM-2I5G3 60-69 years, male 397.8
GTEX-1H11D-1226-SM-9WPQ2 40-49 years, male 397.8
GTEX-OXRK-0826-SM-2HMK7 50-59 years, female 397.2
GTEX-P78B-0426-SM-2I5F5 40-49 years, female 396.6
GTEX-1C6VQ-1126-SM-7EWET 50-59 years, male 391.6
GTEX-O5YT-0326-SM-32PKA 20-29 years, male 385.2
GTEX-1I1GP-0826-SM-A96SD 50-59 years, male 384.8
GTEX-1IKOE-1026-SM-ARZMF 30-39 years, female 380.2
GTEX-WI4N-0626-SM-3TW8Z 40-49 years, female 379.2
GTEX-17GQL-0526-SM-72D5N 60-69 years, male 378.0
GTEX-1HFI7-0826-SM-A9G23 50-59 years, female 377.2
GTEX-WWYW-1326-SM-3NB2S 50-59 years, female 375.0
GTEX-13S86-0226-SM-5S2PJ 40-49 years, male 372.9
GTEX-P4PQ-0326-SM-2HMJ8 60-69 years, male 371.4
GTEX-RUSQ-0526-SM-2TF72 50-59 years, male 371.1
GTEX-ZG7Y-0926-SM-5EQ6O 50-59 years, male 371.0
GTEX-1IDJF-0726-SM-CJI1U 20-29 years, male 369.7
GTEX-12WSK-0626-SM-5LZUJ 40-49 years, female 368.5
GTEX-1HCUA-0526-SM-A9SMH 50-59 years, female 367.3
GTEX-14BIL-1126-SM-79OMC 50-59 years, male 365.8
GTEX-17KNJ-0826-SM-793A4 50-59 years, male 365.4
GTEX-12WSN-5001-SM-7DHMK 40-49 years, male 364.7
GTEX-1OKEX-0726-SM-DPRYE 60-69 years, male 363.1
GTEX-WFG8-0626-SM-3GILJ 20-29 years, male 361.9
GTEX-1PWST-1026-SM-DTXF2 70-79 years, male 360.6
GTEX-1AX8Z-5007-SM-AHZ36 60-69 years, male 359.1
GTEX-X8HC-1626-SM-46MWE 50-59 years, female 358.9
GTEX-17HII-1326-SM-7IGOB 50-59 years, male 358.5
GTEX-13CF3-0726-SM-5J2MY 60-69 years, female 357.9
GTEX-14PHX-2126-SM-6EU2U 50-59 years, male 357.0
GTEX-13OW5-1126-SM-5J1NR 60-69 years, male 352.9
GTEX-12WSG-0526-SM-5FQTH 50-59 years, female 352.3
GTEX-1339X-0426-SM-5KLZY 40-49 years, male 351.9
GTEX-15RIE-1726-SM-7KUMU 60-69 years, male 351.2
GTEX-17F9Y-1326-SM-7MGW9 70-79 years, female 351.2
GTEX-1GF9V-1626-SM-7PBXL 60-69 years, male 343.6
GTEX-13D11-1726-SM-5IFGQ 50-59 years, female 343.0
GTEX-16XZY-0426-SM-793BI 70-79 years, male 341.0
GTEX-X261-1426-SM-4PQZ1 50-59 years, male 335.3
GTEX-1JJE9-1426-SM-ARL8P 70-79 years, male 331.1
GTEX-14C39-0926-SM-5TDDV 40-49 years, male 330.2
GTEX-1K9T9-1126-SM-D3L9E 50-59 years, female 330.0
GTEX-XPT6-0126-SM-4B65S 20-29 years, male 329.3
GTEX-XBED-0526-SM-47JY3 60-69 years, male 328.9
GTEX-1CB4E-0526-SM-7MXTK 60-69 years, male 327.3
GTEX-R45C-0926-SM-3GAD4 60-69 years, female 327.2
GTEX-11I78-0826-SM-5A5K4 50-59 years, female 326.9
GTEX-1M5QR-1026-SM-DHXK9 40-49 years, male 326.9
GTEX-1QCLZ-0926-SM-E6CQZ 60-69 years, female 325.7
GTEX-YB5K-0126-SM-5IFJ2 40-49 years, female 325.2
GTEX-SIU8-0826-SM-2XCDQ 50-59 years, male 324.4
GTEX-1HCU7-1326-SM-CNPPW 50-59 years, male 324.2
GTEX-13SLX-1026-SM-5ZZUQ 50-59 years, female 324.0
GTEX-13X6H-0426-SM-5LU4E 50-59 years, female 321.5
GTEX-1IKK5-1526-SM-CKZPW 60-69 years, male 316.2
GTEX-13FLV-0926-SM-5L3DZ 50-59 years, male 315.2
GTEX-13VXT-1126-SM-5LU3A 20-29 years, female 313.5
GTEX-13JVG-1326-SM-5N9F8 60-69 years, male 313.1
GTEX-U8XE-1126-SM-3DB8W 30-39 years, male 311.0
GTEX-13X6K-1826-SM-5O9CR 60-69 years, female 310.1
GTEX-15CHR-0226-SM-7PC2Z 50-59 years, male 309.9
GTEX-1J8Q3-1226-SM-CKZPT 60-69 years, male 309.9
GTEX-1OFPY-1026-SM-EXUSO 60-69 years, male 306.3
GTEX-13O21-2326-SM-5MR3X 50-59 years, male 305.7
GTEX-14PK6-0826-SM-5ZZVO 70-79 years, female 302.1
GTEX-13PVQ-1226-SM-5IJDC 50-59 years, male 302.0
GTEX-17HGU-1026-SM-79OKL 50-59 years, male 302.0
GTEX-11LCK-0926-SM-5A5KA 30-39 years, male 301.9
GTEX-1122O-0826-SM-5GICV 60-69 years, female 301.5
GTEX-ZDTT-0726-SM-4WKFK 60-69 years, male 301.2
GTEX-14PJ2-1026-SM-6EU1M 50-59 years, male 301.1
GTEX-131XG-0626-SM-5GCMP 50-59 years, female 301.0
GTEX-1F75I-1126-SM-9WYUO 40-49 years, male 299.2
GTEX-11O72-1126-SM-5N9E2 40-49 years, male 298.1
GTEX-1A3MX-1326-SM-72D58 60-69 years, male 297.2
GTEX-11GS4-0526-SM-5A5KQ 60-69 years, male 296.4
GTEX-WHWD-0426-SM-3LK83 50-59 years, male 294.9
GTEX-1497J-1226-SM-5Q5BL 60-69 years, male 294.5
GTEX-N7MS-0826-SM-2HML4 60-69 years, male 292.8
GTEX-14JIY-1126-SM-6EU28 60-69 years, male 292.2
GTEX-OIZH-0326-SM-2HMKC 50-59 years, male 291.2
GTEX-R53T-0926-SM-3GADH 50-59 years, female 290.2
GTEX-WY7C-0526-SM-3NB3D 50-59 years, male 289.7
GTEX-U3ZN-1426-SM-3DB87 30-39 years, female 289.1
GTEX-1MCC2-0326-SM-EV7AK 30-39 years, female 288.1
GTEX-1HC8U-0726-SM-ACKXL 40-49 years, female 287.5
GTEX-1HSMQ-0226-SM-C1YQL 50-59 years, male 287.5
GTEX-1H23P-1226-SM-9QEJ2 60-69 years, male 287.2
GTEX-ZAB5-0226-SM-5CVMH 50-59 years, male 286.8
GTEX-18465-0926-SM-731AY 50-59 years, male 285.3
GTEX-WEY5-0426-SM-3GIKT 40-49 years, female 283.8
GTEX-OIZF-0326-SM-3MJGY 60-69 years, male 283.6
GTEX-Y5V6-0826-SM-4VBRU 60-69 years, male 283.2
GTEX-1212Z-0626-SM-5FQTB 60-69 years, male 282.5
GTEX-WFG7-0726-SM-3GIKO 20-29 years, male 282.0
GTEX-O5YW-0326-SM-2I5EI 50-59 years, male 281.3
GTEX-14E7W-1226-SM-5RQIU 70-79 years, male 280.0
GTEX-11EMC-0726-SM-5EGJO 60-69 years, female 279.8
GTEX-14H4A-0626-SM-5ZZUT 40-49 years, female 279.2
GTEX-132NY-1726-SM-5EGKK 60-69 years, male 279.1
GTEX-1PPGY-1126-SM-E76OU 60-69 years, male 279.0
GTEX-18D9U-1126-SM-72D5Y 40-49 years, male 278.6
GTEX-1J8Q2-1226-SM-A9G2W 60-69 years, male 276.5
GTEX-145MO-1126-SM-5NQBX 60-69 years, male 276.2
GTEX-1QP2A-1126-SM-EVR3H 50-59 years, male 275.7
GTEX-OXRL-0326-SM-2I3F2 50-59 years, male 275.2
GTEX-1KD5A-1026-SM-CY8I8 50-59 years, male 273.3
GTEX-1IKJJ-0826-SM-A96SP 60-69 years, male 272.2
GTEX-1C2JI-0526-SM-7EWEQ 50-59 years, male 271.6
GTEX-1HCVE-1126-SM-9WPPG 50-59 years, male 271.1
GTEX-1399R-1926-SM-5K7X8 30-39 years, male 270.8
GTEX-14C38-1426-SM-5RQHZ 50-59 years, male 270.6
GTEX-13O61-0526-SM-5J2M1 60-69 years, male 270.2
GTEX-14E1K-1026-SM-73KUR 50-59 years, male 269.2
GTEX-17JCI-1126-SM-7IGMM 60-69 years, female 268.3
GTEX-1IDJI-1026-SM-A96TE 50-59 years, female 265.9
GTEX-1H1CY-0326-SM-9QEIZ 60-69 years, female 264.9
GTEX-1JMLX-1626-SM-ARZMV 50-59 years, male 264.2
GTEX-1AYCT-0426-SM-73KVZ 50-59 years, male 261.9
GTEX-ZZPU-0926-SM-5GZYT 50-59 years, female 257.8
GTEX-11DXZ-0626-SM-5GU77 50-59 years, male 257.7
GTEX-1EKGG-1126-SM-7MGXB 60-69 years, male 257.3
GTEX-Y5V5-0626-SM-4VBPX 60-69 years, female 256.0
GTEX-14PJM-1126-SM-6LLHK 50-59 years, female 255.8
GTEX-147JS-1526-SM-5ZZWF 60-69 years, male 255.2
GTEX-1LVA9-0926-SM-EVR5G 50-59 years, male 255.1
GTEX-13O3P-1626-SM-5K7X3 50-59 years, male 254.6
GTEX-13N1W-1026-SM-5IJC5 70-79 years, male 254.5
GTEX-11DXY-0826-SM-5EGGR 60-69 years, male 254.4
GTEX-ZDTS-1326-SM-6LLHE 60-69 years, male 254.2
GTEX-12584-0926-SM-5FQTN 40-49 years, male 254.1
GTEX-1O9I2-1126-SM-DTXEA 50-59 years, male 254.0
GTEX-Q2AH-0526-SM-2I3ED 40-49 years, male 253.7
GTEX-1GF9U-0426-SM-7RHHA 40-49 years, female 253.1
GTEX-1GN2E-1326-SM-9KNVG 60-69 years, male 252.1
GTEX-1GMR3-0326-SM-7P8QT 40-49 years, male 251.4
GTEX-PVOW-0426-SM-5MR5R 40-49 years, male 250.8
GTEX-OHPL-0326-SM-33HC8 60-69 years, female 250.2
GTEX-139YR-0826-SM-5LZXY 50-59 years, male 249.8
GTEX-1399S-1026-SM-5KLZ9 30-39 years, female 249.6
GTEX-S33H-0526-SM-COH1W 30-39 years, male 249.4
GTEX-UPK5-0326-SM-CYPR4 40-49 years, male 249.1
GTEX-11GSP-1326-SM-5A5KY 60-69 years, female 248.4
GTEX-15ER7-1726-SM-6PAMX 20-29 years, female 247.4
GTEX-1R9PO-0326-SM-DTXA1 60-69 years, female 247.2
GTEX-12ZZY-1126-SM-5DUWQ 60-69 years, male 246.7
GTEX-13FHP-1026-SM-5K7Y2 50-59 years, male 246.5
GTEX-1O97I-0826-SM-E8VNE 60-69 years, male 246.2
GTEX-117YW-0326-SM-5N9CY 50-59 years, male 245.0
GTEX-111YS-0426-SM-5987O 60-69 years, male 244.0
GTEX-UJHI-0426-SM-3DB8Y 50-59 years, female 243.6
GTEX-1399T-0426-SM-5PNVJ 60-69 years, male 243.5
GTEX-12ZZZ-1726-SM-59HK5 60-69 years, male 242.7
GTEX-148VJ-1526-SM-5Q5DU 70-79 years, male 242.6
GTEX-1B932-1026-SM-793CL 40-49 years, female 241.5
GTEX-QESD-0526-SM-2I5G5 20-29 years, male 241.4
GTEX-ZYW4-0926-SM-59HJS 60-69 years, male 241.1
GTEX-14JG1-1026-SM-6ETZY 40-49 years, male 241.0
GTEX-1MUQO-1226-SM-E9TJK 60-69 years, male 240.3
GTEX-ZEX8-0426-SM-DO92Y 50-59 years, male 240.3
GTEX-1GMRU-1526-SM-9WYT5 50-59 years, male 239.8
GTEX-1L5NE-0426-SM-E9TIX 50-59 years, male 239.5
GTEX-132QS-0426-SM-5KLZ6 60-69 years, male 239.4
GTEX-1JMOU-0226-SM-CNNPD 60-69 years, female 239.4
GTEX-14A5I-1226-SM-5NQBW 50-59 years, female 239.2
GTEX-QEL4-0926-SM-3GAD1 50-59 years, male 239.2
GTEX-1PPH7-2026-SM-E9J3N 40-49 years, male 239.0
GTEX-13N11-0426-SM-5KM3O 50-59 years, female 238.4
GTEX-14E6C-0426-SM-5YYA8 40-49 years, male 238.1
GTEX-XXEK-0926-SM-4BRWH 50-59 years, male 238.0
GTEX-WHPG-0826-SM-3NMBF 50-59 years, male 237.6
GTEX-1JJ6O-2126-SM-CNNP6 60-69 years, male 237.4
GTEX-15CHC-0426-SM-6LLHI 60-69 years, female 237.3
GTEX-17HHY-1426-SM-7EWDQ 50-59 years, male 237.1
GTEX-XGQ4-0326-SM-4GIEE 50-59 years, male 236.8
GTEX-13FTW-1026-SM-5L3E3 40-49 years, male 236.2
GTEX-1ICLZ-1026-SM-A9SLF 60-69 years, male 235.5
GTEX-ZGAY-0326-SM-57WF5 40-49 years, female 235.3
GTEX-1LGRB-1126-SM-CNPP2 50-59 years, female 235.0
GTEX-15DYW-1126-SM-6LPK5 60-69 years, female 234.7
GTEX-1ICLY-1326-SM-CJI47 50-59 years, male 234.7
GTEX-146FR-0626-SM-5RQJ1 60-69 years, female 233.8
GTEX-1IDJH-1026-SM-E9TKH 70-79 years, male 232.4
GTEX-15SHU-1126-SM-7KUMB 40-49 years, female 231.7
GTEX-WHSE-0926-SM-3NMBS 20-29 years, male 231.7
GTEX-11DXX-0326-SM-5PNWC 60-69 years, female 231.2
GTEX-131XH-0226-SM-5LZVB 50-59 years, male 231.2
GTEX-WQUQ-1426-SM-3MJFD 60-69 years, male 230.8
GTEX-WRHU-1226-SM-4E3IJ 50-59 years, female 230.6
GTEX-1EN7A-0726-SM-7PBXT 40-49 years, male 230.4
GTEX-1269C-0826-SM-5N9EM 60-69 years, female 229.2
GTEX-1POEN-0626-SM-EVR4B 30-39 years, female 229.2
GTEX-1RAZS-0826-SM-E76QP 50-59 years, male 229.2
GTEX-1ICG6-0626-SM-ACKWS 70-79 years, female 229.0
GTEX-1RMOY-0626-SM-E9TIE 50-59 years, male 228.1
GTEX-14DAQ-1126-SM-664MT 60-69 years, female 227.7
GTEX-ZPU1-0626-SM-4YCDM 40-49 years, male 227.7
GTEX-1F6IF-2526-SM-7P8TV 60-69 years, male 227.1
GTEX-1EWIQ-1426-SM-7IGOS 70-79 years, female 227.0
GTEX-1B996-1126-SM-73KWN 60-69 years, male 226.8
GTEX-1LG7Y-1226-SM-CXZKD 50-59 years, male 226.8
GTEX-14E6D-0926-SM-5S2QV 50-59 years, male 226.7
GTEX-Y8E4-0326-SM-4VBRR 40-49 years, male 226.1
GTEX-ZDXO-0726-SM-57WBT 60-69 years, male 225.8
GTEX-QV44-0526-SM-2S1RE 50-59 years, male 225.7
GTEX-14BIN-2226-SM-5YYA1 50-59 years, female 225.1
GTEX-17F9E-0926-SM-7IGMG 50-59 years, male 225.0
GTEX-1HBPM-1226-SM-A9SM8 60-69 years, female 224.8
GTEX-1EMGI-1226-SM-793DD 60-69 years, male 223.6
GTEX-1N2EF-2826-SM-E6CQF 60-69 years, male 223.2
GTEX-1C64O-0826-SM-79OKZ 60-69 years, male 223.1
GTEX-14PHY-0226-SM-5ZZWM 60-69 years, female 222.3
GTEX-XQ8I-0126-SM-4BOPL 50-59 years, male 222.0
GTEX-PSDG-0926-SM-2I5FP 50-59 years, male 221.7
GTEX-1HCU6-1026-SM-A9G25 60-69 years, female 221.0
GTEX-OHPM-0326-SM-33HCA 50-59 years, male 220.9
GTEX-ZDYS-0226-SM-5HL4K 50-59 years, male 220.7
GTEX-1LSNM-0526-SM-DIPG6 50-59 years, male 220.4
GTEX-14PN3-0526-SM-69LQF 60-69 years, female 219.9
GTEX-12WSC-1126-SM-5EQ4G 50-59 years, male 219.4
GTEX-ZV7C-0326-SM-57WB1 50-59 years, male 219.3
GTEX-13PVR-1026-SM-5QGQW 60-69 years, female 218.8
GTEX-XQ3S-0626-SM-4BOOB 20-29 years, male 217.7
GTEX-YEC4-0326-SM-4W216 40-49 years, male 217.6
GTEX-1RB15-0326-SM-E6CQB 60-69 years, male 217.3
GTEX-145LV-0326-SM-5Q5BW 50-59 years, male 217.2
GTEX-18A6Q-1626-SM-7KFTA 60-69 years, male 216.9
GTEX-REY6-1026-SM-2TF4Y 60-69 years, male 215.9
GTEX-RTLS-0826-SM-2TF5Q 60-69 years, female 215.9
GTEX-ZUA1-0826-SM-4YCDL 40-49 years, male 215.5
GTEX-1GN1V-0826-SM-9KNU6 60-69 years, male 215.5
GTEX-POMQ-0326-SM-2I5FO 20-29 years, female 215.2
GTEX-1QP29-1526-SM-EXUSY 50-59 years, male 214.8
GTEX-1HSGN-1126-SM-CJI4G 40-49 years, female 214.7
GTEX-1LB8K-1026-SM-DHXJJ 50-59 years, male 213.9
GTEX-14A6H-0226-SM-5Q5DX 30-39 years, male 213.0
GTEX-13RTJ-0726-SM-5QGQN 60-69 years, male 212.4
GTEX-OHPK-0326-SM-2HMJO 50-59 years, female 212.2
GTEX-R55E-1026-SM-2TC5S 20-29 years, male 212.0
GTEX-13OVG-0526-SM-5K7YD 60-69 years, male 211.4
GTEX-WZTO-1326-SM-3NM8X 40-49 years, male 211.2
GTEX-1CB4J-0326-SM-7PBZO 60-69 years, male 210.5
GTEX-13FTZ-0226-SM-5K7X6 60-69 years, male 210.2
GTEX-X3Y1-0426-SM-3P5Z4 40-49 years, male 210.2
GTEX-ZQUD-1526-SM-7IGO2 30-39 years, male 209.7
GTEX-1LH75-0426-SM-E9TJF 50-59 years, female 209.4
GTEX-1EU9M-1826-SM-7DUGU 60-69 years, male 209.3
GTEX-1J8EW-0926-SM-A9G33 60-69 years, female 209.0
GTEX-1AX9I-1126-SM-7EPHH 60-69 years, male 208.2
GTEX-16BQI-0926-SM-6M485 30-39 years, female 207.8
GTEX-11ZVC-0426-SM-5CVLD 50-59 years, female 207.6
GTEX-15SHW-1226-SM-6M46C 60-69 years, male 207.3
GTEX-1GN73-2426-SM-7RHFQ 60-69 years, male 206.3
GTEX-1A8G6-1626-SM-7MGWO 60-69 years, male 206.0
GTEX-15RJ7-0226-SM-7KUMN 40-49 years, male 205.9
GTEX-111FC-0826-SM-5GZWO 60-69 years, male 205.8
GTEX-1I1HK-0726-SM-B2LY4 60-69 years, male 205.8
GTEX-1GMR2-1426-SM-7RHHK 50-59 years, male 205.4
GTEX-OIZG-1126-SM-2HMIU 50-59 years, male 204.8
GTEX-117YX-1126-SM-5H128 50-59 years, male 204.6
GTEX-ZVZP-0226-SM-5NQ73 50-59 years, male 204.6
GTEX-12BJ1-0226-SM-5LUA2 60-69 years, male 204.3
GTEX-1CAMS-1326-SM-79OJR 40-49 years, female 204.3
GTEX-1I1GV-1326-SM-A96SE 60-69 years, male 204.3
GTEX-1HBPH-0126-SM-CNNQ7 40-49 years, female 204.0
GTEX-RWS6-0326-SM-2XCAP 60-69 years, female 203.7
GTEX-1QPFJ-1026-SM-E6CR6 30-39 years, female 203.5
GTEX-11ZUS-0226-SM-5FQT8 30-39 years, male 201.6
GTEX-1E1VI-1326-SM-7IGQD 50-59 years, male 201.5
GTEX-WK11-0826-SM-EZ6LH 50-59 years, male 201.4
GTEX-YFC4-0526-SM-5ZZVI 40-49 years, female 200.3
GTEX-YEC3-0726-SM-CMKFH 50-59 years, male 200.0
GTEX-15CHQ-1526-SM-69LPW 60-69 years, male 199.9
GTEX-1F5PK-0326-SM-9KNUD 50-59 years, male 199.8
GTEX-1EX96-2526-SM-7RHGW 50-59 years, male 199.5
GTEX-1KXAM-1326-SM-E9TJW 60-69 years, male 199.2
GTEX-1R7EV-0326-SM-E76PA 40-49 years, male 199.1
GTEX-1H1ZS-1126-SM-9MQLJ 70-79 years, male 199.0
GTEX-1H3NZ-1126-SM-9WYT9 60-69 years, male 198.6
GTEX-YJ8O-0926-SM-EAZ2Z 40-49 years, female 198.5
GTEX-1KANC-0426-SM-CXZK5 50-59 years, female 198.4
GTEX-RWSA-0626-SM-2XCBD 40-49 years, male 198.2
GTEX-1RQEC-0926-SM-EWROG 60-69 years, male 197.7
GTEX-1CB4I-1626-SM-7RHGV 50-59 years, male 196.4
GTEX-T2IS-0426-SM-32QPE 20-29 years, female 196.1
GTEX-1NV8Z-1526-SM-DTX8X 60-69 years, male 196.1
GTEX-13U4I-0826-SM-5SIBD 40-49 years, female 195.2
GTEX-13112-0426-SM-5PNVC 50-59 years, male 194.1
GTEX-1JMQK-0626-SM-D4P2R 60-69 years, male 194.0
GTEX-13O3O-1526-SM-5KM1C 60-69 years, female 193.6
GTEX-Y3IK-0826-SM-51MT8 50-59 years, female 193.5
GTEX-1314G-0126-SM-5LZUL 30-39 years, male 193.4
GTEX-UJMC-0526-SM-3GAE3 50-59 years, male 193.4
GTEX-1R9K4-1326-SM-DTX8G 60-69 years, male 193.4
GTEX-1R9JW-0526-SM-EWRNK 30-39 years, female 191.0
GTEX-P4PP-0326-SM-33HC4 30-39 years, female 190.8
GTEX-13OVL-0526-SM-5KLZQ 50-59 years, male 190.4
GTEX-131XF-5001-SM-7DHLY 60-69 years, male 189.9
GTEX-1AX9K-0526-SM-73KV1 50-59 years, male 189.5
GTEX-PX3G-0326-SM-2I3EO 20-29 years, female 189.4
GTEX-XBEC-1326-SM-4AT69 50-59 years, male 188.6
GTEX-1EH9U-0826-SM-7IGPT 60-69 years, male 186.7
GTEX-ZPCL-0426-SM-DNZZ4 60-69 years, female 186.7
GTEX-12WSD-1126-SM-5EGJD 60-69 years, female 186.4
GTEX-148VI-0326-SM-5RQK7 60-69 years, female 186.3
GTEX-1IDJE-0326-SM-CM2TD 50-59 years, female 186.3
GTEX-1GZ4I-1026-SM-9KNV5 50-59 years, male 185.7
GTEX-ZVT2-1026-SM-5GU55 50-59 years, female 185.6
GTEX-T6MN-0926-SM-32PLX 50-59 years, male 185.5
GTEX-13NZB-0226-SM-5KM1T 30-39 years, male 185.2
GTEX-12696-1126-SM-5FQTI 60-69 years, male 185.0
GTEX-18A67-1226-SM-7KFRS 50-59 years, male 184.8
GTEX-R55C-0326-SM-3GAF1 40-49 years, male 184.8
GTEX-1F6I4-0726-SM-7PC2P 60-69 years, male 184.7
GTEX-1KD4Q-0726-SM-DIPGE 40-49 years, male 183.9
GTEX-16YQH-0926-SM-793BC 30-39 years, male 183.6
GTEX-1B97J-0726-SM-7RHG3 50-59 years, female 183.3
GTEX-13X6I-1426-SM-5SI9Z 60-69 years, male 182.7
GTEX-12ZZW-1026-SM-5GCMM 50-59 years, male 182.3
GTEX-1AX9J-1026-SM-72D6E 60-69 years, male 181.6
GTEX-147F4-1226-SM-5NQAY 50-59 years, male 181.4
GTEX-13CF2-0426-SM-5KM1H 60-69 years, male 180.7
GTEX-1I1GQ-1426-SM-B2LWY 50-59 years, male 180.6
GTEX-1S3DN-0726-SM-E9TIO 50-59 years, male 179.6
GTEX-ZF29-0226-SM-4WKHO 60-69 years, female 179.2
GTEX-ZYFC-1126-SM-5E44W 50-59 years, male 178.0
GTEX-WFON-0326-SM-3GIKX 40-49 years, male 177.7
GTEX-U3ZH-0326-SM-3DB7A 30-39 years, male 177.6
GTEX-WYJK-1026-SM-3NM8W 50-59 years, male 177.5
GTEX-13YAN-1326-SM-5Q5F1 60-69 years, male 177.2
GTEX-ZYFG-0426-SM-5E43M 60-69 years, female 176.6
GTEX-RN64-0826-SM-2TC62 50-59 years, male 176.0
GTEX-14PJ6-0726-SM-69LOL 60-69 years, female 175.3
GTEX-1CB4G-0826-SM-7DUGF 60-69 years, male 175.1
GTEX-V1D1-0526-SM-4JBGW 50-59 years, male 174.4
GTEX-QMRM-0526-SM-2I5GA 50-59 years, male 173.8
GTEX-V955-0726-SM-3GAFG 60-69 years, male 173.3
GTEX-ZAB4-1026-SM-5HL7T 40-49 years, male 172.7
GTEX-1JJEA-0826-SM-CL53T 60-69 years, male 172.0
GTEX-1JN6P-1126-SM-CKZON 60-69 years, male 171.6
GTEX-13OW6-1126-SM-5L3HL 50-59 years, male 170.4
GTEX-1BAJH-1626-SM-73KUV 70-79 years, male 169.7
GTEX-XPVG-0826-SM-4B654 50-59 years, male 169.7
GTEX-N7MT-1326-SM-2I3FV 60-69 years, female 169.4
GTEX-SNMC-0126-SM-2XCFO 20-29 years, male 167.5
GTEX-ZYT6-1726-SM-5E44P 30-39 years, male 167.1
GTEX-1399U-0526-SM-5K7YM 50-59 years, female 165.5
GTEX-QVJO-1926-SM-2S1QZ 60-69 years, female 165.5
GTEX-1GL5R-0326-SM-9WYTJ 50-59 years, male 165.2
GTEX-1IL2U-1326-SM-A9G2O 60-69 years, male 164.9
GTEX-1R9K5-1326-SM-E6CPR 50-59 years, male 164.8
GTEX-1B8SG-0826-SM-7EWF7 50-59 years, male 163.1
GTEX-Y114-0226-SM-4TT8W 50-59 years, female 162.9
GTEX-WL46-0926-SM-3LK7T 50-59 years, male 161.8
GTEX-1F48J-1026-SM-7P8SO 50-59 years, female 160.5
GTEX-OOBJ-0326-SM-33HBO 60-69 years, male 160.0
GTEX-ZF3C-1226-SM-4WWCB 50-59 years, female 155.4
GTEX-13OW8-2126-SM-5J1OS 60-69 years, male 155.0
GTEX-RNOR-0826-SM-2TF5C 50-59 years, female 153.9
GTEX-SE5C-0626-SM-2XCDV 40-49 years, female 149.2
GTEX-16MT8-0926-SM-6M487 60-69 years, female 148.9
GTEX-NFK9-0926-SM-2HMJU 40-49 years, male 147.8
GTEX-1313W-1426-SM-5KLZU 50-59 years, female 146.4
GTEX-1JMPZ-1426-SM-CJI3C 30-39 years, male 144.5
GTEX-QEG4-0426-SM-33HC3 30-39 years, male 143.1
GTEX-16NPX-0926-SM-7KUEZ 50-59 years, male 140.2
GTEX-1B8L1-0526-SM-79ONX 60-69 years, male 139.6
GTEX-P44H-0726-SM-48TBT 40-49 years, male 138.0
GTEX-1MJIX-0326-SM-EVR42 40-49 years, male 137.4
GTEX-1LVAN-1726-SM-CNNR1 50-59 years, female 137.0
GTEX-1JN1M-1026-SM-CNPOS 60-69 years, female 135.3
GTEX-1HT8W-1726-SM-CNNQB 30-39 years, male 130.5
GTEX-14C5O-1326-SM-5S2UW 60-69 years, male 129.0
GTEX-1GTWX-1026-SM-7P8QW 60-69 years, male 125.7
GTEX-ZLFU-0226-SM-4WWFH 40-49 years, male 123.7
GTEX-1B8KE-0126-SM-793AM 50-59 years, male 123.4
GTEX-17MF6-0726-SM-7LT8E 40-49 years, male 101.4
GTEX-15RJE-0626-SM-7KUKR 40-49 years, male 97.3
Show allShow less

HEART MUSCLE - FANTOM5 CAGEi

RNA expression in human tissues obtained through Cap Analysis of Gene Expression (CAGE) generated by the FANTOM5 project are reported as Scaled Tags Per Million.

Max subtype Scaled Tags Per Millioni

Max subtype Scaled Tags Per Million is the value for the subtype with the largest average Scaled Tags Per Million across the subtype samples.

933.0
FANTOM5 sample id Sample description Scaled Tags Per Million
Heart
Scaled Tags Per Million: 933.0
FF:10016-101C7 70,73,74 years, mixed 933.0
Left atrium
Scaled Tags Per Million: 857.3
FF:10079-102A7 40 years, male 857.3
Left ventricle
Scaled Tags Per Million: 892.7
FF:10078-102A6 73 years, female 892.7

Contact

  • NEWS ARTICLES
  • PRESS ROOM

The Project

  • INTRODUCTION
  • ORGANIZATION
  • PUBLICATIONS

The Human Protein Atlas

  • DOWNLOADABLE DATA
  • LICENCE & CITATION
  • HELP & FAQ
The Human Protein Atlas project is funded
by the Knut & Alice Wallenberg Foundation.


contact@proteinatlas.org