We use cookies to enhance the usability of our website. If you continue, we'll assume that you are happy to receive all cookies. More information. Don't show this again.
SSC5D
HPA
RESOURCES
  • TISSUE
  • BRAIN
  • SINGLE CELL
  • SUBCELLULAR
  • CANCER
  • BLOOD
  • CELL LINE
  • STRUCTURE & INTERACTION
ABOUT
  • INTRODUCTION
  • HISTORY
  • ORGANIZATION
  • PUBLICATIONS
  • ANTIBODY SUBMISSION
  • ANTIBODY AVAILABILITY
  • ACKNOWLEDGMENTS
  • CONTACT
NEWS
  • NEWS ARTICLES
  • PRESS ROOM
LEARN
  • DICTIONARY
  • PROTEIN CLASSES
  • PROTEIN EVIDENCE
  • METHODS
  • EDUCATIONAL VIDEOS
DATA
  • DOWNLOADABLE DATA
  • PUBLICATION DATA
  • RELEASE HISTORY
HELP
  • ANTIBODY VALIDATION
  • ASSAYS & ANNOTATION
  • DISCLAIMER
  • HELP & FAQ
  • PRIVACY STATEMENT
  • LICENCE & CITATION
Fields »
Search result

Field
Term
Gene name
Class
Subclass
Class
Keyword
Chromosome
External id
Tissue
Cell type
Expression
Antibody panel
Tissue
Main location
Patient ID
Annotation
Tissue
Category
Tau score
Cluster
Reliability
Brain region
Category
Tau score
Brain region
Category
Tau score
Brain region
Category
Tau score
Cluster
Reliability
Tissue
Cell type
Enrichment
Cell type
Category
Tau score
Cell type
Category
Tau score
Cell type
Category
Tau score
Cell lineage
Category
Tau score
Cluster
Cluster
Location
Searches
Location
Cell line
Class
Type
Phase
Reliability
Cancer
Prognosis
Cancer
Category
Cancer
Category
Tau score
Cluster
Variants
Interacting gene (ensg_id)
Type
Number of interactions
Pathway
Category
Score
Score
Score
Validation
Validation
Validation
Validation
Antibodies
Data type
Column


  • SUMMARY

  • TISSUE

  • BRAIN

  • SINGLE CELL

  • SUBCELL

  • CANCER

  • BLOOD

  • CELL LINE

  • STRUCT & INT

  • SSC5D
TISSUE PRIMARY DATA HEART MUSCLE Show tissue menu
ADIPOSE TISSUE ADRENAL GLAND AMYGDALA APPENDIX BASAL GANGLIA BONE MARROW BREAST BRONCHUS CEREBELLUM CEREBRAL CORTEX CERVIX CHOROID PLEXUS COLON DUODENUM
ENDOMETRIUM EPIDIDYMIS ESOPHAGUS FALLOPIAN TUBE GALLBLADDER HEART MUSCLE HIPPOCAMPAL FORMATION HYPOTHALAMUS KIDNEY LIVER LUNG LYMPH NODE MIDBRAIN NASOPHARYNX
ORAL MUCOSA OVARY PANCREAS PARATHYROID GLAND PITUITARY GLAND PLACENTA PROSTATE RECTUM RETINA SALIVARY GLAND SEMINAL VESICLE SKELETAL MUSCLE SKIN SMALL INTESTINE
SMOOTH MUSCLE SOFT TISSUE SPINAL CORD SPLEEN STOMACH TESTIS THYMUS THYROID GLAND TONGUE TONSIL URINARY BLADDER VAGINA
ANTIBODIES
AND
VALIDATION
Dictionary
Heart muscle
Tissue proteome
Heart
HEART MUSCLE - Expression summary
Protein expression
Heart musclei

On the top, protein expression in current human tissue, based on all annotated cell types, is reported with the units not detected (n), low (l), medium (m) and high (h). Underneath, protein expression in each annotated cell type are reported using the same units.

Protein expression data is based on knowledge-based annotation. For genes where more than one antibody has been used, a collective score is set.

If knowledge-based annotation could not be performed for a gene, no data is displayed here. View antibody staining data further down this page.

h
m
l
n
Cardiomyocytes: Medium
RNA expressioni

A summary of mRNA expression data available for current tissue based on several datasets. The mRNA expression levels in human tissues are based on RNA-seq data generated by the Human Protein Atlas (HPA), Genotype-Tissue Expression (GTEx) portal and CAGE data generated by the FANTOM5 consortium. Consensus normalized expression levels for human tissues was created by combining the data from HPA and GTEx datasets.

The mRNA expression levels in pig are based on RNA-seq data generated by the Human Protein Atlas (HPA), and for mouse, HPA data and in situ hybridization generated by the Allen brain atlas are reported.

Scroll down to view mRNA expression data in more detail.
Consensus:17.0 nTPM
HPA:5.7 nTPM
GTEx:17.0 nTPM
FANTOM5:33.2 Scaled Tags Per Million

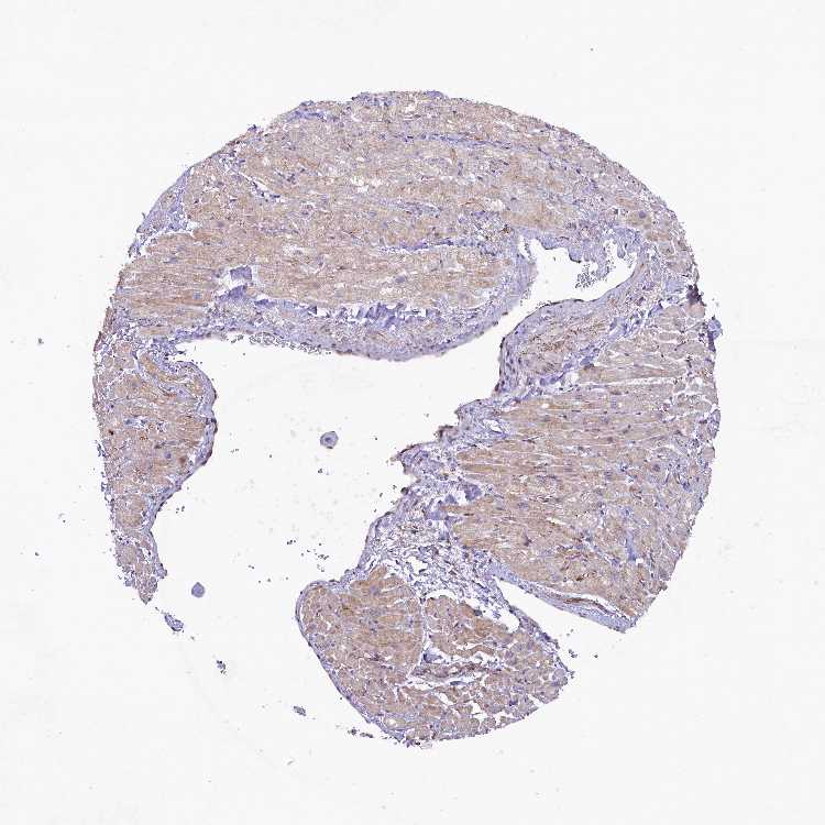
HEART MUSCLE - Antibody stainingi

Antibody staining in the annotated cell types in the current human tissue is reported as not detected, low, medium, or high, based on conventional immunohistochemistry profiling in selected tissues. This score is based on the combination of the staining intensity and fraction of stained cells.

Each image is clickable and will lead to virtual microscopy that enables deeper exploration of all samples and also displays staining intensity scores, fraction scores and subcellular localization as well as patient and tissue information for each sample.

Antibody HPA042008
Cardiomyocytes Medium



HEART MUSCLE - HPA RNA-seqi

The RNA-seq details section shows detailed information about the individual samples used for the transcript profiling and results of the RNA-seq analysis.

Information about each individual sample is listed below, including gender, age, a tissue section image and estimated fractions of cell types. nTPM (normalized transcripts per million) values give a quantification of the gene abundance which is comparable between different genes and samples.
Average nTPMi

Max subtype nTPM is the value for the subtype with the largest average nTPM across the subtype samples.

5.7
overview
Female, age 48
Heart muscle sample 149
nTPM: 4.9
Cell types%
Myocytes:
15

Fibroblasts:
55

Endothelial cells:
25

Other cell types:
5

overview
Female, age 42
Heart muscle sample 150
nTPM: 7.6
Cell types%
Myocytes:
20

Fibroblasts:
45

Endothelial cells:
30

Other cell types:
5

overview
Male, age 53
Heart muscle sample 151
nTPM: 6.5
Cell types%
Myocytes:
20

Fibroblasts:
45

Endothelial cells:
30

Other cell types:
5

overview
Female, age 69
Heart muscle sample 152
nTPM: 3.7
Cell types%
Myocytes:
20

Fibroblasts:
45

Endothelial cells:
30

Other cell types:
5


HEART MUSCLE - GTEx RNA-seqi

RNA-Seq data generated by the Genotype-Tissue Expression (GTEx) project from human tissues is reported as mean nTPM. More information can be found on the GTEx portal.

Distribution across the dataset is visualized with box plots, shown as median and 25th and 75th percentiles. Points are displayed as outliers if they are above or below 1.5 times the interquartile range. nTPM values of the individual samples are presented next to the box plot.
Max subtype nTPMi

Max subtype nTPM is the value for the subtype with the largest average nTPM across the subtype samples.

17.0
GTEx sample id Sample description nTPM
Heart - Atrial Appendage
Average nTPM: 17.0
Samples: 429

Max nTPM: 71.9
Min nTPM: 2.0
Std nTPM: 12.2
Median nTPM: 13.8
GTEX-1GZ2Q-0926-SM-7RHHN 40-49 years, male 71.9
GTEX-1192W-0226-SM-5EGGT 60-69 years, male 71.3
GTEX-15D1Q-0426-SM-6AJ9G 40-49 years, male 67.6
GTEX-1E1VI-1426-SM-793CY 50-59 years, male 66.3
GTEX-1B8SF-1326-SM-7IGQJ 60-69 years, male 63.1
GTEX-12584-1026-SM-59HK3 40-49 years, male 62.5
GTEX-1C6VQ-0826-SM-7PBZT 50-59 years, male 57.9
GTEX-13FHP-0826-SM-5K7V5 50-59 years, male 54.2
GTEX-17EVP-0526-SM-7EPGY 40-49 years, male 52.8
GTEX-1QEPI-1126-SM-E8VN7 60-69 years, female 51.9
GTEX-1IL2V-1126-SM-CMKGH 70-79 years, male 51.8
GTEX-145LS-1326-SM-5Q5EP 60-69 years, female 50.1
GTEX-13X6J-1226-SM-79OMF 50-59 years, male 49.7
GTEX-1LSNL-0626-SM-DIPFJ 50-59 years, male 47.5
GTEX-1H1CY-0426-SM-9KNVD 60-69 years, female 44.6
GTEX-X62O-0826-SM-46MW8 50-59 years, male 44.1
GTEX-13NYB-0326-SM-5IJDP 40-49 years, male 43.6
GTEX-1212Z-0726-SM-5EGI5 60-69 years, male 42.1
GTEX-11ONC-1026-SM-5GU64 60-69 years, male 42.0
GTEX-16GPK-1226-SM-7LTAU 60-69 years, male 40.7
GTEX-1I1CD-1326-SM-A9SMM 60-69 years, female 40.6
GTEX-ZUA1-0726-SM-4YCD9 40-49 years, male 40.5
GTEX-1EMGI-1126-SM-9KNUF 60-69 years, male 40.1
GTEX-WL46-0726-SM-3LK5Z 50-59 years, male 39.8
GTEX-16XZZ-1026-SM-7DHKS 60-69 years, male 39.7
GTEX-11GS4-0426-SM-5N9CD 60-69 years, male 38.6
GTEX-1H3O1-0226-SM-9WYSW 60-69 years, male 38.3
GTEX-15CHQ-1326-SM-6871Z 60-69 years, male 37.5
GTEX-1H3NZ-1026-SM-A9SM5 60-69 years, male 37.1
GTEX-1HUB1-0726-SM-CGQF4 60-69 years, male 36.6
GTEX-111VG-0326-SM-5GZX7 60-69 years, male 36.5
GTEX-13FTZ-0326-SM-5J1O1 60-69 years, male 36.5
GTEX-11GSP-1226-SM-5985M 60-69 years, female 36.4
GTEX-14E7W-1126-SM-5ZZVS 70-79 years, male 36.2
GTEX-1GZ4I-0826-SM-9WG6O 50-59 years, male 35.5
GTEX-1HFI6-0826-SM-9YFM2 40-49 years, male 34.7
GTEX-1E2YA-0626-SM-7P8P4 50-59 years, male 34.5
GTEX-ZVZQ-0726-SM-51MR3 60-69 years, female 34.3
GTEX-XQ3S-0526-SM-4BOQA 20-29 years, male 33.7
GTEX-Z93S-0326-SM-5HL84 50-59 years, male 33.7
GTEX-1CAMQ-0726-SM-7P8SG 40-49 years, male 33.6
GTEX-1EX96-2626-SM-9MQJV 50-59 years, male 33.6
GTEX-1IKK5-1726-SM-CM2RU 60-69 years, male 33.6
GTEX-1A3MX-1226-SM-731B3 60-69 years, male 33.1
GTEX-1IOXB-0726-SM-A9G32 50-59 years, male 32.8
GTEX-13NZA-0826-SM-5K7WS 60-69 years, male 32.5
GTEX-132Q8-1126-SM-5K7XS 60-69 years, male 32.3
GTEX-1HT8W-1326-SM-CGQEN 30-39 years, male 32.1
GTEX-12ZZY-1226-SM-5GCNK 60-69 years, male 31.8
GTEX-1GMRU-1326-SM-9WYUI 50-59 years, male 31.7
GTEX-1IKOH-0926-SM-A9SLU 60-69 years, female 31.6
GTEX-147JS-1326-SM-5SI6D 60-69 years, male 30.9
GTEX-VJWN-1026-SM-4M1ZN 50-59 years, female 30.5
GTEX-1A8FM-1026-SM-7PC26 50-59 years, female 30.4
GTEX-ZAB4-0926-SM-5CVN4 40-49 years, male 29.9
GTEX-15ER7-0826-SM-6PALW 20-29 years, female 29.7
GTEX-12WSD-1226-SM-5HL9Q 60-69 years, female 29.5
GTEX-1IL2U-1226-SM-CL53P 60-69 years, male 29.4
GTEX-1C64N-0826-SM-7RHGQ 50-59 years, male 29.1
GTEX-1B8L1-0426-SM-7SB76 60-69 years, male 29.0
GTEX-1C6WA-0826-SM-7PBXS 60-69 years, male 28.9
GTEX-1F48J-1126-SM-9WYSY 50-59 years, female 28.7
GTEX-13SLW-0826-SM-5QGP7 70-79 years, male 28.3
GTEX-1AX9I-1026-SM-73KYF 60-69 years, male 28.2
GTEX-14DAQ-1026-SM-793B1 60-69 years, female 28.1
GTEX-1313W-1126-SM-5EQ5U 50-59 years, female 27.9
GTEX-1477Z-1126-SM-5P9GK 60-69 years, male 27.8
GTEX-14BIN-2126-SM-793AX 50-59 years, female 27.4
GTEX-13SLX-0926-SM-5S2NM 50-59 years, female 27.2
GTEX-18A7A-1226-SM-7LTAJ 50-59 years, female 27.2
GTEX-1IKJJ-0626-SM-CY8GF 60-69 years, male 27.2
GTEX-X4XX-1126-SM-3NMBY 60-69 years, male 27.1
GTEX-1M5QR-1626-SM-E9U5O 40-49 years, male 27.0
GTEX-13FHO-1226-SM-5L3EF 60-69 years, male 26.9
GTEX-1GN73-2326-SM-9MQKV 60-69 years, male 26.6
GTEX-1LVAO-0626-SM-EWRNT 60-69 years, male 26.5
GTEX-13OW6-0926-SM-5L3GM 50-59 years, male 26.4
GTEX-1I19N-0626-SM-A9SKY 70-79 years, male 26.4
GTEX-11DYG-1026-SM-5A5JQ 60-69 years, male 26.2
GTEX-11EMC-0826-SM-59862 60-69 years, female 26.1
GTEX-18A6Q-1526-SM-731CO 60-69 years, male 26.1
GTEX-ZZPU-1126-SM-5N9CW 50-59 years, female 26.0
GTEX-1QP6S-1026-SM-DTXFW 40-49 years, male 25.8
GTEX-1B933-0826-SM-79OMW 50-59 years, female 25.5
GTEX-ZXG5-0626-SM-5NQ85 60-69 years, male 25.4
GTEX-XLM4-2026-SM-4AT4X 60-69 years, male 25.1
GTEX-WYBS-1226-SM-3NM9N 60-69 years, female 24.9
GTEX-1GN1V-1026-SM-CNPPS 60-69 years, male 24.9
GTEX-1F88F-0326-SM-9KNV3 60-69 years, female 24.6
GTEX-12ZZX-0726-SM-5EGKA 40-49 years, female 24.3
GTEX-1LB8K-0926-SM-D4P42 50-59 years, male 24.1
GTEX-13CF2-0226-SM-5L3DV 60-69 years, male 23.7
GTEX-14C38-1326-SM-62LDK 50-59 years, male 23.7
GTEX-1EU9M-1926-SM-7RHH4 60-69 years, male 23.6
GTEX-1HSMQ-0426-SM-ADEIM 50-59 years, male 23.6
GTEX-1GN2E-1426-SM-7RHHI 60-69 years, male 23.1
GTEX-1PPGY-0926-SM-DTXFF 60-69 years, male 23.1
GTEX-12WSI-0426-SM-5EQ5J 50-59 years, male 22.8
GTEX-11EQ8-1326-SM-5EGJQ 60-69 years, male 22.7
GTEX-YECK-1226-SM-4W21G 60-69 years, male 22.5
GTEX-14BIL-0926-SM-7DHKN 50-59 years, male 22.4
GTEX-1BAJH-1026-SM-7EWEG 70-79 years, male 22.4
GTEX-UTHO-1226-SM-3GAEE 60-69 years, male 22.3
GTEX-1H1ZS-1026-SM-9WG6E 70-79 years, male 22.3
GTEX-13O21-0326-SM-5J1N9 50-59 years, male 22.1
GTEX-1JJEA-0926-SM-CYPSO 60-69 years, male 22.1
GTEX-13JVG-1126-SM-5KM2M 60-69 years, male 22.0
GTEX-1A8G6-1826-SM-73KY8 60-69 years, male 22.0
GTEX-11O72-1026-SM-5986B 40-49 years, male 21.9
GTEX-12WSN-0226-SM-5DUXH 40-49 years, male 21.9
GTEX-1445S-1226-SM-5O9BF 60-69 years, male 21.8
GTEX-ZE7O-0626-SM-57WCD 50-59 years, female 21.8
GTEX-1JN6P-0826-SM-ARL97 60-69 years, male 21.8
GTEX-1KD5A-0926-SM-D4P3U 50-59 years, male 21.7
GTEX-WK11-0626-SM-3NMAV 50-59 years, male 21.6
GTEX-1I1GR-1026-SM-A9SLC 60-69 years, male 21.6
GTEX-1MJK2-1626-SM-EVYCQ 50-59 years, male 21.6
GTEX-13OW7-1626-SM-5IJDH 50-59 years, male 21.5
GTEX-1CB4H-0626-SM-7IGN3 60-69 years, female 21.5
GTEX-1JMLX-1826-SM-CNPOX 50-59 years, male 21.5
GTEX-13PL6-0826-SM-5IJBI 40-49 years, female 21.4
GTEX-YJ8O-0826-SM-5CVM3 40-49 years, female 21.4
GTEX-15CHC-0326-SM-5ZZVP 60-69 years, female 21.3
GTEX-ZPU1-0726-SM-5HL6O 40-49 years, male 21.3
GTEX-1F75A-1026-SM-7PC3W 50-59 years, male 21.2
GTEX-1399T-0726-SM-5J1MH 60-69 years, male 21.1
GTEX-XBEC-1226-SM-4AT65 50-59 years, male 20.9
GTEX-1J1OQ-2226-SM-A96SS 40-49 years, female 20.9
GTEX-11DXY-1026-SM-5987V 60-69 years, male 20.8
GTEX-148VJ-1426-SM-5TDE3 70-79 years, male 20.8
GTEX-1EWIQ-1126-SM-7EPIK 70-79 years, female 20.6
GTEX-18A66-1126-SM-731C5 60-69 years, male 20.4
GTEX-ZEX8-0326-SM-DO92C 50-59 years, male 20.2
GTEX-YFC4-0426-SM-4TT3J 40-49 years, female 19.8
GTEX-ZVT4-1326-SM-5NQ8E 50-59 years, female 19.8
GTEX-1F6I4-0826-SM-7RHGK 60-69 years, male 19.8
GTEX-14PII-1026-SM-5ZZVW 60-69 years, male 19.7
GTEX-16YQH-0726-SM-7IGM1 30-39 years, male 19.7
GTEX-1GTWX-0926-SM-9MQKM 60-69 years, male 19.7
GTEX-1LH75-0526-SM-DIPG2 50-59 years, female 19.7
GTEX-ZYFC-1026-SM-5GZX9 50-59 years, male 19.6
GTEX-11ZVC-0526-SM-5N9G1 50-59 years, female 19.5
GTEX-12WSC-1026-SM-5EQ5Y 50-59 years, male 19.5
GTEX-14A6H-0326-SM-5NQAN 30-39 years, male 19.5
GTEX-13PDP-1326-SM-5K7U9 60-69 years, male 19.3
GTEX-1IDJF-0826-SM-ARU7N 20-29 years, male 19.3
GTEX-1GN1U-1426-SM-7P8TF 50-59 years, female 19.2
GTEX-11DXZ-0326-SM-5EGH1 50-59 years, male 19.0
GTEX-1CB4G-0726-SM-79OOJ 60-69 years, male 19.0
GTEX-ZF2S-0826-SM-4WWBI 50-59 years, female 19.0
GTEX-ZDTS-1226-SM-4WKGL 60-69 years, male 18.9
GTEX-111FC-0626-SM-5N9CU 60-69 years, male 18.7
GTEX-12WSK-0526-SM-5CVNA 40-49 years, female 18.5
GTEX-1QMI2-1026-SM-DTX7T 60-69 years, male 18.5
GTEX-1A32A-1326-SM-73KWW 50-59 years, female 18.4
GTEX-1P4AB-0926-SM-E76PV 50-59 years, male 18.4
GTEX-14A5I-1026-SM-5Q5E3 50-59 years, female 18.3
GTEX-14C39-0726-SM-5RQIK 40-49 years, male 18.3
GTEX-WRHU-1026-SM-4E3ID 50-59 years, female 18.3
GTEX-17HGU-1126-SM-793BP 50-59 years, male 17.9
GTEX-11NV4-0826-SM-5BC4S 60-69 years, male 17.8
GTEX-11UD2-0926-SM-5CVL6 50-59 years, male 17.8
GTEX-13OVG-0426-SM-5KM2T 60-69 years, male 17.7
GTEX-1H3VY-1126-SM-A96TP 50-59 years, male 17.7
GTEX-1RB15-0426-SM-E9U4Y 60-69 years, male 17.7
GTEX-XYKS-0226-SM-4BRW3 60-69 years, female 17.6
GTEX-XPVG-0726-SM-4B658 50-59 years, male 17.4
GTEX-Y5V5-0726-SM-4VBPY 60-69 years, female 17.4
GTEX-11TUW-1126-SM-5EQKJ 60-69 years, male 17.3
GTEX-1HCVE-0826-SM-CM2SF 50-59 years, male 17.2
GTEX-117XS-0726-SM-5H131 60-69 years, male 17.1
GTEX-13JUV-0226-SM-5IJCC 40-49 years, female 17.1
GTEX-ZYT6-0926-SM-5GIEM 30-39 years, male 17.1
GTEX-13FXS-1026-SM-62LFQ 50-59 years, male 17.0
GTEX-14E1K-0826-SM-5ZZW9 50-59 years, male 17.0
GTEX-1399R-1726-SM-5K7YJ 30-39 years, male 16.9
GTEX-XXEK-2026-SM-4BRVE 50-59 years, male 16.9
GTEX-117YW-0426-SM-5GZZZ 50-59 years, male 16.7
GTEX-14PHY-0326-SM-62LE3 60-69 years, female 16.6
GTEX-18465-0726-SM-7LG4L 50-59 years, male 16.6
GTEX-1NSGN-1226-SM-E76OL 50-59 years, male 16.6
GTEX-1192X-0726-SM-5987R 50-59 years, male 16.5
GTEX-11NUK-0926-SM-5HL57 50-59 years, male 16.5
GTEX-1JJ6O-2226-SM-AHZ3I 60-69 years, male 16.5
GTEX-13O3O-1426-SM-5KM2S 60-69 years, female 16.3
GTEX-1GMR8-1026-SM-9MQLA 50-59 years, female 16.3
GTEX-14JG1-0826-SM-5ZZWR 40-49 years, male 16.2
GTEX-Y114-0126-SM-4TT8K 50-59 years, female 15.9
GTEX-ZG7Y-1426-SM-4WWBM 50-59 years, male 15.8
GTEX-1HC8U-0626-SM-B2LWB 40-49 years, female 15.7
GTEX-1117F-0726-SM-5GIEN 60-69 years, female 15.6
GTEX-WY7C-1126-SM-3NB3A 50-59 years, male 15.6
GTEX-X261-0926-SM-3NMCY 50-59 years, male 15.6
GTEX-13N1W-0926-SM-5MR36 70-79 years, male 15.0
GTEX-14BMV-1026-SM-5SI6B 50-59 years, male 15.0
GTEX-1HR98-1026-SM-CKZOM 60-69 years, male 14.8
GTEX-131YS-0826-SM-5PNYV 60-69 years, female 14.7
GTEX-15UF7-1526-SM-6LPI7 40-49 years, male 14.7
GTEX-ZVT3-0826-SM-5GIC8 60-69 years, female 14.7
GTEX-ZDXO-0426-SM-4WKF6 60-69 years, male 14.6
GTEX-1J8Q3-1126-SM-ARU8N 60-69 years, male 14.6
GTEX-13FTW-0826-SM-5K7XR 40-49 years, male 14.5
GTEX-147F4-1126-SM-5TDDE 50-59 years, male 14.5
GTEX-ZAB5-0126-SM-5CVMT 50-59 years, male 14.5
GTEX-ZTTD-0626-SM-4YCCY 50-59 years, male 14.4
GTEX-XV7Q-0726-SM-4BRV6 40-49 years, female 14.3
GTEX-11ZTT-0526-SM-5EQLA 60-69 years, female 14.1
GTEX-15CHR-0326-SM-7DHN3 50-59 years, male 14.1
GTEX-1KXAM-1426-SM-D3LAC 60-69 years, male 14.1
GTEX-13112-0526-SM-5EQ4S 50-59 years, male 14.0
GTEX-1F75B-1126-SM-7RHGP 50-59 years, male 14.0
GTEX-11ZUS-0326-SM-5EQ4W 30-39 years, male 13.9
GTEX-1H11D-1026-SM-9QEIU 40-49 years, male 13.9
GTEX-139TU-1926-SM-5J2OC 60-69 years, male 13.8
GTEX-14PJM-0826-SM-6LLIW 50-59 years, female 13.8
GTEX-1POEN-0726-SM-DTXDU 30-39 years, female 13.8
GTEX-14E6C-0326-SM-5Q5EE 40-49 years, male 13.6
GTEX-ZAK1-1126-SM-5PNXU 50-59 years, female 13.6
GTEX-X4EP-0326-SM-3P5Z6 60-69 years, female 13.4
GTEX-17F9Y-1226-SM-7EPGE 70-79 years, female 13.3
GTEX-UPK5-0226-SM-3GAEV 40-49 years, male 13.3
GTEX-14PJ2-1126-SM-69LOD 50-59 years, male 13.2
GTEX-1HSKV-0726-SM-ACKWE 60-69 years, male 13.0
GTEX-13NYS-1926-SM-5IJCB 60-69 years, male 12.9
GTEX-17MF6-0926-SM-7LTAL 40-49 years, male 12.9
GTEX-13PVQ-1326-SM-5LU4J 50-59 years, male 12.7
GTEX-1JMOU-0326-SM-ARL8X 60-69 years, female 12.7
GTEX-1HCU7-1226-SM-B2LX8 50-59 years, male 12.6
GTEX-1I1GV-1426-SM-B2LXN 60-69 years, male 12.6
GTEX-1HBPM-1026-SM-ARL9D 60-69 years, female 12.5
GTEX-13O1R-0926-SM-5L3DS 60-69 years, male 12.3
GTEX-15SDE-1826-SM-7KUFN 50-59 years, female 12.3
GTEX-WFG8-0726-SM-3GILP 20-29 years, male 12.3
GTEX-Y3IK-1026-SM-51MR7 50-59 years, female 12.3
GTEX-14C5O-1226-SM-664N3 60-69 years, male 12.2
GTEX-WHWD-0326-SM-3LK6L 50-59 years, male 12.2
GTEX-16MT8-0826-SM-7KULO 60-69 years, female 12.1
GTEX-11WQK-0226-SM-5EQLI 50-59 years, male 12.0
GTEX-1LG7Y-1426-SM-D4P31 50-59 years, male 12.0
GTEX-13NZ9-0126-SM-5K7XV 50-59 years, male 11.9
GTEX-1IY9M-0626-SM-D4P2L 60-69 years, male 11.9
GTEX-13OW5-0926-SM-5L3GZ 60-69 years, male 11.8
GTEX-13U4I-0626-SM-5LU5L 40-49 years, female 11.8
GTEX-15SHU-0926-SM-6PAMK 40-49 years, female 11.8
GTEX-1JMQK-0926-SM-ARL96 60-69 years, male 11.8
GTEX-1GF9V-1726-SM-9KNW4 60-69 years, male 11.5
GTEX-132NY-1426-SM-5J1MJ 60-69 years, male 11.4
GTEX-17JCI-0826-SM-7LT8W 60-69 years, female 11.4
GTEX-1ICG6-0726-SM-B2LY5 70-79 years, female 11.3
GTEX-1JMQL-1026-SM-CMKGV 50-59 years, female 11.3
GTEX-12696-1226-SM-5FQSM 60-69 years, male 11.2
GTEX-131XE-0526-SM-5K7YT 50-59 years, male 11.2
GTEX-13RTJ-0526-SM-62LDP 60-69 years, male 11.2
GTEX-15RJE-0726-SM-7KUEG 40-49 years, male 11.0
GTEX-1I1GP-0626-SM-ARL7H 50-59 years, male 11.0
GTEX-1OFPY-0926-SM-DTX8Q 60-69 years, male 11.0
GTEX-16NPX-0826-SM-6M489 50-59 years, male 10.9
GTEX-1GMR3-0426-SM-7PC17 40-49 years, male 10.9
GTEX-1I1HK-0626-SM-CNPQM 60-69 years, male 10.9
GTEX-1QPFJ-0926-SM-EVR3K 30-39 years, female 10.8
GTEX-12WSG-1226-SM-5EQ4C 50-59 years, female 10.7
GTEX-1AX8Z-1126-SM-731CS 60-69 years, male 10.7
GTEX-1B8SG-0726-SM-79ONS 50-59 years, male 10.7
GTEX-1HBPH-0226-SM-9WYSM 40-49 years, female 10.7
GTEX-117YX-0626-SM-5EGJI 50-59 years, male 10.6
GTEX-17F96-0826-SM-7DHLU 70-79 years, male 10.6
GTEX-1I1GQ-1226-SM-CL55J 50-59 years, male 10.6
GTEX-139YR-0526-SM-5L3DG 50-59 years, male 10.5
GTEX-WWYW-1126-SM-3NB2Q 50-59 years, female 10.5
GTEX-XOT4-1126-SM-4B66E 60-69 years, female 10.5
GTEX-131XG-0526-SM-5DUWF 50-59 years, female 10.4
GTEX-14PJ6-0626-SM-686Z6 60-69 years, female 10.4
GTEX-WHSE-0826-SM-4SOJU 20-29 years, male 10.4
GTEX-WOFL-1226-SM-4OOST 60-69 years, male 10.4
GTEX-1HSMO-1126-SM-CGQF2 60-69 years, male 10.4
GTEX-ZPIC-0426-SM-DO91V 40-49 years, female 10.4
GTEX-15SHV-0526-SM-7KUEN 60-69 years, male 10.3
GTEX-1C64O-0926-SM-79OLN 60-69 years, male 10.3
GTEX-X5EB-0626-SM-46MVQ 40-49 years, male 10.3
GTEX-XPT6-0226-SM-4B65L 20-29 years, male 10.3
GTEX-1R9K4-1026-SM-EXUT1 60-69 years, male 10.3
GTEX-V955-0826-SM-CYPR5 60-69 years, male 10.3
GTEX-13X6K-1726-SM-7IGLG 60-69 years, female 10.2
GTEX-1LVAN-1526-SM-CNPQN 50-59 years, female 10.2
GTEX-VUSG-0726-SM-3GIK1 50-59 years, male 10.1
GTEX-YEC3-0426-SM-CYPS8 50-59 years, male 10.1
GTEX-1HCUA-0626-SM-ACKVT 50-59 years, female 9.9
GTEX-ZF29-0426-SM-4WKFN 60-69 years, female 9.8
GTEX-1J8EW-0626-SM-CM2TY 60-69 years, female 9.8
GTEX-146FR-0926-SM-5QGPE 60-69 years, female 9.7
GTEX-1AX9K-0426-SM-73KUG 50-59 years, male 9.7
GTEX-V1D1-0626-SM-4JBHN 50-59 years, male 9.7
GTEX-15SKB-0926-SM-7KUFC 60-69 years, male 9.6
GTEX-13O3P-1426-SM-5L3DT 50-59 years, male 9.5
GTEX-1CB4J-0226-SM-7P8T4 60-69 years, male 9.5
GTEX-12WSA-1126-SM-5EGKU 60-69 years, male 9.4
GTEX-12WSE-0926-SM-5S2VX 20-29 years, male 9.4
GTEX-1J8Q2-1026-SM-ARU8I 60-69 years, male 9.4
GTEX-132QS-0526-SM-5IJC7 60-69 years, male 9.3
GTEX-183WM-0926-SM-718AN 70-79 years, female 9.3
GTEX-1KANB-1126-SM-DHXJT 50-59 years, male 9.3
GTEX-13D11-1526-SM-5J2NA 50-59 years, female 9.2
GTEX-144GL-1026-SM-5O99R 50-59 years, male 9.2
GTEX-146FH-1126-SM-5NQAT 50-59 years, female 9.2
GTEX-ZAJG-0926-SM-5Q5AB 50-59 years, female 9.2
GTEX-1H2FU-0826-SM-9WYSU 60-69 years, female 9.2
GTEX-ZPCL-0526-SM-DO91R 60-69 years, female 9.2
GTEX-14XAO-0926-SM-69LPZ 60-69 years, female 9.1
GTEX-16XZY-0526-SM-7DHKY 70-79 years, male 9.1
GTEX-1B996-1026-SM-793CF 60-69 years, male 9.1
GTEX-WHPG-1026-SM-3NMBA 50-59 years, male 9.1
GTEX-WQUQ-1326-SM-3MJFF 60-69 years, male 9.1
GTEX-1IDJD-0226-SM-CKZOA 30-39 years, male 9.1
GTEX-1IDJH-1126-SM-COH3R 70-79 years, male 9.1
GTEX-18D9B-1126-SM-7KFSH 60-69 years, male 9.0
GTEX-1CB4E-0626-SM-7DHMW 60-69 years, male 9.0
GTEX-132AR-1926-SM-5EGK5 50-59 years, female 8.9
GTEX-ZF3C-1126-SM-57WEG 50-59 years, female 8.8
GTEX-1HBPN-0926-SM-CGQEG 50-59 years, male 8.8
GTEX-1IDJU-0626-SM-CKZOG 60-69 years, female 8.5
GTEX-13N11-0726-SM-5L3DP 50-59 years, female 8.4
GTEX-14PN4-0826-SM-69LON 50-59 years, male 8.4
GTEX-YF7O-0526-SM-5P9IO 50-59 years, male 8.4
GTEX-1AX9J-0926-SM-73KXA 60-69 years, male 8.2
GTEX-WI4N-0726-SM-3TW93 40-49 years, female 8.2
GTEX-14ASI-0826-SM-5Q5EB 60-69 years, male 8.0
GTEX-1R7EV-0426-SM-DTX7Z 40-49 years, male 8.0
GTEX-ZVT2-0926-SM-5GICE 50-59 years, female 7.8
GTEX-ZYVF-1826-SM-5E44F 50-59 years, female 7.8
GTEX-17KNJ-0626-SM-7LT9L 50-59 years, male 7.7
GTEX-18A67-1026-SM-731CE 50-59 years, male 7.7
GTEX-1LGOU-0326-SM-D3LAM 20-29 years, female 7.7
GTEX-1HSGN-0926-SM-CNNQM 40-49 years, female 7.6
GTEX-Y8E4-0426-SM-4V6GB 40-49 years, male 7.5
GTEX-1GN1W-0226-SM-7P8QY 50-59 years, female 7.5
GTEX-1KANC-0226-SM-E9TIW 50-59 years, female 7.5
GTEX-11P81-0526-SM-59873 30-39 years, female 7.4
GTEX-13S86-0326-SM-5SI6K 40-49 years, male 7.4
GTEX-ZGAY-0226-SM-4WWAL 40-49 years, female 7.3
GTEX-ZLFU-0326-SM-4WWBK 40-49 years, male 7.3
GTEX-ZTPG-1326-SM-51MSQ 20-29 years, female 7.3
GTEX-ZV7C-0526-SM-9WPNK 50-59 years, male 7.3
GTEX-17F9E-0726-SM-793A1 50-59 years, male 7.2
GTEX-ZDYS-0326-SM-5HL4W 50-59 years, male 7.1
GTEX-14PHX-0626-SM-5YY8Z 50-59 years, male 7.0
GTEX-1B932-1326-SM-79OM4 40-49 years, female 7.0
GTEX-1C2JI-0626-SM-7DHM1 50-59 years, male 7.0
GTEX-1QP29-1426-SM-DTX9Q 50-59 years, male 6.9
GTEX-1R9JW-0426-SM-E76QL 30-39 years, female 6.9
GTEX-1211K-0226-SM-59HJY 60-69 years, female 6.6
GTEX-14BIM-2726-SM-5Q5EG 60-69 years, female 6.6
GTEX-XQ8I-0226-SM-4BOPM 50-59 years, male 6.6
GTEX-1RLM8-0226-SM-E6CJY 50-59 years, male 6.6
GTEX-1CB4I-1526-SM-7DHMY 50-59 years, male 6.5
GTEX-1AYCT-0526-SM-7RHHS 50-59 years, male 6.5
GTEX-13PL7-0726-SM-5KM1S 60-69 years, female 6.4
GTEX-17GQL-0626-SM-731CN 60-69 years, male 6.4
GTEX-1LSNM-0426-SM-E9TIZ 50-59 years, male 6.4
GTEX-13W3W-0526-SM-5LU3X 60-69 years, female 6.3
GTEX-WH7G-0326-SM-3NMBH 40-49 years, male 6.3
GTEX-1F75I-1326-SM-7PBZX 40-49 years, male 6.3
GTEX-13NZB-0426-SM-5KM26 30-39 years, male 6.1
GTEX-13VXT-0726-SM-5SIAD 20-29 years, female 6.0
GTEX-X8HC-1026-SM-46MWH 50-59 years, female 6.0
GTEX-1GMR2-1326-SM-9KNUT 50-59 years, male 6.0
GTEX-1H1DG-0826-SM-9QEIW 70-79 years, male 6.0
GTEX-13QBU-0226-SM-5LU48 40-49 years, female 5.9
GTEX-13O3Q-0326-SM-5L3FE 50-59 years, male 5.8
GTEX-1IKOE-0626-SM-A9G31 30-39 years, female 5.8
GTEX-11TT1-1426-SM-5EGIA 20-29 years, male 5.7
GTEX-1399U-0726-SM-5KM1D 50-59 years, female 5.7
GTEX-ZYFD-2026-SM-5E459 50-59 years, male 5.7
GTEX-ZZPT-0926-SM-5GICZ 50-59 years, male 5.7
GTEX-14PN3-0726-SM-6EU14 60-69 years, female 5.6
GTEX-ZYFG-0526-SM-5GZXX 60-69 years, female 5.6
GTEX-1J8QM-0326-SM-CL53D 60-69 years, female 5.6
GTEX-1L5NE-0526-SM-DIPG5 50-59 years, male 5.5
GTEX-11EM3-0426-SM-5N9BZ 20-29 years, female 5.4
GTEX-13PVR-0926-SM-5S2RB 60-69 years, female 5.4
GTEX-11LCK-0826-SM-5PNYD 30-39 years, male 5.3
GTEX-13OVI-0326-SM-5K7X1 60-69 years, female 5.3
GTEX-1122O-0626-SM-5N9B9 60-69 years, female 5.2
GTEX-11DXX-0526-SM-5PNVR 60-69 years, female 5.2
GTEX-14PK6-0726-SM-6LLIX 70-79 years, female 5.2
GTEX-U8XE-0926-SM-3DB8V 30-39 years, male 5.2
GTEX-W5X1-0826-SM-3GILN 40-49 years, female 5.2
GTEX-1LGRB-1026-SM-CNPQD 50-59 years, female 5.2
GTEX-WZTO-1226-SM-3NMAZ 40-49 years, male 5.1
GTEX-YB5K-0226-SM-5IFJE 40-49 years, female 5.1
GTEX-1GL5R-0426-SM-9WPOP 50-59 years, male 5.1
GTEX-145MN-0726-SM-5NQBH 30-39 years, male 5.0
GTEX-1B97J-0326-SM-7939H 50-59 years, female 5.0
GTEX-WEY5-0226-SM-3GIKN 40-49 years, female 5.0
GTEX-13FH7-0826-SM-5J2NW 50-59 years, female 4.9
GTEX-1QCLZ-1126-SM-EWRNB 60-69 years, female 4.9
GTEX-14PJO-0826-SM-6ETZK 60-69 years, male 4.8
GTEX-18D9U-1426-SM-718BO 40-49 years, male 4.8
GTEX-WYJK-1126-SM-3NM9Z 50-59 years, male 4.8
GTEX-1EH9U-0626-SM-7PC33 60-69 years, male 4.8
GTEX-15RIE-1326-SM-6PAMM 60-69 years, male 4.7
GTEX-111YS-0326-SM-5GZZ3 60-69 years, male 4.6
GTEX-15DCE-0826-SM-7KULW 20-29 years, male 4.6
GTEX-1HFI7-0526-SM-A9SMA 50-59 years, female 4.6
GTEX-ZT9W-0526-SM-57WFG 50-59 years, male 4.5
GTEX-WFG7-0826-SM-3GIKU 20-29 years, male 4.4
GTEX-12BJ1-0326-SM-5FQUB 60-69 years, male 4.3
GTEX-YEC4-0226-SM-4W1YG 40-49 years, male 4.3
GTEX-1MCC2-0226-SM-EVYD5 30-39 years, female 4.1
GTEX-145LV-0226-SM-5S2QG 50-59 years, male 3.8
GTEX-X3Y1-0226-SM-3P5Z5 40-49 years, male 3.8
GTEX-Y3I4-0526-SM-4TT6X 50-59 years, male 3.7
GTEX-131XF-0426-SM-5HL7U 60-69 years, male 3.6
GTEX-1399S-0826-SM-5KM23 30-39 years, female 3.6
GTEX-1JK1U-0626-SM-CKZOJ 60-69 years, male 3.6
GTEX-1NHNU-0626-SM-E6CP1 50-59 years, male 3.6
GTEX-13YAN-1426-SM-7EPG8 60-69 years, male 3.5
GTEX-1B8KE-0326-SM-73KTY 50-59 years, male 3.5
GTEX-15EU6-1326-SM-6PANG 50-59 years, male 3.4
GTEX-1CAMS-1126-SM-7MXUQ 40-49 years, female 3.4
GTEX-1MJIX-0426-SM-DTXEN 40-49 years, male 3.3
GTEX-13O61-0426-SM-5L3ET 60-69 years, male 3.0
GTEX-14H4A-0426-SM-5ZZWO 40-49 years, female 3.0
GTEX-14PJ4-0926-SM-5YY98 60-69 years, male 3.0
GTEX-1K2DU-0226-SM-DIPF6 20-29 years, male 2.9
GTEX-ZDTT-0326-SM-4WKF9 60-69 years, male 2.7
GTEX-WFON-0226-SM-3GIKR 40-49 years, male 2.5
GTEX-1GF9U-0526-SM-7P8SK 40-49 years, female 2.3
GTEX-XGQ4-0526-SM-4AT6C 50-59 years, male 2.2
GTEX-1339X-0326-SM-5K7Z8 40-49 years, male 2.0
Show allShow less
Heart - Left Ventricle
Average nTPM: 7.3
Samples: 432

Max nTPM: 64.1
Min nTPM: 0.5
Std nTPM: 8.3
Median nTPM: 4.6
GTEX-14PJM-1126-SM-6LLHK 50-59 years, female 64.1
GTEX-1GMRU-1526-SM-9WYT5 50-59 years, male 54.1
GTEX-1C6VQ-1126-SM-7EWET 50-59 years, male 51.0
GTEX-1EKGG-1126-SM-7MGXB 60-69 years, male 48.9
GTEX-1H1CY-0326-SM-9QEIZ 60-69 years, female 46.6
GTEX-17HII-1326-SM-7IGOB 50-59 years, male 46.0
GTEX-1IKJJ-0826-SM-A96SP 60-69 years, male 39.0
GTEX-147JS-1526-SM-5ZZWF 60-69 years, male 38.2
GTEX-14E6D-0926-SM-5S2QV 50-59 years, male 36.3
GTEX-13OW6-1126-SM-5L3HL 50-59 years, male 35.7
GTEX-13NYB-0226-SM-5N9G4 40-49 years, male 34.9
GTEX-1GN2E-1326-SM-9KNVG 60-69 years, male 33.6
GTEX-ZUA1-0826-SM-4YCDL 40-49 years, male 32.6
GTEX-1399T-0426-SM-5PNVJ 60-69 years, male 31.2
GTEX-1212Z-0626-SM-5FQTB 60-69 years, male 28.1
GTEX-1LG7Y-1226-SM-CXZKD 50-59 years, male 26.8
GTEX-12WSK-0626-SM-5LZUJ 40-49 years, female 26.7
GTEX-13SLX-1026-SM-5ZZUQ 50-59 years, female 25.1
GTEX-11ONC-0126-SM-5PNW6 60-69 years, male 24.6
GTEX-11GS4-0526-SM-5A5KQ 60-69 years, male 23.5
GTEX-13N1W-1026-SM-5IJC5 70-79 years, male 23.4
GTEX-ZYT6-1726-SM-5E44P 30-39 years, male 23.1
GTEX-1EX96-2526-SM-7RHGW 50-59 years, male 22.9
GTEX-ZF3C-1226-SM-4WWCB 50-59 years, female 22.4
GTEX-1IDJH-1026-SM-E9TKH 70-79 years, male 21.5
GTEX-17HHY-1426-SM-7EWDQ 50-59 years, male 20.6
GTEX-13JVG-1326-SM-5N9F8 60-69 years, male 20.3
GTEX-14BIL-1126-SM-79OMC 50-59 years, male 19.5
GTEX-15CHQ-1526-SM-69LPW 60-69 years, male 19.2
GTEX-1GTWX-1026-SM-7P8QW 60-69 years, male 18.8
GTEX-1KD4Q-0726-SM-DIPGE 40-49 years, male 18.8
GTEX-1IDJF-0726-SM-CJI1U 20-29 years, male 17.7
GTEX-1H11D-1226-SM-9WPQ2 40-49 years, male 16.7
GTEX-1JMLX-1626-SM-ARZMV 50-59 years, male 16.6
GTEX-14E7W-1226-SM-5RQIU 70-79 years, male 16.5
GTEX-17JCI-1126-SM-7IGMM 60-69 years, female 16.5
GTEX-18A6Q-1626-SM-7KFTA 60-69 years, male 16.4
GTEX-RN64-0826-SM-2TC62 50-59 years, male 16.3
GTEX-1NV8Z-1526-SM-DTX8X 60-69 years, male 16.0
GTEX-1RAZS-0826-SM-E76QP 50-59 years, male 16.0
GTEX-13FHP-1026-SM-5K7Y2 50-59 years, male 15.9
GTEX-1O97I-0826-SM-E8VNE 60-69 years, male 15.9
GTEX-1I1GP-0826-SM-A96SD 50-59 years, male 15.6
GTEX-13X6K-1826-SM-5O9CR 60-69 years, female 15.5
GTEX-1LVA9-0926-SM-EVR5G 50-59 years, male 15.5
GTEX-12ZZW-1026-SM-5GCMM 50-59 years, male 14.9
GTEX-1BAJH-1626-SM-73KUV 70-79 years, male 14.8
GTEX-SIU8-0826-SM-2XCDQ 50-59 years, male 14.5
GTEX-ZF2S-1026-SM-9QEGK 50-59 years, female 14.5
GTEX-PVOW-0426-SM-5MR5R 40-49 years, male 14.4
GTEX-1HT8W-1726-SM-CNNQB 30-39 years, male 14.4
GTEX-1I1GV-1326-SM-A96SE 60-69 years, male 14.1
GTEX-117YW-0326-SM-5N9CY 50-59 years, male 14.0
GTEX-15DYW-1126-SM-6LPK5 60-69 years, female 13.9
GTEX-1EWIQ-1426-SM-7IGOS 70-79 years, female 13.8
GTEX-13OW5-1126-SM-5J1NR 60-69 years, male 13.6
GTEX-RTLS-0826-SM-2TF5Q 60-69 years, female 13.6
GTEX-T6MN-0926-SM-32PLX 50-59 years, male 13.3
GTEX-ZVT2-1026-SM-5GU55 50-59 years, female 13.3
GTEX-ZAB4-1026-SM-5HL7T 40-49 years, male 13.2
GTEX-1EN7A-0726-SM-7PBXT 40-49 years, male 13.2
GTEX-N7MS-0826-SM-2HML4 60-69 years, male 13.1
GTEX-1H3NZ-1126-SM-9WYT9 60-69 years, male 12.7
GTEX-1J8QM-0426-SM-AHZ3X 60-69 years, female 12.7
GTEX-1F6IF-2526-SM-7P8TV 60-69 years, male 12.4
GTEX-1LB8K-1026-SM-DHXJJ 50-59 years, male 12.3
GTEX-WL46-0926-SM-3LK7T 50-59 years, male 11.9
GTEX-WK11-0826-SM-EZ6LH 50-59 years, male 11.8
GTEX-1R9K4-1326-SM-DTX8G 60-69 years, male 11.7
GTEX-1A8G6-1626-SM-7MGWO 60-69 years, male 11.4
GTEX-1GN1V-0826-SM-9KNU6 60-69 years, male 11.3
GTEX-131XH-0226-SM-5LZVB 50-59 years, male 11.0
GTEX-1JJE9-1426-SM-ARL8P 70-79 years, male 10.9
GTEX-1R9K5-1326-SM-E6CPR 50-59 years, male 10.9
GTEX-12WSD-1126-SM-5EGJD 60-69 years, female 10.8
GTEX-145MN-0626-SM-5QGRH 30-39 years, male 10.8
GTEX-14C5O-1326-SM-5S2UW 60-69 years, male 10.8
GTEX-11GSP-1326-SM-5A5KY 60-69 years, female 10.4
GTEX-WWYW-1326-SM-3NB2S 50-59 years, female 10.4
GTEX-13112-0426-SM-5PNVC 50-59 years, male 10.3
GTEX-1E1VI-1326-SM-7IGQD 50-59 years, male 10.3
GTEX-QVJO-1926-SM-2S1QZ 60-69 years, female 10.3
GTEX-14BIN-2226-SM-5YYA1 50-59 years, female 10.1
GTEX-13OW8-2126-SM-5J1OS 60-69 years, male 10.0
GTEX-14PJ2-1026-SM-6EU1M 50-59 years, male 10.0
GTEX-12ZZY-1126-SM-5DUWQ 60-69 years, male 9.9
GTEX-1PPH7-2026-SM-E9J3N 40-49 years, male 9.8
GTEX-R55G-0526-SM-2TC5O 40-49 years, female 9.7
GTEX-14C39-0926-SM-5TDDV 40-49 years, male 9.6
GTEX-14DAQ-1126-SM-664MT 60-69 years, female 9.5
GTEX-1269C-0826-SM-5N9EM 60-69 years, female 9.4
GTEX-13FTZ-0226-SM-5K7X6 60-69 years, male 9.4
GTEX-1A3MX-1326-SM-72D58 60-69 years, male 9.4
GTEX-111FC-0826-SM-5GZWO 60-69 years, male 9.3
GTEX-1B8SG-0826-SM-7EWF7 50-59 years, male 9.3
GTEX-1I1HK-0726-SM-B2LY4 60-69 years, male 9.3
GTEX-1B8L1-0526-SM-79ONX 60-69 years, male 9.2
GTEX-1ICLZ-1026-SM-A9SLF 60-69 years, male 9.2
GTEX-11DXY-0826-SM-5EGGR 60-69 years, male 9.0
GTEX-PWCY-0526-SM-5P9HG 20-29 years, female 9.0
GTEX-11EMC-0726-SM-5EGJO 60-69 years, female 8.9
GTEX-12584-0926-SM-5FQTN 40-49 years, male 8.9
GTEX-1313W-1426-SM-5KLZU 50-59 years, female 8.8
GTEX-131XE-0626-SM-5HL98 50-59 years, male 8.7
GTEX-13PVQ-1226-SM-5IJDC 50-59 years, male 8.7
GTEX-15RJ7-0226-SM-7KUMN 40-49 years, male 8.7
GTEX-1EMGI-1226-SM-793DD 60-69 years, male 8.7
GTEX-14JG1-1026-SM-6ETZY 40-49 years, male 8.6
GTEX-OXRO-2026-SM-2YUMZ 60-69 years, female 8.6
GTEX-XBEC-1326-SM-4AT69 50-59 years, male 8.6
GTEX-15RIE-1726-SM-7KUMU 60-69 years, male 8.6
GTEX-OIZI-0926-SM-E6CHF 40-49 years, male 8.5
GTEX-11TUW-1026-SM-5GU7D 60-69 years, male 8.4
GTEX-18465-0926-SM-731AY 50-59 years, male 8.4
GTEX-1CB4G-0826-SM-7DUGF 60-69 years, male 8.4
GTEX-1KXAM-1326-SM-E9TJW 60-69 years, male 8.3
GTEX-145MO-1126-SM-5NQBX 60-69 years, male 8.2
GTEX-N7MT-1326-SM-2I3FV 60-69 years, female 8.2
GTEX-1PPGY-1126-SM-E76OU 60-69 years, male 8.2
GTEX-147F4-1226-SM-5NQAY 50-59 years, male 8.1
GTEX-OIZG-1126-SM-2HMIU 50-59 years, male 8.1
GTEX-1HC8U-0726-SM-ACKXL 40-49 years, female 8.1
GTEX-1CB4J-0326-SM-7PBZO 60-69 years, male 8.0
GTEX-1EU9M-1826-SM-7DUGU 60-69 years, male 7.9
GTEX-P78B-0426-SM-2I5F5 40-49 years, female 7.9
GTEX-1GF9V-1626-SM-7PBXL 60-69 years, male 7.9
GTEX-1JN6P-1126-SM-CKZON 60-69 years, male 7.9
GTEX-16YQH-0926-SM-793BC 30-39 years, male 7.8
GTEX-T2IS-0426-SM-32QPE 20-29 years, female 7.8
GTEX-13FLV-0926-SM-5L3DZ 50-59 years, male 7.7
GTEX-15SHU-1126-SM-7KUMB 40-49 years, female 7.7
GTEX-1AX9I-1126-SM-7EPHH 60-69 years, male 7.7
GTEX-15ER7-1726-SM-6PAMX 20-29 years, female 7.6
GTEX-ZV7C-0326-SM-57WB1 50-59 years, male 7.5
GTEX-1HCVE-1126-SM-9WPPG 50-59 years, male 7.5
GTEX-1IL2U-1326-SM-A9G2O 60-69 years, male 7.5
GTEX-13OVL-0526-SM-5KLZQ 50-59 years, male 7.4
GTEX-XQ3S-0626-SM-4BOOB 20-29 years, male 7.4
GTEX-1R9PO-0326-SM-DTXA1 60-69 years, female 7.4
GTEX-15DDE-1126-SM-6LLHN 50-59 years, female 7.3
GTEX-WH7G-0426-SM-3NMBJ 40-49 years, male 7.3
GTEX-Y5V5-0626-SM-4VBPX 60-69 years, female 7.2
GTEX-ZYFC-1126-SM-5E44W 50-59 years, male 7.2
GTEX-1GN73-2426-SM-7RHFQ 60-69 years, male 7.2
GTEX-1JMPZ-1426-SM-CJI3C 30-39 years, male 7.2
GTEX-1POEN-0626-SM-EVR4B 30-39 years, female 7.2
GTEX-YJ8O-0926-SM-EAZ2Z 40-49 years, female 7.2
GTEX-YFC4-0526-SM-5ZZVI 40-49 years, female 7.1
GTEX-1GZ4I-1026-SM-9KNV5 50-59 years, male 7.1
GTEX-1I1GQ-1426-SM-B2LWY 50-59 years, male 7.1
GTEX-148VJ-1526-SM-5Q5DU 70-79 years, male 7.0
GTEX-16MT8-0926-SM-6M487 60-69 years, female 7.0
GTEX-1I6K7-0626-SM-ARL7Q 40-49 years, male 7.0
GTEX-1314G-0126-SM-5LZUL 30-39 years, male 6.8
GTEX-17HGU-1026-SM-79OKL 50-59 years, male 6.8
GTEX-S33H-0526-SM-COH1W 30-39 years, male 6.8
GTEX-13X6I-1426-SM-5SI9Z 60-69 years, male 6.7
GTEX-X261-1426-SM-4PQZ1 50-59 years, male 6.7
GTEX-1M5QR-1026-SM-DHXK9 40-49 years, male 6.7
GTEX-11ZVC-0426-SM-5CVLD 50-59 years, female 6.6
GTEX-ZPU1-0626-SM-4YCDM 40-49 years, male 6.6
GTEX-O5YV-0326-SM-2I5H2 60-69 years, female 6.5
GTEX-R55E-1026-SM-2TC5S 20-29 years, male 6.5
GTEX-WRHU-1226-SM-4E3IJ 50-59 years, female 6.5
GTEX-13O1R-1226-SM-5J1NU 60-69 years, male 6.3
GTEX-1JJEA-0826-SM-CL53T 60-69 years, male 6.3
GTEX-12WSC-1126-SM-5EQ4G 50-59 years, male 6.2
GTEX-146FH-1026-SM-5RQIF 50-59 years, female 6.2
GTEX-14JIY-1126-SM-6EU28 60-69 years, male 6.2
GTEX-PX3G-0326-SM-2I3EO 20-29 years, female 6.2
GTEX-12696-1126-SM-5FQTI 60-69 years, male 6.1
GTEX-11ZUS-0226-SM-5FQT8 30-39 years, male 6.0
GTEX-1B996-1126-SM-73KWN 60-69 years, male 6.0
GTEX-ZDTS-1326-SM-6LLHE 60-69 years, male 6.0
GTEX-13CF2-0426-SM-5KM1H 60-69 years, male 5.9
GTEX-SUCS-0326-SM-32PLL 70-79 years, male 5.9
GTEX-1J8EW-0926-SM-A9G33 60-69 years, female 5.9
GTEX-RU72-0326-SM-2TF5T 50-59 years, female 5.8
GTEX-17F9Y-1326-SM-7MGW9 70-79 years, female 5.8
GTEX-1IDJU-0726-SM-CNPQ9 60-69 years, female 5.8
GTEX-1EH9U-0826-SM-7IGPT 60-69 years, male 5.7
GTEX-1RB15-0326-SM-E6CQB 60-69 years, male 5.7
GTEX-14A5I-1226-SM-5NQBW 50-59 years, female 5.6
GTEX-ZDYS-0226-SM-5HL4K 50-59 years, male 5.6
GTEX-1GN1W-0326-SM-9JGHF 50-59 years, female 5.6
GTEX-ZEX8-0426-SM-DO92Y 50-59 years, male 5.6
GTEX-11I78-0826-SM-5A5K4 50-59 years, female 5.5
GTEX-12ZZZ-1726-SM-59HK5 60-69 years, male 5.5
GTEX-OHPL-0326-SM-33HC8 60-69 years, female 5.5
GTEX-1F6I4-0726-SM-7PC2P 60-69 years, male 5.5
GTEX-1HCU6-1026-SM-A9G25 60-69 years, female 5.5
GTEX-1J8Q2-1226-SM-A9G2W 60-69 years, male 5.5
GTEX-14A6H-0226-SM-5Q5DX 30-39 years, male 5.4
GTEX-14C38-1426-SM-5RQHZ 50-59 years, male 5.4
GTEX-YF7O-0426-SM-5P9FS 50-59 years, male 5.4
GTEX-1JN1M-1026-SM-CNPOS 60-69 years, female 5.4
GTEX-1KD5A-1026-SM-CY8I8 50-59 years, male 5.4
GTEX-14E6C-0426-SM-5YYA8 40-49 years, male 5.3
GTEX-16NPX-0926-SM-7KUEZ 50-59 years, male 5.3
GTEX-18A66-1226-SM-7LT8G 60-69 years, male 5.3
GTEX-RNOR-0826-SM-2TF5C 50-59 years, female 5.3
GTEX-ZDXO-0726-SM-57WBT 60-69 years, male 5.3
GTEX-1HBPH-0126-SM-CNNQ7 40-49 years, female 5.3
GTEX-13W3W-0426-SM-5SI9D 60-69 years, female 5.1
GTEX-15RJE-0626-SM-7KUKR 40-49 years, male 5.1
GTEX-15SHW-1226-SM-6M46C 60-69 years, male 5.1
GTEX-R45C-0926-SM-3GAD4 60-69 years, female 5.1
GTEX-YEC4-0326-SM-4W216 40-49 years, male 5.1
GTEX-13OVG-0526-SM-5K7YD 60-69 years, male 5.0
GTEX-QEG4-0426-SM-33HC3 30-39 years, male 5.0
GTEX-1ICLY-1326-SM-CJI47 50-59 years, male 5.0
GTEX-11DXZ-0626-SM-5GU77 50-59 years, male 4.9
GTEX-11O72-1126-SM-5N9E2 40-49 years, male 4.8
GTEX-V1D1-0526-SM-4JBGW 50-59 years, male 4.8
GTEX-14E1K-1026-SM-73KUR 50-59 years, male 4.6
GTEX-1H1ZS-1126-SM-9MQLJ 70-79 years, male 4.6
GTEX-17MF6-0726-SM-7LT8E 40-49 years, male 4.5
GTEX-ZAJG-0826-SM-5PNVA 50-59 years, female 4.5
GTEX-1IKK5-1526-SM-CKZPW 60-69 years, male 4.5
GTEX-UPK5-0326-SM-CYPR4 40-49 years, male 4.5
GTEX-WQUQ-1426-SM-3MJFD 60-69 years, male 4.4
GTEX-1B97J-0726-SM-7RHG3 50-59 years, female 4.4
GTEX-132NY-1726-SM-5EGKK 60-69 years, male 4.3
GTEX-146FR-0626-SM-5RQJ1 60-69 years, female 4.3
GTEX-18D9B-1226-SM-72D6V 60-69 years, male 4.3
GTEX-1JMQK-0626-SM-D4P2R 60-69 years, male 4.3
GTEX-13U4I-0826-SM-5SIBD 40-49 years, female 4.2
GTEX-WZTO-1326-SM-3NM8X 40-49 years, male 4.2
GTEX-1399R-1926-SM-5K7X8 30-39 years, male 4.1
GTEX-13NZB-0226-SM-5KM1T 30-39 years, male 4.0
GTEX-WI4N-0626-SM-3TW8Z 40-49 years, female 4.0
GTEX-1IDJE-0326-SM-CM2TD 50-59 years, female 4.0
GTEX-P4QS-0326-SM-2I3EU 60-69 years, male 3.9
GTEX-13FTW-1026-SM-5L3E3 40-49 years, male 3.8
GTEX-13O3P-1626-SM-5K7X3 50-59 years, male 3.8
GTEX-U3ZN-1426-SM-3DB87 30-39 years, female 3.8
GTEX-1HSMQ-0226-SM-C1YQL 50-59 years, male 3.8
GTEX-11DXX-0326-SM-5PNWC 60-69 years, female 3.7
GTEX-131XG-0626-SM-5GCMP 50-59 years, female 3.7
GTEX-1F48J-1026-SM-7P8SO 50-59 years, female 3.7
GTEX-1122O-0826-SM-5GICV 60-69 years, female 3.6
GTEX-1497J-1226-SM-5Q5BL 60-69 years, male 3.6
GTEX-1C64O-0826-SM-79OKZ 60-69 years, male 3.6
GTEX-15CHR-0226-SM-7PC2Z 50-59 years, male 3.6
GTEX-1RMOY-0626-SM-E9TIE 50-59 years, male 3.6
GTEX-13RTJ-0726-SM-5QGQN 60-69 years, male 3.5
GTEX-145LV-0326-SM-5Q5BW 50-59 years, male 3.5
GTEX-14PJ6-0726-SM-69LOL 60-69 years, female 3.5
GTEX-P44G-0826-SM-2I5ES 30-39 years, male 3.5
GTEX-RWSA-0626-SM-2XCBD 40-49 years, male 3.5
GTEX-UJMC-0526-SM-3GAE3 50-59 years, male 3.5
GTEX-WHSE-0926-SM-3NMBS 20-29 years, male 3.5
GTEX-XPT6-0126-SM-4B65S 20-29 years, male 3.5
GTEX-Y8E4-0326-SM-4VBRR 40-49 years, male 3.5
GTEX-1LGOU-0726-SM-E9TIY 20-29 years, female 3.5
GTEX-148VI-0326-SM-5RQK7 60-69 years, female 3.4
GTEX-1AYCT-0426-SM-73KVZ 50-59 years, male 3.4
GTEX-QEG5-0926-SM-2TC64 20-29 years, male 3.4
GTEX-1CB4E-0526-SM-7MXTK 60-69 years, male 3.4
GTEX-12WSG-0526-SM-5FQTH 50-59 years, female 3.3
GTEX-1A3MW-1326-SM-7189P 60-69 years, female 3.3
GTEX-1B932-1026-SM-793CL 40-49 years, female 3.3
GTEX-U8XE-1126-SM-3DB8W 30-39 years, male 3.3
GTEX-WHWD-0426-SM-3LK83 50-59 years, male 3.3
GTEX-ZLFU-0226-SM-4WWFH 40-49 years, male 3.3
GTEX-117YX-1126-SM-5H128 50-59 years, male 3.2
GTEX-15CHC-0426-SM-6LLHI 60-69 years, female 3.2
GTEX-POMQ-0326-SM-2I5FO 20-29 years, female 3.2
GTEX-Q2AH-0526-SM-2I3ED 40-49 years, male 3.2
GTEX-QESD-0526-SM-2I5G5 20-29 years, male 3.2
GTEX-WEY5-0426-SM-3GIKT 40-49 years, female 3.2
GTEX-XV7Q-0826-SM-4BRV7 40-49 years, female 3.2
GTEX-1RQEC-0926-SM-EWROG 60-69 years, male 3.2
GTEX-13CF3-0726-SM-5J2MY 60-69 years, female 3.1
GTEX-13QBU-0426-SM-5J2O4 40-49 years, female 3.1
GTEX-U3ZH-0326-SM-3DB7A 30-39 years, male 3.1
GTEX-X3Y1-0426-SM-3P5Z4 40-49 years, male 3.1
GTEX-1HCUA-0526-SM-A9SMH 50-59 years, female 3.1
GTEX-1JJ6O-2126-SM-CNNP6 60-69 years, male 3.1
GTEX-R53T-0926-SM-3GADH 50-59 years, female 3.0
GTEX-X15G-0426-SM-4PQZ6 50-59 years, female 3.0
GTEX-1HCU7-1326-SM-CNPPW 50-59 years, male 3.0
GTEX-1IDJI-1026-SM-A96TE 50-59 years, female 3.0
GTEX-1L5NE-0426-SM-E9TIX 50-59 years, male 3.0
GTEX-1R9JW-0526-SM-EWRNK 30-39 years, female 3.0
GTEX-1S3DN-0726-SM-E9TIO 50-59 years, male 3.0
GTEX-13VXT-1126-SM-5LU3A 20-29 years, female 2.9
GTEX-14PHY-0226-SM-5ZZWM 60-69 years, female 2.9
GTEX-16BQI-0926-SM-6M485 30-39 years, female 2.9
GTEX-XXEK-0926-SM-4BRWH 50-59 years, male 2.9
GTEX-ZYW4-0926-SM-59HJS 60-69 years, male 2.9
GTEX-1CB4I-1626-SM-7RHGV 50-59 years, male 2.9
GTEX-1J8Q3-1226-SM-CKZPT 60-69 years, male 2.9
GTEX-132AR-2026-SM-5IJG4 50-59 years, female 2.8
GTEX-13O3O-1526-SM-5KM1C 60-69 years, female 2.8
GTEX-17KNJ-0826-SM-793A4 50-59 years, male 2.8
GTEX-1AX9K-0526-SM-73KV1 50-59 years, male 2.8
GTEX-NFK9-0926-SM-2HMJU 40-49 years, male 2.8
GTEX-QV44-0526-SM-2S1RE 50-59 years, male 2.8
GTEX-X8HC-1626-SM-46MWE 50-59 years, female 2.8
GTEX-Y3IK-0826-SM-51MT8 50-59 years, female 2.8
GTEX-ZPIC-0826-SM-4WWFJ 40-49 years, female 2.8
GTEX-1AX8Z-5007-SM-AHZ36 60-69 years, male 2.8
GTEX-1HSGN-1126-SM-CJI4G 40-49 years, female 2.8
GTEX-1O9I2-1126-SM-DTXEA 50-59 years, male 2.8
GTEX-12WSN-5001-SM-7DHMK 40-49 years, male 2.7
GTEX-OOBJ-0326-SM-33HBO 60-69 years, male 2.7
GTEX-QDVJ-0426-SM-2I5FW 50-59 years, male 2.7
GTEX-WY7C-0526-SM-3NB3D 50-59 years, male 2.7
GTEX-1K9T9-1126-SM-D3L9E 50-59 years, female 2.7
GTEX-ZPCL-0426-SM-DNZZ4 60-69 years, female 2.7
GTEX-139YR-0826-SM-5LZXY 50-59 years, male 2.6
GTEX-P44H-0726-SM-48TBT 40-49 years, male 2.6
GTEX-REY6-1026-SM-2TF4Y 60-69 years, male 2.6
GTEX-ZAB5-0226-SM-5CVMH 50-59 years, male 2.6
GTEX-ZZPU-0926-SM-5GZYT 50-59 years, female 2.6
GTEX-1F75I-1126-SM-9WYUO 40-49 years, male 2.6
GTEX-1GF9U-0426-SM-7RHHA 40-49 years, female 2.6
GTEX-1GL5R-0326-SM-9WYTJ 50-59 years, male 2.6
GTEX-1JMOU-0226-SM-CNNPD 60-69 years, female 2.6
GTEX-1LH75-0426-SM-E9TJF 50-59 years, female 2.6
GTEX-11EM3-0626-SM-5H12Z 20-29 years, female 2.5
GTEX-132QS-0426-SM-5KLZ6 60-69 years, male 2.5
GTEX-14PJ4-1126-SM-5YY91 60-69 years, male 2.5
GTEX-OXRL-0326-SM-2I3F2 50-59 years, male 2.5
GTEX-SE5C-0626-SM-2XCDV 40-49 years, female 2.5
GTEX-U4B1-0326-SM-3DB8K 40-49 years, male 2.5
GTEX-UJHI-0426-SM-3DB8Y 50-59 years, female 2.5
GTEX-YB5K-0126-SM-5IFJ2 40-49 years, female 2.5
GTEX-1LC47-1026-SM-D3LAH 60-69 years, male 2.5
GTEX-1OFPY-1026-SM-EXUSO 60-69 years, male 2.5
GTEX-OHPK-0326-SM-2HMJO 50-59 years, female 2.4
GTEX-OIZH-0326-SM-2HMKC 50-59 years, male 2.4
GTEX-P4PQ-0326-SM-2HMJ8 60-69 years, male 2.4
GTEX-V955-0726-SM-3GAFG 60-69 years, male 2.4
GTEX-ZGAY-0326-SM-57WF5 40-49 years, female 2.4
GTEX-1HBPM-1226-SM-A9SM8 60-69 years, female 2.4
GTEX-1MJIX-0326-SM-EVR42 40-49 years, male 2.4
GTEX-1QP2A-1126-SM-EVR3H 50-59 years, male 2.4
GTEX-1211K-0626-SM-5FQUZ 60-69 years, female 2.3
GTEX-1399U-0526-SM-5K7YM 50-59 years, female 2.3
GTEX-13YAN-1326-SM-5Q5F1 60-69 years, male 2.3
GTEX-18D9U-1126-SM-72D5Y 40-49 years, male 2.3
GTEX-1AX9J-1026-SM-72D6E 60-69 years, male 2.3
GTEX-NPJ8-0426-SM-2HMK6 40-49 years, male 2.3
GTEX-O5YW-0326-SM-2I5EI 50-59 years, male 2.3
GTEX-QEL4-0926-SM-3GAD1 50-59 years, male 2.3
GTEX-WHPG-0826-SM-3NMBF 50-59 years, male 2.3
GTEX-OHPM-0326-SM-33HCA 50-59 years, male 2.2
GTEX-XPVG-0826-SM-4B654 50-59 years, male 2.2
GTEX-Y114-0226-SM-4TT8W 50-59 years, female 2.2
GTEX-ZF29-0226-SM-4WKHO 60-69 years, female 2.2
GTEX-1GMR3-0326-SM-7P8QT 40-49 years, male 2.2
GTEX-1HSMO-1226-SM-CL548 60-69 years, male 2.2
GTEX-1LGRB-1126-SM-CNPP2 50-59 years, female 2.2
GTEX-1QP29-1526-SM-EXUSY 50-59 years, male 2.2
GTEX-OIZF-0326-SM-3MJGY 60-69 years, male 2.2
GTEX-YEC3-0726-SM-CMKFH 50-59 years, male 2.2
GTEX-13O61-0526-SM-5J2M1 60-69 years, male 2.1
GTEX-17GQL-0526-SM-72D5N 60-69 years, male 2.1
GTEX-OXRK-0826-SM-2HMK7 50-59 years, female 2.1
GTEX-QLQ7-0526-SM-2I5G3 60-69 years, male 2.1
GTEX-ZVZP-0226-SM-5NQ73 50-59 years, male 2.1
GTEX-1HFI7-0826-SM-A9G23 50-59 years, female 2.1
GTEX-1IKOE-1026-SM-ARZMF 30-39 years, female 2.1
GTEX-1LVAN-1726-SM-CNNR1 50-59 years, female 2.1
GTEX-11LCK-0926-SM-5A5KA 30-39 years, male 2.0
GTEX-13N11-0426-SM-5KM3O 50-59 years, female 2.0
GTEX-14PK6-0826-SM-5ZZVO 70-79 years, female 2.0
GTEX-PLZ5-0626-SM-2I5F8 50-59 years, male 2.0
GTEX-Y5V6-0826-SM-4VBRU 60-69 years, male 2.0
GTEX-ZYFG-0426-SM-5E43M 60-69 years, female 2.0
GTEX-1GMR2-1426-SM-7RHHK 50-59 years, male 2.0
GTEX-14PHX-2126-SM-6EU2U 50-59 years, male 1.9
GTEX-16XZY-0426-SM-793BI 70-79 years, male 1.9
GTEX-QDVN-0326-SM-2I3FS 50-59 years, male 1.9
GTEX-13D11-1726-SM-5IFGQ 50-59 years, female 1.8
GTEX-P4PP-0326-SM-33HC4 30-39 years, female 1.8
GTEX-PSDG-0926-SM-2I5FP 50-59 years, male 1.8
GTEX-RUSQ-0526-SM-2TF72 50-59 years, male 1.8
GTEX-SNMC-0126-SM-2XCFO 20-29 years, male 1.8
GTEX-ZDTT-0726-SM-4WKFK 60-69 years, male 1.8
GTEX-1H23P-1226-SM-9QEJ2 60-69 years, male 1.8
GTEX-1MCC2-0326-SM-EV7AK 30-39 years, female 1.8
GTEX-1PWST-1026-SM-DTXF2 70-79 years, male 1.8
GTEX-111YS-0426-SM-5987O 60-69 years, male 1.7
GTEX-WFG7-0726-SM-3GIKO 20-29 years, male 1.7
GTEX-ZTPG-1226-SM-4YCDO 20-29 years, female 1.7
GTEX-1R7EV-0326-SM-E76PA 40-49 years, male 1.7
GTEX-11TT1-1326-SM-5PNYM 20-29 years, male 1.6
GTEX-13O21-2326-SM-5MR3X 50-59 years, male 1.6
GTEX-14XAO-1126-SM-6EU11 60-69 years, female 1.6
GTEX-QMRM-0526-SM-2I5GA 50-59 years, male 1.6
GTEX-Y3I4-0626-SM-4TT7A 50-59 years, male 1.6
GTEX-1ICG6-0626-SM-ACKWS 70-79 years, female 1.6
GTEX-1JK1U-0526-SM-CYPSQ 60-69 years, male 1.6
GTEX-13PVR-1026-SM-5QGQW 60-69 years, female 1.5
GTEX-14H4A-0626-SM-5ZZUT 40-49 years, female 1.5
GTEX-WFG8-0626-SM-3GILJ 20-29 years, male 1.5
GTEX-XBED-0526-SM-47JY3 60-69 years, male 1.5
GTEX-ZQUD-1526-SM-7IGO2 30-39 years, male 1.5
GTEX-1QCLZ-0926-SM-E6CQZ 60-69 years, female 1.5
GTEX-1399S-1026-SM-5KLZ9 30-39 years, female 1.4
GTEX-15EOM-5007-SM-793DG 20-29 years, female 1.4
GTEX-17F9E-0926-SM-7IGMG 50-59 years, male 1.4
GTEX-1B8KE-0126-SM-793AM 50-59 years, male 1.4
GTEX-XQ8I-0126-SM-4BOPL 50-59 years, male 1.4
GTEX-1C2JI-0526-SM-7EWEQ 50-59 years, male 1.3
GTEX-1KANC-0426-SM-CXZK5 50-59 years, female 1.3
GTEX-1MUQO-1226-SM-E9TJK 60-69 years, male 1.3
GTEX-1QPFJ-1026-SM-E6CR6 30-39 years, female 1.3
GTEX-13FH7-0926-SM-5J2MR 50-59 years, female 1.2
GTEX-WYJK-1026-SM-3NM8W 50-59 years, male 1.2
GTEX-1F5PK-0326-SM-9KNUD 50-59 years, male 1.2
GTEX-1LSNM-0526-SM-DIPG6 50-59 years, male 1.2
GTEX-1OKEX-0726-SM-DPRYE 60-69 years, male 1.2
GTEX-131XF-5001-SM-7DHLY 60-69 years, male 1.1
GTEX-13S86-0226-SM-5S2PJ 40-49 years, male 1.1
GTEX-O5YT-0326-SM-32PKA 20-29 years, male 1.1
GTEX-RWS6-0326-SM-2XCAP 60-69 years, female 1.1
GTEX-1339X-0426-SM-5KLZY 40-49 years, male 1.0
GTEX-1CAMS-1326-SM-79OJR 40-49 years, female 1.0
GTEX-ZG7Y-0926-SM-5EQ6O 50-59 years, male 1.0
GTEX-12BJ1-0226-SM-5LUA2 60-69 years, male 0.9
GTEX-18A67-1226-SM-7KFRS 50-59 years, male 0.9
GTEX-XGQ4-0326-SM-4GIEE 50-59 years, male 0.8
GTEX-1N2EF-2826-SM-E6CQF 60-69 years, male 0.8
GTEX-13X6H-0426-SM-5LU4E 50-59 years, female 0.7
GTEX-S32W-0626-SM-2XCBG 50-59 years, female 0.7
GTEX-WFON-0326-SM-3GIKX 40-49 years, male 0.7
GTEX-R55C-0326-SM-3GAF1 40-49 years, male 0.6
GTEX-14PN3-0526-SM-69LQF 60-69 years, female 0.5
Show allShow less

HEART MUSCLE - FANTOM5 CAGEi

RNA expression in human tissues obtained through Cap Analysis of Gene Expression (CAGE) generated by the FANTOM5 project are reported as Scaled Tags Per Million.

Max subtype Scaled Tags Per Millioni

Max subtype Scaled Tags Per Million is the value for the subtype with the largest average Scaled Tags Per Million across the subtype samples.

33.2
FANTOM5 sample id Sample description Scaled Tags Per Million
Heart
Scaled Tags Per Million: 3.2
FF:10016-101C7 70,73,74 years, mixed 3.2
Left atrium
Scaled Tags Per Million: 33.2
FF:10079-102A7 40 years, male 33.2
Left ventricle
Scaled Tags Per Million: 3.1
FF:10078-102A6 73 years, female 3.1

Contact

  • NEWS ARTICLES
  • PRESS ROOM

The Project

  • INTRODUCTION
  • ORGANIZATION
  • PUBLICATIONS

The Human Protein Atlas

  • DOWNLOADABLE DATA
  • LICENCE & CITATION
  • HELP & FAQ
The Human Protein Atlas project is funded
by the Knut & Alice Wallenberg Foundation.


contact@proteinatlas.org