We use cookies to enhance the usability of our website. If you continue, we'll assume that you are happy to receive all cookies. More information. Don't show this again.
ZNF771
HPA
RESOURCES
  • TISSUE
  • BRAIN
  • SINGLE CELL
  • SUBCELLULAR
  • CANCER
  • BLOOD
  • CELL LINE
  • STRUCTURE & INTERACTION
ABOUT
  • INTRODUCTION
  • HISTORY
  • ORGANIZATION
  • PUBLICATIONS
  • ANTIBODY SUBMISSION
  • ANTIBODY AVAILABILITY
  • ACKNOWLEDGMENTS
  • CONTACT
NEWS
  • NEWS ARTICLES
  • PRESS ROOM
LEARN
  • DICTIONARY
  • PROTEIN CLASSES
  • PROTEIN EVIDENCE
  • METHODS
  • EDUCATIONAL VIDEOS
DATA
  • DOWNLOADABLE DATA
  • PUBLICATION DATA
  • RELEASE HISTORY
HELP
  • ANTIBODY VALIDATION
  • ASSAYS & ANNOTATION
  • DISCLAIMER
  • HELP & FAQ
  • PRIVACY STATEMENT
  • LICENCE & CITATION
Fields »
Search result

Field
Term
Gene name
Class
Subclass
Class
Keyword
Chromosome
External id
Tissue
Cell type
Expression
Antibody panel
Tissue
Main location
Patient ID
Annotation
Tissue
Category
Tau score
Cluster
Reliability
Brain region
Category
Tau score
Brain region
Category
Tau score
Brain region
Category
Tau score
Cluster
Reliability
Tissue
Cell type
Enrichment
Cell type
Category
Tau score
Cell type
Category
Tau score
Cell type
Category
Tau score
Cell lineage
Category
Tau score
Cluster
Cluster
Location
Searches
Location
Cell line
Class
Type
Phase
Reliability
Cancer
Prognosis
Cancer
Category
Cancer
Category
Tau score
Cluster
Variants
Interacting gene (ensg_id)
Type
Number of interactions
Pathway
Category
Score
Score
Score
Validation
Validation
Validation
Validation
Antibodies
Data type
Column


  • SUMMARY

  • TISSUE

  • BRAIN

  • SINGLE CELL

  • SUBCELL

  • CANCER

  • BLOOD

  • CELL LINE

  • STRUCT & INT

  • ZNF771
TISSUE PRIMARY DATA COLON Show tissue menu
ADIPOSE TISSUE ADRENAL GLAND AMYGDALA APPENDIX BASAL GANGLIA BONE MARROW BREAST CEREBELLUM CEREBRAL CORTEX CERVIX CHOROID PLEXUS COLON DUODENUM
ENDOMETRIUM EPIDIDYMIS ESOPHAGUS FALLOPIAN TUBE GALLBLADDER HEART MUSCLE HIPPOCAMPAL FORMATION HYPOTHALAMUS KIDNEY LIVER LUNG LYMPH NODE MIDBRAIN
OVARY PANCREAS PARATHYROID GLAND PITUITARY GLAND PLACENTA PROSTATE RECTUM RETINA SALIVARY GLAND SEMINAL VESICLE SKELETAL MUSCLE SKIN SMALL INTESTINE
SMOOTH MUSCLE SPINAL CORD SPLEEN STOMACH TESTIS THYMUS THYROID GLAND TONGUE TONSIL URINARY BLADDER VAGINA
ANTIBODIES
AND
VALIDATION
Dictionary
Colon
Tissue proteome
Intestine
COLON - Expression summary
Protein expressioni

On the top, protein expression in current human tissue, based on all annotated cell types, is reported with the units not detected (n), low (l), medium (m) and high (h). Underneath, protein expression in each annotated cell type are reported using the same units.

Protein expression data is based on knowledge-based annotation. For genes where more than one antibody has been used, a collective score is set.

If knowledge-based annotation could not be performed for a gene, no data is displayed here. View antibody staining data further down this page.

No data
RNA expressioni

A summary of mRNA expression data available for current tissue based on several datasets. The mRNA expression levels in human tissues are based on RNA-seq data generated by the Human Protein Atlas (HPA), Genotype-Tissue Expression (GTEx) portal and CAGE data generated by the FANTOM5 consortium. Consensus normalized expression levels for human tissues was created by combining the data from HPA and GTEx datasets.

The mRNA expression levels in pig are based on RNA-seq data generated by the Human Protein Atlas (HPA), and for mouse, HPA data and in situ hybridization generated by the Allen brain atlas are reported.

Scroll down to view mRNA expression data in more detail.
Consensus:10.2 nTPM
HPA:1.6 nTPM
GTEx:10.2 nTPM
FANTOM5:12.1 Scaled Tags Per Million

COLON - Annotated protein expression
Pending normal tissue analysis

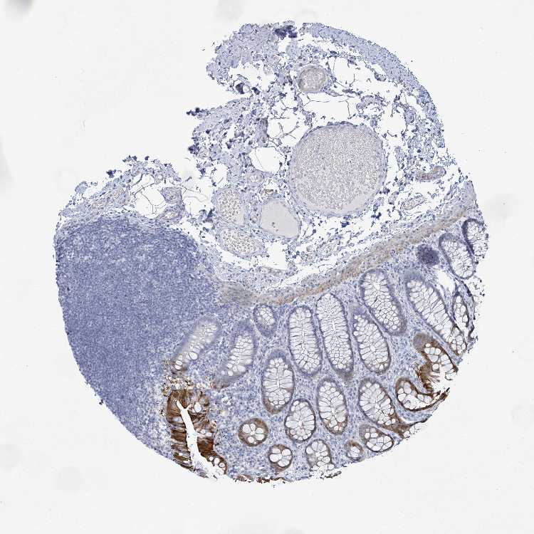
COLON - Antibody stainingi

Antibody staining in the annotated cell types in the current human tissue is reported as not detected, low, medium, or high, based on conventional immunohistochemistry profiling in selected tissues. This score is based on the combination of the staining intensity and fraction of stained cells.

Each image is clickable and will lead to virtual microscopy that enables deeper exploration of all samples and also displays staining intensity scores, fraction scores and subcellular localization as well as patient and tissue information for each sample.

Antibody HPA046672
Endothelial cells Not detected
Glandular cells Medium
Peripheral nerve/ganglion Not detected



COLON - HPA RNA-seqi

The RNA-seq details section shows detailed information about the individual samples used for the transcript profiling and results of the RNA-seq analysis.

Information about each individual sample is listed below, including gender, age, a tissue section image and estimated fractions of cell types. nTPM (normalized transcripts per million) values give a quantification of the gene abundance which is comparable between different genes and samples.
Average nTPMi

Max subtype nTPM is the value for the subtype with the largest average nTPM across the subtype samples.

1.6
overview
Male, age 54
Colon sample 67
nTPM: 3.4
Cell types%
Glandular cells:
65

Smooth muscle cells:
10

Other cell types:
25

overview
Female, age 57
Colon sample 68
nTPM: 1.4
Cell types%
Glandular cells:
40

Smooth muscle cells:
5

Other cell types:
55

overview
Male, age 80
Colon sample 69
nTPM: 1.9
Cell types%
Glandular cells:
55

Smooth muscle cells:
5

Other cell types:
40

overview
Male, age 68
Colon sample 70
nTPM: 2.1
Cell types%
Glandular cells:
35

Smooth muscle cells:
10

Other cell types:
55

overview
Female, age 68
Colon sample 76
nTPM: 1.3
Cell types%
Glandular cells:
25

Smooth muscle cells:
5

Other cell types:
70

overview
Female, age 61
Colon sample 299
nTPM: 2
Cell types%
Glandular cells:
5

Smooth muscle cells:
65

Other cell types:
30

overview
Male, age 80
Colon sample 300
nTPM: 1.6
Cell types%
Glandular cells:
15

Smooth muscle cells:
20

Other cell types:
65

overview
Female, age 78
Colon sample 368
nTPM: 0.9
Cell types%
Glandular cells:
45

Smooth muscle cells:
5

Other cell types:
50

overview
Male, age 84
Colon sample 381
nTPM: 1.4
Cell types%
Glandular cells:
50

Smooth muscle cells:
15

Other cell types:
35

overview
Male, age 80
Colon sample 384
nTPM: 1.1
Cell types%
Glandular cells:
20

Smooth muscle cells:
35

Other cell types:
45

overview
Female, age 78
Colon sample 389
nTPM: 0.7
Cell types%
Glandular cells:
35

Smooth muscle cells:
10

Other cell types:
55

overview
Female, age 69
Colon sample 391
nTPM: 1.3
Cell types%
Glandular cells:
10

Smooth muscle cells:
45

Other cell types:
45

overview
Female, age 72
Colon sample 403
nTPM: 1.6
Cell types%
Glandular cells:
20

Smooth muscle cells:
15

Other cell types:
65


COLON - GTEx RNA-seqi

RNA-Seq data generated by the Genotype-Tissue Expression (GTEx) project from human tissues is reported as mean nTPM. More information can be found on the GTEx portal.

Distribution across the dataset is visualized with box plots, shown as median and 25th and 75th percentiles. Points are displayed as outliers if they are above or below 1.5 times the interquartile range. nTPM values of the individual samples are presented next to the box plot.
Max subtype nTPMi

Max subtype nTPM is the value for the subtype with the largest average nTPM across the subtype samples.

10.2
GTEx sample id Sample description nTPM
Colon - Sigmoid
Average nTPM: 10.2
Samples: 373

Max nTPM: 24.0
Min nTPM: 2.3
Std nTPM: 3.2
Median nTPM: 10.1
GTEX-1LG7Z-1326-SM-DIPF3 30-39 years, male 24.0
GTEX-ZLFU-1426-SM-4WWEU 40-49 years, male 21.0
GTEX-ZVT2-1726-SM-51MRO 50-59 years, female 20.5
GTEX-13PL7-2426-SM-5J2N3 60-69 years, female 19.8
GTEX-Y3I4-1126-SM-4TT7Y 50-59 years, male 18.9
GTEX-15RJ7-1726-SM-6PAL3 40-49 years, male 18.4
GTEX-1MGNQ-2126-SM-EV7AC 40-49 years, male 18.4
GTEX-WXYG-1726-SM-4ONCU 50-59 years, female 18.3
GTEX-16XZZ-2726-SM-7EWDO 60-69 years, male 17.2
GTEX-1GZ4H-1326-SM-7P8TE 50-59 years, female 17.2
GTEX-14A5I-2426-SM-5Q5CP 50-59 years, female 17.1
GTEX-1LB8K-2526-SM-DIPEQ 50-59 years, male 16.7
GTEX-ZP4G-1526-SM-57WE5 20-29 years, female 16.6
GTEX-17F96-2126-SM-7KFSM 70-79 years, male 16.3
GTEX-145LT-0826-SM-5S2QL 40-49 years, male 16.0
GTEX-117XS-2226-SM-5GIE1 60-69 years, male 15.9
GTEX-1A3MX-2326-SM-718B4 60-69 years, male 15.8
GTEX-1C2JI-1726-SM-73KUW 50-59 years, male 15.8
GTEX-X15G-1526-SM-4PQZM 50-59 years, female 15.8
GTEX-1H1E6-1826-SM-A9G21 30-39 years, male 15.6
GTEX-1399U-2226-SM-5KLZI 50-59 years, female 15.5
GTEX-13X6J-2826-SM-7EPGA 50-59 years, male 15.3
GTEX-11DXY-2026-SM-5N9CZ 60-69 years, male 15.2
GTEX-139D8-2926-SM-5IJBM 30-39 years, female 15.2
GTEX-1CB4F-1926-SM-7MKFN 60-69 years, male 15.2
GTEX-117YX-0526-SM-5EGJH 50-59 years, male 15.1
GTEX-12WSG-2426-SM-5EQLZ 50-59 years, female 15.1
GTEX-18D9A-1326-SM-7LT8P 30-39 years, female 15.1
GTEX-1LSNL-1626-SM-E9TJY 50-59 years, male 15.1
GTEX-Z93S-2626-SM-57WBX 50-59 years, male 14.9
GTEX-1E2YA-2526-SM-7IGOU 50-59 years, male 14.8
GTEX-11P7K-1826-SM-5HL5A 30-39 years, male 14.6
GTEX-11EI6-2626-SM-5PNVT 60-69 years, male 14.5
GTEX-18A6Q-2226-SM-7LG61 60-69 years, male 14.5
GTEX-1GL5R-1726-SM-9KNUX 50-59 years, male 14.5
GTEX-139UW-2326-SM-5KM1Y 60-69 years, male 14.4
GTEX-1LBAC-1726-SM-D3L9W 20-29 years, male 14.4
GTEX-145MH-2726-SM-5QGQ6 50-59 years, male 14.2
GTEX-1I1CD-2826-SM-A9SL4 60-69 years, female 14.2
GTEX-1PBJJ-2026-SM-DTX8U 30-39 years, male 14.2
GTEX-1RAZQ-2026-SM-E76P7 30-39 years, male 14.2
GTEX-ZE9C-2126-SM-4WKGY 60-69 years, male 14.0
GTEX-1HSEH-1926-SM-A96SB 60-69 years, male 13.9
GTEX-1I6K6-1926-SM-A96SN 30-39 years, male 13.9
GTEX-WFG7-1626-SM-4LVMF 20-29 years, male 13.8
GTEX-1HBPN-2026-SM-B2LWA 50-59 years, male 13.8
GTEX-14BIN-2426-SM-5TDCF 50-59 years, female 13.7
GTEX-14PJ3-1226-SM-5ZZVY 50-59 years, male 13.7
GTEX-1C64N-2226-SM-7SB7C 50-59 years, male 13.7
GTEX-1HSKV-2326-SM-A9SL9 60-69 years, male 13.6
GTEX-1JMQK-2326-SM-ARZN4 60-69 years, male 13.6
GTEX-1PIIG-2126-SM-EXUSD 30-39 years, male 13.6
GTEX-12BJ1-2026-SM-5FQUH 60-69 years, male 13.5
GTEX-1339X-1726-SM-5P9J9 40-49 years, male 13.5
GTEX-ZAJG-2626-SM-5S2NU 50-59 years, female 13.5
GTEX-1LVAM-1726-SM-DHXKQ 50-59 years, female 13.5
GTEX-1B8L1-1926-SM-7IGND 60-69 years, male 13.4
GTEX-1C4CL-1626-SM-7DUF3 30-39 years, male 13.4
GTEX-ZE7O-2626-SM-51MSS 50-59 years, female 13.4
GTEX-11DXZ-1626-SM-5GIDI 50-59 years, male 13.2
GTEX-12WSD-2626-SM-5EGJE 60-69 years, female 13.2
GTEX-1C6VQ-2626-SM-7IGMQ 50-59 years, male 13.2
GTEX-1CB4G-2726-SM-79OO4 60-69 years, male 13.2
GTEX-1GN73-2726-SM-9WYUB 60-69 years, male 13.2
GTEX-1H3VE-2326-SM-9KNVU 40-49 years, male 13.1
GTEX-1I1GT-2026-SM-CKZPK 60-69 years, female 13.1
GTEX-13PVR-1726-SM-5Q5EC 60-69 years, female 13.0
GTEX-ZDTS-2726-SM-5L3E2 60-69 years, male 13.0
GTEX-ZTSS-1226-SM-51MSZ 40-49 years, male 13.0
GTEX-1K2DA-1626-SM-CGQGB 50-59 years, male 13.0
GTEX-139TS-2226-SM-5J2N1 60-69 years, male 12.9
GTEX-16MTA-1626-SM-6M47N 50-59 years, male 12.8
GTEX-ZPU1-1726-SM-4WWFV 40-49 years, male 12.8
GTEX-1ICG6-2226-SM-B2LY7 70-79 years, female 12.8
GTEX-131XE-1026-SM-5EGKE 50-59 years, male 12.7
GTEX-YJ8O-1426-SM-5PNV9 40-49 years, female 12.7
GTEX-13OVK-1026-SM-7KFTC 40-49 years, male 12.6
GTEX-17HHE-1626-SM-7DHLN 50-59 years, male 12.6
GTEX-1RQEC-2626-SM-EVR3Z 60-69 years, male 12.6
GTEX-1JJEA-2526-SM-CY8HJ 60-69 years, male 12.4
GTEX-1LSNM-1426-SM-E6CIH 50-59 years, male 12.4
GTEX-1B8KE-1526-SM-7DUG2 50-59 years, male 12.3
GTEX-1R9JW-2126-SM-E76QT 30-39 years, female 12.3
GTEX-145MO-2626-SM-5QGPD 60-69 years, male 12.2
GTEX-1BAJH-2726-SM-7IGNJ 70-79 years, male 12.2
GTEX-1F5PK-1726-SM-7RHHW 50-59 years, male 12.2
GTEX-1LG7Y-2226-SM-E9U5K 50-59 years, male 12.2
GTEX-12WSM-1426-SM-5GCPA 60-69 years, male 12.1
GTEX-12ZZX-2726-SM-5N9FT 40-49 years, female 12.1
GTEX-15DZA-1026-SM-6PAND 30-39 years, female 12.1
GTEX-1PIEJ-1826-SM-EWRMN 20-29 years, female 12.1
GTEX-1QP9N-0826-SM-DTX9O 30-39 years, male 12.1
GTEX-13OVI-2126-SM-5KM3U 60-69 years, female 12.0
GTEX-XUZC-1526-SM-4BRV4 30-39 years, female 12.0
GTEX-ZT9W-1726-SM-51MS3 50-59 years, male 12.0
GTEX-ZZ64-0826-SM-5E449 20-29 years, male 12.0
GTEX-1R7EU-1826-SM-DTX9L 60-69 years, male 12.0
GTEX-1S82P-2026-SM-E9TIQ 60-69 years, female 12.0
GTEX-1399R-2126-SM-5K7WZ 30-39 years, male 11.9
GTEX-13FTW-2126-SM-5K7YG 40-49 years, male 11.9
GTEX-147JS-2626-SM-5S2UX 60-69 years, male 11.9
GTEX-ZAB5-1426-SM-5HL9D 50-59 years, male 11.9
GTEX-13OW5-2826-SM-5KM1G 60-69 years, male 11.8
GTEX-15DYW-2426-SM-7KUG8 60-69 years, female 11.8
GTEX-Y8LW-1126-SM-4VDS4 50-59 years, female 11.8
GTEX-1HCUA-1926-SM-B2LWE 50-59 years, female 11.8
GTEX-1AX9J-2526-SM-73KUY 60-69 years, male 11.7
GTEX-ZXES-1726-SM-5E43G 30-39 years, female 11.7
GTEX-1RDX4-1926-SM-E6CJJ 50-59 years, female 11.7
GTEX-Y9LG-1326-SM-4VBQB 30-39 years, male 11.6
GTEX-ZPCL-1626-SM-57WGC 60-69 years, female 11.6
GTEX-ZVT3-2826-SM-5GU6A 60-69 years, female 11.6
GTEX-1L5NE-1926-SM-D3L9R 50-59 years, male 11.6
GTEX-1QP28-2226-SM-DTX8C 50-59 years, female 11.6
GTEX-1S5ZA-1426-SM-E6CJQ 20-29 years, male 11.6
GTEX-11ZTT-1626-SM-5EQKR 60-69 years, female 11.5
GTEX-131YS-2926-SM-5EGKI 60-69 years, female 11.5
GTEX-XAJ8-0726-SM-47JY5 40-49 years, male 11.5
GTEX-Y114-1626-SM-4TT7I 50-59 years, female 11.5
GTEX-12ZZY-2726-SM-5EQ45 60-69 years, male 11.4
GTEX-16BQI-2026-SM-7KULQ 30-39 years, female 11.4
GTEX-17HGU-2626-SM-79OKN 50-59 years, male 11.4
GTEX-18A67-2226-SM-7LT9Z 50-59 years, male 11.4
GTEX-1CAMR-1026-SM-7P8QI 20-29 years, male 11.4
GTEX-1GF9X-1426-SM-7RHGX 40-49 years, female 11.3
GTEX-1GMR2-1826-SM-9KNUP 50-59 years, male 11.3
GTEX-1N2DV-1826-SM-E6CJ5 40-49 years, male 11.3
GTEX-1QCLY-2026-SM-EVR4C 30-39 years, male 11.3
GTEX-13CF2-1826-SM-5N9GK 60-69 years, male 11.2
GTEX-1EH9U-1926-SM-7P8QM 60-69 years, male 11.2
GTEX-1HSGN-2226-SM-A9SL6 40-49 years, female 11.2
GTEX-1IDJH-2826-SM-CJI49 70-79 years, male 11.2
GTEX-1PIGE-1526-SM-DTXFC 20-29 years, male 11.2
GTEX-XV7Q-2226-SM-4BRVY 40-49 years, female 11.1
GTEX-1H23P-2626-SM-9KNVN 60-69 years, male 11.1
GTEX-ZLWG-1826-SM-DO11I 50-59 years, female 11.1
GTEX-YECK-2826-SM-5IFHF 60-69 years, male 11.0
GTEX-1JK1U-1426-SM-CNPOW 60-69 years, male 11.0
GTEX-1JMPZ-2626-SM-ARU8Z 30-39 years, male 11.0
GTEX-1JN6P-2126-SM-ARL98 60-69 years, male 11.0
GTEX-15UF6-2726-SM-7KULY 70-79 years, female 10.9
GTEX-1RMOY-1726-SM-EVYC9 50-59 years, male 10.9
GTEX-13D11-0626-SM-5LZYY 50-59 years, female 10.8
GTEX-14DAQ-2926-SM-664MV 60-69 years, female 10.8
GTEX-18465-2726-SM-7LT9I 50-59 years, male 10.8
GTEX-1IDJU-1926-SM-CL53W 60-69 years, female 10.8
GTEX-11GS4-1826-SM-5HL4T 60-69 years, male 10.7
GTEX-17JCI-2826-SM-7IGNA 60-69 years, female 10.7
GTEX-ZC5H-2426-SM-4WAZ6 40-49 years, female 10.7
GTEX-11EQ8-2626-SM-5N9BO 60-69 years, male 10.6
GTEX-11ZTS-1526-SM-5N9G7 60-69 years, female 10.6
GTEX-14BMU-1326-SM-5RQIH 20-29 years, female 10.6
GTEX-ZA64-1426-SM-5CVMC 20-29 years, male 10.6
GTEX-ZYFG-1826-SM-5GZWX 60-69 years, female 10.6
GTEX-1J8JJ-2426-SM-D4P4A 60-69 years, female 10.6
GTEX-YEC3-2026-SM-DKPOL 50-59 years, male 10.6
GTEX-1GMR8-2926-SM-9KNW5 50-59 years, female 10.5
GTEX-1GMRU-2626-SM-9WPPM 50-59 years, male 10.5
GTEX-1GTWX-2626-SM-9WPOT 60-69 years, male 10.5
GTEX-1H3VY-2526-SM-9KNW1 50-59 years, male 10.5
GTEX-1HKZK-2026-SM-9WYUF 40-49 years, male 10.5
GTEX-13FH7-1626-SM-5J2O9 50-59 years, female 10.4
GTEX-14PN3-1926-SM-6EU1Y 60-69 years, female 10.4
GTEX-XQ8I-2326-SM-4BOQC 50-59 years, male 10.4
GTEX-ZF28-2526-SM-57WFH 60-69 years, male 10.4
GTEX-15G1A-1926-SM-7KUFF 30-39 years, male 10.4
GTEX-1HCU6-2926-SM-B2LWV 60-69 years, female 10.4
GTEX-1HCU7-2726-SM-A9G3D 50-59 years, male 10.4
GTEX-1LKK1-2426-SM-DIPES 50-59 years, female 10.4
GTEX-13N2G-2226-SM-5IJCU 60-69 years, male 10.3
GTEX-1477Z-2126-SM-5Q5CM 60-69 years, male 10.3
GTEX-1EMGI-2626-SM-7IGNR 60-69 years, male 10.3
GTEX-WRHK-1126-SM-4MVOJ 20-29 years, female 10.3
GTEX-X4EO-2726-SM-4E3HS 60-69 years, female 10.3
GTEX-ZF29-1826-SM-4WKG8 60-69 years, female 10.3
GTEX-ZG7Y-1826-SM-4WWD3 50-59 years, male 10.3
GTEX-1PPH8-2226-SM-EWRN7 20-29 years, male 10.3
GTEX-13G51-2126-SM-5IJD9 60-69 years, male 10.2
GTEX-13OW8-2726-SM-5L3FZ 60-69 years, male 10.2
GTEX-14PHX-1126-SM-5YYA5 50-59 years, male 10.2
GTEX-XUW1-1826-SM-4BOQD 50-59 years, female 10.2
GTEX-ZPIC-2626-SM-57WE2 40-49 years, female 10.2
GTEX-1CAMS-2626-SM-7PBY3 40-49 years, female 10.2
GTEX-1JMLX-2526-SM-CY8HX 50-59 years, male 10.2
GTEX-1QP29-2526-SM-E6CQ3 50-59 years, male 10.2
GTEX-1R9K5-2226-SM-DTX9G 50-59 years, male 10.2
GTEX-15EO6-2326-SM-6LPKK 50-59 years, male 10.1
GTEX-17HG3-1126-SM-7DUFC 30-39 years, female 10.1
GTEX-183WM-2526-SM-731BP 70-79 years, female 10.1
GTEX-1F75W-2126-SM-7RHIA 60-69 years, male 10.1
GTEX-1H1DE-1626-SM-9KNU5 20-29 years, male 10.1
GTEX-1OFPY-1226-SM-E76OM 60-69 years, male 10.1
GTEX-145ME-1126-SM-5SIAT 40-49 years, female 10.0
GTEX-14E6E-1726-SM-5S2R6 30-39 years, male 10.0
GTEX-1HBPM-2626-SM-9WYU5 60-69 years, female 10.0
GTEX-1I1GR-2226-SM-ARL7F 60-69 years, male 10.0
GTEX-1JJE9-2526-SM-ARU8K 70-79 years, male 10.0
GTEX-1QCLZ-2026-SM-EAZ4A 60-69 years, female 10.0
GTEX-1J8Q3-2426-SM-CL53S 60-69 years, male 9.9
GTEX-11P81-1426-SM-5P9JN 30-39 years, female 9.8
GTEX-17KNJ-1826-SM-7LT9N 50-59 years, male 9.8
GTEX-1B97I-1526-SM-73KUK 40-49 years, male 9.8
GTEX-1PDJ9-2026-SM-E76PT 20-29 years, male 9.8
GTEX-11EMC-1426-SM-5N9E4 60-69 years, female 9.7
GTEX-13PVQ-2726-SM-5L3H7 50-59 years, male 9.7
GTEX-14A5H-1626-SM-5SIAN 60-69 years, male 9.7
GTEX-V955-1726-SM-4JBHF 60-69 years, male 9.7
GTEX-1JKYR-2026-SM-CNPON 20-29 years, male 9.7
GTEX-111CU-1226-SM-5EGIN 50-59 years, male 9.6
GTEX-11ONC-1926-SM-5GU75 60-69 years, male 9.6
GTEX-17GQL-1626-SM-7LG69 60-69 years, male 9.6
GTEX-183FY-1426-SM-7DHLM 20-29 years, male 9.6
GTEX-ZYT6-2826-SM-5GICX 30-39 years, male 9.6
GTEX-1HSMO-2526-SM-A9SKP 60-69 years, male 9.6
GTEX-1KXAM-1926-SM-D3LAG 60-69 years, male 9.6
GTEX-11EQ9-1526-SM-5PNY7 30-39 years, male 9.5
GTEX-13CF3-1326-SM-5LZXZ 60-69 years, female 9.5
GTEX-ZV6S-1126-SM-57WE9 40-49 years, female 9.5
GTEX-1F5PL-1926-SM-7MXTP 40-49 years, female 9.5
GTEX-1R9PO-2026-SM-E9J4N 60-69 years, female 9.5
GTEX-111YS-1826-SM-5GIEP 60-69 years, male 9.4
GTEX-ZF2S-1826-SM-4WKFF 50-59 years, female 9.4
GTEX-ZYY3-2226-SM-5E45A 60-69 years, female 9.4
GTEX-1RAZR-2026-SM-E9TKE 40-49 years, male 9.4
GTEX-11TUW-2326-SM-5EQMO 60-69 years, male 9.3
GTEX-1211K-1826-SM-5EGJ2 60-69 years, female 9.3
GTEX-132AR-2826-SM-5IJFV 50-59 years, female 9.3
GTEX-139T6-1426-SM-5P9J7 50-59 years, male 9.3
GTEX-15ETS-2326-SM-7KUGC 40-49 years, female 9.3
GTEX-1GPI7-1926-SM-9KNUH 20-29 years, male 9.3
GTEX-11ZU8-1126-SM-5EQ5K 60-69 years, male 9.2
GTEX-12696-1926-SM-5EGJT 60-69 years, male 9.2
GTEX-145LS-2926-SM-5O99G 60-69 years, female 9.2
GTEX-1A32A-2626-SM-73KX9 50-59 years, female 9.2
GTEX-XXEK-1826-SM-4BRVC 50-59 years, male 9.2
GTEX-YF7O-1626-SM-5IFII 50-59 years, male 9.2
GTEX-1JMQJ-2626-SM-CY8HQ 50-59 years, male 9.2
GTEX-ZLV1-1326-SM-DO11Q 60-69 years, female 9.2
GTEX-15RIF-1426-SM-7KUKQ 20-29 years, male 9.1
GTEX-16NGA-0926-SM-718AG 40-49 years, female 9.1
GTEX-ZAB4-2426-SM-5HL8A 40-49 years, male 9.1
GTEX-1QW4Y-1426-SM-E76P3 30-39 years, male 9.1
GTEX-11DXX-1926-SM-5EGJK 60-69 years, female 9.0
GTEX-13VXT-2026-SM-5L3EW 20-29 years, female 9.0
GTEX-1HFI7-1626-SM-9WYTR 50-59 years, female 9.0
GTEX-1P4AB-2626-SM-DTXEU 50-59 years, male 9.0
GTEX-13O1R-2426-SM-5KLZZ 60-69 years, male 8.9
GTEX-WHPG-1626-SM-4M1ZL 50-59 years, male 8.9
GTEX-ZYFD-2226-SM-5E43P 50-59 years, male 8.9
GTEX-1JMPY-1026-SM-ARZN1 30-39 years, male 8.9
GTEX-1K9T9-2926-SM-E9TKD 50-59 years, female 8.9
GTEX-1QP67-1426-SM-E8VOO 40-49 years, female 8.9
GTEX-1B932-2126-SM-7IGMU 40-49 years, female 8.8
GTEX-1C475-1526-SM-7DHM3 40-49 years, female 8.8
GTEX-1EU9M-2726-SM-7P8QD 60-69 years, male 8.8
GTEX-1J8QM-1226-SM-CY8HI 60-69 years, female 8.8
GTEX-12ZZW-2426-SM-5DUWE 50-59 years, male 8.7
GTEX-13OW6-2226-SM-5N9FL 50-59 years, male 8.7
GTEX-1QPFJ-2426-SM-EVR3L 30-39 years, female 8.7
GTEX-13SLW-2826-SM-5Q5ES 70-79 years, male 8.6
GTEX-18QFQ-1726-SM-731C9 30-39 years, male 8.6
GTEX-1AMFI-1826-SM-73KWB 50-59 years, female 8.6
GTEX-ZQG8-2426-SM-57WEE 60-69 years, female 8.6
GTEX-1IKOE-2126-SM-A96T5 30-39 years, female 8.6
GTEX-WY7C-1926-SM-4ONCI 50-59 years, male 8.5
GTEX-ZVZQ-2626-SM-59HLB 60-69 years, female 8.5
GTEX-132NY-2726-SM-5PNY2 60-69 years, male 8.4
GTEX-WFG8-1726-SM-4LVM6 20-29 years, male 8.4
GTEX-1JN76-1326-SM-ARU94 20-29 years, female 8.4
GTEX-1KANA-1726-SM-CY8IG 20-29 years, male 8.4
GTEX-1S831-1726-SM-EWROJ 20-29 years, male 8.4
GTEX-14E1K-1626-SM-664MO 50-59 years, male 8.3
GTEX-15RIE-2026-SM-7KFRW 60-69 years, male 8.3
GTEX-WQUQ-2626-SM-4MVNP 60-69 years, male 8.3
GTEX-YFCO-1526-SM-5YYB8 40-49 years, male 8.3
GTEX-1JKYN-2226-SM-ARZNE 30-39 years, male 8.3
GTEX-WYVS-1126-SM-4SOJX 40-49 years, female 8.2
GTEX-14PKV-1926-SM-686YU 20-29 years, female 8.1
GTEX-1QP2A-2226-SM-DTXF6 50-59 years, male 8.1
GTEX-11I78-1326-SM-5PNY9 50-59 years, female 8.0
GTEX-15CHQ-2626-SM-686YZ 60-69 years, male 8.0
GTEX-17F9Y-2626-SM-7IGN9 70-79 years, female 8.0
GTEX-18A66-2626-SM-72D67 60-69 years, male 8.0
GTEX-1AYCT-1926-SM-793AE 50-59 years, male 8.0
GTEX-WFON-1326-SM-4LVMN 40-49 years, male 8.0
GTEX-XBED-1726-SM-47JYO 60-69 years, male 8.0
GTEX-1J1OQ-2826-SM-D3L88 40-49 years, female 8.0
GTEX-1LVAO-2826-SM-E9TJH 60-69 years, male 8.0
GTEX-1N2EF-1726-SM-EXUSI 60-69 years, male 8.0
GTEX-11VI4-1426-SM-5GU6O 40-49 years, female 7.9
GTEX-131XG-1526-SM-5GCNQ 50-59 years, female 7.9
GTEX-WHWD-1526-SM-4OORV 50-59 years, male 7.9
GTEX-ZTTD-2626-SM-57WEX 50-59 years, male 7.9
GTEX-11PRG-2026-SM-5GU5F 50-59 years, male 7.8
GTEX-12WSJ-1426-SM-5GCON 40-49 years, female 7.8
GTEX-13RTJ-1926-SM-5YYA2 60-69 years, male 7.8
GTEX-14PJ4-1826-SM-5YY97 60-69 years, male 7.8
GTEX-1I1GP-2826-SM-A9SKZ 50-59 years, male 7.8
GTEX-13O61-1526-SM-5KM3P 60-69 years, male 7.7
GTEX-1HCVE-2326-SM-9WYUD 50-59 years, male 7.7
GTEX-1PFEY-1726-SM-DPRZ4 30-39 years, male 7.7
GTEX-12WSL-1826-SM-5LZW9 50-59 years, male 7.6
GTEX-14PK6-1826-SM-69LOM 70-79 years, female 7.6
GTEX-1HSMQ-2526-SM-A9SMK 50-59 years, male 7.6
GTEX-WI4N-2226-SM-4OOS9 40-49 years, female 7.5
GTEX-1212Z-1826-SM-5FQSH 60-69 years, male 7.3
GTEX-14AS3-1026-SM-5TDD7 40-49 years, female 7.3
GTEX-15G19-2726-SM-6LPKG 60-69 years, male 7.3
GTEX-1AX9K-1626-SM-73KUS 50-59 years, male 7.2
GTEX-13X6K-2726-SM-5O9DG 60-69 years, female 7.1
GTEX-1LVAN-2626-SM-CNPQF 50-59 years, female 7.1
GTEX-1PBJI-2526-SM-E6CP4 20-29 years, female 7.1
GTEX-1B996-2726-SM-7DUGG 60-69 years, male 7.0
GTEX-1C64O-2426-SM-7P8R3 60-69 years, male 7.0
GTEX-1HBPH-2526-SM-ACKXK 40-49 years, female 7.0
GTEX-1J1R8-1426-SM-CL55O 40-49 years, male 7.0
GTEX-147GR-2826-SM-5RQK8 60-69 years, male 6.9
GTEX-14JG6-1626-SM-5YYBC 30-39 years, female 6.9
GTEX-17MFQ-1226-SM-7KFSA 20-29 years, male 6.9
GTEX-1J8EW-2426-SM-CE6T5 60-69 years, female 6.9
GTEX-1122O-1426-SM-5H11R 60-69 years, female 6.8
GTEX-ZVT4-2626-SM-5N9GJ 50-59 years, female 6.8
GTEX-1HBPI-2226-SM-9WYTY 50-59 years, male 6.8
GTEX-13111-1926-SM-5GCOL 50-59 years, male 6.7
GTEX-1A3MV-1026-SM-72D5U 30-39 years, male 6.7
GTEX-WYJK-2326-SM-4ONDN 50-59 years, male 6.7
GTEX-14C5O-2626-SM-5RQI5 60-69 years, male 6.6
GTEX-15UF7-1326-SM-7KUKV 40-49 years, male 6.6
GTEX-1H1ZS-2626-SM-9QEIX 70-79 years, male 6.5
GTEX-13FHO-2726-SM-5K7VG 60-69 years, male 6.4
GTEX-1LSVX-2026-SM-E9TJD 60-69 years, male 6.4
GTEX-12KS4-2326-SM-5EGJB 30-39 years, male 6.3
GTEX-14E6C-2226-SM-5QGQG 40-49 years, male 6.3
GTEX-YJ8A-1726-SM-5P9IQ 20-29 years, male 6.3
GTEX-1LGOU-1726-SM-D3L8P 20-29 years, female 6.3
GTEX-1LGRB-2026-SM-COH47 50-59 years, female 6.3
GTEX-11EM3-1626-SM-5N9CO 20-29 years, female 6.2
GTEX-15ER7-2826-SM-6PAN2 20-29 years, female 6.1
GTEX-X5EB-1126-SM-46MVV 40-49 years, male 6.1
GTEX-13113-1426-SM-5EGHU 60-69 years, female 6.0
GTEX-Y5LM-1426-SM-5RQJL 40-49 years, female 6.0
GTEX-ZY6K-1326-SM-5GZWP 50-59 years, male 6.0
GTEX-1H3NZ-2526-SM-9KNVO 60-69 years, male 6.0
GTEX-1HB9E-2526-SM-D4P35 50-59 years, male 6.0
GTEX-15RJE-2226-SM-6M46A 40-49 years, male 5.9
GTEX-13OVJ-1826-SM-5KM2D 50-59 years, female 5.8
GTEX-148VJ-2426-SM-5NQ9Y 70-79 years, male 5.7
GTEX-1GMR3-2526-SM-7P8QS 40-49 years, male 5.7
GTEX-WHSE-2726-SM-EZ6ML 20-29 years, male 5.7
GTEX-17EUY-1726-SM-79OK4 20-29 years, male 5.6
GTEX-14C39-1626-SM-5S2P4 40-49 years, male 5.5
GTEX-13U4I-2626-SM-5SI9C 40-49 years, female 5.4
GTEX-146FH-2426-SM-5Q5EW 50-59 years, female 5.4
GTEX-16Z82-2426-SM-7KUMS 60-69 years, male 5.2
GTEX-13QBU-2026-SM-5KLZB 40-49 years, female 5.1
GTEX-1IL2U-2526-SM-C1YQV 60-69 years, male 5.1
GTEX-Y5V6-1626-SM-4VDT2 60-69 years, male 4.8
GTEX-13X6I-2726-SM-5Q5ET 60-69 years, male 4.7
GTEX-11TT1-0926-SM-5GU5M 20-29 years, male 4.6
GTEX-1OJC3-1826-SM-DTX93 20-29 years, male 4.6
GTEX-WH7G-1426-SM-4LVMU 40-49 years, male 4.5
GTEX-144GM-1126-SM-79OJK 20-29 years, male 4.4
GTEX-1IDJI-2226-SM-CKZPM 50-59 years, female 4.4
GTEX-15F5U-1426-SM-7KUN2 40-49 years, male 4.0
GTEX-Y8E4-2326-SM-EAZAZ 40-49 years, male 4.0
GTEX-VJYA-2126-SM-4KL1O 60-69 years, male 3.8
GTEX-WOFM-1926-SM-4OOSP 20-29 years, male 3.8
GTEX-13W3W-2226-SM-5LU4M 60-69 years, female 3.7
GTEX-1RLM8-1726-SM-E9TKF 50-59 years, male 3.5
GTEX-W5WG-2026-SM-4LMIB 50-59 years, female 3.4
GTEX-1AMEY-1826-SM-72D5L 30-39 years, female 3.1
GTEX-ZQUD-1026-SM-4YCEZ 30-39 years, male 2.4
GTEX-15FZZ-1826-SM-6LLJP 30-39 years, female 2.3
Show allShow less
Colon - Transverse
Average nTPM: 6.0
Samples: 406

Max nTPM: 20.5
Min nTPM: 1.1
Std nTPM: 3.0
Median nTPM: 5.2
GTEX-1C2JI-1626-SM-7EPHC 50-59 years, male 20.5
GTEX-Y3I4-1426-SM-4TT9C 50-59 years, male 18.4
GTEX-11GSP-1626-SM-5986N 60-69 years, female 16.5
GTEX-1GMR2-1726-SM-9JGI2 50-59 years, male 15.7
GTEX-X5EB-0926-SM-46MVT 40-49 years, male 15.4
GTEX-15DZA-0926-SM-69LQ3 30-39 years, female 15.0
GTEX-OXRL-1426-SM-3NM9E 50-59 years, male 14.7
GTEX-1LBAC-1626-SM-CXZKV 20-29 years, male 14.7
GTEX-17F96-2026-SM-79ON4 70-79 years, male 14.4
GTEX-1GL5R-2426-SM-7MXV1 50-59 years, male 14.2
GTEX-1LG7Y-2126-SM-DIPER 50-59 years, male 14.1
GTEX-Y114-1526-SM-4TT79 50-59 years, female 14.0
GTEX-15CHC-1626-SM-5ZZWS 60-69 years, female 13.9
GTEX-1CB4I-2226-SM-7P8SL 50-59 years, male 13.5
GTEX-V955-1626-SM-4JBHJ 60-69 years, male 13.3
GTEX-WEY5-1426-SM-4LMJ3 40-49 years, female 13.3
GTEX-17F9E-1826-SM-7IGMC 50-59 years, male 13.2
GTEX-TKQ1-0626-SM-4DXTS 30-39 years, male 12.7
GTEX-117YX-0826-SM-5H11J 50-59 years, male 12.6
GTEX-14PJ3-0926-SM-69LQG 50-59 years, male 12.6
GTEX-RWS6-1826-SM-47JXX 60-69 years, female 12.5
GTEX-Y8LW-1226-SM-4WWDP 50-59 years, female 12.4
GTEX-1JMLX-2726-SM-CM2SB 50-59 years, male 11.8
GTEX-14ICL-1226-SM-5S2RD 30-39 years, male 11.3
GTEX-S341-1426-SM-4AD6U 40-49 years, female 11.3
GTEX-YEC4-1926-SM-5IFHJ 40-49 years, male 11.3
GTEX-1IDJF-1826-SM-CKZOE 20-29 years, male 11.3
GTEX-145MO-2426-SM-5NQ9W 60-69 years, male 11.2
GTEX-1HCVE-2526-SM-A9G2G 50-59 years, male 10.9
GTEX-1PPGY-2826-SM-DTX9H 60-69 years, male 10.9
GTEX-18D9B-2526-SM-718BN 60-69 years, male 10.8
GTEX-ZF29-1726-SM-4WKFV 60-69 years, female 10.8
GTEX-1MCC2-1626-SM-DIPEW 30-39 years, female 10.8
GTEX-ZV6S-1226-SM-59HLH 40-49 years, female 10.7
GTEX-WVJS-2426-SM-EZ6LI 50-59 years, male 10.7
GTEX-ZYFG-1926-SM-5GID5 60-69 years, female 10.5
GTEX-11TTK-2426-SM-5PNYO 60-69 years, female 10.4
GTEX-1AYD5-1726-SM-7RHFW 50-59 years, male 10.3
GTEX-1HSMP-2326-SM-D3L8R 70-79 years, male 10.3
GTEX-145ME-0826-SM-5O9AF 40-49 years, female 10.2
GTEX-11EQ9-1426-SM-5987G 30-39 years, male 10.1
GTEX-NFK9-2026-SM-3LK5K 40-49 years, male 9.8
GTEX-X3Y1-1726-SM-4PQZL 40-49 years, male 9.7
GTEX-1GZ4H-1226-SM-9KNUA 50-59 years, female 9.7
GTEX-18QFQ-1526-SM-72D57 30-39 years, male 9.6
GTEX-1GN73-2626-SM-9KNUQ 60-69 years, male 9.6
GTEX-1HCU6-2726-SM-A9SKV 60-69 years, female 9.5
GTEX-SNMC-1126-SM-4DM5M 20-29 years, male 9.3
GTEX-1NV5F-2226-SM-DTX8O 60-69 years, female 9.2
GTEX-14DAQ-2726-SM-5S2QY 60-69 years, female 9.1
GTEX-15G1A-1826-SM-7KUKO 30-39 years, male 9.1
GTEX-T6MO-0826-SM-4DM51 40-49 years, female 9.1
GTEX-1HCU7-2626-SM-C1YQO 50-59 years, male 9.1
GTEX-12ZZZ-2426-SM-5GCNN 60-69 years, male 8.9
GTEX-13FH7-1526-SM-5J2N6 50-59 years, female 8.9
GTEX-1GF9X-1526-SM-7P8QP 40-49 years, female 8.9
GTEX-X4EO-2526-SM-EWRM8 60-69 years, female 8.9
GTEX-13OW5-2626-SM-5MR3M 60-69 years, male 8.8
GTEX-1IDJC-1326-SM-CL53H 50-59 years, male 8.8
GTEX-14E1K-1826-SM-793DT 50-59 years, male 8.7
GTEX-XAJ8-0426-SM-47JYJ 40-49 years, male 8.7
GTEX-1E2YA-2626-SM-7MGWW 50-59 years, male 8.7
GTEX-1I6K6-1826-SM-B2LX5 30-39 years, male 8.7
GTEX-18A7A-2226-SM-7LT8K 50-59 years, female 8.6
GTEX-SE5C-1526-SM-4BRWU 40-49 years, female 8.6
GTEX-WYJK-2226-SM-4ONDJ 50-59 years, male 8.6
GTEX-1R9PM-1526-SM-DPRY8 20-29 years, male 8.6
GTEX-OHPM-1426-SM-3TW8Y 50-59 years, male 8.5
GTEX-1EMGI-2726-SM-7P8S4 60-69 years, male 8.5
GTEX-1MUQO-2626-SM-EWRO3 60-69 years, male 8.5
GTEX-OXRN-2026-SM-E6CHK 50-59 years, male 8.5
GTEX-1399R-2226-SM-5P9JB 30-39 years, male 8.4
GTEX-13OVI-2026-SM-5J1MU 60-69 years, female 8.4
GTEX-1C64O-2326-SM-73KU8 60-69 years, male 8.4
GTEX-QMRM-1226-SM-447C6 50-59 years, male 8.4
GTEX-13OVK-0826-SM-7KULZ 40-49 years, male 8.3
GTEX-1OKEX-1226-SM-DTXEC 60-69 years, male 8.3
GTEX-1RMOY-1626-SM-EVYC8 50-59 years, male 8.3
GTEX-1HKZK-2126-SM-A9SL3 40-49 years, male 8.2
GTEX-1I1GT-1926-SM-ARU7D 60-69 years, female 8.2
GTEX-YEC3-2426-SM-DO11A 50-59 years, male 8.2
GTEX-ZP4G-1726-SM-4WWCM 20-29 years, female 8.1
GTEX-12WSL-1626-SM-5GCMU 50-59 years, male 8.0
GTEX-14PJ5-0926-SM-6LLIK 60-69 years, female 8.0
GTEX-1POEN-2026-SM-E6CRL 30-39 years, female 8.0
GTEX-1ICLZ-2426-SM-CKZOD 60-69 years, male 7.9
GTEX-1JJE9-2426-SM-D3L8T 70-79 years, male 7.9
GTEX-1PPH8-2026-SM-DTX7P 20-29 years, male 7.9
GTEX-14H4A-1926-SM-5ZZWN 40-49 years, female 7.8
GTEX-17KNJ-1726-SM-7LG6A 50-59 years, male 7.8
GTEX-1S82U-0726-SM-E9TKI 30-39 years, female 7.8
GTEX-OXRO-0726-SM-E9U4C 60-69 years, female 7.8
GTEX-U412-1726-SM-EZ6KX 60-69 years, male 7.8
GTEX-RU1J-1326-SM-46MUL 20-29 years, female 7.7
GTEX-1IKK5-2726-SM-CNPQ6 60-69 years, male 7.7
GTEX-1S5VW-2926-SM-E9U6H 60-69 years, male 7.7
GTEX-12WSJ-1526-SM-5GCNI 40-49 years, female 7.6
GTEX-XUW1-1926-SM-4BOP1 50-59 years, female 7.6
GTEX-1IGQW-2326-SM-CE6RV 60-69 years, male 7.6
GTEX-11ONC-2026-SM-5HL61 60-69 years, male 7.5
GTEX-1339X-1626-SM-5IJDN 40-49 years, male 7.5
GTEX-13O61-1626-SM-5KM3T 60-69 years, male 7.5
GTEX-Z93S-2426-SM-5HL8N 50-59 years, male 7.5
GTEX-15ER7-2926-SM-7KUFK 20-29 years, female 7.4
GTEX-1LVAN-2526-SM-CNPPC 50-59 years, female 7.4
GTEX-1QW4Y-1326-SM-EWRMZ 30-39 years, male 7.4
GTEX-148VJ-2626-SM-5QGPI 70-79 years, male 7.3
GTEX-15SHU-2526-SM-6M47D 40-49 years, female 7.3
GTEX-1BAJH-2326-SM-7IGMO 70-79 years, male 7.3
GTEX-1QMI2-2626-SM-E6CR4 60-69 years, male 7.3
GTEX-16Z82-2226-SM-6LPJ7 60-69 years, male 7.2
GTEX-17HII-2726-SM-7MGVM 50-59 years, male 7.2
GTEX-PSDG-1826-SM-EAZ2S 50-59 years, male 7.2
GTEX-111YS-1626-SM-5GZZ9 60-69 years, male 7.1
GTEX-WH7G-1326-SM-4LVMS 40-49 years, male 7.1
GTEX-XXEK-1926-SM-4BRVD 50-59 years, male 7.1
GTEX-1H3VY-2426-SM-9WPPD 50-59 years, male 7.1
GTEX-147JS-2526-SM-5S2Q8 60-69 years, male 7.0
GTEX-17MF6-2426-SM-7LTAM 40-49 years, male 7.0
GTEX-VJYA-2026-SM-4KL1K 60-69 years, male 6.9
GTEX-1F75B-2726-SM-7P8QO 50-59 years, male 6.9
GTEX-1NHNU-2326-SM-E6CQE 50-59 years, male 6.9
GTEX-1RAZQ-2126-SM-DTX9V 30-39 years, male 6.9
GTEX-11P81-1126-SM-5GU5G 30-39 years, female 6.8
GTEX-145LS-2726-SM-5Q5D8 60-69 years, female 6.8
GTEX-14BIN-3026-SM-5ZZUS 50-59 years, female 6.8
GTEX-17HGU-2426-SM-7EWDP 50-59 years, male 6.8
GTEX-OIZH-1426-SM-3NB1O 50-59 years, male 6.8
GTEX-WQUQ-2526-SM-4MVNO 60-69 years, male 6.8
GTEX-139TS-1926-SM-5IJFO 60-69 years, male 6.7
GTEX-14BMV-2426-SM-5S2PP 50-59 years, male 6.7
GTEX-1CB4F-2026-SM-79OLU 60-69 years, male 6.7
GTEX-XYKS-2226-SM-4E3IU 60-69 years, female 6.7
GTEX-1EH9U-2026-SM-7PBYS 60-69 years, male 6.7
GTEX-1RDX4-1826-SM-EVR54 50-59 years, female 6.7
GTEX-17JCI-2626-SM-7EWE6 60-69 years, female 6.6
GTEX-WY7C-1626-SM-4ONC8 50-59 years, male 6.6
GTEX-XGQ4-1226-SM-4AT67 50-59 years, male 6.6
GTEX-1GF9U-1526-SM-7MXUW 40-49 years, female 6.6
GTEX-13U4I-2426-SM-5LU34 40-49 years, female 6.5
GTEX-18A7B-2026-SM-72D71 70-79 years, male 6.5
GTEX-P78B-1726-SM-3P5ZV 40-49 years, female 6.5
GTEX-U3ZH-1326-SM-4DXSF 30-39 years, male 6.5
GTEX-1JJ6O-2426-SM-ARU8J 60-69 years, male 6.5
GTEX-1KANB-1526-SM-CXZK4 50-59 years, male 6.5
GTEX-1R9K5-2126-SM-E8VN1 50-59 years, male 6.5
GTEX-13VXT-2426-SM-5LU46 20-29 years, female 6.4
GTEX-16NGA-1026-SM-7KFS3 40-49 years, female 6.4
GTEX-U3ZM-1126-SM-4DXUB 40-49 years, male 6.4
GTEX-ZZ64-0726-SM-5GZX4 20-29 years, male 6.4
GTEX-11NSD-1626-SM-5986U 20-29 years, male 6.3
GTEX-11TUW-2026-SM-5EQL8 60-69 years, male 6.3
GTEX-13S86-1626-SM-5Q5C5 40-49 years, male 6.3
GTEX-14AS3-1126-SM-5Q5CR 40-49 years, female 6.3
GTEX-15SB6-1226-SM-7KUMP 50-59 years, female 6.3
GTEX-SNOS-1226-SM-4DM5H 40-49 years, male 6.3
GTEX-15CHQ-2526-SM-6EU24 60-69 years, male 6.2
GTEX-R55C-1126-SM-48FCJ 40-49 years, male 6.2
GTEX-1H1DG-2226-SM-9WPPC 70-79 years, male 6.2
GTEX-1N2EF-1926-SM-DTX8M 60-69 years, male 6.2
GTEX-SJXC-2226-SM-EVYAK 60-69 years, male 6.2
GTEX-13W3W-2126-SM-5K7UX 60-69 years, female 6.1
GTEX-18D9U-1926-SM-7KFTM 40-49 years, male 6.1
GTEX-1A3MV-1126-SM-718BS 30-39 years, male 6.1
GTEX-1AX8Z-2726-SM-73KUC 60-69 years, male 6.1
GTEX-PX3G-1426-SM-48U1J 20-29 years, female 6.1
GTEX-ZYFC-2626-SM-5NQ6S 50-59 years, male 6.1
GTEX-1LSVX-1726-SM-DHXJP 60-69 years, male 6.1
GTEX-QLQ7-1126-SM-CYPRB 60-69 years, male 6.1
GTEX-178AV-1326-SM-6LPJX 40-49 years, male 6.0
GTEX-O5YW-1426-SM-3MJHF 50-59 years, male 6.0
GTEX-WYVS-1826-SM-4OND6 40-49 years, female 6.0
GTEX-XV7Q-2126-SM-4BRVX 40-49 years, female 6.0
GTEX-1R9JW-2026-SM-EAZ4O 30-39 years, female 6.0
GTEX-13CF3-1426-SM-5K7YY 60-69 years, female 5.9
GTEX-13FHP-2426-SM-5KLZ5 50-59 years, male 5.9
GTEX-15DCE-2026-SM-7KUFE 20-29 years, male 5.9
GTEX-15UF6-2626-SM-6M466 70-79 years, female 5.9
GTEX-S3XE-1126-SM-4AD4N 50-59 years, male 5.9
GTEX-ZPCL-1826-SM-57WF1 60-69 years, female 5.9
GTEX-1GZ4I-2426-SM-9WPPP 50-59 years, male 5.9
GTEX-1JMPZ-2426-SM-C1YQP 30-39 years, male 5.9
GTEX-1JN1M-2626-SM-CY8I3 60-69 years, female 5.9
GTEX-OOBJ-1426-SM-E6CHH 60-69 years, male 5.9
GTEX-13OVG-1426-SM-5K7VP 60-69 years, male 5.8
GTEX-17GQL-1526-SM-7LTAC 60-69 years, male 5.8
GTEX-XBEW-1926-SM-4SOJO 40-49 years, male 5.7
GTEX-1HSMQ-2726-SM-C1YRE 50-59 years, male 5.7
GTEX-1K9T9-2826-SM-D4P3F 50-59 years, female 5.7
GTEX-1N5O9-2726-SM-E76QH 60-69 years, male 5.7
GTEX-ZGAY-2126-SM-4YCFB 40-49 years, female 5.6
GTEX-1LH75-2126-SM-EVR5F 50-59 years, female 5.6
GTEX-1R7EU-1926-SM-E9U62 60-69 years, male 5.6
GTEX-11O72-2226-SM-5PNW2 40-49 years, male 5.5
GTEX-ZY6K-1226-SM-5GZYL 50-59 years, male 5.5
GTEX-ZG7Y-2126-SM-DO117 50-59 years, male 5.5
GTEX-16MT8-2726-SM-7IGLJ 60-69 years, female 5.4
GTEX-1HSGN-2626-SM-CE6S1 40-49 years, female 5.4
GTEX-117YW-1826-SM-5PNY5 50-59 years, male 5.3
GTEX-14C39-1926-SM-5ZZW5 40-49 years, male 5.3
GTEX-17EUY-1826-SM-7DUEZ 20-29 years, male 5.3
GTEX-1JK1U-1526-SM-AHZ46 60-69 years, male 5.3
GTEX-16NPV-2626-SM-6M484 50-59 years, female 5.2
GTEX-PWCY-1026-SM-48TD4 20-29 years, female 5.2
GTEX-TML8-1326-SM-4DXTO 40-49 years, female 5.2
GTEX-1JKYR-1926-SM-C1YR7 20-29 years, male 5.2
GTEX-1S3DN-1826-SM-EV79K 50-59 years, male 5.2
GTEX-QEL4-1926-SM-D3L8D 50-59 years, male 5.2
GTEX-18A66-2426-SM-7KFSQ 60-69 years, male 5.1
GTEX-PLZ5-1126-SM-3P613 50-59 years, male 5.1
GTEX-Q734-1126-SM-48TZY 40-49 years, female 5.1
GTEX-1HSEH-1726-SM-B2LXH 60-69 years, male 5.1
GTEX-11ZVC-2126-SM-5EGJ1 50-59 years, female 5.0
GTEX-S7SF-1926-SM-4AT5B 20-29 years, female 5.0
GTEX-Y3IK-1826-SM-4WWDS 50-59 years, female 5.0
GTEX-1H1DE-1526-SM-ARL9B 20-29 years, male 5.0
GTEX-1MJK3-0926-SM-EV7AY 20-29 years, male 5.0
GTEX-R45C-2126-SM-EZ6KZ 60-69 years, female 5.0
GTEX-111VG-2226-SM-5N9DU 60-69 years, male 4.9
GTEX-ZTSS-1126-SM-5985O 40-49 years, male 4.9
GTEX-1KXAM-2126-SM-CY8I9 60-69 years, male 4.9
GTEX-146FQ-1926-SM-5NQBY 30-39 years, male 4.8
GTEX-17EVQ-1826-SM-7IGPH 70-79 years, male 4.8
GTEX-1B996-2626-SM-73KZ1 60-69 years, male 4.8
GTEX-PLZ6-0926-SM-3P5ZQ 30-39 years, male 4.8
GTEX-QDVJ-1326-SM-48U1X 50-59 years, male 4.8
GTEX-1HCU9-1326-SM-B2LXT 20-29 years, male 4.8
GTEX-11P7K-1526-SM-5EGI7 30-39 years, male 4.7
GTEX-16XZZ-2626-SM-6M47S 60-69 years, male 4.7
GTEX-1AMEY-1926-SM-73KVT 30-39 years, female 4.7
GTEX-OXRK-1726-SM-3NB16 50-59 years, female 4.7
GTEX-XBED-1526-SM-4AT5W 60-69 years, male 4.7
GTEX-XQ8I-2126-SM-4BOOM 50-59 years, male 4.7
GTEX-1F75I-2426-SM-9WPOY 40-49 years, male 4.7
GTEX-1LGRB-1426-SM-CNNPT 50-59 years, female 4.7
GTEX-1LVAM-1626-SM-EV79Y 50-59 years, female 4.7
GTEX-1128S-1626-SM-5H12O 60-69 years, female 4.6
GTEX-1AX9I-2626-SM-73KU5 60-69 years, male 4.6
GTEX-P4QT-1426-SM-3NMCX 50-59 years, female 4.6
GTEX-S4P3-1226-SM-4AD4Y 50-59 years, female 4.6
GTEX-U3ZN-2126-SM-4DXU1 30-39 years, female 4.6
GTEX-XPVG-1826-SM-4B64X 50-59 years, male 4.6
GTEX-1B8KZ-1326-SM-7DUG6 50-59 years, male 4.5
GTEX-QDVN-1326-SM-48TZ3 50-59 years, male 4.5
GTEX-TKQ2-1326-SM-4DXT9 50-59 years, male 4.5
GTEX-X15G-1326-SM-4PQZJ 50-59 years, female 4.5
GTEX-ZAB4-2226-SM-5HL97 40-49 years, male 4.5
GTEX-132AR-2726-SM-5PNVN 50-59 years, female 4.4
GTEX-144GL-2526-SM-5TDDL 50-59 years, male 4.4
GTEX-14PJM-2626-SM-686ZD 50-59 years, female 4.4
GTEX-PWN1-1426-SM-48TDF 40-49 years, female 4.4
GTEX-ZEX8-1926-SM-4WKFR 50-59 years, male 4.4
GTEX-1IDJD-2226-SM-A96TD 30-39 years, male 4.4
GTEX-1IDJU-2026-SM-A9SLM 60-69 years, female 4.4
GTEX-1JN76-1226-SM-C1YRM 20-29 years, female 4.4
GTEX-13O3O-2526-SM-5L3DR 60-69 years, female 4.3
GTEX-13PVR-1626-SM-73KVF 60-69 years, female 4.3
GTEX-14C5O-2526-SM-73KU2 60-69 years, male 4.3
GTEX-14JG6-1726-SM-69LPL 30-39 years, female 4.3
GTEX-1C4CL-2126-SM-7IGQC 30-39 years, male 4.3
GTEX-QLQW-0426-SM-447A7 30-39 years, male 4.3
GTEX-UJMC-1326-SM-4IHLS 50-59 years, male 4.3
GTEX-Y8E4-2426-SM-4WWDN 40-49 years, male 4.3
GTEX-ZPU1-1926-SM-57WDT 40-49 years, male 4.3
GTEX-13QJ3-2626-SM-9OSXQ 50-59 years, male 4.3
GTEX-1KANA-1926-SM-DHXKF 20-29 years, male 4.3
GTEX-ZDTT-1926-SM-5HL5W 60-69 years, male 4.3
GTEX-13X6H-1926-SM-7EWD3 50-59 years, female 4.2
GTEX-1C6VQ-2726-SM-73KUL 50-59 years, male 4.2
GTEX-R55D-1826-SM-48FEF 50-59 years, male 4.2
GTEX-YF7O-1726-SM-5IFJ9 50-59 years, male 4.2
GTEX-1MGNQ-2026-SM-EAZ51 40-49 years, male 4.2
GTEX-OHPN-2026-SM-E9TIA 60-69 years, female 4.2
GTEX-13OW6-2126-SM-5N9GL 50-59 years, male 4.1
GTEX-14DAR-1526-SM-5RQIX 50-59 years, male 4.1
GTEX-1AYCT-1826-SM-731EG 50-59 years, male 4.1
GTEX-S4UY-0826-SM-4AD4Z 40-49 years, female 4.1
GTEX-ZYVF-2826-SM-5GIDK 50-59 years, female 4.1
GTEX-1I1GR-2526-SM-CNNQF 60-69 years, male 4.1
GTEX-1NSGN-2326-SM-E9U5X 50-59 years, male 4.1
GTEX-1QP67-1326-SM-EAZ4D 40-49 years, female 4.1
GTEX-15RIE-1826-SM-6M48P 60-69 years, male 4.0
GTEX-R55G-1226-SM-48FDC 40-49 years, female 4.0
GTEX-ZXES-1626-SM-5NQ7L 30-39 years, female 4.0
GTEX-1GMR3-2826-SM-9WPOG 40-49 years, male 4.0
GTEX-1H11D-2626-SM-9JGH4 40-49 years, male 4.0
GTEX-1IOXB-2626-SM-CJI2N 50-59 years, male 4.0
GTEX-1J1R8-1126-SM-CNPQ3 40-49 years, male 4.0
GTEX-1MA7W-0626-SM-EV79Z 20-29 years, female 4.0
GTEX-12KS4-2426-SM-5LU8P 30-39 years, male 3.9
GTEX-14BMU-1526-SM-5TDE6 20-29 years, female 3.9
GTEX-18D9A-1126-SM-7KFRJ 30-39 years, female 3.9
GTEX-1AMFI-1726-SM-7189L 50-59 years, female 3.9
GTEX-WFG7-1526-SM-4LVMG 20-29 years, male 3.9
GTEX-XUZC-1326-SM-4BRV2 30-39 years, female 3.9
GTEX-ZLV1-1226-SM-4WWBX 60-69 years, female 3.9
GTEX-1QCLY-1726-SM-DPRXY 30-39 years, male 3.9
GTEX-131XE-0826-SM-5HL9W 50-59 years, male 3.8
GTEX-15CHR-1426-SM-7DUGV 50-59 years, male 3.8
GTEX-UJHI-1126-SM-4IHLN 50-59 years, female 3.8
GTEX-WFON-1426-SM-4LVMT 40-49 years, male 3.8
GTEX-1GPI7-1726-SM-7P8R1 20-29 years, male 3.8
GTEX-11I78-1226-SM-5A5K6 50-59 years, female 3.7
GTEX-147F3-1926-SM-5SIB9 50-59 years, female 3.7
GTEX-14E6E-1526-SM-5RQIG 30-39 years, male 3.7
GTEX-Q2AI-0926-SM-48U1F 40-49 years, male 3.7
GTEX-W5WG-2426-SM-4LMI6 50-59 years, female 3.7
GTEX-ZPIC-2226-SM-57WDX 40-49 years, female 3.7
GTEX-1IKOE-2026-SM-AHZ31 30-39 years, female 3.7
GTEX-1QP9N-1026-SM-E6CPX 30-39 years, male 3.7
GTEX-11DXX-1826-SM-5H126 60-69 years, female 3.6
GTEX-145MN-1726-SM-5SIA6 30-39 years, male 3.6
GTEX-15DYW-2326-SM-6PAMU 60-69 years, female 3.6
GTEX-S4Q7-0826-SM-4AD5E 20-29 years, male 3.6
GTEX-XMK1-1726-SM-4B64Z 40-49 years, male 3.6
GTEX-1F5PL-2126-SM-7PC2O 40-49 years, female 3.6
GTEX-1H1E6-1926-SM-9OSWD 30-39 years, male 3.6
GTEX-1HFI7-1726-SM-A9G22 50-59 years, female 3.6
GTEX-1K2DA-2026-SM-CGQGK 50-59 years, male 3.6
GTEX-1N2DV-1426-SM-DPRYQ 40-49 years, male 3.6
GTEX-145LT-0926-SM-5LU9C 40-49 years, male 3.5
GTEX-14PKV-2126-SM-664O3 20-29 years, female 3.5
GTEX-Q2AH-1226-SM-48TZL 40-49 years, male 3.5
GTEX-RM2N-0926-SM-48FD1 50-59 years, male 3.5
GTEX-WHWD-1226-SM-4OOS1 50-59 years, male 3.5
GTEX-1PIGE-1426-SM-E9U61 20-29 years, male 3.5
GTEX-OIZF-1426-SM-2HML2 60-69 years, male 3.5
GTEX-1CAMS-2526-SM-7EPH7 40-49 years, female 3.4
GTEX-R53T-1326-SM-48FCQ 50-59 years, female 3.4
GTEX-WOFM-2026-SM-4OOSQ 20-29 years, male 3.4
GTEX-YB5E-1626-SM-5IFIQ 40-49 years, male 3.4
GTEX-131XG-1826-SM-5LZV4 50-59 years, female 3.3
GTEX-13PL7-2526-SM-5IFGR 60-69 years, female 3.3
GTEX-15RIF-1326-SM-6LPKO 20-29 years, male 3.3
GTEX-ZVP2-1526-SM-5NQ82 50-59 years, male 3.3
GTEX-1F5PK-1926-SM-7MXT7 50-59 years, male 3.3
GTEX-1I4MK-1126-SM-B2LWS 50-59 years, female 3.3
GTEX-1KANC-0926-SM-D3LA9 50-59 years, female 3.3
GTEX-1S83E-1626-SM-EV7B9 40-49 years, male 3.3
GTEX-11P82-1026-SM-5BC5J 20-29 years, male 3.2
GTEX-13111-0726-SM-5DUVE 50-59 years, male 3.2
GTEX-13O3P-2326-SM-5KM55 50-59 years, male 3.2
GTEX-17F98-1026-SM-7IGO8 40-49 years, female 3.2
GTEX-P4PP-1426-SM-3NM9L 30-39 years, female 3.2
GTEX-QCQG-1626-SM-48U26 50-59 years, female 3.2
GTEX-1J1OQ-2726-SM-AHZ3R 40-49 years, female 3.2
GTEX-11TT1-1026-SM-5PNW7 20-29 years, male 3.1
GTEX-1399S-1926-SM-5J2M5 30-39 years, female 3.1
GTEX-139T6-1326-SM-5IFFO 50-59 years, male 3.1
GTEX-139YR-2126-SM-5KM11 50-59 years, male 3.1
GTEX-13FTW-1826-SM-5IJEN 40-49 years, male 3.1
GTEX-13O21-2426-SM-5MR4A 50-59 years, male 3.1
GTEX-144GN-1126-SM-5LU33 50-59 years, male 3.1
GTEX-ZDYS-2326-SM-4WKG6 50-59 years, male 3.1
GTEX-13D11-0826-SM-5KLZJ 50-59 years, female 3.0
GTEX-T5JW-1126-SM-4DM5V 20-29 years, female 3.0
GTEX-Y9LG-1526-SM-4WWDR 30-39 years, male 3.0
GTEX-1LG7Z-1426-SM-CXKYV 30-39 years, male 3.0
GTEX-QV31-0826-SM-CKZNC 30-39 years, male 3.0
GTEX-1211K-1726-SM-5FQUJ 60-69 years, female 2.9
GTEX-13OVJ-1726-SM-5IJDZ 50-59 years, female 2.9
GTEX-14XAO-2026-SM-69LOI 60-69 years, female 2.9
GTEX-O5YT-1426-SM-3MJHC 20-29 years, male 2.9
GTEX-1122O-1526-SM-5N9CL 60-69 years, female 2.8
GTEX-11DXZ-1726-SM-5H12M 50-59 years, male 2.8
GTEX-12BJ1-2126-SM-5BC5O 60-69 years, male 2.8
GTEX-U4B1-1126-SM-4DXV3 40-49 years, male 2.8
GTEX-Y5LM-1526-SM-4VDTA 40-49 years, female 2.8
GTEX-1CAMR-0926-SM-7MXTD 20-29 years, male 2.8
GTEX-1LGOU-1626-SM-D3LAK 20-29 years, female 2.8
GTEX-1QCLZ-1926-SM-E6CR3 60-69 years, female 2.8
GTEX-111CU-1426-SM-5GZYP 50-59 years, male 2.7
GTEX-1399U-1926-SM-5IFH7 50-59 years, female 2.7
GTEX-1B932-2826-SM-73KUD 40-49 years, female 2.7
GTEX-11LCK-2026-SM-5A5MA 30-39 years, male 2.6
GTEX-14PK6-1726-SM-6871J 70-79 years, female 2.6
GTEX-1JKYN-2326-SM-CGQG7 30-39 years, male 2.6
GTEX-13QBU-1826-SM-5IJG3 40-49 years, female 2.5
GTEX-17HHE-1826-SM-79OKE 50-59 years, male 2.5
GTEX-ZT9W-1826-SM-51MQX 50-59 years, male 2.5
GTEX-ZVT2-1926-SM-5GU5T 50-59 years, female 2.5
GTEX-1JMPY-0426-SM-C1YQ3 30-39 years, male 2.5
GTEX-1L5NE-2026-SM-CXZKR 50-59 years, male 2.5
GTEX-1PWST-2426-SM-EWRMP 70-79 years, male 2.5
GTEX-1QPFJ-2326-SM-E6CR7 30-39 years, female 2.5
GTEX-14PJ4-1926-SM-6LLHG 60-69 years, male 2.4
GTEX-ZF2S-1926-SM-4WWAN 50-59 years, female 2.4
GTEX-ZV7C-1526-SM-5NQ72 50-59 years, male 2.4
GTEX-1RAZA-1726-SM-DPS13 20-29 years, male 2.4
GTEX-1RAZR-1926-SM-E6CRF 40-49 years, male 2.4
GTEX-11VI4-1526-SM-5EQKC 40-49 years, female 2.3
GTEX-14PHX-1526-SM-68717 50-59 years, male 2.3
GTEX-1B8KE-1926-SM-731EE 50-59 years, male 2.3
GTEX-ZLWG-1726-SM-DNZZ2 50-59 years, female 2.3
GTEX-14ICK-1026-SM-6AJA4 40-49 years, male 2.2
GTEX-1PFEY-1426-SM-E9U6U 30-39 years, male 2.2
GTEX-147GR-2726-SM-664OO 60-69 years, male 2.0
GTEX-16AAH-1326-SM-7KFRG 50-59 years, male 2.0
GTEX-WHSB-0926-SM-4M1XJ 50-59 years, male 2.0
GTEX-1PIEJ-2026-SM-E6CPA 20-29 years, female 2.0
GTEX-11EM3-1526-SM-5A5KN 20-29 years, female 1.8
GTEX-12C56-0626-SM-5EGGC 20-29 years, male 1.7
GTEX-14JIY-3326-SM-6871E 60-69 years, male 1.6
GTEX-133LE-1526-SM-5IFEN 20-29 years, female 1.2
GTEX-144GM-1226-SM-5LU52 20-29 years, male 1.2
GTEX-1C475-1626-SM-731FP 40-49 years, female 1.1
Show allShow less

COLON - FANTOM5 CAGEi

RNA expression in human tissues obtained through Cap Analysis of Gene Expression (CAGE) generated by the FANTOM5 project are reported as Scaled Tags Per Million.

Max subtype Scaled Tags Per Millioni

Max subtype Scaled Tags Per Million is the value for the subtype with the largest average Scaled Tags Per Million across the subtype samples.

12.1
FANTOM5 sample id Sample description Scaled Tags Per Million
Colon
Scaled Tags Per Million: 12.1
FF:10014-101C5 62,83,84 years, mixed 12.1

Contact

  • NEWS ARTICLES
  • PRESS ROOM

The Project

  • INTRODUCTION
  • ORGANIZATION
  • PUBLICATIONS

The Human Protein Atlas

  • DOWNLOADABLE DATA
  • LICENCE & CITATION
  • HELP & FAQ
The Human Protein Atlas project is funded
by the Knut & Alice Wallenberg Foundation.


contact@proteinatlas.org