We use cookies to enhance the usability of our website. If you continue, we'll assume that you are happy to receive all cookies. More information. Don't show this again.
SOCS4
HPA
RESOURCES
  • TISSUE
  • BRAIN
  • SINGLE CELL
  • SUBCELLULAR
  • CANCER
  • BLOOD
  • CELL LINE
  • STRUCTURE & INTERACTION
ABOUT
  • INTRODUCTION
  • HISTORY
  • ORGANIZATION
  • PUBLICATIONS
  • ANTIBODY SUBMISSION
  • ANTIBODY AVAILABILITY
  • ACKNOWLEDGMENTS
  • CONTACT
NEWS
  • NEWS ARTICLES
  • PRESS ROOM
LEARN
  • DICTIONARY
  • PROTEIN CLASSES
  • PROTEIN EVIDENCE
  • METHODS
  • EDUCATIONAL VIDEOS
DATA
  • DOWNLOADABLE DATA
  • PUBLICATION DATA
  • RELEASE HISTORY
HELP
  • ANTIBODY VALIDATION
  • ASSAYS & ANNOTATION
  • DISCLAIMER
  • HELP & FAQ
  • PRIVACY STATEMENT
  • LICENCE & CITATION
Fields »
Search result

Field
Term
Gene name
Class
Subclass
Class
Keyword
Chromosome
External id
Tissue
Cell type
Expression
Antibody panel
Tissue
Main location
Patient ID
Annotation
Tissue
Category
Tau score
Cluster
Reliability
Brain region
Category
Tau score
Brain region
Category
Tau score
Brain region
Category
Tau score
Cluster
Reliability
Tissue
Cell type
Enrichment
Cell type
Category
Tau score
Cell type
Category
Tau score
Cell type
Category
Tau score
Cell lineage
Category
Tau score
Cluster
Cluster
Location
Searches
Location
Cell line
Class
Type
Phase
Reliability
Cancer
Prognosis
Cancer
Category
Cancer
Category
Tau score
Cluster
Variants
Interacting gene (ensg_id)
Type
Number of interactions
Pathway
Category
Score
Score
Score
Validation
Validation
Validation
Validation
Antibodies
Data type
Column


  • SUMMARY

  • TISSUE

  • BRAIN

  • SINGLE CELL

  • SUBCELL

  • CANCER

  • BLOOD

  • CELL LINE

  • STRUCT & INT

  • SOCS4
TISSUE PRIMARY DATA COLON Show tissue menu
ADIPOSE TISSUE ADRENAL GLAND AMYGDALA APPENDIX BASAL GANGLIA BONE MARROW BREAST BRONCHUS CEREBELLUM CEREBRAL CORTEX CERVIX CHOROID PLEXUS COLON DUODENUM
ENDOMETRIUM EPIDIDYMIS ESOPHAGUS FALLOPIAN TUBE GALLBLADDER HEART MUSCLE HIPPOCAMPAL FORMATION HYPOTHALAMUS KIDNEY LIVER LUNG LYMPH NODE MIDBRAIN NASOPHARYNX
ORAL MUCOSA OVARY PANCREAS PARATHYROID GLAND PITUITARY GLAND PLACENTA PROSTATE RECTUM RETINA SALIVARY GLAND SEMINAL VESICLE SKELETAL MUSCLE SKIN SMALL INTESTINE
SMOOTH MUSCLE SOFT TISSUE SPINAL CORD SPLEEN STOMACH TESTIS THYMUS THYROID GLAND TONGUE TONSIL URINARY BLADDER VAGINA
ANTIBODIES
AND
VALIDATION
Dictionary
Colon
Tissue proteome
Intestine
COLON - Expression summary
Protein expression
Coloni

On the top, protein expression in current human tissue, based on all annotated cell types, is reported with the units not detected (n), low (l), medium (m) and high (h). Underneath, protein expression in each annotated cell type are reported using the same units.

Protein expression data is based on knowledge-based annotation. For genes where more than one antibody has been used, a collective score is set.

If knowledge-based annotation could not be performed for a gene, no data is displayed here. View antibody staining data further down this page.

h
m
l
n
Endothelial cells: Not detected
Glandular cells: Medium
Peripheral nerve/ganglion: Not detected
RNA expressioni

A summary of mRNA expression data available for current tissue based on several datasets. The mRNA expression levels in human tissues are based on RNA-seq data generated by the Human Protein Atlas (HPA), Genotype-Tissue Expression (GTEx) portal and CAGE data generated by the FANTOM5 consortium. Consensus normalized expression levels for human tissues was created by combining the data from HPA and GTEx datasets.

The mRNA expression levels in pig are based on RNA-seq data generated by the Human Protein Atlas (HPA), and for mouse, HPA data and in situ hybridization generated by the Allen brain atlas are reported.

Scroll down to view mRNA expression data in more detail.
Consensus:5.0 nTPM
HPA:5.0 nTPM
GTEx:4.9 nTPM
FANTOM5:27.3 Scaled Tags Per Million

COLON - Antibody stainingi

Antibody staining in the annotated cell types in the current human tissue is reported as not detected, low, medium, or high, based on conventional immunohistochemistry profiling in selected tissues. This score is based on the combination of the staining intensity and fraction of stained cells.

Each image is clickable and will lead to virtual microscopy that enables deeper exploration of all samples and also displays staining intensity scores, fraction scores and subcellular localization as well as patient and tissue information for each sample.

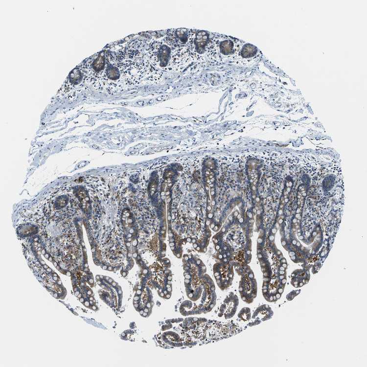
Antibody CAB013478
Endothelial cells Not detected
Glandular cells Medium
Peripheral nerve/ganglion Not detected


COLON - HPA RNA-seqi

The RNA-seq details section shows detailed information about the individual samples used for the transcript profiling and results of the RNA-seq analysis.

Information about each individual sample is listed below, including gender, age, a tissue section image and estimated fractions of cell types. nTPM (normalized transcripts per million) values give a quantification of the gene abundance which is comparable between different genes and samples.
Average nTPMi

Max subtype nTPM is the value for the subtype with the largest average nTPM across the subtype samples.

5.0
overview
Male, age 54
Colon sample 67
nTPM: 6
Cell types%
Glandular cells:
65

Smooth muscle cells:
10

Other cell types:
25

overview
Female, age 57
Colon sample 68
nTPM: 4.3
Cell types%
Glandular cells:
40

Smooth muscle cells:
5

Other cell types:
55

overview
Male, age 80
Colon sample 69
nTPM: 5.2
Cell types%
Glandular cells:
55

Smooth muscle cells:
5

Other cell types:
40

overview
Male, age 68
Colon sample 70
nTPM: 5.2
Cell types%
Glandular cells:
35

Smooth muscle cells:
10

Other cell types:
55

overview
Female, age 68
Colon sample 76
nTPM: 4.9
Cell types%
Glandular cells:
25

Smooth muscle cells:
5

Other cell types:
70

overview
Female, age 61
Colon sample 299
nTPM: 3.7
Cell types%
Glandular cells:
5

Smooth muscle cells:
65

Other cell types:
30

overview
Male, age 80
Colon sample 300
nTPM: 4.2
Cell types%
Glandular cells:
15

Smooth muscle cells:
20

Other cell types:
65

overview
Female, age 78
Colon sample 368
nTPM: 6.2
Cell types%
Glandular cells:
45

Smooth muscle cells:
5

Other cell types:
50

overview
Male, age 84
Colon sample 381
nTPM: 5.1
Cell types%
Glandular cells:
50

Smooth muscle cells:
15

Other cell types:
35

overview
Male, age 80
Colon sample 384
nTPM: 5.2
Cell types%
Glandular cells:
20

Smooth muscle cells:
35

Other cell types:
45

overview
Female, age 78
Colon sample 389
nTPM: 4.5
Cell types%
Glandular cells:
35

Smooth muscle cells:
10

Other cell types:
55

overview
Female, age 69
Colon sample 391
nTPM: 5.3
Cell types%
Glandular cells:
10

Smooth muscle cells:
45

Other cell types:
45

overview
Female, age 72
Colon sample 403
nTPM: 5.1
Cell types%
Glandular cells:
20

Smooth muscle cells:
15

Other cell types:
65


COLON - GTEx RNA-seqi

RNA-Seq data generated by the Genotype-Tissue Expression (GTEx) project from human tissues is reported as mean nTPM. More information can be found on the GTEx portal.

Distribution across the dataset is visualized with box plots, shown as median and 25th and 75th percentiles. Points are displayed as outliers if they are above or below 1.5 times the interquartile range. nTPM values of the individual samples are presented next to the box plot.
Max subtype nTPMi

Max subtype nTPM is the value for the subtype with the largest average nTPM across the subtype samples.

4.9
GTEx sample id Sample description nTPM
Colon - Sigmoid
Average nTPM: 4.9
Samples: 373

Max nTPM: 12.4
Min nTPM: 1.9
Std nTPM: 1.1
Median nTPM: 4.8
GTEX-1L5NE-1926-SM-D3L9R 50-59 years, male 12.4
GTEX-11I78-1326-SM-5PNY9 50-59 years, female 9.6
GTEX-XAJ8-0726-SM-47JY5 40-49 years, male 9.0
GTEX-16MTA-1626-SM-6M47N 50-59 years, male 8.4
GTEX-1N2EF-1726-SM-EXUSI 60-69 years, male 8.4
GTEX-17EUY-1726-SM-79OK4 20-29 years, male 7.8
GTEX-1KANA-1726-SM-CY8IG 20-29 years, male 7.6
GTEX-14C5O-2626-SM-5RQI5 60-69 years, male 7.4
GTEX-1A32A-2626-SM-73KX9 50-59 years, female 7.4
GTEX-12WSL-1826-SM-5LZW9 50-59 years, male 7.3
GTEX-131XG-1526-SM-5GCNQ 50-59 years, female 7.3
GTEX-14A5H-1626-SM-5SIAN 60-69 years, male 7.3
GTEX-15G1A-1926-SM-7KUFF 30-39 years, male 7.3
GTEX-1HCUA-1926-SM-B2LWE 50-59 years, female 7.3
GTEX-ZG7Y-1826-SM-4WWD3 50-59 years, male 7.2
GTEX-1HBPH-2526-SM-ACKXK 40-49 years, female 7.2
GTEX-1LVAN-2626-SM-CNPQF 50-59 years, female 7.2
GTEX-15RIE-2026-SM-7KFRW 60-69 years, male 7.1
GTEX-ZV6S-1126-SM-57WE9 40-49 years, female 7.1
GTEX-ZZ64-0826-SM-5E449 20-29 years, male 7.1
GTEX-1J8Q3-2426-SM-CL53S 60-69 years, male 7.1
GTEX-ZTSS-1226-SM-51MSZ 40-49 years, male 7.0
GTEX-1QCLY-2026-SM-EVR4C 30-39 years, male 6.9
GTEX-WHSE-2726-SM-EZ6ML 20-29 years, male 6.9
GTEX-14E6C-2226-SM-5QGQG 40-49 years, male 6.8
GTEX-1B8KE-1526-SM-7DUG2 50-59 years, male 6.8
GTEX-1GF9X-1426-SM-7RHGX 40-49 years, female 6.8
GTEX-1J1R8-1426-SM-CL55O 40-49 years, male 6.8
GTEX-ZYFD-2226-SM-5E43P 50-59 years, male 6.7
GTEX-1F5PL-1926-SM-7MXTP 40-49 years, female 6.7
GTEX-15DZA-1026-SM-6PAND 30-39 years, female 6.6
GTEX-15F5U-1426-SM-7KUN2 40-49 years, male 6.6
GTEX-16BQI-2026-SM-7KULQ 30-39 years, female 6.6
GTEX-ZT9W-1726-SM-51MS3 50-59 years, male 6.6
GTEX-1S831-1726-SM-EWROJ 20-29 years, male 6.6
GTEX-13O1R-2426-SM-5KLZZ 60-69 years, male 6.5
GTEX-ZPCL-1626-SM-57WGC 60-69 years, female 6.5
GTEX-1PBJI-2526-SM-E6CP4 20-29 years, female 6.5
GTEX-11TUW-2326-SM-5EQMO 60-69 years, male 6.4
GTEX-1JK1U-1426-SM-CNPOW 60-69 years, male 6.4
GTEX-1339X-1726-SM-5P9J9 40-49 years, male 6.3
GTEX-15ER7-2826-SM-6PAN2 20-29 years, female 6.3
GTEX-ZVT4-2626-SM-5N9GJ 50-59 years, female 6.3
GTEX-1I1GP-2826-SM-A9SKZ 50-59 years, male 6.3
GTEX-12BJ1-2026-SM-5FQUH 60-69 years, male 6.2
GTEX-148VJ-2426-SM-5NQ9Y 70-79 years, male 6.2
GTEX-15RIF-1426-SM-7KUKQ 20-29 years, male 6.2
GTEX-1AX9J-2526-SM-73KUY 60-69 years, male 6.2
GTEX-YFCO-1526-SM-5YYB8 40-49 years, male 6.2
GTEX-1CAMS-2626-SM-7PBY3 40-49 years, female 6.2
GTEX-144GM-1126-SM-79OJK 20-29 years, male 6.1
GTEX-1GL5R-1726-SM-9KNUX 50-59 years, male 6.1
GTEX-145ME-1126-SM-5SIAT 40-49 years, female 6.0
GTEX-14JG6-1626-SM-5YYBC 30-39 years, female 6.0
GTEX-X5EB-1126-SM-46MVV 40-49 years, male 6.0
GTEX-ZXES-1726-SM-5E43G 30-39 years, female 6.0
GTEX-1HBPM-2626-SM-9WYU5 60-69 years, female 6.0
GTEX-1KXAM-1926-SM-D3LAG 60-69 years, male 6.0
GTEX-14PN3-1926-SM-6EU1Y 60-69 years, female 5.9
GTEX-Y9LG-1326-SM-4VBQB 30-39 years, male 5.9
GTEX-1HCU7-2726-SM-A9G3D 50-59 years, male 5.9
GTEX-1LSVX-2026-SM-E9TJD 60-69 years, male 5.9
GTEX-111CU-1226-SM-5EGIN 50-59 years, male 5.8
GTEX-117YX-0526-SM-5EGJH 50-59 years, male 5.8
GTEX-11DXX-1926-SM-5EGJK 60-69 years, female 5.8
GTEX-14C39-1626-SM-5S2P4 40-49 years, male 5.8
GTEX-XXEK-1826-SM-4BRVC 50-59 years, male 5.8
GTEX-YJ8A-1726-SM-5P9IQ 20-29 years, male 5.8
GTEX-ZF28-2526-SM-57WFH 60-69 years, male 5.8
GTEX-1H1E6-1826-SM-A9G21 30-39 years, male 5.8
GTEX-1HFI7-1626-SM-9WYTR 50-59 years, female 5.8
GTEX-11EQ8-2626-SM-5N9BO 60-69 years, male 5.7
GTEX-11TT1-0926-SM-5GU5M 20-29 years, male 5.7
GTEX-12WSG-2426-SM-5EQLZ 50-59 years, female 5.7
GTEX-V955-1726-SM-4JBHF 60-69 years, male 5.7
GTEX-WFG7-1626-SM-4LVMF 20-29 years, male 5.7
GTEX-ZLFU-1426-SM-4WWEU 40-49 years, male 5.7
GTEX-ZTTD-2626-SM-57WEX 50-59 years, male 5.7
GTEX-ZVT2-1726-SM-51MRO 50-59 years, female 5.7
GTEX-1QP2A-2226-SM-DTXF6 50-59 years, male 5.7
GTEX-1R7EU-1826-SM-DTX9L 60-69 years, male 5.7
GTEX-13N2G-2226-SM-5IJCU 60-69 years, male 5.6
GTEX-145LT-0826-SM-5S2QL 40-49 years, male 5.6
GTEX-16Z82-2426-SM-7KUMS 60-69 years, male 5.6
GTEX-17HHE-1626-SM-7DHLN 50-59 years, male 5.6
GTEX-17MFQ-1226-SM-7KFSA 20-29 years, male 5.6
GTEX-18D9A-1326-SM-7LT8P 30-39 years, female 5.6
GTEX-1C2JI-1726-SM-73KUW 50-59 years, male 5.6
GTEX-1IKOE-2126-SM-A96T5 30-39 years, female 5.6
GTEX-1IL2U-2526-SM-C1YQV 60-69 years, male 5.6
GTEX-1JKYN-2226-SM-ARZNE 30-39 years, male 5.6
GTEX-1RMOY-1726-SM-EVYC9 50-59 years, male 5.6
GTEX-139D8-2926-SM-5IJBM 30-39 years, female 5.5
GTEX-13O61-1526-SM-5KM3P 60-69 years, male 5.5
GTEX-13PVQ-2726-SM-5L3H7 50-59 years, male 5.5
GTEX-14PK6-1826-SM-69LOM 70-79 years, female 5.5
GTEX-17KNJ-1826-SM-7LT9N 50-59 years, male 5.5
GTEX-1AX9K-1626-SM-73KUS 50-59 years, male 5.5
GTEX-1B996-2726-SM-7DUGG 60-69 years, male 5.5
GTEX-ZDTS-2726-SM-5L3E2 60-69 years, male 5.5
GTEX-1IDJU-1926-SM-CL53W 60-69 years, female 5.5
GTEX-12WSJ-1426-SM-5GCON 40-49 years, female 5.4
GTEX-13OW5-2826-SM-5KM1G 60-69 years, male 5.4
GTEX-15RJE-2226-SM-6M46A 40-49 years, male 5.4
GTEX-18A67-2226-SM-7LT9Z 50-59 years, male 5.4
GTEX-1A3MV-1026-SM-72D5U 30-39 years, male 5.4
GTEX-1AMFI-1826-SM-73KWB 50-59 years, female 5.4
GTEX-1C475-1526-SM-7DHM3 40-49 years, female 5.4
GTEX-Y3I4-1126-SM-4TT7Y 50-59 years, male 5.4
GTEX-ZP4G-1526-SM-57WE5 20-29 years, female 5.4
GTEX-ZY6K-1326-SM-5GZWP 50-59 years, male 5.4
GTEX-1H3VY-2526-SM-9KNW1 50-59 years, male 5.4
GTEX-1HSMQ-2526-SM-A9SMK 50-59 years, male 5.4
GTEX-1J8EW-2426-SM-CE6T5 60-69 years, female 5.4
GTEX-1K2DA-1626-SM-CGQGB 50-59 years, male 5.4
GTEX-1LB8K-2526-SM-DIPEQ 50-59 years, male 5.4
GTEX-1LGRB-2026-SM-COH47 50-59 years, female 5.4
GTEX-1OFPY-1226-SM-E76OM 60-69 years, male 5.4
GTEX-1RAZQ-2026-SM-E76P7 30-39 years, male 5.4
GTEX-Y8E4-2326-SM-EAZAZ 40-49 years, male 5.4
GTEX-14BMU-1326-SM-5RQIH 20-29 years, female 5.3
GTEX-14E1K-1626-SM-664MO 50-59 years, male 5.3
GTEX-WFG8-1726-SM-4LVM6 20-29 years, male 5.3
GTEX-XUZC-1526-SM-4BRV4 30-39 years, female 5.3
GTEX-ZF2S-1826-SM-4WKFF 50-59 years, female 5.3
GTEX-ZQG8-2426-SM-57WEE 60-69 years, female 5.3
GTEX-1CAMR-1026-SM-7P8QI 20-29 years, male 5.3
GTEX-1GZ4H-1326-SM-7P8TE 50-59 years, female 5.3
GTEX-1HCVE-2326-SM-9WYUD 50-59 years, male 5.3
GTEX-1I6K6-1926-SM-A96SN 30-39 years, male 5.3
GTEX-1PPH8-2226-SM-EWRN7 20-29 years, male 5.3
GTEX-1QCLZ-2026-SM-EAZ4A 60-69 years, female 5.3
GTEX-11EMC-1426-SM-5N9E4 60-69 years, female 5.2
GTEX-12WSM-1426-SM-5GCPA 60-69 years, male 5.2
GTEX-14PKV-1926-SM-686YU 20-29 years, female 5.2
GTEX-15G19-2726-SM-6LPKG 60-69 years, male 5.2
GTEX-17F9Y-2626-SM-7IGN9 70-79 years, female 5.2
GTEX-18QFQ-1726-SM-731C9 30-39 years, male 5.2
GTEX-ZE7O-2626-SM-51MSS 50-59 years, female 5.2
GTEX-1HSEH-1926-SM-A96SB 60-69 years, male 5.2
GTEX-1I1CD-2826-SM-A9SL4 60-69 years, female 5.2
GTEX-1K9T9-2926-SM-E9TKD 50-59 years, female 5.2
GTEX-1LBAC-1726-SM-D3L9W 20-29 years, male 5.2
GTEX-1MGNQ-2126-SM-EV7AC 40-49 years, male 5.2
GTEX-1122O-1426-SM-5H11R 60-69 years, female 5.1
GTEX-13QBU-2026-SM-5KLZB 40-49 years, female 5.1
GTEX-13VXT-2026-SM-5L3EW 20-29 years, female 5.1
GTEX-1477Z-2126-SM-5Q5CM 60-69 years, male 5.1
GTEX-1B97I-1526-SM-73KUK 40-49 years, male 5.1
GTEX-YF7O-1626-SM-5IFII 50-59 years, male 5.1
GTEX-ZA64-1426-SM-5CVMC 20-29 years, male 5.1
GTEX-1GMR2-1826-SM-9KNUP 50-59 years, male 5.1
GTEX-1H23P-2626-SM-9KNVN 60-69 years, male 5.1
GTEX-1JMPY-1026-SM-ARZN1 30-39 years, male 5.1
GTEX-1P4AB-2626-SM-DTXEU 50-59 years, male 5.1
GTEX-1QPFJ-2426-SM-EVR3L 30-39 years, female 5.1
GTEX-11DXY-2026-SM-5N9CZ 60-69 years, male 5.0
GTEX-11ZTT-1626-SM-5EQKR 60-69 years, female 5.0
GTEX-12ZZX-2726-SM-5N9FT 40-49 years, female 5.0
GTEX-15ETS-2326-SM-7KUGC 40-49 years, female 5.0
GTEX-183FY-1426-SM-7DHLM 20-29 years, male 5.0
GTEX-1HSGN-2226-SM-A9SL6 40-49 years, female 5.0
GTEX-1JJE9-2526-SM-ARU8K 70-79 years, male 5.0
GTEX-1QP67-1426-SM-E8VOO 40-49 years, female 5.0
GTEX-1211K-1826-SM-5EGJ2 60-69 years, female 4.9
GTEX-1AMEY-1826-SM-72D5L 30-39 years, female 4.9
GTEX-1B932-2126-SM-7IGMU 40-49 years, female 4.9
GTEX-WFON-1326-SM-4LVMN 40-49 years, male 4.9
GTEX-ZYT6-2826-SM-5GICX 30-39 years, male 4.9
GTEX-ZYY3-2226-SM-5E45A 60-69 years, female 4.9
GTEX-1GN73-2726-SM-9WYUB 60-69 years, male 4.9
GTEX-1I1GT-2026-SM-CKZPK 60-69 years, female 4.9
GTEX-1IDJI-2226-SM-CKZPM 50-59 years, female 4.9
GTEX-1JKYR-2026-SM-CNPON 20-29 years, male 4.9
GTEX-1LG7Z-1326-SM-DIPF3 30-39 years, male 4.9
GTEX-1LKK1-2426-SM-DIPES 50-59 years, female 4.9
GTEX-1QP29-2526-SM-E6CQ3 50-59 years, male 4.9
GTEX-11EM3-1626-SM-5N9CO 20-29 years, female 4.8
GTEX-11ZU8-1126-SM-5EQ5K 60-69 years, male 4.8
GTEX-132AR-2826-SM-5IJFV 50-59 years, female 4.8
GTEX-13OVK-1026-SM-7KFTC 40-49 years, male 4.8
GTEX-14E6E-1726-SM-5S2R6 30-39 years, male 4.8
GTEX-XUW1-1826-SM-4BOQD 50-59 years, female 4.8
GTEX-ZPIC-2626-SM-57WE2 40-49 years, female 4.8
GTEX-1GMR8-2926-SM-9KNW5 50-59 years, female 4.8
GTEX-1GMRU-2626-SM-9WPPM 50-59 years, male 4.8
GTEX-1PDJ9-2026-SM-E76PT 20-29 years, male 4.8
GTEX-1S82P-2026-SM-E9TIQ 60-69 years, female 4.8
GTEX-111YS-1826-SM-5GIEP 60-69 years, male 4.7
GTEX-131XE-1026-SM-5EGKE 50-59 years, male 4.7
GTEX-13CF3-1326-SM-5LZXZ 60-69 years, female 4.7
GTEX-14PJ4-1826-SM-5YY97 60-69 years, male 4.7
GTEX-15UF7-1326-SM-7KUKV 40-49 years, male 4.7
GTEX-1A3MX-2326-SM-718B4 60-69 years, male 4.7
GTEX-1C4CL-1626-SM-7DUF3 30-39 years, male 4.7
GTEX-1E2YA-2526-SM-7IGOU 50-59 years, male 4.7
GTEX-1HKZK-2026-SM-9WYUF 40-49 years, male 4.7
GTEX-1JN6P-2126-SM-ARL98 60-69 years, male 4.7
GTEX-YEC3-2026-SM-DKPOL 50-59 years, male 4.7
GTEX-11P7K-1826-SM-5HL5A 30-39 years, male 4.6
GTEX-139T6-1426-SM-5P9J7 50-59 years, male 4.6
GTEX-13CF2-1826-SM-5N9GK 60-69 years, male 4.6
GTEX-13PL7-2426-SM-5J2N3 60-69 years, female 4.6
GTEX-13PVR-1726-SM-5Q5EC 60-69 years, female 4.6
GTEX-15FZZ-1826-SM-6LLJP 30-39 years, female 4.6
GTEX-WQUQ-2626-SM-4MVNP 60-69 years, male 4.6
GTEX-WXYG-1726-SM-4ONCU 50-59 years, female 4.6
GTEX-Z93S-2626-SM-57WBX 50-59 years, male 4.6
GTEX-ZPU1-1726-SM-4WWFV 40-49 years, male 4.6
GTEX-1F5PK-1726-SM-7RHHW 50-59 years, male 4.6
GTEX-1GPI7-1926-SM-9KNUH 20-29 years, male 4.6
GTEX-1JN76-1326-SM-ARU94 20-29 years, female 4.6
GTEX-1LGOU-1726-SM-D3L8P 20-29 years, female 4.6
GTEX-ZLV1-1326-SM-DO11Q 60-69 years, female 4.6
GTEX-1212Z-1826-SM-5FQSH 60-69 years, male 4.5
GTEX-12696-1926-SM-5EGJT 60-69 years, male 4.5
GTEX-139UW-2326-SM-5KM1Y 60-69 years, male 4.5
GTEX-13FH7-1626-SM-5J2O9 50-59 years, female 4.5
GTEX-13OVJ-1826-SM-5KM2D 50-59 years, female 4.5
GTEX-146FH-2426-SM-5Q5EW 50-59 years, female 4.5
GTEX-14A5I-2426-SM-5Q5CP 50-59 years, female 4.5
GTEX-1CB4F-1926-SM-7MKFN 60-69 years, male 4.5
GTEX-1CB4G-2726-SM-79OO4 60-69 years, male 4.5
GTEX-Y114-1626-SM-4TT7I 50-59 years, female 4.5
GTEX-ZAJG-2626-SM-5S2NU 50-59 years, female 4.5
GTEX-ZVZQ-2626-SM-59HLB 60-69 years, female 4.5
GTEX-1J8QM-1226-SM-CY8HI 60-69 years, female 4.5
GTEX-11EQ9-1526-SM-5PNY7 30-39 years, male 4.4
GTEX-11ZTS-1526-SM-5N9G7 60-69 years, female 4.4
GTEX-13G51-2126-SM-5IJD9 60-69 years, male 4.4
GTEX-1B8L1-1926-SM-7IGND 60-69 years, male 4.4
GTEX-W5WG-2026-SM-4LMIB 50-59 years, female 4.4
GTEX-Y5V6-1626-SM-4VDT2 60-69 years, male 4.4
GTEX-1IDJH-2826-SM-CJI49 70-79 years, male 4.4
GTEX-1PIIG-2126-SM-EXUSD 30-39 years, male 4.4
GTEX-1QP28-2226-SM-DTX8C 50-59 years, female 4.4
GTEX-1RLM8-1726-SM-E9TKF 50-59 years, male 4.4
GTEX-11PRG-2026-SM-5GU5F 50-59 years, male 4.3
GTEX-12ZZW-2426-SM-5DUWE 50-59 years, male 4.3
GTEX-13SLW-2826-SM-5Q5ES 70-79 years, male 4.3
GTEX-13W3W-2226-SM-5LU4M 60-69 years, female 4.3
GTEX-18A66-2626-SM-72D67 60-69 years, male 4.3
GTEX-1AYCT-1926-SM-793AE 50-59 years, male 4.3
GTEX-VJYA-2126-SM-4KL1O 60-69 years, male 4.3
GTEX-XBED-1726-SM-47JYO 60-69 years, male 4.3
GTEX-Y8LW-1126-SM-4VDS4 50-59 years, female 4.3
GTEX-ZC5H-2426-SM-4WAZ6 40-49 years, female 4.3
GTEX-ZYFG-1826-SM-5GZWX 60-69 years, female 4.3
GTEX-1EU9M-2726-SM-7P8QD 60-69 years, male 4.3
GTEX-1HB9E-2526-SM-D4P35 50-59 years, male 4.3
GTEX-1HBPN-2026-SM-B2LWA 50-59 years, male 4.3
GTEX-1PBJJ-2026-SM-DTX8U 30-39 years, male 4.3
GTEX-13113-1426-SM-5EGHU 60-69 years, female 4.2
GTEX-13FTW-2126-SM-5K7YG 40-49 years, male 4.2
GTEX-13OW6-2226-SM-5N9FL 50-59 years, male 4.2
GTEX-14AS3-1026-SM-5TDD7 40-49 years, female 4.2
GTEX-14PJ3-1226-SM-5ZZVY 50-59 years, male 4.2
GTEX-17F96-2126-SM-7KFSM 70-79 years, male 4.2
GTEX-17HGU-2626-SM-79OKN 50-59 years, male 4.2
GTEX-1EMGI-2626-SM-7IGNR 60-69 years, male 4.2
GTEX-WH7G-1426-SM-4LVMU 40-49 years, male 4.2
GTEX-WHWD-1526-SM-4OORV 50-59 years, male 4.2
GTEX-WI4N-2226-SM-4OOS9 40-49 years, female 4.2
GTEX-XV7Q-2226-SM-4BRVY 40-49 years, female 4.2
GTEX-Y5LM-1426-SM-5RQJL 40-49 years, female 4.2
GTEX-1C64N-2226-SM-7SB7C 50-59 years, male 4.2
GTEX-1C64O-2426-SM-7P8R3 60-69 years, male 4.2
GTEX-1H1DE-1626-SM-9KNU5 20-29 years, male 4.2
GTEX-1H1ZS-2626-SM-9QEIX 70-79 years, male 4.2
GTEX-1H3NZ-2526-SM-9KNVO 60-69 years, male 4.2
GTEX-1H3VE-2326-SM-9KNVU 40-49 years, male 4.2
GTEX-1JJEA-2526-SM-CY8HJ 60-69 years, male 4.2
GTEX-11GS4-1826-SM-5HL4T 60-69 years, male 4.1
GTEX-12ZZY-2726-SM-5EQ45 60-69 years, male 4.1
GTEX-13U4I-2626-SM-5SI9C 40-49 years, female 4.1
GTEX-145LS-2926-SM-5O99G 60-69 years, female 4.1
GTEX-145MO-2626-SM-5QGPD 60-69 years, male 4.1
GTEX-15CHQ-2626-SM-686YZ 60-69 years, male 4.1
GTEX-16NGA-0926-SM-718AG 40-49 years, female 4.1
GTEX-X4EO-2726-SM-4E3HS 60-69 years, female 4.1
GTEX-ZAB5-1426-SM-5HL9D 50-59 years, male 4.1
GTEX-1HBPI-2226-SM-9WYTY 50-59 years, male 4.1
GTEX-1JMLX-2526-SM-CY8HX 50-59 years, male 4.1
GTEX-ZLWG-1826-SM-DO11I 50-59 years, female 4.1
GTEX-11DXZ-1626-SM-5GIDI 50-59 years, male 4.0
GTEX-13111-1926-SM-5GCOL 50-59 years, male 4.0
GTEX-13D11-0626-SM-5LZYY 50-59 years, female 4.0
GTEX-13X6I-2726-SM-5Q5ET 60-69 years, male 4.0
GTEX-14PHX-1126-SM-5YYA5 50-59 years, male 4.0
GTEX-18465-2726-SM-7LT9I 50-59 years, male 4.0
GTEX-WOFM-1926-SM-4OOSP 20-29 years, male 4.0
GTEX-WRHK-1126-SM-4MVOJ 20-29 years, female 4.0
GTEX-ZF29-1826-SM-4WKG8 60-69 years, female 4.0
GTEX-1ICG6-2226-SM-B2LY7 70-79 years, female 4.0
GTEX-1JMQK-2326-SM-ARZN4 60-69 years, male 4.0
GTEX-1LVAM-1726-SM-DHXKQ 50-59 years, female 4.0
GTEX-12KS4-2326-SM-5EGJB 30-39 years, male 3.9
GTEX-147GR-2826-SM-5RQK8 60-69 years, male 3.9
GTEX-14DAQ-2926-SM-664MV 60-69 years, female 3.9
GTEX-15DYW-2426-SM-7KUG8 60-69 years, female 3.9
GTEX-17JCI-2826-SM-7IGNA 60-69 years, female 3.9
GTEX-1F75W-2126-SM-7RHIA 60-69 years, male 3.9
GTEX-1GMR3-2526-SM-7P8QS 40-49 years, male 3.9
GTEX-1HSMO-2526-SM-A9SKP 60-69 years, male 3.9
GTEX-1JMQJ-2626-SM-CY8HQ 50-59 years, male 3.9
GTEX-1LG7Y-2226-SM-E9U5K 50-59 years, male 3.9
GTEX-1LSNM-1426-SM-E6CIH 50-59 years, male 3.9
GTEX-11ONC-1926-SM-5GU75 60-69 years, male 3.8
GTEX-12WSD-2626-SM-5EGJE 60-69 years, female 3.8
GTEX-14BIN-2426-SM-5TDCF 50-59 years, female 3.8
GTEX-15EO6-2326-SM-6LPKK 50-59 years, male 3.8
GTEX-17HG3-1126-SM-7DUFC 30-39 years, female 3.8
GTEX-183WM-2526-SM-731BP 70-79 years, female 3.8
GTEX-18A6Q-2226-SM-7LG61 60-69 years, male 3.8
GTEX-XQ8I-2326-SM-4BOQC 50-59 years, male 3.8
GTEX-YECK-2826-SM-5IFHF 60-69 years, male 3.8
GTEX-YJ8O-1426-SM-5PNV9 40-49 years, female 3.8
GTEX-1GTWX-2626-SM-9WPOT 60-69 years, male 3.8
GTEX-1HCU6-2926-SM-B2LWV 60-69 years, female 3.8
GTEX-1J8JJ-2426-SM-D4P4A 60-69 years, female 3.8
GTEX-1QP9N-0826-SM-DTX9O 30-39 years, male 3.8
GTEX-1QW4Y-1426-SM-E76P3 30-39 years, male 3.8
GTEX-1RAZR-2026-SM-E9TKE 40-49 years, male 3.8
GTEX-1S5ZA-1426-SM-E6CJQ 20-29 years, male 3.8
GTEX-11VI4-1426-SM-5GU6O 40-49 years, female 3.7
GTEX-1399R-2126-SM-5K7WZ 30-39 years, male 3.7
GTEX-145MH-2726-SM-5QGQ6 50-59 years, male 3.7
GTEX-16XZZ-2726-SM-7EWDO 60-69 years, male 3.7
GTEX-1BAJH-2726-SM-7IGNJ 70-79 years, male 3.7
GTEX-WHPG-1626-SM-4M1ZL 50-59 years, male 3.7
GTEX-1J1OQ-2826-SM-D3L88 40-49 years, female 3.7
GTEX-1R9JW-2126-SM-E76QT 30-39 years, female 3.7
GTEX-117XS-2226-SM-5GIE1 60-69 years, male 3.6
GTEX-139TS-2226-SM-5J2N1 60-69 years, male 3.6
GTEX-13X6J-2826-SM-7EPGA 50-59 years, male 3.6
GTEX-147JS-2626-SM-5S2UX 60-69 years, male 3.6
GTEX-WY7C-1926-SM-4ONCI 50-59 years, male 3.6
GTEX-1HSKV-2326-SM-A9SL9 60-69 years, male 3.6
GTEX-1PFEY-1726-SM-DPRZ4 30-39 years, male 3.6
GTEX-1PIEJ-1826-SM-EWRMN 20-29 years, female 3.6
GTEX-1PIGE-1526-SM-DTXFC 20-29 years, male 3.6
GTEX-1R9PO-2026-SM-E9J4N 60-69 years, female 3.6
GTEX-11EI6-2626-SM-5PNVT 60-69 years, male 3.5
GTEX-131YS-2926-SM-5EGKI 60-69 years, female 3.5
GTEX-1399U-2226-SM-5KLZI 50-59 years, female 3.5
GTEX-13X6K-2726-SM-5O9DG 60-69 years, female 3.5
GTEX-WYJK-2326-SM-4ONDN 50-59 years, male 3.5
GTEX-WYVS-1126-SM-4SOJX 40-49 years, female 3.5
GTEX-X15G-1526-SM-4PQZM 50-59 years, female 3.5
GTEX-ZQUD-1026-SM-4YCEZ 30-39 years, male 3.5
GTEX-1EH9U-1926-SM-7P8QM 60-69 years, male 3.5
GTEX-1R9K5-2226-SM-DTX9G 50-59 years, male 3.5
GTEX-1RQEC-2626-SM-EVR3Z 60-69 years, male 3.5
GTEX-132NY-2726-SM-5PNY2 60-69 years, male 3.4
GTEX-17GQL-1626-SM-7LG69 60-69 years, male 3.4
GTEX-ZE9C-2126-SM-4WKGY 60-69 years, male 3.4
GTEX-1LVAO-2826-SM-E9TJH 60-69 years, male 3.4
GTEX-13FHO-2726-SM-5K7VG 60-69 years, male 3.3
GTEX-15UF6-2726-SM-7KULY 70-79 years, female 3.3
GTEX-ZVT3-2826-SM-5GU6A 60-69 years, female 3.3
GTEX-1I1GR-2226-SM-ARL7F 60-69 years, male 3.3
GTEX-13OVI-2126-SM-5KM3U 60-69 years, female 3.2
GTEX-13OW8-2726-SM-5L3FZ 60-69 years, male 3.2
GTEX-1LSNL-1626-SM-E9TJY 50-59 years, male 3.2
GTEX-1OJC3-1826-SM-DTX93 20-29 years, male 3.2
GTEX-1JMPZ-2626-SM-ARU8Z 30-39 years, male 3.1
GTEX-ZAB4-2426-SM-5HL8A 40-49 years, male 3.0
GTEX-13RTJ-1926-SM-5YYA2 60-69 years, male 2.8
GTEX-1N2DV-1826-SM-E6CJ5 40-49 years, male 2.7
GTEX-1C6VQ-2626-SM-7IGMQ 50-59 years, male 2.6
GTEX-1RDX4-1926-SM-E6CJJ 50-59 years, female 2.6
GTEX-11P81-1426-SM-5P9JN 30-39 years, female 2.5
GTEX-15RJ7-1726-SM-6PAL3 40-49 years, male 1.9
Show allShow less
Colon - Transverse
Average nTPM: 4.7
Samples: 406

Max nTPM: 8.4
Min nTPM: 2.0
Std nTPM: 0.8
Median nTPM: 4.6
GTEX-1JN1M-2626-SM-CY8I3 60-69 years, female 8.4
GTEX-XAJ8-0426-SM-47JYJ 40-49 years, male 8.0
GTEX-11TUW-2026-SM-5EQL8 60-69 years, male 7.8
GTEX-13CF3-1426-SM-5K7YY 60-69 years, female 7.5
GTEX-14ICL-1226-SM-5S2RD 30-39 years, male 7.3
GTEX-1IKOE-2026-SM-AHZ31 30-39 years, female 7.2
GTEX-1N2EF-1926-SM-DTX8M 60-69 years, male 7.2
GTEX-14PJ5-0926-SM-6LLIK 60-69 years, female 7.1
GTEX-133LE-1526-SM-5IFEN 20-29 years, female 6.9
GTEX-1CB4I-2226-SM-7P8SL 50-59 years, male 6.9
GTEX-1AMEY-1926-SM-73KVT 30-39 years, female 6.8
GTEX-1HSMP-2326-SM-D3L8R 70-79 years, male 6.7
GTEX-1B996-2626-SM-73KZ1 60-69 years, male 6.5
GTEX-1HFI7-1726-SM-A9G22 50-59 years, female 6.5
GTEX-1MUQO-2626-SM-EWRO3 60-69 years, male 6.5
GTEX-PSDG-1826-SM-EAZ2S 50-59 years, male 6.5
GTEX-13OVG-1426-SM-5K7VP 60-69 years, male 6.4
GTEX-S4Q7-0826-SM-4AD5E 20-29 years, male 6.4
GTEX-11P82-1026-SM-5BC5J 20-29 years, male 6.3
GTEX-1339X-1626-SM-5IJDN 40-49 years, male 6.3
GTEX-13O3P-2326-SM-5KM55 50-59 years, male 6.3
GTEX-148VJ-2626-SM-5QGPI 70-79 years, male 6.3
GTEX-14JIY-3326-SM-6871E 60-69 years, male 6.3
GTEX-1RAZQ-2126-SM-DTX9V 30-39 years, male 6.3
GTEX-WHSB-0926-SM-4M1XJ 50-59 years, male 6.2
GTEX-ZV6S-1226-SM-59HLH 40-49 years, female 6.2
GTEX-1GZ4H-1226-SM-9KNUA 50-59 years, female 6.2
GTEX-1LVAN-2526-SM-CNPPC 50-59 years, female 6.2
GTEX-U4B1-1126-SM-4DXV3 40-49 years, male 6.1
GTEX-R53T-1326-SM-48FCQ 50-59 years, female 6.0
GTEX-WEY5-1426-SM-4LMJ3 40-49 years, female 6.0
GTEX-15RIE-1826-SM-6M48P 60-69 years, male 5.9
GTEX-1GN73-2626-SM-9KNUQ 60-69 years, male 5.9
GTEX-111CU-1426-SM-5GZYP 50-59 years, male 5.8
GTEX-13S86-1626-SM-5Q5C5 40-49 years, male 5.8
GTEX-14AS3-1126-SM-5Q5CR 40-49 years, female 5.8
GTEX-15DZA-0926-SM-69LQ3 30-39 years, female 5.8
GTEX-1CB4F-2026-SM-79OLU 60-69 years, male 5.8
GTEX-TKQ1-0626-SM-4DXTS 30-39 years, male 5.8
GTEX-1JMPY-0426-SM-C1YQ3 30-39 years, male 5.8
GTEX-1L5NE-2026-SM-CXZKR 50-59 years, male 5.8
GTEX-ZDTT-1926-SM-5HL5W 60-69 years, male 5.8
GTEX-RM2N-0926-SM-48FD1 50-59 years, male 5.7
GTEX-1GF9X-1526-SM-7P8QP 40-49 years, female 5.7
GTEX-1IDJC-1326-SM-CL53H 50-59 years, male 5.7
GTEX-15G1A-1826-SM-7KUKO 30-39 years, male 5.6
GTEX-18A7B-2026-SM-72D71 70-79 years, male 5.6
GTEX-XXEK-1926-SM-4BRVD 50-59 years, male 5.6
GTEX-13QJ3-2626-SM-9OSXQ 50-59 years, male 5.6
GTEX-1LGOU-1626-SM-D3LAK 20-29 years, female 5.6
GTEX-1PWST-2426-SM-EWRMP 70-79 years, male 5.6
GTEX-14C5O-2526-SM-73KU2 60-69 years, male 5.5
GTEX-14E6E-1526-SM-5RQIG 30-39 years, male 5.5
GTEX-18D9B-2526-SM-718BN 60-69 years, male 5.5
GTEX-1B932-2826-SM-73KUD 40-49 years, female 5.5
GTEX-13O61-1626-SM-5KM3T 60-69 years, male 5.4
GTEX-14E1K-1826-SM-793DT 50-59 years, male 5.4
GTEX-OXRK-1726-SM-3NB16 50-59 years, female 5.4
GTEX-S4P3-1226-SM-4AD4Y 50-59 years, female 5.4
GTEX-V955-1626-SM-4JBHJ 60-69 years, male 5.4
GTEX-X5EB-0926-SM-46MVT 40-49 years, male 5.4
GTEX-ZXES-1626-SM-5NQ7L 30-39 years, female 5.4
GTEX-ZZ64-0726-SM-5GZX4 20-29 years, male 5.4
GTEX-1I6K6-1826-SM-B2LX5 30-39 years, male 5.4
GTEX-12WSJ-1526-SM-5GCNI 40-49 years, female 5.3
GTEX-12WSL-1626-SM-5GCMU 50-59 years, male 5.3
GTEX-1399S-1926-SM-5J2M5 30-39 years, female 5.3
GTEX-13OVJ-1726-SM-5IJDZ 50-59 years, female 5.3
GTEX-PWCY-1026-SM-48TD4 20-29 years, female 5.3
GTEX-ZTSS-1126-SM-5985O 40-49 years, male 5.3
GTEX-1HCU7-2626-SM-C1YQO 50-59 years, male 5.3
GTEX-1IKK5-2726-SM-CNPQ6 60-69 years, male 5.3
GTEX-1J1R8-1126-SM-CNPQ3 40-49 years, male 5.3
GTEX-1JJE9-2426-SM-D3L8T 70-79 years, male 5.3
GTEX-1JK1U-1526-SM-AHZ46 60-69 years, male 5.3
GTEX-1LG7Z-1426-SM-CXKYV 30-39 years, male 5.3
GTEX-1LSVX-1726-SM-DHXJP 60-69 years, male 5.3
GTEX-1RAZR-1926-SM-E6CRF 40-49 years, male 5.3
GTEX-11EQ9-1426-SM-5987G 30-39 years, male 5.2
GTEX-11I78-1226-SM-5A5K6 50-59 years, female 5.2
GTEX-13O3O-2526-SM-5L3DR 60-69 years, female 5.2
GTEX-14BMU-1526-SM-5TDE6 20-29 years, female 5.2
GTEX-14JG6-1726-SM-69LPL 30-39 years, female 5.2
GTEX-15CHQ-2526-SM-6EU24 60-69 years, male 5.2
GTEX-17F96-2026-SM-79ON4 70-79 years, male 5.2
GTEX-1AX8Z-2726-SM-73KUC 60-69 years, male 5.2
GTEX-1AYCT-1826-SM-731EG 50-59 years, male 5.2
GTEX-OIZH-1426-SM-3NB1O 50-59 years, male 5.2
GTEX-YEC4-1926-SM-5IFHJ 40-49 years, male 5.2
GTEX-ZPCL-1826-SM-57WF1 60-69 years, female 5.2
GTEX-ZYFG-1926-SM-5GID5 60-69 years, female 5.2
GTEX-1GMR2-1726-SM-9JGI2 50-59 years, male 5.2
GTEX-1HSMQ-2726-SM-C1YRE 50-59 years, male 5.2
GTEX-1IDJD-2226-SM-A96TD 30-39 years, male 5.2
GTEX-1MJK3-0926-SM-EV7AY 20-29 years, male 5.2
GTEX-OHPN-2026-SM-E9TIA 60-69 years, female 5.2
GTEX-111VG-2226-SM-5N9DU 60-69 years, male 5.1
GTEX-11TT1-1026-SM-5PNW7 20-29 years, male 5.1
GTEX-131XG-1826-SM-5LZV4 50-59 years, female 5.1
GTEX-13OW6-2126-SM-5N9GL 50-59 years, male 5.1
GTEX-13W3W-2126-SM-5K7UX 60-69 years, female 5.1
GTEX-144GN-1126-SM-5LU33 50-59 years, male 5.1
GTEX-15CHR-1426-SM-7DUGV 50-59 years, male 5.1
GTEX-17MF6-2426-SM-7LTAM 40-49 years, male 5.1
GTEX-18D9A-1126-SM-7KFRJ 30-39 years, female 5.1
GTEX-18QFQ-1526-SM-72D57 30-39 years, male 5.1
GTEX-1A3MV-1126-SM-718BS 30-39 years, male 5.1
GTEX-R55G-1226-SM-48FDC 40-49 years, female 5.1
GTEX-RU1J-1326-SM-46MUL 20-29 years, female 5.1
GTEX-Y3I4-1426-SM-4TT9C 50-59 years, male 5.1
GTEX-ZPU1-1926-SM-57WDT 40-49 years, male 5.1
GTEX-1F75B-2726-SM-7P8QO 50-59 years, male 5.1
GTEX-1GPI7-1726-SM-7P8R1 20-29 years, male 5.1
GTEX-1I1GT-1926-SM-ARU7D 60-69 years, female 5.1
GTEX-1KANC-0926-SM-D3LA9 50-59 years, female 5.1
GTEX-1RMOY-1626-SM-EVYC8 50-59 years, male 5.1
GTEX-QLQ7-1126-SM-CYPRB 60-69 years, male 5.1
GTEX-144GM-1226-SM-5LU52 20-29 years, male 5.0
GTEX-14PJ4-1926-SM-6LLHG 60-69 years, male 5.0
GTEX-16NPV-2626-SM-6M484 50-59 years, female 5.0
GTEX-17EUY-1826-SM-7DUEZ 20-29 years, male 5.0
GTEX-NFK9-2026-SM-3LK5K 40-49 years, male 5.0
GTEX-RWS6-1826-SM-47JXX 60-69 years, female 5.0
GTEX-ZT9W-1826-SM-51MQX 50-59 years, male 5.0
GTEX-1EH9U-2026-SM-7PBYS 60-69 years, male 5.0
GTEX-1HCVE-2526-SM-A9G2G 50-59 years, male 5.0
GTEX-1J1OQ-2726-SM-AHZ3R 40-49 years, female 5.0
GTEX-1KANB-1526-SM-CXZK4 50-59 years, male 5.0
GTEX-1LBAC-1626-SM-CXZKV 20-29 years, male 5.0
GTEX-1PIEJ-2026-SM-E6CPA 20-29 years, female 5.0
GTEX-1QPFJ-2326-SM-E6CR7 30-39 years, female 5.0
GTEX-QDVJ-1326-SM-48U1X 50-59 years, male 4.9
GTEX-WY7C-1626-SM-4ONC8 50-59 years, male 4.9
GTEX-Z93S-2426-SM-5HL8N 50-59 years, male 4.9
GTEX-ZVT2-1926-SM-5GU5T 50-59 years, female 4.9
GTEX-ZYVF-2826-SM-5GIDK 50-59 years, female 4.9
GTEX-1H1E6-1926-SM-9OSWD 30-39 years, male 4.9
GTEX-1HSEH-1726-SM-B2LXH 60-69 years, male 4.9
GTEX-1ICLZ-2426-SM-CKZOD 60-69 years, male 4.9
GTEX-1LH75-2126-SM-EVR5F 50-59 years, female 4.9
GTEX-1OKEX-1226-SM-DTXEC 60-69 years, male 4.9
GTEX-1QCLY-1726-SM-DPRXY 30-39 years, male 4.9
GTEX-OXRO-0726-SM-E9U4C 60-69 years, female 4.9
GTEX-X4EO-2526-SM-EWRM8 60-69 years, female 4.9
GTEX-YEC3-2426-SM-DO11A 50-59 years, male 4.9
GTEX-11LCK-2026-SM-5A5MA 30-39 years, male 4.8
GTEX-12KS4-2426-SM-5LU8P 30-39 years, male 4.8
GTEX-13OVK-0826-SM-7KULZ 40-49 years, male 4.8
GTEX-145ME-0826-SM-5O9AF 40-49 years, female 4.8
GTEX-16XZZ-2626-SM-6M47S 60-69 years, male 4.8
GTEX-17EVQ-1826-SM-7IGPH 70-79 years, male 4.8
GTEX-1AMFI-1726-SM-7189L 50-59 years, female 4.8
GTEX-XV7Q-2126-SM-4BRVX 40-49 years, female 4.8
GTEX-XYKS-2226-SM-4E3IU 60-69 years, female 4.8
GTEX-ZVP2-1526-SM-5NQ82 50-59 years, male 4.8
GTEX-1F5PL-2126-SM-7PC2O 40-49 years, female 4.8
GTEX-1F75I-2426-SM-9WPOY 40-49 years, male 4.8
GTEX-1HKZK-2126-SM-A9SL3 40-49 years, male 4.8
GTEX-1IOXB-2626-SM-CJI2N 50-59 years, male 4.8
GTEX-1KXAM-2126-SM-CY8I9 60-69 years, male 4.8
GTEX-1QP67-1326-SM-EAZ4D 40-49 years, female 4.8
GTEX-1RAZA-1726-SM-DPS13 20-29 years, male 4.8
GTEX-111YS-1626-SM-5GZZ9 60-69 years, male 4.7
GTEX-11EM3-1526-SM-5A5KN 20-29 years, female 4.7
GTEX-132AR-2726-SM-5PNVN 50-59 years, female 4.7
GTEX-15CHC-1626-SM-5ZZWS 60-69 years, female 4.7
GTEX-15DYW-2326-SM-6PAMU 60-69 years, female 4.7
GTEX-17F98-1026-SM-7IGO8 40-49 years, female 4.7
GTEX-17HHE-1826-SM-79OKE 50-59 years, male 4.7
GTEX-1C475-1626-SM-731FP 40-49 years, female 4.7
GTEX-Q2AH-1226-SM-48TZL 40-49 years, male 4.7
GTEX-ZEX8-1926-SM-4WKFR 50-59 years, male 4.7
GTEX-ZF29-1726-SM-4WKFV 60-69 years, female 4.7
GTEX-ZYFC-2626-SM-5NQ6S 50-59 years, male 4.7
GTEX-1CAMR-0926-SM-7MXTD 20-29 years, male 4.7
GTEX-1HCU6-2726-SM-A9SKV 60-69 years, female 4.7
GTEX-1JN76-1226-SM-C1YRM 20-29 years, female 4.7
GTEX-1K9T9-2826-SM-D4P3F 50-59 years, female 4.7
GTEX-1NHNU-2326-SM-E6CQE 50-59 years, male 4.7
GTEX-1POEN-2026-SM-E6CRL 30-39 years, female 4.7
GTEX-1R9PM-1526-SM-DPRY8 20-29 years, male 4.7
GTEX-1S5VW-2926-SM-E9U6H 60-69 years, male 4.7
GTEX-U412-1726-SM-EZ6KX 60-69 years, male 4.7
GTEX-11O72-2226-SM-5PNW2 40-49 years, male 4.6
GTEX-12BJ1-2126-SM-5BC5O 60-69 years, male 4.6
GTEX-131XE-0826-SM-5HL9W 50-59 years, male 4.6
GTEX-139YR-2126-SM-5KM11 50-59 years, male 4.6
GTEX-14ICK-1026-SM-6AJA4 40-49 years, male 4.6
GTEX-16AAH-1326-SM-7KFRG 50-59 years, male 4.6
GTEX-O5YT-1426-SM-3MJHC 20-29 years, male 4.6
GTEX-OXRL-1426-SM-3NM9E 50-59 years, male 4.6
GTEX-P4QT-1426-SM-3NMCX 50-59 years, female 4.6
GTEX-QDVN-1326-SM-48TZ3 50-59 years, male 4.6
GTEX-R55D-1826-SM-48FEF 50-59 years, male 4.6
GTEX-SE5C-1526-SM-4BRWU 40-49 years, female 4.6
GTEX-T6MO-0826-SM-4DM51 40-49 years, female 4.6
GTEX-XPVG-1826-SM-4B64X 50-59 years, male 4.6
GTEX-XUZC-1326-SM-4BRV2 30-39 years, female 4.6
GTEX-Y8LW-1226-SM-4WWDP 50-59 years, female 4.6
GTEX-ZY6K-1226-SM-5GZYL 50-59 years, male 4.6
GTEX-1GMR3-2826-SM-9WPOG 40-49 years, male 4.6
GTEX-1H11D-2626-SM-9JGH4 40-49 years, male 4.6
GTEX-1H1DG-2226-SM-9WPPC 70-79 years, male 4.6
GTEX-1IDJF-1826-SM-CKZOE 20-29 years, male 4.6
GTEX-1JJ6O-2426-SM-ARU8J 60-69 years, male 4.6
GTEX-1NSGN-2326-SM-E9U5X 50-59 years, male 4.6
GTEX-1QP9N-1026-SM-E6CPX 30-39 years, male 4.6
GTEX-QEL4-1926-SM-D3L8D 50-59 years, male 4.6
GTEX-SJXC-2226-SM-EVYAK 60-69 years, male 4.6
GTEX-1128S-1626-SM-5H12O 60-69 years, female 4.5
GTEX-11DXZ-1726-SM-5H12M 50-59 years, male 4.5
GTEX-1211K-1726-SM-5FQUJ 60-69 years, female 4.5
GTEX-1399U-1926-SM-5IFH7 50-59 years, female 4.5
GTEX-13OW5-2626-SM-5MR3M 60-69 years, male 4.5
GTEX-16NGA-1026-SM-7KFS3 40-49 years, female 4.5
GTEX-17F9E-1826-SM-7IGMC 50-59 years, male 4.5
GTEX-O5YW-1426-SM-3MJHF 50-59 years, male 4.5
GTEX-P78B-1726-SM-3P5ZV 40-49 years, female 4.5
GTEX-PLZ5-1126-SM-3P613 50-59 years, male 4.5
GTEX-TML8-1326-SM-4DXTO 40-49 years, female 4.5
GTEX-U3ZH-1326-SM-4DXSF 30-39 years, male 4.5
GTEX-WQUQ-2526-SM-4MVNO 60-69 years, male 4.5
GTEX-Y8E4-2426-SM-4WWDN 40-49 years, male 4.5
GTEX-17HII-2726-SM-7MGVM 50-59 years, male 4.5
GTEX-1GL5R-2426-SM-7MXV1 50-59 years, male 4.5
GTEX-1GZ4I-2426-SM-9WPPP 50-59 years, male 4.5
GTEX-1IDJU-2026-SM-A9SLM 60-69 years, female 4.5
GTEX-1R9JW-2026-SM-EAZ4O 30-39 years, female 4.5
GTEX-12C56-0626-SM-5EGGC 20-29 years, male 4.4
GTEX-13FH7-1526-SM-5J2N6 50-59 years, female 4.4
GTEX-13OVI-2026-SM-5J1MU 60-69 years, female 4.4
GTEX-13QBU-1826-SM-5IJG3 40-49 years, female 4.4
GTEX-145MN-1726-SM-5SIA6 30-39 years, male 4.4
GTEX-14H4A-1926-SM-5ZZWN 40-49 years, female 4.4
GTEX-14PHX-1526-SM-68717 50-59 years, male 4.4
GTEX-14PJ3-0926-SM-69LQG 50-59 years, male 4.4
GTEX-14XAO-2026-SM-69LOI 60-69 years, female 4.4
GTEX-18A7A-2226-SM-7LT8K 50-59 years, female 4.4
GTEX-1BAJH-2326-SM-7IGMO 70-79 years, male 4.4
GTEX-1CAMS-2526-SM-7EPH7 40-49 years, female 4.4
GTEX-Q2AI-0926-SM-48U1F 40-49 years, male 4.4
GTEX-VJYA-2026-SM-4KL1K 60-69 years, male 4.4
GTEX-WHWD-1226-SM-4OOS1 50-59 years, male 4.4
GTEX-XBEW-1926-SM-4SOJO 40-49 years, male 4.4
GTEX-XUW1-1926-SM-4BOP1 50-59 years, female 4.4
GTEX-YB5E-1626-SM-5IFIQ 40-49 years, male 4.4
GTEX-YF7O-1726-SM-5IFJ9 50-59 years, male 4.4
GTEX-ZLV1-1226-SM-4WWBX 60-69 years, female 4.4
GTEX-1GF9U-1526-SM-7MXUW 40-49 years, female 4.4
GTEX-1H3VY-2426-SM-9WPPD 50-59 years, male 4.4
GTEX-1HSGN-2626-SM-CE6S1 40-49 years, female 4.4
GTEX-1JMLX-2726-SM-CM2SB 50-59 years, male 4.4
GTEX-1JMPZ-2426-SM-C1YQP 30-39 years, male 4.4
GTEX-1MA7W-0626-SM-EV79Z 20-29 years, female 4.4
GTEX-1MGNQ-2026-SM-EAZ51 40-49 years, male 4.4
GTEX-1PIGE-1426-SM-E9U61 20-29 years, male 4.4
GTEX-1QCLZ-1926-SM-E6CR3 60-69 years, female 4.4
GTEX-1QW4Y-1326-SM-EWRMZ 30-39 years, male 4.4
GTEX-1R7EU-1926-SM-E9U62 60-69 years, male 4.4
GTEX-R45C-2126-SM-EZ6KZ 60-69 years, female 4.4
GTEX-ZLWG-1726-SM-DNZZ2 50-59 years, female 4.4
GTEX-117YX-0826-SM-5H11J 50-59 years, male 4.3
GTEX-11GSP-1626-SM-5986N 60-69 years, female 4.3
GTEX-13PL7-2526-SM-5IFGR 60-69 years, female 4.3
GTEX-13PVR-1626-SM-73KVF 60-69 years, female 4.3
GTEX-144GL-2526-SM-5TDDL 50-59 years, male 4.3
GTEX-146FQ-1926-SM-5NQBY 30-39 years, male 4.3
GTEX-14PK6-1726-SM-6871J 70-79 years, female 4.3
GTEX-178AV-1326-SM-6LPJX 40-49 years, male 4.3
GTEX-17JCI-2626-SM-7EWE6 60-69 years, female 4.3
GTEX-1C2JI-1626-SM-7EPHC 50-59 years, male 4.3
GTEX-QMRM-1226-SM-447C6 50-59 years, male 4.3
GTEX-S4UY-0826-SM-4AD4Z 40-49 years, female 4.3
GTEX-T5JW-1126-SM-4DM5V 20-29 years, female 4.3
GTEX-W5WG-2426-SM-4LMI6 50-59 years, female 4.3
GTEX-WH7G-1326-SM-4LVMS 40-49 years, male 4.3
GTEX-WYJK-2226-SM-4ONDJ 50-59 years, male 4.3
GTEX-ZAB4-2226-SM-5HL97 40-49 years, male 4.3
GTEX-ZF2S-1926-SM-4WWAN 50-59 years, female 4.3
GTEX-ZGAY-2126-SM-4YCFB 40-49 years, female 4.3
GTEX-ZV7C-1526-SM-5NQ72 50-59 years, male 4.3
GTEX-1AYD5-1726-SM-7RHFW 50-59 years, male 4.3
GTEX-1N5O9-2726-SM-E76QH 60-69 years, male 4.3
GTEX-1PFEY-1426-SM-E9U6U 30-39 years, male 4.3
GTEX-1S82U-0726-SM-E9TKI 30-39 years, female 4.3
GTEX-1S83E-1626-SM-EV7B9 40-49 years, male 4.3
GTEX-1122O-1526-SM-5N9CL 60-69 years, female 4.2
GTEX-12ZZZ-2426-SM-5GCNN 60-69 years, male 4.2
GTEX-145LT-0926-SM-5LU9C 40-49 years, male 4.2
GTEX-15UF6-2626-SM-6M466 70-79 years, female 4.2
GTEX-16MT8-2726-SM-7IGLJ 60-69 years, female 4.2
GTEX-17GQL-1526-SM-7LTAC 60-69 years, male 4.2
GTEX-18A66-2426-SM-7KFSQ 60-69 years, male 4.2
GTEX-1AX9I-2626-SM-73KU5 60-69 years, male 4.2
GTEX-1C64O-2326-SM-73KU8 60-69 years, male 4.2
GTEX-R55C-1126-SM-48FCJ 40-49 years, male 4.2
GTEX-S341-1426-SM-4AD6U 40-49 years, female 4.2
GTEX-S3XE-1126-SM-4AD4N 50-59 years, male 4.2
GTEX-SNMC-1126-SM-4DM5M 20-29 years, male 4.2
GTEX-XBED-1526-SM-4AT5W 60-69 years, male 4.2
GTEX-QV31-0826-SM-CKZNC 30-39 years, male 4.2
GTEX-11VI4-1526-SM-5EQKC 40-49 years, female 4.1
GTEX-13111-0726-SM-5DUVE 50-59 years, male 4.1
GTEX-15ER7-2926-SM-7KUFK 20-29 years, female 4.1
GTEX-15RIF-1326-SM-6LPKO 20-29 years, male 4.1
GTEX-15SB6-1226-SM-7KUMP 50-59 years, female 4.1
GTEX-15SHU-2526-SM-6M47D 40-49 years, female 4.1
GTEX-18D9U-1926-SM-7KFTM 40-49 years, male 4.1
GTEX-1C4CL-2126-SM-7IGQC 30-39 years, male 4.1
GTEX-UJMC-1326-SM-4IHLS 50-59 years, male 4.1
GTEX-Y9LG-1526-SM-4WWDR 30-39 years, male 4.1
GTEX-ZP4G-1726-SM-4WWCM 20-29 years, female 4.1
GTEX-1E2YA-2626-SM-7MGWW 50-59 years, male 4.1
GTEX-1JKYR-1926-SM-C1YR7 20-29 years, male 4.1
GTEX-1LG7Y-2126-SM-DIPER 50-59 years, male 4.1
GTEX-1LGRB-1426-SM-CNNPT 50-59 years, female 4.1
GTEX-1MCC2-1626-SM-DIPEW 30-39 years, female 4.1
GTEX-ZG7Y-2126-SM-DO117 50-59 years, male 4.1
GTEX-139T6-1326-SM-5IFFO 50-59 years, male 4.0
GTEX-13U4I-2426-SM-5LU34 40-49 years, female 4.0
GTEX-14BMV-2426-SM-5S2PP 50-59 years, male 4.0
GTEX-14C39-1926-SM-5ZZW5 40-49 years, male 4.0
GTEX-P4PP-1426-SM-3NM9L 30-39 years, female 4.0
GTEX-S7SF-1926-SM-4AT5B 20-29 years, female 4.0
GTEX-SNOS-1226-SM-4DM5H 40-49 years, male 4.0
GTEX-U3ZN-2126-SM-4DXU1 30-39 years, female 4.0
GTEX-WFG7-1526-SM-4LVMG 20-29 years, male 4.0
GTEX-WYVS-1826-SM-4OND6 40-49 years, female 4.0
GTEX-XGQ4-1226-SM-4AT67 50-59 years, male 4.0
GTEX-Y114-1526-SM-4TT79 50-59 years, female 4.0
GTEX-Y3IK-1826-SM-4WWDS 50-59 years, female 4.0
GTEX-1I1GR-2526-SM-CNNQF 60-69 years, male 4.0
GTEX-1R9K5-2126-SM-E8VN1 50-59 years, male 4.0
GTEX-11P7K-1526-SM-5EGI7 30-39 years, male 3.9
GTEX-11ZVC-2126-SM-5EGJ1 50-59 years, female 3.9
GTEX-13D11-0826-SM-5KLZJ 50-59 years, female 3.9
GTEX-145LS-2726-SM-5Q5D8 60-69 years, female 3.9
GTEX-16Z82-2226-SM-6LPJ7 60-69 years, male 3.9
GTEX-1B8KZ-1326-SM-7DUG6 50-59 years, male 3.9
GTEX-PWN1-1426-SM-48TDF 40-49 years, female 3.9
GTEX-TKQ2-1326-SM-4DXT9 50-59 years, male 3.9
GTEX-UJHI-1126-SM-4IHLN 50-59 years, female 3.9
GTEX-ZPIC-2226-SM-57WDX 40-49 years, female 3.9
GTEX-1H1DE-1526-SM-ARL9B 20-29 years, male 3.9
GTEX-1HCU9-1326-SM-B2LXT 20-29 years, male 3.9
GTEX-1I4MK-1126-SM-B2LWS 50-59 years, female 3.9
GTEX-1JKYN-2326-SM-CGQG7 30-39 years, male 3.9
GTEX-1LVAM-1626-SM-EV79Y 50-59 years, female 3.9
GTEX-1N2DV-1426-SM-DPRYQ 40-49 years, male 3.9
GTEX-1PPH8-2026-SM-DTX7P 20-29 years, male 3.9
GTEX-1RDX4-1826-SM-EVR54 50-59 years, female 3.9
GTEX-11P81-1126-SM-5GU5G 30-39 years, female 3.8
GTEX-1399R-2226-SM-5P9JB 30-39 years, male 3.8
GTEX-145MO-2426-SM-5NQ9W 60-69 years, male 3.8
GTEX-147F3-1926-SM-5SIB9 50-59 years, female 3.8
GTEX-147GR-2726-SM-664OO 60-69 years, male 3.8
GTEX-147JS-2526-SM-5S2Q8 60-69 years, male 3.8
GTEX-14PKV-2126-SM-664O3 20-29 years, female 3.8
GTEX-17KNJ-1726-SM-7LG6A 50-59 years, male 3.8
GTEX-1B8KE-1926-SM-731EE 50-59 years, male 3.8
GTEX-X3Y1-1726-SM-4PQZL 40-49 years, male 3.8
GTEX-XMK1-1726-SM-4B64Z 40-49 years, male 3.8
GTEX-1K2DA-2026-SM-CGQGK 50-59 years, male 3.8
GTEX-11NSD-1626-SM-5986U 20-29 years, male 3.7
GTEX-11ONC-2026-SM-5HL61 60-69 years, male 3.7
GTEX-139TS-1926-SM-5IJFO 60-69 years, male 3.7
GTEX-14DAR-1526-SM-5RQIX 50-59 years, male 3.7
GTEX-15DCE-2026-SM-7KUFE 20-29 years, male 3.7
GTEX-17HGU-2426-SM-7EWDP 50-59 years, male 3.7
GTEX-QCQG-1626-SM-48U26 50-59 years, female 3.7
GTEX-XQ8I-2126-SM-4BOOM 50-59 years, male 3.7
GTEX-ZDYS-2326-SM-4WKG6 50-59 years, male 3.7
GTEX-1IGQW-2326-SM-CE6RV 60-69 years, male 3.7
GTEX-1QMI2-2626-SM-E6CR4 60-69 years, male 3.7
GTEX-WVJS-2426-SM-EZ6LI 50-59 years, male 3.7
GTEX-13FHP-2426-SM-5KLZ5 50-59 years, male 3.6
GTEX-14PJM-2626-SM-686ZD 50-59 years, female 3.6
GTEX-Q734-1126-SM-48TZY 40-49 years, female 3.6
GTEX-1EMGI-2726-SM-7P8S4 60-69 years, male 3.6
GTEX-1S3DN-1826-SM-EV79K 50-59 years, male 3.6
GTEX-13X6H-1926-SM-7EWD3 50-59 years, female 3.5
GTEX-X15G-1326-SM-4PQZJ 50-59 years, female 3.5
GTEX-1NV5F-2226-SM-DTX8O 60-69 years, female 3.5
GTEX-OIZF-1426-SM-2HML2 60-69 years, male 3.5
GTEX-13VXT-2426-SM-5LU46 20-29 years, female 3.4
GTEX-1C6VQ-2726-SM-73KUL 50-59 years, male 3.4
GTEX-OHPM-1426-SM-3TW8Y 50-59 years, male 3.4
GTEX-PX3G-1426-SM-48U1J 20-29 years, female 3.4
GTEX-U3ZM-1126-SM-4DXUB 40-49 years, male 3.4
GTEX-1F5PK-1926-SM-7MXT7 50-59 years, male 3.4
GTEX-117YW-1826-SM-5PNY5 50-59 years, male 3.3
GTEX-11DXX-1826-SM-5H126 60-69 years, female 3.3
GTEX-13O21-2426-SM-5MR4A 50-59 years, male 3.3
GTEX-14DAQ-2726-SM-5S2QY 60-69 years, female 3.3
GTEX-Y5LM-1526-SM-4VDTA 40-49 years, female 3.3
GTEX-1KANA-1926-SM-DHXKF 20-29 years, male 3.3
GTEX-1PPGY-2826-SM-DTX9H 60-69 years, male 3.3
GTEX-14BIN-3026-SM-5ZZUS 50-59 years, female 3.2
GTEX-QLQW-0426-SM-447A7 30-39 years, male 3.2
GTEX-WOFM-2026-SM-4OOSQ 20-29 years, male 3.0
GTEX-11TTK-2426-SM-5PNYO 60-69 years, female 2.9
GTEX-13FTW-1826-SM-5IJEN 40-49 years, male 2.9
GTEX-WFON-1426-SM-4LVMT 40-49 years, male 2.8
GTEX-PLZ6-0926-SM-3P5ZQ 30-39 years, male 2.7
GTEX-OXRN-2026-SM-E6CHK 50-59 years, male 2.4
GTEX-OOBJ-1426-SM-E6CHH 60-69 years, male 2.0
Show allShow less

COLON - FANTOM5 CAGEi

RNA expression in human tissues obtained through Cap Analysis of Gene Expression (CAGE) generated by the FANTOM5 project are reported as Scaled Tags Per Million.

Max subtype Scaled Tags Per Millioni

Max subtype Scaled Tags Per Million is the value for the subtype with the largest average Scaled Tags Per Million across the subtype samples.

27.3
FANTOM5 sample id Sample description Scaled Tags Per Million
Colon
Scaled Tags Per Million: 27.3
FF:10014-101C5 62,83,84 years, mixed 27.3

Contact

  • NEWS ARTICLES
  • PRESS ROOM

The Project

  • INTRODUCTION
  • ORGANIZATION
  • PUBLICATIONS

The Human Protein Atlas

  • DOWNLOADABLE DATA
  • LICENCE & CITATION
  • HELP & FAQ
The Human Protein Atlas project is funded
by the Knut & Alice Wallenberg Foundation.


contact@proteinatlas.org