We use cookies to enhance the usability of our website. If you continue, we'll assume that you are happy to receive all cookies. More information. Don't show this again.
HIGD1A
HPA
RESOURCES
  • TISSUE
  • BRAIN
  • SINGLE CELL
  • SUBCELLULAR
  • CANCER
  • BLOOD
  • CELL LINE
  • STRUCTURE & INTERACTION
ABOUT
  • INTRODUCTION
  • HISTORY
  • ORGANIZATION
  • PUBLICATIONS
  • ANTIBODY SUBMISSION
  • ANTIBODY AVAILABILITY
  • ACKNOWLEDGMENTS
  • CONTACT
NEWS
  • NEWS ARTICLES
  • PRESS ROOM
LEARN
  • DICTIONARY
  • PROTEIN CLASSES
  • PROTEIN EVIDENCE
  • METHODS
  • EDUCATIONAL VIDEOS
DATA
  • DOWNLOADABLE DATA
  • PUBLICATION DATA
  • RELEASE HISTORY
HELP
  • ANTIBODY VALIDATION
  • ASSAYS & ANNOTATION
  • DISCLAIMER
  • HELP & FAQ
  • PRIVACY STATEMENT
  • LICENCE & CITATION
Fields »
Search result

Field
Term
Gene name
Class
Subclass
Class
Keyword
Chromosome
External id
Tissue
Cell type
Expression
Antibody panel
Tissue
Main location
Patient ID
Annotation
Tissue
Category
Tau score
Cluster
Reliability
Brain region
Category
Tau score
Brain region
Category
Tau score
Brain region
Category
Tau score
Cluster
Reliability
Tissue
Cell type
Enrichment
Cell type
Category
Tau score
Cell type
Category
Tau score
Cell type
Category
Tau score
Cell lineage
Category
Tau score
Cluster
Cluster
Location
Searches
Location
Cell line
Class
Type
Phase
Reliability
Cancer
Prognosis
Cancer
Category
Cancer
Category
Tau score
Cluster
Variants
Interacting gene (ensg_id)
Type
Number of interactions
Pathway
Category
Score
Score
Score
Validation
Validation
Validation
Validation
Antibodies
Data type
Column


  • SUMMARY

  • TISSUE

  • BRAIN

  • SINGLE CELL

  • SUBCELL

  • CANCER

  • BLOOD

  • CELL LINE

  • STRUCT & INT

  • HIGD1A
TISSUE PRIMARY DATA ESOPHAGUS Show tissue menu
ADIPOSE TISSUE ADRENAL GLAND AMYGDALA APPENDIX BASAL GANGLIA BONE MARROW BREAST BRONCHUS CEREBELLUM CEREBRAL CORTEX CERVIX CHOROID PLEXUS COLON DUODENUM
ENDOMETRIUM EPIDIDYMIS ESOPHAGUS FALLOPIAN TUBE GALLBLADDER HEART MUSCLE HIPPOCAMPAL FORMATION HYPOTHALAMUS KIDNEY LIVER LUNG LYMPH NODE MIDBRAIN NASOPHARYNX
ORAL MUCOSA OVARY PANCREAS PARATHYROID GLAND PITUITARY GLAND PLACENTA PROSTATE RECTUM RETINA SALIVARY GLAND SEMINAL VESICLE SKELETAL MUSCLE SKIN SMALL INTESTINE
SMOOTH MUSCLE SOFT TISSUE SPINAL CORD SPLEEN STOMACH TESTIS THYMUS THYROID GLAND TONGUE TONSIL URINARY BLADDER VAGINA
ANTIBODIES
AND
VALIDATION
Dictionary
Esophagus
Tissue proteome
Esophagus
ESOPHAGUS - Expression summary
Protein expression
Esophagusi

On the top, protein expression in current human tissue, based on all annotated cell types, is reported with the units not detected (n), low (l), medium (m) and high (h). Underneath, protein expression in each annotated cell type are reported using the same units.

Protein expression data is based on knowledge-based annotation. For genes where more than one antibody has been used, a collective score is set.

If knowledge-based annotation could not be performed for a gene, no data is displayed here. View antibody staining data further down this page.

h
m
l
n
Squamous epithelial cells: Medium
RNA expressioni

A summary of mRNA expression data available for current tissue based on several datasets. The mRNA expression levels in human tissues are based on RNA-seq data generated by the Human Protein Atlas (HPA), Genotype-Tissue Expression (GTEx) portal and CAGE data generated by the FANTOM5 consortium. Consensus normalized expression levels for human tissues was created by combining the data from HPA and GTEx datasets.

The mRNA expression levels in pig are based on RNA-seq data generated by the Human Protein Atlas (HPA), and for mouse, HPA data and in situ hybridization generated by the Allen brain atlas are reported.

Scroll down to view mRNA expression data in more detail.
Consensus:157.6 nTPM
HPA:157.6 nTPM
GTEx:118.9 nTPM
FANTOM5:74.6 Scaled Tags Per Million

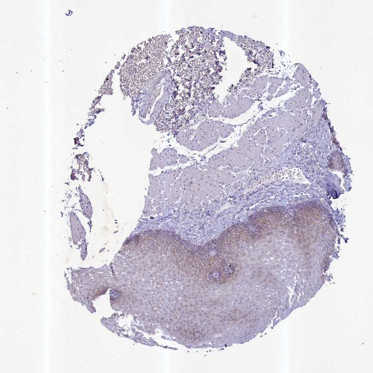
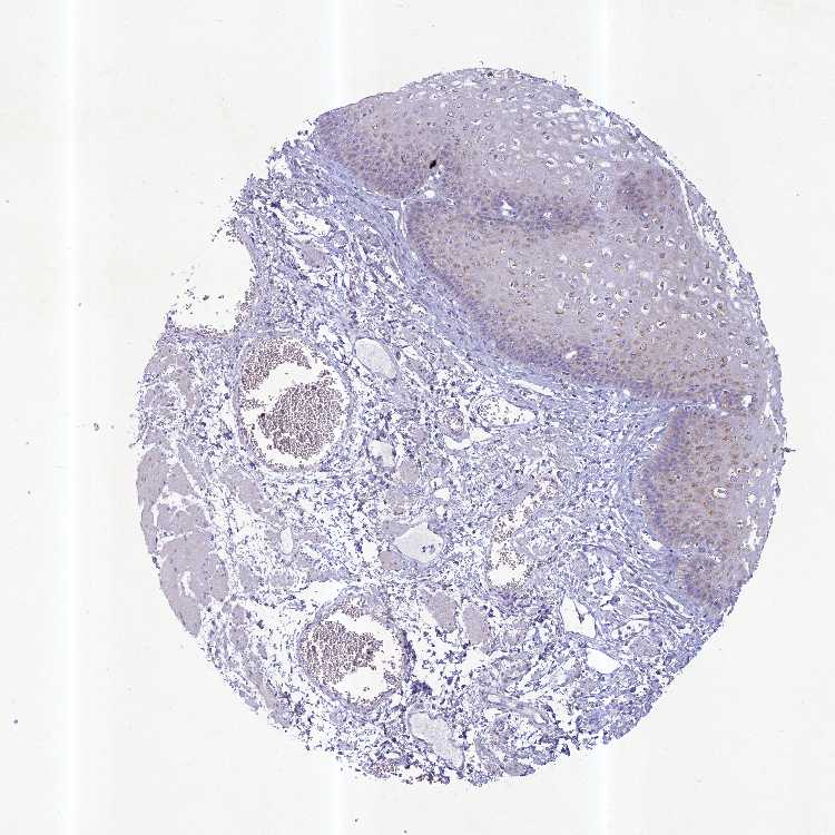
ESOPHAGUS - Antibody stainingi

Antibody staining in the annotated cell types in the current human tissue is reported as not detected, low, medium, or high, based on conventional immunohistochemistry profiling in selected tissues. This score is based on the combination of the staining intensity and fraction of stained cells.

Each image is clickable and will lead to virtual microscopy that enables deeper exploration of all samples and also displays staining intensity scores, fraction scores and subcellular localization as well as patient and tissue information for each sample.

Antibody HPA043336
Squamous epithelial cells Medium



ESOPHAGUS - HPA RNA-seqi

The RNA-seq details section shows detailed information about the individual samples used for the transcript profiling and results of the RNA-seq analysis.

Information about each individual sample is listed below, including gender, age, a tissue section image and estimated fractions of cell types. nTPM (normalized transcripts per million) values give a quantification of the gene abundance which is comparable between different genes and samples.
Average nTPMi

Max subtype nTPM is the value for the subtype with the largest average nTPM across the subtype samples.

157.6
overview
Female, age 70
Esophagus sample 130
nTPM: 148.5
Cell types%
Squamous epithelial cells:
35

Smooth muscle cells:
15

Skeletal muscle cells:
5

Other cell types:
45

overview
Male, age 38
Esophagus sample 131
nTPM: 162
Cell types%
Squamous epithelial cells:
60

Smooth muscle cells:
20

Other cell types:
20

overview
Male, age 76
Esophagus sample 132
nTPM: 162.4
Cell types%
Squamous epithelial cells:
45

Smooth muscle cells:
15

Other cell types:
40


ESOPHAGUS - GTEx RNA-seqi

RNA-Seq data generated by the Genotype-Tissue Expression (GTEx) project from human tissues is reported as mean nTPM. More information can be found on the GTEx portal.

Distribution across the dataset is visualized with box plots, shown as median and 25th and 75th percentiles. Points are displayed as outliers if they are above or below 1.5 times the interquartile range. nTPM values of the individual samples are presented next to the box plot.
Max subtype nTPMi

Max subtype nTPM is the value for the subtype with the largest average nTPM across the subtype samples.

118.9
GTEx sample id Sample description nTPM
Esophagus - Mucosa
Average nTPM: 118.9
Samples: 555

Max nTPM: 296.3
Min nTPM: 40.5
Std nTPM: 34.4
Median nTPM: 115.6
GTEX-12WSN-5013-SM-7P8P9 40-49 years, male 296.3
GTEX-139YR-1726-SM-5IFFK 50-59 years, male 245.5
GTEX-1F75I-1726-SM-7MKGW 40-49 years, male 226.7
GTEX-REY6-1326-SM-48FDO 60-69 years, male 225.4
GTEX-18QFQ-1026-SM-7LG6B 30-39 years, male 219.8
GTEX-12ZZX-1326-SM-5DUWI 40-49 years, female 218.7
GTEX-14PJ6-1026-SM-686ZB 60-69 years, female 213.2
GTEX-Y5LM-1026-SM-4VDSQ 40-49 years, female 208.9
GTEX-14A6H-1326-SM-5NQBC 30-39 years, male 208.0
GTEX-1LGOU-0526-SM-D3LAO 20-29 years, female 207.9
GTEX-1B933-2026-SM-7EWFC 50-59 years, female 204.4
GTEX-18D9A-0526-SM-7KFSW 30-39 years, female 203.7
GTEX-13PVR-1826-SM-5Q5CC 60-69 years, female 201.1
GTEX-1NSGN-2026-SM-DPRYM 50-59 years, male 200.1
GTEX-14PKV-1726-SM-6871U 20-29 years, female 192.5
GTEX-Y3I4-1226-SM-4TT8N 50-59 years, male 189.4
GTEX-1QP2A-1926-SM-EXOJ9 50-59 years, male 189.1
GTEX-WEY5-0926-SM-4LMI4 40-49 years, female 188.9
GTEX-1J8QM-1926-SM-AHZ3Z 60-69 years, female 188.0
GTEX-RU1J-0326-SM-46MUM 20-29 years, female 187.4
GTEX-1AYD5-0926-SM-793AF 50-59 years, male 186.8
GTEX-1QP29-2126-SM-E6CPZ 50-59 years, male 186.2
GTEX-1PIGE-0926-SM-E9U5Z 20-29 years, male 185.1
GTEX-WHSE-1526-SM-4M1XH 20-29 years, male 184.4
GTEX-13JVG-2026-SM-5KM1N 60-69 years, male 183.1
GTEX-1AMFI-0226-SM-731D5 50-59 years, female 182.7
GTEX-ZF29-1326-SM-DNZYV 60-69 years, female 181.9
GTEX-1C2JI-1126-SM-731FH 50-59 years, male 181.6
GTEX-14PK6-1326-SM-686ZE 70-79 years, female 180.9
GTEX-WHSB-0426-SM-4M1XI 50-59 years, male 180.3
GTEX-13O21-0626-SM-5IJDI 50-59 years, male 176.7
GTEX-17MFQ-0526-SM-7KFTX 20-29 years, male 175.8
GTEX-ZLFU-1126-SM-DO11K 40-49 years, male 174.6
GTEX-17F98-1726-SM-7938O 40-49 years, female 171.7
GTEX-1GMR2-1526-SM-7MXV6 50-59 years, male 171.1
GTEX-R55G-1026-SM-48FDI 40-49 years, female 170.8
GTEX-11LCK-1726-SM-5S2OQ 30-39 years, male 169.5
GTEX-Q2AH-0826-SM-48TZN 40-49 years, male 169.4
GTEX-15EOM-5013-SM-7MKF9 20-29 years, female 169.1
GTEX-13OVJ-1226-SM-5L3HA 50-59 years, female 168.2
GTEX-1PPH8-1626-SM-E6CQP 20-29 years, male 168.1
GTEX-14BMU-0926-SM-5S2QB 20-29 years, female 168.0
GTEX-14DAR-0826-SM-73KYJ 50-59 years, male 167.2
GTEX-14B4R-0326-SM-5TDDP 30-39 years, male 166.8
GTEX-1L5NE-1426-SM-DHXKV 50-59 years, male 166.7
GTEX-1LG7Z-0926-SM-CXKYK 30-39 years, male 166.1
GTEX-17F9E-1926-SM-7IGQF 50-59 years, male 165.5
GTEX-1B8KE-1826-SM-731FD 50-59 years, male 165.5
GTEX-WRHK-0526-SM-4MVOF 20-29 years, female 165.5
GTEX-ZYFG-1126-SM-5GICY 60-69 years, female 165.5
GTEX-132QS-1426-SM-5P9GE 60-69 years, male 164.5
GTEX-14PJN-0526-SM-68724 30-39 years, male 162.1
GTEX-ZG7Y-1126-SM-4WWEZ 50-59 years, male 162.1
GTEX-ZYVF-2226-SM-5GIDD 50-59 years, female 162.1
GTEX-1H23P-1426-SM-9JGH5 60-69 years, male 162.0
GTEX-PWCY-0726-SM-48TCS 20-29 years, female 161.8
GTEX-11DXY-1426-SM-5N9CN 60-69 years, male 161.7
GTEX-YFC4-1226-SM-5LU9R 40-49 years, female 161.0
GTEX-T8EM-0526-SM-4DM64 40-49 years, male 160.9
GTEX-1H11D-2126-SM-9OSXM 40-49 years, male 160.4
GTEX-1QPFJ-1226-SM-EAZ3M 30-39 years, female 160.4
GTEX-11VI4-0526-SM-5EQ48 40-49 years, female 160.2
GTEX-ZVP2-1326-SM-57WCE 50-59 years, male 160.2
GTEX-14AS3-0626-SM-5QGQD 40-49 years, female 159.6
GTEX-13X6H-1326-SM-5LU42 50-59 years, female 158.3
GTEX-133LE-0626-SM-5IFFJ 20-29 years, female 157.4
GTEX-ZT9W-1326-SM-51MTB 50-59 years, male 157.1
GTEX-11EM3-0826-SM-5N9CC 20-29 years, female 156.9
GTEX-18A66-1426-SM-7KFRT 60-69 years, male 156.9
GTEX-P4PQ-0626-SM-3NMCU 60-69 years, male 156.9
GTEX-13NYB-0926-SM-5IFFA 40-49 years, male 156.4
GTEX-ZZ64-0226-SM-5E44X 20-29 years, male 156.1
GTEX-1HBPI-0626-SM-9WPP4 50-59 years, male 156.1
GTEX-11P81-0826-SM-5P9GR 30-39 years, female 155.5
GTEX-1OKEX-1326-SM-E9J2U 60-69 years, male 155.0
GTEX-1I1GS-2126-SM-ARU7G 60-69 years, male 154.9
GTEX-14ICL-0526-SM-5RQJ6 30-39 years, male 154.8
GTEX-1C6VQ-1826-SM-7EWEH 50-59 years, male 154.2
GTEX-1MGNQ-1626-SM-EAZ4Z 40-49 years, male 154.1
GTEX-14PJ3-0626-SM-6UGC5 50-59 years, male 154.0
GTEX-15SB6-0726-SM-6M48F 50-59 years, female 153.9
GTEX-1H1DG-1226-SM-9JGH3 70-79 years, male 153.9
GTEX-YEC4-1026-SM-9WG7N 40-49 years, male 153.9
GTEX-14PJ4-1526-SM-664OA 60-69 years, male 153.7
GTEX-11EQ9-0726-SM-5A5K2 30-39 years, male 153.6
GTEX-Y9LG-0626-SM-4WWDH 30-39 years, male 153.3
GTEX-ZGAY-1126-SM-4WWBS 40-49 years, female 152.5
GTEX-15ETS-1926-SM-7KUN5 40-49 years, female 151.5
GTEX-XXEK-0326-SM-4BRVV 50-59 years, male 151.4
GTEX-11NSD-1126-SM-5N9BQ 20-29 years, male 151.3
GTEX-14H4A-1626-SM-5SI69 40-49 years, female 151.2
GTEX-18A6Q-1226-SM-7KFS9 60-69 years, male 151.0
GTEX-111CU-0726-SM-5GZYD 50-59 years, male 150.5
GTEX-SNMC-0526-SM-4DM69 20-29 years, male 150.3
GTEX-1JKYN-1526-SM-CGQGA 30-39 years, male 150.2
GTEX-PWN1-0626-SM-48TDT 40-49 years, female 149.8
GTEX-1CB4I-1026-SM-7MKFZ 50-59 years, male 149.7
GTEX-OIZH-0626-SM-3NB1L 50-59 years, male 149.6
GTEX-1A32A-1826-SM-72D5G 50-59 years, female 149.4
GTEX-1JMQJ-1226-SM-D3L97 50-59 years, male 149.1
GTEX-T6MO-0526-SM-4DM6R 40-49 years, female 148.9
GTEX-1N2DV-2026-SM-EV7BL 40-49 years, male 148.2
GTEX-QESD-0826-SM-47J4G 20-29 years, male 147.9
GTEX-14ICK-2026-SM-6AJB2 40-49 years, male 147.8
GTEX-ZVT2-1326-SM-5E45H 50-59 years, female 147.6
GTEX-13RTK-0526-SM-5S2QF 20-29 years, male 146.7
GTEX-S341-0526-SM-4AD5U 40-49 years, female 146.3
GTEX-1KANA-0626-SM-D4P3I 20-29 years, male 146.3
GTEX-13FTX-0526-SM-5IFGS 20-29 years, female 146.2
GTEX-14PJ5-0526-SM-664OE 60-69 years, female 146.2
GTEX-1IDFM-1126-SM-A96SY 60-69 years, male 146.1
GTEX-145LV-1326-SM-5S2QI 50-59 years, male 145.8
GTEX-1I6K7-1426-SM-B2LXP 40-49 years, male 145.8
GTEX-OOBK-0625-SM-3LK5P 40-49 years, male 145.7
GTEX-RM2N-0726-SM-48FD5 50-59 years, male 145.7
GTEX-1JMQK-2026-SM-C1YQN 60-69 years, male 145.6
GTEX-16AAH-0726-SM-793A9 50-59 years, male 145.4
GTEX-WHPG-1126-SM-4M1XT 50-59 years, male 145.4
GTEX-11TT1-0526-SM-5P9JO 20-29 years, male 145.1
GTEX-1211K-0926-SM-5FQTL 60-69 years, female 144.5
GTEX-1IKOE-1526-SM-C1YSD 30-39 years, female 144.0
GTEX-14JG6-0926-SM-6871Y 30-39 years, female 143.6
GTEX-1269C-1026-SM-5N9EY 60-69 years, female 143.2
GTEX-132AR-2226-SM-5J2NT 50-59 years, female 143.1
GTEX-14C38-2126-SM-5RQJO 50-59 years, male 143.0
GTEX-U3ZM-0526-SM-4DXTB 40-49 years, male 143.0
GTEX-ZE9C-1126-SM-4WWBD 60-69 years, male 142.9
GTEX-13QBU-1026-SM-5LU3R 40-49 years, female 142.7
GTEX-1K2DA-0626-SM-CGQGO 50-59 years, male 142.4
GTEX-11I78-1526-SM-5A5K7 50-59 years, female 142.2
GTEX-13PL7-0226-SM-731DT 60-69 years, female 142.0
GTEX-18A67-2426-SM-7LT95 50-59 years, male 141.1
GTEX-P4PP-0626-SM-3NM9X 30-39 years, female 140.9
GTEX-12ZZY-1426-SM-5N9EI 60-69 years, male 140.8
GTEX-XYKS-1526-SM-4BRUP 60-69 years, female 140.8
GTEX-ZDTT-1326-SM-4WKFH 60-69 years, male 140.8
GTEX-1LVAM-1126-SM-DHXKP 50-59 years, female 140.8
GTEX-1MCYP-1026-SM-DPRYB 20-29 years, female 140.7
GTEX-RTLS-1126-SM-46MUQ 60-69 years, female 140.4
GTEX-1HCU8-2226-SM-9WPOV 60-69 years, female 140.1
GTEX-ZTSS-0626-SM-59867 40-49 years, male 139.9
GTEX-1QP9N-0926-SM-E9U5S 30-39 years, male 139.8
GTEX-11DXX-1126-SM-5GZZK 60-69 years, female 139.6
GTEX-146FR-0426-SM-5SI97 60-69 years, female 139.6
GTEX-1S83E-0826-SM-EV7B7 40-49 years, male 139.4
GTEX-14PHY-0626-SM-664NN 60-69 years, female 139.1
GTEX-15RIF-0826-SM-6M47C 20-29 years, male 139.1
GTEX-T5JW-1326-SM-4DM5G 20-29 years, female 138.8
GTEX-1H3VY-2026-SM-9JGHK 50-59 years, male 138.4
GTEX-15F5U-5010-SM-AHZ2D 40-49 years, male 138.2
GTEX-QEG4-0726-SM-CNNRF 30-39 years, male 138.2
GTEX-1122O-1726-SM-5GICM 60-69 years, female 137.8
GTEX-11P7K-1326-SM-5BC5G 30-39 years, male 137.5
GTEX-YEC3-2526-SM-CXZIH 50-59 years, male 137.4
GTEX-QEG5-1426-SM-447AS 20-29 years, male 137.1
GTEX-Y3IK-1126-SM-51MSV 50-59 years, female 136.9
GTEX-XGQ4-1526-SM-4AT6H 50-59 years, male 136.6
GTEX-1J1R8-0326-SM-AHZ3D 40-49 years, male 136.6
GTEX-15EU6-1626-SM-6LPKF 50-59 years, male 136.4
GTEX-13X6K-2126-SM-5O9D4 60-69 years, female 136.1
GTEX-13FH7-0526-SM-5IJF8 50-59 years, female 135.9
GTEX-W5WG-1626-SM-4LMKG 50-59 years, female 135.7
GTEX-1497J-2726-SM-5SI9W 60-69 years, male 135.3
GTEX-1KXAM-0826-SM-CXZK9 60-69 years, male 135.3
GTEX-145LT-1126-SM-5LUA1 40-49 years, male 135.1
GTEX-13FTW-1626-SM-5KM4N 40-49 years, male 135.0
GTEX-1AX8Z-5016-SM-AHZ2B 60-69 years, male 135.0
GTEX-1C475-0926-SM-7MKFI 40-49 years, female 134.8
GTEX-1CB4E-1026-SM-793AB 60-69 years, male 134.8
GTEX-183FY-1526-SM-7IGOW 20-29 years, male 134.7
GTEX-1R7EU-0826-SM-DPRZL 60-69 years, male 134.7
GTEX-1399R-0826-SM-5IJEL 30-39 years, male 134.6
GTEX-1KANB-1826-SM-DHXJU 50-59 years, male 134.4
GTEX-144GM-1426-SM-5LU31 20-29 years, male 134.2
GTEX-13SLX-1726-SM-5Q5E5 50-59 years, female 134.1
GTEX-XBEW-1326-SM-4AT63 40-49 years, male 134.0
GTEX-1MJIX-0826-SM-DTXEO 40-49 years, male 133.1
GTEX-1GF9U-0826-SM-7MXTZ 40-49 years, female 132.8
GTEX-YB5E-0926-SM-4WWDQ 40-49 years, male 132.7
GTEX-117YW-1926-SM-5H121 50-59 years, male 132.6
GTEX-1CB4G-1326-SM-7MKFP 60-69 years, male 132.5
GTEX-ZTX8-0226-SM-5E44D 20-29 years, male 132.0
GTEX-QDVN-1026-SM-48TZA 50-59 years, male 131.9
GTEX-1JK1U-1726-SM-CNNPM 60-69 years, male 130.9
GTEX-NPJ8-1926-SM-3MJGB 40-49 years, male 130.5
GTEX-XMK1-1326-SM-4B65Q 40-49 years, male 130.5
GTEX-1JMPY-0826-SM-AHZ4A 30-39 years, male 130.5
GTEX-14PJM-1526-SM-664NY 50-59 years, female 130.4
GTEX-1RAZA-1326-SM-DPS12 20-29 years, male 129.9
GTEX-Y114-0926-SM-4TT7J 50-59 years, female 129.7
GTEX-131XG-1026-SM-5GCMX 50-59 years, female 129.6
GTEX-17HHE-0926-SM-7938K 50-59 years, male 129.6
GTEX-ZTPG-1626-SM-5DUX2 20-29 years, female 129.5
GTEX-UJMC-0926-SM-4IHLK 50-59 years, male 129.3
GTEX-144GO-2726-SM-5O9A2 60-69 years, male 129.2
GTEX-12WSG-5007-SM-7DUGZ 50-59 years, female 127.8
GTEX-13OVG-0626-SM-5IFEP 60-69 years, male 127.8
GTEX-13X6I-1026-SM-5LU4C 60-69 years, male 127.7
GTEX-15UF7-0926-SM-6M46F 40-49 years, male 127.7
GTEX-1I4MK-0426-SM-B2LWQ 50-59 years, female 127.7
GTEX-1LVAN-2326-SM-CNNPY 50-59 years, female 127.6
GTEX-WQUQ-1626-SM-4OOSH 60-69 years, male 127.4
GTEX-ZXES-1126-SM-5GZXN 30-39 years, female 127.1
GTEX-1JKYR-2126-SM-CNNPC 20-29 years, male 127.1
GTEX-1I1GU-1426-SM-B2LX3 40-49 years, male 126.7
GTEX-WXYG-1226-SM-4ONCJ 50-59 years, female 126.3
GTEX-1N2EE-2426-SM-EXOIO 60-69 years, male 125.8
GTEX-14E1K-1226-SM-5S2PD 50-59 years, male 125.6
GTEX-ZLV1-0526-SM-4WWD4 60-69 years, female 125.2
GTEX-13O1R-1326-SM-5IJF5 60-69 years, male 125.1
GTEX-1EKGG-1726-SM-7MXUP 60-69 years, male 125.1
GTEX-S95S-0426-SM-4B64I 60-69 years, male 125.0
GTEX-ZPU1-1426-SM-4WWFU 40-49 years, male 125.0
GTEX-15RJ7-0926-SM-6LPJO 40-49 years, male 124.8
GTEX-13FLV-1126-SM-5J2NO 50-59 years, male 124.4
GTEX-WFJO-0826-SM-4LVM5 30-39 years, male 124.3
GTEX-13CF3-1626-SM-5IFG9 60-69 years, female 124.1
GTEX-1GN1W-2226-SM-9JGI5 50-59 years, female 123.9
GTEX-1LG7Y-1726-SM-EV7AR 50-59 years, male 123.9
GTEX-14E6E-0726-SM-5S2R3 30-39 years, male 123.8
GTEX-XK95-1026-SM-4GIDV 40-49 years, male 123.5
GTEX-1F5PL-1726-SM-9QEGL 40-49 years, female 123.4
GTEX-1K2DU-1726-SM-EV79S 20-29 years, male 123.3
GTEX-12696-1326-SM-5FQTJ 60-69 years, male 122.9
GTEX-16A39-1026-SM-6LPJU 30-39 years, female 122.6
GTEX-Y8E4-1726-SM-5LU9G 40-49 years, male 122.6
GTEX-WFG7-1126-SM-4LMK3 20-29 years, male 122.5
GTEX-1B97J-1026-SM-7MXTE 50-59 years, female 122.5
GTEX-1JMLX-2326-SM-CXZJP 50-59 years, male 122.5
GTEX-ZQUD-0426-SM-57WFR 30-39 years, male 122.3
GTEX-145ME-5004-SM-7MGXP 40-49 years, female 122.0
GTEX-12WSL-1526-SM-5GCP8 50-59 years, male 121.8
GTEX-YB5K-0826-SM-5YYB7 40-49 years, female 121.7
GTEX-R55C-0826-SM-48FCL 40-49 years, male 121.5
GTEX-1399U-1026-SM-5J1OC 50-59 years, female 121.4
GTEX-15RIE-0826-SM-6M47X 60-69 years, male 121.4
GTEX-S4P3-0426-SM-4AD56 50-59 years, female 121.4
GTEX-WYVS-0726-SM-4ONDO 40-49 years, female 121.4
GTEX-16XZY-0926-SM-7938M 70-79 years, male 121.3
GTEX-WHWD-0926-SM-4OORY 50-59 years, male 121.1
GTEX-ZY6K-0626-SM-59HJL 50-59 years, male 121.1
GTEX-QV44-1126-SM-CL55C 50-59 years, male 120.8
GTEX-111YS-0926-SM-5EGGI 60-69 years, male 120.6
GTEX-12C56-1226-SM-5FQSU 20-29 years, male 120.5
GTEX-1399S-1326-SM-5P9GH 30-39 years, female 120.5
GTEX-13FHP-1526-SM-5IJGE 50-59 years, male 120.5
GTEX-1M5QR-0726-SM-DHXK7 40-49 years, male 120.5
GTEX-XUZC-0426-SM-4BOPE 30-39 years, female 120.3
GTEX-16MTA-0826-SM-6LLIC 50-59 years, male 120.0
GTEX-1AMEY-0226-SM-7189Q 30-39 years, female 120.0
GTEX-XQ8I-1526-SM-4BOOH 50-59 years, male 119.9
GTEX-SE5C-1226-SM-4BRWV 40-49 years, female 119.8
GTEX-17EUY-1426-SM-7938X 20-29 years, male 119.6
GTEX-TMMY-1126-SM-4DXSX 40-49 years, female 119.6
GTEX-18D9B-2026-SM-7LT96 60-69 years, male 119.4
GTEX-OXRK-1326-SM-3NB1A 50-59 years, female 119.0
GTEX-ZYW4-1326-SM-5E45N 60-69 years, male 119.0
GTEX-UJHI-0826-SM-4IHLM 50-59 years, female 118.9
GTEX-1F88F-1126-SM-7MKHL 60-69 years, female 118.8
GTEX-U8XE-1726-SM-4E3IF 30-39 years, male 118.6
GTEX-X15G-0826-SM-4PQZD 50-59 years, female 118.4
GTEX-169BO-0526-SM-793AK 50-59 years, male 118.3
GTEX-1EWIQ-1526-SM-79OO7 70-79 years, female 118.3
GTEX-X4LF-0626-SM-4QASB 50-59 years, male 118.2
GTEX-13OVI-2626-SM-5KM4T 60-69 years, female 118.0
GTEX-1ICG6-1926-SM-ARU7L 70-79 years, female 117.9
GTEX-13O61-0926-SM-5IFFE 60-69 years, male 117.7
GTEX-1PPGY-1726-SM-EVR3S 60-69 years, male 117.7
GTEX-1IDJH-2026-SM-CNNQX 70-79 years, male 117.6
GTEX-1MCC2-1926-SM-DHXJR 30-39 years, female 117.3
GTEX-WH7G-0926-SM-4LVMJ 40-49 years, male 116.9
GTEX-11EMC-2226-SM-5A5JW 60-69 years, female 116.8
GTEX-11DXZ-1226-SM-5H11L 50-59 years, male 116.6
GTEX-1GPI7-1026-SM-7MGY2 20-29 years, male 116.3
GTEX-XV7Q-1126-SM-4BRVS 40-49 years, female 116.0
GTEX-139T6-0626-SM-5IFF9 50-59 years, male 115.7
GTEX-148VJ-1026-SM-5LU98 70-79 years, male 115.6
GTEX-1H1DE-1026-SM-9JGH6 20-29 years, male 115.6
GTEX-15RJE-0926-SM-6LLHZ 40-49 years, male 115.5
GTEX-ZAJG-1326-SM-5S2NV 50-59 years, female 115.4
GTEX-VUSG-1226-SM-4KKZF 50-59 years, male 115.2
GTEX-1EMGI-1926-SM-7938Y 60-69 years, male 115.0
GTEX-146FQ-1026-SM-5LU8I 30-39 years, male 114.7
GTEX-OXRN-1726-SM-3NM9B 50-59 years, male 114.7
GTEX-145MO-1426-SM-DTX9W 60-69 years, male 114.7
GTEX-1AX9J-1826-SM-731FM 60-69 years, male 114.6
GTEX-147F3-0826-SM-5NQA7 50-59 years, female 114.5
GTEX-NFK9-1126-SM-3LK78 40-49 years, male 114.5
GTEX-Z9EW-0526-SM-5HL8S 40-49 years, male 114.5
GTEX-O5YV-1026-SM-3LK72 60-69 years, female 114.3
GTEX-XBED-1026-SM-48TCB 60-69 years, male 114.2
GTEX-131XF-0826-SM-5GICG 60-69 years, male 113.8
GTEX-13O3Q-0826-SM-5IFGF 50-59 years, male 113.6
GTEX-18D9U-2126-SM-7LG4Y 40-49 years, male 113.4
GTEX-1GN73-1926-SM-9JGGS 60-69 years, male 112.8
GTEX-OIZI-1426-SM-3NB1T 40-49 years, male 112.6
GTEX-1KAFJ-0626-SM-D3L8X 50-59 years, male 112.4
GTEX-WFON-0826-SM-4LVMI 40-49 years, male 112.2
GTEX-QEL4-1426-SM-447AC 50-59 years, male 112.0
GTEX-15DCE-1326-SM-6LPJL 20-29 years, male 111.9
GTEX-PLZ6-0526-SM-3P61C 30-39 years, male 111.9
GTEX-ZPCL-1426-SM-57WEC 60-69 years, female 111.8
GTEX-P4QT-0626-SM-3NMCP 50-59 years, female 111.7
GTEX-WOFM-0626-SM-4OOS3 20-29 years, male 111.7
GTEX-1QP28-1826-SM-EAZ4L 50-59 years, female 111.6
GTEX-11TUW-1326-SM-5EQKV 60-69 years, male 111.5
GTEX-1MA7W-0426-SM-E9TJ5 20-29 years, female 111.2
GTEX-17HII-1526-SM-9OSVD 50-59 years, male 111.0
GTEX-13YAN-1926-SM-7EPH9 60-69 years, male 110.5
GTEX-1HCU6-1326-SM-A96TZ 60-69 years, female 110.4
GTEX-1RAZR-1226-SM-E6CRD 40-49 years, male 110.2
GTEX-ZLWG-1326-SM-DNZYZ 50-59 years, female 109.9
GTEX-1J1OQ-2526-SM-AHZ3Q 40-49 years, female 109.8
GTEX-144GN-0626-SM-5O9B2 50-59 years, male 109.6
GTEX-S3XE-0926-SM-4AD4S 50-59 years, male 109.5
GTEX-Y5V5-1626-SM-4VDSG 60-69 years, female 109.4
GTEX-1QCLZ-1626-SM-E9U5R 60-69 years, female 109.4
GTEX-WFG8-1226-SM-4V6EI 20-29 years, male 109.2
GTEX-148VI-1026-SM-5TDDJ 60-69 years, female 108.8
GTEX-QCQG-0626-SM-48U21 50-59 years, female 108.7
GTEX-X4EO-1226-SM-4QARR 60-69 years, female 108.6
GTEX-ZF2S-1226-SM-4WWAX 50-59 years, female 108.5
GTEX-ZDYS-0826-SM-4WWCR 50-59 years, male 108.2
GTEX-POYW-1326-SM-48TCG 60-69 years, male 108.0
GTEX-TSE9-1226-SM-4DXTM 60-69 years, female 107.9
GTEX-1I1CD-1726-SM-A9G3P 60-69 years, female 107.9
GTEX-12BJ1-1626-SM-5HL8Y 60-69 years, male 107.8
GTEX-1CAMQ-2726-SM-7MKGD 40-49 years, male 107.8
GTEX-OIZG-1026-SM-3LK5X 50-59 years, male 107.7
GTEX-QLQ7-0926-SM-447BC 60-69 years, male 107.7
GTEX-WYJK-1926-SM-4ONDP 50-59 years, male 107.7
GTEX-1RDX4-2126-SM-EV7B3 50-59 years, female 107.7
GTEX-OIZF-0626-SM-7MKHG 60-69 years, male 107.7
GTEX-U4B1-0826-SM-4DXTW 40-49 years, male 107.6
GTEX-13QJ3-1726-SM-5RQK9 50-59 years, male 107.3
GTEX-1A3MV-1326-SM-7LG6C 30-39 years, male 107.2
GTEX-ZAB5-0926-SM-5CVMV 50-59 years, male 107.2
GTEX-13PVQ-1726-SM-5IFF3 50-59 years, male 107.0
GTEX-16NGA-1426-SM-718AC 40-49 years, female 107.0
GTEX-RWS6-0826-SM-47JXF 60-69 years, female 107.0
GTEX-1AX9K-1126-SM-731DQ 50-59 years, male 106.4
GTEX-V1D1-1026-SM-4JBHE 50-59 years, male 106.4
GTEX-1HB9E-1526-SM-D3LA6 50-59 years, male 106.3
GTEX-13FHO-1726-SM-DPRZX 60-69 years, male 106.1
GTEX-TKQ1-0326-SM-4DXSM 30-39 years, male 106.0
GTEX-1H1ZS-1526-SM-9OSXR 70-79 years, male 106.0
GTEX-1B996-1826-SM-7MGY6 60-69 years, male 105.9
GTEX-1PFEY-0826-SM-E9U6A 30-39 years, male 105.5
GTEX-13D11-1926-SM-5IFGB 50-59 years, female 105.4
GTEX-1GMR3-1526-SM-9JGGL 40-49 years, male 105.4
GTEX-1OJC3-0826-SM-DPRYU 20-29 years, male 105.4
GTEX-11P82-0526-SM-5986P 20-29 years, male 105.3
GTEX-14C5O-1626-SM-73KYH 60-69 years, male 105.2
GTEX-13NZB-1226-SM-5J2MW 30-39 years, male 105.1
GTEX-X4XY-1726-SM-46MVO 60-69 years, male 105.1
GTEX-YF7O-0926-SM-5IFIF 50-59 years, male 104.9
GTEX-OXRL-0626-SM-3NM9C 50-59 years, male 104.6
GTEX-ZEX8-1426-SM-4WKHQ 50-59 years, male 104.6
GTEX-R3RS-1326-SM-48FE7 40-49 years, female 104.4
GTEX-1GMR8-1826-SM-9WYUE 50-59 years, female 104.4
GTEX-146FH-1726-SM-5QGQ2 50-59 years, female 104.1
GTEX-15SHU-1426-SM-6LPIN 40-49 years, female 103.8
GTEX-15EO6-1026-SM-7KUG9 50-59 years, male 103.7
GTEX-145MN-1026-SM-5NQ9G 30-39 years, male 103.6
GTEX-1HCVE-1226-SM-9WPPH 50-59 years, male 103.4
GTEX-XQ3S-1126-SM-4BOPK 20-29 years, male 103.2
GTEX-1HSKV-2426-SM-A8N8K 60-69 years, male 103.1
GTEX-T5JC-1726-SM-4DM6U 20-29 years, male 103.0
GTEX-13S86-0826-SM-5SI6J 40-49 years, male 102.8
GTEX-U3ZH-1026-SM-4DXUZ 30-39 years, male 102.7
GTEX-131YS-1426-SM-5IJF7 60-69 years, female 102.6
GTEX-XLM4-2326-SM-4AT5E 60-69 years, male 102.6
GTEX-RUSQ-0826-SM-47JWW 50-59 years, male 102.3
GTEX-V955-1126-SM-4JBH3 60-69 years, male 102.3
GTEX-17EVQ-1926-SM-7IGOF 70-79 years, male 102.1
GTEX-OXRP-0926-SM-48TC1 60-69 years, female 101.7
GTEX-1RAZQ-1726-SM-EAZ4T 30-39 years, male 101.7
GTEX-1MA7X-0726-SM-EV7AB 60-69 years, male 101.5
GTEX-12WSA-1426-SM-5EGJU 60-69 years, male 101.4
GTEX-12KS4-0926-SM-5BC5S 30-39 years, male 101.3
GTEX-13OVK-1126-SM-6PAMR 40-49 years, male 101.3
GTEX-1F52S-1426-SM-7P8PU 60-69 years, female 101.2
GTEX-QDVJ-0726-SM-48U1W 50-59 years, male 101.0
GTEX-Y5V6-1026-SM-4VBS2 60-69 years, male 100.8
GTEX-P4QS-0626-SM-3NMD1 60-69 years, male 100.4
GTEX-1HBPH-1126-SM-A96TU 40-49 years, female 100.2
GTEX-1R9PM-0926-SM-DPRYA 20-29 years, male 100.1
GTEX-12WSK-1126-SM-5LZV8 40-49 years, female 99.5
GTEX-X4EP-1626-SM-4QAS6 60-69 years, female 99.5
GTEX-UPJH-1026-SM-EAZB2 50-59 years, male 99.5
GTEX-SUCS-0726-SM-4DM7J 70-79 years, male 99.4
GTEX-ZYT6-1126-SM-5GZYR 30-39 years, male 99.4
GTEX-ZYY3-1526-SM-5SIA9 60-69 years, female 99.4
GTEX-1R9JW-1526-SM-DPRZK 30-39 years, female 99.4
GTEX-X3Y1-1326-SM-4PQZB 40-49 years, male 99.3
GTEX-1LB8K-1326-SM-CXZKB 50-59 years, male 99.2
GTEX-1LGRB-1626-SM-CNNR7 50-59 years, female 99.0
GTEX-R53T-1126-SM-48FD4 50-59 years, female 98.9
GTEX-1HCUA-1426-SM-9WPP7 50-59 years, female 98.9
GTEX-1399Q-1126-SM-5P9JA 40-49 years, male 98.8
GTEX-145LU-0926-SM-79OJL 50-59 years, male 98.7
GTEX-PVOW-1626-SM-48TC9 40-49 years, male 98.7
GTEX-S4Q7-0626-SM-4AD5M 20-29 years, male 98.7
GTEX-13111-0826-SM-5LZV3 50-59 years, male 98.4
GTEX-12WSD-1826-SM-5GCOA 60-69 years, female 98.3
GTEX-16BQI-1526-SM-6LLIE 30-39 years, female 98.3
GTEX-1HKZK-1426-SM-A96U1 40-49 years, male 98.1
GTEX-N7MT-0326-SM-48TDP 60-69 years, female 97.0
GTEX-S33H-0826-SM-4AD5Y 30-39 years, male 96.7
GTEX-TML8-1526-SM-4DXUX 40-49 years, female 96.1
GTEX-Q2AI-0626-SM-48TZU 40-49 years, male 96.0
GTEX-17F97-1326-SM-7MGVO 50-59 years, male 96.0
GTEX-1CB4J-2426-SM-7MXVC 60-69 years, male 96.0
GTEX-R55E-1326-SM-48FCR 20-29 years, male 95.9
GTEX-T2YK-1326-SM-4DM6S 50-59 years, male 95.8
GTEX-ZZPT-1426-SM-5N9C5 50-59 years, male 95.8
GTEX-SNOS-0626-SM-4DM5F 40-49 years, male 95.6
GTEX-13OW8-2326-SM-5L3I9 60-69 years, male 95.3
GTEX-1B97I-0926-SM-731DZ 40-49 years, male 95.2
GTEX-ZA64-0626-SM-5HL9O 20-29 years, male 95.2
GTEX-1AX9I-1426-SM-7DHM8 60-69 years, male 95.1
GTEX-S32W-0926-SM-4AD5X 50-59 years, female 95.0
GTEX-1GN1U-1826-SM-9JGH2 50-59 years, female 94.9
GTEX-1K9T9-2026-SM-CXZK3 50-59 years, female 94.7
GTEX-18A7A-2326-SM-7KFRH 50-59 years, female 94.1
GTEX-1GL5R-1526-SM-7MKHO 50-59 years, male 94.0
GTEX-RN64-1026-SM-48FDX 50-59 years, male 94.0
GTEX-XMD2-1326-SM-4YCET 60-69 years, female 93.9
GTEX-1QP67-0726-SM-DPRY1 40-49 years, female 93.9
GTEX-1R9K4-1926-SM-DPRZW 60-69 years, male 93.5
GTEX-U3ZN-1726-SM-4DXUQ 30-39 years, female 93.4
GTEX-13W3W-1626-SM-5LU35 60-69 years, female 92.9
GTEX-1C64O-1826-SM-7DHM4 60-69 years, male 92.6
GTEX-16Z82-1926-SM-6M47U 60-69 years, male 92.5
GTEX-17KNJ-1326-SM-7KFTG 50-59 years, male 92.5
GTEX-1HC8U-1526-SM-9WPO4 40-49 years, female 92.3
GTEX-ZT9X-0526-SM-5GCOP 40-49 years, male 92.2
GTEX-139UW-1126-SM-5IJEJ 60-69 years, male 92.1
GTEX-17JCI-1226-SM-793D9 60-69 years, female 92.1
GTEX-ZUA1-1226-SM-5NQ6O 40-49 years, male 91.8
GTEX-1IDJD-1626-SM-C1YRC 30-39 years, male 91.7
GTEX-1I1GP-1026-SM-C1YRZ 50-59 years, male 91.5
GTEX-1JMPZ-2026-SM-C1YR8 30-39 years, male 91.1
GTEX-15UF6-2326-SM-6M465 70-79 years, female 90.8
GTEX-1EH9U-2426-SM-7EWFG 60-69 years, male 90.7
GTEX-14DAQ-1426-SM-5RQJD 60-69 years, female 90.6
GTEX-S7SF-0926-SM-4AD4M 20-29 years, female 90.5
GTEX-ZC5H-1326-SM-5HL7E 40-49 years, female 90.0
GTEX-1HSMQ-2026-SM-B2LY1 50-59 years, male 89.9
GTEX-11ZTS-2626-SM-5EGIC 60-69 years, female 89.4
GTEX-1S82Y-1226-SM-EV7BD 40-49 years, male 89.1
GTEX-VJYA-0726-SM-4KL1T 60-69 years, male 88.8
GTEX-Q2AG-1326-SM-43V8K 40-49 years, female 88.1
GTEX-PLZ4-1626-SM-3P618 50-59 years, female 87.9
GTEX-PLZ5-0926-SM-3TW8L 50-59 years, male 87.9
GTEX-X585-1226-SM-46MW7 50-59 years, male 87.8
GTEX-13G51-0926-SM-5IFFU 60-69 years, male 87.5
GTEX-17F96-2526-SM-7DHL3 70-79 years, male 87.2
GTEX-11GSP-1826-SM-5N9DQ 60-69 years, female 86.6
GTEX-1I1GQ-1726-SM-B2LWZ 50-59 years, male 86.5
GTEX-1B8KZ-0726-SM-7938W 50-59 years, male 86.2
GTEX-1HCU7-2126-SM-A96SG 50-59 years, male 86.2
GTEX-Y8LW-0726-SM-5IFI1 50-59 years, female 85.7
GTEX-WVLH-1426-SM-4MVNX 50-59 years, male 85.1
GTEX-1GTWX-1326-SM-9JGHU 60-69 years, male 84.8
GTEX-1IDJF-1226-SM-C1YPX 20-29 years, male 84.2
GTEX-11ZU8-1526-SM-5EGHX 60-69 years, male 84.0
GTEX-PSDG-1326-SM-48TD2 50-59 years, male 84.0
GTEX-1IKK5-1326-SM-AHZ2X 60-69 years, male 83.5
GTEX-14BIM-1326-SM-7EWD1 60-69 years, female 83.0
GTEX-1212Z-2126-SM-5FQTM 60-69 years, male 82.6
GTEX-11DZ1-2026-SM-5A5KG 50-59 years, male 82.3
GTEX-ZAB4-1126-SM-5HL86 40-49 years, male 81.8
GTEX-1F5PK-1526-SM-7MKGV 50-59 years, male 81.7
GTEX-145MF-1426-SM-5O9B6 50-59 years, male 81.5
GTEX-12ZZW-1726-SM-5DUVD 50-59 years, male 81.4
GTEX-1CB4H-1526-SM-7MXU4 60-69 years, female 81.1
GTEX-16MT8-1326-SM-6M47R 60-69 years, female 80.6
GTEX-1EX96-2226-SM-7MKGT 50-59 years, male 80.6
GTEX-1NUQO-1126-SM-DTX98 20-29 years, female 80.5
GTEX-17HGU-1426-SM-7938G 50-59 years, male 80.4
GTEX-ZAK1-1526-SM-5S2OV 50-59 years, female 80.4
GTEX-RU72-0726-SM-46MUW 50-59 years, female 80.3
GTEX-145LS-1826-SM-5LUAZ 60-69 years, female 80.0
GTEX-14BIN-2726-SM-5RQIE 50-59 years, female 79.8
GTEX-1LBAC-1226-SM-DHXK1 20-29 years, male 79.8
GTEX-1IY9M-1626-SM-AHZ39 60-69 years, male 79.0
GTEX-ZVE2-1326-SM-5NQ94 50-59 years, male 78.9
GTEX-14JIY-0926-SM-6871D 60-69 years, male 78.7
GTEX-R55D-1126-SM-48FEB 50-59 years, male 78.5
GTEX-11ONC-1526-SM-5GU6S 60-69 years, male 78.4
GTEX-1R9K5-1526-SM-DPRZA 50-59 years, male 78.2
GTEX-Y111-1626-SM-57WCY 50-59 years, male 77.7
GTEX-11XUK-0826-SM-5GU6P 40-49 years, female 77.3
GTEX-1QCLY-1526-SM-DPRXX 30-39 years, male 77.3
GTEX-132Q8-1826-SM-5EGIY 60-69 years, male 77.2
GTEX-15DCD-1626-SM-6AJBH 70-79 years, female 77.1
GTEX-16NPX-1626-SM-6LLI5 50-59 years, male 76.5
GTEX-1A8FM-1526-SM-7MXTA 50-59 years, female 76.4
GTEX-1CB4F-1526-SM-7MKFM 60-69 years, male 76.1
GTEX-R45C-1226-SM-48FEE 60-69 years, female 76.1
GTEX-X62O-2226-SM-46MW3 50-59 years, male 76.0
GTEX-1HBPM-1426-SM-9WPPE 60-69 years, female 76.0
GTEX-183WM-1726-SM-7KFT5 70-79 years, female 75.6
GTEX-1I1GV-2226-SM-ARU7E 60-69 years, male 75.6
GTEX-15ER7-2126-SM-7939E 20-29 years, female 75.4
GTEX-1N2DW-1426-SM-EV7AZ 50-59 years, male 75.2
GTEX-QLQW-0526-SM-4R1KS 30-39 years, male 74.9
GTEX-1RAZS-2626-SM-EV79C 50-59 years, male 74.5
GTEX-YJ89-1526-SM-5P9IR 60-69 years, male 74.4
GTEX-1H3NZ-1326-SM-9JGHI 60-69 years, male 74.0
GTEX-1F7RK-1526-SM-7P8T6 20-29 years, female 73.9
GTEX-144FL-2726-SM-5O98Z 50-59 years, male 73.7
GTEX-13U4I-1126-SM-5LU3S 40-49 years, female 73.3
GTEX-1J8EW-1326-SM-AHZ3S 60-69 years, female 72.9
GTEX-ZYFC-1626-SM-5N9EU 50-59 years, male 72.7
GTEX-15DYW-1826-SM-6LPIY 60-69 years, female 72.2
GTEX-131XE-1426-SM-5HL7V 50-59 years, male 72.0
GTEX-1HFI6-1226-SM-A96SK 40-49 years, male 71.9
GTEX-1MCQQ-1026-SM-EV7AX 60-69 years, male 71.6
GTEX-1QEPI-1826-SM-EAZ3J 60-69 years, female 70.6
GTEX-SJXC-1426-SM-EYYVB 60-69 years, male 69.9
GTEX-ZV68-0926-SM-59HK7 50-59 years, female 69.5
GTEX-11NUK-1326-SM-5P9GN 50-59 years, male 68.8
GTEX-QVUS-0626-SM-447CC 60-69 years, female 68.7
GTEX-RVPV-0526-SM-47JYL 60-69 years, male 68.6
GTEX-13W46-1926-SM-5J2MF 50-59 years, male 68.5
GTEX-139TU-1226-SM-5J2NL 60-69 years, male 68.1
GTEX-11DYG-1326-SM-5N9DO 60-69 years, male 67.7
GTEX-1KD4Q-1126-SM-CXZKK 40-49 years, male 67.1
GTEX-T2IS-0826-SM-4DM6L 20-29 years, female 66.7
GTEX-WK11-1026-SM-4OOS8 50-59 years, male 66.6
GTEX-OHPN-1026-SM-E9TI8 60-69 years, female 66.2
GTEX-UPK5-1226-SM-4IHL8 40-49 years, male 66.1
GTEX-1EU9M-2326-SM-7MKGS 60-69 years, male 65.5
GTEX-N7MS-1225-SM-3LK5G 60-69 years, male 65.5
GTEX-1HSGN-1626-SM-A96U2 40-49 years, female 65.5
GTEX-1BAJH-2026-SM-7P8OZ 70-79 years, male 64.9
GTEX-1HGF4-0926-SM-9WPP8 60-69 years, male 64.0
GTEX-1LSVX-1226-SM-DHXJN 60-69 years, male 63.4
GTEX-ZF3C-1626-SM-4WWB4 50-59 years, female 62.6
GTEX-1LSNL-2226-SM-DHXKM 50-59 years, male 62.4
GTEX-RNOR-1226-SM-48FDQ 50-59 years, female 62.3
GTEX-1I1GR-1326-SM-ARU7B 60-69 years, male 62.1
GTEX-P78B-1026-SM-3NMC4 40-49 years, female 61.1
GTEX-178AV-0526-SM-6LPJH 40-49 years, male 60.0
GTEX-1LNCM-0626-SM-EV7AI 50-59 years, female 57.2
GTEX-1E1VI-1526-SM-7IGQ2 50-59 years, male 55.8
GTEX-1QW4Y-0526-SM-EAZ3V 30-39 years, male 55.5
GTEX-YECK-1626-SM-5IFHQ 60-69 years, male 54.4
GTEX-1RLM8-0726-SM-E6CRH 50-59 years, male 51.3
GTEX-11EI6-1526-SM-5P9GL 60-69 years, male 50.2
GTEX-1EN7A-1226-SM-7MGX9 40-49 years, male 45.4
GTEX-18465-1126-SM-7LG6E 50-59 years, male 43.6
GTEX-1LVA9-2126-SM-DLHBY 50-59 years, male 40.5
Show allShow less

ESOPHAGUS - FANTOM5 CAGEi

RNA expression in human tissues obtained through Cap Analysis of Gene Expression (CAGE) generated by the FANTOM5 project are reported as Scaled Tags Per Million.

Max subtype Scaled Tags Per Millioni

Max subtype Scaled Tags Per Million is the value for the subtype with the largest average Scaled Tags Per Million across the subtype samples.

74.6
FANTOM5 sample id Sample description Scaled Tags Per Million
Esophagus
Scaled Tags Per Million: 74.6
FF:10015-101C6 68,74,75 years, mixed 74.6

Contact

  • NEWS ARTICLES
  • PRESS ROOM

The Project

  • INTRODUCTION
  • ORGANIZATION
  • PUBLICATIONS

The Human Protein Atlas

  • DOWNLOADABLE DATA
  • LICENCE & CITATION
  • HELP & FAQ
The Human Protein Atlas project is funded
by the Knut & Alice Wallenberg Foundation.


contact@proteinatlas.org