We use cookies to enhance the usability of our website. If you continue, we'll assume that you are happy to receive all cookies. More information. Don't show this again.
SIAH2
HPA
RESOURCES
  • TISSUE
  • BRAIN
  • SINGLE CELL
  • SUBCELLULAR
  • CANCER
  • BLOOD
  • CELL LINE
  • STRUCTURE & INTERACTION
ABOUT
  • INTRODUCTION
  • HISTORY
  • ORGANIZATION
  • PUBLICATIONS
  • ANTIBODY SUBMISSION
  • ANTIBODY AVAILABILITY
  • ACKNOWLEDGMENTS
  • CONTACT
NEWS
  • NEWS ARTICLES
  • PRESS ROOM
LEARN
  • DICTIONARY
  • PROTEIN CLASSES
  • PROTEIN EVIDENCE
  • METHODS
  • EDUCATIONAL VIDEOS
DATA
  • DOWNLOADABLE DATA
  • PUBLICATION DATA
  • RELEASE HISTORY
HELP
  • ANTIBODY VALIDATION
  • ASSAYS & ANNOTATION
  • DISCLAIMER
  • HELP & FAQ
  • PRIVACY STATEMENT
  • LICENCE & CITATION
Fields »
Search result

Field
Term
Gene name
Class
Subclass
Class
Keyword
Chromosome
External id
Tissue
Cell type
Expression
Antibody panel
Tissue
Main location
Patient ID
Annotation
Tissue
Category
Tau score
Cluster
Reliability
Brain region
Category
Tau score
Brain region
Category
Tau score
Brain region
Category
Tau score
Cluster
Reliability
Tissue
Cell type
Enrichment
Cell type
Category
Tau score
Cell type
Category
Tau score
Cell type
Category
Tau score
Cell lineage
Category
Tau score
Cluster
Cluster
Location
Searches
Location
Cell line
Class
Type
Phase
Reliability
Cancer
Prognosis
Cancer
Category
Cancer
Category
Tau score
Cluster
Variants
Interacting gene (ensg_id)
Type
Number of interactions
Pathway
Category
Score
Score
Score
Validation
Validation
Validation
Validation
Antibodies
Data type
Column


  • SUMMARY

  • TISSUE

  • BRAIN

  • SINGLE CELL

  • SUBCELL

  • CANCER

  • BLOOD

  • CELL LINE

  • STRUCT & INT

  • SIAH2
TISSUE PRIMARY DATA COLON Show tissue menu
ADIPOSE TISSUE ADRENAL GLAND AMYGDALA APPENDIX BASAL GANGLIA BONE MARROW BREAST BRONCHUS CEREBELLUM CEREBRAL CORTEX CERVIX CHOROID PLEXUS COLON DUODENUM
ENDOMETRIUM EPIDIDYMIS ESOPHAGUS FALLOPIAN TUBE GALLBLADDER HEART MUSCLE HIPPOCAMPAL FORMATION HYPOTHALAMUS KIDNEY LIVER LUNG LYMPH NODE MIDBRAIN NASOPHARYNX
ORAL MUCOSA OVARY PANCREAS PARATHYROID GLAND PITUITARY GLAND PLACENTA PROSTATE RECTUM RETINA SALIVARY GLAND SEMINAL VESICLE SKELETAL MUSCLE SKIN SMALL INTESTINE
SMOOTH MUSCLE SOFT TISSUE SPINAL CORD SPLEEN STOMACH TESTIS THYMUS THYROID GLAND TONGUE TONSIL URINARY BLADDER VAGINA
ANTIBODIES
AND
VALIDATION
Dictionary
Colon
Tissue proteome
Intestine
COLON - Expression summary
Protein expression
Coloni

On the top, protein expression in current human tissue, based on all annotated cell types, is reported with the units not detected (n), low (l), medium (m) and high (h). Underneath, protein expression in each annotated cell type are reported using the same units.

Protein expression data is based on knowledge-based annotation. For genes where more than one antibody has been used, a collective score is set.

If knowledge-based annotation could not be performed for a gene, no data is displayed here. View antibody staining data further down this page.

h
m
l
n
Endothelial cells: Not detected
Glandular cells: Medium
Peripheral nerve/ganglion: Not detected
RNA expressioni

A summary of mRNA expression data available for current tissue based on several datasets. The mRNA expression levels in human tissues are based on RNA-seq data generated by the Human Protein Atlas (HPA), Genotype-Tissue Expression (GTEx) portal and CAGE data generated by the FANTOM5 consortium. Consensus normalized expression levels for human tissues was created by combining the data from HPA and GTEx datasets.

The mRNA expression levels in pig are based on RNA-seq data generated by the Human Protein Atlas (HPA), and for mouse, HPA data and in situ hybridization generated by the Allen brain atlas are reported.

Scroll down to view mRNA expression data in more detail.
Consensus:17.1 nTPM
HPA:17.1 nTPM
GTEx:15.8 nTPM
FANTOM5:37.4 Scaled Tags Per Million

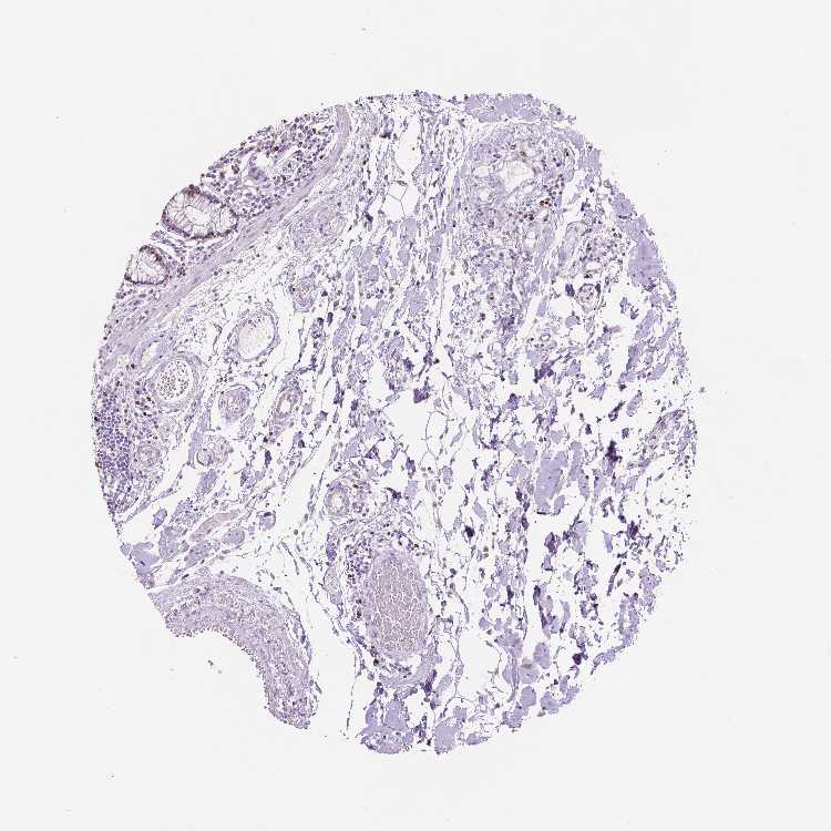
COLON - Antibody stainingi

Antibody staining in the annotated cell types in the current human tissue is reported as not detected, low, medium, or high, based on conventional immunohistochemistry profiling in selected tissues. This score is based on the combination of the staining intensity and fraction of stained cells.

Each image is clickable and will lead to virtual microscopy that enables deeper exploration of all samples and also displays staining intensity scores, fraction scores and subcellular localization as well as patient and tissue information for each sample.

Antibody CAB069930
Endothelial cells Not detected
Glandular cells High
Peripheral nerve/ganglion Not detected



COLON - HPA RNA-seqi

The RNA-seq details section shows detailed information about the individual samples used for the transcript profiling and results of the RNA-seq analysis.

Information about each individual sample is listed below, including gender, age, a tissue section image and estimated fractions of cell types. nTPM (normalized transcripts per million) values give a quantification of the gene abundance which is comparable between different genes and samples.
Average nTPMi

Max subtype nTPM is the value for the subtype with the largest average nTPM across the subtype samples.

17.1
overview
Male, age 54
Colon sample 67
nTPM: 18.8
Cell types%
Glandular cells:
65

Smooth muscle cells:
10

Other cell types:
25

overview
Female, age 57
Colon sample 68
nTPM: 24.9
Cell types%
Glandular cells:
40

Smooth muscle cells:
5

Other cell types:
55

overview
Male, age 80
Colon sample 69
nTPM: 19
Cell types%
Glandular cells:
55

Smooth muscle cells:
5

Other cell types:
40

overview
Male, age 68
Colon sample 70
nTPM: 11.6
Cell types%
Glandular cells:
35

Smooth muscle cells:
10

Other cell types:
55

overview
Female, age 68
Colon sample 76
nTPM: 18.1
Cell types%
Glandular cells:
25

Smooth muscle cells:
5

Other cell types:
70

overview
Female, age 61
Colon sample 299
nTPM: 18.8
Cell types%
Glandular cells:
5

Smooth muscle cells:
65

Other cell types:
30

overview
Male, age 80
Colon sample 300
nTPM: 17.4
Cell types%
Glandular cells:
15

Smooth muscle cells:
20

Other cell types:
65

overview
Female, age 78
Colon sample 368
nTPM: 14.3
Cell types%
Glandular cells:
45

Smooth muscle cells:
5

Other cell types:
50

overview
Male, age 84
Colon sample 381
nTPM: 14.7
Cell types%
Glandular cells:
50

Smooth muscle cells:
15

Other cell types:
35

overview
Male, age 80
Colon sample 384
nTPM: 22.6
Cell types%
Glandular cells:
20

Smooth muscle cells:
35

Other cell types:
45

overview
Female, age 78
Colon sample 389
nTPM: 14.6
Cell types%
Glandular cells:
35

Smooth muscle cells:
10

Other cell types:
55

overview
Female, age 69
Colon sample 391
nTPM: 14
Cell types%
Glandular cells:
10

Smooth muscle cells:
45

Other cell types:
45

overview
Female, age 72
Colon sample 403
nTPM: 13.7
Cell types%
Glandular cells:
20

Smooth muscle cells:
15

Other cell types:
65


COLON - GTEx RNA-seqi

RNA-Seq data generated by the Genotype-Tissue Expression (GTEx) project from human tissues is reported as mean nTPM. More information can be found on the GTEx portal.

Distribution across the dataset is visualized with box plots, shown as median and 25th and 75th percentiles. Points are displayed as outliers if they are above or below 1.5 times the interquartile range. nTPM values of the individual samples are presented next to the box plot.
Max subtype nTPMi

Max subtype nTPM is the value for the subtype with the largest average nTPM across the subtype samples.

15.8
GTEx sample id Sample description nTPM
Colon - Sigmoid
Average nTPM: 15.8
Samples: 373

Max nTPM: 62.7
Min nTPM: 6.2
Std nTPM: 4.4
Median nTPM: 15.1
GTEX-ZYFD-2226-SM-5E43P 50-59 years, male 62.7
GTEX-132AR-2826-SM-5IJFV 50-59 years, female 34.4
GTEX-WI4N-2226-SM-4OOS9 40-49 years, female 32.2
GTEX-ZF28-2526-SM-57WFH 60-69 years, male 30.9
GTEX-1N2EF-1726-SM-EXUSI 60-69 years, male 28.4
GTEX-17JCI-2826-SM-7IGNA 60-69 years, female 28.2
GTEX-1I1CD-2826-SM-A9SL4 60-69 years, female 27.8
GTEX-11EQ8-2626-SM-5N9BO 60-69 years, male 27.2
GTEX-15UF6-2726-SM-7KULY 70-79 years, female 26.5
GTEX-11TT1-0926-SM-5GU5M 20-29 years, male 26.1
GTEX-1GMR3-2526-SM-7P8QS 40-49 years, male 24.9
GTEX-14C5O-2626-SM-5RQI5 60-69 years, male 24.8
GTEX-1RDX4-1926-SM-E6CJJ 50-59 years, female 24.5
GTEX-1A3MX-2326-SM-718B4 60-69 years, male 24.1
GTEX-1LB8K-2526-SM-DIPEQ 50-59 years, male 24.1
GTEX-ZDTS-2726-SM-5L3E2 60-69 years, male 23.8
GTEX-14E1K-1626-SM-664MO 50-59 years, male 23.1
GTEX-1HSMO-2526-SM-A9SKP 60-69 years, male 22.9
GTEX-1R9PO-2026-SM-E9J4N 60-69 years, female 22.9
GTEX-16XZZ-2726-SM-7EWDO 60-69 years, male 22.2
GTEX-17F9Y-2626-SM-7IGN9 70-79 years, female 22.1
GTEX-17F96-2126-SM-7KFSM 70-79 years, male 22.0
GTEX-1EMGI-2626-SM-7IGNR 60-69 years, male 22.0
GTEX-1LKK1-2426-SM-DIPES 50-59 years, female 21.9
GTEX-15DYW-2426-SM-7KUG8 60-69 years, female 21.6
GTEX-XV7Q-2226-SM-4BRVY 40-49 years, female 21.6
GTEX-11ZU8-1126-SM-5EQ5K 60-69 years, male 21.5
GTEX-1J1OQ-2826-SM-D3L88 40-49 years, female 21.4
GTEX-1EH9U-1926-SM-7P8QM 60-69 years, male 21.0
GTEX-131XE-1026-SM-5EGKE 50-59 years, male 20.7
GTEX-ZTTD-2626-SM-57WEX 50-59 years, male 20.6
GTEX-1399R-2126-SM-5K7WZ 30-39 years, male 20.5
GTEX-12ZZW-2426-SM-5DUWE 50-59 years, male 20.4
GTEX-1RMOY-1726-SM-EVYC9 50-59 years, male 20.4
GTEX-12WSG-2426-SM-5EQLZ 50-59 years, female 20.3
GTEX-147JS-2626-SM-5S2UX 60-69 years, male 20.3
GTEX-ZAB5-1426-SM-5HL9D 50-59 years, male 20.3
GTEX-117XS-2226-SM-5GIE1 60-69 years, male 20.0
GTEX-15RIE-2026-SM-7KFRW 60-69 years, male 20.0
GTEX-11TUW-2326-SM-5EQMO 60-69 years, male 19.9
GTEX-15UF7-1326-SM-7KUKV 40-49 years, male 19.9
GTEX-WHSE-2726-SM-EZ6ML 20-29 years, male 19.9
GTEX-11EI6-2626-SM-5PNVT 60-69 years, male 19.5
GTEX-ZAJG-2626-SM-5S2NU 50-59 years, female 19.5
GTEX-15RJ7-1726-SM-6PAL3 40-49 years, male 19.4
GTEX-139D8-2926-SM-5IJBM 30-39 years, female 19.3
GTEX-13OW5-2826-SM-5KM1G 60-69 years, male 19.3
GTEX-1K9T9-2926-SM-E9TKD 50-59 years, female 19.3
GTEX-13OVJ-1826-SM-5KM2D 50-59 years, female 19.2
GTEX-VJYA-2126-SM-4KL1O 60-69 years, male 19.2
GTEX-15G19-2726-SM-6LPKG 60-69 years, male 19.1
GTEX-1JN76-1326-SM-ARU94 20-29 years, female 19.1
GTEX-1PBJJ-2026-SM-DTX8U 30-39 years, male 19.0
GTEX-ZE9C-2126-SM-4WKGY 60-69 years, male 18.9
GTEX-1B8KE-1526-SM-7DUG2 50-59 years, male 18.8
GTEX-1339X-1726-SM-5P9J9 40-49 years, male 18.7
GTEX-1MGNQ-2126-SM-EV7AC 40-49 years, male 18.7
GTEX-1H1ZS-2626-SM-9QEIX 70-79 years, male 18.6
GTEX-11P81-1426-SM-5P9JN 30-39 years, female 18.5
GTEX-13113-1426-SM-5EGHU 60-69 years, female 18.5
GTEX-WOFM-1926-SM-4OOSP 20-29 years, male 18.5
GTEX-1CAMS-2626-SM-7PBY3 40-49 years, female 18.5
GTEX-1GMR8-2926-SM-9KNW5 50-59 years, female 18.5
GTEX-1E2YA-2526-SM-7IGOU 50-59 years, male 18.4
GTEX-WHPG-1626-SM-4M1ZL 50-59 years, male 18.4
GTEX-WHWD-1526-SM-4OORV 50-59 years, male 18.4
GTEX-Y5V6-1626-SM-4VDT2 60-69 years, male 18.4
GTEX-1122O-1426-SM-5H11R 60-69 years, female 18.3
GTEX-12WSM-1426-SM-5GCPA 60-69 years, male 18.3
GTEX-1RAZQ-2026-SM-E76P7 30-39 years, male 18.2
GTEX-ZPCL-1626-SM-57WGC 60-69 years, female 18.1
GTEX-1EU9M-2726-SM-7P8QD 60-69 years, male 18.1
GTEX-1RLM8-1726-SM-E9TKF 50-59 years, male 18.1
GTEX-146FH-2426-SM-5Q5EW 50-59 years, female 18.0
GTEX-Y5LM-1426-SM-5RQJL 40-49 years, female 18.0
GTEX-1399U-2226-SM-5KLZI 50-59 years, female 17.9
GTEX-13RTJ-1926-SM-5YYA2 60-69 years, male 17.9
GTEX-15RIF-1426-SM-7KUKQ 20-29 years, male 17.9
GTEX-ZAB4-2426-SM-5HL8A 40-49 years, male 17.9
GTEX-1L5NE-1926-SM-D3L9R 50-59 years, male 17.9
GTEX-1RAZR-2026-SM-E9TKE 40-49 years, male 17.9
GTEX-139UW-2326-SM-5KM1Y 60-69 years, male 17.8
GTEX-17KNJ-1826-SM-7LT9N 50-59 years, male 17.8
GTEX-W5WG-2026-SM-4LMIB 50-59 years, female 17.8
GTEX-ZT9W-1726-SM-51MS3 50-59 years, male 17.8
GTEX-1J8Q3-2426-SM-CL53S 60-69 years, male 17.8
GTEX-WYJK-2326-SM-4ONDN 50-59 years, male 17.6
GTEX-1JJE9-2526-SM-ARU8K 70-79 years, male 17.6
GTEX-11EMC-1426-SM-5N9E4 60-69 years, female 17.4
GTEX-14AS3-1026-SM-5TDD7 40-49 years, female 17.4
GTEX-XXEK-1826-SM-4BRVC 50-59 years, male 17.4
GTEX-ZP4G-1526-SM-57WE5 20-29 years, female 17.4
GTEX-1C64N-2226-SM-7SB7C 50-59 years, male 17.4
GTEX-1LSNL-1626-SM-E9TJY 50-59 years, male 17.4
GTEX-1LSNM-1426-SM-E6CIH 50-59 years, male 17.4
GTEX-14PJ4-1826-SM-5YY97 60-69 years, male 17.3
GTEX-15G1A-1926-SM-7KUFF 30-39 years, male 17.3
GTEX-1F5PL-1926-SM-7MXTP 40-49 years, female 17.3
GTEX-1H3VE-2326-SM-9KNVU 40-49 years, male 17.3
GTEX-1LG7Y-2226-SM-E9U5K 50-59 years, male 17.3
GTEX-11I78-1326-SM-5PNY9 50-59 years, female 17.2
GTEX-131YS-2926-SM-5EGKI 60-69 years, female 17.2
GTEX-139TS-2226-SM-5J2N1 60-69 years, male 17.2
GTEX-13PL7-2426-SM-5J2N3 60-69 years, female 17.2
GTEX-16MTA-1626-SM-6M47N 50-59 years, male 17.2
GTEX-13CF2-1826-SM-5N9GK 60-69 years, male 17.1
GTEX-13OVI-2126-SM-5KM3U 60-69 years, female 17.1
GTEX-ZV6S-1126-SM-57WE9 40-49 years, female 17.1
GTEX-1CAMR-1026-SM-7P8QI 20-29 years, male 17.1
GTEX-1JJEA-2526-SM-CY8HJ 60-69 years, male 17.1
GTEX-1JN6P-2126-SM-ARL98 60-69 years, male 17.1
GTEX-13N2G-2226-SM-5IJCU 60-69 years, male 17.0
GTEX-13FH7-1626-SM-5J2O9 50-59 years, female 16.9
GTEX-13O1R-2426-SM-5KLZZ 60-69 years, male 16.9
GTEX-V955-1726-SM-4JBHF 60-69 years, male 16.9
GTEX-YFCO-1526-SM-5YYB8 40-49 years, male 16.9
GTEX-1LVAN-2626-SM-CNPQF 50-59 years, female 16.9
GTEX-Z93S-2626-SM-57WBX 50-59 years, male 16.8
GTEX-12BJ1-2026-SM-5FQUH 60-69 years, male 16.7
GTEX-1CB4F-1926-SM-7MKFN 60-69 years, male 16.7
GTEX-ZC5H-2426-SM-4WAZ6 40-49 years, female 16.7
GTEX-ZPU1-1726-SM-4WWFV 40-49 years, male 16.7
GTEX-1F75W-2126-SM-7RHIA 60-69 years, male 16.7
GTEX-13CF3-1326-SM-5LZXZ 60-69 years, female 16.5
GTEX-Y9LG-1326-SM-4VBQB 30-39 years, male 16.5
GTEX-1F5PK-1726-SM-7RHHW 50-59 years, male 16.5
GTEX-13G51-2126-SM-5IJD9 60-69 years, male 16.4
GTEX-ZQUD-1026-SM-4YCEZ 30-39 years, male 16.4
GTEX-ZVT4-2626-SM-5N9GJ 50-59 years, female 16.4
GTEX-1HSKV-2326-SM-A9SL9 60-69 years, male 16.4
GTEX-1JMLX-2526-SM-CY8HX 50-59 years, male 16.4
GTEX-1OFPY-1226-SM-E76OM 60-69 years, male 16.4
GTEX-131XG-1526-SM-5GCNQ 50-59 years, female 16.3
GTEX-1HBPM-2626-SM-9WYU5 60-69 years, female 16.3
GTEX-1HFI7-1626-SM-9WYTR 50-59 years, female 16.3
GTEX-1IDJU-1926-SM-CL53W 60-69 years, female 16.3
GTEX-11ZTS-1526-SM-5N9G7 60-69 years, female 16.2
GTEX-12KS4-2326-SM-5EGJB 30-39 years, male 16.2
GTEX-132NY-2726-SM-5PNY2 60-69 years, male 16.2
GTEX-13OW8-2726-SM-5L3FZ 60-69 years, male 16.2
GTEX-14E6E-1726-SM-5S2R6 30-39 years, male 16.2
GTEX-1HSEH-1926-SM-A96SB 60-69 years, male 16.2
GTEX-ZE7O-2626-SM-51MSS 50-59 years, female 16.1
GTEX-12WSL-1826-SM-5LZW9 50-59 years, male 16.0
GTEX-145LT-0826-SM-5S2QL 40-49 years, male 16.0
GTEX-XUZC-1526-SM-4BRV4 30-39 years, female 16.0
GTEX-ZG7Y-1826-SM-4WWD3 50-59 years, male 16.0
GTEX-1H3VY-2526-SM-9KNW1 50-59 years, male 16.0
GTEX-1LVAO-2826-SM-E9TJH 60-69 years, male 16.0
GTEX-14DAQ-2926-SM-664MV 60-69 years, female 15.9
GTEX-1J8JJ-2426-SM-D4P4A 60-69 years, female 15.9
GTEX-ZLV1-1326-SM-DO11Q 60-69 years, female 15.9
GTEX-144GM-1126-SM-79OJK 20-29 years, male 15.8
GTEX-ZLFU-1426-SM-4WWEU 40-49 years, male 15.8
GTEX-13PVR-1726-SM-5Q5EC 60-69 years, female 15.7
GTEX-1B932-2126-SM-7IGMU 40-49 years, female 15.7
GTEX-WH7G-1426-SM-4LVMU 40-49 years, male 15.7
GTEX-WYVS-1126-SM-4SOJX 40-49 years, female 15.7
GTEX-ZYY3-2226-SM-5E45A 60-69 years, female 15.7
GTEX-1HB9E-2526-SM-D4P35 50-59 years, male 15.7
GTEX-1HCU7-2726-SM-A9G3D 50-59 years, male 15.7
GTEX-11ONC-1926-SM-5GU75 60-69 years, male 15.6
GTEX-17GQL-1626-SM-7LG69 60-69 years, male 15.6
GTEX-17HGU-2626-SM-79OKN 50-59 years, male 15.6
GTEX-18QFQ-1726-SM-731C9 30-39 years, male 15.6
GTEX-WXYG-1726-SM-4ONCU 50-59 years, female 15.6
GTEX-WY7C-1926-SM-4ONCI 50-59 years, male 15.6
GTEX-ZQG8-2426-SM-57WEE 60-69 years, female 15.6
GTEX-ZYT6-2826-SM-5GICX 30-39 years, male 15.6
GTEX-13X6I-2726-SM-5Q5ET 60-69 years, male 15.5
GTEX-1LBAC-1726-SM-D3L9W 20-29 years, male 15.5
GTEX-111YS-1826-SM-5GIEP 60-69 years, male 15.4
GTEX-12ZZX-2726-SM-5N9FT 40-49 years, female 15.4
GTEX-183WM-2526-SM-731BP 70-79 years, female 15.4
GTEX-YF7O-1626-SM-5IFII 50-59 years, male 15.4
GTEX-ZF2S-1826-SM-4WKFF 50-59 years, female 15.4
GTEX-X5EB-1126-SM-46MVV 40-49 years, male 15.3
GTEX-XUW1-1826-SM-4BOQD 50-59 years, female 15.3
GTEX-YECK-2826-SM-5IFHF 60-69 years, male 15.3
GTEX-1IDJH-2826-SM-CJI49 70-79 years, male 15.3
GTEX-17EUY-1726-SM-79OK4 20-29 years, male 15.2
GTEX-18A6Q-2226-SM-7LG61 60-69 years, male 15.2
GTEX-1I6K6-1926-SM-A96SN 30-39 years, male 15.2
GTEX-1LSVX-2026-SM-E9TJD 60-69 years, male 15.2
GTEX-11GS4-1826-SM-5HL4T 60-69 years, male 15.1
GTEX-13OW6-2226-SM-5N9FL 50-59 years, male 15.1
GTEX-1I1GR-2226-SM-ARL7F 60-69 years, male 15.1
GTEX-1LG7Z-1326-SM-DIPF3 30-39 years, male 15.1
GTEX-1OJC3-1826-SM-DTX93 20-29 years, male 15.1
GTEX-145MO-2626-SM-5QGPD 60-69 years, male 15.0
GTEX-14A5I-2426-SM-5Q5CP 50-59 years, female 15.0
GTEX-14BMU-1326-SM-5RQIH 20-29 years, female 15.0
GTEX-ZXES-1726-SM-5E43G 30-39 years, female 15.0
GTEX-1GF9X-1426-SM-7RHGX 40-49 years, female 15.0
GTEX-1H23P-2626-SM-9KNVN 60-69 years, male 15.0
GTEX-1LGRB-2026-SM-COH47 50-59 years, female 15.0
GTEX-1R7EU-1826-SM-DTX9L 60-69 years, male 15.0
GTEX-11PRG-2026-SM-5GU5F 50-59 years, male 14.9
GTEX-13D11-0626-SM-5LZYY 50-59 years, female 14.9
GTEX-13O61-1526-SM-5KM3P 60-69 years, male 14.9
GTEX-14BIN-2426-SM-5TDCF 50-59 years, female 14.9
GTEX-14C39-1626-SM-5S2P4 40-49 years, male 14.9
GTEX-14PN3-1926-SM-6EU1Y 60-69 years, female 14.9
GTEX-1211K-1826-SM-5EGJ2 60-69 years, female 14.8
GTEX-1C2JI-1726-SM-73KUW 50-59 years, male 14.8
GTEX-YJ8O-1426-SM-5PNV9 40-49 years, female 14.8
GTEX-1J8QM-1226-SM-CY8HI 60-69 years, female 14.8
GTEX-1KXAM-1926-SM-D3LAG 60-69 years, male 14.8
GTEX-1N2DV-1826-SM-E6CJ5 40-49 years, male 14.8
GTEX-1AMFI-1826-SM-73KWB 50-59 years, female 14.7
GTEX-1C4CL-1626-SM-7DUF3 30-39 years, male 14.7
GTEX-WFG7-1626-SM-4LVMF 20-29 years, male 14.7
GTEX-1HSGN-2226-SM-A9SL6 40-49 years, female 14.7
GTEX-1JK1U-1426-SM-CNPOW 60-69 years, male 14.7
GTEX-1K2DA-1626-SM-CGQGB 50-59 years, male 14.7
GTEX-1PIEJ-1826-SM-EWRMN 20-29 years, female 14.7
GTEX-1S831-1726-SM-EWROJ 20-29 years, male 14.7
GTEX-145MH-2726-SM-5QGQ6 50-59 years, male 14.6
GTEX-15EO6-2326-SM-6LPKK 50-59 years, male 14.6
GTEX-ZVT2-1726-SM-51MRO 50-59 years, female 14.6
GTEX-13FTW-2126-SM-5K7YG 40-49 years, male 14.5
GTEX-1BAJH-2726-SM-7IGNJ 70-79 years, male 14.5
GTEX-1J1R8-1426-SM-CL55O 40-49 years, male 14.5
GTEX-1JMQK-2326-SM-ARZN4 60-69 years, male 14.5
GTEX-1212Z-1826-SM-5FQSH 60-69 years, male 14.4
GTEX-13X6J-2826-SM-7EPGA 50-59 years, male 14.4
GTEX-15CHQ-2626-SM-686YZ 60-69 years, male 14.4
GTEX-1S82P-2026-SM-E9TIQ 60-69 years, female 14.4
GTEX-14PK6-1826-SM-69LOM 70-79 years, female 14.3
GTEX-WFG8-1726-SM-4LVM6 20-29 years, male 14.3
GTEX-ZPIC-2626-SM-57WE2 40-49 years, female 14.3
GTEX-1JMPY-1026-SM-ARZN1 30-39 years, male 14.3
GTEX-1PIIG-2126-SM-EXUSD 30-39 years, male 14.3
GTEX-YEC3-2026-SM-DKPOL 50-59 years, male 14.3
GTEX-1B8L1-1926-SM-7IGND 60-69 years, male 14.2
GTEX-1GMR2-1826-SM-9KNUP 50-59 years, male 14.2
GTEX-1H1E6-1826-SM-A9G21 30-39 years, male 14.2
GTEX-1HBPN-2026-SM-B2LWA 50-59 years, male 14.2
GTEX-1LGOU-1726-SM-D3L8P 20-29 years, female 14.2
GTEX-1LVAM-1726-SM-DHXKQ 50-59 years, female 14.2
GTEX-1RQEC-2626-SM-EVR3Z 60-69 years, male 14.2
GTEX-18A66-2626-SM-72D67 60-69 years, male 14.1
GTEX-1C64O-2426-SM-7P8R3 60-69 years, male 14.1
GTEX-1PFEY-1726-SM-DPRZ4 30-39 years, male 14.1
GTEX-1R9JW-2126-SM-E76QT 30-39 years, female 14.1
GTEX-117YX-0526-SM-5EGJH 50-59 years, male 14.0
GTEX-11DXX-1926-SM-5EGJK 60-69 years, female 14.0
GTEX-WQUQ-2626-SM-4MVNP 60-69 years, male 14.0
GTEX-WRHK-1126-SM-4MVOJ 20-29 years, female 14.0
GTEX-XAJ8-0726-SM-47JY5 40-49 years, male 14.0
GTEX-1HCVE-2326-SM-9WYUD 50-59 years, male 14.0
GTEX-1477Z-2126-SM-5Q5CM 60-69 years, male 13.9
GTEX-14PKV-1926-SM-686YU 20-29 years, female 13.9
GTEX-183FY-1426-SM-7DHLM 20-29 years, male 13.9
GTEX-Y114-1626-SM-4TT7I 50-59 years, female 13.9
GTEX-ZTSS-1226-SM-51MSZ 40-49 years, male 13.9
GTEX-1GZ4H-1326-SM-7P8TE 50-59 years, female 13.9
GTEX-11ZTT-1626-SM-5EQKR 60-69 years, female 13.8
GTEX-15ER7-2826-SM-6PAN2 20-29 years, female 13.8
GTEX-18D9A-1326-SM-7LT8P 30-39 years, female 13.8
GTEX-1GPI7-1926-SM-9KNUH 20-29 years, male 13.8
GTEX-1H3NZ-2526-SM-9KNVO 60-69 years, male 13.8
GTEX-1HBPH-2526-SM-ACKXK 40-49 years, female 13.8
GTEX-1QP67-1426-SM-E8VOO 40-49 years, female 13.8
GTEX-1C6VQ-2626-SM-7IGMQ 50-59 years, male 13.7
GTEX-1QP29-2526-SM-E6CQ3 50-59 years, male 13.7
GTEX-111CU-1226-SM-5EGIN 50-59 years, male 13.6
GTEX-12ZZY-2726-SM-5EQ45 60-69 years, male 13.6
GTEX-14PJ3-1226-SM-5ZZVY 50-59 years, male 13.6
GTEX-15ETS-2326-SM-7KUGC 40-49 years, female 13.6
GTEX-1QPFJ-2426-SM-EVR3L 30-39 years, female 13.6
GTEX-Y8E4-2326-SM-EAZAZ 40-49 years, male 13.6
GTEX-12WSJ-1426-SM-5GCON 40-49 years, female 13.5
GTEX-1AX9K-1626-SM-73KUS 50-59 years, male 13.5
GTEX-1IKOE-2126-SM-A96T5 30-39 years, female 13.5
GTEX-1QP2A-2226-SM-DTXF6 50-59 years, male 13.5
GTEX-13OVK-1026-SM-7KFTC 40-49 years, male 13.4
GTEX-17MFQ-1226-SM-7KFSA 20-29 years, male 13.4
GTEX-1IDJI-2226-SM-CKZPM 50-59 years, female 13.4
GTEX-1JKYR-2026-SM-CNPON 20-29 years, male 13.4
GTEX-139T6-1426-SM-5P9J7 50-59 years, male 13.3
GTEX-13W3W-2226-SM-5LU4M 60-69 years, female 13.3
GTEX-145ME-1126-SM-5SIAT 40-49 years, female 13.3
GTEX-18465-2726-SM-7LT9I 50-59 years, male 13.3
GTEX-1AMEY-1826-SM-72D5L 30-39 years, female 13.3
GTEX-1I1GT-2026-SM-CKZPK 60-69 years, female 13.3
GTEX-1QW4Y-1426-SM-E76P3 30-39 years, male 13.3
GTEX-13QBU-2026-SM-5KLZB 40-49 years, female 13.2
GTEX-1GN73-2726-SM-9WYUB 60-69 years, male 13.2
GTEX-1ICG6-2226-SM-B2LY7 70-79 years, female 13.2
GTEX-11DXY-2026-SM-5N9CZ 60-69 years, male 13.1
GTEX-Y8LW-1126-SM-4VDS4 50-59 years, female 13.1
GTEX-ZY6K-1326-SM-5GZWP 50-59 years, male 13.1
GTEX-1JMPZ-2626-SM-ARU8Z 30-39 years, male 13.1
GTEX-1JMQJ-2626-SM-CY8HQ 50-59 years, male 13.1
GTEX-12WSD-2626-SM-5EGJE 60-69 years, female 13.0
GTEX-13FHO-2726-SM-5K7VG 60-69 years, male 13.0
GTEX-ZF29-1826-SM-4WKG8 60-69 years, female 13.0
GTEX-1GMRU-2626-SM-9WPPM 50-59 years, male 13.0
GTEX-1HBPI-2226-SM-9WYTY 50-59 years, male 13.0
GTEX-14JG6-1626-SM-5YYBC 30-39 years, female 12.9
GTEX-17HHE-1626-SM-7DHLN 50-59 years, male 12.9
GTEX-ZYFG-1826-SM-5GZWX 60-69 years, female 12.9
GTEX-1QCLZ-2026-SM-EAZ4A 60-69 years, female 12.9
GTEX-13U4I-2626-SM-5SI9C 40-49 years, female 12.8
GTEX-13VXT-2026-SM-5L3EW 20-29 years, female 12.8
GTEX-Y3I4-1126-SM-4TT7Y 50-59 years, male 12.8
GTEX-1KANA-1726-SM-CY8IG 20-29 years, male 12.8
GTEX-1PBJI-2526-SM-E6CP4 20-29 years, female 12.7
GTEX-1QP9N-0826-SM-DTX9O 30-39 years, male 12.7
GTEX-148VJ-2426-SM-5NQ9Y 70-79 years, male 12.6
GTEX-1QP28-2226-SM-DTX8C 50-59 years, female 12.6
GTEX-147GR-2826-SM-5RQK8 60-69 years, male 12.4
GTEX-XQ8I-2326-SM-4BOQC 50-59 years, male 12.4
GTEX-1J8EW-2426-SM-CE6T5 60-69 years, female 12.4
GTEX-1R9K5-2226-SM-DTX9G 50-59 years, male 12.4
GTEX-ZLWG-1826-SM-DO11I 50-59 years, female 12.4
GTEX-145LS-2926-SM-5O99G 60-69 years, female 12.3
GTEX-16NGA-0926-SM-718AG 40-49 years, female 12.3
GTEX-1B996-2726-SM-7DUGG 60-69 years, male 12.3
GTEX-11DXZ-1626-SM-5GIDI 50-59 years, male 12.2
GTEX-11EQ9-1526-SM-5PNY7 30-39 years, male 12.2
GTEX-13SLW-2826-SM-5Q5ES 70-79 years, male 12.2
GTEX-YJ8A-1726-SM-5P9IQ 20-29 years, male 12.2
GTEX-1GTWX-2626-SM-9WPOT 60-69 years, male 12.2
GTEX-1HSMQ-2526-SM-A9SMK 50-59 years, male 12.2
GTEX-11P7K-1826-SM-5HL5A 30-39 years, male 12.1
GTEX-14PHX-1126-SM-5YYA5 50-59 years, male 12.1
GTEX-1AYCT-1926-SM-793AE 50-59 years, male 12.0
GTEX-ZZ64-0826-SM-5E449 20-29 years, male 12.0
GTEX-14E6C-2226-SM-5QGQG 40-49 years, male 11.9
GTEX-1AX9J-2526-SM-73KUY 60-69 years, male 11.9
GTEX-WFON-1326-SM-4LVMN 40-49 years, male 11.9
GTEX-1GL5R-1726-SM-9KNUX 50-59 years, male 11.9
GTEX-1H1DE-1626-SM-9KNU5 20-29 years, male 11.9
GTEX-16BQI-2026-SM-7KULQ 30-39 years, female 11.8
GTEX-1CB4G-2726-SM-79OO4 60-69 years, male 11.8
GTEX-ZA64-1426-SM-5CVMC 20-29 years, male 11.8
GTEX-ZVZQ-2626-SM-59HLB 60-69 years, female 11.8
GTEX-1JKYN-2226-SM-ARZNE 30-39 years, male 11.8
GTEX-1P4AB-2626-SM-DTXEU 50-59 years, male 11.8
GTEX-11VI4-1426-SM-5GU6O 40-49 years, female 11.7
GTEX-15DZA-1026-SM-6PAND 30-39 years, female 11.7
GTEX-15FZZ-1826-SM-6LLJP 30-39 years, female 11.7
GTEX-1HCUA-1926-SM-B2LWE 50-59 years, female 11.7
GTEX-13PVQ-2726-SM-5L3H7 50-59 years, male 11.5
GTEX-13X6K-2726-SM-5O9DG 60-69 years, female 11.5
GTEX-1HKZK-2026-SM-9WYUF 40-49 years, male 11.5
GTEX-XBED-1726-SM-47JYO 60-69 years, male 11.4
GTEX-ZVT3-2826-SM-5GU6A 60-69 years, female 11.4
GTEX-1QCLY-2026-SM-EVR4C 30-39 years, male 11.4
GTEX-13111-1926-SM-5GCOL 50-59 years, male 11.3
GTEX-16Z82-2426-SM-7KUMS 60-69 years, male 11.3
GTEX-X15G-1526-SM-4PQZM 50-59 years, female 11.3
GTEX-1C475-1526-SM-7DHM3 40-49 years, female 11.2
GTEX-X4EO-2726-SM-4E3HS 60-69 years, female 11.1
GTEX-14A5H-1626-SM-5SIAN 60-69 years, male 10.9
GTEX-1PIGE-1526-SM-DTXFC 20-29 years, male 10.9
GTEX-12696-1926-SM-5EGJT 60-69 years, male 10.8
GTEX-18A67-2226-SM-7LT9Z 50-59 years, male 10.8
GTEX-15RJE-2226-SM-6M46A 40-49 years, male 10.7
GTEX-1IL2U-2526-SM-C1YQV 60-69 years, male 10.5
GTEX-17HG3-1126-SM-7DUFC 30-39 years, female 10.2
GTEX-1B97I-1526-SM-73KUK 40-49 years, male 10.1
GTEX-1A3MV-1026-SM-72D5U 30-39 years, male 9.9
GTEX-1PPH8-2226-SM-EWRN7 20-29 years, male 9.7
GTEX-1S5ZA-1426-SM-E6CJQ 20-29 years, male 9.5
GTEX-1PDJ9-2026-SM-E76PT 20-29 years, male 9.4
GTEX-1A32A-2626-SM-73KX9 50-59 years, female 9.3
GTEX-15F5U-1426-SM-7KUN2 40-49 years, male 9.0
GTEX-1HCU6-2926-SM-B2LWV 60-69 years, female 9.0
GTEX-11EM3-1626-SM-5N9CO 20-29 years, female 8.8
GTEX-1I1GP-2826-SM-A9SKZ 50-59 years, male 6.2
Show allShow less
Colon - Transverse
Average nTPM: 15.4
Samples: 406

Max nTPM: 51.6
Min nTPM: 8.7
Std nTPM: 3.9
Median nTPM: 14.8
GTEX-1JN1M-2626-SM-CY8I3 60-69 years, female 51.6
GTEX-14JIY-3326-SM-6871E 60-69 years, male 37.6
GTEX-ZYVF-2826-SM-5GIDK 50-59 years, female 35.5
GTEX-1IOXB-2626-SM-CJI2N 50-59 years, male 31.8
GTEX-OXRO-0726-SM-E9U4C 60-69 years, female 27.9
GTEX-1EMGI-2726-SM-7P8S4 60-69 years, male 25.9
GTEX-13S86-1626-SM-5Q5C5 40-49 years, male 24.8
GTEX-17JCI-2626-SM-7EWE6 60-69 years, female 24.5
GTEX-1F75B-2726-SM-7P8QO 50-59 years, male 23.5
GTEX-17F96-2026-SM-79ON4 70-79 years, male 23.3
GTEX-13O21-2426-SM-5MR4A 50-59 years, male 23.0
GTEX-1EH9U-2026-SM-7PBYS 60-69 years, male 22.9
GTEX-14C5O-2526-SM-73KU2 60-69 years, male 22.6
GTEX-14PK6-1726-SM-6871J 70-79 years, female 22.6
GTEX-1LVAN-2526-SM-CNPPC 50-59 years, female 22.5
GTEX-XAJ8-0426-SM-47JYJ 40-49 years, male 22.3
GTEX-XV7Q-2126-SM-4BRVX 40-49 years, female 22.0
GTEX-14DAR-1526-SM-5RQIX 50-59 years, male 21.9
GTEX-OOBJ-1426-SM-E6CHH 60-69 years, male 21.9
GTEX-1399R-2226-SM-5P9JB 30-39 years, male 21.8
GTEX-117YW-1826-SM-5PNY5 50-59 years, male 21.2
GTEX-Q734-1126-SM-48TZY 40-49 years, female 21.0
GTEX-OXRN-2026-SM-E6CHK 50-59 years, male 21.0
GTEX-OHPM-1426-SM-3TW8Y 50-59 years, male 20.8
GTEX-Y3IK-1826-SM-4WWDS 50-59 years, female 20.7
GTEX-1IKK5-2726-SM-CNPQ6 60-69 years, male 20.7
GTEX-15RIF-1326-SM-6LPKO 20-29 years, male 20.4
GTEX-14E1K-1826-SM-793DT 50-59 years, male 20.2
GTEX-1GMR3-2826-SM-9WPOG 40-49 years, male 20.2
GTEX-15CHR-1426-SM-7DUGV 50-59 years, male 20.1
GTEX-ZV7C-1526-SM-5NQ72 50-59 years, male 20.1
GTEX-1ICLZ-2426-SM-CKZOD 60-69 years, male 20.1
GTEX-Y5LM-1526-SM-4VDTA 40-49 years, female 20.0
GTEX-16AAH-1326-SM-7KFRG 50-59 years, male 19.9
GTEX-OXRK-1726-SM-3NB16 50-59 years, female 19.9
GTEX-15G1A-1826-SM-7KUKO 30-39 years, male 19.7
GTEX-15UF6-2626-SM-6M466 70-79 years, female 19.6
GTEX-ZPIC-2226-SM-57WDX 40-49 years, female 19.6
GTEX-16XZZ-2626-SM-6M47S 60-69 years, male 19.5
GTEX-132AR-2726-SM-5PNVN 50-59 years, female 19.4
GTEX-1H11D-2626-SM-9JGH4 40-49 years, male 19.4
GTEX-11ONC-2026-SM-5HL61 60-69 years, male 19.3
GTEX-1F5PK-1926-SM-7MXT7 50-59 years, male 19.3
GTEX-1JKYN-2326-SM-CGQG7 30-39 years, male 19.3
GTEX-145MN-1726-SM-5SIA6 30-39 years, male 19.2
GTEX-WHWD-1226-SM-4OOS1 50-59 years, male 19.2
GTEX-1IDJD-2226-SM-A96TD 30-39 years, male 19.2
GTEX-139TS-1926-SM-5IJFO 60-69 years, male 19.1
GTEX-XPVG-1826-SM-4B64X 50-59 years, male 19.0
GTEX-ZLV1-1226-SM-4WWBX 60-69 years, female 19.0
GTEX-1LH75-2126-SM-EVR5F 50-59 years, female 19.0
GTEX-1RAZR-1926-SM-E6CRF 40-49 years, male 19.0
GTEX-18QFQ-1526-SM-72D57 30-39 years, male 18.8
GTEX-1B8KE-1926-SM-731EE 50-59 years, male 18.8
GTEX-O5YW-1426-SM-3MJHF 50-59 years, male 18.8
GTEX-13D11-0826-SM-5KLZJ 50-59 years, female 18.7
GTEX-Q2AH-1226-SM-48TZL 40-49 years, male 18.7
GTEX-YF7O-1726-SM-5IFJ9 50-59 years, male 18.7
GTEX-1RDX4-1826-SM-EVR54 50-59 years, female 18.7
GTEX-PLZ5-1126-SM-3P613 50-59 years, male 18.6
GTEX-1B8KZ-1326-SM-7DUG6 50-59 years, male 18.5
GTEX-145LT-0926-SM-5LU9C 40-49 years, male 18.4
GTEX-17HII-2726-SM-7MGVM 50-59 years, male 18.4
GTEX-WFG7-1526-SM-4LVMG 20-29 years, male 18.3
GTEX-1JJE9-2426-SM-D3L8T 70-79 years, male 18.3
GTEX-ZLWG-1726-SM-DNZZ2 50-59 years, female 18.3
GTEX-13O3P-2326-SM-5KM55 50-59 years, male 18.2
GTEX-13OW5-2626-SM-5MR3M 60-69 years, male 18.2
GTEX-WOFM-2026-SM-4OOSQ 20-29 years, male 18.2
GTEX-11DXZ-1726-SM-5H12M 50-59 years, male 18.0
GTEX-TML8-1326-SM-4DXTO 40-49 years, female 18.0
GTEX-WFON-1426-SM-4LVMT 40-49 years, male 17.9
GTEX-14PJM-2626-SM-686ZD 50-59 years, female 17.8
GTEX-17GQL-1526-SM-7LTAC 60-69 years, male 17.8
GTEX-1LGRB-1426-SM-CNNPT 50-59 years, female 17.8
GTEX-1N2EF-1926-SM-DTX8M 60-69 years, male 17.8
GTEX-11I78-1226-SM-5A5K6 50-59 years, female 17.7
GTEX-1QP9N-1026-SM-E6CPX 30-39 years, male 17.7
GTEX-14AS3-1126-SM-5Q5CR 40-49 years, female 17.6
GTEX-XQ8I-2126-SM-4BOOM 50-59 years, male 17.6
GTEX-ZG7Y-2126-SM-DO117 50-59 years, male 17.6
GTEX-18A7B-2026-SM-72D71 70-79 years, male 17.5
GTEX-PWN1-1426-SM-48TDF 40-49 years, female 17.4
GTEX-Z93S-2426-SM-5HL8N 50-59 years, male 17.4
GTEX-1AX8Z-2726-SM-73KUC 60-69 years, male 17.3
GTEX-1C4CL-2126-SM-7IGQC 30-39 years, male 17.3
GTEX-XXEK-1926-SM-4BRVD 50-59 years, male 17.3
GTEX-YEC3-2426-SM-DO11A 50-59 years, male 17.3
GTEX-178AV-1326-SM-6LPJX 40-49 years, male 17.2
GTEX-ZVP2-1526-SM-5NQ82 50-59 years, male 17.2
GTEX-13QBU-1826-SM-5IJG3 40-49 years, female 17.1
GTEX-PLZ6-0926-SM-3P5ZQ 30-39 years, male 17.1
GTEX-1J1R8-1126-SM-CNPQ3 40-49 years, male 17.1
GTEX-1K2DA-2026-SM-CGQGK 50-59 years, male 17.1
GTEX-1KANC-0926-SM-D3LA9 50-59 years, female 17.1
GTEX-145LS-2726-SM-5Q5D8 60-69 years, female 17.0
GTEX-U3ZM-1126-SM-4DXUB 40-49 years, male 17.0
GTEX-UJMC-1326-SM-4IHLS 50-59 years, male 17.0
GTEX-14E6E-1526-SM-5RQIG 30-39 years, male 16.9
GTEX-WYVS-1826-SM-4OND6 40-49 years, female 16.9
GTEX-17KNJ-1726-SM-7LG6A 50-59 years, male 16.8
GTEX-11GSP-1626-SM-5986N 60-69 years, female 16.7
GTEX-1339X-1626-SM-5IJDN 40-49 years, male 16.7
GTEX-16NGA-1026-SM-7KFS3 40-49 years, female 16.7
GTEX-1L5NE-2026-SM-CXZKR 50-59 years, male 16.7
GTEX-1OKEX-1226-SM-DTXEC 60-69 years, male 16.7
GTEX-ZDTT-1926-SM-5HL5W 60-69 years, male 16.7
GTEX-13OVJ-1726-SM-5IJDZ 50-59 years, female 16.6
GTEX-ZYFG-1926-SM-5GID5 60-69 years, female 16.6
GTEX-QLQ7-1126-SM-CYPRB 60-69 years, male 16.6
GTEX-11NSD-1626-SM-5986U 20-29 years, male 16.5
GTEX-R55C-1126-SM-48FCJ 40-49 years, male 16.5
GTEX-W5WG-2426-SM-4LMI6 50-59 years, female 16.5
GTEX-U412-1726-SM-EZ6KX 60-69 years, male 16.5
GTEX-111YS-1626-SM-5GZZ9 60-69 years, male 16.4
GTEX-1AMFI-1726-SM-7189L 50-59 years, female 16.4
GTEX-R53T-1326-SM-48FCQ 50-59 years, female 16.4
GTEX-ZYFC-2626-SM-5NQ6S 50-59 years, male 16.4
GTEX-1R7EU-1926-SM-E9U62 60-69 years, male 16.4
GTEX-13FTW-1826-SM-5IJEN 40-49 years, male 16.3
GTEX-1GF9X-1526-SM-7P8QP 40-49 years, female 16.3
GTEX-17HGU-2426-SM-7EWDP 50-59 years, male 16.2
GTEX-17HHE-1826-SM-79OKE 50-59 years, male 16.2
GTEX-ZV6S-1226-SM-59HLH 40-49 years, female 16.2
GTEX-1HCVE-2526-SM-A9G2G 50-59 years, male 16.2
GTEX-1JN76-1226-SM-C1YRM 20-29 years, female 16.2
GTEX-1MGNQ-2026-SM-EAZ51 40-49 years, male 16.2
GTEX-1NV5F-2226-SM-DTX8O 60-69 years, female 16.2
GTEX-T6MO-0826-SM-4DM51 40-49 years, female 16.1
GTEX-UJHI-1126-SM-4IHLN 50-59 years, female 16.1
GTEX-ZPCL-1826-SM-57WF1 60-69 years, female 16.1
GTEX-13FH7-1526-SM-5J2N6 50-59 years, female 16.0
GTEX-QMRM-1226-SM-447C6 50-59 years, male 16.0
GTEX-WY7C-1626-SM-4ONC8 50-59 years, male 16.0
GTEX-1KANA-1926-SM-DHXKF 20-29 years, male 16.0
GTEX-1RMOY-1626-SM-EVYC8 50-59 years, male 16.0
GTEX-12WSL-1626-SM-5GCMU 50-59 years, male 15.9
GTEX-18A7A-2226-SM-7LT8K 50-59 years, female 15.9
GTEX-ZY6K-1226-SM-5GZYL 50-59 years, male 15.9
GTEX-1N2DV-1426-SM-DPRYQ 40-49 years, male 15.9
GTEX-1QCLZ-1926-SM-E6CR3 60-69 years, female 15.9
GTEX-OIZF-1426-SM-2HML2 60-69 years, male 15.9
GTEX-11P7K-1526-SM-5EGI7 30-39 years, male 15.8
GTEX-1211K-1726-SM-5FQUJ 60-69 years, female 15.8
GTEX-12BJ1-2126-SM-5BC5O 60-69 years, male 15.8
GTEX-139YR-2126-SM-5KM11 50-59 years, male 15.8
GTEX-13PVR-1626-SM-73KVF 60-69 years, female 15.8
GTEX-145MO-2426-SM-5NQ9W 60-69 years, male 15.8
GTEX-1C2JI-1626-SM-7EPHC 50-59 years, male 15.8
GTEX-R55G-1226-SM-48FDC 40-49 years, female 15.8
GTEX-XYKS-2226-SM-4E3IU 60-69 years, female 15.8
GTEX-1H1DG-2226-SM-9WPPC 70-79 years, male 15.8
GTEX-13CF3-1426-SM-5K7YY 60-69 years, female 15.7
GTEX-14PJ3-0926-SM-69LQG 50-59 years, male 15.7
GTEX-14PJ4-1926-SM-6LLHG 60-69 years, male 15.7
GTEX-ZEX8-1926-SM-4WKFR 50-59 years, male 15.7
GTEX-1HSEH-1726-SM-B2LXH 60-69 years, male 15.7
GTEX-1POEN-2026-SM-E6CRL 30-39 years, female 15.7
GTEX-11TUW-2026-SM-5EQL8 60-69 years, male 15.6
GTEX-V955-1626-SM-4JBHJ 60-69 years, male 15.6
GTEX-X3Y1-1726-SM-4PQZL 40-49 years, male 15.6
GTEX-OHPN-2026-SM-E9TIA 60-69 years, female 15.6
GTEX-11O72-2226-SM-5PNW2 40-49 years, male 15.5
GTEX-139T6-1326-SM-5IFFO 50-59 years, male 15.4
GTEX-147F3-1926-SM-5SIB9 50-59 years, female 15.4
GTEX-15CHC-1626-SM-5ZZWS 60-69 years, female 15.4
GTEX-15SB6-1226-SM-7KUMP 50-59 years, female 15.4
GTEX-RU1J-1326-SM-46MUL 20-29 years, female 15.4
GTEX-1IDJU-2026-SM-A9SLM 60-69 years, female 15.4
GTEX-14PHX-1526-SM-68717 50-59 years, male 15.3
GTEX-QCQG-1626-SM-48U26 50-59 years, female 15.3
GTEX-QLQW-0426-SM-447A7 30-39 years, male 15.3
GTEX-U3ZN-2126-SM-4DXU1 30-39 years, female 15.3
GTEX-WH7G-1326-SM-4LVMS 40-49 years, male 15.3
GTEX-1CAMR-0926-SM-7MXTD 20-29 years, male 15.3
GTEX-1F75I-2426-SM-9WPOY 40-49 years, male 15.3
GTEX-1HCU9-1326-SM-B2LXT 20-29 years, male 15.3
GTEX-1HKZK-2126-SM-A9SL3 40-49 years, male 15.3
GTEX-12C56-0626-SM-5EGGC 20-29 years, male 15.2
GTEX-P4QT-1426-SM-3NMCX 50-59 years, female 15.2
GTEX-RWS6-1826-SM-47JXX 60-69 years, female 15.2
GTEX-T5JW-1126-SM-4DM5V 20-29 years, female 15.2
GTEX-XBED-1526-SM-4AT5W 60-69 years, male 15.2
GTEX-YB5E-1626-SM-5IFIQ 40-49 years, male 15.2
GTEX-11TT1-1026-SM-5PNW7 20-29 years, male 15.1
GTEX-XUW1-1926-SM-4BOP1 50-59 years, female 15.1
GTEX-1H1E6-1926-SM-9OSWD 30-39 years, male 15.1
GTEX-1J1OQ-2726-SM-AHZ3R 40-49 years, female 15.1
GTEX-1QP67-1326-SM-EAZ4D 40-49 years, female 15.1
GTEX-13O61-1626-SM-5KM3T 60-69 years, male 15.0
GTEX-13PL7-2526-SM-5IFGR 60-69 years, female 15.0
GTEX-14BMU-1526-SM-5TDE6 20-29 years, female 15.0
GTEX-1LBAC-1626-SM-CXZKV 20-29 years, male 15.0
GTEX-11LCK-2026-SM-5A5MA 30-39 years, male 14.9
GTEX-145ME-0826-SM-5O9AF 40-49 years, female 14.9
GTEX-147JS-2526-SM-5S2Q8 60-69 years, male 14.9
GTEX-16NPV-2626-SM-6M484 50-59 years, female 14.9
GTEX-Q2AI-0926-SM-48U1F 40-49 years, male 14.9
GTEX-1HCU7-2626-SM-C1YQO 50-59 years, male 14.9
GTEX-1IDJF-1826-SM-CKZOE 20-29 years, male 14.9
GTEX-1S82U-0726-SM-E9TKI 30-39 years, female 14.9
GTEX-1128S-1626-SM-5H12O 60-69 years, female 14.8
GTEX-131XE-0826-SM-5HL9W 50-59 years, male 14.8
GTEX-SNMC-1126-SM-4DM5M 20-29 years, male 14.8
GTEX-WQUQ-2526-SM-4MVNO 60-69 years, male 14.8
GTEX-11P82-1026-SM-5BC5J 20-29 years, male 14.7
GTEX-11TTK-2426-SM-5PNYO 60-69 years, female 14.7
GTEX-18A66-2426-SM-7KFSQ 60-69 years, male 14.7
GTEX-1RAZA-1726-SM-DPS13 20-29 years, male 14.7
GTEX-13W3W-2126-SM-5K7UX 60-69 years, female 14.6
GTEX-148VJ-2626-SM-5QGPI 70-79 years, male 14.6
GTEX-U4B1-1126-SM-4DXV3 40-49 years, male 14.6
GTEX-1HSMQ-2726-SM-C1YRE 50-59 years, male 14.6
GTEX-1JJ6O-2426-SM-ARU8J 60-69 years, male 14.6
GTEX-1LG7Y-2126-SM-DIPER 50-59 years, male 14.6
GTEX-1N5O9-2726-SM-E76QH 60-69 years, male 14.6
GTEX-1S83E-1626-SM-EV7B9 40-49 years, male 14.6
GTEX-133LE-1526-SM-5IFEN 20-29 years, female 14.5
GTEX-15RIE-1826-SM-6M48P 60-69 years, male 14.5
GTEX-1GL5R-2426-SM-7MXV1 50-59 years, male 14.5
GTEX-1LG7Z-1426-SM-CXKYV 30-39 years, male 14.5
GTEX-1NHNU-2326-SM-E6CQE 50-59 years, male 14.5
GTEX-12KS4-2426-SM-5LU8P 30-39 years, male 14.4
GTEX-14H4A-1926-SM-5ZZWN 40-49 years, female 14.4
GTEX-16MT8-2726-SM-7IGLJ 60-69 years, female 14.4
GTEX-1BAJH-2326-SM-7IGMO 70-79 years, male 14.4
GTEX-RM2N-0926-SM-48FD1 50-59 years, male 14.4
GTEX-Y9LG-1526-SM-4WWDR 30-39 years, male 14.4
GTEX-ZAB4-2226-SM-5HL97 40-49 years, male 14.4
GTEX-1GMR2-1726-SM-9JGI2 50-59 years, male 14.4
GTEX-1H3VY-2426-SM-9WPPD 50-59 years, male 14.4
GTEX-1JMPY-0426-SM-C1YQ3 30-39 years, male 14.4
GTEX-1QMI2-2626-SM-E6CR4 60-69 years, male 14.4
GTEX-13OVK-0826-SM-7KULZ 40-49 years, male 14.3
GTEX-14JG6-1726-SM-69LPL 30-39 years, female 14.3
GTEX-S7SF-1926-SM-4AT5B 20-29 years, female 14.3
GTEX-SE5C-1526-SM-4BRWU 40-49 years, female 14.3
GTEX-1F5PL-2126-SM-7PC2O 40-49 years, female 14.3
GTEX-1I4MK-1126-SM-B2LWS 50-59 years, female 14.3
GTEX-1S3DN-1826-SM-EV79K 50-59 years, male 14.3
GTEX-15DYW-2326-SM-6PAMU 60-69 years, female 14.2
GTEX-Y8LW-1226-SM-4WWDP 50-59 years, female 14.2
GTEX-ZPU1-1926-SM-57WDT 40-49 years, male 14.2
GTEX-ZT9W-1826-SM-51MQX 50-59 years, male 14.2
GTEX-QEL4-1926-SM-D3L8D 50-59 years, male 14.2
GTEX-X4EO-2526-SM-EWRM8 60-69 years, female 14.2
GTEX-OXRL-1426-SM-3NM9E 50-59 years, male 14.1
GTEX-ZF2S-1926-SM-4WWAN 50-59 years, female 14.1
GTEX-1PPGY-2826-SM-DTX9H 60-69 years, male 14.1
GTEX-PSDG-1826-SM-EAZ2S 50-59 years, male 14.1
GTEX-1122O-1526-SM-5N9CL 60-69 years, female 14.0
GTEX-OIZH-1426-SM-3NB1O 50-59 years, male 14.0
GTEX-1I1GT-1926-SM-ARU7D 60-69 years, female 14.0
GTEX-17F9E-1826-SM-7IGMC 50-59 years, male 13.9
GTEX-1JMLX-2726-SM-CM2SB 50-59 years, male 13.9
GTEX-1QW4Y-1326-SM-EWRMZ 30-39 years, male 13.9
GTEX-11P81-1126-SM-5GU5G 30-39 years, female 13.8
GTEX-14C39-1926-SM-5ZZW5 40-49 years, male 13.8
GTEX-X5EB-0926-SM-46MVT 40-49 years, male 13.8
GTEX-XUZC-1326-SM-4BRV2 30-39 years, female 13.8
GTEX-1LVAM-1626-SM-EV79Y 50-59 years, female 13.8
GTEX-11ZVC-2126-SM-5EGJ1 50-59 years, female 13.7
GTEX-144GL-2526-SM-5TDDL 50-59 years, male 13.7
GTEX-14DAQ-2726-SM-5S2QY 60-69 years, female 13.7
GTEX-1C64O-2326-SM-73KU8 60-69 years, male 13.7
GTEX-NFK9-2026-SM-3LK5K 40-49 years, male 13.7
GTEX-SNOS-1226-SM-4DM5H 40-49 years, male 13.7
GTEX-1E2YA-2626-SM-7MGWW 50-59 years, male 13.7
GTEX-1K9T9-2826-SM-D4P3F 50-59 years, female 13.7
GTEX-1QCLY-1726-SM-DPRXY 30-39 years, male 13.7
GTEX-13111-0726-SM-5DUVE 50-59 years, male 13.6
GTEX-13X6H-1926-SM-7EWD3 50-59 years, female 13.6
GTEX-QDVJ-1326-SM-48U1X 50-59 years, male 13.6
GTEX-U3ZH-1326-SM-4DXSF 30-39 years, male 13.6
GTEX-1AYD5-1726-SM-7RHFW 50-59 years, male 13.6
GTEX-1NSGN-2326-SM-E9U5X 50-59 years, male 13.6
GTEX-117YX-0826-SM-5H11J 50-59 years, male 13.5
GTEX-1399U-1926-SM-5IFH7 50-59 years, female 13.5
GTEX-15ER7-2926-SM-7KUFK 20-29 years, female 13.5
GTEX-1A3MV-1126-SM-718BS 30-39 years, male 13.5
GTEX-S4P3-1226-SM-4AD4Y 50-59 years, female 13.5
GTEX-VJYA-2026-SM-4KL1K 60-69 years, male 13.5
GTEX-1LGOU-1626-SM-D3LAK 20-29 years, female 13.5
GTEX-1MCC2-1626-SM-DIPEW 30-39 years, female 13.5
GTEX-11DXX-1826-SM-5H126 60-69 years, female 13.4
GTEX-11VI4-1526-SM-5EQKC 40-49 years, female 13.4
GTEX-146FQ-1926-SM-5NQBY 30-39 years, male 13.4
GTEX-17EVQ-1826-SM-7IGPH 70-79 years, male 13.4
GTEX-18D9A-1126-SM-7KFRJ 30-39 years, female 13.4
GTEX-WYJK-2226-SM-4ONDJ 50-59 years, male 13.4
GTEX-ZP4G-1726-SM-4WWCM 20-29 years, female 13.4
GTEX-R45C-2126-SM-EZ6KZ 60-69 years, female 13.4
GTEX-XMK1-1726-SM-4B64Z 40-49 years, male 13.3
GTEX-ZF29-1726-SM-4WKFV 60-69 years, female 13.3
GTEX-13OVI-2026-SM-5J1MU 60-69 years, female 13.2
GTEX-14ICL-1226-SM-5S2RD 30-39 years, male 13.2
GTEX-15DCE-2026-SM-7KUFE 20-29 years, male 13.2
GTEX-QDVN-1326-SM-48TZ3 50-59 years, male 13.2
GTEX-1GZ4H-1226-SM-9KNUA 50-59 years, female 13.2
GTEX-1PFEY-1426-SM-E9U6U 30-39 years, male 13.2
GTEX-13OVG-1426-SM-5K7VP 60-69 years, male 13.1
GTEX-ZVT2-1926-SM-5GU5T 50-59 years, female 13.1
GTEX-1I6K6-1826-SM-B2LX5 30-39 years, male 13.1
GTEX-1IDJC-1326-SM-CL53H 50-59 years, male 13.1
GTEX-1MJK3-0926-SM-EV7AY 20-29 years, male 13.1
GTEX-1MUQO-2626-SM-EWRO3 60-69 years, male 13.1
GTEX-1399S-1926-SM-5J2M5 30-39 years, female 13.0
GTEX-18D9U-1926-SM-7KFTM 40-49 years, male 13.0
GTEX-Y8E4-2426-SM-4WWDN 40-49 years, male 13.0
GTEX-1GF9U-1526-SM-7MXUW 40-49 years, female 13.0
GTEX-14PKV-2126-SM-664O3 20-29 years, female 12.9
GTEX-1AMEY-1926-SM-73KVT 30-39 years, female 12.9
GTEX-12ZZZ-2426-SM-5GCNN 60-69 years, male 12.8
GTEX-13OW6-2126-SM-5N9GL 50-59 years, male 12.8
GTEX-Y3I4-1426-SM-4TT9C 50-59 years, male 12.8
GTEX-1GZ4I-2426-SM-9WPPP 50-59 years, male 12.8
GTEX-1JKYR-1926-SM-C1YR7 20-29 years, male 12.8
GTEX-11EQ9-1426-SM-5987G 30-39 years, male 12.7
GTEX-13VXT-2426-SM-5LU46 20-29 years, female 12.7
GTEX-P78B-1726-SM-3P5ZV 40-49 years, female 12.7
GTEX-R55D-1826-SM-48FEF 50-59 years, male 12.7
GTEX-WHSB-0926-SM-4M1XJ 50-59 years, male 12.7
GTEX-1IGQW-2326-SM-CE6RV 60-69 years, male 12.7
GTEX-1PPH8-2026-SM-DTX7P 20-29 years, male 12.7
GTEX-131XG-1826-SM-5LZV4 50-59 years, female 12.6
GTEX-17EUY-1826-SM-7DUEZ 20-29 years, male 12.6
GTEX-1CAMS-2526-SM-7EPH7 40-49 years, female 12.6
GTEX-PX3G-1426-SM-48U1J 20-29 years, female 12.6
GTEX-S341-1426-SM-4AD6U 40-49 years, female 12.6
GTEX-S4UY-0826-SM-4AD4Z 40-49 years, female 12.6
GTEX-TKQ1-0626-SM-4DXTS 30-39 years, male 12.6
GTEX-X15G-1326-SM-4PQZJ 50-59 years, female 12.6
GTEX-1JK1U-1526-SM-AHZ46 60-69 years, male 12.6
GTEX-WVJS-2426-SM-EZ6LI 50-59 years, male 12.6
GTEX-144GN-1126-SM-5LU33 50-59 years, male 12.4
GTEX-1B932-2826-SM-73KUD 40-49 years, female 12.4
GTEX-XBEW-1926-SM-4SOJO 40-49 years, male 12.4
GTEX-S3XE-1126-SM-4AD4N 50-59 years, male 12.3
GTEX-1H1DE-1526-SM-ARL9B 20-29 years, male 12.3
GTEX-1HSMP-2326-SM-D3L8R 70-79 years, male 12.3
GTEX-P4PP-1426-SM-3NM9L 30-39 years, female 12.2
GTEX-1HSGN-2626-SM-CE6S1 40-49 years, female 12.2
GTEX-111CU-1426-SM-5GZYP 50-59 years, male 12.1
GTEX-111VG-2226-SM-5N9DU 60-69 years, male 12.1
GTEX-WEY5-1426-SM-4LMJ3 40-49 years, female 12.1
GTEX-ZTSS-1126-SM-5985O 40-49 years, male 12.1
GTEX-14PJ5-0926-SM-6LLIK 60-69 years, female 12.0
GTEX-YEC4-1926-SM-5IFHJ 40-49 years, male 12.0
GTEX-ZDYS-2326-SM-4WKG6 50-59 years, male 12.0
GTEX-13QJ3-2626-SM-9OSXQ 50-59 years, male 12.0
GTEX-1MA7W-0626-SM-EV79Z 20-29 years, female 12.0
GTEX-1S5VW-2926-SM-E9U6H 60-69 years, male 12.0
GTEX-11EM3-1526-SM-5A5KN 20-29 years, female 11.9
GTEX-14BMV-2426-SM-5S2PP 50-59 years, male 11.9
GTEX-14XAO-2026-SM-69LOI 60-69 years, female 11.9
GTEX-1C6VQ-2726-SM-73KUL 50-59 years, male 11.9
GTEX-XGQ4-1226-SM-4AT67 50-59 years, male 11.9
GTEX-1KANB-1526-SM-CXZK4 50-59 years, male 11.9
GTEX-147GR-2726-SM-664OO 60-69 years, male 11.8
GTEX-1HFI7-1726-SM-A9G22 50-59 years, female 11.8
GTEX-1JMPZ-2426-SM-C1YQP 30-39 years, male 11.8
GTEX-16Z82-2226-SM-6LPJ7 60-69 years, male 11.7
GTEX-17MF6-2426-SM-7LTAM 40-49 years, male 11.7
GTEX-1IKOE-2026-SM-AHZ31 30-39 years, female 11.7
GTEX-SJXC-2226-SM-EVYAK 60-69 years, male 11.7
GTEX-1PIEJ-2026-SM-E6CPA 20-29 years, female 11.6
GTEX-1R9JW-2026-SM-EAZ4O 30-39 years, female 11.6
GTEX-13FHP-2426-SM-5KLZ5 50-59 years, male 11.5
GTEX-14BIN-3026-SM-5ZZUS 50-59 years, female 11.5
GTEX-1R9PM-1526-SM-DPRY8 20-29 years, male 11.5
GTEX-QV31-0826-SM-CKZNC 30-39 years, male 11.5
GTEX-1CB4I-2226-SM-7P8SL 50-59 years, male 11.4
GTEX-1QPFJ-2326-SM-E6CR7 30-39 years, female 11.4
GTEX-15DZA-0926-SM-69LQ3 30-39 years, female 11.3
GTEX-1KXAM-2126-SM-CY8I9 60-69 years, male 11.3
GTEX-1PWST-2426-SM-EWRMP 70-79 years, male 11.3
GTEX-1RAZQ-2126-SM-DTX9V 30-39 years, male 11.3
GTEX-12WSJ-1526-SM-5GCNI 40-49 years, female 11.2
GTEX-13U4I-2426-SM-5LU34 40-49 years, female 11.2
GTEX-18D9B-2526-SM-718BN 60-69 years, male 11.2
GTEX-1CB4F-2026-SM-79OLU 60-69 years, male 11.2
GTEX-1GN73-2626-SM-9KNUQ 60-69 years, male 11.2
GTEX-1I1GR-2526-SM-CNNQF 60-69 years, male 11.2
GTEX-TKQ2-1326-SM-4DXT9 50-59 years, male 11.1
GTEX-1GPI7-1726-SM-7P8R1 20-29 years, male 11.1
GTEX-14ICK-1026-SM-6AJA4 40-49 years, male 11.0
GTEX-O5YT-1426-SM-3MJHC 20-29 years, male 10.9
GTEX-1B996-2626-SM-73KZ1 60-69 years, male 10.8
GTEX-PWCY-1026-SM-48TD4 20-29 years, female 10.8
GTEX-1AX9I-2626-SM-73KU5 60-69 years, male 10.7
GTEX-S4Q7-0826-SM-4AD5E 20-29 years, male 10.7
GTEX-ZGAY-2126-SM-4YCFB 40-49 years, female 10.7
GTEX-1HCU6-2726-SM-A9SKV 60-69 years, female 10.7
GTEX-1C475-1626-SM-731FP 40-49 years, female 10.6
GTEX-1R9K5-2126-SM-E8VN1 50-59 years, male 10.5
GTEX-15CHQ-2526-SM-6EU24 60-69 years, male 10.3
GTEX-ZZ64-0726-SM-5GZX4 20-29 years, male 10.3
GTEX-15SHU-2526-SM-6M47D 40-49 years, female 10.2
GTEX-17F98-1026-SM-7IGO8 40-49 years, female 10.2
GTEX-ZXES-1626-SM-5NQ7L 30-39 years, female 10.1
GTEX-1LSVX-1726-SM-DHXJP 60-69 years, male 10.1
GTEX-1AYCT-1826-SM-731EG 50-59 years, male 9.9
GTEX-Y114-1526-SM-4TT79 50-59 years, female 9.8
GTEX-1PIGE-1426-SM-E9U61 20-29 years, male 9.3
GTEX-144GM-1226-SM-5LU52 20-29 years, male 8.8
GTEX-13O3O-2526-SM-5L3DR 60-69 years, female 8.7
Show allShow less

COLON - FANTOM5 CAGEi

RNA expression in human tissues obtained through Cap Analysis of Gene Expression (CAGE) generated by the FANTOM5 project are reported as Scaled Tags Per Million.

Max subtype Scaled Tags Per Millioni

Max subtype Scaled Tags Per Million is the value for the subtype with the largest average Scaled Tags Per Million across the subtype samples.

37.4
FANTOM5 sample id Sample description Scaled Tags Per Million
Colon
Scaled Tags Per Million: 37.4
FF:10014-101C5 62,83,84 years, mixed 37.4

Contact

  • NEWS ARTICLES
  • PRESS ROOM

The Project

  • INTRODUCTION
  • ORGANIZATION
  • PUBLICATIONS

The Human Protein Atlas

  • DOWNLOADABLE DATA
  • LICENCE & CITATION
  • HELP & FAQ
The Human Protein Atlas project is funded
by the Knut & Alice Wallenberg Foundation.


contact@proteinatlas.org