We use cookies to enhance the usability of our website. If you continue, we'll assume that you are happy to receive all cookies. More information. Don't show this again.
COPG1
HPA
RESOURCES
  • TISSUE
  • BRAIN
  • SINGLE CELL
  • SUBCELLULAR
  • CANCER
  • BLOOD
  • CELL LINE
  • STRUCTURE & INTERACTION
ABOUT
  • INTRODUCTION
  • HISTORY
  • ORGANIZATION
  • PUBLICATIONS
  • ANTIBODY SUBMISSION
  • ANTIBODY AVAILABILITY
  • ACKNOWLEDGMENTS
  • CONTACT
NEWS
  • NEWS ARTICLES
  • PRESS ROOM
LEARN
  • DICTIONARY
  • PROTEIN CLASSES
  • PROTEIN EVIDENCE
  • METHODS
  • EDUCATIONAL VIDEOS
DATA
  • DOWNLOADABLE DATA
  • PUBLICATION DATA
  • RELEASE HISTORY
HELP
  • ANTIBODY VALIDATION
  • ASSAYS & ANNOTATION
  • DISCLAIMER
  • HELP & FAQ
  • PRIVACY STATEMENT
  • LICENCE & CITATION
Fields »
Search result

Field
Term
Gene name
Class
Subclass
Class
Keyword
Chromosome
External id
Tissue
Cell type
Expression
Antibody panel
Tissue
Main location
Patient ID
Annotation
Tissue
Category
Tau score
Cluster
Reliability
Brain region
Category
Tau score
Brain region
Category
Tau score
Brain region
Category
Tau score
Cluster
Reliability
Tissue
Cell type
Enrichment
Cell type
Category
Tau score
Cell type
Category
Tau score
Cell type
Category
Tau score
Cell lineage
Category
Tau score
Cluster
Cluster
Location
Searches
Location
Cell line
Class
Type
Phase
Reliability
Cancer
Prognosis
Cancer
Category
Cancer
Category
Tau score
Cluster
Variants
Interacting gene (ensg_id)
Type
Number of interactions
Pathway
Category
Score
Score
Score
Validation
Validation
Validation
Validation
Antibodies
Data type
Column


  • SUMMARY

  • TISSUE

  • BRAIN

  • SINGLE CELL

  • SUBCELL

  • CANCER

  • BLOOD

  • CELL LINE

  • STRUCT & INT

  • COPG1
TISSUE PRIMARY DATA BREAST Show tissue menu
ADIPOSE TISSUE ADRENAL GLAND AMYGDALA APPENDIX BASAL GANGLIA BONE MARROW BREAST BRONCHUS CEREBELLUM CEREBRAL CORTEX CERVIX CHOROID PLEXUS COLON DUODENUM
ENDOMETRIUM EPIDIDYMIS ESOPHAGUS FALLOPIAN TUBE GALLBLADDER HEART MUSCLE HIPPOCAMPAL FORMATION HYPOTHALAMUS KIDNEY LIVER LUNG LYMPH NODE MIDBRAIN NASOPHARYNX
ORAL MUCOSA OVARY PANCREAS PARATHYROID GLAND PITUITARY GLAND PLACENTA PROSTATE RECTUM RETINA SALIVARY GLAND SEMINAL VESICLE SKELETAL MUSCLE SKIN SMALL INTESTINE
SMOOTH MUSCLE SOFT TISSUE SPINAL CORD SPLEEN STOMACH TESTIS THYMUS THYROID GLAND TONGUE TONSIL URINARY BLADDER VAGINA
ANTIBODIES
AND
VALIDATION
Dictionary
Breast
Tissue proteome
Breast
BREAST - Expression summary
Protein expression
Breasti

On the top, protein expression in current human tissue, based on all annotated cell types, is reported with the units not detected (n), low (l), medium (m) and high (h). Underneath, protein expression in each annotated cell type are reported using the same units.

Protein expression data is based on knowledge-based annotation. For genes where more than one antibody has been used, a collective score is set.

If knowledge-based annotation could not be performed for a gene, no data is displayed here. View antibody staining data further down this page.

h
m
l
n
Adipocytes: Low
Glandular cells: High
Myoepithelial cells: High
RNA expressioni

A summary of mRNA expression data available for current tissue based on several datasets. The mRNA expression levels in human tissues are based on RNA-seq data generated by the Human Protein Atlas (HPA), Genotype-Tissue Expression (GTEx) portal and CAGE data generated by the FANTOM5 consortium. Consensus normalized expression levels for human tissues was created by combining the data from HPA and GTEx datasets.

The mRNA expression levels in pig are based on RNA-seq data generated by the Human Protein Atlas (HPA), and for mouse, HPA data and in situ hybridization generated by the Allen brain atlas are reported.

Scroll down to view mRNA expression data in more detail.
Consensus:77.2 nTPM
HPA:68.7 nTPM
GTEx:77.2 nTPM
FANTOM5:116.5 Scaled Tags Per Million

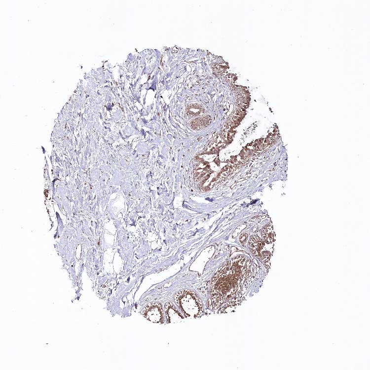
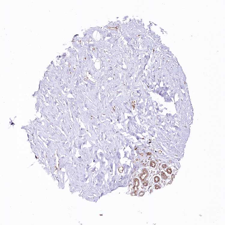
BREAST - Antibody stainingi

Antibody staining in the annotated cell types in the current human tissue is reported as not detected, low, medium, or high, based on conventional immunohistochemistry profiling in selected tissues. This score is based on the combination of the staining intensity and fraction of stained cells.

Each image is clickable and will lead to virtual microscopy that enables deeper exploration of all samples and also displays staining intensity scores, fraction scores and subcellular localization as well as patient and tissue information for each sample.

Antibody HPA037866Antibody HPA037867Antibody HPA045712
Adipocytes Not detectedMediumNot detected
Glandular cells HighMediumMedium
Myoepithelial cells HighMediumMedium







BREAST - HPA RNA-seqi

The RNA-seq details section shows detailed information about the individual samples used for the transcript profiling and results of the RNA-seq analysis.

Information about each individual sample is listed below, including gender, age, a tissue section image and estimated fractions of cell types. nTPM (normalized transcripts per million) values give a quantification of the gene abundance which is comparable between different genes and samples.
Average nTPMi

Max subtype nTPM is the value for the subtype with the largest average nTPM across the subtype samples.

68.7
overview
Female, age 52
Breast sample 373
nTPM: 44
Cell types%
Glandular cells:
15

Adipocytes:
5

Other cell types:
80

overview
Female, age 80
Breast sample 390
nTPM: 72.5
Cell types%
Glandular cells:
5

Adipocytes:
15

Other cell types:
80

overview
Female, age 47
Breast sample 405
nTPM: 85
Cell types%
Glandular cells:
5

Adipocytes:
5

Other cell types:
90

overview
Female, age 38
Breast sample 410
nTPM: 73.2
Cell types%
Glandular cells:
40

Adipocytes:
5

Other cell types:
55


BREAST - GTEx RNA-seqi

RNA-Seq data generated by the Genotype-Tissue Expression (GTEx) project from human tissues is reported as mean nTPM. More information can be found on the GTEx portal.

Distribution across the dataset is visualized with box plots, shown as median and 25th and 75th percentiles. Points are displayed as outliers if they are above or below 1.5 times the interquartile range. nTPM values of the individual samples are presented next to the box plot.
Max subtype nTPMi

Max subtype nTPM is the value for the subtype with the largest average nTPM across the subtype samples.

77.2
GTEx sample id Sample description nTPM
Breast - Mammary Tissue
Average nTPM: 77.2
Samples: 459

Max nTPM: 172.0
Min nTPM: 45.7
Std nTPM: 19.6
Median nTPM: 72.1
GTEX-15EOM-5019-SM-793DK 20-29 years, female 172.0
GTEX-1ICG6-1326-SM-ACKWR 70-79 years, female 171.2
GTEX-1R7EV-1526-SM-E8VOD 40-49 years, male 156.1
GTEX-17GQL-0326-SM-7LG5U 60-69 years, male 155.1
GTEX-11P82-1326-SM-5HL62 20-29 years, male 154.0
GTEX-U8XE-0826-SM-4E3J1 30-39 years, male 146.8
GTEX-11TUW-1826-SM-5BC5D 60-69 years, male 144.8
GTEX-XYKS-1326-SM-4BRUN 60-69 years, female 138.6
GTEX-14PJ4-2126-SM-6ETZJ 60-69 years, male 135.5
GTEX-RUSQ-2026-SM-4GIAK 50-59 years, male 133.3
GTEX-1CAMR-1426-SM-793BO 20-29 years, male 131.7
GTEX-1H23P-0726-SM-9WG7K 60-69 years, male 131.6
GTEX-1N2EF-2226-SM-E9J33 60-69 years, male 128.4
GTEX-17F98-0526-SM-79OK5 40-49 years, female 124.2
GTEX-ZTPG-2826-SM-57WGA 20-29 years, female 123.7
GTEX-11ZTT-2326-SM-5EQLG 60-69 years, female 123.1
GTEX-WY7C-2726-SM-3NB3P 50-59 years, male 122.1
GTEX-1KANC-1426-SM-CYPT9 50-59 years, female 122.1
GTEX-1HSEH-2026-SM-ADEHN 60-69 years, male 121.9
GTEX-ZT9W-2026-SM-51MRA 50-59 years, male 120.6
GTEX-139T6-1626-SM-5PNYZ 50-59 years, male 120.1
GTEX-1NUQO-2226-SM-E9U68 20-29 years, female 119.1
GTEX-YEC3-1026-SM-5IFI5 50-59 years, male 118.3
GTEX-1MJK3-1126-SM-E9J3F 20-29 years, male 117.9
GTEX-13CF3-2126-SM-5IFJP 60-69 years, female 117.6
GTEX-1I1GU-1026-SM-ADEHJ 40-49 years, male 117.3
GTEX-1S82U-1126-SM-E9U6I 30-39 years, female 115.1
GTEX-ZLWG-1926-SM-DO92J 50-59 years, female 115.1
GTEX-13PL6-2926-SM-5L3I2 40-49 years, female 111.9
GTEX-ZDXO-0126-SM-5S2ND 60-69 years, male 111.7
GTEX-1GF9U-1726-SM-7MGY5 40-49 years, female 111.2
GTEX-ZQG8-0726-SM-5P9H9 60-69 years, female 110.0
GTEX-12WSN-1326-SM-5GCNT 40-49 years, male 109.4
GTEX-13S86-1226-SM-5S2OA 40-49 years, male 109.4
GTEX-1S82Z-0726-SM-E6CHX 30-39 years, female 107.1
GTEX-YFCO-1826-SM-4W1YH 40-49 years, male 105.0
GTEX-13NZ9-1026-SM-5MR5K 50-59 years, male 104.2
GTEX-YB5E-1726-SM-5IFJ3 40-49 years, male 103.2
GTEX-1H1DG-0526-SM-9YFLN 70-79 years, male 103.0
GTEX-14PHY-1926-SM-5YY95 60-69 years, female 102.6
GTEX-ZDYS-1126-SM-5K7UB 50-59 years, male 102.4
GTEX-1QCLZ-2326-SM-DTXDO 60-69 years, female 102.3
GTEX-13O3O-0826-SM-5K7WE 60-69 years, female 101.2
GTEX-1HSMO-0826-SM-ADEIV 60-69 years, male 100.8
GTEX-1I4MK-1626-SM-CM2TJ 50-59 years, female 100.8
GTEX-1R9PN-0326-SM-DTX85 40-49 years, female 100.7
GTEX-13FTW-1426-SM-5LZWZ 40-49 years, male 100.6
GTEX-1L5NE-2126-SM-CY8IH 50-59 years, male 100.5
GTEX-15UF7-0726-SM-6M46D 40-49 years, male 100.0
GTEX-1NHNU-0926-SM-E9J2T 50-59 years, male 100.0
GTEX-R55D-0826-SM-48FEA 50-59 years, male 98.9
GTEX-1QPFJ-2026-SM-EVYBE 30-39 years, female 98.9
GTEX-117YX-1426-SM-5H12H 50-59 years, male 98.8
GTEX-183FY-1126-SM-7DHLJ 20-29 years, male 98.4
GTEX-SE5C-2126-SM-4BRUJ 40-49 years, female 98.3
GTEX-11EQ9-1826-SM-5Q5AJ 30-39 years, male 98.1
GTEX-Y5V6-2126-SM-4WWFX 60-69 years, male 97.8
GTEX-13QJ3-0826-SM-7DHKK 50-59 years, male 97.4
GTEX-Y114-2026-SM-4TT7L 50-59 years, female 97.4
GTEX-QEG5-0726-SM-D4P1T 20-29 years, male 97.0
GTEX-REY6-2426-SM-48FF5 60-69 years, male 96.8
GTEX-X4XY-0926-SM-4E3JD 60-69 years, male 96.4
GTEX-XUZC-1626-SM-4BRVP 30-39 years, female 95.9
GTEX-1IGQW-0926-SM-ADEH6 60-69 years, male 95.5
GTEX-1JN1M-3026-SM-CMKGK 60-69 years, female 95.4
GTEX-1AX8Z-0926-SM-731AW 60-69 years, male 95.3
GTEX-13PVQ-1026-SM-5KM3M 50-59 years, male 95.0
GTEX-1B97J-0426-SM-79OLQ 50-59 years, female 94.6
GTEX-14BMV-0626-SM-793AU 50-59 years, male 94.4
GTEX-1J8Q3-1326-SM-CMKI1 60-69 years, male 94.3
GTEX-T5JW-2026-SM-4DM63 20-29 years, female 94.0
GTEX-ZLFU-2126-SM-DO931 40-49 years, male 94.0
GTEX-1AMEY-1026-SM-718AA 30-39 years, female 93.6
GTEX-1JJEA-2726-SM-ARL8V 60-69 years, male 93.6
GTEX-S32W-2026-SM-4AD6E 50-59 years, female 93.5
GTEX-YB5K-1626-SM-5IFIN 40-49 years, female 93.5
GTEX-1RQEC-2026-SM-DTXDM 60-69 years, male 93.5
GTEX-1HFI7-0126-SM-CGQFQ 50-59 years, female 92.9
GTEX-145ME-1526-SM-5Q5F2 40-49 years, female 92.8
GTEX-1211K-1926-SM-5EQLB 60-69 years, female 92.6
GTEX-1HC8U-0826-SM-ADEIL 40-49 years, female 92.0
GTEX-13W3W-1226-SM-5LU4H 60-69 years, female 91.9
GTEX-1RLM8-2226-SM-EVYD1 50-59 years, male 91.6
GTEX-1HBPN-2326-SM-9WPPU 50-59 years, male 91.5
GTEX-14B4R-1226-SM-5TDDT 30-39 years, male 91.4
GTEX-ZDTT-2126-SM-DKPOM 60-69 years, male 91.3
GTEX-TKQ1-0226-SM-33HB5 30-39 years, male 91.0
GTEX-11I78-2226-SM-5PNYA 50-59 years, female 90.5
GTEX-14E6C-1326-SM-62LEQ 40-49 years, male 90.4
GTEX-1IDJU-1826-SM-CMKHV 60-69 years, female 90.4
GTEX-Z9EW-1526-SM-EZ6LU 40-49 years, male 90.1
GTEX-14PN4-0626-SM-62LFP 50-59 years, male 90.0
GTEX-1122O-1226-SM-5H113 60-69 years, female 89.6
GTEX-133LE-1726-SM-5K7VQ 20-29 years, female 89.5
GTEX-1CB4J-1826-SM-7EWF9 60-69 years, male 89.5
GTEX-14E6E-1326-SM-5S2NR 30-39 years, male 89.2
GTEX-11TT1-2126-SM-5GU5Y 20-29 years, male 89.1
GTEX-1HR9M-2426-SM-ACKXI 60-69 years, male 88.8
GTEX-1H1ZS-0126-SM-9YFKQ 70-79 years, male 88.5
GTEX-18A6Q-0926-SM-7LG4N 60-69 years, male 88.4
GTEX-1H11D-1526-SM-9MQJY 40-49 years, male 87.9
GTEX-1A3MX-2726-SM-718B6 60-69 years, male 87.8
GTEX-1LG7Z-0726-SM-CXKYD 30-39 years, male 87.8
GTEX-1MJK2-2226-SM-EVYCR 50-59 years, male 87.7
GTEX-1IDJF-2326-SM-ARL86 20-29 years, male 87.3
GTEX-1MCC2-2126-SM-EWRON 30-39 years, female 87.3
GTEX-ZV6S-1826-SM-5NQ8D 40-49 years, female 87.1
GTEX-1B97I-0426-SM-79OL7 40-49 years, male 86.9
GTEX-ZY6K-1626-SM-5GZWV 50-59 years, male 86.5
GTEX-1OKEX-0826-SM-E9J2B 60-69 years, male 86.4
GTEX-132AR-0826-SM-5EGK6 50-59 years, female 86.1
GTEX-1PDJ9-1126-SM-EXUSW 20-29 years, male 85.6
GTEX-1B8SG-1226-SM-7IGPF 50-59 years, male 85.5
GTEX-11WQK-2426-SM-5GU5C 50-59 years, male 85.4
GTEX-1LVAM-0926-SM-E9TJ2 50-59 years, female 85.1
GTEX-14DAR-1326-SM-7DUEG 50-59 years, male 84.9
GTEX-Y9LG-1426-SM-5IFJZ 30-39 years, male 84.7
GTEX-1JMOU-2026-SM-CMKGU 60-69 years, female 84.6
GTEX-S4Q7-1126-SM-4AD6R 20-29 years, male 84.5
GTEX-11NSD-0926-SM-5N9DR 20-29 years, male 84.4
GTEX-1M5QR-2526-SM-E9U5P 40-49 years, male 84.4
GTEX-ZZ64-1226-SM-5E43R 20-29 years, male 83.9
GTEX-13D11-1026-SM-5IJFB 50-59 years, female 83.6
GTEX-18A7A-0726-SM-7LTAI 50-59 years, female 83.3
GTEX-16YQH-2826-SM-6PAMY 30-39 years, male 83.2
GTEX-11EMC-2026-SM-5A5JV 60-69 years, female 83.0
GTEX-1POEN-0926-SM-DTX88 30-39 years, female 83.0
GTEX-1LSVX-2426-SM-E6CJX 60-69 years, male 82.9
GTEX-14PJO-0726-SM-69LO8 60-69 years, male 82.7
GTEX-13CF2-2026-SM-5K7VI 60-69 years, male 82.5
GTEX-14H4A-2526-SM-5YYAY 40-49 years, female 82.5
GTEX-1ICLY-1726-SM-B2LVT 50-59 years, male 82.5
GTEX-X261-0626-SM-3NMD9 50-59 years, male 82.3
GTEX-1C475-1226-SM-7SB72 40-49 years, female 82.3
GTEX-13N1W-0626-SM-5MR4U 70-79 years, male 82.2
GTEX-1GN2E-2226-SM-9WG6J 60-69 years, male 82.2
GTEX-1HCU8-0126-SM-ADEHH 60-69 years, female 82.2
GTEX-1R46S-2526-SM-E8VN2 60-69 years, female 82.2
GTEX-1IOXB-1926-SM-ARL8E 50-59 years, male 82.1
GTEX-1LC47-1226-SM-D4P44 60-69 years, male 82.0
GTEX-1HCU9-0326-SM-9WYSC 20-29 years, male 81.9
GTEX-1HBPM-0126-SM-ARL9E 60-69 years, female 81.8
GTEX-1I1GT-1126-SM-ARL7J 60-69 years, female 81.7
GTEX-16BQI-1026-SM-7KUEA 30-39 years, female 81.6
GTEX-WFG8-2026-SM-EXOHO 20-29 years, male 81.2
GTEX-13SLX-2326-SM-5ZZWE 50-59 years, female 81.1
GTEX-117XS-1926-SM-5GICO 60-69 years, male 80.7
GTEX-14ABY-2126-SM-5QGQZ 50-59 years, male 80.7
GTEX-VJWN-0726-SM-3GIJ8 50-59 years, female 80.7
GTEX-RU1J-0626-SM-4WAWY 20-29 years, female 80.5
GTEX-1GF9V-2526-SM-7SB8K 60-69 years, male 80.4
GTEX-1QEPI-0926-SM-DTXF3 60-69 years, female 80.4
GTEX-1MA7W-1026-SM-DKPQK 20-29 years, female 80.3
GTEX-17MFQ-0926-SM-7LG4S 20-29 years, male 80.1
GTEX-ZLV1-1426-SM-DO92Z 60-69 years, female 79.9
GTEX-145MO-0826-SM-5NQBL 60-69 years, male 79.8
GTEX-13O3Q-2226-SM-5KM4O 50-59 years, male 79.7
GTEX-1GPI7-0926-SM-7PC3J 20-29 years, male 79.6
GTEX-132NY-0826-SM-5K7Y7 60-69 years, male 79.5
GTEX-1J8Q2-2726-SM-A9G2X 60-69 years, male 79.4
GTEX-13O3P-0826-SM-5L3DH 50-59 years, male 79.3
GTEX-13113-5013-SM-7SB7G 60-69 years, female 79.2
GTEX-1J8QM-2026-SM-ARZMW 60-69 years, female 79.2
GTEX-11GSP-0926-SM-9WYSG 60-69 years, female 79.0
GTEX-1GN1W-1926-SM-7P8TH 50-59 years, female 79.0
GTEX-1NV8Z-2826-SM-E8VME 60-69 years, male 79.0
GTEX-17EVQ-0426-SM-7LG57 70-79 years, male 78.9
GTEX-1F5PK-2126-SM-7PC28 50-59 years, male 78.9
GTEX-11O72-2126-SM-5N9FO 40-49 years, male 78.7
GTEX-14PKU-0426-SM-6EU1P 40-49 years, female 78.6
GTEX-XV7Q-2326-SM-4BRVZ 40-49 years, female 78.6
GTEX-Y5LM-1726-SM-4VDSX 40-49 years, female 78.5
GTEX-ZTTD-1026-SM-51MRD 50-59 years, male 78.4
GTEX-1QP28-1226-SM-E9J2M 50-59 years, female 78.4
GTEX-1F5PL-1026-SM-7RHI1 40-49 years, female 78.3
GTEX-146FH-0826-SM-5SI8T 50-59 years, female 78.1
GTEX-ZVT4-1026-SM-57WC4 50-59 years, female 78.1
GTEX-1M4P7-2626-SM-E9U5F 60-69 years, male 78.1
GTEX-1MCYP-0126-SM-E6CIS 20-29 years, female 78.1
GTEX-18A7B-2626-SM-7LG55 70-79 years, male 77.9
GTEX-1ICLZ-0426-SM-B2LW2 60-69 years, male 77.7
GTEX-1I1GP-0426-SM-COH3N 50-59 years, male 77.6
GTEX-14BMU-1626-SM-5TDE7 20-29 years, female 77.5
GTEX-PSDG-1626-SM-48TCQ 50-59 years, male 77.4
GTEX-17F97-2526-SM-7EWDV 50-59 years, male 77.1
GTEX-X15G-1626-SM-3NMB3 50-59 years, female 77.1
GTEX-11ZUS-0826-SM-5FQUY 30-39 years, male 77.0
GTEX-145MN-1926-SM-5SIAI 30-39 years, male 77.0
GTEX-1I1GV-2426-SM-CGQFM 60-69 years, male 77.0
GTEX-1C6VQ-0426-SM-79OOX 50-59 years, male 76.7
GTEX-QMRM-1626-SM-D4P1U 50-59 years, male 76.6
GTEX-18A66-1726-SM-7LG5N 60-69 years, male 76.5
GTEX-1GF9X-1026-SM-ACKX2 40-49 years, female 76.5
GTEX-13FTX-1126-SM-5N9EN 20-29 years, female 76.3
GTEX-14ICK-2426-SM-6EU27 40-49 years, male 76.2
GTEX-17HGU-1326-SM-79OKB 50-59 years, male 76.2
GTEX-17JCI-0726-SM-7EPH1 60-69 years, female 76.1
GTEX-ZVZQ-0826-SM-51MRF 60-69 years, female 75.9
GTEX-VUSG-2226-SM-4KKZO 50-59 years, male 75.8
GTEX-18D9A-1526-SM-7LG4J 30-39 years, female 75.5
GTEX-1HCUA-0726-SM-ACKVU 50-59 years, female 75.5
GTEX-1IE54-0626-SM-ARL8D 40-49 years, female 75.5
GTEX-12WSM-1726-SM-5BC6J 60-69 years, male 75.2
GTEX-XGQ4-0926-SM-4AT4U 50-59 years, male 75.1
GTEX-1C6WA-2426-SM-7SB86 60-69 years, male 75.1
GTEX-1JMQK-2626-SM-COH2W 60-69 years, male 75.1
GTEX-ZGAY-1726-SM-DO91P 40-49 years, female 74.7
GTEX-11LCK-2426-SM-5HL5F 30-39 years, male 74.5
GTEX-11ONC-2126-SM-5HL6E 60-69 years, male 74.5
GTEX-ZYFC-0826-SM-5E44K 50-59 years, male 74.5
GTEX-WRHU-0326-SM-3MJFY 50-59 years, female 74.4
GTEX-1LGRB-1826-SM-CNPQL 50-59 years, female 74.2
GTEX-111YS-1926-SM-5GICC 60-69 years, male 74.1
GTEX-1RAZS-1226-SM-E8VMT 50-59 years, male 74.1
GTEX-XQ8I-2426-SM-4WAXY 50-59 years, male 73.8
GTEX-1EKGG-2626-SM-7IGPY 60-69 years, male 73.7
GTEX-UJHI-1426-SM-3DB9C 50-59 years, female 73.4
GTEX-1C6VS-0726-SM-7EPHF 60-69 years, male 73.3
GTEX-1JK1U-1826-SM-ARL8W 60-69 years, male 73.3
GTEX-144GM-0926-SM-5O994 20-29 years, male 72.9
GTEX-1QMI2-0726-SM-E9J4F 60-69 years, male 72.7
GTEX-WOFL-0826-SM-3MJG1 60-69 years, male 72.6
GTEX-13NZB-2126-SM-5MR4Y 30-39 years, male 72.5
GTEX-11GS4-2126-SM-5A5KR 60-69 years, male 72.4
GTEX-13FHO-0826-SM-5L3E8 60-69 years, male 72.4
GTEX-1IDJH-2226-SM-E6CJV 70-79 years, male 72.4
GTEX-15FZZ-0726-SM-7KUFZ 30-39 years, female 72.2
GTEX-1GZHY-0726-SM-9WG6B 50-59 years, female 72.2
GTEX-YJ8O-2226-SM-5IFHW 40-49 years, female 72.1
GTEX-ZQUD-1926-SM-51MSA 30-39 years, male 72.1
GTEX-ZU9S-1926-SM-5NQBP 30-39 years, male 72.1
GTEX-145MF-2226-SM-7EPIR 50-59 years, male 71.8
GTEX-15G19-2126-SM-6M48J 60-69 years, male 71.8
GTEX-15RJE-2626-SM-7KFT1 40-49 years, male 71.8
GTEX-1EU9M-2826-SM-7EWFH 60-69 years, male 71.8
GTEX-183WM-0726-SM-7LTAA 70-79 years, female 71.7
GTEX-ZPIC-1126-SM-5BC7F 40-49 years, female 71.7
GTEX-12KS4-0126-SM-5Q5A5 30-39 years, male 71.6
GTEX-S33H-0326-SM-4AD6N 30-39 years, male 71.5
GTEX-1GN1U-0526-SM-9KNTT 50-59 years, female 71.5
GTEX-131YS-0626-SM-5EGKL 60-69 years, female 71.4
GTEX-17HG3-0126-SM-7IGNH 30-39 years, female 71.4
GTEX-WI4N-1426-SM-3LK7H 40-49 years, female 71.3
GTEX-12BJ1-1826-SM-5HL9N 60-69 years, male 71.0
GTEX-131XW-0726-SM-5EGK3 50-59 years, female 71.0
GTEX-S7SE-0826-SM-4AT4D 50-59 years, male 71.0
GTEX-ZVT2-1826-SM-5NQ8W 50-59 years, female 70.9
GTEX-18465-2026-SM-718AP 50-59 years, male 70.8
GTEX-1H3VY-0926-SM-ACKXE 50-59 years, male 70.8
GTEX-ZAJG-0626-SM-5HL8X 50-59 years, female 70.6
GTEX-13NZ8-0126-SM-5IJCT 60-69 years, female 70.4
GTEX-1CB4G-2326-SM-79OOI 60-69 years, male 70.4
GTEX-1B8KE-1226-SM-73KWK 50-59 years, male 70.3
GTEX-ZEX8-2226-SM-57WC6 50-59 years, male 70.3
GTEX-13O61-1826-SM-5KM4I 60-69 years, male 70.2
GTEX-1I19N-2826-SM-CL55D 70-79 years, male 70.2
GTEX-1LBAC-0926-SM-CXKY9 20-29 years, male 70.1
GTEX-1117F-2826-SM-5GZXL 60-69 years, female 70.0
GTEX-14A5I-0726-SM-5TDEB 50-59 years, female 69.8
GTEX-Y5V5-2126-SM-4WWFO 60-69 years, female 69.8
GTEX-1MA7X-1626-SM-E9U5B 60-69 years, male 69.8
GTEX-13SLW-2526-SM-62LDQ 70-79 years, male 69.7
GTEX-XOT4-0726-SM-4GIAW 60-69 years, female 69.7
GTEX-1HSKV-2026-SM-CMKGX 60-69 years, male 69.7
GTEX-1QP29-1726-SM-E8VMQ 50-59 years, male 69.7
GTEX-17F96-2426-SM-7IGLN 70-79 years, male 69.6
GTEX-1GMR8-0726-SM-9KNVI 50-59 years, female 69.6
GTEX-XBED-1626-SM-47JYN 60-69 years, male 69.5
GTEX-11DZ1-0326-SM-5N9BN 50-59 years, male 69.4
GTEX-1QP9N-1826-SM-E8VMP 30-39 years, male 69.3
GTEX-1I6K6-0826-SM-ARL7Z 30-39 years, male 69.2
GTEX-V955-2026-SM-3GAFA 60-69 years, male 69.1
GTEX-ZV7C-1826-SM-5NQ83 50-59 years, male 69.1
GTEX-1IKOE-1326-SM-CE6T6 30-39 years, female 69.0
GTEX-Y8E4-1626-SM-5S2MW 40-49 years, male 68.9
GTEX-13W46-0826-SM-5LU3H 50-59 years, male 68.8
GTEX-1BAJH-0826-SM-7EWEF 70-79 years, male 68.8
GTEX-11OF3-1926-SM-59889 60-69 years, male 68.6
GTEX-1KXAM-1026-SM-CY8IA 60-69 years, male 68.6
GTEX-1PPGY-1526-SM-EVYBK 60-69 years, male 68.6
GTEX-WHSB-1926-SM-EXOHH 50-59 years, male 68.4
GTEX-1HKZK-1826-SM-ADEJ2 40-49 years, male 68.2
GTEX-S341-1526-SM-4AD6K 40-49 years, female 68.0
GTEX-1LSNM-1326-SM-E9TJ1 50-59 years, male 68.0
GTEX-TKQ2-1826-SM-33HB2 50-59 years, male 67.9
GTEX-11NV4-2026-SM-5N9DG 60-69 years, male 67.7
GTEX-1HUB1-1626-SM-CM2SL 60-69 years, male 67.6
GTEX-1IDJE-0826-SM-CKZNZ 50-59 years, female 67.5
GTEX-1LVAN-1326-SM-CNPQE 50-59 years, female 67.5
GTEX-1269C-2426-SM-5FQSN 60-69 years, female 67.2
GTEX-1A8G7-2426-SM-731AK 60-69 years, male 67.2
GTEX-QDT8-0626-SM-48TYW 30-39 years, female 67.2
GTEX-WXYG-2226-SM-4E3IM 50-59 years, female 67.2
GTEX-Y3IK-2326-SM-4WWDT 50-59 years, female 67.2
GTEX-1GZ4H-0326-SM-7P8QX 50-59 years, female 67.2
GTEX-1GZ4I-2826-SM-9MQK5 50-59 years, male 67.2
GTEX-1I1HK-2426-SM-ADEHX 60-69 years, male 67.2
GTEX-11DXW-0626-SM-5N9ER 40-49 years, male 67.1
GTEX-1B933-2526-SM-7IGO5 50-59 years, female 67.1
GTEX-169BO-1126-SM-7MGWN 50-59 years, male 67.0
GTEX-13FTY-2226-SM-5J1ND 40-49 years, female 66.9
GTEX-1399U-1826-SM-5PNZ1 50-59 years, female 66.8
GTEX-XUW1-2326-SM-4BOO5 50-59 years, female 66.7
GTEX-ZYT6-0126-SM-5E45J 30-39 years, male 66.7
GTEX-RWS6-1926-SM-47JXY 60-69 years, female 66.6
GTEX-11EM3-1326-SM-5N9C6 20-29 years, female 66.5
GTEX-1RAZQ-1226-SM-EWRNL 30-39 years, male 66.5
GTEX-11DXY-2326-SM-5GICW 60-69 years, male 66.4
GTEX-1AX9J-1126-SM-731B7 60-69 years, male 66.4
GTEX-1HCU7-1026-SM-ADEIP 50-59 years, male 66.4
GTEX-1JKYN-0726-SM-ARZMY 30-39 years, male 66.4
GTEX-1KANA-2026-SM-DIPFB 20-29 years, male 66.4
GTEX-1GMRU-0826-SM-9WYT7 50-59 years, male 66.3
GTEX-11P81-1926-SM-5BC53 30-39 years, female 66.2
GTEX-1J8EW-2626-SM-CL53E 60-69 years, female 66.2
GTEX-YECK-0726-SM-EZ6LV 60-69 years, male 66.0
GTEX-XMK1-1126-SM-4IHJ8 40-49 years, male 65.9
GTEX-1P4AB-1826-SM-E76PU 50-59 years, male 65.9
GTEX-T6MN-0726-SM-32PML 50-59 years, male 65.8
GTEX-1N5O9-1126-SM-DTXEQ 60-69 years, male 65.7
GTEX-14753-2426-SM-5LU8U 60-69 years, male 65.6
GTEX-X4EP-2926-SM-3P5YQ 60-69 years, female 65.6
GTEX-Y3I4-1526-SM-4TT7K 50-59 years, male 65.6
GTEX-147F4-2826-SM-5NQBN 50-59 years, male 65.5
GTEX-1GMR3-2626-SM-7RHHG 40-49 years, male 65.5
GTEX-1IY9M-2726-SM-CMKG5 60-69 years, male 65.5
GTEX-15ETS-0626-SM-7KUMX 40-49 years, female 65.4
GTEX-1QW4Y-1026-SM-DTXE2 30-39 years, male 65.4
GTEX-12WSK-2226-SM-5GCO5 40-49 years, female 65.3
GTEX-17KNJ-2026-SM-7LG53 50-59 years, male 65.3
GTEX-R3RS-0626-SM-48FE1 40-49 years, female 65.3
GTEX-145LT-0726-SM-5S2VM 40-49 years, male 65.2
GTEX-QEL4-2126-SM-447AE 50-59 years, male 65.1
GTEX-1HCVE-2626-SM-ADEJ8 50-59 years, male 65.1
GTEX-17HHY-0926-SM-793C1 50-59 years, male 64.9
GTEX-ZVTK-0326-SM-51MRR 20-29 years, male 64.9
GTEX-Y8LW-1626-SM-5IFHX 50-59 years, female 64.8
GTEX-1F75I-2026-SM-7SB7N 40-49 years, male 64.8
GTEX-1IKOH-2326-SM-CM2TW 60-69 years, female 64.7
GTEX-1JN6P-2426-SM-ARL99 60-69 years, male 64.7
GTEX-15UF6-0126-SM-6PAMB 70-79 years, female 64.5
GTEX-ZA64-1526-SM-5CVMD 20-29 years, male 64.5
GTEX-1EWIQ-1726-SM-7SB7T 70-79 years, female 64.5
GTEX-1HT8W-2226-SM-CGQEC 30-39 years, male 64.4
GTEX-1I6K7-1026-SM-A9SLK 40-49 years, male 64.3
GTEX-1N2EE-2126-SM-E8VNN 60-69 years, male 64.3
GTEX-13OW5-2226-SM-5L3HC 60-69 years, male 64.0
GTEX-16NGA-0826-SM-718AF 40-49 years, female 64.0
GTEX-1313W-0826-SM-5EQ4T 50-59 years, female 63.9
GTEX-1AX9I-0726-SM-73KWV 60-69 years, male 63.9
GTEX-1GZ2Q-2626-SM-7MXV9 40-49 years, male 63.8
GTEX-17HHE-1426-SM-7EPH4 50-59 years, male 63.4
GTEX-WYBS-0926-SM-3NM94 60-69 years, female 63.3
GTEX-1LNCM-0226-SM-DIPF4 50-59 years, female 63.3
GTEX-1QCLY-1626-SM-DTXDW 30-39 years, male 63.3
GTEX-ZZPU-0626-SM-5E43T 50-59 years, female 63.1
GTEX-1H1E6-0926-SM-9YFLT 30-39 years, male 63.1
GTEX-1R9JW-0326-SM-EAZ45 30-39 years, female 62.9
GTEX-17EUY-1926-SM-7DUF6 20-29 years, male 62.8
GTEX-144GL-2026-SM-5LU3O 50-59 years, male 62.7
GTEX-XMD2-0926-SM-4WWEF 60-69 years, female 62.7
GTEX-ZAB4-2526-SM-5HL8M 40-49 years, male 62.7
GTEX-YFC4-1426-SM-5IFJG 40-49 years, female 62.5
GTEX-1JMPZ-1626-SM-COH31 30-39 years, male 62.5
GTEX-1HR98-0426-SM-COH36 60-69 years, male 62.4
GTEX-1IKJJ-2326-SM-COH3U 60-69 years, male 62.4
GTEX-13VXU-2826-SM-664MA 50-59 years, male 62.3
GTEX-14LLW-0626-SM-62LFC 70-79 years, female 62.3
GTEX-1F6I4-2526-SM-7SB8F 60-69 years, male 62.2
GTEX-1A3MV-1626-SM-731C1 30-39 years, male 62.1
GTEX-1CB4E-0226-SM-79OLW 60-69 years, male 62.1
GTEX-15ER7-1626-SM-6PAMZ 20-29 years, female 61.9
GTEX-1CAMS-1426-SM-7IGPM 40-49 years, female 61.9
GTEX-Q2AG-0326-SM-48U1O 40-49 years, female 61.9
GTEX-ZF29-1926-SM-5S2P1 60-69 years, female 61.8
GTEX-S4P3-1326-SM-4AD6V 50-59 years, female 61.7
GTEX-WFON-1826-SM-3GILG 40-49 years, male 61.5
GTEX-17EVP-0226-SM-79OND 40-49 years, male 61.3
GTEX-T6MO-0326-SM-32QOK 40-49 years, female 61.2
GTEX-1R7EU-1226-SM-E8VMR 60-69 years, male 61.2
GTEX-ZF3C-2326-SM-5S2NC 50-59 years, female 61.2
GTEX-11WQC-1726-SM-5GU4W 60-69 years, male 61.1
GTEX-139TU-0626-SM-5KM3X 60-69 years, male 61.1
GTEX-ZXES-0826-SM-5E43C 30-39 years, female 61.1
GTEX-1E2YA-2726-SM-7IGPW 50-59 years, male 60.9
GTEX-XQ3S-1326-SM-4BOPQ 20-29 years, male 60.8
GTEX-ZYW4-0826-SM-5GIDG 60-69 years, male 60.8
GTEX-ZTX8-1226-SM-4YCE9 20-29 years, male 60.7
GTEX-ZVE2-1226-SM-5NQ8R 50-59 years, male 60.7
GTEX-ZF2S-2026-SM-5E461 50-59 years, female 60.6
GTEX-11P7K-0726-SM-5EGKX 30-39 years, male 60.5
GTEX-1B8L1-2426-SM-9WYTE 60-69 years, male 60.3
GTEX-1R9PM-1826-SM-EVYBH 20-29 years, male 60.0
GTEX-1B8KZ-1526-SM-7DUG7 50-59 years, male 59.8
GTEX-1H4P4-2226-SM-9MQKQ 50-59 years, male 59.8
GTEX-1F75B-0626-SM-7SB8A 50-59 years, male 59.4
GTEX-1H1CY-2226-SM-9WG7E 60-69 years, female 59.3
GTEX-TML8-1226-SM-32QON 40-49 years, female 59.1
GTEX-Y111-2026-SM-4SOJA 50-59 years, male 59.1
GTEX-1PPH7-0826-SM-E8VNX 40-49 years, male 59.1
GTEX-TMMY-0726-SM-33HBE 40-49 years, female 59.0
GTEX-ZAK1-1326-SM-EVYAS 50-59 years, female 58.9
GTEX-11EI6-0626-SM-5985T 60-69 years, male 58.8
GTEX-S4UY-0726-SM-4AD6X 40-49 years, female 58.8
GTEX-UTHO-1026-SM-3GAF7 60-69 years, male 58.8
GTEX-ZWKS-2826-SM-5NQ74 30-39 years, male 58.7
GTEX-11PRG-0826-SM-5EQ6A 50-59 years, male 58.6
GTEX-14AS3-1626-SM-5S2OY 40-49 years, female 58.5
GTEX-1KD5A-1926-SM-DKPQA 50-59 years, male 58.5
GTEX-ZUA1-1526-SM-59HLS 40-49 years, male 58.4
GTEX-15SHW-1326-SM-6PAL8 60-69 years, male 58.2
GTEX-T5JC-2126-SM-32PMO 20-29 years, male 58.2
GTEX-1KAFJ-0226-SM-DIPEL 50-59 years, male 58.1
GTEX-11GSO-1926-SM-5A5K3 60-69 years, male 58.0
GTEX-1JMLX-2026-SM-CMKGN 50-59 years, male 57.8
GTEX-WYJK-1326-SM-3NB2T 50-59 years, male 57.7
GTEX-1K2DA-1726-SM-CGQGS 50-59 years, male 57.7
GTEX-13PVR-2226-SM-7DHKP 60-69 years, female 57.6
GTEX-RU72-0626-SM-46MUI 50-59 years, female 57.6
GTEX-1K9T9-1426-SM-DIPFQ 50-59 years, female 57.6
GTEX-11DXZ-1926-SM-5GZZL 50-59 years, male 57.5
GTEX-1B932-0826-SM-73KXG 40-49 years, female 57.4
GTEX-UPK5-2326-SM-3P5Z8 40-49 years, male 57.4
GTEX-13OW8-0226-SM-5K7UP 60-69 years, male 57.3
GTEX-1GPI6-0626-SM-7RHHJ 60-69 years, male 57.3
GTEX-18QFQ-0826-SM-718AX 30-39 years, male 56.9
GTEX-12ZZX-1126-SM-5EGKB 40-49 years, female 56.7
GTEX-17MF6-0326-SM-7EPH5 40-49 years, male 56.3
GTEX-1JKYR-0926-SM-CMKGJ 20-29 years, male 56.3
GTEX-WYVS-1726-SM-3NMAY 40-49 years, female 56.2
GTEX-13QIC-2326-SM-5LU5N 60-69 years, female 56.1
GTEX-ZC5H-2626-SM-5J2MG 40-49 years, female 56.0
GTEX-1JJE9-2326-SM-ARL8Q 70-79 years, male 56.0
GTEX-1F75A-1826-SM-7SB8G 50-59 years, male 55.9
GTEX-1C64O-0726-SM-7DUFU 60-69 years, male 55.8
GTEX-1JMPY-0526-SM-CL54O 30-39 years, male 55.4
GTEX-14E7W-0826-SM-62LEJ 70-79 years, male 55.3
GTEX-1HSGN-1526-SM-A9SMO 40-49 years, female 55.1
GTEX-QVJO-1826-SM-447C9 60-69 years, female 55.0
GTEX-U412-1826-SM-4DXTJ 60-69 years, male 54.9
GTEX-1GMR2-1926-SM-9MQLZ 50-59 years, male 54.8
GTEX-13N11-1726-SM-5J1OJ 50-59 years, female 54.7
GTEX-U3ZN-1926-SM-4DXSG 30-39 years, female 54.0
GTEX-1LSNL-2826-SM-E9U5L 50-59 years, male 53.8
GTEX-1192X-2326-SM-5987X 50-59 years, male 53.1
GTEX-1KD4Q-2326-SM-D4P3M 40-49 years, male 52.9
GTEX-R53T-1526-SM-48FEK 50-59 years, female 52.8
GTEX-X62O-0526-SM-EWRMA 50-59 years, male 52.6
GTEX-139T8-0826-SM-5L3DE 60-69 years, male 52.4
GTEX-1EN7A-1426-SM-7PBY4 40-49 years, male 52.4
GTEX-17F9E-2526-SM-7MGW2 50-59 years, male 52.3
GTEX-U3ZH-1426-SM-4DXSR 30-39 years, male 51.1
GTEX-1314G-1226-SM-5BC6D 30-39 years, male 50.3
GTEX-132Q8-1426-SM-5EGK7 60-69 years, male 49.6
GTEX-T2IS-1526-SM-32QPR 20-29 years, female 49.4
GTEX-1IDFM-0426-SM-B2LVV 60-69 years, male 48.5
GTEX-XMD1-0826-SM-4AT52 60-69 years, male 48.1
GTEX-T2YK-2226-SM-32QPT 50-59 years, male 46.6
GTEX-W5X1-2326-SM-3GIL6 40-49 years, female 45.7
Show allShow less

BREAST - FANTOM5 CAGEi

RNA expression in human tissues obtained through Cap Analysis of Gene Expression (CAGE) generated by the FANTOM5 project are reported as Scaled Tags Per Million.

Max subtype Scaled Tags Per Millioni

Max subtype Scaled Tags Per Million is the value for the subtype with the largest average Scaled Tags Per Million across the subtype samples.

116.5
FANTOM5 sample id Sample description Scaled Tags Per Million
Breast
Scaled Tags Per Million: 116.5
FF:10080-102A8 77 years, female 116.5

Contact

  • NEWS ARTICLES
  • PRESS ROOM

The Project

  • INTRODUCTION
  • ORGANIZATION
  • PUBLICATIONS

The Human Protein Atlas

  • DOWNLOADABLE DATA
  • LICENCE & CITATION
  • HELP & FAQ
The Human Protein Atlas project is funded
by the Knut & Alice Wallenberg Foundation.


contact@proteinatlas.org