We use cookies to enhance the usability of our website. If you continue, we'll assume that you are happy to receive all cookies. More information. Don't show this again.
TNRC18
HPA
RESOURCES
  • TISSUE
  • BRAIN
  • SINGLE CELL
  • SUBCELLULAR
  • CANCER
  • BLOOD
  • CELL LINE
  • STRUCTURE & INTERACTION
ABOUT
  • INTRODUCTION
  • HISTORY
  • ORGANIZATION
  • PUBLICATIONS
  • ANTIBODY SUBMISSION
  • ANTIBODY AVAILABILITY
  • ACKNOWLEDGMENTS
  • CONTACT
NEWS
  • NEWS ARTICLES
  • PRESS ROOM
LEARN
  • DICTIONARY
  • PROTEIN CLASSES
  • PROTEIN EVIDENCE
  • METHODS
  • EDUCATIONAL VIDEOS
DATA
  • DOWNLOADABLE DATA
  • PUBLICATION DATA
  • RELEASE HISTORY
HELP
  • ANTIBODY VALIDATION
  • ASSAYS & ANNOTATION
  • DISCLAIMER
  • HELP & FAQ
  • PRIVACY STATEMENT
  • LICENCE & CITATION
Fields »
Search result

Field
Term
Gene name
Class
Subclass
Class
Keyword
Chromosome
External id
Tissue
Cell type
Expression
Antibody panel
Tissue
Main location
Patient ID
Annotation
Tissue
Category
Tau score
Cluster
Reliability
Brain region
Category
Tau score
Brain region
Category
Tau score
Brain region
Category
Tau score
Cluster
Reliability
Tissue
Cell type
Enrichment
Cell type
Category
Tau score
Cell type
Category
Tau score
Cell type
Category
Tau score
Cell lineage
Category
Tau score
Cluster
Cluster
Location
Searches
Location
Cell line
Class
Type
Phase
Reliability
Cancer
Prognosis
Cancer
Category
Cancer
Category
Tau score
Cluster
Variants
Interacting gene (ensg_id)
Type
Number of interactions
Pathway
Category
Score
Score
Score
Validation
Validation
Validation
Validation
Antibodies
Data type
Column


  • SUMMARY

  • TISSUE

  • BRAIN

  • SINGLE CELL

  • SUBCELL

  • CANCER

  • BLOOD

  • CELL LINE

  • STRUCT & INT

  • TNRC18
TISSUE PRIMARY DATA SKELETAL MUSCLE Show tissue menu
ADIPOSE TISSUE ADRENAL GLAND AMYGDALA APPENDIX BASAL GANGLIA BONE MARROW BREAST BRONCHUS CEREBELLUM CEREBRAL CORTEX CERVIX CHOROID PLEXUS COLON DUODENUM
ENDOMETRIUM EPIDIDYMIS ESOPHAGUS FALLOPIAN TUBE GALLBLADDER HEART MUSCLE HIPPOCAMPAL FORMATION HYPOTHALAMUS KIDNEY LIVER LUNG LYMPH NODE MIDBRAIN NASOPHARYNX
ORAL MUCOSA OVARY PANCREAS PARATHYROID GLAND PITUITARY GLAND PLACENTA PROSTATE RECTUM RETINA SALIVARY GLAND SEMINAL VESICLE SKELETAL MUSCLE SKIN SMALL INTESTINE
SMOOTH MUSCLE SOFT TISSUE SPINAL CORD SPLEEN STOMACH TESTIS THYMUS THYROID GLAND TONGUE TONSIL URINARY BLADDER VAGINA
ANTIBODIES
AND
VALIDATION
Dictionary
Skeletal muscle
Tissue proteome
Skeletal muscle
SKELETAL MUSCLE - Expression summary
Protein expression
Skeletal musclei

On the top, protein expression in current human tissue, based on all annotated cell types, is reported with the units not detected (n), low (l), medium (m) and high (h). Underneath, protein expression in each annotated cell type are reported using the same units.

Protein expression data is based on knowledge-based annotation. For genes where more than one antibody has been used, a collective score is set.

If knowledge-based annotation could not be performed for a gene, no data is displayed here. View antibody staining data further down this page.

h
m
l
n
Myocytes: High
RNA expressioni

A summary of mRNA expression data available for current tissue based on several datasets. The mRNA expression levels in human tissues are based on RNA-seq data generated by the Human Protein Atlas (HPA), Genotype-Tissue Expression (GTEx) portal and CAGE data generated by the FANTOM5 consortium. Consensus normalized expression levels for human tissues was created by combining the data from HPA and GTEx datasets.

The mRNA expression levels in pig are based on RNA-seq data generated by the Human Protein Atlas (HPA), and for mouse, HPA data and in situ hybridization generated by the Allen brain atlas are reported.

Scroll down to view mRNA expression data in more detail.
Consensus:23.4 nTPM
HPA:23.4 nTPM
GTEx:19.3 nTPM
FANTOM5:21.4 Scaled Tags Per Million

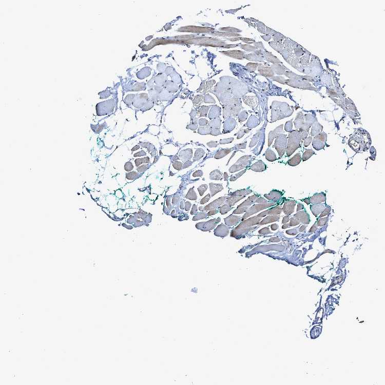
SKELETAL MUSCLE - Antibody stainingi

Antibody staining in the annotated cell types in the current human tissue is reported as not detected, low, medium, or high, based on conventional immunohistochemistry profiling in selected tissues. This score is based on the combination of the staining intensity and fraction of stained cells.

Each image is clickable and will lead to virtual microscopy that enables deeper exploration of all samples and also displays staining intensity scores, fraction scores and subcellular localization as well as patient and tissue information for each sample.

Antibody HPA020730Antibody HPA024251
Myocytes LowHigh





SKELETAL MUSCLE - HPA RNA-seqi

The RNA-seq details section shows detailed information about the individual samples used for the transcript profiling and results of the RNA-seq analysis.

Information about each individual sample is listed below, including gender, age, a tissue section image and estimated fractions of cell types. nTPM (normalized transcripts per million) values give a quantification of the gene abundance which is comparable between different genes and samples.
Average nTPMi

Max subtype nTPM is the value for the subtype with the largest average nTPM across the subtype samples.

23.4
N/A
Male, age 23
Skeletal muscle sample 339
nTPM: 29.7
N/A
Female, age 25
Skeletal muscle sample 340
nTPM: 13.9
N/A
Female, age -
Skeletal muscle sample 341
nTPM: 22.9
N/A
Female, age 22
Skeletal muscle sample 342
nTPM: 19.8
N/A
Male, age 29
Skeletal muscle sample 343
nTPM: 30.7

SKELETAL MUSCLE - GTEx RNA-seqi

RNA-Seq data generated by the Genotype-Tissue Expression (GTEx) project from human tissues is reported as mean nTPM. More information can be found on the GTEx portal.

Distribution across the dataset is visualized with box plots, shown as median and 25th and 75th percentiles. Points are displayed as outliers if they are above or below 1.5 times the interquartile range. nTPM values of the individual samples are presented next to the box plot.
Max subtype nTPMi

Max subtype nTPM is the value for the subtype with the largest average nTPM across the subtype samples.

19.3
GTEx sample id Sample description nTPM
Muscle - Skeletal
Average nTPM: 19.3
Samples: 803

Max nTPM: 43.4
Min nTPM: 2.2
Std nTPM: 5.2
Median nTPM: 18.8
GTEX-11EQ8-0526-SM-5N9BC 60-69 years, male 43.4
GTEX-P4PP-1626-SM-2HMJF 30-39 years, female 40.7
GTEX-YBZK-0326-SM-59HLN 50-59 years, female 37.8
GTEX-139T4-0326-SM-5K7XN 50-59 years, female 37.1
GTEX-OXRO-1726-SM-3LK6C 60-69 years, female 36.2
GTEX-PX3G-1626-SM-2S1PT 20-29 years, female 35.6
GTEX-1JN1M-0526-SM-CJI3D 60-69 years, female 33.6
GTEX-1S5VW-0526-SM-E6CHL 60-69 years, male 33.5
GTEX-13YAN-0526-SM-5O9BE 60-69 years, male 32.4
GTEX-U3ZH-1926-SM-4DXTR 30-39 years, male 32.3
GTEX-1LNCM-1226-SM-E9U5C 50-59 years, female 32.2
GTEX-11O72-0326-SM-5986D 40-49 years, male 32.0
GTEX-U8T8-1426-SM-3DB9H 60-69 years, male 32.0
GTEX-X8HC-0526-SM-4E3JA 50-59 years, female 31.8
GTEX-ZVE1-0526-SM-5NQ71 50-59 years, female 31.8
GTEX-14PN4-0326-SM-6EU2N 50-59 years, male 31.5
GTEX-VUSG-2626-SM-4KKZI 50-59 years, male 31.3
GTEX-14LLW-0526-SM-62LFB 70-79 years, female 30.9
GTEX-1R9K5-0326-SM-EWRNG 50-59 years, male 30.8
GTEX-N7MS-0426-SM-2YUN6 60-69 years, male 30.7
GTEX-14H4A-0926-SM-5ZZUU 40-49 years, female 30.5
GTEX-11ZU8-2326-SM-5EQMJ 60-69 years, male 30.4
GTEX-13OVJ-0226-SM-5L3GK 50-59 years, female 30.4
GTEX-13JVG-0126-SM-5L3D3 60-69 years, male 30.1
GTEX-11TTK-0326-SM-5BC5N 60-69 years, female 30.0
GTEX-1F48J-0526-SM-9WYSX 50-59 years, female 30.0
GTEX-14PJ4-2426-SM-6EU1U 60-69 years, male 29.9
GTEX-1A3MX-0526-SM-718A9 60-69 years, male 29.6
GTEX-1C475-1726-SM-73KVX 40-49 years, female 29.6
GTEX-132Q8-0626-SM-5L3F3 60-69 years, male 29.5
GTEX-1EMGI-0326-SM-9MQM5 60-69 years, male 29.5
GTEX-11ONC-2426-SM-5GU7H 60-69 years, male 29.4
GTEX-14E6C-1526-SM-664ND 40-49 years, male 29.3
GTEX-YF7O-2526-SM-5IFJX 50-59 years, male 29.2
GTEX-1477Z-1626-SM-5SIA8 60-69 years, male 29.1
GTEX-QV44-2026-SM-2S1RD 50-59 years, male 29.1
GTEX-ZWKS-0326-SM-5NQ7G 30-39 years, male 29.1
GTEX-13RTJ-2726-SM-73KVG 60-69 years, male 28.9
GTEX-15F5U-1826-SM-6LLJF 40-49 years, male 28.9
GTEX-1I19N-2026-SM-ACKXJ 70-79 years, male 28.9
GTEX-1C2JI-2126-SM-793CG 50-59 years, male 28.8
GTEX-1HCU9-1926-SM-9WYSE 20-29 years, male 28.6
GTEX-11NSD-2026-SM-5HL5U 20-29 years, male 28.5
GTEX-14DAR-1826-SM-664N1 50-59 years, male 28.5
GTEX-11I78-2426-SM-5A5K9 50-59 years, female 28.4
GTEX-146FH-0526-SM-5QGQ3 50-59 years, female 28.4
GTEX-1IDFM-1526-SM-ARL7U 60-69 years, male 28.3
GTEX-14C38-0426-SM-5TDDZ 50-59 years, male 28.2
GTEX-11NV4-0326-SM-5HL58 60-69 years, male 28.1
GTEX-14753-0526-SM-5QGPR 60-69 years, male 28.1
GTEX-ZYW4-0526-SM-5GZZ5 60-69 years, male 28.1
GTEX-1399R-2526-SM-5IFG2 30-39 years, male 28.0
GTEX-1I4MK-2326-SM-ADEHR 50-59 years, female 27.9
GTEX-1CAMR-1726-SM-793CU 20-29 years, male 27.8
GTEX-14E1K-2326-SM-664MP 50-59 years, male 27.7
GTEX-QESD-1626-SM-2S1RB 20-29 years, male 27.7
GTEX-X4XX-0626-SM-3NMC1 60-69 years, male 27.6
GTEX-1PPGY-0426-SM-DTXFE 60-69 years, male 27.6
GTEX-1QPFJ-0326-SM-E8VO2 30-39 years, female 27.6
GTEX-1117F-0426-SM-5EGHI 60-69 years, female 27.5
GTEX-RUSQ-1726-SM-2TF68 50-59 years, male 27.4
GTEX-Y111-0326-SM-4SOIX 50-59 years, male 27.4
GTEX-11GSO-2526-SM-5PNVX 60-69 years, male 27.3
GTEX-17EVP-1326-SM-7DHMR 40-49 years, male 27.3
GTEX-1CB4J-1226-SM-7P8P3 60-69 years, male 27.3
GTEX-1HGF4-2626-SM-CM2SJ 60-69 years, male 27.3
GTEX-1GZ2Q-0426-SM-9WPOU 40-49 years, male 27.2
GTEX-11OC5-0326-SM-5PNW5 60-69 years, male 27.1
GTEX-13OVI-1726-SM-5L3DW 60-69 years, female 27.1
GTEX-13O61-2326-SM-5J1NJ 60-69 years, male 27.0
GTEX-13OVH-0626-SM-5L3EI 70-79 years, male 27.0
GTEX-1J8Q2-0126-SM-E9J2G 60-69 years, male 27.0
GTEX-1JJ6O-0926-SM-CYPT1 60-69 years, male 26.9
GTEX-1JN6P-0526-SM-COH33 60-69 years, male 26.9
GTEX-1QP2A-0526-SM-E8VN5 50-59 years, male 26.9
GTEX-14BIM-0326-SM-5SI9B 60-69 years, female 26.7
GTEX-15UKP-0326-SM-7KUFP 20-29 years, male 26.7
GTEX-18A7B-0326-SM-7LG65 70-79 years, male 26.7
GTEX-1I6K7-0326-SM-B2LXO 40-49 years, male 26.7
GTEX-ZVZO-0326-SM-5HL4N 40-49 years, male 26.4
GTEX-1J1R8-2326-SM-CKZPS 40-49 years, male 26.4
GTEX-P4PQ-1626-SM-2HMKK 60-69 years, male 26.2
GTEX-11DXX-2726-SM-5PNXO 60-69 years, female 26.1
GTEX-1C6VQ-0326-SM-7DHMS 50-59 years, male 26.1
GTEX-1314G-1726-SM-5LZUX 30-39 years, male 26.0
GTEX-13D11-2526-SM-5KM28 50-59 years, female 26.0
GTEX-16MTA-2026-SM-7KUL3 50-59 years, male 26.0
GTEX-1A32A-0526-SM-731B9 50-59 years, female 26.0
GTEX-1QP28-0526-SM-E8VNR 50-59 years, female 26.0
GTEX-145LT-1626-SM-5O992 40-49 years, male 25.8
GTEX-14JG6-2126-SM-6EU2F 30-39 years, female 25.8
GTEX-X261-0326-SM-3NMD4 50-59 years, male 25.8
GTEX-1AX9K-2726-SM-7DHMA 50-59 years, male 25.7
GTEX-11PRG-0326-SM-5GU53 50-59 years, male 25.6
GTEX-1CB4F-0326-SM-9MQKD 60-69 years, male 25.6
GTEX-13O3P-0626-SM-5L3D5 50-59 years, male 25.5
GTEX-1R7EU-0626-SM-DTX9N 60-69 years, male 25.5
GTEX-XOT4-0526-SM-4B66O 60-69 years, female 25.4
GTEX-1JMQL-0126-SM-CY8HN 50-59 years, female 25.4
GTEX-139TT-0426-SM-5IJFA 60-69 years, male 25.3
GTEX-15CHQ-0726-SM-6EU18 60-69 years, male 25.3
GTEX-1A8G6-0126-SM-7DUFY 60-69 years, male 25.3
GTEX-1LC47-0626-SM-DIPFE 60-69 years, male 25.3
GTEX-13N2G-2326-SM-5J1ON 60-69 years, male 25.2
GTEX-13NYS-0326-SM-5MR4L 60-69 years, male 25.2
GTEX-U3ZG-0326-SM-47JXN 50-59 years, male 25.2
GTEX-XYKS-2426-SM-4AT43 60-69 years, female 25.2
GTEX-1KANB-0126-SM-E6CJT 50-59 years, male 25.2
GTEX-11WQK-0726-SM-5GU71 50-59 years, male 25.1
GTEX-139T8-0526-SM-5KLZL 60-69 years, male 25.1
GTEX-12WSA-0726-SM-5FQU2 60-69 years, male 25.0
GTEX-ZXG5-0326-SM-5GICH 60-69 years, male 25.0
GTEX-1IDJC-2026-SM-ADEIK 50-59 years, male 25.0
GTEX-1QCLY-0426-SM-E8VOH 30-39 years, male 25.0
GTEX-XQ3S-0426-SM-4BOOA 20-29 years, male 24.9
GTEX-ZC5H-0326-SM-5HL9F 40-49 years, female 24.9
GTEX-11XUK-2226-SM-5CVLL 40-49 years, female 24.8
GTEX-13QIC-1226-SM-5K7YR 60-69 years, female 24.8
GTEX-147F3-0226-SM-5NQBV 50-59 years, female 24.8
GTEX-OIZF-1626-SM-2YUNE 60-69 years, male 24.8
GTEX-11UD2-0326-SM-5EQLE 50-59 years, male 24.7
GTEX-13FTY-0226-SM-5IJBW 40-49 years, female 24.7
GTEX-PW2O-1726-SM-2S1OO 20-29 years, male 24.7
GTEX-XUW1-0826-SM-4BOP6 50-59 years, female 24.7
GTEX-11DXW-0726-SM-5H12J 40-49 years, male 24.6
GTEX-14PK6-2126-SM-6ETZV 70-79 years, female 24.6
GTEX-14PJ5-2026-SM-6LLIN 60-69 years, female 24.5
GTEX-16Z82-0126-SM-7DHLF 60-69 years, male 24.5
GTEX-1RB15-2226-SM-DTXFZ 60-69 years, male 24.5
GTEX-1211K-2126-SM-59HJZ 60-69 years, female 24.4
GTEX-1MCQQ-0626-SM-E9U5Q 60-69 years, male 24.4
GTEX-13PVR-2526-SM-5RQIT 60-69 years, female 24.3
GTEX-144FL-0326-SM-5O99O 50-59 years, male 24.3
GTEX-Q2AI-1526-SM-3GIJ3 40-49 years, male 24.3
GTEX-13SLW-0326-SM-5RQK5 70-79 years, male 24.2
GTEX-1H3O1-0626-SM-9MQM4 60-69 years, male 24.2
GTEX-11P82-1826-SM-5PNYJ 20-29 years, male 24.1
GTEX-14DAQ-0326-SM-664MR 60-69 years, female 24.1
GTEX-1A3MV-2026-SM-718BU 30-39 years, male 24.1
GTEX-11EQ9-2126-SM-5PNVW 30-39 years, male 24.0
GTEX-ZV7C-2426-SM-5NQ7Q 50-59 years, male 24.0
GTEX-14ABY-0126-SM-62LDI 50-59 years, male 23.9
GTEX-1J8EW-0326-SM-CYPSX 60-69 years, female 23.9
GTEX-1K9T9-0326-SM-EWRNQ 50-59 years, female 23.9
GTEX-1192X-0426-SM-5GIEE 50-59 years, male 23.8
GTEX-13113-5019-SM-7EPH2 60-69 years, female 23.8
GTEX-11TT1-2326-SM-5GU6N 20-29 years, male 23.7
GTEX-1IL2V-0526-SM-ARL8B 70-79 years, male 23.7
GTEX-13X6J-0326-SM-7EPGD 50-59 years, male 23.6
GTEX-17MFQ-1926-SM-793A6 20-29 years, male 23.6
GTEX-1J8QM-2226-SM-CYPSK 60-69 years, female 23.6
GTEX-Y8DK-0326-SM-4TT3P 60-69 years, male 23.5
GTEX-WFON-2326-SM-3LK7M 40-49 years, male 23.4
GTEX-OXRN-1326-SM-3LK5V 50-59 years, male 23.3
GTEX-1HUB1-0526-SM-CL54N 60-69 years, male 23.3
GTEX-132AR-1026-SM-5PNVL 50-59 years, female 23.2
GTEX-PLZ4-0926-SM-2S1OI 50-59 years, female 23.2
GTEX-WOFL-0626-SM-3MJG3 60-69 years, male 23.2
GTEX-1HR9M-0326-SM-CL549 60-69 years, male 23.2
GTEX-11EI6-0326-SM-5EQ6G 60-69 years, male 23.1
GTEX-11EMC-2626-SM-59864 60-69 years, female 23.1
GTEX-13FTZ-2226-SM-5LZXI 60-69 years, male 23.1
GTEX-13JUV-2326-SM-5IJCE 40-49 years, female 23.1
GTEX-13S7M-0326-SM-5S2PH 60-69 years, female 23.1
GTEX-17HGU-0626-SM-7939Y 50-59 years, male 23.1
GTEX-XBEC-0626-SM-4QARY 50-59 years, male 23.1
GTEX-18A7A-0626-SM-718BJ 50-59 years, female 23.0
GTEX-PWCY-2026-SM-5SI8R 20-29 years, female 23.0
GTEX-OOBJ-1626-SM-2I3F7 60-69 years, male 22.9
GTEX-1GN2E-0726-SM-9MQLU 60-69 years, male 22.9
GTEX-1269C-2626-SM-5EQ5C 60-69 years, female 22.8
GTEX-17HHY-0326-SM-7938H 50-59 years, male 22.8
GTEX-1B8SG-0326-SM-73KXW 50-59 years, male 22.8
GTEX-1HBPM-0426-SM-CKZOO 60-69 years, female 22.8
GTEX-1I1GP-2126-SM-CKZPJ 50-59 years, male 22.8
GTEX-1IKK5-0426-SM-CL53X 60-69 years, male 22.8
GTEX-11TUW-2526-SM-5EQKN 60-69 years, male 22.7
GTEX-12ZZX-0326-SM-5DUVH 40-49 years, female 22.7
GTEX-1445S-0626-SM-5LU3C 60-69 years, male 22.7
GTEX-14JG1-0126-SM-5ZZUP 40-49 years, male 22.7
GTEX-17HG3-2726-SM-7DHL5 30-39 years, female 22.7
GTEX-17HHE-2126-SM-7DHLO 50-59 years, male 22.7
GTEX-1I1GS-0326-SM-ARL7X 60-69 years, male 22.7
GTEX-1IDJU-2426-SM-ARZM9 60-69 years, female 22.7
GTEX-1PBJJ-0326-SM-E8VNT 30-39 years, male 22.7
GTEX-1212Z-2626-SM-5YY8P 60-69 years, male 22.6
GTEX-12696-2826-SM-5FQTY 60-69 years, male 22.6
GTEX-17JCI-0326-SM-7LG5H 60-69 years, female 22.6
GTEX-12BJ1-2526-SM-5FQUE 60-69 years, male 22.5
GTEX-13OW6-0626-SM-5L3IB 50-59 years, male 22.5
GTEX-15SB6-1826-SM-6PALN 50-59 years, female 22.4
GTEX-ZAB5-2126-SM-5K7UN 50-59 years, male 22.4
GTEX-ZUA1-0326-SM-5NQA3 40-49 years, male 22.4
GTEX-1FIGZ-1726-SM-9MQKS 40-49 years, male 22.4
GTEX-1NUQO-0726-SM-E9J3K 20-29 years, female 22.4
GTEX-1S82P-0326-SM-E9TIR 60-69 years, female 22.4
GTEX-14BMU-2026-SM-5S2W6 20-29 years, female 22.3
GTEX-1CB4I-0326-SM-7DHMM 50-59 years, male 22.3
GTEX-WHPG-2226-SM-3NMBO 50-59 years, male 22.3
GTEX-X638-0326-SM-47JY1 70-79 years, female 22.3
GTEX-1GZHY-0126-SM-9WYUQ 50-59 years, female 22.3
GTEX-11DXZ-2426-SM-5N9DT 50-59 years, male 22.2
GTEX-T5JC-0626-SM-3NMA6 20-29 years, male 22.2
GTEX-WHSE-0526-SM-5GZZD 20-29 years, male 22.2
GTEX-1F75I-0526-SM-7RHI3 40-49 years, male 22.2
GTEX-147JS-0526-SM-5TDD3 60-69 years, male 22.1
GTEX-1I1GT-0726-SM-B2LWN 60-69 years, female 22.1
GTEX-139T6-2026-SM-5IFFL 50-59 years, male 22.0
GTEX-13OVG-2126-SM-5KM1K 60-69 years, male 22.0
GTEX-16NPX-0626-SM-7KULB 50-59 years, male 22.0
GTEX-1BAJH-0126-SM-7DHMF 70-79 years, male 22.0
GTEX-YB5E-2226-SM-5IFJ5 40-49 years, male 22.0
GTEX-1H23P-0526-SM-9WG6S 60-69 years, male 22.0
GTEX-15SHW-0726-SM-7KUEI 60-69 years, male 21.9
GTEX-1AMFI-2226-SM-731C6 50-59 years, female 21.9
GTEX-1IDJD-1326-SM-CM2TQ 30-39 years, male 21.9
GTEX-11DXY-2726-SM-5GID2 60-69 years, male 21.8
GTEX-13OW5-0326-SM-5L3HK 60-69 years, male 21.8
GTEX-13PLJ-0326-SM-5L3I7 60-69 years, female 21.8
GTEX-14AS3-2126-SM-5S2MK 40-49 years, female 21.8
GTEX-14PII-0626-SM-69LPY 60-69 years, male 21.8
GTEX-16MT8-0326-SM-6PAM5 60-69 years, female 21.8
GTEX-ZF2S-2126-SM-4WWAY 50-59 years, female 21.8
GTEX-13NZB-2626-SM-5J2M7 30-39 years, male 21.7
GTEX-13OW7-0326-SM-5J1MP 50-59 years, male 21.7
GTEX-16AAH-1826-SM-7939D 50-59 years, male 21.7
GTEX-16BQI-0326-SM-6PAM4 30-39 years, female 21.7
GTEX-ZF3C-0326-SM-4WWBF 50-59 years, female 21.7
GTEX-1LGRB-2626-SM-CNPPR 50-59 years, female 21.7
GTEX-1MJIX-2126-SM-E9J3A 40-49 years, male 21.7
GTEX-131XE-2726-SM-5P9G7 50-59 years, male 21.6
GTEX-14A5I-0326-SM-5NQ9J 50-59 years, female 21.6
GTEX-18A6Q-0326-SM-718AT 60-69 years, male 21.6
GTEX-ZAK1-0526-SM-5K7X4 50-59 years, female 21.6
GTEX-1AX8Z-5004-SM-ARZLD 60-69 years, male 21.6
GTEX-1J8JJ-0126-SM-D3L93 60-69 years, female 21.6
GTEX-1LG7Y-0126-SM-E6CJ8 50-59 years, male 21.6
GTEX-13FH7-2126-SM-5L3DJ 50-59 years, female 21.5
GTEX-13FHO-0726-SM-5IJDG 60-69 years, male 21.5
GTEX-13O21-1726-SM-5MR5A 50-59 years, male 21.5
GTEX-ZAJG-0526-SM-5S2MT 50-59 years, female 21.5
GTEX-1LH75-2626-SM-E9TKL 50-59 years, female 21.5
GTEX-139UW-2626-SM-5K7W1 60-69 years, male 21.4
GTEX-16YQH-0426-SM-7KUL7 30-39 years, male 21.4
GTEX-1CAMS-0126-SM-79396 40-49 years, female 21.4
GTEX-1LVAO-0526-SM-EWRNS 60-69 years, male 21.4
GTEX-111VG-2626-SM-5GZY2 60-69 years, male 21.3
GTEX-13X6H-2326-SM-7EWEB 50-59 years, female 21.3
GTEX-1AYD5-2226-SM-73KX3 50-59 years, male 21.3
GTEX-OHPK-1626-SM-2YUN3 50-59 years, female 21.3
GTEX-U3ZM-1226-SM-3DB9G 40-49 years, male 21.3
GTEX-1CB4H-0426-SM-7MXTL 60-69 years, female 21.3
GTEX-1H1E6-2126-SM-9KNVM 30-39 years, male 21.3
GTEX-1MUQO-0226-SM-E9TJL 60-69 years, male 21.3
GTEX-13N1W-0526-SM-5MR4I 70-79 years, male 21.2
GTEX-1128S-2426-SM-5H11B 60-69 years, female 21.1
GTEX-1IE54-0326-SM-ARZMD 40-49 years, female 21.1
GTEX-17EVQ-1226-SM-7LG59 70-79 years, male 21.0
GTEX-QXCU-1726-SM-2TC6L 50-59 years, male 21.0
GTEX-X4EO-0526-SM-3P5Z3 60-69 years, female 21.0
GTEX-X88G-0326-SM-47JZ4 30-39 years, male 21.0
GTEX-1MCC2-2726-SM-EWRN3 30-39 years, female 21.0
GTEX-15EO6-2826-SM-6PANB 50-59 years, male 20.9
GTEX-15ER7-0226-SM-7KUEU 20-29 years, female 20.9
GTEX-U4B1-1626-SM-3DB8N 40-49 years, male 20.9
GTEX-Y8LW-2026-SM-4V6G8 50-59 years, female 20.9
GTEX-1HB9E-0326-SM-D3LA5 50-59 years, male 20.9
GTEX-1B932-0526-SM-73KU7 40-49 years, female 20.8
GTEX-1C64O-0326-SM-73KVW 60-69 years, male 20.8
GTEX-WRHU-0826-SM-3MJFN 50-59 years, female 20.8
GTEX-WYVS-2326-SM-3NMAI 40-49 years, female 20.8
GTEX-Y3I4-2326-SM-4TT81 50-59 years, male 20.7
GTEX-14PJ2-0326-SM-6EU2Q 50-59 years, male 20.6
GTEX-15SKB-2526-SM-6PALP 60-69 years, male 20.6
GTEX-ZYT6-1626-SM-5E45R 30-39 years, male 20.6
GTEX-1GMR8-0326-SM-9KNUO 50-59 years, female 20.6
GTEX-1IL2U-0726-SM-EAZ2Y 60-69 years, male 20.6
GTEX-1KD5A-0726-SM-DIPEO 50-59 years, male 20.6
GTEX-1S82U-1426-SM-E6CJL 30-39 years, female 20.6
GTEX-1S82Y-2226-SM-EWRNV 40-49 years, male 20.6
GTEX-11GSP-2726-SM-5A5LJ 60-69 years, female 20.5
GTEX-1399Q-2426-SM-5J2MO 40-49 years, male 20.5
GTEX-SNOS-1526-SM-32PLW 40-49 years, male 20.5
GTEX-1I6K6-0326-SM-CJI4A 30-39 years, male 20.5
GTEX-1JMQK-0326-SM-ARZN5 60-69 years, male 20.5
GTEX-1LGOU-2126-SM-DIPFG 20-29 years, female 20.5
GTEX-1PPH7-2526-SM-E76OJ 40-49 years, male 20.5
GTEX-1RAZA-0526-SM-E76R2 20-29 years, male 20.5
GTEX-13G51-2726-SM-5LZZ9 60-69 years, male 20.4
GTEX-13QJ3-0726-SM-5SI68 50-59 years, male 20.4
GTEX-14C39-2426-SM-5S2U5 40-49 years, male 20.4
GTEX-1J1OQ-0426-SM-A9SLI 40-49 years, female 20.4
GTEX-11UD1-0326-SM-5EQKX 40-49 years, female 20.3
GTEX-13PL7-0626-SM-5IJCD 60-69 years, female 20.3
GTEX-15UF7-2226-SM-6PAMQ 40-49 years, male 20.3
GTEX-1AX9J-0126-SM-73KY2 60-69 years, male 20.3
GTEX-1GMR2-2126-SM-7P8TX 50-59 years, male 20.3
GTEX-1H1ZS-0626-SM-CNPPU 70-79 years, male 20.3
GTEX-1R9PN-1826-SM-E8VO4 40-49 years, female 20.3
GTEX-ZF29-2426-SM-DO92G 60-69 years, female 20.3
GTEX-14ASI-0526-SM-5QGQP 60-69 years, male 20.2
GTEX-16NGA-1926-SM-7LTA6 40-49 years, female 20.2
GTEX-1B97I-2026-SM-7DHN2 40-49 years, male 20.2
GTEX-R55E-0526-SM-2TC6B 20-29 years, male 20.2
GTEX-ZZPT-0626-SM-5GZXT 50-59 years, male 20.2
GTEX-1PIIG-0126-SM-E9J46 30-39 years, male 20.2
GTEX-13NZA-0526-SM-5L3D7 60-69 years, male 20.1
GTEX-13OVL-1426-SM-5IJC1 50-59 years, male 20.1
GTEX-13U4I-1826-SM-5IJD2 40-49 years, female 20.1
GTEX-144GN-2426-SM-5LU4R 50-59 years, male 20.1
GTEX-14BIL-0326-SM-5SI9Q 50-59 years, male 20.1
GTEX-ZTPG-0126-SM-5O9AL 20-29 years, female 20.1
GTEX-1HFI6-0426-SM-B2LXB 40-49 years, male 20.1
GTEX-1PWST-0426-SM-E76QV 70-79 years, male 20.1
GTEX-1RAZR-0326-SM-EWRNM 40-49 years, male 20.1
GTEX-111YS-2326-SM-5987L 60-69 years, male 20.0
GTEX-139YR-2526-SM-5IJC6 50-59 years, male 20.0
GTEX-ZPCL-2026-SM-57WFD 60-69 years, female 20.0
GTEX-ZVE2-0626-SM-5GU7I 50-59 years, male 20.0
GTEX-ZYFG-2426-SM-5GIE8 60-69 years, female 20.0
GTEX-1GPI7-0426-SM-7RHHP 20-29 years, male 20.0
GTEX-1H3VE-0126-SM-9WYTW 40-49 years, male 20.0
GTEX-1A3MW-0526-SM-731BY 60-69 years, female 19.9
GTEX-OOBK-1626-SM-2HMKG 40-49 years, male 19.9
GTEX-Q2AG-0426-SM-2S1PU 40-49 years, female 19.9
GTEX-R55D-0626-SM-3GAD5 50-59 years, male 19.9
GTEX-XQ8I-0626-SM-4BOPT 50-59 years, male 19.9
GTEX-1F88E-1826-SM-9MQLV 60-69 years, female 19.9
GTEX-1GTWX-0326-SM-9WYTP 60-69 years, male 19.9
GTEX-13VXT-0326-SM-5LU4U 20-29 years, female 19.8
GTEX-144GO-1326-SM-5Q5EL 60-69 years, male 19.8
GTEX-UJHI-1726-SM-3DB9B 50-59 years, female 19.8
GTEX-ZE9C-2326-SM-5J1NT 60-69 years, male 19.8
GTEX-1GN1U-2226-SM-9MQK1 50-59 years, female 19.8
GTEX-1HC8U-2626-SM-CNPPH 40-49 years, female 19.8
GTEX-1LG7Z-2126-SM-CXKYU 30-39 years, male 19.8
GTEX-1399T-2426-SM-5L3FJ 60-69 years, male 19.7
GTEX-SSA3-0326-SM-32QPS 60-69 years, male 19.7
GTEX-Y8E4-1026-SM-4VBQ5 40-49 years, male 19.7
GTEX-1HSEH-0326-SM-A9G26 60-69 years, male 19.7
GTEX-1N2DV-0526-SM-DTX8W 40-49 years, male 19.7
GTEX-1QMI2-0526-SM-DTXFU 60-69 years, male 19.7
GTEX-13O3Q-2726-SM-5KM51 50-59 years, male 19.6
GTEX-14PJN-2126-SM-6AJBM 30-39 years, male 19.6
GTEX-1B8L1-2726-SM-793AL 60-69 years, male 19.6
GTEX-U412-0326-SM-3DB9L 60-69 years, male 19.6
GTEX-ZLV1-2126-SM-4WWD2 60-69 years, female 19.6
GTEX-1EU9M-0126-SM-7P8P8 60-69 years, male 19.6
GTEX-1LB8K-0126-SM-EVYCN 50-59 years, male 19.6
GTEX-1LSNL-0126-SM-EWRNR 50-59 years, male 19.6
GTEX-17MF6-2026-SM-7LG5I 40-49 years, male 19.5
GTEX-1B8KE-2226-SM-7939K 50-59 years, male 19.5
GTEX-1N2EF-0526-SM-E76OK 60-69 years, male 19.5
GTEX-1QP9N-1926-SM-E6CPY 30-39 years, male 19.5
GTEX-13O3O-0526-SM-5J1NL 60-69 years, female 19.4
GTEX-OIZH-1626-SM-2HMKI 50-59 years, male 19.4
GTEX-RTLS-0526-SM-2TF64 60-69 years, female 19.4
GTEX-SIU8-0526-SM-2XCDP 50-59 years, male 19.4
GTEX-ZDYS-1726-SM-5HL4Y 50-59 years, male 19.4
GTEX-1C64N-0326-SM-7P8QC 50-59 years, male 19.4
GTEX-1F52S-0826-SM-7P8TQ 60-69 years, female 19.4
GTEX-1OFPY-2526-SM-DTXEK 60-69 years, male 19.4
GTEX-145MG-0226-SM-5TDDB 50-59 years, male 19.3
GTEX-146FQ-0326-SM-5NQAX 30-39 years, male 19.3
GTEX-14C5O-0626-SM-664N2 60-69 years, male 19.3
GTEX-17F97-0526-SM-7DUF8 50-59 years, male 19.3
GTEX-POMQ-1926-SM-3NB1Y 20-29 years, female 19.3
GTEX-1ICLZ-0626-SM-ARL83 60-69 years, male 19.3
GTEX-145MH-0326-SM-5LU8H 50-59 years, male 19.2
GTEX-146FR-1726-SM-5Q5DT 60-69 years, female 19.2
GTEX-17F98-1626-SM-7938R 40-49 years, female 19.2
GTEX-1C6VR-2526-SM-7DHMT 60-69 years, male 19.2
GTEX-PWN1-1626-SM-2S1OL 40-49 years, female 19.2
GTEX-ZPIC-2526-SM-57WDP 40-49 years, female 19.2
GTEX-1H11D-0326-SM-9WG71 40-49 years, male 19.2
GTEX-1S83E-2126-SM-EWRO6 40-49 years, male 19.2
GTEX-131XG-2326-SM-5HL8F 50-59 years, female 19.1
GTEX-132NY-0726-SM-5KLZM 60-69 years, male 19.1
GTEX-13FTW-2326-SM-5K7YS 40-49 years, male 19.1
GTEX-ZZPU-2626-SM-5E45Y 50-59 years, female 19.1
GTEX-1PIGE-0226-SM-E76OT 20-29 years, male 19.1
GTEX-113JC-2726-SM-5EGIS 50-59 years, female 19.0
GTEX-13N11-2726-SM-5L3ER 50-59 years, female 19.0
GTEX-1497J-2626-SM-5SI9K 60-69 years, male 19.0
GTEX-15DCD-0626-SM-7KUG7 70-79 years, female 19.0
GTEX-QDT8-0526-SM-3NMD8 30-39 years, female 19.0
GTEX-1E2YA-0526-SM-7P8RY 50-59 years, male 19.0
GTEX-1EH9U-0326-SM-7P8S2 60-69 years, male 19.0
GTEX-1HBPH-0826-SM-ARZNB 40-49 years, female 19.0
GTEX-1HT8W-0326-SM-CM2SG 30-39 years, male 19.0
GTEX-11OF3-2526-SM-5P9JL 60-69 years, male 18.9
GTEX-11ZVC-2726-SM-5FQSZ 50-59 years, female 18.9
GTEX-13111-2226-SM-5LZUE 50-59 years, male 18.9
GTEX-131XF-2326-SM-5BC6B 60-69 years, male 18.9
GTEX-13PDP-0326-SM-5K7XP 60-69 years, male 18.9
GTEX-1AMEY-1526-SM-73KYW 30-39 years, female 18.9
GTEX-ZVT3-0526-SM-5GIE9 60-69 years, female 18.9
GTEX-1GF9U-2326-SM-7RHH9 40-49 years, female 18.9
GTEX-1HSMQ-1326-SM-ADEHS 50-59 years, male 18.9
GTEX-1KANA-0926-SM-D3L9K 20-29 years, male 18.9
GTEX-1RQED-0426-SM-E6CJP 60-69 years, male 18.9
GTEX-14JIY-0426-SM-62LF7 60-69 years, male 18.8
GTEX-17F96-2726-SM-7LT9F 70-79 years, male 18.8
GTEX-1A8G7-0326-SM-72D5B 60-69 years, male 18.8
GTEX-1GN1V-0326-SM-9WYTO 60-69 years, male 18.8
GTEX-1HBPN-0526-SM-A9SM6 50-59 years, male 18.8
GTEX-1NHNU-1226-SM-DTX8I 50-59 years, male 18.8
GTEX-P4QT-1626-SM-DHXIR 50-59 years, female 18.8
GTEX-ZLWG-2126-SM-DO91M 50-59 years, female 18.8
GTEX-1313W-0526-SM-5P9FZ 50-59 years, female 18.7
GTEX-18QFQ-0326-SM-731C3 30-39 years, male 18.7
GTEX-OIZG-1326-SM-2HMIQ 50-59 years, male 18.7
GTEX-OXRK-1826-SM-2HMJE 50-59 years, female 18.7
GTEX-WYJK-1726-SM-3NM9U 50-59 years, male 18.7
GTEX-Y5V6-2626-SM-5IFIX 60-69 years, male 18.7
GTEX-1CB4G-0426-SM-7MXUN 60-69 years, male 18.7
GTEX-1I1GR-0326-SM-CKZPI 60-69 years, male 18.7
GTEX-11LCK-1226-SM-5Q5AM 30-39 years, male 18.6
GTEX-13FXS-0326-SM-5K7TV 50-59 years, male 18.6
GTEX-16NPV-2426-SM-6M482 50-59 years, female 18.6
GTEX-R3RS-0526-SM-3GADG 40-49 years, female 18.6
GTEX-X5EB-2326-SM-46MW5 40-49 years, male 18.6
GTEX-ZA64-2026-SM-5PNXT 20-29 years, male 18.6
GTEX-ZVT2-2426-SM-57WCQ 50-59 years, female 18.6
GTEX-1GF9W-0526-SM-9MQJP 60-69 years, male 18.6
GTEX-1JMQJ-0126-SM-E6CI2 50-59 years, male 18.6
GTEX-1LVAN-0526-SM-CNNQ1 50-59 years, female 18.6
GTEX-133LE-2026-SM-5K7WM 20-29 years, female 18.5
GTEX-148VJ-0326-SM-5QGQE 70-79 years, male 18.5
GTEX-15DDE-0526-SM-6ETZQ 50-59 years, female 18.5
GTEX-W5WG-1926-SM-4KKZK 50-59 years, female 18.5
GTEX-WY7C-2526-SM-3NB2N 50-59 years, male 18.5
GTEX-XBED-2626-SM-4E3J5 60-69 years, male 18.5
GTEX-YB5K-2326-SM-5IFHD 40-49 years, female 18.5
GTEX-1GPI6-0326-SM-9MQM6 60-69 years, male 18.5
GTEX-14LZ3-0626-SM-5ZZWP 60-69 years, female 18.4
GTEX-1C4CL-0326-SM-7DHMH 30-39 years, male 18.4
GTEX-1CAMQ-0326-SM-7MXUI 40-49 years, male 18.4
GTEX-1I1HK-0326-SM-ACKW5 60-69 years, male 18.4
GTEX-1LVAM-0326-SM-DIPFL 50-59 years, female 18.4
GTEX-1QAET-2026-SM-E9J3S 50-59 years, male 18.4
GTEX-1S5ZA-0526-SM-EWRO1 20-29 years, male 18.4
GTEX-13IVO-0626-SM-5LZYJ 70-79 years, male 18.3
GTEX-ZF28-0526-SM-4WKGW 60-69 years, male 18.3
GTEX-ZVTK-0626-SM-5GU6Y 20-29 years, male 18.3
GTEX-1H2FU-0526-SM-ACKXO 60-69 years, female 18.3
GTEX-1QP66-1626-SM-E76PC 50-59 years, male 18.3
GTEX-1QW4Y-1726-SM-EWRN1 30-39 years, male 18.3
GTEX-1R46S-0326-SM-EWRNE 60-69 years, female 18.3
GTEX-13NYB-2726-SM-5J2MT 40-49 years, male 18.2
GTEX-145MO-0726-SM-5NQB9 60-69 years, male 18.2
GTEX-V1D1-2426-SM-3GAER 50-59 years, male 18.2
GTEX-WK11-2526-SM-3NM9Y 50-59 years, male 18.2
GTEX-ZAKK-0326-SM-5EGHA 70-79 years, male 18.2
GTEX-1KWVE-0926-SM-CXZKP 30-39 years, male 18.2
GTEX-111CU-2026-SM-5GZZC 50-59 years, male 18.1
GTEX-13PVQ-0326-SM-5K7YF 50-59 years, male 18.1
GTEX-13QBU-2426-SM-5LU4L 40-49 years, female 18.1
GTEX-15D79-0526-SM-6ETZP 50-59 years, male 18.1
GTEX-15SHV-2526-SM-6PAMG 60-69 years, male 18.1
GTEX-RM2N-1626-SM-2TF5N 50-59 years, male 18.1
GTEX-YEC4-2226-SM-5IFJT 40-49 years, male 18.1
GTEX-1GMRU-0326-SM-9WYT6 50-59 years, male 18.1
GTEX-11DZ1-0926-SM-5EQ5R 50-59 years, male 18.0
GTEX-13S86-2326-SM-5RQK1 40-49 years, male 18.0
GTEX-15CHC-2426-SM-6EU22 60-69 years, female 18.0
GTEX-RU1J-1726-SM-2TF5S 20-29 years, female 18.0
GTEX-RU72-1326-SM-2TF6T 50-59 years, female 18.0
GTEX-1J8Q3-1426-SM-CKZPU 60-69 years, male 18.0
GTEX-11ZTT-2626-SM-5EQKK 60-69 years, female 17.9
GTEX-13CF2-2726-SM-5LZWW 60-69 years, male 17.9
GTEX-13W46-0726-SM-5LU3Z 50-59 years, male 17.9
GTEX-145LS-0526-SM-5LU8Y 60-69 years, female 17.9
GTEX-16XZY-2226-SM-7938N 70-79 years, male 17.9
GTEX-18A67-0326-SM-7LG5X 50-59 years, male 17.9
GTEX-WHSB-1826-SM-3TW8M 50-59 years, male 17.9
GTEX-ZP4G-2026-SM-57WEH 20-29 years, female 17.9
GTEX-1H3NZ-0326-SM-9MQL6 60-69 years, male 17.9
GTEX-1HBPI-0226-SM-ADEJ7 50-59 years, male 17.9
GTEX-14E6D-0326-SM-62LDX 50-59 years, male 17.8
GTEX-14PJO-0526-SM-6EU2O 60-69 years, male 17.8
GTEX-O5YV-2026-SM-2D7VS 60-69 years, female 17.8
GTEX-OXRL-1626-SM-2YUMU 50-59 years, male 17.8
GTEX-WRHK-1626-SM-3MJFH 20-29 years, female 17.8
GTEX-1JMQI-2126-SM-CM2SC 50-59 years, male 17.8
GTEX-13OW8-1426-SM-5IJDT 60-69 years, male 17.7
GTEX-13X6I-0526-SM-5QGP8 60-69 years, male 17.7
GTEX-15UF6-1026-SM-7KUF7 70-79 years, female 17.7
GTEX-X4XY-0626-SM-4E3IN 60-69 years, male 17.7
GTEX-ZGAY-0726-SM-DO91O 40-49 years, female 17.7
GTEX-12WSM-0326-SM-5LZVI 60-69 years, male 17.6
GTEX-16XZZ-0526-SM-7KUF1 60-69 years, male 17.6
GTEX-P78B-1626-SM-5SI85 40-49 years, female 17.6
GTEX-QEG4-0626-SM-2S1OY 30-39 years, male 17.6
GTEX-ZYFC-0526-SM-5GIDF 50-59 years, male 17.6
GTEX-1QP6S-0426-SM-DTXG4 40-49 years, male 17.6
GTEX-13X6K-0326-SM-5Q5D6 60-69 years, female 17.5
GTEX-147F4-0326-SM-5TDCK 50-59 years, male 17.5
GTEX-ZY6K-2026-SM-5GZXQ 50-59 years, male 17.5
GTEX-ZZ64-1526-SM-5E43K 20-29 years, male 17.5
GTEX-169BO-1526-SM-9KNVR 50-59 years, male 17.5
GTEX-1GZ4I-0526-SM-9YFLX 50-59 years, male 17.5
GTEX-1H1CY-2726-SM-9MQLR 60-69 years, female 17.5
GTEX-139TS-2626-SM-5J1MT 60-69 years, male 17.4
GTEX-14A6H-5019-SM-793DH 30-39 years, male 17.4
GTEX-14PJM-0426-SM-5ZZVN 50-59 years, female 17.4
GTEX-15DZA-2026-SM-6PANE 30-39 years, female 17.4
GTEX-XBEW-1026-SM-4QARV 40-49 years, male 17.4
GTEX-1A8FM-0526-SM-7P8SF 50-59 years, female 17.4
GTEX-1HSMO-0526-SM-ACKXB 60-69 years, male 17.4
GTEX-ZEX8-2526-SM-DO92M 50-59 years, male 17.4
GTEX-12ZZZ-0226-SM-59HKU 60-69 years, male 17.3
GTEX-15SDE-2326-SM-6PAL4 50-59 years, female 17.3
GTEX-T6MN-0526-SM-32PMS 50-59 years, male 17.3
GTEX-1GN1W-0726-SM-9KNTV 50-59 years, female 17.3
GTEX-1HKZK-0226-SM-9WYUG 40-49 years, male 17.3
GTEX-QCQG-2126-SM-DTXFV 50-59 years, female 17.3
GTEX-Z93S-1326-SM-5CVMR 50-59 years, male 17.2
GTEX-ZT9X-1826-SM-57WDU 40-49 years, male 17.2
GTEX-1I1GQ-0326-SM-A9SKS 50-59 years, male 17.2
GTEX-1JJEA-0126-SM-D3L8A 60-69 years, male 17.2
GTEX-1R9JW-2426-SM-DTXFI 30-39 years, female 17.2
GTEX-S33H-2226-SM-DKPOP 30-39 years, male 17.2
GTEX-11EM3-2126-SM-5H11M 20-29 years, female 17.1
GTEX-11ZTS-0526-SM-5CVL9 60-69 years, female 17.1
GTEX-1B8KZ-2126-SM-73KYG 50-59 years, male 17.1
GTEX-P4QS-1626-SM-2S1NH 60-69 years, male 17.1
GTEX-Y8E5-0326-SM-57WBM 60-69 years, male 17.1
GTEX-Y9LG-1926-SM-5IFHY 30-39 years, male 17.1
GTEX-1JMPZ-0126-SM-CNPOZ 30-39 years, male 17.1
GTEX-1122O-2426-SM-5GIDN 60-69 years, female 17.0
GTEX-12126-0526-SM-5PNW4 20-29 years, male 17.0
GTEX-139TU-0526-SM-5J2M8 60-69 years, male 17.0
GTEX-WOFM-1326-SM-3MJFR 20-29 years, male 17.0
GTEX-WWYW-0526-SM-3NB2W 50-59 years, female 17.0
GTEX-1GMR3-2126-SM-9WYTZ 40-49 years, male 17.0
GTEX-1HCVE-0326-SM-CGQEW 50-59 years, male 17.0
GTEX-1IOXB-0326-SM-CL55M 50-59 years, male 17.0
GTEX-1R9PO-2426-SM-EVYBS 60-69 years, female 17.0
GTEX-12WSF-0926-SM-6PALU 70-79 years, male 16.9
GTEX-PLZ6-1526-SM-2S1OC 30-39 years, male 16.9
GTEX-RWS6-2126-SM-2XCAV 60-69 years, female 16.9
GTEX-12WSG-5016-SM-7SB84 50-59 years, female 16.9
GTEX-1KAFJ-2326-SM-D3L8Z 50-59 years, male 16.9
GTEX-1RQEC-0126-SM-E9J2H 60-69 years, male 16.9
GTEX-WEY5-2026-SM-CYPRC 40-49 years, female 16.9
GTEX-131XH-2726-SM-5GCO2 50-59 years, male 16.8
GTEX-147GR-0126-SM-62LER 60-69 years, male 16.8
GTEX-14PJ6-2326-SM-6ETZR 60-69 years, female 16.8
GTEX-15ETS-0326-SM-6PANH 40-49 years, female 16.8
GTEX-1CB4E-2126-SM-793AP 60-69 years, male 16.8
GTEX-REY6-0826-SM-2TF4S 60-69 years, male 16.8
GTEX-TKQ2-0826-SM-33HB6 50-59 years, male 16.8
GTEX-UPJH-0526-SM-4IHK8 50-59 years, male 16.8
GTEX-ZDTS-0526-SM-4WKH9 60-69 years, male 16.8
GTEX-1IKOH-0126-SM-COH4D 60-69 years, female 16.8
GTEX-11P81-2526-SM-5GU6H 30-39 years, female 16.7
GTEX-12C56-1926-SM-5FQUG 20-29 years, male 16.7
GTEX-13VXU-0326-SM-5LU36 50-59 years, male 16.7
GTEX-15SHU-0626-SM-7KUFH 40-49 years, female 16.7
GTEX-17GQL-1926-SM-718B9 60-69 years, male 16.7
GTEX-TSE9-0526-SM-3DB7Z 60-69 years, female 16.7
GTEX-1F75B-0526-SM-7P8T5 50-59 years, male 16.7
GTEX-1LVA9-0326-SM-DLHBU 50-59 years, male 16.7
GTEX-12584-0526-SM-5FQTS 40-49 years, male 16.6
GTEX-13RTK-1626-SM-5QGQS 20-29 years, male 16.6
GTEX-QLQ7-1726-SM-2S1QQ 60-69 years, male 16.6
GTEX-VJYA-1926-SM-3GIJJ 60-69 years, male 16.6
GTEX-XV7Q-2926-SM-4BRUL 40-49 years, female 16.6
GTEX-ZVZP-2526-SM-57WBR 50-59 years, male 16.6
GTEX-1IDJH-0226-SM-CYPSB 70-79 years, male 16.6
GTEX-15CHR-2426-SM-7DUFX 50-59 years, male 16.5
GTEX-17KNJ-2426-SM-7DHLR 50-59 years, male 16.5
GTEX-183FY-0226-SM-7LG54 20-29 years, male 16.5
GTEX-1IDJV-0426-SM-COH3Z 60-69 years, male 16.5
GTEX-1IY9M-0326-SM-ARZMN 60-69 years, male 16.5
GTEX-1MCYP-2026-SM-DTXE4 20-29 years, female 16.5
GTEX-11NUK-0226-SM-5A5L4 50-59 years, male 16.4
GTEX-13CF3-1826-SM-5J1NK 60-69 years, female 16.4
GTEX-SE5C-1826-SM-2XCE4 40-49 years, female 16.4
GTEX-XPVG-2526-SM-4B66D 50-59 years, male 16.4
GTEX-Y5V5-2526-SM-4VBQ4 60-69 years, female 16.4
GTEX-1B97J-1226-SM-7PBZR 50-59 years, female 16.4
GTEX-1KD4Q-0326-SM-E9TJA 40-49 years, male 16.4
GTEX-1R7EV-2026-SM-DTX83 40-49 years, male 16.4
GTEX-131YS-0526-SM-5EGKJ 60-69 years, female 16.3
GTEX-17F9E-0226-SM-79OKK 50-59 years, male 16.3
GTEX-YFC4-1026-SM-5RQJM 40-49 years, female 16.3
GTEX-1P4AB-0326-SM-EXUT3 50-59 years, male 16.3
GTEX-145LV-2326-SM-5LU8Z 50-59 years, male 16.2
GTEX-1B996-0326-SM-7DHMU 60-69 years, male 16.2
GTEX-P44G-0526-SM-2XCD1 30-39 years, male 16.2
GTEX-XMD2-0526-SM-4YCDI 60-69 years, female 16.2
GTEX-Y3IK-2626-SM-4WWDK 50-59 years, female 16.2
GTEX-1HCUA-2326-SM-ACKVJ 50-59 years, female 16.2
GTEX-1HSGN-0326-SM-ACKXQ 40-49 years, female 16.2
GTEX-1IKJJ-0326-SM-CL55L 60-69 years, male 16.2
GTEX-14BMV-0326-SM-5RQHW 50-59 years, male 16.1
GTEX-14E6E-2026-SM-664N5 30-39 years, male 16.1
GTEX-15RJ7-2426-SM-6M48L 40-49 years, male 16.1
GTEX-17EUY-0626-SM-793BE 20-29 years, male 16.1
GTEX-18D9U-0626-SM-7LTA4 40-49 years, male 16.1
GTEX-13RTL-0326-SM-7LT89 40-49 years, male 16.0
GTEX-17HII-0426-SM-793A3 50-59 years, male 16.0
GTEX-S32W-2326-SM-2XCAW 50-59 years, female 16.0
GTEX-1EN7A-0326-SM-7P8T1 40-49 years, male 16.0
GTEX-1I1GU-2126-SM-CGQF9 40-49 years, male 16.0
GTEX-1QCLZ-0326-SM-DTXG2 60-69 years, female 16.0
GTEX-12WSD-0526-SM-5EQ6F 60-69 years, female 15.9
GTEX-13NZ9-0626-SM-5IJCO 50-59 years, male 15.9
GTEX-145LU-2026-SM-5Q5E8 50-59 years, male 15.9
GTEX-1E1VI-0426-SM-7DHN1 50-59 years, male 15.9
GTEX-QEG5-0426-SM-2I5GJ 20-29 years, male 15.9
GTEX-1EWIQ-0626-SM-7PBYW 70-79 years, female 15.9
GTEX-1IDJE-2426-SM-ACKWF 50-59 years, female 15.9
GTEX-1JKYR-0326-SM-CNPOL 20-29 years, male 15.9
GTEX-1KANC-1626-SM-E6CIA 50-59 years, female 15.9
GTEX-12ZZY-0626-SM-5EQ5T 60-69 years, male 15.8
GTEX-15RIG-0426-SM-7KUF4 40-49 years, male 15.8
GTEX-18D9A-1826-SM-718BK 30-39 years, female 15.8
GTEX-ZVP2-2126-SM-5GU6E 50-59 years, male 15.8
GTEX-1F6IF-0226-SM-7PBZ6 60-69 years, male 15.8
GTEX-1MA7W-1826-SM-DIPFP 20-29 years, female 15.8
GTEX-XMD1-0626-SM-EZ6MC 60-69 years, male 15.8
GTEX-18A66-0126-SM-731CQ 60-69 years, male 15.7
GTEX-ZDXO-0326-SM-4WKHJ 60-69 years, male 15.7
GTEX-1GZ4H-1626-SM-7PC3F 50-59 years, female 15.7
GTEX-139D8-0726-SM-5P9GJ 30-39 years, female 15.6
GTEX-16GPK-0526-SM-7KUER 60-69 years, male 15.6
GTEX-XGQ4-2326-SM-4AT53 50-59 years, male 15.6
GTEX-1JK1U-2226-SM-CNNPL 60-69 years, male 15.6
GTEX-1K2DA-2226-SM-CGQGM 50-59 years, male 15.6
GTEX-12KS4-0826-SM-5BC5R 30-39 years, male 15.5
GTEX-145MN-2426-SM-5NQA5 30-39 years, male 15.5
GTEX-14ICL-1926-SM-5RQIZ 30-39 years, male 15.5
GTEX-QV31-1426-SM-2S1QD 30-39 years, male 15.5
GTEX-1CAV2-2426-SM-7P8QF 40-49 years, female 15.5
GTEX-117XS-2526-SM-5H11G 60-69 years, male 15.4
GTEX-13112-2626-SM-5BC66 50-59 years, male 15.4
GTEX-13FHP-0526-SM-5K7UY 50-59 years, male 15.4
GTEX-OXRP-2326-SM-2S1NL 60-69 years, female 15.4
GTEX-RN64-0326-SM-2TC5J 50-59 years, male 15.4
GTEX-SUCS-1626-SM-32PLS 70-79 years, male 15.4
GTEX-1H1DE-1726-SM-A9G3G 20-29 years, male 15.4
GTEX-1O9I2-0526-SM-EYYXI 50-59 years, male 15.4
GTEX-1QP67-1826-SM-DTX8D 40-49 years, female 15.4
GTEX-13PL6-0326-SM-5IJCP 40-49 years, female 15.3
GTEX-13SLX-0326-SM-5Q5E4 50-59 years, female 15.3
GTEX-Q734-2026-SM-3GADA 40-49 years, female 15.3
GTEX-R55C-1726-SM-3GADJ 40-49 years, male 15.3
GTEX-WL46-0626-SM-3LK7R 50-59 years, male 15.3
GTEX-1ICLY-0326-SM-ARL7S 50-59 years, male 15.3
GTEX-1MJK3-1426-SM-E9TK1 20-29 years, male 15.3
GTEX-111FC-0326-SM-5GZZ1 60-69 years, male 15.2
GTEX-1B8SF-0426-SM-79OL4 60-69 years, male 15.2
GTEX-ZV6S-2126-SM-4YCEM 40-49 years, female 15.2
GTEX-1EX96-1526-SM-7PBXK 50-59 years, male 15.2
GTEX-XPT6-2026-SM-4B64V 20-29 years, male 15.1
GTEX-131XW-0326-SM-5KM1J 50-59 years, female 15.0
GTEX-1399U-2526-SM-5L3DL 50-59 years, female 15.0
GTEX-P44H-0426-SM-2XCEZ 40-49 years, male 15.0
GTEX-ZYY3-0526-SM-5E45G 60-69 years, female 15.0
GTEX-1GN73-0126-SM-CNPPT 60-69 years, male 15.0
GTEX-1C6WA-0326-SM-7DUGE 60-69 years, male 14.9
GTEX-S7PM-0526-SM-3NM92 60-69 years, male 14.9
GTEX-1K2DU-2526-SM-D3L8V 20-29 years, male 14.9
GTEX-TMZS-0326-SM-3DB9P 60-69 years, male 14.8
GTEX-WZTO-0826-SM-3NM8Q 40-49 years, male 14.8
GTEX-1HCU7-0426-SM-D3L8Q 50-59 years, male 14.8
GTEX-1JMPY-1226-SM-CJI3A 30-39 years, male 14.8
GTEX-1L5NE-2226-SM-CXZKS 50-59 years, male 14.8
GTEX-183WM-0426-SM-731B1 70-79 years, female 14.7
GTEX-Y114-2526-SM-4TT8M 50-59 years, female 14.7
GTEX-1C6VS-0126-SM-7PC2H 60-69 years, male 14.7
GTEX-1R9K4-0626-SM-E76OZ 60-69 years, male 14.7
GTEX-R53T-1826-SM-3GIJX 50-59 years, female 14.6
GTEX-1IGQW-0526-SM-CKZO3 60-69 years, male 14.6
GTEX-1KXAM-2426-SM-DIPFC 60-69 years, male 14.6
GTEX-144GL-0326-SM-5QGOY 50-59 years, male 14.5
GTEX-11H98-0326-SM-5HL4S 50-59 years, male 14.4
GTEX-12WSH-2526-SM-5CVNH 50-59 years, male 14.4
GTEX-S95S-1426-SM-2XCDM 60-69 years, male 14.4
GTEX-T8EM-1326-SM-3DB7G 40-49 years, male 14.4
GTEX-TML8-1826-SM-32QOR 40-49 years, female 14.4
GTEX-1JMLX-0326-SM-CM2RP 50-59 years, male 14.4
GTEX-13FTX-2026-SM-5L3D6 20-29 years, female 14.3
GTEX-13W3W-2626-SM-5SIA2 60-69 years, female 14.3
GTEX-O5YT-1626-SM-32PK6 20-29 years, male 14.3
GTEX-YJ8O-2826-SM-5CVM4 40-49 years, female 14.3
GTEX-1HFI7-1926-SM-A96TQ 50-59 years, female 14.3
GTEX-117YW-2426-SM-5Q5AE 50-59 years, male 14.2
GTEX-145ME-2026-SM-5SIA5 40-49 years, female 14.2
GTEX-RNOR-0526-SM-2TF4O 50-59 years, female 14.2
GTEX-13NYC-0726-SM-5J2NQ 60-69 years, male 14.1
GTEX-1AX9I-0326-SM-73KXQ 60-69 years, male 14.1
GTEX-1JKYN-1826-SM-ARZMZ 30-39 years, male 14.0
GTEX-11WQC-2626-SM-5CVLF 60-69 years, male 13.9
GTEX-1F75W-0326-SM-7PC2Q 60-69 years, male 13.9
GTEX-1HCU6-0526-SM-A9SKU 60-69 years, female 13.9
GTEX-1PPH8-0326-SM-E76PR 20-29 years, male 13.9
GTEX-11ZUS-1426-SM-5FQSP 30-39 years, male 13.8
GTEX-PSDG-0426-SM-5SI86 50-59 years, male 13.8
GTEX-SN8G-0326-SM-32PLG 50-59 years, female 13.8
GTEX-Z9EW-1726-SM-5CVMO 40-49 years, male 13.8
GTEX-1ICG6-2726-SM-CKZPN 70-79 years, female 13.8
GTEX-11VI4-1926-SM-5CVLI 40-49 years, female 13.7
GTEX-1339X-2426-SM-5KLYU 40-49 years, male 13.7
GTEX-14PQA-0526-SM-7KUFS 50-59 years, female 13.7
GTEX-15RIF-2126-SM-7KUM8 20-29 years, male 13.7
GTEX-QVJO-0126-SM-3GIK4 60-69 years, female 13.7
GTEX-SJXC-0526-SM-2XCFG 60-69 years, male 13.7
GTEX-UTHO-0726-SM-3GAEN 60-69 years, male 13.7
GTEX-1F7RK-0326-SM-7RHH7 20-29 years, female 13.7
GTEX-15G19-0526-SM-6PAMT 60-69 years, male 13.6
GTEX-XUZC-2126-SM-4BRW8 30-39 years, female 13.6
GTEX-1F6I4-0326-SM-7P8T8 60-69 years, male 13.6
GTEX-1F88F-2526-SM-7PC2R 60-69 years, female 13.6
GTEX-12WSJ-1726-SM-5LZVV 40-49 years, female 13.5
GTEX-14A5H-0326-SM-5RQIB 60-69 years, male 13.5
GTEX-QDVN-2426-SM-2S1Q4 50-59 years, male 13.5
GTEX-V955-2426-SM-3GAEF 60-69 years, male 13.5
GTEX-117YX-2526-SM-5EQ4Q 50-59 years, male 13.4
GTEX-ZV68-0526-SM-59HKI 50-59 years, female 13.4
GTEX-1R9PM-2226-SM-E8VOC 20-29 years, male 13.4
GTEX-12WSC-0326-SM-5EQ5E 50-59 years, male 13.3
GTEX-1JN76-0326-SM-ARZNJ 20-29 years, female 13.3
GTEX-1M4P7-0126-SM-DKPQF 60-69 years, male 13.3
GTEX-1B933-0426-SM-7DHMC 50-59 years, female 13.2
GTEX-U3ZN-2226-SM-3DB88 30-39 years, female 13.2
GTEX-1HSMP-0326-SM-A9SMC 70-79 years, male 13.2
GTEX-ZLFU-2526-SM-DO91K 40-49 years, male 13.2
GTEX-1I1GV-0126-SM-CL55G 60-69 years, male 13.1
GTEX-QLQW-1326-SM-2S1QS 30-39 years, male 13.0
GTEX-OHPL-1626-SM-2HMIR 60-69 years, female 12.8
GTEX-ZAB4-0426-SM-5HL7N 40-49 years, male 12.8
GTEX-WWTW-0626-SM-4MVNS 50-59 years, male 12.7
GTEX-11GS4-2526-SM-5A5KT 60-69 years, male 12.6
GTEX-1F5PL-0426-SM-7P8PR 40-49 years, female 12.6
GTEX-1H1DG-0326-SM-9QEHK 70-79 years, male 12.6
GTEX-XAJ8-1026-SM-47JY9 40-49 years, male 12.5
GTEX-YEC3-2126-SM-4YCDB 50-59 years, male 12.5
GTEX-1N2DW-0426-SM-E9TK4 50-59 years, male 12.5
GTEX-15G1A-2026-SM-7KUFG 30-39 years, male 12.4
GTEX-1LBAC-0326-SM-DIPF1 20-29 years, male 12.4
GTEX-1QEPI-0526-SM-E76QF 60-69 years, female 12.4
GTEX-12WSL-2726-SM-5CVNL 50-59 years, male 12.3
GTEX-1GF9V-0126-SM-9WYT2 60-69 years, male 12.3
GTEX-1M5QR-1326-SM-EWROC 40-49 years, male 12.3
GTEX-NFK9-0626-SM-2HMIV 40-49 years, male 12.2
GTEX-Q2AH-1826-SM-2S1Q2 40-49 years, male 12.2
GTEX-1HSKV-0126-SM-E6CI1 60-69 years, male 12.2
GTEX-18465-0326-SM-7LTAD 50-59 years, male 12.1
GTEX-1RAZQ-0426-SM-DTXFQ 30-39 years, male 12.1
GTEX-R55G-2326-SM-2TC61 40-49 years, female 12.0
GTEX-145MI-0326-SM-5Q5EV 60-69 years, female 11.9
GTEX-1LSNM-2326-SM-EWRO8 50-59 years, male 11.9
GTEX-144GM-2026-SM-5LU3D 20-29 years, male 11.8
GTEX-1PIEJ-0326-SM-EVYB5 20-29 years, female 11.7
GTEX-TKQ1-1426-SM-4GICK 30-39 years, male 11.6
GTEX-XUYS-0326-SM-47JX2 50-59 years, male 11.4
GTEX-ZQG8-1226-SM-51MRX 60-69 years, female 11.4
GTEX-11P7K-1926-SM-5GU6R 30-39 years, male 11.3
GTEX-15RIE-2426-SM-7KUDS 60-69 years, male 11.3
GTEX-UJMC-1826-SM-3GADT 50-59 years, male 11.3
GTEX-1H3VY-0326-SM-9WYU6 50-59 years, male 11.3
GTEX-13OVK-1926-SM-6M48G 40-49 years, male 11.2
GTEX-T2IS-2626-SM-32QPP 20-29 years, female 11.2
GTEX-U8XE-0726-SM-3DB8O 30-39 years, male 11.2
GTEX-ZVT4-0326-SM-51MS5 50-59 years, female 11.1
GTEX-1H4P4-0626-SM-9YFKZ 50-59 years, male 11.1
GTEX-1PDJ9-0526-SM-DTXDL 20-29 years, male 11.1
GTEX-VJWN-0426-SM-3GIJI 50-59 years, female 11.0
GTEX-12WSN-2526-SM-5LZU8 40-49 years, male 10.9
GTEX-1399S-2726-SM-5KM22 30-39 years, female 10.8
GTEX-14PJ3-2026-SM-5ZZVK 50-59 years, male 10.8
GTEX-QEL4-0626-SM-3GIJM 50-59 years, male 10.8
GTEX-QDVJ-1926-SM-2S1PJ 50-59 years, male 10.7
GTEX-QVUS-0226-SM-3GIJY 60-69 years, female 10.7
GTEX-RWSA-0726-SM-2XCBE 40-49 years, male 10.6
GTEX-1GF9X-2126-SM-7PBXN 40-49 years, female 10.6
GTEX-18D9B-0426-SM-7LTAR 60-69 years, male 10.5
GTEX-TMMY-0426-SM-33HBB 40-49 years, female 10.5
GTEX-14XAO-2226-SM-6LLHU 60-69 years, female 10.2
GTEX-SNMC-1426-SM-2XCFM 20-29 years, male 10.2
GTEX-YECK-0626-SM-4W1ZE 60-69 years, male 10.0
GTEX-ZYFD-0326-SM-5NQ8I 50-59 years, male 9.9
GTEX-1F75A-0626-SM-7PBYI 50-59 years, male 9.8
GTEX-ZTX8-1626-SM-51MRY 20-29 years, male 9.4
GTEX-1IDJF-0326-SM-ADEIG 20-29 years, male 9.0
GTEX-WFG8-2426-SM-3GILL 20-29 years, male 8.5
GTEX-1F5PK-2626-SM-7RHH6 50-59 years, male 8.4
GTEX-WFG7-2226-SM-3GIKP 20-29 years, male 8.2
GTEX-YFCO-1926-SM-4W212 40-49 years, male 8.1
GTEX-OHPN-2726-SM-2I5H4 60-69 years, female 7.6
GTEX-T5JW-1826-SM-3GAE1 20-29 years, female 7.6
GTEX-13O1R-0526-SM-5K7XU 60-69 years, male 7.5
GTEX-PLZ5-1726-SM-2I5F6 50-59 years, male 7.5
GTEX-POYW-0526-SM-2XCEY 60-69 years, male 6.6
GTEX-ZE7O-0326-SM-51MTH 50-59 years, female 6.5
GTEX-WXYG-2526-SM-3NB3F 50-59 years, female 6.2
GTEX-OIZI-0626-SM-2XCEH 40-49 years, male 5.9
GTEX-Y5LM-2126-SM-4VDSY 40-49 years, female 5.2
GTEX-ZQUD-1726-SM-7P8ON 30-39 years, male 2.2
Show allShow less

SKELETAL MUSCLE - FANTOM5 CAGEi

RNA expression in human tissues obtained through Cap Analysis of Gene Expression (CAGE) generated by the FANTOM5 project are reported as Scaled Tags Per Million.

Max subtype Scaled Tags Per Millioni

Max subtype Scaled Tags Per Million is the value for the subtype with the largest average Scaled Tags Per Million across the subtype samples.

21.4
FANTOM5 sample id Sample description Scaled Tags Per Million
Skeletal muscle
Scaled Tags Per Million: 21.4
FF:10023-101D5 55,79,79 years, mixed 21.4
Skeletal muscle - soleus muscle
Scaled Tags Per Million: 16.7
FF:10282-104F3 male 16.7

Contact

  • NEWS ARTICLES
  • PRESS ROOM

The Project

  • INTRODUCTION
  • ORGANIZATION
  • PUBLICATIONS

The Human Protein Atlas

  • DOWNLOADABLE DATA
  • LICENCE & CITATION
  • HELP & FAQ
The Human Protein Atlas project is funded
by the Knut & Alice Wallenberg Foundation.


contact@proteinatlas.org