We use cookies to enhance the usability of our website. If you continue, we'll assume that you are happy to receive all cookies. More information. Don't show this again.
NOP10
HPA
RESOURCES
  • TISSUE
  • BRAIN
  • SINGLE CELL
  • SUBCELLULAR
  • CANCER
  • BLOOD
  • CELL LINE
  • STRUCTURE & INTERACTION
ABOUT
  • INTRODUCTION
  • HISTORY
  • ORGANIZATION
  • PUBLICATIONS
  • ANTIBODY SUBMISSION
  • ANTIBODY AVAILABILITY
  • ACKNOWLEDGMENTS
  • CONTACT
NEWS
  • NEWS ARTICLES
  • PRESS ROOM
LEARN
  • DICTIONARY
  • PROTEIN CLASSES
  • PROTEIN EVIDENCE
  • METHODS
  • EDUCATIONAL VIDEOS
DATA
  • DOWNLOADABLE DATA
  • PUBLICATION DATA
  • RELEASE HISTORY
HELP
  • ANTIBODY VALIDATION
  • ASSAYS & ANNOTATION
  • DISCLAIMER
  • HELP & FAQ
  • PRIVACY STATEMENT
  • LICENCE & CITATION
Fields »
Search result

Field
Term
Gene name
Class
Subclass
Class
Keyword
Chromosome
External id
Tissue
Cell type
Expression
Antibody panel
Tissue
Main location
Patient ID
Annotation
Tissue
Category
Tau score
Cluster
Reliability
Brain region
Category
Tau score
Brain region
Category
Tau score
Brain region
Category
Tau score
Cluster
Reliability
Tissue
Cell type
Enrichment
Cell type
Category
Tau score
Cell type
Category
Tau score
Cell type
Category
Tau score
Cell lineage
Category
Tau score
Cluster
Cluster
Location
Searches
Location
Cell line
Class
Type
Phase
Reliability
Cancer
Prognosis
Cancer
Category
Cancer
Category
Tau score
Cluster
Variants
Interacting gene (ensg_id)
Type
Number of interactions
Pathway
Category
Score
Score
Score
Validation
Validation
Validation
Validation
Antibodies
Data type
Column


  • SUMMARY

  • TISSUE

  • BRAIN

  • SINGLE CELL

  • SUBCELL

  • CANCER

  • BLOOD

  • CELL LINE

  • STRUCT & INT

  • NOP10
TISSUE PRIMARY DATA SKIN Show tissue menu
ADIPOSE TISSUE ADRENAL GLAND AMYGDALA APPENDIX BASAL GANGLIA BONE MARROW BREAST BRONCHUS CEREBELLUM CEREBRAL CORTEX CERVIX CHOROID PLEXUS COLON DUODENUM
ENDOMETRIUM EPIDIDYMIS ESOPHAGUS FALLOPIAN TUBE GALLBLADDER HEART MUSCLE HIPPOCAMPAL FORMATION HYPOTHALAMUS KIDNEY LIVER LUNG LYMPH NODE MIDBRAIN NASOPHARYNX
ORAL MUCOSA OVARY PANCREAS PARATHYROID GLAND PITUITARY GLAND PLACENTA PROSTATE RECTUM RETINA SALIVARY GLAND SEMINAL VESICLE SKELETAL MUSCLE SKIN SMALL INTESTINE
SMOOTH MUSCLE SOFT TISSUE SPINAL CORD SPLEEN STOMACH TESTIS THYMUS THYROID GLAND TONGUE TONSIL URINARY BLADDER VAGINA
ANTIBODIES
AND
VALIDATION
Dictionary
Skin
Tissue proteome
Skin
SKIN - Expression summary
Protein expression
Skini

On the top, protein expression in current human tissue, based on all annotated cell types, is reported with the units not detected (n), low (l), medium (m) and high (h). Underneath, protein expression in each annotated cell type are reported using the same units.

Protein expression data is based on knowledge-based annotation. For genes where more than one antibody has been used, a collective score is set.

If knowledge-based annotation could not be performed for a gene, no data is displayed here. View antibody staining data further down this page.

h
m
l
n
Arrector pili muscle cells: Low
Cells in basal layer: Medium
Cells in corneal layer: Not detected
Cells in granular layer: Medium
Cells in spinous layer: Medium
Endothelial cells: Low
Extracellular matrix: Not detected
Fibrohistiocytic cells: Not detected
Hair follicles: Medium
Langerhans cells: Medium
Lymphocytes: Low
Melanocytes: Medium
Sebaceous glands: Medium
Vascular mural cells: Not detected
RNA expressioni

A summary of mRNA expression data available for current tissue based on several datasets. The mRNA expression levels in human tissues are based on RNA-seq data generated by the Human Protein Atlas (HPA), Genotype-Tissue Expression (GTEx) portal and CAGE data generated by the FANTOM5 consortium. Consensus normalized expression levels for human tissues was created by combining the data from HPA and GTEx datasets.

The mRNA expression levels in pig are based on RNA-seq data generated by the Human Protein Atlas (HPA), and for mouse, HPA data and in situ hybridization generated by the Allen brain atlas are reported.

Scroll down to view mRNA expression data in more detail.
Consensus:110.8 nTPM
HPA:81.1 nTPM
GTEx:110.8 nTPM

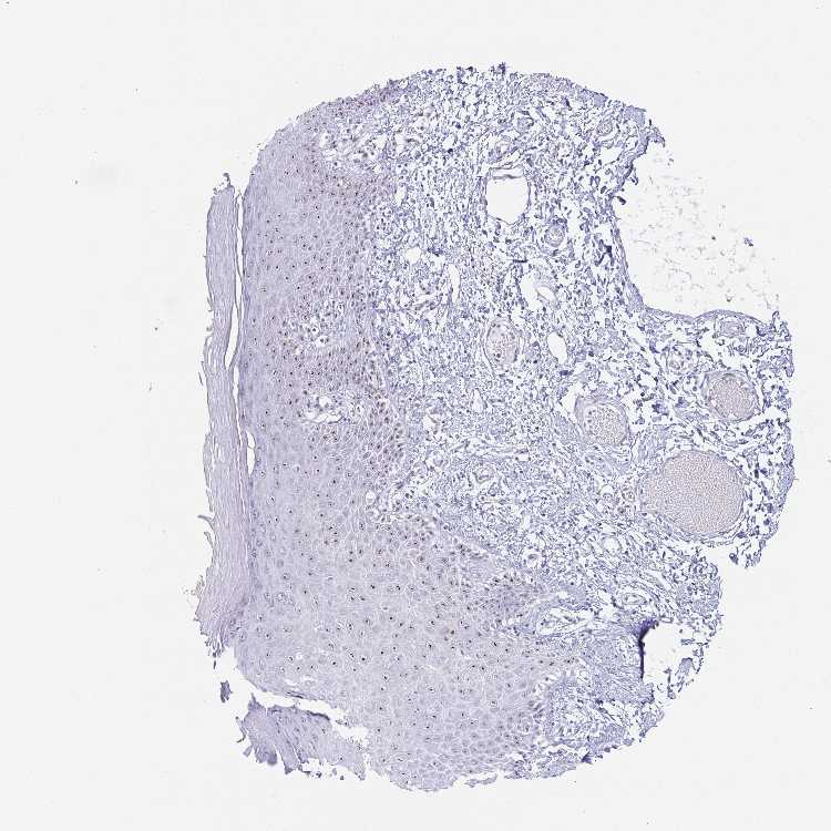
SKIN 1 - Antibody stainingi

Antibody staining in the annotated cell types in the current human tissue is reported as not detected, low, medium, or high, based on conventional immunohistochemistry profiling in selected tissues. This score is based on the combination of the staining intensity and fraction of stained cells.

Each image is clickable and will lead to virtual microscopy that enables deeper exploration of all samples and also displays staining intensity scores, fraction scores and subcellular localization as well as patient and tissue information for each sample.

Antibody HPA059198
Cells in basal layer Medium
Cells in corneal layer Not detected
Cells in granular layer Medium
Cells in spinous layer Medium
Endothelial cells Low
Extracellular matrix Not detected
Fibrohistiocytic cells Not detected
Hair follicles Medium
Langerhans cells Medium
Lymphocytes Low
Melanocytes Medium
Vascular mural cells Not detected
 


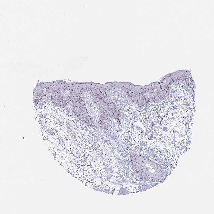
SKIN 2 - Antibody stainingi

Antibody staining in the annotated cell types in the current human tissue is reported as not detected, low, medium, or high, based on conventional immunohistochemistry profiling in selected tissues. This score is based on the combination of the staining intensity and fraction of stained cells.

Each image is clickable and will lead to virtual microscopy that enables deeper exploration of all samples and also displays staining intensity scores, fraction scores and subcellular localization as well as patient and tissue information for each sample.

Antibody HPA059198
Arrector pili muscle cells Low
Cells in basal layer Medium
Cells in corneal layer Not detected
Cells in granular layer Medium
Cells in spinous layer Medium
Endothelial cells Low
Extracellular matrix Not detected
Fibrohistiocytic cells Not detected
Langerhans cells Medium
Lymphocytes Low
Melanocytes Medium
Sebaceous glands Medium
Vascular mural cells Not detected



SKIN - HPA RNA-seqi

The RNA-seq details section shows detailed information about the individual samples used for the transcript profiling and results of the RNA-seq analysis.

Information about each individual sample is listed below, including gender, age, a tissue section image and estimated fractions of cell types. nTPM (normalized transcripts per million) values give a quantification of the gene abundance which is comparable between different genes and samples.
Average nTPMi

Max subtype nTPM is the value for the subtype with the largest average nTPM across the subtype samples.

81.1
overview
Female, age 34
Skin sample 225
nTPM: 90.8
Cell types%
Keratinocytes:
60

Other cell types:
40

overview
Female, age 30
Skin sample 226
nTPM: 67.5
Cell types%
Keratinocytes:
55

Other cell types:
45

N/A
Male, age 57
Skin sample 227
nTPM: 85.1

SKIN - GTEx RNA-seqi

RNA-Seq data generated by the Genotype-Tissue Expression (GTEx) project from human tissues is reported as mean nTPM. More information can be found on the GTEx portal.

Distribution across the dataset is visualized with box plots, shown as median and 25th and 75th percentiles. Points are displayed as outliers if they are above or below 1.5 times the interquartile range. nTPM values of the individual samples are presented next to the box plot.
Max subtype nTPMi

Max subtype nTPM is the value for the subtype with the largest average nTPM across the subtype samples.

110.8
GTEx sample id Sample description nTPM
Skin - Not Sun Exposed (Suprapubic)
Average nTPM: 110.8
Samples: 604

Max nTPM: 238.4
Min nTPM: 56.6
Std nTPM: 27.0
Median nTPM: 106.7
GTEX-11DZ1-2426-SM-5GZZX 50-59 years, male 238.4
GTEX-13IVO-0726-SM-5LZYV 70-79 years, male 224.7
GTEX-1F6RS-2026-SM-7RHHC 60-69 years, female 218.9
GTEX-1PIGE-1826-SM-E8VOU 20-29 years, male 215.5
GTEX-X585-2426-SM-46MW2 50-59 years, male 200.8
GTEX-1R9PN-0426-SM-DTXDT 40-49 years, female 200.5
GTEX-11WQK-1026-SM-5EQLX 50-59 years, male 199.2
GTEX-15UF6-1926-SM-7KUDV 70-79 years, female 197.7
GTEX-1ICLZ-0326-SM-ARL82 60-69 years, male 197.4
GTEX-15G19-2426-SM-7KUMR 60-69 years, male 194.8
GTEX-ZPCL-1126-SM-4WWFE 60-69 years, female 194.1
GTEX-13YAN-0226-SM-5TDC6 60-69 years, male 193.0
GTEX-1MJK3-0726-SM-E6CJC 20-29 years, male 191.3
GTEX-15RIE-1926-SM-7KUKJ 60-69 years, male 188.5
GTEX-1PPH8-0126-SM-EWRN8 20-29 years, male 184.9
GTEX-1IKOE-1426-SM-CE6T7 30-39 years, female 182.7
GTEX-1399Q-2326-SM-5KM2X 40-49 years, male 182.4
GTEX-13PDP-0726-SM-5L3HP 60-69 years, male 180.7
GTEX-1E2YA-2126-SM-7MXUO 50-59 years, male 177.8
GTEX-1399S-0126-SM-5IJCF 30-39 years, female 177.6
GTEX-16YQH-2226-SM-7IGM2 30-39 years, male 174.9
GTEX-13NZ8-1226-SM-5KM4A 60-69 years, female 174.1
GTEX-15RIG-0726-SM-7KUM7 40-49 years, male 173.5
GTEX-1H2FU-0926-SM-9WPPT 60-69 years, female 172.9
GTEX-ZE7O-2726-SM-51MT5 50-59 years, female 169.1
GTEX-YFCO-1226-SM-5LUAT 40-49 years, male 166.1
GTEX-15DDE-2926-SM-6LLJ3 50-59 years, female 165.4
GTEX-1JMQL-2226-SM-CNPP4 50-59 years, female 163.4
GTEX-WH7G-2026-SM-3NMBL 40-49 years, male 163.2
GTEX-1S82P-2126-SM-E6CI5 60-69 years, female 162.9
GTEX-144GL-0626-SM-5LU4D 50-59 years, male 162.8
GTEX-14A5H-0826-SM-5QGPJ 60-69 years, male 162.6
GTEX-1LKK1-2626-SM-DKPQE 50-59 years, female 162.3
GTEX-XYKS-1426-SM-4BRUO 60-69 years, female 160.3
GTEX-17F97-2626-SM-7IGM5 50-59 years, male 159.8
GTEX-14E1K-2026-SM-7DUEI 50-59 years, male 159.0
GTEX-14LZ3-0126-SM-69LPM 60-69 years, female 158.2
GTEX-13NYS-0626-SM-5L3F1 60-69 years, male 158.1
GTEX-1OJC3-1226-SM-DTXER 20-29 years, male 158.0
GTEX-ZVE1-0726-SM-51MRN 50-59 years, female 157.7
GTEX-13PL6-1126-SM-5L3IE 40-49 years, female 157.6
GTEX-Y114-2126-SM-4TT8B 50-59 years, female 157.0
GTEX-1R9PM-1926-SM-EVR3O 20-29 years, male 155.6
GTEX-1PBJJ-1026-SM-E76OS 30-39 years, male 155.4
GTEX-14XAO-1226-SM-6EU1C 60-69 years, female 152.4
GTEX-1117F-2926-SM-5GZYI 60-69 years, female 152.2
GTEX-13NYC-0126-SM-5L3F4 60-69 years, male 151.6
GTEX-111VG-1626-SM-5EGIO 60-69 years, male 151.4
GTEX-139D8-1126-SM-5LU8W 30-39 years, female 151.1
GTEX-1HSMP-0926-SM-A9SKX 70-79 years, male 150.6
GTEX-15SKB-2826-SM-6PAMH 60-69 years, male 149.8
GTEX-11DXX-2126-SM-5PNYR 60-69 years, female 149.5
GTEX-14C39-1726-SM-5RQIL 40-49 years, male 149.2
GTEX-1313W-0626-SM-5EQ4H 50-59 years, female 149.1
GTEX-13O61-1426-SM-5KM3D 60-69 years, male 149.1
GTEX-XK95-0226-SM-4AT58 40-49 years, male 149.1
GTEX-YECK-0326-SM-4W1YS 60-69 years, male 149.0
GTEX-1QP2A-1726-SM-E76QC 50-59 years, male 148.7
GTEX-1IDFM-0326-SM-ARL7V 60-69 years, male 148.6
GTEX-ZF3C-0626-SM-DO92O 50-59 years, female 148.5
GTEX-ZLFU-1826-SM-4WWBV 40-49 years, male 146.5
GTEX-ZVZP-1226-SM-5GID7 50-59 years, male 145.2
GTEX-1NV5F-0626-SM-DTXEG 60-69 years, female 144.9
GTEX-1S82U-1026-SM-E6CJK 30-39 years, female 144.6
GTEX-WHSE-0126-SM-3NMBT 20-29 years, male 143.4
GTEX-148VJ-0626-SM-5LUAW 70-79 years, male 143.3
GTEX-ZY6K-1426-SM-5GZX2 50-59 years, male 143.3
GTEX-XBEW-1126-SM-4QARW 40-49 years, male 143.0
GTEX-1LVAM-0726-SM-E6CIL 50-59 years, female 143.0
GTEX-11OF3-0126-SM-5PNYF 60-69 years, male 142.8
GTEX-11EQ8-0926-SM-5H12V 60-69 years, male 142.3
GTEX-1F52S-2926-SM-7MKGA 60-69 years, female 142.2
GTEX-14ICL-1626-SM-5YYAO 30-39 years, male 141.6
GTEX-14PHY-1226-SM-5ZZWK 60-69 years, female 141.5
GTEX-15SHW-0226-SM-7LTAT 60-69 years, male 141.2
GTEX-1H3VE-0726-SM-9YFL5 40-49 years, male 141.1
GTEX-17MFQ-1526-SM-7KFRR 20-29 years, male 141.0
GTEX-16MT9-0126-SM-7EPI8 60-69 years, female 139.3
GTEX-VUSG-2326-SM-4KL1U 50-59 years, male 138.7
GTEX-1NSGN-0726-SM-DTXEF 50-59 years, male 138.7
GTEX-12ZZX-2426-SM-5GCOE 40-49 years, female 138.2
GTEX-ZYW4-0626-SM-59HJR 60-69 years, male 138.2
GTEX-13OW5-2326-SM-5L3HO 60-69 years, male 138.0
GTEX-WFG7-2026-SM-5SI7P 20-29 years, male 137.3
GTEX-12WSJ-1126-SM-5LZVJ 40-49 years, female 137.1
GTEX-13OVJ-0826-SM-5J1OK 50-59 years, female 136.1
GTEX-14PJ3-1126-SM-5ZZVX 50-59 years, male 135.7
GTEX-ZT9X-1526-SM-5DUXD 40-49 years, male 135.2
GTEX-WI4N-2726-SM-3LK7Y 40-49 years, female 134.2
GTEX-1J1OQ-0126-SM-D4P2N 40-49 years, female 134.2
GTEX-15DYW-2726-SM-6EU2I 60-69 years, female 134.0
GTEX-12WSK-2126-SM-5CVNC 40-49 years, female 133.9
GTEX-ZTX8-1326-SM-4YCEL 20-29 years, male 133.7
GTEX-139YR-1026-SM-5LZYN 50-59 years, male 133.6
GTEX-1RAZS-2526-SM-E6CHT 50-59 years, male 133.5
GTEX-YEC4-1826-SM-4W1YP 40-49 years, male 133.4
GTEX-ZE9C-2526-SM-5IJDR 60-69 years, male 133.4
GTEX-1QPFJ-1926-SM-EVYBD 30-39 years, female 133.0
GTEX-15RJE-2826-SM-7KUM9 40-49 years, male 132.4
GTEX-1N2DV-1526-SM-DTXEP 40-49 years, male 132.4
GTEX-13SLW-0626-SM-5Q5ER 70-79 years, male 132.3
GTEX-1H11D-1826-SM-9QEHM 40-49 years, male 132.2
GTEX-11DXY-0126-SM-5H11Q 60-69 years, male 131.8
GTEX-18D9A-1426-SM-7LT8M 30-39 years, female 131.5
GTEX-144GO-2026-SM-5O99P 60-69 years, male 131.2
GTEX-WXYG-2026-SM-4E3IY 50-59 years, female 131.2
GTEX-1GF9X-1326-SM-7PC2Y 40-49 years, female 130.9
GTEX-ZXG5-2126-SM-59HKD 60-69 years, male 130.8
GTEX-ZYVF-0926-SM-5E44J 50-59 years, female 130.7
GTEX-1HCU7-0726-SM-A9SL1 50-59 years, male 130.5
GTEX-1S5ZU-2526-SM-E6CIF 20-29 years, female 130.4
GTEX-ZLV1-1526-SM-DO91J 60-69 years, female 130.1
GTEX-ZP4G-1426-SM-4WWCL 20-29 years, female 129.9
GTEX-17F9Y-0126-SM-79OKX 70-79 years, female 129.4
GTEX-U8XE-0226-SM-4E3J3 30-39 years, male 129.2
GTEX-ZYT6-2326-SM-5GZY3 30-39 years, male 129.1
GTEX-1HFI6-0126-SM-CNPPI 40-49 years, male 128.9
GTEX-11WQC-1826-SM-5GU59 60-69 years, male 127.7
GTEX-Y5V6-2326-SM-4VDSA 60-69 years, male 127.6
GTEX-1LGRB-0926-SM-COH3K 50-59 years, female 127.6
GTEX-ZWKS-0626-SM-5GIDV 30-39 years, male 127.0
GTEX-12126-0826-SM-5FQTZ 20-29 years, male 126.9
GTEX-1HBPM-0726-SM-9YFL7 60-69 years, female 126.6
GTEX-18A67-1626-SM-7LT9T 50-59 years, male 126.5
GTEX-1HT8W-0626-SM-A9G2H 30-39 years, male 126.4
GTEX-13O3O-2326-SM-5IJD6 60-69 years, female 126.3
GTEX-144FL-0626-SM-5LU43 50-59 years, male 126.3
GTEX-1JJEA-1826-SM-ARU8P 60-69 years, male 126.1
GTEX-147GR-2426-SM-5ZZWQ 60-69 years, male 126.0
GTEX-UPK5-0426-SM-3GAEK 40-49 years, male 126.0
GTEX-1OJC4-2726-SM-E76PJ 50-59 years, female 125.9
GTEX-X8HC-0626-SM-4E3HQ 50-59 years, female 125.8
GTEX-1S83E-1326-SM-E6CJM 40-49 years, male 125.8
GTEX-1F5PK-2226-SM-7SB6N 50-59 years, male 125.7
GTEX-11DYG-1526-SM-5A5JS 60-69 years, male 125.5
GTEX-13FTY-2126-SM-5IFFB 40-49 years, female 125.3
GTEX-1192X-2726-SM-5N9DN 50-59 years, male 125.1
GTEX-ZYY3-2926-SM-5GIEB 60-69 years, female 124.8
GTEX-13NYB-0126-SM-5J1MD 40-49 years, male 124.7
GTEX-1M4P7-0726-SM-E6CJ3 60-69 years, male 124.5
GTEX-1QP9N-1226-SM-E76QN 30-39 years, male 124.4
GTEX-13FHO-0426-SM-5L3F5 60-69 years, male 124.2
GTEX-ZTTD-2826-SM-4YCFA 50-59 years, male 124.1
GTEX-1IKJJ-2226-SM-CJI4C 60-69 years, male 124.1
GTEX-1RMOY-1326-SM-E9TIH 50-59 years, male 123.9
GTEX-15ER7-0626-SM-6PANF 20-29 years, female 123.6
GTEX-18D9B-0926-SM-7LG4U 60-69 years, male 123.6
GTEX-13QJC-0126-SM-5ZZWJ 60-69 years, female 123.4
GTEX-1I1GU-0926-SM-ACKVS 40-49 years, male 123.4
GTEX-13SLX-2226-SM-62LEP 50-59 years, female 123.3
GTEX-Y3I4-1726-SM-4TT89 50-59 years, male 123.2
GTEX-17F9E-2326-SM-79OKD 50-59 years, male 122.6
GTEX-12WSH-1526-SM-5BC5W 50-59 years, male 122.3
GTEX-14PII-0726-SM-6EU2B 60-69 years, male 122.3
GTEX-16MTA-0926-SM-6M47Z 50-59 years, male 122.2
GTEX-1BAJH-2426-SM-7IGP8 70-79 years, male 122.2
GTEX-13FTX-1526-SM-5K7VJ 20-29 years, female 121.9
GTEX-1JMOU-1026-SM-CYPSS 60-69 years, female 121.9
GTEX-13OVK-1426-SM-6PAN7 40-49 years, male 121.8
GTEX-131XG-0326-SM-5L3DX 50-59 years, female 121.6
GTEX-X4EP-0626-SM-3P621 60-69 years, female 121.6
GTEX-1LBAC-0826-SM-CY8IJ 20-29 years, male 121.3
GTEX-1KAFJ-0126-SM-DIPEK 50-59 years, male 121.2
GTEX-XXEK-1626-SM-4BRUZ 50-59 years, male 121.1
GTEX-1C64N-2626-SM-7PC2N 50-59 years, male 121.1
GTEX-1MCC2-1826-SM-DIPEX 30-39 years, female 121.1
GTEX-1JMQK-1226-SM-D4P2S 60-69 years, male 120.9
GTEX-Z93S-1626-SM-5CVMB 50-59 years, male 120.8
GTEX-ZPU1-1126-SM-4YCF3 40-49 years, male 120.8
GTEX-1AYD5-2626-SM-7PBXY 50-59 years, male 120.8
GTEX-145MG-1526-SM-5Q5EM 50-59 years, male 120.7
GTEX-14AS3-1526-SM-5Q5ED 40-49 years, female 120.7
GTEX-15G1A-1626-SM-7KUKN 30-39 years, male 120.5
GTEX-1GN1V-2826-SM-9JGIA 60-69 years, male 120.5
GTEX-1K2DU-1226-SM-CYPT4 20-29 years, male 120.4
GTEX-1JMQJ-0826-SM-CNPP7 50-59 years, male 120.3
GTEX-ZC5H-1526-SM-5HL9Y 40-49 years, female 120.1
GTEX-16BQI-1326-SM-6M486 30-39 years, female 120.0
GTEX-ZF29-0926-SM-4WKFZ 60-69 years, female 119.7
GTEX-139UW-0326-SM-5J1ML 60-69 years, male 119.2
GTEX-ZAK1-0626-SM-5HL8E 50-59 years, female 119.2
GTEX-1EMGI-2326-SM-7PBYA 60-69 years, male 119.0
GTEX-17F98-1326-SM-7DUEP 40-49 years, female 118.9
GTEX-XV7Q-1826-SM-4BRUV 40-49 years, female 118.9
GTEX-1H3O1-1326-SM-9MQLD 60-69 years, male 118.9
GTEX-1JN76-0626-SM-CKZOQ 20-29 years, female 118.7
GTEX-1CAMS-2226-SM-7PBXQ 40-49 years, female 118.6
GTEX-YEC3-1326-SM-DO92X 50-59 years, male 118.6
GTEX-1I1GV-0626-SM-ARL7M 60-69 years, male 118.5
GTEX-1F48J-0726-SM-7RHGS 50-59 years, female 118.3
GTEX-1POEN-2326-SM-E9J2L 30-39 years, female 118.2
GTEX-ZF2S-1626-SM-57WES 50-59 years, female 117.9
GTEX-14PJ6-2626-SM-6EU2T 60-69 years, female 117.7
GTEX-117YX-1926-SM-5GIEC 50-59 years, male 117.6
GTEX-11PRG-0726-SM-5EGL1 50-59 years, male 117.5
GTEX-1H1DG-2426-SM-9QEHJ 70-79 years, male 117.5
GTEX-131YS-2826-SM-5EQ47 60-69 years, female 117.3
GTEX-1H1ZS-2726-SM-9WG75 70-79 years, male 117.0
GTEX-1399R-1326-SM-5PNYS 30-39 years, male 116.8
GTEX-ZZPU-0826-SM-5GZX5 50-59 years, female 116.6
GTEX-YB5K-2026-SM-4VDT3 40-49 years, female 116.4
GTEX-14PK6-0226-SM-62LF5 70-79 years, female 116.3
GTEX-132AR-0326-SM-5KM2C 50-59 years, female 116.2
GTEX-ZAJG-1526-SM-5CVML 50-59 years, female 116.2
GTEX-14C38-0726-SM-5SI6M 50-59 years, male 116.1
GTEX-11P81-2226-SM-5PNYI 30-39 years, female 116.0
GTEX-1I1GT-1026-SM-ARZLV 60-69 years, female 116.0
GTEX-145MN-1526-SM-5SI9T 30-39 years, male 115.7
GTEX-16AAH-0626-SM-793C9 50-59 years, male 115.7
GTEX-ZYFD-0626-SM-5E44E 50-59 years, male 115.7
GTEX-13G51-1826-SM-5KLZH 60-69 years, male 115.4
GTEX-1HR98-2226-SM-ADEI2 60-69 years, male 115.3
GTEX-11VI4-1126-SM-5EQMD 40-49 years, female 115.0
GTEX-XQ8I-0926-SM-4BOOF 50-59 years, male 115.0
GTEX-ZAB4-2126-SM-5HL8U 40-49 years, male 114.9
GTEX-1R46S-2426-SM-E76QA 60-69 years, female 114.8
GTEX-WHSB-1326-SM-3LK6W 50-59 years, male 114.7
GTEX-1R9K4-2826-SM-DTX8F 60-69 years, male 114.5
GTEX-1JN1M-2726-SM-CY8I4 60-69 years, female 114.3
GTEX-15EO6-2426-SM-6PALZ 50-59 years, male 114.2
GTEX-1QCLY-0226-SM-EWRNH 30-39 years, male 114.2
GTEX-ZZ64-1026-SM-5GZXG 20-29 years, male 114.0
GTEX-1GN73-0726-SM-7P8TJ 60-69 years, male 113.9
GTEX-1HSMQ-2626-SM-A9SML 50-59 years, male 113.8
GTEX-14ABY-2026-SM-62LDL 50-59 years, male 113.7
GTEX-17HII-1426-SM-7EPGG 50-59 years, male 113.7
GTEX-11DXW-0826-SM-5H118 40-49 years, male 113.6
GTEX-13X6I-1826-SM-5SIAO 60-69 years, male 113.6
GTEX-13RTJ-0126-SM-5S2NN 60-69 years, male 113.4
GTEX-1RAZQ-1326-SM-E9TK6 30-39 years, male 113.4
GTEX-1HB9E-0126-SM-CM2S5 50-59 years, male 113.3
GTEX-ZDTT-0426-SM-4WKFL 60-69 years, male 113.1
GTEX-1LVAN-0626-SM-CNPOQ 50-59 years, female 112.4
GTEX-13W3W-0726-SM-5IJDQ 60-69 years, female 112.1
GTEX-131XH-0126-SM-5LZUY 50-59 years, male 111.7
GTEX-145ME-1726-SM-5Q5EU 40-49 years, female 111.7
GTEX-14753-0726-SM-5QGQO 60-69 years, male 111.7
GTEX-15CHQ-0326-SM-69LQD 60-69 years, male 111.7
GTEX-XQ3S-1426-SM-4BOPR 20-29 years, male 111.6
GTEX-146FQ-2126-SM-5RQHU 30-39 years, male 111.5
GTEX-1IL2V-1926-SM-B2LW8 70-79 years, male 111.5
GTEX-1RLM8-2926-SM-E8VON 50-59 years, male 111.5
GTEX-11NUK-2726-SM-5A5MC 50-59 years, male 111.4
GTEX-13NZ9-2626-SM-5L3FK 50-59 years, male 111.4
GTEX-XMD2-2126-SM-4YCF8 60-69 years, female 111.4
GTEX-12584-0726-SM-5FQTK 40-49 years, male 111.3
GTEX-13112-0126-SM-5P9IU 50-59 years, male 111.3
GTEX-14PJ5-1526-SM-6LLIL 60-69 years, female 111.2
GTEX-1GZ4H-0526-SM-9KNU9 50-59 years, female 111.2
GTEX-139T8-0626-SM-5KLZX 60-69 years, male 110.9
GTEX-X4EO-2926-SM-4E3JH 60-69 years, female 110.9
GTEX-1CB4H-1126-SM-7MKGL 60-69 years, female 110.8
GTEX-1LVAO-2726-SM-E9TJ8 60-69 years, male 110.8
GTEX-1PPGY-1626-SM-EVYBL 60-69 years, male 110.8
GTEX-1399U-1126-SM-5L3DB 50-59 years, female 110.7
GTEX-Y5LM-0926-SM-6LLJG 40-49 years, female 110.6
GTEX-1CAMR-1326-SM-7PC1F 20-29 years, male 110.6
GTEX-1H1CY-0126-SM-9YFLY 60-69 years, female 110.4
GTEX-1LVA9-2626-SM-EVYD4 50-59 years, male 110.4
GTEX-1CB4J-1326-SM-7P8RX 60-69 years, male 110.3
GTEX-13FTW-0326-SM-5K7UW 40-49 years, male 110.2
GTEX-1C6WA-2626-SM-7MKGM 60-69 years, male 110.2
GTEX-12WSL-2026-SM-5GCML 50-59 years, male 110.0
GTEX-1AX9J-1326-SM-731BJ 60-69 years, male 110.0
GTEX-12WSD-0626-SM-5GCMW 60-69 years, female 109.9
GTEX-ZVT4-2426-SM-5GIEI 50-59 years, female 109.9
GTEX-1QAET-0326-SM-EVR3U 50-59 years, male 109.9
GTEX-14E6C-2426-SM-5S2NF 40-49 years, male 109.8
GTEX-1JMPY-0226-SM-CKZOK 30-39 years, male 109.8
GTEX-14JFF-0626-SM-5ZZVT 60-69 years, male 109.6
GTEX-145LS-0626-SM-7EPG7 60-69 years, female 109.5
GTEX-17HHE-1326-SM-7EWDZ 50-59 years, male 109.5
GTEX-1269C-0126-SM-5EQ5L 60-69 years, female 109.3
GTEX-147F4-0726-SM-5TDDD 50-59 years, male 109.3
GTEX-1RB15-1326-SM-E76Q9 60-69 years, male 109.3
GTEX-111CU-1126-SM-5EGIM 50-59 years, male 109.1
GTEX-14JG1-1526-SM-5YY9X 40-49 years, male 109.1
GTEX-11ZTT-2126-SM-5CVLO 60-69 years, female 109.0
GTEX-1B8KE-1126-SM-7EPHI 50-59 years, male 108.9
GTEX-18QFQ-1826-SM-72D52 30-39 years, male 108.7
GTEX-1GN1U-0626-SM-9MQL9 50-59 years, female 108.7
GTEX-1GPI7-1826-SM-9KNU1 20-29 years, male 108.7
GTEX-ZDXO-3126-SM-5IJDF 60-69 years, male 108.6
GTEX-13OVH-0526-SM-5L3E6 70-79 years, male 108.5
GTEX-1S831-1826-SM-EWROF 20-29 years, male 108.5
GTEX-11TT1-1826-SM-5EQLV 20-29 years, male 108.4
GTEX-1H23P-0626-SM-9WG6T 60-69 years, male 108.1
GTEX-Y111-0626-SM-4SOIT 50-59 years, male 107.9
GTEX-ZVE2-2826-SM-5GU51 50-59 years, male 107.9
GTEX-133LE-2326-SM-5K7W3 20-29 years, female 107.7
GTEX-14PJO-2526-SM-6AJBQ 60-69 years, male 107.7
GTEX-1HBPN-0126-SM-CGQEF 50-59 years, male 107.7
GTEX-1J8EW-2726-SM-CY8HR 60-69 years, female 107.7
GTEX-1O9I2-0226-SM-EYYXD 50-59 years, male 107.7
GTEX-18A6Q-0626-SM-7KFRP 60-69 years, male 107.5
GTEX-YJ8O-2526-SM-5HL85 40-49 years, female 107.4
GTEX-WFON-1926-SM-3LK7L 40-49 years, male 107.3
GTEX-13D11-0926-SM-5J2NC 50-59 years, female 107.0
GTEX-ZYFC-0426-SM-5GICQ 50-59 years, male 106.9
GTEX-1F88E-1626-SM-7SB8Z 60-69 years, female 106.9
GTEX-1R7EU-1626-SM-DTXG3 60-69 years, male 106.8
GTEX-12ZZZ-0726-SM-5GCNZ 60-69 years, male 106.7
GTEX-13OW6-2726-SM-5J2OE 50-59 years, male 106.7
GTEX-111YS-1526-SM-5GZYW 60-69 years, male 106.4
GTEX-14PJN-1826-SM-6AJ98 30-39 years, male 106.3
GTEX-144GM-0526-SM-79OJO 20-29 years, male 106.2
GTEX-16XZZ-0726-SM-7KUF2 60-69 years, male 106.2
GTEX-1QP29-1826-SM-DTX9S 50-59 years, male 106.2
GTEX-1I1GS-2626-SM-B2LY3 60-69 years, male 105.9
GTEX-17EVQ-0126-SM-7IGLR 70-79 years, male 105.8
GTEX-1PIIG-2326-SM-DTXFR 30-39 years, male 105.8
GTEX-1I1GP-1326-SM-A9G28 50-59 years, male 105.6
GTEX-16GPK-0626-SM-7KFSF 60-69 years, male 105.3
GTEX-145MH-2826-SM-5RQJF 50-59 years, male 105.2
GTEX-1ICG6-1226-SM-A9SLN 70-79 years, female 105.2
GTEX-139TT-2126-SM-5LZWC 60-69 years, male 105.1
GTEX-1JKYR-0626-SM-ARL8R 20-29 years, male 105.0
GTEX-11O72-0626-SM-5PNYE 40-49 years, male 104.8
GTEX-1JKYN-0826-SM-ARU8S 30-39 years, male 104.7
GTEX-XBED-1926-SM-47JYP 60-69 years, male 104.5
GTEX-1F75B-0726-SM-7PC3R 50-59 years, male 104.4
GTEX-1A3MW-0626-SM-731CB 60-69 years, female 104.3
GTEX-14LLW-2626-SM-62LDZ 70-79 years, female 103.9
GTEX-1A8G6-2726-SM-731AR 60-69 years, male 103.8
GTEX-1JMLX-0626-SM-ARL8T 50-59 years, male 103.8
GTEX-1PPH7-1126-SM-DTX9A 40-49 years, male 103.8
GTEX-1LSNL-2726-SM-E9TKJ 50-59 years, male 103.7
GTEX-1HR9M-2226-SM-CNPPY 60-69 years, male 103.6
GTEX-1I6K6-1726-SM-CGQFD 30-39 years, male 103.6
GTEX-1J8Q2-2626-SM-ACKWQ 60-69 years, male 103.5
GTEX-14BMV-2826-SM-5TDED 50-59 years, male 103.4
GTEX-183WM-0326-SM-72D5V 70-79 years, female 103.4
GTEX-1GMR3-0126-SM-A9SLW 40-49 years, male 103.4
GTEX-11NSD-0626-SM-5A5LU 20-29 years, male 103.3
GTEX-W5X1-2526-SM-3GILC 40-49 years, female 103.3
GTEX-YF7O-1526-SM-5IFI6 50-59 years, male 103.3
GTEX-1GMRU-2126-SM-7P8RA 50-59 years, male 103.3
GTEX-13OVG-1626-SM-5J1NF 60-69 years, male 103.1
GTEX-14DAR-1226-SM-73KYV 50-59 years, male 102.9
GTEX-1LSNM-0826-SM-DIPG8 50-59 years, male 102.7
GTEX-17KNJ-2126-SM-718AM 50-59 years, male 102.4
GTEX-11ZU8-0126-SM-5EQ58 60-69 years, male 102.2
GTEX-1LSVX-2526-SM-DIPEU 60-69 years, male 102.2
GTEX-1HBPI-2126-SM-ARL9K 50-59 years, male 102.1
GTEX-1477Z-0326-SM-7IGLA 60-69 years, male 101.5
GTEX-1GMR8-0626-SM-7RHI7 50-59 years, female 101.4
GTEX-12ZZY-0726-SM-5EQ66 60-69 years, male 101.2
GTEX-X3Y1-2026-SM-3P5YM 40-49 years, male 101.2
GTEX-XBEC-0726-SM-4QARZ 50-59 years, male 101.1
GTEX-17F96-0126-SM-7EWDU 70-79 years, male 100.8
GTEX-1I1CD-0626-SM-CE6SW 60-69 years, female 100.8
GTEX-1JJ6O-2726-SM-CNPOG 60-69 years, male 100.7
GTEX-12KS4-2126-SM-5FQUT 30-39 years, male 100.4
GTEX-WFG8-2126-SM-3GIKQ 20-29 years, male 100.4
GTEX-11ZUS-2626-SM-5FQUR 30-39 years, male 100.3
GTEX-13N1W-2426-SM-5IJD1 70-79 years, male 100.2
GTEX-1EN7A-2426-SM-793DB 40-49 years, male 100.2
GTEX-1HC8U-1326-SM-9YFMJ 40-49 years, female 100.1
GTEX-1N2EE-0626-SM-E76PW 60-69 years, male 100.1
GTEX-1S3DN-2126-SM-E9TIN 50-59 years, male 100.1
GTEX-11EQ9-1626-SM-5PNY8 30-39 years, male 99.8
GTEX-145MF-0926-SM-5Q5EA 50-59 years, male 99.8
GTEX-1F88F-0126-SM-9WYSZ 60-69 years, female 99.7
GTEX-1C6VQ-1226-SM-73KYD 50-59 years, male 99.6
GTEX-1HSMO-0626-SM-ACKXC 60-69 years, male 99.6
GTEX-XAJ8-1426-SM-47JYM 40-49 years, male 99.4
GTEX-Y3IK-1626-SM-4YCF5 50-59 years, female 99.4
GTEX-13JVG-0726-SM-5KM16 60-69 years, male 99.3
GTEX-ZVP2-0326-SM-57WBP 50-59 years, male 99.3
GTEX-1KD5A-0126-SM-E9U54 50-59 years, male 99.3
GTEX-XOT4-0626-SM-4B66L 60-69 years, female 99.0
GTEX-1H1DF-1126-SM-9WG7G 40-49 years, female 99.0
GTEX-1A8G7-1326-SM-73KVM 60-69 years, male 98.9
GTEX-18A66-0626-SM-7LT8Z 60-69 years, male 98.8
GTEX-11UD2-2526-SM-5CVNU 50-59 years, male 98.7
GTEX-145MI-0626-SM-5SI8S 60-69 years, female 98.7
GTEX-14PJ4-0226-SM-5YY92 60-69 years, male 98.5
GTEX-1HCUA-0826-SM-ADEHM 50-59 years, female 98.5
GTEX-11LCK-2226-SM-5HL4Q 30-39 years, male 98.3
GTEX-WEY5-2326-SM-3GIKK 40-49 years, female 98.2
GTEX-1K2DA-1026-SM-CGQGF 50-59 years, male 98.2
GTEX-1QP28-1126-SM-EVYC4 50-59 years, female 98.2
GTEX-11P7K-1126-SM-5HL4L 30-39 years, male 98.1
GTEX-1EWIQ-0326-SM-7DHMQ 70-79 years, female 98.1
GTEX-1LG7Y-2526-SM-EWRO7 50-59 years, male 98.1
GTEX-14PHX-2226-SM-6EU2P 50-59 years, male 98.0
GTEX-UPJH-0226-SM-3GADV 50-59 years, male 98.0
GTEX-1HCVE-2726-SM-CL54F 50-59 years, male 97.9
GTEX-1HCU6-2526-SM-ADEHL 60-69 years, female 97.8
GTEX-1GF9V-0826-SM-9KNUV 60-69 years, male 97.6
GTEX-13113-1626-SM-5EQ4I 60-69 years, female 97.4
GTEX-14B4R-1326-SM-5Q5EZ 30-39 years, male 97.4
GTEX-1IDJI-0126-SM-CMKHS 50-59 years, female 97.4
GTEX-11DXZ-2026-SM-5987S 50-59 years, male 97.3
GTEX-14C5O-0326-SM-5ZZUX 60-69 years, male 97.3
GTEX-ZDYS-2426-SM-4WKGI 50-59 years, male 97.3
GTEX-1GF9W-1426-SM-7PBYM 60-69 years, male 97.1
GTEX-1E1VI-0326-SM-793D1 50-59 years, male 97.0
GTEX-ZYFG-1526-SM-5GZYM 60-69 years, female 97.0
GTEX-1F6I4-2326-SM-7RHGL 60-69 years, male 97.0
GTEX-1H4P4-2126-SM-9WYSL 50-59 years, male 97.0
GTEX-1QW4Y-1126-SM-DTXE3 30-39 years, male 97.0
GTEX-1RAZA-2226-SM-E9U4X 20-29 years, male 96.9
GTEX-WK11-2726-SM-3NMAQ 50-59 years, male 96.8
GTEX-1IDJU-1726-SM-CMKHU 60-69 years, female 96.8
GTEX-1I6K7-1926-SM-B2LXR 40-49 years, male 96.7
GTEX-14E6E-0526-SM-793DN 30-39 years, male 96.6
GTEX-16NPX-0726-SM-7KULC 50-59 years, male 96.6
GTEX-1314G-1326-SM-5BC6E 30-39 years, male 96.4
GTEX-VJYA-1526-SM-3GIJV 60-69 years, male 96.3
GTEX-17HHY-0426-SM-7DHLC 50-59 years, male 96.1
GTEX-1CAMQ-1326-SM-7P8RV 40-49 years, male 96.1
GTEX-13O3Q-0126-SM-5KM34 50-59 years, male 95.9
GTEX-14PKU-0126-SM-6LLHV 40-49 years, female 95.3
GTEX-1C2JI-1026-SM-73KY1 50-59 years, male 95.3
GTEX-131XW-0626-SM-5PNVD 50-59 years, female 94.7
GTEX-145LT-0526-SM-5LUB2 40-49 years, male 94.7
GTEX-ZU9S-1826-SM-5NQ9E 30-39 years, male 94.7
GTEX-15CHC-1126-SM-6LLHQ 60-69 years, female 94.6
GTEX-1IDJV-0126-SM-COH3Y 60-69 years, male 94.6
GTEX-13N11-2326-SM-5IJBF 50-59 years, female 94.5
GTEX-178AV-1726-SM-7KUL8 40-49 years, male 94.5
GTEX-1ICLY-0826-SM-CMKG1 50-59 years, male 94.5
GTEX-1LB8K-0726-SM-D5OV2 50-59 years, male 94.5
GTEX-1C6VR-0126-SM-7RHGB 60-69 years, male 94.4
GTEX-1PDJ9-1226-SM-EXUSX 20-29 years, male 94.4
GTEX-ZDTS-0826-SM-4WKHL 60-69 years, male 94.3
GTEX-13PVR-0426-SM-5RQK2 60-69 years, female 94.2
GTEX-1A8FM-0626-SM-7PC25 50-59 years, female 94.2
GTEX-1GZ4I-2626-SM-9KNU3 50-59 years, male 94.2
GTEX-1I1HK-2326-SM-CKZOH 60-69 years, male 94.2
GTEX-1IDJH-0126-SM-D3L92 70-79 years, male 94.2
GTEX-13JUV-2026-SM-5K7UA 40-49 years, female 94.1
GTEX-1A3MV-1826-SM-731CD 30-39 years, male 94.1
GTEX-1EKGG-0626-SM-7DUGJ 60-69 years, male 94.0
GTEX-ZUA1-2626-SM-5NQ92 40-49 years, male 93.8
GTEX-11TUW-0626-SM-5LU9M 60-69 years, male 93.6
GTEX-14A6H-2026-SM-5Q5DD 30-39 years, male 93.6
GTEX-13OW7-0426-SM-5K7VK 50-59 years, male 93.2
GTEX-1F75A-0726-SM-7RHHD 50-59 years, male 93.2
GTEX-14BMU-1226-SM-5S2OR 20-29 years, female 93.1
GTEX-Y9LG-1126-SM-4VBQ7 30-39 years, male 93.1
GTEX-1F5PL-0926-SM-7PC2W 40-49 years, female 93.1
GTEX-1KANA-1326-SM-DIPFA 20-29 years, male 93.1
GTEX-139TS-2126-SM-5K7XC 60-69 years, male 92.9
GTEX-1HSKV-1226-SM-ADEI4 60-69 years, male 92.9
GTEX-15RJ7-2126-SM-6PAMD 40-49 years, male 92.8
GTEX-1B97I-0626-SM-73KUZ 40-49 years, male 92.7
GTEX-13N2G-0226-SM-5K7VF 60-69 years, male 92.6
GTEX-12WSF-1626-SM-7KUG5 70-79 years, male 92.5
GTEX-18A7B-2726-SM-7LG56 70-79 years, male 92.5
GTEX-1I19N-0126-SM-CYPSF 70-79 years, male 92.5
GTEX-1IDJF-2026-SM-CL53V 20-29 years, male 92.4
GTEX-X5EB-1926-SM-4E3IW 40-49 years, male 92.0
GTEX-ZA64-1026-SM-5HL8R 20-29 years, male 92.0
GTEX-11GSP-2326-SM-5HL63 60-69 years, female 91.8
GTEX-13FLV-0126-SM-5K7WT 50-59 years, male 91.8
GTEX-1IOXB-2726-SM-CM2RI 50-59 years, male 91.8
GTEX-147F3-1726-SM-5SIAW 50-59 years, female 91.7
GTEX-16Z82-2626-SM-7KULU 60-69 years, male 91.7
GTEX-13X6H-0926-SM-5SIB2 50-59 years, female 91.6
GTEX-13OVL-0126-SM-5L3GJ 50-59 years, male 91.5
GTEX-WYJK-0526-SM-3NM8Z 50-59 years, male 91.2
GTEX-1H1E6-0426-SM-9WYUS 30-39 years, male 91.1
GTEX-ZVT2-0126-SM-5GIDQ 50-59 years, female 91.0
GTEX-V1D1-2026-SM-3GAF4 50-59 years, male 90.8
GTEX-1QP66-1226-SM-DTX7U 50-59 years, male 90.8
GTEX-1HGF4-0126-SM-CNPPX 60-69 years, male 90.6
GTEX-1AX8Z-0726-SM-73KTS 60-69 years, male 90.4
GTEX-WY7C-2126-SM-3NB2R 50-59 years, male 90.4
GTEX-11GS4-0226-SM-5HL77 60-69 years, male 90.2
GTEX-1KANB-2826-SM-CY8I6 50-59 years, male 90.1
GTEX-145LU-1926-SM-79OJN 50-59 years, male 90.0
GTEX-1211K-1526-SM-5FQU4 60-69 years, female 89.8
GTEX-131XF-2626-SM-5EQ6K 60-69 years, male 89.8
GTEX-17HG3-2626-SM-7DUF2 30-39 years, female 89.8
GTEX-16MT8-2926-SM-7DUFO 60-69 years, female 89.6
GTEX-1HFI7-2326-SM-CGQFS 50-59 years, female 89.4
GTEX-1JJE9-2626-SM-ARZMT 70-79 years, male 89.4
GTEX-145MO-2826-SM-5LU96 60-69 years, male 89.3
GTEX-1J8JJ-0626-SM-ARZMQ 60-69 years, female 89.3
GTEX-12696-0126-SM-5EQ4L 60-69 years, male 89.0
GTEX-1CB4I-0126-SM-7RHGG 50-59 years, male 88.8
GTEX-13VXT-1926-SM-5K7UO 20-29 years, female 88.5
GTEX-1A32A-0626-SM-731AQ 50-59 years, female 88.4
GTEX-XUW1-0926-SM-4BONX 50-59 years, female 88.3
GTEX-1QMI2-2526-SM-E8VNZ 60-69 years, male 88.3
GTEX-1B8SF-0126-SM-7DUG3 60-69 years, male 88.0
GTEX-1EU9M-1426-SM-793AI 60-69 years, male 88.0
GTEX-WYBS-0626-SM-3NMAS 60-69 years, female 87.9
GTEX-1JMPZ-0726-SM-CY8HZ 30-39 years, male 87.9
GTEX-18D9U-0126-SM-731BM 40-49 years, male 87.7
GTEX-1J8QM-2426-SM-A9SLS 60-69 years, female 87.7
GTEX-1KXAM-1626-SM-D3LAD 60-69 years, male 87.6
GTEX-ZPIC-0526-SM-DO91W 40-49 years, female 87.4
GTEX-1KANC-1226-SM-CYPT7 50-59 years, female 87.3
GTEX-13VXU-0626-SM-5L3F9 50-59 years, male 87.1
GTEX-1QEPI-2626-SM-DTXF4 60-69 years, female 86.9
GTEX-13OW8-1026-SM-5J1NQ 60-69 years, male 86.8
GTEX-15EU6-2226-SM-6EU2L 50-59 years, male 86.8
GTEX-183FY-1026-SM-7939A 20-29 years, male 86.8
GTEX-17EVP-2626-SM-7IGMA 40-49 years, male 86.6
GTEX-14BIN-1126-SM-5RQJZ 50-59 years, female 86.5
GTEX-1IDJD-2326-SM-ACKWX 30-39 years, male 86.5
GTEX-XPVG-2126-SM-4B667 50-59 years, male 86.3
GTEX-139TU-0726-SM-5L3EK 60-69 years, male 86.2
GTEX-ZT9W-1126-SM-57WDR 50-59 years, male 86.2
GTEX-1F6IF-0926-SM-7SB7M 60-69 years, male 86.2
GTEX-18A7A-0126-SM-731AH 50-59 years, female 86.1
GTEX-1IY9M-2826-SM-ARU8H 60-69 years, male 86.1
GTEX-18465-2826-SM-7LT9J 50-59 years, male 86.0
GTEX-1J1R8-2026-SM-CL53Y 40-49 years, male 85.9
GTEX-1MCYP-0526-SM-E9U6Q 20-29 years, female 85.9
GTEX-ZGAY-1826-SM-DO91Q 40-49 years, female 85.9
GTEX-1GTWX-2026-SM-9YFLM 60-69 years, male 85.6
GTEX-1B932-2326-SM-79OL5 40-49 years, female 85.5
GTEX-WHPG-2626-SM-3NMBR 50-59 years, male 85.4
GTEX-WHWD-1826-SM-3LK6I 50-59 years, male 85.4
GTEX-1122O-1026-SM-9WYSF 60-69 years, female 85.4
GTEX-1N5O9-0926-SM-E9J3C 60-69 years, male 85.4
GTEX-ZLWG-0826-SM-59888 50-59 years, female 85.3
GTEX-1C64O-1326-SM-7MGWR 60-69 years, male 85.3
GTEX-1B8KZ-0326-SM-73KY4 50-59 years, male 85.2
GTEX-1JK1U-0226-SM-ARZMX 60-69 years, male 85.2
GTEX-12WSM-1926-SM-5BC65 60-69 years, male 84.9
GTEX-1IDJE-1426-SM-ADEIW 50-59 years, female 84.8
GTEX-1L5NE-1126-SM-D3L9P 50-59 years, male 84.8
GTEX-1RAZR-2126-SM-E9U6T 40-49 years, male 84.8
GTEX-17HGU-2326-SM-7DUFE 50-59 years, male 84.6
GTEX-14JG6-1426-SM-9WG7C 30-39 years, female 84.6
GTEX-1F75I-2226-SM-7SB8U 40-49 years, male 84.6
GTEX-14PJ2-0626-SM-6LLII 50-59 years, male 84.4
GTEX-12WSA-0426-SM-5EQ5X 60-69 years, male 84.3
GTEX-12WSC-2826-SM-5BC5Y 50-59 years, male 84.3
GTEX-12BJ1-0926-SM-5EQ62 60-69 years, male 84.2
GTEX-1CB4F-1026-SM-7DUH1 60-69 years, male 84.2
GTEX-1B933-2426-SM-7DHMD 50-59 years, female 84.0
GTEX-1B8L1-2226-SM-7P8PT 60-69 years, male 83.5
GTEX-1F75W-2726-SM-7SB8H 60-69 years, male 83.5
GTEX-Y8E4-2026-SM-5IFJB 40-49 years, male 83.4
GTEX-1H3NZ-2726-SM-9WYTQ 60-69 years, male 83.4
GTEX-1IDJC-1526-SM-B2LW4 50-59 years, male 83.4
GTEX-11EI6-2826-SM-5H11D 60-69 years, male 83.1
GTEX-WRHU-2826-SM-3MJG8 50-59 years, female 83.1
GTEX-1GZHY-0626-SM-9KNVC 50-59 years, female 83.1
GTEX-1212Z-0126-SM-59HK4 60-69 years, male 83.0
GTEX-13PVQ-0626-SM-5LU47 50-59 years, male 83.0
GTEX-14DAQ-0626-SM-793DS 60-69 years, female 82.9
GTEX-15CHR-1126-SM-7EWF4 50-59 years, male 82.9
GTEX-1EH9U-2826-SM-7DUGT 60-69 years, male 82.8
GTEX-1LG7Z-1626-SM-CXKYR 30-39 years, male 82.8
GTEX-1AX9I-2226-SM-73KUO 60-69 years, male 82.6
GTEX-1HKZK-0726-SM-ACKW2 40-49 years, male 81.9
GTEX-1GZ2Q-0126-SM-9WG6M 40-49 years, male 81.6
GTEX-1HSGN-0826-SM-ACKW3 40-49 years, female 81.4
GTEX-1IE54-1126-SM-A9G2Z 40-49 years, female 81.4
GTEX-1GMR2-0826-SM-7PC3V 50-59 years, male 81.3
GTEX-13FH7-1126-SM-5K7UG 50-59 years, female 81.2
GTEX-1GL5R-1326-SM-7RHHF 50-59 years, male 80.9
GTEX-11EM3-1226-SM-5N9DD 20-29 years, female 80.6
GTEX-1CAV2-0126-SM-7IGN7 40-49 years, female 80.5
GTEX-13X6J-0626-SM-5LU5F 50-59 years, male 80.3
GTEX-1497J-0226-SM-5QGPU 60-69 years, male 80.2
GTEX-15FZZ-0526-SM-7KUGD 30-39 years, female 80.2
GTEX-1K9T9-1526-SM-DIPFR 50-59 years, female 79.8
GTEX-1JMQI-1726-SM-ARL93 50-59 years, male 79.4
GTEX-1GN1W-2426-SM-9KNUU 50-59 years, female 79.2
GTEX-14PKV-1126-SM-6LLJ1 20-29 years, female 79.1
GTEX-13X6K-0626-SM-5LU5D 60-69 years, female 79.0
GTEX-16NGA-0726-SM-731AO 40-49 years, female 78.8
GTEX-1GF9U-2026-SM-7SB92 40-49 years, female 78.8
GTEX-1C475-1326-SM-7SB73 40-49 years, female 78.5
GTEX-1JN6P-2926-SM-CL54D 60-69 years, male 78.1
GTEX-ZVTK-0226-SM-51MRG 20-29 years, male 78.0
GTEX-111FC-2526-SM-5GZXU 60-69 years, male 77.3
GTEX-1QCLZ-2426-SM-EVYBW 60-69 years, female 77.0
GTEX-1KWVE-1026-SM-D3L9O 30-39 years, male 76.6
GTEX-1EX96-1026-SM-7MKG2 50-59 years, male 76.3
GTEX-ZTSS-1426-SM-5985P 40-49 years, male 76.2
GTEX-1I4MK-0126-SM-CY8G6 50-59 years, female 75.6
GTEX-1LGOU-1326-SM-D3L8M 20-29 years, female 75.1
GTEX-1J8Q3-0526-SM-ARL8U 60-69 years, male 74.7
GTEX-1HCU9-0426-SM-9WYSD 20-29 years, male 74.6
GTEX-1A3MX-2626-SM-7PC24 60-69 years, male 73.8
GTEX-Y5V5-0126-SM-5S2NW 60-69 years, female 73.7
GTEX-12C56-1526-SM-5FQUQ 20-29 years, male 73.6
GTEX-15D1Q-2826-SM-6LLH7 40-49 years, male 73.6
GTEX-1AMEY-0826-SM-72D65 30-39 years, female 73.1
GTEX-Y8LW-1526-SM-5IFHL 50-59 years, female 72.8
GTEX-17MF6-2626-SM-79OKQ 40-49 years, male 72.2
GTEX-WYVS-1626-SM-3NM9R 40-49 years, female 71.6
GTEX-1GN2E-0226-SM-9WG6K 60-69 years, male 71.6
GTEX-1H1DE-1326-SM-9KNUG 20-29 years, male 71.2
GTEX-1GPI6-1926-SM-9KNV7 60-69 years, male 70.9
GTEX-13QBU-1226-SM-5LU4G 40-49 years, female 70.8
GTEX-1HCU8-2526-SM-CE6RX 60-69 years, female 70.8
GTEX-1CB4E-0926-SM-7EPHT 60-69 years, male 70.1
GTEX-1HUB1-1426-SM-CGQF5 60-69 years, male 70.0
GTEX-17JCI-2926-SM-7DUFF 60-69 years, female 69.5
GTEX-13U4I-2226-SM-5LU5H 40-49 years, female 67.9
GTEX-1AMFI-1326-SM-7939R 50-59 years, female 66.3
GTEX-147JS-0226-SM-5S2U9 60-69 years, male 65.9
GTEX-1B996-0426-SM-7EWF8 60-69 years, male 61.1
GTEX-11P82-1426-SM-DTXFY 20-29 years, male 56.6
Show allShow less
Skin - Sun Exposed (Lower leg)
Average nTPM: 103.1
Samples: 701

Max nTPM: 329.4
Min nTPM: 49.9
Std nTPM: 25.9
Median nTPM: 99.1
GTEX-POMQ-2226-SM-2I5FK 20-29 years, female 329.4
GTEX-14E6C-0126-SM-5RQIP 40-49 years, male 226.0
GTEX-1122O-2126-SM-5EGIR 60-69 years, female 216.1
GTEX-1399U-2326-SM-5K7WY 50-59 years, female 212.6
GTEX-11WQK-0526-SM-5EQLD 50-59 years, male 199.7
GTEX-183WM-0126-SM-7LTAB 70-79 years, female 197.8
GTEX-15UF6-0826-SM-6PALJ 70-79 years, female 192.3
GTEX-OIZG-0726-SM-33HBL 50-59 years, male 190.9
GTEX-15SB6-1726-SM-6PAME 50-59 years, female 185.4
GTEX-SE5C-1626-SM-2XCE3 40-49 years, female 184.9
GTEX-W5X1-3026-SM-EAZAX 40-49 years, female 183.4
GTEX-1LBAC-0126-SM-DIPEZ 20-29 years, male 180.1
GTEX-Y3IK-2426-SM-4WWDU 50-59 years, female 179.8
GTEX-OIZH-0126-SM-2HMIS 50-59 years, male 171.4
GTEX-1L5NE-2526-SM-E6CIE 50-59 years, male 167.9
GTEX-T2YK-0526-SM-32QPJ 50-59 years, male 165.9
GTEX-15UKP-0426-SM-7KUFQ 20-29 years, male 165.7
GTEX-ZXES-1826-SM-5E43S 30-39 years, female 165.3
GTEX-X4XY-0226-SM-4E3IZ 60-69 years, male 163.9
GTEX-X88G-0126-SM-47JZ3 30-39 years, male 163.0
GTEX-13PDP-0126-SM-5L3HD 60-69 years, male 159.7
GTEX-RVPV-0126-SM-EAZAW 60-69 years, male 159.3
GTEX-X8HC-0126-SM-4E3JW 50-59 years, female 156.6
GTEX-NPJ8-0126-SM-2YUNR 40-49 years, male 156.4
GTEX-139D8-0226-SM-5KLZO 30-39 years, female 156.2
GTEX-17JCI-0126-SM-7LG5G 60-69 years, female 155.1
GTEX-13NYS-0126-SM-5MR3W 60-69 years, male 151.4
GTEX-P4QT-0126-SM-2I3FL 50-59 years, female 150.4
GTEX-131XE-2326-SM-5PNZ2 50-59 years, male 149.2
GTEX-ZVT2-2526-SM-51MT1 50-59 years, female 148.3
GTEX-1OJC3-0126-SM-E76QX 20-29 years, male 148.2
GTEX-1GF9X-2026-SM-7PC3A 40-49 years, female 148.0
GTEX-14PK6-1926-SM-6ETZU 70-79 years, female 146.9
GTEX-145MN-2226-SM-5SIAU 30-39 years, male 146.4
GTEX-1JJ6O-0126-SM-E6CI8 60-69 years, male 146.3
GTEX-1R9PM-2026-SM-E76OY 20-29 years, male 146.1
GTEX-1497J-2426-SM-7IGNX 60-69 years, male 144.4
GTEX-X4EP-0126-SM-3P5YV 60-69 years, female 144.2
GTEX-14753-0426-SM-5NQAM 60-69 years, male 143.9
GTEX-145MO-0326-SM-5Q5B3 60-69 years, male 143.4
GTEX-13IVO-0126-SM-5J1NG 70-79 years, male 142.8
GTEX-WI4N-1026-SM-3LK7N 40-49 years, female 142.6
GTEX-1LVAN-0226-SM-COH3S 50-59 years, female 142.6
GTEX-P4PP-0126-SM-3LK69 30-39 years, female 141.9
GTEX-18D9A-1926-SM-7LG6P 30-39 years, female 141.8
GTEX-Y5LM-1926-SM-5RQJH 40-49 years, female 141.5
GTEX-O5YT-0126-SM-48TBW 20-29 years, male 140.6
GTEX-14XAO-2326-SM-6EU1B 60-69 years, female 140.3
GTEX-1HBPM-0226-SM-ARL9F 60-69 years, female 140.1
GTEX-R3RS-0126-SM-3GIJL 40-49 years, female 138.4
GTEX-PSDG-0226-SM-DKPOZ 50-59 years, male 137.7
GTEX-ZV6S-2326-SM-4YCEY 40-49 years, female 137.6
GTEX-1QPFJ-0226-SM-E76PB 30-39 years, female 137.6
GTEX-11H98-0126-SM-5EGHG 50-59 years, male 137.4
GTEX-WVJS-0126-SM-4MVOT 50-59 years, male 137.1
GTEX-1K2DA-1826-SM-CGQGT 50-59 years, male 137.1
GTEX-14ICK-0226-SM-6EU25 40-49 years, male 137.0
GTEX-15G19-0126-SM-6PANQ 60-69 years, male 136.8
GTEX-11DYG-0126-SM-59883 60-69 years, male 136.6
GTEX-145LS-0126-SM-5QGP1 60-69 years, female 136.4
GTEX-OOBJ-0126-SM-E6CJW 60-69 years, male 136.3
GTEX-145LV-2126-SM-5LU8N 50-59 years, male 136.1
GTEX-XBEW-0626-SM-4QASP 40-49 years, male 134.9
GTEX-TMMY-0226-SM-33HBA 40-49 years, female 134.6
GTEX-139UW-2826-SM-5L3E7 60-69 years, male 133.9
GTEX-1F6RS-0126-SM-9MQKZ 60-69 years, female 133.9
GTEX-1ICLZ-0126-SM-CKZPO 60-69 years, male 133.5
GTEX-U412-0426-SM-3DB9O 60-69 years, male 133.0
GTEX-ZF3C-0126-SM-DO92D 50-59 years, female 132.9
GTEX-1LSNM-1926-SM-E6CII 50-59 years, male 132.7
GTEX-RTLS-0126-SM-447CA 60-69 years, female 132.2
GTEX-15EOM-0126-SM-7KUGG 20-29 years, female 132.0
GTEX-1JMQL-0226-SM-CNPP5 50-59 years, female 132.0
GTEX-139TS-2826-SM-5J1OO 60-69 years, male 131.8
GTEX-T6MN-0126-SM-32PLP 50-59 years, male 131.6
GTEX-1M5QR-1226-SM-EWROB 40-49 years, male 131.3
GTEX-X585-0226-SM-4QAS2 50-59 years, male 131.0
GTEX-13OVK-2026-SM-7KUEO 40-49 years, male 130.8
GTEX-146FQ-0126-SM-5NQA9 30-39 years, male 130.8
GTEX-15RIG-0226-SM-7KFTL 40-49 years, male 130.7
GTEX-13CF3-2426-SM-5IFGX 60-69 years, female 130.6
GTEX-ZVTK-0426-SM-51MRS 20-29 years, male 130.1
GTEX-131XF-5016-SM-7MGWE 60-69 years, male 130.1
GTEX-18A67-0126-SM-7LG5P 50-59 years, male 130.0
GTEX-QDVN-2026-SM-3GAEP 50-59 years, male 129.4
GTEX-U8XE-0326-SM-3DB8P 30-39 years, male 128.8
GTEX-ZWKS-0126-SM-5SIAA 30-39 years, male 128.8
GTEX-13OVH-0126-SM-5MR4B 70-79 years, male 128.7
GTEX-UJHI-1526-SM-3DB99 50-59 years, female 128.3
GTEX-16MT8-0426-SM-7KUEY 60-69 years, female 127.7
GTEX-11DXZ-2326-SM-5EGGV 50-59 years, male 127.6
GTEX-13FTW-2626-SM-5K7WL 40-49 years, male 127.5
GTEX-1C6VQ-0126-SM-7P8RI 50-59 years, male 127.3
GTEX-11DZ1-0126-SM-5985Q 50-59 years, male 127.2
GTEX-ZU9S-0226-SM-5E441 30-39 years, male 127.1
GTEX-12126-0326-SM-5PNW3 20-29 years, male 127.0
GTEX-13D11-2426-SM-5KM1V 50-59 years, female 127.0
GTEX-ZVZP-2426-SM-59HKJ 50-59 years, male 127.0
GTEX-14BMU-2226-SM-5TDE9 20-29 years, female 126.9
GTEX-NFK9-0226-SM-2HMKQ 40-49 years, male 126.9
GTEX-1H3VE-0326-SM-9YFLH 40-49 years, male 126.8
GTEX-Q734-1926-SM-2I5EV 40-49 years, female 126.6
GTEX-145LT-1726-SM-5QGP3 40-49 years, male 126.5
GTEX-ZYT6-0226-SM-5NQ6T 30-39 years, male 126.4
GTEX-Y5V6-2426-SM-4VDSB 60-69 years, male 126.3
GTEX-14PN4-0126-SM-6EU2V 50-59 years, male 125.8
GTEX-13CF2-2526-SM-5LZYX 60-69 years, male 125.6
GTEX-13NZ8-0826-SM-5MR3I 60-69 years, female 125.6
GTEX-X4XX-0126-SM-3NMC2 60-69 years, male 125.4
GTEX-T8EM-1026-SM-3DB7M 40-49 years, male 125.1
GTEX-111VG-2426-SM-5GZXD 60-69 years, male 124.8
GTEX-15ER7-0326-SM-7KUEV 20-29 years, female 124.7
GTEX-Z93S-0126-SM-5HL7M 50-59 years, male 124.7
GTEX-1LGRB-2526-SM-CNPPQ 50-59 years, female 124.6
GTEX-ZVZO-0126-SM-5A5L9 40-49 years, male 124.5
GTEX-14LZ3-0226-SM-62LET 60-69 years, female 124.1
GTEX-1JN1M-0326-SM-CYPT3 60-69 years, female 123.7
GTEX-1MJK2-0426-SM-DTXE5 50-59 years, male 123.6
GTEX-ZTX8-1426-SM-5DUVO 20-29 years, male 123.4
GTEX-1GMR3-1926-SM-9KNUZ 40-49 years, male 123.1
GTEX-1J1OQ-0226-SM-CYPSH 40-49 years, female 123.0
GTEX-1LG7Z-1726-SM-D3LA4 30-39 years, male 122.8
GTEX-RWS6-2026-SM-2XCB5 60-69 years, female 122.4
GTEX-Y8DK-0126-SM-4TT3L 60-69 years, male 122.3
GTEX-ZE9C-2726-SM-57WB5 60-69 years, male 122.2
GTEX-Y8E4-0626-SM-4WWDL 40-49 years, male 122.0
GTEX-11DXX-2426-SM-5GZZW 60-69 years, female 121.6
GTEX-17GQL-2026-SM-718BA 60-69 years, male 121.6
GTEX-1PIIG-0226-SM-EWRN6 30-39 years, male 121.6
GTEX-1J8EW-0126-SM-CJI4F 60-69 years, female 121.3
GTEX-1B8SF-1426-SM-7DUGL 60-69 years, male 121.1
GTEX-13NZB-2526-SM-5J1OM 30-39 years, male 121.0
GTEX-1I1GV-0526-SM-A9G29 60-69 years, male 120.7
GTEX-U8T8-0126-SM-3DB94 60-69 years, male 120.5
GTEX-13OW5-0126-SM-DTXFS 60-69 years, male 120.4
GTEX-15ETS-0126-SM-7KUMW 40-49 years, female 120.3
GTEX-111FC-0126-SM-5N9DL 60-69 years, male 120.2
GTEX-1KANC-1526-SM-D3LAB 50-59 years, female 120.0
GTEX-1399T-2826-SM-5KLYZ 60-69 years, male 119.9
GTEX-144FL-0126-SM-5TDC8 50-59 years, male 119.5
GTEX-14PII-0226-SM-6EU1T 60-69 years, male 119.5
GTEX-13FHP-0126-SM-5IJBG 50-59 years, male 119.4
GTEX-XYKS-2126-SM-4E3IB 60-69 years, female 119.4
GTEX-1S83E-0126-SM-EWRO4 40-49 years, male 119.4
GTEX-11UD1-0126-SM-5PNYG 40-49 years, female 119.3
GTEX-1S3DN-2226-SM-EVYCD 50-59 years, male 119.3
GTEX-WQUQ-0426-SM-3MJFU 60-69 years, male 119.2
GTEX-1GZ2Q-0226-SM-7P8TL 40-49 years, male 119.2
GTEX-1H4P4-0726-SM-9YFLR 50-59 years, male 118.7
GTEX-1HSMO-0126-SM-CL547 60-69 years, male 118.7
GTEX-13113-5016-SM-7EPIP 60-69 years, female 118.6
GTEX-13YAN-0326-SM-5O9DF 60-69 years, male 118.6
GTEX-1F5PL-0326-SM-7P8PQ 40-49 years, female 118.6
GTEX-13FTX-1826-SM-5J1NX 20-29 years, female 118.5
GTEX-1GZ4H-1726-SM-7PBZJ 50-59 years, female 118.4
GTEX-S33H-1026-SM-EZ6L6 30-39 years, male 117.9
GTEX-14E6E-1826-SM-5S2R7 30-39 years, male 117.8
GTEX-14A5I-0126-SM-5TDEA 50-59 years, female 117.6
GTEX-1H1CY-2826-SM-9MQM3 60-69 years, female 117.5
GTEX-1RB15-2126-SM-E9TIM 60-69 years, male 117.5
GTEX-117XS-2726-SM-5N9BL 60-69 years, male 117.2
GTEX-XAJ8-0826-SM-47JY6 40-49 years, male 117.2
GTEX-TML8-1926-SM-32QOS 40-49 years, female 117.0
GTEX-1KD4Q-0226-SM-E9TJ9 40-49 years, male 116.4
GTEX-QVJO-1626-SM-2S1QW 60-69 years, female 116.2
GTEX-1PWST-0226-SM-E76QJ 70-79 years, male 116.1
GTEX-1H1DG-0126-SM-9WYU2 70-79 years, male 116.0
GTEX-QESD-1426-SM-2S1R9 20-29 years, male 115.8
GTEX-PWCY-1826-SM-DHXIZ 20-29 years, female 115.8
GTEX-13RTK-1426-SM-5QGQJ 20-29 years, male 115.6
GTEX-PWO3-1526-SM-48TCM 60-69 years, female 115.6
GTEX-1RAZA-0126-SM-E6CI3 20-29 years, male 115.4
GTEX-17F98-0626-SM-79OMX 40-49 years, female 115.3
GTEX-Q2AH-1626-SM-3GAF8 40-49 years, male 115.3
GTEX-1HT8W-0126-SM-CNPPP 30-39 years, male 115.1
GTEX-1A3MX-0126-SM-731BR 60-69 years, male 115.0
GTEX-TMZS-0126-SM-3DB9Q 60-69 years, male 114.9
GTEX-1CAV2-2226-SM-7P8P2 40-49 years, female 114.9
GTEX-1RQEC-0426-SM-E6CHU 60-69 years, male 114.8
GTEX-11NSD-2226-SM-5986V 20-29 years, male 114.7
GTEX-1211K-2026-SM-5EQ4Z 60-69 years, female 114.7
GTEX-XUW1-0426-SM-4BOOT 50-59 years, female 114.7
GTEX-ZTSS-1926-SM-57WEW 40-49 years, male 114.6
GTEX-11TT1-2526-SM-5EGIB 20-29 years, male 114.5
GTEX-XV7Q-2526-SM-4BRV9 40-49 years, female 114.5
GTEX-ZYFD-0126-SM-5GIDL 50-59 years, male 114.5
GTEX-1CAMS-0426-SM-7P8T2 40-49 years, female 114.5
GTEX-1S82Z-0826-SM-E6CHY 30-39 years, female 114.5
GTEX-12ZZY-0226-SM-5LZVE 60-69 years, male 114.4
GTEX-ZTPG-0326-SM-5O9AX 20-29 years, female 114.4
GTEX-133LE-1826-SM-5J1MV 20-29 years, female 114.3
GTEX-1MA7W-2026-SM-E9TJ6 20-29 years, female 114.3
GTEX-1NV5F-0226-SM-E8VNY 60-69 years, female 113.9
GTEX-ZAK1-0126-SM-5IJD3 50-59 years, female 113.8
GTEX-1LB8K-0226-SM-EWRNW 50-59 years, male 113.8
GTEX-Y114-2426-SM-4TT8A 50-59 years, female 113.7
GTEX-1JMQI-2226-SM-CM2SD 50-59 years, male 113.6
GTEX-12WSA-0226-SM-5BC5V 60-69 years, male 113.5
GTEX-12ZZX-0126-SM-5EGK9 40-49 years, female 113.4
GTEX-1CB4H-0226-SM-7PBXM 60-69 years, female 113.4
GTEX-1HR98-0126-SM-B2LWI 60-69 years, male 113.4
GTEX-1R7EU-0226-SM-EVR4G 60-69 years, male 113.4
GTEX-YEC4-2126-SM-5IFJH 40-49 years, male 113.2
GTEX-S7SE-0126-SM-2XCD5 50-59 years, male 113.0
GTEX-11UD2-0226-SM-5EQKY 50-59 years, male 112.9
GTEX-T5JW-1626-SM-3GADZ 20-29 years, female 112.9
GTEX-1R9K4-0126-SM-DTX9X 60-69 years, male 112.9
GTEX-1313W-0126-SM-5LZUN 50-59 years, female 112.8
GTEX-1GMR8-0126-SM-9WYTM 50-59 years, female 112.7
GTEX-YB5E-2026-SM-5IFIS 40-49 years, male 112.6
GTEX-16XZZ-0126-SM-793DV 60-69 years, male 112.5
GTEX-XQ8I-0426-SM-4BOPO 50-59 years, male 112.5
GTEX-ZF2S-2326-SM-4WWCE 50-59 years, female 112.1
GTEX-1JMPZ-0226-SM-CNPP1 30-39 years, male 112.0
GTEX-14PHX-2326-SM-62LEM 50-59 years, male 111.9
GTEX-1LC47-0326-SM-E9TJP 60-69 years, male 111.9
GTEX-14BIM-0226-SM-7IGLD 60-69 years, female 111.5
GTEX-13NYB-2526-SM-5K7Z6 40-49 years, male 111.4
GTEX-T6MO-1626-SM-32QOM 40-49 years, female 111.4
GTEX-ZGAY-0526-SM-4WWBB 40-49 years, female 111.4
GTEX-T2IS-0126-SM-4DM6O 20-29 years, female 111.2
GTEX-1PDJ9-0326-SM-DTX95 20-29 years, male 111.0
GTEX-PLZ4-0126-SM-5SI8O 50-59 years, female 110.7
GTEX-YFC4-0126-SM-5CVLY 40-49 years, female 110.7
GTEX-14JG1-0426-SM-6ETZZ 40-49 years, male 110.3
GTEX-13OW6-0426-SM-5L3HM 50-59 years, male 110.1
GTEX-1JMPY-1326-SM-ARL8Y 30-39 years, male 110.1
GTEX-VUSG-2526-SM-4KL1V 50-59 years, male 110.0
GTEX-18QFQ-0126-SM-731BE 30-39 years, male 109.9
GTEX-14E6D-0126-SM-62LDV 50-59 years, male 109.5
GTEX-P4PQ-0126-SM-2S1NM 60-69 years, male 109.1
GTEX-1N2EF-0226-SM-EYYXB 60-69 years, male 109.1
GTEX-WYJK-0126-SM-3NMAB 50-59 years, male 108.9
GTEX-14PJ6-2126-SM-6EU1V 60-69 years, female 108.8
GTEX-1HCUA-2426-SM-ADEIS 50-59 years, female 108.8
GTEX-131YS-0126-SM-5KM1M 60-69 years, female 108.7
GTEX-ZAB5-1826-SM-5HL7C 50-59 years, male 108.7
GTEX-1HCU7-0226-SM-CL545 50-59 years, male 108.5
GTEX-144GN-2326-SM-5LU4F 50-59 years, male 108.4
GTEX-11DXW-0226-SM-5H122 40-49 years, male 108.3
GTEX-X261-0126-SM-3NMD6 50-59 years, male 108.3
GTEX-1KAFJ-2026-SM-CY8ID 50-59 years, male 108.3
GTEX-XMD2-0126-SM-4YCDU 60-69 years, female 108.2
GTEX-1JN6P-0126-SM-D3L98 60-69 years, male 108.2
GTEX-XUZC-1726-SM-4BRWS 30-39 years, female 108.1
GTEX-12WSE-0526-SM-793B2 20-29 years, male 108.0
GTEX-1192X-0226-SM-5H12D 50-59 years, male 107.9
GTEX-OXRN-0126-SM-48TDM 50-59 years, male 107.9
GTEX-13FXS-0226-SM-5IJCK 50-59 years, male 107.8
GTEX-O5YW-0126-SM-3LK6D 50-59 years, male 107.8
GTEX-1N2DV-0226-SM-E6CJ6 40-49 years, male 107.6
GTEX-13O3P-0126-SM-5KM4S 50-59 years, male 107.5
GTEX-SJXC-0126-SM-2XCFF 60-69 years, male 107.5
GTEX-SNMC-1226-SM-2XCFP 20-29 years, male 107.5
GTEX-1192W-2626-SM-5Q5AF 60-69 years, male 107.4
GTEX-OOBK-0126-SM-2YUND 40-49 years, male 107.4
GTEX-1F52S-0126-SM-9MQJU 60-69 years, female 107.3
GTEX-12WSJ-1826-SM-5GCNY 40-49 years, female 107.2
GTEX-183FY-0126-SM-7LT9P 20-29 years, male 107.2
GTEX-1KANB-0526-SM-E6CJH 50-59 years, male 107.2
GTEX-1EWIQ-0126-SM-7RHH2 70-79 years, female 107.0
GTEX-139T8-0126-SM-5K7XZ 60-69 years, male 106.8
GTEX-Z93T-0126-SM-5HL5N 50-59 years, male 106.8
GTEX-13G51-2526-SM-5LZYK 60-69 years, male 106.7
GTEX-1M4P7-0226-SM-DIPEV 60-69 years, male 106.7
GTEX-1PIGE-0126-SM-EVYBJ 20-29 years, male 106.7
GTEX-RUSQ-1526-SM-2TF62 50-59 years, male 106.6
GTEX-11EQ9-2426-SM-5HL5T 30-39 years, male 106.4
GTEX-1399R-2726-SM-5IJBA 30-39 years, male 106.4
GTEX-17F97-0326-SM-7LG5B 50-59 years, male 106.4
GTEX-1EMGI-0126-SM-9KNUE 60-69 years, male 106.4
GTEX-ZF29-2326-SM-DO92K 60-69 years, female 106.3
GTEX-1A32A-0126-SM-718B1 50-59 years, female 105.9
GTEX-1QAET-0926-SM-E76QM 50-59 years, male 105.8
GTEX-YB5K-2126-SM-4WWDJ 40-49 years, female 105.7
GTEX-OXRK-0226-SM-3NB2G 50-59 years, female 105.6
GTEX-SN8G-0126-SM-32PLI 50-59 years, female 105.6
GTEX-XXEK-2226-SM-4BRUM 50-59 years, male 105.6
GTEX-117YX-2326-SM-5H12W 50-59 years, male 105.4
GTEX-11O72-0126-SM-59887 40-49 years, male 105.3
GTEX-1K2DU-2326-SM-E9TIV 20-29 years, male 105.1
GTEX-S32W-2126-SM-2XCB1 50-59 years, female 105.0
GTEX-1IDFM-0126-SM-COH2V 60-69 years, male 105.0
GTEX-13VXU-0126-SM-5SI9F 50-59 years, male 104.9
GTEX-1128S-2326-SM-5GZZY 60-69 years, female 104.8
GTEX-ZQG8-1626-SM-DHXIT 60-69 years, female 104.8
GTEX-ZE7O-0126-SM-57WC1 50-59 years, female 104.7
GTEX-1269C-2526-SM-5EGJ3 60-69 years, female 104.6
GTEX-ZYFG-2326-SM-5E44B 60-69 years, female 104.6
GTEX-1GN2E-0426-SM-9MQKX 60-69 years, male 104.6
GTEX-ZPIC-1726-SM-DHXIU 40-49 years, female 104.6
GTEX-13FHO-0226-SM-5IFGY 60-69 years, male 104.5
GTEX-11XUK-2026-SM-5EQLF 40-49 years, female 104.4
GTEX-12696-2426-SM-5EQ6H 60-69 years, male 104.4
GTEX-18A7A-0226-SM-718BH 50-59 years, female 104.4
GTEX-1PFEY-1526-SM-E76PP 30-39 years, male 104.3
GTEX-11TUW-2726-SM-E9J4M 60-69 years, male 104.2
GTEX-1JJEA-0326-SM-CNPOT 60-69 years, male 104.1
GTEX-XQ3S-1526-SM-4BOOC 20-29 years, male 103.9
GTEX-1KXAM-2226-SM-CYPTC 60-69 years, male 103.8
GTEX-SUCS-1926-SM-32PM3 70-79 years, male 103.4
GTEX-1JMLX-0226-SM-CM2RO 50-59 years, male 103.4
GTEX-1HSEH-0126-SM-ACKXN 60-69 years, male 103.3
GTEX-11EMC-2926-SM-5EQ4F 60-69 years, female 103.2
GTEX-1I1GT-0626-SM-CGQER 60-69 years, female 103.2
GTEX-WY7C-2326-SM-3NB2U 50-59 years, male 103.1
GTEX-1ICG6-2526-SM-CGQFZ 70-79 years, female 103.1
GTEX-QCQG-1726-SM-3GIJ9 50-59 years, female 103.0
GTEX-ZAB4-0226-SM-5N9F5 40-49 years, male 103.0
GTEX-1HGF4-2426-SM-ACKXM 60-69 years, male 103.0
GTEX-1HFI6-0226-SM-ADEHZ 40-49 years, male 102.9
GTEX-117YW-2626-SM-5GZZH 50-59 years, male 102.8
GTEX-11OC5-0126-SM-5HL6A 60-69 years, male 102.8
GTEX-1C64N-0126-SM-793D7 50-59 years, male 102.8
GTEX-WXYG-2326-SM-4E3I6 50-59 years, female 102.8
GTEX-Y3I4-2126-SM-4TT7C 50-59 years, male 102.8
GTEX-1GF9V-0326-SM-7RHI5 60-69 years, male 102.7
GTEX-12ZZZ-0626-SM-5DUXI 60-69 years, male 102.5
GTEX-ZY6K-1826-SM-5GZXK 50-59 years, male 102.5
GTEX-1KD5A-0226-SM-D5OV3 50-59 years, male 102.5
GTEX-YJ8A-0426-SM-5IFID 20-29 years, male 102.2
GTEX-1GZHY-0326-SM-9QEHI 50-59 years, female 102.2
GTEX-1KANA-0726-SM-D3L9I 20-29 years, male 102.1
GTEX-PLZ6-1426-SM-DKPOT 30-39 years, male 102.1
GTEX-Q2AI-1326-SM-2S1PL 40-49 years, male 101.9
GTEX-X4EO-0326-SM-3P5YO 60-69 years, female 101.9
GTEX-1HCU8-0626-SM-A9SM9 60-69 years, female 101.8
GTEX-1J8QM-2126-SM-CYPSJ 60-69 years, female 101.7
GTEX-145MI-0526-SM-5O9A8 60-69 years, female 101.6
GTEX-148VI-1626-SM-5SI6E 60-69 years, female 101.1
GTEX-ZV68-0126-SM-59HKS 50-59 years, female 101.0
GTEX-17F96-1626-SM-7DUFL 70-79 years, male 100.9
GTEX-16BQI-0226-SM-7KUEX 30-39 years, female 100.7
GTEX-ZAJG-0126-SM-5HL94 50-59 years, female 100.7
GTEX-1JMQK-0226-SM-CL543 60-69 years, male 100.7
GTEX-1MUQO-0126-SM-EAZ58 60-69 years, male 100.7
GTEX-113JC-2326-SM-5EQ4E 50-59 years, female 100.6
GTEX-14DAR-2026-SM-5S2O3 50-59 years, male 100.5
GTEX-18D9B-0526-SM-7LTAS 60-69 years, male 100.4
GTEX-1HSMP-0126-SM-E6CJS 70-79 years, male 100.2
GTEX-11VI4-1726-SM-5CVLH 40-49 years, female 100.1
GTEX-13N2G-2626-SM-5J1OT 60-69 years, male 100.1
GTEX-ZDYS-2026-SM-5HL5L 50-59 years, male 99.9
GTEX-1O97I-0326-SM-EYYX7 60-69 years, male 99.9
GTEX-XPVG-2626-SM-4B669 50-59 years, male 99.7
GTEX-1I6K6-0126-SM-A9SLE 30-39 years, male 99.6
GTEX-1IKJJ-0126-SM-CNPQB 60-69 years, male 99.5
GTEX-QDVJ-1726-SM-2I5FX 50-59 years, male 99.3
GTEX-15DDE-0126-SM-6LPKH 50-59 years, female 99.1
GTEX-VJYA-1126-SM-3GIJU 60-69 years, male 99.1
GTEX-1QMI2-0226-SM-EVYBX 60-69 years, male 99.1
GTEX-13PVR-2326-SM-5QGR1 60-69 years, female 99.0
GTEX-13X6I-0626-SM-5QGP9 60-69 years, male 99.0
GTEX-11EM3-2426-SM-59861 20-29 years, female 98.8
GTEX-ZVE2-0226-SM-59HJB 50-59 years, male 98.8
GTEX-YJ89-0126-SM-4TT3X 60-69 years, male 98.7
GTEX-R45C-0126-SM-EAZ2R 60-69 years, female 98.7
GTEX-1GN1U-0126-SM-7PBZK 50-59 years, female 98.6
GTEX-13NYC-0326-SM-E9J4S 60-69 years, male 98.4
GTEX-145LU-0126-SM-5TDCB 50-59 years, male 98.2
GTEX-11GSO-2426-SM-5A5LY 60-69 years, male 98.1
GTEX-13N11-2526-SM-5K7UE 50-59 years, female 97.9
GTEX-1IOXB-0126-SM-ARL8G 50-59 years, male 97.8
GTEX-148VJ-0126-SM-5TDDN 70-79 years, male 97.7
GTEX-15SHU-0126-SM-7KUEH 40-49 years, female 97.7
GTEX-W5WG-1826-SM-4KL2Y 50-59 years, female 97.7
GTEX-13OVL-0226-SM-5L3E9 50-59 years, male 97.6
GTEX-1IDJH-0326-SM-A9SLQ 70-79 years, male 97.6
GTEX-13RTJ-2426-SM-5S2Q2 60-69 years, male 97.5
GTEX-1IL2U-0226-SM-CE6T8 60-69 years, male 97.5
GTEX-12584-0126-SM-5EGKQ 40-49 years, male 97.4
GTEX-14BMV-0126-SM-5S2PO 50-59 years, male 97.3
GTEX-1B8L1-2526-SM-9WYTF 60-69 years, male 97.3
GTEX-1MCYP-1926-SM-E9J2R 20-29 years, female 97.3
GTEX-13SLX-0526-SM-5S2ON 50-59 years, female 97.2
GTEX-1OFPY-2426-SM-DTXEJ 60-69 years, male 97.2
GTEX-1314G-1526-SM-5EGK2 30-39 years, male 96.9
GTEX-ZC5H-0226-SM-4WAY9 40-49 years, female 96.9
GTEX-1H2FU-0126-SM-9WYSI 60-69 years, female 96.9
GTEX-1LGOU-2026-SM-DIPFF 20-29 years, female 96.9
GTEX-1QP9N-1426-SM-DTXFL 30-39 years, male 96.9
GTEX-13QJ3-0326-SM-5S2RA 50-59 years, male 96.8
GTEX-ZDTT-2726-SM-4WKF8 60-69 years, male 96.8
GTEX-1KWVE-1426-SM-E9TJO 30-39 years, male 96.8
GTEX-11OF3-2626-SM-5GU7F 60-69 years, male 96.6
GTEX-QV44-1926-SM-2S1RF 50-59 years, male 96.6
GTEX-1R46S-0626-SM-E9J41 60-69 years, female 96.5
GTEX-1QP66-1726-SM-E8VO1 50-59 years, male 96.4
GTEX-1IDJU-2626-SM-CM2RT 60-69 years, female 96.1
GTEX-ZZPT-0226-SM-5E43X 50-59 years, male 96.0
GTEX-13111-1626-SM-5EGJY 50-59 years, male 95.9
GTEX-1GN73-0226-SM-9WG67 60-69 years, male 95.9
GTEX-1HB9E-0226-SM-E9U4R 50-59 years, male 95.8
GTEX-1B8SG-0126-SM-73KZ3 50-59 years, male 95.6
GTEX-S95S-1226-SM-4GICG 60-69 years, male 95.6
GTEX-TSE9-0126-SM-3DB83 60-69 years, female 95.6
GTEX-1HSKV-0226-SM-A9SKJ 60-69 years, male 95.6
GTEX-X5EB-2226-SM-46MW4 40-49 years, male 95.4
GTEX-ZDTS-0126-SM-4WAY5 60-69 years, male 95.4
GTEX-131XW-0426-SM-5LZWP 50-59 years, female 95.3
GTEX-11ZTS-0126-SM-5EQ6M 60-69 years, female 95.2
GTEX-1IDJF-0126-SM-CM2RS 20-29 years, male 95.1
GTEX-X62O-0126-SM-4E3JN 50-59 years, male 95.0
GTEX-13OVJ-0126-SM-5KM36 50-59 years, female 94.9
GTEX-131XH-2226-SM-5DUXJ 50-59 years, male 94.8
GTEX-Q2AG-0126-SM-33HBV 40-49 years, female 94.7
GTEX-RWSA-0126-SM-2XCBB 40-49 years, male 94.7
GTEX-17HHY-0126-SM-7LG5D 50-59 years, male 94.6
GTEX-1R7EV-2426-SM-EVYBG 40-49 years, male 94.6
GTEX-1B933-0126-SM-7PC29 50-59 years, female 94.5
GTEX-1S5ZA-0126-SM-EVYCV 20-29 years, male 94.5
GTEX-1B8KE-2126-SM-73KYX 50-59 years, male 94.1
GTEX-SIU8-0126-SM-2XCDT 50-59 years, male 94.0
GTEX-14C5O-0126-SM-5SI6N 60-69 years, male 93.9
GTEX-14PN3-2426-SM-6LLHS 60-69 years, female 93.9
GTEX-1HSGN-0226-SM-CGQFV 40-49 years, female 93.8
GTEX-OXRO-0126-SM-2YUN4 60-69 years, female 93.7
GTEX-1I4MK-2226-SM-ACKWD 50-59 years, female 93.7
GTEX-1LNCM-1126-SM-E9U5E 50-59 years, female 93.7
GTEX-18A6Q-0126-SM-731BZ 60-69 years, male 93.5
GTEX-1EX96-1626-SM-7PBXR 50-59 years, male 93.4
GTEX-1212Z-2526-SM-5EGKP 60-69 years, male 93.3
GTEX-1MCQQ-0826-SM-DLHC2 60-69 years, male 93.3
GTEX-1F7RK-0126-SM-7PC2S 20-29 years, female 93.2
GTEX-14PJ3-1826-SM-62LEX 50-59 years, male 93.0
GTEX-1GPI7-0126-SM-9MQL8 20-29 years, male 93.0
GTEX-1JKYR-0126-SM-CNPOJ 20-29 years, male 93.0
GTEX-1H3NZ-0126-SM-ACKX7 60-69 years, male 92.9
GTEX-1RLM8-2326-SM-EWRN4 50-59 years, male 92.8
GTEX-XUYS-0126-SM-47JWZ 50-59 years, male 92.7
GTEX-1GF9U-2126-SM-7SB7L 40-49 years, female 92.7
GTEX-131XG-2626-SM-5KM17 50-59 years, female 92.6
GTEX-13VXT-0126-SM-5LU4I 20-29 years, female 92.6
GTEX-15CHC-2126-SM-6EU21 60-69 years, female 92.6
GTEX-ZYFC-0226-SM-5NQ75 50-59 years, male 92.6
GTEX-1J1R8-1726-SM-ARL8M 40-49 years, male 92.6
GTEX-1B97I-1626-SM-73KYO 40-49 years, male 92.5
GTEX-13X6J-0126-SM-5QGOU 50-59 years, male 92.4
GTEX-1POEN-0126-SM-EYYXJ 30-39 years, female 92.4
GTEX-14PJM-0226-SM-62LF1 50-59 years, female 92.3
GTEX-1F75B-0126-SM-9KNVL 50-59 years, male 92.3
GTEX-11GSP-2526-SM-5N9BP 60-69 years, female 92.2
GTEX-13JUV-2726-SM-5LZZ8 40-49 years, female 92.2
GTEX-1N2DW-0226-SM-E9TK2 50-59 years, male 92.2
GTEX-WZTO-0126-SM-3NM95 40-49 years, male 92.1
GTEX-ZVT4-0126-SM-DTXFN 50-59 years, female 92.1
GTEX-Z9EW-1626-SM-5CVMN 40-49 years, male 92.0
GTEX-13O21-1426-SM-5K7XI 50-59 years, male 91.8
GTEX-1HBPI-1526-SM-C1YQ1 50-59 years, male 91.8
GTEX-13O3Q-2426-SM-5IJBR 50-59 years, male 91.7
GTEX-OHPL-0126-SM-2HMJ7 60-69 years, female 91.7
GTEX-1H11D-0226-SM-9WG6Z 40-49 years, male 91.7
GTEX-1HCU6-0126-SM-CL54K 60-69 years, female 91.7
GTEX-14JG6-2226-SM-6EU2G 30-39 years, female 91.6
GTEX-1F6IF-0726-SM-7P8TW 60-69 years, male 91.5
GTEX-18D9U-0226-SM-718BP 40-49 years, male 91.4
GTEX-1CAMR-1926-SM-7EPI2 20-29 years, male 91.4
GTEX-169BO-1326-SM-9MQK2 50-59 years, male 91.4
GTEX-13SLW-0126-SM-5SI6C 70-79 years, male 91.2
GTEX-145ME-1826-SM-5SI9G 40-49 years, female 91.2
GTEX-16GPK-0126-SM-7DHLE 60-69 years, male 91.2
GTEX-1JN76-0126-SM-CNPPE 20-29 years, female 91.1
GTEX-1F75A-0126-SM-7RHGM 50-59 years, male 91.0
GTEX-1A3MV-1926-SM-718BT 30-39 years, male 90.9
GTEX-T5JC-0426-SM-32PLO 20-29 years, male 90.9
GTEX-1E2YA-0126-SM-9KNUC 50-59 years, male 90.8
GTEX-1H3VY-0126-SM-ACKXD 50-59 years, male 90.8
GTEX-18465-0126-SM-731BN 50-59 years, male 90.6
GTEX-1H23P-0126-SM-ADEJ3 60-69 years, male 90.6
GTEX-1IGQW-0126-SM-COH42 60-69 years, male 90.5
GTEX-14BIN-0626-SM-793DP 50-59 years, female 90.1
GTEX-PLZ5-2026-SM-2S1O4 50-59 years, male 90.1
GTEX-1H3O1-0426-SM-9YFKY 60-69 years, male 90.1
GTEX-1HBPN-0226-SM-9YFM1 50-59 years, male 90.0
GTEX-146FH-0126-SM-5QGPP 50-59 years, female 89.9
GTEX-14LLW-0126-SM-6LLIO 70-79 years, female 89.9
GTEX-1RDX4-0126-SM-E9J4P 50-59 years, female 89.9
GTEX-17EVQ-0226-SM-7LG4P 70-79 years, male 89.5
GTEX-VJWN-0126-SM-3GIK7 50-59 years, female 89.5
GTEX-147F3-0526-SM-5SI98 50-59 years, female 89.3
GTEX-12KS4-0326-SM-5EQ41 30-39 years, male 89.2
GTEX-1MA7X-2226-SM-E6CIY 60-69 years, male 89.1
GTEX-1HSMQ-1226-SM-CGQFX 50-59 years, male 89.0
GTEX-13O1R-0126-SM-5L3EH 60-69 years, male 88.9
GTEX-17KNJ-2326-SM-7DHLQ 50-59 years, male 88.7
GTEX-1C475-1826-SM-73KWA 40-49 years, female 88.7
GTEX-12WSG-2826-SM-E9J4H 50-59 years, female 88.7
GTEX-ZZ64-1726-SM-5GZYB 20-29 years, male 88.5
GTEX-12WSL-2526-SM-5GCNJ 50-59 years, male 88.4
GTEX-13112-2826-SM-5DUWH 50-59 years, male 88.1
GTEX-145MF-0626-SM-5LUAI 50-59 years, male 88.1
GTEX-PX3G-0126-SM-2I3EN 20-29 years, female 88.1
GTEX-1C6WA-0126-SM-7PC2B 60-69 years, male 88.1
GTEX-15EU6-0426-SM-6PAN5 50-59 years, male 88.0
GTEX-11GS4-2726-SM-5A5LE 60-69 years, male 87.9
GTEX-11LCK-1026-SM-5A5KB 30-39 years, male 87.9
GTEX-18A7B-0126-SM-7LG64 70-79 years, male 87.9
GTEX-17HII-0226-SM-7LG4E 50-59 years, male 87.8
GTEX-1F48J-0126-SM-7P8TT 50-59 years, female 87.8
GTEX-1IL2V-0126-SM-CM2TX 70-79 years, male 87.8
GTEX-13N1W-0126-SM-5K7VT 70-79 years, male 87.7
GTEX-1GF9W-0326-SM-9KNUN 60-69 years, male 87.7
GTEX-13NZA-0226-SM-5K7Z7 60-69 years, male 87.5
GTEX-1C2JI-1826-SM-73KXC 50-59 years, male 87.5
GTEX-13W46-0226-SM-5SIAG 50-59 years, male 87.4
GTEX-1AX8Z-0126-SM-7DHM6 60-69 years, male 87.4
GTEX-1I1GU-2226-SM-CGQFA 40-49 years, male 87.4
GTEX-ZDXO-3026-SM-5J1N5 60-69 years, male 87.3
GTEX-13S7M-0126-SM-5SI6A 60-69 years, female 87.2
GTEX-1QP29-0626-SM-EWRMX 50-59 years, male 87.2
GTEX-RU72-0926-SM-2TF6B 50-59 years, female 87.1
GTEX-11TTK-0126-SM-5987B 60-69 years, female 86.9
GTEX-15DYW-0126-SM-7KULE 60-69 years, female 86.8
GTEX-1BAJH-0526-SM-793CQ 70-79 years, male 86.7
GTEX-1JMOU-1526-SM-CL54I 60-69 years, female 86.7
GTEX-PVOW-0126-SM-2XCFA 40-49 years, male 86.6
GTEX-ZYW4-0126-SM-5E44A 60-69 years, male 86.6
GTEX-18A66-0226-SM-718BD 60-69 years, male 86.5
GTEX-1K9T9-0126-SM-EVYCF 50-59 years, female 86.4
GTEX-1AX9J-0226-SM-73KXM 60-69 years, male 86.2
GTEX-QLQW-1126-SM-2S1Q8 30-39 years, male 86.2
GTEX-11EI6-0126-SM-5985R 60-69 years, male 86.1
GTEX-S7PM-0126-SM-4AD6S 60-69 years, male 86.1
GTEX-ZVT3-0126-SM-5GU6I 60-69 years, female 86.1
GTEX-ZYY3-0126-SM-5GZY5 60-69 years, female 85.8
GTEX-1LH75-2426-SM-E9TJE 50-59 years, female 85.8
GTEX-1QEPI-0126-SM-EWRMQ 60-69 years, female 85.7
GTEX-1QP67-1626-SM-EAZ3X 40-49 years, female 85.7
GTEX-UPJH-0326-SM-3GADU 50-59 years, male 85.5
GTEX-1GMRU-0126-SM-9YFLV 50-59 years, male 85.5
GTEX-11ZTT-2426-SM-5EQLS 60-69 years, female 85.2
GTEX-OHPM-0126-SM-2YUN9 50-59 years, male 85.2
GTEX-1PPH8-0226-SM-E8VND 20-29 years, male 85.2
GTEX-1CB4I-0226-SM-79OLH 50-59 years, male 84.9
GTEX-14ABY-0226-SM-5TDCQ 50-59 years, male 84.7
GTEX-QEG4-0226-SM-2S1PY 30-39 years, male 84.5
GTEX-1EKGG-0226-SM-9WYTH 60-69 years, male 84.5
GTEX-13OW8-1326-SM-5J1OW 60-69 years, male 84.4
GTEX-1HCVE-0126-SM-CGQEU 50-59 years, male 84.4
GTEX-11NUK-0126-SM-5A5L3 50-59 years, male 84.2
GTEX-147F4-0226-SM-5QGPW 50-59 years, male 84.2
GTEX-15SDE-2226-SM-7IGLO 50-59 years, female 84.2
GTEX-WFG8-2226-SM-3GIL9 20-29 years, male 84.2
GTEX-1EU9M-0226-SM-7P8SP 60-69 years, male 84.2
GTEX-1JKYN-1326-SM-CGQG9 30-39 years, male 84.2
GTEX-132NY-0326-SM-5IJBL 60-69 years, male 84.1
GTEX-17MFQ-1726-SM-793C7 20-29 years, male 84.1
GTEX-ZEX8-2426-SM-4WKG4 50-59 years, male 84.1
GTEX-15SHW-0326-SM-6PAML 60-69 years, male 84.0
GTEX-WFON-2126-SM-3LK7O 40-49 years, male 84.0
GTEX-Y111-0126-SM-4SOIV 50-59 years, male 84.0
GTEX-16YQH-0126-SM-7DUFJ 30-39 years, male 83.9
GTEX-1C64O-0126-SM-7SB8P 60-69 years, male 83.9
GTEX-1J8Q2-0526-SM-CM2RW 60-69 years, male 83.9
GTEX-1H1E6-1726-SM-ACKVK 30-39 years, male 83.5
GTEX-1HFI7-1826-SM-ACKXH 50-59 years, female 83.5
GTEX-13X6H-2126-SM-7EWD5 50-59 years, female 83.4
GTEX-WYVS-2126-SM-3NMA3 40-49 years, female 83.3
GTEX-1J8JJ-0226-SM-CL53I 60-69 years, female 83.1
GTEX-144GL-0126-SM-5TDE2 50-59 years, male 83.0
GTEX-11DXY-2626-SM-5GIE7 60-69 years, male 82.8
GTEX-1ICLY-0126-SM-D4P36 50-59 years, male 82.7
GTEX-17HHE-2026-SM-79OKF 50-59 years, male 82.5
GTEX-14DAQ-0126-SM-5S2MQ 60-69 years, female 82.4
GTEX-QDT8-0126-SM-48TZ1 30-39 years, female 82.3
GTEX-11WQC-2526-SM-5CVLE 60-69 years, male 82.1
GTEX-WH7G-2326-SM-3NMBC 40-49 years, male 82.1
GTEX-13OVI-1426-SM-5L3EY 60-69 years, female 82.0
GTEX-1C4CL-0526-SM-73KVK 30-39 years, male 81.9
GTEX-1C6VR-2426-SM-79OLD 60-69 years, male 81.8
GTEX-11P81-2326-SM-59875 30-39 years, female 81.7
GTEX-139TT-0126-SM-5K7Y5 60-69 years, male 81.7
GTEX-1AYCT-2426-SM-7IGQ3 50-59 years, male 81.5
GTEX-1CB4G-0226-SM-7PC3O 60-69 years, male 81.3
GTEX-147GR-0526-SM-5S2MY 60-69 years, male 81.2
GTEX-1GTWX-0126-SM-9YFLK 60-69 years, male 81.2
GTEX-12WSN-5019-SM-79OM6 40-49 years, male 81.1
GTEX-13FTY-0526-SM-5L3EV 40-49 years, female 81.1
GTEX-OXRP-0126-SM-3NB32 60-69 years, female 80.9
GTEX-WOFL-0126-SM-3MJG2 60-69 years, male 80.9
GTEX-XBED-2226-SM-47JYQ 60-69 years, male 80.9
GTEX-1IKOH-0226-SM-COH4E 60-69 years, female 80.9
GTEX-13U4I-0126-SM-5LU38 40-49 years, female 80.7
GTEX-15D1Q-0126-SM-7KUG6 40-49 years, male 80.7
GTEX-1HCU9-1526-SM-A9SL7 20-29 years, male 80.5
GTEX-RM2N-1426-SM-2TF4H 50-59 years, male 80.4
GTEX-Y5V5-2326-SM-4V6GA 60-69 years, female 80.3
GTEX-1S82Y-2026-SM-EVYCM 40-49 years, male 80.3
GTEX-1GN1V-0126-SM-9WPOS 60-69 years, male 80.2
GTEX-1IKK5-0626-SM-ARL8A 60-69 years, male 80.2
GTEX-15DCD-0126-SM-7KUEK 70-79 years, female 80.0
GTEX-17MF6-0126-SM-7LG4F 40-49 years, male 79.8
GTEX-ZQUD-1426-SM-57WER 30-39 years, male 79.8
GTEX-11ZU8-2526-SM-5EQKI 60-69 years, male 79.5
GTEX-U3ZH-2026-SM-3DB78 30-39 years, male 79.5
GTEX-139T4-0226-SM-5HL5S 50-59 years, female 79.4
GTEX-16AAH-1726-SM-7939C 50-59 years, male 79.4
GTEX-13OW7-0126-SM-5MR3B 50-59 years, male 79.3
GTEX-1H1DE-2126-SM-9WG6R 20-29 years, male 79.3
GTEX-R55G-2526-SM-2TC6D 40-49 years, female 79.1
GTEX-12WSK-2326-SM-5GCOH 40-49 years, female 78.9
GTEX-14A5H-0426-SM-5QGQF 60-69 years, male 78.9
GTEX-11P7K-2126-SM-5GU7G 30-39 years, male 78.8
GTEX-U3ZM-1526-SM-3DB9D 40-49 years, male 78.8
GTEX-1QCLY-0326-SM-E8VOG 30-39 years, male 78.8
GTEX-14PHW-0126-SM-6LLJI 60-69 years, female 78.7
GTEX-X638-0126-SM-47JZ8 70-79 years, female 78.6
GTEX-1HKZK-0326-SM-9WYUH 40-49 years, male 78.6
GTEX-1I19N-0326-SM-ACKVX 70-79 years, male 78.5
GTEX-1I1GR-0126-SM-CL55F 60-69 years, male 78.5
GTEX-11P82-1626-SM-59879 20-29 years, male 78.4
GTEX-1F5PK-2426-SM-7RHHY 50-59 years, male 78.4
GTEX-1MGNQ-0126-SM-EVYCJ 40-49 years, male 78.2
GTEX-11ZVC-2526-SM-5FQTE 50-59 years, female 78.1
GTEX-1JMQJ-0526-SM-CYPSU 50-59 years, male 77.8
GTEX-1LG7Y-0526-SM-DKPQC 50-59 years, male 77.8
GTEX-1PPH7-2326-SM-EVYB8 40-49 years, male 77.8
GTEX-12C56-1726-SM-5EQ61 20-29 years, male 77.7
GTEX-1I1GP-2226-SM-CGQFK 50-59 years, male 77.7
GTEX-17EVP-0326-SM-7DHLG 40-49 years, male 77.6
GTEX-ZXG5-0126-SM-5GIEU 60-69 years, male 77.4
GTEX-1CB4F-0426-SM-9KNV4 60-69 years, male 77.4
GTEX-1J8Q3-1626-SM-CMKGC 60-69 years, male 77.1
GTEX-SSA3-0126-SM-32QPU 60-69 years, male 76.8
GTEX-1H1ZS-0426-SM-9WG6G 70-79 years, male 76.8
GTEX-16NPX-0226-SM-79OMT 50-59 years, male 76.6
GTEX-13O3O-0126-SM-E9J49 60-69 years, female 76.6
GTEX-1A3MW-0126-SM-73KXX 60-69 years, female 76.4
GTEX-15F5U-1526-SM-6PANO 40-49 years, male 76.1
GTEX-U3ZN-2326-SM-3DB7W 30-39 years, female 75.8
GTEX-1JJE9-0326-SM-CL53Z 70-79 years, male 75.7
GTEX-1QP2A-0126-SM-E9J43 50-59 years, male 75.7
GTEX-Y8LW-1826-SM-5S2MV 50-59 years, female 75.5
GTEX-17EUY-0426-SM-793BD 20-29 years, male 75.4
GTEX-TKQ1-1026-SM-4GICL 30-39 years, male 75.3
GTEX-1EN7A-0126-SM-7SB81 40-49 years, male 75.2
GTEX-1F6I4-0126-SM-9MQL2 60-69 years, male 75.2
GTEX-1AYD5-2426-SM-73KXR 50-59 years, male 75.1
GTEX-1I1CD-0126-SM-CM2TK 60-69 years, female 75.1
GTEX-12WSC-0126-SM-5EQ4P 50-59 years, male 75.0
GTEX-13W3W-2426-SM-5LU5B 60-69 years, female 74.9
GTEX-16XZY-2126-SM-79OK1 70-79 years, male 74.9
GTEX-WRHK-1426-SM-3MJF9 20-29 years, female 74.8
GTEX-12WSD-0126-SM-59HKN 60-69 years, female 74.6
GTEX-1E1VI-0126-SM-7DHMZ 50-59 years, male 74.6
GTEX-1CB4E-2226-SM-793DC 60-69 years, male 74.1
GTEX-113IC-0126-SM-5HL6T 60-69 years, male 74.0
GTEX-17HGU-0226-SM-7DHKV 50-59 years, male 73.6
GTEX-1A8FM-0226-SM-7SB7Q 50-59 years, female 73.6
GTEX-1GL5R-1826-SM-9KNUY 50-59 years, male 73.3
GTEX-1JK1U-2026-SM-CM2RZ 60-69 years, male 73.2
GTEX-14A6H-0126-SM-5QGPK 30-39 years, male 73.0
GTEX-P44H-0226-SM-2XCEU 40-49 years, male 73.0
GTEX-17HG3-2226-SM-7938L 30-39 years, female 72.9
GTEX-139TU-0126-SM-5K7WH 60-69 years, male 72.8
GTEX-13OVG-1926-SM-5L3DK 60-69 years, male 72.8
GTEX-RNOR-0126-SM-E9J4R 50-59 years, female 72.8
GTEX-R55E-0126-SM-2TC5Y 20-29 years, male 72.6
GTEX-1C6VS-0526-SM-7DUEN 60-69 years, male 72.5
GTEX-1I1GS-0126-SM-B2LVW 60-69 years, male 72.4
GTEX-1I1GQ-0126-SM-COH3H 50-59 years, male 72.3
GTEX-13RTL-0126-SM-7LG5S 40-49 years, male 72.0
GTEX-1CB4J-0626-SM-7DHMP 60-69 years, male 71.7
GTEX-1HBPH-0426-SM-B2LW5 40-49 years, female 71.6
GTEX-ZF28-0126-SM-4WKGK 60-69 years, male 71.0
GTEX-1F88F-2726-SM-7PBZZ 60-69 years, female 70.9
GTEX-PW2O-1526-SM-7RHHB 20-29 years, male 70.9
GTEX-14BIL-0126-SM-5SI92 50-59 years, male 70.7
GTEX-ZUA1-0126-SM-5GU76 40-49 years, male 70.3
GTEX-OIZF-0126-SM-7SB8I 60-69 years, male 70.3
GTEX-1CAMQ-0226-SM-7IGPK 40-49 years, male 70.1
GTEX-1AMFI-2026-SM-731BH 50-59 years, female 70.0
GTEX-RN64-0126-SM-2TC68 50-59 years, male 69.8
GTEX-14JIY-0126-SM-6LLH6 60-69 years, male 69.5
GTEX-1IE54-0126-SM-CMKHW 40-49 years, female 69.3
GTEX-13FH7-2026-SM-E9J4I 50-59 years, female 69.1
GTEX-1AMEY-1326-SM-73KYK 30-39 years, female 68.8
GTEX-QLQ7-1626-SM-2S1R8 60-69 years, male 68.5
GTEX-1F75I-0326-SM-9YFLU 40-49 years, male 68.5
GTEX-11ZUS-0626-SM-59885 30-39 years, male 66.9
GTEX-OXRL-0126-SM-2YUMP 50-59 years, male 66.9
GTEX-16NGA-1726-SM-731B4 40-49 years, female 66.6
GTEX-1OJC4-0126-SM-E9J2E 50-59 years, female 66.4
GTEX-1RAZQ-0726-SM-EAZ43 30-39 years, male 65.6
GTEX-1HUB1-0426-SM-E9U4U 60-69 years, male 65.1
GTEX-1PBJI-0526-SM-E8VNK 20-29 years, female 65.0
GTEX-U4B1-1826-SM-4DXSU 40-49 years, male 64.9
GTEX-1B8KZ-2026-SM-7DHMB 50-59 years, male 64.6
GTEX-V1D1-2226-SM-3NMAX 50-59 years, male 64.2
GTEX-1B996-0226-SM-7RHGO 60-69 years, male 64.1
GTEX-1IY9M-0126-SM-D3L8S 60-69 years, male 63.1
GTEX-1AX9K-2326-SM-73KWU 50-59 years, male 62.9
GTEX-146FR-1326-SM-E9J48 60-69 years, female 62.2
GTEX-1QW4Y-1526-SM-EAZ3Z 30-39 years, male 61.4
GTEX-1NHNU-1026-SM-E9J2A 50-59 years, male 61.1
GTEX-1I1HK-0126-SM-COH49 60-69 years, male 60.8
GTEX-1AX9I-0126-SM-7SB74 60-69 years, male 60.5
GTEX-1GN1W-0526-SM-9MQJQ 50-59 years, female 60.2
GTEX-1GPI6-0126-SM-9WG69 60-69 years, male 57.7
GTEX-14E7W-0126-SM-6LLJ9 70-79 years, male 57.6
GTEX-1R9PO-2126-SM-E9J4O 60-69 years, female 49.9
Show allShow less

Contact

  • NEWS ARTICLES
  • PRESS ROOM

The Project

  • INTRODUCTION
  • ORGANIZATION
  • PUBLICATIONS

The Human Protein Atlas

  • DOWNLOADABLE DATA
  • LICENCE & CITATION
  • HELP & FAQ
The Human Protein Atlas project is funded
by the Knut & Alice Wallenberg Foundation.


contact@proteinatlas.org