We use cookies to enhance the usability of our website. If you continue, we'll assume that you are happy to receive all cookies. More information. Don't show this again.
ARL6IP4
HPA
RESOURCES
  • TISSUE
  • BRAIN
  • SINGLE CELL
  • SUBCELLULAR
  • CANCER
  • BLOOD
  • CELL LINE
  • STRUCTURE & INTERACTION
ABOUT
  • INTRODUCTION
  • HISTORY
  • ORGANIZATION
  • PUBLICATIONS
  • ANTIBODY SUBMISSION
  • ANTIBODY AVAILABILITY
  • ACKNOWLEDGMENTS
  • CONTACT
NEWS
  • NEWS ARTICLES
  • PRESS ROOM
LEARN
  • DICTIONARY
  • PROTEIN CLASSES
  • PROTEIN EVIDENCE
  • METHODS
  • EDUCATIONAL VIDEOS
DATA
  • DOWNLOADABLE DATA
  • PUBLICATION DATA
  • RELEASE HISTORY
HELP
  • ANTIBODY VALIDATION
  • ASSAYS & ANNOTATION
  • DISCLAIMER
  • HELP & FAQ
  • PRIVACY STATEMENT
  • LICENCE & CITATION
Fields »
Search result

Field
Term
Gene name
Class
Subclass
Class
Keyword
Chromosome
External id
Tissue
Cell type
Expression
Antibody panel
Tissue
Main location
Patient ID
Annotation
Tissue
Category
Tau score
Cluster
Reliability
Brain region
Category
Tau score
Brain region
Category
Tau score
Brain region
Category
Tau score
Cluster
Reliability
Tissue
Cell type
Enrichment
Cell type
Category
Tau score
Cell type
Category
Tau score
Cell type
Category
Tau score
Cell lineage
Category
Tau score
Cluster
Cluster
Location
Searches
Location
Cell line
Class
Type
Phase
Reliability
Cancer
Prognosis
Cancer
Category
Cancer
Category
Tau score
Cluster
Variants
Interacting gene (ensg_id)
Type
Number of interactions
Pathway
Category
Score
Score
Score
Validation
Validation
Validation
Validation
Antibodies
Data type
Column


  • SUMMARY

  • TISSUE

  • BRAIN

  • SINGLE CELL

  • SUBCELL

  • CANCER

  • BLOOD

  • CELL LINE

  • STRUCT & INT

  • ARL6IP4
TISSUE PRIMARY DATA ESOPHAGUS Show tissue menu
ADIPOSE TISSUE ADRENAL GLAND AMYGDALA APPENDIX BASAL GANGLIA BONE MARROW BREAST BRONCHUS CEREBELLUM CEREBRAL CORTEX CERVIX CHOROID PLEXUS COLON DUODENUM
ENDOMETRIUM EPIDIDYMIS ESOPHAGUS FALLOPIAN TUBE GALLBLADDER HEART MUSCLE HIPPOCAMPAL FORMATION HYPOTHALAMUS KIDNEY LIVER LUNG LYMPH NODE MIDBRAIN NASOPHARYNX
ORAL MUCOSA OVARY PANCREAS PARATHYROID GLAND PITUITARY GLAND PLACENTA PROSTATE RECTUM RETINA SALIVARY GLAND SEMINAL VESICLE SKELETAL MUSCLE SKIN SMALL INTESTINE
SMOOTH MUSCLE SOFT TISSUE SPINAL CORD SPLEEN STOMACH TESTIS THYMUS THYROID GLAND TONGUE TONSIL URINARY BLADDER VAGINA
ANTIBODIES
AND
VALIDATION
Dictionary
Esophagus
Tissue proteome
Esophagus
ESOPHAGUS - Expression summary
Protein expression
Esophagusi

On the top, protein expression in current human tissue, based on all annotated cell types, is reported with the units not detected (n), low (l), medium (m) and high (h). Underneath, protein expression in each annotated cell type are reported using the same units.

Protein expression data is based on knowledge-based annotation. For genes where more than one antibody has been used, a collective score is set.

If knowledge-based annotation could not be performed for a gene, no data is displayed here. View antibody staining data further down this page.

h
m
l
n
Squamous epithelial cells: Medium
RNA expressioni

A summary of mRNA expression data available for current tissue based on several datasets. The mRNA expression levels in human tissues are based on RNA-seq data generated by the Human Protein Atlas (HPA), Genotype-Tissue Expression (GTEx) portal and CAGE data generated by the FANTOM5 consortium. Consensus normalized expression levels for human tissues was created by combining the data from HPA and GTEx datasets.

The mRNA expression levels in pig are based on RNA-seq data generated by the Human Protein Atlas (HPA), and for mouse, HPA data and in situ hybridization generated by the Allen brain atlas are reported.

Scroll down to view mRNA expression data in more detail.
Consensus:114.7 nTPM
HPA:89.0 nTPM
GTEx:114.7 nTPM
FANTOM5:162.1 Scaled Tags Per Million

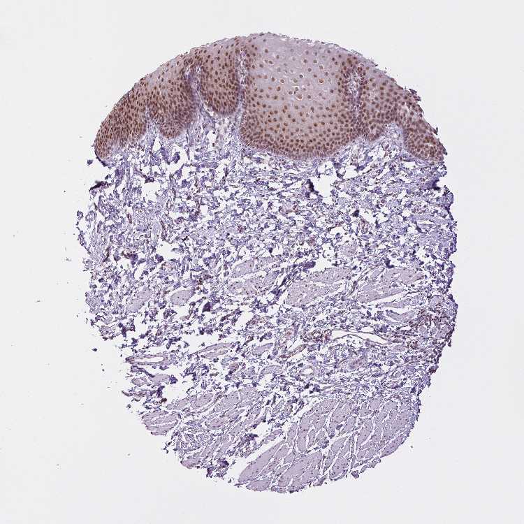
ESOPHAGUS - Antibody stainingi

Antibody staining in the annotated cell types in the current human tissue is reported as not detected, low, medium, or high, based on conventional immunohistochemistry profiling in selected tissues. This score is based on the combination of the staining intensity and fraction of stained cells.

Each image is clickable and will lead to virtual microscopy that enables deeper exploration of all samples and also displays staining intensity scores, fraction scores and subcellular localization as well as patient and tissue information for each sample.

Antibody HPA052098
Squamous epithelial cells Medium



ESOPHAGUS - HPA RNA-seqi

The RNA-seq details section shows detailed information about the individual samples used for the transcript profiling and results of the RNA-seq analysis.

Information about each individual sample is listed below, including gender, age, a tissue section image and estimated fractions of cell types. nTPM (normalized transcripts per million) values give a quantification of the gene abundance which is comparable between different genes and samples.
Average nTPMi

Max subtype nTPM is the value for the subtype with the largest average nTPM across the subtype samples.

89.0
overview
Female, age 70
Esophagus sample 130
nTPM: 108.4
Cell types%
Squamous epithelial cells:
35

Smooth muscle cells:
15

Skeletal muscle cells:
5

Other cell types:
45

overview
Male, age 38
Esophagus sample 131
nTPM: 77.1
Cell types%
Squamous epithelial cells:
60

Smooth muscle cells:
20

Other cell types:
20

overview
Male, age 76
Esophagus sample 132
nTPM: 81.4
Cell types%
Squamous epithelial cells:
45

Smooth muscle cells:
15

Other cell types:
40


ESOPHAGUS - GTEx RNA-seqi

RNA-Seq data generated by the Genotype-Tissue Expression (GTEx) project from human tissues is reported as mean nTPM. More information can be found on the GTEx portal.

Distribution across the dataset is visualized with box plots, shown as median and 25th and 75th percentiles. Points are displayed as outliers if they are above or below 1.5 times the interquartile range. nTPM values of the individual samples are presented next to the box plot.
Max subtype nTPMi

Max subtype nTPM is the value for the subtype with the largest average nTPM across the subtype samples.

114.7
GTEx sample id Sample description nTPM
Esophagus - Mucosa
Average nTPM: 114.7
Samples: 555

Max nTPM: 270.3
Min nTPM: 63.2
Std nTPM: 26.6
Median nTPM: 109.6
GTEX-1MCQQ-1026-SM-EV7AX 60-69 years, male 270.3
GTEX-16Z82-1926-SM-6M47U 60-69 years, male 269.0
GTEX-1269C-1026-SM-5N9EY 60-69 years, female 254.4
GTEX-14PJ5-0526-SM-664OE 60-69 years, female 251.6
GTEX-15RIF-0826-SM-6M47C 20-29 years, male 241.8
GTEX-16A39-1026-SM-6LPJU 30-39 years, female 231.7
GTEX-18465-1126-SM-7LG6E 50-59 years, male 219.9
GTEX-145ME-5004-SM-7MGXP 40-49 years, female 212.6
GTEX-1EN7A-1226-SM-7MGX9 40-49 years, male 198.9
GTEX-1LVA9-2126-SM-DLHBY 50-59 years, male 186.6
GTEX-148VJ-1026-SM-5LU98 70-79 years, male 184.2
GTEX-13FHP-1526-SM-5IJGE 50-59 years, male 180.3
GTEX-15F5U-5010-SM-AHZ2D 40-49 years, male 178.7
GTEX-11EI6-1526-SM-5P9GL 60-69 years, male 178.0
GTEX-WVLH-1426-SM-4MVNX 50-59 years, male 177.8
GTEX-15DCD-1626-SM-6AJBH 70-79 years, female 177.7
GTEX-ZV68-0926-SM-59HK7 50-59 years, female 174.8
GTEX-1CAMQ-2726-SM-7MKGD 40-49 years, male 174.0
GTEX-1RDX4-2126-SM-EV7B3 50-59 years, female 171.8
GTEX-1GF9U-0826-SM-7MXTZ 40-49 years, female 171.2
GTEX-N7MS-1225-SM-3LK5G 60-69 years, male 171.1
GTEX-148VI-1026-SM-5TDDJ 60-69 years, female 169.2
GTEX-1KD4Q-1126-SM-CXZKK 40-49 years, male 167.7
GTEX-1NSGN-2026-SM-DPRYM 50-59 years, male 164.9
GTEX-XQ3S-1126-SM-4BOPK 20-29 years, male 164.8
GTEX-18D9U-2126-SM-7LG4Y 40-49 years, male 162.3
GTEX-1LB8K-1326-SM-CXZKB 50-59 years, male 161.3
GTEX-1LSVX-1226-SM-DHXJN 60-69 years, male 161.2
GTEX-1F88F-1126-SM-7MKHL 60-69 years, female 160.9
GTEX-1EX96-2226-SM-7MKGT 50-59 years, male 160.5
GTEX-11NUK-1326-SM-5P9GN 50-59 years, male 158.6
GTEX-11ZTS-2626-SM-5EGIC 60-69 years, female 156.9
GTEX-1IDJH-2026-SM-CNNQX 70-79 years, male 155.6
GTEX-YFC4-1226-SM-5LU9R 40-49 years, female 153.8
GTEX-1CB4H-1526-SM-7MXU4 60-69 years, female 152.0
GTEX-1MA7X-0726-SM-EV7AB 60-69 years, male 150.7
GTEX-12ZZW-1726-SM-5DUVD 50-59 years, male 150.6
GTEX-1A8FM-1526-SM-7MXTA 50-59 years, female 150.1
GTEX-15RJE-0926-SM-6LLHZ 40-49 years, male 150.0
GTEX-15SB6-0726-SM-6M48F 50-59 years, female 149.6
GTEX-1EH9U-2426-SM-7EWFG 60-69 years, male 149.0
GTEX-1EKGG-1726-SM-7MXUP 60-69 years, male 148.4
GTEX-ZXES-1126-SM-5GZXN 30-39 years, female 148.0
GTEX-12WSN-5013-SM-7P8P9 40-49 years, male 147.6
GTEX-1QEPI-1826-SM-EAZ3J 60-69 years, female 147.4
GTEX-1E1VI-1526-SM-7IGQ2 50-59 years, male 147.3
GTEX-1I1GS-2126-SM-ARU7G 60-69 years, male 146.8
GTEX-117YW-1926-SM-5H121 50-59 years, male 146.3
GTEX-1HCU6-1326-SM-A96TZ 60-69 years, female 146.3
GTEX-1HBPH-1126-SM-A96TU 40-49 years, female 145.6
GTEX-1HFI6-1226-SM-A96SK 40-49 years, male 145.3
GTEX-1LSNL-2226-SM-DHXKM 50-59 years, male 145.2
GTEX-1GMR2-1526-SM-7MXV6 50-59 years, male 145.1
GTEX-YEC3-2526-SM-CXZIH 50-59 years, male 145.0
GTEX-1B996-1826-SM-7MGY6 60-69 years, male 144.8
GTEX-1N2DW-1426-SM-EV7AZ 50-59 years, male 144.4
GTEX-1RAZS-2626-SM-EV79C 50-59 years, male 143.7
GTEX-1KANB-1826-SM-DHXJU 50-59 years, male 143.2
GTEX-1MJIX-0826-SM-DTXEO 40-49 years, male 143.0
GTEX-1HSKV-2426-SM-A8N8K 60-69 years, male 142.5
GTEX-YEC4-1026-SM-9WG7N 40-49 years, male 142.5
GTEX-1A32A-1826-SM-72D5G 50-59 years, female 142.3
GTEX-1S82Y-1226-SM-EV7BD 40-49 years, male 141.6
GTEX-13JVG-2026-SM-5KM1N 60-69 years, male 141.5
GTEX-13OW8-2326-SM-5L3I9 60-69 years, male 141.5
GTEX-1I1GV-2226-SM-ARU7E 60-69 years, male 141.5
GTEX-RVPV-0526-SM-47JYL 60-69 years, male 141.3
GTEX-1MCC2-1926-SM-DHXJR 30-39 years, female 141.3
GTEX-1N2EE-2426-SM-EXOIO 60-69 years, male 140.3
GTEX-13OVI-2626-SM-5KM4T 60-69 years, female 140.0
GTEX-13PVR-1826-SM-5Q5CC 60-69 years, female 140.0
GTEX-ZTPG-1626-SM-5DUX2 20-29 years, female 140.0
GTEX-1LG7Y-1726-SM-EV7AR 50-59 years, male 140.0
GTEX-SJXC-1426-SM-EYYVB 60-69 years, male 139.9
GTEX-1399S-1326-SM-5P9GH 30-39 years, female 139.8
GTEX-17HII-1526-SM-9OSVD 50-59 years, male 139.8
GTEX-12ZZY-1426-SM-5N9EI 60-69 years, male 139.2
GTEX-UPJH-1026-SM-EAZB2 50-59 years, male 138.7
GTEX-18A6Q-1226-SM-7KFS9 60-69 years, male 138.3
GTEX-ZTX8-0226-SM-5E44D 20-29 years, male 137.4
GTEX-14PKV-1726-SM-6871U 20-29 years, female 136.9
GTEX-Q2AG-1326-SM-43V8K 40-49 years, female 136.9
GTEX-XMK1-1326-SM-4B65Q 40-49 years, male 136.7
GTEX-13O3Q-0826-SM-5IFGF 50-59 years, male 136.4
GTEX-POYW-1326-SM-48TCG 60-69 years, male 136.4
GTEX-1H1DG-1226-SM-9JGH3 70-79 years, male 136.2
GTEX-132QS-1426-SM-5P9GE 60-69 years, male 135.6
GTEX-1BAJH-2026-SM-7P8OZ 70-79 years, male 135.3
GTEX-13NYB-0926-SM-5IFFA 40-49 years, male 134.9
GTEX-1J8EW-1326-SM-AHZ3S 60-69 years, female 134.7
GTEX-11TUW-1326-SM-5EQKV 60-69 years, male 134.4
GTEX-13W46-1926-SM-5J2MF 50-59 years, male 134.2
GTEX-X4LF-0626-SM-4QASB 50-59 years, male 133.7
GTEX-11GSP-1826-SM-5N9DQ 60-69 years, female 133.0
GTEX-11ONC-1526-SM-5GU6S 60-69 years, male 132.8
GTEX-WH7G-0926-SM-4LVMJ 40-49 years, male 132.7
GTEX-13FHO-1726-SM-DPRZX 60-69 years, male 132.7
GTEX-17EVQ-1926-SM-7IGOF 70-79 years, male 132.4
GTEX-1N2DV-2026-SM-EV7BL 40-49 years, male 132.2
GTEX-QVUS-0626-SM-447CC 60-69 years, female 131.8
GTEX-145LU-0926-SM-79OJL 50-59 years, male 131.4
GTEX-14ICK-2026-SM-6AJB2 40-49 years, male 131.4
GTEX-1PPGY-1726-SM-EVR3S 60-69 years, male 130.3
GTEX-1EU9M-2326-SM-7MKGS 60-69 years, male 130.2
GTEX-1EWIQ-1526-SM-79OO7 70-79 years, female 130.1
GTEX-1B933-2026-SM-7EWFC 50-59 years, female 130.0
GTEX-1IDJD-1626-SM-C1YRC 30-39 years, male 130.0
GTEX-14ICL-0526-SM-5RQJ6 30-39 years, male 129.9
GTEX-1KANA-0626-SM-D4P3I 20-29 years, male 129.9
GTEX-X4XY-1726-SM-46MVO 60-69 years, male 129.5
GTEX-1H1ZS-1526-SM-9OSXR 70-79 years, male 129.2
GTEX-1JMQJ-1226-SM-D3L97 50-59 years, male 129.1
GTEX-1I1GQ-1726-SM-B2LWZ 50-59 years, male 129.0
GTEX-QLQ7-0926-SM-447BC 60-69 years, male 128.9
GTEX-XYKS-1526-SM-4BRUP 60-69 years, female 128.8
GTEX-OHPN-1026-SM-E9TI8 60-69 years, female 128.8
GTEX-1GTWX-1326-SM-9JGHU 60-69 years, male 128.0
GTEX-14PJ6-1026-SM-686ZB 60-69 years, female 127.8
GTEX-QEG4-0726-SM-CNNRF 30-39 years, male 127.3
GTEX-ZT9W-1326-SM-51MTB 50-59 years, male 127.2
GTEX-16BQI-1526-SM-6LLIE 30-39 years, female 127.1
GTEX-1JMPZ-2026-SM-C1YR8 30-39 years, male 127.1
GTEX-PVOW-1626-SM-48TC9 40-49 years, male 127.0
GTEX-1F7RK-1526-SM-7P8T6 20-29 years, female 126.8
GTEX-OIZG-1026-SM-3LK5X 50-59 years, male 126.5
GTEX-1RLM8-0726-SM-E6CRH 50-59 years, male 126.5
GTEX-1LVAN-2326-SM-CNNPY 50-59 years, female 126.4
GTEX-15SHU-1426-SM-6LPIN 40-49 years, female 126.2
GTEX-1I1GR-1326-SM-ARU7B 60-69 years, male 125.9
GTEX-1JMLX-2326-SM-CXZJP 50-59 years, male 125.9
GTEX-139UW-1126-SM-5IJEJ 60-69 years, male 125.8
GTEX-12WSD-1826-SM-5GCOA 60-69 years, female 125.5
GTEX-1CB4E-1026-SM-793AB 60-69 years, male 125.4
GTEX-WFG8-1226-SM-4V6EI 20-29 years, male 125.4
GTEX-ZYVF-2226-SM-5GIDD 50-59 years, female 125.4
GTEX-1QP2A-1926-SM-EXOJ9 50-59 years, male 125.4
GTEX-Y3IK-1126-SM-51MSV 50-59 years, female 125.3
GTEX-13YAN-1926-SM-7EPH9 60-69 years, male 125.0
GTEX-13FLV-1126-SM-5J2NO 50-59 years, male 124.8
GTEX-14BIN-2726-SM-5RQIE 50-59 years, female 124.7
GTEX-S95S-0426-SM-4B64I 60-69 years, male 124.6
GTEX-1F75I-1726-SM-7MKGW 40-49 years, male 124.4
GTEX-13NZB-1226-SM-5J2MW 30-39 years, male 124.3
GTEX-ZAK1-1526-SM-5S2OV 50-59 years, female 124.2
GTEX-ZG7Y-1126-SM-4WWEZ 50-59 years, male 123.8
GTEX-131YS-1426-SM-5IJF7 60-69 years, female 123.7
GTEX-1K2DU-1726-SM-EV79S 20-29 years, male 123.7
GTEX-1JKYR-2126-SM-CNNPC 20-29 years, male 123.6
GTEX-Z9EW-0526-SM-5HL8S 40-49 years, male 123.5
GTEX-1PPH8-1626-SM-E6CQP 20-29 years, male 123.5
GTEX-ZYW4-1326-SM-5E45N 60-69 years, male 123.4
GTEX-1GN1U-1826-SM-9JGH2 50-59 years, female 123.4
GTEX-1C475-0926-SM-7MKFI 40-49 years, female 123.3
GTEX-PLZ6-0526-SM-3P61C 30-39 years, male 123.2
GTEX-YJ89-1526-SM-5P9IR 60-69 years, male 123.1
GTEX-Q2AH-0826-SM-48TZN 40-49 years, male 122.9
GTEX-1OJC3-0826-SM-DPRYU 20-29 years, male 122.9
GTEX-WK11-1026-SM-4OOS8 50-59 years, male 122.5
GTEX-1399Q-1126-SM-5P9JA 40-49 years, male 122.4
GTEX-13O1R-1326-SM-5IJF5 60-69 years, male 122.4
GTEX-RN64-1026-SM-48FDX 50-59 years, male 122.1
GTEX-1L5NE-1426-SM-DHXKV 50-59 years, male 121.9
GTEX-12ZZX-1326-SM-5DUWI 40-49 years, female 121.8
GTEX-1122O-1726-SM-5GICM 60-69 years, female 121.6
GTEX-TSE9-1226-SM-4DXTM 60-69 years, female 121.5
GTEX-1I4MK-0426-SM-B2LWQ 50-59 years, female 121.5
GTEX-12WSK-1126-SM-5LZV8 40-49 years, female 120.8
GTEX-1CB4J-2426-SM-7MXVC 60-69 years, male 120.8
GTEX-1LG7Z-0926-SM-CXKYK 30-39 years, male 120.7
GTEX-16XZY-0926-SM-7938M 70-79 years, male 120.4
GTEX-QLQW-0526-SM-4R1KS 30-39 years, male 120.3
GTEX-13PVQ-1726-SM-5IFF3 50-59 years, male 119.7
GTEX-1F5PK-1526-SM-7MKGV 50-59 years, male 119.7
GTEX-QEG5-1426-SM-447AS 20-29 years, male 119.7
GTEX-1RAZA-1326-SM-DPS12 20-29 years, male 119.6
GTEX-ZF29-1326-SM-DNZYV 60-69 years, female 119.5
GTEX-11VI4-0526-SM-5EQ48 40-49 years, female 119.2
GTEX-T6MO-0526-SM-4DM6R 40-49 years, female 119.2
GTEX-1MA7W-0426-SM-E9TJ5 20-29 years, female 119.1
GTEX-17F9E-1926-SM-7IGQF 50-59 years, male 119.0
GTEX-YB5K-0826-SM-5YYB7 40-49 years, female 118.9
GTEX-13G51-0926-SM-5IFFU 60-69 years, male 118.7
GTEX-1HCVE-1226-SM-9WPPH 50-59 years, male 118.7
GTEX-1C2JI-1126-SM-731FH 50-59 years, male 118.6
GTEX-Y5LM-1026-SM-4VDSQ 40-49 years, female 118.6
GTEX-ZYY3-1526-SM-5SIA9 60-69 years, female 118.6
GTEX-1LNCM-0626-SM-EV7AI 50-59 years, female 118.5
GTEX-X4EO-1226-SM-4QARR 60-69 years, female 118.3
GTEX-11I78-1526-SM-5A5K7 50-59 years, female 118.2
GTEX-ZVP2-1326-SM-57WCE 50-59 years, male 118.2
GTEX-1QW4Y-0526-SM-EAZ3V 30-39 years, male 118.1
GTEX-17JCI-1226-SM-793D9 60-69 years, female 118.0
GTEX-OOBK-0625-SM-3LK5P 40-49 years, male 117.9
GTEX-1M5QR-0726-SM-DHXK7 40-49 years, male 117.8
GTEX-15DYW-1826-SM-6LPIY 60-69 years, female 117.6
GTEX-1QCLY-1526-SM-DPRXX 30-39 years, male 117.5
GTEX-14JIY-0926-SM-6871D 60-69 years, male 117.0
GTEX-15ER7-2126-SM-7939E 20-29 years, female 117.0
GTEX-R3RS-1326-SM-48FE7 40-49 years, female 117.0
GTEX-1H23P-1426-SM-9JGH5 60-69 years, male 117.0
GTEX-11EM3-0826-SM-5N9CC 20-29 years, female 116.9
GTEX-1HGF4-0926-SM-9WPP8 60-69 years, male 116.5
GTEX-YB5E-0926-SM-4WWDQ 40-49 years, male 116.3
GTEX-1OKEX-1326-SM-E9J2U 60-69 years, male 116.3
GTEX-1QP9N-0926-SM-E9U5S 30-39 years, male 116.2
GTEX-13QJ3-1726-SM-5RQK9 50-59 years, male 116.1
GTEX-12696-1326-SM-5FQTJ 60-69 years, male 116.0
GTEX-1NUQO-1126-SM-DTX98 20-29 years, female 115.7
GTEX-16NPX-1626-SM-6LLI5 50-59 years, male 115.6
GTEX-1HBPM-1426-SM-9WPPE 60-69 years, female 115.4
GTEX-Y3I4-1226-SM-4TT8N 50-59 years, male 115.1
GTEX-XUZC-0426-SM-4BOPE 30-39 years, female 114.9
GTEX-12WSG-5007-SM-7DUGZ 50-59 years, female 114.8
GTEX-14PJN-0526-SM-68724 30-39 years, male 114.8
GTEX-1F5PL-1726-SM-9QEGL 40-49 years, female 114.8
GTEX-11DXY-1426-SM-5N9CN 60-69 years, male 114.7
GTEX-1R7EU-0826-SM-DPRZL 60-69 years, male 114.7
GTEX-14C38-2126-SM-5RQJO 50-59 years, male 114.4
GTEX-15EOM-5013-SM-7MKF9 20-29 years, female 114.4
GTEX-14PJ3-0626-SM-6UGC5 50-59 years, male 114.4
GTEX-18A7A-2326-SM-7KFRH 50-59 years, female 114.1
GTEX-13W3W-1626-SM-5LU35 60-69 years, female 114.0
GTEX-17MFQ-0526-SM-7KFTX 20-29 years, male 114.0
GTEX-1J1R8-0326-SM-AHZ3D 40-49 years, male 114.0
GTEX-1R9PM-0926-SM-DPRYA 20-29 years, male 114.0
GTEX-1LVAM-1126-SM-DHXKP 50-59 years, female 113.9
GTEX-145LV-1326-SM-5S2QI 50-59 years, male 113.7
GTEX-14DAR-0826-SM-73KYJ 50-59 years, male 113.7
GTEX-18D9B-2026-SM-7LT96 60-69 years, male 113.6
GTEX-YECK-1626-SM-5IFHQ 60-69 years, male 113.6
GTEX-1399U-1026-SM-5J1OC 50-59 years, female 113.5
GTEX-15RIE-0826-SM-6M47X 60-69 years, male 113.5
GTEX-144FL-2726-SM-5O98Z 50-59 years, male 113.4
GTEX-ZUA1-1226-SM-5NQ6O 40-49 years, male 113.4
GTEX-ZVT2-1326-SM-5E45H 50-59 years, female 113.3
GTEX-11TT1-0526-SM-5P9JO 20-29 years, male 113.2
GTEX-1B97J-1026-SM-7MXTE 50-59 years, female 113.2
GTEX-1212Z-2126-SM-5FQTM 60-69 years, male 112.9
GTEX-14A6H-1326-SM-5NQBC 30-39 years, male 112.9
GTEX-1B97I-0926-SM-731DZ 40-49 years, male 112.8
GTEX-13OVG-0626-SM-5IFEP 60-69 years, male 112.7
GTEX-15DCE-1326-SM-6LPJL 20-29 years, male 112.7
GTEX-T2IS-0826-SM-4DM6L 20-29 years, female 112.7
GTEX-1LGOU-0526-SM-D3LAO 20-29 years, female 112.7
GTEX-1H1DE-1026-SM-9JGH6 20-29 years, male 112.5
GTEX-12BJ1-1626-SM-5HL8Y 60-69 years, male 112.4
GTEX-XXEK-0326-SM-4BRVV 50-59 years, male 112.3
GTEX-147F3-0826-SM-5NQA7 50-59 years, female 112.2
GTEX-1S83E-0826-SM-EV7B7 40-49 years, male 112.2
GTEX-OXRP-0926-SM-48TC1 60-69 years, female 112.1
GTEX-1J1OQ-2526-SM-AHZ3Q 40-49 years, female 112.0
GTEX-REY6-1326-SM-48FDO 60-69 years, male 111.9
GTEX-1KXAM-0826-SM-CXZK9 60-69 years, male 111.9
GTEX-X4EP-1626-SM-4QAS6 60-69 years, female 111.8
GTEX-1JMPY-0826-SM-AHZ4A 30-39 years, male 111.8
GTEX-13FTW-1626-SM-5KM4N 40-49 years, male 111.7
GTEX-SNMC-0526-SM-4DM69 20-29 years, male 111.6
GTEX-1I1CD-1726-SM-A9G3P 60-69 years, female 111.6
GTEX-139TU-1226-SM-5J2NL 60-69 years, male 111.5
GTEX-WQUQ-1626-SM-4OOSH 60-69 years, male 111.3
GTEX-1QP67-0726-SM-DPRY1 40-49 years, female 111.1
GTEX-WYJK-1926-SM-4ONDP 50-59 years, male 110.9
GTEX-RWS6-0826-SM-47JXF 60-69 years, female 110.7
GTEX-ZLFU-1126-SM-DO11K 40-49 years, male 110.7
GTEX-145MF-1426-SM-5O9B6 50-59 years, male 110.6
GTEX-S3XE-0926-SM-4AD4S 50-59 years, male 110.6
GTEX-18A66-1426-SM-7KFRT 60-69 years, male 110.5
GTEX-1CB4G-1326-SM-7MKFP 60-69 years, male 110.4
GTEX-ZE9C-1126-SM-4WWBD 60-69 years, male 110.4
GTEX-145MO-1426-SM-DTX9W 60-69 years, male 110.4
GTEX-183WM-1726-SM-7KFT5 70-79 years, female 110.3
GTEX-WHSE-1526-SM-4M1XH 20-29 years, male 110.3
GTEX-WYVS-0726-SM-4ONDO 40-49 years, female 110.1
GTEX-T5JC-1726-SM-4DM6U 20-29 years, male 110.0
GTEX-13SLX-1726-SM-5Q5E5 50-59 years, female 109.9
GTEX-TMMY-1126-SM-4DXSX 40-49 years, female 109.7
GTEX-14DAQ-1426-SM-5RQJD 60-69 years, female 109.6
GTEX-17F98-1726-SM-7938O 40-49 years, female 109.6
GTEX-17F97-1326-SM-7MGVO 50-59 years, male 109.6
GTEX-1IKK5-1326-SM-AHZ2X 60-69 years, male 109.6
GTEX-18D9A-0526-SM-7KFSW 30-39 years, female 109.5
GTEX-15UF6-2326-SM-6M465 70-79 years, female 109.4
GTEX-T8EM-0526-SM-4DM64 40-49 years, male 109.4
GTEX-ZPU1-1426-SM-4WWFU 40-49 years, male 109.4
GTEX-ZLWG-1326-SM-DNZYZ 50-59 years, female 109.4
GTEX-139T6-0626-SM-5IFF9 50-59 years, male 109.2
GTEX-ZYFC-1626-SM-5N9EU 50-59 years, male 109.0
GTEX-133LE-0626-SM-5IFFJ 20-29 years, female 108.9
GTEX-1A3MV-1326-SM-7LG6C 30-39 years, male 108.9
GTEX-1IY9M-1626-SM-AHZ39 60-69 years, male 108.9
GTEX-15EO6-1026-SM-7KUG9 50-59 years, male 108.8
GTEX-18A67-2426-SM-7LT95 50-59 years, male 108.7
GTEX-Y5V5-1626-SM-4VDSG 60-69 years, female 108.7
GTEX-13111-0826-SM-5LZV3 50-59 years, male 108.5
GTEX-15RJ7-0926-SM-6LPJO 40-49 years, male 108.5
GTEX-PWN1-0626-SM-48TDT 40-49 years, female 108.5
GTEX-13X6H-1326-SM-5LU42 50-59 years, female 108.4
GTEX-1C64O-1826-SM-7DHM4 60-69 years, male 108.4
GTEX-1CB4F-1526-SM-7MKFM 60-69 years, male 108.4
GTEX-ZDYS-0826-SM-4WWCR 50-59 years, male 108.1
GTEX-144GM-1426-SM-5LU31 20-29 years, male 108.0
GTEX-14PHY-0626-SM-664NN 60-69 years, female 108.0
GTEX-1QPFJ-1226-SM-EAZ3M 30-39 years, female 108.0
GTEX-13X6K-2126-SM-5O9D4 60-69 years, female 107.9
GTEX-Y8LW-0726-SM-5IFI1 50-59 years, female 107.9
GTEX-1R9K4-1926-SM-DPRZW 60-69 years, male 107.9
GTEX-1R9K5-1526-SM-DPRZA 50-59 years, male 107.9
GTEX-S341-0526-SM-4AD5U 40-49 years, female 107.6
GTEX-1HBPI-0626-SM-9WPP4 50-59 years, male 107.6
GTEX-1JKYN-1526-SM-CGQGA 30-39 years, male 107.2
GTEX-ZZPT-1426-SM-5N9C5 50-59 years, male 107.1
GTEX-14BIM-1326-SM-7EWD1 60-69 years, female 107.0
GTEX-TKQ1-0326-SM-4DXSM 30-39 years, male 107.0
GTEX-ZAB4-1126-SM-5HL86 40-49 years, male 106.8
GTEX-13CF3-1626-SM-5IFG9 60-69 years, female 106.7
GTEX-1AX9J-1826-SM-731FM 60-69 years, male 106.7
GTEX-ZPCL-1426-SM-57WEC 60-69 years, female 106.6
GTEX-1HSMQ-2026-SM-B2LY1 50-59 years, male 106.4
GTEX-1GN1W-2226-SM-9JGI5 50-59 years, female 106.3
GTEX-VJYA-0726-SM-4KL1T 60-69 years, male 106.2
GTEX-ZTSS-0626-SM-59867 40-49 years, male 106.2
GTEX-12WSA-1426-SM-5EGJU 60-69 years, male 106.0
GTEX-ZGAY-1126-SM-4WWBS 40-49 years, female 106.0
GTEX-14B4R-0326-SM-5TDDP 30-39 years, male 105.9
GTEX-14PJM-1526-SM-664NY 50-59 years, female 105.9
GTEX-17HGU-1426-SM-7938G 50-59 years, male 105.9
GTEX-1CB4I-1026-SM-7MKFZ 50-59 years, male 105.9
GTEX-1LBAC-1226-SM-DHXK1 20-29 years, male 105.9
GTEX-P4QT-0626-SM-3NMCP 50-59 years, female 105.8
GTEX-ZA64-0626-SM-5HL9O 20-29 years, male 105.8
GTEX-1K2DA-0626-SM-CGQGO 50-59 years, male 105.8
GTEX-XLM4-2326-SM-4AT5E 60-69 years, male 105.8
GTEX-QDVN-1026-SM-48TZA 50-59 years, male 105.7
GTEX-1PFEY-0826-SM-E9U6A 30-39 years, male 105.7
GTEX-S32W-0926-SM-4AD5X 50-59 years, female 105.6
GTEX-1399R-0826-SM-5IJEL 30-39 years, male 105.4
GTEX-WEY5-0926-SM-4LMI4 40-49 years, female 105.4
GTEX-1JMQK-2026-SM-C1YQN 60-69 years, male 105.4
GTEX-WFON-0826-SM-4LVMI 40-49 years, male 105.2
GTEX-Y9LG-0626-SM-4WWDH 30-39 years, male 105.2
GTEX-1MCYP-1026-SM-DPRYB 20-29 years, female 105.2
GTEX-144GO-2726-SM-5O9A2 60-69 years, male 105.0
GTEX-14AS3-0626-SM-5QGQD 40-49 years, female 105.0
GTEX-T2YK-1326-SM-4DM6S 50-59 years, male 105.0
GTEX-1C6VQ-1826-SM-7EWEH 50-59 years, male 104.8
GTEX-R55D-1126-SM-48FEB 50-59 years, male 104.8
GTEX-1HC8U-1526-SM-9WPO4 40-49 years, female 104.6
GTEX-11P81-0826-SM-5P9GR 30-39 years, female 104.5
GTEX-1IKOE-1526-SM-C1YSD 30-39 years, female 104.4
GTEX-11XUK-0826-SM-5GU6P 40-49 years, female 104.3
GTEX-13OVJ-1226-SM-5L3HA 50-59 years, female 104.2
GTEX-T5JW-1326-SM-4DM5G 20-29 years, female 104.2
GTEX-1GN73-1926-SM-9JGGS 60-69 years, male 104.2
GTEX-17HHE-0926-SM-7938K 50-59 years, male 103.8
GTEX-QDVJ-0726-SM-48U1W 50-59 years, male 103.8
GTEX-R55C-0826-SM-48FCL 40-49 years, male 103.8
GTEX-XMD2-1326-SM-4YCET 60-69 years, female 103.8
GTEX-1GMR3-1526-SM-9JGGL 40-49 years, male 103.8
GTEX-132Q8-1826-SM-5EGIY 60-69 years, male 103.7
GTEX-ZQUD-0426-SM-57WFR 30-39 years, male 103.7
GTEX-13QBU-1026-SM-5LU3R 40-49 years, female 103.5
GTEX-183FY-1526-SM-7IGOW 20-29 years, male 103.5
GTEX-14JG6-0926-SM-6871Y 30-39 years, female 103.3
GTEX-111YS-0926-SM-5EGGI 60-69 years, male 103.1
GTEX-Y114-0926-SM-4TT7J 50-59 years, female 103.1
GTEX-1I1GU-1426-SM-B2LX3 40-49 years, male 103.1
GTEX-11DXZ-1226-SM-5H11L 50-59 years, male 103.0
GTEX-15EU6-1626-SM-6LPKF 50-59 years, male 103.0
GTEX-1B8KE-1826-SM-731FD 50-59 years, male 103.0
GTEX-QCQG-0626-SM-48U21 50-59 years, female 103.0
GTEX-R55G-1026-SM-48FDI 40-49 years, female 103.0
GTEX-SE5C-1226-SM-4BRWV 40-49 years, female 102.9
GTEX-OXRN-1726-SM-3NM9B 50-59 years, male 102.8
GTEX-UJMC-0926-SM-4IHLK 50-59 years, male 102.8
GTEX-16MT8-1326-SM-6M47R 60-69 years, female 102.7
GTEX-R55E-1326-SM-48FCR 20-29 years, male 102.7
GTEX-TML8-1526-SM-4DXUX 40-49 years, female 102.7
GTEX-11ZU8-1526-SM-5EGHX 60-69 years, male 102.6
GTEX-15ETS-1926-SM-7KUN5 40-49 years, female 102.5
GTEX-WRHK-0526-SM-4MVOF 20-29 years, female 102.5
GTEX-P4PQ-0626-SM-3NMCU 60-69 years, male 102.4
GTEX-S4P3-0426-SM-4AD56 50-59 years, female 102.3
GTEX-14H4A-1626-SM-5SI69 40-49 years, female 102.2
GTEX-14C5O-1626-SM-73KYH 60-69 years, male 102.1
GTEX-XQ8I-1526-SM-4BOOH 50-59 years, male 102.0
GTEX-1K9T9-2026-SM-CXZK3 50-59 years, female 102.0
GTEX-NFK9-1126-SM-3LK78 40-49 years, male 101.7
GTEX-U3ZM-0526-SM-4DXTB 40-49 years, male 101.7
GTEX-13U4I-1126-SM-5LU3S 40-49 years, female 101.6
GTEX-1I1GP-1026-SM-C1YRZ 50-59 years, male 101.6
GTEX-1QCLZ-1626-SM-E9U5R 60-69 years, female 101.6
GTEX-13FTX-0526-SM-5IFGS 20-29 years, female 101.5
GTEX-1AX8Z-5016-SM-AHZ2B 60-69 years, male 101.5
GTEX-P4PP-0626-SM-3NM9X 30-39 years, female 101.4
GTEX-WFG7-1126-SM-4LMK3 20-29 years, male 101.4
GTEX-X3Y1-1326-SM-4PQZB 40-49 years, male 101.3
GTEX-1F52S-1426-SM-7P8PU 60-69 years, female 101.3
GTEX-1R9JW-1526-SM-DPRZK 30-39 years, female 101.2
GTEX-ZZ64-0226-SM-5E44X 20-29 years, male 101.0
GTEX-1LGRB-1626-SM-CNNR7 50-59 years, female 101.0
GTEX-13X6I-1026-SM-5LU4C 60-69 years, male 100.8
GTEX-ZLV1-0526-SM-4WWD4 60-69 years, female 100.8
GTEX-P4QS-0626-SM-3NMD1 60-69 years, male 100.7
GTEX-Y5V6-1026-SM-4VBS2 60-69 years, male 100.7
GTEX-13FH7-0526-SM-5IJF8 50-59 years, female 100.6
GTEX-Q2AI-0626-SM-48TZU 40-49 years, male 100.6
GTEX-WHPG-1126-SM-4M1XT 50-59 years, male 100.4
GTEX-W5WG-1626-SM-4LMKG 50-59 years, female 100.3
GTEX-WOFM-0626-SM-4OOS3 20-29 years, male 100.3
GTEX-1497J-2726-SM-5SI9W 60-69 years, male 100.1
GTEX-1HKZK-1426-SM-A96U1 40-49 years, male 100.1
GTEX-1AX9I-1426-SM-7DHM8 60-69 years, male 100.0
GTEX-1JK1U-1726-SM-CNNPM 60-69 years, male 100.0
GTEX-1H3NZ-1326-SM-9JGHI 60-69 years, male 99.8
GTEX-1HCU8-2226-SM-9WPOV 60-69 years, female 99.6
GTEX-Y8E4-1726-SM-5LU9G 40-49 years, male 99.5
GTEX-13D11-1926-SM-5IFGB 50-59 years, female 99.3
GTEX-S33H-0826-SM-4AD5Y 30-39 years, male 99.3
GTEX-1KAFJ-0626-SM-D3L8X 50-59 years, male 99.1
GTEX-1QP29-2126-SM-E6CPZ 50-59 years, male 99.1
GTEX-RNOR-1226-SM-48FDQ 50-59 years, female 99.0
GTEX-XBEW-1326-SM-4AT63 40-49 years, male 99.0
GTEX-111CU-0726-SM-5GZYD 50-59 years, male 98.9
GTEX-PLZ4-1626-SM-3P618 50-59 years, female 98.9
GTEX-WXYG-1226-SM-4ONCJ 50-59 years, female 98.9
GTEX-1AYD5-0926-SM-793AF 50-59 years, male 98.8
GTEX-N7MT-0326-SM-48TDP 60-69 years, female 98.8
GTEX-145LT-1126-SM-5LUA1 40-49 years, male 98.7
GTEX-1AMEY-0226-SM-7189Q 30-39 years, female 98.6
GTEX-QESD-0826-SM-47J4G 20-29 years, male 98.5
GTEX-11P82-0526-SM-5986P 20-29 years, male 98.3
GTEX-146FQ-1026-SM-5LU8I 30-39 years, male 98.3
GTEX-WFJO-0826-SM-4LVM5 30-39 years, male 98.0
GTEX-ZYFG-1126-SM-5GICY 60-69 years, female 97.9
GTEX-RTLS-1126-SM-46MUQ 60-69 years, female 97.6
GTEX-PWCY-0726-SM-48TCS 20-29 years, female 97.5
GTEX-14PK6-1326-SM-686ZE 70-79 years, female 97.4
GTEX-1HSGN-1626-SM-A96U2 40-49 years, female 97.4
GTEX-RU1J-0326-SM-46MUM 20-29 years, female 97.3
GTEX-ZDTT-1326-SM-4WKFH 60-69 years, male 97.3
GTEX-S4Q7-0626-SM-4AD5M 20-29 years, male 97.0
GTEX-U8XE-1726-SM-4E3IF 30-39 years, male 97.0
GTEX-X62O-2226-SM-46MW3 50-59 years, male 97.0
GTEX-YF7O-0926-SM-5IFIF 50-59 years, male 97.0
GTEX-XBED-1026-SM-48TCB 60-69 years, male 96.9
GTEX-OIZH-0626-SM-3NB1L 50-59 years, male 96.8
GTEX-ZEX8-1426-SM-4WKHQ 50-59 years, male 96.6
GTEX-1ICG6-1926-SM-ARU7L 70-79 years, female 96.5
GTEX-1GL5R-1526-SM-7MKHO 50-59 years, male 96.3
GTEX-146FH-1726-SM-5QGQ2 50-59 years, female 96.0
GTEX-15UF7-0926-SM-6M46F 40-49 years, male 95.9
GTEX-1GPI7-1026-SM-7MGY2 20-29 years, male 95.7
GTEX-145LS-1826-SM-5LUAZ 60-69 years, female 95.4
GTEX-ZYT6-1126-SM-5GZYR 30-39 years, male 95.3
GTEX-1HCU7-2126-SM-A96SG 50-59 years, male 95.3
GTEX-12C56-1226-SM-5FQSU 20-29 years, male 95.2
GTEX-1RAZQ-1726-SM-EAZ4T 30-39 years, male 95.2
GTEX-131XF-0826-SM-5GICG 60-69 years, male 95.0
GTEX-OIZF-0626-SM-7MKHG 60-69 years, male 95.0
GTEX-131XG-1026-SM-5GCMX 50-59 years, female 94.9
GTEX-U3ZH-1026-SM-4DXUZ 30-39 years, male 94.9
GTEX-1QP28-1826-SM-EAZ4L 50-59 years, female 94.9
GTEX-U3ZN-1726-SM-4DXUQ 30-39 years, female 94.8
GTEX-ZY6K-0626-SM-59HJL 50-59 years, male 94.8
GTEX-11LCK-1726-SM-5S2OQ 30-39 years, male 94.4
GTEX-13O61-0926-SM-5IFFE 60-69 years, male 94.4
GTEX-V1D1-1026-SM-4JBHE 50-59 years, male 94.3
GTEX-XGQ4-1526-SM-4AT6H 50-59 years, male 93.9
GTEX-146FR-0426-SM-5SI97 60-69 years, female 93.7
GTEX-14E6E-0726-SM-5S2R3 30-39 years, male 93.6
GTEX-SUCS-0726-SM-4DM7J 70-79 years, male 93.5
GTEX-13O21-0626-SM-5IJDI 50-59 years, male 93.4
GTEX-1GMR8-1826-SM-9WYUE 50-59 years, female 93.2
GTEX-11EMC-2226-SM-5A5JW 60-69 years, female 92.9
GTEX-XK95-1026-SM-4GIDV 40-49 years, male 92.9
GTEX-S7SF-0926-SM-4AD4M 20-29 years, female 92.5
GTEX-ZC5H-1326-SM-5HL7E 40-49 years, female 92.5
GTEX-OIZI-1426-SM-3NB1T 40-49 years, male 92.3
GTEX-RM2N-0726-SM-48FD5 50-59 years, male 91.8
GTEX-X15G-0826-SM-4PQZD 50-59 years, female 91.8
GTEX-PLZ5-0926-SM-3TW8L 50-59 years, male 91.6
GTEX-13PL7-0226-SM-731DT 60-69 years, female 91.5
GTEX-XV7Q-1126-SM-4BRVS 40-49 years, female 91.5
GTEX-1211K-0926-SM-5FQTL 60-69 years, female 91.4
GTEX-UPK5-1226-SM-4IHL8 40-49 years, male 91.4
GTEX-VUSG-1226-SM-4KKZF 50-59 years, male 91.4
GTEX-1J8QM-1926-SM-AHZ3Z 60-69 years, female 91.3
GTEX-11DYG-1326-SM-5N9DO 60-69 years, male 91.2
GTEX-16NGA-1426-SM-718AC 40-49 years, female 90.5
GTEX-11P7K-1326-SM-5BC5G 30-39 years, male 90.4
GTEX-1HB9E-1526-SM-D3LA6 50-59 years, male 90.4
GTEX-17EUY-1426-SM-7938X 20-29 years, male 90.3
GTEX-QV44-1126-SM-CL55C 50-59 years, male 90.0
GTEX-1B8KZ-0726-SM-7938W 50-59 years, male 89.9
GTEX-17F96-2526-SM-7DHL3 70-79 years, male 89.7
GTEX-U4B1-0826-SM-4DXTW 40-49 years, male 89.7
GTEX-1AX9K-1126-SM-731DQ 50-59 years, male 89.6
GTEX-16MTA-0826-SM-6LLIC 50-59 years, male 89.5
GTEX-OXRL-0626-SM-3NM9C 50-59 years, male 89.4
GTEX-18QFQ-1026-SM-7LG6B 30-39 years, male 89.4
GTEX-RU72-0726-SM-46MUW 50-59 years, female 88.9
GTEX-O5YV-1026-SM-3LK72 60-69 years, female 88.3
GTEX-1AMFI-0226-SM-731D5 50-59 years, female 88.2
GTEX-145MN-1026-SM-5NQ9G 30-39 years, male 88.1
GTEX-12WSL-1526-SM-5GCP8 50-59 years, male 87.9
GTEX-14E1K-1226-SM-5S2PD 50-59 years, male 87.8
GTEX-144GN-0626-SM-5O9B2 50-59 years, male 87.4
GTEX-ZF3C-1626-SM-4WWB4 50-59 years, female 87.4
GTEX-1H3VY-2026-SM-9JGHK 50-59 years, male 87.1
GTEX-WHWD-0926-SM-4OORY 50-59 years, male 87.0
GTEX-P78B-1026-SM-3NMC4 40-49 years, female 86.9
GTEX-1RAZR-1226-SM-E6CRD 40-49 years, male 86.6
GTEX-SNOS-0626-SM-4DM5F 40-49 years, male 86.4
GTEX-Y111-1626-SM-57WCY 50-59 years, male 86.2
GTEX-1IDJF-1226-SM-C1YPX 20-29 years, male 85.8
GTEX-139YR-1726-SM-5IFFK 50-59 years, male 85.7
GTEX-ZF2S-1226-SM-4WWAX 50-59 years, female 85.7
GTEX-12KS4-0926-SM-5BC5S 30-39 years, male 85.3
GTEX-11EQ9-0726-SM-5A5K2 30-39 years, male 84.7
GTEX-11NSD-1126-SM-5N9BQ 20-29 years, male 84.4
GTEX-14PJ4-1526-SM-664OA 60-69 years, male 83.6
GTEX-1I6K7-1426-SM-B2LXP 40-49 years, male 83.6
GTEX-11DXX-1126-SM-5GZZK 60-69 years, female 83.4
GTEX-V955-1126-SM-4JBH3 60-69 years, male 82.9
GTEX-R53T-1126-SM-48FD4 50-59 years, female 82.8
GTEX-17KNJ-1326-SM-7KFTG 50-59 years, male 82.6
GTEX-169BO-0526-SM-793AK 50-59 years, male 82.3
GTEX-ZVE2-1326-SM-5NQ94 50-59 years, male 81.4
GTEX-1HCUA-1426-SM-9WPP7 50-59 years, female 81.0
GTEX-13OVK-1126-SM-6PAMR 40-49 years, male 80.3
GTEX-1PIGE-0926-SM-E9U5Z 20-29 years, male 80.3
GTEX-PSDG-1326-SM-48TD2 50-59 years, male 80.2
GTEX-1IDFM-1126-SM-A96SY 60-69 years, male 80.2
GTEX-16AAH-0726-SM-793A9 50-59 years, male 79.4
GTEX-178AV-0526-SM-6LPJH 40-49 years, male 78.5
GTEX-WHSB-0426-SM-4M1XI 50-59 years, male 78.5
GTEX-131XE-1426-SM-5HL7V 50-59 years, male 77.6
GTEX-ZT9X-0526-SM-5GCOP 40-49 years, male 77.5
GTEX-1MGNQ-1626-SM-EAZ4Z 40-49 years, male 77.5
GTEX-OXRK-1326-SM-3NB1A 50-59 years, female 76.8
GTEX-R45C-1226-SM-48FEE 60-69 years, female 76.4
GTEX-13S86-0826-SM-5SI6J 40-49 years, male 76.1
GTEX-QEL4-1426-SM-447AC 50-59 years, male 73.6
GTEX-X585-1226-SM-46MW7 50-59 years, male 73.6
GTEX-ZAJG-1326-SM-5S2NV 50-59 years, female 73.4
GTEX-1H11D-2126-SM-9OSXM 40-49 years, male 73.4
GTEX-RUSQ-0826-SM-47JWW 50-59 years, male 72.7
GTEX-11DZ1-2026-SM-5A5KG 50-59 years, male 72.6
GTEX-UJHI-0826-SM-4IHLM 50-59 years, female 72.5
GTEX-1EMGI-1926-SM-7938Y 60-69 years, male 71.9
GTEX-13RTK-0526-SM-5S2QF 20-29 years, male 71.0
GTEX-ZAB5-0926-SM-5CVMV 50-59 years, male 69.3
GTEX-132AR-2226-SM-5J2NT 50-59 years, female 68.8
GTEX-NPJ8-1926-SM-3MJGB 40-49 years, male 66.9
GTEX-14BMU-0926-SM-5S2QB 20-29 years, female 63.2
Show allShow less

ESOPHAGUS - FANTOM5 CAGEi

RNA expression in human tissues obtained through Cap Analysis of Gene Expression (CAGE) generated by the FANTOM5 project are reported as Scaled Tags Per Million.

Max subtype Scaled Tags Per Millioni

Max subtype Scaled Tags Per Million is the value for the subtype with the largest average Scaled Tags Per Million across the subtype samples.

162.1
FANTOM5 sample id Sample description Scaled Tags Per Million
Esophagus
Scaled Tags Per Million: 162.1
FF:10015-101C6 68,74,75 years, mixed 162.1

Contact

  • NEWS ARTICLES
  • PRESS ROOM

The Project

  • INTRODUCTION
  • ORGANIZATION
  • PUBLICATIONS

The Human Protein Atlas

  • DOWNLOADABLE DATA
  • LICENCE & CITATION
  • HELP & FAQ
The Human Protein Atlas project is funded
by the Knut & Alice Wallenberg Foundation.


contact@proteinatlas.org