We use cookies to enhance the usability of our website. If you continue, we'll assume that you are happy to receive all cookies. More information. Don't show this again.
AP1S2
HPA
RESOURCES
  • TISSUE
  • BRAIN
  • SINGLE CELL
  • SUBCELLULAR
  • CANCER
  • BLOOD
  • CELL LINE
  • STRUCTURE & INTERACTION
ABOUT
  • INTRODUCTION
  • HISTORY
  • ORGANIZATION
  • PUBLICATIONS
  • ANTIBODY SUBMISSION
  • ANTIBODY AVAILABILITY
  • ACKNOWLEDGMENTS
  • CONTACT
NEWS
  • NEWS ARTICLES
  • PRESS ROOM
LEARN
  • DICTIONARY
  • PROTEIN CLASSES
  • PROTEIN EVIDENCE
  • METHODS
  • EDUCATIONAL VIDEOS
DATA
  • DOWNLOADABLE DATA
  • PUBLICATION DATA
  • RELEASE HISTORY
HELP
  • ANTIBODY VALIDATION
  • ASSAYS & ANNOTATION
  • DISCLAIMER
  • HELP & FAQ
  • PRIVACY STATEMENT
  • LICENCE & CITATION
Fields »
Search result

Field
Term
Gene name
Class
Subclass
Class
Keyword
Chromosome
External id
Tissue
Cell type
Expression
Antibody panel
Tissue
Main location
Patient ID
Annotation
Tissue
Category
Tau score
Cluster
Reliability
Brain region
Category
Tau score
Brain region
Category
Tau score
Brain region
Category
Tau score
Cluster
Reliability
Tissue
Cell type
Enrichment
Cell type
Category
Tau score
Cell type
Category
Tau score
Cell type
Category
Tau score
Cell lineage
Category
Tau score
Cluster
Cluster
Location
Searches
Location
Cell line
Class
Type
Phase
Reliability
Cancer
Prognosis
Cancer
Category
Cancer
Category
Tau score
Cluster
Variants
Interacting gene (ensg_id)
Type
Number of interactions
Pathway
Category
Score
Score
Score
Validation
Validation
Validation
Validation
Antibodies
Data type
Column


  • SUMMARY

  • TISSUE

  • BRAIN

  • SINGLE CELL

  • SUBCELL

  • CANCER

  • BLOOD

  • CELL LINE

  • STRUCT & INT

  • AP1S2
TISSUE PRIMARY DATA STOMACH Show tissue menu
ADIPOSE TISSUE ADRENAL GLAND AMYGDALA APPENDIX BASAL GANGLIA BONE MARROW BREAST BRONCHUS CEREBELLUM CEREBRAL CORTEX CERVIX CHOROID PLEXUS COLON DUODENUM
ENDOMETRIUM EPIDIDYMIS ESOPHAGUS FALLOPIAN TUBE GALLBLADDER HEART MUSCLE HIPPOCAMPAL FORMATION HYPOTHALAMUS KIDNEY LIVER LUNG LYMPH NODE MIDBRAIN ORAL MUCOSA
OVARY PANCREAS PARATHYROID GLAND PITUITARY GLAND PLACENTA PROSTATE RECTUM RETINA SALIVARY GLAND SEMINAL VESICLE SKELETAL MUSCLE SKIN SMALL INTESTINE SMOOTH MUSCLE
SOFT TISSUE SPINAL CORD SPLEEN STOMACH TESTIS THYMUS THYROID GLAND TONGUE TONSIL URINARY BLADDER VAGINA
ANTIBODIES
AND
VALIDATION
Dictionary
Tissue proteome
Stomach
STOMACH - Expression summary
Protein expression
Stomachi

On the top, protein expression in current human tissue, based on all annotated cell types, is reported with the units not detected (n), low (l), medium (m) and high (h). Underneath, protein expression in each annotated cell type are reported using the same units.

Protein expression data is based on knowledge-based annotation. For genes where more than one antibody has been used, a collective score is set.

If knowledge-based annotation could not be performed for a gene, no data is displayed here. View antibody staining data further down this page.

h
m
l
n
Glandular cells: Medium
RNA expressioni

A summary of mRNA expression data available for current tissue based on several datasets. The mRNA expression levels in human tissues are based on RNA-seq data generated by the Human Protein Atlas (HPA), Genotype-Tissue Expression (GTEx) portal and CAGE data generated by the FANTOM5 consortium. Consensus normalized expression levels for human tissues was created by combining the data from HPA and GTEx datasets.

The mRNA expression levels in pig are based on RNA-seq data generated by the Human Protein Atlas (HPA), and for mouse, HPA data and in situ hybridization generated by the Allen brain atlas are reported.

Scroll down to view mRNA expression data in more detail.
Consensus:18.8 nTPM
HPA:9.2 nTPM
GTEx:18.8 nTPM

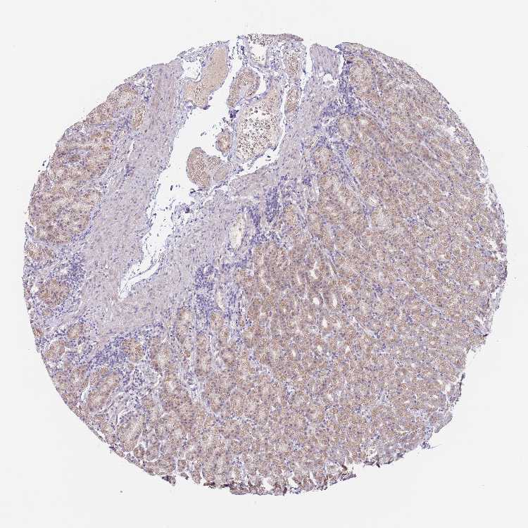
STOMACH 1 - Antibody stainingi

Antibody staining in the annotated cell types in the current human tissue is reported as not detected, low, medium, or high, based on conventional immunohistochemistry profiling in selected tissues. This score is based on the combination of the staining intensity and fraction of stained cells.

Each image is clickable and will lead to virtual microscopy that enables deeper exploration of all samples and also displays staining intensity scores, fraction scores and subcellular localization as well as patient and tissue information for each sample.

Antibody HPA049894Antibody HPA060945
Glandular cells MediumMedium



STOMACH 2 - Antibody stainingi

Antibody staining in the annotated cell types in the current human tissue is reported as not detected, low, medium, or high, based on conventional immunohistochemistry profiling in selected tissues. This score is based on the combination of the staining intensity and fraction of stained cells.

Each image is clickable and will lead to virtual microscopy that enables deeper exploration of all samples and also displays staining intensity scores, fraction scores and subcellular localization as well as patient and tissue information for each sample.

Antibody HPA049894Antibody HPA060945
Glandular cells MediumMedium





STOMACH - HPA RNA-seqi

The RNA-seq details section shows detailed information about the individual samples used for the transcript profiling and results of the RNA-seq analysis.

Information about each individual sample is listed below, including gender, age, a tissue section image and estimated fractions of cell types. nTPM (normalized transcripts per million) values give a quantification of the gene abundance which is comparable between different genes and samples.
Average nTPMi

Max subtype nTPM is the value for the subtype with the largest average nTPM across the subtype samples.

9.2
overview
Female, age 33
Stomach sample 61
nTPM: 12.6
Cell types%
Glandular cells:
60

Smooth muscle cells:
5

Other cell types:
35

N/A
Male, age 82
Stomach sample 240
nTPM: 9.6
Cell types%
Glandular cells:
65

Smooth muscle cells:
5

Other cell types:
30

overview
Male, age 71
Stomach sample 241
nTPM: 5.4
Cell types%
Glandular cells:
50

Smooth muscle cells:
5

Other cell types:
45

overview
Female, age 66
Stomach sample 369
nTPM: 9.2
Cell types%
Glandular cells:
50

Smooth muscle cells:
10

Other cell types:
40


STOMACH - GTEx RNA-seqi

RNA-Seq data generated by the Genotype-Tissue Expression (GTEx) project from human tissues is reported as mean nTPM. More information can be found on the GTEx portal.

Distribution across the dataset is visualized with box plots, shown as median and 25th and 75th percentiles. Points are displayed as outliers if they are above or below 1.5 times the interquartile range. nTPM values of the individual samples are presented next to the box plot.
Max subtype nTPMi

Max subtype nTPM is the value for the subtype with the largest average nTPM across the subtype samples.

18.8
GTEx sample id Sample description nTPM
Stomach
Average nTPM: 18.8
Samples: 359

Max nTPM: 82.7
Min nTPM: 2.5
Std nTPM: 18.9
Median nTPM: 8.5
GTEX-15RIF-1126-SM-7KUG2 20-29 years, male 82.7
GTEX-1K2DA-0826-SM-CGQGD 50-59 years, male 80.1
GTEX-14E1K-1526-SM-664MN 50-59 years, male 78.2
GTEX-ZE7O-3026-SM-51MS4 50-59 years, female 77.8
GTEX-1CB4E-1326-SM-7DUGD 60-69 years, male 73.1
GTEX-1GPI7-1326-SM-9KNVA 20-29 years, male 72.5
GTEX-XPVG-1526-SM-4B66C 50-59 years, male 71.6
GTEX-OIZH-1526-SM-3NB1J 50-59 years, male 70.0
GTEX-YEC3-1426-SM-D4P1S 50-59 years, male 69.1
GTEX-ZTX8-0426-SM-59HLG 20-29 years, male 67.8
GTEX-1EH9U-2226-SM-7PBXX 60-69 years, male 67.3
GTEX-11EI6-2426-SM-5PNVS 60-69 years, male 66.4
GTEX-1HT8W-2326-SM-A9SLA 30-39 years, male 62.9
GTEX-1JN76-0926-SM-ARZNH 20-29 years, female 62.4
GTEX-13111-1226-SM-5GCNC 50-59 years, male 61.8
GTEX-1NSGN-1926-SM-E9J36 50-59 years, male 61.8
GTEX-1LVAM-1426-SM-E9TJ4 50-59 years, female 61.1
GTEX-Y114-1226-SM-4TT88 50-59 years, female 60.7
GTEX-ZV6S-0926-SM-57WGB 40-49 years, female 60.7
GTEX-S4P3-0726-SM-4AD57 50-59 years, female 58.8
GTEX-1IL2V-2026-SM-ARZMA 70-79 years, male 58.6
GTEX-15SHW-2126-SM-6M46Y 60-69 years, male 57.0
GTEX-R55D-1526-SM-48FEJ 50-59 years, male 56.7
GTEX-14PKU-1126-SM-69LOU 40-49 years, female 56.4
GTEX-1PIGE-1126-SM-EWRMV 20-29 years, male 56.4
GTEX-1B8L1-1526-SM-79OLK 60-69 years, male 54.9
GTEX-UJHI-1026-SM-4IHJP 50-59 years, female 53.7
GTEX-ZYVF-2726-SM-5GID4 50-59 years, female 52.9
GTEX-1E2YA-2426-SM-7EPIG 50-59 years, male 52.4
GTEX-1QP28-2126-SM-DTX8B 50-59 years, female 52.0
GTEX-1S82Z-1726-SM-E6CHZ 30-39 years, female 51.5
GTEX-13O61-1126-SM-5L3FI 60-69 years, male 51.3
GTEX-XAJ8-0326-SM-47JYI 40-49 years, male 50.9
GTEX-11P82-0726-SM-5PNYL 20-29 years, male 50.6
GTEX-13O3Q-2126-SM-5KM4C 50-59 years, male 49.5
GTEX-13X6H-1626-SM-5Q5CT 50-59 years, female 49.2
GTEX-RU1J-0526-SM-46MUT 20-29 years, female 49.2
GTEX-1H1DE-1226-SM-9JGHH 20-29 years, male 48.8
GTEX-1CB4H-2426-SM-7PBYR 60-69 years, female 48.6
GTEX-1S3DN-1526-SM-EVYCB 50-59 years, male 48.4
GTEX-1S831-1126-SM-EWROI 20-29 years, male 48.4
GTEX-TKQ1-0526-SM-4DXTG 30-39 years, male 48.2
GTEX-1C64O-2226-SM-73KTV 60-69 years, male 47.6
GTEX-11EQ9-1226-SM-5987E 30-39 years, male 46.9
GTEX-17KNJ-1526-SM-7LTA9 50-59 years, male 46.9
GTEX-1IDJF-1426-SM-ACKWK 20-29 years, male 46.7
GTEX-146FH-2126-SM-5SI9U 50-59 years, female 46.0
GTEX-11VI4-0326-SM-5EQ6L 40-49 years, female 45.6
GTEX-1KD5A-1426-SM-D4P3V 50-59 years, male 45.4
GTEX-14PN3-1326-SM-6AJ9U 60-69 years, female 45.0
GTEX-PLZ6-0826-SM-3P61K 30-39 years, male 44.6
GTEX-1H3NZ-2226-SM-9WYUT 60-69 years, male 44.6
GTEX-TKQ2-0926-SM-4DXU5 50-59 years, male 44.5
GTEX-13N1W-2026-SM-5K7YU 70-79 years, male 44.4
GTEX-WFJO-1126-SM-4LVLZ 30-39 years, male 44.2
GTEX-1QP67-1026-SM-EVR47 40-49 years, female 43.7
GTEX-146FR-2026-SM-5NQAI 60-69 years, female 42.4
GTEX-O5YV-1926-SM-EV797 60-69 years, female 42.0
GTEX-RUSQ-1126-SM-EAZAU 50-59 years, male 42.0
GTEX-14PHY-0926-SM-5ZZWL 60-69 years, female 41.6
GTEX-P4PQ-1526-SM-3NMCK 60-69 years, male 40.3
GTEX-18D9B-2226-SM-718BM 60-69 years, male 40.1
GTEX-1HCUA-1626-SM-A9SMG 50-59 years, female 40.0
GTEX-11P7K-1726-SM-5GU6F 30-39 years, male 39.7
GTEX-1HR9M-2326-SM-CNPPZ 60-69 years, male 39.3
GTEX-1399U-1626-SM-5P9J3 50-59 years, female 39.2
GTEX-15EU6-2526-SM-7KUGB 50-59 years, male 38.9
GTEX-1QW4Y-0726-SM-DTX8E 30-39 years, male 38.9
GTEX-R55C-1026-SM-48FCM 40-49 years, male 38.1
GTEX-1JMPY-0926-SM-ARL92 30-39 years, male 36.9
GTEX-131XE-2226-SM-5PNYX 50-59 years, male 34.9
GTEX-1339X-1426-SM-5K7YO 40-49 years, male 34.3
GTEX-12C56-0526-SM-5FQST 20-29 years, male 34.0
GTEX-12WSJ-0926-SM-5P9JD 40-49 years, female 33.5
GTEX-17JCI-2226-SM-7LTA1 60-69 years, female 33.5
GTEX-T5JC-1926-SM-4DM6Q 20-29 years, male 33.5
GTEX-1PPH8-1326-SM-DTXFO 20-29 years, male 33.5
GTEX-1211K-1426-SM-5FQTF 60-69 years, female 33.3
GTEX-S7SF-0626-SM-4AD4V 20-29 years, female 33.3
GTEX-1N2DV-0926-SM-E9TJT 40-49 years, male 33.1
GTEX-13OVI-2426-SM-5KM4J 60-69 years, female 31.8
GTEX-15G1A-1226-SM-7KUF3 30-39 years, male 31.8
GTEX-1J8EW-2226-SM-AHZ3T 60-69 years, female 31.4
GTEX-13QJ3-2726-SM-5SI6L 50-59 years, male 31.0
GTEX-1HSMQ-2426-SM-CE6RY 50-59 years, male 30.5
GTEX-R55G-1126-SM-48FDG 40-49 years, female 30.2
GTEX-1MCYP-1126-SM-E9J2P 20-29 years, female 29.8
GTEX-P4QT-1526-SM-3NMCT 50-59 years, female 29.5
GTEX-1AMEY-1226-SM-731DU 30-39 years, female 29.1
GTEX-16NGA-1526-SM-72D56 40-49 years, female 28.5
GTEX-QDT8-2026-SM-EZ6LS 30-39 years, female 28.3
GTEX-PLZ5-1226-SM-EXOHA 50-59 years, male 28.0
GTEX-UPK5-2126-SM-4JBJK 40-49 years, male 26.7
GTEX-ZPIC-2026-SM-57WG3 40-49 years, female 26.7
GTEX-WH7G-1526-SM-4LVMX 40-49 years, male 26.6
GTEX-1AX9J-2626-SM-731EK 60-69 years, male 25.6
GTEX-17EUY-1526-SM-793CA 20-29 years, male 25.3
GTEX-1HSEH-1526-SM-B2LXG 60-69 years, male 24.8
GTEX-1E1VI-2826-SM-7MGWU 50-59 years, male 24.7
GTEX-1H11D-2226-SM-9OSXN 40-49 years, male 24.7
GTEX-XBEW-1826-SM-4RTWX 40-49 years, male 24.6
GTEX-11WQK-2626-SM-5EQ4K 50-59 years, male 24.2
GTEX-139D8-2326-SM-5IFGE 30-39 years, female 23.2
GTEX-14BMV-2226-SM-5RQHX 50-59 years, male 23.1
GTEX-WYVS-1326-SM-4ONCQ 40-49 years, female 23.0
GTEX-1I1GT-1726-SM-C1YS3 60-69 years, female 22.3
GTEX-14DAQ-2826-SM-664MU 60-69 years, female 21.5
GTEX-1I4MK-0926-SM-A9SLD 50-59 years, female 21.0
GTEX-WZTO-2126-SM-4PQYW 40-49 years, male 20.6
GTEX-145LT-1426-SM-5O9B3 40-49 years, male 20.0
GTEX-WEY5-1226-SM-4LMIQ 40-49 years, female 19.6
GTEX-13X6J-2126-SM-5TDCV 50-59 years, male 19.2
GTEX-12WSD-2326-SM-59HKQ 60-69 years, female 19.1
GTEX-1L5NE-1526-SM-DIPFW 50-59 years, male 19.0
GTEX-145MO-2226-SM-5Q5BN 60-69 years, male 18.5
GTEX-17MF6-2126-SM-7KFS7 40-49 years, male 17.9
GTEX-1A3MX-1926-SM-72D7F 60-69 years, male 17.7
GTEX-13QBU-1126-SM-5LU44 40-49 years, female 17.5
GTEX-1QP29-2326-SM-EXOJO 50-59 years, male 17.4
GTEX-1JMQJ-1326-SM-D4P3B 50-59 years, male 17.3
GTEX-NFK9-1526-SM-3LK7B 40-49 years, male 17.1
GTEX-1LSNM-1026-SM-DHXL2 50-59 years, male 16.9
GTEX-RTLS-2626-SM-46MUJ 60-69 years, female 16.8
GTEX-Y3I4-1626-SM-4TT7W 50-59 years, male 16.2
GTEX-117YW-2226-SM-5N9DB 50-59 years, male 15.7
GTEX-14JG6-1226-SM-664O6 30-39 years, female 15.5
GTEX-1JN1M-2926-SM-CNNPJ 60-69 years, female 15.0
GTEX-QXCU-1926-SM-48FE4 50-59 years, male 14.9
GTEX-T8EM-1226-SM-4DM5J 40-49 years, male 14.9
GTEX-SNOS-0826-SM-4DM5N 40-49 years, male 14.4
GTEX-S4Z8-1226-SM-4AD6W 60-69 years, male 14.3
GTEX-ZEX8-1626-SM-4WKG7 50-59 years, male 14.2
GTEX-ZVT3-2126-SM-59HL2 60-69 years, female 14.2
GTEX-ZZPU-1426-SM-5GZZ6 50-59 years, female 14.2
GTEX-O5YW-1526-SM-3MJGL 50-59 years, male 13.9
GTEX-132AR-2426-SM-5IFFD 50-59 years, female 13.2
GTEX-SUCS-0926-SM-4DM4Z 70-79 years, male 13.2
GTEX-1GMRU-2526-SM-9WG7T 50-59 years, male 13.2
GTEX-1QCLZ-1826-SM-DPRXP 60-69 years, female 13.1
GTEX-YJ8A-1526-SM-5P9FT 20-29 years, male 12.7
GTEX-111YS-1126-SM-5GZYQ 60-69 years, male 12.3
GTEX-139YR-1926-SM-5LZXM 50-59 years, male 12.2
GTEX-1F5PK-1826-SM-7RHHX 50-59 years, male 12.2
GTEX-18D9A-0626-SM-7KFTY 30-39 years, female 12.1
GTEX-ZF2S-1426-SM-57WET 50-59 years, female 12.0
GTEX-OHPM-1526-SM-EV796 50-59 years, male 11.9
GTEX-Y8E4-1526-SM-4WWDI 40-49 years, male 11.6
GTEX-1QCLY-1126-SM-EAZ4J 30-39 years, male 11.6
GTEX-1HCU8-1326-SM-C1YQQ 60-69 years, female 11.5
GTEX-WHWD-1426-SM-4OORU 50-59 years, male 11.2
GTEX-1RAZR-1526-SM-EAZ4U 40-49 years, male 11.2
GTEX-13S7M-1826-SM-5RQK6 60-69 years, female 11.0
GTEX-13FH7-1026-SM-5IJGF 50-59 years, female 10.8
GTEX-11I78-1726-SM-5A5M3 50-59 years, female 10.6
GTEX-OIZF-1526-SM-2I5GR 60-69 years, male 10.5
GTEX-OXRK-1626-SM-3NB17 50-59 years, female 10.4
GTEX-1JMPZ-1826-SM-CXZJT 30-39 years, male 10.4
GTEX-18A7A-2726-SM-7LG6U 50-59 years, female 9.9
GTEX-P78B-1826-SM-3P5YX 40-49 years, female 9.8
GTEX-14BMU-1126-SM-5RQJ8 20-29 years, female 9.7
GTEX-1GZ4H-1026-SM-9OSXL 50-59 years, female 9.7
GTEX-1LVAN-2426-SM-CNNPZ 50-59 years, female 9.7
GTEX-1GN1W-2126-SM-9JGI7 50-59 years, female 9.6
GTEX-1JK1U-1326-SM-AHZ45 60-69 years, male 9.4
GTEX-WHPG-0426-SM-4M1XW 50-59 years, male 9.3
GTEX-1GF9U-1126-SM-AHZ4H 40-49 years, female 9.3
GTEX-1H3VY-2326-SM-9WG81 50-59 years, male 9.3
GTEX-XMK1-1526-SM-EYYVO 40-49 years, male 9.2
GTEX-13RTK-0226-SM-5RQHR 20-29 years, male 9.1
GTEX-R53T-1226-SM-48FCT 50-59 years, female 9.1
GTEX-14ICL-0826-SM-5YY9W 30-39 years, male 9.0
GTEX-1H1DG-2126-SM-9WPPB 70-79 years, male 8.8
GTEX-1IDJD-2426-SM-C1YS6 30-39 years, male 8.8
GTEX-QMRM-1126-SM-447BN 50-59 years, male 8.7
GTEX-1H1E6-1626-SM-9OSWC 30-39 years, male 8.7
GTEX-16AAH-1226-SM-79OO9 50-59 years, male 8.6
GTEX-1HFI7-1526-SM-9WG7W 50-59 years, female 8.6
GTEX-17F9E-2226-SM-7IGNC 50-59 years, male 8.5
GTEX-W5WG-1726-SM-4LMI5 50-59 years, female 8.5
GTEX-1R9K5-1026-SM-EAZ4F 50-59 years, male 8.5
GTEX-1RMOY-1126-SM-EV79E 50-59 years, male 8.5
GTEX-13U4I-2526-SM-5SI8Z 40-49 years, female 8.3
GTEX-15G19-1526-SM-6LPKP 60-69 years, male 8.3
GTEX-17HGU-2126-SM-7IGOV 50-59 years, male 8.3
GTEX-ZVZP-1726-SM-5GZWY 50-59 years, male 8.3
GTEX-1LBAC-1426-SM-CXZKT 20-29 years, male 8.3
GTEX-145ME-1026-SM-5O9B4 40-49 years, female 8.2
GTEX-15UF7-1226-SM-6M46G 40-49 years, male 8.2
GTEX-V1D1-1726-SM-4JBHB 50-59 years, male 8.2
GTEX-XV7Q-1326-SM-4BRWM 40-49 years, female 8.2
GTEX-ZGAY-1626-SM-DNZZ3 40-49 years, female 8.2
GTEX-14PJ4-1626-SM-664OB 60-69 years, male 8.1
GTEX-1HBPI-0726-SM-9WG7Z 50-59 years, male 8.1
GTEX-11NSD-1426-SM-5HL67 20-29 years, male 8.0
GTEX-17HII-2426-SM-7KFTT 50-59 years, male 8.0
GTEX-PW2O-1226-SM-48TCH 20-29 years, male 8.0
GTEX-ZVT2-1626-SM-51MRC 50-59 years, female 8.0
GTEX-S4Q7-0726-SM-4AD5F 20-29 years, male 7.9
GTEX-133LE-1326-SM-5IFGO 20-29 years, female 7.8
GTEX-18QFQ-1226-SM-718AE 30-39 years, male 7.8
GTEX-Y5LM-1326-SM-5RQIS 40-49 years, female 7.8
GTEX-V955-1326-SM-4JBHR 60-69 years, male 7.7
GTEX-Q734-1026-SM-48U16 40-49 years, female 7.6
GTEX-SNMC-0626-SM-4DM6H 20-29 years, male 7.6
GTEX-Y5V6-1326-SM-4VDTF 60-69 years, male 7.6
GTEX-1H23P-2726-SM-9JGHN 60-69 years, male 7.6
GTEX-13113-0726-SM-5LZUF 60-69 years, female 7.5
GTEX-14DAR-0926-SM-73KUQ 50-59 years, male 7.5
GTEX-13D11-2126-SM-5IFH2 50-59 years, female 7.4
GTEX-1KXAM-0926-SM-CXZKA 60-69 years, male 7.4
GTEX-YFCO-0826-SM-5LUAG 40-49 years, male 7.3
GTEX-1J8JJ-1726-SM-C1YQG 60-69 years, female 7.2
GTEX-1RQEC-2126-SM-DPS15 60-69 years, male 7.2
GTEX-11TT1-0726-SM-5GU5A 20-29 years, male 7.1
GTEX-POMQ-0826-SM-3P61H 20-29 years, female 7.1
GTEX-XQ8I-2026-SM-4BOOL 50-59 years, male 7.1
GTEX-Y3IK-1426-SM-4YCES 50-59 years, female 7.1
GTEX-14B4R-0726-SM-5TDDR 30-39 years, male 7.0
GTEX-18A66-2226-SM-7189E 60-69 years, male 7.0
GTEX-1B8KE-1326-SM-73KVI 50-59 years, male 7.0
GTEX-TMMY-1626-SM-4DXTY 40-49 years, female 7.0
GTEX-WFG7-1326-SM-4LMK1 20-29 years, male 7.0
GTEX-WYJK-2526-SM-4ONDF 50-59 years, male 6.9
GTEX-1JKYN-1726-SM-AHZ48 30-39 years, male 6.9
GTEX-117YX-1026-SM-5H11V 50-59 years, male 6.8
GTEX-12WSG-2026-SM-5FQUU 50-59 years, female 6.8
GTEX-131XF-1226-SM-5HL8V 60-69 years, male 6.8
GTEX-14E6E-0926-SM-664N8 30-39 years, male 6.8
GTEX-1JMLX-2426-SM-CXZJQ 50-59 years, male 6.8
GTEX-11DXX-1326-SM-5GIDZ 60-69 years, female 6.7
GTEX-17F98-1526-SM-7EWD8 40-49 years, female 6.7
GTEX-XXEK-0826-SM-4BRWG 50-59 years, male 6.7
GTEX-1QPFJ-1526-SM-DPRXT 30-39 years, female 6.7
GTEX-13OVK-0926-SM-7KUFX 40-49 years, male 6.6
GTEX-15DZA-1126-SM-6LPK8 30-39 years, female 6.6
GTEX-WRHK-0626-SM-4MVOE 20-29 years, female 6.6
GTEX-1R7EU-1126-SM-EAZ4M 60-69 years, male 6.6
GTEX-11GSP-2126-SM-5HL5E 60-69 years, female 6.5
GTEX-QCQG-0526-SM-48U2A 50-59 years, female 6.5
GTEX-1J8QM-1126-SM-C1YQB 60-69 years, female 6.5
GTEX-17HHE-1026-SM-79ON6 50-59 years, male 6.4
GTEX-WHSB-1226-SM-4M1XR 50-59 years, male 6.4
GTEX-1122O-1926-SM-5EGIQ 60-69 years, female 6.3
GTEX-18A67-2626-SM-718AD 50-59 years, male 6.3
GTEX-RM2N-0826-SM-48FD3 50-59 years, male 6.3
GTEX-U3ZN-2026-SM-4DXUC 30-39 years, female 6.3
GTEX-1J8Q3-1926-SM-C1YSJ 60-69 years, male 6.3
GTEX-1QMI2-2126-SM-DPRXQ 60-69 years, male 6.3
GTEX-14PJ3-1426-SM-664O8 50-59 years, male 6.2
GTEX-OOBJ-1526-SM-3NB1Q 60-69 years, male 6.2
GTEX-12WSK-1426-SM-5CVNN 40-49 years, female 6.1
GTEX-132QS-1826-SM-5IFFN 60-69 years, male 6.1
GTEX-1A3MV-1226-SM-718BW 30-39 years, male 6.1
GTEX-1A8G6-1426-SM-731EZ 60-69 years, male 6.1
GTEX-QDVJ-1426-SM-48U1Y 50-59 years, male 6.1
GTEX-1MUQO-1926-SM-EAZ59 60-69 years, male 6.1
GTEX-14BIL-1926-SM-73KYI 50-59 years, male 6.0
GTEX-Q2AH-1126-SM-48TZM 40-49 years, male 6.0
GTEX-14PJ5-0826-SM-6AJAR 60-69 years, female 5.9
GTEX-1B97J-1826-SM-7IGPP 50-59 years, female 5.9
GTEX-PWCY-0926-SM-48TD7 20-29 years, female 5.9
GTEX-QLQW-0726-SM-447AA 30-39 years, male 5.9
GTEX-QV31-0626-SM-447C5 30-39 years, male 5.9
GTEX-S4UY-1626-SM-4AD55 40-49 years, female 5.9
GTEX-ZXES-1426-SM-5NQ8S 30-39 years, female 5.9
GTEX-1ICG6-1826-SM-AHZ2O 70-79 years, female 5.9
GTEX-1IDJU-1526-SM-CNNR3 60-69 years, female 5.9
GTEX-13PVR-2126-SM-73KVR 60-69 years, female 5.8
GTEX-14PHX-1026-SM-664OL 50-59 years, male 5.8
GTEX-17GQL-1226-SM-7KFTS 60-69 years, male 5.8
GTEX-U4B1-1026-SM-4DXT1 40-49 years, male 5.8
GTEX-1B97I-1226-SM-7MGWQ 40-49 years, male 5.8
GTEX-T5JW-0926-SM-4DM5K 20-29 years, female 5.7
GTEX-ZF29-1526-SM-4WKF7 60-69 years, female 5.7
GTEX-ZT9W-1526-SM-4YCDE 50-59 years, male 5.7
GTEX-ZV7C-1626-SM-5NQ7E 50-59 years, male 5.7
GTEX-1I6K7-1726-SM-B2LXQ 40-49 years, male 5.7
GTEX-ZLFU-1326-SM-DO11R 40-49 years, male 5.7
GTEX-ZLV1-0826-SM-DO11P 60-69 years, female 5.7
GTEX-1399R-1126-SM-5IFIO 30-39 years, male 5.6
GTEX-15RIE-1026-SM-6LPJQ 60-69 years, male 5.6
GTEX-OHPK-1526-SM-3MJGM 50-59 years, female 5.6
GTEX-WY7C-1726-SM-4ONCC 50-59 years, male 5.6
GTEX-111CU-0926-SM-5EGIK 50-59 years, male 5.5
GTEX-144GN-1226-SM-5O991 50-59 years, male 5.5
GTEX-15DCE-1626-SM-6LPJM 20-29 years, male 5.5
GTEX-YEC4-1426-SM-5IFHS 40-49 years, male 5.5
GTEX-ZY6K-0726-SM-5A5L8 50-59 years, male 5.5
GTEX-1MGNQ-1826-SM-DPRYI 40-49 years, male 5.5
GTEX-11EM3-1026-SM-5A5KL 20-29 years, female 5.4
GTEX-1F5PL-1426-SM-7MKFH 40-49 years, female 5.4
GTEX-1F75I-1826-SM-7MKGX 40-49 years, male 5.4
GTEX-QDVN-1226-SM-48TZ5 50-59 years, male 5.4
GTEX-ZQUD-0826-SM-57WDQ 30-39 years, male 5.4
GTEX-1HKZK-1526-SM-B2LWG 40-49 years, male 5.4
GTEX-1B8KZ-1226-SM-793CP 50-59 years, male 5.3
GTEX-144GM-1726-SM-5O9AS 20-29 years, male 5.2
GTEX-1AMFI-1226-SM-731CZ 50-59 years, female 5.1
GTEX-WFG8-1326-SM-4LVN3 20-29 years, male 5.1
GTEX-XBED-1226-SM-4AT5V 60-69 years, male 5.1
GTEX-Y9LG-1026-SM-5IFJN 30-39 years, male 5.1
GTEX-YB5E-1126-SM-664NU 40-49 years, male 5.1
GTEX-1I1HK-2026-SM-CNNRB 60-69 years, male 5.1
GTEX-13PVQ-2126-SM-5L3FW 50-59 years, male 5.0
GTEX-145MN-1326-SM-5NQ9S 30-39 years, male 5.0
GTEX-14PJ6-0826-SM-686Z9 60-69 years, female 5.0
GTEX-14PKV-1826-SM-69LO9 20-29 years, female 5.0
GTEX-1AYCT-1326-SM-7MKHB 50-59 years, male 5.0
GTEX-Y8LW-0826-SM-4WWDO 50-59 years, female 5.0
GTEX-ZP4G-1226-SM-4WWCJ 20-29 years, female 5.0
GTEX-1HBPN-1626-SM-9WPNP 50-59 years, male 5.0
GTEX-1QP2A-2126-SM-DPRZ7 50-59 years, male 5.0
GTEX-ZLWG-1526-SM-DO12F 50-59 years, female 5.0
GTEX-12BJ1-1726-SM-5HL9B 60-69 years, male 4.9
GTEX-VJYA-1026-SM-4KL21 60-69 years, male 4.9
GTEX-ZPU1-1626-SM-4WWB2 40-49 years, male 4.9
GTEX-ZYY3-1726-SM-5EGH3 60-69 years, female 4.9
GTEX-OXRL-1526-SM-E6CHQ 50-59 years, male 4.9
GTEX-13FTW-1726-SM-5KM2B 40-49 years, male 4.8
GTEX-S3XE-1026-SM-4AD4O 50-59 years, male 4.8
GTEX-UJMC-1226-SM-4IHLI 50-59 years, male 4.8
GTEX-WXYG-1626-SM-4ONCR 50-59 years, female 4.8
GTEX-1LGRB-1726-SM-CNNRA 50-59 years, female 4.8
GTEX-QV44-1226-SM-CJI1S 50-59 years, male 4.8
GTEX-PX3G-1526-SM-48U11 20-29 years, female 4.7
GTEX-ZDYS-1926-SM-5HL59 50-59 years, male 4.7
GTEX-11NUK-2426-SM-5BC4U 50-59 years, male 4.6
GTEX-13CF3-1926-SM-5K7WF 60-69 years, female 4.6
GTEX-S95S-0826-SM-4B64N 60-69 years, male 4.6
GTEX-X15G-1126-SM-4PQZG 50-59 years, female 4.6
GTEX-ZVP2-1626-SM-5GU5D 50-59 years, male 4.6
GTEX-1399S-1626-SM-5P9GI 30-39 years, female 4.5
GTEX-S341-0626-SM-4AD5T 40-49 years, female 4.5
GTEX-T6MO-0726-SM-4DM58 40-49 years, female 4.5
GTEX-ZAB4-1526-SM-5CVN7 40-49 years, male 4.5
GTEX-1KANA-1126-SM-D3L9M 20-29 years, male 4.4
GTEX-13FTX-0726-SM-5N9BI 20-29 years, female 4.3
GTEX-QLQ7-0826-SM-447B3 60-69 years, male 4.3
GTEX-XUZC-0726-SM-4BOPH 30-39 years, female 4.3
GTEX-1LGOU-1526-SM-D3LAJ 20-29 years, female 4.3
GTEX-ZZ64-0426-SM-5E43F 20-29 years, male 4.2
GTEX-131XG-1226-SM-5EGH9 50-59 years, female 4.1
GTEX-13OW6-2526-SM-5IJEC 50-59 years, male 4.1
GTEX-1MJIX-1126-SM-EV7AO 40-49 years, male 4.1
GTEX-1CAMR-0726-SM-7EPIE 20-29 years, male 4.0
GTEX-ZYFG-1326-SM-5GICJ 60-69 years, female 4.0
GTEX-1RB15-1026-SM-E9U6V 60-69 years, male 4.0
GTEX-13O21-0926-SM-5IFGT 50-59 years, male 3.9
GTEX-ZA64-0826-SM-5HL9U 20-29 years, male 3.9
GTEX-1LG7Z-1226-SM-DHXK4 30-39 years, male 3.9
GTEX-PWN1-1526-SM-48TDA 40-49 years, female 3.8
GTEX-WFON-1126-SM-4LVMA 40-49 years, male 3.8
GTEX-15CHR-1326-SM-79OLT 50-59 years, male 3.7
GTEX-1C475-1026-SM-7MKFJ 40-49 years, female 3.7
GTEX-RWS6-0926-SM-47JXE 60-69 years, female 3.7
GTEX-Q2AI-0826-SM-48TZO 40-49 years, male 3.6
GTEX-P4PP-1526-SM-3P61M 30-39 years, female 3.5
GTEX-12696-1726-SM-5EQLH 60-69 years, male 3.3
GTEX-1GL5R-1926-SM-9WG7U 50-59 years, male 2.5
Show allShow less

Contact

  • NEWS ARTICLES
  • PRESS ROOM

The Project

  • INTRODUCTION
  • ORGANIZATION
  • PUBLICATIONS

The Human Protein Atlas

  • DOWNLOADABLE DATA
  • LICENCE & CITATION
  • HELP & FAQ
The Human Protein Atlas project is funded
by the Knut & Alice Wallenberg Foundation.


contact@proteinatlas.org