We use cookies to enhance the usability of our website. If you continue, we'll assume that you are happy to receive all cookies. More information. Don't show this again.
SATB1
HPA
RESOURCES
  • TISSUE
  • BRAIN
  • SINGLE CELL
  • SUBCELLULAR
  • CANCER
  • BLOOD
  • CELL LINE
  • STRUCTURE & INTERACTION
ABOUT
  • INTRODUCTION
  • HISTORY
  • ORGANIZATION
  • PUBLICATIONS
  • ANTIBODY SUBMISSION
  • ANTIBODY AVAILABILITY
  • ACKNOWLEDGMENTS
  • CONTACT
NEWS
  • NEWS ARTICLES
  • PRESS ROOM
LEARN
  • DICTIONARY
  • PROTEIN CLASSES
  • PROTEIN EVIDENCE
  • METHODS
  • EDUCATIONAL VIDEOS
DATA
  • DOWNLOADABLE DATA
  • PUBLICATION DATA
  • RELEASE HISTORY
HELP
  • ANTIBODY VALIDATION
  • ASSAYS & ANNOTATION
  • DISCLAIMER
  • HELP & FAQ
  • PRIVACY STATEMENT
  • LICENCE & CITATION
Fields »
Search result

Field
Term
Gene name
Class
Subclass
Class
Keyword
Chromosome
External id
Tissue
Cell type
Expression
Antibody panel
Tissue
Main location
Patient ID
Annotation
Tissue
Category
Tau score
Cluster
Reliability
Brain region
Category
Tau score
Brain region
Category
Tau score
Brain region
Category
Tau score
Cluster
Reliability
Tissue
Cell type
Enrichment
Cell type
Category
Tau score
Cell type
Category
Tau score
Cell type
Category
Tau score
Cell lineage
Category
Tau score
Cluster
Cluster
Location
Searches
Location
Cell line
Class
Type
Phase
Reliability
Cancer
Prognosis
Cancer
Category
Cancer
Category
Tau score
Cluster
Variants
Interacting gene (ensg_id)
Type
Number of interactions
Pathway
Category
Score
Score
Score
Validation
Validation
Validation
Validation
Antibodies
Data type
Column


  • SUMMARY

  • TISSUE

  • BRAIN

  • SINGLE CELL

  • SUBCELL

  • CANCER

  • BLOOD

  • CELL LINE

  • STRUCT & INT

  • SATB1
TISSUE PRIMARY DATA SKIN Show tissue menu
ADIPOSE TISSUE ADRENAL GLAND AMYGDALA APPENDIX BASAL GANGLIA BONE MARROW BREAST BRONCHUS CEREBELLUM CEREBRAL CORTEX CERVIX CHOROID PLEXUS COLON DUODENUM
ENDOMETRIUM EPIDIDYMIS ESOPHAGUS FALLOPIAN TUBE GALLBLADDER HEART MUSCLE HIPPOCAMPAL FORMATION HYPOTHALAMUS KIDNEY LIVER LUNG LYMPH NODE MIDBRAIN NASOPHARYNX
ORAL MUCOSA OVARY PANCREAS PARATHYROID GLAND PITUITARY GLAND PLACENTA PROSTATE RECTUM RETINA SALIVARY GLAND SEMINAL VESICLE SKELETAL MUSCLE SKIN SMALL INTESTINE
SMOOTH MUSCLE SOFT TISSUE SPINAL CORD SPLEEN STOMACH TESTIS THYMUS THYROID GLAND TONGUE TONSIL URINARY BLADDER VAGINA
ANTIBODIES
AND
VALIDATION
Dictionary
Skin
Tissue proteome
Skin
SKIN - Expression summary
Protein expression
Skini

On the top, protein expression in current human tissue, based on all annotated cell types, is reported with the units not detected (n), low (l), medium (m) and high (h). Underneath, protein expression in each annotated cell type are reported using the same units.

Protein expression data is based on knowledge-based annotation. For genes where more than one antibody has been used, a collective score is set.

If knowledge-based annotation could not be performed for a gene, no data is displayed here. View antibody staining data further down this page.

h
m
l
n
Epidermal cells: Low
Fibroblasts: Not detected
Keratinocytes: Not detected
Langerhans: Not detected
Melanocytes: Not detected
RNA expressioni

A summary of mRNA expression data available for current tissue based on several datasets. The mRNA expression levels in human tissues are based on RNA-seq data generated by the Human Protein Atlas (HPA), Genotype-Tissue Expression (GTEx) portal and CAGE data generated by the FANTOM5 consortium. Consensus normalized expression levels for human tissues was created by combining the data from HPA and GTEx datasets.

The mRNA expression levels in pig are based on RNA-seq data generated by the Human Protein Atlas (HPA), and for mouse, HPA data and in situ hybridization generated by the Allen brain atlas are reported.

Scroll down to view mRNA expression data in more detail.
Consensus:21.0 nTPM
HPA:21.0 nTPM
GTEx:12.2 nTPM

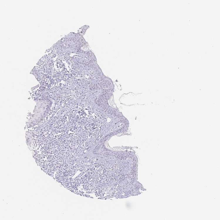
SKIN 1 - Antibody stainingi

Antibody staining in the annotated cell types in the current human tissue is reported as not detected, low, medium, or high, based on conventional immunohistochemistry profiling in selected tissues. This score is based on the combination of the staining intensity and fraction of stained cells.

Each image is clickable and will lead to virtual microscopy that enables deeper exploration of all samples and also displays staining intensity scores, fraction scores and subcellular localization as well as patient and tissue information for each sample.

Antibody HPA051769Antibody HPA070534Antibody CAB056144
Langerhans Not detectedNot detectedNot detected
Fibroblasts Not detectedNot detectedNot detected
Keratinocytes Not detectedNot detectedNot detected
Melanocytes Not detectedNot detectedNot detected




SKIN 2 - Antibody stainingi

Antibody staining in the annotated cell types in the current human tissue is reported as not detected, low, medium, or high, based on conventional immunohistochemistry profiling in selected tissues. This score is based on the combination of the staining intensity and fraction of stained cells.

Each image is clickable and will lead to virtual microscopy that enables deeper exploration of all samples and also displays staining intensity scores, fraction scores and subcellular localization as well as patient and tissue information for each sample.

Antibody HPA051769Antibody HPA070534Antibody CAB056144
Epidermal cells LowMediumLow
   
   
   







SKIN - HPA RNA-seqi

The RNA-seq details section shows detailed information about the individual samples used for the transcript profiling and results of the RNA-seq analysis.

Information about each individual sample is listed below, including gender, age, a tissue section image and estimated fractions of cell types. nTPM (normalized transcripts per million) values give a quantification of the gene abundance which is comparable between different genes and samples.
Average nTPMi

Max subtype nTPM is the value for the subtype with the largest average nTPM across the subtype samples.

21.0
overview
Female, age 34
Skin sample 225
nTPM: 20.5
Cell types%
Keratinocytes:
60

Other cell types:
40

overview
Female, age 30
Skin sample 226
nTPM: 21.5
Cell types%
Keratinocytes:
55

Other cell types:
45

N/A
Male, age 57
Skin sample 227
nTPM: 20.9

SKIN - GTEx RNA-seqi

RNA-Seq data generated by the Genotype-Tissue Expression (GTEx) project from human tissues is reported as mean nTPM. More information can be found on the GTEx portal.

Distribution across the dataset is visualized with box plots, shown as median and 25th and 75th percentiles. Points are displayed as outliers if they are above or below 1.5 times the interquartile range. nTPM values of the individual samples are presented next to the box plot.
Max subtype nTPMi

Max subtype nTPM is the value for the subtype with the largest average nTPM across the subtype samples.

12.2
GTEx sample id Sample description nTPM
Skin - Not Sun Exposed (Suprapubic)
Average nTPM: 12.2
Samples: 604

Max nTPM: 29.8
Min nTPM: 3.6
Std nTPM: 3.5
Median nTPM: 11.8
GTEX-1H3VE-0726-SM-9YFL5 40-49 years, male 29.8
GTEX-1AMEY-0826-SM-72D65 30-39 years, female 27.0
GTEX-1IDJU-1726-SM-CMKHU 60-69 years, female 26.1
GTEX-1LVAM-0726-SM-E6CIL 50-59 years, female 25.6
GTEX-1S5ZU-2526-SM-E6CIF 20-29 years, female 24.1
GTEX-1LGRB-0926-SM-COH3K 50-59 years, female 23.7
GTEX-1QP2A-1726-SM-E76QC 50-59 years, male 23.6
GTEX-1HSGN-0826-SM-ACKW3 40-49 years, female 22.7
GTEX-1I1GT-1026-SM-ARZLV 60-69 years, female 21.6
GTEX-11P81-2226-SM-5PNYI 30-39 years, female 21.5
GTEX-ZF29-0926-SM-4WKFZ 60-69 years, female 21.5
GTEX-1122O-1026-SM-9WYSF 60-69 years, female 21.3
GTEX-15FZZ-0526-SM-7KUGD 30-39 years, female 20.7
GTEX-1NV5F-0626-SM-DTXEG 60-69 years, female 20.7
GTEX-183WM-0326-SM-72D5V 70-79 years, female 20.4
GTEX-ZDTT-0426-SM-4WKFL 60-69 years, male 20.4
GTEX-18QFQ-1826-SM-72D52 30-39 years, male 20.2
GTEX-ZVT2-0126-SM-5GIDQ 50-59 years, female 19.9
GTEX-14PJ5-1526-SM-6LLIL 60-69 years, female 19.8
GTEX-ZA64-1026-SM-5HL8R 20-29 years, male 19.8
GTEX-1399U-1126-SM-5L3DB 50-59 years, female 19.7
GTEX-1S82P-2126-SM-E6CI5 60-69 years, female 19.1
GTEX-14PJ4-0226-SM-5YY92 60-69 years, male 18.9
GTEX-14PJN-1826-SM-6AJ98 30-39 years, male 18.9
GTEX-1JKYR-0626-SM-ARL8R 20-29 years, male 18.9
GTEX-11LCK-2226-SM-5HL4Q 30-39 years, male 18.8
GTEX-13O61-1426-SM-5KM3D 60-69 years, male 18.8
GTEX-1IOXB-2726-SM-CM2RI 50-59 years, male 18.8
GTEX-131XF-2626-SM-5EQ6K 60-69 years, male 18.7
GTEX-1JMPY-0226-SM-CKZOK 30-39 years, male 18.6
GTEX-13O3Q-0126-SM-5KM34 50-59 years, male 18.5
GTEX-1B8KE-1126-SM-7EPHI 50-59 years, male 18.5
GTEX-ZAB4-2126-SM-5HL8U 40-49 years, male 18.5
GTEX-1B932-2326-SM-79OL5 40-49 years, female 18.4
GTEX-147F3-1726-SM-5SIAW 50-59 years, female 18.2
GTEX-14LLW-2626-SM-62LDZ 70-79 years, female 18.2
GTEX-14AS3-1526-SM-5Q5ED 40-49 years, female 18.1
GTEX-1AMFI-1326-SM-7939R 50-59 years, female 18.1
GTEX-ZF2S-1626-SM-57WES 50-59 years, female 18.1
GTEX-15ER7-0626-SM-6PANF 20-29 years, female 18.0
GTEX-WY7C-2126-SM-3NB2R 50-59 years, male 18.0
GTEX-14C5O-0326-SM-5ZZUX 60-69 years, male 17.9
GTEX-WHSB-1326-SM-3LK6W 50-59 years, male 17.8
GTEX-1S83E-1326-SM-E6CJM 40-49 years, male 17.6
GTEX-ZGAY-1826-SM-DO91Q 40-49 years, female 17.6
GTEX-XAJ8-1426-SM-47JYM 40-49 years, male 17.5
GTEX-1I4MK-0126-SM-CY8G6 50-59 years, female 17.5
GTEX-144FL-0626-SM-5LU43 50-59 years, male 17.4
GTEX-1F48J-0726-SM-7RHGS 50-59 years, female 17.4
GTEX-1GMR2-0826-SM-7PC3V 50-59 years, male 17.4
GTEX-1F6RS-2026-SM-7RHHC 60-69 years, female 17.3
GTEX-13FHO-0426-SM-5L3F5 60-69 years, male 17.2
GTEX-1C6VQ-1226-SM-73KYD 50-59 years, male 17.1
GTEX-ZT9W-1126-SM-57WDR 50-59 years, male 17.1
GTEX-13D11-0926-SM-5J2NC 50-59 years, female 17.0
GTEX-13X6H-0926-SM-5SIB2 50-59 years, female 17.0
GTEX-1QCLZ-2426-SM-EVYBW 60-69 years, female 17.0
GTEX-1JKYN-0826-SM-ARU8S 30-39 years, male 16.9
GTEX-13QBU-1226-SM-5LU4G 40-49 years, female 16.8
GTEX-ZZPU-0826-SM-5GZX5 50-59 years, female 16.8
GTEX-1J1R8-2026-SM-CL53Y 40-49 years, male 16.8
GTEX-XV7Q-1826-SM-4BRUV 40-49 years, female 16.7
GTEX-1J1OQ-0126-SM-D4P2N 40-49 years, female 16.7
GTEX-1R7EU-1626-SM-DTXG3 60-69 years, male 16.7
GTEX-1H3O1-1326-SM-9MQLD 60-69 years, male 16.6
GTEX-16AAH-0626-SM-793C9 50-59 years, male 16.5
GTEX-1GZHY-0626-SM-9KNVC 50-59 years, female 16.5
GTEX-1J8Q3-0526-SM-ARL8U 60-69 years, male 16.5
GTEX-WFG7-2026-SM-5SI7P 20-29 years, male 16.4
GTEX-1GL5R-1326-SM-7RHHF 50-59 years, male 16.4
GTEX-ZLV1-1526-SM-DO91J 60-69 years, female 16.4
GTEX-13PVR-0426-SM-5RQK2 60-69 years, female 16.2
GTEX-15CHR-1126-SM-7EWF4 50-59 years, male 16.2
GTEX-1KXAM-1626-SM-D3LAD 60-69 years, male 16.2
GTEX-1211K-1526-SM-5FQU4 60-69 years, female 16.1
GTEX-13NYS-0626-SM-5L3F1 60-69 years, male 16.1
GTEX-13VXU-0626-SM-5L3F9 50-59 years, male 16.1
GTEX-14PJ6-2626-SM-6EU2T 60-69 years, female 16.1
GTEX-1QPFJ-1926-SM-EVYBD 30-39 years, female 16.1
GTEX-ZPCL-1126-SM-4WWFE 60-69 years, female 16.0
GTEX-ZVZP-1226-SM-5GID7 50-59 years, male 16.0
GTEX-ZYFC-0426-SM-5GICQ 50-59 years, male 16.0
GTEX-1C475-1326-SM-7SB73 40-49 years, female 16.0
GTEX-1HSMQ-2626-SM-A9SML 50-59 years, male 16.0
GTEX-1OJC3-1226-SM-DTXER 20-29 years, male 16.0
GTEX-13FTW-0326-SM-5K7UW 40-49 years, male 15.9
GTEX-1IDJI-0126-SM-CMKHS 50-59 years, female 15.8
GTEX-1N2DV-1526-SM-DTXEP 40-49 years, male 15.8
GTEX-16BQI-1326-SM-6M486 30-39 years, female 15.7
GTEX-1CB4H-1126-SM-7MKGL 60-69 years, female 15.7
GTEX-Y9LG-1126-SM-4VBQ7 30-39 years, male 15.7
GTEX-18D9A-1426-SM-7LT8M 30-39 years, female 15.7
GTEX-1GZ4H-0526-SM-9KNU9 50-59 years, female 15.7
GTEX-1K9T9-1526-SM-DIPFR 50-59 years, female 15.7
GTEX-1PPH7-1126-SM-DTX9A 40-49 years, male 15.7
GTEX-1HR98-2226-SM-ADEI2 60-69 years, male 15.6
GTEX-11DXZ-2026-SM-5987S 50-59 years, male 15.5
GTEX-145LT-0526-SM-5LUB2 40-49 years, male 15.5
GTEX-14753-0726-SM-5QGQO 60-69 years, male 15.5
GTEX-15RJE-2826-SM-7KUM9 40-49 years, male 15.5
GTEX-ZT9X-1526-SM-5DUXD 40-49 years, male 15.5
GTEX-1GF9X-1326-SM-7PC2Y 40-49 years, female 15.5
GTEX-12WSC-2826-SM-5BC5Y 50-59 years, male 15.4
GTEX-1399R-1326-SM-5PNYS 30-39 years, male 15.4
GTEX-YFCO-1226-SM-5LUAT 40-49 years, male 15.4
GTEX-1313W-0626-SM-5EQ4H 50-59 years, female 15.3
GTEX-145MH-2826-SM-5RQJF 50-59 years, male 15.3
GTEX-15RIG-0726-SM-7KUM7 40-49 years, male 15.3
GTEX-1C6VR-0126-SM-7RHGB 60-69 years, male 15.3
GTEX-14PKV-1126-SM-6LLJ1 20-29 years, female 15.2
GTEX-1RAZS-2526-SM-E6CHT 50-59 years, male 15.2
GTEX-12C56-1526-SM-5FQUQ 20-29 years, male 15.1
GTEX-13NZ8-1226-SM-5KM4A 60-69 years, female 15.1
GTEX-144GM-0526-SM-79OJO 20-29 years, male 15.1
GTEX-ZLWG-0826-SM-59888 50-59 years, female 15.1
GTEX-1F5PL-0926-SM-7PC2W 40-49 years, female 15.1
GTEX-1I6K6-1726-SM-CGQFD 30-39 years, male 15.1
GTEX-1JJE9-2626-SM-ARZMT 70-79 years, male 15.1
GTEX-12ZZY-0726-SM-5EQ66 60-69 years, male 15.0
GTEX-13X6I-1826-SM-5SIAO 60-69 years, male 15.0
GTEX-1CB4E-0926-SM-7EPHT 60-69 years, male 15.0
GTEX-1RLM8-2926-SM-E8VON 50-59 years, male 15.0
GTEX-1GZ2Q-0126-SM-9WG6M 40-49 years, male 14.9
GTEX-12ZZZ-0726-SM-5GCNZ 60-69 years, male 14.8
GTEX-13IVO-0726-SM-5LZYV 70-79 years, male 14.8
GTEX-15CHC-1126-SM-6LLHQ 60-69 years, female 14.8
GTEX-1HCVE-2726-SM-CL54F 50-59 years, male 14.8
GTEX-13JVG-0726-SM-5KM16 60-69 years, male 14.7
GTEX-1C2JI-1026-SM-73KY1 50-59 years, male 14.7
GTEX-1LGOU-1326-SM-D3L8M 20-29 years, female 14.7
GTEX-1A8G6-2726-SM-731AR 60-69 years, male 14.6
GTEX-111YS-1526-SM-5GZYW 60-69 years, male 14.5
GTEX-13RTJ-0126-SM-5S2NN 60-69 years, male 14.5
GTEX-1CB4F-1026-SM-7DUH1 60-69 years, male 14.5
GTEX-1GMR8-0626-SM-7RHI7 50-59 years, female 14.5
GTEX-1HFI7-2326-SM-CGQFS 50-59 years, female 14.5
GTEX-1MCYP-0526-SM-E9U6Q 20-29 years, female 14.5
GTEX-1POEN-2326-SM-E9J2L 30-39 years, female 14.5
GTEX-1314G-1326-SM-5BC6E 30-39 years, male 14.4
GTEX-17MFQ-1526-SM-7KFRR 20-29 years, male 14.4
GTEX-XUW1-0926-SM-4BONX 50-59 years, female 14.4
GTEX-1GN1V-2826-SM-9JGIA 60-69 years, male 14.4
GTEX-13FH7-1126-SM-5K7UG 50-59 years, female 14.3
GTEX-14BMU-1226-SM-5S2OR 20-29 years, female 14.3
GTEX-16NGA-0726-SM-731AO 40-49 years, female 14.3
GTEX-1AX9I-2226-SM-73KUO 60-69 years, male 14.3
GTEX-WYVS-1626-SM-3NM9R 40-49 years, female 14.3
GTEX-1JN76-0626-SM-CKZOQ 20-29 years, female 14.3
GTEX-11VI4-1126-SM-5EQMD 40-49 years, female 14.2
GTEX-1269C-0126-SM-5EQ5L 60-69 years, female 14.2
GTEX-15DDE-2926-SM-6LLJ3 50-59 years, female 14.2
GTEX-14JG6-1426-SM-9WG7C 30-39 years, female 14.2
GTEX-1GPI6-1926-SM-9KNV7 60-69 years, male 14.2
GTEX-1HBPM-0726-SM-9YFL7 60-69 years, female 14.2
GTEX-13FLV-0126-SM-5K7WT 50-59 years, male 14.1
GTEX-13VXT-1926-SM-5K7UO 20-29 years, female 14.1
GTEX-14B4R-1326-SM-5Q5EZ 30-39 years, male 14.1
GTEX-11EQ9-1626-SM-5PNY8 30-39 years, male 14.0
GTEX-12BJ1-0926-SM-5EQ62 60-69 years, male 14.0
GTEX-14PKU-0126-SM-6LLHV 40-49 years, female 14.0
GTEX-YECK-0326-SM-4W1YS 60-69 years, male 14.0
GTEX-1K2DA-1026-SM-CGQGF 50-59 years, male 14.0
GTEX-13PDP-0726-SM-5L3HP 60-69 years, male 13.9
GTEX-1F52S-2926-SM-7MKGA 60-69 years, female 13.9
GTEX-1GPI7-1826-SM-9KNU1 20-29 years, male 13.9
GTEX-1IDJD-2326-SM-ACKWX 30-39 years, male 13.9
GTEX-1J8EW-2726-SM-CY8HR 60-69 years, female 13.9
GTEX-11EM3-1226-SM-5N9DD 20-29 years, female 13.8
GTEX-145LU-1926-SM-79OJN 50-59 years, male 13.8
GTEX-ZYT6-2326-SM-5GZY3 30-39 years, male 13.8
GTEX-1HCU8-2526-SM-CE6RX 60-69 years, female 13.8
GTEX-1JMQL-2226-SM-CNPP4 50-59 years, female 13.8
GTEX-17F9Y-0126-SM-79OKX 70-79 years, female 13.7
GTEX-1EX96-1026-SM-7MKG2 50-59 years, male 13.7
GTEX-ZP4G-1426-SM-4WWCL 20-29 years, female 13.7
GTEX-1IE54-1126-SM-A9G2Z 40-49 years, female 13.7
GTEX-1QP28-1126-SM-EVYC4 50-59 years, female 13.7
GTEX-1117F-2926-SM-5GZYI 60-69 years, female 13.6
GTEX-13OVL-0126-SM-5L3GJ 50-59 years, male 13.6
GTEX-147GR-2426-SM-5ZZWQ 60-69 years, male 13.6
GTEX-WYJK-0526-SM-3NM8Z 50-59 years, male 13.6
GTEX-14JFF-0626-SM-5ZZVT 60-69 years, male 13.6
GTEX-1H4P4-2126-SM-9WYSL 50-59 years, male 13.6
GTEX-12WSK-2126-SM-5CVNC 40-49 years, female 13.5
GTEX-148VJ-0626-SM-5LUAW 70-79 years, male 13.5
GTEX-15EO6-2426-SM-6PALZ 50-59 years, male 13.5
GTEX-17HII-1426-SM-7EPGG 50-59 years, male 13.5
GTEX-1GF9W-1426-SM-7PBYM 60-69 years, male 13.5
GTEX-1HCU7-0726-SM-A9SL1 50-59 years, male 13.5
GTEX-1R46S-2426-SM-E76QA 60-69 years, female 13.5
GTEX-1RAZA-2226-SM-E9U4X 20-29 years, male 13.5
GTEX-1S82U-1026-SM-E6CJK 30-39 years, female 13.5
GTEX-117YX-1926-SM-5GIEC 50-59 years, male 13.4
GTEX-13N11-2326-SM-5IJBF 50-59 years, female 13.4
GTEX-13SLW-0626-SM-5Q5ER 70-79 years, male 13.4
GTEX-1L5NE-1126-SM-D3L9P 50-59 years, male 13.4
GTEX-YEC3-1326-SM-DO92X 50-59 years, male 13.4
GTEX-ZVE1-0726-SM-51MRN 50-59 years, female 13.3
GTEX-1399Q-2326-SM-5KM2X 40-49 years, male 13.2
GTEX-WHWD-1826-SM-3LK6I 50-59 years, male 13.2
GTEX-1GN1W-2426-SM-9KNUU 50-59 years, female 13.2
GTEX-1IDJF-2026-SM-CL53V 20-29 years, male 13.2
GTEX-1LB8K-0726-SM-D5OV2 50-59 years, male 13.2
GTEX-1LG7Z-1626-SM-CXKYR 30-39 years, male 13.2
GTEX-13OVG-1626-SM-5J1NF 60-69 years, male 13.1
GTEX-16Z82-2626-SM-7KULU 60-69 years, male 13.1
GTEX-ZE9C-2526-SM-5IJDR 60-69 years, male 13.1
GTEX-1H1E6-0426-SM-9WYUS 30-39 years, male 13.1
GTEX-1HR9M-2226-SM-CNPPY 60-69 years, male 13.1
GTEX-1IL2V-1926-SM-B2LW8 70-79 years, male 13.1
GTEX-1J8Q2-2626-SM-ACKWQ 60-69 years, male 13.1
GTEX-13QJC-0126-SM-5ZZWJ 60-69 years, female 13.0
GTEX-13U4I-2226-SM-5LU5H 40-49 years, female 13.0
GTEX-144GO-2026-SM-5O99P 60-69 years, male 13.0
GTEX-WHPG-2626-SM-3NMBR 50-59 years, male 13.0
GTEX-WK11-2726-SM-3NMAQ 50-59 years, male 13.0
GTEX-ZLFU-1826-SM-4WWBV 40-49 years, male 13.0
GTEX-ZYY3-2926-SM-5GIEB 60-69 years, female 13.0
GTEX-1B8L1-2226-SM-7P8PT 60-69 years, male 13.0
GTEX-1F75B-0726-SM-7PC3R 50-59 years, male 13.0
GTEX-1HT8W-0626-SM-A9G2H 30-39 years, male 13.0
GTEX-1IDJV-0126-SM-COH3Y 60-69 years, male 13.0
GTEX-1J8QM-2426-SM-A9SLS 60-69 years, female 13.0
GTEX-1RAZR-2126-SM-E9U6T 40-49 years, male 13.0
GTEX-1RMOY-1326-SM-E9TIH 50-59 years, male 13.0
GTEX-11ZU8-0126-SM-5EQ58 60-69 years, male 12.9
GTEX-13X6J-0626-SM-5LU5F 50-59 years, male 12.9
GTEX-14BMV-2826-SM-5TDED 50-59 years, male 12.9
GTEX-14E6E-0526-SM-793DN 30-39 years, male 12.9
GTEX-17HHE-1326-SM-7EWDZ 50-59 years, male 12.9
GTEX-WRHU-2826-SM-3MJG8 50-59 years, female 12.9
GTEX-XBEC-0726-SM-4QARZ 50-59 years, male 12.9
GTEX-XBED-1926-SM-47JYP 60-69 years, male 12.9
GTEX-ZTX8-1326-SM-4YCEL 20-29 years, male 12.9
GTEX-1H1ZS-2726-SM-9WG75 70-79 years, male 12.9
GTEX-1HSMO-0626-SM-ACKXC 60-69 years, male 12.9
GTEX-1192X-2726-SM-5N9DN 50-59 years, male 12.8
GTEX-183FY-1026-SM-7939A 20-29 years, male 12.8
GTEX-UPJH-0226-SM-3GADV 50-59 years, male 12.8
GTEX-Y3I4-1726-SM-4TT89 50-59 years, male 12.8
GTEX-ZTSS-1426-SM-5985P 40-49 years, male 12.8
GTEX-1LVAO-2726-SM-E9TJ8 60-69 years, male 12.8
GTEX-12ZZX-2426-SM-5GCOE 40-49 years, female 12.7
GTEX-13N2G-0226-SM-5K7VF 60-69 years, male 12.7
GTEX-146FQ-2126-SM-5RQHU 30-39 years, male 12.7
GTEX-15UF6-1926-SM-7KUDV 70-79 years, female 12.7
GTEX-1CAMS-2226-SM-7PBXQ 40-49 years, female 12.7
GTEX-1KWVE-1026-SM-D3L9O 30-39 years, male 12.7
GTEX-1212Z-0126-SM-59HK4 60-69 years, male 12.6
GTEX-139T8-0626-SM-5KLZX 60-69 years, male 12.6
GTEX-1LG7Y-2526-SM-EWRO7 50-59 years, male 12.6
GTEX-12WSD-0626-SM-5GCMW 60-69 years, female 12.5
GTEX-13OVH-0526-SM-5L3E6 70-79 years, male 12.5
GTEX-13OW8-1026-SM-5J1NQ 60-69 years, male 12.5
GTEX-16MT8-2926-SM-7DUFO 60-69 years, female 12.5
GTEX-1EKGG-0626-SM-7DUGJ 60-69 years, male 12.5
GTEX-Y8LW-1526-SM-5IFHL 50-59 years, female 12.5
GTEX-ZE7O-2726-SM-51MT5 50-59 years, female 12.5
GTEX-ZUA1-2626-SM-5NQ92 40-49 years, male 12.5
GTEX-1QMI2-2526-SM-E8VNZ 60-69 years, male 12.5
GTEX-11OF3-0126-SM-5PNYF 60-69 years, male 12.4
GTEX-11ZUS-2626-SM-5FQUR 30-39 years, male 12.4
GTEX-Z93S-1626-SM-5CVMB 50-59 years, male 12.4
GTEX-11TT1-1826-SM-5EQLV 20-29 years, male 12.3
GTEX-12WSL-2026-SM-5GCML 50-59 years, male 12.3
GTEX-145MI-0626-SM-5SI8S 60-69 years, female 12.3
GTEX-14C39-1726-SM-5RQIL 40-49 years, male 12.3
GTEX-WFG8-2126-SM-3GIKQ 20-29 years, male 12.3
GTEX-Y111-0626-SM-4SOIT 50-59 years, male 12.3
GTEX-1QCLY-0226-SM-EWRNH 30-39 years, male 12.3
GTEX-178AV-1726-SM-7KUL8 40-49 years, male 12.2
GTEX-1B8SF-0126-SM-7DUG3 60-69 years, male 12.2
GTEX-1GN1U-0626-SM-9MQL9 50-59 years, female 12.2
GTEX-1H1DF-1126-SM-9WG7G 40-49 years, female 12.2
GTEX-1LVA9-2626-SM-EVYD4 50-59 years, male 12.2
GTEX-1MCC2-1826-SM-DIPEX 30-39 years, female 12.2
GTEX-111CU-1126-SM-5EGIM 50-59 years, male 12.1
GTEX-11PRG-0726-SM-5EGL1 50-59 years, male 12.1
GTEX-12WSM-1926-SM-5BC65 60-69 years, male 12.1
GTEX-1CAV2-0126-SM-7IGN7 40-49 years, female 12.1
GTEX-X3Y1-2026-SM-3P5YM 40-49 years, male 12.1
GTEX-XQ8I-0926-SM-4BOOF 50-59 years, male 12.1
GTEX-1HKZK-0726-SM-ACKW2 40-49 years, male 12.1
GTEX-11P7K-1126-SM-5HL4L 30-39 years, male 12.0
GTEX-ZXG5-2126-SM-59HKD 60-69 years, male 12.0
GTEX-1H2FU-0926-SM-9WPPT 60-69 years, female 12.0
GTEX-1I1GV-0626-SM-ARL7M 60-69 years, male 12.0
GTEX-11EI6-2826-SM-5H11D 60-69 years, male 11.9
GTEX-11NSD-0626-SM-5A5LU 20-29 years, male 11.9
GTEX-13N1W-2426-SM-5IJD1 70-79 years, male 11.9
GTEX-145MN-1526-SM-5SI9T 30-39 years, male 11.9
GTEX-17KNJ-2126-SM-718AM 50-59 years, male 11.9
GTEX-17MF6-2626-SM-79OKQ 40-49 years, male 11.9
GTEX-YF7O-1526-SM-5IFI6 50-59 years, male 11.9
GTEX-1GF9V-0826-SM-9KNUV 60-69 years, male 11.9
GTEX-1PIIG-2326-SM-DTXFR 30-39 years, male 11.9
GTEX-131YS-2826-SM-5EQ47 60-69 years, female 11.8
GTEX-1399S-0126-SM-5IJCF 30-39 years, female 11.8
GTEX-14E6C-2426-SM-5S2NF 40-49 years, male 11.8
GTEX-Y5V5-0126-SM-5S2NW 60-69 years, female 11.8
GTEX-ZTTD-2826-SM-4YCFA 50-59 years, male 11.8
GTEX-1CB4J-1326-SM-7P8RX 60-69 years, male 11.8
GTEX-1GN73-0726-SM-7P8TJ 60-69 years, male 11.8
GTEX-1KANA-1326-SM-DIPFA 20-29 years, male 11.8
GTEX-1LSNL-2726-SM-E9TKJ 50-59 years, male 11.8
GTEX-14DAQ-0626-SM-793DS 60-69 years, female 11.7
GTEX-16NPX-0726-SM-7KULC 50-59 years, male 11.7
GTEX-17HG3-2626-SM-7DUF2 30-39 years, female 11.7
GTEX-UPK5-0426-SM-3GAEK 40-49 years, male 11.7
GTEX-WYBS-0626-SM-3NMAS 60-69 years, female 11.7
GTEX-1I1GP-1326-SM-A9G28 50-59 years, male 11.7
GTEX-133LE-2326-SM-5K7W3 20-29 years, female 11.6
GTEX-144GL-0626-SM-5LU4D 50-59 years, male 11.6
GTEX-14ICL-1626-SM-5YYAO 30-39 years, male 11.6
GTEX-X585-2426-SM-46MW2 50-59 years, male 11.6
GTEX-1HC8U-1326-SM-9YFMJ 40-49 years, female 11.6
GTEX-1HCU9-0426-SM-9WYSD 20-29 years, male 11.6
GTEX-1JK1U-0226-SM-ARZMX 60-69 years, male 11.6
GTEX-12WSH-1526-SM-5BC5W 50-59 years, male 11.5
GTEX-145MO-2826-SM-5LU96 60-69 years, male 11.5
GTEX-147JS-0226-SM-5S2U9 60-69 years, male 11.5
GTEX-14ABY-2026-SM-62LDL 50-59 years, male 11.5
GTEX-15G1A-1626-SM-7KUKN 30-39 years, male 11.5
GTEX-1BAJH-2426-SM-7IGP8 70-79 years, male 11.5
GTEX-Y5V6-2326-SM-4VDSA 60-69 years, male 11.5
GTEX-ZVT4-2426-SM-5GIEI 50-59 years, female 11.5
GTEX-1CB4I-0126-SM-7RHGG 50-59 years, male 11.5
GTEX-1F5PK-2226-SM-7SB6N 50-59 years, male 11.5
GTEX-1QW4Y-1126-SM-DTXE3 30-39 years, male 11.5
GTEX-18A67-1626-SM-7LT9T 50-59 years, male 11.4
GTEX-VJYA-1526-SM-3GIJV 60-69 years, male 11.4
GTEX-ZAK1-0626-SM-5HL8E 50-59 years, female 11.4
GTEX-ZDYS-2426-SM-4WKGI 50-59 years, male 11.4
GTEX-ZPU1-1126-SM-4YCF3 40-49 years, male 11.4
GTEX-1R9K4-2826-SM-DTX8F 60-69 years, male 11.4
GTEX-11GS4-0226-SM-5HL77 60-69 years, male 11.3
GTEX-11O72-0626-SM-5PNYE 40-49 years, male 11.3
GTEX-11WQC-1826-SM-5GU59 60-69 years, male 11.3
GTEX-13NZ9-2626-SM-5L3FK 50-59 years, male 11.3
GTEX-14PHX-2226-SM-6EU2P 50-59 years, male 11.3
GTEX-14PJ2-0626-SM-6LLII 50-59 years, male 11.3
GTEX-17EVP-2626-SM-7IGMA 40-49 years, male 11.3
GTEX-X5EB-1926-SM-4E3IW 40-49 years, male 11.3
GTEX-XMD2-2126-SM-4YCF8 60-69 years, female 11.3
GTEX-1I6K7-1926-SM-B2LXR 40-49 years, male 11.3
GTEX-1JJ6O-2726-SM-CNPOG 60-69 years, male 11.3
GTEX-1JJEA-1826-SM-ARU8P 60-69 years, male 11.3
GTEX-1RB15-1326-SM-E76Q9 60-69 years, male 11.3
GTEX-11GSP-2326-SM-5HL63 60-69 years, female 11.2
GTEX-13113-1626-SM-5EQ4I 60-69 years, female 11.2
GTEX-13JUV-2026-SM-5K7UA 40-49 years, female 11.2
GTEX-13YAN-0226-SM-5TDC6 60-69 years, male 11.2
GTEX-1A8FM-0626-SM-7PC25 50-59 years, female 11.2
GTEX-11ZTT-2126-SM-5CVLO 60-69 years, female 11.1
GTEX-139YR-1026-SM-5LZYN 50-59 years, male 11.1
GTEX-X4EO-2926-SM-4E3JH 60-69 years, female 11.1
GTEX-1AYD5-2626-SM-7PBXY 50-59 years, male 11.1
GTEX-1F88F-0126-SM-9WYSZ 60-69 years, female 11.1
GTEX-1GTWX-2026-SM-9YFLM 60-69 years, male 11.1
GTEX-11UD2-2526-SM-5CVNU 50-59 years, male 11.0
GTEX-12WSF-1626-SM-7KUG5 70-79 years, male 11.0
GTEX-13NYB-0126-SM-5J1MD 40-49 years, male 11.0
GTEX-14A6H-2026-SM-5Q5DD 30-39 years, male 11.0
GTEX-14JG1-1526-SM-5YY9X 40-49 years, male 11.0
GTEX-14PK6-0226-SM-62LF5 70-79 years, female 11.0
GTEX-15EU6-2226-SM-6EU2L 50-59 years, male 11.0
GTEX-XPVG-2126-SM-4B667 50-59 years, male 11.0
GTEX-1HBPN-0126-SM-CGQEF 50-59 years, male 11.0
GTEX-1I19N-0126-SM-CYPSF 70-79 years, male 11.0
GTEX-1KANB-2826-SM-CY8I6 50-59 years, male 11.0
GTEX-1MJK3-0726-SM-E6CJC 20-29 years, male 11.0
GTEX-15DYW-2726-SM-6EU2I 60-69 years, female 10.9
GTEX-17F9E-2326-SM-79OKD 50-59 years, male 10.9
GTEX-18A7B-2726-SM-7LG56 70-79 years, male 10.9
GTEX-ZVE2-2826-SM-5GU51 50-59 years, male 10.9
GTEX-1EMGI-2326-SM-7PBYA 60-69 years, male 10.9
GTEX-1HBPI-2126-SM-ARL9K 50-59 years, male 10.9
GTEX-1I1GS-2626-SM-B2LY3 60-69 years, male 10.9
GTEX-145ME-1726-SM-5Q5EU 40-49 years, female 10.8
GTEX-145MF-0926-SM-5Q5EA 50-59 years, male 10.8
GTEX-1B996-0426-SM-7EWF8 60-69 years, male 10.8
GTEX-YJ8O-2526-SM-5HL85 40-49 years, female 10.8
GTEX-ZZ64-1026-SM-5GZXG 20-29 years, male 10.8
GTEX-1GZ4I-2626-SM-9KNU3 50-59 years, male 10.8
GTEX-1HCUA-0826-SM-ADEHM 50-59 years, female 10.8
GTEX-1IDFM-0326-SM-ARL7V 60-69 years, male 10.8
GTEX-1LKK1-2626-SM-DKPQE 50-59 years, female 10.8
GTEX-17HHY-0426-SM-7DHLC 50-59 years, male 10.7
GTEX-18D9U-0126-SM-731BM 40-49 years, male 10.7
GTEX-1AX8Z-0726-SM-73KTS 60-69 years, male 10.7
GTEX-1AX9J-1326-SM-731BJ 60-69 years, male 10.7
GTEX-1H1DE-1326-SM-9KNUG 20-29 years, male 10.7
GTEX-131XW-0626-SM-5PNVD 50-59 years, female 10.6
GTEX-ZC5H-1526-SM-5HL9Y 40-49 years, female 10.6
GTEX-ZVTK-0226-SM-51MRG 20-29 years, male 10.6
GTEX-1F75A-0726-SM-7RHHD 50-59 years, male 10.6
GTEX-1IKJJ-2226-SM-CJI4C 60-69 years, male 10.6
GTEX-1LBAC-0826-SM-CY8IJ 20-29 years, male 10.6
GTEX-12WSA-0426-SM-5EQ5X 60-69 years, male 10.5
GTEX-16MTA-0926-SM-6M47Z 50-59 years, male 10.5
GTEX-1A3MV-1826-SM-731CD 30-39 years, male 10.5
GTEX-XBEW-1126-SM-4QARW 40-49 years, male 10.5
GTEX-1IDJE-1426-SM-ADEIW 50-59 years, female 10.5
GTEX-1IKOE-1426-SM-CE6T7 30-39 years, female 10.5
GTEX-1LSNM-0826-SM-DIPG8 50-59 years, male 10.5
GTEX-1N2EE-0626-SM-E76PW 60-69 years, male 10.5
GTEX-139D8-1126-SM-5LU8W 30-39 years, female 10.4
GTEX-13NYC-0126-SM-5L3F4 60-69 years, male 10.4
GTEX-1477Z-0326-SM-7IGLA 60-69 years, male 10.4
GTEX-14LZ3-0126-SM-69LPM 60-69 years, female 10.4
GTEX-1EU9M-1426-SM-793AI 60-69 years, male 10.4
GTEX-Y8E4-2026-SM-5IFJB 40-49 years, male 10.4
GTEX-1GF9U-2026-SM-7SB92 40-49 years, female 10.4
GTEX-1GN2E-0226-SM-9WG6K 60-69 years, male 10.4
GTEX-1LSVX-2526-SM-DIPEU 60-69 years, male 10.4
GTEX-14PHY-1226-SM-5ZZWK 60-69 years, female 10.3
GTEX-ZYFG-1526-SM-5GZYM 60-69 years, female 10.3
GTEX-1C64N-2626-SM-7PC2N 50-59 years, male 10.3
GTEX-1F88E-1626-SM-7SB8Z 60-69 years, female 10.3
GTEX-1I1HK-2326-SM-CKZOH 60-69 years, male 10.3
GTEX-12KS4-2126-SM-5FQUT 30-39 years, male 10.2
GTEX-1LVAN-0626-SM-CNPOQ 50-59 years, female 10.2
GTEX-11TUW-0626-SM-5LU9M 60-69 years, male 10.1
GTEX-13SLX-2226-SM-62LEP 50-59 years, female 10.1
GTEX-15CHQ-0326-SM-69LQD 60-69 years, male 10.1
GTEX-15D1Q-2826-SM-6LLH7 40-49 years, male 10.1
GTEX-WHSE-0126-SM-3NMBT 20-29 years, male 10.1
GTEX-YEC4-1826-SM-4W1YP 40-49 years, male 10.1
GTEX-1JMOU-1026-SM-CYPSS 60-69 years, female 10.1
GTEX-131XG-0326-SM-5L3DX 50-59 years, female 10.0
GTEX-139UW-0326-SM-5J1ML 60-69 years, male 10.0
GTEX-13OVJ-0826-SM-5J1OK 50-59 years, female 10.0
GTEX-13OW7-0426-SM-5K7VK 50-59 years, male 10.0
GTEX-14BIN-1126-SM-5RQJZ 50-59 years, female 10.0
GTEX-17JCI-2926-SM-7DUFF 60-69 years, female 10.0
GTEX-1JN6P-2926-SM-CL54D 60-69 years, male 10.0
GTEX-1M4P7-0726-SM-E6CJ3 60-69 years, male 10.0
GTEX-1QP66-1226-SM-DTX7U 50-59 years, male 10.0
GTEX-1S831-1826-SM-EWROF 20-29 years, male 10.0
GTEX-12584-0726-SM-5FQTK 40-49 years, male 9.9
GTEX-14DAR-1226-SM-73KYV 50-59 years, male 9.9
GTEX-17HGU-2326-SM-7DUFE 50-59 years, male 9.9
GTEX-1EWIQ-0326-SM-7DHMQ 70-79 years, female 9.9
GTEX-1CAMR-1326-SM-7PC1F 20-29 years, male 9.9
GTEX-1F75I-2226-SM-7SB8U 40-49 years, male 9.9
GTEX-1H1CY-0126-SM-9YFLY 60-69 years, female 9.9
GTEX-1KD5A-0126-SM-E9U54 50-59 years, male 9.9
GTEX-1NSGN-0726-SM-DTXEF 50-59 years, male 9.9
GTEX-111VG-1626-SM-5EGIO 60-69 years, male 9.8
GTEX-1497J-0226-SM-5QGPU 60-69 years, male 9.8
GTEX-11NUK-2726-SM-5A5MC 50-59 years, male 9.7
GTEX-139TU-0726-SM-5L3EK 60-69 years, male 9.7
GTEX-13FTX-1526-SM-5K7VJ 20-29 years, female 9.7
GTEX-ZWKS-0626-SM-5GIDV 30-39 years, male 9.7
GTEX-1F75W-2726-SM-7SB8H 60-69 years, male 9.7
GTEX-11EQ8-0926-SM-5H12V 60-69 years, male 9.6
GTEX-13FTY-2126-SM-5IFFB 40-49 years, female 9.6
GTEX-14C38-0726-SM-5SI6M 50-59 years, male 9.6
GTEX-18A66-0626-SM-7LT8Z 60-69 years, male 9.6
GTEX-18A6Q-0626-SM-7KFRP 60-69 years, male 9.6
GTEX-1A8G7-1326-SM-73KVM 60-69 years, male 9.6
GTEX-1B8KZ-0326-SM-73KY4 50-59 years, male 9.6
GTEX-1B933-2426-SM-7DHMD 50-59 years, female 9.6
GTEX-1KANC-1226-SM-CYPT7 50-59 years, female 9.6
GTEX-14PII-0726-SM-6EU2B 60-69 years, male 9.5
GTEX-1C6WA-2626-SM-7MKGM 60-69 years, male 9.5
GTEX-11P82-1426-SM-DTXFY 20-29 years, male 9.5
GTEX-1KAFJ-0126-SM-DIPEK 50-59 years, male 9.5
GTEX-13X6K-0626-SM-5LU5D 60-69 years, female 9.4
GTEX-1B97I-0626-SM-73KUZ 40-49 years, male 9.4
GTEX-XQ3S-1426-SM-4BOPR 20-29 years, male 9.4
GTEX-1H11D-1826-SM-9QEHM 40-49 years, male 9.4
GTEX-1PPGY-1626-SM-EVYBL 60-69 years, male 9.4
GTEX-12126-0826-SM-5FQTZ 20-29 years, male 9.3
GTEX-18A7A-0126-SM-731AH 50-59 years, female 9.3
GTEX-1CAMQ-1326-SM-7P8RV 40-49 years, male 9.3
GTEX-1GMRU-2126-SM-7P8RA 50-59 years, male 9.3
GTEX-12WSJ-1126-SM-5LZVJ 40-49 years, female 9.2
GTEX-139TT-2126-SM-5LZWC 60-69 years, male 9.2
GTEX-16YQH-2226-SM-7IGM2 30-39 years, male 9.2
GTEX-17F98-1326-SM-7DUEP 40-49 years, female 9.2
GTEX-1EH9U-2826-SM-7DUGT 60-69 years, male 9.2
GTEX-X4EP-0626-SM-3P621 60-69 years, female 9.2
GTEX-1PDJ9-1226-SM-EXUSX 20-29 years, male 9.2
GTEX-1R9PM-1926-SM-EVR3O 20-29 years, male 9.2
GTEX-13G51-1826-SM-5KLZH 60-69 years, male 9.1
GTEX-13OW5-2326-SM-5L3HO 60-69 years, male 9.1
GTEX-13W3W-0726-SM-5IJDQ 60-69 years, female 9.1
GTEX-16XZZ-0726-SM-7KUF2 60-69 years, male 9.1
GTEX-17F96-0126-SM-7EWDU 70-79 years, male 9.1
GTEX-17F97-2626-SM-7IGM5 50-59 years, male 9.1
GTEX-V1D1-2026-SM-3GAF4 50-59 years, male 9.1
GTEX-XXEK-1626-SM-4BRUZ 50-59 years, male 9.1
GTEX-1H1DG-2426-SM-9QEHJ 70-79 years, male 9.1
GTEX-1N5O9-0926-SM-E9J3C 60-69 years, male 9.1
GTEX-1O9I2-0226-SM-EYYXD 50-59 years, male 9.1
GTEX-12696-0126-SM-5EQ4L 60-69 years, male 9.0
GTEX-132AR-0326-SM-5KM2C 50-59 years, female 9.0
GTEX-139TS-2126-SM-5K7XC 60-69 years, male 9.0
GTEX-YB5K-2026-SM-4VDT3 40-49 years, female 9.0
GTEX-1H3NZ-2726-SM-9WYTQ 60-69 years, male 9.0
GTEX-1HSKV-1226-SM-ADEI4 60-69 years, male 9.0
GTEX-1I1CD-0626-SM-CE6SW 60-69 years, female 9.0
GTEX-1PBJJ-1026-SM-E76OS 30-39 years, male 9.0
GTEX-13PVQ-0626-SM-5LU47 50-59 years, male 8.9
GTEX-ZYW4-0626-SM-59HJR 60-69 years, male 8.9
GTEX-1IDJH-0126-SM-D3L92 70-79 years, male 8.9
GTEX-1JMQJ-0826-SM-CNPP7 50-59 years, male 8.9
GTEX-1K2DU-1226-SM-CYPT4 20-29 years, male 8.9
GTEX-1A3MW-0626-SM-731CB 60-69 years, female 8.8
GTEX-XOT4-0626-SM-4B66L 60-69 years, female 8.8
GTEX-Y114-2126-SM-4TT8B 50-59 years, female 8.8
GTEX-Y3IK-1626-SM-4YCF5 50-59 years, female 8.8
GTEX-1HB9E-0126-SM-CM2S5 50-59 years, male 8.8
GTEX-13PL6-1126-SM-5L3IE 40-49 years, female 8.7
GTEX-15SKB-2826-SM-6PAMH 60-69 years, male 8.7
GTEX-18465-2826-SM-7LT9J 50-59 years, male 8.7
GTEX-1ICLY-0826-SM-CMKG1 50-59 years, male 8.7
GTEX-145LS-0626-SM-7EPG7 60-69 years, female 8.6
GTEX-14E1K-2026-SM-7DUEI 50-59 years, male 8.6
GTEX-1EN7A-2426-SM-793DB 40-49 years, male 8.6
GTEX-1GMR3-0126-SM-A9SLW 40-49 years, male 8.6
GTEX-1H23P-0626-SM-9WG6T 60-69 years, male 8.6
GTEX-1QEPI-2626-SM-DTXF4 60-69 years, female 8.6
GTEX-13112-0126-SM-5P9IU 50-59 years, male 8.5
GTEX-15SHW-0226-SM-7LTAT 60-69 years, male 8.5
GTEX-ZAJG-1526-SM-5CVML 50-59 years, female 8.5
GTEX-ZYVF-0926-SM-5E44J 50-59 years, female 8.5
GTEX-1F6I4-2326-SM-7RHGL 60-69 years, male 8.5
GTEX-15G19-2426-SM-7KUMR 60-69 years, male 8.4
GTEX-1F6IF-0926-SM-7SB7M 60-69 years, male 8.4
GTEX-1JMQI-1726-SM-ARL93 50-59 years, male 8.4
GTEX-WFON-1926-SM-3LK7L 40-49 years, male 8.3
GTEX-X8HC-0626-SM-4E3HQ 50-59 years, female 8.3
GTEX-1HUB1-1426-SM-CGQF5 60-69 years, male 8.3
GTEX-11DXY-0126-SM-5H11Q 60-69 years, male 8.2
GTEX-1A32A-0626-SM-731AQ 50-59 years, female 8.2
GTEX-14PJO-2526-SM-6AJBQ 60-69 years, male 8.1
GTEX-1HFI6-0126-SM-CNPPI 40-49 years, male 8.1
GTEX-1ICG6-1226-SM-A9SLN 70-79 years, female 8.1
GTEX-1IY9M-2826-SM-ARU8H 60-69 years, male 8.1
GTEX-1QP9N-1226-SM-E76QN 30-39 years, male 8.1
GTEX-11DXW-0826-SM-5H118 40-49 years, male 8.0
GTEX-11DZ1-2426-SM-5GZZX 50-59 years, male 8.0
GTEX-13OVK-1426-SM-6PAN7 40-49 years, male 8.0
GTEX-XK95-0226-SM-4AT58 40-49 years, male 8.0
GTEX-1HGF4-0126-SM-CNPPX 60-69 years, male 8.0
GTEX-1QAET-0326-SM-EVR3U 50-59 years, male 8.0
GTEX-14PJ3-1126-SM-5ZZVX 50-59 years, male 7.9
GTEX-14XAO-1226-SM-6EU1C 60-69 years, female 7.8
GTEX-15RJ7-2126-SM-6PAMD 40-49 years, male 7.8
GTEX-16GPK-0626-SM-7KFSF 60-69 years, male 7.8
GTEX-1JMPZ-0726-SM-CY8HZ 30-39 years, male 7.8
GTEX-1S3DN-2126-SM-E9TIN 50-59 years, male 7.8
GTEX-131XH-0126-SM-5LZUY 50-59 years, male 7.7
GTEX-WI4N-2726-SM-3LK7Y 40-49 years, female 7.7
GTEX-1A3MX-2626-SM-7PC24 60-69 years, male 7.7
GTEX-1C64O-1326-SM-7MGWR 60-69 years, male 7.7
GTEX-1HCU6-2526-SM-ADEHL 60-69 years, female 7.7
GTEX-1PPH8-0126-SM-EWRN8 20-29 years, male 7.7
GTEX-ZPIC-0526-SM-DO91W 40-49 years, female 7.7
GTEX-11DYG-1526-SM-5A5JS 60-69 years, male 7.6
GTEX-13O3O-2326-SM-5IJD6 60-69 years, female 7.6
GTEX-ZDTS-0826-SM-4WKHL 60-69 years, male 7.6
GTEX-ZDXO-3126-SM-5IJDF 60-69 years, male 7.6
GTEX-ZYFD-0626-SM-5E44E 50-59 years, male 7.6
GTEX-1J8JJ-0626-SM-ARZMQ 60-69 years, female 7.6
GTEX-1OJC4-2726-SM-E76PJ 50-59 years, female 7.6
GTEX-1QP29-1826-SM-DTX9S 50-59 years, male 7.6
GTEX-1JMLX-0626-SM-ARL8T 50-59 years, male 7.5
GTEX-WH7G-2026-SM-3NMBL 40-49 years, male 7.4
GTEX-WXYG-2026-SM-4E3IY 50-59 years, female 7.4
GTEX-ZVP2-0326-SM-57WBP 50-59 years, male 7.4
GTEX-ZY6K-1426-SM-5GZX2 50-59 years, male 7.4
GTEX-W5X1-2526-SM-3GILC 40-49 years, female 7.3
GTEX-WEY5-2326-SM-3GIKK 40-49 years, female 7.3
GTEX-13OW6-2726-SM-5J2OE 50-59 years, male 7.2
GTEX-1ICLZ-0326-SM-ARL82 60-69 years, male 7.2
GTEX-11DXX-2126-SM-5PNYR 60-69 years, female 7.1
GTEX-15RIE-1926-SM-7KUKJ 60-69 years, male 7.1
GTEX-17EVQ-0126-SM-7IGLR 70-79 years, male 7.1
GTEX-ZU9S-1826-SM-5NQ9E 30-39 years, male 7.1
GTEX-147F4-0726-SM-5TDDD 50-59 years, male 6.9
GTEX-16MT9-0126-SM-7EPI8 60-69 years, female 6.8
GTEX-1I1GU-0926-SM-ACKVS 40-49 years, male 6.8
GTEX-XYKS-1426-SM-4BRUO 60-69 years, female 6.6
GTEX-1E2YA-2126-SM-7MXUO 50-59 years, male 6.6
GTEX-1PIGE-1826-SM-E8VOU 20-29 years, male 6.6
GTEX-145MG-1526-SM-5Q5EM 50-59 years, male 6.5
GTEX-1JMQK-1226-SM-D4P2S 60-69 years, male 6.2
GTEX-111FC-2526-SM-5GZXU 60-69 years, male 6.1
GTEX-Y5LM-0926-SM-6LLJG 40-49 years, female 6.1
GTEX-1JN1M-2726-SM-CY8I4 60-69 years, female 6.1
GTEX-14A5H-0826-SM-5QGPJ 60-69 years, male 5.9
GTEX-VUSG-2326-SM-4KL1U 50-59 years, male 5.9
GTEX-1IDJC-1526-SM-B2LW4 50-59 years, male 5.9
GTEX-1RAZQ-1326-SM-E9TK6 30-39 years, male 5.8
GTEX-1E1VI-0326-SM-793D1 50-59 years, male 5.7
GTEX-1HSMP-0926-SM-A9SKX 70-79 years, male 5.7
GTEX-ZF3C-0626-SM-DO92O 50-59 years, female 5.3
GTEX-18D9B-0926-SM-7LG4U 60-69 years, male 5.0
GTEX-U8XE-0226-SM-4E3J3 30-39 years, male 4.4
GTEX-11WQK-1026-SM-5EQLX 50-59 years, male 4.3
GTEX-1R9PN-0426-SM-DTXDT 40-49 years, female 3.6
Show allShow less
Skin - Sun Exposed (Lower leg)
Average nTPM: 9.2
Samples: 701

Max nTPM: 18.5
Min nTPM: 2.9
Std nTPM: 2.5
Median nTPM: 8.9
GTEX-16AAH-1726-SM-7939C 50-59 years, male 18.5
GTEX-ZY6K-1826-SM-5GZXK 50-59 years, male 17.8
GTEX-ZF2S-2326-SM-4WWCE 50-59 years, female 17.3
GTEX-1MA7W-2026-SM-E9TJ6 20-29 years, female 17.1
GTEX-SE5C-1626-SM-2XCE3 40-49 years, female 17.0
GTEX-1GMR8-0126-SM-9WYTM 50-59 years, female 16.5
GTEX-1I4MK-2226-SM-ACKWD 50-59 years, female 16.3
GTEX-1LVAN-0226-SM-COH3S 50-59 years, female 16.1
GTEX-13NZB-2526-SM-5J1OM 30-39 years, male 15.8
GTEX-1128S-2326-SM-5GZZY 60-69 years, female 15.7
GTEX-1K9T9-0126-SM-EVYCF 50-59 years, female 15.7
GTEX-17F96-1626-SM-7DUFL 70-79 years, male 15.6
GTEX-1LSNM-1926-SM-E6CII 50-59 years, male 15.3
GTEX-14LLW-0126-SM-6LLIO 70-79 years, female 15.1
GTEX-1AMEY-1326-SM-73KYK 30-39 years, female 15.1
GTEX-147F3-0526-SM-5SI98 50-59 years, female 15.0
GTEX-15RIG-0226-SM-7KFTL 40-49 years, male 15.0
GTEX-ZYFG-2326-SM-5E44B 60-69 years, female 15.0
GTEX-13O3P-0126-SM-5KM4S 50-59 years, male 14.9
GTEX-14PJ6-2126-SM-6EU1V 60-69 years, female 14.9
GTEX-13W46-0226-SM-5SIAG 50-59 years, male 14.8
GTEX-ZXG5-0126-SM-5GIEU 60-69 years, male 14.7
GTEX-1IDJU-2626-SM-CM2RT 60-69 years, female 14.7
GTEX-1192X-0226-SM-5H12D 50-59 years, male 14.6
GTEX-1LGRB-2526-SM-CNPPQ 50-59 years, female 14.6
GTEX-1S82Z-0826-SM-E6CHY 30-39 years, female 14.6
GTEX-PWO3-1526-SM-48TCM 60-69 years, female 14.5
GTEX-WFG8-2226-SM-3GIL9 20-29 years, male 14.5
GTEX-XPVG-2626-SM-4B669 50-59 years, male 14.5
GTEX-1F5PK-2426-SM-7RHHY 50-59 years, male 14.4
GTEX-1H11D-0226-SM-9WG6Z 40-49 years, male 14.4
GTEX-1H4P4-0726-SM-9YFLR 50-59 years, male 14.3
GTEX-117XS-2726-SM-5N9BL 60-69 years, male 14.2
GTEX-13N2G-2626-SM-5J1OT 60-69 years, male 14.2
GTEX-1HCU7-0226-SM-CL545 50-59 years, male 14.2
GTEX-144FL-0126-SM-5TDC8 50-59 years, male 14.1
GTEX-OXRN-0126-SM-48TDM 50-59 years, male 14.1
GTEX-1I1GT-0626-SM-CGQER 60-69 years, female 14.1
GTEX-13JUV-2726-SM-5LZZ8 40-49 years, female 14.0
GTEX-17GQL-2026-SM-718BA 60-69 years, male 14.0
GTEX-17MFQ-1726-SM-793C7 20-29 years, male 14.0
GTEX-SSA3-0126-SM-32QPU 60-69 years, male 14.0
GTEX-13D11-2426-SM-5KM1V 50-59 years, female 13.9
GTEX-1AMFI-2026-SM-731BH 50-59 years, female 13.9
GTEX-1KXAM-2226-SM-CYPTC 60-69 years, male 13.9
GTEX-12WSK-2326-SM-5GCOH 40-49 years, female 13.8
GTEX-14753-0426-SM-5NQAM 60-69 years, male 13.8
GTEX-15EU6-0426-SM-6PAN5 50-59 years, male 13.8
GTEX-15SDE-2226-SM-7IGLO 50-59 years, female 13.8
GTEX-ZQG8-1626-SM-DHXIT 60-69 years, female 13.8
GTEX-11OC5-0126-SM-5HL6A 60-69 years, male 13.7
GTEX-RWS6-2026-SM-2XCB5 60-69 years, female 13.7
GTEX-ZF29-2326-SM-DO92K 60-69 years, female 13.7
GTEX-113IC-0126-SM-5HL6T 60-69 years, male 13.6
GTEX-14C5O-0126-SM-5SI6N 60-69 years, male 13.6
GTEX-15F5U-1526-SM-6PANO 40-49 years, male 13.6
GTEX-PLZ5-2026-SM-2S1O4 50-59 years, male 13.6
GTEX-Q2AG-0126-SM-33HBV 40-49 years, female 13.6
GTEX-ZGAY-0526-SM-4WWBB 40-49 years, female 13.5
GTEX-1F75I-0326-SM-9YFLU 40-49 years, male 13.5
GTEX-1GL5R-1826-SM-9KNUY 50-59 years, male 13.5
GTEX-13111-1626-SM-5EGJY 50-59 years, male 13.4
GTEX-14PN3-2426-SM-6LLHS 60-69 years, female 13.4
GTEX-17EUY-0426-SM-793BD 20-29 years, male 13.3
GTEX-1F48J-0126-SM-7P8TT 50-59 years, female 13.1
GTEX-1PIIG-0226-SM-EWRN6 30-39 years, male 13.1
GTEX-16NGA-1726-SM-731B4 40-49 years, female 13.0
GTEX-T8EM-1026-SM-3DB7M 40-49 years, male 12.8
GTEX-1HSGN-0226-SM-CGQFV 40-49 years, female 12.8
GTEX-ZTX8-1426-SM-5DUVO 20-29 years, male 12.7
GTEX-1H1ZS-0426-SM-9WG6G 70-79 years, male 12.7
GTEX-1A3MV-1926-SM-718BT 30-39 years, male 12.6
GTEX-X261-0126-SM-3NMD6 50-59 years, male 12.6
GTEX-1H3VE-0326-SM-9YFLH 40-49 years, male 12.6
GTEX-1HSMQ-1226-SM-CGQFX 50-59 years, male 12.6
GTEX-1QP2A-0126-SM-E9J43 50-59 years, male 12.6
GTEX-PLZ6-1426-SM-DKPOT 30-39 years, male 12.6
GTEX-PW2O-1526-SM-7RHHB 20-29 years, male 12.6
GTEX-145LU-0126-SM-5TDCB 50-59 years, male 12.5
GTEX-ZZ64-1726-SM-5GZYB 20-29 years, male 12.5
GTEX-1R46S-0626-SM-E9J41 60-69 years, female 12.5
GTEX-15ETS-0126-SM-7KUMW 40-49 years, female 12.4
GTEX-1HCVE-0126-SM-CGQEU 50-59 years, male 12.4
GTEX-1JJ6O-0126-SM-E6CI8 60-69 years, male 12.4
GTEX-11VI4-1726-SM-5CVLH 40-49 years, female 12.3
GTEX-1C6VR-2426-SM-79OLD 60-69 years, male 12.3
GTEX-ZC5H-0226-SM-4WAY9 40-49 years, female 12.3
GTEX-1H3NZ-0126-SM-ACKX7 60-69 years, male 12.3
GTEX-14JG6-2226-SM-6EU2G 30-39 years, female 12.2
GTEX-RWSA-0126-SM-2XCBB 40-49 years, male 12.2
GTEX-ZEX8-2426-SM-4WKG4 50-59 years, male 12.2
GTEX-ZF28-0126-SM-4WKGK 60-69 years, male 12.2
GTEX-13NZ8-0826-SM-5MR3I 60-69 years, female 12.1
GTEX-ZAB5-1826-SM-5HL7C 50-59 years, male 12.1
GTEX-1HFI7-1826-SM-ACKXH 50-59 years, female 12.1
GTEX-1LGOU-2026-SM-DIPFF 20-29 years, female 12.1
GTEX-1RAZA-0126-SM-E6CI3 20-29 years, male 12.1
GTEX-SJXC-0126-SM-2XCFF 60-69 years, male 12.0
GTEX-Y8LW-1826-SM-5S2MV 50-59 years, female 12.0
GTEX-ZXES-1826-SM-5E43S 30-39 years, female 12.0
GTEX-1GZ4H-1726-SM-7PBZJ 50-59 years, female 12.0
GTEX-1MCYP-1926-SM-E9J2R 20-29 years, female 12.0
GTEX-1RQEC-0426-SM-E6CHU 60-69 years, male 12.0
GTEX-113JC-2326-SM-5EQ4E 50-59 years, female 11.9
GTEX-1B97I-1626-SM-73KYO 40-49 years, male 11.9
GTEX-SNMC-1226-SM-2XCFP 20-29 years, male 11.9
GTEX-T5JC-0426-SM-32PLO 20-29 years, male 11.9
GTEX-Y5V5-2326-SM-4V6GA 60-69 years, female 11.9
GTEX-ZV68-0126-SM-59HKS 50-59 years, female 11.9
GTEX-13FH7-2026-SM-E9J4I 50-59 years, female 11.9
GTEX-1H2FU-0126-SM-9WYSI 60-69 years, female 11.9
GTEX-1AX9J-0226-SM-73KXM 60-69 years, male 11.8
GTEX-1PPH7-2326-SM-EVYB8 40-49 years, male 11.8
GTEX-11XUK-2026-SM-5EQLF 40-49 years, female 11.7
GTEX-12ZZZ-0626-SM-5DUXI 60-69 years, male 11.7
GTEX-15CHC-2126-SM-6EU21 60-69 years, female 11.7
GTEX-16NPX-0226-SM-79OMT 50-59 years, male 11.7
GTEX-1BAJH-0526-SM-793CQ 70-79 years, male 11.7
GTEX-WYJK-0126-SM-3NMAB 50-59 years, male 11.7
GTEX-ZDTT-2726-SM-4WKF8 60-69 years, male 11.7
GTEX-ZVT2-2526-SM-51MT1 50-59 years, female 11.7
GTEX-1J1R8-1726-SM-ARL8M 40-49 years, male 11.7
GTEX-13OVI-1426-SM-5L3EY 60-69 years, female 11.6
GTEX-11P81-2326-SM-59875 30-39 years, female 11.5
GTEX-14PJM-0226-SM-62LF1 50-59 years, female 11.5
GTEX-YJ89-0126-SM-4TT3X 60-69 years, male 11.5
GTEX-1J8QM-2126-SM-CYPSJ 60-69 years, female 11.5
GTEX-1QP67-1626-SM-EAZ3X 40-49 years, female 11.5
GTEX-147GR-0526-SM-5S2MY 60-69 years, male 11.4
GTEX-1C2JI-1826-SM-73KXC 50-59 years, male 11.4
GTEX-1C4CL-0526-SM-73KVK 30-39 years, male 11.4
GTEX-1N2DV-0226-SM-E6CJ6 40-49 years, male 11.4
GTEX-1F75B-0126-SM-9KNVL 50-59 years, male 11.3
GTEX-11EQ9-2426-SM-5HL5T 30-39 years, male 11.2
GTEX-13NYS-0126-SM-5MR3W 60-69 years, male 11.2
GTEX-183FY-0126-SM-7LT9P 20-29 years, male 11.2
GTEX-146FR-1326-SM-E9J48 60-69 years, female 11.2
GTEX-11EM3-2426-SM-59861 20-29 years, female 11.1
GTEX-12WSN-5019-SM-79OM6 40-49 years, male 11.1
GTEX-13113-5016-SM-7EPIP 60-69 years, female 11.1
GTEX-139D8-0226-SM-5KLZO 30-39 years, female 11.1
GTEX-1C475-1826-SM-73KWA 40-49 years, female 11.1
GTEX-1MGNQ-0126-SM-EVYCJ 40-49 years, male 11.1
GTEX-T6MO-1626-SM-32QOM 40-49 years, female 11.0
GTEX-YB5E-2026-SM-5IFIS 40-49 years, male 11.0
GTEX-13NYC-0326-SM-E9J4S 60-69 years, male 11.0
GTEX-1IE54-0126-SM-CMKHW 40-49 years, female 11.0
GTEX-1J8Q3-1626-SM-CMKGC 60-69 years, male 11.0
GTEX-13X6I-0626-SM-5QGP9 60-69 years, male 10.9
GTEX-1ICLY-0126-SM-D4P36 50-59 years, male 10.9
GTEX-11ZTT-2426-SM-5EQLS 60-69 years, female 10.8
GTEX-1314G-1526-SM-5EGK2 30-39 years, male 10.8
GTEX-13CF3-2426-SM-5IFGX 60-69 years, female 10.8
GTEX-1AYD5-2426-SM-73KXR 50-59 years, male 10.8
GTEX-O5YW-0126-SM-3LK6D 50-59 years, male 10.8
GTEX-1O97I-0326-SM-EYYX7 60-69 years, male 10.8
GTEX-11NSD-2226-SM-5986V 20-29 years, male 10.7
GTEX-14A6H-0126-SM-5QGPK 30-39 years, male 10.7
GTEX-14DAR-2026-SM-5S2O3 50-59 years, male 10.7
GTEX-18QFQ-0126-SM-731BE 30-39 years, male 10.7
GTEX-OHPM-0126-SM-2YUN9 50-59 years, male 10.7
GTEX-U3ZM-1526-SM-3DB9D 40-49 years, male 10.7
GTEX-XV7Q-2526-SM-4BRV9 40-49 years, female 10.7
GTEX-1CB4H-0226-SM-7PBXM 60-69 years, female 10.7
GTEX-1H1E6-1726-SM-ACKVK 30-39 years, male 10.7
GTEX-1JKYN-1326-SM-CGQG9 30-39 years, male 10.7
GTEX-18D9A-1926-SM-7LG6P 30-39 years, female 10.6
GTEX-R3RS-0126-SM-3GIJL 40-49 years, female 10.6
GTEX-U3ZN-2326-SM-3DB7W 30-39 years, female 10.6
GTEX-1CB4F-0426-SM-9KNV4 60-69 years, male 10.6
GTEX-1PPH8-0226-SM-E8VND 20-29 years, male 10.6
GTEX-11ZU8-2526-SM-5EQKI 60-69 years, male 10.5
GTEX-13FTY-0526-SM-5L3EV 40-49 years, female 10.5
GTEX-14A5I-0126-SM-5TDEA 50-59 years, female 10.5
GTEX-15SHW-0326-SM-6PAML 60-69 years, male 10.5
GTEX-1CB4E-2226-SM-793DC 60-69 years, male 10.5
GTEX-S95S-1226-SM-4GICG 60-69 years, male 10.5
GTEX-WYVS-2126-SM-3NMA3 40-49 years, female 10.5
GTEX-ZYY3-0126-SM-5GZY5 60-69 years, female 10.5
GTEX-1B996-0226-SM-7RHGO 60-69 years, male 10.5
GTEX-11TTK-0126-SM-5987B 60-69 years, female 10.4
GTEX-12ZZX-0126-SM-5EGK9 40-49 years, female 10.4
GTEX-131YS-0126-SM-5KM1M 60-69 years, female 10.4
GTEX-1399R-2726-SM-5IJBA 30-39 years, male 10.4
GTEX-13N11-2526-SM-5K7UE 50-59 years, female 10.4
GTEX-13QJ3-0326-SM-5S2RA 50-59 years, male 10.4
GTEX-144GL-0126-SM-5TDE2 50-59 years, male 10.4
GTEX-18D9U-0226-SM-718BP 40-49 years, male 10.4
GTEX-1CB4J-0626-SM-7DHMP 60-69 years, male 10.4
GTEX-XUW1-0426-SM-4BOOT 50-59 years, female 10.4
GTEX-1F52S-0126-SM-9MQJU 60-69 years, female 10.4
GTEX-1F88F-2726-SM-7PBZZ 60-69 years, female 10.4
GTEX-1KANA-0726-SM-D3L9I 20-29 years, male 10.4
GTEX-1KANC-1526-SM-D3LAB 50-59 years, female 10.4
GTEX-1OJC3-0126-SM-E76QX 20-29 years, male 10.4
GTEX-1RAZQ-0726-SM-EAZ43 30-39 years, male 10.4
GTEX-13YAN-0326-SM-5O9DF 60-69 years, male 10.3
GTEX-145MI-0526-SM-5O9A8 60-69 years, female 10.3
GTEX-16BQI-0226-SM-7KUEX 30-39 years, female 10.3
GTEX-1B8SF-1426-SM-7DUGL 60-69 years, male 10.3
GTEX-ZYFC-0226-SM-5NQ75 50-59 years, male 10.3
GTEX-1F6IF-0726-SM-7P8TW 60-69 years, male 10.3
GTEX-1HCU8-0626-SM-A9SM9 60-69 years, female 10.3
GTEX-1I1GR-0126-SM-CL55F 60-69 years, male 10.3
GTEX-1IDJH-0326-SM-A9SLQ 70-79 years, male 10.3
GTEX-PSDG-0226-SM-DKPOZ 50-59 years, male 10.3
GTEX-1I19N-0326-SM-ACKVX 70-79 years, male 10.2
GTEX-1QW4Y-1526-SM-EAZ3Z 30-39 years, male 10.2
GTEX-R45C-0126-SM-EAZ2R 60-69 years, female 10.2
GTEX-12WSA-0226-SM-5BC5V 60-69 years, male 10.1
GTEX-13OVG-1926-SM-5L3DK 60-69 years, male 10.1
GTEX-183WM-0126-SM-7LTAB 70-79 years, female 10.1
GTEX-18A66-0226-SM-718BD 60-69 years, male 10.1
GTEX-PX3G-0126-SM-2I3EN 20-29 years, female 10.1
GTEX-ZVZP-2426-SM-59HKJ 50-59 years, male 10.1
GTEX-1F6RS-0126-SM-9MQKZ 60-69 years, female 10.1
GTEX-1GF9U-2126-SM-7SB7L 40-49 years, female 10.1
GTEX-1R7EV-2426-SM-EVYBG 40-49 years, male 10.1
GTEX-1R9PO-2126-SM-E9J4O 60-69 years, female 10.1
GTEX-PWCY-1826-SM-DHXIZ 20-29 years, female 10.1
GTEX-13FTX-1826-SM-5J1NX 20-29 years, female 10.0
GTEX-13RTK-1426-SM-5QGQJ 20-29 years, male 10.0
GTEX-14DAQ-0126-SM-5S2MQ 60-69 years, female 10.0
GTEX-14E7W-0126-SM-6LLJ9 70-79 years, male 10.0
GTEX-PLZ4-0126-SM-5SI8O 50-59 years, female 10.0
GTEX-R55E-0126-SM-2TC5Y 20-29 years, male 10.0
GTEX-WH7G-2326-SM-3NMBC 40-49 years, male 10.0
GTEX-YB5K-2126-SM-4WWDJ 40-49 years, female 10.0
GTEX-ZV6S-2326-SM-4YCEY 40-49 years, female 10.0
GTEX-1GPI6-0126-SM-9WG69 60-69 years, male 10.0
GTEX-1MA7X-2226-SM-E6CIY 60-69 years, male 10.0
GTEX-1POEN-0126-SM-EYYXJ 30-39 years, female 10.0
GTEX-139T8-0126-SM-5K7XZ 60-69 years, male 9.9
GTEX-15DYW-0126-SM-7KULE 60-69 years, female 9.9
GTEX-17MF6-0126-SM-7LG4F 40-49 years, male 9.9
GTEX-RM2N-1426-SM-2TF4H 50-59 years, male 9.9
GTEX-U3ZH-2026-SM-3DB78 30-39 years, male 9.9
GTEX-1PWST-0226-SM-E76QJ 70-79 years, male 9.9
GTEX-1QP66-1726-SM-E8VO1 50-59 years, male 9.9
GTEX-OOBJ-0126-SM-E6CJW 60-69 years, male 9.9
GTEX-1122O-2126-SM-5EGIR 60-69 years, female 9.8
GTEX-117YX-2326-SM-5H12W 50-59 years, male 9.8
GTEX-1269C-2526-SM-5EGJ3 60-69 years, female 9.8
GTEX-13OVJ-0126-SM-5KM36 50-59 years, female 9.8
GTEX-13OW8-1326-SM-5J1OW 60-69 years, male 9.8
GTEX-145LT-1726-SM-5QGP3 40-49 years, male 9.8
GTEX-145LV-2126-SM-5LU8N 50-59 years, male 9.8
GTEX-14BMU-2226-SM-5TDE9 20-29 years, female 9.8
GTEX-14LZ3-0226-SM-62LET 60-69 years, female 9.8
GTEX-17EVP-0326-SM-7DHLG 40-49 years, male 9.8
GTEX-1AX8Z-0126-SM-7DHM6 60-69 years, male 9.8
GTEX-1B8KE-2126-SM-73KYX 50-59 years, male 9.8
GTEX-QLQ7-1626-SM-2S1R8 60-69 years, male 9.8
GTEX-TMMY-0226-SM-33HBA 40-49 years, female 9.8
GTEX-W5WG-1826-SM-4KL2Y 50-59 years, female 9.8
GTEX-1HSEH-0126-SM-ACKXN 60-69 years, male 9.8
GTEX-1JJE9-0326-SM-CL53Z 70-79 years, male 9.8
GTEX-1NV5F-0226-SM-E8VNY 60-69 years, female 9.8
GTEX-1R7EU-0226-SM-EVR4G 60-69 years, male 9.8
GTEX-11H98-0126-SM-5EGHG 50-59 years, male 9.7
GTEX-11P7K-2126-SM-5GU7G 30-39 years, male 9.7
GTEX-16XZZ-0126-SM-793DV 60-69 years, male 9.7
GTEX-YEC4-2126-SM-5IFJH 40-49 years, male 9.7
GTEX-1H1DG-0126-SM-9WYU2 70-79 years, male 9.7
GTEX-1KANB-0526-SM-E6CJH 50-59 years, male 9.7
GTEX-1LH75-2426-SM-E9TJE 50-59 years, female 9.7
GTEX-11P82-1626-SM-59879 20-29 years, male 9.6
GTEX-12WSC-0126-SM-5EQ4P 50-59 years, male 9.6
GTEX-13FHO-0226-SM-5IFGY 60-69 years, male 9.6
GTEX-13NZA-0226-SM-5K7Z7 60-69 years, male 9.6
GTEX-14BIM-0226-SM-7IGLD 60-69 years, female 9.6
GTEX-1C64N-0126-SM-793D7 50-59 years, male 9.6
GTEX-WQUQ-0426-SM-3MJFU 60-69 years, male 9.6
GTEX-WXYG-2326-SM-4E3I6 50-59 years, female 9.6
GTEX-ZTSS-1926-SM-57WEW 40-49 years, male 9.6
GTEX-ZVE2-0226-SM-59HJB 50-59 years, male 9.6
GTEX-1LNCM-1126-SM-E9U5E 50-59 years, female 9.6
GTEX-1RDX4-0126-SM-E9J4P 50-59 years, female 9.6
GTEX-13RTL-0126-SM-7LG5S 40-49 years, male 9.5
GTEX-13SLW-0126-SM-5SI6C 70-79 years, male 9.5
GTEX-14JIY-0126-SM-6LLH6 60-69 years, male 9.5
GTEX-OXRL-0126-SM-2YUMP 50-59 years, male 9.5
GTEX-PVOW-0126-SM-2XCFA 40-49 years, male 9.5
GTEX-T2YK-0526-SM-32QPJ 50-59 years, male 9.5
GTEX-ZVZO-0126-SM-5A5L9 40-49 years, male 9.5
GTEX-1J1OQ-0226-SM-CYPSH 40-49 years, female 9.5
GTEX-OIZF-0126-SM-7SB8I 60-69 years, male 9.5
GTEX-1211K-2026-SM-5EQ4Z 60-69 years, female 9.4
GTEX-14ABY-0226-SM-5TDCQ 50-59 years, male 9.4
GTEX-14PHX-2326-SM-62LEM 50-59 years, male 9.4
GTEX-16YQH-0126-SM-7DUFJ 30-39 years, male 9.4
GTEX-1B8KZ-2026-SM-7DHMB 50-59 years, male 9.4
GTEX-NFK9-0226-SM-2HMKQ 40-49 years, male 9.4
GTEX-OIZG-0726-SM-33HBL 50-59 years, male 9.4
GTEX-P44H-0226-SM-2XCEU 40-49 years, male 9.4
GTEX-Z93T-0126-SM-5HL5N 50-59 years, male 9.4
GTEX-Z9EW-1626-SM-5CVMN 40-49 years, male 9.4
GTEX-1GN1W-0526-SM-9MQJQ 50-59 years, female 9.4
GTEX-1H3VY-0126-SM-ACKXD 50-59 years, male 9.4
GTEX-1HCUA-2426-SM-ADEIS 50-59 years, female 9.4
GTEX-1HUB1-0426-SM-E9U4U 60-69 years, male 9.4
GTEX-1I1GS-0126-SM-B2LVW 60-69 years, male 9.4
GTEX-1ICLZ-0126-SM-CKZPO 60-69 years, male 9.4
GTEX-12WSE-0526-SM-793B2 20-29 years, male 9.3
GTEX-ZUA1-0126-SM-5GU76 40-49 years, male 9.3
GTEX-11TUW-2726-SM-E9J4M 60-69 years, male 9.3
GTEX-1F7RK-0126-SM-7PC2S 20-29 years, female 9.3
GTEX-1I1HK-0126-SM-COH49 60-69 years, male 9.3
GTEX-1IOXB-0126-SM-ARL8G 50-59 years, male 9.3
GTEX-11OF3-2626-SM-5GU7F 60-69 years, male 9.2
GTEX-13O3Q-2426-SM-5IJBR 50-59 years, male 9.2
GTEX-13OVK-2026-SM-7KUEO 40-49 years, male 9.2
GTEX-T5JW-1626-SM-3GADZ 20-29 years, female 9.2
GTEX-UJHI-1526-SM-3DB99 50-59 years, female 9.2
GTEX-WRHK-1426-SM-3MJF9 20-29 years, female 9.2
GTEX-XUYS-0126-SM-47JWZ 50-59 years, male 9.2
GTEX-1EKGG-0226-SM-9WYTH 60-69 years, male 9.2
GTEX-1EMGI-0126-SM-9KNUE 60-69 years, male 9.2
GTEX-1GZHY-0326-SM-9QEHI 50-59 years, female 9.2
GTEX-1LG7Z-1726-SM-D3LA4 30-39 years, male 9.2
GTEX-1M5QR-1226-SM-EWROB 40-49 years, male 9.2
GTEX-1MJK2-0426-SM-DTXE5 50-59 years, male 9.2
GTEX-1R9K4-0126-SM-DTX9X 60-69 years, male 9.2
GTEX-11DXY-2626-SM-5GIE7 60-69 years, male 9.1
GTEX-11ZVC-2526-SM-5FQTE 50-59 years, female 9.1
GTEX-12696-2426-SM-5EQ6H 60-69 years, male 9.1
GTEX-12C56-1726-SM-5EQ61 20-29 years, male 9.1
GTEX-13PVR-2326-SM-5QGR1 60-69 years, female 9.1
GTEX-14BIN-0626-SM-793DP 50-59 years, female 9.1
GTEX-15ER7-0326-SM-7KUEV 20-29 years, female 9.1
GTEX-15SHU-0126-SM-7KUEH 40-49 years, female 9.1
GTEX-1GPI7-0126-SM-9MQL8 20-29 years, male 9.1
GTEX-1HBPH-0426-SM-B2LW5 40-49 years, female 9.1
GTEX-1HCU9-1526-SM-A9SL7 20-29 years, male 9.1
GTEX-1QP29-0626-SM-EWRMX 50-59 years, male 9.1
GTEX-145ME-1826-SM-5SI9G 40-49 years, female 9.0
GTEX-18A67-0126-SM-7LG5P 50-59 years, male 9.0
GTEX-TML8-1926-SM-32QOS 40-49 years, female 9.0
GTEX-TSE9-0126-SM-3DB83 60-69 years, female 9.0
GTEX-U4B1-1826-SM-4DXSU 40-49 years, male 9.0
GTEX-X638-0126-SM-47JZ8 70-79 years, female 9.0
GTEX-XBED-2226-SM-47JYQ 60-69 years, male 9.0
GTEX-1HSKV-0226-SM-A9SKJ 60-69 years, male 9.0
GTEX-1HT8W-0126-SM-CNPPP 30-39 years, male 9.0
GTEX-1PFEY-1526-SM-E76PP 30-39 years, male 9.0
GTEX-11DXX-2426-SM-5GZZW 60-69 years, female 8.9
GTEX-11DZ1-0126-SM-5985Q 50-59 years, male 8.9
GTEX-13IVO-0126-SM-5J1NG 70-79 years, male 8.9
GTEX-13W3W-2426-SM-5LU5B 60-69 years, female 8.9
GTEX-14JG1-0426-SM-6ETZZ 40-49 years, male 8.9
GTEX-1AYCT-2426-SM-7IGQ3 50-59 years, male 8.9
GTEX-Y8DK-0126-SM-4TT3L 60-69 years, male 8.9
GTEX-ZVTK-0426-SM-51MRS 20-29 years, male 8.9
GTEX-ZYW4-0126-SM-5E44A 60-69 years, male 8.9
GTEX-12WSG-2826-SM-E9J4H 50-59 years, female 8.9
GTEX-1JMQI-2226-SM-CM2SD 50-59 years, male 8.9
GTEX-1NHNU-1026-SM-E9J2A 50-59 years, male 8.9
GTEX-1QMI2-0226-SM-EVYBX 60-69 years, male 8.9
GTEX-1R9PM-2026-SM-E76OY 20-29 years, male 8.9
GTEX-RNOR-0126-SM-E9J4R 50-59 years, female 8.9
GTEX-111VG-2426-SM-5GZXD 60-69 years, male 8.8
GTEX-13RTJ-2426-SM-5S2Q2 60-69 years, male 8.8
GTEX-13VXT-0126-SM-5LU4I 20-29 years, female 8.8
GTEX-16MT8-0426-SM-7KUEY 60-69 years, female 8.8
GTEX-17HHE-2026-SM-79OKF 50-59 years, male 8.8
GTEX-1CB4I-0226-SM-79OLH 50-59 years, male 8.8
GTEX-WY7C-2326-SM-3NB2U 50-59 years, male 8.8
GTEX-XBEW-0626-SM-4QASP 40-49 years, male 8.8
GTEX-1EWIQ-0126-SM-7RHH2 70-79 years, female 8.8
GTEX-1HBPM-0226-SM-ARL9F 60-69 years, female 8.8
GTEX-1KAFJ-2026-SM-CY8ID 50-59 years, male 8.8
GTEX-1N2DW-0226-SM-E9TK2 50-59 years, male 8.8
GTEX-ZF3C-0126-SM-DO92D 50-59 years, female 8.8
GTEX-11ZUS-0626-SM-59885 30-39 years, male 8.7
GTEX-13PDP-0126-SM-5L3HD 60-69 years, male 8.7
GTEX-18A7B-0126-SM-7LG64 70-79 years, male 8.7
GTEX-1CAMR-1926-SM-7EPI2 20-29 years, male 8.7
GTEX-QDVN-2026-SM-3GAEP 50-59 years, male 8.7
GTEX-QEG4-0226-SM-2S1PY 30-39 years, male 8.7
GTEX-WFON-2126-SM-3LK7O 40-49 years, male 8.7
GTEX-X62O-0126-SM-4E3JN 50-59 years, male 8.7
GTEX-Z93S-0126-SM-5HL7M 50-59 years, male 8.7
GTEX-ZVT3-0126-SM-5GU6I 60-69 years, female 8.7
GTEX-ZZPT-0226-SM-5E43X 50-59 years, male 8.7
GTEX-1CB4G-0226-SM-7PC3O 60-69 years, male 8.7
GTEX-1I1GV-0526-SM-A9G29 60-69 years, male 8.7
GTEX-1IL2U-0226-SM-CE6T8 60-69 years, male 8.7
GTEX-1JJEA-0326-SM-CNPOT 60-69 years, male 8.7
GTEX-1JKYR-0126-SM-CNPOJ 20-29 years, male 8.7
GTEX-1K2DA-1826-SM-CGQGT 50-59 years, male 8.7
GTEX-1PDJ9-0326-SM-DTX95 20-29 years, male 8.7
GTEX-1192W-2626-SM-5Q5AF 60-69 years, male 8.6
GTEX-13S7M-0126-SM-5SI6A 60-69 years, female 8.6
GTEX-1A3MW-0126-SM-73KXX 60-69 years, female 8.6
GTEX-1EX96-1626-SM-7PBXR 50-59 years, male 8.6
GTEX-1GTWX-0126-SM-9YFLK 60-69 years, male 8.6
GTEX-1H23P-0126-SM-ADEJ3 60-69 years, male 8.6
GTEX-1I1GQ-0126-SM-COH3H 50-59 years, male 8.6
GTEX-1I6K6-0126-SM-A9SLE 30-39 years, male 8.6
GTEX-1MUQO-0126-SM-EAZ58 60-69 years, male 8.6
GTEX-1RLM8-2326-SM-EWRN4 50-59 years, male 8.6
GTEX-13OVL-0226-SM-5L3E9 50-59 years, male 8.5
GTEX-1B8SG-0126-SM-73KZ3 50-59 years, male 8.5
GTEX-SUCS-1926-SM-32PM3 70-79 years, male 8.5
GTEX-1AX9I-0126-SM-7SB74 60-69 years, male 8.5
GTEX-1E2YA-0126-SM-9KNUC 50-59 years, male 8.5
GTEX-1GN1V-0126-SM-9WPOS 60-69 years, male 8.5
GTEX-1JK1U-2026-SM-CM2RZ 60-69 years, male 8.5
GTEX-1S82Y-2026-SM-EVYCM 40-49 years, male 8.5
GTEX-11LCK-1026-SM-5A5KB 30-39 years, male 8.4
GTEX-11UD2-0226-SM-5EQKY 50-59 years, male 8.4
GTEX-13FHP-0126-SM-5IJBG 50-59 years, male 8.4
GTEX-145MN-2226-SM-5SIAU 30-39 years, male 8.4
GTEX-14PHW-0126-SM-6LLJI 60-69 years, female 8.4
GTEX-17HGU-0226-SM-7DHKV 50-59 years, male 8.4
GTEX-17KNJ-2326-SM-7DHLQ 50-59 years, male 8.4
GTEX-TKQ1-1026-SM-4GICL 30-39 years, male 8.4
GTEX-X4EP-0126-SM-3P5YV 60-69 years, female 8.4
GTEX-XQ8I-0426-SM-4BOPO 50-59 years, male 8.4
GTEX-Y5LM-1926-SM-5RQJH 40-49 years, female 8.4
GTEX-ZAB4-0226-SM-5N9F5 40-49 years, male 8.4
GTEX-1CAMS-0426-SM-7P8T2 40-49 years, female 8.4
GTEX-1S83E-0126-SM-EWRO4 40-49 years, male 8.4
GTEX-145MF-0626-SM-5LUAI 50-59 years, male 8.3
GTEX-14ICK-0226-SM-6EU25 40-49 years, male 8.3
GTEX-17HG3-2226-SM-7938L 30-39 years, female 8.3
GTEX-O5YT-0126-SM-48TBW 20-29 years, male 8.3
GTEX-OIZH-0126-SM-2HMIS 50-59 years, male 8.3
GTEX-Q734-1926-SM-2I5EV 40-49 years, female 8.3
GTEX-RTLS-0126-SM-447CA 60-69 years, female 8.3
GTEX-VUSG-2526-SM-4KL1V 50-59 years, male 8.3
GTEX-Y5V6-2426-SM-4VDSB 60-69 years, male 8.3
GTEX-Y8E4-0626-SM-4WWDL 40-49 years, male 8.3
GTEX-ZE7O-0126-SM-57WC1 50-59 years, female 8.3
GTEX-1PIGE-0126-SM-EVYBJ 20-29 years, male 8.3
GTEX-1QPFJ-0226-SM-E76PB 30-39 years, female 8.3
GTEX-12WSD-0126-SM-59HKN 60-69 years, female 8.2
GTEX-12ZZY-0226-SM-5LZVE 60-69 years, male 8.2
GTEX-13112-2826-SM-5DUWH 50-59 years, male 8.2
GTEX-139T4-0226-SM-5HL5S 50-59 years, female 8.2
GTEX-13X6J-0126-SM-5QGOU 50-59 years, male 8.2
GTEX-144GN-2326-SM-5LU4F 50-59 years, male 8.2
GTEX-S7SE-0126-SM-2XCD5 50-59 years, male 8.2
GTEX-ZDYS-2026-SM-5HL5L 50-59 years, male 8.2
GTEX-ZQUD-1426-SM-57WER 30-39 years, male 8.2
GTEX-1A8FM-0226-SM-7SB7Q 50-59 years, female 8.2
GTEX-1F6I4-0126-SM-9MQL2 60-69 years, male 8.2
GTEX-1HBPI-1526-SM-C1YQ1 50-59 years, male 8.2
GTEX-1JMOU-1526-SM-CL54I 60-69 years, female 8.2
GTEX-1RB15-2126-SM-E9TIM 60-69 years, male 8.2
GTEX-11GSO-2426-SM-5A5LY 60-69 years, male 8.1
GTEX-148VI-1626-SM-5SI6E 60-69 years, female 8.1
GTEX-15EOM-0126-SM-7KUGG 20-29 years, female 8.1
GTEX-15G19-0126-SM-6PANQ 60-69 years, male 8.1
GTEX-17F98-0626-SM-79OMX 40-49 years, female 8.1
GTEX-1CAMQ-0226-SM-7IGPK 40-49 years, male 8.1
GTEX-P4PP-0126-SM-3LK69 30-39 years, female 8.1
GTEX-QV44-1926-SM-2S1RF 50-59 years, male 8.1
GTEX-VJWN-0126-SM-3GIK7 50-59 years, female 8.1
GTEX-X585-0226-SM-4QAS2 50-59 years, male 8.1
GTEX-Y111-0126-SM-4SOIV 50-59 years, male 8.1
GTEX-169BO-1326-SM-9MQK2 50-59 years, male 8.1
GTEX-1GN1U-0126-SM-7PBZK 50-59 years, female 8.1
GTEX-1GN2E-0426-SM-9MQKX 60-69 years, male 8.1
GTEX-1H3O1-0426-SM-9YFKY 60-69 years, male 8.1
GTEX-1L5NE-2526-SM-E6CIE 50-59 years, male 8.1
GTEX-1QCLY-0326-SM-E8VOG 30-39 years, male 8.1
GTEX-11DXZ-2326-SM-5EGGV 50-59 years, male 8.0
GTEX-11GSP-2526-SM-5N9BP 60-69 years, female 8.0
GTEX-1212Z-2526-SM-5EGKP 60-69 years, male 8.0
GTEX-17HII-0226-SM-7LG4E 50-59 years, male 8.0
GTEX-1E1VI-0126-SM-7DHMZ 50-59 years, male 8.0
GTEX-Q2AH-1626-SM-3GAF8 40-49 years, male 8.0
GTEX-1GZ2Q-0226-SM-7P8TL 40-49 years, male 8.0
GTEX-1J8JJ-0226-SM-CL53I 60-69 years, female 8.0
GTEX-1OJC4-0126-SM-E9J2E 50-59 years, female 8.0
GTEX-11NUK-0126-SM-5A5L3 50-59 years, male 7.9
GTEX-13OVH-0126-SM-5MR4B 70-79 years, male 7.9
GTEX-14BMV-0126-SM-5S2PO 50-59 years, male 7.9
GTEX-14PJ3-1826-SM-62LEX 50-59 years, male 7.9
GTEX-17HHY-0126-SM-7LG5D 50-59 years, male 7.9
GTEX-Q2AI-1326-SM-2S1PL 40-49 years, male 7.9
GTEX-UPJH-0326-SM-3GADU 50-59 years, male 7.9
GTEX-XMD2-0126-SM-4YCDU 60-69 years, female 7.9
GTEX-YFC4-0126-SM-5CVLY 40-49 years, female 7.9
GTEX-1GF9W-0326-SM-9KNUN 60-69 years, male 7.9
GTEX-1IDJF-0126-SM-CM2RS 20-29 years, male 7.9
GTEX-1IGQW-0126-SM-COH42 60-69 years, male 7.9
GTEX-1IKOH-0226-SM-COH4E 60-69 years, female 7.9
GTEX-1OFPY-2426-SM-DTXEJ 60-69 years, male 7.9
GTEX-1PBJI-0526-SM-E8VNK 20-29 years, female 7.9
GTEX-1QEPI-0126-SM-EWRMQ 60-69 years, female 7.9
GTEX-11ZTS-0126-SM-5EQ6M 60-69 years, female 7.8
GTEX-139TT-0126-SM-5K7Y5 60-69 years, male 7.8
GTEX-13FTW-2626-SM-5K7WL 40-49 years, male 7.8
GTEX-146FQ-0126-SM-5NQA9 30-39 years, male 7.8
GTEX-QCQG-1726-SM-3GIJ9 50-59 years, female 7.8
GTEX-S32W-2126-SM-2XCB1 50-59 years, female 7.8
GTEX-YJ8A-0426-SM-5IFID 20-29 years, male 7.8
GTEX-ZDTS-0126-SM-4WAY5 60-69 years, male 7.8
GTEX-1C64O-0126-SM-7SB8P 60-69 years, male 7.8
GTEX-1HGF4-2426-SM-ACKXM 60-69 years, male 7.8
GTEX-1HKZK-0326-SM-9WYUH 40-49 years, male 7.8
GTEX-1IL2V-0126-SM-CM2TX 70-79 years, male 7.8
GTEX-1JMQL-0226-SM-CNPP5 50-59 years, female 7.8
GTEX-12584-0126-SM-5EGKQ 40-49 years, male 7.7
GTEX-1399T-2826-SM-5KLYZ 60-69 years, male 7.7
GTEX-13U4I-0126-SM-5LU38 40-49 years, female 7.7
GTEX-147F4-0226-SM-5QGPW 50-59 years, male 7.7
GTEX-ZE9C-2726-SM-57WB5 60-69 years, male 7.7
GTEX-1JN6P-0126-SM-D3L98 60-69 years, male 7.7
GTEX-1LBAC-0126-SM-DIPEZ 20-29 years, male 7.7
GTEX-11EMC-2926-SM-5EQ4F 60-69 years, female 7.6
GTEX-17EVQ-0226-SM-7LG4P 70-79 years, male 7.6
GTEX-17F97-0326-SM-7LG5B 50-59 years, male 7.6
GTEX-QDT8-0126-SM-48TZ1 30-39 years, female 7.6
GTEX-TMZS-0126-SM-3DB9Q 60-69 years, male 7.6
GTEX-XAJ8-0826-SM-47JY6 40-49 years, male 7.6
GTEX-1J8Q2-0526-SM-CM2RW 60-69 years, male 7.6
GTEX-1JN76-0126-SM-CNPPE 20-29 years, female 7.6
GTEX-11DXW-0226-SM-5H122 40-49 years, male 7.5
GTEX-1399U-2326-SM-5K7WY 50-59 years, female 7.5
GTEX-13O1R-0126-SM-5L3EH 60-69 years, male 7.5
GTEX-148VJ-0126-SM-5TDDN 70-79 years, male 7.5
GTEX-15DCD-0126-SM-7KUEK 70-79 years, female 7.5
GTEX-WOFL-0126-SM-3MJG2 60-69 years, male 7.5
GTEX-ZAJG-0126-SM-5HL94 50-59 years, female 7.5
GTEX-13O3O-0126-SM-E9J49 60-69 years, female 7.5
GTEX-1LB8K-0226-SM-EWRNW 50-59 years, male 7.5
GTEX-11GS4-2726-SM-5A5LE 60-69 years, male 7.4
GTEX-13N1W-0126-SM-5K7VT 70-79 years, male 7.4
GTEX-13NYB-2526-SM-5K7Z6 40-49 years, male 7.4
GTEX-131XF-5016-SM-7MGWE 60-69 years, male 7.4
GTEX-1K2DU-2326-SM-E9TIV 20-29 years, male 7.4
GTEX-1KWVE-1426-SM-E9TJO 30-39 years, male 7.4
GTEX-1LG7Y-0526-SM-DKPQC 50-59 years, male 7.4
GTEX-1N2EF-0226-SM-EYYXB 60-69 years, male 7.4
GTEX-111FC-0126-SM-5N9DL 60-69 years, male 7.3
GTEX-17JCI-0126-SM-7LG5G 60-69 years, female 7.3
GTEX-18A7A-0226-SM-718BH 50-59 years, female 7.3
GTEX-OXRP-0126-SM-3NB32 60-69 years, female 7.3
GTEX-ZWKS-0126-SM-5SIAA 30-39 years, male 7.3
GTEX-1F5PL-0326-SM-7P8PQ 40-49 years, female 7.3
GTEX-1F75A-0126-SM-7RHGM 50-59 years, male 7.3
GTEX-11EI6-0126-SM-5985R 60-69 years, male 7.2
GTEX-13FXS-0226-SM-5IJCK 50-59 years, male 7.2
GTEX-13SLX-0526-SM-5S2ON 50-59 years, female 7.2
GTEX-13VXU-0126-SM-5SI9F 50-59 years, male 7.2
GTEX-OXRK-0226-SM-3NB2G 50-59 years, female 7.2
GTEX-Y114-2426-SM-4TT8A 50-59 years, female 7.2
GTEX-13G51-2526-SM-5LZYK 60-69 years, male 7.1
GTEX-16GPK-0126-SM-7DHLE 60-69 years, male 7.1
GTEX-18465-0126-SM-731BN 50-59 years, male 7.1
GTEX-1AX9K-2326-SM-73KWU 50-59 years, male 7.1
GTEX-VJYA-1126-SM-3GIJU 60-69 years, male 7.1
GTEX-WZTO-0126-SM-3NM95 40-49 years, male 7.1
GTEX-X4EO-0326-SM-3P5YO 60-69 years, female 7.1
GTEX-X88G-0126-SM-47JZ3 30-39 years, male 7.1
GTEX-13OW5-0126-SM-DTXFS 60-69 years, male 7.1
GTEX-1EU9M-0226-SM-7P8SP 60-69 years, male 7.1
GTEX-1GF9V-0326-SM-7RHI5 60-69 years, male 7.1
GTEX-1GMRU-0126-SM-9YFLV 50-59 years, male 7.1
GTEX-1IKJJ-0126-SM-CNPQB 60-69 years, male 7.1
GTEX-1IY9M-0126-SM-D3L8S 60-69 years, male 7.1
GTEX-1KD4Q-0226-SM-E9TJ9 40-49 years, male 7.1
GTEX-11WQC-2526-SM-5CVLE 60-69 years, male 7.0
GTEX-131XG-2626-SM-5KM17 50-59 years, female 7.0
GTEX-131XW-0426-SM-5LZWP 50-59 years, female 7.0
GTEX-133LE-1826-SM-5J1MV 20-29 years, female 7.0
GTEX-13CF2-2526-SM-5LZYX 60-69 years, male 7.0
GTEX-145LS-0126-SM-5QGP1 60-69 years, female 7.0
GTEX-16XZY-2126-SM-79OK1 70-79 years, male 7.0
GTEX-R55G-2526-SM-2TC6D 40-49 years, female 7.0
GTEX-WVJS-0126-SM-4MVOT 50-59 years, male 7.0
GTEX-1QP9N-1426-SM-DTXFL 30-39 years, male 7.0
GTEX-131XE-2326-SM-5PNZ2 50-59 years, male 6.9
GTEX-146FH-0126-SM-5QGPP 50-59 years, female 6.9
GTEX-14E6D-0126-SM-62LDV 50-59 years, male 6.9
GTEX-SIU8-0126-SM-2XCDT 50-59 years, male 6.9
GTEX-1I1CD-0126-SM-CM2TK 60-69 years, female 6.9
GTEX-1JMQJ-0526-SM-CYPSU 50-59 years, male 6.9
GTEX-11O72-0126-SM-59887 40-49 years, male 6.8
GTEX-12KS4-0326-SM-5EQ41 30-39 years, male 6.8
GTEX-13O21-1426-SM-5K7XI 50-59 years, male 6.8
GTEX-13OW7-0126-SM-5MR3B 50-59 years, male 6.8
GTEX-18A6Q-0126-SM-731BZ 60-69 years, male 6.8
GTEX-QVJO-1626-SM-2S1QW 60-69 years, female 6.8
GTEX-RN64-0126-SM-2TC68 50-59 years, male 6.8
GTEX-1HCU6-0126-SM-CL54K 60-69 years, female 6.8
GTEX-1JMPY-1326-SM-ARL8Y 30-39 years, male 6.8
GTEX-1LC47-0326-SM-E9TJP 60-69 years, male 6.8
GTEX-1S3DN-2226-SM-EVYCD 50-59 years, male 6.8
GTEX-ZVT4-0126-SM-DTXFN 50-59 years, female 6.8
GTEX-11DYG-0126-SM-59883 60-69 years, male 6.7
GTEX-1313W-0126-SM-5LZUN 50-59 years, female 6.7
GTEX-13OW6-0426-SM-5L3HM 50-59 years, male 6.7
GTEX-1CAV2-2226-SM-7P8P2 40-49 years, female 6.7
GTEX-1GN73-0226-SM-9WG67 60-69 years, male 6.7
GTEX-1HB9E-0226-SM-E9U4R 50-59 years, male 6.7
GTEX-1HSMP-0126-SM-E6CJS 70-79 years, male 6.7
GTEX-1I1GP-2226-SM-CGQFK 50-59 years, male 6.7
GTEX-1M4P7-0226-SM-DIPEV 60-69 years, male 6.7
GTEX-11TT1-2526-SM-5EGIB 20-29 years, male 6.6
GTEX-1497J-2426-SM-7IGNX 60-69 years, male 6.6
GTEX-14E6E-1826-SM-5S2R7 30-39 years, male 6.6
GTEX-ZAK1-0126-SM-5IJD3 50-59 years, female 6.6
GTEX-1HBPN-0226-SM-9YFM1 50-59 years, male 6.6
GTEX-1IKK5-0626-SM-ARL8A 60-69 years, male 6.6
GTEX-12126-0326-SM-5PNW3 20-29 years, male 6.5
GTEX-12WSJ-1826-SM-5GCNY 40-49 years, female 6.5
GTEX-14A5H-0426-SM-5QGQF 60-69 years, male 6.5
GTEX-14BIL-0126-SM-5SI92 50-59 years, male 6.5
GTEX-15DDE-0126-SM-6LPKH 50-59 years, female 6.5
GTEX-NPJ8-0126-SM-2YUNR 40-49 years, male 6.5
GTEX-SN8G-0126-SM-32PLI 50-59 years, female 6.5
GTEX-U8T8-0126-SM-3DB94 60-69 years, male 6.5
GTEX-V1D1-2226-SM-3NMAX 50-59 years, male 6.5
GTEX-1J8EW-0126-SM-CJI4F 60-69 years, female 6.5
GTEX-1JN1M-0326-SM-CYPT3 60-69 years, female 6.5
GTEX-1KD5A-0226-SM-D5OV3 50-59 years, male 6.5
GTEX-13X6H-2126-SM-7EWD5 50-59 years, female 6.4
GTEX-T2IS-0126-SM-4DM6O 20-29 years, female 6.4
GTEX-X8HC-0126-SM-4E3JW 50-59 years, female 6.4
GTEX-1S5ZA-0126-SM-EVYCV 20-29 years, male 6.4
GTEX-117YW-2626-SM-5GZZH 50-59 years, male 6.3
GTEX-139TS-2826-SM-5J1OO 60-69 years, male 6.3
GTEX-1C6VS-0526-SM-7DUEN 60-69 years, male 6.3
GTEX-OHPL-0126-SM-2HMJ7 60-69 years, female 6.3
GTEX-S33H-1026-SM-EZ6L6 30-39 years, male 6.3
GTEX-OXRO-0126-SM-2YUN4 60-69 years, female 6.2
GTEX-X4XX-0126-SM-3NMC2 60-69 years, male 6.2
GTEX-1HR98-0126-SM-B2LWI 60-69 years, male 6.2
GTEX-1I1GU-2226-SM-CGQFA 40-49 years, male 6.2
GTEX-11WQK-0526-SM-5EQLD 50-59 years, male 6.1
GTEX-15UF6-0826-SM-6PALJ 70-79 years, female 6.1
GTEX-ZTPG-0326-SM-5O9AX 20-29 years, female 6.1
GTEX-1C6WA-0126-SM-7PC2B 60-69 years, male 6.1
GTEX-1H1DE-2126-SM-9WG6R 20-29 years, male 6.1
GTEX-1HFI6-0226-SM-ADEHZ 40-49 years, male 6.1
GTEX-1JMQK-0226-SM-CL543 60-69 years, male 6.1
GTEX-15D1Q-0126-SM-7KUG6 40-49 years, male 6.0
GTEX-XQ3S-1526-SM-4BOOC 20-29 years, male 6.0
GTEX-ZDXO-3026-SM-5J1N5 60-69 years, male 6.0
GTEX-1GMR3-1926-SM-9KNUZ 40-49 years, male 6.0
GTEX-P4PQ-0126-SM-2S1NM 60-69 years, male 5.9
GTEX-XXEK-2226-SM-4BRUM 50-59 years, male 5.9
GTEX-1C6VQ-0126-SM-7P8RI 50-59 years, male 5.9
GTEX-1H1CY-2826-SM-9MQM3 60-69 years, female 5.9
GTEX-1IDFM-0126-SM-COH2V 60-69 years, male 5.9
GTEX-145MO-0326-SM-5Q5B3 60-69 years, male 5.8
GTEX-P4QT-0126-SM-2I3FL 50-59 years, female 5.8
GTEX-T6MN-0126-SM-32PLP 50-59 years, male 5.8
GTEX-Y3I4-2126-SM-4TT7C 50-59 years, male 5.8
GTEX-1JMLX-0226-SM-CM2RO 50-59 years, male 5.8
GTEX-QLQW-1126-SM-2S1Q8 30-39 years, male 5.7
GTEX-X5EB-2226-SM-46MW4 40-49 years, male 5.7
GTEX-ZYT6-0226-SM-5NQ6T 30-39 years, male 5.7
GTEX-1MCQQ-0826-SM-DLHC2 60-69 years, male 5.7
GTEX-14E6C-0126-SM-5RQIP 40-49 years, male 5.6
GTEX-1EN7A-0126-SM-7SB81 40-49 years, male 5.6
GTEX-132NY-0326-SM-5IJBL 60-69 years, male 5.5
GTEX-14PII-0226-SM-6EU1T 60-69 years, male 5.5
GTEX-15UKP-0426-SM-7KUFQ 20-29 years, male 5.5
GTEX-RU72-0926-SM-2TF6B 50-59 years, female 5.5
GTEX-WI4N-1026-SM-3LK7N 40-49 years, female 5.5
GTEX-1ICG6-2526-SM-CGQFZ 70-79 years, female 5.5
GTEX-14PK6-1926-SM-6ETZU 70-79 years, female 5.4
GTEX-RUSQ-1526-SM-2TF62 50-59 years, male 5.4
GTEX-S7PM-0126-SM-4AD6S 60-69 years, male 5.4
GTEX-1B8L1-2526-SM-9WYTF 60-69 years, male 5.4
GTEX-1GF9X-2026-SM-7PC3A 40-49 years, female 5.4
GTEX-139UW-2826-SM-5L3E7 60-69 years, male 5.3
GTEX-14PN4-0126-SM-6EU2V 50-59 years, male 5.3
GTEX-1A32A-0126-SM-718B1 50-59 years, female 5.3
GTEX-XUZC-1726-SM-4BRWS 30-39 years, female 5.3
GTEX-1HSMO-0126-SM-CL547 60-69 years, male 5.3
GTEX-U412-0426-SM-3DB9O 60-69 years, male 5.2
GTEX-131XH-2226-SM-5DUXJ 50-59 years, male 5.1
GTEX-1B933-0126-SM-7PC29 50-59 years, female 5.1
GTEX-OOBK-0126-SM-2YUND 40-49 years, male 5.0
GTEX-14XAO-2326-SM-6EU1B 60-69 years, female 4.9
GTEX-ZPIC-1726-SM-DHXIU 40-49 years, female 4.9
GTEX-139TU-0126-SM-5K7WH 60-69 years, male 4.8
GTEX-1A3MX-0126-SM-731BR 60-69 years, male 4.8
GTEX-QDVJ-1726-SM-2I5FX 50-59 years, male 4.8
GTEX-ZU9S-0226-SM-5E441 30-39 years, male 4.8
GTEX-QESD-1426-SM-2S1R9 20-29 years, male 4.6
GTEX-RVPV-0126-SM-EAZAW 60-69 years, male 4.6
GTEX-X4XY-0226-SM-4E3IZ 60-69 years, male 4.5
GTEX-1QAET-0926-SM-E76QM 50-59 years, male 4.5
GTEX-XYKS-2126-SM-4E3IB 60-69 years, female 4.4
GTEX-ZYFD-0126-SM-5GIDL 50-59 years, male 4.4
GTEX-15SB6-1726-SM-6PAME 50-59 years, female 4.3
GTEX-Y3IK-2426-SM-4WWDU 50-59 years, female 4.3
GTEX-11UD1-0126-SM-5PNYG 40-49 years, female 4.2
GTEX-1JMPZ-0226-SM-CNPP1 30-39 years, male 3.9
GTEX-12WSL-2526-SM-5GCNJ 50-59 years, male 3.8
GTEX-18D9B-0526-SM-7LTAS 60-69 years, male 3.6
GTEX-U8XE-0326-SM-3DB8P 30-39 years, male 3.2
GTEX-POMQ-2226-SM-2I5FK 20-29 years, female 3.1
GTEX-W5X1-3026-SM-EAZAX 40-49 years, female 2.9
Show allShow less

Contact

  • NEWS ARTICLES
  • PRESS ROOM

The Project

  • INTRODUCTION
  • ORGANIZATION
  • PUBLICATIONS

The Human Protein Atlas

  • DOWNLOADABLE DATA
  • LICENCE & CITATION
  • HELP & FAQ
The Human Protein Atlas project is funded
by the Knut & Alice Wallenberg Foundation.


contact@proteinatlas.org