We use cookies to enhance the usability of our website. If you continue, we'll assume that you are happy to receive all cookies. More information. Don't show this again.
DDX41
HPA
RESOURCES
  • TISSUE
  • BRAIN
  • SINGLE CELL
  • SUBCELLULAR
  • CANCER
  • BLOOD
  • CELL LINE
  • STRUCTURE & INTERACTION
ABOUT
  • INTRODUCTION
  • HISTORY
  • ORGANIZATION
  • PUBLICATIONS
  • ANTIBODY SUBMISSION
  • ANTIBODY AVAILABILITY
  • ACKNOWLEDGMENTS
  • CONTACT
NEWS
  • NEWS ARTICLES
  • PRESS ROOM
LEARN
  • DICTIONARY
  • PROTEIN CLASSES
  • PROTEIN EVIDENCE
  • METHODS
  • EDUCATIONAL VIDEOS
DATA
  • DOWNLOADABLE DATA
  • PUBLICATION DATA
  • RELEASE HISTORY
HELP
  • ANTIBODY VALIDATION
  • ASSAYS & ANNOTATION
  • DISCLAIMER
  • HELP & FAQ
  • PRIVACY STATEMENT
  • LICENCE & CITATION
Fields »
Search result

Field
Term
Gene name
Class
Subclass
Class
Keyword
Chromosome
External id
Tissue
Cell type
Expression
Antibody panel
Tissue
Main location
Patient ID
Annotation
Tissue
Category
Tau score
Cluster
Reliability
Brain region
Category
Tau score
Brain region
Category
Tau score
Brain region
Category
Tau score
Cluster
Reliability
Tissue
Cell type
Enrichment
Cell type
Category
Tau score
Cell type
Category
Tau score
Cell type
Category
Tau score
Cell lineage
Category
Tau score
Cluster
Cluster
Location
Searches
Location
Cell line
Class
Type
Phase
Reliability
Cancer
Prognosis
Cancer
Category
Cancer
Category
Tau score
Cluster
Variants
Interacting gene (ensg_id)
Type
Number of interactions
Pathway
Category
Score
Score
Score
Validation
Validation
Validation
Validation
Antibodies
Data type
Column


  • SUMMARY

  • TISSUE

  • BRAIN

  • SINGLE CELL

  • SUBCELL

  • CANCER

  • BLOOD

  • CELL LINE

  • STRUCT & INT

  • DDX41
TISSUE PRIMARY DATA SKIN Show tissue menu
ADIPOSE TISSUE ADRENAL GLAND AMYGDALA APPENDIX BASAL GANGLIA BONE MARROW BREAST BRONCHUS CEREBELLUM CEREBRAL CORTEX CERVIX CHOROID PLEXUS COLON DUODENUM
ENDOMETRIUM EPIDIDYMIS ESOPHAGUS FALLOPIAN TUBE GALLBLADDER HEART MUSCLE HIPPOCAMPAL FORMATION HYPOTHALAMUS KIDNEY LIVER LUNG LYMPH NODE MIDBRAIN NASOPHARYNX
ORAL MUCOSA OVARY PANCREAS PARATHYROID GLAND PITUITARY GLAND PLACENTA PROSTATE RECTUM RETINA SALIVARY GLAND SEMINAL VESICLE SKELETAL MUSCLE SKIN SMALL INTESTINE
SMOOTH MUSCLE SOFT TISSUE SPINAL CORD SPLEEN STOMACH TESTIS THYMUS THYROID GLAND TONGUE TONSIL URINARY BLADDER VAGINA
ANTIBODIES
AND
VALIDATION
Dictionary
Skin
Tissue proteome
Skin
SKIN - Expression summary
Protein expression
Skini

On the top, protein expression in current human tissue, based on all annotated cell types, is reported with the units not detected (n), low (l), medium (m) and high (h). Underneath, protein expression in each annotated cell type are reported using the same units.

Protein expression data is based on knowledge-based annotation. For genes where more than one antibody has been used, a collective score is set.

If knowledge-based annotation could not be performed for a gene, no data is displayed here. View antibody staining data further down this page.

h
m
l
n
Epidermal cells: High
Fibroblasts: Medium
Keratinocytes: Medium
Langerhans: Medium
Melanocytes: Medium
RNA expressioni

A summary of mRNA expression data available for current tissue based on several datasets. The mRNA expression levels in human tissues are based on RNA-seq data generated by the Human Protein Atlas (HPA), Genotype-Tissue Expression (GTEx) portal and CAGE data generated by the FANTOM5 consortium. Consensus normalized expression levels for human tissues was created by combining the data from HPA and GTEx datasets.

The mRNA expression levels in pig are based on RNA-seq data generated by the Human Protein Atlas (HPA), and for mouse, HPA data and in situ hybridization generated by the Allen brain atlas are reported.

Scroll down to view mRNA expression data in more detail.
Consensus:33.8 nTPM
HPA:24.0 nTPM
GTEx:33.8 nTPM

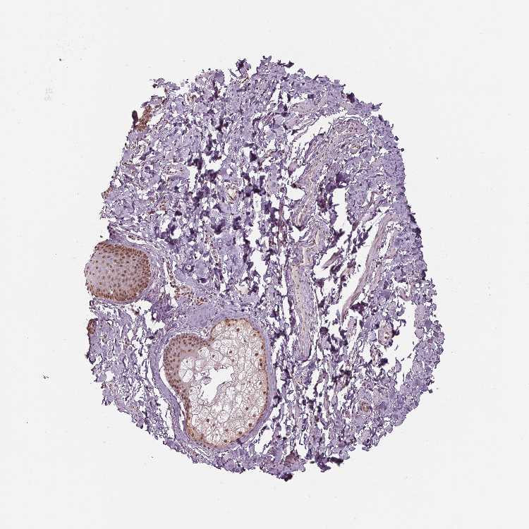
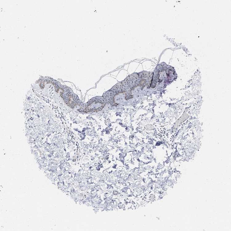
SKIN 1 - Antibody stainingi

Antibody staining in the annotated cell types in the current human tissue is reported as not detected, low, medium, or high, based on conventional immunohistochemistry profiling in selected tissues. This score is based on the combination of the staining intensity and fraction of stained cells.

Each image is clickable and will lead to virtual microscopy that enables deeper exploration of all samples and also displays staining intensity scores, fraction scores and subcellular localization as well as patient and tissue information for each sample.

Antibody HPA017911Antibody HPA048803
Langerhans LowMedium
Fibroblasts Not detectedMedium
Keratinocytes MediumMedium
Melanocytes MediumMedium

SKIN 2 - Antibody stainingi

Antibody staining in the annotated cell types in the current human tissue is reported as not detected, low, medium, or high, based on conventional immunohistochemistry profiling in selected tissues. This score is based on the combination of the staining intensity and fraction of stained cells.

Each image is clickable and will lead to virtual microscopy that enables deeper exploration of all samples and also displays staining intensity scores, fraction scores and subcellular localization as well as patient and tissue information for each sample.

Antibody HPA017911Antibody HPA048803
Epidermal cells HighHigh
  
  
  



SKIN - HPA RNA-seqi

The RNA-seq details section shows detailed information about the individual samples used for the transcript profiling and results of the RNA-seq analysis.

Information about each individual sample is listed below, including gender, age, a tissue section image and estimated fractions of cell types. nTPM (normalized transcripts per million) values give a quantification of the gene abundance which is comparable between different genes and samples.
Average nTPMi

Max subtype nTPM is the value for the subtype with the largest average nTPM across the subtype samples.

24.0
overview
Female, age 34
Skin sample 225
nTPM: 25.4
Cell types%
Keratinocytes:
60

Other cell types:
40

overview
Female, age 30
Skin sample 226
nTPM: 20.2
Cell types%
Keratinocytes:
55

Other cell types:
45

N/A
Male, age 57
Skin sample 227
nTPM: 26.2

SKIN - GTEx RNA-seqi

RNA-Seq data generated by the Genotype-Tissue Expression (GTEx) project from human tissues is reported as mean nTPM. More information can be found on the GTEx portal.

Distribution across the dataset is visualized with box plots, shown as median and 25th and 75th percentiles. Points are displayed as outliers if they are above or below 1.5 times the interquartile range. nTPM values of the individual samples are presented next to the box plot.
Max subtype nTPMi

Max subtype nTPM is the value for the subtype with the largest average nTPM across the subtype samples.

33.8
GTEx sample id Sample description nTPM
Skin - Not Sun Exposed (Suprapubic)
Average nTPM: 30.8
Samples: 604

Max nTPM: 95.2
Min nTPM: 6.1
Std nTPM: 13.5
Median nTPM: 28.2
GTEX-UPJH-0226-SM-3GADV 50-59 years, male 95.2
GTEX-Y114-2126-SM-4TT8B 50-59 years, female 90.6
GTEX-1LSVX-2526-SM-DIPEU 60-69 years, male 86.8
GTEX-1F75I-2226-SM-7SB8U 40-49 years, male 85.4
GTEX-1EX96-1026-SM-7MKG2 50-59 years, male 85.3
GTEX-X5EB-1926-SM-4E3IW 40-49 years, male 76.0
GTEX-11LCK-2226-SM-5HL4Q 30-39 years, male 75.0
GTEX-11WQC-1826-SM-5GU59 60-69 years, male 72.0
GTEX-1R9K4-2826-SM-DTX8F 60-69 years, male 71.9
GTEX-ZT9X-1526-SM-5DUXD 40-49 years, male 70.6
GTEX-1C64N-2626-SM-7PC2N 50-59 years, male 70.6
GTEX-1EN7A-2426-SM-793DB 40-49 years, male 69.5
GTEX-14A6H-2026-SM-5Q5DD 30-39 years, male 68.4
GTEX-18A67-1626-SM-7LT9T 50-59 years, male 68.1
GTEX-ZYVF-0926-SM-5E44J 50-59 years, female 66.6
GTEX-1HCVE-2726-SM-CL54F 50-59 years, male 65.6
GTEX-11DYG-1526-SM-5A5JS 60-69 years, male 64.4
GTEX-WHSB-1326-SM-3LK6W 50-59 years, male 63.2
GTEX-11P82-1426-SM-DTXFY 20-29 years, male 63.2
GTEX-13OVJ-0826-SM-5J1OK 50-59 years, female 63.1
GTEX-13RTJ-0126-SM-5S2NN 60-69 years, male 61.8
GTEX-14PJ6-2626-SM-6EU2T 60-69 years, female 61.6
GTEX-1PBJJ-1026-SM-E76OS 30-39 years, male 61.5
GTEX-11P81-2226-SM-5PNYI 30-39 years, female 61.3
GTEX-1EKGG-0626-SM-7DUGJ 60-69 years, male 61.2
GTEX-15DDE-2926-SM-6LLJ3 50-59 years, female 59.6
GTEX-ZC5H-1526-SM-5HL9Y 40-49 years, female 58.8
GTEX-17F9E-2326-SM-79OKD 50-59 years, male 58.1
GTEX-11EQ8-0926-SM-5H12V 60-69 years, male 57.9
GTEX-11GS4-0226-SM-5HL77 60-69 years, male 57.5
GTEX-1GMRU-2126-SM-7P8RA 50-59 years, male 56.6
GTEX-WYBS-0626-SM-3NMAS 60-69 years, female 56.4
GTEX-111VG-1626-SM-5EGIO 60-69 years, male 55.3
GTEX-12ZZY-0726-SM-5EQ66 60-69 years, male 55.1
GTEX-13FTX-1526-SM-5K7VJ 20-29 years, female 55.1
GTEX-139YR-1026-SM-5LZYN 50-59 years, male 54.9
GTEX-1LSNM-0826-SM-DIPG8 50-59 years, male 54.7
GTEX-14PKV-1126-SM-6LLJ1 20-29 years, female 54.4
GTEX-17F97-2626-SM-7IGM5 50-59 years, male 54.1
GTEX-ZYFC-0426-SM-5GICQ 50-59 years, male 53.5
GTEX-UPK5-0426-SM-3GAEK 40-49 years, male 53.2
GTEX-ZP4G-1426-SM-4WWCL 20-29 years, female 53.1
GTEX-1N2DV-1526-SM-DTXEP 40-49 years, male 52.7
GTEX-18A7A-0126-SM-731AH 50-59 years, female 52.6
GTEX-X585-2426-SM-46MW2 50-59 years, male 52.3
GTEX-1CAMR-1326-SM-7PC1F 20-29 years, male 52.3
GTEX-13FLV-0126-SM-5K7WT 50-59 years, male 51.3
GTEX-1GN2E-0226-SM-9WG6K 60-69 years, male 51.1
GTEX-11WQK-1026-SM-5EQLX 50-59 years, male 51.0
GTEX-1N2EE-0626-SM-E76PW 60-69 years, male 50.6
GTEX-144FL-0626-SM-5LU43 50-59 years, male 50.3
GTEX-WHPG-2626-SM-3NMBR 50-59 years, male 50.0
GTEX-15SKB-2826-SM-6PAMH 60-69 years, male 49.9
GTEX-13OW5-2326-SM-5L3HO 60-69 years, male 49.7
GTEX-13OVK-1426-SM-6PAN7 40-49 years, male 49.5
GTEX-Y8E4-2026-SM-5IFJB 40-49 years, male 49.3
GTEX-139TT-2126-SM-5LZWC 60-69 years, male 49.2
GTEX-13113-1626-SM-5EQ4I 60-69 years, female 48.8
GTEX-1F75B-0726-SM-7PC3R 50-59 years, male 48.2
GTEX-16YQH-2226-SM-7IGM2 30-39 years, male 48.1
GTEX-12ZZX-2426-SM-5GCOE 40-49 years, female 47.7
GTEX-1497J-0226-SM-5QGPU 60-69 years, male 47.7
GTEX-1HCU7-0726-SM-A9SL1 50-59 years, male 47.7
GTEX-XOT4-0626-SM-4B66L 60-69 years, female 47.6
GTEX-1HSKV-1226-SM-ADEI4 60-69 years, male 47.6
GTEX-1HT8W-0626-SM-A9G2H 30-39 years, male 47.5
GTEX-183WM-0326-SM-72D5V 70-79 years, female 47.4
GTEX-18A6Q-0626-SM-7KFRP 60-69 years, male 47.1
GTEX-1OJC3-1226-SM-DTXER 20-29 years, male 46.9
GTEX-145MI-0626-SM-5SI8S 60-69 years, female 46.8
GTEX-1CB4J-1326-SM-7P8RX 60-69 years, male 46.6
GTEX-1H2FU-0926-SM-9WPPT 60-69 years, female 46.4
GTEX-17KNJ-2126-SM-718AM 50-59 years, male 46.3
GTEX-1GF9X-1326-SM-7PC2Y 40-49 years, female 46.3
GTEX-1J8EW-2726-SM-CY8HR 60-69 years, female 45.8
GTEX-1EWIQ-0326-SM-7DHMQ 70-79 years, female 45.6
GTEX-ZPCL-1126-SM-4WWFE 60-69 years, female 45.6
GTEX-1JN76-0626-SM-CKZOQ 20-29 years, female 45.5
GTEX-1B8KE-1126-SM-7EPHI 50-59 years, male 45.4
GTEX-ZVT4-2426-SM-5GIEI 50-59 years, female 44.9
GTEX-111YS-1526-SM-5GZYW 60-69 years, male 44.8
GTEX-1CB4E-0926-SM-7EPHT 60-69 years, male 44.8
GTEX-U8XE-0226-SM-4E3J3 30-39 years, male 44.8
GTEX-131XF-2626-SM-5EQ6K 60-69 years, male 44.6
GTEX-ZDTT-0426-SM-4WKFL 60-69 years, male 44.5
GTEX-ZDXO-3126-SM-5IJDF 60-69 years, male 44.5
GTEX-1I6K7-1926-SM-B2LXR 40-49 years, male 44.0
GTEX-17HG3-2626-SM-7DUF2 30-39 years, female 43.9
GTEX-1KAFJ-0126-SM-DIPEK 50-59 years, male 43.9
GTEX-1B8SF-0126-SM-7DUG3 60-69 years, male 43.7
GTEX-1IKOE-1426-SM-CE6T7 30-39 years, female 43.6
GTEX-14ABY-2026-SM-62LDL 50-59 years, male 43.5
GTEX-14PJO-2526-SM-6AJBQ 60-69 years, male 43.5
GTEX-1H1DF-1126-SM-9WG7G 40-49 years, female 43.4
GTEX-18A66-0626-SM-7LT8Z 60-69 years, male 43.3
GTEX-WXYG-2026-SM-4E3IY 50-59 years, female 43.1
GTEX-ZZ64-1026-SM-5GZXG 20-29 years, male 42.7
GTEX-1K2DU-1226-SM-CYPT4 20-29 years, male 42.7
GTEX-1J8QM-2426-SM-A9SLS 60-69 years, female 42.6
GTEX-ZVZP-1226-SM-5GID7 50-59 years, male 42.4
GTEX-1F88E-1626-SM-7SB8Z 60-69 years, female 42.2
GTEX-1GN1U-0626-SM-9MQL9 50-59 years, female 42.0
GTEX-WFG7-2026-SM-5SI7P 20-29 years, male 41.9
GTEX-1JK1U-0226-SM-ARZMX 60-69 years, male 41.9
GTEX-1B97I-0626-SM-73KUZ 40-49 years, male 41.7
GTEX-12696-0126-SM-5EQ4L 60-69 years, male 41.6
GTEX-1IKJJ-2226-SM-CJI4C 60-69 years, male 41.5
GTEX-1E2YA-2126-SM-7MXUO 50-59 years, male 41.3
GTEX-1QP9N-1226-SM-E76QN 30-39 years, male 41.0
GTEX-17F98-1326-SM-7DUEP 40-49 years, female 40.9
GTEX-1GZ4I-2626-SM-9KNU3 50-59 years, male 40.7
GTEX-11DXW-0826-SM-5H118 40-49 years, male 40.6
GTEX-12WSF-1626-SM-7KUG5 70-79 years, male 40.6
GTEX-ZE9C-2526-SM-5IJDR 60-69 years, male 40.6
GTEX-13G51-1826-SM-5KLZH 60-69 years, male 40.5
GTEX-11EI6-2826-SM-5H11D 60-69 years, male 40.4
GTEX-1H4P4-2126-SM-9WYSL 50-59 years, male 40.3
GTEX-1PPGY-1626-SM-EVYBL 60-69 years, male 40.3
GTEX-15EO6-2426-SM-6PALZ 50-59 years, male 40.1
GTEX-15RJE-2826-SM-7KUM9 40-49 years, male 40.1
GTEX-13PDP-0726-SM-5L3HP 60-69 years, male 39.9
GTEX-1HCU6-2526-SM-ADEHL 60-69 years, female 39.9
GTEX-ZLFU-1826-SM-4WWBV 40-49 years, male 39.8
GTEX-ZTX8-1326-SM-4YCEL 20-29 years, male 39.8
GTEX-1QPFJ-1926-SM-EVYBD 30-39 years, female 39.8
GTEX-1KXAM-1626-SM-D3LAD 60-69 years, male 39.7
GTEX-12WSJ-1126-SM-5LZVJ 40-49 years, female 39.6
GTEX-145ME-1726-SM-5Q5EU 40-49 years, female 39.6
GTEX-15SHW-0226-SM-7LTAT 60-69 years, male 39.4
GTEX-1B8KZ-0326-SM-73KY4 50-59 years, male 39.4
GTEX-1GZHY-0626-SM-9KNVC 50-59 years, female 39.4
GTEX-1H1DG-2426-SM-9QEHJ 70-79 years, male 39.4
GTEX-1399S-0126-SM-5IJCF 30-39 years, female 39.2
GTEX-17HHE-1326-SM-7EWDZ 50-59 years, male 39.2
GTEX-15RJ7-2126-SM-6PAMD 40-49 years, male 39.1
GTEX-1F75A-0726-SM-7RHHD 50-59 years, male 39.0
GTEX-16BQI-1326-SM-6M486 30-39 years, female 38.9
GTEX-1F5PL-0926-SM-7PC2W 40-49 years, female 38.9
GTEX-1F6IF-0926-SM-7SB7M 60-69 years, male 38.9
GTEX-15UF6-1926-SM-7KUDV 70-79 years, female 38.7
GTEX-ZAJG-1526-SM-5CVML 50-59 years, female 38.7
GTEX-1J8JJ-0626-SM-ARZMQ 60-69 years, female 38.6
GTEX-14PJ4-0226-SM-5YY92 60-69 years, male 38.5
GTEX-14C38-0726-SM-5SI6M 50-59 years, male 38.1
GTEX-1CAV2-0126-SM-7IGN7 40-49 years, female 38.1
GTEX-X4EO-2926-SM-4E3JH 60-69 years, female 38.0
GTEX-1OJC4-2726-SM-E76PJ 50-59 years, female 38.0
GTEX-1QAET-0326-SM-EVR3U 50-59 years, male 38.0
GTEX-12WSH-1526-SM-5BC5W 50-59 years, male 37.9
GTEX-16MT9-0126-SM-7EPI8 60-69 years, female 37.9
GTEX-1122O-1026-SM-9WYSF 60-69 years, female 37.8
GTEX-13N2G-0226-SM-5K7VF 60-69 years, male 37.5
GTEX-1JMPY-0226-SM-CKZOK 30-39 years, male 37.5
GTEX-14PHY-1226-SM-5ZZWK 60-69 years, female 37.4
GTEX-1F6I4-2326-SM-7RHGL 60-69 years, male 37.4
GTEX-1I1GS-2626-SM-B2LY3 60-69 years, male 37.2
GTEX-1F52S-2926-SM-7MKGA 60-69 years, female 37.1
GTEX-ZF3C-0626-SM-DO92O 50-59 years, female 37.0
GTEX-1AYD5-2626-SM-7PBXY 50-59 years, male 36.9
GTEX-1LKK1-2626-SM-DKPQE 50-59 years, female 36.9
GTEX-12126-0826-SM-5FQTZ 20-29 years, male 36.8
GTEX-14PJ3-1126-SM-5ZZVX 50-59 years, male 36.8
GTEX-ZXG5-2126-SM-59HKD 60-69 years, male 36.8
GTEX-ZDYS-2426-SM-4WKGI 50-59 years, male 36.7
GTEX-1F88F-0126-SM-9WYSZ 60-69 years, female 36.7
GTEX-1QCLZ-2426-SM-EVYBW 60-69 years, female 36.5
GTEX-145MH-2826-SM-5RQJF 50-59 years, male 35.9
GTEX-14BMV-2826-SM-5TDED 50-59 years, male 35.7
GTEX-16NPX-0726-SM-7KULC 50-59 years, male 35.7
GTEX-XYKS-1426-SM-4BRUO 60-69 years, female 35.7
GTEX-14LLW-2626-SM-62LDZ 70-79 years, female 35.6
GTEX-1AX9I-2226-SM-73KUO 60-69 years, male 35.6
GTEX-18A7B-2726-SM-7LG56 70-79 years, male 35.5
GTEX-1QCLY-0226-SM-EWRNH 30-39 years, male 35.5
GTEX-1117F-2926-SM-5GZYI 60-69 years, female 35.3
GTEX-145MG-1526-SM-5Q5EM 50-59 years, male 35.3
GTEX-1GF9V-0826-SM-9KNUV 60-69 years, male 35.3
GTEX-14LZ3-0126-SM-69LPM 60-69 years, female 35.2
GTEX-1HSMP-0926-SM-A9SKX 70-79 years, male 35.2
GTEX-1F6RS-2026-SM-7RHHC 60-69 years, female 35.1
GTEX-17F9Y-0126-SM-79OKX 70-79 years, female 34.8
GTEX-13PL6-1126-SM-5L3IE 40-49 years, female 34.6
GTEX-1HR9M-2226-SM-CNPPY 60-69 years, male 34.6
GTEX-1F48J-0726-SM-7RHGS 50-59 years, female 34.5
GTEX-14E1K-2026-SM-7DUEI 50-59 years, male 34.4
GTEX-ZYT6-2326-SM-5GZY3 30-39 years, male 34.4
GTEX-1JMLX-0626-SM-ARL8T 50-59 years, male 34.3
GTEX-13112-0126-SM-5P9IU 50-59 years, male 34.2
GTEX-1GN73-0726-SM-7P8TJ 60-69 years, male 34.2
GTEX-13JUV-2026-SM-5K7UA 40-49 years, female 34.1
GTEX-1MCC2-1826-SM-DIPEX 30-39 years, female 34.1
GTEX-13JVG-0726-SM-5KM16 60-69 years, male 33.9
GTEX-13O3O-2326-SM-5IJD6 60-69 years, female 33.8
GTEX-WFON-1926-SM-3LK7L 40-49 years, male 33.8
GTEX-13YAN-0226-SM-5TDC6 60-69 years, male 33.7
GTEX-1LBAC-0826-SM-CY8IJ 20-29 years, male 33.6
GTEX-1HFI6-0126-SM-CNPPI 40-49 years, male 33.5
GTEX-YB5K-2026-SM-4VDT3 40-49 years, female 33.4
GTEX-ZE7O-2726-SM-51MT5 50-59 years, female 33.4
GTEX-144GL-0626-SM-5LU4D 50-59 years, male 33.3
GTEX-1JMQI-1726-SM-ARL93 50-59 years, male 33.2
GTEX-11ZTT-2126-SM-5CVLO 60-69 years, female 33.1
GTEX-XBED-1926-SM-47JYP 60-69 years, male 33.0
GTEX-1K9T9-1526-SM-DIPFR 50-59 years, female 33.0
GTEX-ZZPU-0826-SM-5GZX5 50-59 years, female 32.9
GTEX-131YS-2826-SM-5EQ47 60-69 years, female 32.8
GTEX-14BIN-1126-SM-5RQJZ 50-59 years, female 32.7
GTEX-145MN-1526-SM-5SI9T 30-39 years, male 32.6
GTEX-15RIG-0726-SM-7KUM7 40-49 years, male 32.6
GTEX-1E1VI-0326-SM-793D1 50-59 years, male 32.6
GTEX-XQ3S-1426-SM-4BOPR 20-29 years, male 32.6
GTEX-147GR-2426-SM-5ZZWQ 60-69 years, male 32.5
GTEX-ZT9W-1126-SM-57WDR 50-59 years, male 32.5
GTEX-1A3MW-0626-SM-731CB 60-69 years, female 32.4
GTEX-1I1GU-0926-SM-ACKVS 40-49 years, male 32.4
GTEX-1B933-2426-SM-7DHMD 50-59 years, female 32.3
GTEX-1JJEA-1826-SM-ARU8P 60-69 years, male 32.3
GTEX-11GSP-2326-SM-5HL63 60-69 years, female 32.2
GTEX-13IVO-0726-SM-5LZYV 70-79 years, male 32.2
GTEX-1I1GP-1326-SM-A9G28 50-59 years, male 32.2
GTEX-1H11D-1826-SM-9QEHM 40-49 years, male 32.1
GTEX-1PIIG-2326-SM-DTXFR 30-39 years, male 32.1
GTEX-11PRG-0726-SM-5EGL1 50-59 years, male 32.0
GTEX-139UW-0326-SM-5J1ML 60-69 years, male 32.0
GTEX-13NYB-0126-SM-5J1MD 40-49 years, male 32.0
GTEX-1192X-2726-SM-5N9DN 50-59 years, male 31.9
GTEX-1GN1W-2426-SM-9KNUU 50-59 years, female 31.9
GTEX-15D1Q-2826-SM-6LLH7 40-49 years, male 31.8
GTEX-WHSE-0126-SM-3NMBT 20-29 years, male 31.8
GTEX-YJ8O-2526-SM-5HL85 40-49 years, female 31.8
GTEX-ZYFG-1526-SM-5GZYM 60-69 years, female 31.8
GTEX-1H1ZS-2726-SM-9WG75 70-79 years, male 31.8
GTEX-139TU-0726-SM-5L3EK 60-69 years, male 31.7
GTEX-13N11-2326-SM-5IJBF 50-59 years, female 31.7
GTEX-ZWKS-0626-SM-5GIDV 30-39 years, male 31.6
GTEX-1HGF4-0126-SM-CNPPX 60-69 years, male 31.6
GTEX-1IDJC-1526-SM-B2LW4 50-59 years, male 31.6
GTEX-17EVP-2626-SM-7IGMA 40-49 years, male 31.5
GTEX-VUSG-2326-SM-4KL1U 50-59 years, male 31.5
GTEX-15G19-2426-SM-7KUMR 60-69 years, male 31.4
GTEX-Y111-0626-SM-4SOIT 50-59 years, male 31.4
GTEX-1HBPI-2126-SM-ARL9K 50-59 years, male 31.4
GTEX-1H1CY-0126-SM-9YFLY 60-69 years, female 31.3
GTEX-1LVA9-2626-SM-EVYD4 50-59 years, male 31.2
GTEX-17HHY-0426-SM-7DHLC 50-59 years, male 31.1
GTEX-1I1HK-2326-SM-CKZOH 60-69 years, male 31.1
GTEX-1R9PM-1926-SM-EVR3O 20-29 years, male 31.1
GTEX-1399Q-2326-SM-5KM2X 40-49 years, male 31.0
GTEX-11DZ1-2426-SM-5GZZX 50-59 years, male 30.9
GTEX-15ER7-0626-SM-6PANF 20-29 years, female 30.9
GTEX-1GMR8-0626-SM-7RHI7 50-59 years, female 30.9
GTEX-11NUK-2726-SM-5A5MC 50-59 years, male 30.7
GTEX-1EU9M-1426-SM-793AI 60-69 years, male 30.7
GTEX-1GPI6-1926-SM-9KNV7 60-69 years, male 30.7
GTEX-1I6K6-1726-SM-CGQFD 30-39 years, male 30.7
GTEX-1S83E-1326-SM-E6CJM 40-49 years, male 30.7
GTEX-11OF3-0126-SM-5PNYF 60-69 years, male 30.5
GTEX-1C6VR-0126-SM-7RHGB 60-69 years, male 30.5
GTEX-148VJ-0626-SM-5LUAW 70-79 years, male 30.4
GTEX-1GPI7-1826-SM-9KNU1 20-29 years, male 30.3
GTEX-13O3Q-0126-SM-5KM34 50-59 years, male 30.2
GTEX-ZDTS-0826-SM-4WKHL 60-69 years, male 30.2
GTEX-139D8-1126-SM-5LU8W 30-39 years, female 30.0
GTEX-16XZZ-0726-SM-7KUF2 60-69 years, male 30.0
GTEX-1JN1M-2726-SM-CY8I4 60-69 years, female 29.9
GTEX-1RAZR-2126-SM-E9U6T 40-49 years, male 29.9
GTEX-13X6H-0926-SM-5SIB2 50-59 years, female 29.8
GTEX-14PK6-0226-SM-62LF5 70-79 years, female 29.8
GTEX-1HSMQ-2626-SM-A9SML 50-59 years, male 29.8
GTEX-1RB15-1326-SM-E76Q9 60-69 years, male 29.8
GTEX-13VXT-1926-SM-5K7UO 20-29 years, female 29.7
GTEX-1IE54-1126-SM-A9G2Z 40-49 years, female 29.7
GTEX-11DXY-0126-SM-5H11Q 60-69 years, male 29.6
GTEX-14C39-1726-SM-5RQIL 40-49 years, male 29.5
GTEX-X8HC-0626-SM-4E3HQ 50-59 years, female 29.5
GTEX-14JFF-0626-SM-5ZZVT 60-69 years, male 29.4
GTEX-1O9I2-0226-SM-EYYXD 50-59 years, male 29.4
GTEX-WHWD-1826-SM-3LK6I 50-59 years, male 29.3
GTEX-1HBPN-0126-SM-CGQEF 50-59 years, male 29.3
GTEX-1HC8U-1326-SM-9YFMJ 40-49 years, female 29.3
GTEX-ZYY3-2926-SM-5GIEB 60-69 years, female 29.2
GTEX-1A8FM-0626-SM-7PC25 50-59 years, female 29.2
GTEX-1GN1V-2826-SM-9JGIA 60-69 years, male 29.2
GTEX-1KANB-2826-SM-CY8I6 50-59 years, male 29.2
GTEX-12WSD-0626-SM-5GCMW 60-69 years, female 29.0
GTEX-11DXZ-2026-SM-5987S 50-59 years, male 28.9
GTEX-YECK-0326-SM-4W1YS 60-69 years, male 28.9
GTEX-16Z82-2626-SM-7KULU 60-69 years, male 28.8
GTEX-18465-2826-SM-7LT9J 50-59 years, male 28.8
GTEX-14ICL-1626-SM-5YYAO 30-39 years, male 28.7
GTEX-WRHU-2826-SM-3MJG8 50-59 years, female 28.7
GTEX-1H3VE-0726-SM-9YFL5 40-49 years, male 28.6
GTEX-15RIE-1926-SM-7KUKJ 60-69 years, male 28.5
GTEX-1C2JI-1026-SM-73KY1 50-59 years, male 28.5
GTEX-WH7G-2026-SM-3NMBL 40-49 years, male 28.5
GTEX-1IDJE-1426-SM-ADEIW 50-59 years, female 28.5
GTEX-12KS4-2126-SM-5FQUT 30-39 years, male 28.4
GTEX-1NV5F-0626-SM-DTXEG 60-69 years, female 28.4
GTEX-18QFQ-1826-SM-72D52 30-39 years, male 28.3
GTEX-1BAJH-2426-SM-7IGP8 70-79 years, male 28.3
GTEX-1GTWX-2026-SM-9YFLM 60-69 years, male 28.2
GTEX-1H3NZ-2726-SM-9WYTQ 60-69 years, male 28.2
GTEX-1HR98-2226-SM-ADEI2 60-69 years, male 28.2
GTEX-1IY9M-2826-SM-ARU8H 60-69 years, male 28.2
GTEX-14PII-0726-SM-6EU2B 60-69 years, male 28.1
GTEX-14PJ5-1526-SM-6LLIL 60-69 years, female 28.1
GTEX-XUW1-0926-SM-4BONX 50-59 years, female 28.1
GTEX-ZUA1-2626-SM-5NQ92 40-49 years, male 28.1
GTEX-13OW6-2726-SM-5J2OE 50-59 years, male 28.0
GTEX-XXEK-1626-SM-4BRUZ 50-59 years, male 28.0
GTEX-13FTY-2126-SM-5IFFB 40-49 years, female 27.7
GTEX-14E6E-0526-SM-793DN 30-39 years, male 27.7
GTEX-1RAZQ-1326-SM-E9TK6 30-39 years, male 27.7
GTEX-1313W-0626-SM-5EQ4H 50-59 years, female 27.6
GTEX-15G1A-1626-SM-7KUKN 30-39 years, male 27.6
GTEX-1C6VQ-1226-SM-73KYD 50-59 years, male 27.6
GTEX-1LSNL-2726-SM-E9TKJ 50-59 years, male 27.6
GTEX-11P7K-1126-SM-5HL4L 30-39 years, male 27.4
GTEX-1QMI2-2526-SM-E8VNZ 60-69 years, male 27.4
GTEX-1B932-2326-SM-79OL5 40-49 years, female 27.3
GTEX-12WSK-2126-SM-5CVNC 40-49 years, female 27.1
GTEX-1H1E6-0426-SM-9WYUS 30-39 years, male 27.0
GTEX-13X6J-0626-SM-5LU5F 50-59 years, male 26.9
GTEX-16NGA-0726-SM-731AO 40-49 years, female 26.9
GTEX-13SLW-0626-SM-5Q5ER 70-79 years, male 26.7
GTEX-ZVP2-0326-SM-57WBP 50-59 years, male 26.7
GTEX-1S82U-1026-SM-E6CJK 30-39 years, female 26.7
GTEX-144GO-2026-SM-5O99P 60-69 years, male 26.6
GTEX-1GMR3-0126-SM-A9SLW 40-49 years, male 26.6
GTEX-WEY5-2326-SM-3GIKK 40-49 years, female 26.5
GTEX-18D9U-0126-SM-731BM 40-49 years, male 26.4
GTEX-ZTTD-2826-SM-4YCFA 50-59 years, male 26.4
GTEX-13OW7-0426-SM-5K7VK 50-59 years, male 26.3
GTEX-13SLX-2226-SM-62LEP 50-59 years, female 26.3
GTEX-18D9B-0926-SM-7LG4U 60-69 years, male 26.3
GTEX-1H3O1-1326-SM-9MQLD 60-69 years, male 26.3
GTEX-11DXX-2126-SM-5PNYR 60-69 years, female 26.2
GTEX-12WSL-2026-SM-5GCML 50-59 years, male 26.2
GTEX-1HSMO-0626-SM-ACKXC 60-69 years, male 26.2
GTEX-1I1CD-0626-SM-CE6SW 60-69 years, female 26.1
GTEX-11TUW-0626-SM-5LU9M 60-69 years, male 25.9
GTEX-14JG1-1526-SM-5YY9X 40-49 years, male 25.9
GTEX-ZGAY-1826-SM-DO91Q 40-49 years, female 25.9
GTEX-11ZUS-2626-SM-5FQUR 30-39 years, male 25.8
GTEX-145LU-1926-SM-79OJN 50-59 years, male 25.8
GTEX-14753-0726-SM-5QGQO 60-69 years, male 25.8
GTEX-Y3IK-1626-SM-4YCF5 50-59 years, female 25.8
GTEX-1A8G6-2726-SM-731AR 60-69 years, male 25.7
GTEX-ZVTK-0226-SM-51MRG 20-29 years, male 25.7
GTEX-1R9PN-0426-SM-DTXDT 40-49 years, female 25.7
GTEX-12584-0726-SM-5FQTK 40-49 years, male 25.6
GTEX-1GMR2-0826-SM-7PC3V 50-59 years, male 25.6
GTEX-17HGU-2326-SM-7DUFE 50-59 years, male 25.5
GTEX-WY7C-2126-SM-3NB2R 50-59 years, male 25.5
GTEX-1QP28-1126-SM-EVYC4 50-59 years, female 25.5
GTEX-YEC3-1326-SM-DO92X 50-59 years, male 25.5
GTEX-131XH-0126-SM-5LZUY 50-59 years, male 25.4
GTEX-183FY-1026-SM-7939A 20-29 years, male 25.4
GTEX-ZYW4-0626-SM-59HJR 60-69 years, male 25.4
GTEX-ZPU1-1126-SM-4YCF3 40-49 years, male 25.3
GTEX-12WSM-1926-SM-5BC65 60-69 years, male 25.2
GTEX-YFCO-1226-SM-5LUAT 40-49 years, male 25.2
GTEX-1GZ4H-0526-SM-9KNU9 50-59 years, female 25.2
GTEX-133LE-2326-SM-5K7W3 20-29 years, female 25.1
GTEX-139TS-2126-SM-5K7XC 60-69 years, male 25.1
GTEX-15CHR-1126-SM-7EWF4 50-59 years, male 25.1
GTEX-1KD5A-0126-SM-E9U54 50-59 years, male 25.1
GTEX-17MFQ-1526-SM-7KFRR 20-29 years, male 25.0
GTEX-1RLM8-2926-SM-E8VON 50-59 years, male 25.0
GTEX-WI4N-2726-SM-3LK7Y 40-49 years, female 24.9
GTEX-1J8Q2-2626-SM-ACKWQ 60-69 years, male 24.9
GTEX-1MJK3-0726-SM-E6CJC 20-29 years, male 24.9
GTEX-1PIGE-1826-SM-E8VOU 20-29 years, male 24.9
GTEX-1RAZS-2526-SM-E6CHT 50-59 years, male 24.9
GTEX-14PJ2-0626-SM-6LLII 50-59 years, male 24.8
GTEX-ZYFD-0626-SM-5E44E 50-59 years, male 24.8
GTEX-13OVH-0526-SM-5L3E6 70-79 years, male 24.7
GTEX-1H1DE-1326-SM-9KNUG 20-29 years, male 24.7
GTEX-1PDJ9-1226-SM-EXUSX 20-29 years, male 24.7
GTEX-ZVT2-0126-SM-5GIDQ 50-59 years, female 24.6
GTEX-1IL2V-1926-SM-B2LW8 70-79 years, male 24.6
GTEX-12C56-1526-SM-5FQUQ 20-29 years, male 24.4
GTEX-132AR-0326-SM-5KM2C 50-59 years, female 24.4
GTEX-178AV-1726-SM-7KUL8 40-49 years, male 24.4
GTEX-1C6WA-2626-SM-7MKGM 60-69 years, male 24.4
GTEX-ZAK1-0626-SM-5HL8E 50-59 years, female 24.3
GTEX-1GL5R-1326-SM-7RHHF 50-59 years, male 24.3
GTEX-1M4P7-0726-SM-E6CJ3 60-69 years, male 24.3
GTEX-1CB4H-1126-SM-7MKGL 60-69 years, female 24.2
GTEX-14XAO-1226-SM-6EU1C 60-69 years, female 24.1
GTEX-1EH9U-2826-SM-7DUGT 60-69 years, male 24.1
GTEX-16AAH-0626-SM-793C9 50-59 years, male 24.0
GTEX-17JCI-2926-SM-7DUFF 60-69 years, female 24.0
GTEX-1I1GV-0626-SM-ARL7M 60-69 years, male 24.0
GTEX-11VI4-1126-SM-5EQMD 40-49 years, female 23.9
GTEX-13FTW-0326-SM-5K7UW 40-49 years, male 23.9
GTEX-15EU6-2226-SM-6EU2L 50-59 years, male 23.9
GTEX-16MT8-2926-SM-7DUFO 60-69 years, female 23.9
GTEX-1JMQK-1226-SM-D4P2S 60-69 years, male 23.9
GTEX-1AX9J-1326-SM-731BJ 60-69 years, male 23.7
GTEX-14C5O-0326-SM-5ZZUX 60-69 years, male 23.6
GTEX-ZY6K-1426-SM-5GZX2 50-59 years, male 23.6
GTEX-1CAMQ-1326-SM-7P8RV 40-49 years, male 23.6
GTEX-1I19N-0126-SM-CYPSF 70-79 years, male 23.6
GTEX-13NYS-0626-SM-5L3F1 60-69 years, male 23.5
GTEX-146FQ-2126-SM-5RQHU 30-39 years, male 23.5
GTEX-1GZ2Q-0126-SM-9WG6M 40-49 years, male 23.5
GTEX-1JMQJ-0826-SM-CNPP7 50-59 years, male 23.5
GTEX-W5X1-2526-SM-3GILC 40-49 years, female 23.2
GTEX-X4EP-0626-SM-3P621 60-69 years, female 23.2
GTEX-1ICLY-0826-SM-CMKG1 50-59 years, male 23.2
GTEX-1JMQL-2226-SM-CNPP4 50-59 years, female 23.2
GTEX-14BMU-1226-SM-5S2OR 20-29 years, female 23.1
GTEX-1CAMS-2226-SM-7PBXQ 40-49 years, female 23.1
GTEX-1JMOU-1026-SM-CYPSS 60-69 years, female 23.1
GTEX-13FHO-0426-SM-5L3F5 60-69 years, male 23.0
GTEX-11O72-0626-SM-5PNYE 40-49 years, male 22.9
GTEX-17F96-0126-SM-7EWDU 70-79 years, male 22.9
GTEX-1HKZK-0726-SM-ACKW2 40-49 years, male 22.8
GTEX-1269C-0126-SM-5EQ5L 60-69 years, female 22.7
GTEX-1B8L1-2226-SM-7P8PT 60-69 years, male 22.7
GTEX-13X6K-0626-SM-5LU5D 60-69 years, female 22.6
GTEX-14PHX-2226-SM-6EU2P 50-59 years, male 22.5
GTEX-16MTA-0926-SM-6M47Z 50-59 years, male 22.2
GTEX-XBEW-1126-SM-4QARW 40-49 years, male 22.2
GTEX-1211K-1526-SM-5FQU4 60-69 years, female 22.1
GTEX-15CHC-1126-SM-6LLHQ 60-69 years, female 22.1
GTEX-1HSGN-0826-SM-ACKW3 40-49 years, female 22.1
GTEX-1KWVE-1026-SM-D3L9O 30-39 years, male 22.1
GTEX-1R7EU-1626-SM-DTXG3 60-69 years, male 22.1
GTEX-145MO-2826-SM-5LU96 60-69 years, male 22.0
GTEX-15CHQ-0326-SM-69LQD 60-69 years, male 22.0
GTEX-1GF9W-1426-SM-7PBYM 60-69 years, male 22.0
GTEX-WYVS-1626-SM-3NM9R 40-49 years, female 21.9
GTEX-ZA64-1026-SM-5HL8R 20-29 years, male 21.9
GTEX-1HB9E-0126-SM-CM2S5 50-59 years, male 21.9
GTEX-1LB8K-0726-SM-D5OV2 50-59 years, male 21.9
GTEX-1399U-1126-SM-5L3DB 50-59 years, female 21.8
GTEX-144GM-0526-SM-79OJO 20-29 years, male 21.8
GTEX-WK11-2726-SM-3NMAQ 50-59 years, male 21.8
GTEX-X3Y1-2026-SM-3P5YM 40-49 years, male 21.8
GTEX-1JKYN-0826-SM-ARU8S 30-39 years, male 21.7
GTEX-1JMPZ-0726-SM-CY8HZ 30-39 years, male 21.7
GTEX-1PPH7-1126-SM-DTX9A 40-49 years, male 21.7
GTEX-147F3-1726-SM-5SIAW 50-59 years, female 21.6
GTEX-1IDFM-0326-SM-ARL7V 60-69 years, male 21.6
GTEX-13O61-1426-SM-5KM3D 60-69 years, male 21.5
GTEX-145LS-0626-SM-7EPG7 60-69 years, female 21.4
GTEX-XAJ8-1426-SM-47JYM 40-49 years, male 21.4
GTEX-1IDJH-0126-SM-D3L92 70-79 years, male 21.4
GTEX-1QEPI-2626-SM-DTXF4 60-69 years, female 21.4
GTEX-Y5V5-0126-SM-5S2NW 60-69 years, female 21.3
GTEX-14E6C-2426-SM-5S2NF 40-49 years, male 21.2
GTEX-1IOXB-2726-SM-CM2RI 50-59 years, male 21.2
GTEX-13NZ9-2626-SM-5L3FK 50-59 years, male 21.1
GTEX-XK95-0226-SM-4AT58 40-49 years, male 21.1
GTEX-XPVG-2126-SM-4B667 50-59 years, male 21.1
GTEX-1F75W-2726-SM-7SB8H 60-69 years, male 21.1
GTEX-1QP2A-1726-SM-E76QC 50-59 years, male 21.1
GTEX-139T8-0626-SM-5KLZX 60-69 years, male 21.0
GTEX-13W3W-0726-SM-5IJDQ 60-69 years, female 21.0
GTEX-1A32A-0626-SM-731AQ 50-59 years, female 21.0
GTEX-ZAB4-2126-SM-5HL8U 40-49 years, male 21.0
GTEX-1QP66-1226-SM-DTX7U 50-59 years, male 21.0
GTEX-XV7Q-1826-SM-4BRUV 40-49 years, female 20.9
GTEX-1HBPM-0726-SM-9YFL7 60-69 years, female 20.9
GTEX-1L5NE-1126-SM-D3L9P 50-59 years, male 20.9
GTEX-145MF-0926-SM-5Q5EA 50-59 years, male 20.7
GTEX-1A8G7-1326-SM-73KVM 60-69 years, male 20.7
GTEX-Z93S-1626-SM-5CVMB 50-59 years, male 20.7
GTEX-ZVE1-0726-SM-51MRN 50-59 years, female 20.7
GTEX-1KANA-1326-SM-DIPFA 20-29 years, male 20.7
GTEX-11TT1-1826-SM-5EQLV 20-29 years, male 20.6
GTEX-131XW-0626-SM-5PNVD 50-59 years, female 20.6
GTEX-13QJC-0126-SM-5ZZWJ 60-69 years, female 20.6
GTEX-14PJN-1826-SM-6AJ98 30-39 years, male 20.6
GTEX-11NSD-0626-SM-5A5LU 20-29 years, male 20.5
GTEX-13D11-0926-SM-5J2NC 50-59 years, female 20.5
GTEX-13OVL-0126-SM-5L3GJ 50-59 years, male 20.5
GTEX-YF7O-1526-SM-5IFI6 50-59 years, male 20.4
GTEX-1QP29-1826-SM-DTX9S 50-59 years, male 20.4
GTEX-1N5O9-0926-SM-E9J3C 60-69 years, male 20.3
GTEX-13OW8-1026-SM-5J1NQ 60-69 years, male 20.2
GTEX-1J1OQ-0126-SM-D4P2N 40-49 years, female 20.2
GTEX-1S831-1826-SM-EWROF 20-29 years, male 20.1
GTEX-1PPH8-0126-SM-EWRN8 20-29 years, male 20.0
GTEX-13OVG-1626-SM-5J1NF 60-69 years, male 19.9
GTEX-1HCU9-0426-SM-9WYSD 20-29 years, male 19.8
GTEX-13NZ8-1226-SM-5KM4A 60-69 years, female 19.6
GTEX-1C475-1326-SM-7SB73 40-49 years, female 19.6
GTEX-1IDJV-0126-SM-COH3Y 60-69 years, male 19.6
GTEX-1NSGN-0726-SM-DTXEF 50-59 years, male 19.5
GTEX-ZPIC-0526-SM-DO91W 40-49 years, female 19.5
GTEX-ZF2S-1626-SM-57WES 50-59 years, female 19.4
GTEX-1HFI7-2326-SM-CGQFS 50-59 years, female 19.4
GTEX-YEC4-1826-SM-4W1YP 40-49 years, male 19.3
GTEX-14JG6-1426-SM-9WG7C 30-39 years, female 19.3
GTEX-1C64O-1326-SM-7MGWR 60-69 years, male 19.3
GTEX-1KANC-1226-SM-CYPT7 50-59 years, female 19.3
GTEX-13VXU-0626-SM-5L3F9 50-59 years, male 19.1
GTEX-147F4-0726-SM-5TDDD 50-59 years, male 19.0
GTEX-1ICG6-1226-SM-A9SLN 70-79 years, female 19.0
GTEX-11ZU8-0126-SM-5EQ58 60-69 years, male 18.9
GTEX-1JN6P-2926-SM-CL54D 60-69 years, male 18.9
GTEX-Y3I4-1726-SM-4TT89 50-59 years, male 18.8
GTEX-1A3MX-2626-SM-7PC24 60-69 years, male 18.8
GTEX-1MCYP-0526-SM-E9U6Q 20-29 years, female 18.8
GTEX-XMD2-2126-SM-4YCF8 60-69 years, female 18.7
GTEX-1HUB1-1426-SM-CGQF5 60-69 years, male 18.7
GTEX-XBEC-0726-SM-4QARZ 50-59 years, male 18.6
GTEX-1LVAM-0726-SM-E6CIL 50-59 years, female 18.6
GTEX-1R46S-2426-SM-E76QA 60-69 years, female 18.6
GTEX-1212Z-0126-SM-59HK4 60-69 years, male 18.5
GTEX-15DYW-2726-SM-6EU2I 60-69 years, female 18.5
GTEX-VJYA-1526-SM-3GIJV 60-69 years, male 18.5
GTEX-1QW4Y-1126-SM-DTXE3 30-39 years, male 18.4
GTEX-13N1W-2426-SM-5IJD1 70-79 years, male 18.3
GTEX-17EVQ-0126-SM-7IGLR 70-79 years, male 18.3
GTEX-Y8LW-1526-SM-5IFHL 50-59 years, female 18.2
GTEX-145LT-0526-SM-5LUB2 40-49 years, male 18.0
GTEX-1LGRB-0926-SM-COH3K 50-59 years, female 17.9
GTEX-13X6I-1826-SM-5SIAO 60-69 years, male 17.8
GTEX-XQ8I-0926-SM-4BOOF 50-59 years, male 17.8
GTEX-13NYC-0126-SM-5L3F4 60-69 years, male 17.7
GTEX-ZLWG-0826-SM-59888 50-59 years, female 17.7
GTEX-1HCUA-0826-SM-ADEHM 50-59 years, female 17.7
GTEX-13PVQ-0626-SM-5LU47 50-59 years, male 17.6
GTEX-1CB4I-0126-SM-7RHGG 50-59 years, male 17.6
GTEX-1399R-1326-SM-5PNYS 30-39 years, male 17.5
GTEX-ZVE2-2826-SM-5GU51 50-59 years, male 17.5
GTEX-1EMGI-2326-SM-7PBYA 60-69 years, male 17.5
GTEX-1S5ZU-2526-SM-E6CIF 20-29 years, female 17.5
GTEX-1I1GT-1026-SM-ARZLV 60-69 years, female 17.4
GTEX-1LG7Y-2526-SM-EWRO7 50-59 years, male 17.3
GTEX-1JJE9-2626-SM-ARZMT 70-79 years, male 17.2
GTEX-1IDJI-0126-SM-CMKHS 50-59 years, female 17.1
GTEX-1LVAN-0626-SM-CNPOQ 50-59 years, female 17.1
GTEX-12WSC-2826-SM-5BC5Y 50-59 years, male 17.0
GTEX-14A5H-0826-SM-5QGPJ 60-69 years, male 17.0
GTEX-14AS3-1526-SM-5Q5ED 40-49 years, female 17.0
GTEX-14PKU-0126-SM-6LLHV 40-49 years, female 17.0
GTEX-1B996-0426-SM-7EWF8 60-69 years, male 16.8
GTEX-1POEN-2326-SM-E9J2L 30-39 years, female 16.8
GTEX-13PVR-0426-SM-5RQK2 60-69 years, female 16.7
GTEX-16GPK-0626-SM-7KFSF 60-69 years, male 16.7
GTEX-117YX-1926-SM-5GIEC 50-59 years, male 16.6
GTEX-11EQ9-1626-SM-5PNY8 30-39 years, male 16.6
GTEX-17MF6-2626-SM-79OKQ 40-49 years, male 16.6
GTEX-1H23P-0626-SM-9WG6T 60-69 years, male 16.6
GTEX-1JJ6O-2726-SM-CNPOG 60-69 years, male 16.6
GTEX-12ZZZ-0726-SM-5GCNZ 60-69 years, male 16.5
GTEX-1JKYR-0626-SM-ARL8R 20-29 years, male 16.5
GTEX-1GF9U-2026-SM-7SB92 40-49 years, female 16.4
GTEX-1IDJD-2326-SM-ACKWX 30-39 years, male 16.2
GTEX-111FC-2526-SM-5GZXU 60-69 years, male 16.0
GTEX-ZTSS-1426-SM-5985P 40-49 years, male 16.0
GTEX-1477Z-0326-SM-7IGLA 60-69 years, male 15.9
GTEX-1IDJF-2026-SM-CL53V 20-29 years, male 15.8
GTEX-1RAZA-2226-SM-E9U4X 20-29 years, male 15.8
GTEX-WFG8-2126-SM-3GIKQ 20-29 years, male 15.7
GTEX-ZF29-0926-SM-4WKFZ 60-69 years, female 15.7
GTEX-12WSA-0426-SM-5EQ5X 60-69 years, male 15.5
GTEX-1LGOU-1326-SM-D3L8M 20-29 years, female 15.5
GTEX-1CB4F-1026-SM-7DUH1 60-69 years, male 15.3
GTEX-147JS-0226-SM-5S2U9 60-69 years, male 15.2
GTEX-1RMOY-1326-SM-E9TIH 50-59 years, male 15.0
GTEX-1A3MV-1826-SM-731CD 30-39 years, male 14.9
GTEX-14DAQ-0626-SM-793DS 60-69 years, female 14.8
GTEX-1S82P-2126-SM-E6CI5 60-69 years, female 14.8
GTEX-1K2DA-1026-SM-CGQGF 50-59 years, male 14.7
GTEX-14DAR-1226-SM-73KYV 50-59 years, male 14.6
GTEX-Y9LG-1126-SM-4VBQ7 30-39 years, male 14.6
GTEX-18D9A-1426-SM-7LT8M 30-39 years, female 14.6
GTEX-111CU-1126-SM-5EGIM 50-59 years, male 14.5
GTEX-Y5V6-2326-SM-4VDSA 60-69 years, male 14.5
GTEX-1F5PK-2226-SM-7SB6N 50-59 years, male 14.5
GTEX-11EM3-1226-SM-5N9DD 20-29 years, female 14.4
GTEX-13FH7-1126-SM-5K7UG 50-59 years, female 14.4
GTEX-Y5LM-0926-SM-6LLJG 40-49 years, female 14.3
GTEX-1314G-1326-SM-5BC6E 30-39 years, male 14.1
GTEX-13U4I-2226-SM-5LU5H 40-49 years, female 14.1
GTEX-1LVAO-2726-SM-E9TJ8 60-69 years, male 14.0
GTEX-131XG-0326-SM-5L3DX 50-59 years, female 13.9
GTEX-1ICLZ-0326-SM-ARL82 60-69 years, male 13.5
GTEX-17HII-1426-SM-7EPGG 50-59 years, male 13.2
GTEX-1IDJU-1726-SM-CMKHU 60-69 years, female 13.1
GTEX-V1D1-2026-SM-3GAF4 50-59 years, male 13.0
GTEX-11UD2-2526-SM-5CVNU 50-59 years, male 12.8
GTEX-ZU9S-1826-SM-5NQ9E 30-39 years, male 12.6
GTEX-1J8Q3-0526-SM-ARL8U 60-69 years, male 12.6
GTEX-13QBU-1226-SM-5LU4G 40-49 years, female 12.5
GTEX-15FZZ-0526-SM-7KUGD 30-39 years, female 12.2
GTEX-1AX8Z-0726-SM-73KTS 60-69 years, male 12.2
GTEX-1AMFI-1326-SM-7939R 50-59 years, female 11.4
GTEX-1I4MK-0126-SM-CY8G6 50-59 years, female 11.3
GTEX-1HCU8-2526-SM-CE6RX 60-69 years, female 10.6
GTEX-1J1R8-2026-SM-CL53Y 40-49 years, male 10.3
GTEX-ZLV1-1526-SM-DO91J 60-69 years, female 10.2
GTEX-WYJK-0526-SM-3NM8Z 50-59 years, male 10.1
GTEX-14B4R-1326-SM-5Q5EZ 30-39 years, male 9.9
GTEX-1AMEY-0826-SM-72D65 30-39 years, female 9.8
GTEX-12BJ1-0926-SM-5EQ62 60-69 years, male 9.7
GTEX-1S3DN-2126-SM-E9TIN 50-59 years, male 8.8
GTEX-1LG7Z-1626-SM-CXKYR 30-39 years, male 6.1
Show allShow less
Skin - Sun Exposed (Lower leg)
Average nTPM: 33.8
Samples: 701

Max nTPM: 77.8
Min nTPM: 8.7
Std nTPM: 13.3
Median nTPM: 31.3
GTEX-1GPI7-0126-SM-9MQL8 20-29 years, male 77.8
GTEX-WFG8-2226-SM-3GIL9 20-29 years, male 75.2
GTEX-PX3G-0126-SM-2I3EN 20-29 years, female 75.1
GTEX-ZTX8-1426-SM-5DUVO 20-29 years, male 74.9
GTEX-1B8SF-1426-SM-7DUGL 60-69 years, male 74.4
GTEX-1QAET-0926-SM-E76QM 50-59 years, male 71.7
GTEX-14E6E-1826-SM-5S2R7 30-39 years, male 71.5
GTEX-1BAJH-0526-SM-793CQ 70-79 years, male 70.7
GTEX-ZV68-0126-SM-59HKS 50-59 years, female 70.4
GTEX-QESD-1426-SM-2S1R9 20-29 years, male 69.4
GTEX-Y3IK-2426-SM-4WWDU 50-59 years, female 69.4
GTEX-139UW-2826-SM-5L3E7 60-69 years, male 69.1
GTEX-13SLX-0526-SM-5S2ON 50-59 years, female 69.1
GTEX-13X6H-2126-SM-7EWD5 50-59 years, female 68.1
GTEX-13FTW-2626-SM-5K7WL 40-49 years, male 67.8
GTEX-1269C-2526-SM-5EGJ3 60-69 years, female 67.4
GTEX-18D9A-1926-SM-7LG6P 30-39 years, female 66.9
GTEX-1HR98-0126-SM-B2LWI 60-69 years, male 66.8
GTEX-1PDJ9-0326-SM-DTX95 20-29 years, male 66.5
GTEX-17HG3-2226-SM-7938L 30-39 years, female 66.3
GTEX-1KD4Q-0226-SM-E9TJ9 40-49 years, male 66.3
GTEX-1QP9N-1426-SM-DTXFL 30-39 years, male 65.3
GTEX-R3RS-0126-SM-3GIJL 40-49 years, female 65.1
GTEX-Z93T-0126-SM-5HL5N 50-59 years, male 64.6
GTEX-18A6Q-0126-SM-731BZ 60-69 years, male 63.2
GTEX-1KD5A-0226-SM-D5OV3 50-59 years, male 63.1
GTEX-PSDG-0226-SM-DKPOZ 50-59 years, male 63.1
GTEX-XQ8I-0426-SM-4BOPO 50-59 years, male 62.5
GTEX-1EU9M-0226-SM-7P8SP 60-69 years, male 62.4
GTEX-11OF3-2626-SM-5GU7F 60-69 years, male 62.3
GTEX-XUZC-1726-SM-4BRWS 30-39 years, female 62.0
GTEX-12584-0126-SM-5EGKQ 40-49 years, male 61.4
GTEX-1EMGI-0126-SM-9KNUE 60-69 years, male 61.1
GTEX-15ER7-0326-SM-7KUEV 20-29 years, female 60.8
GTEX-Y8DK-0126-SM-4TT3L 60-69 years, male 60.8
GTEX-1399U-2326-SM-5K7WY 50-59 years, female 60.6
GTEX-ZYFD-0126-SM-5GIDL 50-59 years, male 60.5
GTEX-13FXS-0226-SM-5IJCK 50-59 years, male 60.3
GTEX-17GQL-2026-SM-718BA 60-69 years, male 60.2
GTEX-1IOXB-0126-SM-ARL8G 50-59 years, male 59.3
GTEX-SIU8-0126-SM-2XCDT 50-59 years, male 58.6
GTEX-ZGAY-0526-SM-4WWBB 40-49 years, female 58.6
GTEX-11DXY-2626-SM-5GIE7 60-69 years, male 58.4
GTEX-1LB8K-0226-SM-EWRNW 50-59 years, male 58.3
GTEX-15UKP-0426-SM-7KUFQ 20-29 years, male 57.8
GTEX-OIZF-0126-SM-7SB8I 60-69 years, male 57.8
GTEX-1HCU7-0226-SM-CL545 50-59 years, male 57.7
GTEX-13PVR-2326-SM-5QGR1 60-69 years, female 57.2
GTEX-ZYT6-0226-SM-5NQ6T 30-39 years, male 56.9
GTEX-131XE-2326-SM-5PNZ2 50-59 years, male 56.7
GTEX-1LVAN-0226-SM-COH3S 50-59 years, female 56.7
GTEX-1JKYR-0126-SM-CNPOJ 20-29 years, male 56.5
GTEX-OIZH-0126-SM-2HMIS 50-59 years, male 55.9
GTEX-S33H-1026-SM-EZ6L6 30-39 years, male 55.5
GTEX-15DYW-0126-SM-7KULE 60-69 years, female 55.1
GTEX-ZVT2-2526-SM-51MT1 50-59 years, female 55.0
GTEX-ZVE2-0226-SM-59HJB 50-59 years, male 54.8
GTEX-1HCU6-0126-SM-CL54K 60-69 years, female 54.8
GTEX-131YS-0126-SM-5KM1M 60-69 years, female 54.5
GTEX-1PIIG-0226-SM-EWRN6 30-39 years, male 54.2
GTEX-ZDTS-0126-SM-4WAY5 60-69 years, male 54.1
GTEX-1LGOU-2026-SM-DIPFF 20-29 years, female 53.9
GTEX-UJHI-1526-SM-3DB99 50-59 years, female 53.8
GTEX-1212Z-2526-SM-5EGKP 60-69 years, male 53.7
GTEX-1C6WA-0126-SM-7PC2B 60-69 years, male 53.7
GTEX-1CAV2-2226-SM-7P8P2 40-49 years, female 53.7
GTEX-11ZTS-0126-SM-5EQ6M 60-69 years, female 53.6
GTEX-1JMPZ-0226-SM-CNPP1 30-39 years, male 53.3
GTEX-ZAK1-0126-SM-5IJD3 50-59 years, female 53.1
GTEX-ZVTK-0426-SM-51MRS 20-29 years, male 53.1
GTEX-1QCLY-0326-SM-E8VOG 30-39 years, male 53.1
GTEX-O5YT-0126-SM-48TBW 20-29 years, male 52.8
GTEX-RWSA-0126-SM-2XCBB 40-49 years, male 52.8
GTEX-1ICLZ-0126-SM-CKZPO 60-69 years, male 52.8
GTEX-1I1GV-0526-SM-A9G29 60-69 years, male 52.5
GTEX-1GMR8-0126-SM-9WYTM 50-59 years, female 52.4
GTEX-1IDJF-0126-SM-CM2RS 20-29 years, male 52.4
GTEX-1313W-0126-SM-5LZUN 50-59 years, female 52.3
GTEX-1F48J-0126-SM-7P8TT 50-59 years, female 52.3
GTEX-R45C-0126-SM-EAZ2R 60-69 years, female 52.3
GTEX-P44H-0226-SM-2XCEU 40-49 years, male 52.2
GTEX-117XS-2726-SM-5N9BL 60-69 years, male 52.0
GTEX-13112-2826-SM-5DUWH 50-59 years, male 52.0
GTEX-ZQG8-1626-SM-DHXIT 60-69 years, female 52.0
GTEX-1I4MK-2226-SM-ACKWD 50-59 years, female 51.7
GTEX-Y8E4-0626-SM-4WWDL 40-49 years, male 51.1
GTEX-1PBJI-0526-SM-E8VNK 20-29 years, female 51.0
GTEX-13FTX-1826-SM-5J1NX 20-29 years, female 50.9
GTEX-13SLW-0126-SM-5SI6C 70-79 years, male 50.7
GTEX-13YAN-0326-SM-5O9DF 60-69 years, male 50.6
GTEX-1497J-2426-SM-7IGNX 60-69 years, male 50.1
GTEX-113IC-0126-SM-5HL6T 60-69 years, male 49.8
GTEX-1N2DW-0226-SM-E9TK2 50-59 years, male 49.7
GTEX-139TS-2826-SM-5J1OO 60-69 years, male 49.4
GTEX-16GPK-0126-SM-7DHLE 60-69 years, male 49.4
GTEX-O5YW-0126-SM-3LK6D 50-59 years, male 49.4
GTEX-17HHY-0126-SM-7LG5D 50-59 years, male 49.3
GTEX-15DDE-0126-SM-6LPKH 50-59 years, female 49.2
GTEX-WYJK-0126-SM-3NMAB 50-59 years, male 49.2
GTEX-WI4N-1026-SM-3LK7N 40-49 years, female 49.1
GTEX-145LS-0126-SM-5QGP1 60-69 years, female 48.9
GTEX-1A3MX-0126-SM-731BR 60-69 years, male 48.9
GTEX-1H2FU-0126-SM-9WYSI 60-69 years, female 48.9
GTEX-14PHX-2326-SM-62LEM 50-59 years, male 48.8
GTEX-WYVS-2126-SM-3NMA3 40-49 years, female 48.7
GTEX-11DXX-2426-SM-5GZZW 60-69 years, female 48.2
GTEX-1CB4H-0226-SM-7PBXM 60-69 years, female 48.2
GTEX-V1D1-2226-SM-3NMAX 50-59 years, male 47.9
GTEX-1O97I-0326-SM-EYYX7 60-69 years, male 47.8
GTEX-17HII-0226-SM-7LG4E 50-59 years, male 47.7
GTEX-T6MN-0126-SM-32PLP 50-59 years, male 47.7
GTEX-1R9PM-2026-SM-E76OY 20-29 years, male 47.4
GTEX-11TTK-0126-SM-5987B 60-69 years, female 47.2
GTEX-1JMQL-0226-SM-CNPP5 50-59 years, female 47.2
GTEX-W5X1-3026-SM-EAZAX 40-49 years, female 47.2
GTEX-X4EP-0126-SM-3P5YV 60-69 years, female 47.1
GTEX-1F7RK-0126-SM-7PC2S 20-29 years, female 46.9
GTEX-17F97-0326-SM-7LG5B 50-59 years, male 46.8
GTEX-ZF3C-0126-SM-DO92D 50-59 years, female 46.8
GTEX-TKQ1-1026-SM-4GICL 30-39 years, male 46.5
GTEX-14PII-0226-SM-6EU1T 60-69 years, male 46.4
GTEX-14XAO-2326-SM-6EU1B 60-69 years, female 46.4
GTEX-ZYFG-2326-SM-5E44B 60-69 years, female 46.3
GTEX-1QMI2-0226-SM-EVYBX 60-69 years, male 46.3
GTEX-11O72-0126-SM-59887 40-49 years, male 46.2
GTEX-15SHU-0126-SM-7KUEH 40-49 years, female 46.1
GTEX-17KNJ-2326-SM-7DHLQ 50-59 years, male 46.1
GTEX-1A32A-0126-SM-718B1 50-59 years, female 46.0
GTEX-1HCU9-1526-SM-A9SL7 20-29 years, male 45.9
GTEX-145MI-0526-SM-5O9A8 60-69 years, female 45.8
GTEX-1OJC3-0126-SM-E76QX 20-29 years, male 45.8
GTEX-1I19N-0326-SM-ACKVX 70-79 years, male 45.7
GTEX-SE5C-1626-SM-2XCE3 40-49 years, female 45.6
GTEX-147GR-0526-SM-5S2MY 60-69 years, male 45.5
GTEX-1PFEY-1526-SM-E76PP 30-39 years, male 45.1
GTEX-POMQ-2226-SM-2I5FK 20-29 years, female 45.0
GTEX-1GMR3-1926-SM-9KNUZ 40-49 years, male 45.0
GTEX-W5WG-1826-SM-4KL2Y 50-59 years, female 44.8
GTEX-11LCK-1026-SM-5A5KB 30-39 years, male 44.7
GTEX-18A7A-0226-SM-718BH 50-59 years, female 44.6
GTEX-1I1GS-0126-SM-B2LVW 60-69 years, male 44.5
GTEX-13111-1626-SM-5EGJY 50-59 years, male 44.3
GTEX-111FC-0126-SM-5N9DL 60-69 years, male 44.0
GTEX-1C64N-0126-SM-793D7 50-59 years, male 44.0
GTEX-RUSQ-1526-SM-2TF62 50-59 years, male 44.0
GTEX-XMD2-0126-SM-4YCDU 60-69 years, female 44.0
GTEX-1QW4Y-1526-SM-EAZ3Z 30-39 years, male 44.0
GTEX-1HUB1-0426-SM-E9U4U 60-69 years, male 43.9
GTEX-139T8-0126-SM-5K7XZ 60-69 years, male 43.6
GTEX-15F5U-1526-SM-6PANO 40-49 years, male 43.6
GTEX-PWO3-1526-SM-48TCM 60-69 years, female 43.6
GTEX-1GN73-0226-SM-9WG67 60-69 years, male 43.6
GTEX-1HCUA-2426-SM-ADEIS 50-59 years, female 43.6
GTEX-1JMOU-1526-SM-CL54I 60-69 years, female 43.6
GTEX-1B8L1-2526-SM-9WYTF 60-69 years, male 43.5
GTEX-1HGF4-2426-SM-ACKXM 60-69 years, male 43.5
GTEX-WFON-2126-SM-3LK7O 40-49 years, male 43.4
GTEX-1CB4F-0426-SM-9KNV4 60-69 years, male 43.4
GTEX-1JMQI-2226-SM-CM2SD 50-59 years, male 43.4
GTEX-16AAH-1726-SM-7939C 50-59 years, male 43.3
GTEX-VUSG-2526-SM-4KL1V 50-59 years, male 43.2
GTEX-Y3I4-2126-SM-4TT7C 50-59 years, male 43.2
GTEX-Q2AH-1626-SM-3GAF8 40-49 years, male 43.1
GTEX-1C64O-0126-SM-7SB8P 60-69 years, male 43.1
GTEX-13FHP-0126-SM-5IJBG 50-59 years, male 43.0
GTEX-1I6K6-0126-SM-A9SLE 30-39 years, male 42.8
GTEX-1KAFJ-2026-SM-CY8ID 50-59 years, male 42.8
GTEX-1F6IF-0726-SM-7P8TW 60-69 years, male 42.7
GTEX-13NYS-0126-SM-5MR3W 60-69 years, male 42.6
GTEX-18A7B-0126-SM-7LG64 70-79 years, male 42.6
GTEX-17F98-0626-SM-79OMX 40-49 years, female 42.4
GTEX-1HFI6-0226-SM-ADEHZ 40-49 years, male 42.3
GTEX-1H4P4-0726-SM-9YFLR 50-59 years, male 42.1
GTEX-11H98-0126-SM-5EGHG 50-59 years, male 42.0
GTEX-1RLM8-2326-SM-EWRN4 50-59 years, male 41.9
GTEX-17HGU-0226-SM-7DHKV 50-59 years, male 41.8
GTEX-1RB15-2126-SM-E9TIM 60-69 years, male 41.8
GTEX-PWCY-1826-SM-DHXIZ 20-29 years, female 41.8
GTEX-1B933-0126-SM-7PC29 50-59 years, female 41.7
GTEX-R55E-0126-SM-2TC5Y 20-29 years, male 41.6
GTEX-1JJEA-0326-SM-CNPOT 60-69 years, male 41.6
GTEX-U8XE-0326-SM-3DB8P 30-39 years, male 41.4
GTEX-1S3DN-2226-SM-EVYCD 50-59 years, male 41.3
GTEX-T2YK-0526-SM-32QPJ 50-59 years, male 41.1
GTEX-ZE9C-2726-SM-57WB5 60-69 years, male 41.1
GTEX-11WQK-0526-SM-5EQLD 50-59 years, male 40.9
GTEX-14LZ3-0226-SM-62LET 60-69 years, female 40.9
GTEX-12ZZY-0226-SM-5LZVE 60-69 years, male 40.8
GTEX-146FQ-0126-SM-5NQA9 30-39 years, male 40.7
GTEX-17JCI-0126-SM-7LG5G 60-69 years, female 40.7
GTEX-1S83E-0126-SM-EWRO4 40-49 years, male 40.7
GTEX-13113-5016-SM-7EPIP 60-69 years, female 40.6
GTEX-1LGRB-2526-SM-CNPPQ 50-59 years, female 40.6
GTEX-145MO-0326-SM-5Q5B3 60-69 years, male 40.4
GTEX-XBEW-0626-SM-4QASP 40-49 years, male 40.4
GTEX-1QPFJ-0226-SM-E76PB 30-39 years, female 40.4
GTEX-1GF9W-0326-SM-9KNUN 60-69 years, male 40.3
GTEX-13CF2-2526-SM-5LZYX 60-69 years, male 40.2
GTEX-YB5K-2126-SM-4WWDJ 40-49 years, female 40.2
GTEX-X585-0226-SM-4QAS2 50-59 years, male 40.0
GTEX-15ETS-0126-SM-7KUMW 40-49 years, female 39.9
GTEX-ZWKS-0126-SM-5SIAA 30-39 years, male 39.8
GTEX-ZE7O-0126-SM-57WC1 50-59 years, female 39.7
GTEX-12WSC-0126-SM-5EQ4P 50-59 years, male 39.6
GTEX-RVPV-0126-SM-EAZAW 60-69 years, male 39.5
GTEX-11DXZ-2326-SM-5EGGV 50-59 years, male 39.4
GTEX-SN8G-0126-SM-32PLI 50-59 years, female 39.4
GTEX-XYKS-2126-SM-4E3IB 60-69 years, female 39.3
GTEX-1H1CY-2826-SM-9MQM3 60-69 years, female 39.2
GTEX-1LG7Z-1726-SM-D3LA4 30-39 years, male 39.2
GTEX-1CAMR-1926-SM-7EPI2 20-29 years, male 38.9
GTEX-QV44-1926-SM-2S1RF 50-59 years, male 38.9
GTEX-WVJS-0126-SM-4MVOT 50-59 years, male 38.9
GTEX-1H3VE-0326-SM-9YFLH 40-49 years, male 38.9
GTEX-11DYG-0126-SM-59883 60-69 years, male 38.6
GTEX-1GF9V-0326-SM-7RHI5 60-69 years, male 38.6
GTEX-YFC4-0126-SM-5CVLY 40-49 years, female 38.5
GTEX-13NZ8-0826-SM-5MR3I 60-69 years, female 38.4
GTEX-WXYG-2326-SM-4E3I6 50-59 years, female 38.3
GTEX-1H23P-0126-SM-ADEJ3 60-69 years, male 38.3
GTEX-1R9K4-0126-SM-DTX9X 60-69 years, male 38.2
GTEX-ZY6K-1826-SM-5GZXK 50-59 years, male 38.1
GTEX-18D9U-0226-SM-718BP 40-49 years, male 38.0
GTEX-1POEN-0126-SM-EYYXJ 30-39 years, female 38.0
GTEX-15SB6-1726-SM-6PAME 50-59 years, female 37.9
GTEX-T2IS-0126-SM-4DM6O 20-29 years, female 37.9
GTEX-11GS4-2726-SM-5A5LE 60-69 years, male 37.7
GTEX-OHPL-0126-SM-2HMJ7 60-69 years, female 37.7
GTEX-NPJ8-0126-SM-2YUNR 40-49 years, male 37.5
GTEX-1K2DA-1826-SM-CGQGT 50-59 years, male 37.4
GTEX-12ZZX-0126-SM-5EGK9 40-49 years, female 37.3
GTEX-1HSKV-0226-SM-A9SKJ 60-69 years, male 37.2
GTEX-1GN1U-0126-SM-7PBZK 50-59 years, female 37.1
GTEX-12696-2426-SM-5EQ6H 60-69 years, male 37.0
GTEX-13RTK-1426-SM-5QGQJ 20-29 years, male 37.0
GTEX-XUW1-0426-SM-4BOOT 50-59 years, female 36.9
GTEX-1H3NZ-0126-SM-ACKX7 60-69 years, male 36.8
GTEX-1R7EV-2426-SM-EVYBG 40-49 years, male 36.8
GTEX-1F75B-0126-SM-9KNVL 50-59 years, male 36.6
GTEX-1MJK2-0426-SM-DTXE5 50-59 years, male 36.6
GTEX-14PJ3-1826-SM-62LEX 50-59 years, male 36.5
GTEX-RWS6-2026-SM-2XCB5 60-69 years, female 36.5
GTEX-ZVZO-0126-SM-5A5L9 40-49 years, male 36.5
GTEX-1GF9X-2026-SM-7PC3A 40-49 years, female 36.5
GTEX-QLQ7-1626-SM-2S1R8 60-69 years, male 36.4
GTEX-1R7EU-0226-SM-EVR4G 60-69 years, male 36.4
GTEX-144GN-2326-SM-5LU4F 50-59 years, male 36.3
GTEX-16YQH-0126-SM-7DUFJ 30-39 years, male 36.3
GTEX-14DAQ-0126-SM-5S2MQ 60-69 years, female 36.2
GTEX-14E6D-0126-SM-62LDV 50-59 years, male 36.1
GTEX-XAJ8-0826-SM-47JY6 40-49 years, male 36.0
GTEX-146FR-1326-SM-E9J48 60-69 years, female 36.0
GTEX-11NUK-0126-SM-5A5L3 50-59 years, male 35.9
GTEX-1I1CD-0126-SM-CM2TK 60-69 years, female 35.9
GTEX-Y114-2426-SM-4TT8A 50-59 years, female 35.8
GTEX-1PWST-0226-SM-E76QJ 70-79 years, male 35.8
GTEX-1J8JJ-0226-SM-CL53I 60-69 years, female 35.7
GTEX-14PN4-0126-SM-6EU2V 50-59 years, male 35.6
GTEX-15RIG-0226-SM-7KFTL 40-49 years, male 35.6
GTEX-16BQI-0226-SM-7KUEX 30-39 years, female 35.6
GTEX-X4XX-0126-SM-3NMC2 60-69 years, male 35.5
GTEX-131XF-5016-SM-7MGWE 60-69 years, male 35.5
GTEX-13W46-0226-SM-5SIAG 50-59 years, male 35.3
GTEX-17HHE-2026-SM-79OKF 50-59 years, male 35.3
GTEX-139D8-0226-SM-5KLZO 30-39 years, female 35.2
GTEX-1LC47-0326-SM-E9TJP 60-69 years, male 35.2
GTEX-1J8EW-0126-SM-CJI4F 60-69 years, female 35.1
GTEX-1M5QR-1226-SM-EWROB 40-49 years, male 35.0
GTEX-1I1GQ-0126-SM-COH3H 50-59 years, male 34.9
GTEX-1JMLX-0226-SM-CM2RO 50-59 years, male 34.9
GTEX-1KANC-1526-SM-D3LAB 50-59 years, female 34.9
GTEX-1LNCM-1126-SM-E9U5E 50-59 years, female 34.9
GTEX-13OW5-0126-SM-DTXFS 60-69 years, male 34.8
GTEX-1EWIQ-0126-SM-7RHH2 70-79 years, female 34.8
GTEX-17EUY-0426-SM-793BD 20-29 years, male 34.7
GTEX-1IDFM-0126-SM-COH2V 60-69 years, male 34.7
GTEX-1J1OQ-0226-SM-CYPSH 40-49 years, female 34.7
GTEX-13O21-1426-SM-5K7XI 50-59 years, male 34.6
GTEX-1GZHY-0326-SM-9QEHI 50-59 years, female 34.6
GTEX-1IDJH-0326-SM-A9SLQ 70-79 years, male 34.6
GTEX-1LBAC-0126-SM-DIPEZ 20-29 years, male 34.6
GTEX-13RTL-0126-SM-7LG5S 40-49 years, male 34.5
GTEX-17F96-1626-SM-7DUFL 70-79 years, male 34.5
GTEX-1EN7A-0126-SM-7SB81 40-49 years, male 34.5
GTEX-1F5PK-2426-SM-7RHHY 50-59 years, male 34.5
GTEX-13N2G-2626-SM-5J1OT 60-69 years, male 34.4
GTEX-145ME-1826-SM-5SI9G 40-49 years, female 34.4
GTEX-14JG1-0426-SM-6ETZZ 40-49 years, male 34.4
GTEX-1F6RS-0126-SM-9MQKZ 60-69 years, female 34.4
GTEX-1H11D-0226-SM-9WG6Z 40-49 years, male 34.4
GTEX-113JC-2326-SM-5EQ4E 50-59 years, female 34.2
GTEX-183WM-0126-SM-7LTAB 70-79 years, female 34.2
GTEX-XQ3S-1526-SM-4BOOC 20-29 years, male 34.2
GTEX-13X6I-0626-SM-5QGP9 60-69 years, male 34.1
GTEX-12WSJ-1826-SM-5GCNY 40-49 years, female 34.0
GTEX-1CAMS-0426-SM-7P8T2 40-49 years, female 34.0
GTEX-14ICK-0226-SM-6EU25 40-49 years, male 33.7
GTEX-17EVP-0326-SM-7DHLG 40-49 years, male 33.7
GTEX-WQUQ-0426-SM-3MJFU 60-69 years, male 33.7
GTEX-1GZ2Q-0226-SM-7P8TL 40-49 years, male 33.7
GTEX-1AX9I-0126-SM-7SB74 60-69 years, male 33.6
GTEX-X261-0126-SM-3NMD6 50-59 years, male 33.5
GTEX-1CB4G-0226-SM-7PC3O 60-69 years, male 33.5
GTEX-1E2YA-0126-SM-9KNUC 50-59 years, male 33.5
GTEX-131XW-0426-SM-5LZWP 50-59 years, female 33.4
GTEX-1IY9M-0126-SM-D3L8S 60-69 years, male 33.4
GTEX-1PPH7-2326-SM-EVYB8 40-49 years, male 33.4
GTEX-11DXW-0226-SM-5H122 40-49 years, male 33.3
GTEX-1F5PL-0326-SM-7P8PQ 40-49 years, female 33.3
GTEX-PVOW-0126-SM-2XCFA 40-49 years, male 33.2
GTEX-1JKYN-1326-SM-CGQG9 30-39 years, male 33.1
GTEX-1HB9E-0226-SM-E9U4R 50-59 years, male 33.0
GTEX-139TU-0126-SM-5K7WH 60-69 years, male 32.9
GTEX-144GL-0126-SM-5TDE2 50-59 years, male 32.9
GTEX-15EU6-0426-SM-6PAN5 50-59 years, male 32.9
GTEX-TMMY-0226-SM-33HBA 40-49 years, female 32.8
GTEX-1H3VY-0126-SM-ACKXD 50-59 years, male 32.8
GTEX-1QEPI-0126-SM-EWRMQ 60-69 years, female 32.8
GTEX-14BMU-2226-SM-5TDE9 20-29 years, female 32.7
GTEX-1B8KZ-2026-SM-7DHMB 50-59 years, male 32.7
GTEX-14BIN-0626-SM-793DP 50-59 years, female 32.5
GTEX-1IL2U-0226-SM-CE6T8 60-69 years, male 32.5
GTEX-YB5E-2026-SM-5IFIS 40-49 years, male 32.4
GTEX-13G51-2526-SM-5LZYK 60-69 years, male 32.3
GTEX-PLZ5-2026-SM-2S1O4 50-59 years, male 32.3
GTEX-U412-0426-SM-3DB9O 60-69 years, male 32.3
GTEX-ZDTT-2726-SM-4WKF8 60-69 years, male 32.3
GTEX-1GL5R-1826-SM-9KNUY 50-59 years, male 32.3
GTEX-X88G-0126-SM-47JZ3 30-39 years, male 32.2
GTEX-1IDJU-2626-SM-CM2RT 60-69 years, female 32.2
GTEX-1OFPY-2426-SM-DTXEJ 60-69 years, male 32.2
GTEX-14BMV-0126-SM-5S2PO 50-59 years, male 32.1
GTEX-ZPIC-1726-SM-DHXIU 40-49 years, female 32.1
GTEX-13VXU-0126-SM-5SI9F 50-59 years, male 32.0
GTEX-1AX9J-0226-SM-73KXM 60-69 years, male 32.0
GTEX-13OW6-0426-SM-5L3HM 50-59 years, male 31.9
GTEX-WY7C-2326-SM-3NB2U 50-59 years, male 31.9
GTEX-Y111-0126-SM-4SOIV 50-59 years, male 31.8
GTEX-1NV5F-0226-SM-E8VNY 60-69 years, female 31.8
GTEX-14PJM-0226-SM-62LF1 50-59 years, female 31.7
GTEX-NFK9-0226-SM-2HMKQ 40-49 years, male 31.7
GTEX-11VI4-1726-SM-5CVLH 40-49 years, female 31.6
GTEX-11TUW-2726-SM-E9J4M 60-69 years, male 31.6
GTEX-18A66-0226-SM-718BD 60-69 years, male 31.5
GTEX-1C6VR-2426-SM-79OLD 60-69 years, male 31.5
GTEX-P4QT-0126-SM-2I3FL 50-59 years, female 31.5
GTEX-Y5V5-2326-SM-4V6GA 60-69 years, female 31.5
GTEX-OXRN-0126-SM-48TDM 50-59 years, male 31.4
GTEX-1JK1U-2026-SM-CM2RZ 60-69 years, male 31.4
GTEX-1L5NE-2526-SM-E6CIE 50-59 years, male 31.4
GTEX-1J8Q2-0526-SM-CM2RW 60-69 years, male 31.3
GTEX-15G19-0126-SM-6PANQ 60-69 years, male 31.1
GTEX-WZTO-0126-SM-3NM95 40-49 years, male 31.1
GTEX-ZVT4-0126-SM-DTXFN 50-59 years, female 31.1
GTEX-13OVK-2026-SM-7KUEO 40-49 years, male 31.0
GTEX-YJ8A-0426-SM-5IFID 20-29 years, male 31.0
GTEX-1F6I4-0126-SM-9MQL2 60-69 years, male 30.9
GTEX-1GN2E-0426-SM-9MQKX 60-69 years, male 30.9
GTEX-11WQC-2526-SM-5CVLE 60-69 years, male 30.8
GTEX-139T4-0226-SM-5HL5S 50-59 years, female 30.8
GTEX-OOBK-0126-SM-2YUND 40-49 years, male 30.8
GTEX-145MN-2226-SM-5SIAU 30-39 years, male 30.7
GTEX-18465-0126-SM-731BN 50-59 years, male 30.7
GTEX-RN64-0126-SM-2TC68 50-59 years, male 30.6
GTEX-1GZ4H-1726-SM-7PBZJ 50-59 years, female 30.6
GTEX-13O3Q-2426-SM-5IJBR 50-59 years, male 30.5
GTEX-1EX96-1626-SM-7PBXR 50-59 years, male 30.5
GTEX-145MF-0626-SM-5LUAI 50-59 years, male 30.4
GTEX-1C4CL-0526-SM-73KVK 30-39 years, male 30.4
GTEX-TML8-1926-SM-32QOS 40-49 years, female 30.4
GTEX-12WSE-0526-SM-793B2 20-29 years, male 30.3
GTEX-1QP29-0626-SM-EWRMX 50-59 years, male 30.3
GTEX-18D9B-0526-SM-7LTAS 60-69 years, male 30.2
GTEX-1H1DG-0126-SM-9WYU2 70-79 years, male 30.2
GTEX-1314G-1526-SM-5EGK2 30-39 years, male 30.1
GTEX-OOBJ-0126-SM-E6CJW 60-69 years, male 30.0
GTEX-1399R-2726-SM-5IJBA 30-39 years, male 29.9
GTEX-11NSD-2226-SM-5986V 20-29 years, male 29.8
GTEX-11ZVC-2526-SM-5FQTE 50-59 years, female 29.8
GTEX-YJ89-0126-SM-4TT3X 60-69 years, male 29.8
GTEX-ZF2S-2326-SM-4WWCE 50-59 years, female 29.8
GTEX-PW2O-1526-SM-7RHHB 20-29 years, male 29.8
GTEX-X4XY-0226-SM-4E3IZ 60-69 years, male 29.7
GTEX-XXEK-2226-SM-4BRUM 50-59 years, male 29.7
GTEX-1JMQK-0226-SM-CL543 60-69 years, male 29.7
GTEX-131XH-2226-SM-5DUXJ 50-59 years, male 29.3
GTEX-1E1VI-0126-SM-7DHMZ 50-59 years, male 29.3
GTEX-RTLS-0126-SM-447CA 60-69 years, female 29.3
GTEX-SJXC-0126-SM-2XCFF 60-69 years, male 29.3
GTEX-1211K-2026-SM-5EQ4Z 60-69 years, female 29.2
GTEX-13S7M-0126-SM-5SI6A 60-69 years, female 29.2
GTEX-13X6J-0126-SM-5QGOU 50-59 years, male 29.2
GTEX-11P7K-2126-SM-5GU7G 30-39 years, male 29.1
GTEX-XPVG-2626-SM-4B669 50-59 years, male 29.1
GTEX-1GMRU-0126-SM-9YFLV 50-59 years, male 29.1
GTEX-11TT1-2526-SM-5EGIB 20-29 years, male 29.0
GTEX-1C2JI-1826-SM-73KXC 50-59 years, male 29.0
GTEX-XBED-2226-SM-47JYQ 60-69 years, male 29.0
GTEX-1PIGE-0126-SM-EVYBJ 20-29 years, male 28.9
GTEX-1AMFI-2026-SM-731BH 50-59 years, female 28.8
GTEX-WH7G-2326-SM-3NMBC 40-49 years, male 28.8
GTEX-1HFI7-1826-SM-ACKXH 50-59 years, female 28.8
GTEX-OXRK-0226-SM-3NB2G 50-59 years, female 28.7
GTEX-T8EM-1026-SM-3DB7M 40-49 years, male 28.7
GTEX-ZTPG-0326-SM-5O9AX 20-29 years, female 28.6
GTEX-ZU9S-0226-SM-5E441 30-39 years, male 28.6
GTEX-1122O-2126-SM-5EGIR 60-69 years, female 28.5
GTEX-1B97I-1626-SM-73KYO 40-49 years, male 28.5
GTEX-1AYCT-2426-SM-7IGQ3 50-59 years, male 28.4
GTEX-1AYD5-2426-SM-73KXR 50-59 years, male 28.4
GTEX-1C475-1826-SM-73KWA 40-49 years, female 28.4
GTEX-1HSMQ-1226-SM-CGQFX 50-59 years, male 28.4
GTEX-1HBPN-0226-SM-9YFM1 50-59 years, male 28.3
GTEX-13PDP-0126-SM-5L3HD 60-69 years, male 28.2
GTEX-1PPH8-0226-SM-E8VND 20-29 years, male 28.2
GTEX-1R9PO-2126-SM-E9J4O 60-69 years, female 28.2
GTEX-132NY-0326-SM-5IJBL 60-69 years, male 28.1
GTEX-SUCS-1926-SM-32PM3 70-79 years, male 28.1
GTEX-1KWVE-1426-SM-E9TJO 30-39 years, male 28.1
GTEX-1S82Y-2026-SM-EVYCM 40-49 years, male 28.1
GTEX-148VJ-0126-SM-5TDDN 70-79 years, male 27.8
GTEX-18A67-0126-SM-7LG5P 50-59 years, male 27.8
GTEX-1F75I-0326-SM-9YFLU 40-49 years, male 27.8
GTEX-1JMPY-1326-SM-ARL8Y 30-39 years, male 27.8
GTEX-1JN6P-0126-SM-D3L98 60-69 years, male 27.8
GTEX-14E6C-0126-SM-5RQIP 40-49 years, male 27.7
GTEX-ZF28-0126-SM-4WKGK 60-69 years, male 27.7
GTEX-OXRP-0126-SM-3NB32 60-69 years, female 27.6
GTEX-1HT8W-0126-SM-CNPPP 30-39 years, male 27.6
GTEX-1RQEC-0426-SM-E6CHU 60-69 years, male 27.6
GTEX-13OVI-1426-SM-5L3EY 60-69 years, female 27.5
GTEX-13NZA-0226-SM-5K7Z7 60-69 years, male 27.4
GTEX-13VXT-0126-SM-5LU4I 20-29 years, female 27.4
GTEX-1F52S-0126-SM-9MQJU 60-69 years, female 27.4
GTEX-17EVQ-0226-SM-7LG4P 70-79 years, male 27.3
GTEX-ZTSS-1926-SM-57WEW 40-49 years, male 27.3
GTEX-1EKGG-0226-SM-9WYTH 60-69 years, male 27.3
GTEX-1HBPI-1526-SM-C1YQ1 50-59 years, male 27.2
GTEX-11XUK-2026-SM-5EQLF 40-49 years, female 27.1
GTEX-QVJO-1626-SM-2S1QW 60-69 years, female 27.1
GTEX-YEC4-2126-SM-5IFJH 40-49 years, male 27.1
GTEX-Z9EW-1626-SM-5CVMN 40-49 years, male 27.1
GTEX-1J8QM-2126-SM-CYPSJ 60-69 years, female 27.1
GTEX-1MUQO-0126-SM-EAZ58 60-69 years, male 27.1
GTEX-1JN76-0126-SM-CNPPE 20-29 years, female 27.0
GTEX-1QP67-1626-SM-EAZ3X 40-49 years, female 27.0
GTEX-1A3MW-0126-SM-73KXX 60-69 years, female 26.9
GTEX-1CB4E-2226-SM-793DC 60-69 years, male 26.9
GTEX-S7PM-0126-SM-4AD6S 60-69 years, male 26.9
GTEX-1HSEH-0126-SM-ACKXN 60-69 years, male 26.9
GTEX-117YW-2626-SM-5GZZH 50-59 years, male 26.8
GTEX-1F88F-2726-SM-7PBZZ 60-69 years, female 26.8
GTEX-ZF29-2326-SM-DO92K 60-69 years, female 26.8
GTEX-1CB4I-0226-SM-79OLH 50-59 years, male 26.7
GTEX-1IE54-0126-SM-CMKHW 40-49 years, female 26.7
GTEX-1IKJJ-0126-SM-CNPQB 60-69 years, male 26.7
GTEX-1192X-0226-SM-5H12D 50-59 years, male 26.6
GTEX-11UD2-0226-SM-5EQKY 50-59 years, male 26.6
GTEX-S7SE-0126-SM-2XCD5 50-59 years, male 26.6
GTEX-Y5LM-1926-SM-5RQJH 40-49 years, female 26.6
GTEX-13OVJ-0126-SM-5KM36 50-59 years, female 26.5
GTEX-1B8KE-2126-SM-73KYX 50-59 years, male 26.4
GTEX-11EQ9-2426-SM-5HL5T 30-39 years, male 26.3
GTEX-1399T-2826-SM-5KLYZ 60-69 years, male 26.3
GTEX-14BIL-0126-SM-5SI92 50-59 years, male 26.3
GTEX-OXRL-0126-SM-2YUMP 50-59 years, male 26.3
GTEX-Q2AI-1326-SM-2S1PL 40-49 years, male 26.3
GTEX-QLQW-1126-SM-2S1Q8 30-39 years, male 26.3
GTEX-12KS4-0326-SM-5EQ41 30-39 years, male 26.2
GTEX-16NGA-1726-SM-731B4 40-49 years, female 26.2
GTEX-U3ZH-2026-SM-3DB78 30-39 years, male 26.2
GTEX-11DZ1-0126-SM-5985Q 50-59 years, male 26.1
GTEX-P4PP-0126-SM-3LK69 30-39 years, female 26.1
GTEX-X4EO-0326-SM-3P5YO 60-69 years, female 26.1
GTEX-1GN1V-0126-SM-9WPOS 60-69 years, male 26.1
GTEX-17MF6-0126-SM-7LG4F 40-49 years, male 26.0
GTEX-ZDXO-3026-SM-5J1N5 60-69 years, male 26.0
GTEX-1S5ZA-0126-SM-EVYCV 20-29 years, male 25.9
GTEX-12WSL-2526-SM-5GCNJ 50-59 years, male 25.8
GTEX-SNMC-1226-SM-2XCFP 20-29 years, male 25.8
GTEX-14753-0426-SM-5NQAM 60-69 years, male 25.7
GTEX-11UD1-0126-SM-5PNYG 40-49 years, female 25.6
GTEX-13N1W-0126-SM-5K7VT 70-79 years, male 25.6
GTEX-18QFQ-0126-SM-731BE 30-39 years, male 25.6
GTEX-WOFL-0126-SM-3MJG2 60-69 years, male 25.6
GTEX-145LT-1726-SM-5QGP3 40-49 years, male 25.5
GTEX-15DCD-0126-SM-7KUEK 70-79 years, female 25.5
GTEX-15SDE-2226-SM-7IGLO 50-59 years, female 25.4
GTEX-12WSK-2326-SM-5GCOH 40-49 years, female 25.3
GTEX-OHPM-0126-SM-2YUN9 50-59 years, male 25.3
GTEX-T6MO-1626-SM-32QOM 40-49 years, female 25.3
GTEX-111VG-2426-SM-5GZXD 60-69 years, male 25.2
GTEX-13N11-2526-SM-5K7UE 50-59 years, female 25.2
GTEX-ZZ64-1726-SM-5GZYB 20-29 years, male 25.2
GTEX-13NYC-0326-SM-E9J4S 60-69 years, male 25.2
GTEX-1C6VQ-0126-SM-7P8RI 50-59 years, male 25.1
GTEX-13O3P-0126-SM-5KM4S 50-59 years, male 25.0
GTEX-P4PQ-0126-SM-2S1NM 60-69 years, male 25.0
GTEX-1KANB-0526-SM-E6CJH 50-59 years, male 24.9
GTEX-14A5H-0426-SM-5QGQF 60-69 years, male 24.8
GTEX-13D11-2426-SM-5KM1V 50-59 years, female 24.7
GTEX-1HSMO-0126-SM-CL547 60-69 years, male 24.7
GTEX-133LE-1826-SM-5J1MV 20-29 years, female 24.6
GTEX-13U4I-0126-SM-5LU38 40-49 years, female 24.6
GTEX-VJWN-0126-SM-3GIK7 50-59 years, female 24.6
GTEX-1M4P7-0226-SM-DIPEV 60-69 years, male 24.6
GTEX-11OC5-0126-SM-5HL6A 60-69 years, male 24.5
GTEX-13OVH-0126-SM-5MR4B 70-79 years, male 24.5
GTEX-VJYA-1126-SM-3GIJU 60-69 years, male 24.5
GTEX-ZV6S-2326-SM-4YCEY 40-49 years, female 24.5
GTEX-1A8FM-0226-SM-7SB7Q 50-59 years, female 24.5
GTEX-1H1E6-1726-SM-ACKVK 30-39 years, male 24.5
GTEX-1H3O1-0426-SM-9YFKY 60-69 years, male 24.5
GTEX-1IKK5-0626-SM-ARL8A 60-69 years, male 24.5
GTEX-1MGNQ-0126-SM-EVYCJ 40-49 years, male 24.4
GTEX-15UF6-0826-SM-6PALJ 70-79 years, female 24.3
GTEX-14DAR-2026-SM-5S2O3 50-59 years, male 24.2
GTEX-1B996-0226-SM-7RHGO 60-69 years, male 24.2
GTEX-1LSNM-1926-SM-E6CII 50-59 years, male 24.2
GTEX-12126-0326-SM-5PNW3 20-29 years, male 24.1
GTEX-14ABY-0226-SM-5TDCQ 50-59 years, male 24.1
GTEX-1QP2A-0126-SM-E9J43 50-59 years, male 24.0
GTEX-PLZ6-1426-SM-DKPOT 30-39 years, male 24.0
GTEX-11ZTT-2426-SM-5EQLS 60-69 years, female 23.9
GTEX-13IVO-0126-SM-5J1NG 70-79 years, male 23.9
GTEX-183FY-0126-SM-7LT9P 20-29 years, male 23.8
GTEX-1MA7W-2026-SM-E9TJ6 20-29 years, female 23.8
GTEX-SSA3-0126-SM-32QPU 60-69 years, male 23.7
GTEX-U4B1-1826-SM-4DXSU 40-49 years, male 23.7
GTEX-117YX-2326-SM-5H12W 50-59 years, male 23.6
GTEX-RU72-0926-SM-2TF6B 50-59 years, female 23.6
GTEX-1ICLY-0126-SM-D4P36 50-59 years, male 23.6
GTEX-1N2EF-0226-SM-EYYXB 60-69 years, male 23.6
GTEX-ZDYS-2026-SM-5HL5L 50-59 years, male 23.5
GTEX-13W3W-2426-SM-5LU5B 60-69 years, female 23.4
GTEX-144FL-0126-SM-5TDC8 50-59 years, male 23.4
GTEX-QEG4-0226-SM-2S1PY 30-39 years, male 23.4
GTEX-S32W-2126-SM-2XCB1 50-59 years, female 23.4
GTEX-X62O-0126-SM-4E3JN 50-59 years, male 23.4
GTEX-1KXAM-2226-SM-CYPTC 60-69 years, male 23.4
GTEX-X638-0126-SM-47JZ8 70-79 years, female 23.3
GTEX-1HSGN-0226-SM-CGQFV 40-49 years, female 23.2
GTEX-1AX9K-2326-SM-73KWU 50-59 years, male 23.1
GTEX-1HKZK-0326-SM-9WYUH 40-49 years, male 23.1
GTEX-1I1GU-2226-SM-CGQFA 40-49 years, male 23.1
GTEX-1MCQQ-0826-SM-DLHC2 60-69 years, male 23.1
GTEX-11P81-2326-SM-59875 30-39 years, female 23.0
GTEX-XV7Q-2526-SM-4BRV9 40-49 years, female 23.0
GTEX-145LV-2126-SM-5LU8N 50-59 years, male 22.9
GTEX-1JMQJ-0526-SM-CYPSU 50-59 years, male 22.9
GTEX-14C5O-0126-SM-5SI6N 60-69 years, male 22.8
GTEX-TSE9-0126-SM-3DB83 60-69 years, female 22.8
GTEX-ZVT3-0126-SM-5GU6I 60-69 years, female 22.8
GTEX-15SHW-0326-SM-6PAML 60-69 years, male 22.7
GTEX-13NYB-2526-SM-5K7Z6 40-49 years, male 22.6
GTEX-Y5V6-2426-SM-4VDSB 60-69 years, male 22.6
GTEX-1K2DU-2326-SM-E9TIV 20-29 years, male 22.6
GTEX-1A3MV-1926-SM-718BT 30-39 years, male 22.5
GTEX-ZVZP-2426-SM-59HKJ 50-59 years, male 22.5
GTEX-ZZPT-0226-SM-5E43X 50-59 years, male 22.5
GTEX-ZC5H-0226-SM-4WAY9 40-49 years, female 22.4
GTEX-13JUV-2726-SM-5LZZ8 40-49 years, female 22.3
GTEX-148VI-1626-SM-5SI6E 60-69 years, female 22.3
GTEX-WRHK-1426-SM-3MJF9 20-29 years, female 22.3
GTEX-X8HC-0126-SM-4E3JW 50-59 years, female 22.2
GTEX-1GTWX-0126-SM-9YFLK 60-69 years, male 22.2
GTEX-QCQG-1726-SM-3GIJ9 50-59 years, female 22.1
GTEX-OXRO-0126-SM-2YUN4 60-69 years, female 22.0
GTEX-T5JW-1626-SM-3GADZ 20-29 years, female 22.0
GTEX-1F75A-0126-SM-7RHGM 50-59 years, male 22.0
GTEX-ZQUD-1426-SM-57WER 30-39 years, male 21.9
GTEX-1NHNU-1026-SM-E9J2A 50-59 years, male 21.9
GTEX-1RAZA-0126-SM-E6CI3 20-29 years, male 21.9
GTEX-12ZZZ-0626-SM-5DUXI 60-69 years, male 21.8
GTEX-16XZY-2126-SM-79OK1 70-79 years, male 21.8
GTEX-PLZ4-0126-SM-5SI8O 50-59 years, female 21.8
GTEX-1GPI6-0126-SM-9WG69 60-69 years, male 21.8
GTEX-139TT-0126-SM-5K7Y5 60-69 years, male 21.6
GTEX-16MT8-0426-SM-7KUEY 60-69 years, female 21.6
GTEX-RM2N-1426-SM-2TF4H 50-59 years, male 21.6
GTEX-ZXES-1826-SM-5E43S 30-39 years, female 21.6
GTEX-ZYW4-0126-SM-5E44A 60-69 years, male 21.6
GTEX-16NPX-0226-SM-79OMT 50-59 years, male 21.5
GTEX-1IGQW-0126-SM-COH42 60-69 years, male 21.5
GTEX-12WSN-5019-SM-79OM6 40-49 years, male 21.4
GTEX-ZYFC-0226-SM-5NQ75 50-59 years, male 21.4
GTEX-11GSP-2526-SM-5N9BP 60-69 years, female 21.3
GTEX-13OVL-0226-SM-5L3E9 50-59 years, male 21.3
GTEX-12WSG-2826-SM-E9J4H 50-59 years, female 21.3
GTEX-1JJE9-0326-SM-CL53Z 70-79 years, male 21.3
GTEX-16XZZ-0126-SM-793DV 60-69 years, male 21.2
GTEX-1JN1M-0326-SM-CYPT3 60-69 years, female 21.1
GTEX-OIZG-0726-SM-33HBL 50-59 years, male 21.0
GTEX-1R46S-0626-SM-E9J41 60-69 years, female 21.0
GTEX-14A5I-0126-SM-5TDEA 50-59 years, female 20.9
GTEX-QDVN-2026-SM-3GAEP 50-59 years, male 20.9
GTEX-1KANA-0726-SM-D3L9I 20-29 years, male 20.9
GTEX-R55G-2526-SM-2TC6D 40-49 years, female 20.8
GTEX-X5EB-2226-SM-46MW4 40-49 years, male 20.8
GTEX-1ICG6-2526-SM-CGQFZ 70-79 years, female 20.8
GTEX-1LH75-2426-SM-E9TJE 50-59 years, female 20.8
GTEX-145LU-0126-SM-5TDCB 50-59 years, male 20.7
GTEX-1C6VS-0526-SM-7DUEN 60-69 years, male 20.7
GTEX-14PHW-0126-SM-6LLJI 60-69 years, female 20.6
GTEX-QDT8-0126-SM-48TZ1 30-39 years, female 20.6
GTEX-1J1R8-1726-SM-ARL8M 40-49 years, male 20.6
GTEX-15CHC-2126-SM-6EU21 60-69 years, female 20.5
GTEX-1AX8Z-0126-SM-7DHM6 60-69 years, male 20.5
GTEX-U8T8-0126-SM-3DB94 60-69 years, male 20.5
GTEX-11EI6-0126-SM-5985R 60-69 years, male 20.4
GTEX-12WSD-0126-SM-59HKN 60-69 years, female 20.4
GTEX-1HCVE-0126-SM-CGQEU 50-59 years, male 20.4
GTEX-1J8Q3-1626-SM-CMKGC 60-69 years, male 20.4
GTEX-13RTJ-2426-SM-5S2Q2 60-69 years, male 20.3
GTEX-XUYS-0126-SM-47JWZ 50-59 years, male 20.3
GTEX-15EOM-0126-SM-7KUGG 20-29 years, female 20.2
GTEX-1IKOH-0226-SM-COH4E 60-69 years, female 20.2
GTEX-13FHO-0226-SM-5IFGY 60-69 years, male 20.1
GTEX-UPJH-0326-SM-3GADU 50-59 years, male 20.0
GTEX-RNOR-0126-SM-E9J4R 50-59 years, female 19.9
GTEX-14BIM-0226-SM-7IGLD 60-69 years, female 19.8
GTEX-1MA7X-2226-SM-E6CIY 60-69 years, male 19.8
GTEX-13OW7-0126-SM-5MR3B 50-59 years, male 19.7
GTEX-12C56-1726-SM-5EQ61 20-29 years, male 19.6
GTEX-14PN3-2426-SM-6LLHS 60-69 years, female 19.6
GTEX-11ZUS-0626-SM-59885 30-39 years, male 19.5
GTEX-13CF3-2426-SM-5IFGX 60-69 years, female 19.5
GTEX-13QJ3-0326-SM-5S2RA 50-59 years, male 19.4
GTEX-1192W-2626-SM-5Q5AF 60-69 years, male 19.3
GTEX-11ZU8-2526-SM-5EQKI 60-69 years, male 19.3
GTEX-12WSA-0226-SM-5BC5V 60-69 years, male 19.3
GTEX-147F4-0226-SM-5QGPW 50-59 years, male 19.2
GTEX-1IL2V-0126-SM-CM2TX 70-79 years, male 19.2
GTEX-11EMC-2926-SM-5EQ4F 60-69 years, female 19.1
GTEX-11P82-1626-SM-59879 20-29 years, male 19.1
GTEX-QDVJ-1726-SM-2I5FX 50-59 years, male 19.1
GTEX-TMZS-0126-SM-3DB9Q 60-69 years, male 19.1
GTEX-1RAZQ-0726-SM-EAZ43 30-39 years, male 19.0
GTEX-13OVG-1926-SM-5L3DK 60-69 years, male 18.9
GTEX-1CB4J-0626-SM-7DHMP 60-69 years, male 18.9
GTEX-1K9T9-0126-SM-EVYCF 50-59 years, female 18.9
GTEX-15D1Q-0126-SM-7KUG6 40-49 years, male 18.6
GTEX-1LG7Y-0526-SM-DKPQC 50-59 years, male 18.6
GTEX-14PK6-1926-SM-6ETZU 70-79 years, female 18.5
GTEX-1HSMP-0126-SM-E6CJS 70-79 years, male 18.5
GTEX-1I1GR-0126-SM-CL55F 60-69 years, male 18.5
GTEX-1RDX4-0126-SM-E9J4P 50-59 years, female 18.5
GTEX-ZAB4-0226-SM-5N9F5 40-49 years, male 18.3
GTEX-14PJ6-2126-SM-6EU1V 60-69 years, female 18.0
GTEX-1GN1W-0526-SM-9MQJQ 50-59 years, female 18.0
GTEX-ZEX8-2426-SM-4WKG4 50-59 years, male 17.9
GTEX-1CAMQ-0226-SM-7IGPK 40-49 years, male 17.8
GTEX-ZUA1-0126-SM-5GU76 40-49 years, male 17.8
GTEX-14LLW-0126-SM-6LLIO 70-79 years, female 17.7
GTEX-1B8SG-0126-SM-73KZ3 50-59 years, male 17.7
GTEX-Y8LW-1826-SM-5S2MV 50-59 years, female 17.7
GTEX-Z93S-0126-SM-5HL7M 50-59 years, male 17.6
GTEX-ZAB5-1826-SM-5HL7C 50-59 years, male 17.6
GTEX-T5JC-0426-SM-32PLO 20-29 years, male 17.5
GTEX-1H1DE-2126-SM-9WG6R 20-29 years, male 17.5
GTEX-14JIY-0126-SM-6LLH6 60-69 years, male 17.2
GTEX-U3ZM-1526-SM-3DB9D 40-49 years, male 17.1
GTEX-13NZB-2526-SM-5J1OM 30-39 years, male 16.9
GTEX-1N2DV-0226-SM-E6CJ6 40-49 years, male 16.6
GTEX-17MFQ-1726-SM-793C7 20-29 years, male 16.5
GTEX-S95S-1226-SM-4GICG 60-69 years, male 16.5
GTEX-ZXG5-0126-SM-5GIEU 60-69 years, male 16.5
GTEX-1JJ6O-0126-SM-E6CI8 60-69 years, male 16.3
GTEX-11EM3-2426-SM-59861 20-29 years, female 16.1
GTEX-147F3-0526-SM-5SI98 50-59 years, female 16.1
GTEX-13FH7-2026-SM-E9J4I 50-59 years, female 15.8
GTEX-1HCU8-0626-SM-A9SM9 60-69 years, female 15.8
GTEX-1I1GT-0626-SM-CGQER 60-69 years, female 15.8
GTEX-14A6H-0126-SM-5QGPK 30-39 years, male 15.7
GTEX-1HBPM-0226-SM-ARL9F 60-69 years, female 15.7
GTEX-1I1GP-2226-SM-CGQFK 50-59 years, male 15.6
GTEX-1S82Z-0826-SM-E6CHY 30-39 years, female 15.5
GTEX-13O3O-0126-SM-E9J49 60-69 years, female 15.1
GTEX-1GF9U-2126-SM-7SB7L 40-49 years, female 15.1
GTEX-1H1ZS-0426-SM-9WG6G 70-79 years, male 15.1
GTEX-1OJC4-0126-SM-E9J2E 50-59 years, female 15.0
GTEX-Q2AG-0126-SM-33HBV 40-49 years, female 14.9
GTEX-146FH-0126-SM-5QGPP 50-59 years, female 14.7
GTEX-1128S-2326-SM-5GZZY 60-69 years, female 14.2
GTEX-1QP66-1726-SM-E8VO1 50-59 years, male 14.2
GTEX-ZYY3-0126-SM-5GZY5 60-69 years, female 14.1
GTEX-1I1HK-0126-SM-COH49 60-69 years, male 14.1
GTEX-U3ZN-2326-SM-3DB7W 30-39 years, female 13.8
GTEX-1HBPH-0426-SM-B2LW5 40-49 years, female 13.8
GTEX-1MCYP-1926-SM-E9J2R 20-29 years, female 13.6
GTEX-13OW8-1326-SM-5J1OW 60-69 years, male 13.5
GTEX-1AMEY-1326-SM-73KYK 30-39 years, female 13.1
GTEX-11GSO-2426-SM-5A5LY 60-69 years, male 12.8
GTEX-13O1R-0126-SM-5L3EH 60-69 years, male 11.7
GTEX-14E7W-0126-SM-6LLJ9 70-79 years, male 11.3
GTEX-ZAJG-0126-SM-5HL94 50-59 years, female 11.1
GTEX-14JG6-2226-SM-6EU2G 30-39 years, female 10.9
GTEX-Q734-1926-SM-2I5EV 40-49 years, female 10.1
GTEX-131XG-2626-SM-5KM17 50-59 years, female 10.0
GTEX-13FTY-0526-SM-5L3EV 40-49 years, female 9.8
GTEX-169BO-1326-SM-9MQK2 50-59 years, male 8.7
Show allShow less

Contact

  • NEWS ARTICLES
  • PRESS ROOM

The Project

  • INTRODUCTION
  • ORGANIZATION
  • PUBLICATIONS

The Human Protein Atlas

  • DOWNLOADABLE DATA
  • LICENCE & CITATION
  • HELP & FAQ
The Human Protein Atlas project is funded
by the Knut & Alice Wallenberg Foundation.


contact@proteinatlas.org