We use cookies to enhance the usability of our website. If you continue, we'll assume that you are happy to receive all cookies. More information. Don't show this again.
KIAA2026
HPA
RESOURCES
  • TISSUE
  • BRAIN
  • SINGLE CELL
  • SUBCELLULAR
  • CANCER
  • BLOOD
  • CELL LINE
  • STRUCTURE & INTERACTION
ABOUT
  • INTRODUCTION
  • HISTORY
  • ORGANIZATION
  • PUBLICATIONS
  • ANTIBODY SUBMISSION
  • ANTIBODY AVAILABILITY
  • ACKNOWLEDGMENTS
  • CONTACT
NEWS
  • NEWS ARTICLES
  • PRESS ROOM
LEARN
  • DICTIONARY
  • PROTEIN CLASSES
  • PROTEIN EVIDENCE
  • METHODS
  • EDUCATIONAL VIDEOS
DATA
  • DOWNLOADABLE DATA
  • PUBLICATION DATA
  • RELEASE HISTORY
HELP
  • ANTIBODY VALIDATION
  • ASSAYS & ANNOTATION
  • DISCLAIMER
  • HELP & FAQ
  • PRIVACY STATEMENT
  • LICENCE & CITATION
Fields »
Search result

Field
Term
Gene name
Class
Subclass
Class
Keyword
Chromosome
External id
Tissue
Cell type
Expression
Antibody panel
Tissue
Main location
Patient ID
Annotation
Tissue
Category
Tau score
Cluster
Reliability
Brain region
Category
Tau score
Brain region
Category
Tau score
Brain region
Category
Tau score
Cluster
Reliability
Tissue
Cell type
Enrichment
Cell type
Category
Tau score
Cell type
Category
Tau score
Cell type
Category
Tau score
Cell lineage
Category
Tau score
Cluster
Cluster
Location
Searches
Location
Cell line
Class
Type
Phase
Reliability
Cancer
Prognosis
Cancer
Category
Cancer
Category
Tau score
Cluster
Variants
Interacting gene (ensg_id)
Type
Number of interactions
Pathway
Category
Score
Score
Score
Validation
Validation
Validation
Validation
Antibodies
Data type
Column


  • SUMMARY

  • TISSUE

  • BRAIN

  • SINGLE CELL

  • SUBCELL

  • CANCER

  • BLOOD

  • CELL LINE

  • STRUCT & INT

  • KIAA2026
TISSUE PRIMARY DATA LIVER Show tissue menu
ADIPOSE TISSUE ADRENAL GLAND AMYGDALA APPENDIX BASAL GANGLIA BONE MARROW BREAST BRONCHUS CEREBELLUM CEREBRAL CORTEX CERVIX CHOROID PLEXUS COLON DUODENUM
ENDOMETRIUM EPIDIDYMIS ESOPHAGUS FALLOPIAN TUBE GALLBLADDER HEART MUSCLE HIPPOCAMPAL FORMATION HYPOTHALAMUS KIDNEY LIVER LUNG LYMPH NODE MIDBRAIN NASOPHARYNX
ORAL MUCOSA OVARY PANCREAS PARATHYROID GLAND PITUITARY GLAND PLACENTA PROSTATE RECTUM RETINA SALIVARY GLAND SEMINAL VESICLE SKELETAL MUSCLE SKIN SMALL INTESTINE
SMOOTH MUSCLE SOFT TISSUE SPINAL CORD SPLEEN STOMACH TESTIS THYMUS THYROID GLAND TONGUE TONSIL URINARY BLADDER VAGINA
ANTIBODIES
AND
VALIDATION
Dictionary
Liver
Tissue proteome
Liver
LIVER - Expression summary
Protein expression
Liveri

On the top, protein expression in current human tissue, based on all annotated cell types, is reported with the units not detected (n), low (l), medium (m) and high (h). Underneath, protein expression in each annotated cell type are reported using the same units.

Protein expression data is based on knowledge-based annotation. For genes where more than one antibody has been used, a collective score is set.

If knowledge-based annotation could not be performed for a gene, no data is displayed here. View antibody staining data further down this page.

h
m
l
n
Cholangiocytes: Low
Hepatocytes: Not detected
RNA expressioni

A summary of mRNA expression data available for current tissue based on several datasets. The mRNA expression levels in human tissues are based on RNA-seq data generated by the Human Protein Atlas (HPA), Genotype-Tissue Expression (GTEx) portal and CAGE data generated by the FANTOM5 consortium. Consensus normalized expression levels for human tissues was created by combining the data from HPA and GTEx datasets.

The mRNA expression levels in pig are based on RNA-seq data generated by the Human Protein Atlas (HPA), and for mouse, HPA data and in situ hybridization generated by the Allen brain atlas are reported.

Scroll down to view mRNA expression data in more detail.
Consensus:4.8 nTPM
HPA:4.7 nTPM
GTEx:4.8 nTPM
FANTOM5:8.1 Scaled Tags Per Million

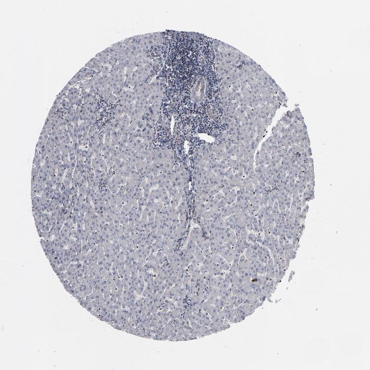
LIVER - Antibody stainingi

Antibody staining in the annotated cell types in the current human tissue is reported as not detected, low, medium, or high, based on conventional immunohistochemistry profiling in selected tissues. This score is based on the combination of the staining intensity and fraction of stained cells.

Each image is clickable and will lead to virtual microscopy that enables deeper exploration of all samples and also displays staining intensity scores, fraction scores and subcellular localization as well as patient and tissue information for each sample.

Antibody HPA002109
Cholangiocytes Low
Hepatocytes Not detected



LIVER - HPA RNA-seqi

The RNA-seq details section shows detailed information about the individual samples used for the transcript profiling and results of the RNA-seq analysis.

Information about each individual sample is listed below, including gender, age, a tissue section image and estimated fractions of cell types. nTPM (normalized transcripts per million) values give a quantification of the gene abundance which is comparable between different genes and samples.
Average nTPMi

Max subtype nTPM is the value for the subtype with the largest average nTPM across the subtype samples.

4.7
N/A
Female, age 60
Liver sample 21
nTPM: 4.3
overview
Male, age 54
Liver sample 23
nTPM: 5.3
Cell types%
Hepatocytes:
80

Fibroblasts:
15

Other cell types:
5

overview
Male, age 74
Liver sample 24
nTPM: 3
Cell types%
Hepatocytes:
85

Fibroblasts:
5

Other cell types:
10

overview
Female, age 62
Liver sample 350
nTPM: 6.5
Cell types%
Hepatocytes:
70

Fibroblasts:
10

Other cell types:
20

overview
Male, age 78
Liver sample 351
nTPM: 6.2
Cell types%
Hepatocytes:
75

Fibroblasts:
5

Other cell types:
20

overview
Male, age 53
Liver sample 352
nTPM: 3.3
Cell types%
Hepatocytes:
80

Fibroblasts:
5

Other cell types:
15

overview
Male, age 77
Liver sample 353
nTPM: 4.9
Cell types%
Hepatocytes:
75

Fibroblasts:
5

Other cell types:
20

overview
Female, age 72
Liver sample 359
nTPM: 4
Cell types%
Hepatocytes:
50

Fibroblasts:
10

Other cell types:
40

overview
Male, age 70
Liver sample 367
nTPM: 5.2
Cell types%
Hepatocytes:
65

Fibroblasts:
10

Other cell types:
25

overview
Female, age 23
Liver sample 396
nTPM: 4.5
Cell types%
Hepatocytes:
70

Fibroblasts:
5

Other cell types:
25


LIVER - GTEx RNA-seqi

RNA-Seq data generated by the Genotype-Tissue Expression (GTEx) project from human tissues is reported as mean nTPM. More information can be found on the GTEx portal.

Distribution across the dataset is visualized with box plots, shown as median and 25th and 75th percentiles. Points are displayed as outliers if they are above or below 1.5 times the interquartile range. nTPM values of the individual samples are presented next to the box plot.
Max subtype nTPMi

Max subtype nTPM is the value for the subtype with the largest average nTPM across the subtype samples.

4.8
GTEx sample id Sample description nTPM
Liver
Average nTPM: 4.8
Samples: 226

Max nTPM: 8.4
Min nTPM: 1.9
Std nTPM: 1.3
Median nTPM: 4.6
GTEX-131YS-1626-SM-5HL6C 60-69 years, female 8.4
GTEX-11GSP-0626-SM-5986T 60-69 years, female 8.0
GTEX-1J8EW-1626-SM-C1YQ8 60-69 years, female 8.0
GTEX-1I1GR-1526-SM-CNNQE 60-69 years, male 7.8
GTEX-145LU-1326-SM-5LU9N 50-59 years, male 7.5
GTEX-1B933-1226-SM-731DW 50-59 years, female 7.4
GTEX-13OW6-2626-SM-5IFF2 50-59 years, male 7.3
GTEX-18465-1626-SM-7LG6N 50-59 years, male 7.3
GTEX-ZVT3-1626-SM-5GU66 60-69 years, female 7.2
GTEX-15ER7-1826-SM-6LLI7 20-29 years, female 7.1
GTEX-1KWVE-0326-SM-EV7AF 30-39 years, male 7.1
GTEX-13112-1426-SM-5EGH8 50-59 years, male 7.0
GTEX-18A6Q-2026-SM-718AQ 60-69 years, male 7.0
GTEX-13SLX-1226-SM-5S2Q6 50-59 years, female 6.9
GTEX-17EVP-1026-SM-7IGOZ 40-49 years, male 6.9
GTEX-1I1HK-1126-SM-AHZ2L 60-69 years, male 6.9
GTEX-1K9T9-0726-SM-CXZJZ 50-59 years, female 6.9
GTEX-1KANB-2226-SM-DHXJW 50-59 years, male 6.9
GTEX-14E7W-1526-SM-6871X 70-79 years, male 6.8
GTEX-1A8G7-1126-SM-731ED 60-69 years, male 6.8
GTEX-11NUK-1226-SM-5P9GM 50-59 years, male 6.7
GTEX-11ZVC-0726-SM-5FQT9 50-59 years, female 6.7
GTEX-WVLH-2126-SM-EYYWD 50-59 years, male 6.7
GTEX-11OF3-0726-SM-5BC4Z 60-69 years, male 6.6
GTEX-WZTO-0626-SM-4PQYY 40-49 years, male 6.6
GTEX-1RQEC-1126-SM-EAZ5E 60-69 years, male 6.6
GTEX-1AX9I-1626-SM-72D5D 60-69 years, male 6.5
GTEX-1F75A-1626-SM-9JGGT 50-59 years, male 6.5
GTEX-1B8L1-0726-SM-7P8RT 60-69 years, male 6.4
GTEX-11NV4-1326-SM-5HL6V 60-69 years, male 6.3
GTEX-11ZTS-1426-SM-5EQMM 60-69 years, female 6.3
GTEX-1399T-0826-SM-5IFES 60-69 years, male 6.3
GTEX-1HBPI-1026-SM-AHZ4N 50-59 years, male 6.3
GTEX-13NYB-1026-SM-5IFH3 40-49 years, male 6.2
GTEX-13NZB-0626-SM-5IFH6 30-39 years, male 6.2
GTEX-Q2AG-1126-SM-48U1P 40-49 years, female 6.2
GTEX-144GL-1426-SM-79OMA 50-59 years, male 6.1
GTEX-15DYW-1326-SM-6LPIV 60-69 years, female 6.1
GTEX-RNOR-1426-SM-48FDJ 50-59 years, female 6.1
GTEX-1BAJH-1526-SM-7RHGI 70-79 years, male 6.1
GTEX-1HB9E-0626-SM-AHZ4K 50-59 years, male 6.1
GTEX-11WQC-0726-SM-5EQMR 60-69 years, male 6.0
GTEX-13FLV-0326-SM-5N9DJ 50-59 years, male 6.0
GTEX-T6MN-1226-SM-3NMA5 50-59 years, male 6.0
GTEX-1JMLX-1326-SM-CXZJO 50-59 years, male 6.0
GTEX-1S5VW-1826-SM-EAZ53 60-69 years, male 6.0
GTEX-13VXU-0926-SM-5IFFH 50-59 years, male 5.9
GTEX-14DAQ-1726-SM-5S2R2 60-69 years, female 5.9
GTEX-12ZZZ-1326-SM-59HKW 60-69 years, male 5.8
GTEX-14BIL-1326-SM-79OMR 50-59 years, male 5.8
GTEX-15SHU-1826-SM-7KUKS 40-49 years, female 5.8
GTEX-18A7A-1526-SM-72D69 50-59 years, female 5.8
GTEX-1EWIQ-0726-SM-7MKFW 70-79 years, female 5.8
GTEX-X4XY-1626-SM-46MVN 60-69 years, male 5.8
GTEX-YFC4-1526-SM-5IFJS 40-49 years, female 5.8
GTEX-1GN2E-0926-SM-9WPOH 60-69 years, male 5.8
GTEX-1JJEA-1526-SM-CNNPK 60-69 years, male 5.8
GTEX-1NV8Z-1626-SM-DPRYT 60-69 years, male 5.8
GTEX-1269C-0626-SM-5FQSS 60-69 years, female 5.7
GTEX-1IKJJ-1526-SM-C1YSC 60-69 years, male 5.7
GTEX-11DXY-0526-SM-5EGGQ 60-69 years, male 5.6
GTEX-1212Z-0226-SM-59HLF 60-69 years, male 5.6
GTEX-Y5V5-0926-SM-4VBPZ 60-69 years, female 5.6
GTEX-1QP6S-1326-SM-DPRZ8 40-49 years, male 5.6
GTEX-12WSD-1426-SM-5GCN9 60-69 years, female 5.5
GTEX-13N2G-0926-SM-5IFGJ 60-69 years, male 5.5
GTEX-ZAB4-0826-SM-5LU9D 40-49 years, male 5.5
GTEX-1KD4Q-1526-SM-D4P3L 40-49 years, male 5.5
GTEX-147JS-1126-SM-5RQIW 60-69 years, male 5.4
GTEX-1EKGG-1226-SM-7IGNO 60-69 years, male 5.4
GTEX-RU72-1426-SM-46MUF 50-59 years, female 5.4
GTEX-ZYY3-0626-SM-5NQ6W 60-69 years, female 5.4
GTEX-1GZ4I-1526-SM-9OSW9 50-59 years, male 5.4
GTEX-1KAFJ-0726-SM-CXZKF 50-59 years, male 5.4
GTEX-147F4-1426-SM-5LUA8 50-59 years, male 5.3
GTEX-14AS3-0126-SM-5Q5F4 40-49 years, female 5.3
GTEX-14JG1-1626-SM-664NH 40-49 years, male 5.3
GTEX-17HII-1026-SM-7IGLY 50-59 years, male 5.3
GTEX-1A8FM-1226-SM-7IGMD 50-59 years, female 5.3
GTEX-1CAMQ-1426-SM-7MKFL 40-49 years, male 5.3
GTEX-RTLS-1326-SM-46MUN 60-69 years, female 5.3
GTEX-1GN1U-0926-SM-9WPPY 50-59 years, female 5.3
GTEX-17HGU-1826-SM-7IGQM 50-59 years, male 5.2
GTEX-1GF9V-1226-SM-7MKGY 60-69 years, male 5.2
GTEX-YECK-1926-SM-4W21H 60-69 years, male 5.2
GTEX-1HBPH-2626-SM-A96TV 40-49 years, female 5.2
GTEX-131XE-0326-SM-5LZVO 50-59 years, male 5.1
GTEX-13FTZ-0726-SM-5IFFY 60-69 years, male 5.1
GTEX-14E1K-0326-SM-5S2PE 50-59 years, male 5.1
GTEX-RWSA-1426-SM-47JXA 40-49 years, male 5.1
GTEX-1GN73-1126-SM-9OSW5 60-69 years, male 5.1
GTEX-145MF-0826-SM-5QGQA 50-59 years, male 5.0
GTEX-UTHO-2426-SM-4JBHD 60-69 years, male 5.0
GTEX-Y111-0726-SM-EYYVM 50-59 years, male 5.0
GTEX-13QJC-0726-SM-5RQJK 60-69 years, female 4.9
GTEX-13X6J-1826-SM-5TDCT 50-59 years, male 4.9
GTEX-1EH9U-1126-SM-7IGLU 60-69 years, male 4.9
GTEX-1JJ6O-0826-SM-CXZJL 60-69 years, male 4.9
GTEX-139TU-0826-SM-5IJFG 60-69 years, male 4.8
GTEX-147GR-1326-SM-7IGLB 60-69 years, male 4.8
GTEX-1C6VQ-1626-SM-79OO1 50-59 years, male 4.8
GTEX-S33H-1626-SM-4AD68 30-39 years, male 4.8
GTEX-SJXC-1226-SM-4DM78 60-69 years, male 4.8
GTEX-ZF2S-3026-SM-4WWCH 50-59 years, female 4.8
GTEX-ZYT6-0626-SM-5E45V 30-39 years, male 4.8
GTEX-1HT8W-0826-SM-C1YRJ 30-39 years, male 4.8
GTEX-12696-0826-SM-5EGGE 60-69 years, male 4.7
GTEX-139TS-1426-SM-5IFJD 60-69 years, male 4.7
GTEX-15RJE-1126-SM-6LPI5 40-49 years, male 4.7
GTEX-15SZO-1226-SM-6LPIP 50-59 years, male 4.7
GTEX-1IKK5-0326-SM-C1YPY 60-69 years, male 4.7
GTEX-11DXZ-0126-SM-5EGGY 50-59 years, male 4.6
GTEX-11ZUS-2526-SM-59872 30-39 years, male 4.6
GTEX-ZVT4-0626-SM-5E45T 50-59 years, female 4.6
GTEX-1E2YA-1226-SM-7MGY3 50-59 years, male 4.6
GTEX-1LH75-0926-SM-EAZ5C 50-59 years, female 4.6
GTEX-O5YV-0726-SM-EV798 60-69 years, female 4.6
GTEX-12KS4-1326-SM-5LUB3 30-39 years, male 4.5
GTEX-12WSI-0226-SM-5GCNA 50-59 years, male 4.5
GTEX-145MO-2326-SM-5NQ9K 60-69 years, male 4.5
GTEX-14A5I-1726-SM-5QGQ5 50-59 years, female 4.5
GTEX-14PJO-1726-SM-68719 60-69 years, male 4.5
GTEX-P44G-1126-SM-3NM9D 30-39 years, male 4.5
GTEX-U3ZN-0226-SM-3DB8D 30-39 years, female 4.5
GTEX-XBEC-1526-SM-4AT68 50-59 years, male 4.5
GTEX-ZAB5-0426-SM-5CVMI 50-59 years, male 4.5
GTEX-1PIIG-1326-SM-EXOIR 30-39 years, male 4.5
GTEX-QEG4-1826-SM-CKZN9 30-39 years, male 4.5
GTEX-13PVQ-1526-SM-5IFEQ 50-59 years, male 4.4
GTEX-17F96-1226-SM-79OK2 70-79 years, male 4.4
GTEX-1B932-1426-SM-793AN 40-49 years, female 4.4
GTEX-REY6-1226-SM-48FDR 60-69 years, male 4.4
GTEX-UPK5-1426-SM-4JBHH 40-49 years, male 4.4
GTEX-WYVS-1926-SM-4PQZ2 40-49 years, female 4.4
GTEX-X261-1726-SM-4PQYT 50-59 years, male 4.4
GTEX-1HCVE-1526-SM-B2LWW 50-59 years, male 4.4
GTEX-12WSM-0726-SM-5GCOW 60-69 years, male 4.3
GTEX-14C38-1526-SM-5RQJ7 50-59 years, male 4.3
GTEX-1B8SG-1326-SM-79ONT 50-59 years, male 4.3
GTEX-1HCU7-1726-SM-B2LX9 50-59 years, male 4.3
GTEX-1KD5A-1226-SM-CXZK7 50-59 years, male 4.3
GTEX-1QP66-0226-SM-DPRXS 50-59 years, male 4.3
GTEX-132NY-0926-SM-5P9G3 60-69 years, male 4.2
GTEX-13O1R-2026-SM-5KM3N 60-69 years, male 4.2
GTEX-1GF9X-0426-SM-7MKHN 40-49 years, female 4.2
GTEX-PX3G-0826-SM-48TZS 20-29 years, female 4.2
GTEX-RN64-1826-SM-48FDV 50-59 years, male 4.2
GTEX-ZEX8-0826-SM-4WKHK 50-59 years, male 4.2
GTEX-1ICLY-1526-SM-C1YS4 50-59 years, male 4.2
GTEX-QV44-0326-SM-C1YQX 50-59 years, male 4.2
GTEX-13NZ9-1326-SM-5MR3V 50-59 years, male 4.1
GTEX-15RJ7-2026-SM-6LPJ4 40-49 years, male 4.0
GTEX-OOBJ-0826-SM-3NB2K 60-69 years, male 4.0
GTEX-QEL4-1226-SM-447A4 50-59 years, male 4.0
GTEX-1EN7A-2026-SM-7MGY4 40-49 years, male 4.0
GTEX-1S82Y-1026-SM-EV7BJ 40-49 years, male 4.0
GTEX-12WSG-0626-SM-5FQTQ 50-59 years, female 3.9
GTEX-17HHE-0126-SM-79398 50-59 years, male 3.9
GTEX-WK11-1326-SM-4OOSI 50-59 years, male 3.9
GTEX-13113-1326-SM-5GCOI 60-69 years, female 3.8
GTEX-132AR-0426-SM-5IFH8 50-59 years, female 3.8
GTEX-146FH-1526-SM-5NQBU 50-59 years, female 3.8
GTEX-VUSG-0126-SM-4KL1X 50-59 years, male 3.8
GTEX-WQUQ-1926-SM-4OOSA 60-69 years, male 3.8
GTEX-ZTPG-1426-SM-51MT3 20-29 years, female 3.8
GTEX-ZZPU-0426-SM-5GZYH 50-59 years, female 3.8
GTEX-1PBJJ-0626-SM-DPRYO 30-39 years, male 3.8
GTEX-11TUW-1726-SM-5BC5C 60-69 years, male 3.7
GTEX-18A66-2026-SM-7189C 60-69 years, male 3.7
GTEX-R53T-0326-SM-48FEC 50-59 years, female 3.7
GTEX-X4EP-1026-SM-4QAS5 60-69 years, female 3.7
GTEX-1399R-1226-SM-5P9GF 30-39 years, male 3.6
GTEX-139YR-0226-SM-5IFEM 50-59 years, male 3.6
GTEX-P78B-1326-SM-3P611 40-49 years, female 3.6
GTEX-1H11D-0826-SM-9OSWB 40-49 years, male 3.6
GTEX-1MJIX-0726-SM-DPRYP 40-49 years, male 3.6
GTEX-11TT1-1726-SM-5EQLJ 20-29 years, male 3.5
GTEX-131XH-0626-SM-5LZWH 50-59 years, male 3.5
GTEX-13N11-0926-SM-5IJG2 50-59 years, female 3.5
GTEX-13O3O-1826-SM-5IFGW 60-69 years, female 3.5
GTEX-1GF9W-0826-SM-7MKHI 60-69 years, male 3.5
GTEX-QESD-2026-SM-447BI 20-29 years, male 3.5
GTEX-Z9EW-0426-SM-5CVM9 40-49 years, male 3.5
GTEX-ZPU1-0826-SM-57WG2 40-49 years, male 3.5
GTEX-148VI-0626-SM-5TDDH 60-69 years, female 3.4
GTEX-1B996-1426-SM-7EPIA 60-69 years, male 3.4
GTEX-XXEK-1126-SM-4BRUX 50-59 years, male 3.4
GTEX-1CB4F-1726-SM-7MGXH 60-69 years, male 3.4
GTEX-1QCLZ-1226-SM-EAZ49 60-69 years, female 3.4
GTEX-17MF6-1126-SM-7DUFS 40-49 years, male 3.3
GTEX-TKQ2-1726-SM-4DXUP 50-59 years, male 3.3
GTEX-WFON-1726-SM-4LVMQ 40-49 years, male 3.3
GTEX-X3Y1-2726-SM-4PQZH 40-49 years, male 3.3
GTEX-1A32A-0826-SM-72D5C 50-59 years, female 3.2
GTEX-1AX8Z-1026-SM-7189R 60-69 years, male 3.2
GTEX-Q734-0326-SM-48U15 40-49 years, female 3.2
GTEX-S32W-1926-SM-4AD63 50-59 years, female 3.2
GTEX-1R9JW-0826-SM-DPRZJ 30-39 years, female 3.2
GTEX-OIZF-0826-SM-3MJGO 60-69 years, male 3.2
GTEX-ZF29-2026-SM-DNZYW 60-69 years, female 3.2
GTEX-18D9B-1526-SM-7KFRK 60-69 years, male 3.1
GTEX-1AMFI-0826-SM-731DV 50-59 years, female 3.1
GTEX-U8XE-1526-SM-4E3HT 30-39 years, male 3.1
GTEX-1LGRB-0626-SM-CNNQH 50-59 years, female 3.1
GTEX-14753-1626-SM-5NQ9L 60-69 years, male 3.0
GTEX-1497J-0726-SM-5Q5D1 60-69 years, male 3.0
GTEX-14PHX-0526-SM-664NW 50-59 years, male 3.0
GTEX-14XAO-0226-SM-68728 60-69 years, female 3.0
GTEX-QDVN-0826-SM-48TZ2 50-59 years, male 3.0
GTEX-X4EO-1126-SM-4QARQ 60-69 years, female 3.0
GTEX-ZVP2-0626-SM-51MSO 50-59 years, male 3.0
GTEX-YEC4-0826-SM-5P9FV 40-49 years, male 2.9
GTEX-11EQ9-0526-SM-5A5JZ 30-39 years, male 2.7
GTEX-144GM-1326-SM-5LU5E 20-29 years, male 2.7
GTEX-1CB4J-0726-SM-7IGN8 60-69 years, male 2.7
GTEX-O5YT-0826-SM-3TW8N 20-29 years, male 2.7
GTEX-1ICG6-1026-SM-B2LY6 70-79 years, female 2.7
GTEX-12WSL-0226-SM-5CVMJ 50-59 years, male 2.6
GTEX-13FTW-1126-SM-5J2NV 40-49 years, male 2.6
GTEX-S4Z8-0526-SM-4AD4T 60-69 years, male 2.6
GTEX-Y5LM-0426-SM-4VBRO 40-49 years, female 2.5
GTEX-RM2N-1926-SM-48FCU 50-59 years, male 2.4
GTEX-1QPFJ-1126-SM-E9U5V 30-39 years, female 2.4
GTEX-13PVR-0126-SM-5S2PY 60-69 years, female 2.3
GTEX-WY7C-0726-SM-4ONCB 50-59 years, male 2.1
GTEX-YB5E-0326-SM-5IFHU 40-49 years, male 1.9
Show allShow less

LIVER - FANTOM5 CAGEi

RNA expression in human tissues obtained through Cap Analysis of Gene Expression (CAGE) generated by the FANTOM5 project are reported as Scaled Tags Per Million.

Max subtype Scaled Tags Per Millioni

Max subtype Scaled Tags Per Million is the value for the subtype with the largest average Scaled Tags Per Million across the subtype samples.

8.1
FANTOM5 sample id Sample description Scaled Tags Per Million
Liver
Scaled Tags Per Million: 8.1
FF:10018-101C9 64,69,70 years, mixed 8.1

Contact

  • NEWS ARTICLES
  • PRESS ROOM

The Project

  • INTRODUCTION
  • ORGANIZATION
  • PUBLICATIONS

The Human Protein Atlas

  • DOWNLOADABLE DATA
  • LICENCE & CITATION
  • HELP & FAQ
The Human Protein Atlas project is funded
by the Knut & Alice Wallenberg Foundation.


contact@proteinatlas.org