We use cookies to enhance the usability of our website. If you continue, we'll assume that you are happy to receive all cookies. More information. Don't show this again.
PCBP3
HPA
RESOURCES
  • TISSUE
  • BRAIN
  • SINGLE CELL
  • SUBCELLULAR
  • CANCER
  • BLOOD
  • CELL LINE
  • STRUCTURE & INTERACTION
ABOUT
  • INTRODUCTION
  • HISTORY
  • ORGANIZATION
  • PUBLICATIONS
  • ANTIBODY SUBMISSION
  • ANTIBODY AVAILABILITY
  • ACKNOWLEDGMENTS
  • CONTACT
NEWS
  • NEWS ARTICLES
  • PRESS ROOM
LEARN
  • DICTIONARY
  • PROTEIN CLASSES
  • PROTEIN EVIDENCE
  • METHODS
  • EDUCATIONAL VIDEOS
DATA
  • DOWNLOADABLE DATA
  • PUBLICATION DATA
  • RELEASE HISTORY
HELP
  • ANTIBODY VALIDATION
  • ASSAYS & ANNOTATION
  • DISCLAIMER
  • HELP & FAQ
  • PRIVACY STATEMENT
  • LICENCE & CITATION
Fields »
Search result

Field
Term
Gene name
Class
Subclass
Class
Keyword
Chromosome
External id
Tissue
Cell type
Expression
Antibody panel
Tissue
Main location
Patient ID
Annotation
Tissue
Category
Tau score
Cluster
Reliability
Brain region
Category
Tau score
Brain region
Category
Tau score
Brain region
Category
Tau score
Cluster
Reliability
Tissue
Cell type
Enrichment
Cell type
Category
Tau score
Cell type
Category
Tau score
Cell type
Category
Tau score
Cell lineage
Category
Tau score
Cluster
Cluster
Location
Searches
Location
Cell line
Class
Type
Phase
Reliability
Cancer
Prognosis
Cancer
Category
Cancer
Category
Tau score
Cluster
Variants
Interacting gene (ensg_id)
Type
Number of interactions
Pathway
Category
Score
Score
Score
Validation
Validation
Validation
Validation
Antibodies
Data type
Column


  • SUMMARY

  • TISSUE

  • BRAIN

  • SINGLE CELL

  • SUBCELL

  • CANCER

  • BLOOD

  • CELL LINE

  • STRUCT & INT

  • PCBP3
TISSUE PRIMARY DATA COLON Show tissue menu
ADIPOSE TISSUE ADRENAL GLAND AMYGDALA APPENDIX BASAL GANGLIA BONE MARROW BREAST BRONCHUS CEREBELLUM CEREBRAL CORTEX CERVIX CHOROID PLEXUS COLON DUODENUM
ENDOMETRIUM EPIDIDYMIS ESOPHAGUS FALLOPIAN TUBE GALLBLADDER HEART MUSCLE HIPPOCAMPAL FORMATION HYPOTHALAMUS KIDNEY LIVER LUNG LYMPH NODE MIDBRAIN NASOPHARYNX
ORAL MUCOSA OVARY PANCREAS PARATHYROID GLAND PITUITARY GLAND PLACENTA PROSTATE RECTUM RETINA SALIVARY GLAND SEMINAL VESICLE SKELETAL MUSCLE SKIN SMALL INTESTINE
SMOOTH MUSCLE SOFT TISSUE SPINAL CORD SPLEEN STOMACH TESTIS THYMUS THYROID GLAND TONGUE TONSIL URINARY BLADDER VAGINA
ANTIBODIES
AND
VALIDATION
Dictionary
Colon
Tissue proteome
Intestine
COLON - Expression summary
Protein expression
Coloni

On the top, protein expression in current human tissue, based on all annotated cell types, is reported with the units not detected (n), low (l), medium (m) and high (h). Underneath, protein expression in each annotated cell type are reported using the same units.

Protein expression data is based on knowledge-based annotation. For genes where more than one antibody has been used, a collective score is set.

If knowledge-based annotation could not be performed for a gene, no data is displayed here. View antibody staining data further down this page.

h
m
l
n
Endothelial cells: Not detected
Glandular cells: High
Peripheral nerve/ganglion: High
RNA expressioni

A summary of mRNA expression data available for current tissue based on several datasets. The mRNA expression levels in human tissues are based on RNA-seq data generated by the Human Protein Atlas (HPA), Genotype-Tissue Expression (GTEx) portal and CAGE data generated by the FANTOM5 consortium. Consensus normalized expression levels for human tissues was created by combining the data from HPA and GTEx datasets.

The mRNA expression levels in pig are based on RNA-seq data generated by the Human Protein Atlas (HPA), and for mouse, HPA data and in situ hybridization generated by the Allen brain atlas are reported.

Scroll down to view mRNA expression data in more detail.
Consensus:13.2 nTPM
HPA:1.7 nTPM
GTEx:13.2 nTPM
FANTOM5:6.5 Scaled Tags Per Million

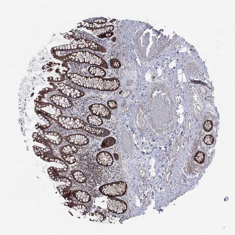
COLON - Antibody stainingi

Antibody staining in the annotated cell types in the current human tissue is reported as not detected, low, medium, or high, based on conventional immunohistochemistry profiling in selected tissues. This score is based on the combination of the staining intensity and fraction of stained cells.

Each image is clickable and will lead to virtual microscopy that enables deeper exploration of all samples and also displays staining intensity scores, fraction scores and subcellular localization as well as patient and tissue information for each sample.

Antibody HPA030247Antibody HPA073145
Endothelial cells Not detectedNot detected
Glandular cells HighMedium
Peripheral nerve/ganglion HighHigh





COLON - HPA RNA-seqi

The RNA-seq details section shows detailed information about the individual samples used for the transcript profiling and results of the RNA-seq analysis.

Information about each individual sample is listed below, including gender, age, a tissue section image and estimated fractions of cell types. nTPM (normalized transcripts per million) values give a quantification of the gene abundance which is comparable between different genes and samples.
Average nTPMi

Max subtype nTPM is the value for the subtype with the largest average nTPM across the subtype samples.

1.7
overview
Male, age 54
Colon sample 67
nTPM: 0.8
Cell types%
Glandular cells:
65

Smooth muscle cells:
10

Other cell types:
25

overview
Female, age 57
Colon sample 68
nTPM: 0.5
Cell types%
Glandular cells:
40

Smooth muscle cells:
5

Other cell types:
55

overview
Male, age 80
Colon sample 69
nTPM: 0.9
Cell types%
Glandular cells:
55

Smooth muscle cells:
5

Other cell types:
40

overview
Male, age 68
Colon sample 70
nTPM: 1.2
Cell types%
Glandular cells:
35

Smooth muscle cells:
10

Other cell types:
55

overview
Female, age 68
Colon sample 76
nTPM: 2
Cell types%
Glandular cells:
25

Smooth muscle cells:
5

Other cell types:
70

overview
Female, age 61
Colon sample 299
nTPM: 3
Cell types%
Glandular cells:
5

Smooth muscle cells:
65

Other cell types:
30

overview
Male, age 80
Colon sample 300
nTPM: 1.7
Cell types%
Glandular cells:
15

Smooth muscle cells:
20

Other cell types:
65

overview
Female, age 78
Colon sample 368
nTPM: 1.5
Cell types%
Glandular cells:
45

Smooth muscle cells:
5

Other cell types:
50

overview
Male, age 84
Colon sample 381
nTPM: 2.3
Cell types%
Glandular cells:
50

Smooth muscle cells:
15

Other cell types:
35

overview
Male, age 80
Colon sample 384
nTPM: 1.2
Cell types%
Glandular cells:
20

Smooth muscle cells:
35

Other cell types:
45

overview
Female, age 78
Colon sample 389
nTPM: 1.4
Cell types%
Glandular cells:
35

Smooth muscle cells:
10

Other cell types:
55

overview
Female, age 69
Colon sample 391
nTPM: 2.8
Cell types%
Glandular cells:
10

Smooth muscle cells:
45

Other cell types:
45

overview
Female, age 72
Colon sample 403
nTPM: 2.5
Cell types%
Glandular cells:
20

Smooth muscle cells:
15

Other cell types:
65


COLON - GTEx RNA-seqi

RNA-Seq data generated by the Genotype-Tissue Expression (GTEx) project from human tissues is reported as mean nTPM. More information can be found on the GTEx portal.

Distribution across the dataset is visualized with box plots, shown as median and 25th and 75th percentiles. Points are displayed as outliers if they are above or below 1.5 times the interquartile range. nTPM values of the individual samples are presented next to the box plot.
Max subtype nTPMi

Max subtype nTPM is the value for the subtype with the largest average nTPM across the subtype samples.

13.2
GTEx sample id Sample description nTPM
Colon - Sigmoid
Average nTPM: 13.2
Samples: 373

Max nTPM: 89.6
Min nTPM: 2.0
Std nTPM: 10.4
Median nTPM: 10.6
GTEX-1339X-1726-SM-5P9J9 40-49 years, male 89.6
GTEX-12WSL-1826-SM-5LZW9 50-59 years, male 81.3
GTEX-13O1R-2426-SM-5KLZZ 60-69 years, male 59.5
GTEX-131XG-1526-SM-5GCNQ 50-59 years, female 58.9
GTEX-WI4N-2226-SM-4OOS9 40-49 years, female 57.8
GTEX-11TT1-0926-SM-5GU5M 20-29 years, male 55.4
GTEX-1CAMS-2626-SM-7PBY3 40-49 years, female 49.9
GTEX-13CF3-1326-SM-5LZXZ 60-69 years, female 49.3
GTEX-1LKK1-2426-SM-DIPES 50-59 years, female 46.6
GTEX-1OFPY-1226-SM-E76OM 60-69 years, male 46.3
GTEX-ZV6S-1126-SM-57WE9 40-49 years, female 44.2
GTEX-12WSJ-1426-SM-5GCON 40-49 years, female 43.6
GTEX-17EUY-1726-SM-79OK4 20-29 years, male 40.1
GTEX-14C5O-2626-SM-5RQI5 60-69 years, male 37.6
GTEX-1JMQK-2326-SM-ARZN4 60-69 years, male 35.9
GTEX-111CU-1226-SM-5EGIN 50-59 years, male 35.7
GTEX-1RLM8-1726-SM-E9TKF 50-59 years, male 35.6
GTEX-1122O-1426-SM-5H11R 60-69 years, female 35.3
GTEX-XAJ8-0726-SM-47JY5 40-49 years, male 33.5
GTEX-13X6I-2726-SM-5Q5ET 60-69 years, male 33.4
GTEX-1A3MX-2326-SM-718B4 60-69 years, male 32.3
GTEX-13FH7-1626-SM-5J2O9 50-59 years, female 30.1
GTEX-1L5NE-1926-SM-D3L9R 50-59 years, male 29.3
GTEX-ZAB4-2426-SM-5HL8A 40-49 years, male 28.0
GTEX-11I78-1326-SM-5PNY9 50-59 years, female 27.6
GTEX-13OVJ-1826-SM-5KM2D 50-59 years, female 27.2
GTEX-1HBPM-2626-SM-9WYU5 60-69 years, female 27.1
GTEX-WRHK-1126-SM-4MVOJ 20-29 years, female 26.7
GTEX-183WM-2526-SM-731BP 70-79 years, female 26.2
GTEX-ZYY3-2226-SM-5E45A 60-69 years, female 26.1
GTEX-13FHO-2726-SM-5K7VG 60-69 years, male 25.6
GTEX-1K9T9-2926-SM-E9TKD 50-59 years, female 25.2
GTEX-14E6C-2226-SM-5QGQG 40-49 years, male 25.1
GTEX-1RDX4-1926-SM-E6CJJ 50-59 years, female 25.0
GTEX-12ZZW-2426-SM-5DUWE 50-59 years, male 23.2
GTEX-ZTTD-2626-SM-57WEX 50-59 years, male 23.1
GTEX-117YX-0526-SM-5EGJH 50-59 years, male 22.5
GTEX-17HHE-1626-SM-7DHLN 50-59 years, male 22.0
GTEX-14A5H-1626-SM-5SIAN 60-69 years, male 21.8
GTEX-15EO6-2326-SM-6LPKK 50-59 years, male 21.8
GTEX-14PJ4-1826-SM-5YY97 60-69 years, male 21.4
GTEX-Y8LW-1126-SM-4VDS4 50-59 years, female 21.3
GTEX-11TUW-2326-SM-5EQMO 60-69 years, male 21.1
GTEX-144GM-1126-SM-79OJK 20-29 years, male 21.1
GTEX-15G1A-1926-SM-7KUFF 30-39 years, male 20.9
GTEX-13FTW-2126-SM-5K7YG 40-49 years, male 19.7
GTEX-15ER7-2826-SM-6PAN2 20-29 years, female 19.7
GTEX-12BJ1-2026-SM-5FQUH 60-69 years, male 19.5
GTEX-1GTWX-2626-SM-9WPOT 60-69 years, male 19.1
GTEX-1JMPZ-2626-SM-ARU8Z 30-39 years, male 19.0
GTEX-1QPFJ-2426-SM-EVR3L 30-39 years, female 19.0
GTEX-WHSE-2726-SM-EZ6ML 20-29 years, male 18.9
GTEX-1H23P-2626-SM-9KNVN 60-69 years, male 18.7
GTEX-1HCU7-2726-SM-A9G3D 50-59 years, male 18.6
GTEX-1S5ZA-1426-SM-E6CJQ 20-29 years, male 18.6
GTEX-12696-1926-SM-5EGJT 60-69 years, male 18.5
GTEX-15UF7-1326-SM-7KUKV 40-49 years, male 18.5
GTEX-14PHX-1126-SM-5YYA5 50-59 years, male 18.4
GTEX-1LG7Y-2226-SM-E9U5K 50-59 years, male 18.2
GTEX-1PIIG-2126-SM-EXUSD 30-39 years, male 17.9
GTEX-14A5I-2426-SM-5Q5CP 50-59 years, female 17.4
GTEX-15G19-2726-SM-6LPKG 60-69 years, male 17.4
GTEX-ZZ64-0826-SM-5E449 20-29 years, male 17.4
GTEX-1H3VE-2326-SM-9KNVU 40-49 years, male 17.1
GTEX-11DXY-2026-SM-5N9CZ 60-69 years, male 16.9
GTEX-1HCVE-2326-SM-9WYUD 50-59 years, male 16.8
GTEX-15CHQ-2626-SM-686YZ 60-69 years, male 16.7
GTEX-1HBPN-2026-SM-B2LWA 50-59 years, male 16.3
GTEX-1211K-1826-SM-5EGJ2 60-69 years, female 16.1
GTEX-17MFQ-1226-SM-7KFSA 20-29 years, male 16.1
GTEX-ZT9W-1726-SM-51MS3 50-59 years, male 16.0
GTEX-17HG3-1126-SM-7DUFC 30-39 years, female 15.9
GTEX-1EH9U-1926-SM-7P8QM 60-69 years, male 15.9
GTEX-1RAZQ-2026-SM-E76P7 30-39 years, male 15.9
GTEX-1F5PL-1926-SM-7MXTP 40-49 years, female 15.8
GTEX-1LVAM-1726-SM-DHXKQ 50-59 years, female 15.7
GTEX-1PIEJ-1826-SM-EWRMN 20-29 years, female 15.7
GTEX-1P4AB-2626-SM-DTXEU 50-59 years, male 15.6
GTEX-YFCO-1526-SM-5YYB8 40-49 years, male 15.5
GTEX-1C6VQ-2626-SM-7IGMQ 50-59 years, male 15.4
GTEX-ZYFD-2226-SM-5E43P 50-59 years, male 15.2
GTEX-1IL2U-2526-SM-C1YQV 60-69 years, male 15.1
GTEX-1RQEC-2626-SM-EVR3Z 60-69 years, male 15.1
GTEX-1JMQJ-2626-SM-CY8HQ 50-59 years, male 15.0
GTEX-1GMR8-2926-SM-9KNW5 50-59 years, female 14.9
GTEX-14C39-1626-SM-5S2P4 40-49 years, male 14.7
GTEX-1H3NZ-2526-SM-9KNVO 60-69 years, male 14.7
GTEX-1HFI7-1626-SM-9WYTR 50-59 years, female 14.5
GTEX-14BIN-2426-SM-5TDCF 50-59 years, female 14.3
GTEX-WXYG-1726-SM-4ONCU 50-59 years, female 14.3
GTEX-13OW5-2826-SM-5KM1G 60-69 years, male 14.2
GTEX-1HBPH-2526-SM-ACKXK 40-49 years, female 14.1
GTEX-1IKOE-2126-SM-A96T5 30-39 years, female 14.1
GTEX-13D11-0626-SM-5LZYY 50-59 years, female 13.9
GTEX-13PVQ-2726-SM-5L3H7 50-59 years, male 13.9
GTEX-15RJ7-1726-SM-6PAL3 40-49 years, male 13.9
GTEX-ZPCL-1626-SM-57WGC 60-69 years, female 13.9
GTEX-1R7EU-1826-SM-DTX9L 60-69 years, male 13.9
GTEX-1399U-2226-SM-5KLZI 50-59 years, female 13.8
GTEX-ZE7O-2626-SM-51MSS 50-59 years, female 13.7
GTEX-ZY6K-1326-SM-5GZWP 50-59 years, male 13.7
GTEX-1J1R8-1426-SM-CL55O 40-49 years, male 13.6
GTEX-11EM3-1626-SM-5N9CO 20-29 years, female 13.5
GTEX-12ZZY-2726-SM-5EQ45 60-69 years, male 13.5
GTEX-132AR-2826-SM-5IJFV 50-59 years, female 13.5
GTEX-1JN6P-2126-SM-ARL98 60-69 years, male 13.5
GTEX-1N2DV-1826-SM-E6CJ5 40-49 years, male 13.5
GTEX-145MH-2726-SM-5QGQ6 50-59 years, male 13.1
GTEX-1AX9J-2526-SM-73KUY 60-69 years, male 13.1
GTEX-1ICG6-2226-SM-B2LY7 70-79 years, female 13.1
GTEX-1S831-1726-SM-EWROJ 20-29 years, male 13.1
GTEX-12KS4-2326-SM-5EGJB 30-39 years, male 13.0
GTEX-1C475-1526-SM-7DHM3 40-49 years, female 13.0
GTEX-X4EO-2726-SM-4E3HS 60-69 years, female 13.0
GTEX-15F5U-1426-SM-7KUN2 40-49 years, male 12.9
GTEX-Y5LM-1426-SM-5RQJL 40-49 years, female 12.9
GTEX-12WSD-2626-SM-5EGJE 60-69 years, female 12.8
GTEX-WFG8-1726-SM-4LVM6 20-29 years, male 12.8
GTEX-1B8KE-1526-SM-7DUG2 50-59 years, male 12.7
GTEX-1B996-2726-SM-7DUGG 60-69 years, male 12.7
GTEX-1QP29-2526-SM-E6CQ3 50-59 years, male 12.7
GTEX-13OW6-2226-SM-5N9FL 50-59 years, male 12.6
GTEX-18465-2726-SM-7LT9I 50-59 years, male 12.6
GTEX-1J1OQ-2826-SM-D3L88 40-49 years, female 12.6
GTEX-1LBAC-1726-SM-D3L9W 20-29 years, male 12.6
GTEX-17F96-2126-SM-7KFSM 70-79 years, male 12.5
GTEX-ZG7Y-1826-SM-4WWD3 50-59 years, male 12.5
GTEX-1HCU6-2926-SM-B2LWV 60-69 years, female 12.5
GTEX-16MTA-1626-SM-6M47N 50-59 years, male 12.4
GTEX-XUZC-1526-SM-4BRV4 30-39 years, female 12.4
GTEX-1LSNM-1426-SM-E6CIH 50-59 years, male 12.3
GTEX-1LVAO-2826-SM-E9TJH 60-69 years, male 12.3
GTEX-1PBJI-2526-SM-E6CP4 20-29 years, female 12.3
GTEX-148VJ-2426-SM-5NQ9Y 70-79 years, male 12.2
GTEX-1JJE9-2526-SM-ARU8K 70-79 years, male 12.2
GTEX-11PRG-2026-SM-5GU5F 50-59 years, male 12.1
GTEX-15RIF-1426-SM-7KUKQ 20-29 years, male 12.1
GTEX-18A66-2626-SM-72D67 60-69 years, male 12.1
GTEX-1H1ZS-2626-SM-9QEIX 70-79 years, male 12.1
GTEX-11EQ9-1526-SM-5PNY7 30-39 years, male 12.0
GTEX-1A32A-2626-SM-73KX9 50-59 years, female 12.0
GTEX-Y3I4-1126-SM-4TT7Y 50-59 years, male 12.0
GTEX-ZF28-2526-SM-57WFH 60-69 years, male 12.0
GTEX-1JMPY-1026-SM-ARZN1 30-39 years, male 12.0
GTEX-1LSNL-1626-SM-E9TJY 50-59 years, male 12.0
GTEX-XQ8I-2326-SM-4BOQC 50-59 years, male 11.9
GTEX-1PDJ9-2026-SM-E76PT 20-29 years, male 11.9
GTEX-13N2G-2226-SM-5IJCU 60-69 years, male 11.8
GTEX-147GR-2826-SM-5RQK8 60-69 years, male 11.8
GTEX-16BQI-2026-SM-7KULQ 30-39 years, female 11.7
GTEX-13PL7-2426-SM-5J2N3 60-69 years, female 11.6
GTEX-111YS-1826-SM-5GIEP 60-69 years, male 11.5
GTEX-146FH-2426-SM-5Q5EW 50-59 years, female 11.5
GTEX-YECK-2826-SM-5IFHF 60-69 years, male 11.5
GTEX-1KANA-1726-SM-CY8IG 20-29 years, male 11.5
GTEX-1LGRB-2026-SM-COH47 50-59 years, female 11.5
GTEX-1PPH8-2226-SM-EWRN7 20-29 years, male 11.5
GTEX-13O61-1526-SM-5KM3P 60-69 years, male 11.4
GTEX-15DZA-1026-SM-6PAND 30-39 years, female 11.4
GTEX-18A67-2226-SM-7LT9Z 50-59 years, male 11.4
GTEX-1CB4F-1926-SM-7MKFN 60-69 years, male 11.3
GTEX-ZVT3-2826-SM-5GU6A 60-69 years, female 11.3
GTEX-12WSG-2426-SM-5EQLZ 50-59 years, female 11.2
GTEX-145MO-2626-SM-5QGPD 60-69 years, male 11.2
GTEX-Y9LG-1326-SM-4VBQB 30-39 years, male 11.2
GTEX-1212Z-1826-SM-5FQSH 60-69 years, male 11.1
GTEX-17F9Y-2626-SM-7IGN9 70-79 years, female 11.1
GTEX-1J8JJ-2426-SM-D4P4A 60-69 years, female 11.1
GTEX-1477Z-2126-SM-5Q5CM 60-69 years, male 11.0
GTEX-14JG6-1626-SM-5YYBC 30-39 years, female 11.0
GTEX-14PKV-1926-SM-686YU 20-29 years, female 11.0
GTEX-15ETS-2326-SM-7KUGC 40-49 years, female 11.0
GTEX-1HBPI-2226-SM-9WYTY 50-59 years, male 11.0
GTEX-1N2EF-1726-SM-EXUSI 60-69 years, male 11.0
GTEX-132NY-2726-SM-5PNY2 60-69 years, male 10.9
GTEX-XUW1-1826-SM-4BOQD 50-59 years, female 10.9
GTEX-ZLFU-1426-SM-4WWEU 40-49 years, male 10.9
GTEX-13RTJ-1926-SM-5YYA2 60-69 years, male 10.8
GTEX-1H1DE-1626-SM-9KNU5 20-29 years, male 10.8
GTEX-1HCUA-1926-SM-B2LWE 50-59 years, female 10.8
GTEX-1C2JI-1726-SM-73KUW 50-59 years, male 10.7
GTEX-11EQ8-2626-SM-5N9BO 60-69 years, male 10.6
GTEX-ZF2S-1826-SM-4WKFF 50-59 years, female 10.6
GTEX-ZYT6-2826-SM-5GICX 30-39 years, male 10.6
GTEX-1GL5R-1726-SM-9KNUX 50-59 years, male 10.6
GTEX-1JK1U-1426-SM-CNPOW 60-69 years, male 10.6
GTEX-1QP9N-0826-SM-DTX9O 30-39 years, male 10.6
GTEX-13OVI-2126-SM-5KM3U 60-69 years, female 10.5
GTEX-16XZZ-2726-SM-7EWDO 60-69 years, male 10.5
GTEX-WFON-1326-SM-4LVMN 40-49 years, male 10.5
GTEX-ZVZQ-2626-SM-59HLB 60-69 years, female 10.5
GTEX-1HSKV-2326-SM-A9SL9 60-69 years, male 10.5
GTEX-1PBJJ-2026-SM-DTX8U 30-39 years, male 10.5
GTEX-1R9PO-2026-SM-E9J4N 60-69 years, female 10.5
GTEX-11P7K-1826-SM-5HL5A 30-39 years, male 10.4
GTEX-139D8-2926-SM-5IJBM 30-39 years, female 10.4
GTEX-16Z82-2426-SM-7KUMS 60-69 years, male 10.4
GTEX-1I1GR-2226-SM-ARL7F 60-69 years, male 10.4
GTEX-1IDJI-2226-SM-CKZPM 50-59 years, female 10.3
GTEX-145LS-2926-SM-5O99G 60-69 years, female 10.2
GTEX-1HSGN-2226-SM-A9SL6 40-49 years, female 10.2
GTEX-11GS4-1826-SM-5HL4T 60-69 years, male 10.1
GTEX-1AX9K-1626-SM-73KUS 50-59 years, male 10.1
GTEX-1H3VY-2526-SM-9KNW1 50-59 years, male 10.0
GTEX-13SLW-2826-SM-5Q5ES 70-79 years, male 9.9
GTEX-15UF6-2726-SM-7KULY 70-79 years, female 9.9
GTEX-16NGA-0926-SM-718AG 40-49 years, female 9.9
GTEX-1QCLY-2026-SM-EVR4C 30-39 years, male 9.9
GTEX-18QFQ-1726-SM-731C9 30-39 years, male 9.8
GTEX-1AYCT-1926-SM-793AE 50-59 years, male 9.8
GTEX-12ZZX-2726-SM-5N9FT 40-49 years, female 9.7
GTEX-14BMU-1326-SM-5RQIH 20-29 years, female 9.7
GTEX-WHPG-1626-SM-4M1ZL 50-59 years, male 9.7
GTEX-ZVT4-2626-SM-5N9GJ 50-59 years, female 9.7
GTEX-11EI6-2626-SM-5PNVT 60-69 years, male 9.6
GTEX-15DYW-2426-SM-7KUG8 60-69 years, female 9.6
GTEX-17JCI-2826-SM-7IGNA 60-69 years, female 9.6
GTEX-11ZU8-1126-SM-5EQ5K 60-69 years, male 9.5
GTEX-13X6J-2826-SM-7EPGA 50-59 years, male 9.5
GTEX-1BAJH-2726-SM-7IGNJ 70-79 years, male 9.5
GTEX-YJ8A-1726-SM-5P9IQ 20-29 years, male 9.5
GTEX-ZP4G-1526-SM-57WE5 20-29 years, female 9.5
GTEX-1LGOU-1726-SM-D3L8P 20-29 years, female 9.5
GTEX-14E6E-1726-SM-5S2R6 30-39 years, male 9.4
GTEX-X15G-1526-SM-4PQZM 50-59 years, female 9.4
GTEX-1JKYN-2226-SM-ARZNE 30-39 years, male 9.4
GTEX-ZPIC-2626-SM-57WE2 40-49 years, female 9.3
GTEX-1GMR2-1826-SM-9KNUP 50-59 years, male 9.3
GTEX-1MGNQ-2126-SM-EV7AC 40-49 years, male 9.3
GTEX-13OVK-1026-SM-7KFTC 40-49 years, male 9.2
GTEX-14DAQ-2926-SM-664MV 60-69 years, female 9.2
GTEX-XBED-1726-SM-47JYO 60-69 years, male 9.2
GTEX-1HKZK-2026-SM-9WYUF 40-49 years, male 9.2
GTEX-1I6K6-1926-SM-A96SN 30-39 years, male 9.2
GTEX-Y114-1626-SM-4TT7I 50-59 years, female 9.0
GTEX-1JMLX-2526-SM-CY8HX 50-59 years, male 8.9
GTEX-117XS-2226-SM-5GIE1 60-69 years, male 8.8
GTEX-1AMFI-1826-SM-73KWB 50-59 years, female 8.8
GTEX-XV7Q-2226-SM-4BRVY 40-49 years, female 8.8
GTEX-1CAMR-1026-SM-7P8QI 20-29 years, male 8.8
GTEX-1QP28-2226-SM-DTX8C 50-59 years, female 8.8
GTEX-1RMOY-1726-SM-EVYC9 50-59 years, male 8.8
GTEX-11ZTS-1526-SM-5N9G7 60-69 years, female 8.7
GTEX-13OW8-2726-SM-5L3FZ 60-69 years, male 8.7
GTEX-145ME-1126-SM-5SIAT 40-49 years, female 8.7
GTEX-ZAJG-2626-SM-5S2NU 50-59 years, female 8.7
GTEX-ZF29-1826-SM-4WKG8 60-69 years, female 8.7
GTEX-WQUQ-2626-SM-4MVNP 60-69 years, male 8.6
GTEX-1HSEH-1926-SM-A96SB 60-69 years, male 8.6
GTEX-1QW4Y-1426-SM-E76P3 30-39 years, male 8.6
GTEX-1IDJH-2826-SM-CJI49 70-79 years, male 8.5
GTEX-1JN76-1326-SM-ARU94 20-29 years, female 8.5
GTEX-139T6-1426-SM-5P9J7 50-59 years, male 8.4
GTEX-1B97I-1526-SM-73KUK 40-49 years, male 8.4
GTEX-V955-1726-SM-4JBHF 60-69 years, male 8.4
GTEX-1IDJU-1926-SM-CL53W 60-69 years, female 8.4
GTEX-1JJEA-2526-SM-CY8HJ 60-69 years, male 8.4
GTEX-1KXAM-1926-SM-D3LAG 60-69 years, male 8.4
GTEX-1R9K5-2226-SM-DTX9G 50-59 years, male 8.4
GTEX-13VXT-2026-SM-5L3EW 20-29 years, female 8.3
GTEX-14PJ3-1226-SM-5ZZVY 50-59 years, male 8.3
GTEX-1F5PK-1726-SM-7RHHW 50-59 years, male 8.3
GTEX-1I1GP-2826-SM-A9SKZ 50-59 years, male 8.3
GTEX-1K2DA-1626-SM-CGQGB 50-59 years, male 8.3
GTEX-1QP2A-2226-SM-DTXF6 50-59 years, male 8.3
GTEX-17HGU-2626-SM-79OKN 50-59 years, male 8.2
GTEX-1CB4G-2726-SM-79OO4 60-69 years, male 8.2
GTEX-ZDTS-2726-SM-5L3E2 60-69 years, male 8.2
GTEX-ZE9C-2126-SM-4WKGY 60-69 years, male 8.2
GTEX-1HSMO-2526-SM-A9SKP 60-69 years, male 8.2
GTEX-1LSVX-2026-SM-E9TJD 60-69 years, male 8.2
GTEX-ZLWG-1826-SM-DO11I 50-59 years, female 8.2
GTEX-14PK6-1826-SM-69LOM 70-79 years, female 8.1
GTEX-1A3MV-1026-SM-72D5U 30-39 years, male 8.1
GTEX-1B8L1-1926-SM-7IGND 60-69 years, male 8.1
GTEX-WHWD-1526-SM-4OORV 50-59 years, male 8.1
GTEX-11DXX-1926-SM-5EGJK 60-69 years, female 8.0
GTEX-18D9A-1326-SM-7LT8P 30-39 years, female 8.0
GTEX-1GMR3-2526-SM-7P8QS 40-49 years, male 8.0
GTEX-1PIGE-1526-SM-DTXFC 20-29 years, male 8.0
GTEX-ZTSS-1226-SM-51MSZ 40-49 years, male 7.9
GTEX-ZXES-1726-SM-5E43G 30-39 years, female 7.9
GTEX-1LG7Z-1326-SM-DIPF3 30-39 years, male 7.8
GTEX-1QCLZ-2026-SM-EAZ4A 60-69 years, female 7.8
GTEX-11EMC-1426-SM-5N9E4 60-69 years, female 7.7
GTEX-139UW-2326-SM-5KM1Y 60-69 years, male 7.7
GTEX-Z93S-2626-SM-57WBX 50-59 years, male 7.7
GTEX-1GMRU-2626-SM-9WPPM 50-59 years, male 7.7
GTEX-1GPI7-1926-SM-9KNUH 20-29 years, male 7.7
GTEX-1HB9E-2526-SM-D4P35 50-59 years, male 7.7
GTEX-1RAZR-2026-SM-E9TKE 40-49 years, male 7.7
GTEX-1S82P-2026-SM-E9TIQ 60-69 years, female 7.7
GTEX-YEC3-2026-SM-DKPOL 50-59 years, male 7.7
GTEX-11P81-1426-SM-5P9JN 30-39 years, female 7.6
GTEX-13X6K-2726-SM-5O9DG 60-69 years, female 7.6
GTEX-1C4CL-1626-SM-7DUF3 30-39 years, male 7.6
GTEX-1F75W-2126-SM-7RHIA 60-69 years, male 7.6
GTEX-131YS-2926-SM-5EGKI 60-69 years, female 7.5
GTEX-ZPU1-1726-SM-4WWFV 40-49 years, male 7.5
GTEX-11ZTT-1626-SM-5EQKR 60-69 years, female 7.4
GTEX-13111-1926-SM-5GCOL 50-59 years, male 7.4
GTEX-147JS-2626-SM-5S2UX 60-69 years, male 7.4
GTEX-15RJE-2226-SM-6M46A 40-49 years, male 7.4
GTEX-ZA64-1426-SM-5CVMC 20-29 years, male 7.4
GTEX-1QP67-1426-SM-E8VOO 40-49 years, female 7.4
GTEX-1EU9M-2726-SM-7P8QD 60-69 years, male 7.3
GTEX-1JKYR-2026-SM-CNPON 20-29 years, male 7.3
GTEX-1PFEY-1726-SM-DPRZ4 30-39 years, male 7.3
GTEX-13PVR-1726-SM-5Q5EC 60-69 years, female 7.2
GTEX-18A6Q-2226-SM-7LG61 60-69 years, male 7.2
GTEX-13U4I-2626-SM-5SI9C 40-49 years, female 7.1
GTEX-YF7O-1626-SM-5IFII 50-59 years, male 7.1
GTEX-YJ8O-1426-SM-5PNV9 40-49 years, female 7.1
GTEX-ZYFG-1826-SM-5GZWX 60-69 years, female 7.1
GTEX-1399R-2126-SM-5K7WZ 30-39 years, male 7.0
GTEX-XXEK-1826-SM-4BRVC 50-59 years, male 7.0
GTEX-1HSMQ-2526-SM-A9SMK 50-59 years, male 7.0
GTEX-1J8QM-1226-SM-CY8HI 60-69 years, female 7.0
GTEX-15RIE-2026-SM-7KFRW 60-69 years, male 6.9
GTEX-ZLV1-1326-SM-DO11Q 60-69 years, female 6.8
GTEX-ZQG8-2426-SM-57WEE 60-69 years, female 6.7
GTEX-1LVAN-2626-SM-CNPQF 50-59 years, female 6.6
GTEX-11ONC-1926-SM-5GU75 60-69 years, male 6.5
GTEX-13QBU-2026-SM-5KLZB 40-49 years, female 6.5
GTEX-17KNJ-1826-SM-7LT9N 50-59 years, male 6.5
GTEX-1EMGI-2626-SM-7IGNR 60-69 years, male 6.5
GTEX-1C64N-2226-SM-7SB7C 50-59 years, male 6.5
GTEX-1LB8K-2526-SM-DIPEQ 50-59 years, male 6.5
GTEX-1J8EW-2426-SM-CE6T5 60-69 years, female 6.4
GTEX-1J8Q3-2426-SM-CL53S 60-69 years, male 6.4
GTEX-14PN3-1926-SM-6EU1Y 60-69 years, female 6.3
GTEX-ZVT2-1726-SM-51MRO 50-59 years, female 6.3
GTEX-17GQL-1626-SM-7LG69 60-69 years, male 6.1
GTEX-1E2YA-2526-SM-7IGOU 50-59 years, male 6.1
GTEX-1GZ4H-1326-SM-7P8TE 50-59 years, female 6.1
GTEX-14E1K-1626-SM-664MO 50-59 years, male 6.0
GTEX-1I1GT-2026-SM-CKZPK 60-69 years, female 6.0
GTEX-145LT-0826-SM-5S2QL 40-49 years, male 5.8
GTEX-1GN73-2726-SM-9WYUB 60-69 years, male 5.8
GTEX-1I1CD-2826-SM-A9SL4 60-69 years, female 5.8
GTEX-ZAB5-1426-SM-5HL9D 50-59 years, male 5.7
GTEX-13CF2-1826-SM-5N9GK 60-69 years, male 5.6
GTEX-13G51-2126-SM-5IJD9 60-69 years, male 5.6
GTEX-WYVS-1126-SM-4SOJX 40-49 years, female 5.6
GTEX-ZC5H-2426-SM-4WAZ6 40-49 years, female 5.6
GTEX-139TS-2226-SM-5J2N1 60-69 years, male 5.2
GTEX-11DXZ-1626-SM-5GIDI 50-59 years, male 5.1
GTEX-11VI4-1426-SM-5GU6O 40-49 years, female 5.1
GTEX-WY7C-1926-SM-4ONCI 50-59 years, male 5.1
GTEX-131XE-1026-SM-5EGKE 50-59 years, male 5.0
GTEX-13W3W-2226-SM-5LU4M 60-69 years, female 5.0
GTEX-1C64O-2426-SM-7P8R3 60-69 years, male 4.8
GTEX-1H1E6-1826-SM-A9G21 30-39 years, male 4.7
GTEX-1GF9X-1426-SM-7RHGX 40-49 years, female 4.6
GTEX-1OJC3-1826-SM-DTX93 20-29 years, male 4.6
GTEX-WOFM-1926-SM-4OOSP 20-29 years, male 4.5
GTEX-183FY-1426-SM-7DHLM 20-29 years, male 4.4
GTEX-WFG7-1626-SM-4LVMF 20-29 years, male 4.3
GTEX-1R9JW-2126-SM-E76QT 30-39 years, female 4.2
GTEX-Y8E4-2326-SM-EAZAZ 40-49 years, male 4.1
GTEX-WH7G-1426-SM-4LVMU 40-49 years, male 3.9
GTEX-1B932-2126-SM-7IGMU 40-49 years, female 3.8
GTEX-1AMEY-1826-SM-72D5L 30-39 years, female 3.7
GTEX-WYJK-2326-SM-4ONDN 50-59 years, male 3.5
GTEX-VJYA-2126-SM-4KL1O 60-69 years, male 3.4
GTEX-Y5V6-1626-SM-4VDT2 60-69 years, male 3.4
GTEX-12WSM-1426-SM-5GCPA 60-69 years, male 3.3
GTEX-13113-1426-SM-5EGHU 60-69 years, female 3.3
GTEX-14AS3-1026-SM-5TDD7 40-49 years, female 3.2
GTEX-X5EB-1126-SM-46MVV 40-49 years, male 2.8
GTEX-W5WG-2026-SM-4LMIB 50-59 years, female 2.4
GTEX-15FZZ-1826-SM-6LLJP 30-39 years, female 2.0
GTEX-ZQUD-1026-SM-4YCEZ 30-39 years, male 2.0
Show allShow less
Colon - Transverse
Average nTPM: 8.2
Samples: 406

Max nTPM: 94.4
Min nTPM: 1.2
Std nTPM: 8.8
Median nTPM: 6.3
GTEX-1339X-1626-SM-5IJDN 40-49 years, male 94.4
GTEX-13CF3-1426-SM-5K7YY 60-69 years, female 56.5
GTEX-XAJ8-0426-SM-47JYJ 40-49 years, male 55.1
GTEX-12WSJ-1526-SM-5GCNI 40-49 years, female 54.3
GTEX-15G1A-1826-SM-7KUKO 30-39 years, male 52.5
GTEX-1OKEX-1226-SM-DTXEC 60-69 years, male 43.7
GTEX-QLQ7-1126-SM-CYPRB 60-69 years, male 43.2
GTEX-13O3P-2326-SM-5KM55 50-59 years, male 42.9
GTEX-1N2EF-1926-SM-DTX8M 60-69 years, male 32.2
GTEX-1IDJD-2226-SM-A96TD 30-39 years, male 30.5
GTEX-ZYVF-2826-SM-5GIDK 50-59 years, female 29.6
GTEX-1JN1M-2626-SM-CY8I3 60-69 years, female 29.2
GTEX-ZV6S-1226-SM-59HLH 40-49 years, female 29.1
GTEX-1NV5F-2226-SM-DTX8O 60-69 years, female 26.7
GTEX-13FH7-1526-SM-5J2N6 50-59 years, female 26.4
GTEX-1IDJF-1826-SM-CKZOE 20-29 years, male 25.6
GTEX-18D9B-2526-SM-718BN 60-69 years, male 25.1
GTEX-14C5O-2526-SM-73KU2 60-69 years, male 25.0
GTEX-12WSL-1626-SM-5GCMU 50-59 years, male 22.9
GTEX-1AX8Z-2726-SM-73KUC 60-69 years, male 22.1
GTEX-QDVJ-1326-SM-48U1X 50-59 years, male 21.2
GTEX-1JMPZ-2426-SM-C1YQP 30-39 years, male 21.2
GTEX-1HCU7-2626-SM-C1YQO 50-59 years, male 20.9
GTEX-1LH75-2126-SM-EVR5F 50-59 years, female 20.9
GTEX-ZAB4-2226-SM-5HL97 40-49 years, male 20.8
GTEX-1ICLZ-2426-SM-CKZOD 60-69 years, male 20.4
GTEX-1HSMP-2326-SM-D3L8R 70-79 years, male 18.4
GTEX-17EVQ-1826-SM-7IGPH 70-79 years, male 18.3
GTEX-1LG7Y-2126-SM-DIPER 50-59 years, male 18.0
GTEX-1PWST-2426-SM-EWRMP 70-79 years, male 17.6
GTEX-13X6H-1926-SM-7EWD3 50-59 years, female 16.9
GTEX-117YX-0826-SM-5H11J 50-59 years, male 16.4
GTEX-QDVN-1326-SM-48TZ3 50-59 years, male 15.7
GTEX-R45C-2126-SM-EZ6KZ 60-69 years, female 15.7
GTEX-1C6VQ-2726-SM-73KUL 50-59 years, male 15.5
GTEX-11TTK-2426-SM-5PNYO 60-69 years, female 15.4
GTEX-TKQ1-0626-SM-4DXTS 30-39 years, male 15.2
GTEX-11TUW-2026-SM-5EQL8 60-69 years, male 15.1
GTEX-1EH9U-2026-SM-7PBYS 60-69 years, male 15.0
GTEX-ZXES-1626-SM-5NQ7L 30-39 years, female 14.8
GTEX-1JMLX-2726-SM-CM2SB 50-59 years, male 14.8
GTEX-14BMV-2426-SM-5S2PP 50-59 years, male 14.7
GTEX-1H1DG-2226-SM-9WPPC 70-79 years, male 14.7
GTEX-15UF6-2626-SM-6M466 70-79 years, female 14.3
GTEX-WEY5-1426-SM-4LMJ3 40-49 years, female 14.2
GTEX-1HCVE-2526-SM-A9G2G 50-59 years, male 14.2
GTEX-Y8LW-1226-SM-4WWDP 50-59 years, female 14.1
GTEX-1S5VW-2926-SM-E9U6H 60-69 years, male 14.1
GTEX-13OW5-2626-SM-5MR3M 60-69 years, male 14.0
GTEX-18A7B-2026-SM-72D71 70-79 years, male 13.9
GTEX-1GL5R-2426-SM-7MXV1 50-59 years, male 13.5
GTEX-Y3I4-1426-SM-4TT9C 50-59 years, male 13.4
GTEX-WVJS-2426-SM-EZ6LI 50-59 years, male 13.4
GTEX-12ZZZ-2426-SM-5GCNN 60-69 years, male 13.2
GTEX-147JS-2526-SM-5S2Q8 60-69 years, male 13.2
GTEX-148VJ-2626-SM-5QGPI 70-79 years, male 13.1
GTEX-1LVAN-2526-SM-CNPPC 50-59 years, female 13.0
GTEX-15DZA-0926-SM-69LQ3 30-39 years, female 12.9
GTEX-YEC4-1926-SM-5IFHJ 40-49 years, male 12.8
GTEX-Q2AI-0926-SM-48U1F 40-49 years, male 12.6
GTEX-1AYD5-1726-SM-7RHFW 50-59 years, male 12.4
GTEX-13O3O-2526-SM-5L3DR 60-69 years, female 12.3
GTEX-13O61-1626-SM-5KM3T 60-69 years, male 12.3
GTEX-11EQ9-1426-SM-5987G 30-39 years, male 12.1
GTEX-O5YT-1426-SM-3MJHC 20-29 years, male 12.1
GTEX-1K9T9-2826-SM-D4P3F 50-59 years, female 12.1
GTEX-111YS-1626-SM-5GZZ9 60-69 years, male 12.0
GTEX-145LS-2726-SM-5Q5D8 60-69 years, female 12.0
GTEX-1GF9U-1526-SM-7MXUW 40-49 years, female 12.0
GTEX-1EMGI-2726-SM-7P8S4 60-69 years, male 11.8
GTEX-1J1OQ-2726-SM-AHZ3R 40-49 years, female 11.8
GTEX-1JJE9-2426-SM-D3L8T 70-79 years, male 11.8
GTEX-U412-1726-SM-EZ6KX 60-69 years, male 11.8
GTEX-17HII-2726-SM-7MGVM 50-59 years, male 11.7
GTEX-1POEN-2026-SM-E6CRL 30-39 years, female 11.7
GTEX-1RAZQ-2126-SM-DTX9V 30-39 years, male 11.7
GTEX-1F75B-2726-SM-7P8QO 50-59 years, male 11.4
GTEX-1QMI2-2626-SM-E6CR4 60-69 years, male 11.4
GTEX-S3XE-1126-SM-4AD4N 50-59 years, male 11.3
GTEX-15SHU-2526-SM-6M47D 40-49 years, female 10.9
GTEX-1LBAC-1626-SM-CXZKV 20-29 years, male 10.9
GTEX-145ME-0826-SM-5O9AF 40-49 years, female 10.8
GTEX-1KANB-1526-SM-CXZK4 50-59 years, male 10.8
GTEX-11O72-2226-SM-5PNW2 40-49 years, male 10.7
GTEX-16Z82-2226-SM-6LPJ7 60-69 years, male 10.7
GTEX-1B996-2626-SM-73KZ1 60-69 years, male 10.6
GTEX-1HCU6-2726-SM-A9SKV 60-69 years, female 10.6
GTEX-X4EO-2526-SM-EWRM8 60-69 years, female 10.6
GTEX-14H4A-1926-SM-5ZZWN 40-49 years, female 10.5
GTEX-Y114-1526-SM-4TT79 50-59 years, female 10.5
GTEX-145MO-2426-SM-5NQ9W 60-69 years, male 10.4
GTEX-S341-1426-SM-4AD6U 40-49 years, female 10.3
GTEX-ZZ64-0726-SM-5GZX4 20-29 years, male 10.3
GTEX-1MUQO-2626-SM-EWRO3 60-69 years, male 10.3
GTEX-16NPV-2626-SM-6M484 50-59 years, female 10.1
GTEX-U3ZH-1326-SM-4DXSF 30-39 years, male 9.9
GTEX-1HKZK-2126-SM-A9SL3 40-49 years, male 9.9
GTEX-13VXT-2426-SM-5LU46 20-29 years, female 9.8
GTEX-18QFQ-1526-SM-72D57 30-39 years, male 9.7
GTEX-1C2JI-1626-SM-7EPHC 50-59 years, male 9.7
GTEX-1IGQW-2326-SM-CE6RV 60-69 years, male 9.7
GTEX-14BIN-3026-SM-5ZZUS 50-59 years, female 9.6
GTEX-1JJ6O-2426-SM-ARU8J 60-69 years, male 9.5
GTEX-1RDX4-1826-SM-EVR54 50-59 years, female 9.5
GTEX-OXRO-0726-SM-E9U4C 60-69 years, female 9.5
GTEX-11GSP-1626-SM-5986N 60-69 years, female 9.2
GTEX-13OVJ-1726-SM-5IJDZ 50-59 years, female 9.2
GTEX-T6MO-0826-SM-4DM51 40-49 years, female 9.2
GTEX-1E2YA-2626-SM-7MGWW 50-59 years, male 9.2
GTEX-1LSVX-1726-SM-DHXJP 60-69 years, male 9.2
GTEX-OXRN-2026-SM-E6CHK 50-59 years, male 9.2
GTEX-11P81-1126-SM-5GU5G 30-39 years, female 9.1
GTEX-13FHP-2426-SM-5KLZ5 50-59 years, male 9.1
GTEX-15CHC-1626-SM-5ZZWS 60-69 years, female 9.1
GTEX-OXRL-1426-SM-3NM9E 50-59 years, male 9.1
GTEX-1PPH8-2026-SM-DTX7P 20-29 years, male 9.1
GTEX-1C64O-2326-SM-73KU8 60-69 years, male 8.9
GTEX-RWS6-1826-SM-47JXX 60-69 years, female 8.9
GTEX-1CB4I-2226-SM-7P8SL 50-59 years, male 8.9
GTEX-PSDG-1826-SM-EAZ2S 50-59 years, male 8.9
GTEX-14ICK-1026-SM-6AJA4 40-49 years, male 8.8
GTEX-1MCC2-1626-SM-DIPEW 30-39 years, female 8.8
GTEX-1N5O9-2726-SM-E76QH 60-69 years, male 8.8
GTEX-11ONC-2026-SM-5HL61 60-69 years, male 8.7
GTEX-144GL-2526-SM-5TDDL 50-59 years, male 8.7
GTEX-1IDJC-1326-SM-CL53H 50-59 years, male 8.7
GTEX-14PJ3-0926-SM-69LQG 50-59 years, male 8.6
GTEX-111VG-2226-SM-5N9DU 60-69 years, male 8.5
GTEX-144GN-1126-SM-5LU33 50-59 years, male 8.5
GTEX-15CHQ-2526-SM-6EU24 60-69 years, male 8.5
GTEX-1GMR2-1726-SM-9JGI2 50-59 years, male 8.5
GTEX-17MF6-2426-SM-7LTAM 40-49 years, male 8.4
GTEX-P78B-1726-SM-3P5ZV 40-49 years, female 8.4
GTEX-17F96-2026-SM-79ON4 70-79 years, male 8.3
GTEX-1I1GT-1926-SM-ARU7D 60-69 years, female 8.3
GTEX-ZF29-1726-SM-4WKFV 60-69 years, female 8.2
GTEX-1MJK3-0926-SM-EV7AY 20-29 years, male 8.2
GTEX-14E1K-1826-SM-793DT 50-59 years, male 8.1
GTEX-V955-1626-SM-4JBHJ 60-69 years, male 8.1
GTEX-XXEK-1926-SM-4BRVD 50-59 years, male 8.1
GTEX-1I1GR-2526-SM-CNNQF 60-69 years, male 8.1
GTEX-1QW4Y-1326-SM-EWRMZ 30-39 years, male 8.1
GTEX-1RMOY-1626-SM-EVYC8 50-59 years, male 8.1
GTEX-1128S-1626-SM-5H12O 60-69 years, female 8.0
GTEX-13OVK-0826-SM-7KULZ 40-49 years, male 8.0
GTEX-16XZZ-2626-SM-6M47S 60-69 years, male 8.0
GTEX-1AMEY-1926-SM-73KVT 30-39 years, female 8.0
GTEX-1CAMS-2526-SM-7EPH7 40-49 years, female 8.0
GTEX-SE5C-1526-SM-4BRWU 40-49 years, female 8.0
GTEX-1A3MV-1126-SM-718BS 30-39 years, male 7.9
GTEX-1CB4F-2026-SM-79OLU 60-69 years, male 7.9
GTEX-SNOS-1226-SM-4DM5H 40-49 years, male 7.9
GTEX-SJXC-2226-SM-EVYAK 60-69 years, male 7.9
GTEX-1GZ4H-1226-SM-9KNUA 50-59 years, female 7.8
GTEX-11TT1-1026-SM-5PNW7 20-29 years, male 7.7
GTEX-14DAQ-2726-SM-5S2QY 60-69 years, female 7.7
GTEX-16MT8-2726-SM-7IGLJ 60-69 years, female 7.7
GTEX-14C39-1926-SM-5ZZW5 40-49 years, male 7.6
GTEX-15DCE-2026-SM-7KUFE 20-29 years, male 7.6
GTEX-1AX9I-2626-SM-73KU5 60-69 years, male 7.6
GTEX-ZYFG-1926-SM-5GID5 60-69 years, female 7.6
GTEX-17JCI-2626-SM-7EWE6 60-69 years, female 7.5
GTEX-18A7A-2226-SM-7LT8K 50-59 years, female 7.5
GTEX-XGQ4-1226-SM-4AT67 50-59 years, male 7.5
GTEX-11ZVC-2126-SM-5EGJ1 50-59 years, female 7.4
GTEX-13OVI-2026-SM-5J1MU 60-69 years, female 7.4
GTEX-1KXAM-2126-SM-CY8I9 60-69 years, male 7.4
GTEX-X5EB-0926-SM-46MVT 40-49 years, male 7.3
GTEX-1F5PL-2126-SM-7PC2O 40-49 years, female 7.3
GTEX-1HFI7-1726-SM-A9G22 50-59 years, female 7.3
GTEX-SNMC-1126-SM-4DM5M 20-29 years, male 7.2
GTEX-VJYA-2026-SM-4KL1K 60-69 years, male 7.2
GTEX-1S82U-0726-SM-E9TKI 30-39 years, female 7.2
GTEX-1GZ4I-2426-SM-9WPPP 50-59 years, male 7.1
GTEX-1NHNU-2326-SM-E6CQE 50-59 years, male 7.1
GTEX-1QPFJ-2326-SM-E6CR7 30-39 years, female 7.1
GTEX-1R9JW-2026-SM-EAZ4O 30-39 years, female 7.1
GTEX-1R9K5-2126-SM-E8VN1 50-59 years, male 7.1
GTEX-13OVG-1426-SM-5K7VP 60-69 years, male 7.0
GTEX-1BAJH-2326-SM-7IGMO 70-79 years, male 7.0
GTEX-13QJ3-2626-SM-9OSXQ 50-59 years, male 7.0
GTEX-1S3DN-1826-SM-EV79K 50-59 years, male 7.0
GTEX-14ICL-1226-SM-5S2RD 30-39 years, male 6.9
GTEX-16NGA-1026-SM-7KFS3 40-49 years, female 6.9
GTEX-QMRM-1226-SM-447C6 50-59 years, male 6.9
GTEX-WQUQ-2526-SM-4MVNO 60-69 years, male 6.9
GTEX-X3Y1-1726-SM-4PQZL 40-49 years, male 6.9
GTEX-15DYW-2326-SM-6PAMU 60-69 years, female 6.8
GTEX-18D9U-1926-SM-7KFTM 40-49 years, male 6.8
GTEX-1H1DE-1526-SM-ARL9B 20-29 years, male 6.8
GTEX-1PPGY-2826-SM-DTX9H 60-69 years, male 6.8
GTEX-13W3W-2126-SM-5K7UX 60-69 years, female 6.7
GTEX-17F9E-1826-SM-7IGMC 50-59 years, male 6.7
GTEX-WYJK-2226-SM-4ONDJ 50-59 years, male 6.7
GTEX-XUW1-1926-SM-4BOP1 50-59 years, female 6.7
GTEX-17GQL-1526-SM-7LTAC 60-69 years, male 6.6
GTEX-1R7EU-1926-SM-E9U62 60-69 years, male 6.6
GTEX-13U4I-2426-SM-5LU34 40-49 years, female 6.5
GTEX-RU1J-1326-SM-46MUL 20-29 years, female 6.5
GTEX-ZYFC-2626-SM-5NQ6S 50-59 years, male 6.5
GTEX-17EUY-1826-SM-7DUEZ 20-29 years, male 6.4
GTEX-XV7Q-2126-SM-4BRVX 40-49 years, female 6.4
GTEX-12C56-0626-SM-5EGGC 20-29 years, male 6.3
GTEX-14PJM-2626-SM-686ZD 50-59 years, female 6.3
GTEX-WY7C-1626-SM-4ONC8 50-59 years, male 6.3
GTEX-XYKS-2226-SM-4E3IU 60-69 years, female 6.2
GTEX-ZP4G-1726-SM-4WWCM 20-29 years, female 6.2
GTEX-1QCLZ-1926-SM-E6CR3 60-69 years, female 6.2
GTEX-Z93S-2426-SM-5HL8N 50-59 years, male 6.1
GTEX-1I6K6-1826-SM-B2LX5 30-39 years, male 6.1
GTEX-14JIY-3326-SM-6871E 60-69 years, male 6.0
GTEX-15ER7-2926-SM-7KUFK 20-29 years, female 6.0
GTEX-17F98-1026-SM-7IGO8 40-49 years, female 6.0
GTEX-Q734-1126-SM-48TZY 40-49 years, female 6.0
GTEX-1GN73-2626-SM-9KNUQ 60-69 years, male 6.0
GTEX-1IKK5-2726-SM-CNPQ6 60-69 years, male 6.0
GTEX-14PJ5-0926-SM-6LLIK 60-69 years, female 5.9
GTEX-X15G-1326-SM-4PQZJ 50-59 years, female 5.9
GTEX-14AS3-1126-SM-5Q5CR 40-49 years, female 5.7
GTEX-OIZH-1426-SM-3NB1O 50-59 years, male 5.6
GTEX-PLZ6-0926-SM-3P5ZQ 30-39 years, male 5.6
GTEX-WH7G-1326-SM-4LVMS 40-49 years, male 5.6
GTEX-ZPCL-1826-SM-57WF1 60-69 years, female 5.6
GTEX-ZY6K-1226-SM-5GZYL 50-59 years, male 5.6
GTEX-11LCK-2026-SM-5A5MA 30-39 years, male 5.5
GTEX-S4P3-1226-SM-4AD4Y 50-59 years, female 5.5
GTEX-1HSGN-2626-SM-CE6S1 40-49 years, female 5.4
GTEX-1HSMQ-2726-SM-C1YRE 50-59 years, male 5.4
GTEX-1KANA-1926-SM-DHXKF 20-29 years, male 5.3
GTEX-OHPN-2026-SM-E9TIA 60-69 years, female 5.2
GTEX-S7SF-1926-SM-4AT5B 20-29 years, female 5.1
GTEX-ZTSS-1126-SM-5985O 40-49 years, male 5.1
GTEX-1JK1U-1526-SM-AHZ46 60-69 years, male 5.1
GTEX-1L5NE-2026-SM-CXZKR 50-59 years, male 5.1
GTEX-144GM-1226-SM-5LU52 20-29 years, male 5.0
GTEX-PX3G-1426-SM-48U1J 20-29 years, female 5.0
GTEX-XBEW-1926-SM-4SOJO 40-49 years, male 5.0
GTEX-1GPI7-1726-SM-7P8R1 20-29 years, male 5.0
GTEX-NFK9-2026-SM-3LK5K 40-49 years, male 4.9
GTEX-1R9PM-1526-SM-DPRY8 20-29 years, male 4.9
GTEX-ZGAY-2126-SM-4YCFB 40-49 years, female 4.8
GTEX-13PVR-1626-SM-73KVF 60-69 years, female 4.6
GTEX-17KNJ-1726-SM-7LG6A 50-59 years, male 4.6
GTEX-1AYCT-1826-SM-731EG 50-59 years, male 4.6
GTEX-R55C-1126-SM-48FCJ 40-49 years, male 4.6
GTEX-17HGU-2426-SM-7EWDP 50-59 years, male 4.5
GTEX-PWCY-1026-SM-48TD4 20-29 years, female 4.5
GTEX-Y8E4-2426-SM-4WWDN 40-49 years, male 4.5
GTEX-12KS4-2426-SM-5LU8P 30-39 years, male 4.3
GTEX-14PHX-1526-SM-68717 50-59 years, male 4.3
GTEX-PWN1-1426-SM-48TDF 40-49 years, female 4.3
GTEX-U3ZM-1126-SM-4DXUB 40-49 years, male 4.3
GTEX-XBED-1526-SM-4AT5W 60-69 years, male 4.3
GTEX-1H3VY-2426-SM-9WPPD 50-59 years, male 4.3
GTEX-15SB6-1226-SM-7KUMP 50-59 years, female 4.2
GTEX-Q2AH-1226-SM-48TZL 40-49 years, male 4.2
GTEX-ZT9W-1826-SM-51MQX 50-59 years, male 4.2
GTEX-ZVP2-1526-SM-5NQ82 50-59 years, male 4.2
GTEX-1JKYR-1926-SM-C1YR7 20-29 years, male 4.2
GTEX-1JMPY-0426-SM-C1YQ3 30-39 years, male 4.2
GTEX-1C4CL-2126-SM-7IGQC 30-39 years, male 4.1
GTEX-XPVG-1826-SM-4B64X 50-59 years, male 4.1
GTEX-S4Q7-0826-SM-4AD5E 20-29 years, male 4.0
GTEX-T5JW-1126-SM-4DM5V 20-29 years, female 4.0
GTEX-1IOXB-2626-SM-CJI2N 50-59 years, male 4.0
GTEX-1QP9N-1026-SM-E6CPX 30-39 years, male 4.0
GTEX-P4PP-1426-SM-3NM9L 30-39 years, female 3.9
GTEX-UJMC-1326-SM-4IHLS 50-59 years, male 3.9
GTEX-XQ8I-2126-SM-4BOOM 50-59 years, male 3.9
GTEX-ZDYS-2326-SM-4WKG6 50-59 years, male 3.9
GTEX-1F75I-2426-SM-9WPOY 40-49 years, male 3.9
GTEX-1MGNQ-2026-SM-EAZ51 40-49 years, male 3.9
GTEX-QEL4-1926-SM-D3L8D 50-59 years, male 3.9
GTEX-14JG6-1726-SM-69LPL 30-39 years, female 3.8
GTEX-O5YW-1426-SM-3MJHF 50-59 years, male 3.8
GTEX-P4QT-1426-SM-3NMCX 50-59 years, female 3.8
GTEX-1GMR3-2826-SM-9WPOG 40-49 years, male 3.8
GTEX-13OW6-2126-SM-5N9GL 50-59 years, male 3.7
GTEX-14XAO-2026-SM-69LOI 60-69 years, female 3.7
GTEX-1GF9X-1526-SM-7P8QP 40-49 years, female 3.7
GTEX-1IKOE-2026-SM-AHZ31 30-39 years, female 3.7
GTEX-1399S-1926-SM-5J2M5 30-39 years, female 3.6
GTEX-15RIE-1826-SM-6M48P 60-69 years, male 3.6
GTEX-11P7K-1526-SM-5EGI7 30-39 years, male 3.5
GTEX-13FTW-1826-SM-5IJEN 40-49 years, male 3.5
GTEX-1AMFI-1726-SM-7189L 50-59 years, female 3.5
GTEX-1C475-1626-SM-731FP 40-49 years, female 3.5
GTEX-RM2N-0926-SM-48FD1 50-59 years, male 3.5
GTEX-1J1R8-1126-SM-CNPQ3 40-49 years, male 3.5
GTEX-QV31-0826-SM-CKZNC 30-39 years, male 3.5
GTEX-147F3-1926-SM-5SIB9 50-59 years, female 3.4
GTEX-14PKV-2126-SM-664O3 20-29 years, female 3.4
GTEX-18D9A-1126-SM-7KFRJ 30-39 years, female 3.4
GTEX-QCQG-1626-SM-48U26 50-59 years, female 3.4
GTEX-ZG7Y-2126-SM-DO117 50-59 years, male 3.4
GTEX-111CU-1426-SM-5GZYP 50-59 years, male 3.3
GTEX-131XE-0826-SM-5HL9W 50-59 years, male 3.3
GTEX-Y9LG-1526-SM-4WWDR 30-39 years, male 3.3
GTEX-1H1E6-1926-SM-9OSWD 30-39 years, male 3.3
GTEX-1PFEY-1426-SM-E9U6U 30-39 years, male 3.3
GTEX-1PIEJ-2026-SM-E6CPA 20-29 years, female 3.3
GTEX-1PIGE-1426-SM-E9U61 20-29 years, male 3.3
GTEX-WOFM-2026-SM-4OOSQ 20-29 years, male 3.2
GTEX-YF7O-1726-SM-5IFJ9 50-59 years, male 3.2
GTEX-1MA7W-0626-SM-EV79Z 20-29 years, female 3.2
GTEX-11NSD-1626-SM-5986U 20-29 years, male 3.1
GTEX-1211K-1726-SM-5FQUJ 60-69 years, female 3.1
GTEX-139T6-1326-SM-5IFFO 50-59 years, male 3.1
GTEX-S4UY-0826-SM-4AD4Z 40-49 years, female 3.1
GTEX-1I4MK-1126-SM-B2LWS 50-59 years, female 3.1
GTEX-1JKYN-2326-SM-CGQG7 30-39 years, male 3.1
GTEX-1LGOU-1626-SM-D3LAK 20-29 years, female 3.1
GTEX-1LVAM-1626-SM-EV79Y 50-59 years, female 3.1
GTEX-OHPM-1426-SM-3TW8Y 50-59 years, male 3.0
GTEX-ZVT2-1926-SM-5GU5T 50-59 years, female 3.0
GTEX-1HCU9-1326-SM-B2LXT 20-29 years, male 3.0
GTEX-1QP67-1326-SM-EAZ4D 40-49 years, female 3.0
GTEX-12BJ1-2126-SM-5BC5O 60-69 years, male 2.9
GTEX-18A66-2426-SM-7KFSQ 60-69 years, male 2.9
GTEX-R55D-1826-SM-48FEF 50-59 years, male 2.9
GTEX-TKQ2-1326-SM-4DXT9 50-59 years, male 2.9
GTEX-1LGRB-1426-SM-CNNPT 50-59 years, female 2.9
GTEX-OIZF-1426-SM-2HML2 60-69 years, male 2.9
GTEX-OOBJ-1426-SM-E6CHH 60-69 years, male 2.9
GTEX-131XG-1826-SM-5LZV4 50-59 years, female 2.8
GTEX-1399U-1926-SM-5IFH7 50-59 years, female 2.8
GTEX-R55G-1226-SM-48FDC 40-49 years, female 2.8
GTEX-1IDJU-2026-SM-A9SLM 60-69 years, female 2.8
GTEX-11DXX-1826-SM-5H126 60-69 years, female 2.7
GTEX-11EM3-1526-SM-5A5KN 20-29 years, female 2.7
GTEX-13111-0726-SM-5DUVE 50-59 years, male 2.7
GTEX-139TS-1926-SM-5IJFO 60-69 years, male 2.7
GTEX-XUZC-1326-SM-4BRV2 30-39 years, female 2.7
GTEX-146FQ-1926-SM-5NQBY 30-39 years, male 2.6
GTEX-U4B1-1126-SM-4DXV3 40-49 years, male 2.6
GTEX-UJHI-1126-SM-4IHLN 50-59 years, female 2.6
GTEX-WHWD-1226-SM-4OOS1 50-59 years, male 2.6
GTEX-1HSEH-1726-SM-B2LXH 60-69 years, male 2.6
GTEX-145LT-0926-SM-5LU9C 40-49 years, male 2.5
GTEX-14E6E-1526-SM-5RQIG 30-39 years, male 2.5
GTEX-14PK6-1726-SM-6871J 70-79 years, female 2.5
GTEX-178AV-1326-SM-6LPJX 40-49 years, male 2.5
GTEX-WFG7-1526-SM-4LVMG 20-29 years, male 2.5
GTEX-ZPU1-1926-SM-57WDT 40-49 years, male 2.5
GTEX-1NSGN-2326-SM-E9U5X 50-59 years, male 2.5
GTEX-1QCLY-1726-SM-DPRXY 30-39 years, male 2.5
GTEX-1122O-1526-SM-5N9CL 60-69 years, female 2.4
GTEX-117YW-1826-SM-5PNY5 50-59 years, male 2.4
GTEX-11I78-1226-SM-5A5K6 50-59 years, female 2.4
GTEX-11VI4-1526-SM-5EQKC 40-49 years, female 2.4
GTEX-132AR-2726-SM-5PNVN 50-59 years, female 2.4
GTEX-147GR-2726-SM-664OO 60-69 years, male 2.4
GTEX-1B8KE-1926-SM-731EE 50-59 years, male 2.4
GTEX-W5WG-2426-SM-4LMI6 50-59 years, female 2.4
GTEX-YEC3-2426-SM-DO11A 50-59 years, male 2.4
GTEX-13D11-0826-SM-5KLZJ 50-59 years, female 2.3
GTEX-PLZ5-1126-SM-3P613 50-59 years, male 2.3
GTEX-TML8-1326-SM-4DXTO 40-49 years, female 2.3
GTEX-WFON-1426-SM-4LVMT 40-49 years, male 2.3
GTEX-WYVS-1826-SM-4OND6 40-49 years, female 2.3
GTEX-ZLV1-1226-SM-4WWBX 60-69 years, female 2.3
GTEX-13PL7-2526-SM-5IFGR 60-69 years, female 2.2
GTEX-15RIF-1326-SM-6LPKO 20-29 years, male 2.2
GTEX-OXRK-1726-SM-3NB16 50-59 years, female 2.2
GTEX-1399R-2226-SM-5P9JB 30-39 years, male 2.1
GTEX-139YR-2126-SM-5KM11 50-59 years, male 2.1
GTEX-145MN-1726-SM-5SIA6 30-39 years, male 2.1
GTEX-1B932-2826-SM-73KUD 40-49 years, female 2.1
GTEX-ZF2S-1926-SM-4WWAN 50-59 years, female 2.1
GTEX-1KANC-0926-SM-D3LA9 50-59 years, female 2.1
GTEX-1N2DV-1426-SM-DPRYQ 40-49 years, male 2.1
GTEX-13QBU-1826-SM-5IJG3 40-49 years, female 2.0
GTEX-ZEX8-1926-SM-4WKFR 50-59 years, male 2.0
GTEX-1S83E-1626-SM-EV7B9 40-49 years, male 2.0
GTEX-ZDTT-1926-SM-5HL5W 60-69 years, male 2.0
GTEX-13O21-2426-SM-5MR4A 50-59 years, male 1.9
GTEX-14BMU-1526-SM-5TDE6 20-29 years, female 1.9
GTEX-14PJ4-1926-SM-6LLHG 60-69 years, male 1.9
GTEX-17HHE-1826-SM-79OKE 50-59 years, male 1.9
GTEX-U3ZN-2126-SM-4DXU1 30-39 years, female 1.9
GTEX-YB5E-1626-SM-5IFIQ 40-49 years, male 1.9
GTEX-1CAMR-0926-SM-7MXTD 20-29 years, male 1.9
GTEX-1LG7Z-1426-SM-CXKYV 30-39 years, male 1.9
GTEX-1RAZA-1726-SM-DPS13 20-29 years, male 1.9
GTEX-133LE-1526-SM-5IFEN 20-29 years, female 1.8
GTEX-QLQW-0426-SM-447A7 30-39 years, male 1.8
GTEX-WHSB-0926-SM-4M1XJ 50-59 years, male 1.8
GTEX-XMK1-1726-SM-4B64Z 40-49 years, male 1.8
GTEX-Y3IK-1826-SM-4WWDS 50-59 years, female 1.8
GTEX-1JN76-1226-SM-C1YRM 20-29 years, female 1.8
GTEX-1K2DA-2026-SM-CGQGK 50-59 years, male 1.8
GTEX-ZLWG-1726-SM-DNZZ2 50-59 years, female 1.8
GTEX-11P82-1026-SM-5BC5J 20-29 years, male 1.7
GTEX-13S86-1626-SM-5Q5C5 40-49 years, male 1.7
GTEX-Y5LM-1526-SM-4VDTA 40-49 years, female 1.7
GTEX-ZV7C-1526-SM-5NQ72 50-59 years, male 1.7
GTEX-1F5PK-1926-SM-7MXT7 50-59 years, male 1.7
GTEX-11DXZ-1726-SM-5H12M 50-59 years, male 1.6
GTEX-14DAR-1526-SM-5RQIX 50-59 years, male 1.6
GTEX-1B8KZ-1326-SM-7DUG6 50-59 years, male 1.6
GTEX-16AAH-1326-SM-7KFRG 50-59 years, male 1.5
GTEX-R53T-1326-SM-48FCQ 50-59 years, female 1.5
GTEX-1RAZR-1926-SM-E6CRF 40-49 years, male 1.5
GTEX-15CHR-1426-SM-7DUGV 50-59 years, male 1.3
GTEX-ZPIC-2226-SM-57WDX 40-49 years, female 1.3
GTEX-1H11D-2626-SM-9JGH4 40-49 years, male 1.2
Show allShow less

COLON - FANTOM5 CAGEi

RNA expression in human tissues obtained through Cap Analysis of Gene Expression (CAGE) generated by the FANTOM5 project are reported as Scaled Tags Per Million.

Max subtype Scaled Tags Per Millioni

Max subtype Scaled Tags Per Million is the value for the subtype with the largest average Scaled Tags Per Million across the subtype samples.

6.5
FANTOM5 sample id Sample description Scaled Tags Per Million
Colon
Scaled Tags Per Million: 6.5
FF:10014-101C5 62,83,84 years, mixed 6.5

Contact

  • NEWS ARTICLES
  • PRESS ROOM

The Project

  • INTRODUCTION
  • ORGANIZATION
  • PUBLICATIONS

The Human Protein Atlas

  • DOWNLOADABLE DATA
  • LICENCE & CITATION
  • HELP & FAQ
The Human Protein Atlas project is funded
by the Knut & Alice Wallenberg Foundation.


contact@proteinatlas.org