We use cookies to enhance the usability of our website. If you continue, we'll assume that you are happy to receive all cookies. More information. Don't show this again.
TANGO2
HPA
RESOURCES
  • TISSUE
  • BRAIN
  • SINGLE CELL
  • SUBCELLULAR
  • CANCER
  • BLOOD
  • CELL LINE
  • STRUCTURE & INTERACTION
ABOUT
  • INTRODUCTION
  • HISTORY
  • ORGANIZATION
  • PUBLICATIONS
  • ANTIBODY SUBMISSION
  • ANTIBODY AVAILABILITY
  • ACKNOWLEDGMENTS
  • CONTACT
NEWS
  • NEWS ARTICLES
  • PRESS ROOM
LEARN
  • DICTIONARY
  • PROTEIN CLASSES
  • PROTEIN EVIDENCE
  • METHODS
  • EDUCATIONAL VIDEOS
DATA
  • DOWNLOADABLE DATA
  • PUBLICATION DATA
  • RELEASE HISTORY
HELP
  • ANTIBODY VALIDATION
  • ASSAYS & ANNOTATION
  • DISCLAIMER
  • HELP & FAQ
  • PRIVACY STATEMENT
  • LICENCE & CITATION
Fields »
Search result

Field
Term
Gene name
Class
Subclass
Class
Keyword
Chromosome
External id
Tissue
Cell type
Expression
Antibody panel
Tissue
Main location
Patient ID
Annotation
Tissue
Category
Tau score
Cluster
Reliability
Brain region
Category
Tau score
Brain region
Category
Tau score
Brain region
Category
Tau score
Cluster
Reliability
Tissue
Cell type
Enrichment
Cell type
Category
Tau score
Cell type
Category
Tau score
Cell type
Category
Tau score
Cell lineage
Category
Tau score
Cluster
Cluster
Location
Searches
Location
Cell line
Class
Type
Phase
Reliability
Cancer
Prognosis
Cancer
Category
Cancer
Category
Tau score
Cluster
Variants
Interacting gene (ensg_id)
Type
Number of interactions
Pathway
Category
Score
Score
Score
Validation
Validation
Validation
Validation
Antibodies
Data type
Column


  • SUMMARY

  • TISSUE

  • BRAIN

  • SINGLE CELL

  • SUBCELL

  • CANCER

  • BLOOD

  • CELL LINE

  • STRUCT & INT

  • TANGO2
TISSUE PRIMARY DATA COLON Show tissue menu
ADIPOSE TISSUE ADRENAL GLAND AMYGDALA APPENDIX BASAL GANGLIA BONE MARROW BREAST BRONCHUS CEREBELLUM CEREBRAL CORTEX CERVIX CHOROID PLEXUS COLON DUODENUM
ENDOMETRIUM EPIDIDYMIS ESOPHAGUS FALLOPIAN TUBE GALLBLADDER HEART MUSCLE HIPPOCAMPAL FORMATION HYPOTHALAMUS KIDNEY LIVER LUNG LYMPH NODE MIDBRAIN ORAL MUCOSA
OVARY PANCREAS PARATHYROID GLAND PITUITARY GLAND PLACENTA PROSTATE RECTUM RETINA SALIVARY GLAND SEMINAL VESICLE SKELETAL MUSCLE SKIN SMALL INTESTINE SMOOTH MUSCLE
SOFT TISSUE SPINAL CORD SPLEEN STOMACH TESTIS THYMUS THYROID GLAND TONGUE TONSIL URINARY BLADDER VAGINA
ANTIBODIES
AND
VALIDATION
Dictionary
Colon
Tissue proteome
Intestine
COLON - Expression summary
Protein expression
Coloni

On the top, protein expression in current human tissue, based on all annotated cell types, is reported with the units not detected (n), low (l), medium (m) and high (h). Underneath, protein expression in each annotated cell type are reported using the same units.

Protein expression data is based on knowledge-based annotation. For genes where more than one antibody has been used, a collective score is set.

If knowledge-based annotation could not be performed for a gene, no data is displayed here. View antibody staining data further down this page.

h
m
l
n
Endothelial cells: Low
Glandular cells: Medium
RNA expressioni

A summary of mRNA expression data available for current tissue based on several datasets. The mRNA expression levels in human tissues are based on RNA-seq data generated by the Human Protein Atlas (HPA), Genotype-Tissue Expression (GTEx) portal and CAGE data generated by the FANTOM5 consortium. Consensus normalized expression levels for human tissues was created by combining the data from HPA and GTEx datasets.

The mRNA expression levels in pig are based on RNA-seq data generated by the Human Protein Atlas (HPA), and for mouse, HPA data and in situ hybridization generated by the Allen brain atlas are reported.

Scroll down to view mRNA expression data in more detail.
Consensus:14.5 nTPM
HPA:12.2 nTPM
GTEx:14.5 nTPM
FANTOM5:6.3 Scaled Tags Per Million

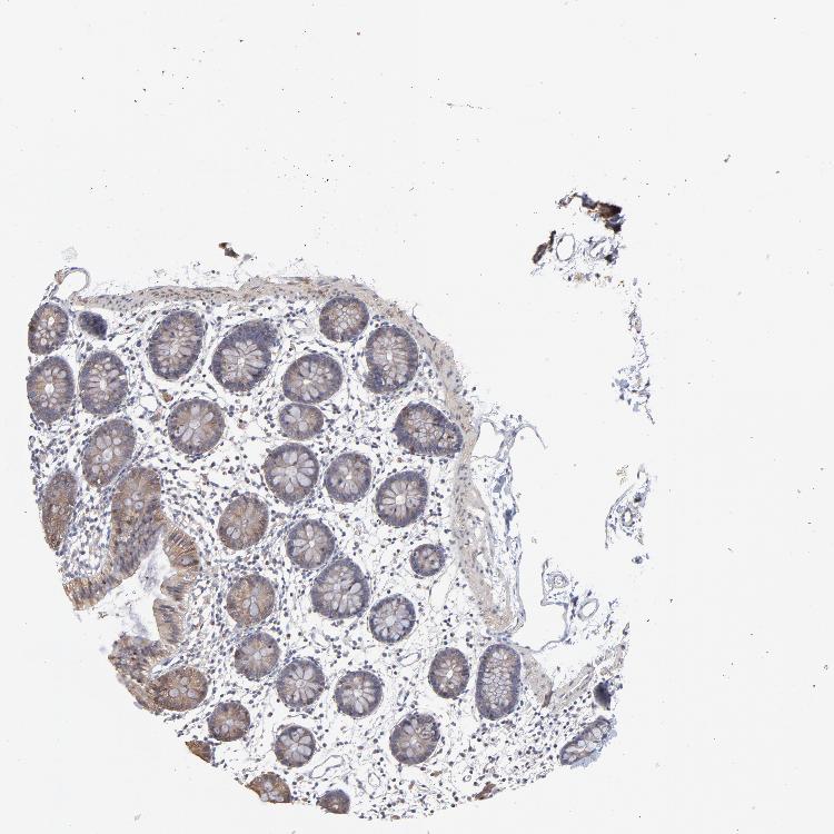
COLON - Antibody stainingi

Antibody staining in the annotated cell types in the current human tissue is reported as not detected, low, medium, or high, based on conventional immunohistochemistry profiling in selected tissues. This score is based on the combination of the staining intensity and fraction of stained cells.

Each image is clickable and will lead to virtual microscopy that enables deeper exploration of all samples and also displays staining intensity scores, fraction scores and subcellular localization as well as patient and tissue information for each sample.

Antibody HPA003080
Endothelial cells Low
Glandular cells Medium


COLON - HPA RNA-seqi

The RNA-seq details section shows detailed information about the individual samples used for the transcript profiling and results of the RNA-seq analysis.

Information about each individual sample is listed below, including gender, age, a tissue section image and estimated fractions of cell types. nTPM (normalized transcripts per million) values give a quantification of the gene abundance which is comparable between different genes and samples.
Average nTPMi

Max subtype nTPM is the value for the subtype with the largest average nTPM across the subtype samples.

12.2
overview
Male, age 54
Colon sample 67
nTPM: 9.3
Cell types%
Glandular cells:
65

Smooth muscle cells:
10

Other cell types:
25

overview
Female, age 57
Colon sample 68
nTPM: 13.1
Cell types%
Glandular cells:
40

Smooth muscle cells:
5

Other cell types:
55

overview
Male, age 80
Colon sample 69
nTPM: 12.2
Cell types%
Glandular cells:
55

Smooth muscle cells:
5

Other cell types:
40

overview
Male, age 68
Colon sample 70
nTPM: 11.5
Cell types%
Glandular cells:
35

Smooth muscle cells:
10

Other cell types:
55

overview
Female, age 68
Colon sample 76
nTPM: 14.1
Cell types%
Glandular cells:
25

Smooth muscle cells:
5

Other cell types:
70

overview
Female, age 61
Colon sample 299
nTPM: 12.9
Cell types%
Glandular cells:
5

Smooth muscle cells:
65

Other cell types:
30

overview
Male, age 80
Colon sample 300
nTPM: 12.1
Cell types%
Glandular cells:
15

Smooth muscle cells:
20

Other cell types:
65

overview
Female, age 78
Colon sample 368
nTPM: 13.4
Cell types%
Glandular cells:
45

Smooth muscle cells:
5

Other cell types:
50

overview
Male, age 84
Colon sample 381
nTPM: 10.3
Cell types%
Glandular cells:
50

Smooth muscle cells:
15

Other cell types:
35

overview
Male, age 80
Colon sample 384
nTPM: 13.3
Cell types%
Glandular cells:
20

Smooth muscle cells:
35

Other cell types:
45

overview
Female, age 78
Colon sample 389
nTPM: 13.3
Cell types%
Glandular cells:
35

Smooth muscle cells:
10

Other cell types:
55

overview
Female, age 69
Colon sample 391
nTPM: 11.2
Cell types%
Glandular cells:
10

Smooth muscle cells:
45

Other cell types:
45

overview
Female, age 72
Colon sample 403
nTPM: 11.9
Cell types%
Glandular cells:
20

Smooth muscle cells:
15

Other cell types:
65


COLON - GTEx RNA-seqi

RNA-Seq data generated by the Genotype-Tissue Expression (GTEx) project from human tissues is reported as mean nTPM. More information can be found on the GTEx portal.

Distribution across the dataset is visualized with box plots, shown as median and 25th and 75th percentiles. Points are displayed as outliers if they are above or below 1.5 times the interquartile range. nTPM values of the individual samples are presented next to the box plot.
Max subtype nTPMi

Max subtype nTPM is the value for the subtype with the largest average nTPM across the subtype samples.

14.5
GTEx sample id Sample description nTPM
Colon - Sigmoid
Average nTPM: 13.6
Samples: 373

Max nTPM: 24.8
Min nTPM: 7.1
Std nTPM: 2.5
Median nTPM: 13.4
GTEX-ZVZQ-2626-SM-59HLB 60-69 years, female 24.8
GTEX-15RJ7-1726-SM-6PAL3 40-49 years, male 23.2
GTEX-1S5ZA-1426-SM-E6CJQ 20-29 years, male 21.4
GTEX-ZPU1-1726-SM-4WWFV 40-49 years, male 21.3
GTEX-14PJ3-1226-SM-5ZZVY 50-59 years, male 20.3
GTEX-Y5LM-1426-SM-5RQJL 40-49 years, female 20.1
GTEX-111CU-1226-SM-5EGIN 50-59 years, male 20.0
GTEX-WFG8-1726-SM-4LVM6 20-29 years, male 19.9
GTEX-14PJ4-1826-SM-5YY97 60-69 years, male 19.8
GTEX-1JN76-1326-SM-ARU94 20-29 years, female 19.8
GTEX-1RDX4-1926-SM-E6CJJ 50-59 years, female 19.2
GTEX-12WSJ-1426-SM-5GCON 40-49 years, female 19.0
GTEX-1339X-1726-SM-5P9J9 40-49 years, male 18.7
GTEX-12WSG-2426-SM-5EQLZ 50-59 years, female 18.6
GTEX-13PL7-2426-SM-5J2N3 60-69 years, female 18.6
GTEX-13CF3-1326-SM-5LZXZ 60-69 years, female 18.4
GTEX-ZP4G-1526-SM-57WE5 20-29 years, female 18.4
GTEX-ZDTS-2726-SM-5L3E2 60-69 years, male 18.3
GTEX-1GMRU-2626-SM-9WPPM 50-59 years, male 18.2
GTEX-1399U-2226-SM-5KLZI 50-59 years, female 18.0
GTEX-13X6J-2826-SM-7EPGA 50-59 years, male 18.0
GTEX-1N2DV-1826-SM-E6CJ5 40-49 years, male 18.0
GTEX-1OFPY-1226-SM-E76OM 60-69 years, male 17.8
GTEX-Y9LG-1326-SM-4VBQB 30-39 years, male 17.7
GTEX-1J8QM-1226-SM-CY8HI 60-69 years, female 17.6
GTEX-1I1GT-2026-SM-CKZPK 60-69 years, female 17.5
GTEX-1LGOU-1726-SM-D3L8P 20-29 years, female 17.5
GTEX-1ICG6-2226-SM-B2LY7 70-79 years, female 17.4
GTEX-WRHK-1126-SM-4MVOJ 20-29 years, female 17.3
GTEX-XBED-1726-SM-47JYO 60-69 years, male 17.3
GTEX-1HKZK-2026-SM-9WYUF 40-49 years, male 17.3
GTEX-146FH-2426-SM-5Q5EW 50-59 years, female 17.2
GTEX-17GQL-1626-SM-7LG69 60-69 years, male 17.1
GTEX-WOFM-1926-SM-4OOSP 20-29 years, male 17.1
GTEX-1PBJJ-2026-SM-DTX8U 30-39 years, male 17.1
GTEX-13W3W-2226-SM-5LU4M 60-69 years, female 17.0
GTEX-13OVJ-1826-SM-5KM2D 50-59 years, female 16.9
GTEX-ZQG8-2426-SM-57WEE 60-69 years, female 16.9
GTEX-132NY-2726-SM-5PNY2 60-69 years, male 16.8
GTEX-ZLV1-1326-SM-DO11Q 60-69 years, female 16.8
GTEX-14E6C-2226-SM-5QGQG 40-49 years, male 16.7
GTEX-14PHX-1126-SM-5YYA5 50-59 years, male 16.7
GTEX-17EUY-1726-SM-79OK4 20-29 years, male 16.7
GTEX-YFCO-1526-SM-5YYB8 40-49 years, male 16.7
GTEX-1LSNM-1426-SM-E6CIH 50-59 years, male 16.7
GTEX-14JG6-1626-SM-5YYBC 30-39 years, female 16.6
GTEX-ZQUD-1026-SM-4YCEZ 30-39 years, male 16.6
GTEX-WXYG-1726-SM-4ONCU 50-59 years, female 16.5
GTEX-131XG-1526-SM-5GCNQ 50-59 years, female 16.4
GTEX-Y3I4-1126-SM-4TT7Y 50-59 years, male 16.4
GTEX-1QCLY-2026-SM-EVR4C 30-39 years, male 16.4
GTEX-WHWD-1526-SM-4OORV 50-59 years, male 16.3
GTEX-13FH7-1626-SM-5J2O9 50-59 years, female 16.2
GTEX-13FTW-2126-SM-5K7YG 40-49 years, male 16.2
GTEX-X15G-1526-SM-4PQZM 50-59 years, female 16.2
GTEX-ZYFG-1826-SM-5GZWX 60-69 years, female 16.2
GTEX-13111-1926-SM-5GCOL 50-59 years, male 16.1
GTEX-13D11-0626-SM-5LZYY 50-59 years, female 16.1
GTEX-15ETS-2326-SM-7KUGC 40-49 years, female 16.0
GTEX-1AMEY-1826-SM-72D5L 30-39 years, female 15.9
GTEX-YF7O-1626-SM-5IFII 50-59 years, male 15.9
GTEX-ZTTD-2626-SM-57WEX 50-59 years, male 15.9
GTEX-117YX-0526-SM-5EGJH 50-59 years, male 15.7
GTEX-1A3MV-1026-SM-72D5U 30-39 years, male 15.7
GTEX-1GMR2-1826-SM-9KNUP 50-59 years, male 15.7
GTEX-1LG7Y-2226-SM-E9U5K 50-59 years, male 15.7
GTEX-1RQEC-2626-SM-EVR3Z 60-69 years, male 15.7
GTEX-11TT1-0926-SM-5GU5M 20-29 years, male 15.6
GTEX-17HG3-1126-SM-7DUFC 30-39 years, female 15.6
GTEX-1AMFI-1826-SM-73KWB 50-59 years, female 15.6
GTEX-ZV6S-1126-SM-57WE9 40-49 years, female 15.6
GTEX-1PIEJ-1826-SM-EWRMN 20-29 years, female 15.6
GTEX-1S831-1726-SM-EWROJ 20-29 years, male 15.6
GTEX-1B996-2726-SM-7DUGG 60-69 years, male 15.5
GTEX-WYJK-2326-SM-4ONDN 50-59 years, male 15.5
GTEX-1CAMS-2626-SM-7PBY3 40-49 years, female 15.5
GTEX-WI4N-2226-SM-4OOS9 40-49 years, female 15.4
GTEX-Y114-1626-SM-4TT7I 50-59 years, female 15.4
GTEX-1H1ZS-2626-SM-9QEIX 70-79 years, male 15.4
GTEX-Y8E4-2326-SM-EAZAZ 40-49 years, male 15.4
GTEX-1IL2U-2526-SM-C1YQV 60-69 years, male 15.3
GTEX-1LB8K-2526-SM-DIPEQ 50-59 years, male 15.3
GTEX-1122O-1426-SM-5H11R 60-69 years, female 15.2
GTEX-13O1R-2426-SM-5KLZZ 60-69 years, male 15.2
GTEX-145MH-2726-SM-5QGQ6 50-59 years, male 15.2
GTEX-1B8KE-1526-SM-7DUG2 50-59 years, male 15.2
GTEX-1C64N-2226-SM-7SB7C 50-59 years, male 15.2
GTEX-132AR-2826-SM-5IJFV 50-59 years, female 15.1
GTEX-14A5I-2426-SM-5Q5CP 50-59 years, female 15.1
GTEX-1F5PK-1726-SM-7RHHW 50-59 years, male 15.1
GTEX-1KXAM-1926-SM-D3LAG 60-69 years, male 15.1
GTEX-1QP67-1426-SM-E8VOO 40-49 years, female 15.1
GTEX-ZF28-2526-SM-57WFH 60-69 years, male 15.0
GTEX-1H23P-2626-SM-9KNVN 60-69 years, male 15.0
GTEX-1JN6P-2126-SM-ARL98 60-69 years, male 15.0
GTEX-11EMC-1426-SM-5N9E4 60-69 years, female 14.9
GTEX-1C6VQ-2626-SM-7IGMQ 50-59 years, male 14.9
GTEX-V955-1726-SM-4JBHF 60-69 years, male 14.9
GTEX-WH7G-1426-SM-4LVMU 40-49 years, male 14.9
GTEX-WY7C-1926-SM-4ONCI 50-59 years, male 14.9
GTEX-X5EB-1126-SM-46MVV 40-49 years, male 14.9
GTEX-ZG7Y-1826-SM-4WWD3 50-59 years, male 14.9
GTEX-1I1CD-2826-SM-A9SL4 60-69 years, female 14.8
GTEX-YEC3-2026-SM-DKPOL 50-59 years, male 14.8
GTEX-139T6-1426-SM-5P9J7 50-59 years, male 14.7
GTEX-14E1K-1626-SM-664MO 50-59 years, male 14.7
GTEX-11EQ8-2626-SM-5N9BO 60-69 years, male 14.6
GTEX-11ZTS-1526-SM-5N9G7 60-69 years, female 14.6
GTEX-12KS4-2326-SM-5EGJB 30-39 years, male 14.6
GTEX-XAJ8-0726-SM-47JY5 40-49 years, male 14.6
GTEX-1LSVX-2026-SM-E9TJD 60-69 years, male 14.6
GTEX-ZLWG-1826-SM-DO11I 50-59 years, female 14.6
GTEX-1399R-2126-SM-5K7WZ 30-39 years, male 14.5
GTEX-14A5H-1626-SM-5SIAN 60-69 years, male 14.5
GTEX-17HHE-1626-SM-7DHLN 50-59 years, male 14.5
GTEX-W5WG-2026-SM-4LMIB 50-59 years, female 14.5
GTEX-XV7Q-2226-SM-4BRVY 40-49 years, female 14.5
GTEX-ZZ64-0826-SM-5E449 20-29 years, male 14.5
GTEX-1PFEY-1726-SM-DPRZ4 30-39 years, male 14.5
GTEX-15CHQ-2626-SM-686YZ 60-69 years, male 14.4
GTEX-15G19-2726-SM-6LPKG 60-69 years, male 14.4
GTEX-1A3MX-2326-SM-718B4 60-69 years, male 14.4
GTEX-ZF29-1826-SM-4WKG8 60-69 years, female 14.4
GTEX-1LG7Z-1326-SM-DIPF3 30-39 years, male 14.4
GTEX-1LVAM-1726-SM-DHXKQ 50-59 years, female 14.4
GTEX-111YS-1826-SM-5GIEP 60-69 years, male 14.3
GTEX-11DXX-1926-SM-5EGJK 60-69 years, female 14.3
GTEX-18A67-2226-SM-7LT9Z 50-59 years, male 14.3
GTEX-1AYCT-1926-SM-793AE 50-59 years, male 14.3
GTEX-XUZC-1526-SM-4BRV4 30-39 years, female 14.3
GTEX-Y8LW-1126-SM-4VDS4 50-59 years, female 14.3
GTEX-ZVT3-2826-SM-5GU6A 60-69 years, female 14.3
GTEX-1HCUA-1926-SM-B2LWE 50-59 years, female 14.3
GTEX-1PDJ9-2026-SM-E76PT 20-29 years, male 14.3
GTEX-1AX9K-1626-SM-73KUS 50-59 years, male 14.2
GTEX-1C475-1526-SM-7DHM3 40-49 years, female 14.2
GTEX-11EM3-1626-SM-5N9CO 20-29 years, female 14.1
GTEX-11P7K-1826-SM-5HL5A 30-39 years, male 14.1
GTEX-13OW6-2226-SM-5N9FL 50-59 years, male 14.1
GTEX-1JJEA-2526-SM-CY8HJ 60-69 years, male 14.1
GTEX-145LT-0826-SM-5S2QL 40-49 years, male 14.0
GTEX-148VJ-2426-SM-5NQ9Y 70-79 years, male 14.0
GTEX-14BMU-1326-SM-5RQIH 20-29 years, female 14.0
GTEX-16BQI-2026-SM-7KULQ 30-39 years, female 14.0
GTEX-VJYA-2126-SM-4KL1O 60-69 years, male 14.0
GTEX-WQUQ-2626-SM-4MVNP 60-69 years, male 14.0
GTEX-1IDJI-2226-SM-CKZPM 50-59 years, female 14.0
GTEX-1OJC3-1826-SM-DTX93 20-29 years, male 14.0
GTEX-11DXY-2026-SM-5N9CZ 60-69 years, male 13.9
GTEX-18465-2726-SM-7LT9I 50-59 years, male 13.9
GTEX-WFG7-1626-SM-4LVMF 20-29 years, male 13.9
GTEX-1J8Q3-2426-SM-CL53S 60-69 years, male 13.9
GTEX-1B932-2126-SM-7IGMU 40-49 years, female 13.8
GTEX-XUW1-1826-SM-4BOQD 50-59 years, female 13.8
GTEX-Z93S-2626-SM-57WBX 50-59 years, male 13.8
GTEX-ZPIC-2626-SM-57WE2 40-49 years, female 13.8
GTEX-1IDJU-1926-SM-CL53W 60-69 years, female 13.8
GTEX-1LKK1-2426-SM-DIPES 50-59 years, female 13.8
GTEX-1PIIG-2126-SM-EXUSD 30-39 years, male 13.8
GTEX-11EQ9-1526-SM-5PNY7 30-39 years, male 13.7
GTEX-1477Z-2126-SM-5Q5CM 60-69 years, male 13.7
GTEX-147JS-2626-SM-5S2UX 60-69 years, male 13.7
GTEX-ZAJG-2626-SM-5S2NU 50-59 years, female 13.7
GTEX-1GN73-2726-SM-9WYUB 60-69 years, male 13.7
GTEX-1I1GP-2826-SM-A9SKZ 50-59 years, male 13.7
GTEX-11VI4-1426-SM-5GU6O 40-49 years, female 13.6
GTEX-183WM-2526-SM-731BP 70-79 years, female 13.6
GTEX-1C4CL-1626-SM-7DUF3 30-39 years, male 13.6
GTEX-1HCVE-2326-SM-9WYUD 50-59 years, male 13.6
GTEX-1HSEH-1926-SM-A96SB 60-69 years, male 13.6
GTEX-1P4AB-2626-SM-DTXEU 50-59 years, male 13.6
GTEX-12WSM-1426-SM-5GCPA 60-69 years, male 13.5
GTEX-14PKV-1926-SM-686YU 20-29 years, female 13.5
GTEX-15EO6-2326-SM-6LPKK 50-59 years, male 13.5
GTEX-17JCI-2826-SM-7IGNA 60-69 years, female 13.5
GTEX-18D9A-1326-SM-7LT8P 30-39 years, female 13.5
GTEX-ZYY3-2226-SM-5E45A 60-69 years, female 13.5
GTEX-1QPFJ-2426-SM-EVR3L 30-39 years, female 13.5
GTEX-11EI6-2626-SM-5PNVT 60-69 years, male 13.4
GTEX-131YS-2926-SM-5EGKI 60-69 years, female 13.4
GTEX-14DAQ-2926-SM-664MV 60-69 years, female 13.4
GTEX-Y5V6-1626-SM-4VDT2 60-69 years, male 13.4
GTEX-ZXES-1726-SM-5E43G 30-39 years, female 13.4
GTEX-ZYT6-2826-SM-5GICX 30-39 years, male 13.4
GTEX-1H3NZ-2526-SM-9KNVO 60-69 years, male 13.4
GTEX-1HCU6-2926-SM-B2LWV 60-69 years, female 13.4
GTEX-1J8EW-2426-SM-CE6T5 60-69 years, female 13.4
GTEX-13PVQ-2726-SM-5L3H7 50-59 years, male 13.3
GTEX-14BIN-2426-SM-5TDCF 50-59 years, female 13.3
GTEX-WHPG-1626-SM-4M1ZL 50-59 years, male 13.3
GTEX-1HBPN-2026-SM-B2LWA 50-59 years, male 13.3
GTEX-1R9JW-2126-SM-E76QT 30-39 years, female 13.3
GTEX-1IDJH-2826-SM-CJI49 70-79 years, male 13.2
GTEX-139TS-2226-SM-5J2N1 60-69 years, male 13.1
GTEX-13RTJ-1926-SM-5YYA2 60-69 years, male 13.1
GTEX-15ER7-2826-SM-6PAN2 20-29 years, female 13.1
GTEX-16Z82-2426-SM-7KUMS 60-69 years, male 13.1
GTEX-1C2JI-1726-SM-73KUW 50-59 years, male 13.1
GTEX-XQ8I-2326-SM-4BOQC 50-59 years, male 13.1
GTEX-1F5PL-1926-SM-7MXTP 40-49 years, female 13.1
GTEX-1JMQK-2326-SM-ARZN4 60-69 years, male 13.1
GTEX-147GR-2826-SM-5RQK8 60-69 years, male 13.0
GTEX-ZE7O-2626-SM-51MSS 50-59 years, female 13.0
GTEX-ZF2S-1826-SM-4WKFF 50-59 years, female 13.0
GTEX-1GTWX-2626-SM-9WPOT 60-69 years, male 13.0
GTEX-1HSKV-2326-SM-A9SL9 60-69 years, male 13.0
GTEX-1JK1U-1426-SM-CNPOW 60-69 years, male 13.0
GTEX-1JKYN-2226-SM-ARZNE 30-39 years, male 13.0
GTEX-1QP9N-0826-SM-DTX9O 30-39 years, male 13.0
GTEX-11ZTT-1626-SM-5EQKR 60-69 years, female 12.9
GTEX-13113-1426-SM-5EGHU 60-69 years, female 12.9
GTEX-139D8-2926-SM-5IJBM 30-39 years, female 12.9
GTEX-16NGA-0926-SM-718AG 40-49 years, female 12.9
GTEX-1LVAN-2626-SM-CNPQF 50-59 years, female 12.9
GTEX-1RMOY-1726-SM-EVYC9 50-59 years, male 12.9
GTEX-11GS4-1826-SM-5HL4T 60-69 years, male 12.8
GTEX-11ONC-1926-SM-5GU75 60-69 years, male 12.8
GTEX-17F96-2126-SM-7KFSM 70-79 years, male 12.8
GTEX-1GL5R-1726-SM-9KNUX 50-59 years, male 12.8
GTEX-1H3VY-2526-SM-9KNW1 50-59 years, male 12.8
GTEX-1K2DA-1626-SM-CGQGB 50-59 years, male 12.8
GTEX-1QCLZ-2026-SM-EAZ4A 60-69 years, female 12.8
GTEX-1R9K5-2226-SM-DTX9G 50-59 years, male 12.8
GTEX-13O61-1526-SM-5KM3P 60-69 years, male 12.7
GTEX-17F9Y-2626-SM-7IGN9 70-79 years, female 12.7
GTEX-183FY-1426-SM-7DHLM 20-29 years, male 12.7
GTEX-1R9PO-2026-SM-E9J4N 60-69 years, female 12.7
GTEX-18A66-2626-SM-72D67 60-69 years, male 12.6
GTEX-18QFQ-1726-SM-731C9 30-39 years, male 12.6
GTEX-ZA64-1426-SM-5CVMC 20-29 years, male 12.6
GTEX-1L5NE-1926-SM-D3L9R 50-59 years, male 12.6
GTEX-1QP29-2526-SM-E6CQ3 50-59 years, male 12.6
GTEX-13N2G-2226-SM-5IJCU 60-69 years, male 12.5
GTEX-144GM-1126-SM-79OJK 20-29 years, male 12.5
GTEX-15RIF-1426-SM-7KUKQ 20-29 years, male 12.5
GTEX-1CB4F-1926-SM-7MKFN 60-69 years, male 12.5
GTEX-1JJE9-2526-SM-ARU8K 70-79 years, male 12.5
GTEX-1JMPY-1026-SM-ARZN1 30-39 years, male 12.5
GTEX-1JMQJ-2626-SM-CY8HQ 50-59 years, male 12.5
GTEX-1LGRB-2026-SM-COH47 50-59 years, female 12.5
GTEX-11P81-1426-SM-5P9JN 30-39 years, female 12.4
GTEX-13OVK-1026-SM-7KFTC 40-49 years, male 12.4
GTEX-14C39-1626-SM-5S2P4 40-49 years, male 12.4
GTEX-15G1A-1926-SM-7KUFF 30-39 years, male 12.4
GTEX-1HBPM-2626-SM-9WYU5 60-69 years, female 12.4
GTEX-1S82P-2026-SM-E9TIQ 60-69 years, female 12.4
GTEX-13OW5-2826-SM-5KM1G 60-69 years, male 12.3
GTEX-1B97I-1526-SM-73KUK 40-49 years, male 12.3
GTEX-X4EO-2726-SM-4E3HS 60-69 years, female 12.3
GTEX-ZT9W-1726-SM-51MS3 50-59 years, male 12.3
GTEX-13FHO-2726-SM-5K7VG 60-69 years, male 12.2
GTEX-14E6E-1726-SM-5S2R6 30-39 years, male 12.2
GTEX-15DZA-1026-SM-6PAND 30-39 years, female 12.2
GTEX-18A6Q-2226-SM-7LG61 60-69 years, male 12.2
GTEX-ZPCL-1626-SM-57WGC 60-69 years, female 12.2
GTEX-1C64O-2426-SM-7P8R3 60-69 years, male 12.2
GTEX-1EH9U-1926-SM-7P8QM 60-69 years, male 12.2
GTEX-1GMR8-2926-SM-9KNW5 50-59 years, female 12.2
GTEX-145MO-2626-SM-5QGPD 60-69 years, male 12.1
GTEX-15DYW-2426-SM-7KUG8 60-69 years, female 12.1
GTEX-1B8L1-1926-SM-7IGND 60-69 years, male 12.1
GTEX-1GF9X-1426-SM-7RHGX 40-49 years, female 12.1
GTEX-1RAZR-2026-SM-E9TKE 40-49 years, male 12.1
GTEX-139UW-2326-SM-5KM1Y 60-69 years, male 12.0
GTEX-13CF2-1826-SM-5N9GK 60-69 years, male 12.0
GTEX-ZAB5-1426-SM-5HL9D 50-59 years, male 12.0
GTEX-1HBPI-2226-SM-9WYTY 50-59 years, male 12.0
GTEX-1I1GR-2226-SM-ARL7F 60-69 years, male 12.0
GTEX-12BJ1-2026-SM-5FQUH 60-69 years, male 11.9
GTEX-15UF7-1326-SM-7KUKV 40-49 years, male 11.9
GTEX-1MGNQ-2126-SM-EV7AC 40-49 years, male 11.9
GTEX-12ZZX-2726-SM-5N9FT 40-49 years, female 11.8
GTEX-14C5O-2626-SM-5RQI5 60-69 years, male 11.8
GTEX-15UF6-2726-SM-7KULY 70-79 years, female 11.8
GTEX-1E2YA-2526-SM-7IGOU 50-59 years, male 11.8
GTEX-ZLFU-1426-SM-4WWEU 40-49 years, male 11.8
GTEX-1GPI7-1926-SM-9KNUH 20-29 years, male 11.8
GTEX-1H1E6-1826-SM-A9G21 30-39 years, male 11.8
GTEX-13G51-2126-SM-5IJD9 60-69 years, male 11.7
GTEX-17KNJ-1826-SM-7LT9N 50-59 years, male 11.7
GTEX-WFON-1326-SM-4LVMN 40-49 years, male 11.7
GTEX-WYVS-1126-SM-4SOJX 40-49 years, female 11.7
GTEX-ZVT2-1726-SM-51MRO 50-59 years, female 11.7
GTEX-1EU9M-2726-SM-7P8QD 60-69 years, male 11.7
GTEX-ZAB4-2426-SM-5HL8A 40-49 years, male 11.6
GTEX-1HFI7-1626-SM-9WYTR 50-59 years, female 11.6
GTEX-1J1R8-1426-SM-CL55O 40-49 years, male 11.6
GTEX-11DXZ-1626-SM-5GIDI 50-59 years, male 11.5
GTEX-1211K-1826-SM-5EGJ2 60-69 years, female 11.5
GTEX-1JKYR-2026-SM-CNPON 20-29 years, male 11.5
GTEX-1KANA-1726-SM-CY8IG 20-29 years, male 11.5
GTEX-1RAZQ-2026-SM-E76P7 30-39 years, male 11.5
GTEX-12696-1926-SM-5EGJT 60-69 years, male 11.4
GTEX-12WSL-1826-SM-5LZW9 50-59 years, male 11.4
GTEX-13VXT-2026-SM-5L3EW 20-29 years, female 11.4
GTEX-145ME-1126-SM-5SIAT 40-49 years, female 11.4
GTEX-15F5U-1426-SM-7KUN2 40-49 years, male 11.4
GTEX-1HCU7-2726-SM-A9G3D 50-59 years, male 11.4
GTEX-1PIGE-1526-SM-DTXFC 20-29 years, male 11.4
GTEX-1R7EU-1826-SM-DTX9L 60-69 years, male 11.4
GTEX-11ZU8-1126-SM-5EQ5K 60-69 years, male 11.3
GTEX-1212Z-1826-SM-5FQSH 60-69 years, male 11.3
GTEX-13QBU-2026-SM-5KLZB 40-49 years, female 11.3
GTEX-15RIE-2026-SM-7KFRW 60-69 years, male 11.3
GTEX-1J8JJ-2426-SM-D4P4A 60-69 years, female 11.3
GTEX-1K9T9-2926-SM-E9TKD 50-59 years, female 11.3
GTEX-1N2EF-1726-SM-EXUSI 60-69 years, male 11.3
GTEX-13X6K-2726-SM-5O9DG 60-69 years, female 11.2
GTEX-14PK6-1826-SM-69LOM 70-79 years, female 11.2
GTEX-YJ8O-1426-SM-5PNV9 40-49 years, female 11.2
GTEX-1HB9E-2526-SM-D4P35 50-59 years, male 11.2
GTEX-13OVI-2126-SM-5KM3U 60-69 years, female 11.1
GTEX-1AX9J-2526-SM-73KUY 60-69 years, male 11.1
GTEX-1BAJH-2726-SM-7IGNJ 70-79 years, male 11.1
GTEX-1CB4G-2726-SM-79OO4 60-69 years, male 11.1
GTEX-ZVT4-2626-SM-5N9GJ 50-59 years, female 11.1
GTEX-1JMPZ-2626-SM-ARU8Z 30-39 years, male 11.1
GTEX-1PBJI-2526-SM-E6CP4 20-29 years, female 11.1
GTEX-16XZZ-2726-SM-7EWDO 60-69 years, male 11.0
GTEX-1GMR3-2526-SM-7P8QS 40-49 years, male 11.0
GTEX-12ZZW-2426-SM-5DUWE 50-59 years, male 10.9
GTEX-131XE-1026-SM-5EGKE 50-59 years, male 10.9
GTEX-13X6I-2726-SM-5Q5ET 60-69 years, male 10.9
GTEX-15FZZ-1826-SM-6LLJP 30-39 years, female 10.9
GTEX-ZE9C-2126-SM-4WKGY 60-69 years, male 10.9
GTEX-ZYFD-2226-SM-5E43P 50-59 years, male 10.9
GTEX-1IKOE-2126-SM-A96T5 30-39 years, female 10.9
GTEX-1RLM8-1726-SM-E9TKF 50-59 years, male 10.9
GTEX-ZY6K-1326-SM-5GZWP 50-59 years, male 10.8
GTEX-117XS-2226-SM-5GIE1 60-69 years, male 10.7
GTEX-11PRG-2026-SM-5GU5F 50-59 years, male 10.7
GTEX-12WSD-2626-SM-5EGJE 60-69 years, female 10.7
GTEX-12ZZY-2726-SM-5EQ45 60-69 years, male 10.7
GTEX-1I6K6-1926-SM-A96SN 30-39 years, male 10.7
GTEX-1QW4Y-1426-SM-E76P3 30-39 years, male 10.7
GTEX-16MTA-1626-SM-6M47N 50-59 years, male 10.6
GTEX-1F75W-2126-SM-7RHIA 60-69 years, male 10.6
GTEX-ZTSS-1226-SM-51MSZ 40-49 years, male 10.5
GTEX-1QP2A-2226-SM-DTXF6 50-59 years, male 10.5
GTEX-13U4I-2626-SM-5SI9C 40-49 years, female 10.4
GTEX-17MFQ-1226-SM-7KFSA 20-29 years, male 10.4
GTEX-1LVAO-2826-SM-E9TJH 60-69 years, male 10.4
GTEX-11TUW-2326-SM-5EQMO 60-69 years, male 10.3
GTEX-13SLW-2826-SM-5Q5ES 70-79 years, male 10.3
GTEX-1CAMR-1026-SM-7P8QI 20-29 years, male 10.3
GTEX-1QP28-2226-SM-DTX8C 50-59 years, female 10.3
GTEX-13PVR-1726-SM-5Q5EC 60-69 years, female 10.1
GTEX-YECK-2826-SM-5IFHF 60-69 years, male 10.1
GTEX-YJ8A-1726-SM-5P9IQ 20-29 years, male 10.1
GTEX-1LSNL-1626-SM-E9TJY 50-59 years, male 10.1
GTEX-WHSE-2726-SM-EZ6ML 20-29 years, male 10.0
GTEX-13OW8-2726-SM-5L3FZ 60-69 years, male 9.9
GTEX-1HSGN-2226-SM-A9SL6 40-49 years, female 9.9
GTEX-1J1OQ-2826-SM-D3L88 40-49 years, female 9.9
GTEX-11I78-1326-SM-5PNY9 50-59 years, female 9.8
GTEX-1GZ4H-1326-SM-7P8TE 50-59 years, female 9.8
GTEX-1H3VE-2326-SM-9KNVU 40-49 years, male 9.8
GTEX-1HSMQ-2526-SM-A9SMK 50-59 years, male 9.8
GTEX-1A32A-2626-SM-73KX9 50-59 years, female 9.7
GTEX-1HBPH-2526-SM-ACKXK 40-49 years, female 9.7
GTEX-1PPH8-2226-SM-EWRN7 20-29 years, male 9.7
GTEX-ZC5H-2426-SM-4WAZ6 40-49 years, female 9.6
GTEX-1H1DE-1626-SM-9KNU5 20-29 years, male 9.5
GTEX-1JMLX-2526-SM-CY8HX 50-59 years, male 9.5
GTEX-17HGU-2626-SM-79OKN 50-59 years, male 9.3
GTEX-1EMGI-2626-SM-7IGNR 60-69 years, male 9.3
GTEX-14PN3-1926-SM-6EU1Y 60-69 years, female 9.1
GTEX-XXEK-1826-SM-4BRVC 50-59 years, male 9.1
GTEX-14AS3-1026-SM-5TDD7 40-49 years, female 8.8
GTEX-145LS-2926-SM-5O99G 60-69 years, female 8.7
GTEX-1HSMO-2526-SM-A9SKP 60-69 years, male 8.1
GTEX-1LBAC-1726-SM-D3L9W 20-29 years, male 7.8
GTEX-15RJE-2226-SM-6M46A 40-49 years, male 7.1
Show allShow less
Colon - Transverse
Average nTPM: 14.5
Samples: 406

Max nTPM: 27.4
Min nTPM: 7.2
Std nTPM: 2.9
Median nTPM: 14.3
GTEX-1399R-2226-SM-5P9JB 30-39 years, male 27.4
GTEX-OOBJ-1426-SM-E6CHH 60-69 years, male 27.1
GTEX-14E6E-1526-SM-5RQIG 30-39 years, male 25.8
GTEX-XAJ8-0426-SM-47JYJ 40-49 years, male 24.3
GTEX-UJHI-1126-SM-4IHLN 50-59 years, female 22.6
GTEX-14XAO-2026-SM-69LOI 60-69 years, female 21.8
GTEX-1IDJD-2226-SM-A96TD 30-39 years, male 21.8
GTEX-ZT9W-1826-SM-51MQX 50-59 years, male 21.4
GTEX-131XG-1826-SM-5LZV4 50-59 years, female 21.1
GTEX-Y5LM-1526-SM-4VDTA 40-49 years, female 21.0
GTEX-13PL7-2526-SM-5IFGR 60-69 years, female 20.8
GTEX-QLQW-0426-SM-447A7 30-39 years, male 20.6
GTEX-ZXES-1626-SM-5NQ7L 30-39 years, female 20.6
GTEX-PWCY-1026-SM-48TD4 20-29 years, female 20.3
GTEX-1CAMR-0926-SM-7MXTD 20-29 years, male 20.0
GTEX-11DXX-1826-SM-5H126 60-69 years, female 19.8
GTEX-S4Q7-0826-SM-4AD5E 20-29 years, male 19.8
GTEX-WFON-1426-SM-4LVMT 40-49 years, male 19.8
GTEX-1399U-1926-SM-5IFH7 50-59 years, female 19.7
GTEX-1QP67-1326-SM-EAZ4D 40-49 years, female 19.6
GTEX-111CU-1426-SM-5GZYP 50-59 years, male 19.5
GTEX-1399S-1926-SM-5J2M5 30-39 years, female 19.5
GTEX-Y3IK-1826-SM-4WWDS 50-59 years, female 19.1
GTEX-1GMR2-1726-SM-9JGI2 50-59 years, male 19.1
GTEX-15G1A-1826-SM-7KUKO 30-39 years, male 18.9
GTEX-S4P3-1226-SM-4AD4Y 50-59 years, female 18.9
GTEX-1H1E6-1926-SM-9OSWD 30-39 years, male 18.9
GTEX-13111-0726-SM-5DUVE 50-59 years, male 18.8
GTEX-131XE-0826-SM-5HL9W 50-59 years, male 18.8
GTEX-WOFM-2026-SM-4OOSQ 20-29 years, male 18.8
GTEX-11LCK-2026-SM-5A5MA 30-39 years, male 18.7
GTEX-1AMFI-1726-SM-7189L 50-59 years, female 18.7
GTEX-ZDTT-1926-SM-5HL5W 60-69 years, male 18.7
GTEX-1GF9X-1526-SM-7P8QP 40-49 years, female 18.5
GTEX-1N2DV-1426-SM-DPRYQ 40-49 years, male 18.5
GTEX-QLQ7-1126-SM-CYPRB 60-69 years, male 18.5
GTEX-13D11-0826-SM-5KLZJ 50-59 years, female 18.4
GTEX-OIZF-1426-SM-2HML2 60-69 years, male 18.4
GTEX-QV31-0826-SM-CKZNC 30-39 years, male 18.4
GTEX-XBED-1526-SM-4AT5W 60-69 years, male 18.3
GTEX-17EUY-1826-SM-7DUEZ 20-29 years, male 18.2
GTEX-OXRL-1426-SM-3NM9E 50-59 years, male 18.2
GTEX-Q2AI-0926-SM-48U1F 40-49 years, male 18.2
GTEX-ZVT2-1926-SM-5GU5T 50-59 years, female 18.2
GTEX-U4B1-1126-SM-4DXV3 40-49 years, male 18.1
GTEX-1122O-1526-SM-5N9CL 60-69 years, female 18.0
GTEX-144GN-1126-SM-5LU33 50-59 years, male 18.0
GTEX-14PKV-2126-SM-664O3 20-29 years, female 18.0
GTEX-1339X-1626-SM-5IJDN 40-49 years, male 17.9
GTEX-O5YT-1426-SM-3MJHC 20-29 years, male 17.9
GTEX-117YX-0826-SM-5H11J 50-59 years, male 17.8
GTEX-13QBU-1826-SM-5IJG3 40-49 years, female 17.8
GTEX-146FQ-1926-SM-5NQBY 30-39 years, male 17.8
GTEX-1AX8Z-2726-SM-73KUC 60-69 years, male 17.8
GTEX-13X6H-1926-SM-7EWD3 50-59 years, female 17.7
GTEX-1H1DG-2226-SM-9WPPC 70-79 years, male 17.7
GTEX-1211K-1726-SM-5FQUJ 60-69 years, female 17.6
GTEX-W5WG-2426-SM-4LMI6 50-59 years, female 17.6
GTEX-U3ZN-2126-SM-4DXU1 30-39 years, female 17.5
GTEX-1JKYN-2326-SM-CGQG7 30-39 years, male 17.5
GTEX-OXRN-2026-SM-E6CHK 50-59 years, male 17.5
GTEX-Q2AH-1226-SM-48TZL 40-49 years, male 17.4
GTEX-TML8-1326-SM-4DXTO 40-49 years, female 17.4
GTEX-1KANC-0926-SM-D3LA9 50-59 years, female 17.4
GTEX-14PK6-1726-SM-6871J 70-79 years, female 17.3
GTEX-QCQG-1626-SM-48U26 50-59 years, female 17.3
GTEX-R55D-1826-SM-48FEF 50-59 years, male 17.3
GTEX-T5JW-1126-SM-4DM5V 20-29 years, female 17.3
GTEX-XBEW-1926-SM-4SOJO 40-49 years, male 17.3
GTEX-XUZC-1326-SM-4BRV2 30-39 years, female 17.3
GTEX-ZLV1-1226-SM-4WWBX 60-69 years, female 17.3
GTEX-11P7K-1526-SM-5EGI7 30-39 years, male 17.2
GTEX-14PJ3-0926-SM-69LQG 50-59 years, male 17.2
GTEX-XQ8I-2126-SM-4BOOM 50-59 years, male 17.2
GTEX-11EM3-1526-SM-5A5KN 20-29 years, female 17.1
GTEX-11P82-1026-SM-5BC5J 20-29 years, male 17.1
GTEX-SNOS-1226-SM-4DM5H 40-49 years, male 17.1
GTEX-Y8E4-2426-SM-4WWDN 40-49 years, male 17.1
GTEX-14BMU-1526-SM-5TDE6 20-29 years, female 17.0
GTEX-PLZ6-0926-SM-3P5ZQ 30-39 years, male 17.0
GTEX-QDVJ-1326-SM-48U1X 50-59 years, male 17.0
GTEX-1H11D-2626-SM-9JGH4 40-49 years, male 17.0
GTEX-1HKZK-2126-SM-A9SL3 40-49 years, male 17.0
GTEX-ZDYS-2326-SM-4WKG6 50-59 years, male 16.9
GTEX-1IGQW-2326-SM-CE6RV 60-69 years, male 16.9
GTEX-15CHR-1426-SM-7DUGV 50-59 years, male 16.7
GTEX-12WSJ-1526-SM-5GCNI 40-49 years, female 16.6
GTEX-1B8KZ-1326-SM-7DUG6 50-59 years, male 16.6
GTEX-RM2N-0926-SM-48FD1 50-59 years, male 16.6
GTEX-Y114-1526-SM-4TT79 50-59 years, female 16.6
GTEX-1K9T9-2826-SM-D4P3F 50-59 years, female 16.6
GTEX-1LG7Z-1426-SM-CXKYV 30-39 years, male 16.6
GTEX-12BJ1-2126-SM-5BC5O 60-69 years, male 16.5
GTEX-S4UY-0826-SM-4AD4Z 40-49 years, female 16.5
GTEX-YF7O-1726-SM-5IFJ9 50-59 years, male 16.5
GTEX-ZPU1-1926-SM-57WDT 40-49 years, male 16.5
GTEX-1HCU9-1326-SM-B2LXT 20-29 years, male 16.5
GTEX-1S83E-1626-SM-EV7B9 40-49 years, male 16.5
GTEX-13FTW-1826-SM-5IJEN 40-49 years, male 16.4
GTEX-145LT-0926-SM-5LU9C 40-49 years, male 16.4
GTEX-17HGU-2426-SM-7EWDP 50-59 years, male 16.4
GTEX-P4QT-1426-SM-3NMCX 50-59 years, female 16.4
GTEX-R55G-1226-SM-48FDC 40-49 years, female 16.4
GTEX-1K2DA-2026-SM-CGQGK 50-59 years, male 16.4
GTEX-1KXAM-2126-SM-CY8I9 60-69 years, male 16.4
GTEX-1PFEY-1426-SM-E9U6U 30-39 years, male 16.4
GTEX-1GF9U-1526-SM-7MXUW 40-49 years, female 16.3
GTEX-13PVR-1626-SM-73KVF 60-69 years, female 16.2
GTEX-14DAR-1526-SM-5RQIX 50-59 years, male 16.2
GTEX-14H4A-1926-SM-5ZZWN 40-49 years, female 16.2
GTEX-ZV7C-1526-SM-5NQ72 50-59 years, male 16.2
GTEX-1L5NE-2026-SM-CXZKR 50-59 years, male 16.2
GTEX-13FH7-1526-SM-5J2N6 50-59 years, female 16.1
GTEX-1I1GT-1926-SM-ARU7D 60-69 years, female 16.1
GTEX-1KANA-1926-SM-DHXKF 20-29 years, male 16.1
GTEX-13OVI-2026-SM-5J1MU 60-69 years, female 16.0
GTEX-ZP4G-1726-SM-4WWCM 20-29 years, female 16.0
GTEX-1LVAM-1626-SM-EV79Y 50-59 years, female 16.0
GTEX-YEC3-2426-SM-DO11A 50-59 years, male 16.0
GTEX-PLZ5-1126-SM-3P613 50-59 years, male 15.9
GTEX-1MA7W-0626-SM-EV79Z 20-29 years, female 15.9
GTEX-1CAMS-2526-SM-7EPH7 40-49 years, female 15.8
GTEX-1JN76-1226-SM-C1YRM 20-29 years, female 15.8
GTEX-1LSVX-1726-SM-DHXJP 60-69 years, male 15.8
GTEX-14JG6-1726-SM-69LPL 30-39 years, female 15.7
GTEX-ZLWG-1726-SM-DNZZ2 50-59 years, female 15.7
GTEX-11DXZ-1726-SM-5H12M 50-59 years, male 15.6
GTEX-132AR-2726-SM-5PNVN 50-59 years, female 15.6
GTEX-Q734-1126-SM-48TZY 40-49 years, female 15.6
GTEX-UJMC-1326-SM-4IHLS 50-59 years, male 15.6
GTEX-Y3I4-1426-SM-4TT9C 50-59 years, male 15.6
GTEX-1J1R8-1126-SM-CNPQ3 40-49 years, male 15.6
GTEX-1QCLY-1726-SM-DPRXY 30-39 years, male 15.6
GTEX-13O21-2426-SM-5MR4A 50-59 years, male 15.5
GTEX-13OVJ-1726-SM-5IJDZ 50-59 years, female 15.5
GTEX-147JS-2526-SM-5S2Q8 60-69 years, male 15.5
GTEX-17GQL-1526-SM-7LTAC 60-69 years, male 15.5
GTEX-OIZH-1426-SM-3NB1O 50-59 years, male 15.5
GTEX-1PWST-2426-SM-EWRMP 70-79 years, male 15.5
GTEX-NFK9-2026-SM-3LK5K 40-49 years, male 15.4
GTEX-TKQ2-1326-SM-4DXT9 50-59 years, male 15.4
GTEX-ZYFG-1926-SM-5GID5 60-69 years, female 15.4
GTEX-1LG7Y-2126-SM-DIPER 50-59 years, male 15.4
GTEX-1OKEX-1226-SM-DTXEC 60-69 years, male 15.4
GTEX-14C39-1926-SM-5ZZW5 40-49 years, male 15.3
GTEX-178AV-1326-SM-6LPJX 40-49 years, male 15.3
GTEX-QDVN-1326-SM-48TZ3 50-59 years, male 15.3
GTEX-ZF2S-1926-SM-4WWAN 50-59 years, female 15.3
GTEX-ZTSS-1126-SM-5985O 40-49 years, male 15.3
GTEX-1F5PK-1926-SM-7MXT7 50-59 years, male 15.3
GTEX-1IKOE-2026-SM-AHZ31 30-39 years, female 15.3
GTEX-17KNJ-1726-SM-7LG6A 50-59 years, male 15.2
GTEX-XGQ4-1226-SM-4AT67 50-59 years, male 15.2
GTEX-1HSMQ-2726-SM-C1YRE 50-59 years, male 15.2
GTEX-1LGOU-1626-SM-D3LAK 20-29 years, female 15.2
GTEX-145MN-1726-SM-5SIA6 30-39 years, male 15.1
GTEX-OHPM-1426-SM-3TW8Y 50-59 years, male 15.1
GTEX-R55C-1126-SM-48FCJ 40-49 years, male 15.1
GTEX-X5EB-0926-SM-46MVT 40-49 years, male 15.1
GTEX-YEC4-1926-SM-5IFHJ 40-49 years, male 15.1
GTEX-ZEX8-1926-SM-4WKFR 50-59 years, male 15.1
GTEX-1HSMP-2326-SM-D3L8R 70-79 years, male 15.1
GTEX-15RIF-1326-SM-6LPKO 20-29 years, male 15.0
GTEX-PWN1-1426-SM-48TDF 40-49 years, female 15.0
GTEX-ZPIC-2226-SM-57WDX 40-49 years, female 15.0
GTEX-14PHX-1526-SM-68717 50-59 years, male 14.9
GTEX-15DZA-0926-SM-69LQ3 30-39 years, female 14.9
GTEX-XMK1-1726-SM-4B64Z 40-49 years, male 14.9
GTEX-XV7Q-2126-SM-4BRVX 40-49 years, female 14.9
GTEX-1F75B-2726-SM-7P8QO 50-59 years, male 14.9
GTEX-1IDJF-1826-SM-CKZOE 20-29 years, male 14.9
GTEX-1QP9N-1026-SM-E6CPX 30-39 years, male 14.9
GTEX-13U4I-2426-SM-5LU34 40-49 years, female 14.8
GTEX-X15G-1326-SM-4PQZJ 50-59 years, female 14.8
GTEX-1HCVE-2526-SM-A9G2G 50-59 years, male 14.8
GTEX-1HFI7-1726-SM-A9G22 50-59 years, female 14.8
GTEX-PSDG-1826-SM-EAZ2S 50-59 years, male 14.8
GTEX-17F98-1026-SM-7IGO8 40-49 years, female 14.7
GTEX-S7SF-1926-SM-4AT5B 20-29 years, female 14.7
GTEX-U3ZM-1126-SM-4DXUB 40-49 years, male 14.7
GTEX-WFG7-1526-SM-4LVMG 20-29 years, male 14.7
GTEX-Y9LG-1526-SM-4WWDR 30-39 years, male 14.7
GTEX-11TT1-1026-SM-5PNW7 20-29 years, male 14.6
GTEX-13W3W-2126-SM-5K7UX 60-69 years, female 14.6
GTEX-14JIY-3326-SM-6871E 60-69 years, male 14.6
GTEX-SE5C-1526-SM-4BRWU 40-49 years, female 14.6
GTEX-1JMPY-0426-SM-C1YQ3 30-39 years, male 14.6
GTEX-1PIGE-1426-SM-E9U61 20-29 years, male 14.6
GTEX-16Z82-2226-SM-6LPJ7 60-69 years, male 14.5
GTEX-18D9B-2526-SM-718BN 60-69 years, male 14.5
GTEX-QMRM-1226-SM-447C6 50-59 years, male 14.5
GTEX-VJYA-2026-SM-4KL1K 60-69 years, male 14.5
GTEX-1E2YA-2626-SM-7MGWW 50-59 years, male 14.5
GTEX-1R7EU-1926-SM-E9U62 60-69 years, male 14.5
GTEX-1S3DN-1826-SM-EV79K 50-59 years, male 14.5
GTEX-OXRK-1726-SM-3NB16 50-59 years, female 14.4
GTEX-R53T-1326-SM-48FCQ 50-59 years, female 14.4
GTEX-XPVG-1826-SM-4B64X 50-59 years, male 14.4
GTEX-ZGAY-2126-SM-4YCFB 40-49 years, female 14.4
GTEX-1ICLZ-2426-SM-CKZOD 60-69 years, male 14.4
GTEX-1PPH8-2026-SM-DTX7P 20-29 years, male 14.4
GTEX-11I78-1226-SM-5A5K6 50-59 years, female 14.3
GTEX-16AAH-1326-SM-7KFRG 50-59 years, male 14.3
GTEX-16XZZ-2626-SM-6M47S 60-69 years, male 14.3
GTEX-Y8LW-1226-SM-4WWDP 50-59 years, female 14.3
GTEX-OHPN-2026-SM-E9TIA 60-69 years, female 14.3
GTEX-ZG7Y-2126-SM-DO117 50-59 years, male 14.3
GTEX-111YS-1626-SM-5GZZ9 60-69 years, male 14.2
GTEX-144GM-1226-SM-5LU52 20-29 years, male 14.2
GTEX-S3XE-1126-SM-4AD4N 50-59 years, male 14.2
GTEX-XYKS-2226-SM-4E3IU 60-69 years, female 14.2
GTEX-1I4MK-1126-SM-B2LWS 50-59 years, female 14.2
GTEX-12C56-0626-SM-5EGGC 20-29 years, male 14.1
GTEX-13CF3-1426-SM-5K7YY 60-69 years, female 14.1
GTEX-13OVG-1426-SM-5K7VP 60-69 years, male 14.1
GTEX-148VJ-2626-SM-5QGPI 70-79 years, male 14.1
GTEX-1C475-1626-SM-731FP 40-49 years, female 14.1
GTEX-13VXT-2426-SM-5LU46 20-29 years, female 14.0
GTEX-1AYCT-1826-SM-731EG 50-59 years, male 14.0
GTEX-WH7G-1326-SM-4LVMS 40-49 years, male 14.0
GTEX-XUW1-1926-SM-4BOP1 50-59 years, female 14.0
GTEX-ZF29-1726-SM-4WKFV 60-69 years, female 14.0
GTEX-1JK1U-1526-SM-AHZ46 60-69 years, male 14.0
GTEX-1NV5F-2226-SM-DTX8O 60-69 years, female 14.0
GTEX-139T6-1326-SM-5IFFO 50-59 years, male 13.9
GTEX-14PJ5-0926-SM-6LLIK 60-69 years, female 13.9
GTEX-YB5E-1626-SM-5IFIQ 40-49 years, male 13.9
GTEX-1H3VY-2426-SM-9WPPD 50-59 years, male 13.9
GTEX-15RIE-1826-SM-6M48P 60-69 years, male 13.8
GTEX-WHWD-1226-SM-4OOS1 50-59 years, male 13.8
GTEX-WYVS-1826-SM-4OND6 40-49 years, female 13.8
GTEX-1QCLZ-1926-SM-E6CR3 60-69 years, female 13.8
GTEX-1A3MV-1126-SM-718BS 30-39 years, male 13.7
GTEX-1F5PL-2126-SM-7PC2O 40-49 years, female 13.7
GTEX-1H1DE-1526-SM-ARL9B 20-29 years, male 13.7
GTEX-12WSL-1626-SM-5GCMU 50-59 years, male 13.6
GTEX-18A66-2426-SM-7KFSQ 60-69 years, male 13.6
GTEX-18D9A-1126-SM-7KFRJ 30-39 years, female 13.6
GTEX-1B8KE-1926-SM-731EE 50-59 years, male 13.6
GTEX-1B932-2826-SM-73KUD 40-49 years, female 13.6
GTEX-1AMEY-1926-SM-73KVT 30-39 years, female 13.5
GTEX-RU1J-1326-SM-46MUL 20-29 years, female 13.5
GTEX-T6MO-0826-SM-4DM51 40-49 years, female 13.5
GTEX-ZZ64-0726-SM-5GZX4 20-29 years, male 13.5
GTEX-1NSGN-2326-SM-E9U5X 50-59 years, male 13.5
GTEX-133LE-1526-SM-5IFEN 20-29 years, female 13.4
GTEX-15SB6-1226-SM-7KUMP 50-59 years, female 13.4
GTEX-17F96-2026-SM-79ON4 70-79 years, male 13.4
GTEX-1HSEH-1726-SM-B2LXH 60-69 years, male 13.4
GTEX-139YR-2126-SM-5KM11 50-59 years, male 13.3
GTEX-PX3G-1426-SM-48U1J 20-29 years, female 13.3
GTEX-WQUQ-2526-SM-4MVNO 60-69 years, male 13.3
GTEX-ZPCL-1826-SM-57WF1 60-69 years, female 13.3
GTEX-1GL5R-2426-SM-7MXV1 50-59 years, male 13.3
GTEX-1RAZA-1726-SM-DPS13 20-29 years, male 13.3
GTEX-WHSB-0926-SM-4M1XJ 50-59 years, male 13.2
GTEX-1QPFJ-2326-SM-E6CR7 30-39 years, female 13.2
GTEX-1RMOY-1626-SM-EVYC8 50-59 years, male 13.2
GTEX-145ME-0826-SM-5O9AF 40-49 years, female 13.1
GTEX-14BMV-2426-SM-5S2PP 50-59 years, male 13.1
GTEX-14PJ4-1926-SM-6LLHG 60-69 years, male 13.1
GTEX-P78B-1726-SM-3P5ZV 40-49 years, female 13.1
GTEX-RWS6-1826-SM-47JXX 60-69 years, female 13.1
GTEX-139TS-1926-SM-5IJFO 60-69 years, male 13.0
GTEX-WYJK-2226-SM-4ONDJ 50-59 years, male 13.0
GTEX-1MJK3-0926-SM-EV7AY 20-29 years, male 13.0
GTEX-147F3-1926-SM-5SIB9 50-59 years, female 12.9
GTEX-15UF6-2626-SM-6M466 70-79 years, female 12.9
GTEX-S341-1426-SM-4AD6U 40-49 years, female 12.9
GTEX-1I1GR-2526-SM-CNNQF 60-69 years, male 12.9
GTEX-1IKK5-2726-SM-CNPQ6 60-69 years, male 12.9
GTEX-1S5VW-2926-SM-E9U6H 60-69 years, male 12.9
GTEX-U412-1726-SM-EZ6KX 60-69 years, male 12.9
GTEX-WY7C-1626-SM-4ONC8 50-59 years, male 12.8
GTEX-17HII-2726-SM-7MGVM 50-59 years, male 12.8
GTEX-1IDJU-2026-SM-A9SLM 60-69 years, female 12.8
GTEX-1RAZR-1926-SM-E6CRF 40-49 years, male 12.8
GTEX-13S86-1626-SM-5Q5C5 40-49 years, male 12.7
GTEX-15DCE-2026-SM-7KUFE 20-29 years, male 12.7
GTEX-17HHE-1826-SM-79OKE 50-59 years, male 12.7
GTEX-18D9U-1926-SM-7KFTM 40-49 years, male 12.7
GTEX-1AX9I-2626-SM-73KU5 60-69 years, male 12.7
GTEX-ZVP2-1526-SM-5NQ82 50-59 years, male 12.7
GTEX-1LGRB-1426-SM-CNNPT 50-59 years, female 12.7
GTEX-1POEN-2026-SM-E6CRL 30-39 years, female 12.7
GTEX-11VI4-1526-SM-5EQKC 40-49 years, female 12.6
GTEX-147GR-2726-SM-664OO 60-69 years, male 12.6
GTEX-1C6VQ-2726-SM-73KUL 50-59 years, male 12.6
GTEX-TKQ1-0626-SM-4DXTS 30-39 years, male 12.6
GTEX-U3ZH-1326-SM-4DXSF 30-39 years, male 12.6
GTEX-X3Y1-1726-SM-4PQZL 40-49 years, male 12.6
GTEX-1RDX4-1826-SM-EVR54 50-59 years, female 12.6
GTEX-OXRO-0726-SM-E9U4C 60-69 years, female 12.6
GTEX-QEL4-1926-SM-D3L8D 50-59 years, male 12.6
GTEX-SJXC-2226-SM-EVYAK 60-69 years, male 12.6
GTEX-14ICK-1026-SM-6AJA4 40-49 years, male 12.5
GTEX-1EMGI-2726-SM-7P8S4 60-69 years, male 12.5
GTEX-1JJ6O-2426-SM-ARU8J 60-69 years, male 12.5
GTEX-1NHNU-2326-SM-E6CQE 50-59 years, male 12.5
GTEX-WVJS-2426-SM-EZ6LI 50-59 years, male 12.5
GTEX-X4EO-2526-SM-EWRM8 60-69 years, female 12.5
GTEX-11ZVC-2126-SM-5EGJ1 50-59 years, female 12.4
GTEX-14E1K-1826-SM-793DT 50-59 years, male 12.4
GTEX-17F9E-1826-SM-7IGMC 50-59 years, male 12.4
GTEX-ZV6S-1226-SM-59HLH 40-49 years, female 12.4
GTEX-13QJ3-2626-SM-9OSXQ 50-59 years, male 12.4
GTEX-1LVAN-2526-SM-CNPPC 50-59 years, female 12.4
GTEX-11EQ9-1426-SM-5987G 30-39 years, male 12.3
GTEX-11NSD-1626-SM-5986U 20-29 years, male 12.3
GTEX-18QFQ-1526-SM-72D57 30-39 years, male 12.3
GTEX-1C4CL-2126-SM-7IGQC 30-39 years, male 12.3
GTEX-1R9K5-2126-SM-E8VN1 50-59 years, male 12.3
GTEX-1128S-1626-SM-5H12O 60-69 years, female 12.2
GTEX-1GPI7-1726-SM-7P8R1 20-29 years, male 12.2
GTEX-1QW4Y-1326-SM-EWRMZ 30-39 years, male 12.2
GTEX-R45C-2126-SM-EZ6KZ 60-69 years, female 12.2
GTEX-111VG-2226-SM-5N9DU 60-69 years, male 12.1
GTEX-11GSP-1626-SM-5986N 60-69 years, female 12.1
GTEX-14ICL-1226-SM-5S2RD 30-39 years, male 12.1
GTEX-13O61-1626-SM-5KM3T 60-69 years, male 12.0
GTEX-1N5O9-2726-SM-E76QH 60-69 years, male 12.0
GTEX-1PPGY-2826-SM-DTX9H 60-69 years, male 11.9
GTEX-11O72-2226-SM-5PNW2 40-49 years, male 11.8
GTEX-14PJM-2626-SM-686ZD 50-59 years, female 11.8
GTEX-1CB4F-2026-SM-79OLU 60-69 years, male 11.8
GTEX-144GL-2526-SM-5TDDL 50-59 years, male 11.7
GTEX-145LS-2726-SM-5Q5D8 60-69 years, female 11.7
GTEX-15CHQ-2526-SM-6EU24 60-69 years, male 11.7
GTEX-O5YW-1426-SM-3MJHF 50-59 years, male 11.7
GTEX-1JKYR-1926-SM-C1YR7 20-29 years, male 11.7
GTEX-1QMI2-2626-SM-E6CR4 60-69 years, male 11.7
GTEX-14C5O-2526-SM-73KU2 60-69 years, male 11.6
GTEX-17MF6-2426-SM-7LTAM 40-49 years, male 11.6
GTEX-1C2JI-1626-SM-7EPHC 50-59 years, male 11.6
GTEX-1C64O-2326-SM-73KU8 60-69 years, male 11.6
GTEX-WEY5-1426-SM-4LMJ3 40-49 years, female 11.6
GTEX-1CB4I-2226-SM-7P8SL 50-59 years, male 11.6
GTEX-1JJE9-2426-SM-D3L8T 70-79 years, male 11.6
GTEX-145MO-2426-SM-5NQ9W 60-69 years, male 11.5
GTEX-15CHC-1626-SM-5ZZWS 60-69 years, female 11.5
GTEX-SNMC-1126-SM-4DM5M 20-29 years, male 11.5
GTEX-1HCU7-2626-SM-C1YQO 50-59 years, male 11.5
GTEX-1R9PM-1526-SM-DPRY8 20-29 years, male 11.5
GTEX-16NGA-1026-SM-7KFS3 40-49 years, female 11.4
GTEX-ZY6K-1226-SM-5GZYL 50-59 years, male 11.4
GTEX-1AYD5-1726-SM-7RHFW 50-59 years, male 11.4
GTEX-1JMPZ-2426-SM-C1YQP 30-39 years, male 11.4
GTEX-1MGNQ-2026-SM-EAZ51 40-49 years, male 11.4
GTEX-1R9JW-2026-SM-EAZ4O 30-39 years, female 11.4
GTEX-12ZZZ-2426-SM-5GCNN 60-69 years, male 11.3
GTEX-13OVK-0826-SM-7KULZ 40-49 years, male 11.3
GTEX-13OW5-2626-SM-5MR3M 60-69 years, male 11.3
GTEX-ZAB4-2226-SM-5HL97 40-49 years, male 11.3
GTEX-1JN1M-2626-SM-CY8I3 60-69 years, female 11.3
GTEX-1MUQO-2626-SM-EWRO3 60-69 years, male 11.3
GTEX-1PIEJ-2026-SM-E6CPA 20-29 years, female 11.3
GTEX-14AS3-1126-SM-5Q5CR 40-49 years, female 11.2
GTEX-16NPV-2626-SM-6M484 50-59 years, female 11.2
GTEX-17EVQ-1826-SM-7IGPH 70-79 years, male 11.2
GTEX-17JCI-2626-SM-7EWE6 60-69 years, female 11.2
GTEX-1S82U-0726-SM-E9TKI 30-39 years, female 11.2
GTEX-13OW6-2126-SM-5N9GL 50-59 years, male 11.1
GTEX-16MT8-2726-SM-7IGLJ 60-69 years, female 11.1
GTEX-14BIN-3026-SM-5ZZUS 50-59 years, female 11.0
GTEX-18A7A-2226-SM-7LT8K 50-59 years, female 11.0
GTEX-1GMR3-2826-SM-9WPOG 40-49 years, male 11.0
GTEX-1IOXB-2626-SM-CJI2N 50-59 years, male 11.0
GTEX-1B996-2626-SM-73KZ1 60-69 years, male 10.9
GTEX-1GN73-2626-SM-9KNUQ 60-69 years, male 10.9
GTEX-1J1OQ-2726-SM-AHZ3R 40-49 years, female 10.9
GTEX-15DYW-2326-SM-6PAMU 60-69 years, female 10.8
GTEX-1MCC2-1626-SM-DIPEW 30-39 years, female 10.8
GTEX-14DAQ-2726-SM-5S2QY 60-69 years, female 10.7
GTEX-15ER7-2926-SM-7KUFK 20-29 years, female 10.7
GTEX-18A7B-2026-SM-72D71 70-79 years, male 10.7
GTEX-12KS4-2426-SM-5LU8P 30-39 years, male 10.6
GTEX-ZYVF-2826-SM-5GIDK 50-59 years, female 10.6
GTEX-11TUW-2026-SM-5EQL8 60-69 years, male 10.5
GTEX-1HCU6-2726-SM-A9SKV 60-69 years, female 10.5
GTEX-11ONC-2026-SM-5HL61 60-69 years, male 10.4
GTEX-XXEK-1926-SM-4BRVD 50-59 years, male 10.4
GTEX-1F75I-2426-SM-9WPOY 40-49 years, male 10.3
GTEX-1LH75-2126-SM-EVR5F 50-59 years, female 10.2
GTEX-13O3O-2526-SM-5L3DR 60-69 years, female 10.1
GTEX-P4PP-1426-SM-3NM9L 30-39 years, female 10.1
GTEX-ZYFC-2626-SM-5NQ6S 50-59 years, male 10.1
GTEX-1GZ4H-1226-SM-9KNUA 50-59 years, female 10.0
GTEX-11TTK-2426-SM-5PNYO 60-69 years, female 9.9
GTEX-13FHP-2426-SM-5KLZ5 50-59 years, male 9.9
GTEX-1BAJH-2326-SM-7IGMO 70-79 years, male 9.9
GTEX-1IDJC-1326-SM-CL53H 50-59 years, male 9.9
GTEX-1KANB-1526-SM-CXZK4 50-59 years, male 9.9
GTEX-V955-1626-SM-4JBHJ 60-69 years, male 9.8
GTEX-Z93S-2426-SM-5HL8N 50-59 years, male 9.8
GTEX-1I6K6-1826-SM-B2LX5 30-39 years, male 9.8
GTEX-1GZ4I-2426-SM-9WPPP 50-59 years, male 9.6
GTEX-1LBAC-1626-SM-CXZKV 20-29 years, male 9.6
GTEX-1RAZQ-2126-SM-DTX9V 30-39 years, male 9.5
GTEX-13O3P-2326-SM-5KM55 50-59 years, male 9.4
GTEX-15SHU-2526-SM-6M47D 40-49 years, female 9.4
GTEX-1HSGN-2626-SM-CE6S1 40-49 years, female 9.4
GTEX-1EH9U-2026-SM-7PBYS 60-69 years, male 9.3
GTEX-11P81-1126-SM-5GU5G 30-39 years, female 8.7
GTEX-1N2EF-1926-SM-DTX8M 60-69 years, male 8.6
GTEX-1JMLX-2726-SM-CM2SB 50-59 years, male 7.5
GTEX-117YW-1826-SM-5PNY5 50-59 years, male 7.2
Show allShow less

COLON - FANTOM5 CAGEi

RNA expression in human tissues obtained through Cap Analysis of Gene Expression (CAGE) generated by the FANTOM5 project are reported as Scaled Tags Per Million.

Max subtype Scaled Tags Per Millioni

Max subtype Scaled Tags Per Million is the value for the subtype with the largest average Scaled Tags Per Million across the subtype samples.

6.3
FANTOM5 sample id Sample description Scaled Tags Per Million
Colon
Scaled Tags Per Million: 6.3
FF:10014-101C5 62,83,84 years, mixed 6.3

Contact

  • NEWS ARTICLES
  • PRESS ROOM

The Project

  • INTRODUCTION
  • ORGANIZATION
  • PUBLICATIONS

The Human Protein Atlas

  • DOWNLOADABLE DATA
  • LICENCE & CITATION
  • HELP & FAQ
The Human Protein Atlas project is funded
by the Knut & Alice Wallenberg Foundation.


contact@proteinatlas.org