We use cookies to enhance the usability of our website. If you continue, we'll assume that you are happy to receive all cookies. More information. Don't show this again.
RFLNB
HPA
RESOURCES
  • TISSUE
  • BRAIN
  • SINGLE CELL
  • SUBCELLULAR
  • CANCER
  • BLOOD
  • CELL LINE
  • STRUCTURE & INTERACTION
ABOUT
  • INTRODUCTION
  • HISTORY
  • ORGANIZATION
  • PUBLICATIONS
  • ANTIBODY SUBMISSION
  • ANTIBODY AVAILABILITY
  • ACKNOWLEDGMENTS
  • CONTACT
NEWS
  • NEWS ARTICLES
  • PRESS ROOM
LEARN
  • DICTIONARY
  • PROTEIN CLASSES
  • PROTEIN EVIDENCE
  • METHODS
  • EDUCATIONAL VIDEOS
DATA
  • DOWNLOADABLE DATA
  • PUBLICATION DATA
  • RELEASE HISTORY
HELP
  • ANTIBODY VALIDATION
  • ASSAYS & ANNOTATION
  • DISCLAIMER
  • HELP & FAQ
  • PRIVACY STATEMENT
  • LICENCE & CITATION
Fields »
Search result

Field
Term
Gene name
Class
Subclass
Class
Keyword
Chromosome
External id
Tissue
Cell type
Expression
Antibody panel
Tissue
Main location
Patient ID
Annotation
Tissue
Category
Tau score
Cluster
Reliability
Brain region
Category
Tau score
Brain region
Category
Tau score
Brain region
Category
Tau score
Cluster
Reliability
Tissue
Cell type
Enrichment
Cell type
Category
Tau score
Cell type
Category
Tau score
Cell type
Category
Tau score
Cell lineage
Category
Tau score
Cluster
Cluster
Location
Searches
Location
Cell line
Class
Type
Phase
Reliability
Cancer
Prognosis
Cancer
Category
Cancer
Category
Tau score
Cluster
Variants
Interacting gene (ensg_id)
Type
Number of interactions
Pathway
Category
Score
Score
Score
Validation
Validation
Validation
Validation
Antibodies
Data type
Column


  • SUMMARY

  • TISSUE

  • BRAIN

  • SINGLE CELL

  • SUBCELL

  • CANCER

  • BLOOD

  • CELL LINE

  • STRUCT & INT

  • RFLNB
TISSUE PRIMARY DATA BREAST Show tissue menu
ADIPOSE TISSUE ADRENAL GLAND AMYGDALA APPENDIX BASAL GANGLIA BONE MARROW BREAST BRONCHUS CEREBELLUM CEREBRAL CORTEX CERVIX CHOROID PLEXUS COLON DUODENUM
ENDOMETRIUM EPIDIDYMIS ESOPHAGUS FALLOPIAN TUBE GALLBLADDER HEART MUSCLE HIPPOCAMPAL FORMATION HYPOTHALAMUS KIDNEY LIVER LUNG LYMPH NODE MIDBRAIN NASOPHARYNX
ORAL MUCOSA OVARY PANCREAS PARATHYROID GLAND PITUITARY GLAND PLACENTA PROSTATE RECTUM RETINA SALIVARY GLAND SEMINAL VESICLE SKELETAL MUSCLE SKIN SMALL INTESTINE
SMOOTH MUSCLE SOFT TISSUE SPINAL CORD SPLEEN STOMACH TESTIS THYMUS THYROID GLAND TONGUE TONSIL URINARY BLADDER VAGINA
ANTIBODIES
AND
VALIDATION
Dictionary
Breast
Tissue proteome
Breast
BREAST - Expression summary
Protein expression
Breasti

On the top, protein expression in current human tissue, based on all annotated cell types, is reported with the units not detected (n), low (l), medium (m) and high (h). Underneath, protein expression in each annotated cell type are reported using the same units.

Protein expression data is based on knowledge-based annotation. For genes where more than one antibody has been used, a collective score is set.

If knowledge-based annotation could not be performed for a gene, no data is displayed here. View antibody staining data further down this page.

h
m
l
n
Adipocytes: Not detected
Glandular cells: Not detected
Myoepithelial cells: Not detected
RNA expressioni

A summary of mRNA expression data available for current tissue based on several datasets. The mRNA expression levels in human tissues are based on RNA-seq data generated by the Human Protein Atlas (HPA), Genotype-Tissue Expression (GTEx) portal and CAGE data generated by the FANTOM5 consortium. Consensus normalized expression levels for human tissues was created by combining the data from HPA and GTEx datasets.

The mRNA expression levels in pig are based on RNA-seq data generated by the Human Protein Atlas (HPA), and for mouse, HPA data and in situ hybridization generated by the Allen brain atlas are reported.

Scroll down to view mRNA expression data in more detail.
Consensus:15.1 nTPM
HPA:1.9 nTPM
GTEx:15.1 nTPM

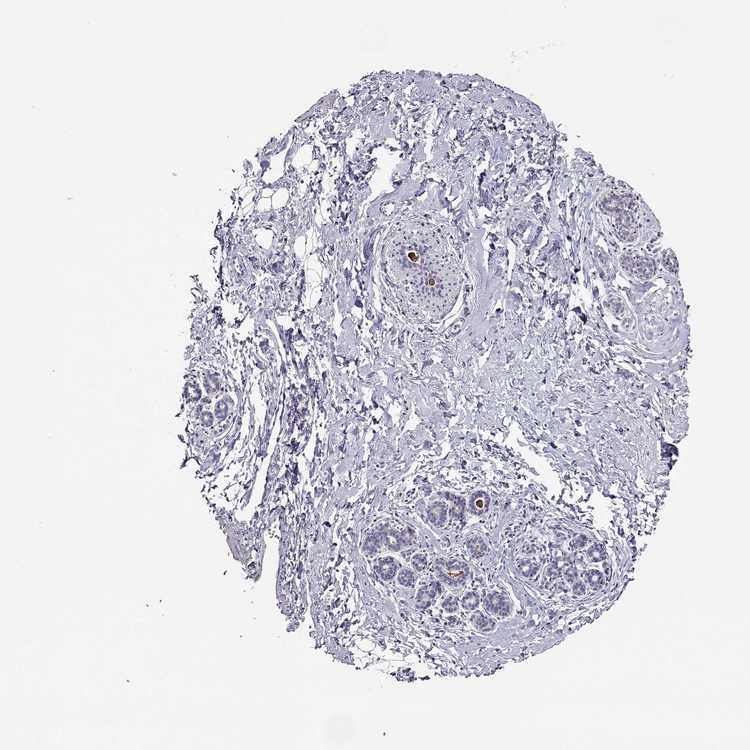
BREAST - Antibody stainingi

Antibody staining in the annotated cell types in the current human tissue is reported as not detected, low, medium, or high, based on conventional immunohistochemistry profiling in selected tissues. This score is based on the combination of the staining intensity and fraction of stained cells.

Each image is clickable and will lead to virtual microscopy that enables deeper exploration of all samples and also displays staining intensity scores, fraction scores and subcellular localization as well as patient and tissue information for each sample.

Antibody HPA060388
Adipocytes Not detected
Glandular cells Not detected
Myoepithelial cells Not detected



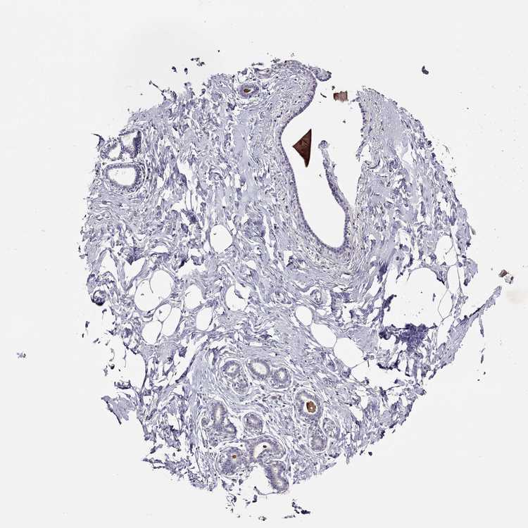
BREAST - HPA RNA-seqi

The RNA-seq details section shows detailed information about the individual samples used for the transcript profiling and results of the RNA-seq analysis.

Information about each individual sample is listed below, including gender, age, a tissue section image and estimated fractions of cell types. nTPM (normalized transcripts per million) values give a quantification of the gene abundance which is comparable between different genes and samples.
Average nTPMi

Max subtype nTPM is the value for the subtype with the largest average nTPM across the subtype samples.

1.9
overview
Female, age 52
Breast sample 373
nTPM: 1.7
Cell types%
Glandular cells:
15

Adipocytes:
5

Other cell types:
80

overview
Female, age 80
Breast sample 390
nTPM: 2.1
Cell types%
Glandular cells:
5

Adipocytes:
15

Other cell types:
80

overview
Female, age 47
Breast sample 405
nTPM: 0.6
Cell types%
Glandular cells:
5

Adipocytes:
5

Other cell types:
90

overview
Female, age 38
Breast sample 410
nTPM: 3
Cell types%
Glandular cells:
40

Adipocytes:
5

Other cell types:
55


BREAST - GTEx RNA-seqi

RNA-Seq data generated by the Genotype-Tissue Expression (GTEx) project from human tissues is reported as mean nTPM. More information can be found on the GTEx portal.

Distribution across the dataset is visualized with box plots, shown as median and 25th and 75th percentiles. Points are displayed as outliers if they are above or below 1.5 times the interquartile range. nTPM values of the individual samples are presented next to the box plot.
Max subtype nTPMi

Max subtype nTPM is the value for the subtype with the largest average nTPM across the subtype samples.

15.1
GTEx sample id Sample description nTPM
Breast - Mammary Tissue
Average nTPM: 15.1
Samples: 459

Max nTPM: 102.7
Min nTPM: 2.0
Std nTPM: 10.6
Median nTPM: 13.0
GTEX-1N2EF-2226-SM-E9J33 60-69 years, male 102.7
GTEX-ZDXO-0126-SM-5S2ND 60-69 years, male 57.0
GTEX-1AX9J-1126-SM-731B7 60-69 years, male 54.1
GTEX-1C6WA-2426-SM-7SB86 60-69 years, male 53.5
GTEX-17MF6-0326-SM-7EPH5 40-49 years, male 51.3
GTEX-17MFQ-0926-SM-7LG4S 20-29 years, male 50.2
GTEX-1JMLX-2026-SM-CMKGN 50-59 years, male 49.0
GTEX-1JN6P-2426-SM-ARL99 60-69 years, male 47.2
GTEX-13W46-0826-SM-5LU3H 50-59 years, male 42.2
GTEX-X62O-0526-SM-EWRMA 50-59 years, male 37.8
GTEX-1ICLZ-0426-SM-B2LW2 60-69 years, male 37.3
GTEX-1LSVX-2426-SM-E6CJX 60-69 years, male 36.9
GTEX-13O3Q-2226-SM-5KM4O 50-59 years, male 36.3
GTEX-13PVQ-1026-SM-5KM3M 50-59 years, male 35.5
GTEX-13N1W-0626-SM-5MR4U 70-79 years, male 35.2
GTEX-1S82Z-0726-SM-E6CHX 30-39 years, female 34.8
GTEX-REY6-2426-SM-48FF5 60-69 years, male 34.7
GTEX-1PPGY-1526-SM-EVYBK 60-69 years, male 34.1
GTEX-1HCU8-0126-SM-ADEHH 60-69 years, female 34.0
GTEX-ZT9W-2026-SM-51MRA 50-59 years, male 33.7
GTEX-12WSK-2226-SM-5GCO5 40-49 years, female 33.6
GTEX-QMRM-1626-SM-D4P1U 50-59 years, male 33.4
GTEX-WHSB-1926-SM-EXOHH 50-59 years, male 33.0
GTEX-XMK1-1126-SM-4IHJ8 40-49 years, male 32.9
GTEX-1HR98-0426-SM-COH36 60-69 years, male 32.6
GTEX-16YQH-2826-SM-6PAMY 30-39 years, male 32.5
GTEX-17F97-2526-SM-7EWDV 50-59 years, male 32.4
GTEX-139T6-1626-SM-5PNYZ 50-59 years, male 32.2
GTEX-Y8E4-1626-SM-5S2MW 40-49 years, male 32.0
GTEX-18465-2026-SM-718AP 50-59 years, male 31.7
GTEX-183WM-0726-SM-7LTAA 70-79 years, female 31.6
GTEX-XGQ4-0926-SM-4AT4U 50-59 years, male 31.3
GTEX-YFCO-1826-SM-4W1YH 40-49 years, male 31.3
GTEX-ZYT6-0126-SM-5E45J 30-39 years, male 31.3
GTEX-1IDFM-0426-SM-B2LVV 60-69 years, male 31.1
GTEX-S7SE-0826-SM-4AT4D 50-59 years, male 30.9
GTEX-1H3VY-0926-SM-ACKXE 50-59 years, male 30.7
GTEX-1JMOU-2026-SM-CMKGU 60-69 years, female 30.4
GTEX-1IOXB-1926-SM-ARL8E 50-59 years, male 29.5
GTEX-11DZ1-0326-SM-5N9BN 50-59 years, male 29.2
GTEX-1HSEH-2026-SM-ADEHN 60-69 years, male 29.2
GTEX-144GM-0926-SM-5O994 20-29 years, male 28.9
GTEX-145MO-0826-SM-5NQBL 60-69 years, male 28.8
GTEX-145MF-2226-SM-7EPIR 50-59 years, male 28.3
GTEX-1F75B-0626-SM-7SB8A 50-59 years, male 28.3
GTEX-1QP28-1226-SM-E9J2M 50-59 years, female 27.9
GTEX-13CF3-2126-SM-5IFJP 60-69 years, female 27.8
GTEX-13FTX-1126-SM-5N9EN 20-29 years, female 27.8
GTEX-11DXY-2326-SM-5GICW 60-69 years, male 27.7
GTEX-UTHO-1026-SM-3GAF7 60-69 years, male 27.4
GTEX-1OKEX-0826-SM-E9J2B 60-69 years, male 27.2
GTEX-1HSMO-0826-SM-ADEIV 60-69 years, male 27.1
GTEX-R55D-0826-SM-48FEA 50-59 years, male 26.8
GTEX-1RLM8-2226-SM-EVYD1 50-59 years, male 26.8
GTEX-YECK-0726-SM-EZ6LV 60-69 years, male 26.5
GTEX-1HCU7-1026-SM-ADEIP 50-59 years, male 26.4
GTEX-11TUW-1826-SM-5BC5D 60-69 years, male 26.3
GTEX-12KS4-0126-SM-5Q5A5 30-39 years, male 26.3
GTEX-15RJE-2626-SM-7KFT1 40-49 years, male 26.3
GTEX-12WSM-1726-SM-5BC6J 60-69 years, male 26.2
GTEX-XQ3S-1326-SM-4BOPQ 20-29 years, male 26.2
GTEX-1I6K6-0826-SM-ARL7Z 30-39 years, male 26.1
GTEX-1GF9V-2526-SM-7SB8K 60-69 years, male 25.9
GTEX-11GSO-1926-SM-5A5K3 60-69 years, male 25.6
GTEX-ZA64-1526-SM-5CVMD 20-29 years, male 25.5
GTEX-1I1GP-0426-SM-COH3N 50-59 years, male 25.4
GTEX-1B8KE-1226-SM-73KWK 50-59 years, male 25.3
GTEX-ZLWG-1926-SM-DO92J 50-59 years, female 25.3
GTEX-11GSP-0926-SM-9WYSG 60-69 years, female 25.2
GTEX-1PPH7-0826-SM-E8VNX 40-49 years, male 25.1
GTEX-145ME-1526-SM-5Q5F2 40-49 years, female 24.8
GTEX-XV7Q-2326-SM-4BRVZ 40-49 years, female 24.8
GTEX-1HC8U-0826-SM-ADEIL 40-49 years, female 24.6
GTEX-13VXU-2826-SM-664MA 50-59 years, male 24.2
GTEX-1ICLY-1726-SM-B2LVT 50-59 years, male 24.2
GTEX-14B4R-1226-SM-5TDDT 30-39 years, male 24.1
GTEX-11I78-2226-SM-5PNYA 50-59 years, female 24.0
GTEX-1IDJU-1826-SM-CMKHV 60-69 years, female 23.8
GTEX-1AMEY-1026-SM-718AA 30-39 years, female 23.7
GTEX-PSDG-1626-SM-48TCQ 50-59 years, male 23.5
GTEX-1R7EV-1526-SM-E8VOD 40-49 years, male 23.5
GTEX-1AX9I-0726-SM-73KWV 60-69 years, male 23.4
GTEX-11NV4-2026-SM-5N9DG 60-69 years, male 23.3
GTEX-14E7W-0826-SM-62LEJ 70-79 years, male 23.3
GTEX-18A6Q-0926-SM-7LG4N 60-69 years, male 23.3
GTEX-1I19N-2826-SM-CL55D 70-79 years, male 23.3
GTEX-X261-0626-SM-3NMD9 50-59 years, male 23.2
GTEX-Y9LG-1426-SM-5IFJZ 30-39 years, male 23.2
GTEX-ZWKS-2826-SM-5NQ74 30-39 years, male 23.1
GTEX-17F9E-2526-SM-7MGW2 50-59 years, male 23.1
GTEX-R53T-1526-SM-48FEK 50-59 years, female 23.0
GTEX-18A66-1726-SM-7LG5N 60-69 years, male 22.9
GTEX-13D11-1026-SM-5IJFB 50-59 years, female 22.8
GTEX-17HGU-1326-SM-79OKB 50-59 years, male 22.8
GTEX-11P82-1326-SM-5HL62 20-29 years, male 22.7
GTEX-18A7B-2626-SM-7LG55 70-79 years, male 22.7
GTEX-1EWIQ-1726-SM-7SB7T 70-79 years, female 22.7
GTEX-ZVT4-1026-SM-57WC4 50-59 years, female 22.5
GTEX-1NV8Z-2826-SM-E8VME 60-69 years, male 22.5
GTEX-11DXZ-1926-SM-5GZZL 50-59 years, male 22.3
GTEX-14PJ4-2126-SM-6ETZJ 60-69 years, male 22.2
GTEX-169BO-1126-SM-7MGWN 50-59 years, male 22.2
GTEX-13S86-1226-SM-5S2OA 40-49 years, male 22.1
GTEX-1K9T9-1426-SM-DIPFQ 50-59 years, female 22.1
GTEX-14E6C-1326-SM-62LEQ 40-49 years, male 21.9
GTEX-QVJO-1826-SM-447C9 60-69 years, female 21.8
GTEX-1KD5A-1926-SM-DKPQA 50-59 years, male 21.7
GTEX-ZVZQ-0826-SM-51MRF 60-69 years, female 21.5
GTEX-117XS-1926-SM-5GICO 60-69 years, male 21.4
GTEX-ZQG8-0726-SM-5P9H9 60-69 years, female 21.4
GTEX-1HT8W-2226-SM-CGQEC 30-39 years, male 21.3
GTEX-ZYW4-0826-SM-5GIDG 60-69 years, male 21.2
GTEX-ZZ64-1226-SM-5E43R 20-29 years, male 21.2
GTEX-1HBPM-0126-SM-ARL9E 60-69 years, female 21.2
GTEX-16BQI-1026-SM-7KUEA 30-39 years, female 21.0
GTEX-17EVQ-0426-SM-7LG57 70-79 years, male 21.0
GTEX-YEC3-1026-SM-5IFI5 50-59 years, male 20.8
GTEX-1F5PK-2126-SM-7PC28 50-59 years, male 20.8
GTEX-ZDYS-1126-SM-5K7UB 50-59 years, male 20.6
GTEX-1HFI7-0126-SM-CGQFQ 50-59 years, female 20.6
GTEX-ZUA1-1526-SM-59HLS 40-49 years, male 20.5
GTEX-ZLFU-2126-SM-DO931 40-49 years, male 20.4
GTEX-YB5K-1626-SM-5IFIN 40-49 years, female 20.3
GTEX-Z9EW-1526-SM-EZ6LU 40-49 years, male 20.3
GTEX-1R9PM-1826-SM-EVYBH 20-29 years, male 20.2
GTEX-1C475-1226-SM-7SB72 40-49 years, female 20.1
GTEX-U8XE-0826-SM-4E3J1 30-39 years, male 19.9
GTEX-1R46S-2526-SM-E8VN2 60-69 years, female 19.9
GTEX-18D9A-1526-SM-7LG4J 30-39 years, female 19.7
GTEX-ZQUD-1926-SM-51MSA 30-39 years, male 19.7
GTEX-11OF3-1926-SM-59889 60-69 years, male 19.6
GTEX-13PVR-2226-SM-7DHKP 60-69 years, female 19.6
GTEX-14DAR-1326-SM-7DUEG 50-59 years, male 19.6
GTEX-Y3I4-1526-SM-4TT7K 50-59 years, male 19.6
GTEX-15UF7-0726-SM-6M46D 40-49 years, male 19.5
GTEX-1MA7X-1626-SM-E9U5B 60-69 years, male 19.4
GTEX-ZV6S-1826-SM-5NQ8D 40-49 years, female 19.3
GTEX-1JKYN-0726-SM-ARZMY 30-39 years, male 19.2
GTEX-WY7C-2726-SM-3NB3P 50-59 years, male 19.0
GTEX-11ZTT-2326-SM-5EQLG 60-69 years, female 18.9
GTEX-1MJK3-1126-SM-E9J3F 20-29 years, male 18.8
GTEX-12BJ1-1826-SM-5HL9N 60-69 years, male 18.6
GTEX-1IDJF-2326-SM-ARL86 20-29 years, male 18.5
GTEX-13OW8-0226-SM-5K7UP 60-69 years, male 18.4
GTEX-1IDJH-2226-SM-E6CJV 70-79 years, male 18.4
GTEX-117YX-1426-SM-5H12H 50-59 years, male 18.3
GTEX-S4Q7-1126-SM-4AD6R 20-29 years, male 18.3
GTEX-1QP9N-1826-SM-E8VMP 30-39 years, male 18.3
GTEX-1EKGG-2626-SM-7IGPY 60-69 years, male 18.2
GTEX-1EN7A-1426-SM-7PBY4 40-49 years, male 18.2
GTEX-1H11D-1526-SM-9MQJY 40-49 years, male 18.2
GTEX-ZDTT-2126-SM-DKPOM 60-69 years, male 18.2
GTEX-XMD2-0926-SM-4WWEF 60-69 years, female 18.1
GTEX-1LBAC-0926-SM-CXKY9 20-29 years, male 18.1
GTEX-13QJ3-0826-SM-7DHKK 50-59 years, male 17.9
GTEX-1CAMR-1426-SM-793BO 20-29 years, male 17.6
GTEX-S33H-0326-SM-4AD6N 30-39 years, male 17.6
GTEX-1I1GU-1026-SM-ADEHJ 40-49 years, male 17.6
GTEX-14BMV-0626-SM-793AU 50-59 years, male 17.4
GTEX-Y114-2026-SM-4TT7L 50-59 years, female 17.4
GTEX-11ONC-2126-SM-5HL6E 60-69 years, male 17.3
GTEX-1E2YA-2726-SM-7IGPW 50-59 years, male 17.3
GTEX-RUSQ-2026-SM-4GIAK 50-59 years, male 17.2
GTEX-TMMY-0726-SM-33HBE 40-49 years, female 17.2
GTEX-YB5E-1726-SM-5IFJ3 40-49 years, male 17.1
GTEX-1R7EU-1226-SM-E8VMR 60-69 years, male 17.1
GTEX-1QMI2-0726-SM-E9J4F 60-69 years, male 17.0
GTEX-S341-1526-SM-4AD6K 40-49 years, female 16.9
GTEX-14PJO-0726-SM-69LO8 60-69 years, male 16.8
GTEX-15SHW-1326-SM-6PAL8 60-69 years, male 16.8
GTEX-13113-5013-SM-7SB7G 60-69 years, female 16.8
GTEX-13FTW-1426-SM-5LZWZ 40-49 years, male 16.6
GTEX-1HCU9-0326-SM-9WYSC 20-29 years, male 16.4
GTEX-183FY-1126-SM-7DHLJ 20-29 years, male 16.3
GTEX-TKQ2-1826-SM-33HB2 50-59 years, male 16.3
GTEX-1LSNL-2826-SM-E9U5L 50-59 years, male 16.3
GTEX-1P4AB-1826-SM-E76PU 50-59 years, male 16.3
GTEX-V955-2026-SM-3GAFA 60-69 years, male 16.1
GTEX-WOFL-0826-SM-3MJG1 60-69 years, male 16.1
GTEX-1JN1M-3026-SM-CMKGK 60-69 years, female 16.1
GTEX-11DXW-0626-SM-5N9ER 40-49 years, male 16.0
GTEX-13O61-1826-SM-5KM4I 60-69 years, male 16.0
GTEX-1H4P4-2226-SM-9MQKQ 50-59 years, male 16.0
GTEX-17GQL-0326-SM-7LG5U 60-69 years, male 15.9
GTEX-ZAB4-2526-SM-5HL8M 40-49 years, male 15.9
GTEX-1B97J-0426-SM-79OLQ 50-59 years, female 15.8
GTEX-1GZ4H-0326-SM-7P8QX 50-59 years, female 15.8
GTEX-1PDJ9-1126-SM-EXUSW 20-29 years, male 15.7
GTEX-132NY-0826-SM-5K7Y7 60-69 years, male 15.6
GTEX-ZYFC-0826-SM-5E44K 50-59 years, male 15.6
GTEX-1H1ZS-0126-SM-9YFKQ 70-79 years, male 15.6
GTEX-1I1GT-1126-SM-ARL7J 60-69 years, female 15.6
GTEX-1JKYR-0926-SM-CMKGJ 20-29 years, male 15.6
GTEX-1HUB1-1626-SM-CM2SL 60-69 years, male 15.5
GTEX-11EQ9-1826-SM-5Q5AJ 30-39 years, male 15.3
GTEX-1GF9U-1726-SM-7MGY5 40-49 years, female 15.3
GTEX-1L5NE-2126-SM-CY8IH 50-59 years, male 15.3
GTEX-1A3MX-2726-SM-718B6 60-69 years, male 15.2
GTEX-1M4P7-2626-SM-E9U5F 60-69 years, male 15.2
GTEX-1I1GV-2426-SM-CGQFM 60-69 years, male 15.1
GTEX-1F75A-1826-SM-7SB8G 50-59 years, male 14.9
GTEX-S32W-2026-SM-4AD6E 50-59 years, female 14.8
GTEX-1QCLZ-2326-SM-DTXDO 60-69 years, female 14.8
GTEX-1GPI7-0926-SM-7PC3J 20-29 years, male 14.7
GTEX-1R9PN-0326-SM-DTX85 40-49 years, female 14.7
GTEX-14E6E-1326-SM-5S2NR 30-39 years, male 14.6
GTEX-1B8L1-2426-SM-9WYTE 60-69 years, male 14.6
GTEX-1NHNU-0926-SM-E9J2T 50-59 years, male 14.6
GTEX-15EOM-5019-SM-793DK 20-29 years, female 14.5
GTEX-144GL-2026-SM-5LU3O 50-59 years, male 14.1
GTEX-1192X-2326-SM-5987X 50-59 years, male 14.0
GTEX-1QEPI-0926-SM-DTXF3 60-69 years, female 14.0
GTEX-11LCK-2426-SM-5HL5F 30-39 years, male 13.9
GTEX-11ZUS-0826-SM-5FQUY 30-39 years, male 13.9
GTEX-12WSN-1326-SM-5GCNT 40-49 years, male 13.9
GTEX-139TU-0626-SM-5KM3X 60-69 years, male 13.8
GTEX-YJ8O-2226-SM-5IFHW 40-49 years, female 13.8
GTEX-1J8EW-2626-SM-CL53E 60-69 years, female 13.8
GTEX-145MN-1926-SM-5SIAI 30-39 years, male 13.6
GTEX-ZV7C-1826-SM-5NQ83 50-59 years, male 13.6
GTEX-1ICG6-1326-SM-ACKWR 70-79 years, female 13.6
GTEX-1S82U-1126-SM-E9U6I 30-39 years, female 13.6
GTEX-13NZ8-0126-SM-5IJCT 60-69 years, female 13.4
GTEX-17F98-0526-SM-79OK5 40-49 years, female 13.4
GTEX-1A3MV-1626-SM-731C1 30-39 years, male 13.3
GTEX-XYKS-1326-SM-4BRUN 60-69 years, female 13.3
GTEX-1117F-2826-SM-5GZXL 60-69 years, female 13.2
GTEX-14ICK-2426-SM-6EU27 40-49 years, male 13.1
GTEX-1I1HK-2426-SM-ADEHX 60-69 years, male 13.1
GTEX-1KXAM-1026-SM-CY8IA 60-69 years, male 13.0
GTEX-1IGQW-0926-SM-ADEH6 60-69 years, male 12.9
GTEX-S4UY-0726-SM-4AD6X 40-49 years, female 12.8
GTEX-Y5V6-2126-SM-4WWFX 60-69 years, male 12.7
GTEX-XUW1-2326-SM-4BOO5 50-59 years, female 12.6
GTEX-ZF29-1926-SM-5S2P1 60-69 years, female 12.6
GTEX-1KANC-1426-SM-CYPT9 50-59 years, female 12.6
GTEX-1QW4Y-1026-SM-DTXE2 30-39 years, male 12.6
GTEX-1H23P-0726-SM-9WG7K 60-69 years, male 12.5
GTEX-1I4MK-1626-SM-CM2TJ 50-59 years, female 12.5
GTEX-1HR9M-2426-SM-ACKXI 60-69 years, male 12.3
GTEX-14753-2426-SM-5LU8U 60-69 years, male 12.2
GTEX-1B933-2526-SM-7IGO5 50-59 years, female 12.2
GTEX-1J8Q2-2726-SM-A9G2X 60-69 years, male 12.2
GTEX-WYJK-1326-SM-3NB2T 50-59 years, male 12.0
GTEX-1J8QM-2026-SM-ARZMW 60-69 years, female 12.0
GTEX-1LG7Z-0726-SM-CXKYD 30-39 years, male 12.0
GTEX-11NSD-0926-SM-5N9DR 20-29 years, male 11.9
GTEX-147F4-2826-SM-5NQBN 50-59 years, male 11.9
GTEX-17F96-2426-SM-7IGLN 70-79 years, male 11.9
GTEX-1C6VS-0726-SM-7EPHF 60-69 years, male 11.8
GTEX-1IKJJ-2326-SM-COH3U 60-69 years, male 11.7
GTEX-XQ8I-2426-SM-4WAXY 50-59 years, male 11.5
GTEX-1399U-1826-SM-5PNZ1 50-59 years, female 11.4
GTEX-1EU9M-2826-SM-7EWFH 60-69 years, male 11.4
GTEX-SE5C-2126-SM-4BRUJ 40-49 years, female 11.4
GTEX-1A8G7-2426-SM-731AK 60-69 years, male 11.2
GTEX-VUSG-2226-SM-4KKZO 50-59 years, male 11.2
GTEX-1LC47-1226-SM-D4P44 60-69 years, male 11.2
GTEX-132AR-0826-SM-5EGK6 50-59 years, female 11.1
GTEX-WXYG-2226-SM-4E3IM 50-59 years, female 11.0
GTEX-WI4N-1426-SM-3LK7H 40-49 years, female 10.9
GTEX-X15G-1626-SM-3NMB3 50-59 years, female 10.9
GTEX-1KAFJ-0226-SM-DIPEL 50-59 years, male 10.9
GTEX-15UF6-0126-SM-6PAMB 70-79 years, female 10.8
GTEX-XBED-1626-SM-47JYN 60-69 years, male 10.8
GTEX-Y5LM-1726-SM-4VDSX 40-49 years, female 10.8
GTEX-U412-1826-SM-4DXTJ 60-69 years, male 10.7
GTEX-UJHI-1426-SM-3DB9C 50-59 years, female 10.7
GTEX-X4EP-2926-SM-3P5YQ 60-69 years, female 10.7
GTEX-ZU9S-1926-SM-5NQBP 30-39 years, male 10.7
GTEX-1LNCM-0226-SM-DIPF4 50-59 years, female 10.6
GTEX-11O72-2126-SM-5N9FO 40-49 years, male 10.5
GTEX-ZTPG-2826-SM-57WGA 20-29 years, female 10.5
GTEX-1HCUA-0726-SM-ACKVU 50-59 years, female 10.4
GTEX-Q2AG-0326-SM-48U1O 40-49 years, female 10.3
GTEX-XOT4-0726-SM-4GIAW 60-69 years, female 10.3
GTEX-ZLV1-1426-SM-DO92Z 60-69 years, female 10.3
GTEX-U3ZN-1926-SM-4DXSG 30-39 years, female 10.2
GTEX-X4XY-0926-SM-4E3JD 60-69 years, male 10.2
GTEX-1313W-0826-SM-5EQ4T 50-59 years, female 10.1
GTEX-15ETS-0626-SM-7KUMX 40-49 years, female 10.0
GTEX-17KNJ-2026-SM-7LG53 50-59 years, male 9.9
GTEX-XUZC-1626-SM-4BRVP 30-39 years, female 9.9
GTEX-1IDJE-0826-SM-CKZNZ 50-59 years, female 9.9
GTEX-13SLW-2526-SM-62LDQ 70-79 years, male 9.8
GTEX-1KD4Q-2326-SM-D4P3M 40-49 years, male 9.8
GTEX-Y111-2026-SM-4SOJA 50-59 years, male 9.6
GTEX-T6MO-0326-SM-32QOK 40-49 years, female 9.5
GTEX-WRHU-0326-SM-3MJFY 50-59 years, female 9.5
GTEX-1J8Q3-1326-SM-CMKI1 60-69 years, male 9.4
GTEX-1QPFJ-2026-SM-EVYBE 30-39 years, female 9.4
GTEX-13CF2-2026-SM-5K7VI 60-69 years, male 9.2
GTEX-1C6VQ-0426-SM-79OOX 50-59 years, male 9.2
GTEX-1B932-0826-SM-73KXG 40-49 years, female 9.1
GTEX-W5X1-2326-SM-3GIL6 40-49 years, female 9.1
GTEX-1F5PL-1026-SM-7RHI1 40-49 years, female 9.1
GTEX-14PKU-0426-SM-6EU1P 40-49 years, female 8.9
GTEX-RWS6-1926-SM-47JXY 60-69 years, female 8.8
GTEX-TML8-1226-SM-32QON 40-49 years, female 8.8
GTEX-1GZHY-0726-SM-9WG6B 50-59 years, female 8.8
GTEX-ZAK1-1326-SM-EVYAS 50-59 years, female 8.8
GTEX-1211K-1926-SM-5EQLB 60-69 years, female 8.7
GTEX-ZPIC-1126-SM-5BC7F 40-49 years, female 8.7
GTEX-ZTTD-1026-SM-51MRD 50-59 years, male 8.7
GTEX-1I6K7-1026-SM-A9SLK 40-49 years, male 8.7
GTEX-VJWN-0726-SM-3GIJ8 50-59 years, female 8.6
GTEX-1IKOH-2326-SM-CM2TW 60-69 years, female 8.6
GTEX-14PHY-1926-SM-5YY95 60-69 years, female 8.5
GTEX-1GMR2-1926-SM-9MQLZ 50-59 years, male 8.5
GTEX-11EI6-0626-SM-5985T 60-69 years, male 8.4
GTEX-132Q8-1426-SM-5EGK7 60-69 years, male 8.4
GTEX-1122O-1226-SM-5H113 60-69 years, female 8.3
GTEX-14PN4-0626-SM-62LFP 50-59 years, male 8.3
GTEX-S4P3-1326-SM-4AD6V 50-59 years, female 8.3
GTEX-Y5V5-2126-SM-4WWFO 60-69 years, female 8.3
GTEX-1MCYP-0126-SM-E6CIS 20-29 years, female 8.3
GTEX-TKQ1-0226-SM-33HB5 30-39 years, male 8.2
GTEX-133LE-1726-SM-5K7VQ 20-29 years, female 8.1
GTEX-1MJK2-2226-SM-EVYCR 50-59 years, male 8.1
GTEX-111YS-1926-SM-5GICC 60-69 years, male 8.0
GTEX-UPK5-2326-SM-3P5Z8 40-49 years, male 8.0
GTEX-1HBPN-2326-SM-9WPPU 50-59 years, male 8.0
GTEX-1LSNM-1326-SM-E9TJ1 50-59 years, male 8.0
GTEX-ZF3C-2326-SM-5S2NC 50-59 years, female 7.9
GTEX-1IY9M-2726-SM-CMKG5 60-69 years, male 7.8
GTEX-T5JW-2026-SM-4DM63 20-29 years, female 7.7
GTEX-WFON-1826-SM-3GILG 40-49 years, male 7.7
GTEX-1H1DG-0526-SM-9YFLN 70-79 years, male 7.7
GTEX-1R9JW-0326-SM-EAZ45 30-39 years, female 7.7
GTEX-15ER7-1626-SM-6PAMZ 20-29 years, female 7.6
GTEX-17HHE-1426-SM-7EPH4 50-59 years, male 7.6
GTEX-ZF2S-2026-SM-5E461 50-59 years, female 7.6
GTEX-1GZ4I-2826-SM-9MQK5 50-59 years, male 7.6
GTEX-1JMQK-2626-SM-COH2W 60-69 years, male 7.6
GTEX-ZY6K-1626-SM-5GZWV 50-59 years, male 7.5
GTEX-1LGRB-1826-SM-CNPQL 50-59 years, female 7.5
GTEX-1314G-1226-SM-5BC6D 30-39 years, male 7.4
GTEX-17EUY-1926-SM-7DUF6 20-29 years, male 7.4
GTEX-146FH-0826-SM-5SI8T 50-59 years, female 7.3
GTEX-Y8LW-1626-SM-5IFHX 50-59 years, female 7.3
GTEX-1H1CY-2226-SM-9WG7E 60-69 years, female 7.3
GTEX-1GN2E-2226-SM-9WG6J 60-69 years, male 7.2
GTEX-11P81-1926-SM-5BC53 30-39 years, female 7.1
GTEX-14BMU-1626-SM-5TDE7 20-29 years, female 7.1
GTEX-17EVP-0226-SM-79OND 40-49 years, male 7.1
GTEX-ZVE2-1226-SM-5NQ8R 50-59 years, male 7.1
GTEX-ZXES-0826-SM-5E43C 30-39 years, female 7.0
GTEX-1JMPY-0526-SM-CL54O 30-39 years, male 7.0
GTEX-1B8KZ-1526-SM-7DUG7 50-59 years, male 6.9
GTEX-11WQC-1726-SM-5GU4W 60-69 years, male 6.8
GTEX-18QFQ-0826-SM-718AX 30-39 years, male 6.8
GTEX-1269C-2426-SM-5FQSN 60-69 years, female 6.7
GTEX-1B97I-0426-SM-79OL7 40-49 years, male 6.7
GTEX-T6MN-0726-SM-32PML 50-59 years, male 6.7
GTEX-XMD1-0826-SM-4AT52 60-69 years, male 6.7
GTEX-RU1J-0626-SM-4WAWY 20-29 years, female 6.6
GTEX-QEL4-2126-SM-447AE 50-59 years, male 6.5
GTEX-17JCI-0726-SM-7EPH1 60-69 years, female 6.4
GTEX-1GPI6-0626-SM-7RHHJ 60-69 years, male 6.4
GTEX-13O3P-0826-SM-5L3DH 50-59 years, male 6.3
GTEX-14H4A-2526-SM-5YYAY 40-49 years, female 6.3
GTEX-1CB4J-1826-SM-7EWF9 60-69 years, male 6.3
GTEX-1RQEC-2026-SM-DTXDM 60-69 years, male 6.3
GTEX-11WQK-2426-SM-5GU5C 50-59 years, male 6.2
GTEX-1N5O9-1126-SM-DTXEQ 60-69 years, male 6.2
GTEX-1RAZQ-1226-SM-EWRNL 30-39 years, male 6.2
GTEX-1GZ2Q-2626-SM-7MXV9 40-49 years, male 6.1
GTEX-1LVAN-1326-SM-CNPQE 50-59 years, female 6.0
GTEX-1JJE9-2326-SM-ARL8Q 70-79 years, male 5.9
GTEX-17HG3-0126-SM-7IGNH 30-39 years, female 5.8
GTEX-1GF9X-1026-SM-ACKX2 40-49 years, female 5.8
GTEX-15FZZ-0726-SM-7KUFZ 30-39 years, female 5.7
GTEX-1B8SG-1226-SM-7IGPF 50-59 years, male 5.7
GTEX-11EM3-1326-SM-5N9C6 20-29 years, female 5.6
GTEX-12ZZX-1126-SM-5EGKB 40-49 years, female 5.6
GTEX-13SLX-2326-SM-5ZZWE 50-59 years, female 5.5
GTEX-ZEX8-2226-SM-57WC6 50-59 years, male 5.5
GTEX-1GMRU-0826-SM-9WYT7 50-59 years, male 5.5
GTEX-1KANA-2026-SM-DIPFB 20-29 years, male 5.5
GTEX-1MA7W-1026-SM-DKPQK 20-29 years, female 5.5
GTEX-13O3O-0826-SM-5K7WE 60-69 years, female 5.4
GTEX-T2YK-2226-SM-32QPT 50-59 years, male 5.4
GTEX-14AS3-1626-SM-5S2OY 40-49 years, female 5.3
GTEX-13OW5-2226-SM-5L3HC 60-69 years, male 5.2
GTEX-13W3W-1226-SM-5LU4H 60-69 years, female 5.2
GTEX-1C64O-0726-SM-7DUFU 60-69 years, male 5.2
GTEX-1IE54-0626-SM-ARL8D 40-49 years, female 5.2
GTEX-ZGAY-1726-SM-DO91P 40-49 years, female 5.2
GTEX-11GS4-2126-SM-5A5KR 60-69 years, male 5.1
GTEX-18A7A-0726-SM-7LTAI 50-59 years, female 5.1
GTEX-1JK1U-1826-SM-ARL8W 60-69 years, male 5.1
GTEX-13QIC-2326-SM-5LU5N 60-69 years, female 5.0
GTEX-16NGA-0826-SM-718AF 40-49 years, female 5.0
GTEX-11TT1-2126-SM-5GU5Y 20-29 years, male 4.9
GTEX-T5JC-2126-SM-32PMO 20-29 years, male 4.9
GTEX-1F6I4-2526-SM-7SB8F 60-69 years, male 4.9
GTEX-1HCVE-2626-SM-ADEJ8 50-59 years, male 4.9
GTEX-17HHY-0926-SM-793C1 50-59 years, male 4.7
GTEX-1GN1W-1926-SM-7P8TH 50-59 years, female 4.7
GTEX-1K2DA-1726-SM-CGQGS 50-59 years, male 4.7
GTEX-1QP29-1726-SM-E8VMQ 50-59 years, male 4.7
GTEX-1CB4E-0226-SM-79OLW 60-69 years, male 4.6
GTEX-YFC4-1426-SM-5IFJG 40-49 years, female 4.6
GTEX-131YS-0626-SM-5EGKL 60-69 years, female 4.5
GTEX-1CB4G-2326-SM-79OOI 60-69 years, male 4.5
GTEX-1HSKV-2026-SM-CMKGX 60-69 years, male 4.5
GTEX-1N2EE-2126-SM-E8VNN 60-69 years, male 4.5
GTEX-WFG8-2026-SM-EXOHO 20-29 years, male 4.5
GTEX-ZTX8-1226-SM-4YCE9 20-29 years, male 4.4
GTEX-ZVTK-0326-SM-51MRR 20-29 years, male 4.4
GTEX-1RAZS-1226-SM-E8VMT 50-59 years, male 4.4
GTEX-1AX8Z-0926-SM-731AW 60-69 years, male 4.3
GTEX-13FHO-0826-SM-5L3E8 60-69 years, male 4.2
GTEX-R3RS-0626-SM-48FE1 40-49 years, female 4.2
GTEX-Y3IK-2326-SM-4WWDT 50-59 years, female 4.2
GTEX-1M5QR-2526-SM-E9U5P 40-49 years, male 4.2
GTEX-14LLW-0626-SM-62LFC 70-79 years, female 4.1
GTEX-1BAJH-0826-SM-7EWEF 70-79 years, male 4.1
GTEX-1POEN-0926-SM-DTX88 30-39 years, female 4.1
GTEX-15G19-2126-SM-6M48J 60-69 years, male 4.0
GTEX-ZVT2-1826-SM-5NQ8W 50-59 years, female 4.0
GTEX-1H1E6-0926-SM-9YFLT 30-39 years, male 4.0
GTEX-1IKOE-1326-SM-CE6T6 30-39 years, female 4.0
GTEX-T2IS-1526-SM-32QPR 20-29 years, female 3.9
GTEX-1HSGN-1526-SM-A9SMO 40-49 years, female 3.9
GTEX-13N11-1726-SM-5J1OJ 50-59 years, female 3.8
GTEX-13NZ9-1026-SM-5MR5K 50-59 years, male 3.8
GTEX-1JJEA-2726-SM-ARL8V 60-69 years, male 3.8
GTEX-145LT-0726-SM-5S2VM 40-49 years, male 3.7
GTEX-ZZPU-0626-SM-5E43T 50-59 years, female 3.7
GTEX-1GN1U-0526-SM-9KNTT 50-59 years, female 3.7
GTEX-1JMPZ-1626-SM-COH31 30-39 years, male 3.7
GTEX-1CAMS-1426-SM-7IGPM 40-49 years, female 3.6
GTEX-13NZB-2126-SM-5MR4Y 30-39 years, male 3.5
GTEX-1GMR8-0726-SM-9KNVI 50-59 years, female 3.5
GTEX-11EMC-2026-SM-5A5JV 60-69 years, female 3.4
GTEX-QDT8-0626-SM-48TYW 30-39 years, female 3.4
GTEX-RU72-0626-SM-46MUI 50-59 years, female 3.4
GTEX-139T8-0826-SM-5L3DE 60-69 years, male 3.3
GTEX-1LVAM-0926-SM-E9TJ2 50-59 years, female 3.3
GTEX-1QCLY-1626-SM-DTXDW 30-39 years, male 3.3
GTEX-ZAJG-0626-SM-5HL8X 50-59 years, female 3.2
GTEX-1GMR3-2626-SM-7RHHG 40-49 years, male 3.2
GTEX-1MCC2-2126-SM-EWRON 30-39 years, female 3.2
GTEX-U3ZH-1426-SM-4DXSR 30-39 years, male 3.1
GTEX-WYBS-0926-SM-3NM94 60-69 years, female 3.1
GTEX-WYVS-1726-SM-3NMAY 40-49 years, female 3.1
GTEX-14ABY-2126-SM-5QGQZ 50-59 years, male 3.0
GTEX-1HKZK-1826-SM-ADEJ2 40-49 years, male 3.0
GTEX-1NUQO-2226-SM-E9U68 20-29 years, female 3.0
GTEX-13FTY-2226-SM-5J1ND 40-49 years, female 2.9
GTEX-131XW-0726-SM-5EGK3 50-59 years, female 2.8
GTEX-1F75I-2026-SM-7SB7N 40-49 years, male 2.8
GTEX-11PRG-0826-SM-5EQ6A 50-59 years, male 2.6
GTEX-14A5I-0726-SM-5TDEB 50-59 years, female 2.6
GTEX-ZC5H-2626-SM-5J2MG 40-49 years, female 2.6
GTEX-QEG5-0726-SM-D4P1T 20-29 years, male 2.6
GTEX-13PL6-2926-SM-5L3I2 40-49 years, female 2.4
GTEX-11P7K-0726-SM-5EGKX 30-39 years, male 2.0
Show allShow less

Contact

  • NEWS ARTICLES
  • PRESS ROOM

The Project

  • INTRODUCTION
  • ORGANIZATION
  • PUBLICATIONS

The Human Protein Atlas

  • DOWNLOADABLE DATA
  • LICENCE & CITATION
  • HELP & FAQ
The Human Protein Atlas project is funded
by the Knut & Alice Wallenberg Foundation.


contact@proteinatlas.org