We use cookies to enhance the usability of our website. If you continue, we'll assume that you are happy to receive all cookies. More information. Don't show this again.
TTC32
HPA
RESOURCES
  • TISSUE
  • BRAIN
  • SINGLE CELL
  • SUBCELLULAR
  • CANCER
  • BLOOD
  • CELL LINE
  • STRUCTURE & INTERACTION
ABOUT
  • INTRODUCTION
  • HISTORY
  • ORGANIZATION
  • PUBLICATIONS
  • ANTIBODY SUBMISSION
  • ANTIBODY AVAILABILITY
  • ACKNOWLEDGMENTS
  • CONTACT
NEWS
  • NEWS ARTICLES
  • PRESS ROOM
LEARN
  • DICTIONARY
  • PROTEIN CLASSES
  • PROTEIN EVIDENCE
  • METHODS
  • EDUCATIONAL VIDEOS
DATA
  • DOWNLOADABLE DATA
  • PUBLICATION DATA
  • RELEASE HISTORY
HELP
  • ANTIBODY VALIDATION
  • ASSAYS & ANNOTATION
  • DISCLAIMER
  • HELP & FAQ
  • PRIVACY STATEMENT
  • LICENCE & CITATION
Fields »
Search result

Field
Term
Gene name
Class
Subclass
Class
Keyword
Chromosome
External id
Tissue
Cell type
Expression
Antibody panel
Tissue
Main location
Patient ID
Annotation
Tissue
Category
Tau score
Cluster
Reliability
Brain region
Category
Tau score
Brain region
Category
Tau score
Brain region
Category
Tau score
Cluster
Reliability
Tissue
Cell type
Enrichment
Cell type
Category
Tau score
Cell type
Category
Tau score
Cell type
Category
Tau score
Cell lineage
Category
Tau score
Cluster
Cluster
Location
Searches
Location
Cell line
Class
Type
Phase
Reliability
Cancer
Prognosis
Cancer
Category
Cancer
Category
Tau score
Cluster
Variants
Interacting gene (ensg_id)
Type
Number of interactions
Pathway
Category
Score
Score
Score
Validation
Validation
Validation
Validation
Antibodies
Data type
Column


  • SUMMARY

  • TISSUE

  • BRAIN

  • SINGLE CELL

  • SUBCELL

  • CANCER

  • BLOOD

  • CELL LINE

  • STRUCT & INT

  • TTC32
TISSUE PRIMARY DATA LUNG Show tissue menu
ADIPOSE TISSUE ADRENAL GLAND AMYGDALA APPENDIX BASAL GANGLIA BONE MARROW BREAST BRONCHUS CEREBELLUM CEREBRAL CORTEX CERVIX CHOROID PLEXUS COLON DUODENUM
ENDOMETRIUM EPIDIDYMIS ESOPHAGUS FALLOPIAN TUBE GALLBLADDER HEART MUSCLE HIPPOCAMPAL FORMATION HYPOTHALAMUS KIDNEY LIVER LUNG LYMPH NODE MIDBRAIN NASOPHARYNX
ORAL MUCOSA OVARY PANCREAS PARATHYROID GLAND PITUITARY GLAND PLACENTA PROSTATE RECTUM RETINA SALIVARY GLAND SEMINAL VESICLE SKELETAL MUSCLE SKIN SMALL INTESTINE
SMOOTH MUSCLE SOFT TISSUE SPINAL CORD SPLEEN STOMACH TESTIS THYMUS THYROID GLAND TONGUE TONSIL URINARY BLADDER VAGINA
ANTIBODIES
AND
VALIDATION
Dictionary
Lung
Tissue proteome
Lung
LUNG - Expression summary
Protein expression
Lungi

On the top, protein expression in current human tissue, based on all annotated cell types, is reported with the units not detected (n), low (l), medium (m) and high (h). Underneath, protein expression in each annotated cell type are reported using the same units.

Protein expression data is based on knowledge-based annotation. For genes where more than one antibody has been used, a collective score is set.

If knowledge-based annotation could not be performed for a gene, no data is displayed here. View antibody staining data further down this page.

h
m
l
n
Alveolar cells: Low
Macrophages: Medium
RNA expressioni

A summary of mRNA expression data available for current tissue based on several datasets. The mRNA expression levels in human tissues are based on RNA-seq data generated by the Human Protein Atlas (HPA), Genotype-Tissue Expression (GTEx) portal and CAGE data generated by the FANTOM5 consortium. Consensus normalized expression levels for human tissues was created by combining the data from HPA and GTEx datasets.

The mRNA expression levels in pig are based on RNA-seq data generated by the Human Protein Atlas (HPA), and for mouse, HPA data and in situ hybridization generated by the Allen brain atlas are reported.

Scroll down to view mRNA expression data in more detail.
Consensus:9.6 nTPM
HPA:8.4 nTPM
GTEx:9.6 nTPM
FANTOM5:10.5 Scaled Tags Per Million

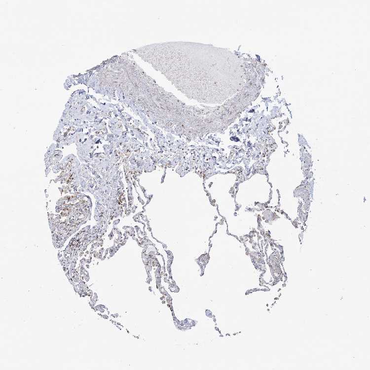
LUNG - Antibody stainingi

Antibody staining in the annotated cell types in the current human tissue is reported as not detected, low, medium, or high, based on conventional immunohistochemistry profiling in selected tissues. This score is based on the combination of the staining intensity and fraction of stained cells.

Each image is clickable and will lead to virtual microscopy that enables deeper exploration of all samples and also displays staining intensity scores, fraction scores and subcellular localization as well as patient and tissue information for each sample.

Antibody HPA036024
Alveolar cells Low
Macrophages Medium



LUNG - HPA RNA-seqi

The RNA-seq details section shows detailed information about the individual samples used for the transcript profiling and results of the RNA-seq analysis.

Information about each individual sample is listed below, including gender, age, a tissue section image and estimated fractions of cell types. nTPM (normalized transcripts per million) values give a quantification of the gene abundance which is comparable between different genes and samples.
Average nTPMi

Max subtype nTPM is the value for the subtype with the largest average nTPM across the subtype samples.

8.4
overview
Female, age 71
Lung sample 164
nTPM: 10.1
Cell types%
Alveolar cells:
40

Bronchial epithelium:
5

Endothelial cells:
25

Macrophages:
10

Other cell types:
20

overview
Male, age 57
Lung sample 165
nTPM: 11.8
Cell types%
Alveolar cells:
35

Bronchial epithelium:
5

Endothelial cells:
30

Macrophages:
10

Other cell types:
20

overview
Female, age 71
Lung sample 166
nTPM: 8.7
Cell types%
Alveolar cells:
35

Bronchial epithelium:
10

Endothelial cells:
25

Macrophages:
10

Other cell types:
20

overview
Female, age 74
Lung sample 167
nTPM: 4.6
Cell types%
Alveolar cells:
40

Bronchial epithelium:
0

Endothelial cells:
30

Macrophages:
15

Other cell types:
15

overview
Female, age 73
Lung sample 168
nTPM: 9.3
Cell types%
Alveolar cells:
30

Bronchial epithelium:
5

Endothelial cells:
30

Macrophages:
10

Other cell types:
25

overview
Male, age 74
Lung sample 376
nTPM: 8
Cell types%
Alveolar cells:
25

Bronchial epithelium:
0

Endothelial cells:
35

Macrophages:
5

Other cell types:
35

overview
Female, age 70
Lung sample 379
nTPM: 10.1
Cell types%
Alveolar cells:
35

Bronchial epithelium:
5

Endothelial cells:
35

Macrophages:
5

Other cell types:
20

overview
Female, age 75
Lung sample 387
nTPM: 5.8
Cell types%
Alveolar cells:
20

Bronchial epithelium:
10

Endothelial cells:
20

Macrophages:
10

Other cell types:
40

overview
Male, age 63
Lung sample 406
nTPM: 7.3
Cell types%
Alveolar cells:
25

Bronchial epithelium:
5

Endothelial cells:
25

Macrophages:
15

Other cell types:
30


LUNG - GTEx RNA-seqi

RNA-Seq data generated by the Genotype-Tissue Expression (GTEx) project from human tissues is reported as mean nTPM. More information can be found on the GTEx portal.

Distribution across the dataset is visualized with box plots, shown as median and 25th and 75th percentiles. Points are displayed as outliers if they are above or below 1.5 times the interquartile range. nTPM values of the individual samples are presented next to the box plot.
Max subtype nTPMi

Max subtype nTPM is the value for the subtype with the largest average nTPM across the subtype samples.

9.6
GTEx sample id Sample description nTPM
Lung
Average nTPM: 9.6
Samples: 578

Max nTPM: 35.6
Min nTPM: 1.1
Std nTPM: 4.7
Median nTPM: 8.5
GTEX-17MF6-0826-SM-7LT8F 40-49 years, male 35.6
GTEX-148VJ-0826-SM-5LU8V 70-79 years, male 34.1
GTEX-P44H-1126-SM-48TBU 40-49 years, male 28.6
GTEX-13QJC-0526-SM-5RQKB 60-69 years, female 27.5
GTEX-XMD2-1026-SM-4WWE8 60-69 years, female 26.2
GTEX-12WSA-1026-SM-5EGHN 60-69 years, male 25.7
GTEX-1A32A-0726-SM-731D4 50-59 years, female 23.5
GTEX-1PIIG-1826-SM-DTX7N 30-39 years, male 22.6
GTEX-145MF-0726-SM-5Q5BT 50-59 years, male 21.6
GTEX-1E1VI-0926-SM-7P8T3 50-59 years, male 20.7
GTEX-11NUK-0826-SM-5HL4U 50-59 years, male 20.4
GTEX-1B996-0726-SM-7IGPI 60-69 years, male 20.4
GTEX-1J8EW-1026-SM-A96T7 60-69 years, female 20.3
GTEX-13PVQ-0926-SM-5IJFD 50-59 years, male 20.0
GTEX-1A8FM-0826-SM-793D5 50-59 years, female 20.0
GTEX-117YW-0526-SM-5H11C 50-59 years, male 19.9
GTEX-13OW8-1726-SM-5L3GO 60-69 years, male 19.8
GTEX-14E7W-1326-SM-5RQIV 70-79 years, male 19.8
GTEX-ZDXO-1326-SM-57WBS 60-69 years, male 19.8
GTEX-139UW-0226-SM-5K7WU 60-69 years, male 19.3
GTEX-145LS-1226-SM-5Q5D9 60-69 years, female 19.2
GTEX-12ZZW-0926-SM-5LZUD 50-59 years, male 19.1
GTEX-131XH-0426-SM-5DUWU 50-59 years, male 19.1
GTEX-11ZUS-0126-SM-5EQM5 30-39 years, male 19.0
GTEX-13N2G-0826-SM-5IJE6 60-69 years, male 19.0
GTEX-13YAN-1026-SM-5O9CF 60-69 years, male 19.0
GTEX-18465-0626-SM-7LT8X 50-59 years, male 19.0
GTEX-11TUW-0526-SM-5LU9A 60-69 years, male 18.9
GTEX-13N1W-0726-SM-5MR57 70-79 years, male 18.9
GTEX-12WSE-0826-SM-5S2VL 20-29 years, male 18.8
GTEX-1AX9J-1626-SM-73KUI 60-69 years, male 18.8
GTEX-12WSI-0826-SM-5EGKD 50-59 years, male 18.6
GTEX-13VXU-2726-SM-5LU4N 50-59 years, male 18.5
GTEX-SJXC-1026-SM-EYYVA 60-69 years, male 18.3
GTEX-13OVG-0326-SM-5KM57 60-69 years, male 18.2
GTEX-145MO-1326-SM-5Q5EF 60-69 years, male 18.0
GTEX-11DZ1-0426-SM-5H11A 50-59 years, male 17.8
GTEX-14E6C-1426-SM-5ZZWH 40-49 years, male 17.7
GTEX-1QP2A-1226-SM-EVR3I 50-59 years, male 17.7
GTEX-1I1CD-0926-SM-CL55I 60-69 years, female 17.5
GTEX-1IKK5-1926-SM-A9G2V 60-69 years, male 17.5
GTEX-WWYW-0926-SM-3NB2Z 50-59 years, female 17.4
GTEX-11UD2-0726-SM-5EQ69 50-59 years, male 17.3
GTEX-XQ3S-0926-SM-4BOPI 20-29 years, male 17.3
GTEX-QEG4-0526-SM-48TZD 30-39 years, male 17.1
GTEX-UPJH-0826-SM-4WKFD 50-59 years, male 17.1
GTEX-14DAQ-0926-SM-793AZ 60-69 years, female 17.0
GTEX-13O3O-0726-SM-5J1N7 60-69 years, female 16.9
GTEX-QXCU-0626-SM-2TC69 50-59 years, male 16.9
GTEX-TSE9-0726-SM-3DB8C 60-69 years, female 16.9
GTEX-1GZ4I-0726-SM-9QEHL 50-59 years, male 16.9
GTEX-1HB9E-0726-SM-AHZ4L 50-59 years, male 16.7
GTEX-1J1R8-0226-SM-AHZ3C 40-49 years, male 16.5
GTEX-WRHU-0226-SM-3MJFV 50-59 years, female 16.4
GTEX-XBEW-0226-SM-4AT6A 40-49 years, male 16.4
GTEX-14JIY-1326-SM-6AJB3 60-69 years, male 16.3
GTEX-1A8G6-0726-SM-73KV5 60-69 years, male 16.1
GTEX-Y8LW-0326-SM-4VBQ9 50-59 years, female 16.1
GTEX-YECK-0926-SM-4W214 60-69 years, male 16.0
GTEX-133LE-0526-SM-5N9EJ 20-29 years, female 15.9
GTEX-1A3MV-0526-SM-72D5A 30-39 years, male 15.9
GTEX-1GZ4H-0426-SM-7MXV5 50-59 years, female 15.9
GTEX-13FLV-0426-SM-5KLZA 50-59 years, male 15.8
GTEX-144GO-0226-SM-5LUB1 60-69 years, male 15.8
GTEX-11ZVC-0226-SM-731E8 50-59 years, female 15.7
GTEX-131YS-0926-SM-5IJB9 60-69 years, female 15.7
GTEX-11EMC-0126-SM-5EGKV 60-69 years, female 15.6
GTEX-14C5O-1126-SM-5TDEH 60-69 years, male 15.6
GTEX-ZVT3-0926-SM-5GICK 60-69 years, female 15.6
GTEX-131XW-1126-SM-5EGK4 50-59 years, female 15.5
GTEX-147GR-1226-SM-5TDCL 60-69 years, male 15.5
GTEX-1H1DG-1026-SM-9MQJS 70-79 years, male 15.5
GTEX-13FHO-1026-SM-5KM1Q 60-69 years, male 15.4
GTEX-11NV4-1126-SM-5HL6J 60-69 years, male 15.3
GTEX-16XZZ-0926-SM-7DHLI 60-69 years, male 15.3
GTEX-1C64O-1226-SM-79OOC 60-69 years, male 15.3
GTEX-OIZI-1026-SM-3NB1K 40-49 years, male 15.3
GTEX-PLZ6-0426-SM-5IJDW 30-39 years, male 15.3
GTEX-1I1GQ-1126-SM-CNNQT 50-59 years, male 15.2
GTEX-1JMQJ-2126-SM-CNPPA 50-59 years, male 15.1
GTEX-1IL2U-0926-SM-CKZOB 60-69 years, male 14.9
GTEX-1C6VR-0626-SM-79OOY 60-69 years, male 14.8
GTEX-14PJM-0926-SM-6AJ9Y 50-59 years, female 14.7
GTEX-15UKP-1926-SM-6LPI9 20-29 years, male 14.7
GTEX-WYJK-0826-SM-3NM8Y 50-59 years, male 14.7
GTEX-13O3Q-0526-SM-5KM18 50-59 years, male 14.6
GTEX-ZA64-0326-SM-5HL8T 20-29 years, male 14.6
GTEX-Q2AG-1026-SM-33HBW 40-49 years, female 14.5
GTEX-1LVAN-1126-SM-CNNRE 50-59 years, female 14.5
GTEX-SIU8-0926-SM-COH1X 50-59 years, male 14.5
GTEX-15RJE-1026-SM-6M46X 40-49 years, male 14.4
GTEX-1RDX4-1626-SM-EVR53 50-59 years, female 14.4
GTEX-13NYB-0626-SM-5MR47 40-49 years, male 14.3
GTEX-111VG-0726-SM-5GIDC 60-69 years, male 14.2
GTEX-17HG3-0326-SM-7IGP4 30-39 years, female 14.2
GTEX-1EN7A-0826-SM-7MKFV 40-49 years, male 14.2
GTEX-W5X1-0526-SM-3GILH 40-49 years, female 14.2
GTEX-11ZTS-1226-SM-5EQMQ 60-69 years, female 14.1
GTEX-13OVH-1026-SM-5J2NP 70-79 years, male 14.1
GTEX-18A7A-1026-SM-7LT8B 50-59 years, female 14.1
GTEX-RWSA-1126-SM-2XCAZ 40-49 years, male 14.1
GTEX-1JMLX-0926-SM-CNNPQ 50-59 years, male 14.1
GTEX-1GN73-1026-SM-9KNV9 60-69 years, male 13.9
GTEX-11P7K-0326-SM-59871 30-39 years, male 13.8
GTEX-1F75W-0626-SM-7PC13 60-69 years, male 13.8
GTEX-18QFQ-0926-SM-7LG4V 30-39 years, male 13.7
GTEX-1GPI7-1526-SM-9JGG8 20-29 years, male 13.6
GTEX-1HSMQ-0726-SM-B2LXY 50-59 years, male 13.6
GTEX-VJWN-1326-SM-EVR2Z 50-59 years, female 13.6
GTEX-14E6D-1026-SM-5S2RS 50-59 years, male 13.5
GTEX-1EKGG-1326-SM-7MXUM 60-69 years, male 13.5
GTEX-1AX8Z-5010-SM-AHZ33 60-69 years, male 13.4
GTEX-147F3-0726-SM-5NQ9U 50-59 years, female 13.3
GTEX-1B933-0926-SM-9OSVH 50-59 years, female 13.3
GTEX-1IOXB-1126-SM-CNNQ5 50-59 years, male 13.2
GTEX-14PJO-0926-SM-686YT 60-69 years, male 13.1
GTEX-15EU6-1226-SM-6AJBE 50-59 years, male 13.1
GTEX-1F75B-1026-SM-9JGFS 50-59 years, male 13.0
GTEX-QVUS-2026-SM-EYYW9 60-69 years, female 13.0
GTEX-1B8L1-0626-SM-7EPHL 60-69 years, male 12.9
GTEX-1H3O1-0326-SM-9WPO8 60-69 years, male 12.9
GTEX-1HFI6-0926-SM-9WPPV 40-49 years, male 12.9
GTEX-1I1GP-0526-SM-ARL7G 50-59 years, male 12.9
GTEX-1128S-0726-SM-5N9D6 60-69 years, female 12.8
GTEX-QMR6-1926-SM-32PL9 50-59 years, male 12.8
GTEX-X4XY-1026-SM-46MVX 60-69 years, male 12.8
GTEX-ZYT6-0526-SM-5GIEA 30-39 years, male 12.8
GTEX-1GMR2-0126-SM-9JGHC 50-59 years, male 12.8
GTEX-1S82P-0826-SM-EVR4P 60-69 years, female 12.8
GTEX-18A67-1126-SM-7KFSB 50-59 years, male 12.7
GTEX-YEC4-0526-SM-4W21U 40-49 years, male 12.7
GTEX-1FIGZ-0326-SM-7RHGT 40-49 years, male 12.7
GTEX-17EVQ-1526-SM-79ONG 70-79 years, male 12.6
GTEX-ZZPT-1326-SM-5E43H 50-59 years, male 12.6
GTEX-1F7RK-0826-SM-7SB8V 20-29 years, female 12.6
GTEX-111YS-0626-SM-5GZXV 60-69 years, male 12.4
GTEX-QEG5-1126-SM-33HC2 20-29 years, male 12.4
GTEX-1H3VY-1426-SM-9WPOB 50-59 years, male 12.4
GTEX-13S7M-2126-SM-5S2QR 60-69 years, female 12.3
GTEX-1KD5A-1126-SM-CXZK6 50-59 years, male 12.3
GTEX-1399U-0826-SM-5KM1P 50-59 years, female 12.2
GTEX-1E2YA-0926-SM-7MXUK 50-59 years, male 12.2
GTEX-1IDJH-0726-SM-ARU7U 70-79 years, male 12.2
GTEX-1I6K6-0926-SM-AHZ2N 30-39 years, male 12.1
GTEX-1212Z-1026-SM-5EGJ8 60-69 years, male 12.0
GTEX-12584-1426-SM-5EGJ9 40-49 years, male 12.0
GTEX-13FHP-0726-SM-5K7YI 50-59 years, male 12.0
GTEX-16NGA-0226-SM-718AI 40-49 years, female 12.0
GTEX-17EVP-0726-SM-7EWDX 40-49 years, male 12.0
GTEX-18D9A-0226-SM-7KFSJ 30-39 years, female 12.0
GTEX-WZTO-0426-SM-3NM99 40-49 years, male 12.0
GTEX-1GN2E-1526-SM-7P8TD 60-69 years, male 12.0
GTEX-1HCUA-0226-SM-A8N88 50-59 years, female 12.0
GTEX-ZT9W-0726-SM-9JGG2 50-59 years, male 11.9
GTEX-13OW6-0826-SM-5L3GA 50-59 years, male 11.8
GTEX-1HSKV-1126-SM-ADEIA 60-69 years, male 11.8
GTEX-1I6K7-1226-SM-B2LVS 40-49 years, male 11.8
GTEX-1NSGN-1626-SM-EXOJF 50-59 years, male 11.8
GTEX-X4LF-0526-SM-3NMB6 50-59 years, male 11.7
GTEX-XOT4-1426-SM-4B65T 60-69 years, female 11.7
GTEX-Y111-1026-SM-4TT22 50-59 years, male 11.7
GTEX-Y8E4-0526-SM-4V6GC 40-49 years, male 11.7
GTEX-1F6I4-1026-SM-7P8PS 60-69 years, male 11.7
GTEX-145MN-0926-SM-5NQBT 30-39 years, male 11.6
GTEX-TMMY-0926-SM-4TT1Z 40-49 years, female 11.6
GTEX-ZVZQ-1526-SM-5N9G6 60-69 years, female 11.6
GTEX-1I1GR-0726-SM-B2LWL 60-69 years, male 11.6
GTEX-14PJ5-0226-SM-5YY99 60-69 years, female 11.5
GTEX-17F98-0226-SM-793BV 40-49 years, female 11.5
GTEX-U8T8-2226-SM-3DB95 60-69 years, male 11.5
GTEX-1QCLY-1026-SM-EWRNI 30-39 years, male 11.4
GTEX-12BJ1-1026-SM-5EGJA 60-69 years, male 11.3
GTEX-15ER7-0926-SM-7KUMG 20-29 years, female 11.3
GTEX-UJMC-0726-SM-3GADX 50-59 years, male 11.3
GTEX-1F6RS-0826-SM-7P8T9 60-69 years, female 11.3
GTEX-1L5NE-0726-SM-CXZKQ 50-59 years, male 11.3
GTEX-1PWST-0826-SM-DTXF1 70-79 years, male 11.3
GTEX-ZYW4-1526-SM-5SIBA 60-69 years, male 11.2
GTEX-1MJIX-0626-SM-DTX8V 40-49 years, male 11.2
GTEX-XQ8I-1126-SM-4BOO2 50-59 years, male 11.1
GTEX-1LG7Y-0826-SM-E9TJX 50-59 years, male 11.1
GTEX-14ABY-1126-SM-5Q5F8 50-59 years, male 11.0
GTEX-1B97I-0226-SM-73KVO 40-49 years, male 11.0
GTEX-T8EM-0326-SM-3DB7F 40-49 years, male 11.0
GTEX-UJHI-0726-SM-3DB92 50-59 years, female 11.0
GTEX-1F5PK-0526-SM-7MXUA 50-59 years, male 11.0
GTEX-1LVAO-1226-SM-DIPGB 60-69 years, male 11.0
GTEX-QCQG-0326-SM-2I3ES 50-59 years, female 10.9
GTEX-RWS6-0226-SM-2XCA9 60-69 years, female 10.9
GTEX-1339X-0626-SM-5IJER 40-49 years, male 10.8
GTEX-16MT8-1026-SM-6LPK1 60-69 years, female 10.8
GTEX-RU72-0526-SM-2TF5Z 50-59 years, female 10.8
GTEX-WHSB-0326-SM-5FQSD 50-59 years, male 10.8
GTEX-1LB8K-0826-SM-D4P41 50-59 years, male 10.8
GTEX-13N11-0326-SM-5LUA3 50-59 years, female 10.7
GTEX-13O21-3026-SM-5J2NI 50-59 years, male 10.7
GTEX-147F4-0926-SM-5Q5EO 50-59 years, male 10.7
GTEX-14BMV-0826-SM-73KXU 50-59 years, male 10.7
GTEX-11ZTT-0626-SM-5EQLM 60-69 years, female 10.6
GTEX-1211K-0826-SM-5FQUP 60-69 years, female 10.6
GTEX-PSDG-1126-SM-2S1ON 50-59 years, male 10.6
GTEX-XBEC-1026-SM-4QASM 50-59 years, male 10.6
GTEX-1IKJJ-0926-SM-A9G2L 60-69 years, male 10.6
GTEX-11WQK-1226-SM-5GU5Z 50-59 years, male 10.5
GTEX-13FH7-1726-SM-5IJE7 50-59 years, female 10.5
GTEX-13FTY-0126-SM-5J2NZ 40-49 years, female 10.5
GTEX-13W3W-0326-SM-731DS 60-69 years, female 10.5
GTEX-145LU-0526-SM-5O9AT 50-59 years, male 10.5
GTEX-14JG6-0326-SM-6AJBT 30-39 years, female 10.5
GTEX-T6MN-0826-SM-32PM4 50-59 years, male 10.5
GTEX-WOFM-0126-SM-3MJFE 20-29 years, male 10.5
GTEX-XPVG-1026-SM-4B64Y 50-59 years, male 10.5
GTEX-YB5E-0726-SM-4VDSH 40-49 years, male 10.5
GTEX-11WQC-0626-SM-5EQMF 60-69 years, male 10.4
GTEX-13OW7-0926-SM-5L3EX 50-59 years, male 10.4
GTEX-1H1ZS-0826-SM-A9SMD 70-79 years, male 10.4
GTEX-S7SE-0926-SM-2XCD6 50-59 years, male 10.3
GTEX-O5YT-0526-SM-32PK8 20-29 years, male 10.2
GTEX-ZE7O-0826-SM-57WCP 50-59 years, female 10.2
GTEX-1JN76-0826-SM-C1YRK 20-29 years, female 10.2
GTEX-13O61-0726-SM-5J2MD 60-69 years, male 10.1
GTEX-NFK9-1026-SM-2HMK1 40-49 years, male 10.1
GTEX-T2IS-0526-SM-32QP9 20-29 years, female 10.1
GTEX-WK11-0526-SM-3NB3O 50-59 years, male 10.1
GTEX-12WSK-0826-SM-5CVNP 40-49 years, female 10.0
GTEX-X4EO-0926-SM-3P5Z2 60-69 years, female 10.0
GTEX-ZF29-1026-SM-4WKGC 60-69 years, female 10.0
GTEX-1GMRU-1426-SM-9WPPL 50-59 years, male 10.0
GTEX-1GN1U-1026-SM-9WYUP 50-59 years, female 9.9
GTEX-1QEPI-0826-SM-DTX9B 60-69 years, female 9.8
GTEX-11DXZ-0726-SM-5N9C4 50-59 years, male 9.7
GTEX-13111-0426-SM-5DUXR 50-59 years, male 9.7
GTEX-148VI-0226-SM-5RQKA 60-69 years, female 9.7
GTEX-1AX9I-0826-SM-73KUT 60-69 years, male 9.7
GTEX-1AYCT-0726-SM-7IGNG 50-59 years, male 9.7
GTEX-ZYY3-0926-SM-5E454 60-69 years, female 9.7
GTEX-1GL5R-0526-SM-9WPOQ 50-59 years, male 9.7
GTEX-1MGNQ-0826-SM-EVR41 40-49 years, male 9.7
GTEX-X3Y1-0626-SM-3P5YS 40-49 years, male 9.6
GTEX-1J8QM-0526-SM-AHZ3Y 60-69 years, female 9.6
GTEX-144GM-0126-SM-5Q5AX 20-29 years, male 9.5
GTEX-14PHY-0526-SM-664NM 60-69 years, female 9.5
GTEX-15D1Q-0526-SM-6AJAY 40-49 years, male 9.5
GTEX-ZG7Y-1026-SM-4WWDG 50-59 years, male 9.5
GTEX-ZQG8-0326-SM-51MSE 60-69 years, female 9.5
GTEX-ZUA1-1026-SM-4YCEA 40-49 years, male 9.5
GTEX-1BAJH-1326-SM-7RHFS 70-79 years, male 9.5
GTEX-1GN1W-1026-SM-9OSW2 50-59 years, female 9.5
GTEX-13NZ9-0926-SM-5KM12 50-59 years, male 9.4
GTEX-13QBU-0726-SM-5J2OA 40-49 years, female 9.4
GTEX-13SLW-1226-SM-5S2Q7 70-79 years, male 9.4
GTEX-13X6K-1626-SM-7EWCX 60-69 years, female 9.4
GTEX-1477Z-0626-SM-5NQB7 60-69 years, male 9.4
GTEX-15CHC-0226-SM-5YYBB 60-69 years, female 9.4
GTEX-WFG8-0926-SM-3GIKJ 20-29 years, male 9.4
GTEX-139T6-0426-SM-5IJEM 50-59 years, male 9.3
GTEX-139TT-0726-SM-5K7XW 60-69 years, male 9.3
GTEX-PLZ5-0726-SM-2I5F9 50-59 years, male 9.3
GTEX-S341-0326-SM-2XCAU 40-49 years, female 9.3
GTEX-14JG1-0926-SM-5YY8W 40-49 years, male 9.2
GTEX-R3RS-1026-SM-3GADF 40-49 years, female 9.2
GTEX-1I1GS-1426-SM-COH3W 60-69 years, male 9.2
GTEX-111CU-0326-SM-5GZXO 50-59 years, male 9.1
GTEX-12696-1026-SM-5FQUV 60-69 years, male 9.1
GTEX-XBED-0826-SM-47JYC 60-69 years, male 9.1
GTEX-13OVL-0626-SM-5KM13 50-59 years, male 9.0
GTEX-13PL7-1726-SM-5J2NX 60-69 years, female 9.0
GTEX-15FZZ-0326-SM-6M48O 30-39 years, female 9.0
GTEX-1CAMQ-1026-SM-7EPIC 40-49 years, male 9.0
GTEX-WH7G-0726-SM-3NMBM 40-49 years, male 9.0
GTEX-1F88F-0926-SM-7RHH8 60-69 years, female 9.0
GTEX-1H23P-1026-SM-9QEHQ 60-69 years, male 9.0
GTEX-1KD4Q-0926-SM-CXZKI 40-49 years, male 9.0
GTEX-13FTZ-0526-SM-5IJCW 60-69 years, male 8.9
GTEX-1HBPM-0826-SM-9WYSP 60-69 years, female 8.9
GTEX-1JMOU-0526-SM-CNNPE 60-69 years, female 8.8
GTEX-11GSP-0726-SM-5986L 60-69 years, female 8.7
GTEX-13RTJ-1126-SM-5S2UJ 60-69 years, male 8.7
GTEX-14PJ4-0626-SM-6AJBS 60-69 years, male 8.7
GTEX-16AAH-0426-SM-7DUFM 50-59 years, male 8.7
GTEX-16Z82-1026-SM-6M48A 60-69 years, male 8.7
GTEX-1122O-0126-SM-5GICA 60-69 years, female 8.6
GTEX-13VXT-1426-SM-5LU4B 20-29 years, female 8.6
GTEX-17JCI-1526-SM-7IGOQ 60-69 years, female 8.6
GTEX-U8XE-1426-SM-3DB8Q 30-39 years, male 8.6
GTEX-X585-1026-SM-46MW6 50-59 years, male 8.6
GTEX-ZYFG-0226-SM-5GIDT 60-69 years, female 8.6
GTEX-1I4MK-0326-SM-B2LWP 50-59 years, female 8.6
GTEX-13G51-0426-SM-5K7Z5 60-69 years, male 8.5
GTEX-17GQL-0726-SM-731BL 60-69 years, male 8.5
GTEX-1CB4I-2126-SM-793AG 50-59 years, male 8.5
GTEX-1GTWX-0626-SM-9WYU1 60-69 years, male 8.5
GTEX-12WSH-0126-SM-5GCO3 50-59 years, male 8.4
GTEX-12WSJ-0226-SM-5GCP7 40-49 years, female 8.4
GTEX-131XE-0726-SM-5HL9K 50-59 years, male 8.4
GTEX-18D9U-0526-SM-72D7C 40-49 years, male 8.4
GTEX-N7MS-0926-SM-2HMIZ 60-69 years, male 8.4
GTEX-R55D-0926-SM-3GAEU 50-59 years, male 8.4
GTEX-RTLS-0926-SM-2TF5X 60-69 years, female 8.4
GTEX-1KANB-1026-SM-D3L9F 50-59 years, male 8.4
GTEX-1OJC3-0726-SM-DTX92 20-29 years, male 8.4
GTEX-1PPGY-1826-SM-EXOJ8 60-69 years, male 8.4
GTEX-11PRG-0926-SM-5EGI8 50-59 years, male 8.3
GTEX-1C6WA-0726-SM-7IGQ5 60-69 years, male 8.3
GTEX-X5EB-0426-SM-46MVY 40-49 years, male 8.3
GTEX-1KWVE-0426-SM-DHXJX 30-39 years, male 8.3
GTEX-1399S-1726-SM-5L3DI 30-39 years, female 8.2
GTEX-V1D1-0826-SM-3P5ZA 50-59 years, male 8.2
GTEX-XXEK-0626-SM-4BRWE 50-59 years, male 8.2
GTEX-1CAV2-0626-SM-7P8QE 40-49 years, female 8.2
GTEX-1N2DW-1126-SM-EVR59 50-59 years, male 8.2
GTEX-11EQ9-0226-SM-5A5JX 30-39 years, male 8.1
GTEX-1269C-0926-SM-5FQSR 60-69 years, female 8.1
GTEX-144GN-0426-SM-5O9AP 50-59 years, male 8.1
GTEX-QDVN-0726-SM-4B64L 50-59 years, male 8.1
GTEX-QMRM-0826-SM-3NB33 50-59 years, male 8.1
GTEX-T5JC-0826-SM-32PMC 20-29 years, male 8.1
GTEX-18D9B-1026-SM-CNPO5 60-69 years, male 8.1
GTEX-1AYD5-1226-SM-7EWEP 50-59 years, male 8.0
GTEX-N7MT-0126-SM-2D7VT 60-69 years, female 8.0
GTEX-U3ZH-0526-SM-3DB75 30-39 years, male 8.0
GTEX-YFCO-0426-SM-4W1Z7 40-49 years, male 8.0
GTEX-117YX-1326-SM-5H125 50-59 years, male 7.9
GTEX-18A6Q-0826-SM-7KFRD 60-69 years, male 7.9
GTEX-1B8KZ-0526-SM-73KW2 50-59 years, male 7.9
GTEX-1IDJU-0226-SM-CKZOF 60-69 years, female 7.9
GTEX-1313W-0926-SM-5EQ56 50-59 years, female 7.8
GTEX-145ME-0226-SM-5S2QN 40-49 years, female 7.8
GTEX-14DAR-0226-SM-5S2PR 50-59 years, male 7.8
GTEX-YJ8O-1826-SM-5HL82 40-49 years, female 7.8
GTEX-ZDTT-0926-SM-5J2MS 60-69 years, male 7.8
GTEX-ZDYS-0426-SM-5IJEQ 50-59 years, male 7.8
GTEX-1EX96-0226-SM-7RHHR 50-59 years, male 7.8
GTEX-12ZZY-0926-SM-5EQ6I 60-69 years, male 7.7
GTEX-15SB6-0426-SM-6LPJ5 50-59 years, female 7.7
GTEX-SNOS-0426-SM-32PMH 40-49 years, male 7.7
GTEX-YF7O-0626-SM-4W21R 50-59 years, male 7.7
GTEX-1HCVE-0626-SM-A9SL2 50-59 years, male 7.7
GTEX-X15G-0626-SM-EVR32 50-59 years, female 7.7
GTEX-13NZA-1426-SM-5KM4Y 60-69 years, male 7.6
GTEX-1497J-0326-SM-5Q5CN 60-69 years, male 7.6
GTEX-ZF2S-0626-SM-4WKH2 50-59 years, female 7.6
GTEX-ZLV1-0426-SM-4WWC2 60-69 years, female 7.6
GTEX-ZYVF-1726-SM-5E443 50-59 years, female 7.6
GTEX-1H1E6-0726-SM-9WPQ4 30-39 years, male 7.6
GTEX-1LGRB-0226-SM-CNPQK 50-59 years, female 7.6
GTEX-1P4AB-1026-SM-DTXES 50-59 years, male 7.6
GTEX-11I78-0126-SM-5HL6F 50-59 years, female 7.5
GTEX-12WSL-1026-SM-5CVNJ 50-59 years, male 7.5
GTEX-13113-5004-SM-79ONL 60-69 years, female 7.5
GTEX-131XF-1026-SM-5BC6A 60-69 years, male 7.5
GTEX-13NYS-1626-SM-5J2MU 60-69 years, male 7.5
GTEX-1EMGI-1426-SM-7IGNQ 60-69 years, male 7.5
GTEX-R55C-0526-SM-3GIKA 40-49 years, male 7.5
GTEX-1IDJI-0626-SM-C1YQD 50-59 years, female 7.5
GTEX-1J8JJ-1126-SM-CL55P 60-69 years, female 7.5
GTEX-111FC-1126-SM-5GZWU 60-69 years, male 7.4
GTEX-12KS4-0726-SM-5FQSX 30-39 years, male 7.4
GTEX-13CF3-0426-SM-5IJEU 60-69 years, female 7.4
GTEX-145MH-0626-SM-5NQAK 50-59 years, male 7.4
GTEX-14XAO-0526-SM-6AJB7 60-69 years, female 7.4
GTEX-16MTA-1226-SM-7KULL 50-59 years, male 7.4
GTEX-P78B-0926-SM-2I5FA 40-49 years, female 7.4
GTEX-WFON-0426-SM-3GIL4 40-49 years, male 7.4
GTEX-Y3I4-0426-SM-4TT29 50-59 years, male 7.4
GTEX-11EI6-0826-SM-5985V 60-69 years, male 7.3
GTEX-13FTX-0326-SM-5J2NG 20-29 years, female 7.3
GTEX-14E6E-0426-SM-73KUE 30-39 years, male 7.3
GTEX-15SHV-0326-SM-6M475 60-69 years, male 7.3
GTEX-17HII-0926-SM-79ON7 50-59 years, male 7.3
GTEX-1JJEA-1126-SM-CKZOC 60-69 years, male 7.3
GTEX-1QP29-1226-SM-E6CQ1 50-59 years, male 7.3
GTEX-1RNSC-1226-SM-E9U52 60-69 years, male 7.3
GTEX-OIZF-0526-SM-7MXVM 60-69 years, male 7.3
GTEX-11DXX-0626-SM-5Q5AG 60-69 years, female 7.2
GTEX-12WSD-0826-SM-5GCNE 60-69 years, female 7.2
GTEX-1B8SF-0826-SM-73KW8 60-69 years, male 7.2
GTEX-QDT8-0926-SM-32PL2 30-39 years, female 7.2
GTEX-REY6-0426-SM-2TF5G 60-69 years, male 7.2
GTEX-132QS-0726-SM-5IJE9 60-69 years, male 7.1
GTEX-1I19N-0526-SM-A9G27 70-79 years, male 7.1
GTEX-1RAZR-0726-SM-EV7BA 40-49 years, male 7.1
GTEX-17HHE-0626-SM-7DHL6 50-59 years, male 7.0
GTEX-P4PQ-0526-SM-2HMKR 60-69 years, male 7.0
GTEX-RM2N-0426-SM-2TF4T 50-59 years, male 7.0
GTEX-ZPIC-0626-SM-57WDY 40-49 years, female 7.0
GTEX-1M4P7-0826-SM-E9TJR 60-69 years, male 7.0
GTEX-ZF3C-0926-SM-DO92P 50-59 years, female 7.0
GTEX-OXRK-0926-SM-2HMKP 50-59 years, female 6.9
GTEX-WFJO-0326-SM-3GIL3 30-39 years, male 6.9
GTEX-WY7C-0426-SM-3NB3C 50-59 years, male 6.9
GTEX-Y9LG-0526-SM-4VBRY 30-39 years, male 6.9
GTEX-1H1CY-0626-SM-9KNVE 60-69 years, female 6.9
GTEX-1HSMP-1326-SM-A96TR 70-79 years, male 6.9
GTEX-15G1A-0426-SM-6M468 30-39 years, male 6.8
GTEX-TML8-0326-SM-4GICN 40-49 years, female 6.8
GTEX-U3ZM-0426-SM-3DB73 40-49 years, male 6.8
GTEX-WFG7-0526-SM-3GIKI 20-29 years, male 6.8
GTEX-1GZHY-0826-SM-9OSXT 50-59 years, female 6.8
GTEX-YEC3-0226-SM-DO11B 50-59 years, male 6.8
GTEX-11LCK-0426-SM-5A5M8 30-39 years, male 6.7
GTEX-14LLW-0726-SM-5ZZVV 70-79 years, female 6.7
GTEX-1ICLZ-0926-SM-CKZPQ 60-69 years, male 6.7
GTEX-17F96-0626-SM-793CC 70-79 years, male 6.6
GTEX-1B932-0726-SM-731EY 40-49 years, female 6.6
GTEX-OOBJ-0526-SM-48TDK 60-69 years, male 6.6
GTEX-SN8G-0926-SM-4DM5I 50-59 years, female 6.6
GTEX-X4EP-0526-SM-3P5YW 60-69 years, female 6.6
GTEX-1I1GU-0526-SM-B2LX2 40-49 years, male 6.6
GTEX-1JMQL-1126-SM-CKZOP 50-59 years, female 6.6
GTEX-14BMU-0526-SM-73KW4 20-29 years, female 6.5
GTEX-169BO-0226-SM-79OL1 50-59 years, male 6.5
GTEX-OIZG-0526-SM-2HMLF 50-59 years, male 6.5
GTEX-OXRL-0526-SM-2I3EZ 50-59 years, male 6.5
GTEX-YFC4-1126-SM-5RQJN 40-49 years, female 6.5
GTEX-ZAB4-0626-SM-5CVN3 40-49 years, male 6.5
GTEX-ZPU1-0926-SM-57WDO 40-49 years, male 6.5
GTEX-13QJ3-1026-SM-5QGQU 50-59 years, male 6.4
GTEX-1AX9K-0826-SM-731F9 50-59 years, male 6.4
GTEX-OHPL-0526-SM-3NM8U 60-69 years, female 6.4
GTEX-ZLWG-0626-SM-4WWFR 50-59 years, female 6.4
GTEX-1K9T9-0926-SM-D3L9C 50-59 years, female 6.4
GTEX-1MCC2-0726-SM-EV7AL 30-39 years, female 6.4
GTEX-1QMI2-0926-SM-DTX7S 60-69 years, male 6.4
GTEX-14E1K-0226-SM-62LDT 50-59 years, male 6.3
GTEX-15CHR-0726-SM-7EPHG 50-59 years, male 6.3
GTEX-T6MO-0426-SM-32QOI 40-49 years, female 6.3
GTEX-Y5LM-0726-SM-4VBRP 40-49 years, female 6.3
GTEX-12WSG-5004-SM-7EPG9 50-59 years, female 6.2
GTEX-12WSN-5004-SM-793CE 40-49 years, male 6.2
GTEX-145LT-0326-SM-5LUAD 40-49 years, male 6.2
GTEX-SE5C-0526-SM-2XCE1 40-49 years, female 6.2
GTEX-ZY6K-0326-SM-5SIBB 50-59 years, male 6.2
GTEX-1HBPH-1326-SM-9WYSN 40-49 years, female 6.2
GTEX-RVPV-1726-SM-2NKAQ 60-69 years, male 6.2
GTEX-13JVG-1426-SM-5MR4W 60-69 years, male 6.1
GTEX-147JS-1226-SM-5RQK4 60-69 years, male 6.1
GTEX-1IL2V-0726-SM-ARZMB 70-79 years, male 6.1
GTEX-1IY9M-1126-SM-A9SLV 60-69 years, male 6.1
GTEX-POMQ-0526-SM-3GADD 20-29 years, female 6.0
GTEX-XGQ4-0826-SM-4AT4T 50-59 years, male 6.0
GTEX-ZTTD-1126-SM-51MRP 50-59 years, male 6.0
GTEX-1S5VW-0926-SM-EWRNU 60-69 years, male 6.0
GTEX-11NSD-0326-SM-5A5LS 20-29 years, male 5.9
GTEX-13U4I-1426-SM-5J2M3 40-49 years, female 5.9
GTEX-1CB4F-0926-SM-7DHMJ 60-69 years, male 5.9
GTEX-QESD-0626-SM-2I5G4 20-29 years, male 5.9
GTEX-SUCS-0626-SM-32PM5 70-79 years, male 5.9
GTEX-ZZPU-0526-SM-5E44U 50-59 years, female 5.9
GTEX-ZPCL-0926-SM-DNZZ8 60-69 years, female 5.9
GTEX-11TT1-1626-SM-5EQL7 20-29 years, male 5.8
GTEX-13D11-0326-SM-5LZXX 50-59 years, female 5.8
GTEX-146FQ-0926-SM-5LUAV 30-39 years, male 5.8
GTEX-QEL4-0826-SM-3GAF2 50-59 years, male 5.8
GTEX-QV44-0926-SM-2S1RH 50-59 years, male 5.8
GTEX-U412-0826-SM-3DB9K 60-69 years, male 5.8
GTEX-ZAB5-0626-SM-5PNVB 50-59 years, male 5.8
GTEX-1GMR8-1426-SM-7RHHL 50-59 years, female 5.8
GTEX-1KXAM-0426-SM-DHXKG 60-69 years, male 5.8
GTEX-ZEX8-0526-SM-DO115 50-59 years, male 5.8
GTEX-13O3P-1026-SM-5N9E7 50-59 years, male 5.7
GTEX-14AS3-0926-SM-5TDD6 40-49 years, female 5.7
GTEX-ZXG5-0826-SM-5GID6 60-69 years, male 5.7
GTEX-1F48J-0826-SM-9WPOD 50-59 years, female 5.7
GTEX-1H2FU-1226-SM-9KNVY 60-69 years, female 5.7
GTEX-1JN6P-0726-SM-ARZN7 60-69 years, male 5.7
GTEX-1K2DU-0526-SM-D4P2Y 20-29 years, male 5.7
GTEX-1LSVX-0626-SM-E9U59 60-69 years, male 5.7
GTEX-11O72-1326-SM-5BC5A 40-49 years, male 5.6
GTEX-OXRN-0526-SM-2I5EN 50-59 years, male 5.6
GTEX-P4PP-0526-SM-2HMKE 30-39 years, female 5.6
GTEX-WHPG-1426-SM-3NMBB 50-59 years, male 5.6
GTEX-ZDTS-1026-SM-4WAXS 60-69 years, male 5.6
GTEX-1GF9X-0326-SM-7P8R9 40-49 years, female 5.6
GTEX-1I1GV-0926-SM-B2LXM 60-69 years, male 5.6
GTEX-1RAZS-2226-SM-E8VMU 50-59 years, male 5.6
GTEX-14A6H-0526-SM-5NQAZ 30-39 years, male 5.5
GTEX-RNOR-0726-SM-2TF5I 50-59 years, female 5.5
GTEX-XYKS-0526-SM-4BRW2 60-69 years, female 5.5
GTEX-ZT9X-0326-SM-51MTE 40-49 years, male 5.5
GTEX-132NY-1226-SM-5PNVF 60-69 years, male 5.4
GTEX-14BIL-1226-SM-79OME 50-59 years, male 5.4
GTEX-15RJ7-0626-SM-6M47V 40-49 years, male 5.4
GTEX-OOBK-0526-SM-2HMJJ 40-49 years, male 5.4
GTEX-S32W-0326-SM-2XCBI 50-59 years, female 5.4
GTEX-14C39-0326-SM-5TDDX 40-49 years, male 5.3
GTEX-POYW-1226-SM-2XCEP 60-69 years, male 5.3
GTEX-PVOW-1026-SM-2XCF9 40-49 years, male 5.3
GTEX-Y3IK-0626-SM-4WWE4 50-59 years, female 5.3
GTEX-Y5V6-0226-SM-4V6G7 60-69 years, male 5.3
GTEX-11OF3-1126-SM-5986C 60-69 years, male 5.2
GTEX-1C4CL-0826-SM-7EWEZ 30-39 years, male 5.2
GTEX-P4QT-0526-SM-2I3EX 50-59 years, female 5.2
GTEX-R55G-0826-SM-2TC5U 40-49 years, female 5.2
GTEX-RUSQ-0626-SM-2TF5V 50-59 years, male 5.2
GTEX-ZTPG-0926-SM-5O99H 20-29 years, female 5.2
GTEX-1JMQI-1126-SM-ARZN2 50-59 years, male 5.2
GTEX-11P81-0226-SM-5HL5M 30-39 years, female 5.1
GTEX-13OVJ-0726-SM-5KM1W 50-59 years, female 5.1
GTEX-OXRO-0326-SM-33HBM 60-69 years, female 5.1
GTEX-ZC5H-0926-SM-5CVMZ 40-49 years, female 5.1
GTEX-1MA7X-0626-SM-E9TJI 60-69 years, male 5.1
GTEX-15SHW-0926-SM-6LPIO 60-69 years, male 5.0
GTEX-1CB4J-1726-SM-79OOL 60-69 years, male 5.0
GTEX-15EOM-5010-SM-7P8PA 20-29 years, female 5.0
GTEX-1JKYN-2126-SM-ARU8W 30-39 years, male 5.0
GTEX-1C6VS-1226-SM-79OO2 60-69 years, male 4.9
GTEX-O5YW-0526-SM-2YUMX 50-59 years, male 4.9
GTEX-OIZH-0526-SM-2HMKV 50-59 years, male 4.9
GTEX-RN64-1226-SM-2TC6E 50-59 years, male 4.9
GTEX-1JK1U-1126-SM-CY8HK 60-69 years, male 4.9
GTEX-1MJK2-1126-SM-E9TJ7 50-59 years, male 4.9
GTEX-1OJC4-0626-SM-DTXEY 50-59 years, female 4.9
GTEX-1RLM8-0626-SM-E76OW 50-59 years, male 4.9
GTEX-146FH-1226-SM-5NQB6 50-59 years, female 4.8
GTEX-P4QS-0526-SM-2I3ET 60-69 years, male 4.8
GTEX-PX3G-0526-SM-2I3EM 20-29 years, female 4.8
GTEX-RU1J-0126-SM-2TF6Y 20-29 years, female 4.8
GTEX-U3ZN-0626-SM-3DB7U 30-39 years, female 4.8
GTEX-178AV-0326-SM-6LPJF 40-49 years, male 4.7
GTEX-VJYA-0326-SM-3GAEX 60-69 years, male 4.7
GTEX-1H11D-0726-SM-9OSWA 40-49 years, male 4.7
GTEX-13OW5-0726-SM-5KLZK 60-69 years, male 4.6
GTEX-14LZ3-0726-SM-5YYAB 60-69 years, female 4.6
GTEX-WYBS-1126-SM-3NMAM 60-69 years, female 4.6
GTEX-Y5V5-0826-SM-4VBQD 60-69 years, female 4.6
GTEX-1JMPZ-1126-SM-ARU8X 30-39 years, male 4.6
GTEX-1R9PM-0426-SM-EVR3P 20-29 years, male 4.6
GTEX-183FY-0726-SM-793C3 20-29 years, male 4.5
GTEX-Q2AH-0426-SM-2I3EP 40-49 years, male 4.5
GTEX-17KNJ-0926-SM-7IGP2 50-59 years, male 4.4
GTEX-1ICLY-0926-SM-CM2RJ 50-59 years, male 4.4
GTEX-WVJS-0826-SM-4MVNR 50-59 years, male 4.3
GTEX-WYVS-0526-SM-3NM9W 40-49 years, female 4.3
GTEX-15SKB-0826-SM-7KUFB 60-69 years, male 4.2
GTEX-1GMR3-0226-SM-7RHIB 40-49 years, male 4.2
GTEX-15RIE-0326-SM-6PAMC 60-69 years, male 4.1
GTEX-17HGU-0926-SM-79OKO 50-59 years, male 4.1
GTEX-18A66-0926-SM-718BG 60-69 years, male 4.1
GTEX-1RQED-1026-SM-EVYCT 60-69 years, male 4.1
GTEX-14PK6-0326-SM-6AJ9S 70-79 years, female 4.0
GTEX-1EWIQ-0926-SM-7RHG7 70-79 years, female 4.0
GTEX-S3LF-1126-SM-EVR33 70-79 years, male 4.0
GTEX-13NZ8-0326-SM-5L3DF 60-69 years, female 3.9
GTEX-1RAZQ-1026-SM-EAZ4R 30-39 years, male 3.9
GTEX-OHPM-0526-SM-2YUMJ 50-59 years, male 3.8
GTEX-1HT8W-1426-SM-CE6S2 30-39 years, male 3.8
GTEX-13JUV-0526-SM-5K7XE 40-49 years, female 3.7
GTEX-S33H-0626-SM-2XCBJ 30-39 years, male 3.7
GTEX-Q734-0626-SM-2I3EF 40-49 years, female 3.6
GTEX-QDVJ-0926-SM-2I5FU 50-59 years, male 3.6
GTEX-1J1OQ-0926-SM-CJI34 40-49 years, female 3.6
GTEX-13S86-0626-SM-5Q5E7 40-49 years, male 3.5
GTEX-1GZ2Q-0726-SM-9KNVV 40-49 years, male 3.5
GTEX-PLZ4-0726-SM-2TC6Q 50-59 years, female 3.4
GTEX-X4XX-1026-SM-4QARO 60-69 years, male 3.4
GTEX-16GPK-1826-SM-7MGW5 60-69 years, male 3.4
GTEX-1QAET-0426-SM-EXUSM 50-59 years, male 3.4
GTEX-139YR-0926-SM-5LZYB 50-59 years, male 3.3
GTEX-14PQA-1126-SM-7KUM4 50-59 years, female 3.3
GTEX-NPJ8-0326-SM-2D7VV 40-49 years, male 3.3
GTEX-1HCU7-0926-SM-A96TK 50-59 years, male 3.3
GTEX-1KAFJ-0326-SM-DHXJG 50-59 years, male 3.3
GTEX-1LC47-1126-SM-D4P43 60-69 years, male 3.3
GTEX-1NV5F-0926-SM-DTX8N 60-69 years, female 3.2
GTEX-PW2O-0526-SM-2I3DX 20-29 years, male 3.1
GTEX-1HSMO-0926-SM-A96S7 60-69 years, male 3.1
GTEX-OXRP-0526-SM-2I3EW 60-69 years, female 2.8
GTEX-X261-1026-SM-3NMDL 50-59 years, male 2.8
GTEX-ZF28-0726-SM-4WKFU 60-69 years, male 2.8
GTEX-1PPH7-0226-SM-E76Q1 40-49 years, male 2.8
GTEX-O5YV-0526-SM-2I5GE 60-69 years, female 2.7
GTEX-VUSG-0926-SM-3GIK6 50-59 years, male 2.6
GTEX-1JJE9-0926-SM-CNNP9 70-79 years, male 2.6
GTEX-XV7Q-0426-SM-4BRVN 40-49 years, female 2.5
GTEX-1GF9V-1026-SM-9KNW3 60-69 years, male 2.3
GTEX-UPK5-1126-SM-3GAEJ 40-49 years, male 1.9
GTEX-17F9Y-1026-SM-7IGO4 70-79 years, female 1.1
Show allShow less

LUNG - FANTOM5 CAGEi

RNA expression in human tissues obtained through Cap Analysis of Gene Expression (CAGE) generated by the FANTOM5 project are reported as Scaled Tags Per Million.

Max subtype Scaled Tags Per Millioni

Max subtype Scaled Tags Per Million is the value for the subtype with the largest average Scaled Tags Per Million across the subtype samples.

10.5
FANTOM5 sample id Sample description Scaled Tags Per Million
Lung
Scaled Tags Per Million: 10.5
FF:10019-101D1 46,65,94 years, mixed 10.5
Lung - right lower lobe
Scaled Tags Per Million: 9.9
FF:10075-102A3 29 years, male 9.9

Contact

  • NEWS ARTICLES
  • PRESS ROOM

The Project

  • INTRODUCTION
  • ORGANIZATION
  • PUBLICATIONS

The Human Protein Atlas

  • DOWNLOADABLE DATA
  • LICENCE & CITATION
  • HELP & FAQ
The Human Protein Atlas project is funded
by the Knut & Alice Wallenberg Foundation.


contact@proteinatlas.org