We use cookies to enhance the usability of our website. If you continue, we'll assume that you are happy to receive all cookies. More information. Don't show this again.
ALDH1A3
HPA
RESOURCES
  • TISSUE
  • BRAIN
  • SINGLE CELL
  • SUBCELLULAR
  • CANCER
  • BLOOD
  • CELL LINE
  • STRUCTURE & INTERACTION
ABOUT
  • INTRODUCTION
  • HISTORY
  • ORGANIZATION
  • PUBLICATIONS
  • ANTIBODY SUBMISSION
  • ANTIBODY AVAILABILITY
  • ACKNOWLEDGMENTS
  • CONTACT
NEWS
  • NEWS ARTICLES
  • PRESS ROOM
LEARN
  • DICTIONARY
  • PROTEIN CLASSES
  • PROTEIN EVIDENCE
  • METHODS
  • EDUCATIONAL VIDEOS
DATA
  • DOWNLOADABLE DATA
  • PUBLICATION DATA
  • RELEASE HISTORY
HELP
  • ANTIBODY VALIDATION
  • ASSAYS & ANNOTATION
  • DISCLAIMER
  • HELP & FAQ
  • PRIVACY STATEMENT
  • LICENCE & CITATION
Fields »
Search result

Field
Term
Gene name
Class
Subclass
Class
Keyword
Chromosome
External id
Tissue
Cell type
Expression
Antibody panel
Tissue
Main location
Patient ID
Annotation
Tissue
Category
Tau score
Cluster
Reliability
Brain region
Category
Tau score
Brain region
Category
Tau score
Brain region
Category
Tau score
Cluster
Reliability
Tissue
Cell type
Enrichment
Cell type
Category
Tau score
Cell type
Category
Tau score
Cell type
Category
Tau score
Cell lineage
Category
Tau score
Cluster
Cluster
Location
Searches
Location
Cell line
Class
Type
Phase
Reliability
Cancer
Prognosis
Cancer
Category
Cancer
Category
Tau score
Cluster
Variants
Interacting gene (ensg_id)
Type
Number of interactions
Pathway
Category
Score
Score
Score
Validation
Validation
Validation
Validation
Antibodies
Data type
Column


  • SUMMARY

  • TISSUE

  • BRAIN

  • SINGLE CELL

  • SUBCELL

  • CANCER

  • BLOOD

  • CELL LINE

  • STRUCT & INT

  • ALDH1A3
TISSUE PRIMARY DATA STOMACH Show tissue menu
ADIPOSE TISSUE ADRENAL GLAND AMYGDALA APPENDIX BASAL GANGLIA BONE MARROW BREAST BRONCHUS CEREBELLUM CEREBRAL CORTEX CERVIX CHOROID PLEXUS COLON DUODENUM
ENDOMETRIUM EPIDIDYMIS ESOPHAGUS FALLOPIAN TUBE GALLBLADDER HEART MUSCLE HIPPOCAMPAL FORMATION HYPOTHALAMUS KIDNEY LIVER LUNG LYMPH NODE MIDBRAIN NASOPHARYNX
ORAL MUCOSA OVARY PANCREAS PARATHYROID GLAND PITUITARY GLAND PLACENTA PROSTATE RECTUM RETINA SALIVARY GLAND SEMINAL VESICLE SKELETAL MUSCLE SKIN SMALL INTESTINE
SMOOTH MUSCLE SOFT TISSUE SPINAL CORD SPLEEN STOMACH TESTIS THYMUS THYROID GLAND TONGUE TONSIL URINARY BLADDER VAGINA
ANTIBODIES
AND
VALIDATION
Dictionary
Tissue proteome
Stomach
STOMACH - Expression summary
Protein expression
Stomachi

On the top, protein expression in current human tissue, based on all annotated cell types, is reported with the units not detected (n), low (l), medium (m) and high (h). Underneath, protein expression in each annotated cell type are reported using the same units.

Protein expression data is based on knowledge-based annotation. For genes where more than one antibody has been used, a collective score is set.

If knowledge-based annotation could not be performed for a gene, no data is displayed here. View antibody staining data further down this page.

h
m
l
n
Glandular cells: Medium
RNA expressioni

A summary of mRNA expression data available for current tissue based on several datasets. The mRNA expression levels in human tissues are based on RNA-seq data generated by the Human Protein Atlas (HPA), Genotype-Tissue Expression (GTEx) portal and CAGE data generated by the FANTOM5 consortium. Consensus normalized expression levels for human tissues was created by combining the data from HPA and GTEx datasets.

The mRNA expression levels in pig are based on RNA-seq data generated by the Human Protein Atlas (HPA), and for mouse, HPA data and in situ hybridization generated by the Allen brain atlas are reported.

Scroll down to view mRNA expression data in more detail.
Consensus:12.4 nTPM
HPA:11.8 nTPM
GTEx:12.4 nTPM

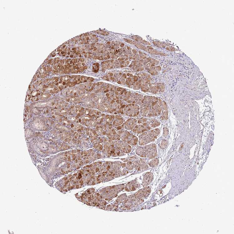
STOMACH 1 - Antibody stainingi

Antibody staining in the annotated cell types in the current human tissue is reported as not detected, low, medium, or high, based on conventional immunohistochemistry profiling in selected tissues. This score is based on the combination of the staining intensity and fraction of stained cells.

Each image is clickable and will lead to virtual microscopy that enables deeper exploration of all samples and also displays staining intensity scores, fraction scores and subcellular localization as well as patient and tissue information for each sample.

Antibody HPA046271
Glandular cells High


STOMACH 2 - Antibody stainingi

Antibody staining in the annotated cell types in the current human tissue is reported as not detected, low, medium, or high, based on conventional immunohistochemistry profiling in selected tissues. This score is based on the combination of the staining intensity and fraction of stained cells.

Each image is clickable and will lead to virtual microscopy that enables deeper exploration of all samples and also displays staining intensity scores, fraction scores and subcellular localization as well as patient and tissue information for each sample.

Antibody HPA046271
Glandular cells High



STOMACH - HPA RNA-seqi

The RNA-seq details section shows detailed information about the individual samples used for the transcript profiling and results of the RNA-seq analysis.

Information about each individual sample is listed below, including gender, age, a tissue section image and estimated fractions of cell types. nTPM (normalized transcripts per million) values give a quantification of the gene abundance which is comparable between different genes and samples.
Average nTPMi

Max subtype nTPM is the value for the subtype with the largest average nTPM across the subtype samples.

11.8
overview
Female, age 33
Stomach sample 61
nTPM: 16.8
Cell types%
Glandular cells:
60

Smooth muscle cells:
5

Other cell types:
35

N/A
Male, age 82
Stomach sample 240
nTPM: 4.5
Cell types%
Glandular cells:
65

Smooth muscle cells:
5

Other cell types:
30

overview
Male, age 71
Stomach sample 241
nTPM: 19.8
Cell types%
Glandular cells:
50

Smooth muscle cells:
5

Other cell types:
45

overview
Female, age 66
Stomach sample 369
nTPM: 6.1
Cell types%
Glandular cells:
50

Smooth muscle cells:
10

Other cell types:
40


STOMACH - GTEx RNA-seqi

RNA-Seq data generated by the Genotype-Tissue Expression (GTEx) project from human tissues is reported as mean nTPM. More information can be found on the GTEx portal.

Distribution across the dataset is visualized with box plots, shown as median and 25th and 75th percentiles. Points are displayed as outliers if they are above or below 1.5 times the interquartile range. nTPM values of the individual samples are presented next to the box plot.
Max subtype nTPMi

Max subtype nTPM is the value for the subtype with the largest average nTPM across the subtype samples.

12.4
GTEx sample id Sample description nTPM
Stomach
Average nTPM: 12.4
Samples: 359

Max nTPM: 80.9
Min nTPM: 1.7
Std nTPM: 11.1
Median nTPM: 9.3
GTEX-1JMPY-0926-SM-ARL92 30-39 years, male 80.9
GTEX-1L5NE-1526-SM-DIPFW 50-59 years, male 80.2
GTEX-15SHW-2126-SM-6M46Y 60-69 years, male 78.3
GTEX-1N2DV-0926-SM-E9TJT 40-49 years, male 71.5
GTEX-17EUY-1526-SM-793CA 20-29 years, male 68.1
GTEX-1MCYP-1126-SM-E9J2P 20-29 years, female 56.9
GTEX-1S831-1126-SM-EWROI 20-29 years, male 55.7
GTEX-ZYVF-2726-SM-5GID4 50-59 years, female 51.5
GTEX-1HCU8-1326-SM-C1YQQ 60-69 years, female 50.6
GTEX-1JN1M-2926-SM-CNNPJ 60-69 years, female 43.3
GTEX-1QP29-2326-SM-EXOJO 50-59 years, male 43.1
GTEX-15EU6-2526-SM-7KUGB 50-59 years, male 42.3
GTEX-1I4MK-0926-SM-A9SLD 50-59 years, female 38.3
GTEX-1JKYN-1726-SM-AHZ48 30-39 years, male 38.0
GTEX-17KNJ-1526-SM-7LTA9 50-59 years, male 33.5
GTEX-QDT8-2026-SM-EZ6LS 30-39 years, female 32.0
GTEX-11EQ9-1226-SM-5987E 30-39 years, male 31.4
GTEX-1PIGE-1126-SM-EWRMV 20-29 years, male 29.2
GTEX-UPK5-2126-SM-4JBJK 40-49 years, male 28.5
GTEX-XAJ8-0326-SM-47JYI 40-49 years, male 28.1
GTEX-145MO-2226-SM-5Q5BN 60-69 years, male 27.8
GTEX-P4QT-1526-SM-3NMCT 50-59 years, female 27.4
GTEX-17HGU-2126-SM-7IGOV 50-59 years, male 27.0
GTEX-1F75I-1826-SM-7MKGX 40-49 years, male 26.2
GTEX-1E1VI-2826-SM-7MGWU 50-59 years, male 26.1
GTEX-ZE7O-3026-SM-51MS4 50-59 years, female 25.8
GTEX-XV7Q-1326-SM-4BRWM 40-49 years, female 25.7
GTEX-12WSJ-0926-SM-5P9JD 40-49 years, female 24.5
GTEX-132AR-2426-SM-5IFFD 50-59 years, female 24.3
GTEX-1HT8W-2326-SM-A9SLA 30-39 years, male 24.1
GTEX-139D8-2326-SM-5IFGE 30-39 years, female 23.6
GTEX-13X6H-1626-SM-5Q5CT 50-59 years, female 23.5
GTEX-R55G-1126-SM-48FDG 40-49 years, female 23.2
GTEX-R55C-1026-SM-48FCM 40-49 years, male 22.8
GTEX-14PHY-0926-SM-5ZZWL 60-69 years, female 22.4
GTEX-1HKZK-1526-SM-B2LWG 40-49 years, male 21.4
GTEX-17JCI-2226-SM-7LTA1 60-69 years, female 20.9
GTEX-T8EM-1226-SM-4DM5J 40-49 years, male 20.8
GTEX-SNMC-0626-SM-4DM6H 20-29 years, male 20.7
GTEX-14BIL-1926-SM-73KYI 50-59 years, male 20.6
GTEX-WEY5-1226-SM-4LMIQ 40-49 years, female 20.3
GTEX-15G19-1526-SM-6LPKP 60-69 years, male 20.0
GTEX-11EI6-2426-SM-5PNVS 60-69 years, male 19.6
GTEX-XQ8I-2026-SM-4BOOL 50-59 years, male 19.6
GTEX-1H11D-2226-SM-9OSXN 40-49 years, male 19.4
GTEX-1HR9M-2326-SM-CNPPZ 60-69 years, male 19.4
GTEX-14BMV-2226-SM-5RQHX 50-59 years, male 19.3
GTEX-11VI4-0326-SM-5EQ6L 40-49 years, female 19.1
GTEX-15G1A-1226-SM-7KUF3 30-39 years, male 19.1
GTEX-139YR-1926-SM-5LZXM 50-59 years, male 18.9
GTEX-1H1DG-2126-SM-9WPPB 70-79 years, male 18.9
GTEX-RUSQ-1126-SM-EAZAU 50-59 years, male 18.9
GTEX-1H23P-2726-SM-9JGHN 60-69 years, male 18.8
GTEX-1HSEH-1526-SM-B2LXG 60-69 years, male 18.8
GTEX-1S3DN-1526-SM-EVYCB 50-59 years, male 18.8
GTEX-1H3VY-2326-SM-9WG81 50-59 years, male 18.0
GTEX-11P82-0726-SM-5PNYL 20-29 years, male 17.6
GTEX-13N1W-2026-SM-5K7YU 70-79 years, male 17.6
GTEX-SNOS-0826-SM-4DM5N 40-49 years, male 17.6
GTEX-1H3NZ-2226-SM-9WYUT 60-69 years, male 17.4
GTEX-11WQK-2626-SM-5EQ4K 50-59 years, male 17.1
GTEX-131XF-1226-SM-5HL8V 60-69 years, male 16.9
GTEX-117YW-2226-SM-5N9DB 50-59 years, male 16.8
GTEX-14PN3-1326-SM-6AJ9U 60-69 years, female 16.5
GTEX-13RTK-0226-SM-5RQHR 20-29 years, male 16.3
GTEX-1A3MX-1926-SM-72D7F 60-69 years, male 16.2
GTEX-ZV6S-0926-SM-57WGB 40-49 years, female 16.2
GTEX-XBEW-1826-SM-4RTWX 40-49 years, male 15.9
GTEX-YEC3-1426-SM-D4P1S 50-59 years, male 15.8
GTEX-146FR-2026-SM-5NQAI 60-69 years, female 15.7
GTEX-1NSGN-1926-SM-E9J36 50-59 years, male 15.4
GTEX-OIZH-1526-SM-3NB1J 50-59 years, male 15.3
GTEX-13PVQ-2126-SM-5L3FW 50-59 years, male 15.2
GTEX-Y114-1226-SM-4TT88 50-59 years, female 15.2
GTEX-13O3Q-2126-SM-5KM4C 50-59 years, male 15.0
GTEX-1JMQJ-1326-SM-D4P3B 50-59 years, male 15.0
GTEX-ZGAY-1626-SM-DNZZ3 40-49 years, female 14.9
GTEX-1MJIX-1126-SM-EV7AO 40-49 years, male 14.5
GTEX-PLZ5-1226-SM-EXOHA 50-59 years, male 14.5
GTEX-1QW4Y-0726-SM-DTX8E 30-39 years, male 14.4
GTEX-14DAR-0926-SM-73KUQ 50-59 years, male 14.3
GTEX-ZTX8-0426-SM-59HLG 20-29 years, male 14.3
GTEX-ZVP2-1626-SM-5GU5D 50-59 years, male 14.3
GTEX-1PPH8-1326-SM-DTXFO 20-29 years, male 14.3
GTEX-12C56-0526-SM-5FQST 20-29 years, male 14.2
GTEX-14PJ3-1426-SM-664O8 50-59 years, male 14.2
GTEX-1K2DA-0826-SM-CGQGD 50-59 years, male 14.2
GTEX-1GMRU-2526-SM-9WG7T 50-59 years, male 14.1
GTEX-13111-1226-SM-5GCNC 50-59 years, male 14.0
GTEX-YJ8A-1526-SM-5P9FT 20-29 years, male 14.0
GTEX-Y5LM-1326-SM-5RQIS 40-49 years, female 13.9
GTEX-1R9K5-1026-SM-EAZ4F 50-59 years, male 13.9
GTEX-1CB4H-2426-SM-7PBYR 60-69 years, female 13.8
GTEX-1JK1U-1326-SM-AHZ45 60-69 years, male 13.7
GTEX-17F98-1526-SM-7EWD8 40-49 years, female 13.6
GTEX-V1D1-1726-SM-4JBHB 50-59 years, male 13.6
GTEX-1IL2V-2026-SM-ARZMA 70-79 years, male 13.6
GTEX-13QBU-1126-SM-5LU44 40-49 years, female 13.5
GTEX-12BJ1-1726-SM-5HL9B 60-69 years, male 13.3
GTEX-O5YW-1526-SM-3MJGL 50-59 years, male 13.3
GTEX-ZLWG-1526-SM-DO12F 50-59 years, female 13.2
GTEX-133LE-1326-SM-5IFGO 20-29 years, female 13.1
GTEX-P78B-1826-SM-3P5YX 40-49 years, female 13.1
GTEX-S4P3-0726-SM-4AD57 50-59 years, female 13.0
GTEX-1KANA-1126-SM-D3L9M 20-29 years, male 13.0
GTEX-18D9A-0626-SM-7KFTY 30-39 years, female 12.9
GTEX-1A3MV-1226-SM-718BW 30-39 years, male 12.9
GTEX-OXRK-1626-SM-3NB17 50-59 years, female 12.8
GTEX-1R7EU-1126-SM-EAZ4M 60-69 years, male 12.8
GTEX-Y3I4-1626-SM-4TT7W 50-59 years, male 12.7
GTEX-1QPFJ-1526-SM-DPRXT 30-39 years, female 12.7
GTEX-1LVAN-2426-SM-CNNPZ 50-59 years, female 12.6
GTEX-S4UY-1626-SM-4AD55 40-49 years, female 12.5
GTEX-14B4R-0726-SM-5TDDR 30-39 years, male 12.3
GTEX-1HBPI-0726-SM-9WG7Z 50-59 years, male 12.3
GTEX-PLZ6-0826-SM-3P61K 30-39 years, male 12.2
GTEX-ZVZP-1726-SM-5GZWY 50-59 years, male 12.2
GTEX-1GF9U-1126-SM-AHZ4H 40-49 years, female 12.2
GTEX-1H1DE-1226-SM-9JGHH 20-29 years, male 12.1
GTEX-1RQEC-2126-SM-DPS15 60-69 years, male 12.1
GTEX-17HHE-1026-SM-79ON6 50-59 years, male 11.9
GTEX-18A66-2226-SM-7189E 60-69 years, male 11.9
GTEX-1E2YA-2426-SM-7EPIG 50-59 years, male 11.9
GTEX-WZTO-2126-SM-4PQYW 40-49 years, male 11.9
GTEX-YB5E-1126-SM-664NU 40-49 years, male 11.9
GTEX-WHSB-1226-SM-4M1XR 50-59 years, male 11.8
GTEX-WYJK-2526-SM-4ONDF 50-59 years, male 11.7
GTEX-11DXX-1326-SM-5GIDZ 60-69 years, female 11.6
GTEX-13O61-1126-SM-5L3FI 60-69 years, male 11.6
GTEX-13X6J-2126-SM-5TDCV 50-59 years, male 11.5
GTEX-1B8L1-1526-SM-79OLK 60-69 years, male 11.5
GTEX-WRHK-0626-SM-4MVOE 20-29 years, female 11.5
GTEX-1QCLY-1126-SM-EAZ4J 30-39 years, male 11.5
GTEX-14ICL-0826-SM-5YY9W 30-39 years, male 11.4
GTEX-T5JC-1926-SM-4DM6Q 20-29 years, male 11.4
GTEX-ZEX8-1626-SM-4WKG7 50-59 years, male 11.3
GTEX-1MUQO-1926-SM-EAZ59 60-69 years, male 11.3
GTEX-1RAZR-1526-SM-EAZ4U 40-49 years, male 11.3
GTEX-1MGNQ-1826-SM-DPRYI 40-49 years, male 11.2
GTEX-11GSP-2126-SM-5HL5E 60-69 years, female 11.1
GTEX-ZYFG-1326-SM-5GICJ 60-69 years, female 11.1
GTEX-1J8JJ-1726-SM-C1YQG 60-69 years, female 11.1
GTEX-1QMI2-2126-SM-DPRXQ 60-69 years, male 11.1
GTEX-18A67-2626-SM-718AD 50-59 years, male 11.0
GTEX-1LBAC-1426-SM-CXZKT 20-29 years, male 11.0
GTEX-14JG6-1226-SM-664O6 30-39 years, female 10.9
GTEX-1GPI7-1326-SM-9KNVA 20-29 years, male 10.9
GTEX-O5YV-1926-SM-EV797 60-69 years, female 10.9
GTEX-XPVG-1526-SM-4B66C 50-59 years, male 10.8
GTEX-ZAB4-1526-SM-5CVN7 40-49 years, male 10.8
GTEX-111CU-0926-SM-5EGIK 50-59 years, male 10.7
GTEX-146FH-2126-SM-5SI9U 50-59 years, female 10.7
GTEX-1339X-1426-SM-5K7YO 40-49 years, male 10.6
GTEX-1EH9U-2226-SM-7PBXX 60-69 years, male 10.6
GTEX-13QJ3-2726-SM-5SI6L 50-59 years, male 10.5
GTEX-TKQ2-0926-SM-4DXU5 50-59 years, male 10.5
GTEX-1B97I-1226-SM-7MGWQ 40-49 years, male 10.5
GTEX-12WSG-2026-SM-5FQUU 50-59 years, female 10.4
GTEX-14E1K-1526-SM-664MN 50-59 years, male 10.4
GTEX-18QFQ-1226-SM-718AE 30-39 years, male 10.4
GTEX-1AYCT-1326-SM-7MKHB 50-59 years, male 10.4
GTEX-PWN1-1526-SM-48TDA 40-49 years, female 10.4
GTEX-WFJO-1126-SM-4LVLZ 30-39 years, male 10.4
GTEX-1GN1W-2126-SM-9JGI7 50-59 years, female 10.4
GTEX-TKQ1-0526-SM-4DXTG 30-39 years, male 10.3
GTEX-ZYY3-1726-SM-5EGH3 60-69 years, female 10.2
GTEX-1JMPZ-1826-SM-CXZJT 30-39 years, male 10.2
GTEX-145MN-1326-SM-5NQ9S 30-39 years, male 10.1
GTEX-1CB4E-1326-SM-7DUGD 60-69 years, male 10.1
GTEX-QMRM-1126-SM-447BN 50-59 years, male 10.1
GTEX-11NSD-1426-SM-5HL67 20-29 years, male 10.0
GTEX-13U4I-2526-SM-5SI8Z 40-49 years, female 10.0
GTEX-11I78-1726-SM-5A5M3 50-59 years, female 9.8
GTEX-ZY6K-0726-SM-5A5L8 50-59 years, male 9.7
GTEX-17GQL-1226-SM-7KFTS 60-69 years, male 9.6
GTEX-S341-0626-SM-4AD5T 40-49 years, female 9.5
GTEX-WFG8-1326-SM-4LVN3 20-29 years, male 9.5
GTEX-12WSD-2326-SM-59HKQ 60-69 years, female 9.4
GTEX-14PKV-1826-SM-69LO9 20-29 years, female 9.3
GTEX-1I6K7-1726-SM-B2LXQ 40-49 years, male 9.3
GTEX-14DAQ-2826-SM-664MU 60-69 years, female 9.2
GTEX-ZXES-1426-SM-5NQ8S 30-39 years, female 9.2
GTEX-15RIF-1126-SM-7KUG2 20-29 years, male 9.1
GTEX-Y3IK-1426-SM-4YCES 50-59 years, female 9.1
GTEX-ZP4G-1226-SM-4WWCJ 20-29 years, female 9.1
GTEX-15DCE-1626-SM-6LPJM 20-29 years, male 9.0
GTEX-1AMEY-1226-SM-731DU 30-39 years, female 9.0
GTEX-WHPG-0426-SM-4M1XW 50-59 years, male 9.0
GTEX-1ICG6-1826-SM-AHZ2O 70-79 years, female 9.0
GTEX-1LVAM-1426-SM-E9TJ4 50-59 years, female 9.0
GTEX-11P7K-1726-SM-5GU6F 30-39 years, male 8.9
GTEX-PW2O-1226-SM-48TCH 20-29 years, male 8.9
GTEX-ZZPU-1426-SM-5GZZ6 50-59 years, female 8.9
GTEX-QLQ7-0826-SM-447B3 60-69 years, male 8.8
GTEX-1CAMR-0726-SM-7EPIE 20-29 years, male 8.7
GTEX-RTLS-2626-SM-46MUJ 60-69 years, female 8.6
GTEX-UJHI-1026-SM-4IHJP 50-59 years, female 8.6
GTEX-V955-1326-SM-4JBHR 60-69 years, male 8.6
GTEX-X15G-1126-SM-4PQZG 50-59 years, female 8.6
GTEX-1211K-1426-SM-5FQTF 60-69 years, female 8.5
GTEX-13S7M-1826-SM-5RQK6 60-69 years, female 8.5
GTEX-1A8G6-1426-SM-731EZ 60-69 years, male 8.5
GTEX-14PJ6-0826-SM-686Z9 60-69 years, female 8.4
GTEX-1C475-1026-SM-7MKFJ 40-49 years, female 8.4
GTEX-QV31-0626-SM-447C5 30-39 years, male 8.4
GTEX-YEC4-1426-SM-5IFHS 40-49 years, male 8.4
GTEX-1KXAM-0926-SM-CXZKA 60-69 years, male 8.4
GTEX-144GN-1226-SM-5O991 50-59 years, male 8.3
GTEX-14PKU-1126-SM-69LOU 40-49 years, female 8.3
GTEX-OHPM-1526-SM-EV796 50-59 years, male 8.2
GTEX-13O21-0926-SM-5IFGT 50-59 years, male 8.1
GTEX-WH7G-1526-SM-4LVMX 40-49 years, male 8.1
GTEX-1HFI7-1526-SM-9WG7W 50-59 years, female 8.1
GTEX-QXCU-1926-SM-48FE4 50-59 years, male 8.0
GTEX-1I1GT-1726-SM-C1YS3 60-69 years, female 8.0
GTEX-17F9E-2226-SM-7IGNC 50-59 years, male 7.9
GTEX-18D9B-2226-SM-718BM 60-69 years, male 7.9
GTEX-ZVT3-2126-SM-59HL2 60-69 years, female 7.9
GTEX-1LGRB-1726-SM-CNNRA 50-59 years, female 7.9
GTEX-1399R-1126-SM-5IFIO 30-39 years, male 7.8
GTEX-WY7C-1726-SM-4ONCC 50-59 years, male 7.8
GTEX-PWCY-0926-SM-48TD7 20-29 years, female 7.7
GTEX-R55D-1526-SM-48FEJ 50-59 years, male 7.7
GTEX-RM2N-0826-SM-48FD3 50-59 years, male 7.7
GTEX-TMMY-1626-SM-4DXTY 40-49 years, female 7.7
GTEX-13FTW-1726-SM-5KM2B 40-49 years, male 7.6
GTEX-15RIE-1026-SM-6LPJQ 60-69 years, male 7.6
GTEX-1F5PL-1426-SM-7MKFH 40-49 years, female 7.6
GTEX-1I1HK-2026-SM-CNNRB 60-69 years, male 7.6
GTEX-1HBPN-1626-SM-9WPNP 50-59 years, male 7.5
GTEX-17HII-2426-SM-7KFTT 50-59 years, male 7.4
GTEX-P4PP-1526-SM-3P61M 30-39 years, female 7.4
GTEX-WFG7-1326-SM-4LMK1 20-29 years, male 7.4
GTEX-ZQUD-0826-SM-57WDQ 30-39 years, male 7.4
GTEX-ZLV1-0826-SM-DO11P 60-69 years, female 7.4
GTEX-1KD5A-1426-SM-D4P3V 50-59 years, male 7.3
GTEX-Q2AH-1126-SM-48TZM 40-49 years, male 7.2
GTEX-YFCO-0826-SM-5LUAG 40-49 years, male 7.2
GTEX-1HCUA-1626-SM-A9SMG 50-59 years, female 7.2
GTEX-QV44-1226-SM-CJI1S 50-59 years, male 7.2
GTEX-1399S-1626-SM-5P9GI 30-39 years, female 7.1
GTEX-15UF7-1226-SM-6M46G 40-49 years, male 7.1
GTEX-Q2AI-0826-SM-48TZO 40-49 years, male 7.1
GTEX-1GZ4H-1026-SM-9OSXL 50-59 years, female 7.1
GTEX-13OW6-2526-SM-5IJEC 50-59 years, male 7.0
GTEX-15CHR-1326-SM-79OLT 50-59 years, male 7.0
GTEX-S95S-0826-SM-4B64N 60-69 years, male 7.0
GTEX-Y8E4-1526-SM-4WWDI 40-49 years, male 7.0
GTEX-1F5PK-1826-SM-7RHHX 50-59 years, male 7.0
GTEX-OIZF-1526-SM-2I5GR 60-69 years, male 7.0
GTEX-144GM-1726-SM-5O9AS 20-29 years, male 6.9
GTEX-14PJ4-1626-SM-664OB 60-69 years, male 6.9
GTEX-ZF2S-1426-SM-57WET 50-59 years, female 6.9
GTEX-1IDJF-1426-SM-ACKWK 20-29 years, male 6.9
GTEX-1IDJU-1526-SM-CNNR3 60-69 years, female 6.9
GTEX-1LSNM-1026-SM-DHXL2 50-59 years, male 6.9
GTEX-1QCLZ-1826-SM-DPRXP 60-69 years, female 6.9
GTEX-131XE-2226-SM-5PNYX 50-59 years, male 6.8
GTEX-14PHX-1026-SM-664OL 50-59 years, male 6.8
GTEX-16AAH-1226-SM-79OO9 50-59 years, male 6.8
GTEX-T5JW-0926-SM-4DM5K 20-29 years, female 6.8
GTEX-1QP67-1026-SM-EVR47 40-49 years, female 6.8
GTEX-15DZA-1126-SM-6LPK8 30-39 years, female 6.7
GTEX-11EM3-1026-SM-5A5KL 20-29 years, female 6.6
GTEX-12WSK-1426-SM-5CVNN 40-49 years, female 6.6
GTEX-132QS-1826-SM-5IFFN 60-69 years, male 6.6
GTEX-POMQ-0826-SM-3P61H 20-29 years, female 6.6
GTEX-1C64O-2226-SM-73KTV 60-69 years, male 6.5
GTEX-1122O-1926-SM-5EGIQ 60-69 years, female 6.4
GTEX-13OVK-0926-SM-7KUFX 40-49 years, male 6.4
GTEX-17MF6-2126-SM-7KFS7 40-49 years, male 6.4
GTEX-U3ZN-2026-SM-4DXUC 30-39 years, female 6.4
GTEX-Y9LG-1026-SM-5IFJN 30-39 years, male 6.4
GTEX-ZPU1-1626-SM-4WWB2 40-49 years, male 6.4
GTEX-1RB15-1026-SM-E9U6V 60-69 years, male 6.4
GTEX-1B8KZ-1226-SM-793CP 50-59 years, male 6.3
GTEX-XUZC-0726-SM-4BOPH 30-39 years, female 6.3
GTEX-14E6E-0926-SM-664N8 30-39 years, male 6.2
GTEX-16NGA-1526-SM-72D56 40-49 years, female 6.1
GTEX-QDVN-1226-SM-48TZ5 50-59 years, male 6.1
GTEX-S4Q7-0726-SM-4AD5F 20-29 years, male 6.0
GTEX-ZF29-1526-SM-4WKF7 60-69 years, female 6.0
GTEX-XMK1-1526-SM-EYYVO 40-49 years, male 6.0
GTEX-13D11-2126-SM-5IFH2 50-59 years, female 5.9
GTEX-13OVI-2426-SM-5KM4J 60-69 years, female 5.9
GTEX-11NUK-2426-SM-5BC4U 50-59 years, male 5.8
GTEX-12696-1726-SM-5EQLH 60-69 years, male 5.8
GTEX-OOBJ-1526-SM-3NB1Q 60-69 years, male 5.8
GTEX-QDVJ-1426-SM-48U1Y 50-59 years, male 5.8
GTEX-S3XE-1026-SM-4AD4O 50-59 years, male 5.8
GTEX-WYVS-1326-SM-4ONCQ 40-49 years, female 5.8
GTEX-1S82Z-1726-SM-E6CHZ 30-39 years, female 5.8
GTEX-117YX-1026-SM-5H11V 50-59 years, male 5.7
GTEX-1LGOU-1526-SM-D3LAJ 20-29 years, female 5.7
GTEX-RU1J-0526-SM-46MUT 20-29 years, female 5.6
GTEX-145LT-1426-SM-5O9B3 40-49 years, male 5.5
GTEX-1B8KE-1326-SM-73KVI 50-59 years, male 5.5
GTEX-QLQW-0726-SM-447AA 30-39 years, male 5.4
GTEX-VJYA-1026-SM-4KL21 60-69 years, male 5.4
GTEX-W5WG-1726-SM-4LMI5 50-59 years, female 5.4
GTEX-Y8LW-0826-SM-4WWDO 50-59 years, female 5.4
GTEX-ZV7C-1626-SM-5NQ7E 50-59 years, male 5.4
GTEX-13113-0726-SM-5LZUF 60-69 years, female 5.3
GTEX-131XG-1226-SM-5EGH9 50-59 years, female 5.3
GTEX-1AX9J-2626-SM-731EK 60-69 years, male 5.3
GTEX-QCQG-0526-SM-48U2A 50-59 years, female 5.3
GTEX-WHWD-1426-SM-4OORU 50-59 years, male 5.3
GTEX-ZZ64-0426-SM-5E43F 20-29 years, male 5.3
GTEX-1AMFI-1226-SM-731CZ 50-59 years, female 5.2
GTEX-13CF3-1926-SM-5K7WF 60-69 years, female 5.1
GTEX-14PJ5-0826-SM-6AJAR 60-69 years, female 5.1
GTEX-XXEK-0826-SM-4BRWG 50-59 years, male 5.1
GTEX-1IDJD-2426-SM-C1YS6 30-39 years, male 5.1
GTEX-1B97J-1826-SM-7IGPP 50-59 years, female 5.0
GTEX-RWS6-0926-SM-47JXE 60-69 years, female 5.0
GTEX-SUCS-0926-SM-4DM4Z 70-79 years, male 5.0
GTEX-1QP2A-2126-SM-DPRZ7 50-59 years, male 5.0
GTEX-13FH7-1026-SM-5IJGF 50-59 years, female 4.9
GTEX-NFK9-1526-SM-3LK7B 40-49 years, male 4.9
GTEX-1399U-1626-SM-5P9J3 50-59 years, female 4.8
GTEX-OHPK-1526-SM-3MJGM 50-59 years, female 4.8
GTEX-1JN76-0926-SM-ARZNH 20-29 years, female 4.8
GTEX-111YS-1126-SM-5GZYQ 60-69 years, male 4.7
GTEX-Q734-1026-SM-48U16 40-49 years, female 4.7
GTEX-WXYG-1626-SM-4ONCR 50-59 years, female 4.7
GTEX-1GL5R-1926-SM-9WG7U 50-59 years, male 4.7
GTEX-P4PQ-1526-SM-3NMCK 60-69 years, male 4.5
GTEX-PX3G-1526-SM-48U11 20-29 years, female 4.5
GTEX-S4Z8-1226-SM-4AD6W 60-69 years, male 4.4
GTEX-1LG7Z-1226-SM-DHXK4 30-39 years, male 4.4
GTEX-ZA64-0826-SM-5HL9U 20-29 years, male 4.3
GTEX-ZPIC-2026-SM-57WG3 40-49 years, female 4.3
GTEX-XBED-1226-SM-4AT5V 60-69 years, male 4.1
GTEX-1HSMQ-2426-SM-CE6RY 50-59 years, male 4.1
GTEX-1JMLX-2426-SM-CXZJQ 50-59 years, male 4.1
GTEX-1J8EW-2226-SM-AHZ3T 60-69 years, female 4.0
GTEX-UJMC-1226-SM-4IHLI 50-59 years, male 3.9
GTEX-1J8Q3-1926-SM-C1YSJ 60-69 years, male 3.9
GTEX-14BMU-1126-SM-5RQJ8 20-29 years, female 3.7
GTEX-T6MO-0726-SM-4DM58 40-49 years, female 3.7
GTEX-WFON-1126-SM-4LVMA 40-49 years, male 3.7
GTEX-1J8QM-1126-SM-C1YQB 60-69 years, female 3.6
GTEX-OXRL-1526-SM-E6CHQ 50-59 years, male 3.6
GTEX-11TT1-0726-SM-5GU5A 20-29 years, male 3.5
GTEX-18A7A-2726-SM-7LG6U 50-59 years, female 3.5
GTEX-ZDYS-1926-SM-5HL59 50-59 years, male 3.5
GTEX-ZT9W-1526-SM-4YCDE 50-59 years, male 3.5
GTEX-ZVT2-1626-SM-51MRC 50-59 years, female 3.4
GTEX-1RMOY-1126-SM-EV79E 50-59 years, male 3.4
GTEX-Y5V6-1326-SM-4VDTF 60-69 years, male 3.3
GTEX-1QP28-2126-SM-DTX8B 50-59 years, female 3.3
GTEX-ZLFU-1326-SM-DO11R 40-49 years, male 3.3
GTEX-U4B1-1026-SM-4DXT1 40-49 years, male 3.2
GTEX-1H1E6-1626-SM-9OSWC 30-39 years, male 3.2
GTEX-S7SF-0626-SM-4AD4V 20-29 years, female 3.1
GTEX-13PVR-2126-SM-73KVR 60-69 years, female 3.0
GTEX-13FTX-0726-SM-5N9BI 20-29 years, female 2.7
GTEX-R53T-1226-SM-48FCT 50-59 years, female 1.9
GTEX-145ME-1026-SM-5O9B4 40-49 years, female 1.7
Show allShow less

Contact

  • NEWS ARTICLES
  • PRESS ROOM

The Project

  • INTRODUCTION
  • ORGANIZATION
  • PUBLICATIONS

The Human Protein Atlas

  • DOWNLOADABLE DATA
  • LICENCE & CITATION
  • HELP & FAQ
The Human Protein Atlas project is funded
by the Knut & Alice Wallenberg Foundation.


contact@proteinatlas.org