We use cookies to enhance the usability of our website. If you continue, we'll assume that you are happy to receive all cookies. More information. Don't show this again.
TACSTD2
HPA
RESOURCES
  • TISSUE
  • BRAIN
  • SINGLE CELL
  • SUBCELLULAR
  • CANCER
  • BLOOD
  • CELL LINE
  • STRUCTURE & INTERACTION
ABOUT
  • INTRODUCTION
  • HISTORY
  • ORGANIZATION
  • PUBLICATIONS
  • ANTIBODY SUBMISSION
  • ANTIBODY AVAILABILITY
  • ACKNOWLEDGMENTS
  • CONTACT
NEWS
  • NEWS ARTICLES
  • PRESS ROOM
LEARN
  • DICTIONARY
  • PROTEIN CLASSES
  • PROTEIN EVIDENCE
  • METHODS
  • EDUCATIONAL VIDEOS
DATA
  • DOWNLOADABLE DATA
  • PUBLICATION DATA
  • RELEASE HISTORY
HELP
  • ANTIBODY VALIDATION
  • ASSAYS & ANNOTATION
  • DISCLAIMER
  • HELP & FAQ
  • PRIVACY STATEMENT
  • LICENCE & CITATION
Fields »
Search result

Field
Term
Gene name
Class
Subclass
Class
Keyword
Chromosome
External id
Tissue
Cell type
Expression
Antibody panel
Tissue
Main location
Patient ID
Annotation
Tissue
Category
Tau score
Cluster
Reliability
Brain region
Category
Tau score
Brain region
Category
Tau score
Brain region
Category
Tau score
Cluster
Reliability
Tissue
Cell type
Enrichment
Cell type
Category
Tau score
Cell type
Category
Tau score
Cell type
Category
Tau score
Cell lineage
Category
Tau score
Cluster
Cluster
Location
Searches
Location
Cell line
Class
Type
Phase
Reliability
Cancer
Prognosis
Cancer
Category
Cancer
Category
Tau score
Cluster
Variants
Interacting gene (ensg_id)
Type
Number of interactions
Pathway
Category
Score
Score
Score
Validation
Validation
Validation
Validation
Antibodies
Data type
Column


  • SUMMARY

  • TISSUE

  • BRAIN

  • SINGLE CELL

  • SUBCELL

  • CANCER

  • BLOOD

  • CELL LINE

  • STRUCT & INT

  • TACSTD2
TISSUE PRIMARY DATA BREAST Show tissue menu
ADIPOSE TISSUE ADRENAL GLAND AMYGDALA APPENDIX BASAL GANGLIA BONE MARROW BREAST BRONCHUS CEREBELLUM CEREBRAL CORTEX CERVIX CHOROID PLEXUS COLON DUODENUM
ENDOMETRIUM EPIDIDYMIS ESOPHAGUS FALLOPIAN TUBE GALLBLADDER HEART MUSCLE HIPPOCAMPAL FORMATION HYPOTHALAMUS KIDNEY LIVER LUNG LYMPH NODE MIDBRAIN NASOPHARYNX
ORAL MUCOSA OVARY PANCREAS PARATHYROID GLAND PITUITARY GLAND PLACENTA PROSTATE RECTUM RETINA SALIVARY GLAND SEMINAL VESICLE SKELETAL MUSCLE SKIN SMALL INTESTINE
SMOOTH MUSCLE SOFT TISSUE SPINAL CORD SPLEEN STOMACH TESTIS THYMUS THYROID GLAND TONGUE TONSIL URINARY BLADDER VAGINA
ANTIBODIES
AND
VALIDATION
Dictionary
Breast
Tissue proteome
Breast
BREAST - Expression summary
Protein expression
Breasti

On the top, protein expression in current human tissue, based on all annotated cell types, is reported with the units not detected (n), low (l), medium (m) and high (h). Underneath, protein expression in each annotated cell type are reported using the same units.

Protein expression data is based on knowledge-based annotation. For genes where more than one antibody has been used, a collective score is set.

If knowledge-based annotation could not be performed for a gene, no data is displayed here. View antibody staining data further down this page.

h
m
l
n
Adipocytes: Not detected
Glandular cells: Not detected
Myoepithelial cells: Low
RNA expressioni

A summary of mRNA expression data available for current tissue based on several datasets. The mRNA expression levels in human tissues are based on RNA-seq data generated by the Human Protein Atlas (HPA), Genotype-Tissue Expression (GTEx) portal and CAGE data generated by the FANTOM5 consortium. Consensus normalized expression levels for human tissues was created by combining the data from HPA and GTEx datasets.

The mRNA expression levels in pig are based on RNA-seq data generated by the Human Protein Atlas (HPA), and for mouse, HPA data and in situ hybridization generated by the Allen brain atlas are reported.

Scroll down to view mRNA expression data in more detail.
Consensus:131.7 nTPM
HPA:131.7 nTPM
GTEx:81.8 nTPM
FANTOM5:316.7 Scaled Tags Per Million

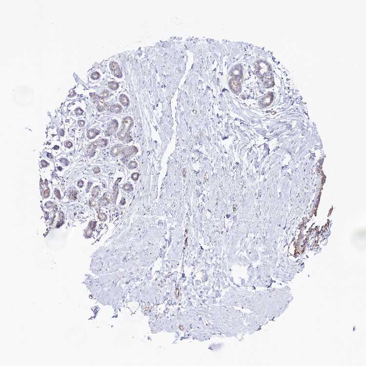
BREAST - Antibody stainingi

Antibody staining in the annotated cell types in the current human tissue is reported as not detected, low, medium, or high, based on conventional immunohistochemistry profiling in selected tissues. This score is based on the combination of the staining intensity and fraction of stained cells.

Each image is clickable and will lead to virtual microscopy that enables deeper exploration of all samples and also displays staining intensity scores, fraction scores and subcellular localization as well as patient and tissue information for each sample.

Antibody HPA043104Antibody HPA055067Antibody CAB072852
Adipocytes Not detectedNot detectedNot detected
Glandular cells Not detectedLowMedium
Myoepithelial cells LowNot detectedLow




BREAST - HPA RNA-seqi

The RNA-seq details section shows detailed information about the individual samples used for the transcript profiling and results of the RNA-seq analysis.

Information about each individual sample is listed below, including gender, age, a tissue section image and estimated fractions of cell types. nTPM (normalized transcripts per million) values give a quantification of the gene abundance which is comparable between different genes and samples.
Average nTPMi

Max subtype nTPM is the value for the subtype with the largest average nTPM across the subtype samples.

131.7
overview
Female, age 52
Breast sample 373
nTPM: 112.3
Cell types%
Glandular cells:
15

Adipocytes:
5

Other cell types:
80

overview
Female, age 80
Breast sample 390
nTPM: 140.4
Cell types%
Glandular cells:
5

Adipocytes:
15

Other cell types:
80

overview
Female, age 47
Breast sample 405
nTPM: 209.1
Cell types%
Glandular cells:
5

Adipocytes:
5

Other cell types:
90

overview
Female, age 38
Breast sample 410
nTPM: 64.8
Cell types%
Glandular cells:
40

Adipocytes:
5

Other cell types:
55


BREAST - GTEx RNA-seqi

RNA-Seq data generated by the Genotype-Tissue Expression (GTEx) project from human tissues is reported as mean nTPM. More information can be found on the GTEx portal.

Distribution across the dataset is visualized with box plots, shown as median and 25th and 75th percentiles. Points are displayed as outliers if they are above or below 1.5 times the interquartile range. nTPM values of the individual samples are presented next to the box plot.
Max subtype nTPMi

Max subtype nTPM is the value for the subtype with the largest average nTPM across the subtype samples.

81.8
GTEx sample id Sample description nTPM
Breast - Mammary Tissue
Average nTPM: 81.8
Samples: 459

Max nTPM: 1092.8
Min nTPM: 0.3
Std nTPM: 96.0
Median nTPM: 61.9
GTEX-T2IS-1526-SM-32QPR 20-29 years, female 1092.8
GTEX-13SLX-2326-SM-5ZZWE 50-59 years, female 382.2
GTEX-14LLW-0626-SM-62LFC 70-79 years, female 375.2
GTEX-1NUQO-2226-SM-E9U68 20-29 years, female 353.6
GTEX-1BAJH-0826-SM-7EWEF 70-79 years, male 344.8
GTEX-1RQEC-2026-SM-DTXDM 60-69 years, male 324.8
GTEX-13FTY-2226-SM-5J1ND 40-49 years, female 322.0
GTEX-R3RS-0626-SM-48FE1 40-49 years, female 318.3
GTEX-1HBPN-2326-SM-9WPPU 50-59 years, male 316.8
GTEX-14ABY-2126-SM-5QGQZ 50-59 years, male 302.0
GTEX-X4EP-2926-SM-3P5YQ 60-69 years, female 301.9
GTEX-1QEPI-0926-SM-DTXF3 60-69 years, female 287.8
GTEX-1H1CY-2226-SM-9WG7E 60-69 years, female 286.1
GTEX-Y5LM-1726-SM-4VDSX 40-49 years, female 276.6
GTEX-1LVAN-1326-SM-CNPQE 50-59 years, female 276.5
GTEX-131XW-0726-SM-5EGK3 50-59 years, female 272.1
GTEX-XUZC-1626-SM-4BRVP 30-39 years, female 268.2
GTEX-XOT4-0726-SM-4GIAW 60-69 years, female 260.9
GTEX-1269C-2426-SM-5FQSN 60-69 years, female 258.0
GTEX-ZVT2-1826-SM-5NQ8W 50-59 years, female 255.6
GTEX-14PN4-0626-SM-62LFP 50-59 years, male 253.6
GTEX-1RAZS-1226-SM-E8VMT 50-59 years, male 245.9
GTEX-14AS3-1626-SM-5S2OY 40-49 years, female 244.9
GTEX-1CB4J-1826-SM-7EWF9 60-69 years, male 243.7
GTEX-QDT8-0626-SM-48TYW 30-39 years, female 235.8
GTEX-SE5C-2126-SM-4BRUJ 40-49 years, female 233.5
GTEX-1B8SG-1226-SM-7IGPF 50-59 years, male 229.6
GTEX-U412-1826-SM-4DXTJ 60-69 years, male 223.0
GTEX-11EM3-1326-SM-5N9C6 20-29 years, female 213.5
GTEX-13NZ9-1026-SM-5MR5K 50-59 years, male 207.7
GTEX-17EUY-1926-SM-7DUF6 20-29 years, male 207.3
GTEX-13NZB-2126-SM-5MR4Y 30-39 years, male 206.7
GTEX-XMD2-0926-SM-4WWEF 60-69 years, female 206.1
GTEX-ZXES-0826-SM-5E43C 30-39 years, female 205.9
GTEX-1MA7W-1026-SM-DKPQK 20-29 years, female 205.8
GTEX-13O3O-0826-SM-5K7WE 60-69 years, female 203.0
GTEX-VJWN-0726-SM-3GIJ8 50-59 years, female 203.0
GTEX-T5JC-2126-SM-32PMO 20-29 years, male 201.7
GTEX-1LNCM-0226-SM-DIPF4 50-59 years, female 201.5
GTEX-1M5QR-2526-SM-E9U5P 40-49 years, male 200.0
GTEX-1C6VS-0726-SM-7EPHF 60-69 years, male 199.7
GTEX-11PRG-0826-SM-5EQ6A 50-59 years, male 196.6
GTEX-1KANA-2026-SM-DIPFB 20-29 years, male 196.5
GTEX-1QP29-1726-SM-E8VMQ 50-59 years, male 195.0
GTEX-14H4A-2526-SM-5YYAY 40-49 years, female 194.1
GTEX-1P4AB-1826-SM-E76PU 50-59 years, male 193.6
GTEX-1CB4G-2326-SM-79OOI 60-69 years, male 190.2
GTEX-1GF9X-1026-SM-ACKX2 40-49 years, female 190.1
GTEX-ZF3C-2326-SM-5S2NC 50-59 years, female 189.9
GTEX-Y3IK-2326-SM-4WWDT 50-59 years, female 189.0
GTEX-17JCI-0726-SM-7EPH1 60-69 years, female 188.4
GTEX-WYBS-0926-SM-3NM94 60-69 years, female 188.4
GTEX-S4P3-1326-SM-4AD6V 50-59 years, female 188.0
GTEX-14PHY-1926-SM-5YY95 60-69 years, female 187.3
GTEX-1HCUA-0726-SM-ACKVU 50-59 years, female 186.8
GTEX-1399U-1826-SM-5PNZ1 50-59 years, female 186.4
GTEX-15FZZ-0726-SM-7KUFZ 30-39 years, female 185.7
GTEX-1GMR3-2626-SM-7RHHG 40-49 years, male 184.0
GTEX-1GN2E-2226-SM-9WG6J 60-69 years, male 182.7
GTEX-ZLV1-1426-SM-DO92Z 60-69 years, female 180.7
GTEX-1B932-0826-SM-73KXG 40-49 years, female 180.4
GTEX-1F6I4-2526-SM-7SB8F 60-69 years, male 180.4
GTEX-WI4N-1426-SM-3LK7H 40-49 years, female 177.1
GTEX-ZVTK-0326-SM-51MRR 20-29 years, male 176.9
GTEX-1GZHY-0726-SM-9WG6B 50-59 years, female 175.4
GTEX-147F4-2826-SM-5NQBN 50-59 years, male 175.3
GTEX-ZC5H-2626-SM-5J2MG 40-49 years, female 175.3
GTEX-1GN1U-0526-SM-9KNTT 50-59 years, female 173.6
GTEX-1IDJE-0826-SM-CKZNZ 50-59 years, female 171.8
GTEX-1GMRU-0826-SM-9WYT7 50-59 years, male 171.6
GTEX-1MCC2-2126-SM-EWRON 30-39 years, female 169.9
GTEX-14A5I-0726-SM-5TDEB 50-59 years, female 169.1
GTEX-11WQC-1726-SM-5GU4W 60-69 years, male 169.0
GTEX-RU1J-0626-SM-4WAWY 20-29 years, female 168.8
GTEX-1IKOE-1326-SM-CE6T6 30-39 years, female 167.5
GTEX-1F75I-2026-SM-7SB7N 40-49 years, male 166.6
GTEX-1R7EU-1226-SM-E8VMR 60-69 years, male 165.4
GTEX-145LT-0726-SM-5S2VM 40-49 years, male 165.1
GTEX-ZZPU-0626-SM-5E43T 50-59 years, female 164.5
GTEX-1IKOH-2326-SM-CM2TW 60-69 years, female 164.2
GTEX-15ETS-0626-SM-7KUMX 40-49 years, female 164.0
GTEX-ZF2S-2026-SM-5E461 50-59 years, female 163.7
GTEX-1N5O9-1126-SM-DTXEQ 60-69 years, male 163.3
GTEX-1GMR8-0726-SM-9KNVI 50-59 years, female 163.0
GTEX-Q2AG-0326-SM-48U1O 40-49 years, female 162.7
GTEX-1I1GT-1126-SM-ARL7J 60-69 years, female 161.4
GTEX-ZY6K-1626-SM-5GZWV 50-59 years, male 161.3
GTEX-1N2EE-2126-SM-E8VNN 60-69 years, male 161.0
GTEX-RU72-0626-SM-46MUI 50-59 years, female 160.4
GTEX-1HCVE-2626-SM-ADEJ8 50-59 years, male 160.0
GTEX-1RAZQ-1226-SM-EWRNL 30-39 years, male 157.7
GTEX-1HSKV-2026-SM-CMKGX 60-69 years, male 157.6
GTEX-1B933-2526-SM-7IGO5 50-59 years, female 157.3
GTEX-1GPI6-0626-SM-7RHHJ 60-69 years, male 156.1
GTEX-1IKJJ-2326-SM-COH3U 60-69 years, male 154.9
GTEX-YFC4-1426-SM-5IFJG 40-49 years, female 154.6
GTEX-1I4MK-1626-SM-CM2TJ 50-59 years, female 151.7
GTEX-13PVR-2226-SM-7DHKP 60-69 years, female 149.7
GTEX-Y5V5-2126-SM-4WWFO 60-69 years, female 149.2
GTEX-15UF6-0126-SM-6PAMB 70-79 years, female 148.6
GTEX-1J8EW-2626-SM-CL53E 60-69 years, female 147.5
GTEX-132Q8-1426-SM-5EGK7 60-69 years, male 146.5
GTEX-1IE54-0626-SM-ARL8D 40-49 years, female 146.5
GTEX-1MJK2-2226-SM-EVYCR 50-59 years, male 146.4
GTEX-1R46S-2526-SM-E8VN2 60-69 years, female 145.5
GTEX-ZGAY-1726-SM-DO91P 40-49 years, female 145.1
GTEX-XUW1-2326-SM-4BOO5 50-59 years, female 143.7
GTEX-1K9T9-1426-SM-DIPFQ 50-59 years, female 140.6
GTEX-14ICK-2426-SM-6EU27 40-49 years, male 139.6
GTEX-13O3P-0826-SM-5L3DH 50-59 years, male 139.1
GTEX-11GS4-2126-SM-5A5KR 60-69 years, male 138.4
GTEX-VUSG-2226-SM-4KKZO 50-59 years, male 136.4
GTEX-1GN1W-1926-SM-7P8TH 50-59 years, female 135.4
GTEX-13PL6-2926-SM-5L3I2 40-49 years, female 134.4
GTEX-1LVAM-0926-SM-E9TJ2 50-59 years, female 134.4
GTEX-1POEN-0926-SM-DTX88 30-39 years, female 134.4
GTEX-1JJEA-2726-SM-ARL8V 60-69 years, male 134.0
GTEX-1QCLY-1626-SM-DTXDW 30-39 years, male 132.0
GTEX-11EMC-2026-SM-5A5JV 60-69 years, female 131.8
GTEX-11P7K-0726-SM-5EGKX 30-39 years, male 129.8
GTEX-WRHU-0326-SM-3MJFY 50-59 years, female 129.8
GTEX-UJHI-1426-SM-3DB9C 50-59 years, female 129.1
GTEX-1IY9M-2726-SM-CMKG5 60-69 years, male 128.8
GTEX-WYVS-1726-SM-3NMAY 40-49 years, female 127.3
GTEX-ZVE2-1226-SM-5NQ8R 50-59 years, male 127.1
GTEX-1GZ4I-2826-SM-9MQK5 50-59 years, male 127.1
GTEX-U3ZH-1426-SM-4DXSR 30-39 years, male 127.0
GTEX-ZU9S-1926-SM-5NQBP 30-39 years, male 126.4
GTEX-ZF29-1926-SM-5S2P1 60-69 years, female 125.4
GTEX-13OW5-2226-SM-5L3HC 60-69 years, male 124.2
GTEX-1HCU8-0126-SM-ADEHH 60-69 years, female 124.2
GTEX-13QIC-2326-SM-5LU5N 60-69 years, female 124.0
GTEX-ZV7C-1826-SM-5NQ83 50-59 years, male 124.0
GTEX-11GSP-0926-SM-9WYSG 60-69 years, female 123.9
GTEX-S341-1526-SM-4AD6K 40-49 years, female 123.8
GTEX-139T8-0826-SM-5L3DE 60-69 years, male 123.4
GTEX-131YS-0626-SM-5EGKL 60-69 years, female 122.9
GTEX-1A8G7-2426-SM-731AK 60-69 years, male 120.9
GTEX-1J8Q2-2726-SM-A9G2X 60-69 years, male 119.5
GTEX-133LE-1726-SM-5K7VQ 20-29 years, female 118.4
GTEX-1CB4E-0226-SM-79OLW 60-69 years, male 117.9
GTEX-13SLW-2526-SM-62LDQ 70-79 years, male 117.0
GTEX-X15G-1626-SM-3NMB3 50-59 years, female 116.1
GTEX-17HHY-0926-SM-793C1 50-59 years, male 114.0
GTEX-1CAMS-1426-SM-7IGPM 40-49 years, female 113.7
GTEX-ZAJG-0626-SM-5HL8X 50-59 years, female 113.7
GTEX-1J8QM-2026-SM-ARZMW 60-69 years, female 113.7
GTEX-1EU9M-2826-SM-7EWFH 60-69 years, male 113.3
GTEX-111YS-1926-SM-5GICC 60-69 years, male 112.7
GTEX-14PKU-0426-SM-6EU1P 40-49 years, female 110.9
GTEX-1H1E6-0926-SM-9YFLT 30-39 years, male 110.1
GTEX-1JK1U-1826-SM-ARL8W 60-69 years, male 109.5
GTEX-QEG5-0726-SM-D4P1T 20-29 years, male 109.3
GTEX-13D11-1026-SM-5IJFB 50-59 years, female 109.2
GTEX-1C64O-0726-SM-7DUFU 60-69 years, male 109.0
GTEX-ZAK1-1326-SM-EVYAS 50-59 years, female 108.8
GTEX-Y111-2026-SM-4SOJA 50-59 years, male 108.1
GTEX-18A7A-0726-SM-7LTAI 50-59 years, female 107.0
GTEX-1JMPY-0526-SM-CL54O 30-39 years, male 106.4
GTEX-ZTTD-1026-SM-51MRD 50-59 years, male 105.7
GTEX-ZVZQ-0826-SM-51MRF 60-69 years, female 105.6
GTEX-17HG3-0126-SM-7IGNH 30-39 years, female 105.2
GTEX-TMMY-0726-SM-33HBE 40-49 years, female 104.2
GTEX-12ZZX-1126-SM-5EGKB 40-49 years, female 103.6
GTEX-1B97J-0426-SM-79OLQ 50-59 years, female 103.5
GTEX-UPK5-2326-SM-3P5Z8 40-49 years, male 102.9
GTEX-13FHO-0826-SM-5L3E8 60-69 years, male 102.4
GTEX-1LGRB-1826-SM-CNPQL 50-59 years, female 102.3
GTEX-1K2DA-1726-SM-CGQGS 50-59 years, male 102.1
GTEX-1R9PN-0326-SM-DTX85 40-49 years, female 102.0
GTEX-16BQI-1026-SM-7KUEA 30-39 years, female 100.6
GTEX-XYKS-1326-SM-4BRUN 60-69 years, female 100.4
GTEX-15ER7-1626-SM-6PAMZ 20-29 years, female 99.7
GTEX-1192X-2326-SM-5987X 50-59 years, male 99.3
GTEX-13N11-1726-SM-5J1OJ 50-59 years, female 99.2
GTEX-1HSGN-1526-SM-A9SMO 40-49 years, female 99.2
GTEX-11DXW-0626-SM-5N9ER 40-49 years, male 98.8
GTEX-WXYG-2226-SM-4E3IM 50-59 years, female 98.8
GTEX-1JJE9-2326-SM-ARL8Q 70-79 years, male 98.3
GTEX-T5JW-2026-SM-4DM63 20-29 years, female 97.3
GTEX-1GZ4H-0326-SM-7P8QX 50-59 years, female 96.6
GTEX-1JMQK-2626-SM-COH2W 60-69 years, male 94.4
GTEX-T6MN-0726-SM-32PML 50-59 years, male 93.9
GTEX-13CF2-2026-SM-5K7VI 60-69 years, male 93.3
GTEX-XBED-1626-SM-47JYN 60-69 years, male 91.7
GTEX-1HKZK-1826-SM-ADEJ2 40-49 years, male 91.0
GTEX-TML8-1226-SM-32QON 40-49 years, female 90.5
GTEX-1JMOU-2026-SM-CMKGU 60-69 years, female 90.3
GTEX-1AX8Z-0926-SM-731AW 60-69 years, male 89.7
GTEX-17EVP-0226-SM-79OND 40-49 years, male 89.2
GTEX-15G19-2126-SM-6M48J 60-69 years, male 88.6
GTEX-1QPFJ-2026-SM-EVYBE 30-39 years, female 87.6
GTEX-13W3W-1226-SM-5LU4H 60-69 years, female 87.1
GTEX-16NGA-0826-SM-718AF 40-49 years, female 87.1
GTEX-11TT1-2126-SM-5GU5Y 20-29 years, male 86.6
GTEX-1F5PL-1026-SM-7RHI1 40-49 years, female 85.4
GTEX-1I6K7-1026-SM-A9SLK 40-49 years, male 84.5
GTEX-14BMU-1626-SM-5TDE7 20-29 years, female 84.2
GTEX-WYJK-1326-SM-3NB2T 50-59 years, male 82.7
GTEX-WFG8-2026-SM-EXOHO 20-29 years, male 81.7
GTEX-11EI6-0626-SM-5985T 60-69 years, male 80.7
GTEX-1LSNM-1326-SM-E9TJ1 50-59 years, male 80.1
GTEX-S4UY-0726-SM-4AD6X 40-49 years, female 79.5
GTEX-1JMPZ-1626-SM-COH31 30-39 years, male 79.5
GTEX-1HUB1-1626-SM-CM2SL 60-69 years, male 78.9
GTEX-1KAFJ-0226-SM-DIPEL 50-59 years, male 78.9
GTEX-1H1DG-0526-SM-9YFLN 70-79 years, male 78.8
GTEX-11P81-1926-SM-5BC53 30-39 years, female 78.1
GTEX-1I1HK-2426-SM-ADEHX 60-69 years, male 77.4
GTEX-1313W-0826-SM-5EQ4T 50-59 years, female 77.2
GTEX-145MO-0826-SM-5NQBL 60-69 years, male 76.2
GTEX-T6MO-0326-SM-32QOK 40-49 years, female 75.0
GTEX-1HC8U-0826-SM-ADEIL 40-49 years, female 74.7
GTEX-13NZ8-0126-SM-5IJCT 60-69 years, female 74.6
GTEX-18QFQ-0826-SM-718AX 30-39 years, male 73.0
GTEX-1F75A-1826-SM-7SB8G 50-59 years, male 71.7
GTEX-1MCYP-0126-SM-E6CIS 20-29 years, female 71.7
GTEX-Y114-2026-SM-4TT7L 50-59 years, female 71.2
GTEX-ZTX8-1226-SM-4YCE9 20-29 years, male 71.2
GTEX-1QCLZ-2326-SM-DTXDO 60-69 years, female 71.0
GTEX-17F98-0526-SM-79OK5 40-49 years, female 70.0
GTEX-QEL4-2126-SM-447AE 50-59 years, male 69.9
GTEX-17HHE-1426-SM-7EPH4 50-59 years, male 68.6
GTEX-RWS6-1926-SM-47JXY 60-69 years, female 67.4
GTEX-1HR9M-2426-SM-ACKXI 60-69 years, male 67.3
GTEX-13113-5013-SM-7SB7G 60-69 years, female 66.2
GTEX-ZEX8-2226-SM-57WC6 50-59 years, male 65.6
GTEX-Y8LW-1626-SM-5IFHX 50-59 years, female 63.1
GTEX-1314G-1226-SM-5BC6D 30-39 years, male 63.0
GTEX-1S82U-1126-SM-E9U6I 30-39 years, female 61.9
GTEX-1122O-1226-SM-5H113 60-69 years, female 61.7
GTEX-15EOM-5019-SM-793DK 20-29 years, female 61.1
GTEX-1211K-1926-SM-5EQLB 60-69 years, female 60.9
GTEX-14PJO-0726-SM-69LO8 60-69 years, male 60.5
GTEX-ZPIC-1126-SM-5BC7F 40-49 years, female 59.5
GTEX-1B97I-0426-SM-79OL7 40-49 years, male 58.2
GTEX-1GZ2Q-2626-SM-7MXV9 40-49 years, male 53.6
GTEX-1B8KZ-1526-SM-7DUG7 50-59 years, male 53.0
GTEX-1GMR2-1926-SM-9MQLZ 50-59 years, male 50.6
GTEX-139TU-0626-SM-5KM3X 60-69 years, male 49.1
GTEX-15SHW-1326-SM-6PAL8 60-69 years, male 48.4
GTEX-U3ZN-1926-SM-4DXSG 30-39 years, female 46.8
GTEX-ZVT4-1026-SM-57WC4 50-59 years, female 44.8
GTEX-1B8L1-2426-SM-9WYTE 60-69 years, male 44.0
GTEX-X261-0626-SM-3NMD9 50-59 years, male 43.7
GTEX-1PDJ9-1126-SM-EXUSW 20-29 years, male 43.7
GTEX-1117F-2826-SM-5GZXL 60-69 years, female 42.5
GTEX-17KNJ-2026-SM-7LG53 50-59 years, male 42.4
GTEX-1A3MV-1626-SM-731C1 30-39 years, male 41.5
GTEX-11I78-2226-SM-5PNYA 50-59 years, female 41.1
GTEX-1J8Q3-1326-SM-CMKI1 60-69 years, male 38.9
GTEX-1HBPM-0126-SM-ARL9E 60-69 years, female 38.6
GTEX-146FH-0826-SM-5SI8T 50-59 years, female 38.0
GTEX-WOFL-0826-SM-3MJG1 60-69 years, male 37.2
GTEX-YB5K-1626-SM-5IFIN 40-49 years, female 37.2
GTEX-T2YK-2226-SM-32QPT 50-59 years, male 36.5
GTEX-R53T-1526-SM-48FEK 50-59 years, female 35.3
GTEX-XMD1-0826-SM-4AT52 60-69 years, male 35.2
GTEX-QVJO-1826-SM-447C9 60-69 years, female 35.0
GTEX-1KXAM-1026-SM-CY8IA 60-69 years, male 34.9
GTEX-1I1GU-1026-SM-ADEHJ 40-49 years, male 33.2
GTEX-1HCU9-0326-SM-9WYSC 20-29 years, male 32.8
GTEX-1EWIQ-1726-SM-7SB7T 70-79 years, female 31.8
GTEX-1QP28-1226-SM-E9J2M 50-59 years, female 29.0
GTEX-11LCK-2426-SM-5HL5F 30-39 years, male 28.8
GTEX-1E2YA-2726-SM-7IGPW 50-59 years, male 27.9
GTEX-13OW8-0226-SM-5K7UP 60-69 years, male 27.2
GTEX-12WSK-2226-SM-5GCO5 40-49 years, female 26.7
GTEX-W5X1-2326-SM-3GIL6 40-49 years, female 25.6
GTEX-1B8KE-1226-SM-73KWK 50-59 years, male 21.7
GTEX-11NSD-0926-SM-5N9DR 20-29 years, male 21.4
GTEX-S33H-0326-SM-4AD6N 30-39 years, male 21.3
GTEX-1F75B-0626-SM-7SB8A 50-59 years, male 20.8
GTEX-1I19N-2826-SM-CL55D 70-79 years, male 19.2
GTEX-1KANC-1426-SM-CYPT9 50-59 years, female 19.1
GTEX-1C475-1226-SM-7SB72 40-49 years, female 17.1
GTEX-1ICG6-1326-SM-ACKWR 70-79 years, female 16.7
GTEX-1R9JW-0326-SM-EAZ45 30-39 years, female 13.3
GTEX-13O3Q-2226-SM-5KM4O 50-59 years, male 12.5
GTEX-12WSN-1326-SM-5GCNT 40-49 years, male 11.8
GTEX-1M4P7-2626-SM-E9U5F 60-69 years, male 11.8
GTEX-Y3I4-1526-SM-4TT7K 50-59 years, male 11.6
GTEX-ZLWG-1926-SM-DO92J 50-59 years, female 10.9
GTEX-ZYW4-0826-SM-5GIDG 60-69 years, male 10.3
GTEX-1I1GP-0426-SM-COH3N 50-59 years, male 9.6
GTEX-1IDJU-1826-SM-CMKHV 60-69 years, female 9.3
GTEX-11EQ9-1826-SM-5Q5AJ 30-39 years, male 8.7
GTEX-14E6C-1326-SM-62LEQ 40-49 years, male 8.7
GTEX-Z9EW-1526-SM-EZ6LU 40-49 years, male 8.7
GTEX-1HFI7-0126-SM-CGQFQ 50-59 years, female 8.6
GTEX-XV7Q-2326-SM-4BRVZ 40-49 years, female 8.5
GTEX-13S86-1226-SM-5S2OA 40-49 years, male 8.2
GTEX-ZV6S-1826-SM-5NQ8D 40-49 years, female 8.2
GTEX-1GF9U-1726-SM-7MGY5 40-49 years, female 7.7
GTEX-1R9PM-1826-SM-EVYBH 20-29 years, male 7.3
GTEX-14E7W-0826-SM-62LEJ 70-79 years, male 7.2
GTEX-11TUW-1826-SM-5BC5D 60-69 years, male 6.8
GTEX-XQ3S-1326-SM-4BOPQ 20-29 years, male 6.7
GTEX-1GPI7-0926-SM-7PC3J 20-29 years, male 6.5
GTEX-1NV8Z-2826-SM-E8VME 60-69 years, male 6.4
GTEX-117XS-1926-SM-5GICO 60-69 years, male 6.2
GTEX-X4XY-0926-SM-4E3JD 60-69 years, male 6.2
GTEX-1IDJH-2226-SM-E6CJV 70-79 years, male 6.2
GTEX-1N2EF-2226-SM-E9J33 60-69 years, male 6.2
GTEX-1H4P4-2226-SM-9MQKQ 50-59 years, male 6.1
GTEX-17MFQ-0926-SM-7LG4S 20-29 years, male 6.0
GTEX-1PPGY-1526-SM-EVYBK 60-69 years, male 6.0
GTEX-1IOXB-1926-SM-ARL8E 50-59 years, male 5.9
GTEX-15RJE-2626-SM-7KFT1 40-49 years, male 5.8
GTEX-132NY-0826-SM-5K7Y7 60-69 years, male 5.6
GTEX-13N1W-0626-SM-5MR4U 70-79 years, male 5.6
GTEX-14753-2426-SM-5LU8U 60-69 years, male 5.5
GTEX-17F97-2526-SM-7EWDV 50-59 years, male 5.3
GTEX-11NV4-2026-SM-5N9DG 60-69 years, male 5.1
GTEX-11OF3-1926-SM-59889 60-69 years, male 5.0
GTEX-1ICLZ-0426-SM-B2LW2 60-69 years, male 5.0
GTEX-13W46-0826-SM-5LU3H 50-59 years, male 4.9
GTEX-1C6WA-2426-SM-7SB86 60-69 years, male 4.8
GTEX-18A7B-2626-SM-7LG55 70-79 years, male 4.6
GTEX-1JKYN-0726-SM-ARZMY 30-39 years, male 4.6
GTEX-YECK-0726-SM-EZ6LV 60-69 years, male 4.5
GTEX-ZYFC-0826-SM-5E44K 50-59 years, male 4.1
GTEX-1H3VY-0926-SM-ACKXE 50-59 years, male 4.1
GTEX-13PVQ-1026-SM-5KM3M 50-59 years, male 4.0
GTEX-15UF7-0726-SM-6M46D 40-49 years, male 4.0
GTEX-1KD4Q-2326-SM-D4P3M 40-49 years, male 4.0
GTEX-1QMI2-0726-SM-E9J4F 60-69 years, male 4.0
GTEX-145MN-1926-SM-5SIAI 30-39 years, male 3.9
GTEX-169BO-1126-SM-7MGWN 50-59 years, male 3.9
GTEX-1I6K6-0826-SM-ARL7Z 30-39 years, male 3.9
GTEX-14PJ4-2126-SM-6ETZJ 60-69 years, male 3.8
GTEX-17EVQ-0426-SM-7LG57 70-79 years, male 3.8
GTEX-1GF9V-2526-SM-7SB8K 60-69 years, male 3.8
GTEX-1MA7X-1626-SM-E9U5B 60-69 years, male 3.8
GTEX-18A6Q-0926-SM-7LG4N 60-69 years, male 3.7
GTEX-1EN7A-1426-SM-7PBY4 40-49 years, male 3.7
GTEX-14DAR-1326-SM-7DUEG 50-59 years, male 3.6
GTEX-U8XE-0826-SM-4E3J1 30-39 years, male 3.6
GTEX-ZUA1-1526-SM-59HLS 40-49 years, male 3.6
GTEX-1I1GV-2426-SM-CGQFM 60-69 years, male 3.6
GTEX-11GSO-1926-SM-5A5K3 60-69 years, male 3.5
GTEX-17F96-2426-SM-7IGLN 70-79 years, male 3.5
GTEX-11DZ1-0326-SM-5N9BN 50-59 years, male 3.4
GTEX-17GQL-0326-SM-7LG5U 60-69 years, male 3.4
GTEX-1HSMO-0826-SM-ADEIV 60-69 years, male 3.4
GTEX-1ICLY-1726-SM-B2LVT 50-59 years, male 3.4
GTEX-11ONC-2126-SM-5HL6E 60-69 years, male 3.3
GTEX-12BJ1-1826-SM-5HL9N 60-69 years, male 3.3
GTEX-18465-2026-SM-718AP 50-59 years, male 3.3
GTEX-1AX9I-0726-SM-73KWV 60-69 years, male 3.3
GTEX-1JN1M-3026-SM-CMKGK 60-69 years, female 3.3
GTEX-S32W-2026-SM-4AD6E 50-59 years, female 3.2
GTEX-1LSVX-2426-SM-E6CJX 60-69 years, male 3.2
GTEX-144GL-2026-SM-5LU3O 50-59 years, male 3.1
GTEX-1AX9J-1126-SM-731B7 60-69 years, male 3.1
GTEX-17F9E-2526-SM-7MGW2 50-59 years, male 3.1
GTEX-12WSM-1726-SM-5BC6J 60-69 years, male 2.9
GTEX-144GM-0926-SM-5O994 20-29 years, male 2.9
GTEX-1A3MX-2726-SM-718B6 60-69 years, male 2.9
GTEX-1LBAC-0926-SM-CXKY9 20-29 years, male 2.9
GTEX-1JMLX-2026-SM-CMKGN 50-59 years, male 2.8
GTEX-ZDTT-2126-SM-DKPOM 60-69 years, male 2.8
GTEX-16YQH-2826-SM-6PAMY 30-39 years, male 2.7
GTEX-183FY-1126-SM-7DHLJ 20-29 years, male 2.7
GTEX-S7SE-0826-SM-4AT4D 50-59 years, male 2.7
GTEX-ZWKS-2826-SM-5NQ74 30-39 years, male 2.7
GTEX-1KD5A-1926-SM-DKPQA 50-59 years, male 2.7
GTEX-11O72-2126-SM-5N9FO 40-49 years, male 2.6
GTEX-1EKGG-2626-SM-7IGPY 60-69 years, male 2.6
GTEX-1IDFM-0426-SM-B2LVV 60-69 years, male 2.6
GTEX-1JN6P-2426-SM-ARL99 60-69 years, male 2.6
GTEX-139T6-1626-SM-5PNYZ 50-59 years, male 2.5
GTEX-1AMEY-1026-SM-718AA 30-39 years, female 2.5
GTEX-Y5V6-2126-SM-4WWFX 60-69 years, male 2.5
GTEX-1LSNL-2826-SM-E9U5L 50-59 years, male 2.5
GTEX-11DXZ-1926-SM-5GZZL 50-59 years, male 2.4
GTEX-13VXU-2826-SM-664MA 50-59 years, male 2.4
GTEX-14B4R-1226-SM-5TDDT 30-39 years, male 2.4
GTEX-YFCO-1826-SM-4W1YH 40-49 years, male 2.4
GTEX-X62O-0526-SM-EWRMA 50-59 years, male 2.4
GTEX-XQ8I-2426-SM-4WAXY 50-59 years, male 2.3
GTEX-1H1ZS-0126-SM-9YFKQ 70-79 years, male 2.3
GTEX-1OKEX-0826-SM-E9J2B 60-69 years, male 2.3
GTEX-13CF3-2126-SM-5IFJP 60-69 years, female 2.2
GTEX-1HT8W-2226-SM-CGQEC 30-39 years, male 2.2
GTEX-1RLM8-2226-SM-EVYD1 50-59 years, male 2.2
GTEX-13FTW-1426-SM-5LZWZ 40-49 years, male 2.1
GTEX-17HGU-1326-SM-79OKB 50-59 years, male 2.1
GTEX-1HR98-0426-SM-COH36 60-69 years, male 2.1
GTEX-1LC47-1226-SM-D4P44 60-69 years, male 2.1
GTEX-13O61-1826-SM-5KM4I 60-69 years, male 2.0
GTEX-13QJ3-0826-SM-7DHKK 50-59 years, male 2.0
GTEX-S4Q7-1126-SM-4AD6R 20-29 years, male 2.0
GTEX-Y9LG-1426-SM-5IFJZ 30-39 years, male 2.0
GTEX-1IDJF-2326-SM-ARL86 20-29 years, male 2.0
GTEX-11WQK-2426-SM-5GU5C 50-59 years, male 1.9
GTEX-1HCU7-1026-SM-ADEIP 50-59 years, male 1.9
GTEX-YJ8O-2226-SM-5IFHW 40-49 years, female 1.8
GTEX-1MJK3-1126-SM-E9J3F 20-29 years, male 1.8
GTEX-1QP9N-1826-SM-E8VMP 30-39 years, male 1.8
GTEX-11DXY-2326-SM-5GICW 60-69 years, male 1.7
GTEX-12KS4-0126-SM-5Q5A5 30-39 years, male 1.7
GTEX-145MF-2226-SM-7EPIR 50-59 years, male 1.7
GTEX-PSDG-1626-SM-48TCQ 50-59 years, male 1.7
GTEX-WFON-1826-SM-3GILG 40-49 years, male 1.7
GTEX-WY7C-2726-SM-3NB3P 50-59 years, male 1.7
GTEX-18A66-1726-SM-7LG5N 60-69 years, male 1.7
GTEX-1PPH7-0826-SM-E8VNX 40-49 years, male 1.7
GTEX-QMRM-1626-SM-D4P1U 50-59 years, male 1.7
GTEX-1IGQW-0926-SM-ADEH6 60-69 years, male 1.6
GTEX-1L5NE-2126-SM-CY8IH 50-59 years, male 1.6
GTEX-1LG7Z-0726-SM-CXKYD 30-39 years, male 1.6
GTEX-17MF6-0326-SM-7EPH5 40-49 years, male 1.5
GTEX-ZDXO-0126-SM-5S2ND 60-69 years, male 1.5
GTEX-1JKYR-0926-SM-CMKGJ 20-29 years, male 1.5
GTEX-1NHNU-0926-SM-E9J2T 50-59 years, male 1.5
GTEX-1QW4Y-1026-SM-DTXE2 30-39 years, male 1.5
GTEX-WHSB-1926-SM-EXOHH 50-59 years, male 1.5
GTEX-11ZUS-0826-SM-5FQUY 30-39 years, male 1.4
GTEX-183WM-0726-SM-7LTAA 70-79 years, female 1.4
GTEX-R55D-0826-SM-48FEA 50-59 years, male 1.4
GTEX-TKQ2-1826-SM-33HB2 50-59 years, male 1.4
GTEX-Y8E4-1626-SM-5S2MW 40-49 years, male 1.4
GTEX-YB5E-1726-SM-5IFJ3 40-49 years, male 1.4
GTEX-ZA64-1526-SM-5CVMD 20-29 years, male 1.4
GTEX-1H23P-0726-SM-9WG7K 60-69 years, male 1.4
GTEX-ZTPG-2826-SM-57WGA 20-29 years, female 1.3
GTEX-18D9A-1526-SM-7LG4J 30-39 years, female 1.2
GTEX-145ME-1526-SM-5Q5F2 40-49 years, female 1.1
GTEX-RUSQ-2026-SM-4GIAK 50-59 years, male 1.1
GTEX-ZQUD-1926-SM-51MSA 30-39 years, male 1.1
GTEX-ZYT6-0126-SM-5E45J 30-39 years, male 1.1
GTEX-ZZ64-1226-SM-5E43R 20-29 years, male 1.1
GTEX-117YX-1426-SM-5H12H 50-59 years, male 1.0
GTEX-13FTX-1126-SM-5N9EN 20-29 years, female 1.0
GTEX-XMK1-1126-SM-4IHJ8 40-49 years, male 1.0
GTEX-11ZTT-2326-SM-5EQLG 60-69 years, female 0.9
GTEX-132AR-0826-SM-5EGK6 50-59 years, female 0.9
GTEX-REY6-2426-SM-48FF5 60-69 years, male 0.9
GTEX-TKQ1-0226-SM-33HB5 30-39 years, male 0.9
GTEX-XGQ4-0926-SM-4AT4U 50-59 years, male 0.9
GTEX-YEC3-1026-SM-5IFI5 50-59 years, male 0.9
GTEX-ZAB4-2526-SM-5HL8M 40-49 years, male 0.9
GTEX-ZQG8-0726-SM-5P9H9 60-69 years, female 0.9
GTEX-ZT9W-2026-SM-51MRA 50-59 years, male 0.9
GTEX-1H11D-1526-SM-9MQJY 40-49 years, male 0.8
GTEX-1HSEH-2026-SM-ADEHN 60-69 years, male 0.8
GTEX-14BMV-0626-SM-793AU 50-59 years, male 0.7
GTEX-14E6E-1326-SM-5S2NR 30-39 years, male 0.7
GTEX-1CAMR-1426-SM-793BO 20-29 years, male 0.7
GTEX-1S82Z-0726-SM-E6CHX 30-39 years, female 0.7
GTEX-ZLFU-2126-SM-DO931 40-49 years, male 0.7
GTEX-11P82-1326-SM-5HL62 20-29 years, male 0.5
GTEX-1C6VQ-0426-SM-79OOX 50-59 years, male 0.5
GTEX-UTHO-1026-SM-3GAF7 60-69 years, male 0.5
GTEX-V955-2026-SM-3GAFA 60-69 years, male 0.5
GTEX-ZDYS-1126-SM-5K7UB 50-59 years, male 0.4
GTEX-1F5PK-2126-SM-7PC28 50-59 years, male 0.3
GTEX-1R7EV-1526-SM-E8VOD 40-49 years, male 0.3
Show allShow less

BREAST - FANTOM5 CAGEi

RNA expression in human tissues obtained through Cap Analysis of Gene Expression (CAGE) generated by the FANTOM5 project are reported as Scaled Tags Per Million.

Max subtype Scaled Tags Per Millioni

Max subtype Scaled Tags Per Million is the value for the subtype with the largest average Scaled Tags Per Million across the subtype samples.

316.7
FANTOM5 sample id Sample description Scaled Tags Per Million
Breast
Scaled Tags Per Million: 316.7
FF:10080-102A8 77 years, female 316.7

Contact

  • NEWS ARTICLES
  • PRESS ROOM

The Project

  • INTRODUCTION
  • ORGANIZATION
  • PUBLICATIONS

The Human Protein Atlas

  • DOWNLOADABLE DATA
  • LICENCE & CITATION
  • HELP & FAQ
The Human Protein Atlas project is funded
by the Knut & Alice Wallenberg Foundation.


contact@proteinatlas.org