We use cookies to enhance the usability of our website. If you continue, we'll assume that you are happy to receive all cookies. More information. Don't show this again.
STING1
HPA
RESOURCES
  • TISSUE
  • BRAIN
  • SINGLE CELL
  • SUBCELLULAR
  • CANCER
  • BLOOD
  • CELL LINE
  • STRUCTURE & INTERACTION
ABOUT
  • INTRODUCTION
  • HISTORY
  • ORGANIZATION
  • PUBLICATIONS
  • ANTIBODY SUBMISSION
  • ANTIBODY AVAILABILITY
  • ACKNOWLEDGMENTS
  • CONTACT
NEWS
  • NEWS ARTICLES
  • PRESS ROOM
LEARN
  • DICTIONARY
  • PROTEIN CLASSES
  • PROTEIN EVIDENCE
  • METHODS
  • EDUCATIONAL VIDEOS
DATA
  • DOWNLOADABLE DATA
  • PUBLICATION DATA
  • RELEASE HISTORY
HELP
  • ANTIBODY VALIDATION
  • ASSAYS & ANNOTATION
  • DISCLAIMER
  • HELP & FAQ
  • PRIVACY STATEMENT
  • LICENCE & CITATION
Fields »
Search result

Field
Term
Gene name
Class
Subclass
Class
Keyword
Chromosome
External id
Tissue
Cell type
Expression
Antibody panel
Tissue
Main location
Patient ID
Annotation
Tissue
Category
Tau score
Cluster
Reliability
Brain region
Category
Tau score
Brain region
Category
Tau score
Brain region
Category
Tau score
Cluster
Reliability
Tissue
Cell type
Enrichment
Cell type
Category
Tau score
Cell type
Category
Tau score
Cell type
Category
Tau score
Cell lineage
Category
Tau score
Cluster
Cluster
Location
Searches
Location
Cell line
Class
Type
Phase
Reliability
Cancer
Prognosis
Cancer
Category
Cancer
Category
Tau score
Cluster
Variants
Interacting gene (ensg_id)
Type
Number of interactions
Pathway
Category
Score
Score
Score
Validation
Validation
Validation
Validation
Antibodies
Data type
Column


  • SUMMARY

  • TISSUE

  • BRAIN

  • SINGLE CELL

  • SUBCELL

  • CANCER

  • BLOOD

  • CELL LINE

  • STRUCT & INT

  • STING1
TISSUE PRIMARY DATA SKIN Show tissue menu
ADIPOSE TISSUE ADRENAL GLAND AMYGDALA APPENDIX BASAL GANGLIA BONE MARROW BREAST BRONCHUS CEREBELLUM CEREBRAL CORTEX CERVIX CHOROID PLEXUS COLON DUODENUM
ENDOMETRIUM EPIDIDYMIS ESOPHAGUS FALLOPIAN TUBE GALLBLADDER HEART MUSCLE HIPPOCAMPAL FORMATION HYPOTHALAMUS KIDNEY LIVER LUNG LYMPH NODE MIDBRAIN NASOPHARYNX
ORAL MUCOSA OVARY PANCREAS PARATHYROID GLAND PITUITARY GLAND PLACENTA PROSTATE RECTUM RETINA SALIVARY GLAND SEMINAL VESICLE SKELETAL MUSCLE SKIN SMALL INTESTINE
SMOOTH MUSCLE SOFT TISSUE SPINAL CORD SPLEEN STOMACH TESTIS THYMUS THYROID GLAND TONGUE TONSIL URINARY BLADDER VAGINA
ANTIBODIES
AND
VALIDATION
Dictionary
Skin
Tissue proteome
Skin
SKIN - Expression summary
Protein expression
Skini

On the top, protein expression in current human tissue, based on all annotated cell types, is reported with the units not detected (n), low (l), medium (m) and high (h). Underneath, protein expression in each annotated cell type are reported using the same units.

Protein expression data is based on knowledge-based annotation. For genes where more than one antibody has been used, a collective score is set.

If knowledge-based annotation could not be performed for a gene, no data is displayed here. View antibody staining data further down this page.

h
m
l
n
Cells in basal layer: Medium
Cells in corneal layer: Not detected
Cells in granular layer: Not detected
Cells in spinous layer: Not detected
Endothelial cells: High
Extracellular matrix: Not detected
Fibrohistiocytic cells: High
Hair follicles: Not detected
Langerhans cells: Not detected
Lymphocytes: High
Melanocytes: Not detected
Sebaceous glands: Not detected
Vascular mural cells: Not detected
RNA expressioni

A summary of mRNA expression data available for current tissue based on several datasets. The mRNA expression levels in human tissues are based on RNA-seq data generated by the Human Protein Atlas (HPA), Genotype-Tissue Expression (GTEx) portal and CAGE data generated by the FANTOM5 consortium. Consensus normalized expression levels for human tissues was created by combining the data from HPA and GTEx datasets.

The mRNA expression levels in pig are based on RNA-seq data generated by the Human Protein Atlas (HPA), and for mouse, HPA data and in situ hybridization generated by the Allen brain atlas are reported.

Scroll down to view mRNA expression data in more detail.
Consensus:13.2 nTPM
HPA:6.1 nTPM
GTEx:13.2 nTPM

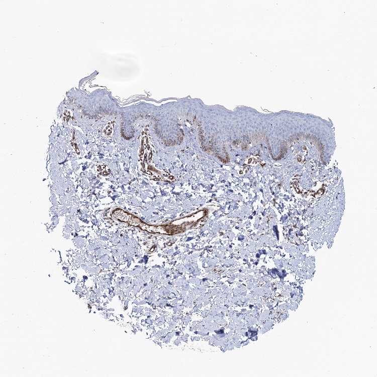
SKIN 1 - Antibody stainingi

Antibody staining in the annotated cell types in the current human tissue is reported as not detected, low, medium, or high, based on conventional immunohistochemistry profiling in selected tissues. This score is based on the combination of the staining intensity and fraction of stained cells.

Each image is clickable and will lead to virtual microscopy that enables deeper exploration of all samples and also displays staining intensity scores, fraction scores and subcellular localization as well as patient and tissue information for each sample.

Antibody HPA038116Antibody HPA038534
Langerhans -Not detected
Cells in basal layer Medium-
Cells in corneal layer Not detected-
Cells in granular layer Not detected-
Cells in spinous layer Not detected-
Endothelial cells High-
Extracellular matrix Not detected-
Fibroblasts -Medium
Fibrohistiocytic cells Not detected-
Hair follicles Not detected-
Keratinocytes -Low
Langerhans cells Not detected-
Lymphocytes Medium-
Melanocytes Not detectedMedium
Sebaceous glands Not detected-
Vascular mural cells Not detected-




SKIN 2 - Antibody stainingi

Antibody staining in the annotated cell types in the current human tissue is reported as not detected, low, medium, or high, based on conventional immunohistochemistry profiling in selected tissues. This score is based on the combination of the staining intensity and fraction of stained cells.

Each image is clickable and will lead to virtual microscopy that enables deeper exploration of all samples and also displays staining intensity scores, fraction scores and subcellular localization as well as patient and tissue information for each sample.

Antibody HPA038116Antibody HPA038534
Cells in basal layer Not detected-
Cells in corneal layer Not detected-
Cells in granular layer Not detected-
Cells in spinous layer Not detected-
Endothelial cells High-
Epidermal cells -Low
Extracellular matrix Not detected-
Fibrohistiocytic cells High-
Langerhans cells Not detected-
Lymphocytes High-
Melanocytes Not detected-
Vascular mural cells Not detected-
  
  
  
  


SKIN - HPA RNA-seqi

The RNA-seq details section shows detailed information about the individual samples used for the transcript profiling and results of the RNA-seq analysis.

Information about each individual sample is listed below, including gender, age, a tissue section image and estimated fractions of cell types. nTPM (normalized transcripts per million) values give a quantification of the gene abundance which is comparable between different genes and samples.
Average nTPMi

Max subtype nTPM is the value for the subtype with the largest average nTPM across the subtype samples.

6.1
overview
Female, age 34
Skin sample 225
nTPM: 5.4
Cell types%
Keratinocytes:
60

Other cell types:
40

overview
Female, age 30
Skin sample 226
nTPM: 4.4
Cell types%
Keratinocytes:
55

Other cell types:
45

N/A
Male, age 57
Skin sample 227
nTPM: 8.4

SKIN - GTEx RNA-seqi

RNA-Seq data generated by the Genotype-Tissue Expression (GTEx) project from human tissues is reported as mean nTPM. More information can be found on the GTEx portal.

Distribution across the dataset is visualized with box plots, shown as median and 25th and 75th percentiles. Points are displayed as outliers if they are above or below 1.5 times the interquartile range. nTPM values of the individual samples are presented next to the box plot.
Max subtype nTPMi

Max subtype nTPM is the value for the subtype with the largest average nTPM across the subtype samples.

13.2
GTEx sample id Sample description nTPM
Skin - Not Sun Exposed (Suprapubic)
Average nTPM: 10.4
Samples: 604

Max nTPM: 42.0
Min nTPM: 1.2
Std nTPM: 5.4
Median nTPM: 9.3
GTEX-U8XE-0226-SM-4E3J3 30-39 years, male 42.0
GTEX-14E6C-2426-SM-5S2NF 40-49 years, male 41.5
GTEX-WI4N-2726-SM-3LK7Y 40-49 years, female 34.1
GTEX-14A5H-0826-SM-5QGPJ 60-69 years, male 31.5
GTEX-WHSE-0126-SM-3NMBT 20-29 years, male 30.4
GTEX-144FL-0626-SM-5LU43 50-59 years, male 30.3
GTEX-1HC8U-1326-SM-9YFMJ 40-49 years, female 29.6
GTEX-1JMQL-2226-SM-CNPP4 50-59 years, female 28.7
GTEX-1LVAO-2726-SM-E9TJ8 60-69 years, male 28.0
GTEX-1F48J-0726-SM-7RHGS 50-59 years, female 27.7
GTEX-1JMOU-1026-SM-CYPSS 60-69 years, female 27.3
GTEX-1RLM8-2926-SM-E8VON 50-59 years, male 25.4
GTEX-W5X1-2526-SM-3GILC 40-49 years, female 24.4
GTEX-X4EP-0626-SM-3P621 60-69 years, female 23.9
GTEX-X8HC-0626-SM-4E3HQ 50-59 years, female 23.4
GTEX-1HUB1-1426-SM-CGQF5 60-69 years, male 22.7
GTEX-WYBS-0626-SM-3NMAS 60-69 years, female 22.4
GTEX-1IDJD-2326-SM-ACKWX 30-39 years, male 22.2
GTEX-13FH7-1126-SM-5K7UG 50-59 years, female 22.0
GTEX-1IDJC-1526-SM-B2LW4 50-59 years, male 21.9
GTEX-14PJO-2526-SM-6AJBQ 60-69 years, male 21.6
GTEX-1IDJE-1426-SM-ADEIW 50-59 years, female 21.5
GTEX-1AX9J-1326-SM-731BJ 60-69 years, male 21.2
GTEX-15RJ7-2126-SM-6PAMD 40-49 years, male 21.1
GTEX-17EVQ-0126-SM-7IGLR 70-79 years, male 20.9
GTEX-139YR-1026-SM-5LZYN 50-59 years, male 20.6
GTEX-145MG-1526-SM-5Q5EM 50-59 years, male 20.5
GTEX-1F75W-2726-SM-7SB8H 60-69 years, male 20.4
GTEX-1H1ZS-2726-SM-9WG75 70-79 years, male 20.4
GTEX-1CAV2-0126-SM-7IGN7 40-49 years, female 20.1
GTEX-1JN1M-2726-SM-CY8I4 60-69 years, female 20.1
GTEX-16GPK-0626-SM-7KFSF 60-69 years, male 20.0
GTEX-132AR-0326-SM-5KM2C 50-59 years, female 19.9
GTEX-ZDTS-0826-SM-4WKHL 60-69 years, male 19.8
GTEX-14C38-0726-SM-5SI6M 50-59 years, male 19.7
GTEX-1EX96-1026-SM-7MKG2 50-59 years, male 19.6
GTEX-ZVE2-2826-SM-5GU51 50-59 years, male 19.4
GTEX-ZYFD-0626-SM-5E44E 50-59 years, male 19.3
GTEX-1R9PN-0426-SM-DTXDT 40-49 years, female 19.2
GTEX-13113-1626-SM-5EQ4I 60-69 years, female 19.1
GTEX-WYVS-1626-SM-3NM9R 40-49 years, female 19.0
GTEX-11DZ1-2426-SM-5GZZX 50-59 years, male 18.8
GTEX-12WSL-2026-SM-5GCML 50-59 years, male 18.8
GTEX-13OVJ-0826-SM-5J1OK 50-59 years, female 18.8
GTEX-17JCI-2926-SM-7DUFF 60-69 years, female 18.7
GTEX-15UF6-1926-SM-7KUDV 70-79 years, female 18.4
GTEX-111FC-2526-SM-5GZXU 60-69 years, male 18.2
GTEX-13RTJ-0126-SM-5S2NN 60-69 years, male 18.1
GTEX-18D9B-0926-SM-7LG4U 60-69 years, male 18.1
GTEX-1314G-1326-SM-5BC6E 30-39 years, male 18.0
GTEX-18A66-0626-SM-7LT8Z 60-69 years, male 18.0
GTEX-144GM-0526-SM-79OJO 20-29 years, male 17.8
GTEX-1BAJH-2426-SM-7IGP8 70-79 years, male 17.8
GTEX-1F75B-0726-SM-7PC3R 50-59 years, male 17.8
GTEX-11EI6-2826-SM-5H11D 60-69 years, male 17.7
GTEX-1117F-2926-SM-5GZYI 60-69 years, female 17.6
GTEX-1IDJF-2026-SM-CL53V 20-29 years, male 17.6
GTEX-11DXW-0826-SM-5H118 40-49 years, male 17.4
GTEX-13JUV-2026-SM-5K7UA 40-49 years, female 17.3
GTEX-15G19-2426-SM-7KUMR 60-69 years, male 17.3
GTEX-1EWIQ-0326-SM-7DHMQ 70-79 years, female 17.3
GTEX-Y3IK-1626-SM-4YCF5 50-59 years, female 17.3
GTEX-1O9I2-0226-SM-EYYXD 50-59 years, male 17.3
GTEX-13OVK-1426-SM-6PAN7 40-49 years, male 16.9
GTEX-1A32A-0626-SM-731AQ 50-59 years, female 16.9
GTEX-1E1VI-0326-SM-793D1 50-59 years, male 16.9
GTEX-1QP29-1826-SM-DTX9S 50-59 years, male 16.9
GTEX-183FY-1026-SM-7939A 20-29 years, male 16.7
GTEX-1F88E-1626-SM-7SB8Z 60-69 years, female 16.7
GTEX-1R9K4-2826-SM-DTX8F 60-69 years, male 16.7
GTEX-14PK6-0226-SM-62LF5 70-79 years, female 16.6
GTEX-ZDXO-3126-SM-5IJDF 60-69 years, male 16.6
GTEX-1F6IF-0926-SM-7SB7M 60-69 years, male 16.6
GTEX-Y8LW-1526-SM-5IFHL 50-59 years, female 16.4
GTEX-1AYD5-2626-SM-7PBXY 50-59 years, male 16.4
GTEX-1L5NE-1126-SM-D3L9P 50-59 years, male 16.3
GTEX-ZVTK-0226-SM-51MRG 20-29 years, male 16.2
GTEX-ZUA1-2626-SM-5NQ92 40-49 years, male 16.1
GTEX-1I1GP-1326-SM-A9G28 50-59 years, male 16.1
GTEX-15D1Q-2826-SM-6LLH7 40-49 years, male 16.0
GTEX-XBEC-0726-SM-4QARZ 50-59 years, male 16.0
GTEX-1H1DF-1126-SM-9WG7G 40-49 years, female 16.0
GTEX-1ICLZ-0326-SM-ARL82 60-69 years, male 15.9
GTEX-15FZZ-0526-SM-7KUGD 30-39 years, female 15.7
GTEX-13NZ9-2626-SM-5L3FK 50-59 years, male 15.6
GTEX-1AX9I-2226-SM-73KUO 60-69 years, male 15.6
GTEX-16XZZ-0726-SM-7KUF2 60-69 years, male 15.5
GTEX-XXEK-1626-SM-4BRUZ 50-59 years, male 15.4
GTEX-11DYG-1526-SM-5A5JS 60-69 years, male 15.3
GTEX-YB5K-2026-SM-4VDT3 40-49 years, female 15.3
GTEX-1H1CY-0126-SM-9YFLY 60-69 years, female 15.3
GTEX-1RAZR-2126-SM-E9U6T 40-49 years, male 15.3
GTEX-X585-2426-SM-46MW2 50-59 years, male 15.2
GTEX-131YS-2826-SM-5EQ47 60-69 years, female 15.1
GTEX-1399R-1326-SM-5PNYS 30-39 years, male 15.0
GTEX-18A7B-2726-SM-7LG56 70-79 years, male 15.0
GTEX-1J8JJ-0626-SM-ARZMQ 60-69 years, female 15.0
GTEX-1KD5A-0126-SM-E9U54 50-59 years, male 15.0
GTEX-ZAJG-1526-SM-5CVML 50-59 years, female 14.9
GTEX-11O72-0626-SM-5PNYE 40-49 years, male 14.8
GTEX-13U4I-2226-SM-5LU5H 40-49 years, female 14.8
GTEX-1EN7A-2426-SM-793DB 40-49 years, male 14.8
GTEX-ZLFU-1826-SM-4WWBV 40-49 years, male 14.8
GTEX-1F6I4-2326-SM-7RHGL 60-69 years, male 14.8
GTEX-12584-0726-SM-5FQTK 40-49 years, male 14.7
GTEX-1477Z-0326-SM-7IGLA 60-69 years, male 14.7
GTEX-17HG3-2626-SM-7DUF2 30-39 years, female 14.7
GTEX-1HSMO-0626-SM-ACKXC 60-69 years, male 14.6
GTEX-1M4P7-0726-SM-E6CJ3 60-69 years, male 14.4
GTEX-1JMQI-1726-SM-ARL93 50-59 years, male 14.3
GTEX-14PJ2-0626-SM-6LLII 50-59 years, male 14.2
GTEX-1AX8Z-0726-SM-73KTS 60-69 years, male 14.2
GTEX-XOT4-0626-SM-4B66L 60-69 years, female 14.2
GTEX-1IY9M-2826-SM-ARU8H 60-69 years, male 14.2
GTEX-1JMPZ-0726-SM-CY8HZ 30-39 years, male 14.2
GTEX-17F97-2626-SM-7IGM5 50-59 years, male 14.1
GTEX-1I6K7-1926-SM-B2LXR 40-49 years, male 14.1
GTEX-146FQ-2126-SM-5RQHU 30-39 years, male 14.0
GTEX-WK11-2726-SM-3NMAQ 50-59 years, male 14.0
GTEX-ZF2S-1626-SM-57WES 50-59 years, female 14.0
GTEX-1GZHY-0626-SM-9KNVC 50-59 years, female 14.0
GTEX-145LS-0626-SM-7EPG7 60-69 years, female 13.9
GTEX-17HHY-0426-SM-7DHLC 50-59 years, male 13.9
GTEX-1C6VQ-1226-SM-73KYD 50-59 years, male 13.9
GTEX-WFG8-2126-SM-3GIKQ 20-29 years, male 13.9
GTEX-1H23P-0626-SM-9WG6T 60-69 years, male 13.9
GTEX-1JKYN-0826-SM-ARU8S 30-39 years, male 13.9
GTEX-12126-0826-SM-5FQTZ 20-29 years, male 13.8
GTEX-VJYA-1526-SM-3GIJV 60-69 years, male 13.8
GTEX-1GF9W-1426-SM-7PBYM 60-69 years, male 13.8
GTEX-139TS-2126-SM-5K7XC 60-69 years, male 13.7
GTEX-WHPG-2626-SM-3NMBR 50-59 years, male 13.7
GTEX-1497J-0226-SM-5QGPU 60-69 years, male 13.6
GTEX-1A3MW-0626-SM-731CB 60-69 years, female 13.6
GTEX-WFON-1926-SM-3LK7L 40-49 years, male 13.6
GTEX-X5EB-1926-SM-4E3IW 40-49 years, male 13.6
GTEX-1ICLY-0826-SM-CMKG1 50-59 years, male 13.6
GTEX-1QMI2-2526-SM-E8VNZ 60-69 years, male 13.6
GTEX-16MT8-2926-SM-7DUFO 60-69 years, female 13.5
GTEX-13NYB-0126-SM-5J1MD 40-49 years, male 13.3
GTEX-1QCLZ-2426-SM-EVYBW 60-69 years, female 13.3
GTEX-ZT9W-1126-SM-57WDR 50-59 years, male 13.2
GTEX-1I19N-0126-SM-CYPSF 70-79 years, male 13.2
GTEX-1RB15-1326-SM-E76Q9 60-69 years, male 13.2
GTEX-16AAH-0626-SM-793C9 50-59 years, male 13.1
GTEX-XYKS-1426-SM-4BRUO 60-69 years, female 13.1
GTEX-1H1DG-2426-SM-9QEHJ 70-79 years, male 13.1
GTEX-ZGAY-1826-SM-DO91Q 40-49 years, female 13.1
GTEX-13SLX-2226-SM-62LEP 50-59 years, female 13.0
GTEX-16NPX-0726-SM-7KULC 50-59 years, male 13.0
GTEX-WRHU-2826-SM-3MJG8 50-59 years, female 13.0
GTEX-1A3MX-2626-SM-7PC24 60-69 years, male 13.0
GTEX-1F75A-0726-SM-7RHHD 50-59 years, male 13.0
GTEX-13OW5-2326-SM-5L3HO 60-69 years, male 12.9
GTEX-15CHQ-0326-SM-69LQD 60-69 years, male 12.9
GTEX-YF7O-1526-SM-5IFI6 50-59 years, male 12.9
GTEX-1JMQK-1226-SM-D4P2S 60-69 years, male 12.9
GTEX-1GF9U-2026-SM-7SB92 40-49 years, female 12.8
GTEX-1QP66-1226-SM-DTX7U 50-59 years, male 12.8
GTEX-12WSF-1626-SM-7KUG5 70-79 years, male 12.7
GTEX-145ME-1726-SM-5Q5EU 40-49 years, female 12.7
GTEX-WH7G-2026-SM-3NMBL 40-49 years, male 12.7
GTEX-1JN6P-2926-SM-CL54D 60-69 years, male 12.7
GTEX-1211K-1526-SM-5FQU4 60-69 years, female 12.6
GTEX-14JG1-1526-SM-5YY9X 40-49 years, male 12.6
GTEX-15EO6-2426-SM-6PALZ 50-59 years, male 12.6
GTEX-13YAN-0226-SM-5TDC6 60-69 years, male 12.5
GTEX-15SHW-0226-SM-7LTAT 60-69 years, male 12.5
GTEX-17MF6-2626-SM-79OKQ 40-49 years, male 12.5
GTEX-1GMRU-2126-SM-7P8RA 50-59 years, male 12.5
GTEX-1IDJH-0126-SM-D3L92 70-79 years, male 12.5
GTEX-1QAET-0326-SM-EVR3U 50-59 years, male 12.5
GTEX-12KS4-2126-SM-5FQUT 30-39 years, male 12.4
GTEX-1CB4H-1126-SM-7MKGL 60-69 years, female 12.4
GTEX-ZYFC-0426-SM-5GICQ 50-59 years, male 12.4
GTEX-1A8FM-0626-SM-7PC25 50-59 years, female 12.4
GTEX-1IDJI-0126-SM-CMKHS 50-59 years, female 12.3
GTEX-ZPIC-0526-SM-DO91W 40-49 years, female 12.3
GTEX-X4EO-2926-SM-4E3JH 60-69 years, female 12.2
GTEX-ZAK1-0626-SM-5HL8E 50-59 years, female 12.2
GTEX-11WQC-1826-SM-5GU59 60-69 years, male 12.1
GTEX-1CAMR-1326-SM-7PC1F 20-29 years, male 12.0
GTEX-11WQK-1026-SM-5EQLX 50-59 years, male 11.9
GTEX-13N11-2326-SM-5IJBF 50-59 years, female 11.9
GTEX-1H3NZ-2726-SM-9WYTQ 60-69 years, male 11.9
GTEX-11TT1-1826-SM-5EQLV 20-29 years, male 11.8
GTEX-1CB4F-1026-SM-7DUH1 60-69 years, male 11.8
GTEX-YJ8O-2526-SM-5HL85 40-49 years, female 11.8
GTEX-13N2G-0226-SM-5K7VF 60-69 years, male 11.7
GTEX-13OVL-0126-SM-5L3GJ 50-59 years, male 11.7
GTEX-13QBU-1226-SM-5LU4G 40-49 years, female 11.7
GTEX-16MTA-0926-SM-6M47Z 50-59 years, male 11.7
GTEX-11OF3-0126-SM-5PNYF 60-69 years, male 11.6
GTEX-ZC5H-1526-SM-5HL9Y 40-49 years, female 11.6
GTEX-139TU-0726-SM-5L3EK 60-69 years, male 11.5
GTEX-VUSG-2326-SM-4KL1U 50-59 years, male 11.5
GTEX-ZP4G-1426-SM-4WWCL 20-29 years, female 11.5
GTEX-13X6J-0626-SM-5LU5F 50-59 years, male 11.4
GTEX-ZTTD-2826-SM-4YCFA 50-59 years, male 11.4
GTEX-ZZPU-0826-SM-5GZX5 50-59 years, female 11.4
GTEX-1GTWX-2026-SM-9YFLM 60-69 years, male 11.4
GTEX-12WSJ-1126-SM-5LZVJ 40-49 years, female 11.3
GTEX-17HGU-2326-SM-7DUFE 50-59 years, male 11.3
GTEX-ZDYS-2426-SM-4WKGI 50-59 years, male 11.3
GTEX-ZU9S-1826-SM-5NQ9E 30-39 years, male 11.3
GTEX-1POEN-2326-SM-E9J2L 30-39 years, female 11.3
GTEX-XK95-0226-SM-4AT58 40-49 years, male 11.2
GTEX-XV7Q-1826-SM-4BRUV 40-49 years, female 11.2
GTEX-ZVP2-0326-SM-57WBP 50-59 years, male 11.2
GTEX-16Z82-2626-SM-7KULU 60-69 years, male 11.1
GTEX-1HCU8-2526-SM-CE6RX 60-69 years, female 11.1
GTEX-1IKOE-1426-SM-CE6T7 30-39 years, female 11.1
GTEX-1LBAC-0826-SM-CY8IJ 20-29 years, male 11.1
GTEX-1MJK3-0726-SM-E6CJC 20-29 years, male 11.1
GTEX-1RAZA-2226-SM-E9U4X 20-29 years, male 11.1
GTEX-147F3-1726-SM-5SIAW 50-59 years, female 11.0
GTEX-147JS-0226-SM-5S2U9 60-69 years, male 11.0
GTEX-1C64N-2626-SM-7PC2N 50-59 years, male 11.0
GTEX-1GZ2Q-0126-SM-9WG6M 40-49 years, male 11.0
GTEX-1HBPI-2126-SM-ARL9K 50-59 years, male 11.0
GTEX-1I1GS-2626-SM-B2LY3 60-69 years, male 11.0
GTEX-1N5O9-0926-SM-E9J3C 60-69 years, male 11.0
GTEX-1QEPI-2626-SM-DTXF4 60-69 years, female 11.0
GTEX-WYJK-0526-SM-3NM8Z 50-59 years, male 10.9
GTEX-1LG7Z-1626-SM-CXKYR 30-39 years, male 10.9
GTEX-1PIGE-1826-SM-E8VOU 20-29 years, male 10.9
GTEX-14XAO-1226-SM-6EU1C 60-69 years, female 10.8
GTEX-WEY5-2326-SM-3GIKK 40-49 years, female 10.8
GTEX-Y8E4-2026-SM-5IFJB 40-49 years, male 10.8
GTEX-1I1CD-0626-SM-CE6SW 60-69 years, female 10.8
GTEX-1JJE9-2626-SM-ARZMT 70-79 years, male 10.8
GTEX-13OW8-1026-SM-5J1NQ 60-69 years, male 10.7
GTEX-1B932-2326-SM-79OL5 40-49 years, female 10.7
GTEX-1LGOU-1326-SM-D3L8M 20-29 years, female 10.7
GTEX-12ZZZ-0726-SM-5GCNZ 60-69 years, male 10.6
GTEX-WHWD-1826-SM-3LK6I 50-59 years, male 10.6
GTEX-18D9A-1426-SM-7LT8M 30-39 years, female 10.6
GTEX-1GL5R-1326-SM-7RHHF 50-59 years, male 10.6
GTEX-1I6K6-1726-SM-CGQFD 30-39 years, male 10.6
GTEX-11P7K-1126-SM-5HL4L 30-39 years, male 10.5
GTEX-145MF-0926-SM-5Q5EA 50-59 years, male 10.4
GTEX-15G1A-1626-SM-7KUKN 30-39 years, male 10.4
GTEX-XQ3S-1426-SM-4BOPR 20-29 years, male 10.4
GTEX-1N2EE-0626-SM-E76PW 60-69 years, male 10.4
GTEX-12C56-1526-SM-5FQUQ 20-29 years, male 10.3
GTEX-17F96-0126-SM-7EWDU 70-79 years, male 10.3
GTEX-1PIIG-2326-SM-DTXFR 30-39 years, male 10.3
GTEX-11NSD-0626-SM-5A5LU 20-29 years, male 10.2
GTEX-14BMU-1226-SM-5S2OR 20-29 years, female 10.2
GTEX-14BMV-2826-SM-5TDED 50-59 years, male 10.2
GTEX-17F9E-2326-SM-79OKD 50-59 years, male 10.2
GTEX-1C64O-1326-SM-7MGWR 60-69 years, male 10.2
GTEX-12WSH-1526-SM-5BC5W 50-59 years, male 10.1
GTEX-12ZZY-0726-SM-5EQ66 60-69 years, male 10.1
GTEX-13FTX-1526-SM-5K7VJ 20-29 years, female 10.1
GTEX-13O3O-2326-SM-5IJD6 60-69 years, female 10.1
GTEX-18D9U-0126-SM-731BM 40-49 years, male 10.1
GTEX-ZVE1-0726-SM-51MRN 50-59 years, female 10.1
GTEX-ZYVF-0926-SM-5E44J 50-59 years, female 10.1
GTEX-1I1GV-0626-SM-ARL7M 60-69 years, male 10.1
GTEX-11DXY-0126-SM-5H11Q 60-69 years, male 10.0
GTEX-11UD2-2526-SM-5CVNU 50-59 years, male 10.0
GTEX-15DYW-2726-SM-6EU2I 60-69 years, female 10.0
GTEX-1B996-0426-SM-7EWF8 60-69 years, male 10.0
GTEX-1HBPM-0726-SM-9YFL7 60-69 years, female 10.0
GTEX-1HCU6-2526-SM-ADEHL 60-69 years, female 10.0
GTEX-13X6K-0626-SM-5LU5D 60-69 years, female 9.9
GTEX-145LU-1926-SM-79OJN 50-59 years, male 9.9
GTEX-16YQH-2226-SM-7IGM2 30-39 years, male 9.9
GTEX-XMD2-2126-SM-4YCF8 60-69 years, female 9.9
GTEX-1HCUA-0826-SM-ADEHM 50-59 years, female 9.9
GTEX-1KWVE-1026-SM-D3L9O 30-39 years, male 9.9
GTEX-12WSA-0426-SM-5EQ5X 60-69 years, male 9.8
GTEX-12WSC-2826-SM-5BC5Y 50-59 years, male 9.8
GTEX-13N1W-2426-SM-5IJD1 70-79 years, male 9.8
GTEX-178AV-1726-SM-7KUL8 40-49 years, male 9.8
GTEX-1EKGG-0626-SM-7DUGJ 60-69 years, male 9.8
GTEX-1JJ6O-2726-SM-CNPOG 60-69 years, male 9.8
GTEX-11GS4-0226-SM-5HL77 60-69 years, male 9.7
GTEX-11NUK-2726-SM-5A5MC 50-59 years, male 9.7
GTEX-139D8-1126-SM-5LU8W 30-39 years, female 9.7
GTEX-13NYC-0126-SM-5L3F4 60-69 years, male 9.7
GTEX-14DAR-1226-SM-73KYV 50-59 years, male 9.7
GTEX-183WM-0326-SM-72D5V 70-79 years, female 9.7
GTEX-Y111-0626-SM-4SOIT 50-59 years, male 9.7
GTEX-ZE7O-2726-SM-51MT5 50-59 years, female 9.7
GTEX-11VI4-1126-SM-5EQMD 40-49 years, female 9.6
GTEX-131XW-0626-SM-5PNVD 50-59 years, female 9.6
GTEX-14LZ3-0126-SM-69LPM 60-69 years, female 9.6
GTEX-131XF-2626-SM-5EQ6K 60-69 years, male 9.5
GTEX-13G51-1826-SM-5KLZH 60-69 years, male 9.5
GTEX-13OVG-1626-SM-5J1NF 60-69 years, male 9.5
GTEX-145LT-0526-SM-5LUB2 40-49 years, male 9.5
GTEX-14JG6-1426-SM-9WG7C 30-39 years, female 9.5
GTEX-1H3O1-1326-SM-9MQLD 60-69 years, male 9.5
GTEX-1J8QM-2426-SM-A9SLS 60-69 years, female 9.5
GTEX-13X6H-0926-SM-5SIB2 50-59 years, female 9.4
GTEX-14A6H-2026-SM-5Q5DD 30-39 years, male 9.4
GTEX-1JMLX-0626-SM-ARL8T 50-59 years, male 9.4
GTEX-1PPGY-1626-SM-EVYBL 60-69 years, male 9.4
GTEX-139TT-2126-SM-5LZWC 60-69 years, male 9.3
GTEX-13FHO-0426-SM-5L3F5 60-69 years, male 9.3
GTEX-14AS3-1526-SM-5Q5ED 40-49 years, female 9.3
GTEX-14DAQ-0626-SM-793DS 60-69 years, female 9.3
GTEX-14E6E-0526-SM-793DN 30-39 years, male 9.3
GTEX-1OJC3-1226-SM-DTXER 20-29 years, male 9.3
GTEX-145MN-1526-SM-5SI9T 30-39 years, male 9.2
GTEX-1C475-1326-SM-7SB73 40-49 years, female 9.2
GTEX-11EM3-1226-SM-5N9DD 20-29 years, female 9.1
GTEX-12WSD-0626-SM-5GCMW 60-69 years, female 9.1
GTEX-1HFI7-2326-SM-CGQFS 50-59 years, female 9.1
GTEX-1HKZK-0726-SM-ACKW2 40-49 years, male 9.1
GTEX-1IE54-1126-SM-A9G2Z 40-49 years, female 9.1
GTEX-1LSNL-2726-SM-E9TKJ 50-59 years, male 9.1
GTEX-1EMGI-2326-SM-7PBYA 60-69 years, male 9.0
GTEX-1HB9E-0126-SM-CM2S5 50-59 years, male 9.0
GTEX-XPVG-2126-SM-4B667 50-59 years, male 8.9
GTEX-11GSP-2326-SM-5HL63 60-69 years, female 8.8
GTEX-13OW7-0426-SM-5K7VK 50-59 years, male 8.8
GTEX-1HCU9-0426-SM-9WYSD 20-29 years, male 8.8
GTEX-1IDJV-0126-SM-COH3Y 60-69 years, male 8.8
GTEX-1IOXB-2726-SM-CM2RI 50-59 years, male 8.8
GTEX-11EQ9-1626-SM-5PNY8 30-39 years, male 8.7
GTEX-13OW6-2726-SM-5J2OE 50-59 years, male 8.7
GTEX-18A6Q-0626-SM-7KFRP 60-69 years, male 8.7
GTEX-18A7A-0126-SM-731AH 50-59 years, female 8.7
GTEX-18QFQ-1826-SM-72D52 30-39 years, male 8.7
GTEX-1ICG6-1226-SM-A9SLN 70-79 years, female 8.7
GTEX-1IL2V-1926-SM-B2LW8 70-79 years, male 8.7
GTEX-12696-0126-SM-5EQ4L 60-69 years, male 8.6
GTEX-1LSVX-2526-SM-DIPEU 60-69 years, male 8.6
GTEX-1QW4Y-1126-SM-DTXE3 30-39 years, male 8.6
GTEX-1S831-1826-SM-EWROF 20-29 years, male 8.6
GTEX-14E1K-2026-SM-7DUEI 50-59 years, male 8.5
GTEX-14PHY-1226-SM-5ZZWK 60-69 years, female 8.5
GTEX-17EVP-2626-SM-7IGMA 40-49 years, male 8.5
GTEX-ZAB4-2126-SM-5HL8U 40-49 years, male 8.5
GTEX-1RAZS-2526-SM-E6CHT 50-59 years, male 8.5
GTEX-1192X-2726-SM-5N9DN 50-59 years, male 8.4
GTEX-11LCK-2226-SM-5HL4Q 30-39 years, male 8.4
GTEX-13O61-1426-SM-5KM3D 60-69 years, male 8.4
GTEX-14PKV-1126-SM-6LLJ1 20-29 years, female 8.4
GTEX-WY7C-2126-SM-3NB2R 50-59 years, male 8.4
GTEX-1GMR3-0126-SM-A9SLW 40-49 years, male 8.4
GTEX-1HFI6-0126-SM-CNPPI 40-49 years, male 8.4
GTEX-1J1R8-2026-SM-CL53Y 40-49 years, male 8.4
GTEX-11DXZ-2026-SM-5987S 50-59 years, male 8.3
GTEX-1212Z-0126-SM-59HK4 60-69 years, male 8.3
GTEX-Y5V5-0126-SM-5S2NW 60-69 years, female 8.3
GTEX-ZZ64-1026-SM-5GZXG 20-29 years, male 8.3
GTEX-1F75I-2226-SM-7SB8U 40-49 years, male 8.3
GTEX-1HR98-2226-SM-ADEI2 60-69 years, male 8.3
GTEX-YEC3-1326-SM-DO92X 50-59 years, male 8.3
GTEX-131XG-0326-SM-5L3DX 50-59 years, female 8.2
GTEX-14ABY-2026-SM-62LDL 50-59 years, male 8.2
GTEX-18465-2826-SM-7LT9J 50-59 years, male 8.2
GTEX-ZTSS-1426-SM-5985P 40-49 years, male 8.2
GTEX-ZYFG-1526-SM-5GZYM 60-69 years, female 8.2
GTEX-1H4P4-2126-SM-9WYSL 50-59 years, male 8.2
GTEX-1KANA-1326-SM-DIPFA 20-29 years, male 8.2
GTEX-1LVA9-2626-SM-EVYD4 50-59 years, male 8.2
GTEX-13O3Q-0126-SM-5KM34 50-59 years, male 8.1
GTEX-13PVQ-0626-SM-5LU47 50-59 years, male 8.1
GTEX-144GL-0626-SM-5LU4D 50-59 years, male 8.1
GTEX-15ER7-0626-SM-6PANF 20-29 years, female 8.1
GTEX-11ZU8-0126-SM-5EQ58 60-69 years, male 8.0
GTEX-139T8-0626-SM-5KLZX 60-69 years, male 8.0
GTEX-13NYS-0626-SM-5L3F1 60-69 years, male 8.0
GTEX-1A8G6-2726-SM-731AR 60-69 years, male 8.0
GTEX-ZYW4-0626-SM-59HJR 60-69 years, male 8.0
GTEX-1F88F-0126-SM-9WYSZ 60-69 years, female 8.0
GTEX-1J8Q3-0526-SM-ARL8U 60-69 years, male 8.0
GTEX-1B933-2426-SM-7DHMD 50-59 years, female 7.9
GTEX-X3Y1-2026-SM-3P5YM 40-49 years, male 7.9
GTEX-XQ8I-0926-SM-4BOOF 50-59 years, male 7.9
GTEX-145MI-0626-SM-5SI8S 60-69 years, female 7.8
GTEX-17HII-1426-SM-7EPGG 50-59 years, male 7.8
GTEX-1B8KZ-0326-SM-73KY4 50-59 years, male 7.8
GTEX-1E2YA-2126-SM-7MXUO 50-59 years, male 7.8
GTEX-1GMR8-0626-SM-7RHI7 50-59 years, female 7.8
GTEX-111CU-1126-SM-5EGIM 50-59 years, male 7.7
GTEX-11P81-2226-SM-5PNYI 30-39 years, female 7.7
GTEX-11ZTT-2126-SM-5CVLO 60-69 years, female 7.7
GTEX-13X6I-1826-SM-5SIAO 60-69 years, male 7.7
GTEX-1I1GU-0926-SM-ACKVS 40-49 years, male 7.7
GTEX-111YS-1526-SM-5GZYW 60-69 years, male 7.6
GTEX-131XH-0126-SM-5LZUY 50-59 years, male 7.6
GTEX-1B97I-0626-SM-73KUZ 40-49 years, male 7.6
GTEX-1EU9M-1426-SM-793AI 60-69 years, male 7.6
GTEX-UPK5-0426-SM-3GAEK 40-49 years, male 7.6
GTEX-Y3I4-1726-SM-4TT89 50-59 years, male 7.6
GTEX-Y5LM-0926-SM-6LLJG 40-49 years, female 7.6
GTEX-YECK-0326-SM-4W1YS 60-69 years, male 7.6
GTEX-1HSMP-0926-SM-A9SKX 70-79 years, male 7.6
GTEX-12WSM-1926-SM-5BC65 60-69 years, male 7.5
GTEX-139UW-0326-SM-5J1ML 60-69 years, male 7.5
GTEX-15RJE-2826-SM-7KUM9 40-49 years, male 7.5
GTEX-15SKB-2826-SM-6PAMH 60-69 years, male 7.5
GTEX-1B8SF-0126-SM-7DUG3 60-69 years, male 7.5
GTEX-1CB4J-1326-SM-7P8RX 60-69 years, male 7.5
GTEX-1K9T9-1526-SM-DIPFR 50-59 years, female 7.5
GTEX-1KANB-2826-SM-CY8I6 50-59 years, male 7.5
GTEX-1KXAM-1626-SM-D3LAD 60-69 years, male 7.5
GTEX-1PBJJ-1026-SM-E76OS 30-39 years, male 7.5
GTEX-1QP9N-1226-SM-E76QN 30-39 years, male 7.5
GTEX-15CHR-1126-SM-7EWF4 50-59 years, male 7.4
GTEX-16BQI-1326-SM-6M486 30-39 years, female 7.4
GTEX-14JFF-0626-SM-5ZZVT 60-69 years, male 7.4
GTEX-1PDJ9-1226-SM-EXUSX 20-29 years, male 7.4
GTEX-1QCLY-0226-SM-EWRNH 30-39 years, male 7.4
GTEX-14ICL-1626-SM-5YYAO 30-39 years, male 7.3
GTEX-Z93S-1626-SM-5CVMB 50-59 years, male 7.3
GTEX-1GN73-0726-SM-7P8TJ 60-69 years, male 7.3
GTEX-1JJEA-1826-SM-ARU8P 60-69 years, male 7.3
GTEX-1R7EU-1626-SM-DTXG3 60-69 years, male 7.3
GTEX-1S82P-2126-SM-E6CI5 60-69 years, female 7.3
GTEX-147F4-0726-SM-5TDDD 50-59 years, male 7.2
GTEX-15CHC-1126-SM-6LLHQ 60-69 years, female 7.2
GTEX-17F98-1326-SM-7DUEP 40-49 years, female 7.2
GTEX-12WSK-2126-SM-5CVNC 40-49 years, female 7.1
GTEX-12ZZX-2426-SM-5GCOE 40-49 years, female 7.1
GTEX-13VXU-0626-SM-5L3F9 50-59 years, male 7.1
GTEX-11P82-1426-SM-DTXFY 20-29 years, male 7.1
GTEX-1K2DA-1026-SM-CGQGF 50-59 years, male 7.1
GTEX-1LG7Y-2526-SM-EWRO7 50-59 years, male 7.1
GTEX-1LSNM-0826-SM-DIPG8 50-59 years, male 7.1
GTEX-1LVAN-0626-SM-CNPOQ 50-59 years, female 7.1
GTEX-1MCC2-1826-SM-DIPEX 30-39 years, female 7.1
GTEX-117YX-1926-SM-5GIEC 50-59 years, male 7.0
GTEX-16NGA-0726-SM-731AO 40-49 years, female 7.0
GTEX-17MFQ-1526-SM-7KFRR 20-29 years, male 7.0
GTEX-1EH9U-2826-SM-7DUGT 60-69 years, male 7.0
GTEX-XBED-1926-SM-47JYP 60-69 years, male 7.0
GTEX-Y5V6-2326-SM-4VDSA 60-69 years, male 7.0
GTEX-ZXG5-2126-SM-59HKD 60-69 years, male 7.0
GTEX-1GMR2-0826-SM-7PC3V 50-59 years, male 7.0
GTEX-1HCVE-2726-SM-CL54F 50-59 years, male 7.0
GTEX-1I1HK-2326-SM-CKZOH 60-69 years, male 7.0
GTEX-13IVO-0726-SM-5LZYV 70-79 years, male 6.9
GTEX-144GO-2026-SM-5O99P 60-69 years, male 6.9
GTEX-147GR-2426-SM-5ZZWQ 60-69 years, male 6.9
GTEX-148VJ-0626-SM-5LUAW 70-79 years, male 6.9
GTEX-14PJ6-2626-SM-6EU2T 60-69 years, female 6.9
GTEX-1C6WA-2626-SM-7MKGM 60-69 years, male 6.9
GTEX-1K2DU-1226-SM-CYPT4 20-29 years, male 6.9
GTEX-1PPH7-1126-SM-DTX9A 40-49 years, male 6.9
GTEX-12BJ1-0926-SM-5EQ62 60-69 years, male 6.8
GTEX-16MT9-0126-SM-7EPI8 60-69 years, female 6.8
GTEX-WXYG-2026-SM-4E3IY 50-59 years, female 6.8
GTEX-1JK1U-0226-SM-ARZMX 60-69 years, male 6.8
GTEX-ZF3C-0626-SM-DO92O 50-59 years, female 6.8
GTEX-11EQ8-0926-SM-5H12V 60-69 years, male 6.7
GTEX-ZA64-1026-SM-5HL8R 20-29 years, male 6.7
GTEX-1IKJJ-2226-SM-CJI4C 60-69 years, male 6.7
GTEX-1CAMQ-1326-SM-7P8RV 40-49 years, male 6.6
GTEX-1CB4I-0126-SM-7RHGG 50-59 years, male 6.6
GTEX-1GN2E-0226-SM-9WG6K 60-69 years, male 6.6
GTEX-1H1DE-1326-SM-9KNUG 20-29 years, male 6.6
GTEX-1I4MK-0126-SM-CY8G6 50-59 years, female 6.6
GTEX-1KAFJ-0126-SM-DIPEK 50-59 years, male 6.6
GTEX-1LGRB-0926-SM-COH3K 50-59 years, female 6.6
GTEX-1OJC4-2726-SM-E76PJ 50-59 years, female 6.6
GTEX-13FLV-0126-SM-5K7WT 50-59 years, male 6.5
GTEX-YEC4-1826-SM-4W1YP 40-49 years, male 6.5
GTEX-ZLWG-0826-SM-59888 50-59 years, female 6.5
GTEX-ZVT2-0126-SM-5GIDQ 50-59 years, female 6.5
GTEX-ZVT4-2426-SM-5GIEI 50-59 years, female 6.5
GTEX-1J8EW-2726-SM-CY8HR 60-69 years, female 6.5
GTEX-133LE-2326-SM-5K7W3 20-29 years, female 6.4
GTEX-13VXT-1926-SM-5K7UO 20-29 years, female 6.4
GTEX-13W3W-0726-SM-5IJDQ 60-69 years, female 6.4
GTEX-15RIE-1926-SM-7KUKJ 60-69 years, male 6.4
GTEX-XBEW-1126-SM-4QARW 40-49 years, male 6.4
GTEX-ZTX8-1326-SM-4YCEL 20-29 years, male 6.4
GTEX-1KANC-1226-SM-CYPT7 50-59 years, female 6.4
GTEX-1NSGN-0726-SM-DTXEF 50-59 years, male 6.4
GTEX-1JN76-0626-SM-CKZOQ 20-29 years, female 6.3
GTEX-1269C-0126-SM-5EQ5L 60-69 years, female 6.2
GTEX-1F5PL-0926-SM-7PC2W 40-49 years, female 6.1
GTEX-1GF9X-1326-SM-7PC2Y 40-49 years, female 6.1
GTEX-1GPI6-1926-SM-9KNV7 60-69 years, male 6.1
GTEX-1H1E6-0426-SM-9WYUS 30-39 years, male 6.1
GTEX-1HSKV-1226-SM-ADEI4 60-69 years, male 6.1
GTEX-1N2DV-1526-SM-DTXEP 40-49 years, male 6.1
GTEX-111VG-1626-SM-5EGIO 60-69 years, male 6.0
GTEX-11PRG-0726-SM-5EGL1 50-59 years, male 6.0
GTEX-13FTW-0326-SM-5K7UW 40-49 years, male 6.0
GTEX-14PKU-0126-SM-6LLHV 40-49 years, female 6.0
GTEX-WFG7-2026-SM-5SI7P 20-29 years, male 6.0
GTEX-13JVG-0726-SM-5KM16 60-69 years, male 5.9
GTEX-1A8G7-1326-SM-73KVM 60-69 years, male 5.9
GTEX-1B8KE-1126-SM-7EPHI 50-59 years, male 5.9
GTEX-1F52S-2926-SM-7MKGA 60-69 years, female 5.9
GTEX-1H11D-1826-SM-9QEHM 40-49 years, male 5.9
GTEX-1HSMQ-2626-SM-A9SML 50-59 years, male 5.9
GTEX-1IDFM-0326-SM-ARL7V 60-69 years, male 5.9
GTEX-1LKK1-2626-SM-DKPQE 50-59 years, female 5.9
GTEX-ZLV1-1526-SM-DO91J 60-69 years, female 5.9
GTEX-11TUW-0626-SM-5LU9M 60-69 years, male 5.8
GTEX-13112-0126-SM-5P9IU 50-59 years, male 5.8
GTEX-UPJH-0226-SM-3GADV 50-59 years, male 5.8
GTEX-ZF29-0926-SM-4WKFZ 60-69 years, female 5.8
GTEX-1R9PM-1926-SM-EVR3O 20-29 years, male 5.8
GTEX-14BIN-1126-SM-5RQJZ 50-59 years, female 5.7
GTEX-15RIG-0726-SM-7KUM7 40-49 years, male 5.7
GTEX-17HHE-1326-SM-7EWDZ 50-59 years, male 5.7
GTEX-17KNJ-2126-SM-718AM 50-59 years, male 5.7
GTEX-1GF9V-0826-SM-9KNUV 60-69 years, male 5.7
GTEX-1HBPN-0126-SM-CGQEF 50-59 years, male 5.7
GTEX-1S82U-1026-SM-E6CJK 30-39 years, female 5.7
GTEX-1A3MV-1826-SM-731CD 30-39 years, male 5.6
GTEX-1J1OQ-0126-SM-D4P2N 40-49 years, female 5.6
GTEX-1R46S-2426-SM-E76QA 60-69 years, female 5.6
GTEX-13PL6-1126-SM-5L3IE 40-49 years, female 5.5
GTEX-145MO-2826-SM-5LU96 60-69 years, male 5.5
GTEX-14C5O-0326-SM-5ZZUX 60-69 years, male 5.5
GTEX-1HGF4-0126-SM-CNPPX 60-69 years, male 5.5
GTEX-1QP28-1126-SM-EVYC4 50-59 years, female 5.5
GTEX-1399Q-2326-SM-5KM2X 40-49 years, male 5.4
GTEX-13PVR-0426-SM-5RQK2 60-69 years, female 5.4
GTEX-17F9Y-0126-SM-79OKX 70-79 years, female 5.4
GTEX-1J8Q2-2626-SM-ACKWQ 60-69 years, male 5.4
GTEX-1S5ZU-2526-SM-E6CIF 20-29 years, female 5.4
GTEX-14PJ3-1126-SM-5ZZVX 50-59 years, male 5.3
GTEX-1LB8K-0726-SM-D5OV2 50-59 years, male 5.3
GTEX-1RMOY-1326-SM-E9TIH 50-59 years, male 5.3
GTEX-1GPI7-1826-SM-9KNU1 20-29 years, male 5.2
GTEX-11ZUS-2626-SM-5FQUR 30-39 years, male 5.1
GTEX-14PJN-1826-SM-6AJ98 30-39 years, male 5.1
GTEX-1B8L1-2226-SM-7P8PT 60-69 years, male 5.1
GTEX-14LLW-2626-SM-62LDZ 70-79 years, female 5.0
GTEX-14PJ4-0226-SM-5YY92 60-69 years, male 5.0
GTEX-1GZ4H-0526-SM-9KNU9 50-59 years, female 5.0
GTEX-1HSGN-0826-SM-ACKW3 40-49 years, female 5.0
GTEX-1JKYR-0626-SM-ARL8R 20-29 years, male 5.0
GTEX-1CB4E-0926-SM-7EPHT 60-69 years, male 4.9
GTEX-ZT9X-1526-SM-5DUXD 40-49 years, male 4.9
GTEX-1C6VR-0126-SM-7RHGB 60-69 years, male 4.9
GTEX-1CAMS-2226-SM-7PBXQ 40-49 years, female 4.9
GTEX-1IDJU-1726-SM-CMKHU 60-69 years, female 4.9
GTEX-15DDE-2926-SM-6LLJ3 50-59 years, female 4.8
GTEX-15EU6-2226-SM-6EU2L 50-59 years, male 4.8
GTEX-1AMEY-0826-SM-72D65 30-39 years, female 4.8
GTEX-V1D1-2026-SM-3GAF4 50-59 years, male 4.8
GTEX-ZDTT-0426-SM-4WKFL 60-69 years, male 4.8
GTEX-ZPU1-1126-SM-4YCF3 40-49 years, male 4.8
GTEX-1H3VE-0726-SM-9YFL5 40-49 years, male 4.8
GTEX-1GN1W-2426-SM-9KNUU 50-59 years, female 4.7
GTEX-1JMPY-0226-SM-CKZOK 30-39 years, male 4.7
GTEX-1QPFJ-1926-SM-EVYBD 30-39 years, female 4.7
GTEX-Y9LG-1126-SM-4VBQ7 30-39 years, male 4.6
GTEX-ZPCL-1126-SM-4WWFE 60-69 years, female 4.6
GTEX-1313W-0626-SM-5EQ4H 50-59 years, female 4.5
GTEX-1C2JI-1026-SM-73KY1 50-59 years, male 4.5
GTEX-1GN1U-0626-SM-9MQL9 50-59 years, female 4.5
GTEX-14B4R-1326-SM-5Q5EZ 30-39 years, male 4.4
GTEX-14C39-1726-SM-5RQIL 40-49 years, male 4.4
GTEX-1399S-0126-SM-5IJCF 30-39 years, female 4.3
GTEX-XUW1-0926-SM-4BONX 50-59 years, female 4.3
GTEX-1GZ4I-2626-SM-9KNU3 50-59 years, male 4.3
GTEX-1JMQJ-0826-SM-CNPP7 50-59 years, male 4.3
GTEX-145MH-2826-SM-5RQJF 50-59 years, male 4.2
GTEX-YFCO-1226-SM-5LUAT 40-49 years, male 4.2
GTEX-ZE9C-2526-SM-5IJDR 60-69 years, male 4.2
GTEX-1HR9M-2226-SM-CNPPY 60-69 years, male 4.2
GTEX-1RAZQ-1326-SM-E9TK6 30-39 years, male 4.2
GTEX-14PHX-2226-SM-6EU2P 50-59 years, male 4.1
GTEX-ZYT6-2326-SM-5GZY3 30-39 years, male 4.1
GTEX-ZYY3-2926-SM-5GIEB 60-69 years, female 4.1
GTEX-1399U-1126-SM-5L3DB 50-59 years, female 4.0
GTEX-WHSB-1326-SM-3LK6W 50-59 years, male 4.0
GTEX-XAJ8-1426-SM-47JYM 40-49 years, male 4.0
GTEX-1LVAM-0726-SM-E6CIL 50-59 years, female 4.0
GTEX-14PJ5-1526-SM-6LLIL 60-69 years, female 3.9
GTEX-1AMFI-1326-SM-7939R 50-59 years, female 3.9
GTEX-Y114-2126-SM-4TT8B 50-59 years, female 3.9
GTEX-1S3DN-2126-SM-E9TIN 50-59 years, male 3.9
GTEX-1S83E-1326-SM-E6CJM 40-49 years, male 3.9
GTEX-13OVH-0526-SM-5L3E6 70-79 years, male 3.8
GTEX-14753-0726-SM-5QGQO 60-69 years, male 3.8
GTEX-1GN1V-2826-SM-9JGIA 60-69 years, male 3.8
GTEX-11DXX-2126-SM-5PNYR 60-69 years, female 3.7
GTEX-1122O-1026-SM-9WYSF 60-69 years, female 3.7
GTEX-1HCU7-0726-SM-A9SL1 50-59 years, male 3.7
GTEX-1HT8W-0626-SM-A9G2H 30-39 years, male 3.6
GTEX-1I1GT-1026-SM-ARZLV 60-69 years, female 3.6
GTEX-1PPH8-0126-SM-EWRN8 20-29 years, male 3.6
GTEX-13FTY-2126-SM-5IFFB 40-49 years, female 3.5
GTEX-13SLW-0626-SM-5Q5ER 70-79 years, male 3.5
GTEX-ZWKS-0626-SM-5GIDV 30-39 years, male 3.5
GTEX-1H2FU-0926-SM-9WPPT 60-69 years, female 3.2
GTEX-18A67-1626-SM-7LT9T 50-59 years, male 3.0
GTEX-1MCYP-0526-SM-E9U6Q 20-29 years, female 2.8
GTEX-13D11-0926-SM-5J2NC 50-59 years, female 2.6
GTEX-1QP2A-1726-SM-E76QC 50-59 years, male 2.6
GTEX-13QJC-0126-SM-5ZZWJ 60-69 years, female 2.5
GTEX-1F6RS-2026-SM-7RHHC 60-69 years, female 2.4
GTEX-ZY6K-1426-SM-5GZX2 50-59 years, male 2.2
GTEX-13PDP-0726-SM-5L3HP 60-69 years, male 2.0
GTEX-1NV5F-0626-SM-DTXEG 60-69 years, female 2.0
GTEX-1F5PK-2226-SM-7SB6N 50-59 years, male 1.6
GTEX-14PII-0726-SM-6EU2B 60-69 years, male 1.5
GTEX-ZVZP-1226-SM-5GID7 50-59 years, male 1.5
GTEX-13NZ8-1226-SM-5KM4A 60-69 years, female 1.2
Show allShow less
Skin - Sun Exposed (Lower leg)
Average nTPM: 13.2
Samples: 701

Max nTPM: 51.0
Min nTPM: 1.6
Std nTPM: 6.7
Median nTPM: 12.0
GTEX-WI4N-1026-SM-3LK7N 40-49 years, female 51.0
GTEX-1PWST-0226-SM-E76QJ 70-79 years, male 43.0
GTEX-W5X1-3026-SM-EAZAX 40-49 years, female 40.9
GTEX-1ICLZ-0126-SM-CKZPO 60-69 years, male 39.2
GTEX-144GN-2326-SM-5LU4F 50-59 years, male 39.0
GTEX-14E6C-0126-SM-5RQIP 40-49 years, male 39.0
GTEX-1HBPH-0426-SM-B2LW5 40-49 years, female 38.1
GTEX-ZTPG-0326-SM-5O9AX 20-29 years, female 35.5
GTEX-15UF6-0826-SM-6PALJ 70-79 years, female 33.1
GTEX-1RLM8-2326-SM-EWRN4 50-59 years, male 33.1
GTEX-1OJC4-0126-SM-E9J2E 50-59 years, female 33.0
GTEX-U8XE-0326-SM-3DB8P 30-39 years, male 31.2
GTEX-1R9K4-0126-SM-DTX9X 60-69 years, male 31.2
GTEX-1HUB1-0426-SM-E9U4U 60-69 years, male 30.8
GTEX-12WSL-2526-SM-5GCNJ 50-59 years, male 30.7
GTEX-14JIY-0126-SM-6LLH6 60-69 years, male 30.0
GTEX-QDT8-0126-SM-48TZ1 30-39 years, female 29.8
GTEX-RUSQ-1526-SM-2TF62 50-59 years, male 29.4
GTEX-ZE7O-0126-SM-57WC1 50-59 years, female 29.4
GTEX-1QP67-1626-SM-EAZ3X 40-49 years, female 29.4
GTEX-1PBJI-0526-SM-E8VNK 20-29 years, female 29.3
GTEX-146FR-1326-SM-E9J48 60-69 years, female 28.9
GTEX-1192W-2626-SM-5Q5AF 60-69 years, male 28.7
GTEX-1A3MW-0126-SM-73KXX 60-69 years, female 28.5
GTEX-1AYD5-2426-SM-73KXR 50-59 years, male 28.2
GTEX-ZF3C-0126-SM-DO92D 50-59 years, female 27.9
GTEX-11EMC-2926-SM-5EQ4F 60-69 years, female 27.8
GTEX-X4XY-0226-SM-4E3IZ 60-69 years, male 27.2
GTEX-11TTK-0126-SM-5987B 60-69 years, female 26.9
GTEX-11ZVC-2526-SM-5FQTE 50-59 years, female 26.9
GTEX-1F48J-0126-SM-7P8TT 50-59 years, female 26.9
GTEX-15EOM-0126-SM-7KUGG 20-29 years, female 26.7
GTEX-14A6H-0126-SM-5QGPK 30-39 years, male 26.4
GTEX-1M4P7-0226-SM-DIPEV 60-69 years, male 26.3
GTEX-13CF2-2526-SM-5LZYX 60-69 years, male 26.2
GTEX-146FH-0126-SM-5QGPP 50-59 years, female 26.0
GTEX-117YW-2626-SM-5GZZH 50-59 years, male 25.8
GTEX-ZAJG-0126-SM-5HL94 50-59 years, female 25.5
GTEX-1QW4Y-1526-SM-EAZ3Z 30-39 years, male 25.5
GTEX-17EVQ-0226-SM-7LG4P 70-79 years, male 25.3
GTEX-XXEK-2226-SM-4BRUM 50-59 years, male 25.0
GTEX-Y3IK-2426-SM-4WWDU 50-59 years, female 24.7
GTEX-11GSP-2526-SM-5N9BP 60-69 years, female 24.6
GTEX-13NYS-0126-SM-5MR3W 60-69 years, male 24.5
GTEX-132NY-0326-SM-5IJBL 60-69 years, male 24.4
GTEX-QDVN-2026-SM-3GAEP 50-59 years, male 24.2
GTEX-Y3I4-2126-SM-4TT7C 50-59 years, male 24.2
GTEX-ZUA1-0126-SM-5GU76 40-49 years, male 24.1
GTEX-11O72-0126-SM-59887 40-49 years, male 23.6
GTEX-1A3MX-0126-SM-731BR 60-69 years, male 23.6
GTEX-ZDXO-3026-SM-5J1N5 60-69 years, male 23.6
GTEX-X8HC-0126-SM-4E3JW 50-59 years, female 23.5
GTEX-YJ8A-0426-SM-5IFID 20-29 years, male 23.5
GTEX-113IC-0126-SM-5HL6T 60-69 years, male 23.3
GTEX-13OW7-0126-SM-5MR3B 50-59 years, male 23.0
GTEX-XV7Q-2526-SM-4BRV9 40-49 years, female 22.8
GTEX-183WM-0126-SM-7LTAB 70-79 years, female 22.7
GTEX-16XZY-2126-SM-79OK1 70-79 years, male 22.6
GTEX-Q734-1926-SM-2I5EV 40-49 years, female 22.6
GTEX-ZYW4-0126-SM-5E44A 60-69 years, male 22.5
GTEX-13OVJ-0126-SM-5KM36 50-59 years, female 22.4
GTEX-15G19-0126-SM-6PANQ 60-69 years, male 22.3
GTEX-1AYCT-2426-SM-7IGQ3 50-59 years, male 22.3
GTEX-1HB9E-0226-SM-E9U4R 50-59 years, male 22.3
GTEX-ZEX8-2426-SM-4WKG4 50-59 years, male 22.2
GTEX-1H3VE-0326-SM-9YFLH 40-49 years, male 22.2
GTEX-1N2DW-0226-SM-E9TK2 50-59 years, male 22.1
GTEX-144FL-0126-SM-5TDC8 50-59 years, male 22.0
GTEX-13OVG-1926-SM-5L3DK 60-69 years, male 21.8
GTEX-1MA7X-2226-SM-E6CIY 60-69 years, male 21.7
GTEX-12584-0126-SM-5EGKQ 40-49 years, male 21.6
GTEX-139T4-0226-SM-5HL5S 50-59 years, female 21.6
GTEX-1LC47-0326-SM-E9TJP 60-69 years, male 21.6
GTEX-13FH7-2026-SM-E9J4I 50-59 years, female 21.5
GTEX-1IE54-0126-SM-CMKHW 40-49 years, female 21.5
GTEX-V1D1-2226-SM-3NMAX 50-59 years, male 21.4
GTEX-1GN1V-0126-SM-9WPOS 60-69 years, male 21.4
GTEX-1I1GU-2226-SM-CGQFA 40-49 years, male 21.3
GTEX-1R9PO-2126-SM-E9J4O 60-69 years, female 21.2
GTEX-14PN4-0126-SM-6EU2V 50-59 years, male 21.1
GTEX-1F6IF-0726-SM-7P8TW 60-69 years, male 21.1
GTEX-13X6H-2126-SM-7EWD5 50-59 years, female 21.0
GTEX-X62O-0126-SM-4E3JN 50-59 years, male 21.0
GTEX-Y111-0126-SM-4SOIV 50-59 years, male 20.9
GTEX-1C6WA-0126-SM-7PC2B 60-69 years, male 20.9
GTEX-12KS4-0326-SM-5EQ41 30-39 years, male 20.7
GTEX-17F97-0326-SM-7LG5B 50-59 years, male 20.7
GTEX-R45C-0126-SM-EAZ2R 60-69 years, female 20.7
GTEX-14BIL-0126-SM-5SI92 50-59 years, male 20.6
GTEX-1HBPM-0226-SM-ARL9F 60-69 years, female 20.6
GTEX-1ICLY-0126-SM-D4P36 50-59 years, male 20.6
GTEX-11UD1-0126-SM-5PNYG 40-49 years, female 20.5
GTEX-18A66-0226-SM-718BD 60-69 years, male 20.5
GTEX-RN64-0126-SM-2TC68 50-59 years, male 20.5
GTEX-13FHO-0226-SM-5IFGY 60-69 years, male 20.4
GTEX-1LNCM-1126-SM-E9U5E 50-59 years, female 20.4
GTEX-14LLW-0126-SM-6LLIO 70-79 years, female 20.3
GTEX-15SDE-2226-SM-7IGLO 50-59 years, female 20.3
GTEX-ZYFD-0126-SM-5GIDL 50-59 years, male 20.3
GTEX-1C6VQ-0126-SM-7P8RI 50-59 years, male 20.3
GTEX-14PK6-1926-SM-6ETZU 70-79 years, female 20.2
GTEX-ZZPT-0226-SM-5E43X 50-59 years, male 20.2
GTEX-1EX96-1626-SM-7PBXR 50-59 years, male 20.2
GTEX-183FY-0126-SM-7LT9P 20-29 years, male 20.1
GTEX-U4B1-1826-SM-4DXSU 40-49 years, male 20.1
GTEX-13OVL-0226-SM-5L3E9 50-59 years, male 20.0
GTEX-1AX8Z-0126-SM-7DHM6 60-69 years, male 20.0
GTEX-X4EP-0126-SM-3P5YV 60-69 years, female 20.0
GTEX-1A32A-0126-SM-718B1 50-59 years, female 19.9
GTEX-1JMOU-1526-SM-CL54I 60-69 years, female 19.9
GTEX-11DZ1-0126-SM-5985Q 50-59 years, male 19.8
GTEX-11NUK-0126-SM-5A5L3 50-59 years, male 19.7
GTEX-13RTJ-2426-SM-5S2Q2 60-69 years, male 19.7
GTEX-13O3O-0126-SM-E9J49 60-69 years, female 19.7
GTEX-1I1GS-0126-SM-B2LVW 60-69 years, male 19.7
GTEX-1JMQK-0226-SM-CL543 60-69 years, male 19.7
GTEX-11GS4-2726-SM-5A5LE 60-69 years, male 19.6
GTEX-11UD2-0226-SM-5EQKY 50-59 years, male 19.6
GTEX-13RTL-0126-SM-7LG5S 40-49 years, male 19.4
GTEX-WH7G-2326-SM-3NMBC 40-49 years, male 19.4
GTEX-1H23P-0126-SM-ADEJ3 60-69 years, male 19.4
GTEX-1I1HK-0126-SM-COH49 60-69 years, male 19.4
GTEX-146FQ-0126-SM-5NQA9 30-39 years, male 19.2
GTEX-17HHY-0126-SM-7LG5D 50-59 years, male 19.2
GTEX-1F6I4-0126-SM-9MQL2 60-69 years, male 19.2
GTEX-1RAZQ-0726-SM-EAZ43 30-39 years, male 19.2
GTEX-S33H-1026-SM-EZ6L6 30-39 years, male 19.1
GTEX-16YQH-0126-SM-7DUFJ 30-39 years, male 19.0
GTEX-NPJ8-0126-SM-2YUNR 40-49 years, male 19.0
GTEX-ZC5H-0226-SM-4WAY9 40-49 years, female 19.0
GTEX-X88G-0126-SM-47JZ3 30-39 years, male 18.9
GTEX-1KD5A-0226-SM-D5OV3 50-59 years, male 18.9
GTEX-1CB4J-0626-SM-7DHMP 60-69 years, male 18.7
GTEX-WOFL-0126-SM-3MJG2 60-69 years, male 18.6
GTEX-1GF9X-2026-SM-7PC3A 40-49 years, female 18.6
GTEX-15SHW-0326-SM-6PAML 60-69 years, male 18.5
GTEX-X585-0226-SM-4QAS2 50-59 years, male 18.5
GTEX-15DYW-0126-SM-7KULE 60-69 years, female 18.3
GTEX-Y8LW-1826-SM-5S2MV 50-59 years, female 18.3
GTEX-1NV5F-0226-SM-E8VNY 60-69 years, female 18.3
GTEX-R55E-0126-SM-2TC5Y 20-29 years, male 18.1
GTEX-13U4I-0126-SM-5LU38 40-49 years, female 18.0
GTEX-Q2AG-0126-SM-33HBV 40-49 years, female 18.0
GTEX-ZDYS-2026-SM-5HL5L 50-59 years, male 18.0
GTEX-13O1R-0126-SM-5L3EH 60-69 years, male 17.9
GTEX-1S82Y-2026-SM-EVYCM 40-49 years, male 17.9
GTEX-1H1ZS-0426-SM-9WG6G 70-79 years, male 17.8
GTEX-1JKYN-1326-SM-CGQG9 30-39 years, male 17.7
GTEX-ZF28-0126-SM-4WKGK 60-69 years, male 17.6
GTEX-1GN73-0226-SM-9WG67 60-69 years, male 17.6
GTEX-QLQW-1126-SM-2S1Q8 30-39 years, male 17.4
GTEX-1QP29-0626-SM-EWRMX 50-59 years, male 17.3
GTEX-13G51-2526-SM-5LZYK 60-69 years, male 17.2
GTEX-13QJ3-0326-SM-5S2RA 50-59 years, male 17.2
GTEX-11H98-0126-SM-5EGHG 50-59 years, male 17.1
GTEX-13NZA-0226-SM-5K7Z7 60-69 years, male 17.1
GTEX-1JMPZ-0226-SM-CNPP1 30-39 years, male 17.1
GTEX-1192X-0226-SM-5H12D 50-59 years, male 17.0
GTEX-OOBK-0126-SM-2YUND 40-49 years, male 17.0
GTEX-XMD2-0126-SM-4YCDU 60-69 years, female 17.0
GTEX-131XG-2626-SM-5KM17 50-59 years, female 16.9
GTEX-PLZ4-0126-SM-5SI8O 50-59 years, female 16.9
GTEX-1HSMO-0126-SM-CL547 60-69 years, male 16.8
GTEX-15D1Q-0126-SM-7KUG6 40-49 years, male 16.7
GTEX-RTLS-0126-SM-447CA 60-69 years, female 16.7
GTEX-U3ZN-2326-SM-3DB7W 30-39 years, female 16.7
GTEX-1H1DG-0126-SM-9WYU2 70-79 years, male 16.7
GTEX-1H3O1-0426-SM-9YFKY 60-69 years, male 16.6
GTEX-1IDFM-0126-SM-COH2V 60-69 years, male 16.6
GTEX-111VG-2426-SM-5GZXD 60-69 years, male 16.5
GTEX-147F4-0226-SM-5QGPW 50-59 years, male 16.5
GTEX-ZVT3-0126-SM-5GU6I 60-69 years, female 16.5
GTEX-1QEPI-0126-SM-EWRMQ 60-69 years, female 16.5
GTEX-1CB4G-0226-SM-7PC3O 60-69 years, male 16.4
GTEX-1K9T9-0126-SM-EVYCF 50-59 years, female 16.4
GTEX-11GSO-2426-SM-5A5LY 60-69 years, male 16.3
GTEX-X5EB-2226-SM-46MW4 40-49 years, male 16.3
GTEX-1C64O-0126-SM-7SB8P 60-69 years, male 16.2
GTEX-1IY9M-0126-SM-D3L8S 60-69 years, male 16.2
GTEX-11ZU8-2526-SM-5EQKI 60-69 years, male 16.0
GTEX-12C56-1726-SM-5EQ61 20-29 years, male 16.0
GTEX-X638-0126-SM-47JZ8 70-79 years, female 16.0
GTEX-ZYY3-0126-SM-5GZY5 60-69 years, female 16.0
GTEX-12WSJ-1826-SM-5GCNY 40-49 years, female 15.9
GTEX-OXRK-0226-SM-3NB2G 50-59 years, female 15.9
GTEX-16MT8-0426-SM-7KUEY 60-69 years, female 15.8
GTEX-18A7A-0226-SM-718BH 50-59 years, female 15.8
GTEX-12WSG-2826-SM-E9J4H 50-59 years, female 15.8
GTEX-13CF3-2426-SM-5IFGX 60-69 years, female 15.7
GTEX-SUCS-1926-SM-32PM3 70-79 years, male 15.7
GTEX-ZDTS-0126-SM-4WAY5 60-69 years, male 15.7
GTEX-1GTWX-0126-SM-9YFLK 60-69 years, male 15.7
GTEX-1N2EF-0226-SM-EYYXB 60-69 years, male 15.7
GTEX-131XW-0426-SM-5LZWP 50-59 years, female 15.6
GTEX-1ICG6-2526-SM-CGQFZ 70-79 years, female 15.6
GTEX-11DXY-2626-SM-5GIE7 60-69 years, male 15.5
GTEX-1314G-1526-SM-5EGK2 30-39 years, male 15.5
GTEX-147GR-0526-SM-5S2MY 60-69 years, male 15.5
GTEX-1F88F-2726-SM-7PBZZ 60-69 years, female 15.5
GTEX-11WQC-2526-SM-5CVLE 60-69 years, male 15.4
GTEX-11WQK-0526-SM-5EQLD 50-59 years, male 15.4
GTEX-1H2FU-0126-SM-9WYSI 60-69 years, female 15.4
GTEX-139TS-2826-SM-5J1OO 60-69 years, male 15.3
GTEX-1H3VY-0126-SM-ACKXD 50-59 years, male 15.3
GTEX-11OF3-2626-SM-5GU7F 60-69 years, male 15.2
GTEX-11P82-1626-SM-59879 20-29 years, male 15.2
GTEX-13SLX-0526-SM-5S2ON 50-59 years, female 15.2
GTEX-148VJ-0126-SM-5TDDN 70-79 years, male 15.2
GTEX-S7PM-0126-SM-4AD6S 60-69 years, male 15.2
GTEX-ZYFC-0226-SM-5NQ75 50-59 years, male 15.2
GTEX-1KANB-0526-SM-E6CJH 50-59 years, male 15.2
GTEX-OXRN-0126-SM-48TDM 50-59 years, male 15.1
GTEX-1IDJF-0126-SM-CM2RS 20-29 years, male 15.1
GTEX-1R46S-0626-SM-E9J41 60-69 years, female 15.1
GTEX-16XZZ-0126-SM-793DV 60-69 years, male 15.0
GTEX-X4EO-0326-SM-3P5YO 60-69 years, female 15.0
GTEX-ZAB4-0226-SM-5N9F5 40-49 years, male 15.0
GTEX-11TUW-2726-SM-E9J4M 60-69 years, male 15.0
GTEX-1EKGG-0226-SM-9WYTH 60-69 years, male 15.0
GTEX-1QAET-0926-SM-E76QM 50-59 years, male 15.0
GTEX-1RAZA-0126-SM-E6CI3 20-29 years, male 15.0
GTEX-13N1W-0126-SM-5K7VT 70-79 years, male 14.9
GTEX-11TT1-2526-SM-5EGIB 20-29 years, male 14.8
GTEX-1399U-2326-SM-5K7WY 50-59 years, female 14.8
GTEX-139T8-0126-SM-5K7XZ 60-69 years, male 14.8
GTEX-13VXU-0126-SM-5SI9F 50-59 years, male 14.8
GTEX-17MF6-0126-SM-7LG4F 40-49 years, male 14.8
GTEX-SSA3-0126-SM-32QPU 60-69 years, male 14.8
GTEX-1HR98-0126-SM-B2LWI 60-69 years, male 14.8
GTEX-13YAN-0326-SM-5O9DF 60-69 years, male 14.7
GTEX-145LV-2126-SM-5LU8N 50-59 years, male 14.7
GTEX-1RB15-2126-SM-E9TIM 60-69 years, male 14.7
GTEX-12WSN-5019-SM-79OM6 40-49 years, male 14.6
GTEX-1313W-0126-SM-5LZUN 50-59 years, female 14.6
GTEX-145LT-1726-SM-5QGP3 40-49 years, male 14.6
GTEX-14XAO-2326-SM-6EU1B 60-69 years, female 14.6
GTEX-OXRO-0126-SM-2YUN4 60-69 years, female 14.6
GTEX-1J8EW-0126-SM-CJI4F 60-69 years, female 14.6
GTEX-1JJE9-0326-SM-CL53Z 70-79 years, male 14.6
GTEX-11ZUS-0626-SM-59885 30-39 years, male 14.5
GTEX-TML8-1926-SM-32QOS 40-49 years, female 14.5
GTEX-VUSG-2526-SM-4KL1V 50-59 years, male 14.5
GTEX-1GN1W-0526-SM-9MQJQ 50-59 years, female 14.5
GTEX-1GZ2Q-0226-SM-7P8TL 40-49 years, male 14.5
GTEX-1LG7Y-0526-SM-DKPQC 50-59 years, male 14.5
GTEX-ZQG8-1626-SM-DHXIT 60-69 years, female 14.5
GTEX-11DXW-0226-SM-5H122 40-49 years, male 14.4
GTEX-Y8DK-0126-SM-4TT3L 60-69 years, male 14.4
GTEX-1IKOH-0226-SM-COH4E 60-69 years, female 14.4
GTEX-OXRP-0126-SM-3NB32 60-69 years, female 14.3
GTEX-1EMGI-0126-SM-9KNUE 60-69 years, male 14.3
GTEX-1PPH7-2326-SM-EVYB8 40-49 years, male 14.3
GTEX-1211K-2026-SM-5EQ4Z 60-69 years, female 14.2
GTEX-14DAQ-0126-SM-5S2MQ 60-69 years, female 14.2
GTEX-R55G-2526-SM-2TC6D 40-49 years, female 14.2
GTEX-ZPIC-1726-SM-DHXIU 40-49 years, female 14.2
GTEX-139TU-0126-SM-5K7WH 60-69 years, male 14.1
GTEX-1HGF4-2426-SM-ACKXM 60-69 years, male 14.1
GTEX-139D8-0226-SM-5KLZO 30-39 years, female 14.0
GTEX-14A5H-0426-SM-5QGQF 60-69 years, male 14.0
GTEX-17HII-0226-SM-7LG4E 50-59 years, male 14.0
GTEX-OHPM-0126-SM-2YUN9 50-59 years, male 14.0
GTEX-PW2O-1526-SM-7RHHB 20-29 years, male 14.0
GTEX-139TT-0126-SM-5K7Y5 60-69 years, male 13.9
GTEX-1B8L1-2526-SM-9WYTF 60-69 years, male 13.9
GTEX-1I1GP-2226-SM-CGQFK 50-59 years, male 13.9
GTEX-1497J-2426-SM-7IGNX 60-69 years, male 13.8
GTEX-14BIM-0226-SM-7IGLD 60-69 years, female 13.8
GTEX-18A7B-0126-SM-7LG64 70-79 years, male 13.8
GTEX-1I19N-0326-SM-ACKVX 70-79 years, male 13.8
GTEX-1I1CD-0126-SM-CM2TK 60-69 years, female 13.8
GTEX-RU72-0926-SM-2TF6B 50-59 years, female 13.7
GTEX-13FTX-1826-SM-5J1NX 20-29 years, female 13.6
GTEX-13NZ8-0826-SM-5MR3I 60-69 years, female 13.6
GTEX-QDVJ-1726-SM-2I5FX 50-59 years, male 13.6
GTEX-WVJS-0126-SM-4MVOT 50-59 years, male 13.6
GTEX-1GMRU-0126-SM-9YFLV 50-59 years, male 13.6
GTEX-1JN1M-0326-SM-CYPT3 60-69 years, female 13.6
GTEX-14ABY-0226-SM-5TDCQ 50-59 years, male 13.5
GTEX-QEG4-0226-SM-2S1PY 30-39 years, male 13.5
GTEX-1HCUA-2426-SM-ADEIS 50-59 years, female 13.5
GTEX-13O3P-0126-SM-5KM4S 50-59 years, male 13.4
GTEX-13NYC-0326-SM-E9J4S 60-69 years, male 13.4
GTEX-1J1R8-1726-SM-ARL8M 40-49 years, male 13.4
GTEX-1J8JJ-0226-SM-CL53I 60-69 years, female 13.4
GTEX-13IVO-0126-SM-5J1NG 70-79 years, male 13.3
GTEX-XQ8I-0426-SM-4BOPO 50-59 years, male 13.3
GTEX-1HKZK-0326-SM-9WYUH 40-49 years, male 13.3
GTEX-1POEN-0126-SM-EYYXJ 30-39 years, female 13.3
GTEX-15UKP-0426-SM-7KUFQ 20-29 years, male 13.2
GTEX-Q2AH-1626-SM-3GAF8 40-49 years, male 13.2
GTEX-SN8G-0126-SM-32PLI 50-59 years, female 13.2
GTEX-U3ZH-2026-SM-3DB78 30-39 years, male 13.2
GTEX-OOBJ-0126-SM-E6CJW 60-69 years, male 13.2
GTEX-XUW1-0426-SM-4BOOT 50-59 years, female 13.1
GTEX-1CB4H-0226-SM-7PBXM 60-69 years, female 13.1
GTEX-RNOR-0126-SM-E9J4R 50-59 years, female 13.1
GTEX-145MN-2226-SM-5SIAU 30-39 years, male 13.0
GTEX-15SB6-1726-SM-6PAME 50-59 years, female 13.0
GTEX-RM2N-1426-SM-2TF4H 50-59 years, male 13.0
GTEX-YFC4-0126-SM-5CVLY 40-49 years, female 13.0
GTEX-ZAK1-0126-SM-5IJD3 50-59 years, female 13.0
GTEX-1AX9I-0126-SM-7SB74 60-69 years, male 13.0
GTEX-1CAV2-2226-SM-7P8P2 40-49 years, female 13.0
GTEX-1MGNQ-0126-SM-EVYCJ 40-49 years, male 13.0
GTEX-11DXZ-2326-SM-5EGGV 50-59 years, male 12.9
GTEX-1BAJH-0526-SM-793CQ 70-79 years, male 12.9
GTEX-T2YK-0526-SM-32QPJ 50-59 years, male 12.9
GTEX-117YX-2326-SM-5H12W 50-59 years, male 12.8
GTEX-13VXT-0126-SM-5LU4I 20-29 years, female 12.8
GTEX-18D9B-0526-SM-7LTAS 60-69 years, male 12.8
GTEX-WYVS-2126-SM-3NMA3 40-49 years, female 12.8
GTEX-1KD4Q-0226-SM-E9TJ9 40-49 years, male 12.8
GTEX-13N11-2526-SM-5K7UE 50-59 years, female 12.7
GTEX-13SLW-0126-SM-5SI6C 70-79 years, male 12.7
GTEX-XYKS-2126-SM-4E3IB 60-69 years, female 12.7
GTEX-11P7K-2126-SM-5GU7G 30-39 years, male 12.6
GTEX-11ZTT-2426-SM-5EQLS 60-69 years, female 12.6
GTEX-O5YT-0126-SM-48TBW 20-29 years, male 12.6
GTEX-U3ZM-1526-SM-3DB9D 40-49 years, male 12.6
GTEX-YEC4-2126-SM-5IFJH 40-49 years, male 12.6
GTEX-1F75A-0126-SM-7RHGM 50-59 years, male 12.6
GTEX-1H3NZ-0126-SM-ACKX7 60-69 years, male 12.6
GTEX-ZF29-2326-SM-DO92K 60-69 years, female 12.6
GTEX-113JC-2326-SM-5EQ4E 50-59 years, female 12.5
GTEX-14PHW-0126-SM-6LLJI 60-69 years, female 12.5
GTEX-1GMR8-0126-SM-9WYTM 50-59 years, female 12.5
GTEX-1HCVE-0126-SM-CGQEU 50-59 years, male 12.5
GTEX-OIZF-0126-SM-7SB8I 60-69 years, male 12.5
GTEX-11P81-2326-SM-59875 30-39 years, female 12.4
GTEX-11VI4-1726-SM-5CVLH 40-49 years, female 12.4
GTEX-131XE-2326-SM-5PNZ2 50-59 years, male 12.4
GTEX-13OVI-1426-SM-5L3EY 60-69 years, female 12.4
GTEX-13W46-0226-SM-5SIAG 50-59 years, male 12.4
GTEX-14E7W-0126-SM-6LLJ9 70-79 years, male 12.4
GTEX-1EWIQ-0126-SM-7RHH2 70-79 years, female 12.4
GTEX-1GPI6-0126-SM-9WG69 60-69 years, male 12.4
GTEX-18QFQ-0126-SM-731BE 30-39 years, male 12.3
GTEX-1AMEY-1326-SM-73KYK 30-39 years, female 12.3
GTEX-1AX9K-2326-SM-73KWU 50-59 years, male 12.3
GTEX-1B933-0126-SM-7PC29 50-59 years, female 12.3
GTEX-1JK1U-2026-SM-CM2RZ 60-69 years, male 12.3
GTEX-147F3-0526-SM-5SI98 50-59 years, female 12.2
GTEX-T2IS-0126-SM-4DM6O 20-29 years, female 12.2
GTEX-1H11D-0226-SM-9WG6Z 40-49 years, male 12.2
GTEX-18465-0126-SM-731BN 50-59 years, male 12.1
GTEX-Q2AI-1326-SM-2S1PL 40-49 years, male 12.1
GTEX-TSE9-0126-SM-3DB83 60-69 years, female 12.1
GTEX-WYJK-0126-SM-3NMAB 50-59 years, male 12.1
GTEX-1GZHY-0326-SM-9QEHI 50-59 years, female 12.1
GTEX-16NPX-0226-SM-79OMT 50-59 years, male 12.0
GTEX-1I6K6-0126-SM-A9SLE 30-39 years, male 12.0
GTEX-11ZTS-0126-SM-5EQ6M 60-69 years, female 11.9
GTEX-VJYA-1126-SM-3GIJU 60-69 years, male 11.9
GTEX-1RQEC-0426-SM-E6CHU 60-69 years, male 11.9
GTEX-13FHP-0126-SM-5IJBG 50-59 years, male 11.8
GTEX-15SHU-0126-SM-7KUEH 40-49 years, female 11.8
GTEX-1GF9U-2126-SM-7SB7L 40-49 years, female 11.8
GTEX-1I1GR-0126-SM-CL55F 60-69 years, male 11.8
GTEX-1JMQI-2226-SM-CM2SD 50-59 years, male 11.8
GTEX-1PIGE-0126-SM-EVYBJ 20-29 years, male 11.8
GTEX-12ZZX-0126-SM-5EGK9 40-49 years, female 11.7
GTEX-QESD-1426-SM-2S1R9 20-29 years, male 11.7
GTEX-ZVTK-0426-SM-51MRS 20-29 years, male 11.7
GTEX-169BO-1326-SM-9MQK2 50-59 years, male 11.7
GTEX-1EU9M-0226-SM-7P8SP 60-69 years, male 11.7
GTEX-1F7RK-0126-SM-7PC2S 20-29 years, female 11.7
GTEX-1HCU6-0126-SM-CL54K 60-69 years, female 11.7
GTEX-PSDG-0226-SM-DKPOZ 50-59 years, male 11.7
GTEX-11NSD-2226-SM-5986V 20-29 years, male 11.6
GTEX-18A6Q-0126-SM-731BZ 60-69 years, male 11.6
GTEX-1CAMS-0426-SM-7P8T2 40-49 years, female 11.6
GTEX-1O97I-0326-SM-EYYX7 60-69 years, male 11.6
GTEX-12WSC-0126-SM-5EQ4P 50-59 years, male 11.5
GTEX-13O3Q-2426-SM-5IJBR 50-59 years, male 11.5
GTEX-17HHE-2026-SM-79OKF 50-59 years, male 11.5
GTEX-1A8FM-0226-SM-7SB7Q 50-59 years, female 11.5
GTEX-1F75I-0326-SM-9YFLU 40-49 years, male 11.5
GTEX-1GF9W-0326-SM-9KNUN 60-69 years, male 11.5
GTEX-1LBAC-0126-SM-DIPEZ 20-29 years, male 11.5
GTEX-1LH75-2426-SM-E9TJE 50-59 years, female 11.5
GTEX-ZVT4-0126-SM-DTXFN 50-59 years, female 11.5
GTEX-14C5O-0126-SM-5SI6N 60-69 years, male 11.4
GTEX-15DDE-0126-SM-6LPKH 50-59 years, female 11.4
GTEX-WQUQ-0426-SM-3MJFU 60-69 years, male 11.3
GTEX-1GN2E-0426-SM-9MQKX 60-69 years, male 11.3
GTEX-1JMPY-1326-SM-ARL8Y 30-39 years, male 11.3
GTEX-SIU8-0126-SM-2XCDT 50-59 years, male 11.2
GTEX-Y5LM-1926-SM-5RQJH 40-49 years, female 11.2
GTEX-ZVE2-0226-SM-59HJB 50-59 years, male 11.2
GTEX-ZVT2-2526-SM-51MT1 50-59 years, female 11.2
GTEX-1HBPI-1526-SM-C1YQ1 50-59 years, male 11.2
GTEX-11EI6-0126-SM-5985R 60-69 years, male 11.1
GTEX-QVJO-1626-SM-2S1QW 60-69 years, female 11.1
GTEX-1HBPN-0226-SM-9YFM1 50-59 years, male 11.1
GTEX-1MCYP-1926-SM-E9J2R 20-29 years, female 11.1
GTEX-1N2DV-0226-SM-E6CJ6 40-49 years, male 11.1
GTEX-1QCLY-0326-SM-E8VOG 30-39 years, male 11.1
GTEX-Z93T-0126-SM-5HL5N 50-59 years, male 11.0
GTEX-1S82Z-0826-SM-E6CHY 30-39 years, female 11.0
GTEX-11XUK-2026-SM-5EQLF 40-49 years, female 10.9
GTEX-1CAMR-1926-SM-7EPI2 20-29 years, male 10.9
GTEX-QV44-1926-SM-2S1RF 50-59 years, male 10.9
GTEX-1J8Q2-0526-SM-CM2RW 60-69 years, male 10.9
GTEX-13112-2826-SM-5DUWH 50-59 years, male 10.8
GTEX-1B8KZ-2026-SM-7DHMB 50-59 years, male 10.8
GTEX-ZU9S-0226-SM-5E441 30-39 years, male 10.8
GTEX-1HFI7-1826-SM-ACKXH 50-59 years, female 10.8
GTEX-14PJ3-1826-SM-62LEX 50-59 years, male 10.7
GTEX-XAJ8-0826-SM-47JY6 40-49 years, male 10.7
GTEX-ZQUD-1426-SM-57WER 30-39 years, male 10.7
GTEX-ZY6K-1826-SM-5GZXK 50-59 years, male 10.7
GTEX-1IGQW-0126-SM-COH42 60-69 years, male 10.7
GTEX-P4PQ-0126-SM-2S1NM 60-69 years, male 10.6
GTEX-1B996-0226-SM-7RHGO 60-69 years, male 10.6
GTEX-1NHNU-1026-SM-E9J2A 50-59 years, male 10.6
GTEX-1B8SG-0126-SM-73KZ3 50-59 years, male 10.4
GTEX-UJHI-1526-SM-3DB99 50-59 years, female 10.4
GTEX-1IOXB-0126-SM-ARL8G 50-59 years, male 10.4
GTEX-PWCY-1826-SM-DHXIZ 20-29 years, female 10.4
GTEX-11LCK-1026-SM-5A5KB 30-39 years, male 10.3
GTEX-14JG1-0426-SM-6ETZZ 40-49 years, male 10.3
GTEX-16GPK-0126-SM-7DHLE 60-69 years, male 10.3
GTEX-1CB4F-0426-SM-9KNV4 60-69 years, male 10.3
GTEX-1GZ4H-1726-SM-7PBZJ 50-59 years, female 10.3
GTEX-1HFI6-0226-SM-ADEHZ 40-49 years, male 10.3
GTEX-13X6I-0626-SM-5QGP9 60-69 years, male 10.2
GTEX-14E6D-0126-SM-62LDV 50-59 years, male 10.2
GTEX-1E1VI-0126-SM-7DHMZ 50-59 years, male 10.2
GTEX-PWO3-1526-SM-48TCM 60-69 years, female 10.2
GTEX-12696-2426-SM-5EQ6H 60-69 years, male 10.1
GTEX-131YS-0126-SM-5KM1M 60-69 years, female 10.1
GTEX-13O21-1426-SM-5K7XI 50-59 years, male 10.1
GTEX-14DAR-2026-SM-5S2O3 50-59 years, male 10.1
GTEX-1A3MV-1926-SM-718BT 30-39 years, male 10.1
GTEX-PLZ5-2026-SM-2S1O4 50-59 years, male 10.1
GTEX-XUYS-0126-SM-47JWZ 50-59 years, male 10.1
GTEX-1JN76-0126-SM-CNPPE 20-29 years, female 10.1
GTEX-1KAFJ-2026-SM-CY8ID 50-59 years, male 10.1
GTEX-1MUQO-0126-SM-EAZ58 60-69 years, male 10.1
GTEX-1RDX4-0126-SM-E9J4P 50-59 years, female 10.1
GTEX-13FTY-0526-SM-5L3EV 40-49 years, female 10.0
GTEX-13FXS-0226-SM-5IJCK 50-59 years, male 10.0
GTEX-17HGU-0226-SM-7DHKV 50-59 years, male 10.0
GTEX-1AX9J-0226-SM-73KXM 60-69 years, male 10.0
GTEX-RWSA-0126-SM-2XCBB 40-49 years, male 10.0
GTEX-13OW5-0126-SM-DTXFS 60-69 years, male 10.0
GTEX-1MCQQ-0826-SM-DLHC2 60-69 years, male 10.0
GTEX-1C2JI-1826-SM-73KXC 50-59 years, male 9.9
GTEX-TMZS-0126-SM-3DB9Q 60-69 years, male 9.9
GTEX-WY7C-2326-SM-3NB2U 50-59 years, male 9.9
GTEX-1F75B-0126-SM-9KNVL 50-59 years, male 9.9
GTEX-111FC-0126-SM-5N9DL 60-69 years, male 9.8
GTEX-12ZZZ-0626-SM-5DUXI 60-69 years, male 9.8
GTEX-14E6E-1826-SM-5S2R7 30-39 years, male 9.8
GTEX-18A67-0126-SM-7LG5P 50-59 years, male 9.8
GTEX-QLQ7-1626-SM-2S1R8 60-69 years, male 9.8
GTEX-1GPI7-0126-SM-9MQL8 20-29 years, male 9.8
GTEX-14ICK-0226-SM-6EU25 40-49 years, male 9.7
GTEX-ZVZO-0126-SM-5A5L9 40-49 years, male 9.7
GTEX-1H1E6-1726-SM-ACKVK 30-39 years, male 9.7
GTEX-1H4P4-0726-SM-9YFLR 50-59 years, male 9.7
GTEX-1QP66-1726-SM-E8VO1 50-59 years, male 9.7
GTEX-17KNJ-2326-SM-7DHLQ 50-59 years, male 9.6
GTEX-1C4CL-0526-SM-73KVK 30-39 years, male 9.6
GTEX-UPJH-0326-SM-3GADU 50-59 years, male 9.6
GTEX-1I1GV-0526-SM-A9G29 60-69 years, male 9.6
GTEX-13NZB-2526-SM-5J1OM 30-39 years, male 9.5
GTEX-13OW8-1326-SM-5J1OW 60-69 years, male 9.5
GTEX-T6MO-1626-SM-32QOM 40-49 years, female 9.5
GTEX-ZDTT-2726-SM-4WKF8 60-69 years, male 9.5
GTEX-1QPFJ-0226-SM-E76PB 30-39 years, female 9.5
GTEX-14A5I-0126-SM-5TDEA 50-59 years, female 9.4
GTEX-14PJM-0226-SM-62LF1 50-59 years, female 9.4
GTEX-15DCD-0126-SM-7KUEK 70-79 years, female 9.4
GTEX-XBED-2226-SM-47JYQ 60-69 years, male 9.4
GTEX-1QMI2-0226-SM-EVYBX 60-69 years, male 9.4
GTEX-WXYG-2326-SM-4E3I6 50-59 years, female 9.3
GTEX-X4XX-0126-SM-3NMC2 60-69 years, male 9.3
GTEX-12WSD-0126-SM-59HKN 60-69 years, female 9.2
GTEX-13S7M-0126-SM-5SI6A 60-69 years, female 9.2
GTEX-15ETS-0126-SM-7KUMW 40-49 years, female 9.2
GTEX-15RIG-0226-SM-7KFTL 40-49 years, male 9.2
GTEX-X261-0126-SM-3NMD6 50-59 years, male 9.2
GTEX-1H1CY-2826-SM-9MQM3 60-69 years, female 9.2
GTEX-1K2DA-1826-SM-CGQGT 50-59 years, male 9.2
GTEX-13OVK-2026-SM-7KUEO 40-49 years, male 9.1
GTEX-145MF-0626-SM-5LUAI 50-59 years, male 9.1
GTEX-148VI-1626-SM-5SI6E 60-69 years, female 9.1
GTEX-1CB4E-2226-SM-793DC 60-69 years, male 9.1
GTEX-OXRL-0126-SM-2YUMP 50-59 years, male 9.1
GTEX-P4PP-0126-SM-3LK69 30-39 years, female 9.1
GTEX-WZTO-0126-SM-3NM95 40-49 years, male 9.1
GTEX-1R7EV-2426-SM-EVYBG 40-49 years, male 9.1
GTEX-U412-0426-SM-3DB9O 60-69 years, male 9.0
GTEX-Y8E4-0626-SM-4WWDL 40-49 years, male 9.0
GTEX-YB5K-2126-SM-4WWDJ 40-49 years, female 9.0
GTEX-13OW6-0426-SM-5L3HM 50-59 years, male 8.9
GTEX-1EN7A-0126-SM-7SB81 40-49 years, male 8.9
GTEX-12ZZY-0226-SM-5LZVE 60-69 years, male 8.8
GTEX-13W3W-2426-SM-5LU5B 60-69 years, female 8.8
GTEX-145MI-0526-SM-5O9A8 60-69 years, female 8.8
GTEX-1QP2A-0126-SM-E9J43 50-59 years, male 8.8
GTEX-RVPV-0126-SM-EAZAW 60-69 years, male 8.8
GTEX-1269C-2526-SM-5EGJ3 60-69 years, female 8.7
GTEX-16AAH-1726-SM-7939C 50-59 years, male 8.7
GTEX-NFK9-0226-SM-2HMKQ 40-49 years, male 8.7
GTEX-PLZ6-1426-SM-DKPOT 30-39 years, male 8.7
GTEX-11DXX-2426-SM-5GZZW 60-69 years, female 8.6
GTEX-17HG3-2226-SM-7938L 30-39 years, female 8.6
GTEX-O5YW-0126-SM-3LK6D 50-59 years, male 8.6
GTEX-OIZG-0726-SM-33HBL 50-59 years, male 8.6
GTEX-POMQ-2226-SM-2I5FK 20-29 years, female 8.6
GTEX-W5WG-1826-SM-4KL2Y 50-59 years, female 8.6
GTEX-12WSK-2326-SM-5GCOH 40-49 years, female 8.5
GTEX-17MFQ-1726-SM-793C7 20-29 years, male 8.5
GTEX-WFG8-2226-SM-3GIL9 20-29 years, male 8.5
GTEX-1HSMQ-1226-SM-CGQFX 50-59 years, male 8.5
GTEX-139UW-2826-SM-5L3E7 60-69 years, male 8.4
GTEX-13X6J-0126-SM-5QGOU 50-59 years, male 8.4
GTEX-14LZ3-0226-SM-62LET 60-69 years, female 8.4
GTEX-1AMFI-2026-SM-731BH 50-59 years, female 8.4
GTEX-WRHK-1426-SM-3MJF9 20-29 years, female 8.4
GTEX-1HSMP-0126-SM-E6CJS 70-79 years, male 8.4
GTEX-133LE-1826-SM-5J1MV 20-29 years, female 8.3
GTEX-14BMU-2226-SM-5TDE9 20-29 years, female 8.3
GTEX-PVOW-0126-SM-2XCFA 40-49 years, male 8.3
GTEX-1H1DE-2126-SM-9WG6R 20-29 years, male 8.3
GTEX-11OC5-0126-SM-5HL6A 60-69 years, male 8.2
GTEX-13PVR-2326-SM-5QGR1 60-69 years, female 8.2
GTEX-17F98-0626-SM-79OMX 40-49 years, female 8.2
GTEX-1C6VR-2426-SM-79OLD 60-69 years, male 8.2
GTEX-P44H-0226-SM-2XCEU 40-49 years, male 8.2
GTEX-Z93S-0126-SM-5HL7M 50-59 years, male 8.2
GTEX-1J8Q3-1626-SM-CMKGC 60-69 years, male 8.2
GTEX-1B8KE-2126-SM-73KYX 50-59 years, male 8.1
GTEX-QCQG-1726-SM-3GIJ9 50-59 years, female 8.1
GTEX-T5JC-0426-SM-32PLO 20-29 years, male 8.1
GTEX-ZV6S-2326-SM-4YCEY 40-49 years, female 8.1
GTEX-1HCU8-0626-SM-A9SM9 60-69 years, female 8.1
GTEX-1LB8K-0226-SM-EWRNW 50-59 years, male 8.1
GTEX-1LGRB-2526-SM-CNPPQ 50-59 years, female 8.1
GTEX-11EM3-2426-SM-59861 20-29 years, female 8.0
GTEX-ZE9C-2726-SM-57WB5 60-69 years, male 8.0
GTEX-1F5PK-2426-SM-7RHHY 50-59 years, male 8.0
GTEX-1IDJU-2626-SM-CM2RT 60-69 years, female 8.0
GTEX-1IL2U-0226-SM-CE6T8 60-69 years, male 8.0
GTEX-1JMQJ-0526-SM-CYPSU 50-59 years, male 8.0
GTEX-14BMV-0126-SM-5S2PO 50-59 years, male 7.9
GTEX-1GN1U-0126-SM-7PBZK 50-59 years, female 7.9
GTEX-1HSEH-0126-SM-ACKXN 60-69 years, male 7.9
GTEX-1399R-2726-SM-5IJBA 30-39 years, male 7.8
GTEX-YB5E-2026-SM-5IFIS 40-49 years, male 7.8
GTEX-ZTSS-1926-SM-57WEW 40-49 years, male 7.8
GTEX-1399T-2826-SM-5KLYZ 60-69 years, male 7.7
GTEX-12126-0326-SM-5PNW3 20-29 years, male 7.6
GTEX-145ME-1826-SM-5SI9G 40-49 years, female 7.6
GTEX-16NGA-1726-SM-731B4 40-49 years, female 7.6
GTEX-OHPL-0126-SM-2HMJ7 60-69 years, female 7.6
GTEX-XQ3S-1526-SM-4BOOC 20-29 years, male 7.6
GTEX-1IDJH-0326-SM-A9SLQ 70-79 years, male 7.6
GTEX-1J1OQ-0226-SM-CYPSH 40-49 years, female 7.6
GTEX-15CHC-2126-SM-6EU21 60-69 years, female 7.5
GTEX-ZGAY-0526-SM-4WWBB 40-49 years, female 7.5
GTEX-ZZ64-1726-SM-5GZYB 20-29 years, male 7.5
GTEX-1KWVE-1426-SM-E9TJO 30-39 years, male 7.5
GTEX-1KXAM-2226-SM-CYPTC 60-69 years, male 7.5
GTEX-11DYG-0126-SM-59883 60-69 years, male 7.4
GTEX-13D11-2426-SM-5KM1V 50-59 years, female 7.4
GTEX-18D9U-0226-SM-718BP 40-49 years, male 7.4
GTEX-U8T8-0126-SM-3DB94 60-69 years, male 7.4
GTEX-XBEW-0626-SM-4QASP 40-49 years, male 7.4
GTEX-1HSGN-0226-SM-CGQFV 40-49 years, female 7.4
GTEX-1212Z-2526-SM-5EGKP 60-69 years, male 7.3
GTEX-14PN3-2426-SM-6LLHS 60-69 years, female 7.3
GTEX-1JN6P-0126-SM-D3L98 60-69 years, male 7.3
GTEX-131XH-2226-SM-5DUXJ 50-59 years, male 7.2
GTEX-TMMY-0226-SM-33HBA 40-49 years, female 7.2
GTEX-ZXG5-0126-SM-5GIEU 60-69 years, male 7.2
GTEX-1K2DU-2326-SM-E9TIV 20-29 years, male 7.2
GTEX-14JG6-2226-SM-6EU2G 30-39 years, female 7.1
GTEX-XPVG-2626-SM-4B669 50-59 years, male 7.1
GTEX-1128S-2326-SM-5GZZY 60-69 years, female 7.0
GTEX-12WSE-0526-SM-793B2 20-29 years, male 7.0
GTEX-13N2G-2626-SM-5J1OT 60-69 years, male 7.0
GTEX-Y114-2426-SM-4TT8A 50-59 years, female 7.0
GTEX-ZYT6-0226-SM-5NQ6T 30-39 years, male 7.0
GTEX-1R7EU-0226-SM-EVR4G 60-69 years, male 7.0
GTEX-13PDP-0126-SM-5L3HD 60-69 years, male 6.9
GTEX-R3RS-0126-SM-3GIJL 40-49 years, female 6.9
GTEX-1E2YA-0126-SM-9KNUC 50-59 years, male 6.9
GTEX-1F52S-0126-SM-9MQJU 60-69 years, female 6.9
GTEX-1LGOU-2026-SM-DIPFF 20-29 years, female 6.9
GTEX-1S5ZA-0126-SM-EVYCV 20-29 years, male 6.9
GTEX-117XS-2726-SM-5N9BL 60-69 years, male 6.8
GTEX-12WSA-0226-SM-5BC5V 60-69 years, male 6.8
GTEX-15F5U-1526-SM-6PANO 40-49 years, male 6.8
GTEX-17F96-1626-SM-7DUFL 70-79 years, male 6.8
GTEX-1JKYR-0126-SM-CNPOJ 20-29 years, male 6.8
GTEX-1JMLX-0226-SM-CM2RO 50-59 years, male 6.8
GTEX-145LU-0126-SM-5TDCB 50-59 years, male 6.7
GTEX-1PDJ9-0326-SM-DTX95 20-29 years, male 6.7
GTEX-17EUY-0426-SM-793BD 20-29 years, male 6.6
GTEX-T8EM-1026-SM-3DB7M 40-49 years, male 6.6
GTEX-VJWN-0126-SM-3GIK7 50-59 years, female 6.5
GTEX-ZXES-1826-SM-5E43S 30-39 years, female 6.5
GTEX-1F6RS-0126-SM-9MQKZ 60-69 years, female 6.5
GTEX-1JJEA-0326-SM-CNPOT 60-69 years, male 6.5
GTEX-1QP9N-1426-SM-DTXFL 30-39 years, male 6.5
GTEX-17EVP-0326-SM-7DHLG 40-49 years, male 6.4
GTEX-1J8QM-2126-SM-CYPSJ 60-69 years, female 6.4
GTEX-1JJ6O-0126-SM-E6CI8 60-69 years, male 6.4
GTEX-1JMQL-0226-SM-CNPP5 50-59 years, female 6.4
GTEX-ZF2S-2326-SM-4WWCE 50-59 years, female 6.3
GTEX-1I1GQ-0126-SM-COH3H 50-59 years, male 6.2
GTEX-13OVH-0126-SM-5MR4B 70-79 years, male 6.1
GTEX-14753-0426-SM-5NQAM 60-69 years, male 6.1
GTEX-1B8SF-1426-SM-7DUGL 60-69 years, male 6.1
GTEX-SJXC-0126-SM-2XCFF 60-69 years, male 6.1
GTEX-1I4MK-2226-SM-ACKWD 50-59 years, female 6.1
GTEX-1PFEY-1526-SM-E76PP 30-39 years, male 6.1
GTEX-16BQI-0226-SM-7KUEX 30-39 years, female 6.0
GTEX-S32W-2126-SM-2XCB1 50-59 years, female 6.0
GTEX-Y5V5-2326-SM-4V6GA 60-69 years, female 6.0
GTEX-1HCU9-1526-SM-A9SL7 20-29 years, male 6.0
GTEX-1S3DN-2226-SM-EVYCD 50-59 years, male 6.0
GTEX-13NYB-2526-SM-5K7Z6 40-49 years, male 5.9
GTEX-1C64N-0126-SM-793D7 50-59 years, male 5.9
GTEX-S7SE-0126-SM-2XCD5 50-59 years, male 5.9
GTEX-S95S-1226-SM-4GICG 60-69 years, male 5.9
GTEX-SNMC-1226-SM-2XCFP 20-29 years, male 5.9
GTEX-1GF9V-0326-SM-7RHI5 60-69 years, male 5.9
GTEX-1GL5R-1826-SM-9KNUY 50-59 years, male 5.9
GTEX-1I1GT-0626-SM-CGQER 60-69 years, female 5.9
GTEX-1IKJJ-0126-SM-CNPQB 60-69 years, male 5.9
GTEX-14PJ6-2126-SM-6EU1V 60-69 years, female 5.8
GTEX-15ER7-0326-SM-7KUEV 20-29 years, female 5.8
GTEX-TKQ1-1026-SM-4GICL 30-39 years, male 5.8
GTEX-1LG7Z-1726-SM-D3LA4 30-39 years, male 5.8
GTEX-1PPH8-0226-SM-E8VND 20-29 years, male 5.8
GTEX-145LS-0126-SM-5QGP1 60-69 years, female 5.7
GTEX-RWS6-2026-SM-2XCB5 60-69 years, female 5.7
GTEX-1HCU7-0226-SM-CL545 50-59 years, male 5.7
GTEX-1PIIG-0226-SM-EWRN6 30-39 years, male 5.7
GTEX-13113-5016-SM-7EPIP 60-69 years, female 5.6
GTEX-14PHX-2326-SM-62LEM 50-59 years, male 5.6
GTEX-1C6VS-0526-SM-7DUEN 60-69 years, male 5.6
GTEX-1CAMQ-0226-SM-7IGPK 40-49 years, male 5.6
GTEX-ZV68-0126-SM-59HKS 50-59 years, female 5.6
GTEX-1OJC3-0126-SM-E76QX 20-29 years, male 5.6
GTEX-ZVZP-2426-SM-59HKJ 50-59 years, male 5.5
GTEX-1M5QR-1226-SM-EWROB 40-49 years, male 5.5
GTEX-1LVAN-0226-SM-COH3S 50-59 years, female 5.4
GTEX-OIZH-0126-SM-2HMIS 50-59 years, male 5.3
GTEX-ZAB5-1826-SM-5HL7C 50-59 years, male 5.3
GTEX-13FTW-2626-SM-5K7WL 40-49 years, male 5.2
GTEX-13JUV-2726-SM-5LZZ8 40-49 years, female 5.2
GTEX-145MO-0326-SM-5Q5B3 60-69 years, male 5.2
GTEX-1CB4I-0226-SM-79OLH 50-59 years, male 5.2
GTEX-Z9EW-1626-SM-5CVMN 40-49 years, male 5.2
GTEX-131XF-5016-SM-7MGWE 60-69 years, male 5.2
GTEX-1LSNM-1926-SM-E6CII 50-59 years, male 5.2
GTEX-PX3G-0126-SM-2I3EN 20-29 years, female 5.1
GTEX-1HSKV-0226-SM-A9SKJ 60-69 years, male 5.1
GTEX-Y5V6-2426-SM-4VDSB 60-69 years, male 4.9
GTEX-1IL2V-0126-SM-CM2TX 70-79 years, male 4.9
GTEX-13RTK-1426-SM-5QGQJ 20-29 years, male 4.8
GTEX-1122O-2126-SM-5EGIR 60-69 years, female 4.7
GTEX-144GL-0126-SM-5TDE2 50-59 years, male 4.7
GTEX-14BIN-0626-SM-793DP 50-59 years, female 4.7
GTEX-P4QT-0126-SM-2I3FL 50-59 years, female 4.7
GTEX-1GMR3-1926-SM-9KNUZ 40-49 years, male 4.7
GTEX-11EQ9-2426-SM-5HL5T 30-39 years, male 4.6
GTEX-18D9A-1926-SM-7LG6P 30-39 years, female 4.6
GTEX-1HT8W-0126-SM-CNPPP 30-39 years, male 4.6
GTEX-1B97I-1626-SM-73KYO 40-49 years, male 4.5
GTEX-YJ89-0126-SM-4TT3X 60-69 years, male 4.5
GTEX-1C475-1826-SM-73KWA 40-49 years, female 4.3
GTEX-ZWKS-0126-SM-5SIAA 30-39 years, male 4.3
GTEX-1MA7W-2026-SM-E9TJ6 20-29 years, female 4.3
GTEX-WFON-2126-SM-3LK7O 40-49 years, male 4.1
GTEX-13111-1626-SM-5EGJY 50-59 years, male 4.0
GTEX-1KANC-1526-SM-D3LAB 50-59 years, female 4.0
GTEX-SE5C-1626-SM-2XCE3 40-49 years, female 3.9
GTEX-T6MN-0126-SM-32PLP 50-59 years, male 3.8
GTEX-ZYFG-2326-SM-5E44B 60-69 years, female 3.7
GTEX-1S83E-0126-SM-EWRO4 40-49 years, male 3.7
GTEX-14PII-0226-SM-6EU1T 60-69 years, male 3.6
GTEX-17JCI-0126-SM-7LG5G 60-69 years, female 3.5
GTEX-ZTX8-1426-SM-5DUVO 20-29 years, male 3.4
GTEX-1KANA-0726-SM-D3L9I 20-29 years, male 3.4
GTEX-1R9PM-2026-SM-E76OY 20-29 years, male 3.4
GTEX-1IKK5-0626-SM-ARL8A 60-69 years, male 3.2
GTEX-1OFPY-2426-SM-DTXEJ 60-69 years, male 3.2
GTEX-1F5PL-0326-SM-7P8PQ 40-49 years, female 3.1
GTEX-1L5NE-2526-SM-E6CIE 50-59 years, male 3.1
GTEX-15EU6-0426-SM-6PAN5 50-59 years, male 3.0
GTEX-17GQL-2026-SM-718BA 60-69 years, male 2.8
GTEX-T5JW-1626-SM-3GADZ 20-29 years, female 2.4
GTEX-1MJK2-0426-SM-DTXE5 50-59 years, male 2.0
GTEX-XUZC-1726-SM-4BRWS 30-39 years, female 1.6
Show allShow less

Contact

  • NEWS ARTICLES
  • PRESS ROOM

The Project

  • INTRODUCTION
  • ORGANIZATION
  • PUBLICATIONS

The Human Protein Atlas

  • DOWNLOADABLE DATA
  • LICENCE & CITATION
  • HELP & FAQ
The Human Protein Atlas project is funded
by the Knut & Alice Wallenberg Foundation.


contact@proteinatlas.org