We use cookies to enhance the usability of our website. If you continue, we'll assume that you are happy to receive all cookies. More information. Don't show this again.
MED12
HPA
RESOURCES
  • TISSUE
  • BRAIN
  • SINGLE CELL
  • SUBCELLULAR
  • CANCER
  • BLOOD
  • CELL LINE
  • STRUCTURE & INTERACTION
ABOUT
  • INTRODUCTION
  • HISTORY
  • ORGANIZATION
  • PUBLICATIONS
  • ANTIBODY SUBMISSION
  • ANTIBODY AVAILABILITY
  • ACKNOWLEDGMENTS
  • CONTACT
NEWS
  • NEWS ARTICLES
  • PRESS ROOM
LEARN
  • DICTIONARY
  • PROTEIN CLASSES
  • PROTEIN EVIDENCE
  • METHODS
  • EDUCATIONAL VIDEOS
DATA
  • DOWNLOADABLE DATA
  • PUBLICATION DATA
  • RELEASE HISTORY
HELP
  • ANTIBODY VALIDATION
  • ASSAYS & ANNOTATION
  • DISCLAIMER
  • HELP & FAQ
  • PRIVACY STATEMENT
  • LICENCE & CITATION
Fields »
Search result

Field
Term
Gene name
Class
Subclass
Class
Keyword
Chromosome
External id
Tissue
Cell type
Expression
Antibody panel
Tissue
Main location
Patient ID
Annotation
Tissue
Category
Tau score
Cluster
Reliability
Brain region
Category
Tau score
Brain region
Category
Tau score
Brain region
Category
Tau score
Cluster
Reliability
Tissue
Cell type
Enrichment
Cell type
Category
Tau score
Cell type
Category
Tau score
Cell type
Category
Tau score
Cell lineage
Category
Tau score
Cluster
Cluster
Location
Searches
Location
Cell line
Class
Type
Phase
Reliability
Cancer
Prognosis
Cancer
Category
Cancer
Category
Tau score
Cluster
Variants
Interacting gene (ensg_id)
Type
Number of interactions
Pathway
Category
Score
Score
Score
Validation
Validation
Validation
Validation
Antibodies
Data type
Column


  • SUMMARY

  • TISSUE

  • BRAIN

  • SINGLE CELL

  • SUBCELL

  • CANCER

  • BLOOD

  • CELL LINE

  • STRUCT & INT

  • MED12
TISSUE PRIMARY DATA COLON Show tissue menu
ADIPOSE TISSUE ADRENAL GLAND AMYGDALA APPENDIX BASAL GANGLIA BONE MARROW BREAST BRONCHUS CEREBELLUM CEREBRAL CORTEX CERVIX CHOROID PLEXUS COLON DUODENUM
ENDOMETRIUM EPIDIDYMIS ESOPHAGUS FALLOPIAN TUBE GALLBLADDER HEART MUSCLE HIPPOCAMPAL FORMATION HYPOTHALAMUS KIDNEY LIVER LUNG LYMPH NODE MIDBRAIN NASOPHARYNX
ORAL MUCOSA OVARY PANCREAS PARATHYROID GLAND PITUITARY GLAND PLACENTA PROSTATE RECTUM RETINA SALIVARY GLAND SEMINAL VESICLE SKELETAL MUSCLE SKIN SMALL INTESTINE
SMOOTH MUSCLE SOFT TISSUE SPINAL CORD SPLEEN STOMACH TESTIS THYMUS THYROID GLAND TONGUE TONSIL URINARY BLADDER VAGINA
ANTIBODIES
AND
VALIDATION
Dictionary
Colon
Tissue proteome
Intestine
COLON - Expression summary
Protein expression
Coloni

On the top, protein expression in current human tissue, based on all annotated cell types, is reported with the units not detected (n), low (l), medium (m) and high (h). Underneath, protein expression in each annotated cell type are reported using the same units.

Protein expression data is based on knowledge-based annotation. For genes where more than one antibody has been used, a collective score is set.

If knowledge-based annotation could not be performed for a gene, no data is displayed here. View antibody staining data further down this page.

h
m
l
n
Endothelial cells: Medium
Glandular cells: High
RNA expressioni

A summary of mRNA expression data available for current tissue based on several datasets. The mRNA expression levels in human tissues are based on RNA-seq data generated by the Human Protein Atlas (HPA), Genotype-Tissue Expression (GTEx) portal and CAGE data generated by the FANTOM5 consortium. Consensus normalized expression levels for human tissues was created by combining the data from HPA and GTEx datasets.

The mRNA expression levels in pig are based on RNA-seq data generated by the Human Protein Atlas (HPA), and for mouse, HPA data and in situ hybridization generated by the Allen brain atlas are reported.

Scroll down to view mRNA expression data in more detail.
Consensus:14.5 nTPM
HPA:4.8 nTPM
GTEx:14.5 nTPM
FANTOM5:23.7 Scaled Tags Per Million

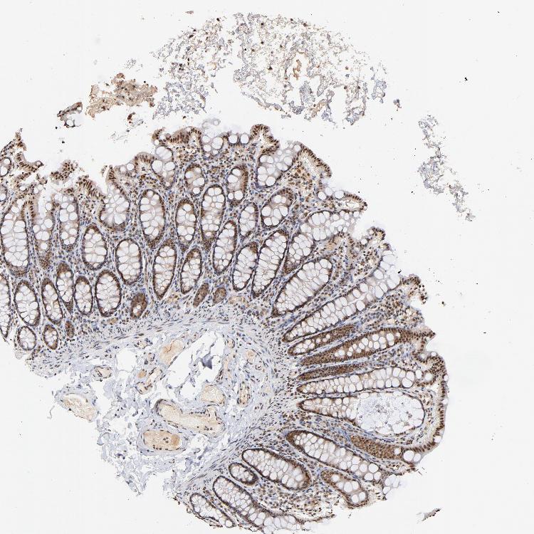
COLON - Antibody stainingi

Antibody staining in the annotated cell types in the current human tissue is reported as not detected, low, medium, or high, based on conventional immunohistochemistry profiling in selected tissues. This score is based on the combination of the staining intensity and fraction of stained cells.

Each image is clickable and will lead to virtual microscopy that enables deeper exploration of all samples and also displays staining intensity scores, fraction scores and subcellular localization as well as patient and tissue information for each sample.

Antibody HPA003184Antibody HPA003185
Endothelial cells MediumNot detected
Glandular cells HighLow





COLON - HPA RNA-seqi

The RNA-seq details section shows detailed information about the individual samples used for the transcript profiling and results of the RNA-seq analysis.

Information about each individual sample is listed below, including gender, age, a tissue section image and estimated fractions of cell types. nTPM (normalized transcripts per million) values give a quantification of the gene abundance which is comparable between different genes and samples.
Average nTPMi

Max subtype nTPM is the value for the subtype with the largest average nTPM across the subtype samples.

4.8
overview
Male, age 54
Colon sample 67
nTPM: 4.8
Cell types%
Glandular cells:
65

Smooth muscle cells:
10

Other cell types:
25

overview
Female, age 57
Colon sample 68
nTPM: 4.9
Cell types%
Glandular cells:
40

Smooth muscle cells:
5

Other cell types:
55

overview
Male, age 80
Colon sample 69
nTPM: 5.5
Cell types%
Glandular cells:
55

Smooth muscle cells:
5

Other cell types:
40

overview
Male, age 68
Colon sample 70
nTPM: 4.7
Cell types%
Glandular cells:
35

Smooth muscle cells:
10

Other cell types:
55

overview
Female, age 68
Colon sample 76
nTPM: 5
Cell types%
Glandular cells:
25

Smooth muscle cells:
5

Other cell types:
70

overview
Female, age 61
Colon sample 299
nTPM: 4.9
Cell types%
Glandular cells:
5

Smooth muscle cells:
65

Other cell types:
30

overview
Male, age 80
Colon sample 300
nTPM: 5.9
Cell types%
Glandular cells:
15

Smooth muscle cells:
20

Other cell types:
65

overview
Female, age 78
Colon sample 368
nTPM: 2.7
Cell types%
Glandular cells:
45

Smooth muscle cells:
5

Other cell types:
50

overview
Male, age 84
Colon sample 381
nTPM: 4.8
Cell types%
Glandular cells:
50

Smooth muscle cells:
15

Other cell types:
35

overview
Male, age 80
Colon sample 384
nTPM: 4
Cell types%
Glandular cells:
20

Smooth muscle cells:
35

Other cell types:
45

overview
Female, age 78
Colon sample 389
nTPM: 4.9
Cell types%
Glandular cells:
35

Smooth muscle cells:
10

Other cell types:
55

overview
Female, age 69
Colon sample 391
nTPM: 5.2
Cell types%
Glandular cells:
10

Smooth muscle cells:
45

Other cell types:
45

overview
Female, age 72
Colon sample 403
nTPM: 5
Cell types%
Glandular cells:
20

Smooth muscle cells:
15

Other cell types:
65


COLON - GTEx RNA-seqi

RNA-Seq data generated by the Genotype-Tissue Expression (GTEx) project from human tissues is reported as mean nTPM. More information can be found on the GTEx portal.

Distribution across the dataset is visualized with box plots, shown as median and 25th and 75th percentiles. Points are displayed as outliers if they are above or below 1.5 times the interquartile range. nTPM values of the individual samples are presented next to the box plot.
Max subtype nTPMi

Max subtype nTPM is the value for the subtype with the largest average nTPM across the subtype samples.

14.5
GTEx sample id Sample description nTPM
Colon - Sigmoid
Average nTPM: 14.5
Samples: 373

Max nTPM: 21.0
Min nTPM: 8.0
Std nTPM: 2.3
Median nTPM: 14.4
GTEX-1C4CL-1626-SM-7DUF3 30-39 years, male 21.0
GTEX-1HSEH-1926-SM-A96SB 60-69 years, male 20.8
GTEX-183FY-1426-SM-7DHLM 20-29 years, male 20.7
GTEX-XUW1-1826-SM-4BOQD 50-59 years, female 20.7
GTEX-1HB9E-2526-SM-D4P35 50-59 years, male 20.7
GTEX-13OW8-2726-SM-5L3FZ 60-69 years, male 20.6
GTEX-17HGU-2626-SM-79OKN 50-59 years, male 20.3
GTEX-16XZZ-2726-SM-7EWDO 60-69 years, male 19.9
GTEX-ZVT3-2826-SM-5GU6A 60-69 years, female 19.6
GTEX-1HCU6-2926-SM-B2LWV 60-69 years, female 19.5
GTEX-1I1GR-2226-SM-ARL7F 60-69 years, male 19.4
GTEX-1LKK1-2426-SM-DIPES 50-59 years, female 19.3
GTEX-1N2DV-1826-SM-E6CJ5 40-49 years, male 19.3
GTEX-13PVQ-2726-SM-5L3H7 50-59 years, male 19.2
GTEX-X15G-1526-SM-4PQZM 50-59 years, female 19.1
GTEX-WFON-1326-SM-4LVMN 40-49 years, male 19.0
GTEX-Y5V6-1626-SM-4VDT2 60-69 years, male 18.8
GTEX-1GZ4H-1326-SM-7P8TE 50-59 years, female 18.8
GTEX-1P4AB-2626-SM-DTXEU 50-59 years, male 18.8
GTEX-1JMLX-2526-SM-CY8HX 50-59 years, male 18.7
GTEX-1RAZQ-2026-SM-E76P7 30-39 years, male 18.7
GTEX-11ONC-1926-SM-5GU75 60-69 years, male 18.6
GTEX-131YS-2926-SM-5EGKI 60-69 years, female 18.5
GTEX-11P81-1426-SM-5P9JN 30-39 years, female 18.4
GTEX-1QW4Y-1426-SM-E76P3 30-39 years, male 18.3
GTEX-13D11-0626-SM-5LZYY 50-59 years, female 18.2
GTEX-1IKOE-2126-SM-A96T5 30-39 years, female 18.2
GTEX-1J8EW-2426-SM-CE6T5 60-69 years, female 18.1
GTEX-WH7G-1426-SM-4LVMU 40-49 years, male 18.0
GTEX-13OW5-2826-SM-5KM1G 60-69 years, male 17.9
GTEX-1LSNM-1426-SM-E6CIH 50-59 years, male 17.9
GTEX-16NGA-0926-SM-718AG 40-49 years, female 17.7
GTEX-XQ8I-2326-SM-4BOQC 50-59 years, male 17.7
GTEX-14E6C-2226-SM-5QGQG 40-49 years, male 17.6
GTEX-1C6VQ-2626-SM-7IGMQ 50-59 years, male 17.6
GTEX-YJ8O-1426-SM-5PNV9 40-49 years, female 17.6
GTEX-1GMR3-2526-SM-7P8QS 40-49 years, male 17.6
GTEX-1R9JW-2126-SM-E76QT 30-39 years, female 17.6
GTEX-147GR-2826-SM-5RQK8 60-69 years, male 17.3
GTEX-1QP28-2226-SM-DTX8C 50-59 years, female 17.2
GTEX-17GQL-1626-SM-7LG69 60-69 years, male 17.1
GTEX-1HSKV-2326-SM-A9SL9 60-69 years, male 17.1
GTEX-1HSMQ-2526-SM-A9SMK 50-59 years, male 17.1
GTEX-139TS-2226-SM-5J2N1 60-69 years, male 17.0
GTEX-1J8JJ-2426-SM-D4P4A 60-69 years, female 17.0
GTEX-11DXY-2026-SM-5N9CZ 60-69 years, male 16.9
GTEX-12WSM-1426-SM-5GCPA 60-69 years, male 16.9
GTEX-13OVJ-1826-SM-5KM2D 50-59 years, female 16.9
GTEX-1R9K5-2226-SM-DTX9G 50-59 years, male 16.9
GTEX-145ME-1126-SM-5SIAT 40-49 years, female 16.8
GTEX-17HHE-1626-SM-7DHLN 50-59 years, male 16.8
GTEX-V955-1726-SM-4JBHF 60-69 years, male 16.8
GTEX-13OVI-2126-SM-5KM3U 60-69 years, female 16.7
GTEX-13U4I-2626-SM-5SI9C 40-49 years, female 16.6
GTEX-1F5PK-1726-SM-7RHHW 50-59 years, male 16.6
GTEX-1I6K6-1926-SM-A96SN 30-39 years, male 16.6
GTEX-1JMPZ-2626-SM-ARU8Z 30-39 years, male 16.6
GTEX-131XE-1026-SM-5EGKE 50-59 years, male 16.5
GTEX-13O61-1526-SM-5KM3P 60-69 years, male 16.5
GTEX-1EMGI-2626-SM-7IGNR 60-69 years, male 16.5
GTEX-WY7C-1926-SM-4ONCI 50-59 years, male 16.5
GTEX-1HBPM-2626-SM-9WYU5 60-69 years, female 16.5
GTEX-1I1GT-2026-SM-CKZPK 60-69 years, female 16.5
GTEX-1IDJH-2826-SM-CJI49 70-79 years, male 16.5
GTEX-1LB8K-2526-SM-DIPEQ 50-59 years, male 16.5
GTEX-1LVAM-1726-SM-DHXKQ 50-59 years, female 16.5
GTEX-11ZTS-1526-SM-5N9G7 60-69 years, female 16.4
GTEX-13FHO-2726-SM-5K7VG 60-69 years, male 16.4
GTEX-ZAB4-2426-SM-5HL8A 40-49 years, male 16.4
GTEX-ZG7Y-1826-SM-4WWD3 50-59 years, male 16.4
GTEX-1H3NZ-2526-SM-9KNVO 60-69 years, male 16.4
GTEX-13VXT-2026-SM-5L3EW 20-29 years, female 16.3
GTEX-18QFQ-1726-SM-731C9 30-39 years, male 16.3
GTEX-WYVS-1126-SM-4SOJX 40-49 years, female 16.3
GTEX-1H3VE-2326-SM-9KNVU 40-49 years, male 16.3
GTEX-1JKYN-2226-SM-ARZNE 30-39 years, male 16.3
GTEX-1RAZR-2026-SM-E9TKE 40-49 years, male 16.3
GTEX-13PL7-2426-SM-5J2N3 60-69 years, female 16.2
GTEX-1B932-2126-SM-7IGMU 40-49 years, female 16.2
GTEX-11TUW-2326-SM-5EQMO 60-69 years, male 16.1
GTEX-12KS4-2326-SM-5EGJB 30-39 years, male 16.1
GTEX-13RTJ-1926-SM-5YYA2 60-69 years, male 16.1
GTEX-145LS-2926-SM-5O99G 60-69 years, female 16.1
GTEX-15UF6-2726-SM-7KULY 70-79 years, female 16.1
GTEX-ZC5H-2426-SM-4WAZ6 40-49 years, female 16.1
GTEX-1H1ZS-2626-SM-9QEIX 70-79 years, male 16.1
GTEX-1JJE9-2526-SM-ARU8K 70-79 years, male 16.1
GTEX-1PIGE-1526-SM-DTXFC 20-29 years, male 16.1
GTEX-117YX-0526-SM-5EGJH 50-59 years, male 16.0
GTEX-14PK6-1826-SM-69LOM 70-79 years, female 16.0
GTEX-183WM-2526-SM-731BP 70-79 years, female 16.0
GTEX-VJYA-2126-SM-4KL1O 60-69 years, male 16.0
GTEX-ZAJG-2626-SM-5S2NU 50-59 years, female 16.0
GTEX-1QP9N-0826-SM-DTX9O 30-39 years, male 16.0
GTEX-1R7EU-1826-SM-DTX9L 60-69 years, male 16.0
GTEX-1RDX4-1926-SM-E6CJJ 50-59 years, female 16.0
GTEX-13OW6-2226-SM-5N9FL 50-59 years, male 15.9
GTEX-145MH-2726-SM-5QGQ6 50-59 years, male 15.9
GTEX-15UF7-1326-SM-7KUKV 40-49 years, male 15.9
GTEX-1AMEY-1826-SM-72D5L 30-39 years, female 15.9
GTEX-1C64O-2426-SM-7P8R3 60-69 years, male 15.9
GTEX-1HFI7-1626-SM-9WYTR 50-59 years, female 15.9
GTEX-1IDJU-1926-SM-CL53W 60-69 years, female 15.9
GTEX-1JMQK-2326-SM-ARZN4 60-69 years, male 15.9
GTEX-1KANA-1726-SM-CY8IG 20-29 years, male 15.9
GTEX-13X6J-2826-SM-7EPGA 50-59 years, male 15.8
GTEX-13X6K-2726-SM-5O9DG 60-69 years, female 15.8
GTEX-18D9A-1326-SM-7LT8P 30-39 years, female 15.8
GTEX-1BAJH-2726-SM-7IGNJ 70-79 years, male 15.8
GTEX-1GL5R-1726-SM-9KNUX 50-59 years, male 15.8
GTEX-1GPI7-1926-SM-9KNUH 20-29 years, male 15.8
GTEX-1HCUA-1926-SM-B2LWE 50-59 years, female 15.8
GTEX-1J8QM-1226-SM-CY8HI 60-69 years, female 15.8
GTEX-13SLW-2826-SM-5Q5ES 70-79 years, male 15.7
GTEX-148VJ-2426-SM-5NQ9Y 70-79 years, male 15.7
GTEX-14PJ4-1826-SM-5YY97 60-69 years, male 15.7
GTEX-1S82P-2026-SM-E9TIQ 60-69 years, female 15.7
GTEX-12BJ1-2026-SM-5FQUH 60-69 years, male 15.6
GTEX-1339X-1726-SM-5P9J9 40-49 years, male 15.6
GTEX-139T6-1426-SM-5P9J7 50-59 years, male 15.6
GTEX-14DAQ-2926-SM-664MV 60-69 years, female 15.6
GTEX-1GN73-2726-SM-9WYUB 60-69 years, male 15.6
GTEX-145LT-0826-SM-5S2QL 40-49 years, male 15.5
GTEX-1LG7Y-2226-SM-E9U5K 50-59 years, male 15.5
GTEX-12WSJ-1426-SM-5GCON 40-49 years, female 15.4
GTEX-1B8L1-1926-SM-7IGND 60-69 years, male 15.4
GTEX-1CB4G-2726-SM-79OO4 60-69 years, male 15.4
GTEX-WHWD-1526-SM-4OORV 50-59 years, male 15.4
GTEX-ZQUD-1026-SM-4YCEZ 30-39 years, male 15.4
GTEX-1GMR2-1826-SM-9KNUP 50-59 years, male 15.4
GTEX-131XG-1526-SM-5GCNQ 50-59 years, female 15.3
GTEX-14E1K-1626-SM-664MO 50-59 years, male 15.3
GTEX-17KNJ-1826-SM-7LT9N 50-59 years, male 15.3
GTEX-ZPU1-1726-SM-4WWFV 40-49 years, male 15.3
GTEX-1EU9M-2726-SM-7P8QD 60-69 years, male 15.3
GTEX-1JN6P-2126-SM-ARL98 60-69 years, male 15.3
GTEX-1K2DA-1626-SM-CGQGB 50-59 years, male 15.3
GTEX-111YS-1826-SM-5GIEP 60-69 years, male 15.2
GTEX-1212Z-1826-SM-5FQSH 60-69 years, male 15.2
GTEX-1399R-2126-SM-5K7WZ 30-39 years, male 15.2
GTEX-147JS-2626-SM-5S2UX 60-69 years, male 15.2
GTEX-14PN3-1926-SM-6EU1Y 60-69 years, female 15.2
GTEX-1HKZK-2026-SM-9WYUF 40-49 years, male 15.2
GTEX-1RMOY-1726-SM-EVYC9 50-59 years, male 15.2
GTEX-18A6Q-2226-SM-7LG61 60-69 years, male 15.1
GTEX-1AX9K-1626-SM-73KUS 50-59 years, male 15.1
GTEX-1C2JI-1726-SM-73KUW 50-59 years, male 15.1
GTEX-ZVT4-2626-SM-5N9GJ 50-59 years, female 15.1
GTEX-1H1E6-1826-SM-A9G21 30-39 years, male 15.1
GTEX-1JN76-1326-SM-ARU94 20-29 years, female 15.1
GTEX-14C5O-2626-SM-5RQI5 60-69 years, male 15.0
GTEX-14E6E-1726-SM-5S2R6 30-39 years, male 15.0
GTEX-15RJE-2226-SM-6M46A 40-49 years, male 15.0
GTEX-18A66-2626-SM-72D67 60-69 years, male 15.0
GTEX-WYJK-2326-SM-4ONDN 50-59 years, male 15.0
GTEX-X4EO-2726-SM-4E3HS 60-69 years, female 15.0
GTEX-1H3VY-2526-SM-9KNW1 50-59 years, male 15.0
GTEX-1HBPN-2026-SM-B2LWA 50-59 years, male 15.0
GTEX-1J1OQ-2826-SM-D3L88 40-49 years, female 15.0
GTEX-11EQ9-1526-SM-5PNY7 30-39 years, male 14.9
GTEX-WI4N-2226-SM-4OOS9 40-49 years, female 14.9
GTEX-WXYG-1726-SM-4ONCU 50-59 years, female 14.9
GTEX-Y5LM-1426-SM-5RQJL 40-49 years, female 14.9
GTEX-1HCU7-2726-SM-A9G3D 50-59 years, male 14.9
GTEX-18465-2726-SM-7LT9I 50-59 years, male 14.8
GTEX-1OFPY-1226-SM-E76OM 60-69 years, male 14.8
GTEX-13PVR-1726-SM-5Q5EC 60-69 years, female 14.7
GTEX-16MTA-1626-SM-6M47N 50-59 years, male 14.7
GTEX-17MFQ-1226-SM-7KFSA 20-29 years, male 14.7
GTEX-XUZC-1526-SM-4BRV4 30-39 years, female 14.7
GTEX-Y9LG-1326-SM-4VBQB 30-39 years, male 14.7
GTEX-ZXES-1726-SM-5E43G 30-39 years, female 14.7
GTEX-ZYY3-2226-SM-5E45A 60-69 years, female 14.7
GTEX-1C64N-2226-SM-7SB7C 50-59 years, male 14.7
GTEX-1RLM8-1726-SM-E9TKF 50-59 years, male 14.7
GTEX-11ZTT-1626-SM-5EQKR 60-69 years, female 14.6
GTEX-14PHX-1126-SM-5YYA5 50-59 years, male 14.6
GTEX-1AX9J-2526-SM-73KUY 60-69 years, male 14.6
GTEX-1F5PL-1926-SM-7MXTP 40-49 years, female 14.6
GTEX-1QCLZ-2026-SM-EAZ4A 60-69 years, female 14.6
GTEX-1S831-1726-SM-EWROJ 20-29 years, male 14.6
GTEX-11EI6-2626-SM-5PNVT 60-69 years, male 14.5
GTEX-14AS3-1026-SM-5TDD7 40-49 years, female 14.5
GTEX-15ETS-2326-SM-7KUGC 40-49 years, female 14.5
GTEX-1F75W-2126-SM-7RHIA 60-69 years, male 14.5
GTEX-12ZZY-2726-SM-5EQ45 60-69 years, male 14.4
GTEX-1IL2U-2526-SM-C1YQV 60-69 years, male 14.4
GTEX-1J8Q3-2426-SM-CL53S 60-69 years, male 14.4
GTEX-1LG7Z-1326-SM-DIPF3 30-39 years, male 14.4
GTEX-11GS4-1826-SM-5HL4T 60-69 years, male 14.3
GTEX-13FH7-1626-SM-5J2O9 50-59 years, female 14.3
GTEX-15EO6-2326-SM-6LPKK 50-59 years, male 14.3
GTEX-1LGRB-2026-SM-COH47 50-59 years, female 14.3
GTEX-14PJ3-1226-SM-5ZZVY 50-59 years, male 14.2
GTEX-15DYW-2426-SM-7KUG8 60-69 years, female 14.2
GTEX-1B97I-1526-SM-73KUK 40-49 years, male 14.2
GTEX-ZE7O-2626-SM-51MSS 50-59 years, female 14.2
GTEX-1EH9U-1926-SM-7P8QM 60-69 years, male 14.2
GTEX-12ZZX-2726-SM-5N9FT 40-49 years, female 14.1
GTEX-17HG3-1126-SM-7DUFC 30-39 years, female 14.1
GTEX-Y8LW-1126-SM-4VDS4 50-59 years, female 14.1
GTEX-ZYFG-1826-SM-5GZWX 60-69 years, female 14.1
GTEX-1KXAM-1926-SM-D3LAG 60-69 years, male 14.1
GTEX-1LBAC-1726-SM-D3L9W 20-29 years, male 14.1
GTEX-1QP29-2526-SM-E6CQ3 50-59 years, male 14.1
GTEX-Y8E4-2326-SM-EAZAZ 40-49 years, male 14.1
GTEX-12WSL-1826-SM-5LZW9 50-59 years, male 14.0
GTEX-13FTW-2126-SM-5K7YG 40-49 years, male 14.0
GTEX-1AYCT-1926-SM-793AE 50-59 years, male 14.0
GTEX-ZF2S-1826-SM-4WKFF 50-59 years, female 14.0
GTEX-ZVT2-1726-SM-51MRO 50-59 years, female 14.0
GTEX-1OJC3-1826-SM-DTX93 20-29 years, male 14.0
GTEX-1QP2A-2226-SM-DTXF6 50-59 years, male 14.0
GTEX-13CF2-1826-SM-5N9GK 60-69 years, male 13.9
GTEX-13X6I-2726-SM-5Q5ET 60-69 years, male 13.9
GTEX-18A67-2226-SM-7LT9Z 50-59 years, male 13.9
GTEX-WFG7-1626-SM-4LVMF 20-29 years, male 13.9
GTEX-XXEK-1826-SM-4BRVC 50-59 years, male 13.9
GTEX-Y3I4-1126-SM-4TT7Y 50-59 years, male 13.9
GTEX-YFCO-1526-SM-5YYB8 40-49 years, male 13.9
GTEX-ZAB5-1426-SM-5HL9D 50-59 years, male 13.9
GTEX-ZTTD-2626-SM-57WEX 50-59 years, male 13.9
GTEX-1HBPI-2226-SM-9WYTY 50-59 years, male 13.9
GTEX-1I1CD-2826-SM-A9SL4 60-69 years, female 13.9
GTEX-145MO-2626-SM-5QGPD 60-69 years, male 13.8
GTEX-16Z82-2426-SM-7KUMS 60-69 years, male 13.8
GTEX-1AMFI-1826-SM-73KWB 50-59 years, female 13.8
GTEX-YECK-2826-SM-5IFHF 60-69 years, male 13.8
GTEX-1JKYR-2026-SM-CNPON 20-29 years, male 13.8
GTEX-1K9T9-2926-SM-E9TKD 50-59 years, female 13.8
GTEX-1PDJ9-2026-SM-E76PT 20-29 years, male 13.8
GTEX-ZLWG-1826-SM-DO11I 50-59 years, female 13.8
GTEX-117XS-2226-SM-5GIE1 60-69 years, male 13.7
GTEX-12WSD-2626-SM-5EGJE 60-69 years, female 13.7
GTEX-14A5H-1626-SM-5SIAN 60-69 years, male 13.7
GTEX-17F9Y-2626-SM-7IGN9 70-79 years, female 13.7
GTEX-1A32A-2626-SM-73KX9 50-59 years, female 13.7
GTEX-1B8KE-1526-SM-7DUG2 50-59 years, male 13.7
GTEX-1GF9X-1426-SM-7RHGX 40-49 years, female 13.7
GTEX-1PFEY-1726-SM-DPRZ4 30-39 years, male 13.7
GTEX-1QPFJ-2426-SM-EVR3L 30-39 years, female 13.7
GTEX-11DXX-1926-SM-5EGJK 60-69 years, female 13.6
GTEX-11EMC-1426-SM-5N9E4 60-69 years, female 13.6
GTEX-17EUY-1726-SM-79OK4 20-29 years, male 13.6
GTEX-WQUQ-2626-SM-4MVNP 60-69 years, male 13.6
GTEX-ZLV1-1326-SM-DO11Q 60-69 years, female 13.6
GTEX-11DXZ-1626-SM-5GIDI 50-59 years, male 13.5
GTEX-139D8-2926-SM-5IJBM 30-39 years, female 13.5
GTEX-XV7Q-2226-SM-4BRVY 40-49 years, female 13.5
GTEX-1HSGN-2226-SM-A9SL6 40-49 years, female 13.5
GTEX-12696-1926-SM-5EGJT 60-69 years, male 13.4
GTEX-13113-1426-SM-5EGHU 60-69 years, female 13.4
GTEX-13CF3-1326-SM-5LZXZ 60-69 years, female 13.4
GTEX-14BMU-1326-SM-5RQIH 20-29 years, female 13.4
GTEX-15RIE-2026-SM-7KFRW 60-69 years, male 13.4
GTEX-WHPG-1626-SM-4M1ZL 50-59 years, male 13.4
GTEX-ZF29-1826-SM-4WKG8 60-69 years, female 13.4
GTEX-ZLFU-1426-SM-4WWEU 40-49 years, male 13.4
GTEX-1GMRU-2626-SM-9WPPM 50-59 years, male 13.4
GTEX-1PIIG-2126-SM-EXUSD 30-39 years, male 13.4
GTEX-1QP67-1426-SM-E8VOO 40-49 years, female 13.4
GTEX-139UW-2326-SM-5KM1Y 60-69 years, male 13.3
GTEX-1B996-2726-SM-7DUGG 60-69 years, male 13.3
GTEX-YJ8A-1726-SM-5P9IQ 20-29 years, male 13.3
GTEX-1GTWX-2626-SM-9WPOT 60-69 years, male 13.3
GTEX-1JJEA-2526-SM-CY8HJ 60-69 years, male 13.3
GTEX-15CHQ-2626-SM-686YZ 60-69 years, male 13.2
GTEX-16BQI-2026-SM-7KULQ 30-39 years, female 13.2
GTEX-X5EB-1126-SM-46MVV 40-49 years, male 13.2
GTEX-ZT9W-1726-SM-51MS3 50-59 years, male 13.2
GTEX-1LGOU-1726-SM-D3L8P 20-29 years, female 13.2
GTEX-11PRG-2026-SM-5GU5F 50-59 years, male 13.1
GTEX-13N2G-2226-SM-5IJCU 60-69 years, male 13.1
GTEX-13O1R-2426-SM-5KLZZ 60-69 years, male 13.1
GTEX-1H1DE-1626-SM-9KNU5 20-29 years, male 13.1
GTEX-1LSNL-1626-SM-E9TJY 50-59 years, male 13.1
GTEX-1S5ZA-1426-SM-E6CJQ 20-29 years, male 13.1
GTEX-14PKV-1926-SM-686YU 20-29 years, female 13.0
GTEX-1GMR8-2926-SM-9KNW5 50-59 years, female 13.0
GTEX-1N2EF-1726-SM-EXUSI 60-69 years, male 13.0
GTEX-1211K-1826-SM-5EGJ2 60-69 years, female 12.9
GTEX-ZYFD-2226-SM-5E43P 50-59 years, male 12.9
GTEX-12WSG-2426-SM-5EQLZ 50-59 years, female 12.8
GTEX-132NY-2726-SM-5PNY2 60-69 years, male 12.8
GTEX-1C475-1526-SM-7DHM3 40-49 years, female 12.8
GTEX-1MGNQ-2126-SM-EV7AC 40-49 years, male 12.8
GTEX-11VI4-1426-SM-5GU6O 40-49 years, female 12.7
GTEX-14A5I-2426-SM-5Q5CP 50-59 years, female 12.7
GTEX-WOFM-1926-SM-4OOSP 20-29 years, male 12.7
GTEX-ZDTS-2726-SM-5L3E2 60-69 years, male 12.7
GTEX-ZQG8-2426-SM-57WEE 60-69 years, female 12.7
GTEX-1ICG6-2226-SM-B2LY7 70-79 years, female 12.7
GTEX-11I78-1326-SM-5PNY9 50-59 years, female 12.5
GTEX-14C39-1626-SM-5S2P4 40-49 years, male 12.5
GTEX-ZP4G-1526-SM-57WE5 20-29 years, female 12.5
GTEX-1RQEC-2626-SM-EVR3Z 60-69 years, male 12.5
GTEX-132AR-2826-SM-5IJFV 50-59 years, female 12.4
GTEX-144GM-1126-SM-79OJK 20-29 years, male 12.4
GTEX-15RIF-1426-SM-7KUKQ 20-29 years, male 12.4
GTEX-WFG8-1726-SM-4LVM6 20-29 years, male 12.4
GTEX-1JMPY-1026-SM-ARZN1 30-39 years, male 12.4
GTEX-11EQ8-2626-SM-5N9BO 60-69 years, male 12.3
GTEX-13QBU-2026-SM-5KLZB 40-49 years, female 12.3
GTEX-ZPCL-1626-SM-57WGC 60-69 years, female 12.3
GTEX-1CAMS-2626-SM-7PBY3 40-49 years, female 12.3
GTEX-1PBJI-2526-SM-E6CP4 20-29 years, female 12.3
GTEX-12ZZW-2426-SM-5DUWE 50-59 years, male 12.2
GTEX-1E2YA-2526-SM-7IGOU 50-59 years, male 12.2
GTEX-ZPIC-2626-SM-57WE2 40-49 years, female 12.2
GTEX-15G1A-1926-SM-7KUFF 30-39 years, male 12.2
GTEX-1HCVE-2326-SM-9WYUD 50-59 years, male 12.2
GTEX-1PIEJ-1826-SM-EWRMN 20-29 years, female 12.2
GTEX-111CU-1226-SM-5EGIN 50-59 years, male 12.1
GTEX-1122O-1426-SM-5H11R 60-69 years, female 12.1
GTEX-ZY6K-1326-SM-5GZWP 50-59 years, male 12.1
GTEX-1LSVX-2026-SM-E9TJD 60-69 years, male 12.1
GTEX-14JG6-1626-SM-5YYBC 30-39 years, female 12.0
GTEX-YF7O-1626-SM-5IFII 50-59 years, male 12.0
GTEX-1QCLY-2026-SM-EVR4C 30-39 years, male 12.0
GTEX-1R9PO-2026-SM-E9J4N 60-69 years, female 12.0
GTEX-1L5NE-1926-SM-D3L9R 50-59 years, male 11.9
GTEX-11P7K-1826-SM-5HL5A 30-39 years, male 11.8
GTEX-11ZU8-1126-SM-5EQ5K 60-69 years, male 11.8
GTEX-Z93S-2626-SM-57WBX 50-59 years, male 11.8
GTEX-1H23P-2626-SM-9KNVN 60-69 years, male 11.8
GTEX-1PPH8-2226-SM-EWRN7 20-29 years, male 11.8
GTEX-14BIN-2426-SM-5TDCF 50-59 years, female 11.7
GTEX-17JCI-2826-SM-7IGNA 60-69 years, female 11.7
GTEX-1CB4F-1926-SM-7MKFN 60-69 years, male 11.7
GTEX-W5WG-2026-SM-4LMIB 50-59 years, female 11.7
GTEX-ZA64-1426-SM-5CVMC 20-29 years, male 11.7
GTEX-XBED-1726-SM-47JYO 60-69 years, male 11.6
GTEX-ZYT6-2826-SM-5GICX 30-39 years, male 11.6
GTEX-15F5U-1426-SM-7KUN2 40-49 years, male 11.5
GTEX-15FZZ-1826-SM-6LLJP 30-39 years, female 11.5
GTEX-1A3MV-1026-SM-72D5U 30-39 years, male 11.5
GTEX-1IDJI-2226-SM-CKZPM 50-59 years, female 11.5
GTEX-1JK1U-1426-SM-CNPOW 60-69 years, male 11.5
GTEX-1LVAO-2826-SM-E9TJH 60-69 years, male 11.5
GTEX-1PBJJ-2026-SM-DTX8U 30-39 years, male 11.5
GTEX-13111-1926-SM-5GCOL 50-59 years, male 11.4
GTEX-WRHK-1126-SM-4MVOJ 20-29 years, female 11.4
GTEX-1CAMR-1026-SM-7P8QI 20-29 years, male 11.4
GTEX-1477Z-2126-SM-5Q5CM 60-69 years, male 11.3
GTEX-ZE9C-2126-SM-4WKGY 60-69 years, male 11.3
GTEX-ZV6S-1126-SM-57WE9 40-49 years, female 11.3
GTEX-ZZ64-0826-SM-5E449 20-29 years, male 11.2
GTEX-1399U-2226-SM-5KLZI 50-59 years, female 11.1
GTEX-ZVZQ-2626-SM-59HLB 60-69 years, female 11.1
GTEX-1LVAN-2626-SM-CNPQF 50-59 years, female 11.1
GTEX-13G51-2126-SM-5IJD9 60-69 years, male 11.0
GTEX-17F96-2126-SM-7KFSM 70-79 years, male 11.0
GTEX-1HSMO-2526-SM-A9SKP 60-69 years, male 11.0
GTEX-1HBPH-2526-SM-ACKXK 40-49 years, female 10.9
GTEX-1I1GP-2826-SM-A9SKZ 50-59 years, male 10.9
GTEX-1J1R8-1426-SM-CL55O 40-49 years, male 10.9
GTEX-15G19-2726-SM-6LPKG 60-69 years, male 10.7
GTEX-13OVK-1026-SM-7KFTC 40-49 years, male 10.6
GTEX-13W3W-2226-SM-5LU4M 60-69 years, female 10.5
GTEX-XAJ8-0726-SM-47JY5 40-49 years, male 10.5
GTEX-1JMQJ-2626-SM-CY8HQ 50-59 years, male 10.5
GTEX-ZTSS-1226-SM-51MSZ 40-49 years, male 10.4
GTEX-YEC3-2026-SM-DKPOL 50-59 years, male 10.4
GTEX-ZF28-2526-SM-57WFH 60-69 years, male 10.3
GTEX-11TT1-0926-SM-5GU5M 20-29 years, male 10.2
GTEX-146FH-2426-SM-5Q5EW 50-59 years, female 10.1
GTEX-15DZA-1026-SM-6PAND 30-39 years, female 10.1
GTEX-15ER7-2826-SM-6PAN2 20-29 years, female 9.9
GTEX-11EM3-1626-SM-5N9CO 20-29 years, female 9.8
GTEX-Y114-1626-SM-4TT7I 50-59 years, female 9.8
GTEX-WHSE-2726-SM-EZ6ML 20-29 years, male 9.5
GTEX-1A3MX-2326-SM-718B4 60-69 years, male 8.4
GTEX-15RJ7-1726-SM-6PAL3 40-49 years, male 8.0
Show allShow less
Colon - Transverse
Average nTPM: 13.7
Samples: 406

Max nTPM: 19.8
Min nTPM: 7.8
Std nTPM: 2.2
Median nTPM: 13.6
GTEX-1IDJF-1826-SM-CKZOE 20-29 years, male 19.8
GTEX-11GSP-1626-SM-5986N 60-69 years, female 19.7
GTEX-16XZZ-2626-SM-6M47S 60-69 years, male 19.1
GTEX-13U4I-2426-SM-5LU34 40-49 years, female 18.9
GTEX-14C39-1926-SM-5ZZW5 40-49 years, male 18.8
GTEX-1C64O-2326-SM-73KU8 60-69 years, male 18.8
GTEX-R55D-1826-SM-48FEF 50-59 years, male 18.6
GTEX-15RIE-1826-SM-6M48P 60-69 years, male 18.5
GTEX-1IDJD-2226-SM-A96TD 30-39 years, male 18.2
GTEX-RWS6-1826-SM-47JXX 60-69 years, female 18.0
GTEX-16AAH-1326-SM-7KFRG 50-59 years, male 17.9
GTEX-1GMR2-1726-SM-9JGI2 50-59 years, male 17.9
GTEX-1JMLX-2726-SM-CM2SB 50-59 years, male 17.8
GTEX-1KANA-1926-SM-DHXKF 20-29 years, male 17.8
GTEX-145MO-2426-SM-5NQ9W 60-69 years, male 17.7
GTEX-15CHC-1626-SM-5ZZWS 60-69 years, female 17.6
GTEX-139YR-2126-SM-5KM11 50-59 years, male 17.4
GTEX-1HSMQ-2726-SM-C1YRE 50-59 years, male 17.4
GTEX-1N2DV-1426-SM-DPRYQ 40-49 years, male 17.4
GTEX-1S82U-0726-SM-E9TKI 30-39 years, female 17.4
GTEX-ZYFC-2626-SM-5NQ6S 50-59 years, male 17.3
GTEX-11P81-1126-SM-5GU5G 30-39 years, female 17.2
GTEX-WH7G-1326-SM-4LVMS 40-49 years, male 17.2
GTEX-ZLV1-1226-SM-4WWBX 60-69 years, female 17.2
GTEX-1JKYR-1926-SM-C1YR7 20-29 years, male 17.2
GTEX-1B8KZ-1326-SM-7DUG6 50-59 years, male 17.1
GTEX-Q2AH-1226-SM-48TZL 40-49 years, male 17.1
GTEX-WHWD-1226-SM-4OOS1 50-59 years, male 17.1
GTEX-13O21-2426-SM-5MR4A 50-59 years, male 17.0
GTEX-WFON-1426-SM-4LVMT 40-49 years, male 17.0
GTEX-14PJ5-0926-SM-6LLIK 60-69 years, female 16.9
GTEX-OHPM-1426-SM-3TW8Y 50-59 years, male 16.9
GTEX-1GZ4I-2426-SM-9WPPP 50-59 years, male 16.9
GTEX-1JKYN-2326-SM-CGQG7 30-39 years, male 16.9
GTEX-139TS-1926-SM-5IJFO 60-69 years, male 16.8
GTEX-17HGU-2426-SM-7EWDP 50-59 years, male 16.8
GTEX-1H11D-2626-SM-9JGH4 40-49 years, male 16.8
GTEX-1HCU9-1326-SM-B2LXT 20-29 years, male 16.8
GTEX-13OVJ-1726-SM-5IJDZ 50-59 years, female 16.7
GTEX-15DZA-0926-SM-69LQ3 30-39 years, female 16.7
GTEX-15SHU-2526-SM-6M47D 40-49 years, female 16.7
GTEX-OIZF-1426-SM-2HML2 60-69 years, male 16.7
GTEX-1C2JI-1626-SM-7EPHC 50-59 years, male 16.6
GTEX-ZPU1-1926-SM-57WDT 40-49 years, male 16.6
GTEX-1R9K5-2126-SM-E8VN1 50-59 years, male 16.6
GTEX-14DAQ-2726-SM-5S2QY 60-69 years, female 16.5
GTEX-1B932-2826-SM-73KUD 40-49 years, female 16.4
GTEX-PWCY-1026-SM-48TD4 20-29 years, female 16.4
GTEX-1L5NE-2026-SM-CXZKR 50-59 years, male 16.4
GTEX-17KNJ-1726-SM-7LG6A 50-59 years, male 16.3
GTEX-1AMEY-1926-SM-73KVT 30-39 years, female 16.3
GTEX-1C6VQ-2726-SM-73KUL 50-59 years, male 16.3
GTEX-PLZ5-1126-SM-3P613 50-59 years, male 16.3
GTEX-14JIY-3326-SM-6871E 60-69 years, male 16.2
GTEX-1NV5F-2226-SM-DTX8O 60-69 years, female 16.2
GTEX-13OVG-1426-SM-5K7VP 60-69 years, male 16.1
GTEX-17EUY-1826-SM-7DUEZ 20-29 years, male 16.1
GTEX-RM2N-0926-SM-48FD1 50-59 years, male 16.1
GTEX-1AYD5-1726-SM-7RHFW 50-59 years, male 16.1
GTEX-1LG7Z-1426-SM-CXKYV 30-39 years, male 16.1
GTEX-1QMI2-2626-SM-E6CR4 60-69 years, male 16.1
GTEX-OOBJ-1426-SM-E6CHH 60-69 years, male 16.1
GTEX-14ICL-1226-SM-5S2RD 30-39 years, male 16.0
GTEX-X5EB-0926-SM-46MVT 40-49 years, male 16.0
GTEX-XQ8I-2126-SM-4BOOM 50-59 years, male 16.0
GTEX-XXEK-1926-SM-4BRVD 50-59 years, male 16.0
GTEX-1E2YA-2626-SM-7MGWW 50-59 years, male 16.0
GTEX-1H1DE-1526-SM-ARL9B 20-29 years, male 16.0
GTEX-1HSEH-1726-SM-B2LXH 60-69 years, male 16.0
GTEX-1RAZA-1726-SM-DPS13 20-29 years, male 16.0
GTEX-13FTW-1826-SM-5IJEN 40-49 years, male 15.9
GTEX-1AX8Z-2726-SM-73KUC 60-69 years, male 15.9
GTEX-Q734-1126-SM-48TZY 40-49 years, female 15.9
GTEX-U3ZH-1326-SM-4DXSF 30-39 years, male 15.9
GTEX-ZVT2-1926-SM-5GU5T 50-59 years, female 15.9
GTEX-11EQ9-1426-SM-5987G 30-39 years, male 15.8
GTEX-12WSL-1626-SM-5GCMU 50-59 years, male 15.8
GTEX-15CHR-1426-SM-7DUGV 50-59 years, male 15.8
GTEX-WY7C-1626-SM-4ONC8 50-59 years, male 15.8
GTEX-11NSD-1626-SM-5986U 20-29 years, male 15.7
GTEX-S7SF-1926-SM-4AT5B 20-29 years, female 15.7
GTEX-XBEW-1926-SM-4SOJO 40-49 years, male 15.7
GTEX-1F5PK-1926-SM-7MXT7 50-59 years, male 15.7
GTEX-QEL4-1926-SM-D3L8D 50-59 years, male 15.7
GTEX-13O3O-2526-SM-5L3DR 60-69 years, female 15.6
GTEX-147JS-2526-SM-5S2Q8 60-69 years, male 15.6
GTEX-14BMU-1526-SM-5TDE6 20-29 years, female 15.6
GTEX-14ICK-1026-SM-6AJA4 40-49 years, male 15.6
GTEX-13PL7-2526-SM-5IFGR 60-69 years, female 15.5
GTEX-14PK6-1726-SM-6871J 70-79 years, female 15.5
GTEX-RU1J-1326-SM-46MUL 20-29 years, female 15.5
GTEX-ZT9W-1826-SM-51MQX 50-59 years, male 15.5
GTEX-17HII-2726-SM-7MGVM 50-59 years, male 15.5
GTEX-1H1E6-1926-SM-9OSWD 30-39 years, male 15.5
GTEX-1QW4Y-1326-SM-EWRMZ 30-39 years, male 15.5
GTEX-11TUW-2026-SM-5EQL8 60-69 years, male 15.4
GTEX-15RIF-1326-SM-6LPKO 20-29 years, male 15.4
GTEX-Y5LM-1526-SM-4VDTA 40-49 years, female 15.4
GTEX-1JN76-1226-SM-C1YRM 20-29 years, female 15.4
GTEX-1RAZQ-2126-SM-DTX9V 30-39 years, male 15.4
GTEX-13OW5-2626-SM-5MR3M 60-69 years, male 15.3
GTEX-178AV-1326-SM-6LPJX 40-49 years, male 15.3
GTEX-1CAMS-2526-SM-7EPH7 40-49 years, female 15.3
GTEX-ZVP2-1526-SM-5NQ82 50-59 years, male 15.3
GTEX-1F75B-2726-SM-7P8QO 50-59 years, male 15.3
GTEX-1GF9U-1526-SM-7MXUW 40-49 years, female 15.3
GTEX-11O72-2226-SM-5PNW2 40-49 years, male 15.2
GTEX-11ONC-2026-SM-5HL61 60-69 years, male 15.2
GTEX-1339X-1626-SM-5IJDN 40-49 years, male 15.2
GTEX-1LBAC-1626-SM-CXZKV 20-29 years, male 15.2
GTEX-111YS-1626-SM-5GZZ9 60-69 years, male 15.1
GTEX-12KS4-2426-SM-5LU8P 30-39 years, male 15.1
GTEX-15G1A-1826-SM-7KUKO 30-39 years, male 15.1
GTEX-18QFQ-1526-SM-72D57 30-39 years, male 15.1
GTEX-1F75I-2426-SM-9WPOY 40-49 years, male 15.1
GTEX-1R9PM-1526-SM-DPRY8 20-29 years, male 15.1
GTEX-QLQW-0426-SM-447A7 30-39 years, male 15.0
GTEX-U3ZM-1126-SM-4DXUB 40-49 years, male 15.0
GTEX-V955-1626-SM-4JBHJ 60-69 years, male 15.0
GTEX-1CAMR-0926-SM-7MXTD 20-29 years, male 15.0
GTEX-1I6K6-1826-SM-B2LX5 30-39 years, male 15.0
GTEX-1IGQW-2326-SM-CE6RV 60-69 years, male 15.0
GTEX-OXRO-0726-SM-E9U4C 60-69 years, female 15.0
GTEX-131XE-0826-SM-5HL9W 50-59 years, male 14.9
GTEX-14PJ3-0926-SM-69LQG 50-59 years, male 14.9
GTEX-14XAO-2026-SM-69LOI 60-69 years, female 14.9
GTEX-18A7A-2226-SM-7LT8K 50-59 years, female 14.9
GTEX-1GZ4H-1226-SM-9KNUA 50-59 years, female 14.9
GTEX-1HCU6-2726-SM-A9SKV 60-69 years, female 14.9
GTEX-1HKZK-2126-SM-A9SL3 40-49 years, male 14.9
GTEX-11DXZ-1726-SM-5H12M 50-59 years, male 14.8
GTEX-139T6-1326-SM-5IFFO 50-59 years, male 14.8
GTEX-NFK9-2026-SM-3LK5K 40-49 years, male 14.8
GTEX-1GMR3-2826-SM-9WPOG 40-49 years, male 14.8
GTEX-1JJ6O-2426-SM-ARU8J 60-69 years, male 14.8
GTEX-1LG7Y-2126-SM-DIPER 50-59 years, male 14.8
GTEX-1RMOY-1626-SM-EVYC8 50-59 years, male 14.8
GTEX-ZG7Y-2126-SM-DO117 50-59 years, male 14.8
GTEX-13O61-1626-SM-5KM3T 60-69 years, male 14.7
GTEX-1R7EU-1926-SM-E9U62 60-69 years, male 14.7
GTEX-13VXT-2426-SM-5LU46 20-29 years, female 14.6
GTEX-14BIN-3026-SM-5ZZUS 50-59 years, female 14.6
GTEX-P4QT-1426-SM-3NMCX 50-59 years, female 14.6
GTEX-PLZ6-0926-SM-3P5ZQ 30-39 years, male 14.6
GTEX-1LVAM-1626-SM-EV79Y 50-59 years, female 14.6
GTEX-12WSJ-1526-SM-5GCNI 40-49 years, female 14.5
GTEX-14BMV-2426-SM-5S2PP 50-59 years, male 14.5
GTEX-1C4CL-2126-SM-7IGQC 30-39 years, male 14.5
GTEX-OXRK-1726-SM-3NB16 50-59 years, female 14.5
GTEX-P78B-1726-SM-3P5ZV 40-49 years, female 14.5
GTEX-R55C-1126-SM-48FCJ 40-49 years, male 14.5
GTEX-Y3I4-1426-SM-4TT9C 50-59 years, male 14.5
GTEX-ZAB4-2226-SM-5HL97 40-49 years, male 14.5
GTEX-111VG-2226-SM-5N9DU 60-69 years, male 14.4
GTEX-11I78-1226-SM-5A5K6 50-59 years, female 14.4
GTEX-145ME-0826-SM-5O9AF 40-49 years, female 14.4
GTEX-R53T-1326-SM-48FCQ 50-59 years, female 14.4
GTEX-R55G-1226-SM-48FDC 40-49 years, female 14.4
GTEX-ZV6S-1226-SM-59HLH 40-49 years, female 14.4
GTEX-1PPGY-2826-SM-DTX9H 60-69 years, male 14.4
GTEX-R45C-2126-SM-EZ6KZ 60-69 years, female 14.4
GTEX-13FH7-1526-SM-5J2N6 50-59 years, female 14.3
GTEX-13S86-1626-SM-5Q5C5 40-49 years, male 14.3
GTEX-17F9E-1826-SM-7IGMC 50-59 years, male 14.3
GTEX-1BAJH-2326-SM-7IGMO 70-79 years, male 14.3
GTEX-S341-1426-SM-4AD6U 40-49 years, female 14.3
GTEX-1PPH8-2026-SM-DTX7P 20-29 years, male 14.3
GTEX-13W3W-2126-SM-5K7UX 60-69 years, female 14.2
GTEX-YEC3-2426-SM-DO11A 50-59 years, male 14.2
GTEX-117YX-0826-SM-5H11J 50-59 years, male 14.1
GTEX-1HCU7-2626-SM-C1YQO 50-59 years, male 14.1
GTEX-1LSVX-1726-SM-DHXJP 60-69 years, male 14.1
GTEX-11P7K-1526-SM-5EGI7 30-39 years, male 14.0
GTEX-132AR-2726-SM-5PNVN 50-59 years, female 14.0
GTEX-13O3P-2326-SM-5KM55 50-59 years, male 14.0
GTEX-SE5C-1526-SM-4BRWU 40-49 years, female 14.0
GTEX-UJMC-1326-SM-4IHLS 50-59 years, male 14.0
GTEX-WYVS-1826-SM-4OND6 40-49 years, female 14.0
GTEX-X3Y1-1726-SM-4PQZL 40-49 years, male 14.0
GTEX-1K9T9-2826-SM-D4P3F 50-59 years, female 14.0
GTEX-13OVK-0826-SM-7KULZ 40-49 years, male 13.9
GTEX-1AMFI-1726-SM-7189L 50-59 years, female 13.9
GTEX-TKQ1-0626-SM-4DXTS 30-39 years, male 13.9
GTEX-WFG7-1526-SM-4LVMG 20-29 years, male 13.9
GTEX-XPVG-1826-SM-4B64X 50-59 years, male 13.9
GTEX-ZXES-1626-SM-5NQ7L 30-39 years, female 13.9
GTEX-1MCC2-1626-SM-DIPEW 30-39 years, female 13.9
GTEX-1399S-1926-SM-5J2M5 30-39 years, female 13.8
GTEX-14PJ4-1926-SM-6LLHG 60-69 years, male 13.8
GTEX-17F96-2026-SM-79ON4 70-79 years, male 13.8
GTEX-17GQL-1526-SM-7LTAC 60-69 years, male 13.8
GTEX-O5YW-1426-SM-3MJHF 50-59 years, male 13.8
GTEX-WHSB-0926-SM-4M1XJ 50-59 years, male 13.8
GTEX-ZF29-1726-SM-4WKFV 60-69 years, female 13.8
GTEX-ZF2S-1926-SM-4WWAN 50-59 years, female 13.8
GTEX-1HSGN-2626-SM-CE6S1 40-49 years, female 13.8
GTEX-1KXAM-2126-SM-CY8I9 60-69 years, male 13.8
GTEX-13FHP-2426-SM-5KLZ5 50-59 years, male 13.7
GTEX-148VJ-2626-SM-5QGPI 70-79 years, male 13.7
GTEX-17F98-1026-SM-7IGO8 40-49 years, female 13.7
GTEX-18D9B-2526-SM-718BN 60-69 years, male 13.7
GTEX-U3ZN-2126-SM-4DXU1 30-39 years, female 13.6
GTEX-X15G-1326-SM-4PQZJ 50-59 years, female 13.6
GTEX-1GPI7-1726-SM-7P8R1 20-29 years, male 13.6
GTEX-1LGRB-1426-SM-CNNPT 50-59 years, female 13.6
GTEX-1PIGE-1426-SM-E9U61 20-29 years, male 13.6
GTEX-13D11-0826-SM-5KLZJ 50-59 years, female 13.5
GTEX-VJYA-2026-SM-4KL1K 60-69 years, male 13.5
GTEX-XMK1-1726-SM-4B64Z 40-49 years, male 13.5
GTEX-ZEX8-1926-SM-4WKFR 50-59 years, male 13.5
GTEX-ZY6K-1226-SM-5GZYL 50-59 years, male 13.5
GTEX-1I4MK-1126-SM-B2LWS 50-59 years, female 13.5
GTEX-1KANC-0926-SM-D3LA9 50-59 years, female 13.5
GTEX-12ZZZ-2426-SM-5GCNN 60-69 years, male 13.4
GTEX-14AS3-1126-SM-5Q5CR 40-49 years, female 13.4
GTEX-XUZC-1326-SM-4BRV2 30-39 years, female 13.4
GTEX-ZPCL-1826-SM-57WF1 60-69 years, female 13.4
GTEX-13QJ3-2626-SM-9OSXQ 50-59 years, male 13.4
GTEX-1JMPZ-2426-SM-C1YQP 30-39 years, male 13.4
GTEX-11ZVC-2126-SM-5EGJ1 50-59 years, female 13.3
GTEX-12C56-0626-SM-5EGGC 20-29 years, male 13.3
GTEX-131XG-1826-SM-5LZV4 50-59 years, female 13.3
GTEX-ZTSS-1126-SM-5985O 40-49 years, male 13.3
GTEX-1GF9X-1526-SM-7P8QP 40-49 years, female 13.3
GTEX-1122O-1526-SM-5N9CL 60-69 years, female 13.2
GTEX-PX3G-1426-SM-48U1J 20-29 years, female 13.2
GTEX-QDVN-1326-SM-48TZ3 50-59 years, male 13.2
GTEX-S4UY-0826-SM-4AD4Z 40-49 years, female 13.2
GTEX-TKQ2-1326-SM-4DXT9 50-59 years, male 13.2
GTEX-1GL5R-2426-SM-7MXV1 50-59 years, male 13.2
GTEX-1J1R8-1126-SM-CNPQ3 40-49 years, male 13.2
GTEX-1MGNQ-2026-SM-EAZ51 40-49 years, male 13.2
GTEX-11TTK-2426-SM-5PNYO 60-69 years, female 13.1
GTEX-1399U-1926-SM-5IFH7 50-59 years, female 13.1
GTEX-144GM-1226-SM-5LU52 20-29 years, male 13.1
GTEX-144GN-1126-SM-5LU33 50-59 years, male 13.1
GTEX-145MN-1726-SM-5SIA6 30-39 years, male 13.1
GTEX-16Z82-2226-SM-6LPJ7 60-69 years, male 13.1
GTEX-S3XE-1126-SM-4AD4N 50-59 years, male 13.1
GTEX-T6MO-0826-SM-4DM51 40-49 years, female 13.1
GTEX-ZP4G-1726-SM-4WWCM 20-29 years, female 13.1
GTEX-1MUQO-2626-SM-EWRO3 60-69 years, male 13.1
GTEX-1PWST-2426-SM-EWRMP 70-79 years, male 13.1
GTEX-QLQ7-1126-SM-CYPRB 60-69 years, male 13.1
GTEX-14E1K-1826-SM-793DT 50-59 years, male 13.0
GTEX-15SB6-1226-SM-7KUMP 50-59 years, female 13.0
GTEX-18D9A-1126-SM-7KFRJ 30-39 years, female 13.0
GTEX-WEY5-1426-SM-4LMJ3 40-49 years, female 13.0
GTEX-XGQ4-1226-SM-4AT67 50-59 years, male 13.0
GTEX-1HSMP-2326-SM-D3L8R 70-79 years, male 13.0
GTEX-1OKEX-1226-SM-DTXEC 60-69 years, male 13.0
GTEX-15CHQ-2526-SM-6EU24 60-69 years, male 12.9
GTEX-1AX9I-2626-SM-73KU5 60-69 years, male 12.9
GTEX-O5YT-1426-SM-3MJHC 20-29 years, male 12.9
GTEX-QDVJ-1326-SM-48U1X 50-59 years, male 12.9
GTEX-1PFEY-1426-SM-E9U6U 30-39 years, male 12.9
GTEX-1QCLY-1726-SM-DPRXY 30-39 years, male 12.9
GTEX-11LCK-2026-SM-5A5MA 30-39 years, male 12.8
GTEX-14PKV-2126-SM-664O3 20-29 years, female 12.8
GTEX-YEC4-1926-SM-5IFHJ 40-49 years, male 12.8
GTEX-ZYFG-1926-SM-5GID5 60-69 years, female 12.8
GTEX-1N5O9-2726-SM-E76QH 60-69 years, male 12.8
GTEX-1S83E-1626-SM-EV7B9 40-49 years, male 12.8
GTEX-PSDG-1826-SM-EAZ2S 50-59 years, male 12.8
GTEX-11VI4-1526-SM-5EQKC 40-49 years, female 12.7
GTEX-1211K-1726-SM-5FQUJ 60-69 years, female 12.7
GTEX-14DAR-1526-SM-5RQIX 50-59 years, male 12.7
GTEX-UJHI-1126-SM-4IHLN 50-59 years, female 12.7
GTEX-1JMPY-0426-SM-C1YQ3 30-39 years, male 12.7
GTEX-1RAZR-1926-SM-E6CRF 40-49 years, male 12.7
GTEX-OXRN-2026-SM-E6CHK 50-59 years, male 12.7
GTEX-147GR-2726-SM-664OO 60-69 years, male 12.6
GTEX-17HHE-1826-SM-79OKE 50-59 years, male 12.6
GTEX-18A7B-2026-SM-72D71 70-79 years, male 12.6
GTEX-OIZH-1426-SM-3NB1O 50-59 years, male 12.6
GTEX-XV7Q-2126-SM-4BRVX 40-49 years, female 12.6
GTEX-XYKS-2226-SM-4E3IU 60-69 years, female 12.6
GTEX-1EMGI-2726-SM-7P8S4 60-69 years, male 12.6
GTEX-1I1GR-2526-SM-CNNQF 60-69 years, male 12.6
GTEX-1JK1U-1526-SM-AHZ46 60-69 years, male 12.6
GTEX-1QP9N-1026-SM-E6CPX 30-39 years, male 12.6
GTEX-1RDX4-1826-SM-EVR54 50-59 years, female 12.6
GTEX-145LT-0926-SM-5LU9C 40-49 years, male 12.5
GTEX-ZYVF-2826-SM-5GIDK 50-59 years, female 12.5
GTEX-146FQ-1926-SM-5NQBY 30-39 years, male 12.4
GTEX-14E6E-1526-SM-5RQIG 30-39 years, male 12.4
GTEX-1HCVE-2526-SM-A9G2G 50-59 years, male 12.4
GTEX-13111-0726-SM-5DUVE 50-59 years, male 12.3
GTEX-144GL-2526-SM-5TDDL 50-59 years, male 12.3
GTEX-15ER7-2926-SM-7KUFK 20-29 years, female 12.3
GTEX-OXRL-1426-SM-3NM9E 50-59 years, male 12.3
GTEX-W5WG-2426-SM-4LMI6 50-59 years, female 12.3
GTEX-Y8E4-2426-SM-4WWDN 40-49 years, male 12.3
GTEX-ZGAY-2126-SM-4YCFB 40-49 years, female 12.3
GTEX-SJXC-2226-SM-EVYAK 60-69 years, male 12.3
GTEX-13OVI-2026-SM-5J1MU 60-69 years, female 12.2
GTEX-13OW6-2126-SM-5N9GL 50-59 years, male 12.2
GTEX-14PHX-1526-SM-68717 50-59 years, male 12.2
GTEX-18D9U-1926-SM-7KFTM 40-49 years, male 12.2
GTEX-1A3MV-1126-SM-718BS 30-39 years, male 12.2
GTEX-1IKK5-2726-SM-CNPQ6 60-69 years, male 12.2
GTEX-1QPFJ-2326-SM-E6CR7 30-39 years, female 12.2
GTEX-1S3DN-1826-SM-EV79K 50-59 years, male 12.2
GTEX-WVJS-2426-SM-EZ6LI 50-59 years, male 12.2
GTEX-145LS-2726-SM-5Q5D8 60-69 years, female 12.1
GTEX-14C5O-2526-SM-73KU2 60-69 years, male 12.1
GTEX-P4PP-1426-SM-3NM9L 30-39 years, female 12.1
GTEX-WOFM-2026-SM-4OOSQ 20-29 years, male 12.1
GTEX-Y8LW-1226-SM-4WWDP 50-59 years, female 12.1
GTEX-1GN73-2626-SM-9KNUQ 60-69 years, male 12.1
GTEX-1K2DA-2026-SM-CGQGK 50-59 years, male 12.1
GTEX-1N2EF-1926-SM-DTX8M 60-69 years, male 12.1
GTEX-1128S-1626-SM-5H12O 60-69 years, female 12.0
GTEX-13CF3-1426-SM-5K7YY 60-69 years, female 12.0
GTEX-18A66-2426-SM-7KFSQ 60-69 years, male 12.0
GTEX-Q2AI-0926-SM-48U1F 40-49 years, male 12.0
GTEX-S4P3-1226-SM-4AD4Y 50-59 years, female 12.0
GTEX-1H3VY-2426-SM-9WPPD 50-59 years, male 12.0
GTEX-1IKOE-2026-SM-AHZ31 30-39 years, female 12.0
GTEX-1QCLZ-1926-SM-E6CR3 60-69 years, female 12.0
GTEX-1R9JW-2026-SM-EAZ4O 30-39 years, female 12.0
GTEX-13QBU-1826-SM-5IJG3 40-49 years, female 11.9
GTEX-147F3-1926-SM-5SIB9 50-59 years, female 11.9
GTEX-Y114-1526-SM-4TT79 50-59 years, female 11.9
GTEX-1IOXB-2626-SM-CJI2N 50-59 years, male 11.9
GTEX-1POEN-2026-SM-E6CRL 30-39 years, female 11.9
GTEX-1S5VW-2926-SM-E9U6H 60-69 years, male 11.9
GTEX-OHPN-2026-SM-E9TIA 60-69 years, female 11.8
GTEX-11DXX-1826-SM-5H126 60-69 years, female 11.7
GTEX-1B8KE-1926-SM-731EE 50-59 years, male 11.7
GTEX-S4Q7-0826-SM-4AD5E 20-29 years, male 11.7
GTEX-ZZ64-0726-SM-5GZX4 20-29 years, male 11.7
GTEX-13PVR-1626-SM-73KVF 60-69 years, female 11.6
GTEX-YF7O-1726-SM-5IFJ9 50-59 years, male 11.6
GTEX-1H1DG-2226-SM-9WPPC 70-79 years, male 11.6
GTEX-1IDJC-1326-SM-CL53H 50-59 years, male 11.6
GTEX-1J1OQ-2726-SM-AHZ3R 40-49 years, female 11.6
GTEX-1QP67-1326-SM-EAZ4D 40-49 years, female 11.6
GTEX-17EVQ-1826-SM-7IGPH 70-79 years, male 11.5
GTEX-17JCI-2626-SM-7EWE6 60-69 years, female 11.5
GTEX-ZV7C-1526-SM-5NQ72 50-59 years, male 11.5
GTEX-1HFI7-1726-SM-A9G22 50-59 years, female 11.5
GTEX-ZDTT-1926-SM-5HL5W 60-69 years, male 11.5
GTEX-15UF6-2626-SM-6M466 70-79 years, female 11.4
GTEX-U412-1726-SM-EZ6KX 60-69 years, male 11.4
GTEX-ZLWG-1726-SM-DNZZ2 50-59 years, female 11.3
GTEX-13X6H-1926-SM-7EWD3 50-59 years, female 11.2
GTEX-14JG6-1726-SM-69LPL 30-39 years, female 11.2
GTEX-1LH75-2126-SM-EVR5F 50-59 years, female 11.2
GTEX-1399R-2226-SM-5P9JB 30-39 years, male 11.1
GTEX-16NPV-2626-SM-6M484 50-59 years, female 11.1
GTEX-1CB4F-2026-SM-79OLU 60-69 years, male 11.1
GTEX-SNMC-1126-SM-4DM5M 20-29 years, male 11.1
GTEX-U4B1-1126-SM-4DXV3 40-49 years, male 11.1
GTEX-1NSGN-2326-SM-E9U5X 50-59 years, male 11.1
GTEX-ZDYS-2326-SM-4WKG6 50-59 years, male 11.0
GTEX-14H4A-1926-SM-5ZZWN 40-49 years, female 10.9
GTEX-QMRM-1226-SM-447C6 50-59 years, male 10.9
GTEX-TML8-1326-SM-4DXTO 40-49 years, female 10.9
GTEX-WQUQ-2526-SM-4MVNO 60-69 years, male 10.9
GTEX-Y9LG-1526-SM-4WWDR 30-39 years, male 10.9
GTEX-1CB4I-2226-SM-7P8SL 50-59 years, male 10.9
GTEX-QV31-0826-SM-CKZNC 30-39 years, male 10.9
GTEX-17MF6-2426-SM-7LTAM 40-49 years, male 10.8
GTEX-QCQG-1626-SM-48U26 50-59 years, female 10.8
GTEX-XBED-1526-SM-4AT5W 60-69 years, male 10.8
GTEX-Y3IK-1826-SM-4WWDS 50-59 years, female 10.8
GTEX-111CU-1426-SM-5GZYP 50-59 years, male 10.7
GTEX-11P82-1026-SM-5BC5J 20-29 years, male 10.7
GTEX-11TT1-1026-SM-5PNW7 20-29 years, male 10.7
GTEX-14PJM-2626-SM-686ZD 50-59 years, female 10.7
GTEX-Z93S-2426-SM-5HL8N 50-59 years, male 10.7
GTEX-1IDJU-2026-SM-A9SLM 60-69 years, female 10.7
GTEX-XUW1-1926-SM-4BOP1 50-59 years, female 10.6
GTEX-1F5PL-2126-SM-7PC2O 40-49 years, female 10.6
GTEX-1ICLZ-2426-SM-CKZOD 60-69 years, male 10.6
GTEX-1KANB-1526-SM-CXZK4 50-59 years, male 10.5
GTEX-1MA7W-0626-SM-EV79Z 20-29 years, female 10.5
GTEX-XAJ8-0426-SM-47JYJ 40-49 years, male 10.3
GTEX-16MT8-2726-SM-7IGLJ 60-69 years, female 10.2
GTEX-PWN1-1426-SM-48TDF 40-49 years, female 10.2
GTEX-1EH9U-2026-SM-7PBYS 60-69 years, male 10.2
GTEX-12BJ1-2126-SM-5BC5O 60-69 years, male 10.1
GTEX-16NGA-1026-SM-7KFS3 40-49 years, female 10.1
GTEX-T5JW-1126-SM-4DM5V 20-29 years, female 10.1
GTEX-WYJK-2226-SM-4ONDJ 50-59 years, male 10.1
GTEX-1C475-1626-SM-731FP 40-49 years, female 10.0
GTEX-SNOS-1226-SM-4DM5H 40-49 years, male 10.0
GTEX-11EM3-1526-SM-5A5KN 20-29 years, female 9.9
GTEX-15DCE-2026-SM-7KUFE 20-29 years, male 9.9
GTEX-1AYCT-1826-SM-731EG 50-59 years, male 9.9
GTEX-YB5E-1626-SM-5IFIQ 40-49 years, male 9.9
GTEX-ZPIC-2226-SM-57WDX 40-49 years, female 9.9
GTEX-1I1GT-1926-SM-ARU7D 60-69 years, female 9.9
GTEX-1NHNU-2326-SM-E6CQE 50-59 years, male 9.8
GTEX-1MJK3-0926-SM-EV7AY 20-29 years, male 9.7
GTEX-1JJE9-2426-SM-D3L8T 70-79 years, male 9.6
GTEX-1B996-2626-SM-73KZ1 60-69 years, male 9.5
GTEX-15DYW-2326-SM-6PAMU 60-69 years, female 9.3
GTEX-133LE-1526-SM-5IFEN 20-29 years, female 9.1
GTEX-1LGOU-1626-SM-D3LAK 20-29 years, female 9.1
GTEX-X4EO-2526-SM-EWRM8 60-69 years, female 9.1
GTEX-1JN1M-2626-SM-CY8I3 60-69 years, female 8.8
GTEX-117YW-1826-SM-5PNY5 50-59 years, male 8.5
GTEX-1PIEJ-2026-SM-E6CPA 20-29 years, female 8.4
GTEX-1LVAN-2526-SM-CNPPC 50-59 years, female 7.8
Show allShow less

COLON - FANTOM5 CAGEi

RNA expression in human tissues obtained through Cap Analysis of Gene Expression (CAGE) generated by the FANTOM5 project are reported as Scaled Tags Per Million.

Max subtype Scaled Tags Per Millioni

Max subtype Scaled Tags Per Million is the value for the subtype with the largest average Scaled Tags Per Million across the subtype samples.

23.7
FANTOM5 sample id Sample description Scaled Tags Per Million
Colon
Scaled Tags Per Million: 23.7
FF:10014-101C5 62,83,84 years, mixed 23.7

Contact

  • NEWS ARTICLES
  • PRESS ROOM

The Project

  • INTRODUCTION
  • ORGANIZATION
  • PUBLICATIONS

The Human Protein Atlas

  • DOWNLOADABLE DATA
  • LICENCE & CITATION
  • HELP & FAQ
The Human Protein Atlas project is funded
by the Knut & Alice Wallenberg Foundation.


contact@proteinatlas.org