We use cookies to enhance the usability of our website. If you continue, we'll assume that you are happy to receive all cookies. More information. Don't show this again.
TRARG1
HPA
RESOURCES
  • TISSUE
  • BRAIN
  • SINGLE CELL
  • SUBCELLULAR
  • CANCER
  • BLOOD
  • CELL LINE
  • STRUCTURE & INTERACTION
ABOUT
  • INTRODUCTION
  • HISTORY
  • ORGANIZATION
  • PUBLICATIONS
  • ANTIBODY SUBMISSION
  • ANTIBODY AVAILABILITY
  • ACKNOWLEDGMENTS
  • CONTACT
NEWS
  • NEWS ARTICLES
  • PRESS ROOM
LEARN
  • DICTIONARY
  • PROTEIN CLASSES
  • PROTEIN EVIDENCE
  • METHODS
  • EDUCATIONAL VIDEOS
DATA
  • DOWNLOADABLE DATA
  • PUBLICATION DATA
  • RELEASE HISTORY
HELP
  • ANTIBODY VALIDATION
  • ASSAYS & ANNOTATION
  • DISCLAIMER
  • HELP & FAQ
  • PRIVACY STATEMENT
  • LICENCE & CITATION
Fields »
Search result

Field
Term
Gene name
Class
Subclass
Class
Keyword
Chromosome
External id
Tissue
Cell type
Expression
Antibody panel
Tissue
Main location
Patient ID
Annotation
Tissue
Category
Tau score
Cluster
Reliability
Brain region
Category
Tau score
Brain region
Category
Tau score
Brain region
Category
Tau score
Cluster
Reliability
Tissue
Cell type
Enrichment
Cell type
Category
Tau score
Cell type
Category
Tau score
Cell type
Category
Tau score
Cell lineage
Category
Tau score
Cluster
Cluster
Location
Searches
Location
Cell line
Class
Type
Phase
Reliability
Cancer
Prognosis
Cancer
Category
Cancer
Category
Tau score
Cluster
Variants
Interacting gene (ensg_id)
Type
Number of interactions
Pathway
Category
Score
Score
Score
Validation
Validation
Validation
Validation
Antibodies
Data type
Column


  • SUMMARY

  • TISSUE

  • BRAIN

  • SINGLE CELL

  • SUBCELL

  • CANCER

  • BLOOD

  • CELL LINE

  • STRUCT & INT

  • TRARG1
TISSUE PRIMARY DATA BREAST Show tissue menu
ADIPOSE TISSUE ADRENAL GLAND AMYGDALA APPENDIX BASAL GANGLIA BONE MARROW BREAST BRONCHUS CEREBELLUM CEREBRAL CORTEX CERVIX CHOROID PLEXUS COLON DUODENUM
ENDOMETRIUM EPIDIDYMIS ESOPHAGUS FALLOPIAN TUBE GALLBLADDER HEART MUSCLE HIPPOCAMPAL FORMATION HYPOTHALAMUS KIDNEY LIVER LUNG LYMPH NODE MIDBRAIN NASOPHARYNX
ORAL MUCOSA OVARY PANCREAS PARATHYROID GLAND PITUITARY GLAND PLACENTA PROSTATE RECTUM RETINA SALIVARY GLAND SEMINAL VESICLE SKELETAL MUSCLE SKIN SMALL INTESTINE
SMOOTH MUSCLE SOFT TISSUE SPINAL CORD SPLEEN STOMACH TESTIS THYMUS THYROID GLAND TONGUE TONSIL URINARY BLADDER VAGINA
ANTIBODIES
AND
VALIDATION
Dictionary
Breast
Tissue proteome
Breast
BREAST - Expression summary
Protein expression
Breasti

On the top, protein expression in current human tissue, based on all annotated cell types, is reported with the units not detected (n), low (l), medium (m) and high (h). Underneath, protein expression in each annotated cell type are reported using the same units.

Protein expression data is based on knowledge-based annotation. For genes where more than one antibody has been used, a collective score is set.

If knowledge-based annotation could not be performed for a gene, no data is displayed here. View antibody staining data further down this page.

h
m
l
n
Adipocytes: Medium
Glandular cells: Medium
Myoepithelial cells: Medium
RNA expressioni

A summary of mRNA expression data available for current tissue based on several datasets. The mRNA expression levels in human tissues are based on RNA-seq data generated by the Human Protein Atlas (HPA), Genotype-Tissue Expression (GTEx) portal and CAGE data generated by the FANTOM5 consortium. Consensus normalized expression levels for human tissues was created by combining the data from HPA and GTEx datasets.

The mRNA expression levels in pig are based on RNA-seq data generated by the Human Protein Atlas (HPA), and for mouse, HPA data and in situ hybridization generated by the Allen brain atlas are reported.

Scroll down to view mRNA expression data in more detail.
Consensus:66.5 nTPM
HPA:4.5 nTPM
GTEx:66.5 nTPM
FANTOM5:236.2 Scaled Tags Per Million

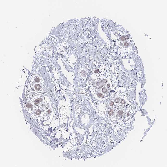
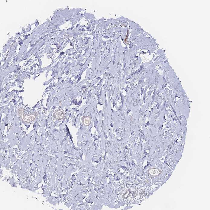
BREAST - Antibody stainingi

Antibody staining in the annotated cell types in the current human tissue is reported as not detected, low, medium, or high, based on conventional immunohistochemistry profiling in selected tissues. This score is based on the combination of the staining intensity and fraction of stained cells.

Each image is clickable and will lead to virtual microscopy that enables deeper exploration of all samples and also displays staining intensity scores, fraction scores and subcellular localization as well as patient and tissue information for each sample.

Antibody HPA050825
Adipocytes Medium
Glandular cells Medium
Myoepithelial cells Medium



BREAST - HPA RNA-seqi

The RNA-seq details section shows detailed information about the individual samples used for the transcript profiling and results of the RNA-seq analysis.

Information about each individual sample is listed below, including gender, age, a tissue section image and estimated fractions of cell types. nTPM (normalized transcripts per million) values give a quantification of the gene abundance which is comparable between different genes and samples.
Average nTPMi

Max subtype nTPM is the value for the subtype with the largest average nTPM across the subtype samples.

4.5
overview
Female, age 52
Breast sample 373
nTPM: 10.3
Cell types%
Glandular cells:
15

Adipocytes:
5

Other cell types:
80

overview
Female, age 80
Breast sample 390
nTPM: 6.9
Cell types%
Glandular cells:
5

Adipocytes:
15

Other cell types:
80

overview
Female, age 47
Breast sample 405
nTPM: 0.4
Cell types%
Glandular cells:
5

Adipocytes:
5

Other cell types:
90

overview
Female, age 38
Breast sample 410
nTPM: 0.4
Cell types%
Glandular cells:
40

Adipocytes:
5

Other cell types:
55


BREAST - GTEx RNA-seqi

RNA-Seq data generated by the Genotype-Tissue Expression (GTEx) project from human tissues is reported as mean nTPM. More information can be found on the GTEx portal.

Distribution across the dataset is visualized with box plots, shown as median and 25th and 75th percentiles. Points are displayed as outliers if they are above or below 1.5 times the interquartile range. nTPM values of the individual samples are presented next to the box plot.
Max subtype nTPMi

Max subtype nTPM is the value for the subtype with the largest average nTPM across the subtype samples.

66.5
GTEx sample id Sample description nTPM
Breast - Mammary Tissue
Average nTPM: 66.5
Samples: 459

Max nTPM: 441.0
Min nTPM: 0.0
Std nTPM: 79.8
Median nTPM: 32.9
GTEX-XMK1-1126-SM-4IHJ8 40-49 years, male 441.0
GTEX-ZLWG-1926-SM-DO92J 50-59 years, female 372.5
GTEX-1QP9N-1826-SM-E8VMP 30-39 years, male 349.9
GTEX-XGQ4-0926-SM-4AT4U 50-59 years, male 345.5
GTEX-1IDJU-1826-SM-CMKHV 60-69 years, female 336.7
GTEX-ZT9W-2026-SM-51MRA 50-59 years, male 331.7
GTEX-ZDYS-1126-SM-5K7UB 50-59 years, male 326.5
GTEX-14DAR-1326-SM-7DUEG 50-59 years, male 317.3
GTEX-1R7EV-1526-SM-E8VOD 40-49 years, male 315.8
GTEX-144GM-0926-SM-5O994 20-29 years, male 312.3
GTEX-11P82-1326-SM-5HL62 20-29 years, male 299.1
GTEX-REY6-2426-SM-48FF5 60-69 years, male 298.7
GTEX-ZZ64-1226-SM-5E43R 20-29 years, male 287.9
GTEX-ZQG8-0726-SM-5P9H9 60-69 years, female 282.6
GTEX-YB5K-1626-SM-5IFIN 40-49 years, female 277.4
GTEX-1L5NE-2126-SM-CY8IH 50-59 years, male 252.6
GTEX-12KS4-0126-SM-5Q5A5 30-39 years, male 247.7
GTEX-13FTW-1426-SM-5LZWZ 40-49 years, male 239.4
GTEX-Y5V6-2126-SM-4WWFX 60-69 years, male 234.1
GTEX-1CAMR-1426-SM-793BO 20-29 years, male 232.4
GTEX-1HSEH-2026-SM-ADEHN 60-69 years, male 231.4
GTEX-R53T-1526-SM-48FEK 50-59 years, female 230.6
GTEX-PSDG-1626-SM-48TCQ 50-59 years, male 229.5
GTEX-14PJ4-2126-SM-6ETZJ 60-69 years, male 224.2
GTEX-1H11D-1526-SM-9MQJY 40-49 years, male 223.2
GTEX-1MJK3-1126-SM-E9J3F 20-29 years, male 222.4
GTEX-XQ8I-2426-SM-4WAXY 50-59 years, male 219.0
GTEX-14B4R-1226-SM-5TDDT 30-39 years, male 217.4
GTEX-S4Q7-1126-SM-4AD6R 20-29 years, male 215.4
GTEX-11ZTT-2326-SM-5EQLG 60-69 years, female 213.2
GTEX-11DXZ-1926-SM-5GZZL 50-59 years, male 211.9
GTEX-1S82U-1126-SM-E9U6I 30-39 years, female 211.5
GTEX-14E6E-1326-SM-5S2NR 30-39 years, male 211.4
GTEX-YECK-0726-SM-EZ6LV 60-69 years, male 211.3
GTEX-1KANC-1426-SM-CYPT9 50-59 years, female 208.9
GTEX-V955-2026-SM-3GAFA 60-69 years, male 205.5
GTEX-11ZUS-0826-SM-5FQUY 30-39 years, male 205.4
GTEX-1HFI7-0126-SM-CGQFQ 50-59 years, female 204.8
GTEX-YB5E-1726-SM-5IFJ3 40-49 years, male 204.7
GTEX-1211K-1926-SM-5EQLB 60-69 years, female 203.0
GTEX-1QP28-1226-SM-E9J2M 50-59 years, female 201.8
GTEX-18D9A-1526-SM-7LG4J 30-39 years, female 200.6
GTEX-1S82Z-0726-SM-E6CHX 30-39 years, female 199.9
GTEX-TKQ1-0226-SM-33HB5 30-39 years, male 199.7
GTEX-QMRM-1626-SM-D4P1U 50-59 years, male 193.8
GTEX-1F5PK-2126-SM-7PC28 50-59 years, male 190.8
GTEX-S32W-2026-SM-4AD6E 50-59 years, female 189.5
GTEX-13CF3-2126-SM-5IFJP 60-69 years, female 184.3
GTEX-1NHNU-0926-SM-E9J2T 50-59 years, male 183.1
GTEX-139T6-1626-SM-5PNYZ 50-59 years, male 181.8
GTEX-Y8E4-1626-SM-5S2MW 40-49 years, male 179.7
GTEX-ZPIC-1126-SM-5BC7F 40-49 years, female 177.8
GTEX-11ONC-2126-SM-5HL6E 60-69 years, male 177.3
GTEX-12BJ1-1826-SM-5HL9N 60-69 years, male 174.3
GTEX-1H1ZS-0126-SM-9YFKQ 70-79 years, male 172.7
GTEX-1OKEX-0826-SM-E9J2B 60-69 years, male 172.2
GTEX-U8XE-0826-SM-4E3J1 30-39 years, male 170.8
GTEX-ZV6S-1826-SM-5NQ8D 40-49 years, female 169.6
GTEX-YEC3-1026-SM-5IFI5 50-59 years, male 169.2
GTEX-13FTX-1126-SM-5N9EN 20-29 years, female 167.9
GTEX-17GQL-0326-SM-7LG5U 60-69 years, male 165.9
GTEX-XQ3S-1326-SM-4BOPQ 20-29 years, male 165.3
GTEX-ZDTT-2126-SM-DKPOM 60-69 years, male 163.4
GTEX-ZQUD-1926-SM-51MSA 30-39 years, male 161.8
GTEX-145ME-1526-SM-5Q5F2 40-49 years, female 159.1
GTEX-11TUW-1826-SM-5BC5D 60-69 years, male 158.2
GTEX-1I1GU-1026-SM-ADEHJ 40-49 years, male 154.7
GTEX-14BMV-0626-SM-793AU 50-59 years, male 154.6
GTEX-1J8Q3-1326-SM-CMKI1 60-69 years, male 153.8
GTEX-WY7C-2726-SM-3NB3P 50-59 years, male 144.6
GTEX-1HCU9-0326-SM-9WYSC 20-29 years, male 143.6
GTEX-XV7Q-2326-SM-4BRVZ 40-49 years, female 142.5
GTEX-1QW4Y-1026-SM-DTXE2 30-39 years, male 141.9
GTEX-1ICG6-1326-SM-ACKWR 70-79 years, female 141.7
GTEX-Z9EW-1526-SM-EZ6LU 40-49 years, male 141.6
GTEX-18465-2026-SM-718AP 50-59 years, male 141.4
GTEX-16YQH-2826-SM-6PAMY 30-39 years, male 139.7
GTEX-11I78-2226-SM-5PNYA 50-59 years, female 137.0
GTEX-1LBAC-0926-SM-CXKY9 20-29 years, male 136.2
GTEX-WFON-1826-SM-3GILG 40-49 years, male 135.8
GTEX-13O61-1826-SM-5KM4I 60-69 years, male 135.6
GTEX-17HGU-1326-SM-79OKB 50-59 years, male 134.2
GTEX-ZYT6-0126-SM-5E45J 30-39 years, male 133.3
GTEX-11O72-2126-SM-5N9FO 40-49 years, male 132.8
GTEX-1PDJ9-1126-SM-EXUSW 20-29 years, male 132.2
GTEX-1QCLZ-2326-SM-DTXDO 60-69 years, female 131.8
GTEX-R55D-0826-SM-48FEA 50-59 years, male 130.4
GTEX-WHSB-1926-SM-EXOHH 50-59 years, male 130.4
GTEX-1LG7Z-0726-SM-CXKYD 30-39 years, male 129.8
GTEX-1JKYN-0726-SM-ARZMY 30-39 years, male 125.1
GTEX-1QPFJ-2026-SM-EVYBE 30-39 years, female 122.5
GTEX-T6MO-0326-SM-32QOK 40-49 years, female 120.6
GTEX-11NSD-0926-SM-5N9DR 20-29 years, male 120.3
GTEX-1I4MK-1626-SM-CM2TJ 50-59 years, female 120.3
GTEX-1RLM8-2226-SM-EVYD1 50-59 years, male 120.2
GTEX-11EQ9-1826-SM-5Q5AJ 30-39 years, male 120.1
GTEX-1LSNL-2826-SM-E9U5L 50-59 years, male 119.8
GTEX-183FY-1126-SM-7DHLJ 20-29 years, male 116.3
GTEX-12WSN-1326-SM-5GCNT 40-49 years, male 115.6
GTEX-YFCO-1826-SM-4W1YH 40-49 years, male 115.3
GTEX-1IDJF-2326-SM-ARL86 20-29 years, male 114.1
GTEX-TKQ2-1826-SM-33HB2 50-59 years, male 113.4
GTEX-1H23P-0726-SM-9WG7K 60-69 years, male 111.3
GTEX-SE5C-2126-SM-4BRUJ 40-49 years, female 111.1
GTEX-117YX-1426-SM-5H12H 50-59 years, male 110.0
GTEX-15UF7-0726-SM-6M46D 40-49 years, male 109.1
GTEX-Y9LG-1426-SM-5IFJZ 30-39 years, male 108.2
GTEX-17MFQ-0926-SM-7LG4S 20-29 years, male 107.7
GTEX-1I1GV-2426-SM-CGQFM 60-69 years, male 106.7
GTEX-144GL-2026-SM-5LU3O 50-59 years, male 106.5
GTEX-ZA64-1526-SM-5CVMD 20-29 years, male 105.6
GTEX-1MA7X-1626-SM-E9U5B 60-69 years, male 103.6
GTEX-1C475-1226-SM-7SB72 40-49 years, female 102.6
GTEX-S33H-0326-SM-4AD6N 30-39 years, male 101.7
GTEX-1I1GP-0426-SM-COH3N 50-59 years, male 100.7
GTEX-13113-5013-SM-7SB7G 60-69 years, female 99.3
GTEX-1JMOU-2026-SM-CMKGU 60-69 years, female 98.4
GTEX-UTHO-1026-SM-3GAF7 60-69 years, male 96.5
GTEX-132AR-0826-SM-5EGK6 50-59 years, female 95.0
GTEX-1R9PM-1826-SM-EVYBH 20-29 years, male 92.9
GTEX-Y5V5-2126-SM-4WWFO 60-69 years, female 91.9
GTEX-17F9E-2526-SM-7MGW2 50-59 years, male 91.8
GTEX-169BO-1126-SM-7MGWN 50-59 years, male 91.0
GTEX-1GPI7-0926-SM-7PC3J 20-29 years, male 90.8
GTEX-RUSQ-2026-SM-4GIAK 50-59 years, male 89.5
GTEX-1PPH7-0826-SM-E8VNX 40-49 years, male 88.5
GTEX-ZYFC-0826-SM-5E44K 50-59 years, male 87.8
GTEX-S4UY-0726-SM-4AD6X 40-49 years, female 87.7
GTEX-145MO-0826-SM-5NQBL 60-69 years, male 84.9
GTEX-1HCU7-1026-SM-ADEIP 50-59 years, male 84.8
GTEX-13N1W-0626-SM-5MR4U 70-79 years, male 84.3
GTEX-X4XY-0926-SM-4E3JD 60-69 years, male 84.3
GTEX-1GF9U-1726-SM-7MGY5 40-49 years, female 84.3
GTEX-1399U-1826-SM-5PNZ1 50-59 years, female 84.2
GTEX-1AMEY-1026-SM-718AA 30-39 years, female 84.2
GTEX-1R9JW-0326-SM-EAZ45 30-39 years, female 83.3
GTEX-YJ8O-2226-SM-5IFHW 40-49 years, female 82.0
GTEX-17F96-2426-SM-7IGLN 70-79 years, male 81.6
GTEX-18A66-1726-SM-7LG5N 60-69 years, male 80.8
GTEX-1KD5A-1926-SM-DKPQA 50-59 years, male 80.4
GTEX-18A6Q-0926-SM-7LG4N 60-69 years, male 79.0
GTEX-ZUA1-1526-SM-59HLS 40-49 years, male 78.0
GTEX-117XS-1926-SM-5GICO 60-69 years, male 76.9
GTEX-133LE-1726-SM-5K7VQ 20-29 years, female 76.8
GTEX-16BQI-1026-SM-7KUEA 30-39 years, female 76.6
GTEX-15EOM-5019-SM-793DK 20-29 years, female 76.1
GTEX-ZAB4-2526-SM-5HL8M 40-49 years, male 75.5
GTEX-XUW1-2326-SM-4BOO5 50-59 years, female 74.9
GTEX-132NY-0826-SM-5K7Y7 60-69 years, male 74.7
GTEX-17F98-0526-SM-79OK5 40-49 years, female 74.7
GTEX-14PJO-0726-SM-69LO8 60-69 years, male 73.2
GTEX-11LCK-2426-SM-5HL5F 30-39 years, male 72.5
GTEX-1F75B-0626-SM-7SB8A 50-59 years, male 72.5
GTEX-1IKOE-1326-SM-CE6T6 30-39 years, female 72.2
GTEX-12WSM-1726-SM-5BC6J 60-69 years, male 72.1
GTEX-13OW8-0226-SM-5K7UP 60-69 years, male 71.1
GTEX-145MN-1926-SM-5SIAI 30-39 years, male 70.4
GTEX-1H3VY-0926-SM-ACKXE 50-59 years, male 69.9
GTEX-1EWIQ-1726-SM-7SB7T 70-79 years, female 66.8
GTEX-13PVQ-1026-SM-5KM3M 50-59 years, male 66.4
GTEX-1QMI2-0726-SM-E9J4F 60-69 years, male 66.2
GTEX-1JKYR-0926-SM-CMKGJ 20-29 years, male 65.7
GTEX-1EKGG-2626-SM-7IGPY 60-69 years, male 65.2
GTEX-1I6K6-0826-SM-ARL7Z 30-39 years, male 64.9
GTEX-1A3MX-2726-SM-718B6 60-69 years, male 64.5
GTEX-139TU-0626-SM-5KM3X 60-69 years, male 64.2
GTEX-1GMR2-1926-SM-9MQLZ 50-59 years, male 64.1
GTEX-1HC8U-0826-SM-ADEIL 40-49 years, female 62.1
GTEX-11GSO-1926-SM-5A5K3 60-69 years, male 61.9
GTEX-1F5PL-1026-SM-7RHI1 40-49 years, female 59.3
GTEX-18QFQ-0826-SM-718AX 30-39 years, male 59.1
GTEX-Y8LW-1626-SM-5IFHX 50-59 years, female 58.3
GTEX-1IOXB-1926-SM-ARL8E 50-59 years, male 58.1
GTEX-Y114-2026-SM-4TT7L 50-59 years, female 57.1
GTEX-14PKU-0426-SM-6EU1P 40-49 years, female 56.0
GTEX-Y3I4-1526-SM-4TT7K 50-59 years, male 55.6
GTEX-18A7B-2626-SM-7LG55 70-79 years, male 55.5
GTEX-ZLFU-2126-SM-DO931 40-49 years, male 54.3
GTEX-13W3W-1226-SM-5LU4H 60-69 years, female 53.6
GTEX-15RJE-2626-SM-7KFT1 40-49 years, male 53.3
GTEX-S7SE-0826-SM-4AT4D 50-59 years, male 52.9
GTEX-17F97-2526-SM-7EWDV 50-59 years, male 51.3
GTEX-13VXU-2826-SM-664MA 50-59 years, male 51.2
GTEX-11DZ1-0326-SM-5N9BN 50-59 years, male 50.8
GTEX-17HHE-1426-SM-7EPH4 50-59 years, male 50.6
GTEX-183WM-0726-SM-7LTAA 70-79 years, female 49.4
GTEX-1LSNM-1326-SM-E9TJ1 50-59 years, male 49.3
GTEX-1LC47-1226-SM-D4P44 60-69 years, male 48.9
GTEX-13S86-1226-SM-5S2OA 40-49 years, male 48.6
GTEX-1JN6P-2426-SM-ARL99 60-69 years, male 48.3
GTEX-1KXAM-1026-SM-CY8IA 60-69 years, male 48.3
GTEX-1122O-1226-SM-5H113 60-69 years, female 48.1
GTEX-1HR98-0426-SM-COH36 60-69 years, male 48.0
GTEX-WRHU-0326-SM-3MJFY 50-59 years, female 47.9
GTEX-ZV7C-1826-SM-5NQ83 50-59 years, male 47.1
GTEX-TML8-1226-SM-32QON 40-49 years, female 46.9
GTEX-1B97J-0426-SM-79OLQ 50-59 years, female 46.4
GTEX-1B8KE-1226-SM-73KWK 50-59 years, male 46.3
GTEX-11GSP-0926-SM-9WYSG 60-69 years, female 45.8
GTEX-13PVR-2226-SM-7DHKP 60-69 years, female 45.2
GTEX-11P81-1926-SM-5BC53 30-39 years, female 45.0
GTEX-1R46S-2526-SM-E8VN2 60-69 years, female 44.7
GTEX-11OF3-1926-SM-59889 60-69 years, male 44.6
GTEX-ZDXO-0126-SM-5S2ND 60-69 years, male 44.2
GTEX-ZVT4-1026-SM-57WC4 50-59 years, female 44.0
GTEX-17KNJ-2026-SM-7LG53 50-59 years, male 43.4
GTEX-1N2EF-2226-SM-E9J33 60-69 years, male 43.2
GTEX-U412-1826-SM-4DXTJ 60-69 years, male 42.2
GTEX-146FH-0826-SM-5SI8T 50-59 years, female 41.7
GTEX-1A3MV-1626-SM-731C1 30-39 years, male 41.7
GTEX-T5JW-2026-SM-4DM63 20-29 years, female 41.4
GTEX-13D11-1026-SM-5IJFB 50-59 years, female 40.1
GTEX-1C6VQ-0426-SM-79OOX 50-59 years, male 40.1
GTEX-11DXY-2326-SM-5GICW 60-69 years, male 40.0
GTEX-U3ZN-1926-SM-4DXSG 30-39 years, female 39.8
GTEX-14E6C-1326-SM-62LEQ 40-49 years, male 39.7
GTEX-Y3IK-2326-SM-4WWDT 50-59 years, female 38.6
GTEX-1I6K7-1026-SM-A9SLK 40-49 years, male 37.4
GTEX-QEL4-2126-SM-447AE 50-59 years, male 37.3
GTEX-1GZHY-0726-SM-9WG6B 50-59 years, female 35.6
GTEX-18A7A-0726-SM-7LTAI 50-59 years, female 35.1
GTEX-WXYG-2226-SM-4E3IM 50-59 years, female 34.8
GTEX-14AS3-1626-SM-5S2OY 40-49 years, female 34.5
GTEX-14BMU-1626-SM-5TDE7 20-29 years, female 34.1
GTEX-1K9T9-1426-SM-DIPFQ 50-59 years, female 34.0
GTEX-ZLV1-1426-SM-DO92Z 60-69 years, female 34.0
GTEX-14E7W-0826-SM-62LEJ 70-79 years, male 33.6
GTEX-1AX9J-1126-SM-731B7 60-69 years, male 33.4
GTEX-1LVAM-0926-SM-E9TJ2 50-59 years, female 33.3
GTEX-1B8L1-2426-SM-9WYTE 60-69 years, male 32.9
GTEX-WI4N-1426-SM-3LK7H 40-49 years, female 32.7
GTEX-17JCI-0726-SM-7EPH1 60-69 years, female 32.5
GTEX-1GZ4I-2826-SM-9MQK5 50-59 years, male 31.3
GTEX-X261-0626-SM-3NMD9 50-59 years, male 31.1
GTEX-1HCU8-0126-SM-ADEHH 60-69 years, female 30.9
GTEX-14A5I-0726-SM-5TDEB 50-59 years, female 30.6
GTEX-ZVTK-0326-SM-51MRR 20-29 years, male 30.2
GTEX-1313W-0826-SM-5EQ4T 50-59 years, female 30.1
GTEX-1H4P4-2226-SM-9MQKQ 50-59 years, male 29.6
GTEX-ZWKS-2826-SM-5NQ74 30-39 years, male 29.1
GTEX-1HBPM-0126-SM-ARL9E 60-69 years, female 28.5
GTEX-13CF2-2026-SM-5K7VI 60-69 years, male 27.9
GTEX-1HT8W-2226-SM-CGQEC 30-39 years, male 27.1
GTEX-1LGRB-1826-SM-CNPQL 50-59 years, female 27.1
GTEX-14753-2426-SM-5LU8U 60-69 years, male 26.9
GTEX-1C6WA-2426-SM-7SB86 60-69 years, male 26.9
GTEX-X62O-0526-SM-EWRMA 50-59 years, male 26.2
GTEX-17EVQ-0426-SM-7LG57 70-79 years, male 25.5
GTEX-11WQK-2426-SM-5GU5C 50-59 years, male 25.1
GTEX-145MF-2226-SM-7EPIR 50-59 years, male 24.9
GTEX-147F4-2826-SM-5NQBN 50-59 years, male 24.9
GTEX-1R9PN-0326-SM-DTX85 40-49 years, female 24.8
GTEX-QVJO-1826-SM-447C9 60-69 years, female 24.5
GTEX-1NV8Z-2826-SM-E8VME 60-69 years, male 24.4
GTEX-13N11-1726-SM-5J1OJ 50-59 years, female 24.2
GTEX-1E2YA-2726-SM-7IGPW 50-59 years, male 24.2
GTEX-ZVZQ-0826-SM-51MRF 60-69 years, female 24.1
GTEX-11NV4-2026-SM-5N9DG 60-69 years, male 23.7
GTEX-17EVP-0226-SM-79OND 40-49 years, male 23.6
GTEX-17HHY-0926-SM-793C1 50-59 years, male 23.4
GTEX-1HR9M-2426-SM-ACKXI 60-69 years, male 23.3
GTEX-1HCVE-2626-SM-ADEJ8 50-59 years, male 22.9
GTEX-1IDFM-0426-SM-B2LVV 60-69 years, male 21.6
GTEX-1269C-2426-SM-5FQSN 60-69 years, female 21.4
GTEX-11TT1-2126-SM-5GU5Y 20-29 years, male 20.9
GTEX-1JJE9-2326-SM-ARL8Q 70-79 years, male 20.8
GTEX-1JMLX-2026-SM-CMKGN 50-59 years, male 20.7
GTEX-1K2DA-1726-SM-CGQGS 50-59 years, male 20.1
GTEX-1192X-2326-SM-5987X 50-59 years, male 19.9
GTEX-Y5LM-1726-SM-4VDSX 40-49 years, female 19.7
GTEX-1M4P7-2626-SM-E9U5F 60-69 years, male 19.6
GTEX-RWS6-1926-SM-47JXY 60-69 years, female 19.4
GTEX-1ICLY-1726-SM-B2LVT 50-59 years, male 19.4
GTEX-13O3Q-2226-SM-5KM4O 50-59 years, male 18.9
GTEX-Y111-2026-SM-4SOJA 50-59 years, male 18.9
GTEX-ZYW4-0826-SM-5GIDG 60-69 years, male 18.8
GTEX-UJHI-1426-SM-3DB9C 50-59 years, female 18.7
GTEX-1IE54-0626-SM-ARL8D 40-49 years, female 18.7
GTEX-17MF6-0326-SM-7EPH5 40-49 years, male 18.6
GTEX-1QEPI-0926-SM-DTXF3 60-69 years, female 18.2
GTEX-1AX8Z-0926-SM-731AW 60-69 years, male 18.0
GTEX-1H1DG-0526-SM-9YFLN 70-79 years, male 17.9
GTEX-1I19N-2826-SM-CL55D 70-79 years, male 17.2
GTEX-1MA7W-1026-SM-DKPQK 20-29 years, female 17.0
GTEX-1IDJH-2226-SM-E6CJV 70-79 years, male 16.3
GTEX-UPK5-2326-SM-3P5Z8 40-49 years, male 16.1
GTEX-1J8QM-2026-SM-ARZMW 60-69 years, female 16.1
GTEX-ZGAY-1726-SM-DO91P 40-49 years, female 16.0
GTEX-XBED-1626-SM-47JYN 60-69 years, male 15.9
GTEX-1I1GT-1126-SM-ARL7J 60-69 years, female 15.9
GTEX-1ICLZ-0426-SM-B2LW2 60-69 years, male 15.8
GTEX-1PPGY-1526-SM-EVYBK 60-69 years, male 15.8
GTEX-ZY6K-1626-SM-5GZWV 50-59 years, male 15.7
GTEX-1C64O-0726-SM-7DUFU 60-69 years, male 15.6
GTEX-1IGQW-0926-SM-ADEH6 60-69 years, male 15.5
GTEX-1B97I-0426-SM-79OL7 40-49 years, male 15.4
GTEX-WOFL-0826-SM-3MJG1 60-69 years, male 15.4
GTEX-1AX9I-0726-SM-73KWV 60-69 years, male 15.0
GTEX-ZZPU-0626-SM-5E43T 50-59 years, female 14.6
GTEX-1GZ4H-0326-SM-7P8QX 50-59 years, female 14.4
GTEX-11DXW-0626-SM-5N9ER 40-49 years, male 14.0
GTEX-1KANA-2026-SM-DIPFB 20-29 years, male 14.0
GTEX-XYKS-1326-SM-4BRUN 60-69 years, female 13.6
GTEX-1KD4Q-2326-SM-D4P3M 40-49 years, male 13.5
GTEX-1117F-2826-SM-5GZXL 60-69 years, female 13.3
GTEX-15FZZ-0726-SM-7KUFZ 30-39 years, female 13.3
GTEX-1EU9M-2826-SM-7EWFH 60-69 years, male 13.2
GTEX-1LSVX-2426-SM-E6CJX 60-69 years, male 13.2
GTEX-1GF9V-2526-SM-7SB8K 60-69 years, male 13.1
GTEX-TMMY-0726-SM-33HBE 40-49 years, female 13.0
GTEX-1B933-2526-SM-7IGO5 50-59 years, female 12.9
GTEX-1F75A-1826-SM-7SB8G 50-59 years, male 12.9
GTEX-1J8Q2-2726-SM-A9G2X 60-69 years, male 12.9
GTEX-1B932-0826-SM-73KXG 40-49 years, female 12.8
GTEX-16NGA-0826-SM-718AF 40-49 years, female 12.2
GTEX-1GN1W-1926-SM-7P8TH 50-59 years, female 12.2
GTEX-1HSMO-0826-SM-ADEIV 60-69 years, male 12.1
GTEX-1EN7A-1426-SM-7PBY4 40-49 years, male 11.9
GTEX-WFG8-2026-SM-EXOHO 20-29 years, male 11.9
GTEX-ZTTD-1026-SM-51MRD 50-59 years, male 11.8
GTEX-15ER7-1626-SM-6PAMZ 20-29 years, female 11.6
GTEX-1MCYP-0126-SM-E6CIS 20-29 years, female 10.9
GTEX-15G19-2126-SM-6M48J 60-69 years, male 10.8
GTEX-1I1HK-2426-SM-ADEHX 60-69 years, male 10.4
GTEX-1BAJH-0826-SM-7EWEF 70-79 years, male 10.3
GTEX-1JK1U-1826-SM-ARL8W 60-69 years, male 9.9
GTEX-12ZZX-1126-SM-5EGKB 40-49 years, female 9.7
GTEX-ZF29-1926-SM-5S2P1 60-69 years, female 9.7
GTEX-ZVT2-1826-SM-5NQ8W 50-59 years, female 9.6
GTEX-X15G-1626-SM-3NMB3 50-59 years, female 9.5
GTEX-1GMRU-0826-SM-9WYT7 50-59 years, male 9.5
GTEX-15ETS-0626-SM-7KUMX 40-49 years, female 9.3
GTEX-14ICK-2426-SM-6EU27 40-49 years, male 9.2
GTEX-11EMC-2026-SM-5A5JV 60-69 years, female 9.1
GTEX-RU1J-0626-SM-4WAWY 20-29 years, female 9.0
GTEX-17EUY-1926-SM-7DUF6 20-29 years, male 8.9
GTEX-1314G-1226-SM-5BC6D 30-39 years, male 8.8
GTEX-ZAK1-1326-SM-EVYAS 50-59 years, female 8.8
GTEX-1CAMS-1426-SM-7IGPM 40-49 years, female 8.3
GTEX-111YS-1926-SM-5GICC 60-69 years, male 7.8
GTEX-1IKOH-2326-SM-CM2TW 60-69 years, female 7.8
GTEX-ZF3C-2326-SM-5S2NC 50-59 years, female 7.8
GTEX-11EI6-0626-SM-5985T 60-69 years, male 7.7
GTEX-13QIC-2326-SM-5LU5N 60-69 years, female 7.7
GTEX-1P4AB-1826-SM-E76PU 50-59 years, male 7.5
GTEX-15SHW-1326-SM-6PAL8 60-69 years, male 7.2
GTEX-13SLX-2326-SM-5ZZWE 50-59 years, female 7.1
GTEX-14H4A-2526-SM-5YYAY 40-49 years, female 6.9
GTEX-T6MN-0726-SM-32PML 50-59 years, male 6.8
GTEX-1JN1M-3026-SM-CMKGK 60-69 years, female 6.8
GTEX-14PHY-1926-SM-5YY95 60-69 years, female 6.7
GTEX-Q2AG-0326-SM-48U1O 40-49 years, female 6.7
GTEX-13W46-0826-SM-5LU3H 50-59 years, male 6.6
GTEX-11GS4-2126-SM-5A5KR 60-69 years, male 6.2
GTEX-T2YK-2226-SM-32QPT 50-59 years, male 6.2
GTEX-1J8EW-2626-SM-CL53E 60-69 years, female 6.1
GTEX-13OW5-2226-SM-5L3HC 60-69 years, male 5.9
GTEX-1N2EE-2126-SM-E8VNN 60-69 years, male 5.9
GTEX-1RQEC-2026-SM-DTXDM 60-69 years, male 5.7
GTEX-13NZ8-0126-SM-5IJCT 60-69 years, female 5.6
GTEX-1C6VS-0726-SM-7EPHF 60-69 years, male 5.6
GTEX-1JMPY-0526-SM-CL54O 30-39 years, male 5.6
GTEX-145LT-0726-SM-5S2VM 40-49 years, male 5.4
GTEX-1IKJJ-2326-SM-COH3U 60-69 years, male 5.4
GTEX-1H1CY-2226-SM-9WG7E 60-69 years, female 5.3
GTEX-1GMR8-0726-SM-9KNVI 50-59 years, female 5.2
GTEX-S4P3-1326-SM-4AD6V 50-59 years, female 5.1
GTEX-1F6I4-2526-SM-7SB8F 60-69 years, male 4.9
GTEX-1RAZS-1226-SM-E8VMT 50-59 years, male 4.8
GTEX-132Q8-1426-SM-5EGK7 60-69 years, male 4.7
GTEX-QEG5-0726-SM-D4P1T 20-29 years, male 4.6
GTEX-ZXES-0826-SM-5E43C 30-39 years, female 4.5
GTEX-1HBPN-2326-SM-9WPPU 50-59 years, male 4.4
GTEX-1QP29-1726-SM-E8VMQ 50-59 years, male 4.4
GTEX-12WSK-2226-SM-5GCO5 40-49 years, female 4.3
GTEX-1GMR3-2626-SM-7RHHG 40-49 years, male 4.3
GTEX-U3ZH-1426-SM-4DXSR 30-39 years, male 4.1
GTEX-ZEX8-2226-SM-57WC6 50-59 years, male 4.1
GTEX-14PN4-0626-SM-62LFP 50-59 years, male 4.0
GTEX-XOT4-0726-SM-4GIAW 60-69 years, female 4.0
GTEX-XMD2-0926-SM-4WWEF 60-69 years, female 3.7
GTEX-1GPI6-0626-SM-7RHHJ 60-69 years, male 3.7
GTEX-1A8G7-2426-SM-731AK 60-69 years, male 3.6
GTEX-1IDJE-0826-SM-CKZNZ 50-59 years, female 3.6
GTEX-131YS-0626-SM-5EGKL 60-69 years, female 3.5
GTEX-XMD1-0826-SM-4AT52 60-69 years, male 3.5
GTEX-ZVE2-1226-SM-5NQ8R 50-59 years, male 3.5
GTEX-1N5O9-1126-SM-DTXEQ 60-69 years, male 3.5
GTEX-1B8KZ-1526-SM-7DUG7 50-59 years, male 3.3
GTEX-1QCLY-1626-SM-DTXDW 30-39 years, male 3.3
GTEX-11EM3-1326-SM-5N9C6 20-29 years, female 3.2
GTEX-1CB4G-2326-SM-79OOI 60-69 years, male 3.1
GTEX-13QJ3-0826-SM-7DHKK 50-59 years, male 3.0
GTEX-X4EP-2926-SM-3P5YQ 60-69 years, female 3.0
GTEX-1IY9M-2726-SM-CMKG5 60-69 years, male 3.0
GTEX-1HCUA-0726-SM-ACKVU 50-59 years, female 2.9
GTEX-1MCC2-2126-SM-EWRON 30-39 years, female 2.7
GTEX-1GF9X-1026-SM-ACKX2 40-49 years, female 2.5
GTEX-1JMPZ-1626-SM-COH31 30-39 years, male 2.5
GTEX-1POEN-0926-SM-DTX88 30-39 years, female 2.5
GTEX-14ABY-2126-SM-5QGQZ 50-59 years, male 2.4
GTEX-1R7EU-1226-SM-E8VMR 60-69 years, male 2.4
GTEX-1RAZQ-1226-SM-EWRNL 30-39 years, male 2.4
GTEX-1HSKV-2026-SM-CMKGX 60-69 years, male 2.2
GTEX-1LNCM-0226-SM-DIPF4 50-59 years, female 2.0
GTEX-1LVAN-1326-SM-CNPQE 50-59 years, female 2.0
GTEX-13O3O-0826-SM-5K7WE 60-69 years, female 1.9
GTEX-ZAJG-0626-SM-5HL8X 50-59 years, female 1.8
GTEX-WYJK-1326-SM-3NB2T 50-59 years, male 1.7
GTEX-1GN1U-0526-SM-9KNTT 50-59 years, female 1.7
GTEX-11PRG-0826-SM-5EQ6A 50-59 years, male 1.6
GTEX-139T8-0826-SM-5L3DE 60-69 years, male 1.5
GTEX-ZTPG-2826-SM-57WGA 20-29 years, female 1.5
GTEX-1CB4E-0226-SM-79OLW 60-69 years, male 1.4
GTEX-1HUB1-1626-SM-CM2SL 60-69 years, male 1.4
GTEX-14LLW-0626-SM-62LFC 70-79 years, female 1.3
GTEX-R3RS-0626-SM-48FE1 40-49 years, female 1.3
GTEX-RU72-0626-SM-46MUI 50-59 years, female 1.3
GTEX-1KAFJ-0226-SM-DIPEL 50-59 years, male 1.3
GTEX-15UF6-0126-SM-6PAMB 70-79 years, female 1.2
GTEX-17HG3-0126-SM-7IGNH 30-39 years, female 1.2
GTEX-QDT8-0626-SM-48TYW 30-39 years, female 1.2
GTEX-VUSG-2226-SM-4KKZO 50-59 years, male 1.2
GTEX-XUZC-1626-SM-4BRVP 30-39 years, female 1.2
GTEX-ZU9S-1926-SM-5NQBP 30-39 years, male 1.2
GTEX-1GN2E-2226-SM-9WG6J 60-69 years, male 1.2
GTEX-1H1E6-0926-SM-9YFLT 30-39 years, male 1.2
GTEX-1HKZK-1826-SM-ADEJ2 40-49 years, male 1.2
GTEX-T2IS-1526-SM-32QPR 20-29 years, female 1.1
GTEX-VJWN-0726-SM-3GIJ8 50-59 years, female 1.1
GTEX-S341-1526-SM-4AD6K 40-49 years, female 1.0
GTEX-WYVS-1726-SM-3NMAY 40-49 years, female 1.0
GTEX-13SLW-2526-SM-62LDQ 70-79 years, male 0.9
GTEX-1MJK2-2226-SM-EVYCR 50-59 years, male 0.9
GTEX-T5JC-2126-SM-32PMO 20-29 years, male 0.8
GTEX-ZF2S-2026-SM-5E461 50-59 years, female 0.8
GTEX-11WQC-1726-SM-5GU4W 60-69 years, male 0.7
GTEX-ZC5H-2626-SM-5J2MG 40-49 years, female 0.7
GTEX-1F75I-2026-SM-7SB7N 40-49 years, male 0.7
GTEX-13PL6-2926-SM-5L3I2 40-49 years, female 0.6
GTEX-1JMQK-2626-SM-COH2W 60-69 years, male 0.6
GTEX-13NZB-2126-SM-5MR4Y 30-39 years, male 0.5
GTEX-1HSGN-1526-SM-A9SMO 40-49 years, female 0.5
GTEX-13FTY-2226-SM-5J1ND 40-49 years, female 0.4
GTEX-W5X1-2326-SM-3GIL6 40-49 years, female 0.4
GTEX-ZTX8-1226-SM-4YCE9 20-29 years, male 0.4
GTEX-1GZ2Q-2626-SM-7MXV9 40-49 years, male 0.4
GTEX-1M5QR-2526-SM-E9U5P 40-49 years, male 0.4
GTEX-13NZ9-1026-SM-5MR5K 50-59 years, male 0.3
GTEX-1JJEA-2726-SM-ARL8V 60-69 years, male 0.3
GTEX-13FHO-0826-SM-5L3E8 60-69 years, male 0.2
GTEX-WYBS-0926-SM-3NM94 60-69 years, female 0.2
GTEX-1NUQO-2226-SM-E9U68 20-29 years, female 0.2
GTEX-11P7K-0726-SM-5EGKX 30-39 years, male 0.1
GTEX-YFC4-1426-SM-5IFJG 40-49 years, female 0.1
GTEX-131XW-0726-SM-5EGK3 50-59 years, female 0.0
GTEX-13O3P-0826-SM-5L3DH 50-59 years, male 0.0
GTEX-1B8SG-1226-SM-7IGPF 50-59 years, male 0.0
GTEX-1CB4J-1826-SM-7EWF9 60-69 years, male 0.0
Show allShow less

BREAST - FANTOM5 CAGEi

RNA expression in human tissues obtained through Cap Analysis of Gene Expression (CAGE) generated by the FANTOM5 project are reported as Scaled Tags Per Million.

Max subtype Scaled Tags Per Millioni

Max subtype Scaled Tags Per Million is the value for the subtype with the largest average Scaled Tags Per Million across the subtype samples.

236.2
FANTOM5 sample id Sample description Scaled Tags Per Million
Breast
Scaled Tags Per Million: 236.2
FF:10080-102A8 77 years, female 236.2

Contact

  • NEWS ARTICLES
  • PRESS ROOM

The Project

  • INTRODUCTION
  • ORGANIZATION
  • PUBLICATIONS

The Human Protein Atlas

  • DOWNLOADABLE DATA
  • LICENCE & CITATION
  • HELP & FAQ
The Human Protein Atlas project is funded
by the Knut & Alice Wallenberg Foundation.


contact@proteinatlas.org