We use cookies to enhance the usability of our website. If you continue, we'll assume that you are happy to receive all cookies. More information. Don't show this again.
TARS3
HPA
RESOURCES
  • TISSUE
  • BRAIN
  • SINGLE CELL
  • SUBCELLULAR
  • CANCER
  • BLOOD
  • CELL LINE
  • STRUCTURE & INTERACTION
ABOUT
  • INTRODUCTION
  • HISTORY
  • ORGANIZATION
  • PUBLICATIONS
  • ANTIBODY SUBMISSION
  • ANTIBODY AVAILABILITY
  • ACKNOWLEDGMENTS
  • CONTACT
NEWS
  • NEWS ARTICLES
  • PRESS ROOM
LEARN
  • DICTIONARY
  • PROTEIN CLASSES
  • PROTEIN EVIDENCE
  • METHODS
  • EDUCATIONAL VIDEOS
DATA
  • DOWNLOADABLE DATA
  • PUBLICATION DATA
  • RELEASE HISTORY
HELP
  • ANTIBODY VALIDATION
  • ASSAYS & ANNOTATION
  • DISCLAIMER
  • HELP & FAQ
  • PRIVACY STATEMENT
  • LICENCE & CITATION
Fields »
Search result

Field
Term
Gene name
Class
Subclass
Class
Keyword
Chromosome
External id
Tissue
Cell type
Expression
Antibody panel
Tissue
Main location
Patient ID
Annotation
Tissue
Category
Tau score
Cluster
Reliability
Brain region
Category
Tau score
Brain region
Category
Tau score
Brain region
Category
Tau score
Cluster
Reliability
Tissue
Cell type
Enrichment
Cell type
Category
Tau score
Cell type
Category
Tau score
Cell type
Category
Tau score
Cell lineage
Category
Tau score
Cluster
Cluster
Location
Searches
Location
Cell line
Class
Type
Phase
Reliability
Cancer
Prognosis
Cancer
Category
Cancer
Category
Tau score
Cluster
Variants
Interacting gene (ensg_id)
Type
Number of interactions
Pathway
Category
Score
Score
Score
Validation
Validation
Validation
Validation
Antibodies
Data type
Column


  • SUMMARY

  • TISSUE

  • BRAIN

  • SINGLE CELL

  • SUBCELL

  • CANCER

  • BLOOD

  • CELL LINE

  • STRUCT & INT

  • TARS3
TISSUE PRIMARY DATA HEART MUSCLE Show tissue menu
ADIPOSE TISSUE ADRENAL GLAND AMYGDALA APPENDIX BASAL GANGLIA BONE MARROW BREAST BRONCHUS CEREBELLUM CEREBRAL CORTEX CERVIX CHOROID PLEXUS COLON DUODENUM
ENDOMETRIUM EPIDIDYMIS ESOPHAGUS FALLOPIAN TUBE GALLBLADDER HEART MUSCLE HIPPOCAMPAL FORMATION HYPOTHALAMUS KIDNEY LIVER LUNG LYMPH NODE MIDBRAIN NASOPHARYNX
ORAL MUCOSA OVARY PANCREAS PARATHYROID GLAND PITUITARY GLAND PLACENTA PROSTATE RECTUM RETINA SALIVARY GLAND SEMINAL VESICLE SKELETAL MUSCLE SKIN SMALL INTESTINE
SMOOTH MUSCLE SOFT TISSUE SPINAL CORD SPLEEN STOMACH TESTIS THYMUS THYROID GLAND TONGUE TONSIL URINARY BLADDER VAGINA
ANTIBODIES
AND
VALIDATION
Dictionary
Heart muscle
Tissue proteome
Heart
HEART MUSCLE - Expression summary
Protein expression
Heart musclei

On the top, protein expression in current human tissue, based on all annotated cell types, is reported with the units not detected (n), low (l), medium (m) and high (h). Underneath, protein expression in each annotated cell type are reported using the same units.

Protein expression data is based on knowledge-based annotation. For genes where more than one antibody has been used, a collective score is set.

If knowledge-based annotation could not be performed for a gene, no data is displayed here. View antibody staining data further down this page.

h
m
l
n
Cardiomyocytes: Medium
RNA expressioni

A summary of mRNA expression data available for current tissue based on several datasets. The mRNA expression levels in human tissues are based on RNA-seq data generated by the Human Protein Atlas (HPA), Genotype-Tissue Expression (GTEx) portal and CAGE data generated by the FANTOM5 consortium. Consensus normalized expression levels for human tissues was created by combining the data from HPA and GTEx datasets.

The mRNA expression levels in pig are based on RNA-seq data generated by the Human Protein Atlas (HPA), and for mouse, HPA data and in situ hybridization generated by the Allen brain atlas are reported.

Scroll down to view mRNA expression data in more detail.
Consensus:14.7 nTPM
HPA:14.7 nTPM
GTEx:13.8 nTPM
FANTOM5:114.2 Scaled Tags Per Million

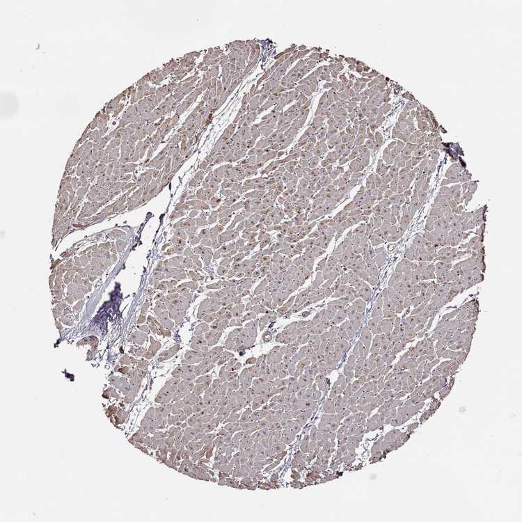
HEART MUSCLE - Antibody stainingi

Antibody staining in the annotated cell types in the current human tissue is reported as not detected, low, medium, or high, based on conventional immunohistochemistry profiling in selected tissues. This score is based on the combination of the staining intensity and fraction of stained cells.

Each image is clickable and will lead to virtual microscopy that enables deeper exploration of all samples and also displays staining intensity scores, fraction scores and subcellular localization as well as patient and tissue information for each sample.

Antibody HPA066697
Cardiomyocytes Medium



HEART MUSCLE - HPA RNA-seqi

The RNA-seq details section shows detailed information about the individual samples used for the transcript profiling and results of the RNA-seq analysis.

Information about each individual sample is listed below, including gender, age, a tissue section image and estimated fractions of cell types. nTPM (normalized transcripts per million) values give a quantification of the gene abundance which is comparable between different genes and samples.
Average nTPMi

Max subtype nTPM is the value for the subtype with the largest average nTPM across the subtype samples.

14.7
overview
Female, age 48
Heart muscle sample 149
nTPM: 16.6
Cell types%
Myocytes:
15

Fibroblasts:
55

Endothelial cells:
25

Other cell types:
5

overview
Female, age 42
Heart muscle sample 150
nTPM: 15.1
Cell types%
Myocytes:
20

Fibroblasts:
45

Endothelial cells:
30

Other cell types:
5

overview
Male, age 53
Heart muscle sample 151
nTPM: 10.7
Cell types%
Myocytes:
20

Fibroblasts:
45

Endothelial cells:
30

Other cell types:
5

overview
Female, age 69
Heart muscle sample 152
nTPM: 16.3
Cell types%
Myocytes:
20

Fibroblasts:
45

Endothelial cells:
30

Other cell types:
5


HEART MUSCLE - GTEx RNA-seqi

RNA-Seq data generated by the Genotype-Tissue Expression (GTEx) project from human tissues is reported as mean nTPM. More information can be found on the GTEx portal.

Distribution across the dataset is visualized with box plots, shown as median and 25th and 75th percentiles. Points are displayed as outliers if they are above or below 1.5 times the interquartile range. nTPM values of the individual samples are presented next to the box plot.
Max subtype nTPMi

Max subtype nTPM is the value for the subtype with the largest average nTPM across the subtype samples.

13.8
GTEx sample id Sample description nTPM
Heart - Atrial Appendage
Average nTPM: 8.3
Samples: 429

Max nTPM: 16.4
Min nTPM: 2.9
Std nTPM: 2.3
Median nTPM: 8.0
GTEX-Y3IK-1026-SM-51MR7 50-59 years, female 16.4
GTEX-1GMR2-1326-SM-9KNUT 50-59 years, male 16.1
GTEX-13OVI-0326-SM-5K7X1 60-69 years, female 15.7
GTEX-W5X1-0826-SM-3GILN 40-49 years, female 14.8
GTEX-1GF9U-0526-SM-7P8SK 40-49 years, female 14.5
GTEX-X4EP-0326-SM-3P5Z6 60-69 years, female 14.2
GTEX-12WSK-0526-SM-5CVNA 40-49 years, female 13.8
GTEX-16MT8-0826-SM-7KULO 60-69 years, female 13.8
GTEX-145MN-0726-SM-5NQBH 30-39 years, male 13.7
GTEX-16XZY-0526-SM-7DHKY 70-79 years, male 13.5
GTEX-1B97J-0326-SM-7939H 50-59 years, female 13.4
GTEX-1R7EV-0426-SM-DTX7Z 40-49 years, male 13.2
GTEX-1KXAM-1426-SM-D3LAC 60-69 years, male 12.9
GTEX-YF7O-0526-SM-5P9IO 50-59 years, male 12.8
GTEX-14BMV-1026-SM-5SI6B 50-59 years, male 12.7
GTEX-WEY5-0226-SM-3GIKN 40-49 years, female 12.7
GTEX-13FHO-1226-SM-5L3EF 60-69 years, male 12.5
GTEX-17F96-0826-SM-7DHLU 70-79 years, male 12.5
GTEX-1R9JW-0426-SM-E76QL 30-39 years, female 12.5
GTEX-X3Y1-0226-SM-3P5Z5 40-49 years, male 12.4
GTEX-ZYFG-0526-SM-5GZXX 60-69 years, female 12.3
GTEX-131XG-0526-SM-5DUWF 50-59 years, female 12.1
GTEX-18D9U-1426-SM-718BO 40-49 years, male 12.0
GTEX-WH7G-0326-SM-3NMBH 40-49 years, male 12.0
GTEX-1GZ4I-0826-SM-9WG6O 50-59 years, male 12.0
GTEX-1HBPN-0926-SM-CGQEG 50-59 years, male 12.0
GTEX-1LSNM-0426-SM-E9TIZ 50-59 years, male 12.0
GTEX-XGQ4-0526-SM-4AT6C 50-59 years, male 11.9
GTEX-ZPCL-0526-SM-DO91R 60-69 years, female 11.9
GTEX-14PK6-0726-SM-6LLIX 70-79 years, female 11.8
GTEX-1C64O-0926-SM-79OLN 60-69 years, male 11.8
GTEX-1HFI7-0526-SM-A9SMA 50-59 years, female 11.8
GTEX-1LGRB-1026-SM-CNPQD 50-59 years, female 11.8
GTEX-1NHNU-0626-SM-E6CP1 50-59 years, male 11.8
GTEX-13O61-0426-SM-5L3ET 60-69 years, male 11.7
GTEX-1MJIX-0426-SM-DTXEN 40-49 years, male 11.7
GTEX-131YS-0826-SM-5PNYV 60-69 years, female 11.6
GTEX-14PJM-0826-SM-6LLIW 50-59 years, female 11.6
GTEX-17F9E-0726-SM-793A1 50-59 years, male 11.6
GTEX-VUSG-0726-SM-3GIK1 50-59 years, male 11.6
GTEX-1IDJH-1126-SM-COH3R 70-79 years, male 11.6
GTEX-13OVG-0426-SM-5KM2T 60-69 years, male 11.4
GTEX-14PJ4-0926-SM-5YY98 60-69 years, male 11.4
GTEX-14PN3-0726-SM-6EU14 60-69 years, female 11.4
GTEX-15EU6-1326-SM-6PANG 50-59 years, male 11.4
GTEX-13NZB-0426-SM-5KM26 30-39 years, male 11.3
GTEX-X5EB-0626-SM-46MVQ 40-49 years, male 11.3
GTEX-1OFPY-0926-SM-DTX8Q 60-69 years, male 11.3
GTEX-111YS-0326-SM-5GZZ3 60-69 years, male 11.2
GTEX-WFG7-0826-SM-3GIKU 20-29 years, male 11.2
GTEX-WFON-0226-SM-3GIKR 40-49 years, male 11.2
GTEX-1AYCT-0526-SM-7RHHS 50-59 years, male 11.2
GTEX-1C2JI-0626-SM-7DHM1 50-59 years, male 11.1
GTEX-1F75I-1326-SM-7PBZX 40-49 years, male 11.1
GTEX-1GMR3-0426-SM-7PC17 40-49 years, male 11.1
GTEX-1J8QM-0326-SM-CL53D 60-69 years, female 11.1
GTEX-13YAN-1426-SM-7EPG8 60-69 years, male 11.0
GTEX-1IL2U-1226-SM-CL53P 60-69 years, male 11.0
GTEX-V955-0826-SM-CYPR5 60-69 years, male 11.0
GTEX-WHWD-0326-SM-3LK6L 50-59 years, male 10.9
GTEX-XLM4-2026-SM-4AT4X 60-69 years, male 10.9
GTEX-YEC4-0226-SM-4W1YG 40-49 years, male 10.8
GTEX-1GL5R-0426-SM-9WPOP 50-59 years, male 10.8
GTEX-1H2FU-0826-SM-9WYSU 60-69 years, female 10.8
GTEX-15SKB-0926-SM-7KUFC 60-69 years, male 10.7
GTEX-11P81-0526-SM-59873 30-39 years, female 10.6
GTEX-13PL7-0726-SM-5KM1S 60-69 years, female 10.6
GTEX-15CHQ-1326-SM-6871Z 60-69 years, male 10.6
GTEX-18D9B-1126-SM-7KFSH 60-69 years, male 10.6
GTEX-1B8KE-0326-SM-73KTY 50-59 years, male 10.6
GTEX-1JJEA-0926-SM-CYPSO 60-69 years, male 10.6
GTEX-YEC3-0426-SM-CYPS8 50-59 years, male 10.6
GTEX-11DXZ-0326-SM-5EGH1 50-59 years, male 10.5
GTEX-183WM-0926-SM-718AN 70-79 years, female 10.5
GTEX-Y114-0126-SM-4TT8K 50-59 years, female 10.5
GTEX-ZF2S-0826-SM-4WWBI 50-59 years, female 10.5
GTEX-1IKOE-0626-SM-A9G31 30-39 years, female 10.5
GTEX-13NYS-1926-SM-5IJCB 60-69 years, male 10.3
GTEX-13U4I-0626-SM-5LU5L 40-49 years, female 10.3
GTEX-ZF29-0426-SM-4WKFN 60-69 years, female 10.3
GTEX-ZG7Y-1426-SM-4WWBM 50-59 years, male 10.3
GTEX-ZLFU-0326-SM-4WWBK 40-49 years, male 10.3
GTEX-1HBPH-0226-SM-9WYSM 40-49 years, female 10.3
GTEX-1HCUA-0626-SM-ACKVT 50-59 years, female 10.3
GTEX-117YX-0626-SM-5EGJI 50-59 years, male 10.2
GTEX-1399U-0726-SM-5KM1D 50-59 years, female 10.2
GTEX-WWYW-1126-SM-3NB2Q 50-59 years, female 10.2
GTEX-ZT9W-0526-SM-57WFG 50-59 years, male 10.2
GTEX-1GN73-2326-SM-9MQKV 60-69 years, male 10.2
GTEX-12WSD-1226-SM-5HL9Q 60-69 years, female 10.1
GTEX-1399R-1726-SM-5K7YJ 30-39 years, male 10.1
GTEX-13JVG-1126-SM-5KM2M 60-69 years, male 10.1
GTEX-13PVR-0926-SM-5S2RB 60-69 years, female 10.1
GTEX-146FR-0926-SM-5QGPE 60-69 years, female 10.1
GTEX-ZYFC-1026-SM-5GZX9 50-59 years, male 10.1
GTEX-1211K-0226-SM-59HJY 60-69 years, female 10.0
GTEX-WZTO-1226-SM-3NMAZ 40-49 years, male 10.0
GTEX-1QCLZ-1126-SM-EWRNB 60-69 years, female 10.0
GTEX-11ZTT-0526-SM-5EQLA 60-69 years, female 9.9
GTEX-13FH7-0826-SM-5J2NW 50-59 years, female 9.9
GTEX-13PVQ-1326-SM-5LU4J 50-59 years, male 9.9
GTEX-145LV-0226-SM-5S2QG 50-59 years, male 9.9
GTEX-15RIE-1326-SM-6PAMM 60-69 years, male 9.9
GTEX-XPVG-0726-SM-4B658 50-59 years, male 9.9
GTEX-Y3I4-0526-SM-4TT6X 50-59 years, male 9.9
GTEX-ZV7C-0526-SM-9WPNK 50-59 years, male 9.9
GTEX-139YR-0526-SM-5L3DG 50-59 years, male 9.8
GTEX-14ASI-0826-SM-5Q5EB 60-69 years, male 9.8
GTEX-1BAJH-1026-SM-7EWEG 70-79 years, male 9.8
GTEX-WY7C-1126-SM-3NB3A 50-59 years, male 9.8
GTEX-ZAB4-0926-SM-5CVN4 40-49 years, male 9.8
GTEX-1HSGN-0926-SM-CNNQM 40-49 years, female 9.8
GTEX-131XF-0426-SM-5HL7U 60-69 years, male 9.7
GTEX-132AR-1926-SM-5EGK5 50-59 years, female 9.7
GTEX-Y8E4-0426-SM-4V6GB 40-49 years, male 9.7
GTEX-ZDTT-0326-SM-4WKF9 60-69 years, male 9.7
GTEX-1QMI2-1026-SM-DTX7T 60-69 years, male 9.7
GTEX-13O1R-0926-SM-5L3DS 60-69 years, male 9.6
GTEX-14E1K-0826-SM-5ZZW9 50-59 years, male 9.6
GTEX-ZDTS-1226-SM-4WKGL 60-69 years, male 9.6
GTEX-ZTTD-0626-SM-4YCCY 50-59 years, male 9.6
GTEX-ZZPT-0926-SM-5GICZ 50-59 years, male 9.6
GTEX-1I1GP-0626-SM-ARL7H 50-59 years, male 9.6
GTEX-1R9K4-1026-SM-EXUT1 60-69 years, male 9.6
GTEX-11DXX-0526-SM-5PNVR 60-69 years, female 9.5
GTEX-1445S-1226-SM-5O9BF 60-69 years, male 9.5
GTEX-1B996-1026-SM-793CF 60-69 years, male 9.5
GTEX-1GMR8-1026-SM-9MQLA 50-59 years, female 9.5
GTEX-1KANC-0226-SM-E9TIW 50-59 years, female 9.5
GTEX-1339X-0326-SM-5K7Z8 40-49 years, male 9.4
GTEX-1399S-0826-SM-5KM23 30-39 years, female 9.4
GTEX-15ER7-0826-SM-6PALW 20-29 years, female 9.4
GTEX-1I1CD-1326-SM-A9SMM 60-69 years, female 9.4
GTEX-132QS-0526-SM-5IJC7 60-69 years, male 9.3
GTEX-14DAQ-1026-SM-793B1 60-69 years, female 9.3
GTEX-ZAK1-1126-SM-5PNXU 50-59 years, female 9.3
GTEX-1EH9U-0626-SM-7PC33 60-69 years, male 9.3
GTEX-1JK1U-0626-SM-CKZOJ 60-69 years, male 9.3
GTEX-1KANB-1126-SM-DHXJT 50-59 years, male 9.3
GTEX-ZEX8-0326-SM-DO92C 50-59 years, male 9.3
GTEX-1117F-0726-SM-5GIEN 60-69 years, female 9.2
GTEX-14BIM-2726-SM-5Q5EG 60-69 years, female 9.2
GTEX-XPT6-0226-SM-4B65L 20-29 years, male 9.2
GTEX-1EMGI-1126-SM-9KNUF 60-69 years, male 9.2
GTEX-1HSMQ-0426-SM-ADEIM 50-59 years, male 9.2
GTEX-1192X-0726-SM-5987R 50-59 years, male 9.1
GTEX-11EM3-0426-SM-5N9BZ 20-29 years, female 9.1
GTEX-ZPU1-0726-SM-5HL6O 40-49 years, male 9.1
GTEX-1LGOU-0326-SM-D3LAM 20-29 years, female 9.1
GTEX-12WSN-0226-SM-5DUXH 40-49 years, male 9.0
GTEX-13N11-0726-SM-5L3DP 50-59 years, female 9.0
GTEX-13X6K-1726-SM-7IGLG 60-69 years, female 9.0
GTEX-1477Z-1126-SM-5P9GK 60-69 years, male 9.0
GTEX-14PII-1026-SM-5ZZVW 60-69 years, male 9.0
GTEX-ZTPG-1326-SM-51MSQ 20-29 years, female 9.0
GTEX-1L5NE-0526-SM-DIPG5 50-59 years, male 9.0
GTEX-1MCC2-0226-SM-EVYD5 30-39 years, female 9.0
GTEX-13SLX-0926-SM-5S2NM 50-59 years, female 8.9
GTEX-148VJ-1426-SM-5TDE3 70-79 years, male 8.9
GTEX-14C5O-1226-SM-664N3 60-69 years, male 8.9
GTEX-14PJ2-1126-SM-69LOD 50-59 years, male 8.9
GTEX-1CB4E-0626-SM-7DHMW 60-69 years, male 8.9
GTEX-1J1OQ-2226-SM-A96SS 40-49 years, female 8.9
GTEX-1QPFJ-0926-SM-EVR3K 30-39 years, female 8.9
GTEX-1RLM8-0226-SM-E6CJY 50-59 years, male 8.9
GTEX-12ZZX-0726-SM-5EGKA 40-49 years, female 8.8
GTEX-1399T-0726-SM-5J1MH 60-69 years, male 8.8
GTEX-14JG1-0826-SM-5ZZWR 40-49 years, male 8.8
GTEX-UPK5-0226-SM-3GAEV 40-49 years, male 8.8
GTEX-1H1DG-0826-SM-9QEIW 70-79 years, male 8.8
GTEX-1I1HK-0626-SM-CNPQM 60-69 years, male 8.8
GTEX-12WSE-0926-SM-5S2VX 20-29 years, male 8.7
GTEX-12WSG-1226-SM-5EQ4C 50-59 years, female 8.7
GTEX-1313W-1126-SM-5EQ5U 50-59 years, female 8.7
GTEX-15CHR-0326-SM-7DHN3 50-59 years, male 8.7
GTEX-16NPX-0826-SM-6M489 50-59 years, male 8.7
GTEX-Y5V5-0726-SM-4VBPY 60-69 years, female 8.7
GTEX-1HCVE-0826-SM-CM2SF 50-59 years, male 8.7
GTEX-1JMLX-1826-SM-CNPOX 50-59 years, male 8.7
GTEX-13SLW-0826-SM-5QGP7 70-79 years, male 8.6
GTEX-144GL-1026-SM-5O99R 50-59 years, male 8.6
GTEX-18A66-1126-SM-731C5 60-69 years, male 8.6
GTEX-WFG8-0726-SM-3GILP 20-29 years, male 8.6
GTEX-XOT4-1126-SM-4B66E 60-69 years, female 8.6
GTEX-1HT8W-1326-SM-CGQEN 30-39 years, male 8.6
GTEX-1IDJU-0626-SM-CKZOG 60-69 years, female 8.6
GTEX-1NSGN-1226-SM-E76OL 50-59 years, male 8.6
GTEX-13PDP-1326-SM-5K7U9 60-69 years, male 8.5
GTEX-18A7A-1226-SM-7LTAJ 50-59 years, female 8.5
GTEX-1EX96-2626-SM-9MQJV 50-59 years, male 8.5
GTEX-1LVAO-0626-SM-EWRNT 60-69 years, male 8.5
GTEX-13NYB-0326-SM-5IJDP 40-49 years, male 8.4
GTEX-XBEC-1226-SM-4AT65 50-59 years, male 8.4
GTEX-ZAB5-0126-SM-5CVMT 50-59 years, male 8.4
GTEX-1GN1W-0226-SM-7P8QY 50-59 years, female 8.4
GTEX-1B933-0826-SM-79OMW 50-59 years, female 8.3
GTEX-XQ8I-0226-SM-4BOPM 50-59 years, male 8.3
GTEX-1GTWX-0926-SM-9MQKM 60-69 years, male 8.3
GTEX-1IKK5-1726-SM-CM2RU 60-69 years, male 8.3
GTEX-XV7Q-0726-SM-4BRV6 40-49 years, female 8.2
GTEX-1E2YA-0626-SM-7P8P4 50-59 years, male 8.2
GTEX-1EU9M-1926-SM-7RHH4 60-69 years, male 8.2
GTEX-1GN1U-1426-SM-7P8TF 50-59 years, female 8.2
GTEX-1HUB1-0726-SM-CGQF4 60-69 years, male 8.2
GTEX-1JMQK-0926-SM-ARL96 60-69 years, male 8.2
GTEX-1RB15-0426-SM-E9U4Y 60-69 years, male 8.2
GTEX-1122O-0626-SM-5N9B9 60-69 years, female 8.1
GTEX-11TT1-1426-SM-5EGIA 20-29 years, male 8.1
GTEX-13N1W-0926-SM-5MR36 70-79 years, male 8.1
GTEX-14PHX-0626-SM-5YY8Z 50-59 years, male 8.1
GTEX-15DCE-0826-SM-7KULW 20-29 years, male 8.1
GTEX-17KNJ-0626-SM-7LT9L 50-59 years, male 8.1
GTEX-1J8Q2-1026-SM-ARU8I 60-69 years, male 8.1
GTEX-1JMQL-1026-SM-CMKGV 50-59 years, female 8.1
GTEX-13FTW-0826-SM-5K7XR 40-49 years, male 8.0
GTEX-17F9Y-1226-SM-7EPGE 70-79 years, female 8.0
GTEX-ZVT3-0826-SM-5GIC8 60-69 years, female 8.0
GTEX-1H3NZ-1026-SM-A9SM5 60-69 years, male 8.0
GTEX-1I1GR-1026-SM-A9SLC 60-69 years, male 8.0
GTEX-1P4AB-0926-SM-E76PV 50-59 years, male 8.0
GTEX-111FC-0626-SM-5N9CU 60-69 years, male 7.9
GTEX-13VXT-0726-SM-5SIAD 20-29 years, female 7.9
GTEX-1AX9J-0926-SM-73KXA 60-69 years, male 7.9
GTEX-1AX9K-0426-SM-73KUG 50-59 years, male 7.9
GTEX-WK11-0626-SM-3NMAV 50-59 years, male 7.9
GTEX-ZAJG-0926-SM-5Q5AB 50-59 years, female 7.9
GTEX-ZYT6-0926-SM-5GIEM 30-39 years, male 7.9
GTEX-1B8L1-0426-SM-7SB76 60-69 years, male 7.9
GTEX-1GN2E-1426-SM-7RHHI 60-69 years, male 7.9
GTEX-1J8Q3-1126-SM-ARU8N 60-69 years, male 7.9
GTEX-1LG7Y-1426-SM-D4P31 50-59 years, male 7.9
GTEX-11EQ8-1326-SM-5EGJQ 60-69 years, male 7.8
GTEX-13JUV-0226-SM-5IJCC 40-49 years, female 7.8
GTEX-13O3P-1426-SM-5L3DT 50-59 years, male 7.8
GTEX-14PJO-0826-SM-6ETZK 60-69 years, male 7.8
GTEX-XYKS-0226-SM-4BRW3 60-69 years, female 7.8
GTEX-ZGAY-0226-SM-4WWAL 40-49 years, female 7.8
GTEX-ZYFD-2026-SM-5E459 50-59 years, male 7.7
GTEX-1HSKV-0726-SM-ACKWE 60-69 years, male 7.7
GTEX-1IDJD-0226-SM-CKZOA 30-39 years, male 7.7
GTEX-1J8EW-0626-SM-CM2TY 60-69 years, female 7.7
GTEX-1PPGY-0926-SM-DTXFF 60-69 years, male 7.7
GTEX-12WSI-0426-SM-5EQ5J 50-59 years, male 7.6
GTEX-13S86-0326-SM-5SI6K 40-49 years, male 7.6
GTEX-13W3W-0526-SM-5LU3X 60-69 years, female 7.6
GTEX-16YQH-0726-SM-7IGM1 30-39 years, male 7.6
GTEX-17MF6-0926-SM-7LTAL 40-49 years, male 7.6
GTEX-WL46-0726-SM-3LK5Z 50-59 years, male 7.6
GTEX-WYBS-1226-SM-3NM9N 60-69 years, female 7.6
GTEX-1IDJF-0826-SM-ARU7N 20-29 years, male 7.6
GTEX-1QP29-1426-SM-DTX9Q 50-59 years, male 7.6
GTEX-11UD2-0926-SM-5CVL6 50-59 years, male 7.5
GTEX-131XE-0526-SM-5K7YT 50-59 years, male 7.5
GTEX-18A67-1026-SM-731CE 50-59 years, male 7.5
GTEX-1A32A-1326-SM-73KWW 50-59 years, female 7.5
GTEX-1CB4H-0626-SM-7IGN3 60-69 years, female 7.5
GTEX-XXEK-2026-SM-4BRVE 50-59 years, male 7.5
GTEX-YB5K-0226-SM-5IFJE 40-49 years, female 7.5
GTEX-ZF3C-1126-SM-57WEG 50-59 years, female 7.5
GTEX-1ICG6-0726-SM-B2LY5 70-79 years, female 7.5
GTEX-12ZZY-1226-SM-5GCNK 60-69 years, male 7.4
GTEX-13NZ9-0126-SM-5K7XV 50-59 years, male 7.4
GTEX-14PJ6-0626-SM-686Z6 60-69 years, female 7.4
GTEX-ZDYS-0326-SM-5HL4W 50-59 years, male 7.4
GTEX-1GZ2Q-0926-SM-7RHHN 40-49 years, male 7.4
GTEX-1HBPM-1026-SM-ARL9D 60-69 years, female 7.4
GTEX-1I1GQ-1226-SM-CL55J 50-59 years, male 7.4
GTEX-11DYG-1026-SM-5A5JQ 60-69 years, male 7.3
GTEX-11NV4-0826-SM-5BC4S 60-69 years, male 7.3
GTEX-147F4-1126-SM-5TDDE 50-59 years, male 7.3
GTEX-1B932-1326-SM-79OM4 40-49 years, female 7.3
GTEX-1IY9M-0626-SM-D4P2L 60-69 years, male 7.3
GTEX-1192W-0226-SM-5EGGT 60-69 years, male 7.2
GTEX-11LCK-0826-SM-5PNYD 30-39 years, male 7.2
GTEX-13O21-0326-SM-5J1N9 50-59 years, male 7.2
GTEX-13OW6-0926-SM-5L3GM 50-59 years, male 7.2
GTEX-1CB4I-1526-SM-7DHMY 50-59 years, male 7.2
GTEX-ZE7O-0626-SM-57WCD 50-59 years, female 7.2
GTEX-1GF9V-1726-SM-9KNW4 60-69 years, male 7.2
GTEX-1HC8U-0626-SM-B2LWB 40-49 years, female 7.2
GTEX-1HCU7-1226-SM-B2LX8 50-59 years, male 7.2
GTEX-1HFI6-0826-SM-9YFM2 40-49 years, male 7.2
GTEX-1LVAN-1526-SM-CNPQN 50-59 years, female 7.2
GTEX-132NY-1426-SM-5J1MJ 60-69 years, male 7.1
GTEX-15SDE-1826-SM-7KUFN 50-59 years, female 7.1
GTEX-ZPIC-0426-SM-DO91V 40-49 years, female 7.1
GTEX-12WSC-1026-SM-5EQ5Y 50-59 years, male 7.0
GTEX-132Q8-1126-SM-5K7XS 60-69 years, male 7.0
GTEX-13CF2-0226-SM-5L3DV 60-69 years, male 7.0
GTEX-13RTJ-0526-SM-62LDP 60-69 years, male 7.0
GTEX-14H4A-0426-SM-5ZZWO 40-49 years, female 7.0
GTEX-15CHC-0326-SM-5ZZVP 60-69 years, female 7.0
GTEX-16XZZ-1026-SM-7DHKS 60-69 years, male 7.0
GTEX-1A8G6-1826-SM-73KY8 60-69 years, male 7.0
GTEX-WYJK-1126-SM-3NM9Z 50-59 years, male 7.0
GTEX-Z93S-0326-SM-5HL84 50-59 years, male 7.0
GTEX-1H3O1-0226-SM-9WYSW 60-69 years, male 7.0
GTEX-11ONC-1026-SM-5GU64 60-69 years, male 6.9
GTEX-13QBU-0226-SM-5LU48 40-49 years, female 6.9
GTEX-147JS-1326-SM-5SI6D 60-69 years, male 6.9
GTEX-14PHY-0326-SM-62LE3 60-69 years, female 6.9
GTEX-14PN4-0826-SM-69LON 50-59 years, male 6.9
GTEX-15SHU-0926-SM-6PAMK 40-49 years, female 6.9
GTEX-1A3MX-1226-SM-731B3 60-69 years, male 6.9
GTEX-1AX8Z-1126-SM-731CS 60-69 years, male 6.9
GTEX-1CAMS-1126-SM-7MXUQ 40-49 years, female 6.9
GTEX-117YW-0426-SM-5GZZZ 50-59 years, male 6.8
GTEX-12WSA-1126-SM-5EGKU 60-69 years, male 6.8
GTEX-13FHP-0826-SM-5K7V5 50-59 years, male 6.8
GTEX-17GQL-0626-SM-731CN 60-69 years, male 6.8
GTEX-17HGU-1126-SM-793BP 50-59 years, male 6.8
GTEX-WQUQ-1326-SM-3MJFF 60-69 years, male 6.8
GTEX-1CAMQ-0726-SM-7P8SG 40-49 years, male 6.8
GTEX-1F75B-1126-SM-7RHGP 50-59 years, male 6.8
GTEX-1HR98-1026-SM-CKZOM 60-69 years, male 6.8
GTEX-117XS-0726-SM-5H131 60-69 years, male 6.7
GTEX-13NZA-0826-SM-5K7WS 60-69 years, male 6.7
GTEX-ZDXO-0426-SM-4WKF6 60-69 years, male 6.7
GTEX-ZVT2-0926-SM-5GICE 50-59 years, female 6.7
GTEX-ZVZQ-0726-SM-51MR3 60-69 years, female 6.7
GTEX-ZYVF-1826-SM-5E44F 50-59 years, female 6.7
GTEX-1E1VI-1426-SM-793CY 50-59 years, male 6.6
GTEX-1H11D-1026-SM-9QEIU 40-49 years, male 6.6
GTEX-1K2DU-0226-SM-DIPF6 20-29 years, male 6.6
GTEX-11EMC-0826-SM-59862 60-69 years, female 6.5
GTEX-YFC4-0426-SM-4TT3J 40-49 years, female 6.5
GTEX-1HSMO-1126-SM-CGQF2 60-69 years, male 6.5
GTEX-1IKOH-0926-SM-A9SLU 60-69 years, female 6.5
GTEX-1JMOU-0326-SM-ARL8X 60-69 years, female 6.5
GTEX-13112-0526-SM-5EQ4S 50-59 years, male 6.4
GTEX-139TU-1926-SM-5J2OC 60-69 years, male 6.4
GTEX-13OW5-0926-SM-5L3GZ 60-69 years, male 6.4
GTEX-18A6Q-1526-SM-731CO 60-69 years, male 6.4
GTEX-1F88F-0326-SM-9KNV3 60-69 years, female 6.4
GTEX-15UF7-1526-SM-6LPI7 40-49 years, male 6.3
GTEX-YJ8O-0826-SM-5CVM3 40-49 years, female 6.3
GTEX-ZZPU-1126-SM-5N9CW 50-59 years, female 6.3
GTEX-1I1GV-1426-SM-B2LXN 60-69 years, male 6.3
GTEX-1QEPI-1126-SM-E8VN7 60-69 years, female 6.3
GTEX-15SHV-0526-SM-7KUEN 60-69 years, male 6.2
GTEX-1CB4J-0226-SM-7P8T4 60-69 years, male 6.2
GTEX-1F48J-1126-SM-9WYSY 50-59 years, female 6.2
GTEX-1LB8K-0926-SM-D4P42 50-59 years, male 6.2
GTEX-11GS4-0426-SM-5N9CD 60-69 years, male 6.1
GTEX-11GSP-1226-SM-5985M 60-69 years, female 6.1
GTEX-1212Z-0726-SM-5EGI5 60-69 years, male 6.1
GTEX-12BJ1-0326-SM-5FQUB 60-69 years, male 6.1
GTEX-146FH-1126-SM-5NQAT 50-59 years, female 6.1
GTEX-14E6C-0326-SM-5Q5EE 40-49 years, male 6.1
GTEX-UTHO-1226-SM-3GAEE 60-69 years, male 6.1
GTEX-X62O-0826-SM-46MW8 50-59 years, male 6.1
GTEX-13OW7-1626-SM-5IJDH 50-59 years, male 6.0
GTEX-17JCI-0826-SM-7LT8W 60-69 years, female 6.0
GTEX-18465-0726-SM-7LG4L 50-59 years, male 6.0
GTEX-1CB4G-0726-SM-79OOJ 60-69 years, male 6.0
GTEX-X261-0926-SM-3NMCY 50-59 years, male 6.0
GTEX-11ZUS-0326-SM-5EQ4W 30-39 years, male 5.9
GTEX-14E7W-1126-SM-5ZZVS 70-79 years, male 5.9
GTEX-1B8SF-1326-SM-7IGQJ 60-69 years, male 5.9
GTEX-V1D1-0626-SM-4JBHN 50-59 years, male 5.9
GTEX-1C6VQ-0826-SM-7PBZT 50-59 years, male 5.9
GTEX-13FXS-1026-SM-62LFQ 50-59 years, male 5.8
GTEX-XQ3S-0526-SM-4BOQA 20-29 years, male 5.8
GTEX-11DXY-1026-SM-5987V 60-69 years, male 5.7
GTEX-11NUK-0926-SM-5HL57 50-59 years, male 5.7
GTEX-14XAO-0926-SM-69LPZ 60-69 years, female 5.7
GTEX-VJWN-1026-SM-4M1ZN 50-59 years, female 5.7
GTEX-WHPG-1026-SM-3NMBA 50-59 years, male 5.7
GTEX-1IKJJ-0626-SM-CY8GF 60-69 years, male 5.7
GTEX-1MJK2-1626-SM-EVYCQ 50-59 years, male 5.7
GTEX-13X6J-1226-SM-79OMF 50-59 years, male 5.6
GTEX-15D1Q-0426-SM-6AJ9G 40-49 years, male 5.6
GTEX-1B8SG-0726-SM-79ONS 50-59 years, male 5.6
GTEX-X8HC-1026-SM-46MWH 50-59 years, female 5.6
GTEX-1I19N-0626-SM-A9SKY 70-79 years, male 5.6
GTEX-1LSNL-0626-SM-DIPFJ 50-59 years, male 5.6
GTEX-1POEN-0726-SM-DTXDU 30-39 years, female 5.6
GTEX-111VG-0326-SM-5GZX7 60-69 years, male 5.5
GTEX-14A5I-1026-SM-5Q5E3 50-59 years, female 5.5
GTEX-1EWIQ-1126-SM-7EPIK 70-79 years, female 5.5
GTEX-ZUA1-0726-SM-4YCD9 40-49 years, male 5.5
GTEX-1A8FM-1026-SM-7PC26 50-59 years, female 5.5
GTEX-1F6I4-0826-SM-7RHGK 60-69 years, male 5.5
GTEX-1IL2V-1126-SM-CMKGH 70-79 years, male 5.5
GTEX-1JJ6O-2226-SM-AHZ3I 60-69 years, male 5.5
GTEX-12696-1226-SM-5FQSM 60-69 years, male 5.4
GTEX-1AX9I-1026-SM-73KYF 60-69 years, male 5.4
GTEX-X4XX-1126-SM-3NMBY 60-69 years, male 5.4
GTEX-1C6WA-0826-SM-7PBXS 60-69 years, male 5.4
GTEX-14A6H-0326-SM-5NQAN 30-39 years, male 5.3
GTEX-15RJE-0726-SM-7KUEG 40-49 years, male 5.3
GTEX-16GPK-1226-SM-7LTAU 60-69 years, male 5.3
GTEX-YECK-1226-SM-4W21G 60-69 years, male 5.3
GTEX-1H3VY-1126-SM-A96TP 50-59 years, male 5.3
GTEX-ZXG5-0626-SM-5NQ85 60-69 years, male 5.2
GTEX-1F75A-1026-SM-7PC3W 50-59 years, male 5.2
GTEX-1IOXB-0726-SM-A9G32 50-59 years, male 5.2
GTEX-11O72-1026-SM-5986B 40-49 years, male 5.1
GTEX-11ZVC-0526-SM-5N9G1 50-59 years, female 5.1
GTEX-13PL6-0826-SM-5IJBI 40-49 years, female 5.1
GTEX-1H1CY-0426-SM-9KNVD 60-69 years, female 5.1
GTEX-11WQK-0226-SM-5EQLI 50-59 years, male 5.0
GTEX-13D11-1526-SM-5J2NA 50-59 years, female 5.0
GTEX-WRHU-1026-SM-4E3ID 50-59 years, female 5.0
GTEX-1C64N-0826-SM-7RHGQ 50-59 years, male 5.0
GTEX-1H1ZS-1026-SM-9WG6E 70-79 years, male 5.0
GTEX-12584-1026-SM-59HK3 40-49 years, male 4.9
GTEX-WHSE-0826-SM-4SOJU 20-29 years, male 4.9
GTEX-13FTZ-0326-SM-5J1O1 60-69 years, male 4.8
GTEX-145LS-1326-SM-5Q5EP 60-69 years, female 4.7
GTEX-WOFL-1226-SM-4OOST 60-69 years, male 4.7
GTEX-1GN1V-1026-SM-CNPPS 60-69 years, male 4.7
GTEX-1LH75-0526-SM-DIPG2 50-59 years, female 4.7
GTEX-13O3O-1426-SM-5KM2S 60-69 years, female 4.6
GTEX-U8XE-0926-SM-3DB8V 30-39 years, male 4.6
GTEX-WI4N-0726-SM-3TW93 40-49 years, female 4.6
GTEX-1JN6P-0826-SM-ARL97 60-69 years, male 4.6
GTEX-1KD5A-0926-SM-D4P3U 50-59 years, male 4.5
GTEX-1M5QR-1626-SM-E9U5O 40-49 years, male 4.5
GTEX-14BIL-0926-SM-7DHKN 50-59 years, male 4.4
GTEX-14C39-0726-SM-5RQIK 40-49 years, male 4.3
GTEX-1GMRU-1326-SM-9WYUI 50-59 years, male 4.2
GTEX-11TUW-1126-SM-5EQKJ 60-69 years, male 3.8
GTEX-13O3Q-0326-SM-5L3FE 50-59 years, male 3.8
GTEX-14BIN-2126-SM-793AX 50-59 years, female 3.8
GTEX-1QP6S-1026-SM-DTXFW 40-49 years, male 3.7
GTEX-14C38-1326-SM-62LDK 50-59 years, male 3.4
GTEX-17EVP-0526-SM-7EPGY 40-49 years, male 3.4
GTEX-ZVT4-1326-SM-5NQ8E 50-59 years, female 2.9
Show allShow less
Heart - Left Ventricle
Average nTPM: 13.8
Samples: 432

Max nTPM: 31.0
Min nTPM: 2.7
Std nTPM: 6.4
Median nTPM: 13.4
GTEX-1L5NE-0426-SM-E9TIX 50-59 years, male 31.0
GTEX-17GQL-0526-SM-72D5N 60-69 years, male 29.1
GTEX-117YX-1126-SM-5H128 50-59 years, male 28.8
GTEX-PLZ5-0626-SM-2I5F8 50-59 years, male 28.6
GTEX-QV44-0526-SM-2S1RE 50-59 years, male 28.6
GTEX-13S86-0226-SM-5S2PJ 40-49 years, male 28.2
GTEX-13U4I-0826-SM-5SIBD 40-49 years, female 28.1
GTEX-Y3IK-0826-SM-51MT8 50-59 years, female 28.1
GTEX-14PN3-0526-SM-69LQF 60-69 years, female 27.9
GTEX-QDVN-0326-SM-2I3FS 50-59 years, male 27.6
GTEX-1B8KE-0126-SM-793AM 50-59 years, male 26.9
GTEX-1RMOY-0626-SM-E9TIE 50-59 years, male 26.9
GTEX-146FR-0626-SM-5RQJ1 60-69 years, female 26.6
GTEX-OOBJ-0326-SM-33HBO 60-69 years, male 26.3
GTEX-ZTPG-1226-SM-4YCDO 20-29 years, female 26.3
GTEX-R55C-0326-SM-3GAF1 40-49 years, male 26.1
GTEX-XXEK-0926-SM-4BRWH 50-59 years, male 26.1
GTEX-1R9JW-0526-SM-EWRNK 30-39 years, female 25.7
GTEX-SE5C-0626-SM-2XCDV 40-49 years, female 25.6
GTEX-RUSQ-0526-SM-2TF72 50-59 years, male 25.5
GTEX-1JK1U-0526-SM-CYPSQ 60-69 years, male 25.5
GTEX-12BJ1-0226-SM-5LUA2 60-69 years, male 25.3
GTEX-P4PP-0326-SM-33HC4 30-39 years, female 24.8
GTEX-XBED-0526-SM-47JY3 60-69 years, male 24.7
GTEX-ZGAY-0326-SM-57WF5 40-49 years, female 24.6
GTEX-1GMR2-1426-SM-7RHHK 50-59 years, male 24.6
GTEX-1LSNM-0526-SM-DIPG6 50-59 years, male 24.5
GTEX-ZPU1-0626-SM-4YCDM 40-49 years, male 24.4
GTEX-1F5PK-0326-SM-9KNUD 50-59 years, male 24.4
GTEX-YB5K-0126-SM-5IFJ2 40-49 years, female 24.1
GTEX-WFON-0326-SM-3GIKX 40-49 years, male 24.0
GTEX-13FTW-1026-SM-5L3E3 40-49 years, male 23.4
GTEX-WY7C-0526-SM-3NB3D 50-59 years, male 23.2
GTEX-17KNJ-0826-SM-793A4 50-59 years, male 23.1
GTEX-13X6H-0426-SM-5LU4E 50-59 years, female 23.0
GTEX-X15G-0426-SM-4PQZ6 50-59 years, female 22.9
GTEX-1RQEC-0926-SM-EWROG 60-69 years, male 22.9
GTEX-1IDJI-1026-SM-A96TE 50-59 years, female 22.8
GTEX-13O61-0526-SM-5J2M1 60-69 years, male 22.7
GTEX-14XAO-1126-SM-6EU11 60-69 years, female 22.7
GTEX-1C2JI-0526-SM-7EWEQ 50-59 years, male 22.6
GTEX-1MCC2-0326-SM-EV7AK 30-39 years, female 22.5
GTEX-13FH7-0926-SM-5J2MR 50-59 years, female 22.4
GTEX-1399R-1926-SM-5K7X8 30-39 years, male 22.3
GTEX-14PK6-0826-SM-5ZZVO 70-79 years, female 22.3
GTEX-Q2AH-0526-SM-2I3ED 40-49 years, male 22.1
GTEX-WHWD-0426-SM-3LK83 50-59 years, male 22.1
GTEX-11DXX-0326-SM-5PNWC 60-69 years, female 22.0
GTEX-15CHC-0426-SM-6LLHI 60-69 years, female 22.0
GTEX-15RJ7-0226-SM-7KUMN 40-49 years, male 22.0
GTEX-POMQ-0326-SM-2I5FO 20-29 years, female 22.0
GTEX-Y114-0226-SM-4TT8W 50-59 years, female 22.0
GTEX-ZPIC-0826-SM-4WWFJ 40-49 years, female 22.0
GTEX-1QPFJ-1026-SM-E6CR6 30-39 years, female 21.9
GTEX-1AYCT-0426-SM-73KVZ 50-59 years, male 21.8
GTEX-RWS6-0326-SM-2XCAP 60-69 years, female 21.8
GTEX-15CHR-0226-SM-7PC2Z 50-59 years, male 21.8
GTEX-11EM3-0626-SM-5H12Z 20-29 years, female 21.7
GTEX-18A67-1226-SM-7KFRS 50-59 years, male 21.6
GTEX-YF7O-0426-SM-5P9FS 50-59 years, male 21.6
GTEX-14H4A-0626-SM-5ZZUT 40-49 years, female 21.4
GTEX-O5YW-0326-SM-2I5EI 50-59 years, male 21.4
GTEX-1GL5R-0326-SM-9WYTJ 50-59 years, male 21.2
GTEX-1EU9M-1826-SM-7DUGU 60-69 years, male 21.1
GTEX-OHPK-0326-SM-2HMJO 50-59 years, female 21.0
GTEX-O5YT-0326-SM-32PKA 20-29 years, male 20.9
GTEX-P4PQ-0326-SM-2HMJ8 60-69 years, male 20.9
GTEX-1B97J-0726-SM-7RHG3 50-59 years, female 20.8
GTEX-139YR-0826-SM-5LZXY 50-59 years, male 20.7
GTEX-1CB4I-1626-SM-7RHGV 50-59 years, male 20.7
GTEX-PX3G-0326-SM-2I3EO 20-29 years, female 20.6
GTEX-1LGOU-0726-SM-E9TIY 20-29 years, female 20.6
GTEX-ZPCL-0426-SM-DNZZ4 60-69 years, female 20.6
GTEX-11I78-0826-SM-5A5K4 50-59 years, female 20.5
GTEX-1339X-0426-SM-5KLZY 40-49 years, male 20.5
GTEX-YEC4-0326-SM-4W216 40-49 years, male 20.5
GTEX-R53T-0926-SM-3GADH 50-59 years, female 20.4
GTEX-OHPL-0326-SM-33HC8 60-69 years, female 20.3
GTEX-QMRM-0526-SM-2I5GA 50-59 years, male 20.3
GTEX-1AX9J-1026-SM-72D6E 60-69 years, male 19.8
GTEX-XGQ4-0326-SM-4GIEE 50-59 years, male 19.8
GTEX-1GMR3-0326-SM-7P8QT 40-49 years, male 19.8
GTEX-S32W-0626-SM-2XCBG 50-59 years, female 19.7
GTEX-V955-0726-SM-3GAFG 60-69 years, male 19.7
GTEX-131XF-5001-SM-7DHLY 60-69 years, male 19.6
GTEX-131XG-0626-SM-5GCMP 50-59 years, female 19.6
GTEX-OXRK-0826-SM-2HMK7 50-59 years, female 19.6
GTEX-1GN1W-0326-SM-9JGHF 50-59 years, female 19.6
GTEX-14PJ6-0726-SM-69LOL 60-69 years, female 19.5
GTEX-ZAB5-0226-SM-5CVMH 50-59 years, male 19.5
GTEX-1KANC-0426-SM-CXZK5 50-59 years, female 19.4
GTEX-UJHI-0426-SM-3DB8Y 50-59 years, female 19.3
GTEX-WFG8-0626-SM-3GILJ 20-29 years, male 19.3
GTEX-1QCLZ-0926-SM-E6CQZ 60-69 years, female 19.3
GTEX-1F75I-1126-SM-9WYUO 40-49 years, male 19.2
GTEX-13CF3-0726-SM-5J2MY 60-69 years, female 19.1
GTEX-1CAMS-1326-SM-79OJR 40-49 years, female 19.1
GTEX-ZLFU-0226-SM-4WWFH 40-49 years, male 19.1
GTEX-1R7EV-0326-SM-E76PA 40-49 years, male 19.1
GTEX-ZEX8-0426-SM-DO92Y 50-59 years, male 19.1
GTEX-17F9E-0926-SM-7IGMG 50-59 years, male 19.0
GTEX-ZVZP-0226-SM-5NQ73 50-59 years, male 18.9
GTEX-145LV-0326-SM-5Q5BW 50-59 years, male 18.8
GTEX-14E1K-1026-SM-73KUR 50-59 years, male 18.8
GTEX-QLQ7-0526-SM-2I5G3 60-69 years, male 18.8
GTEX-Y8E4-0326-SM-4VBRR 40-49 years, male 18.8
GTEX-1OKEX-0726-SM-DPRYE 60-69 years, male 18.8
GTEX-YEC3-0726-SM-CMKFH 50-59 years, male 18.8
GTEX-11DXZ-0626-SM-5GU77 50-59 years, male 18.7
GTEX-132QS-0426-SM-5KLZ6 60-69 years, male 18.7
GTEX-ZG7Y-0926-SM-5EQ6O 50-59 years, male 18.6
GTEX-1HFI7-0826-SM-A9G23 50-59 years, female 18.6
GTEX-1RB15-0326-SM-E6CQB 60-69 years, male 18.6
GTEX-12696-1126-SM-5FQTI 60-69 years, male 18.5
GTEX-13O21-2326-SM-5MR3X 50-59 years, male 18.4
GTEX-U3ZN-1426-SM-3DB87 30-39 years, female 18.3
GTEX-WFG7-0726-SM-3GIKO 20-29 years, male 18.3
GTEX-WZTO-1326-SM-3NM8X 40-49 years, male 18.3
GTEX-15RIE-1726-SM-7KUMU 60-69 years, male 18.3
GTEX-1I6K7-0626-SM-ARL7Q 40-49 years, male 18.3
GTEX-XQ8I-0126-SM-4BOPL 50-59 years, male 18.2
GTEX-ZYFG-0426-SM-5E43M 60-69 years, female 18.2
GTEX-1CB4E-0526-SM-7MXTK 60-69 years, male 18.2
GTEX-1IKOE-1026-SM-ARZMF 30-39 years, female 18.2
GTEX-1LVAN-1726-SM-CNNR1 50-59 years, female 18.2
GTEX-WEY5-0426-SM-3GIKT 40-49 years, female 18.1
GTEX-1HCUA-0526-SM-A9SMH 50-59 years, female 18.0
GTEX-ZDTT-0726-SM-4WKFK 60-69 years, male 17.9
GTEX-ZF29-0226-SM-4WKHO 60-69 years, female 17.9
GTEX-PWCY-0526-SM-5P9HG 20-29 years, female 17.8
GTEX-1J8EW-0926-SM-A9G33 60-69 years, female 17.6
GTEX-13VXT-1126-SM-5LU3A 20-29 years, female 17.5
GTEX-18D9U-1126-SM-72D5Y 40-49 years, male 17.5
GTEX-1LGRB-1126-SM-CNPP2 50-59 years, female 17.5
GTEX-OIZF-0326-SM-3MJGY 60-69 years, male 17.5
GTEX-RNOR-0826-SM-2TF5C 50-59 years, female 17.4
GTEX-132NY-1726-SM-5EGKK 60-69 years, male 17.3
GTEX-WHSE-0926-SM-3NMBS 20-29 years, male 17.3
GTEX-1GN73-2426-SM-7RHFQ 60-69 years, male 17.2
GTEX-SNMC-0126-SM-2XCFO 20-29 years, male 17.1
GTEX-14PHY-0226-SM-5ZZWM 60-69 years, female 17.0
GTEX-QDVJ-0426-SM-2I5FW 50-59 years, male 17.0
GTEX-ZV7C-0326-SM-57WB1 50-59 years, male 17.0
GTEX-1GZ4I-1026-SM-9KNV5 50-59 years, male 17.0
GTEX-1MUQO-1226-SM-E9TJK 60-69 years, male 17.0
GTEX-12WSK-0626-SM-5LZUJ 40-49 years, female 16.9
GTEX-1AX8Z-5007-SM-AHZ36 60-69 years, male 16.9
GTEX-1122O-0826-SM-5GICV 60-69 years, female 16.8
GTEX-OIZH-0326-SM-2HMKC 50-59 years, male 16.8
GTEX-NFK9-0926-SM-2HMJU 40-49 years, male 16.7
GTEX-1ICG6-0626-SM-ACKWS 70-79 years, female 16.7
GTEX-14PJ4-1126-SM-5YY91 60-69 years, male 16.6
GTEX-1KXAM-1326-SM-E9TJW 60-69 years, male 16.6
GTEX-16XZY-0426-SM-793BI 70-79 years, male 16.5
GTEX-P78B-0426-SM-2I5F5 40-49 years, female 16.5
GTEX-1HSMQ-0226-SM-C1YQL 50-59 years, male 16.5
GTEX-1399S-1026-SM-5KLZ9 30-39 years, female 16.4
GTEX-13QBU-0426-SM-5J2O4 40-49 years, female 16.4
GTEX-XPVG-0826-SM-4B654 50-59 years, male 16.4
GTEX-1J8Q3-1226-SM-CKZPT 60-69 years, male 16.4
GTEX-1399U-0526-SM-5K7YM 50-59 years, female 16.3
GTEX-1211K-0626-SM-5FQUZ 60-69 years, female 16.2
GTEX-Y3I4-0626-SM-4TT7A 50-59 years, male 16.2
GTEX-ZQUD-1526-SM-7IGO2 30-39 years, male 16.2
GTEX-ZF2S-1026-SM-9QEGK 50-59 years, female 16.2
GTEX-13PVR-1026-SM-5QGQW 60-69 years, female 16.1
GTEX-QESD-0526-SM-2I5G5 20-29 years, male 16.1
GTEX-WHPG-0826-SM-3NMBF 50-59 years, male 16.1
GTEX-WYJK-1026-SM-3NM8W 50-59 years, male 16.1
GTEX-1IDJU-0726-SM-CNPQ9 60-69 years, female 16.1
GTEX-OHPM-0326-SM-33HCA 50-59 years, male 16.0
GTEX-UJMC-0526-SM-3GAE3 50-59 years, male 16.0
GTEX-X3Y1-0426-SM-3P5Z4 40-49 years, male 16.0
GTEX-1HSGN-1126-SM-CJI4G 40-49 years, female 16.0
GTEX-U3ZH-0326-SM-3DB7A 30-39 years, male 15.9
GTEX-13OVG-0526-SM-5K7YD 60-69 years, male 15.8
GTEX-11ZUS-0226-SM-5FQT8 30-39 years, male 15.7
GTEX-146FH-1026-SM-5RQIF 50-59 years, female 15.7
GTEX-14PHX-2126-SM-6EU2U 50-59 years, male 15.6
GTEX-1HSMO-1226-SM-CL548 60-69 years, male 15.6
GTEX-1OFPY-1026-SM-EXUSO 60-69 years, male 15.6
GTEX-11LCK-0926-SM-5A5KA 30-39 years, male 15.5
GTEX-SUCS-0326-SM-32PLL 70-79 years, male 15.5
GTEX-1EMGI-1226-SM-793DD 60-69 years, male 15.2
GTEX-QEG4-0426-SM-33HC3 30-39 years, male 15.2
GTEX-ZZPU-0926-SM-5GZYT 50-59 years, female 15.2
GTEX-WH7G-0426-SM-3NMBJ 40-49 years, male 15.0
GTEX-132AR-2026-SM-5IJG4 50-59 years, female 14.9
GTEX-1GF9U-0426-SM-7RHHA 40-49 years, female 14.9
GTEX-13O3O-1526-SM-5KM1C 60-69 years, female 14.8
GTEX-XQ3S-0626-SM-4BOOB 20-29 years, male 14.8
GTEX-1JJEA-0826-SM-CL53T 60-69 years, male 14.8
GTEX-1S3DN-0726-SM-E9TIO 50-59 years, male 14.8
GTEX-Y5V6-0826-SM-4VBRU 60-69 years, male 14.7
GTEX-13W3W-0426-SM-5SI9D 60-69 years, female 14.6
GTEX-OXRL-0326-SM-2I3F2 50-59 years, male 14.4
GTEX-R55E-1026-SM-2TC5S 20-29 years, male 14.4
GTEX-ZVT2-1026-SM-5GU55 50-59 years, female 14.4
GTEX-1QP2A-1126-SM-EVR3H 50-59 years, male 14.4
GTEX-13OVL-0526-SM-5KLZQ 50-59 years, male 14.3
GTEX-XV7Q-0826-SM-4BRV7 40-49 years, female 14.3
GTEX-13N11-0426-SM-5KM3O 50-59 years, female 14.1
GTEX-13SLX-1026-SM-5ZZUQ 50-59 years, female 14.1
GTEX-1J8QM-0426-SM-AHZ3X 60-69 years, female 14.1
GTEX-12WSG-0526-SM-5FQTH 50-59 years, female 14.0
GTEX-1IDJE-0326-SM-CM2TD 50-59 years, female 14.0
GTEX-1KD5A-1026-SM-CY8I8 50-59 years, male 14.0
GTEX-12WSN-5001-SM-7DHMK 40-49 years, male 13.9
GTEX-UPK5-0326-SM-CYPR4 40-49 years, male 13.8
GTEX-13YAN-1326-SM-5Q5F1 60-69 years, male 13.7
GTEX-14A6H-0226-SM-5Q5DX 30-39 years, male 13.7
GTEX-NPJ8-0426-SM-2HMK6 40-49 years, male 13.7
GTEX-1LH75-0426-SM-E9TJF 50-59 years, female 13.6
GTEX-1R9K5-1326-SM-E6CPR 50-59 years, male 13.6
GTEX-12WSD-1126-SM-5EGJD 60-69 years, female 13.5
GTEX-1K9T9-1126-SM-D3L9E 50-59 years, female 13.4
GTEX-17HGU-1026-SM-79OKL 50-59 years, male 13.3
GTEX-16YQH-0926-SM-793BC 30-39 years, male 13.2
GTEX-RU72-0326-SM-2TF5T 50-59 years, female 13.1
GTEX-ZDYS-0226-SM-5HL4K 50-59 years, male 13.1
GTEX-1POEN-0626-SM-EVR4B 30-39 years, female 13.1
GTEX-1HBPH-0126-SM-CNNQ7 40-49 years, female 13.0
GTEX-1IKK5-1526-SM-CKZPW 60-69 years, male 13.0
GTEX-U4B1-0326-SM-3DB8K 40-49 years, male 12.9
GTEX-1H11D-1226-SM-9WPQ2 40-49 years, male 12.9
GTEX-111YS-0426-SM-5987O 60-69 years, male 12.8
GTEX-1QP29-1526-SM-EXUSY 50-59 years, male 12.8
GTEX-145MN-0626-SM-5QGRH 30-39 years, male 12.7
GTEX-O5YV-0326-SM-2I5H2 60-69 years, female 12.7
GTEX-XPT6-0126-SM-4B65S 20-29 years, male 12.7
GTEX-PSDG-0926-SM-2I5FP 50-59 years, male 12.6
GTEX-P4QS-0326-SM-2I3EU 60-69 years, male 12.5
GTEX-ZDTS-1326-SM-6LLHE 60-69 years, male 12.5
GTEX-1B932-1026-SM-793CL 40-49 years, female 12.4
GTEX-WL46-0926-SM-3LK7T 50-59 years, male 12.4
GTEX-YFC4-0526-SM-5ZZVI 40-49 years, female 12.4
GTEX-QEL4-0926-SM-3GAD1 50-59 years, male 12.3
GTEX-1R9K4-1326-SM-DTX8G 60-69 years, male 12.3
GTEX-1C64O-0826-SM-79OKZ 60-69 years, male 12.2
GTEX-ZAB4-1026-SM-5HL7T 40-49 years, male 12.2
GTEX-13NZB-0226-SM-5KM1T 30-39 years, male 12.1
GTEX-13RTJ-0726-SM-5QGQN 60-69 years, male 12.1
GTEX-18D9B-1226-SM-72D6V 60-69 years, male 12.1
GTEX-1AX9K-0526-SM-73KV1 50-59 years, male 12.1
GTEX-V1D1-0526-SM-4JBGW 50-59 years, male 12.1
GTEX-1JMOU-0226-SM-CNNPD 60-69 years, female 12.1
GTEX-1CB4J-0326-SM-7PBZO 60-69 years, male 12.0
GTEX-1HBPM-1226-SM-A9SM8 60-69 years, female 12.0
GTEX-14JG1-1026-SM-6ETZY 40-49 years, male 11.9
GTEX-15DDE-1126-SM-6LLHN 50-59 years, female 11.9
GTEX-16BQI-0926-SM-6M485 30-39 years, female 11.9
GTEX-R55G-0526-SM-2TC5O 40-49 years, female 11.8
GTEX-1O9I2-1126-SM-DTXEA 50-59 years, male 11.8
GTEX-ZDXO-0726-SM-57WBT 60-69 years, male 11.7
GTEX-11TT1-1326-SM-5PNYM 20-29 years, male 11.6
GTEX-13PVQ-1226-SM-5IJDC 50-59 years, male 11.6
GTEX-1313W-1426-SM-5KLZU 50-59 years, female 11.5
GTEX-13FLV-0926-SM-5L3DZ 50-59 years, male 11.5
GTEX-T6MN-0926-SM-32PLX 50-59 years, male 11.4
GTEX-ZYFC-1126-SM-5E44W 50-59 years, male 11.2
GTEX-12WSC-1126-SM-5EQ4G 50-59 years, male 11.1
GTEX-1CB4G-0826-SM-7DUGF 60-69 years, male 11.1
GTEX-QEG5-0926-SM-2TC64 20-29 years, male 11.1
GTEX-1JMQK-0626-SM-D4P2R 60-69 years, male 11.1
GTEX-13CF2-0426-SM-5KM1H 60-69 years, male 11.0
GTEX-13D11-1726-SM-5IFGQ 50-59 years, female 11.0
GTEX-WQUQ-1426-SM-3MJFD 60-69 years, male 11.0
GTEX-1E1VI-1326-SM-7IGQD 50-59 years, male 10.9
GTEX-11ZVC-0426-SM-5CVLD 50-59 years, female 10.8
GTEX-17F9Y-1326-SM-7MGW9 70-79 years, female 10.8
GTEX-1R9PO-0326-SM-DTXA1 60-69 years, female 10.8
GTEX-1HCU7-1326-SM-CNPPW 50-59 years, male 10.7
GTEX-131XE-0626-SM-5HL98 50-59 years, male 10.6
GTEX-18A66-1226-SM-7LT8G 60-69 years, male 10.6
GTEX-1M5QR-1026-SM-DHXK9 40-49 years, male 10.6
GTEX-1314G-0126-SM-5LZUL 30-39 years, male 10.5
GTEX-1BAJH-1626-SM-73KUV 70-79 years, male 10.5
GTEX-1H1ZS-1126-SM-9MQLJ 70-79 years, male 10.5
GTEX-1I1GQ-1426-SM-B2LWY 50-59 years, male 10.5
GTEX-11EMC-0726-SM-5EGJO 60-69 years, female 10.3
GTEX-1N2EF-2826-SM-E6CQF 60-69 years, male 10.3
GTEX-15EOM-5007-SM-793DG 20-29 years, female 10.2
GTEX-1MJIX-0326-SM-EVR42 40-49 years, male 10.2
GTEX-12ZZZ-1726-SM-59HK5 60-69 years, male 10.1
GTEX-1A3MW-1326-SM-7189P 60-69 years, female 10.1
GTEX-1I1HK-0726-SM-B2LY4 60-69 years, male 10.1
GTEX-1H23P-1226-SM-9QEJ2 60-69 years, male 9.9
GTEX-1JMPZ-1426-SM-CJI3C 30-39 years, male 9.9
GTEX-1LC47-1026-SM-D3LAH 60-69 years, male 9.9
GTEX-1HC8U-0726-SM-ACKXL 40-49 years, female 9.8
GTEX-14C38-1426-SM-5RQHZ 50-59 years, male 9.7
GTEX-15DYW-1126-SM-6LPK5 60-69 years, female 9.6
GTEX-1F6I4-0726-SM-7PC2P 60-69 years, male 9.6
GTEX-1HCU6-1026-SM-A9G25 60-69 years, female 9.6
GTEX-11ONC-0126-SM-5PNW6 60-69 years, male 9.5
GTEX-13OW8-2126-SM-5J1OS 60-69 years, male 9.5
GTEX-1IL2U-1326-SM-A9G2O 60-69 years, male 9.5
GTEX-13112-0426-SM-5PNVC 50-59 years, male 9.4
GTEX-P44H-0726-SM-48TBT 40-49 years, male 9.4
GTEX-R45C-0926-SM-3GAD4 60-69 years, female 9.4
GTEX-111FC-0826-SM-5GZWO 60-69 years, male 9.3
GTEX-14DAQ-1126-SM-664MT 60-69 years, female 9.3
GTEX-ZAJG-0826-SM-5PNVA 50-59 years, female 9.3
GTEX-13X6I-1426-SM-5SI9Z 60-69 years, male 9.2
GTEX-15SHW-1226-SM-6M46C 60-69 years, male 9.2
GTEX-1IDJF-0726-SM-CJI1U 20-29 years, male 9.2
GTEX-1J8Q2-1226-SM-A9G2W 60-69 years, male 9.2
GTEX-15ER7-1726-SM-6PAMX 20-29 years, female 9.0
GTEX-1AX9I-1126-SM-7EPHH 60-69 years, male 9.0
GTEX-Y5V5-0626-SM-4VBPX 60-69 years, female 9.0
GTEX-1EH9U-0826-SM-7IGPT 60-69 years, male 8.9
GTEX-REY6-1026-SM-2TF4Y 60-69 years, male 8.9
GTEX-U8XE-1126-SM-3DB8W 30-39 years, male 8.9
GTEX-1A3MX-1326-SM-72D58 60-69 years, male 8.8
GTEX-1F48J-1026-SM-7P8SO 50-59 years, female 8.8
GTEX-16NPX-0926-SM-7KUEZ 50-59 years, male 8.7
GTEX-1PPGY-1126-SM-E76OU 60-69 years, male 8.7
GTEX-17HHY-1426-SM-7EWDQ 50-59 years, male 8.6
GTEX-S33H-0526-SM-COH1W 30-39 years, male 8.6
GTEX-12ZZY-1126-SM-5DUWQ 60-69 years, male 8.5
GTEX-RWSA-0626-SM-2XCBD 40-49 years, male 8.5
GTEX-1ICLY-1326-SM-CJI47 50-59 years, male 8.5
GTEX-1JMLX-1626-SM-ARZMV 50-59 years, male 8.4
GTEX-OIZG-1126-SM-2HMIU 50-59 years, male 8.3
GTEX-1GF9V-1626-SM-7PBXL 60-69 years, male 8.3
GTEX-12584-0926-SM-5FQTN 40-49 years, male 8.2
GTEX-13OW6-1126-SM-5L3HL 50-59 years, male 8.2
GTEX-14C5O-1326-SM-5S2UW 60-69 years, male 8.2
GTEX-16MT8-0926-SM-6M487 60-69 years, female 8.2
GTEX-1GN1V-0826-SM-9KNU6 60-69 years, male 8.1
GTEX-14E6C-0426-SM-5YYA8 40-49 years, male 8.0
GTEX-13X6K-1826-SM-5O9CR 60-69 years, female 7.9
GTEX-P44G-0826-SM-2I5ES 30-39 years, male 7.9
GTEX-15SHU-1126-SM-7KUMB 40-49 years, female 7.8
GTEX-1JJ6O-2126-SM-CNNP6 60-69 years, male 7.7
GTEX-1LVA9-0926-SM-EVR5G 50-59 years, male 7.7
GTEX-1497J-1226-SM-5Q5BL 60-69 years, male 7.6
GTEX-WI4N-0626-SM-3TW8Z 40-49 years, female 7.6
GTEX-X8HC-1626-SM-46MWE 50-59 years, female 7.6
GTEX-1GMRU-1526-SM-9WYT5 50-59 years, male 7.6
GTEX-11DXY-0826-SM-5EGGR 60-69 years, male 7.5
GTEX-11GS4-0526-SM-5A5KQ 60-69 years, male 7.5
GTEX-13FTZ-0226-SM-5K7X6 60-69 years, male 7.4
GTEX-145MO-1126-SM-5NQBX 60-69 years, male 7.4
GTEX-1B996-1126-SM-73KWN 60-69 years, male 7.4
GTEX-1F6IF-2526-SM-7P8TV 60-69 years, male 7.3
GTEX-147F4-1226-SM-5NQAY 50-59 years, male 7.2
GTEX-1269C-0826-SM-5N9EM 60-69 years, female 7.1
GTEX-13O3P-1626-SM-5K7X3 50-59 years, male 6.9
GTEX-18A6Q-1626-SM-7KFTA 60-69 years, male 6.9
GTEX-1ICLZ-1026-SM-A9SLF 60-69 years, male 6.8
GTEX-11O72-1126-SM-5N9E2 40-49 years, male 6.7
GTEX-131XH-0226-SM-5LZVB 50-59 years, male 6.7
GTEX-148VI-0326-SM-5RQK7 60-69 years, female 6.7
GTEX-17MF6-0726-SM-7LT8E 40-49 years, male 6.7
GTEX-N7MS-0826-SM-2HML4 60-69 years, male 6.7
GTEX-XBEC-1326-SM-4AT69 50-59 years, male 6.7
GTEX-1212Z-0626-SM-5FQTB 60-69 years, male 6.6
GTEX-15RJE-0626-SM-7KUKR 40-49 years, male 6.6
GTEX-OXRO-2026-SM-2YUMZ 60-69 years, female 6.6
GTEX-14PJ2-1026-SM-6EU1M 50-59 years, male 6.5
GTEX-18465-0926-SM-731AY 50-59 years, male 6.5
GTEX-11TUW-1026-SM-5GU7D 60-69 years, male 6.4
GTEX-1HT8W-1726-SM-CNNQB 30-39 years, male 6.4
GTEX-YJ8O-0926-SM-EAZ2Z 40-49 years, female 6.4
GTEX-1B8L1-0526-SM-79ONX 60-69 years, male 6.3
GTEX-1A8G6-1626-SM-7MGWO 60-69 years, male 6.3
GTEX-1PWST-1026-SM-DTXF2 70-79 years, male 6.3
GTEX-13O1R-1226-SM-5J1NU 60-69 years, male 6.2
GTEX-PVOW-0426-SM-5MR5R 40-49 years, male 6.2
GTEX-SIU8-0826-SM-2XCDQ 50-59 years, male 6.2
GTEX-WWYW-1326-SM-3NB2S 50-59 years, female 6.2
GTEX-1EN7A-0726-SM-7PBXT 40-49 years, male 6.2
GTEX-14A5I-1226-SM-5NQBW 50-59 years, female 6.1
GTEX-14E7W-1226-SM-5RQIU 70-79 years, male 6.1
GTEX-17JCI-1126-SM-7IGMM 60-69 years, female 6.1
GTEX-T2IS-0426-SM-32QPE 20-29 years, female 6.1
GTEX-11GSP-1326-SM-5A5KY 60-69 years, female 6.0
GTEX-RN64-0826-SM-2TC62 50-59 years, male 6.0
GTEX-RTLS-0826-SM-2TF5Q 60-69 years, female 6.0
GTEX-1H3NZ-1126-SM-9WYT9 60-69 years, male 6.0
GTEX-1O97I-0826-SM-E8VNE 60-69 years, male 6.0
GTEX-14JIY-1126-SM-6EU28 60-69 years, male 5.9
GTEX-17HII-1326-SM-7IGOB 50-59 years, male 5.9
GTEX-1JN6P-1126-SM-CKZON 60-69 years, male 5.9
GTEX-1LB8K-1026-SM-DHXJJ 50-59 years, male 5.9
GTEX-WK11-0826-SM-EZ6LH 50-59 years, male 5.9
GTEX-117YW-0326-SM-5N9CY 50-59 years, male 5.8
GTEX-13N1W-1026-SM-5IJC5 70-79 years, male 5.7
GTEX-1I1GV-1326-SM-A96SE 60-69 years, male 5.7
GTEX-OIZI-0926-SM-E6CHF 40-49 years, male 5.7
GTEX-14BIN-2226-SM-5YYA1 50-59 years, female 5.5
GTEX-ZF3C-1226-SM-4WWCB 50-59 years, female 5.4
GTEX-13JVG-1326-SM-5N9F8 60-69 years, male 5.3
GTEX-N7MT-1326-SM-2I3FV 60-69 years, female 5.3
GTEX-WRHU-1226-SM-4E3IJ 50-59 years, female 5.3
GTEX-1RAZS-0826-SM-E76QP 50-59 years, male 5.3
GTEX-ZUA1-0826-SM-4YCDL 40-49 years, male 5.2
GTEX-ZYW4-0926-SM-59HJS 60-69 years, male 5.2
GTEX-1EWIQ-1426-SM-7IGOS 70-79 years, female 5.1
GTEX-12ZZW-1026-SM-5GCMM 50-59 years, male 4.9
GTEX-1LG7Y-1226-SM-CXZKD 50-59 years, male 4.8
GTEX-147JS-1526-SM-5ZZWF 60-69 years, male 4.7
GTEX-1B8SG-0826-SM-7EWF7 50-59 years, male 4.7
GTEX-13OW5-1126-SM-5J1NR 60-69 years, male 4.6
GTEX-14PJM-1126-SM-6LLHK 50-59 years, female 4.6
GTEX-1EX96-2526-SM-7RHGW 50-59 years, male 4.6
GTEX-1JN1M-1026-SM-CNPOS 60-69 years, female 4.6
GTEX-13FHP-1026-SM-5K7Y2 50-59 years, male 4.5
GTEX-1EKGG-1126-SM-7MGXB 60-69 years, male 4.5
GTEX-148VJ-1526-SM-5Q5DU 70-79 years, male 4.4
GTEX-14C39-0926-SM-5TDDV 40-49 years, male 4.4
GTEX-1KD4Q-0726-SM-DIPGE 40-49 years, male 4.4
GTEX-1GN2E-1326-SM-9KNVG 60-69 years, male 4.3
GTEX-1GTWX-1026-SM-7P8QW 60-69 years, male 4.3
GTEX-ZYT6-1726-SM-5E44P 30-39 years, male 4.1
GTEX-1HCVE-1126-SM-9WPPG 50-59 years, male 4.1
GTEX-1H1CY-0326-SM-9QEIZ 60-69 years, female 4.0
GTEX-1I1GP-0826-SM-A96SD 50-59 years, male 4.0
GTEX-1IDJH-1026-SM-E9TKH 70-79 years, male 4.0
GTEX-1C6VQ-1126-SM-7EWET 50-59 years, male 3.9
GTEX-X261-1426-SM-4PQZ1 50-59 years, male 3.8
GTEX-1399T-0426-SM-5PNVJ 60-69 years, male 3.6
GTEX-14BIL-1126-SM-79OMC 50-59 years, male 3.6
GTEX-15CHQ-1526-SM-69LPW 60-69 years, male 3.6
GTEX-1JJE9-1426-SM-ARL8P 70-79 years, male 3.5
GTEX-QVJO-1926-SM-2S1QZ 60-69 years, female 3.3
GTEX-14E6D-0926-SM-5S2QV 50-59 years, male 3.2
GTEX-1IKJJ-0826-SM-A96SP 60-69 years, male 3.1
GTEX-1NV8Z-1526-SM-DTX8X 60-69 years, male 3.0
GTEX-1PPH7-2026-SM-E9J3N 40-49 years, male 3.0
GTEX-13NYB-0226-SM-5N9G4 40-49 years, male 2.7
Show allShow less

HEART MUSCLE - FANTOM5 CAGEi

RNA expression in human tissues obtained through Cap Analysis of Gene Expression (CAGE) generated by the FANTOM5 project are reported as Scaled Tags Per Million.

Max subtype Scaled Tags Per Millioni

Max subtype Scaled Tags Per Million is the value for the subtype with the largest average Scaled Tags Per Million across the subtype samples.

114.2
FANTOM5 sample id Sample description Scaled Tags Per Million
Heart
Scaled Tags Per Million: 114.2
FF:10016-101C7 70,73,74 years, mixed 114.2
Left atrium
Scaled Tags Per Million: 48.3
FF:10079-102A7 40 years, male 48.3
Left ventricle
Scaled Tags Per Million: 79.3
FF:10078-102A6 73 years, female 79.3

Contact

  • NEWS ARTICLES
  • PRESS ROOM

The Project

  • INTRODUCTION
  • ORGANIZATION
  • PUBLICATIONS

The Human Protein Atlas

  • DOWNLOADABLE DATA
  • LICENCE & CITATION
  • HELP & FAQ
The Human Protein Atlas project is funded
by the Knut & Alice Wallenberg Foundation.


contact@proteinatlas.org