We use cookies to enhance the usability of our website. If you continue, we'll assume that you are happy to receive all cookies. More information. Don't show this again.
GPRIN3
HPA
RESOURCES
  • TISSUE
  • BRAIN
  • SINGLE CELL
  • SUBCELLULAR
  • CANCER
  • BLOOD
  • CELL LINE
  • STRUCTURE & INTERACTION
ABOUT
  • INTRODUCTION
  • HISTORY
  • ORGANIZATION
  • PUBLICATIONS
  • ANTIBODY SUBMISSION
  • ANTIBODY AVAILABILITY
  • ACKNOWLEDGMENTS
  • CONTACT
NEWS
  • NEWS ARTICLES
  • PRESS ROOM
LEARN
  • DICTIONARY
  • PROTEIN CLASSES
  • PROTEIN EVIDENCE
  • METHODS
  • EDUCATIONAL VIDEOS
DATA
  • DOWNLOADABLE DATA
  • PUBLICATION DATA
  • RELEASE HISTORY
HELP
  • ANTIBODY VALIDATION
  • ASSAYS & ANNOTATION
  • DISCLAIMER
  • HELP & FAQ
  • PRIVACY STATEMENT
  • LICENCE & CITATION
Fields »
Search result

Field
Term
Gene name
Class
Subclass
Class
Keyword
Chromosome
External id
Tissue
Cell type
Expression
Antibody panel
Tissue
Main location
Patient ID
Annotation
Tissue
Category
Tau score
Cluster
Reliability
Brain region
Category
Tau score
Brain region
Category
Tau score
Brain region
Category
Tau score
Cluster
Reliability
Tissue
Cell type
Enrichment
Cell type
Category
Tau score
Cell type
Category
Tau score
Cell type
Category
Tau score
Cell lineage
Category
Tau score
Cluster
Cluster
Location
Searches
Location
Cell line
Class
Type
Phase
Reliability
Cancer
Prognosis
Cancer
Category
Cancer
Category
Tau score
Cluster
Variants
Interacting gene (ensg_id)
Type
Number of interactions
Pathway
Category
Score
Score
Score
Validation
Validation
Validation
Validation
Antibodies
Data type
Column


  • SUMMARY

  • TISSUE

  • BRAIN

  • SINGLE CELL

  • SUBCELL

  • CANCER

  • BLOOD

  • CELL LINE

  • STRUCT & INT

  • GPRIN3
CANCER OVARIAN CANCER Show tissue menu
BREAST CANCER CARCINOID CERVICAL CANCER COLORECTAL CANCER ENDOMETRIAL CANCER GLIOMA HEAD AND NECK CANCER LIVER CANCER LUNG CANCER LYMPHOMA
MELANOMA OVARIAN CANCER PANCREATIC CANCER PROSTATE CANCER RENAL CANCER SKIN CANCER STOMACH CANCER TESTIS CANCER THYROID CANCER UROTHELIAL CANCER
OV TCGA OV VALIDATION PROTEIN OV CPTAC PROTEIN EXPRESSION
ANTIBODIES
AND
VALIDATION
Dictionary
Ovarian cancer
Human cancer
Ovary serous cystadenocarcinoma
OVARY SEROUS CYSTADENOCARCINOMA (TCGA) - Interactive survival scatter ploti

The Survival Scatter plot shows the clinical status (i.e. dead or alive) for all individuals in the patient cohort, based on the same data that underlies the corresponding Kaplan-Meier plots. Patients that are alive at last time for follow-up are shown in blue and patients who have died during the study are shown in red.

The x-axis shows the expression levels (FPKM) of the investigated gene in the tumor tissue at the time of diagnosis. The y-axis shows the follow-up time after diagnosis (years). Both axes are complimented with kernel density curves demonstrating the data density over the axes. The top density plot shows the expression levels (FPKM) distribution among dead (red) and alive patients (blue). The right density plot shows the data density of the survived years of dead patients with high and low expression levels respectively, stratified using the cutoff indicated by the vertical dashed line through the Survival Scatter plot. This cutoff is automatically defined based on the FPKM cutoff that minimizes the p-score. The cutoff can be changed by dragging the vertical line or by entering a cutoff value in the square labeled "Current cut-off".

Under the Survival Scatter plot the p-score landscape (black curve; left axis) is shown together with dead median separation (red curve; right axis). Dead median separation is the difference in median mRNA expression between patients who have died with high and low expression, respectively. It is calculated as follows: median FPKM expression of dead patients with high expression - median FPKM expression of dead patients with low expression. This is intended to aid the user in visually exploring custom cutoffs and the associated p-scores and dead median separation.

Individual patient data is displayed and can be filtered by clicking on one or more of the category buttons on the top of the page. Categories describing expression level and patient information include: high, low, alive, dead, female, male and tumor stages. The scale of the x-axis can be toggled between linear and log-scale by clicking on the "x log" button. Mouse-over function shows TCGA ID, patient information and mRNA expression (FPKM) for each patient.

& Survival analysisi

Kaplan-Meier plots summarize results from analysis of correlation between mRNA expression level and patient survival. Patients were divided based on level of expression into one of the two groups "low" (under cut off) or "high" (over cut off). X-axis shows time for survival (years) and y-axis shows the probability of survival, where 1.0 corresponds to 100 percent.

GPRIN3 is not prognostic in Ovary Serous Cystadenocarcinoma (TCGA)


Stage:

Survival analysis
Current cut offi

Current cut-off shows the cut-off (FPKM) currently selected. It may be changed manually. When the current cut-off is changed, the vertical dashed line indicating cut-off, the interactive survival scatter plot and the Kaplan-Meier curve will be automatically adjusted to show results accordingly.

:
Best expression cut offi

Based on the FPKM value of each gene, patients were classified into two groups and association between prognosis (survival) and gene expression (FPKM) was examined. The best expression cut-off refers the FPKM value that yields maximal difference with regard to survival between the two groups at the lowest log-rank P-value. Best expression cut-off was selected based on survival analysis .

When clicking on this number, the vertical dashed line indicating cut-off, the interactive survival plot, and the Kaplan-Meier curve will be adjusted to show results based on the best expression cut-off.

: N/A
Median expressioni

Median expression refers to the median FPKM value calculated based on the gene expression (FPKM) data from all patients in this dataset. When clicking on this number, the vertical dashed line indicating cut-off, the interactive survival plot, and the Kaplan-Meier curve will be adjusted to show results based on the median expression.

: N/A
Median follow up timei

Median follow up time refers to the median time (years) after diagnosis with this type of cancer, based on clinical data from all patients in this dataset.

: N/A
P scorei

Log-rank P value for Kaplan-Meier plot showing results from analysis of correlation between mRNA expression level and patient survival.

N/A
5-year survival highi

5-year survival for patients with higher expression than the expression cutoff.

For melanoma and glioma, 3-year survival is shown.

N/A
5-year survival lowi

5-year survival for patients with lower expression than the expression cutoff.

For melanoma and glioma, 3-year survival is shown.

N/A
TCGA RNA samplesi

RNA-seq data is reported as average FPKM (number Fragments Per Kilobase of exon per Million reads), generated by the The Cancer Genome Atlas (TCGA) .

Normal distribution across the dataset is visualized with box plots, shown as median and 25th and 75th percentiles. Points are displayed as outliers if they are above or below 1.5 times the interquartile range. FPKM values of the individual samples are presented next to the box plot.

Average pTPM 0.6
Number of samples 349
Samples
Sample Description pTPM
TCGA-25-1626-01A 65 years, female, white, stage:Stage IIIC, dead, 518 days 2.9
TCGA-24-1474-01A 57 years, female, black or african american, stage:Stage IIIC, dead, 676 days 2.8
TCGA-24-2289-01A 68 years, female, white, stage:Stage IV, dead, 2049 days 2.6
TCGA-24-2293-01A 47 years, female, white, stage:'--, dead, 506 days 2.5
TCGA-24-1425-01A 45 years, female, white, stage:Stage IIIC, alive, 181 days 2.3
TCGA-13-0768-01A 73 years, female, white, stage:Stage IIIC, dead, 1784 days 2.1
TCGA-61-2092-01A 57 years, female, white, stage:Stage IIIC, alive, 1573 days 2.1
TCGA-09-0366-01A 55 years, female, white, stage:Stage IIIC, dead, 1757 days 2.1
TCGA-24-2254-01A 66 years, female, white, stage:Stage IIIC, dead, 1736 days 2.1
TCGA-25-2392-01A 75 years, female, white, stage:Stage IV, dead, 31 days 2.1
TCGA-31-1953-01A 52 years, female, asian, stage:Stage IIIC, alive, 204 days 2.0
TCGA-25-1628-01A 67 years, female, white, stage:Stage IIIC, dead, 627 days 2.0
TCGA-57-1994-01A 63 years, female, white, stage:'--, alive, 761 days 1.9
TCGA-61-2111-01A 61 years, female, white, stage:Stage IV, alive, 3825 days 1.9
TCGA-13-0795-01A 66 years, female, white, stage:Stage IIIC, dead, 619 days 1.9
TCGA-61-2003-01A 53 years, female, white, stage:Stage IIIC, alive, 122 days 1.9
TCGA-25-1623-01A 71 years, female, white, stage:Stage IV, dead, 565 days 1.8
TCGA-25-2042-01A 60 years, female, american indian or alaska native, stage:Stage IIIC, dead, 396 days 1.8
TCGA-24-1847-01A 45 years, female, white, stage:Stage IV, alive, 343 days 1.8
TCGA-36-1581-01A 63 years, female, white, stage:Stage IIC, alive, 751 days 1.8
TCGA-31-1959-01A 49 years, female, white, stage:Stage IV, alive, 67 days 1.8
TCGA-25-2396-01A 71 years, female, white, stage:Stage IIIC, dead, 92 days 1.7
TCGA-31-1956-01A 60 years, female, white, stage:Stage IIIB, alive, 1342 days 1.7
TCGA-36-1569-01A 52 years, female, white, stage:Stage IIIC, alive, 885 days 1.7
TCGA-24-2290-01A 56 years, female, white, stage:Stage IIIC, dead, 1102 days 1.7
TCGA-24-2261-01A 76 years, female, white, stage:Stage IIIC, dead, 24 days 1.7
TCGA-31-1951-01A 58 years, female, white, stage:Stage IIIC, alive, 684 days 1.6
TCGA-24-1434-01A 59 years, female, white, stage:Stage IIIC, dead, 568 days 1.6
TCGA-29-A5NZ-01A 66 years, female, black or african american, stage:Stage IIIC, dead, 1088 days 1.6
TCGA-25-2401-01A 64 years, female, white, stage:Stage IIIC, dead, 90 days 1.5
TCGA-61-1995-01A 43 years, female, white, stage:Stage IIIC, alive, 61 days 1.5
TCGA-61-2113-01A 53 years, female, white, stage:Stage IIC, dead, 676 days 1.5
TCGA-31-1946-01A 30 years, female, stage:Stage IIIC, alive, 918 days 1.5
TCGA-61-2097-01A 71 years, female, white, stage:Stage IIC, alive, 1844 days 1.5
TCGA-59-2354-01A 63 years, female, white, stage:Stage IIIC, dead, 1046 days 1.5
TCGA-24-2267-01A 58 years, female, white, stage:Stage IIB, dead, 1446 days 1.5
TCGA-29-1710-01A 54 years, female, white, stage:Stage IIIC, dead, 951 days 1.5
TCGA-25-1320-01A 65 years, female, white, stage:Stage IIIC, dead, 1155 days 1.5
TCGA-13-1411-01A 81 years, female, white, stage:Stage IIIC, dead, 531 days 1.4
TCGA-24-1427-01A 58 years, female, stage:Stage IIIC, alive, 147 days 1.4
TCGA-25-1633-01A 64 years, female, white, stage:Stage IIIC, dead, 1891 days 1.4
TCGA-24-1422-01A 82 years, female, black or african american, stage:Stage IIIC, dead, 23 days 1.4
TCGA-13-0730-01A 71 years, female, white, stage:Stage IIIC, dead, 542 days 1.4
TCGA-29-1688-01A 39 years, female, white, stage:Stage IIIC, dead, 2400 days 1.3
TCGA-24-1553-01A 53 years, female, white, stage:Stage IIIB, dead, 1767 days 1.3
TCGA-24-1417-01A 54 years, female, white, stage:Stage IV, alive, 238 days 1.3
TCGA-24-1549-01A 58 years, female, white, stage:Stage IIIB, dead, 1721 days 1.3
TCGA-25-1630-01A 73 years, female, white, stage:Stage IIIC, dead, 1162 days 1.3
TCGA-57-1585-01A 57 years, female, white, stage:Stage IIIC, dead, 53 days 1.3
TCGA-04-1530-01A 68 years, female, white, stage:Stage IIIC, dead, 3622 days 1.3
TCGA-61-1721-01A 38 years, female, white, stage:Stage IV, alive, 338 days 1.3
TCGA-13-0916-01A 49 years, female, white, stage:Stage IIIC, alive, 1785 days 1.2
TCGA-24-2288-01A 70 years, female, white, stage:Stage IIIC, dead, 25 days 1.2
TCGA-29-2427-01A 60 years, female, white, stage:Stage IIIC, alive, 1900 days 1.2
TCGA-25-2399-01A 80 years, female, white, stage:Stage IIIC, dead, 608 days 1.2
TCGA-24-1930-01A 53 years, female, white, stage:Stage IIIC, dead, 2467 days 1.2
TCGA-29-1695-01A 62 years, female, white, stage:Stage IIIC, dead, 1229 days 1.2
TCGA-25-1313-01A 62 years, female, white, stage:Stage IV, dead, 820 days 1.2
TCGA-25-1326-01A 61 years, female, white, stage:Stage IIIC, dead, 1249 days 1.2
TCGA-24-1551-01A 53 years, female, white, stage:Stage IIIC, dead, 1579 days 1.2
TCGA-25-1635-01A 71 years, female, white, stage:Stage IIIC, dead, 1583 days 1.2
TCGA-09-1670-01A 57 years, female, white, stage:Stage IIIA, alive, 547 days 1.2
TCGA-57-1993-01A 56 years, female, white, stage:Stage IIIC, alive, 763 days 1.2
TCGA-61-2002-01A 46 years, female, white, stage:Stage IIIC, alive, 547 days 1.2
TCGA-24-1842-01A 49 years, female, white, stage:Stage IIIC, alive, 253 days 1.1
TCGA-23-2078-01A 66 years, female, white, stage:Stage IIIC, alive, 2661 days 1.1
TCGA-13-0886-01A 67 years, female, white, stage:Stage IIIC, alive, 4665 days 1.1
TCGA-36-1576-01A 76 years, female, stage:Stage IIIC, alive, 915 days 1.1
TCGA-29-1711-01A 45 years, female, black or african american, stage:Stage IIIC, alive, 1053 days 1.1
TCGA-24-1550-01A 49 years, female, white, stage:Stage IIIC, dead, 1249 days 1.0
TCGA-24-1546-01A 46 years, female, white, stage:Stage IIIC, dead, 1955 days 1.0
TCGA-24-1923-01A 51 years, female, white, stage:Stage IIIC, dead, 690 days 1.0
TCGA-57-1584-01A 47 years, female, white, stage:Stage IIIC, alive, 643 days 1.0
TCGA-25-1318-01A 54 years, female, white, stage:Stage IIIC, dead, 1064 days 1.0
TCGA-23-1123-01A 59 years, female, white, stage:Stage IIIC, dead, 1018 days 1.0
TCGA-61-2104-01A 53 years, female, white, stage:Stage IIC, alive, 2338 days 1.0
TCGA-23-2084-01A 45 years, female, white, stage:Stage IV, dead, 1516 days 1.0
TCGA-29-1763-01A 43 years, female, black or african american, stage:Stage IIC, alive, 2032 days 1.0
TCGA-24-2271-01A 55 years, female, asian, stage:Stage IIIC, dead, 962 days 1.0
TCGA-13-1405-01A 49 years, female, white, stage:Stage IV, dead, 868 days 1.0
TCGA-13-0883-01A 61 years, female, white, stage:Stage IIIC, dead, 2097 days 0.9
TCGA-59-2351-01A 51 years, female, white, stage:Stage IIIC, alive, 3532 days 0.9
TCGA-13-0885-01A 70 years, female, white, stage:Stage IIIC, alive, 3388 days 0.9
TCGA-13-0714-01A 55 years, female, white, stage:Stage IV, dead, 189 days 0.9
TCGA-24-1435-01A 57 years, female, white, stage:Stage IIIC, dead, 1324 days 0.9
TCGA-59-2350-01A 44 years, female, stage:Stage IV, dead, 679 days 0.9
TCGA-24-1469-01A 71 years, female, white, stage:Stage IIIC, alive, 277 days 0.9
TCGA-13-0766-01A 42 years, female, white, stage:Stage IIIC, dead, 1725 days 0.9
TCGA-61-2109-01A 40 years, female, white, stage:Stage IIIC, dead, 629 days 0.9
TCGA-13-1499-01A 56 years, female, white, stage:Stage IIIC, alive, 3500 days 0.9
TCGA-04-1362-01A 59 years, female, white, stage:Stage IIC, dead, 1348 days 0.9
TCGA-25-1328-01A 38 years, female, white, stage:Stage IIIC, dead, 2009 days 0.8
TCGA-61-1918-01A 45 years, female, white, stage:Stage IV, dead, 479 days 0.8
TCGA-25-2409-01A 71 years, female, white, stage:Stage IV, dead, 821 days 0.8
TCGA-24-1928-01A 77 years, female, white, stage:Stage IIIC, dead, 336 days 0.8
TCGA-24-1924-01A 65 years, female, white, stage:Stage IIIC, dead, 919 days 0.8
TCGA-25-1329-01A 76 years, female, white, stage:Stage IIIC, dead, 457 days 0.8
TCGA-13-0725-01A 44 years, female, white, stage:Stage IIIC, dead, 377 days 0.8
TCGA-61-1919-01A 58 years, female, white, stage:Stage IIIC, dead, 1161 days 0.8
TCGA-29-1705-01A 47 years, female, white, stage:Stage IIIC, dead, 555 days 0.8
TCGA-61-2012-01A 81 years, female, white, stage:Stage IIC, alive, 932 days 0.8
TCGA-09-1662-01A 58 years, female, white, stage:Stage IV, dead, 2717 days 0.8
TCGA-09-1673-01A 50 years, female, white, stage:Stage IV, alive, 92 days 0.8
TCGA-20-0991-01A 78 years, female, white, stage:Stage IIB, alive, 797 days 0.8
TCGA-25-1322-01A 62 years, female, white, stage:Stage IV, dead, 91 days 0.8
TCGA-29-1783-01A 58 years, female, white, stage:Stage IIIC, alive, 220 days 0.8
TCGA-24-2035-01A 65 years, female, white, stage:Stage IIIC, dead, 857 days 0.8
TCGA-24-1565-01A 74 years, female, white, stage:Stage IIIC, dead, 312 days 0.8
TCGA-13-0911-01A 55 years, female, white, stage:Stage IV, dead, 1355 days 0.8
TCGA-25-1870-01A 59 years, female, white, stage:Stage IIIC, dead, 455 days 0.8
TCGA-24-0968-01A 59 years, female, white, stage:Stage IIIC, dead, 598 days 0.8
TCGA-29-1768-01A 50 years, female, white, stage:Stage IV, dead, 952 days 0.8
TCGA-29-1769-01A 40 years, female, white, stage:Stage IIIC, alive, 699 days 0.8
TCGA-61-1998-01A 48 years, female, white, stage:Stage IIIC, alive, 168 days 0.8
TCGA-59-2348-01A 59 years, female, white, stage:Stage IIIC, alive, 5481 days 0.8
TCGA-23-2077-01A 45 years, female, white, stage:Stage IIIC, alive, 3525 days 0.7
TCGA-24-1846-01A 45 years, female, stage:Stage IIIC, alive, 133 days 0.7
TCGA-24-1563-01A 66 years, female, black or african american, stage:Stage IIIC, dead, 1451 days 0.7
TCGA-25-2404-01A 38 years, female, american indian or alaska native, stage:Stage IIIC, dead, 883 days 0.7
TCGA-20-1682-01A 56 years, female, white, stage:Stage IIIC, alive, 837 days 0.7
TCGA-59-2352-01A 78 years, female, white, stage:Stage IIIC, dead, 286 days 0.7
TCGA-09-2054-01A 58 years, female, black or african american, stage:Stage IIIC, dead, 637 days 0.7
TCGA-23-1109-01A 62 years, female, white, stage:Stage IIIC, dead, 1562 days 0.7
TCGA-24-1843-01A 66 years, female, white, stage:Stage IIIC, alive, 106 days 0.7
TCGA-57-1586-01A 66 years, female, white, stage:Stage IIIC, alive, 679 days 0.7
TCGA-29-1766-01A 74 years, female, white, stage:Stage IIIC, dead, 1199 days 0.7
TCGA-29-1690-01A 66 years, female, white, stage:Stage IIIC, dead, 1448 days 0.7
TCGA-24-1567-01A 54 years, female, white, stage:Stage IIIB, dead, 524 days 0.7
TCGA-04-1332-01A 70 years, female, white, stage:Stage IIIC, dead, 1247 days 0.7
TCGA-24-1850-01A 72 years, female, white, stage:Stage IIIC, alive, 168 days 0.7
TCGA-30-1857-01A 64 years, female, white, stage:Stage IV, dead, 8 days 0.7
TCGA-24-2020-01A 67 years, female, white, stage:Stage IIIC, dead, 4624 days 0.7
TCGA-13-1511-01A 52 years, female, asian, stage:Stage IV, dead, 1650 days 0.7
TCGA-25-1321-01A 65 years, female, white, stage:Stage IIIC, dead, 1033 days 0.7
TCGA-04-1365-01A 87 years, female, white, stage:Stage IIIB, alive, 947 days 0.7
TCGA-24-2281-01A 68 years, female, white, stage:Stage IIA, alive, 1357 days 0.7
TCGA-30-1860-01A 58 years, female, white, stage:Stage IIIC, dead, 1366 days 0.7
TCGA-61-1911-01A 55 years, female, white, stage:Stage IIA, alive, 1293 days 0.7
TCGA-20-1687-01A 46 years, female, white, stage:Stage IV, alive, 81 days 0.7
TCGA-24-2280-01A 74 years, female, white, stage:Stage IIIC, alive, 2143 days 0.7
TCGA-61-2008-01A 40 years, female, asian, stage:Stage IIC, alive, 932 days 0.7
TCGA-61-1724-01A 47 years, female, white, stage:Stage IIIC, dead, 637 days 0.7
TCGA-24-1428-01A 50 years, female, white, stage:Stage IIIC, alive, 529 days 0.7
TCGA-61-1737-01A 42 years, female, white, stage:Stage IV, alive, 1364 days 0.7
TCGA-23-1120-01A 60 years, female, white, stage:Stage IIIC, alive, 130 days 0.7
TCGA-23-1023-01A 65 years, female, white, stage:Stage IIIC, alive, 1233 days 0.7
TCGA-24-1416-01A 34 years, female, white, stage:Stage IV, alive, 194 days 0.7
TCGA-20-0987-01A 61 years, female, white, stage:Stage IIIC, dead, 701 days 0.6
TCGA-13-1505-01A 63 years, female, white, stage:Stage IIIC, alive, 1998 days 0.6
TCGA-13-2060-01A 51 years, female, white, stage:Stage IV, alive, 2369 days 0.6
TCGA-24-1562-01A 67 years, female, white, stage:Stage IIIC, dead, 1384 days 0.6
TCGA-36-1568-01A 52 years, female, stage:Stage IIIC, alive, 875 days 0.6
TCGA-04-1648-01A 57 years, female, white, stage:Stage IIIC, dead, 871 days 0.6
TCGA-24-2026-01A 79 years, female, white, stage:Stage IIIC, dead, 1059 days 0.6
TCGA-36-1580-01A 82 years, female, stage:Stage IIIC, dead, 737 days 0.6
TCGA-09-2051-01A 42 years, female, white, stage:Stage IIIC, alive, 1919 days 0.6
TCGA-25-2398-01A 71 years, female, white, stage:Stage IIIC, dead, 1369 days 0.6
TCGA-61-1741-01A 76 years, female, white, stage:Stage IIIB, dead, 1024 days 0.6
TCGA-13-0804-01A 73 years, female, white, stage:Stage IIIC, dead, 1073 days 0.6
TCGA-24-1844-01A 64 years, female, white, stage:Stage IIIC, alive, 113 days 0.6
TCGA-09-1666-01A 57 years, female, white, stage:Stage IIIC, alive, 1752 days 0.6
TCGA-29-1784-01A 55 years, female, white, stage:Stage IIIC, alive, 163 days 0.6
TCGA-31-1950-01A 76 years, female, white, stage:Stage IIIC, alive, 571 days 0.6
TCGA-23-1027-01A 48 years, female, white, stage:Stage IIIC, dead, 976 days 0.6
TCGA-09-0369-01A 56 years, female, white, stage:Stage IIIC, dead, 1082 days 0.6
TCGA-36-1574-01A 48 years, female, asian, stage:Stage IIIC, alive, 686 days 0.6
TCGA-04-1361-01A 57 years, female, white, stage:Stage IIIB, alive, 989 days 0.6
TCGA-24-1104-01A 56 years, female, white, stage:Stage IV, dead, 1933 days 0.6
TCGA-24-1471-01A 60 years, female, white, stage:Stage IIIC, alive, 36 days 0.6
TCGA-5X-AA5U-01A 61 years, female, black or african american, stage:Stage IIC, alive, 361 days 0.6
TCGA-29-2428-01A 58 years, female, white, stage:Stage IIIC, alive, 1372 days 0.6
TCGA-23-1122-01A 53 years, female, white, stage:Stage IIIC, dead, 1189 days 0.6
TCGA-29-1694-01A 45 years, female, white, stage:Stage IIIC, dead, 1187 days 0.6
TCGA-29-1781-01A 69 years, female, white, stage:Stage IIIC, alive, 255 days 0.6
TCGA-29-1691-01A 51 years, female, white, stage:Stage IIIC, dead, 1470 days 0.6
TCGA-30-1862-01A 65 years, female, white, stage:Stage IV, dead, 186 days 0.6
TCGA-13-1404-01A 48 years, female, white, stage:Stage IIIC, alive, 2469 days 0.6
TCGA-31-1944-01A 47 years, female, white, stage:Stage IIIC, alive, 1386 days 0.6
TCGA-04-1338-01A 78 years, female, white, stage:Stage IIIC, alive, 1418 days 0.5
TCGA-29-1785-01A 55 years, female, white, stage:Stage IIIC, dead, 1104 days 0.5
TCGA-23-1116-01A 83 years, female, white, stage:Stage IIIC, dead, 592 days 0.5
TCGA-13-0762-01A 65 years, female, white, stage:Stage IIIC, alive, 3400 days 0.5
TCGA-13-0727-01A 71 years, female, white, stage:Stage IIIC, dead, 462 days 0.5
TCGA-29-1778-01A 77 years, female, white, stage:Stage IIIC, alive, 454 days 0.5
TCGA-57-1582-01A 50 years, female, white, stage:Stage IIIC, dead, 731 days 0.5
TCGA-24-1604-01A 66 years, female, white, stage:Stage IIIC, dead, 2688 days 0.5
TCGA-04-1364-01A 61 years, female, white, stage:Stage IIIC, dead, 1024 days 0.5
TCGA-30-1892-01A 52 years, female, white, stage:Stage IIIC, dead, 1484 days 0.5
TCGA-25-1312-01A 69 years, female, white, stage:Stage IV, dead, 31 days 0.5
TCGA-29-1761-01A 80 years, female, asian, stage:Stage IIIC, dead, 528 days 0.5
TCGA-09-2045-01A 50 years, female, asian, stage:Stage IV, dead, 1069 days 0.5
TCGA-30-1718-01A 44 years, female, white, stage:Stage IIIC, dead, 1579 days 0.5
TCGA-13-0797-01A 49 years, female, white, stage:Stage IIIC, alive, 2121 days 0.5
TCGA-13-1495-01A 60 years, female, white, stage:Stage IIIC, dead, 2749 days 0.5
TCGA-23-1118-01A 45 years, female, white, stage:Stage IIIC, alive, 2616 days 0.5
TCGA-13-1509-01A 64 years, female, white, stage:Stage IV, alive, 2438 days 0.5
TCGA-24-1557-01A 49 years, female, white, stage:Stage IIIC, dead, 1213 days 0.5
TCGA-10-0933-01A 77 years, female, white, stage:Stage IIIC, dead, 446 days 0.5
TCGA-25-2400-01A 76 years, female, white, stage:Stage IIIC, dead, 1278 days 0.5
TCGA-13-1488-01A 59 years, female, white, stage:Stage IV, dead, 2154 days 0.5
TCGA-59-2355-01A 58 years, female, white, stage:Stage IV, dead, 65 days 0.5
TCGA-24-1558-01A 73 years, female, white, stage:Stage IIIC, dead, 594 days 0.5
TCGA-13-1410-01A 57 years, female, white, stage:Stage IV, alive, 2464 days 0.5
TCGA-61-1728-01A 59 years, female, white, stage:Stage IV, alive, 848 days 0.5
TCGA-13-1408-01A 59 years, female, white, stage:Stage IIIC, dead, 1680 days 0.5
TCGA-24-1467-01A 51 years, female, white, stage:Stage IIIC, dead, 3224 days 0.5
TCGA-13-1496-01A 65 years, female, white, stage:Stage IIIC, dead, 129 days 0.5
TCGA-24-0982-01A 77 years, female, white, stage:Stage IIIC, dead, 679 days 0.5
TCGA-24-1418-01A 68 years, female, white, stage:Stage IIIC, alive, 243 days 0.5
TCGA-24-1413-01A 51 years, female, white, stage:Stage IIIC, alive, 192 days 0.5
TCGA-04-1356-01A 62 years, female, white, stage:Stage IIC, dead, 1499 days 0.5
TCGA-25-1319-01A 73 years, female, white, stage:Stage IIIC, dead, 1977 days 0.5
TCGA-61-2102-01A 74 years, female, white, stage:Stage IIIC, dead, 197 days 0.5
TCGA-25-1627-01A 73 years, female, white, stage:Stage IIIC, dead, 394 days 0.5
TCGA-36-1570-01A 49 years, female, white, stage:Stage IIIC, alive, 655 days 0.4
TCGA-13-1498-01A 73 years, female, white, stage:Stage IIIC, dead, 2012 days 0.4
TCGA-30-1891-01A 61 years, female, white, stage:Stage IIIC, dead, 914 days 0.4
TCGA-36-1571-01A 53 years, female, white, stage:Stage IIIB, dead, 695 days 0.4
TCGA-04-1347-01A 81 years, female, white, stage:Stage IV, alive, 1919 days 0.4
TCGA-20-1683-01A 65 years, female, white, stage:Stage IIIC, alive, 772 days 0.4
TCGA-61-1907-01A 63 years, female, white, stage:Stage IIIC, alive, 952 days 0.4
TCGA-13-1485-01A 48 years, female, white, stage:Stage IV, dead, 629 days 0.4
TCGA-13-0924-01A 45 years, female, white, stage:Stage IV, alive, 2614 days 0.4
TCGA-29-1776-01A 63 years, female, black or african american, stage:Stage IIIC, alive, 360 days 0.4
TCGA-24-2297-01A 56 years, female, white, stage:Stage IIIC, dead, 1699 days 0.4
TCGA-04-1514-01A 45 years, female, white, stage:Stage IIIA, dead, 1720 days 0.4
TCGA-29-1770-01A 54 years, female, white, stage:Stage IIIC, alive, 741 days 0.4
TCGA-13-1512-01A 49 years, female, white, stage:Stage IIIC, alive, 442 days 0.4
TCGA-24-2298-01A 55 years, female, white, stage:Stage IIIC, dead, 1620 days 0.4
TCGA-61-2009-01A 65 years, female, white, stage:Stage IIIC, alive, 1212 days 0.4
TCGA-61-2000-01A 67 years, female, white, stage:Stage IIIC, alive, 441 days 0.4
TCGA-13-1483-01A 61 years, female, white, stage:Stage IIIC, dead, 895 days 0.4
TCGA-61-2101-01A 55 years, female, white, stage:Stage IIIC, dead, 1688 days 0.4
TCGA-13-1487-01A 74 years, female, white, stage:Stage IV, dead, 681 days 0.4
TCGA-24-2024-01A 72 years, female, black or african american, stage:Stage IIIC, dead, 1769 days 0.4
TCGA-23-1119-01A 64 years, female, white, stage:Stage IIIC, alive, 3953 days 0.4
TCGA-59-A5PD-01A 55 years, female, black or african american, stage:Stage IC, dead, 624 days 0.4
TCGA-30-1866-01A 61 years, female, white, stage:Stage IV, dead, 1114 days 0.4
TCGA-61-1733-01A 71 years, female, white, stage:Stage IIIC, alive, 967 days 0.4
TCGA-61-2088-01A 51 years, female, white, stage:Stage IIIC, alive, 145 days 0.4
TCGA-61-1914-01A 65 years, female, stage:Stage IIIC, alive, 1722 days 0.4
TCGA-10-0928-01A 71 years, female, white, stage:Stage IIIC, dead, 563 days 0.4
TCGA-04-1331-01A 78 years, female, white, stage:Stage IIIC, dead, 1336 days 0.4
TCGA-36-1577-01A 43 years, female, asian, stage:Stage IIC, alive, 783 days 0.4
TCGA-25-1316-01A 55 years, female, white, stage:Stage IIIC, dead, 1279 days 0.4
TCGA-24-2036-01A 50 years, female, white, stage:Stage IIIA, dead, 1947 days 0.4
TCGA-04-1343-01A 72 years, female, white, stage:Stage IV, dead, 361 days 0.4
TCGA-24-1424-01A 67 years, female, white, stage:Stage IIIC, alive, 183 days 0.4
TCGA-13-0765-01A 50 years, female, white, stage:Stage IIIC, dead, 1389 days 0.4
TCGA-59-2363-01A 40 years, female, asian, stage:Stage IIIA, alive, 165 days 0.4
TCGA-13-1510-01A 62 years, female, white, stage:Stage IIIC, dead, 1359 days 0.4
TCGA-13-1501-01A 50 years, female, white, stage:Stage IV, dead, 1314 days 0.4
TCGA-04-1536-01A 60 years, female, black or african american, stage:Stage IV, dead, 885 days 0.4
TCGA-24-1464-01A 70 years, female, white, stage:Stage IIIC, dead, 379 days 0.4
TCGA-23-1030-01A 64 years, female, white, stage:Stage IIIC, alive, 886 days 0.3
TCGA-13-0897-01A 54 years, female, white, stage:Stage IIIC, dead, 2182 days 0.3
TCGA-29-1693-01A 72 years, female, white, stage:Stage IIIC, alive, 3096 days 0.3
TCGA-13-1497-01A 47 years, female, white, stage:Stage IIIC, alive, 3871 days 0.3
TCGA-09-1669-01A 54 years, female, white, stage:Stage IIIA, alive, 928 days 0.3
TCGA-13-0724-01A 72 years, female, white, stage:Stage IV, dead, 83 days 0.3
TCGA-29-1762-01A 59 years, female, white, stage:Stage IV, dead, 2634 days 0.3
TCGA-61-1910-01A 56 years, female, white, stage:Stage IIC, alive, 1127 days 0.3
TCGA-13-0891-01A 73 years, female, white, stage:Stage IV, dead, 3128 days 0.3
TCGA-23-1809-01A 63 years, female, white, stage:Stage IIC, alive, 16 days 0.3
TCGA-29-1777-01A 47 years, female, white, stage:Stage IIIC, alive, 374 days 0.3
TCGA-13-0720-01A 48 years, female, white, stage:Stage IIIC, dead, 1355 days 0.3
TCGA-61-1738-01A 60 years, female, black or african american, stage:Stage IIIC, dead, 1089 days 0.3
TCGA-24-2033-01A 87 years, female, white, stage:Stage IIIC, dead, 562 days 0.3
TCGA-13-0726-01A 55 years, female, white, stage:Stage IIIC, dead, 949 days 0.3
TCGA-24-2027-01A 51 years, female, white, stage:Stage IV, dead, 3337 days 0.3
TCGA-61-1725-01A 40 years, female, white, stage:Stage IIIC, alive, 956 days 0.3
TCGA-13-1507-01A 77 years, female, white, stage:Stage IIIC, dead, 1993 days 0.3
TCGA-24-0966-01A 78 years, female, black or african american, stage:Stage IIIC, alive, 232 days 0.3
TCGA-24-1105-01A 36 years, female, white, stage:Stage IIIC, dead, 1442 days 0.3
TCGA-24-1431-01A 67 years, female, white, stage:Stage IIIC, dead, 583 days 0.3
TCGA-25-1323-01A 72 years, female, white, stage:Stage IIIC, dead, 395 days 0.3
TCGA-61-2098-01A 62 years, female, white, stage:Stage IIIC, alive, 1993 days 0.3
TCGA-24-1430-01A 68 years, female, white, stage:Stage IIIC, dead, 863 days 0.3
TCGA-24-2023-01A 54 years, female, white, stage:Stage IIIA, dead, 1364 days 0.3
TCGA-29-1774-01A 82 years, female, white, stage:Stage IIIC, alive, 527 days 0.3
TCGA-24-2038-01A 68 years, female, white, stage:Stage IIIA, dead, 1354 days 0.3
TCGA-61-2110-01A 56 years, female, white, stage:Stage IIIC, dead, 1354 days 0.3
TCGA-24-1423-01A 61 years, female, white, stage:Stage IIIC, alive, 190 days 0.3
TCGA-13-0906-01A 50 years, female, white, stage:Stage IIIC, alive, 3619 days 0.3
TCGA-10-0937-01A 44 years, female, white, stage:Stage IIIC, dead, 608 days 0.3
TCGA-25-1317-01A 66 years, female, white, stage:Stage IIIC, dead, 61 days 0.3
TCGA-23-1107-01A 59 years, female, white, stage:Stage IV, dead, 9 days 0.3
TCGA-24-1426-01A 43 years, female, white, stage:Stage IIIC, alive, 163 days 0.2
TCGA-29-2414-01A 75 years, female, white, stage:Stage IIIC, dead, 2621 days 0.2
TCGA-13-A5FT-01A 67 years, female, black or african american, stage:Stage IIIC, alive, 2143 days 0.2
TCGA-29-1701-01A 56 years, female, white, stage:Stage IIIC, dead, 515 days 0.2
TCGA-VG-A8LO-01A 55 years, female, black or african american, stage:Stage IV, dead, 24 days 0.2
TCGA-24-1603-01A 53 years, female, white, stage:Stage IIIB, dead, 2742 days 0.2
TCGA-23-1028-01A 43 years, female, white, stage:Stage IIIC, alive, 1503 days 0.2
TCGA-10-0931-01A 44 years, female, white, stage:Stage IIIC, dead, 1000 days 0.2
TCGA-13-0923-01A 74 years, female, white, stage:Stage IIIC, alive, 2547 days 0.2
TCGA-29-1703-01A 56 years, female, black or african american, stage:Stage IIIC, dead, 1815 days 0.2
TCGA-25-2393-01A 81 years, female, white, stage:Stage IIIC, dead, 1157 days 0.2
TCGA-24-0979-01A 53 years, female, white, stage:Stage IV, dead, 1264 days 0.2
TCGA-09-0364-01A 80 years, female, white, stage:Stage IIC, dead, 887 days 0.2
TCGA-30-1861-01A 74 years, female, white, stage:Stage IIIC, dead, 1058 days 0.2
TCGA-13-1403-01A 48 years, female, white, stage:Stage IIIC, dead, 2345 days 0.2
TCGA-25-1631-01A 73 years, female, white, stage:Stage IIIC, dead, 9 days 0.2
TCGA-30-1714-01A 68 years, female, white, stage:Stage IV, dead, 1158 days 0.2
TCGA-23-1113-01A 48 years, female, white, stage:Stage IV, dead, 949 days 0.2
TCGA-24-1845-01A 42 years, female, white, stage:Stage IIIC, alive, 116 days 0.2
TCGA-13-0800-01A 52 years, female, white, stage:Stage IIIC, alive, 2661 days 0.2
TCGA-24-1552-01A 77 years, female, white, stage:Stage IIIC, dead, 1259 days 0.2
TCGA-24-1103-01A 50 years, female, black or african american, stage:Stage IIIC, dead, 1646 days 0.2
TCGA-29-2425-01A 60 years, female, white, stage:Stage IIIC, alive, 1977 days 0.2
TCGA-29-1697-01A 62 years, female, white, stage:Stage IIIC, dead, 949 days 0.2
TCGA-04-1651-01A 53 years, female, white, stage:Stage IIIC, dead, 1102 days 0.2
TCGA-25-1877-01A 81 years, female, white, stage:Stage IIIC, dead, 730 days 0.2
TCGA-20-1686-01A 75 years, female, white, stage:Stage IIIC, alive, 89 days 0.2
TCGA-13-1489-01A 70 years, female, white, stage:Stage IIIC, dead, 2553 days 0.2
TCGA-13-1506-01A 45 years, female, white, stage:Stage IIIC, dead, 1039 days 0.2
TCGA-OY-A56Q-01A 78 years, female, black or african american, stage:Stage IIA, alive, 576 days 0.2
TCGA-61-1900-01A 51 years, female, black or african american, stage:Stage IIIB, alive, 176 days 0.2
TCGA-13-1492-01A 66 years, female, white, stage:Stage IIIC, dead, 3819 days 0.2
TCGA-13-0920-01A 65 years, female, white, stage:Stage IIIC, dead, 1484 days 0.2
TCGA-29-1696-01A 43 years, female, white, stage:Stage IIIC, dead, 1032 days 0.2
TCGA-24-1616-01A 56 years, female, white, stage:Stage IIIC, dead, 1163 days 0.2
TCGA-57-1583-01A 57 years, female, black or african american, stage:Stage IIIC, dead, 346 days 0.2
TCGA-09-0367-01A 67 years, female, native hawaiian or other pacific islander, stage:Stage IIIC, dead, 547 days 0.2
TCGA-WR-A838-01A 72 years, female, black or african american, stage:Stage IIIC, dead, 304 days 0.2
TCGA-04-1341-01A 85 years, female, white, stage:'--, alive, 33 days 0.2
TCGA-04-1542-01A 52 years, female, white, stage:Stage IIIB, dead, 2561 days 0.1
TCGA-24-1560-01A 51 years, female, white, stage:Stage IIIC, dead, 1341 days 0.1
TCGA-13-0887-01A 42 years, female, white, stage:Stage IIIC, dead, 2028 days 0.1
TCGA-04-1519-01A 48 years, female, stage:Stage IIIC, alive, 24 days 0.1
TCGA-24-1419-01A 62 years, female, white, stage:Stage IIIC, alive, 239 days 0.1
TCGA-23-1024-01A 52 years, female, white, stage:Stage IV, alive, 468 days 0.1
TCGA-25-1315-01A 50 years, female, white, stage:Stage IIIC, dead, 1583 days 0.1
TCGA-10-0927-01A 65 years, female, stage:Stage IIIC, dead, 2490 days 0.1
TCGA-25-1632-01A 68 years, female, white, stage:Stage IV, dead, 1799 days 0.1
TCGA-09-2048-01A 63 years, female, white, stage:Stage IIIC, dead, 138 days 0.1
TCGA-23-1110-01A 42 years, female, white, stage:Stage IIIC, alive, 1658 days 0.1
TCGA-23-1111-01A 63 years, female, white, stage:Stage IIIC, alive, 98 days 0.1
TCGA-10-0938-01A 80 years, female, white, stage:Stage IIIC, dead, 636 days 0.1
TCGA-13-1477-01A 49 years, female, white, stage:Stage IV, dead, 1662 days 0.1
TCGA-24-1544-01A 71 years, female, black or african american, stage:Stage IIIC, dead, 820 days 0.1
TCGA-13-0888-01A 78 years, female, white, stage:Stage IIIC, dead, 2811 days 0.1
TCGA-13-1409-01A 73 years, female, white, stage:Stage IIIC, dead, 1742 days 0.1
TCGA-30-1853-01A 58 years, female, white, stage:Stage IIIC, dead, 1103 days 0.1
TCGA-13-1407-01A 51 years, female, white, stage:Stage IIIC, alive, 2534 days 0.1
TCGA-04-1655-01A 49 years, female, white, stage:Stage IIIB, dead, 1380 days 0.1
TCGA-04-1350-01A 46 years, female, white, stage:Stage IIIC, dead, 1946 days 0.0
TCGA-25-1634-01A 75 years, female, white, stage:Stage IIIC, dead, 1091 days 0.0
TCGA-23-1022-01A 67 years, female, white, stage:Stage IIIC, dead, 1511 days 0.0
Show allShow less
OVARY SEROUS CYSTADENOCARCINOMA (VALIDATION) - Interactive survival scatter ploti

The Survival Scatter plot shows the clinical status (i.e. dead or alive) for all individuals in the patient cohort, based on the same data that underlies the corresponding Kaplan-Meier plots. Patients that are alive at last time for follow-up are shown in blue and patients who have died during the study are shown in red.

The x-axis shows the expression levels (FPKM) of the investigated gene in the tumor tissue at the time of diagnosis. The y-axis shows the follow-up time after diagnosis (years). Both axes are complimented with kernel density curves demonstrating the data density over the axes. The top density plot shows the expression levels (FPKM) distribution among dead (red) and alive patients (blue). The right density plot shows the data density of the survived years of dead patients with high and low expression levels respectively, stratified using the cutoff indicated by the vertical dashed line through the Survival Scatter plot. This cutoff is automatically defined based on the FPKM cutoff that minimizes the p-score. The cutoff can be changed by dragging the vertical line or by entering a cutoff value in the square labeled "Current cut-off".

Under the Survival Scatter plot the p-score landscape (black curve; left axis) is shown together with dead median separation (red curve; right axis). Dead median separation is the difference in median mRNA expression between patients who have died with high and low expression, respectively. It is calculated as follows: median FPKM expression of dead patients with high expression - median FPKM expression of dead patients with low expression. This is intended to aid the user in visually exploring custom cutoffs and the associated p-scores and dead median separation.

Individual patient data is displayed and can be filtered by clicking on one or more of the category buttons on the top of the page. Categories describing expression level and patient information include: high, low, alive, dead, female, male and tumor stages. The scale of the x-axis can be toggled between linear and log-scale by clicking on the "x log" button. Mouse-over function shows TCGA ID, patient information and mRNA expression (FPKM) for each patient.

& Survival analysisi

Kaplan-Meier plots summarize results from analysis of correlation between mRNA expression level and patient survival. Patients were divided based on level of expression into one of the two groups "low" (under cut off) or "high" (over cut off). X-axis shows time for survival (years) and y-axis shows the probability of survival, where 1.0 corresponds to 100 percent.

GPRIN3 is not prognostic in Ovary Serous Cystadenocarcinoma (validation)


Stage:
Survival analysis
Current cut offi

Current cut-off shows the cut-off (FPKM) currently selected. It may be changed manually. When the current cut-off is changed, the vertical dashed line indicating cut-off, the interactive survival scatter plot and the Kaplan-Meier curve will be automatically adjusted to show results accordingly.

:
Best expression cut offi

Based on the FPKM value of each gene, patients were classified into two groups and association between prognosis (survival) and gene expression (FPKM) was examined. The best expression cut-off refers the FPKM value that yields maximal difference with regard to survival between the two groups at the lowest log-rank P-value. Best expression cut-off was selected based on survival analysis .

When clicking on this number, the vertical dashed line indicating cut-off, the interactive survival plot, and the Kaplan-Meier curve will be adjusted to show results based on the best expression cut-off.

: N/A
Median expressioni

Median expression refers to the median FPKM value calculated based on the gene expression (FPKM) data from all patients in this dataset. When clicking on this number, the vertical dashed line indicating cut-off, the interactive survival plot, and the Kaplan-Meier curve will be adjusted to show results based on the median expression.

: N/A
Median follow up timei

Median follow up time refers to the median time (years) after diagnosis with this type of cancer, based on clinical data from all patients in this dataset.

: N/A
P scorei

Log-rank P value for Kaplan-Meier plot showing results from analysis of correlation between mRNA expression level and patient survival.

N/A
5-year survival highi

5-year survival for patients with higher expression than the expression cutoff.

For melanoma and glioma, 3-year survival is shown.

N/A
5-year survival lowi

5-year survival for patients with lower expression than the expression cutoff.

For melanoma and glioma, 3-year survival is shown.

N/A
TCGA RNA samplesi

RNA-seq data is reported as average FPKM (number Fragments Per Kilobase of exon per Million reads), generated by the The Cancer Genome Atlas (TCGA) .

Normal distribution across the dataset is visualized with box plots, shown as median and 25th and 75th percentiles. Points are displayed as outliers if they are above or below 1.5 times the interquartile range. FPKM values of the individual samples are presented next to the box plot.

Average pTPM 0.5
Number of samples 81
Samples
Sample Description pTPM
DO46606 73 years, female, NA, stage:III, alive, 804 days 2.3
DO46325 54 years, female, NA, stage:III, dead, 477 days 2.3
DO46346 54 years, female, NA, stage:III, dead, 1187 days 2.1
DO46448 45 years, female, NA, stage:III, dead, 654 days 2.0
DO46388 74 years, female, NA, stage:III, dead, 413 days 1.8
DO46327 54 years, female, NA, stage:III, dead, 184 days 1.7
DO46344 46 years, female, NA, stage:III, dead, 642 days 1.7
DO46326 51 years, female, NA, stage:III, dead, 701 days 1.6
DO46386 49 years, female, NA, stage:III, dead, 1162 days 1.6
DO46571 61 years, female, NA, stage:III, dead, 243 days 1.6
DO46382 62 years, female, NA, stage:IV, dead, 311 days 1.5
DO46332 56 years, female, NA, stage:III, dead, 689 days 1.4
DO46340 62 years, female, NA, stage:III, dead, 616 days 1.3
DO46354 73 years, female, NA, stage:III, dead, 843 days 1.2
DO46348 58 years, female, NA, stage:IV, dead, 287 days 1.2
DO46398 66 years, female, NA, stage:III, alive, 437 days 1.1
DO46328 52 years, female, NA, stage:III, dead, 972 days 1.0
DO46432 56 years, female, NA, stage:III, alive, 2218 days 1.0
DO46364 45 years, female, NA, stage:III, dead, 806 days 1.0
DO46358 60 years, female, NA, stage:III, dead, 423 days 0.9
DO46508 50 years, female, NA, stage:III, dead, 2101 days 0.9
DO46404 55 years, female, NA, stage:III, dead, 690 days 0.9
DO46378 59 years, female, NA, stage:III, alive, 843 days 0.8
DO46436 58 years, female, NA, stage:III, alive, 3193 days 0.8
DO46588 74 years, female, NA, stage:III, dead, 438 days 0.7
DO46336 70 years, female, NA, stage:IV, dead, 664 days 0.6
DO46560 45 years, female, NA, stage:IV, dead, 286 days 0.6
DO46602 74 years, female, NA, stage:III, dead, 205 days 0.6
DO46400 70 years, female, NA, stage:III, dead, 719 days 0.6
DO46374 69 years, female, NA, stage:III, dead, 1409 days 0.6
DO46597 60 years, female, NA, stage:III, dead, 393 days 0.5
DO46468 67 years, female, NA, stage:III, alive, 2776 days 0.5
DO46458 67 years, female, NA, stage:IV, alive, 3787 days 0.5
DO46443 59 years, female, NA, stage:III, dead, 2464 days 0.4
DO46376 58 years, female, NA, stage:III, dead, 1430 days 0.4
DO46368 57 years, female, NA, stage:III, dead, 2879 days 0.4
DO46334 77 years, female, NA, stage:III, dead, 496 days 0.4
DO46330 60 years, female, NA, stage:III, dead, 684 days 0.3
DO46408 56 years, female, NA, stage:III, dead, 489 days 0.3
DO46493 62 years, female, NA, stage:IV, alive, 839 days 0.3
DO46568 66 years, female, NA, stage:III, dead, 320 days 0.3
DO46528 56 years, female, NA, stage:III, alive, 6139 days 0.3
DO46384 55 years, female, NA, stage:III, dead, 614 days 0.3
DO46523 52 years, female, NA, stage:IV, alive, 1873 days 0.3
DO46412 64 years, female, NA, stage:III, dead, 597 days 0.3
DO46561 52 years, female, NA, stage:III, dead, 195 days 0.3
DO46362 61 years, female, NA, stage:III, dead, 1639 days 0.3
DO46329 52 years, female, NA, stage:III, dead, 1699 days 0.3
DO46566 78 years, female, NA, stage:III, dead, 673 days 0.3
DO46394 61 years, female, NA, stage:IV, dead, 1039 days 0.2
DO46396 64 years, female, NA, stage:III, dead, 583 days 0.2
DO46586 55 years, female, NA, stage:III, dead, 1019 days 0.2
DO46360 58 years, female, NA, stage:IV, dead, 1759 days 0.2
DO46438 55 years, female, NA, stage:IV, alive, 2227 days 0.2
DO46513 54 years, female, NA, stage:IV, dead, 1883 days 0.2
DO46372 39 years, female, NA, stage:III, dead, 1326 days 0.2
DO46352 60 years, female, NA, stage:III, dead, 677 days 0.1
DO46392 48 years, female, NA, stage:III, dead, 628 days 0.1
DO46591 58 years, female, NA, stage:III, dead, 195 days 0.1
DO46338 59 years, female, NA, stage:III, dead, 596 days 0.1
DO46350 66 years, female, NA, stage:III, dead, 886 days 0.1
DO46538 57 years, female, NA, stage:III, dead, 1527 days 0.1
DO46402 77 years, female, NA, stage:III, dead, 511 days 0.1
DO46551 58 years, female, NA, stage:III, dead, 1055 days 0.1
DO46390 65 years, female, NA, stage:III, dead, 374 days 0.1
DO46611 52 years, female, NA, stage:III, dead, 734 days 0.1
DO46518 62 years, female, NA, stage:III, alive, 2960 days 0.1
DO46546 73 years, female, NA, stage:III, dead, 1889 days 0.1
DO46533 46 years, female, NA, stage:III, alive, 3667 days 0.1
DO46428 59 years, female, NA, stage:IV, alive, 2644 days 0.1
DO46380 51 years, female, NA, stage:III, dead, 1423 days 0.1
DO46576 75 years, female, NA, stage:III, alive, 133 days 0.0
DO46342 67 years, female, NA, stage:III, dead, 1398 days 0.0
DO46366 65 years, female, NA, stage:III, dead, 2054 days 0.0
DO46581 66 years, female, NA, stage:III, dead, 408 days 0.0
DO46370 54 years, female, NA, stage:III, dead, 1727 days 0.0
DO46453 66 years, female, NA, stage:III, dead, 3294 days 0.0
DO46463 49 years, female, NA, stage:III, dead, 2451 days 0.0
DO46356 68 years, female, NA, stage:III, dead, 911 days 0.0
DO46331 72 years, female, NA, stage:III, dead, 612 days 0.0
DO46333 58 years, female, NA, stage:III, dead, 359 days 0.0
Show allShow less
OVARY SEROUS CYSTADENOCARCINOMA - Protein relative expression (CPTAC)
Number of samples 108
Samples
Sample ID Sample type nRPX
3e746bea-ed68-40e6-b348-6ddf08_D2 Normal 1.3
627e6e36-3dca-4ee5-9755-6f3510_D2 Tumor 1.2
31c15e30-21d4-4843-bd4a-9cd0d8_D2 Normal 1.1
2115808b-6a0d-49bc-a8d7-b83bde_D2 Tumor 1.1
347e379b-77c0-4dd3-aa25-18c9d1_D2 Tumor 1.1
2563cb02-d58a-4286-8634-7502cd_D2 Tumor 1.0
1556af7e-c2ae-4fce-9aae-87c459_D1_D2 Normal 0.9
092af714-b97a-457c-b0e9-8c20e8_D2 Normal 0.9
1db5574d-aca7-403c-8100-6e705f_D2 Normal 0.8
4ccb249a-6722-491e-97e9-e3b4e7_D2 Tumor 0.8
3dcf8b3c-c0c5-4dfa-9543-5d30fb_D2 Tumor 0.8
eb0a53df-7620-4024-8d2d-051142_D2 Tumor 0.7
7edfd606-4bee-4529-9fec-1ca7f0_D2 Normal 0.7
318d53c3-216b-4de1-a098-77d6dd_D2 Tumor 0.7
3d3e1888-d67e-4c69-ba83-112d0f_D2 Tumor 0.7
41d0619e-b299-42e2-ac32-29e784_D2 Tumor 0.7
51a4ce2f-4166-4c6b-a7e0-942d0a_D2 Tumor 0.7
3fbf076a-824b-4eac-b6dc-bf5e59_D2 Normal 0.7
3490835c-c004-45ed-91f3-7c206f_D2 Tumor 0.6
9b90eb78-2f50-4aeb-b010-d642f9_D2 Tumor 0.6
a65d8e76-640f-4341-a561-afbb57_D2 Normal 0.6
6530147a-efe9-4df6-ac2f-03ece3_D2 Tumor 0.6
1abbcb28-f221-4cd4-8c01-37b9bb_D1_D2 Normal 0.6
7c7ce2d7-6c8a-424e-8e6c-d14ad1_D2 Tumor 0.6
fe83e13f-9754-403b-8f74-d6caf8_D2 Tumor 0.6
685ec3c2-e67a-40d3-9eb3-aa01c9_D1_D2 Normal 0.5
558333b0-ea23-4303-9e3c-4932b1_D2 Tumor 0.5
340a3769-3031-41ae-bb08-a2f696_D2 Normal 0.5
61f76fe6-a1c6-41b8-bdc2-2f9209_D2 Normal 0.5
8ed739dd-ae0f-4881-971a-db3cf4_D1_D2 Normal 0.5
d38f40fb-dd78-43b2-8b7b-4b6977_D2 Tumor 0.5
f6c215ea-5381-4521-bb61-be8e97_D2 Tumor 0.5
994f9b8e-46cb-413f-8ec8-2c2fed_D2 Normal 0.5
15524912-685a-47ce-a824-567848_D2 Tumor 0.4
27f3ca2d-a86f-479d-8e7e-5307c7_D2 Tumor 0.4
d109a3c0-350e-47f5-bda0-61899c_D2 Tumor 0.4
76e77c6b-c80e-4391-bdbb-e1dcea_D2 Tumor 0.4
08296da7-70ea-44df-8646-09f2cc_D2 Tumor 0.4
1b2ab076-c72f-4bbe-b9f9-657d24_D2 Tumor 0.4
6e209757-a7f4-45af-b5f3-2ebc02_D2 Normal 0.4
28d0abdb-f682-4bd3-9425-a9c508_D2 Tumor 0.4
80873a0c-1f40-4d51-bab1-3f2071_D2 Tumor 0.4
91b287fd-eadb-442d-abcd-20b741_D2 Tumor 0.4
69d552be-7cb2-4bb4-b602-a27b3e_D2 Tumor 0.4
8e17b45e-6a06-4e4e-913d-7b1edb_D2 Tumor 0.4
e23eb014-69c1-460a-b9d4-9786c8_D2 Normal 0.3
9a7a86d3-bbf2-4d36-941d-c75c03_D1_D2 Tumor 0.3
0c87932d-b6fd-4eb5-b86a-a34d07_D2 Tumor 0.3
a03d1103-b809-42c4-ad5c-5aff58_D2 Tumor 0.3
161317f3-1a39-438e-af45-cd2502_D2 Tumor 0.3
7d953d1d-84b6-4ecd-b1d7-1ed865_D2 Tumor 0.3
6319b36b-533c-4e86-8e12-80552e_D3 Tumor 0.3
5c3971ee-87c7-4dff-b66e-f18892_D2 Tumor 0.3
2b73e01c-347a-4dae-a71d-752aeb_D2 Normal 0.2
bd266bdd-12e4-42cb-9c49-911bfc_D2 Tumor 0.2
8234f8ea-bdbd-45b0-bd0b-16f1e7_D2 Tumor 0.2
a583d3ff-8165-43e9-b764-23b7ef_D1_D2 Normal 0.2
52c064a7-78d9-4a1a-85b4-27c6d1_D2 Tumor 0.2
2b4ce90c-8036-4207-ac3e-54a76f_D2 Tumor 0.2
285fed94-1495-448e-879b-b55de9_D2 Tumor 0.1
ce1e5dfc-2ef1-4633-af93-5ea4d9_D2 Tumor 0.1
2f901c90-617e-46da-9fac-d68369_D2 Tumor 0.1
927f0958-db5a-4bc5-92b7-2a3695_D2 Tumor 0.1
3a380577-c134-47ba-a1ce-988d7c_D2 Tumor 0.1
2224c03f-b7b1-4368-887e-2b4cdf_D2 Tumor 0.1
3946a96c-e0ae-442f-83b4-a9350e_D2 Tumor 0.1
8d78194e-fbef-4819-a7b5-b73ae9_D2 Tumor 0.1
79b60f32-6cca-4cb6-9a1e-22a3ac_D2 Tumor 0.0
cfd76f9a-ce60-4ec7-8e6b-a8fc31_D3 Tumor 0.0
21efd60f-6a31-4b98-9477-16a905_D2 Normal 0.0
e9d416e7-f661-400a-896e-388545_D2 Tumor 0.0
efc971f8-54c5-4531-a792-705ecf_D2 Tumor 0.0
46c73531-f531-4ec3-97fe-b39d9d_D2 Tumor 0.0
b9c1f22e-61f7-45ed-b3b4-5094c7_D2 Normal 0.0
62f5840e-6cd7-4200-b651-645e53_D2 Tumor 0.0
d4791079-c826-4fc7-9d9b-ee20ba_D2 Tumor 0.0
1a10c200-3895-4648-b951-94f99f_D2 Tumor 0.0
7069e990-4a4e-4984-a66d-4d835a_D2 Tumor 0.0
256ac9f5-1e19-44b4-92fb-fef3fc_D2 Tumor -0.1
1c9145ad-1981-4871-aa7e-8b11de_D2 Tumor -0.1
1772e913-f62e-446a-8cf3-720348_D2 Tumor -0.1
1de8d3d8-fc0e-4be0-8aa7-127c7b_D2 Tumor -0.1
2dc28da8-7ff1-4b9b-b5bd-17cc25_D2 Tumor -0.1
2433b136-fc7b-4cea-b958-bc6efb_D2 Tumor -0.1
c17b0ff9-9057-4848-a0cc-abb25f_D2 Tumor -0.2
49bd51fe-48a1-4828-b66e-b30c38_D2 Tumor -0.2
b22659b9-e12c-4725-a7db-a833de_D1_D2 Normal -0.2
10c2d629-0287-4511-ac25-f29031_D2 Tumor -0.2
e7b656bf-3c34-4ba1-bdf3-c7eefe_D2 Tumor -0.2
eb3f3494-7057-4afe-b212-e6e9a3_D2 Tumor -0.2
0cc794c3-5bf5-4621-b238-58a0f6_D2 Tumor -0.2
5ea22f5e-307b-491d-801f-8b7fa6_D2 Tumor -0.2
fbb41c94-aabd-49cc-90b2-882c3e_D2 Tumor -0.2
2ed8beb2-bc63-4bad-b5fe-1916a0_D2 Tumor -0.2
9e0d47e0-f633-468b-b82b-4d752d_D2 Tumor -0.3
a3a26070-fb84-406a-8280-d555e6_D2 Normal -0.3
50997c44-1c8b-4d34-b535-4a6cc2_D2 Tumor -0.3
0745488e-0bfb-4d1f-8228-dedf76_D1_D2 Normal -0.3
74a45e5a-a35a-4c60-a4b4-f3f5ea_D2 Tumor -0.4
9c8e78bf-b03e-4ba0-9909-5ff070_D2 Tumor -0.4
e3ebe010-cd31-4b5d-8fcb-b7103b_D2 Tumor -0.4
af95e2c6-25c4-4ab8-bf06-3e15ff_D2 Tumor -0.4
42d860a3-8a0c-4c44-a09a-9ad8cf_D2 Tumor -0.4
a8853382-b726-4ce8-98d5-ca89df_D2 Tumor -0.5
51c1c79e-5a8e-4b0a-bf92-1c0cab_D2 Tumor -0.6
05387aad-2a1f-42c2-8d6f-950598_D3 Tumor -0.6
e6850782-fd2a-4c53-b682-1852fe_D2 Tumor -1.0
35a345a4-e954-4c81-ae3f-7797cd_D2 Tumor -1.1
Show allShow less
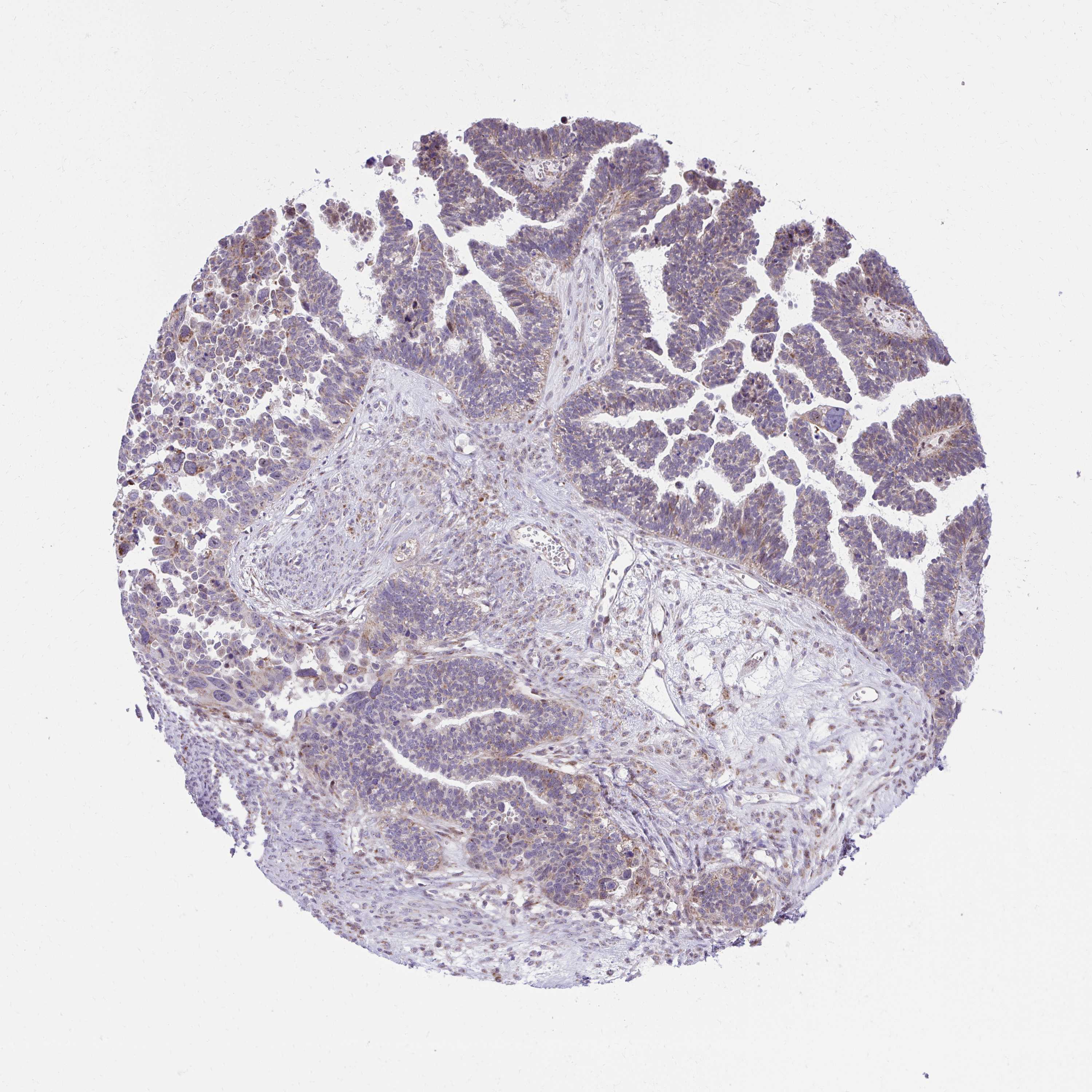
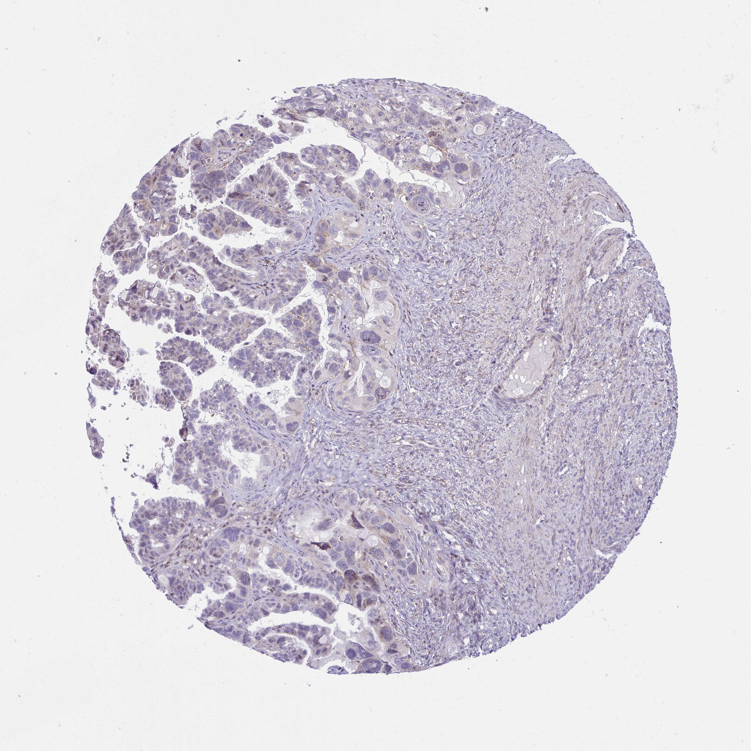
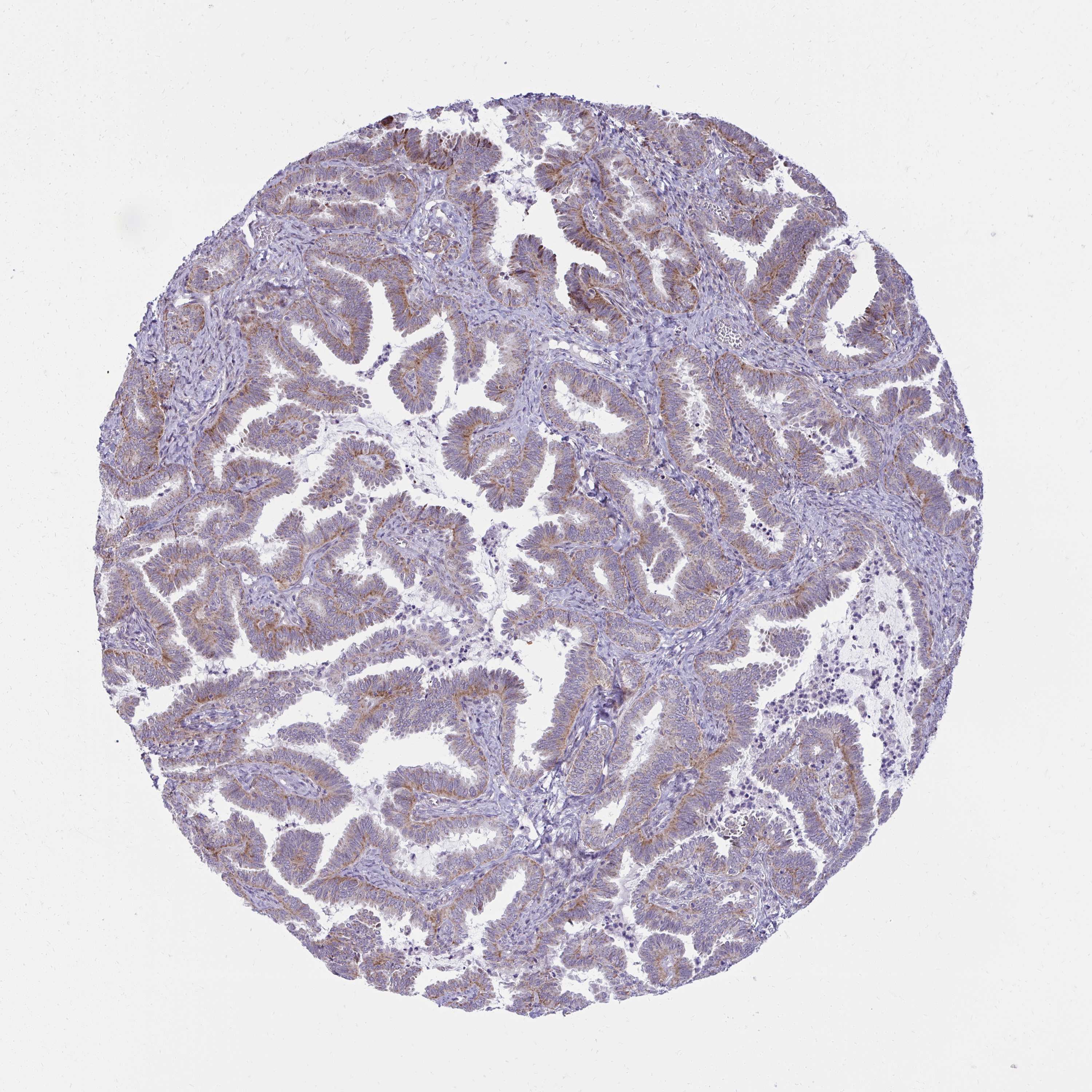
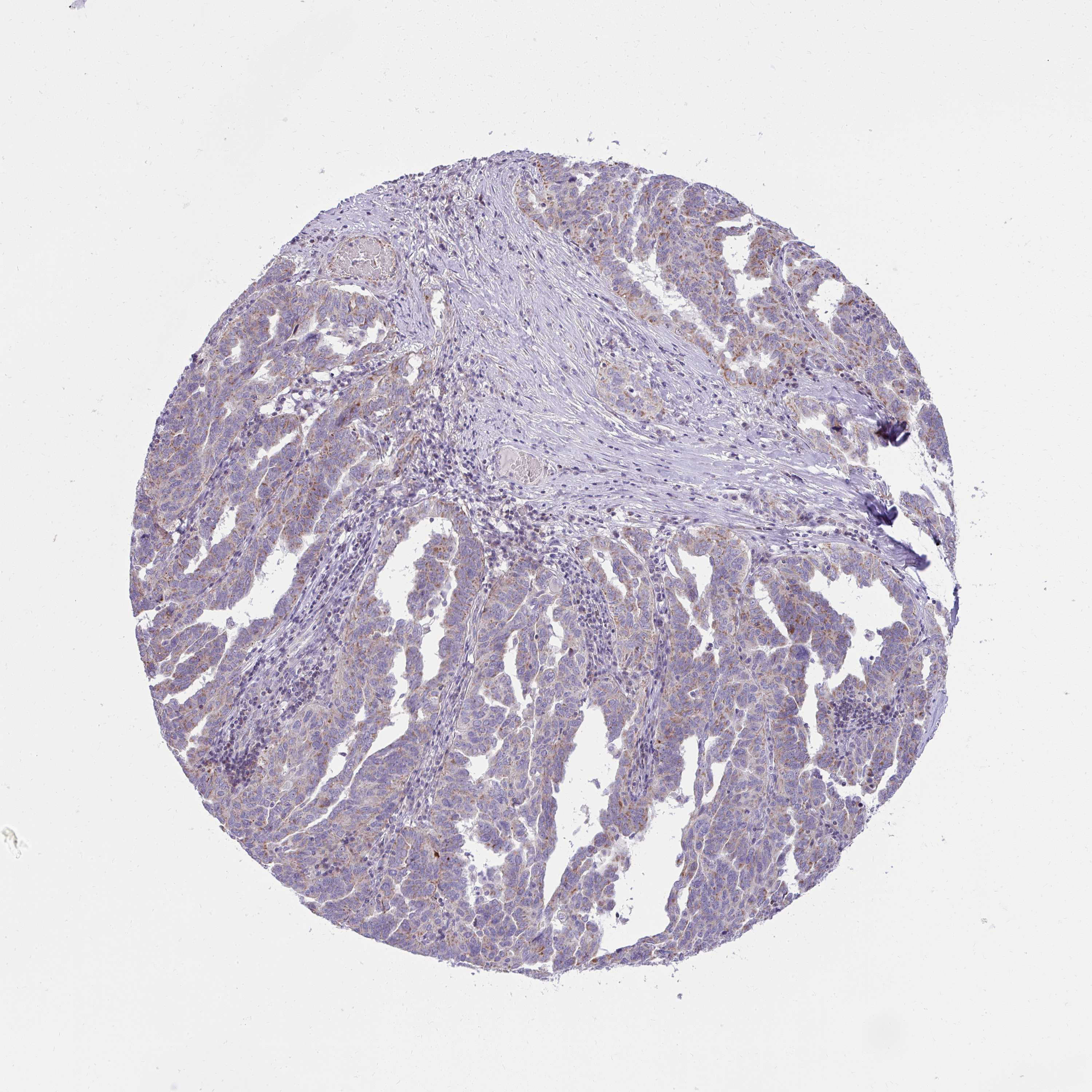
OVARIAN CANCER - Protein expressioni

A mouse-over function shows sample information and annotation data. Click on an image to view it in a full screen mode. Samples can be filtered based on level of antibody staining by selecting one or several of the following categories: high, medium, low and not detected. The assay and annotation is described here.

Note that samples used for immunohistochemistry by the Human Protein Atlas do not correspond to samples in the TCGA dataset.

 

Antibody stainingi

Antibody staining in the annotated cell types in the current human tissue is reported as not detected, low, medium, or high, based on conventional immunohistochemistry profiling in selected tissues. This score is based on the combination of the staining intensity and fraction of stained cells.

Each image is clickable and will lead to virtual microscopy that enables deeper exploration of all samples and also displays staining intensity scores, fraction scores and subcellular localization as well as patient and tissue information for each sample.


Antibody HPA057666

Antibody HPA059092
 Staining
  High
  Medium
  Low
  Not detected
 Intensity
  Strong
  Moderate
  Weak
  Negative
 Quantity
  >75%
  75%-25%
  <25%
  None
 Location
  Nuclear
  Cytoplasmic/membranous
  Cytoplasmic/membranous,nuclear
  None
Cystadenocarcinoma, serous, NOS
Cystadenocarcinoma, mucinous, NOS
Carcinoma, endometroid

Contact

  • NEWS ARTICLES
  • PRESS ROOM

The Project

  • INTRODUCTION
  • ORGANIZATION
  • PUBLICATIONS

The Human Protein Atlas

  • DOWNLOADABLE DATA
  • LICENCE & CITATION
  • HELP & FAQ
The Human Protein Atlas project is funded
by the Knut & Alice Wallenberg Foundation.


contact@proteinatlas.org