We use cookies to enhance the usability of our website. If you continue, we'll assume that you are happy to receive all cookies. More information. Don't show this again.
KRT6B
HPA
RESOURCES
  • TISSUE
  • BRAIN
  • SINGLE CELL
  • SUBCELLULAR
  • CANCER
  • BLOOD
  • CELL LINE
  • STRUCTURE & INTERACTION
ABOUT
  • INTRODUCTION
  • HISTORY
  • ORGANIZATION
  • PUBLICATIONS
  • ANTIBODY SUBMISSION
  • ANTIBODY AVAILABILITY
  • ACKNOWLEDGMENTS
  • CONTACT
NEWS
  • NEWS ARTICLES
  • PRESS ROOM
LEARN
  • DICTIONARY
  • PROTEIN CLASSES
  • PROTEIN EVIDENCE
  • METHODS
  • EDUCATIONAL VIDEOS
DATA
  • DOWNLOADABLE DATA
  • PUBLICATION DATA
  • RELEASE HISTORY
HELP
  • ANTIBODY VALIDATION
  • ASSAYS & ANNOTATION
  • DISCLAIMER
  • HELP & FAQ
  • PRIVACY STATEMENT
  • LICENCE & CITATION
Fields »
Search result

Field
Term
Gene name
Class
Subclass
Class
Keyword
Chromosome
External id
Tissue
Cell type
Expression
Antibody panel
Tissue
Main location
Patient ID
Annotation
Tissue
Category
Tau score
Cluster
Reliability
Brain region
Category
Tau score
Brain region
Category
Tau score
Brain region
Category
Tau score
Cluster
Reliability
Tissue
Cell type
Enrichment
Cell type
Category
Tau score
Cell type
Category
Tau score
Cell type
Category
Tau score
Cell lineage
Category
Tau score
Cluster
Cluster
Location
Searches
Location
Cell line
Class
Type
Phase
Reliability
Cancer
Prognosis
Cancer
Category
Cancer
Category
Tau score
Cluster
Variants
Interacting gene (ensg_id)
Type
Number of interactions
Pathway
Category
Score
Score
Score
Validation
Validation
Validation
Validation
Antibodies
Data type
Column


  • SUMMARY

  • TISSUE

  • BRAIN

  • SINGLE CELL

  • SUBCELL

  • CANCER

  • BLOOD

  • CELL LINE

  • STRUCT & INT

  • KRT6B
TISSUE PRIMARY DATA SKIN Show tissue menu
ADIPOSE TISSUE ADRENAL GLAND AMYGDALA APPENDIX BASAL GANGLIA BONE MARROW BREAST BRONCHUS CEREBELLUM CEREBRAL CORTEX CERVIX CHOROID PLEXUS COLON DUODENUM
ENDOMETRIUM EPIDIDYMIS ESOPHAGUS FALLOPIAN TUBE GALLBLADDER HEART MUSCLE HIPPOCAMPAL FORMATION HYPOTHALAMUS KIDNEY LIVER LUNG LYMPH NODE MIDBRAIN NASOPHARYNX
ORAL MUCOSA OVARY PANCREAS PARATHYROID GLAND PITUITARY GLAND PLACENTA PROSTATE RECTUM RETINA SALIVARY GLAND SEMINAL VESICLE SKELETAL MUSCLE SKIN SMALL INTESTINE
SMOOTH MUSCLE SOFT TISSUE SPINAL CORD SPLEEN STOMACH TESTIS THYMUS THYROID GLAND TONGUE TONSIL URINARY BLADDER VAGINA
ANTIBODIES
AND
VALIDATION
Dictionary
Skin
Tissue proteome
Skin
SKIN - Expression summary
Protein expression
Skini

On the top, protein expression in current human tissue, based on all annotated cell types, is reported with the units not detected (n), low (l), medium (m) and high (h). Underneath, protein expression in each annotated cell type are reported using the same units.

Protein expression data is based on knowledge-based annotation. For genes where more than one antibody has been used, a collective score is set.

If knowledge-based annotation could not be performed for a gene, no data is displayed here. View antibody staining data further down this page.

h
m
l
n
Cells in basal layer: High
Cells in corneal layer: High
Cells in granular layer: High
Cells in spinous layer: High
Endothelial cells: Not detected
Extracellular matrix: Not detected
Fibrohistiocytic cells: Not detected
Hair follicles: High
Langerhans cells: Not detected
Lymphocytes: Not detected
Melanocytes: Not detected
Vascular mural cells: Not detected
RNA expressioni

A summary of mRNA expression data available for current tissue based on several datasets. The mRNA expression levels in human tissues are based on RNA-seq data generated by the Human Protein Atlas (HPA), Genotype-Tissue Expression (GTEx) portal and CAGE data generated by the FANTOM5 consortium. Consensus normalized expression levels for human tissues was created by combining the data from HPA and GTEx datasets.

The mRNA expression levels in pig are based on RNA-seq data generated by the Human Protein Atlas (HPA), and for mouse, HPA data and in situ hybridization generated by the Allen brain atlas are reported.

Scroll down to view mRNA expression data in more detail.
Consensus:276.3 nTPM
HPA:18.4 nTPM
GTEx:276.3 nTPM

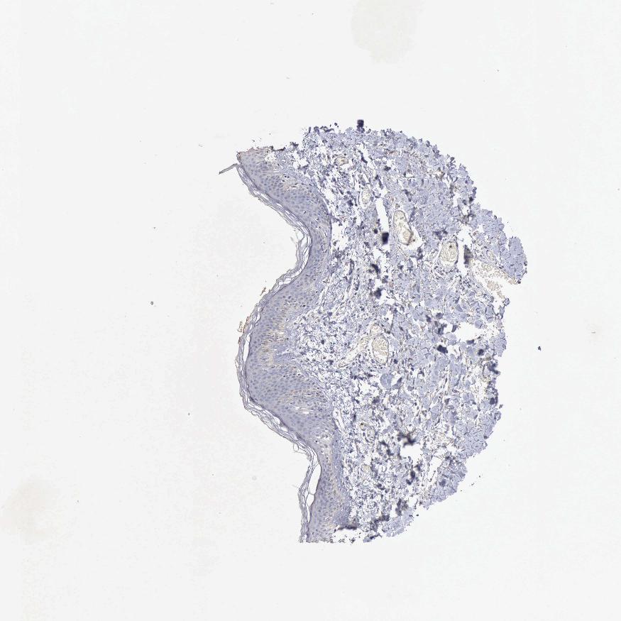
SKIN 1 - Antibody stainingi

Antibody staining in the annotated cell types in the current human tissue is reported as not detected, low, medium, or high, based on conventional immunohistochemistry profiling in selected tissues. This score is based on the combination of the staining intensity and fraction of stained cells.

Each image is clickable and will lead to virtual microscopy that enables deeper exploration of all samples and also displays staining intensity scores, fraction scores and subcellular localization as well as patient and tissue information for each sample.

Antibody HPA045697Antibody HPA061168Antibody CAB000130
Langerhans -LowNot detected
Cells in basal layer Not detected--
Cells in corneal layer High--
Cells in granular layer High--
Cells in spinous layer High--
Endothelial cells Not detected--
Extracellular matrix Not detected--
Fibroblasts -Not detectedNot detected
Fibrohistiocytic cells Not detected--
Hair follicles High--
Keratinocytes -LowNot detected
Langerhans cells Not detected--
Lymphocytes Not detected--
Melanocytes Not detectedNot detectedNot detected
Vascular mural cells Not detected--






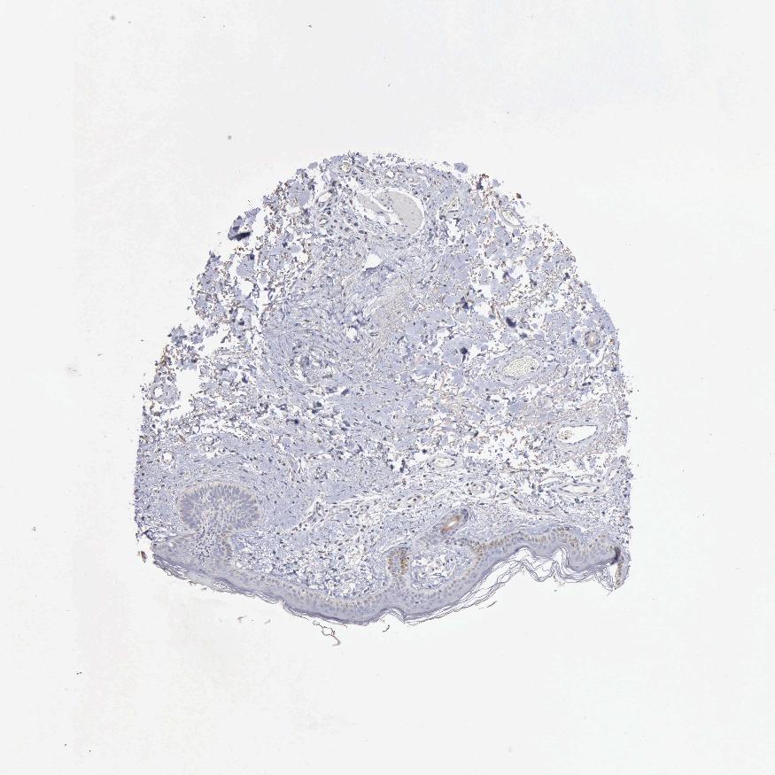
SKIN 2 - Antibody stainingi

Antibody staining in the annotated cell types in the current human tissue is reported as not detected, low, medium, or high, based on conventional immunohistochemistry profiling in selected tissues. This score is based on the combination of the staining intensity and fraction of stained cells.

Each image is clickable and will lead to virtual microscopy that enables deeper exploration of all samples and also displays staining intensity scores, fraction scores and subcellular localization as well as patient and tissue information for each sample.

Antibody HPA045697Antibody HPA061168Antibody CAB000130
Cells in basal layer High--
Cells in corneal layer High--
Cells in granular layer High--
Cells in spinous layer High--
Endothelial cells Not detected--
Epidermal cells -MediumHigh
Extracellular matrix Not detected--
Fibrohistiocytic cells Not detected--
Langerhans cells Not detected--
Lymphocytes Not detected--
Melanocytes Not detected--
Vascular mural cells Not detected--
   
   
   





SKIN - HPA RNA-seqi

The RNA-seq details section shows detailed information about the individual samples used for the transcript profiling and results of the RNA-seq analysis.

Information about each individual sample is listed below, including gender, age, a tissue section image and estimated fractions of cell types. nTPM (normalized transcripts per million) values give a quantification of the gene abundance which is comparable between different genes and samples.
Average nTPMi

Max subtype nTPM is the value for the subtype with the largest average nTPM across the subtype samples.

18.4
overview
Female, age 34
Skin sample 225
nTPM: 23.3
Cell types%
Keratinocytes:
60

Other cell types:
40

overview
Female, age 30
Skin sample 226
nTPM: 7.7
Cell types%
Keratinocytes:
55

Other cell types:
45

N/A
Male, age 57
Skin sample 227
nTPM: 24.4

SKIN - GTEx RNA-seqi

RNA-Seq data generated by the Genotype-Tissue Expression (GTEx) project from human tissues is reported as mean nTPM. More information can be found on the GTEx portal.

Distribution across the dataset is visualized with box plots, shown as median and 25th and 75th percentiles. Points are displayed as outliers if they are above or below 1.5 times the interquartile range. nTPM values of the individual samples are presented next to the box plot.
Max subtype nTPMi

Max subtype nTPM is the value for the subtype with the largest average nTPM across the subtype samples.

276.3
GTEx sample id Sample description nTPM
Skin - Not Sun Exposed (Suprapubic)
Average nTPM: 276.3
Samples: 604

Max nTPM: 2629.2
Min nTPM: 0.5
Std nTPM: 359.3
Median nTPM: 134.3
GTEX-ZUA1-2626-SM-5NQ92 40-49 years, male 2629.2
GTEX-18A7B-2726-SM-7LG56 70-79 years, male 1930.5
GTEX-1E1VI-0326-SM-793D1 50-59 years, male 1901.2
GTEX-1H1CY-0126-SM-9YFLY 60-69 years, female 1889.6
GTEX-11TT1-1826-SM-5EQLV 20-29 years, male 1887.6
GTEX-1E2YA-2126-SM-7MXUO 50-59 years, male 1869.7
GTEX-ZWKS-0626-SM-5GIDV 30-39 years, male 1531.4
GTEX-11DYG-1526-SM-5A5JS 60-69 years, male 1507.0
GTEX-WH7G-2026-SM-3NMBL 40-49 years, male 1491.2
GTEX-18A66-0626-SM-7LT8Z 60-69 years, male 1455.0
GTEX-15RIE-1926-SM-7KUKJ 60-69 years, male 1425.2
GTEX-139TT-2126-SM-5LZWC 60-69 years, male 1422.9
GTEX-1HFI6-0126-SM-CNPPI 40-49 years, male 1372.9
GTEX-145MO-2826-SM-5LU96 60-69 years, male 1360.7
GTEX-WFON-1926-SM-3LK7L 40-49 years, male 1346.9
GTEX-12WSF-1626-SM-7KUG5 70-79 years, male 1344.2
GTEX-1N2EE-0626-SM-E76PW 60-69 years, male 1313.0
GTEX-1HSMP-0926-SM-A9SKX 70-79 years, male 1260.0
GTEX-1RB15-1326-SM-E76Q9 60-69 years, male 1259.8
GTEX-1A8G6-2726-SM-731AR 60-69 years, male 1232.2
GTEX-13JUV-2026-SM-5K7UA 40-49 years, female 1221.5
GTEX-1I1GP-1326-SM-A9G28 50-59 years, male 1209.0
GTEX-WHSE-0126-SM-3NMBT 20-29 years, male 1208.6
GTEX-1C64O-1326-SM-7MGWR 60-69 years, male 1208.2
GTEX-13NZ9-2626-SM-5L3FK 50-59 years, male 1204.6
GTEX-145MF-0926-SM-5Q5EA 50-59 years, male 1149.6
GTEX-1PIIG-2326-SM-DTXFR 30-39 years, male 1127.3
GTEX-14BMV-2826-SM-5TDED 50-59 years, male 1103.9
GTEX-14JG1-1526-SM-5YY9X 40-49 years, male 1092.9
GTEX-18D9A-1426-SM-7LT8M 30-39 years, female 1084.8
GTEX-13NYB-0126-SM-5J1MD 40-49 years, male 1079.6
GTEX-16GPK-0626-SM-7KFSF 60-69 years, male 1063.8
GTEX-YEC3-1326-SM-DO92X 50-59 years, male 1041.5
GTEX-1IY9M-2826-SM-ARU8H 60-69 years, male 1031.6
GTEX-14BIN-1126-SM-5RQJZ 50-59 years, female 1026.2
GTEX-WRHU-2826-SM-3MJG8 50-59 years, female 1011.1
GTEX-14PJO-2526-SM-6AJBQ 60-69 years, male 994.6
GTEX-17HHY-0426-SM-7DHLC 50-59 years, male 978.1
GTEX-1B933-2426-SM-7DHMD 50-59 years, female 956.3
GTEX-1AX9I-2226-SM-73KUO 60-69 years, male 945.8
GTEX-13O3O-2326-SM-5IJD6 60-69 years, female 925.7
GTEX-ZYT6-2326-SM-5GZY3 30-39 years, male 923.2
GTEX-183FY-1026-SM-7939A 20-29 years, male 917.3
GTEX-1QCLY-0226-SM-EWRNH 30-39 years, male 908.6
GTEX-14PKV-1126-SM-6LLJ1 20-29 years, female 888.9
GTEX-1192X-2726-SM-5N9DN 50-59 years, male 882.0
GTEX-1O9I2-0226-SM-EYYXD 50-59 years, male 881.4
GTEX-XQ3S-1426-SM-4BOPR 20-29 years, male 836.7
GTEX-1IOXB-2726-SM-CM2RI 50-59 years, male 819.6
GTEX-ZT9W-1126-SM-57WDR 50-59 years, male 818.7
GTEX-11EI6-2826-SM-5H11D 60-69 years, male 815.4
GTEX-UPJH-0226-SM-3GADV 50-59 years, male 801.0
GTEX-1PIGE-1826-SM-E8VOU 20-29 years, male 796.5
GTEX-14ICL-1626-SM-5YYAO 30-39 years, male 792.6
GTEX-ZDTS-0826-SM-4WKHL 60-69 years, male 780.8
GTEX-12WSD-0626-SM-5GCMW 60-69 years, female 779.3
GTEX-14JG6-1426-SM-9WG7C 30-39 years, female 777.3
GTEX-1HCU6-2526-SM-ADEHL 60-69 years, female 777.2
GTEX-14PJ3-1126-SM-5ZZVX 50-59 years, male 749.7
GTEX-14JFF-0626-SM-5ZZVT 60-69 years, male 746.5
GTEX-16NPX-0726-SM-7KULC 50-59 years, male 709.4
GTEX-1QP9N-1226-SM-E76QN 30-39 years, male 689.4
GTEX-17MFQ-1526-SM-7KFRR 20-29 years, male 687.1
GTEX-1AX8Z-0726-SM-73KTS 60-69 years, male 680.9
GTEX-1F75W-2726-SM-7SB8H 60-69 years, male 676.4
GTEX-14A5H-0826-SM-5QGPJ 60-69 years, male 662.9
GTEX-15SHW-0226-SM-7LTAT 60-69 years, male 657.5
GTEX-146FQ-2126-SM-5RQHU 30-39 years, male 653.9
GTEX-1A8FM-0626-SM-7PC25 50-59 years, female 648.9
GTEX-1I6K7-1926-SM-B2LXR 40-49 years, male 647.3
GTEX-11WQK-1026-SM-5EQLX 50-59 years, male 646.1
GTEX-13OVL-0126-SM-5L3GJ 50-59 years, male 639.7
GTEX-ZYFD-0626-SM-5E44E 50-59 years, male 634.7
GTEX-111FC-2526-SM-5GZXU 60-69 years, male 630.4
GTEX-ZVTK-0226-SM-51MRG 20-29 years, male 626.9
GTEX-13X6K-0626-SM-5LU5D 60-69 years, female 626.8
GTEX-13X6J-0626-SM-5LU5F 50-59 years, male 619.2
GTEX-139TU-0726-SM-5L3EK 60-69 years, male 615.1
GTEX-1GMR3-0126-SM-A9SLW 40-49 years, male 611.6
GTEX-144GO-2026-SM-5O99P 60-69 years, male 606.6
GTEX-17F9E-2326-SM-79OKD 50-59 years, male 601.7
GTEX-ZU9S-1826-SM-5NQ9E 30-39 years, male 592.3
GTEX-V1D1-2026-SM-3GAF4 50-59 years, male 589.3
GTEX-18A6Q-0626-SM-7KFRP 60-69 years, male 586.2
GTEX-1JN1M-2726-SM-CY8I4 60-69 years, female 585.2
GTEX-111YS-1526-SM-5GZYW 60-69 years, male 583.5
GTEX-1QP66-1226-SM-DTX7U 50-59 years, male 582.9
GTEX-YF7O-1526-SM-5IFI6 50-59 years, male 581.9
GTEX-11EQ9-1626-SM-5PNY8 30-39 years, male 580.1
GTEX-1F6I4-2326-SM-7RHGL 60-69 years, male 567.7
GTEX-XK95-0226-SM-4AT58 40-49 years, male 567.3
GTEX-13N1W-2426-SM-5IJD1 70-79 years, male 554.8
GTEX-1GN1W-2426-SM-9KNUU 50-59 years, female 553.9
GTEX-14PHX-2226-SM-6EU2P 50-59 years, male 550.9
GTEX-14LZ3-0126-SM-69LPM 60-69 years, female 546.7
GTEX-131YS-2826-SM-5EQ47 60-69 years, female 546.6
GTEX-1RAZA-2226-SM-E9U4X 20-29 years, male 541.3
GTEX-1HGF4-0126-SM-CNPPX 60-69 years, male 536.5
GTEX-1GZ4I-2626-SM-9KNU3 50-59 years, male 536.3
GTEX-ZZ64-1026-SM-5GZXG 20-29 years, male 535.1
GTEX-1AX9J-1326-SM-731BJ 60-69 years, male 531.6
GTEX-YEC4-1826-SM-4W1YP 40-49 years, male 528.2
GTEX-ZDXO-3126-SM-5IJDF 60-69 years, male 524.8
GTEX-13OW6-2726-SM-5J2OE 50-59 years, male 519.9
GTEX-UPK5-0426-SM-3GAEK 40-49 years, male 518.5
GTEX-11DXX-2126-SM-5PNYR 60-69 years, female 514.2
GTEX-1CB4I-0126-SM-7RHGG 50-59 years, male 513.0
GTEX-13PVR-0426-SM-5RQK2 60-69 years, female 510.6
GTEX-ZTTD-2826-SM-4YCFA 50-59 years, male 506.5
GTEX-YJ8O-2526-SM-5HL85 40-49 years, female 503.9
GTEX-13OVG-1626-SM-5J1NF 60-69 years, male 502.7
GTEX-17F98-1326-SM-7DUEP 40-49 years, female 502.6
GTEX-1N2DV-1526-SM-DTXEP 40-49 years, male 497.9
GTEX-13VXU-0626-SM-5L3F9 50-59 years, male 494.9
GTEX-1IDJF-2026-SM-CL53V 20-29 years, male 494.7
GTEX-17HGU-2326-SM-7DUFE 50-59 years, male 488.3
GTEX-11P7K-1126-SM-5HL4L 30-39 years, male 483.3
GTEX-ZVT4-2426-SM-5GIEI 50-59 years, female 482.9
GTEX-1N5O9-0926-SM-E9J3C 60-69 years, male 476.0
GTEX-178AV-1726-SM-7KUL8 40-49 years, male 475.2
GTEX-13PVQ-0626-SM-5LU47 50-59 years, male 474.6
GTEX-12KS4-2126-SM-5FQUT 30-39 years, male 471.0
GTEX-12WSM-1926-SM-5BC65 60-69 years, male 462.1
GTEX-18465-2826-SM-7LT9J 50-59 years, male 459.7
GTEX-1R9PM-1926-SM-EVR3O 20-29 years, male 448.4
GTEX-11DXW-0826-SM-5H118 40-49 years, male 445.5
GTEX-14E6C-2426-SM-5S2NF 40-49 years, male 438.6
GTEX-WYJK-0526-SM-3NM8Z 50-59 years, male 430.4
GTEX-15RIG-0726-SM-7KUM7 40-49 years, male 430.0
GTEX-WK11-2726-SM-3NMAQ 50-59 years, male 429.4
GTEX-12WSC-2826-SM-5BC5Y 50-59 years, male 419.7
GTEX-14ABY-2026-SM-62LDL 50-59 years, male 418.7
GTEX-1IDFM-0326-SM-ARL7V 60-69 years, male 417.3
GTEX-17F96-0126-SM-7EWDU 70-79 years, male 417.1
GTEX-1GZ2Q-0126-SM-9WG6M 40-49 years, male 413.9
GTEX-1S831-1826-SM-EWROF 20-29 years, male 406.2
GTEX-1JKYN-0826-SM-ARU8S 30-39 years, male 402.0
GTEX-1I1GS-2626-SM-B2LY3 60-69 years, male 398.8
GTEX-1S83E-1326-SM-E6CJM 40-49 years, male 398.6
GTEX-1GF9U-2026-SM-7SB92 40-49 years, female 394.8
GTEX-145LU-1926-SM-79OJN 50-59 years, male 394.4
GTEX-1M4P7-0726-SM-E6CJ3 60-69 years, male 393.8
GTEX-11O72-0626-SM-5PNYE 40-49 years, male 391.9
GTEX-131XW-0626-SM-5PNVD 50-59 years, female 390.3
GTEX-145MG-1526-SM-5Q5EM 50-59 years, male 387.1
GTEX-1KD5A-0126-SM-E9U54 50-59 years, male 385.8
GTEX-WI4N-2726-SM-3LK7Y 40-49 years, female 381.4
GTEX-1BAJH-2426-SM-7IGP8 70-79 years, male 375.5
GTEX-15RJ7-2126-SM-6PAMD 40-49 years, male 371.8
GTEX-13U4I-2226-SM-5LU5H 40-49 years, female 371.6
GTEX-1I6K6-1726-SM-CGQFD 30-39 years, male 371.6
GTEX-1GF9V-0826-SM-9KNUV 60-69 years, male 370.4
GTEX-Z93S-1626-SM-5CVMB 50-59 years, male 370.0
GTEX-ZYW4-0626-SM-59HJR 60-69 years, male 364.8
GTEX-XMD2-2126-SM-4YCF8 60-69 years, female 364.1
GTEX-1EH9U-2826-SM-7DUGT 60-69 years, male 358.8
GTEX-1A8G7-1326-SM-73KVM 60-69 years, male 352.4
GTEX-1399R-1326-SM-5PNYS 30-39 years, male 352.3
GTEX-14XAO-1226-SM-6EU1C 60-69 years, female 351.1
GTEX-16MT8-2926-SM-7DUFO 60-69 years, female 350.5
GTEX-12WSA-0426-SM-5EQ5X 60-69 years, male 347.1
GTEX-13G51-1826-SM-5KLZH 60-69 years, male 345.7
GTEX-1LSVX-2526-SM-DIPEU 60-69 years, male 345.1
GTEX-1KANA-1326-SM-DIPFA 20-29 years, male 343.0
GTEX-15DDE-2926-SM-6LLJ3 50-59 years, female 341.9
GTEX-147F3-1726-SM-5SIAW 50-59 years, female 339.4
GTEX-11DXZ-2026-SM-5987S 50-59 years, male 339.2
GTEX-14B4R-1326-SM-5Q5EZ 30-39 years, male 338.1
GTEX-13RTJ-0126-SM-5S2NN 60-69 years, male 334.3
GTEX-1I1GV-0626-SM-ARL7M 60-69 years, male 328.6
GTEX-11ZUS-2626-SM-5FQUR 30-39 years, male 322.8
GTEX-1S3DN-2126-SM-E9TIN 50-59 years, male 322.5
GTEX-X4EO-2926-SM-4E3JH 60-69 years, female 318.8
GTEX-1CAMQ-1326-SM-7P8RV 40-49 years, male 317.8
GTEX-1LVA9-2626-SM-EVYD4 50-59 years, male 309.8
GTEX-145LT-0526-SM-5LUB2 40-49 years, male 306.3
GTEX-1IL2V-1926-SM-B2LW8 70-79 years, male 304.0
GTEX-13112-0126-SM-5P9IU 50-59 years, male 303.2
GTEX-1F6IF-0926-SM-7SB7M 60-69 years, male 302.3
GTEX-12126-0826-SM-5FQTZ 20-29 years, male 294.3
GTEX-15D1Q-2826-SM-6LLH7 40-49 years, male 294.3
GTEX-12ZZX-2426-SM-5GCOE 40-49 years, female 293.0
GTEX-WYBS-0626-SM-3NMAS 60-69 years, female 287.8
GTEX-1H4P4-2126-SM-9WYSL 50-59 years, male 287.2
GTEX-17KNJ-2126-SM-718AM 50-59 years, male 278.9
GTEX-ZAJG-1526-SM-5CVML 50-59 years, female 278.9
GTEX-ZVE1-0726-SM-51MRN 50-59 years, female 278.7
GTEX-11UD2-2526-SM-5CVNU 50-59 years, male 277.5
GTEX-XPVG-2126-SM-4B667 50-59 years, male 276.5
GTEX-1EN7A-2426-SM-793DB 40-49 years, male 275.2
GTEX-WHWD-1826-SM-3LK6I 50-59 years, male 275.0
GTEX-145MN-1526-SM-5SI9T 30-39 years, male 274.6
GTEX-Y5LM-0926-SM-6LLJG 40-49 years, female 273.2
GTEX-WXYG-2026-SM-4E3IY 50-59 years, female 268.8
GTEX-1B8L1-2226-SM-7P8PT 60-69 years, male 261.6
GTEX-12BJ1-0926-SM-5EQ62 60-69 years, male 256.3
GTEX-132AR-0326-SM-5KM2C 50-59 years, female 253.5
GTEX-ZXG5-2126-SM-59HKD 60-69 years, male 251.6
GTEX-16NGA-0726-SM-731AO 40-49 years, female 251.0
GTEX-1211K-1526-SM-5FQU4 60-69 years, female 247.2
GTEX-13OW8-1026-SM-5J1NQ 60-69 years, male 242.2
GTEX-16XZZ-0726-SM-7KUF2 60-69 years, male 242.1
GTEX-1F5PK-2226-SM-7SB6N 50-59 years, male 239.9
GTEX-1B8KZ-0326-SM-73KY4 50-59 years, male 239.6
GTEX-17EVQ-0126-SM-7IGLR 70-79 years, male 239.3
GTEX-1RMOY-1326-SM-E9TIH 50-59 years, male 238.4
GTEX-WFG8-2126-SM-3GIKQ 20-29 years, male 238.0
GTEX-1JMQK-1226-SM-D4P2S 60-69 years, male 237.8
GTEX-1H1E6-0426-SM-9WYUS 30-39 years, male 234.8
GTEX-1HR98-2226-SM-ADEI2 60-69 years, male 234.5
GTEX-ZPIC-0526-SM-DO91W 40-49 years, female 234.0
GTEX-139UW-0326-SM-5J1ML 60-69 years, male 232.2
GTEX-1314G-1326-SM-5BC6E 30-39 years, male 231.9
GTEX-1JN6P-2926-SM-CL54D 60-69 years, male 231.7
GTEX-1JN76-0626-SM-CKZOQ 20-29 years, female 231.1
GTEX-X3Y1-2026-SM-3P5YM 40-49 years, male 228.6
GTEX-Y9LG-1126-SM-4VBQ7 30-39 years, male 228.5
GTEX-1CAMR-1326-SM-7PC1F 20-29 years, male 227.4
GTEX-1R9K4-2826-SM-DTX8F 60-69 years, male 227.1
GTEX-1J8JJ-0626-SM-ARZMQ 60-69 years, female 220.4
GTEX-1ICLY-0826-SM-CMKG1 50-59 years, male 218.0
GTEX-1A3MV-1826-SM-731CD 30-39 years, male 217.5
GTEX-13OVH-0526-SM-5L3E6 70-79 years, male 213.8
GTEX-1QW4Y-1126-SM-DTXE3 30-39 years, male 213.7
GTEX-ZPU1-1126-SM-4YCF3 40-49 years, male 213.2
GTEX-15RJE-2826-SM-7KUM9 40-49 years, male 211.6
GTEX-1IDJH-0126-SM-D3L92 70-79 years, male 211.6
GTEX-18A7A-0126-SM-731AH 50-59 years, female 206.6
GTEX-1IDJC-1526-SM-B2LW4 50-59 years, male 203.6
GTEX-17JCI-2926-SM-7DUFF 60-69 years, female 202.9
GTEX-1LG7Z-1626-SM-CXKYR 30-39 years, male 201.4
GTEX-15CHQ-0326-SM-69LQD 60-69 years, male 201.3
GTEX-139TS-2126-SM-5K7XC 60-69 years, male 200.9
GTEX-1IKOE-1426-SM-CE6T7 30-39 years, female 199.7
GTEX-ZDTT-0426-SM-4WKFL 60-69 years, male 198.3
GTEX-1LG7Y-2526-SM-EWRO7 50-59 years, male 197.2
GTEX-14PJ2-0626-SM-6LLII 50-59 years, male 197.0
GTEX-1KANC-1226-SM-CYPT7 50-59 years, female 196.8
GTEX-1HBPI-2126-SM-ARL9K 50-59 years, male 196.4
GTEX-1GZHY-0626-SM-9KNVC 50-59 years, female 195.3
GTEX-11DZ1-2426-SM-5GZZX 50-59 years, male 195.2
GTEX-1AYD5-2626-SM-7PBXY 50-59 years, male 195.0
GTEX-117YX-1926-SM-5GIEC 50-59 years, male 194.8
GTEX-1GMR2-0826-SM-7PC3V 50-59 years, male 194.8
GTEX-1PPH7-1126-SM-DTX9A 40-49 years, male 192.7
GTEX-1F88E-1626-SM-7SB8Z 60-69 years, female 191.3
GTEX-1I19N-0126-SM-CYPSF 70-79 years, male 189.3
GTEX-12696-0126-SM-5EQ4L 60-69 years, male 188.9
GTEX-1H1DG-2426-SM-9QEHJ 70-79 years, male 187.9
GTEX-18QFQ-1826-SM-72D52 30-39 years, male 187.3
GTEX-1B8KE-1126-SM-7EPHI 50-59 years, male 185.8
GTEX-131XG-0326-SM-5L3DX 50-59 years, female 184.5
GTEX-131XF-2626-SM-5EQ6K 60-69 years, male 184.3
GTEX-1MJK3-0726-SM-E6CJC 20-29 years, male 184.3
GTEX-1L5NE-1126-SM-D3L9P 50-59 years, male 184.1
GTEX-13FLV-0126-SM-5K7WT 50-59 years, male 182.9
GTEX-1HCU9-0426-SM-9WYSD 20-29 years, male 179.7
GTEX-1QCLZ-2426-SM-EVYBW 60-69 years, female 178.2
GTEX-VJYA-1526-SM-3GIJV 60-69 years, male 175.5
GTEX-1IKJJ-2226-SM-CJI4C 60-69 years, male 169.7
GTEX-1POEN-2326-SM-E9J2L 30-39 years, female 169.7
GTEX-1I1CD-0626-SM-CE6SW 60-69 years, female 168.0
GTEX-Y8E4-2026-SM-5IFJB 40-49 years, male 167.7
GTEX-1H23P-0626-SM-9WG6T 60-69 years, male 167.2
GTEX-1PDJ9-1226-SM-EXUSX 20-29 years, male 166.6
GTEX-1JMOU-1026-SM-CYPSS 60-69 years, female 165.7
GTEX-1GPI7-1826-SM-9KNU1 20-29 years, male 163.8
GTEX-ZY6K-1426-SM-5GZX2 50-59 years, male 162.8
GTEX-1IDJE-1426-SM-ADEIW 50-59 years, female 161.6
GTEX-1F5PL-0926-SM-7PC2W 40-49 years, female 161.0
GTEX-1GN1U-0626-SM-9MQL9 50-59 years, female 160.8
GTEX-15CHR-1126-SM-7EWF4 50-59 years, male 159.5
GTEX-12584-0726-SM-5FQTK 40-49 years, male 158.7
GTEX-16Z82-2626-SM-7KULU 60-69 years, male 154.4
GTEX-WY7C-2126-SM-3NB2R 50-59 years, male 154.0
GTEX-17HG3-2626-SM-7DUF2 30-39 years, female 153.4
GTEX-1HT8W-0626-SM-A9G2H 30-39 years, male 152.1
GTEX-13N11-2326-SM-5IJBF 50-59 years, female 152.0
GTEX-1I1HK-2326-SM-CKZOH 60-69 years, male 151.6
GTEX-144GM-0526-SM-79OJO 20-29 years, male 150.2
GTEX-1B996-0426-SM-7EWF8 60-69 years, male 150.0
GTEX-12ZZY-0726-SM-5EQ66 60-69 years, male 149.1
GTEX-ZAK1-0626-SM-5HL8E 50-59 years, female 146.4
GTEX-1R7EU-1626-SM-DTXG3 60-69 years, male 145.5
GTEX-144GL-0626-SM-5LU4D 50-59 years, male 144.6
GTEX-1KXAM-1626-SM-D3LAD 60-69 years, male 142.3
GTEX-1212Z-0126-SM-59HK4 60-69 years, male 142.2
GTEX-16AAH-0626-SM-793C9 50-59 years, male 142.2
GTEX-15G19-2426-SM-7KUMR 60-69 years, male 141.8
GTEX-14E6E-0526-SM-793DN 30-39 years, male 141.7
GTEX-17F9Y-0126-SM-79OKX 70-79 years, female 141.2
GTEX-1HCVE-2726-SM-CL54F 50-59 years, male 141.2
GTEX-Y114-2126-SM-4TT8B 50-59 years, female 140.3
GTEX-1PPH8-0126-SM-EWRN8 20-29 years, male 139.7
GTEX-X585-2426-SM-46MW2 50-59 years, male 139.5
GTEX-1K2DA-1026-SM-CGQGF 50-59 years, male 136.9
GTEX-11NUK-2726-SM-5A5MC 50-59 years, male 136.8
GTEX-YECK-0326-SM-4W1YS 60-69 years, male 136.7
GTEX-1HUB1-1426-SM-CGQF5 60-69 years, male 136.5
GTEX-11TUW-0626-SM-5LU9M 60-69 years, male 135.5
GTEX-14PII-0726-SM-6EU2B 60-69 years, male 135.4
GTEX-14C5O-0326-SM-5ZZUX 60-69 years, male 134.7
GTEX-1H3NZ-2726-SM-9WYTQ 60-69 years, male 133.9
GTEX-1GF9W-1426-SM-7PBYM 60-69 years, male 132.1
GTEX-13NYC-0126-SM-5L3F4 60-69 years, male 128.1
GTEX-1JMPY-0226-SM-CKZOK 30-39 years, male 127.7
GTEX-1LSNM-0826-SM-DIPG8 50-59 years, male 127.4
GTEX-XAJ8-1426-SM-47JYM 40-49 years, male 126.7
GTEX-1GTWX-2026-SM-9YFLM 60-69 years, male 125.8
GTEX-X8HC-0626-SM-4E3HQ 50-59 years, female 124.1
GTEX-11WQC-1826-SM-5GU59 60-69 years, male 123.9
GTEX-XBEC-0726-SM-4QARZ 50-59 years, male 123.5
GTEX-1JKYR-0626-SM-ARL8R 20-29 years, male 123.3
GTEX-1QAET-0326-SM-EVR3U 50-59 years, male 120.4
GTEX-X5EB-1926-SM-4E3IW 40-49 years, male 119.0
GTEX-1JMLX-0626-SM-ARL8T 50-59 years, male 118.7
GTEX-17MF6-2626-SM-79OKQ 40-49 years, male 118.5
GTEX-11VI4-1126-SM-5EQMD 40-49 years, female 117.8
GTEX-U8XE-0226-SM-4E3J3 30-39 years, male 117.7
GTEX-1PBJJ-1026-SM-E76OS 30-39 years, male 116.0
GTEX-1EU9M-1426-SM-793AI 60-69 years, male 115.6
GTEX-13SLX-2226-SM-62LEP 50-59 years, female 115.1
GTEX-14DAQ-0626-SM-793DS 60-69 years, female 114.3
GTEX-1RAZS-2526-SM-E6CHT 50-59 years, male 112.6
GTEX-ZVE2-2826-SM-5GU51 50-59 years, male 108.7
GTEX-111VG-1626-SM-5EGIO 60-69 years, male 107.3
GTEX-1HR9M-2226-SM-CNPPY 60-69 years, male 106.7
GTEX-13FTW-0326-SM-5K7UW 40-49 years, male 106.3
GTEX-15EU6-2226-SM-6EU2L 50-59 years, male 106.0
GTEX-1CB4E-0926-SM-7EPHT 60-69 years, male 105.6
GTEX-1J8Q2-2626-SM-ACKWQ 60-69 years, male 105.5
GTEX-145LS-0626-SM-7EPG7 60-69 years, female 105.3
GTEX-Y5V6-2326-SM-4VDSA 60-69 years, male 105.2
GTEX-1B8SF-0126-SM-7DUG3 60-69 years, male 102.8
GTEX-1HB9E-0126-SM-CM2S5 50-59 years, male 102.8
GTEX-1F6RS-2026-SM-7RHHC 60-69 years, female 102.1
GTEX-11P82-1426-SM-DTXFY 20-29 years, male 101.5
GTEX-13IVO-0726-SM-5LZYV 70-79 years, male 100.9
GTEX-1HSMO-0626-SM-ACKXC 60-69 years, male 100.0
GTEX-WHPG-2626-SM-3NMBR 50-59 years, male 97.5
GTEX-1I1GU-0926-SM-ACKVS 40-49 years, male 97.5
GTEX-1K2DU-1226-SM-CYPT4 20-29 years, male 97.2
GTEX-1GMRU-2126-SM-7P8RA 50-59 years, male 96.7
GTEX-1S5ZU-2526-SM-E6CIF 20-29 years, female 96.3
GTEX-1LSNL-2726-SM-E9TKJ 50-59 years, male 96.2
GTEX-1399Q-2326-SM-5KM2X 40-49 years, male 95.9
GTEX-139D8-1126-SM-5LU8W 30-39 years, female 95.8
GTEX-1EX96-1026-SM-7MKG2 50-59 years, male 95.8
GTEX-1JMQJ-0826-SM-CNPP7 50-59 years, male 95.8
GTEX-11EQ8-0926-SM-5H12V 60-69 years, male 95.5
GTEX-1LVAM-0726-SM-E6CIL 50-59 years, female 95.3
GTEX-1LKK1-2626-SM-DKPQE 50-59 years, female 95.0
GTEX-11DXY-0126-SM-5H11Q 60-69 years, male 94.7
GTEX-1LGOU-1326-SM-D3L8M 20-29 years, female 94.2
GTEX-1J1R8-2026-SM-CL53Y 40-49 years, male 92.6
GTEX-1C64N-2626-SM-7PC2N 50-59 years, male 92.0
GTEX-13D11-0926-SM-5J2NC 50-59 years, female 91.3
GTEX-14PHY-1226-SM-5ZZWK 60-69 years, female 90.2
GTEX-1F75I-2226-SM-7SB8U 40-49 years, male 90.2
GTEX-1QPFJ-1926-SM-EVYBD 30-39 years, female 90.1
GTEX-12WSL-2026-SM-5GCML 50-59 years, male 88.8
GTEX-15EO6-2426-SM-6PALZ 50-59 years, male 88.2
GTEX-1S82P-2126-SM-E6CI5 60-69 years, female 87.0
GTEX-14DAR-1226-SM-73KYV 50-59 years, male 86.3
GTEX-11EM3-1226-SM-5N9DD 20-29 years, female 85.2
GTEX-18A67-1626-SM-7LT9T 50-59 years, male 84.9
GTEX-12C56-1526-SM-5FQUQ 20-29 years, male 83.9
GTEX-1IDJD-2326-SM-ACKWX 30-39 years, male 82.3
GTEX-1HBPN-0126-SM-CGQEF 50-59 years, male 81.8
GTEX-1I4MK-0126-SM-CY8G6 50-59 years, female 81.1
GTEX-133LE-2326-SM-5K7W3 20-29 years, female 80.8
GTEX-ZDYS-2426-SM-4WKGI 50-59 years, male 80.2
GTEX-1JMPZ-0726-SM-CY8HZ 30-39 years, male 80.0
GTEX-139T8-0626-SM-5KLZX 60-69 years, male 79.4
GTEX-1IE54-1126-SM-A9G2Z 40-49 years, female 79.3
GTEX-14753-0726-SM-5QGQO 60-69 years, male 79.2
GTEX-147F4-0726-SM-5TDDD 50-59 years, male 79.0
GTEX-183WM-0326-SM-72D5V 70-79 years, female 78.7
GTEX-1A3MW-0626-SM-731CB 60-69 years, female 76.9
GTEX-11LCK-2226-SM-5HL4Q 30-39 years, male 76.6
GTEX-ZT9X-1526-SM-5DUXD 40-49 years, male 76.3
GTEX-1H1DE-1326-SM-9KNUG 20-29 years, male 76.3
GTEX-1RAZQ-1326-SM-E9TK6 30-39 years, male 74.8
GTEX-14LLW-2626-SM-62LDZ 70-79 years, female 74.7
GTEX-13N2G-0226-SM-5K7VF 60-69 years, male 74.6
GTEX-1K9T9-1526-SM-DIPFR 50-59 years, female 73.8
GTEX-15UF6-1926-SM-7KUDV 70-79 years, female 73.7
GTEX-ZP4G-1426-SM-4WWCL 20-29 years, female 73.4
GTEX-ZF2S-1626-SM-57WES 50-59 years, female 72.9
GTEX-1KANB-2826-SM-CY8I6 50-59 years, male 72.9
GTEX-1QEPI-2626-SM-DTXF4 60-69 years, female 72.9
GTEX-1C6WA-2626-SM-7MKGM 60-69 years, male 72.8
GTEX-ZAB4-2126-SM-5HL8U 40-49 years, male 72.5
GTEX-131XH-0126-SM-5LZUY 50-59 years, male 71.3
GTEX-WEY5-2326-SM-3GIKK 40-49 years, female 71.2
GTEX-1GZ4H-0526-SM-9KNU9 50-59 years, female 70.4
GTEX-1OJC4-2726-SM-E76PJ 50-59 years, female 70.1
GTEX-1LVAO-2726-SM-E9TJ8 60-69 years, male 69.4
GTEX-14PJN-1826-SM-6AJ98 30-39 years, male 69.1
GTEX-11PRG-0726-SM-5EGL1 50-59 years, male 68.2
GTEX-1F75B-0726-SM-7PC3R 50-59 years, male 67.4
GTEX-1A3MX-2626-SM-7PC24 60-69 years, male 66.1
GTEX-1EWIQ-0326-SM-7DHMQ 70-79 years, female 65.7
GTEX-1HKZK-0726-SM-ACKW2 40-49 years, male 65.6
GTEX-1JMQI-1726-SM-ARL93 50-59 years, male 64.9
GTEX-1H2FU-0926-SM-9WPPT 60-69 years, female 64.6
GTEX-XOT4-0626-SM-4B66L 60-69 years, female 64.2
GTEX-1PPGY-1626-SM-EVYBL 60-69 years, male 64.2
GTEX-1NSGN-0726-SM-DTXEF 50-59 years, male 63.9
GTEX-1A32A-0626-SM-731AQ 50-59 years, female 63.0
GTEX-11OF3-0126-SM-5PNYF 60-69 years, male 61.6
GTEX-13YAN-0226-SM-5TDC6 60-69 years, male 61.5
GTEX-W5X1-2526-SM-3GILC 40-49 years, female 60.7
GTEX-14E1K-2026-SM-7DUEI 50-59 years, male 60.5
GTEX-YB5K-2026-SM-4VDT3 40-49 years, female 60.5
GTEX-13NZ8-1226-SM-5KM4A 60-69 years, female 60.4
GTEX-1CB4F-1026-SM-7DUH1 60-69 years, male 60.4
GTEX-1RLM8-2926-SM-E8VON 50-59 years, male 59.5
GTEX-16YQH-2226-SM-7IGM2 30-39 years, male 59.2
GTEX-1CB4J-1326-SM-7P8RX 60-69 years, male 58.5
GTEX-147JS-0226-SM-5S2U9 60-69 years, male 57.8
GTEX-1JMQL-2226-SM-CNPP4 50-59 years, female 57.8
GTEX-1F48J-0726-SM-7RHGS 50-59 years, female 57.1
GTEX-13NYS-0626-SM-5L3F1 60-69 years, male 56.6
GTEX-14AS3-1526-SM-5Q5ED 40-49 years, female 55.7
GTEX-Y111-0626-SM-4SOIT 50-59 years, male 55.5
GTEX-148VJ-0626-SM-5LUAW 70-79 years, male 54.8
GTEX-ZYFG-1526-SM-5GZYM 60-69 years, female 54.8
GTEX-1HCU7-0726-SM-A9SL1 50-59 years, male 54.5
GTEX-1GL5R-1326-SM-7RHHF 50-59 years, male 53.2
GTEX-1JK1U-0226-SM-ARZMX 60-69 years, male 52.9
GTEX-1MCYP-0526-SM-E9U6Q 20-29 years, female 52.8
GTEX-1GN2E-0226-SM-9WG6K 60-69 years, male 52.0
GTEX-ZYVF-0926-SM-5E44J 50-59 years, female 51.8
GTEX-12WSH-1526-SM-5BC5W 50-59 years, male 51.7
GTEX-1F75A-0726-SM-7RHHD 50-59 years, male 51.2
GTEX-145MH-2826-SM-5RQJF 50-59 years, male 50.9
GTEX-13OVJ-0826-SM-5J1OK 50-59 years, female 50.8
GTEX-ZE7O-2726-SM-51MT5 50-59 years, female 50.7
GTEX-15G1A-1626-SM-7KUKN 30-39 years, male 50.3
GTEX-1AMEY-0826-SM-72D65 30-39 years, female 50.1
GTEX-18D9U-0126-SM-731BM 40-49 years, male 49.4
GTEX-147GR-2426-SM-5ZZWQ 60-69 years, male 48.8
GTEX-ZLWG-0826-SM-59888 50-59 years, female 48.6
GTEX-13OW7-0426-SM-5K7VK 50-59 years, male 48.2
GTEX-144FL-0626-SM-5LU43 50-59 years, male 48.0
GTEX-13PL6-1126-SM-5L3IE 40-49 years, female 47.3
GTEX-XBED-1926-SM-47JYP 60-69 years, male 47.2
GTEX-ZGAY-1826-SM-DO91Q 40-49 years, female 46.7
GTEX-ZYFC-0426-SM-5GICQ 50-59 years, male 46.5
GTEX-XXEK-1626-SM-4BRUZ 50-59 years, male 46.4
GTEX-ZA64-1026-SM-5HL8R 20-29 years, male 46.4
GTEX-1ICG6-1226-SM-A9SLN 70-79 years, female 46.4
GTEX-13FTY-2126-SM-5IFFB 40-49 years, female 46.2
GTEX-1H1ZS-2726-SM-9WG75 70-79 years, male 45.6
GTEX-1RAZR-2126-SM-E9U6T 40-49 years, male 45.6
GTEX-18D9B-0926-SM-7LG4U 60-69 years, male 45.0
GTEX-YFCO-1226-SM-5LUAT 40-49 years, male 43.6
GTEX-13OW5-2326-SM-5L3HO 60-69 years, male 43.5
GTEX-Y5V5-0126-SM-5S2NW 60-69 years, female 43.3
GTEX-13W3W-0726-SM-5IJDQ 60-69 years, female 41.6
GTEX-1HCU8-2526-SM-CE6RX 60-69 years, female 41.3
GTEX-1CAMS-2226-SM-7PBXQ 40-49 years, female 41.1
GTEX-17HHE-1326-SM-7EWDZ 50-59 years, male 41.0
GTEX-1CB4H-1126-SM-7MKGL 60-69 years, female 40.7
GTEX-ZVZP-1226-SM-5GID7 50-59 years, male 40.7
GTEX-ZVP2-0326-SM-57WBP 50-59 years, male 40.6
GTEX-1OJC3-1226-SM-DTXER 20-29 years, male 40.4
GTEX-1HSMQ-2626-SM-A9SML 50-59 years, male 40.3
GTEX-1C6VR-0126-SM-7RHGB 60-69 years, male 39.8
GTEX-13X6I-1826-SM-5SIAO 60-69 years, male 39.6
GTEX-XYKS-1426-SM-4BRUO 60-69 years, female 39.6
GTEX-1KWVE-1026-SM-D3L9O 30-39 years, male 39.5
GTEX-ZC5H-1526-SM-5HL9Y 40-49 years, female 38.5
GTEX-15CHC-1126-SM-6LLHQ 60-69 years, female 38.3
GTEX-WYVS-1626-SM-3NM9R 40-49 years, female 37.9
GTEX-1497J-0226-SM-5QGPU 60-69 years, male 37.4
GTEX-1KAFJ-0126-SM-DIPEK 50-59 years, male 37.3
GTEX-17F97-2626-SM-7IGM5 50-59 years, male 36.9
GTEX-1F52S-2926-SM-7MKGA 60-69 years, female 36.9
GTEX-14A6H-2026-SM-5Q5DD 30-39 years, male 36.8
GTEX-1399U-1126-SM-5L3DB 50-59 years, female 36.6
GTEX-1B97I-0626-SM-73KUZ 40-49 years, male 36.6
GTEX-16MTA-0926-SM-6M47Z 50-59 years, male 36.2
GTEX-WFG7-2026-SM-5SI7P 20-29 years, male 36.0
GTEX-1H1DF-1126-SM-9WG7G 40-49 years, female 35.8
GTEX-1QMI2-2526-SM-E8VNZ 60-69 years, male 35.7
GTEX-1HSGN-0826-SM-ACKW3 40-49 years, female 35.6
GTEX-11ZTT-2126-SM-5CVLO 60-69 years, female 35.4
GTEX-1HFI7-2326-SM-CGQFS 50-59 years, female 35.4
GTEX-145MI-0626-SM-5SI8S 60-69 years, female 34.7
GTEX-VUSG-2326-SM-4KL1U 50-59 years, male 34.2
GTEX-1HC8U-1326-SM-9YFMJ 40-49 years, female 34.0
GTEX-ZTX8-1326-SM-4YCEL 20-29 years, male 33.8
GTEX-1J8EW-2726-SM-CY8HR 60-69 years, female 33.8
GTEX-13JVG-0726-SM-5KM16 60-69 years, male 33.3
GTEX-1EKGG-0626-SM-7DUGJ 60-69 years, male 33.3
GTEX-14PJ5-1526-SM-6LLIL 60-69 years, female 32.8
GTEX-11NSD-0626-SM-5A5LU 20-29 years, male 32.7
GTEX-ZE9C-2526-SM-5IJDR 60-69 years, male 32.7
GTEX-13SLW-0626-SM-5Q5ER 70-79 years, male 32.3
GTEX-1GN73-0726-SM-7P8TJ 60-69 years, male 32.1
GTEX-1269C-0126-SM-5EQ5L 60-69 years, female 30.9
GTEX-14PJ6-2626-SM-6EU2T 60-69 years, female 30.8
GTEX-1GF9X-1326-SM-7PC2Y 40-49 years, female 29.8
GTEX-1ICLZ-0326-SM-ARL82 60-69 years, male 29.8
GTEX-Y8LW-1526-SM-5IFHL 50-59 years, female 29.4
GTEX-1C475-1326-SM-7SB73 40-49 years, female 29.0
GTEX-1C6VQ-1226-SM-73KYD 50-59 years, male 28.8
GTEX-16BQI-1326-SM-6M486 30-39 years, female 28.5
GTEX-1JJE9-2626-SM-ARZMT 70-79 years, male 28.5
GTEX-13QJC-0126-SM-5ZZWJ 60-69 years, female 28.0
GTEX-X4EP-0626-SM-3P621 60-69 years, female 27.6
GTEX-17EVP-2626-SM-7IGMA 40-49 years, male 27.4
GTEX-13FTX-1526-SM-5K7VJ 20-29 years, female 27.2
GTEX-ZF3C-0626-SM-DO92O 50-59 years, female 27.1
GTEX-1R9PN-0426-SM-DTXDT 40-49 years, female 26.6
GTEX-11GSP-2326-SM-5HL63 60-69 years, female 26.2
GTEX-12WSK-2126-SM-5CVNC 40-49 years, female 26.1
GTEX-15DYW-2726-SM-6EU2I 60-69 years, female 26.1
GTEX-ZYY3-2926-SM-5GIEB 60-69 years, female 26.0
GTEX-ZZPU-0826-SM-5GZX5 50-59 years, female 25.4
GTEX-15ER7-0626-SM-6PANF 20-29 years, female 25.3
GTEX-1R46S-2426-SM-E76QA 60-69 years, female 25.0
GTEX-ZTSS-1426-SM-5985P 40-49 years, male 24.8
GTEX-15SKB-2826-SM-6PAMH 60-69 years, male 24.4
GTEX-1477Z-0326-SM-7IGLA 60-69 years, male 24.2
GTEX-1I1GT-1026-SM-ARZLV 60-69 years, female 24.1
GTEX-14BMU-1226-SM-5S2OR 20-29 years, female 24.0
GTEX-XQ8I-0926-SM-4BOOF 50-59 years, male 23.7
GTEX-Y3IK-1626-SM-4YCF5 50-59 years, female 23.5
GTEX-1AMFI-1326-SM-7939R 50-59 years, female 23.4
GTEX-1J8QM-2426-SM-A9SLS 60-69 years, female 23.3
GTEX-1313W-0626-SM-5EQ4H 50-59 years, female 23.2
GTEX-13PDP-0726-SM-5L3HP 60-69 years, male 23.0
GTEX-XBEW-1126-SM-4QARW 40-49 years, male 22.8
GTEX-1JJ6O-2726-SM-CNPOG 60-69 years, male 22.8
GTEX-13O3Q-0126-SM-5KM34 50-59 years, male 22.5
GTEX-1LBAC-0826-SM-CY8IJ 20-29 years, male 22.2
GTEX-111CU-1126-SM-5EGIM 50-59 years, male 22.1
GTEX-1IDJV-0126-SM-COH3Y 60-69 years, male 21.9
GTEX-139YR-1026-SM-5LZYN 50-59 years, male 21.6
GTEX-13X6H-0926-SM-5SIB2 50-59 years, female 21.6
GTEX-1F88F-0126-SM-9WYSZ 60-69 years, female 21.6
GTEX-ZPCL-1126-SM-4WWFE 60-69 years, female 20.6
GTEX-14PKU-0126-SM-6LLHV 40-49 years, female 20.4
GTEX-14PK6-0226-SM-62LF5 70-79 years, female 20.0
GTEX-13FHO-0426-SM-5L3F5 60-69 years, male 19.9
GTEX-1H11D-1826-SM-9QEHM 40-49 years, male 19.7
GTEX-ZF29-0926-SM-4WKFZ 60-69 years, female 19.6
GTEX-12ZZZ-0726-SM-5GCNZ 60-69 years, male 19.4
GTEX-1JJEA-1826-SM-ARU8P 60-69 years, male 19.3
GTEX-13OVK-1426-SM-6PAN7 40-49 years, male 19.1
GTEX-1IDJU-1726-SM-CMKHU 60-69 years, female 18.9
GTEX-1QP29-1826-SM-DTX9S 50-59 years, male 18.2
GTEX-16MT9-0126-SM-7EPI8 60-69 years, female 18.0
GTEX-1LVAN-0626-SM-CNPOQ 50-59 years, female 17.3
GTEX-13VXT-1926-SM-5K7UO 20-29 years, female 17.2
GTEX-1QP28-1126-SM-EVYC4 50-59 years, female 17.0
GTEX-11ZU8-0126-SM-5EQ58 60-69 years, male 16.9
GTEX-1MCC2-1826-SM-DIPEX 30-39 years, female 16.7
GTEX-1H3O1-1326-SM-9MQLD 60-69 years, male 16.4
GTEX-XUW1-0926-SM-4BONX 50-59 years, female 16.3
GTEX-145ME-1726-SM-5Q5EU 40-49 years, female 16.2
GTEX-1CAV2-0126-SM-7IGN7 40-49 years, female 16.2
GTEX-ZLV1-1526-SM-DO91J 60-69 years, female 15.8
GTEX-1117F-2926-SM-5GZYI 60-69 years, female 15.7
GTEX-1GMR8-0626-SM-7RHI7 50-59 years, female 15.6
GTEX-11P81-2226-SM-5PNYI 30-39 years, female 15.5
GTEX-1HSKV-1226-SM-ADEI4 60-69 years, male 15.4
GTEX-13QBU-1226-SM-5LU4G 40-49 years, female 15.2
GTEX-13113-1626-SM-5EQ4I 60-69 years, female 13.9
GTEX-1399S-0126-SM-5IJCF 30-39 years, female 13.7
GTEX-1IDJI-0126-SM-CMKHS 50-59 years, female 13.2
GTEX-14C39-1726-SM-5RQIL 40-49 years, male 12.7
GTEX-13FH7-1126-SM-5K7UG 50-59 years, female 11.9
GTEX-1HCUA-0826-SM-ADEHM 50-59 years, female 11.9
GTEX-ZLFU-1826-SM-4WWBV 40-49 years, male 11.5
GTEX-1J1OQ-0126-SM-D4P2N 40-49 years, female 11.3
GTEX-1LB8K-0726-SM-D5OV2 50-59 years, male 11.2
GTEX-14C38-0726-SM-5SI6M 50-59 years, male 10.8
GTEX-1C2JI-1026-SM-73KY1 50-59 years, male 10.7
GTEX-13O61-1426-SM-5KM3D 60-69 years, male 10.5
GTEX-1H3VE-0726-SM-9YFL5 40-49 years, male 10.5
GTEX-1S82U-1026-SM-E6CJK 30-39 years, female 10.3
GTEX-17HII-1426-SM-7EPGG 50-59 years, male 10.0
GTEX-1J8Q3-0526-SM-ARL8U 60-69 years, male 10.0
GTEX-1LGRB-0926-SM-COH3K 50-59 years, female 9.9
GTEX-XV7Q-1826-SM-4BRUV 40-49 years, female 9.8
GTEX-1GN1V-2826-SM-9JGIA 60-69 years, male 9.4
GTEX-1GPI6-1926-SM-9KNV7 60-69 years, male 9.0
GTEX-1QP2A-1726-SM-E76QC 50-59 years, male 8.9
GTEX-12WSJ-1126-SM-5LZVJ 40-49 years, female 8.5
GTEX-Y3I4-1726-SM-4TT89 50-59 years, male 7.4
GTEX-1122O-1026-SM-9WYSF 60-69 years, female 7.1
GTEX-11GS4-0226-SM-5HL77 60-69 years, male 6.8
GTEX-1HBPM-0726-SM-9YFL7 60-69 years, female 6.1
GTEX-1B932-2326-SM-79OL5 40-49 years, female 6.0
GTEX-1EMGI-2326-SM-7PBYA 60-69 years, male 5.4
GTEX-WHSB-1326-SM-3LK6W 50-59 years, male 3.9
GTEX-14PJ4-0226-SM-5YY92 60-69 years, male 2.9
GTEX-1NV5F-0626-SM-DTXEG 60-69 years, female 2.7
GTEX-15FZZ-0526-SM-7KUGD 30-39 years, female 1.0
GTEX-ZVT2-0126-SM-5GIDQ 50-59 years, female 0.5
Show allShow less
Skin - Sun Exposed (Lower leg)
Average nTPM: 135.5
Samples: 701

Max nTPM: 5912.2
Min nTPM: 2.7
Std nTPM: 317.0
Median nTPM: 67.6
GTEX-POMQ-2226-SM-2I5FK 20-29 years, female 5912.2
GTEX-1R9K4-0126-SM-DTX9X 60-69 years, male 4360.6
GTEX-11TT1-2526-SM-5EGIB 20-29 years, male 1568.1
GTEX-OIZG-0726-SM-33HBL 50-59 years, male 1316.1
GTEX-RN64-0126-SM-2TC68 50-59 years, male 1210.0
GTEX-183WM-0126-SM-7LTAB 70-79 years, female 1071.1
GTEX-17MF6-0126-SM-7LG4F 40-49 years, male 1006.6
GTEX-1399T-2826-SM-5KLYZ 60-69 years, male 1005.4
GTEX-145MF-0626-SM-5LUAI 50-59 years, male 988.3
GTEX-1EMGI-0126-SM-9KNUE 60-69 years, male 973.5
GTEX-1F6IF-0726-SM-7P8TW 60-69 years, male 956.8
GTEX-117YW-2626-SM-5GZZH 50-59 years, male 744.2
GTEX-SIU8-0126-SM-2XCDT 50-59 years, male 743.6
GTEX-1I1GR-0126-SM-CL55F 60-69 years, male 689.8
GTEX-Y8DK-0126-SM-4TT3L 60-69 years, male 658.8
GTEX-Q2AG-0126-SM-33HBV 40-49 years, female 634.8
GTEX-1I6K6-0126-SM-A9SLE 30-39 years, male 617.3
GTEX-QV44-1926-SM-2S1RF 50-59 years, male 594.0
GTEX-1EKGG-0226-SM-9WYTH 60-69 years, male 562.5
GTEX-11O72-0126-SM-59887 40-49 years, male 524.0
GTEX-15SDE-2226-SM-7IGLO 50-59 years, female 520.4
GTEX-TKQ1-1026-SM-4GICL 30-39 years, male 516.2
GTEX-ZU9S-0226-SM-5E441 30-39 years, male 505.3
GTEX-11NUK-0126-SM-5A5L3 50-59 years, male 505.2
GTEX-1B8SG-0126-SM-73KZ3 50-59 years, male 493.2
GTEX-1PPH7-2326-SM-EVYB8 40-49 years, male 485.3
GTEX-12WSA-0226-SM-5BC5V 60-69 years, male 480.3
GTEX-WH7G-2326-SM-3NMBC 40-49 years, male 466.6
GTEX-S7PM-0126-SM-4AD6S 60-69 years, male 461.6
GTEX-1N2EF-0226-SM-EYYXB 60-69 years, male 457.7
GTEX-1CAMR-1926-SM-7EPI2 20-29 years, male 456.5
GTEX-13OVL-0226-SM-5L3E9 50-59 years, male 441.1
GTEX-QLQW-1126-SM-2S1Q8 30-39 years, male 440.0
GTEX-15CHC-2126-SM-6EU21 60-69 years, female 438.1
GTEX-145LT-1726-SM-5QGP3 40-49 years, male 433.2
GTEX-1KANA-0726-SM-D3L9I 20-29 years, male 430.0
GTEX-14BIM-0226-SM-7IGLD 60-69 years, female 428.6
GTEX-1JMQK-0226-SM-CL543 60-69 years, male 426.2
GTEX-RVPV-0126-SM-EAZAW 60-69 years, male 412.6
GTEX-YJ8A-0426-SM-5IFID 20-29 years, male 410.0
GTEX-U8XE-0326-SM-3DB8P 30-39 years, male 398.8
GTEX-17F98-0626-SM-79OMX 40-49 years, female 394.6
GTEX-1KXAM-2226-SM-CYPTC 60-69 years, male 392.2
GTEX-1HCVE-0126-SM-CGQEU 50-59 years, male 390.6
GTEX-1HR98-0126-SM-B2LWI 60-69 years, male 388.1
GTEX-1H1DE-2126-SM-9WG6R 20-29 years, male 388.0
GTEX-1JKYR-0126-SM-CNPOJ 20-29 years, male 370.9
GTEX-12ZZY-0226-SM-5LZVE 60-69 years, male 366.3
GTEX-1PBJI-0526-SM-E8VNK 20-29 years, female 353.8
GTEX-PWCY-1826-SM-DHXIZ 20-29 years, female 351.8
GTEX-1R7EU-0226-SM-EVR4G 60-69 years, male 347.9
GTEX-W5X1-3026-SM-EAZAX 40-49 years, female 347.6
GTEX-14A5H-0426-SM-5QGQF 60-69 years, male 345.2
GTEX-11ZU8-2526-SM-5EQKI 60-69 years, male 344.7
GTEX-R55E-0126-SM-2TC5Y 20-29 years, male 338.1
GTEX-145LU-0126-SM-5TDCB 50-59 years, male 329.1
GTEX-183FY-0126-SM-7LT9P 20-29 years, male 326.5
GTEX-15UKP-0426-SM-7KUFQ 20-29 years, male 325.7
GTEX-14BMV-0126-SM-5S2PO 50-59 years, male 324.6
GTEX-131XF-5016-SM-7MGWE 60-69 years, male 322.3
GTEX-X62O-0126-SM-4E3JN 50-59 years, male 321.6
GTEX-1GN1W-0526-SM-9MQJQ 50-59 years, female 316.9
GTEX-X4XY-0226-SM-4E3IZ 60-69 years, male 312.4
GTEX-14PJ3-1826-SM-62LEX 50-59 years, male 307.3
GTEX-11WQK-0526-SM-5EQLD 50-59 years, male 306.9
GTEX-17EUY-0426-SM-793BD 20-29 years, male 306.1
GTEX-12ZZX-0126-SM-5EGK9 40-49 years, female 303.3
GTEX-12126-0326-SM-5PNW3 20-29 years, male 299.1
GTEX-13N1W-0126-SM-5K7VT 70-79 years, male 288.4
GTEX-1IGQW-0126-SM-COH42 60-69 years, male 286.0
GTEX-1HB9E-0226-SM-E9U4R 50-59 years, male 284.7
GTEX-1K2DA-1826-SM-CGQGT 50-59 years, male 283.8
GTEX-1HCU6-0126-SM-CL54K 60-69 years, female 282.3
GTEX-18A7A-0226-SM-718BH 50-59 years, female 281.9
GTEX-1A3MX-0126-SM-731BR 60-69 years, male 277.3
GTEX-13O21-1426-SM-5K7XI 50-59 years, male 277.0
GTEX-X88G-0126-SM-47JZ3 30-39 years, male 275.9
GTEX-QDVJ-1726-SM-2I5FX 50-59 years, male 268.3
GTEX-15D1Q-0126-SM-7KUG6 40-49 years, male 265.8
GTEX-1ICLZ-0126-SM-CKZPO 60-69 years, male 251.8
GTEX-14ICK-0226-SM-6EU25 40-49 years, male 247.3
GTEX-1KD4Q-0226-SM-E9TJ9 40-49 years, male 245.6
GTEX-ZE7O-0126-SM-57WC1 50-59 years, female 244.3
GTEX-QESD-1426-SM-2S1R9 20-29 years, male 243.8
GTEX-ZVZO-0126-SM-5A5L9 40-49 years, male 243.3
GTEX-1LG7Y-0526-SM-DKPQC 50-59 years, male 243.3
GTEX-ZE9C-2726-SM-57WB5 60-69 years, male 239.9
GTEX-1IKK5-0626-SM-ARL8A 60-69 years, male 239.5
GTEX-O5YT-0126-SM-48TBW 20-29 years, male 232.2
GTEX-1R9PO-2126-SM-E9J4O 60-69 years, female 230.7
GTEX-SJXC-0126-SM-2XCFF 60-69 years, male 227.8
GTEX-1LBAC-0126-SM-DIPEZ 20-29 years, male 225.0
GTEX-117YX-2326-SM-5H12W 50-59 years, male 221.4
GTEX-13RTJ-2426-SM-5S2Q2 60-69 years, male 219.7
GTEX-1JMPY-1326-SM-ARL8Y 30-39 years, male 219.7
GTEX-T8EM-1026-SM-3DB7M 40-49 years, male 219.4
GTEX-1C64N-0126-SM-793D7 50-59 years, male 214.9
GTEX-1F7RK-0126-SM-7PC2S 20-29 years, female 214.9
GTEX-11EM3-2426-SM-59861 20-29 years, female 210.4
GTEX-11TUW-2726-SM-E9J4M 60-69 years, male 210.3
GTEX-1GF9V-0326-SM-7RHI5 60-69 years, male 208.8
GTEX-14E6D-0126-SM-62LDV 50-59 years, male 207.5
GTEX-WVJS-0126-SM-4MVOT 50-59 years, male 207.5
GTEX-1GZ2Q-0226-SM-7P8TL 40-49 years, male 206.2
GTEX-UPJH-0326-SM-3GADU 50-59 years, male 204.4
GTEX-14E6C-0126-SM-5RQIP 40-49 years, male 204.2
GTEX-1I19N-0326-SM-ACKVX 70-79 years, male 203.7
GTEX-ZQUD-1426-SM-57WER 30-39 years, male 202.8
GTEX-XQ8I-0426-SM-4BOPO 50-59 years, male 202.2
GTEX-147F4-0226-SM-5QGPW 50-59 years, male 201.8
GTEX-RWSA-0126-SM-2XCBB 40-49 years, male 200.7
GTEX-1A3MV-1926-SM-718BT 30-39 years, male 198.2
GTEX-16AAH-1726-SM-7939C 50-59 years, male 197.7
GTEX-15F5U-1526-SM-6PANO 40-49 years, male 195.8
GTEX-WYJK-0126-SM-3NMAB 50-59 years, male 194.7
GTEX-U3ZH-2026-SM-3DB78 30-39 years, male 193.8
GTEX-U8T8-0126-SM-3DB94 60-69 years, male 191.8
GTEX-14C5O-0126-SM-5SI6N 60-69 years, male 191.0
GTEX-1HSKV-0226-SM-A9SKJ 60-69 years, male 190.8
GTEX-147F3-0526-SM-5SI98 50-59 years, female 186.0
GTEX-S7SE-0126-SM-2XCD5 50-59 years, male 185.8
GTEX-11ZUS-0626-SM-59885 30-39 years, male 184.8
GTEX-1QCLY-0326-SM-E8VOG 30-39 years, male 184.2
GTEX-OHPM-0126-SM-2YUN9 50-59 years, male 183.8
GTEX-14E6E-1826-SM-5S2R7 30-39 years, male 181.9
GTEX-1B8L1-2526-SM-9WYTF 60-69 years, male 181.3
GTEX-1EX96-1626-SM-7PBXR 50-59 years, male 179.1
GTEX-14BIN-0626-SM-793DP 50-59 years, female 178.5
GTEX-1N2DV-0226-SM-E6CJ6 40-49 years, male 175.8
GTEX-OIZH-0126-SM-2HMIS 50-59 years, male 175.7
GTEX-V1D1-2226-SM-3NMAX 50-59 years, male 173.9
GTEX-14LLW-0126-SM-6LLIO 70-79 years, female 172.8
GTEX-ZWKS-0126-SM-5SIAA 30-39 years, male 171.4
GTEX-1F75A-0126-SM-7RHGM 50-59 years, male 171.2
GTEX-131XW-0426-SM-5LZWP 50-59 years, female 170.6
GTEX-ZDTS-0126-SM-4WAY5 60-69 years, male 169.0
GTEX-14A6H-0126-SM-5QGPK 30-39 years, male 167.9
GTEX-139T8-0126-SM-5K7XZ 60-69 years, male 167.5
GTEX-ZVE2-0226-SM-59HJB 50-59 years, male 167.1
GTEX-QEG4-0226-SM-2S1PY 30-39 years, male 164.5
GTEX-ZQG8-1626-SM-DHXIT 60-69 years, female 164.3
GTEX-14753-0426-SM-5NQAM 60-69 years, male 164.1
GTEX-13G51-2526-SM-5LZYK 60-69 years, male 163.6
GTEX-TMZS-0126-SM-3DB9Q 60-69 years, male 163.3
GTEX-1K2DU-2326-SM-E9TIV 20-29 years, male 162.3
GTEX-1J1R8-1726-SM-ARL8M 40-49 years, male 162.0
GTEX-14JG1-0426-SM-6ETZZ 40-49 years, male 161.4
GTEX-ZUA1-0126-SM-5GU76 40-49 years, male 160.1
GTEX-1497J-2426-SM-7IGNX 60-69 years, male 159.9
GTEX-13OVK-2026-SM-7KUEO 40-49 years, male 158.3
GTEX-13O3Q-2426-SM-5IJBR 50-59 years, male 157.1
GTEX-S33H-1026-SM-EZ6L6 30-39 years, male 153.5
GTEX-18465-0126-SM-731BN 50-59 years, male 153.3
GTEX-1C2JI-1826-SM-73KXC 50-59 years, male 153.3
GTEX-1QMI2-0226-SM-EVYBX 60-69 years, male 151.1
GTEX-13OW6-0426-SM-5L3HM 50-59 years, male 150.6
GTEX-1AX9J-0226-SM-73KXM 60-69 years, male 150.1
GTEX-1EU9M-0226-SM-7P8SP 60-69 years, male 148.7
GTEX-1E1VI-0126-SM-7DHMZ 50-59 years, male 148.1
GTEX-1HFI6-0226-SM-ADEHZ 40-49 years, male 147.0
GTEX-13YAN-0326-SM-5O9DF 60-69 years, male 146.9
GTEX-17MFQ-1726-SM-793C7 20-29 years, male 146.8
GTEX-WZTO-0126-SM-3NM95 40-49 years, male 146.3
GTEX-OXRP-0126-SM-3NB32 60-69 years, female 143.2
GTEX-1M4P7-0226-SM-DIPEV 60-69 years, male 141.3
GTEX-1PPH8-0226-SM-E8VND 20-29 years, male 141.3
GTEX-1HKZK-0326-SM-9WYUH 40-49 years, male 141.2
GTEX-1A3MW-0126-SM-73KXX 60-69 years, female 140.5
GTEX-1F5PL-0326-SM-7P8PQ 40-49 years, female 140.5
GTEX-YEC4-2126-SM-5IFJH 40-49 years, male 140.1
GTEX-132NY-0326-SM-5IJBL 60-69 years, male 139.9
GTEX-1BAJH-0526-SM-793CQ 70-79 years, male 139.3
GTEX-1CB4F-0426-SM-9KNV4 60-69 years, male 138.4
GTEX-ZYFD-0126-SM-5GIDL 50-59 years, male 137.8
GTEX-18A66-0226-SM-718BD 60-69 years, male 137.7
GTEX-P44H-0226-SM-2XCEU 40-49 years, male 135.9
GTEX-1JJEA-0326-SM-CNPOT 60-69 years, male 135.7
GTEX-U3ZM-1526-SM-3DB9D 40-49 years, male 134.7
GTEX-1AX8Z-0126-SM-7DHM6 60-69 years, male 134.6
GTEX-1B996-0226-SM-7RHGO 60-69 years, male 134.5
GTEX-Q734-1926-SM-2I5EV 40-49 years, female 132.5
GTEX-1GPI7-0126-SM-9MQL8 20-29 years, male 132.2
GTEX-1B933-0126-SM-7PC29 50-59 years, female 132.1
GTEX-12696-2426-SM-5EQ6H 60-69 years, male 131.2
GTEX-1NV5F-0226-SM-E8VNY 60-69 years, female 131.0
GTEX-X5EB-2226-SM-46MW4 40-49 years, male 130.8
GTEX-1KD5A-0226-SM-D5OV3 50-59 years, male 130.6
GTEX-11WQC-2526-SM-5CVLE 60-69 years, male 129.5
GTEX-13NYS-0126-SM-5MR3W 60-69 years, male 128.8
GTEX-1QP29-0626-SM-EWRMX 50-59 years, male 128.5
GTEX-11XUK-2026-SM-5EQLF 40-49 years, female 126.9
GTEX-11DXW-0226-SM-5H122 40-49 years, male 126.1
GTEX-1HSMP-0126-SM-E6CJS 70-79 years, male 123.9
GTEX-1KANC-1526-SM-D3LAB 50-59 years, female 123.7
GTEX-139T4-0226-SM-5HL5S 50-59 years, female 122.5
GTEX-13OW7-0126-SM-5MR3B 50-59 years, male 121.5
GTEX-11UD1-0126-SM-5PNYG 40-49 years, female 119.8
GTEX-1C6VQ-0126-SM-7P8RI 50-59 years, male 118.2
GTEX-1IKJJ-0126-SM-CNPQB 60-69 years, male 117.2
GTEX-12WSD-0126-SM-59HKN 60-69 years, female 114.7
GTEX-XUYS-0126-SM-47JWZ 50-59 years, male 114.6
GTEX-T5JC-0426-SM-32PLO 20-29 years, male 114.4
GTEX-1GF9U-2126-SM-7SB7L 40-49 years, female 113.9
GTEX-1AX9I-0126-SM-7SB74 60-69 years, male 113.3
GTEX-1KWVE-1426-SM-E9TJO 30-39 years, male 113.0
GTEX-XQ3S-1526-SM-4BOOC 20-29 years, male 112.9
GTEX-13FHP-0126-SM-5IJBG 50-59 years, male 112.6
GTEX-1C6VR-2426-SM-79OLD 60-69 years, male 112.3
GTEX-13FHO-0226-SM-5IFGY 60-69 years, male 112.0
GTEX-1EN7A-0126-SM-7SB81 40-49 years, male 111.9
GTEX-1H3VY-0126-SM-ACKXD 50-59 years, male 111.9
GTEX-ZVT3-0126-SM-5GU6I 60-69 years, female 111.4
GTEX-15EOM-0126-SM-7KUGG 20-29 years, female 111.0
GTEX-14A5I-0126-SM-5TDEA 50-59 years, female 110.6
GTEX-13OVJ-0126-SM-5KM36 50-59 years, female 109.6
GTEX-1I1GU-2226-SM-CGQFA 40-49 years, male 108.9
GTEX-1LH75-2426-SM-E9TJE 50-59 years, female 108.9
GTEX-OIZF-0126-SM-7SB8I 60-69 years, male 108.9
GTEX-11EMC-2926-SM-5EQ4F 60-69 years, female 108.7
GTEX-14DAR-2026-SM-5S2O3 50-59 years, male 108.3
GTEX-PW2O-1526-SM-7RHHB 20-29 years, male 107.9
GTEX-ZVT4-0126-SM-DTXFN 50-59 years, female 107.5
GTEX-1192W-2626-SM-5Q5AF 60-69 years, male 107.3
GTEX-1H3O1-0426-SM-9YFKY 60-69 years, male 107.1
GTEX-1HBPI-1526-SM-C1YQ1 50-59 years, male 107.0
GTEX-18QFQ-0126-SM-731BE 30-39 years, male 106.8
GTEX-WYVS-2126-SM-3NMA3 40-49 years, female 106.6
GTEX-11P7K-2126-SM-5GU7G 30-39 years, male 106.1
GTEX-11DZ1-0126-SM-5985Q 50-59 years, male 103.9
GTEX-1B8KZ-2026-SM-7DHMB 50-59 years, male 103.7
GTEX-SNMC-1226-SM-2XCFP 20-29 years, male 102.0
GTEX-1PDJ9-0326-SM-DTX95 20-29 years, male 101.7
GTEX-11EQ9-2426-SM-5HL5T 30-39 years, male 101.5
GTEX-15SHW-0326-SM-6PAML 60-69 years, male 100.0
GTEX-1GN73-0226-SM-9WG67 60-69 years, male 100.0
GTEX-1H1CY-2826-SM-9MQM3 60-69 years, female 99.8
GTEX-Y5V6-2426-SM-4VDSB 60-69 years, male 98.9
GTEX-1314G-1526-SM-5EGK2 30-39 years, male 98.4
GTEX-11NSD-2226-SM-5986V 20-29 years, male 98.0
GTEX-1JKYN-1326-SM-CGQG9 30-39 years, male 97.9
GTEX-WRHK-1426-SM-3MJF9 20-29 years, female 97.8
GTEX-15DCD-0126-SM-7KUEK 70-79 years, female 97.7
GTEX-1IL2V-0126-SM-CM2TX 70-79 years, male 97.6
GTEX-11P81-2326-SM-59875 30-39 years, female 97.1
GTEX-ZF3C-0126-SM-DO92D 50-59 years, female 96.6
GTEX-Z93S-0126-SM-5HL7M 50-59 years, male 95.9
GTEX-1J8Q2-0526-SM-CM2RW 60-69 years, male 95.6
GTEX-1C64O-0126-SM-7SB8P 60-69 years, male 95.4
GTEX-11GSP-2526-SM-5N9BP 60-69 years, female 94.7
GTEX-R3RS-0126-SM-3GIJL 40-49 years, female 94.3
GTEX-X8HC-0126-SM-4E3JW 50-59 years, female 94.3
GTEX-1F6I4-0126-SM-9MQL2 60-69 years, male 93.7
GTEX-NPJ8-0126-SM-2YUNR 40-49 years, male 93.6
GTEX-1313W-0126-SM-5LZUN 50-59 years, female 92.9
GTEX-SUCS-1926-SM-32PM3 70-79 years, male 92.9
GTEX-17KNJ-2326-SM-7DHLQ 50-59 years, male 92.6
GTEX-11P82-1626-SM-59879 20-29 years, male 92.4
GTEX-1RLM8-2326-SM-EWRN4 50-59 years, male 91.7
GTEX-1C6WA-0126-SM-7PC2B 60-69 years, male 91.6
GTEX-1JK1U-2026-SM-CM2RZ 60-69 years, male 91.1
GTEX-QCQG-1726-SM-3GIJ9 50-59 years, female 91.0
GTEX-RUSQ-1526-SM-2TF62 50-59 years, male 90.9
GTEX-S95S-1226-SM-4GICG 60-69 years, male 90.9
GTEX-11GS4-2726-SM-5A5LE 60-69 years, male 90.7
GTEX-1QW4Y-1526-SM-EAZ3Z 30-39 years, male 90.4
GTEX-WFG8-2226-SM-3GIL9 20-29 years, male 90.3
GTEX-1QP9N-1426-SM-DTXFL 30-39 years, male 90.3
GTEX-14JG6-2226-SM-6EU2G 30-39 years, female 90.2
GTEX-13O3O-0126-SM-E9J49 60-69 years, female 89.6
GTEX-1RQEC-0426-SM-E6CHU 60-69 years, male 89.2
GTEX-13NYB-2526-SM-5K7Z6 40-49 years, male 89.0
GTEX-X4XX-0126-SM-3NMC2 60-69 years, male 88.8
GTEX-WFON-2126-SM-3LK7O 40-49 years, male 88.6
GTEX-1F75I-0326-SM-9YFLU 40-49 years, male 87.9
GTEX-PSDG-0226-SM-DKPOZ 50-59 years, male 87.6
GTEX-148VI-1626-SM-5SI6E 60-69 years, female 87.5
GTEX-P4PP-0126-SM-3LK69 30-39 years, female 87.1
GTEX-ZYFC-0226-SM-5NQ75 50-59 years, male 86.9
GTEX-1HCUA-2426-SM-ADEIS 50-59 years, female 86.8
GTEX-15EU6-0426-SM-6PAN5 50-59 years, male 86.7
GTEX-1HSMO-0126-SM-CL547 60-69 years, male 86.6
GTEX-1B8KE-2126-SM-73KYX 50-59 years, male 86.4
GTEX-1JMQI-2226-SM-CM2SD 50-59 years, male 86.4
GTEX-1399U-2326-SM-5K7WY 50-59 years, female 85.8
GTEX-RM2N-1426-SM-2TF4H 50-59 years, male 85.2
GTEX-16NPX-0226-SM-79OMT 50-59 years, male 85.1
GTEX-1GN2E-0426-SM-9MQKX 60-69 years, male 85.1
GTEX-1IDJF-0126-SM-CM2RS 20-29 years, male 84.4
GTEX-Y3IK-2426-SM-4WWDU 50-59 years, female 84.2
GTEX-1JN76-0126-SM-CNPPE 20-29 years, female 84.2
GTEX-OXRO-0126-SM-2YUN4 60-69 years, female 83.8
GTEX-ZDYS-2026-SM-5HL5L 50-59 years, male 83.8
GTEX-1HFI7-1826-SM-ACKXH 50-59 years, female 83.7
GTEX-1LGOU-2026-SM-DIPFF 20-29 years, female 83.4
GTEX-18A6Q-0126-SM-731BZ 60-69 years, male 83.0
GTEX-1HGF4-2426-SM-ACKXM 60-69 years, male 82.9
GTEX-XUZC-1726-SM-4BRWS 30-39 years, female 82.7
GTEX-1ICG6-2526-SM-CGQFZ 70-79 years, female 82.7
GTEX-1LG7Z-1726-SM-D3LA4 30-39 years, male 82.7
GTEX-144GL-0126-SM-5TDE2 50-59 years, male 82.6
GTEX-17GQL-2026-SM-718BA 60-69 years, male 80.8
GTEX-13SLX-0526-SM-5S2ON 50-59 years, female 80.6
GTEX-1128S-2326-SM-5GZZY 60-69 years, female 80.5
GTEX-QLQ7-1626-SM-2S1R8 60-69 years, male 80.5
GTEX-1IOXB-0126-SM-ARL8G 50-59 years, male 80.0
GTEX-X261-0126-SM-3NMD6 50-59 years, male 79.9
GTEX-146FH-0126-SM-5QGPP 50-59 years, female 79.8
GTEX-18D9A-1926-SM-7LG6P 30-39 years, female 79.4
GTEX-1F88F-2726-SM-7PBZZ 60-69 years, female 78.9
GTEX-17HG3-2226-SM-7938L 30-39 years, female 78.8
GTEX-1JMQL-0226-SM-CNPP5 50-59 years, female 78.7
GTEX-ZTPG-0326-SM-5O9AX 20-29 years, female 78.2
GTEX-ZAB4-0226-SM-5N9F5 40-49 years, male 78.1
GTEX-13FTW-2626-SM-5K7WL 40-49 years, male 77.6
GTEX-16MT8-0426-SM-7KUEY 60-69 years, female 77.5
GTEX-145ME-1826-SM-5SI9G 40-49 years, female 77.4
GTEX-12WSE-0526-SM-793B2 20-29 years, male 77.0
GTEX-1192X-0226-SM-5H12D 50-59 years, male 76.9
GTEX-11EI6-0126-SM-5985R 60-69 years, male 76.9
GTEX-1H1DG-0126-SM-9WYU2 70-79 years, male 76.6
GTEX-16GPK-0126-SM-7DHLE 60-69 years, male 76.4
GTEX-11UD2-0226-SM-5EQKY 50-59 years, male 76.2
GTEX-T2YK-0526-SM-32QPJ 50-59 years, male 75.8
GTEX-139UW-2826-SM-5L3E7 60-69 years, male 75.4
GTEX-14PN4-0126-SM-6EU2V 50-59 years, male 75.1
GTEX-ZVTK-0426-SM-51MRS 20-29 years, male 74.8
GTEX-17F96-1626-SM-7DUFL 70-79 years, male 74.4
GTEX-1I1GV-0526-SM-A9G29 60-69 years, male 74.4
GTEX-1I4MK-2226-SM-ACKWD 50-59 years, female 74.3
GTEX-WY7C-2326-SM-3NB2U 50-59 years, male 73.2
GTEX-1H1E6-1726-SM-ACKVK 30-39 years, male 73.2
GTEX-ZZPT-0226-SM-5E43X 50-59 years, male 72.8
GTEX-1R7EV-2426-SM-EVYBG 40-49 years, male 72.8
GTEX-1MCYP-1926-SM-E9J2R 20-29 years, female 72.7
GTEX-113JC-2326-SM-5EQ4E 50-59 years, female 72.2
GTEX-12C56-1726-SM-5EQ61 20-29 years, male 72.1
GTEX-1MA7X-2226-SM-E6CIY 60-69 years, male 71.7
GTEX-1GL5R-1826-SM-9KNUY 50-59 years, male 71.3
GTEX-13O1R-0126-SM-5L3EH 60-69 years, male 71.2
GTEX-14JIY-0126-SM-6LLH6 60-69 years, male 70.7
GTEX-13W3W-2426-SM-5LU5B 60-69 years, female 70.6
GTEX-1MCQQ-0826-SM-DLHC2 60-69 years, male 70.0
GTEX-PVOW-0126-SM-2XCFA 40-49 years, male 69.7
GTEX-NFK9-0226-SM-2HMKQ 40-49 years, male 69.6
GTEX-11OC5-0126-SM-5HL6A 60-69 years, male 69.5
GTEX-13112-2826-SM-5DUWH 50-59 years, male 68.4
GTEX-13FXS-0226-SM-5IJCK 50-59 years, male 68.4
GTEX-1B8SF-1426-SM-7DUGL 60-69 years, male 68.0
GTEX-13O3P-0126-SM-5KM4S 50-59 years, male 67.8
GTEX-OHPL-0126-SM-2HMJ7 60-69 years, female 67.8
GTEX-11H98-0126-SM-5EGHG 50-59 years, male 67.6
GTEX-13IVO-0126-SM-5J1NG 70-79 years, male 67.5
GTEX-13NZ8-0826-SM-5MR3I 60-69 years, female 67.2
GTEX-PLZ4-0126-SM-5SI8O 50-59 years, female 66.7
GTEX-1LSNM-1926-SM-E6CII 50-59 years, male 66.7
GTEX-1AMEY-1326-SM-73KYK 30-39 years, female 66.4
GTEX-11ZVC-2526-SM-5FQTE 50-59 years, female 66.2
GTEX-OXRL-0126-SM-2YUMP 50-59 years, male 66.1
GTEX-1GF9X-2026-SM-7PC3A 40-49 years, female 65.9
GTEX-12WSK-2326-SM-5GCOH 40-49 years, female 65.6
GTEX-1H2FU-0126-SM-9WYSI 60-69 years, female 65.4
GTEX-1JN1M-0326-SM-CYPT3 60-69 years, female 65.4
GTEX-O5YW-0126-SM-3LK6D 50-59 years, male 65.2
GTEX-1H11D-0226-SM-9WG6Z 40-49 years, male 65.2
GTEX-14PN3-2426-SM-6LLHS 60-69 years, female 65.0
GTEX-XBED-2226-SM-47JYQ 60-69 years, male 64.6
GTEX-XBEW-0626-SM-4QASP 40-49 years, male 64.5
GTEX-1CAV2-2226-SM-7P8P2 40-49 years, female 64.2
GTEX-1LGRB-2526-SM-CNPPQ 50-59 years, female 63.9
GTEX-U412-0426-SM-3DB9O 60-69 years, male 63.6
GTEX-1M5QR-1226-SM-EWROB 40-49 years, male 63.0
GTEX-17HII-0226-SM-7LG4E 50-59 years, male 62.8
GTEX-16XZY-2126-SM-79OK1 70-79 years, male 62.3
GTEX-11LCK-1026-SM-5A5KB 30-39 years, male 62.2
GTEX-13113-5016-SM-7EPIP 60-69 years, female 62.2
GTEX-13FTX-1826-SM-5J1NX 20-29 years, female 61.9
GTEX-13X6J-0126-SM-5QGOU 50-59 years, male 61.9
GTEX-YFC4-0126-SM-5CVLY 40-49 years, female 61.7
GTEX-1S82Z-0826-SM-E6CHY 30-39 years, female 61.7
GTEX-15UF6-0826-SM-6PALJ 70-79 years, female 61.6
GTEX-PLZ6-1426-SM-DKPOT 30-39 years, male 61.6
GTEX-18A7B-0126-SM-7LG64 70-79 years, male 60.9
GTEX-1GZ4H-1726-SM-7PBZJ 50-59 years, female 60.9
GTEX-U3ZN-2326-SM-3DB7W 30-39 years, female 60.8
GTEX-11DXX-2426-SM-5GZZW 60-69 years, female 60.7
GTEX-13X6I-0626-SM-5QGP9 60-69 years, male 60.5
GTEX-139TT-0126-SM-5K7Y5 60-69 years, male 60.4
GTEX-1CB4J-0626-SM-7DHMP 60-69 years, male 60.2
GTEX-YB5K-2126-SM-4WWDJ 40-49 years, female 60.2
GTEX-14PJM-0226-SM-62LF1 50-59 years, female 60.0
GTEX-1I1HK-0126-SM-COH49 60-69 years, male 59.9
GTEX-ZZ64-1726-SM-5GZYB 20-29 years, male 59.6
GTEX-1GPI6-0126-SM-9WG69 60-69 years, male 59.6
GTEX-PLZ5-2026-SM-2S1O4 50-59 years, male 59.5
GTEX-ZDXO-3026-SM-5J1N5 60-69 years, male 59.2
GTEX-1LNCM-1126-SM-E9U5E 50-59 years, female 59.0
GTEX-1QP66-1726-SM-E8VO1 50-59 years, male 58.8
GTEX-Y114-2426-SM-4TT8A 50-59 years, female 58.2
GTEX-14DAQ-0126-SM-5S2MQ 60-69 years, female 57.9
GTEX-U4B1-1826-SM-4DXSU 40-49 years, male 57.3
GTEX-11GSO-2426-SM-5A5LY 60-69 years, male 57.2
GTEX-1S82Y-2026-SM-EVYCM 40-49 years, male 57.2
GTEX-17HHY-0126-SM-7LG5D 50-59 years, male 56.9
GTEX-1J8JJ-0226-SM-CL53I 60-69 years, female 56.9
GTEX-131XG-2626-SM-5KM17 50-59 years, female 56.4
GTEX-1RAZA-0126-SM-E6CI3 20-29 years, male 56.4
GTEX-P4QT-0126-SM-2I3FL 50-59 years, female 56.2
GTEX-OXRK-0226-SM-3NB2G 50-59 years, female 56.1
GTEX-1GN1U-0126-SM-7PBZK 50-59 years, female 56.1
GTEX-13N2G-2626-SM-5J1OT 60-69 years, male 55.8
GTEX-13U4I-0126-SM-5LU38 40-49 years, female 55.7
GTEX-X4EO-0326-SM-3P5YO 60-69 years, female 55.3
GTEX-XAJ8-0826-SM-47JY6 40-49 years, male 55.1
GTEX-ZV6S-2326-SM-4YCEY 40-49 years, female 55.1
GTEX-1F75B-0126-SM-9KNVL 50-59 years, male 55.1
GTEX-1PIIG-0226-SM-EWRN6 30-39 years, male 55.1
GTEX-1I1GP-2226-SM-CGQFK 50-59 years, male 55.0
GTEX-1HSMQ-1226-SM-CGQFX 50-59 years, male 54.9
GTEX-ZAK1-0126-SM-5IJD3 50-59 years, female 54.8
GTEX-14BMU-2226-SM-5TDE9 20-29 years, female 54.6
GTEX-X4EP-0126-SM-3P5YV 60-69 years, female 54.4
GTEX-1F5PK-2426-SM-7RHHY 50-59 years, male 54.4
GTEX-145MI-0526-SM-5O9A8 60-69 years, female 54.0
GTEX-12ZZZ-0626-SM-5DUXI 60-69 years, male 53.9
GTEX-1QEPI-0126-SM-EWRMQ 60-69 years, female 53.9
GTEX-145LV-2126-SM-5LU8N 50-59 years, male 53.7
GTEX-11TTK-0126-SM-5987B 60-69 years, female 53.6
GTEX-1CB4I-0226-SM-79OLH 50-59 years, male 53.5
GTEX-1NHNU-1026-SM-E9J2A 50-59 years, male 53.5
GTEX-1I1GT-0626-SM-CGQER 60-69 years, female 53.0
GTEX-1ICLY-0126-SM-D4P36 50-59 years, male 53.0
GTEX-1N2DW-0226-SM-E9TK2 50-59 years, male 52.8
GTEX-ZAB5-1826-SM-5HL7C 50-59 years, male 52.0
GTEX-1H3VE-0326-SM-9YFLH 40-49 years, male 51.6
GTEX-1399R-2726-SM-5IJBA 30-39 years, male 51.5
GTEX-1A32A-0126-SM-718B1 50-59 years, female 51.2
GTEX-14PII-0226-SM-6EU1T 60-69 years, male 51.1
GTEX-1HT8W-0126-SM-CNPPP 30-39 years, male 51.1
GTEX-14XAO-2326-SM-6EU1B 60-69 years, female 50.8
GTEX-13SLW-0126-SM-5SI6C 70-79 years, male 50.7
GTEX-VJYA-1126-SM-3GIJU 60-69 years, male 50.5
GTEX-WOFL-0126-SM-3MJG2 60-69 years, male 50.5
GTEX-145MO-0326-SM-5Q5B3 60-69 years, male 50.4
GTEX-13JUV-2726-SM-5LZZ8 40-49 years, female 50.1
GTEX-13VXU-0126-SM-5SI9F 50-59 years, male 49.7
GTEX-12WSC-0126-SM-5EQ4P 50-59 years, male 49.3
GTEX-13RTK-1426-SM-5QGQJ 20-29 years, male 49.3
GTEX-13VXT-0126-SM-5LU4I 20-29 years, female 49.3
GTEX-17EVQ-0226-SM-7LG4P 70-79 years, male 49.3
GTEX-ZYW4-0126-SM-5E44A 60-69 years, male 49.0
GTEX-1RAZQ-0726-SM-EAZ43 30-39 years, male 49.0
GTEX-1HBPM-0226-SM-ARL9F 60-69 years, female 48.8
GTEX-11OF3-2626-SM-5GU7F 60-69 years, male 48.6
GTEX-139TU-0126-SM-5K7WH 60-69 years, male 48.3
GTEX-1GTWX-0126-SM-9YFLK 60-69 years, male 48.3
GTEX-1POEN-0126-SM-EYYXJ 30-39 years, female 48.3
GTEX-RU72-0926-SM-2TF6B 50-59 years, female 48.0
GTEX-1H23P-0126-SM-ADEJ3 60-69 years, male 48.0
GTEX-13NYC-0326-SM-E9J4S 60-69 years, male 47.8
GTEX-16XZZ-0126-SM-793DV 60-69 years, male 47.7
GTEX-1EWIQ-0126-SM-7RHH2 70-79 years, female 47.7
GTEX-1OFPY-2426-SM-DTXEJ 60-69 years, male 47.6
GTEX-ZYT6-0226-SM-5NQ6T 30-39 years, male 46.7
GTEX-RTLS-0126-SM-447CA 60-69 years, female 46.5
GTEX-1GN1V-0126-SM-9WPOS 60-69 years, male 46.2
GTEX-OXRN-0126-SM-48TDM 50-59 years, male 46.0
GTEX-XMD2-0126-SM-4YCDU 60-69 years, female 45.9
GTEX-SN8G-0126-SM-32PLI 50-59 years, female 45.7
GTEX-11DXY-2626-SM-5GIE7 60-69 years, male 45.4
GTEX-1I1GS-0126-SM-B2LVW 60-69 years, male 44.8
GTEX-1PIGE-0126-SM-EVYBJ 20-29 years, male 44.8
GTEX-144FL-0126-SM-5TDC8 50-59 years, male 44.7
GTEX-1IDJH-0326-SM-A9SLQ 70-79 years, male 44.5
GTEX-15SB6-1726-SM-6PAME 50-59 years, female 44.3
GTEX-13CF3-2426-SM-5IFGX 60-69 years, female 43.9
GTEX-SE5C-1626-SM-2XCE3 40-49 years, female 43.5
GTEX-11DYG-0126-SM-59883 60-69 years, male 43.4
GTEX-XYKS-2126-SM-4E3IB 60-69 years, female 43.4
GTEX-P4PQ-0126-SM-2S1NM 60-69 years, male 43.3
GTEX-QVJO-1626-SM-2S1QW 60-69 years, female 43.3
GTEX-1IE54-0126-SM-CMKHW 40-49 years, female 42.9
GTEX-1IDFM-0126-SM-COH2V 60-69 years, male 42.8
GTEX-Z93T-0126-SM-5HL5N 50-59 years, male 42.7
GTEX-ZTX8-1426-SM-5DUVO 20-29 years, male 42.7
GTEX-1QPFJ-0226-SM-E76PB 30-39 years, female 42.7
GTEX-13W46-0226-SM-5SIAG 50-59 years, male 42.3
GTEX-YB5E-2026-SM-5IFIS 40-49 years, male 42.1
GTEX-1KAFJ-2026-SM-CY8ID 50-59 years, male 42.1
GTEX-UJHI-1526-SM-3DB99 50-59 years, female 41.8
GTEX-111FC-0126-SM-5N9DL 60-69 years, male 41.7
GTEX-Q2AH-1626-SM-3GAF8 40-49 years, male 41.7
GTEX-1QP2A-0126-SM-E9J43 50-59 years, male 41.7
GTEX-13OW5-0126-SM-DTXFS 60-69 years, male 41.4
GTEX-1JJE9-0326-SM-CL53Z 70-79 years, male 41.3
GTEX-T6MO-1626-SM-32QOM 40-49 years, female 41.1
GTEX-1R46S-0626-SM-E9J41 60-69 years, female 40.9
GTEX-QDVN-2026-SM-3GAEP 50-59 years, male 40.8
GTEX-13N11-2526-SM-5K7UE 50-59 years, female 40.7
GTEX-1RB15-2126-SM-E9TIM 60-69 years, male 40.7
GTEX-13S7M-0126-SM-5SI6A 60-69 years, female 40.3
GTEX-1HCU8-0626-SM-A9SM9 60-69 years, female 39.3
GTEX-1S5ZA-0126-SM-EVYCV 20-29 years, male 39.3
GTEX-15DDE-0126-SM-6LPKH 50-59 years, female 39.2
GTEX-1C4CL-0526-SM-73KVK 30-39 years, male 38.8
GTEX-X585-0226-SM-4QAS2 50-59 years, male 38.8
GTEX-ZVZP-2426-SM-59HKJ 50-59 years, male 38.8
GTEX-1GMRU-0126-SM-9YFLV 50-59 years, male 38.7
GTEX-1GMR3-1926-SM-9KNUZ 40-49 years, male 38.6
GTEX-Y111-0126-SM-4SOIV 50-59 years, male 38.3
GTEX-TML8-1926-SM-32QOS 40-49 years, female 38.0
GTEX-Y8LW-1826-SM-5S2MV 50-59 years, female 38.0
GTEX-1HUB1-0426-SM-E9U4U 60-69 years, male 37.9
GTEX-14BIL-0126-SM-5SI92 50-59 years, male 37.7
GTEX-13D11-2426-SM-5KM1V 50-59 years, female 37.4
GTEX-1JJ6O-0126-SM-E6CI8 60-69 years, male 37.4
GTEX-12WSJ-1826-SM-5GCNY 40-49 years, female 37.2
GTEX-1F6RS-0126-SM-9MQKZ 60-69 years, female 37.0
GTEX-13QJ3-0326-SM-5S2RA 50-59 years, male 36.9
GTEX-147GR-0526-SM-5S2MY 60-69 years, male 36.7
GTEX-14E7W-0126-SM-6LLJ9 70-79 years, male 36.5
GTEX-1S83E-0126-SM-EWRO4 40-49 years, male 36.5
GTEX-ZPIC-1726-SM-DHXIU 40-49 years, female 36.4
GTEX-17F97-0326-SM-7LG5B 50-59 years, male 36.0
GTEX-1AMFI-2026-SM-731BH 50-59 years, female 35.9
GTEX-1211K-2026-SM-5EQ4Z 60-69 years, female 35.6
GTEX-12584-0126-SM-5EGKQ 40-49 years, male 35.6
GTEX-ZTSS-1926-SM-57WEW 40-49 years, male 35.6
GTEX-12WSL-2526-SM-5GCNJ 50-59 years, male 35.5
GTEX-1IY9M-0126-SM-D3L8S 60-69 years, male 35.4
GTEX-13CF2-2526-SM-5LZYX 60-69 years, male 35.3
GTEX-131XH-2226-SM-5DUXJ 50-59 years, male 35.1
GTEX-13X6H-2126-SM-7EWD5 50-59 years, female 35.0
GTEX-1KANB-0526-SM-E6CJH 50-59 years, male 34.8
GTEX-18D9U-0226-SM-718BP 40-49 years, male 34.7
GTEX-11ZTS-0126-SM-5EQ6M 60-69 years, female 34.5
GTEX-12WSN-5019-SM-79OM6 40-49 years, male 34.4
GTEX-1JMQJ-0526-SM-CYPSU 50-59 years, male 34.4
GTEX-1O97I-0326-SM-EYYX7 60-69 years, male 34.4
GTEX-OOBJ-0126-SM-E6CJW 60-69 years, male 34.4
GTEX-17HHE-2026-SM-79OKF 50-59 years, male 34.0
GTEX-13NZB-2526-SM-5J1OM 30-39 years, male 33.8
GTEX-1MUQO-0126-SM-EAZ58 60-69 years, male 33.8
GTEX-1LC47-0326-SM-E9TJP 60-69 years, male 33.7
GTEX-RNOR-0126-SM-E9J4R 50-59 years, female 33.6
GTEX-145LS-0126-SM-5QGP1 60-69 years, female 33.5
GTEX-1GZHY-0326-SM-9QEHI 50-59 years, female 33.5
GTEX-139TS-2826-SM-5J1OO 60-69 years, male 33.2
GTEX-14PK6-1926-SM-6ETZU 70-79 years, female 33.2
GTEX-1CB4G-0226-SM-7PC3O 60-69 years, male 33.1
GTEX-1CB4H-0226-SM-7PBXM 60-69 years, female 33.0
GTEX-T6MN-0126-SM-32PLP 50-59 years, male 32.9
GTEX-T2IS-0126-SM-4DM6O 20-29 years, female 32.8
GTEX-R45C-0126-SM-EAZ2R 60-69 years, female 32.6
GTEX-11DXZ-2326-SM-5EGGV 50-59 years, male 32.3
GTEX-1RDX4-0126-SM-E9J4P 50-59 years, female 32.3
GTEX-1CAMS-0426-SM-7P8T2 40-49 years, female 32.0
GTEX-16NGA-1726-SM-731B4 40-49 years, female 31.9
GTEX-131YS-0126-SM-5KM1M 60-69 years, female 31.5
GTEX-16YQH-0126-SM-7DUFJ 30-39 years, male 31.5
GTEX-1JMPZ-0226-SM-CNPP1 30-39 years, male 31.4
GTEX-13PVR-2326-SM-5QGR1 60-69 years, female 31.1
GTEX-1HBPH-0426-SM-B2LW5 40-49 years, female 30.9
GTEX-1GF9W-0326-SM-9KNUN 60-69 years, male 30.1
GTEX-15SHU-0126-SM-7KUEH 40-49 years, female 30.0
GTEX-1AYD5-2426-SM-73KXR 50-59 years, male 29.7
GTEX-1H3NZ-0126-SM-ACKX7 60-69 years, male 29.7
GTEX-1JN6P-0126-SM-D3L98 60-69 years, male 29.5
GTEX-1122O-2126-SM-5EGIR 60-69 years, female 29.3
GTEX-1IL2U-0226-SM-CE6T8 60-69 years, male 29.3
GTEX-RWS6-2026-SM-2XCB5 60-69 years, female 29.2
GTEX-15ETS-0126-SM-7KUMW 40-49 years, female 29.0
GTEX-Y5LM-1926-SM-5RQJH 40-49 years, female 28.9
GTEX-13OVI-1426-SM-5L3EY 60-69 years, female 28.8
GTEX-15G19-0126-SM-6PANQ 60-69 years, male 28.8
GTEX-OOBK-0126-SM-2YUND 40-49 years, male 28.4
GTEX-WXYG-2326-SM-4E3I6 50-59 years, female 28.4
GTEX-169BO-1326-SM-9MQK2 50-59 years, male 28.3
GTEX-111VG-2426-SM-5GZXD 60-69 years, male 27.7
GTEX-148VJ-0126-SM-5TDDN 70-79 years, male 27.3
GTEX-1AX9K-2326-SM-73KWU 50-59 years, male 27.2
GTEX-X638-0126-SM-47JZ8 70-79 years, female 26.8
GTEX-13111-1626-SM-5EGJY 50-59 years, male 26.6
GTEX-13FTY-0526-SM-5L3EV 40-49 years, female 26.4
GTEX-PWO3-1526-SM-48TCM 60-69 years, female 26.3
GTEX-QDT8-0126-SM-48TZ1 30-39 years, female 26.3
GTEX-1AYCT-2426-SM-7IGQ3 50-59 years, male 26.1
GTEX-1GMR8-0126-SM-9WYTM 50-59 years, female 26.1
GTEX-1S3DN-2226-SM-EVYCD 50-59 years, male 26.1
GTEX-R55G-2526-SM-2TC6D 40-49 years, female 25.8
GTEX-XPVG-2626-SM-4B669 50-59 years, male 25.4
GTEX-ZVT2-2526-SM-51MT1 50-59 years, female 25.2
GTEX-1LB8K-0226-SM-EWRNW 50-59 years, male 25.2
GTEX-1PFEY-1526-SM-E76PP 30-39 years, male 25.0
GTEX-1F48J-0126-SM-7P8TT 50-59 years, female 24.9
GTEX-12KS4-0326-SM-5EQ41 30-39 years, male 24.7
GTEX-14ABY-0226-SM-5TDCQ 50-59 years, male 24.7
GTEX-VJWN-0126-SM-3GIK7 50-59 years, female 24.7
GTEX-1J8Q3-1626-SM-CMKGC 60-69 years, male 24.7
GTEX-T5JW-1626-SM-3GADZ 20-29 years, female 24.5
GTEX-1J8EW-0126-SM-CJI4F 60-69 years, female 24.3
GTEX-1I1CD-0126-SM-CM2TK 60-69 years, female 24.1
GTEX-1HCU9-1526-SM-A9SL7 20-29 years, male 24.0
GTEX-1HSGN-0226-SM-CGQFV 40-49 years, female 24.0
GTEX-13OVH-0126-SM-5MR4B 70-79 years, male 23.9
GTEX-14PHX-2326-SM-62LEM 50-59 years, male 23.9
GTEX-1HBPN-0226-SM-9YFM1 50-59 years, male 23.7
GTEX-1C475-1826-SM-73KWA 40-49 years, female 23.6
GTEX-16BQI-0226-SM-7KUEX 30-39 years, female 23.1
GTEX-146FR-1326-SM-E9J48 60-69 years, female 23.1
GTEX-ZF29-2326-SM-DO92K 60-69 years, female 23.0
GTEX-1C6VS-0526-SM-7DUEN 60-69 years, male 22.9
GTEX-ZC5H-0226-SM-4WAY9 40-49 years, female 22.9
GTEX-W5WG-1826-SM-4KL2Y 50-59 years, female 22.4
GTEX-Y8E4-0626-SM-4WWDL 40-49 years, male 22.2
GTEX-ZXG5-0126-SM-5GIEU 60-69 years, male 22.0
GTEX-17EVP-0326-SM-7DHLG 40-49 years, male 21.8
GTEX-144GN-2326-SM-5LU4F 50-59 years, male 21.7
GTEX-1CAMQ-0226-SM-7IGPK 40-49 years, male 21.7
GTEX-146FQ-0126-SM-5NQA9 30-39 years, male 21.5
GTEX-15ER7-0326-SM-7KUEV 20-29 years, female 21.4
GTEX-1IDJU-2626-SM-CM2RT 60-69 years, female 21.3
GTEX-12WSG-2826-SM-E9J4H 50-59 years, female 21.0
GTEX-TMMY-0226-SM-33HBA 40-49 years, female 20.9
GTEX-ZAJG-0126-SM-5HL94 50-59 years, female 20.7
GTEX-1J8QM-2126-SM-CYPSJ 60-69 years, female 20.5
GTEX-SSA3-0126-SM-32QPU 60-69 years, male 20.3
GTEX-18D9B-0526-SM-7LTAS 60-69 years, male 20.0
GTEX-WQUQ-0426-SM-3MJFU 60-69 years, male 20.0
GTEX-14PJ6-2126-SM-6EU1V 60-69 years, female 19.9
GTEX-1J1OQ-0226-SM-CYPSH 40-49 years, female 19.8
GTEX-11VI4-1726-SM-5CVLH 40-49 years, female 19.2
GTEX-ZGAY-0526-SM-4WWBB 40-49 years, female 19.2
GTEX-1IKOH-0226-SM-COH4E 60-69 years, female 19.1
GTEX-11ZTT-2426-SM-5EQLS 60-69 years, female 18.9
GTEX-VUSG-2526-SM-4KL1V 50-59 years, male 18.5
GTEX-1E2YA-0126-SM-9KNUC 50-59 years, male 18.5
GTEX-1MGNQ-0126-SM-EVYCJ 40-49 years, male 18.3
GTEX-139D8-0226-SM-5KLZO 30-39 years, female 18.2
GTEX-ZF2S-2326-SM-4WWCE 50-59 years, female 18.1
GTEX-15RIG-0226-SM-7KFTL 40-49 years, male 18.0
GTEX-ZDTT-2726-SM-4WKF8 60-69 years, male 17.6
GTEX-1OJC3-0126-SM-E76QX 20-29 years, male 17.4
GTEX-WI4N-1026-SM-3LK7N 40-49 years, female 17.2
GTEX-XUW1-0426-SM-4BOOT 50-59 years, female 17.0
GTEX-Q2AI-1326-SM-2S1PL 40-49 years, male 16.9
GTEX-S32W-2126-SM-2XCB1 50-59 years, female 16.9
GTEX-1JMOU-1526-SM-CL54I 60-69 years, female 16.9
GTEX-1269C-2526-SM-5EGJ3 60-69 years, female 16.5
GTEX-17JCI-0126-SM-7LG5G 60-69 years, female 16.5
GTEX-17HGU-0226-SM-7DHKV 50-59 years, male 16.3
GTEX-ZEX8-2426-SM-4WKG4 50-59 years, male 16.2
GTEX-1HCU7-0226-SM-CL545 50-59 years, male 16.2
GTEX-145MN-2226-SM-5SIAU 30-39 years, male 16.1
GTEX-ZXES-1826-SM-5E43S 30-39 years, female 16.0
GTEX-1HSEH-0126-SM-ACKXN 60-69 years, male 15.9
GTEX-1A8FM-0226-SM-7SB7Q 50-59 years, female 15.6
GTEX-XXEK-2226-SM-4BRUM 50-59 years, male 15.2
GTEX-Z9EW-1626-SM-5CVMN 40-49 years, male 15.1
GTEX-15DYW-0126-SM-7KULE 60-69 years, female 14.8
GTEX-1212Z-2526-SM-5EGKP 60-69 years, male 14.5
GTEX-1CB4E-2226-SM-793DC 60-69 years, male 14.5
GTEX-1K9T9-0126-SM-EVYCF 50-59 years, female 14.4
GTEX-1L5NE-2526-SM-E6CIE 50-59 years, male 14.3
GTEX-14LZ3-0226-SM-62LET 60-69 years, female 13.8
GTEX-TSE9-0126-SM-3DB83 60-69 years, female 13.8
GTEX-1R9PM-2026-SM-E76OY 20-29 years, male 13.7
GTEX-1F52S-0126-SM-9MQJU 60-69 years, female 13.3
GTEX-13NZA-0226-SM-5K7Z7 60-69 years, male 13.0
GTEX-Y5V5-2326-SM-4V6GA 60-69 years, female 12.6
GTEX-ZYY3-0126-SM-5GZY5 60-69 years, female 12.3
GTEX-117XS-2726-SM-5N9BL 60-69 years, male 11.9
GTEX-PX3G-0126-SM-2I3EN 20-29 years, female 11.7
GTEX-13OW8-1326-SM-5J1OW 60-69 years, male 11.6
GTEX-1QP67-1626-SM-EAZ3X 40-49 years, female 11.4
GTEX-13PDP-0126-SM-5L3HD 60-69 years, male 11.2
GTEX-13FH7-2026-SM-E9J4I 50-59 years, female 11.0
GTEX-1QAET-0926-SM-E76QM 50-59 years, male 10.7
GTEX-13RTL-0126-SM-7LG5S 40-49 years, male 10.3
GTEX-XV7Q-2526-SM-4BRV9 40-49 years, female 10.2
GTEX-1JMLX-0226-SM-CM2RO 50-59 years, male 10.1
GTEX-ZYFG-2326-SM-5E44B 60-69 years, female 10.0
GTEX-1MA7W-2026-SM-E9TJ6 20-29 years, female 10.0
GTEX-1PWST-0226-SM-E76QJ 70-79 years, male 9.9
GTEX-1LVAN-0226-SM-COH3S 50-59 years, female 9.7
GTEX-1OJC4-0126-SM-E9J2E 50-59 years, female 9.4
GTEX-113IC-0126-SM-5HL6T 60-69 years, male 9.0
GTEX-131XE-2326-SM-5PNZ2 50-59 years, male 8.8
GTEX-13OVG-1926-SM-5L3DK 60-69 years, male 8.7
GTEX-1B97I-1626-SM-73KYO 40-49 years, male 8.3
GTEX-1MJK2-0426-SM-DTXE5 50-59 years, male 8.2
GTEX-1I1GQ-0126-SM-COH3H 50-59 years, male 7.8
GTEX-Y3I4-2126-SM-4TT7C 50-59 years, male 7.5
GTEX-YJ89-0126-SM-4TT3X 60-69 years, male 7.4
GTEX-18A67-0126-SM-7LG5P 50-59 years, male 7.1
GTEX-133LE-1826-SM-5J1MV 20-29 years, female 7.0
GTEX-14PHW-0126-SM-6LLJI 60-69 years, female 6.7
GTEX-1H4P4-0726-SM-9YFLR 50-59 years, male 6.0
GTEX-1H1ZS-0426-SM-9WG6G 70-79 years, male 5.9
GTEX-ZV68-0126-SM-59HKS 50-59 years, female 5.8
GTEX-ZY6K-1826-SM-5GZXK 50-59 years, male 3.4
GTEX-ZF28-0126-SM-4WKGK 60-69 years, male 2.7
Show allShow less

Contact

  • NEWS ARTICLES
  • PRESS ROOM

The Project

  • INTRODUCTION
  • ORGANIZATION
  • PUBLICATIONS

The Human Protein Atlas

  • DOWNLOADABLE DATA
  • LICENCE & CITATION
  • HELP & FAQ
The Human Protein Atlas project is funded
by the Knut & Alice Wallenberg Foundation.


contact@proteinatlas.org