We use cookies to enhance the usability of our website. If you continue, we'll assume that you are happy to receive all cookies. More information. Don't show this again.
IRF7
HPA
RESOURCES
  • TISSUE
  • BRAIN
  • SINGLE CELL
  • SUBCELLULAR
  • CANCER
  • BLOOD
  • CELL LINE
  • STRUCTURE & INTERACTION
ABOUT
  • INTRODUCTION
  • HISTORY
  • ORGANIZATION
  • PUBLICATIONS
  • ANTIBODY SUBMISSION
  • ANTIBODY AVAILABILITY
  • ACKNOWLEDGMENTS
  • CONTACT
NEWS
  • NEWS ARTICLES
  • PRESS ROOM
LEARN
  • DICTIONARY
  • PROTEIN CLASSES
  • PROTEIN EVIDENCE
  • METHODS
  • EDUCATIONAL VIDEOS
DATA
  • DOWNLOADABLE DATA
  • PUBLICATION DATA
  • RELEASE HISTORY
HELP
  • ANTIBODY VALIDATION
  • ASSAYS & ANNOTATION
  • DISCLAIMER
  • HELP & FAQ
  • PRIVACY STATEMENT
  • LICENCE & CITATION
Fields »
Search result

Field
Term
Gene name
Class
Subclass
Class
Keyword
Chromosome
External id
Tissue
Cell type
Expression
Antibody panel
Tissue
Main location
Patient ID
Annotation
Tissue
Category
Tau score
Cluster
Reliability
Brain region
Category
Tau score
Brain region
Category
Tau score
Brain region
Category
Tau score
Cluster
Reliability
Tissue
Cell type
Enrichment
Cell type
Category
Tau score
Cell type
Category
Tau score
Cell type
Category
Tau score
Cell lineage
Category
Tau score
Cluster
Cluster
Location
Searches
Location
Cell line
Class
Type
Phase
Reliability
Cancer
Prognosis
Cancer
Category
Cancer
Category
Tau score
Cluster
Variants
Interacting gene (ensg_id)
Type
Number of interactions
Pathway
Category
Score
Score
Score
Validation
Validation
Validation
Validation
Antibodies
Data type
Column


  • SUMMARY

  • TISSUE

  • BRAIN

  • SINGLE CELL

  • SUBCELL

  • CANCER

  • BLOOD

  • CELL LINE

  • STRUCT & INT

  • IRF7
TISSUE PRIMARY DATA SKIN Show tissue menu
ADIPOSE TISSUE ADRENAL GLAND AMYGDALA APPENDIX BASAL GANGLIA BONE MARROW BREAST BRONCHUS CEREBELLUM CEREBRAL CORTEX CERVIX CHOROID PLEXUS COLON DUODENUM
ENDOMETRIUM EPIDIDYMIS ESOPHAGUS FALLOPIAN TUBE GALLBLADDER HEART MUSCLE HIPPOCAMPAL FORMATION HYPOTHALAMUS KIDNEY LIVER LUNG LYMPH NODE MIDBRAIN NASOPHARYNX
ORAL MUCOSA OVARY PANCREAS PARATHYROID GLAND PITUITARY GLAND PLACENTA PROSTATE RECTUM RETINA SALIVARY GLAND SEMINAL VESICLE SKELETAL MUSCLE SKIN SMALL INTESTINE
SMOOTH MUSCLE SOFT TISSUE SPINAL CORD SPLEEN STOMACH TESTIS THYMUS THYROID GLAND TONGUE TONSIL URINARY BLADDER VAGINA
ANTIBODIES
AND
VALIDATION
Dictionary
Skin
Tissue proteome
Skin
SKIN - Expression summary
Protein expression
Skini

On the top, protein expression in current human tissue, based on all annotated cell types, is reported with the units not detected (n), low (l), medium (m) and high (h). Underneath, protein expression in each annotated cell type are reported using the same units.

Protein expression data is based on knowledge-based annotation. For genes where more than one antibody has been used, a collective score is set.

If knowledge-based annotation could not be performed for a gene, no data is displayed here. View antibody staining data further down this page.

h
m
l
n
Epidermal cells: High
Fibroblasts: Not detected
Keratinocytes: Not detected
Langerhans: Not detected
Melanocytes: Not detected
RNA expressioni

A summary of mRNA expression data available for current tissue based on several datasets. The mRNA expression levels in human tissues are based on RNA-seq data generated by the Human Protein Atlas (HPA), Genotype-Tissue Expression (GTEx) portal and CAGE data generated by the FANTOM5 consortium. Consensus normalized expression levels for human tissues was created by combining the data from HPA and GTEx datasets.

The mRNA expression levels in pig are based on RNA-seq data generated by the Human Protein Atlas (HPA), and for mouse, HPA data and in situ hybridization generated by the Allen brain atlas are reported.

Scroll down to view mRNA expression data in more detail.
Consensus:7.6 nTPM
HPA:0.5 nTPM
GTEx:7.6 nTPM

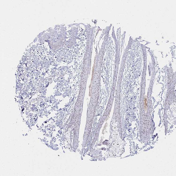
SKIN 1 - Antibody stainingi

Antibody staining in the annotated cell types in the current human tissue is reported as not detected, low, medium, or high, based on conventional immunohistochemistry profiling in selected tissues. This score is based on the combination of the staining intensity and fraction of stained cells.

Each image is clickable and will lead to virtual microscopy that enables deeper exploration of all samples and also displays staining intensity scores, fraction scores and subcellular localization as well as patient and tissue information for each sample.

Antibody HPA052757
Langerhans Medium
Fibroblasts Low
Keratinocytes Medium
Melanocytes Medium


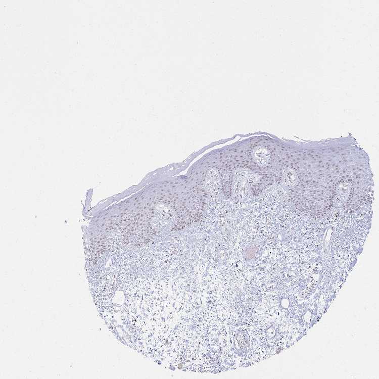
SKIN 2 - Antibody stainingi

Antibody staining in the annotated cell types in the current human tissue is reported as not detected, low, medium, or high, based on conventional immunohistochemistry profiling in selected tissues. This score is based on the combination of the staining intensity and fraction of stained cells.

Each image is clickable and will lead to virtual microscopy that enables deeper exploration of all samples and also displays staining intensity scores, fraction scores and subcellular localization as well as patient and tissue information for each sample.

Antibody HPA052757Antibody CAB017694
Epidermal cells LowHigh
  
  
  



SKIN - HPA RNA-seqi

The RNA-seq details section shows detailed information about the individual samples used for the transcript profiling and results of the RNA-seq analysis.

Information about each individual sample is listed below, including gender, age, a tissue section image and estimated fractions of cell types. nTPM (normalized transcripts per million) values give a quantification of the gene abundance which is comparable between different genes and samples.
Average nTPMi

Max subtype nTPM is the value for the subtype with the largest average nTPM across the subtype samples.

0.5
overview
Female, age 34
Skin sample 225
nTPM: 1.4
Cell types%
Keratinocytes:
60

Other cell types:
40

overview
Female, age 30
Skin sample 226
nTPM: 0
Cell types%
Keratinocytes:
55

Other cell types:
45

N/A
Male, age 57
Skin sample 227
nTPM: 0

SKIN - GTEx RNA-seqi

RNA-Seq data generated by the Genotype-Tissue Expression (GTEx) project from human tissues is reported as mean nTPM. More information can be found on the GTEx portal.

Distribution across the dataset is visualized with box plots, shown as median and 25th and 75th percentiles. Points are displayed as outliers if they are above or below 1.5 times the interquartile range. nTPM values of the individual samples are presented next to the box plot.
Max subtype nTPMi

Max subtype nTPM is the value for the subtype with the largest average nTPM across the subtype samples.

7.6
GTEx sample id Sample description nTPM
Skin - Not Sun Exposed (Suprapubic)
Average nTPM: 7.6
Samples: 604

Max nTPM: 98.4
Min nTPM: 1.4
Std nTPM: 5.8
Median nTPM: 6.4
GTEX-17F97-2626-SM-7IGM5 50-59 years, male 98.4
GTEX-15G19-2426-SM-7KUMR 60-69 years, male 52.0
GTEX-1IDJV-0126-SM-COH3Y 60-69 years, male 39.2
GTEX-ZE9C-2526-SM-5IJDR 60-69 years, male 28.2
GTEX-1IDFM-0326-SM-ARL7V 60-69 years, male 27.9
GTEX-1R9K4-2826-SM-DTX8F 60-69 years, male 25.6
GTEX-11DYG-1526-SM-5A5JS 60-69 years, male 23.6
GTEX-X4EP-0626-SM-3P621 60-69 years, female 22.3
GTEX-WI4N-2726-SM-3LK7Y 40-49 years, female 21.3
GTEX-11WQK-1026-SM-5EQLX 50-59 years, male 19.6
GTEX-1F6RS-2026-SM-7RHHC 60-69 years, female 19.0
GTEX-16MT9-0126-SM-7EPI8 60-69 years, female 18.3
GTEX-1JMQL-2226-SM-CNPP4 50-59 years, female 17.2
GTEX-1HCU8-2526-SM-CE6RX 60-69 years, female 17.0
GTEX-14A5H-0826-SM-5QGPJ 60-69 years, male 16.9
GTEX-ZYFD-0626-SM-5E44E 50-59 years, male 16.9
GTEX-11EQ8-0926-SM-5H12V 60-69 years, male 16.7
GTEX-13YAN-0226-SM-5TDC6 60-69 years, male 16.7
GTEX-11WQC-1826-SM-5GU59 60-69 years, male 16.6
GTEX-1LVAO-2726-SM-E9TJ8 60-69 years, male 16.6
GTEX-13NYC-0126-SM-5L3F4 60-69 years, male 16.5
GTEX-1399Q-2326-SM-5KM2X 40-49 years, male 16.4
GTEX-17HG3-2626-SM-7DUF2 30-39 years, female 16.3
GTEX-WHSE-0126-SM-3NMBT 20-29 years, male 16.3
GTEX-13SLX-2226-SM-62LEP 50-59 years, female 16.1
GTEX-15UF6-1926-SM-7KUDV 70-79 years, female 16.1
GTEX-1RMOY-1326-SM-E9TIH 50-59 years, male 16.1
GTEX-147GR-2426-SM-5ZZWQ 60-69 years, male 16.0
GTEX-16AAH-0626-SM-793C9 50-59 years, male 15.9
GTEX-11DZ1-2426-SM-5GZZX 50-59 years, male 15.8
GTEX-WFG7-2026-SM-5SI7P 20-29 years, male 15.8
GTEX-1HBPM-0726-SM-9YFL7 60-69 years, female 15.8
GTEX-1HCU7-0726-SM-A9SL1 50-59 years, male 15.6
GTEX-12WSH-1526-SM-5BC5W 50-59 years, male 15.1
GTEX-13NYS-0626-SM-5L3F1 60-69 years, male 14.9
GTEX-ZYVF-0926-SM-5E44J 50-59 years, female 14.7
GTEX-11PRG-0726-SM-5EGL1 50-59 years, male 14.5
GTEX-X585-2426-SM-46MW2 50-59 years, male 14.5
GTEX-1JJEA-1826-SM-ARU8P 60-69 years, male 14.5
GTEX-14PK6-0226-SM-62LF5 70-79 years, female 14.4
GTEX-1EX96-1026-SM-7MKG2 50-59 years, male 14.3
GTEX-1PPH7-1126-SM-DTX9A 40-49 years, male 14.3
GTEX-13FTY-2126-SM-5IFFB 40-49 years, female 14.1
GTEX-ZLFU-1826-SM-4WWBV 40-49 years, male 14.1
GTEX-ZDYS-2426-SM-4WKGI 50-59 years, male 14.0
GTEX-13O61-1426-SM-5KM3D 60-69 years, male 13.9
GTEX-1IL2V-1926-SM-B2LW8 70-79 years, male 13.8
GTEX-1GF9X-1326-SM-7PC2Y 40-49 years, female 13.7
GTEX-1QP2A-1726-SM-E76QC 50-59 years, male 13.5
GTEX-13NZ8-1226-SM-5KM4A 60-69 years, female 13.1
GTEX-144FL-0626-SM-5LU43 50-59 years, male 13.1
GTEX-1HR9M-2226-SM-CNPPY 60-69 years, male 13.0
GTEX-1KAFJ-0126-SM-DIPEK 50-59 years, male 13.0
GTEX-18D9B-0926-SM-7LG4U 60-69 years, male 12.7
GTEX-13IVO-0726-SM-5LZYV 70-79 years, male 12.6
GTEX-ZVE1-0726-SM-51MRN 50-59 years, female 12.6
GTEX-1R9PN-0426-SM-DTXDT 40-49 years, female 12.6
GTEX-13NYB-0126-SM-5J1MD 40-49 years, male 12.5
GTEX-13PDP-0726-SM-5L3HP 60-69 years, male 12.5
GTEX-1NV5F-0626-SM-DTXEG 60-69 years, female 12.5
GTEX-1AYD5-2626-SM-7PBXY 50-59 years, male 12.4
GTEX-1HB9E-0126-SM-CM2S5 50-59 years, male 12.3
GTEX-1K2DU-1226-SM-CYPT4 20-29 years, male 12.3
GTEX-1314G-1326-SM-5BC6E 30-39 years, male 12.2
GTEX-VUSG-2326-SM-4KL1U 50-59 years, male 12.2
GTEX-1F88F-0126-SM-9WYSZ 60-69 years, female 12.2
GTEX-1HT8W-0626-SM-A9G2H 30-39 years, male 12.2
GTEX-144GL-0626-SM-5LU4D 50-59 years, male 12.1
GTEX-1H23P-0626-SM-9WG6T 60-69 years, male 12.1
GTEX-1313W-0626-SM-5EQ4H 50-59 years, female 11.9
GTEX-17F96-0126-SM-7EWDU 70-79 years, male 11.9
GTEX-15SHW-0226-SM-7LTAT 60-69 years, male 11.8
GTEX-YFCO-1226-SM-5LUAT 40-49 years, male 11.8
GTEX-1JMQI-1726-SM-ARL93 50-59 years, male 11.7
GTEX-1QAET-0326-SM-EVR3U 50-59 years, male 11.7
GTEX-14LZ3-0126-SM-69LPM 60-69 years, female 11.6
GTEX-ZWKS-0626-SM-5GIDV 30-39 years, male 11.6
GTEX-ZXG5-2126-SM-59HKD 60-69 years, male 11.6
GTEX-1CAMQ-1326-SM-7P8RV 40-49 years, male 11.6
GTEX-13PL6-1126-SM-5L3IE 40-49 years, female 11.5
GTEX-XOT4-0626-SM-4B66L 60-69 years, female 11.5
GTEX-1F52S-2926-SM-7MKGA 60-69 years, female 11.3
GTEX-1H2FU-0926-SM-9WPPT 60-69 years, female 11.3
GTEX-1117F-2926-SM-5GZYI 60-69 years, female 11.2
GTEX-139YR-1026-SM-5LZYN 50-59 years, male 11.2
GTEX-WHWD-1826-SM-3LK6I 50-59 years, male 11.2
GTEX-ZE7O-2726-SM-51MT5 50-59 years, female 11.2
GTEX-1ICLZ-0326-SM-ARL82 60-69 years, male 11.2
GTEX-14A6H-2026-SM-5Q5DD 30-39 years, male 11.1
GTEX-11DXW-0826-SM-5H118 40-49 years, male 11.0
GTEX-13NZ9-2626-SM-5L3FK 50-59 years, male 11.0
GTEX-ZC5H-1526-SM-5HL9Y 40-49 years, female 11.0
GTEX-ZPCL-1126-SM-4WWFE 60-69 years, female 11.0
GTEX-1HSMQ-2626-SM-A9SML 50-59 years, male 10.9
GTEX-15DDE-2926-SM-6LLJ3 50-59 years, female 10.8
GTEX-17JCI-2926-SM-7DUFF 60-69 years, female 10.8
GTEX-1CAV2-0126-SM-7IGN7 40-49 years, female 10.8
GTEX-1F5PK-2226-SM-7SB6N 50-59 years, male 10.8
GTEX-1KANB-2826-SM-CY8I6 50-59 years, male 10.8
GTEX-1OJC4-2726-SM-E76PJ 50-59 years, female 10.7
GTEX-17F9Y-0126-SM-79OKX 70-79 years, female 10.6
GTEX-U8XE-0226-SM-4E3J3 30-39 years, male 10.6
GTEX-14PHY-1226-SM-5ZZWK 60-69 years, female 10.5
GTEX-1F6I4-2326-SM-7RHGL 60-69 years, male 10.5
GTEX-139T8-0626-SM-5KLZX 60-69 years, male 10.4
GTEX-1C64O-1326-SM-7MGWR 60-69 years, male 10.4
GTEX-1GZ2Q-0126-SM-9WG6M 40-49 years, male 10.4
GTEX-13FHO-0426-SM-5L3F5 60-69 years, male 10.2
GTEX-1J8JJ-0626-SM-ARZMQ 60-69 years, female 10.2
GTEX-12KS4-2126-SM-5FQUT 30-39 years, male 10.1
GTEX-1JMLX-0626-SM-ARL8T 50-59 years, male 10.1
GTEX-11GS4-0226-SM-5HL77 60-69 years, male 10.0
GTEX-1CB4H-1126-SM-7MKGL 60-69 years, female 10.0
GTEX-1ICLY-0826-SM-CMKG1 50-59 years, male 10.0
GTEX-14E6E-0526-SM-793DN 30-39 years, male 9.9
GTEX-183FY-1026-SM-7939A 20-29 years, male 9.9
GTEX-1H1DF-1126-SM-9WG7G 40-49 years, female 9.9
GTEX-11LCK-2226-SM-5HL4Q 30-39 years, male 9.8
GTEX-XK95-0226-SM-4AT58 40-49 years, male 9.8
GTEX-1C6VR-0126-SM-7RHGB 60-69 years, male 9.8
GTEX-1GN1V-2826-SM-9JGIA 60-69 years, male 9.8
GTEX-1H3VE-0726-SM-9YFL5 40-49 years, male 9.8
GTEX-1LBAC-0826-SM-CY8IJ 20-29 years, male 9.8
GTEX-147F4-0726-SM-5TDDD 50-59 years, male 9.7
GTEX-1R9PM-1926-SM-EVR3O 20-29 years, male 9.7
GTEX-1S82P-2126-SM-E6CI5 60-69 years, female 9.7
GTEX-12WSC-2826-SM-5BC5Y 50-59 years, male 9.6
GTEX-13G51-1826-SM-5KLZH 60-69 years, male 9.6
GTEX-15RIG-0726-SM-7KUM7 40-49 years, male 9.6
GTEX-X8HC-0626-SM-4E3HQ 50-59 years, female 9.6
GTEX-1KD5A-0126-SM-E9U54 50-59 years, male 9.6
GTEX-1N2DV-1526-SM-DTXEP 40-49 years, male 9.6
GTEX-16Z82-2626-SM-7KULU 60-69 years, male 9.5
GTEX-XMD2-2126-SM-4YCF8 60-69 years, female 9.5
GTEX-1J8EW-2726-SM-CY8HR 60-69 years, female 9.5
GTEX-1192X-2726-SM-5N9DN 50-59 years, male 9.4
GTEX-ZAK1-0626-SM-5HL8E 50-59 years, female 9.4
GTEX-ZYT6-2326-SM-5GZY3 30-39 years, male 9.4
GTEX-1F88E-1626-SM-7SB8Z 60-69 years, female 9.4
GTEX-1IKOE-1426-SM-CE6T7 30-39 years, female 9.4
GTEX-1JMQJ-0826-SM-CNPP7 50-59 years, male 9.4
GTEX-1QP29-1826-SM-DTX9S 50-59 years, male 9.4
GTEX-13OW5-2326-SM-5L3HO 60-69 years, male 9.3
GTEX-ZT9X-1526-SM-5DUXD 40-49 years, male 9.3
GTEX-1K9T9-1526-SM-DIPFR 50-59 years, female 9.3
GTEX-1NSGN-0726-SM-DTXEF 50-59 years, male 9.3
GTEX-146FQ-2126-SM-5RQHU 30-39 years, male 9.2
GTEX-1HGF4-0126-SM-CNPPX 60-69 years, male 9.2
GTEX-139D8-1126-SM-5LU8W 30-39 years, female 9.1
GTEX-1BAJH-2426-SM-7IGP8 70-79 years, male 9.1
GTEX-13OW8-1026-SM-5J1NQ 60-69 years, male 9.0
GTEX-14C39-1726-SM-5RQIL 40-49 years, male 9.0
GTEX-1LKK1-2626-SM-DKPQE 50-59 years, female 9.0
GTEX-132AR-0326-SM-5KM2C 50-59 years, female 8.9
GTEX-15ER7-0626-SM-6PANF 20-29 years, female 8.9
GTEX-1A8G6-2726-SM-731AR 60-69 years, male 8.9
GTEX-15EO6-2426-SM-6PALZ 50-59 years, male 8.8
GTEX-1GMR8-0626-SM-7RHI7 50-59 years, female 8.8
GTEX-1JN1M-2726-SM-CY8I4 60-69 years, female 8.8
GTEX-ZLV1-1526-SM-DO91J 60-69 years, female 8.8
GTEX-13X6I-1826-SM-5SIAO 60-69 years, male 8.7
GTEX-YECK-0326-SM-4W1YS 60-69 years, male 8.7
GTEX-1CAMS-2226-SM-7PBXQ 40-49 years, female 8.7
GTEX-12126-0826-SM-5FQTZ 20-29 years, male 8.6
GTEX-145LS-0626-SM-7EPG7 60-69 years, female 8.6
GTEX-ZAJG-1526-SM-5CVML 50-59 years, female 8.6
GTEX-12584-0726-SM-5FQTK 40-49 years, male 8.5
GTEX-13JUV-2026-SM-5K7UA 40-49 years, female 8.5
GTEX-145LU-1926-SM-79OJN 50-59 years, male 8.5
GTEX-16XZZ-0726-SM-7KUF2 60-69 years, male 8.5
GTEX-XXEK-1626-SM-4BRUZ 50-59 years, male 8.5
GTEX-1F75I-2226-SM-7SB8U 40-49 years, male 8.5
GTEX-1RAZR-2126-SM-E9U6T 40-49 years, male 8.5
GTEX-11DXY-0126-SM-5H11Q 60-69 years, male 8.4
GTEX-13OW6-2726-SM-5J2OE 50-59 years, male 8.4
GTEX-14753-0726-SM-5QGQO 60-69 years, male 8.4
GTEX-14PJ2-0626-SM-6LLII 50-59 years, male 8.4
GTEX-16MTA-0926-SM-6M47Z 50-59 years, male 8.4
GTEX-XBEC-0726-SM-4QARZ 50-59 years, male 8.4
GTEX-ZAB4-2126-SM-5HL8U 40-49 years, male 8.4
GTEX-ZDXO-3126-SM-5IJDF 60-69 years, male 8.4
GTEX-1H3NZ-2726-SM-9WYTQ 60-69 years, male 8.4
GTEX-1I19N-0126-SM-CYPSF 70-79 years, male 8.4
GTEX-1IE54-1126-SM-A9G2Z 40-49 years, female 8.4
GTEX-1LG7Y-2526-SM-EWRO7 50-59 years, male 8.4
GTEX-1LVAN-0626-SM-CNPOQ 50-59 years, female 8.4
GTEX-1MCC2-1826-SM-DIPEX 30-39 years, female 8.4
GTEX-11OF3-0126-SM-5PNYF 60-69 years, male 8.3
GTEX-12WSF-1626-SM-7KUG5 70-79 years, male 8.3
GTEX-14AS3-1526-SM-5Q5ED 40-49 years, female 8.3
GTEX-XYKS-1426-SM-4BRUO 60-69 years, female 8.3
GTEX-1PIGE-1826-SM-E8VOU 20-29 years, male 8.3
GTEX-13QJC-0126-SM-5ZZWJ 60-69 years, female 8.2
GTEX-14PJO-2526-SM-6AJBQ 60-69 years, male 8.2
GTEX-15RIE-1926-SM-7KUKJ 60-69 years, male 8.2
GTEX-12WSA-0426-SM-5EQ5X 60-69 years, male 8.1
GTEX-14LLW-2626-SM-62LDZ 70-79 years, female 8.1
GTEX-17F9E-2326-SM-79OKD 50-59 years, male 8.1
GTEX-Y3IK-1626-SM-4YCF5 50-59 years, female 8.1
GTEX-1I1HK-2326-SM-CKZOH 60-69 years, male 8.1
GTEX-1IDJI-0126-SM-CMKHS 50-59 years, female 8.1
GTEX-17HGU-2326-SM-7DUFE 50-59 years, male 8.0
GTEX-1HFI6-0126-SM-CNPPI 40-49 years, male 8.0
GTEX-1RAZQ-1326-SM-E9TK6 30-39 years, male 8.0
GTEX-15G1A-1626-SM-7KUKN 30-39 years, male 7.9
GTEX-15SKB-2826-SM-6PAMH 60-69 years, male 7.9
GTEX-1R7EU-1626-SM-DTXG3 60-69 years, male 7.9
GTEX-131XH-0126-SM-5LZUY 50-59 years, male 7.8
GTEX-145MG-1526-SM-5Q5EM 50-59 years, male 7.8
GTEX-14C38-0726-SM-5SI6M 50-59 years, male 7.8
GTEX-14PKV-1126-SM-6LLJ1 20-29 years, female 7.8
GTEX-WYBS-0626-SM-3NMAS 60-69 years, female 7.8
GTEX-WYVS-1626-SM-3NM9R 40-49 years, female 7.8
GTEX-ZA64-1026-SM-5HL8R 20-29 years, male 7.8
GTEX-11NUK-2726-SM-5A5MC 50-59 years, male 7.7
GTEX-12WSJ-1126-SM-5LZVJ 40-49 years, female 7.7
GTEX-12ZZX-2426-SM-5GCOE 40-49 years, female 7.7
GTEX-13FTX-1526-SM-5K7VJ 20-29 years, female 7.7
GTEX-13N2G-0226-SM-5K7VF 60-69 years, male 7.7
GTEX-16NPX-0726-SM-7KULC 50-59 years, male 7.7
GTEX-1AX9I-2226-SM-73KUO 60-69 years, male 7.7
GTEX-WHPG-2626-SM-3NMBR 50-59 years, male 7.7
GTEX-WHSB-1326-SM-3LK6W 50-59 years, male 7.7
GTEX-XBED-1926-SM-47JYP 60-69 years, male 7.7
GTEX-1C64N-2626-SM-7PC2N 50-59 years, male 7.7
GTEX-1H11D-1826-SM-9QEHM 40-49 years, male 7.7
GTEX-13W3W-0726-SM-5IJDQ 60-69 years, female 7.6
GTEX-145MO-2826-SM-5LU96 60-69 years, male 7.6
GTEX-ZDTT-0426-SM-4WKFL 60-69 years, male 7.6
GTEX-11P81-2226-SM-5PNYI 30-39 years, female 7.5
GTEX-13OVL-0126-SM-5L3GJ 50-59 years, male 7.5
GTEX-1477Z-0326-SM-7IGLA 60-69 years, male 7.5
GTEX-1EU9M-1426-SM-793AI 60-69 years, male 7.5
GTEX-1JN76-0626-SM-CKZOQ 20-29 years, female 7.5
GTEX-14ICL-1626-SM-5YYAO 30-39 years, male 7.4
GTEX-ZP4G-1426-SM-4WWCL 20-29 years, female 7.4
GTEX-ZVTK-0226-SM-51MRG 20-29 years, male 7.4
GTEX-1GZ4H-0526-SM-9KNU9 50-59 years, female 7.4
GTEX-1H1DG-2426-SM-9QEHJ 70-79 years, male 7.4
GTEX-1JKYN-0826-SM-ARU8S 30-39 years, male 7.4
GTEX-1OJC3-1226-SM-DTXER 20-29 years, male 7.4
GTEX-1POEN-2326-SM-E9J2L 30-39 years, female 7.4
GTEX-14BMU-1226-SM-5S2OR 20-29 years, female 7.3
GTEX-16YQH-2226-SM-7IGM2 30-39 years, male 7.3
GTEX-18A6Q-0626-SM-7KFRP 60-69 years, male 7.3
GTEX-ZVP2-0326-SM-57WBP 50-59 years, male 7.3
GTEX-1H1CY-0126-SM-9YFLY 60-69 years, female 7.3
GTEX-1HSMO-0626-SM-ACKXC 60-69 years, male 7.3
GTEX-1N2EE-0626-SM-E76PW 60-69 years, male 7.3
GTEX-11P7K-1126-SM-5HL4L 30-39 years, male 7.2
GTEX-11TT1-1826-SM-5EQLV 20-29 years, male 7.2
GTEX-12WSK-2126-SM-5CVNC 40-49 years, female 7.2
GTEX-14PJ3-1126-SM-5ZZVX 50-59 years, male 7.2
GTEX-17KNJ-2126-SM-718AM 50-59 years, male 7.2
GTEX-WH7G-2026-SM-3NMBL 40-49 years, male 7.2
GTEX-1F48J-0726-SM-7RHGS 50-59 years, female 7.2
GTEX-1JJE9-2626-SM-ARZMT 70-79 years, male 7.2
GTEX-1S5ZU-2526-SM-E6CIF 20-29 years, female 7.2
GTEX-1S831-1826-SM-EWROF 20-29 years, male 7.2
GTEX-13O3Q-0126-SM-5KM34 50-59 years, male 7.1
GTEX-14JG1-1526-SM-5YY9X 40-49 years, male 7.1
GTEX-14PJ4-0226-SM-5YY92 60-69 years, male 7.1
GTEX-1A8G7-1326-SM-73KVM 60-69 years, male 7.1
GTEX-1B8SF-0126-SM-7DUG3 60-69 years, male 7.1
GTEX-1EKGG-0626-SM-7DUGJ 60-69 years, male 7.1
GTEX-XBEW-1126-SM-4QARW 40-49 years, male 7.1
GTEX-ZYY3-2926-SM-5GIEB 60-69 years, female 7.1
GTEX-1H1DE-1326-SM-9KNUG 20-29 years, male 7.1
GTEX-1PBJJ-1026-SM-E76OS 30-39 years, male 7.1
GTEX-17EVQ-0126-SM-7IGLR 70-79 years, male 7.0
GTEX-1AMEY-0826-SM-72D65 30-39 years, female 7.0
GTEX-VJYA-1526-SM-3GIJV 60-69 years, male 7.0
GTEX-1S83E-1326-SM-E6CJM 40-49 years, male 7.0
GTEX-1399R-1326-SM-5PNYS 30-39 years, male 6.9
GTEX-18465-2826-SM-7LT9J 50-59 years, male 6.9
GTEX-1HR98-2226-SM-ADEI2 60-69 years, male 6.9
GTEX-1JMOU-1026-SM-CYPSS 60-69 years, female 6.9
GTEX-1RAZS-2526-SM-E6CHT 50-59 years, male 6.9
GTEX-1269C-0126-SM-5EQ5L 60-69 years, female 6.8
GTEX-139TU-0726-SM-5L3EK 60-69 years, male 6.8
GTEX-18A7B-2726-SM-7LG56 70-79 years, male 6.8
GTEX-1A3MW-0626-SM-731CB 60-69 years, female 6.8
GTEX-1I1GV-0626-SM-ARL7M 60-69 years, male 6.8
GTEX-1JJ6O-2726-SM-CNPOG 60-69 years, male 6.8
GTEX-1MCYP-0526-SM-E9U6Q 20-29 years, female 6.8
GTEX-13SLW-0626-SM-5Q5ER 70-79 years, male 6.7
GTEX-147F3-1726-SM-5SIAW 50-59 years, female 6.7
GTEX-18A7A-0126-SM-731AH 50-59 years, female 6.7
GTEX-14JFF-0626-SM-5ZZVT 60-69 years, male 6.7
GTEX-1K2DA-1026-SM-CGQGF 50-59 years, male 6.7
GTEX-1399S-0126-SM-5IJCF 30-39 years, female 6.6
GTEX-14PII-0726-SM-6EU2B 60-69 years, male 6.6
GTEX-183WM-0326-SM-72D5V 70-79 years, female 6.6
GTEX-ZPU1-1126-SM-4YCF3 40-49 years, male 6.6
GTEX-1I1GS-2626-SM-B2LY3 60-69 years, male 6.6
GTEX-1IDJF-2026-SM-CL53V 20-29 years, male 6.6
GTEX-1J1OQ-0126-SM-D4P2N 40-49 years, female 6.6
GTEX-1PPGY-1626-SM-EVYBL 60-69 years, male 6.6
GTEX-W5X1-2526-SM-3GILC 40-49 years, female 6.5
GTEX-XUW1-0926-SM-4BONX 50-59 years, female 6.5
GTEX-ZVE2-2826-SM-5GU51 50-59 years, male 6.5
GTEX-13RTJ-0126-SM-5S2NN 60-69 years, male 6.4
GTEX-14BIN-1126-SM-5RQJZ 50-59 years, female 6.4
GTEX-Y3I4-1726-SM-4TT89 50-59 years, male 6.4
GTEX-1H1E6-0426-SM-9WYUS 30-39 years, male 6.4
GTEX-131YS-2826-SM-5EQ47 60-69 years, female 6.3
GTEX-13FLV-0126-SM-5K7WT 50-59 years, male 6.3
GTEX-13OVH-0526-SM-5L3E6 70-79 years, male 6.3
GTEX-15RJ7-2126-SM-6PAMD 40-49 years, male 6.3
GTEX-X5EB-1926-SM-4E3IW 40-49 years, male 6.3
GTEX-YJ8O-2526-SM-5HL85 40-49 years, female 6.3
GTEX-1QP28-1126-SM-EVYC4 50-59 years, female 6.3
GTEX-ZF3C-0626-SM-DO92O 50-59 years, female 6.3
GTEX-11DXZ-2026-SM-5987S 50-59 years, male 6.2
GTEX-18A66-0626-SM-7LT8Z 60-69 years, male 6.2
GTEX-18QFQ-1826-SM-72D52 30-39 years, male 6.2
GTEX-1CB4E-0926-SM-7EPHT 60-69 years, male 6.2
GTEX-UPJH-0226-SM-3GADV 50-59 years, male 6.2
GTEX-Y111-0626-SM-4SOIT 50-59 years, male 6.2
GTEX-1GMR3-0126-SM-A9SLW 40-49 years, male 6.2
GTEX-1LVAM-0726-SM-E6CIL 50-59 years, female 6.2
GTEX-11ZU8-0126-SM-5EQ58 60-69 years, male 6.1
GTEX-1212Z-0126-SM-59HK4 60-69 years, male 6.1
GTEX-15CHR-1126-SM-7EWF4 50-59 years, male 6.1
GTEX-1B932-2326-SM-79OL5 40-49 years, female 6.1
GTEX-WK11-2726-SM-3NMAQ 50-59 years, male 6.1
GTEX-ZTSS-1426-SM-5985P 40-49 years, male 6.1
GTEX-ZZPU-0826-SM-5GZX5 50-59 years, female 6.1
GTEX-1A3MX-2626-SM-7PC24 60-69 years, male 6.1
GTEX-1GPI6-1926-SM-9KNV7 60-69 years, male 6.1
GTEX-1GZ4I-2626-SM-9KNU3 50-59 years, male 6.1
GTEX-1I6K6-1726-SM-CGQFD 30-39 years, male 6.1
GTEX-1LSNM-0826-SM-DIPG8 50-59 years, male 6.1
GTEX-1PIIG-2326-SM-DTXFR 30-39 years, male 6.1
GTEX-145MN-1526-SM-5SI9T 30-39 years, male 6.0
GTEX-1EN7A-2426-SM-793DB 40-49 years, male 6.0
GTEX-WXYG-2026-SM-4E3IY 50-59 years, female 6.0
GTEX-1F5PL-0926-SM-7PC2W 40-49 years, female 6.0
GTEX-1L5NE-1126-SM-D3L9P 50-59 years, male 6.0
GTEX-1PPH8-0126-SM-EWRN8 20-29 years, male 6.0
GTEX-13U4I-2226-SM-5LU5H 40-49 years, female 5.9
GTEX-14C5O-0326-SM-5ZZUX 60-69 years, male 5.9
GTEX-X3Y1-2026-SM-3P5YM 40-49 years, male 5.9
GTEX-Y114-2126-SM-4TT8B 50-59 years, female 5.9
GTEX-11NSD-0626-SM-5A5LU 20-29 years, male 5.8
GTEX-12WSD-0626-SM-5GCMW 60-69 years, female 5.8
GTEX-13FTW-0326-SM-5K7UW 40-49 years, male 5.8
GTEX-13JVG-0726-SM-5KM16 60-69 years, male 5.8
GTEX-14JG6-1426-SM-9WG7C 30-39 years, female 5.8
GTEX-1GMRU-2126-SM-7P8RA 50-59 years, male 5.8
GTEX-1I1CD-0626-SM-CE6SW 60-69 years, female 5.8
GTEX-1I1GT-1026-SM-ARZLV 60-69 years, female 5.8
GTEX-1IOXB-2726-SM-CM2RI 50-59 years, male 5.8
GTEX-1IY9M-2826-SM-ARU8H 60-69 years, male 5.8
GTEX-1J8Q2-2626-SM-ACKWQ 60-69 years, male 5.8
GTEX-11GSP-2326-SM-5HL63 60-69 years, female 5.7
GTEX-1AX8Z-0726-SM-73KTS 60-69 years, male 5.7
GTEX-X4EO-2926-SM-4E3JH 60-69 years, female 5.7
GTEX-ZUA1-2626-SM-5NQ92 40-49 years, male 5.7
GTEX-1B8L1-2226-SM-7P8PT 60-69 years, male 5.7
GTEX-1EMGI-2326-SM-7PBYA 60-69 years, male 5.7
GTEX-1JN6P-2926-SM-CL54D 60-69 years, male 5.7
GTEX-1QMI2-2526-SM-E8VNZ 60-69 years, male 5.7
GTEX-1S82U-1026-SM-E6CJK 30-39 years, female 5.7
GTEX-111VG-1626-SM-5EGIO 60-69 years, male 5.6
GTEX-139UW-0326-SM-5J1ML 60-69 years, male 5.6
GTEX-14E6C-2426-SM-5S2NF 40-49 years, male 5.6
GTEX-14PHX-2226-SM-6EU2P 50-59 years, male 5.6
GTEX-Z93S-1626-SM-5CVMB 50-59 years, male 5.6
GTEX-ZVZP-1226-SM-5GID7 50-59 years, male 5.6
GTEX-1GL5R-1326-SM-7RHHF 50-59 years, male 5.6
GTEX-1H3O1-1326-SM-9MQLD 60-69 years, male 5.6
GTEX-1I4MK-0126-SM-CY8G6 50-59 years, female 5.6
GTEX-144GO-2026-SM-5O99P 60-69 years, male 5.5
GTEX-14ABY-2026-SM-62LDL 50-59 years, male 5.5
GTEX-14DAQ-0626-SM-793DS 60-69 years, female 5.5
GTEX-17EVP-2626-SM-7IGMA 40-49 years, male 5.5
GTEX-1C6VQ-1226-SM-73KYD 50-59 years, male 5.5
GTEX-XQ3S-1426-SM-4BOPR 20-29 years, male 5.5
GTEX-Y5V5-0126-SM-5S2NW 60-69 years, female 5.5
GTEX-1GMR2-0826-SM-7PC3V 50-59 years, male 5.5
GTEX-11ZUS-2626-SM-5FQUR 30-39 years, male 5.4
GTEX-13112-0126-SM-5P9IU 50-59 years, male 5.4
GTEX-139TS-2126-SM-5K7XC 60-69 years, male 5.4
GTEX-14PJ5-1526-SM-6LLIL 60-69 years, female 5.4
GTEX-ZDTS-0826-SM-4WKHL 60-69 years, male 5.4
GTEX-ZYW4-0626-SM-59HJR 60-69 years, male 5.4
GTEX-1LSNL-2726-SM-E9TKJ 50-59 years, male 5.4
GTEX-12BJ1-0926-SM-5EQ62 60-69 years, male 5.3
GTEX-YB5K-2026-SM-4VDT3 40-49 years, female 5.3
GTEX-ZF2S-1626-SM-57WES 50-59 years, female 5.3
GTEX-ZY6K-1426-SM-5GZX2 50-59 years, male 5.3
GTEX-YEC3-1326-SM-DO92X 50-59 years, male 5.3
GTEX-13X6H-0926-SM-5SIB2 50-59 years, female 5.2
GTEX-145ME-1726-SM-5Q5EU 40-49 years, female 5.2
GTEX-15RJE-2826-SM-7KUM9 40-49 years, male 5.2
GTEX-16MT8-2926-SM-7DUFO 60-69 years, female 5.2
GTEX-Y8E4-2026-SM-5IFJB 40-49 years, male 5.2
GTEX-ZTX8-1326-SM-4YCEL 20-29 years, male 5.2
GTEX-1F75B-0726-SM-7PC3R 50-59 years, male 5.2
GTEX-1GF9U-2026-SM-7SB92 40-49 years, female 5.2
GTEX-1HSMP-0926-SM-A9SKX 70-79 years, male 5.2
GTEX-1ICG6-1226-SM-A9SLN 70-79 years, female 5.2
GTEX-1IDJC-1526-SM-B2LW4 50-59 years, male 5.2
GTEX-1KXAM-1626-SM-D3LAD 60-69 years, male 5.2
GTEX-1LGRB-0926-SM-COH3K 50-59 years, female 5.2
GTEX-1QEPI-2626-SM-DTXF4 60-69 years, female 5.2
GTEX-15D1Q-2826-SM-6LLH7 40-49 years, male 5.1
GTEX-XV7Q-1826-SM-4BRUV 40-49 years, female 5.1
GTEX-1PDJ9-1226-SM-EXUSX 20-29 years, male 5.1
GTEX-11DXX-2126-SM-5PNYR 60-69 years, female 5.0
GTEX-1399U-1126-SM-5L3DB 50-59 years, female 5.0
GTEX-139TT-2126-SM-5LZWC 60-69 years, male 5.0
GTEX-145MH-2826-SM-5RQJF 50-59 years, male 5.0
GTEX-14E1K-2026-SM-7DUEI 50-59 years, male 5.0
GTEX-178AV-1726-SM-7KUL8 40-49 years, male 5.0
GTEX-1HBPN-0126-SM-CGQEF 50-59 years, male 5.0
GTEX-1HCUA-0826-SM-ADEHM 50-59 years, female 5.0
GTEX-1I1GP-1326-SM-A9G28 50-59 years, male 5.0
GTEX-1IDJD-2326-SM-ACKWX 30-39 years, male 5.0
GTEX-1JKYR-0626-SM-ARL8R 20-29 years, male 5.0
GTEX-1M4P7-0726-SM-E6CJ3 60-69 years, male 5.0
GTEX-1O9I2-0226-SM-EYYXD 50-59 years, male 5.0
GTEX-1RLM8-2926-SM-E8VON 50-59 years, male 5.0
GTEX-13VXT-1926-SM-5K7UO 20-29 years, female 4.9
GTEX-16NGA-0726-SM-731AO 40-49 years, female 4.9
GTEX-17HHY-0426-SM-7DHLC 50-59 years, male 4.9
GTEX-1B8KE-1126-SM-7EPHI 50-59 years, male 4.9
GTEX-WFON-1926-SM-3LK7L 40-49 years, male 4.9
GTEX-ZVT4-2426-SM-5GIEI 50-59 years, female 4.9
GTEX-1HKZK-0726-SM-ACKW2 40-49 years, male 4.9
GTEX-1JMQK-1226-SM-D4P2S 60-69 years, male 4.9
GTEX-111YS-1526-SM-5GZYW 60-69 years, male 4.8
GTEX-16GPK-0626-SM-7KFSF 60-69 years, male 4.8
GTEX-1C2JI-1026-SM-73KY1 50-59 years, male 4.8
GTEX-WRHU-2826-SM-3MJG8 50-59 years, female 4.8
GTEX-1A8FM-0626-SM-7PC25 50-59 years, female 4.8
GTEX-1CAMR-1326-SM-7PC1F 20-29 years, male 4.8
GTEX-1IDJE-1426-SM-ADEIW 50-59 years, female 4.8
GTEX-1IDJU-1726-SM-CMKHU 60-69 years, female 4.8
GTEX-13PVQ-0626-SM-5LU47 50-59 years, male 4.7
GTEX-13PVR-0426-SM-5RQK2 60-69 years, female 4.7
GTEX-14BMV-2826-SM-5TDED 50-59 years, male 4.7
GTEX-14XAO-1226-SM-6EU1C 60-69 years, female 4.7
GTEX-ZVT2-0126-SM-5GIDQ 50-59 years, female 4.7
GTEX-11P82-1426-SM-DTXFY 20-29 years, male 4.7
GTEX-1HC8U-1326-SM-9YFMJ 40-49 years, female 4.7
GTEX-1HCVE-2726-SM-CL54F 50-59 years, male 4.7
GTEX-1HFI7-2326-SM-CGQFS 50-59 years, female 4.7
GTEX-1I6K7-1926-SM-B2LXR 40-49 years, male 4.7
GTEX-1JMPZ-0726-SM-CY8HZ 30-39 years, male 4.7
GTEX-11EI6-2826-SM-5H11D 60-69 years, male 4.6
GTEX-131XF-2626-SM-5EQ6K 60-69 years, male 4.6
GTEX-15EU6-2226-SM-6EU2L 50-59 years, male 4.6
GTEX-17MF6-2626-SM-79OKQ 40-49 years, male 4.6
GTEX-18D9A-1426-SM-7LT8M 30-39 years, female 4.6
GTEX-1C475-1326-SM-7SB73 40-49 years, female 4.6
GTEX-1JMPY-0226-SM-CKZOK 30-39 years, male 4.6
GTEX-12ZZY-0726-SM-5EQ66 60-69 years, male 4.5
GTEX-145LT-0526-SM-5LUB2 40-49 years, male 4.5
GTEX-145MF-0926-SM-5Q5EA 50-59 years, male 4.5
GTEX-1F6IF-0926-SM-7SB7M 60-69 years, male 4.5
GTEX-1HSKV-1226-SM-ADEI4 60-69 years, male 4.5
GTEX-1MJK3-0726-SM-E6CJC 20-29 years, male 4.5
GTEX-1QP9N-1226-SM-E76QN 30-39 years, male 4.5
GTEX-1QW4Y-1126-SM-DTXE3 30-39 years, male 4.5
GTEX-117YX-1926-SM-5GIEC 50-59 years, male 4.4
GTEX-13D11-0926-SM-5J2NC 50-59 years, female 4.4
GTEX-13O3O-2326-SM-5IJD6 60-69 years, female 4.4
GTEX-1J1R8-2026-SM-CL53Y 40-49 years, male 4.4
GTEX-1JK1U-0226-SM-ARZMX 60-69 years, male 4.4
GTEX-1RAZA-2226-SM-E9U4X 20-29 years, male 4.4
GTEX-ZU9S-1826-SM-5NQ9E 30-39 years, male 4.3
GTEX-1E2YA-2126-SM-7MXUO 50-59 years, male 4.3
GTEX-1HBPI-2126-SM-ARL9K 50-59 years, male 4.3
GTEX-1I1GU-0926-SM-ACKVS 40-49 years, male 4.3
GTEX-1R46S-2426-SM-E76QA 60-69 years, female 4.3
GTEX-11UD2-2526-SM-5CVNU 50-59 years, male 4.2
GTEX-14PJ6-2626-SM-6EU2T 60-69 years, female 4.2
GTEX-1A32A-0626-SM-731AQ 50-59 years, female 4.2
GTEX-1CB4F-1026-SM-7DUH1 60-69 years, male 4.2
GTEX-ZYFG-1526-SM-5GZYM 60-69 years, female 4.2
GTEX-1GN1W-2426-SM-9KNUU 50-59 years, female 4.2
GTEX-11VI4-1126-SM-5EQMD 40-49 years, female 4.1
GTEX-15DYW-2726-SM-6EU2I 60-69 years, female 4.1
GTEX-16BQI-1326-SM-6M486 30-39 years, female 4.1
GTEX-1AX9J-1326-SM-731BJ 60-69 years, male 4.1
GTEX-ZYFC-0426-SM-5GICQ 50-59 years, male 4.1
GTEX-ZZ64-1026-SM-5GZXG 20-29 years, male 4.1
GTEX-1F75A-0726-SM-7RHHD 50-59 years, male 4.1
GTEX-1GF9W-1426-SM-7PBYM 60-69 years, male 4.1
GTEX-1H1ZS-2726-SM-9WG75 70-79 years, male 4.1
GTEX-1IDJH-0126-SM-D3L92 70-79 years, male 4.1
GTEX-1QCLZ-2426-SM-EVYBW 60-69 years, female 4.1
GTEX-1QPFJ-1926-SM-EVYBD 30-39 years, female 4.1
GTEX-1S3DN-2126-SM-E9TIN 50-59 years, male 4.1
GTEX-11O72-0626-SM-5PNYE 40-49 years, male 4.0
GTEX-12WSM-1926-SM-5BC65 60-69 years, male 4.0
GTEX-12ZZZ-0726-SM-5GCNZ 60-69 years, male 4.0
GTEX-YF7O-1526-SM-5IFI6 50-59 years, male 4.0
GTEX-1F75W-2726-SM-7SB8H 60-69 years, male 4.0
GTEX-1KANC-1226-SM-CYPT7 50-59 years, female 4.0
GTEX-1N5O9-0926-SM-E9J3C 60-69 years, male 4.0
GTEX-1QP66-1226-SM-DTX7U 50-59 years, male 4.0
GTEX-13X6J-0626-SM-5LU5F 50-59 years, male 3.9
GTEX-13X6K-0626-SM-5LU5D 60-69 years, female 3.9
GTEX-145MI-0626-SM-5SI8S 60-69 years, female 3.9
GTEX-15CHQ-0326-SM-69LQD 60-69 years, male 3.9
GTEX-1C6WA-2626-SM-7MKGM 60-69 years, male 3.9
GTEX-XQ8I-0926-SM-4BOOF 50-59 years, male 3.9
GTEX-Y5V6-2326-SM-4VDSA 60-69 years, male 3.9
GTEX-ZTTD-2826-SM-4YCFA 50-59 years, male 3.9
GTEX-1GN2E-0226-SM-9WG6K 60-69 years, male 3.9
GTEX-1HCU9-0426-SM-9WYSD 20-29 years, male 3.9
GTEX-15CHC-1126-SM-6LLHQ 60-69 years, female 3.8
GTEX-17MFQ-1526-SM-7KFRR 20-29 years, male 3.8
GTEX-1B933-2426-SM-7DHMD 50-59 years, female 3.8
GTEX-1GF9V-0826-SM-9KNUV 60-69 years, male 3.8
GTEX-1KANA-1326-SM-DIPFA 20-29 years, male 3.8
GTEX-1LSVX-2526-SM-DIPEU 60-69 years, male 3.8
GTEX-11EM3-1226-SM-5N9DD 20-29 years, female 3.7
GTEX-11ZTT-2126-SM-5CVLO 60-69 years, female 3.7
GTEX-13OVJ-0826-SM-5J1OK 50-59 years, female 3.7
GTEX-ZLWG-0826-SM-59888 50-59 years, female 3.7
GTEX-1GTWX-2026-SM-9YFLM 60-69 years, male 3.7
GTEX-1LVA9-2626-SM-EVYD4 50-59 years, male 3.7
GTEX-ZPIC-0526-SM-DO91W 40-49 years, female 3.7
GTEX-12C56-1526-SM-5FQUQ 20-29 years, male 3.6
GTEX-15FZZ-0526-SM-7KUGD 30-39 years, female 3.6
GTEX-WYJK-0526-SM-3NM8Z 50-59 years, male 3.6
GTEX-1HSGN-0826-SM-ACKW3 40-49 years, female 3.6
GTEX-ZGAY-1826-SM-DO91Q 40-49 years, female 3.6
GTEX-131XW-0626-SM-5PNVD 50-59 years, female 3.5
GTEX-13OVK-1426-SM-6PAN7 40-49 years, male 3.5
GTEX-WEY5-2326-SM-3GIKK 40-49 years, female 3.5
GTEX-Y9LG-1126-SM-4VBQ7 30-39 years, male 3.5
GTEX-1LB8K-0726-SM-D5OV2 50-59 years, male 3.5
GTEX-111FC-2526-SM-5GZXU 60-69 years, male 3.4
GTEX-11TUW-0626-SM-5LU9M 60-69 years, male 3.4
GTEX-144GM-0526-SM-79OJO 20-29 years, male 3.4
GTEX-14B4R-1326-SM-5Q5EZ 30-39 years, male 3.4
GTEX-18D9U-0126-SM-731BM 40-49 years, male 3.4
GTEX-1E1VI-0326-SM-793D1 50-59 years, male 3.4
GTEX-XPVG-2126-SM-4B667 50-59 years, male 3.4
GTEX-1CB4I-0126-SM-7RHGG 50-59 years, male 3.4
GTEX-1GN1U-0626-SM-9MQL9 50-59 years, female 3.4
GTEX-1HUB1-1426-SM-CGQF5 60-69 years, male 3.4
GTEX-12WSL-2026-SM-5GCML 50-59 years, male 3.3
GTEX-1EWIQ-0326-SM-7DHMQ 70-79 years, female 3.3
GTEX-WY7C-2126-SM-3NB2R 50-59 years, male 3.3
GTEX-11EQ9-1626-SM-5PNY8 30-39 years, male 3.2
GTEX-14PJN-1826-SM-6AJ98 30-39 years, male 3.2
GTEX-1EH9U-2826-SM-7DUGT 60-69 years, male 3.2
GTEX-1122O-1026-SM-9WYSF 60-69 years, female 3.2
GTEX-1LG7Z-1626-SM-CXKYR 30-39 years, male 3.2
GTEX-13N1W-2426-SM-5IJD1 70-79 years, male 3.1
GTEX-148VJ-0626-SM-5LUAW 70-79 years, male 3.1
GTEX-18A67-1626-SM-7LT9T 50-59 years, male 3.1
GTEX-1B996-0426-SM-7EWF8 60-69 years, male 3.1
GTEX-Y5LM-0926-SM-6LLJG 40-49 years, female 3.1
GTEX-1GZHY-0626-SM-9KNVC 50-59 years, female 3.1
GTEX-1J8QM-2426-SM-A9SLS 60-69 years, female 3.1
GTEX-111CU-1126-SM-5EGIM 50-59 years, male 3.0
GTEX-13VXU-0626-SM-5L3F9 50-59 years, male 3.0
GTEX-17HII-1426-SM-7EPGG 50-59 years, male 3.0
GTEX-1GN73-0726-SM-7P8TJ 60-69 years, male 3.0
GTEX-1IKJJ-2226-SM-CJI4C 60-69 years, male 3.0
GTEX-1QCLY-0226-SM-EWRNH 30-39 years, male 3.0
GTEX-1B8KZ-0326-SM-73KY4 50-59 years, male 2.9
GTEX-V1D1-2026-SM-3GAF4 50-59 years, male 2.9
GTEX-Y8LW-1526-SM-5IFHL 50-59 years, female 2.9
GTEX-17HHE-1326-SM-7EWDZ 50-59 years, male 2.8
GTEX-1B97I-0626-SM-73KUZ 40-49 years, male 2.8
GTEX-UPK5-0426-SM-3GAEK 40-49 years, male 2.8
GTEX-YEC4-1826-SM-4W1YP 40-49 years, male 2.8
GTEX-ZF29-0926-SM-4WKFZ 60-69 years, female 2.8
GTEX-1HCU6-2526-SM-ADEHL 60-69 years, female 2.8
GTEX-13OW7-0426-SM-5K7VK 50-59 years, male 2.7
GTEX-14DAR-1226-SM-73KYV 50-59 years, male 2.7
GTEX-1H4P4-2126-SM-9WYSL 50-59 years, male 2.7
GTEX-1RB15-1326-SM-E76Q9 60-69 years, male 2.7
GTEX-1GPI7-1826-SM-9KNU1 20-29 years, male 2.6
GTEX-1J8Q3-0526-SM-ARL8U 60-69 years, male 2.6
GTEX-1KWVE-1026-SM-D3L9O 30-39 years, male 2.6
GTEX-13OVG-1626-SM-5J1NF 60-69 years, male 2.5
GTEX-1A3MV-1826-SM-731CD 30-39 years, male 2.5
GTEX-1AMFI-1326-SM-7939R 50-59 years, female 2.5
GTEX-131XG-0326-SM-5L3DX 50-59 years, female 2.4
GTEX-1497J-0226-SM-5QGPU 60-69 years, male 2.4
GTEX-14PKU-0126-SM-6LLHV 40-49 years, female 2.4
GTEX-ZT9W-1126-SM-57WDR 50-59 years, male 2.4
GTEX-12696-0126-SM-5EQ4L 60-69 years, male 2.3
GTEX-13113-1626-SM-5EQ4I 60-69 years, female 2.3
GTEX-13QBU-1226-SM-5LU4G 40-49 years, female 2.3
GTEX-147JS-0226-SM-5S2U9 60-69 years, male 2.3
GTEX-1LGOU-1326-SM-D3L8M 20-29 years, female 2.3
GTEX-13N11-2326-SM-5IJBF 50-59 years, female 2.2
GTEX-133LE-2326-SM-5K7W3 20-29 years, female 2.1
GTEX-17F98-1326-SM-7DUEP 40-49 years, female 2.1
GTEX-XAJ8-1426-SM-47JYM 40-49 years, male 1.9
GTEX-1211K-1526-SM-5FQU4 60-69 years, female 1.8
GTEX-1CB4J-1326-SM-7P8RX 60-69 years, male 1.7
GTEX-13FH7-1126-SM-5K7UG 50-59 years, female 1.6
GTEX-WFG8-2126-SM-3GIKQ 20-29 years, male 1.4
Show allShow less
Skin - Sun Exposed (Lower leg)
Average nTPM: 7.1
Samples: 701

Max nTPM: 37.0
Min nTPM: 0.2
Std nTPM: 4.4
Median nTPM: 6.2
GTEX-14PK6-1926-SM-6ETZU 70-79 years, female 37.0
GTEX-15G19-0126-SM-6PANQ 60-69 years, male 37.0
GTEX-17F97-0326-SM-7LG5B 50-59 years, male 35.3
GTEX-X88G-0126-SM-47JZ3 30-39 years, male 30.7
GTEX-ZE9C-2726-SM-57WB5 60-69 years, male 29.2
GTEX-1192W-2626-SM-5Q5AF 60-69 years, male 27.4
GTEX-1F6RS-0126-SM-9MQKZ 60-69 years, female 26.1
GTEX-1IL2U-0226-SM-CE6T8 60-69 years, male 25.2
GTEX-183WM-0126-SM-7LTAB 70-79 years, female 23.4
GTEX-15EOM-0126-SM-7KUGG 20-29 years, female 23.1
GTEX-13NYS-0126-SM-5MR3W 60-69 years, male 22.2
GTEX-POMQ-2226-SM-2I5FK 20-29 years, female 21.9
GTEX-T2YK-0526-SM-32QPJ 50-59 years, male 20.6
GTEX-1RQEC-0426-SM-E6CHU 60-69 years, male 19.9
GTEX-11WQK-0526-SM-5EQLD 50-59 years, male 19.6
GTEX-1JMQL-0226-SM-CNPP5 50-59 years, female 19.6
GTEX-ZWKS-0126-SM-5SIAA 30-39 years, male 19.1
GTEX-1ICLZ-0126-SM-CKZPO 60-69 years, male 18.6
GTEX-W5X1-3026-SM-EAZAX 40-49 years, female 18.6
GTEX-1R9K4-0126-SM-DTX9X 60-69 years, male 17.8
GTEX-1NV5F-0226-SM-E8VNY 60-69 years, female 17.4
GTEX-ZVT3-0126-SM-5GU6I 60-69 years, female 17.2
GTEX-14LZ3-0226-SM-62LET 60-69 years, female 16.9
GTEX-U412-0426-SM-3DB9O 60-69 years, male 16.7
GTEX-ZY6K-1826-SM-5GZXK 50-59 years, male 16.4
GTEX-13O3P-0126-SM-5KM4S 50-59 years, male 16.3
GTEX-1497J-2426-SM-7IGNX 60-69 years, male 16.3
GTEX-1JMQI-2226-SM-CM2SD 50-59 years, male 16.1
GTEX-13FHP-0126-SM-5IJBG 50-59 years, male 15.5
GTEX-ZF3C-0126-SM-DO92D 50-59 years, female 15.4
GTEX-11UD1-0126-SM-5PNYG 40-49 years, female 15.2
GTEX-13NYC-0326-SM-E9J4S 60-69 years, male 15.2
GTEX-NPJ8-0126-SM-2YUNR 40-49 years, male 15.1
GTEX-ZC5H-0226-SM-4WAY9 40-49 years, female 14.7
GTEX-1HB9E-0226-SM-E9U4R 50-59 years, male 14.7
GTEX-11NSD-2226-SM-5986V 20-29 years, male 14.6
GTEX-1GF9X-2026-SM-7PC3A 40-49 years, female 14.5
GTEX-14E6C-0126-SM-5RQIP 40-49 years, male 14.4
GTEX-OXRK-0226-SM-3NB2G 50-59 years, female 14.4
GTEX-OXRN-0126-SM-48TDM 50-59 years, male 14.2
GTEX-WVJS-0126-SM-4MVOT 50-59 years, male 14.0
GTEX-14A5H-0426-SM-5QGQF 60-69 years, male 13.9
GTEX-1IE54-0126-SM-CMKHW 40-49 years, female 13.8
GTEX-XBEW-0626-SM-4QASP 40-49 years, male 13.6
GTEX-ZV68-0126-SM-59HKS 50-59 years, female 13.5
GTEX-1HCU7-0226-SM-CL545 50-59 years, male 13.5
GTEX-1CB4H-0226-SM-7PBXM 60-69 years, female 13.3
GTEX-14E6E-1826-SM-5S2R7 30-39 years, male 12.8
GTEX-17JCI-0126-SM-7LG5G 60-69 years, female 12.7
GTEX-1L5NE-2526-SM-E6CIE 50-59 years, male 12.6
GTEX-YJ89-0126-SM-4TT3X 60-69 years, male 12.4
GTEX-1LBAC-0126-SM-DIPEZ 20-29 years, male 12.4
GTEX-11TT1-2526-SM-5EGIB 20-29 years, male 12.3
GTEX-1HCU8-0626-SM-A9SM9 60-69 years, female 12.3
GTEX-1KANB-0526-SM-E6CJH 50-59 years, male 12.3
GTEX-1PDJ9-0326-SM-DTX95 20-29 years, male 12.3
GTEX-1IDFM-0126-SM-COH2V 60-69 years, male 12.2
GTEX-15UF6-0826-SM-6PALJ 70-79 years, female 12.1
GTEX-1J8EW-0126-SM-CJI4F 60-69 years, female 12.1
GTEX-13FTY-0526-SM-5L3EV 40-49 years, female 12.0
GTEX-WI4N-1026-SM-3LK7N 40-49 years, female 12.0
GTEX-YEC4-2126-SM-5IFJH 40-49 years, male 12.0
GTEX-XMD2-0126-SM-4YCDU 60-69 years, female 11.9
GTEX-13NZ8-0826-SM-5MR3I 60-69 years, female 11.8
GTEX-14BIM-0226-SM-7IGLD 60-69 years, female 11.8
GTEX-1HBPH-0426-SM-B2LW5 40-49 years, female 11.8
GTEX-15SDE-2226-SM-7IGLO 50-59 years, female 11.7
GTEX-1I6K6-0126-SM-A9SLE 30-39 years, male 11.7
GTEX-1J8QM-2126-SM-CYPSJ 60-69 years, female 11.7
GTEX-XXEK-2226-SM-4BRUM 50-59 years, male 11.6
GTEX-1HR98-0126-SM-B2LWI 60-69 years, male 11.6
GTEX-1K2DA-1826-SM-CGQGT 50-59 years, male 11.6
GTEX-UJHI-1526-SM-3DB99 50-59 years, female 11.5
GTEX-1H11D-0226-SM-9WG6Z 40-49 years, male 11.5
GTEX-1LNCM-1126-SM-E9U5E 50-59 years, female 11.5
GTEX-13RTL-0126-SM-7LG5S 40-49 years, male 11.4
GTEX-1H2FU-0126-SM-9WYSI 60-69 years, female 11.4
GTEX-1KAFJ-2026-SM-CY8ID 50-59 years, male 11.4
GTEX-X62O-0126-SM-4E3JN 50-59 years, male 11.3
GTEX-YJ8A-0426-SM-5IFID 20-29 years, male 11.3
GTEX-ZDXO-3026-SM-5J1N5 60-69 years, male 11.3
GTEX-1GMR8-0126-SM-9WYTM 50-59 years, female 11.3
GTEX-1R9PM-2026-SM-E76OY 20-29 years, male 11.3
GTEX-T5JC-0426-SM-32PLO 20-29 years, male 11.2
GTEX-X4EP-0126-SM-3P5YV 60-69 years, female 11.2
GTEX-1M5QR-1226-SM-EWROB 40-49 years, male 11.2
GTEX-P4PP-0126-SM-3LK69 30-39 years, female 11.1
GTEX-1HCUA-2426-SM-ADEIS 50-59 years, female 11.1
GTEX-14BIN-0626-SM-793DP 50-59 years, female 11.0
GTEX-15RIG-0226-SM-7KFTL 40-49 years, male 11.0
GTEX-XYKS-2126-SM-4E3IB 60-69 years, female 11.0
GTEX-13OW5-0126-SM-DTXFS 60-69 years, male 11.0
GTEX-1I1GV-0526-SM-A9G29 60-69 years, male 10.9
GTEX-11O72-0126-SM-59887 40-49 years, male 10.7
GTEX-14753-0426-SM-5NQAM 60-69 years, male 10.7
GTEX-XQ8I-0426-SM-4BOPO 50-59 years, male 10.7
GTEX-1F52S-0126-SM-9MQJU 60-69 years, female 10.7
GTEX-15DCD-0126-SM-7KUEK 70-79 years, female 10.6
GTEX-1EX96-1626-SM-7PBXR 50-59 years, male 10.6
GTEX-1122O-2126-SM-5EGIR 60-69 years, female 10.5
GTEX-139T8-0126-SM-5K7XZ 60-69 years, male 10.5
GTEX-18D9B-0526-SM-7LTAS 60-69 years, male 10.5
GTEX-ZAB5-1826-SM-5HL7C 50-59 years, male 10.5
GTEX-1LC47-0326-SM-E9TJP 60-69 years, male 10.5
GTEX-Q734-1926-SM-2I5EV 40-49 years, female 10.4
GTEX-ZZPT-0226-SM-5E43X 50-59 years, male 10.4
GTEX-13FXS-0226-SM-5IJCK 50-59 years, male 10.3
GTEX-QDT8-0126-SM-48TZ1 30-39 years, female 10.3
GTEX-WYJK-0126-SM-3NMAB 50-59 years, male 10.3
GTEX-13D11-2426-SM-5KM1V 50-59 years, female 10.2
GTEX-15UKP-0426-SM-7KUFQ 20-29 years, male 10.2
GTEX-OIZH-0126-SM-2HMIS 50-59 years, male 10.2
GTEX-144FL-0126-SM-5TDC8 50-59 years, male 10.1
GTEX-17KNJ-2326-SM-7DHLQ 50-59 years, male 10.1
GTEX-RUSQ-1526-SM-2TF62 50-59 years, male 10.1
GTEX-Y5LM-1926-SM-5RQJH 40-49 years, female 10.1
GTEX-113IC-0126-SM-5HL6T 60-69 years, male 10.0
GTEX-ZAJG-0126-SM-5HL94 50-59 years, female 10.0
GTEX-1LSNM-1926-SM-E6CII 50-59 years, male 10.0
GTEX-13PDP-0126-SM-5L3HD 60-69 years, male 9.9
GTEX-15F5U-1526-SM-6PANO 40-49 years, male 9.9
GTEX-PWO3-1526-SM-48TCM 60-69 years, female 9.9
GTEX-SUCS-1926-SM-32PM3 70-79 years, male 9.9
GTEX-W5WG-1826-SM-4KL2Y 50-59 years, female 9.9
GTEX-OOBK-0126-SM-2YUND 40-49 years, male 9.8
GTEX-TMZS-0126-SM-3DB9Q 60-69 years, male 9.8
GTEX-13FTW-2626-SM-5K7WL 40-49 years, male 9.7
GTEX-16NPX-0226-SM-79OMT 50-59 years, male 9.7
GTEX-1C6VR-2426-SM-79OLD 60-69 years, male 9.7
GTEX-1F5PK-2426-SM-7RHHY 50-59 years, male 9.7
GTEX-1K9T9-0126-SM-EVYCF 50-59 years, female 9.7
GTEX-14PHW-0126-SM-6LLJI 60-69 years, female 9.6
GTEX-ZAK1-0126-SM-5IJD3 50-59 years, female 9.6
GTEX-ZXES-1826-SM-5E43S 30-39 years, female 9.6
GTEX-111FC-0126-SM-5N9DL 60-69 years, male 9.5
GTEX-1R7EU-0226-SM-EVR4G 60-69 years, male 9.4
GTEX-14PHX-2326-SM-62LEM 50-59 years, male 9.3
GTEX-X8HC-0126-SM-4E3JW 50-59 years, female 9.3
GTEX-1GZ4H-1726-SM-7PBZJ 50-59 years, female 9.3
GTEX-1QMI2-0226-SM-EVYBX 60-69 years, male 9.3
GTEX-1RB15-2126-SM-E9TIM 60-69 years, male 9.3
GTEX-13N2G-2626-SM-5J1OT 60-69 years, male 9.2
GTEX-147F3-0526-SM-5SI98 50-59 years, female 9.2
GTEX-XUW1-0426-SM-4BOOT 50-59 years, female 9.2
GTEX-ZYFG-2326-SM-5E44B 60-69 years, female 9.2
GTEX-1HGF4-2426-SM-ACKXM 60-69 years, male 9.2
GTEX-1PPH7-2326-SM-EVYB8 40-49 years, male 9.2
GTEX-145MN-2226-SM-5SIAU 30-39 years, male 9.1
GTEX-14ICK-0226-SM-6EU25 40-49 years, male 9.1
GTEX-15ETS-0126-SM-7KUMW 40-49 years, female 9.1
GTEX-SIU8-0126-SM-2XCDT 50-59 years, male 9.1
GTEX-1F5PL-0326-SM-7P8PQ 40-49 years, female 9.1
GTEX-1HBPM-0226-SM-ARL9F 60-69 years, female 9.1
GTEX-SJXC-0126-SM-2XCFF 60-69 years, male 9.0
GTEX-ZV6S-2326-SM-4YCEY 40-49 years, female 9.0
GTEX-1HSEH-0126-SM-ACKXN 60-69 years, male 9.0
GTEX-1HSGN-0226-SM-CGQFV 40-49 years, female 9.0
GTEX-1QAET-0926-SM-E76QM 50-59 years, male 9.0
GTEX-18A7A-0226-SM-718BH 50-59 years, female 8.9
GTEX-TKQ1-1026-SM-4GICL 30-39 years, male 8.9
GTEX-Z9EW-1626-SM-5CVMN 40-49 years, male 8.9
GTEX-ZF2S-2326-SM-4WWCE 50-59 years, female 8.9
GTEX-1I1GT-0626-SM-CGQER 60-69 years, female 8.9
GTEX-WOFL-0126-SM-3MJG2 60-69 years, male 8.8
GTEX-XV7Q-2526-SM-4BRV9 40-49 years, female 8.8
GTEX-ZTPG-0326-SM-5O9AX 20-29 years, female 8.8
GTEX-13NZB-2526-SM-5J1OM 30-39 years, male 8.7
GTEX-18QFQ-0126-SM-731BE 30-39 years, male 8.7
GTEX-YB5E-2026-SM-5IFIS 40-49 years, male 8.7
GTEX-1J1OQ-0226-SM-CYPSH 40-49 years, female 8.7
GTEX-1PFEY-1526-SM-E76PP 30-39 years, male 8.7
GTEX-1QP2A-0126-SM-E9J43 50-59 years, male 8.7
GTEX-1192X-0226-SM-5H12D 50-59 years, male 8.6
GTEX-Z93T-0126-SM-5HL5N 50-59 years, male 8.6
GTEX-1GN2E-0426-SM-9MQKX 60-69 years, male 8.6
GTEX-1MA7W-2026-SM-E9TJ6 20-29 years, female 8.6
GTEX-139TS-2826-SM-5J1OO 60-69 years, male 8.5
GTEX-145LU-0126-SM-5TDCB 50-59 years, male 8.5
GTEX-X261-0126-SM-3NMD6 50-59 years, male 8.5
GTEX-1JMPZ-0226-SM-CNPP1 30-39 years, male 8.5
GTEX-SE5C-1626-SM-2XCE3 40-49 years, female 8.5
GTEX-ZVTK-0426-SM-51MRS 20-29 years, male 8.4
GTEX-1M4P7-0226-SM-DIPEV 60-69 years, male 8.4
GTEX-11NUK-0126-SM-5A5L3 50-59 years, male 8.3
GTEX-16AAH-1726-SM-7939C 50-59 years, male 8.3
GTEX-T6MO-1626-SM-32QOM 40-49 years, female 8.3
GTEX-ZE7O-0126-SM-57WC1 50-59 years, female 8.3
GTEX-1HFI6-0226-SM-ADEHZ 40-49 years, male 8.3
GTEX-S33H-1026-SM-EZ6L6 30-39 years, male 8.3
GTEX-132NY-0326-SM-5IJBL 60-69 years, male 8.2
GTEX-1399T-2826-SM-5KLYZ 60-69 years, male 8.2
GTEX-13G51-2526-SM-5LZYK 60-69 years, male 8.2
GTEX-13NYB-2526-SM-5K7Z6 40-49 years, male 8.2
GTEX-13VXT-0126-SM-5LU4I 20-29 years, female 8.2
GTEX-14A6H-0126-SM-5QGPK 30-39 years, male 8.2
GTEX-18D9U-0226-SM-718BP 40-49 years, male 8.2
GTEX-R3RS-0126-SM-3GIJL 40-49 years, female 8.2
GTEX-1GMR3-1926-SM-9KNUZ 40-49 years, male 8.2
GTEX-1GZ2Q-0226-SM-7P8TL 40-49 years, male 8.2
GTEX-1JN1M-0326-SM-CYPT3 60-69 years, female 8.2
GTEX-1LGRB-2526-SM-CNPPQ 50-59 years, female 8.2
GTEX-131XE-2326-SM-5PNZ2 50-59 years, male 8.1
GTEX-13OVL-0226-SM-5L3E9 50-59 years, male 8.1
GTEX-147GR-0526-SM-5S2MY 60-69 years, male 8.1
GTEX-1AYD5-2426-SM-73KXR 50-59 years, male 8.1
GTEX-U8XE-0326-SM-3DB8P 30-39 years, male 8.1
GTEX-Y3IK-2426-SM-4WWDU 50-59 years, female 8.1
GTEX-ZVT2-2526-SM-51MT1 50-59 years, female 8.1
GTEX-1HCU9-1526-SM-A9SL7 20-29 years, male 8.1
GTEX-1IDJU-2626-SM-CM2RT 60-69 years, female 8.1
GTEX-1JJE9-0326-SM-CL53Z 70-79 years, male 8.1
GTEX-18D9A-1926-SM-7LG6P 30-39 years, female 8.0
GTEX-VUSG-2526-SM-4KL1V 50-59 years, male 8.0
GTEX-11P7K-2126-SM-5GU7G 30-39 years, male 7.9
GTEX-X638-0126-SM-47JZ8 70-79 years, female 7.9
GTEX-1RAZA-0126-SM-E6CI3 20-29 years, male 7.9
GTEX-11DXW-0226-SM-5H122 40-49 years, male 7.8
GTEX-12WSJ-1826-SM-5GCNY 40-49 years, female 7.8
GTEX-133LE-1826-SM-5J1MV 20-29 years, female 7.8
GTEX-14BMU-2226-SM-5TDE9 20-29 years, female 7.8
GTEX-ZTX8-1426-SM-5DUVO 20-29 years, male 7.8
GTEX-1ICG6-2526-SM-CGQFZ 70-79 years, female 7.8
GTEX-1IL2V-0126-SM-CM2TX 70-79 years, male 7.8
GTEX-11OC5-0126-SM-5HL6A 60-69 years, male 7.7
GTEX-X4XY-0226-SM-4E3IZ 60-69 years, male 7.7
GTEX-YB5K-2126-SM-4WWDJ 40-49 years, female 7.7
GTEX-1JJEA-0326-SM-CNPOT 60-69 years, male 7.7
GTEX-1LVAN-0226-SM-COH3S 50-59 years, female 7.7
GTEX-13SLX-0526-SM-5S2ON 50-59 years, female 7.6
GTEX-16BQI-0226-SM-7KUEX 30-39 years, female 7.6
GTEX-O5YT-0126-SM-48TBW 20-29 years, male 7.6
GTEX-U3ZN-2326-SM-3DB7W 30-39 years, female 7.6
GTEX-WFON-2126-SM-3LK7O 40-49 years, male 7.6
GTEX-X4XX-0126-SM-3NMC2 60-69 years, male 7.6
GTEX-1EKGG-0226-SM-9WYTH 60-69 years, male 7.6
GTEX-1F88F-2726-SM-7PBZZ 60-69 years, female 7.6
GTEX-Y8E4-0626-SM-4WWDL 40-49 years, male 7.5
GTEX-1HSMQ-1226-SM-CGQFX 50-59 years, male 7.5
GTEX-13OVK-2026-SM-7KUEO 40-49 years, male 7.4
GTEX-ZU9S-0226-SM-5E441 30-39 years, male 7.4
GTEX-1I1CD-0126-SM-CM2TK 60-69 years, female 7.4
GTEX-1J8JJ-0226-SM-CL53I 60-69 years, female 7.4
GTEX-1K2DU-2326-SM-E9TIV 20-29 years, male 7.4
GTEX-1KANA-0726-SM-D3L9I 20-29 years, male 7.4
GTEX-PSDG-0226-SM-DKPOZ 50-59 years, male 7.4
GTEX-139UW-2826-SM-5L3E7 60-69 years, male 7.3
GTEX-13CF2-2526-SM-5LZYX 60-69 years, male 7.3
GTEX-15CHC-2126-SM-6EU21 60-69 years, female 7.3
GTEX-1BAJH-0526-SM-793CQ 70-79 years, male 7.3
GTEX-PX3G-0126-SM-2I3EN 20-29 years, female 7.3
GTEX-U4B1-1826-SM-4DXSU 40-49 years, male 7.3
GTEX-ZVZO-0126-SM-5A5L9 40-49 years, male 7.3
GTEX-11WQC-2526-SM-5CVLE 60-69 years, male 7.2
GTEX-12KS4-0326-SM-5EQ41 30-39 years, male 7.2
GTEX-17F96-1626-SM-7DUFL 70-79 years, male 7.2
GTEX-1A3MX-0126-SM-731BR 60-69 years, male 7.2
GTEX-ZVZP-2426-SM-59HKJ 50-59 years, male 7.2
GTEX-1C64O-0126-SM-7SB8P 60-69 years, male 7.2
GTEX-1GL5R-1826-SM-9KNUY 50-59 years, male 7.2
GTEX-1HCVE-0126-SM-CGQEU 50-59 years, male 7.2
GTEX-12WSA-0226-SM-5BC5V 60-69 years, male 7.1
GTEX-1399R-2726-SM-5IJBA 30-39 years, male 7.1
GTEX-13RTK-1426-SM-5QGQJ 20-29 years, male 7.1
GTEX-145MF-0626-SM-5LUAI 50-59 years, male 7.1
GTEX-QESD-1426-SM-2S1R9 20-29 years, male 7.1
GTEX-1GN1V-0126-SM-9WPOS 60-69 years, male 7.1
GTEX-1H3NZ-0126-SM-ACKX7 60-69 years, male 7.1
GTEX-13PVR-2326-SM-5QGR1 60-69 years, female 7.0
GTEX-ZUA1-0126-SM-5GU76 40-49 years, male 7.0
GTEX-1CAMS-0426-SM-7P8T2 40-49 years, female 7.0
GTEX-1I4MK-2226-SM-ACKWD 50-59 years, female 7.0
GTEX-1JK1U-2026-SM-CM2RZ 60-69 years, male 7.0
GTEX-14ABY-0226-SM-5TDCQ 50-59 years, male 6.9
GTEX-17HHY-0126-SM-7LG5D 50-59 years, male 6.9
GTEX-1C64N-0126-SM-793D7 50-59 years, male 6.9
GTEX-OHPL-0126-SM-2HMJ7 60-69 years, female 6.9
GTEX-PLZ4-0126-SM-5SI8O 50-59 years, female 6.9
GTEX-U3ZM-1526-SM-3DB9D 40-49 years, male 6.9
GTEX-1CAV2-2226-SM-7P8P2 40-49 years, female 6.9
GTEX-113JC-2326-SM-5EQ4E 50-59 years, female 6.8
GTEX-11DXY-2626-SM-5GIE7 60-69 years, male 6.8
GTEX-13111-1626-SM-5EGJY 50-59 years, male 6.8
GTEX-13FTX-1826-SM-5J1NX 20-29 years, female 6.8
GTEX-14JG1-0426-SM-6ETZZ 40-49 years, male 6.8
GTEX-16NGA-1726-SM-731B4 40-49 years, female 6.8
GTEX-1B97I-1626-SM-73KYO 40-49 years, male 6.8
GTEX-ZVE2-0226-SM-59HJB 50-59 years, male 6.8
GTEX-131XF-5016-SM-7MGWE 60-69 years, male 6.8
GTEX-OIZF-0126-SM-7SB8I 60-69 years, male 6.8
GTEX-11EQ9-2426-SM-5HL5T 30-39 years, male 6.7
GTEX-1399U-2326-SM-5K7WY 50-59 years, female 6.7
GTEX-13OVI-1426-SM-5L3EY 60-69 years, female 6.7
GTEX-145ME-1826-SM-5SI9G 40-49 years, female 6.7
GTEX-14DAQ-0126-SM-5S2MQ 60-69 years, female 6.7
GTEX-14PJ6-2126-SM-6EU1V 60-69 years, female 6.7
GTEX-1CAMR-1926-SM-7EPI2 20-29 years, male 6.7
GTEX-XAJ8-0826-SM-47JY6 40-49 years, male 6.7
GTEX-XUZC-1726-SM-4BRWS 30-39 years, female 6.7
GTEX-1C6WA-0126-SM-7PC2B 60-69 years, male 6.7
GTEX-1H1E6-1726-SM-ACKVK 30-39 years, male 6.7
GTEX-1JKYN-1326-SM-CGQG9 30-39 years, male 6.7
GTEX-1KANC-1526-SM-D3LAB 50-59 years, female 6.7
GTEX-1LG7Z-1726-SM-D3LA4 30-39 years, male 6.7
GTEX-1PWST-0226-SM-E76QJ 70-79 years, male 6.7
GTEX-13OVH-0126-SM-5MR4B 70-79 years, male 6.6
GTEX-145LV-2126-SM-5LU8N 50-59 years, male 6.6
GTEX-148VJ-0126-SM-5TDDN 70-79 years, male 6.6
GTEX-14LLW-0126-SM-6LLIO 70-79 years, female 6.6
GTEX-1CB4I-0226-SM-79OLH 50-59 years, male 6.6
GTEX-QDVN-2026-SM-3GAEP 50-59 years, male 6.6
GTEX-11TUW-2726-SM-E9J4M 60-69 years, male 6.6
GTEX-1CB4F-0426-SM-9KNV4 60-69 years, male 6.6
GTEX-1I1GS-0126-SM-B2LVW 60-69 years, male 6.6
GTEX-1ICLY-0126-SM-D4P36 50-59 years, male 6.6
GTEX-11XUK-2026-SM-5EQLF 40-49 years, female 6.5
GTEX-13N11-2526-SM-5K7UE 50-59 years, female 6.5
GTEX-13O3Q-2426-SM-5IJBR 50-59 years, male 6.5
GTEX-18A7B-0126-SM-7LG64 70-79 years, male 6.5
GTEX-1A32A-0126-SM-718B1 50-59 years, female 6.5
GTEX-1CAMQ-0226-SM-7IGPK 40-49 years, male 6.5
GTEX-ZXG5-0126-SM-5GIEU 60-69 years, male 6.5
GTEX-1HKZK-0326-SM-9WYUH 40-49 years, male 6.5
GTEX-1N2DV-0226-SM-E6CJ6 40-49 years, male 6.5
GTEX-1PBJI-0526-SM-E8VNK 20-29 years, female 6.5
GTEX-139D8-0226-SM-5KLZO 30-39 years, female 6.4
GTEX-146FQ-0126-SM-5NQA9 30-39 years, male 6.4
GTEX-14PII-0226-SM-6EU1T 60-69 years, male 6.4
GTEX-15SB6-1726-SM-6PAME 50-59 years, female 6.4
GTEX-16MT8-0426-SM-7KUEY 60-69 years, female 6.4
GTEX-17GQL-2026-SM-718BA 60-69 years, male 6.4
GTEX-1B8SF-1426-SM-7DUGL 60-69 years, male 6.4
GTEX-1CB4E-2226-SM-793DC 60-69 years, male 6.4
GTEX-OIZG-0726-SM-33HBL 50-59 years, male 6.4
GTEX-WXYG-2326-SM-4E3I6 50-59 years, female 6.4
GTEX-1H3VE-0326-SM-9YFLH 40-49 years, male 6.4
GTEX-1IDJF-0126-SM-CM2RS 20-29 years, male 6.4
GTEX-RVPV-0126-SM-EAZAW 60-69 years, male 6.4
GTEX-111VG-2426-SM-5GZXD 60-69 years, male 6.3
GTEX-131YS-0126-SM-5KM1M 60-69 years, female 6.3
GTEX-145LT-1726-SM-5QGP3 40-49 years, male 6.3
GTEX-14JG6-2226-SM-6EU2G 30-39 years, female 6.3
GTEX-14PJM-0226-SM-62LF1 50-59 years, female 6.3
GTEX-OHPM-0126-SM-2YUN9 50-59 years, male 6.3
GTEX-Q2AI-1326-SM-2S1PL 40-49 years, male 6.3
GTEX-T6MN-0126-SM-32PLP 50-59 years, male 6.3
GTEX-XBED-2226-SM-47JYQ 60-69 years, male 6.3
GTEX-1HSMO-0126-SM-CL547 60-69 years, male 6.3
GTEX-1JMQK-0226-SM-CL543 60-69 years, male 6.3
GTEX-1QP9N-1426-SM-DTXFL 30-39 years, male 6.3
GTEX-1S83E-0126-SM-EWRO4 40-49 years, male 6.3
GTEX-11P81-2326-SM-59875 30-39 years, female 6.2
GTEX-11ZTS-0126-SM-5EQ6M 60-69 years, female 6.2
GTEX-1313W-0126-SM-5LZUN 50-59 years, female 6.2
GTEX-13OW6-0426-SM-5L3HM 50-59 years, male 6.2
GTEX-17EUY-0426-SM-793BD 20-29 years, male 6.2
GTEX-17HG3-2226-SM-7938L 30-39 years, female 6.2
GTEX-RTLS-0126-SM-447CA 60-69 years, female 6.2
GTEX-1MCYP-1926-SM-E9J2R 20-29 years, female 6.2
GTEX-1QPFJ-0226-SM-E76PB 30-39 years, female 6.2
GTEX-11DZ1-0126-SM-5985Q 50-59 years, male 6.1
GTEX-13SLW-0126-SM-5SI6C 70-79 years, male 6.1
GTEX-T8EM-1026-SM-3DB7M 40-49 years, male 6.1
GTEX-1MJK2-0426-SM-DTXE5 50-59 years, male 6.1
GTEX-1PPH8-0226-SM-E8VND 20-29 years, male 6.1
GTEX-1QP66-1726-SM-E8VO1 50-59 years, male 6.1
GTEX-11DXZ-2326-SM-5EGGV 50-59 years, male 6.0
GTEX-13FHO-0226-SM-5IFGY 60-69 years, male 6.0
GTEX-ZDYS-2026-SM-5HL5L 50-59 years, male 6.0
GTEX-1IGQW-0126-SM-COH42 60-69 years, male 6.0
GTEX-1LGOU-2026-SM-DIPFF 20-29 years, female 6.0
GTEX-1N2DW-0226-SM-E9TK2 50-59 years, male 6.0
GTEX-1QP29-0626-SM-EWRMX 50-59 years, male 6.0
GTEX-117YW-2626-SM-5GZZH 50-59 years, male 5.9
GTEX-11ZVC-2526-SM-5FQTE 50-59 years, female 5.9
GTEX-12126-0326-SM-5PNW3 20-29 years, male 5.9
GTEX-12WSN-5019-SM-79OM6 40-49 years, male 5.9
GTEX-17F98-0626-SM-79OMX 40-49 years, female 5.9
GTEX-NFK9-0226-SM-2HMKQ 40-49 years, male 5.9
GTEX-QLQW-1126-SM-2S1Q8 30-39 years, male 5.9
GTEX-SSA3-0126-SM-32QPU 60-69 years, male 5.9
GTEX-Y114-2426-SM-4TT8A 50-59 years, female 5.9
GTEX-Y5V5-2326-SM-4V6GA 60-69 years, female 5.9
GTEX-Y8DK-0126-SM-4TT3L 60-69 years, male 5.9
GTEX-1EMGI-0126-SM-9KNUE 60-69 years, male 5.9
GTEX-1H4P4-0726-SM-9YFLR 50-59 years, male 5.9
GTEX-1MA7X-2226-SM-E6CIY 60-69 years, male 5.9
GTEX-1MCQQ-0826-SM-DLHC2 60-69 years, male 5.9
GTEX-1PIGE-0126-SM-EVYBJ 20-29 years, male 5.9
GTEX-1S82Z-0826-SM-E6CHY 30-39 years, female 5.9
GTEX-11P82-1626-SM-59879 20-29 years, male 5.8
GTEX-13VXU-0126-SM-5SI9F 50-59 years, male 5.8
GTEX-147F4-0226-SM-5QGPW 50-59 years, male 5.8
GTEX-15EU6-0426-SM-6PAN5 50-59 years, male 5.8
GTEX-S7SE-0126-SM-2XCD5 50-59 years, male 5.8
GTEX-ZYFD-0126-SM-5GIDL 50-59 years, male 5.8
GTEX-1F6I4-0126-SM-9MQL2 60-69 years, male 5.8
GTEX-1GF9U-2126-SM-7SB7L 40-49 years, female 5.8
GTEX-1GN73-0226-SM-9WG67 60-69 years, male 5.8
GTEX-1GPI7-0126-SM-9MQL8 20-29 years, male 5.8
GTEX-1JMLX-0226-SM-CM2RO 50-59 years, male 5.8
GTEX-1KD5A-0226-SM-D5OV3 50-59 years, male 5.8
GTEX-1KXAM-2226-SM-CYPTC 60-69 years, male 5.8
GTEX-1LH75-2426-SM-E9TJE 50-59 years, female 5.8
GTEX-1R46S-0626-SM-E9J41 60-69 years, female 5.8
GTEX-PWCY-1826-SM-DHXIZ 20-29 years, female 5.8
GTEX-131XW-0426-SM-5LZWP 50-59 years, female 5.7
GTEX-17MF6-0126-SM-7LG4F 40-49 years, male 5.7
GTEX-1B996-0226-SM-7RHGO 60-69 years, male 5.7
GTEX-1H23P-0126-SM-ADEJ3 60-69 years, male 5.7
GTEX-11UD2-0226-SM-5EQKY 50-59 years, male 5.6
GTEX-14E6D-0126-SM-62LDV 50-59 years, male 5.6
GTEX-1A3MW-0126-SM-73KXX 60-69 years, female 5.6
GTEX-WQUQ-0426-SM-3MJFU 60-69 years, male 5.6
GTEX-WY7C-2326-SM-3NB2U 50-59 years, male 5.6
GTEX-1J1R8-1726-SM-ARL8M 40-49 years, male 5.6
GTEX-1JKYR-0126-SM-CNPOJ 20-29 years, male 5.6
GTEX-1S82Y-2026-SM-EVYCM 40-49 years, male 5.6
GTEX-R45C-0126-SM-EAZ2R 60-69 years, female 5.6
GTEX-11DYG-0126-SM-59883 60-69 years, male 5.5
GTEX-13JUV-2726-SM-5LZZ8 40-49 years, female 5.5
GTEX-13X6I-0626-SM-5QGP9 60-69 years, male 5.5
GTEX-16GPK-0126-SM-7DHLE 60-69 years, male 5.5
GTEX-183FY-0126-SM-7LT9P 20-29 years, male 5.5
GTEX-18A67-0126-SM-7LG5P 50-59 years, male 5.5
GTEX-Y5V6-2426-SM-4VDSB 60-69 years, male 5.5
GTEX-ZDTS-0126-SM-4WAY5 60-69 years, male 5.5
GTEX-1JMPY-1326-SM-ARL8Y 30-39 years, male 5.5
GTEX-12584-0126-SM-5EGKQ 40-49 years, male 5.4
GTEX-145MO-0326-SM-5Q5B3 60-69 years, male 5.4
GTEX-14PN3-2426-SM-6LLHS 60-69 years, female 5.4
GTEX-15SHU-0126-SM-7KUEH 40-49 years, female 5.4
GTEX-18A6Q-0126-SM-731BZ 60-69 years, male 5.4
GTEX-RN64-0126-SM-2TC68 50-59 years, male 5.4
GTEX-ZDTT-2726-SM-4WKF8 60-69 years, male 5.4
GTEX-ZGAY-0526-SM-4WWBB 40-49 years, female 5.4
GTEX-1PIIG-0226-SM-EWRN6 30-39 years, male 5.4
GTEX-1QEPI-0126-SM-EWRMQ 60-69 years, female 5.4
GTEX-1RLM8-2326-SM-EWRN4 50-59 years, male 5.4
GTEX-OOBJ-0126-SM-E6CJW 60-69 years, male 5.4
GTEX-1B8KZ-2026-SM-7DHMB 50-59 years, male 5.3
GTEX-P4PQ-0126-SM-2S1NM 60-69 years, male 5.3
GTEX-S7PM-0126-SM-4AD6S 60-69 years, male 5.3
GTEX-S95S-1226-SM-4GICG 60-69 years, male 5.3
GTEX-V1D1-2226-SM-3NMAX 50-59 years, male 5.3
GTEX-1B8L1-2526-SM-9WYTF 60-69 years, male 5.3
GTEX-1IDJH-0326-SM-A9SLQ 70-79 years, male 5.3
GTEX-1JJ6O-0126-SM-E6CI8 60-69 years, male 5.3
GTEX-1MUQO-0126-SM-EAZ58 60-69 years, male 5.3
GTEX-12WSK-2326-SM-5GCOH 40-49 years, female 5.2
GTEX-12ZZX-0126-SM-5EGK9 40-49 years, female 5.2
GTEX-139T4-0226-SM-5HL5S 50-59 years, female 5.2
GTEX-145LS-0126-SM-5QGP1 60-69 years, female 5.2
GTEX-17EVQ-0226-SM-7LG4P 70-79 years, male 5.2
GTEX-P4QT-0126-SM-2I3FL 50-59 years, female 5.2
GTEX-Y8LW-1826-SM-5S2MV 50-59 years, female 5.2
GTEX-1KWVE-1426-SM-E9TJO 30-39 years, male 5.2
GTEX-1N2EF-0226-SM-EYYXB 60-69 years, male 5.2
GTEX-1QCLY-0326-SM-E8VOG 30-39 years, male 5.2
GTEX-1128S-2326-SM-5GZZY 60-69 years, female 5.1
GTEX-13RTJ-2426-SM-5S2Q2 60-69 years, male 5.1
GTEX-14PJ3-1826-SM-62LEX 50-59 years, male 5.1
GTEX-16XZZ-0126-SM-793DV 60-69 years, male 5.1
GTEX-1AMEY-1326-SM-73KYK 30-39 years, female 5.1
GTEX-1AYCT-2426-SM-7IGQ3 50-59 years, male 5.1
GTEX-SN8G-0126-SM-32PLI 50-59 years, female 5.1
GTEX-WZTO-0126-SM-3NM95 40-49 years, male 5.1
GTEX-XQ3S-1526-SM-4BOOC 20-29 years, male 5.1
GTEX-1F75A-0126-SM-7RHGM 50-59 years, male 5.1
GTEX-1HSKV-0226-SM-A9SKJ 60-69 years, male 5.1
GTEX-1HT8W-0126-SM-CNPPP 30-39 years, male 5.1
GTEX-1KD4Q-0226-SM-E9TJ9 40-49 years, male 5.1
GTEX-1OJC3-0126-SM-E76QX 20-29 years, male 5.1
GTEX-1S3DN-2226-SM-EVYCD 50-59 years, male 5.1
GTEX-11DXX-2426-SM-5GZZW 60-69 years, female 5.0
GTEX-T5JW-1626-SM-3GADZ 20-29 years, female 5.0
GTEX-X585-0226-SM-4QAS2 50-59 years, male 5.0
GTEX-YFC4-0126-SM-5CVLY 40-49 years, female 5.0
GTEX-1F75B-0126-SM-9KNVL 50-59 years, male 5.0
GTEX-1H1DG-0126-SM-9WYU2 70-79 years, male 5.0
GTEX-1LB8K-0226-SM-EWRNW 50-59 years, male 5.0
GTEX-11GS4-2726-SM-5A5LE 60-69 years, male 4.9
GTEX-12ZZY-0226-SM-5LZVE 60-69 years, male 4.9
GTEX-RM2N-1426-SM-2TF4H 50-59 years, male 4.9
GTEX-1F6IF-0726-SM-7P8TW 60-69 years, male 4.9
GTEX-1HFI7-1826-SM-ACKXH 50-59 years, female 4.9
GTEX-1HSMP-0126-SM-E6CJS 70-79 years, male 4.9
GTEX-1IOXB-0126-SM-ARL8G 50-59 years, male 4.9
GTEX-1J8Q2-0526-SM-CM2RW 60-69 years, male 4.9
GTEX-1RAZQ-0726-SM-EAZ43 30-39 years, male 4.9
GTEX-11ZU8-2526-SM-5EQKI 60-69 years, male 4.8
GTEX-PVOW-0126-SM-2XCFA 40-49 years, male 4.8
GTEX-QDVJ-1726-SM-2I5FX 50-59 years, male 4.8
GTEX-TMMY-0226-SM-33HBA 40-49 years, female 4.8
GTEX-TSE9-0126-SM-3DB83 60-69 years, female 4.8
GTEX-11OF3-2626-SM-5GU7F 60-69 years, male 4.7
GTEX-11TTK-0126-SM-5987B 60-69 years, female 4.7
GTEX-13IVO-0126-SM-5J1NG 70-79 years, male 4.7
GTEX-144GN-2326-SM-5LU4F 50-59 years, male 4.7
GTEX-SNMC-1226-SM-2XCFP 20-29 years, male 4.7
GTEX-ZYT6-0226-SM-5NQ6T 30-39 years, male 4.7
GTEX-13FH7-2026-SM-E9J4I 50-59 years, female 4.7
GTEX-169BO-1326-SM-9MQK2 50-59 years, male 4.7
GTEX-1IKK5-0626-SM-ARL8A 60-69 years, male 4.7
GTEX-12WSC-0126-SM-5EQ4P 50-59 years, male 4.6
GTEX-12ZZZ-0626-SM-5DUXI 60-69 years, male 4.6
GTEX-1314G-1526-SM-5EGK2 30-39 years, male 4.6
GTEX-15D1Q-0126-SM-7KUG6 40-49 years, male 4.6
GTEX-PLZ5-2026-SM-2S1O4 50-59 years, male 4.6
GTEX-RWS6-2026-SM-2XCB5 60-69 years, female 4.6
GTEX-1EU9M-0226-SM-7P8SP 60-69 years, male 4.6
GTEX-1F75I-0326-SM-9YFLU 40-49 years, male 4.6
GTEX-1I1GR-0126-SM-CL55F 60-69 years, male 4.6
GTEX-1QP67-1626-SM-EAZ3X 40-49 years, female 4.6
GTEX-11VI4-1726-SM-5CVLH 40-49 years, female 4.5
GTEX-12WSD-0126-SM-59HKN 60-69 years, female 4.5
GTEX-13OW7-0126-SM-5MR3B 50-59 years, male 4.5
GTEX-13W3W-2426-SM-5LU5B 60-69 years, female 4.5
GTEX-14DAR-2026-SM-5S2O3 50-59 years, male 4.5
GTEX-18465-0126-SM-731BN 50-59 years, male 4.5
GTEX-1AX9K-2326-SM-73KWU 50-59 years, male 4.5
GTEX-1C4CL-0526-SM-73KVK 30-39 years, male 4.5
GTEX-OXRP-0126-SM-3NB32 60-69 years, female 4.5
GTEX-ZZ64-1726-SM-5GZYB 20-29 years, male 4.5
GTEX-1B933-0126-SM-7PC29 50-59 years, female 4.5
GTEX-1GZHY-0326-SM-9QEHI 50-59 years, female 4.5
GTEX-1HBPI-1526-SM-C1YQ1 50-59 years, male 4.5
GTEX-1I19N-0326-SM-ACKVX 70-79 years, male 4.5
GTEX-1IY9M-0126-SM-D3L8S 60-69 years, male 4.5
GTEX-ZQG8-1626-SM-DHXIT 60-69 years, female 4.5
GTEX-11ZUS-0626-SM-59885 30-39 years, male 4.4
GTEX-QV44-1926-SM-2S1RF 50-59 years, male 4.4
GTEX-1H3VY-0126-SM-ACKXD 50-59 years, male 4.4
GTEX-11EI6-0126-SM-5985R 60-69 years, male 4.3
GTEX-11GSP-2526-SM-5N9BP 60-69 years, female 4.3
GTEX-15SHW-0326-SM-6PAML 60-69 years, male 4.3
GTEX-XPVG-2626-SM-4B669 50-59 years, male 4.3
GTEX-146FR-1326-SM-E9J48 60-69 years, female 4.3
GTEX-1GMRU-0126-SM-9YFLV 50-59 years, male 4.3
GTEX-1I1GP-2226-SM-CGQFK 50-59 years, male 4.3
GTEX-1O97I-0326-SM-EYYX7 60-69 years, male 4.3
GTEX-1S5ZA-0126-SM-EVYCV 20-29 years, male 4.3
GTEX-ZVT4-0126-SM-DTXFN 50-59 years, female 4.3
GTEX-12WSE-0526-SM-793B2 20-29 years, male 4.2
GTEX-131XG-2626-SM-5KM17 50-59 years, female 4.2
GTEX-139TU-0126-SM-5K7WH 60-69 years, male 4.2
GTEX-14PN4-0126-SM-6EU2V 50-59 years, male 4.2
GTEX-VJYA-1126-SM-3GIJU 60-69 years, male 4.2
GTEX-X5EB-2226-SM-46MW4 40-49 years, male 4.2
GTEX-Z93S-0126-SM-5HL7M 50-59 years, male 4.2
GTEX-ZYFC-0226-SM-5NQ75 50-59 years, male 4.2
GTEX-ZYW4-0126-SM-5E44A 60-69 years, male 4.2
GTEX-1H1CY-2826-SM-9MQM3 60-69 years, female 4.2
GTEX-1R7EV-2426-SM-EVYBG 40-49 years, male 4.2
GTEX-11EM3-2426-SM-59861 20-29 years, female 4.1
GTEX-13N1W-0126-SM-5K7VT 70-79 years, male 4.1
GTEX-13OVG-1926-SM-5L3DK 60-69 years, male 4.1
GTEX-14C5O-0126-SM-5SI6N 60-69 years, male 4.1
GTEX-OXRL-0126-SM-2YUMP 50-59 years, male 4.1
GTEX-QVJO-1626-SM-2S1QW 60-69 years, female 4.1
GTEX-XUYS-0126-SM-47JWZ 50-59 years, male 4.1
GTEX-1269C-2526-SM-5EGJ3 60-69 years, female 4.0
GTEX-12WSL-2526-SM-5GCNJ 50-59 years, male 4.0
GTEX-13113-5016-SM-7EPIP 60-69 years, female 4.0
GTEX-13NZA-0226-SM-5K7Z7 60-69 years, male 4.0
GTEX-146FH-0126-SM-5QGPP 50-59 years, female 4.0
GTEX-17EVP-0326-SM-7DHLG 40-49 years, male 4.0
GTEX-1C6VS-0526-SM-7DUEN 60-69 years, male 4.0
GTEX-R55G-2526-SM-2TC6D 40-49 years, female 4.0
GTEX-ZF28-0126-SM-4WKGK 60-69 years, male 4.0
GTEX-1H3O1-0426-SM-9YFKY 60-69 years, male 4.0
GTEX-1IKOH-0226-SM-COH4E 60-69 years, female 4.0
GTEX-14XAO-2326-SM-6EU1B 60-69 years, female 3.9
GTEX-R55E-0126-SM-2TC5Y 20-29 years, male 3.9
GTEX-ZAB4-0226-SM-5N9F5 40-49 years, male 3.9
GTEX-ZEX8-2426-SM-4WKG4 50-59 years, male 3.9
GTEX-1GF9W-0326-SM-9KNUN 60-69 years, male 3.9
GTEX-1GPI6-0126-SM-9WG69 60-69 years, male 3.9
GTEX-WYVS-2126-SM-3NMA3 40-49 years, female 3.8
GTEX-ZTSS-1926-SM-57WEW 40-49 years, male 3.8
GTEX-1AX9I-0126-SM-7SB74 60-69 years, male 3.8
GTEX-1I1GU-2226-SM-CGQFA 40-49 years, male 3.8
GTEX-13O21-1426-SM-5K7XI 50-59 years, male 3.7
GTEX-16YQH-0126-SM-7DUFJ 30-39 years, male 3.7
GTEX-Q2AH-1626-SM-3GAF8 40-49 years, male 3.7
GTEX-T2IS-0126-SM-4DM6O 20-29 years, female 3.7
GTEX-Y3I4-2126-SM-4TT7C 50-59 years, male 3.7
GTEX-14BMV-0126-SM-5S2PO 50-59 years, male 3.6
GTEX-15DDE-0126-SM-6LPKH 50-59 years, female 3.6
GTEX-15DYW-0126-SM-7KULE 60-69 years, female 3.6
GTEX-1AX9J-0226-SM-73KXM 60-69 years, male 3.6
GTEX-U3ZH-2026-SM-3DB78 30-39 years, male 3.6
GTEX-1F48J-0126-SM-7P8TT 50-59 years, female 3.6
GTEX-1GN1W-0526-SM-9MQJQ 50-59 years, female 3.6
GTEX-1H1ZS-0426-SM-9WG6G 70-79 years, male 3.6
GTEX-1HUB1-0426-SM-E9U4U 60-69 years, male 3.6
GTEX-1J8Q3-1626-SM-CMKGC 60-69 years, male 3.6
GTEX-1R9PO-2126-SM-E9J4O 60-69 years, female 3.6
GTEX-13U4I-0126-SM-5LU38 40-49 years, female 3.5
GTEX-13O3O-0126-SM-E9J49 60-69 years, female 3.5
GTEX-117YX-2326-SM-5H12W 50-59 years, male 3.4
GTEX-QLQ7-1626-SM-2S1R8 60-69 years, male 3.4
GTEX-WFG8-2226-SM-3GIL9 20-29 years, male 3.4
GTEX-1F7RK-0126-SM-7PC2S 20-29 years, female 3.4
GTEX-1I1GQ-0126-SM-COH3H 50-59 years, male 3.4
GTEX-1JMQJ-0526-SM-CYPSU 50-59 years, male 3.4
GTEX-1LG7Y-0526-SM-DKPQC 50-59 years, male 3.4
GTEX-1OFPY-2426-SM-DTXEJ 60-69 years, male 3.4
GTEX-1211K-2026-SM-5EQ4Z 60-69 years, female 3.3
GTEX-13112-2826-SM-5DUWH 50-59 years, male 3.3
GTEX-13OVJ-0126-SM-5KM36 50-59 years, female 3.3
GTEX-145MI-0526-SM-5O9A8 60-69 years, female 3.3
GTEX-17MFQ-1726-SM-793C7 20-29 years, male 3.3
GTEX-WH7G-2326-SM-3NMBC 40-49 years, male 3.3
GTEX-ZQUD-1426-SM-57WER 30-39 years, male 3.3
GTEX-1I1HK-0126-SM-COH49 60-69 years, male 3.3
GTEX-1IKJJ-0126-SM-CNPQB 60-69 years, male 3.3
GTEX-117XS-2726-SM-5N9BL 60-69 years, male 3.2
GTEX-13QJ3-0326-SM-5S2RA 50-59 years, male 3.2
GTEX-13YAN-0326-SM-5O9DF 60-69 years, male 3.2
GTEX-18A66-0226-SM-718BD 60-69 years, male 3.2
GTEX-1AX8Z-0126-SM-7DHM6 60-69 years, male 3.2
GTEX-1E1VI-0126-SM-7DHMZ 50-59 years, male 3.2
GTEX-Y111-0126-SM-4SOIV 50-59 years, male 3.2
GTEX-1GF9V-0326-SM-7RHI5 60-69 years, male 3.2
GTEX-1OJC4-0126-SM-E9J2E 50-59 years, female 3.2
GTEX-13O1R-0126-SM-5L3EH 60-69 years, male 3.1
GTEX-17HGU-0226-SM-7DHKV 50-59 years, male 3.1
GTEX-1CB4J-0626-SM-7DHMP 60-69 years, male 3.1
GTEX-Q2AG-0126-SM-33HBV 40-49 years, female 3.1
GTEX-WRHK-1426-SM-3MJF9 20-29 years, female 3.1
GTEX-1GTWX-0126-SM-9YFLK 60-69 years, male 3.1
GTEX-1HBPN-0226-SM-9YFM1 50-59 years, male 3.1
GTEX-1JN76-0126-SM-CNPPE 20-29 years, female 3.1
GTEX-PLZ6-1426-SM-DKPOT 30-39 years, male 3.1
GTEX-11EMC-2926-SM-5EQ4F 60-69 years, female 3.0
GTEX-O5YW-0126-SM-3LK6D 50-59 years, male 3.0
GTEX-S32W-2126-SM-2XCB1 50-59 years, female 3.0
GTEX-1E2YA-0126-SM-9KNUC 50-59 years, male 3.0
GTEX-1NHNU-1026-SM-E9J2A 50-59 years, male 3.0
GTEX-131XH-2226-SM-5DUXJ 50-59 years, male 2.9
GTEX-13X6H-2126-SM-7EWD5 50-59 years, female 2.9
GTEX-QEG4-0226-SM-2S1PY 30-39 years, male 2.9
GTEX-TML8-1926-SM-32QOS 40-49 years, female 2.9
GTEX-1POEN-0126-SM-EYYXJ 30-39 years, female 2.9
GTEX-1QW4Y-1526-SM-EAZ3Z 30-39 years, male 2.9
GTEX-PW2O-1526-SM-7RHHB 20-29 years, male 2.9
GTEX-ZPIC-1726-SM-DHXIU 40-49 years, female 2.9
GTEX-14JIY-0126-SM-6LLH6 60-69 years, male 2.8
GTEX-1C475-1826-SM-73KWA 40-49 years, female 2.8
GTEX-1RDX4-0126-SM-E9J4P 50-59 years, female 2.8
GTEX-VJWN-0126-SM-3GIK7 50-59 years, female 2.7
GTEX-1JN6P-0126-SM-D3L98 60-69 years, male 2.7
GTEX-12C56-1726-SM-5EQ61 20-29 years, male 2.6
GTEX-17HHE-2026-SM-79OKF 50-59 years, male 2.6
GTEX-1C2JI-1826-SM-73KXC 50-59 years, male 2.6
GTEX-OXRO-0126-SM-2YUN4 60-69 years, female 2.6
GTEX-RNOR-0126-SM-E9J4R 50-59 years, female 2.6
GTEX-11LCK-1026-SM-5A5KB 30-39 years, male 2.5
GTEX-1212Z-2526-SM-5EGKP 60-69 years, male 2.5
GTEX-13X6J-0126-SM-5QGOU 50-59 years, male 2.5
GTEX-14A5I-0126-SM-5TDEA 50-59 years, female 2.5
GTEX-ZYY3-0126-SM-5GZY5 60-69 years, female 2.5
GTEX-1EWIQ-0126-SM-7RHH2 70-79 years, female 2.5
GTEX-1HCU6-0126-SM-CL54K 60-69 years, female 2.5
GTEX-11H98-0126-SM-5EGHG 50-59 years, male 2.4
GTEX-12696-2426-SM-5EQ6H 60-69 years, male 2.4
GTEX-15ER7-0326-SM-7KUEV 20-29 years, female 2.4
GTEX-16XZY-2126-SM-79OK1 70-79 years, male 2.4
GTEX-1AMFI-2026-SM-731BH 50-59 years, female 2.4
GTEX-1C6VQ-0126-SM-7P8RI 50-59 years, male 2.4
GTEX-1EN7A-0126-SM-7SB81 40-49 years, male 2.4
GTEX-11GSO-2426-SM-5A5LY 60-69 years, male 2.3
GTEX-14E7W-0126-SM-6LLJ9 70-79 years, male 2.3
GTEX-1H1DE-2126-SM-9WG6R 20-29 years, male 2.3
GTEX-139TT-0126-SM-5K7Y5 60-69 years, male 2.2
GTEX-U8T8-0126-SM-3DB94 60-69 years, male 2.2
GTEX-148VI-1626-SM-5SI6E 60-69 years, female 2.1
GTEX-1A3MV-1926-SM-718BT 30-39 years, male 2.1
GTEX-12WSG-2826-SM-E9J4H 50-59 years, female 2.1
GTEX-1CB4G-0226-SM-7PC3O 60-69 years, male 2.1
GTEX-11ZTT-2426-SM-5EQLS 60-69 years, female 2.0
GTEX-13CF3-2426-SM-5IFGX 60-69 years, female 2.0
GTEX-14BIL-0126-SM-5SI92 50-59 years, male 2.0
GTEX-X4EO-0326-SM-3P5YO 60-69 years, female 2.0
GTEX-13W46-0226-SM-5SIAG 50-59 years, male 1.9
GTEX-1GN1U-0126-SM-7PBZK 50-59 years, female 1.9
GTEX-ZF29-2326-SM-DO92K 60-69 years, female 1.9
GTEX-13S7M-0126-SM-5SI6A 60-69 years, female 1.8
GTEX-17HII-0226-SM-7LG4E 50-59 years, male 1.8
GTEX-RU72-0926-SM-2TF6B 50-59 years, female 1.8
GTEX-1JMOU-1526-SM-CL54I 60-69 years, female 1.7
GTEX-144GL-0126-SM-5TDE2 50-59 years, male 1.6
GTEX-1A8FM-0226-SM-7SB7Q 50-59 years, female 1.6
GTEX-1B8SG-0126-SM-73KZ3 50-59 years, male 1.4
GTEX-1MGNQ-0126-SM-EVYCJ 40-49 years, male 1.4
GTEX-13OW8-1326-SM-5J1OW 60-69 years, male 1.3
GTEX-RWSA-0126-SM-2XCBB 40-49 years, male 1.2
GTEX-P44H-0226-SM-2XCEU 40-49 years, male 1.1
GTEX-UPJH-0326-SM-3GADU 50-59 years, male 1.1
GTEX-1B8KE-2126-SM-73KYX 50-59 years, male 0.9
GTEX-QCQG-1726-SM-3GIJ9 50-59 years, female 0.2
Show allShow less

Contact

  • NEWS ARTICLES
  • PRESS ROOM

The Project

  • INTRODUCTION
  • ORGANIZATION
  • PUBLICATIONS

The Human Protein Atlas

  • DOWNLOADABLE DATA
  • LICENCE & CITATION
  • HELP & FAQ
The Human Protein Atlas project is funded
by the Knut & Alice Wallenberg Foundation.


contact@proteinatlas.org