We use cookies to enhance the usability of our website. If you continue, we'll assume that you are happy to receive all cookies. More information. Don't show this again.
AHNAK2
HPA
RESOURCES
  • TISSUE
  • BRAIN
  • SINGLE CELL
  • SUBCELLULAR
  • CANCER
  • BLOOD
  • CELL LINE
  • STRUCTURE & INTERACTION
ABOUT
  • INTRODUCTION
  • HISTORY
  • ORGANIZATION
  • PUBLICATIONS
  • ANTIBODY SUBMISSION
  • ANTIBODY AVAILABILITY
  • ACKNOWLEDGMENTS
  • CONTACT
NEWS
  • NEWS ARTICLES
  • PRESS ROOM
LEARN
  • DICTIONARY
  • PROTEIN CLASSES
  • PROTEIN EVIDENCE
  • METHODS
  • EDUCATIONAL VIDEOS
DATA
  • DOWNLOADABLE DATA
  • PUBLICATION DATA
  • RELEASE HISTORY
HELP
  • ANTIBODY VALIDATION
  • ASSAYS & ANNOTATION
  • DISCLAIMER
  • HELP & FAQ
  • PRIVACY STATEMENT
  • LICENCE & CITATION
Fields »
Search result

Field
Term
Gene name
Class
Subclass
Class
Keyword
Chromosome
External id
Tissue
Cell type
Expression
Antibody panel
Tissue
Main location
Patient ID
Annotation
Tissue
Category
Tau score
Cluster
Reliability
Brain region
Category
Tau score
Brain region
Category
Tau score
Brain region
Category
Tau score
Cluster
Reliability
Tissue
Cell type
Enrichment
Cell type
Category
Tau score
Cell type
Category
Tau score
Cell type
Category
Tau score
Cell lineage
Category
Tau score
Cluster
Cluster
Location
Searches
Location
Cell line
Class
Type
Phase
Reliability
Cancer
Prognosis
Cancer
Category
Cancer
Category
Tau score
Cluster
Variants
Interacting gene (ensg_id)
Type
Number of interactions
Pathway
Category
Score
Score
Score
Validation
Validation
Validation
Validation
Antibodies
Data type
Column


  • SUMMARY

  • TISSUE

  • BRAIN

  • SINGLE CELL

  • SUBCELL

  • CANCER

  • BLOOD

  • CELL LINE

  • STRUCT & INT

  • AHNAK2
TISSUE PRIMARY DATA COLON Show tissue menu
ADIPOSE TISSUE ADRENAL GLAND AMYGDALA APPENDIX BASAL GANGLIA BONE MARROW BREAST BRONCHUS CEREBELLUM CEREBRAL CORTEX CERVIX CHOROID PLEXUS COLON DUODENUM
ENDOMETRIUM EPIDIDYMIS ESOPHAGUS FALLOPIAN TUBE GALLBLADDER HEART MUSCLE HIPPOCAMPAL FORMATION HYPOTHALAMUS KIDNEY LIVER LUNG LYMPH NODE MIDBRAIN NASOPHARYNX
ORAL MUCOSA OVARY PANCREAS PARATHYROID GLAND PITUITARY GLAND PLACENTA PROSTATE RECTUM RETINA SALIVARY GLAND SEMINAL VESICLE SKELETAL MUSCLE SKIN SMALL INTESTINE
SMOOTH MUSCLE SOFT TISSUE SPINAL CORD SPLEEN STOMACH TESTIS THYMUS THYROID GLAND TONGUE TONSIL URINARY BLADDER VAGINA
ANTIBODIES
AND
VALIDATION
Dictionary
Colon
Tissue proteome
Intestine
COLON - Expression summary
Protein expression
Coloni

On the top, protein expression in current human tissue, based on all annotated cell types, is reported with the units not detected (n), low (l), medium (m) and high (h). Underneath, protein expression in each annotated cell type are reported using the same units.

Protein expression data is based on knowledge-based annotation. For genes where more than one antibody has been used, a collective score is set.

If knowledge-based annotation could not be performed for a gene, no data is displayed here. View antibody staining data further down this page.

h
m
l
n
Endothelial cells: Not detected
Glandular cells: Not detected
Peripheral nerve/ganglion: Not detected
RNA expressioni

A summary of mRNA expression data available for current tissue based on several datasets. The mRNA expression levels in human tissues are based on RNA-seq data generated by the Human Protein Atlas (HPA), Genotype-Tissue Expression (GTEx) portal and CAGE data generated by the FANTOM5 consortium. Consensus normalized expression levels for human tissues was created by combining the data from HPA and GTEx datasets.

The mRNA expression levels in pig are based on RNA-seq data generated by the Human Protein Atlas (HPA), and for mouse, HPA data and in situ hybridization generated by the Allen brain atlas are reported.

Scroll down to view mRNA expression data in more detail.
Consensus:101.8 nTPM
HPA:7.8 nTPM
GTEx:101.8 nTPM
FANTOM5:10.4 Scaled Tags Per Million

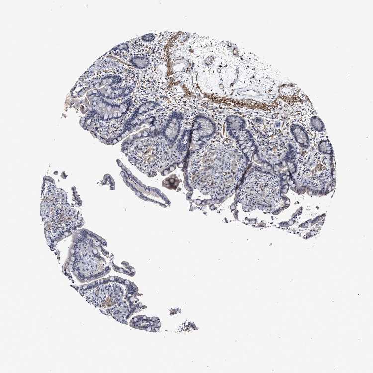
COLON - Antibody stainingi

Antibody staining in the annotated cell types in the current human tissue is reported as not detected, low, medium, or high, based on conventional immunohistochemistry profiling in selected tissues. This score is based on the combination of the staining intensity and fraction of stained cells.

Each image is clickable and will lead to virtual microscopy that enables deeper exploration of all samples and also displays staining intensity scores, fraction scores and subcellular localization as well as patient and tissue information for each sample.

Antibody HPA000878Antibody HPA002940Antibody HPA004145Antibody HPA020111
Endothelial cells Not detectedMediumMediumLow
Glandular cells LowNot detectedMediumNot detected
Peripheral nerve/ganglion Not detected--Low







COLON - HPA RNA-seqi

The RNA-seq details section shows detailed information about the individual samples used for the transcript profiling and results of the RNA-seq analysis.

Information about each individual sample is listed below, including gender, age, a tissue section image and estimated fractions of cell types. nTPM (normalized transcripts per million) values give a quantification of the gene abundance which is comparable between different genes and samples.
Average nTPMi

Max subtype nTPM is the value for the subtype with the largest average nTPM across the subtype samples.

7.8
overview
Male, age 54
Colon sample 67
nTPM: 5.4
Cell types%
Glandular cells:
65

Smooth muscle cells:
10

Other cell types:
25

overview
Female, age 57
Colon sample 68
nTPM: 2.8
Cell types%
Glandular cells:
40

Smooth muscle cells:
5

Other cell types:
55

overview
Male, age 80
Colon sample 69
nTPM: 0.4
Cell types%
Glandular cells:
55

Smooth muscle cells:
5

Other cell types:
40

overview
Male, age 68
Colon sample 70
nTPM: 5.6
Cell types%
Glandular cells:
35

Smooth muscle cells:
10

Other cell types:
55

overview
Female, age 68
Colon sample 76
nTPM: 7.4
Cell types%
Glandular cells:
25

Smooth muscle cells:
5

Other cell types:
70

overview
Female, age 61
Colon sample 299
nTPM: 25
Cell types%
Glandular cells:
5

Smooth muscle cells:
65

Other cell types:
30

overview
Male, age 80
Colon sample 300
nTPM: 3.6
Cell types%
Glandular cells:
15

Smooth muscle cells:
20

Other cell types:
65

overview
Female, age 78
Colon sample 368
nTPM: 1.9
Cell types%
Glandular cells:
45

Smooth muscle cells:
5

Other cell types:
50

overview
Male, age 84
Colon sample 381
nTPM: 17
Cell types%
Glandular cells:
50

Smooth muscle cells:
15

Other cell types:
35

overview
Male, age 80
Colon sample 384
nTPM: 1.9
Cell types%
Glandular cells:
20

Smooth muscle cells:
35

Other cell types:
45

overview
Female, age 78
Colon sample 389
nTPM: 7.9
Cell types%
Glandular cells:
35

Smooth muscle cells:
10

Other cell types:
55

overview
Female, age 69
Colon sample 391
nTPM: 9.1
Cell types%
Glandular cells:
10

Smooth muscle cells:
45

Other cell types:
45

overview
Female, age 72
Colon sample 403
nTPM: 13.6
Cell types%
Glandular cells:
20

Smooth muscle cells:
15

Other cell types:
65


COLON - GTEx RNA-seqi

RNA-Seq data generated by the Genotype-Tissue Expression (GTEx) project from human tissues is reported as mean nTPM. More information can be found on the GTEx portal.

Distribution across the dataset is visualized with box plots, shown as median and 25th and 75th percentiles. Points are displayed as outliers if they are above or below 1.5 times the interquartile range. nTPM values of the individual samples are presented next to the box plot.
Max subtype nTPMi

Max subtype nTPM is the value for the subtype with the largest average nTPM across the subtype samples.

101.8
GTEx sample id Sample description nTPM
Colon - Sigmoid
Average nTPM: 101.8
Samples: 373

Max nTPM: 252.2
Min nTPM: 2.4
Std nTPM: 37.9
Median nTPM: 104.5
GTEX-1N2EF-1726-SM-EXUSI 60-69 years, male 252.2
GTEX-X15G-1526-SM-4PQZM 50-59 years, female 213.7
GTEX-1RDX4-1926-SM-E6CJJ 50-59 years, female 199.4
GTEX-1R9K5-2226-SM-DTX9G 50-59 years, male 196.7
GTEX-1MGNQ-2126-SM-EV7AC 40-49 years, male 195.7
GTEX-14E1K-1626-SM-664MO 50-59 years, male 189.5
GTEX-Z93S-2626-SM-57WBX 50-59 years, male 187.6
GTEX-ZPU1-1726-SM-4WWFV 40-49 years, male 183.2
GTEX-ZP4G-1526-SM-57WE5 20-29 years, female 179.8
GTEX-1R9PO-2026-SM-E9J4N 60-69 years, female 177.3
GTEX-XAJ8-0726-SM-47JY5 40-49 years, male 176.3
GTEX-18A6Q-2226-SM-7LG61 60-69 years, male 173.8
GTEX-1CB4F-1926-SM-7MKFN 60-69 years, male 173.3
GTEX-13G51-2126-SM-5IJD9 60-69 years, male 170.8
GTEX-WXYG-1726-SM-4ONCU 50-59 years, female 168.6
GTEX-15ETS-2326-SM-7KUGC 40-49 years, female 168.3
GTEX-13FTW-2126-SM-5K7YG 40-49 years, male 161.8
GTEX-1HSEH-1926-SM-A96SB 60-69 years, male 161.8
GTEX-WHPG-1626-SM-4M1ZL 50-59 years, male 160.4
GTEX-1QP28-2226-SM-DTX8C 50-59 years, female 157.0
GTEX-13CF2-1826-SM-5N9GK 60-69 years, male 156.7
GTEX-Y3I4-1126-SM-4TT7Y 50-59 years, male 155.5
GTEX-1LB8K-2526-SM-DIPEQ 50-59 years, male 151.4
GTEX-14PJ3-1226-SM-5ZZVY 50-59 years, male 150.2
GTEX-11DXZ-1626-SM-5GIDI 50-59 years, male 150.1
GTEX-1399R-2126-SM-5K7WZ 30-39 years, male 149.5
GTEX-1IDJI-2226-SM-CKZPM 50-59 years, female 148.8
GTEX-1B932-2126-SM-7IGMU 40-49 years, female 148.7
GTEX-1PBJJ-2026-SM-DTX8U 30-39 years, male 148.1
GTEX-1GMR3-2526-SM-7P8QS 40-49 years, male 147.5
GTEX-1I1CD-2826-SM-A9SL4 60-69 years, female 146.7
GTEX-15EO6-2326-SM-6LPKK 50-59 years, male 146.4
GTEX-1GMRU-2626-SM-9WPPM 50-59 years, male 146.4
GTEX-131YS-2926-SM-5EGKI 60-69 years, female 146.1
GTEX-1EH9U-1926-SM-7P8QM 60-69 years, male 144.6
GTEX-1QP67-1426-SM-E8VOO 40-49 years, female 144.6
GTEX-1KANA-1726-SM-CY8IG 20-29 years, male 144.1
GTEX-WHWD-1526-SM-4OORV 50-59 years, male 143.9
GTEX-XV7Q-2226-SM-4BRVY 40-49 years, female 143.6
GTEX-17F96-2126-SM-7KFSM 70-79 years, male 143.4
GTEX-1JMLX-2526-SM-CY8HX 50-59 years, male 142.7
GTEX-ZG7Y-1826-SM-4WWD3 50-59 years, male 142.4
GTEX-15RIF-1426-SM-7KUKQ 20-29 years, male 142.0
GTEX-1IDJH-2826-SM-CJI49 70-79 years, male 141.2
GTEX-12WSG-2426-SM-5EQLZ 50-59 years, female 140.0
GTEX-11DXX-1926-SM-5EGJK 60-69 years, female 139.8
GTEX-11EI6-2626-SM-5PNVT 60-69 years, male 139.1
GTEX-WYVS-1126-SM-4SOJX 40-49 years, female 138.9
GTEX-1R9JW-2126-SM-E76QT 30-39 years, female 138.7
GTEX-ZAB5-1426-SM-5HL9D 50-59 years, male 138.1
GTEX-18A66-2626-SM-72D67 60-69 years, male 137.9
GTEX-ZC5H-2426-SM-4WAZ6 40-49 years, female 137.7
GTEX-1E2YA-2526-SM-7IGOU 50-59 years, male 137.5
GTEX-YJ8O-1426-SM-5PNV9 40-49 years, female 136.8
GTEX-1K2DA-1626-SM-CGQGB 50-59 years, male 136.8
GTEX-139TS-2226-SM-5J2N1 60-69 years, male 136.6
GTEX-1J1OQ-2826-SM-D3L88 40-49 years, female 136.6
GTEX-1H3VY-2526-SM-9KNW1 50-59 years, male 136.0
GTEX-12WSM-1426-SM-5GCPA 60-69 years, male 135.9
GTEX-11P81-1426-SM-5P9JN 30-39 years, female 135.6
GTEX-1I1GT-2026-SM-CKZPK 60-69 years, female 135.5
GTEX-14AS3-1026-SM-5TDD7 40-49 years, female 135.4
GTEX-1LG7Z-1326-SM-DIPF3 30-39 years, male 135.4
GTEX-13X6J-2826-SM-7EPGA 50-59 years, male 135.0
GTEX-ZYT6-2826-SM-5GICX 30-39 years, male 135.0
GTEX-1J8EW-2426-SM-CE6T5 60-69 years, female 135.0
GTEX-1OFPY-1226-SM-E76OM 60-69 years, male 134.9
GTEX-1LBAC-1726-SM-D3L9W 20-29 years, male 134.0
GTEX-1C64N-2226-SM-7SB7C 50-59 years, male 133.4
GTEX-WFG7-1626-SM-4LVMF 20-29 years, male 133.3
GTEX-117XS-2226-SM-5GIE1 60-69 years, male 133.2
GTEX-147JS-2626-SM-5S2UX 60-69 years, male 133.1
GTEX-111CU-1226-SM-5EGIN 50-59 years, male 132.9
GTEX-YF7O-1626-SM-5IFII 50-59 years, male 132.3
GTEX-ZDTS-2726-SM-5L3E2 60-69 years, male 132.3
GTEX-YECK-2826-SM-5IFHF 60-69 years, male 132.1
GTEX-11ZTS-1526-SM-5N9G7 60-69 years, female 131.4
GTEX-1LSNM-1426-SM-E6CIH 50-59 years, male 131.4
GTEX-1S82P-2026-SM-E9TIQ 60-69 years, female 131.0
GTEX-1F75W-2126-SM-7RHIA 60-69 years, male 130.7
GTEX-13OW5-2826-SM-5KM1G 60-69 years, male 130.4
GTEX-146FH-2426-SM-5Q5EW 50-59 years, female 130.1
GTEX-1F5PK-1726-SM-7RHHW 50-59 years, male 130.1
GTEX-12ZZX-2726-SM-5N9FT 40-49 years, female 130.0
GTEX-18D9A-1326-SM-7LT8P 30-39 years, female 130.0
GTEX-14PK6-1826-SM-69LOM 70-79 years, female 128.7
GTEX-1ICG6-2226-SM-B2LY7 70-79 years, female 128.6
GTEX-12BJ1-2026-SM-5FQUH 60-69 years, male 128.2
GTEX-13111-1926-SM-5GCOL 50-59 years, male 128.1
GTEX-17JCI-2826-SM-7IGNA 60-69 years, female 127.2
GTEX-1GN73-2726-SM-9WYUB 60-69 years, male 127.2
GTEX-15CHQ-2626-SM-686YZ 60-69 years, male 126.8
GTEX-17HHE-1626-SM-7DHLN 50-59 years, male 126.1
GTEX-1I1GR-2226-SM-ARL7F 60-69 years, male 125.9
GTEX-17KNJ-1826-SM-7LT9N 50-59 years, male 125.8
GTEX-1GF9X-1426-SM-7RHGX 40-49 years, female 125.6
GTEX-1C4CL-1626-SM-7DUF3 30-39 years, male 125.4
GTEX-1HKZK-2026-SM-9WYUF 40-49 years, male 125.2
GTEX-XUZC-1526-SM-4BRV4 30-39 years, female 124.8
GTEX-ZXES-1726-SM-5E43G 30-39 years, female 124.8
GTEX-1PIGE-1526-SM-DTXFC 20-29 years, male 124.8
GTEX-1AYCT-1926-SM-793AE 50-59 years, male 124.4
GTEX-1RAZQ-2026-SM-E76P7 30-39 years, male 124.2
GTEX-11I78-1326-SM-5PNY9 50-59 years, female 124.1
GTEX-11GS4-1826-SM-5HL4T 60-69 years, male 123.9
GTEX-1LGRB-2026-SM-COH47 50-59 years, female 123.8
GTEX-131XE-1026-SM-5EGKE 50-59 years, male 123.6
GTEX-16BQI-2026-SM-7KULQ 30-39 years, female 123.0
GTEX-132NY-2726-SM-5PNY2 60-69 years, male 122.6
GTEX-14JG6-1626-SM-5YYBC 30-39 years, female 122.1
GTEX-ZPCL-1626-SM-57WGC 60-69 years, female 121.8
GTEX-ZE9C-2126-SM-4WKGY 60-69 years, male 121.4
GTEX-ZVT2-1726-SM-51MRO 50-59 years, female 121.3
GTEX-1BAJH-2726-SM-7IGNJ 70-79 years, male 119.8
GTEX-ZYFG-1826-SM-5GZWX 60-69 years, female 119.4
GTEX-15RJ7-1726-SM-6PAL3 40-49 years, male 119.3
GTEX-ZVT3-2826-SM-5GU6A 60-69 years, female 119.3
GTEX-1CB4G-2726-SM-79OO4 60-69 years, male 119.2
GTEX-ZYY3-2226-SM-5E45A 60-69 years, female 119.1
GTEX-1GMR8-2926-SM-9KNW5 50-59 years, female 119.1
GTEX-1339X-1726-SM-5P9J9 40-49 years, male 118.8
GTEX-1I1GP-2826-SM-A9SKZ 50-59 years, male 118.5
GTEX-1GPI7-1926-SM-9KNUH 20-29 years, male 118.4
GTEX-13VXT-2026-SM-5L3EW 20-29 years, female 117.9
GTEX-1JN6P-2126-SM-ARL98 60-69 years, male 117.6
GTEX-1C2JI-1726-SM-73KUW 50-59 years, male 117.5
GTEX-1QP29-2526-SM-E6CQ3 50-59 years, male 117.4
GTEX-1HSKV-2326-SM-A9SL9 60-69 years, male 117.0
GTEX-11ONC-1926-SM-5GU75 60-69 years, male 116.9
GTEX-1EU9M-2726-SM-7P8QD 60-69 years, male 116.4
GTEX-1QP9N-0826-SM-DTX9O 30-39 years, male 115.7
GTEX-14A5I-2426-SM-5Q5CP 50-59 years, female 115.5
GTEX-145LT-0826-SM-5S2QL 40-49 years, male 115.3
GTEX-1JJEA-2526-SM-CY8HJ 60-69 years, male 115.3
GTEX-1B97I-1526-SM-73KUK 40-49 years, male 115.0
GTEX-15UF6-2726-SM-7KULY 70-79 years, female 114.9
GTEX-1PIIG-2126-SM-EXUSD 30-39 years, male 114.9
GTEX-WY7C-1926-SM-4ONCI 50-59 years, male 114.7
GTEX-ZF28-2526-SM-57WFH 60-69 years, male 114.3
GTEX-ZLWG-1826-SM-DO11I 50-59 years, female 114.1
GTEX-139T6-1426-SM-5P9J7 50-59 years, male 113.9
GTEX-1RAZR-2026-SM-E9TKE 40-49 years, male 113.5
GTEX-1S5ZA-1426-SM-E6CJQ 20-29 years, male 113.5
GTEX-13OVK-1026-SM-7KFTC 40-49 years, male 113.4
GTEX-1H3NZ-2526-SM-9KNVO 60-69 years, male 113.2
GTEX-1A3MX-2326-SM-718B4 60-69 years, male 113.1
GTEX-1AMFI-1826-SM-73KWB 50-59 years, female 112.5
GTEX-1H1ZS-2626-SM-9QEIX 70-79 years, male 112.5
GTEX-183FY-1426-SM-7DHLM 20-29 years, male 112.2
GTEX-12KS4-2326-SM-5EGJB 30-39 years, male 111.5
GTEX-16MTA-1626-SM-6M47N 50-59 years, male 111.3
GTEX-13N2G-2226-SM-5IJCU 60-69 years, male 111.2
GTEX-18465-2726-SM-7LT9I 50-59 years, male 111.2
GTEX-ZAB4-2426-SM-5HL8A 40-49 years, male 111.1
GTEX-ZTSS-1226-SM-51MSZ 40-49 years, male 111.1
GTEX-1H1DE-1626-SM-9KNU5 20-29 years, male 110.9
GTEX-13OW8-2726-SM-5L3FZ 60-69 years, male 110.6
GTEX-145MH-2726-SM-5QGQ6 50-59 years, male 109.5
GTEX-14BIN-2426-SM-5TDCF 50-59 years, female 109.5
GTEX-14A5H-1626-SM-5SIAN 60-69 years, male 109.4
GTEX-17GQL-1626-SM-7LG69 60-69 years, male 109.4
GTEX-1LVAO-2826-SM-E9TJH 60-69 years, male 109.4
GTEX-ZF2S-1826-SM-4WKFF 50-59 years, female 109.0
GTEX-18QFQ-1726-SM-731C9 30-39 years, male 108.9
GTEX-1HSMO-2526-SM-A9SKP 60-69 years, male 108.8
GTEX-17MFQ-1226-SM-7KFSA 20-29 years, male 108.7
GTEX-13OW6-2226-SM-5N9FL 50-59 years, male 107.8
GTEX-145MO-2626-SM-5QGPD 60-69 years, male 107.8
GTEX-11DXY-2026-SM-5N9CZ 60-69 years, male 107.6
GTEX-ZQG8-2426-SM-57WEE 60-69 years, female 107.2
GTEX-15G19-2726-SM-6LPKG 60-69 years, male 107.1
GTEX-1JN76-1326-SM-ARU94 20-29 years, female 107.1
GTEX-14PHX-1126-SM-5YYA5 50-59 years, male 106.7
GTEX-1LSNL-1626-SM-E9TJY 50-59 years, male 106.7
GTEX-1QCLY-2026-SM-EVR4C 30-39 years, male 106.5
GTEX-14PJ4-1826-SM-5YY97 60-69 years, male 106.4
GTEX-1212Z-1826-SM-5FQSH 60-69 years, male 105.7
GTEX-13SLW-2826-SM-5Q5ES 70-79 years, male 105.7
GTEX-13RTJ-1926-SM-5YYA2 60-69 years, male 105.4
GTEX-ZE7O-2626-SM-51MSS 50-59 years, female 105.2
GTEX-1122O-1426-SM-5H11R 60-69 years, female 105.1
GTEX-183WM-2526-SM-731BP 70-79 years, female 105.0
GTEX-1N2DV-1826-SM-E6CJ5 40-49 years, male 104.9
GTEX-1C6VQ-2626-SM-7IGMQ 50-59 years, male 104.8
GTEX-1QPFJ-2426-SM-EVR3L 30-39 years, female 104.8
GTEX-1KXAM-1926-SM-D3LAG 60-69 years, male 104.7
GTEX-11EMC-1426-SM-5N9E4 60-69 years, female 104.5
GTEX-1B8L1-1926-SM-7IGND 60-69 years, male 104.3
GTEX-1GZ4H-1326-SM-7P8TE 50-59 years, female 104.2
GTEX-1JJE9-2526-SM-ARU8K 70-79 years, male 104.1
GTEX-1GMR2-1826-SM-9KNUP 50-59 years, male 103.5
GTEX-1PDJ9-2026-SM-E76PT 20-29 years, male 103.3
GTEX-1QW4Y-1426-SM-E76P3 30-39 years, male 103.2
GTEX-12ZZY-2726-SM-5EQ45 60-69 years, male 102.9
GTEX-YFCO-1526-SM-5YYB8 40-49 years, male 102.3
GTEX-ZT9W-1726-SM-51MS3 50-59 years, male 102.0
GTEX-YEC3-2026-SM-DKPOL 50-59 years, male 101.1
GTEX-14DAQ-2926-SM-664MV 60-69 years, female 100.9
GTEX-139UW-2326-SM-5KM1Y 60-69 years, male 99.8
GTEX-13PL7-2426-SM-5J2N3 60-69 years, female 99.6
GTEX-12WSD-2626-SM-5EGJE 60-69 years, female 99.1
GTEX-XXEK-1826-SM-4BRVC 50-59 years, male 98.8
GTEX-1LSVX-2026-SM-E9TJD 60-69 years, male 98.6
GTEX-1J8JJ-2426-SM-D4P4A 60-69 years, female 98.1
GTEX-1H1E6-1826-SM-A9G21 30-39 years, male 98.0
GTEX-1K9T9-2926-SM-E9TKD 50-59 years, female 98.0
GTEX-15G1A-1926-SM-7KUFF 30-39 years, male 97.8
GTEX-13QBU-2026-SM-5KLZB 40-49 years, female 97.3
GTEX-1LGOU-1726-SM-D3L8P 20-29 years, female 97.1
GTEX-1CAMS-2626-SM-7PBY3 40-49 years, female 97.0
GTEX-1R7EU-1826-SM-DTX9L 60-69 years, male 96.8
GTEX-1JMQJ-2626-SM-CY8HQ 50-59 years, male 96.7
GTEX-1RQEC-2626-SM-EVR3Z 60-69 years, male 96.6
GTEX-15ER7-2826-SM-6PAN2 20-29 years, female 96.4
GTEX-1LVAN-2626-SM-CNPQF 50-59 years, female 96.2
GTEX-18A67-2226-SM-7LT9Z 50-59 years, male 95.6
GTEX-15DYW-2426-SM-7KUG8 60-69 years, female 95.4
GTEX-16XZZ-2726-SM-7EWDO 60-69 years, male 95.4
GTEX-13FHO-2726-SM-5K7VG 60-69 years, male 94.7
GTEX-1J8QM-1226-SM-CY8HI 60-69 years, female 94.3
GTEX-Y114-1626-SM-4TT7I 50-59 years, female 94.2
GTEX-1GL5R-1726-SM-9KNUX 50-59 years, male 93.9
GTEX-1HCVE-2326-SM-9WYUD 50-59 years, male 93.7
GTEX-15UF7-1326-SM-7KUKV 40-49 years, male 93.6
GTEX-1QCLZ-2026-SM-EAZ4A 60-69 years, female 93.3
GTEX-1J8Q3-2426-SM-CL53S 60-69 years, male 92.9
GTEX-1EMGI-2626-SM-7IGNR 60-69 years, male 92.6
GTEX-12WSJ-1426-SM-5GCON 40-49 years, female 92.5
GTEX-1IDJU-1926-SM-CL53W 60-69 years, female 92.5
GTEX-147GR-2826-SM-5RQK8 60-69 years, male 91.9
GTEX-17EUY-1726-SM-79OK4 20-29 years, male 91.7
GTEX-17F9Y-2626-SM-7IGN9 70-79 years, female 91.7
GTEX-13PVQ-2726-SM-5L3H7 50-59 years, male 91.4
GTEX-1JKYR-2026-SM-CNPON 20-29 years, male 91.4
GTEX-14PKV-1926-SM-686YU 20-29 years, female 90.9
GTEX-15DZA-1026-SM-6PAND 30-39 years, female 90.8
GTEX-1HBPM-2626-SM-9WYU5 60-69 years, female 90.8
GTEX-1JMPZ-2626-SM-ARU8Z 30-39 years, male 90.6
GTEX-ZLV1-1326-SM-DO11Q 60-69 years, female 90.6
GTEX-144GM-1126-SM-79OJK 20-29 years, male 90.4
GTEX-1HSMQ-2526-SM-A9SMK 50-59 years, male 90.2
GTEX-13O61-1526-SM-5KM3P 60-69 years, male 90.0
GTEX-ZPIC-2626-SM-57WE2 40-49 years, female 90.0
GTEX-XQ8I-2326-SM-4BOQC 50-59 years, male 89.9
GTEX-1HBPI-2226-SM-9WYTY 50-59 years, male 89.9
GTEX-1RLM8-1726-SM-E9TKF 50-59 years, male 89.7
GTEX-11EQ9-1526-SM-5PNY7 30-39 years, male 89.6
GTEX-1LKK1-2426-SM-DIPES 50-59 years, female 89.6
GTEX-1B996-2726-SM-7DUGG 60-69 years, male 89.3
GTEX-11EM3-1626-SM-5N9CO 20-29 years, female 89.0
GTEX-ZZ64-0826-SM-5E449 20-29 years, male 88.7
GTEX-14E6E-1726-SM-5S2R6 30-39 years, male 88.4
GTEX-1RMOY-1726-SM-EVYC9 50-59 years, male 88.3
GTEX-17HGU-2626-SM-79OKN 50-59 years, male 88.2
GTEX-XUW1-1826-SM-4BOQD 50-59 years, female 87.6
GTEX-1LG7Y-2226-SM-E9U5K 50-59 years, male 87.6
GTEX-V955-1726-SM-4JBHF 60-69 years, male 86.8
GTEX-1477Z-2126-SM-5Q5CM 60-69 years, male 86.7
GTEX-11ZTT-1626-SM-5EQKR 60-69 years, female 86.4
GTEX-WI4N-2226-SM-4OOS9 40-49 years, female 86.3
GTEX-13OVI-2126-SM-5KM3U 60-69 years, female 86.1
GTEX-ZV6S-1126-SM-57WE9 40-49 years, female 86.1
GTEX-ZF29-1826-SM-4WKG8 60-69 years, female 85.9
GTEX-139D8-2926-SM-5IJBM 30-39 years, female 85.1
GTEX-1GTWX-2626-SM-9WPOT 60-69 years, male 84.6
GTEX-13PVR-1726-SM-5Q5EC 60-69 years, female 84.4
GTEX-13FH7-1626-SM-5J2O9 50-59 years, female 83.8
GTEX-14C5O-2626-SM-5RQI5 60-69 years, male 83.5
GTEX-117YX-0526-SM-5EGJH 50-59 years, male 83.0
GTEX-WRHK-1126-SM-4MVOJ 20-29 years, female 82.8
GTEX-1HFI7-1626-SM-9WYTR 50-59 years, female 82.5
GTEX-12696-1926-SM-5EGJT 60-69 years, male 82.2
GTEX-11ZU8-1126-SM-5EQ5K 60-69 years, male 82.1
GTEX-1B8KE-1526-SM-7DUG2 50-59 years, male 82.0
GTEX-WFON-1326-SM-4LVMN 40-49 years, male 81.8
GTEX-12ZZW-2426-SM-5DUWE 50-59 years, male 81.6
GTEX-ZVT4-2626-SM-5N9GJ 50-59 years, female 81.5
GTEX-131XG-1526-SM-5GCNQ 50-59 years, female 81.0
GTEX-1PIEJ-1826-SM-EWRMN 20-29 years, female 80.7
GTEX-WQUQ-2626-SM-4MVNP 60-69 years, male 80.2
GTEX-1H23P-2626-SM-9KNVN 60-69 years, male 80.1
GTEX-1399U-2226-SM-5KLZI 50-59 years, female 80.0
GTEX-1JMQK-2326-SM-ARZN4 60-69 years, male 79.9
GTEX-1L5NE-1926-SM-D3L9R 50-59 years, male 79.3
GTEX-11P7K-1826-SM-5HL5A 30-39 years, male 79.2
GTEX-1HBPH-2526-SM-ACKXK 40-49 years, female 78.3
GTEX-11PRG-2026-SM-5GU5F 50-59 years, male 77.9
GTEX-1IKOE-2126-SM-A96T5 30-39 years, female 77.6
GTEX-1H3VE-2326-SM-9KNVU 40-49 years, male 77.4
GTEX-1PBJI-2526-SM-E6CP4 20-29 years, female 76.9
GTEX-1AX9K-1626-SM-73KUS 50-59 years, male 76.8
GTEX-13X6K-2726-SM-5O9DG 60-69 years, female 76.3
GTEX-13U4I-2626-SM-5SI9C 40-49 years, female 74.8
GTEX-13D11-0626-SM-5LZYY 50-59 years, female 74.6
GTEX-14BMU-1326-SM-5RQIH 20-29 years, female 74.0
GTEX-ZA64-1426-SM-5CVMC 20-29 years, male 73.3
GTEX-111YS-1826-SM-5GIEP 60-69 years, male 73.1
GTEX-1I6K6-1926-SM-A96SN 30-39 years, male 72.7
GTEX-13CF3-1326-SM-5LZXZ 60-69 years, female 72.0
GTEX-X4EO-2726-SM-4E3HS 60-69 years, female 71.5
GTEX-15RIE-2026-SM-7KFRW 60-69 years, male 70.9
GTEX-1CAMR-1026-SM-7P8QI 20-29 years, male 70.8
GTEX-1HSGN-2226-SM-A9SL6 40-49 years, female 70.4
GTEX-13OVJ-1826-SM-5KM2D 50-59 years, female 69.9
GTEX-1S831-1726-SM-EWROJ 20-29 years, male 69.5
GTEX-1HCUA-1926-SM-B2LWE 50-59 years, female 69.0
GTEX-1HBPN-2026-SM-B2LWA 50-59 years, male 68.9
GTEX-WFG8-1726-SM-4LVM6 20-29 years, male 68.0
GTEX-1JK1U-1426-SM-CNPOW 60-69 years, male 67.0
GTEX-1F5PL-1926-SM-7MXTP 40-49 years, female 66.9
GTEX-11TT1-0926-SM-5GU5M 20-29 years, male 66.6
GTEX-ZAJG-2626-SM-5S2NU 50-59 years, female 66.6
GTEX-1HCU7-2726-SM-A9G3D 50-59 years, male 66.4
GTEX-13X6I-2726-SM-5Q5ET 60-69 years, male 66.3
GTEX-145ME-1126-SM-5SIAT 40-49 years, female 66.2
GTEX-Y9LG-1326-SM-4VBQB 30-39 years, male 65.9
GTEX-12WSL-1826-SM-5LZW9 50-59 years, male 65.8
GTEX-1HCU6-2926-SM-B2LWV 60-69 years, female 65.5
GTEX-1J1R8-1426-SM-CL55O 40-49 years, male 65.4
GTEX-1JKYN-2226-SM-ARZNE 30-39 years, male 63.6
GTEX-1A3MV-1026-SM-72D5U 30-39 years, male 63.3
GTEX-14PN3-1926-SM-6EU1Y 60-69 years, female 63.1
GTEX-16NGA-0926-SM-718AG 40-49 years, female 62.8
GTEX-YJ8A-1726-SM-5P9IQ 20-29 years, male 61.9
GTEX-1PPH8-2226-SM-EWRN7 20-29 years, male 61.8
GTEX-14C39-1626-SM-5S2P4 40-49 years, male 61.4
GTEX-1LVAM-1726-SM-DHXKQ 50-59 years, female 60.9
GTEX-ZTTD-2626-SM-57WEX 50-59 years, male 60.8
GTEX-1C475-1526-SM-7DHM3 40-49 years, female 59.3
GTEX-ZLFU-1426-SM-4WWEU 40-49 years, male 59.2
GTEX-1QP2A-2226-SM-DTXF6 50-59 years, male 58.8
GTEX-1JMPY-1026-SM-ARZN1 30-39 years, male 57.8
GTEX-1P4AB-2626-SM-DTXEU 50-59 years, male 57.7
GTEX-1A32A-2626-SM-73KX9 50-59 years, female 57.4
GTEX-XBED-1726-SM-47JYO 60-69 years, male 56.5
GTEX-11TUW-2326-SM-5EQMO 60-69 years, male 56.3
GTEX-13O1R-2426-SM-5KLZZ 60-69 years, male 53.8
GTEX-1PFEY-1726-SM-DPRZ4 30-39 years, male 53.3
GTEX-1IL2U-2526-SM-C1YQV 60-69 years, male 53.0
GTEX-ZY6K-1326-SM-5GZWP 50-59 years, male 50.4
GTEX-132AR-2826-SM-5IJFV 50-59 years, female 50.0
GTEX-15RJE-2226-SM-6M46A 40-49 years, male 49.8
GTEX-145LS-2926-SM-5O99G 60-69 years, female 49.7
GTEX-16Z82-2426-SM-7KUMS 60-69 years, male 49.2
GTEX-148VJ-2426-SM-5NQ9Y 70-79 years, male 48.4
GTEX-14E6C-2226-SM-5QGQG 40-49 years, male 48.2
GTEX-ZVZQ-2626-SM-59HLB 60-69 years, female 47.7
GTEX-Y5LM-1426-SM-5RQJL 40-49 years, female 46.8
GTEX-1C64O-2426-SM-7P8R3 60-69 years, male 45.9
GTEX-1AX9J-2526-SM-73KUY 60-69 years, male 45.4
GTEX-11VI4-1426-SM-5GU6O 40-49 years, female 42.9
GTEX-1HB9E-2526-SM-D4P35 50-59 years, male 39.7
GTEX-1211K-1826-SM-5EGJ2 60-69 years, female 39.3
GTEX-WHSE-2726-SM-EZ6ML 20-29 years, male 32.5
GTEX-Y8LW-1126-SM-4VDS4 50-59 years, female 32.0
GTEX-17HG3-1126-SM-7DUFC 30-39 years, female 29.9
GTEX-ZYFD-2226-SM-5E43P 50-59 years, male 25.9
GTEX-13113-1426-SM-5EGHU 60-69 years, female 23.0
GTEX-1OJC3-1826-SM-DTX93 20-29 years, male 22.5
GTEX-15F5U-1426-SM-7KUN2 40-49 years, male 22.3
GTEX-11EQ8-2626-SM-5N9BO 60-69 years, male 18.3
GTEX-15FZZ-1826-SM-6LLJP 30-39 years, female 16.0
GTEX-WH7G-1426-SM-4LVMU 40-49 years, male 13.5
GTEX-WYJK-2326-SM-4ONDN 50-59 years, male 9.4
GTEX-WOFM-1926-SM-4OOSP 20-29 years, male 9.2
GTEX-Y5V6-1626-SM-4VDT2 60-69 years, male 9.1
GTEX-Y8E4-2326-SM-EAZAZ 40-49 years, male 8.9
GTEX-13W3W-2226-SM-5LU4M 60-69 years, female 8.5
GTEX-X5EB-1126-SM-46MVV 40-49 years, male 7.6
GTEX-1AMEY-1826-SM-72D5L 30-39 years, female 6.2
GTEX-W5WG-2026-SM-4LMIB 50-59 years, female 5.7
GTEX-VJYA-2126-SM-4KL1O 60-69 years, male 5.1
GTEX-ZQUD-1026-SM-4YCEZ 30-39 years, male 2.4
Show allShow less
Colon - Transverse
Average nTPM: 41.6
Samples: 406

Max nTPM: 156.2
Min nTPM: 0.9
Std nTPM: 36.6
Median nTPM: 33.6
GTEX-1GMR2-1726-SM-9JGI2 50-59 years, male 156.2
GTEX-XAJ8-0426-SM-47JYJ 40-49 years, male 147.0
GTEX-14E1K-1826-SM-793DT 50-59 years, male 146.2
GTEX-14AS3-1126-SM-5Q5CR 40-49 years, female 145.9
GTEX-15G1A-1826-SM-7KUKO 30-39 years, male 145.0
GTEX-17F96-2026-SM-79ON4 70-79 years, male 145.0
GTEX-14PJ3-0926-SM-69LQG 50-59 years, male 138.5
GTEX-1S82U-0726-SM-E9TKI 30-39 years, female 135.4
GTEX-1LBAC-1626-SM-CXZKV 20-29 years, male 134.7
GTEX-18A7A-2226-SM-7LT8K 50-59 years, female 129.5
GTEX-13U4I-2426-SM-5LU34 40-49 years, female 128.2
GTEX-15CHC-1626-SM-5ZZWS 60-69 years, female 126.0
GTEX-1MUQO-2626-SM-EWRO3 60-69 years, male 124.3
GTEX-11GSP-1626-SM-5986N 60-69 years, female 123.6
GTEX-Y3I4-1426-SM-4TT9C 50-59 years, male 122.6
GTEX-13FH7-1526-SM-5J2N6 50-59 years, female 121.3
GTEX-1R9K5-2126-SM-E8VN1 50-59 years, male 120.9
GTEX-13OW5-2626-SM-5MR3M 60-69 years, male 117.5
GTEX-1AYD5-1726-SM-7RHFW 50-59 years, male 116.7
GTEX-U3ZH-1326-SM-4DXSF 30-39 years, male 112.0
GTEX-OXRN-2026-SM-E6CHK 50-59 years, male 112.0
GTEX-ZF29-1726-SM-4WKFV 60-69 years, female 111.8
GTEX-1AX8Z-2726-SM-73KUC 60-69 years, male 111.5
GTEX-1C2JI-1626-SM-7EPHC 50-59 years, male 111.2
GTEX-15DZA-0926-SM-69LQ3 30-39 years, female 111.0
GTEX-1LVAN-2526-SM-CNPPC 50-59 years, female 108.5
GTEX-1QW4Y-1326-SM-EWRMZ 30-39 years, male 106.2
GTEX-12WSL-1626-SM-5GCMU 50-59 years, male 104.4
GTEX-1IKK5-2726-SM-CNPQ6 60-69 years, male 104.0
GTEX-1CB4F-2026-SM-79OLU 60-69 years, male 102.5
GTEX-1EH9U-2026-SM-7PBYS 60-69 years, male 101.6
GTEX-11TTK-2426-SM-5PNYO 60-69 years, female 101.1
GTEX-1RAZQ-2126-SM-DTX9V 30-39 years, male 101.1
GTEX-1GL5R-2426-SM-7MXV1 50-59 years, male 97.7
GTEX-1C64O-2326-SM-73KU8 60-69 years, male 97.2
GTEX-T6MO-0826-SM-4DM51 40-49 years, female 96.8
GTEX-18QFQ-1526-SM-72D57 30-39 years, male 95.6
GTEX-1HCVE-2526-SM-A9G2G 50-59 years, male 94.8
GTEX-11ONC-2026-SM-5HL61 60-69 years, male 93.7
GTEX-WQUQ-2526-SM-4MVNO 60-69 years, male 93.4
GTEX-1JMLX-2726-SM-CM2SB 50-59 years, male 93.3
GTEX-WEY5-1426-SM-4LMJ3 40-49 years, female 92.9
GTEX-1IGQW-2326-SM-CE6RV 60-69 years, male 92.6
GTEX-OXRL-1426-SM-3NM9E 50-59 years, male 89.9
GTEX-Z93S-2426-SM-5HL8N 50-59 years, male 89.1
GTEX-ZYFC-2626-SM-5NQ6S 50-59 years, male 88.9
GTEX-17F9E-1826-SM-7IGMC 50-59 years, male 88.5
GTEX-11ZVC-2126-SM-5EGJ1 50-59 years, female 87.4
GTEX-17GQL-1526-SM-7LTAC 60-69 years, male 87.3
GTEX-14H4A-1926-SM-5ZZWN 40-49 years, female 86.7
GTEX-RWS6-1826-SM-47JXX 60-69 years, female 85.4
GTEX-12WSJ-1526-SM-5GCNI 40-49 years, female 84.8
GTEX-S341-1426-SM-4AD6U 40-49 years, female 84.8
GTEX-RU1J-1326-SM-46MUL 20-29 years, female 83.5
GTEX-14DAQ-2726-SM-5S2QY 60-69 years, female 83.3
GTEX-1ICLZ-2426-SM-CKZOD 60-69 years, male 83.3
GTEX-145MO-2426-SM-5NQ9W 60-69 years, male 83.2
GTEX-Y114-1526-SM-4TT79 50-59 years, female 83.2
GTEX-1339X-1626-SM-5IJDN 40-49 years, male 83.1
GTEX-V955-1626-SM-4JBHJ 60-69 years, male 82.8
GTEX-X5EB-0926-SM-46MVT 40-49 years, male 82.4
GTEX-1PPGY-2826-SM-DTX9H 60-69 years, male 82.1
GTEX-SNMC-1126-SM-4DM5M 20-29 years, male 81.7
GTEX-1QMI2-2626-SM-E6CR4 60-69 years, male 81.1
GTEX-17JCI-2626-SM-7EWE6 60-69 years, female 80.8
GTEX-QLQ7-1126-SM-CYPRB 60-69 years, male 80.6
GTEX-1CB4I-2226-SM-7P8SL 50-59 years, male 80.3
GTEX-117YX-0826-SM-5H11J 50-59 years, male 80.2
GTEX-1BAJH-2326-SM-7IGMO 70-79 years, male 80.2
GTEX-1GN73-2626-SM-9KNUQ 60-69 years, male 79.5
GTEX-15UF6-2626-SM-6M466 70-79 years, female 79.4
GTEX-1NV5F-2226-SM-DTX8O 60-69 years, female 79.3
GTEX-1MCC2-1626-SM-DIPEW 30-39 years, female 79.1
GTEX-ZYFG-1926-SM-5GID5 60-69 years, female 78.5
GTEX-1GF9X-1526-SM-7P8QP 40-49 years, female 78.3
GTEX-11P81-1126-SM-5GU5G 30-39 years, female 78.1
GTEX-NFK9-2026-SM-3LK5K 40-49 years, male 77.6
GTEX-14PJ5-0926-SM-6LLIK 60-69 years, female 76.2
GTEX-1JJE9-2426-SM-D3L8T 70-79 years, male 75.8
GTEX-13O61-1626-SM-5KM3T 60-69 years, male 75.1
GTEX-1HCU6-2726-SM-A9SKV 60-69 years, female 74.9
GTEX-14C5O-2526-SM-73KU2 60-69 years, male 74.4
GTEX-1RDX4-1826-SM-EVR54 50-59 years, female 73.8
GTEX-Y8LW-1226-SM-4WWDP 50-59 years, female 73.6
GTEX-U412-1726-SM-EZ6KX 60-69 years, male 72.7
GTEX-17KNJ-1726-SM-7LG6A 50-59 years, male 72.5
GTEX-XYKS-2226-SM-4E3IU 60-69 years, female 72.4
GTEX-1KANB-1526-SM-CXZK4 50-59 years, male 72.1
GTEX-X4EO-2526-SM-EWRM8 60-69 years, female 72.1
GTEX-1RMOY-1626-SM-EVYC8 50-59 years, male 69.9
GTEX-14ICL-1226-SM-5S2RD 30-39 years, male 69.4
GTEX-111YS-1626-SM-5GZZ9 60-69 years, male 69.1
GTEX-16Z82-2226-SM-6LPJ7 60-69 years, male 68.9
GTEX-1HSMP-2326-SM-D3L8R 70-79 years, male 68.2
GTEX-1IDJF-1826-SM-CKZOE 20-29 years, male 68.2
GTEX-1GZ4H-1226-SM-9KNUA 50-59 years, female 67.6
GTEX-WY7C-1626-SM-4ONC8 50-59 years, male 66.9
GTEX-XXEK-1926-SM-4BRVD 50-59 years, male 66.6
GTEX-1EMGI-2726-SM-7P8S4 60-69 years, male 66.6
GTEX-13OVK-0826-SM-7KULZ 40-49 years, male 66.5
GTEX-ZP4G-1726-SM-4WWCM 20-29 years, female 66.4
GTEX-TKQ1-0626-SM-4DXTS 30-39 years, male 66.1
GTEX-18D9B-2526-SM-718BN 60-69 years, male 65.7
GTEX-13VXT-2426-SM-5LU46 20-29 years, female 65.6
GTEX-ZV6S-1226-SM-59HLH 40-49 years, female 65.3
GTEX-1IDJC-1326-SM-CL53H 50-59 years, male 65.3
GTEX-12ZZZ-2426-SM-5GCNN 60-69 years, male 64.9
GTEX-OXRO-0726-SM-E9U4C 60-69 years, female 64.5
GTEX-1A3MV-1126-SM-718BS 30-39 years, male 64.4
GTEX-16NPV-2626-SM-6M484 50-59 years, female 62.3
GTEX-1HKZK-2126-SM-A9SL3 40-49 years, male 62.1
GTEX-1R9JW-2026-SM-EAZ4O 30-39 years, female 62.1
GTEX-1N5O9-2726-SM-E76QH 60-69 years, male 61.8
GTEX-1OKEX-1226-SM-DTXEC 60-69 years, male 61.0
GTEX-O5YW-1426-SM-3MJHF 50-59 years, male 60.8
GTEX-13CF3-1426-SM-5K7YY 60-69 years, female 60.7
GTEX-1I1GT-1926-SM-ARU7D 60-69 years, female 60.7
GTEX-1LG7Y-2126-SM-DIPER 50-59 years, male 60.3
GTEX-1F75B-2726-SM-7P8QO 50-59 years, male 59.8
GTEX-11EQ9-1426-SM-5987G 30-39 years, male 59.7
GTEX-XGQ4-1226-SM-4AT67 50-59 years, male 59.3
GTEX-1NHNU-2326-SM-E6CQE 50-59 years, male 58.7
GTEX-QDVJ-1326-SM-48U1X 50-59 years, male 57.9
GTEX-15SHU-2526-SM-6M47D 40-49 years, female 57.7
GTEX-YEC4-1926-SM-5IFHJ 40-49 years, male 57.6
GTEX-ZYVF-2826-SM-5GIDK 50-59 years, female 57.4
GTEX-145LS-2726-SM-5Q5D8 60-69 years, female 57.1
GTEX-147JS-2526-SM-5S2Q8 60-69 years, male 56.0
GTEX-17MF6-2426-SM-7LTAM 40-49 years, male 56.0
GTEX-WVJS-2426-SM-EZ6LI 50-59 years, male 56.0
GTEX-1H1DE-1526-SM-ARL9B 20-29 years, male 55.8
GTEX-11NSD-1626-SM-5986U 20-29 years, male 55.6
GTEX-148VJ-2626-SM-5QGPI 70-79 years, male 55.5
GTEX-145ME-0826-SM-5O9AF 40-49 years, female 54.7
GTEX-1R9PM-1526-SM-DPRY8 20-29 years, male 54.7
GTEX-14BIN-3026-SM-5ZZUS 50-59 years, female 54.6
GTEX-R45C-2126-SM-EZ6KZ 60-69 years, female 54.5
GTEX-13OVI-2026-SM-5J1MU 60-69 years, female 54.3
GTEX-1GZ4I-2426-SM-9WPPP 50-59 years, male 53.3
GTEX-13QJ3-2626-SM-9OSXQ 50-59 years, male 53.0
GTEX-PSDG-1826-SM-EAZ2S 50-59 years, male 52.7
GTEX-1GMR3-2826-SM-9WPOG 40-49 years, male 52.6
GTEX-11O72-2226-SM-5PNW2 40-49 years, male 52.4
GTEX-11TUW-2026-SM-5EQL8 60-69 years, male 52.3
GTEX-Y8E4-2426-SM-4WWDN 40-49 years, male 52.0
GTEX-1GF9U-1526-SM-7MXUW 40-49 years, female 51.9
GTEX-1PPH8-2026-SM-DTX7P 20-29 years, male 51.8
GTEX-1POEN-2026-SM-E6CRL 30-39 years, female 50.9
GTEX-VJYA-2026-SM-4KL1K 60-69 years, male 50.3
GTEX-18A7B-2026-SM-72D71 70-79 years, male 50.0
GTEX-S3XE-1126-SM-4AD4N 50-59 years, male 49.9
GTEX-XUW1-1926-SM-4BOP1 50-59 years, female 49.4
GTEX-OIZH-1426-SM-3NB1O 50-59 years, male 49.3
GTEX-16NGA-1026-SM-7KFS3 40-49 years, female 49.1
GTEX-P78B-1726-SM-3P5ZV 40-49 years, female 48.4
GTEX-111VG-2226-SM-5N9DU 60-69 years, male 47.9
GTEX-1B996-2626-SM-73KZ1 60-69 years, male 47.9
GTEX-1H1DG-2226-SM-9WPPC 70-79 years, male 47.9
GTEX-1AMEY-1926-SM-73KVT 30-39 years, female 47.8
GTEX-13S86-1626-SM-5Q5C5 40-49 years, male 47.7
GTEX-15ER7-2926-SM-7KUFK 20-29 years, female 47.6
GTEX-17HII-2726-SM-7MGVM 50-59 years, male 47.4
GTEX-1JJ6O-2426-SM-ARU8J 60-69 years, male 47.4
GTEX-16MT8-2726-SM-7IGLJ 60-69 years, female 47.0
GTEX-WYVS-1826-SM-4OND6 40-49 years, female 46.7
GTEX-12KS4-2426-SM-5LU8P 30-39 years, male 45.6
GTEX-PX3G-1426-SM-48U1J 20-29 years, female 44.6
GTEX-15DCE-2026-SM-7KUFE 20-29 years, male 44.3
GTEX-OHPM-1426-SM-3TW8Y 50-59 years, male 44.3
GTEX-1E2YA-2626-SM-7MGWW 50-59 years, male 44.3
GTEX-1J1OQ-2726-SM-AHZ3R 40-49 years, female 44.0
GTEX-SJXC-2226-SM-EVYAK 60-69 years, male 43.8
GTEX-QMRM-1226-SM-447C6 50-59 years, male 43.3
GTEX-SE5C-1526-SM-4BRWU 40-49 years, female 43.1
GTEX-13FHP-2426-SM-5KLZ5 50-59 years, male 43.0
GTEX-1JMPZ-2426-SM-C1YQP 30-39 years, male 42.8
GTEX-ZAB4-2226-SM-5HL97 40-49 years, male 42.7
GTEX-18A66-2426-SM-7KFSQ 60-69 years, male 42.6
GTEX-ZY6K-1226-SM-5GZYL 50-59 years, male 42.1
GTEX-13OW6-2126-SM-5N9GL 50-59 years, male 42.0
GTEX-1IDJD-2226-SM-A96TD 30-39 years, male 41.8
GTEX-14PJM-2626-SM-686ZD 50-59 years, female 41.3
GTEX-X15G-1326-SM-4PQZJ 50-59 years, female 41.1
GTEX-S4P3-1226-SM-4AD4Y 50-59 years, female 40.6
GTEX-1H3VY-2426-SM-9WPPD 50-59 years, male 39.8
GTEX-1HCU7-2626-SM-C1YQO 50-59 years, male 39.5
GTEX-ZZ64-0726-SM-5GZX4 20-29 years, male 38.4
GTEX-ZGAY-2126-SM-4YCFB 40-49 years, female 38.2
GTEX-1GPI7-1726-SM-7P8R1 20-29 years, male 37.4
GTEX-17EVQ-1826-SM-7IGPH 70-79 years, male 37.3
GTEX-ZPCL-1826-SM-57WF1 60-69 years, female 36.9
GTEX-1N2EF-1926-SM-DTX8M 60-69 years, male 36.9
GTEX-1I1GR-2526-SM-CNNQF 60-69 years, male 36.8
GTEX-13O3P-2326-SM-5KM55 50-59 years, male 36.6
GTEX-Q734-1126-SM-48TZY 40-49 years, female 36.4
GTEX-P4PP-1426-SM-3NM9L 30-39 years, female 36.3
GTEX-TKQ2-1326-SM-4DXT9 50-59 years, male 35.8
GTEX-X3Y1-1726-SM-4PQZL 40-49 years, male 35.2
GTEX-ZTSS-1126-SM-5985O 40-49 years, male 35.1
GTEX-1MJK3-0926-SM-EV7AY 20-29 years, male 34.9
GTEX-1C6VQ-2726-SM-73KUL 50-59 years, male 34.6
GTEX-15CHQ-2526-SM-6EU24 60-69 years, male 33.8
GTEX-16XZZ-2626-SM-6M47S 60-69 years, male 33.8
GTEX-1S5VW-2926-SM-E9U6H 60-69 years, male 33.4
GTEX-ZG7Y-2126-SM-DO117 50-59 years, male 33.4
GTEX-1I6K6-1826-SM-B2LX5 30-39 years, male 32.6
GTEX-1JN1M-2626-SM-CY8I3 60-69 years, female 31.9
GTEX-178AV-1326-SM-6LPJX 40-49 years, male 31.4
GTEX-1AYCT-1826-SM-731EG 50-59 years, male 31.4
GTEX-1KXAM-2126-SM-CY8I9 60-69 years, male 30.8
GTEX-WH7G-1326-SM-4LVMS 40-49 years, male 30.2
GTEX-15RIE-1826-SM-6M48P 60-69 years, male 30.0
GTEX-QLQW-0426-SM-447A7 30-39 years, male 29.7
GTEX-1HSGN-2626-SM-CE6S1 40-49 years, female 29.7
GTEX-14BMV-2426-SM-5S2PP 50-59 years, male 29.1
GTEX-R55C-1126-SM-48FCJ 40-49 years, male 28.7
GTEX-13X6H-1926-SM-7EWD3 50-59 years, female 28.5
GTEX-ZXES-1626-SM-5NQ7L 30-39 years, female 28.5
GTEX-WYJK-2226-SM-4ONDJ 50-59 years, male 28.4
GTEX-1AX9I-2626-SM-73KU5 60-69 years, male 28.2
GTEX-144GL-2526-SM-5TDDL 50-59 years, male 28.1
GTEX-ZDYS-2326-SM-4WKG6 50-59 years, male 28.0
GTEX-15DYW-2326-SM-6PAMU 60-69 years, female 27.7
GTEX-U3ZM-1126-SM-4DXUB 40-49 years, male 27.5
GTEX-ZPU1-1926-SM-57WDT 40-49 years, male 27.3
GTEX-QEL4-1926-SM-D3L8D 50-59 years, male 27.3
GTEX-1128S-1626-SM-5H12O 60-69 years, female 27.2
GTEX-1HCU9-1326-SM-B2LXT 20-29 years, male 26.5
GTEX-S4UY-0826-SM-4AD4Z 40-49 years, female 26.4
GTEX-XQ8I-2126-SM-4BOOM 50-59 years, male 26.1
GTEX-1KANA-1926-SM-DHXKF 20-29 years, male 25.8
GTEX-SNOS-1226-SM-4DM5H 40-49 years, male 25.4
GTEX-1R7EU-1926-SM-E9U62 60-69 years, male 25.3
GTEX-1JKYR-1926-SM-C1YR7 20-29 years, male 25.2
GTEX-1PWST-2426-SM-EWRMP 70-79 years, male 25.0
GTEX-1MGNQ-2026-SM-EAZ51 40-49 years, male 24.8
GTEX-146FQ-1926-SM-5NQBY 30-39 years, male 24.7
GTEX-139TS-1926-SM-5IJFO 60-69 years, male 24.5
GTEX-1MA7W-0626-SM-EV79Z 20-29 years, female 23.7
GTEX-S7SF-1926-SM-4AT5B 20-29 years, female 23.5
GTEX-15SB6-1226-SM-7KUMP 50-59 years, female 23.4
GTEX-14JG6-1726-SM-69LPL 30-39 years, female 22.5
GTEX-YEC3-2426-SM-DO11A 50-59 years, male 22.1
GTEX-OIZF-1426-SM-2HML2 60-69 years, male 21.9
GTEX-18D9U-1926-SM-7KFTM 40-49 years, male 21.7
GTEX-17HGU-2426-SM-7EWDP 50-59 years, male 21.6
GTEX-1IOXB-2626-SM-CJI2N 50-59 years, male 20.4
GTEX-13PVR-1626-SM-73KVF 60-69 years, female 20.2
GTEX-O5YT-1426-SM-3MJHC 20-29 years, male 20.2
GTEX-131XE-0826-SM-5HL9W 50-59 years, male 20.0
GTEX-11P7K-1526-SM-5EGI7 30-39 years, male 19.9
GTEX-PWCY-1026-SM-48TD4 20-29 years, female 19.5
GTEX-1LGOU-1626-SM-D3LAK 20-29 years, female 19.5
GTEX-QDVN-1326-SM-48TZ3 50-59 years, male 19.4
GTEX-PLZ6-0926-SM-3P5ZQ 30-39 years, male 19.2
GTEX-1B932-2826-SM-73KUD 40-49 years, female 19.1
GTEX-XBEW-1926-SM-4SOJO 40-49 years, male 18.5
GTEX-Q2AI-0926-SM-48U1F 40-49 years, male 18.3
GTEX-17F98-1026-SM-7IGO8 40-49 years, female 17.9
GTEX-1LH75-2126-SM-EVR5F 50-59 years, female 16.9
GTEX-1IDJU-2026-SM-A9SLM 60-69 years, female 16.5
GTEX-Y3IK-1826-SM-4WWDS 50-59 years, female 16.4
GTEX-1QPFJ-2326-SM-E6CR7 30-39 years, female 16.3
GTEX-P4QT-1426-SM-3NMCX 50-59 years, female 16.2
GTEX-11VI4-1526-SM-5EQKC 40-49 years, female 15.9
GTEX-1LSVX-1726-SM-DHXJP 60-69 years, male 15.8
GTEX-1JK1U-1526-SM-AHZ46 60-69 years, male 15.6
GTEX-18D9A-1126-SM-7KFRJ 30-39 years, female 14.2
GTEX-OXRK-1726-SM-3NB16 50-59 years, female 13.4
GTEX-17EUY-1826-SM-7DUEZ 20-29 years, male 13.3
GTEX-PWN1-1426-SM-48TDF 40-49 years, female 13.2
GTEX-13O3O-2526-SM-5L3DR 60-69 years, female 13.0
GTEX-13OVG-1426-SM-5K7VP 60-69 years, male 12.8
GTEX-117YW-1826-SM-5PNY5 50-59 years, male 12.6
GTEX-14PKV-2126-SM-664O3 20-29 years, female 12.6
GTEX-1HSEH-1726-SM-B2LXH 60-69 years, male 12.3
GTEX-1K9T9-2826-SM-D4P3F 50-59 years, female 12.1
GTEX-R55G-1226-SM-48FDC 40-49 years, female 11.6
GTEX-144GN-1126-SM-5LU33 50-59 years, male 11.3
GTEX-15RIF-1326-SM-6LPKO 20-29 years, male 11.3
GTEX-W5WG-2426-SM-4LMI6 50-59 years, female 11.3
GTEX-14C39-1926-SM-5ZZW5 40-49 years, male 11.0
GTEX-13111-0726-SM-5DUVE 50-59 years, male 10.8
GTEX-13W3W-2126-SM-5K7UX 60-69 years, female 10.8
GTEX-1PIGE-1426-SM-E9U61 20-29 years, male 10.7
GTEX-ZDTT-1926-SM-5HL5W 60-69 years, male 10.6
GTEX-14PHX-1526-SM-68717 50-59 years, male 10.5
GTEX-1AMFI-1726-SM-7189L 50-59 years, female 10.3
GTEX-1QP67-1326-SM-EAZ4D 40-49 years, female 10.3
GTEX-11I78-1226-SM-5A5K6 50-59 years, female 10.2
GTEX-XBED-1526-SM-4AT5W 60-69 years, male 10.0
GTEX-UJMC-1326-SM-4IHLS 50-59 years, male 9.3
GTEX-1KANC-0926-SM-D3LA9 50-59 years, female 9.0
GTEX-139YR-2126-SM-5KM11 50-59 years, male 8.7
GTEX-11LCK-2026-SM-5A5MA 30-39 years, male 8.3
GTEX-131XG-1826-SM-5LZV4 50-59 years, female 8.1
GTEX-OHPN-2026-SM-E9TIA 60-69 years, female 8.0
GTEX-1CAMS-2526-SM-7EPH7 40-49 years, female 7.6
GTEX-1211K-1726-SM-5FQUJ 60-69 years, female 7.4
GTEX-1C4CL-2126-SM-7IGQC 30-39 years, male 7.4
GTEX-1QCLZ-1926-SM-E6CR3 60-69 years, female 7.3
GTEX-1L5NE-2026-SM-CXZKR 50-59 years, male 7.2
GTEX-1QP9N-1026-SM-E6CPX 30-39 years, male 7.2
GTEX-145LT-0926-SM-5LU9C 40-49 years, male 7.1
GTEX-R55D-1826-SM-48FEF 50-59 years, male 7.1
GTEX-1I4MK-1126-SM-B2LWS 50-59 years, female 7.1
GTEX-ZLWG-1726-SM-DNZZ2 50-59 years, female 7.1
GTEX-11TT1-1026-SM-5PNW7 20-29 years, male 6.9
GTEX-1HFI7-1726-SM-A9G22 50-59 years, female 6.9
GTEX-147GR-2726-SM-664OO 60-69 years, male 6.7
GTEX-1HSMQ-2726-SM-C1YRE 50-59 years, male 6.7
GTEX-1F75I-2426-SM-9WPOY 40-49 years, male 6.5
GTEX-S4Q7-0826-SM-4AD5E 20-29 years, male 6.3
GTEX-1S3DN-1826-SM-EV79K 50-59 years, male 6.0
GTEX-ZLV1-1226-SM-4WWBX 60-69 years, female 5.9
GTEX-14ICK-1026-SM-6AJA4 40-49 years, male 5.7
GTEX-WFON-1426-SM-4LVMT 40-49 years, male 5.7
GTEX-1LVAM-1626-SM-EV79Y 50-59 years, female 5.7
GTEX-1NSGN-2326-SM-E9U5X 50-59 years, male 5.7
GTEX-11DXX-1826-SM-5H126 60-69 years, female 5.5
GTEX-ZEX8-1926-SM-4WKFR 50-59 years, male 5.5
GTEX-1PIEJ-2026-SM-E6CPA 20-29 years, female 5.5
GTEX-147F3-1926-SM-5SIB9 50-59 years, female 5.4
GTEX-14BMU-1526-SM-5TDE6 20-29 years, female 5.4
GTEX-R53T-1326-SM-48FCQ 50-59 years, female 5.4
GTEX-1QCLY-1726-SM-DPRXY 30-39 years, male 5.4
GTEX-OOBJ-1426-SM-E6CHH 60-69 years, male 5.4
GTEX-11DXZ-1726-SM-5H12M 50-59 years, male 5.3
GTEX-XV7Q-2126-SM-4BRVX 40-49 years, female 5.2
GTEX-QCQG-1626-SM-48U26 50-59 years, female 5.1
GTEX-ZF2S-1926-SM-4WWAN 50-59 years, female 5.1
GTEX-U3ZN-2126-SM-4DXU1 30-39 years, female 5.0
GTEX-Y5LM-1526-SM-4VDTA 40-49 years, female 5.0
GTEX-17HHE-1826-SM-79OKE 50-59 years, male 4.9
GTEX-UJHI-1126-SM-4IHLN 50-59 years, female 4.8
GTEX-1LG7Z-1426-SM-CXKYV 30-39 years, male 4.7
GTEX-QV31-0826-SM-CKZNC 30-39 years, male 4.7
GTEX-14PJ4-1926-SM-6LLHG 60-69 years, male 4.5
GTEX-YB5E-1626-SM-5IFIQ 40-49 years, male 4.5
GTEX-ZVT2-1926-SM-5GU5T 50-59 years, female 4.5
GTEX-1PFEY-1426-SM-E9U6U 30-39 years, male 4.5
GTEX-1LGRB-1426-SM-CNNPT 50-59 years, female 4.4
GTEX-111CU-1426-SM-5GZYP 50-59 years, male 4.3
GTEX-13FTW-1826-SM-5IJEN 40-49 years, male 4.3
GTEX-Y9LG-1526-SM-4WWDR 30-39 years, male 4.3
GTEX-13D11-0826-SM-5KLZJ 50-59 years, female 4.1
GTEX-ZV7C-1526-SM-5NQ72 50-59 years, male 4.1
GTEX-1B8KZ-1326-SM-7DUG6 50-59 years, male 4.0
GTEX-XMK1-1726-SM-4B64Z 40-49 years, male 4.0
GTEX-1JMPY-0426-SM-C1YQ3 30-39 years, male 4.0
GTEX-1S83E-1626-SM-EV7B9 40-49 years, male 4.0
GTEX-133LE-1526-SM-5IFEN 20-29 years, female 3.9
GTEX-YF7O-1726-SM-5IFJ9 50-59 years, male 3.8
GTEX-11EM3-1526-SM-5A5KN 20-29 years, female 3.7
GTEX-1399S-1926-SM-5J2M5 30-39 years, female 3.7
GTEX-14JIY-3326-SM-6871E 60-69 years, male 3.7
GTEX-1F5PK-1926-SM-7MXT7 50-59 years, male 3.7
GTEX-12BJ1-2126-SM-5BC5O 60-69 years, male 3.6
GTEX-RM2N-0926-SM-48FD1 50-59 years, male 3.6
GTEX-1F5PL-2126-SM-7PC2O 40-49 years, female 3.6
GTEX-14PK6-1726-SM-6871J 70-79 years, female 3.5
GTEX-1C475-1626-SM-731FP 40-49 years, female 3.5
GTEX-T5JW-1126-SM-4DM5V 20-29 years, female 3.5
GTEX-WOFM-2026-SM-4OOSQ 20-29 years, male 3.5
GTEX-XUZC-1326-SM-4BRV2 30-39 years, female 3.4
GTEX-139T6-1326-SM-5IFFO 50-59 years, male 3.3
GTEX-TML8-1326-SM-4DXTO 40-49 years, female 3.3
GTEX-1122O-1526-SM-5N9CL 60-69 years, female 3.2
GTEX-WFG7-1526-SM-4LVMG 20-29 years, male 3.1
GTEX-145MN-1726-SM-5SIA6 30-39 years, male 3.0
GTEX-1J1R8-1126-SM-CNPQ3 40-49 years, male 3.0
GTEX-1RAZA-1726-SM-DPS13 20-29 years, male 3.0
GTEX-1399R-2226-SM-5P9JB 30-39 years, male 2.9
GTEX-13PL7-2526-SM-5IFGR 60-69 years, female 2.9
GTEX-15CHR-1426-SM-7DUGV 50-59 years, male 2.9
GTEX-1B8KE-1926-SM-731EE 50-59 years, male 2.9
GTEX-WHWD-1226-SM-4OOS1 50-59 years, male 2.9
GTEX-1H11D-2626-SM-9JGH4 40-49 years, male 2.9
GTEX-1N2DV-1426-SM-DPRYQ 40-49 years, male 2.9
GTEX-PLZ5-1126-SM-3P613 50-59 years, male 2.8
GTEX-XPVG-1826-SM-4B64X 50-59 years, male 2.8
GTEX-13QBU-1826-SM-5IJG3 40-49 years, female 2.7
GTEX-1399U-1926-SM-5IFH7 50-59 years, female 2.6
GTEX-13OVJ-1726-SM-5IJDZ 50-59 years, female 2.6
GTEX-WHSB-0926-SM-4M1XJ 50-59 years, male 2.6
GTEX-14DAR-1526-SM-5RQIX 50-59 years, male 2.5
GTEX-14XAO-2026-SM-69LOI 60-69 years, female 2.5
GTEX-1JN76-1226-SM-C1YRM 20-29 years, female 2.5
GTEX-12C56-0626-SM-5EGGC 20-29 years, male 2.3
GTEX-132AR-2726-SM-5PNVN 50-59 years, female 2.3
GTEX-14E6E-1526-SM-5RQIG 30-39 years, male 2.3
GTEX-1H1E6-1926-SM-9OSWD 30-39 years, male 2.2
GTEX-ZT9W-1826-SM-51MQX 50-59 years, male 2.0
GTEX-ZVP2-1526-SM-5NQ82 50-59 years, male 2.0
GTEX-ZPIC-2226-SM-57WDX 40-49 years, female 1.9
GTEX-1JKYN-2326-SM-CGQG7 30-39 years, male 1.9
GTEX-1RAZR-1926-SM-E6CRF 40-49 years, male 1.9
GTEX-11P82-1026-SM-5BC5J 20-29 years, male 1.8
GTEX-16AAH-1326-SM-7KFRG 50-59 years, male 1.8
GTEX-1IKOE-2026-SM-AHZ31 30-39 years, female 1.8
GTEX-13O21-2426-SM-5MR4A 50-59 years, male 1.6
GTEX-1CAMR-0926-SM-7MXTD 20-29 years, male 1.5
GTEX-U4B1-1126-SM-4DXV3 40-49 years, male 1.4
GTEX-1K2DA-2026-SM-CGQGK 50-59 years, male 1.2
GTEX-144GM-1226-SM-5LU52 20-29 years, male 0.9
GTEX-Q2AH-1226-SM-48TZL 40-49 years, male 0.9
Show allShow less

COLON - FANTOM5 CAGEi

RNA expression in human tissues obtained through Cap Analysis of Gene Expression (CAGE) generated by the FANTOM5 project are reported as Scaled Tags Per Million.

Max subtype Scaled Tags Per Millioni

Max subtype Scaled Tags Per Million is the value for the subtype with the largest average Scaled Tags Per Million across the subtype samples.

10.4
FANTOM5 sample id Sample description Scaled Tags Per Million
Colon
Scaled Tags Per Million: 10.4
FF:10014-101C5 62,83,84 years, mixed 10.4

Contact

  • NEWS ARTICLES
  • PRESS ROOM

The Project

  • INTRODUCTION
  • ORGANIZATION
  • PUBLICATIONS

The Human Protein Atlas

  • DOWNLOADABLE DATA
  • LICENCE & CITATION
  • HELP & FAQ
The Human Protein Atlas project is funded
by the Knut & Alice Wallenberg Foundation.


contact@proteinatlas.org