We use cookies to enhance the usability of our website. If you continue, we'll assume that you are happy to receive all cookies. More information. Don't show this again.
OLFML2A
HPA
RESOURCES
  • TISSUE
  • BRAIN
  • SINGLE CELL
  • SUBCELLULAR
  • CANCER
  • BLOOD
  • CELL LINE
  • STRUCTURE & INTERACTION
ABOUT
  • INTRODUCTION
  • HISTORY
  • ORGANIZATION
  • PUBLICATIONS
  • ANTIBODY SUBMISSION
  • ANTIBODY AVAILABILITY
  • ACKNOWLEDGMENTS
  • CONTACT
NEWS
  • NEWS ARTICLES
  • PRESS ROOM
LEARN
  • DICTIONARY
  • PROTEIN CLASSES
  • PROTEIN EVIDENCE
  • METHODS
  • EDUCATIONAL VIDEOS
DATA
  • DOWNLOADABLE DATA
  • PUBLICATION DATA
  • RELEASE HISTORY
HELP
  • ANTIBODY VALIDATION
  • ASSAYS & ANNOTATION
  • DISCLAIMER
  • HELP & FAQ
  • PRIVACY STATEMENT
  • LICENCE & CITATION
Fields »
Search result

Field
Term
Gene name
Class
Subclass
Class
Keyword
Chromosome
External id
Tissue
Cell type
Expression
Antibody panel
Tissue
Main location
Patient ID
Annotation
Tissue
Category
Tau score
Cluster
Reliability
Brain region
Category
Tau score
Brain region
Category
Tau score
Brain region
Category
Tau score
Cluster
Reliability
Tissue
Cell type
Enrichment
Cell type
Category
Tau score
Cell type
Category
Tau score
Cell type
Category
Tau score
Cell lineage
Category
Tau score
Cluster
Cluster
Location
Searches
Location
Cell line
Class
Type
Phase
Reliability
Cancer
Prognosis
Cancer
Category
Cancer
Category
Tau score
Cluster
Variants
Interacting gene (ensg_id)
Type
Number of interactions
Pathway
Category
Score
Score
Score
Validation
Validation
Validation
Validation
Antibodies
Data type
Column


  • SUMMARY

  • TISSUE

  • BRAIN

  • SINGLE CELL

  • SUBCELL

  • CANCER

  • BLOOD

  • CELL LINE

  • STRUCT & INT

  • OLFML2A
TISSUE PRIMARY DATA SKIN Show tissue menu
ADIPOSE TISSUE ADRENAL GLAND AMYGDALA APPENDIX BASAL GANGLIA BONE MARROW BREAST BRONCHUS CEREBELLUM CEREBRAL CORTEX CERVIX CHOROID PLEXUS COLON DUODENUM
ENDOMETRIUM EPIDIDYMIS ESOPHAGUS FALLOPIAN TUBE GALLBLADDER HEART MUSCLE HIPPOCAMPAL FORMATION HYPOTHALAMUS KIDNEY LIVER LUNG LYMPH NODE MIDBRAIN NASOPHARYNX
ORAL MUCOSA OVARY PANCREAS PARATHYROID GLAND PITUITARY GLAND PLACENTA PROSTATE RECTUM RETINA SALIVARY GLAND SEMINAL VESICLE SKELETAL MUSCLE SKIN SMALL INTESTINE
SMOOTH MUSCLE SOFT TISSUE SPINAL CORD SPLEEN STOMACH TESTIS THYMUS THYROID GLAND TONGUE TONSIL URINARY BLADDER VAGINA
ANTIBODIES
AND
VALIDATION
Dictionary
Skin
Tissue proteome
Skin
SKIN - Expression summary
Protein expression
Skini

On the top, protein expression in current human tissue, based on all annotated cell types, is reported with the units not detected (n), low (l), medium (m) and high (h). Underneath, protein expression in each annotated cell type are reported using the same units.

Protein expression data is based on knowledge-based annotation. For genes where more than one antibody has been used, a collective score is set.

If knowledge-based annotation could not be performed for a gene, no data is displayed here. View antibody staining data further down this page.

h
m
l
n
Epidermal cells: Low
Fibroblasts: Not detected
Keratinocytes: Not detected
Langerhans: Not detected
Melanocytes: Not detected
RNA expressioni

A summary of mRNA expression data available for current tissue based on several datasets. The mRNA expression levels in human tissues are based on RNA-seq data generated by the Human Protein Atlas (HPA), Genotype-Tissue Expression (GTEx) portal and CAGE data generated by the FANTOM5 consortium. Consensus normalized expression levels for human tissues was created by combining the data from HPA and GTEx datasets.

The mRNA expression levels in pig are based on RNA-seq data generated by the Human Protein Atlas (HPA), and for mouse, HPA data and in situ hybridization generated by the Allen brain atlas are reported.

Scroll down to view mRNA expression data in more detail.
Consensus:15.6 nTPM
HPA:15.6 nTPM
GTEx:11.6 nTPM

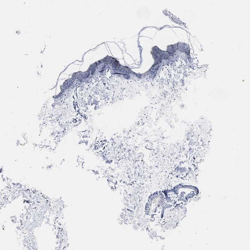
SKIN 1 - Antibody stainingi

Antibody staining in the annotated cell types in the current human tissue is reported as not detected, low, medium, or high, based on conventional immunohistochemistry profiling in selected tissues. This score is based on the combination of the staining intensity and fraction of stained cells.

Each image is clickable and will lead to virtual microscopy that enables deeper exploration of all samples and also displays staining intensity scores, fraction scores and subcellular localization as well as patient and tissue information for each sample.

Antibody HPA021180Antibody HPA022254
Langerhans Not detectedNot detected
Fibroblasts Not detectedNot detected
Keratinocytes Not detectedNot detected
Melanocytes Not detectedNot detected

SKIN 2 - Antibody stainingi

Antibody staining in the annotated cell types in the current human tissue is reported as not detected, low, medium, or high, based on conventional immunohistochemistry profiling in selected tissues. This score is based on the combination of the staining intensity and fraction of stained cells.

Each image is clickable and will lead to virtual microscopy that enables deeper exploration of all samples and also displays staining intensity scores, fraction scores and subcellular localization as well as patient and tissue information for each sample.

Antibody HPA021180Antibody HPA022254
Epidermal cells Not detectedLow
  
  
  





SKIN - HPA RNA-seqi

The RNA-seq details section shows detailed information about the individual samples used for the transcript profiling and results of the RNA-seq analysis.

Information about each individual sample is listed below, including gender, age, a tissue section image and estimated fractions of cell types. nTPM (normalized transcripts per million) values give a quantification of the gene abundance which is comparable between different genes and samples.
Average nTPMi

Max subtype nTPM is the value for the subtype with the largest average nTPM across the subtype samples.

15.6
overview
Female, age 34
Skin sample 225
nTPM: 15.4
Cell types%
Keratinocytes:
60

Other cell types:
40

overview
Female, age 30
Skin sample 226
nTPM: 14.3
Cell types%
Keratinocytes:
55

Other cell types:
45

N/A
Male, age 57
Skin sample 227
nTPM: 17.1

SKIN - GTEx RNA-seqi

RNA-Seq data generated by the Genotype-Tissue Expression (GTEx) project from human tissues is reported as mean nTPM. More information can be found on the GTEx portal.

Distribution across the dataset is visualized with box plots, shown as median and 25th and 75th percentiles. Points are displayed as outliers if they are above or below 1.5 times the interquartile range. nTPM values of the individual samples are presented next to the box plot.
Max subtype nTPMi

Max subtype nTPM is the value for the subtype with the largest average nTPM across the subtype samples.

11.6
GTEx sample id Sample description nTPM
Skin - Not Sun Exposed (Suprapubic)
Average nTPM: 10.0
Samples: 604

Max nTPM: 31.9
Min nTPM: 2.2
Std nTPM: 4.7
Median nTPM: 9.1
GTEX-12126-0826-SM-5FQTZ 20-29 years, male 31.9
GTEX-11DYG-1526-SM-5A5JS 60-69 years, male 30.0
GTEX-131XH-0126-SM-5LZUY 50-59 years, male 29.5
GTEX-1F6I4-2326-SM-7RHGL 60-69 years, male 28.6
GTEX-ZDTS-0826-SM-4WKHL 60-69 years, male 28.4
GTEX-1F75W-2726-SM-7SB8H 60-69 years, male 26.5
GTEX-15RJ7-2126-SM-6PAMD 40-49 years, male 26.2
GTEX-111FC-2526-SM-5GZXU 60-69 years, male 25.6
GTEX-1IY9M-2826-SM-ARU8H 60-69 years, male 24.3
GTEX-1H1CY-0126-SM-9YFLY 60-69 years, female 23.9
GTEX-ZVTK-0226-SM-51MRG 20-29 years, male 23.3
GTEX-1F6IF-0926-SM-7SB7M 60-69 years, male 23.1
GTEX-13SLX-2226-SM-62LEP 50-59 years, female 22.6
GTEX-17JCI-2926-SM-7DUFF 60-69 years, female 21.4
GTEX-18A7A-0126-SM-731AH 50-59 years, female 21.1
GTEX-13OVL-0126-SM-5L3GJ 50-59 years, male 21.0
GTEX-1A32A-0626-SM-731AQ 50-59 years, female 20.8
GTEX-ZUA1-2626-SM-5NQ92 40-49 years, male 20.6
GTEX-14ABY-2026-SM-62LDL 50-59 years, male 20.3
GTEX-145MG-1526-SM-5Q5EM 50-59 years, male 20.2
GTEX-1B933-2426-SM-7DHMD 50-59 years, female 20.2
GTEX-1HR98-2226-SM-ADEI2 60-69 years, male 20.2
GTEX-1212Z-0126-SM-59HK4 60-69 years, male 20.0
GTEX-1E1VI-0326-SM-793D1 50-59 years, male 19.7
GTEX-12ZZY-0726-SM-5EQ66 60-69 years, male 19.3
GTEX-15DYW-2726-SM-6EU2I 60-69 years, female 19.3
GTEX-1GZ2Q-0126-SM-9WG6M 40-49 years, male 19.0
GTEX-Y8E4-2026-SM-5IFJB 40-49 years, male 18.9
GTEX-11OF3-0126-SM-5PNYF 60-69 years, male 18.7
GTEX-ZDXO-3126-SM-5IJDF 60-69 years, male 18.6
GTEX-ZYFC-0426-SM-5GICQ 50-59 years, male 18.4
GTEX-11DXW-0826-SM-5H118 40-49 years, male 18.3
GTEX-1EWIQ-0326-SM-7DHMQ 70-79 years, female 18.2
GTEX-WHPG-2626-SM-3NMBR 50-59 years, male 18.1
GTEX-1F75A-0726-SM-7RHHD 50-59 years, male 18.0
GTEX-12WSC-2826-SM-5BC5Y 50-59 years, male 17.9
GTEX-139TS-2126-SM-5K7XC 60-69 years, male 17.9
GTEX-Y3IK-1626-SM-4YCF5 50-59 years, female 17.9
GTEX-131YS-2826-SM-5EQ47 60-69 years, female 17.8
GTEX-17HHY-0426-SM-7DHLC 50-59 years, male 17.8
GTEX-1C64N-2626-SM-7PC2N 50-59 years, male 17.8
GTEX-11NUK-2726-SM-5A5MC 50-59 years, male 17.6
GTEX-1KWVE-1026-SM-D3L9O 30-39 years, male 17.6
GTEX-ZAK1-0626-SM-5HL8E 50-59 years, female 17.5
GTEX-1IDJE-1426-SM-ADEIW 50-59 years, female 17.5
GTEX-11DXY-0126-SM-5H11Q 60-69 years, male 17.4
GTEX-18A6Q-0626-SM-7KFRP 60-69 years, male 17.4
GTEX-1J8EW-2726-SM-CY8HR 60-69 years, female 17.4
GTEX-1QEPI-2626-SM-DTXF4 60-69 years, female 17.4
GTEX-WRHU-2826-SM-3MJG8 50-59 years, female 17.2
GTEX-13NYB-0126-SM-5J1MD 40-49 years, male 17.1
GTEX-XQ3S-1426-SM-4BOPR 20-29 years, male 17.0
GTEX-ZYT6-2326-SM-5GZY3 30-39 years, male 17.0
GTEX-1H4P4-2126-SM-9WYSL 50-59 years, male 17.0
GTEX-1RAZR-2126-SM-E9U6T 40-49 years, male 17.0
GTEX-16NGA-0726-SM-731AO 40-49 years, female 16.9
GTEX-Y111-0626-SM-4SOIT 50-59 years, male 16.9
GTEX-1IDJH-0126-SM-D3L92 70-79 years, male 16.7
GTEX-11NSD-0626-SM-5A5LU 20-29 years, male 16.6
GTEX-16YQH-2226-SM-7IGM2 30-39 years, male 16.6
GTEX-146FQ-2126-SM-5RQHU 30-39 years, male 16.4
GTEX-Y114-2126-SM-4TT8B 50-59 years, female 16.4
GTEX-1JMLX-0626-SM-ARL8T 50-59 years, male 16.4
GTEX-XOT4-0626-SM-4B66L 60-69 years, female 16.3
GTEX-1C475-1326-SM-7SB73 40-49 years, female 16.3
GTEX-1J8JJ-0626-SM-ARZMQ 60-69 years, female 16.2
GTEX-11DXZ-2026-SM-5987S 50-59 years, male 16.1
GTEX-11EI6-2826-SM-5H11D 60-69 years, male 16.1
GTEX-145LU-1926-SM-79OJN 50-59 years, male 16.1
GTEX-1HCU6-2526-SM-ADEHL 60-69 years, female 16.1
GTEX-14JG1-1526-SM-5YY9X 40-49 years, male 16.0
GTEX-1H1ZS-2726-SM-9WG75 70-79 years, male 16.0
GTEX-1I1GP-1326-SM-A9G28 50-59 years, male 16.0
GTEX-YJ8O-2526-SM-5HL85 40-49 years, female 15.8
GTEX-1RAZA-2226-SM-E9U4X 20-29 years, male 15.8
GTEX-14PJ2-0626-SM-6LLII 50-59 years, male 15.6
GTEX-1BAJH-2426-SM-7IGP8 70-79 years, male 15.5
GTEX-1HT8W-0626-SM-A9G2H 30-39 years, male 15.5
GTEX-1KANB-2826-SM-CY8I6 50-59 years, male 15.5
GTEX-1OJC3-1226-SM-DTXER 20-29 years, male 15.5
GTEX-13X6J-0626-SM-5LU5F 50-59 years, male 15.4
GTEX-1I19N-0126-SM-CYPSF 70-79 years, male 15.4
GTEX-11P7K-1126-SM-5HL4L 30-39 years, male 15.3
GTEX-1AX9I-2226-SM-73KUO 60-69 years, male 15.2
GTEX-ZYW4-0626-SM-59HJR 60-69 years, male 15.2
GTEX-11WQC-1826-SM-5GU59 60-69 years, male 15.1
GTEX-ZAJG-1526-SM-5CVML 50-59 years, female 15.1
GTEX-13U4I-2226-SM-5LU5H 40-49 years, female 15.0
GTEX-1HBPI-2126-SM-ARL9K 50-59 years, male 15.0
GTEX-139TU-0726-SM-5L3EK 60-69 years, male 14.9
GTEX-145MF-0926-SM-5Q5EA 50-59 years, male 14.9
GTEX-Y8LW-1526-SM-5IFHL 50-59 years, female 14.9
GTEX-1POEN-2326-SM-E9J2L 30-39 years, female 14.9
GTEX-139TT-2126-SM-5LZWC 60-69 years, male 14.7
GTEX-WHSE-0126-SM-3NMBT 20-29 years, male 14.6
GTEX-WYVS-1626-SM-3NM9R 40-49 years, female 14.6
GTEX-ZE7O-2726-SM-51MT5 50-59 years, female 14.6
GTEX-1A8FM-0626-SM-7PC25 50-59 years, female 14.6
GTEX-12WSD-0626-SM-5GCMW 60-69 years, female 14.4
GTEX-1399R-1326-SM-5PNYS 30-39 years, male 14.4
GTEX-13VXU-0626-SM-5L3F9 50-59 years, male 14.3
GTEX-14DAQ-0626-SM-793DS 60-69 years, female 14.3
GTEX-16Z82-2626-SM-7KULU 60-69 years, male 14.3
GTEX-131XW-0626-SM-5PNVD 50-59 years, female 14.2
GTEX-1B996-0426-SM-7EWF8 60-69 years, male 14.2
GTEX-VJYA-1526-SM-3GIJV 60-69 years, male 14.2
GTEX-ZU9S-1826-SM-5NQ9E 30-39 years, male 14.2
GTEX-1HFI6-0126-SM-CNPPI 40-49 years, male 14.2
GTEX-18A66-0626-SM-7LT8Z 60-69 years, male 14.1
GTEX-1CB4F-1026-SM-7DUH1 60-69 years, male 14.1
GTEX-ZC5H-1526-SM-5HL9Y 40-49 years, female 14.1
GTEX-1CAMR-1326-SM-7PC1F 20-29 years, male 14.1
GTEX-1LBAC-0826-SM-CY8IJ 20-29 years, male 14.1
GTEX-13JUV-2026-SM-5K7UA 40-49 years, female 14.0
GTEX-1EKGG-0626-SM-7DUGJ 60-69 years, male 14.0
GTEX-ZLWG-0826-SM-59888 50-59 years, female 13.9
GTEX-1RAZS-2526-SM-E6CHT 50-59 years, male 13.9
GTEX-139YR-1026-SM-5LZYN 50-59 years, male 13.8
GTEX-13FTY-2126-SM-5IFFB 40-49 years, female 13.8
GTEX-17HGU-2326-SM-7DUFE 50-59 years, male 13.8
GTEX-1QW4Y-1126-SM-DTXE3 30-39 years, male 13.8
GTEX-1PIIG-2326-SM-DTXFR 30-39 years, male 13.7
GTEX-16MT8-2926-SM-7DUFO 60-69 years, female 13.6
GTEX-11ZUS-2626-SM-5FQUR 30-39 years, male 13.5
GTEX-12WSF-1626-SM-7KUG5 70-79 years, male 13.5
GTEX-1314G-1326-SM-5BC6E 30-39 years, male 13.5
GTEX-1NSGN-0726-SM-DTXEF 50-59 years, male 13.5
GTEX-11O72-0626-SM-5PNYE 40-49 years, male 13.4
GTEX-YB5K-2026-SM-4VDT3 40-49 years, female 13.3
GTEX-1GMRU-2126-SM-7P8RA 50-59 years, male 13.3
GTEX-13FLV-0126-SM-5K7WT 50-59 years, male 13.1
GTEX-14PHY-1226-SM-5ZZWK 60-69 years, female 13.1
GTEX-1EN7A-2426-SM-793DB 40-49 years, male 13.1
GTEX-XYKS-1426-SM-4BRUO 60-69 years, female 13.1
GTEX-15FZZ-0526-SM-7KUGD 30-39 years, female 13.0
GTEX-16GPK-0626-SM-7KFSF 60-69 years, male 13.0
GTEX-UPK5-0426-SM-3GAEK 40-49 years, male 13.0
GTEX-WXYG-2026-SM-4E3IY 50-59 years, female 13.0
GTEX-1EMGI-2326-SM-7PBYA 60-69 years, male 13.0
GTEX-145MH-2826-SM-5RQJF 50-59 years, male 12.9
GTEX-17F96-0126-SM-7EWDU 70-79 years, male 12.9
GTEX-Y5V5-0126-SM-5S2NW 60-69 years, female 12.9
GTEX-1F75I-2226-SM-7SB8U 40-49 years, male 12.9
GTEX-1GMR3-0126-SM-A9SLW 40-49 years, male 12.9
GTEX-15DDE-2926-SM-6LLJ3 50-59 years, female 12.8
GTEX-1EU9M-1426-SM-793AI 60-69 years, male 12.8
GTEX-147F4-0726-SM-5TDDD 50-59 years, male 12.7
GTEX-WK11-2726-SM-3NMAQ 50-59 years, male 12.7
GTEX-Z93S-1626-SM-5CVMB 50-59 years, male 12.7
GTEX-1IOXB-2726-SM-CM2RI 50-59 years, male 12.7
GTEX-1N5O9-0926-SM-E9J3C 60-69 years, male 12.7
GTEX-WYBS-0626-SM-3NMAS 60-69 years, female 12.5
GTEX-YEC4-1826-SM-4W1YP 40-49 years, male 12.5
GTEX-12ZZX-2426-SM-5GCOE 40-49 years, female 12.4
GTEX-14DAR-1226-SM-73KYV 50-59 years, male 12.4
GTEX-13112-0126-SM-5P9IU 50-59 years, male 12.3
GTEX-18QFQ-1826-SM-72D52 30-39 years, male 12.3
GTEX-W5X1-2526-SM-3GILC 40-49 years, female 12.3
GTEX-WHWD-1826-SM-3LK6I 50-59 years, male 12.3
GTEX-1HUB1-1426-SM-CGQF5 60-69 years, male 12.3
GTEX-1QMI2-2526-SM-E8VNZ 60-69 years, male 12.1
GTEX-15CHQ-0326-SM-69LQD 60-69 years, male 12.0
GTEX-1B932-2326-SM-79OL5 40-49 years, female 12.0
GTEX-ZAB4-2126-SM-5HL8U 40-49 years, male 12.0
GTEX-1JJEA-1826-SM-ARU8P 60-69 years, male 12.0
GTEX-13OW7-0426-SM-5K7VK 50-59 years, male 11.9
GTEX-147JS-0226-SM-5S2U9 60-69 years, male 11.9
GTEX-14BIN-1126-SM-5RQJZ 50-59 years, female 11.9
GTEX-1GN2E-0226-SM-9WG6K 60-69 years, male 11.9
GTEX-1H3O1-1326-SM-9MQLD 60-69 years, male 11.9
GTEX-1I6K7-1926-SM-B2LXR 40-49 years, male 11.9
GTEX-11GS4-0226-SM-5HL77 60-69 years, male 11.8
GTEX-13FH7-1126-SM-5K7UG 50-59 years, female 11.8
GTEX-ZF2S-1626-SM-57WES 50-59 years, female 11.8
GTEX-1GZHY-0626-SM-9KNVC 50-59 years, female 11.8
GTEX-1HSKV-1226-SM-ADEI4 60-69 years, male 11.8
GTEX-1LGOU-1326-SM-D3L8M 20-29 years, female 11.8
GTEX-145MN-1526-SM-5SI9T 30-39 years, male 11.7
GTEX-15ER7-0626-SM-6PANF 20-29 years, female 11.7
GTEX-1I1GV-0626-SM-ARL7M 60-69 years, male 11.7
GTEX-1IE54-1126-SM-A9G2Z 40-49 years, female 11.7
GTEX-1K2DA-1026-SM-CGQGF 50-59 years, male 11.7
GTEX-ZF3C-0626-SM-DO92O 50-59 years, female 11.7
GTEX-117YX-1926-SM-5GIEC 50-59 years, male 11.6
GTEX-1AX9J-1326-SM-731BJ 60-69 years, male 11.6
GTEX-X3Y1-2026-SM-3P5YM 40-49 years, male 11.6
GTEX-1O9I2-0226-SM-EYYXD 50-59 years, male 11.5
GTEX-18465-2826-SM-7LT9J 50-59 years, male 11.4
GTEX-1CB4E-0926-SM-7EPHT 60-69 years, male 11.4
GTEX-ZPU1-1126-SM-4YCF3 40-49 years, male 11.4
GTEX-1KD5A-0126-SM-E9U54 50-59 years, male 11.4
GTEX-1313W-0626-SM-5EQ4H 50-59 years, female 11.3
GTEX-13OVK-1426-SM-6PAN7 40-49 years, male 11.3
GTEX-14E6C-2426-SM-5S2NF 40-49 years, male 11.3
GTEX-15D1Q-2826-SM-6LLH7 40-49 years, male 11.3
GTEX-X585-2426-SM-46MW2 50-59 years, male 11.3
GTEX-ZYFG-1526-SM-5GZYM 60-69 years, female 11.3
GTEX-1E2YA-2126-SM-7MXUO 50-59 years, male 11.3
GTEX-1JMQI-1726-SM-ARL93 50-59 years, male 11.3
GTEX-1B8SF-0126-SM-7DUG3 60-69 years, male 11.2
GTEX-1C64O-1326-SM-7MGWR 60-69 years, male 11.2
GTEX-1LVAN-0626-SM-CNPOQ 50-59 years, female 11.2
GTEX-1GF9V-0826-SM-9KNUV 60-69 years, male 11.1
GTEX-12C56-1526-SM-5FQUQ 20-29 years, male 11.0
GTEX-13N2G-0226-SM-5K7VF 60-69 years, male 11.0
GTEX-1GN1U-0626-SM-9MQL9 50-59 years, female 11.0
GTEX-1GN73-0726-SM-7P8TJ 60-69 years, male 11.0
GTEX-1LB8K-0726-SM-D5OV2 50-59 years, male 11.0
GTEX-1QCLZ-2426-SM-EVYBW 60-69 years, female 11.0
GTEX-11EM3-1226-SM-5N9DD 20-29 years, female 10.9
GTEX-11EQ9-1626-SM-5PNY8 30-39 years, male 10.9
GTEX-14PHX-2226-SM-6EU2P 50-59 years, male 10.9
GTEX-17HG3-2626-SM-7DUF2 30-39 years, female 10.9
GTEX-18A7B-2726-SM-7LG56 70-79 years, male 10.9
GTEX-YF7O-1526-SM-5IFI6 50-59 years, male 10.9
GTEX-ZDYS-2426-SM-4WKGI 50-59 years, male 10.9
GTEX-1GF9W-1426-SM-7PBYM 60-69 years, male 10.9
GTEX-1H1DE-1326-SM-9KNUG 20-29 years, male 10.9
GTEX-11ZTT-2126-SM-5CVLO 60-69 years, female 10.8
GTEX-12584-0726-SM-5FQTK 40-49 years, male 10.8
GTEX-1H3NZ-2726-SM-9WYTQ 60-69 years, male 10.8
GTEX-1PPGY-1626-SM-EVYBL 60-69 years, male 10.8
GTEX-11P81-2226-SM-5PNYI 30-39 years, female 10.7
GTEX-13N11-2326-SM-5IJBF 50-59 years, female 10.7
GTEX-1HCU9-0426-SM-9WYSD 20-29 years, male 10.7
GTEX-1LVA9-2626-SM-EVYD4 50-59 years, male 10.7
GTEX-12KS4-2126-SM-5FQUT 30-39 years, male 10.6
GTEX-147GR-2426-SM-5ZZWQ 60-69 years, male 10.6
GTEX-15SHW-0226-SM-7LTAT 60-69 years, male 10.6
GTEX-17KNJ-2126-SM-718AM 50-59 years, male 10.6
GTEX-1C6WA-2626-SM-7MKGM 60-69 years, male 10.6
GTEX-ZVP2-0326-SM-57WBP 50-59 years, male 10.6
GTEX-1CB4I-0126-SM-7RHGG 50-59 years, male 10.6
GTEX-1LG7Z-1626-SM-CXKYR 30-39 years, male 10.6
GTEX-12696-0126-SM-5EQ4L 60-69 years, male 10.5
GTEX-17HHE-1326-SM-7EWDZ 50-59 years, male 10.5
GTEX-18D9U-0126-SM-731BM 40-49 years, male 10.5
GTEX-1A3MV-1826-SM-731CD 30-39 years, male 10.5
GTEX-1KANC-1226-SM-CYPT7 50-59 years, female 10.5
GTEX-17MFQ-1526-SM-7KFRR 20-29 years, male 10.4
GTEX-11P82-1426-SM-DTXFY 20-29 years, male 10.4
GTEX-13PVQ-0626-SM-5LU47 50-59 years, male 10.3
GTEX-ZVE2-2826-SM-5GU51 50-59 years, male 10.3
GTEX-1IDJC-1526-SM-B2LW4 50-59 years, male 10.3
GTEX-1JMPZ-0726-SM-CY8HZ 30-39 years, male 10.3
GTEX-1JN6P-2926-SM-CL54D 60-69 years, male 10.3
GTEX-1LG7Y-2526-SM-EWRO7 50-59 years, male 10.3
GTEX-1RB15-1326-SM-E76Q9 60-69 years, male 10.3
GTEX-14AS3-1526-SM-5Q5ED 40-49 years, female 10.2
GTEX-17F97-2626-SM-7IGM5 50-59 years, male 10.2
GTEX-1M4P7-0726-SM-E6CJ3 60-69 years, male 10.2
GTEX-1S82U-1026-SM-E6CJK 30-39 years, female 10.2
GTEX-YEC3-1326-SM-DO92X 50-59 years, male 10.2
GTEX-145LS-0626-SM-7EPG7 60-69 years, female 10.1
GTEX-16XZZ-0726-SM-7KUF2 60-69 years, male 10.1
GTEX-X5EB-1926-SM-4E3IW 40-49 years, male 10.1
GTEX-1CAMQ-1326-SM-7P8RV 40-49 years, male 10.1
GTEX-1F88F-0126-SM-9WYSZ 60-69 years, female 10.1
GTEX-183FY-1026-SM-7939A 20-29 years, male 10.0
GTEX-1AX8Z-0726-SM-73KTS 60-69 years, male 10.0
GTEX-1CAV2-0126-SM-7IGN7 40-49 years, female 10.0
GTEX-1EH9U-2826-SM-7DUGT 60-69 years, male 10.0
GTEX-1GF9U-2026-SM-7SB92 40-49 years, female 10.0
GTEX-1QP66-1226-SM-DTX7U 50-59 years, male 10.0
GTEX-111VG-1626-SM-5EGIO 60-69 years, male 9.9
GTEX-178AV-1726-SM-7KUL8 40-49 years, male 9.9
GTEX-1B8L1-2226-SM-7P8PT 60-69 years, male 9.9
GTEX-1IL2V-1926-SM-B2LW8 70-79 years, male 9.9
GTEX-13OW8-1026-SM-5J1NQ 60-69 years, male 9.8
GTEX-16NPX-0726-SM-7KULC 50-59 years, male 9.8
GTEX-17EVQ-0126-SM-7IGLR 70-79 years, male 9.8
GTEX-X4EO-2926-SM-4E3JH 60-69 years, female 9.8
GTEX-1C6VR-0126-SM-7RHGB 60-69 years, male 9.8
GTEX-13OVG-1626-SM-5J1NF 60-69 years, male 9.7
GTEX-ZE9C-2526-SM-5IJDR 60-69 years, male 9.7
GTEX-1HSMO-0626-SM-ACKXC 60-69 years, male 9.7
GTEX-1J1R8-2026-SM-CL53Y 40-49 years, male 9.7
GTEX-1192X-2726-SM-5N9DN 50-59 years, male 9.6
GTEX-11GSP-2326-SM-5HL63 60-69 years, female 9.6
GTEX-14LZ3-0126-SM-69LPM 60-69 years, female 9.6
GTEX-15CHR-1126-SM-7EWF4 50-59 years, male 9.6
GTEX-1HSGN-0826-SM-ACKW3 40-49 years, female 9.6
GTEX-1I1GT-1026-SM-ARZLV 60-69 years, female 9.6
GTEX-1269C-0126-SM-5EQ5L 60-69 years, female 9.5
GTEX-131XF-2626-SM-5EQ6K 60-69 years, male 9.5
GTEX-13OW5-2326-SM-5L3HO 60-69 years, male 9.5
GTEX-ZTX8-1326-SM-4YCEL 20-29 years, male 9.5
GTEX-1GPI6-1926-SM-9KNV7 60-69 years, male 9.5
GTEX-1HC8U-1326-SM-9YFMJ 40-49 years, female 9.5
GTEX-1QCLY-0226-SM-EWRNH 30-39 years, male 9.5
GTEX-1S3DN-2126-SM-E9TIN 50-59 years, male 9.5
GTEX-ZPIC-0526-SM-DO91W 40-49 years, female 9.5
GTEX-17F9Y-0126-SM-79OKX 70-79 years, female 9.4
GTEX-11PRG-0726-SM-5EGL1 50-59 years, male 9.3
GTEX-13G51-1826-SM-5KLZH 60-69 years, male 9.3
GTEX-YECK-0326-SM-4W1YS 60-69 years, male 9.3
GTEX-1ICG6-1226-SM-A9SLN 70-79 years, female 9.3
GTEX-1JMQJ-0826-SM-CNPP7 50-59 years, male 9.3
GTEX-1N2EE-0626-SM-E76PW 60-69 years, male 9.3
GTEX-145ME-1726-SM-5Q5EU 40-49 years, female 9.2
GTEX-14PJO-2526-SM-6AJBQ 60-69 years, male 9.2
GTEX-1B8KZ-0326-SM-73KY4 50-59 years, male 9.2
GTEX-13NZ9-2626-SM-5L3FK 50-59 years, male 9.1
GTEX-13OVJ-0826-SM-5J1OK 50-59 years, female 9.1
GTEX-13X6K-0626-SM-5LU5D 60-69 years, female 9.1
GTEX-1497J-0226-SM-5QGPU 60-69 years, male 9.1
GTEX-1A8G6-2726-SM-731AR 60-69 years, male 9.1
GTEX-1GMR2-0826-SM-7PC3V 50-59 years, male 9.1
GTEX-1GTWX-2026-SM-9YFLM 60-69 years, male 9.1
GTEX-1HKZK-0726-SM-ACKW2 40-49 years, male 9.1
GTEX-1IKJJ-2226-SM-CJI4C 60-69 years, male 9.1
GTEX-13VXT-1926-SM-5K7UO 20-29 years, female 9.0
GTEX-17F9E-2326-SM-79OKD 50-59 years, male 9.0
GTEX-XBEC-0726-SM-4QARZ 50-59 years, male 9.0
GTEX-11ZU8-0126-SM-5EQ58 60-69 years, male 8.9
GTEX-11VI4-1126-SM-5EQMD 40-49 years, female 8.8
GTEX-13PVR-0426-SM-5RQK2 60-69 years, female 8.8
GTEX-15CHC-1126-SM-6LLHQ 60-69 years, female 8.8
GTEX-16AAH-0626-SM-793C9 50-59 years, male 8.8
GTEX-1B97I-0626-SM-73KUZ 40-49 years, male 8.8
GTEX-ZYVF-0926-SM-5E44J 50-59 years, female 8.8
GTEX-1AYD5-2626-SM-7PBXY 50-59 years, male 8.8
GTEX-1GZ4I-2626-SM-9KNU3 50-59 years, male 8.8
GTEX-1IDJF-2026-SM-CL53V 20-29 years, male 8.8
GTEX-1LSVX-2526-SM-DIPEU 60-69 years, male 8.8
GTEX-1RLM8-2926-SM-E8VON 50-59 years, male 8.8
GTEX-WY7C-2126-SM-3NB2R 50-59 years, male 8.7
GTEX-XV7Q-1826-SM-4BRUV 40-49 years, female 8.7
GTEX-1F5PL-0926-SM-7PC2W 40-49 years, female 8.7
GTEX-1H1DG-2426-SM-9QEHJ 70-79 years, male 8.7
GTEX-1K9T9-1526-SM-DIPFR 50-59 years, female 8.7
GTEX-ZGAY-1826-SM-DO91Q 40-49 years, female 8.7
GTEX-131XG-0326-SM-5L3DX 50-59 years, female 8.6
GTEX-145MO-2826-SM-5LU96 60-69 years, male 8.6
GTEX-14A6H-2026-SM-5Q5DD 30-39 years, male 8.6
GTEX-XBED-1926-SM-47JYP 60-69 years, male 8.6
GTEX-ZVT4-2426-SM-5GIEI 50-59 years, female 8.6
GTEX-14JG6-1426-SM-9WG7C 30-39 years, female 8.6
GTEX-1PPH8-0126-SM-EWRN8 20-29 years, male 8.6
GTEX-1211K-1526-SM-5FQU4 60-69 years, female 8.5
GTEX-12WSJ-1126-SM-5LZVJ 40-49 years, female 8.5
GTEX-13O3O-2326-SM-5IJD6 60-69 years, female 8.5
GTEX-1I6K6-1726-SM-CGQFD 30-39 years, male 8.5
GTEX-1QP9N-1226-SM-E76QN 30-39 years, male 8.5
GTEX-132AR-0326-SM-5KM2C 50-59 years, female 8.4
GTEX-14PJ3-1126-SM-5ZZVX 50-59 years, male 8.4
GTEX-WFG7-2026-SM-5SI7P 20-29 years, male 8.4
GTEX-XQ8I-0926-SM-4BOOF 50-59 years, male 8.4
GTEX-1HCUA-0826-SM-ADEHM 50-59 years, female 8.4
GTEX-1HSMQ-2626-SM-A9SML 50-59 years, male 8.4
GTEX-1I1CD-0626-SM-CE6SW 60-69 years, female 8.4
GTEX-11UD2-2526-SM-5CVNU 50-59 years, male 8.3
GTEX-12BJ1-0926-SM-5EQ62 60-69 years, male 8.3
GTEX-1F48J-0726-SM-7RHGS 50-59 years, female 8.3
GTEX-1IDJD-2326-SM-ACKWX 30-39 years, male 8.3
GTEX-1JMPY-0226-SM-CKZOK 30-39 years, male 8.3
GTEX-1PBJJ-1026-SM-E76OS 30-39 years, male 8.3
GTEX-1117F-2926-SM-5GZYI 60-69 years, female 8.2
GTEX-11LCK-2226-SM-5HL4Q 30-39 years, male 8.2
GTEX-13PL6-1126-SM-5L3IE 40-49 years, female 8.2
GTEX-144GM-0526-SM-79OJO 20-29 years, male 8.2
GTEX-1EX96-1026-SM-7MKG2 50-59 years, male 8.2
GTEX-1GN1V-2826-SM-9JGIA 60-69 years, male 8.2
GTEX-1S5ZU-2526-SM-E6CIF 20-29 years, female 8.2
GTEX-11TT1-1826-SM-5EQLV 20-29 years, male 8.1
GTEX-13FHO-0426-SM-5L3F5 60-69 years, male 8.1
GTEX-14PKV-1126-SM-6LLJ1 20-29 years, female 8.1
GTEX-ZYFD-0626-SM-5E44E 50-59 years, male 8.1
GTEX-1HFI7-2326-SM-CGQFS 50-59 years, female 8.1
GTEX-1HGF4-0126-SM-CNPPX 60-69 years, male 8.1
GTEX-1JMOU-1026-SM-CYPSS 60-69 years, female 8.1
GTEX-144GO-2026-SM-5O99P 60-69 years, male 8.0
GTEX-15EO6-2426-SM-6PALZ 50-59 years, male 8.0
GTEX-17EVP-2626-SM-7IGMA 40-49 years, male 8.0
GTEX-1I1HK-2326-SM-CKZOH 60-69 years, male 8.0
GTEX-13O3Q-0126-SM-5KM34 50-59 years, male 7.9
GTEX-UPJH-0226-SM-3GADV 50-59 years, male 7.9
GTEX-XXEK-1626-SM-4BRUZ 50-59 years, male 7.9
GTEX-ZLFU-1826-SM-4WWBV 40-49 years, male 7.9
GTEX-ZY6K-1426-SM-5GZX2 50-59 years, male 7.9
GTEX-1PIGE-1826-SM-E8VOU 20-29 years, male 7.9
GTEX-1HCVE-2726-SM-CL54F 50-59 years, male 7.8
GTEX-1HSMP-0926-SM-A9SKX 70-79 years, male 7.8
GTEX-1JN76-0626-SM-CKZOQ 20-29 years, female 7.8
GTEX-12WSL-2026-SM-5GCML 50-59 years, male 7.7
GTEX-13FTW-0326-SM-5K7UW 40-49 years, male 7.7
GTEX-13YAN-0226-SM-5TDC6 60-69 years, male 7.7
GTEX-WEY5-2326-SM-3GIKK 40-49 years, female 7.7
GTEX-ZA64-1026-SM-5HL8R 20-29 years, male 7.7
GTEX-ZZ64-1026-SM-5GZXG 20-29 years, male 7.7
GTEX-18D9A-1426-SM-7LT8M 30-39 years, female 7.7
GTEX-1R9K4-2826-SM-DTX8F 60-69 years, male 7.7
GTEX-12WSH-1526-SM-5BC5W 50-59 years, male 7.6
GTEX-15RJE-2826-SM-7KUM9 40-49 years, male 7.6
GTEX-V1D1-2026-SM-3GAF4 50-59 years, male 7.6
GTEX-ZT9W-1126-SM-57WDR 50-59 years, male 7.6
GTEX-13JVG-0726-SM-5KM16 60-69 years, male 7.5
GTEX-1B8KE-1126-SM-7EPHI 50-59 years, male 7.5
GTEX-WI4N-2726-SM-3LK7Y 40-49 years, female 7.5
GTEX-1JK1U-0226-SM-ARZMX 60-69 years, male 7.5
GTEX-1OJC4-2726-SM-E76PJ 50-59 years, female 7.5
GTEX-1H23P-0626-SM-9WG6T 60-69 years, male 7.4
GTEX-1KANA-1326-SM-DIPFA 20-29 years, male 7.4
GTEX-133LE-2326-SM-5K7W3 20-29 years, female 7.3
GTEX-VUSG-2326-SM-4KL1U 50-59 years, male 7.3
GTEX-ZXG5-2126-SM-59HKD 60-69 years, male 7.3
GTEX-11TUW-0626-SM-5LU9M 60-69 years, male 7.2
GTEX-12ZZZ-0726-SM-5GCNZ 60-69 years, male 7.2
GTEX-13113-1626-SM-5EQ4I 60-69 years, female 7.2
GTEX-16MTA-0926-SM-6M47Z 50-59 years, male 7.2
GTEX-1GF9X-1326-SM-7PC2Y 40-49 years, female 7.2
GTEX-1H11D-1826-SM-9QEHM 40-49 years, male 7.2
GTEX-12WSM-1926-SM-5BC65 60-69 years, male 7.1
GTEX-XBEW-1126-SM-4QARW 40-49 years, male 7.1
GTEX-ZT9X-1526-SM-5DUXD 40-49 years, male 7.1
GTEX-1I1GS-2626-SM-B2LY3 60-69 years, male 7.1
GTEX-1I4MK-0126-SM-CY8G6 50-59 years, female 7.1
GTEX-139UW-0326-SM-5J1ML 60-69 years, male 7.0
GTEX-145LT-0526-SM-5LUB2 40-49 years, male 7.0
GTEX-15RIE-1926-SM-7KUKJ 60-69 years, male 7.0
GTEX-17F98-1326-SM-7DUEP 40-49 years, female 7.0
GTEX-18A67-1626-SM-7LT9T 50-59 years, male 7.0
GTEX-XUW1-0926-SM-4BONX 50-59 years, female 7.0
GTEX-14JFF-0626-SM-5ZZVT 60-69 years, male 7.0
GTEX-14753-0726-SM-5QGQO 60-69 years, male 6.9
GTEX-14A5H-0826-SM-5QGPJ 60-69 years, male 6.9
GTEX-1PDJ9-1226-SM-EXUSX 20-29 years, male 6.9
GTEX-1R9PM-1926-SM-EVR3O 20-29 years, male 6.9
GTEX-139T8-0626-SM-5KLZX 60-69 years, male 6.8
GTEX-17MF6-2626-SM-79OKQ 40-49 years, male 6.8
GTEX-Y5V6-2326-SM-4VDSA 60-69 years, male 6.8
GTEX-1LSNL-2726-SM-E9TKJ 50-59 years, male 6.8
GTEX-1N2DV-1526-SM-DTXEP 40-49 years, male 6.8
GTEX-13OVH-0526-SM-5L3E6 70-79 years, male 6.7
GTEX-14E1K-2026-SM-7DUEI 50-59 years, male 6.7
GTEX-14LLW-2626-SM-62LDZ 70-79 years, female 6.7
GTEX-XAJ8-1426-SM-47JYM 40-49 years, male 6.7
GTEX-ZDTT-0426-SM-4WKFL 60-69 years, male 6.7
GTEX-1J8Q3-0526-SM-ARL8U 60-69 years, male 6.7
GTEX-1J8QM-2426-SM-A9SLS 60-69 years, female 6.7
GTEX-1LVAM-0726-SM-E6CIL 50-59 years, female 6.7
GTEX-11EQ8-0926-SM-5H12V 60-69 years, male 6.6
GTEX-12WSA-0426-SM-5EQ5X 60-69 years, male 6.6
GTEX-139D8-1126-SM-5LU8W 30-39 years, female 6.6
GTEX-1F52S-2926-SM-7MKGA 60-69 years, female 6.6
GTEX-Y3I4-1726-SM-4TT89 50-59 years, male 6.6
GTEX-1JKYR-0626-SM-ARL8R 20-29 years, male 6.6
GTEX-1JMQK-1226-SM-D4P2S 60-69 years, male 6.6
GTEX-1QAET-0326-SM-EVR3U 50-59 years, male 6.6
GTEX-1S83E-1326-SM-E6CJM 40-49 years, male 6.6
GTEX-14BMV-2826-SM-5TDED 50-59 years, male 6.5
GTEX-14E6E-0526-SM-793DN 30-39 years, male 6.5
GTEX-183WM-0326-SM-72D5V 70-79 years, female 6.5
GTEX-WYJK-0526-SM-3NM8Z 50-59 years, male 6.5
GTEX-XPVG-2126-SM-4B667 50-59 years, male 6.5
GTEX-1JKYN-0826-SM-ARU8S 30-39 years, male 6.5
GTEX-1S82P-2126-SM-E6CI5 60-69 years, female 6.5
GTEX-111YS-1526-SM-5GZYW 60-69 years, male 6.4
GTEX-13N1W-2426-SM-5IJD1 70-79 years, male 6.4
GTEX-14ICL-1626-SM-5YYAO 30-39 years, male 6.4
GTEX-15EU6-2226-SM-6EU2L 50-59 years, male 6.4
GTEX-WHSB-1326-SM-3LK6W 50-59 years, male 6.4
GTEX-1GN1W-2426-SM-9KNUU 50-59 years, female 6.4
GTEX-1IDJI-0126-SM-CMKHS 50-59 years, female 6.4
GTEX-1JJE9-2626-SM-ARZMT 70-79 years, male 6.4
GTEX-1RAZQ-1326-SM-E9TK6 30-39 years, male 6.4
GTEX-13IVO-0726-SM-5LZYV 70-79 years, male 6.3
GTEX-13OW6-2726-SM-5J2OE 50-59 years, male 6.3
GTEX-13W3W-0726-SM-5IJDQ 60-69 years, female 6.3
GTEX-ZF29-0926-SM-4WKFZ 60-69 years, female 6.3
GTEX-1S831-1826-SM-EWROF 20-29 years, male 6.3
GTEX-12WSK-2126-SM-5CVNC 40-49 years, female 6.2
GTEX-13RTJ-0126-SM-5S2NN 60-69 years, male 6.2
GTEX-14B4R-1326-SM-5Q5EZ 30-39 years, male 6.2
GTEX-15RIG-0726-SM-7KUM7 40-49 years, male 6.2
GTEX-18D9B-0926-SM-7LG4U 60-69 years, male 6.2
GTEX-WFG8-2126-SM-3GIKQ 20-29 years, male 6.2
GTEX-YFCO-1226-SM-5LUAT 40-49 years, male 6.2
GTEX-1CAMS-2226-SM-7PBXQ 40-49 years, female 6.2
GTEX-1H1E6-0426-SM-9WYUS 30-39 years, male 6.2
GTEX-1LVAO-2726-SM-E9TJ8 60-69 years, male 6.2
GTEX-14PK6-0226-SM-62LF5 70-79 years, female 6.1
GTEX-1A8G7-1326-SM-73KVM 60-69 years, male 6.1
GTEX-14C39-1726-SM-5RQIL 40-49 years, male 6.0
GTEX-13D11-0926-SM-5J2NC 50-59 years, female 5.9
GTEX-144FL-0626-SM-5LU43 50-59 years, male 5.9
GTEX-147F3-1726-SM-5SIAW 50-59 years, female 5.9
GTEX-14BMU-1226-SM-5S2OR 20-29 years, female 5.9
GTEX-14PJ6-2626-SM-6EU2T 60-69 years, female 5.9
GTEX-1C6VQ-1226-SM-73KYD 50-59 years, male 5.9
GTEX-X8HC-0626-SM-4E3HQ 50-59 years, female 5.9
GTEX-XMD2-2126-SM-4YCF8 60-69 years, female 5.9
GTEX-ZZPU-0826-SM-5GZX5 50-59 years, female 5.9
GTEX-1IKOE-1426-SM-CE6T7 30-39 years, female 5.8
GTEX-1JJ6O-2726-SM-CNPOG 60-69 years, male 5.8
GTEX-1K2DU-1226-SM-CYPT4 20-29 years, male 5.8
GTEX-1MJK3-0726-SM-E6CJC 20-29 years, male 5.8
GTEX-111CU-1126-SM-5EGIM 50-59 years, male 5.7
GTEX-11DXX-2126-SM-5PNYR 60-69 years, female 5.7
GTEX-16BQI-1326-SM-6M486 30-39 years, female 5.7
GTEX-ZP4G-1426-SM-4WWCL 20-29 years, female 5.7
GTEX-ZTSS-1426-SM-5985P 40-49 years, male 5.7
GTEX-1GMR8-0626-SM-7RHI7 50-59 years, female 5.7
GTEX-1GPI7-1826-SM-9KNU1 20-29 years, male 5.7
GTEX-1KAFJ-0126-SM-DIPEK 50-59 years, male 5.7
GTEX-1KXAM-1626-SM-D3LAD 60-69 years, male 5.7
GTEX-1L5NE-1126-SM-D3L9P 50-59 years, male 5.7
GTEX-1R9PN-0426-SM-DTXDT 40-49 years, female 5.7
GTEX-1399U-1126-SM-5L3DB 50-59 years, female 5.6
GTEX-144GL-0626-SM-5LU4D 50-59 years, male 5.6
GTEX-145MI-0626-SM-5SI8S 60-69 years, female 5.6
GTEX-X4EP-0626-SM-3P621 60-69 years, female 5.6
GTEX-1F75B-0726-SM-7PC3R 50-59 years, male 5.6
GTEX-1HBPN-0126-SM-CGQEF 50-59 years, male 5.6
GTEX-1IDFM-0326-SM-ARL7V 60-69 years, male 5.6
GTEX-1IDJU-1726-SM-CMKHU 60-69 years, female 5.6
GTEX-1LSNM-0826-SM-DIPG8 50-59 years, male 5.6
GTEX-1MCYP-0526-SM-E9U6Q 20-29 years, female 5.6
GTEX-13O61-1426-SM-5KM3D 60-69 years, male 5.5
GTEX-1477Z-0326-SM-7IGLA 60-69 years, male 5.5
GTEX-16MT9-0126-SM-7EPI8 60-69 years, female 5.5
GTEX-1LKK1-2626-SM-DKPQE 50-59 years, female 5.4
GTEX-1MCC2-1826-SM-DIPEX 30-39 years, female 5.4
GTEX-13FTX-1526-SM-5K7VJ 20-29 years, female 5.3
GTEX-13QBU-1226-SM-5LU4G 40-49 years, female 5.3
GTEX-15UF6-1926-SM-7KUDV 70-79 years, female 5.3
GTEX-17HII-1426-SM-7EPGG 50-59 years, male 5.3
GTEX-Y9LG-1126-SM-4VBQ7 30-39 years, male 5.3
GTEX-ZTTD-2826-SM-4YCFA 50-59 years, male 5.3
GTEX-1GZ4H-0526-SM-9KNU9 50-59 years, female 5.3
GTEX-1RMOY-1326-SM-E9TIH 50-59 years, male 5.3
GTEX-13X6H-0926-SM-5SIB2 50-59 years, female 5.2
GTEX-14PKU-0126-SM-6LLHV 40-49 years, female 5.2
GTEX-1F88E-1626-SM-7SB8Z 60-69 years, female 5.2
GTEX-14PJ5-1526-SM-6LLIL 60-69 years, female 5.1
GTEX-1C2JI-1026-SM-73KY1 50-59 years, male 5.1
GTEX-WFON-1926-SM-3LK7L 40-49 years, male 5.1
GTEX-1A3MX-2626-SM-7PC24 60-69 years, male 5.1
GTEX-1JMQL-2226-SM-CNPP4 50-59 years, female 5.1
GTEX-14PJN-1826-SM-6AJ98 30-39 years, male 5.0
GTEX-1A3MW-0626-SM-731CB 60-69 years, female 5.0
GTEX-XK95-0226-SM-4AT58 40-49 years, male 5.0
GTEX-ZLV1-1526-SM-DO91J 60-69 years, female 5.0
GTEX-14PII-0726-SM-6EU2B 60-69 years, male 4.9
GTEX-1AMFI-1326-SM-7939R 50-59 years, female 4.9
GTEX-ZYY3-2926-SM-5GIEB 60-69 years, female 4.9
GTEX-1GL5R-1326-SM-7RHHF 50-59 years, male 4.9
GTEX-1H1DF-1126-SM-9WG7G 40-49 years, female 4.9
GTEX-1JN1M-2726-SM-CY8I4 60-69 years, female 4.9
GTEX-1QP28-1126-SM-EVYC4 50-59 years, female 4.9
GTEX-1ICLZ-0326-SM-ARL82 60-69 years, male 4.8
GTEX-1R7EU-1626-SM-DTXG3 60-69 years, male 4.8
GTEX-1399S-0126-SM-5IJCF 30-39 years, female 4.7
GTEX-1122O-1026-SM-9WYSF 60-69 years, female 4.5
GTEX-14C5O-0326-SM-5ZZUX 60-69 years, male 4.4
GTEX-1CB4H-1126-SM-7MKGL 60-69 years, female 4.4
GTEX-1H2FU-0926-SM-9WPPT 60-69 years, female 4.4
GTEX-1HCU8-2526-SM-CE6RX 60-69 years, female 4.4
GTEX-11DZ1-2426-SM-5GZZX 50-59 years, male 4.3
GTEX-13X6I-1826-SM-5SIAO 60-69 years, male 4.3
GTEX-148VJ-0626-SM-5LUAW 70-79 years, male 4.3
GTEX-1HB9E-0126-SM-CM2S5 50-59 years, male 4.3
GTEX-1J8Q2-2626-SM-ACKWQ 60-69 years, male 4.3
GTEX-ZWKS-0626-SM-5GIDV 30-39 years, male 4.2
GTEX-1HCU7-0726-SM-A9SL1 50-59 years, male 4.2
GTEX-1PPH7-1126-SM-DTX9A 40-49 years, male 4.2
GTEX-1QPFJ-1926-SM-EVYBD 30-39 years, female 4.2
GTEX-WH7G-2026-SM-3NMBL 40-49 years, male 4.1
GTEX-13NYS-0626-SM-5L3F1 60-69 years, male 4.0
GTEX-13QJC-0126-SM-5ZZWJ 60-69 years, female 4.0
GTEX-13SLW-0626-SM-5Q5ER 70-79 years, male 4.0
GTEX-15SKB-2826-SM-6PAMH 60-69 years, male 4.0
GTEX-1NV5F-0626-SM-DTXEG 60-69 years, female 3.9
GTEX-1AMEY-0826-SM-72D65 30-39 years, female 3.8
GTEX-1LGRB-0926-SM-COH3K 50-59 years, female 3.8
GTEX-1QP29-1826-SM-DTX9S 50-59 years, male 3.8
GTEX-ZPCL-1126-SM-4WWFE 60-69 years, female 3.7
GTEX-14C38-0726-SM-5SI6M 50-59 years, male 3.6
GTEX-ZVT2-0126-SM-5GIDQ 50-59 years, female 3.5
GTEX-ZVE1-0726-SM-51MRN 50-59 years, female 3.4
GTEX-U8XE-0226-SM-4E3J3 30-39 years, male 3.3
GTEX-Y5LM-0926-SM-6LLJG 40-49 years, female 3.3
GTEX-1H3VE-0726-SM-9YFL5 40-49 years, male 3.3
GTEX-1399Q-2326-SM-5KM2X 40-49 years, male 3.2
GTEX-13PDP-0726-SM-5L3HP 60-69 years, male 3.2
GTEX-ZVZP-1226-SM-5GID7 50-59 years, male 3.1
GTEX-1ICLY-0826-SM-CMKG1 50-59 years, male 3.1
GTEX-1R46S-2426-SM-E76QA 60-69 years, female 3.0
GTEX-13NZ8-1226-SM-5KM4A 60-69 years, female 2.9
GTEX-15G19-2426-SM-7KUMR 60-69 years, male 2.9
GTEX-15G1A-1626-SM-7KUKN 30-39 years, male 2.9
GTEX-1IDJV-0126-SM-COH3Y 60-69 years, male 2.9
GTEX-1F5PK-2226-SM-7SB6N 50-59 years, male 2.8
GTEX-1HR9M-2226-SM-CNPPY 60-69 years, male 2.8
GTEX-1I1GU-0926-SM-ACKVS 40-49 years, male 2.8
GTEX-11WQK-1026-SM-5EQLX 50-59 years, male 2.7
GTEX-1HBPM-0726-SM-9YFL7 60-69 years, female 2.6
GTEX-1J1OQ-0126-SM-D4P2N 40-49 years, female 2.6
GTEX-13NYC-0126-SM-5L3F4 60-69 years, male 2.5
GTEX-1CB4J-1326-SM-7P8RX 60-69 years, male 2.5
GTEX-1QP2A-1726-SM-E76QC 50-59 years, male 2.5
GTEX-1F6RS-2026-SM-7RHHC 60-69 years, female 2.4
GTEX-14PJ4-0226-SM-5YY92 60-69 years, male 2.2
GTEX-14XAO-1226-SM-6EU1C 60-69 years, female 2.2
Show allShow less
Skin - Sun Exposed (Lower leg)
Average nTPM: 11.6
Samples: 701

Max nTPM: 33.5
Min nTPM: 1.0
Std nTPM: 5.4
Median nTPM: 10.5
GTEX-1HBPH-0426-SM-B2LW5 40-49 years, female 33.5
GTEX-14JIY-0126-SM-6LLH6 60-69 years, male 33.1
GTEX-1IY9M-0126-SM-D3L8S 60-69 years, male 30.4
GTEX-1F6I4-0126-SM-9MQL2 60-69 years, male 28.7
GTEX-ZVT3-0126-SM-5GU6I 60-69 years, female 28.6
GTEX-12WSD-0126-SM-59HKN 60-69 years, female 28.3
GTEX-1HCU6-0126-SM-CL54K 60-69 years, female 28.2
GTEX-1AX9I-0126-SM-7SB74 60-69 years, male 27.7
GTEX-18A7A-0226-SM-718BH 50-59 years, female 27.3
GTEX-1QW4Y-1526-SM-EAZ3Z 30-39 years, male 26.6
GTEX-12126-0326-SM-5PNW3 20-29 years, male 26.3
GTEX-131YS-0126-SM-5KM1M 60-69 years, female 26.3
GTEX-13CF2-2526-SM-5LZYX 60-69 years, male 26.0
GTEX-13G51-2526-SM-5LZYK 60-69 years, male 25.5
GTEX-1GN73-0226-SM-9WG67 60-69 years, male 25.5
GTEX-15DYW-0126-SM-7KULE 60-69 years, female 24.8
GTEX-11EMC-2926-SM-5EQ4F 60-69 years, female 24.6
GTEX-18A6Q-0126-SM-731BZ 60-69 years, male 24.6
GTEX-OXRP-0126-SM-3NB32 60-69 years, female 24.2
GTEX-1IKK5-0626-SM-ARL8A 60-69 years, male 24.1
GTEX-13FXS-0226-SM-5IJCK 50-59 years, male 23.9
GTEX-1J8JJ-0226-SM-CL53I 60-69 years, female 23.9
GTEX-13OVL-0226-SM-5L3E9 50-59 years, male 23.8
GTEX-1CAV2-2226-SM-7P8P2 40-49 years, female 23.8
GTEX-ZDTS-0126-SM-4WAY5 60-69 years, male 23.6
GTEX-1A8FM-0226-SM-7SB7Q 50-59 years, female 23.6
GTEX-X4EO-0326-SM-3P5YO 60-69 years, female 23.5
GTEX-1B8L1-2526-SM-9WYTF 60-69 years, male 22.9
GTEX-1EMGI-0126-SM-9KNUE 60-69 years, male 22.7
GTEX-1A32A-0126-SM-718B1 50-59 years, female 22.5
GTEX-117YW-2626-SM-5GZZH 50-59 years, male 22.4
GTEX-R55E-0126-SM-2TC5Y 20-29 years, male 22.2
GTEX-1R9PO-2126-SM-E9J4O 60-69 years, female 22.1
GTEX-SE5C-1626-SM-2XCE3 40-49 years, female 22.0
GTEX-14PJM-0226-SM-62LF1 50-59 years, female 21.9
GTEX-SSA3-0126-SM-32QPU 60-69 years, male 21.8
GTEX-1J8EW-0126-SM-CJI4F 60-69 years, female 21.8
GTEX-13OW7-0126-SM-5MR3B 50-59 years, male 21.5
GTEX-11GSP-2526-SM-5N9BP 60-69 years, female 21.3
GTEX-11OF3-2626-SM-5GU7F 60-69 years, male 21.3
GTEX-1GZHY-0326-SM-9QEHI 50-59 years, female 21.2
GTEX-1H1CY-2826-SM-9MQM3 60-69 years, female 21.2
GTEX-11NUK-0126-SM-5A5L3 50-59 years, male 21.0
GTEX-RNOR-0126-SM-E9J4R 50-59 years, female 21.0
GTEX-13SLX-0526-SM-5S2ON 50-59 years, female 20.9
GTEX-QEG4-0226-SM-2S1PY 30-39 years, male 20.9
GTEX-S33H-1026-SM-EZ6L6 30-39 years, male 20.9
GTEX-11DYG-0126-SM-59883 60-69 years, male 20.8
GTEX-11ZVC-2526-SM-5FQTE 50-59 years, female 20.7
GTEX-RN64-0126-SM-2TC68 50-59 years, male 20.7
GTEX-T2IS-0126-SM-4DM6O 20-29 years, female 20.7
GTEX-1CB4G-0226-SM-7PC3O 60-69 years, male 20.7
GTEX-11ZTS-0126-SM-5EQ6M 60-69 years, female 20.5
GTEX-17HG3-2226-SM-7938L 30-39 years, female 20.5
GTEX-1PBJI-0526-SM-E8VNK 20-29 years, female 20.5
GTEX-11GS4-2726-SM-5A5LE 60-69 years, male 20.4
GTEX-11ZUS-0626-SM-59885 30-39 years, male 20.4
GTEX-1B933-0126-SM-7PC29 50-59 years, female 20.1
GTEX-UPJH-0326-SM-3GADU 50-59 years, male 20.0
GTEX-WZTO-0126-SM-3NM95 40-49 years, male 20.0
GTEX-T6MN-0126-SM-32PLP 50-59 years, male 19.9
GTEX-1MA7X-2226-SM-E6CIY 60-69 years, male 19.8
GTEX-15DDE-0126-SM-6LPKH 50-59 years, female 19.7
GTEX-Y111-0126-SM-4SOIV 50-59 years, male 19.7
GTEX-ZUA1-0126-SM-5GU76 40-49 years, male 19.5
GTEX-1EWIQ-0126-SM-7RHH2 70-79 years, female 19.4
GTEX-1C6WA-0126-SM-7PC2B 60-69 years, male 19.2
GTEX-1H3VY-0126-SM-ACKXD 50-59 years, male 19.2
GTEX-113IC-0126-SM-5HL6T 60-69 years, male 19.1
GTEX-1313W-0126-SM-5LZUN 50-59 years, female 19.1
GTEX-1F7RK-0126-SM-7PC2S 20-29 years, female 19.1
GTEX-17HHY-0126-SM-7LG5D 50-59 years, male 18.9
GTEX-S7PM-0126-SM-4AD6S 60-69 years, male 18.9
GTEX-VJYA-1126-SM-3GIJU 60-69 years, male 18.9
GTEX-Y8DK-0126-SM-4TT3L 60-69 years, male 18.8
GTEX-ZVTK-0426-SM-51MRS 20-29 years, male 18.8
GTEX-18465-0126-SM-731BN 50-59 years, male 18.7
GTEX-1HFI6-0226-SM-ADEHZ 40-49 years, male 18.7
GTEX-113JC-2326-SM-5EQ4E 50-59 years, female 18.6
GTEX-PX3G-0126-SM-2I3EN 20-29 years, female 18.6
GTEX-1EKGG-0226-SM-9WYTH 60-69 years, male 18.6
GTEX-1GMRU-0126-SM-9YFLV 50-59 years, male 18.6
GTEX-1B8KZ-2026-SM-7DHMB 50-59 years, male 18.5
GTEX-ZE7O-0126-SM-57WC1 50-59 years, female 18.4
GTEX-1GPI6-0126-SM-9WG69 60-69 years, male 18.4
GTEX-1POEN-0126-SM-EYYXJ 30-39 years, female 18.4
GTEX-Y3IK-2426-SM-4WWDU 50-59 years, female 18.3
GTEX-13U4I-0126-SM-5LU38 40-49 years, female 18.2
GTEX-RWSA-0126-SM-2XCBB 40-49 years, male 18.2
GTEX-1KD4Q-0226-SM-E9TJ9 40-49 years, male 18.2
GTEX-14E7W-0126-SM-6LLJ9 70-79 years, male 18.1
GTEX-PVOW-0126-SM-2XCFA 40-49 years, male 18.1
GTEX-1I1HK-0126-SM-COH49 60-69 years, male 18.1
GTEX-RVPV-0126-SM-EAZAW 60-69 years, male 18.1
GTEX-13X6J-0126-SM-5QGOU 50-59 years, male 18.0
GTEX-ZYFC-0226-SM-5NQ75 50-59 years, male 18.0
GTEX-1F88F-2726-SM-7PBZZ 60-69 years, female 18.0
GTEX-1192X-0226-SM-5H12D 50-59 years, male 17.9
GTEX-16GPK-0126-SM-7DHLE 60-69 years, male 17.9
GTEX-11H98-0126-SM-5EGHG 50-59 years, male 17.8
GTEX-1IDJH-0326-SM-A9SLQ 70-79 years, male 17.8
GTEX-11DXY-2626-SM-5GIE7 60-69 years, male 17.7
GTEX-16YQH-0126-SM-7DUFJ 30-39 years, male 17.7
GTEX-1F6IF-0726-SM-7P8TW 60-69 years, male 17.7
GTEX-1HBPI-1526-SM-C1YQ1 50-59 years, male 17.7
GTEX-1OJC4-0126-SM-E9J2E 50-59 years, female 17.7
GTEX-144GL-0126-SM-5TDE2 50-59 years, male 17.6
GTEX-RU72-0926-SM-2TF6B 50-59 years, female 17.6
GTEX-14ABY-0226-SM-5TDCQ 50-59 years, male 17.5
GTEX-17EVQ-0226-SM-7LG4P 70-79 years, male 17.5
GTEX-1F48J-0126-SM-7P8TT 50-59 years, female 17.5
GTEX-1LG7Y-0526-SM-DKPQC 50-59 years, male 17.5
GTEX-14DAQ-0126-SM-5S2MQ 60-69 years, female 17.4
GTEX-1H1ZS-0426-SM-9WG6G 70-79 years, male 17.4
GTEX-12KS4-0326-SM-5EQ41 30-39 years, male 17.3
GTEX-12ZZX-0126-SM-5EGK9 40-49 years, female 17.3
GTEX-TMZS-0126-SM-3DB9Q 60-69 years, male 17.3
GTEX-1F75A-0126-SM-7RHGM 50-59 years, male 17.3
GTEX-1LNCM-1126-SM-E9U5E 50-59 years, female 17.3
GTEX-11DXW-0226-SM-5H122 40-49 years, male 17.2
GTEX-132NY-0326-SM-5IJBL 60-69 years, male 17.2
GTEX-13O3O-0126-SM-E9J49 60-69 years, female 17.2
GTEX-U412-0426-SM-3DB9O 60-69 years, male 17.1
GTEX-139T4-0226-SM-5HL5S 50-59 years, female 17.0
GTEX-YFC4-0126-SM-5CVLY 40-49 years, female 17.0
GTEX-1IL2V-0126-SM-CM2TX 70-79 years, male 17.0
GTEX-147F4-0226-SM-5QGPW 50-59 years, male 16.9
GTEX-S7SE-0126-SM-2XCD5 50-59 years, male 16.9
GTEX-ZDXO-3026-SM-5J1N5 60-69 years, male 16.9
GTEX-139TT-0126-SM-5K7Y5 60-69 years, male 16.8
GTEX-ZYFD-0126-SM-5GIDL 50-59 years, male 16.8
GTEX-1IL2U-0226-SM-CE6T8 60-69 years, male 16.8
GTEX-1QEPI-0126-SM-EWRMQ 60-69 years, female 16.8
GTEX-1H3O1-0426-SM-9YFKY 60-69 years, male 16.7
GTEX-Q2AG-0126-SM-33HBV 40-49 years, female 16.5
GTEX-1IOXB-0126-SM-ARL8G 50-59 years, male 16.5
GTEX-14A6H-0126-SM-5QGPK 30-39 years, male 16.4
GTEX-1314G-1526-SM-5EGK2 30-39 years, male 16.3
GTEX-XUYS-0126-SM-47JWZ 50-59 years, male 16.3
GTEX-15SHU-0126-SM-7KUEH 40-49 years, female 16.2
GTEX-ZAK1-0126-SM-5IJD3 50-59 years, female 16.2
GTEX-1RDX4-0126-SM-E9J4P 50-59 years, female 16.2
GTEX-XQ3S-1526-SM-4BOOC 20-29 years, male 16.1
GTEX-1KANB-0526-SM-E6CJH 50-59 years, male 16.1
GTEX-131XH-2226-SM-5DUXJ 50-59 years, male 16.0
GTEX-13VXU-0126-SM-5SI9F 50-59 years, male 16.0
GTEX-XV7Q-2526-SM-4BRV9 40-49 years, female 16.0
GTEX-ZAB4-0226-SM-5N9F5 40-49 years, male 16.0
GTEX-1HUB1-0426-SM-E9U4U 60-69 years, male 16.0
GTEX-11TTK-0126-SM-5987B 60-69 years, female 15.9
GTEX-1CB4F-0426-SM-9KNV4 60-69 years, male 15.9
GTEX-1I1GP-2226-SM-CGQFK 50-59 years, male 15.9
GTEX-1I1GV-0526-SM-A9G29 60-69 years, male 15.9
GTEX-1IKOH-0226-SM-COH4E 60-69 years, female 15.9
GTEX-1212Z-2526-SM-5EGKP 60-69 years, male 15.8
GTEX-1JN6P-0126-SM-D3L98 60-69 years, male 15.8
GTEX-11DXZ-2326-SM-5EGGV 50-59 years, male 15.7
GTEX-11UD1-0126-SM-5PNYG 40-49 years, female 15.7
GTEX-1E1VI-0126-SM-7DHMZ 50-59 years, male 15.7
GTEX-139TS-2826-SM-5J1OO 60-69 years, male 15.6
GTEX-13S7M-0126-SM-5SI6A 60-69 years, female 15.6
GTEX-15SHW-0326-SM-6PAML 60-69 years, male 15.6
GTEX-1I1GR-0126-SM-CL55F 60-69 years, male 15.5
GTEX-11ZTT-2426-SM-5EQLS 60-69 years, female 15.4
GTEX-SJXC-0126-SM-2XCFF 60-69 years, male 15.4
GTEX-131XW-0426-SM-5LZWP 50-59 years, female 15.3
GTEX-14JG1-0426-SM-6ETZZ 40-49 years, male 15.3
GTEX-X638-0126-SM-47JZ8 70-79 years, female 15.3
GTEX-1I1GQ-0126-SM-COH3H 50-59 years, male 15.3
GTEX-11P7K-2126-SM-5GU7G 30-39 years, male 15.2
GTEX-12ZZY-0226-SM-5LZVE 60-69 years, male 15.2
GTEX-SIU8-0126-SM-2XCDT 50-59 years, male 15.2
GTEX-13112-2826-SM-5DUWH 50-59 years, male 15.1
GTEX-13O21-1426-SM-5K7XI 50-59 years, male 15.1
GTEX-15SDE-2226-SM-7IGLO 50-59 years, female 15.1
GTEX-147GR-0526-SM-5S2MY 60-69 years, male 15.0
GTEX-146FQ-0126-SM-5NQA9 30-39 years, male 14.9
GTEX-QLQW-1126-SM-2S1Q8 30-39 years, male 14.9
GTEX-ZVT4-0126-SM-DTXFN 50-59 years, female 14.9
GTEX-ZC5H-0226-SM-4WAY9 40-49 years, female 14.8
GTEX-13FTY-0526-SM-5L3EV 40-49 years, female 14.6
GTEX-1GN1U-0126-SM-7PBZK 50-59 years, female 14.6
GTEX-1I1CD-0126-SM-CM2TK 60-69 years, female 14.6
GTEX-1AYCT-2426-SM-7IGQ3 50-59 years, male 14.5
GTEX-QDT8-0126-SM-48TZ1 30-39 years, female 14.5
GTEX-ZYW4-0126-SM-5E44A 60-69 years, male 14.5
GTEX-139T8-0126-SM-5K7XZ 60-69 years, male 14.4
GTEX-13N1W-0126-SM-5K7VT 70-79 years, male 14.4
GTEX-1GN1V-0126-SM-9WPOS 60-69 years, male 14.4
GTEX-1H3NZ-0126-SM-ACKX7 60-69 years, male 14.4
GTEX-11P81-2326-SM-59875 30-39 years, female 14.3
GTEX-1EU9M-0226-SM-7P8SP 60-69 years, male 14.3
GTEX-145LU-0126-SM-5TDCB 50-59 years, male 14.2
GTEX-15ER7-0326-SM-7KUEV 20-29 years, female 14.2
GTEX-T5JC-0426-SM-32PLO 20-29 years, male 14.2
GTEX-1GZ2Q-0226-SM-7P8TL 40-49 years, male 14.2
GTEX-PW2O-1526-SM-7RHHB 20-29 years, male 14.2
GTEX-14E6D-0126-SM-62LDV 50-59 years, male 14.1
GTEX-12WSG-2826-SM-E9J4H 50-59 years, female 14.1
GTEX-1KD5A-0226-SM-D5OV3 50-59 years, male 14.1
GTEX-1KWVE-1426-SM-E9TJO 30-39 years, male 14.1
GTEX-139TU-0126-SM-5K7WH 60-69 years, male 14.0
GTEX-14LLW-0126-SM-6LLIO 70-79 years, female 14.0
GTEX-17HHE-2026-SM-79OKF 50-59 years, male 14.0
GTEX-RTLS-0126-SM-447CA 60-69 years, female 14.0
GTEX-1LB8K-0226-SM-EWRNW 50-59 years, male 14.0
GTEX-13QJ3-0326-SM-5S2RA 50-59 years, male 13.9
GTEX-17HGU-0226-SM-7DHKV 50-59 years, male 13.9
GTEX-1JMQJ-0526-SM-CYPSU 50-59 years, male 13.9
GTEX-QV44-1926-SM-2S1RF 50-59 years, male 13.8
GTEX-Y114-2426-SM-4TT8A 50-59 years, female 13.8
GTEX-Z93S-0126-SM-5HL7M 50-59 years, male 13.8
GTEX-1JMLX-0226-SM-CM2RO 50-59 years, male 13.8
GTEX-13NZA-0226-SM-5K7Z7 60-69 years, male 13.7
GTEX-13RTL-0126-SM-7LG5S 40-49 years, male 13.7
GTEX-1BAJH-0526-SM-793CQ 70-79 years, male 13.7
GTEX-11ZU8-2526-SM-5EQKI 60-69 years, male 13.6
GTEX-14PJ3-1826-SM-62LEX 50-59 years, male 13.6
GTEX-1C4CL-0526-SM-73KVK 30-39 years, male 13.6
GTEX-XYKS-2126-SM-4E3IB 60-69 years, female 13.6
GTEX-1M4P7-0226-SM-DIPEV 60-69 years, male 13.6
GTEX-OIZF-0126-SM-7SB8I 60-69 years, male 13.6
GTEX-1269C-2526-SM-5EGJ3 60-69 years, female 13.5
GTEX-QVJO-1626-SM-2S1QW 60-69 years, female 13.5
GTEX-1H2FU-0126-SM-9WYSI 60-69 years, female 13.5
GTEX-1HT8W-0126-SM-CNPPP 30-39 years, male 13.5
GTEX-13OW6-0426-SM-5L3HM 50-59 years, male 13.4
GTEX-11EI6-0126-SM-5985R 60-69 years, male 13.3
GTEX-11GSO-2426-SM-5A5LY 60-69 years, male 13.3
GTEX-17F97-0326-SM-7LG5B 50-59 years, male 13.3
GTEX-1C64O-0126-SM-7SB8P 60-69 years, male 13.3
GTEX-1H4P4-0726-SM-9YFLR 50-59 years, male 13.3
GTEX-145MI-0526-SM-5O9A8 60-69 years, female 13.1
GTEX-O5YW-0126-SM-3LK6D 50-59 years, male 13.1
GTEX-17EVP-0326-SM-7DHLG 40-49 years, male 13.0
GTEX-OXRL-0126-SM-2YUMP 50-59 years, male 13.0
GTEX-WYVS-2126-SM-3NMA3 40-49 years, female 12.9
GTEX-1RAZQ-0726-SM-EAZ43 30-39 years, male 12.9
GTEX-13OVI-1426-SM-5L3EY 60-69 years, female 12.8
GTEX-TML8-1926-SM-32QOS 40-49 years, female 12.8
GTEX-1GN2E-0426-SM-9MQKX 60-69 years, male 12.8
GTEX-1HSKV-0226-SM-A9SKJ 60-69 years, male 12.8
GTEX-1PPH8-0226-SM-E8VND 20-29 years, male 12.8
GTEX-17HII-0226-SM-7LG4E 50-59 years, male 12.7
GTEX-1ICG6-2526-SM-CGQFZ 70-79 years, female 12.7
GTEX-R45C-0126-SM-EAZ2R 60-69 years, female 12.7
GTEX-11WQC-2526-SM-5CVLE 60-69 years, male 12.6
GTEX-12584-0126-SM-5EGKQ 40-49 years, male 12.6
GTEX-12WSC-0126-SM-5EQ4P 50-59 years, male 12.6
GTEX-13FHO-0226-SM-5IFGY 60-69 years, male 12.6
GTEX-13O1R-0126-SM-5L3EH 60-69 years, male 12.6
GTEX-ZE9C-2726-SM-57WB5 60-69 years, male 12.6
GTEX-1EX96-1626-SM-7PBXR 50-59 years, male 12.6
GTEX-1MJK2-0426-SM-DTXE5 50-59 years, male 12.6
GTEX-1NHNU-1026-SM-E9J2A 50-59 years, male 12.6
GTEX-1QP66-1726-SM-E8VO1 50-59 years, male 12.6
GTEX-1AYD5-2426-SM-73KXR 50-59 years, male 12.5
GTEX-1B8SF-1426-SM-7DUGL 60-69 years, male 12.5
GTEX-1IGQW-0126-SM-COH42 60-69 years, male 12.5
GTEX-1RQEC-0426-SM-E6CHU 60-69 years, male 12.5
GTEX-X88G-0126-SM-47JZ3 30-39 years, male 12.4
GTEX-YJ89-0126-SM-4TT3X 60-69 years, male 12.4
GTEX-1EN7A-0126-SM-7SB81 40-49 years, male 12.4
GTEX-1I6K6-0126-SM-A9SLE 30-39 years, male 12.4
GTEX-111FC-0126-SM-5N9DL 60-69 years, male 12.3
GTEX-1QMI2-0226-SM-EVYBX 60-69 years, male 12.3
GTEX-14BIN-0626-SM-793DP 50-59 years, female 12.2
GTEX-ZV68-0126-SM-59HKS 50-59 years, female 12.2
GTEX-1GF9V-0326-SM-7RHI5 60-69 years, male 12.2
GTEX-145MN-2226-SM-5SIAU 30-39 years, male 12.1
GTEX-XBED-2226-SM-47JYQ 60-69 years, male 12.1
GTEX-Y5V5-2326-SM-4V6GA 60-69 years, female 12.1
GTEX-YEC4-2126-SM-5IFJH 40-49 years, male 12.1
GTEX-1JMPY-1326-SM-ARL8Y 30-39 years, male 12.1
GTEX-W5X1-3026-SM-EAZAX 40-49 years, female 12.1
GTEX-117XS-2726-SM-5N9BL 60-69 years, male 12.0
GTEX-14BMV-0126-SM-5S2PO 50-59 years, male 12.0
GTEX-U3ZH-2026-SM-3DB78 30-39 years, male 12.0
GTEX-X4XX-0126-SM-3NMC2 60-69 years, male 12.0
GTEX-Z93T-0126-SM-5HL5N 50-59 years, male 12.0
GTEX-ZDYS-2026-SM-5HL5L 50-59 years, male 12.0
GTEX-1MCQQ-0826-SM-DLHC2 60-69 years, male 12.0
GTEX-1S82Y-2026-SM-EVYCM 40-49 years, male 12.0
GTEX-OOBJ-0126-SM-E6CJW 60-69 years, male 12.0
GTEX-145MO-0326-SM-5Q5B3 60-69 years, male 11.9
GTEX-14PII-0226-SM-6EU1T 60-69 years, male 11.9
GTEX-XQ8I-0426-SM-4BOPO 50-59 years, male 11.9
GTEX-1C6VQ-0126-SM-7P8RI 50-59 years, male 11.9
GTEX-15D1Q-0126-SM-7KUG6 40-49 years, male 11.8
GTEX-TKQ1-1026-SM-4GICL 30-39 years, male 11.8
GTEX-YJ8A-0426-SM-5IFID 20-29 years, male 11.8
GTEX-ZYT6-0226-SM-5NQ6T 30-39 years, male 11.8
GTEX-1B996-0226-SM-7RHGO 60-69 years, male 11.8
GTEX-1GF9X-2026-SM-7PC3A 40-49 years, female 11.8
GTEX-18QFQ-0126-SM-731BE 30-39 years, male 11.7
GTEX-QLQ7-1626-SM-2S1R8 60-69 years, male 11.7
GTEX-13N11-2526-SM-5K7UE 50-59 years, female 11.6
GTEX-16NPX-0226-SM-79OMT 50-59 years, male 11.6
GTEX-WXYG-2326-SM-4E3I6 50-59 years, female 11.6
GTEX-YB5K-2126-SM-4WWDJ 40-49 years, female 11.6
GTEX-1H1DG-0126-SM-9WYU2 70-79 years, male 11.6
GTEX-1JMQI-2226-SM-CM2SD 50-59 years, male 11.6
GTEX-144GN-2326-SM-5LU4F 50-59 years, male 11.5
GTEX-14PHX-2326-SM-62LEM 50-59 years, male 11.5
GTEX-15DCD-0126-SM-7KUEK 70-79 years, female 11.5
GTEX-17F96-1626-SM-7DUFL 70-79 years, male 11.4
GTEX-U3ZN-2326-SM-3DB7W 30-39 years, female 11.4
GTEX-12WSE-0526-SM-793B2 20-29 years, male 11.3
GTEX-13FHP-0126-SM-5IJBG 50-59 years, male 11.3
GTEX-13OVG-1926-SM-5L3DK 60-69 years, male 11.3
GTEX-145MF-0626-SM-5LUAI 50-59 years, male 11.3
GTEX-15CHC-2126-SM-6EU21 60-69 years, female 11.3
GTEX-15SB6-1726-SM-6PAME 50-59 years, female 11.3
GTEX-16MT8-0426-SM-7KUEY 60-69 years, female 11.3
GTEX-1F75B-0126-SM-9KNVL 50-59 years, male 11.3
GTEX-1HKZK-0326-SM-9WYUH 40-49 years, male 11.3
GTEX-1JJEA-0326-SM-CNPOT 60-69 years, male 11.3
GTEX-111VG-2426-SM-5GZXD 60-69 years, male 11.2
GTEX-13W46-0226-SM-5SIAG 50-59 years, male 11.2
GTEX-14BIL-0126-SM-5SI92 50-59 years, male 11.2
GTEX-X4EP-0126-SM-3P5YV 60-69 years, female 11.2
GTEX-169BO-1326-SM-9MQK2 50-59 years, male 11.2
GTEX-1KAFJ-2026-SM-CY8ID 50-59 years, male 11.2
GTEX-1PIIG-0226-SM-EWRN6 30-39 years, male 11.2
GTEX-117YX-2326-SM-5H12W 50-59 years, male 11.1
GTEX-1399R-2726-SM-5IJBA 30-39 years, male 11.1
GTEX-1C6VR-2426-SM-79OLD 60-69 years, male 11.1
GTEX-U8T8-0126-SM-3DB94 60-69 years, male 11.1
GTEX-11TT1-2526-SM-5EGIB 20-29 years, male 11.0
GTEX-1B8SG-0126-SM-73KZ3 50-59 years, male 11.0
GTEX-1C64N-0126-SM-793D7 50-59 years, male 11.0
GTEX-OIZG-0726-SM-33HBL 50-59 years, male 11.0
GTEX-WVJS-0126-SM-4MVOT 50-59 years, male 11.0
GTEX-148VI-1626-SM-5SI6E 60-69 years, female 10.9
GTEX-12C56-1726-SM-5EQ61 20-29 years, male 10.8
GTEX-13OW8-1326-SM-5J1OW 60-69 years, male 10.8
GTEX-1AX8Z-0126-SM-7DHM6 60-69 years, male 10.8
GTEX-1HR98-0126-SM-B2LWI 60-69 years, male 10.8
GTEX-131XE-2326-SM-5PNZ2 50-59 years, male 10.7
GTEX-13PVR-2326-SM-5QGR1 60-69 years, female 10.7
GTEX-17MF6-0126-SM-7LG4F 40-49 years, male 10.7
GTEX-SN8G-0126-SM-32PLI 50-59 years, female 10.7
GTEX-13NZ8-0826-SM-5MR3I 60-69 years, female 10.6
GTEX-1HSEH-0126-SM-ACKXN 60-69 years, male 10.6
GTEX-1I19N-0326-SM-ACKVX 70-79 years, male 10.6
GTEX-1N2DW-0226-SM-E9TK2 50-59 years, male 10.6
GTEX-131XG-2626-SM-5KM17 50-59 years, female 10.5
GTEX-13O3Q-2426-SM-5IJBR 50-59 years, male 10.5
GTEX-P4PQ-0126-SM-2S1NM 60-69 years, male 10.5
GTEX-146FR-1326-SM-E9J48 60-69 years, female 10.5
GTEX-1HSMQ-1226-SM-CGQFX 50-59 years, male 10.5
GTEX-1QAET-0926-SM-E76QM 50-59 years, male 10.5
GTEX-11OC5-0126-SM-5HL6A 60-69 years, male 10.4
GTEX-1C6VS-0526-SM-7DUEN 60-69 years, male 10.4
GTEX-1CAMR-1926-SM-7EPI2 20-29 years, male 10.4
GTEX-ZQUD-1426-SM-57WER 30-39 years, male 10.4
GTEX-1211K-2026-SM-5EQ4Z 60-69 years, female 10.3
GTEX-WQUQ-0426-SM-3MJFU 60-69 years, male 10.3
GTEX-1HGF4-2426-SM-ACKXM 60-69 years, male 10.3
GTEX-1PPH7-2326-SM-EVYB8 40-49 years, male 10.3
GTEX-1QP67-1626-SM-EAZ3X 40-49 years, female 10.3
GTEX-12WSJ-1826-SM-5GCNY 40-49 years, female 10.2
GTEX-13NYB-2526-SM-5K7Z6 40-49 years, male 10.2
GTEX-17JCI-0126-SM-7LG5G 60-69 years, female 10.2
GTEX-Y8LW-1826-SM-5S2MV 50-59 years, female 10.2
GTEX-ZEX8-2426-SM-4WKG4 50-59 years, male 10.2
GTEX-13OW5-0126-SM-DTXFS 60-69 years, male 10.2
GTEX-1CAMQ-0226-SM-7IGPK 40-49 years, male 10.1
GTEX-PLZ5-2026-SM-2S1O4 50-59 years, male 10.1
GTEX-ZTPG-0326-SM-5O9AX 20-29 years, female 10.1
GTEX-13RTJ-2426-SM-5S2Q2 60-69 years, male 10.0
GTEX-14PHW-0126-SM-6LLJI 60-69 years, female 10.0
GTEX-X5EB-2226-SM-46MW4 40-49 years, male 10.0
GTEX-ZVE2-0226-SM-59HJB 50-59 years, male 10.0
GTEX-1F75I-0326-SM-9YFLU 40-49 years, male 10.0
GTEX-1I4MK-2226-SM-ACKWD 50-59 years, female 10.0
GTEX-1399T-2826-SM-5KLYZ 60-69 years, male 9.9
GTEX-18A66-0226-SM-718BD 60-69 years, male 9.9
GTEX-OHPL-0126-SM-2HMJ7 60-69 years, female 9.9
GTEX-QESD-1426-SM-2S1R9 20-29 years, male 9.9
GTEX-1GF9U-2126-SM-7SB7L 40-49 years, female 9.9
GTEX-1N2DV-0226-SM-E6CJ6 40-49 years, male 9.9
GTEX-1192W-2626-SM-5Q5AF 60-69 years, male 9.8
GTEX-145LV-2126-SM-5LU8N 50-59 years, male 9.8
GTEX-1IE54-0126-SM-CMKHW 40-49 years, female 9.8
GTEX-11XUK-2026-SM-5EQLF 40-49 years, female 9.7
GTEX-1CB4I-0226-SM-79OLH 50-59 years, male 9.7
GTEX-1H3VE-0326-SM-9YFLH 40-49 years, male 9.7
GTEX-1JMOU-1526-SM-CL54I 60-69 years, female 9.7
GTEX-13111-1626-SM-5EGJY 50-59 years, male 9.6
GTEX-13YAN-0326-SM-5O9DF 60-69 years, male 9.6
GTEX-1AMEY-1326-SM-73KYK 30-39 years, female 9.6
GTEX-1CB4E-2226-SM-793DC 60-69 years, male 9.6
GTEX-W5WG-1826-SM-4KL2Y 50-59 years, female 9.6
GTEX-14DAR-2026-SM-5S2O3 50-59 years, male 9.5
GTEX-17MFQ-1726-SM-793C7 20-29 years, male 9.5
GTEX-Y8E4-0626-SM-4WWDL 40-49 years, male 9.5
GTEX-ZGAY-0526-SM-4WWBB 40-49 years, female 9.5
GTEX-ZY6K-1826-SM-5GZXK 50-59 years, male 9.5
GTEX-1H11D-0226-SM-9WG6Z 40-49 years, male 9.5
GTEX-1PIGE-0126-SM-EVYBJ 20-29 years, male 9.5
GTEX-ZPIC-1726-SM-DHXIU 40-49 years, female 9.5
GTEX-12ZZZ-0626-SM-5DUXI 60-69 years, male 9.4
GTEX-13X6H-2126-SM-7EWD5 50-59 years, female 9.4
GTEX-1HCUA-2426-SM-ADEIS 50-59 years, female 9.4
GTEX-1RAZA-0126-SM-E6CI3 20-29 years, male 9.4
GTEX-13OVK-2026-SM-7KUEO 40-49 years, male 9.3
GTEX-OXRK-0226-SM-3NB2G 50-59 years, female 9.3
GTEX-1J1R8-1726-SM-ARL8M 40-49 years, male 9.3
GTEX-146FH-0126-SM-5QGPP 50-59 years, female 9.2
GTEX-1C2JI-1826-SM-73KXC 50-59 years, male 9.2
GTEX-PLZ4-0126-SM-5SI8O 50-59 years, female 9.2
GTEX-ZVT2-2526-SM-51MT1 50-59 years, female 9.2
GTEX-1JMPZ-0226-SM-CNPP1 30-39 years, male 9.2
GTEX-1NV5F-0226-SM-E8VNY 60-69 years, female 9.2
GTEX-14753-0426-SM-5NQAM 60-69 years, male 9.1
GTEX-1GF9W-0326-SM-9KNUN 60-69 years, male 9.1
GTEX-1I1GS-0126-SM-B2LVW 60-69 years, male 9.1
GTEX-1IDJF-0126-SM-CM2RS 20-29 years, male 9.1
GTEX-1QCLY-0326-SM-E8VOG 30-39 years, male 9.1
GTEX-R55G-2526-SM-2TC6D 40-49 years, female 9.0
GTEX-S95S-1226-SM-4GICG 60-69 years, male 9.0
GTEX-ZF2S-2326-SM-4WWCE 50-59 years, female 9.0
GTEX-1GTWX-0126-SM-9YFLK 60-69 years, male 9.0
GTEX-1HSMP-0126-SM-E6CJS 70-79 years, male 9.0
GTEX-1MGNQ-0126-SM-EVYCJ 40-49 years, male 9.0
GTEX-1O97I-0326-SM-EYYX7 60-69 years, male 9.0
GTEX-ZF29-2326-SM-DO92K 60-69 years, female 9.0
GTEX-14PN3-2426-SM-6LLHS 60-69 years, female 8.9
GTEX-16NGA-1726-SM-731B4 40-49 years, female 8.9
GTEX-17KNJ-2326-SM-7DHLQ 50-59 years, male 8.9
GTEX-183FY-0126-SM-7LT9P 20-29 years, male 8.9
GTEX-OXRN-0126-SM-48TDM 50-59 years, male 8.9
GTEX-Q2AI-1326-SM-2S1PL 40-49 years, male 8.9
GTEX-1S3DN-2226-SM-EVYCD 50-59 years, male 8.9
GTEX-1MCYP-1926-SM-E9J2R 20-29 years, female 8.8
GTEX-1RB15-2126-SM-E9TIM 60-69 years, male 8.8
GTEX-11P82-1626-SM-59879 20-29 years, male 8.7
GTEX-13VXT-0126-SM-5LU4I 20-29 years, female 8.7
GTEX-16XZY-2126-SM-79OK1 70-79 years, male 8.7
GTEX-X62O-0126-SM-4E3JN 50-59 years, male 8.7
GTEX-ZAB5-1826-SM-5HL7C 50-59 years, male 8.7
GTEX-1399U-2326-SM-5K7WY 50-59 years, female 8.6
GTEX-X585-0226-SM-4QAS2 50-59 years, male 8.6
GTEX-11TUW-2726-SM-E9J4M 60-69 years, male 8.6
GTEX-144FL-0126-SM-5TDC8 50-59 years, male 8.5
GTEX-15F5U-1526-SM-6PANO 40-49 years, male 8.5
GTEX-16XZZ-0126-SM-793DV 60-69 years, male 8.5
GTEX-RM2N-1426-SM-2TF4H 50-59 years, male 8.5
GTEX-U4B1-1826-SM-4DXSU 40-49 years, male 8.5
GTEX-WYJK-0126-SM-3NMAB 50-59 years, male 8.5
GTEX-1GPI7-0126-SM-9MQL8 20-29 years, male 8.5
GTEX-1GZ4H-1726-SM-7PBZJ 50-59 years, female 8.5
GTEX-1HSGN-0226-SM-CGQFV 40-49 years, female 8.5
GTEX-1QP9N-1426-SM-DTXFL 30-39 years, male 8.5
GTEX-11UD2-0226-SM-5EQKY 50-59 years, male 8.4
GTEX-11VI4-1726-SM-5CVLH 40-49 years, female 8.4
GTEX-12696-2426-SM-5EQ6H 60-69 years, male 8.4
GTEX-QDVJ-1726-SM-2I5FX 50-59 years, male 8.4
GTEX-WH7G-2326-SM-3NMBC 40-49 years, male 8.4
GTEX-1JKYN-1326-SM-CGQG9 30-39 years, male 8.4
GTEX-1K9T9-0126-SM-EVYCF 50-59 years, female 8.4
GTEX-1LC47-0326-SM-E9TJP 60-69 years, male 8.4
GTEX-1R46S-0626-SM-E9J41 60-69 years, female 8.4
GTEX-1RLM8-2326-SM-EWRN4 50-59 years, male 8.4
GTEX-1S5ZA-0126-SM-EVYCV 20-29 years, male 8.4
GTEX-R3RS-0126-SM-3GIJL 40-49 years, female 8.3
GTEX-WI4N-1026-SM-3LK7N 40-49 years, female 8.3
GTEX-1F5PL-0326-SM-7P8PQ 40-49 years, female 8.3
GTEX-1JKYR-0126-SM-CNPOJ 20-29 years, male 8.3
GTEX-1OJC3-0126-SM-E76QX 20-29 years, male 8.3
GTEX-14A5I-0126-SM-5TDEA 50-59 years, female 8.2
GTEX-18A67-0126-SM-7LG5P 50-59 years, male 8.2
GTEX-T2YK-0526-SM-32QPJ 50-59 years, male 8.2
GTEX-V1D1-2226-SM-3NMAX 50-59 years, male 8.2
GTEX-X8HC-0126-SM-4E3JW 50-59 years, female 8.2
GTEX-XUW1-0426-SM-4BOOT 50-59 years, female 8.2
GTEX-ZAJG-0126-SM-5HL94 50-59 years, female 8.2
GTEX-ZXG5-0126-SM-5GIEU 60-69 years, male 8.2
GTEX-1GMR8-0126-SM-9WYTM 50-59 years, female 8.2
GTEX-1H1DE-2126-SM-9WG6R 20-29 years, male 8.2
GTEX-1JN76-0126-SM-CNPPE 20-29 years, female 8.2
GTEX-1QP2A-0126-SM-E9J43 50-59 years, male 8.2
GTEX-ZYY3-0126-SM-5GZY5 60-69 years, female 8.1
GTEX-1GMR3-1926-SM-9KNUZ 40-49 years, male 8.1
GTEX-11EM3-2426-SM-59861 20-29 years, female 8.0
GTEX-139UW-2826-SM-5L3E7 60-69 years, male 8.0
GTEX-1A3MV-1926-SM-718BT 30-39 years, male 8.0
GTEX-1B8KE-2126-SM-73KYX 50-59 years, male 8.0
GTEX-OXRO-0126-SM-2YUN4 60-69 years, female 8.0
GTEX-WY7C-2326-SM-3NB2U 50-59 years, male 8.0
GTEX-1CAMS-0426-SM-7P8T2 40-49 years, female 8.0
GTEX-1JK1U-2026-SM-CM2RZ 60-69 years, male 8.0
GTEX-1PWST-0226-SM-E76QJ 70-79 years, male 8.0
GTEX-139D8-0226-SM-5KLZO 30-39 years, female 7.9
GTEX-1AX9K-2326-SM-73KWU 50-59 years, male 7.9
GTEX-VJWN-0126-SM-3GIK7 50-59 years, female 7.9
GTEX-1QP29-0626-SM-EWRMX 50-59 years, male 7.9
GTEX-ZF3C-0126-SM-DO92D 50-59 years, female 7.9
GTEX-13W3W-2426-SM-5LU5B 60-69 years, female 7.8
GTEX-145ME-1826-SM-5SI9G 40-49 years, female 7.8
GTEX-17F98-0626-SM-79OMX 40-49 years, female 7.8
GTEX-131XF-5016-SM-7MGWE 60-69 years, male 7.8
GTEX-1GN1W-0526-SM-9MQJQ 50-59 years, female 7.8
GTEX-1128S-2326-SM-5GZZY 60-69 years, female 7.7
GTEX-11DXX-2426-SM-5GZZW 60-69 years, female 7.7
GTEX-14E6C-0126-SM-5RQIP 40-49 years, male 7.7
GTEX-VUSG-2526-SM-4KL1V 50-59 years, male 7.7
GTEX-ZU9S-0226-SM-5E441 30-39 years, male 7.7
GTEX-1HFI7-1826-SM-ACKXH 50-59 years, female 7.7
GTEX-1HSMO-0126-SM-CL547 60-69 years, male 7.7
GTEX-1KANC-1526-SM-D3LAB 50-59 years, female 7.7
GTEX-12WSK-2326-SM-5GCOH 40-49 years, female 7.6
GTEX-13NZB-2526-SM-5J1OM 30-39 years, male 7.6
GTEX-13OVJ-0126-SM-5KM36 50-59 years, female 7.6
GTEX-13SLW-0126-SM-5SI6C 70-79 years, male 7.6
GTEX-RWS6-2026-SM-2XCB5 60-69 years, female 7.6
GTEX-XMD2-0126-SM-4YCDU 60-69 years, female 7.6
GTEX-1K2DA-1826-SM-CGQGT 50-59 years, male 7.6
GTEX-14JG6-2226-SM-6EU2G 30-39 years, female 7.5
GTEX-14PK6-1926-SM-6ETZU 70-79 years, female 7.5
GTEX-18D9U-0226-SM-718BP 40-49 years, male 7.5
GTEX-1AX9J-0226-SM-73KXM 60-69 years, male 7.5
GTEX-Q2AH-1626-SM-3GAF8 40-49 years, male 7.5
GTEX-1IDFM-0126-SM-COH2V 60-69 years, male 7.5
GTEX-1J8QM-2126-SM-CYPSJ 60-69 years, female 7.5
GTEX-1R7EV-2426-SM-EVYBG 40-49 years, male 7.5
GTEX-11O72-0126-SM-59887 40-49 years, male 7.4
GTEX-13CF3-2426-SM-5IFGX 60-69 years, female 7.4
GTEX-13D11-2426-SM-5KM1V 50-59 years, female 7.4
GTEX-P4PP-0126-SM-3LK69 30-39 years, female 7.4
GTEX-XAJ8-0826-SM-47JY6 40-49 years, male 7.4
GTEX-1N2EF-0226-SM-EYYXB 60-69 years, male 7.4
GTEX-13IVO-0126-SM-5J1NG 70-79 years, male 7.3
GTEX-14C5O-0126-SM-5SI6N 60-69 years, male 7.3
GTEX-16AAH-1726-SM-7939C 50-59 years, male 7.3
GTEX-1E2YA-0126-SM-9KNUC 50-59 years, male 7.3
GTEX-1JJE9-0326-SM-CL53Z 70-79 years, male 7.3
GTEX-13O3P-0126-SM-5KM4S 50-59 years, male 7.2
GTEX-13X6I-0626-SM-5QGP9 60-69 years, male 7.2
GTEX-1497J-2426-SM-7IGNX 60-69 years, male 7.2
GTEX-1B97I-1626-SM-73KYO 40-49 years, male 7.2
GTEX-POMQ-2226-SM-2I5FK 20-29 years, female 7.2
GTEX-U3ZM-1526-SM-3DB9D 40-49 years, male 7.2
GTEX-XXEK-2226-SM-4BRUM 50-59 years, male 7.2
GTEX-PSDG-0226-SM-DKPOZ 50-59 years, male 7.2
GTEX-13JUV-2726-SM-5LZZ8 40-49 years, female 7.1
GTEX-147F3-0526-SM-5SI98 50-59 years, female 7.1
GTEX-148VJ-0126-SM-5TDDN 70-79 years, male 7.1
GTEX-WOFL-0126-SM-3MJG2 60-69 years, male 7.1
GTEX-1H23P-0126-SM-ADEJ3 60-69 years, male 7.1
GTEX-1HCU9-1526-SM-A9SL7 20-29 years, male 7.1
GTEX-1I1GT-0626-SM-CGQER 60-69 years, female 7.1
GTEX-11LCK-1026-SM-5A5KB 30-39 years, male 7.0
GTEX-16BQI-0226-SM-7KUEX 30-39 years, female 7.0
GTEX-ZVZO-0126-SM-5A5L9 40-49 years, male 7.0
GTEX-1J1OQ-0226-SM-CYPSH 40-49 years, female 7.0
GTEX-XBEW-0626-SM-4QASP 40-49 years, male 6.9
GTEX-1H1E6-1726-SM-ACKVK 30-39 years, male 6.9
GTEX-1HBPN-0226-SM-9YFM1 50-59 years, male 6.9
GTEX-1IKJJ-0126-SM-CNPQB 60-69 years, male 6.9
GTEX-13RTK-1426-SM-5QGQJ 20-29 years, male 6.8
GTEX-1AMFI-2026-SM-731BH 50-59 years, female 6.8
GTEX-OHPM-0126-SM-2YUN9 50-59 years, male 6.8
GTEX-P44H-0226-SM-2XCEU 40-49 years, male 6.8
GTEX-ZYFG-2326-SM-5E44B 60-69 years, female 6.8
GTEX-13FH7-2026-SM-E9J4I 50-59 years, female 6.8
GTEX-1JN1M-0326-SM-CYPT3 60-69 years, female 6.8
GTEX-145LT-1726-SM-5QGP3 40-49 years, male 6.7
GTEX-17EUY-0426-SM-793BD 20-29 years, male 6.7
GTEX-ZF28-0126-SM-4WKGK 60-69 years, male 6.7
GTEX-1HCU8-0626-SM-A9SM9 60-69 years, female 6.7
GTEX-1JMQK-0226-SM-CL543 60-69 years, male 6.7
GTEX-PWCY-1826-SM-DHXIZ 20-29 years, female 6.7
GTEX-ZQG8-1626-SM-DHXIT 60-69 years, female 6.7
GTEX-12WSL-2526-SM-5GCNJ 50-59 years, male 6.6
GTEX-13FTW-2626-SM-5K7WL 40-49 years, male 6.6
GTEX-15ETS-0126-SM-7KUMW 40-49 years, female 6.6
GTEX-QCQG-1726-SM-3GIJ9 50-59 years, female 6.6
GTEX-U8XE-0326-SM-3DB8P 30-39 years, male 6.6
GTEX-Z9EW-1626-SM-5CVMN 40-49 years, male 6.6
GTEX-1MA7W-2026-SM-E9TJ6 20-29 years, female 6.6
GTEX-14LZ3-0226-SM-62LET 60-69 years, female 6.5
GTEX-1A3MX-0126-SM-731BR 60-69 years, male 6.5
GTEX-1C475-1826-SM-73KWA 40-49 years, female 6.5
GTEX-OIZH-0126-SM-2HMIS 50-59 years, male 6.5
GTEX-15RIG-0226-SM-7KFTL 40-49 years, male 6.4
GTEX-P4QT-0126-SM-2I3FL 50-59 years, female 6.4
GTEX-S32W-2126-SM-2XCB1 50-59 years, female 6.4
GTEX-UJHI-1526-SM-3DB99 50-59 years, female 6.4
GTEX-Y3I4-2126-SM-4TT7C 50-59 years, male 6.4
GTEX-ZZ64-1726-SM-5GZYB 20-29 years, male 6.4
GTEX-1OFPY-2426-SM-DTXEJ 60-69 years, male 6.4
GTEX-13N2G-2626-SM-5J1OT 60-69 years, male 6.3
GTEX-NFK9-0226-SM-2HMKQ 40-49 years, male 6.3
GTEX-TMMY-0226-SM-33HBA 40-49 years, female 6.3
GTEX-WFON-2126-SM-3LK7O 40-49 years, male 6.3
GTEX-ZDTT-2726-SM-4WKF8 60-69 years, male 6.3
GTEX-1KXAM-2226-SM-CYPTC 60-69 years, male 6.3
GTEX-PLZ6-1426-SM-DKPOT 30-39 years, male 6.3
GTEX-11DZ1-0126-SM-5985Q 50-59 years, male 6.2
GTEX-11NSD-2226-SM-5986V 20-29 years, male 6.2
GTEX-14BIM-0226-SM-7IGLD 60-69 years, female 6.2
GTEX-14PN4-0126-SM-6EU2V 50-59 years, male 6.2
GTEX-PWO3-1526-SM-48TCM 60-69 years, female 6.2
GTEX-XPVG-2626-SM-4B669 50-59 years, male 6.2
GTEX-YB5E-2026-SM-5IFIS 40-49 years, male 6.2
GTEX-1S82Z-0826-SM-E6CHY 30-39 years, female 6.1
GTEX-12WSA-0226-SM-5BC5V 60-69 years, male 6.0
GTEX-1F52S-0126-SM-9MQJU 60-69 years, female 6.0
GTEX-1F5PK-2426-SM-7RHHY 50-59 years, male 6.0
GTEX-1HCVE-0126-SM-CGQEU 50-59 years, male 6.0
GTEX-1MUQO-0126-SM-EAZ58 60-69 years, male 6.0
GTEX-1S83E-0126-SM-EWRO4 40-49 years, male 6.0
GTEX-14A5H-0426-SM-5QGQF 60-69 years, male 5.9
GTEX-1CB4H-0226-SM-7PBXM 60-69 years, female 5.9
GTEX-1LGOU-2026-SM-DIPFF 20-29 years, female 5.9
GTEX-12WSN-5019-SM-79OM6 40-49 years, male 5.8
GTEX-13OVH-0126-SM-5MR4B 70-79 years, male 5.8
GTEX-14ICK-0226-SM-6EU25 40-49 years, male 5.8
GTEX-T5JW-1626-SM-3GADZ 20-29 years, female 5.8
GTEX-ZTX8-1426-SM-5DUVO 20-29 years, male 5.8
GTEX-1F6RS-0126-SM-9MQKZ 60-69 years, female 5.8
GTEX-1HBPM-0226-SM-ARL9F 60-69 years, female 5.8
GTEX-1ICLY-0126-SM-D4P36 50-59 years, male 5.8
GTEX-1ICLZ-0126-SM-CKZPO 60-69 years, male 5.8
GTEX-1R7EU-0226-SM-EVR4G 60-69 years, male 5.8
GTEX-15EOM-0126-SM-7KUGG 20-29 years, female 5.7
GTEX-ZZPT-0226-SM-5E43X 50-59 years, male 5.7
GTEX-18A7B-0126-SM-7LG64 70-79 years, male 5.6
GTEX-1M5QR-1226-SM-EWROB 40-49 years, male 5.6
GTEX-1R9PM-2026-SM-E76OY 20-29 years, male 5.6
GTEX-13FTX-1826-SM-5J1NX 20-29 years, female 5.5
GTEX-1CB4J-0626-SM-7DHMP 60-69 years, male 5.5
GTEX-SNMC-1226-SM-2XCFP 20-29 years, male 5.5
GTEX-WRHK-1426-SM-3MJF9 20-29 years, female 5.5
GTEX-1J8Q2-0526-SM-CM2RW 60-69 years, male 5.5
GTEX-WFG8-2226-SM-3GIL9 20-29 years, male 5.4
GTEX-Y5V6-2426-SM-4VDSB 60-69 years, male 5.4
GTEX-1J8Q3-1626-SM-CMKGC 60-69 years, male 5.4
GTEX-1LBAC-0126-SM-DIPEZ 20-29 years, male 5.4
GTEX-1R9K4-0126-SM-DTX9X 60-69 years, male 5.3
GTEX-145LS-0126-SM-5QGP1 60-69 years, female 5.2
GTEX-15UF6-0826-SM-6PALJ 70-79 years, female 5.2
GTEX-17GQL-2026-SM-718BA 60-69 years, male 5.2
GTEX-18D9A-1926-SM-7LG6P 30-39 years, female 5.2
GTEX-18D9B-0526-SM-7LTAS 60-69 years, male 5.2
GTEX-T6MO-1626-SM-32QOM 40-49 years, female 5.2
GTEX-ZXES-1826-SM-5E43S 30-39 years, female 5.2
GTEX-SUCS-1926-SM-32PM3 70-79 years, male 5.1
GTEX-Y5LM-1926-SM-5RQJH 40-49 years, female 5.1
GTEX-13113-5016-SM-7EPIP 60-69 years, female 5.0
GTEX-1A3MW-0126-SM-73KXX 60-69 years, female 5.0
GTEX-XUZC-1726-SM-4BRWS 30-39 years, female 4.9
GTEX-1LSNM-1926-SM-E6CII 50-59 years, male 4.9
GTEX-1LVAN-0226-SM-COH3S 50-59 years, female 4.9
GTEX-1PDJ9-0326-SM-DTX95 20-29 years, male 4.9
GTEX-133LE-1826-SM-5J1MV 20-29 years, female 4.8
GTEX-13NYS-0126-SM-5MR3W 60-69 years, male 4.8
GTEX-14PJ6-2126-SM-6EU1V 60-69 years, female 4.8
GTEX-NPJ8-0126-SM-2YUNR 40-49 years, male 4.8
GTEX-1LGRB-2526-SM-CNPPQ 50-59 years, female 4.8
GTEX-1PFEY-1526-SM-E76PP 30-39 years, male 4.8
GTEX-13PDP-0126-SM-5L3HD 60-69 years, male 4.7
GTEX-QDVN-2026-SM-3GAEP 50-59 years, male 4.7
GTEX-1JJ6O-0126-SM-E6CI8 60-69 years, male 4.7
GTEX-14BMU-2226-SM-5TDE9 20-29 years, female 4.6
GTEX-15EU6-0426-SM-6PAN5 50-59 years, male 4.6
GTEX-15G19-0126-SM-6PANQ 60-69 years, male 4.6
GTEX-Q734-1926-SM-2I5EV 40-49 years, female 4.6
GTEX-1LH75-2426-SM-E9TJE 50-59 years, female 4.6
GTEX-11EQ9-2426-SM-5HL5T 30-39 years, male 4.5
GTEX-X4XY-0226-SM-4E3IZ 60-69 years, male 4.5
GTEX-X261-0126-SM-3NMD6 50-59 years, male 4.4
GTEX-ZV6S-2326-SM-4YCEY 40-49 years, female 4.4
GTEX-1K2DU-2326-SM-E9TIV 20-29 years, male 4.4
GTEX-1LG7Z-1726-SM-D3LA4 30-39 years, male 4.4
GTEX-1122O-2126-SM-5EGIR 60-69 years, female 4.2
GTEX-ZTSS-1926-SM-57WEW 40-49 years, male 4.2
GTEX-ZVZP-2426-SM-59HKJ 50-59 years, male 4.2
GTEX-ZWKS-0126-SM-5SIAA 30-39 years, male 4.2
GTEX-1HCU7-0226-SM-CL545 50-59 years, male 4.2
GTEX-1GL5R-1826-SM-9KNUY 50-59 years, male 4.1
GTEX-1KANA-0726-SM-D3L9I 20-29 years, male 4.0
GTEX-15UKP-0426-SM-7KUFQ 20-29 years, male 3.9
GTEX-TSE9-0126-SM-3DB83 60-69 years, female 3.9
GTEX-1QPFJ-0226-SM-E76PB 30-39 years, female 3.9
GTEX-T8EM-1026-SM-3DB7M 40-49 years, male 3.8
GTEX-1HB9E-0226-SM-E9U4R 50-59 years, male 3.8
GTEX-1IDJU-2626-SM-CM2RT 60-69 years, female 3.8
GTEX-14XAO-2326-SM-6EU1B 60-69 years, female 3.7
GTEX-O5YT-0126-SM-48TBW 20-29 years, male 3.7
GTEX-11WQK-0526-SM-5EQLD 50-59 years, male 3.4
GTEX-1I1GU-2226-SM-CGQFA 40-49 years, male 3.2
GTEX-RUSQ-1526-SM-2TF62 50-59 years, male 3.1
GTEX-13NYC-0326-SM-E9J4S 60-69 years, male 3.1
GTEX-1JMQL-0226-SM-CNPP5 50-59 years, female 3.0
GTEX-OOBK-0126-SM-2YUND 40-49 years, male 2.7
GTEX-183WM-0126-SM-7LTAB 70-79 years, female 2.3
GTEX-14E6E-1826-SM-5S2R7 30-39 years, male 2.1
GTEX-1L5NE-2526-SM-E6CIE 50-59 years, male 1.0
Show allShow less

Contact

  • NEWS ARTICLES
  • PRESS ROOM

The Project

  • INTRODUCTION
  • ORGANIZATION
  • PUBLICATIONS

The Human Protein Atlas

  • DOWNLOADABLE DATA
  • LICENCE & CITATION
  • HELP & FAQ
The Human Protein Atlas project is funded
by the Knut & Alice Wallenberg Foundation.


contact@proteinatlas.org