We use cookies to enhance the usability of our website. If you continue, we'll assume that you are happy to receive all cookies. More information. Don't show this again.
PCGF3
HPA
RESOURCES
  • TISSUE
  • BRAIN
  • SINGLE CELL
  • SUBCELLULAR
  • CANCER
  • BLOOD
  • CELL LINE
  • STRUCTURE & INTERACTION
ABOUT
  • INTRODUCTION
  • HISTORY
  • ORGANIZATION
  • PUBLICATIONS
  • ANTIBODY SUBMISSION
  • ANTIBODY AVAILABILITY
  • ACKNOWLEDGMENTS
  • CONTACT
NEWS
  • NEWS ARTICLES
  • PRESS ROOM
LEARN
  • DICTIONARY
  • PROTEIN CLASSES
  • PROTEIN EVIDENCE
  • METHODS
  • EDUCATIONAL VIDEOS
DATA
  • DOWNLOADABLE DATA
  • PUBLICATION DATA
  • RELEASE HISTORY
HELP
  • ANTIBODY VALIDATION
  • ASSAYS & ANNOTATION
  • DISCLAIMER
  • HELP & FAQ
  • PRIVACY STATEMENT
  • LICENCE & CITATION
Fields »
Search result

Field
Term
Gene name
Class
Subclass
Class
Keyword
Chromosome
External id
Tissue
Cell type
Expression
Antibody panel
Tissue
Main location
Patient ID
Annotation
Tissue
Category
Tau score
Cluster
Reliability
Brain region
Category
Tau score
Brain region
Category
Tau score
Brain region
Category
Tau score
Cluster
Reliability
Tissue
Cell type
Enrichment
Cell type
Category
Tau score
Cell type
Category
Tau score
Cell type
Category
Tau score
Cell lineage
Category
Tau score
Cluster
Cluster
Location
Searches
Location
Cell line
Class
Type
Phase
Reliability
Cancer
Prognosis
Cancer
Category
Cancer
Category
Tau score
Cluster
Variants
Interacting gene (ensg_id)
Type
Number of interactions
Pathway
Category
Score
Score
Score
Validation
Validation
Validation
Validation
Antibodies
Data type
Column


  • SUMMARY

  • TISSUE

  • BRAIN

  • SINGLE CELL

  • SUBCELL

  • CANCER

  • BLOOD

  • CELL LINE

  • STRUCT & INT

  • PCGF3
TISSUE PRIMARY DATA SKIN Show tissue menu
ADIPOSE TISSUE ADRENAL GLAND AMYGDALA APPENDIX BASAL GANGLIA BONE MARROW BREAST BRONCHUS CEREBELLUM CEREBRAL CORTEX CERVIX CHOROID PLEXUS COLON DUODENUM
ENDOMETRIUM EPIDIDYMIS ESOPHAGUS FALLOPIAN TUBE GALLBLADDER HEART MUSCLE HIPPOCAMPAL FORMATION HYPOTHALAMUS KIDNEY LIVER LUNG LYMPH NODE MIDBRAIN NASOPHARYNX
ORAL MUCOSA OVARY PANCREAS PARATHYROID GLAND PITUITARY GLAND PLACENTA PROSTATE RECTUM RETINA SALIVARY GLAND SEMINAL VESICLE SKELETAL MUSCLE SKIN SMALL INTESTINE
SMOOTH MUSCLE SOFT TISSUE SPINAL CORD SPLEEN STOMACH TESTIS THYMUS THYROID GLAND TONGUE TONSIL URINARY BLADDER VAGINA
ANTIBODIES
AND
VALIDATION
Dictionary
Skin
Tissue proteome
Skin
SKIN - Expression summary
Protein expression
Skini

On the top, protein expression in current human tissue, based on all annotated cell types, is reported with the units not detected (n), low (l), medium (m) and high (h). Underneath, protein expression in each annotated cell type are reported using the same units.

Protein expression data is based on knowledge-based annotation. For genes where more than one antibody has been used, a collective score is set.

If knowledge-based annotation could not be performed for a gene, no data is displayed here. View antibody staining data further down this page.

h
m
l
n
Fibroblasts: Not detected
Keratinocytes: High
Langerhans: Not detected
Melanocytes: Not detected
RNA expressioni

A summary of mRNA expression data available for current tissue based on several datasets. The mRNA expression levels in human tissues are based on RNA-seq data generated by the Human Protein Atlas (HPA), Genotype-Tissue Expression (GTEx) portal and CAGE data generated by the FANTOM5 consortium. Consensus normalized expression levels for human tissues was created by combining the data from HPA and GTEx datasets.

The mRNA expression levels in pig are based on RNA-seq data generated by the Human Protein Atlas (HPA), and for mouse, HPA data and in situ hybridization generated by the Allen brain atlas are reported.

Scroll down to view mRNA expression data in more detail.
Consensus:54.0 nTPM
HPA:54.0 nTPM
GTEx:46.7 nTPM

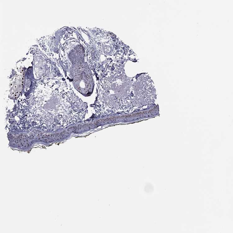
SKIN 1 - Antibody stainingi

Antibody staining in the annotated cell types in the current human tissue is reported as not detected, low, medium, or high, based on conventional immunohistochemistry profiling in selected tissues. This score is based on the combination of the staining intensity and fraction of stained cells.

Each image is clickable and will lead to virtual microscopy that enables deeper exploration of all samples and also displays staining intensity scores, fraction scores and subcellular localization as well as patient and tissue information for each sample.

Antibody HPA061879
Langerhans Not detected
Fibroblasts Not detected
Keratinocytes High
Melanocytes Not detected


SKIN - HPA RNA-seqi

The RNA-seq details section shows detailed information about the individual samples used for the transcript profiling and results of the RNA-seq analysis.

Information about each individual sample is listed below, including gender, age, a tissue section image and estimated fractions of cell types. nTPM (normalized transcripts per million) values give a quantification of the gene abundance which is comparable between different genes and samples.
Average nTPMi

Max subtype nTPM is the value for the subtype with the largest average nTPM across the subtype samples.

54.0
overview
Female, age 34
Skin sample 225
nTPM: 40.1
Cell types%
Keratinocytes:
60

Other cell types:
40

overview
Female, age 30
Skin sample 226
nTPM: 43.2
Cell types%
Keratinocytes:
55

Other cell types:
45

N/A
Male, age 57
Skin sample 227
nTPM: 78.8

SKIN - GTEx RNA-seqi

RNA-Seq data generated by the Genotype-Tissue Expression (GTEx) project from human tissues is reported as mean nTPM. More information can be found on the GTEx portal.

Distribution across the dataset is visualized with box plots, shown as median and 25th and 75th percentiles. Points are displayed as outliers if they are above or below 1.5 times the interquartile range. nTPM values of the individual samples are presented next to the box plot.
Max subtype nTPMi

Max subtype nTPM is the value for the subtype with the largest average nTPM across the subtype samples.

46.7
GTEx sample id Sample description nTPM
Skin - Not Sun Exposed (Suprapubic)
Average nTPM: 46.7
Samples: 604

Max nTPM: 100.9
Min nTPM: 20.6
Std nTPM: 14.0
Median nTPM: 44.6
GTEX-ZYY3-2926-SM-5GIEB 60-69 years, female 100.9
GTEX-ZVT2-0126-SM-5GIDQ 50-59 years, female 99.1
GTEX-ZAB4-2126-SM-5HL8U 40-49 years, male 95.3
GTEX-Y9LG-1126-SM-4VBQ7 30-39 years, male 93.7
GTEX-1RMOY-1326-SM-E9TIH 50-59 years, male 93.5
GTEX-XUW1-0926-SM-4BONX 50-59 years, female 90.3
GTEX-1R46S-2426-SM-E76QA 60-69 years, female 86.6
GTEX-1LKK1-2626-SM-DKPQE 50-59 years, female 86.5
GTEX-ZP4G-1426-SM-4WWCL 20-29 years, female 86.3
GTEX-ZVZP-1226-SM-5GID7 50-59 years, male 85.4
GTEX-ZPCL-1126-SM-4WWFE 60-69 years, female 84.0
GTEX-1212Z-0126-SM-59HK4 60-69 years, male 83.2
GTEX-ZTSS-1426-SM-5985P 40-49 years, male 81.7
GTEX-1HBPM-0726-SM-9YFL7 60-69 years, female 80.8
GTEX-XBEC-0726-SM-4QARZ 50-59 years, male 79.4
GTEX-1I1GT-1026-SM-ARZLV 60-69 years, female 78.5
GTEX-1J1OQ-0126-SM-D4P2N 40-49 years, female 77.5
GTEX-1S82U-1026-SM-E6CJK 30-39 years, female 77.2
GTEX-1MCYP-0526-SM-E9U6Q 20-29 years, female 76.7
GTEX-1IDJU-1726-SM-CMKHU 60-69 years, female 76.1
GTEX-11LCK-2226-SM-5HL4Q 30-39 years, male 74.8
GTEX-1JJ6O-2726-SM-CNPOG 60-69 years, male 74.8
GTEX-1H23P-0626-SM-9WG6T 60-69 years, male 74.7
GTEX-14PJ4-0226-SM-5YY92 60-69 years, male 74.4
GTEX-1JMQL-2226-SM-CNPP4 50-59 years, female 73.9
GTEX-ZF3C-0626-SM-DO92O 50-59 years, female 73.6
GTEX-1122O-1026-SM-9WYSF 60-69 years, female 72.6
GTEX-1J1R8-2026-SM-CL53Y 40-49 years, male 72.6
GTEX-16MTA-0926-SM-6M47Z 50-59 years, male 72.2
GTEX-WI4N-2726-SM-3LK7Y 40-49 years, female 71.7
GTEX-1JMPY-0226-SM-CKZOK 30-39 years, male 71.5
GTEX-1GL5R-1326-SM-7RHHF 50-59 years, male 71.4
GTEX-1HBPN-0126-SM-CGQEF 50-59 years, male 71.1
GTEX-14C38-0726-SM-5SI6M 50-59 years, male 71.0
GTEX-1GZHY-0626-SM-9KNVC 50-59 years, female 70.8
GTEX-14C5O-0326-SM-5ZZUX 60-69 years, male 70.5
GTEX-11GSP-2326-SM-5HL63 60-69 years, female 70.1
GTEX-1LB8K-0726-SM-D5OV2 50-59 years, male 70.1
GTEX-V1D1-2026-SM-3GAF4 50-59 years, male 69.9
GTEX-1AMEY-0826-SM-72D65 30-39 years, female 69.8
GTEX-17EVP-2626-SM-7IGMA 40-49 years, male 69.7
GTEX-14PKV-1126-SM-6LLJ1 20-29 years, female 69.6
GTEX-Y5V6-2326-SM-4VDSA 60-69 years, male 69.1
GTEX-1H3VE-0726-SM-9YFL5 40-49 years, male 69.0
GTEX-1POEN-2326-SM-E9J2L 30-39 years, female 69.0
GTEX-11UD2-2526-SM-5CVNU 50-59 years, male 68.8
GTEX-XAJ8-1426-SM-47JYM 40-49 years, male 68.8
GTEX-1J8Q2-2626-SM-ACKWQ 60-69 years, male 68.8
GTEX-13QJC-0126-SM-5ZZWJ 60-69 years, female 68.3
GTEX-1QPFJ-1926-SM-EVYBD 30-39 years, female 68.3
GTEX-14PJ6-2626-SM-6EU2T 60-69 years, female 68.0
GTEX-15CHR-1126-SM-7EWF4 50-59 years, male 68.0
GTEX-1QP2A-1726-SM-E76QC 50-59 years, male 68.0
GTEX-1I4MK-0126-SM-CY8G6 50-59 years, female 67.5
GTEX-13N1W-2426-SM-5IJD1 70-79 years, male 67.4
GTEX-183WM-0326-SM-72D5V 70-79 years, female 67.4
GTEX-1HCU8-2526-SM-CE6RX 60-69 years, female 67.3
GTEX-Y3I4-1726-SM-4TT89 50-59 years, male 67.2
GTEX-1HFI7-2326-SM-CGQFS 50-59 years, female 66.9
GTEX-XPVG-2126-SM-4B667 50-59 years, male 66.6
GTEX-ZWKS-0626-SM-5GIDV 30-39 years, male 66.4
GTEX-1GZ4H-0526-SM-9KNU9 50-59 years, female 66.2
GTEX-1S3DN-2126-SM-E9TIN 50-59 years, male 66.2
GTEX-XQ8I-0926-SM-4BOOF 50-59 years, male 66.1
GTEX-1PPH8-0126-SM-EWRN8 20-29 years, male 65.5
GTEX-1KXAM-1626-SM-D3LAD 60-69 years, male 64.6
GTEX-1JKYN-0826-SM-ARU8S 30-39 years, male 64.5
GTEX-1GF9V-0826-SM-9KNUV 60-69 years, male 64.4
GTEX-ZVP2-0326-SM-57WBP 50-59 years, male 64.2
GTEX-1LSNM-0826-SM-DIPG8 50-59 years, male 64.1
GTEX-1EN7A-2426-SM-793DB 40-49 years, male 63.9
GTEX-14B4R-1326-SM-5Q5EZ 30-39 years, male 63.6
GTEX-1A3MX-2626-SM-7PC24 60-69 years, male 63.5
GTEX-1GMR8-0626-SM-7RHI7 50-59 years, female 63.3
GTEX-1ICLY-0826-SM-CMKG1 50-59 years, male 63.2
GTEX-1J8QM-2426-SM-A9SLS 60-69 years, female 63.1
GTEX-1S82P-2126-SM-E6CI5 60-69 years, female 63.1
GTEX-111CU-1126-SM-5EGIM 50-59 years, male 62.9
GTEX-1IDJV-0126-SM-COH3Y 60-69 years, male 62.8
GTEX-1QAET-0326-SM-EVR3U 50-59 years, male 62.8
GTEX-145LT-0526-SM-5LUB2 40-49 years, male 62.3
GTEX-13OVH-0526-SM-5L3E6 70-79 years, male 62.1
GTEX-1B8KE-1126-SM-7EPHI 50-59 years, male 62.1
GTEX-1EKGG-0626-SM-7DUGJ 60-69 years, male 62.1
GTEX-1LG7Z-1626-SM-CXKYR 30-39 years, male 62.1
GTEX-1LVAN-0626-SM-CNPOQ 50-59 years, female 62.0
GTEX-139T8-0626-SM-5KLZX 60-69 years, male 61.9
GTEX-12WSJ-1126-SM-5LZVJ 40-49 years, female 61.7
GTEX-1399S-0126-SM-5IJCF 30-39 years, female 61.7
GTEX-ZZPU-0826-SM-5GZX5 50-59 years, female 61.7
GTEX-11WQK-1026-SM-5EQLX 50-59 years, male 61.3
GTEX-133LE-2326-SM-5K7W3 20-29 years, female 61.3
GTEX-XV7Q-1826-SM-4BRUV 40-49 years, female 61.2
GTEX-1GZ2Q-0126-SM-9WG6M 40-49 years, male 61.2
GTEX-13OW7-0426-SM-5K7VK 50-59 years, male 61.1
GTEX-14C39-1726-SM-5RQIL 40-49 years, male 61.1
GTEX-X8HC-0626-SM-4E3HQ 50-59 years, female 61.1
GTEX-ZY6K-1426-SM-5GZX2 50-59 years, male 61.1
GTEX-111VG-1626-SM-5EGIO 60-69 years, male 61.0
GTEX-1K2DA-1026-SM-CGQGF 50-59 years, male 61.0
GTEX-13FTW-0326-SM-5K7UW 40-49 years, male 60.4
GTEX-14BIN-1126-SM-5RQJZ 50-59 years, female 60.4
GTEX-1QW4Y-1126-SM-DTXE3 30-39 years, male 60.3
GTEX-13X6I-1826-SM-5SIAO 60-69 years, male 60.1
GTEX-ZU9S-1826-SM-5NQ9E 30-39 years, male 60.1
GTEX-1JJE9-2626-SM-ARZMT 70-79 years, male 60.0
GTEX-ZF29-0926-SM-4WKFZ 60-69 years, female 59.9
GTEX-1LVAO-2726-SM-E9TJ8 60-69 years, male 59.9
GTEX-1HCVE-2726-SM-CL54F 50-59 years, male 59.7
GTEX-1GMR2-0826-SM-7PC3V 50-59 years, male 59.4
GTEX-1H1DE-1326-SM-9KNUG 20-29 years, male 59.4
GTEX-1KAFJ-0126-SM-DIPEK 50-59 years, male 59.4
GTEX-1K9T9-1526-SM-DIPFR 50-59 years, female 59.2
GTEX-ZDTT-0426-SM-4WKFL 60-69 years, male 59.0
GTEX-1LVAM-0726-SM-E6CIL 50-59 years, female 59.0
GTEX-1CAMQ-1326-SM-7P8RV 40-49 years, male 58.7
GTEX-13U4I-2226-SM-5LU5H 40-49 years, female 58.6
GTEX-11TUW-0626-SM-5LU9M 60-69 years, male 58.5
GTEX-17HII-1426-SM-7EPGG 50-59 years, male 58.5
GTEX-15CHQ-0326-SM-69LQD 60-69 years, male 58.2
GTEX-WYVS-1626-SM-3NM9R 40-49 years, female 58.2
GTEX-13NZ8-1226-SM-5KM4A 60-69 years, female 58.1
GTEX-1R7EU-1626-SM-DTXG3 60-69 years, male 58.1
GTEX-13OVK-1426-SM-6PAN7 40-49 years, male 58.0
GTEX-1GPI7-1826-SM-9KNU1 20-29 years, male 57.9
GTEX-1C2JI-1026-SM-73KY1 50-59 years, male 57.7
GTEX-ZLV1-1526-SM-DO91J 60-69 years, female 57.7
GTEX-1K2DU-1226-SM-CYPT4 20-29 years, male 57.5
GTEX-Y8LW-1526-SM-5IFHL 50-59 years, female 57.3
GTEX-1HCUA-0826-SM-ADEHM 50-59 years, female 57.1
GTEX-1QP28-1126-SM-EVYC4 50-59 years, female 57.1
GTEX-12WSA-0426-SM-5EQ5X 60-69 years, male 57.0
GTEX-1399U-1126-SM-5L3DB 50-59 years, female 57.0
GTEX-111FC-2526-SM-5GZXU 60-69 years, male 56.9
GTEX-13W3W-0726-SM-5IJDQ 60-69 years, female 56.9
GTEX-X4EP-0626-SM-3P621 60-69 years, female 56.9
GTEX-ZF2S-1626-SM-57WES 50-59 years, female 56.9
GTEX-1LGRB-0926-SM-COH3K 50-59 years, female 56.9
GTEX-1IDJD-2326-SM-ACKWX 30-39 years, male 56.7
GTEX-XBEW-1126-SM-4QARW 40-49 years, male 56.3
GTEX-15FZZ-0526-SM-7KUGD 30-39 years, female 56.2
GTEX-13FHO-0426-SM-5L3F5 60-69 years, male 56.0
GTEX-14DAQ-0626-SM-793DS 60-69 years, female 55.9
GTEX-YEC4-1826-SM-4W1YP 40-49 years, male 55.8
GTEX-11DXZ-2026-SM-5987S 50-59 years, male 55.7
GTEX-1F88F-0126-SM-9WYSZ 60-69 years, female 55.7
GTEX-17HHE-1326-SM-7EWDZ 50-59 years, male 55.6
GTEX-1CB4E-0926-SM-7EPHT 60-69 years, male 55.3
GTEX-11VI4-1126-SM-5EQMD 40-49 years, female 55.2
GTEX-15RIG-0726-SM-7KUM7 40-49 years, male 55.2
GTEX-1EMGI-2326-SM-7PBYA 60-69 years, male 55.2
GTEX-14LLW-2626-SM-62LDZ 70-79 years, female 55.1
GTEX-1CB4I-0126-SM-7RHGG 50-59 years, male 55.1
GTEX-14A6H-2026-SM-5Q5DD 30-39 years, male 55.0
GTEX-WYJK-0526-SM-3NM8Z 50-59 years, male 55.0
GTEX-11EQ8-0926-SM-5H12V 60-69 years, male 54.9
GTEX-WHSB-1326-SM-3LK6W 50-59 years, male 54.9
GTEX-1CAMS-2226-SM-7PBXQ 40-49 years, female 54.9
GTEX-1HSGN-0826-SM-ACKW3 40-49 years, female 54.6
GTEX-1I1GS-2626-SM-B2LY3 60-69 years, male 54.6
GTEX-15D1Q-2826-SM-6LLH7 40-49 years, male 54.4
GTEX-VUSG-2326-SM-4KL1U 50-59 years, male 54.4
GTEX-15DYW-2726-SM-6EU2I 60-69 years, female 54.3
GTEX-12WSH-1526-SM-5BC5W 50-59 years, male 54.1
GTEX-1AMFI-1326-SM-7939R 50-59 years, female 54.1
GTEX-1B996-0426-SM-7EWF8 60-69 years, male 54.1
GTEX-1H4P4-2126-SM-9WYSL 50-59 years, male 54.1
GTEX-11GS4-0226-SM-5HL77 60-69 years, male 54.0
GTEX-16MT9-0126-SM-7EPI8 60-69 years, female 54.0
GTEX-ZE9C-2526-SM-5IJDR 60-69 years, male 54.0
GTEX-17MF6-2626-SM-79OKQ 40-49 years, male 53.8
GTEX-13O3Q-0126-SM-5KM34 50-59 years, male 53.7
GTEX-1C6WA-2626-SM-7MKGM 60-69 years, male 53.6
GTEX-11ZU8-0126-SM-5EQ58 60-69 years, male 53.5
GTEX-ZVTK-0226-SM-51MRG 20-29 years, male 53.5
GTEX-1KANA-1326-SM-DIPFA 20-29 years, male 53.4
GTEX-1C6VR-0126-SM-7RHGB 60-69 years, male 53.3
GTEX-1C475-1326-SM-7SB73 40-49 years, female 53.0
GTEX-1399Q-2326-SM-5KM2X 40-49 years, male 52.8
GTEX-147F3-1726-SM-5SIAW 50-59 years, female 52.6
GTEX-1R9PN-0426-SM-DTXDT 40-49 years, female 52.6
GTEX-1CB4F-1026-SM-7DUH1 60-69 years, male 52.4
GTEX-ZVE1-0726-SM-51MRN 50-59 years, female 52.3
GTEX-1ICG6-1226-SM-A9SLN 70-79 years, female 52.2
GTEX-1N2EE-0626-SM-E76PW 60-69 years, male 52.1
GTEX-13OW8-1026-SM-5J1NQ 60-69 years, male 51.8
GTEX-14A5H-0826-SM-5QGPJ 60-69 years, male 51.8
GTEX-WRHU-2826-SM-3MJG8 50-59 years, female 51.8
GTEX-13NYC-0126-SM-5L3F4 60-69 years, male 51.7
GTEX-1HGF4-0126-SM-CNPPX 60-69 years, male 51.7
GTEX-ZT9X-1526-SM-5DUXD 40-49 years, male 51.6
GTEX-ZYFG-1526-SM-5GZYM 60-69 years, female 51.6
GTEX-1HKZK-0726-SM-ACKW2 40-49 years, male 51.6
GTEX-Y5LM-0926-SM-6LLJG 40-49 years, female 51.5
GTEX-1HR9M-2226-SM-CNPPY 60-69 years, male 51.5
GTEX-1R9PM-1926-SM-EVR3O 20-29 years, male 51.5
GTEX-145MI-0626-SM-5SI8S 60-69 years, female 51.3
GTEX-1RAZQ-1326-SM-E9TK6 30-39 years, male 51.3
GTEX-1GF9W-1426-SM-7PBYM 60-69 years, male 51.2
GTEX-1GN73-0726-SM-7P8TJ 60-69 years, male 51.0
GTEX-144GL-0626-SM-5LU4D 50-59 years, male 50.9
GTEX-1HUB1-1426-SM-CGQF5 60-69 years, male 50.8
GTEX-1269C-0126-SM-5EQ5L 60-69 years, female 50.7
GTEX-12WSC-2826-SM-5BC5Y 50-59 years, male 50.7
GTEX-13JVG-0726-SM-5KM16 60-69 years, male 50.6
GTEX-1LG7Y-2526-SM-EWRO7 50-59 years, male 50.6
GTEX-12WSK-2126-SM-5CVNC 40-49 years, female 50.5
GTEX-12ZZZ-0726-SM-5GCNZ 60-69 years, male 50.5
GTEX-13SLW-0626-SM-5Q5ER 70-79 years, male 50.5
GTEX-147F4-0726-SM-5TDDD 50-59 years, male 50.4
GTEX-11TT1-1826-SM-5EQLV 20-29 years, male 50.2
GTEX-1GN2E-0226-SM-9WG6K 60-69 years, male 50.2
GTEX-14PJ5-1526-SM-6LLIL 60-69 years, female 50.1
GTEX-ZYW4-0626-SM-59HJR 60-69 years, male 50.1
GTEX-16BQI-1326-SM-6M486 30-39 years, female 50.0
GTEX-1OJC4-2726-SM-E76PJ 50-59 years, female 49.9
GTEX-17F9Y-0126-SM-79OKX 70-79 years, female 49.8
GTEX-WK11-2726-SM-3NMAQ 50-59 years, male 49.7
GTEX-1CB4J-1326-SM-7P8RX 60-69 years, male 49.7
GTEX-1H3O1-1326-SM-9MQLD 60-69 years, male 49.7
GTEX-1JMQJ-0826-SM-CNPP7 50-59 years, male 49.5
GTEX-1B932-2326-SM-79OL5 40-49 years, female 49.4
GTEX-ZTTD-2826-SM-4YCFA 50-59 years, male 49.4
GTEX-1HCU7-0726-SM-A9SL1 50-59 years, male 49.2
GTEX-11ZTT-2126-SM-5CVLO 60-69 years, female 49.1
GTEX-145LS-0626-SM-7EPG7 60-69 years, female 49.1
GTEX-11OF3-0126-SM-5PNYF 60-69 years, male 49.0
GTEX-1F5PK-2226-SM-7SB6N 50-59 years, male 49.0
GTEX-1JMOU-1026-SM-CYPSS 60-69 years, female 49.0
GTEX-1GN1V-2826-SM-9JGIA 60-69 years, male 48.9
GTEX-1477Z-0326-SM-7IGLA 60-69 years, male 48.8
GTEX-1GMR3-0126-SM-A9SLW 40-49 years, male 48.8
GTEX-15UF6-1926-SM-7KUDV 70-79 years, female 48.7
GTEX-1GF9X-1326-SM-7PC2Y 40-49 years, female 48.7
GTEX-111YS-1526-SM-5GZYW 60-69 years, male 48.5
GTEX-ZT9W-1126-SM-57WDR 50-59 years, male 48.5
GTEX-1MCC2-1826-SM-DIPEX 30-39 years, female 48.5
GTEX-12BJ1-0926-SM-5EQ62 60-69 years, male 48.3
GTEX-1HB9E-0126-SM-CM2S5 50-59 years, male 48.3
GTEX-1IDFM-0326-SM-ARL7V 60-69 years, male 48.2
GTEX-1S83E-1326-SM-E6CJM 40-49 years, male 48.2
GTEX-YFCO-1226-SM-5LUAT 40-49 years, male 48.1
GTEX-15EO6-2426-SM-6PALZ 50-59 years, male 47.9
GTEX-X4EO-2926-SM-4E3JH 60-69 years, female 47.9
GTEX-ZGAY-1826-SM-DO91Q 40-49 years, female 47.9
GTEX-ZYT6-2326-SM-5GZY3 30-39 years, male 47.8
GTEX-1IDJI-0126-SM-CMKHS 50-59 years, female 47.8
GTEX-13VXU-0626-SM-5L3F9 50-59 years, male 47.6
GTEX-Y111-0626-SM-4SOIT 50-59 years, male 47.6
GTEX-Z93S-1626-SM-5CVMB 50-59 years, male 47.6
GTEX-ZLWG-0826-SM-59888 50-59 years, female 47.6
GTEX-144GM-0526-SM-79OJO 20-29 years, male 47.4
GTEX-1J8JJ-0626-SM-ARZMQ 60-69 years, female 47.4
GTEX-UPJH-0226-SM-3GADV 50-59 years, male 47.2
GTEX-WFG7-2026-SM-5SI7P 20-29 years, male 47.2
GTEX-1HFI6-0126-SM-CNPPI 40-49 years, male 47.1
GTEX-18465-2826-SM-7LT9J 50-59 years, male 47.0
GTEX-18D9A-1426-SM-7LT8M 30-39 years, female 47.0
GTEX-WHPG-2626-SM-3NMBR 50-59 years, male 46.9
GTEX-16XZZ-0726-SM-7KUF2 60-69 years, male 46.7
GTEX-1O9I2-0226-SM-EYYXD 50-59 years, male 46.7
GTEX-17HGU-2326-SM-7DUFE 50-59 years, male 46.6
GTEX-1GN1U-0626-SM-9MQL9 50-59 years, female 46.6
GTEX-14PII-0726-SM-6EU2B 60-69 years, male 46.4
GTEX-16YQH-2226-SM-7IGM2 30-39 years, male 46.4
GTEX-11EM3-1226-SM-5N9DD 20-29 years, female 46.3
GTEX-13X6H-0926-SM-5SIB2 50-59 years, female 46.3
GTEX-ZC5H-1526-SM-5HL9Y 40-49 years, female 46.3
GTEX-1JK1U-0226-SM-ARZMX 60-69 years, male 46.2
GTEX-14PK6-0226-SM-62LF5 70-79 years, female 46.1
GTEX-15CHC-1126-SM-6LLHQ 60-69 years, female 46.0
GTEX-1QMI2-2526-SM-E8VNZ 60-69 years, male 46.0
GTEX-11P81-2226-SM-5PNYI 30-39 years, female 45.9
GTEX-13SLX-2226-SM-62LEP 50-59 years, female 45.9
GTEX-XOT4-0626-SM-4B66L 60-69 years, female 45.9
GTEX-1GPI6-1926-SM-9KNV7 60-69 years, male 45.9
GTEX-ZE7O-2726-SM-51MT5 50-59 years, female 45.8
GTEX-1PPH7-1126-SM-DTX9A 40-49 years, male 45.8
GTEX-11EQ9-1626-SM-5PNY8 30-39 years, male 45.7
GTEX-1CAV2-0126-SM-7IGN7 40-49 years, female 45.7
GTEX-YECK-0326-SM-4W1YS 60-69 years, male 45.7
GTEX-148VJ-0626-SM-5LUAW 70-79 years, male 45.6
GTEX-ZUA1-2626-SM-5NQ92 40-49 years, male 45.6
GTEX-1RAZS-2526-SM-E6CHT 50-59 years, male 45.6
GTEX-1CB4H-1126-SM-7MKGL 60-69 years, female 45.5
GTEX-U8XE-0226-SM-4E3J3 30-39 years, male 45.5
GTEX-13FTY-2126-SM-5IFFB 40-49 years, female 45.4
GTEX-1HSKV-1226-SM-ADEI4 60-69 years, male 45.4
GTEX-117YX-1926-SM-5GIEC 50-59 years, male 45.3
GTEX-1H1ZS-2726-SM-9WG75 70-79 years, male 45.2
GTEX-1CAMR-1326-SM-7PC1F 20-29 years, male 45.1
GTEX-1HCU9-0426-SM-9WYSD 20-29 years, male 45.1
GTEX-13PDP-0726-SM-5L3HP 60-69 years, male 45.0
GTEX-131XW-0626-SM-5PNVD 50-59 years, female 44.9
GTEX-1GMRU-2126-SM-7P8RA 50-59 years, male 44.9
GTEX-1GN1W-2426-SM-9KNUU 50-59 years, female 44.9
GTEX-1ICLZ-0326-SM-ARL82 60-69 years, male 44.9
GTEX-1399R-1326-SM-5PNYS 30-39 years, male 44.8
GTEX-13RTJ-0126-SM-5S2NN 60-69 years, male 44.8
GTEX-1J8Q3-0526-SM-ARL8U 60-69 years, male 44.8
GTEX-1JN6P-2926-SM-CL54D 60-69 years, male 44.7
GTEX-11PRG-0726-SM-5EGL1 50-59 years, male 44.6
GTEX-16NPX-0726-SM-7KULC 50-59 years, male 44.6
GTEX-17JCI-2926-SM-7DUFF 60-69 years, female 44.6
GTEX-18QFQ-1826-SM-72D52 30-39 years, male 44.6
GTEX-1N5O9-0926-SM-E9J3C 60-69 years, male 44.6
GTEX-13X6J-0626-SM-5LU5F 50-59 years, male 44.5
GTEX-13NYS-0626-SM-5L3F1 60-69 years, male 44.3
GTEX-XMD2-2126-SM-4YCF8 60-69 years, female 44.2
GTEX-ZVE2-2826-SM-5GU51 50-59 years, male 44.2
GTEX-13O3O-2326-SM-5IJD6 60-69 years, female 44.1
GTEX-ZAK1-0626-SM-5HL8E 50-59 years, female 44.1
GTEX-13OVJ-0826-SM-5J1OK 50-59 years, female 44.0
GTEX-XXEK-1626-SM-4BRUZ 50-59 years, male 43.6
GTEX-1J8EW-2726-SM-CY8HR 60-69 years, female 43.6
GTEX-145ME-1726-SM-5Q5EU 40-49 years, female 43.5
GTEX-ZYFD-0626-SM-5E44E 50-59 years, male 43.5
GTEX-1313W-0626-SM-5EQ4H 50-59 years, female 43.3
GTEX-144GO-2026-SM-5O99P 60-69 years, male 43.3
GTEX-1QP9N-1226-SM-E76QN 30-39 years, male 43.3
GTEX-1I1CD-0626-SM-CE6SW 60-69 years, female 43.2
GTEX-1EH9U-2826-SM-7DUGT 60-69 years, male 43.1
GTEX-16Z82-2626-SM-7KULU 60-69 years, male 43.0
GTEX-1JMLX-0626-SM-ARL8T 50-59 years, male 42.9
GTEX-1JMQI-1726-SM-ARL93 50-59 years, male 42.8
GTEX-178AV-1726-SM-7KUL8 40-49 years, male 42.7
GTEX-XK95-0226-SM-4AT58 40-49 years, male 42.6
GTEX-ZVT4-2426-SM-5GIEI 50-59 years, female 42.6
GTEX-13PVQ-0626-SM-5LU47 50-59 years, male 42.5
GTEX-132AR-0326-SM-5KM2C 50-59 years, female 42.4
GTEX-13JUV-2026-SM-5K7UA 40-49 years, female 42.4
GTEX-14JG1-1526-SM-5YY9X 40-49 years, male 42.4
GTEX-14PJN-1826-SM-6AJ98 30-39 years, male 42.4
GTEX-14PKU-0126-SM-6LLHV 40-49 years, female 42.4
GTEX-1I1GU-0926-SM-ACKVS 40-49 years, male 42.4
GTEX-11NSD-0626-SM-5A5LU 20-29 years, male 42.3
GTEX-1LVA9-2626-SM-EVYD4 50-59 years, male 42.3
GTEX-12WSF-1626-SM-7KUG5 70-79 years, male 42.2
GTEX-13112-0126-SM-5P9IU 50-59 years, male 42.2
GTEX-13D11-0926-SM-5J2NC 50-59 years, female 42.2
GTEX-13O61-1426-SM-5KM3D 60-69 years, male 42.2
GTEX-1M4P7-0726-SM-E6CJ3 60-69 years, male 42.2
GTEX-1GTWX-2026-SM-9YFLM 60-69 years, male 42.1
GTEX-1117F-2926-SM-5GZYI 60-69 years, female 42.0
GTEX-14E6C-2426-SM-5S2NF 40-49 years, male 42.0
GTEX-ZYVF-0926-SM-5E44J 50-59 years, female 42.0
GTEX-1I1HK-2326-SM-CKZOH 60-69 years, male 42.0
GTEX-1JMQK-1226-SM-D4P2S 60-69 years, male 42.0
GTEX-11DXX-2126-SM-5PNYR 60-69 years, female 41.9
GTEX-14753-0726-SM-5QGQO 60-69 years, male 41.9
GTEX-16MT8-2926-SM-7DUFO 60-69 years, female 41.9
GTEX-1IE54-1126-SM-A9G2Z 40-49 years, female 41.8
GTEX-14XAO-1226-SM-6EU1C 60-69 years, female 41.7
GTEX-ZLFU-1826-SM-4WWBV 40-49 years, male 41.7
GTEX-14DAR-1226-SM-73KYV 50-59 years, male 41.6
GTEX-17F96-0126-SM-7EWDU 70-79 years, male 41.6
GTEX-1JMPZ-0726-SM-CY8HZ 30-39 years, male 41.6
GTEX-1LGOU-1326-SM-D3L8M 20-29 years, female 41.6
GTEX-147GR-2426-SM-5ZZWQ 60-69 years, male 41.4
GTEX-1JN76-0626-SM-CKZOQ 20-29 years, female 41.4
GTEX-XQ3S-1426-SM-4BOPR 20-29 years, male 41.3
GTEX-14ABY-2026-SM-62LDL 50-59 years, male 41.1
GTEX-1KANB-2826-SM-CY8I6 50-59 years, male 41.0
GTEX-1LBAC-0826-SM-CY8IJ 20-29 years, male 41.0
GTEX-YEC3-1326-SM-DO92X 50-59 years, male 41.0
GTEX-139UW-0326-SM-5J1ML 60-69 years, male 40.9
GTEX-17MFQ-1526-SM-7KFRR 20-29 years, male 40.9
GTEX-13IVO-0726-SM-5LZYV 70-79 years, male 40.8
GTEX-145MF-0926-SM-5Q5EA 50-59 years, male 40.8
GTEX-14BMV-2826-SM-5TDED 50-59 years, male 40.8
GTEX-15RJE-2826-SM-7KUM9 40-49 years, male 40.8
GTEX-1H1DG-2426-SM-9QEHJ 70-79 years, male 40.7
GTEX-1B933-2426-SM-7DHMD 50-59 years, female 40.6
GTEX-1192X-2726-SM-5N9DN 50-59 years, male 40.5
GTEX-131XF-2626-SM-5EQ6K 60-69 years, male 40.5
GTEX-1KD5A-0126-SM-E9U54 50-59 years, male 40.4
GTEX-11NUK-2726-SM-5A5MC 50-59 years, male 40.3
GTEX-13PVR-0426-SM-5RQK2 60-69 years, female 40.3
GTEX-1314G-1326-SM-5BC6E 30-39 years, male 40.2
GTEX-13OVL-0126-SM-5L3GJ 50-59 years, male 40.2
GTEX-17KNJ-2126-SM-718AM 50-59 years, male 40.1
GTEX-17F97-2626-SM-7IGM5 50-59 years, male 40.0
GTEX-ZDYS-2426-SM-4WKGI 50-59 years, male 40.0
GTEX-ZXG5-2126-SM-59HKD 60-69 years, male 40.0
GTEX-147JS-0226-SM-5S2U9 60-69 years, male 39.9
GTEX-1HT8W-0626-SM-A9G2H 30-39 years, male 39.9
GTEX-13QBU-1226-SM-5LU4G 40-49 years, female 39.7
GTEX-1B97I-0626-SM-73KUZ 40-49 years, male 39.7
GTEX-1F88E-1626-SM-7SB8Z 60-69 years, female 39.6
GTEX-1MJK3-0726-SM-E6CJC 20-29 years, male 39.6
GTEX-13FLV-0126-SM-5K7WT 50-59 years, male 39.4
GTEX-13FH7-1126-SM-5K7UG 50-59 years, female 39.3
GTEX-1F6RS-2026-SM-7RHHC 60-69 years, female 39.3
GTEX-13NZ9-2626-SM-5L3FK 50-59 years, male 39.2
GTEX-1PIIG-2326-SM-DTXFR 30-39 years, male 39.2
GTEX-XBED-1926-SM-47JYP 60-69 years, male 39.1
GTEX-1H1E6-0426-SM-9WYUS 30-39 years, male 39.1
GTEX-WHWD-1826-SM-3LK6I 50-59 years, male 39.0
GTEX-1QCLZ-2426-SM-EVYBW 60-69 years, female 39.0
GTEX-13PL6-1126-SM-5L3IE 40-49 years, female 38.9
GTEX-14E6E-0526-SM-793DN 30-39 years, male 38.9
GTEX-WFG8-2126-SM-3GIKQ 20-29 years, male 38.9
GTEX-1NV5F-0626-SM-DTXEG 60-69 years, female 38.9
GTEX-1AYD5-2626-SM-7PBXY 50-59 years, male 38.8
GTEX-1GZ4I-2626-SM-9KNU3 50-59 years, male 38.8
GTEX-131XG-0326-SM-5L3DX 50-59 years, female 38.7
GTEX-14PHY-1226-SM-5ZZWK 60-69 years, female 38.7
GTEX-Y8E4-2026-SM-5IFJB 40-49 years, male 38.7
GTEX-14JFF-0626-SM-5ZZVT 60-69 years, male 38.7
GTEX-16NGA-0726-SM-731AO 40-49 years, female 38.6
GTEX-1I1GV-0626-SM-ARL7M 60-69 years, male 38.6
GTEX-1JJEA-1826-SM-ARU8P 60-69 years, male 38.6
GTEX-1211K-1526-SM-5FQU4 60-69 years, female 38.5
GTEX-13OVG-1626-SM-5J1NF 60-69 years, male 38.4
GTEX-1A8G7-1326-SM-73KVM 60-69 years, male 38.3
GTEX-146FQ-2126-SM-5RQHU 30-39 years, male 38.2
GTEX-1NSGN-0726-SM-DTXEF 50-59 years, male 38.2
GTEX-14PJ2-0626-SM-6LLII 50-59 years, male 38.1
GTEX-14PJO-2526-SM-6AJBQ 60-69 years, male 38.1
GTEX-1AX8Z-0726-SM-73KTS 60-69 years, male 38.1
GTEX-1PBJJ-1026-SM-E76OS 30-39 years, male 38.1
GTEX-1QEPI-2626-SM-DTXF4 60-69 years, female 38.1
GTEX-145LU-1926-SM-79OJN 50-59 years, male 37.9
GTEX-1JN1M-2726-SM-CY8I4 60-69 years, female 37.9
GTEX-15ER7-0626-SM-6PANF 20-29 years, female 37.8
GTEX-16GPK-0626-SM-7KFSF 60-69 years, male 37.8
GTEX-13YAN-0226-SM-5TDC6 60-69 years, male 37.7
GTEX-ZA64-1026-SM-5HL8R 20-29 years, male 37.7
GTEX-ZDXO-3126-SM-5IJDF 60-69 years, male 37.7
GTEX-139TU-0726-SM-5L3EK 60-69 years, male 37.6
GTEX-13OW6-2726-SM-5J2OE 50-59 years, male 37.5
GTEX-1H11D-1826-SM-9QEHM 40-49 years, male 37.5
GTEX-1JKYR-0626-SM-ARL8R 20-29 years, male 37.4
GTEX-18D9U-0126-SM-731BM 40-49 years, male 37.3
GTEX-1EX96-1026-SM-7MKG2 50-59 years, male 37.3
GTEX-WY7C-2126-SM-3NB2R 50-59 years, male 37.3
GTEX-1IDJH-0126-SM-D3L92 70-79 years, male 37.3
GTEX-139D8-1126-SM-5LU8W 30-39 years, female 37.2
GTEX-1H3NZ-2726-SM-9WYTQ 60-69 years, male 37.2
GTEX-1QP29-1826-SM-DTX9S 50-59 years, male 37.2
GTEX-X5EB-1926-SM-4E3IW 40-49 years, male 37.1
GTEX-11EI6-2826-SM-5H11D 60-69 years, male 37.0
GTEX-1H2FU-0926-SM-9WPPT 60-69 years, female 37.0
GTEX-12584-0726-SM-5FQTK 40-49 years, male 36.9
GTEX-Y3IK-1626-SM-4YCF5 50-59 years, female 36.9
GTEX-1E2YA-2126-SM-7MXUO 50-59 years, male 36.9
GTEX-14BMU-1226-SM-5S2OR 20-29 years, female 36.8
GTEX-1A8G6-2726-SM-731AR 60-69 years, male 36.7
GTEX-1IL2V-1926-SM-B2LW8 70-79 years, male 36.7
GTEX-1B8KZ-0326-SM-73KY4 50-59 years, male 36.6
GTEX-1S5ZU-2526-SM-E6CIF 20-29 years, female 36.6
GTEX-1B8SF-0126-SM-7DUG3 60-69 years, male 36.5
GTEX-1F5PL-0926-SM-7PC2W 40-49 years, female 36.5
GTEX-1LSNL-2726-SM-E9TKJ 50-59 years, male 36.5
GTEX-145MO-2826-SM-5LU96 60-69 years, male 36.4
GTEX-1I6K7-1926-SM-B2LXR 40-49 years, male 36.4
GTEX-1R9K4-2826-SM-DTX8F 60-69 years, male 36.3
GTEX-1RB15-1326-SM-E76Q9 60-69 years, male 36.3
GTEX-14ICL-1626-SM-5YYAO 30-39 years, male 36.2
GTEX-139TT-2126-SM-5LZWC 60-69 years, male 36.1
GTEX-13N2G-0226-SM-5K7VF 60-69 years, male 36.0
GTEX-XYKS-1426-SM-4BRUO 60-69 years, female 36.0
GTEX-17HG3-2626-SM-7DUF2 30-39 years, female 35.9
GTEX-1IDJC-1526-SM-B2LW4 50-59 years, male 35.8
GTEX-15EU6-2226-SM-6EU2L 50-59 years, male 35.7
GTEX-18A67-1626-SM-7LT9T 50-59 years, male 35.6
GTEX-1C64O-1326-SM-7MGWR 60-69 years, male 35.5
GTEX-1B8L1-2226-SM-7P8PT 60-69 years, male 35.4
GTEX-1BAJH-2426-SM-7IGP8 70-79 years, male 35.3
GTEX-1HSMO-0626-SM-ACKXC 60-69 years, male 35.3
GTEX-1AX9J-1326-SM-731BJ 60-69 years, male 35.2
GTEX-12WSM-1926-SM-5BC65 60-69 years, male 35.1
GTEX-1A3MW-0626-SM-731CB 60-69 years, female 35.1
GTEX-ZDTS-0826-SM-4WKHL 60-69 years, male 35.1
GTEX-1C6VQ-1226-SM-73KYD 50-59 years, male 35.0
GTEX-14JG6-1426-SM-9WG7C 30-39 years, female 34.9
GTEX-1HSMQ-2626-SM-A9SML 50-59 years, male 34.9
GTEX-1S831-1826-SM-EWROF 20-29 years, male 34.9
GTEX-14LZ3-0126-SM-69LPM 60-69 years, female 34.8
GTEX-1A3MV-1826-SM-731CD 30-39 years, male 34.7
GTEX-11DXW-0826-SM-5H118 40-49 years, male 34.6
GTEX-1LSVX-2526-SM-DIPEU 60-69 years, male 34.6
GTEX-12696-0126-SM-5EQ4L 60-69 years, male 34.5
GTEX-12ZZY-0726-SM-5EQ66 60-69 years, male 34.5
GTEX-15G19-2426-SM-7KUMR 60-69 years, male 34.5
GTEX-ZYFC-0426-SM-5GICQ 50-59 years, male 34.5
GTEX-WFON-1926-SM-3LK7L 40-49 years, male 34.4
GTEX-1IOXB-2726-SM-CM2RI 50-59 years, male 34.4
GTEX-16AAH-0626-SM-793C9 50-59 years, male 34.2
GTEX-Y114-2126-SM-4TT8B 50-59 years, female 34.2
GTEX-1HR98-2226-SM-ADEI2 60-69 years, male 34.2
GTEX-1IDJE-1426-SM-ADEIW 50-59 years, female 34.2
GTEX-145MG-1526-SM-5Q5EM 50-59 years, male 34.1
GTEX-Y5V5-0126-SM-5S2NW 60-69 years, female 34.1
GTEX-ZAJG-1526-SM-5CVML 50-59 years, female 34.1
GTEX-1I6K6-1726-SM-CGQFD 30-39 years, male 34.1
GTEX-1I19N-0126-SM-CYPSF 70-79 years, male 34.0
GTEX-11O72-0626-SM-5PNYE 40-49 years, male 33.8
GTEX-11ZUS-2626-SM-5FQUR 30-39 years, male 33.8
GTEX-ZTX8-1326-SM-4YCEL 20-29 years, male 33.8
GTEX-1QCLY-0226-SM-EWRNH 30-39 years, male 33.8
GTEX-1GF9U-2026-SM-7SB92 40-49 years, female 33.7
GTEX-1RAZA-2226-SM-E9U4X 20-29 years, male 33.7
GTEX-13VXT-1926-SM-5K7UO 20-29 years, female 33.6
GTEX-15DDE-2926-SM-6LLJ3 50-59 years, female 33.5
GTEX-15RJ7-2126-SM-6PAMD 40-49 years, male 33.3
GTEX-145MN-1526-SM-5SI9T 30-39 years, male 33.1
GTEX-1I1GP-1326-SM-A9G28 50-59 years, male 33.1
GTEX-1OJC3-1226-SM-DTXER 20-29 years, male 33.1
GTEX-139TS-2126-SM-5K7XC 60-69 years, male 33.0
GTEX-13FTX-1526-SM-5K7VJ 20-29 years, female 33.0
GTEX-17EVQ-0126-SM-7IGLR 70-79 years, male 32.9
GTEX-13N11-2326-SM-5IJBF 50-59 years, female 32.8
GTEX-1A32A-0626-SM-731AQ 50-59 years, female 32.8
GTEX-X3Y1-2026-SM-3P5YM 40-49 years, male 32.8
GTEX-15G1A-1626-SM-7KUKN 30-39 years, male 32.7
GTEX-11DXY-0126-SM-5H11Q 60-69 years, male 32.6
GTEX-13G51-1826-SM-5KLZH 60-69 years, male 32.3
GTEX-18A7A-0126-SM-731AH 50-59 years, female 32.3
GTEX-ZPIC-0526-SM-DO91W 40-49 years, female 32.3
GTEX-YJ8O-2526-SM-5HL85 40-49 years, female 32.1
GTEX-1HCU6-2526-SM-ADEHL 60-69 years, female 32.1
GTEX-YB5K-2026-SM-4VDT3 40-49 years, female 32.0
GTEX-1PDJ9-1226-SM-EXUSX 20-29 years, male 32.0
GTEX-14PHX-2226-SM-6EU2P 50-59 years, male 31.9
GTEX-139YR-1026-SM-5LZYN 50-59 years, male 31.8
GTEX-18A6Q-0626-SM-7KFRP 60-69 years, male 31.8
GTEX-1PIGE-1826-SM-E8VOU 20-29 years, male 31.8
GTEX-1PPGY-1626-SM-EVYBL 60-69 years, male 31.8
GTEX-17HHY-0426-SM-7DHLC 50-59 years, male 31.7
GTEX-WHSE-0126-SM-3NMBT 20-29 years, male 31.7
GTEX-11P82-1426-SM-DTXFY 20-29 years, male 31.7
GTEX-131XH-0126-SM-5LZUY 50-59 years, male 31.6
GTEX-145MH-2826-SM-5RQJF 50-59 years, male 31.6
GTEX-WEY5-2326-SM-3GIKK 40-49 years, female 31.6
GTEX-ZPU1-1126-SM-4YCF3 40-49 years, male 31.5
GTEX-12C56-1526-SM-5FQUQ 20-29 years, male 31.4
GTEX-12WSL-2026-SM-5GCML 50-59 years, male 31.4
GTEX-WXYG-2026-SM-4E3IY 50-59 years, female 31.0
GTEX-1E1VI-0326-SM-793D1 50-59 years, male 30.8
GTEX-183FY-1026-SM-7939A 20-29 years, male 30.7
GTEX-WH7G-2026-SM-3NMBL 40-49 years, male 30.6
GTEX-1F75B-0726-SM-7PC3R 50-59 years, male 30.6
GTEX-17F9E-2326-SM-79OKD 50-59 years, male 30.4
GTEX-18D9B-0926-SM-7LG4U 60-69 years, male 30.4
GTEX-14PJ3-1126-SM-5ZZVX 50-59 years, male 30.1
GTEX-1F48J-0726-SM-7RHGS 50-59 years, female 30.1
GTEX-1IDJF-2026-SM-CL53V 20-29 years, male 30.1
GTEX-1IKOE-1426-SM-CE6T7 30-39 years, female 30.1
GTEX-131YS-2826-SM-5EQ47 60-69 years, female 30.0
GTEX-15RIE-1926-SM-7KUKJ 60-69 years, male 29.9
GTEX-13113-1626-SM-5EQ4I 60-69 years, female 29.8
GTEX-144FL-0626-SM-5LU43 50-59 years, male 29.7
GTEX-1KANC-1226-SM-CYPT7 50-59 years, female 29.6
GTEX-17F98-1326-SM-7DUEP 40-49 years, female 29.4
GTEX-14AS3-1526-SM-5Q5ED 40-49 years, female 29.3
GTEX-1C64N-2626-SM-7PC2N 50-59 years, male 29.2
GTEX-11DZ1-2426-SM-5GZZX 50-59 years, male 29.0
GTEX-12KS4-2126-SM-5FQUT 30-39 years, male 29.0
GTEX-1F75W-2726-SM-7SB8H 60-69 years, male 28.9
GTEX-1HC8U-1326-SM-9YFMJ 40-49 years, female 28.9
GTEX-1H1DF-1126-SM-9WG7G 40-49 years, female 28.8
GTEX-1L5NE-1126-SM-D3L9P 50-59 years, male 28.6
GTEX-1EWIQ-0326-SM-7DHMQ 70-79 years, female 28.4
GTEX-1KWVE-1026-SM-D3L9O 30-39 years, male 28.4
GTEX-UPK5-0426-SM-3GAEK 40-49 years, male 28.2
GTEX-12ZZX-2426-SM-5GCOE 40-49 years, female 28.0
GTEX-12WSD-0626-SM-5GCMW 60-69 years, female 27.9
GTEX-X585-2426-SM-46MW2 50-59 years, male 27.8
GTEX-13OW5-2326-SM-5L3HO 60-69 years, male 27.5
GTEX-VJYA-1526-SM-3GIJV 60-69 years, male 27.4
GTEX-11DYG-1526-SM-5A5JS 60-69 years, male 27.2
GTEX-18A7B-2726-SM-7LG56 70-79 years, male 27.0
GTEX-1IKJJ-2226-SM-CJI4C 60-69 years, male 27.0
GTEX-1RLM8-2926-SM-E8VON 50-59 years, male 26.9
GTEX-1AX9I-2226-SM-73KUO 60-69 years, male 26.8
GTEX-12126-0826-SM-5FQTZ 20-29 years, male 26.7
GTEX-1A8FM-0626-SM-7PC25 50-59 years, female 26.5
GTEX-1IY9M-2826-SM-ARU8H 60-69 years, male 26.3
GTEX-15SKB-2826-SM-6PAMH 60-69 years, male 26.2
GTEX-ZZ64-1026-SM-5GZXG 20-29 years, male 26.2
GTEX-1F75A-0726-SM-7RHHD 50-59 years, male 26.1
GTEX-1QP66-1226-SM-DTX7U 50-59 years, male 26.1
GTEX-15SHW-0226-SM-7LTAT 60-69 years, male 26.0
GTEX-18A66-0626-SM-7LT8Z 60-69 years, male 25.8
GTEX-1RAZR-2126-SM-E9U6T 40-49 years, male 25.5
GTEX-WYBS-0626-SM-3NMAS 60-69 years, female 25.4
GTEX-1N2DV-1526-SM-DTXEP 40-49 years, male 25.4
GTEX-13NYB-0126-SM-5J1MD 40-49 years, male 25.3
GTEX-11P7K-1126-SM-5HL4L 30-39 years, male 25.2
GTEX-11WQC-1826-SM-5GU59 60-69 years, male 25.2
GTEX-14E1K-2026-SM-7DUEI 50-59 years, male 25.1
GTEX-1EU9M-1426-SM-793AI 60-69 years, male 24.8
GTEX-1F6I4-2326-SM-7RHGL 60-69 years, male 24.8
GTEX-1F52S-2926-SM-7MKGA 60-69 years, female 24.6
GTEX-1F6IF-0926-SM-7SB7M 60-69 years, male 24.6
GTEX-W5X1-2526-SM-3GILC 40-49 years, female 24.5
GTEX-1HSMP-0926-SM-A9SKX 70-79 years, male 24.3
GTEX-1F75I-2226-SM-7SB8U 40-49 years, male 23.7
GTEX-YF7O-1526-SM-5IFI6 50-59 years, male 23.2
GTEX-1H1CY-0126-SM-9YFLY 60-69 years, female 22.4
GTEX-1497J-0226-SM-5QGPU 60-69 years, male 21.6
GTEX-13X6K-0626-SM-5LU5D 60-69 years, female 21.1
GTEX-1HBPI-2126-SM-ARL9K 50-59 years, male 20.6
Show allShow less
Skin - Sun Exposed (Lower leg)
Average nTPM: 43.1
Samples: 701

Max nTPM: 110.5
Min nTPM: 20.6
Std nTPM: 11.8
Median nTPM: 41.9
GTEX-XUZC-1726-SM-4BRWS 30-39 years, female 110.5
GTEX-1HCVE-0126-SM-CGQEU 50-59 years, male 103.5
GTEX-ZYY3-0126-SM-5GZY5 60-69 years, female 94.6
GTEX-1I1GT-0626-SM-CGQER 60-69 years, female 89.2
GTEX-1JJ6O-0126-SM-E6CI8 60-69 years, male 86.4
GTEX-ZAJG-0126-SM-5HL94 50-59 years, female 84.5
GTEX-Y8LW-1826-SM-5S2MV 50-59 years, female 83.2
GTEX-1JMQL-0226-SM-CNPP5 50-59 years, female 81.9
GTEX-1CAMQ-0226-SM-7IGPK 40-49 years, male 80.6
GTEX-SN8G-0126-SM-32PLI 50-59 years, female 78.1
GTEX-169BO-1326-SM-9MQK2 50-59 years, male 76.5
GTEX-1JN1M-0326-SM-CYPT3 60-69 years, female 75.9
GTEX-13FTY-0526-SM-5L3EV 40-49 years, female 75.7
GTEX-14PJ6-2126-SM-6EU1V 60-69 years, female 73.5
GTEX-ZYFG-2326-SM-5E44B 60-69 years, female 73.4
GTEX-WOFL-0126-SM-3MJG2 60-69 years, male 72.4
GTEX-ZXG5-0126-SM-5GIEU 60-69 years, male 70.3
GTEX-15RIG-0226-SM-7KFTL 40-49 years, male 69.9
GTEX-WI4N-1026-SM-3LK7N 40-49 years, female 68.7
GTEX-17MF6-0126-SM-7LG4F 40-49 years, male 67.8
GTEX-13OVH-0126-SM-5MR4B 70-79 years, male 67.4
GTEX-1KANA-0726-SM-D3L9I 20-29 years, male 66.6
GTEX-1HCU9-1526-SM-A9SL7 20-29 years, male 66.5
GTEX-1QPFJ-0226-SM-E76PB 30-39 years, female 66.2
GTEX-144GL-0126-SM-5TDE2 50-59 years, male 66.1
GTEX-1LH75-2426-SM-E9TJE 50-59 years, female 66.0
GTEX-1R46S-0626-SM-E9J41 60-69 years, female 65.8
GTEX-1QAET-0926-SM-E76QM 50-59 years, male 65.4
GTEX-11TTK-0126-SM-5987B 60-69 years, female 65.3
GTEX-14C5O-0126-SM-5SI6N 60-69 years, male 65.3
GTEX-ZF28-0126-SM-4WKGK 60-69 years, male 65.3
GTEX-ZVT2-2526-SM-51MT1 50-59 years, female 65.3
GTEX-14A5H-0426-SM-5QGQF 60-69 years, male 65.0
GTEX-PLZ5-2026-SM-2S1O4 50-59 years, male 64.6
GTEX-1I1GQ-0126-SM-COH3H 50-59 years, male 64.0
GTEX-147F3-0526-SM-5SI98 50-59 years, female 63.6
GTEX-ZAB4-0226-SM-5N9F5 40-49 years, male 63.5
GTEX-16NPX-0226-SM-79OMT 50-59 years, male 63.3
GTEX-13NZB-2526-SM-5J1OM 30-39 years, male 63.0
GTEX-R45C-0126-SM-EAZ2R 60-69 years, female 63.0
GTEX-WYVS-2126-SM-3NMA3 40-49 years, female 62.9
GTEX-X4EP-0126-SM-3P5YV 60-69 years, female 62.9
GTEX-11VI4-1726-SM-5CVLH 40-49 years, female 62.5
GTEX-ZXES-1826-SM-5E43S 30-39 years, female 62.5
GTEX-P4QT-0126-SM-2I3FL 50-59 years, female 62.2
GTEX-1J8Q2-0526-SM-CM2RW 60-69 years, male 62.2
GTEX-17MFQ-1726-SM-793C7 20-29 years, male 62.1
GTEX-ZWKS-0126-SM-5SIAA 30-39 years, male 62.1
GTEX-1L5NE-2526-SM-E6CIE 50-59 years, male 62.0
GTEX-YB5E-2026-SM-5IFIS 40-49 years, male 61.9
GTEX-1AMFI-2026-SM-731BH 50-59 years, female 61.6
GTEX-SIU8-0126-SM-2XCDT 50-59 years, male 61.6
GTEX-1PFEY-1526-SM-E76PP 30-39 years, male 61.6
GTEX-ZVZP-2426-SM-59HKJ 50-59 years, male 61.3
GTEX-14E6C-0126-SM-5RQIP 40-49 years, male 61.2
GTEX-1KXAM-2226-SM-CYPTC 60-69 years, male 61.2
GTEX-1HSEH-0126-SM-ACKXN 60-69 years, male 61.0
GTEX-1HFI7-1826-SM-ACKXH 50-59 years, female 60.9
GTEX-14E7W-0126-SM-6LLJ9 70-79 years, male 60.4
GTEX-1128S-2326-SM-5GZZY 60-69 years, female 60.3
GTEX-13O3Q-2426-SM-5IJBR 50-59 years, male 60.3
GTEX-1K2DU-2326-SM-E9TIV 20-29 years, male 60.3
GTEX-11GSO-2426-SM-5A5LY 60-69 years, male 60.0
GTEX-13OW8-1326-SM-5J1OW 60-69 years, male 59.8
GTEX-V1D1-2226-SM-3NMAX 50-59 years, male 59.4
GTEX-13NZA-0226-SM-5K7Z7 60-69 years, male 59.1
GTEX-1212Z-2526-SM-5EGKP 60-69 years, male 59.0
GTEX-1J1OQ-0226-SM-CYPSH 40-49 years, female 59.0
GTEX-117XS-2726-SM-5N9BL 60-69 years, male 58.9
GTEX-1ICLY-0126-SM-D4P36 50-59 years, male 58.6
GTEX-1RAZA-0126-SM-E6CI3 20-29 years, male 58.6
GTEX-1KAFJ-2026-SM-CY8ID 50-59 years, male 58.4
GTEX-UJHI-1526-SM-3DB99 50-59 years, female 58.1
GTEX-12WSA-0226-SM-5BC5V 60-69 years, male 57.9
GTEX-XXEK-2226-SM-4BRUM 50-59 years, male 57.8
GTEX-1GL5R-1826-SM-9KNUY 50-59 years, male 57.8
GTEX-Y5V6-2426-SM-4VDSB 60-69 years, male 57.6
GTEX-1GF9V-0326-SM-7RHI5 60-69 years, male 57.6
GTEX-1JJE9-0326-SM-CL53Z 70-79 years, male 57.5
GTEX-11EQ9-2426-SM-5HL5T 30-39 years, male 57.4
GTEX-OXRL-0126-SM-2YUMP 50-59 years, male 57.4
GTEX-PWO3-1526-SM-48TCM 60-69 years, female 57.3
GTEX-1LB8K-0226-SM-EWRNW 50-59 years, male 57.3
GTEX-1S82Z-0826-SM-E6CHY 30-39 years, female 57.3
GTEX-111VG-2426-SM-5GZXD 60-69 years, male 57.2
GTEX-1S3DN-2226-SM-EVYCD 50-59 years, male 57.2
GTEX-1IDJU-2626-SM-CM2RT 60-69 years, female 56.7
GTEX-139T4-0226-SM-5HL5S 50-59 years, female 56.3
GTEX-15CHC-2126-SM-6EU21 60-69 years, female 56.1
GTEX-13NZ8-0826-SM-5MR3I 60-69 years, female 55.9
GTEX-Z93S-0126-SM-5HL7M 50-59 years, male 55.8
GTEX-1PBJI-0526-SM-E8VNK 20-29 years, female 55.5
GTEX-16YQH-0126-SM-7DUFJ 30-39 years, male 55.4
GTEX-1IKOH-0226-SM-COH4E 60-69 years, female 55.4
GTEX-1R7EV-2426-SM-EVYBG 40-49 years, male 55.2
GTEX-13O3O-0126-SM-E9J49 60-69 years, female 55.0
GTEX-13OVG-1926-SM-5L3DK 60-69 years, male 54.9
GTEX-13FH7-2026-SM-E9J4I 50-59 years, female 54.9
GTEX-133LE-1826-SM-5J1MV 20-29 years, female 54.5
GTEX-RTLS-0126-SM-447CA 60-69 years, female 54.4
GTEX-ZGAY-0526-SM-4WWBB 40-49 years, female 54.4
GTEX-1JMPY-1326-SM-ARL8Y 30-39 years, male 54.2
GTEX-15F5U-1526-SM-6PANO 40-49 years, male 54.0
GTEX-16BQI-0226-SM-7KUEX 30-39 years, female 53.8
GTEX-X8HC-0126-SM-4E3JW 50-59 years, female 53.8
GTEX-1HBPM-0226-SM-ARL9F 60-69 years, female 53.8
GTEX-Q2AG-0126-SM-33HBV 40-49 years, female 53.4
GTEX-12WSG-2826-SM-E9J4H 50-59 years, female 53.3
GTEX-13JUV-2726-SM-5LZZ8 40-49 years, female 53.2
GTEX-WYJK-0126-SM-3NMAB 50-59 years, male 53.2
GTEX-X4XX-0126-SM-3NMC2 60-69 years, male 53.2
GTEX-1E2YA-0126-SM-9KNUC 50-59 years, male 53.2
GTEX-1HCU8-0626-SM-A9SM9 60-69 years, female 53.2
GTEX-1MCYP-1926-SM-E9J2R 20-29 years, female 53.1
GTEX-1122O-2126-SM-5EGIR 60-69 years, female 53.0
GTEX-13O21-1426-SM-5K7XI 50-59 years, male 52.9
GTEX-13RTJ-2426-SM-5S2Q2 60-69 years, male 52.8
GTEX-1EN7A-0126-SM-7SB81 40-49 years, male 52.8
GTEX-VUSG-2526-SM-4KL1V 50-59 years, male 52.7
GTEX-1GF9U-2126-SM-7SB7L 40-49 years, female 52.7
GTEX-14JG1-0426-SM-6ETZZ 40-49 years, male 52.6
GTEX-14PK6-1926-SM-6ETZU 70-79 years, female 52.5
GTEX-1LG7Y-0526-SM-DKPQC 50-59 years, male 52.4
GTEX-1LVAN-0226-SM-COH3S 50-59 years, female 52.3
GTEX-U3ZM-1526-SM-3DB9D 40-49 years, male 52.2
GTEX-PSDG-0226-SM-DKPOZ 50-59 years, male 52.2
GTEX-12WSC-0126-SM-5EQ4P 50-59 years, male 52.1
GTEX-14A6H-0126-SM-5QGPK 30-39 years, male 52.1
GTEX-WZTO-0126-SM-3NM95 40-49 years, male 52.1
GTEX-17F96-1626-SM-7DUFL 70-79 years, male 52.0
GTEX-PW2O-1526-SM-7RHHB 20-29 years, male 52.0
GTEX-16NGA-1726-SM-731B4 40-49 years, female 51.9
GTEX-11WQK-0526-SM-5EQLD 50-59 years, male 51.8
GTEX-17EVP-0326-SM-7DHLG 40-49 years, male 51.8
GTEX-1RQEC-0426-SM-E6CHU 60-69 years, male 51.8
GTEX-14JG6-2226-SM-6EU2G 30-39 years, female 51.7
GTEX-1I1GS-0126-SM-B2LVW 60-69 years, male 51.7
GTEX-1JMLX-0226-SM-CM2RO 50-59 years, male 51.6
GTEX-1LSNM-1926-SM-E6CII 50-59 years, male 51.4
GTEX-T2IS-0126-SM-4DM6O 20-29 years, female 51.3
GTEX-ZEX8-2426-SM-4WKG4 50-59 years, male 51.1
GTEX-ZUA1-0126-SM-5GU76 40-49 years, male 51.1
GTEX-1GN2E-0426-SM-9MQKX 60-69 years, male 51.1
GTEX-11ZU8-2526-SM-5EQKI 60-69 years, male 51.0
GTEX-139D8-0226-SM-5KLZO 30-39 years, female 51.0
GTEX-T5JW-1626-SM-3GADZ 20-29 years, female 51.0
GTEX-YJ89-0126-SM-4TT3X 60-69 years, male 50.7
GTEX-13N1W-0126-SM-5K7VT 70-79 years, male 50.6
GTEX-145LS-0126-SM-5QGP1 60-69 years, female 50.6
GTEX-PLZ4-0126-SM-5SI8O 50-59 years, female 50.6
GTEX-1QP29-0626-SM-EWRMX 50-59 years, male 50.4
GTEX-RVPV-0126-SM-EAZAW 60-69 years, male 50.3
GTEX-111FC-0126-SM-5N9DL 60-69 years, male 50.2
GTEX-1I1GP-2226-SM-CGQFK 50-59 years, male 50.1
GTEX-1IGQW-0126-SM-COH42 60-69 years, male 50.1
GTEX-13SLW-0126-SM-5SI6C 70-79 years, male 50.0
GTEX-16MT8-0426-SM-7KUEY 60-69 years, female 50.0
GTEX-ZV6S-2326-SM-4YCEY 40-49 years, female 49.9
GTEX-1I1HK-0126-SM-COH49 60-69 years, male 49.8
GTEX-OXRN-0126-SM-48TDM 50-59 years, male 49.7
GTEX-TMMY-0226-SM-33HBA 40-49 years, female 49.6
GTEX-1F5PL-0326-SM-7P8PQ 40-49 years, female 49.6
GTEX-11DXW-0226-SM-5H122 40-49 years, male 49.5
GTEX-1IDJH-0326-SM-A9SLQ 70-79 years, male 49.4
GTEX-18D9U-0226-SM-718BP 40-49 years, male 49.3
GTEX-SUCS-1926-SM-32PM3 70-79 years, male 49.3
GTEX-T6MO-1626-SM-32QOM 40-49 years, female 49.2
GTEX-U3ZN-2326-SM-3DB7W 30-39 years, female 49.2
GTEX-R55E-0126-SM-2TC5Y 20-29 years, male 49.1
GTEX-1K9T9-0126-SM-EVYCF 50-59 years, female 49.1
GTEX-1CB4I-0226-SM-79OLH 50-59 years, male 49.0
GTEX-1CB4H-0226-SM-7PBXM 60-69 years, female 48.9
GTEX-1HKZK-0326-SM-9WYUH 40-49 years, male 48.9
GTEX-1LG7Z-1726-SM-D3LA4 30-39 years, male 48.9
GTEX-145ME-1826-SM-5SI9G 40-49 years, female 48.8
GTEX-U412-0426-SM-3DB9O 60-69 years, male 48.8
GTEX-12WSK-2326-SM-5GCOH 40-49 years, female 48.7
GTEX-13X6I-0626-SM-5QGP9 60-69 years, male 48.7
GTEX-14LZ3-0226-SM-62LET 60-69 years, female 48.7
GTEX-11NSD-2226-SM-5986V 20-29 years, male 48.6
GTEX-13S7M-0126-SM-5SI6A 60-69 years, female 48.6
GTEX-YEC4-2126-SM-5IFJH 40-49 years, male 48.5
GTEX-1399T-2826-SM-5KLYZ 60-69 years, male 48.4
GTEX-TSE9-0126-SM-3DB83 60-69 years, female 48.4
GTEX-1GZHY-0326-SM-9QEHI 50-59 years, female 48.4
GTEX-11EMC-2926-SM-5EQ4F 60-69 years, female 48.3
GTEX-OHPM-0126-SM-2YUN9 50-59 years, male 48.3
GTEX-11OC5-0126-SM-5HL6A 60-69 years, male 48.2
GTEX-1314G-1526-SM-5EGK2 30-39 years, male 48.2
GTEX-QVJO-1626-SM-2S1QW 60-69 years, female 48.2
GTEX-ZTSS-1926-SM-57WEW 40-49 years, male 48.1
GTEX-13W3W-2426-SM-5LU5B 60-69 years, female 48.0
GTEX-QDVN-2026-SM-3GAEP 50-59 years, male 47.8
GTEX-1H4P4-0726-SM-9YFLR 50-59 years, male 47.8
GTEX-12WSJ-1826-SM-5GCNY 40-49 years, female 47.7
GTEX-14PHW-0126-SM-6LLJI 60-69 years, female 47.6
GTEX-U8XE-0326-SM-3DB8P 30-39 years, male 47.6
GTEX-1QP66-1726-SM-E8VO1 50-59 years, male 47.6
GTEX-PLZ6-1426-SM-DKPOT 30-39 years, male 47.6
GTEX-13FTW-2626-SM-5K7WL 40-49 years, male 47.5
GTEX-RWSA-0126-SM-2XCBB 40-49 years, male 47.5
GTEX-TMZS-0126-SM-3DB9Q 60-69 years, male 47.5
GTEX-ZAB5-1826-SM-5HL7C 50-59 years, male 47.4
GTEX-11DXX-2426-SM-5GZZW 60-69 years, female 47.3
GTEX-R55G-2526-SM-2TC6D 40-49 years, female 47.3
GTEX-1R9PM-2026-SM-E76OY 20-29 years, male 47.3
GTEX-11DXY-2626-SM-5GIE7 60-69 years, male 47.1
GTEX-11UD2-0226-SM-5EQKY 50-59 years, male 47.1
GTEX-13PDP-0126-SM-5L3HD 60-69 years, male 47.1
GTEX-13FHO-0226-SM-5IFGY 60-69 years, male 46.9
GTEX-14DAQ-0126-SM-5S2MQ 60-69 years, female 46.9
GTEX-11LCK-1026-SM-5A5KB 30-39 years, male 46.8
GTEX-18A67-0126-SM-7LG5P 50-59 years, male 46.8
GTEX-1F7RK-0126-SM-7PC2S 20-29 years, female 46.8
GTEX-PX3G-0126-SM-2I3EN 20-29 years, female 46.7
GTEX-1GF9W-0326-SM-9KNUN 60-69 years, male 46.7
GTEX-13RTL-0126-SM-7LG5S 40-49 years, male 46.6
GTEX-15DCD-0126-SM-7KUEK 70-79 years, female 46.6
GTEX-1S83E-0126-SM-EWRO4 40-49 years, male 46.6
GTEX-ZQG8-1626-SM-DHXIT 60-69 years, female 46.6
GTEX-1192W-2626-SM-5Q5AF 60-69 years, male 46.5
GTEX-1H1DE-2126-SM-9WG6R 20-29 years, male 46.5
GTEX-1MCQQ-0826-SM-DLHC2 60-69 years, male 46.5
GTEX-ZC5H-0226-SM-4WAY9 40-49 years, female 46.4
GTEX-1E1VI-0126-SM-7DHMZ 50-59 years, male 46.3
GTEX-1H1DG-0126-SM-9WYU2 70-79 years, male 46.3
GTEX-O5YW-0126-SM-3LK6D 50-59 years, male 46.2
GTEX-11EI6-0126-SM-5985R 60-69 years, male 46.1
GTEX-1GZ2Q-0226-SM-7P8TL 40-49 years, male 46.1
GTEX-1HSKV-0226-SM-A9SKJ 60-69 years, male 46.1
GTEX-1ICLZ-0126-SM-CKZPO 60-69 years, male 46.1
GTEX-11EM3-2426-SM-59861 20-29 years, female 46.0
GTEX-131XE-2326-SM-5PNZ2 50-59 years, male 46.0
GTEX-1GMR8-0126-SM-9WYTM 50-59 years, female 45.9
GTEX-1O97I-0326-SM-EYYX7 60-69 years, male 45.9
GTEX-ZZPT-0226-SM-5E43X 50-59 years, male 45.8
GTEX-1KWVE-1426-SM-E9TJO 30-39 years, male 45.8
GTEX-1LGRB-2526-SM-CNPPQ 50-59 years, female 45.8
GTEX-1269C-2526-SM-5EGJ3 60-69 years, female 45.7
GTEX-132NY-0326-SM-5IJBL 60-69 years, male 45.7
GTEX-1J1R8-1726-SM-ARL8M 40-49 years, male 45.7
GTEX-1R7EU-0226-SM-EVR4G 60-69 years, male 45.7
GTEX-12ZZZ-0626-SM-5DUXI 60-69 years, male 45.6
GTEX-1GMR3-1926-SM-9KNUZ 40-49 years, male 45.6
GTEX-1C4CL-0526-SM-73KVK 30-39 years, male 45.5
GTEX-1C6VS-0526-SM-7DUEN 60-69 years, male 45.5
GTEX-XV7Q-2526-SM-4BRV9 40-49 years, female 45.5
GTEX-ZYW4-0126-SM-5E44A 60-69 years, male 45.5
GTEX-1HBPN-0226-SM-9YFM1 50-59 years, male 45.5
GTEX-13111-1626-SM-5EGJY 50-59 years, male 45.4
GTEX-139UW-2826-SM-5L3E7 60-69 years, male 45.4
GTEX-15EOM-0126-SM-7KUGG 20-29 years, female 45.4
GTEX-1PIIG-0226-SM-EWRN6 30-39 years, male 45.4
GTEX-1S82Y-2026-SM-EVYCM 40-49 years, male 45.4
GTEX-OOBJ-0126-SM-E6CJW 60-69 years, male 45.4
GTEX-13CF3-2426-SM-5IFGX 60-69 years, female 45.3
GTEX-1GMRU-0126-SM-9YFLV 50-59 years, male 45.3
GTEX-X261-0126-SM-3NMD6 50-59 years, male 45.2
GTEX-1I1GV-0526-SM-A9G29 60-69 years, male 45.2
GTEX-13IVO-0126-SM-5J1NG 70-79 years, male 45.0
GTEX-147F4-0226-SM-5QGPW 50-59 years, male 45.0
GTEX-14ICK-0226-SM-6EU25 40-49 years, male 45.0
GTEX-1H1ZS-0426-SM-9WG6G 70-79 years, male 45.0
GTEX-17KNJ-2326-SM-7DHLQ 50-59 years, male 44.9
GTEX-1J8QM-2126-SM-CYPSJ 60-69 years, female 44.9
GTEX-14LLW-0126-SM-6LLIO 70-79 years, female 44.8
GTEX-145MI-0526-SM-5O9A8 60-69 years, female 44.6
GTEX-X4XY-0226-SM-4E3IZ 60-69 years, male 44.6
GTEX-Z93T-0126-SM-5HL5N 50-59 years, male 44.6
GTEX-1AMEY-1326-SM-73KYK 30-39 years, female 44.5
GTEX-13NYC-0326-SM-E9J4S 60-69 years, male 44.5
GTEX-1JMQK-0226-SM-CL543 60-69 years, male 44.5
GTEX-XPVG-2626-SM-4B669 50-59 years, male 44.4
GTEX-XAJ8-0826-SM-47JY6 40-49 years, male 44.3
GTEX-1GPI6-0126-SM-9WG69 60-69 years, male 44.3
GTEX-1H11D-0226-SM-9WG6Z 40-49 years, male 44.3
GTEX-145MF-0626-SM-5LUAI 50-59 years, male 44.2
GTEX-Y8E4-0626-SM-4WWDL 40-49 years, male 44.2
GTEX-1PPH8-0226-SM-E8VND 20-29 years, male 44.2
GTEX-113IC-0126-SM-5HL6T 60-69 years, male 44.1
GTEX-13OW7-0126-SM-5MR3B 50-59 years, male 44.1
GTEX-1H23P-0126-SM-ADEJ3 60-69 years, male 44.1
GTEX-1JKYR-0126-SM-CNPOJ 20-29 years, male 44.1
GTEX-14BMV-0126-SM-5S2PO 50-59 years, male 44.0
GTEX-X4EO-0326-SM-3P5YO 60-69 years, female 44.0
GTEX-ZY6K-1826-SM-5GZXK 50-59 years, male 44.0
GTEX-1PWST-0226-SM-E76QJ 70-79 years, male 44.0
GTEX-11DYG-0126-SM-59883 60-69 years, male 43.9
GTEX-OIZG-0726-SM-33HBL 50-59 years, male 43.9
GTEX-1B933-0126-SM-7PC29 50-59 years, female 43.9
GTEX-13113-5016-SM-7EPIP 60-69 years, female 43.7
GTEX-131XF-5016-SM-7MGWE 60-69 years, male 43.7
GTEX-13FXS-0226-SM-5IJCK 50-59 years, male 43.6
GTEX-15ETS-0126-SM-7KUMW 40-49 years, female 43.6
GTEX-QDT8-0126-SM-48TZ1 30-39 years, female 43.6
GTEX-QEG4-0226-SM-2S1PY 30-39 years, male 43.6
GTEX-QV44-1926-SM-2S1RF 50-59 years, male 43.6
GTEX-WFON-2126-SM-3LK7O 40-49 years, male 43.6
GTEX-ZDTT-2726-SM-4WKF8 60-69 years, male 43.6
GTEX-1JMQJ-0526-SM-CYPSU 50-59 years, male 43.6
GTEX-1LGOU-2026-SM-DIPFF 20-29 years, female 43.6
GTEX-YFC4-0126-SM-5CVLY 40-49 years, female 43.5
GTEX-1EKGG-0226-SM-9WYTH 60-69 years, male 43.5
GTEX-1IL2U-0226-SM-CE6T8 60-69 years, male 43.4
GTEX-1GN1V-0126-SM-9WPOS 60-69 years, male 43.3
GTEX-12WSE-0526-SM-793B2 20-29 years, male 43.2
GTEX-P44H-0226-SM-2XCEU 40-49 years, male 43.2
GTEX-WQUQ-0426-SM-3MJFU 60-69 years, male 43.2
GTEX-ZQUD-1426-SM-57WER 30-39 years, male 43.1
GTEX-ZVTK-0426-SM-51MRS 20-29 years, male 43.1
GTEX-1OJC4-0126-SM-E9J2E 50-59 years, female 43.1
GTEX-18D9A-1926-SM-7LG6P 30-39 years, female 43.0
GTEX-XUW1-0426-SM-4BOOT 50-59 years, female 43.0
GTEX-1HCU7-0226-SM-CL545 50-59 years, male 43.0
GTEX-13OVK-2026-SM-7KUEO 40-49 years, male 42.9
GTEX-14BIL-0126-SM-5SI92 50-59 years, male 42.9
GTEX-QDVJ-1726-SM-2I5FX 50-59 years, male 42.9
GTEX-1GTWX-0126-SM-9YFLK 60-69 years, male 42.9
GTEX-ZF3C-0126-SM-DO92D 50-59 years, female 42.9
GTEX-1CAMR-1926-SM-7EPI2 20-29 years, male 42.7
GTEX-13OVJ-0126-SM-5KM36 50-59 years, female 42.6
GTEX-1C475-1826-SM-73KWA 40-49 years, female 42.6
GTEX-P4PP-0126-SM-3LK69 30-39 years, female 42.6
GTEX-Q2AH-1626-SM-3GAF8 40-49 years, male 42.6
GTEX-S7SE-0126-SM-2XCD5 50-59 years, male 42.6
GTEX-1ICG6-2526-SM-CGQFZ 70-79 years, female 42.6
GTEX-11ZTT-2426-SM-5EQLS 60-69 years, female 42.4
GTEX-U4B1-1826-SM-4DXSU 40-49 years, male 42.4
GTEX-1H3NZ-0126-SM-ACKX7 60-69 years, male 42.4
GTEX-1I1CD-0126-SM-CM2TK 60-69 years, female 42.4
GTEX-1K2DA-1826-SM-CGQGT 50-59 years, male 42.4
GTEX-1RDX4-0126-SM-E9J4P 50-59 years, female 42.4
GTEX-12C56-1726-SM-5EQ61 20-29 years, male 42.3
GTEX-1KANB-0526-SM-E6CJH 50-59 years, male 42.3
GTEX-1MA7W-2026-SM-E9TJ6 20-29 years, female 42.3
GTEX-148VI-1626-SM-5SI6E 60-69 years, female 42.2
GTEX-17HHE-2026-SM-79OKF 50-59 years, male 42.2
GTEX-17F97-0326-SM-7LG5B 50-59 years, male 42.1
GTEX-Q734-1926-SM-2I5EV 40-49 years, female 42.1
GTEX-YB5K-2126-SM-4WWDJ 40-49 years, female 42.1
GTEX-ZV68-0126-SM-59HKS 50-59 years, female 42.1
GTEX-ZVE2-0226-SM-59HJB 50-59 years, male 42.1
GTEX-1F88F-2726-SM-7PBZZ 60-69 years, female 42.1
GTEX-1H3VY-0126-SM-ACKXD 50-59 years, male 42.1
GTEX-1JKYN-1326-SM-CGQG9 30-39 years, male 42.1
GTEX-1R9PO-2126-SM-E9J4O 60-69 years, female 42.1
GTEX-1C64N-0126-SM-793D7 50-59 years, male 42.0
GTEX-WRHK-1426-SM-3MJF9 20-29 years, female 42.0
GTEX-ZYFC-0226-SM-5NQ75 50-59 years, male 42.0
GTEX-1B996-0226-SM-7RHGO 60-69 years, male 42.0
GTEX-147GR-0526-SM-5S2MY 60-69 years, male 41.9
GTEX-OHPL-0126-SM-2HMJ7 60-69 years, female 41.9
GTEX-1399R-2726-SM-5IJBA 30-39 years, male 41.8
GTEX-14753-0426-SM-5NQAM 60-69 years, male 41.8
GTEX-1EU9M-0226-SM-7P8SP 60-69 years, male 41.8
GTEX-1HB9E-0226-SM-E9U4R 50-59 years, male 41.8
GTEX-11P7K-2126-SM-5GU7G 30-39 years, male 41.7
GTEX-VJWN-0126-SM-3GIK7 50-59 years, female 41.7
GTEX-1IDFM-0126-SM-COH2V 60-69 years, male 41.7
GTEX-POMQ-2226-SM-2I5FK 20-29 years, female 41.6
GTEX-1IE54-0126-SM-CMKHW 40-49 years, female 41.6
GTEX-WFG8-2226-SM-3GIL9 20-29 years, male 41.5
GTEX-1HSMP-0126-SM-E6CJS 70-79 years, male 41.5
GTEX-11TT1-2526-SM-5EGIB 20-29 years, male 41.4
GTEX-11NUK-0126-SM-5A5L3 50-59 years, male 41.3
GTEX-17HGU-0226-SM-7DHKV 50-59 years, male 41.3
GTEX-1HGF4-2426-SM-ACKXM 60-69 years, male 41.3
GTEX-WY7C-2326-SM-3NB2U 50-59 years, male 41.2
GTEX-1GPI7-0126-SM-9MQL8 20-29 years, male 41.2
GTEX-1QP2A-0126-SM-E9J43 50-59 years, male 41.2
GTEX-13O3P-0126-SM-5KM4S 50-59 years, male 41.1
GTEX-X5EB-2226-SM-46MW4 40-49 years, male 41.0
GTEX-113JC-2326-SM-5EQ4E 50-59 years, female 40.9
GTEX-1GN1W-0526-SM-9MQJQ 50-59 years, female 40.9
GTEX-146FQ-0126-SM-5NQA9 30-39 years, male 40.8
GTEX-16GPK-0126-SM-7DHLE 60-69 years, male 40.7
GTEX-ZU9S-0226-SM-5E441 30-39 years, male 40.7
GTEX-1HBPH-0426-SM-B2LW5 40-49 years, female 40.7
GTEX-1QP9N-1426-SM-DTXFL 30-39 years, male 40.7
GTEX-TKQ1-1026-SM-4GICL 30-39 years, male 40.6
GTEX-UPJH-0326-SM-3GADU 50-59 years, male 40.6
GTEX-1JMPZ-0226-SM-CNPP1 30-39 years, male 40.6
GTEX-1C6VR-2426-SM-79OLD 60-69 years, male 40.5
GTEX-R3RS-0126-SM-3GIJL 40-49 years, female 40.5
GTEX-1OJC3-0126-SM-E76QX 20-29 years, male 40.5
GTEX-RUSQ-1526-SM-2TF62 50-59 years, male 40.4
GTEX-Y5LM-1926-SM-5RQJH 40-49 years, female 40.4
GTEX-1JN76-0126-SM-CNPPE 20-29 years, female 40.4
GTEX-13NYB-2526-SM-5K7Z6 40-49 years, male 40.3
GTEX-12WSD-0126-SM-59HKN 60-69 years, female 40.2
GTEX-XBED-2226-SM-47JYQ 60-69 years, male 40.2
GTEX-PWCY-1826-SM-DHXIZ 20-29 years, female 40.2
GTEX-SNMC-1226-SM-2XCFP 20-29 years, male 40.1
GTEX-1JJEA-0326-SM-CNPOT 60-69 years, male 40.1
GTEX-1N2EF-0226-SM-EYYXB 60-69 years, male 40.1
GTEX-183WM-0126-SM-7LTAB 70-79 years, female 40.0
GTEX-P4PQ-0126-SM-2S1NM 60-69 years, male 40.0
GTEX-XQ3S-1526-SM-4BOOC 20-29 years, male 40.0
GTEX-13N11-2526-SM-5K7UE 50-59 years, female 39.8
GTEX-17GQL-2026-SM-718BA 60-69 years, male 39.8
GTEX-QLQ7-1626-SM-2S1R8 60-69 years, male 39.8
GTEX-S95S-1226-SM-4GICG 60-69 years, male 39.8
GTEX-14E6D-0126-SM-62LDV 50-59 years, male 39.7
GTEX-1NV5F-0226-SM-E8VNY 60-69 years, female 39.7
GTEX-1JK1U-2026-SM-CM2RZ 60-69 years, male 39.6
GTEX-1M4P7-0226-SM-DIPEV 60-69 years, male 39.6
GTEX-ZDXO-3026-SM-5J1N5 60-69 years, male 39.5
GTEX-1KD5A-0226-SM-D5OV3 50-59 years, male 39.5
GTEX-Y111-0126-SM-4SOIV 50-59 years, male 39.2
GTEX-1F6RS-0126-SM-9MQKZ 60-69 years, female 39.2
GTEX-13W46-0226-SM-5SIAG 50-59 years, male 39.1
GTEX-XBEW-0626-SM-4QASP 40-49 years, male 39.1
GTEX-1HUB1-0426-SM-E9U4U 60-69 years, male 39.0
GTEX-11ZTS-0126-SM-5EQ6M 60-69 years, female 38.9
GTEX-145MN-2226-SM-5SIAU 30-39 years, male 38.9
GTEX-16XZY-2126-SM-79OK1 70-79 years, male 38.9
GTEX-1B8SG-0126-SM-73KZ3 50-59 years, male 38.9
GTEX-148VJ-0126-SM-5TDDN 70-79 years, male 38.8
GTEX-15SDE-2226-SM-7IGLO 50-59 years, female 38.8
GTEX-1I1GU-2226-SM-CGQFA 40-49 years, male 38.8
GTEX-1IL2V-0126-SM-CM2TX 70-79 years, male 38.8
GTEX-12696-2426-SM-5EQ6H 60-69 years, male 38.7
GTEX-13QJ3-0326-SM-5S2RA 50-59 years, male 38.7
GTEX-ZVZO-0126-SM-5A5L9 40-49 years, male 38.7
GTEX-1J8Q3-1626-SM-CMKGC 60-69 years, male 38.7
GTEX-1CB4E-2226-SM-793DC 60-69 years, male 38.6
GTEX-14JIY-0126-SM-6LLH6 60-69 years, male 38.5
GTEX-NFK9-0226-SM-2HMKQ 40-49 years, male 38.5
GTEX-15D1Q-0126-SM-7KUG6 40-49 years, male 38.4
GTEX-RWS6-2026-SM-2XCB5 60-69 years, female 38.4
GTEX-T5JC-0426-SM-32PLO 20-29 years, male 38.4
GTEX-1CB4F-0426-SM-9KNV4 60-69 years, male 38.4
GTEX-1A3MW-0126-SM-73KXX 60-69 years, female 38.2
GTEX-11DZ1-0126-SM-5985Q 50-59 years, male 38.1
GTEX-15UF6-0826-SM-6PALJ 70-79 years, female 38.1
GTEX-1B8KE-2126-SM-73KYX 50-59 years, male 38.1
GTEX-1HSGN-0226-SM-CGQFV 40-49 years, female 38.1
GTEX-WH7G-2326-SM-3NMBC 40-49 years, male 38.0
GTEX-13O1R-0126-SM-5L3EH 60-69 years, male 37.9
GTEX-1LNCM-1126-SM-E9U5E 50-59 years, female 37.9
GTEX-1M5QR-1226-SM-EWROB 40-49 years, male 37.9
GTEX-1QEPI-0126-SM-EWRMQ 60-69 years, female 37.9
GTEX-1OFPY-2426-SM-DTXEJ 60-69 years, male 37.8
GTEX-1QMI2-0226-SM-EVYBX 60-69 years, male 37.8
GTEX-17HG3-2226-SM-7938L 30-39 years, female 37.7
GTEX-O5YT-0126-SM-48TBW 20-29 years, male 37.7
GTEX-XUYS-0126-SM-47JWZ 50-59 years, male 37.7
GTEX-11ZUS-0626-SM-59885 30-39 years, male 37.6
GTEX-13X6J-0126-SM-5QGOU 50-59 years, male 37.6
GTEX-WVJS-0126-SM-4MVOT 50-59 years, male 37.5
GTEX-1QCLY-0326-SM-E8VOG 30-39 years, male 37.5
GTEX-11GSP-2526-SM-5N9BP 60-69 years, female 37.4
GTEX-14BMU-2226-SM-5TDE9 20-29 years, female 37.4
GTEX-1A32A-0126-SM-718B1 50-59 years, female 37.4
GTEX-OIZH-0126-SM-2HMIS 50-59 years, male 37.4
GTEX-ZE9C-2726-SM-57WB5 60-69 years, male 37.4
GTEX-13N2G-2626-SM-5J1OT 60-69 years, male 37.3
GTEX-13SLX-0526-SM-5S2ON 50-59 years, female 37.3
GTEX-145LU-0126-SM-5TDCB 50-59 years, male 37.3
GTEX-14BIN-0626-SM-793DP 50-59 years, female 37.3
GTEX-OXRK-0226-SM-3NB2G 50-59 years, female 37.3
GTEX-18QFQ-0126-SM-731BE 30-39 years, male 37.2
GTEX-ZF29-2326-SM-DO92K 60-69 years, female 37.2
GTEX-13112-2826-SM-5DUWH 50-59 years, male 37.1
GTEX-14PII-0226-SM-6EU1T 60-69 years, male 37.1
GTEX-ZDYS-2026-SM-5HL5L 50-59 years, male 37.1
GTEX-1S5ZA-0126-SM-EVYCV 20-29 years, male 37.1
GTEX-1192X-0226-SM-5H12D 50-59 years, male 37.0
GTEX-15SHU-0126-SM-7KUEH 40-49 years, female 37.0
GTEX-S32W-2126-SM-2XCB1 50-59 years, female 37.0
GTEX-1C64O-0126-SM-7SB8P 60-69 years, male 37.0
GTEX-1F6IF-0726-SM-7P8TW 60-69 years, male 37.0
GTEX-1HT8W-0126-SM-CNPPP 30-39 years, male 36.9
GTEX-RNOR-0126-SM-E9J4R 50-59 years, female 36.9
GTEX-S33H-1026-SM-EZ6L6 30-39 years, male 36.8
GTEX-12WSN-5019-SM-79OM6 40-49 years, male 36.7
GTEX-U3ZH-2026-SM-3DB78 30-39 years, male 36.7
GTEX-1F75I-0326-SM-9YFLU 40-49 years, male 36.6
GTEX-14A5I-0126-SM-5TDEA 50-59 years, female 36.5
GTEX-T6MN-0126-SM-32PLP 50-59 years, male 36.5
GTEX-1BAJH-0526-SM-793CQ 70-79 years, male 36.4
GTEX-RU72-0926-SM-2TF6B 50-59 years, female 36.4
GTEX-TML8-1926-SM-32QOS 40-49 years, female 36.4
GTEX-1LC47-0326-SM-E9TJP 60-69 years, male 36.4
GTEX-1A3MX-0126-SM-731BR 60-69 years, male 36.3
GTEX-11TUW-2726-SM-E9J4M 60-69 years, male 36.3
GTEX-1I19N-0326-SM-ACKVX 70-79 years, male 36.3
GTEX-13VXU-0126-SM-5SI9F 50-59 years, male 36.2
GTEX-145LV-2126-SM-5LU8N 50-59 years, male 36.2
GTEX-17EVQ-0226-SM-7LG4P 70-79 years, male 36.2
GTEX-XQ8I-0426-SM-4BOPO 50-59 years, male 36.2
GTEX-1HR98-0126-SM-B2LWI 60-69 years, male 36.2
GTEX-1RB15-2126-SM-E9TIM 60-69 years, male 36.2
GTEX-YJ8A-0426-SM-5IFID 20-29 years, male 36.1
GTEX-Z9EW-1626-SM-5CVMN 40-49 years, male 36.1
GTEX-1I1GR-0126-SM-CL55F 60-69 years, male 36.1
GTEX-145LT-1726-SM-5QGP3 40-49 years, male 36.0
GTEX-T8EM-1026-SM-3DB7M 40-49 years, male 35.9
GTEX-1JMOU-1526-SM-CL54I 60-69 years, female 35.9
GTEX-11ZVC-2526-SM-5FQTE 50-59 years, female 35.8
GTEX-QCQG-1726-SM-3GIJ9 50-59 years, female 35.8
GTEX-1EX96-1626-SM-7PBXR 50-59 years, male 35.8
GTEX-18A66-0226-SM-718BD 60-69 years, male 35.7
GTEX-OXRO-0126-SM-2YUN4 60-69 years, female 35.6
GTEX-U8T8-0126-SM-3DB94 60-69 years, male 35.6
GTEX-1H3O1-0426-SM-9YFKY 60-69 years, male 35.6
GTEX-11P81-2326-SM-59875 30-39 years, female 35.5
GTEX-NPJ8-0126-SM-2YUNR 40-49 years, male 35.5
GTEX-1PDJ9-0326-SM-DTX95 20-29 years, male 35.4
GTEX-139TT-0126-SM-5K7Y5 60-69 years, male 35.3
GTEX-13U4I-0126-SM-5LU38 40-49 years, female 35.3
GTEX-Y3I4-2126-SM-4TT7C 50-59 years, male 35.2
GTEX-1HSMO-0126-SM-CL547 60-69 years, male 35.2
GTEX-13OW6-0426-SM-5L3HM 50-59 years, male 35.0
GTEX-13RTK-1426-SM-5QGQJ 20-29 years, male 35.0
GTEX-16XZZ-0126-SM-793DV 60-69 years, male 35.0
GTEX-1AX9J-0226-SM-73KXM 60-69 years, male 35.0
GTEX-X585-0226-SM-4QAS2 50-59 years, male 35.0
GTEX-ZYT6-0226-SM-5NQ6T 30-39 years, male 35.0
GTEX-1IKJJ-0126-SM-CNPQB 60-69 years, male 35.0
GTEX-11O72-0126-SM-59887 40-49 years, male 34.9
GTEX-14DAR-2026-SM-5S2O3 50-59 years, male 34.9
GTEX-14PN4-0126-SM-6EU2V 50-59 years, male 34.9
GTEX-RM2N-1426-SM-2TF4H 50-59 years, male 34.9
GTEX-139T8-0126-SM-5K7XZ 60-69 years, male 34.8
GTEX-1CB4J-0626-SM-7DHMP 60-69 years, male 34.8
GTEX-ZDTS-0126-SM-4WAY5 60-69 years, male 34.8
GTEX-ZE7O-0126-SM-57WC1 50-59 years, female 34.8
GTEX-1N2DW-0226-SM-E9TK2 50-59 years, male 34.8
GTEX-ZTPG-0326-SM-5O9AX 20-29 years, female 34.7
GTEX-1C6WA-0126-SM-7PC2B 60-69 years, male 34.7
GTEX-ZVT4-0126-SM-DTXFN 50-59 years, female 34.7
GTEX-14BIM-0226-SM-7IGLD 60-69 years, female 34.6
GTEX-ZAK1-0126-SM-5IJD3 50-59 years, female 34.6
GTEX-117YX-2326-SM-5H12W 50-59 years, male 34.5
GTEX-11XUK-2026-SM-5EQLF 40-49 years, female 34.5
GTEX-144FL-0126-SM-5TDC8 50-59 years, male 34.5
GTEX-15ER7-0326-SM-7KUEV 20-29 years, female 34.5
GTEX-1F5PK-2426-SM-7RHHY 50-59 years, male 34.5
GTEX-15EU6-0426-SM-6PAN5 50-59 years, male 34.4
GTEX-OOBK-0126-SM-2YUND 40-49 years, male 34.4
GTEX-1F75B-0126-SM-9KNVL 50-59 years, male 34.4
GTEX-1IOXB-0126-SM-ARL8G 50-59 years, male 34.4
GTEX-17HII-0226-SM-7LG4E 50-59 years, male 34.3
GTEX-X62O-0126-SM-4E3JN 50-59 years, male 34.3
GTEX-1JMQI-2226-SM-CM2SD 50-59 years, male 34.3
GTEX-X88G-0126-SM-47JZ3 30-39 years, male 34.2
GTEX-17EUY-0426-SM-793BD 20-29 years, male 34.1
GTEX-1MA7X-2226-SM-E6CIY 60-69 years, male 34.1
GTEX-1POEN-0126-SM-EYYXJ 30-39 years, female 34.1
GTEX-131XW-0426-SM-5LZWP 50-59 years, female 34.0
GTEX-1F52S-0126-SM-9MQJU 60-69 years, female 34.0
GTEX-11H98-0126-SM-5EGHG 50-59 years, male 33.9
GTEX-11P82-1626-SM-59879 20-29 years, male 33.9
GTEX-1J8JJ-0226-SM-CL53I 60-69 years, female 33.9
GTEX-1PPH7-2326-SM-EVYB8 40-49 years, male 33.9
GTEX-X638-0126-SM-47JZ8 70-79 years, female 33.8
GTEX-131XG-2626-SM-5KM17 50-59 years, female 33.7
GTEX-1B8KZ-2026-SM-7DHMB 50-59 years, male 33.7
GTEX-ZZ64-1726-SM-5GZYB 20-29 years, male 33.6
GTEX-18465-0126-SM-731BN 50-59 years, male 33.5
GTEX-ZF2S-2326-SM-4WWCE 50-59 years, female 33.5
GTEX-13OW5-0126-SM-DTXFS 60-69 years, male 33.4
GTEX-SSA3-0126-SM-32QPU 60-69 years, male 33.3
GTEX-17JCI-0126-SM-7LG5G 60-69 years, female 33.2
GTEX-1KANC-1526-SM-D3LAB 50-59 years, female 33.2
GTEX-1MGNQ-0126-SM-EVYCJ 40-49 years, male 33.2
GTEX-1GZ4H-1726-SM-7PBZJ 50-59 years, female 33.1
GTEX-PVOW-0126-SM-2XCFA 40-49 years, male 33.0
GTEX-1IKK5-0626-SM-ARL8A 60-69 years, male 33.0
GTEX-12WSL-2526-SM-5GCNJ 50-59 years, male 32.9
GTEX-131XH-2226-SM-5DUXJ 50-59 years, male 32.8
GTEX-15UKP-0426-SM-7KUFQ 20-29 years, male 32.8
GTEX-1GN73-0226-SM-9WG67 60-69 years, male 32.8
GTEX-1CAMS-0426-SM-7P8T2 40-49 years, female 32.7
GTEX-11GS4-2726-SM-5A5LE 60-69 years, male 32.6
GTEX-14PN3-2426-SM-6LLHS 60-69 years, female 32.6
GTEX-18D9B-0526-SM-7LTAS 60-69 years, male 32.6
GTEX-1B97I-1626-SM-73KYO 40-49 years, male 32.6
GTEX-1J8EW-0126-SM-CJI4F 60-69 years, female 32.6
GTEX-13X6H-2126-SM-7EWD5 50-59 years, female 32.5
GTEX-18A7B-0126-SM-7LG64 70-79 years, male 32.5
GTEX-1I6K6-0126-SM-A9SLE 30-39 years, male 32.5
GTEX-1QW4Y-1526-SM-EAZ3Z 30-39 years, male 32.5
GTEX-117YW-2626-SM-5GZZH 50-59 years, male 32.4
GTEX-13NYS-0126-SM-5MR3W 60-69 years, male 32.2
GTEX-1GN1U-0126-SM-7PBZK 50-59 years, female 32.1
GTEX-OIZF-0126-SM-7SB8I 60-69 years, male 32.1
GTEX-ZTX8-1426-SM-5DUVO 20-29 years, male 32.0
GTEX-1N2DV-0226-SM-E6CJ6 40-49 years, male 32.0
GTEX-139TS-2826-SM-5J1OO 60-69 years, male 31.8
GTEX-15DYW-0126-SM-7KULE 60-69 years, female 31.8
GTEX-1IY9M-0126-SM-D3L8S 60-69 years, male 31.8
GTEX-14PHX-2326-SM-62LEM 50-59 years, male 31.7
GTEX-1IDJF-0126-SM-CM2RS 20-29 years, male 31.7
GTEX-Q2AI-1326-SM-2S1PL 40-49 years, male 31.6
GTEX-1C2JI-1826-SM-73KXC 50-59 years, male 31.5
GTEX-OXRP-0126-SM-3NB32 60-69 years, female 31.5
GTEX-1I4MK-2226-SM-ACKWD 50-59 years, female 31.5
GTEX-13D11-2426-SM-5KM1V 50-59 years, female 31.4
GTEX-S7PM-0126-SM-4AD6S 60-69 years, male 31.4
GTEX-1CAV2-2226-SM-7P8P2 40-49 years, female 31.4
GTEX-Y5V5-2326-SM-4V6GA 60-69 years, female 31.3
GTEX-1F75A-0126-SM-7RHGM 50-59 years, male 31.3
GTEX-11DXZ-2326-SM-5EGGV 50-59 years, male 31.2
GTEX-ZVT3-0126-SM-5GU6I 60-69 years, female 31.1
GTEX-13PVR-2326-SM-5QGR1 60-69 years, female 31.0
GTEX-146FH-0126-SM-5QGPP 50-59 years, female 30.9
GTEX-1GF9X-2026-SM-7PC3A 40-49 years, female 30.8
GTEX-1HBPI-1526-SM-C1YQ1 50-59 years, male 30.8
GTEX-RN64-0126-SM-2TC68 50-59 years, male 30.7
GTEX-W5WG-1826-SM-4KL2Y 50-59 years, female 30.6
GTEX-1H1E6-1726-SM-ACKVK 30-39 years, male 30.6
GTEX-1H2FU-0126-SM-9WYSI 60-69 years, female 30.6
GTEX-13OVL-0226-SM-5L3E9 50-59 years, male 30.5
GTEX-17F98-0626-SM-79OMX 40-49 years, female 30.5
GTEX-1RLM8-2326-SM-EWRN4 50-59 years, male 30.5
GTEX-11OF3-2626-SM-5GU7F 60-69 years, male 30.4
GTEX-183FY-0126-SM-7LT9P 20-29 years, male 30.4
GTEX-1A3MV-1926-SM-718BT 30-39 years, male 30.4
GTEX-XYKS-2126-SM-4E3IB 60-69 years, female 30.4
GTEX-1R9K4-0126-SM-DTX9X 60-69 years, male 30.4
GTEX-12ZZY-0226-SM-5LZVE 60-69 years, male 30.3
GTEX-Y8DK-0126-SM-4TT3L 60-69 years, male 30.3
GTEX-146FR-1326-SM-E9J48 60-69 years, female 30.3
GTEX-1HCUA-2426-SM-ADEIS 50-59 years, female 30.3
GTEX-1C6VQ-0126-SM-7P8RI 50-59 years, male 30.2
GTEX-QESD-1426-SM-2S1R9 20-29 years, male 30.1
GTEX-QLQW-1126-SM-2S1Q8 30-39 years, male 30.1
GTEX-XMD2-0126-SM-4YCDU 60-69 years, female 30.1
GTEX-12126-0326-SM-5PNW3 20-29 years, male 30.0
GTEX-1B8SF-1426-SM-7DUGL 60-69 years, male 30.0
GTEX-ZPIC-1726-SM-DHXIU 40-49 years, female 30.0
GTEX-14PJ3-1826-SM-62LEX 50-59 years, male 29.9
GTEX-SJXC-0126-SM-2XCFF 60-69 years, male 29.9
GTEX-144GN-2326-SM-5LU4F 50-59 years, male 29.8
GTEX-14XAO-2326-SM-6EU1B 60-69 years, female 29.8
GTEX-12KS4-0326-SM-5EQ41 30-39 years, male 29.7
GTEX-1MUQO-0126-SM-EAZ58 60-69 years, male 29.7
GTEX-17HHY-0126-SM-7LG5D 50-59 years, male 29.6
GTEX-VJYA-1126-SM-3GIJU 60-69 years, male 29.5
GTEX-13FTX-1826-SM-5J1NX 20-29 years, female 29.3
GTEX-1313W-0126-SM-5LZUN 50-59 years, female 29.2
GTEX-1JN6P-0126-SM-D3L98 60-69 years, male 29.2
GTEX-1PIGE-0126-SM-EVYBJ 20-29 years, male 29.2
GTEX-12584-0126-SM-5EGKQ 40-49 years, male 29.0
GTEX-1AYCT-2426-SM-7IGQ3 50-59 years, male 28.8
GTEX-13YAN-0326-SM-5O9DF 60-69 years, male 28.7
GTEX-1AX8Z-0126-SM-7DHM6 60-69 years, male 28.6
GTEX-13OVI-1426-SM-5L3EY 60-69 years, female 28.5
GTEX-1NHNU-1026-SM-E9J2A 50-59 years, male 28.5
GTEX-14PJM-0226-SM-62LF1 50-59 years, female 28.3
GTEX-1H1CY-2826-SM-9MQM3 60-69 years, female 28.3
GTEX-131YS-0126-SM-5KM1M 60-69 years, female 28.2
GTEX-1F48J-0126-SM-7P8TT 50-59 years, female 28.1
GTEX-1399U-2326-SM-5K7WY 50-59 years, female 28.0
GTEX-13FHP-0126-SM-5IJBG 50-59 years, male 28.0
GTEX-1LBAC-0126-SM-DIPEZ 20-29 years, male 28.0
GTEX-14E6E-1826-SM-5S2R7 30-39 years, male 27.9
GTEX-18A6Q-0126-SM-731BZ 60-69 years, male 27.9
GTEX-1F6I4-0126-SM-9MQL2 60-69 years, male 27.8
GTEX-1H3VE-0326-SM-9YFLH 40-49 years, male 27.5
GTEX-15SB6-1726-SM-6PAME 50-59 years, female 27.2
GTEX-11UD1-0126-SM-5PNYG 40-49 years, female 27.1
GTEX-T2YK-0526-SM-32QPJ 50-59 years, male 27.1
GTEX-WXYG-2326-SM-4E3I6 50-59 years, female 27.1
GTEX-13CF2-2526-SM-5LZYX 60-69 years, male 27.0
GTEX-11WQC-2526-SM-5CVLE 60-69 years, male 26.7
GTEX-1QP67-1626-SM-EAZ3X 40-49 years, female 26.7
GTEX-139TU-0126-SM-5K7WH 60-69 years, male 26.6
GTEX-1HSMQ-1226-SM-CGQFX 50-59 years, male 26.6
GTEX-14ABY-0226-SM-5TDCQ 50-59 years, male 26.5
GTEX-18A7A-0226-SM-718BH 50-59 years, female 26.4
GTEX-1211K-2026-SM-5EQ4Z 60-69 years, female 26.2
GTEX-13G51-2526-SM-5LZYK 60-69 years, male 26.1
GTEX-Y3IK-2426-SM-4WWDU 50-59 years, female 26.1
GTEX-Y114-2426-SM-4TT8A 50-59 years, female 26.0
GTEX-1A8FM-0226-SM-7SB7Q 50-59 years, female 26.0
GTEX-ZYFD-0126-SM-5GIDL 50-59 years, male 25.9
GTEX-1EMGI-0126-SM-9KNUE 60-69 years, male 25.9
GTEX-1HFI6-0226-SM-ADEHZ 40-49 years, male 25.8
GTEX-15DDE-0126-SM-6LPKH 50-59 years, female 25.7
GTEX-1HCU6-0126-SM-CL54K 60-69 years, female 25.7
GTEX-13VXT-0126-SM-5LU4I 20-29 years, female 25.6
GTEX-1CB4G-0226-SM-7PC3O 60-69 years, male 25.5
GTEX-1EWIQ-0126-SM-7RHH2 70-79 years, female 25.3
GTEX-145MO-0326-SM-5Q5B3 60-69 years, male 25.2
GTEX-16AAH-1726-SM-7939C 50-59 years, male 25.1
GTEX-1AX9I-0126-SM-7SB74 60-69 years, male 25.0
GTEX-1497J-2426-SM-7IGNX 60-69 years, male 24.8
GTEX-1MJK2-0426-SM-DTXE5 50-59 years, male 24.8
GTEX-1KD4Q-0226-SM-E9TJ9 40-49 years, male 24.2
GTEX-12ZZX-0126-SM-5EGK9 40-49 years, female 24.1
GTEX-1AYD5-2426-SM-73KXR 50-59 years, male 24.1
GTEX-15G19-0126-SM-6PANQ 60-69 years, male 23.8
GTEX-W5X1-3026-SM-EAZAX 40-49 years, female 23.4
GTEX-1RAZQ-0726-SM-EAZ43 30-39 years, male 23.3
GTEX-15SHW-0326-SM-6PAML 60-69 years, male 22.8
GTEX-1B8L1-2526-SM-9WYTF 60-69 years, male 22.7
GTEX-SE5C-1626-SM-2XCE3 40-49 years, female 22.3
GTEX-1AX9K-2326-SM-73KWU 50-59 years, male 20.6
Show allShow less

Contact

  • NEWS ARTICLES
  • PRESS ROOM

The Project

  • INTRODUCTION
  • ORGANIZATION
  • PUBLICATIONS

The Human Protein Atlas

  • DOWNLOADABLE DATA
  • LICENCE & CITATION
  • HELP & FAQ
The Human Protein Atlas project is funded
by the Knut & Alice Wallenberg Foundation.


contact@proteinatlas.org