We use cookies to enhance the usability of our website. If you continue, we'll assume that you are happy to receive all cookies. More information. Don't show this again.
P4HB
HPA
RESOURCES
  • TISSUE
  • BRAIN
  • SINGLE CELL
  • SUBCELLULAR
  • CANCER
  • BLOOD
  • CELL LINE
  • STRUCTURE & INTERACTION
ABOUT
  • INTRODUCTION
  • HISTORY
  • ORGANIZATION
  • PUBLICATIONS
  • ANTIBODY SUBMISSION
  • ANTIBODY AVAILABILITY
  • ACKNOWLEDGMENTS
  • CONTACT
NEWS
  • NEWS ARTICLES
  • PRESS ROOM
LEARN
  • DICTIONARY
  • PROTEIN CLASSES
  • PROTEIN EVIDENCE
  • METHODS
  • EDUCATIONAL VIDEOS
DATA
  • DOWNLOADABLE DATA
  • PUBLICATION DATA
  • RELEASE HISTORY
HELP
  • ANTIBODY VALIDATION
  • ASSAYS & ANNOTATION
  • DISCLAIMER
  • HELP & FAQ
  • PRIVACY STATEMENT
  • LICENCE & CITATION
Fields »
Search result

Field
Term
Gene name
Class
Subclass
Class
Keyword
Chromosome
External id
Tissue
Cell type
Expression
Antibody panel
Tissue
Main location
Patient ID
Annotation
Tissue
Category
Tau score
Cluster
Reliability
Brain region
Category
Tau score
Brain region
Category
Tau score
Brain region
Category
Tau score
Cluster
Reliability
Tissue
Cell type
Enrichment
Cell type
Category
Tau score
Cell type
Category
Tau score
Cell type
Category
Tau score
Cell lineage
Category
Tau score
Cluster
Cluster
Location
Searches
Location
Cell line
Class
Type
Phase
Reliability
Cancer
Prognosis
Cancer
Category
Cancer
Category
Tau score
Cluster
Variants
Interacting gene (ensg_id)
Type
Number of interactions
Pathway
Category
Score
Score
Score
Validation
Validation
Validation
Validation
Antibodies
Data type
Column


  • SUMMARY

  • TISSUE

  • BRAIN

  • SINGLE CELL

  • SUBCELL

  • CANCER

  • BLOOD

  • CELL LINE

  • STRUCT & INT

  • P4HB
TISSUE PRIMARY DATA SPLEEN Show tissue menu
ADIPOSE TISSUE ADRENAL GLAND AMYGDALA APPENDIX BASAL GANGLIA BONE MARROW BREAST BRONCHUS CEREBELLUM CEREBRAL CORTEX CERVIX CHOROID PLEXUS COLON DUODENUM
ENDOMETRIUM EPIDIDYMIS ESOPHAGUS FALLOPIAN TUBE GALLBLADDER HEART MUSCLE HIPPOCAMPAL FORMATION HYPOTHALAMUS KIDNEY LIVER LUNG LYMPH NODE MIDBRAIN NASOPHARYNX
ORAL MUCOSA OVARY PANCREAS PARATHYROID GLAND PITUITARY GLAND PLACENTA PROSTATE RECTUM RETINA SALIVARY GLAND SEMINAL VESICLE SKELETAL MUSCLE SKIN SMALL INTESTINE
SMOOTH MUSCLE SOFT TISSUE SPINAL CORD SPLEEN STOMACH TESTIS THYMUS THYROID GLAND TONGUE TONSIL URINARY BLADDER VAGINA
ANTIBODIES
AND
VALIDATION
Dictionary
Spleen
Tissue proteome
Lymphoid tissue
SPLEEN - Expression summary
Protein expression
Spleeni

On the top, protein expression in current human tissue, based on all annotated cell types, is reported with the units not detected (n), low (l), medium (m) and high (h). Underneath, protein expression in each annotated cell type are reported using the same units.

Protein expression data is based on knowledge-based annotation. For genes where more than one antibody has been used, a collective score is set.

If knowledge-based annotation could not be performed for a gene, no data is displayed here. View antibody staining data further down this page.

h
m
l
n
Cells in red pulp: Low
Cells in white pulp: Not detected
RNA expressioni

A summary of mRNA expression data available for current tissue based on several datasets. The mRNA expression levels in human tissues are based on RNA-seq data generated by the Human Protein Atlas (HPA), Genotype-Tissue Expression (GTEx) portal and CAGE data generated by the FANTOM5 consortium. Consensus normalized expression levels for human tissues was created by combining the data from HPA and GTEx datasets.

The mRNA expression levels in pig are based on RNA-seq data generated by the Human Protein Atlas (HPA), and for mouse, HPA data and in situ hybridization generated by the Allen brain atlas are reported.

Scroll down to view mRNA expression data in more detail.
Consensus:418.3 nTPM
HPA:213.0 nTPM
GTEx:418.3 nTPM
FANTOM5:377.9 Scaled Tags Per Million

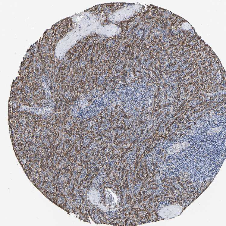
SPLEEN - Antibody stainingi

Antibody staining in the annotated cell types in the current human tissue is reported as not detected, low, medium, or high, based on conventional immunohistochemistry profiling in selected tissues. This score is based on the combination of the staining intensity and fraction of stained cells.

Each image is clickable and will lead to virtual microscopy that enables deeper exploration of all samples and also displays staining intensity scores, fraction scores and subcellular localization as well as patient and tissue information for each sample.

Antibody HPA018884Antibody CAB012463
Cells in red pulp MediumNot detected
Cells in white pulp Not detectedNot detected





SPLEEN - HPA RNA-seqi

The RNA-seq details section shows detailed information about the individual samples used for the transcript profiling and results of the RNA-seq analysis.

Information about each individual sample is listed below, including gender, age, a tissue section image and estimated fractions of cell types. nTPM (normalized transcripts per million) values give a quantification of the gene abundance which is comparable between different genes and samples.
Average nTPMi

Max subtype nTPM is the value for the subtype with the largest average nTPM across the subtype samples.

213.0
overview
Female, age 60
Spleen sample 236
nTPM: 205.5
Cell types%
Lymphocytes:
40

Macrophages:
30

Endothelial cells:
15

Fibroblasts:
5

Other cell types:
10

overview
Male, age 17
Spleen sample 237
nTPM: 217.1
Cell types%
Lymphocytes:
40

Macrophages:
35

Endothelial cells:
15

Fibroblasts:
5

Other cell types:
5

overview
Male, age 20
Spleen sample 238
nTPM: 232.6
Cell types%
Lymphocytes:
40

Macrophages:
30

Endothelial cells:
15

Fibroblasts:
5

Other cell types:
10

overview
Female, age 19
Spleen sample 239
nTPM: 257.1
Cell types%
Lymphocytes:
40

Macrophages:
30

Endothelial cells:
15

Fibroblasts:
10

Other cell types:
5

overview
Female, age 65
Spleen sample 378
nTPM: 152.5
Cell types%
Lymphocytes:
35

Macrophages:
30

Endothelial cells:
20

Fibroblasts:
10

Other cell types:
5


SPLEEN - GTEx RNA-seqi

RNA-Seq data generated by the Genotype-Tissue Expression (GTEx) project from human tissues is reported as mean nTPM. More information can be found on the GTEx portal.

Distribution across the dataset is visualized with box plots, shown as median and 25th and 75th percentiles. Points are displayed as outliers if they are above or below 1.5 times the interquartile range. nTPM values of the individual samples are presented next to the box plot.
Max subtype nTPMi

Max subtype nTPM is the value for the subtype with the largest average nTPM across the subtype samples.

418.3
GTEx sample id Sample description nTPM
Spleen
Average nTPM: 418.3
Samples: 241

Max nTPM: 758.1
Min nTPM: 230.6
Std nTPM: 100.2
Median nTPM: 399.2
GTEX-P4PQ-0926-SM-E9U4D 60-69 years, male 758.1
GTEX-RUSQ-0126-SM-47JWV 50-59 years, male 706.8
GTEX-Q734-0226-SM-48U1A 40-49 years, female 703.0
GTEX-13OVK-0426-SM-7KFT8 40-49 years, male 696.9
GTEX-1QAET-2326-SM-EXOJ1 50-59 years, male 685.3
GTEX-1OFPY-0126-SM-EXOJ3 60-69 years, male 680.6
GTEX-15CHQ-1226-SM-6ETZL 60-69 years, male 673.0
GTEX-16XZY-0126-SM-7IGQ9 70-79 years, male 637.5
GTEX-PX3G-0926-SM-48U12 20-29 years, female 632.6
GTEX-1HCU7-1426-SM-CNNQK 50-59 years, male 632.6
GTEX-1QMI2-1526-SM-EXOJT 60-69 years, male 622.3
GTEX-ZTTD-1726-SM-57WEL 50-59 years, male 618.3
GTEX-17F97-1626-SM-72D6W 50-59 years, male 608.4
GTEX-Y3IK-0126-SM-4WWE9 50-59 years, female 603.6
GTEX-U3ZH-0126-SM-4DXUK 30-39 years, male 600.9
GTEX-1F5PL-2226-SM-7MKHE 40-49 years, female 599.7
GTEX-12WSN-0126-SM-5DUX5 40-49 years, male 593.6
GTEX-U3ZN-0126-SM-4DXUM 30-39 years, female 591.2
GTEX-1R9K4-1526-SM-DPRY5 60-69 years, male 582.9
GTEX-S3XE-0626-SM-4AD6B 50-59 years, male 571.8
GTEX-S4Z8-0226-SM-4AD5K 60-69 years, male 569.9
GTEX-QDT8-1526-SM-EXOHP 30-39 years, female 565.8
GTEX-1CB4F-0226-SM-7EPHS 60-69 years, male 554.7
GTEX-1FIGZ-0126-SM-7MKGZ 40-49 years, male 553.2
GTEX-T5JW-0126-SM-4DM6K 20-29 years, female 551.2
GTEX-POMQ-0126-SM-48TD6 20-29 years, female 550.8
GTEX-18A66-1826-SM-7KFSU 60-69 years, male 547.2
GTEX-P4QT-0926-SM-EZ6KQ 50-59 years, female 543.0
GTEX-1KANA-1226-SM-DHXKE 20-29 years, male 540.4
GTEX-1KD5A-1526-SM-D4P3W 50-59 years, male 540.0
GTEX-P78B-1226-SM-EZ6KP 40-49 years, female 536.0
GTEX-WY7C-0126-SM-4ONCO 50-59 years, male 533.7
GTEX-111CU-0426-SM-5GZY1 50-59 years, male 531.7
GTEX-12WSJ-0526-SM-5GCOZ 40-49 years, female 528.8
GTEX-1JMPZ-0926-SM-CXZJR 30-39 years, male 525.5
GTEX-1F5PK-0726-SM-7MGXN 50-59 years, male 524.7
GTEX-P4PP-0926-SM-48TBZ 30-39 years, female 521.4
GTEX-132QS-0226-SM-5IFFZ 60-69 years, male 520.8
GTEX-ZVZP-0726-SM-59HKA 50-59 years, male 519.0
GTEX-13X6H-0726-SM-5Q5BX 50-59 years, female 515.9
GTEX-QV31-0126-SM-447BP 30-39 years, male 515.4
GTEX-15DZA-0126-SM-6PAMV 30-39 years, female 512.9
GTEX-14PJ4-0526-SM-6871G 60-69 years, male 510.6
GTEX-QDVN-0526-SM-48TZ4 50-59 years, male 506.1
GTEX-17F98-0126-SM-7MGW3 40-49 years, female 501.3
GTEX-1PWST-1626-SM-EXOIU 70-79 years, male 497.6
GTEX-XV7Q-0126-SM-4BRVK 40-49 years, female 496.6
GTEX-14DAR-0326-SM-5S2PS 50-59 years, male 496.2
GTEX-1IDJC-0126-SM-C1YQC 50-59 years, male 492.8
GTEX-QMRM-0226-SM-CL55S 50-59 years, male 492.2
GTEX-15RIF-0526-SM-6LLI2 20-29 years, male 491.8
GTEX-1C6VQ-2126-SM-7IGNL 50-59 years, male 489.9
GTEX-ZYFG-0726-SM-5GIDX 60-69 years, female 487.1
GTEX-U4B1-0526-SM-4DXTK 40-49 years, male 484.7
GTEX-QCQG-0226-SM-48U28 50-59 years, female 484.1
GTEX-O5YT-0926-SM-48TDG 20-29 years, male 480.9
GTEX-X585-1826-SM-4QAS3 50-59 years, male 475.3
GTEX-145MN-0126-SM-5RQHY 30-39 years, male 475.0
GTEX-YB5E-0426-SM-5IFHR 40-49 years, male 475.0
GTEX-1JKYR-1126-SM-CGQGJ 20-29 years, male 474.8
GTEX-1JMQK-1126-SM-CXZJW 60-69 years, male 474.6
GTEX-12WSK-0126-SM-5GCO7 40-49 years, female 472.6
GTEX-169BO-0126-SM-79OLS 50-59 years, male 471.3
GTEX-14PJ6-0226-SM-6AJ9K 60-69 years, female 468.7
GTEX-131XG-0426-SM-5IFGD 50-59 years, female 468.6
GTEX-1R9JW-0126-SM-EAZ4P 30-39 years, female 468.2
GTEX-PW2O-0126-SM-48TC8 20-29 years, male 467.4
GTEX-QLQW-0126-SM-447BK 30-39 years, male 467.3
GTEX-PLZ6-0126-SM-48TC6 30-39 years, male 465.9
GTEX-ZEX8-0726-SM-4WKH8 50-59 years, male 463.3
GTEX-R55C-0126-SM-48FEQ 40-49 years, male 459.9
GTEX-146FQ-0626-SM-5LU9U 30-39 years, male 458.7
GTEX-WFON-0126-SM-4LVM9 40-49 years, male 455.0
GTEX-1QP2A-2526-SM-EXOJB 50-59 years, male 454.7
GTEX-1QP66-0126-SM-EAZ3N 50-59 years, male 451.5
GTEX-11EQ9-0426-SM-5A5JY 30-39 years, male 450.4
GTEX-QV44-0126-SM-CJI1X 50-59 years, male 449.4
GTEX-UJHI-0126-SM-4IHLP 50-59 years, female 448.9
GTEX-ZV6S-0826-SM-5NQ6Z 40-49 years, female 448.0
GTEX-1JK1U-0126-SM-C1YQY 60-69 years, male 447.8
GTEX-ZF2S-0326-SM-4WKGD 50-59 years, female 447.0
GTEX-15CHC-0726-SM-6AJ9D 60-69 years, female 445.6
GTEX-1C64O-1626-SM-731EN 60-69 years, male 444.3
GTEX-ZZPU-0126-SM-5E446 50-59 years, female 441.6
GTEX-17F96-1426-SM-7IGQA 70-79 years, male 441.4
GTEX-1C475-1126-SM-7MGY7 40-49 years, female 441.1
GTEX-1MUQO-1326-SM-EV7AE 60-69 years, male 439.2
GTEX-R55G-0226-SM-48FEI 40-49 years, female 438.5
GTEX-1IDJE-0126-SM-C1YQ6 50-59 years, female 438.3
GTEX-YB5K-1926-SM-4VDT4 40-49 years, female 436.6
GTEX-1399S-0226-SM-5IFFG 30-39 years, female 435.9
GTEX-15SDE-0126-SM-793BA 50-59 years, female 433.9
GTEX-1N2EF-1526-SM-EXOIY 60-69 years, male 431.1
GTEX-ZF29-0626-SM-4WKHD 60-69 years, female 429.1
GTEX-1A3MV-0126-SM-731FQ 30-39 years, male 427.6
GTEX-17HHE-0326-SM-793BH 50-59 years, male 426.7
GTEX-ZDTT-1026-SM-5KM19 60-69 years, male 425.5
GTEX-XXEK-0126-SM-4BRVU 50-59 years, male 424.9
GTEX-18A67-1526-SM-7LG6F 50-59 years, male 424.8
GTEX-YEC4-0126-SM-4W21T 40-49 years, male 424.6
GTEX-14PKU-0526-SM-6871A 40-49 years, female 423.5
GTEX-1B97J-1926-SM-7IGQB 50-59 years, female 423.4
GTEX-13111-0126-SM-5EGHO 50-59 years, male 421.4
GTEX-WXYG-0126-SM-4OND7 50-59 years, female 419.6
GTEX-13U4I-1626-SM-5IFFR 40-49 years, female 419.5
GTEX-1HCU9-0126-SM-9WG7M 20-29 years, male 419.2
GTEX-1R7EV-0126-SM-EAZ3O 40-49 years, male 417.0
GTEX-ZG7Y-2026-SM-DO91N 50-59 years, male 414.3
GTEX-15SB6-0126-SM-6LPJR 50-59 years, female 409.5
GTEX-11VI4-0126-SM-5GU6Z 40-49 years, female 409.2
GTEX-P4QS-0926-SM-48TBS 60-69 years, male 409.1
GTEX-1MCYP-0226-SM-EV7A3 20-29 years, female 409.0
GTEX-139YR-0426-SM-5IFFV 50-59 years, male 407.7
GTEX-13PVR-0326-SM-5RQJY 60-69 years, female 407.2
GTEX-1399R-0226-SM-5IJGG 30-39 years, male 405.3
GTEX-1R9K5-1126-SM-EAZ4G 50-59 years, male 405.2
GTEX-11P81-1326-SM-5GU5S 30-39 years, female 404.8
GTEX-147F3-0126-SM-5NQBJ 50-59 years, female 402.7
GTEX-1MCC2-0826-SM-EV7AM 30-39 years, female 401.7
GTEX-1RNTQ-1026-SM-EV7B4 20-29 years, female 401.7
GTEX-13PL7-1126-SM-5MR5O 60-69 years, female 399.2
GTEX-Y3I4-0126-SM-4TT26 50-59 years, male 399.1
GTEX-1AX9K-0226-SM-793CM 50-59 years, male 398.5
GTEX-1K2DA-0126-SM-CGQGV 50-59 years, male 397.6
GTEX-1H3O1-1126-SM-9WPO9 60-69 years, male 397.3
GTEX-13CF3-0226-SM-5J1NW 60-69 years, female 396.5
GTEX-OIZH-0926-SM-48TBR 50-59 years, male 396.1
GTEX-1AYD5-0226-SM-79ONV 50-59 years, male 396.0
GTEX-14BMU-0426-SM-73KYT 20-29 years, female 395.9
GTEX-X4LF-0226-SM-4QAS8 50-59 years, male 395.7
GTEX-16MT8-1826-SM-7EWE8 60-69 years, female 394.8
GTEX-11XUK-0426-SM-5EQML 40-49 years, female 394.7
GTEX-16MT9-1726-SM-6M47P 60-69 years, female 392.2
GTEX-YFCO-0926-SM-5LUA5 40-49 years, male 391.7
GTEX-ZLFU-0526-SM-4WWBN 40-49 years, male 390.8
GTEX-1RAZQ-0126-SM-EV7B1 30-39 years, male 390.4
GTEX-12BJ1-0726-SM-5EGGF 60-69 years, male 389.9
GTEX-13S86-0126-SM-5S2PI 40-49 years, male 389.5
GTEX-XMK1-0126-SM-4B65F 40-49 years, male 388.3
GTEX-1LNCM-0426-SM-DHXK6 50-59 years, female 386.9
GTEX-1MGNQ-1126-SM-EAZ4Y 40-49 years, male 386.8
GTEX-1QP29-0126-SM-EAZ3S 50-59 years, male 385.6
GTEX-13N11-0126-SM-5KM2Z 50-59 years, female 385.4
GTEX-14JG6-0226-SM-6872A 30-39 years, female 384.9
GTEX-111FC-1326-SM-5N9D9 60-69 years, male 382.5
GTEX-Y5V5-1126-SM-EVYAR 60-69 years, female 381.7
GTEX-144GN-2126-SM-5O99D 50-59 years, male 379.5
GTEX-XPVG-0626-SM-4B65B 50-59 years, male 379.4
GTEX-1LSNM-0126-SM-EAZ57 50-59 years, male 378.2
GTEX-Q2AH-0226-SM-48U1I 40-49 years, male 378.0
GTEX-XGQ4-0126-SM-4AT4H 50-59 years, male 376.2
GTEX-1LSVX-1426-SM-DHXJO 60-69 years, male 374.4
GTEX-1PDJ9-0226-SM-DPRYX 20-29 years, male 374.4
GTEX-15UF7-1926-SM-6LPJT 40-49 years, male 374.3
GTEX-1S831-0726-SM-EV79O 20-29 years, male 374.0
GTEX-15F5U-0126-SM-6LPKA 40-49 years, male 371.9
GTEX-11NSD-0426-SM-5N9CR 20-29 years, male 368.3
GTEX-15ER7-1526-SM-6LLHO 20-29 years, female 367.6
GTEX-1LVAN-1026-SM-CNNQZ 50-59 years, female 366.8
GTEX-15RJ7-0126-SM-6LPJN 40-49 years, male 366.5
GTEX-1PPH7-0126-SM-E6CPB 40-49 years, male 366.1
GTEX-14E6E-1226-SM-5S2R5 30-39 years, male 364.9
GTEX-VJYA-0126-SM-4KL1P 60-69 years, male 364.8
GTEX-1B8KZ-0226-SM-7EWF6 50-59 years, male 364.4
GTEX-1211K-0426-SM-5FQTP 60-69 years, female 364.0
GTEX-1C4CL-0626-SM-731DM 30-39 years, male 363.6
GTEX-17GQL-0126-SM-72D5Q 60-69 years, male 363.2
GTEX-ZPIC-0126-SM-DNZZ9 40-49 years, female 361.7
GTEX-14PK6-0526-SM-69LOF 70-79 years, female 361.0
GTEX-14PJ5-0326-SM-664OD 60-69 years, female 358.0
GTEX-117YX-2126-SM-5GIEL 50-59 years, male 356.1
GTEX-1122O-0526-SM-5N9DM 60-69 years, female 355.8
GTEX-Y8LW-0126-SM-4VBS1 50-59 years, female 354.9
GTEX-11LCK-0126-SM-5A5M5 30-39 years, male 354.8
GTEX-139T6-0226-SM-5IFGZ 50-59 years, male 353.6
GTEX-1L5NE-0926-SM-D4P3P 50-59 years, male 352.3
GTEX-1JMLX-1426-SM-CNNPO 50-59 years, male 351.3
GTEX-ZAB5-0526-SM-5CVMU 50-59 years, male 350.3
GTEX-13VXT-1326-SM-5LU3Y 20-29 years, female 348.0
GTEX-13FH7-1326-SM-5IFG8 50-59 years, female 347.1
GTEX-14ICL-0126-SM-664NG 30-39 years, male 346.9
GTEX-15RIG-0126-SM-6PAN4 40-49 years, male 346.5
GTEX-XQ8I-1726-SM-4BOQB 50-59 years, male 346.1
GTEX-12WSG-0926-SM-5EGIH 50-59 years, female 345.0
GTEX-ZPCL-0626-SM-DNZZ6 60-69 years, female 345.0
GTEX-ZVP2-0526-SM-51MSC 50-59 years, male 344.4
GTEX-14PN3-0226-SM-6871K 60-69 years, female 343.3
GTEX-QESD-0126-SM-EXOHG 20-29 years, male 341.5
GTEX-UPK5-1626-SM-4JBHI 40-49 years, male 340.4
GTEX-1MJK3-0126-SM-DPRYY 20-29 years, male 339.7
GTEX-1QCLY-0126-SM-DPRZV 30-39 years, male 339.3
GTEX-OIZF-0926-SM-7MKH7 60-69 years, male 337.1
GTEX-WHWD-0126-SM-4OORS 50-59 years, male 335.3
GTEX-15SHV-0126-SM-6LPIS 60-69 years, male 332.1
GTEX-1B97I-0126-SM-731DH 40-49 years, male 331.7
GTEX-W5WG-0626-SM-4SOID 50-59 years, female 327.2
GTEX-ZPU1-1026-SM-4YCEQ 40-49 years, male 326.6
GTEX-Z9EW-0726-SM-5HL9H 40-49 years, male 325.2
GTEX-NFK9-1426-SM-43ISG 40-49 years, male 325.1
GTEX-1F75I-0226-SM-7MKHQ 40-49 years, male 323.8
GTEX-1J8QM-0926-SM-C1YQ9 60-69 years, female 323.0
GTEX-15DYW-1426-SM-6LPIW 60-69 years, female 319.4
GTEX-1QW4Y-0126-SM-DPRZQ 30-39 years, male 317.9
GTEX-1PIIG-1226-SM-EXOIQ 30-39 years, male 317.3
GTEX-1QCLZ-1026-SM-E6CR1 60-69 years, female 315.2
GTEX-1LG7Z-0126-SM-EV79V 30-39 years, male 314.4
GTEX-1R9PM-0126-SM-DPRY6 20-29 years, male 313.7
GTEX-1RAZA-1026-SM-E6CQ9 20-29 years, male 313.1
GTEX-ZP4G-0326-SM-4YCEF 20-29 years, female 312.5
GTEX-17F9E-1126-SM-79OMO 50-59 years, male 309.3
GTEX-1RAZR-1626-SM-EAZ4V 40-49 years, male 308.3
GTEX-14E1K-0126-SM-664NL 50-59 years, male 307.9
GTEX-OOBJ-0926-SM-48TDO 60-69 years, male 307.8
GTEX-1KAFJ-1026-SM-D4P2Z 50-59 years, male 306.2
GTEX-1K9T9-0626-SM-CXZKY 50-59 years, female 305.6
GTEX-1JKYN-0326-SM-AHZ4D 30-39 years, male 299.9
GTEX-Y5LM-0326-SM-4VBRN 40-49 years, female 299.1
GTEX-146FR-1926-SM-5NQA6 60-69 years, female 298.6
GTEX-WYVS-0126-SM-4ONDH 40-49 years, female 296.8
GTEX-ZDYS-1026-SM-4WKHC 50-59 years, male 295.7
GTEX-X3Y1-0126-SM-4PQZA 40-49 years, male 294.4
GTEX-131XE-1126-SM-5EGHW 50-59 years, male 293.6
GTEX-12WSD-1726-SM-5GCN4 60-69 years, female 291.1
GTEX-Y114-0726-SM-4TT6U 50-59 years, female 291.0
GTEX-XAJ8-0126-SM-47JYG 40-49 years, male 290.9
GTEX-1R7EU-2026-SM-E9U63 60-69 years, male 289.2
GTEX-1CB4E-0126-SM-7DHMX 60-69 years, male 288.1
GTEX-WYJK-0726-SM-4ONC9 50-59 years, male 287.1
GTEX-11P7K-0426-SM-5BC5H 30-39 years, male 286.4
GTEX-1RMOY-0726-SM-EV79D 50-59 years, male 285.6
GTEX-1GZ4H-0126-SM-9JGGI 50-59 years, female 283.7
GTEX-1J8Q3-0126-SM-C1YSI 60-69 years, male 283.3
GTEX-1H3VY-1526-SM-9WG7S 50-59 years, male 272.6
GTEX-1HSMQ-0126-SM-D4P2I 50-59 years, male 267.4
GTEX-1LGRB-0126-SM-CNNR6 50-59 years, female 266.1
GTEX-ZLWG-0426-SM-4WWFA 50-59 years, female 260.4
GTEX-1AMFI-0926-SM-731E4 50-59 years, female 259.8
GTEX-15ETS-3126-SM-6LPKN 40-49 years, female 254.4
GTEX-11DXX-0726-SM-5H12X 60-69 years, female 251.2
GTEX-1CB4I-1426-SM-79OLZ 50-59 years, male 236.6
GTEX-1GF9U-0126-SM-AHZ4G 40-49 years, female 230.6
Show allShow less

SPLEEN - FANTOM5 CAGEi

RNA expression in human tissues obtained through Cap Analysis of Gene Expression (CAGE) generated by the FANTOM5 project are reported as Scaled Tags Per Million.

Max subtype Scaled Tags Per Millioni

Max subtype Scaled Tags Per Million is the value for the subtype with the largest average Scaled Tags Per Million across the subtype samples.

377.9
FANTOM5 sample id Sample description Scaled Tags Per Million
Spleen
Scaled Tags Per Million: 377.9
FF:10025-101D7 39,50,70 years, male 377.9

Contact

  • NEWS ARTICLES
  • PRESS ROOM

The Project

  • INTRODUCTION
  • ORGANIZATION
  • PUBLICATIONS

The Human Protein Atlas

  • DOWNLOADABLE DATA
  • LICENCE & CITATION
  • HELP & FAQ
The Human Protein Atlas project is funded
by the Knut & Alice Wallenberg Foundation.


contact@proteinatlas.org