We use cookies to enhance the usability of our website. If you continue, we'll assume that you are happy to receive all cookies. More information. Don't show this again.
BRWD1
HPA
RESOURCES
  • TISSUE
  • BRAIN
  • SINGLE CELL
  • SUBCELLULAR
  • CANCER
  • BLOOD
  • CELL LINE
  • STRUCTURE & INTERACTION
ABOUT
  • INTRODUCTION
  • HISTORY
  • ORGANIZATION
  • PUBLICATIONS
  • ANTIBODY SUBMISSION
  • ANTIBODY AVAILABILITY
  • ACKNOWLEDGMENTS
  • CONTACT
NEWS
  • NEWS ARTICLES
  • PRESS ROOM
LEARN
  • DICTIONARY
  • PROTEIN CLASSES
  • PROTEIN EVIDENCE
  • METHODS
  • EDUCATIONAL VIDEOS
DATA
  • DOWNLOADABLE DATA
  • PUBLICATION DATA
  • RELEASE HISTORY
HELP
  • ANTIBODY VALIDATION
  • ASSAYS & ANNOTATION
  • DISCLAIMER
  • HELP & FAQ
  • PRIVACY STATEMENT
  • LICENCE & CITATION
Fields »
Search result

Field
Term
Gene name
Class
Subclass
Class
Keyword
Chromosome
External id
Tissue
Cell type
Expression
Antibody panel
Tissue
Main location
Patient ID
Annotation
Tissue
Category
Tau score
Cluster
Reliability
Brain region
Category
Tau score
Brain region
Category
Tau score
Brain region
Category
Tau score
Cluster
Reliability
Tissue
Cell type
Enrichment
Cell type
Category
Tau score
Cell type
Category
Tau score
Cell type
Category
Tau score
Cell lineage
Category
Tau score
Cluster
Cluster
Location
Searches
Location
Cell line
Class
Type
Phase
Reliability
Cancer
Prognosis
Cancer
Category
Cancer
Category
Tau score
Cluster
Variants
Interacting gene (ensg_id)
Type
Number of interactions
Pathway
Category
Score
Score
Score
Validation
Validation
Validation
Validation
Antibodies
Data type
Column


  • SUMMARY

  • TISSUE

  • BRAIN

  • SINGLE CELL

  • SUBCELL

  • CANCER

  • BLOOD

  • CELL LINE

  • STRUCT & INT

  • BRWD1
TISSUE PRIMARY DATA ADIPOSE TISSUE Show tissue menu
ADIPOSE TISSUE ADRENAL GLAND AMYGDALA APPENDIX BASAL GANGLIA BONE MARROW BREAST BRONCHUS CEREBELLUM CEREBRAL CORTEX CERVIX CHOROID PLEXUS COLON DUODENUM
ENDOMETRIUM EPIDIDYMIS ESOPHAGUS FALLOPIAN TUBE GALLBLADDER HEART MUSCLE HIPPOCAMPAL FORMATION HYPOTHALAMUS KIDNEY LIVER LUNG LYMPH NODE MIDBRAIN NASOPHARYNX
ORAL MUCOSA OVARY PANCREAS PARATHYROID GLAND PITUITARY GLAND PLACENTA PROSTATE RECTUM RETINA SALIVARY GLAND SEMINAL VESICLE SKELETAL MUSCLE SKIN SMALL INTESTINE
SMOOTH MUSCLE SOFT TISSUE SPINAL CORD SPLEEN STOMACH TESTIS THYMUS THYROID GLAND TONGUE TONSIL URINARY BLADDER VAGINA
ANTIBODIES
AND
VALIDATION
Dictionary
Tissue proteome
Adipose tissue
ADIPOSE TISSUE - Expression summary
Protein expression
Adipose tissuei

On the top, protein expression in current human tissue, based on all annotated cell types, is reported with the units not detected (n), low (l), medium (m) and high (h). Underneath, protein expression in each annotated cell type are reported using the same units.

Protein expression data is based on knowledge-based annotation. For genes where more than one antibody has been used, a collective score is set.

If knowledge-based annotation could not be performed for a gene, no data is displayed here. View antibody staining data further down this page.

h
m
l
n
Adipocytes: Low
RNA expressioni

A summary of mRNA expression data available for current tissue based on several datasets. The mRNA expression levels in human tissues are based on RNA-seq data generated by the Human Protein Atlas (HPA), Genotype-Tissue Expression (GTEx) portal and CAGE data generated by the FANTOM5 consortium. Consensus normalized expression levels for human tissues was created by combining the data from HPA and GTEx datasets.

The mRNA expression levels in pig are based on RNA-seq data generated by the Human Protein Atlas (HPA), and for mouse, HPA data and in situ hybridization generated by the Allen brain atlas are reported.

Scroll down to view mRNA expression data in more detail.
Consensus:13.1 nTPM
HPA:13.1 nTPM
GTEx:12.6 nTPM
FANTOM5:36.8 Scaled Tags Per Million

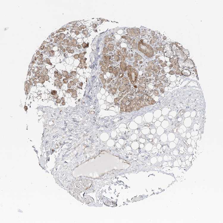
ADIPOSE TISSUE - Antibody stainingi

Antibody staining in the annotated cell types in the current human tissue is reported as not detected, low, medium, or high, based on conventional immunohistochemistry profiling in selected tissues. This score is based on the combination of the staining intensity and fraction of stained cells.

Each image is clickable and will lead to virtual microscopy that enables deeper exploration of all samples and also displays staining intensity scores, fraction scores and subcellular localization as well as patient and tissue information for each sample.

Antibody HPA030943Antibody HPA030944Antibody HPA030945Antibody CAB034184
Adipocytes Not detectedMediumNot detectedMedium




















ADIPOSE TISSUE - HPA RNA-seqi

The RNA-seq details section shows detailed information about the individual samples used for the transcript profiling and results of the RNA-seq analysis.

Information about each individual sample is listed below, including gender, age, a tissue section image and estimated fractions of cell types. nTPM (normalized transcripts per million) values give a quantification of the gene abundance which is comparable between different genes and samples.
Average nTPMi

Max subtype nTPM is the value for the subtype with the largest average nTPM across the subtype samples.

13.1
N/A
Female, age 80
Adipose tissue sample 86
nTPM: 12.5
Cell types%
Adipocytes:
95

Other cell types:
5

N/A
Female, age 45
Adipose tissue sample 115
nTPM: 17.5
N/A
Female, age 57
Adipose tissue sample 137
nTPM: 13.1
Cell types%
Adipocytes:
60

Fibroblasts:
20

Smooth muscle cells:
15

Other cell types:
5

overview
Female, age 74
Adipose tissue sample 329
nTPM: 9.8
Cell types%
Adipocytes:
50

Fibroblasts:
30

Smooth muscle cells:
15

Other cell types:
5

overview
Female, age 59
Adipose tissue sample 331
nTPM: 12.6
Cell types%
Adipocytes:
40

Fibroblasts:
40

Smooth muscle cells:
15

Other cell types:
5


ADIPOSE TISSUE - GTEx RNA-seqi

RNA-Seq data generated by the Genotype-Tissue Expression (GTEx) project from human tissues is reported as mean nTPM. More information can be found on the GTEx portal.

Distribution across the dataset is visualized with box plots, shown as median and 25th and 75th percentiles. Points are displayed as outliers if they are above or below 1.5 times the interquartile range. nTPM values of the individual samples are presented next to the box plot.
Max subtype nTPMi

Max subtype nTPM is the value for the subtype with the largest average nTPM across the subtype samples.

12.6
GTEx sample id Sample description nTPM
Adipose - Subcutaneous
Average nTPM: 12.6
Samples: 663

Max nTPM: 30.7
Min nTPM: 5.8
Std nTPM: 2.6
Median nTPM: 12.3
GTEX-OIZI-0226-SM-2XCEE 40-49 years, male 30.7
GTEX-14E6C-0226-SM-5S2N3 40-49 years, male 29.8
GTEX-1JMQL-0326-SM-CNPP6 50-59 years, female 25.3
GTEX-Y8LW-1926-SM-4WWFZ 50-59 years, female 24.0
GTEX-12696-2526-SM-5EQLN 60-69 years, male 22.1
GTEX-REY6-0326-SM-2TF5A 60-69 years, male 21.4
GTEX-S32W-2226-SM-2XCAY 50-59 years, female 21.4
GTEX-14H4A-1026-SM-62LDY 40-49 years, female 21.0
GTEX-1PWST-0326-SM-EAZ42 70-79 years, male 20.6
GTEX-PLZ6-1326-SM-3NB24 30-39 years, male 19.9
GTEX-1F88E-0526-SM-7SB8J 60-69 years, female 19.7
GTEX-1JN76-0226-SM-CMKGO 20-29 years, female 19.7
GTEX-WEY5-1926-SM-3GIL8 40-49 years, female 19.6
GTEX-OHPK-0226-SM-3MJH6 50-59 years, female 19.5
GTEX-ZPIC-1826-SM-57WFE 40-49 years, female 19.1
GTEX-16NGA-1826-SM-7LG5L 40-49 years, female 18.8
GTEX-117YX-2226-SM-5EGJJ 50-59 years, male 18.5
GTEX-13CF3-2326-SM-5IFGL 60-69 years, female 18.2
GTEX-P44G-2326-SM-2XCCZ 30-39 years, male 18.2
GTEX-11UD2-0126-SM-5EQL2 50-59 years, male 18.1
GTEX-P44H-0326-SM-2XCES 40-49 years, male 18.1
GTEX-YB5K-2226-SM-4WWG1 40-49 years, female 18.1
GTEX-14ICL-2026-SM-62LDN 30-39 years, male 18.0
GTEX-TSE9-0226-SM-3DB84 60-69 years, female 18.0
GTEX-1B996-0126-SM-7PBYF 60-69 years, male 18.0
GTEX-11TT1-2426-SM-5EQMK 20-29 years, male 17.8
GTEX-145MO-0426-SM-5QGP6 60-69 years, male 17.8
GTEX-1C6VS-0426-SM-79OJV 60-69 years, male 17.7
GTEX-SNMC-1326-SM-2XCFK 20-29 years, male 17.6
GTEX-ZDYS-2126-SM-5S2P2 50-59 years, male 17.6
GTEX-1CB4J-1126-SM-7PBY1 60-69 years, male 17.5
GTEX-QDT8-0226-SM-32PL4 30-39 years, female 17.4
GTEX-ZXES-2026-SM-5NQ6R 30-39 years, female 17.3
GTEX-14DAR-1926-SM-5S2NQ 50-59 years, male 17.2
GTEX-14BIL-0226-SM-5SI9E 50-59 years, male 17.0
GTEX-13PVQ-0226-SM-5SIBG 50-59 years, male 16.9
GTEX-16XZZ-0226-SM-7MGVJ 60-69 years, male 16.9
GTEX-VUSH-0226-SM-EXUQV 30-39 years, male 16.8
GTEX-17HII-0326-SM-7LG4X 50-59 years, male 16.7
GTEX-1LH75-2526-SM-E9U5A 50-59 years, female 16.7
GTEX-ZYW4-0226-SM-5E44M 60-69 years, male 16.6
GTEX-1CB4H-0326-SM-9WG5G 60-69 years, female 16.6
GTEX-1LGOU-2226-SM-E9U56 20-29 years, female 16.6
GTEX-16BQI-0526-SM-6PAM8 30-39 years, female 16.4
GTEX-1GMR2-2526-SM-9MQKW 50-59 years, male 16.4
GTEX-1I4MK-2026-SM-B2LVR 50-59 years, female 16.3
GTEX-1IDJF-0226-SM-CMKGE 20-29 years, male 16.3
GTEX-1JN6P-0226-SM-COH34 60-69 years, male 16.3
GTEX-1A3MW-0226-SM-7939O 60-69 years, female 16.2
GTEX-QV31-1326-SM-2S1QE 30-39 years, male 16.2
GTEX-1CAMQ-0126-SM-7SB7S 40-49 years, male 16.2
GTEX-148VI-1726-SM-5S2W9 60-69 years, female 16.1
GTEX-14C5O-0226-SM-5SI6O 60-69 years, male 16.1
GTEX-1JMQI-2026-SM-CMKGP 50-59 years, male 16.1
GTEX-17EVP-0426-SM-79OKG 40-49 years, male 16.0
GTEX-ZLFU-2626-SM-DO91L 40-49 years, male 16.0
GTEX-18D9A-2026-SM-718BL 30-39 years, female 15.9
GTEX-YEC4-2426-SM-57WFO 40-49 years, male 15.9
GTEX-11NUK-0326-SM-5HL5K 50-59 years, male 15.9
GTEX-11LCK-1126-SM-5A5KC 30-39 years, male 15.8
GTEX-13N1W-0226-SM-5K7W6 70-79 years, male 15.8
GTEX-T6MO-1726-SM-33HB8 40-49 years, female 15.8
GTEX-ZTX8-1526-SM-5N9GI 20-29 years, male 15.8
GTEX-RTLS-0226-SM-2TF5E 60-69 years, female 15.7
GTEX-11EM3-2326-SM-5H12B 20-29 years, female 15.6
GTEX-12C56-1626-SM-5FQUO 20-29 years, male 15.6
GTEX-OXRO-0226-SM-3LK6F 60-69 years, female 15.6
GTEX-1F5PK-2526-SM-9MQKN 50-59 years, male 15.6
GTEX-1A3MV-2126-SM-718BV 30-39 years, male 15.5
GTEX-1AYCT-2226-SM-7SB98 50-59 years, male 15.5
GTEX-1C6VQ-0226-SM-7P8S5 50-59 years, male 15.5
GTEX-1JN1M-0126-SM-D4P23 60-69 years, female 15.5
GTEX-1K2DA-2126-SM-CGQGL 50-59 years, male 15.5
GTEX-1N2EF-0626-SM-E9J32 60-69 years, male 15.5
GTEX-1AX9J-0326-SM-73KXY 60-69 years, male 15.4
GTEX-NFK9-0326-SM-3MJGV 40-49 years, male 15.4
GTEX-OXRL-0226-SM-3NB18 50-59 years, male 15.4
GTEX-12WSL-2426-SM-5GCN7 50-59 years, male 15.3
GTEX-14PHX-2426-SM-62LEN 50-59 years, male 15.3
GTEX-PWCY-1926-SM-3NB25 20-29 years, female 15.3
GTEX-S95S-1326-SM-2XCDK 60-69 years, male 15.3
GTEX-1JMPY-1426-SM-ARL8Z 30-39 years, male 15.3
GTEX-14PN3-2526-SM-6EU15 60-69 years, female 15.2
GTEX-15ER7-0426-SM-6PAM3 20-29 years, female 15.2
GTEX-Y9LG-2026-SM-62LFS 30-39 years, male 15.2
GTEX-1AX9I-0226-SM-7SB75 60-69 years, male 15.2
GTEX-1CB4F-0526-SM-9KNW2 60-69 years, male 15.2
GTEX-ZAJG-0226-SM-5HL81 50-59 years, female 15.1
GTEX-1EX96-1426-SM-7PBZ5 50-59 years, male 15.1
GTEX-14C39-2526-SM-5S2UH 40-49 years, male 15.0
GTEX-14PJ4-2226-SM-6LLIS 60-69 years, male 15.0
GTEX-1C475-1926-SM-7DUFV 40-49 years, female 15.0
GTEX-O5YT-0226-SM-32PK5 20-29 years, male 15.0
GTEX-SSA3-0226-SM-32QPN 60-69 years, male 15.0
GTEX-169BO-1426-SM-9MQJT 50-59 years, male 15.0
GTEX-1F52S-0226-SM-7SB7U 60-69 years, female 15.0
GTEX-147F3-0626-SM-5NQ9I 50-59 years, female 14.9
GTEX-1EU9M-0326-SM-7RHGF 60-69 years, male 14.9
GTEX-1QP67-1726-SM-E8VOP 40-49 years, female 14.9
GTEX-U3ZM-1026-SM-EZ6LD 40-49 years, male 14.9
GTEX-11H98-0226-SM-5NQ89 50-59 years, male 14.8
GTEX-1A3MX-0226-SM-731C4 60-69 years, male 14.8
GTEX-ZZ64-1626-SM-5E43W 20-29 years, male 14.8
GTEX-145LT-1826-SM-5QGP4 40-49 years, male 14.7
GTEX-X5EB-2426-SM-4E3HX 40-49 years, male 14.7
GTEX-X8HC-0226-SM-4E3K1 50-59 years, female 14.7
GTEX-XPVG-2726-SM-4B66W 50-59 years, male 14.7
GTEX-YJ8A-0526-SM-5IFHT 20-29 years, male 14.7
GTEX-ZF29-2226-SM-4WWB9 60-69 years, female 14.7
GTEX-1I19N-0426-SM-ACKVY 70-79 years, male 14.7
GTEX-1I6K7-0226-SM-CJI46 40-49 years, male 14.7
GTEX-1KANA-0826-SM-D3L9J 20-29 years, male 14.7
GTEX-WYJK-0226-SM-EYYV8 50-59 years, male 14.7
GTEX-TML8-2026-SM-32QOP 40-49 years, female 14.6
GTEX-145ME-1926-SM-5MR6T 40-49 years, female 14.6
GTEX-1CB4G-0326-SM-7SB8R 60-69 years, male 14.6
GTEX-1MCC2-2326-SM-E9U5G 30-39 years, female 14.6
GTEX-ZGAY-0626-SM-DO92E 40-49 years, female 14.6
GTEX-13X6K-0226-SM-5QGPB 60-69 years, female 14.5
GTEX-XUYS-0226-SM-47JX1 50-59 years, male 14.5
GTEX-14JG6-2326-SM-6LLH3 30-39 years, female 14.4
GTEX-1B8SG-0226-SM-7939Q 50-59 years, male 14.4
GTEX-RM2N-1726-SM-2TF55 50-59 years, male 14.4
GTEX-131XF-2226-SM-5EQKG 60-69 years, male 14.3
GTEX-132AR-0226-SM-5IJBE 50-59 years, female 14.3
GTEX-13O1R-0226-SM-5K7U5 60-69 years, male 14.3
GTEX-144FL-0226-SM-5Q5D4 50-59 years, male 14.3
GTEX-17HGU-0326-SM-7DUER 50-59 years, male 14.3
GTEX-Z93T-0226-SM-5HL5Z 50-59 years, male 14.3
GTEX-ZF28-0226-SM-5S2OE 60-69 years, male 14.3
GTEX-1GZ2Q-0326-SM-9WG6N 40-49 years, male 14.3
GTEX-1H1ZS-0526-SM-9WG5L 70-79 years, male 14.3
GTEX-11TUW-2626-SM-5EQKZ 60-69 years, male 14.2
GTEX-12KS4-0426-SM-5EQMC 30-39 years, male 14.2
GTEX-QDVN-2126-SM-33HBS 50-59 years, male 14.2
GTEX-1211K-2226-SM-5FQU6 60-69 years, female 14.1
GTEX-12WSM-0226-SM-5LZV6 60-69 years, male 14.1
GTEX-13JVG-0226-SM-5J1MW 60-69 years, male 14.1
GTEX-15DDE-0226-SM-6LLJ6 50-59 years, female 14.1
GTEX-P4QS-0226-SM-3NB1U 60-69 years, male 14.1
GTEX-PSDG-0326-SM-48TCP 50-59 years, male 14.1
GTEX-X4LF-1726-SM-3NMBZ 50-59 years, male 14.1
GTEX-ZVTK-0526-SM-5GZWT 20-29 years, male 14.1
GTEX-1H3O1-0526-SM-9MQLS 60-69 years, male 14.1
GTEX-1MGNQ-0226-SM-EVYCK 40-49 years, male 14.1
GTEX-13OVJ-0326-SM-5L3GL 50-59 years, female 14.0
GTEX-15ETS-0426-SM-6PANI 40-49 years, female 14.0
GTEX-1B8KE-2526-SM-73KYQ 50-59 years, male 14.0
GTEX-1EMGI-0226-SM-9MQL1 60-69 years, male 14.0
GTEX-1F88F-2626-SM-9WG5K 60-69 years, female 14.0
GTEX-1GN1W-0626-SM-9MQK3 50-59 years, female 14.0
GTEX-1GZ4I-0226-SM-7RHHO 50-59 years, male 14.0
GTEX-1HCU6-0226-SM-CGQES 60-69 years, female 14.0
GTEX-1IKK5-0526-SM-CMKGG 60-69 years, male 14.0
GTEX-1JJE9-1226-SM-CNPOI 70-79 years, male 14.0
GTEX-1LVAO-0226-SM-E9U6O 60-69 years, male 14.0
GTEX-1R46S-0526-SM-EVYBZ 60-69 years, female 14.0
GTEX-11XUK-2126-SM-5EQLR 40-49 years, female 13.9
GTEX-13OVI-1326-SM-5IJBO 60-69 years, female 13.9
GTEX-T8EM-1126-SM-3DB7D 40-49 years, male 13.9
GTEX-XUW1-0526-SM-4BOP3 50-59 years, female 13.9
GTEX-Y114-2326-SM-4TT7X 50-59 years, female 13.9
GTEX-1J1OQ-0326-SM-CYPTJ 40-49 years, female 13.9
GTEX-1J1R8-2226-SM-ARZMP 40-49 years, male 13.9
GTEX-WFG7-2526-SM-EWRM5 20-29 years, male 13.9
GTEX-13FHO-0326-SM-5IJBH 60-69 years, male 13.8
GTEX-14A5H-0526-SM-5TDCN 60-69 years, male 13.8
GTEX-14LLW-0226-SM-62LEL 70-79 years, female 13.8
GTEX-U3ZN-2626-SM-3DB7T 30-39 years, female 13.8
GTEX-WH7G-2226-SM-3NMBN 40-49 years, male 13.8
GTEX-1GN73-0326-SM-9KNTW 60-69 years, male 13.8
GTEX-WFG8-2326-SM-DIPDX 20-29 years, male 13.8
GTEX-11WQC-2426-SM-5EQKQ 60-69 years, male 13.7
GTEX-13D11-2326-SM-5IJCY 50-59 years, female 13.7
GTEX-14753-0326-SM-5QGQB 60-69 years, male 13.7
GTEX-17F9Y-0326-SM-7IGLS 70-79 years, female 13.7
GTEX-POYW-0726-SM-2XCEO 60-69 years, male 13.7
GTEX-ZE7O-0226-SM-5S2N1 50-59 years, female 13.7
GTEX-1E2YA-0226-SM-9MQLY 50-59 years, male 13.7
GTEX-1HGF4-2526-SM-ADEIZ 60-69 years, male 13.7
GTEX-1HSKV-0326-SM-ADEJC 60-69 years, male 13.7
GTEX-1I1GT-0526-SM-CGQEQ 60-69 years, female 13.7
GTEX-1KXAM-2326-SM-CYPTD 60-69 years, male 13.7
GTEX-1LGRB-2426-SM-CNPP3 50-59 years, female 13.7
GTEX-1C6WA-0226-SM-7IGPO 60-69 years, male 13.6
GTEX-PLZ5-1826-SM-3NB22 50-59 years, male 13.6
GTEX-RU72-1026-SM-46MUG 50-59 years, female 13.6
GTEX-12584-0226-SM-5EQL5 40-49 years, male 13.5
GTEX-13S7M-0226-SM-5S2UG 60-69 years, female 13.5
GTEX-QEG5-0326-SM-2S1PB 20-29 years, male 13.5
GTEX-QESD-1526-SM-2S1QT 20-29 years, male 13.5
GTEX-QLQ7-1526-SM-2S1QA 60-69 years, male 13.5
GTEX-TKQ1-1126-SM-4GIAZ 30-39 years, male 13.5
GTEX-X4XY-0326-SM-46MVZ 60-69 years, male 13.5
GTEX-1GPI7-0226-SM-9MQKB 20-29 years, male 13.5
GTEX-1QP6S-0126-SM-E9J4K 40-49 years, male 13.5
GTEX-1R7EU-0326-SM-EWRNJ 60-69 years, male 13.5
GTEX-11PRG-0626-SM-5BC56 50-59 years, male 13.4
GTEX-13FH7-2226-SM-5IJD4 50-59 years, female 13.4
GTEX-1C4CL-0426-SM-7939N 30-39 years, male 13.4
GTEX-OXRP-0226-SM-3NB14 60-69 years, female 13.4
GTEX-U8XE-0426-SM-3DB91 30-39 years, male 13.4
GTEX-ZT9X-1926-SM-57WE7 40-49 years, male 13.4
GTEX-ZV68-0226-SM-59HJF 50-59 years, female 13.4
GTEX-18QFQ-0226-SM-731BQ 30-39 years, male 13.4
GTEX-1H1E6-2026-SM-9KNVK 30-39 years, male 13.4
GTEX-1HFI7-2026-SM-CGQFR 50-59 years, female 13.4
GTEX-1JMQK-0126-SM-CM2S3 60-69 years, male 13.4
GTEX-1L5NE-2626-SM-E9U6P 50-59 years, male 13.4
GTEX-1S5ZU-0226-SM-E6CHW 20-29 years, female 13.4
GTEX-1117F-0226-SM-5GZZ7 60-69 years, female 13.3
GTEX-14ICK-0326-SM-6LLIZ 40-49 years, male 13.3
GTEX-16MT8-0526-SM-6PAM6 60-69 years, female 13.3
GTEX-T5JC-0526-SM-32PM7 20-29 years, male 13.3
GTEX-ZVT2-2226-SM-5NQ6P 50-59 years, female 13.3
GTEX-1CAMS-0326-SM-7PC35 40-49 years, female 13.3
GTEX-1F48J-0226-SM-7SB82 50-59 years, female 13.3
GTEX-1H1DF-0226-SM-ARL9A 40-49 years, female 13.3
GTEX-1H2FU-0226-SM-9YFKO 60-69 years, female 13.3
GTEX-1HCVE-0226-SM-CGQEV 50-59 years, male 13.3
GTEX-1J8Q3-1526-SM-CMKGB 60-69 years, male 13.3
GTEX-1PPH8-0626-SM-EWRN9 20-29 years, male 13.3
GTEX-111YS-2426-SM-5GZZQ 60-69 years, male 13.2
GTEX-139YR-2426-SM-5J1OB 50-59 years, male 13.2
GTEX-13NYS-0226-SM-5MR49 60-69 years, male 13.2
GTEX-13YAN-0426-SM-5O9DR 60-69 years, male 13.2
GTEX-16YQH-0226-SM-6PALD 30-39 years, male 13.2
GTEX-1BAJH-0426-SM-73KWY 70-79 years, male 13.2
GTEX-QEL4-0326-SM-3GAE5 50-59 years, male 13.2
GTEX-R55C-1626-SM-48FEG 40-49 years, male 13.2
GTEX-XBED-2326-SM-47JYR 60-69 years, male 13.2
GTEX-Y3IK-2526-SM-4WWDM 50-59 years, female 13.2
GTEX-ZE9C-2826-SM-5S2MO 60-69 years, male 13.2
GTEX-ZEX8-2326-SM-5S2MN 50-59 years, male 13.2
GTEX-ZYVF-0226-SM-5GIEG 50-59 years, female 13.2
GTEX-1CAMR-1826-SM-7MXUJ 20-29 years, male 13.2
GTEX-1JMLX-0126-SM-CMKG9 50-59 years, male 13.2
GTEX-1POEN-0226-SM-EYYXE 30-39 years, female 13.2
GTEX-131YS-0226-SM-5IJEH 60-69 years, female 13.1
GTEX-139TT-0226-SM-5K7YH 60-69 years, male 13.1
GTEX-13NZA-0126-SM-5K7UH 60-69 years, male 13.1
GTEX-13VXU-0226-SM-5SI9R 50-59 years, male 13.1
GTEX-14BMU-2126-SM-5S2TS 20-29 years, female 13.1
GTEX-1F75W-0226-SM-9JGGP 60-69 years, male 13.1
GTEX-1GF9V-0226-SM-9MQKA 60-69 years, male 13.1
GTEX-1HSMO-0226-SM-CGQEZ 60-69 years, male 13.1
GTEX-1MCYP-1826-SM-E9J2Q 20-29 years, female 13.1
GTEX-1PIIG-0326-SM-EVYBV 30-39 years, male 13.1
GTEX-1QCLY-0526-SM-EAZ47 30-39 years, male 13.1
GTEX-R3RS-0226-SM-EYYVE 40-49 years, female 13.1
GTEX-11ZTT-2526-SM-5EQM9 60-69 years, female 13.0
GTEX-14DAQ-0226-SM-664MQ 60-69 years, female 13.0
GTEX-16NPX-0326-SM-7EWDI 50-59 years, male 13.0
GTEX-17HG3-2326-SM-79OKH 30-39 years, female 13.0
GTEX-ZVE2-0326-SM-57WFC 50-59 years, male 13.0
GTEX-1H1CY-2626-SM-9MQKJ 60-69 years, female 13.0
GTEX-1IY9M-0226-SM-CMKHP 60-69 years, male 13.0
GTEX-13PVR-2426-SM-5RQHN 60-69 years, female 12.9
GTEX-18A66-0326-SM-718BE 60-69 years, male 12.9
GTEX-QCQG-1826-SM-2S1P2 50-59 years, female 12.9
GTEX-SUCS-1826-SM-32PM1 70-79 years, male 12.9
GTEX-ZUA1-0226-SM-5NQ9Q 40-49 years, male 12.9
GTEX-ZYFC-0326-SM-5NQ7H 50-59 years, male 12.9
GTEX-1A8FM-0126-SM-7SB7P 50-59 years, female 12.9
GTEX-1H4P4-0226-SM-9YFKT 50-59 years, male 12.9
GTEX-1I1GP-2326-SM-CGQFL 50-59 years, male 12.9
GTEX-1IGQW-0226-SM-COH43 60-69 years, male 12.9
GTEX-PWN1-0226-SM-DKPO9 40-49 years, female 12.9
GTEX-RNOR-0226-SM-EZ6MF 50-59 years, female 12.9
GTEX-11TTK-0226-SM-5N9EC 60-69 years, female 12.8
GTEX-131XE-2426-SM-5EQ5V 50-59 years, male 12.8
GTEX-13O61-2426-SM-5J1NV 60-69 years, male 12.8
GTEX-145LS-0226-SM-5O9A5 60-69 years, female 12.8
GTEX-15G19-0226-SM-6PAL2 60-69 years, male 12.8
GTEX-17EUY-0526-SM-7EWDE 20-29 years, male 12.8
GTEX-1B8KZ-1926-SM-7DUG8 50-59 years, male 12.8
GTEX-YJ89-0226-SM-4TT3Y 60-69 years, male 12.8
GTEX-ZF3C-0226-SM-4WWB3 50-59 years, female 12.8
GTEX-ZYFD-0226-SM-5NQ86 50-59 years, male 12.8
GTEX-P4PP-0226-SM-D4P1Z 30-39 years, female 12.8
GTEX-11P7K-2026-SM-5GU74 30-39 years, male 12.7
GTEX-11ZVC-2626-SM-5FQTA 50-59 years, female 12.7
GTEX-139T8-0226-SM-5L3EA 60-69 years, male 12.7
GTEX-13N2G-2726-SM-5J1MG 60-69 years, male 12.7
GTEX-146FH-0226-SM-5QGPQ 50-59 years, female 12.7
GTEX-147JS-0426-SM-5TDD2 60-69 years, male 12.7
GTEX-15UKP-0526-SM-7KFRO 20-29 years, male 12.7
GTEX-17F98-1126-SM-79OJS 40-49 years, female 12.7
GTEX-R53T-1626-SM-3GAEW 50-59 years, female 12.7
GTEX-SN8G-0226-SM-4DM6B 50-59 years, female 12.7
GTEX-WI4N-1126-SM-3LK7Q 40-49 years, female 12.7
GTEX-ZXG5-0226-SM-59HJI 60-69 years, male 12.7
GTEX-1F6I4-0226-SM-9MQMA 60-69 years, male 12.7
GTEX-1GN1U-0226-SM-9YFLQ 50-59 years, female 12.7
GTEX-1I1GR-0226-SM-CMKHQ 60-69 years, male 12.7
GTEX-1IKJJ-0226-SM-COH3T 60-69 years, male 12.7
GTEX-113IC-0226-SM-5HL5C 60-69 years, male 12.6
GTEX-13112-2726-SM-5DUW5 50-59 years, male 12.6
GTEX-145MI-0426-SM-5O99V 60-69 years, female 12.6
GTEX-S33H-1126-SM-2XCB6 30-39 years, male 12.6
GTEX-XBEW-0726-SM-4QARX 40-49 years, male 12.6
GTEX-1HBPI-1426-SM-B2LW7 50-59 years, male 12.6
GTEX-1R7EV-1926-SM-EVYBF 40-49 years, male 12.6
GTEX-PX3G-0226-SM-DKPOF 20-29 years, female 12.6
GTEX-1269C-2726-SM-5EGJ4 60-69 years, female 12.5
GTEX-14JG1-0526-SM-6LLHW 40-49 years, male 12.5
GTEX-XLM4-0226-SM-4AT4N 60-69 years, male 12.5
GTEX-ZP4G-2326-SM-57WEM 20-29 years, female 12.5
GTEX-1B8L1-2626-SM-7SB77 60-69 years, male 12.5
GTEX-1GMR3-2026-SM-9MQLG 40-49 years, male 12.5
GTEX-1JKYN-1226-SM-CGQG8 30-39 years, male 12.5
GTEX-13O21-1526-SM-5K7W4 50-59 years, male 12.4
GTEX-1AMFI-2126-SM-731BT 50-59 years, female 12.4
GTEX-1AYD5-2326-SM-73KXF 50-59 years, male 12.4
GTEX-T6MN-0226-SM-32PMD 50-59 years, male 12.4
GTEX-U412-0526-SM-3DB9I 60-69 years, male 12.4
GTEX-WVJS-0226-SM-4MVOU 50-59 years, male 12.4
GTEX-XQ3S-1626-SM-4WAYN 20-29 years, male 12.4
GTEX-ZDXO-2426-SM-5S2NJ 60-69 years, male 12.4
GTEX-ZZPU-2726-SM-5NQ8O 50-59 years, female 12.4
GTEX-1HSEH-0226-SM-ACKVV 60-69 years, male 12.4
GTEX-1I1GU-2326-SM-CGQFB 40-49 years, male 12.4
GTEX-1KAFJ-2426-SM-D4P32 50-59 years, male 12.4
GTEX-1LG7Y-0426-SM-DKPQB 50-59 years, male 12.4
GTEX-1QPFJ-0126-SM-E9J4B 30-39 years, female 12.4
GTEX-12ZZZ-0526-SM-5DUX6 60-69 years, male 12.3
GTEX-13113-1826-SM-5LZW4 60-69 years, female 12.3
GTEX-1314G-1626-SM-5EQ67 30-39 years, male 12.3
GTEX-14PJ2-0226-SM-6LLH4 50-59 years, male 12.3
GTEX-14PJ3-1926-SM-62LEY 50-59 years, male 12.3
GTEX-16AAH-2026-SM-7LG5F 50-59 years, male 12.3
GTEX-1A32A-0226-SM-718B2 50-59 years, female 12.3
GTEX-1C2JI-2226-SM-7IGPJ 50-59 years, male 12.3
GTEX-R55D-0326-SM-48FES 50-59 years, male 12.3
GTEX-YEC3-1226-SM-5IFI8 50-59 years, male 12.3
GTEX-YECK-0226-SM-4W215 60-69 years, male 12.3
GTEX-Z93S-0226-SM-5HL7R 50-59 years, male 12.3
GTEX-ZAK1-0226-SM-5CVMX 50-59 years, female 12.3
GTEX-1EKGG-0126-SM-9YFLS 60-69 years, male 12.3
GTEX-1IOXB-0226-SM-CMKHY 50-59 years, male 12.3
GTEX-1J8QM-2326-SM-CYPSL 60-69 years, female 12.3
GTEX-1S83E-0226-SM-EVYCW 40-49 years, male 12.3
GTEX-VJWN-0226-SM-EZ6LF 50-59 years, female 12.3
GTEX-11EQ9-2526-SM-5HL66 30-39 years, male 12.2
GTEX-11GS4-2626-SM-5A5LD 60-69 years, male 12.2
GTEX-139T6-2126-SM-5KM37 50-59 years, male 12.2
GTEX-139TU-0226-SM-5J1NM 60-69 years, male 12.2
GTEX-13QBU-2526-SM-5LU4X 40-49 years, female 12.2
GTEX-RWSA-0226-SM-2XCBA 40-49 years, male 12.2
GTEX-X261-0226-SM-3NMD2 50-59 years, male 12.2
GTEX-Y111-0226-SM-4SOIW 50-59 years, male 12.2
GTEX-ZC5H-0126-SM-4WAYL 40-49 years, female 12.2
GTEX-1CB4E-1826-SM-7RHG8 60-69 years, male 12.2
GTEX-1HBPM-0326-SM-CMKGR 60-69 years, female 12.2
GTEX-1JKYR-0226-SM-CNPOK 20-29 years, male 12.2
GTEX-1LVA9-0226-SM-E9U5N 50-59 years, male 12.2
GTEX-1PFEY-1626-SM-E9J3M 30-39 years, male 12.2
GTEX-11P82-1726-SM-5Q5AT 20-29 years, male 12.1
GTEX-11ZUS-0726-SM-59886 30-39 years, male 12.1
GTEX-12WSC-0226-SM-5EQ52 50-59 years, male 12.1
GTEX-1399R-2626-SM-5KLZ7 30-39 years, male 12.1
GTEX-13O3P-0226-SM-5KM3Z 50-59 years, male 12.1
GTEX-146FR-1826-SM-5QGPF 60-69 years, female 12.1
GTEX-15CHQ-0226-SM-6EU2S 60-69 years, male 12.1
GTEX-17MFQ-1826-SM-7DHLS 20-29 years, male 12.1
GTEX-1E1VI-0226-SM-793CZ 50-59 years, male 12.1
GTEX-ZTPG-0226-SM-5O99I 20-29 years, female 12.1
GTEX-ZTSS-2026-SM-5987K 40-49 years, male 12.1
GTEX-1GMR8-0226-SM-9YFL3 50-59 years, female 12.1
GTEX-1GMRU-0226-SM-9YFLW 50-59 years, male 12.1
GTEX-1HCU7-0326-SM-CMKGI 50-59 years, male 12.1
GTEX-1PDJ9-0426-SM-E9J3E 20-29 years, male 12.1
GTEX-12126-0426-SM-5Q5AP 20-29 years, male 12.0
GTEX-139D8-0326-SM-5IJCJ 30-39 years, female 12.0
GTEX-14JIY-0526-SM-62LFH 60-69 years, male 12.0
GTEX-1A8G7-0226-SM-731AS 60-69 years, male 12.0
GTEX-Y3I4-2226-SM-4TT7O 50-59 years, male 12.0
GTEX-1EH9U-0226-SM-7PBY8 60-69 years, male 12.0
GTEX-1HCU8-0726-SM-ADEIR 60-69 years, female 12.0
GTEX-1HSGN-0126-SM-CGQFU 40-49 years, female 12.0
GTEX-1HSMQ-1426-SM-ADEHT 50-59 years, male 12.0
GTEX-1IDJU-2526-SM-CMKGF 60-69 years, female 12.0
GTEX-1OFPY-2326-SM-E8VNU 60-69 years, male 12.0
GTEX-PLZ4-0226-SM-CYPR1 50-59 years, female 12.0
GTEX-RVPV-1526-SM-EXOHF 60-69 years, male 12.0
GTEX-11GSO-2326-SM-5A5LX 60-69 years, male 11.9
GTEX-13RTJ-2526-SM-5S2Q3 60-69 years, male 11.9
GTEX-145MF-0526-SM-5LUA6 50-59 years, male 11.9
GTEX-1CB4I-0426-SM-7IGPR 50-59 years, male 11.9
GTEX-SIU8-0226-SM-2XCDS 50-59 years, male 11.9
GTEX-YJ8O-2426-SM-5HL7S 40-49 years, female 11.9
GTEX-ZQG8-1526-SM-5HL65 60-69 years, female 11.9
GTEX-1MUQO-0526-SM-E9J31 60-69 years, male 11.9
GTEX-1NHNU-1126-SM-E9J2C 50-59 years, male 11.9
GTEX-1QP2A-0226-SM-EVYBC 50-59 years, male 11.9
GTEX-1S831-0326-SM-EVYD3 20-29 years, male 11.9
GTEX-17HHY-0226-SM-793BQ 50-59 years, male 11.8
GTEX-1B8SF-0526-SM-7939F 60-69 years, male 11.8
GTEX-1GN1V-0226-SM-9WYTN 60-69 years, male 11.8
GTEX-1QP29-0726-SM-DTXFM 50-59 years, male 11.8
GTEX-11P81-2426-SM-5GU65 30-39 years, female 11.7
GTEX-145MN-2626-SM-5NQAH 30-39 years, male 11.7
GTEX-16XZY-2526-SM-7DHL2 70-79 years, male 11.7
GTEX-QMRM-1726-SM-2S1QG 50-59 years, male 11.7
GTEX-XBEC-0326-SM-4AT4M 50-59 years, male 11.7
GTEX-ZVT4-0226-SM-51MSD 50-59 years, female 11.7
GTEX-1I1HK-0226-SM-COH4A 60-69 years, male 11.7
GTEX-1ICLY-0226-SM-ARL7R 50-59 years, male 11.7
GTEX-1QP28-0226-SM-E9J2N 50-59 years, female 11.7
GTEX-1R9K5-0226-SM-EWRNF 50-59 years, male 11.7
GTEX-12ZZY-0326-SM-5LZVQ 60-69 years, male 11.6
GTEX-13111-1726-SM-5EGJZ 50-59 years, male 11.6
GTEX-13U4I-0226-SM-5SIB1 40-49 years, female 11.6
GTEX-14PK6-2026-SM-6LLHP 70-79 years, female 11.6
GTEX-18A7A-0326-SM-731AT 50-59 years, female 11.6
GTEX-T5JW-1726-SM-3GADN 20-29 years, female 11.6
GTEX-ZDTT-2626-SM-5S2OP 60-69 years, male 11.6
GTEX-1A8G6-0526-SM-7PC1E 60-69 years, male 11.6
GTEX-1FIGZ-1626-SM-7SB8L 40-49 years, male 11.6
GTEX-1IL2U-0326-SM-CE6T9 60-69 years, male 11.6
GTEX-Q2AH-1726-SM-DIPDV 40-49 years, male 11.6
GTEX-11OF3-2426-SM-5Q5AS 60-69 years, male 11.5
GTEX-1313W-0226-SM-5LZV7 50-59 years, female 11.5
GTEX-1399U-2426-SM-5K7XB 50-59 years, female 11.5
GTEX-13O3Q-2326-SM-5KM3G 50-59 years, male 11.5
GTEX-1EWIQ-0226-SM-793D3 70-79 years, female 11.5
GTEX-OOBJ-0226-SM-2YUMM 60-69 years, male 11.5
GTEX-P4QT-0226-SM-3LK68 50-59 years, female 11.5
GTEX-QV44-1825-SM-447CF 50-59 years, male 11.5
GTEX-S7SE-0226-SM-2XCD4 50-59 years, male 11.5
GTEX-SJXC-0226-SM-2XCDU 60-69 years, male 11.5
GTEX-T2IS-0226-SM-32QPH 20-29 years, female 11.5
GTEX-WFJO-1926-SM-3GILA 30-39 years, male 11.5
GTEX-XK95-0426-SM-4AT4R 40-49 years, male 11.5
GTEX-XMK1-2226-SM-4B673 40-49 years, male 11.5
GTEX-13NYB-2626-SM-9YFMI 40-49 years, male 11.5
GTEX-1H23P-0226-SM-9YFLO 60-69 years, male 11.5
GTEX-1HB9E-0426-SM-CNPPV 50-59 years, male 11.5
GTEX-1HCUA-2226-SM-ADEHF 50-59 years, female 11.5
GTEX-1QW4Y-1626-SM-EAZ41 30-39 years, male 11.5
GTEX-1RAZR-0226-SM-EVYC6 40-49 years, male 11.5
GTEX-111FC-0226-SM-5N9B8 60-69 years, male 11.4
GTEX-13OVK-2126-SM-6PAN1 40-49 years, male 11.4
GTEX-13OW8-1226-SM-5K7XD 60-69 years, male 11.4
GTEX-13PDP-0226-SM-5K7W9 60-69 years, male 11.4
GTEX-14PJM-0326-SM-62LF2 50-59 years, female 11.4
GTEX-15DCD-0226-SM-6LPKC 70-79 years, female 11.4
GTEX-16MTA-2126-SM-6PALC 50-59 years, male 11.4
GTEX-XXEK-2426-SM-4BRUS 50-59 years, male 11.4
GTEX-1F75A-0226-SM-7PC2K 50-59 years, male 11.4
GTEX-1GZ4H-1826-SM-9MQLE 50-59 years, female 11.4
GTEX-1I1GS-0226-SM-B2LVX 60-69 years, male 11.4
GTEX-1LB8K-0326-SM-E9TJC 50-59 years, male 11.4
GTEX-1PBJI-0426-SM-E8VNM 20-29 years, female 11.4
GTEX-1128S-2126-SM-5H12U 60-69 years, female 11.3
GTEX-11ZU8-2426-SM-5EQMV 60-69 years, male 11.3
GTEX-13CF2-2626-SM-5LZZA 60-69 years, male 11.3
GTEX-13FTW-2526-SM-5IJC8 40-49 years, male 11.3
GTEX-13NZB-2426-SM-5K7UF 30-39 years, male 11.3
GTEX-WY7C-2426-SM-3NB2V 50-59 years, male 11.3
GTEX-XUZC-1826-SM-4BRVO 30-39 years, female 11.3
GTEX-ZDTS-0226-SM-5HL7Q 60-69 years, male 11.3
GTEX-1H1DE-2026-SM-9WG6Q 20-29 years, male 11.3
GTEX-1H3VE-0226-SM-9WYST 40-49 years, male 11.3
GTEX-1HFI6-0326-SM-ADEI5 40-49 years, male 11.3
GTEX-1J8JJ-0326-SM-CMKG6 60-69 years, female 11.3
GTEX-12ZZX-0226-SM-5DUXU 40-49 years, female 11.2
GTEX-13QJ3-0426-SM-5RQHP 50-59 years, male 11.2
GTEX-13W3W-2526-SM-5SI9P 60-69 years, female 11.2
GTEX-17F96-1726-SM-7IGMB 70-79 years, male 11.2
GTEX-1AMEY-1426-SM-7939I 30-39 years, female 11.2
GTEX-1C64O-0226-SM-73KXB 60-69 years, male 11.2
GTEX-OXRK-0326-SM-3NB3R 50-59 years, female 11.2
GTEX-U4B1-1726-SM-3DB9F 40-49 years, male 11.2
GTEX-X4EO-0426-SM-4QASA 60-69 years, female 11.2
GTEX-ZYY3-0226-SM-5E45M 60-69 years, female 11.2
GTEX-1I1CD-0226-SM-CM2TL 60-69 years, female 11.2
GTEX-1J8EW-0226-SM-CYPSW 60-69 years, female 11.2
GTEX-1JJEA-0226-SM-COH2X 60-69 years, male 11.2
GTEX-1LSVX-0126-SM-EVYCY 60-69 years, male 11.2
GTEX-11DXW-0326-SM-5H11W 40-49 years, male 11.1
GTEX-11EI6-0226-SM-5EQ64 60-69 years, male 11.1
GTEX-12WSD-0226-SM-59HKO 60-69 years, female 11.1
GTEX-13FTY-0626-SM-5L3F8 40-49 years, female 11.1
GTEX-13NZ9-0526-SM-5J1OX 50-59 years, male 11.1
GTEX-14ABY-0326-SM-5TDDK 50-59 years, male 11.1
GTEX-1B97I-1726-SM-7939V 40-49 years, male 11.1
GTEX-W5X1-2626-SM-4LMI8 40-49 years, female 11.1
GTEX-WVLH-0226-SM-3MJG6 50-59 years, male 11.1
GTEX-ZLV1-1826-SM-5FQU5 60-69 years, female 11.1
GTEX-ZVP2-1826-SM-5GU62 50-59 years, male 11.1
GTEX-1HT8W-0226-SM-CMKGT 30-39 years, male 11.1
GTEX-1HUB1-0326-SM-A9SKQ 60-69 years, male 11.1
GTEX-1N2DW-0326-SM-E9TK3 50-59 years, male 11.1
GTEX-QEG4-0326-SM-DIPE3 30-39 years, male 11.1
GTEX-1212Z-2426-SM-5EQ5D 60-69 years, male 11.0
GTEX-13OVL-0326-SM-5IJCS 50-59 years, male 11.0
GTEX-13SLW-0226-SM-5S2NA 70-79 years, male 11.0
GTEX-144GL-0226-SM-5QGOX 50-59 years, male 11.0
GTEX-14PJ6-2226-SM-6LLIV 60-69 years, female 11.0
GTEX-N7MS-0326-SM-4E3K2 60-69 years, male 11.0
GTEX-OHPN-0226-SM-48TBV 60-69 years, female 11.0
GTEX-P4PQ-0226-SM-2S1NK 60-69 years, male 11.0
GTEX-WL46-0326-SM-3LK6Y 50-59 years, male 11.0
GTEX-XV7Q-2626-SM-4BRVA 40-49 years, female 11.0
GTEX-1C6VR-2626-SM-7MGX2 60-69 years, male 11.0
GTEX-1F75I-0426-SM-7PC3S 40-49 years, male 11.0
GTEX-1GTWX-0226-SM-9YFLL 60-69 years, male 11.0
GTEX-1RAZA-0226-SM-E9U4W 20-29 years, male 11.0
GTEX-ZLWG-2226-SM-DO92V 50-59 years, female 11.0
GTEX-11O72-0226-SM-59869 40-49 years, male 10.9
GTEX-11ONC-2526-SM-5986W 60-69 years, male 10.9
GTEX-131XW-0526-SM-5PNXZ 50-59 years, female 10.9
GTEX-132QS-2526-SM-62LFJ 60-69 years, male 10.9
GTEX-13JUV-2826-SM-5LZWU 40-49 years, female 10.9
GTEX-18A6Q-0226-SM-718AS 60-69 years, male 10.9
GTEX-Q2AG-0226-SM-2S1P4 40-49 years, female 10.9
GTEX-X15G-2326-SM-4PQZS 50-59 years, female 10.9
GTEX-XAJ8-0926-SM-47JXZ 40-49 years, male 10.9
GTEX-1LSNL-0526-SM-DIPFI 50-59 years, male 10.9
GTEX-XOT4-0226-SM-4B66Z 60-69 years, female 10.9
GTEX-12WSA-0326-SM-5BC6I 60-69 years, male 10.8
GTEX-15RIE-2326-SM-7KFSC 60-69 years, male 10.8
GTEX-183WM-0226-SM-7LT8T 70-79 years, female 10.8
GTEX-QLQW-1226-SM-2S1Q9 30-39 years, male 10.8
GTEX-X638-0226-SM-47JZ9 70-79 years, female 10.8
GTEX-Y5V6-2526-SM-5IFJV 60-69 years, male 10.8
GTEX-YB5E-2126-SM-5IFI7 40-49 years, male 10.8
GTEX-1122O-2026-SM-9YFMG 60-69 years, female 10.8
GTEX-1HSMP-0226-SM-CGQFI 70-79 years, male 10.8
GTEX-1I6K6-0226-SM-ADEID 30-39 years, male 10.8
GTEX-1LVAN-0126-SM-COH4H 50-59 years, female 10.8
GTEX-RUSQ-1626-SM-EZ6L4 50-59 years, male 10.8
GTEX-S4P3-1526-SM-E9J3W 50-59 years, female 10.8
GTEX-11EMC-2826-SM-5PNY6 60-69 years, female 10.7
GTEX-139T4-0126-SM-5HL5G 50-59 years, female 10.7
GTEX-13OW7-0226-SM-5MR3N 50-59 years, male 10.7
GTEX-14BIN-0726-SM-793DQ 50-59 years, female 10.7
GTEX-16GPK-0226-SM-7DUFI 60-69 years, male 10.7
GTEX-YFC4-0226-SM-57WD2 40-49 years, female 10.7
GTEX-1IE54-0226-SM-CMKHX 40-49 years, female 10.7
GTEX-1LG7Z-2026-SM-DLHBP 30-39 years, male 10.7
GTEX-OIZG-0826-SM-E9TI4 50-59 years, male 10.7
GTEX-111VG-2326-SM-5N9BK 60-69 years, male 10.6
GTEX-11UD1-0226-SM-5EQKL 40-49 years, female 10.6
GTEX-13X6J-0226-SM-7EPGC 50-59 years, male 10.6
GTEX-O5YV-0226-SM-48TBY 60-69 years, female 10.6
GTEX-P78B-0226-SM-3NB1Z 40-49 years, female 10.6
GTEX-Q2AI-1426-SM-2S1P5 40-49 years, male 10.6
GTEX-ZVZP-2326-SM-59HL4 50-59 years, male 10.6
GTEX-13VXT-0226-SM-5LU9Q 20-29 years, female 10.5
GTEX-17HHE-1926-SM-7EPGW 50-59 years, male 10.5
GTEX-1HBPH-0526-SM-9YFMN 40-49 years, female 10.5
GTEX-1QP9N-1526-SM-DTXFK 30-39 years, male 10.5
GTEX-111CU-1826-SM-5GZYN 50-59 years, male 10.4
GTEX-11DZ1-0226-SM-5A5KF 50-59 years, male 10.4
GTEX-133LE-1926-SM-5N9FV 20-29 years, female 10.4
GTEX-13N11-2626-SM-5K7UQ 50-59 years, female 10.4
GTEX-17MF6-0226-SM-7LG4G 40-49 years, male 10.4
GTEX-Y8E5-0226-SM-57WCM 60-69 years, male 10.4
GTEX-ZVZO-0226-SM-5A5LA 40-49 years, male 10.4
GTEX-ZYT6-0326-SM-7LG5R 30-39 years, male 10.4
GTEX-1I1GQ-0226-SM-COH3I 50-59 years, male 10.4
GTEX-R45C-0226-SM-EVYAJ 60-69 years, female 10.4
GTEX-145MG-0126-SM-5TDDA 50-59 years, male 10.3
GTEX-146FQ-0226-SM-5NQAL 30-39 years, male 10.3
GTEX-1497J-2326-SM-5NQBK 60-69 years, male 10.3
GTEX-WHPG-2126-SM-4M1ZM 50-59 years, male 10.3
GTEX-X88G-0226-SM-4GIE4 30-39 years, male 10.3
GTEX-XQ8I-0526-SM-4BOPS 50-59 years, male 10.3
GTEX-1GN2E-0326-SM-COH3C 60-69 years, male 10.3
GTEX-1H3VY-0226-SM-9YFMF 50-59 years, male 10.3
GTEX-13IVO-0226-SM-5LZXU 70-79 years, male 10.2
GTEX-13SLX-0426-SM-5QGRC 50-59 years, female 10.2
GTEX-15SDE-2426-SM-7KFRC 50-59 years, female 10.2
GTEX-W5WG-2526-SM-4SOJ2 50-59 years, female 10.2
GTEX-Z9EW-1826-SM-5CVMA 40-49 years, male 10.2
GTEX-14E6D-0226-SM-62LDW 50-59 years, male 10.1
GTEX-18465-0226-SM-7LG5M 50-59 years, male 10.1
GTEX-QDVJ-1826-SM-2S1P3 50-59 years, male 10.1
GTEX-1IDFM-0226-SM-CMKFX 60-69 years, male 10.1
GTEX-SNOS-1426-SM-32PLY 40-49 years, male 10.0
GTEX-Y8E4-0726-SM-4WWFN 40-49 years, male 10.0
GTEX-YF7O-2426-SM-5IFJL 50-59 years, male 10.0
GTEX-1QP66-1326-SM-DTXDQ 50-59 years, male 10.0
GTEX-OIZF-0226-SM-E9TI3 60-69 years, male 10.0
GTEX-13PLJ-0126-SM-5L3HU 60-69 years, female 9.9
GTEX-14E6E-1926-SM-664N4 30-39 years, male 9.9
GTEX-183FY-0326-SM-793BY 20-29 years, male 9.9
GTEX-1ICG6-2626-SM-CGQG1 70-79 years, female 9.9
GTEX-1JJ6O-0226-SM-E6CI9 60-69 years, male 9.9
GTEX-1KWVE-1326-SM-E6CJ1 30-39 years, male 9.9
GTEX-1M5QR-2126-SM-DKPQM 40-49 years, male 9.9
GTEX-UTHO-0426-SM-CE6QU 60-69 years, male 9.9
GTEX-1399T-2726-SM-5K7XK 60-69 years, male 9.8
GTEX-144GM-1926-SM-5LUAN 20-29 years, male 9.8
GTEX-144GO-1626-SM-7EPG5 60-69 years, male 9.8
GTEX-147GR-0426-SM-5S2OL 60-69 years, male 9.8
GTEX-14PII-0326-SM-6LLIQ 60-69 years, male 9.8
GTEX-OHPM-0226-SM-3LK61 50-59 years, male 9.8
GTEX-R55G-2426-SM-2TC5I 40-49 years, female 9.8
GTEX-YFCO-2026-SM-4W21Q 40-49 years, male 9.8
GTEX-1ICLZ-0226-SM-CKZPP 60-69 years, male 9.8
GTEX-13NZ8-0926-SM-5MR3U 60-69 years, female 9.7
GTEX-UJHI-1626-SM-3DB9A 50-59 years, female 9.7
GTEX-XGQ4-2226-SM-4AT4Y 50-59 years, male 9.7
GTEX-1HR9M-0226-SM-COH3E 60-69 years, male 9.7
GTEX-1I1GV-0426-SM-ARZLX 60-69 years, male 9.7
GTEX-1QEPI-0226-SM-EWRMR 60-69 years, female 9.7
GTEX-14BMV-0226-SM-5S2N2 50-59 years, male 9.6
GTEX-17KNJ-2226-SM-DKPOU 50-59 years, male 9.6
GTEX-1PIGE-0526-SM-DTXFA 20-29 years, male 9.6
GTEX-1QAET-1126-SM-E8VML 50-59 years, male 9.6
GTEX-1R9PM-2126-SM-E8VOB 20-29 years, male 9.6
GTEX-11I78-2626-SM-5Q5AI 50-59 years, female 9.5
GTEX-17F97-0426-SM-7LT9U 50-59 years, male 9.5
GTEX-1AX9K-2426-SM-73KZ4 50-59 years, male 9.5
GTEX-OIZH-0226-SM-2YUMH 50-59 years, male 9.5
GTEX-1B932-0226-SM-7PBYH 40-49 years, female 9.5
GTEX-1F6RS-0226-SM-9MQKO 60-69 years, female 9.5
GTEX-VJYA-1326-SM-3GIJC 60-69 years, male 9.4
GTEX-ZPCL-2126-SM-57WFZ 60-69 years, female 9.4
GTEX-1JK1U-2126-SM-CNPOU 60-69 years, male 9.4
GTEX-1RAZQ-0626-SM-E8VOR 30-39 years, male 9.4
GTEX-1RDX4-0226-SM-DTXG1 50-59 years, female 9.4
GTEX-1RQEC-0526-SM-E6CHV 60-69 years, male 9.4
GTEX-13FHP-0226-SM-5K7WD 50-59 years, male 9.3
GTEX-14AS3-2026-SM-5TDD9 40-49 years, female 9.3
GTEX-18A67-0226-SM-7LG67 50-59 years, male 9.3
GTEX-1B933-0526-SM-7EPHM 50-59 years, female 9.3
GTEX-WFON-2226-SM-3TW8W 40-49 years, male 9.3
GTEX-1KD5A-0326-SM-D5OVD 50-59 years, male 9.3
GTEX-11EQ8-0226-SM-5EQ5G 60-69 years, male 9.2
GTEX-11ZTS-0226-SM-5EQKD 60-69 years, female 9.2
GTEX-ZPU1-2426-SM-4WWFM 40-49 years, male 9.2
GTEX-NPJ8-0226-SM-48TBN 40-49 years, male 9.1
GTEX-1K9T9-0226-SM-E9U6K 50-59 years, female 9.1
GTEX-1OJC4-1726-SM-EXUSV 50-59 years, female 9.1
GTEX-1HR98-0226-SM-CGQEK 60-69 years, male 8.9
GTEX-13OW6-0526-SM-5L3HY 50-59 years, male 8.8
GTEX-TMZS-0226-SM-3DB9N 60-69 years, male 8.8
GTEX-1IDJD-1226-SM-CM2TP 30-39 years, male 8.8
GTEX-1MA7W-1926-SM-E6CIO 20-29 years, female 8.8
GTEX-OXRN-0226-SM-2I5EJ 50-59 years, male 8.7
GTEX-1LBAC-0226-SM-DHXJZ 20-29 years, male 8.7
GTEX-XMD2-0226-SM-4WWEE 60-69 years, female 8.6
GTEX-1MJK2-0526-SM-DTXE6 50-59 years, male 8.6
GTEX-18D9U-0726-SM-7LG5J 40-49 years, male 8.5
GTEX-OOBK-0226-SM-2YUMF 40-49 years, male 8.5
GTEX-1PPGY-0326-SM-DTXFD 60-69 years, male 8.5
GTEX-1S82P-0226-SM-E6CI6 60-69 years, female 8.5
GTEX-13G51-2626-SM-5LZYW 60-69 years, male 8.3
GTEX-Y5V5-2426-SM-5IFJA 60-69 years, female 8.3
GTEX-Q734-1826-SM-2I3EL 40-49 years, female 8.2
GTEX-1LSNM-2026-SM-E6CIJ 50-59 years, male 8.2
GTEX-1GF9X-1926-SM-ADEIC 40-49 years, female 8.1
GTEX-VUSG-2426-SM-4KKZG 50-59 years, male 8.0
GTEX-11DXX-2326-SM-9YFKS 60-69 years, female 8.0
GTEX-1MA7X-2126-SM-E6CIX 60-69 years, male 7.8
GTEX-XYKS-2726-SM-4E3IC 60-69 years, female 7.4
GTEX-1IL2V-0226-SM-CMKI2 70-79 years, male 7.2
GTEX-POMQ-2326-SM-DHXIS 20-29 years, female 6.0
GTEX-14E1K-2126-SM-793DU 50-59 years, male 5.8
Show allShow less
Adipose - Visceral (Omentum)
Average nTPM: 11.0
Samples: 541

Max nTPM: 22.8
Min nTPM: 2.0
Std nTPM: 2.4
Median nTPM: 10.9
GTEX-14E6C-1226-SM-5ZZUN 40-49 years, male 22.8
GTEX-1445S-2426-SM-79ON2 60-69 years, male 21.6
GTEX-12WSF-1526-SM-6PAN6 70-79 years, male 20.7
GTEX-ZQUD-0526-SM-57WG4 30-39 years, male 19.8
GTEX-16NGA-0526-SM-731AJ 40-49 years, female 19.0
GTEX-13OVJ-0926-SM-5K7U1 50-59 years, female 18.5
GTEX-1CB4F-1126-SM-79OLG 60-69 years, male 18.2
GTEX-1CAV2-0226-SM-7IGPQ 40-49 years, female 17.7
GTEX-13PVQ-2226-SM-5L3G9 50-59 years, male 17.2
GTEX-1AX9J-2226-SM-731CW 60-69 years, male 17.2
GTEX-1IKK5-0826-SM-ACKWN 60-69 years, male 17.1
GTEX-13N1W-1226-SM-5K7UM 70-79 years, male 16.3
GTEX-1PBJI-1326-SM-E9J2V 20-29 years, female 16.0
GTEX-1CAMQ-1226-SM-7SB7E 40-49 years, male 15.8
GTEX-1A3MV-0626-SM-731CH 30-39 years, male 15.6
GTEX-ZF29-0826-SM-5S2O2 60-69 years, female 15.6
GTEX-13FHO-2026-SM-5J1OA 60-69 years, male 15.5
GTEX-16XZZ-1626-SM-7KUEC 60-69 years, male 15.5
GTEX-1A3MX-0826-SM-72D64 60-69 years, male 15.5
GTEX-ZYW4-2226-SM-5GZYG 60-69 years, male 15.5
GTEX-1GTWX-1526-SM-9MQLF 60-69 years, male 15.5
GTEX-12696-1826-SM-5EGJS 60-69 years, male 15.4
GTEX-12C56-0826-SM-5EGJ5 20-29 years, male 15.3
GTEX-X3Y1-0926-SM-3P5YT 40-49 years, male 15.3
GTEX-ZDYS-2226-SM-5S2MI 50-59 years, male 15.3
GTEX-1GZ4I-2326-SM-9YFMO 50-59 years, male 15.1
GTEX-1AX9I-1726-SM-731BX 60-69 years, male 15.0
GTEX-1B996-1226-SM-73KWZ 60-69 years, male 15.0
GTEX-ZYFG-1426-SM-5GICS 60-69 years, female 15.0
GTEX-WYJK-1426-SM-3NM8V 50-59 years, male 14.9
GTEX-ZT9W-1026-SM-57WG5 50-59 years, male 14.9
GTEX-1I1GP-1426-SM-ACKVZ 50-59 years, male 14.9
GTEX-WFJO-1026-SM-3GIKL 30-39 years, male 14.7
GTEX-1JN6P-1626-SM-CYPSV 60-69 years, male 14.7
GTEX-1NV5F-2526-SM-EXUSK 60-69 years, female 14.7
GTEX-ZGAY-1326-SM-5S2NS 40-49 years, female 14.6
GTEX-ZP4G-1326-SM-5EGIW 20-29 years, female 14.6
GTEX-ZXES-0926-SM-5E43O 30-39 years, female 14.6
GTEX-1HCU6-1626-SM-CMKGW 60-69 years, female 14.6
GTEX-113JC-0726-SM-5GZZR 50-59 years, female 14.5
GTEX-13FH7-1926-SM-5J2OL 50-59 years, female 14.5
GTEX-Y8LW-0926-SM-4VBQ8 50-59 years, female 14.5
GTEX-ZF2S-1526-SM-5S2OO 50-59 years, female 14.5
GTEX-1EKGG-1426-SM-7PBY2 60-69 years, male 14.5
GTEX-1QMI2-1626-SM-EYYXK 60-69 years, male 14.5
GTEX-17MF6-1326-SM-79ONE 40-49 years, male 14.4
GTEX-11GS4-1026-SM-5N9DE 60-69 years, male 14.3
GTEX-14BMV-1626-SM-73KVQ 50-59 years, male 14.3
GTEX-14C5O-0926-SM-793DM 60-69 years, male 14.3
GTEX-1JMPY-0326-SM-CM2S2 30-39 years, male 14.3
GTEX-1117F-1326-SM-5EGHH 60-69 years, female 14.2
GTEX-1211K-1226-SM-5EQ4N 60-69 years, female 14.2
GTEX-12WSG-0426-SM-5FQSE 50-59 years, female 14.2
GTEX-1GN73-0626-SM-7PC3I 60-69 years, male 14.2
GTEX-1HCU8-1126-SM-CM2SA 60-69 years, female 14.2
GTEX-1IDJF-1726-SM-A9SLL 20-29 years, male 14.2
GTEX-1C64N-1326-SM-7SB7D 50-59 years, male 14.1
GTEX-W5X1-1426-SM-3GIKH 40-49 years, female 14.0
GTEX-ZYVF-1026-SM-5E44V 50-59 years, female 14.0
GTEX-1R9PO-0926-SM-E9U4Q 60-69 years, female 14.0
GTEX-1EN7A-1626-SM-79OLV 40-49 years, male 13.9
GTEX-14753-2526-SM-5LU97 60-69 years, male 13.8
GTEX-WOFM-0726-SM-3MJF8 20-29 years, male 13.7
GTEX-WYBS-1026-SM-4ONCY 60-69 years, female 13.7
GTEX-1C475-0326-SM-7SB8O 40-49 years, female 13.7
GTEX-1H1DF-1426-SM-9YFMC 40-49 years, female 13.7
GTEX-1J8Q2-2226-SM-CM2TZ 60-69 years, male 13.7
GTEX-11NV4-1426-SM-5BC4W 60-69 years, male 13.6
GTEX-14PJ5-0426-SM-5ZZW2 60-69 years, female 13.6
GTEX-16NPX-1026-SM-6PAM7 50-59 years, male 13.6
GTEX-132Q8-1726-SM-5EGK8 60-69 years, male 13.5
GTEX-1F48J-1826-SM-7SB8T 50-59 years, female 13.5
GTEX-1H1ZS-1326-SM-9WG74 70-79 years, male 13.5
GTEX-18A7B-1226-SM-718AU 70-79 years, male 13.4
GTEX-1A32A-0926-SM-718AB 50-59 years, female 13.4
GTEX-1A8G7-1226-SM-73KYP 60-69 years, male 13.4
GTEX-1EU9M-1126-SM-793DE 60-69 years, male 13.4
GTEX-1HGF4-0226-SM-CNNQL 60-69 years, male 13.4
GTEX-12KS4-1526-SM-5EQ6E 30-39 years, male 13.3
GTEX-14BIL-2426-SM-5QGQR 50-59 years, male 13.3
GTEX-18A7A-0926-SM-7LT8H 50-59 years, female 13.3
GTEX-YEC4-0926-SM-5PNXY 40-49 years, male 13.3
GTEX-ZTPG-2326-SM-57WFL 20-29 years, female 13.3
GTEX-1GZ2Q-1226-SM-9MQM8 40-49 years, male 13.3
GTEX-1K2DA-1126-SM-CGQGG 50-59 years, male 13.2
GTEX-1AX9K-0926-SM-7939G 50-59 years, male 13.1
GTEX-1C6VQ-1526-SM-73KU9 50-59 years, male 13.1
GTEX-1GMR2-0226-SM-9JGHO 50-59 years, male 13.1
GTEX-1LKK1-1526-SM-EVYCO 50-59 years, female 13.1
GTEX-11OF3-0826-SM-5BC51 60-69 years, male 13.0
GTEX-11VI4-1226-SM-5EQMP 40-49 years, female 13.0
GTEX-12WSK-1026-SM-5CVNR 40-49 years, female 13.0
GTEX-1399T-1326-SM-5PNVH 60-69 years, male 13.0
GTEX-1LH75-1026-SM-EWROK 50-59 years, female 13.0
GTEX-15CHQ-1126-SM-686YY 60-69 years, male 12.9
GTEX-ZE7O-1526-SM-5J1NH 50-59 years, female 12.9
GTEX-ZXG5-1626-SM-59HJK 60-69 years, male 12.9
GTEX-1GZ4H-0926-SM-9WG6Y 50-59 years, female 12.9
GTEX-1HCUA-0926-SM-ADEIX 50-59 years, female 12.9
GTEX-1HUB1-1526-SM-CGQF6 60-69 years, male 12.9
GTEX-1KAFJ-0826-SM-CYPTF 50-59 years, male 12.9
GTEX-1QP67-1126-SM-EAZ4C 40-49 years, female 12.9
GTEX-15D1Q-1326-SM-69LOA 40-49 years, male 12.8
GTEX-17HII-0826-SM-7DUFH 50-59 years, male 12.8
GTEX-1B8KE-0826-SM-72D6S 50-59 years, male 12.8
GTEX-1EMGI-0726-SM-7PBZ4 60-69 years, male 12.8
GTEX-1I6K6-1526-SM-CGQFC 30-39 years, male 12.8
GTEX-11ZTS-1326-SM-5EQMA 60-69 years, female 12.7
GTEX-13111-0626-SM-5LZVR 50-59 years, male 12.7
GTEX-1GF9W-1026-SM-7SB8X 60-69 years, male 12.7
GTEX-1I1GU-0626-SM-CMKHR 40-49 years, male 12.7
GTEX-11ZUS-1826-SM-5FQTR 30-39 years, male 12.6
GTEX-16BQI-1126-SM-7KULF 30-39 years, female 12.6
GTEX-1HSKV-1926-SM-CNPPN 60-69 years, male 12.6
GTEX-1QEPI-2226-SM-E8VN6 60-69 years, female 12.6
GTEX-15SHU-2326-SM-7KUMC 40-49 years, female 12.5
GTEX-ZEX8-1226-SM-5S2OK 50-59 years, male 12.5
GTEX-ZZ64-0626-SM-5GZWR 20-29 years, male 12.5
GTEX-11GSP-1026-SM-9WYSH 60-69 years, female 12.5
GTEX-1GL5R-0726-SM-9MQL5 50-59 years, male 12.5
GTEX-1JJE9-1526-SM-CM2RR 70-79 years, male 12.5
GTEX-1LSVX-1326-SM-DIPET 60-69 years, male 12.5
GTEX-11P7K-0826-SM-5BC5F 30-39 years, male 12.4
GTEX-13PVR-0526-SM-5S2OB 60-69 years, female 12.4
GTEX-WXYG-0926-SM-3NB2O 50-59 years, female 12.4
GTEX-1KD5A-1326-SM-CYPTB 50-59 years, male 12.4
GTEX-12WSL-1126-SM-5CVNK 50-59 years, male 12.3
GTEX-13O21-3126-SM-5J1OI 50-59 years, male 12.3
GTEX-13OVL-0826-SM-5L3GV 50-59 years, male 12.3
GTEX-1J1R8-0526-SM-ACKWO 40-49 years, male 12.3
GTEX-1JMQJ-1926-SM-D4P3A 50-59 years, male 12.3
GTEX-13JUV-0626-SM-5J1MQ 40-49 years, female 12.2
GTEX-WYVS-0626-SM-4SOJY 40-49 years, female 12.2
GTEX-1GN1W-1226-SM-9MQLW 50-59 years, female 12.2
GTEX-1IY9M-1226-SM-ACKX1 60-69 years, male 12.2
GTEX-1R9K4-1426-SM-DPRY4 60-69 years, male 12.2
GTEX-1S3DN-1626-SM-EVYCC 50-59 years, male 12.2
GTEX-XPVG-1626-SM-EYYVK 50-59 years, male 12.2
GTEX-12WSM-0626-SM-5GCOK 60-69 years, male 12.1
GTEX-12ZZX-1726-SM-5BC63 40-49 years, female 12.1
GTEX-13CF3-1126-SM-5LZXB 60-69 years, female 12.1
GTEX-145ME-0726-SM-5O9A3 40-49 years, female 12.1
GTEX-14PHW-1626-SM-6EU2H 60-69 years, female 12.1
GTEX-UTHO-1826-SM-3GAFE 60-69 years, male 12.1
GTEX-XLM4-1026-SM-4AT51 60-69 years, male 12.1
GTEX-Y9LG-1226-SM-4VBQA 30-39 years, male 12.1
GTEX-ZDTS-1826-SM-5S2N6 60-69 years, male 12.1
GTEX-ZYFC-1826-SM-5GZZA 50-59 years, male 12.1
GTEX-1GMRU-0726-SM-7PBZH 50-59 years, male 12.1
GTEX-1JMQK-1326-SM-CNPOR 60-69 years, male 12.1
GTEX-1KD4Q-1426-SM-D4P3K 40-49 years, male 12.1
GTEX-117YW-0826-SM-5H11O 50-59 years, male 12.0
GTEX-13X6I-1526-SM-5SIAC 60-69 years, male 12.0
GTEX-146FR-0226-SM-5Q5F6 60-69 years, female 12.0
GTEX-14DAR-0426-SM-664MW 50-59 years, male 12.0
GTEX-14PJM-1226-SM-686Z7 50-59 years, female 12.0
GTEX-17HHE-1526-SM-793AS 50-59 years, male 12.0
GTEX-18QFQ-1326-SM-731CF 30-39 years, male 12.0
GTEX-1CAMR-0326-SM-793AH 20-29 years, male 12.0
GTEX-1EH9U-1326-SM-79OM3 60-69 years, male 12.0
GTEX-YECK-1426-SM-5IFHE 60-69 years, male 12.0
GTEX-1A8FM-2126-SM-7PC27 50-59 years, female 12.0
GTEX-1GMR3-0826-SM-9WYT4 40-49 years, male 12.0
GTEX-1H1CY-0826-SM-9WYTU 60-69 years, female 12.0
GTEX-1HB9E-0526-SM-ARZNM 50-59 years, male 12.0
GTEX-1JJ6O-2826-SM-CNNP7 60-69 years, male 12.0
GTEX-1LGOU-0826-SM-DHXKL 20-29 years, female 12.0
GTEX-13X6K-0726-SM-5LU2Z 60-69 years, female 11.9
GTEX-145MI-0826-SM-5SI95 60-69 years, female 11.9
GTEX-XQ8I-1426-SM-4BOPW 50-59 years, male 11.9
GTEX-ZC5H-1626-SM-5HL7L 40-49 years, female 11.9
GTEX-ZG7Y-1626-SM-5S2NO 50-59 years, male 11.9
GTEX-ZVT2-0226-SM-5GIE3 50-59 years, female 11.9
GTEX-ZYT6-2126-SM-5GZZ4 30-39 years, male 11.9
GTEX-1122O-0926-SM-9YFLC 60-69 years, female 11.9
GTEX-1E1VI-1826-SM-9WG5J 50-59 years, male 11.9
GTEX-1HBPH-2226-SM-9WYSO 40-49 years, female 11.9
GTEX-1HBPI-1826-SM-ADEHE 50-59 years, male 11.9
GTEX-1I1GS-0926-SM-A9SL5 60-69 years, male 11.9
GTEX-1IDJH-1626-SM-A9SLP 70-79 years, male 11.9
GTEX-1IDJI-0926-SM-ACKWZ 50-59 years, female 11.9
GTEX-1N2DW-0726-SM-DTX97 50-59 years, male 11.9
GTEX-11WQK-1526-SM-5EGKN 50-59 years, male 11.8
GTEX-13O3P-0926-SM-5IFFI 50-59 years, male 11.8
GTEX-14ABY-1926-SM-62LDJ 50-59 years, male 11.8
GTEX-14JG6-0526-SM-6LLIH 30-39 years, female 11.8
GTEX-18A66-1926-SM-7LTAG 60-69 years, male 11.8
GTEX-UPK5-1826-SM-3GAEB 40-49 years, male 11.8
GTEX-1B8L1-0126-SM-9KNVS 60-69 years, male 11.8
GTEX-1CAMS-0926-SM-7SB7F 40-49 years, female 11.8
GTEX-1HSGN-1926-SM-CMKGS 40-49 years, female 11.8
GTEX-1RLM8-1026-SM-EWROE 50-59 years, male 11.8
GTEX-12BJ1-0826-SM-5EQ5P 60-69 years, male 11.7
GTEX-13N2G-1926-SM-5J1O3 60-69 years, male 11.7
GTEX-13S7M-0826-SM-5QGQX 60-69 years, female 11.7
GTEX-14ICK-1726-SM-6AJA5 40-49 years, male 11.7
GTEX-17EVQ-0626-SM-7KFTB 70-79 years, male 11.7
GTEX-WRHK-0826-SM-3MJFG 20-29 years, female 11.7
GTEX-13OVH-1126-SM-5K7YP 70-79 years, male 11.6
GTEX-14DAQ-2526-SM-5RQIO 60-69 years, female 11.6
GTEX-17EVP-1426-SM-79OMN 40-49 years, male 11.6
GTEX-WHPG-0626-SM-3NMBD 50-59 years, male 11.6
GTEX-X8HC-2326-SM-4QAS4 50-59 years, female 11.6
GTEX-XBED-1326-SM-4AT4F 60-69 years, male 11.6
GTEX-Y5V5-0226-SM-5S2N8 60-69 years, female 11.6
GTEX-ZT9X-0926-SM-5O9C4 40-49 years, male 11.6
GTEX-1HC8U-0926-SM-A9G3L 40-49 years, female 11.6
GTEX-1KANB-2426-SM-EV7BE 50-59 years, male 11.6
GTEX-1KXAM-0526-SM-DKPQN 60-69 years, male 11.6
GTEX-1MA7X-1026-SM-DKPQ8 60-69 years, male 11.6
GTEX-1S5ZA-1026-SM-EWRO2 20-29 years, male 11.6
GTEX-1BAJH-2126-SM-7EWFB 70-79 years, male 11.5
GTEX-ZA64-0926-SM-5HL7H 20-29 years, male 11.5
GTEX-ZAB4-1426-SM-5CVN6 40-49 years, male 11.5
GTEX-1QP6S-1626-SM-EVYC5 40-49 years, male 11.5
GTEX-11LCK-0326-SM-5A5M7 30-39 years, male 11.4
GTEX-13G51-0526-SM-5IJCQ 60-69 years, male 11.4
GTEX-13VXU-1026-SM-5KLZE 50-59 years, male 11.4
GTEX-14ICL-0926-SM-5S2TU 30-39 years, male 11.4
GTEX-14JIY-1426-SM-6EU29 60-69 years, male 11.4
GTEX-14PKU-0226-SM-6EU16 40-49 years, female 11.4
GTEX-15ER7-1026-SM-7KUMD 20-29 years, female 11.4
GTEX-18A6Q-1026-SM-7LT9S 60-69 years, male 11.4
GTEX-1B8KZ-1026-SM-73KYN 50-59 years, male 11.4
GTEX-WH7G-1126-SM-3NMBK 40-49 years, male 11.4
GTEX-WK11-2426-SM-3NMAA 50-59 years, male 11.4
GTEX-ZF3C-1026-SM-5S2OC 50-59 years, female 11.4
GTEX-ZV7C-0826-SM-59HK8 50-59 years, male 11.4
GTEX-1HKZK-1726-SM-ADEJ9 40-49 years, male 11.4
GTEX-1I1CD-1026-SM-COH3G 60-69 years, female 11.4
GTEX-1J1OQ-1526-SM-CJI4E 40-49 years, female 11.4
GTEX-1JKYR-1226-SM-CM2S7 20-29 years, male 11.4
GTEX-1JMLX-1026-SM-D3L8U 50-59 years, male 11.4
GTEX-14E6E-0226-SM-7DUEF 30-39 years, male 11.3
GTEX-17F96-0726-SM-793CB 70-79 years, male 11.3
GTEX-1C6VS-1826-SM-73KXN 60-69 years, male 11.3
GTEX-ZDXO-2326-SM-5LU9W 60-69 years, male 11.3
GTEX-ZTX8-0726-SM-59HL9 20-29 years, male 11.3
GTEX-1HCU7-2026-SM-A9G2B 50-59 years, male 11.3
GTEX-1LG7Y-1126-SM-CYPTE 50-59 years, male 11.3
GTEX-1192X-1526-SM-5H11I 50-59 years, male 11.2
GTEX-11DXZ-1426-SM-5H12A 50-59 years, male 11.2
GTEX-11NUK-2026-SM-5PNVZ 50-59 years, male 11.2
GTEX-11XUK-1726-SM-5GU61 40-49 years, female 11.2
GTEX-15EOM-2326-SM-7KUMV 20-29 years, female 11.2
GTEX-12ZZW-2326-SM-5DUW2 50-59 years, male 11.1
GTEX-131XH-0826-SM-5GCN8 50-59 years, male 11.1
GTEX-13QBU-1326-SM-5LU4K 40-49 years, female 11.1
GTEX-15SKB-1626-SM-6PAL6 60-69 years, male 11.1
GTEX-1399U-2026-SM-9WPNN 50-59 years, female 11.1
GTEX-1F6IF-2026-SM-7P8SE 60-69 years, male 11.1
GTEX-1F75I-1026-SM-7SB8B 40-49 years, male 11.1
GTEX-1HBPN-1526-SM-9WYSB 50-59 years, male 11.1
GTEX-1IE54-1426-SM-CL53C 40-49 years, female 11.1
GTEX-1RQEC-2526-SM-EVYD2 60-69 years, male 11.1
GTEX-11DYG-2026-SM-5EGGX 60-69 years, male 11.0
GTEX-11EQ9-1126-SM-5987I 30-39 years, male 11.0
GTEX-13OVG-1326-SM-5K7Y3 60-69 years, male 11.0
GTEX-145LU-1226-SM-5LU9B 50-59 years, male 11.0
GTEX-15DZA-0626-SM-6PANC 30-39 years, female 11.0
GTEX-16GPK-1326-SM-7KUE4 60-69 years, male 11.0
GTEX-1C2JI-0826-SM-7EPHB 50-59 years, male 11.0
GTEX-WHWD-0826-SM-3LK6R 50-59 years, male 11.0
GTEX-1IDJU-0926-SM-ARL88 60-69 years, female 11.0
GTEX-1J8EW-1526-SM-CMKFZ 60-69 years, female 11.0
GTEX-1S82P-0926-SM-EWRNP 60-69 years, female 11.0
GTEX-131YS-1726-SM-5HL7G 60-69 years, female 10.9
GTEX-13PL7-1226-SM-5SIAR 60-69 years, female 10.9
GTEX-14BIN-1226-SM-5S2OM 50-59 years, female 10.9
GTEX-WEY5-1326-SM-3GILS 40-49 years, female 10.9
GTEX-ZV6S-1626-SM-5NQ81 40-49 years, female 10.9
GTEX-1MUQO-0826-SM-EVYCZ 60-69 years, male 10.9
GTEX-1OJC3-1326-SM-E9J3D 20-29 years, male 10.9
GTEX-1QP29-1626-SM-EXUSZ 50-59 years, male 10.9
GTEX-11GSO-0226-SM-5A5LV 60-69 years, male 10.8
GTEX-13NZB-0826-SM-5K7X5 30-39 years, male 10.8
GTEX-13OW7-1126-SM-5K7V6 50-59 years, male 10.8
GTEX-144GM-0626-SM-79OKY 20-29 years, male 10.8
GTEX-145LV-1026-SM-5O9AE 50-59 years, male 10.8
GTEX-1B8SG-1426-SM-7EWEM 50-59 years, male 10.8
GTEX-XBEC-1826-SM-4QASN 50-59 years, male 10.8
GTEX-ZE9C-1326-SM-5S2OW 60-69 years, male 10.8
GTEX-1F6I4-2126-SM-7PC2J 60-69 years, male 10.8
GTEX-1HSMQ-1026-SM-ADEHU 50-59 years, male 10.8
GTEX-1QPFJ-2126-SM-EXOJV 30-39 years, female 10.8
GTEX-139YR-0326-SM-5J1MC 50-59 years, male 10.7
GTEX-1H2FU-1426-SM-9WPO6 60-69 years, female 10.7
GTEX-1I4MK-0726-SM-ACKWC 50-59 years, female 10.7
GTEX-1KANC-0526-SM-D4P3T 50-59 years, female 10.7
GTEX-YJ8A-1926-SM-EZ6LQ 20-29 years, male 10.7
GTEX-13OW6-2426-SM-5K7WO 50-59 years, male 10.6
GTEX-16AAH-1526-SM-7LT9W 50-59 years, male 10.6
GTEX-1CB4G-2126-SM-7IGQ8 60-69 years, male 10.6
GTEX-1I1GR-1726-SM-COH39 60-69 years, male 10.6
GTEX-1JMQI-1026-SM-COH2U 50-59 years, male 10.6
GTEX-Y3I4-0726-SM-E9J3Y 50-59 years, male 10.6
GTEX-11P82-0326-SM-5HL51 20-29 years, male 10.5
GTEX-145MF-1026-SM-5Q5EQ 50-59 years, male 10.5
GTEX-14B4R-0526-SM-5QGQT 30-39 years, male 10.5
GTEX-178AV-0626-SM-6PAM1 40-49 years, male 10.5
GTEX-17JCI-1626-SM-7EPGZ 60-69 years, female 10.5
GTEX-1C6VR-1126-SM-7EPHD 60-69 years, male 10.5
GTEX-XMK1-0926-SM-4B66X 40-49 years, male 10.5
GTEX-1GF9V-1126-SM-9MQM7 60-69 years, male 10.5
GTEX-1H11D-1126-SM-9YFM5 40-49 years, male 10.5
GTEX-1HFI6-1726-SM-CGQFH 40-49 years, male 10.5
GTEX-1HR9M-1426-SM-A9SMB 60-69 years, male 10.5
GTEX-1HT8W-0726-SM-A9SLB 30-39 years, male 10.5
GTEX-11P81-0726-SM-5PNYH 30-39 years, female 10.4
GTEX-1313W-1626-SM-5J1OE 50-59 years, female 10.4
GTEX-13NYS-0726-SM-5J1OR 60-69 years, male 10.4
GTEX-147JS-1026-SM-5S2MP 60-69 years, male 10.4
GTEX-14PJ2-1426-SM-62LFF 50-59 years, male 10.4
GTEX-15DYW-1526-SM-7KUEP 60-69 years, female 10.4
GTEX-17F9E-1326-SM-7DHL4 50-59 years, male 10.4
GTEX-18465-1826-SM-731BB 50-59 years, male 10.4
GTEX-1A8G6-2026-SM-73KYC 60-69 years, male 10.4
GTEX-1B8SF-1726-SM-73KZ5 60-69 years, male 10.4
GTEX-ZF28-1426-SM-5S2OG 60-69 years, male 10.4
GTEX-ZVP2-0226-SM-57WBD 50-59 years, male 10.4
GTEX-1F52S-1326-SM-7SB6Q 60-69 years, female 10.4
GTEX-1GF9X-0926-SM-7PC2X 40-49 years, female 10.4
GTEX-1HSMO-1426-SM-CNNQN 60-69 years, male 10.4
GTEX-18D9A-0726-SM-7LTA7 30-39 years, female 10.3
GTEX-1AMFI-1026-SM-73KYM 50-59 years, female 10.3
GTEX-Y111-0926-SM-4SOIU 50-59 years, male 10.3
GTEX-Y5V6-0626-SM-4WWFY 60-69 years, male 10.3
GTEX-1CB4I-0826-SM-7MGX1 50-59 years, male 10.3
GTEX-1I1GT-1326-SM-ACKWB 60-69 years, female 10.3
GTEX-1LVAO-2126-SM-DIPGA 60-69 years, male 10.3
GTEX-1N2DV-0626-SM-E9U5H 40-49 years, male 10.3
GTEX-1N2EF-0926-SM-E8VNW 60-69 years, male 10.3
GTEX-1QCLY-1226-SM-EVYC3 30-39 years, male 10.3
GTEX-WI4N-1526-SM-EZ6LG 40-49 years, female 10.3
GTEX-11PRG-1526-SM-5HL6Z 50-59 years, male 10.2
GTEX-15EU6-1726-SM-6M48H 50-59 years, male 10.2
GTEX-ZPU1-1226-SM-5HL71 40-49 years, male 10.2
GTEX-1LVAN-0926-SM-CNNQ2 50-59 years, female 10.2
GTEX-1QP9N-0426-SM-DTXFT 30-39 years, male 10.2
GTEX-12584-2126-SM-5FQUM 40-49 years, male 10.1
GTEX-12WSI-1526-SM-5GCNM 50-59 years, male 10.1
GTEX-139TU-1426-SM-5LZY9 60-69 years, male 10.1
GTEX-13N11-1826-SM-5IJDS 50-59 years, female 10.1
GTEX-13O3Q-1126-SM-5K7YK 50-59 years, male 10.1
GTEX-14E7W-2326-SM-69LQC 70-79 years, male 10.1
GTEX-15CHC-0826-SM-686YW 60-69 years, female 10.1
GTEX-WY7C-0926-SM-3NB34 50-59 years, male 10.1
GTEX-Y8E4-1226-SM-5IFIM 40-49 years, male 10.1
GTEX-ZAB5-1126-SM-5Q5AD 50-59 years, male 10.1
GTEX-1H4P4-0326-SM-9WYTD 50-59 years, male 10.1
GTEX-1JN76-1026-SM-ARZNI 20-29 years, female 10.1
GTEX-1POEN-1626-SM-EVYC2 30-39 years, female 10.1
GTEX-WVLH-1626-SM-EXURN 50-59 years, male 10.1
GTEX-131XG-0126-SM-5K7UJ 50-59 years, female 10.0
GTEX-145LT-1526-SM-5O98P 40-49 years, male 10.0
GTEX-VUSG-1426-SM-3GIJN 50-59 years, male 10.0
GTEX-XBEW-1726-SM-4RGMA 40-49 years, male 10.0
GTEX-YEC3-0926-SM-5Q5AC 50-59 years, male 10.0
GTEX-ZVE2-1826-SM-51MRZ 50-59 years, male 10.0
GTEX-1OKEX-0926-SM-E8VNJ 60-69 years, male 10.0
GTEX-1RAZA-0926-SM-E6CQ8 20-29 years, male 10.0
GTEX-13112-1126-SM-5GCMY 50-59 years, male 9.9
GTEX-132NY-1126-SM-5PNVE 60-69 years, male 9.9
GTEX-13O61-1926-SM-5KM1R 60-69 years, male 9.9
GTEX-14PJ4-0126-SM-62LEZ 60-69 years, male 9.9
GTEX-YJ89-1926-SM-5IFJ6 60-69 years, male 9.9
GTEX-1B97J-1126-SM-7SB79 50-59 years, female 9.9
GTEX-1KWVE-0226-SM-E9TKK 30-39 years, male 9.9
GTEX-1R7EV-1026-SM-DTX81 40-49 years, male 9.9
GTEX-13W46-1226-SM-5SIAS 50-59 years, male 9.8
GTEX-14PJ3-0726-SM-69LQE 50-59 years, male 9.8
GTEX-Z9EW-0826-SM-5HL9T 40-49 years, male 9.8
GTEX-ZPCL-1026-SM-5GCOX 60-69 years, female 9.8
GTEX-1HFI7-0726-SM-ACKVN 50-59 years, female 9.8
GTEX-1IL2U-2726-SM-C1YSG 60-69 years, male 9.8
GTEX-1N2EE-1526-SM-DTXE9 60-69 years, male 9.8
GTEX-1O9I2-1326-SM-E6CQD 50-59 years, male 9.8
GTEX-1QP66-0626-SM-E76PD 50-59 years, male 9.8
GTEX-1RMOY-0826-SM-E9TIF 50-59 years, male 9.8
GTEX-1S5VW-2426-SM-EAZ52 60-69 years, male 9.8
GTEX-12WSC-1726-SM-5GCN3 50-59 years, male 9.7
GTEX-13PL6-0926-SM-5KLYY 40-49 years, female 9.7
GTEX-13X6J-1926-SM-5TDCU 50-59 years, male 9.7
GTEX-14PJN-0626-SM-6EU13 30-39 years, male 9.7
GTEX-16NPV-0626-SM-7IGOR 50-59 years, female 9.7
GTEX-XV7Q-1726-SM-4BRUU 40-49 years, female 9.7
GTEX-Y114-1326-SM-4TT9A 50-59 years, female 9.7
GTEX-1F5PL-1326-SM-7SB83 40-49 years, female 9.7
GTEX-1H1DE-0826-SM-ARU8V 20-29 years, male 9.7
GTEX-1I6K7-1826-SM-CGQFO 40-49 years, male 9.7
GTEX-1IDJC-0226-SM-CMKG2 50-59 years, male 9.7
GTEX-111YS-1326-SM-5EGGK 60-69 years, male 9.6
GTEX-11DXY-0326-SM-5H12F 60-69 years, male 9.6
GTEX-13113-1126-SM-5LZU9 60-69 years, female 9.6
GTEX-17MFQ-1126-SM-7LT9O 20-29 years, male 9.6
GTEX-XAJ8-0226-SM-4GIB2 40-49 years, male 9.6
GTEX-XYKS-1826-SM-4E3JV 60-69 years, female 9.6
GTEX-1MCC2-0626-SM-DKPQI 30-39 years, female 9.6
GTEX-VJWN-2326-SM-EVYAP 50-59 years, female 9.6
GTEX-ZLWG-0726-SM-5S2N4 50-59 years, female 9.6
GTEX-117YX-0726-SM-5GIET 50-59 years, male 9.5
GTEX-13D11-0526-SM-5LZYM 50-59 years, female 9.5
GTEX-13U4I-1726-SM-5J1MF 40-49 years, female 9.5
GTEX-14C38-1026-SM-73KY7 50-59 years, male 9.5
GTEX-14PHX-1626-SM-69LQB 50-59 years, male 9.5
GTEX-17F97-1226-SM-79OJT 50-59 years, male 9.5
GTEX-17GQL-0826-SM-731AM 60-69 years, male 9.5
GTEX-1AMEY-0526-SM-72D62 30-39 years, female 9.5
GTEX-1B97I-0526-SM-73KXE 40-49 years, male 9.5
GTEX-1GN1U-0726-SM-9MQKL 50-59 years, female 9.5
GTEX-1ICLY-1426-SM-CJI48 50-59 years, male 9.5
GTEX-1PFEY-0726-SM-E76PO 30-39 years, male 9.5
GTEX-13OW8-0326-SM-5L3FB 60-69 years, male 9.4
GTEX-1AYD5-0126-SM-7DUG5 50-59 years, male 9.4
GTEX-XOT4-0826-SM-4B66Y 60-69 years, female 9.4
GTEX-ZUA1-2126-SM-57YRB 40-49 years, male 9.4
GTEX-1IDJD-0926-SM-ACKWW 30-39 years, male 9.4
GTEX-1LGRB-0526-SM-COH3A 50-59 years, female 9.4
GTEX-1LSNM-0626-SM-DIPG7 50-59 years, male 9.4
GTEX-131XF-0726-SM-5GIE5 60-69 years, male 9.3
GTEX-15G19-1126-SM-7KUEL 60-69 years, male 9.3
GTEX-17HHY-1026-SM-7LG5E 50-59 years, male 9.3
GTEX-17KNJ-0426-SM-718AK 50-59 years, male 9.3
GTEX-1EWIQ-2526-SM-7EPIJ 70-79 years, female 9.3
GTEX-WL46-2026-SM-3LK7U 50-59 years, male 9.3
GTEX-WWTW-1326-SM-4MVNT 50-59 years, male 9.3
GTEX-ZDTT-0526-SM-5HL4M 60-69 years, male 9.3
GTEX-111CU-1026-SM-5EGIL 50-59 years, male 9.2
GTEX-13OVK-0326-SM-7KUEJ 40-49 years, male 9.2
GTEX-13VXT-0926-SM-5LU5K 20-29 years, female 9.2
GTEX-17F9Y-0726-SM-7LT9G 70-79 years, female 9.2
GTEX-1AX8Z-1626-SM-73KWD 60-69 years, male 9.2
GTEX-XGQ4-1026-SM-4AT4L 50-59 years, male 9.2
GTEX-1MA7W-0526-SM-E6CIN 20-29 years, female 9.2
GTEX-1OFPY-0826-SM-DTX8P 60-69 years, male 9.2
GTEX-1128S-0926-SM-5GZZU 60-69 years, female 9.1
GTEX-13RTK-0726-SM-5Q5EN 20-29 years, male 9.1
GTEX-14AS3-0426-SM-5QGQK 40-49 years, female 9.1
GTEX-WFON-1226-SM-3TW8F 40-49 years, male 9.1
GTEX-XQ3S-2426-SM-4WAYB 20-29 years, male 9.1
GTEX-ZQG8-1026-SM-51MR9 60-69 years, female 9.1
GTEX-139D8-1626-SM-5IJFZ 30-39 years, female 9.0
GTEX-139T6-0526-SM-5IJC9 50-59 years, male 9.0
GTEX-U8XE-1926-SM-3DB98 30-39 years, male 9.0
GTEX-XUZC-1126-SM-4BOPZ 30-39 years, female 9.0
GTEX-ZPIC-0726-SM-57WFM 40-49 years, female 9.0
GTEX-1K9T9-1626-SM-DIPFS 50-59 years, female 9.0
GTEX-1LVAM-1026-SM-DIPFK 50-59 years, female 9.0
GTEX-1QAET-1226-SM-DTX9I 50-59 years, male 9.0
GTEX-11EM3-1126-SM-5A5KM 20-29 years, female 8.9
GTEX-12WSA-1626-SM-5EGJV 60-69 years, male 8.9
GTEX-131XE-2026-SM-5LZW1 50-59 years, male 8.9
GTEX-YFCO-1126-SM-5S2N9 40-49 years, male 8.9
GTEX-1H23P-1726-SM-A9SMN 60-69 years, male 8.9
GTEX-1LBAC-1026-SM-CXKYA 20-29 years, male 8.9
GTEX-1QW4Y-0826-SM-DTXE1 30-39 years, male 8.9
GTEX-13FTW-0426-SM-5K7X2 40-49 years, male 8.8
GTEX-13FXS-1326-SM-62LFR 50-59 years, male 8.8
GTEX-13YAN-1126-SM-5TDC7 60-69 years, male 8.8
GTEX-14C39-0826-SM-5TDDU 40-49 years, male 8.8
GTEX-X585-2526-SM-4QAS1 50-59 years, male 8.8
GTEX-1GF9U-1226-SM-ARL9I 40-49 years, female 8.8
GTEX-1ICLZ-1626-SM-CE6SS 60-69 years, male 8.8
GTEX-1L5NE-1726-SM-DHXKX 50-59 years, male 8.8
GTEX-1PPH8-1026-SM-DPRXN 20-29 years, male 8.8
GTEX-146FH-2026-SM-5SI9I 50-59 years, female 8.7
GTEX-14E6D-1326-SM-62LES 50-59 years, male 8.7
GTEX-14PN3-0326-SM-6EU1X 60-69 years, female 8.6
GTEX-ZVZP-1126-SM-5GICU 50-59 years, male 8.6
GTEX-1H3VE-1926-SM-9YFL4 40-49 years, male 8.6
GTEX-1HSEH-1326-SM-ADEI1 60-69 years, male 8.6
GTEX-1IKOE-1726-SM-CNNQ6 30-39 years, female 8.6
GTEX-144GN-0726-SM-5O98O 50-59 years, male 8.5
GTEX-14BIM-1626-SM-7EWD2 60-69 years, female 8.5
GTEX-14PHY-1026-SM-62LEV 60-69 years, female 8.5
GTEX-14PN4-1426-SM-6LLJ4 50-59 years, male 8.5
GTEX-ZAJG-1626-SM-5HL7I 50-59 years, female 8.5
GTEX-1HCU9-0626-SM-ACKW6 20-29 years, male 8.5
GTEX-1KANA-1426-SM-CY8IF 20-29 years, male 8.5
GTEX-14E1K-0426-SM-5S2PF 50-59 years, male 8.4
GTEX-14PK6-0926-SM-62LF4 70-79 years, female 8.4
GTEX-17HGU-1726-SM-79OKM 50-59 years, male 8.4
GTEX-1B932-1726-SM-793A5 40-49 years, female 8.4
GTEX-1CB4E-0826-SM-793CS 60-69 years, male 8.4
GTEX-1GPI7-0826-SM-9JGG7 20-29 years, male 8.4
GTEX-133LE-0926-SM-5P9J1 20-29 years, female 8.3
GTEX-17F98-0326-SM-7DHLH 40-49 years, female 8.3
GTEX-1I1GQ-1026-SM-CNNQS 50-59 years, male 8.3
GTEX-13W3W-1126-SM-5L3DO 60-69 years, female 8.2
GTEX-15UKP-1426-SM-7KUDX 20-29 years, male 8.2
GTEX-1LG7Z-0226-SM-E6CIG 30-39 years, male 8.2
GTEX-VJYA-1626-SM-EXOHL 60-69 years, male 8.2
GTEX-13FTX-0626-SM-5J2NS 20-29 years, female 8.1
GTEX-18A67-1326-SM-7LT8V 50-59 years, male 8.1
GTEX-ZTSS-1026-SM-5985N 40-49 years, male 8.1
GTEX-1PIGE-1226-SM-EVR3Q 20-29 years, male 8.1
GTEX-18D9B-1726-SM-7LTAP 60-69 years, male 8.0
GTEX-XXEK-1426-SM-4BRW1 50-59 years, male 8.0
GTEX-ZLV1-0926-SM-5S2MR 60-69 years, female 8.0
GTEX-Y5LM-0826-SM-4VDSW 40-49 years, female 7.9
GTEX-ZZPU-0326-SM-5N9BJ 50-59 years, female 7.9
GTEX-1HSMP-1126-SM-B2LXJ 70-79 years, male 7.9
GTEX-1I19N-1026-SM-A96TT 70-79 years, male 7.9
GTEX-1JKYN-0526-SM-CGQG3 30-39 years, male 7.9
GTEX-13NZ9-2026-SM-5KM1U 50-59 years, male 7.8
GTEX-14BMU-0626-SM-73KZ6 20-29 years, female 7.8
GTEX-1QP28-0926-SM-EVR4D 50-59 years, female 7.8
GTEX-14PJO-1626-SM-69LPQ 60-69 years, male 7.7
GTEX-183FY-1226-SM-7DHLK 20-29 years, male 7.7
GTEX-18D9U-0426-SM-731AN 40-49 years, male 7.7
GTEX-1AYCT-1126-SM-79OO8 50-59 years, male 7.7
GTEX-1H1E6-1126-SM-9JGGV 30-39 years, male 7.7
GTEX-1MCQQ-1426-SM-E6CJA 60-69 years, male 7.7
GTEX-11DXX-2026-SM-5EGJL 60-69 years, female 7.6
GTEX-132QS-0826-SM-5K7WV 60-69 years, male 7.6
GTEX-169BO-0426-SM-7EPI1 50-59 years, male 7.6
GTEX-1H1DG-2026-SM-9QEIV 70-79 years, male 7.6
GTEX-16MTA-1326-SM-6PALX 50-59 years, male 7.5
GTEX-1ICG6-1726-SM-ARU7K 70-79 years, female 7.5
GTEX-1S831-1926-SM-EV79P 20-29 years, male 7.5
GTEX-13S86-0926-SM-5SI6I 40-49 years, male 7.3
GTEX-13PDP-1226-SM-5K7TW 60-69 years, male 7.2
GTEX-1B933-1326-SM-7939U 50-59 years, female 7.2
GTEX-11TT1-1926-SM-5PNYN 20-29 years, male 7.0
GTEX-1F75B-1226-SM-7MXTW 50-59 years, male 7.0
GTEX-1LSNL-1426-SM-E6CJ9 50-59 years, male 7.0
GTEX-1RNTQ-0826-SM-E9TK8 20-29 years, female 7.0
GTEX-1399S-1426-SM-5PNYQ 30-39 years, female 6.9
GTEX-1P4AB-1226-SM-DTXET 50-59 years, male 6.9
GTEX-132AR-0526-SM-5J2MJ 50-59 years, female 6.8
GTEX-15RIE-0126-SM-7KUF8 60-69 years, male 6.7
GTEX-1MJK3-0626-SM-E6CJB 20-29 years, male 6.7
GTEX-1212Z-0526-SM-5FQSQ 60-69 years, male 6.5
GTEX-1K2DU-0726-SM-DIPF7 20-29 years, male 6.4
GTEX-1RAZQ-1526-SM-E6CJI 30-39 years, male 6.1
GTEX-11I78-0226-SM-5HL6R 50-59 years, female 5.7
GTEX-13IVO-2426-SM-5K7V9 70-79 years, male 5.7
GTEX-1339X-0726-SM-5L3FF 40-49 years, male 5.6
GTEX-1RAZR-1026-SM-E8VOJ 40-49 years, male 5.1
GTEX-13X6H-1726-SM-5Q5EH 50-59 years, female 4.4
GTEX-1RB15-1126-SM-E8VMX 60-69 years, male 2.0
Show allShow less

ADIPOSE TISSUE - FANTOM5 CAGEi

RNA expression in human tissues obtained through Cap Analysis of Gene Expression (CAGE) generated by the FANTOM5 project are reported as Scaled Tags Per Million.

Max subtype Scaled Tags Per Millioni

Max subtype Scaled Tags Per Million is the value for the subtype with the largest average Scaled Tags Per Million across the subtype samples.

36.8
FANTOM5 sample id Sample description Scaled Tags Per Million
Adipose tissue
Scaled Tags Per Million: 36.8
FF:10010-101C1 65,65,76 years, mixed 36.8

Contact

  • NEWS ARTICLES
  • PRESS ROOM

The Project

  • INTRODUCTION
  • ORGANIZATION
  • PUBLICATIONS

The Human Protein Atlas

  • DOWNLOADABLE DATA
  • LICENCE & CITATION
  • HELP & FAQ
The Human Protein Atlas project is funded
by the Knut & Alice Wallenberg Foundation.


contact@proteinatlas.org