We use cookies to enhance the usability of our website. If you continue, we'll assume that you are happy to receive all cookies. More information. Don't show this again.
IKZF1
HPA
RESOURCES
  • TISSUE
  • BRAIN
  • SINGLE CELL
  • SUBCELLULAR
  • CANCER
  • BLOOD
  • CELL LINE
  • STRUCTURE & INTERACTION
ABOUT
  • INTRODUCTION
  • HISTORY
  • ORGANIZATION
  • PUBLICATIONS
  • ANTIBODY SUBMISSION
  • ANTIBODY AVAILABILITY
  • ACKNOWLEDGMENTS
  • CONTACT
NEWS
  • NEWS ARTICLES
  • PRESS ROOM
LEARN
  • DICTIONARY
  • PROTEIN CLASSES
  • PROTEIN EVIDENCE
  • METHODS
  • EDUCATIONAL VIDEOS
DATA
  • DOWNLOADABLE DATA
  • PUBLICATION DATA
  • RELEASE HISTORY
HELP
  • ANTIBODY VALIDATION
  • ASSAYS & ANNOTATION
  • DISCLAIMER
  • HELP & FAQ
  • PRIVACY STATEMENT
  • LICENCE & CITATION
Fields »
Search result

Field
Term
Gene name
Class
Subclass
Class
Keyword
Chromosome
External id
Tissue
Cell type
Expression
Antibody panel
Tissue
Main location
Patient ID
Annotation
Tissue
Category
Tau score
Cluster
Reliability
Brain region
Category
Tau score
Brain region
Category
Tau score
Brain region
Category
Tau score
Cluster
Reliability
Tissue
Cell type
Enrichment
Cell type
Category
Tau score
Cell type
Category
Tau score
Cell type
Category
Tau score
Cell lineage
Category
Tau score
Cluster
Cluster
Location
Searches
Location
Cell line
Class
Type
Phase
Reliability
Cancer
Prognosis
Cancer
Category
Cancer
Category
Tau score
Cluster
Variants
Interacting gene (ensg_id)
Type
Number of interactions
Pathway
Category
Score
Score
Score
Validation
Validation
Validation
Validation
Antibodies
Data type
Column


  • SUMMARY

  • TISSUE

  • BRAIN

  • SINGLE CELL

  • SUBCELL

  • CANCER

  • BLOOD

  • CELL LINE

  • STRUCT & INT

  • IKZF1
TISSUE PRIMARY DATA COLON Show tissue menu
ADIPOSE TISSUE ADRENAL GLAND AMYGDALA APPENDIX BASAL GANGLIA BONE MARROW BREAST BRONCHUS CEREBELLUM CEREBRAL CORTEX CERVIX CHOROID PLEXUS COLON DUODENUM
ENDOMETRIUM EPIDIDYMIS ESOPHAGUS FALLOPIAN TUBE GALLBLADDER HEART MUSCLE HIPPOCAMPAL FORMATION HYPOTHALAMUS KIDNEY LIVER LUNG LYMPH NODE MIDBRAIN NASOPHARYNX
ORAL MUCOSA OVARY PANCREAS PARATHYROID GLAND PITUITARY GLAND PLACENTA PROSTATE RECTUM RETINA SALIVARY GLAND SEMINAL VESICLE SKELETAL MUSCLE SKIN SMALL INTESTINE
SMOOTH MUSCLE SOFT TISSUE SPINAL CORD SPLEEN STOMACH TESTIS THYMUS THYROID GLAND TONGUE TONSIL URINARY BLADDER VAGINA
ANTIBODIES
AND
VALIDATION
Dictionary
Colon
Tissue proteome
Intestine
COLON - Expression summary
Protein expression
Coloni

On the top, protein expression in current human tissue, based on all annotated cell types, is reported with the units not detected (n), low (l), medium (m) and high (h). Underneath, protein expression in each annotated cell type are reported using the same units.

Protein expression data is based on knowledge-based annotation. For genes where more than one antibody has been used, a collective score is set.

If knowledge-based annotation could not be performed for a gene, no data is displayed here. View antibody staining data further down this page.

h
m
l
n
Endothelial cells: Not detected
Glandular cells: Not detected
Peripheral nerve/ganglion: Not detected
RNA expressioni

A summary of mRNA expression data available for current tissue based on several datasets. The mRNA expression levels in human tissues are based on RNA-seq data generated by the Human Protein Atlas (HPA), Genotype-Tissue Expression (GTEx) portal and CAGE data generated by the FANTOM5 consortium. Consensus normalized expression levels for human tissues was created by combining the data from HPA and GTEx datasets.

The mRNA expression levels in pig are based on RNA-seq data generated by the Human Protein Atlas (HPA), and for mouse, HPA data and in situ hybridization generated by the Allen brain atlas are reported.

Scroll down to view mRNA expression data in more detail.
Consensus:7.1 nTPM
HPA:7.1 nTPM
GTEx:3.0 nTPM
FANTOM5:19.8 Scaled Tags Per Million

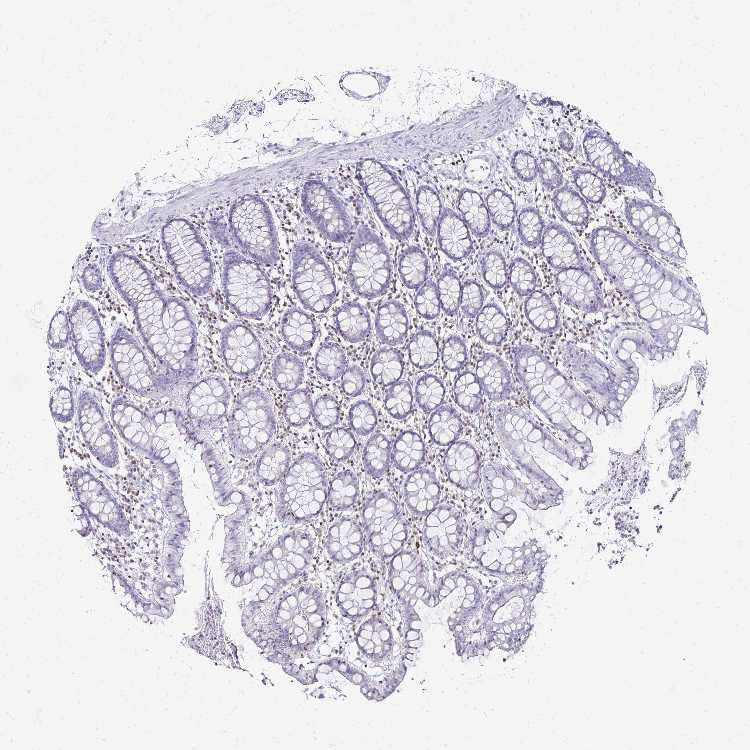
COLON - Antibody stainingi

Antibody staining in the annotated cell types in the current human tissue is reported as not detected, low, medium, or high, based on conventional immunohistochemistry profiling in selected tissues. This score is based on the combination of the staining intensity and fraction of stained cells.

Each image is clickable and will lead to virtual microscopy that enables deeper exploration of all samples and also displays staining intensity scores, fraction scores and subcellular localization as well as patient and tissue information for each sample.

Antibody HPA035221Antibody HPA035222Antibody CAB009247
Endothelial cells Not detectedNot detectedNot detected
Glandular cells Not detectedNot detectedNot detected
Peripheral nerve/ganglion -Not detectedMedium






COLON - HPA RNA-seqi

The RNA-seq details section shows detailed information about the individual samples used for the transcript profiling and results of the RNA-seq analysis.

Information about each individual sample is listed below, including gender, age, a tissue section image and estimated fractions of cell types. nTPM (normalized transcripts per million) values give a quantification of the gene abundance which is comparable between different genes and samples.
Average nTPMi

Max subtype nTPM is the value for the subtype with the largest average nTPM across the subtype samples.

7.1
overview
Male, age 54
Colon sample 67
nTPM: 4.5
Cell types%
Glandular cells:
65

Smooth muscle cells:
10

Other cell types:
25

overview
Female, age 57
Colon sample 68
nTPM: 10.3
Cell types%
Glandular cells:
40

Smooth muscle cells:
5

Other cell types:
55

overview
Male, age 80
Colon sample 69
nTPM: 7.2
Cell types%
Glandular cells:
55

Smooth muscle cells:
5

Other cell types:
40

overview
Male, age 68
Colon sample 70
nTPM: 2
Cell types%
Glandular cells:
35

Smooth muscle cells:
10

Other cell types:
55

overview
Female, age 68
Colon sample 76
nTPM: 11.8
Cell types%
Glandular cells:
25

Smooth muscle cells:
5

Other cell types:
70

overview
Female, age 61
Colon sample 299
nTPM: 3.3
Cell types%
Glandular cells:
5

Smooth muscle cells:
65

Other cell types:
30

overview
Male, age 80
Colon sample 300
nTPM: 7.8
Cell types%
Glandular cells:
15

Smooth muscle cells:
20

Other cell types:
65

overview
Female, age 78
Colon sample 368
nTPM: 6.8
Cell types%
Glandular cells:
45

Smooth muscle cells:
5

Other cell types:
50

overview
Male, age 84
Colon sample 381
nTPM: 8.9
Cell types%
Glandular cells:
50

Smooth muscle cells:
15

Other cell types:
35

overview
Male, age 80
Colon sample 384
nTPM: 8.7
Cell types%
Glandular cells:
20

Smooth muscle cells:
35

Other cell types:
45

overview
Female, age 78
Colon sample 389
nTPM: 5.9
Cell types%
Glandular cells:
35

Smooth muscle cells:
10

Other cell types:
55

overview
Female, age 69
Colon sample 391
nTPM: 8.1
Cell types%
Glandular cells:
10

Smooth muscle cells:
45

Other cell types:
45

overview
Female, age 72
Colon sample 403
nTPM: 6.4
Cell types%
Glandular cells:
20

Smooth muscle cells:
15

Other cell types:
65


COLON - GTEx RNA-seqi

RNA-Seq data generated by the Genotype-Tissue Expression (GTEx) project from human tissues is reported as mean nTPM. More information can be found on the GTEx portal.

Distribution across the dataset is visualized with box plots, shown as median and 25th and 75th percentiles. Points are displayed as outliers if they are above or below 1.5 times the interquartile range. nTPM values of the individual samples are presented next to the box plot.
Max subtype nTPMi

Max subtype nTPM is the value for the subtype with the largest average nTPM across the subtype samples.

3.0
GTEx sample id Sample description nTPM
Colon - Sigmoid
Average nTPM: 1.0
Samples: 373

Max nTPM: 8.6
Min nTPM: 0.0
Std nTPM: 1.0
Median nTPM: 0.7
GTEX-VJYA-2126-SM-4KL1O 60-69 years, male 8.6
GTEX-X5EB-1126-SM-46MVV 40-49 years, male 7.9
GTEX-15F5U-1426-SM-7KUN2 40-49 years, male 7.1
GTEX-1AMEY-1826-SM-72D5L 30-39 years, female 6.8
GTEX-ZQUD-1026-SM-4YCEZ 30-39 years, male 5.9
GTEX-Y5V6-1626-SM-4VDT2 60-69 years, male 5.1
GTEX-Y8E4-2326-SM-EAZAZ 40-49 years, male 4.9
GTEX-1PFEY-1726-SM-DPRZ4 30-39 years, male 4.3
GTEX-W5WG-2026-SM-4LMIB 50-59 years, female 4.0
GTEX-13W3W-2226-SM-5LU4M 60-69 years, female 3.9
GTEX-13X6K-2726-SM-5O9DG 60-69 years, female 3.7
GTEX-11VI4-1426-SM-5GU6O 40-49 years, female 3.5
GTEX-WQUQ-2626-SM-4MVNP 60-69 years, male 3.3
GTEX-1H3NZ-2526-SM-9KNVO 60-69 years, male 3.3
GTEX-11EQ8-2626-SM-5N9BO 60-69 years, male 3.2
GTEX-1C64O-2426-SM-7P8R3 60-69 years, male 3.1
GTEX-14PKV-1926-SM-686YU 20-29 years, female 3.0
GTEX-WOFM-1926-SM-4OOSP 20-29 years, male 3.0
GTEX-Y8LW-1126-SM-4VDS4 50-59 years, female 2.8
GTEX-1A3MV-1026-SM-72D5U 30-39 years, male 2.6
GTEX-ZAB4-2426-SM-5HL8A 40-49 years, male 2.5
GTEX-148VJ-2426-SM-5NQ9Y 70-79 years, male 2.4
GTEX-17EUY-1726-SM-79OK4 20-29 years, male 2.4
GTEX-11ONC-1926-SM-5GU75 60-69 years, male 2.3
GTEX-1OJC3-1826-SM-DTX93 20-29 years, male 2.3
GTEX-1C475-1526-SM-7DHM3 40-49 years, female 2.2
GTEX-13X6I-2726-SM-5Q5ET 60-69 years, male 2.1
GTEX-15ER7-2826-SM-6PAN2 20-29 years, female 2.1
GTEX-11PRG-2026-SM-5GU5F 50-59 years, male 2.0
GTEX-1EMGI-2626-SM-7IGNR 60-69 years, male 2.0
GTEX-1211K-1826-SM-5EGJ2 60-69 years, female 1.9
GTEX-15FZZ-1826-SM-6LLJP 30-39 years, female 1.9
GTEX-17F9Y-2626-SM-7IGN9 70-79 years, female 1.9
GTEX-1AX9J-2526-SM-73KUY 60-69 years, male 1.9
GTEX-1HBPI-2226-SM-9WYTY 50-59 years, male 1.9
GTEX-1R9JW-2126-SM-E76QT 30-39 years, female 1.9
GTEX-144GM-1126-SM-79OJK 20-29 years, male 1.8
GTEX-15ETS-2326-SM-7KUGC 40-49 years, female 1.8
GTEX-WH7G-1426-SM-4LVMU 40-49 years, male 1.8
GTEX-WYJK-2326-SM-4ONDN 50-59 years, male 1.8
GTEX-XUZC-1526-SM-4BRV4 30-39 years, female 1.8
GTEX-Y114-1626-SM-4TT7I 50-59 years, female 1.8
GTEX-ZYFD-2226-SM-5E43P 50-59 years, male 1.8
GTEX-1J1R8-1426-SM-CL55O 40-49 years, male 1.7
GTEX-1JMLX-2526-SM-CY8HX 50-59 years, male 1.7
GTEX-1JMPZ-2626-SM-ARU8Z 30-39 years, male 1.7
GTEX-WHSE-2726-SM-EZ6ML 20-29 years, male 1.7
GTEX-WFG7-1626-SM-4LVMF 20-29 years, male 1.6
GTEX-WRHK-1126-SM-4MVOJ 20-29 years, female 1.6
GTEX-YJ8A-1726-SM-5P9IQ 20-29 years, male 1.6
GTEX-1122O-1426-SM-5H11R 60-69 years, female 1.5
GTEX-11EQ9-1526-SM-5PNY7 30-39 years, male 1.5
GTEX-139D8-2926-SM-5IJBM 30-39 years, female 1.5
GTEX-139TS-2226-SM-5J2N1 60-69 years, male 1.5
GTEX-146FH-2426-SM-5Q5EW 50-59 years, female 1.5
GTEX-15EO6-2326-SM-6LPKK 50-59 years, male 1.5
GTEX-1RLM8-1726-SM-E9TKF 50-59 years, male 1.5
GTEX-145ME-1126-SM-5SIAT 40-49 years, female 1.4
GTEX-15RIE-2026-SM-7KFRW 60-69 years, male 1.4
GTEX-XBED-1726-SM-47JYO 60-69 years, male 1.4
GTEX-ZVZQ-2626-SM-59HLB 60-69 years, female 1.4
GTEX-1JKYN-2226-SM-ARZNE 30-39 years, male 1.4
GTEX-1N2EF-1726-SM-EXUSI 60-69 years, male 1.4
GTEX-1PBJI-2526-SM-E6CP4 20-29 years, female 1.4
GTEX-11I78-1326-SM-5PNY9 50-59 years, female 1.3
GTEX-12WSJ-1426-SM-5GCON 40-49 years, female 1.3
GTEX-13CF3-1326-SM-5LZXZ 60-69 years, female 1.3
GTEX-14PN3-1926-SM-6EU1Y 60-69 years, female 1.3
GTEX-ZY6K-1326-SM-5GZWP 50-59 years, male 1.3
GTEX-1PPH8-2226-SM-EWRN7 20-29 years, male 1.3
GTEX-YEC3-2026-SM-DKPOL 50-59 years, male 1.3
GTEX-13VXT-2026-SM-5L3EW 20-29 years, female 1.2
GTEX-14C39-1626-SM-5S2P4 40-49 years, male 1.2
GTEX-17HHE-1626-SM-7DHLN 50-59 years, male 1.2
GTEX-1AMFI-1826-SM-73KWB 50-59 years, female 1.2
GTEX-WXYG-1726-SM-4ONCU 50-59 years, female 1.2
GTEX-ZAJG-2626-SM-5S2NU 50-59 years, female 1.2
GTEX-ZQG8-2426-SM-57WEE 60-69 years, female 1.2
GTEX-ZV6S-1126-SM-57WE9 40-49 years, female 1.2
GTEX-1HCVE-2326-SM-9WYUD 50-59 years, male 1.2
GTEX-1I6K6-1926-SM-A96SN 30-39 years, male 1.2
GTEX-1IDJI-2226-SM-CKZPM 50-59 years, female 1.2
GTEX-1P4AB-2626-SM-DTXEU 50-59 years, male 1.2
GTEX-11ZTT-1626-SM-5EQKR 60-69 years, female 1.1
GTEX-13113-1426-SM-5EGHU 60-69 years, female 1.1
GTEX-1339X-1726-SM-5P9J9 40-49 years, male 1.1
GTEX-145LS-2926-SM-5O99G 60-69 years, female 1.1
GTEX-147JS-2626-SM-5S2UX 60-69 years, male 1.1
GTEX-15G19-2726-SM-6LPKG 60-69 years, male 1.1
GTEX-16BQI-2026-SM-7KULQ 30-39 years, female 1.1
GTEX-18A66-2626-SM-72D67 60-69 years, male 1.1
GTEX-XAJ8-0726-SM-47JY5 40-49 years, male 1.1
GTEX-ZF29-1826-SM-4WKG8 60-69 years, female 1.1
GTEX-ZVT2-1726-SM-51MRO 50-59 years, female 1.1
GTEX-1GZ4H-1326-SM-7P8TE 50-59 years, female 1.1
GTEX-1H1E6-1826-SM-A9G21 30-39 years, male 1.1
GTEX-1JMQK-2326-SM-ARZN4 60-69 years, male 1.1
GTEX-1KXAM-1926-SM-D3LAG 60-69 years, male 1.1
GTEX-1RDX4-1926-SM-E6CJJ 50-59 years, female 1.1
GTEX-1RMOY-1726-SM-EVYC9 50-59 years, male 1.1
GTEX-13OVK-1026-SM-7KFTC 40-49 years, male 1.0
GTEX-147GR-2826-SM-5RQK8 60-69 years, male 1.0
GTEX-14DAQ-2926-SM-664MV 60-69 years, female 1.0
GTEX-17GQL-1626-SM-7LG69 60-69 years, male 1.0
GTEX-WFG8-1726-SM-4LVM6 20-29 years, male 1.0
GTEX-WI4N-2226-SM-4OOS9 40-49 years, female 1.0
GTEX-1F5PK-1726-SM-7RHHW 50-59 years, male 1.0
GTEX-1GMR2-1826-SM-9KNUP 50-59 years, male 1.0
GTEX-1GMR8-2926-SM-9KNW5 50-59 years, female 1.0
GTEX-1GTWX-2626-SM-9WPOT 60-69 years, male 1.0
GTEX-1HBPM-2626-SM-9WYU5 60-69 years, female 1.0
GTEX-1HCUA-1926-SM-B2LWE 50-59 years, female 1.0
GTEX-1HSMO-2526-SM-A9SKP 60-69 years, male 1.0
GTEX-1HSMQ-2526-SM-A9SMK 50-59 years, male 1.0
GTEX-1I1GP-2826-SM-A9SKZ 50-59 years, male 1.0
GTEX-1IL2U-2526-SM-C1YQV 60-69 years, male 1.0
GTEX-1JMPY-1026-SM-ARZN1 30-39 years, male 1.0
GTEX-1LSVX-2026-SM-E9TJD 60-69 years, male 1.0
GTEX-1QP2A-2226-SM-DTXF6 50-59 years, male 1.0
GTEX-ZLV1-1326-SM-DO11Q 60-69 years, female 1.0
GTEX-11DXZ-1626-SM-5GIDI 50-59 years, male 0.9
GTEX-11EM3-1626-SM-5N9CO 20-29 years, female 0.9
GTEX-12WSL-1826-SM-5LZW9 50-59 years, male 0.9
GTEX-132AR-2826-SM-5IJFV 50-59 years, female 0.9
GTEX-13CF2-1826-SM-5N9GK 60-69 years, male 0.9
GTEX-13N2G-2226-SM-5IJCU 60-69 years, male 0.9
GTEX-13O1R-2426-SM-5KLZZ 60-69 years, male 0.9
GTEX-13OVI-2126-SM-5KM3U 60-69 years, female 0.9
GTEX-1477Z-2126-SM-5Q5CM 60-69 years, male 0.9
GTEX-15RJE-2226-SM-6M46A 40-49 years, male 0.9
GTEX-15UF6-2726-SM-7KULY 70-79 years, female 0.9
GTEX-1AYCT-1926-SM-793AE 50-59 years, male 0.9
GTEX-V955-1726-SM-4JBHF 60-69 years, male 0.9
GTEX-Z93S-2626-SM-57WBX 50-59 years, male 0.9
GTEX-ZPU1-1726-SM-4WWFV 40-49 years, male 0.9
GTEX-1EU9M-2726-SM-7P8QD 60-69 years, male 0.9
GTEX-1GF9X-1426-SM-7RHGX 40-49 years, female 0.9
GTEX-1GN73-2726-SM-9WYUB 60-69 years, male 0.9
GTEX-1H23P-2626-SM-9KNVN 60-69 years, male 0.9
GTEX-1HKZK-2026-SM-9WYUF 40-49 years, male 0.9
GTEX-1J1OQ-2826-SM-D3L88 40-49 years, female 0.9
GTEX-1JN6P-2126-SM-ARL98 60-69 years, male 0.9
GTEX-1LVAO-2826-SM-E9TJH 60-69 years, male 0.9
GTEX-1QCLZ-2026-SM-EAZ4A 60-69 years, female 0.9
GTEX-1QP9N-0826-SM-DTX9O 30-39 years, male 0.9
GTEX-11TT1-0926-SM-5GU5M 20-29 years, male 0.8
GTEX-11ZU8-1126-SM-5EQ5K 60-69 years, male 0.8
GTEX-12696-1926-SM-5EGJT 60-69 years, male 0.8
GTEX-131XG-1526-SM-5GCNQ 50-59 years, female 0.8
GTEX-13D11-0626-SM-5LZYY 50-59 years, female 0.8
GTEX-13OVJ-1826-SM-5KM2D 50-59 years, female 0.8
GTEX-13OW8-2726-SM-5L3FZ 60-69 years, male 0.8
GTEX-13SLW-2826-SM-5Q5ES 70-79 years, male 0.8
GTEX-14AS3-1026-SM-5TDD7 40-49 years, female 0.8
GTEX-14BIN-2426-SM-5TDCF 50-59 years, female 0.8
GTEX-14BMU-1326-SM-5RQIH 20-29 years, female 0.8
GTEX-15UF7-1326-SM-7KUKV 40-49 years, male 0.8
GTEX-16Z82-2426-SM-7KUMS 60-69 years, male 0.8
GTEX-1A3MX-2326-SM-718B4 60-69 years, male 0.8
GTEX-1B996-2726-SM-7DUGG 60-69 years, male 0.8
GTEX-1CB4F-1926-SM-7MKFN 60-69 years, male 0.8
GTEX-X15G-1526-SM-4PQZM 50-59 years, female 0.8
GTEX-X4EO-2726-SM-4E3HS 60-69 years, female 0.8
GTEX-XQ8I-2326-SM-4BOQC 50-59 years, male 0.8
GTEX-ZC5H-2426-SM-4WAZ6 40-49 years, female 0.8
GTEX-ZE9C-2126-SM-4WKGY 60-69 years, male 0.8
GTEX-ZTSS-1226-SM-51MSZ 40-49 years, male 0.8
GTEX-ZVT4-2626-SM-5N9GJ 50-59 years, female 0.8
GTEX-ZXES-1726-SM-5E43G 30-39 years, female 0.8
GTEX-ZZ64-0826-SM-5E449 20-29 years, male 0.8
GTEX-1CAMR-1026-SM-7P8QI 20-29 years, male 0.8
GTEX-1CAMS-2626-SM-7PBY3 40-49 years, female 0.8
GTEX-1F75W-2126-SM-7RHIA 60-69 years, male 0.8
GTEX-1HB9E-2526-SM-D4P35 50-59 years, male 0.8
GTEX-1I1GT-2026-SM-CKZPK 60-69 years, female 0.8
GTEX-1IDJU-1926-SM-CL53W 60-69 years, female 0.8
GTEX-1IKOE-2126-SM-A96T5 30-39 years, female 0.8
GTEX-1JJEA-2526-SM-CY8HJ 60-69 years, male 0.8
GTEX-1JMQJ-2626-SM-CY8HQ 50-59 years, male 0.8
GTEX-1PIIG-2126-SM-EXUSD 30-39 years, male 0.8
GTEX-1QP29-2526-SM-E6CQ3 50-59 years, male 0.8
GTEX-11DXY-2026-SM-5N9CZ 60-69 years, male 0.7
GTEX-11EI6-2626-SM-5PNVT 60-69 years, male 0.7
GTEX-11EMC-1426-SM-5N9E4 60-69 years, female 0.7
GTEX-1212Z-1826-SM-5FQSH 60-69 years, male 0.7
GTEX-12WSD-2626-SM-5EGJE 60-69 years, female 0.7
GTEX-12WSG-2426-SM-5EQLZ 50-59 years, female 0.7
GTEX-12ZZW-2426-SM-5DUWE 50-59 years, male 0.7
GTEX-132NY-2726-SM-5PNY2 60-69 years, male 0.7
GTEX-1399R-2126-SM-5K7WZ 30-39 years, male 0.7
GTEX-1399U-2226-SM-5KLZI 50-59 years, female 0.7
GTEX-13O61-1526-SM-5KM3P 60-69 years, male 0.7
GTEX-13X6J-2826-SM-7EPGA 50-59 years, male 0.7
GTEX-14C5O-2626-SM-5RQI5 60-69 years, male 0.7
GTEX-14PHX-1126-SM-5YYA5 50-59 years, male 0.7
GTEX-15CHQ-2626-SM-686YZ 60-69 years, male 0.7
GTEX-16NGA-0926-SM-718AG 40-49 years, female 0.7
GTEX-183FY-1426-SM-7DHLM 20-29 years, male 0.7
GTEX-18QFQ-1726-SM-731C9 30-39 years, male 0.7
GTEX-1B932-2126-SM-7IGMU 40-49 years, female 0.7
GTEX-WFON-1326-SM-4LVMN 40-49 years, male 0.7
GTEX-YECK-2826-SM-5IFHF 60-69 years, male 0.7
GTEX-YF7O-1626-SM-5IFII 50-59 years, male 0.7
GTEX-YFCO-1526-SM-5YYB8 40-49 years, male 0.7
GTEX-YJ8O-1426-SM-5PNV9 40-49 years, female 0.7
GTEX-ZA64-1426-SM-5CVMC 20-29 years, male 0.7
GTEX-ZYT6-2826-SM-5GICX 30-39 years, male 0.7
GTEX-ZYY3-2226-SM-5E45A 60-69 years, female 0.7
GTEX-1H1ZS-2626-SM-9QEIX 70-79 years, male 0.7
GTEX-1HBPN-2026-SM-B2LWA 50-59 years, male 0.7
GTEX-1HCU6-2926-SM-B2LWV 60-69 years, female 0.7
GTEX-1HSKV-2326-SM-A9SL9 60-69 years, male 0.7
GTEX-1K2DA-1626-SM-CGQGB 50-59 years, male 0.7
GTEX-1K9T9-2926-SM-E9TKD 50-59 years, female 0.7
GTEX-1L5NE-1926-SM-D3L9R 50-59 years, male 0.7
GTEX-1LSNL-1626-SM-E9TJY 50-59 years, male 0.7
GTEX-1N2DV-1826-SM-E6CJ5 40-49 years, male 0.7
GTEX-1RAZR-2026-SM-E9TKE 40-49 years, male 0.7
GTEX-1S831-1726-SM-EWROJ 20-29 years, male 0.7
GTEX-111CU-1226-SM-5EGIN 50-59 years, male 0.6
GTEX-11ZTS-1526-SM-5N9G7 60-69 years, female 0.6
GTEX-12KS4-2326-SM-5EGJB 30-39 years, male 0.6
GTEX-12ZZY-2726-SM-5EQ45 60-69 years, male 0.6
GTEX-13111-1926-SM-5GCOL 50-59 years, male 0.6
GTEX-13FH7-1626-SM-5J2O9 50-59 years, female 0.6
GTEX-13G51-2126-SM-5IJD9 60-69 years, male 0.6
GTEX-13OW6-2226-SM-5N9FL 50-59 years, male 0.6
GTEX-13PL7-2426-SM-5J2N3 60-69 years, female 0.6
GTEX-13U4I-2626-SM-5SI9C 40-49 years, female 0.6
GTEX-14A5H-1626-SM-5SIAN 60-69 years, male 0.6
GTEX-14A5I-2426-SM-5Q5CP 50-59 years, female 0.6
GTEX-14E6C-2226-SM-5QGQG 40-49 years, male 0.6
GTEX-14PJ4-1826-SM-5YY97 60-69 years, male 0.6
GTEX-16MTA-1626-SM-6M47N 50-59 years, male 0.6
GTEX-17F96-2126-SM-7KFSM 70-79 years, male 0.6
GTEX-183WM-2526-SM-731BP 70-79 years, female 0.6
GTEX-1B8KE-1526-SM-7DUG2 50-59 years, male 0.6
GTEX-1B97I-1526-SM-73KUK 40-49 years, male 0.6
GTEX-1BAJH-2726-SM-7IGNJ 70-79 years, male 0.6
GTEX-1CB4G-2726-SM-79OO4 60-69 years, male 0.6
GTEX-1E2YA-2526-SM-7IGOU 50-59 years, male 0.6
GTEX-WYVS-1126-SM-4SOJX 40-49 years, female 0.6
GTEX-ZF28-2526-SM-57WFH 60-69 years, male 0.6
GTEX-ZF2S-1826-SM-4WKFF 50-59 years, female 0.6
GTEX-ZP4G-1526-SM-57WE5 20-29 years, female 0.6
GTEX-ZYFG-1826-SM-5GZWX 60-69 years, female 0.6
GTEX-1H1DE-1626-SM-9KNU5 20-29 years, male 0.6
GTEX-1HBPH-2526-SM-ACKXK 40-49 years, female 0.6
GTEX-1HSGN-2226-SM-A9SL6 40-49 years, female 0.6
GTEX-1ICG6-2226-SM-B2LY7 70-79 years, female 0.6
GTEX-1KANA-1726-SM-CY8IG 20-29 years, male 0.6
GTEX-1LGRB-2026-SM-COH47 50-59 years, female 0.6
GTEX-1OFPY-1226-SM-E76OM 60-69 years, male 0.6
GTEX-1PDJ9-2026-SM-E76PT 20-29 years, male 0.6
GTEX-1PIEJ-1826-SM-EWRMN 20-29 years, female 0.6
GTEX-1QP67-1426-SM-E8VOO 40-49 years, female 0.6
GTEX-1R9K5-2226-SM-DTX9G 50-59 years, male 0.6
GTEX-1S5ZA-1426-SM-E6CJQ 20-29 years, male 0.6
GTEX-1S82P-2026-SM-E9TIQ 60-69 years, female 0.6
GTEX-117YX-0526-SM-5EGJH 50-59 years, male 0.5
GTEX-12WSM-1426-SM-5GCPA 60-69 years, male 0.5
GTEX-131YS-2926-SM-5EGKI 60-69 years, female 0.5
GTEX-139UW-2326-SM-5KM1Y 60-69 years, male 0.5
GTEX-13FHO-2726-SM-5K7VG 60-69 years, male 0.5
GTEX-13PVR-1726-SM-5Q5EC 60-69 years, female 0.5
GTEX-13QBU-2026-SM-5KLZB 40-49 years, female 0.5
GTEX-14E1K-1626-SM-664MO 50-59 years, male 0.5
GTEX-14PK6-1826-SM-69LOM 70-79 years, female 0.5
GTEX-15DZA-1026-SM-6PAND 30-39 years, female 0.5
GTEX-15RIF-1426-SM-7KUKQ 20-29 years, male 0.5
GTEX-16XZZ-2726-SM-7EWDO 60-69 years, male 0.5
GTEX-17KNJ-1826-SM-7LT9N 50-59 years, male 0.5
GTEX-17MFQ-1226-SM-7KFSA 20-29 years, male 0.5
GTEX-18A6Q-2226-SM-7LG61 60-69 years, male 0.5
GTEX-1AX9K-1626-SM-73KUS 50-59 years, male 0.5
GTEX-1C4CL-1626-SM-7DUF3 30-39 years, male 0.5
GTEX-WY7C-1926-SM-4ONCI 50-59 years, male 0.5
GTEX-ZVT3-2826-SM-5GU6A 60-69 years, female 0.5
GTEX-15G1A-1926-SM-7KUFF 30-39 years, male 0.5
GTEX-1C64N-2226-SM-7SB7C 50-59 years, male 0.5
GTEX-1GL5R-1726-SM-9KNUX 50-59 years, male 0.5
GTEX-1GMR3-2526-SM-7P8QS 40-49 years, male 0.5
GTEX-1GMRU-2626-SM-9WPPM 50-59 years, male 0.5
GTEX-1HCU7-2726-SM-A9G3D 50-59 years, male 0.5
GTEX-1HSEH-1926-SM-A96SB 60-69 years, male 0.5
GTEX-1I1CD-2826-SM-A9SL4 60-69 years, female 0.5
GTEX-1J8JJ-2426-SM-D4P4A 60-69 years, female 0.5
GTEX-1J8QM-1226-SM-CY8HI 60-69 years, female 0.5
GTEX-1JJE9-2526-SM-ARU8K 70-79 years, male 0.5
GTEX-1JK1U-1426-SM-CNPOW 60-69 years, male 0.5
GTEX-1LG7Y-2226-SM-E9U5K 50-59 years, male 0.5
GTEX-1LGOU-1726-SM-D3L8P 20-29 years, female 0.5
GTEX-1LVAM-1726-SM-DHXKQ 50-59 years, female 0.5
GTEX-1MGNQ-2126-SM-EV7AC 40-49 years, male 0.5
GTEX-1PBJJ-2026-SM-DTX8U 30-39 years, male 0.5
GTEX-1PIGE-1526-SM-DTXFC 20-29 years, male 0.5
GTEX-1QCLY-2026-SM-EVR4C 30-39 years, male 0.5
GTEX-1QPFJ-2426-SM-EVR3L 30-39 years, female 0.5
GTEX-1R7EU-1826-SM-DTX9L 60-69 years, male 0.5
GTEX-1R9PO-2026-SM-E9J4N 60-69 years, female 0.5
GTEX-11P7K-1826-SM-5HL5A 30-39 years, male 0.4
GTEX-12BJ1-2026-SM-5FQUH 60-69 years, male 0.4
GTEX-12ZZX-2726-SM-5N9FT 40-49 years, female 0.4
GTEX-139T6-1426-SM-5P9J7 50-59 years, male 0.4
GTEX-14JG6-1626-SM-5YYBC 30-39 years, female 0.4
GTEX-15DYW-2426-SM-7KUG8 60-69 years, female 0.4
GTEX-15RJ7-1726-SM-6PAL3 40-49 years, male 0.4
GTEX-17JCI-2826-SM-7IGNA 60-69 years, female 0.4
GTEX-18465-2726-SM-7LT9I 50-59 years, male 0.4
GTEX-1A32A-2626-SM-73KX9 50-59 years, female 0.4
GTEX-WHPG-1626-SM-4M1ZL 50-59 years, male 0.4
GTEX-WHWD-1526-SM-4OORV 50-59 years, male 0.4
GTEX-XXEK-1826-SM-4BRVC 50-59 years, male 0.4
GTEX-Y9LG-1326-SM-4VBQB 30-39 years, male 0.4
GTEX-ZDTS-2726-SM-5L3E2 60-69 years, male 0.4
GTEX-ZE7O-2626-SM-51MSS 50-59 years, female 0.4
GTEX-ZG7Y-1826-SM-4WWD3 50-59 years, male 0.4
GTEX-ZLFU-1426-SM-4WWEU 40-49 years, male 0.4
GTEX-ZPCL-1626-SM-57WGC 60-69 years, female 0.4
GTEX-ZPIC-2626-SM-57WE2 40-49 years, female 0.4
GTEX-1EH9U-1926-SM-7P8QM 60-69 years, male 0.4
GTEX-1H3VY-2526-SM-9KNW1 50-59 years, male 0.4
GTEX-1IDJH-2826-SM-CJI49 70-79 years, male 0.4
GTEX-1LSNM-1426-SM-E6CIH 50-59 years, male 0.4
GTEX-ZLWG-1826-SM-DO11I 50-59 years, female 0.4
GTEX-11DXX-1926-SM-5EGJK 60-69 years, female 0.3
GTEX-11GS4-1826-SM-5HL4T 60-69 years, male 0.3
GTEX-11P81-1426-SM-5P9JN 30-39 years, female 0.3
GTEX-13FTW-2126-SM-5K7YG 40-49 years, male 0.3
GTEX-13RTJ-1926-SM-5YYA2 60-69 years, male 0.3
GTEX-145MO-2626-SM-5QGPD 60-69 years, male 0.3
GTEX-14PJ3-1226-SM-5ZZVY 50-59 years, male 0.3
GTEX-1C2JI-1726-SM-73KUW 50-59 years, male 0.3
GTEX-1GPI7-1926-SM-9KNUH 20-29 years, male 0.3
GTEX-1HFI7-1626-SM-9WYTR 50-59 years, female 0.3
GTEX-1JKYR-2026-SM-CNPON 20-29 years, male 0.3
GTEX-1LB8K-2526-SM-DIPEQ 50-59 years, male 0.3
GTEX-117XS-2226-SM-5GIE1 60-69 years, male 0.2
GTEX-11TUW-2326-SM-5EQMO 60-69 years, male 0.2
GTEX-131XE-1026-SM-5EGKE 50-59 years, male 0.2
GTEX-13OW5-2826-SM-5KM1G 60-69 years, male 0.2
GTEX-13PVQ-2726-SM-5L3H7 50-59 years, male 0.2
GTEX-14E6E-1726-SM-5S2R6 30-39 years, male 0.2
GTEX-18A67-2226-SM-7LT9Z 50-59 years, male 0.2
GTEX-1C6VQ-2626-SM-7IGMQ 50-59 years, male 0.2
GTEX-Y3I4-1126-SM-4TT7Y 50-59 years, male 0.2
GTEX-ZAB5-1426-SM-5HL9D 50-59 years, male 0.2
GTEX-ZT9W-1726-SM-51MS3 50-59 years, male 0.2
GTEX-1F5PL-1926-SM-7MXTP 40-49 years, female 0.2
GTEX-1JN76-1326-SM-ARU94 20-29 years, female 0.2
GTEX-1LBAC-1726-SM-D3L9W 20-29 years, male 0.2
GTEX-1LG7Z-1326-SM-DIPF3 30-39 years, male 0.2
GTEX-1LKK1-2426-SM-DIPES 50-59 years, female 0.2
GTEX-1QP28-2226-SM-DTX8C 50-59 years, female 0.2
GTEX-1QW4Y-1426-SM-E76P3 30-39 years, male 0.2
GTEX-1RQEC-2626-SM-EVR3Z 60-69 years, male 0.2
GTEX-111YS-1826-SM-5GIEP 60-69 years, male 0.1
GTEX-17HG3-1126-SM-7DUFC 30-39 years, female 0.1
GTEX-17HGU-2626-SM-79OKN 50-59 years, male 0.1
GTEX-18D9A-1326-SM-7LT8P 30-39 years, female 0.1
GTEX-XV7Q-2226-SM-4BRVY 40-49 years, female 0.1
GTEX-1H3VE-2326-SM-9KNVU 40-49 years, male 0.1
GTEX-1J8EW-2426-SM-CE6T5 60-69 years, female 0.1
GTEX-1J8Q3-2426-SM-CL53S 60-69 years, male 0.1
GTEX-1LVAN-2626-SM-CNPQF 50-59 years, female 0.1
GTEX-1RAZQ-2026-SM-E76P7 30-39 years, male 0.1
GTEX-145LT-0826-SM-5S2QL 40-49 years, male 0.0
GTEX-145MH-2726-SM-5QGQ6 50-59 years, male 0.0
GTEX-1B8L1-1926-SM-7IGND 60-69 years, male 0.0
GTEX-XUW1-1826-SM-4BOQD 50-59 years, female 0.0
GTEX-Y5LM-1426-SM-5RQJL 40-49 years, female 0.0
GTEX-ZTTD-2626-SM-57WEX 50-59 years, male 0.0
GTEX-1I1GR-2226-SM-ARL7F 60-69 years, male 0.0
Show allShow less
Colon - Transverse
Average nTPM: 3.0
Samples: 406

Max nTPM: 14.3
Min nTPM: 0.0
Std nTPM: 2.4
Median nTPM: 2.4
GTEX-1HSMQ-2726-SM-C1YRE 50-59 years, male 14.3
GTEX-14C39-1926-SM-5ZZW5 40-49 years, male 13.3
GTEX-1MJK3-0926-SM-EV7AY 20-29 years, male 13.0
GTEX-1QCLZ-1926-SM-E6CR3 60-69 years, female 11.7
GTEX-Q2AH-1226-SM-48TZL 40-49 years, male 10.6
GTEX-15DYW-2326-SM-6PAMU 60-69 years, female 10.4
GTEX-13OVJ-1726-SM-5IJDZ 50-59 years, female 10.3
GTEX-15RIE-1826-SM-6M48P 60-69 years, male 10.3
GTEX-144GL-2526-SM-5TDDL 50-59 years, male 10.2
GTEX-ZVP2-1526-SM-5NQ82 50-59 years, male 10.2
GTEX-1PIGE-1426-SM-E9U61 20-29 years, male 10.1
GTEX-1S3DN-1826-SM-EV79K 50-59 years, male 9.7
GTEX-17EUY-1826-SM-7DUEZ 20-29 years, male 9.6
GTEX-1PWST-2426-SM-EWRMP 70-79 years, male 9.6
GTEX-1K9T9-2826-SM-D4P3F 50-59 years, female 9.4
GTEX-16XZZ-2626-SM-6M47S 60-69 years, male 9.2
GTEX-R53T-1326-SM-48FCQ 50-59 years, female 9.2
GTEX-13O3O-2526-SM-5L3DR 60-69 years, female 8.8
GTEX-1L5NE-2026-SM-CXZKR 50-59 years, male 8.2
GTEX-1CAMS-2526-SM-7EPH7 40-49 years, female 7.7
GTEX-1E2YA-2626-SM-7MGWW 50-59 years, male 7.7
GTEX-14ICK-1026-SM-6AJA4 40-49 years, male 7.5
GTEX-17EVQ-1826-SM-7IGPH 70-79 years, male 7.5
GTEX-147GR-2726-SM-664OO 60-69 years, male 7.2
GTEX-ZV7C-1526-SM-5NQ72 50-59 years, male 7.2
GTEX-12C56-0626-SM-5EGGC 20-29 years, male 7.1
GTEX-17GQL-1526-SM-7LTAC 60-69 years, male 7.0
GTEX-147JS-2526-SM-5S2Q8 60-69 years, male 6.9
GTEX-1J1OQ-2726-SM-AHZ3R 40-49 years, female 6.9
GTEX-1JMPY-0426-SM-C1YQ3 30-39 years, male 6.9
GTEX-1R7EU-1926-SM-E9U62 60-69 years, male 6.9
GTEX-1PFEY-1426-SM-E9U6U 30-39 years, male 6.7
GTEX-1GPI7-1726-SM-7P8R1 20-29 years, male 6.6
GTEX-1LSVX-1726-SM-DHXJP 60-69 years, male 6.6
GTEX-RM2N-0926-SM-48FD1 50-59 years, male 6.5
GTEX-WFG7-1526-SM-4LVMG 20-29 years, male 6.5
GTEX-1I1GR-2526-SM-CNNQF 60-69 years, male 6.5
GTEX-OXRK-1726-SM-3NB16 50-59 years, female 6.4
GTEX-1C475-1626-SM-731FP 40-49 years, female 6.3
GTEX-1399U-1926-SM-5IFH7 50-59 years, female 6.2
GTEX-1F5PL-2126-SM-7PC2O 40-49 years, female 6.2
GTEX-13QJ3-2626-SM-9OSXQ 50-59 years, male 6.1
GTEX-1I6K6-1826-SM-B2LX5 30-39 years, male 6.1
GTEX-P78B-1726-SM-3P5ZV 40-49 years, female 6.0
GTEX-1H1DE-1526-SM-ARL9B 20-29 years, male 5.9
GTEX-14JIY-3326-SM-6871E 60-69 years, male 5.7
GTEX-PLZ5-1126-SM-3P613 50-59 years, male 5.7
GTEX-ZPIC-2226-SM-57WDX 40-49 years, female 5.7
GTEX-139TS-1926-SM-5IJFO 60-69 years, male 5.6
GTEX-13OW6-2126-SM-5N9GL 50-59 years, male 5.6
GTEX-17F98-1026-SM-7IGO8 40-49 years, female 5.6
GTEX-1H1E6-1926-SM-9OSWD 30-39 years, male 5.6
GTEX-1IDJD-2226-SM-A96TD 30-39 years, male 5.6
GTEX-11NSD-1626-SM-5986U 20-29 years, male 5.5
GTEX-147F3-1926-SM-5SIB9 50-59 years, female 5.5
GTEX-1B8KZ-1326-SM-7DUG6 50-59 years, male 5.5
GTEX-1C6VQ-2726-SM-73KUL 50-59 years, male 5.5
GTEX-ZAB4-2226-SM-5HL97 40-49 years, male 5.5
GTEX-139T6-1326-SM-5IFFO 50-59 years, male 5.4
GTEX-145MN-1726-SM-5SIA6 30-39 years, male 5.4
GTEX-117YW-1826-SM-5PNY5 50-59 years, male 5.3
GTEX-1LGRB-1426-SM-CNNPT 50-59 years, female 5.3
GTEX-1QP67-1326-SM-EAZ4D 40-49 years, female 5.3
GTEX-XV7Q-2126-SM-4BRVX 40-49 years, female 5.2
GTEX-OXRO-0726-SM-E9U4C 60-69 years, female 5.2
GTEX-QEL4-1926-SM-D3L8D 50-59 years, male 5.2
GTEX-1399S-1926-SM-5J2M5 30-39 years, female 5.1
GTEX-13FTW-1826-SM-5IJEN 40-49 years, male 5.1
GTEX-1KANB-1526-SM-CXZK4 50-59 years, male 5.1
GTEX-OIZF-1426-SM-2HML2 60-69 years, male 5.1
GTEX-13PL7-2526-SM-5IFGR 60-69 years, female 5.0
GTEX-13VXT-2426-SM-5LU46 20-29 years, female 5.0
GTEX-ZVT2-1926-SM-5GU5T 50-59 years, female 5.0
GTEX-1I1GT-1926-SM-ARU7D 60-69 years, female 4.9
GTEX-1LVAM-1626-SM-EV79Y 50-59 years, female 4.9
GTEX-1RAZA-1726-SM-DPS13 20-29 years, male 4.9
GTEX-WHWD-1226-SM-4OOS1 50-59 years, male 4.8
GTEX-XMK1-1726-SM-4B64Z 40-49 years, male 4.8
GTEX-1F5PK-1926-SM-7MXT7 50-59 years, male 4.8
GTEX-1RAZR-1926-SM-E6CRF 40-49 years, male 4.8
GTEX-144GM-1226-SM-5LU52 20-29 years, male 4.7
GTEX-15DCE-2026-SM-7KUFE 20-29 years, male 4.7
GTEX-1J1R8-1126-SM-CNPQ3 40-49 years, male 4.7
GTEX-1RDX4-1826-SM-EVR54 50-59 years, female 4.7
GTEX-14BMU-1526-SM-5TDE6 20-29 years, female 4.6
GTEX-1AMFI-1726-SM-7189L 50-59 years, female 4.6
GTEX-1B996-2626-SM-73KZ1 60-69 years, male 4.6
GTEX-1JJ6O-2426-SM-ARU8J 60-69 years, male 4.6
GTEX-13OVK-0826-SM-7KULZ 40-49 years, male 4.5
GTEX-15CHR-1426-SM-7DUGV 50-59 years, male 4.5
GTEX-18D9A-1126-SM-7KFRJ 30-39 years, female 4.5
GTEX-U4B1-1126-SM-4DXV3 40-49 years, male 4.5
GTEX-14PJM-2626-SM-686ZD 50-59 years, female 4.4
GTEX-18D9U-1926-SM-7KFTM 40-49 years, male 4.4
GTEX-132AR-2726-SM-5PNVN 50-59 years, female 4.3
GTEX-14PK6-1726-SM-6871J 70-79 years, female 4.3
GTEX-R55C-1126-SM-48FCJ 40-49 years, male 4.3
GTEX-UJHI-1126-SM-4IHLN 50-59 years, female 4.3
GTEX-1F75B-2726-SM-7P8QO 50-59 years, male 4.3
GTEX-13D11-0826-SM-5KLZJ 50-59 years, female 4.2
GTEX-SNOS-1226-SM-4DM5H 40-49 years, male 4.2
GTEX-Y9LG-1526-SM-4WWDR 30-39 years, male 4.2
GTEX-1JKYN-2326-SM-CGQG7 30-39 years, male 4.2
GTEX-12KS4-2426-SM-5LU8P 30-39 years, male 4.1
GTEX-XUZC-1326-SM-4BRV2 30-39 years, female 4.1
GTEX-1I4MK-1126-SM-B2LWS 50-59 years, female 4.1
GTEX-1LG7Z-1426-SM-CXKYV 30-39 years, male 4.1
GTEX-OOBJ-1426-SM-E6CHH 60-69 years, male 4.1
GTEX-133LE-1526-SM-5IFEN 20-29 years, female 4.0
GTEX-ZF2S-1926-SM-4WWAN 50-59 years, female 4.0
GTEX-1IOXB-2626-SM-CJI2N 50-59 years, male 4.0
GTEX-11DXZ-1726-SM-5H12M 50-59 years, male 3.9
GTEX-XBED-1526-SM-4AT5W 60-69 years, male 3.9
GTEX-1HCU9-1326-SM-B2LXT 20-29 years, male 3.9
GTEX-1NSGN-2326-SM-E9U5X 50-59 years, male 3.9
GTEX-11DXX-1826-SM-5H126 60-69 years, female 3.8
GTEX-131XE-0826-SM-5HL9W 50-59 years, male 3.8
GTEX-144GN-1126-SM-5LU33 50-59 years, male 3.8
GTEX-14PJ4-1926-SM-6LLHG 60-69 years, male 3.8
GTEX-15SB6-1226-SM-7KUMP 50-59 years, female 3.8
GTEX-PX3G-1426-SM-48U1J 20-29 years, female 3.8
GTEX-1JMPZ-2426-SM-C1YQP 30-39 years, male 3.8
GTEX-1QPFJ-2326-SM-E6CR7 30-39 years, female 3.8
GTEX-PSDG-1826-SM-EAZ2S 50-59 years, male 3.8
GTEX-ZDTT-1926-SM-5HL5W 60-69 years, male 3.8
GTEX-WHSB-0926-SM-4M1XJ 50-59 years, male 3.7
GTEX-1R9PM-1526-SM-DPRY8 20-29 years, male 3.7
GTEX-139YR-2126-SM-5KM11 50-59 years, male 3.6
GTEX-1AX9I-2626-SM-73KU5 60-69 years, male 3.6
GTEX-ZLV1-1226-SM-4WWBX 60-69 years, female 3.6
GTEX-1IDJU-2026-SM-A9SLM 60-69 years, female 3.6
GTEX-1N2DV-1426-SM-DPRYQ 40-49 years, male 3.6
GTEX-QDVN-1326-SM-48TZ3 50-59 years, male 3.5
GTEX-S3XE-1126-SM-4AD4N 50-59 years, male 3.5
GTEX-1S83E-1626-SM-EV7B9 40-49 years, male 3.5
GTEX-QV31-0826-SM-CKZNC 30-39 years, male 3.5
GTEX-1399R-2226-SM-5P9JB 30-39 years, male 3.4
GTEX-13PVR-1626-SM-73KVF 60-69 years, female 3.4
GTEX-14DAR-1526-SM-5RQIX 50-59 years, male 3.4
GTEX-17HHE-1826-SM-79OKE 50-59 years, male 3.4
GTEX-WOFM-2026-SM-4OOSQ 20-29 years, male 3.4
GTEX-XQ8I-2126-SM-4BOOM 50-59 years, male 3.4
GTEX-ZY6K-1226-SM-5GZYL 50-59 years, male 3.4
GTEX-1PIEJ-2026-SM-E6CPA 20-29 years, female 3.4
GTEX-OHPN-2026-SM-E9TIA 60-69 years, female 3.4
GTEX-11O72-2226-SM-5PNW2 40-49 years, male 3.3
GTEX-13111-0726-SM-5DUVE 50-59 years, male 3.3
GTEX-1C4CL-2126-SM-7IGQC 30-39 years, male 3.3
GTEX-QMRM-1226-SM-447C6 50-59 years, male 3.3
GTEX-U3ZN-2126-SM-4DXU1 30-39 years, female 3.3
GTEX-1H11D-2626-SM-9JGH4 40-49 years, male 3.3
GTEX-1LH75-2126-SM-EVR5F 50-59 years, female 3.3
GTEX-1211K-1726-SM-5FQUJ 60-69 years, female 3.2
GTEX-1BAJH-2326-SM-7IGMO 70-79 years, male 3.2
GTEX-WFON-1426-SM-4LVMT 40-49 years, male 3.2
GTEX-178AV-1326-SM-6LPJX 40-49 years, male 3.1
GTEX-W5WG-2426-SM-4LMI6 50-59 years, female 3.1
GTEX-ZEX8-1926-SM-4WKFR 50-59 years, male 3.1
GTEX-1H1DG-2226-SM-9WPPC 70-79 years, male 3.1
GTEX-ZG7Y-2126-SM-DO117 50-59 years, male 3.1
GTEX-ZLWG-1726-SM-DNZZ2 50-59 years, female 3.1
GTEX-16AAH-1326-SM-7KFRG 50-59 years, male 3.0
GTEX-1B932-2826-SM-73KUD 40-49 years, female 3.0
GTEX-1QP9N-1026-SM-E6CPX 30-39 years, male 3.0
GTEX-14XAO-2026-SM-69LOI 60-69 years, female 2.9
GTEX-16NPV-2626-SM-6M484 50-59 years, female 2.9
GTEX-1B8KE-1926-SM-731EE 50-59 years, male 2.9
GTEX-T5JW-1126-SM-4DM5V 20-29 years, female 2.9
GTEX-ZXES-1626-SM-5NQ7L 30-39 years, female 2.9
GTEX-1QMI2-2626-SM-E6CR4 60-69 years, male 2.9
GTEX-17MF6-2426-SM-7LTAM 40-49 years, male 2.8
GTEX-QLQW-0426-SM-447A7 30-39 years, male 2.8
GTEX-S4P3-1226-SM-4AD4Y 50-59 years, female 2.8
GTEX-VJYA-2026-SM-4KL1K 60-69 years, male 2.8
GTEX-1IGQW-2326-SM-CE6RV 60-69 years, male 2.8
GTEX-1KXAM-2126-SM-CY8I9 60-69 years, male 2.8
GTEX-11P82-1026-SM-5BC5J 20-29 years, male 2.7
GTEX-15UF6-2626-SM-6M466 70-79 years, female 2.7
GTEX-17HGU-2426-SM-7EWDP 50-59 years, male 2.7
GTEX-Q734-1126-SM-48TZY 40-49 years, female 2.7
GTEX-WYVS-1826-SM-4OND6 40-49 years, female 2.7
GTEX-YB5E-1626-SM-5IFIQ 40-49 years, male 2.7
GTEX-1K2DA-2026-SM-CGQGK 50-59 years, male 2.7
GTEX-11EM3-1526-SM-5A5KN 20-29 years, female 2.6
GTEX-11LCK-2026-SM-5A5MA 30-39 years, male 2.6
GTEX-11P7K-1526-SM-5EGI7 30-39 years, male 2.6
GTEX-11TT1-1026-SM-5PNW7 20-29 years, male 2.6
GTEX-13O3P-2326-SM-5KM55 50-59 years, male 2.6
GTEX-14PHX-1526-SM-68717 50-59 years, male 2.6
GTEX-18A66-2426-SM-7KFSQ 60-69 years, male 2.6
GTEX-11I78-1226-SM-5A5K6 50-59 years, female 2.5
GTEX-131XG-1826-SM-5LZV4 50-59 years, female 2.5
GTEX-NFK9-2026-SM-3LK5K 40-49 years, male 2.5
GTEX-P4PP-1426-SM-3NM9L 30-39 years, female 2.5
GTEX-QCQG-1626-SM-48U26 50-59 years, female 2.5
GTEX-XBEW-1926-SM-4SOJO 40-49 years, male 2.5
GTEX-ZTSS-1126-SM-5985O 40-49 years, male 2.5
GTEX-1JK1U-1526-SM-AHZ46 60-69 years, male 2.5
GTEX-12BJ1-2126-SM-5BC5O 60-69 years, male 2.4
GTEX-QDVJ-1326-SM-48U1X 50-59 years, male 2.4
GTEX-R55D-1826-SM-48FEF 50-59 years, male 2.4
GTEX-X15G-1326-SM-4PQZJ 50-59 years, female 2.4
GTEX-1GMR3-2826-SM-9WPOG 40-49 years, male 2.4
GTEX-1JKYR-1926-SM-C1YR7 20-29 years, male 2.4
GTEX-1MGNQ-2026-SM-EAZ51 40-49 years, male 2.4
GTEX-11EQ9-1426-SM-5987G 30-39 years, male 2.3
GTEX-1339X-1626-SM-5IJDN 40-49 years, male 2.3
GTEX-13FHP-2426-SM-5KLZ5 50-59 years, male 2.3
GTEX-16MT8-2726-SM-7IGLJ 60-69 years, female 2.3
GTEX-Y8E4-2426-SM-4WWDN 40-49 years, male 2.3
GTEX-ZPU1-1926-SM-57WDT 40-49 years, male 2.3
GTEX-1PPH8-2026-SM-DTX7P 20-29 years, male 2.3
GTEX-PLZ6-0926-SM-3P5ZQ 30-39 years, male 2.2
GTEX-S4Q7-0826-SM-4AD5E 20-29 years, male 2.2
GTEX-TKQ2-1326-SM-4DXT9 50-59 years, male 2.2
GTEX-XYKS-2226-SM-4E3IU 60-69 years, female 2.2
GTEX-ZP4G-1726-SM-4WWCM 20-29 years, female 2.2
GTEX-ZPCL-1826-SM-57WF1 60-69 years, female 2.2
GTEX-ZT9W-1826-SM-51MQX 50-59 years, male 2.2
GTEX-1HFI7-1726-SM-A9G22 50-59 years, female 2.2
GTEX-1IKK5-2726-SM-CNPQ6 60-69 years, male 2.2
GTEX-1MA7W-0626-SM-EV79Z 20-29 years, female 2.2
GTEX-1NV5F-2226-SM-DTX8O 60-69 years, female 2.2
GTEX-YEC3-2426-SM-DO11A 50-59 years, male 2.2
GTEX-13OW5-2626-SM-5MR3M 60-69 years, male 2.1
GTEX-15RIF-1326-SM-6LPKO 20-29 years, male 2.1
GTEX-UJMC-1326-SM-4IHLS 50-59 years, male 2.1
GTEX-X3Y1-1726-SM-4PQZL 40-49 years, male 2.1
GTEX-ZDYS-2326-SM-4WKG6 50-59 years, male 2.1
GTEX-ZGAY-2126-SM-4YCFB 40-49 years, female 2.1
GTEX-1GZ4I-2426-SM-9WPPP 50-59 years, male 2.1
GTEX-1HCU7-2626-SM-C1YQO 50-59 years, male 2.1
GTEX-14JG6-1726-SM-69LPL 30-39 years, female 2.0
GTEX-PWN1-1426-SM-48TDF 40-49 years, female 2.0
GTEX-Q2AI-0926-SM-48U1F 40-49 years, male 2.0
GTEX-S341-1426-SM-4AD6U 40-49 years, female 2.0
GTEX-S4UY-0826-SM-4AD4Z 40-49 years, female 2.0
GTEX-1IKOE-2026-SM-AHZ31 30-39 years, female 2.0
GTEX-1QCLY-1726-SM-DPRXY 30-39 years, male 2.0
GTEX-1122O-1526-SM-5N9CL 60-69 years, female 1.9
GTEX-13OVG-1426-SM-5K7VP 60-69 years, male 1.9
GTEX-16Z82-2226-SM-6LPJ7 60-69 years, male 1.9
GTEX-XPVG-1826-SM-4B64X 50-59 years, male 1.9
GTEX-1CAMR-0926-SM-7MXTD 20-29 years, male 1.9
GTEX-1GF9U-1526-SM-7MXUW 40-49 years, female 1.9
GTEX-1HKZK-2126-SM-A9SL3 40-49 years, male 1.9
GTEX-1HSGN-2626-SM-CE6S1 40-49 years, female 1.9
GTEX-1JN76-1226-SM-C1YRM 20-29 years, female 1.9
GTEX-1LGOU-1626-SM-D3LAK 20-29 years, female 1.9
GTEX-111CU-1426-SM-5GZYP 50-59 years, male 1.8
GTEX-1128S-1626-SM-5H12O 60-69 years, female 1.8
GTEX-OIZH-1426-SM-3NB1O 50-59 years, male 1.8
GTEX-XAJ8-0426-SM-47JYJ 40-49 years, male 1.8
GTEX-XGQ4-1226-SM-4AT67 50-59 years, male 1.8
GTEX-1F75I-2426-SM-9WPOY 40-49 years, male 1.8
GTEX-R45C-2126-SM-EZ6KZ 60-69 years, female 1.8
GTEX-145ME-0826-SM-5O9AF 40-49 years, female 1.7
GTEX-14E6E-1526-SM-5RQIG 30-39 years, male 1.7
GTEX-15ER7-2926-SM-7KUFK 20-29 years, female 1.7
GTEX-15G1A-1826-SM-7KUKO 30-39 years, male 1.7
GTEX-15SHU-2526-SM-6M47D 40-49 years, female 1.7
GTEX-WQUQ-2526-SM-4MVNO 60-69 years, male 1.7
GTEX-Y3IK-1826-SM-4WWDS 50-59 years, female 1.7
GTEX-1R9JW-2026-SM-EAZ4O 30-39 years, female 1.7
GTEX-OXRN-2026-SM-E6CHK 50-59 years, male 1.7
GTEX-11VI4-1526-SM-5EQKC 40-49 years, female 1.6
GTEX-12WSJ-1526-SM-5GCNI 40-49 years, female 1.6
GTEX-14PKV-2126-SM-664O3 20-29 years, female 1.6
GTEX-17KNJ-1726-SM-7LG6A 50-59 years, male 1.6
GTEX-1AMEY-1926-SM-73KVT 30-39 years, female 1.6
GTEX-1CB4F-2026-SM-79OLU 60-69 years, male 1.6
GTEX-O5YW-1426-SM-3MJHF 50-59 years, male 1.6
GTEX-R55G-1226-SM-48FDC 40-49 years, female 1.6
GTEX-RU1J-1326-SM-46MUL 20-29 years, female 1.6
GTEX-1HSEH-1726-SM-B2LXH 60-69 years, male 1.6
GTEX-1NHNU-2326-SM-E6CQE 50-59 years, male 1.6
GTEX-145LT-0926-SM-5LU9C 40-49 years, male 1.5
GTEX-14BMV-2426-SM-5S2PP 50-59 years, male 1.5
GTEX-OHPM-1426-SM-3TW8Y 50-59 years, male 1.5
GTEX-WYJK-2226-SM-4ONDJ 50-59 years, male 1.5
GTEX-1KANA-1926-SM-DHXKF 20-29 years, male 1.5
GTEX-1LVAN-2526-SM-CNPPC 50-59 years, female 1.5
GTEX-QLQ7-1126-SM-CYPRB 60-69 years, male 1.5
GTEX-13X6H-1926-SM-7EWD3 50-59 years, female 1.4
GTEX-14BIN-3026-SM-5ZZUS 50-59 years, female 1.4
GTEX-17JCI-2626-SM-7EWE6 60-69 years, female 1.4
GTEX-P4QT-1426-SM-3NMCX 50-59 years, female 1.4
GTEX-S7SF-1926-SM-4AT5B 20-29 years, female 1.4
GTEX-SE5C-1526-SM-4BRWU 40-49 years, female 1.4
GTEX-TML8-1326-SM-4DXTO 40-49 years, female 1.4
GTEX-Y5LM-1526-SM-4VDTA 40-49 years, female 1.4
GTEX-YF7O-1726-SM-5IFJ9 50-59 years, male 1.4
GTEX-ZF29-1726-SM-4WKFV 60-69 years, female 1.4
GTEX-17HII-2726-SM-7MGVM 50-59 years, male 1.4
GTEX-1R9K5-2126-SM-E8VN1 50-59 years, male 1.4
GTEX-SJXC-2226-SM-EVYAK 60-69 years, male 1.4
GTEX-11ZVC-2126-SM-5EGJ1 50-59 years, female 1.3
GTEX-16NGA-1026-SM-7KFS3 40-49 years, female 1.3
GTEX-U3ZH-1326-SM-4DXSF 30-39 years, male 1.3
GTEX-1HCU6-2726-SM-A9SKV 60-69 years, female 1.3
GTEX-1RMOY-1626-SM-EVYC8 50-59 years, male 1.3
GTEX-145MO-2426-SM-5NQ9W 60-69 years, male 1.2
GTEX-146FQ-1926-SM-5NQBY 30-39 years, male 1.2
GTEX-14E1K-1826-SM-793DT 50-59 years, male 1.2
GTEX-O5YT-1426-SM-3MJHC 20-29 years, male 1.2
GTEX-OXRL-1426-SM-3NM9E 50-59 years, male 1.2
GTEX-ZYFC-2626-SM-5NQ6S 50-59 years, male 1.2
GTEX-ZYVF-2826-SM-5GIDK 50-59 years, female 1.2
GTEX-ZZ64-0726-SM-5GZX4 20-29 years, male 1.2
GTEX-1AYD5-1726-SM-7RHFW 50-59 years, male 1.2
GTEX-1GF9X-1526-SM-7P8QP 40-49 years, female 1.2
GTEX-1KANC-0926-SM-D3LA9 50-59 years, female 1.2
GTEX-1MCC2-1626-SM-DIPEW 30-39 years, female 1.2
GTEX-111VG-2226-SM-5N9DU 60-69 years, male 1.1
GTEX-13W3W-2126-SM-5K7UX 60-69 years, female 1.1
GTEX-14C5O-2526-SM-73KU2 60-69 years, male 1.1
GTEX-1C64O-2326-SM-73KU8 60-69 years, male 1.1
GTEX-WH7G-1326-SM-4LVMS 40-49 years, male 1.1
GTEX-XUW1-1926-SM-4BOP1 50-59 years, female 1.1
GTEX-YEC4-1926-SM-5IFHJ 40-49 years, male 1.1
GTEX-1H3VY-2426-SM-9WPPD 50-59 years, male 1.1
GTEX-1IDJF-1826-SM-CKZOE 20-29 years, male 1.1
GTEX-1OKEX-1226-SM-DTXEC 60-69 years, male 1.1
GTEX-11P81-1126-SM-5GU5G 30-39 years, female 1.0
GTEX-13S86-1626-SM-5Q5C5 40-49 years, male 1.0
GTEX-14DAQ-2726-SM-5S2QY 60-69 years, female 1.0
GTEX-14ICL-1226-SM-5S2RD 30-39 years, male 1.0
GTEX-15CHQ-2526-SM-6EU24 60-69 years, male 1.0
GTEX-1A3MV-1126-SM-718BS 30-39 years, male 1.0
GTEX-1GZ4H-1226-SM-9KNUA 50-59 years, female 1.0
GTEX-1HCVE-2526-SM-A9G2G 50-59 years, male 1.0
GTEX-1QW4Y-1326-SM-EWRMZ 30-39 years, male 1.0
GTEX-1S5VW-2926-SM-E9U6H 60-69 years, male 1.0
GTEX-X4EO-2526-SM-EWRM8 60-69 years, female 1.0
GTEX-12WSL-1626-SM-5GCMU 50-59 years, male 0.9
GTEX-13O21-2426-SM-5MR4A 50-59 years, male 0.9
GTEX-13O61-1626-SM-5KM3T 60-69 years, male 0.9
GTEX-PWCY-1026-SM-48TD4 20-29 years, female 0.9
GTEX-U3ZM-1126-SM-4DXUB 40-49 years, male 0.9
GTEX-1GMR2-1726-SM-9JGI2 50-59 years, male 0.9
GTEX-1IDJC-1326-SM-CL53H 50-59 years, male 0.9
GTEX-1N2EF-1926-SM-DTX8M 60-69 years, male 0.9
GTEX-1POEN-2026-SM-E6CRL 30-39 years, female 0.9
GTEX-117YX-0826-SM-5H11J 50-59 years, male 0.8
GTEX-13CF3-1426-SM-5K7YY 60-69 years, female 0.8
GTEX-13QBU-1826-SM-5IJG3 40-49 years, female 0.8
GTEX-14PJ5-0926-SM-6LLIK 60-69 years, female 0.8
GTEX-17F9E-1826-SM-7IGMC 50-59 years, male 0.8
GTEX-Z93S-2426-SM-5HL8N 50-59 years, male 0.8
GTEX-ZV6S-1226-SM-59HLH 40-49 years, female 0.8
GTEX-11ONC-2026-SM-5HL61 60-69 years, male 0.7
GTEX-145LS-2726-SM-5Q5D8 60-69 years, female 0.7
GTEX-148VJ-2626-SM-5QGPI 70-79 years, male 0.7
GTEX-18D9B-2526-SM-718BN 60-69 years, male 0.7
GTEX-18QFQ-1526-SM-72D57 30-39 years, male 0.7
GTEX-SNMC-1126-SM-4DM5M 20-29 years, male 0.7
GTEX-1GN73-2626-SM-9KNUQ 60-69 years, male 0.7
GTEX-1JN1M-2626-SM-CY8I3 60-69 years, female 0.7
GTEX-11TTK-2426-SM-5PNYO 60-69 years, female 0.6
GTEX-12ZZZ-2426-SM-5GCNN 60-69 years, male 0.6
GTEX-13FH7-1526-SM-5J2N6 50-59 years, female 0.6
GTEX-13U4I-2426-SM-5LU34 40-49 years, female 0.6
GTEX-18A7B-2026-SM-72D71 70-79 years, male 0.6
GTEX-1AX8Z-2726-SM-73KUC 60-69 years, male 0.6
GTEX-V955-1626-SM-4JBHJ 60-69 years, male 0.6
GTEX-X5EB-0926-SM-46MVT 40-49 years, male 0.6
GTEX-Y114-1526-SM-4TT79 50-59 years, female 0.6
GTEX-1GL5R-2426-SM-7MXV1 50-59 years, male 0.6
GTEX-1JMLX-2726-SM-CM2SB 50-59 years, male 0.6
GTEX-1LG7Y-2126-SM-DIPER 50-59 years, male 0.6
GTEX-1MUQO-2626-SM-EWRO3 60-69 years, male 0.6
GTEX-1N5O9-2726-SM-E76QH 60-69 years, male 0.6
GTEX-1RAZQ-2126-SM-DTX9V 30-39 years, male 0.6
GTEX-111YS-1626-SM-5GZZ9 60-69 years, male 0.5
GTEX-11TUW-2026-SM-5EQL8 60-69 years, male 0.5
GTEX-RWS6-1826-SM-47JXX 60-69 years, female 0.5
GTEX-TKQ1-0626-SM-4DXTS 30-39 years, male 0.5
GTEX-1ICLZ-2426-SM-CKZOD 60-69 years, male 0.5
GTEX-1PPGY-2826-SM-DTX9H 60-69 years, male 0.5
GTEX-13OVI-2026-SM-5J1MU 60-69 years, female 0.4
GTEX-14AS3-1126-SM-5Q5CR 40-49 years, female 0.4
GTEX-14H4A-1926-SM-5ZZWN 40-49 years, female 0.4
GTEX-15CHC-1626-SM-5ZZWS 60-69 years, female 0.4
GTEX-15DZA-0926-SM-69LQ3 30-39 years, female 0.4
GTEX-Y3I4-1426-SM-4TT9C 50-59 years, male 0.4
GTEX-1EMGI-2726-SM-7P8S4 60-69 years, male 0.4
GTEX-1LBAC-1626-SM-CXZKV 20-29 years, male 0.4
GTEX-U412-1726-SM-EZ6KX 60-69 years, male 0.4
GTEX-11GSP-1626-SM-5986N 60-69 years, female 0.3
GTEX-14PJ3-0926-SM-69LQG 50-59 years, male 0.3
GTEX-18A7A-2226-SM-7LT8K 50-59 years, female 0.3
GTEX-1C2JI-1626-SM-7EPHC 50-59 years, male 0.3
GTEX-T6MO-0826-SM-4DM51 40-49 years, female 0.3
GTEX-XXEK-1926-SM-4BRVD 50-59 years, male 0.3
GTEX-Y8LW-1226-SM-4WWDP 50-59 years, female 0.3
GTEX-ZYFG-1926-SM-5GID5 60-69 years, female 0.3
GTEX-1CB4I-2226-SM-7P8SL 50-59 years, male 0.3
GTEX-1EH9U-2026-SM-7PBYS 60-69 years, male 0.3
GTEX-1S82U-0726-SM-E9TKI 30-39 years, female 0.3
GTEX-WY7C-1626-SM-4ONC8 50-59 years, male 0.2
GTEX-1HSMP-2326-SM-D3L8R 70-79 years, male 0.2
GTEX-WVJS-2426-SM-EZ6LI 50-59 years, male 0.2
GTEX-17F96-2026-SM-79ON4 70-79 years, male 0.1
GTEX-1AYCT-1826-SM-731EG 50-59 years, male 0.0
GTEX-WEY5-1426-SM-4LMJ3 40-49 years, female 0.0
GTEX-1JJE9-2426-SM-D3L8T 70-79 years, male 0.0
Show allShow less

COLON - FANTOM5 CAGEi

RNA expression in human tissues obtained through Cap Analysis of Gene Expression (CAGE) generated by the FANTOM5 project are reported as Scaled Tags Per Million.

Max subtype Scaled Tags Per Millioni

Max subtype Scaled Tags Per Million is the value for the subtype with the largest average Scaled Tags Per Million across the subtype samples.

19.8
FANTOM5 sample id Sample description Scaled Tags Per Million
Colon
Scaled Tags Per Million: 19.8
FF:10014-101C5 62,83,84 years, mixed 19.8

Contact

  • NEWS ARTICLES
  • PRESS ROOM

The Project

  • INTRODUCTION
  • ORGANIZATION
  • PUBLICATIONS

The Human Protein Atlas

  • DOWNLOADABLE DATA
  • LICENCE & CITATION
  • HELP & FAQ
The Human Protein Atlas project is funded
by the Knut & Alice Wallenberg Foundation.


contact@proteinatlas.org