We use cookies to enhance the usability of our website. If you continue, we'll assume that you are happy to receive all cookies. More information. Don't show this again.
RASA3
HPA
RESOURCES
  • TISSUE
  • BRAIN
  • SINGLE CELL
  • SUBCELLULAR
  • CANCER
  • BLOOD
  • CELL LINE
  • STRUCTURE & INTERACTION
ABOUT
  • INTRODUCTION
  • HISTORY
  • ORGANIZATION
  • PUBLICATIONS
  • ANTIBODY SUBMISSION
  • ANTIBODY AVAILABILITY
  • ACKNOWLEDGMENTS
  • CONTACT
NEWS
  • NEWS ARTICLES
  • PRESS ROOM
LEARN
  • DICTIONARY
  • PROTEIN CLASSES
  • PROTEIN EVIDENCE
  • METHODS
  • EDUCATIONAL VIDEOS
DATA
  • DOWNLOADABLE DATA
  • PUBLICATION DATA
  • RELEASE HISTORY
HELP
  • ANTIBODY VALIDATION
  • ASSAYS & ANNOTATION
  • DISCLAIMER
  • HELP & FAQ
  • PRIVACY STATEMENT
  • LICENCE & CITATION
Fields »
Search result

Field
Term
Gene name
Class
Subclass
Class
Keyword
Chromosome
External id
Tissue
Cell type
Expression
Antibody panel
Tissue
Main location
Patient ID
Annotation
Tissue
Category
Tau score
Cluster
Reliability
Brain region
Category
Tau score
Brain region
Category
Tau score
Brain region
Category
Tau score
Cluster
Reliability
Tissue
Cell type
Enrichment
Cell type
Category
Tau score
Cell type
Category
Tau score
Cell type
Category
Tau score
Cell lineage
Category
Tau score
Cluster
Cluster
Location
Searches
Location
Cell line
Class
Type
Phase
Reliability
Cancer
Prognosis
Cancer
Category
Cancer
Category
Tau score
Cluster
Variants
Interacting gene (ensg_id)
Type
Number of interactions
Pathway
Category
Score
Score
Score
Validation
Validation
Validation
Validation
Antibodies
Data type
Column


  • SUMMARY

  • TISSUE

  • BRAIN

  • SINGLE CELL

  • SUBCELL

  • CANCER

  • BLOOD

  • CELL LINE

  • STRUCT & INT

  • RASA3
TISSUE PRIMARY DATA SKIN Show tissue menu
ADIPOSE TISSUE ADRENAL GLAND AMYGDALA APPENDIX BASAL GANGLIA BONE MARROW BREAST BRONCHUS CEREBELLUM CEREBRAL CORTEX CERVIX CHOROID PLEXUS COLON DUODENUM
ENDOMETRIUM EPIDIDYMIS ESOPHAGUS FALLOPIAN TUBE GALLBLADDER HEART MUSCLE HIPPOCAMPAL FORMATION HYPOTHALAMUS KIDNEY LIVER LUNG LYMPH NODE MIDBRAIN NASOPHARYNX
ORAL MUCOSA OVARY PANCREAS PARATHYROID GLAND PITUITARY GLAND PLACENTA PROSTATE RECTUM RETINA SALIVARY GLAND SEMINAL VESICLE SKELETAL MUSCLE SKIN SMALL INTESTINE
SMOOTH MUSCLE SOFT TISSUE SPINAL CORD SPLEEN STOMACH TESTIS THYMUS THYROID GLAND TONGUE TONSIL URINARY BLADDER VAGINA
ANTIBODIES
AND
VALIDATION
Dictionary
Skin
Tissue proteome
Skin
SKIN - Expression summary
Protein expression
Skini

On the top, protein expression in current human tissue, based on all annotated cell types, is reported with the units not detected (n), low (l), medium (m) and high (h). Underneath, protein expression in each annotated cell type are reported using the same units.

Protein expression data is based on knowledge-based annotation. For genes where more than one antibody has been used, a collective score is set.

If knowledge-based annotation could not be performed for a gene, no data is displayed here. View antibody staining data further down this page.

h
m
l
n
Epidermal cells: Medium
Fibroblasts: Medium
Keratinocytes: Medium
Langerhans: Medium
Melanocytes: Medium
RNA expressioni

A summary of mRNA expression data available for current tissue based on several datasets. The mRNA expression levels in human tissues are based on RNA-seq data generated by the Human Protein Atlas (HPA), Genotype-Tissue Expression (GTEx) portal and CAGE data generated by the FANTOM5 consortium. Consensus normalized expression levels for human tissues was created by combining the data from HPA and GTEx datasets.

The mRNA expression levels in pig are based on RNA-seq data generated by the Human Protein Atlas (HPA), and for mouse, HPA data and in situ hybridization generated by the Allen brain atlas are reported.

Scroll down to view mRNA expression data in more detail.
Consensus:12.6 nTPM
HPA:3.6 nTPM
GTEx:12.6 nTPM

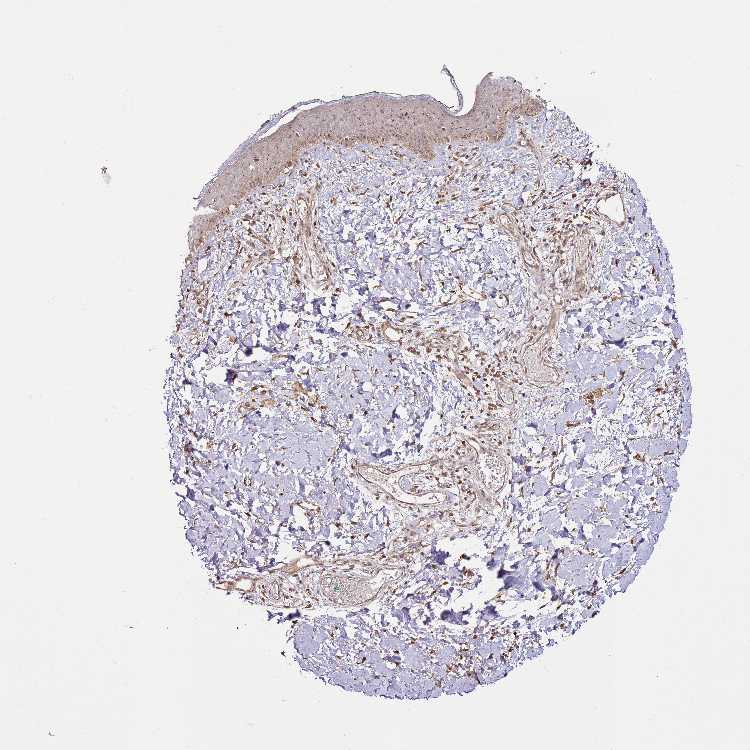
SKIN 1 - Antibody stainingi

Antibody staining in the annotated cell types in the current human tissue is reported as not detected, low, medium, or high, based on conventional immunohistochemistry profiling in selected tissues. This score is based on the combination of the staining intensity and fraction of stained cells.

Each image is clickable and will lead to virtual microscopy that enables deeper exploration of all samples and also displays staining intensity scores, fraction scores and subcellular localization as well as patient and tissue information for each sample.

Antibody HPA046759
Langerhans Medium
Fibroblasts Medium
Keratinocytes Medium
Melanocytes Medium


SKIN 2 - Antibody stainingi

Antibody staining in the annotated cell types in the current human tissue is reported as not detected, low, medium, or high, based on conventional immunohistochemistry profiling in selected tissues. This score is based on the combination of the staining intensity and fraction of stained cells.

Each image is clickable and will lead to virtual microscopy that enables deeper exploration of all samples and also displays staining intensity scores, fraction scores and subcellular localization as well as patient and tissue information for each sample.

Antibody HPA046759
Epidermal cells Medium
 
 
 


SKIN - HPA RNA-seqi

The RNA-seq details section shows detailed information about the individual samples used for the transcript profiling and results of the RNA-seq analysis.

Information about each individual sample is listed below, including gender, age, a tissue section image and estimated fractions of cell types. nTPM (normalized transcripts per million) values give a quantification of the gene abundance which is comparable between different genes and samples.
Average nTPMi

Max subtype nTPM is the value for the subtype with the largest average nTPM across the subtype samples.

3.6
overview
Female, age 34
Skin sample 225
nTPM: 3.3
Cell types%
Keratinocytes:
60

Other cell types:
40

overview
Female, age 30
Skin sample 226
nTPM: 3
Cell types%
Keratinocytes:
55

Other cell types:
45

N/A
Male, age 57
Skin sample 227
nTPM: 4.6

SKIN - GTEx RNA-seqi

RNA-Seq data generated by the Genotype-Tissue Expression (GTEx) project from human tissues is reported as mean nTPM. More information can be found on the GTEx portal.

Distribution across the dataset is visualized with box plots, shown as median and 25th and 75th percentiles. Points are displayed as outliers if they are above or below 1.5 times the interquartile range. nTPM values of the individual samples are presented next to the box plot.
Max subtype nTPMi

Max subtype nTPM is the value for the subtype with the largest average nTPM across the subtype samples.

12.6
GTEx sample id Sample description nTPM
Skin - Not Sun Exposed (Suprapubic)
Average nTPM: 12.3
Samples: 604

Max nTPM: 36.6
Min nTPM: 2.6
Std nTPM: 5.5
Median nTPM: 11.0
GTEX-14PJ5-1526-SM-6LLIL 60-69 years, female 36.6
GTEX-1H23P-0626-SM-9WG6T 60-69 years, male 35.9
GTEX-1R46S-2426-SM-E76QA 60-69 years, female 34.5
GTEX-1I4MK-0126-SM-CY8G6 50-59 years, female 34.1
GTEX-13113-1626-SM-5EQ4I 60-69 years, female 33.5
GTEX-14C39-1726-SM-5RQIL 40-49 years, male 32.6
GTEX-XQ8I-0926-SM-4BOOF 50-59 years, male 32.1
GTEX-X8HC-0626-SM-4E3HQ 50-59 years, female 30.7
GTEX-1HFI7-2326-SM-CGQFS 50-59 years, female 29.8
GTEX-13VXT-1926-SM-5K7UO 20-29 years, female 28.8
GTEX-14PJ4-0226-SM-5YY92 60-69 years, male 28.8
GTEX-17F98-1326-SM-7DUEP 40-49 years, female 28.6
GTEX-ZF29-0926-SM-4WKFZ 60-69 years, female 27.6
GTEX-13D11-0926-SM-5J2NC 50-59 years, female 27.4
GTEX-13JVG-0726-SM-5KM16 60-69 years, male 27.0
GTEX-ZVT2-0126-SM-5GIDQ 50-59 years, female 26.5
GTEX-13OVJ-0826-SM-5J1OK 50-59 years, female 26.1
GTEX-U8XE-0226-SM-4E3J3 30-39 years, male 25.5
GTEX-1IDJI-0126-SM-CMKHS 50-59 years, female 25.1
GTEX-13QBU-1226-SM-5LU4G 40-49 years, female 24.9
GTEX-Y8LW-1526-SM-5IFHL 50-59 years, female 24.9
GTEX-1MCYP-0526-SM-E9U6Q 20-29 years, female 24.9
GTEX-14B4R-1326-SM-5Q5EZ 30-39 years, male 24.7
GTEX-1J8Q3-0526-SM-ARL8U 60-69 years, male 24.1
GTEX-X4EP-0626-SM-3P621 60-69 years, female 23.9
GTEX-1I1GT-1026-SM-ARZLV 60-69 years, female 23.6
GTEX-1HCUA-0826-SM-ADEHM 50-59 years, female 23.5
GTEX-WHSE-0126-SM-3NMBT 20-29 years, male 23.3
GTEX-XUW1-0926-SM-4BONX 50-59 years, female 23.3
GTEX-14JG6-1426-SM-9WG7C 30-39 years, female 23.3
GTEX-13X6H-0926-SM-5SIB2 50-59 years, female 23.2
GTEX-ZGAY-1826-SM-DO91Q 40-49 years, female 23.0
GTEX-1399U-1126-SM-5L3DB 50-59 years, female 22.8
GTEX-1LGRB-0926-SM-COH3K 50-59 years, female 22.8
GTEX-1S5ZU-2526-SM-E6CIF 20-29 years, female 22.7
GTEX-ZLWG-0826-SM-59888 50-59 years, female 22.1
GTEX-18D9B-0926-SM-7LG4U 60-69 years, male 22.0
GTEX-12WSJ-1126-SM-5LZVJ 40-49 years, female 21.7
GTEX-13FTX-1526-SM-5K7VJ 20-29 years, female 21.6
GTEX-XYKS-1426-SM-4BRUO 60-69 years, female 21.6
GTEX-ZTSS-1426-SM-5985P 40-49 years, male 21.6
GTEX-ZVZP-1226-SM-5GID7 50-59 years, male 21.4
GTEX-11UD2-2526-SM-5CVNU 50-59 years, male 21.2
GTEX-1497J-0226-SM-5QGPU 60-69 years, male 21.1
GTEX-1117F-2926-SM-5GZYI 60-69 years, female 21.0
GTEX-1HKZK-0726-SM-ACKW2 40-49 years, male 21.0
GTEX-1JMQL-2226-SM-CNPP4 50-59 years, female 20.9
GTEX-133LE-2326-SM-5K7W3 20-29 years, female 20.8
GTEX-14BMU-1226-SM-5S2OR 20-29 years, female 20.7
GTEX-145ME-1726-SM-5Q5EU 40-49 years, female 20.4
GTEX-ZU9S-1826-SM-5NQ9E 30-39 years, male 20.2
GTEX-ZYFG-1526-SM-5GZYM 60-69 years, female 20.2
GTEX-ZYW4-0626-SM-59HJR 60-69 years, male 20.1
GTEX-1JJE9-2626-SM-ARZMT 70-79 years, male 20.0
GTEX-13FH7-1126-SM-5K7UG 50-59 years, female 19.9
GTEX-XK95-0226-SM-4AT58 40-49 years, male 19.9
GTEX-15FZZ-0526-SM-7KUGD 30-39 years, female 19.7
GTEX-14E6C-2426-SM-5S2NF 40-49 years, male 19.6
GTEX-X3Y1-2026-SM-3P5YM 40-49 years, male 19.6
GTEX-ZPIC-0526-SM-DO91W 40-49 years, female 19.6
GTEX-131XF-2626-SM-5EQ6K 60-69 years, male 19.5
GTEX-16BQI-1326-SM-6M486 30-39 years, female 19.4
GTEX-1H1ZS-2726-SM-9WG75 70-79 years, male 19.4
GTEX-11EM3-1226-SM-5N9DD 20-29 years, female 19.2
GTEX-11P82-1426-SM-DTXFY 20-29 years, male 19.2
GTEX-1LVAO-2726-SM-E9TJ8 60-69 years, male 19.2
GTEX-15D1Q-2826-SM-6LLH7 40-49 years, male 19.1
GTEX-11ZTT-2126-SM-5CVLO 60-69 years, female 19.0
GTEX-13YAN-0226-SM-5TDC6 60-69 years, male 19.0
GTEX-1B996-0426-SM-7EWF8 60-69 years, male 19.0
GTEX-1JJ6O-2726-SM-CNPOG 60-69 years, male 19.0
GTEX-1K2DU-1226-SM-CYPT4 20-29 years, male 19.0
GTEX-13QJC-0126-SM-5ZZWJ 60-69 years, female 18.8
GTEX-1JMOU-1026-SM-CYPSS 60-69 years, female 18.8
GTEX-1J8Q2-2626-SM-ACKWQ 60-69 years, male 18.5
GTEX-1QP28-1126-SM-EVYC4 50-59 years, female 18.5
GTEX-1211K-1526-SM-5FQU4 60-69 years, female 18.3
GTEX-13O61-1426-SM-5KM3D 60-69 years, male 18.3
GTEX-13W3W-0726-SM-5IJDQ 60-69 years, female 18.3
GTEX-1F5PK-2226-SM-7SB6N 50-59 years, male 18.2
GTEX-1HSGN-0826-SM-ACKW3 40-49 years, female 18.2
GTEX-1PPH8-0126-SM-EWRN8 20-29 years, male 18.1
GTEX-117YX-1926-SM-5GIEC 50-59 years, male 18.0
GTEX-1122O-1026-SM-9WYSF 60-69 years, female 18.0
GTEX-ZAJG-1526-SM-5CVML 50-59 years, female 17.9
GTEX-1JMPY-0226-SM-CKZOK 30-39 years, male 17.9
GTEX-1MCC2-1826-SM-DIPEX 30-39 years, female 17.9
GTEX-13IVO-0726-SM-5LZYV 70-79 years, male 17.8
GTEX-1GMR2-0826-SM-7PC3V 50-59 years, male 17.8
GTEX-1AMEY-0826-SM-72D65 30-39 years, female 17.7
GTEX-XBEW-1126-SM-4QARW 40-49 years, male 17.7
GTEX-1F75B-0726-SM-7PC3R 50-59 years, male 17.7
GTEX-1HUB1-1426-SM-CGQF5 60-69 years, male 17.6
GTEX-1QCLZ-2426-SM-EVYBW 60-69 years, female 17.6
GTEX-14PJN-1826-SM-6AJ98 30-39 years, male 17.5
GTEX-YB5K-2026-SM-4VDT3 40-49 years, female 17.5
GTEX-13RTJ-0126-SM-5S2NN 60-69 years, male 17.3
GTEX-14A5H-0826-SM-5QGPJ 60-69 years, male 17.3
GTEX-1NV5F-0626-SM-DTXEG 60-69 years, female 17.3
GTEX-ZLV1-1526-SM-DO91J 60-69 years, female 17.3
GTEX-13OVK-1426-SM-6PAN7 40-49 years, male 17.2
GTEX-ZZPU-0826-SM-5GZX5 50-59 years, female 17.2
GTEX-1QP29-1826-SM-DTX9S 50-59 years, male 17.2
GTEX-13OVG-1626-SM-5J1NF 60-69 years, male 17.1
GTEX-147F3-1726-SM-5SIAW 50-59 years, female 17.1
GTEX-1CB4J-1326-SM-7P8RX 60-69 years, male 17.1
GTEX-1LKK1-2626-SM-DKPQE 50-59 years, female 17.1
GTEX-1QPFJ-1926-SM-EVYBD 30-39 years, female 17.1
GTEX-15UF6-1926-SM-7KUDV 70-79 years, female 17.0
GTEX-Y9LG-1126-SM-4VBQ7 30-39 years, male 17.0
GTEX-1S82U-1026-SM-E6CJK 30-39 years, female 17.0
GTEX-WI4N-2726-SM-3LK7Y 40-49 years, female 16.9
GTEX-ZA64-1026-SM-5HL8R 20-29 years, male 16.9
GTEX-ZYFD-0626-SM-5E44E 50-59 years, male 16.9
GTEX-1H1DF-1126-SM-9WG7G 40-49 years, female 16.9
GTEX-1GZ4H-0526-SM-9KNU9 50-59 years, female 16.7
GTEX-1AMFI-1326-SM-7939R 50-59 years, female 16.6
GTEX-11LCK-2226-SM-5HL4Q 30-39 years, male 16.5
GTEX-13PVR-0426-SM-5RQK2 60-69 years, female 16.5
GTEX-1KXAM-1626-SM-D3LAD 60-69 years, male 16.5
GTEX-14DAR-1226-SM-73KYV 50-59 years, male 16.4
GTEX-1GZHY-0626-SM-9KNVC 50-59 years, female 16.4
GTEX-1S3DN-2126-SM-E9TIN 50-59 years, male 16.4
GTEX-15EU6-2226-SM-6EU2L 50-59 years, male 16.3
GTEX-1GZ2Q-0126-SM-9WG6M 40-49 years, male 16.3
GTEX-1HSMO-0626-SM-ACKXC 60-69 years, male 16.2
GTEX-Y5LM-0926-SM-6LLJG 40-49 years, female 16.0
GTEX-14PK6-0226-SM-62LF5 70-79 years, female 15.9
GTEX-1EH9U-2826-SM-7DUGT 60-69 years, male 15.9
GTEX-1S82P-2126-SM-E6CI5 60-69 years, female 15.9
GTEX-111CU-1126-SM-5EGIM 50-59 years, male 15.8
GTEX-Y3I4-1726-SM-4TT89 50-59 years, male 15.8
GTEX-1HCU6-2526-SM-ADEHL 60-69 years, female 15.8
GTEX-1J8QM-2426-SM-A9SLS 60-69 years, female 15.8
GTEX-13N1W-2426-SM-5IJD1 70-79 years, male 15.7
GTEX-15G1A-1626-SM-7KUKN 30-39 years, male 15.6
GTEX-X5EB-1926-SM-4E3IW 40-49 years, male 15.5
GTEX-1GTWX-2026-SM-9YFLM 60-69 years, male 15.5
GTEX-1JMQK-1226-SM-D4P2S 60-69 years, male 15.5
GTEX-15CHQ-0326-SM-69LQD 60-69 years, male 15.4
GTEX-1C475-1326-SM-7SB73 40-49 years, female 15.4
GTEX-1GL5R-1326-SM-7RHHF 50-59 years, male 15.4
GTEX-Y5V5-0126-SM-5S2NW 60-69 years, female 15.3
GTEX-16MT8-2926-SM-7DUFO 60-69 years, female 15.2
GTEX-XBED-1926-SM-47JYP 60-69 years, male 15.1
GTEX-1IDJU-1726-SM-CMKHU 60-69 years, female 15.1
GTEX-1J1R8-2026-SM-CL53Y 40-49 years, male 15.1
GTEX-1JK1U-0226-SM-ARZMX 60-69 years, male 15.1
GTEX-1JMQI-1726-SM-ARL93 50-59 years, male 15.1
GTEX-1LVAN-0626-SM-CNPOQ 50-59 years, female 15.1
GTEX-1CB4H-1126-SM-7MKGL 60-69 years, female 15.0
GTEX-WFG7-2026-SM-5SI7P 20-29 years, male 15.0
GTEX-1HBPM-0726-SM-9YFL7 60-69 years, female 15.0
GTEX-14C5O-0326-SM-5ZZUX 60-69 years, male 14.9
GTEX-14LLW-2626-SM-62LDZ 70-79 years, female 14.9
GTEX-1I1GS-2626-SM-B2LY3 60-69 years, male 14.9
GTEX-1JKYN-0826-SM-ARU8S 30-39 years, male 14.9
GTEX-17HII-1426-SM-7EPGG 50-59 years, male 14.8
GTEX-ZTX8-1326-SM-4YCEL 20-29 years, male 14.8
GTEX-ZVP2-0326-SM-57WBP 50-59 years, male 14.8
GTEX-1GF9W-1426-SM-7PBYM 60-69 years, male 14.8
GTEX-1H3VE-0726-SM-9YFL5 40-49 years, male 14.8
GTEX-1S831-1826-SM-EWROF 20-29 years, male 14.8
GTEX-12WSA-0426-SM-5EQ5X 60-69 years, male 14.7
GTEX-ZAB4-2126-SM-5HL8U 40-49 years, male 14.7
GTEX-ZT9W-1126-SM-57WDR 50-59 years, male 14.7
GTEX-13FTW-0326-SM-5K7UW 40-49 years, male 14.6
GTEX-14PKV-1126-SM-6LLJ1 20-29 years, female 14.6
GTEX-WXYG-2026-SM-4E3IY 50-59 years, female 14.6
GTEX-14ICL-1626-SM-5YYAO 30-39 years, male 14.5
GTEX-14PHX-2226-SM-6EU2P 50-59 years, male 14.5
GTEX-1F5PL-0926-SM-7PC2W 40-49 years, female 14.5
GTEX-139T8-0626-SM-5KLZX 60-69 years, male 14.4
GTEX-1477Z-0326-SM-7IGLA 60-69 years, male 14.4
GTEX-Y3IK-1626-SM-4YCF5 50-59 years, female 14.4
GTEX-YFCO-1226-SM-5LUAT 40-49 years, male 14.4
GTEX-ZVE1-0726-SM-51MRN 50-59 years, female 14.3
GTEX-1HCU8-2526-SM-CE6RX 60-69 years, female 14.3
GTEX-16AAH-0626-SM-793C9 50-59 years, male 14.2
GTEX-1A3MW-0626-SM-731CB 60-69 years, female 14.2
GTEX-1H2FU-0926-SM-9WPPT 60-69 years, female 14.2
GTEX-145MN-1526-SM-5SI9T 30-39 years, male 14.1
GTEX-17MF6-2626-SM-79OKQ 40-49 years, male 14.1
GTEX-1C6VQ-1226-SM-73KYD 50-59 years, male 14.1
GTEX-XPVG-2126-SM-4B667 50-59 years, male 14.1
GTEX-1HC8U-1326-SM-9YFMJ 40-49 years, female 14.1
GTEX-11VI4-1126-SM-5EQMD 40-49 years, female 14.0
GTEX-1399R-1326-SM-5PNYS 30-39 years, male 13.9
GTEX-147JS-0226-SM-5S2U9 60-69 years, male 13.9
GTEX-1A32A-0626-SM-731AQ 50-59 years, female 13.9
GTEX-1A3MX-2626-SM-7PC24 60-69 years, male 13.9
GTEX-1HSMQ-2626-SM-A9SML 50-59 years, male 13.9
GTEX-1IDJE-1426-SM-ADEIW 50-59 years, female 13.9
GTEX-1QP2A-1726-SM-E76QC 50-59 years, male 13.9
GTEX-11TUW-0626-SM-5LU9M 60-69 years, male 13.8
GTEX-16XZZ-0726-SM-7KUF2 60-69 years, male 13.8
GTEX-WYVS-1626-SM-3NM9R 40-49 years, female 13.8
GTEX-1RLM8-2926-SM-E8VON 50-59 years, male 13.8
GTEX-12WSL-2026-SM-5GCML 50-59 years, male 13.7
GTEX-13OVH-0526-SM-5L3E6 70-79 years, male 13.7
GTEX-145MI-0626-SM-5SI8S 60-69 years, female 13.7
GTEX-1PDJ9-1226-SM-EXUSX 20-29 years, male 13.7
GTEX-ZLFU-1826-SM-4WWBV 40-49 years, male 13.6
GTEX-1GPI7-1826-SM-9KNU1 20-29 years, male 13.6
GTEX-1HGF4-0126-SM-CNPPX 60-69 years, male 13.6
GTEX-12696-0126-SM-5EQ4L 60-69 years, male 13.5
GTEX-WHSB-1326-SM-3LK6W 50-59 years, male 13.5
GTEX-1LGOU-1326-SM-D3L8M 20-29 years, female 13.5
GTEX-1MJK3-0726-SM-E6CJC 20-29 years, male 13.4
GTEX-13NYS-0626-SM-5L3F1 60-69 years, male 13.3
GTEX-1CAV2-0126-SM-7IGN7 40-49 years, female 13.3
GTEX-18D9A-1426-SM-7LT8M 30-39 years, female 13.3
GTEX-1GN1U-0626-SM-9MQL9 50-59 years, female 13.3
GTEX-1GN1W-2426-SM-9KNUU 50-59 years, female 13.3
GTEX-1IDJD-2326-SM-ACKWX 30-39 years, male 13.3
GTEX-1KANC-1226-SM-CYPT7 50-59 years, female 13.3
GTEX-11WQK-1026-SM-5EQLX 50-59 years, male 13.2
GTEX-12BJ1-0926-SM-5EQ62 60-69 years, male 13.2
GTEX-14PJO-2526-SM-6AJBQ 60-69 years, male 13.2
GTEX-131XG-0326-SM-5L3DX 50-59 years, female 13.1
GTEX-13U4I-2226-SM-5LU5H 40-49 years, female 13.1
GTEX-145LS-0626-SM-7EPG7 60-69 years, female 13.1
GTEX-14E6E-0526-SM-793DN 30-39 years, male 13.1
GTEX-XBEC-0726-SM-4QARZ 50-59 years, male 13.1
GTEX-1LG7Z-1626-SM-CXKYR 30-39 years, male 13.1
GTEX-WHPG-2626-SM-3NMBR 50-59 years, male 13.0
GTEX-1I1GU-0926-SM-ACKVS 40-49 years, male 13.0
GTEX-1R9PN-0426-SM-DTXDT 40-49 years, female 13.0
GTEX-11O72-0626-SM-5PNYE 40-49 years, male 12.9
GTEX-1ICLZ-0326-SM-ARL82 60-69 years, male 12.9
GTEX-11DZ1-2426-SM-5GZZX 50-59 years, male 12.8
GTEX-131YS-2826-SM-5EQ47 60-69 years, female 12.8
GTEX-13PVQ-0626-SM-5LU47 50-59 years, male 12.8
GTEX-13O3O-2326-SM-5IJD6 60-69 years, female 12.7
GTEX-1F52S-2926-SM-7MKGA 60-69 years, female 12.7
GTEX-Y114-2126-SM-4TT8B 50-59 years, female 12.7
GTEX-1CB4I-0126-SM-7RHGG 50-59 years, male 12.7
GTEX-1JN1M-2726-SM-CY8I4 60-69 years, female 12.7
GTEX-11ZU8-0126-SM-5EQ58 60-69 years, male 12.6
GTEX-13FHO-0426-SM-5L3F5 60-69 years, male 12.6
GTEX-13N2G-0226-SM-5K7VF 60-69 years, male 12.6
GTEX-13X6I-1826-SM-5SIAO 60-69 years, male 12.6
GTEX-1HB9E-0126-SM-CM2S5 50-59 years, male 12.6
GTEX-1QP9N-1226-SM-E76QN 30-39 years, male 12.6
GTEX-11EQ9-1626-SM-5PNY8 30-39 years, male 12.5
GTEX-11NSD-0626-SM-5A5LU 20-29 years, male 12.5
GTEX-1AX9J-1326-SM-731BJ 60-69 years, male 12.5
GTEX-WEY5-2326-SM-3GIKK 40-49 years, female 12.5
GTEX-XV7Q-1826-SM-4BRUV 40-49 years, female 12.5
GTEX-1H3NZ-2726-SM-9WYTQ 60-69 years, male 12.5
GTEX-1QCLY-0226-SM-EWRNH 30-39 years, male 12.5
GTEX-132AR-0326-SM-5KM2C 50-59 years, female 12.4
GTEX-16NGA-0726-SM-731AO 40-49 years, female 12.4
GTEX-WFG8-2126-SM-3GIKQ 20-29 years, male 12.4
GTEX-XXEK-1626-SM-4BRUZ 50-59 years, male 12.4
GTEX-ZVE2-2826-SM-5GU51 50-59 years, male 12.4
GTEX-12ZZZ-0726-SM-5GCNZ 60-69 years, male 12.3
GTEX-1399S-0126-SM-5IJCF 30-39 years, female 12.3
GTEX-14AS3-1526-SM-5Q5ED 40-49 years, female 12.3
GTEX-14PKU-0126-SM-6LLHV 40-49 years, female 12.3
GTEX-ZYY3-2926-SM-5GIEB 60-69 years, female 12.3
GTEX-1NSGN-0726-SM-DTXEF 50-59 years, male 12.2
GTEX-1JN6P-2926-SM-CL54D 60-69 years, male 12.1
GTEX-ZF3C-0626-SM-DO92O 50-59 years, female 12.0
GTEX-1B8KE-1126-SM-7EPHI 50-59 years, male 11.9
GTEX-1CB4E-0926-SM-7EPHT 60-69 years, male 11.9
GTEX-1IKOE-1426-SM-CE6T7 30-39 years, female 11.9
GTEX-1J8JJ-0626-SM-ARZMQ 60-69 years, female 11.9
GTEX-111YS-1526-SM-5GZYW 60-69 years, male 11.8
GTEX-11DXX-2126-SM-5PNYR 60-69 years, female 11.8
GTEX-1EN7A-2426-SM-793DB 40-49 years, male 11.8
GTEX-1CAMR-1326-SM-7PC1F 20-29 years, male 11.8
GTEX-1I1CD-0626-SM-CE6SW 60-69 years, female 11.8
GTEX-17EVQ-0126-SM-7IGLR 70-79 years, male 11.7
GTEX-1EWIQ-0326-SM-7DHMQ 70-79 years, female 11.7
GTEX-1JMLX-0626-SM-ARL8T 50-59 years, male 11.7
GTEX-13NYC-0126-SM-5L3F4 60-69 years, male 11.6
GTEX-144GM-0526-SM-79OJO 20-29 years, male 11.6
GTEX-145LT-0526-SM-5LUB2 40-49 years, male 11.6
GTEX-146FQ-2126-SM-5RQHU 30-39 years, male 11.6
GTEX-17F9E-2326-SM-79OKD 50-59 years, male 11.6
GTEX-ZDYS-2426-SM-4WKGI 50-59 years, male 11.6
GTEX-1GF9U-2026-SM-7SB92 40-49 years, female 11.6
GTEX-12WSH-1526-SM-5BC5W 50-59 years, male 11.5
GTEX-15CHC-1126-SM-6LLHQ 60-69 years, female 11.5
GTEX-183WM-0326-SM-72D5V 70-79 years, female 11.5
GTEX-1F88E-1626-SM-7SB8Z 60-69 years, female 11.5
GTEX-12584-0726-SM-5FQTK 40-49 years, male 11.4
GTEX-15EO6-2426-SM-6PALZ 50-59 years, male 11.4
GTEX-1H1E6-0426-SM-9WYUS 30-39 years, male 11.4
GTEX-1N2DV-1526-SM-DTXEP 40-49 years, male 11.4
GTEX-12WSK-2126-SM-5CVNC 40-49 years, female 11.3
GTEX-14C38-0726-SM-5SI6M 50-59 years, male 11.2
GTEX-1A3MV-1826-SM-731CD 30-39 years, male 11.2
GTEX-WHWD-1826-SM-3LK6I 50-59 years, male 11.2
GTEX-ZP4G-1426-SM-4WWCL 20-29 years, female 11.2
GTEX-1F75I-2226-SM-7SB8U 40-49 years, male 11.2
GTEX-1O9I2-0226-SM-EYYXD 50-59 years, male 11.2
GTEX-ZF2S-1626-SM-57WES 50-59 years, female 11.1
GTEX-13N11-2326-SM-5IJBF 50-59 years, female 11.0
GTEX-WH7G-2026-SM-3NMBL 40-49 years, male 11.0
GTEX-1JN76-0626-SM-CKZOQ 20-29 years, female 11.0
GTEX-1LBAC-0826-SM-CY8IJ 20-29 years, male 11.0
GTEX-1R7EU-1626-SM-DTXG3 60-69 years, male 11.0
GTEX-14PJ3-1126-SM-5ZZVX 50-59 years, male 10.9
GTEX-17HGU-2326-SM-7DUFE 50-59 years, male 10.9
GTEX-1AX8Z-0726-SM-73KTS 60-69 years, male 10.9
GTEX-W5X1-2526-SM-3GILC 40-49 years, female 10.9
GTEX-15CHR-1126-SM-7EWF4 50-59 years, male 10.8
GTEX-17EVP-2626-SM-7IGMA 40-49 years, male 10.8
GTEX-1GMR8-0626-SM-7RHI7 50-59 years, female 10.8
GTEX-1ICLY-0826-SM-CMKG1 50-59 years, male 10.8
GTEX-1F75W-2726-SM-7SB8H 60-69 years, male 10.7
GTEX-1H1DG-2426-SM-9QEHJ 70-79 years, male 10.7
GTEX-1HCU7-0726-SM-A9SL1 50-59 years, male 10.7
GTEX-1K2DA-1026-SM-CGQGF 50-59 years, male 10.7
GTEX-1M4P7-0726-SM-E6CJ3 60-69 years, male 10.7
GTEX-13JUV-2026-SM-5K7UA 40-49 years, female 10.6
GTEX-17JCI-2926-SM-7DUFF 60-69 years, female 10.6
GTEX-Y8E4-2026-SM-5IFJB 40-49 years, male 10.6
GTEX-1F48J-0726-SM-7RHGS 50-59 years, female 10.6
GTEX-1I6K7-1926-SM-B2LXR 40-49 years, male 10.6
GTEX-1ICG6-1226-SM-A9SLN 70-79 years, female 10.6
GTEX-1N5O9-0926-SM-E9J3C 60-69 years, male 10.6
GTEX-139TU-0726-SM-5L3EK 60-69 years, male 10.5
GTEX-148VJ-0626-SM-5LUAW 70-79 years, male 10.5
GTEX-WY7C-2126-SM-3NB2R 50-59 years, male 10.5
GTEX-WYJK-0526-SM-3NM8Z 50-59 years, male 10.5
GTEX-Y111-0626-SM-4SOIT 50-59 years, male 10.5
GTEX-YF7O-1526-SM-5IFI6 50-59 years, male 10.5
GTEX-ZAK1-0626-SM-5HL8E 50-59 years, female 10.5
GTEX-1RB15-1326-SM-E76Q9 60-69 years, male 10.5
GTEX-14PHY-1226-SM-5ZZWK 60-69 years, female 10.4
GTEX-14PII-0726-SM-6EU2B 60-69 years, male 10.4
GTEX-18D9U-0126-SM-731BM 40-49 years, male 10.4
GTEX-1CAMS-2226-SM-7PBXQ 40-49 years, female 10.4
GTEX-1K9T9-1526-SM-DIPFR 50-59 years, female 10.4
GTEX-1RAZQ-1326-SM-E9TK6 30-39 years, male 10.4
GTEX-1C6WA-2626-SM-7MKGM 60-69 years, male 10.3
GTEX-XAJ8-1426-SM-47JYM 40-49 years, male 10.3
GTEX-ZC5H-1526-SM-5HL9Y 40-49 years, female 10.3
GTEX-1H1CY-0126-SM-9YFLY 60-69 years, female 10.3
GTEX-1QAET-0326-SM-EVR3U 50-59 years, male 10.3
GTEX-11EI6-2826-SM-5H11D 60-69 years, male 10.2
GTEX-1212Z-0126-SM-59HK4 60-69 years, male 10.2
GTEX-18A7B-2726-SM-7LG56 70-79 years, male 10.2
GTEX-1HCVE-2726-SM-CL54F 50-59 years, male 10.2
GTEX-11DXW-0826-SM-5H118 40-49 years, male 10.1
GTEX-15RJ7-2126-SM-6PAMD 40-49 years, male 10.1
GTEX-WYBS-0626-SM-3NMAS 60-69 years, female 10.1
GTEX-Z93S-1626-SM-5CVMB 50-59 years, male 10.1
GTEX-147F4-0726-SM-5TDDD 50-59 years, male 10.0
GTEX-XOT4-0626-SM-4B66L 60-69 years, female 10.0
GTEX-ZVTK-0226-SM-51MRG 20-29 years, male 10.0
GTEX-1H4P4-2126-SM-9WYSL 50-59 years, male 10.0
GTEX-1KAFJ-0126-SM-DIPEK 50-59 years, male 10.0
GTEX-1LSNM-0826-SM-DIPG8 50-59 years, male 10.0
GTEX-17HG3-2626-SM-7DUF2 30-39 years, female 9.9
GTEX-ZE7O-2726-SM-51MT5 50-59 years, female 9.9
GTEX-ZDXO-3126-SM-5IJDF 60-69 years, male 9.8
GTEX-1PPH7-1126-SM-DTX9A 40-49 years, male 9.8
GTEX-111FC-2526-SM-5GZXU 60-69 years, male 9.7
GTEX-1192X-2726-SM-5N9DN 50-59 years, male 9.7
GTEX-12C56-1526-SM-5FQUQ 20-29 years, male 9.7
GTEX-X585-2426-SM-46MW2 50-59 years, male 9.7
GTEX-YJ8O-2526-SM-5HL85 40-49 years, female 9.7
GTEX-ZZ64-1026-SM-5GZXG 20-29 years, male 9.7
GTEX-1F6IF-0926-SM-7SB7M 60-69 years, male 9.7
GTEX-1GN73-0726-SM-7P8TJ 60-69 years, male 9.7
GTEX-11TT1-1826-SM-5EQLV 20-29 years, male 9.6
GTEX-144GO-2026-SM-5O99P 60-69 years, male 9.6
GTEX-17HHE-1326-SM-7EWDZ 50-59 years, male 9.6
GTEX-ZPCL-1126-SM-4WWFE 60-69 years, female 9.6
GTEX-1IE54-1126-SM-A9G2Z 40-49 years, female 9.6
GTEX-1KANA-1326-SM-DIPFA 20-29 years, male 9.6
GTEX-13O3Q-0126-SM-5KM34 50-59 years, male 9.5
GTEX-145MO-2826-SM-5LU96 60-69 years, male 9.5
GTEX-15ER7-0626-SM-6PANF 20-29 years, female 9.5
GTEX-UPJH-0226-SM-3GADV 50-59 years, male 9.5
GTEX-1F6I4-2326-SM-7RHGL 60-69 years, male 9.5
GTEX-1IDJV-0126-SM-COH3Y 60-69 years, male 9.5
GTEX-18465-2826-SM-7LT9J 50-59 years, male 9.4
GTEX-ZYFC-0426-SM-5GICQ 50-59 years, male 9.4
GTEX-1KWVE-1026-SM-D3L9O 30-39 years, male 9.4
GTEX-1LG7Y-2526-SM-EWRO7 50-59 years, male 9.4
GTEX-1POEN-2326-SM-E9J2L 30-39 years, female 9.4
GTEX-12WSM-1926-SM-5BC65 60-69 years, male 9.3
GTEX-16GPK-0626-SM-7KFSF 60-69 years, male 9.3
GTEX-17F96-0126-SM-7EWDU 70-79 years, male 9.3
GTEX-X4EO-2926-SM-4E3JH 60-69 years, female 9.3
GTEX-1QP66-1226-SM-DTX7U 50-59 years, male 9.3
GTEX-131XW-0626-SM-5PNVD 50-59 years, female 9.2
GTEX-13OW8-1026-SM-5J1NQ 60-69 years, male 9.2
GTEX-ZPU1-1126-SM-4YCF3 40-49 years, male 9.2
GTEX-1IDJC-1526-SM-B2LW4 50-59 years, male 9.2
GTEX-1PPGY-1626-SM-EVYBL 60-69 years, male 9.2
GTEX-YEC4-1826-SM-4W1YP 40-49 years, male 9.1
GTEX-1I19N-0126-SM-CYPSF 70-79 years, male 9.1
GTEX-12WSD-0626-SM-5GCMW 60-69 years, female 9.0
GTEX-16Z82-2626-SM-7KULU 60-69 years, male 9.0
GTEX-1C2JI-1026-SM-73KY1 50-59 years, male 9.0
GTEX-1I1GP-1326-SM-A9G28 50-59 years, male 9.0
GTEX-1IDFM-0326-SM-ARL7V 60-69 years, male 9.0
GTEX-145MG-1526-SM-5Q5EM 50-59 years, male 8.9
GTEX-14753-0726-SM-5QGQO 60-69 years, male 8.9
GTEX-1B8SF-0126-SM-7DUG3 60-69 years, male 8.9
GTEX-1B97I-0626-SM-73KUZ 40-49 years, male 8.9
GTEX-VJYA-1526-SM-3GIJV 60-69 years, male 8.9
GTEX-ZVT4-2426-SM-5GIEI 50-59 years, female 8.9
GTEX-ZY6K-1426-SM-5GZX2 50-59 years, male 8.9
GTEX-17F9Y-0126-SM-79OKX 70-79 years, female 8.8
GTEX-WFON-1926-SM-3LK7L 40-49 years, male 8.8
GTEX-1RMOY-1326-SM-E9TIH 50-59 years, male 8.8
GTEX-1269C-0126-SM-5EQ5L 60-69 years, female 8.7
GTEX-14BIN-1126-SM-5RQJZ 50-59 years, female 8.7
GTEX-16MTA-0926-SM-6M47Z 50-59 years, male 8.6
GTEX-ZDTT-0426-SM-4WKFL 60-69 years, male 8.6
GTEX-ZT9X-1526-SM-5DUXD 40-49 years, male 8.6
GTEX-1CAMQ-1326-SM-7P8RV 40-49 years, male 8.6
GTEX-1314G-1326-SM-5BC6E 30-39 years, male 8.5
GTEX-139YR-1026-SM-5LZYN 50-59 years, male 8.5
GTEX-13OVL-0126-SM-5L3GJ 50-59 years, male 8.5
GTEX-18A66-0626-SM-7LT8Z 60-69 years, male 8.5
GTEX-Y5V6-2326-SM-4VDSA 60-69 years, male 8.5
GTEX-1C64O-1326-SM-7MGWR 60-69 years, male 8.5
GTEX-1HFI6-0126-SM-CNPPI 40-49 years, male 8.5
GTEX-1HR9M-2226-SM-CNPPY 60-69 years, male 8.5
GTEX-1RAZR-2126-SM-E9U6T 40-49 years, male 8.5
GTEX-11P7K-1126-SM-5HL4L 30-39 years, male 8.4
GTEX-12WSF-1626-SM-7KUG5 70-79 years, male 8.4
GTEX-14ABY-2026-SM-62LDL 50-59 years, male 8.4
GTEX-15RJE-2826-SM-7KUM9 40-49 years, male 8.4
GTEX-15SKB-2826-SM-6PAMH 60-69 years, male 8.4
GTEX-1B933-2426-SM-7DHMD 50-59 years, female 8.4
GTEX-1GF9V-0826-SM-9KNUV 60-69 years, male 8.4
GTEX-1KANB-2826-SM-CY8I6 50-59 years, male 8.4
GTEX-139D8-1126-SM-5LU8W 30-39 years, female 8.3
GTEX-14BMV-2826-SM-5TDED 50-59 years, male 8.3
GTEX-1GN2E-0226-SM-9WG6K 60-69 years, male 8.3
GTEX-1GPI6-1926-SM-9KNV7 60-69 years, male 8.3
GTEX-11GSP-2326-SM-5HL63 60-69 years, female 8.2
GTEX-13X6J-0626-SM-5LU5F 50-59 years, male 8.2
GTEX-13X6K-0626-SM-5LU5D 60-69 years, female 8.2
GTEX-15SHW-0226-SM-7LTAT 60-69 years, male 8.2
GTEX-1EKGG-0626-SM-7DUGJ 60-69 years, male 8.2
GTEX-ZDTS-0826-SM-4WKHL 60-69 years, male 8.2
GTEX-1HSKV-1226-SM-ADEI4 60-69 years, male 8.2
GTEX-11GS4-0226-SM-5HL77 60-69 years, male 8.1
GTEX-11NUK-2726-SM-5A5MC 50-59 years, male 8.1
GTEX-12126-0826-SM-5FQTZ 20-29 years, male 8.1
GTEX-16NPX-0726-SM-7KULC 50-59 years, male 8.1
GTEX-17F97-2626-SM-7IGM5 50-59 years, male 8.1
GTEX-1CB4F-1026-SM-7DUH1 60-69 years, male 8.1
GTEX-ZTTD-2826-SM-4YCFA 50-59 years, male 8.1
GTEX-1GMR3-0126-SM-A9SLW 40-49 years, male 8.1
GTEX-WRHU-2826-SM-3MJG8 50-59 years, female 8.0
GTEX-1F75A-0726-SM-7RHHD 50-59 years, male 8.0
GTEX-1H3O1-1326-SM-9MQLD 60-69 years, male 8.0
GTEX-1HCU9-0426-SM-9WYSD 20-29 years, male 8.0
GTEX-1LVA9-2626-SM-EVYD4 50-59 years, male 8.0
GTEX-1QMI2-2526-SM-E8VNZ 60-69 years, male 8.0
GTEX-11DYG-1526-SM-5A5JS 60-69 years, male 7.9
GTEX-12ZZY-0726-SM-5EQ66 60-69 years, male 7.9
GTEX-15DYW-2726-SM-6EU2I 60-69 years, female 7.9
GTEX-18A7A-0126-SM-731AH 50-59 years, female 7.9
GTEX-1GZ4I-2626-SM-9KNU3 50-59 years, male 7.9
GTEX-1I1HK-2326-SM-CKZOH 60-69 years, male 7.9
GTEX-1IDJF-2026-SM-CL53V 20-29 years, male 7.9
GTEX-11DXZ-2026-SM-5987S 50-59 years, male 7.8
GTEX-1313W-0626-SM-5EQ4H 50-59 years, female 7.8
GTEX-14LZ3-0126-SM-69LPM 60-69 years, female 7.8
GTEX-1EU9M-1426-SM-793AI 60-69 years, male 7.8
GTEX-1EX96-1026-SM-7MKG2 50-59 years, male 7.8
GTEX-ZUA1-2626-SM-5NQ92 40-49 years, male 7.8
GTEX-1IY9M-2826-SM-ARU8H 60-69 years, male 7.8
GTEX-YEC3-1326-SM-DO92X 50-59 years, male 7.8
GTEX-11P81-2226-SM-5PNYI 30-39 years, female 7.7
GTEX-13112-0126-SM-5P9IU 50-59 years, male 7.7
GTEX-13OW7-0426-SM-5K7VK 50-59 years, male 7.7
GTEX-16YQH-2226-SM-7IGM2 30-39 years, male 7.7
GTEX-1AYD5-2626-SM-7PBXY 50-59 years, male 7.7
GTEX-1HBPN-0126-SM-CGQEF 50-59 years, male 7.7
GTEX-1L5NE-1126-SM-D3L9P 50-59 years, male 7.7
GTEX-1QW4Y-1126-SM-DTXE3 30-39 years, male 7.7
GTEX-11DXY-0126-SM-5H11Q 60-69 years, male 7.6
GTEX-12KS4-2126-SM-5FQUT 30-39 years, male 7.6
GTEX-1E1VI-0326-SM-793D1 50-59 years, male 7.6
GTEX-1JMQJ-0826-SM-CNPP7 50-59 years, male 7.6
GTEX-1LVAM-0726-SM-E6CIL 50-59 years, female 7.6
GTEX-V1D1-2026-SM-3GAF4 50-59 years, male 7.5
GTEX-ZXG5-2126-SM-59HKD 60-69 years, male 7.5
GTEX-1GMRU-2126-SM-7P8RA 50-59 years, male 7.5
GTEX-1HSMP-0926-SM-A9SKX 70-79 years, male 7.5
GTEX-1LSVX-2526-SM-DIPEU 60-69 years, male 7.5
GTEX-1QEPI-2626-SM-DTXF4 60-69 years, female 7.5
GTEX-13VXU-0626-SM-5L3F9 50-59 years, male 7.4
GTEX-ZWKS-0626-SM-5GIDV 30-39 years, male 7.4
GTEX-1A8FM-0626-SM-7PC25 50-59 years, female 7.4
GTEX-1HT8W-0626-SM-A9G2H 30-39 years, male 7.4
GTEX-139TS-2126-SM-5K7XC 60-69 years, male 7.3
GTEX-13NYB-0126-SM-5J1MD 40-49 years, male 7.3
GTEX-1R9K4-2826-SM-DTX8F 60-69 years, male 7.3
GTEX-12WSC-2826-SM-5BC5Y 50-59 years, male 7.2
GTEX-14XAO-1226-SM-6EU1C 60-69 years, female 7.2
GTEX-15G19-2426-SM-7KUMR 60-69 years, male 7.2
GTEX-1I6K6-1726-SM-CGQFD 30-39 years, male 7.2
GTEX-1IDJH-0126-SM-D3L92 70-79 years, male 7.2
GTEX-1J1OQ-0126-SM-D4P2N 40-49 years, female 7.2
GTEX-1S83E-1326-SM-E6CJM 40-49 years, male 7.2
GTEX-139TT-2126-SM-5LZWC 60-69 years, male 7.1
GTEX-13SLX-2226-SM-62LEP 50-59 years, female 7.1
GTEX-14PJ2-0626-SM-6LLII 50-59 years, male 7.1
GTEX-17HHY-0426-SM-7DHLC 50-59 years, male 7.1
GTEX-18QFQ-1826-SM-72D52 30-39 years, male 7.1
GTEX-1C64N-2626-SM-7PC2N 50-59 years, male 7.1
GTEX-1HBPI-2126-SM-ARL9K 50-59 years, male 7.1
GTEX-1I1GV-0626-SM-ARL7M 60-69 years, male 7.1
GTEX-1OJC3-1226-SM-DTXER 20-29 years, male 7.1
GTEX-14PJ6-2626-SM-6EU2T 60-69 years, female 7.0
GTEX-1JMPZ-0726-SM-CY8HZ 30-39 years, male 7.0
GTEX-13FLV-0126-SM-5K7WT 50-59 years, male 6.9
GTEX-13PL6-1126-SM-5L3IE 40-49 years, female 6.9
GTEX-1N2EE-0626-SM-E76PW 60-69 years, male 6.9
GTEX-11PRG-0726-SM-5EGL1 50-59 years, male 6.8
GTEX-12ZZX-2426-SM-5GCOE 40-49 years, female 6.8
GTEX-131XH-0126-SM-5LZUY 50-59 years, male 6.8
GTEX-14JG1-1526-SM-5YY9X 40-49 years, male 6.8
GTEX-183FY-1026-SM-7939A 20-29 years, male 6.8
GTEX-1AX9I-2226-SM-73KUO 60-69 years, male 6.8
GTEX-1F6RS-2026-SM-7RHHC 60-69 years, female 6.8
GTEX-1H1DE-1326-SM-9KNUG 20-29 years, male 6.8
GTEX-11OF3-0126-SM-5PNYF 60-69 years, male 6.7
GTEX-144FL-0626-SM-5LU43 50-59 years, male 6.7
GTEX-145LU-1926-SM-79OJN 50-59 years, male 6.7
GTEX-1J8EW-2726-SM-CY8HR 60-69 years, female 6.7
GTEX-1JKYR-0626-SM-ARL8R 20-29 years, male 6.7
GTEX-1KD5A-0126-SM-E9U54 50-59 years, male 6.7
GTEX-1PBJJ-1026-SM-E76OS 30-39 years, male 6.7
GTEX-1RAZS-2526-SM-E6CHT 50-59 years, male 6.7
GTEX-1B8KZ-0326-SM-73KY4 50-59 years, male 6.6
GTEX-1B932-2326-SM-79OL5 40-49 years, female 6.6
GTEX-1BAJH-2426-SM-7IGP8 70-79 years, male 6.6
GTEX-XQ3S-1426-SM-4BOPR 20-29 years, male 6.6
GTEX-1EMGI-2326-SM-7PBYA 60-69 years, male 6.6
GTEX-1IOXB-2726-SM-CM2RI 50-59 years, male 6.6
GTEX-11ZUS-2626-SM-5FQUR 30-39 years, male 6.5
GTEX-15RIG-0726-SM-7KUM7 40-49 years, male 6.5
GTEX-ZYVF-0926-SM-5E44J 50-59 years, female 6.5
GTEX-1F88F-0126-SM-9WYSZ 60-69 years, female 6.5
GTEX-1JJEA-1826-SM-ARU8P 60-69 years, male 6.5
GTEX-14JFF-0626-SM-5ZZVT 60-69 years, male 6.4
GTEX-1IKJJ-2226-SM-CJI4C 60-69 years, male 6.4
GTEX-14DAQ-0626-SM-793DS 60-69 years, female 6.3
GTEX-178AV-1726-SM-7KUL8 40-49 years, male 6.3
GTEX-17KNJ-2126-SM-718AM 50-59 years, male 6.3
GTEX-1LSNL-2726-SM-E9TKJ 50-59 years, male 6.3
GTEX-1PIGE-1826-SM-E8VOU 20-29 years, male 6.3
GTEX-11WQC-1826-SM-5GU59 60-69 years, male 6.2
GTEX-139UW-0326-SM-5J1ML 60-69 years, male 6.2
GTEX-13NZ9-2626-SM-5L3FK 50-59 years, male 6.2
GTEX-14E1K-2026-SM-7DUEI 50-59 years, male 6.2
GTEX-UPK5-0426-SM-3GAEK 40-49 years, male 6.2
GTEX-1HR98-2226-SM-ADEI2 60-69 years, male 6.2
GTEX-13OW5-2326-SM-5L3HO 60-69 years, male 6.1
GTEX-13OW6-2726-SM-5J2OE 50-59 years, male 6.1
GTEX-1H11D-1826-SM-9QEHM 40-49 years, male 6.1
GTEX-13FTY-2126-SM-5IFFB 40-49 years, female 6.0
GTEX-WK11-2726-SM-3NMAQ 50-59 years, male 6.0
GTEX-XMD2-2126-SM-4YCF8 60-69 years, female 6.0
GTEX-13NZ8-1226-SM-5KM4A 60-69 years, female 5.9
GTEX-145MH-2826-SM-5RQJF 50-59 years, male 5.9
GTEX-1A8G7-1326-SM-73KVM 60-69 years, male 5.9
GTEX-1C6VR-0126-SM-7RHGB 60-69 years, male 5.9
GTEX-1RAZA-2226-SM-E9U4X 20-29 years, male 5.9
GTEX-16MT9-0126-SM-7EPI8 60-69 years, female 5.8
GTEX-111VG-1626-SM-5EGIO 60-69 years, male 5.7
GTEX-14A6H-2026-SM-5Q5DD 30-39 years, male 5.7
GTEX-1IL2V-1926-SM-B2LW8 70-79 years, male 5.7
GTEX-1LB8K-0726-SM-D5OV2 50-59 years, male 5.7
GTEX-15RIE-1926-SM-7KUKJ 60-69 years, male 5.6
GTEX-1E2YA-2126-SM-7MXUO 50-59 years, male 5.6
GTEX-13SLW-0626-SM-5Q5ER 70-79 years, male 5.5
GTEX-VUSG-2326-SM-4KL1U 50-59 years, male 5.5
GTEX-1OJC4-2726-SM-E76PJ 50-59 years, female 5.5
GTEX-1PIIG-2326-SM-DTXFR 30-39 years, male 5.5
GTEX-18A67-1626-SM-7LT9T 50-59 years, male 5.4
GTEX-11EQ8-0926-SM-5H12V 60-69 years, male 5.2
GTEX-13PDP-0726-SM-5L3HP 60-69 years, male 5.1
GTEX-145MF-0926-SM-5Q5EA 50-59 years, male 5.1
GTEX-15DDE-2926-SM-6LLJ3 50-59 years, female 5.1
GTEX-1A8G6-2726-SM-731AR 60-69 years, male 5.1
GTEX-ZE9C-2526-SM-5IJDR 60-69 years, male 5.1
GTEX-ZYT6-2326-SM-5GZY3 30-39 years, male 5.1
GTEX-1B8L1-2226-SM-7P8PT 60-69 years, male 5.1
GTEX-17MFQ-1526-SM-7KFRR 20-29 years, male 5.0
GTEX-18A6Q-0626-SM-7KFRP 60-69 years, male 5.0
GTEX-13G51-1826-SM-5KLZH 60-69 years, male 4.7
GTEX-YECK-0326-SM-4W1YS 60-69 years, male 4.7
GTEX-147GR-2426-SM-5ZZWQ 60-69 years, male 4.4
GTEX-144GL-0626-SM-5LU4D 50-59 years, male 4.0
GTEX-1GN1V-2826-SM-9JGIA 60-69 years, male 4.0
GTEX-1GF9X-1326-SM-7PC2Y 40-49 years, female 3.9
GTEX-1R9PM-1926-SM-EVR3O 20-29 years, male 3.4
GTEX-1399Q-2326-SM-5KM2X 40-49 years, male 2.6
Show allShow less
Skin - Sun Exposed (Lower leg)
Average nTPM: 12.6
Samples: 701

Max nTPM: 35.4
Min nTPM: 3.3
Std nTPM: 5.1
Median nTPM: 11.7
GTEX-1LH75-2426-SM-E9TJE 50-59 years, female 35.4
GTEX-1JN1M-0326-SM-CYPT3 60-69 years, female 33.0
GTEX-1R46S-0626-SM-E9J41 60-69 years, female 32.8
GTEX-1HBPM-0226-SM-ARL9F 60-69 years, female 31.0
GTEX-ZAJG-0126-SM-5HL94 50-59 years, female 30.9
GTEX-1I1GT-0626-SM-CGQER 60-69 years, female 30.7
GTEX-1J8QM-2126-SM-CYPSJ 60-69 years, female 30.6
GTEX-17GQL-2026-SM-718BA 60-69 years, male 28.0
GTEX-1A3MW-0126-SM-73KXX 60-69 years, female 28.0
GTEX-11H98-0126-SM-5EGHG 50-59 years, male 27.9
GTEX-13OVI-1426-SM-5L3EY 60-69 years, female 27.9
GTEX-ZYW4-0126-SM-5E44A 60-69 years, male 27.9
GTEX-1HSMO-0126-SM-CL547 60-69 years, male 27.9
GTEX-1H1ZS-0426-SM-9WG6G 70-79 years, male 26.8
GTEX-ZAB4-0226-SM-5N9F5 40-49 years, male 26.4
GTEX-X4EP-0126-SM-3P5YV 60-69 years, female 26.2
GTEX-1LC47-0326-SM-E9TJP 60-69 years, male 26.1
GTEX-13O1R-0126-SM-5L3EH 60-69 years, male 26.0
GTEX-R45C-0126-SM-EAZ2R 60-69 years, female 26.0
GTEX-13YAN-0326-SM-5O9DF 60-69 years, male 25.7
GTEX-1MA7W-2026-SM-E9TJ6 20-29 years, female 25.5
GTEX-13OVJ-0126-SM-5KM36 50-59 years, female 25.4
GTEX-ZYY3-0126-SM-5GZY5 60-69 years, female 25.0
GTEX-1RAZQ-0726-SM-EAZ43 30-39 years, male 24.8
GTEX-O5YW-0126-SM-3LK6D 50-59 years, male 24.6
GTEX-1JMOU-1526-SM-CL54I 60-69 years, female 24.4
GTEX-13O3O-0126-SM-E9J49 60-69 years, female 24.1
GTEX-13113-5016-SM-7EPIP 60-69 years, female 23.6
GTEX-1JJ6O-0126-SM-E6CI8 60-69 years, male 23.5
GTEX-13OVG-1926-SM-5L3DK 60-69 years, male 23.4
GTEX-X8HC-0126-SM-4E3JW 50-59 years, female 23.4
GTEX-1PWST-0226-SM-E76QJ 70-79 years, male 23.4
GTEX-1I4MK-2226-SM-ACKWD 50-59 years, female 23.2
GTEX-1KXAM-2226-SM-CYPTC 60-69 years, male 22.9
GTEX-1K2DU-2326-SM-E9TIV 20-29 years, male 22.8
GTEX-11EMC-2926-SM-5EQ4F 60-69 years, female 22.7
GTEX-R55G-2526-SM-2TC6D 40-49 years, female 22.7
GTEX-ZGAY-0526-SM-4WWBB 40-49 years, female 22.6
GTEX-RTLS-0126-SM-447CA 60-69 years, female 22.4
GTEX-ZF29-2326-SM-DO92K 60-69 years, female 22.4
GTEX-12WSJ-1826-SM-5GCNY 40-49 years, female 22.3
GTEX-1HFI7-1826-SM-ACKXH 50-59 years, female 22.3
GTEX-ZPIC-1726-SM-DHXIU 40-49 years, female 22.3
GTEX-YJ8A-0426-SM-5IFID 20-29 years, male 22.0
GTEX-Y8LW-1826-SM-5S2MV 50-59 years, female 21.8
GTEX-1GTWX-0126-SM-9YFLK 60-69 years, male 21.8
GTEX-1HCVE-0126-SM-CGQEU 50-59 years, male 21.7
GTEX-X5EB-2226-SM-46MW4 40-49 years, male 21.3
GTEX-ZF28-0126-SM-4WKGK 60-69 years, male 21.3
GTEX-15EOM-0126-SM-7KUGG 20-29 years, female 21.2
GTEX-T5JW-1626-SM-3GADZ 20-29 years, female 21.2
GTEX-ZTX8-1426-SM-5DUVO 20-29 years, male 21.1
GTEX-1HUB1-0426-SM-E9U4U 60-69 years, male 21.0
GTEX-113IC-0126-SM-5HL6T 60-69 years, male 20.9
GTEX-ZYFG-2326-SM-5E44B 60-69 years, female 20.9
GTEX-14BIL-0126-SM-5SI92 50-59 years, male 20.8
GTEX-WOFL-0126-SM-3MJG2 60-69 years, male 20.6
GTEX-SN8G-0126-SM-32PLI 50-59 years, female 20.5
GTEX-11GSO-2426-SM-5A5LY 60-69 years, male 20.4
GTEX-145MI-0526-SM-5O9A8 60-69 years, female 20.3
GTEX-1J8Q2-0526-SM-CM2RW 60-69 years, male 20.3
GTEX-1H2FU-0126-SM-9WYSI 60-69 years, female 20.2
GTEX-11DXX-2426-SM-5GZZW 60-69 years, female 20.1
GTEX-14LLW-0126-SM-6LLIO 70-79 years, female 20.1
GTEX-11TTK-0126-SM-5987B 60-69 years, female 20.0
GTEX-XXEK-2226-SM-4BRUM 50-59 years, male 20.0
GTEX-1S5ZA-0126-SM-EVYCV 20-29 years, male 19.9
GTEX-17MF6-0126-SM-7LG4F 40-49 years, male 19.6
GTEX-12WSA-0226-SM-5BC5V 60-69 years, male 19.5
GTEX-16NGA-1726-SM-731B4 40-49 years, female 19.5
GTEX-TSE9-0126-SM-3DB83 60-69 years, female 19.5
GTEX-1LGOU-2026-SM-DIPFF 20-29 years, female 19.5
GTEX-11P82-1626-SM-59879 20-29 years, male 19.3
GTEX-146FH-0126-SM-5QGPP 50-59 years, female 19.3
GTEX-OXRO-0126-SM-2YUN4 60-69 years, female 19.2
GTEX-1HBPH-0426-SM-B2LW5 40-49 years, female 19.2
GTEX-1QP67-1626-SM-EAZ3X 40-49 years, female 19.1
GTEX-13VXT-0126-SM-5LU4I 20-29 years, female 19.0
GTEX-RUSQ-1526-SM-2TF62 50-59 years, male 18.9
GTEX-XPVG-2626-SM-4B669 50-59 years, male 18.9
GTEX-1RLM8-2326-SM-EWRN4 50-59 years, male 18.9
GTEX-13IVO-0126-SM-5J1NG 70-79 years, male 18.8
GTEX-13N1W-0126-SM-5K7VT 70-79 years, male 18.7
GTEX-WH7G-2326-SM-3NMBC 40-49 years, male 18.7
GTEX-14JG6-2226-SM-6EU2G 30-39 years, female 18.5
GTEX-PLZ4-0126-SM-5SI8O 50-59 years, female 18.5
GTEX-13O21-1426-SM-5K7XI 50-59 years, male 18.4
GTEX-13FTX-1826-SM-5J1NX 20-29 years, female 18.3
GTEX-14PHW-0126-SM-6LLJI 60-69 years, female 18.2
GTEX-11ZTT-2426-SM-5EQLS 60-69 years, female 18.1
GTEX-16MT8-0426-SM-7KUEY 60-69 years, female 18.1
GTEX-16XZY-2126-SM-79OK1 70-79 years, male 18.1
GTEX-Q2AH-1626-SM-3GAF8 40-49 years, male 18.1
GTEX-X4XY-0226-SM-4E3IZ 60-69 years, male 18.1
GTEX-13OW7-0126-SM-5MR3B 50-59 years, male 17.9
GTEX-15EU6-0426-SM-6PAN5 50-59 years, male 17.9
GTEX-18A7B-0126-SM-7LG64 70-79 years, male 17.9
GTEX-ZTSS-1926-SM-57WEW 40-49 years, male 17.9
GTEX-1LVAN-0226-SM-COH3S 50-59 years, female 17.9
GTEX-13RTJ-2426-SM-5S2Q2 60-69 years, male 17.8
GTEX-14E6C-0126-SM-5RQIP 40-49 years, male 17.7
GTEX-17F98-0626-SM-79OMX 40-49 years, female 17.7
GTEX-X638-0126-SM-47JZ8 70-79 years, female 17.6
GTEX-1OJC4-0126-SM-E9J2E 50-59 years, female 17.6
GTEX-P4PQ-0126-SM-2S1NM 60-69 years, male 17.5
GTEX-16XZZ-0126-SM-793DV 60-69 years, male 17.4
GTEX-ZVZP-2426-SM-59HKJ 50-59 years, male 17.4
GTEX-1JMQK-0226-SM-CL543 60-69 years, male 17.4
GTEX-QDT8-0126-SM-48TZ1 30-39 years, female 17.3
GTEX-XYKS-2126-SM-4E3IB 60-69 years, female 17.3
GTEX-PLZ6-1426-SM-DKPOT 30-39 years, male 17.3
GTEX-145LV-2126-SM-5LU8N 50-59 years, male 17.2
GTEX-1F48J-0126-SM-7P8TT 50-59 years, female 17.2
GTEX-13PVR-2326-SM-5QGR1 60-69 years, female 17.1
GTEX-14PK6-1926-SM-6ETZU 70-79 years, female 17.1
GTEX-14PN4-0126-SM-6EU2V 50-59 years, male 17.1
GTEX-14C5O-0126-SM-5SI6N 60-69 years, male 17.0
GTEX-1128S-2326-SM-5GZZY 60-69 years, female 16.9
GTEX-1H1DG-0126-SM-9WYU2 70-79 years, male 16.9
GTEX-1H23P-0126-SM-ADEJ3 60-69 years, male 16.9
GTEX-1PPH8-0226-SM-E8VND 20-29 years, male 16.9
GTEX-147F3-0526-SM-5SI98 50-59 years, female 16.8
GTEX-14JIY-0126-SM-6LLH6 60-69 years, male 16.8
GTEX-14PHX-2326-SM-62LEM 50-59 years, male 16.8
GTEX-P4QT-0126-SM-2I3FL 50-59 years, female 16.8
GTEX-1LGRB-2526-SM-CNPPQ 50-59 years, female 16.8
GTEX-Q2AI-1326-SM-2S1PL 40-49 years, male 16.7
GTEX-PWO3-1526-SM-48TCM 60-69 years, female 16.6
GTEX-11EM3-2426-SM-59861 20-29 years, female 16.5
GTEX-11VI4-1726-SM-5CVLH 40-49 years, female 16.5
GTEX-1C6VQ-0126-SM-7P8RI 50-59 years, male 16.5
GTEX-1I1HK-0126-SM-COH49 60-69 years, male 16.5
GTEX-1399U-2326-SM-5K7WY 50-59 years, female 16.4
GTEX-144GN-2326-SM-5LU4F 50-59 years, male 16.4
GTEX-ZXES-1826-SM-5E43S 30-39 years, female 16.4
GTEX-148VI-1626-SM-5SI6E 60-69 years, female 16.3
GTEX-XUW1-0426-SM-4BOOT 50-59 years, female 16.3
GTEX-ZE7O-0126-SM-57WC1 50-59 years, female 16.3
GTEX-1GF9W-0326-SM-9KNUN 60-69 years, male 16.3
GTEX-OHPL-0126-SM-2HMJ7 60-69 years, female 16.2
GTEX-15UF6-0826-SM-6PALJ 70-79 years, female 16.1
GTEX-1PFEY-1526-SM-E76PP 30-39 years, male 16.1
GTEX-13X6I-0626-SM-5QGP9 60-69 years, male 16.0
GTEX-1N2DV-0226-SM-E6CJ6 40-49 years, male 16.0
GTEX-1N2EF-0226-SM-EYYXB 60-69 years, male 16.0
GTEX-13RTL-0126-SM-7LG5S 40-49 years, male 15.9
GTEX-1CB4H-0226-SM-7PBXM 60-69 years, female 15.9
GTEX-1AMFI-2026-SM-731BH 50-59 years, female 15.8
GTEX-U8XE-0326-SM-3DB8P 30-39 years, male 15.8
GTEX-X261-0126-SM-3NMD6 50-59 years, male 15.8
GTEX-13FH7-2026-SM-E9J4I 50-59 years, female 15.8
GTEX-11LCK-1026-SM-5A5KB 30-39 years, male 15.7
GTEX-ZUA1-0126-SM-5GU76 40-49 years, male 15.7
GTEX-1C6WA-0126-SM-7PC2B 60-69 years, male 15.7
GTEX-11UD2-0226-SM-5EQKY 50-59 years, male 15.6
GTEX-139T4-0226-SM-5HL5S 50-59 years, female 15.6
GTEX-17EVQ-0226-SM-7LG4P 70-79 years, male 15.5
GTEX-13111-1626-SM-5EGJY 50-59 years, male 15.4
GTEX-13NZ8-0826-SM-5MR3I 60-69 years, female 15.4
GTEX-145MN-2226-SM-5SIAU 30-39 years, male 15.4
GTEX-1A3MV-1926-SM-718BT 30-39 years, male 15.4
GTEX-OXRL-0126-SM-2YUMP 50-59 years, male 15.4
GTEX-WI4N-1026-SM-3LK7N 40-49 years, female 15.4
GTEX-1I1GU-2226-SM-CGQFA 40-49 years, male 15.4
GTEX-117YX-2326-SM-5H12W 50-59 years, male 15.3
GTEX-14BMU-2226-SM-5TDE9 20-29 years, female 15.3
GTEX-15D1Q-0126-SM-7KUG6 40-49 years, male 15.3
GTEX-U3ZM-1526-SM-3DB9D 40-49 years, male 15.2
GTEX-Y114-2426-SM-4TT8A 50-59 years, female 15.2
GTEX-ZTPG-0326-SM-5O9AX 20-29 years, female 15.2
GTEX-ZXG5-0126-SM-5GIEU 60-69 years, male 15.2
GTEX-1I1GS-0126-SM-B2LVW 60-69 years, male 15.2
GTEX-1JJE9-0326-SM-CL53Z 70-79 years, male 15.2
GTEX-1QPFJ-0226-SM-E76PB 30-39 years, female 15.2
GTEX-131XG-2626-SM-5KM17 50-59 years, female 15.1
GTEX-132NY-0326-SM-5IJBL 60-69 years, male 15.1
GTEX-ZDXO-3026-SM-5J1N5 60-69 years, male 15.1
GTEX-169BO-1326-SM-9MQK2 50-59 years, male 15.1
GTEX-133LE-1826-SM-5J1MV 20-29 years, female 15.0
GTEX-1M4P7-0226-SM-DIPEV 60-69 years, male 15.0
GTEX-1S82Z-0826-SM-E6CHY 30-39 years, female 15.0
GTEX-12696-2426-SM-5EQ6H 60-69 years, male 14.9
GTEX-147F4-0226-SM-5QGPW 50-59 years, male 14.9
GTEX-1HSMP-0126-SM-E6CJS 70-79 years, male 14.9
GTEX-1J8Q3-1626-SM-CMKGC 60-69 years, male 14.9
GTEX-1S3DN-2226-SM-EVYCD 50-59 years, male 14.9
GTEX-NPJ8-0126-SM-2YUNR 40-49 years, male 14.8
GTEX-OXRP-0126-SM-3NB32 60-69 years, female 14.8
GTEX-1HSGN-0226-SM-CGQFV 40-49 years, female 14.8
GTEX-1QP66-1726-SM-E8VO1 50-59 years, male 14.8
GTEX-OOBJ-0126-SM-E6CJW 60-69 years, male 14.8
GTEX-15ETS-0126-SM-7KUMW 40-49 years, female 14.7
GTEX-S32W-2126-SM-2XCB1 50-59 years, female 14.7
GTEX-T8EM-1026-SM-3DB7M 40-49 years, male 14.7
GTEX-ZY6K-1826-SM-5GZXK 50-59 years, male 14.7
GTEX-11DZ1-0126-SM-5985Q 50-59 years, male 14.6
GTEX-13X6H-2126-SM-7EWD5 50-59 years, female 14.6
GTEX-15SDE-2226-SM-7IGLO 50-59 years, female 14.6
GTEX-WRHK-1426-SM-3MJF9 20-29 years, female 14.6
GTEX-TML8-1926-SM-32QOS 40-49 years, female 14.5
GTEX-ZDYS-2026-SM-5HL5L 50-59 years, male 14.5
GTEX-1LNCM-1126-SM-E9U5E 50-59 years, female 14.5
GTEX-18D9B-0526-SM-7LTAS 60-69 years, male 14.4
GTEX-WXYG-2326-SM-4E3I6 50-59 years, female 14.4
GTEX-XUZC-1726-SM-4BRWS 30-39 years, female 14.4
GTEX-146FR-1326-SM-E9J48 60-69 years, female 14.4
GTEX-1HCU8-0626-SM-A9SM9 60-69 years, female 14.4
GTEX-1K9T9-0126-SM-EVYCF 50-59 years, female 14.4
GTEX-11GSP-2526-SM-5N9BP 60-69 years, female 14.3
GTEX-11ZVC-2526-SM-5FQTE 50-59 years, female 14.3
GTEX-13CF3-2426-SM-5IFGX 60-69 years, female 14.3
GTEX-148VJ-0126-SM-5TDDN 70-79 years, male 14.3
GTEX-18A67-0126-SM-7LG5P 50-59 years, male 14.3
GTEX-1EN7A-0126-SM-7SB81 40-49 years, male 14.3
GTEX-1GL5R-1826-SM-9KNUY 50-59 years, male 14.3
GTEX-1JMPY-1326-SM-ARL8Y 30-39 years, male 14.3
GTEX-16YQH-0126-SM-7DUFJ 30-39 years, male 14.2
GTEX-TKQ1-1026-SM-4GICL 30-39 years, male 14.2
GTEX-1F6IF-0726-SM-7P8TW 60-69 years, male 14.2
GTEX-1192W-2626-SM-5Q5AF 60-69 years, male 14.1
GTEX-15SHW-0326-SM-6PAML 60-69 years, male 14.1
GTEX-183WM-0126-SM-7LTAB 70-79 years, female 14.1
GTEX-RM2N-1426-SM-2TF4H 50-59 years, male 14.1
GTEX-Y3I4-2126-SM-4TT7C 50-59 years, male 14.1
GTEX-1QCLY-0326-SM-E8VOG 30-39 years, male 14.1
GTEX-13NZA-0226-SM-5K7Z7 60-69 years, male 14.0
GTEX-W5WG-1826-SM-4KL2Y 50-59 years, female 14.0
GTEX-ZYFC-0226-SM-5NQ75 50-59 years, male 14.0
GTEX-1HCUA-2426-SM-ADEIS 50-59 years, female 14.0
GTEX-1HKZK-0326-SM-9WYUH 40-49 years, male 14.0
GTEX-1KANC-1526-SM-D3LAB 50-59 years, female 14.0
GTEX-11TT1-2526-SM-5EGIB 20-29 years, male 13.9
GTEX-YB5E-2026-SM-5IFIS 40-49 years, male 13.9
GTEX-ZEX8-2426-SM-4WKG4 50-59 years, male 13.9
GTEX-1HGF4-2426-SM-ACKXM 60-69 years, male 13.9
GTEX-1QP29-0626-SM-EWRMX 50-59 years, male 13.9
GTEX-1R7EU-0226-SM-EVR4G 60-69 years, male 13.9
GTEX-U8T8-0126-SM-3DB94 60-69 years, male 13.8
GTEX-UJHI-1526-SM-3DB99 50-59 years, female 13.8
GTEX-1R7EV-2426-SM-EVYBG 40-49 years, male 13.8
GTEX-1F52S-0126-SM-9MQJU 60-69 years, female 13.7
GTEX-12WSN-5019-SM-79OM6 40-49 years, male 13.6
GTEX-18D9A-1926-SM-7LG6P 30-39 years, female 13.6
GTEX-1CB4J-0626-SM-7DHMP 60-69 years, male 13.6
GTEX-1JMQL-0226-SM-CNPP5 50-59 years, female 13.6
GTEX-13N11-2526-SM-5K7UE 50-59 years, female 13.5
GTEX-145MO-0326-SM-5Q5B3 60-69 years, male 13.5
GTEX-1AYCT-2426-SM-7IGQ3 50-59 years, male 13.5
GTEX-1CAMQ-0226-SM-7IGPK 40-49 years, male 13.5
GTEX-TMMY-0226-SM-33HBA 40-49 years, female 13.5
GTEX-1IKOH-0226-SM-COH4E 60-69 years, female 13.5
GTEX-131XE-2326-SM-5PNZ2 50-59 years, male 13.4
GTEX-15CHC-2126-SM-6EU21 60-69 years, female 13.4
GTEX-1192X-0226-SM-5H12D 50-59 years, male 13.3
GTEX-1211K-2026-SM-5EQ4Z 60-69 years, female 13.3
GTEX-13NYS-0126-SM-5MR3W 60-69 years, male 13.3
GTEX-XBED-2226-SM-47JYQ 60-69 years, male 13.3
GTEX-1JK1U-2026-SM-CM2RZ 60-69 years, male 13.3
GTEX-13W3W-2426-SM-5LU5B 60-69 years, female 13.2
GTEX-Y5LM-1926-SM-5RQJH 40-49 years, female 13.2
GTEX-Y5V5-2326-SM-4V6GA 60-69 years, female 13.2
GTEX-1ICG6-2526-SM-CGQFZ 70-79 years, female 13.2
GTEX-1MCYP-1926-SM-E9J2R 20-29 years, female 13.2
GTEX-12WSK-2326-SM-5GCOH 40-49 years, female 13.1
GTEX-14BIM-0226-SM-7IGLD 60-69 years, female 13.1
GTEX-QDVN-2026-SM-3GAEP 50-59 years, male 13.1
GTEX-R55E-0126-SM-2TC5Y 20-29 years, male 13.1
GTEX-13D11-2426-SM-5KM1V 50-59 years, female 13.0
GTEX-13O3P-0126-SM-5KM4S 50-59 years, male 13.0
GTEX-17HII-0226-SM-7LG4E 50-59 years, male 13.0
GTEX-1C6VS-0526-SM-7DUEN 60-69 years, male 13.0
GTEX-S7PM-0126-SM-4AD6S 60-69 years, male 13.0
GTEX-UPJH-0326-SM-3GADU 50-59 years, male 13.0
GTEX-WY7C-2326-SM-3NB2U 50-59 years, male 13.0
GTEX-1H1DE-2126-SM-9WG6R 20-29 years, male 13.0
GTEX-145LS-0126-SM-5QGP1 60-69 years, female 12.9
GTEX-146FQ-0126-SM-5NQA9 30-39 years, male 12.9
GTEX-14E7W-0126-SM-6LLJ9 70-79 years, male 12.9
GTEX-16BQI-0226-SM-7KUEX 30-39 years, female 12.9
GTEX-1AYD5-2426-SM-73KXR 50-59 years, male 12.9
GTEX-RWS6-2026-SM-2XCB5 60-69 years, female 12.9
GTEX-S95S-1226-SM-4GICG 60-69 years, male 12.9
GTEX-1GN1V-0126-SM-9WPOS 60-69 years, male 12.9
GTEX-1H3NZ-0126-SM-ACKX7 60-69 years, male 12.9
GTEX-1M5QR-1226-SM-EWROB 40-49 years, male 12.9
GTEX-1S82Y-2026-SM-EVYCM 40-49 years, male 12.9
GTEX-13QJ3-0326-SM-5S2RA 50-59 years, male 12.8
GTEX-14A6H-0126-SM-5QGPK 30-39 years, male 12.8
GTEX-PWCY-1826-SM-DHXIZ 20-29 years, female 12.8
GTEX-13OW8-1326-SM-5J1OW 60-69 years, male 12.7
GTEX-17EUY-0426-SM-793BD 20-29 years, male 12.7
GTEX-1AX9J-0226-SM-73KXM 60-69 years, male 12.7
GTEX-X585-0226-SM-4QAS2 50-59 years, male 12.7
GTEX-XQ8I-0426-SM-4BOPO 50-59 years, male 12.7
GTEX-12WSG-2826-SM-E9J4H 50-59 years, female 12.7
GTEX-1IDFM-0126-SM-COH2V 60-69 years, male 12.7
GTEX-14DAR-2026-SM-5S2O3 50-59 years, male 12.6
GTEX-1AX8Z-0126-SM-7DHM6 60-69 years, male 12.6
GTEX-1R9PO-2126-SM-E9J4O 60-69 years, female 12.6
GTEX-113JC-2326-SM-5EQ4E 50-59 years, female 12.5
GTEX-14A5I-0126-SM-5TDEA 50-59 years, female 12.5
GTEX-18A66-0226-SM-718BD 60-69 years, male 12.5
GTEX-SUCS-1926-SM-32PM3 70-79 years, male 12.5
GTEX-WFG8-2226-SM-3GIL9 20-29 years, male 12.5
GTEX-1QEPI-0126-SM-EWRMQ 60-69 years, female 12.5
GTEX-14753-0426-SM-5NQAM 60-69 years, male 12.4
GTEX-1AMEY-1326-SM-73KYK 30-39 years, female 12.4
GTEX-PLZ5-2026-SM-2S1O4 50-59 years, male 12.4
GTEX-13FTY-0526-SM-5L3EV 40-49 years, female 12.3
GTEX-XBEW-0626-SM-4QASP 40-49 years, male 12.3
GTEX-ZV6S-2326-SM-4YCEY 40-49 years, female 12.3
GTEX-1F5PK-2426-SM-7RHHY 50-59 years, male 12.3
GTEX-ZQG8-1626-SM-DHXIT 60-69 years, female 12.3
GTEX-14PJ3-1826-SM-62LEX 50-59 years, male 12.2
GTEX-17HGU-0226-SM-7DHKV 50-59 years, male 12.2
GTEX-QLQ7-1626-SM-2S1R8 60-69 years, male 12.2
GTEX-U3ZN-2326-SM-3DB7W 30-39 years, female 12.2
GTEX-WYJK-0126-SM-3NMAB 50-59 years, male 12.1
GTEX-X4EO-0326-SM-3P5YO 60-69 years, female 12.1
GTEX-1IE54-0126-SM-CMKHW 40-49 years, female 12.1
GTEX-11ZTS-0126-SM-5EQ6M 60-69 years, female 12.0
GTEX-P4PP-0126-SM-3LK69 30-39 years, female 12.0
GTEX-QCQG-1726-SM-3GIJ9 50-59 years, female 12.0
GTEX-ZU9S-0226-SM-5E441 30-39 years, male 12.0
GTEX-ZVT2-2526-SM-51MT1 50-59 years, female 12.0
GTEX-1PBJI-0526-SM-E8VNK 20-29 years, female 12.0
GTEX-ZVT4-0126-SM-DTXFN 50-59 years, female 12.0
GTEX-117YW-2626-SM-5GZZH 50-59 years, male 11.9
GTEX-13U4I-0126-SM-5LU38 40-49 years, female 11.9
GTEX-Q734-1926-SM-2I5EV 40-49 years, female 11.9
GTEX-XV7Q-2526-SM-4BRV9 40-49 years, female 11.9
GTEX-1MCQQ-0826-SM-DLHC2 60-69 years, male 11.9
GTEX-1QP2A-0126-SM-E9J43 50-59 years, male 11.9
GTEX-1QP9N-1426-SM-DTXFL 30-39 years, male 11.9
GTEX-139D8-0226-SM-5KLZO 30-39 years, female 11.8
GTEX-139TU-0126-SM-5K7WH 60-69 years, male 11.8
GTEX-1C475-1826-SM-73KWA 40-49 years, female 11.8
GTEX-OXRN-0126-SM-48TDM 50-59 years, male 11.8
GTEX-QEG4-0226-SM-2S1PY 30-39 years, male 11.8
GTEX-131XF-5016-SM-7MGWE 60-69 years, male 11.8
GTEX-1C64O-0126-SM-7SB8P 60-69 years, male 11.8
GTEX-1LG7Y-0526-SM-DKPQC 50-59 years, male 11.8
GTEX-111VG-2426-SM-5GZXD 60-69 years, male 11.7
GTEX-13FTW-2626-SM-5K7WL 40-49 years, male 11.7
GTEX-145ME-1826-SM-5SI9G 40-49 years, female 11.7
GTEX-1AX9K-2326-SM-73KWU 50-59 years, male 11.7
GTEX-T6MO-1626-SM-32QOM 40-49 years, female 11.7
GTEX-X62O-0126-SM-4E3JN 50-59 years, male 11.7
GTEX-ZZPT-0226-SM-5E43X 50-59 years, male 11.7
GTEX-1F6I4-0126-SM-9MQL2 60-69 years, male 11.7
GTEX-1GN1W-0526-SM-9MQJQ 50-59 years, female 11.7
GTEX-1H1E6-1726-SM-ACKVK 30-39 years, male 11.7
GTEX-1LSNM-1926-SM-E6CII 50-59 years, male 11.7
GTEX-W5X1-3026-SM-EAZAX 40-49 years, female 11.7
GTEX-13FHO-0226-SM-5IFGY 60-69 years, male 11.6
GTEX-1497J-2426-SM-7IGNX 60-69 years, male 11.6
GTEX-1CB4E-2226-SM-793DC 60-69 years, male 11.6
GTEX-Q2AG-0126-SM-33HBV 40-49 years, female 11.6
GTEX-U3ZH-2026-SM-3DB78 30-39 years, male 11.6
GTEX-ZV68-0126-SM-59HKS 50-59 years, female 11.6
GTEX-1HCU6-0126-SM-CL54K 60-69 years, female 11.6
GTEX-1ICLY-0126-SM-D4P36 50-59 years, male 11.6
GTEX-1QAET-0926-SM-E76QM 50-59 years, male 11.6
GTEX-14ICK-0226-SM-6EU25 40-49 years, male 11.5
GTEX-1HSEH-0126-SM-ACKXN 60-69 years, male 11.5
GTEX-1IY9M-0126-SM-D3L8S 60-69 years, male 11.5
GTEX-ZF3C-0126-SM-DO92D 50-59 years, female 11.5
GTEX-12KS4-0326-SM-5EQ41 30-39 years, male 11.4
GTEX-13S7M-0126-SM-5SI6A 60-69 years, female 11.4
GTEX-13VXU-0126-SM-5SI9F 50-59 years, male 11.4
GTEX-13W46-0226-SM-5SIAG 50-59 years, male 11.4
GTEX-ZVE2-0226-SM-59HJB 50-59 years, male 11.4
GTEX-1H3VE-0326-SM-9YFLH 40-49 years, male 11.4
GTEX-1JMQI-2226-SM-CM2SD 50-59 years, male 11.4
GTEX-139TT-0126-SM-5K7Y5 60-69 years, male 11.3
GTEX-13N2G-2626-SM-5J1OT 60-69 years, male 11.3
GTEX-13OVH-0126-SM-5MR4B 70-79 years, male 11.3
GTEX-1B8SG-0126-SM-73KZ3 50-59 years, male 11.3
GTEX-WQUQ-0426-SM-3MJFU 60-69 years, male 11.3
GTEX-WYVS-2126-SM-3NMA3 40-49 years, female 11.3
GTEX-1GN1U-0126-SM-7PBZK 50-59 years, female 11.3
GTEX-1GZ4H-1726-SM-7PBZJ 50-59 years, female 11.3
GTEX-1J1R8-1726-SM-ARL8M 40-49 years, male 11.3
GTEX-1NV5F-0226-SM-E8VNY 60-69 years, female 11.3
GTEX-11O72-0126-SM-59887 40-49 years, male 11.2
GTEX-ZDTT-2726-SM-4WKF8 60-69 years, male 11.2
GTEX-11NSD-2226-SM-5986V 20-29 years, male 11.1
GTEX-11WQK-0526-SM-5EQLD 50-59 years, male 11.1
GTEX-13RTK-1426-SM-5QGQJ 20-29 years, male 11.1
GTEX-14PJ6-2126-SM-6EU1V 60-69 years, female 11.1
GTEX-1CB4I-0226-SM-79OLH 50-59 years, male 11.1
GTEX-U4B1-1826-SM-4DXSU 40-49 years, male 11.1
GTEX-Z93T-0126-SM-5HL5N 50-59 years, male 11.1
GTEX-1JN76-0126-SM-CNPPE 20-29 years, female 11.1
GTEX-1RAZA-0126-SM-E6CI3 20-29 years, male 11.1
GTEX-1CAMR-1926-SM-7EPI2 20-29 years, male 11.0
GTEX-1JMLX-0226-SM-CM2RO 50-59 years, male 11.0
GTEX-QLQW-1126-SM-2S1Q8 30-39 years, male 10.9
GTEX-1B933-0126-SM-7PC29 50-59 years, female 10.9
GTEX-1KD5A-0226-SM-D5OV3 50-59 years, male 10.9
GTEX-1PPH7-2326-SM-EVYB8 40-49 years, male 10.9
GTEX-1RDX4-0126-SM-E9J4P 50-59 years, female 10.9
GTEX-12584-0126-SM-5EGKQ 40-49 years, male 10.8
GTEX-14PN3-2426-SM-6LLHS 60-69 years, female 10.8
GTEX-17F97-0326-SM-7LG5B 50-59 years, male 10.8
GTEX-17HHY-0126-SM-7LG5D 50-59 years, male 10.8
GTEX-SSA3-0126-SM-32QPU 60-69 years, male 10.8
GTEX-ZVT3-0126-SM-5GU6I 60-69 years, female 10.8
GTEX-1GMR8-0126-SM-9WYTM 50-59 years, female 10.8
GTEX-1HSMQ-1226-SM-CGQFX 50-59 years, male 10.8
GTEX-12WSD-0126-SM-59HKN 60-69 years, female 10.7
GTEX-14XAO-2326-SM-6EU1B 60-69 years, female 10.7
GTEX-15DCD-0126-SM-7KUEK 70-79 years, female 10.7
GTEX-1A3MX-0126-SM-731BR 60-69 years, male 10.7
GTEX-OOBK-0126-SM-2YUND 40-49 years, male 10.7
GTEX-P44H-0226-SM-2XCEU 40-49 years, male 10.7
GTEX-QESD-1426-SM-2S1R9 20-29 years, male 10.7
GTEX-VJWN-0126-SM-3GIK7 50-59 years, female 10.7
GTEX-Y111-0126-SM-4SOIV 50-59 years, male 10.7
GTEX-1EU9M-0226-SM-7P8SP 60-69 years, male 10.7
GTEX-1F75B-0126-SM-9KNVL 50-59 years, male 10.7
GTEX-1HCU7-0226-SM-CL545 50-59 years, male 10.7
GTEX-1ICLZ-0126-SM-CKZPO 60-69 years, male 10.7
GTEX-11P7K-2126-SM-5GU7G 30-39 years, male 10.6
GTEX-11ZU8-2526-SM-5EQKI 60-69 years, male 10.6
GTEX-QV44-1926-SM-2S1RF 50-59 years, male 10.6
GTEX-RU72-0926-SM-2TF6B 50-59 years, female 10.6
GTEX-1RB15-2126-SM-E9TIM 60-69 years, male 10.6
GTEX-1I1CD-0126-SM-CM2TK 60-69 years, female 10.5
GTEX-1JKYN-1326-SM-CGQG9 30-39 years, male 10.5
GTEX-1KANB-0526-SM-E6CJH 50-59 years, male 10.5
GTEX-1MUQO-0126-SM-EAZ58 60-69 years, male 10.5
GTEX-1NHNU-1026-SM-E9J2A 50-59 years, male 10.5
GTEX-1QW4Y-1526-SM-EAZ3Z 30-39 years, male 10.5
GTEX-14LZ3-0226-SM-62LET 60-69 years, female 10.4
GTEX-1HB9E-0226-SM-E9U4R 50-59 years, male 10.4
GTEX-1IKK5-0626-SM-ARL8A 60-69 years, male 10.4
GTEX-1314G-1526-SM-5EGK2 30-39 years, male 10.3
GTEX-13CF2-2526-SM-5LZYX 60-69 years, male 10.3
GTEX-15DYW-0126-SM-7KULE 60-69 years, female 10.3
GTEX-18D9U-0226-SM-718BP 40-49 years, male 10.3
GTEX-1A32A-0126-SM-718B1 50-59 years, female 10.3
GTEX-1PDJ9-0326-SM-DTX95 20-29 years, male 10.3
GTEX-11DXY-2626-SM-5GIE7 60-69 years, male 10.2
GTEX-15RIG-0226-SM-7KFTL 40-49 years, male 10.2
GTEX-Y3IK-2426-SM-4WWDU 50-59 years, female 10.2
GTEX-YFC4-0126-SM-5CVLY 40-49 years, female 10.2
GTEX-11DXW-0226-SM-5H122 40-49 years, male 10.1
GTEX-ZC5H-0226-SM-4WAY9 40-49 years, female 10.1
GTEX-1B996-0226-SM-7RHGO 60-69 years, male 10.1
GTEX-1L5NE-2526-SM-E6CIE 50-59 years, male 10.1
GTEX-1122O-2126-SM-5EGIR 60-69 years, female 10.0
GTEX-139T8-0126-SM-5K7XZ 60-69 years, male 10.0
GTEX-XUYS-0126-SM-47JWZ 50-59 years, male 10.0
GTEX-1A8FM-0226-SM-7SB7Q 50-59 years, female 10.0
GTEX-1CB4G-0226-SM-7PC3O 60-69 years, male 10.0
GTEX-OIZF-0126-SM-7SB8I 60-69 years, male 10.0
GTEX-14ABY-0226-SM-5TDCQ 50-59 years, male 9.9
GTEX-16AAH-1726-SM-7939C 50-59 years, male 9.9
GTEX-17EVP-0326-SM-7DHLG 40-49 years, male 9.9
GTEX-TMZS-0126-SM-3DB9Q 60-69 years, male 9.9
GTEX-Z9EW-1626-SM-5CVMN 40-49 years, male 9.9
GTEX-1GN73-0226-SM-9WG67 60-69 years, male 9.9
GTEX-1R9K4-0126-SM-DTX9X 60-69 years, male 9.9
GTEX-1269C-2526-SM-5EGJ3 60-69 years, female 9.8
GTEX-13O3Q-2426-SM-5IJBR 50-59 years, male 9.8
GTEX-147GR-0526-SM-5S2MY 60-69 years, male 9.8
GTEX-VUSG-2526-SM-4KL1V 50-59 years, male 9.8
GTEX-ZAB5-1826-SM-5HL7C 50-59 years, male 9.8
GTEX-ZQUD-1426-SM-57WER 30-39 years, male 9.8
GTEX-PSDG-0226-SM-DKPOZ 50-59 years, male 9.8
GTEX-11NUK-0126-SM-5A5L3 50-59 years, male 9.7
GTEX-11UD1-0126-SM-5PNYG 40-49 years, female 9.7
GTEX-11WQC-2526-SM-5CVLE 60-69 years, male 9.7
GTEX-11XUK-2026-SM-5EQLF 40-49 years, female 9.7
GTEX-12WSL-2526-SM-5GCNJ 50-59 years, male 9.7
GTEX-14E6E-1826-SM-5S2R7 30-39 years, male 9.7
GTEX-VJYA-1126-SM-3GIJU 60-69 years, male 9.7
GTEX-Z93S-0126-SM-5HL7M 50-59 years, male 9.7
GTEX-1IDJU-2626-SM-CM2RT 60-69 years, female 9.7
GTEX-1J8JJ-0226-SM-CL53I 60-69 years, female 9.7
GTEX-1MGNQ-0126-SM-EVYCJ 40-49 years, male 9.7
GTEX-12ZZZ-0626-SM-5DUXI 60-69 years, male 9.6
GTEX-13PDP-0126-SM-5L3HD 60-69 years, male 9.6
GTEX-RN64-0126-SM-2TC68 50-59 years, male 9.6
GTEX-X4XX-0126-SM-3NMC2 60-69 years, male 9.6
GTEX-XAJ8-0826-SM-47JY6 40-49 years, male 9.6
GTEX-ZVZO-0126-SM-5A5L9 40-49 years, male 9.6
GTEX-1CAMS-0426-SM-7P8T2 40-49 years, female 9.6
GTEX-1I19N-0326-SM-ACKVX 70-79 years, male 9.6
GTEX-11EI6-0126-SM-5985R 60-69 years, male 9.5
GTEX-11ZUS-0626-SM-59885 30-39 years, male 9.5
GTEX-12C56-1726-SM-5EQ61 20-29 years, male 9.5
GTEX-14A5H-0426-SM-5QGQF 60-69 years, male 9.5
GTEX-15SHU-0126-SM-7KUEH 40-49 years, female 9.5
GTEX-18A7A-0226-SM-718BH 50-59 years, female 9.5
GTEX-YB5K-2126-SM-4WWDJ 40-49 years, female 9.5
GTEX-1N2DW-0226-SM-E9TK2 50-59 years, male 9.5
GTEX-131YS-0126-SM-5KM1M 60-69 years, female 9.4
GTEX-13JUV-2726-SM-5LZZ8 40-49 years, female 9.4
GTEX-T5JC-0426-SM-32PLO 20-29 years, male 9.4
GTEX-ZF2S-2326-SM-4WWCE 50-59 years, female 9.4
GTEX-1F5PL-0326-SM-7P8PQ 40-49 years, female 9.4
GTEX-11OC5-0126-SM-5HL6A 60-69 years, male 9.3
GTEX-YEC4-2126-SM-5IFJH 40-49 years, male 9.3
GTEX-1GZ2Q-0226-SM-7P8TL 40-49 years, male 9.3
GTEX-144FL-0126-SM-5TDC8 50-59 years, male 9.2
GTEX-15DDE-0126-SM-6LPKH 50-59 years, female 9.2
GTEX-1MA7X-2226-SM-E6CIY 60-69 years, male 9.2
GTEX-S33H-1026-SM-EZ6L6 30-39 years, male 9.2
GTEX-11GS4-2726-SM-5A5LE 60-69 years, male 9.1
GTEX-13SLX-0526-SM-5S2ON 50-59 years, female 9.1
GTEX-14PII-0226-SM-6EU1T 60-69 years, male 9.1
GTEX-ZZ64-1726-SM-5GZYB 20-29 years, male 9.1
GTEX-1GF9X-2026-SM-7PC3A 40-49 years, female 9.1
GTEX-1I1GP-2226-SM-CGQFK 50-59 years, male 9.1
GTEX-1K2DA-1826-SM-CGQGT 50-59 years, male 9.1
GTEX-12WSC-0126-SM-5EQ4P 50-59 years, male 9.0
GTEX-17HHE-2026-SM-79OKF 50-59 years, male 9.0
GTEX-X88G-0126-SM-47JZ3 30-39 years, male 9.0
GTEX-11TUW-2726-SM-E9J4M 60-69 years, male 9.0
GTEX-1GF9U-2126-SM-7SB7L 40-49 years, female 9.0
GTEX-1HBPN-0226-SM-9YFM1 50-59 years, male 9.0
GTEX-13X6J-0126-SM-5QGOU 50-59 years, male 8.9
GTEX-V1D1-2226-SM-3NMAX 50-59 years, male 8.9
GTEX-ZDTS-0126-SM-4WAY5 60-69 years, male 8.9
GTEX-ZYFD-0126-SM-5GIDL 50-59 years, male 8.9
GTEX-1H3O1-0426-SM-9YFKY 60-69 years, male 8.9
GTEX-11EQ9-2426-SM-5HL5T 30-39 years, male 8.8
GTEX-17F96-1626-SM-7DUFL 70-79 years, male 8.8
GTEX-SIU8-0126-SM-2XCDT 50-59 years, male 8.8
GTEX-1F75I-0326-SM-9YFLU 40-49 years, male 8.8
GTEX-1GZHY-0326-SM-9QEHI 50-59 years, female 8.8
GTEX-1KWVE-1426-SM-E9TJO 30-39 years, male 8.8
GTEX-1OFPY-2426-SM-DTXEJ 60-69 years, male 8.8
GTEX-NFK9-0226-SM-2HMKQ 40-49 years, male 8.7
GTEX-1GMRU-0126-SM-9YFLV 50-59 years, male 8.7
GTEX-1H3VY-0126-SM-ACKXD 50-59 years, male 8.7
GTEX-13112-2826-SM-5DUWH 50-59 years, male 8.6
GTEX-1CAV2-2226-SM-7P8P2 40-49 years, female 8.6
GTEX-1F88F-2726-SM-7PBZZ 60-69 years, female 8.6
GTEX-1GPI6-0126-SM-9WG69 60-69 years, male 8.6
GTEX-1JMQJ-0526-SM-CYPSU 50-59 years, male 8.6
GTEX-RNOR-0126-SM-E9J4R 50-59 years, female 8.6
GTEX-13NZB-2526-SM-5J1OM 30-39 years, male 8.5
GTEX-13OVL-0226-SM-5L3E9 50-59 years, male 8.5
GTEX-183FY-0126-SM-7LT9P 20-29 years, male 8.5
GTEX-1B8KE-2126-SM-73KYX 50-59 years, male 8.5
GTEX-1C2JI-1826-SM-73KXC 50-59 years, male 8.5
GTEX-Y5V6-2426-SM-4VDSB 60-69 years, male 8.5
GTEX-1EKGG-0226-SM-9WYTH 60-69 years, male 8.5
GTEX-1J1OQ-0226-SM-CYPSH 40-49 years, female 8.5
GTEX-1POEN-0126-SM-EYYXJ 30-39 years, female 8.5
GTEX-1212Z-2526-SM-5EGKP 60-69 years, male 8.4
GTEX-15F5U-1526-SM-6PANO 40-49 years, male 8.4
GTEX-16NPX-0226-SM-79OMT 50-59 years, male 8.4
GTEX-18QFQ-0126-SM-731BE 30-39 years, male 8.4
GTEX-OXRK-0226-SM-3NB2G 50-59 years, female 8.4
GTEX-QVJO-1626-SM-2S1QW 60-69 years, female 8.4
GTEX-ZWKS-0126-SM-5SIAA 30-39 years, male 8.4
GTEX-1E2YA-0126-SM-9KNUC 50-59 years, male 8.4
GTEX-1IDJF-0126-SM-CM2RS 20-29 years, male 8.4
GTEX-15G19-0126-SM-6PANQ 60-69 years, male 8.3
GTEX-15UKP-0426-SM-7KUFQ 20-29 years, male 8.3
GTEX-1GPI7-0126-SM-9MQL8 20-29 years, male 8.3
GTEX-PW2O-1526-SM-7RHHB 20-29 years, male 8.3
GTEX-139TS-2826-SM-5J1OO 60-69 years, male 8.2
GTEX-13G51-2526-SM-5LZYK 60-69 years, male 8.2
GTEX-15ER7-0326-SM-7KUEV 20-29 years, female 8.2
GTEX-T2YK-0526-SM-32QPJ 50-59 years, male 8.2
GTEX-ZVTK-0426-SM-51MRS 20-29 years, male 8.2
GTEX-1EX96-1626-SM-7PBXR 50-59 years, male 8.2
GTEX-1IL2U-0226-SM-CE6T8 60-69 years, male 8.2
GTEX-1J8EW-0126-SM-CJI4F 60-69 years, female 8.2
GTEX-131XW-0426-SM-5LZWP 50-59 years, female 8.1
GTEX-18A6Q-0126-SM-731BZ 60-69 years, male 8.1
GTEX-1B8KZ-2026-SM-7DHMB 50-59 years, male 8.1
GTEX-OHPM-0126-SM-2YUN9 50-59 years, male 8.1
GTEX-U412-0426-SM-3DB9O 60-69 years, male 8.1
GTEX-1H1CY-2826-SM-9MQM3 60-69 years, female 8.1
GTEX-R3RS-0126-SM-3GIJL 40-49 years, female 8.0
GTEX-ZAK1-0126-SM-5IJD3 50-59 years, female 8.0
GTEX-1H11D-0226-SM-9WG6Z 40-49 years, male 8.0
GTEX-1JMPZ-0226-SM-CNPP1 30-39 years, male 8.0
GTEX-145LT-1726-SM-5QGP3 40-49 years, male 7.9
GTEX-1E1VI-0126-SM-7DHMZ 50-59 years, male 7.9
GTEX-WZTO-0126-SM-3NM95 40-49 years, male 7.9
GTEX-1HFI6-0226-SM-ADEHZ 40-49 years, male 7.9
GTEX-1HT8W-0126-SM-CNPPP 30-39 years, male 7.9
GTEX-1IGQW-0126-SM-COH42 60-69 years, male 7.9
GTEX-1JN6P-0126-SM-D3L98 60-69 years, male 7.9
GTEX-WFON-2126-SM-3LK7O 40-49 years, male 7.8
GTEX-1B8L1-2526-SM-9WYTF 60-69 years, male 7.8
GTEX-1313W-0126-SM-5LZUN 50-59 years, female 7.7
GTEX-14PJM-0226-SM-62LF1 50-59 years, female 7.7
GTEX-1F7RK-0126-SM-7PC2S 20-29 years, female 7.7
GTEX-1GN2E-0426-SM-9MQKX 60-69 years, male 7.7
GTEX-1RQEC-0426-SM-E6CHU 60-69 years, male 7.7
GTEX-11DXZ-2326-SM-5EGGV 50-59 years, male 7.6
GTEX-12ZZX-0126-SM-5EGK9 40-49 years, female 7.6
GTEX-14DAQ-0126-SM-5S2MQ 60-69 years, female 7.6
GTEX-1BAJH-0526-SM-793CQ 70-79 years, male 7.6
GTEX-XMD2-0126-SM-4YCDU 60-69 years, female 7.6
GTEX-1JKYR-0126-SM-CNPOJ 20-29 years, male 7.6
GTEX-16GPK-0126-SM-7DHLE 60-69 years, male 7.5
GTEX-1C4CL-0526-SM-73KVK 30-39 years, male 7.5
GTEX-1HR98-0126-SM-B2LWI 60-69 years, male 7.5
GTEX-17MFQ-1726-SM-793C7 20-29 years, male 7.4
GTEX-18465-0126-SM-731BN 50-59 years, male 7.3
GTEX-WVJS-0126-SM-4MVOT 50-59 years, male 7.3
GTEX-1I1GR-0126-SM-CL55F 60-69 years, male 7.3
GTEX-1I6K6-0126-SM-A9SLE 30-39 years, male 7.3
GTEX-1QMI2-0226-SM-EVYBX 60-69 years, male 7.3
GTEX-17HG3-2226-SM-7938L 30-39 years, female 7.2
GTEX-1C6VR-2426-SM-79OLD 60-69 years, male 7.2
GTEX-XQ3S-1526-SM-4BOOC 20-29 years, male 7.2
GTEX-11P81-2326-SM-59875 30-39 years, female 7.1
GTEX-144GL-0126-SM-5TDE2 50-59 years, male 7.1
GTEX-T2IS-0126-SM-4DM6O 20-29 years, female 7.1
GTEX-T6MN-0126-SM-32PLP 50-59 years, male 7.1
GTEX-1EMGI-0126-SM-9KNUE 60-69 years, male 7.1
GTEX-1F6RS-0126-SM-9MQKZ 60-69 years, female 7.1
GTEX-1GF9V-0326-SM-7RHI5 60-69 years, male 7.1
GTEX-1H4P4-0726-SM-9YFLR 50-59 years, male 7.1
GTEX-1I1GQ-0126-SM-COH3H 50-59 years, male 7.1
GTEX-1KAFJ-2026-SM-CY8ID 50-59 years, male 7.1
GTEX-131XH-2226-SM-5DUXJ 50-59 years, male 7.0
GTEX-13SLW-0126-SM-5SI6C 70-79 years, male 7.0
GTEX-14BMV-0126-SM-5S2PO 50-59 years, male 7.0
GTEX-1AX9I-0126-SM-7SB74 60-69 years, male 7.0
GTEX-1LG7Z-1726-SM-D3LA4 30-39 years, male 7.0
GTEX-1B97I-1626-SM-73KYO 40-49 years, male 6.9
GTEX-OIZH-0126-SM-2HMIS 50-59 years, male 6.9
GTEX-RWSA-0126-SM-2XCBB 40-49 years, male 6.9
GTEX-SNMC-1226-SM-2XCFP 20-29 years, male 6.9
GTEX-13NYC-0326-SM-E9J4S 60-69 years, male 6.9
GTEX-11DYG-0126-SM-59883 60-69 years, male 6.8
GTEX-Y8E4-0626-SM-4WWDL 40-49 years, male 6.8
GTEX-1GMR3-1926-SM-9KNUZ 40-49 years, male 6.8
GTEX-12126-0326-SM-5PNW3 20-29 years, male 6.7
GTEX-14BIN-0626-SM-793DP 50-59 years, female 6.7
GTEX-14E6D-0126-SM-62LDV 50-59 years, male 6.7
GTEX-1EWIQ-0126-SM-7RHH2 70-79 years, female 6.7
GTEX-1IOXB-0126-SM-ARL8G 50-59 years, male 6.7
GTEX-1KANA-0726-SM-D3L9I 20-29 years, male 6.7
GTEX-1PIGE-0126-SM-EVYBJ 20-29 years, male 6.7
GTEX-SE5C-1626-SM-2XCE3 40-49 years, female 6.7
GTEX-1HCU9-1526-SM-A9SL7 20-29 years, male 6.6
GTEX-11OF3-2626-SM-5GU7F 60-69 years, male 6.5
GTEX-RVPV-0126-SM-EAZAW 60-69 years, male 6.5
GTEX-145LU-0126-SM-5TDCB 50-59 years, male 6.4
GTEX-15SB6-1726-SM-6PAME 50-59 years, female 6.4
GTEX-Y8DK-0126-SM-4TT3L 60-69 years, male 6.3
GTEX-1HSKV-0226-SM-A9SKJ 60-69 years, male 6.3
GTEX-12ZZY-0226-SM-5LZVE 60-69 years, male 6.2
GTEX-13FXS-0226-SM-5IJCK 50-59 years, male 6.2
GTEX-13NYB-2526-SM-5K7Z6 40-49 years, male 6.2
GTEX-1IDJH-0326-SM-A9SLQ 70-79 years, male 6.2
GTEX-1IL2V-0126-SM-CM2TX 70-79 years, male 6.2
GTEX-1LB8K-0226-SM-EWRNW 50-59 years, male 6.2
GTEX-O5YT-0126-SM-48TBW 20-29 years, male 6.1
GTEX-1HBPI-1526-SM-C1YQ1 50-59 years, male 6.1
GTEX-1S83E-0126-SM-EWRO4 40-49 years, male 6.1
GTEX-14JG1-0426-SM-6ETZZ 40-49 years, male 6.0
GTEX-1F75A-0126-SM-7RHGM 50-59 years, male 6.0
GTEX-1I1GV-0526-SM-A9G29 60-69 years, male 6.0
GTEX-1OJC3-0126-SM-E76QX 20-29 years, male 6.0
GTEX-13OVK-2026-SM-7KUEO 40-49 years, male 5.9
GTEX-1B8SF-1426-SM-7DUGL 60-69 years, male 5.9
GTEX-QDVJ-1726-SM-2I5FX 50-59 years, male 5.9
GTEX-ZE9C-2726-SM-57WB5 60-69 years, male 5.9
GTEX-1O97I-0326-SM-EYYX7 60-69 years, male 5.9
GTEX-117XS-2726-SM-5N9BL 60-69 years, male 5.8
GTEX-13FHP-0126-SM-5IJBG 50-59 years, male 5.8
GTEX-S7SE-0126-SM-2XCD5 50-59 years, male 5.8
GTEX-YJ89-0126-SM-4TT3X 60-69 years, male 5.7
GTEX-1IKJJ-0126-SM-CNPQB 60-69 years, male 5.7
GTEX-PX3G-0126-SM-2I3EN 20-29 years, female 5.5
GTEX-17KNJ-2326-SM-7DHLQ 50-59 years, male 5.4
GTEX-1KD4Q-0226-SM-E9TJ9 40-49 years, male 5.4
GTEX-SJXC-0126-SM-2XCFF 60-69 years, male 5.3
GTEX-1MJK2-0426-SM-DTXE5 50-59 years, male 5.3
GTEX-1CB4F-0426-SM-9KNV4 60-69 years, male 5.2
GTEX-1LBAC-0126-SM-DIPEZ 20-29 years, male 5.2
GTEX-111FC-0126-SM-5N9DL 60-69 years, male 5.1
GTEX-13OW5-0126-SM-DTXFS 60-69 years, male 5.1
GTEX-13OW6-0426-SM-5L3HM 50-59 years, male 5.0
GTEX-PVOW-0126-SM-2XCFA 40-49 years, male 4.9
GTEX-1399T-2826-SM-5KLYZ 60-69 years, male 4.8
GTEX-145MF-0626-SM-5LUAI 50-59 years, male 4.8
GTEX-ZYT6-0226-SM-5NQ6T 30-39 years, male 4.8
GTEX-139UW-2826-SM-5L3E7 60-69 years, male 4.6
GTEX-1399R-2726-SM-5IJBA 30-39 years, male 4.5
GTEX-1JJEA-0326-SM-CNPOT 60-69 years, male 4.4
GTEX-12WSE-0526-SM-793B2 20-29 years, male 4.3
GTEX-1PIIG-0226-SM-EWRN6 30-39 years, male 4.0
GTEX-OIZG-0726-SM-33HBL 50-59 years, male 3.9
GTEX-17JCI-0126-SM-7LG5G 60-69 years, female 3.7
GTEX-POMQ-2226-SM-2I5FK 20-29 years, female 3.7
GTEX-1C64N-0126-SM-793D7 50-59 years, male 3.3
GTEX-1R9PM-2026-SM-E76OY 20-29 years, male 3.3
Show allShow less

Contact

  • NEWS ARTICLES
  • PRESS ROOM

The Project

  • INTRODUCTION
  • ORGANIZATION
  • PUBLICATIONS

The Human Protein Atlas

  • DOWNLOADABLE DATA
  • LICENCE & CITATION
  • HELP & FAQ
The Human Protein Atlas project is funded
by the Knut & Alice Wallenberg Foundation.


contact@proteinatlas.org