We use cookies to enhance the usability of our website. If you continue, we'll assume that you are happy to receive all cookies. More information. Don't show this again.
BLOC1S4
HPA
RESOURCES
  • TISSUE
  • BRAIN
  • SINGLE CELL
  • SUBCELLULAR
  • CANCER
  • BLOOD
  • CELL LINE
  • STRUCTURE & INTERACTION
ABOUT
  • INTRODUCTION
  • HISTORY
  • ORGANIZATION
  • PUBLICATIONS
  • ANTIBODY SUBMISSION
  • ANTIBODY AVAILABILITY
  • ACKNOWLEDGMENTS
  • CONTACT
NEWS
  • NEWS ARTICLES
  • PRESS ROOM
LEARN
  • DICTIONARY
  • PROTEIN CLASSES
  • PROTEIN EVIDENCE
  • METHODS
  • EDUCATIONAL VIDEOS
DATA
  • DOWNLOADABLE DATA
  • PUBLICATION DATA
  • RELEASE HISTORY
HELP
  • ANTIBODY VALIDATION
  • ASSAYS & ANNOTATION
  • DISCLAIMER
  • HELP & FAQ
  • PRIVACY STATEMENT
  • LICENCE & CITATION
Fields »
Search result

Field
Term
Gene name
Class
Subclass
Class
Keyword
Chromosome
External id
Tissue
Cell type
Expression
Antibody panel
Tissue
Main location
Patient ID
Annotation
Tissue
Category
Tau score
Cluster
Reliability
Brain region
Category
Tau score
Brain region
Category
Tau score
Brain region
Category
Tau score
Cluster
Reliability
Tissue
Cell type
Enrichment
Cell type
Category
Tau score
Cell type
Category
Tau score
Cell type
Category
Tau score
Cell lineage
Category
Tau score
Cluster
Cluster
Location
Searches
Location
Cell line
Class
Type
Phase
Reliability
Cancer
Prognosis
Cancer
Category
Cancer
Category
Tau score
Cluster
Variants
Interacting gene (ensg_id)
Type
Number of interactions
Pathway
Category
Score
Score
Score
Validation
Validation
Validation
Validation
Antibodies
Data type
Column


  • SUMMARY

  • TISSUE

  • BRAIN

  • SINGLE CELL

  • SUBCELL

  • CANCER

  • BLOOD

  • CELL LINE

  • STRUCT & INT

  • BLOC1S4
CANCER LIVER CANCER Show tissue menu
BREAST CANCER CARCINOID CERVICAL CANCER COLORECTAL CANCER ENDOMETRIAL CANCER GLIOMA HEAD AND NECK CANCER LIVER CANCER LUNG CANCER LYMPHOMA
MELANOMA OVARIAN CANCER PANCREATIC CANCER PROSTATE CANCER RENAL CANCER SKIN CANCER STOMACH CANCER TESTIS CANCER THYROID CANCER UROTHELIAL CANCER
LIHC TCGA LIHC VALIDATION PROTEIN LIHC CPTAC PROTEIN EXPRESSION
ANTIBODIES
AND
VALIDATION
Dictionary
Liver cancer
Human cancer
Liver hepatocellular carcinoma
LIVER HEPATOCELLULAR CARCINOMA (TCGA) - Interactive survival scatter ploti

The Survival Scatter plot shows the clinical status (i.e. dead or alive) for all individuals in the patient cohort, based on the same data that underlies the corresponding Kaplan-Meier plots. Patients that are alive at last time for follow-up are shown in blue and patients who have died during the study are shown in red.

The x-axis shows the expression levels (FPKM) of the investigated gene in the tumor tissue at the time of diagnosis. The y-axis shows the follow-up time after diagnosis (years). Both axes are complimented with kernel density curves demonstrating the data density over the axes. The top density plot shows the expression levels (FPKM) distribution among dead (red) and alive patients (blue). The right density plot shows the data density of the survived years of dead patients with high and low expression levels respectively, stratified using the cutoff indicated by the vertical dashed line through the Survival Scatter plot. This cutoff is automatically defined based on the FPKM cutoff that minimizes the p-score. The cutoff can be changed by dragging the vertical line or by entering a cutoff value in the square labeled "Current cut-off".

Under the Survival Scatter plot the p-score landscape (black curve; left axis) is shown together with dead median separation (red curve; right axis). Dead median separation is the difference in median mRNA expression between patients who have died with high and low expression, respectively. It is calculated as follows: median FPKM expression of dead patients with high expression - median FPKM expression of dead patients with low expression. This is intended to aid the user in visually exploring custom cutoffs and the associated p-scores and dead median separation.

Individual patient data is displayed and can be filtered by clicking on one or more of the category buttons on the top of the page. Categories describing expression level and patient information include: high, low, alive, dead, female, male and tumor stages. The scale of the x-axis can be toggled between linear and log-scale by clicking on the "x log" button. Mouse-over function shows TCGA ID, patient information and mRNA expression (FPKM) for each patient.

& Survival analysisi

Kaplan-Meier plots summarize results from analysis of correlation between mRNA expression level and patient survival. Patients were divided based on level of expression into one of the two groups "low" (under cut off) or "high" (over cut off). X-axis shows time for survival (years) and y-axis shows the probability of survival, where 1.0 corresponds to 100 percent.

BLOC1S4 is potential prognostic, high expression is unfavorable in Liver Hepatocellular Carcinoma (TCGA)


Stage:


Survival analysis
Current cut offi

Current cut-off shows the cut-off (FPKM) currently selected. It may be changed manually. When the current cut-off is changed, the vertical dashed line indicating cut-off, the interactive survival scatter plot and the Kaplan-Meier curve will be automatically adjusted to show results accordingly.

:
Best expression cut offi

Based on the FPKM value of each gene, patients were classified into two groups and association between prognosis (survival) and gene expression (FPKM) was examined. The best expression cut-off refers the FPKM value that yields maximal difference with regard to survival between the two groups at the lowest log-rank P-value. Best expression cut-off was selected based on survival analysis .

When clicking on this number, the vertical dashed line indicating cut-off, the interactive survival plot, and the Kaplan-Meier curve will be adjusted to show results based on the best expression cut-off.

: 13.18
Median expressioni

Median expression refers to the median FPKM value calculated based on the gene expression (FPKM) data from all patients in this dataset. When clicking on this number, the vertical dashed line indicating cut-off, the interactive survival plot, and the Kaplan-Meier curve will be adjusted to show results based on the median expression.

: N/A
Median follow up timei

Median follow up time refers to the median time (years) after diagnosis with this type of cancer, based on clinical data from all patients in this dataset.

: N/A
P scorei

Log-rank P value for Kaplan-Meier plot showing results from analysis of correlation between mRNA expression level and patient survival.

N/A
5-year survival highi

5-year survival for patients with higher expression than the expression cutoff.

For melanoma and glioma, 3-year survival is shown.

N/A
5-year survival lowi

5-year survival for patients with lower expression than the expression cutoff.

For melanoma and glioma, 3-year survival is shown.

N/A
TCGA RNA samplesi

RNA-seq data is reported as average FPKM (number Fragments Per Kilobase of exon per Million reads), generated by the The Cancer Genome Atlas (TCGA) .

Normal distribution across the dataset is visualized with box plots, shown as median and 25th and 75th percentiles. Points are displayed as outliers if they are above or below 1.5 times the interquartile range. FPKM values of the individual samples are presented next to the box plot.

Average pTPM 10.2
Number of samples 362
Samples
Sample Description pTPM
TCGA-G3-A7M9-01A 70 years, male, white, stage:Stage IIIB, dead, 56 days 35.9
TCGA-2Y-A9GY-01A 64 years, female, white, stage:Stage II, dead, 757 days 33.0
TCGA-BC-A217-01A 75 years, female, white, stage:Stage II, dead, 1397 days 29.4
TCGA-DD-AADB-01A 51 years, male, asian, stage:Stage I, alive, 1242 days 28.1
TCGA-CC-A1HT-01A 50 years, male, asian, stage:Stage IIIA, dead, 101 days 24.8
TCGA-DD-AADO-01A 55 years, male, asian, stage:Stage I, alive, 453 days 24.6
TCGA-CC-A5UE-01A 48 years, male, asian, stage:Stage IIIB, dead, 272 days 24.5
TCGA-2Y-A9H8-01A 85 years, female, white, stage:'--, dead, 633 days 24.4
TCGA-DD-A1EJ-01A 71 years, female, white, stage:Stage IIIC, dead, 1005 days 24.3
TCGA-DD-AADN-01A 59 years, male, asian, stage:Stage I, alive, 898 days 23.8
TCGA-CC-A7IJ-01A 56 years, male, asian, stage:Stage II, alive, 382 days 23.1
TCGA-G3-A7M6-01A 60 years, female, white, stage:Stage I, alive, 632 days 22.8
TCGA-2Y-A9H2-01A 64 years, female, white, stage:Stage I, alive, 1731 days 22.2
TCGA-DD-A118-01A 77 years, female, white, stage:Stage II, alive, 3437 days 21.6
TCGA-UB-A7MA-01A 62 years, female, white, stage:Stage II, alive, 848 days 21.6
TCGA-CC-A7IG-01A 47 years, male, asian, stage:Stage II, dead, 299 days 21.4
TCGA-DD-A4NR-01A 85 years, female, white, stage:Stage I, dead, 9 days 20.7
TCGA-DD-AA3A-01A 81 years, female, white, stage:Stage I, dead, 410 days 20.4
TCGA-FV-A3I1-01A 81 years, female, white, stage:Stage II, dead, 247 days 20.1
TCGA-DD-A1EF-01A 57 years, female, white, stage:Stage I, dead, 394 days 20.0
TCGA-K7-AAU7-01A 61 years, male, white, stage:Stage II, alive, 359 days 20.0
TCGA-RC-A6M6-01A 75 years, male, white, stage:Stage II, alive, 9 days 19.9
TCGA-CC-A3M9-01A 45 years, male, asian, stage:Stage IIIA, dead, 300 days 19.8
TCGA-DD-A1EL-01A 23 years, male, black or african american, stage:Stage II, dead, 415 days 19.5
TCGA-ED-A82E-01A 60 years, female, asian, stage:Stage IIIA, alive, 408 days 19.3
TCGA-BC-A3KG-01A 68 years, female, white, stage:Stage II, alive, 680 days 19.2
TCGA-DD-AACB-01A 74 years, female, asian, stage:Stage I, alive, 2324 days 19.1
TCGA-BC-A112-01A 80 years, male, white, stage:'--, dead, 153 days 19.1
TCGA-BC-A8YO-01A 66 years, female, white, stage:Stage IIIC, alive, 562 days 18.6
TCGA-G3-AAV6-01A 53 years, female, white, stage:Stage IIIA, dead, 65 days 18.3
TCGA-CC-5261-01A 44 years, male, asian, stage:Stage II, dead, 97 days 18.2
TCGA-DD-AACL-01A 66 years, female, asian, stage:Stage I, dead, 107 days 18.2
TCGA-BC-A10W-01A 50 years, male, asian, stage:'--, dead, 91 days 18.2
TCGA-T1-A6J8-01A 68 years, male, white, stage:'--, alive, 23 days 18.0
TCGA-ED-A5KG-01A 60 years, female, asian, stage:Stage II, alive, 854 days 17.9
TCGA-ED-A97K-01A 54 years, male, asian, stage:Stage IIIA, alive, 6 days 17.8
TCGA-DD-AACZ-01A 63 years, female, asian, stage:Stage I, dead, 171 days 17.6
TCGA-WX-AA44-01A 64 years, female, white, stage:Stage I, alive, 615 days 17.5
TCGA-DD-AACQ-01A 50 years, male, asian, stage:Stage II, dead, 432 days 17.4
TCGA-UB-A7MD-01A 67 years, male, black or african american, stage:Stage I, dead, 52 days 17.1
TCGA-ED-A7PZ-01A 61 years, male, asian, stage:Stage II, alive, 6 days 17.0
TCGA-CC-A5UD-01A 45 years, male, asian, stage:Stage IIIA, dead, 304 days 16.8
TCGA-MI-A75C-01A 64 years, male, white, stage:Stage I, alive, 291 days 16.5
TCGA-BC-A69H-01A 64 years, male, white, stage:Stage II, alive, 444 days 16.3
TCGA-CC-5260-01A 61 years, female, asian, stage:Stage IIIC, dead, 87 days 16.3
TCGA-XR-A8TG-01A 58 years, male, white, stage:Stage I, alive, 898 days 16.0
TCGA-2Y-A9GS-01A 58 years, male, white, stage:'--, dead, 724 days 15.9
TCGA-ED-A66X-01A 35 years, male, asian, stage:Stage IIIA, alive, 406 days 15.6
TCGA-G3-A25S-01A 64 years, male, white, stage:Stage I, dead, 416 days 15.5
TCGA-CC-A8HU-01A 39 years, female, asian, stage:Stage IIIA, dead, 344 days 15.5
TCGA-KR-A7K8-01A 57 years, male, stage:Stage I, alive, 906 days 15.3
TCGA-G3-AAV7-01A 38 years, male, asian, stage:Stage II, alive, 361 days 15.3
TCGA-G3-A25T-01A 45 years, female, white, stage:Stage IIIA, alive, 1553 days 15.2
TCGA-DD-A1EC-01A 20 years, female, white, stage:Stage I, alive, 602 days 15.2
TCGA-CC-5258-01A 48 years, male, asian, stage:Stage II, dead, 129 days 15.0
TCGA-DD-AACK-01A 70 years, male, asian, stage:Stage I, alive, 9 days 15.0
TCGA-DD-AAD5-01A 54 years, male, asian, stage:Stage I, alive, 1345 days 14.9
TCGA-DD-A1EG-01A 76 years, male, white, stage:Stage I, dead, 1372 days 14.7
TCGA-DD-AAD6-01A 66 years, male, asian, stage:Stage IIIA, alive, 672 days 14.4
TCGA-BC-A10Q-01A 72 years, female, white, stage:'--, dead, 1135 days 14.4
TCGA-CC-A8HV-01A 51 years, female, asian, stage:Stage II, dead, 279 days 14.3
TCGA-CC-A8HT-01A 74 years, male, asian, stage:Stage IIIA, dead, 140 days 14.0
TCGA-GJ-A6C0-01A 75 years, female, white, stage:Stage II, dead, 31 days 14.0
TCGA-CC-A5UC-01A 63 years, male, asian, stage:Stage IIIA, dead, 347 days 13.8
TCGA-CC-5262-01A 67 years, male, asian, stage:Stage IIIC, dead, 103 days 13.7
TCGA-DD-A39X-01A 78 years, female, white, stage:Stage I, dead, 1694 days 13.6
TCGA-CC-A3MB-01A 36 years, male, asian, stage:Stage IIIA, dead, 315 days 13.5
TCGA-ED-A7PX-01A 48 years, female, asian, stage:Stage II, alive, 6 days 13.5
TCGA-2Y-A9H5-01A 59 years, female, white, stage:Stage I, dead, 555 days 13.5
TCGA-CC-5263-01A 35 years, male, asian, stage:Stage IIIA, dead, 129 days 13.4
TCGA-DD-A116-01A 68 years, male, asian, stage:Stage IIIA, dead, 1622 days 13.3
TCGA-RC-A7S9-01A 47 years, female, asian, stage:Stage I, alive, 640 days 13.3
TCGA-DD-AAVS-01A 56 years, male, asian, stage:Stage I, alive, 1823 days 13.3
TCGA-WJ-A86L-01A 68 years, female, white, stage:Stage I, alive, 345 days 13.2
TCGA-GJ-A9DB-01A 68 years, male, white, stage:Stage I, dead, 67 days 13.2
TCGA-GJ-A3OU-01A 59 years, male, white, stage:Stage I, alive, 879 days 13.2
TCGA-ED-A8O5-01A 59 years, female, asian, stage:Stage IIIA, alive, 406 days 13.1
TCGA-DD-A73E-01A 66 years, male, white, stage:Stage I, alive, 44 days 13.0
TCGA-ZP-A9CZ-01A 72 years, male, asian, stage:'--, alive, 706 days 12.9
TCGA-G3-A5SJ-01A 59 years, male, white, stage:Stage I, alive, 698 days 12.9
TCGA-DD-AAD1-01A 51 years, female, asian, stage:Stage I, alive, 564 days 12.9
TCGA-RC-A7SK-01A 59 years, male, asian, stage:Stage I, alive, 472 days 12.8
TCGA-DD-A39Y-01A 67 years, male, asian, stage:Stage I, dead, 171 days 12.6
TCGA-ED-A66Y-01A 51 years, female, asian, stage:Stage IIIA, dead, 296 days 12.6
TCGA-ED-A8O6-01A 50 years, female, asian, stage:Stage IIIA, dead, 56 days 12.5
TCGA-DD-A1EH-01A 23 years, male, white, stage:Stage III, alive, 1495 days 12.5
TCGA-DD-A3A9-01A 64 years, female, white, stage:Stage IVB, dead, 931 days 12.3
TCGA-DD-AADW-01A 48 years, male, asian, stage:Stage I, alive, 587 days 12.2
TCGA-CC-A7IH-01A 58 years, male, asian, stage:Stage IIIA, alive, 365 days 12.2
TCGA-DD-AADR-01A 58 years, male, asian, stage:Stage I, alive, 2028 days 12.2
TCGA-DD-AACO-01A 40 years, male, asian, stage:Stage I, alive, 1876 days 12.1
TCGA-LG-A9QC-01A 48 years, male, white, stage:Stage I, alive, 425 days 12.1
TCGA-DD-AACX-01A 66 years, male, asian, stage:Stage II, alive, 170 days 12.1
TCGA-DD-AACW-01A 43 years, male, asian, stage:Stage I, alive, 1424 days 12.0
TCGA-DD-A4NQ-01A 60 years, male, white, stage:Stage II, dead, 373 days 12.0
TCGA-DD-AAVV-01A 56 years, male, asian, stage:Stage II, alive, 2455 days 12.0
TCGA-RC-A7SH-01A 42 years, male, asian, stage:Stage II, alive, 468 days 11.9
TCGA-CC-A3MA-01A 61 years, male, asian, stage:Stage IIIA, dead, 303 days 11.8
TCGA-DD-AACH-01A 69 years, male, asian, stage:Stage II, dead, 195 days 11.8
TCGA-BD-A3EP-01A 75 years, female, black or african american, stage:Stage I, alive, 409 days 11.7
TCGA-DD-A4NA-01A 67 years, female, white, stage:Stage IIIC, alive, 1008 days 11.7
TCGA-2Y-A9HA-01A 70 years, male, white, stage:Stage II, dead, 36 days 11.6
TCGA-QA-A7B7-01A 48 years, male, black or african american, stage:Stage II, alive, 94 days 11.6
TCGA-DD-A4NN-01A 56 years, female, white, stage:Stage I, dead, 899 days 11.5
TCGA-BC-A10T-01A 76 years, male, white, stage:'--, dead, 837 days 11.3
TCGA-YA-A8S7-01A 68 years, male, white, stage:Stage IIIA, dead, 412 days 11.3
TCGA-EP-A3RK-01A 73 years, male, white, stage:Stage IIIA, alive, 363 days 11.2
TCGA-ZS-A9CD-01A 73 years, male, white, stage:Stage II, dead, 1386 days 11.2
TCGA-G3-A25Y-01A 52 years, female, asian, stage:Stage I, dead, 452 days 11.1
TCGA-FV-A4ZQ-01A 52 years, male, white, stage:Stage I, alive, 12 days 11.1
TCGA-DD-AADI-01A 43 years, female, asian, stage:Stage I, alive, 1085 days 11.0
TCGA-DD-A4NH-01A 65 years, female, white, stage:Stage IIIB, alive, 917 days 11.0
TCGA-DD-A113-01A 55 years, female, white, stage:Stage II, alive, 2425 days 11.0
TCGA-5R-AA1D-01A 17 years, female, white, stage:Stage IIIA, alive, 449 days 10.9
TCGA-G3-AAV5-01A 67 years, male, white, stage:Stage II, alive, 354 days 10.9
TCGA-EP-A2KA-01A 52 years, female, white, stage:Stage IIIA, dead, 627 days 10.8
TCGA-XR-A8TE-01A 16 years, male, white, stage:Stage IIIA, alive, 925 days 10.8
TCGA-DD-AACJ-01A 75 years, male, asian, stage:Stage II, alive, 2102 days 10.8
TCGA-CC-5264-01A 71 years, male, asian, stage:Stage IIIA, dead, 102 days 10.7
TCGA-5C-A9VH-01A 70 years, male, white, stage:Stage I, alive, 322 days 10.7
TCGA-ED-A4XI-01A 58 years, male, asian, stage:Stage II, alive, 819 days 10.7
TCGA-2Y-A9H6-01A 68 years, female, white, stage:Stage I, alive, 357 days 10.6
TCGA-DD-A3A1-01A 65 years, male, stage:Stage IIIA, dead, 233 days 10.6
TCGA-DD-A4NS-01A 61 years, female, white, stage:Stage I, dead, 2456 days 10.4
TCGA-2Y-A9GX-01A 68 years, male, white, stage:Stage I, alive, 2442 days 10.4
TCGA-BC-A216-01A 62 years, female, white, stage:Stage IIIA, alive, 1351 days 10.3
TCGA-DD-AADF-01A 64 years, female, asian, stage:Stage I, dead, 115 days 10.3
TCGA-DD-AAW3-01A 69 years, male, asian, stage:Stage I, alive, 1633 days 10.3
TCGA-MI-A75I-01A 61 years, male, black or african american, stage:'--, alive, 630 days 10.3
TCGA-BC-A10R-01A 66 years, female, white, stage:'--, dead, 308 days 10.1
TCGA-DD-A1EE-01A 73 years, male, white, stage:Stage IIIA, dead, 349 days 10.1
TCGA-5R-AA1C-01A 57 years, male, white, stage:Stage II, alive, 520 days 10.1
TCGA-CC-A7II-01A 54 years, male, asian, stage:Stage IIIA, alive, 399 days 10.1
TCGA-RG-A7D4-01A 69 years, male, black or african american, stage:Stage II, alive, 1098 days 10.0
TCGA-MR-A8JO-01A 34 years, male, white, stage:Stage I, alive, 330 days 10.0
TCGA-DD-AADD-01A 51 years, male, asian, stage:Stage I, alive, 1231 days 10.0
TCGA-MI-A75G-01A 63 years, male, white, stage:Stage II, alive, 698 days 10.0
TCGA-G3-AAV4-01A 83 years, female, white, stage:Stage I, dead, 27 days 10.0
TCGA-4R-AA8I-01A 66 years, male, white, stage:Stage II, dead, 262 days 10.0
TCGA-DD-AACN-01A 32 years, male, asian, stage:Stage I, alive, 1302 days 10.0
TCGA-DD-AAVR-01A 44 years, male, asian, stage:Stage I, alive, 2513 days 9.9
TCGA-DD-AACI-01A 69 years, male, asian, stage:Stage II, alive, 1618 days 9.9
TCGA-DD-AAVQ-01A 38 years, male, asian, stage:Stage I, alive, 2728 days 9.8
TCGA-DD-AAVZ-01A 38 years, male, asian, stage:Stage I, alive, 1900 days 9.8
TCGA-DD-AAEE-01A 55 years, male, asian, stage:Stage I, alive, 810 days 9.8
TCGA-DD-A119-01A 40 years, male, asian, stage:Stage IV, dead, 223 days 9.8
TCGA-DD-A3A7-01A 67 years, male, stage:Stage IIIB, dead, 419 days 9.8
TCGA-BC-A10U-01A 69 years, male, white, stage:'--, dead, 837 days 9.7
TCGA-DD-A1EA-01A 68 years, male, asian, stage:Stage II, alive, 2415 days 9.7
TCGA-2Y-A9H3-01A 45 years, male, white, stage:Stage II, alive, 1516 days 9.7
TCGA-CC-A8HS-01A 18 years, male, asian, stage:Stage IIIC, dead, 300 days 9.7
TCGA-DD-AADC-01A 53 years, male, asian, stage:Stage I, dead, 425 days 9.7
TCGA-UB-AA0U-01A 60 years, male, white, stage:Stage II, alive, 327 days 9.6
TCGA-G3-AAV3-01A 58 years, female, white, stage:Stage II, alive, 412 days 9.5
TCGA-DD-AAEG-01A 59 years, female, asian, stage:Stage I, alive, 719 days 9.5
TCGA-DD-A73G-01A 73 years, female, white, stage:Stage I, alive, 3478 days 9.5
TCGA-2Y-A9H4-01A 68 years, male, black or african american, stage:Stage I, alive, 1452 days 9.5
TCGA-G3-A7M5-01A 76 years, male, asian, stage:Stage I, alive, 447 days 9.5
TCGA-XR-A8TD-01A 49 years, female, white, stage:Stage IIIB, alive, 1030 days 9.4
TCGA-ED-A7PY-01A 20 years, female, asian, stage:Stage II, alive, 390 days 9.4
TCGA-KR-A7K7-01A 61 years, female, white, stage:Stage II, alive, 951 days 9.4
TCGA-UB-A7MB-01A 24 years, male, white, stage:Stage II, alive, 601 days 9.3
TCGA-G3-A3CK-01A 61 years, male, asian, stage:Stage I, alive, 585 days 9.3
TCGA-G3-A3CG-01A 80 years, male, white, stage:Stage I, alive, 673 days 9.3
TCGA-FV-A3R2-01A 75 years, male, white, stage:Stage I, dead, 194 days 9.1
TCGA-G3-A5SM-01A 58 years, male, white, stage:Stage II, alive, 520 days 9.1
TCGA-DD-AACP-01A 64 years, male, asian, stage:Stage I, alive, 415 days 9.1
TCGA-DD-AAD0-01A 73 years, female, asian, stage:Stage I, alive, 137 days 9.0
TCGA-ED-A627-01A 74 years, male, white, stage:Stage I, alive, 423 days 9.0
TCGA-3K-AAZ8-01A 65 years, male, black or african american, stage:Stage IIIB, alive, 396 days 9.0
TCGA-DD-AAE6-01A 59 years, female, asian, stage:Stage I, alive, 141 days 9.0
TCGA-2Y-A9GU-01A 55 years, female, white, stage:Stage I, alive, 1939 days 9.0
TCGA-ZS-A9CG-01A 55 years, male, white, stage:Stage II, alive, 341 days 9.0
TCGA-DD-A3A4-01A 37 years, male, white, stage:Stage IIIA, dead, 612 days 8.9
TCGA-DD-A114-01A 42 years, male, black or african american, stage:Stage II, dead, 1149 days 8.9
TCGA-UB-A7MF-01A 56 years, male, white, stage:Stage IIIA, dead, 214 days 8.9
TCGA-FV-A496-01A 84 years, female, white, stage:Stage I, alive, 10 days 8.9
TCGA-CC-A7IE-01A 57 years, male, asian, stage:Stage IIIA, dead, 217 days 8.9
TCGA-ZP-A9CV-01A 59 years, male, white, stage:'--, dead, 1088 days 8.9
TCGA-FV-A4ZP-01A 78 years, male, white, stage:Stage IIIA, dead, 2486 days 8.9
TCGA-DD-AAE2-01A 51 years, male, asian, stage:Stage I, alive, 638 days 8.8
TCGA-FV-A3I0-01A 76 years, female, white, stage:Stage II, alive, 848 days 8.8
TCGA-FV-A495-01A 51 years, female, white, stage:Stage II, alive, 1 days 8.8
TCGA-BW-A5NO-01A 50 years, male, black or african american, stage:Stage IIIA, alive, 20 days 8.8
TCGA-DD-A4NF-01A 72 years, male, white, stage:Stage I, alive, 942 days 8.8
TCGA-2Y-A9H7-01A 81 years, female, white, stage:Stage I, alive, 1168 days 8.7
TCGA-DD-A4NB-01A 25 years, male, white, stage:Stage I, alive, 989 days 8.7
TCGA-DD-AAVY-01A 56 years, male, asian, stage:Stage IIIA, alive, 1970 days 8.7
TCGA-KR-A7K0-01A 65 years, male, white, stage:Stage I, dead, 65 days 8.7
TCGA-ZP-A9D2-01A 51 years, male, white, stage:'--, dead, 765 days 8.6
TCGA-DD-AACA-01A 65 years, male, asian, stage:Stage I, alive, 2301 days 8.6
TCGA-DD-AACV-01A 53 years, male, asian, stage:Stage I, alive, 1531 days 8.6
TCGA-MI-A75H-01A 77 years, male, white, stage:'--, alive, 747 days 8.6
TCGA-EP-A12J-01A 62 years, male, black or african american, stage:Stage I, alive, 570 days 8.6
TCGA-DD-A73A-01A 71 years, male, white, stage:Stage I, alive, 728 days 8.5
TCGA-CC-A123-01A 24 years, female, asian, stage:Stage IIIA, alive, 219 days 8.5
TCGA-DD-AAC8-01A 72 years, male, asian, stage:Stage I, dead, 16 days 8.5
TCGA-DD-A73D-01A 68 years, female, white, stage:Stage II, alive, 693 days 8.5
TCGA-BD-A2L6-01A 69 years, male, white, stage:'--, alive, 1363 days 8.5
TCGA-MI-A75E-01A 61 years, male, white, stage:Stage IIIC, alive, 507 days 8.4
TCGA-DD-A4NJ-01A 54 years, female, white, stage:Stage II, alive, 928 days 8.4
TCGA-DD-A4NO-01A 65 years, male, white, stage:Stage I, alive, 2245 days 8.4
TCGA-2Y-A9HB-01A 66 years, male, stage:Stage I, alive, 260 days 8.4
TCGA-DD-AADP-01A 45 years, male, asian, stage:Stage I, alive, 458 days 8.3
TCGA-DD-A3A5-01A 66 years, female, white, stage:Stage III, dead, 3125 days 8.3
TCGA-DD-AAEH-01A 73 years, male, asian, stage:Stage I, alive, 784 days 8.3
TCGA-RC-A7SF-01A 66 years, male, asian, stage:Stage I, alive, 579 days 8.2
TCGA-RC-A6M5-01A 20 years, female, white, stage:Stage IVA, alive, 15 days 8.2
TCGA-DD-AAW0-01A 54 years, male, asian, stage:Stage I, alive, 2015 days 8.2
TCGA-CC-A7IK-01A 59 years, male, asian, stage:Stage IIIA, dead, 262 days 8.1
TCGA-DD-AACU-01A 59 years, male, asian, stage:Stage I, alive, 1567 days 8.1
TCGA-DD-AADU-01A 60 years, male, asian, stage:Stage II, alive, 554 days 8.1
TCGA-G3-A6UC-01A 65 years, male, white, stage:Stage IIIB, alive, 671 days 8.1
TCGA-DD-AAE3-01A 50 years, male, asian, stage:Stage I, alive, 566 days 8.1
TCGA-DD-AACC-01A 61 years, male, asian, stage:Stage I, dead, 1685 days 8.0
TCGA-O8-A75V-01A 54 years, male, stage:Stage I, alive, 538 days 8.0
TCGA-FV-A2QQ-01A 80 years, male, white, stage:Stage I, alive, 729 days 8.0
TCGA-G3-A25X-01A 73 years, male, asian, stage:Stage II, alive, 1779 days 8.0
TCGA-DD-A11C-01A 69 years, male, white, stage:Stage I, alive, 662 days 8.0
TCGA-DD-AAEA-01A 65 years, male, asian, stage:Stage I, alive, 575 days 8.0
TCGA-BC-A69I-01A 69 years, male, white, stage:Stage I, alive, 387 days 8.0
TCGA-XR-A8TC-01A 43 years, female, white, stage:Stage I, alive, 1339 days 8.0
TCGA-DD-AAE0-01A 45 years, female, asian, stage:Stage IIIA, alive, 555 days 8.0
TCGA-BC-A10Y-01A 76 years, male, white, stage:'--, dead, 711 days 7.9
TCGA-WQ-A9G7-01A 71 years, female, white, stage:'--, alive, 30 days 7.9
TCGA-BC-A3KF-01A 66 years, female, white, stage:Stage I, alive, 8 days 7.8
TCGA-G3-AAV2-01A 50 years, male, white, stage:Stage I, alive, 372 days 7.8
TCGA-ED-A7XO-01A 29 years, male, asian, stage:Stage IIIA, alive, 427 days 7.8
TCGA-K7-A5RG-01A 66 years, male, black or african american, stage:Stage I, alive, 519 days 7.8
TCGA-RC-A6M4-01A 74 years, female, white, stage:Stage IIIA, alive, 22 days 7.8
TCGA-DD-AAVP-01A 48 years, male, asian, stage:Stage I, alive, 2752 days 7.8
TCGA-DD-AADM-01A 58 years, male, asian, stage:Stage II, dead, 12 days 7.8
TCGA-CC-A9FW-01A 68 years, male, asian, stage:Stage IIIA, alive, 248 days 7.8
TCGA-LG-A6GG-01A 79 years, female, white, stage:Stage II, alive, 387 days 7.7
TCGA-DD-A39Z-01A 43 years, female, stage:Stage II, dead, 601 days 7.7
TCGA-2Y-A9H1-01A 58 years, male, white, stage:Stage I, dead, 1229 days 7.7
TCGA-DD-AACS-01A 39 years, male, asian, stage:Stage I, alive, 1804 days 7.6
TCGA-ED-A7XP-01A 53 years, female, asian, stage:Stage II, alive, 400 days 7.6
TCGA-DD-AAE4-01A 49 years, female, asian, stage:Stage I, alive, 608 days 7.5
TCGA-ZP-A9D4-01A 64 years, female, white, stage:'--, alive, 395 days 7.5
TCGA-DD-A1EK-01A 64 years, female, white, stage:Stage IVB, dead, 558 days 7.5
TCGA-DD-A3A3-01A 45 years, male, asian, stage:Stage I, dead, 535 days 7.5
TCGA-DD-AADA-01A 66 years, female, asian, stage:Stage I, alive, 1233 days 7.3
TCGA-2Y-A9H0-01A 49 years, male, white, stage:Stage IIIA, alive, 3675 days 7.3
TCGA-DD-A4NG-01A 77 years, male, white, stage:Stage IIIA, dead, 802 days 7.3
TCGA-DD-A73C-01A 65 years, female, white, stage:Stage IIIA, alive, 701 days 7.3
TCGA-DD-AAE1-01A 52 years, male, asian, stage:Stage I, alive, 552 days 7.3
TCGA-DD-A1EI-01A 46 years, male, asian, stage:Stage I, alive, 183 days 7.2
TCGA-5C-A9VG-01A 58 years, male, white, stage:Stage II, alive, 328 days 7.2
TCGA-ZP-A9CY-01A 66 years, female, white, stage:'--, alive, 782 days 7.1
TCGA-DD-AACG-01A 52 years, male, asian, stage:Stage II, dead, 469 days 7.1
TCGA-BC-A10S-01A 81 years, male, white, stage:'--, dead, 1423 days 7.1
TCGA-K7-A6G5-01A 66 years, male, white, stage:Stage I, alive, 512 days 7.1
TCGA-CC-A9FS-01A 55 years, male, asian, stage:Stage II, alive, 211 days 7.1
TCGA-DD-A4ND-01A 56 years, female, white, stage:Stage I, alive, 2746 days 7.1
TCGA-DD-AAVX-01A 38 years, male, asian, stage:Stage II, alive, 1718 days 7.0
TCGA-UB-A7MC-01A 59 years, male, white, stage:Stage IIIA, alive, 500 days 7.0
TCGA-DD-AAD2-01A 66 years, male, asian, stage:Stage I, alive, 658 days 6.9
TCGA-DD-A73B-01A 72 years, female, white, stage:Stage I, dead, 283 days 6.9
TCGA-DD-AADV-01A 50 years, male, asian, stage:Stage I, alive, 574 days 6.9
TCGA-DD-AAD8-01A 73 years, female, asian, stage:Stage I, alive, 1219 days 6.9
TCGA-CC-A7IF-01A 59 years, male, asian, stage:Stage IIIA, dead, 649 days 6.8
TCGA-DD-AADJ-01A 70 years, female, asian, stage:Stage I, alive, 1066 days 6.8
TCGA-ES-A2HS-01A 80 years, male, white, stage:Stage I, dead, 688 days 6.8
TCGA-BC-A10X-01A 52 years, female, white, stage:Stage IIIA, dead, 770 days 6.8
TCGA-G3-AAV1-01A 51 years, male, asian, stage:Stage IIIC, dead, 359 days 6.8
TCGA-FV-A2QR-01A 75 years, male, white, stage:Stage I, dead, 581 days 6.8
TCGA-BC-A5W4-01A 69 years, male, white, stage:Stage IIIA, dead, 547 days 6.8
TCGA-DD-AADS-01A 63 years, male, asian, stage:Stage I, alive, 474 days 6.7
TCGA-DD-AADG-01A 70 years, male, asian, stage:Stage IIIA, alive, 1145 days 6.7
TCGA-DD-A4NP-01A 32 years, male, white, stage:Stage I, alive, 3308 days 6.7
TCGA-DD-AACD-01A 48 years, male, asian, stage:Stage I, dead, 381 days 6.7
TCGA-WX-AA47-01A 33 years, female, white, stage:Stage IIIA, dead, 556 days 6.7
TCGA-G3-A7M7-01A 65 years, male, white, stage:Stage I, alive, 361 days 6.7
TCGA-G3-A25V-01A 68 years, male, white, stage:Stage I, alive, 860 days 6.7
TCGA-2Y-A9GV-01A 54 years, female, white, stage:Stage I, dead, 2532 days 6.7
TCGA-DD-A39W-01A 29 years, female, white, stage:Stage III, dead, 827 days 6.7
TCGA-DD-AADQ-01A 59 years, male, asian, stage:Stage II, alive, 436 days 6.6
TCGA-DD-A4NE-01A 75 years, female, white, stage:Stage IIIA, dead, 660 days 6.6
TCGA-G3-A7M8-01A 31 years, male, asian, stage:Stage I, alive, 430 days 6.6
TCGA-WX-AA46-01A 61 years, male, white, stage:Stage II, alive, 756 days 6.6
TCGA-DD-AADY-01A 55 years, female, asian, stage:Stage I, alive, 555 days 6.6
TCGA-UB-AA0V-01A 69 years, female, white, stage:Stage I, alive, 314 days 6.6
TCGA-BC-A10Z-01A 62 years, female, white, stage:Stage I, dead, 34 days 6.5
TCGA-DD-AAE9-01A 69 years, male, asian, stage:Stage I, alive, 722 days 6.5
TCGA-BC-A110-01A 51 years, female, black or african american, stage:'--, dead, 2116 days 6.5
TCGA-HP-A5MZ-01A 78 years, male, stage:Stage I, dead, 91 days 6.5
TCGA-BD-A3ER-01A 62 years, male, white, stage:Stage II, alive, 1115 days 6.5
TCGA-DD-A115-01A 53 years, male, white, stage:Stage IIIA, dead, 2542 days 6.4
TCGA-G3-A25Z-01A 58 years, male, asian, stage:Stage I, alive, 655 days 6.4
TCGA-DD-AAVU-01A 46 years, male, asian, stage:Stage II, alive, 2202 days 6.3
TCGA-DD-AAE7-01A 72 years, male, asian, stage:Stage I, alive, 644 days 6.3
TCGA-G3-A5SI-01A 44 years, male, asian, stage:Stage II, dead, 768 days 6.3
TCGA-5R-AAAM-01A 65 years, female, white, stage:Stage II, dead, 46 days 6.3
TCGA-DD-A11B-01A 73 years, male, white, stage:Stage I, dead, 14 days 6.2
TCGA-DD-AAW2-01A 69 years, male, asian, stage:Stage I, alive, 1855 days 6.2
TCGA-DD-A3A6-01A 72 years, female, white, stage:Stage II, dead, 3258 days 6.2
TCGA-DD-A73F-01A 77 years, female, white, stage:Stage I, alive, 1085 days 6.2
TCGA-DD-AADK-01A 68 years, female, asian, stage:Stage II, alive, 1049 days 6.2
TCGA-G3-A3CJ-01A 52 years, male, american indian or alaska native, stage:Stage II, alive, 594 days 6.2
TCGA-DD-AADL-01A 58 years, male, asian, stage:Stage I, alive, 636 days 6.1
TCGA-FV-A23B-01A 70 years, female, white, stage:Stage II, dead, 1852 days 6.1
TCGA-ZP-A9D1-01A 56 years, female, white, stage:'--, alive, 21 days 6.1
TCGA-DD-A39V-01A 77 years, male, white, stage:Stage II, dead, 643 days 6.1
TCGA-ZS-A9CF-01A 64 years, male, white, stage:Stage II, alive, 2412 days 6.0
TCGA-2Y-A9GT-01A 51 years, male, white, stage:Stage I, dead, 1624 days 6.0
TCGA-FV-A3R3-01A 38 years, female, white, stage:Stage I, dead, 366 days 6.0
TCGA-DD-AACT-01A 69 years, female, asian, stage:Stage I, alive, 1562 days 6.0
TCGA-2Y-A9GW-01A 64 years, male, white, stage:Stage I, dead, 1271 days 5.9
TCGA-EP-A2KC-01A 62 years, male, black or african american, stage:Stage I, dead, 19 days 5.9
TCGA-5C-AAPD-01A 61 years, male, asian, stage:Stage II, alive, 20 days 5.9
TCGA-KR-A7K2-01A 64 years, male, white, stage:Stage I, alive, 829 days 5.9
TCGA-RC-A7SB-01A 53 years, male, asian, stage:Stage II, alive, 588 days 5.8
TCGA-DD-A4NK-01A 80 years, female, white, stage:Stage IIIA, dead, 1210 days 5.7
TCGA-CC-A3MC-01A 54 years, male, asian, stage:Stage IIIA, alive, 363 days 5.7
TCGA-ZS-A9CE-01A 79 years, female, white, stage:Stage II, alive, 1241 days 5.7
TCGA-DD-A3A8-01A 75 years, male, white, stage:Stage II, dead, 11 days 5.7
TCGA-K7-A5RF-01A 64 years, male, white, stage:Stage I, alive, 631 days 5.7
TCGA-HP-A5N0-01A 90 years, female, stage:'--, dead, 752 days 5.7
TCGA-DD-A4NV-01A 61 years, male, white, stage:Stage IIIA, alive, 2398 days 5.7
TCGA-DD-AAD3-01A 43 years, male, asian, stage:Stage I, alive, 1295 days 5.7
TCGA-2Y-A9GZ-01A 82 years, female, white, stage:Stage II, dead, 848 days 5.7
TCGA-DD-AAEK-01A 51 years, male, asian, stage:Stage II, alive, 1067 days 5.6
TCGA-DD-AAVW-01A 35 years, male, asian, stage:Stage I, alive, 2317 days 5.6
TCGA-ZP-A9D0-01A 67 years, female, black or african american, stage:'--, alive, 1091 days 5.6
TCGA-EP-A3JL-01A 76 years, male, white, stage:Stage I, alive, 303 days 5.5
TCGA-DD-AAW1-01A 55 years, male, asian, stage:Stage IIIA, alive, 1989 days 5.5
TCGA-DD-A1ED-01A 68 years, male, white, stage:Stage I, alive, 2301 days 5.5
TCGA-CC-5259-01A 60 years, female, asian, stage:Stage IIIC, alive, 250 days 5.4
TCGA-ED-A459-01A 47 years, male, asian, stage:Stage II, alive, 910 days 5.4
TCGA-G3-AAV0-01A 58 years, male, asian, stage:Stage I, alive, 476 days 5.3
TCGA-CC-A7IL-01A 61 years, male, asian, stage:Stage IIIA, dead, 278 days 5.3
TCGA-2Y-A9H9-01A 70 years, male, white, stage:Stage I, alive, 697 days 5.3
TCGA-UB-A7ME-01A 51 years, male, asian, stage:Stage I, alive, 486 days 5.3
TCGA-PD-A5DF-01A 58 years, female, white, stage:Stage IIIB, dead, 639 days 5.3
TCGA-MR-A520-01A 58 years, male, white, stage:Stage I, alive, 229 days 5.2
TCGA-DD-A1EB-01A 72 years, female, stage:Stage I, alive, 2017 days 5.2
TCGA-G3-A5SL-01A 70 years, male, white, stage:Stage II, alive, 621 days 5.2
TCGA-DD-A11D-01A 57 years, female, white, stage:Stage I, dead, 1560 days 5.1
TCGA-DD-AAC9-01A 51 years, male, asian, stage:Stage I, alive, 347 days 5.1
TCGA-EP-A26S-01A 70 years, male, white, stage:Stage I, alive, 608 days 5.1
TCGA-LG-A9QD-01A 68 years, male, white, stage:Stage IIIA, alive, 366 days 5.1
TCGA-EP-A2KB-01A 46 years, female, white, stage:Stage I, dead, 596 days 5.0
TCGA-G3-AAUZ-01A 48 years, male, stage:Stage I, alive, 480 days 4.8
TCGA-NI-A8LF-01A 74 years, male, white, stage:Stage I, alive, 799 days 4.8
TCGA-G3-A3CI-01A 71 years, male, white, stage:Stage I, alive, 180 days 4.6
TCGA-DD-A4NI-01A 67 years, male, white, stage:Stage II, alive, 816 days 4.6
TCGA-WQ-AB4B-01A 62 years, male, white, stage:Stage II, alive, 395 days 4.5
TCGA-DD-A4NL-01A 46 years, male, white, stage:Stage I, alive, 1711 days 4.4
TCGA-DD-AAED-01A 51 years, male, asian, stage:Stage I, alive, 763 days 4.4
TCGA-ES-A2HT-01A 54 years, male, black or african american, stage:Stage I, dead, 438 days 4.3
TCGA-DD-AACE-01A 62 years, male, asian, stage:Stage I, alive, 2184 days 4.2
TCGA-XR-A8TF-01A 74 years, male, white, stage:Stage I, dead, 693 days 4.1
TCGA-G3-A3CH-01A 53 years, male, asian, stage:Stage IIIA, alive, 780 days 4.1
TCGA-G3-A25U-01A 63 years, female, asian, stage:Stage I, alive, 1636 days 4.0
TCGA-DD-AAEB-01A 60 years, male, asian, stage:Stage I, alive, 478 days 4.0
TCGA-DD-AAEI-01A 72 years, male, asian, stage:Stage I, alive, 1531 days 3.8
TCGA-DD-A3A2-01A 76 years, female, white, stage:Stage I, dead, 2131 days 3.7
TCGA-NI-A4U2-01A 71 years, male, white, stage:Stage IIIA, dead, 1791 days 3.2
TCGA-G3-A5SK-01A 58 years, male, white, stage:Stage I, alive, 744 days 3.0
TCGA-DD-AACY-01A 61 years, male, asian, stage:Stage I, alive, 1450 days 2.8
TCGA-DD-AACF-01A 68 years, male, asian, stage:Stage I, dead, 365 days 2.6
Show allShow less
LIVER HEPATOCELLULAR CARCINOMA (VALIDATION) - Interactive survival scatter ploti

The Survival Scatter plot shows the clinical status (i.e. dead or alive) for all individuals in the patient cohort, based on the same data that underlies the corresponding Kaplan-Meier plots. Patients that are alive at last time for follow-up are shown in blue and patients who have died during the study are shown in red.

The x-axis shows the expression levels (FPKM) of the investigated gene in the tumor tissue at the time of diagnosis. The y-axis shows the follow-up time after diagnosis (years). Both axes are complimented with kernel density curves demonstrating the data density over the axes. The top density plot shows the expression levels (FPKM) distribution among dead (red) and alive patients (blue). The right density plot shows the data density of the survived years of dead patients with high and low expression levels respectively, stratified using the cutoff indicated by the vertical dashed line through the Survival Scatter plot. This cutoff is automatically defined based on the FPKM cutoff that minimizes the p-score. The cutoff can be changed by dragging the vertical line or by entering a cutoff value in the square labeled "Current cut-off".

Under the Survival Scatter plot the p-score landscape (black curve; left axis) is shown together with dead median separation (red curve; right axis). Dead median separation is the difference in median mRNA expression between patients who have died with high and low expression, respectively. It is calculated as follows: median FPKM expression of dead patients with high expression - median FPKM expression of dead patients with low expression. This is intended to aid the user in visually exploring custom cutoffs and the associated p-scores and dead median separation.

Individual patient data is displayed and can be filtered by clicking on one or more of the category buttons on the top of the page. Categories describing expression level and patient information include: high, low, alive, dead, female, male and tumor stages. The scale of the x-axis can be toggled between linear and log-scale by clicking on the "x log" button. Mouse-over function shows TCGA ID, patient information and mRNA expression (FPKM) for each patient.

& Survival analysisi

Kaplan-Meier plots summarize results from analysis of correlation between mRNA expression level and patient survival. Patients were divided based on level of expression into one of the two groups "low" (under cut off) or "high" (over cut off). X-axis shows time for survival (years) and y-axis shows the probability of survival, where 1.0 corresponds to 100 percent.

  Survival analysis data not available.
LIVER HEPATOCELLULAR CARCINOMA - Protein relative expression (CPTAC)
Number of samples 330
Samples
Sample ID Sample type nRPX
697 Tumor 5.5
535 Tumor 5.3
1045 Tumor 5.1
698 Normal 5.1
448 Normal 3.1
1046 Normal 2.4
553 Tumor 1.2
125 Tumor 1.2
271 Tumor 1.0
224 Normal 0.9
431 Tumor 0.9
231 Tumor 0.9
343 Tumor 0.8
311 Tumor 0.8
341 Tumor 0.8
443 Tumor 0.7
395 Tumor 0.7
123 Tumor 0.7
127 Tumor 0.6
113 Tumor 0.6
661 Tumor 0.6
112 Tumor 0.6
313 Tumor 0.6
571 Tumor 0.6
267 Tumor 0.6
221 Tumor 0.5
277 Tumor 0.5
361 Tumor 0.5
261 Tumor 0.5
367 Tumor 0.5
135 Tumor 0.5
385 Tumor 0.5
663 Tumor 0.5
257 Tumor 0.5
351 Tumor 0.5
641 Tumor 0.5
537 Tumor 0.5
421 Tumor 0.5
433 Tumor 0.5
131 Tumor 0.4
297 Tumor 0.4
617 Tumor 0.4
352 Normal 0.4
375 Tumor 0.4
411 Tumor 0.4
126 Normal 0.4
573 Tumor 0.4
527 Tumor 0.4
312 Normal 0.4
1025 Tumor 0.4
671 Tumor 0.4
161 Tumor 0.4
384 Normal 0.4
185 Tumor 0.4
925 Tumor 0.3
635 Tumor 0.3
387 Tumor 0.3
344 Normal 0.3
358 Normal 0.3
616 Normal 0.3
563 Tumor 0.3
327 Tumor 0.3
545 Tumor 0.3
434 Normal 0.3
195 Tumor 0.3
455 Tumor 0.3
536 Normal 0.3
366 Normal 0.3
642 Normal 0.3
171 Tumor 0.3
124 Normal 0.3
477 Tumor 0.3
1021 Tumor 0.2
114 Normal 0.2
331 Tumor 0.2
368 Normal 0.2
1031 Tumor 0.2
386 Normal 0.2
815 Tumor 0.2
567 Tumor 0.2
357 Tumor 0.2
745 Tumor 0.2
211 Tumor 0.2
618 Normal 0.2
467 Tumor 0.2
615 Tumor 0.2
874 Normal 0.2
354 Normal 0.2
268 Normal 0.2
286 Normal 0.2
965 Tumor 0.2
957 Tumor 0.2
262 Normal 0.2
376 Normal 0.2
213 Tumor 0.2
737 Tumor 0.2
392 Normal 0.2
415 Tumor 0.2
471 Tumor 0.2
278 Normal 0.2
823 Tumor 0.2
468 Normal 0.2
191 Tumor 0.2
951 Tumor 0.1
557 Tumor 0.1
724 Normal 0.1
298 Normal 0.1
362 Normal 0.1
314 Normal 0.1
743 Tumor 0.1
447 Tumor 0.1
444 Normal 0.1
1013 Tumor 0.1
332 Normal 0.1
921 Tumor 0.1
423 Tumor 0.1
721 Tumor 0.1
861 Tumor 0.1
187 Tumor 0.1
636 Normal 0.1
137 Tumor 0.1
817 Tumor 0.1
391 Tumor 0.1
493 Tumor 0.1
283 Tumor 0.1
427 Tumor 0.1
111 Normal 0.1
695 Tumor 0.1
975 Tumor 0.1
217 Tumor 0.1
877 Tumor 0.1
628 Normal 0.1
497 Tumor 0.1
713 Tumor 0.1
394 Normal 0.0
388 Normal 0.0
864 Normal 0.0
723 Tumor 0.0
976 Normal 0.0
425 Tumor 0.0
136 Normal 0.0
728 Normal 0.0
914 Normal 0.0
741 Tumor 0.0
574 Normal 0.0
451 Tumor 0.0
564 Normal 0.0
466 Normal 0.0
396 Normal 0.0
672 Normal 0.0
393 Tumor 0.0
192 Normal 0.0
487 Tumor 0.0
465 Tumor 0.0
445 Tumor 0.0
464 Normal 0.0
355 Tumor 0.0
491 Tumor 0.0
272 Normal 0.0
1043 Tumor 0.0
568 Normal 0.0
463 Tumor 0.0
258 Normal 0.0
1016 Normal 0.0
866 Normal 0.0
627 Tumor 0.0
572 Normal 0.0
686 Normal 0.0
666 Normal 0.0
232 Normal -0.1
558 Normal -0.1
422 Normal -0.1
966 Normal -0.1
813 Tumor -0.1
435 Tumor -0.1
662 Normal -0.1
227 Tumor -0.1
383 Tumor -0.1
446 Normal -0.1
968 Normal -0.1
128 Normal -0.1
953 Tumor -0.1
742 Normal -0.1
452 Normal -0.1
777 Tumor -0.1
172 Normal -0.1
868 Normal -0.1
952 Normal -0.1
188 Normal -0.1
528 Normal -0.1
863 Tumor -0.1
862 Normal -0.1
456 Normal -0.1
538 Normal -0.1
364 Normal -0.1
722 Normal -0.1
917 Tumor -0.1
716 Normal -0.1
858 Normal -0.1
857 Tumor -0.1
284 Normal -0.1
132 Normal -0.1
926 Normal -0.1
851 Tumor -0.1
218 Normal -0.1
498 Normal -0.1
814 Normal -0.1
138 Normal -0.1
162 Normal -0.1
186 Normal -0.1
328 Normal -0.1
1042 Normal -0.1
958 Normal -0.1
413 Tumor -0.1
426 Normal -0.1
353 Tumor -0.1
432 Normal -0.2
513 Tumor -0.2
222 Normal -0.2
664 Normal -0.2
1044 Normal -0.2
744 Normal -0.2
778 Normal -0.2
816 Normal -0.2
867 Tumor -0.2
923 Tumor -0.2
517 Tumor -0.2
515 Tumor -0.2
533 Tumor -0.2
714 Normal -0.2
956 Normal -0.2
146 Normal -0.2
461 Tumor -0.2
1041 Tumor -0.2
478 Normal -0.2
738 Normal -0.2
715 Tumor -0.2
526 Normal -0.2
785 Tumor -0.2
1022 Normal -0.2
481 Tumor -0.2
223 Tumor -0.2
727 Tumor -0.2
1028 Normal -0.2
665 Tumor -0.2
363 Tumor -0.2
196 Normal -0.2
145 Tumor -0.2
488 Normal -0.2
147 Tumor -0.2
214 Normal -0.2
436 Normal -0.2
924 Normal -0.2
414 Normal -0.2
916 Normal -0.2
913 Tumor -0.2
462 Normal -0.2
818 Normal -0.3
852 Normal -0.3
534 Normal -0.3
1014 Normal -0.3
554 Normal -0.3
964 Normal -0.3
142 Normal -0.3
1026 Normal -0.3
881 Tumor -0.3
1032 Normal -0.3
944 Normal -0.3
285 Tumor -0.3
922 Normal -0.3
756 Normal -0.3
484 Normal -0.3
212 Normal -0.3
963 Tumor -0.3
492 Normal -0.3
647 Tumor -0.3
824 Normal -0.3
746 Normal -0.3
967 Tumor -0.3
525 Tumor -0.3
365 Tumor -0.3
494 Normal -0.3
412 Normal -0.3
482 Normal -0.3
1027 Tumor -0.3
474 Normal -0.3
518 Normal -0.3
873 Tumor -0.3
937 Tumor -0.3
523 Tumor -0.3
428 Normal -0.3
955 Tumor -0.3
472 Normal -0.3
416 Normal -0.4
356 Normal -0.4
918 Normal -0.4
982 Normal -0.4
882 Normal -0.4
938 Normal -0.4
943 Tumor -0.4
878 Normal -0.4
786 Normal -0.4
884 Normal -0.4
883 Tumor -0.4
516 Normal -0.4
954 Normal -0.4
524 Normal -0.4
696 Normal -0.4
483 Tumor -0.4
424 Normal -0.4
1015 Tumor -0.4
342 Normal -0.4
546 Normal -0.4
915 Tumor -0.4
977 Tumor -0.4
648 Normal -0.4
148 Normal -0.4
228 Normal -0.5
141 Tumor -0.5
514 Normal -0.5
912 Normal -0.5
755 Tumor -0.5
911 Tumor -0.5
685 Tumor -0.6
983 Tumor -0.6
865 Tumor -0.7
978 Normal -0.7
984 Normal -0.8
981 Tumor -0.9
473 Tumor -1.4
Show allShow less
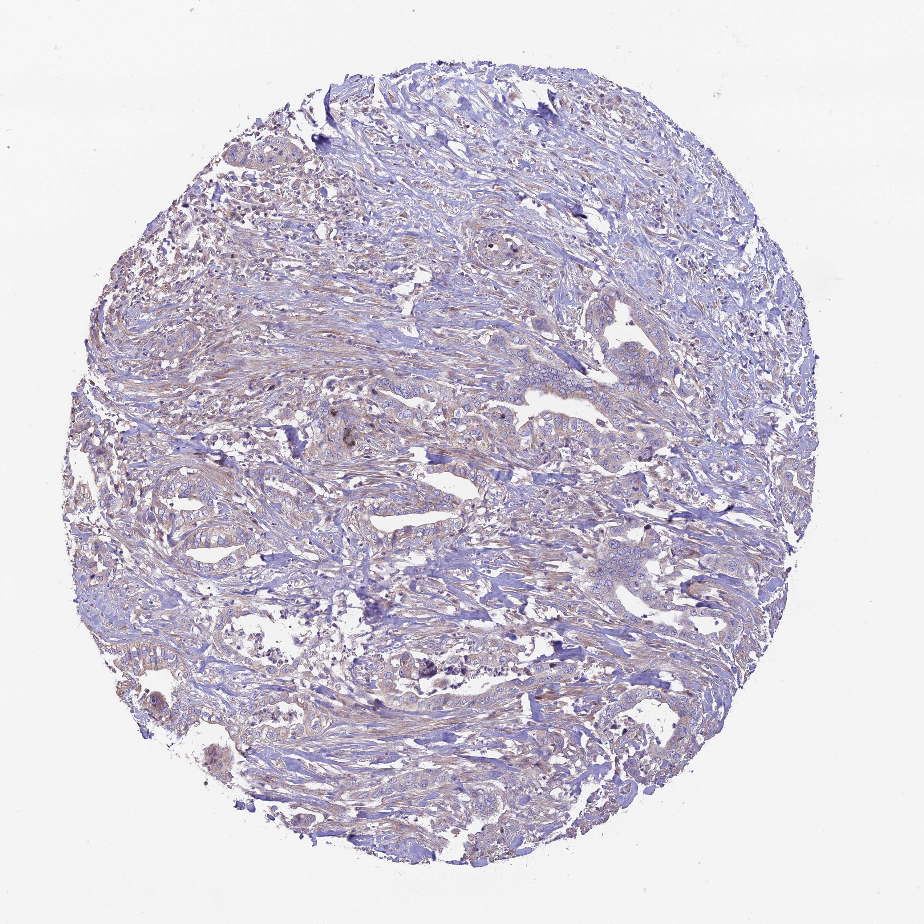
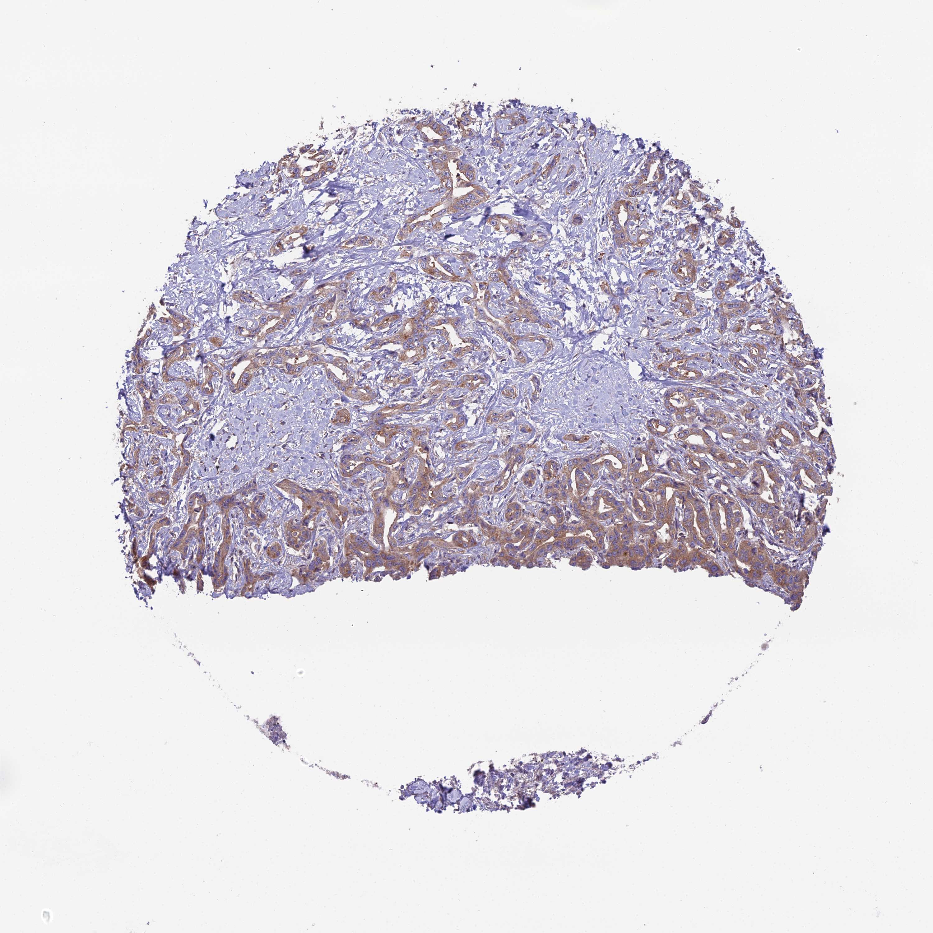
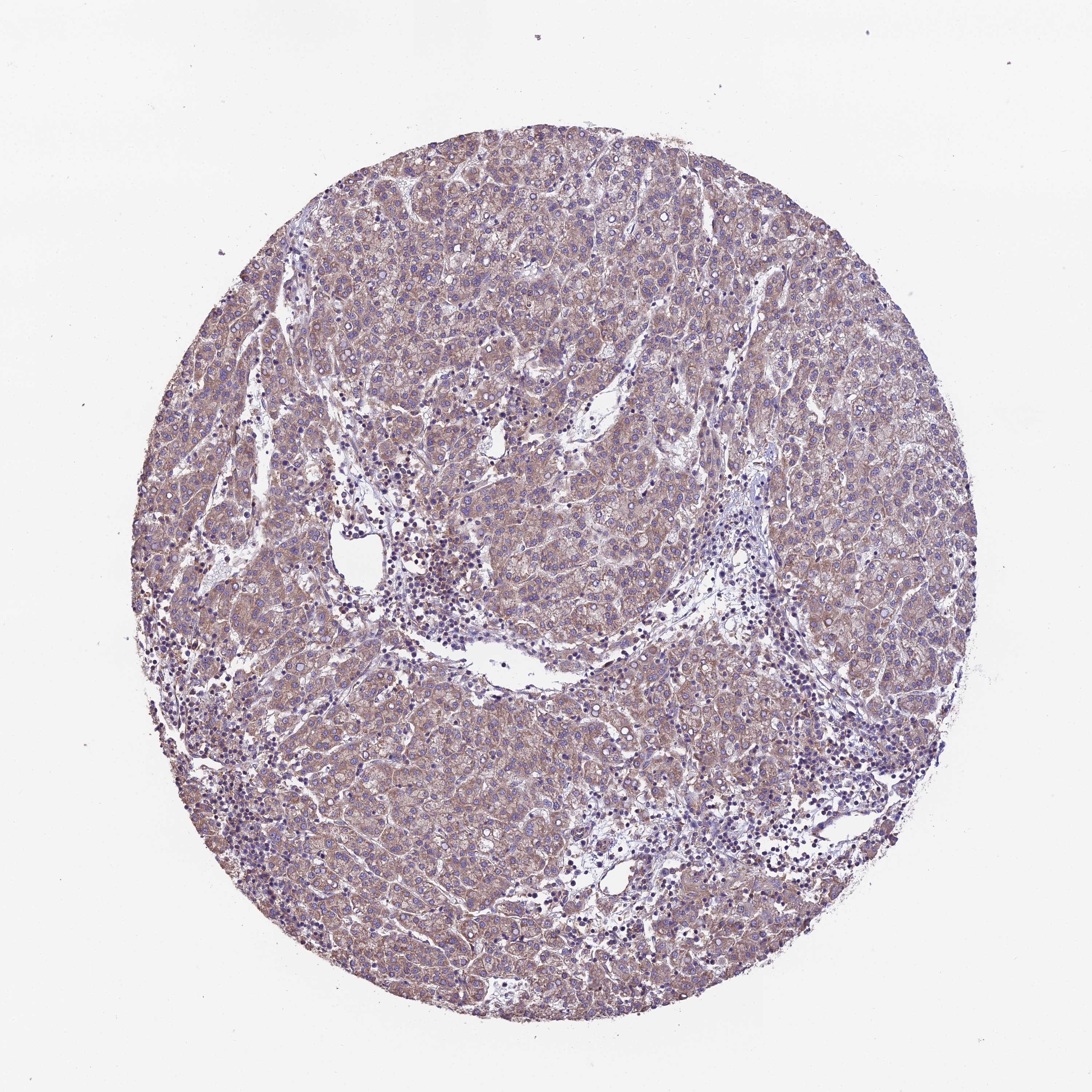
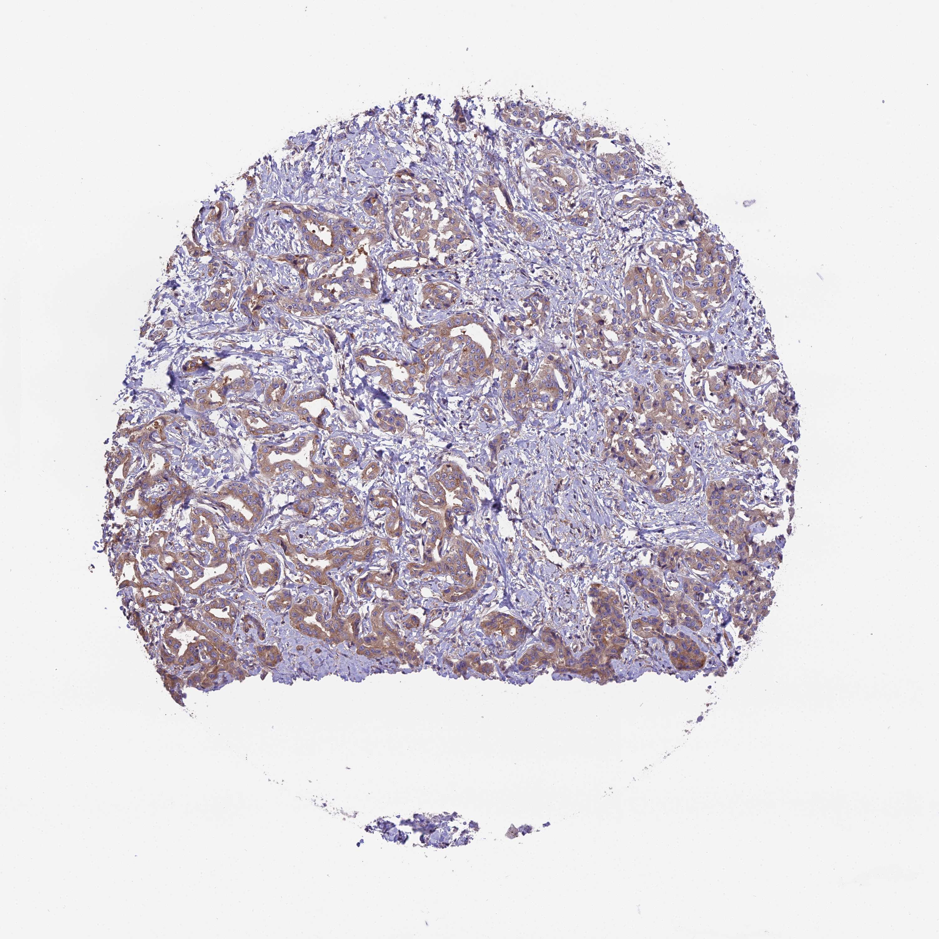
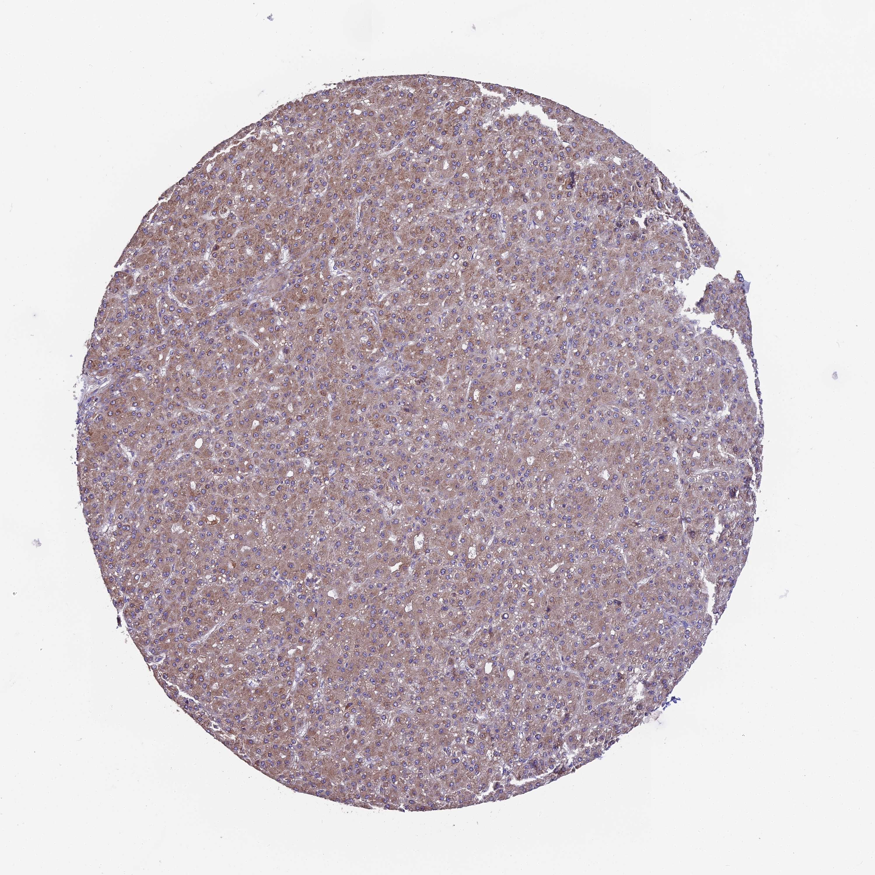
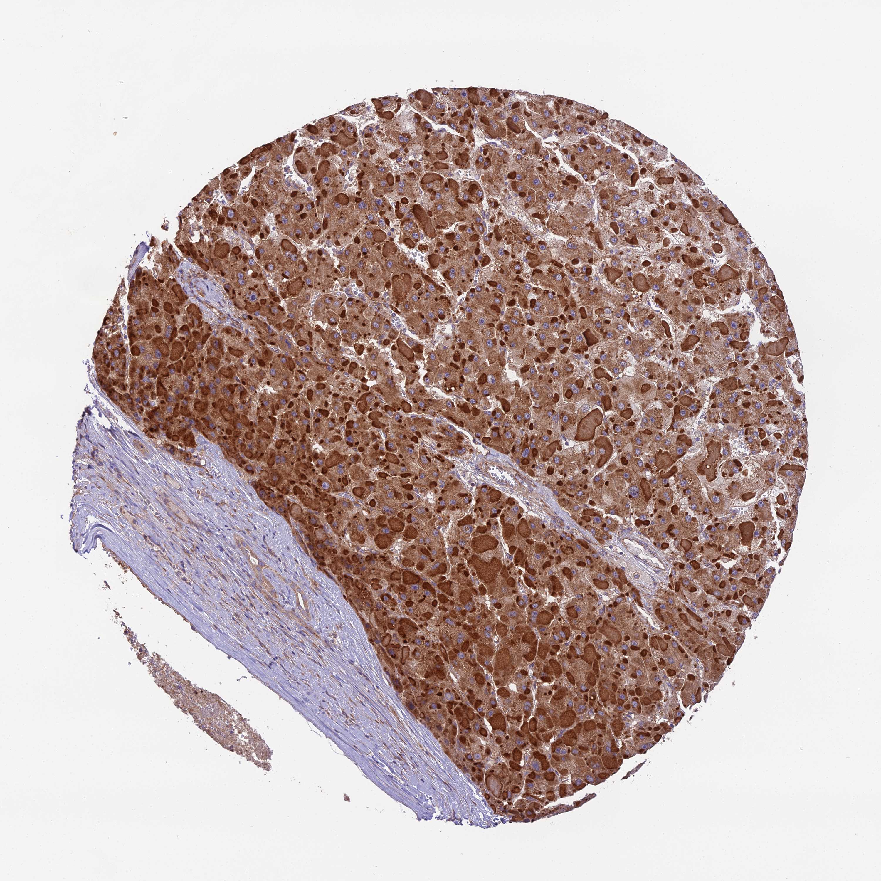
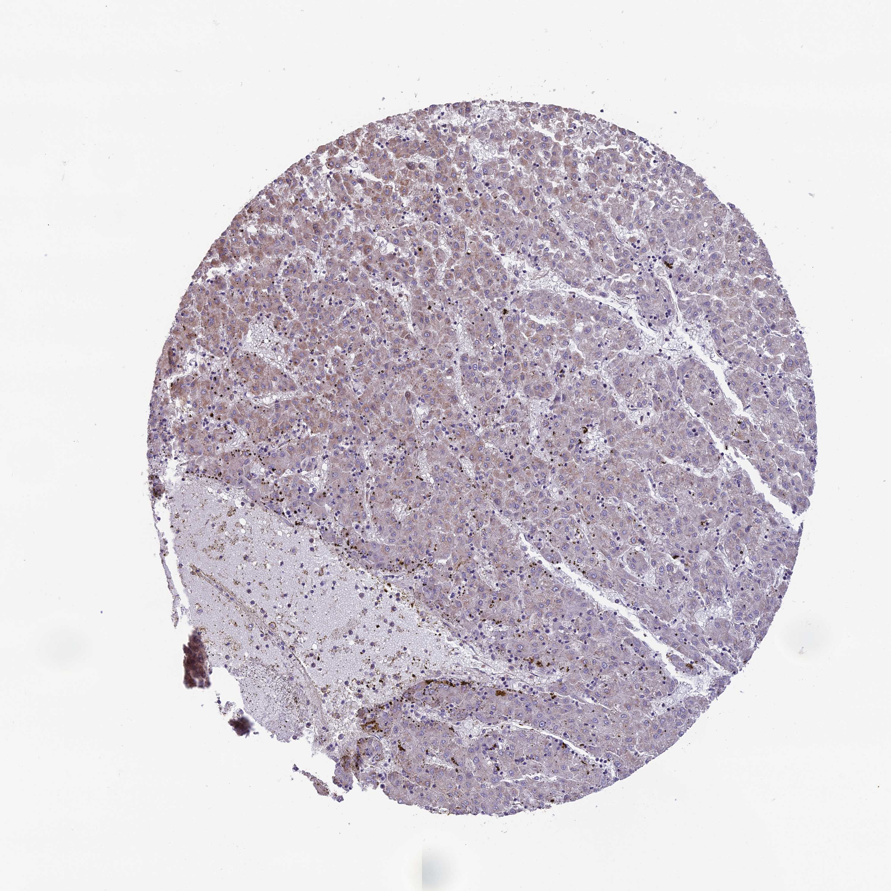
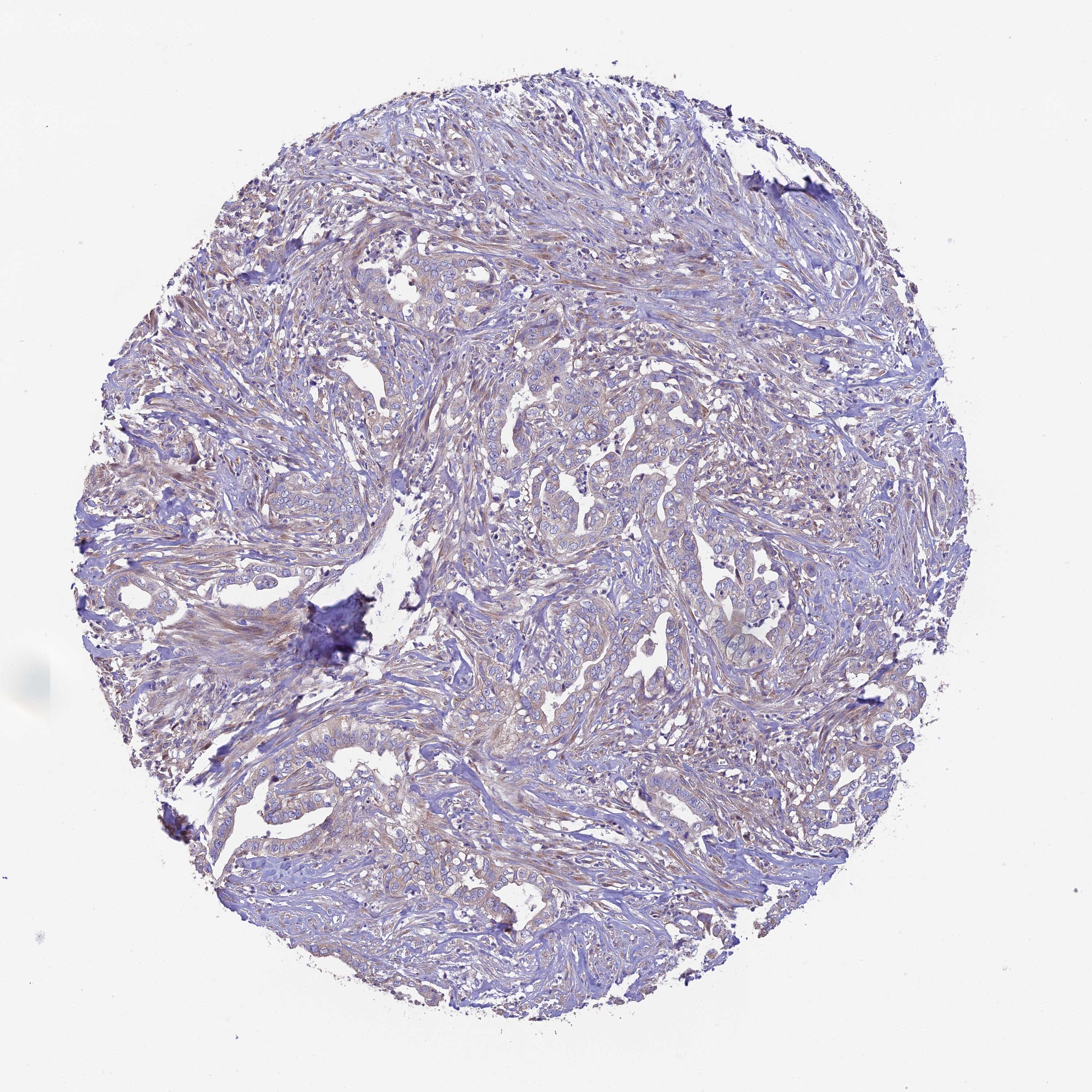
LIVER CANCER - Protein expressioni

A mouse-over function shows sample information and annotation data. Click on an image to view it in a full screen mode. Samples can be filtered based on level of antibody staining by selecting one or several of the following categories: high, medium, low and not detected. The assay and annotation is described here.

Note that samples used for immunohistochemistry by the Human Protein Atlas do not correspond to samples in the TCGA dataset.

 

Antibody stainingi

Antibody staining in the annotated cell types in the current human tissue is reported as not detected, low, medium, or high, based on conventional immunohistochemistry profiling in selected tissues. This score is based on the combination of the staining intensity and fraction of stained cells.

Each image is clickable and will lead to virtual microscopy that enables deeper exploration of all samples and also displays staining intensity scores, fraction scores and subcellular localization as well as patient and tissue information for each sample.


Antibody HPA043840
 Staining
  High
  Medium
  Low
  Not detected
 Intensity
  Strong
  Moderate
  Weak
  Negative
 Quantity
  >75%
  75%-25%
  <25%
  None
 Location
  Nuclear
  Cytoplasmic/membranous
  Cytoplasmic/membranous,nuclear
  None
Cholangiocarcinoma
Carcinoma, Hepatocellular, NOS

Contact

  • NEWS ARTICLES
  • PRESS ROOM

The Project

  • INTRODUCTION
  • ORGANIZATION
  • PUBLICATIONS

The Human Protein Atlas

  • DOWNLOADABLE DATA
  • LICENCE & CITATION
  • HELP & FAQ
The Human Protein Atlas project is funded
by the Knut & Alice Wallenberg Foundation.


contact@proteinatlas.org