We use cookies to enhance the usability of our website. If you continue, we'll assume that you are happy to receive all cookies. More information. Don't show this again.
PPP1CC
HPA
RESOURCES
  • TISSUE
  • BRAIN
  • SINGLE CELL
  • SUBCELLULAR
  • CANCER
  • BLOOD
  • CELL LINE
  • STRUCTURE & INTERACTION
ABOUT
  • INTRODUCTION
  • HISTORY
  • ORGANIZATION
  • PUBLICATIONS
  • ANTIBODY SUBMISSION
  • ANTIBODY AVAILABILITY
  • ACKNOWLEDGMENTS
  • CONTACT
NEWS
  • NEWS ARTICLES
  • PRESS ROOM
LEARN
  • DICTIONARY
  • PROTEIN CLASSES
  • PROTEIN EVIDENCE
  • METHODS
  • EDUCATIONAL VIDEOS
DATA
  • DOWNLOADABLE DATA
  • PUBLICATION DATA
  • RELEASE HISTORY
HELP
  • ANTIBODY VALIDATION
  • ASSAYS & ANNOTATION
  • DISCLAIMER
  • HELP & FAQ
  • PRIVACY STATEMENT
  • LICENCE & CITATION
Fields »
Search result

Field
Term
Gene name
Class
Subclass
Class
Keyword
Chromosome
External id
Tissue
Cell type
Expression
Antibody panel
Tissue
Main location
Patient ID
Annotation
Tissue
Category
Tau score
Cluster
Reliability
Brain region
Category
Tau score
Brain region
Category
Tau score
Brain region
Category
Tau score
Cluster
Reliability
Tissue
Cell type
Enrichment
Cell type
Category
Tau score
Cell type
Category
Tau score
Cell type
Category
Tau score
Cell lineage
Category
Tau score
Cluster
Cluster
Location
Searches
Location
Cell line
Class
Type
Phase
Reliability
Cancer
Prognosis
Cancer
Category
Cancer
Category
Tau score
Cluster
Variants
Interacting gene (ensg_id)
Type
Number of interactions
Pathway
Category
Score
Score
Score
Validation
Validation
Validation
Validation
Antibodies
Data type
Column


  • SUMMARY

  • TISSUE

  • BRAIN

  • SINGLE CELL

  • SUBCELL

  • CANCER

  • BLOOD

  • CELL LINE

  • STRUCT & INT

  • PPP1CC
TISSUE PRIMARY DATA ADIPOSE TISSUE Show tissue menu
ADIPOSE TISSUE ADRENAL GLAND AMYGDALA APPENDIX BASAL GANGLIA BONE MARROW BREAST BRONCHUS CEREBELLUM CEREBRAL CORTEX CERVIX CHOROID PLEXUS COLON DUODENUM
ENDOMETRIUM EPIDIDYMIS ESOPHAGUS FALLOPIAN TUBE GALLBLADDER HEART MUSCLE HIPPOCAMPAL FORMATION HYPOTHALAMUS KIDNEY LIVER LUNG LYMPH NODE MIDBRAIN NASOPHARYNX
ORAL MUCOSA OVARY PANCREAS PARATHYROID GLAND PITUITARY GLAND PLACENTA PROSTATE RECTUM RETINA SALIVARY GLAND SEMINAL VESICLE SKELETAL MUSCLE SKIN SMALL INTESTINE
SMOOTH MUSCLE SOFT TISSUE SPINAL CORD SPLEEN STOMACH TESTIS THYMUS THYROID GLAND TONGUE TONSIL URINARY BLADDER VAGINA
ANTIBODIES
AND
VALIDATION
Dictionary
Tissue proteome
Adipose tissue
ADIPOSE TISSUE - Expression summary
Protein expression
Adipose tissuei

On the top, protein expression in current human tissue, based on all annotated cell types, is reported with the units not detected (n), low (l), medium (m) and high (h). Underneath, protein expression in each annotated cell type are reported using the same units.

Protein expression data is based on knowledge-based annotation. For genes where more than one antibody has been used, a collective score is set.

If knowledge-based annotation could not be performed for a gene, no data is displayed here. View antibody staining data further down this page.

h
m
l
n
Adipocytes: Medium
RNA expressioni

A summary of mRNA expression data available for current tissue based on several datasets. The mRNA expression levels in human tissues are based on RNA-seq data generated by the Human Protein Atlas (HPA), Genotype-Tissue Expression (GTEx) portal and CAGE data generated by the FANTOM5 consortium. Consensus normalized expression levels for human tissues was created by combining the data from HPA and GTEx datasets.

The mRNA expression levels in pig are based on RNA-seq data generated by the Human Protein Atlas (HPA), and for mouse, HPA data and in situ hybridization generated by the Allen brain atlas are reported.

Scroll down to view mRNA expression data in more detail.
Consensus:61.1 nTPM
HPA:61.1 nTPM
GTEx:53.5 nTPM
FANTOM5:62.6 Scaled Tags Per Million

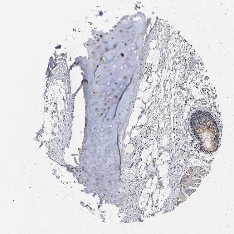
ADIPOSE TISSUE - Antibody stainingi

Antibody staining in the annotated cell types in the current human tissue is reported as not detected, low, medium, or high, based on conventional immunohistochemistry profiling in selected tissues. This score is based on the combination of the staining intensity and fraction of stained cells.

Each image is clickable and will lead to virtual microscopy that enables deeper exploration of all samples and also displays staining intensity scores, fraction scores and subcellular localization as well as patient and tissue information for each sample.

Antibody CAB022645
Adipocytes Medium





ADIPOSE TISSUE - HPA RNA-seqi

The RNA-seq details section shows detailed information about the individual samples used for the transcript profiling and results of the RNA-seq analysis.

Information about each individual sample is listed below, including gender, age, a tissue section image and estimated fractions of cell types. nTPM (normalized transcripts per million) values give a quantification of the gene abundance which is comparable between different genes and samples.
Average nTPMi

Max subtype nTPM is the value for the subtype with the largest average nTPM across the subtype samples.

61.1
N/A
Female, age 80
Adipose tissue sample 86
nTPM: 55
Cell types%
Adipocytes:
95

Other cell types:
5

N/A
Female, age 45
Adipose tissue sample 115
nTPM: 76.4
N/A
Female, age 57
Adipose tissue sample 137
nTPM: 70.4
Cell types%
Adipocytes:
60

Fibroblasts:
20

Smooth muscle cells:
15

Other cell types:
5

overview
Female, age 74
Adipose tissue sample 329
nTPM: 56.6
Cell types%
Adipocytes:
50

Fibroblasts:
30

Smooth muscle cells:
15

Other cell types:
5

overview
Female, age 59
Adipose tissue sample 331
nTPM: 47.1
Cell types%
Adipocytes:
40

Fibroblasts:
40

Smooth muscle cells:
15

Other cell types:
5


ADIPOSE TISSUE - GTEx RNA-seqi

RNA-Seq data generated by the Genotype-Tissue Expression (GTEx) project from human tissues is reported as mean nTPM. More information can be found on the GTEx portal.

Distribution across the dataset is visualized with box plots, shown as median and 25th and 75th percentiles. Points are displayed as outliers if they are above or below 1.5 times the interquartile range. nTPM values of the individual samples are presented next to the box plot.
Max subtype nTPMi

Max subtype nTPM is the value for the subtype with the largest average nTPM across the subtype samples.

53.5
GTEx sample id Sample description nTPM
Adipose - Subcutaneous
Average nTPM: 53.1
Samples: 663

Max nTPM: 94.0
Min nTPM: 28.6
Std nTPM: 7.5
Median nTPM: 52.3
GTEX-14E6C-0226-SM-5S2N3 40-49 years, male 94.0
GTEX-QDT8-0226-SM-32PL4 30-39 years, female 84.8
GTEX-1JN1M-0126-SM-D4P23 60-69 years, female 84.5
GTEX-VUSH-0226-SM-EXUQV 30-39 years, male 84.1
GTEX-POYW-0726-SM-2XCEO 60-69 years, male 83.2
GTEX-1JMQL-0326-SM-CNPP6 50-59 years, female 82.7
GTEX-XBEC-0326-SM-4AT4M 50-59 years, male 80.4
GTEX-REY6-0326-SM-2TF5A 60-69 years, male 79.4
GTEX-144GO-1626-SM-7EPG5 60-69 years, male 78.5
GTEX-1PWST-0326-SM-EAZ42 70-79 years, male 77.6
GTEX-14ICK-0326-SM-6LLIZ 40-49 years, male 76.1
GTEX-TSE9-0226-SM-3DB84 60-69 years, female 73.3
GTEX-T5JW-1726-SM-3GADN 20-29 years, female 73.1
GTEX-WEY5-1926-SM-3GIL8 40-49 years, female 72.5
GTEX-1MCYP-1826-SM-E9J2Q 20-29 years, female 72.4
GTEX-VJWN-0226-SM-EZ6LF 50-59 years, female 71.7
GTEX-1N2EF-0626-SM-E9J32 60-69 years, male 71.2
GTEX-146FH-0226-SM-5QGPQ 50-59 years, female 70.5
GTEX-ZVT4-0226-SM-51MSD 50-59 years, female 70.4
GTEX-13O1R-0226-SM-5K7U5 60-69 years, male 69.7
GTEX-R53T-1626-SM-3GAEW 50-59 years, female 69.3
GTEX-1B8KE-2526-SM-73KYQ 50-59 years, male 68.4
GTEX-SNMC-1326-SM-2XCFK 20-29 years, male 68.2
GTEX-1HSMO-0226-SM-CGQEZ 60-69 years, male 68.0
GTEX-1K2DA-2126-SM-CGQGL 50-59 years, male 67.9
GTEX-Y3IK-2526-SM-4WWDM 50-59 years, female 67.8
GTEX-1A32A-0226-SM-718B2 50-59 years, female 67.0
GTEX-11EQ9-2526-SM-5HL66 30-39 years, male 66.8
GTEX-1OJC4-1726-SM-EXUSV 50-59 years, female 66.8
GTEX-ZZPU-2726-SM-5NQ8O 50-59 years, female 66.1
GTEX-1CB4J-1126-SM-7PBY1 60-69 years, male 65.6
GTEX-1A8FM-0126-SM-7SB7P 50-59 years, female 65.2
GTEX-SSA3-0226-SM-32QPN 60-69 years, male 65.0
GTEX-148VI-1726-SM-5S2W9 60-69 years, female 64.9
GTEX-17KNJ-2226-SM-DKPOU 50-59 years, male 64.9
GTEX-POMQ-2326-SM-DHXIS 20-29 years, female 64.9
GTEX-13OVI-1326-SM-5IJBO 60-69 years, female 64.8
GTEX-U412-0526-SM-3DB9I 60-69 years, male 64.8
GTEX-X4XY-0326-SM-46MVZ 60-69 years, male 64.7
GTEX-1GN2E-0326-SM-COH3C 60-69 years, male 64.5
GTEX-X8HC-0226-SM-4E3K1 50-59 years, female 64.2
GTEX-1QW4Y-1626-SM-EAZ41 30-39 years, male 64.2
GTEX-Y5V6-2526-SM-5IFJV 60-69 years, male 64.1
GTEX-ZYFD-0226-SM-5NQ86 50-59 years, male 63.7
GTEX-Q2AH-1726-SM-DIPDV 40-49 years, male 63.7
GTEX-1IL2V-0226-SM-CMKI2 70-79 years, male 63.6
GTEX-1H1CY-2626-SM-9MQKJ 60-69 years, female 63.5
GTEX-11GSO-2326-SM-5A5LX 60-69 years, male 63.4
GTEX-RVPV-1526-SM-EXOHF 60-69 years, male 63.3
GTEX-17MF6-0226-SM-7LG4G 40-49 years, male 63.2
GTEX-1JJE9-1226-SM-CNPOI 70-79 years, male 63.2
GTEX-1JN6P-0226-SM-COH34 60-69 years, male 63.2
GTEX-1IKJJ-0226-SM-COH3T 60-69 years, male 63.1
GTEX-ZYVF-0226-SM-5GIEG 50-59 years, female 63.0
GTEX-1I1GS-0226-SM-B2LVX 60-69 years, male 63.0
GTEX-1OFPY-2326-SM-E8VNU 60-69 years, male 63.0
GTEX-1H1DE-2026-SM-9WG6Q 20-29 years, male 62.9
GTEX-11TUW-2626-SM-5EQKZ 60-69 years, male 62.8
GTEX-1IGQW-0226-SM-COH43 60-69 years, male 62.8
GTEX-1H1ZS-0526-SM-9WG5L 70-79 years, male 62.7
GTEX-1128S-2126-SM-5H12U 60-69 years, female 62.6
GTEX-14JG6-2326-SM-6LLH3 30-39 years, female 62.6
GTEX-YB5K-2226-SM-4WWG1 40-49 years, female 62.6
GTEX-14PJM-0326-SM-62LF2 50-59 years, female 62.5
GTEX-ZDTT-2626-SM-5S2OP 60-69 years, male 62.5
GTEX-1I1GP-2326-SM-CGQFL 50-59 years, male 62.3
GTEX-1LSNL-0526-SM-DIPFI 50-59 years, male 62.2
GTEX-1LG7Y-0426-SM-DKPQB 50-59 years, male 62.0
GTEX-1B8SG-0226-SM-7939Q 50-59 years, male 61.9
GTEX-SN8G-0226-SM-4DM6B 50-59 years, female 61.2
GTEX-U3ZN-2626-SM-3DB7T 30-39 years, female 61.2
GTEX-1J8EW-0226-SM-CYPSW 60-69 years, female 61.2
GTEX-VJYA-1326-SM-3GIJC 60-69 years, male 61.1
GTEX-XLM4-0226-SM-4AT4N 60-69 years, male 60.9
GTEX-ZYY3-0226-SM-5E45M 60-69 years, female 60.9
GTEX-1B996-0126-SM-7PBYF 60-69 years, male 60.9
GTEX-1F75A-0226-SM-7PC2K 50-59 years, male 60.9
GTEX-1117F-0226-SM-5GZZ7 60-69 years, female 60.6
GTEX-OIZI-0226-SM-2XCEE 40-49 years, male 60.6
GTEX-P44H-0326-SM-2XCES 40-49 years, male 60.6
GTEX-18A6Q-0226-SM-718AS 60-69 years, male 60.5
GTEX-Z93S-0226-SM-5HL7R 50-59 years, male 60.5
GTEX-1HT8W-0226-SM-CMKGT 30-39 years, male 60.5
GTEX-1S5ZU-0226-SM-E6CHW 20-29 years, female 60.5
GTEX-11PRG-0626-SM-5BC56 50-59 years, male 60.2
GTEX-12ZZX-0226-SM-5DUXU 40-49 years, female 60.2
GTEX-TMZS-0226-SM-3DB9N 60-69 years, male 60.2
GTEX-X4EO-0426-SM-4QASA 60-69 years, female 60.2
GTEX-1HR98-0226-SM-CGQEK 60-69 years, male 60.2
GTEX-17EVP-0426-SM-79OKG 40-49 years, male 60.1
GTEX-XQ3S-1626-SM-4WAYN 20-29 years, male 60.0
GTEX-13JVG-0226-SM-5J1MW 60-69 years, male 59.9
GTEX-1JN76-0226-SM-CMKGO 20-29 years, female 59.9
GTEX-R3RS-0226-SM-EYYVE 40-49 years, female 59.9
GTEX-R45C-0226-SM-EVYAJ 60-69 years, female 59.9
GTEX-15UKP-0526-SM-7KFRO 20-29 years, male 59.8
GTEX-OHPK-0226-SM-3MJH6 50-59 years, female 59.8
GTEX-XUYS-0226-SM-47JX1 50-59 years, male 59.8
GTEX-ZVTK-0526-SM-5GZWT 20-29 years, male 59.8
GTEX-ZYT6-0326-SM-7LG5R 30-39 years, male 59.8
GTEX-1JK1U-2126-SM-CNPOU 60-69 years, male 59.8
GTEX-13N1W-0226-SM-5K7W6 70-79 years, male 59.7
GTEX-VUSG-2426-SM-4KKZG 50-59 years, male 59.7
GTEX-1F88E-0526-SM-7SB8J 60-69 years, female 59.7
GTEX-1IOXB-0226-SM-CMKHY 50-59 years, male 59.7
GTEX-1HCVE-0226-SM-CGQEV 50-59 years, male 59.6
GTEX-1R9K5-0226-SM-EWRNF 50-59 years, male 59.6
GTEX-14DAQ-0226-SM-664MQ 60-69 years, female 59.4
GTEX-1GN73-0326-SM-9KNTW 60-69 years, male 59.4
GTEX-1I1CD-0226-SM-CM2TL 60-69 years, female 59.3
GTEX-12126-0426-SM-5Q5AP 20-29 years, male 59.2
GTEX-14PJ6-2226-SM-6LLIV 60-69 years, female 59.2
GTEX-14JG1-0526-SM-6LLHW 40-49 years, male 59.1
GTEX-1HCU6-0226-SM-CGQES 60-69 years, female 59.1
GTEX-PX3G-0226-SM-DKPOF 20-29 years, female 59.1
GTEX-ZE7O-0226-SM-5S2N1 50-59 years, female 59.0
GTEX-1H3O1-0526-SM-9MQLS 60-69 years, male 59.0
GTEX-RNOR-0226-SM-EZ6MF 50-59 years, female 59.0
GTEX-ZT9X-1926-SM-57WE7 40-49 years, male 58.9
GTEX-13PVQ-0226-SM-5SIBG 50-59 years, male 58.7
GTEX-1C4CL-0426-SM-7939N 30-39 years, male 58.7
GTEX-13S7M-0226-SM-5S2UG 60-69 years, female 58.6
GTEX-183WM-0226-SM-7LT8T 70-79 years, female 58.6
GTEX-QDVN-2126-SM-33HBS 50-59 years, male 58.6
GTEX-12WSL-2426-SM-5GCN7 50-59 years, male 58.5
GTEX-QEL4-0326-SM-3GAE5 50-59 years, male 58.3
GTEX-PWCY-1926-SM-3NB25 20-29 years, female 58.2
GTEX-S33H-1126-SM-2XCB6 30-39 years, male 58.2
GTEX-WFJO-1926-SM-3GILA 30-39 years, male 58.2
GTEX-1H3VE-0226-SM-9WYST 40-49 years, male 58.2
GTEX-1MCC2-2326-SM-E9U5G 30-39 years, female 58.1
GTEX-11TTK-0226-SM-5N9EC 60-69 years, female 58.0
GTEX-139TT-0226-SM-5K7YH 60-69 years, male 57.9
GTEX-WH7G-2226-SM-3NMBN 40-49 years, male 57.9
GTEX-WVLH-0226-SM-3MJG6 50-59 years, male 57.9
GTEX-X5EB-2426-SM-4E3HX 40-49 years, male 57.9
GTEX-Y111-0226-SM-4SOIW 50-59 years, male 57.9
GTEX-131YS-0226-SM-5IJEH 60-69 years, female 57.8
GTEX-11H98-0226-SM-5NQ89 50-59 years, male 57.7
GTEX-1I4MK-2026-SM-B2LVR 50-59 years, female 57.7
GTEX-15RIE-2326-SM-7KFSC 60-69 years, male 57.6
GTEX-16MT8-0526-SM-6PAM6 60-69 years, female 57.6
GTEX-Y8LW-1926-SM-4WWFZ 50-59 years, female 57.6
GTEX-1LB8K-0326-SM-E9TJC 50-59 years, male 57.6
GTEX-1NHNU-1126-SM-E9J2C 50-59 years, male 57.6
GTEX-13FTW-2526-SM-5IJC8 40-49 years, male 57.5
GTEX-18A7A-0326-SM-731AT 50-59 years, female 57.5
GTEX-1CB4H-0326-SM-9WG5G 60-69 years, female 57.5
GTEX-13SLW-0226-SM-5S2NA 70-79 years, male 57.4
GTEX-1GF9X-1926-SM-ADEIC 40-49 years, female 57.4
GTEX-1KANA-0826-SM-D3L9J 20-29 years, male 57.4
GTEX-1JMQK-0126-SM-CM2S3 60-69 years, male 57.3
GTEX-1QCLY-0526-SM-EAZ47 30-39 years, male 57.3
GTEX-Q734-1826-SM-2I3EL 40-49 years, female 57.2
GTEX-RWSA-0226-SM-2XCBA 40-49 years, male 57.2
GTEX-1B8L1-2626-SM-7SB77 60-69 years, male 57.2
GTEX-1POEN-0226-SM-EYYXE 30-39 years, female 57.2
GTEX-1EMGI-0226-SM-9MQL1 60-69 years, male 57.1
GTEX-1CAMQ-0126-SM-7SB7S 40-49 years, male 57.0
GTEX-1EU9M-0326-SM-7RHGF 60-69 years, male 57.0
GTEX-16YQH-0226-SM-6PALD 30-39 years, male 56.9
GTEX-U8XE-0426-SM-3DB91 30-39 years, male 56.9
GTEX-ZVE2-0326-SM-57WFC 50-59 years, male 56.9
GTEX-11NUK-0326-SM-5HL5K 50-59 years, male 56.9
GTEX-S32W-2226-SM-2XCAY 50-59 years, female 56.8
GTEX-1EX96-1426-SM-7PBZ5 50-59 years, male 56.8
GTEX-1I1GR-0226-SM-CMKHQ 60-69 years, male 56.8
GTEX-1PBJI-0426-SM-E8VNM 20-29 years, female 56.8
GTEX-11TT1-2426-SM-5EQMK 20-29 years, male 56.7
GTEX-1C6VS-0426-SM-79OJV 60-69 years, male 56.7
GTEX-111FC-0226-SM-5N9B8 60-69 years, male 56.6
GTEX-13OVJ-0326-SM-5L3GL 50-59 years, female 56.6
GTEX-ZP4G-2326-SM-57WEM 20-29 years, female 56.6
GTEX-1LVAO-0226-SM-E9U6O 60-69 years, male 56.6
GTEX-15ER7-0426-SM-6PAM3 20-29 years, female 56.5
GTEX-18465-0226-SM-7LG5M 50-59 years, male 56.5
GTEX-1AX9J-0326-SM-73KXY 60-69 years, male 56.5
GTEX-QESD-1526-SM-2S1QT 20-29 years, male 56.5
GTEX-R55G-2426-SM-2TC5I 40-49 years, female 56.5
GTEX-ZUA1-0226-SM-5NQ9Q 40-49 years, male 56.5
GTEX-16XZZ-0226-SM-7MGVJ 60-69 years, male 56.5
GTEX-1HSGN-0126-SM-CGQFU 40-49 years, female 56.5
GTEX-13OVL-0326-SM-5IJCS 50-59 years, male 56.4
GTEX-1GMRU-0226-SM-9YFLW 50-59 years, male 56.4
GTEX-12696-2526-SM-5EQLN 60-69 years, male 56.3
GTEX-1IDJD-1226-SM-CM2TP 30-39 years, male 56.3
GTEX-13SLX-0426-SM-5QGRC 50-59 years, female 56.2
GTEX-144GM-1926-SM-5LUAN 20-29 years, male 56.2
GTEX-1GTWX-0226-SM-9YFLL 60-69 years, male 56.2
GTEX-13112-2726-SM-5DUW5 50-59 years, male 56.1
GTEX-17HII-0326-SM-7LG4X 50-59 years, male 56.0
GTEX-ZTPG-0226-SM-5O99I 20-29 years, female 56.0
GTEX-1HCU7-0326-SM-CMKGI 50-59 years, male 56.0
GTEX-11UD2-0126-SM-5EQL2 50-59 years, male 55.9
GTEX-XUZC-1826-SM-4BRVO 30-39 years, female 55.9
GTEX-ZYFC-0326-SM-5NQ7H 50-59 years, male 55.9
GTEX-1LVAN-0126-SM-COH4H 50-59 years, female 55.9
GTEX-14BMV-0226-SM-5S2N2 50-59 years, male 55.8
GTEX-1HBPH-0526-SM-9YFMN 40-49 years, female 55.8
GTEX-13X6K-0226-SM-5QGPB 60-69 years, female 55.7
GTEX-12WSA-0326-SM-5BC6I 60-69 years, male 55.6
GTEX-15ETS-0426-SM-6PANI 40-49 years, female 55.6
GTEX-WY7C-2426-SM-3NB2V 50-59 years, male 55.6
GTEX-1HCU8-0726-SM-ADEIR 60-69 years, female 55.6
GTEX-12584-0226-SM-5EQL5 40-49 years, male 55.5
GTEX-13OVK-2126-SM-6PAN1 40-49 years, male 55.5
GTEX-15DDE-0226-SM-6LLJ6 50-59 years, female 55.5
GTEX-16MTA-2126-SM-6PALC 50-59 years, male 55.5
GTEX-SIU8-0226-SM-2XCDS 50-59 years, male 55.5
GTEX-1I1GT-0526-SM-CGQEQ 60-69 years, female 55.5
GTEX-1J1OQ-0326-SM-CYPTJ 40-49 years, female 55.5
GTEX-1PIIG-0326-SM-EVYBV 30-39 years, male 55.5
GTEX-1R7EU-0326-SM-EWRNJ 60-69 years, male 55.5
GTEX-T6MN-0226-SM-32PMD 50-59 years, male 55.4
GTEX-XK95-0426-SM-4AT4R 40-49 years, male 55.4
GTEX-1A3MW-0226-SM-7939O 60-69 years, female 55.3
GTEX-1MUQO-0526-SM-E9J31 60-69 years, male 55.3
GTEX-SNOS-1426-SM-32PLY 40-49 years, male 55.2
GTEX-1JMLX-0126-SM-CMKG9 50-59 years, male 55.2
GTEX-11DZ1-0226-SM-5A5KF 50-59 years, male 55.1
GTEX-X15G-2326-SM-4PQZS 50-59 years, female 55.1
GTEX-1GZ4I-0226-SM-7RHHO 50-59 years, male 55.1
GTEX-QMRM-1726-SM-2S1QG 50-59 years, male 55.0
GTEX-1FIGZ-1626-SM-7SB8L 40-49 years, male 55.0
GTEX-1I19N-0426-SM-ACKVY 70-79 years, male 55.0
GTEX-13FHP-0226-SM-5K7WD 50-59 years, male 54.9
GTEX-17HG3-2326-SM-79OKH 30-39 years, female 54.9
GTEX-ZPCL-2126-SM-57WFZ 60-69 years, female 54.9
GTEX-ZVT2-2226-SM-5NQ6P 50-59 years, female 54.9
GTEX-145MI-0426-SM-5O99V 60-69 years, female 54.8
GTEX-16NPX-0326-SM-7EWDI 50-59 years, male 54.8
GTEX-YJ8A-0526-SM-5IFHT 20-29 years, male 54.8
GTEX-ZPIC-1826-SM-57WFE 40-49 years, female 54.8
GTEX-1GMR8-0226-SM-9YFL3 50-59 years, female 54.8
GTEX-11I78-2626-SM-5Q5AI 50-59 years, female 54.7
GTEX-139T8-0226-SM-5L3EA 60-69 years, male 54.7
GTEX-147F3-0626-SM-5NQ9I 50-59 years, female 54.7
GTEX-14E6D-0226-SM-62LDW 50-59 years, male 54.7
GTEX-ZC5H-0126-SM-4WAYL 40-49 years, female 54.7
GTEX-1HCUA-2226-SM-ADEHF 50-59 years, female 54.7
GTEX-1RAZQ-0626-SM-E8VOR 30-39 years, male 54.7
GTEX-13G51-2626-SM-5LZYW 60-69 years, male 54.6
GTEX-T8EM-1126-SM-3DB7D 40-49 years, male 54.6
GTEX-WL46-0326-SM-3LK6Y 50-59 years, male 54.6
GTEX-X261-0226-SM-3NMD2 50-59 years, male 54.6
GTEX-1CAMS-0326-SM-7PC35 40-49 years, female 54.6
GTEX-1F75I-0426-SM-7PC3S 40-49 years, male 54.6
GTEX-U3ZM-1026-SM-EZ6LD 40-49 years, male 54.6
GTEX-13113-1826-SM-5LZW4 60-69 years, female 54.5
GTEX-14E1K-2126-SM-793DU 50-59 years, male 54.5
GTEX-18A66-0326-SM-718BE 60-69 years, male 54.5
GTEX-SJXC-0226-SM-2XCDU 60-69 years, male 54.5
GTEX-T2IS-0226-SM-32QPH 20-29 years, female 54.5
GTEX-13NYB-2626-SM-9YFMI 40-49 years, male 54.5
GTEX-1H1DF-0226-SM-ARL9A 40-49 years, female 54.5
GTEX-1ICLZ-0226-SM-CKZPP 60-69 years, male 54.5
GTEX-1R9PM-2126-SM-E8VOB 20-29 years, male 54.5
GTEX-13O3Q-2326-SM-5KM3G 50-59 years, male 54.4
GTEX-144GL-0226-SM-5QGOX 50-59 years, male 54.4
GTEX-15SDE-2426-SM-7KFRC 50-59 years, female 54.4
GTEX-1B933-0526-SM-7EPHM 50-59 years, female 54.4
GTEX-ZAK1-0226-SM-5CVMX 50-59 years, female 54.4
GTEX-ZDYS-2126-SM-5S2P2 50-59 years, male 54.4
GTEX-14BIL-0226-SM-5SI9E 50-59 years, male 54.3
GTEX-1KAFJ-2426-SM-D4P32 50-59 years, male 54.3
GTEX-1KXAM-2326-SM-CYPTD 60-69 years, male 54.3
GTEX-1LVA9-0226-SM-E9U5N 50-59 years, male 54.3
GTEX-W5X1-2626-SM-4LMI8 40-49 years, female 54.2
GTEX-ZE9C-2826-SM-5S2MO 60-69 years, male 54.2
GTEX-1MJK2-0526-SM-DTXE6 50-59 years, male 54.2
GTEX-1EWIQ-0226-SM-793D3 70-79 years, female 54.1
GTEX-1CB4G-0326-SM-7SB8R 60-69 years, male 54.1
GTEX-1I1GU-2326-SM-CGQFB 40-49 years, male 54.1
GTEX-11OF3-2426-SM-5Q5AS 60-69 years, male 54.0
GTEX-13OW8-1226-SM-5K7XD 60-69 years, male 54.0
GTEX-1A8G6-0526-SM-7PC1E 60-69 years, male 54.0
GTEX-1H23P-0226-SM-9YFLO 60-69 years, male 54.0
GTEX-13O3P-0226-SM-5KM3Z 50-59 years, male 53.9
GTEX-P78B-0226-SM-3NB1Z 40-49 years, female 53.9
GTEX-WVJS-0226-SM-4MVOU 50-59 years, male 53.9
GTEX-ZXG5-0226-SM-59HJI 60-69 years, male 53.9
GTEX-YJ8O-2426-SM-5HL7S 40-49 years, female 53.8
GTEX-1399T-2726-SM-5K7XK 60-69 years, male 53.7
GTEX-144FL-0226-SM-5Q5D4 50-59 years, male 53.7
GTEX-14ABY-0326-SM-5TDDK 50-59 years, male 53.7
GTEX-ZF3C-0226-SM-4WWB3 50-59 years, female 53.7
GTEX-1F6I4-0226-SM-9MQMA 60-69 years, male 53.7
GTEX-ZEX8-2326-SM-5S2MN 50-59 years, male 53.6
GTEX-1H2FU-0226-SM-9YFKO 60-69 years, female 53.5
GTEX-1I6K6-0226-SM-ADEID 30-39 years, male 53.5
GTEX-13NZ9-0526-SM-5J1OX 50-59 years, male 53.4
GTEX-14PK6-2026-SM-6LLHP 70-79 years, female 53.4
GTEX-1C6VQ-0226-SM-7P8S5 50-59 years, male 53.4
GTEX-1I1HK-0226-SM-COH4A 60-69 years, male 53.4
GTEX-1JKYR-0226-SM-CNPOK 20-29 years, male 53.4
GTEX-11UD1-0226-SM-5EQKL 40-49 years, female 53.3
GTEX-13RTJ-2526-SM-5S2Q3 60-69 years, male 53.3
GTEX-147JS-0426-SM-5TDD2 60-69 years, male 53.3
GTEX-OHPN-0226-SM-48TBV 60-69 years, female 53.3
GTEX-1RAZA-0226-SM-E9U4W 20-29 years, male 53.3
GTEX-1S83E-0226-SM-EVYCW 40-49 years, male 53.3
GTEX-14BIN-0726-SM-793DQ 50-59 years, female 53.2
GTEX-1E2YA-0226-SM-9MQLY 50-59 years, male 53.2
GTEX-1IY9M-0226-SM-CMKHP 60-69 years, male 53.2
GTEX-13VXT-0226-SM-5LU9Q 20-29 years, female 53.1
GTEX-1AYCT-2226-SM-7SB98 50-59 years, male 53.1
GTEX-1F75W-0226-SM-9JGGP 60-69 years, male 53.1
GTEX-16BQI-0526-SM-6PAM8 30-39 years, female 53.0
GTEX-ZAJG-0226-SM-5HL81 50-59 years, female 53.0
GTEX-1HB9E-0426-SM-CNPPV 50-59 years, male 53.0
GTEX-1HFI7-2026-SM-CGQFR 50-59 years, female 53.0
GTEX-1QP28-0226-SM-E9J2N 50-59 years, female 53.0
GTEX-1R7EV-1926-SM-EVYBF 40-49 years, male 53.0
GTEX-O5YT-0226-SM-32PK5 20-29 years, male 52.9
GTEX-1GZ2Q-0326-SM-9WG6N 40-49 years, male 52.9
GTEX-14PJ4-2226-SM-6LLIS 60-69 years, male 52.8
GTEX-RTLS-0226-SM-2TF5E 60-69 years, female 52.8
GTEX-RU72-1026-SM-46MUG 50-59 years, female 52.8
GTEX-T6MO-1726-SM-33HB8 40-49 years, female 52.8
GTEX-18QFQ-0226-SM-731BQ 30-39 years, male 52.7
GTEX-16GPK-0226-SM-7DUFI 60-69 years, male 52.6
GTEX-YFC4-0226-SM-57WD2 40-49 years, female 52.6
GTEX-131XW-0526-SM-5PNXZ 50-59 years, female 52.5
GTEX-1C6WA-0226-SM-7IGPO 60-69 years, male 52.5
GTEX-S7SE-0226-SM-2XCD4 50-59 years, male 52.5
GTEX-XXEK-2426-SM-4BRUS 50-59 years, male 52.5
GTEX-1I1GQ-0226-SM-COH3I 50-59 years, male 52.5
GTEX-P4PP-0226-SM-D4P1Z 30-39 years, female 52.5
GTEX-PLZ4-0226-SM-CYPR1 50-59 years, female 52.5
GTEX-1AX9I-0226-SM-7SB75 60-69 years, male 52.4
GTEX-145LS-0226-SM-5O9A5 60-69 years, female 52.3
GTEX-17HHY-0226-SM-793BQ 50-59 years, male 52.3
GTEX-X638-0226-SM-47JZ9 70-79 years, female 52.3
GTEX-ZYW4-0226-SM-5E44M 60-69 years, male 52.3
GTEX-1QP6S-0126-SM-E9J4K 40-49 years, male 52.2
GTEX-11EQ8-0226-SM-5EQ5G 60-69 years, male 52.1
GTEX-132QS-2526-SM-62LFJ 60-69 years, male 52.1
GTEX-17MFQ-1826-SM-7DHLS 20-29 years, male 52.1
GTEX-1GF9V-0226-SM-9MQKA 60-69 years, male 52.1
GTEX-1GZ4H-1826-SM-9MQLE 50-59 years, female 52.1
GTEX-1HSMP-0226-SM-CGQFI 70-79 years, male 52.1
GTEX-1M5QR-2126-SM-DKPQM 40-49 years, male 52.1
GTEX-14C5O-0226-SM-5SI6O 60-69 years, male 52.0
GTEX-1B97I-1726-SM-7939V 40-49 years, male 52.0
GTEX-OOBJ-0226-SM-2YUMM 60-69 years, male 52.0
GTEX-XBED-2326-SM-47JYR 60-69 years, male 52.0
GTEX-XMK1-2226-SM-4B673 40-49 years, male 52.0
GTEX-1B932-0226-SM-7PBYH 40-49 years, female 52.0
GTEX-1QPFJ-0126-SM-E9J4B 30-39 years, female 52.0
GTEX-11ZU8-2426-SM-5EQMV 60-69 years, male 51.9
GTEX-1HSKV-0326-SM-ADEJC 60-69 years, male 51.9
GTEX-1QP67-1726-SM-E8VOP 40-49 years, female 51.9
GTEX-17HHE-1926-SM-7EPGW 50-59 years, male 51.8
GTEX-QCQG-1826-SM-2S1P2 50-59 years, female 51.8
GTEX-ZVZP-2326-SM-59HL4 50-59 years, male 51.8
GTEX-145ME-1926-SM-5MR6T 40-49 years, female 51.8
GTEX-1J8JJ-0326-SM-CMKG6 60-69 years, female 51.8
GTEX-1A3MX-0226-SM-731C4 60-69 years, male 51.7
GTEX-SUCS-1826-SM-32PM1 70-79 years, male 51.7
GTEX-UJHI-1626-SM-3DB9A 50-59 years, female 51.7
GTEX-1IL2U-0326-SM-CE6T9 60-69 years, male 51.7
GTEX-1LG7Z-2026-SM-DLHBP 30-39 years, male 51.7
GTEX-12WSD-0226-SM-59HKO 60-69 years, female 51.6
GTEX-13IVO-0226-SM-5LZXU 70-79 years, male 51.6
GTEX-1EH9U-0226-SM-7PBY8 60-69 years, male 51.6
GTEX-1GMR2-2526-SM-9MQKW 50-59 years, male 51.6
GTEX-P4QT-0226-SM-3LK68 50-59 years, female 51.5
GTEX-13NZA-0126-SM-5K7UH 60-69 years, male 51.4
GTEX-13QJ3-0426-SM-5RQHP 50-59 years, male 51.4
GTEX-14PJ2-0226-SM-6LLH4 50-59 years, male 51.4
GTEX-183FY-0326-SM-793BY 20-29 years, male 51.4
GTEX-XAJ8-0926-SM-47JXZ 40-49 years, male 51.4
GTEX-1HBPI-1426-SM-B2LW7 50-59 years, male 51.4
GTEX-1L5NE-2626-SM-E9U6P 50-59 years, male 51.4
GTEX-111VG-2326-SM-5N9BK 60-69 years, male 51.3
GTEX-13O61-2426-SM-5J1NV 60-69 years, male 51.3
GTEX-13YAN-0426-SM-5O9DR 60-69 years, male 51.3
GTEX-17F98-1126-SM-79OJS 40-49 years, female 51.3
GTEX-1F52S-0226-SM-7SB7U 60-69 years, female 51.3
GTEX-1IE54-0226-SM-CMKHX 40-49 years, female 51.3
GTEX-1IKK5-0526-SM-CMKGG 60-69 years, male 51.3
GTEX-ZGAY-0626-SM-DO92E 40-49 years, female 51.3
GTEX-14JIY-0526-SM-62LFH 60-69 years, male 51.2
GTEX-1CAMR-1826-SM-7MXUJ 20-29 years, male 51.2
GTEX-12ZZZ-0526-SM-5DUX6 60-69 years, male 51.1
GTEX-14PN3-2526-SM-6EU15 60-69 years, female 51.1
GTEX-ZDXO-2426-SM-5S2NJ 60-69 years, male 51.1
GTEX-PWN1-0226-SM-DKPO9 40-49 years, female 51.1
GTEX-11P81-2426-SM-5GU65 30-39 years, female 51.0
GTEX-139YR-2426-SM-5J1OB 50-59 years, male 51.0
GTEX-Q2AG-0226-SM-2S1P4 40-49 years, female 51.0
GTEX-ZF29-2226-SM-4WWB9 60-69 years, female 51.0
GTEX-1I1GV-0426-SM-ARZLX 60-69 years, male 51.0
GTEX-1QP66-1326-SM-DTXDQ 50-59 years, male 51.0
GTEX-11O72-0226-SM-59869 40-49 years, male 50.9
GTEX-14753-0326-SM-5QGQB 60-69 years, male 50.9
GTEX-T5JC-0526-SM-32PM7 20-29 years, male 50.9
GTEX-1HBPM-0326-SM-CMKGR 60-69 years, female 50.9
GTEX-14PJ3-1926-SM-62LEY 50-59 years, male 50.8
GTEX-1AX9K-2426-SM-73KZ4 50-59 years, male 50.8
GTEX-ZV68-0226-SM-59HJF 50-59 years, female 50.8
GTEX-11DXX-2326-SM-9YFKS 60-69 years, female 50.8
GTEX-113IC-0226-SM-5HL5C 60-69 years, male 50.7
GTEX-13U4I-0226-SM-5SIB1 40-49 years, female 50.7
GTEX-13X6J-0226-SM-7EPGC 50-59 years, male 50.7
GTEX-1HSEH-0226-SM-ACKVV 60-69 years, male 50.7
GTEX-1QEPI-0226-SM-EWRMR 60-69 years, female 50.7
GTEX-OIZG-0826-SM-E9TI4 50-59 years, male 50.7
GTEX-13OW6-0526-SM-5L3HY 50-59 years, male 50.6
GTEX-ZDTS-0226-SM-5HL7Q 60-69 years, male 50.6
GTEX-1RDX4-0226-SM-DTXG1 50-59 years, female 50.6
GTEX-145LT-1826-SM-5QGP4 40-49 years, male 50.5
GTEX-1BAJH-0426-SM-73KWY 70-79 years, male 50.5
GTEX-ZXES-2026-SM-5NQ6R 30-39 years, female 50.5
GTEX-1PDJ9-0426-SM-E9J3E 20-29 years, male 50.5
GTEX-11ZTS-0226-SM-5EQKD 60-69 years, female 50.4
GTEX-11ZUS-0726-SM-59886 30-39 years, male 50.4
GTEX-1269C-2726-SM-5EGJ4 60-69 years, female 50.4
GTEX-Z93T-0226-SM-5HL5Z 50-59 years, male 50.4
GTEX-147GR-0426-SM-5S2OL 60-69 years, male 50.3
GTEX-11WQC-2426-SM-5EQKQ 60-69 years, male 50.2
GTEX-13FTY-0626-SM-5L3F8 40-49 years, female 50.2
GTEX-13PVR-2426-SM-5RQHN 60-69 years, female 50.2
GTEX-145MF-0526-SM-5LUA6 50-59 years, male 50.2
GTEX-15DCD-0226-SM-6LPKC 70-79 years, female 50.2
GTEX-QEG5-0326-SM-2S1PB 20-29 years, male 50.2
GTEX-ZVP2-1826-SM-5GU62 50-59 years, male 50.2
GTEX-1JJEA-0226-SM-COH2X 60-69 years, male 50.2
GTEX-1PPH8-0626-SM-EWRN9 20-29 years, male 50.2
GTEX-1399R-2626-SM-5KLZ7 30-39 years, male 50.1
GTEX-14C39-2526-SM-5S2UH 40-49 years, male 50.1
GTEX-14PII-0326-SM-6LLIQ 60-69 years, male 50.1
GTEX-YECK-0226-SM-4W215 60-69 years, male 50.1
GTEX-1RAZR-0226-SM-EVYC6 40-49 years, male 50.1
GTEX-UTHO-0426-SM-CE6QU 60-69 years, male 50.1
GTEX-ZLFU-2626-SM-DO91L 40-49 years, male 50.1
GTEX-1399U-2426-SM-5K7XB 50-59 years, female 50.0
GTEX-12WSM-0226-SM-5LZV6 60-69 years, male 49.9
GTEX-13W3W-2526-SM-5SI9P 60-69 years, female 49.9
GTEX-P44G-2326-SM-2XCCZ 30-39 years, male 49.9
GTEX-1R46S-0526-SM-EVYBZ 60-69 years, female 49.8
GTEX-132AR-0226-SM-5IJBE 50-59 years, female 49.7
GTEX-13VXU-0226-SM-5SI9R 50-59 years, male 49.7
GTEX-QLQW-1226-SM-2S1Q9 30-39 years, male 49.7
GTEX-1K9T9-0226-SM-E9U6K 50-59 years, female 49.7
GTEX-1C475-1926-SM-7DUFV 40-49 years, female 49.6
GTEX-WHPG-2126-SM-4M1ZM 50-59 years, male 49.6
GTEX-YJ89-0226-SM-4TT3Y 60-69 years, male 49.6
GTEX-13JUV-2826-SM-5LZWU 40-49 years, female 49.4
GTEX-13NYS-0226-SM-5MR49 60-69 years, male 49.4
GTEX-14E6E-1926-SM-664N4 30-39 years, male 49.4
GTEX-17F9Y-0326-SM-7IGLS 70-79 years, female 49.3
GTEX-1HFI6-0326-SM-ADEI5 40-49 years, male 49.3
GTEX-R55C-1626-SM-48FEG 40-49 years, male 49.2
GTEX-TKQ1-1126-SM-4GIAZ 30-39 years, male 49.1
GTEX-ZVZO-0226-SM-5A5LA 40-49 years, male 49.1
GTEX-1GMR3-2026-SM-9MQLG 40-49 years, male 49.1
GTEX-1GN1U-0226-SM-9YFLQ 50-59 years, female 49.1
GTEX-1HR9M-0226-SM-COH3E 60-69 years, male 49.0
GTEX-1HUB1-0326-SM-A9SKQ 60-69 years, male 49.0
GTEX-11EI6-0226-SM-5EQ64 60-69 years, male 48.9
GTEX-1314G-1626-SM-5EQ67 30-39 years, male 48.9
GTEX-14LLW-0226-SM-62LEL 70-79 years, female 48.9
GTEX-17F97-0426-SM-7LT9U 50-59 years, male 48.9
GTEX-1KD5A-0326-SM-D5OVD 50-59 years, male 48.9
GTEX-1LH75-2526-SM-E9U5A 50-59 years, female 48.9
GTEX-12ZZY-0326-SM-5LZVQ 60-69 years, male 48.8
GTEX-1AMFI-2126-SM-731BT 50-59 years, female 48.8
GTEX-PLZ5-1826-SM-3NB22 50-59 years, male 48.8
GTEX-U4B1-1726-SM-3DB9F 40-49 years, male 48.8
GTEX-1F5PK-2526-SM-9MQKN 50-59 years, male 48.8
GTEX-XOT4-0226-SM-4B66Z 60-69 years, female 48.8
GTEX-11GS4-2626-SM-5A5LD 60-69 years, male 48.7
GTEX-13NZ8-0926-SM-5MR3U 60-69 years, female 48.7
GTEX-17HGU-0326-SM-7DUER 50-59 years, male 48.7
GTEX-OIZH-0226-SM-2YUMH 50-59 years, male 48.7
GTEX-X88G-0226-SM-4GIE4 30-39 years, male 48.7
GTEX-ZZ64-1626-SM-5E43W 20-29 years, male 48.7
GTEX-1122O-2026-SM-9YFMG 60-69 years, female 48.7
GTEX-1C6VR-2626-SM-7MGX2 60-69 years, male 48.7
GTEX-RUSQ-1626-SM-EZ6L4 50-59 years, male 48.7
GTEX-13PDP-0226-SM-5K7W9 60-69 years, male 48.6
GTEX-RM2N-1726-SM-2TF55 50-59 years, male 48.6
GTEX-1QP2A-0226-SM-EVYBC 50-59 years, male 48.6
GTEX-1S831-0326-SM-EVYD3 20-29 years, male 48.6
GTEX-QEG4-0326-SM-DIPE3 30-39 years, male 48.5
GTEX-14DAR-1926-SM-5S2NQ 50-59 years, male 48.4
GTEX-111YS-2426-SM-5GZZQ 60-69 years, male 48.3
GTEX-11DXW-0326-SM-5H11W 40-49 years, male 48.3
GTEX-12WSC-0226-SM-5EQ52 50-59 years, male 48.3
GTEX-1AYD5-2326-SM-73KXF 50-59 years, male 48.3
GTEX-1H4P4-0226-SM-9YFKT 50-59 years, male 48.3
GTEX-YFCO-2026-SM-4W21Q 40-49 years, male 48.2
GTEX-WFG7-2526-SM-EWRM5 20-29 years, male 48.2
GTEX-13N2G-2726-SM-5J1MG 60-69 years, male 48.1
GTEX-146FQ-0226-SM-5NQAL 30-39 years, male 48.1
GTEX-QDVJ-1826-SM-2S1P3 50-59 years, male 48.1
GTEX-1LBAC-0226-SM-DHXJZ 20-29 years, male 48.1
GTEX-1LSVX-0126-SM-EVYCY 60-69 years, male 48.1
GTEX-XMD2-0226-SM-4WWEE 60-69 years, female 48.0
GTEX-ZPU1-2426-SM-4WWFM 40-49 years, male 48.0
GTEX-S4P3-1526-SM-E9J3W 50-59 years, female 48.0
GTEX-139T4-0126-SM-5HL5G 50-59 years, female 47.9
GTEX-15G19-0226-SM-6PAL2 60-69 years, male 47.9
GTEX-1CB4E-1826-SM-7RHG8 60-69 years, male 47.9
GTEX-1EKGG-0126-SM-9YFLS 60-69 years, male 47.9
GTEX-1ICLY-0226-SM-ARL7R 50-59 years, male 47.9
GTEX-XBEW-0726-SM-4QARX 40-49 years, male 47.8
GTEX-1H3VY-0226-SM-9YFMF 50-59 years, male 47.8
GTEX-1MGNQ-0226-SM-EVYCK 40-49 years, male 47.8
GTEX-WFG8-2326-SM-DIPDX 20-29 years, male 47.8
GTEX-117YX-2226-SM-5EGJJ 50-59 years, male 47.7
GTEX-11EMC-2826-SM-5PNY6 60-69 years, female 47.7
GTEX-131XE-2426-SM-5EQ5V 50-59 years, male 47.7
GTEX-OHPM-0226-SM-3LK61 50-59 years, male 47.7
GTEX-11ZTT-2526-SM-5EQM9 60-69 years, female 47.6
GTEX-1LGRB-2426-SM-CNPP3 50-59 years, female 47.6
GTEX-1212Z-2426-SM-5EQ5D 60-69 years, male 47.5
GTEX-13CF2-2626-SM-5LZZA 60-69 years, male 47.5
GTEX-14AS3-2026-SM-5TDD9 40-49 years, female 47.5
GTEX-WFON-2226-SM-3TW8W 40-49 years, male 47.5
GTEX-XGQ4-2226-SM-4AT4Y 50-59 years, male 47.5
GTEX-ZQG8-1526-SM-5HL65 60-69 years, female 47.5
GTEX-1GPI7-0226-SM-9MQKB 20-29 years, male 47.5
GTEX-1JMPY-1426-SM-ARL8Z 30-39 years, male 47.5
GTEX-12KS4-0426-SM-5EQMC 30-39 years, male 47.4
GTEX-1GN1V-0226-SM-9WYTN 60-69 years, male 47.4
GTEX-133LE-1926-SM-5N9FV 20-29 years, female 47.3
GTEX-145MG-0126-SM-5TDDA 50-59 years, male 47.3
GTEX-16XZY-2526-SM-7DHL2 70-79 years, male 47.3
GTEX-XV7Q-2626-SM-4BRVA 40-49 years, female 47.3
GTEX-1LGOU-2226-SM-E9U56 20-29 years, female 47.3
GTEX-1A8G7-0226-SM-731AS 60-69 years, male 47.2
GTEX-1CB4F-0526-SM-9KNW2 60-69 years, male 47.2
GTEX-14ICL-2026-SM-62LDN 30-39 years, male 47.1
GTEX-1C2JI-2226-SM-7IGPJ 50-59 years, male 47.1
GTEX-Z9EW-1826-SM-5CVMA 40-49 years, male 47.1
GTEX-1GN1W-0626-SM-9MQK3 50-59 years, female 47.1
GTEX-1N2DW-0326-SM-E9TK3 50-59 years, male 47.1
GTEX-1QP29-0726-SM-DTXFM 50-59 years, male 47.1
GTEX-OXRP-0226-SM-3NB14 60-69 years, female 47.0
GTEX-WI4N-1126-SM-3LK7Q 40-49 years, female 47.0
GTEX-1H1E6-2026-SM-9KNVK 30-39 years, male 47.0
GTEX-1B8KZ-1926-SM-7DUG8 50-59 years, male 46.9
GTEX-NPJ8-0226-SM-48TBN 40-49 years, male 46.9
GTEX-TML8-2026-SM-32QOP 40-49 years, female 46.9
GTEX-Y114-2326-SM-4TT7X 50-59 years, female 46.8
GTEX-1F6RS-0226-SM-9MQKO 60-69 years, female 46.8
GTEX-1I6K7-0226-SM-CJI46 40-49 years, male 46.8
GTEX-1F88F-2626-SM-9WG5K 60-69 years, female 46.7
GTEX-1JMQI-2026-SM-CMKGP 50-59 years, male 46.7
GTEX-11ONC-2526-SM-5986W 60-69 years, male 46.6
GTEX-13111-1726-SM-5EGJZ 50-59 years, male 46.6
GTEX-NFK9-0326-SM-3MJGV 40-49 years, male 46.6
GTEX-OOBK-0226-SM-2YUMF 40-49 years, male 46.6
GTEX-PLZ6-1326-SM-3NB24 30-39 years, male 46.6
GTEX-1ICG6-2626-SM-CGQG1 70-79 years, female 46.5
GTEX-1IDJF-0226-SM-CMKGE 20-29 years, male 46.4
GTEX-1KWVE-1326-SM-E6CJ1 30-39 years, male 46.4
GTEX-13CF3-2326-SM-5IFGL 60-69 years, female 46.3
GTEX-QV31-1326-SM-2S1QE 30-39 years, male 46.3
GTEX-139TU-0226-SM-5J1NM 60-69 years, male 46.2
GTEX-S95S-1326-SM-2XCDK 60-69 years, male 46.2
GTEX-1F48J-0226-SM-7SB82 50-59 years, female 46.2
GTEX-1IDJU-2526-SM-CMKGF 60-69 years, female 46.1
GTEX-N7MS-0326-SM-4E3K2 60-69 years, male 46.0
GTEX-ZLV1-1826-SM-5FQU5 60-69 years, female 46.0
GTEX-11ZVC-2626-SM-5FQTA 50-59 years, female 45.9
GTEX-OXRN-0226-SM-2I5EJ 50-59 years, male 45.9
GTEX-Y3I4-2226-SM-4TT7O 50-59 years, male 45.9
GTEX-13FHO-0326-SM-5IJBH 60-69 years, male 45.8
GTEX-Y8E5-0226-SM-57WCM 60-69 years, male 45.7
GTEX-ZLWG-2226-SM-DO92V 50-59 years, female 45.7
GTEX-1211K-2226-SM-5FQU6 60-69 years, female 45.6
GTEX-1313W-0226-SM-5LZV7 50-59 years, female 45.6
GTEX-13QBU-2526-SM-5LU4X 40-49 years, female 45.6
GTEX-18D9A-2026-SM-718BL 30-39 years, female 45.6
GTEX-ZF28-0226-SM-5S2OE 60-69 years, male 45.6
GTEX-1PIGE-0526-SM-DTXFA 20-29 years, male 45.6
GTEX-WYJK-0226-SM-EYYV8 50-59 years, male 45.6
GTEX-111CU-1826-SM-5GZYN 50-59 years, male 45.5
GTEX-1CB4I-0426-SM-7IGPR 50-59 years, male 45.5
GTEX-ZTX8-1526-SM-5N9GI 20-29 years, male 45.5
GTEX-Q2AI-1426-SM-2S1P5 40-49 years, male 45.4
GTEX-QLQ7-1526-SM-2S1QA 60-69 years, male 45.4
GTEX-1HSMQ-1426-SM-ADEHT 50-59 years, male 45.4
GTEX-13PLJ-0126-SM-5L3HU 60-69 years, female 45.3
GTEX-1E1VI-0226-SM-793CZ 50-59 years, male 45.3
GTEX-13D11-2326-SM-5IJCY 50-59 years, female 45.2
GTEX-13OW7-0226-SM-5MR3N 50-59 years, male 45.2
GTEX-18A67-0226-SM-7LG67 50-59 years, male 45.2
GTEX-13NZB-2426-SM-5K7UF 30-39 years, male 45.1
GTEX-1B8SF-0526-SM-7939F 60-69 years, male 45.1
GTEX-X4LF-1726-SM-3NMBZ 50-59 years, male 45.1
GTEX-1JKYN-1226-SM-CGQG8 30-39 years, male 45.1
GTEX-1AMEY-1426-SM-7939I 30-39 years, female 44.9
GTEX-OXRK-0326-SM-3NB3R 50-59 years, female 44.8
GTEX-P4PQ-0226-SM-2S1NK 60-69 years, male 44.8
GTEX-XUW1-0526-SM-4BOP3 50-59 years, female 44.8
GTEX-14BMU-2126-SM-5S2TS 20-29 years, female 44.7
GTEX-PSDG-0326-SM-48TCP 50-59 years, male 44.7
GTEX-YEC3-1226-SM-5IFI8 50-59 years, male 44.7
GTEX-139T6-2126-SM-5KM37 50-59 years, male 44.5
GTEX-O5YV-0226-SM-48TBY 60-69 years, female 44.4
GTEX-OXRO-0226-SM-3LK6F 60-69 years, female 44.3
GTEX-YEC4-2426-SM-57WFO 40-49 years, male 44.3
GTEX-1QP9N-1526-SM-DTXFK 30-39 years, male 44.3
GTEX-P4QS-0226-SM-3NB1U 60-69 years, male 44.2
GTEX-145MO-0426-SM-5QGP6 60-69 years, male 44.1
GTEX-Y9LG-2026-SM-62LFS 30-39 years, male 44.1
GTEX-169BO-1426-SM-9MQJT 50-59 years, male 44.1
GTEX-Y8E4-0726-SM-4WWFN 40-49 years, male 44.0
GTEX-11XUK-2126-SM-5EQLR 40-49 years, female 43.8
GTEX-1J8Q3-1526-SM-CMKGB 60-69 years, male 43.8
GTEX-R55D-0326-SM-48FES 50-59 years, male 43.7
GTEX-11LCK-1126-SM-5A5KC 30-39 years, male 43.6
GTEX-13N11-2626-SM-5K7UQ 50-59 years, female 43.6
GTEX-13O21-1526-SM-5K7W4 50-59 years, male 43.5
GTEX-14A5H-0526-SM-5TDCN 60-69 years, male 43.5
GTEX-17F96-1726-SM-7IGMB 70-79 years, male 43.5
GTEX-XPVG-2726-SM-4B66W 50-59 years, male 43.5
GTEX-1IDFM-0226-SM-CMKFX 60-69 years, male 43.5
GTEX-1C64O-0226-SM-73KXB 60-69 years, male 43.3
GTEX-1JJ6O-0226-SM-E6CI9 60-69 years, male 43.3
GTEX-1J1R8-2226-SM-ARZMP 40-49 years, male 43.2
GTEX-12C56-1626-SM-5FQUO 20-29 years, male 42.9
GTEX-Y5V5-2426-SM-5IFJA 60-69 years, female 42.9
GTEX-1HGF4-2526-SM-ADEIZ 60-69 years, male 42.9
GTEX-XYKS-2726-SM-4E3IC 60-69 years, female 42.6
GTEX-YF7O-2426-SM-5IFJL 50-59 years, male 42.6
GTEX-1PFEY-1626-SM-E9J3M 30-39 years, male 42.3
GTEX-OIZF-0226-SM-E9TI3 60-69 years, male 42.3
GTEX-131XF-2226-SM-5EQKG 60-69 years, male 42.2
GTEX-15CHQ-0226-SM-6EU2S 60-69 years, male 42.2
GTEX-17EUY-0526-SM-7EWDE 20-29 years, male 42.2
GTEX-QV44-1825-SM-447CF 50-59 years, male 42.2
GTEX-ZTSS-2026-SM-5987K 40-49 years, male 42.2
GTEX-11P82-1726-SM-5Q5AT 20-29 years, male 42.0
GTEX-1QAET-1126-SM-E8VML 50-59 years, male 41.9
GTEX-16NGA-1826-SM-7LG5L 40-49 years, female 41.8
GTEX-18D9U-0726-SM-7LG5J 40-49 years, male 41.8
GTEX-139D8-0326-SM-5IJCJ 30-39 years, female 41.6
GTEX-OXRL-0226-SM-3NB18 50-59 years, male 41.5
GTEX-13FH7-2226-SM-5IJD4 50-59 years, female 41.4
GTEX-1PPGY-0326-SM-DTXFD 60-69 years, male 41.4
GTEX-14PHX-2426-SM-62LEN 50-59 years, male 40.9
GTEX-YB5E-2126-SM-5IFI7 40-49 years, male 40.7
GTEX-146FR-1826-SM-5QGPF 60-69 years, female 40.4
GTEX-1J8QM-2326-SM-CYPSL 60-69 years, female 40.4
GTEX-W5WG-2526-SM-4SOJ2 50-59 years, female 40.1
GTEX-145MN-2626-SM-5NQAH 30-39 years, male 39.8
GTEX-1A3MV-2126-SM-718BV 30-39 years, male 39.2
GTEX-14H4A-1026-SM-62LDY 40-49 years, female 39.0
GTEX-1MA7X-2126-SM-E6CIX 60-69 years, male 39.0
GTEX-11P7K-2026-SM-5GU74 30-39 years, male 38.5
GTEX-11EM3-2326-SM-5H12B 20-29 years, female 38.2
GTEX-1497J-2326-SM-5NQBK 60-69 years, male 37.2
GTEX-1RQEC-0526-SM-E6CHV 60-69 years, male 36.8
GTEX-XQ8I-0526-SM-4BOPS 50-59 years, male 35.7
GTEX-1S82P-0226-SM-E6CI6 60-69 years, female 35.5
GTEX-16AAH-2026-SM-7LG5F 50-59 years, male 35.0
GTEX-1MA7W-1926-SM-E6CIO 20-29 years, female 34.4
GTEX-1LSNM-2026-SM-E6CIJ 50-59 years, male 28.6
Show allShow less
Adipose - Visceral (Omentum)
Average nTPM: 53.5
Samples: 541

Max nTPM: 100.1
Min nTPM: 2.9
Std nTPM: 8.9
Median nTPM: 52.7
GTEX-ZYVF-1026-SM-5E44V 50-59 years, female 100.1
GTEX-13PDP-1226-SM-5K7TW 60-69 years, male 97.5
GTEX-13IVO-2426-SM-5K7V9 70-79 years, male 87.3
GTEX-UTHO-1826-SM-3GAFE 60-69 years, male 85.9
GTEX-1PBJI-1326-SM-E9J2V 20-29 years, female 85.6
GTEX-1CAV2-0226-SM-7IGPQ 40-49 years, female 84.8
GTEX-1N2EF-0926-SM-E8VNW 60-69 years, male 81.4
GTEX-Y5LM-0826-SM-4VDSW 40-49 years, female 80.9
GTEX-12WSF-1526-SM-6PAN6 70-79 years, male 80.7
GTEX-13PVQ-2226-SM-5L3G9 50-59 years, male 78.4
GTEX-1C64N-1326-SM-7SB7D 50-59 years, male 78.0
GTEX-11EQ9-1126-SM-5987I 30-39 years, male 77.5
GTEX-W5X1-1426-SM-3GIKH 40-49 years, female 76.4
GTEX-VUSG-1426-SM-3GIJN 50-59 years, male 75.1
GTEX-1I1CD-1026-SM-COH3G 60-69 years, female 74.0
GTEX-1IKK5-0826-SM-ACKWN 60-69 years, male 73.8
GTEX-1H3VE-1926-SM-9YFL4 40-49 years, male 71.3
GTEX-11PRG-1526-SM-5HL6Z 50-59 years, male 70.9
GTEX-16NPX-1026-SM-6PAM7 50-59 years, male 70.8
GTEX-11WQK-1526-SM-5EGKN 50-59 years, male 70.4
GTEX-1EU9M-1126-SM-793DE 60-69 years, male 70.3
GTEX-16XZZ-1626-SM-7KUEC 60-69 years, male 70.2
GTEX-1LH75-1026-SM-EWROK 50-59 years, female 70.0
GTEX-14PHW-1626-SM-6EU2H 60-69 years, female 69.4
GTEX-17EVP-1426-SM-79OMN 40-49 years, male 69.4
GTEX-YJ8A-1926-SM-EZ6LQ 20-29 years, male 69.4
GTEX-1HSKV-1926-SM-CNPPN 60-69 years, male 68.9
GTEX-1HCU6-1626-SM-CMKGW 60-69 years, female 68.4
GTEX-11GSP-1026-SM-9WYSH 60-69 years, female 67.9
GTEX-1IL2U-2726-SM-C1YSG 60-69 years, male 67.6
GTEX-13FHO-2026-SM-5J1OA 60-69 years, male 67.2
GTEX-1JMQJ-1926-SM-D4P3A 50-59 years, male 67.2
GTEX-1KD4Q-1426-SM-D4P3K 40-49 years, male 67.0
GTEX-14E6D-1326-SM-62LES 50-59 years, male 66.7
GTEX-113JC-0726-SM-5GZZR 50-59 years, female 66.6
GTEX-11NV4-1426-SM-5BC4W 60-69 years, male 66.4
GTEX-1I1GU-0626-SM-CMKHR 40-49 years, male 66.3
GTEX-1IDJC-0226-SM-CMKG2 50-59 years, male 65.7
GTEX-1GF9X-0926-SM-7PC2X 40-49 years, female 65.4
GTEX-1CB4F-1126-SM-79OLG 60-69 years, male 65.1
GTEX-1HFI6-1726-SM-CGQFH 40-49 years, male 65.1
GTEX-14E6C-1226-SM-5ZZUN 40-49 years, male 64.2
GTEX-X8HC-2326-SM-4QAS4 50-59 years, female 64.2
GTEX-1JMQK-1326-SM-CNPOR 60-69 years, male 64.2
GTEX-1445S-2426-SM-79ON2 60-69 years, male 64.0
GTEX-15SHU-2326-SM-7KUMC 40-49 years, female 64.0
GTEX-1HCU8-1126-SM-CM2SA 60-69 years, female 63.8
GTEX-12WSA-1626-SM-5EGJV 60-69 years, male 63.5
GTEX-1A32A-0926-SM-718AB 50-59 years, female 63.5
GTEX-13OVH-1126-SM-5K7YP 70-79 years, male 63.4
GTEX-1F6IF-2026-SM-7P8SE 60-69 years, male 63.4
GTEX-1IE54-1426-SM-CL53C 40-49 years, female 63.4
GTEX-ZE7O-1526-SM-5J1NH 50-59 years, female 63.3
GTEX-1H1DF-1426-SM-9YFMC 40-49 years, female 63.3
GTEX-UPK5-1826-SM-3GAEB 40-49 years, male 63.2
GTEX-1H1DE-0826-SM-ARU8V 20-29 years, male 63.2
GTEX-1MA7X-1026-SM-DKPQ8 60-69 years, male 63.2
GTEX-1CB4I-0826-SM-7MGX1 50-59 years, male 63.1
GTEX-17HHE-1526-SM-793AS 50-59 years, male 63.0
GTEX-13N2G-1926-SM-5J1O3 60-69 years, male 62.9
GTEX-1HT8W-0726-SM-A9SLB 30-39 years, male 62.9
GTEX-1GMRU-0726-SM-7PBZH 50-59 years, male 62.8
GTEX-14C39-0826-SM-5TDDU 40-49 years, male 62.7
GTEX-1GZ4H-0926-SM-9WG6Y 50-59 years, female 62.7
GTEX-13VXU-1026-SM-5KLZE 50-59 years, male 62.6
GTEX-1H1CY-0826-SM-9WYTU 60-69 years, female 62.5
GTEX-1LVAO-2126-SM-DIPGA 60-69 years, male 62.5
GTEX-1JMLX-1026-SM-D3L8U 50-59 years, male 62.3
GTEX-14PJM-1226-SM-686Z7 50-59 years, female 62.2
GTEX-WL46-2026-SM-3LK7U 50-59 years, male 62.1
GTEX-1F75I-1026-SM-7SB8B 40-49 years, male 62.1
GTEX-16MTA-1326-SM-6PALX 50-59 years, male 62.0
GTEX-1F52S-1326-SM-7SB6Q 60-69 years, female 62.0
GTEX-1EMGI-0726-SM-7PBZ4 60-69 years, male 61.9
GTEX-YECK-1426-SM-5IFHE 60-69 years, male 61.7
GTEX-14PN4-1426-SM-6LLJ4 50-59 years, male 61.5
GTEX-1GF9W-1026-SM-7SB8X 60-69 years, male 61.5
GTEX-1JKYN-0526-SM-CGQG3 30-39 years, male 61.5
GTEX-WFJO-1026-SM-3GIKL 30-39 years, male 61.4
GTEX-1K2DA-1126-SM-CGQGG 50-59 years, male 61.4
GTEX-13S86-0926-SM-5SI6I 40-49 years, male 61.1
GTEX-14C38-1026-SM-73KY7 50-59 years, male 61.0
GTEX-1B8SF-1726-SM-73KZ5 60-69 years, male 61.0
GTEX-1HSEH-1326-SM-ADEI1 60-69 years, male 61.0
GTEX-18A7B-1226-SM-718AU 70-79 years, male 60.9
GTEX-13112-1126-SM-5GCMY 50-59 years, male 60.8
GTEX-ZV7C-0826-SM-59HK8 50-59 years, male 60.7
GTEX-1LKK1-1526-SM-EVYCO 50-59 years, female 60.7
GTEX-1RLM8-1026-SM-EWROE 50-59 years, male 60.7
GTEX-1S5VW-2426-SM-EAZ52 60-69 years, male 60.7
GTEX-ZXG5-1626-SM-59HJK 60-69 years, male 60.6
GTEX-13JUV-0626-SM-5J1MQ 40-49 years, female 60.5
GTEX-1AX9J-2226-SM-731CW 60-69 years, male 60.5
GTEX-1J8EW-1526-SM-CMKFZ 60-69 years, female 60.4
GTEX-1O9I2-1326-SM-E6CQD 50-59 years, male 60.4
GTEX-ZUA1-2126-SM-57YRB 40-49 years, male 60.3
GTEX-14ICL-0926-SM-5S2TU 30-39 years, male 60.2
GTEX-1K2DU-0726-SM-DIPF7 20-29 years, male 60.1
GTEX-1B996-1226-SM-73KWZ 60-69 years, male 60.0
GTEX-ZF2S-1526-SM-5S2OO 50-59 years, female 60.0
GTEX-1I1GQ-1026-SM-CNNQS 50-59 years, male 60.0
GTEX-1JJE9-1526-SM-CM2RR 70-79 years, male 60.0
GTEX-15CHQ-1126-SM-686YY 60-69 years, male 59.8
GTEX-1N2DW-0726-SM-DTX97 50-59 years, male 59.8
GTEX-145MF-1026-SM-5Q5EQ 50-59 years, male 59.7
GTEX-1KANA-1426-SM-CY8IF 20-29 years, male 59.7
GTEX-13FXS-1326-SM-62LFR 50-59 years, male 59.6
GTEX-XLM4-1026-SM-4AT51 60-69 years, male 59.5
GTEX-12ZZX-1726-SM-5BC63 40-49 years, female 59.4
GTEX-1GN73-0626-SM-7PC3I 60-69 years, male 59.4
GTEX-1LBAC-1026-SM-CXKYA 20-29 years, male 59.4
GTEX-U8XE-1926-SM-3DB98 30-39 years, male 59.3
GTEX-13OVJ-0926-SM-5K7U1 50-59 years, female 59.1
GTEX-14BMV-1626-SM-73KVQ 50-59 years, male 59.1
GTEX-17GQL-0826-SM-731AM 60-69 years, male 59.1
GTEX-XQ3S-2426-SM-4WAYB 20-29 years, male 59.1
GTEX-ZV6S-1626-SM-5NQ81 40-49 years, female 59.1
GTEX-1IDJH-1626-SM-A9SLP 70-79 years, male 59.1
GTEX-1MUQO-0826-SM-EVYCZ 60-69 years, male 59.1
GTEX-13N1W-1226-SM-5K7UM 70-79 years, male 59.0
GTEX-17HGU-1726-SM-79OKM 50-59 years, male 59.0
GTEX-1F5PL-1326-SM-7SB83 40-49 years, female 59.0
GTEX-1KANB-2426-SM-EV7BE 50-59 years, male 59.0
GTEX-1ICLY-1426-SM-CJI48 50-59 years, male 58.9
GTEX-1B8KE-0826-SM-72D6S 50-59 years, male 58.8
GTEX-1A8G6-2026-SM-73KYC 60-69 years, male 58.6
GTEX-1AYCT-1126-SM-79OO8 50-59 years, male 58.6
GTEX-1117F-1326-SM-5EGHH 60-69 years, female 58.5
GTEX-Z9EW-0826-SM-5HL9T 40-49 years, male 58.4
GTEX-1I19N-1026-SM-A96TT 70-79 years, male 58.4
GTEX-13OW6-2426-SM-5K7WO 50-59 years, male 58.2
GTEX-1POEN-1626-SM-EVYC2 30-39 years, female 58.2
GTEX-1QP6S-1626-SM-EVYC5 40-49 years, male 58.2
GTEX-1I1GP-1426-SM-ACKVZ 50-59 years, male 58.1
GTEX-1I4MK-0726-SM-ACKWC 50-59 years, female 58.1
GTEX-17F97-1226-SM-79OJT 50-59 years, male 57.9
GTEX-11ZTS-1326-SM-5EQMA 60-69 years, female 57.7
GTEX-ZYT6-2126-SM-5GZZ4 30-39 years, male 57.7
GTEX-1KWVE-0226-SM-E9TKK 30-39 years, male 57.7
GTEX-18A7A-0926-SM-7LT8H 50-59 years, female 57.6
GTEX-1B8SG-1426-SM-7EWEM 50-59 years, male 57.6
GTEX-11TT1-1926-SM-5PNYN 20-29 years, male 57.5
GTEX-14C5O-0926-SM-793DM 60-69 years, male 57.5
GTEX-1B8KZ-1026-SM-73KYN 50-59 years, male 57.5
GTEX-ZPU1-1226-SM-5HL71 40-49 years, male 57.5
GTEX-15DYW-1526-SM-7KUEP 60-69 years, female 57.4
GTEX-15ER7-1026-SM-7KUMD 20-29 years, female 57.4
GTEX-14PK6-0926-SM-62LF4 70-79 years, female 57.2
GTEX-14ABY-1926-SM-62LDJ 50-59 years, male 57.1
GTEX-1CAMR-0326-SM-793AH 20-29 years, male 57.1
GTEX-ZF28-1426-SM-5S2OG 60-69 years, male 57.1
GTEX-145LU-1226-SM-5LU9B 50-59 years, male 57.0
GTEX-14BIN-1226-SM-5S2OM 50-59 years, female 57.0
GTEX-1EKGG-1426-SM-7PBY2 60-69 years, male 57.0
GTEX-1I1GR-1726-SM-COH39 60-69 years, male 57.0
GTEX-146FH-2026-SM-5SI9I 50-59 years, female 56.9
GTEX-1LG7Y-1126-SM-CYPTE 50-59 years, male 56.9
GTEX-1R9K4-1426-SM-DPRY4 60-69 years, male 56.9
GTEX-WVLH-1626-SM-EXURN 50-59 years, male 56.9
GTEX-11DXY-0326-SM-5H12F 60-69 years, male 56.8
GTEX-1R9PO-0926-SM-E9U4Q 60-69 years, female 56.8
GTEX-Y111-0926-SM-4SOIU 50-59 years, male 56.7
GTEX-ZGAY-1326-SM-5S2NS 40-49 years, female 56.7
GTEX-11DYG-2026-SM-5EGGX 60-69 years, male 56.6
GTEX-12WSI-1526-SM-5GCNM 50-59 years, male 56.6
GTEX-ZE9C-1326-SM-5S2OW 60-69 years, male 56.6
GTEX-1B8L1-0126-SM-9KNVS 60-69 years, male 56.6
GTEX-13OW8-0326-SM-5L3FB 60-69 years, male 56.5
GTEX-ZTSS-1026-SM-5985N 40-49 years, male 56.5
GTEX-XPVG-1626-SM-EYYVK 50-59 years, male 56.5
GTEX-12WSG-0426-SM-5FQSE 50-59 years, female 56.4
GTEX-ZTPG-2326-SM-57WFL 20-29 years, female 56.4
GTEX-13G51-0526-SM-5IJCQ 60-69 years, male 56.3
GTEX-145ME-0726-SM-5O9A3 40-49 years, female 56.3
GTEX-ZYFC-1826-SM-5GZZA 50-59 years, male 56.3
GTEX-1GTWX-1526-SM-9MQLF 60-69 years, male 56.3
GTEX-132QS-0826-SM-5K7WV 60-69 years, male 56.2
GTEX-WWTW-1326-SM-4MVNT 50-59 years, male 56.2
GTEX-117YW-0826-SM-5H11O 50-59 years, male 56.1
GTEX-11I78-0226-SM-5HL6R 50-59 years, female 56.1
GTEX-WK11-2426-SM-3NMAA 50-59 years, male 56.1
GTEX-1BAJH-2126-SM-7EWFB 70-79 years, male 56.0
GTEX-XUZC-1126-SM-4BOPZ 30-39 years, female 56.0
GTEX-14BIM-1626-SM-7EWD2 60-69 years, female 55.9
GTEX-1JJ6O-2826-SM-CNNP7 60-69 years, male 55.9
GTEX-1N2EE-1526-SM-DTXE9 60-69 years, male 55.9
GTEX-13NYS-0726-SM-5J1OR 60-69 years, male 55.8
GTEX-14BIL-2426-SM-5QGQR 50-59 years, male 55.8
GTEX-XAJ8-0226-SM-4GIB2 40-49 years, male 55.8
GTEX-ZVE2-1826-SM-51MRZ 50-59 years, male 55.8
GTEX-1HCU9-0626-SM-ACKW6 20-29 years, male 55.8
GTEX-YJ89-1926-SM-5IFJ6 60-69 years, male 55.7
GTEX-1KXAM-0526-SM-DKPQN 60-69 years, male 55.7
GTEX-ZP4G-1326-SM-5EGIW 20-29 years, female 55.6
GTEX-1P4AB-1226-SM-DTXET 50-59 years, male 55.6
GTEX-1EH9U-1326-SM-79OM3 60-69 years, male 55.5
GTEX-1GL5R-0726-SM-9MQL5 50-59 years, male 55.4
GTEX-14E6E-0226-SM-7DUEF 30-39 years, male 55.3
GTEX-XV7Q-1726-SM-4BRUU 40-49 years, female 55.2
GTEX-13QBU-1326-SM-5LU4K 40-49 years, female 55.1
GTEX-17F9Y-0726-SM-7LT9G 70-79 years, female 55.1
GTEX-17MFQ-1126-SM-7LT9O 20-29 years, male 55.1
GTEX-1F6I4-2126-SM-7PC2J 60-69 years, male 55.1
GTEX-ZF29-0826-SM-5S2O2 60-69 years, female 55.1
GTEX-13OVG-1326-SM-5K7Y3 60-69 years, male 55.0
GTEX-13YAN-1126-SM-5TDC7 60-69 years, male 55.0
GTEX-14E1K-0426-SM-5S2PF 50-59 years, male 55.0
GTEX-16GPK-1326-SM-7KUE4 60-69 years, male 55.0
GTEX-1EN7A-1626-SM-79OLV 40-49 years, male 55.0
GTEX-13X6K-0726-SM-5LU2Z 60-69 years, female 54.9
GTEX-WYBS-1026-SM-4ONCY 60-69 years, female 54.9
GTEX-1HBPH-2226-SM-9WYSO 40-49 years, female 54.9
GTEX-1LVAN-0926-SM-CNNQ2 50-59 years, female 54.9
GTEX-1NV5F-2526-SM-EXUSK 60-69 years, female 54.9
GTEX-16BQI-1126-SM-7KULF 30-39 years, female 54.8
GTEX-Y8LW-0926-SM-4VBQ8 50-59 years, female 54.8
GTEX-18A6Q-1026-SM-7LT9S 60-69 years, male 54.7
GTEX-1A8FM-2126-SM-7PC27 50-59 years, female 54.6
GTEX-VJWN-2326-SM-EVYAP 50-59 years, female 54.6
GTEX-18D9B-1726-SM-7LTAP 60-69 years, male 54.5
GTEX-XBEW-1726-SM-4RGMA 40-49 years, male 54.5
GTEX-1HFI7-0726-SM-ACKVN 50-59 years, female 54.5
GTEX-1HR9M-1426-SM-A9SMB 60-69 years, male 54.5
GTEX-11NUK-2026-SM-5PNVZ 50-59 years, male 54.4
GTEX-13W46-1226-SM-5SIAS 50-59 years, male 54.4
GTEX-ZAB5-1126-SM-5Q5AD 50-59 years, male 54.4
GTEX-1128S-0926-SM-5GZZU 60-69 years, female 54.3
GTEX-12696-1826-SM-5EGJS 60-69 years, male 54.3
GTEX-131YS-1726-SM-5HL7G 60-69 years, female 54.3
GTEX-1H1ZS-1326-SM-9WG74 70-79 years, male 54.3
GTEX-1IDJD-0926-SM-ACKWW 30-39 years, male 54.3
GTEX-1JKYR-1226-SM-CM2S7 20-29 years, male 54.3
GTEX-14AS3-0426-SM-5QGQK 40-49 years, female 54.2
GTEX-145MI-0826-SM-5SI95 60-69 years, female 54.1
GTEX-1A3MX-0826-SM-72D64 60-69 years, male 54.1
GTEX-1H11D-1126-SM-9YFM5 40-49 years, male 54.1
GTEX-1S3DN-1626-SM-EVYCC 50-59 years, male 54.1
GTEX-132NY-1126-SM-5PNVE 60-69 years, male 53.9
GTEX-13X6J-1926-SM-5TDCU 50-59 years, male 53.9
GTEX-1AMFI-1026-SM-73KYM 50-59 years, female 53.9
GTEX-XOT4-0826-SM-4B66Y 60-69 years, female 53.9
GTEX-1JMQI-1026-SM-COH2U 50-59 years, male 53.9
GTEX-1KD5A-1326-SM-CYPTB 50-59 years, male 53.9
GTEX-11OF3-0826-SM-5BC51 60-69 years, male 53.8
GTEX-12584-2126-SM-5FQUM 40-49 years, male 53.7
GTEX-1399T-1326-SM-5PNVH 60-69 years, male 53.7
GTEX-14753-2526-SM-5LU97 60-69 years, male 53.7
GTEX-1QPFJ-2126-SM-EXOJV 30-39 years, female 53.7
GTEX-11ZUS-1826-SM-5FQTR 30-39 years, male 53.6
GTEX-13O3Q-1126-SM-5K7YK 50-59 years, male 53.6
GTEX-13PL6-0926-SM-5KLYY 40-49 years, female 53.5
GTEX-1RQEC-2526-SM-EVYD2 60-69 years, male 53.5
GTEX-WYJK-1426-SM-3NM8V 50-59 years, male 53.4
GTEX-14PHY-1026-SM-62LEV 60-69 years, female 53.3
GTEX-ZT9X-0926-SM-5O9C4 40-49 years, male 53.3
GTEX-1K9T9-1626-SM-DIPFS 50-59 years, female 53.3
GTEX-1313W-1626-SM-5J1OE 50-59 years, female 53.1
GTEX-131XG-0126-SM-5K7UJ 50-59 years, female 53.1
GTEX-139YR-0326-SM-5J1MC 50-59 years, male 53.1
GTEX-14JIY-1426-SM-6EU29 60-69 years, male 53.1
GTEX-ZPCL-1026-SM-5GCOX 60-69 years, female 53.1
GTEX-15EU6-1726-SM-6M48H 50-59 years, male 53.0
GTEX-183FY-1226-SM-7DHLK 20-29 years, male 53.0
GTEX-1HSGN-1926-SM-CMKGS 40-49 years, female 53.0
GTEX-15UKP-1426-SM-7KUDX 20-29 years, male 52.9
GTEX-1HSMO-1426-SM-CNNQN 60-69 years, male 52.9
GTEX-1I6K7-1826-SM-CGQFO 40-49 years, male 52.8
GTEX-1J8Q2-2226-SM-CM2TZ 60-69 years, male 52.8
GTEX-13S7M-0826-SM-5QGQX 60-69 years, female 52.7
GTEX-1A8G7-1226-SM-73KYP 60-69 years, male 52.7
GTEX-1IDJI-0926-SM-ACKWZ 50-59 years, female 52.7
GTEX-1LSVX-1326-SM-DIPET 60-69 years, male 52.7
GTEX-1QP28-0926-SM-EVR4D 50-59 years, female 52.7
GTEX-12WSC-1726-SM-5GCN3 50-59 years, male 52.6
GTEX-17HII-0826-SM-7DUFH 50-59 years, male 52.6
GTEX-XYKS-1826-SM-4E3JV 60-69 years, female 52.6
GTEX-1HUB1-1526-SM-CGQF6 60-69 years, male 52.6
GTEX-1OJC3-1326-SM-E9J3D 20-29 years, male 52.6
GTEX-17JCI-1626-SM-7EPGZ 60-69 years, female 52.5
GTEX-1IY9M-1226-SM-ACKX1 60-69 years, male 52.5
GTEX-1HBPI-1826-SM-ADEHE 50-59 years, male 52.4
GTEX-13NZ9-2026-SM-5KM1U 50-59 years, male 52.3
GTEX-15SKB-1626-SM-6PAL6 60-69 years, male 52.3
GTEX-17F96-0726-SM-793CB 70-79 years, male 52.3
GTEX-1CAMQ-1226-SM-7SB7E 40-49 years, male 52.3
GTEX-ZDTS-1826-SM-5S2N6 60-69 years, male 52.2
GTEX-ZDTT-0526-SM-5HL4M 60-69 years, male 52.2
GTEX-1I1GT-1326-SM-ACKWB 60-69 years, female 52.2
GTEX-1GZ4I-2326-SM-9YFMO 50-59 years, male 52.1
GTEX-1QW4Y-0826-SM-DTXE1 30-39 years, male 52.1
GTEX-14PJ4-0126-SM-62LEZ 60-69 years, male 52.0
GTEX-X585-2526-SM-4QAS1 50-59 years, male 52.0
GTEX-12WSL-1126-SM-5CVNK 50-59 years, male 51.9
GTEX-13OVK-0326-SM-7KUEJ 40-49 years, male 51.9
GTEX-15CHC-0826-SM-686YW 60-69 years, female 51.9
GTEX-XXEK-1426-SM-4BRW1 50-59 years, male 51.9
GTEX-18465-1826-SM-731BB 50-59 years, male 51.8
GTEX-18A67-1326-SM-7LT8V 50-59 years, male 51.8
GTEX-XBED-1326-SM-4AT4F 60-69 years, male 51.8
GTEX-1F75B-1226-SM-7MXTW 50-59 years, male 51.8
GTEX-1H1DG-2026-SM-9QEIV 70-79 years, male 51.8
GTEX-13OVL-0826-SM-5L3GV 50-59 years, male 51.6
GTEX-1AX8Z-1626-SM-73KWD 60-69 years, male 51.5
GTEX-Y5V6-0626-SM-4WWFY 60-69 years, male 51.5
GTEX-1H23P-1726-SM-A9SMN 60-69 years, male 51.4
GTEX-1C475-0326-SM-7SB8O 40-49 years, female 51.3
GTEX-1E1VI-1826-SM-9WG5J 50-59 years, male 51.3
GTEX-1IKOE-1726-SM-CNNQ6 30-39 years, female 51.3
GTEX-111YS-1326-SM-5EGGK 60-69 years, male 51.2
GTEX-18QFQ-1326-SM-731CF 30-39 years, male 51.2
GTEX-WHPG-0626-SM-3NMBD 50-59 years, male 51.2
GTEX-ZA64-0926-SM-5HL7H 20-29 years, male 51.2
GTEX-13O61-1926-SM-5KM1R 60-69 years, male 51.1
GTEX-14DAQ-2526-SM-5RQIO 60-69 years, female 51.1
GTEX-1H2FU-1426-SM-9WPO6 60-69 years, female 51.1
GTEX-XGQ4-1026-SM-4AT4L 50-59 years, male 51.0
GTEX-ZLV1-0926-SM-5S2MR 60-69 years, female 50.9
GTEX-13NZB-0826-SM-5K7X5 30-39 years, male 50.8
GTEX-Y114-1326-SM-4TT9A 50-59 years, female 50.8
GTEX-1GF9V-1126-SM-9MQM7 60-69 years, male 50.8
GTEX-1CB4E-0826-SM-793CS 60-69 years, male 50.7
GTEX-XBEC-1826-SM-4QASN 50-59 years, male 50.7
GTEX-133LE-0926-SM-5P9J1 20-29 years, female 50.6
GTEX-14ICK-1726-SM-6AJA5 40-49 years, male 50.6
GTEX-1AX9K-0926-SM-7939G 50-59 years, male 50.6
GTEX-1KAFJ-0826-SM-CYPTF 50-59 years, male 50.6
GTEX-1RMOY-0826-SM-E9TIF 50-59 years, male 50.6
GTEX-13U4I-1726-SM-5J1MF 40-49 years, female 50.5
GTEX-178AV-0626-SM-6PAM1 40-49 years, male 50.5
GTEX-17MF6-1326-SM-79ONE 40-49 years, male 50.5
GTEX-ZLWG-0726-SM-5S2N4 50-59 years, female 50.5
GTEX-1EWIQ-2526-SM-7EPIJ 70-79 years, female 50.4
GTEX-ZVZP-1126-SM-5GICU 50-59 years, male 50.4
GTEX-1H4P4-0326-SM-9WYTD 50-59 years, male 50.4
GTEX-11LCK-0326-SM-5A5M7 30-39 years, male 50.3
GTEX-139D8-1626-SM-5IJFZ 30-39 years, female 50.3
GTEX-16NPV-0626-SM-7IGOR 50-59 years, female 50.3
GTEX-1B933-1326-SM-7939U 50-59 years, female 50.3
GTEX-1C6VR-1126-SM-7EPHD 60-69 years, male 50.3
GTEX-X3Y1-0926-SM-3P5YT 40-49 years, male 50.3
GTEX-1192X-1526-SM-5H11I 50-59 years, male 50.2
GTEX-144GM-0626-SM-79OKY 20-29 years, male 50.2
GTEX-14BMU-0626-SM-73KZ6 20-29 years, female 50.2
GTEX-14E7W-2326-SM-69LQC 70-79 years, male 50.2
GTEX-16AAH-1526-SM-7LT9W 50-59 years, male 50.2
GTEX-1B97I-0526-SM-73KXE 40-49 years, male 50.2
GTEX-WYVS-0626-SM-4SOJY 40-49 years, female 50.2
GTEX-XMK1-0926-SM-4B66X 40-49 years, male 50.1
GTEX-ZEX8-1226-SM-5S2OK 50-59 years, male 50.1
GTEX-1B97J-1126-SM-7SB79 50-59 years, female 50.1
GTEX-1LGRB-0526-SM-COH3A 50-59 years, female 50.1
GTEX-14PJN-0626-SM-6EU13 30-39 years, male 50.0
GTEX-145LV-1026-SM-5O9AE 50-59 years, male 49.9
GTEX-14JG6-0526-SM-6LLIH 30-39 years, female 49.9
GTEX-1HGF4-0226-SM-CNNQL 60-69 years, male 49.9
GTEX-ZT9W-1026-SM-57WG5 50-59 years, male 49.8
GTEX-WRHK-0826-SM-3MJFG 20-29 years, female 49.7
GTEX-1S82P-0926-SM-EWRNP 60-69 years, female 49.7
GTEX-15EOM-2326-SM-7KUMV 20-29 years, female 49.6
GTEX-18A66-1926-SM-7LTAG 60-69 years, male 49.6
GTEX-1399S-1426-SM-5PNYQ 30-39 years, female 49.5
GTEX-WEY5-1326-SM-3GILS 40-49 years, female 49.5
GTEX-ZDXO-2326-SM-5LU9W 60-69 years, male 49.5
GTEX-17EVQ-0626-SM-7KFTB 70-79 years, male 49.3
GTEX-WHWD-0826-SM-3LK6R 50-59 years, male 49.3
GTEX-ZG7Y-1626-SM-5S2NO 50-59 years, male 49.3
GTEX-1GZ2Q-1226-SM-9MQM8 40-49 years, male 49.3
GTEX-1KANC-0526-SM-D4P3T 50-59 years, female 49.3
GTEX-1HCUA-0926-SM-ADEIX 50-59 years, female 49.2
GTEX-1I6K6-1526-SM-CGQFC 30-39 years, male 49.2
GTEX-1MJK3-0626-SM-E6CJB 20-29 years, male 49.2
GTEX-1122O-0926-SM-9YFLC 60-69 years, female 49.1
GTEX-1GN1W-1226-SM-9MQLW 50-59 years, female 49.1
GTEX-1ICLZ-1626-SM-CE6SS 60-69 years, male 49.1
GTEX-ZZPU-0326-SM-5N9BJ 50-59 years, female 49.0
GTEX-1RAZA-0926-SM-E6CQ8 20-29 years, male 49.0
GTEX-11DXX-2026-SM-5EGJL 60-69 years, female 48.9
GTEX-13W3W-1126-SM-5L3DO 60-69 years, female 48.9
GTEX-1QEPI-2226-SM-E8VN6 60-69 years, female 48.9
GTEX-WH7G-1126-SM-3NMBK 40-49 years, male 48.8
GTEX-1LVAM-1026-SM-DIPFK 50-59 years, female 48.8
GTEX-132Q8-1726-SM-5EGK8 60-69 years, male 48.7
GTEX-1339X-0726-SM-5L3FF 40-49 years, male 48.7
GTEX-1AYD5-0126-SM-7DUG5 50-59 years, male 48.7
GTEX-ZF3C-1026-SM-5S2OC 50-59 years, female 48.7
GTEX-1HC8U-0926-SM-A9G3L 40-49 years, female 48.7
GTEX-12BJ1-0826-SM-5EQ5P 60-69 years, male 48.6
GTEX-YFCO-1126-SM-5S2N9 40-49 years, male 48.6
GTEX-11P81-0726-SM-5PNYH 30-39 years, female 48.5
GTEX-147JS-1026-SM-5S2MP 60-69 years, male 48.5
GTEX-14PN3-0326-SM-6EU1X 60-69 years, female 48.5
GTEX-17F9E-1326-SM-7DHL4 50-59 years, male 48.5
GTEX-WXYG-0926-SM-3NB2O 50-59 years, female 48.5
GTEX-Y5V5-0226-SM-5S2N8 60-69 years, female 48.5
GTEX-1J1OQ-1526-SM-CJI4E 40-49 years, female 48.5
GTEX-1JN6P-1626-SM-CYPSV 60-69 years, male 48.5
GTEX-12KS4-1526-SM-5EQ6E 30-39 years, male 48.4
GTEX-18D9A-0726-SM-7LTA7 30-39 years, female 48.4
GTEX-1PPH8-1026-SM-DPRXN 20-29 years, male 48.4
GTEX-13O21-3126-SM-5J1OI 50-59 years, male 48.3
GTEX-14DAR-0426-SM-664MW 50-59 years, male 48.3
GTEX-1JN76-1026-SM-ARZNI 20-29 years, female 48.3
GTEX-1CB4G-2126-SM-7IGQ8 60-69 years, male 48.2
GTEX-1GN1U-0726-SM-9MQKL 50-59 years, female 48.2
GTEX-1HSMQ-1026-SM-ADEHU 50-59 years, male 48.2
GTEX-145LT-1526-SM-5O98P 40-49 years, male 48.1
GTEX-146FR-0226-SM-5Q5F6 60-69 years, female 48.0
GTEX-1QP67-1126-SM-EAZ4C 40-49 years, female 48.0
GTEX-15G19-1126-SM-7KUEL 60-69 years, male 47.9
GTEX-ZAB4-1426-SM-5CVN6 40-49 years, male 47.9
GTEX-1OKEX-0926-SM-E8VNJ 60-69 years, male 47.9
GTEX-131XE-2026-SM-5LZW1 50-59 years, male 47.8
GTEX-1AX9I-1726-SM-731BX 60-69 years, male 47.8
GTEX-11GSO-0226-SM-5A5LV 60-69 years, male 47.7
GTEX-YEC3-0926-SM-5Q5AC 50-59 years, male 47.7
GTEX-139TU-1426-SM-5LZY9 60-69 years, male 47.6
GTEX-ZC5H-1626-SM-5HL7L 40-49 years, female 47.6
GTEX-1I1GS-0926-SM-A9SL5 60-69 years, male 47.4
GTEX-14PJO-1626-SM-69LPQ 60-69 years, male 47.3
GTEX-ZQUD-0526-SM-57WG4 30-39 years, male 47.3
GTEX-17F98-0326-SM-7DHLH 40-49 years, female 47.2
GTEX-1HCU7-2026-SM-A9G2B 50-59 years, male 47.2
GTEX-111CU-1026-SM-5EGIL 50-59 years, male 47.1
GTEX-13PL7-1226-SM-5SIAR 60-69 years, female 47.1
GTEX-15RIE-0126-SM-7KUF8 60-69 years, male 47.1
GTEX-13RTK-0726-SM-5Q5EN 20-29 years, male 47.0
GTEX-ZZ64-0626-SM-5GZWR 20-29 years, male 47.0
GTEX-1JMPY-0326-SM-CM2S2 30-39 years, male 47.0
GTEX-1QCLY-1226-SM-EVYC3 30-39 years, male 47.0
GTEX-ZQG8-1026-SM-51MR9 60-69 years, female 46.9
GTEX-WI4N-1526-SM-EZ6LG 40-49 years, female 46.9
GTEX-117YX-0726-SM-5GIET 50-59 years, male 46.7
GTEX-1B932-1726-SM-793A5 40-49 years, female 46.7
GTEX-1QMI2-1626-SM-EYYXK 60-69 years, male 46.7
GTEX-15DZA-0626-SM-6PANC 30-39 years, female 46.6
GTEX-ZVT2-0226-SM-5GIE3 50-59 years, female 46.6
GTEX-1CAMS-0926-SM-7SB7F 40-49 years, female 46.6
GTEX-13PVR-0526-SM-5S2OB 60-69 years, female 46.5
GTEX-WFON-1226-SM-3TW8F 40-49 years, male 46.5
GTEX-1399U-2026-SM-9WPNN 50-59 years, female 46.4
GTEX-132AR-0526-SM-5J2MJ 50-59 years, female 46.3
GTEX-14PJ2-1426-SM-62LFF 50-59 years, male 46.3
GTEX-ZYW4-2226-SM-5GZYG 60-69 years, male 46.3
GTEX-ZYFG-1426-SM-5GICS 60-69 years, female 46.1
GTEX-1H1E6-1126-SM-9JGGV 30-39 years, male 46.1
GTEX-1LSNM-0626-SM-DIPG7 50-59 years, male 46.1
GTEX-12WSM-0626-SM-5GCOK 60-69 years, male 46.0
GTEX-13111-0626-SM-5LZVR 50-59 years, male 46.0
GTEX-13CF3-1126-SM-5LZXB 60-69 years, female 46.0
GTEX-12WSK-1026-SM-5CVNR 40-49 years, female 45.9
GTEX-11GS4-1026-SM-5N9DE 60-69 years, male 45.8
GTEX-144GN-0726-SM-5O98O 50-59 years, male 45.8
GTEX-17KNJ-0426-SM-718AK 50-59 years, male 45.8
GTEX-1F48J-1826-SM-7SB8T 50-59 years, female 45.8
GTEX-1GF9U-1226-SM-ARL9I 40-49 years, female 45.7
GTEX-1RNTQ-0826-SM-E9TK8 20-29 years, female 45.7
GTEX-13D11-0526-SM-5LZYM 50-59 years, female 45.6
GTEX-1GMR2-0226-SM-9JGHO 50-59 years, male 45.6
GTEX-1HKZK-1726-SM-ADEJ9 40-49 years, male 45.6
GTEX-1C6VS-1826-SM-73KXN 60-69 years, male 45.5
GTEX-1IDJU-0926-SM-ARL88 60-69 years, female 45.5
GTEX-1QP29-1626-SM-EXUSZ 50-59 years, male 45.5
GTEX-ZVP2-0226-SM-57WBD 50-59 years, male 45.4
GTEX-13X6I-1526-SM-5SIAC 60-69 years, male 45.3
GTEX-1PIGE-1226-SM-EVR3Q 20-29 years, male 45.3
GTEX-11DXZ-1426-SM-5H12A 50-59 years, male 45.2
GTEX-14PKU-0226-SM-6EU16 40-49 years, female 45.2
GTEX-1HB9E-0526-SM-ARZNM 50-59 years, male 45.2
GTEX-13113-1126-SM-5LZU9 60-69 years, female 45.1
GTEX-Y9LG-1226-SM-4VBQA 30-39 years, male 45.1
GTEX-ZDYS-2226-SM-5S2MI 50-59 years, male 45.1
GTEX-11XUK-1726-SM-5GU61 40-49 years, female 45.0
GTEX-139T6-0526-SM-5IJC9 50-59 years, male 45.0
GTEX-13O3P-0926-SM-5IFFI 50-59 years, male 45.0
GTEX-17HHY-1026-SM-7LG5E 50-59 years, male 44.9
GTEX-131XF-0726-SM-5GIE5 60-69 years, male 44.8
GTEX-13VXT-0926-SM-5LU5K 20-29 years, female 44.7
GTEX-VJYA-1626-SM-EXOHL 60-69 years, male 44.7
GTEX-13OW7-1126-SM-5K7V6 50-59 years, male 44.6
GTEX-1MCC2-0626-SM-DKPQI 30-39 years, female 44.6
GTEX-1S831-1926-SM-EV79P 20-29 years, male 44.6
GTEX-ZPIC-0726-SM-57WFM 40-49 years, female 44.5
GTEX-1GMR3-0826-SM-9WYT4 40-49 years, male 44.3
GTEX-12ZZW-2326-SM-5DUW2 50-59 years, male 44.2
GTEX-13FH7-1926-SM-5J2OL 50-59 years, female 44.2
GTEX-1211K-1226-SM-5EQ4N 60-69 years, female 44.1
GTEX-XQ8I-1426-SM-4BOPW 50-59 years, male 44.0
GTEX-Y8E4-1226-SM-5IFIM 40-49 years, male 44.0
GTEX-1J1R8-0526-SM-ACKWO 40-49 years, male 44.0
GTEX-1R7EV-1026-SM-DTX81 40-49 years, male 43.8
GTEX-131XH-0826-SM-5GCN8 50-59 years, male 43.7
GTEX-13X6H-1726-SM-5Q5EH 50-59 years, female 43.7
GTEX-1C6VQ-1526-SM-73KU9 50-59 years, male 43.7
GTEX-ZAJG-1626-SM-5HL7I 50-59 years, female 43.7
GTEX-18D9U-0426-SM-731AN 40-49 years, male 43.6
GTEX-14PJ3-0726-SM-69LQE 50-59 years, male 43.4
GTEX-11P7K-0826-SM-5BC5F 30-39 years, male 43.2
GTEX-1C2JI-0826-SM-7EPHB 50-59 years, male 43.1
GTEX-1212Z-0526-SM-5FQSQ 60-69 years, male 43.0
GTEX-15D1Q-1326-SM-69LOA 40-49 years, male 43.0
GTEX-1QP9N-0426-SM-DTXFT 30-39 years, male 43.0
GTEX-14PJ5-0426-SM-5ZZW2 60-69 years, female 42.9
GTEX-1OFPY-0826-SM-DTX8P 60-69 years, male 42.8
GTEX-1S5ZA-1026-SM-EWRO2 20-29 years, male 42.8
GTEX-1IDJF-1726-SM-A9SLL 20-29 years, male 42.6
GTEX-1L5NE-1726-SM-DHXKX 50-59 years, male 42.6
GTEX-Y3I4-0726-SM-E9J3Y 50-59 years, male 42.6
GTEX-13FTW-0426-SM-5K7X2 40-49 years, male 42.2
GTEX-14B4R-0526-SM-5QGQT 30-39 years, male 42.2
GTEX-WY7C-0926-SM-3NB34 50-59 years, male 42.1
GTEX-169BO-0426-SM-7EPI1 50-59 years, male 41.9
GTEX-1RAZQ-1526-SM-E6CJI 30-39 years, male 41.8
GTEX-13N11-1826-SM-5IJDS 50-59 years, female 41.7
GTEX-ZXES-0926-SM-5E43O 30-39 years, female 41.5
GTEX-1QP66-0626-SM-E76PD 50-59 years, male 41.3
GTEX-1LSNL-1426-SM-E6CJ9 50-59 years, male 41.2
GTEX-ZTX8-0726-SM-59HL9 20-29 years, male 41.0
GTEX-YEC4-0926-SM-5PNXY 40-49 years, male 40.7
GTEX-1MA7W-0526-SM-E6CIN 20-29 years, female 40.7
GTEX-WOFM-0726-SM-3MJF8 20-29 years, male 40.6
GTEX-1AMEY-0526-SM-72D62 30-39 years, female 40.3
GTEX-1A3MV-0626-SM-731CH 30-39 years, male 40.2
GTEX-11EM3-1126-SM-5A5KM 20-29 years, female 40.1
GTEX-1ICG6-1726-SM-ARU7K 70-79 years, female 40.1
GTEX-1LG7Z-0226-SM-E6CIG 30-39 years, male 40.0
GTEX-1PFEY-0726-SM-E76PO 30-39 years, male 39.8
GTEX-1HBPN-1526-SM-9WYSB 50-59 years, male 39.5
GTEX-1MCQQ-1426-SM-E6CJA 60-69 years, male 39.5
GTEX-1N2DV-0626-SM-E9U5H 40-49 years, male 39.1
GTEX-11P82-0326-SM-5HL51 20-29 years, male 38.3
GTEX-1LGOU-0826-SM-DHXKL 20-29 years, female 37.8
GTEX-1GPI7-0826-SM-9JGG7 20-29 years, male 37.7
GTEX-1HSMP-1126-SM-B2LXJ 70-79 years, male 37.7
GTEX-13FTX-0626-SM-5J2NS 20-29 years, female 37.3
GTEX-1QAET-1226-SM-DTX9I 50-59 years, male 36.0
GTEX-16NGA-0526-SM-731AJ 40-49 years, female 35.8
GTEX-14PHX-1626-SM-69LQB 50-59 years, male 35.5
GTEX-12C56-0826-SM-5EGJ5 20-29 years, male 34.2
GTEX-11VI4-1226-SM-5EQMP 40-49 years, female 33.8
GTEX-1RAZR-1026-SM-E8VOJ 40-49 years, male 27.9
GTEX-1RB15-1126-SM-E8VMX 60-69 years, male 2.9
Show allShow less

ADIPOSE TISSUE - FANTOM5 CAGEi

RNA expression in human tissues obtained through Cap Analysis of Gene Expression (CAGE) generated by the FANTOM5 project are reported as Scaled Tags Per Million.

Max subtype Scaled Tags Per Millioni

Max subtype Scaled Tags Per Million is the value for the subtype with the largest average Scaled Tags Per Million across the subtype samples.

62.6
FANTOM5 sample id Sample description Scaled Tags Per Million
Adipose tissue
Scaled Tags Per Million: 62.6
FF:10010-101C1 65,65,76 years, mixed 62.6

Contact

  • NEWS ARTICLES
  • PRESS ROOM

The Project

  • INTRODUCTION
  • ORGANIZATION
  • PUBLICATIONS

The Human Protein Atlas

  • DOWNLOADABLE DATA
  • LICENCE & CITATION
  • HELP & FAQ
The Human Protein Atlas project is funded
by the Knut & Alice Wallenberg Foundation.


contact@proteinatlas.org