We use cookies to enhance the usability of our website. If you continue, we'll assume that you are happy to receive all cookies. More information. Don't show this again.
CEACAM19
HPA
RESOURCES
  • TISSUE
  • BRAIN
  • SINGLE CELL
  • SUBCELLULAR
  • CANCER
  • BLOOD
  • CELL LINE
  • STRUCTURE & INTERACTION
ABOUT
  • INTRODUCTION
  • HISTORY
  • ORGANIZATION
  • PUBLICATIONS
  • ANTIBODY SUBMISSION
  • ANTIBODY AVAILABILITY
  • ACKNOWLEDGMENTS
  • CONTACT
NEWS
  • NEWS ARTICLES
  • PRESS ROOM
LEARN
  • DICTIONARY
  • PROTEIN CLASSES
  • PROTEIN EVIDENCE
  • METHODS
  • EDUCATIONAL VIDEOS
DATA
  • DOWNLOADABLE DATA
  • PUBLICATION DATA
  • RELEASE HISTORY
HELP
  • ANTIBODY VALIDATION
  • ASSAYS & ANNOTATION
  • DISCLAIMER
  • HELP & FAQ
  • PRIVACY STATEMENT
  • LICENCE & CITATION
Fields »
Search result

Field
Term
Gene name
Class
Subclass
Class
Keyword
Chromosome
External id
Tissue
Cell type
Expression
Antibody panel
Tissue
Main location
Patient ID
Annotation
Tissue
Category
Tau score
Cluster
Reliability
Brain region
Category
Tau score
Brain region
Category
Tau score
Brain region
Category
Tau score
Cluster
Reliability
Tissue
Cell type
Enrichment
Cell type
Category
Tau score
Cell type
Category
Tau score
Cell type
Category
Tau score
Cell lineage
Category
Tau score
Cluster
Cluster
Location
Searches
Location
Cell line
Class
Type
Phase
Reliability
Cancer
Prognosis
Cancer
Category
Cancer
Category
Tau score
Cluster
Variants
Interacting gene (ensg_id)
Type
Number of interactions
Pathway
Category
Score
Score
Score
Validation
Validation
Validation
Validation
Antibodies
Data type
Column


  • SUMMARY

  • TISSUE

  • BRAIN

  • SINGLE CELL

  • SUBCELL

  • CANCER

  • BLOOD

  • CELL LINE

  • STRUCT & INT

  • CEACAM19
TISSUE PRIMARY DATA SKIN Show tissue menu
ADIPOSE TISSUE ADRENAL GLAND AMYGDALA APPENDIX BASAL GANGLIA BONE MARROW BREAST CEREBELLUM CEREBRAL CORTEX CERVIX CHOROID PLEXUS COLON DUODENUM
ENDOMETRIUM EPIDIDYMIS ESOPHAGUS FALLOPIAN TUBE GALLBLADDER HEART MUSCLE HIPPOCAMPAL FORMATION HYPOTHALAMUS KIDNEY LIVER LUNG LYMPH NODE MIDBRAIN
OVARY PANCREAS PARATHYROID GLAND PITUITARY GLAND PLACENTA PROSTATE RECTUM RETINA SALIVARY GLAND SEMINAL VESICLE SKELETAL MUSCLE SKIN SMALL INTESTINE
SMOOTH MUSCLE SPINAL CORD SPLEEN STOMACH TESTIS THYMUS THYROID GLAND TONGUE TONSIL URINARY BLADDER VAGINA
ANTIBODIES
AND
VALIDATION
Dictionary
Skin
Tissue proteome
Skin
SKIN - Expression summary
Protein expressioni

On the top, protein expression in current human tissue, based on all annotated cell types, is reported with the units not detected (n), low (l), medium (m) and high (h). Underneath, protein expression in each annotated cell type are reported using the same units.

Protein expression data is based on knowledge-based annotation. For genes where more than one antibody has been used, a collective score is set.

If knowledge-based annotation could not be performed for a gene, no data is displayed here. View antibody staining data further down this page.

No data
RNA expressioni

A summary of mRNA expression data available for current tissue based on several datasets. The mRNA expression levels in human tissues are based on RNA-seq data generated by the Human Protein Atlas (HPA), Genotype-Tissue Expression (GTEx) portal and CAGE data generated by the FANTOM5 consortium. Consensus normalized expression levels for human tissues was created by combining the data from HPA and GTEx datasets.

The mRNA expression levels in pig are based on RNA-seq data generated by the Human Protein Atlas (HPA), and for mouse, HPA data and in situ hybridization generated by the Allen brain atlas are reported.

Scroll down to view mRNA expression data in more detail.
Consensus:12.0 nTPM
HPA:10.5 nTPM
GTEx:12.0 nTPM

SKIN - Annotated protein expression
Pending normal tissue analysis

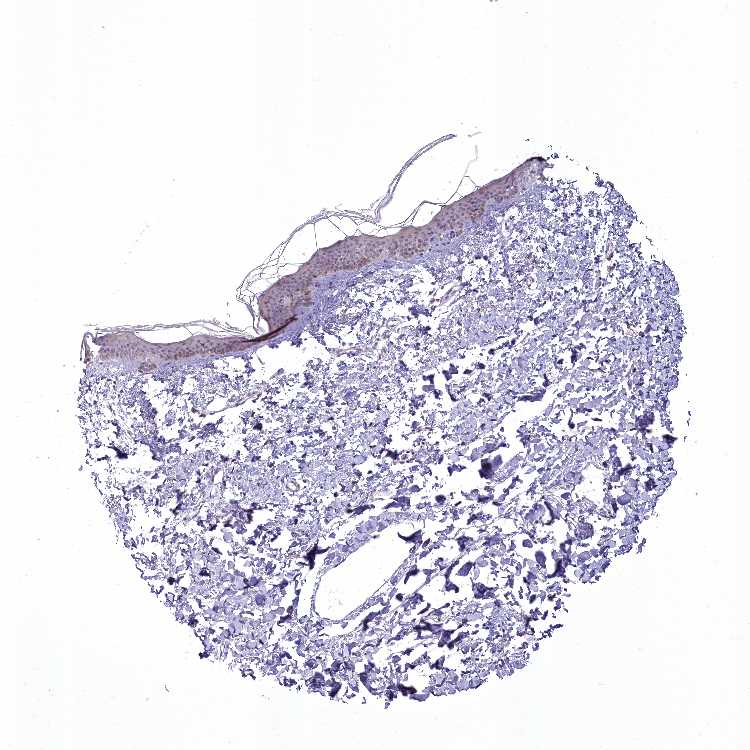
SKIN 1 - Antibody stainingi

Antibody staining in the annotated cell types in the current human tissue is reported as not detected, low, medium, or high, based on conventional immunohistochemistry profiling in selected tissues. This score is based on the combination of the staining intensity and fraction of stained cells.

Each image is clickable and will lead to virtual microscopy that enables deeper exploration of all samples and also displays staining intensity scores, fraction scores and subcellular localization as well as patient and tissue information for each sample.

Antibody HPA014462
Langerhans Not detected
Fibroblasts Not detected
Keratinocytes Not detected
Melanocytes Not detected

SKIN 2 - Antibody stainingi

Antibody staining in the annotated cell types in the current human tissue is reported as not detected, low, medium, or high, based on conventional immunohistochemistry profiling in selected tissues. This score is based on the combination of the staining intensity and fraction of stained cells.

Each image is clickable and will lead to virtual microscopy that enables deeper exploration of all samples and also displays staining intensity scores, fraction scores and subcellular localization as well as patient and tissue information for each sample.

Antibody HPA014462
Epidermal cells Low
 
 
 

SKIN - HPA RNA-seqi

The RNA-seq details section shows detailed information about the individual samples used for the transcript profiling and results of the RNA-seq analysis.

Information about each individual sample is listed below, including gender, age, a tissue section image and estimated fractions of cell types. nTPM (normalized transcripts per million) values give a quantification of the gene abundance which is comparable between different genes and samples.
Average nTPMi

Max subtype nTPM is the value for the subtype with the largest average nTPM across the subtype samples.

10.5
overview
Female, age 34
Skin sample 225
nTPM: 11.4
Cell types%
Keratinocytes:
60

Other cell types:
40

overview
Female, age 30
Skin sample 226
nTPM: 7.5
Cell types%
Keratinocytes:
55

Other cell types:
45

N/A
Male, age 57
Skin sample 227
nTPM: 12.5

SKIN - GTEx RNA-seqi

RNA-Seq data generated by the Genotype-Tissue Expression (GTEx) project from human tissues is reported as mean nTPM. More information can be found on the GTEx portal.

Distribution across the dataset is visualized with box plots, shown as median and 25th and 75th percentiles. Points are displayed as outliers if they are above or below 1.5 times the interquartile range. nTPM values of the individual samples are presented next to the box plot.
Max subtype nTPMi

Max subtype nTPM is the value for the subtype with the largest average nTPM across the subtype samples.

12.0
GTEx sample id Sample description nTPM
Skin - Not Sun Exposed (Suprapubic)
Average nTPM: 11.2
Samples: 604

Max nTPM: 32.3
Min nTPM: 3.8
Std nTPM: 4.1
Median nTPM: 10.5
GTEX-ZTX8-1326-SM-4YCEL 20-29 years, male 32.3
GTEX-1RMOY-1326-SM-E9TIH 50-59 years, male 27.8
GTEX-1IKOE-1426-SM-CE6T7 30-39 years, female 27.4
GTEX-1OJC3-1226-SM-DTXER 20-29 years, male 25.9
GTEX-ZY6K-1426-SM-5GZX2 50-59 years, male 25.1
GTEX-11DYG-1526-SM-5A5JS 60-69 years, male 24.9
GTEX-YECK-0326-SM-4W1YS 60-69 years, male 24.5
GTEX-Y114-2126-SM-4TT8B 50-59 years, female 24.2
GTEX-1CAMS-2226-SM-7PBXQ 40-49 years, female 24.0
GTEX-X585-2426-SM-46MW2 50-59 years, male 23.8
GTEX-1399S-0126-SM-5IJCF 30-39 years, female 23.3
GTEX-WFG7-2026-SM-5SI7P 20-29 years, male 23.3
GTEX-1PPH8-0126-SM-EWRN8 20-29 years, male 23.3
GTEX-ZE9C-2526-SM-5IJDR 60-69 years, male 22.7
GTEX-111VG-1626-SM-5EGIO 60-69 years, male 22.1
GTEX-1JJEA-1826-SM-ARU8P 60-69 years, male 22.0
GTEX-1HBPN-0126-SM-CGQEF 50-59 years, male 21.8
GTEX-1PIIG-2326-SM-DTXFR 30-39 years, male 21.7
GTEX-17F97-2626-SM-7IGM5 50-59 years, male 20.8
GTEX-1JMLX-0626-SM-ARL8T 50-59 years, male 20.8
GTEX-1KANB-2826-SM-CY8I6 50-59 years, male 20.4
GTEX-11DZ1-2426-SM-5GZZX 50-59 years, male 20.3
GTEX-17HGU-2326-SM-7DUFE 50-59 years, male 20.0
GTEX-1R9PM-1926-SM-EVR3O 20-29 years, male 19.7
GTEX-15RIG-0726-SM-7KUM7 40-49 years, male 19.6
GTEX-18A67-1626-SM-7LT9T 50-59 years, male 19.6
GTEX-1JMPY-0226-SM-CKZOK 30-39 years, male 19.0
GTEX-1F6I4-2326-SM-7RHGL 60-69 years, male 18.9
GTEX-12WSJ-1126-SM-5LZVJ 40-49 years, female 18.8
GTEX-1AYD5-2626-SM-7PBXY 50-59 years, male 18.7
GTEX-1IKJJ-2226-SM-CJI4C 60-69 years, male 18.5
GTEX-13SLX-2226-SM-62LEP 50-59 years, female 18.4
GTEX-1E2YA-2126-SM-7MXUO 50-59 years, male 18.3
GTEX-11PRG-0726-SM-5EGL1 50-59 years, male 18.1
GTEX-1313W-0626-SM-5EQ4H 50-59 years, female 18.1
GTEX-ZTTD-2826-SM-4YCFA 50-59 years, male 18.1
GTEX-1EMGI-2326-SM-7PBYA 60-69 years, male 18.1
GTEX-1GMRU-2126-SM-7P8RA 50-59 years, male 18.1
GTEX-11DXZ-2026-SM-5987S 50-59 years, male 17.9
GTEX-1R9PN-0426-SM-DTXDT 40-49 years, female 17.9
GTEX-11OF3-0126-SM-5PNYF 60-69 years, male 17.8
GTEX-14PHY-1226-SM-5ZZWK 60-69 years, female 17.8
GTEX-15RJ7-2126-SM-6PAMD 40-49 years, male 17.6
GTEX-15RJE-2826-SM-7KUM9 40-49 years, male 17.6
GTEX-16MT9-0126-SM-7EPI8 60-69 years, female 17.6
GTEX-131XG-0326-SM-5L3DX 50-59 years, female 17.5
GTEX-15UF6-1926-SM-7KUDV 70-79 years, female 17.5
GTEX-1PBJJ-1026-SM-E76OS 30-39 years, male 17.5
GTEX-13G51-1826-SM-5KLZH 60-69 years, male 17.4
GTEX-1GF9X-1326-SM-7PC2Y 40-49 years, female 17.4
GTEX-1IY9M-2826-SM-ARU8H 60-69 years, male 17.3
GTEX-11GS4-0226-SM-5HL77 60-69 years, male 17.1
GTEX-Y111-0626-SM-4SOIT 50-59 years, male 17.1
GTEX-1RAZS-2526-SM-E6CHT 50-59 years, male 17.1
GTEX-1HCUA-0826-SM-ADEHM 50-59 years, female 17.0
GTEX-12ZZY-0726-SM-5EQ66 60-69 years, male 16.9
GTEX-1H23P-0626-SM-9WG6T 60-69 years, male 16.9
GTEX-111CU-1126-SM-5EGIM 50-59 years, male 16.7
GTEX-1EKGG-0626-SM-7DUGJ 60-69 years, male 16.7
GTEX-147GR-2426-SM-5ZZWQ 60-69 years, male 16.6
GTEX-147F4-0726-SM-5TDDD 50-59 years, male 16.5
GTEX-1BAJH-2426-SM-7IGP8 70-79 years, male 16.5
GTEX-1MJK3-0726-SM-E6CJC 20-29 years, male 16.5
GTEX-12126-0826-SM-5FQTZ 20-29 years, male 16.4
GTEX-1H11D-1826-SM-9QEHM 40-49 years, male 16.3
GTEX-1HGF4-0126-SM-CNPPX 60-69 years, male 16.3
GTEX-12ZZX-2426-SM-5GCOE 40-49 years, female 16.2
GTEX-1JMQJ-0826-SM-CNPP7 50-59 years, male 16.2
GTEX-1PPGY-1626-SM-EVYBL 60-69 years, male 16.2
GTEX-14E1K-2026-SM-7DUEI 50-59 years, male 16.1
GTEX-14PII-0726-SM-6EU2B 60-69 years, male 16.1
GTEX-15RIE-1926-SM-7KUKJ 60-69 years, male 16.1
GTEX-1EU9M-1426-SM-793AI 60-69 years, male 16.0
GTEX-1HSMP-0926-SM-A9SKX 70-79 years, male 16.0
GTEX-1OJC4-2726-SM-E76PJ 50-59 years, female 16.0
GTEX-1QPFJ-1926-SM-EVYBD 30-39 years, female 16.0
GTEX-1R9K4-2826-SM-DTX8F 60-69 years, male 16.0
GTEX-16YQH-2226-SM-7IGM2 30-39 years, male 15.9
GTEX-17HHE-1326-SM-7EWDZ 50-59 years, male 15.9
GTEX-145LU-1926-SM-79OJN 50-59 years, male 15.8
GTEX-1QP9N-1226-SM-E76QN 30-39 years, male 15.8
GTEX-11WQC-1826-SM-5GU59 60-69 years, male 15.7
GTEX-1J8EW-2726-SM-CY8HR 60-69 years, female 15.6
GTEX-13IVO-0726-SM-5LZYV 70-79 years, male 15.4
GTEX-ZT9X-1526-SM-5DUXD 40-49 years, male 15.3
GTEX-1I1GT-1026-SM-ARZLV 60-69 years, female 15.3
GTEX-1POEN-2326-SM-E9J2L 30-39 years, female 15.3
GTEX-1RAZQ-1326-SM-E9TK6 30-39 years, male 15.3
GTEX-13FTY-2126-SM-5IFFB 40-49 years, female 15.2
GTEX-18A6Q-0626-SM-7KFRP 60-69 years, male 15.1
GTEX-1C6VR-0126-SM-7RHGB 60-69 years, male 15.1
GTEX-1LSNL-2726-SM-E9TKJ 50-59 years, male 15.1
GTEX-1H2FU-0926-SM-9WPPT 60-69 years, female 15.0
GTEX-1HBPI-2126-SM-ARL9K 50-59 years, male 15.0
GTEX-14PJ3-1126-SM-5ZZVX 50-59 years, male 14.9
GTEX-1A8G6-2726-SM-731AR 60-69 years, male 14.9
GTEX-1N2DV-1526-SM-DTXEP 40-49 years, male 14.9
GTEX-11P7K-1126-SM-5HL4L 30-39 years, male 14.8
GTEX-ZYT6-2326-SM-5GZY3 30-39 years, male 14.8
GTEX-1HT8W-0626-SM-A9G2H 30-39 years, male 14.8
GTEX-1IL2V-1926-SM-B2LW8 70-79 years, male 14.8
GTEX-1IOXB-2726-SM-CM2RI 50-59 years, male 14.8
GTEX-18465-2826-SM-7LT9J 50-59 years, male 14.7
GTEX-1CB4J-1326-SM-7P8RX 60-69 years, male 14.7
GTEX-1HC8U-1326-SM-9YFMJ 40-49 years, female 14.7
GTEX-18QFQ-1826-SM-72D52 30-39 years, male 14.6
GTEX-1C64N-2626-SM-7PC2N 50-59 years, male 14.6
GTEX-144GL-0626-SM-5LU4D 50-59 years, male 14.5
GTEX-WHSE-0126-SM-3NMBT 20-29 years, male 14.5
GTEX-1192X-2726-SM-5N9DN 50-59 years, male 14.4
GTEX-145MH-2826-SM-5RQJF 50-59 years, male 14.4
GTEX-1I1HK-2326-SM-CKZOH 60-69 years, male 14.4
GTEX-1N2EE-0626-SM-E76PW 60-69 years, male 14.4
GTEX-11WQK-1026-SM-5EQLX 50-59 years, male 14.3
GTEX-14ABY-2026-SM-62LDL 50-59 years, male 14.3
GTEX-XBEW-1126-SM-4QARW 40-49 years, male 14.3
GTEX-11LCK-2226-SM-5HL4Q 30-39 years, male 14.2
GTEX-1399Q-2326-SM-5KM2X 40-49 years, male 14.2
GTEX-139UW-0326-SM-5J1ML 60-69 years, male 14.2
GTEX-1LKK1-2626-SM-DKPQE 50-59 years, female 14.2
GTEX-13OW6-2726-SM-5J2OE 50-59 years, male 14.1
GTEX-1H4P4-2126-SM-9WYSL 50-59 years, male 14.1
GTEX-1KAFJ-0126-SM-DIPEK 50-59 years, male 14.1
GTEX-144FL-0626-SM-5LU43 50-59 years, male 14.0
GTEX-17F9E-2326-SM-79OKD 50-59 years, male 14.0
GTEX-1F75A-0726-SM-7RHHD 50-59 years, male 14.0
GTEX-1J8Q2-2626-SM-ACKWQ 60-69 years, male 14.0
GTEX-13NYB-0126-SM-5J1MD 40-49 years, male 13.9
GTEX-WI4N-2726-SM-3LK7Y 40-49 years, female 13.9
GTEX-1I1GV-0626-SM-ARL7M 60-69 years, male 13.9
GTEX-13PDP-0726-SM-5L3HP 60-69 years, male 13.7
GTEX-15ER7-0626-SM-6PANF 20-29 years, female 13.7
GTEX-16MT8-2926-SM-7DUFO 60-69 years, female 13.7
GTEX-1EN7A-2426-SM-793DB 40-49 years, male 13.7
GTEX-ZDTT-0426-SM-4WKFL 60-69 years, male 13.7
GTEX-1HSMQ-2626-SM-A9SML 50-59 years, male 13.7
GTEX-145MN-1526-SM-5SI9T 30-39 years, male 13.6
GTEX-UPJH-0226-SM-3GADV 50-59 years, male 13.6
GTEX-1HBPM-0726-SM-9YFL7 60-69 years, female 13.6
GTEX-17EVP-2626-SM-7IGMA 40-49 years, male 13.5
GTEX-1B933-2426-SM-7DHMD 50-59 years, female 13.5
GTEX-1GN1V-2826-SM-9JGIA 60-69 years, male 13.5
GTEX-1H3O1-1326-SM-9MQLD 60-69 years, male 13.5
GTEX-1NV5F-0626-SM-DTXEG 60-69 years, female 13.5
GTEX-1QCLY-0226-SM-EWRNH 30-39 years, male 13.5
GTEX-11ZTT-2126-SM-5CVLO 60-69 years, female 13.4
GTEX-XQ3S-1426-SM-4BOPR 20-29 years, male 13.4
GTEX-1LVAM-0726-SM-E6CIL 50-59 years, female 13.4
GTEX-1CB4E-0926-SM-7EPHT 60-69 years, male 13.3
GTEX-1HB9E-0126-SM-CM2S5 50-59 years, male 13.3
GTEX-11DXY-0126-SM-5H11Q 60-69 years, male 13.2
GTEX-13PL6-1126-SM-5L3IE 40-49 years, female 13.2
GTEX-1GF9V-0826-SM-9KNUV 60-69 years, male 13.2
GTEX-1GN73-0726-SM-7P8TJ 60-69 years, male 13.2
GTEX-1I1GU-0926-SM-ACKVS 40-49 years, male 13.2
GTEX-14LZ3-0126-SM-69LPM 60-69 years, female 13.1
GTEX-1AX9I-2226-SM-73KUO 60-69 years, male 13.1
GTEX-1R46S-2426-SM-E76QA 60-69 years, female 13.1
GTEX-1S82P-2126-SM-E6CI5 60-69 years, female 13.1
GTEX-11TT1-1826-SM-5EQLV 20-29 years, male 13.0
GTEX-12ZZZ-0726-SM-5GCNZ 60-69 years, male 13.0
GTEX-11NUK-2726-SM-5A5MC 50-59 years, male 12.9
GTEX-11TUW-0626-SM-5LU9M 60-69 years, male 12.9
GTEX-16MTA-0926-SM-6M47Z 50-59 years, male 12.9
GTEX-ZP4G-1426-SM-4WWCL 20-29 years, female 12.9
GTEX-1HCU7-0726-SM-A9SL1 50-59 years, male 12.9
GTEX-ZLV1-1526-SM-DO91J 60-69 years, female 12.9
GTEX-1C2JI-1026-SM-73KY1 50-59 years, male 12.8
GTEX-Y8E4-2026-SM-5IFJB 40-49 years, male 12.8
GTEX-ZDTS-0826-SM-4WKHL 60-69 years, male 12.8
GTEX-ZDYS-2426-SM-4WKGI 50-59 years, male 12.8
GTEX-1CAMR-1326-SM-7PC1F 20-29 years, male 12.8
GTEX-1LB8K-0726-SM-D5OV2 50-59 years, male 12.8
GTEX-11EQ8-0926-SM-5H12V 60-69 years, male 12.7
GTEX-15CHR-1126-SM-7EWF4 50-59 years, male 12.7
GTEX-17HII-1426-SM-7EPGG 50-59 years, male 12.7
GTEX-1B97I-0626-SM-73KUZ 40-49 years, male 12.7
GTEX-ZC5H-1526-SM-5HL9Y 40-49 years, female 12.7
GTEX-1HCU6-2526-SM-ADEHL 60-69 years, female 12.7
GTEX-13OW7-0426-SM-5K7VK 50-59 years, male 12.6
GTEX-14JG1-1526-SM-5YY9X 40-49 years, male 12.6
GTEX-WHSB-1326-SM-3LK6W 50-59 years, male 12.6
GTEX-ZAB4-2126-SM-5HL8U 40-49 years, male 12.6
GTEX-18D9A-1426-SM-7LT8M 30-39 years, female 12.6
GTEX-1RLM8-2926-SM-E8VON 50-59 years, male 12.6
GTEX-15FZZ-0526-SM-7KUGD 30-39 years, female 12.5
GTEX-1C6VQ-1226-SM-73KYD 50-59 years, male 12.5
GTEX-1HCU8-2526-SM-CE6RX 60-69 years, female 12.5
GTEX-12584-0726-SM-5FQTK 40-49 years, male 12.4
GTEX-17KNJ-2126-SM-718AM 50-59 years, male 12.4
GTEX-X8HC-0626-SM-4E3HQ 50-59 years, female 12.4
GTEX-11ZU8-0126-SM-5EQ58 60-69 years, male 12.3
GTEX-WHPG-2626-SM-3NMBR 50-59 years, male 12.3
GTEX-ZLFU-1826-SM-4WWBV 40-49 years, male 12.3
GTEX-145MG-1526-SM-5Q5EM 50-59 years, male 12.2
GTEX-1MCC2-1826-SM-DIPEX 30-39 years, female 12.2
GTEX-1QP2A-1726-SM-E76QC 50-59 years, male 12.2
GTEX-12WSH-1526-SM-5BC5W 50-59 years, male 12.1
GTEX-15G19-2426-SM-7KUMR 60-69 years, male 12.1
GTEX-ZPCL-1126-SM-4WWFE 60-69 years, female 12.1
GTEX-ZWKS-0626-SM-5GIDV 30-39 years, male 12.1
GTEX-11NSD-0626-SM-5A5LU 20-29 years, male 12.0
GTEX-11P81-2226-SM-5PNYI 30-39 years, female 12.0
GTEX-13OVK-1426-SM-6PAN7 40-49 years, male 12.0
GTEX-17F9Y-0126-SM-79OKX 70-79 years, female 12.0
GTEX-1B8KE-1126-SM-7EPHI 50-59 years, male 12.0
GTEX-1C6WA-2626-SM-7MKGM 60-69 years, male 12.0
GTEX-11DXX-2126-SM-5PNYR 60-69 years, female 11.9
GTEX-139TT-2126-SM-5LZWC 60-69 years, male 11.9
GTEX-WHWD-1826-SM-3LK6I 50-59 years, male 11.9
GTEX-Y3I4-1726-SM-4TT89 50-59 years, male 11.9
GTEX-1J1OQ-0126-SM-D4P2N 40-49 years, female 11.9
GTEX-139TU-0726-SM-5L3EK 60-69 years, male 11.8
GTEX-1A3MW-0626-SM-731CB 60-69 years, female 11.8
GTEX-XPVG-2126-SM-4B667 50-59 years, male 11.8
GTEX-1QW4Y-1126-SM-DTXE3 30-39 years, male 11.8
GTEX-14PJ4-0226-SM-5YY92 60-69 years, male 11.7
GTEX-15SHW-0226-SM-7LTAT 60-69 years, male 11.7
GTEX-17HHY-0426-SM-7DHLC 50-59 years, male 11.7
GTEX-XBEC-0726-SM-4QARZ 50-59 years, male 11.7
GTEX-XXEK-1626-SM-4BRUZ 50-59 years, male 11.7
GTEX-Z93S-1626-SM-5CVMB 50-59 years, male 11.7
GTEX-1CAMQ-1326-SM-7P8RV 40-49 years, male 11.7
GTEX-1NSGN-0726-SM-DTXEF 50-59 years, male 11.7
GTEX-1QMI2-2526-SM-E8VNZ 60-69 years, male 11.7
GTEX-1S83E-1326-SM-E6CJM 40-49 years, male 11.7
GTEX-12WSD-0626-SM-5GCMW 60-69 years, female 11.6
GTEX-14ICL-1626-SM-5YYAO 30-39 years, male 11.6
GTEX-Y5V6-2326-SM-4VDSA 60-69 years, male 11.6
GTEX-YFCO-1226-SM-5LUAT 40-49 years, male 11.6
GTEX-1I1GS-2626-SM-B2LY3 60-69 years, male 11.6
GTEX-11GSP-2326-SM-5HL63 60-69 years, female 11.5
GTEX-16Z82-2626-SM-7KULU 60-69 years, male 11.5
GTEX-Y5LM-0926-SM-6LLJG 40-49 years, female 11.5
GTEX-YEC4-1826-SM-4W1YP 40-49 years, male 11.5
GTEX-1F75I-2226-SM-7SB8U 40-49 years, male 11.5
GTEX-1F88F-0126-SM-9WYSZ 60-69 years, female 11.5
GTEX-1I1GP-1326-SM-A9G28 50-59 years, male 11.5
GTEX-1PIGE-1826-SM-E8VOU 20-29 years, male 11.5
GTEX-XOT4-0626-SM-4B66L 60-69 years, female 11.4
GTEX-Y9LG-1126-SM-4VBQ7 30-39 years, male 11.4
GTEX-ZYFC-0426-SM-5GICQ 50-59 years, male 11.4
GTEX-1I1CD-0626-SM-CE6SW 60-69 years, female 11.4
GTEX-1KD5A-0126-SM-E9U54 50-59 years, male 11.4
GTEX-1LSNM-0826-SM-DIPG8 50-59 years, male 11.4
GTEX-1269C-0126-SM-5EQ5L 60-69 years, female 11.3
GTEX-13OVH-0526-SM-5L3E6 70-79 years, male 11.3
GTEX-WRHU-2826-SM-3MJG8 50-59 years, female 11.3
GTEX-1JMOU-1026-SM-CYPSS 60-69 years, female 11.3
GTEX-1LGRB-0926-SM-COH3K 50-59 years, female 11.3
GTEX-14C39-1726-SM-5RQIL 40-49 years, male 11.2
GTEX-ZVP2-0326-SM-57WBP 50-59 years, male 11.2
GTEX-1HSKV-1226-SM-ADEI4 60-69 years, male 11.2
GTEX-1S5ZU-2526-SM-E6CIF 20-29 years, female 11.2
GTEX-131XH-0126-SM-5LZUY 50-59 years, male 11.1
GTEX-13O3O-2326-SM-5IJD6 60-69 years, female 11.1
GTEX-13O3Q-0126-SM-5KM34 50-59 years, male 11.1
GTEX-13O61-1426-SM-5KM3D 60-69 years, male 11.1
GTEX-13X6J-0626-SM-5LU5F 50-59 years, male 11.1
GTEX-13YAN-0226-SM-5TDC6 60-69 years, male 11.1
GTEX-14A5H-0826-SM-5QGPJ 60-69 years, male 11.1
GTEX-ZYVF-0926-SM-5E44J 50-59 years, female 11.1
GTEX-1O9I2-0226-SM-EYYXD 50-59 years, male 11.1
GTEX-1RB15-1326-SM-E76Q9 60-69 years, male 11.1
GTEX-14C38-0726-SM-5SI6M 50-59 years, male 11.0
GTEX-14PHX-2226-SM-6EU2P 50-59 years, male 11.0
GTEX-ZAK1-0626-SM-5HL8E 50-59 years, female 11.0
GTEX-1B8L1-2226-SM-7P8PT 60-69 years, male 11.0
GTEX-1GZ4H-0526-SM-9KNU9 50-59 years, female 11.0
GTEX-1HCVE-2726-SM-CL54F 50-59 years, male 11.0
GTEX-1JMQI-1726-SM-ARL93 50-59 years, male 11.0
GTEX-1K2DA-1026-SM-CGQGF 50-59 years, male 11.0
GTEX-1LBAC-0826-SM-CY8IJ 20-29 years, male 11.0
GTEX-1N5O9-0926-SM-E9J3C 60-69 years, male 11.0
GTEX-13112-0126-SM-5P9IU 50-59 years, male 10.9
GTEX-XAJ8-1426-SM-47JYM 40-49 years, male 10.9
GTEX-148VJ-0626-SM-5LUAW 70-79 years, male 10.8
GTEX-17F96-0126-SM-7EWDU 70-79 years, male 10.8
GTEX-U8XE-0226-SM-4E3J3 30-39 years, male 10.8
GTEX-1GN2E-0226-SM-9WG6K 60-69 years, male 10.8
GTEX-13FTW-0326-SM-5K7UW 40-49 years, male 10.7
GTEX-13VXU-0626-SM-5L3F9 50-59 years, male 10.7
GTEX-1EWIQ-0326-SM-7DHMQ 70-79 years, female 10.7
GTEX-W5X1-2526-SM-3GILC 40-49 years, female 10.7
GTEX-WY7C-2126-SM-3NB2R 50-59 years, male 10.7
GTEX-X4EO-2926-SM-4E3JH 60-69 years, female 10.7
GTEX-1S3DN-2126-SM-E9TIN 50-59 years, male 10.7
GTEX-13FHO-0426-SM-5L3F5 60-69 years, male 10.6
GTEX-13OVJ-0826-SM-5J1OK 50-59 years, female 10.6
GTEX-13X6K-0626-SM-5LU5D 60-69 years, female 10.6
GTEX-16AAH-0626-SM-793C9 50-59 years, male 10.6
GTEX-WH7G-2026-SM-3NMBL 40-49 years, male 10.6
GTEX-XK95-0226-SM-4AT58 40-49 years, male 10.6
GTEX-XYKS-1426-SM-4BRUO 60-69 years, female 10.6
GTEX-ZYFD-0626-SM-5E44E 50-59 years, male 10.6
GTEX-1IDJH-0126-SM-D3L92 70-79 years, male 10.6
GTEX-1J1R8-2026-SM-CL53Y 40-49 years, male 10.6
GTEX-1S831-1826-SM-EWROF 20-29 years, male 10.6
GTEX-ZPIC-0526-SM-DO91W 40-49 years, female 10.6
GTEX-111YS-1526-SM-5GZYW 60-69 years, male 10.5
GTEX-18A7A-0126-SM-731AH 50-59 years, female 10.5
GTEX-1B8SF-0126-SM-7DUG3 60-69 years, male 10.5
GTEX-1CB4F-1026-SM-7DUH1 60-69 years, male 10.5
GTEX-1EX96-1026-SM-7MKG2 50-59 years, male 10.5
GTEX-12WSC-2826-SM-5BC5Y 50-59 years, male 10.4
GTEX-145MF-0926-SM-5Q5EA 50-59 years, male 10.4
GTEX-14BIN-1126-SM-5RQJZ 50-59 years, female 10.4
GTEX-17MF6-2626-SM-79OKQ 40-49 years, male 10.4
GTEX-ZE7O-2726-SM-51MT5 50-59 years, female 10.4
GTEX-1F6RS-2026-SM-7RHHC 60-69 years, female 10.4
GTEX-1GN1U-0626-SM-9MQL9 50-59 years, female 10.4
GTEX-1I6K7-1926-SM-B2LXR 40-49 years, male 10.4
GTEX-11ZUS-2626-SM-5FQUR 30-39 years, male 10.3
GTEX-13NZ9-2626-SM-5L3FK 50-59 years, male 10.3
GTEX-XBED-1926-SM-47JYP 60-69 years, male 10.3
GTEX-12KS4-2126-SM-5FQUT 30-39 years, male 10.2
GTEX-145LS-0626-SM-7EPG7 60-69 years, female 10.2
GTEX-1A3MV-1826-SM-731CD 30-39 years, male 10.2
GTEX-Y8LW-1526-SM-5IFHL 50-59 years, female 10.2
GTEX-ZZPU-0826-SM-5GZX5 50-59 years, female 10.2
GTEX-1A3MX-2626-SM-7PC24 60-69 years, male 10.2
GTEX-1CB4I-0126-SM-7RHGG 50-59 years, male 10.2
GTEX-1I4MK-0126-SM-CY8G6 50-59 years, female 10.2
GTEX-1QEPI-2626-SM-DTXF4 60-69 years, female 10.2
GTEX-11O72-0626-SM-5PNYE 40-49 years, male 10.1
GTEX-139D8-1126-SM-5LU8W 30-39 years, female 10.1
GTEX-13X6I-1826-SM-5SIAO 60-69 years, male 10.1
GTEX-1F88E-1626-SM-7SB8Z 60-69 years, female 10.1
GTEX-1GF9W-1426-SM-7PBYM 60-69 years, male 10.1
GTEX-1JMQK-1226-SM-D4P2S 60-69 years, male 10.1
GTEX-1JN1M-2726-SM-CY8I4 60-69 years, female 10.1
GTEX-131XW-0626-SM-5PNVD 50-59 years, female 10.0
GTEX-13FTX-1526-SM-5K7VJ 20-29 years, female 10.0
GTEX-13NYS-0626-SM-5L3F1 60-69 years, male 10.0
GTEX-15SKB-2826-SM-6PAMH 60-69 years, male 10.0
GTEX-16XZZ-0726-SM-7KUF2 60-69 years, male 10.0
GTEX-1AX8Z-0726-SM-73KTS 60-69 years, male 10.0
GTEX-1GL5R-1326-SM-7RHHF 50-59 years, male 10.0
GTEX-1GPI6-1926-SM-9KNV7 60-69 years, male 10.0
GTEX-1M4P7-0726-SM-E6CJ3 60-69 years, male 10.0
GTEX-17JCI-2926-SM-7DUFF 60-69 years, female 9.9
GTEX-ZVT4-2426-SM-5GIEI 50-59 years, female 9.9
GTEX-1HFI6-0126-SM-CNPPI 40-49 years, male 9.9
GTEX-1JMQL-2226-SM-CNPP4 50-59 years, female 9.9
GTEX-1LG7Z-1626-SM-CXKYR 30-39 years, male 9.9
GTEX-1QP28-1126-SM-EVYC4 50-59 years, female 9.9
GTEX-1212Z-0126-SM-59HK4 60-69 years, male 9.8
GTEX-13OVL-0126-SM-5L3GJ 50-59 years, male 9.8
GTEX-15DDE-2926-SM-6LLJ3 50-59 years, female 9.8
GTEX-17HG3-2626-SM-7DUF2 30-39 years, female 9.8
GTEX-Y3IK-1626-SM-4YCF5 50-59 years, female 9.8
GTEX-YJ8O-2526-SM-5HL85 40-49 years, female 9.8
GTEX-1ICLZ-0326-SM-ARL82 60-69 years, male 9.8
GTEX-15EO6-2426-SM-6PALZ 50-59 years, male 9.7
GTEX-17F98-1326-SM-7DUEP 40-49 years, female 9.7
GTEX-ZF2S-1626-SM-57WES 50-59 years, female 9.7
GTEX-ZU9S-1826-SM-5NQ9E 30-39 years, male 9.7
GTEX-ZYY3-2926-SM-5GIEB 60-69 years, female 9.7
GTEX-1H1CY-0126-SM-9YFLY 60-69 years, female 9.7
GTEX-12WSK-2126-SM-5CVNC 40-49 years, female 9.6
GTEX-131XF-2626-SM-5EQ6K 60-69 years, male 9.6
GTEX-1ICG6-1226-SM-A9SLN 70-79 years, female 9.6
GTEX-1JK1U-0226-SM-ARZMX 60-69 years, male 9.6
GTEX-1K2DU-1226-SM-CYPT4 20-29 years, male 9.6
GTEX-12WSF-1626-SM-7KUG5 70-79 years, male 9.5
GTEX-13N1W-2426-SM-5IJD1 70-79 years, male 9.5
GTEX-13OW5-2326-SM-5L3HO 60-69 years, male 9.5
GTEX-14BMV-2826-SM-5TDED 50-59 years, male 9.5
GTEX-1F52S-2926-SM-7MKGA 60-69 years, female 9.5
GTEX-VUSG-2326-SM-4KL1U 50-59 years, male 9.5
GTEX-1K9T9-1526-SM-DIPFR 50-59 years, female 9.5
GTEX-1KWVE-1026-SM-D3L9O 30-39 years, male 9.5
GTEX-18D9U-0126-SM-731BM 40-49 years, male 9.4
GTEX-1AX9J-1326-SM-731BJ 60-69 years, male 9.4
GTEX-X5EB-1926-SM-4E3IW 40-49 years, male 9.4
GTEX-ZXG5-2126-SM-59HKD 60-69 years, male 9.4
GTEX-1GZ4I-2626-SM-9KNU3 50-59 years, male 9.4
GTEX-1MCYP-0526-SM-E9U6Q 20-29 years, female 9.4
GTEX-144GO-2026-SM-5O99P 60-69 years, male 9.3
GTEX-14PK6-0226-SM-62LF5 70-79 years, female 9.3
GTEX-14XAO-1226-SM-6EU1C 60-69 years, female 9.3
GTEX-18A7B-2726-SM-7LG56 70-79 years, male 9.3
GTEX-ZDXO-3126-SM-5IJDF 60-69 years, male 9.3
GTEX-ZF29-0926-SM-4WKFZ 60-69 years, female 9.3
GTEX-ZYW4-0626-SM-59HJR 60-69 years, male 9.3
GTEX-1QAET-0326-SM-EVR3U 50-59 years, male 9.3
GTEX-1QP29-1826-SM-DTX9S 50-59 years, male 9.3
GTEX-13D11-0926-SM-5J2NC 50-59 years, female 9.2
GTEX-1E1VI-0326-SM-793D1 50-59 years, male 9.2
GTEX-14JFF-0626-SM-5ZZVT 60-69 years, male 9.2
GTEX-1A8FM-0626-SM-7PC25 50-59 years, female 9.2
GTEX-1GZHY-0626-SM-9KNVC 50-59 years, female 9.2
GTEX-1LSVX-2526-SM-DIPEU 60-69 years, male 9.2
GTEX-13FLV-0126-SM-5K7WT 50-59 years, male 9.1
GTEX-14B4R-1326-SM-5Q5EZ 30-39 years, male 9.1
GTEX-15DYW-2726-SM-6EU2I 60-69 years, female 9.1
GTEX-15G1A-1626-SM-7KUKN 30-39 years, male 9.1
GTEX-17MFQ-1526-SM-7KFRR 20-29 years, male 9.1
GTEX-1CB4H-1126-SM-7MKGL 60-69 years, female 9.1
GTEX-V1D1-2026-SM-3GAF4 50-59 years, male 9.1
GTEX-1H1ZS-2726-SM-9WG75 70-79 years, male 9.1
GTEX-1IE54-1126-SM-A9G2Z 40-49 years, female 9.1
GTEX-1JJE9-2626-SM-ARZMT 70-79 years, male 9.1
GTEX-1JN76-0626-SM-CKZOQ 20-29 years, female 9.1
GTEX-133LE-2326-SM-5K7W3 20-29 years, female 9.0
GTEX-139YR-1026-SM-5LZYN 50-59 years, male 9.0
GTEX-13PVQ-0626-SM-5LU47 50-59 years, male 9.0
GTEX-13W3W-0726-SM-5IJDQ 60-69 years, female 9.0
GTEX-144GM-0526-SM-79OJO 20-29 years, male 9.0
GTEX-14PJO-2526-SM-6AJBQ 60-69 years, male 9.0
GTEX-WYVS-1626-SM-3NM9R 40-49 years, female 9.0
GTEX-1HR9M-2226-SM-CNPPY 60-69 years, male 9.0
GTEX-1HSGN-0826-SM-ACKW3 40-49 years, female 9.0
GTEX-1LVA9-2626-SM-EVYD4 50-59 years, male 9.0
GTEX-13OW8-1026-SM-5J1NQ 60-69 years, male 8.9
GTEX-13RTJ-0126-SM-5S2NN 60-69 years, male 8.9
GTEX-183WM-0326-SM-72D5V 70-79 years, female 8.9
GTEX-14JG6-1426-SM-9WG7C 30-39 years, female 8.9
GTEX-1H1DE-1326-SM-9KNUG 20-29 years, male 8.9
GTEX-1H1DG-2426-SM-9QEHJ 70-79 years, male 8.9
GTEX-1J8JJ-0626-SM-ARZMQ 60-69 years, female 8.9
GTEX-1LG7Y-2526-SM-EWRO7 50-59 years, male 8.9
GTEX-YEC3-1326-SM-DO92X 50-59 years, male 8.9
GTEX-13FH7-1126-SM-5K7UG 50-59 years, female 8.8
GTEX-13SLW-0626-SM-5Q5ER 70-79 years, male 8.8
GTEX-146FQ-2126-SM-5RQHU 30-39 years, male 8.8
GTEX-18A66-0626-SM-7LT8Z 60-69 years, male 8.8
GTEX-1B932-2326-SM-79OL5 40-49 years, female 8.8
GTEX-ZPU1-1126-SM-4YCF3 40-49 years, male 8.8
GTEX-13N2G-0226-SM-5K7VF 60-69 years, male 8.7
GTEX-15CHQ-0326-SM-69LQD 60-69 years, male 8.7
GTEX-1IDJD-2326-SM-ACKWX 30-39 years, male 8.7
GTEX-1KXAM-1626-SM-D3LAD 60-69 years, male 8.7
GTEX-139TS-2126-SM-5K7XC 60-69 years, male 8.6
GTEX-ZTSS-1426-SM-5985P 40-49 years, male 8.6
GTEX-1117F-2926-SM-5GZYI 60-69 years, female 8.5
GTEX-12WSM-1926-SM-5BC65 60-69 years, male 8.5
GTEX-15CHC-1126-SM-6LLHQ 60-69 years, female 8.5
GTEX-WYJK-0526-SM-3NM8Z 50-59 years, male 8.5
GTEX-1JKYR-0626-SM-ARL8R 20-29 years, male 8.5
GTEX-1PPH7-1126-SM-DTX9A 40-49 years, male 8.5
GTEX-1R7EU-1626-SM-DTXG3 60-69 years, male 8.5
GTEX-13U4I-2226-SM-5LU5H 40-49 years, female 8.4
GTEX-16NPX-0726-SM-7KULC 50-59 years, male 8.4
GTEX-XUW1-0926-SM-4BONX 50-59 years, female 8.4
GTEX-1122O-1026-SM-9WYSF 60-69 years, female 8.4
GTEX-1H3NZ-2726-SM-9WYTQ 60-69 years, male 8.4
GTEX-1IDFM-0326-SM-ARL7V 60-69 years, male 8.4
GTEX-1S82U-1026-SM-E6CJK 30-39 years, female 8.4
GTEX-WK11-2726-SM-3NMAQ 50-59 years, male 8.3
GTEX-1H1E6-0426-SM-9WYUS 30-39 years, male 8.3
GTEX-1IDJC-1526-SM-B2LW4 50-59 years, male 8.3
GTEX-1399U-1126-SM-5L3DB 50-59 years, female 8.2
GTEX-183FY-1026-SM-7939A 20-29 years, male 8.2
GTEX-1JMPZ-0726-SM-CY8HZ 30-39 years, male 8.2
GTEX-14PJ6-2626-SM-6EU2T 60-69 years, female 8.1
GTEX-WFON-1926-SM-3LK7L 40-49 years, male 8.1
GTEX-ZZ64-1026-SM-5GZXG 20-29 years, male 8.1
GTEX-1GPI7-1826-SM-9KNU1 20-29 years, male 8.1
GTEX-1IDJF-2026-SM-CL53V 20-29 years, male 8.1
GTEX-1KANA-1326-SM-DIPFA 20-29 years, male 8.1
GTEX-1PDJ9-1226-SM-EXUSX 20-29 years, male 8.1
GTEX-131YS-2826-SM-5EQ47 60-69 years, female 8.0
GTEX-14C5O-0326-SM-5ZZUX 60-69 years, male 8.0
GTEX-ZVE2-2826-SM-5GU51 50-59 years, male 8.0
GTEX-ZVZP-1226-SM-5GID7 50-59 years, male 8.0
GTEX-1H1DF-1126-SM-9WG7G 40-49 years, female 8.0
GTEX-12BJ1-0926-SM-5EQ62 60-69 years, male 7.9
GTEX-14DAR-1226-SM-73KYV 50-59 years, male 7.9
GTEX-178AV-1726-SM-7KUL8 40-49 years, male 7.9
GTEX-1F48J-0726-SM-7RHGS 50-59 years, female 7.9
GTEX-1HFI7-2326-SM-CGQFS 50-59 years, female 7.9
GTEX-1HR98-2226-SM-ADEI2 60-69 years, male 7.9
GTEX-11EI6-2826-SM-5H11D 60-69 years, male 7.8
GTEX-13N11-2326-SM-5IJBF 50-59 years, female 7.8
GTEX-14PKU-0126-SM-6LLHV 40-49 years, female 7.8
GTEX-14PKV-1126-SM-6LLJ1 20-29 years, female 7.8
GTEX-ZA64-1026-SM-5HL8R 20-29 years, male 7.8
GTEX-1F75B-0726-SM-7PC3R 50-59 years, male 7.8
GTEX-145MI-0626-SM-5SI8S 60-69 years, female 7.7
GTEX-145MO-2826-SM-5LU96 60-69 years, male 7.7
GTEX-14LLW-2626-SM-62LDZ 70-79 years, female 7.7
GTEX-ZAJG-1526-SM-5CVML 50-59 years, female 7.7
GTEX-1C64O-1326-SM-7MGWR 60-69 years, male 7.7
GTEX-1F5PL-0926-SM-7PC2W 40-49 years, female 7.7
GTEX-1LVAN-0626-SM-CNPOQ 50-59 years, female 7.7
GTEX-12WSA-0426-SM-5EQ5X 60-69 years, male 7.6
GTEX-13113-1626-SM-5EQ4I 60-69 years, female 7.6
GTEX-1C475-1326-SM-7SB73 40-49 years, female 7.6
GTEX-1GMR2-0826-SM-7PC3V 50-59 years, male 7.6
GTEX-1I6K6-1726-SM-CGQFD 30-39 years, male 7.6
GTEX-1JKYN-0826-SM-ARU8S 30-39 years, male 7.6
GTEX-11EQ9-1626-SM-5PNY8 30-39 years, male 7.5
GTEX-11UD2-2526-SM-5CVNU 50-59 years, male 7.5
GTEX-14DAQ-0626-SM-793DS 60-69 years, female 7.5
GTEX-1A32A-0626-SM-731AQ 50-59 years, female 7.5
GTEX-1B8KZ-0326-SM-73KY4 50-59 years, male 7.5
GTEX-WXYG-2026-SM-4E3IY 50-59 years, female 7.5
GTEX-13JVG-0726-SM-5KM16 60-69 years, male 7.4
GTEX-14PJ2-0626-SM-6LLII 50-59 years, male 7.4
GTEX-14PJN-1826-SM-6AJ98 30-39 years, male 7.4
GTEX-1A8G7-1326-SM-73KVM 60-69 years, male 7.4
GTEX-1B996-0426-SM-7EWF8 60-69 years, male 7.4
GTEX-VJYA-1526-SM-3GIJV 60-69 years, male 7.4
GTEX-XV7Q-1826-SM-4BRUV 40-49 years, female 7.4
GTEX-12696-0126-SM-5EQ4L 60-69 years, male 7.3
GTEX-12C56-1526-SM-5FQUQ 20-29 years, male 7.3
GTEX-147JS-0226-SM-5S2U9 60-69 years, male 7.3
GTEX-14AS3-1526-SM-5Q5ED 40-49 years, female 7.3
GTEX-18D9B-0926-SM-7LG4U 60-69 years, male 7.3
GTEX-X3Y1-2026-SM-3P5YM 40-49 years, male 7.3
GTEX-11VI4-1126-SM-5EQMD 40-49 years, female 7.2
GTEX-ZUA1-2626-SM-5NQ92 40-49 years, male 7.2
GTEX-1GMR3-0126-SM-A9SLW 40-49 years, male 7.2
GTEX-1HSMO-0626-SM-ACKXC 60-69 years, male 7.2
GTEX-1RAZR-2126-SM-E9U6T 40-49 years, male 7.2
GTEX-11DXW-0826-SM-5H118 40-49 years, male 7.1
GTEX-147F3-1726-SM-5SIAW 50-59 years, female 7.1
GTEX-14E6E-0526-SM-793DN 30-39 years, male 7.1
GTEX-X4EP-0626-SM-3P621 60-69 years, female 7.1
GTEX-ZVT2-0126-SM-5GIDQ 50-59 years, female 7.1
GTEX-1GF9U-2026-SM-7SB92 40-49 years, female 7.1
GTEX-1HCU9-0426-SM-9WYSD 20-29 years, male 7.1
GTEX-1IDJV-0126-SM-COH3Y 60-69 years, male 7.1
GTEX-132AR-0326-SM-5KM2C 50-59 years, female 7.0
GTEX-14E6C-2426-SM-5S2NF 40-49 years, male 7.0
GTEX-1IDJE-1426-SM-ADEIW 50-59 years, female 7.0
GTEX-15D1Q-2826-SM-6LLH7 40-49 years, male 6.9
GTEX-1GTWX-2026-SM-9YFLM 60-69 years, male 6.9
GTEX-1IDJU-1726-SM-CMKHU 60-69 years, female 6.9
GTEX-13NZ8-1226-SM-5KM4A 60-69 years, female 6.8
GTEX-13QJC-0126-SM-5ZZWJ 60-69 years, female 6.8
GTEX-145ME-1726-SM-5Q5EU 40-49 years, female 6.8
GTEX-14A6H-2026-SM-5Q5DD 30-39 years, male 6.8
GTEX-14PJ5-1526-SM-6LLIL 60-69 years, female 6.8
GTEX-15EU6-2226-SM-6EU2L 50-59 years, male 6.8
GTEX-ZT9W-1126-SM-57WDR 50-59 years, male 6.8
GTEX-13NYC-0126-SM-5L3F4 60-69 years, male 6.7
GTEX-1IDJI-0126-SM-CMKHS 50-59 years, female 6.7
GTEX-1QCLZ-2426-SM-EVYBW 60-69 years, female 6.7
GTEX-1211K-1526-SM-5FQU4 60-69 years, female 6.6
GTEX-1477Z-0326-SM-7IGLA 60-69 years, male 6.6
GTEX-16BQI-1326-SM-6M486 30-39 years, female 6.6
GTEX-1LVAO-2726-SM-E9TJ8 60-69 years, male 6.6
GTEX-13PVR-0426-SM-5RQK2 60-69 years, female 6.5
GTEX-14753-0726-SM-5QGQO 60-69 years, male 6.5
GTEX-16GPK-0626-SM-7KFSF 60-69 years, male 6.5
GTEX-16NGA-0726-SM-731AO 40-49 years, female 6.5
GTEX-1CAV2-0126-SM-7IGN7 40-49 years, female 6.5
GTEX-14BMU-1226-SM-5S2OR 20-29 years, female 6.4
GTEX-1AMEY-0826-SM-72D65 30-39 years, female 6.4
GTEX-1AMFI-1326-SM-7939R 50-59 years, female 6.4
GTEX-1J8Q3-0526-SM-ARL8U 60-69 years, male 6.4
GTEX-13JUV-2026-SM-5K7UA 40-49 years, female 6.3
GTEX-1GMR8-0626-SM-7RHI7 50-59 years, female 6.3
GTEX-1L5NE-1126-SM-D3L9P 50-59 years, male 6.3
GTEX-1RAZA-2226-SM-E9U4X 20-29 years, male 6.3
GTEX-117YX-1926-SM-5GIEC 50-59 years, male 6.2
GTEX-12WSL-2026-SM-5GCML 50-59 years, male 6.2
GTEX-145LT-0526-SM-5LUB2 40-49 years, male 6.2
GTEX-1EH9U-2826-SM-7DUGT 60-69 years, male 6.2
GTEX-ZVE1-0726-SM-51MRN 50-59 years, female 6.2
GTEX-1KANC-1226-SM-CYPT7 50-59 years, female 6.2
GTEX-17EVQ-0126-SM-7IGLR 70-79 years, male 6.1
GTEX-11P82-1426-SM-DTXFY 20-29 years, male 6.1
GTEX-WYBS-0626-SM-3NMAS 60-69 years, female 6.0
GTEX-139T8-0626-SM-5KLZX 60-69 years, male 5.9
GTEX-XMD2-2126-SM-4YCF8 60-69 years, female 5.9
GTEX-111FC-2526-SM-5GZXU 60-69 years, male 5.8
GTEX-1314G-1326-SM-5BC6E 30-39 years, male 5.8
GTEX-13OVG-1626-SM-5J1NF 60-69 years, male 5.8
GTEX-Y5V5-0126-SM-5S2NW 60-69 years, female 5.8
GTEX-1QP66-1226-SM-DTX7U 50-59 years, male 5.7
GTEX-13X6H-0926-SM-5SIB2 50-59 years, female 5.6
GTEX-1GN1W-2426-SM-9KNUU 50-59 years, female 5.6
GTEX-1JN6P-2926-SM-CL54D 60-69 years, male 5.6
GTEX-1399R-1326-SM-5PNYS 30-39 years, male 5.5
GTEX-UPK5-0426-SM-3GAEK 40-49 years, male 5.5
GTEX-YF7O-1526-SM-5IFI6 50-59 years, male 5.5
GTEX-11EM3-1226-SM-5N9DD 20-29 years, female 5.4
GTEX-1497J-0226-SM-5QGPU 60-69 years, male 5.4
GTEX-1GZ2Q-0126-SM-9WG6M 40-49 years, male 5.4
GTEX-1ICLY-0826-SM-CMKG1 50-59 years, male 5.4
GTEX-XQ8I-0926-SM-4BOOF 50-59 years, male 5.3
GTEX-ZLWG-0826-SM-59888 50-59 years, female 5.2
GTEX-ZVTK-0226-SM-51MRG 20-29 years, male 5.2
GTEX-1HKZK-0726-SM-ACKW2 40-49 years, male 5.2
GTEX-ZF3C-0626-SM-DO92O 50-59 years, female 5.2
GTEX-WEY5-2326-SM-3GIKK 40-49 years, female 5.1
GTEX-WFG8-2126-SM-3GIKQ 20-29 years, male 5.1
GTEX-1F5PK-2226-SM-7SB6N 50-59 years, male 5.1
GTEX-YB5K-2026-SM-4VDT3 40-49 years, female 5.0
GTEX-ZGAY-1826-SM-DO91Q 40-49 years, female 5.0
GTEX-1HUB1-1426-SM-CGQF5 60-69 years, male 4.9
GTEX-1I19N-0126-SM-CYPSF 70-79 years, male 4.8
GTEX-ZYFG-1526-SM-5GZYM 60-69 years, female 4.7
GTEX-1LGOU-1326-SM-D3L8M 20-29 years, female 4.7
GTEX-13VXT-1926-SM-5K7UO 20-29 years, female 4.6
GTEX-1F75W-2726-SM-7SB8H 60-69 years, male 4.6
GTEX-1J8QM-2426-SM-A9SLS 60-69 years, female 4.6
GTEX-1JJ6O-2726-SM-CNPOG 60-69 years, male 4.5
GTEX-13QBU-1226-SM-5LU4G 40-49 years, female 4.3
GTEX-1F6IF-0926-SM-7SB7M 60-69 years, male 4.3
GTEX-1H3VE-0726-SM-9YFL5 40-49 years, male 3.8
Show allShow less
Skin - Sun Exposed (Lower leg)
Average nTPM: 12.0
Samples: 701

Max nTPM: 32.9
Min nTPM: 3.2
Std nTPM: 4.5
Median nTPM: 11.2
GTEX-T6MN-0126-SM-32PLP 50-59 years, male 32.9
GTEX-1JMLX-0226-SM-CM2RO 50-59 years, male 32.3
GTEX-17JCI-0126-SM-7LG5G 60-69 years, female 30.7
GTEX-1I1GV-0526-SM-A9G29 60-69 years, male 29.4
GTEX-U412-0426-SM-3DB9O 60-69 years, male 29.3
GTEX-1R9PM-2026-SM-E76OY 20-29 years, male 28.2
GTEX-1PIIG-0226-SM-EWRN6 30-39 years, male 26.7
GTEX-111FC-0126-SM-5N9DL 60-69 years, male 26.6
GTEX-117XS-2726-SM-5N9BL 60-69 years, male 25.8
GTEX-1LG7Z-1726-SM-D3LA4 30-39 years, male 25.6
GTEX-11DYG-0126-SM-59883 60-69 years, male 25.0
GTEX-X88G-0126-SM-47JZ3 30-39 years, male 24.4
GTEX-1MJK2-0426-SM-DTXE5 50-59 years, male 24.3
GTEX-11DXZ-2326-SM-5EGGV 50-59 years, male 24.0
GTEX-1399R-2726-SM-5IJBA 30-39 years, male 23.9
GTEX-ZYT6-0226-SM-5NQ6T 30-39 years, male 23.7
GTEX-P4QT-0126-SM-2I3FL 50-59 years, female 23.1
GTEX-OOBJ-0126-SM-E6CJW 60-69 years, male 23.1
GTEX-ZTX8-1426-SM-5DUVO 20-29 years, male 23.0
GTEX-1NV5F-0226-SM-E8VNY 60-69 years, female 22.8
GTEX-1C64N-0126-SM-793D7 50-59 years, male 22.7
GTEX-PSDG-0226-SM-DKPOZ 50-59 years, male 22.6
GTEX-T2YK-0526-SM-32QPJ 50-59 years, male 22.4
GTEX-13FXS-0226-SM-5IJCK 50-59 years, male 22.2
GTEX-18D9A-1926-SM-7LG6P 30-39 years, female 21.8
GTEX-ZE9C-2726-SM-57WB5 60-69 years, male 21.7
GTEX-145MN-2226-SM-5SIAU 30-39 years, male 21.6
GTEX-139UW-2826-SM-5L3E7 60-69 years, male 21.4
GTEX-1K2DA-1826-SM-CGQGT 50-59 years, male 21.4
GTEX-Y8DK-0126-SM-4TT3L 60-69 years, male 21.3
GTEX-1JJEA-0326-SM-CNPOT 60-69 years, male 21.3
GTEX-14JG1-0426-SM-6ETZZ 40-49 years, male 21.0
GTEX-13OVH-0126-SM-5MR4B 70-79 years, male 20.9
GTEX-16GPK-0126-SM-7DHLE 60-69 years, male 20.9
GTEX-S7SE-0126-SM-2XCD5 50-59 years, male 20.9
GTEX-1OJC3-0126-SM-E76QX 20-29 years, male 20.9
GTEX-11TT1-2526-SM-5EGIB 20-29 years, male 20.7
GTEX-1B8SF-1426-SM-7DUGL 60-69 years, male 20.7
GTEX-1399U-2326-SM-5K7WY 50-59 years, female 20.6
GTEX-14PII-0226-SM-6EU1T 60-69 years, male 20.4
GTEX-WYJK-0126-SM-3NMAB 50-59 years, male 20.3
GTEX-11TUW-2726-SM-E9J4M 60-69 years, male 20.2
GTEX-15ER7-0326-SM-7KUEV 20-29 years, female 20.1
GTEX-Y3IK-2426-SM-4WWDU 50-59 years, female 20.0
GTEX-1KD4Q-0226-SM-E9TJ9 40-49 years, male 20.0
GTEX-13FTW-2626-SM-5K7WL 40-49 years, male 19.7
GTEX-NFK9-0226-SM-2HMKQ 40-49 years, male 19.7
GTEX-1KANC-1526-SM-D3LAB 50-59 years, female 19.7
GTEX-18QFQ-0126-SM-731BE 30-39 years, male 19.6
GTEX-1H11D-0226-SM-9WG6Z 40-49 years, male 19.5
GTEX-1M5QR-1226-SM-EWROB 40-49 years, male 19.5
GTEX-1CAV2-2226-SM-7P8P2 40-49 years, female 19.2
GTEX-ZV68-0126-SM-59HKS 50-59 years, female 19.1
GTEX-1BAJH-0526-SM-793CQ 70-79 years, male 19.0
GTEX-OIZG-0726-SM-33HBL 50-59 years, male 19.0
GTEX-PX3G-0126-SM-2I3EN 20-29 years, female 18.9
GTEX-SUCS-1926-SM-32PM3 70-79 years, male 18.9
GTEX-1EWIQ-0126-SM-7RHH2 70-79 years, female 18.9
GTEX-X4XX-0126-SM-3NMC2 60-69 years, male 18.7
GTEX-XUZC-1726-SM-4BRWS 30-39 years, female 18.6
GTEX-1IL2V-0126-SM-CM2TX 70-79 years, male 18.6
GTEX-W5X1-3026-SM-EAZAX 40-49 years, female 18.6
GTEX-146FQ-0126-SM-5NQA9 30-39 years, male 18.5
GTEX-S32W-2126-SM-2XCB1 50-59 years, female 18.4
GTEX-1F6RS-0126-SM-9MQKZ 60-69 years, female 18.4
GTEX-1LB8K-0226-SM-EWRNW 50-59 years, male 18.4
GTEX-1IL2U-0226-SM-CE6T8 60-69 years, male 18.3
GTEX-13NYB-2526-SM-5K7Z6 40-49 years, male 18.2
GTEX-POMQ-2226-SM-2I5FK 20-29 years, female 18.2
GTEX-1H4P4-0726-SM-9YFLR 50-59 years, male 18.1
GTEX-1EMGI-0126-SM-9KNUE 60-69 years, male 18.0
GTEX-12WSJ-1826-SM-5GCNY 40-49 years, female 17.9
GTEX-13CF2-2526-SM-5LZYX 60-69 years, male 17.9
GTEX-Z93S-0126-SM-5HL7M 50-59 years, male 17.9
GTEX-ZVTK-0426-SM-51MRS 20-29 years, male 17.9
GTEX-ZYFC-0226-SM-5NQ75 50-59 years, male 17.9
GTEX-14E6D-0126-SM-62LDV 50-59 years, male 17.8
GTEX-11GSP-2526-SM-5N9BP 60-69 years, female 17.5
GTEX-ZXES-1826-SM-5E43S 30-39 years, female 17.5
GTEX-1E2YA-0126-SM-9KNUC 50-59 years, male 17.5
GTEX-1KAFJ-2026-SM-CY8ID 50-59 years, male 17.5
GTEX-WQUQ-0426-SM-3MJFU 60-69 years, male 17.4
GTEX-15F5U-1526-SM-6PANO 40-49 years, male 17.3
GTEX-Y8E4-0626-SM-4WWDL 40-49 years, male 17.1
GTEX-1GF9X-2026-SM-7PC3A 40-49 years, female 17.1
GTEX-13G51-2526-SM-5LZYK 60-69 years, male 17.0
GTEX-14XAO-2326-SM-6EU1B 60-69 years, female 17.0
GTEX-1KXAM-2226-SM-CYPTC 60-69 years, male 17.0
GTEX-1GN2E-0426-SM-9MQKX 60-69 years, male 16.9
GTEX-132NY-0326-SM-5IJBL 60-69 years, male 16.8
GTEX-139TS-2826-SM-5J1OO 60-69 years, male 16.8
GTEX-1QP9N-1426-SM-DTXFL 30-39 years, male 16.8
GTEX-12126-0326-SM-5PNW3 20-29 years, male 16.7
GTEX-U8XE-0326-SM-3DB8P 30-39 years, male 16.7
GTEX-1B8L1-2526-SM-9WYTF 60-69 years, male 16.7
GTEX-1HSKV-0226-SM-A9SKJ 60-69 years, male 16.7
GTEX-1GF9V-0326-SM-7RHI5 60-69 years, male 16.6
GTEX-ZPIC-1726-SM-DHXIU 40-49 years, female 16.6
GTEX-1F5PL-0326-SM-7P8PQ 40-49 years, female 16.5
GTEX-1JMPY-1326-SM-ARL8Y 30-39 years, male 16.5
GTEX-11ZTS-0126-SM-5EQ6M 60-69 years, female 16.4
GTEX-YJ89-0126-SM-4TT3X 60-69 years, male 16.4
GTEX-Z93T-0126-SM-5HL5N 50-59 years, male 16.4
GTEX-1L5NE-2526-SM-E6CIE 50-59 years, male 16.4
GTEX-1QCLY-0326-SM-E8VOG 30-39 years, male 16.4
GTEX-1J8EW-0126-SM-CJI4F 60-69 years, female 16.3
GTEX-12WSE-0526-SM-793B2 20-29 years, male 16.2
GTEX-TMZS-0126-SM-3DB9Q 60-69 years, male 16.2
GTEX-1JMQJ-0526-SM-CYPSU 50-59 years, male 16.2
GTEX-1LSNM-1926-SM-E6CII 50-59 years, male 16.1
GTEX-OIZH-0126-SM-2HMIS 50-59 years, male 16.0
GTEX-1LBAC-0126-SM-DIPEZ 20-29 years, male 16.0
GTEX-YB5E-2026-SM-5IFIS 40-49 years, male 15.9
GTEX-ZDYS-2026-SM-5HL5L 50-59 years, male 15.9
GTEX-1H1DG-0126-SM-9WYU2 70-79 years, male 15.9
GTEX-1IDJH-0326-SM-A9SLQ 70-79 years, male 15.9
GTEX-1IOXB-0126-SM-ARL8G 50-59 years, male 15.9
GTEX-1OFPY-2426-SM-DTXEJ 60-69 years, male 15.9
GTEX-1CB4E-2226-SM-793DC 60-69 years, male 15.8
GTEX-Q2AI-1326-SM-2S1PL 40-49 years, male 15.8
GTEX-1H1CY-2826-SM-9MQM3 60-69 years, female 15.8
GTEX-1JN76-0126-SM-CNPPE 20-29 years, female 15.8
GTEX-1QMI2-0226-SM-EVYBX 60-69 years, male 15.8
GTEX-14PN4-0126-SM-6EU2V 50-59 years, male 15.7
GTEX-15ETS-0126-SM-7KUMW 40-49 years, female 15.7
GTEX-1PPH8-0226-SM-E8VND 20-29 years, male 15.7
GTEX-RVPV-0126-SM-EAZAW 60-69 years, male 15.7
GTEX-13X6J-0126-SM-5QGOU 50-59 years, male 15.6
GTEX-15SHU-0126-SM-7KUEH 40-49 years, female 15.6
GTEX-17F97-0326-SM-7LG5B 50-59 years, male 15.6
GTEX-Y5LM-1926-SM-5RQJH 40-49 years, female 15.6
GTEX-ZDTS-0126-SM-4WAY5 60-69 years, male 15.6
GTEX-ZVZO-0126-SM-5A5L9 40-49 years, male 15.6
GTEX-1HFI6-0226-SM-ADEHZ 40-49 years, male 15.6
GTEX-1KWVE-1426-SM-E9TJO 30-39 years, male 15.6
GTEX-13CF3-2426-SM-5IFGX 60-69 years, female 15.4
GTEX-13OW6-0426-SM-5L3HM 50-59 years, male 15.4
GTEX-15SB6-1726-SM-6PAME 50-59 years, female 15.4
GTEX-18A6Q-0126-SM-731BZ 60-69 years, male 15.4
GTEX-1CB4I-0226-SM-79OLH 50-59 years, male 15.4
GTEX-QESD-1426-SM-2S1R9 20-29 years, male 15.4
GTEX-139D8-0226-SM-5KLZO 30-39 years, female 15.3
GTEX-1J1OQ-0226-SM-CYPSH 40-49 years, female 15.3
GTEX-131XE-2326-SM-5PNZ2 50-59 years, male 15.2
GTEX-17HG3-2226-SM-7938L 30-39 years, female 15.2
GTEX-ZWKS-0126-SM-5SIAA 30-39 years, male 15.2
GTEX-1JMQL-0226-SM-CNPP5 50-59 years, female 15.2
GTEX-18A67-0126-SM-7LG5P 50-59 years, male 15.0
GTEX-18A7A-0226-SM-718BH 50-59 years, female 15.0
GTEX-1122O-2126-SM-5EGIR 60-69 years, female 14.9
GTEX-Y114-2426-SM-4TT8A 50-59 years, female 14.9
GTEX-S33H-1026-SM-EZ6L6 30-39 years, male 14.9
GTEX-1HBPM-0226-SM-ARL9F 60-69 years, female 14.8
GTEX-13111-1626-SM-5EGJY 50-59 years, male 14.7
GTEX-17KNJ-2326-SM-7DHLQ 50-59 years, male 14.7
GTEX-Y111-0126-SM-4SOIV 50-59 years, male 14.7
GTEX-13VXU-0126-SM-5SI9F 50-59 years, male 14.6
GTEX-1PFEY-1526-SM-E76PP 30-39 years, male 14.6
GTEX-1PIGE-0126-SM-EVYBJ 20-29 years, male 14.6
GTEX-1HBPI-1526-SM-C1YQ1 50-59 years, male 14.5
GTEX-1ICLZ-0126-SM-CKZPO 60-69 years, male 14.5
GTEX-1QPFJ-0226-SM-E76PB 30-39 years, female 14.5
GTEX-12ZZY-0226-SM-5LZVE 60-69 years, male 14.4
GTEX-14A5H-0426-SM-5QGQF 60-69 years, male 14.4
GTEX-14BIN-0626-SM-793DP 50-59 years, female 14.4
GTEX-QEG4-0226-SM-2S1PY 30-39 years, male 14.4
GTEX-ZYFD-0126-SM-5GIDL 50-59 years, male 14.4
GTEX-1GF9W-0326-SM-9KNUN 60-69 years, male 14.4
GTEX-1JMPZ-0226-SM-CNPP1 30-39 years, male 14.4
GTEX-16MT8-0426-SM-7KUEY 60-69 years, female 14.3
GTEX-1HR98-0126-SM-B2LWI 60-69 years, male 14.3
GTEX-ZF3C-0126-SM-DO92D 50-59 years, female 14.3
GTEX-1F75A-0126-SM-7RHGM 50-59 years, male 14.2
GTEX-1HCU8-0626-SM-A9SM9 60-69 years, female 14.2
GTEX-1J8JJ-0226-SM-CL53I 60-69 years, female 14.2
GTEX-1S82Y-2026-SM-EVYCM 40-49 years, male 14.2
GTEX-1313W-0126-SM-5LZUN 50-59 years, female 14.1
GTEX-1399T-2826-SM-5KLYZ 60-69 years, male 14.1
GTEX-13FH7-2026-SM-E9J4I 50-59 years, female 14.1
GTEX-1N2DW-0226-SM-E9TK2 50-59 years, male 14.1
GTEX-18D9U-0226-SM-718BP 40-49 years, male 14.0
GTEX-S95S-1226-SM-4GICG 60-69 years, male 14.0
GTEX-1CB4F-0426-SM-9KNV4 60-69 years, male 14.0
GTEX-1F6IF-0726-SM-7P8TW 60-69 years, male 14.0
GTEX-XUYS-0126-SM-47JWZ 50-59 years, male 13.9
GTEX-1JMQK-0226-SM-CL543 60-69 years, male 13.9
GTEX-15UKP-0426-SM-7KUFQ 20-29 years, male 13.8
GTEX-12WSG-2826-SM-E9J4H 50-59 years, female 13.8
GTEX-13OW5-0126-SM-DTXFS 60-69 years, male 13.8
GTEX-1GN73-0226-SM-9WG67 60-69 years, male 13.8
GTEX-1R46S-0626-SM-E9J41 60-69 years, female 13.8
GTEX-SJXC-0126-SM-2XCFF 60-69 years, male 13.7
GTEX-WI4N-1026-SM-3LK7N 40-49 years, female 13.7
GTEX-XYKS-2126-SM-4E3IB 60-69 years, female 13.7
GTEX-1J1R8-1726-SM-ARL8M 40-49 years, male 13.7
GTEX-OOBK-0126-SM-2YUND 40-49 years, male 13.6
GTEX-1I6K6-0126-SM-A9SLE 30-39 years, male 13.6
GTEX-11XUK-2026-SM-5EQLF 40-49 years, female 13.5
GTEX-12ZZX-0126-SM-5EGK9 40-49 years, female 13.5
GTEX-1C475-1826-SM-73KWA 40-49 years, female 13.5
GTEX-OHPL-0126-SM-2HMJ7 60-69 years, female 13.5
GTEX-ZF2S-2326-SM-4WWCE 50-59 years, female 13.5
GTEX-ZU9S-0226-SM-5E441 30-39 years, male 13.5
GTEX-1GZ2Q-0226-SM-7P8TL 40-49 years, male 13.5
GTEX-1HBPN-0226-SM-9YFM1 50-59 years, male 13.5
GTEX-1IKJJ-0126-SM-CNPQB 60-69 years, male 13.5
GTEX-1RQEC-0426-SM-E6CHU 60-69 years, male 13.5
GTEX-1128S-2326-SM-5GZZY 60-69 years, female 13.4
GTEX-13FHP-0126-SM-5IJBG 50-59 years, male 13.4
GTEX-13FTY-0526-SM-5L3EV 40-49 years, female 13.4
GTEX-S7PM-0126-SM-4AD6S 60-69 years, male 13.4
GTEX-RNOR-0126-SM-E9J4R 50-59 years, female 13.4
GTEX-ZQG8-1626-SM-DHXIT 60-69 years, female 13.4
GTEX-11UD1-0126-SM-5PNYG 40-49 years, female 13.3
GTEX-14E6E-1826-SM-5S2R7 30-39 years, male 13.3
GTEX-14ICK-0226-SM-6EU25 40-49 years, male 13.3
GTEX-ZVT2-2526-SM-51MT1 50-59 years, female 13.3
GTEX-1HCU6-0126-SM-CL54K 60-69 years, female 13.3
GTEX-14LZ3-0226-SM-62LET 60-69 years, female 13.2
GTEX-RU72-0926-SM-2TF6B 50-59 years, female 13.2
GTEX-UJHI-1526-SM-3DB99 50-59 years, female 13.2
GTEX-XXEK-2226-SM-4BRUM 50-59 years, male 13.2
GTEX-1EKGG-0226-SM-9WYTH 60-69 years, male 13.2
GTEX-1HB9E-0226-SM-E9U4R 50-59 years, male 13.2
GTEX-1IKOH-0226-SM-COH4E 60-69 years, female 13.2
GTEX-1RB15-2126-SM-E9TIM 60-69 years, male 13.1
GTEX-13N2G-2626-SM-5J1OT 60-69 years, male 13.0
GTEX-1HT8W-0126-SM-CNPPP 30-39 years, male 13.0
GTEX-131YS-0126-SM-5KM1M 60-69 years, female 12.9
GTEX-183WM-0126-SM-7LTAB 70-79 years, female 12.9
GTEX-QDVJ-1726-SM-2I5FX 50-59 years, male 12.9
GTEX-ZAK1-0126-SM-5IJD3 50-59 years, female 12.9
GTEX-1F6I4-0126-SM-9MQL2 60-69 years, male 12.9
GTEX-1HSMP-0126-SM-E6CJS 70-79 years, male 12.9
GTEX-11OF3-2626-SM-5GU7F 60-69 years, male 12.8
GTEX-11WQK-0526-SM-5EQLD 50-59 years, male 12.8
GTEX-15G19-0126-SM-6PANQ 60-69 years, male 12.8
GTEX-16YQH-0126-SM-7DUFJ 30-39 years, male 12.8
GTEX-18465-0126-SM-731BN 50-59 years, male 12.8
GTEX-O5YT-0126-SM-48TBW 20-29 years, male 12.8
GTEX-PVOW-0126-SM-2XCFA 40-49 years, male 12.8
GTEX-SIU8-0126-SM-2XCDT 50-59 years, male 12.8
GTEX-Y5V6-2426-SM-4VDSB 60-69 years, male 12.8
GTEX-1CB4H-0226-SM-7PBXM 60-69 years, female 12.8
GTEX-1JN6P-0126-SM-D3L98 60-69 years, male 12.8
GTEX-11DZ1-0126-SM-5985Q 50-59 years, male 12.7
GTEX-144FL-0126-SM-5TDC8 50-59 years, male 12.7
GTEX-17HGU-0226-SM-7DHKV 50-59 years, male 12.7
GTEX-TKQ1-1026-SM-4GICL 30-39 years, male 12.7
GTEX-1I1GQ-0126-SM-COH3H 50-59 years, male 12.7
GTEX-1PDJ9-0326-SM-DTX95 20-29 years, male 12.7
GTEX-1R7EU-0226-SM-EVR4G 60-69 years, male 12.7
GTEX-13SLX-0526-SM-5S2ON 50-59 years, female 12.6
GTEX-NPJ8-0126-SM-2YUNR 40-49 years, male 12.6
GTEX-XQ3S-1526-SM-4BOOC 20-29 years, male 12.6
GTEX-ZV6S-2326-SM-4YCEY 40-49 years, female 12.6
GTEX-1GMRU-0126-SM-9YFLV 50-59 years, male 12.6
GTEX-1S5ZA-0126-SM-EVYCV 20-29 years, male 12.6
GTEX-1C6VR-2426-SM-79OLD 60-69 years, male 12.5
GTEX-RWSA-0126-SM-2XCBB 40-49 years, male 12.5
GTEX-WYVS-2126-SM-3NMA3 40-49 years, female 12.5
GTEX-1HCUA-2426-SM-ADEIS 50-59 years, female 12.5
GTEX-1HSEH-0126-SM-ACKXN 60-69 years, male 12.5
GTEX-15DCD-0126-SM-7KUEK 70-79 years, female 12.4
GTEX-1AX9J-0226-SM-73KXM 60-69 years, male 12.4
GTEX-1B8KE-2126-SM-73KYX 50-59 years, male 12.4
GTEX-XBED-2226-SM-47JYQ 60-69 years, male 12.4
GTEX-ZAB4-0226-SM-5N9F5 40-49 years, male 12.4
GTEX-1GZHY-0326-SM-9QEHI 50-59 years, female 12.4
GTEX-117YW-2626-SM-5GZZH 50-59 years, male 12.3
GTEX-11DXW-0226-SM-5H122 40-49 years, male 12.3
GTEX-14PJM-0226-SM-62LF1 50-59 years, female 12.3
GTEX-OHPM-0126-SM-2YUN9 50-59 years, male 12.3
GTEX-QVJO-1626-SM-2S1QW 60-69 years, female 12.3
GTEX-YFC4-0126-SM-5CVLY 40-49 years, female 12.3
GTEX-1F88F-2726-SM-7PBZZ 60-69 years, female 12.3
GTEX-1HGF4-2426-SM-ACKXM 60-69 years, male 12.3
GTEX-13SLW-0126-SM-5SI6C 70-79 years, male 12.2
GTEX-14BMV-0126-SM-5S2PO 50-59 years, male 12.2
GTEX-16BQI-0226-SM-7KUEX 30-39 years, female 12.2
GTEX-1A3MX-0126-SM-731BR 60-69 years, male 12.2
GTEX-XAJ8-0826-SM-47JY6 40-49 years, male 12.2
GTEX-1POEN-0126-SM-EYYXJ 30-39 years, female 12.2
GTEX-15RIG-0226-SM-7KFTL 40-49 years, male 12.1
GTEX-T5JC-0426-SM-32PLO 20-29 years, male 12.1
GTEX-X585-0226-SM-4QAS2 50-59 years, male 12.1
GTEX-ZAJG-0126-SM-5HL94 50-59 years, female 12.1
GTEX-1A8FM-0226-SM-7SB7Q 50-59 years, female 12.1
GTEX-1KANB-0526-SM-E6CJH 50-59 years, male 12.1
GTEX-111VG-2426-SM-5GZXD 60-69 years, male 12.0
GTEX-11DXY-2626-SM-5GIE7 60-69 years, male 12.0
GTEX-13O3P-0126-SM-5KM4S 50-59 years, male 12.0
GTEX-13OVK-2026-SM-7KUEO 40-49 years, male 12.0
GTEX-X4EO-0326-SM-3P5YO 60-69 years, female 12.0
GTEX-YB5K-2126-SM-4WWDJ 40-49 years, female 12.0
GTEX-1GMR3-1926-SM-9KNUZ 40-49 years, male 12.0
GTEX-1I1GT-0626-SM-CGQER 60-69 years, female 12.0
GTEX-145LU-0126-SM-5TDCB 50-59 years, male 11.9
GTEX-WVJS-0126-SM-4MVOT 50-59 years, male 11.9
GTEX-1B933-0126-SM-7PC29 50-59 years, female 11.9
GTEX-1HCU9-1526-SM-A9SL7 20-29 years, male 11.9
GTEX-1LC47-0326-SM-E9TJP 60-69 years, male 11.9
GTEX-1QP66-1726-SM-E8VO1 50-59 years, male 11.9
GTEX-11UD2-0226-SM-5EQKY 50-59 years, male 11.8
GTEX-1212Z-2526-SM-5EGKP 60-69 years, male 11.8
GTEX-16NPX-0226-SM-79OMT 50-59 years, male 11.8
GTEX-UPJH-0326-SM-3GADU 50-59 years, male 11.8
GTEX-1H3VE-0326-SM-9YFLH 40-49 years, male 11.8
GTEX-1I4MK-2226-SM-ACKWD 50-59 years, female 11.8
GTEX-1MCQQ-0826-SM-DLHC2 60-69 years, male 11.8
GTEX-1S3DN-2226-SM-EVYCD 50-59 years, male 11.8
GTEX-13PDP-0126-SM-5L3HD 60-69 years, male 11.7
GTEX-145LS-0126-SM-5QGP1 60-69 years, female 11.7
GTEX-145MF-0626-SM-5LUAI 50-59 years, male 11.7
GTEX-17MFQ-1726-SM-793C7 20-29 years, male 11.7
GTEX-VJYA-1126-SM-3GIJU 60-69 years, male 11.7
GTEX-Y5V5-2326-SM-4V6GA 60-69 years, female 11.7
GTEX-ZVZP-2426-SM-59HKJ 50-59 years, male 11.7
GTEX-1H23P-0126-SM-ADEJ3 60-69 years, male 11.7
GTEX-1K9T9-0126-SM-EVYCF 50-59 years, female 11.7
GTEX-1R7EV-2426-SM-EVYBG 40-49 years, male 11.7
GTEX-1RDX4-0126-SM-E9J4P 50-59 years, female 11.7
GTEX-11EI6-0126-SM-5985R 60-69 years, male 11.6
GTEX-11GS4-2726-SM-5A5LE 60-69 years, male 11.6
GTEX-131XH-2226-SM-5DUXJ 50-59 years, male 11.6
GTEX-13OVL-0226-SM-5L3E9 50-59 years, male 11.6
GTEX-13QJ3-0326-SM-5S2RA 50-59 years, male 11.6
GTEX-145MO-0326-SM-5Q5B3 60-69 years, male 11.6
GTEX-1B8SG-0126-SM-73KZ3 50-59 years, male 11.6
GTEX-1F75B-0126-SM-9KNVL 50-59 years, male 11.6
GTEX-1GN1U-0126-SM-7PBZK 50-59 years, female 11.6
GTEX-1GZ4H-1726-SM-7PBZJ 50-59 years, female 11.6
GTEX-1JKYR-0126-SM-CNPOJ 20-29 years, male 11.6
GTEX-1JMQI-2226-SM-CM2SD 50-59 years, male 11.6
GTEX-1269C-2526-SM-5EGJ3 60-69 years, female 11.5
GTEX-17EVP-0326-SM-7DHLG 40-49 years, male 11.5
GTEX-1C4CL-0526-SM-73KVK 30-39 years, male 11.5
GTEX-1E1VI-0126-SM-7DHMZ 50-59 years, male 11.5
GTEX-1CAMS-0426-SM-7P8T2 40-49 years, female 11.5
GTEX-1GPI7-0126-SM-9MQL8 20-29 years, male 11.5
GTEX-1HSGN-0226-SM-CGQFV 40-49 years, female 11.5
GTEX-1A32A-0126-SM-718B1 50-59 years, female 11.4
GTEX-1KANA-0726-SM-D3L9I 20-29 years, male 11.4
GTEX-1192W-2626-SM-5Q5AF 60-69 years, male 11.3
GTEX-12584-0126-SM-5EGKQ 40-49 years, male 11.3
GTEX-17F96-1626-SM-7DUFL 70-79 years, male 11.3
GTEX-RTLS-0126-SM-447CA 60-69 years, female 11.3
GTEX-WZTO-0126-SM-3NM95 40-49 years, male 11.3
GTEX-ZQUD-1426-SM-57WER 30-39 years, male 11.3
GTEX-1K2DU-2326-SM-E9TIV 20-29 years, male 11.3
GTEX-1314G-1526-SM-5EGK2 30-39 years, male 11.2
GTEX-17HHY-0126-SM-7LG5D 50-59 years, male 11.2
GTEX-SN8G-0126-SM-32PLI 50-59 years, female 11.2
GTEX-ZDTT-2726-SM-4WKF8 60-69 years, male 11.2
GTEX-1IDJF-0126-SM-CM2RS 20-29 years, male 11.2
GTEX-1MGNQ-0126-SM-EVYCJ 40-49 years, male 11.2
GTEX-11P7K-2126-SM-5GU7G 30-39 years, male 11.1
GTEX-12WSK-2326-SM-5GCOH 40-49 years, female 11.1
GTEX-15DDE-0126-SM-6LPKH 50-59 years, female 11.1
GTEX-17GQL-2026-SM-718BA 60-69 years, male 11.1
GTEX-WOFL-0126-SM-3MJG2 60-69 years, male 11.1
GTEX-ZE7O-0126-SM-57WC1 50-59 years, female 11.1
GTEX-1I1GS-0126-SM-B2LVW 60-69 years, male 11.1
GTEX-1S82Z-0826-SM-E6CHY 30-39 years, female 11.1
GTEX-13O3Q-2426-SM-5IJBR 50-59 years, male 11.0
GTEX-145ME-1826-SM-5SI9G 40-49 years, female 11.0
GTEX-14A5I-0126-SM-5TDEA 50-59 years, female 11.0
GTEX-1B97I-1626-SM-73KYO 40-49 years, male 11.0
GTEX-X8HC-0126-SM-4E3JW 50-59 years, female 11.0
GTEX-ZGAY-0526-SM-4WWBB 40-49 years, female 11.0
GTEX-16XZZ-0126-SM-793DV 60-69 years, male 10.9
GTEX-O5YW-0126-SM-3LK6D 50-59 years, male 10.9
GTEX-OXRN-0126-SM-48TDM 50-59 years, male 10.9
GTEX-1EX96-1626-SM-7PBXR 50-59 years, male 10.9
GTEX-1HCVE-0126-SM-CGQEU 50-59 years, male 10.9
GTEX-1O97I-0326-SM-EYYX7 60-69 years, male 10.9
GTEX-ZZ64-1726-SM-5GZYB 20-29 years, male 10.8
GTEX-13O3O-0126-SM-E9J49 60-69 years, female 10.8
GTEX-1AX9I-0126-SM-7SB74 60-69 years, male 10.8
GTEX-1JN1M-0326-SM-CYPT3 60-69 years, female 10.8
GTEX-1LGRB-2526-SM-CNPPQ 50-59 years, female 10.8
GTEX-13O21-1426-SM-5K7XI 50-59 years, male 10.7
GTEX-13OVJ-0126-SM-5KM36 50-59 years, female 10.7
GTEX-15UF6-0826-SM-6PALJ 70-79 years, female 10.7
GTEX-U8T8-0126-SM-3DB94 60-69 years, male 10.7
GTEX-1HCU7-0226-SM-CL545 50-59 years, male 10.7
GTEX-ZVT4-0126-SM-DTXFN 50-59 years, female 10.7
GTEX-1192X-0226-SM-5H12D 50-59 years, male 10.6
GTEX-131XG-2626-SM-5KM17 50-59 years, female 10.6
GTEX-145LV-2126-SM-5LU8N 50-59 years, male 10.6
GTEX-148VI-1626-SM-5SI6E 60-69 years, female 10.6
GTEX-17EVQ-0226-SM-7LG4P 70-79 years, male 10.6
GTEX-18A7B-0126-SM-7LG64 70-79 years, male 10.6
GTEX-13NYC-0326-SM-E9J4S 60-69 years, male 10.6
GTEX-1R9K4-0126-SM-DTX9X 60-69 years, male 10.6
GTEX-11DXX-2426-SM-5GZZW 60-69 years, female 10.5
GTEX-15DYW-0126-SM-7KULE 60-69 years, female 10.5
GTEX-1A3MW-0126-SM-73KXX 60-69 years, female 10.5
GTEX-ZC5H-0226-SM-4WAY9 40-49 years, female 10.5
GTEX-1I1GU-2226-SM-CGQFA 40-49 years, male 10.5
GTEX-1ICG6-2526-SM-CGQFZ 70-79 years, female 10.5
GTEX-1JJE9-0326-SM-CL53Z 70-79 years, male 10.5
GTEX-1LG7Y-0526-SM-DKPQC 50-59 years, male 10.5
GTEX-1M4P7-0226-SM-DIPEV 60-69 years, male 10.5
GTEX-13112-2826-SM-5DUWH 50-59 years, male 10.4
GTEX-13NYS-0126-SM-5MR3W 60-69 years, male 10.4
GTEX-13NZB-2526-SM-5J1OM 30-39 years, male 10.4
GTEX-148VJ-0126-SM-5TDDN 70-79 years, male 10.4
GTEX-1JJ6O-0126-SM-E6CI8 60-69 years, male 10.4
GTEX-11H98-0126-SM-5EGHG 50-59 years, male 10.3
GTEX-131XW-0426-SM-5LZWP 50-59 years, female 10.3
GTEX-13NZA-0226-SM-5K7Z7 60-69 years, male 10.3
GTEX-144GL-0126-SM-5TDE2 50-59 years, male 10.3
GTEX-14PHX-2326-SM-62LEM 50-59 years, male 10.3
GTEX-18D9B-0526-SM-7LTAS 60-69 years, male 10.3
GTEX-RUSQ-1526-SM-2TF62 50-59 years, male 10.3
GTEX-W5WG-1826-SM-4KL2Y 50-59 years, female 10.3
GTEX-XPVG-2626-SM-4B669 50-59 years, male 10.3
GTEX-1I1GR-0126-SM-CL55F 60-69 years, male 10.3
GTEX-1MUQO-0126-SM-EAZ58 60-69 years, male 10.3
GTEX-12ZZZ-0626-SM-5DUXI 60-69 years, male 10.2
GTEX-13S7M-0126-SM-5SI6A 60-69 years, female 10.2
GTEX-145MI-0526-SM-5O9A8 60-69 years, female 10.2
GTEX-14PK6-1926-SM-6ETZU 70-79 years, female 10.2
GTEX-17MF6-0126-SM-7LG4F 40-49 years, male 10.2
GTEX-T2IS-0126-SM-4DM6O 20-29 years, female 10.2
GTEX-TSE9-0126-SM-3DB83 60-69 years, female 10.2
GTEX-X4XY-0226-SM-4E3IZ 60-69 years, male 10.2
GTEX-XMD2-0126-SM-4YCDU 60-69 years, female 10.2
GTEX-1F52S-0126-SM-9MQJU 60-69 years, female 10.2
GTEX-1MA7X-2226-SM-E6CIY 60-69 years, male 10.2
GTEX-1QAET-0926-SM-E76QM 50-59 years, male 10.2
GTEX-1H3O1-0426-SM-9YFKY 60-69 years, male 10.1
GTEX-1J8Q2-0526-SM-CM2RW 60-69 years, male 10.1
GTEX-1LVAN-0226-SM-COH3S 50-59 years, female 10.1
GTEX-12WSC-0126-SM-5EQ4P 50-59 years, male 10.0
GTEX-12WSD-0126-SM-59HKN 60-69 years, female 10.0
GTEX-13W46-0226-SM-5SIAG 50-59 years, male 10.0
GTEX-13X6I-0626-SM-5QGP9 60-69 years, male 10.0
GTEX-14E6C-0126-SM-5RQIP 40-49 years, male 10.0
GTEX-X261-0126-SM-3NMD6 50-59 years, male 10.0
GTEX-1B996-0226-SM-7RHGO 60-69 years, male 10.0
GTEX-1EN7A-0126-SM-7SB81 40-49 years, male 10.0
GTEX-1IDFM-0126-SM-COH2V 60-69 years, male 10.0
GTEX-13IVO-0126-SM-5J1NG 70-79 years, male 9.9
GTEX-1497J-2426-SM-7IGNX 60-69 years, male 9.9
GTEX-14DAQ-0126-SM-5S2MQ 60-69 years, female 9.9
GTEX-14PJ6-2126-SM-6EU1V 60-69 years, female 9.9
GTEX-SSA3-0126-SM-32QPU 60-69 years, male 9.9
GTEX-ZVT3-0126-SM-5GU6I 60-69 years, female 9.9
GTEX-1QEPI-0126-SM-EWRMQ 60-69 years, female 9.9
GTEX-1RAZA-0126-SM-E6CI3 20-29 years, male 9.9
GTEX-11OC5-0126-SM-5HL6A 60-69 years, male 9.8
GTEX-12696-2426-SM-5EQ6H 60-69 years, male 9.8
GTEX-12C56-1726-SM-5EQ61 20-29 years, male 9.8
GTEX-12WSA-0226-SM-5BC5V 60-69 years, male 9.8
GTEX-13RTJ-2426-SM-5S2Q2 60-69 years, male 9.8
GTEX-SNMC-1226-SM-2XCFP 20-29 years, male 9.8
GTEX-VUSG-2526-SM-4KL1V 50-59 years, male 9.8
GTEX-ZTSS-1926-SM-57WEW 40-49 years, male 9.8
GTEX-113JC-2326-SM-5EQ4E 50-59 years, female 9.7
GTEX-R55G-2526-SM-2TC6D 40-49 years, female 9.7
GTEX-ZAB5-1826-SM-5HL7C 50-59 years, male 9.7
GTEX-1I1CD-0126-SM-CM2TK 60-69 years, female 9.7
GTEX-PW2O-1526-SM-7RHHB 20-29 years, male 9.7
GTEX-XV7Q-2526-SM-4BRV9 40-49 years, female 9.6
GTEX-ZDXO-3026-SM-5J1N5 60-69 years, male 9.6
GTEX-131XF-5016-SM-7MGWE 60-69 years, male 9.6
GTEX-1H3VY-0126-SM-ACKXD 50-59 years, male 9.6
GTEX-13YAN-0326-SM-5O9DF 60-69 years, male 9.5
GTEX-17F98-0626-SM-79OMX 40-49 years, female 9.5
GTEX-RM2N-1426-SM-2TF4H 50-59 years, male 9.5
GTEX-RN64-0126-SM-2TC68 50-59 years, male 9.5
GTEX-13OVG-1926-SM-5L3DK 60-69 years, male 9.4
GTEX-147GR-0526-SM-5S2MY 60-69 years, male 9.4
GTEX-OXRP-0126-SM-3NB32 60-69 years, female 9.4
GTEX-Q2AH-1626-SM-3GAF8 40-49 years, male 9.4
GTEX-R3RS-0126-SM-3GIJL 40-49 years, female 9.4
GTEX-ZYFG-2326-SM-5E44B 60-69 years, female 9.4
GTEX-1GF9U-2126-SM-7SB7L 40-49 years, female 9.4
GTEX-1IGQW-0126-SM-COH42 60-69 years, male 9.4
GTEX-12WSL-2526-SM-5GCNJ 50-59 years, male 9.3
GTEX-133LE-1826-SM-5J1MV 20-29 years, female 9.3
GTEX-13N1W-0126-SM-5K7VT 70-79 years, male 9.3
GTEX-14753-0426-SM-5NQAM 60-69 years, male 9.3
GTEX-15SDE-2226-SM-7IGLO 50-59 years, female 9.3
GTEX-18A66-0226-SM-718BD 60-69 years, male 9.3
GTEX-QV44-1926-SM-2S1RF 50-59 years, male 9.3
GTEX-YJ8A-0426-SM-5IFID 20-29 years, male 9.3
GTEX-1H1DE-2126-SM-9WG6R 20-29 years, male 9.3
GTEX-1KD5A-0226-SM-D5OV3 50-59 years, male 9.3
GTEX-1LH75-2426-SM-E9TJE 50-59 years, female 9.3
GTEX-R45C-0126-SM-EAZ2R 60-69 years, female 9.3
GTEX-13FHO-0226-SM-5IFGY 60-69 years, male 9.2
GTEX-147F3-0526-SM-5SI98 50-59 years, female 9.2
GTEX-1CAMR-1926-SM-7EPI2 20-29 years, male 9.2
GTEX-PLZ5-2026-SM-2S1O4 50-59 years, male 9.2
GTEX-X4EP-0126-SM-3P5YV 60-69 years, female 9.2
GTEX-Y3I4-2126-SM-4TT7C 50-59 years, male 9.2
GTEX-ZF28-0126-SM-4WKGK 60-69 years, male 9.2
GTEX-1HSMQ-1226-SM-CGQFX 50-59 years, male 9.2
GTEX-13JUV-2726-SM-5LZZ8 40-49 years, female 9.1
GTEX-17HHE-2026-SM-79OKF 50-59 years, male 9.1
GTEX-QLQW-1126-SM-2S1Q8 30-39 years, male 9.1
GTEX-1C6VQ-0126-SM-7P8RI 50-59 years, male 9.1
GTEX-1CB4G-0226-SM-7PC3O 60-69 years, male 9.1
GTEX-1H2FU-0126-SM-9WYSI 60-69 years, female 9.1
GTEX-1MA7W-2026-SM-E9TJ6 20-29 years, female 9.1
GTEX-14JG6-2226-SM-6EU2G 30-39 years, female 9.0
GTEX-16AAH-1726-SM-7939C 50-59 years, male 9.0
GTEX-1AX8Z-0126-SM-7DHM6 60-69 years, male 9.0
GTEX-OXRO-0126-SM-2YUN4 60-69 years, female 9.0
GTEX-X5EB-2226-SM-46MW4 40-49 years, male 9.0
GTEX-Z9EW-1626-SM-5CVMN 40-49 years, male 9.0
GTEX-1EU9M-0226-SM-7P8SP 60-69 years, male 9.0
GTEX-1J8QM-2126-SM-CYPSJ 60-69 years, female 9.0
GTEX-11LCK-1026-SM-5A5KB 30-39 years, male 8.9
GTEX-139TU-0126-SM-5K7WH 60-69 years, male 8.9
GTEX-13RTL-0126-SM-7LG5S 40-49 years, male 8.9
GTEX-1C2JI-1826-SM-73KXC 50-59 years, male 8.9
GTEX-P4PP-0126-SM-3LK69 30-39 years, female 8.9
GTEX-ZYY3-0126-SM-5GZY5 60-69 years, female 8.9
GTEX-1PWST-0226-SM-E76QJ 70-79 years, male 8.9
GTEX-11NUK-0126-SM-5A5L3 50-59 years, male 8.8
GTEX-13PVR-2326-SM-5QGR1 60-69 years, female 8.8
GTEX-16NGA-1726-SM-731B4 40-49 years, female 8.8
GTEX-U3ZM-1526-SM-3DB9D 40-49 years, male 8.8
GTEX-1F7RK-0126-SM-7PC2S 20-29 years, female 8.8
GTEX-1IKK5-0626-SM-ARL8A 60-69 years, male 8.8
GTEX-1N2EF-0226-SM-EYYXB 60-69 years, male 8.8
GTEX-1S83E-0126-SM-EWRO4 40-49 years, male 8.8
GTEX-117YX-2326-SM-5H12W 50-59 years, male 8.7
GTEX-11EQ9-2426-SM-5HL5T 30-39 years, male 8.7
GTEX-13NZ8-0826-SM-5MR3I 60-69 years, female 8.7
GTEX-146FH-0126-SM-5QGPP 50-59 years, female 8.7
GTEX-1AYCT-2426-SM-7IGQ3 50-59 years, male 8.7
GTEX-1CAMQ-0226-SM-7IGPK 40-49 years, male 8.7
GTEX-Q2AG-0126-SM-33HBV 40-49 years, female 8.7
GTEX-QCQG-1726-SM-3GIJ9 50-59 years, female 8.7
GTEX-WH7G-2326-SM-3NMBC 40-49 years, male 8.7
GTEX-WY7C-2326-SM-3NB2U 50-59 years, male 8.7
GTEX-XUW1-0426-SM-4BOOT 50-59 years, female 8.7
GTEX-1QP29-0626-SM-EWRMX 50-59 years, male 8.7
GTEX-11EMC-2926-SM-5EQ4F 60-69 years, female 8.6
GTEX-11P81-2326-SM-59875 30-39 years, female 8.6
GTEX-15EOM-0126-SM-7KUGG 20-29 years, female 8.6
GTEX-QDVN-2026-SM-3GAEP 50-59 years, male 8.6
GTEX-TML8-1926-SM-32QOS 40-49 years, female 8.6
GTEX-U3ZN-2326-SM-3DB7W 30-39 years, female 8.6
GTEX-Y8LW-1826-SM-5S2MV 50-59 years, female 8.6
GTEX-ZY6K-1826-SM-5GZXK 50-59 years, male 8.6
GTEX-1HKZK-0326-SM-9WYUH 40-49 years, male 8.6
GTEX-OIZF-0126-SM-7SB8I 60-69 years, male 8.6
GTEX-11NSD-2226-SM-5986V 20-29 years, male 8.5
GTEX-13OW8-1326-SM-5J1OW 60-69 years, male 8.5
GTEX-RWS6-2026-SM-2XCB5 60-69 years, female 8.5
GTEX-YEC4-2126-SM-5IFJH 40-49 years, male 8.5
GTEX-11GSO-2426-SM-5A5LY 60-69 years, male 8.4
GTEX-13OW7-0126-SM-5MR3B 50-59 years, male 8.4
GTEX-TMMY-0226-SM-33HBA 40-49 years, female 8.4
GTEX-XBEW-0626-SM-4QASP 40-49 years, male 8.4
GTEX-1GMR8-0126-SM-9WYTM 50-59 years, female 8.4
GTEX-1H1ZS-0426-SM-9WG6G 70-79 years, male 8.4
GTEX-1H3NZ-0126-SM-ACKX7 60-69 years, male 8.4
GTEX-12KS4-0326-SM-5EQ41 30-39 years, male 8.3
GTEX-183FY-0126-SM-7LT9P 20-29 years, male 8.3
GTEX-1I1HK-0126-SM-COH49 60-69 years, male 8.3
GTEX-1JMOU-1526-SM-CL54I 60-69 years, female 8.3
GTEX-1PPH7-2326-SM-EVYB8 40-49 years, male 8.3
GTEX-11WQC-2526-SM-5CVLE 60-69 years, male 8.2
GTEX-14DAR-2026-SM-5S2O3 50-59 years, male 8.2
GTEX-R55E-0126-SM-2TC5Y 20-29 years, male 8.2
GTEX-WFG8-2226-SM-3GIL9 20-29 years, male 8.2
GTEX-WFON-2126-SM-3LK7O 40-49 years, male 8.2
GTEX-ZTPG-0326-SM-5O9AX 20-29 years, female 8.2
GTEX-1F75I-0326-SM-9YFLU 40-49 years, male 8.2
GTEX-1GTWX-0126-SM-9YFLK 60-69 years, male 8.2
GTEX-11ZVC-2526-SM-5FQTE 50-59 years, female 8.1
GTEX-13O1R-0126-SM-5L3EH 60-69 years, male 8.1
GTEX-147F4-0226-SM-5QGPW 50-59 years, male 8.1
GTEX-PLZ4-0126-SM-5SI8O 50-59 years, female 8.1
GTEX-139T8-0126-SM-5K7XZ 60-69 years, male 8.0
GTEX-16XZY-2126-SM-79OK1 70-79 years, male 8.0
GTEX-OXRK-0226-SM-3NB2G 50-59 years, female 8.0
GTEX-XQ8I-0426-SM-4BOPO 50-59 years, male 8.0
GTEX-1GPI6-0126-SM-9WG69 60-69 years, male 8.0
GTEX-1IDJU-2626-SM-CM2RT 60-69 years, female 8.0
GTEX-11VI4-1726-SM-5CVLH 40-49 years, female 7.9
GTEX-14BMU-2226-SM-5TDE9 20-29 years, female 7.9
GTEX-PWO3-1526-SM-48TCM 60-69 years, female 7.9
GTEX-WXYG-2326-SM-4E3I6 50-59 years, female 7.9
GTEX-1GL5R-1826-SM-9KNUY 50-59 years, male 7.9
GTEX-1QP2A-0126-SM-E9J43 50-59 years, male 7.9
GTEX-139TT-0126-SM-5K7Y5 60-69 years, male 7.8
GTEX-14E7W-0126-SM-6LLJ9 70-79 years, male 7.8
GTEX-169BO-1326-SM-9MQK2 50-59 years, male 7.8
GTEX-1I1GP-2226-SM-CGQFK 50-59 years, male 7.8
GTEX-13U4I-0126-SM-5LU38 40-49 years, female 7.7
GTEX-15EU6-0426-SM-6PAN5 50-59 years, male 7.7
GTEX-ZEX8-2426-SM-4WKG4 50-59 years, male 7.7
GTEX-ZVE2-0226-SM-59HJB 50-59 years, male 7.7
GTEX-1C6WA-0126-SM-7PC2B 60-69 years, male 7.7
GTEX-1LGOU-2026-SM-DIPFF 20-29 years, female 7.7
GTEX-1MCYP-1926-SM-E9J2R 20-29 years, female 7.7
GTEX-1NHNU-1026-SM-E9J2A 50-59 years, male 7.7
GTEX-13113-5016-SM-7EPIP 60-69 years, female 7.6
GTEX-13D11-2426-SM-5KM1V 50-59 years, female 7.6
GTEX-144GN-2326-SM-5LU4F 50-59 years, male 7.6
GTEX-14ABY-0226-SM-5TDCQ 50-59 years, male 7.6
GTEX-17EUY-0426-SM-793BD 20-29 years, male 7.6
GTEX-QLQ7-1626-SM-2S1R8 60-69 years, male 7.5
GTEX-SE5C-1626-SM-2XCE3 40-49 years, female 7.5
GTEX-14PJ3-1826-SM-62LEX 50-59 years, male 7.4
GTEX-17HII-0226-SM-7LG4E 50-59 years, male 7.4
GTEX-U3ZH-2026-SM-3DB78 30-39 years, male 7.4
GTEX-1RLM8-2326-SM-EWRN4 50-59 years, male 7.4
GTEX-145LT-1726-SM-5QGP3 40-49 years, male 7.3
GTEX-Q734-1926-SM-2I5EV 40-49 years, female 7.3
GTEX-T5JW-1626-SM-3GADZ 20-29 years, female 7.3
GTEX-VJWN-0126-SM-3GIK7 50-59 years, female 7.3
GTEX-1GN1V-0126-SM-9WPOS 60-69 years, male 7.3
GTEX-1IY9M-0126-SM-D3L8S 60-69 years, male 7.3
GTEX-1211K-2026-SM-5EQ4Z 60-69 years, female 7.2
GTEX-13W3W-2426-SM-5LU5B 60-69 years, female 7.2
GTEX-14PN3-2426-SM-6LLHS 60-69 years, female 7.2
GTEX-1B8KZ-2026-SM-7DHMB 50-59 years, male 7.2
GTEX-1CB4J-0626-SM-7DHMP 60-69 years, male 7.2
GTEX-ZUA1-0126-SM-5GU76 40-49 years, male 7.2
GTEX-1IE54-0126-SM-CMKHW 40-49 years, female 7.2
GTEX-13OVI-1426-SM-5L3EY 60-69 years, female 7.1
GTEX-14A6H-0126-SM-5QGPK 30-39 years, male 7.0
GTEX-14C5O-0126-SM-5SI6N 60-69 years, male 7.0
GTEX-T8EM-1026-SM-3DB7M 40-49 years, male 7.0
GTEX-U4B1-1826-SM-4DXSU 40-49 years, male 7.0
GTEX-V1D1-2226-SM-3NMAX 50-59 years, male 7.0
GTEX-ZZPT-0226-SM-5E43X 50-59 years, male 7.0
GTEX-13X6H-2126-SM-7EWD5 50-59 years, female 6.8
GTEX-15CHC-2126-SM-6EU21 60-69 years, female 6.8
GTEX-WRHK-1426-SM-3MJF9 20-29 years, female 6.8
GTEX-PWCY-1826-SM-DHXIZ 20-29 years, female 6.8
GTEX-11O72-0126-SM-59887 40-49 years, male 6.7
GTEX-11ZU8-2526-SM-5EQKI 60-69 years, male 6.7
GTEX-X638-0126-SM-47JZ8 70-79 years, female 6.7
GTEX-1F48J-0126-SM-7P8TT 50-59 years, female 6.7
GTEX-1HSMO-0126-SM-CL547 60-69 years, male 6.7
GTEX-1PBJI-0526-SM-E8VNK 20-29 years, female 6.7
GTEX-1A3MV-1926-SM-718BT 30-39 years, male 6.6
GTEX-QDT8-0126-SM-48TZ1 30-39 years, female 6.6
GTEX-PLZ6-1426-SM-DKPOT 30-39 years, male 6.6
GTEX-14PHW-0126-SM-6LLJI 60-69 years, female 6.5
GTEX-1AMEY-1326-SM-73KYK 30-39 years, female 6.5
GTEX-1AYD5-2426-SM-73KXR 50-59 years, male 6.5
GTEX-1C6VS-0526-SM-7DUEN 60-69 years, male 6.5
GTEX-11P82-1626-SM-59879 20-29 years, male 6.3
GTEX-13RTK-1426-SM-5QGQJ 20-29 years, male 6.3
GTEX-1HFI7-1826-SM-ACKXH 50-59 years, female 6.3
GTEX-113IC-0126-SM-5HL6T 60-69 years, male 6.2
GTEX-11EM3-2426-SM-59861 20-29 years, female 6.2
GTEX-14LLW-0126-SM-6LLIO 70-79 years, female 6.2
GTEX-1AMFI-2026-SM-731BH 50-59 years, female 6.2
GTEX-ZYW4-0126-SM-5E44A 60-69 years, male 6.2
GTEX-1ICLY-0126-SM-D4P36 50-59 years, male 6.2
GTEX-1JK1U-2026-SM-CM2RZ 60-69 years, male 6.2
GTEX-14BIM-0226-SM-7IGLD 60-69 years, female 6.1
GTEX-1N2DV-0226-SM-E6CJ6 40-49 years, male 6.1
GTEX-1F5PK-2426-SM-7RHHY 50-59 years, male 6.0
GTEX-1JKYN-1326-SM-CGQG9 30-39 years, male 6.0
GTEX-13N11-2526-SM-5K7UE 50-59 years, female 5.9
GTEX-1OJC4-0126-SM-E9J2E 50-59 years, female 5.9
GTEX-139T4-0226-SM-5HL5S 50-59 years, female 5.8
GTEX-OXRL-0126-SM-2YUMP 50-59 years, male 5.8
GTEX-ZXG5-0126-SM-5GIEU 60-69 years, male 5.8
GTEX-1GN1W-0526-SM-9MQJQ 50-59 years, female 5.8
GTEX-12WSN-5019-SM-79OM6 40-49 years, male 5.7
GTEX-15SHW-0326-SM-6PAML 60-69 years, male 5.7
GTEX-T6MO-1626-SM-32QOM 40-49 years, female 5.7
GTEX-1I19N-0326-SM-ACKVX 70-79 years, male 5.7
GTEX-1J8Q3-1626-SM-CMKGC 60-69 years, male 5.7
GTEX-1LNCM-1126-SM-E9U5E 50-59 years, female 5.6
GTEX-1C64O-0126-SM-7SB8P 60-69 years, male 5.5
GTEX-ZF29-2326-SM-DO92K 60-69 years, female 5.4
GTEX-11ZTT-2426-SM-5EQLS 60-69 years, female 5.3
GTEX-P44H-0226-SM-2XCEU 40-49 years, male 5.3
GTEX-146FR-1326-SM-E9J48 60-69 years, female 5.3
GTEX-1HUB1-0426-SM-E9U4U 60-69 years, male 5.2
GTEX-1QP67-1626-SM-EAZ3X 40-49 years, female 5.2
GTEX-14BIL-0126-SM-5SI92 50-59 years, male 5.1
GTEX-1H1E6-1726-SM-ACKVK 30-39 years, male 5.1
GTEX-X62O-0126-SM-4E3JN 50-59 years, male 5.0
GTEX-15D1Q-0126-SM-7KUG6 40-49 years, male 4.9
GTEX-13FTX-1826-SM-5J1NX 20-29 years, female 4.6
GTEX-11TTK-0126-SM-5987B 60-69 years, female 4.4
GTEX-P4PQ-0126-SM-2S1NM 60-69 years, male 4.4
GTEX-13VXT-0126-SM-5LU4I 20-29 years, female 4.3
GTEX-14JIY-0126-SM-6LLH6 60-69 years, male 4.3
GTEX-1AX9K-2326-SM-73KWU 50-59 years, male 4.3
GTEX-11ZUS-0626-SM-59885 30-39 years, male 4.1
GTEX-1HBPH-0426-SM-B2LW5 40-49 years, female 3.9
GTEX-1R9PO-2126-SM-E9J4O 60-69 years, female 3.9
GTEX-1QW4Y-1526-SM-EAZ3Z 30-39 years, male 3.5
GTEX-1RAZQ-0726-SM-EAZ43 30-39 years, male 3.2
Show allShow less

Contact

  • NEWS ARTICLES
  • PRESS ROOM

The Project

  • INTRODUCTION
  • ORGANIZATION
  • PUBLICATIONS

The Human Protein Atlas

  • DOWNLOADABLE DATA
  • LICENCE & CITATION
  • HELP & FAQ
The Human Protein Atlas project is funded
by the Knut & Alice Wallenberg Foundation.


contact@proteinatlas.org