We use cookies to enhance the usability of our website. If you continue, we'll assume that you are happy to receive all cookies. More information. Don't show this again.
HEXIM1
HPA
RESOURCES
  • TISSUE
  • BRAIN
  • SINGLE CELL
  • SUBCELLULAR
  • CANCER
  • BLOOD
  • CELL LINE
  • STRUCTURE & INTERACTION
ABOUT
  • INTRODUCTION
  • HISTORY
  • ORGANIZATION
  • PUBLICATIONS
  • ANTIBODY SUBMISSION
  • ANTIBODY AVAILABILITY
  • ACKNOWLEDGMENTS
  • CONTACT
NEWS
  • NEWS ARTICLES
  • PRESS ROOM
LEARN
  • DICTIONARY
  • PROTEIN CLASSES
  • PROTEIN EVIDENCE
  • METHODS
  • EDUCATIONAL VIDEOS
DATA
  • DOWNLOADABLE DATA
  • PUBLICATION DATA
  • RELEASE HISTORY
HELP
  • ANTIBODY VALIDATION
  • ASSAYS & ANNOTATION
  • DISCLAIMER
  • HELP & FAQ
  • PRIVACY STATEMENT
  • LICENCE & CITATION
Fields »
Search result

Field
Term
Gene name
Class
Subclass
Class
Keyword
Chromosome
External id
Tissue
Cell type
Expression
Antibody panel
Tissue
Main location
Patient ID
Annotation
Tissue
Category
Tau score
Cluster
Reliability
Brain region
Category
Tau score
Brain region
Category
Tau score
Brain region
Category
Tau score
Cluster
Reliability
Tissue
Cell type
Enrichment
Cell type
Category
Tau score
Cell type
Category
Tau score
Cell type
Category
Tau score
Cell lineage
Category
Tau score
Cluster
Cluster
Location
Searches
Location
Cell line
Class
Type
Phase
Reliability
Cancer
Prognosis
Cancer
Category
Cancer
Category
Tau score
Cluster
Variants
Interacting gene (ensg_id)
Type
Number of interactions
Pathway
Category
Score
Score
Score
Validation
Validation
Validation
Validation
Antibodies
Data type
Column


  • SUMMARY

  • TISSUE

  • BRAIN

  • SINGLE CELL

  • SUBCELL

  • CANCER

  • BLOOD

  • CELL LINE

  • STRUCT & INT

  • HEXIM1
TISSUE PRIMARY DATA SKIN Show tissue menu
ADIPOSE TISSUE ADRENAL GLAND AMYGDALA APPENDIX BASAL GANGLIA BONE MARROW BREAST BRONCHUS CEREBELLUM CEREBRAL CORTEX CERVIX CHOROID PLEXUS COLON DUODENUM
ENDOMETRIUM EPIDIDYMIS ESOPHAGUS FALLOPIAN TUBE GALLBLADDER HEART MUSCLE HIPPOCAMPAL FORMATION HYPOTHALAMUS KIDNEY LIVER LUNG LYMPH NODE MIDBRAIN NASOPHARYNX
ORAL MUCOSA OVARY PANCREAS PARATHYROID GLAND PITUITARY GLAND PLACENTA PROSTATE RECTUM RETINA SALIVARY GLAND SEMINAL VESICLE SKELETAL MUSCLE SKIN SMALL INTESTINE
SMOOTH MUSCLE SOFT TISSUE SPINAL CORD SPLEEN STOMACH TESTIS THYMUS THYROID GLAND TONGUE TONSIL URINARY BLADDER VAGINA
ANTIBODIES
AND
VALIDATION
Dictionary
Skin
Tissue proteome
Skin
SKIN - Expression summary
Protein expression
Skini

On the top, protein expression in current human tissue, based on all annotated cell types, is reported with the units not detected (n), low (l), medium (m) and high (h). Underneath, protein expression in each annotated cell type are reported using the same units.

Protein expression data is based on knowledge-based annotation. For genes where more than one antibody has been used, a collective score is set.

If knowledge-based annotation could not be performed for a gene, no data is displayed here. View antibody staining data further down this page.

h
m
l
n
Cells in basal layer: High
Cells in corneal layer: High
Cells in granular layer: High
Cells in spinous layer: High
Endothelial cells: High
Extracellular matrix: Not detected
Fibrohistiocytic cells: High
Hair follicles: High
Langerhans cells: High
Lymphocytes: High
Melanocytes: High
Vascular mural cells: High
RNA expressioni

A summary of mRNA expression data available for current tissue based on several datasets. The mRNA expression levels in human tissues are based on RNA-seq data generated by the Human Protein Atlas (HPA), Genotype-Tissue Expression (GTEx) portal and CAGE data generated by the FANTOM5 consortium. Consensus normalized expression levels for human tissues was created by combining the data from HPA and GTEx datasets.

The mRNA expression levels in pig are based on RNA-seq data generated by the Human Protein Atlas (HPA), and for mouse, HPA data and in situ hybridization generated by the Allen brain atlas are reported.

Scroll down to view mRNA expression data in more detail.
Consensus:22.0 nTPM
HPA:22.0 nTPM
GTEx:21.6 nTPM

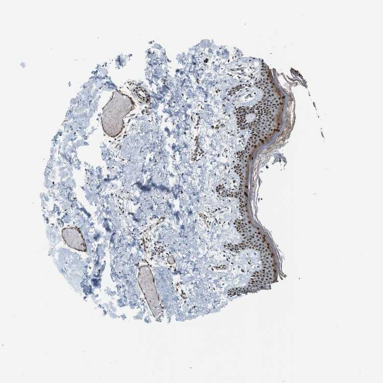
SKIN 1 - Antibody stainingi

Antibody staining in the annotated cell types in the current human tissue is reported as not detected, low, medium, or high, based on conventional immunohistochemistry profiling in selected tissues. This score is based on the combination of the staining intensity and fraction of stained cells.

Each image is clickable and will lead to virtual microscopy that enables deeper exploration of all samples and also displays staining intensity scores, fraction scores and subcellular localization as well as patient and tissue information for each sample.

Antibody HPA008926Antibody CAB011625
Langerhans -Medium
Cells in basal layer High-
Cells in corneal layer Not detected-
Cells in granular layer High-
Cells in spinous layer High-
Endothelial cells High-
Extracellular matrix Not detected-
Fibroblasts -Medium
Fibrohistiocytic cells High-
Keratinocytes -High
Langerhans cells High-
Lymphocytes High-
Melanocytes HighLow
Vascular mural cells High-


SKIN 2 - Antibody stainingi

Antibody staining in the annotated cell types in the current human tissue is reported as not detected, low, medium, or high, based on conventional immunohistochemistry profiling in selected tissues. This score is based on the combination of the staining intensity and fraction of stained cells.

Each image is clickable and will lead to virtual microscopy that enables deeper exploration of all samples and also displays staining intensity scores, fraction scores and subcellular localization as well as patient and tissue information for each sample.

Antibody HPA008926Antibody CAB011625
Cells in basal layer High-
Cells in corneal layer High-
Cells in granular layer High-
Cells in spinous layer High-
Endothelial cells High-
Epidermal cells -High
Extracellular matrix Not detected-
Fibrohistiocytic cells High-
Hair follicles High-
Langerhans cells High-
Lymphocytes High-
Melanocytes High-
Vascular mural cells High-
  





SKIN - HPA RNA-seqi

The RNA-seq details section shows detailed information about the individual samples used for the transcript profiling and results of the RNA-seq analysis.

Information about each individual sample is listed below, including gender, age, a tissue section image and estimated fractions of cell types. nTPM (normalized transcripts per million) values give a quantification of the gene abundance which is comparable between different genes and samples.
Average nTPMi

Max subtype nTPM is the value for the subtype with the largest average nTPM across the subtype samples.

22.0
overview
Female, age 34
Skin sample 225
nTPM: 17.7
Cell types%
Keratinocytes:
60

Other cell types:
40

overview
Female, age 30
Skin sample 226
nTPM: 19.8
Cell types%
Keratinocytes:
55

Other cell types:
45

N/A
Male, age 57
Skin sample 227
nTPM: 28.5

SKIN - GTEx RNA-seqi

RNA-Seq data generated by the Genotype-Tissue Expression (GTEx) project from human tissues is reported as mean nTPM. More information can be found on the GTEx portal.

Distribution across the dataset is visualized with box plots, shown as median and 25th and 75th percentiles. Points are displayed as outliers if they are above or below 1.5 times the interquartile range. nTPM values of the individual samples are presented next to the box plot.
Max subtype nTPMi

Max subtype nTPM is the value for the subtype with the largest average nTPM across the subtype samples.

21.6
GTEx sample id Sample description nTPM
Skin - Not Sun Exposed (Suprapubic)
Average nTPM: 21.6
Samples: 604

Max nTPM: 103.5
Min nTPM: 9.9
Std nTPM: 9.1
Median nTPM: 20.0
GTEX-ZYVF-0926-SM-5E44J 50-59 years, female 103.5
GTEX-1HR98-2226-SM-ADEI2 60-69 years, male 82.8
GTEX-1GN1V-2826-SM-9JGIA 60-69 years, male 78.8
GTEX-13VXU-0626-SM-5L3F9 50-59 years, male 76.0
GTEX-1LKK1-2626-SM-DKPQE 50-59 years, female 70.8
GTEX-X585-2426-SM-46MW2 50-59 years, male 64.9
GTEX-11PRG-0726-SM-5EGL1 50-59 years, male 62.9
GTEX-11ZUS-2626-SM-5FQUR 30-39 years, male 60.2
GTEX-1IL2V-1926-SM-B2LW8 70-79 years, male 58.7
GTEX-1LSVX-2526-SM-DIPEU 60-69 years, male 50.9
GTEX-1H3VE-0726-SM-9YFL5 40-49 years, male 49.9
GTEX-Y111-0626-SM-4SOIT 50-59 years, male 48.3
GTEX-1GZ4I-2626-SM-9KNU3 50-59 years, male 48.2
GTEX-1H4P4-2126-SM-9WYSL 50-59 years, male 47.5
GTEX-145MH-2826-SM-5RQJF 50-59 years, male 45.6
GTEX-145LU-1926-SM-79OJN 50-59 years, male 45.4
GTEX-1399Q-2326-SM-5KM2X 40-49 years, male 44.8
GTEX-ZYFC-0426-SM-5GICQ 50-59 years, male 44.4
GTEX-ZU9S-1826-SM-5NQ9E 30-39 years, male 43.9
GTEX-XQ3S-1426-SM-4BOPR 20-29 years, male 43.8
GTEX-1B933-2426-SM-7DHMD 50-59 years, female 43.6
GTEX-145MF-0926-SM-5Q5EA 50-59 years, male 43.2
GTEX-1A8G6-2726-SM-731AR 60-69 years, male 43.2
GTEX-YECK-0326-SM-4W1YS 60-69 years, male 43.2
GTEX-15DDE-2926-SM-6LLJ3 50-59 years, female 41.9
GTEX-1BAJH-2426-SM-7IGP8 70-79 years, male 41.5
GTEX-1JMQL-2226-SM-CNPP4 50-59 years, female 37.8
GTEX-144GO-2026-SM-5O99P 60-69 years, male 37.3
GTEX-1313W-0626-SM-5EQ4H 50-59 years, female 36.2
GTEX-11DYG-1526-SM-5A5JS 60-69 years, male 35.6
GTEX-1H1DG-2426-SM-9QEHJ 70-79 years, male 35.3
GTEX-1C2JI-1026-SM-73KY1 50-59 years, male 35.2
GTEX-ZPCL-1126-SM-4WWFE 60-69 years, female 34.9
GTEX-17HG3-2626-SM-7DUF2 30-39 years, female 34.7
GTEX-15FZZ-0526-SM-7KUGD 30-39 years, female 34.6
GTEX-12126-0826-SM-5FQTZ 20-29 years, male 33.2
GTEX-1HCUA-0826-SM-ADEHM 50-59 years, female 32.3
GTEX-1GF9W-1426-SM-7PBYM 60-69 years, male 32.1
GTEX-14PJ4-0226-SM-5YY92 60-69 years, male 31.8
GTEX-ZYW4-0626-SM-59HJR 60-69 years, male 31.6
GTEX-1LVA9-2626-SM-EVYD4 50-59 years, male 31.5
GTEX-111CU-1126-SM-5EGIM 50-59 years, male 30.7
GTEX-WHSB-1326-SM-3LK6W 50-59 years, male 30.3
GTEX-14LZ3-0126-SM-69LPM 60-69 years, female 30.0
GTEX-1I1GT-1026-SM-ARZLV 60-69 years, female 30.0
GTEX-1R7EU-1626-SM-DTXG3 60-69 years, male 29.9
GTEX-16MTA-0926-SM-6M47Z 50-59 years, male 29.7
GTEX-1399S-0126-SM-5IJCF 30-39 years, female 29.6
GTEX-ZVZP-1226-SM-5GID7 50-59 years, male 29.6
GTEX-Y9LG-1126-SM-4VBQ7 30-39 years, male 29.5
GTEX-1K9T9-1526-SM-DIPFR 50-59 years, female 29.4
GTEX-13O61-1426-SM-5KM3D 60-69 years, male 29.3
GTEX-1LB8K-0726-SM-D5OV2 50-59 years, male 29.3
GTEX-ZDTT-0426-SM-4WKFL 60-69 years, male 29.2
GTEX-13OW7-0426-SM-5K7VK 50-59 years, male 29.1
GTEX-15RJE-2826-SM-7KUM9 40-49 years, male 29.1
GTEX-ZTX8-1326-SM-4YCEL 20-29 years, male 29.0
GTEX-ZP4G-1426-SM-4WWCL 20-29 years, female 28.7
GTEX-1HBPN-0126-SM-CGQEF 50-59 years, male 28.7
GTEX-1LGRB-0926-SM-COH3K 50-59 years, female 28.7
GTEX-1LG7Y-2526-SM-EWRO7 50-59 years, male 28.6
GTEX-1HSMQ-2626-SM-A9SML 50-59 years, male 28.3
GTEX-13OVL-0126-SM-5L3GJ 50-59 years, male 28.1
GTEX-1B8KE-1126-SM-7EPHI 50-59 years, male 28.1
GTEX-11DZ1-2426-SM-5GZZX 50-59 years, male 28.0
GTEX-WFG7-2026-SM-5SI7P 20-29 years, male 27.9
GTEX-ZVP2-0326-SM-57WBP 50-59 years, male 27.9
GTEX-1GF9X-1326-SM-7PC2Y 40-49 years, female 27.9
GTEX-1IKOE-1426-SM-CE6T7 30-39 years, female 27.9
GTEX-1J1R8-2026-SM-CL53Y 40-49 years, male 27.9
GTEX-1F6I4-2326-SM-7RHGL 60-69 years, male 27.8
GTEX-YFCO-1226-SM-5LUAT 40-49 years, male 27.4
GTEX-1C6WA-2626-SM-7MKGM 60-69 years, male 27.3
GTEX-12ZZX-2426-SM-5GCOE 40-49 years, female 27.0
GTEX-1KXAM-1626-SM-D3LAD 60-69 years, male 26.9
GTEX-1MCYP-0526-SM-E9U6Q 20-29 years, female 26.9
GTEX-1PDJ9-1226-SM-EXUSX 20-29 years, male 26.8
GTEX-1QP9N-1226-SM-E76QN 30-39 years, male 26.7
GTEX-131XG-0326-SM-5L3DX 50-59 years, female 26.6
GTEX-1AMFI-1326-SM-7939R 50-59 years, female 26.6
GTEX-1IDFM-0326-SM-ARL7V 60-69 years, male 26.6
GTEX-15ER7-0626-SM-6PANF 20-29 years, female 26.4
GTEX-1HSKV-1226-SM-ADEI4 60-69 years, male 26.4
GTEX-12ZZZ-0726-SM-5GCNZ 60-69 years, male 26.3
GTEX-17HII-1426-SM-7EPGG 50-59 years, male 26.3
GTEX-XAJ8-1426-SM-47JYM 40-49 years, male 26.3
GTEX-XUW1-0926-SM-4BONX 50-59 years, female 26.3
GTEX-1LBAC-0826-SM-CY8IJ 20-29 years, male 26.2
GTEX-1M4P7-0726-SM-E6CJ3 60-69 years, male 26.2
GTEX-1OJC3-1226-SM-DTXER 20-29 years, male 26.2
GTEX-1LSNM-0826-SM-DIPG8 50-59 years, male 26.1
GTEX-14JG1-1526-SM-5YY9X 40-49 years, male 26.0
GTEX-1H11D-1826-SM-9QEHM 40-49 years, male 26.0
GTEX-1HFI7-2326-SM-CGQFS 50-59 years, female 26.0
GTEX-1QP2A-1726-SM-E76QC 50-59 years, male 26.0
GTEX-11O72-0626-SM-5PNYE 40-49 years, male 25.9
GTEX-1GN1U-0626-SM-9MQL9 50-59 years, female 25.9
GTEX-1K2DA-1026-SM-CGQGF 50-59 years, male 25.9
GTEX-1HSGN-0826-SM-ACKW3 40-49 years, female 25.8
GTEX-1JMPY-0226-SM-CKZOK 30-39 years, male 25.8
GTEX-15RIG-0726-SM-7KUM7 40-49 years, male 25.7
GTEX-ZVT2-0126-SM-5GIDQ 50-59 years, female 25.7
GTEX-1GMRU-2126-SM-7P8RA 50-59 years, male 25.7
GTEX-1HT8W-0626-SM-A9G2H 30-39 years, male 25.7
GTEX-1IDJU-1726-SM-CMKHU 60-69 years, female 25.7
GTEX-15CHR-1126-SM-7EWF4 50-59 years, male 25.6
GTEX-ZDXO-3126-SM-5IJDF 60-69 years, male 25.6
GTEX-12ZZY-0726-SM-5EQ66 60-69 years, male 25.5
GTEX-1122O-1026-SM-9WYSF 60-69 years, female 25.5
GTEX-ZLV1-1526-SM-DO91J 60-69 years, female 25.5
GTEX-ZPU1-1126-SM-4YCF3 40-49 years, male 25.4
GTEX-ZZPU-0826-SM-5GZX5 50-59 years, female 25.4
GTEX-17MFQ-1526-SM-7KFRR 20-29 years, male 25.2
GTEX-Y3I4-1726-SM-4TT89 50-59 years, male 25.2
GTEX-1I6K6-1726-SM-CGQFD 30-39 years, male 25.2
GTEX-11DXZ-2026-SM-5987S 50-59 years, male 25.1
GTEX-12WSH-1526-SM-5BC5W 50-59 years, male 25.1
GTEX-14PKU-0126-SM-6LLHV 40-49 years, female 25.1
GTEX-17HHE-1326-SM-7EWDZ 50-59 years, male 25.1
GTEX-1RAZQ-1326-SM-E9TK6 30-39 years, male 25.1
GTEX-11ZTT-2126-SM-5CVLO 60-69 years, female 25.0
GTEX-1N2DV-1526-SM-DTXEP 40-49 years, male 25.0
GTEX-14PHY-1226-SM-5ZZWK 60-69 years, female 24.9
GTEX-XPVG-2126-SM-4B667 50-59 years, male 24.8
GTEX-ZT9X-1526-SM-5DUXD 40-49 years, male 24.8
GTEX-1QPFJ-1926-SM-EVYBD 30-39 years, female 24.8
GTEX-1AMEY-0826-SM-72D65 30-39 years, female 24.7
GTEX-WHPG-2626-SM-3NMBR 50-59 years, male 24.7
GTEX-XBEW-1126-SM-4QARW 40-49 years, male 24.7
GTEX-1JN76-0626-SM-CKZOQ 20-29 years, female 24.7
GTEX-1J8Q3-0526-SM-ARL8U 60-69 years, male 24.6
GTEX-1S82U-1026-SM-E6CJK 30-39 years, female 24.6
GTEX-1C64N-2626-SM-7PC2N 50-59 years, male 24.5
GTEX-1S83E-1326-SM-E6CJM 40-49 years, male 24.5
GTEX-11EQ8-0926-SM-5H12V 60-69 years, male 24.4
GTEX-14PJ6-2626-SM-6EU2T 60-69 years, female 24.4
GTEX-18QFQ-1826-SM-72D52 30-39 years, male 24.4
GTEX-1F5PL-0926-SM-7PC2W 40-49 years, female 24.4
GTEX-11GSP-2326-SM-5HL63 60-69 years, female 24.3
GTEX-Y5V6-2326-SM-4VDSA 60-69 years, male 24.3
GTEX-YEC4-1826-SM-4W1YP 40-49 years, male 24.3
GTEX-1JK1U-0226-SM-ARZMX 60-69 years, male 24.1
GTEX-1QP28-1126-SM-EVYC4 50-59 years, female 24.1
GTEX-1CB4E-0926-SM-7EPHT 60-69 years, male 24.0
GTEX-1S3DN-2126-SM-E9TIN 50-59 years, male 24.0
GTEX-1QCLY-0226-SM-EWRNH 30-39 years, male 23.9
GTEX-11NSD-0626-SM-5A5LU 20-29 years, male 23.8
GTEX-1CAMR-1326-SM-7PC1F 20-29 years, male 23.8
GTEX-1GMR2-0826-SM-7PC3V 50-59 years, male 23.8
GTEX-1L5NE-1126-SM-D3L9P 50-59 years, male 23.8
GTEX-11DXX-2126-SM-5PNYR 60-69 years, female 23.7
GTEX-13U4I-2226-SM-5LU5H 40-49 years, female 23.7
GTEX-16AAH-0626-SM-793C9 50-59 years, male 23.7
GTEX-ZY6K-1426-SM-5GZX2 50-59 years, male 23.7
GTEX-X5EB-1926-SM-4E3IW 40-49 years, male 23.6
GTEX-ZTSS-1426-SM-5985P 40-49 years, male 23.6
GTEX-1GL5R-1326-SM-7RHHF 50-59 years, male 23.6
GTEX-1GF9V-0826-SM-9KNUV 60-69 years, male 23.5
GTEX-1399U-1126-SM-5L3DB 50-59 years, female 23.4
GTEX-1IOXB-2726-SM-CM2RI 50-59 years, male 23.4
GTEX-WY7C-2126-SM-3NB2R 50-59 years, male 23.3
GTEX-1GN1W-2426-SM-9KNUU 50-59 years, female 23.3
GTEX-1I4MK-0126-SM-CY8G6 50-59 years, female 23.3
GTEX-1LVAN-0626-SM-CNPOQ 50-59 years, female 23.3
GTEX-18A67-1626-SM-7LT9T 50-59 years, male 23.2
GTEX-1C6VQ-1226-SM-73KYD 50-59 years, male 23.2
GTEX-ZF3C-0626-SM-DO92O 50-59 years, female 23.2
GTEX-131XF-2626-SM-5EQ6K 60-69 years, male 23.1
GTEX-Y114-2126-SM-4TT8B 50-59 years, female 23.1
GTEX-1JN6P-2926-SM-CL54D 60-69 years, male 23.1
GTEX-14ICL-1626-SM-5YYAO 30-39 years, male 23.0
GTEX-1GN73-0726-SM-7P8TJ 60-69 years, male 23.0
GTEX-WYJK-0526-SM-3NM8Z 50-59 years, male 22.9
GTEX-XQ8I-0926-SM-4BOOF 50-59 years, male 22.8
GTEX-ZE7O-2726-SM-51MT5 50-59 years, female 22.8
GTEX-ZF29-0926-SM-4WKFZ 60-69 years, female 22.8
GTEX-1GZ4H-0526-SM-9KNU9 50-59 years, female 22.8
GTEX-1NSGN-0726-SM-DTXEF 50-59 years, male 22.8
GTEX-Z93S-1626-SM-5CVMB 50-59 years, male 22.7
GTEX-ZLFU-1826-SM-4WWBV 40-49 years, male 22.7
GTEX-1F6RS-2026-SM-7RHHC 60-69 years, female 22.7
GTEX-ZPIC-0526-SM-DO91W 40-49 years, female 22.7
GTEX-13FTW-0326-SM-5K7UW 40-49 years, male 22.6
GTEX-147F4-0726-SM-5TDDD 50-59 years, male 22.6
GTEX-11P7K-1126-SM-5HL4L 30-39 years, male 22.5
GTEX-13FH7-1126-SM-5K7UG 50-59 years, female 22.5
GTEX-UPJH-0226-SM-3GADV 50-59 years, male 22.5
GTEX-Y3IK-1626-SM-4YCF5 50-59 years, female 22.5
GTEX-1I1GV-0626-SM-ARL7M 60-69 years, male 22.5
GTEX-1LG7Z-1626-SM-CXKYR 30-39 years, male 22.5
GTEX-11VI4-1126-SM-5EQMD 40-49 years, female 22.4
GTEX-11LCK-2226-SM-5HL4Q 30-39 years, male 22.3
GTEX-11UD2-2526-SM-5CVNU 50-59 years, male 22.3
GTEX-14B4R-1326-SM-5Q5EZ 30-39 years, male 22.3
GTEX-1B97I-0626-SM-73KUZ 40-49 years, male 22.3
GTEX-16NGA-0726-SM-731AO 40-49 years, female 22.2
GTEX-ZF2S-1626-SM-57WES 50-59 years, female 22.2
GTEX-13X6I-1826-SM-5SIAO 60-69 years, male 22.1
GTEX-15CHQ-0326-SM-69LQD 60-69 years, male 22.1
GTEX-18465-2826-SM-7LT9J 50-59 years, male 22.1
GTEX-WEY5-2326-SM-3GIKK 40-49 years, female 22.1
GTEX-1HCU7-0726-SM-A9SL1 50-59 years, male 22.1
GTEX-WK11-2726-SM-3NMAQ 50-59 years, male 22.0
GTEX-1NV5F-0626-SM-DTXEG 60-69 years, female 22.0
GTEX-131XH-0126-SM-5LZUY 50-59 years, male 21.9
GTEX-1CB4F-1026-SM-7DUH1 60-69 years, male 21.9
GTEX-1S831-1826-SM-EWROF 20-29 years, male 21.9
GTEX-14PK6-0226-SM-62LF5 70-79 years, female 21.8
GTEX-16Z82-2626-SM-7KULU 60-69 years, male 21.8
GTEX-1F5PK-2226-SM-7SB6N 50-59 years, male 21.8
GTEX-13W3W-0726-SM-5IJDQ 60-69 years, female 21.7
GTEX-14DAR-1226-SM-73KYV 50-59 years, male 21.7
GTEX-14PKV-1126-SM-6LLJ1 20-29 years, female 21.7
GTEX-ZYFG-1526-SM-5GZYM 60-69 years, female 21.7
GTEX-1RMOY-1326-SM-E9TIH 50-59 years, male 21.7
GTEX-12BJ1-0926-SM-5EQ62 60-69 years, male 21.6
GTEX-13PVR-0426-SM-5RQK2 60-69 years, female 21.6
GTEX-15DYW-2726-SM-6EU2I 60-69 years, female 21.6
GTEX-ZT9W-1126-SM-57WDR 50-59 years, male 21.6
GTEX-1ICLZ-0326-SM-ARL82 60-69 years, male 21.6
GTEX-1N2EE-0626-SM-E76PW 60-69 years, male 21.6
GTEX-13VXT-1926-SM-5K7UO 20-29 years, female 21.5
GTEX-1CB4I-0126-SM-7RHGG 50-59 years, male 21.5
GTEX-1F75I-2226-SM-7SB8U 40-49 years, male 21.5
GTEX-13QBU-1226-SM-5LU4G 40-49 years, female 21.4
GTEX-14PJN-1826-SM-6AJ98 30-39 years, male 21.4
GTEX-XBED-1926-SM-47JYP 60-69 years, male 21.4
GTEX-1EMGI-2326-SM-7PBYA 60-69 years, male 21.4
GTEX-1IDJD-2326-SM-ACKWX 30-39 years, male 21.4
GTEX-1PIIG-2326-SM-DTXFR 30-39 years, male 21.4
GTEX-WHWD-1826-SM-3LK6I 50-59 years, male 21.3
GTEX-1CAMS-2226-SM-7PBXQ 40-49 years, female 21.3
GTEX-1H1E6-0426-SM-9WYUS 30-39 years, male 21.3
GTEX-12WSC-2826-SM-5BC5Y 50-59 years, male 21.2
GTEX-131XW-0626-SM-5PNVD 50-59 years, female 21.2
GTEX-144FL-0626-SM-5LU43 50-59 years, male 21.2
GTEX-1HCU8-2526-SM-CE6RX 60-69 years, female 21.2
GTEX-1J8EW-2726-SM-CY8HR 60-69 years, female 21.2
GTEX-12WSJ-1126-SM-5LZVJ 40-49 years, female 21.1
GTEX-1PIGE-1826-SM-E8VOU 20-29 years, male 21.1
GTEX-145LT-0526-SM-5LUB2 40-49 years, male 21.0
GTEX-145ME-1726-SM-5Q5EU 40-49 years, female 21.0
GTEX-14JG6-1426-SM-9WG7C 30-39 years, female 21.0
GTEX-1I1HK-2326-SM-CKZOH 60-69 years, male 21.0
GTEX-1LSNL-2726-SM-E9TKJ 50-59 years, male 21.0
GTEX-1POEN-2326-SM-E9J2L 30-39 years, female 21.0
GTEX-12WSF-1626-SM-7KUG5 70-79 years, male 20.9
GTEX-13QJC-0126-SM-5ZZWJ 60-69 years, female 20.9
GTEX-ZA64-1026-SM-5HL8R 20-29 years, male 20.9
GTEX-1J8QM-2426-SM-A9SLS 60-69 years, female 20.9
GTEX-1B996-0426-SM-7EWF8 60-69 years, male 20.8
GTEX-YB5K-2026-SM-4VDT3 40-49 years, female 20.8
GTEX-1JKYR-0626-SM-ARL8R 20-29 years, male 20.8
GTEX-1MJK3-0726-SM-E6CJC 20-29 years, male 20.8
GTEX-111VG-1626-SM-5EGIO 60-69 years, male 20.7
GTEX-145MN-1526-SM-5SI9T 30-39 years, male 20.7
GTEX-17EVP-2626-SM-7IGMA 40-49 years, male 20.7
GTEX-1AX9J-1326-SM-731BJ 60-69 years, male 20.7
GTEX-ZDYS-2426-SM-4WKGI 50-59 years, male 20.7
GTEX-ZE9C-2526-SM-5IJDR 60-69 years, male 20.7
GTEX-1RB15-1326-SM-E76Q9 60-69 years, male 20.7
GTEX-11EQ9-1626-SM-5PNY8 30-39 years, male 20.6
GTEX-ZAB4-2126-SM-5HL8U 40-49 years, male 20.6
GTEX-1GTWX-2026-SM-9YFLM 60-69 years, male 20.6
GTEX-13IVO-0726-SM-5LZYV 70-79 years, male 20.5
GTEX-13SLX-2226-SM-62LEP 50-59 years, female 20.5
GTEX-14PII-0726-SM-6EU2B 60-69 years, male 20.5
GTEX-YEC3-1326-SM-DO92X 50-59 years, male 20.5
GTEX-14PHX-2226-SM-6EU2P 50-59 years, male 20.4
GTEX-18A66-0626-SM-7LT8Z 60-69 years, male 20.4
GTEX-Y8E4-2026-SM-5IFJB 40-49 years, male 20.4
GTEX-117YX-1926-SM-5GIEC 50-59 years, male 20.3
GTEX-11P81-2226-SM-5PNYI 30-39 years, female 20.3
GTEX-14PJ5-1526-SM-6LLIL 60-69 years, female 20.3
GTEX-18D9U-0126-SM-731BM 40-49 years, male 20.3
GTEX-1B932-2326-SM-79OL5 40-49 years, female 20.3
GTEX-ZLWG-0826-SM-59888 50-59 years, female 20.3
GTEX-ZVT4-2426-SM-5GIEI 50-59 years, female 20.3
GTEX-1CAMQ-1326-SM-7P8RV 40-49 years, male 20.3
GTEX-1GN2E-0226-SM-9WG6K 60-69 years, male 20.3
GTEX-1GPI6-1926-SM-9KNV7 60-69 years, male 20.3
GTEX-1KWVE-1026-SM-D3L9O 30-39 years, male 20.3
GTEX-1QW4Y-1126-SM-DTXE3 30-39 years, male 20.3
GTEX-11EM3-1226-SM-5N9DD 20-29 years, female 20.2
GTEX-13113-1626-SM-5EQ4I 60-69 years, female 20.2
GTEX-13X6H-0926-SM-5SIB2 50-59 years, female 20.2
GTEX-17KNJ-2126-SM-718AM 50-59 years, male 20.2
GTEX-Y5LM-0926-SM-6LLJG 40-49 years, female 20.2
GTEX-1H1DE-1326-SM-9KNUG 20-29 years, male 20.2
GTEX-1QMI2-2526-SM-E8VNZ 60-69 years, male 20.2
GTEX-1212Z-0126-SM-59HK4 60-69 years, male 20.1
GTEX-12WSA-0426-SM-5EQ5X 60-69 years, male 20.1
GTEX-13D11-0926-SM-5J2NC 50-59 years, female 20.1
GTEX-14BMV-2826-SM-5TDED 50-59 years, male 20.1
GTEX-15RJ7-2126-SM-6PAMD 40-49 years, male 20.1
GTEX-133LE-2326-SM-5K7W3 20-29 years, female 20.0
GTEX-16YQH-2226-SM-7IGM2 30-39 years, male 20.0
GTEX-178AV-1726-SM-7KUL8 40-49 years, male 20.0
GTEX-1B8SF-0126-SM-7DUG3 60-69 years, male 20.0
GTEX-WXYG-2026-SM-4E3IY 50-59 years, female 20.0
GTEX-Y8LW-1526-SM-5IFHL 50-59 years, female 20.0
GTEX-1JKYN-0826-SM-ARU8S 30-39 years, male 20.0
GTEX-1C475-1326-SM-7SB73 40-49 years, female 19.9
GTEX-1KANA-1326-SM-DIPFA 20-29 years, male 19.9
GTEX-1N5O9-0926-SM-E9J3C 60-69 years, male 19.9
GTEX-ZGAY-1826-SM-DO91Q 40-49 years, female 19.9
GTEX-16BQI-1326-SM-6M486 30-39 years, female 19.8
GTEX-ZXG5-2126-SM-59HKD 60-69 years, male 19.8
GTEX-1RAZR-2126-SM-E9U6T 40-49 years, male 19.8
GTEX-111YS-1526-SM-5GZYW 60-69 years, male 19.7
GTEX-13FTX-1526-SM-5K7VJ 20-29 years, female 19.7
GTEX-13PDP-0726-SM-5L3HP 60-69 years, male 19.7
GTEX-14XAO-1226-SM-6EU1C 60-69 years, female 19.7
GTEX-1I6K7-1926-SM-B2LXR 40-49 years, male 19.6
GTEX-1IDJE-1426-SM-ADEIW 50-59 years, female 19.6
GTEX-1R9PM-1926-SM-EVR3O 20-29 years, male 19.6
GTEX-11TT1-1826-SM-5EQLV 20-29 years, male 19.5
GTEX-15CHC-1126-SM-6LLHQ 60-69 years, female 19.5
GTEX-WYVS-1626-SM-3NM9R 40-49 years, female 19.5
GTEX-1J1OQ-0126-SM-D4P2N 40-49 years, female 19.5
GTEX-12WSK-2126-SM-5CVNC 40-49 years, female 19.4
GTEX-14PJ3-1126-SM-5ZZVX 50-59 years, male 19.4
GTEX-17F9E-2326-SM-79OKD 50-59 years, male 19.4
GTEX-YJ8O-2526-SM-5HL85 40-49 years, female 19.4
GTEX-1H2FU-0926-SM-9WPPT 60-69 years, female 19.4
GTEX-1JJ6O-2726-SM-CNPOG 60-69 years, male 19.4
GTEX-1CB4J-1326-SM-7P8RX 60-69 years, male 19.3
GTEX-1HR9M-2226-SM-CNPPY 60-69 years, male 19.3
GTEX-1IY9M-2826-SM-ARU8H 60-69 years, male 19.3
GTEX-11NUK-2726-SM-5A5MC 50-59 years, male 19.2
GTEX-XYKS-1426-SM-4BRUO 60-69 years, female 19.2
GTEX-1H23P-0626-SM-9WG6T 60-69 years, male 19.2
GTEX-139YR-1026-SM-5LZYN 50-59 years, male 19.1
GTEX-13JVG-0726-SM-5KM16 60-69 years, male 19.1
GTEX-1EN7A-2426-SM-793DB 40-49 years, male 19.1
GTEX-1S5ZU-2526-SM-E6CIF 20-29 years, female 19.1
GTEX-1GZHY-0626-SM-9KNVC 50-59 years, female 19.0
GTEX-1IE54-1126-SM-A9G2Z 40-49 years, female 19.0
GTEX-1JMLX-0626-SM-ARL8T 50-59 years, male 19.0
GTEX-1PPGY-1626-SM-EVYBL 60-69 years, male 19.0
GTEX-15RIE-1926-SM-7KUKJ 60-69 years, male 18.9
GTEX-1EKGG-0626-SM-7DUGJ 60-69 years, male 18.9
GTEX-18D9A-1426-SM-7LT8M 30-39 years, female 18.9
GTEX-1HCU9-0426-SM-9WYSD 20-29 years, male 18.9
GTEX-1KANC-1226-SM-CYPT7 50-59 years, female 18.9
GTEX-13FHO-0426-SM-5L3F5 60-69 years, male 18.8
GTEX-1HCVE-2726-SM-CL54F 50-59 years, male 18.8
GTEX-1HGF4-0126-SM-CNPPX 60-69 years, male 18.8
GTEX-1PBJJ-1026-SM-E76OS 30-39 years, male 18.8
GTEX-1QP29-1826-SM-DTX9S 50-59 years, male 18.8
GTEX-13SLW-0626-SM-5Q5ER 70-79 years, male 18.7
GTEX-13X6J-0626-SM-5LU5F 50-59 years, male 18.7
GTEX-WHSE-0126-SM-3NMBT 20-29 years, male 18.7
GTEX-1GPI7-1826-SM-9KNU1 20-29 years, male 18.7
GTEX-1HBPI-2126-SM-ARL9K 50-59 years, male 18.7
GTEX-1HC8U-1326-SM-9YFMJ 40-49 years, female 18.7
GTEX-1LVAM-0726-SM-E6CIL 50-59 years, female 18.7
GTEX-1PPH8-0126-SM-EWRN8 20-29 years, male 18.7
GTEX-12C56-1526-SM-5FQUQ 20-29 years, male 18.6
GTEX-13112-0126-SM-5P9IU 50-59 years, male 18.6
GTEX-13FTY-2126-SM-5IFFB 40-49 years, female 18.6
GTEX-13PVQ-0626-SM-5LU47 50-59 years, male 18.6
GTEX-15G19-2426-SM-7KUMR 60-69 years, male 18.6
GTEX-1EX96-1026-SM-7MKG2 50-59 years, male 18.6
GTEX-139T8-0626-SM-5KLZX 60-69 years, male 18.5
GTEX-14ABY-2026-SM-62LDL 50-59 years, male 18.5
GTEX-14AS3-1526-SM-5Q5ED 40-49 years, female 18.5
GTEX-1AX8Z-0726-SM-73KTS 60-69 years, male 18.5
GTEX-VJYA-1526-SM-3GIJV 60-69 years, male 18.5
GTEX-1F75B-0726-SM-7PC3R 50-59 years, male 18.5
GTEX-14BIN-1126-SM-5RQJZ 50-59 years, female 18.4
GTEX-17HGU-2326-SM-7DUFE 50-59 years, male 18.4
GTEX-17MF6-2626-SM-79OKQ 40-49 years, male 18.4
GTEX-WFG8-2126-SM-3GIKQ 20-29 years, male 18.4
GTEX-1GF9U-2026-SM-7SB92 40-49 years, female 18.4
GTEX-1H1ZS-2726-SM-9WG75 70-79 years, male 18.4
GTEX-139TU-0726-SM-5L3EK 60-69 years, male 18.3
GTEX-15G1A-1626-SM-7KUKN 30-39 years, male 18.3
GTEX-1RAZA-2226-SM-E9U4X 20-29 years, male 18.3
GTEX-11ZU8-0126-SM-5EQ58 60-69 years, male 18.2
GTEX-13OW5-2326-SM-5L3HO 60-69 years, male 18.2
GTEX-18A6Q-0626-SM-7KFRP 60-69 years, male 18.2
GTEX-W5X1-2526-SM-3GILC 40-49 years, female 18.2
GTEX-XXEK-1626-SM-4BRUZ 50-59 years, male 18.2
GTEX-11GS4-0226-SM-5HL77 60-69 years, male 18.1
GTEX-11WQC-1826-SM-5GU59 60-69 years, male 18.1
GTEX-ZWKS-0626-SM-5GIDV 30-39 years, male 18.1
GTEX-1F88F-0126-SM-9WYSZ 60-69 years, female 18.1
GTEX-13PL6-1126-SM-5L3IE 40-49 years, female 18.0
GTEX-15D1Q-2826-SM-6LLH7 40-49 years, male 18.0
GTEX-17F97-2626-SM-7IGM5 50-59 years, male 18.0
GTEX-18A7B-2726-SM-7LG56 70-79 years, male 18.0
GTEX-XOT4-0626-SM-4B66L 60-69 years, female 18.0
GTEX-1B8L1-2226-SM-7P8PT 60-69 years, male 18.0
GTEX-1C6VR-0126-SM-7RHGB 60-69 years, male 18.0
GTEX-1J8Q2-2626-SM-ACKWQ 60-69 years, male 18.0
GTEX-1QCLZ-2426-SM-EVYBW 60-69 years, female 18.0
GTEX-15UF6-1926-SM-7KUDV 70-79 years, female 17.9
GTEX-1PPH7-1126-SM-DTX9A 40-49 years, male 17.9
GTEX-13G51-1826-SM-5KLZH 60-69 years, male 17.8
GTEX-13OVJ-0826-SM-5J1OK 50-59 years, female 17.8
GTEX-183FY-1026-SM-7939A 20-29 years, male 17.8
GTEX-V1D1-2026-SM-3GAF4 50-59 years, male 17.8
GTEX-11P82-1426-SM-DTXFY 20-29 years, male 17.8
GTEX-1IKJJ-2226-SM-CJI4C 60-69 years, male 17.8
GTEX-1JJEA-1826-SM-ARU8P 60-69 years, male 17.8
GTEX-13OVK-1426-SM-6PAN7 40-49 years, male 17.7
GTEX-YF7O-1526-SM-5IFI6 50-59 years, male 17.7
GTEX-1MCC2-1826-SM-DIPEX 30-39 years, female 17.7
GTEX-131YS-2826-SM-5EQ47 60-69 years, female 17.6
GTEX-13NZ9-2626-SM-5L3FK 50-59 years, male 17.6
GTEX-X3Y1-2026-SM-3P5YM 40-49 years, male 17.6
GTEX-14JFF-0626-SM-5ZZVT 60-69 years, male 17.6
GTEX-1S82P-2126-SM-E6CI5 60-69 years, female 17.6
GTEX-15EU6-2226-SM-6EU2L 50-59 years, male 17.5
GTEX-ZTTD-2826-SM-4YCFA 50-59 years, male 17.5
GTEX-1IDJI-0126-SM-CMKHS 50-59 years, female 17.5
GTEX-13OW6-2726-SM-5J2OE 50-59 years, male 17.4
GTEX-WRHU-2826-SM-3MJG8 50-59 years, female 17.4
GTEX-1C64O-1326-SM-7MGWR 60-69 years, male 17.4
GTEX-1R9PN-0426-SM-DTXDT 40-49 years, female 17.4
GTEX-11DXY-0126-SM-5H11Q 60-69 years, male 17.3
GTEX-1QEPI-2626-SM-DTXF4 60-69 years, female 17.3
GTEX-13FLV-0126-SM-5K7WT 50-59 years, male 17.2
GTEX-XBEC-0726-SM-4QARZ 50-59 years, male 17.2
GTEX-12WSM-1926-SM-5BC65 60-69 years, male 17.1
GTEX-13N11-2326-SM-5IJBF 50-59 years, female 17.1
GTEX-13N1W-2426-SM-5IJD1 70-79 years, male 17.1
GTEX-145MG-1526-SM-5Q5EM 50-59 years, male 17.1
GTEX-14BMU-1226-SM-5S2OR 20-29 years, female 17.1
GTEX-17JCI-2926-SM-7DUFF 60-69 years, female 17.1
GTEX-WH7G-2026-SM-3NMBL 40-49 years, male 17.1
GTEX-1HKZK-0726-SM-ACKW2 40-49 years, male 17.1
GTEX-11TUW-0626-SM-5LU9M 60-69 years, male 17.0
GTEX-1211K-1526-SM-5FQU4 60-69 years, female 17.0
GTEX-14E6E-0526-SM-793DN 30-39 years, male 17.0
GTEX-183WM-0326-SM-72D5V 70-79 years, female 17.0
GTEX-ZZ64-1026-SM-5GZXG 20-29 years, male 17.0
GTEX-13O3Q-0126-SM-5KM34 50-59 years, male 16.9
GTEX-1EU9M-1426-SM-793AI 60-69 years, male 16.9
GTEX-1F52S-2926-SM-7MKGA 60-69 years, female 16.9
GTEX-1E2YA-2126-SM-7MXUO 50-59 years, male 16.9
GTEX-1192X-2726-SM-5N9DN 50-59 years, male 16.8
GTEX-139TT-2126-SM-5LZWC 60-69 years, male 16.8
GTEX-13NZ8-1226-SM-5KM4A 60-69 years, female 16.8
GTEX-13OVG-1626-SM-5J1NF 60-69 years, male 16.8
GTEX-14753-0726-SM-5QGQO 60-69 years, male 16.8
GTEX-16GPK-0626-SM-7KFSF 60-69 years, male 16.8
GTEX-1AYD5-2626-SM-7PBXY 50-59 years, male 16.8
GTEX-1F75A-0726-SM-7RHHD 50-59 years, male 16.8
GTEX-1IDJC-1526-SM-B2LW4 50-59 years, male 16.8
GTEX-1IDJF-2026-SM-CL53V 20-29 years, male 16.8
GTEX-1JMQJ-0826-SM-CNPP7 50-59 years, male 16.8
GTEX-1R9K4-2826-SM-DTX8F 60-69 years, male 16.8
GTEX-139TS-2126-SM-5K7XC 60-69 years, male 16.7
GTEX-144GL-0626-SM-5LU4D 50-59 years, male 16.7
GTEX-17F98-1326-SM-7DUEP 40-49 years, female 16.7
GTEX-ZUA1-2626-SM-5NQ92 40-49 years, male 16.7
GTEX-1HCU6-2526-SM-ADEHL 60-69 years, female 16.7
GTEX-1RAZS-2526-SM-E6CHT 50-59 years, male 16.7
GTEX-11OF3-0126-SM-5PNYF 60-69 years, male 16.6
GTEX-12WSL-2026-SM-5GCML 50-59 years, male 16.6
GTEX-18D9B-0926-SM-7LG4U 60-69 years, male 16.6
GTEX-1CAV2-0126-SM-7IGN7 40-49 years, female 16.6
GTEX-1EH9U-2826-SM-7DUGT 60-69 years, male 16.6
GTEX-1OJC4-2726-SM-E76PJ 50-59 years, female 16.6
GTEX-1497J-0226-SM-5QGPU 60-69 years, male 16.5
GTEX-14A5H-0826-SM-5QGPJ 60-69 years, male 16.5
GTEX-1AX9I-2226-SM-73KUO 60-69 years, male 16.5
GTEX-13OW8-1026-SM-5J1NQ 60-69 years, male 16.4
GTEX-1A3MV-1826-SM-731CD 30-39 years, male 16.4
GTEX-1A8G7-1326-SM-73KVM 60-69 years, male 16.4
GTEX-WI4N-2726-SM-3LK7Y 40-49 years, female 16.4
GTEX-XV7Q-1826-SM-4BRUV 40-49 years, female 16.4
GTEX-1A3MX-2626-SM-7PC24 60-69 years, male 16.4
GTEX-1GMR3-0126-SM-A9SLW 40-49 years, male 16.4
GTEX-1KD5A-0126-SM-E9U54 50-59 years, male 16.4
GTEX-WFON-1926-SM-3LK7L 40-49 years, male 16.3
GTEX-1H3O1-1326-SM-9MQLD 60-69 years, male 16.3
GTEX-147F3-1726-SM-5SIAW 50-59 years, female 16.2
GTEX-Y5V5-0126-SM-5S2NW 60-69 years, female 16.2
GTEX-1ICG6-1226-SM-A9SLN 70-79 years, female 16.2
GTEX-11DXW-0826-SM-5H118 40-49 years, male 16.1
GTEX-1399R-1326-SM-5PNYS 30-39 years, male 16.1
GTEX-14LLW-2626-SM-62LDZ 70-79 years, female 16.1
GTEX-ZAK1-0626-SM-5HL8E 50-59 years, female 16.1
GTEX-1JJE9-2626-SM-ARZMT 70-79 years, male 16.0
GTEX-1LGOU-1326-SM-D3L8M 20-29 years, female 16.0
GTEX-11EI6-2826-SM-5H11D 60-69 years, male 15.9
GTEX-144GM-0526-SM-79OJO 20-29 years, male 15.9
GTEX-1GZ2Q-0126-SM-9WG6M 40-49 years, male 15.9
GTEX-1269C-0126-SM-5EQ5L 60-69 years, female 15.8
GTEX-VUSG-2326-SM-4KL1U 50-59 years, male 15.8
GTEX-ZDTS-0826-SM-4WKHL 60-69 years, male 15.8
GTEX-1JMQK-1226-SM-D4P2S 60-69 years, male 15.8
GTEX-14C5O-0326-SM-5ZZUX 60-69 years, male 15.7
GTEX-1I1GP-1326-SM-A9G28 50-59 years, male 15.7
GTEX-1KAFJ-0126-SM-DIPEK 50-59 years, male 15.7
GTEX-11WQK-1026-SM-5EQLX 50-59 years, male 15.6
GTEX-1IDJV-0126-SM-COH3Y 60-69 years, male 15.6
GTEX-1K2DU-1226-SM-CYPT4 20-29 years, male 15.6
GTEX-1R46S-2426-SM-E76QA 60-69 years, female 15.6
GTEX-16NPX-0726-SM-7KULC 50-59 years, male 15.5
GTEX-ZC5H-1526-SM-5HL9Y 40-49 years, female 15.5
GTEX-ZVE1-0726-SM-51MRN 50-59 years, female 15.5
GTEX-1I1GU-0926-SM-ACKVS 40-49 years, male 15.5
GTEX-1J8JJ-0626-SM-ARZMQ 60-69 years, female 15.5
GTEX-12WSD-0626-SM-5GCMW 60-69 years, female 15.4
GTEX-13NYS-0626-SM-5L3F1 60-69 years, male 15.4
GTEX-1HBPM-0726-SM-9YFL7 60-69 years, female 15.4
GTEX-1IDJH-0126-SM-D3L92 70-79 years, male 15.4
GTEX-148VJ-0626-SM-5LUAW 70-79 years, male 15.3
GTEX-14PJO-2526-SM-6AJBQ 60-69 years, male 15.3
GTEX-18A7A-0126-SM-731AH 50-59 years, female 15.3
GTEX-1B8KZ-0326-SM-73KY4 50-59 years, male 15.3
GTEX-1O9I2-0226-SM-EYYXD 50-59 years, male 15.3
GTEX-111FC-2526-SM-5GZXU 60-69 years, male 15.2
GTEX-12696-0126-SM-5EQ4L 60-69 years, male 15.2
GTEX-146FQ-2126-SM-5RQHU 30-39 years, male 15.2
GTEX-17HHY-0426-SM-7DHLC 50-59 years, male 15.2
GTEX-1477Z-0326-SM-7IGLA 60-69 years, male 15.1
GTEX-UPK5-0426-SM-3GAEK 40-49 years, male 15.1
GTEX-1HUB1-1426-SM-CGQF5 60-69 years, male 15.1
GTEX-1RLM8-2926-SM-E8VON 50-59 years, male 15.1
GTEX-13YAN-0226-SM-5TDC6 60-69 years, male 15.0
GTEX-147GR-2426-SM-5ZZWQ 60-69 years, male 15.0
GTEX-14C39-1726-SM-5RQIL 40-49 years, male 15.0
GTEX-14E1K-2026-SM-7DUEI 50-59 years, male 15.0
GTEX-17F9Y-0126-SM-79OKX 70-79 years, female 15.0
GTEX-12KS4-2126-SM-5FQUT 30-39 years, male 14.8
GTEX-1H1CY-0126-SM-9YFLY 60-69 years, female 14.8
GTEX-1I1CD-0626-SM-CE6SW 60-69 years, female 14.8
GTEX-1HSMP-0926-SM-A9SKX 70-79 years, male 14.7
GTEX-13O3O-2326-SM-5IJD6 60-69 years, female 14.6
GTEX-14A6H-2026-SM-5Q5DD 30-39 years, male 14.6
GTEX-132AR-0326-SM-5KM2C 50-59 years, female 14.5
GTEX-145MI-0626-SM-5SI8S 60-69 years, female 14.5
GTEX-ZVTK-0226-SM-51MRG 20-29 years, male 14.5
GTEX-XMD2-2126-SM-4YCF8 60-69 years, female 14.4
GTEX-1HSMO-0626-SM-ACKXC 60-69 years, male 14.4
GTEX-13RTJ-0126-SM-5S2NN 60-69 years, male 14.3
GTEX-16XZZ-0726-SM-7KUF2 60-69 years, male 14.3
GTEX-1A8FM-0626-SM-7PC25 50-59 years, female 14.3
GTEX-1314G-1326-SM-5BC6E 30-39 years, male 14.2
GTEX-13NYB-0126-SM-5J1MD 40-49 years, male 14.2
GTEX-147JS-0226-SM-5S2U9 60-69 years, male 14.2
GTEX-1CB4H-1126-SM-7MKGL 60-69 years, female 14.2
GTEX-145MO-2826-SM-5LU96 60-69 years, male 14.1
GTEX-ZYY3-2926-SM-5GIEB 60-69 years, female 14.1
GTEX-1HFI6-0126-SM-CNPPI 40-49 years, male 14.1
GTEX-13OVH-0526-SM-5L3E6 70-79 years, male 14.0
GTEX-13X6K-0626-SM-5LU5D 60-69 years, female 14.0
GTEX-1KANB-2826-SM-CY8I6 50-59 years, male 14.0
GTEX-ZVE2-2826-SM-5GU51 50-59 years, male 13.9
GTEX-15EO6-2426-SM-6PALZ 50-59 years, male 13.8
GTEX-16MT8-2926-SM-7DUFO 60-69 years, female 13.8
GTEX-1A32A-0626-SM-731AQ 50-59 years, female 13.8
GTEX-1EWIQ-0326-SM-7DHMQ 70-79 years, female 13.8
GTEX-X4EP-0626-SM-3P621 60-69 years, female 13.8
GTEX-1JMPZ-0726-SM-CY8HZ 30-39 years, male 13.8
GTEX-1QAET-0326-SM-EVR3U 50-59 years, male 13.8
GTEX-ZYT6-2326-SM-5GZY3 30-39 years, male 13.7
GTEX-1HB9E-0126-SM-CM2S5 50-59 years, male 13.7
GTEX-17EVQ-0126-SM-7IGLR 70-79 years, male 13.6
GTEX-1GMR8-0626-SM-7RHI7 50-59 years, female 13.6
GTEX-139UW-0326-SM-5J1ML 60-69 years, male 13.5
GTEX-1JMQI-1726-SM-ARL93 50-59 years, male 13.5
GTEX-1H3NZ-2726-SM-9WYTQ 60-69 years, male 13.2
GTEX-ZYFD-0626-SM-5E44E 50-59 years, male 13.1
GTEX-1F75W-2726-SM-7SB8H 60-69 years, male 13.1
GTEX-X4EO-2926-SM-4E3JH 60-69 years, female 13.0
GTEX-ZAJG-1526-SM-5CVML 50-59 years, female 13.0
GTEX-1F48J-0726-SM-7RHGS 50-59 years, female 13.0
GTEX-1117F-2926-SM-5GZYI 60-69 years, female 12.9
GTEX-13N2G-0226-SM-5K7VF 60-69 years, male 12.9
GTEX-14DAQ-0626-SM-793DS 60-69 years, female 12.8
GTEX-1H1DF-1126-SM-9WG7G 40-49 years, female 12.8
GTEX-X8HC-0626-SM-4E3HQ 50-59 years, female 12.7
GTEX-1ICLY-0826-SM-CMKG1 50-59 years, male 12.7
GTEX-1QP66-1226-SM-DTX7U 50-59 years, male 12.7
GTEX-12584-0726-SM-5FQTK 40-49 years, male 12.5
GTEX-13NYC-0126-SM-5L3F4 60-69 years, male 12.5
GTEX-1I1GS-2626-SM-B2LY3 60-69 years, male 12.5
GTEX-1JN1M-2726-SM-CY8I4 60-69 years, female 12.5
GTEX-1LVAO-2726-SM-E9TJ8 60-69 years, male 12.5
GTEX-15SHW-0226-SM-7LTAT 60-69 years, male 12.3
GTEX-1JMOU-1026-SM-CYPSS 60-69 years, female 12.3
GTEX-14E6C-2426-SM-5S2NF 40-49 years, male 12.2
GTEX-15SKB-2826-SM-6PAMH 60-69 years, male 12.2
GTEX-1I19N-0126-SM-CYPSF 70-79 years, male 12.2
GTEX-145LS-0626-SM-7EPG7 60-69 years, female 12.1
GTEX-17F96-0126-SM-7EWDU 70-79 years, male 12.1
GTEX-139D8-1126-SM-5LU8W 30-39 years, female 11.9
GTEX-16MT9-0126-SM-7EPI8 60-69 years, female 11.6
GTEX-1F6IF-0926-SM-7SB7M 60-69 years, male 11.6
GTEX-14PJ2-0626-SM-6LLII 50-59 years, male 11.5
GTEX-XK95-0226-SM-4AT58 40-49 years, male 11.5
GTEX-13JUV-2026-SM-5K7UA 40-49 years, female 11.4
GTEX-1E1VI-0326-SM-793D1 50-59 years, male 11.4
GTEX-14C38-0726-SM-5SI6M 50-59 years, male 11.0
GTEX-1F88E-1626-SM-7SB8Z 60-69 years, female 10.9
GTEX-1A3MW-0626-SM-731CB 60-69 years, female 10.5
GTEX-WYBS-0626-SM-3NMAS 60-69 years, female 10.4
GTEX-U8XE-0226-SM-4E3J3 30-39 years, male 9.9
Show allShow less
Skin - Sun Exposed (Lower leg)
Average nTPM: 18.9
Samples: 701

Max nTPM: 47.4
Min nTPM: 8.7
Std nTPM: 3.8
Median nTPM: 18.8
GTEX-SE5C-1626-SM-2XCE3 40-49 years, female 47.4
GTEX-XUZC-1726-SM-4BRWS 30-39 years, female 34.6
GTEX-ZGAY-0526-SM-4WWBB 40-49 years, female 31.4
GTEX-ZXES-1826-SM-5E43S 30-39 years, female 31.1
GTEX-169BO-1326-SM-9MQK2 50-59 years, male 30.9
GTEX-16YQH-0126-SM-7DUFJ 30-39 years, male 30.7
GTEX-11DZ1-0126-SM-5985Q 50-59 years, male 29.8
GTEX-XPVG-2626-SM-4B669 50-59 years, male 29.5
GTEX-1MJK2-0426-SM-DTXE5 50-59 years, male 29.5
GTEX-13OW8-1326-SM-5J1OW 60-69 years, male 29.3
GTEX-12126-0326-SM-5PNW3 20-29 years, male 29.2
GTEX-ZVT2-2526-SM-51MT1 50-59 years, female 29.0
GTEX-ZYFG-2326-SM-5E44B 60-69 years, female 29.0
GTEX-13NZ8-0826-SM-5MR3I 60-69 years, female 28.6
GTEX-1I1GT-0626-SM-CGQER 60-69 years, female 28.4
GTEX-13FTY-0526-SM-5L3EV 40-49 years, female 27.8
GTEX-1CAMQ-0226-SM-7IGPK 40-49 years, male 27.7
GTEX-1JJ6O-0126-SM-E6CI8 60-69 years, male 27.6
GTEX-T6MN-0126-SM-32PLP 50-59 years, male 27.4
GTEX-YB5E-2026-SM-5IFIS 40-49 years, male 27.2
GTEX-1F6RS-0126-SM-9MQKZ 60-69 years, female 27.0
GTEX-1I1GV-0526-SM-A9G29 60-69 years, male 26.9
GTEX-U3ZN-2326-SM-3DB7W 30-39 years, female 26.5
GTEX-145MF-0626-SM-5LUAI 50-59 years, male 26.3
GTEX-1JMLX-0226-SM-CM2RO 50-59 years, male 26.3
GTEX-QESD-1426-SM-2S1R9 20-29 years, male 26.2
GTEX-Z93T-0126-SM-5HL5N 50-59 years, male 26.2
GTEX-1QP9N-1426-SM-DTXFL 30-39 years, male 26.2
GTEX-13NZB-2526-SM-5J1OM 30-39 years, male 26.1
GTEX-T5JC-0426-SM-32PLO 20-29 years, male 26.1
GTEX-117XS-2726-SM-5N9BL 60-69 years, male 26.0
GTEX-13OW6-0426-SM-5L3HM 50-59 years, male 25.8
GTEX-1KWVE-1426-SM-E9TJO 30-39 years, male 25.8
GTEX-ZPIC-1726-SM-DHXIU 40-49 years, female 25.7
GTEX-PX3G-0126-SM-2I3EN 20-29 years, female 25.6
GTEX-ZVZP-2426-SM-59HKJ 50-59 years, male 25.6
GTEX-RWSA-0126-SM-2XCBB 40-49 years, male 25.3
GTEX-144GL-0126-SM-5TDE2 50-59 years, male 25.2
GTEX-OHPL-0126-SM-2HMJ7 60-69 years, female 25.2
GTEX-X88G-0126-SM-47JZ3 30-39 years, male 25.2
GTEX-1HCU9-1526-SM-A9SL7 20-29 years, male 25.0
GTEX-145ME-1826-SM-5SI9G 40-49 years, female 24.8
GTEX-1LBAC-0126-SM-DIPEZ 20-29 years, male 24.8
GTEX-13111-1626-SM-5EGJY 50-59 years, male 24.7
GTEX-14PII-0226-SM-6EU1T 60-69 years, male 24.7
GTEX-1HSKV-0226-SM-A9SKJ 60-69 years, male 24.6
GTEX-1IL2U-0226-SM-CE6T8 60-69 years, male 24.6
GTEX-14E7W-0126-SM-6LLJ9 70-79 years, male 24.5
GTEX-WI4N-1026-SM-3LK7N 40-49 years, female 24.5
GTEX-1GN1U-0126-SM-7PBZK 50-59 years, female 24.5
GTEX-14JG6-2226-SM-6EU2G 30-39 years, female 24.4
GTEX-17MFQ-1726-SM-793C7 20-29 years, male 24.3
GTEX-1CB4F-0426-SM-9KNV4 60-69 years, male 24.3
GTEX-111FC-0126-SM-5N9DL 60-69 years, male 24.2
GTEX-13113-5016-SM-7EPIP 60-69 years, female 24.1
GTEX-NFK9-0226-SM-2HMKQ 40-49 years, male 24.1
GTEX-ZYY3-0126-SM-5GZY5 60-69 years, female 24.1
GTEX-YJ89-0126-SM-4TT3X 60-69 years, male 24.0
GTEX-139TS-2826-SM-5J1OO 60-69 years, male 23.9
GTEX-T5JW-1626-SM-3GADZ 20-29 years, female 23.9
GTEX-1B8KE-2126-SM-73KYX 50-59 years, male 23.8
GTEX-1GF9V-0326-SM-7RHI5 60-69 years, male 23.8
GTEX-1QCLY-0326-SM-E8VOG 30-39 years, male 23.8
GTEX-13QJ3-0326-SM-5S2RA 50-59 years, male 23.7
GTEX-18D9U-0226-SM-718BP 40-49 years, male 23.7
GTEX-12ZZX-0126-SM-5EGK9 40-49 years, female 23.6
GTEX-YB5K-2126-SM-4WWDJ 40-49 years, female 23.6
GTEX-1JMPY-1326-SM-ARL8Y 30-39 years, male 23.6
GTEX-1K2DA-1826-SM-CGQGT 50-59 years, male 23.6
GTEX-1C4CL-0526-SM-73KVK 30-39 years, male 23.5
GTEX-O5YW-0126-SM-3LK6D 50-59 years, male 23.5
GTEX-U412-0426-SM-3DB9O 60-69 years, male 23.5
GTEX-1S5ZA-0126-SM-EVYCV 20-29 years, male 23.5
GTEX-ZVTK-0426-SM-51MRS 20-29 years, male 23.4
GTEX-R45C-0126-SM-EAZ2R 60-69 years, female 23.4
GTEX-14PJ6-2126-SM-6EU1V 60-69 years, female 23.3
GTEX-15RIG-0226-SM-7KFTL 40-49 years, male 23.3
GTEX-POMQ-2226-SM-2I5FK 20-29 years, female 23.3
GTEX-ZYFC-0226-SM-5NQ75 50-59 years, male 23.3
GTEX-ZY6K-1826-SM-5GZXK 50-59 years, male 23.2
GTEX-1B996-0226-SM-7RHGO 60-69 years, male 23.2
GTEX-1PIIG-0226-SM-EWRN6 30-39 years, male 23.2
GTEX-RNOR-0126-SM-E9J4R 50-59 years, female 23.1
GTEX-11P7K-2126-SM-5GU7G 30-39 years, male 23.0
GTEX-XUYS-0126-SM-47JWZ 50-59 years, male 23.0
GTEX-OOBJ-0126-SM-E6CJW 60-69 years, male 23.0
GTEX-13W46-0226-SM-5SIAG 50-59 years, male 22.9
GTEX-15ER7-0326-SM-7KUEV 20-29 years, female 22.9
GTEX-1F5PL-0326-SM-7P8PQ 40-49 years, female 22.9
GTEX-1HCU6-0126-SM-CL54K 60-69 years, female 22.9
GTEX-PLZ5-2026-SM-2S1O4 50-59 years, male 22.8
GTEX-ZAJG-0126-SM-5HL94 50-59 years, female 22.8
GTEX-1I1GQ-0126-SM-COH3H 50-59 years, male 22.8
GTEX-1J8EW-0126-SM-CJI4F 60-69 years, female 22.8
GTEX-131YS-0126-SM-5KM1M 60-69 years, female 22.7
GTEX-1IKK5-0626-SM-ARL8A 60-69 years, male 22.7
GTEX-1MCQQ-0826-SM-DLHC2 60-69 years, male 22.7
GTEX-WYVS-2126-SM-3NMA3 40-49 years, female 22.6
GTEX-S95S-1226-SM-4GICG 60-69 years, male 22.5
GTEX-ZTSS-1926-SM-57WEW 40-49 years, male 22.5
GTEX-1LSNM-1926-SM-E6CII 50-59 years, male 22.5
GTEX-1POEN-0126-SM-EYYXJ 30-39 years, female 22.5
GTEX-11GSO-2426-SM-5A5LY 60-69 years, male 22.4
GTEX-11UD2-0226-SM-5EQKY 50-59 years, male 22.4
GTEX-13O3Q-2426-SM-5IJBR 50-59 years, male 22.4
GTEX-13OVI-1426-SM-5L3EY 60-69 years, female 22.4
GTEX-14LLW-0126-SM-6LLIO 70-79 years, female 22.4
GTEX-1H1ZS-0426-SM-9WG6G 70-79 years, male 22.4
GTEX-1HCVE-0126-SM-CGQEU 50-59 years, male 22.4
GTEX-12WSD-0126-SM-59HKN 60-69 years, female 22.3
GTEX-131XG-2626-SM-5KM17 50-59 years, female 22.3
GTEX-15SDE-2226-SM-7IGLO 50-59 years, female 22.3
GTEX-UJHI-1526-SM-3DB99 50-59 years, female 22.3
GTEX-XQ3S-1526-SM-4BOOC 20-29 years, male 22.3
GTEX-1R7EU-0226-SM-EVR4G 60-69 years, male 22.3
GTEX-1AMFI-2026-SM-731BH 50-59 years, female 22.2
GTEX-ZV68-0126-SM-59HKS 50-59 years, female 22.2
GTEX-ZZPT-0226-SM-5E43X 50-59 years, male 22.2
GTEX-1GTWX-0126-SM-9YFLK 60-69 years, male 22.2
GTEX-1I1GP-2226-SM-CGQFK 50-59 years, male 22.2
GTEX-1JN6P-0126-SM-D3L98 60-69 years, male 22.2
GTEX-17EVP-0326-SM-7DHLG 40-49 years, male 22.1
GTEX-ZXG5-0126-SM-5GIEU 60-69 years, male 22.1
GTEX-1H4P4-0726-SM-9YFLR 50-59 years, male 22.1
GTEX-P4QT-0126-SM-2I3FL 50-59 years, female 22.0
GTEX-R55E-0126-SM-2TC5Y 20-29 years, male 22.0
GTEX-TML8-1926-SM-32QOS 40-49 years, female 22.0
GTEX-1OJC3-0126-SM-E76QX 20-29 years, male 22.0
GTEX-18A6Q-0126-SM-731BZ 60-69 years, male 21.9
GTEX-SN8G-0126-SM-32PLI 50-59 years, female 21.9
GTEX-SSA3-0126-SM-32QPU 60-69 years, male 21.9
GTEX-1C6VQ-0126-SM-7P8RI 50-59 years, male 21.9
GTEX-1EN7A-0126-SM-7SB81 40-49 years, male 21.9
GTEX-1LB8K-0226-SM-EWRNW 50-59 years, male 21.9
GTEX-14PJM-0226-SM-62LF1 50-59 years, female 21.8
GTEX-17JCI-0126-SM-7LG5G 60-69 years, female 21.8
GTEX-X4XX-0126-SM-3NMC2 60-69 years, male 21.8
GTEX-YJ8A-0426-SM-5IFID 20-29 years, male 21.8
GTEX-1J1R8-1726-SM-ARL8M 40-49 years, male 21.8
GTEX-11GSP-2526-SM-5N9BP 60-69 years, female 21.7
GTEX-1399R-2726-SM-5IJBA 30-39 years, male 21.7
GTEX-13VXU-0126-SM-5SI9F 50-59 years, male 21.7
GTEX-17HII-0226-SM-7LG4E 50-59 years, male 21.7
GTEX-13FH7-2026-SM-E9J4I 50-59 years, female 21.7
GTEX-S33H-1026-SM-EZ6L6 30-39 years, male 21.7
GTEX-ZF29-2326-SM-DO92K 60-69 years, female 21.7
GTEX-16NGA-1726-SM-731B4 40-49 years, female 21.6
GTEX-X585-0226-SM-4QAS2 50-59 years, male 21.6
GTEX-113IC-0126-SM-5HL6T 60-69 years, male 21.5
GTEX-11DXY-2626-SM-5GIE7 60-69 years, male 21.5
GTEX-11DYG-0126-SM-59883 60-69 years, male 21.5
GTEX-11VI4-1726-SM-5CVLH 40-49 years, female 21.5
GTEX-OHPM-0126-SM-2YUN9 50-59 years, male 21.5
GTEX-TMZS-0126-SM-3DB9Q 60-69 years, male 21.5
GTEX-1LGRB-2526-SM-CNPPQ 50-59 years, female 21.5
GTEX-1RAZQ-0726-SM-EAZ43 30-39 years, male 21.5
GTEX-1S83E-0126-SM-EWRO4 40-49 years, male 21.5
GTEX-1212Z-2526-SM-5EGKP 60-69 years, male 21.4
GTEX-13OVJ-0126-SM-5KM36 50-59 years, female 21.4
GTEX-17HG3-2226-SM-7938L 30-39 years, female 21.4
GTEX-RU72-0926-SM-2TF6B 50-59 years, female 21.4
GTEX-1HSMP-0126-SM-E6CJS 70-79 years, male 21.4
GTEX-1OFPY-2426-SM-DTXEJ 60-69 years, male 21.4
GTEX-PW2O-1526-SM-7RHHB 20-29 years, male 21.4
GTEX-RVPV-0126-SM-EAZAW 60-69 years, male 21.4
GTEX-ZQG8-1626-SM-DHXIT 60-69 years, female 21.4
GTEX-1B8SF-1426-SM-7DUGL 60-69 years, male 21.3
GTEX-W5WG-1826-SM-4KL2Y 50-59 years, female 21.3
GTEX-S7SE-0126-SM-2XCD5 50-59 years, male 21.2
GTEX-WYJK-0126-SM-3NMAB 50-59 years, male 21.2
GTEX-1I1GR-0126-SM-CL55F 60-69 years, male 21.2
GTEX-1KANA-0726-SM-D3L9I 20-29 years, male 21.2
GTEX-1S3DN-2226-SM-EVYCD 50-59 years, male 21.2
GTEX-12ZZZ-0626-SM-5DUXI 60-69 years, male 21.1
GTEX-13FTW-2626-SM-5K7WL 40-49 years, male 21.1
GTEX-1GF9X-2026-SM-7PC3A 40-49 years, female 21.1
GTEX-1I1HK-0126-SM-COH49 60-69 years, male 21.1
GTEX-1MUQO-0126-SM-EAZ58 60-69 years, male 21.1
GTEX-1314G-1526-SM-5EGK2 30-39 years, male 21.0
GTEX-14E6D-0126-SM-62LDV 50-59 years, male 21.0
GTEX-RM2N-1426-SM-2TF4H 50-59 years, male 21.0
GTEX-WY7C-2326-SM-3NB2U 50-59 years, male 21.0
GTEX-WZTO-0126-SM-3NM95 40-49 years, male 21.0
GTEX-Y5V6-2426-SM-4VDSB 60-69 years, male 21.0
GTEX-YEC4-2126-SM-5IFJH 40-49 years, male 21.0
GTEX-1IDJH-0326-SM-A9SLQ 70-79 years, male 21.0
GTEX-1R9K4-0126-SM-DTX9X 60-69 years, male 21.0
GTEX-1128S-2326-SM-5GZZY 60-69 years, female 20.9
GTEX-18D9A-1926-SM-7LG6P 30-39 years, female 20.9
GTEX-1AX9J-0226-SM-73KXM 60-69 years, male 20.9
GTEX-QEG4-0226-SM-2S1PY 30-39 years, male 20.9
GTEX-1GN1W-0526-SM-9MQJQ 50-59 years, female 20.9
GTEX-1J1OQ-0226-SM-CYPSH 40-49 years, female 20.9
GTEX-1LG7Z-1726-SM-D3LA4 30-39 years, male 20.9
GTEX-139TT-0126-SM-5K7Y5 60-69 years, male 20.8
GTEX-14A5H-0426-SM-5QGQF 60-69 years, male 20.8
GTEX-ZDTS-0126-SM-4WAY5 60-69 years, male 20.8
GTEX-13N1W-0126-SM-5K7VT 70-79 years, male 20.7
GTEX-14BMV-0126-SM-5S2PO 50-59 years, male 20.7
GTEX-1E1VI-0126-SM-7DHMZ 50-59 years, male 20.7
GTEX-WQUQ-0426-SM-3MJFU 60-69 years, male 20.7
GTEX-X4EP-0126-SM-3P5YV 60-69 years, female 20.7
GTEX-1HBPI-1526-SM-C1YQ1 50-59 years, male 20.7
GTEX-1IL2V-0126-SM-CM2TX 70-79 years, male 20.7
GTEX-16GPK-0126-SM-7DHLE 60-69 years, male 20.6
GTEX-1CB4E-2226-SM-793DC 60-69 years, male 20.6
GTEX-R3RS-0126-SM-3GIJL 40-49 years, female 20.6
GTEX-R55G-2526-SM-2TC6D 40-49 years, female 20.6
GTEX-U3ZH-2026-SM-3DB78 30-39 years, male 20.6
GTEX-1CB4G-0226-SM-7PC3O 60-69 years, male 20.6
GTEX-1HSEH-0126-SM-ACKXN 60-69 years, male 20.6
GTEX-131XH-2226-SM-5DUXJ 50-59 years, male 20.5
GTEX-1BAJH-0526-SM-793CQ 70-79 years, male 20.5
GTEX-1LH75-2426-SM-E9TJE 50-59 years, female 20.5
GTEX-1QPFJ-0226-SM-E76PB 30-39 years, female 20.5
GTEX-PLZ6-1426-SM-DKPOT 30-39 years, male 20.5
GTEX-18A7B-0126-SM-7LG64 70-79 years, male 20.4
GTEX-OXRL-0126-SM-2YUMP 50-59 years, male 20.4
GTEX-U3ZM-1526-SM-3DB9D 40-49 years, male 20.4
GTEX-WRHK-1426-SM-3MJF9 20-29 years, female 20.4
GTEX-Y111-0126-SM-4SOIV 50-59 years, male 20.4
GTEX-1JN76-0126-SM-CNPPE 20-29 years, female 20.4
GTEX-1LGOU-2026-SM-DIPFF 20-29 years, female 20.4
GTEX-1LVAN-0226-SM-COH3S 50-59 years, female 20.4
GTEX-1MCYP-1926-SM-E9J2R 20-29 years, female 20.4
GTEX-1O97I-0326-SM-EYYX7 60-69 years, male 20.4
GTEX-1R9PO-2126-SM-E9J4O 60-69 years, female 20.4
GTEX-11OC5-0126-SM-5HL6A 60-69 years, male 20.3
GTEX-QV44-1926-SM-2S1RF 50-59 years, male 20.3
GTEX-VUSG-2526-SM-4KL1V 50-59 years, male 20.3
GTEX-X5EB-2226-SM-46MW4 40-49 years, male 20.3
GTEX-Y8LW-1826-SM-5S2MV 50-59 years, female 20.3
GTEX-Z93S-0126-SM-5HL7M 50-59 years, male 20.3
GTEX-PSDG-0226-SM-DKPOZ 50-59 years, male 20.3
GTEX-11EM3-2426-SM-59861 20-29 years, female 20.2
GTEX-13FXS-0226-SM-5IJCK 50-59 years, male 20.2
GTEX-Q2AH-1626-SM-3GAF8 40-49 years, male 20.2
GTEX-VJYA-1126-SM-3GIJU 60-69 years, male 20.2
GTEX-1H3VY-0126-SM-ACKXD 50-59 years, male 20.2
GTEX-1HCU8-0626-SM-A9SM9 60-69 years, female 20.2
GTEX-11EQ9-2426-SM-5HL5T 30-39 years, male 20.1
GTEX-12WSA-0226-SM-5BC5V 60-69 years, male 20.1
GTEX-145LS-0126-SM-5QGP1 60-69 years, female 20.1
GTEX-1CB4I-0226-SM-79OLH 50-59 years, male 20.1
GTEX-1GL5R-1826-SM-9KNUY 50-59 years, male 20.1
GTEX-1OJC4-0126-SM-E9J2E 50-59 years, female 20.1
GTEX-1QMI2-0226-SM-EVYBX 60-69 years, male 20.1
GTEX-13112-2826-SM-5DUWH 50-59 years, male 20.0
GTEX-13O3P-0126-SM-5KM4S 50-59 years, male 20.0
GTEX-145LT-1726-SM-5QGP3 40-49 years, male 20.0
GTEX-15CHC-2126-SM-6EU21 60-69 years, female 20.0
GTEX-15F5U-1526-SM-6PANO 40-49 years, male 20.0
GTEX-OIZH-0126-SM-2HMIS 50-59 years, male 20.0
GTEX-WH7G-2326-SM-3NMBC 40-49 years, male 20.0
GTEX-Y114-2426-SM-4TT8A 50-59 years, female 20.0
GTEX-1GMRU-0126-SM-9YFLV 50-59 years, male 20.0
GTEX-1GPI6-0126-SM-9WG69 60-69 years, male 20.0
GTEX-1JKYR-0126-SM-CNPOJ 20-29 years, male 20.0
GTEX-12WSC-0126-SM-5EQ4P 50-59 years, male 19.9
GTEX-14ICK-0226-SM-6EU25 40-49 years, male 19.9
GTEX-Q2AG-0126-SM-33HBV 40-49 years, female 19.9
GTEX-QVJO-1626-SM-2S1QW 60-69 years, female 19.9
GTEX-1CAV2-2226-SM-7P8P2 40-49 years, female 19.9
GTEX-1JJEA-0326-SM-CNPOT 60-69 years, male 19.9
GTEX-1JMQJ-0526-SM-CYPSU 50-59 years, male 19.9
GTEX-11TTK-0126-SM-5987B 60-69 years, female 19.8
GTEX-11ZTS-0126-SM-5EQ6M 60-69 years, female 19.8
GTEX-WFG8-2226-SM-3GIL9 20-29 years, male 19.8
GTEX-Y5V5-2326-SM-4V6GA 60-69 years, female 19.8
GTEX-1GZHY-0326-SM-9QEHI 50-59 years, female 19.8
GTEX-1H1CY-2826-SM-9MQM3 60-69 years, female 19.8
GTEX-13SLW-0126-SM-5SI6C 70-79 years, male 19.7
GTEX-145LV-2126-SM-5LU8N 50-59 years, male 19.7
GTEX-14E6C-0126-SM-5RQIP 40-49 years, male 19.7
GTEX-1KANC-1526-SM-D3LAB 50-59 years, female 19.7
GTEX-1MA7W-2026-SM-E9TJ6 20-29 years, female 19.7
GTEX-131XE-2326-SM-5PNZ2 50-59 years, male 19.6
GTEX-ZWKS-0126-SM-5SIAA 30-39 years, male 19.6
GTEX-1EMGI-0126-SM-9KNUE 60-69 years, male 19.6
GTEX-1EWIQ-0126-SM-7RHH2 70-79 years, female 19.6
GTEX-1F75A-0126-SM-7RHGM 50-59 years, male 19.6
GTEX-1I4MK-2226-SM-ACKWD 50-59 years, female 19.6
GTEX-1IDJU-2626-SM-CM2RT 60-69 years, female 19.6
GTEX-1RAZA-0126-SM-E6CI3 20-29 years, male 19.6
GTEX-PWCY-1826-SM-DHXIZ 20-29 years, female 19.6
GTEX-13OVG-1926-SM-5L3DK 60-69 years, male 19.5
GTEX-13RTK-1426-SM-5QGQJ 20-29 years, male 19.5
GTEX-1CAMR-1926-SM-7EPI2 20-29 years, male 19.5
GTEX-T2IS-0126-SM-4DM6O 20-29 years, female 19.5
GTEX-XAJ8-0826-SM-47JY6 40-49 years, male 19.5
GTEX-1GN2E-0426-SM-9MQKX 60-69 years, male 19.5
GTEX-1GN73-0226-SM-9WG67 60-69 years, male 19.5
GTEX-1N2DV-0226-SM-E6CJ6 40-49 years, male 19.5
GTEX-13NYB-2526-SM-5K7Z6 40-49 years, male 19.4
GTEX-145MI-0526-SM-5O9A8 60-69 years, female 19.4
GTEX-1C2JI-1826-SM-73KXC 50-59 years, male 19.4
GTEX-1C6VR-2426-SM-79OLD 60-69 years, male 19.4
GTEX-XBED-2226-SM-47JYQ 60-69 years, male 19.4
GTEX-Y8DK-0126-SM-4TT3L 60-69 years, male 19.4
GTEX-1AMEY-1326-SM-73KYK 30-39 years, female 19.3
GTEX-SUCS-1926-SM-32PM3 70-79 years, male 19.3
GTEX-1PIGE-0126-SM-EVYBJ 20-29 years, male 19.3
GTEX-13CF2-2526-SM-5LZYX 60-69 years, male 19.2
GTEX-14DAR-2026-SM-5S2O3 50-59 years, male 19.2
GTEX-16MT8-0426-SM-7KUEY 60-69 years, female 19.2
GTEX-17F97-0326-SM-7LG5B 50-59 years, male 19.2
GTEX-WFON-2126-SM-3LK7O 40-49 years, male 19.2
GTEX-ZQUD-1426-SM-57WER 30-39 years, male 19.2
GTEX-1F7RK-0126-SM-7PC2S 20-29 years, female 19.2
GTEX-1GPI7-0126-SM-9MQL8 20-29 years, male 19.2
GTEX-1H1DG-0126-SM-9WYU2 70-79 years, male 19.2
GTEX-1QAET-0926-SM-E76QM 50-59 years, male 19.2
GTEX-1R46S-0626-SM-E9J41 60-69 years, female 19.2
GTEX-18A67-0126-SM-7LG5P 50-59 years, male 19.1
GTEX-1C64N-0126-SM-793D7 50-59 years, male 19.1
GTEX-TMMY-0226-SM-33HBA 40-49 years, female 19.1
GTEX-131XF-5016-SM-7MGWE 60-69 years, male 19.1
GTEX-1HT8W-0126-SM-CNPPP 30-39 years, male 19.1
GTEX-1KAFJ-2026-SM-CY8ID 50-59 years, male 19.1
GTEX-1QP66-1726-SM-E8VO1 50-59 years, male 19.1
GTEX-111VG-2426-SM-5GZXD 60-69 years, male 19.0
GTEX-12ZZY-0226-SM-5LZVE 60-69 years, male 19.0
GTEX-13OVL-0226-SM-5L3E9 50-59 years, male 19.0
GTEX-14A6H-0126-SM-5QGPK 30-39 years, male 19.0
GTEX-1H2FU-0126-SM-9WYSI 60-69 years, female 19.0
GTEX-1J8JJ-0226-SM-CL53I 60-69 years, female 19.0
GTEX-1LNCM-1126-SM-E9U5E 50-59 years, female 19.0
GTEX-1RDX4-0126-SM-E9J4P 50-59 years, female 19.0
GTEX-1S82Z-0826-SM-E6CHY 30-39 years, female 19.0
GTEX-1122O-2126-SM-5EGIR 60-69 years, female 18.9
GTEX-11DXW-0226-SM-5H122 40-49 years, male 18.9
GTEX-13O21-1426-SM-5K7XI 50-59 years, male 18.9
GTEX-145MN-2226-SM-5SIAU 30-39 years, male 18.9
GTEX-15DYW-0126-SM-7KULE 60-69 years, female 18.9
GTEX-18465-0126-SM-731BN 50-59 years, male 18.9
GTEX-P4PP-0126-SM-3LK69 30-39 years, female 18.9
GTEX-QCQG-1726-SM-3GIJ9 50-59 years, female 18.9
GTEX-TKQ1-1026-SM-4GICL 30-39 years, male 18.9
GTEX-ZAB4-0226-SM-5N9F5 40-49 years, male 18.9
GTEX-13O3O-0126-SM-E9J49 60-69 years, female 18.9
GTEX-1F88F-2726-SM-7PBZZ 60-69 years, female 18.9
GTEX-1GF9W-0326-SM-9KNUN 60-69 years, male 18.9
GTEX-1HFI7-1826-SM-ACKXH 50-59 years, female 18.9
GTEX-1J8QM-2126-SM-CYPSJ 60-69 years, female 18.9
GTEX-1NHNU-1026-SM-E9J2A 50-59 years, male 18.9
GTEX-1192W-2626-SM-5Q5AF 60-69 years, male 18.8
GTEX-13PVR-2326-SM-5QGR1 60-69 years, female 18.8
GTEX-13X6J-0126-SM-5QGOU 50-59 years, male 18.8
GTEX-147F4-0226-SM-5QGPW 50-59 years, male 18.8
GTEX-14PHX-2326-SM-62LEM 50-59 years, male 18.8
GTEX-1GZ4H-1726-SM-7PBZJ 50-59 years, female 18.8
GTEX-1JMPZ-0226-SM-CNPP1 30-39 years, male 18.8
GTEX-1LG7Y-0526-SM-DKPQC 50-59 years, male 18.8
GTEX-1N2DW-0226-SM-E9TK2 50-59 years, male 18.8
GTEX-13SLX-0526-SM-5S2ON 50-59 years, female 18.7
GTEX-QLQ7-1626-SM-2S1R8 60-69 years, male 18.7
GTEX-ZE9C-2726-SM-57WB5 60-69 years, male 18.7
GTEX-1C6WA-0126-SM-7PC2B 60-69 years, male 18.7
GTEX-1E2YA-0126-SM-9KNUC 50-59 years, male 18.7
GTEX-1PFEY-1526-SM-E76PP 30-39 years, male 18.7
GTEX-1269C-2526-SM-5EGJ3 60-69 years, female 18.6
GTEX-1313W-0126-SM-5LZUN 50-59 years, female 18.6
GTEX-QDVJ-1726-SM-2I5FX 50-59 years, male 18.6
GTEX-X638-0126-SM-47JZ8 70-79 years, female 18.6
GTEX-1HCUA-2426-SM-ADEIS 50-59 years, female 18.6
GTEX-1PPH8-0226-SM-E8VND 20-29 years, male 18.6
GTEX-133LE-1826-SM-5J1MV 20-29 years, female 18.5
GTEX-13D11-2426-SM-5KM1V 50-59 years, female 18.5
GTEX-S32W-2126-SM-2XCB1 50-59 years, female 18.5
GTEX-U8T8-0126-SM-3DB94 60-69 years, male 18.5
GTEX-ZU9S-0226-SM-5E441 30-39 years, male 18.5
GTEX-1H23P-0126-SM-ADEJ3 60-69 years, male 18.5
GTEX-1J8Q2-0526-SM-CM2RW 60-69 years, male 18.5
GTEX-VJWN-0126-SM-3GIK7 50-59 years, female 18.4
GTEX-WXYG-2326-SM-4E3I6 50-59 years, female 18.4
GTEX-ZDTT-2726-SM-4WKF8 60-69 years, male 18.4
GTEX-1KXAM-2226-SM-CYPTC 60-69 years, male 18.4
GTEX-1L5NE-2526-SM-E6CIE 50-59 years, male 18.4
GTEX-13S7M-0126-SM-5SI6A 60-69 years, female 18.3
GTEX-148VI-1626-SM-5SI6E 60-69 years, female 18.3
GTEX-SIU8-0126-SM-2XCDT 50-59 years, male 18.3
GTEX-UPJH-0326-SM-3GADU 50-59 years, male 18.3
GTEX-ZYT6-0226-SM-5NQ6T 30-39 years, male 18.3
GTEX-1ICLY-0126-SM-D4P36 50-59 years, male 18.3
GTEX-11EI6-0126-SM-5985R 60-69 years, male 18.2
GTEX-11LCK-1026-SM-5A5KB 30-39 years, male 18.2
GTEX-13G51-2526-SM-5LZYK 60-69 years, male 18.2
GTEX-14JIY-0126-SM-6LLH6 60-69 years, male 18.2
GTEX-15ETS-0126-SM-7KUMW 40-49 years, female 18.2
GTEX-ZF28-0126-SM-4WKGK 60-69 years, male 18.2
GTEX-1H3O1-0426-SM-9YFKY 60-69 years, male 18.2
GTEX-1PDJ9-0326-SM-DTX95 20-29 years, male 18.2
GTEX-ZVT4-0126-SM-DTXFN 50-59 years, female 18.2
GTEX-11P81-2326-SM-59875 30-39 years, female 18.1
GTEX-13OVH-0126-SM-5MR4B 70-79 years, male 18.1
GTEX-13PDP-0126-SM-5L3HD 60-69 years, male 18.1
GTEX-14PHW-0126-SM-6LLJI 60-69 years, female 18.1
GTEX-T6MO-1626-SM-32QOM 40-49 years, female 18.1
GTEX-ZDYS-2026-SM-5HL5L 50-59 years, male 18.1
GTEX-ZEX8-2426-SM-4WKG4 50-59 years, male 18.1
GTEX-1IKOH-0226-SM-COH4E 60-69 years, female 18.1
GTEX-1KD4Q-0226-SM-E9TJ9 40-49 years, male 18.1
GTEX-11ZU8-2526-SM-5EQKI 60-69 years, male 18.0
GTEX-132NY-0326-SM-5IJBL 60-69 years, male 18.0
GTEX-1399T-2826-SM-5KLYZ 60-69 years, male 18.0
GTEX-139D8-0226-SM-5KLZO 30-39 years, female 18.0
GTEX-13NZA-0226-SM-5K7Z7 60-69 years, male 18.0
GTEX-1B97I-1626-SM-73KYO 40-49 years, male 18.0
GTEX-T8EM-1026-SM-3DB7M 40-49 years, male 18.0
GTEX-ZV6S-2326-SM-4YCEY 40-49 years, female 18.0
GTEX-1A8FM-0226-SM-7SB7Q 50-59 years, female 18.0
GTEX-1HSGN-0226-SM-CGQFV 40-49 years, female 18.0
GTEX-1JK1U-2026-SM-CM2RZ 60-69 years, male 18.0
GTEX-1M5QR-1226-SM-EWROB 40-49 years, male 18.0
GTEX-1QEPI-0126-SM-EWRMQ 60-69 years, female 18.0
GTEX-1S82Y-2026-SM-EVYCM 40-49 years, male 18.0
GTEX-11GS4-2726-SM-5A5LE 60-69 years, male 17.9
GTEX-11ZTT-2426-SM-5EQLS 60-69 years, female 17.9
GTEX-13FTX-1826-SM-5J1NX 20-29 years, female 17.9
GTEX-13OW7-0126-SM-5MR3B 50-59 years, male 17.9
GTEX-13X6H-2126-SM-7EWD5 50-59 years, female 17.9
GTEX-147F3-0526-SM-5SI98 50-59 years, female 17.9
GTEX-14PN3-2426-SM-6LLHS 60-69 years, female 17.9
GTEX-16BQI-0226-SM-7KUEX 30-39 years, female 17.9
GTEX-1EX96-1626-SM-7PBXR 50-59 years, male 17.9
GTEX-1IDFM-0126-SM-COH2V 60-69 years, male 17.9
GTEX-1IKJJ-0126-SM-CNPQB 60-69 years, male 17.9
GTEX-144GN-2326-SM-5LU4F 50-59 years, male 17.8
GTEX-1AYCT-2426-SM-7IGQ3 50-59 years, male 17.8
GTEX-1HGF4-2426-SM-ACKXM 60-69 years, male 17.8
GTEX-12WSK-2326-SM-5GCOH 40-49 years, female 17.7
GTEX-13FHP-0126-SM-5IJBG 50-59 years, male 17.7
GTEX-14753-0426-SM-5NQAM 60-69 years, male 17.7
GTEX-15SHU-0126-SM-7KUEH 40-49 years, female 17.7
GTEX-1ICLZ-0126-SM-CKZPO 60-69 years, male 17.7
GTEX-1IOXB-0126-SM-ARL8G 50-59 years, male 17.7
GTEX-1N2EF-0226-SM-EYYXB 60-69 years, male 17.7
GTEX-1RB15-2126-SM-E9TIM 60-69 years, male 17.7
GTEX-17HHE-2026-SM-79OKF 50-59 years, male 17.6
GTEX-1A3MV-1926-SM-718BT 30-39 years, male 17.6
GTEX-OIZG-0726-SM-33HBL 50-59 years, male 17.6
GTEX-1H11D-0226-SM-9WG6Z 40-49 years, male 17.6
GTEX-1IY9M-0126-SM-D3L8S 60-69 years, male 17.6
GTEX-17GQL-2026-SM-718BA 60-69 years, male 17.5
GTEX-1C475-1826-SM-73KWA 40-49 years, female 17.5
GTEX-ZAK1-0126-SM-5IJD3 50-59 years, female 17.5
GTEX-1GN1V-0126-SM-9WPOS 60-69 years, male 17.5
GTEX-113JC-2326-SM-5EQ4E 50-59 years, female 17.4
GTEX-13RTL-0126-SM-7LG5S 40-49 years, male 17.4
GTEX-17HGU-0226-SM-7DHKV 50-59 years, male 17.4
GTEX-PLZ4-0126-SM-5SI8O 50-59 years, female 17.4
GTEX-RWS6-2026-SM-2XCB5 60-69 years, female 17.4
GTEX-1AX9I-0126-SM-7SB74 60-69 years, male 17.4
GTEX-1JN1M-0326-SM-CYPT3 60-69 years, female 17.4
GTEX-11NSD-2226-SM-5986V 20-29 years, male 17.3
GTEX-13JUV-2726-SM-5LZZ8 40-49 years, female 17.3
GTEX-13N11-2526-SM-5K7UE 50-59 years, female 17.3
GTEX-145LU-0126-SM-5TDCB 50-59 years, male 17.3
GTEX-14ABY-0226-SM-5TDCQ 50-59 years, male 17.3
GTEX-17F96-1626-SM-7DUFL 70-79 years, male 17.3
GTEX-OXRP-0126-SM-3NB32 60-69 years, female 17.3
GTEX-Q2AI-1326-SM-2S1PL 40-49 years, male 17.3
GTEX-T2YK-0526-SM-32QPJ 50-59 years, male 17.3
GTEX-X8HC-0126-SM-4E3JW 50-59 years, female 17.3
GTEX-11DXZ-2326-SM-5EGGV 50-59 years, male 17.2
GTEX-11UD1-0126-SM-5PNYG 40-49 years, female 17.2
GTEX-11WQC-2526-SM-5CVLE 60-69 years, male 17.2
GTEX-14JG1-0426-SM-6ETZZ 40-49 years, male 17.2
GTEX-15DCD-0126-SM-7KUEK 70-79 years, female 17.2
GTEX-17F98-0626-SM-79OMX 40-49 years, female 17.2
GTEX-18QFQ-0126-SM-731BE 30-39 years, male 17.2
GTEX-XXEK-2226-SM-4BRUM 50-59 years, male 17.2
GTEX-1R9PM-2026-SM-E76OY 20-29 years, male 17.2
GTEX-14DAQ-0126-SM-5S2MQ 60-69 years, female 17.1
GTEX-QDT8-0126-SM-48TZ1 30-39 years, female 17.1
GTEX-TSE9-0126-SM-3DB83 60-69 years, female 17.1
GTEX-1HSMQ-1226-SM-CGQFX 50-59 years, male 17.1
GTEX-1MGNQ-0126-SM-EVYCJ 40-49 years, male 17.1
GTEX-13CF3-2426-SM-5IFGX 60-69 years, female 17.0
GTEX-15UKP-0426-SM-7KUFQ 20-29 years, male 17.0
GTEX-18A7A-0226-SM-718BH 50-59 years, female 17.0
GTEX-XQ8I-0426-SM-4BOPO 50-59 years, male 17.0
GTEX-Y3I4-2126-SM-4TT7C 50-59 years, male 17.0
GTEX-Z9EW-1626-SM-5CVMN 40-49 years, male 17.0
GTEX-ZVT3-0126-SM-5GU6I 60-69 years, female 17.0
GTEX-1K9T9-0126-SM-EVYCF 50-59 years, female 17.0
GTEX-1PBJI-0526-SM-E8VNK 20-29 years, female 17.0
GTEX-15DDE-0126-SM-6LPKH 50-59 years, female 16.9
GTEX-15EU6-0426-SM-6PAN5 50-59 years, male 16.9
GTEX-16NPX-0226-SM-79OMT 50-59 years, male 16.9
GTEX-17MF6-0126-SM-7LG4F 40-49 years, male 16.9
GTEX-RN64-0126-SM-2TC68 50-59 years, male 16.9
GTEX-XBEW-0626-SM-4QASP 40-49 years, male 16.9
GTEX-YFC4-0126-SM-5CVLY 40-49 years, female 16.9
GTEX-1CB4H-0226-SM-7PBXM 60-69 years, female 16.9
GTEX-1GZ2Q-0226-SM-7P8TL 40-49 years, male 16.9
GTEX-1I1GS-0126-SM-B2LVW 60-69 years, male 16.9
GTEX-1I1GU-2226-SM-CGQFA 40-49 years, male 16.9
GTEX-1K2DU-2326-SM-E9TIV 20-29 years, male 16.9
GTEX-1KANB-0526-SM-E6CJH 50-59 years, male 16.9
GTEX-13X6I-0626-SM-5QGP9 60-69 years, male 16.8
GTEX-146FH-0126-SM-5QGPP 50-59 years, female 16.8
GTEX-14PJ3-1826-SM-62LEX 50-59 years, male 16.8
GTEX-P4PQ-0126-SM-2S1NM 60-69 years, male 16.8
GTEX-ZUA1-0126-SM-5GU76 40-49 years, male 16.8
GTEX-ZZ64-1726-SM-5GZYB 20-29 years, male 16.8
GTEX-12WSG-2826-SM-E9J4H 50-59 years, female 16.8
GTEX-1GMR3-1926-SM-9KNUZ 40-49 years, male 16.8
GTEX-139TU-0126-SM-5K7WH 60-69 years, male 16.7
GTEX-17EUY-0426-SM-793BD 20-29 years, male 16.7
GTEX-18A66-0226-SM-718BD 60-69 years, male 16.7
GTEX-ZTX8-1426-SM-5DUVO 20-29 years, male 16.7
GTEX-146FR-1326-SM-E9J48 60-69 years, female 16.7
GTEX-1I6K6-0126-SM-A9SLE 30-39 years, male 16.7
GTEX-12WSE-0526-SM-793B2 20-29 years, male 16.6
GTEX-13IVO-0126-SM-5J1NG 70-79 years, male 16.6
GTEX-14XAO-2326-SM-6EU1B 60-69 years, female 16.6
GTEX-ZDXO-3026-SM-5J1N5 60-69 years, male 16.6
GTEX-1CAMS-0426-SM-7P8T2 40-49 years, female 16.6
GTEX-1F52S-0126-SM-9MQJU 60-69 years, female 16.6
GTEX-1F75I-0326-SM-9YFLU 40-49 years, male 16.6
GTEX-1JMQK-0226-SM-CL543 60-69 years, male 16.6
GTEX-1MA7X-2226-SM-E6CIY 60-69 years, male 16.6
GTEX-117YW-2626-SM-5GZZH 50-59 years, male 16.5
GTEX-11DXX-2426-SM-5GZZW 60-69 years, female 16.5
GTEX-RTLS-0126-SM-447CA 60-69 years, female 16.5
GTEX-1EU9M-0226-SM-7P8SP 60-69 years, male 16.5
GTEX-1F6IF-0726-SM-7P8TW 60-69 years, male 16.5
GTEX-1HFI6-0226-SM-ADEHZ 40-49 years, male 16.5
GTEX-12C56-1726-SM-5EQ61 20-29 years, male 16.4
GTEX-14PK6-1926-SM-6ETZU 70-79 years, female 16.4
GTEX-17EVQ-0226-SM-7LG4P 70-79 years, male 16.4
GTEX-17HHY-0126-SM-7LG5D 50-59 years, male 16.4
GTEX-ZE7O-0126-SM-57WC1 50-59 years, female 16.4
GTEX-1F5PK-2426-SM-7RHHY 50-59 years, male 16.4
GTEX-11EMC-2926-SM-5EQ4F 60-69 years, female 16.3
GTEX-1HKZK-0326-SM-9WYUH 40-49 years, male 16.3
GTEX-12WSJ-1826-SM-5GCNY 40-49 years, female 16.2
GTEX-13FHO-0226-SM-5IFGY 60-69 years, male 16.2
GTEX-P44H-0226-SM-2XCEU 40-49 years, male 16.2
GTEX-14BIL-0126-SM-5SI92 50-59 years, male 16.1
GTEX-1A32A-0126-SM-718B1 50-59 years, female 16.1
GTEX-S7PM-0126-SM-4AD6S 60-69 years, male 16.1
GTEX-11ZUS-0626-SM-59885 30-39 years, male 16.0
GTEX-131XW-0426-SM-5LZWP 50-59 years, female 16.0
GTEX-146FQ-0126-SM-5NQA9 30-39 years, male 16.0
GTEX-1HBPN-0226-SM-9YFM1 50-59 years, male 16.0
GTEX-1I1CD-0126-SM-CM2TK 60-69 years, female 16.0
GTEX-1NV5F-0226-SM-E8VNY 60-69 years, female 16.0
GTEX-1RQEC-0426-SM-E6CHU 60-69 years, male 16.0
GTEX-13U4I-0126-SM-5LU38 40-49 years, female 15.9
GTEX-1C6VS-0526-SM-7DUEN 60-69 years, male 15.9
GTEX-SJXC-0126-SM-2XCFF 60-69 years, male 15.9
GTEX-WOFL-0126-SM-3MJG2 60-69 years, male 15.9
GTEX-13OW5-0126-SM-DTXFS 60-69 years, male 15.9
GTEX-11NUK-0126-SM-5A5L3 50-59 years, male 15.8
GTEX-15SHW-0326-SM-6PAML 60-69 years, male 15.8
GTEX-ZVZO-0126-SM-5A5L9 40-49 years, male 15.8
GTEX-1F6I4-0126-SM-9MQL2 60-69 years, male 15.8
GTEX-1GF9U-2126-SM-7SB7L 40-49 years, female 15.8
GTEX-1192X-0226-SM-5H12D 50-59 years, male 15.7
GTEX-12KS4-0326-SM-5EQ41 30-39 years, male 15.7
GTEX-16AAH-1726-SM-7939C 50-59 years, male 15.7
GTEX-16XZZ-0126-SM-793DV 60-69 years, male 15.7
GTEX-1B8SG-0126-SM-73KZ3 50-59 years, male 15.7
GTEX-PVOW-0126-SM-2XCFA 40-49 years, male 15.7
GTEX-1J8Q3-1626-SM-CMKGC 60-69 years, male 15.7
GTEX-12696-2426-SM-5EQ6H 60-69 years, male 15.6
GTEX-13OVK-2026-SM-7KUEO 40-49 years, male 15.6
GTEX-183FY-0126-SM-7LT9P 20-29 years, male 15.6
GTEX-O5YT-0126-SM-48TBW 20-29 years, male 15.6
GTEX-RUSQ-1526-SM-2TF62 50-59 years, male 15.6
GTEX-X261-0126-SM-3NMD6 50-59 years, male 15.6
GTEX-Y8E4-0626-SM-4WWDL 40-49 years, male 15.6
GTEX-1B933-0126-SM-7PC29 50-59 years, female 15.6
GTEX-1HR98-0126-SM-B2LWI 60-69 years, male 15.6
GTEX-1PPH7-2326-SM-EVYB8 40-49 years, male 15.6
GTEX-145MO-0326-SM-5Q5B3 60-69 years, male 15.5
GTEX-SNMC-1226-SM-2XCFP 20-29 years, male 15.5
GTEX-Y3IK-2426-SM-4WWDU 50-59 years, female 15.5
GTEX-ZVE2-0226-SM-59HJB 50-59 years, male 15.5
GTEX-14A5I-0126-SM-5TDEA 50-59 years, female 15.4
GTEX-X4EO-0326-SM-3P5YO 60-69 years, female 15.4
GTEX-ZYW4-0126-SM-5E44A 60-69 years, male 15.4
GTEX-11OF3-2626-SM-5GU7F 60-69 years, male 15.3
GTEX-13RTJ-2426-SM-5S2Q2 60-69 years, male 15.3
GTEX-1AYD5-2426-SM-73KXR 50-59 years, male 15.3
GTEX-13O1R-0126-SM-5L3EH 60-69 years, male 15.2
GTEX-14PN4-0126-SM-6EU2V 50-59 years, male 15.2
GTEX-1JJE9-0326-SM-CL53Z 70-79 years, male 15.2
GTEX-1AX8Z-0126-SM-7DHM6 60-69 years, male 15.1
GTEX-OXRN-0126-SM-48TDM 50-59 years, male 15.1
GTEX-XUW1-0426-SM-4BOOT 50-59 years, female 15.1
GTEX-Y5LM-1926-SM-5RQJH 40-49 years, female 15.1
GTEX-1B8L1-2526-SM-9WYTF 60-69 years, male 15.1
GTEX-1ICG6-2526-SM-CGQFZ 70-79 years, female 15.1
GTEX-1KD5A-0226-SM-D5OV3 50-59 years, male 15.1
GTEX-11ZVC-2526-SM-5FQTE 50-59 years, female 15.0
GTEX-1B8KZ-2026-SM-7DHMB 50-59 years, male 15.0
GTEX-QDVN-2026-SM-3GAEP 50-59 years, male 15.0
GTEX-1IGQW-0126-SM-COH42 60-69 years, male 15.0
GTEX-13W3W-2426-SM-5LU5B 60-69 years, female 14.9
GTEX-14BMU-2226-SM-5TDE9 20-29 years, female 14.9
GTEX-1CB4J-0626-SM-7DHMP 60-69 years, male 14.9
GTEX-ZF2S-2326-SM-4WWCE 50-59 years, female 14.9
GTEX-1C64O-0126-SM-7SB8P 60-69 years, male 14.9
GTEX-147GR-0526-SM-5S2MY 60-69 years, male 14.8
GTEX-17KNJ-2326-SM-7DHLQ 50-59 years, male 14.8
GTEX-1HSMO-0126-SM-CL547 60-69 years, male 14.8
GTEX-1JMQI-2226-SM-CM2SD 50-59 years, male 14.8
GTEX-11XUK-2026-SM-5EQLF 40-49 years, female 14.7
GTEX-OXRO-0126-SM-2YUN4 60-69 years, female 14.7
GTEX-1QP2A-0126-SM-E9J43 50-59 years, male 14.7
GTEX-W5X1-3026-SM-EAZAX 40-49 years, female 14.7
GTEX-14C5O-0126-SM-5SI6N 60-69 years, male 14.6
GTEX-OXRK-0226-SM-3NB2G 50-59 years, female 14.6
GTEX-1I19N-0326-SM-ACKVX 70-79 years, male 14.6
GTEX-13VXT-0126-SM-5LU4I 20-29 years, female 14.5
GTEX-13YAN-0326-SM-5O9DF 60-69 years, male 14.5
GTEX-1GMR8-0126-SM-9WYTM 50-59 years, female 14.5
GTEX-1PWST-0226-SM-E76QJ 70-79 years, male 14.5
GTEX-1R7EV-2426-SM-EVYBG 40-49 years, male 14.5
GTEX-11P82-1626-SM-59879 20-29 years, male 14.4
GTEX-18D9B-0526-SM-7LTAS 60-69 years, male 14.4
GTEX-PWO3-1526-SM-48TCM 60-69 years, female 14.4
GTEX-X62O-0126-SM-4E3JN 50-59 years, male 14.4
GTEX-XYKS-2126-SM-4E3IB 60-69 years, female 14.4
GTEX-1EKGG-0226-SM-9WYTH 60-69 years, male 14.4
GTEX-1HUB1-0426-SM-E9U4U 60-69 years, male 14.4
GTEX-1JKYN-1326-SM-CGQG9 30-39 years, male 14.4
GTEX-1QP29-0626-SM-EWRMX 50-59 years, male 14.4
GTEX-14BIN-0626-SM-793DP 50-59 years, female 14.3
GTEX-WVJS-0126-SM-4MVOT 50-59 years, male 14.3
GTEX-X4XY-0226-SM-4E3IZ 60-69 years, male 14.3
GTEX-ZYFD-0126-SM-5GIDL 50-59 years, male 14.3
GTEX-11TUW-2726-SM-E9J4M 60-69 years, male 14.3
GTEX-1H3NZ-0126-SM-ACKX7 60-69 years, male 14.3
GTEX-1HBPM-0226-SM-ARL9F 60-69 years, female 14.3
GTEX-1JMQL-0226-SM-CNPP5 50-59 years, female 14.3
GTEX-ZF3C-0126-SM-DO92D 50-59 years, female 14.3
GTEX-1399U-2326-SM-5K7WY 50-59 years, female 14.2
GTEX-V1D1-2226-SM-3NMAX 50-59 years, male 14.2
GTEX-1H1DE-2126-SM-9WG6R 20-29 years, male 14.2
GTEX-1IDJF-0126-SM-CM2RS 20-29 years, male 14.2
GTEX-12WSN-5019-SM-79OM6 40-49 years, male 14.1
GTEX-15SB6-1726-SM-6PAME 50-59 years, female 14.1
GTEX-1HCU7-0226-SM-CL545 50-59 years, male 14.1
GTEX-14LZ3-0226-SM-62LET 60-69 years, female 14.0
GTEX-ZAB5-1826-SM-5HL7C 50-59 years, male 13.9
GTEX-1M4P7-0226-SM-DIPEV 60-69 years, male 13.9
GTEX-1QP67-1626-SM-EAZ3X 40-49 years, female 13.9
GTEX-1211K-2026-SM-5EQ4Z 60-69 years, female 13.8
GTEX-139T8-0126-SM-5K7XZ 60-69 years, male 13.8
GTEX-139UW-2826-SM-5L3E7 60-69 years, male 13.8
GTEX-15EOM-0126-SM-7KUGG 20-29 years, female 13.8
GTEX-U4B1-1826-SM-4DXSU 40-49 years, male 13.8
GTEX-14BIM-0226-SM-7IGLD 60-69 years, female 13.7
GTEX-1A3MX-0126-SM-731BR 60-69 years, male 13.7
GTEX-1IE54-0126-SM-CMKHW 40-49 years, female 13.7
GTEX-144FL-0126-SM-5TDC8 50-59 years, male 13.6
GTEX-Q734-1926-SM-2I5EV 40-49 years, female 13.5
GTEX-12584-0126-SM-5EGKQ 40-49 years, male 13.4
GTEX-XMD2-0126-SM-4YCDU 60-69 years, female 13.4
GTEX-ZC5H-0226-SM-4WAY9 40-49 years, female 13.4
GTEX-ZTPG-0326-SM-5O9AX 20-29 years, female 13.3
GTEX-13N2G-2626-SM-5J1OT 60-69 years, male 13.2
GTEX-NPJ8-0126-SM-2YUNR 40-49 years, male 13.2
GTEX-16XZY-2126-SM-79OK1 70-79 years, male 13.1
GTEX-1LC47-0326-SM-E9TJP 60-69 years, male 13.0
GTEX-117YX-2326-SM-5H12W 50-59 years, male 12.9
GTEX-1497J-2426-SM-7IGNX 60-69 years, male 12.8
GTEX-15D1Q-0126-SM-7KUG6 40-49 years, male 12.8
GTEX-1AX9K-2326-SM-73KWU 50-59 years, male 12.8
GTEX-QLQW-1126-SM-2S1Q8 30-39 years, male 12.8
GTEX-1RLM8-2326-SM-EWRN4 50-59 years, male 12.8
GTEX-1HB9E-0226-SM-E9U4R 50-59 years, male 12.7
GTEX-1F48J-0126-SM-7P8TT 50-59 years, female 12.6
GTEX-1QW4Y-1526-SM-EAZ3Z 30-39 years, male 12.6
GTEX-139T4-0226-SM-5HL5S 50-59 years, female 12.5
GTEX-U8XE-0326-SM-3DB8P 30-39 years, male 12.5
GTEX-1F75B-0126-SM-9KNVL 50-59 years, male 12.5
GTEX-1JMOU-1526-SM-CL54I 60-69 years, female 12.5
GTEX-OIZF-0126-SM-7SB8I 60-69 years, male 12.5
GTEX-11TT1-2526-SM-5EGIB 20-29 years, male 12.2
GTEX-13NYS-0126-SM-5MR3W 60-69 years, male 12.1
GTEX-1H1E6-1726-SM-ACKVK 30-39 years, male 12.1
GTEX-1H3VE-0326-SM-9YFLH 40-49 years, male 12.1
GTEX-1HBPH-0426-SM-B2LW5 40-49 years, female 12.1
GTEX-XV7Q-2526-SM-4BRV9 40-49 years, female 11.9
GTEX-148VJ-0126-SM-5TDDN 70-79 years, male 11.6
GTEX-11H98-0126-SM-5EGHG 50-59 years, male 11.5
GTEX-11O72-0126-SM-59887 40-49 years, male 11.5
GTEX-13NYC-0326-SM-E9J4S 60-69 years, male 11.4
GTEX-15G19-0126-SM-6PANQ 60-69 years, male 11.2
GTEX-15UF6-0826-SM-6PALJ 70-79 years, female 11.2
GTEX-OOBK-0126-SM-2YUND 40-49 years, male 11.1
GTEX-12WSL-2526-SM-5GCNJ 50-59 years, male 11.0
GTEX-1A3MW-0126-SM-73KXX 60-69 years, female 10.6
GTEX-11WQK-0526-SM-5EQLD 50-59 years, male 9.6
GTEX-183WM-0126-SM-7LTAB 70-79 years, female 8.8
GTEX-14E6E-1826-SM-5S2R7 30-39 years, male 8.7
Show allShow less

Contact

  • NEWS ARTICLES
  • PRESS ROOM

The Project

  • INTRODUCTION
  • ORGANIZATION
  • PUBLICATIONS

The Human Protein Atlas

  • DOWNLOADABLE DATA
  • LICENCE & CITATION
  • HELP & FAQ
The Human Protein Atlas project is funded
by the Knut & Alice Wallenberg Foundation.


contact@proteinatlas.org