We use cookies to enhance the usability of our website. If you continue, we'll assume that you are happy to receive all cookies. More information. Don't show this again.
MAPT
HPA
RESOURCES
  • TISSUE
  • BRAIN
  • SINGLE CELL
  • SUBCELLULAR
  • CANCER
  • BLOOD
  • CELL LINE
  • STRUCTURE & INTERACTION
ABOUT
  • INTRODUCTION
  • HISTORY
  • ORGANIZATION
  • PUBLICATIONS
  • ANTIBODY SUBMISSION
  • ANTIBODY AVAILABILITY
  • ACKNOWLEDGMENTS
  • CONTACT
NEWS
  • NEWS ARTICLES
  • PRESS ROOM
LEARN
  • DICTIONARY
  • PROTEIN CLASSES
  • PROTEIN EVIDENCE
  • METHODS
  • EDUCATIONAL VIDEOS
DATA
  • DOWNLOADABLE DATA
  • PUBLICATION DATA
  • RELEASE HISTORY
HELP
  • ANTIBODY VALIDATION
  • ASSAYS & ANNOTATION
  • DISCLAIMER
  • HELP & FAQ
  • PRIVACY STATEMENT
  • LICENCE & CITATION
Fields »
Search result

Field
Term
Gene name
Class
Subclass
Class
Keyword
Chromosome
External id
Tissue
Cell type
Expression
Antibody panel
Tissue
Main location
Patient ID
Annotation
Tissue
Category
Tau score
Cluster
Reliability
Brain region
Category
Tau score
Brain region
Category
Tau score
Brain region
Category
Tau score
Cluster
Reliability
Tissue
Cell type
Enrichment
Cell type
Category
Tau score
Cell type
Category
Tau score
Cell type
Category
Tau score
Cell lineage
Category
Tau score
Cluster
Cluster
Location
Searches
Location
Cell line
Class
Type
Phase
Reliability
Cancer
Prognosis
Cancer
Category
Cancer
Category
Tau score
Cluster
Variants
Interacting gene (ensg_id)
Type
Number of interactions
Pathway
Category
Score
Score
Score
Validation
Validation
Validation
Validation
Antibodies
Data type
Column


  • SUMMARY

  • TISSUE

  • BRAIN

  • SINGLE CELL

  • SUBCELL

  • CANCER

  • BLOOD

  • CELL LINE

  • STRUCT & INT

  • MAPT
BRAIN CEREBELLUM Show tissue menu
AMYGDALA BASAL GANGLIA CEREBELLUM CEREBRAL CORTEX CHOROID PLEXUS HIPPOCAMPAL FORMATION HYPOTHALAMUS MEDULLA OBLONGATA
MIDBRAIN OLFACTORY BULB PITUITARY GLAND PONS RETINA SPINAL CORD THALAMUS WHITE MATTER
ANTIBODIES
AND
VALIDATION
Brain proteome
Cerebellum
CEREBELLUM - Expression summary
Protein expression
Cerebellumi

On the top, protein expression in current human tissue, based on all annotated cell types, is reported with the units not detected (n), low (l), medium (m) and high (h). Underneath, protein expression in each annotated cell type are reported using the same units.

Protein expression data is based on knowledge-based annotation. For genes where more than one antibody has been used, a collective score is set.

If knowledge-based annotation could not be performed for a gene, no data is displayed here. View antibody staining data further down this page.

h
m
l
n
Bergmann glia - cytoplasm/membrane: Not detected
Bergmann glia - nucleus: Not detected
GLUC cells - cytoplasm/membrane: Not detected
GLUC cells - nucleus: Not detected
Granular cells - cytoplasm/membrane: Not detected
Granular cells - nucleus: Not detected
Molecular layer - neuropil: Medium
Molecular layer cells - cytoplasm/membrane: Low
Molecular layer cells - nucleus: Not detected
Processes in granular layer: Not detected
Processes in molecular layer: Not detected
Purkinje cells - cytoplasm/membrane: Low
Purkinje cells - dendrites: Not detected
Purkinje cells - nucleus: Not detected
Synaptic glomeruli - capsule: Medium
Synaptic glomeruli - core: Not detected
RNA expressioni

A summary of mRNA expression data available for current tissue based on several datasets. The mRNA expression levels in human tissues are based on RNA-seq data generated by the Human Protein Atlas (HPA), Genotype-Tissue Expression (GTEx) portal and CAGE data generated by the FANTOM5 consortium. Consensus normalized expression levels for human tissues was created by combining the data from HPA and GTEx datasets.

The mRNA expression levels in pig are based on RNA-seq data generated by the Human Protein Atlas (HPA), and for mouse, HPA data and in situ hybridization generated by the Allen brain atlas are reported.

Scroll down to view mRNA expression data in more detail.
Consensus:125.7 nTPM
HPA Brain:123.4 nTPM
GTEx:125.7 nTPM
FANTOM5:542.8 Scaled Tags Per Million
Pig:134.2 nTPM
Mouse:101.2 nTPM
Allen mouse:9.3 Expression energy

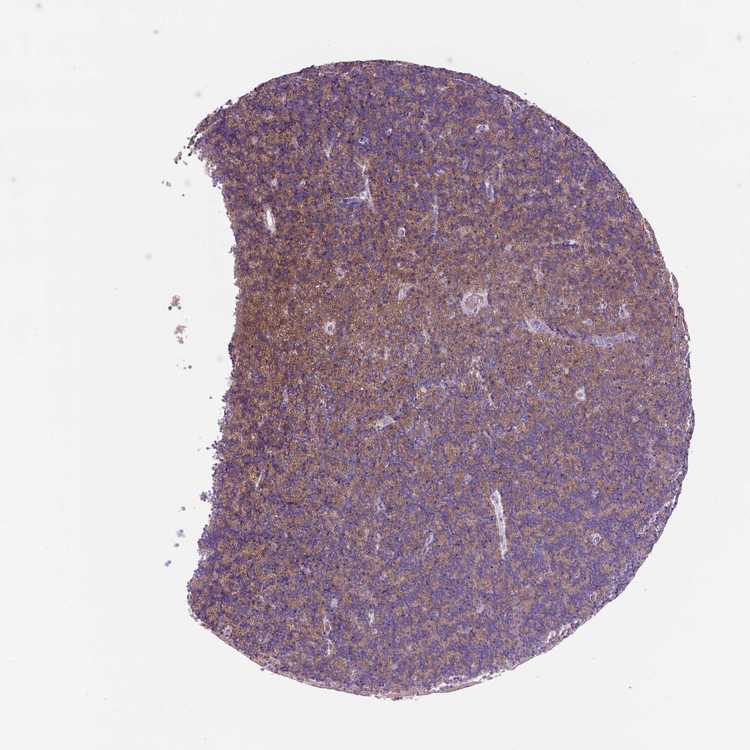
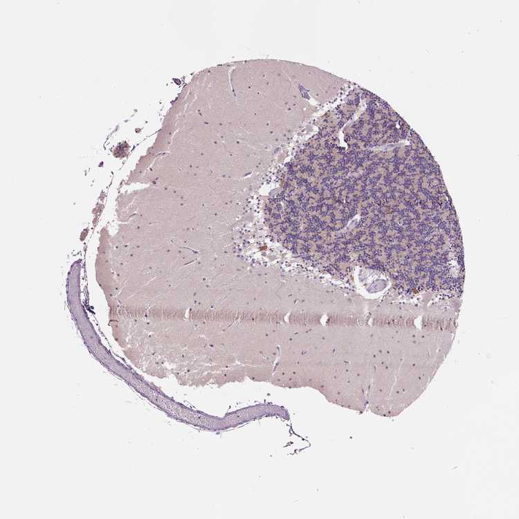
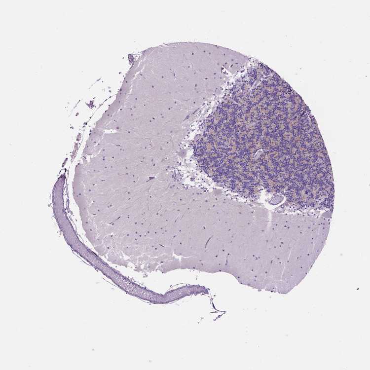
CEREBELLUM - Antibody stainingi

Antibody staining in the annotated cell types in the current human tissue is reported as not detected, low, medium, or high, based on conventional immunohistochemistry profiling in selected tissues. This score is based on the combination of the staining intensity and fraction of stained cells.

Each image is clickable and will lead to virtual microscopy that enables deeper exploration of all samples and also displays staining intensity scores, fraction scores and subcellular localization as well as patient and tissue information for each sample.

Antibody HPA069524Antibody HPA069570Antibody CAB000151Antibody CAB072344
Bergmann glia - cytoplasm/membrane -Not detected--
Bergmann glia - nucleus -Not detected--
GLUC cells - cytoplasm/membrane -Not detected--
GLUC cells - nucleus -Not detected--
Purkinje cells Not detected-Not detectedLow
Purkinje cells - cytoplasm/membrane -Low--
Purkinje cells - dendrites -Not detected--
Purkinje cells - nucleus -Not detected--
Cells in granular layer Medium-MediumMedium
Cells in molecular layer Not detected-Not detectedHigh
Granular cells - cytoplasm/membrane -Not detected--
Granular cells - nucleus -Not detected--
Molecular layer - neuropil -Medium--
Molecular layer cells - cytoplasm/membrane -Low--
Molecular layer cells - nucleus -Not detected--
Processes in granular layer -Not detected--
Processes in molecular layer -Not detected--
Synaptic glomeruli - capsule -Medium--
Synaptic glomeruli - core -Not detected--









CEREBELLUM - HPA Brain RNA-seq
Max subtype nTPMi

Max subtype nTPM is the value for the subtype with the largest average nTPM across the subtype samples.

123.4
Sample id Sample description nTPM
Cerebellar cortex
nTPM: 123.4
1768 Female, age 72, unknown 168.3
2101 Male, age 74, right hemisphere 156.2
1769 Male, age 76, right hemisphere 128.9
1774 Male, age 80, left hemisphere 120.5
2055 Female, age 91, right hemisphere 116.6
2006 Male, age 61, right hemisphere 112.7
1788 Male, age 55, unknown 108.4
2003 Female, age 85, right hemisphere 75.8
Cerebellar nuclei
nTPM: 100.0
2783 Female, age 72, unknown 149.7
2318 Male, age 74, left hemisphere 119.5
2882 Male, age 76, left hemisphere 109.2
2177 Female, age 85, both hemispheres 99.9
1879 Male, age 55, unknown 92.7
1966 Female, age 91, left hemisphere 91.9
2005 Male, age 80, left hemisphere 91.7
2175 Male, age 61, right hemisphere 77.7
1871 Male, age 74, unknown 67.3
Flocculonodular lobe
nTPM: 101.9
1771 Male, age 80, left hemisphere 133.5
2176 Female, age 91, right hemisphere 113.7
1767 Male, age 76, left hemisphere 108.4
1792 Male, age 74, unknown 103.2
1765 Male, age 55, unknown 89.8
2004 Male, age 61, right hemisphere 87.0
1835 Female, age 85, right hemisphere 77.7
Vermis
nTPM: 104.9
1751 Male, age 74, right hemisphere 197.2
1778 Female, age 91, left hemisphere 117.9
1770 Male, age 76, left hemisphere 117.8
1928 Female, age 72, unknown 110.6
1825 Male, age 74, unknown 95.4
1988 Female, age 85, left hemisphere 84.4
2834 Male, age 80, left hemisphere 80.9
1766 Male, age 55, unknown 71.8
2460 Male, age 61, both hemispheres 68.1

CEREBELLUM - GTEx RNA-seqi

RNA-Seq data generated by the Genotype-Tissue Expression (GTEx) project from human tissues is reported as mean nTPM. More information can be found on the GTEx portal.

Distribution across the dataset is visualized with box plots, shown as median and 25th and 75th percentiles. Points are displayed as outliers if they are above or below 1.5 times the interquartile range. nTPM values of the individual samples are presented next to the box plot.
Max subtype nTPMi

Max subtype nTPM is the value for the subtype with the largest average nTPM across the subtype samples.

125.7
GTEx sample id Sample description nTPM
Brain - Cerebellar Hemisphere
Average nTPM: 119.7
Samples: 215

Max nTPM: 197.4
Min nTPM: 71.1
Std nTPM: 19.1
Median nTPM: 120.4
GTEX-145LU-0011-R11b-SM-5P9JX 50-59 years, male 197.4
GTEX-13NYS-0011-R11b-SM-5MR4P 60-69 years, male 181.7
GTEX-NL3H-0011-R11A-SM-2I3E6 60-69 years, male 180.3
GTEX-1I19N-0011-R11b-SM-ARU6Y 70-79 years, male 167.2
GTEX-1HFI6-0011-R11b-SM-A96RU 40-49 years, male 163.5
GTEX-14C5O-0011-R11b-SM-6872H 60-69 years, male 159.2
GTEX-Q2AG-0011-R11A-SM-2HMKZ 40-49 years, female 158.2
GTEX-13OW5-0011-R11b-SM-5L3GG 60-69 years, male 156.3
GTEX-T5JC-0011-R11A-SM-32PMB 20-29 years, male 154.7
GTEX-NPJ8-0011-R11A-SM-2YUMS 40-49 years, male 154.5
GTEX-P44G-0011-R11A-SM-2I3FD 30-39 years, male 152.5
GTEX-1F7RK-0011-R11b-SM-9QEI2 20-29 years, female 150.7
GTEX-11DZ1-0011-R11b-SM-DO11W 50-59 years, male 150.6
GTEX-WWYW-0011-R11A-SM-3NB38 50-59 years, female 150.5
GTEX-X4EP-0011-R11B-SM-4QASK 60-69 years, female 149.1
GTEX-NPJ7-0011-R11A-SM-2I3E8 60-69 years, female 145.9
GTEX-1B8L1-0011-R11b-SM-793DJ 60-69 years, male 145.3
GTEX-131YS-0011-R11b-SM-5EGLM 60-69 years, female 144.8
GTEX-13OW6-0011-R11a-SM-5L3H2 50-59 years, male 143.5
GTEX-X585-0011-R11B-SM-46MUZ 50-59 years, male 142.1
GTEX-12WSH-0011-R11a-SM-5LZVM 50-59 years, male 141.7
GTEX-13OVH-0011-R11b-SM-5KM4X 70-79 years, male 141.6
GTEX-13SLX-0011-R11b-SM-5O9C8 50-59 years, female 141.6
GTEX-12WSE-0011-R11b-SM-5P9JW 20-29 years, male 140.8
GTEX-11OF3-0011-R11a-SM-57WCR 60-69 years, male 139.7
GTEX-131XH-0011-R11a-SM-5EGLN 50-59 years, male 139.3
GTEX-1LVAO-0011-R11b-SM-EXOI8 60-69 years, male 139.1
GTEX-XMD1-0011-R11A-SM-4AT5J 60-69 years, male 138.6
GTEX-1I1GV-0011-R11a-SM-CJI3Z 60-69 years, male 138.6
GTEX-WVLH-0011-R11A-SM-3MJFO 50-59 years, male 137.5
GTEX-X261-0011-R11A-SM-4E3JY 50-59 years, male 137.5
GTEX-1ICLZ-0011-R11a-SM-CJI3N 60-69 years, male 137.4
GTEX-RVPV-0011-R11A-SM-2TF6F 60-69 years, male 137.0
GTEX-NL4W-0011-R11A-SM-2I3DW 50-59 years, male 136.4
GTEX-R55E-0011-R11A-SM-2TC6I 20-29 years, male 136.4
GTEX-1H4P4-0011-R11b-SM-CE6S8 50-59 years, male 136.3
GTEX-N7MS-0011-R11A-SM-2HMJS 60-69 years, male 136.2
GTEX-13OVL-0011-R11b-SM-5L3G7 50-59 years, male 136.0
GTEX-RU72-0011-R11A-SM-CM2U1 50-59 years, female 135.9
GTEX-13PLJ-0011-R11b-SM-5O9BS 60-69 years, female 133.7
GTEX-13FLV-0011-R11a-SM-5LZZ7 50-59 years, male 133.5
GTEX-13FXS-0011-R11a-SM-5L3DM 50-59 years, male 133.5
GTEX-1A3MX-0011-R11b-SM-7DUGP 60-69 years, male 133.3
GTEX-14PN4-0011-R11a-SM-686ZW 50-59 years, male 133.2
GTEX-14DAQ-0011-R11a-SM-664NO 60-69 years, female 132.2
GTEX-13N2G-0011-R11a-SM-5MR3F 60-69 years, male 132.1
GTEX-WHSE-0011-R11A-SM-3P5YY 20-29 years, male 131.8
GTEX-11WQC-0011-R11b-SM-57WD6 60-69 years, male 131.4
GTEX-13S7M-0011-R11b-SM-5P9HU 60-69 years, female 130.8
GTEX-13VXU-0011-R11b-SM-5O9DJ 50-59 years, male 130.7
GTEX-11GSP-0011-R11b-SM-5NQ7V 60-69 years, female 130.6
GTEX-13X6I-0011-R11a-SM-5P9HN 60-69 years, male 130.5
GTEX-1I1HK-0011-R11a-SM-B2LVN 60-69 years, male 130.4
GTEX-1B933-0011-R11a-SM-7P8PM 50-59 years, female 129.2
GTEX-1F52S-0011-R11a-SM-CJI23 60-69 years, female 129.1
GTEX-12WSI-0011-R11b-SM-5P9EZ 50-59 years, male 129.0
GTEX-1HCU6-0011-R11b-SM-AHZ2F 60-69 years, female 128.9
GTEX-13CF2-0011-R11b-SM-5LZXO 60-69 years, male 128.8
GTEX-12WSC-0011-R11a-SM-5GU5J 50-59 years, male 128.7
GTEX-132Q8-0011-R11b-SM-5DUW9 60-69 years, male 128.6
GTEX-14BIM-0011-R11b-SM-5S2RN 60-69 years, female 128.4
GTEX-145MI-0011-R11a-SM-5P9JZ 60-69 years, female 128.0
GTEX-X4XX-0011-R11A-SM-46MWQ 60-69 years, male 127.9
GTEX-145MH-0011-R11a-SM-5P9HQ 50-59 years, male 127.7
GTEX-13FHP-0011-R11b-SM-5LZXP 50-59 years, male 127.3
GTEX-13NZA-0011-R11b-SM-5KM4W 60-69 years, male 127.3
GTEX-1KD4Q-0011-R11b-SM-EXOIE 40-49 years, male 127.3
GTEX-15G19-0011-R11b-SM-6LPIH 60-69 years, male 127.2
GTEX-1J1OQ-0011-R11a-SM-A96S3 40-49 years, female 126.6
GTEX-1GN73-0011-R11b-SM-9OSX4 60-69 years, male 126.5
GTEX-13JVG-0011-R11a-SM-5KM53 60-69 years, male 126.2
GTEX-1B8SF-0011-R11a-SM-79OOP 60-69 years, male 126.2
GTEX-1LG7Y-0011-R11a-SM-EXOIH 50-59 years, male 126.1
GTEX-1LSVX-0011-R11b-SM-EXOIA 60-69 years, male 126.0
GTEX-T2IS-0011-R11A-SM-32QPC 20-29 years, female 125.8
GTEX-1J8EW-0011-R11a-SM-AHZ37 60-69 years, female 125.8
GTEX-17JCI-0011-R11a-SM-7189Y 60-69 years, female 125.6
GTEX-1GMR8-0011-R11b-SM-9OSX2 50-59 years, female 125.5
GTEX-15DYW-0011-R11a-SM-6LPIT 60-69 years, female 125.4
GTEX-1R9K4-0011-R11a-SM-EZ6N9 60-69 years, male 125.4
GTEX-1F75A-0011-R11a-SM-AHZ35 50-59 years, male 125.1
GTEX-WL46-0011-R11A-SM-3MJFT 50-59 years, male 124.4
GTEX-WZTO-0011-R11A-SM-4E3K9 40-49 years, male 124.3
GTEX-11EMC-0011-R11b-SM-DNZZK 60-69 years, female 124.3
GTEX-1H1CY-0011-R11a-SM-C1YQR 60-69 years, female 124.3
GTEX-ZE7O-0011-R11a-SM-57WBC 50-59 years, female 124.1
GTEX-11ZUS-0011-R11b-SM-5BC7B 30-39 years, male 124.0
GTEX-1GMRU-0011-R11b-SM-C1YQ4 50-59 years, male 124.0
GTEX-12WSF-0011-R11a-SM-5LZVT 70-79 years, male 123.9
GTEX-13NYB-0011-R11a-SM-5KM3Q 40-49 years, male 123.4
GTEX-18464-0011-R11a-SM-72D76 50-59 years, male 123.0
GTEX-11DYG-0011-R11a-SM-DNZZP 60-69 years, male 123.0
GTEX-1F6I4-0011-R11b-SM-9OSWS 60-69 years, male 122.9
GTEX-1AX9I-0011-R11b-SM-7DHN4 60-69 years, male 122.7
GTEX-13O3Q-0011-R11b-SM-5KM2W 50-59 years, male 122.2
GTEX-1GZHY-0011-R11a-SM-C1YRQ 50-59 years, female 122.2
GTEX-YJ89-0011-R11a-SM-4SOKA 60-69 years, male 122.0
GTEX-1HBPI-0011-R11b-SM-CE6SH 50-59 years, male 121.7
GTEX-1IY9M-0011-R11b-SM-A96TI 60-69 years, male 121.6
GTEX-18465-0011-R11a-SM-72D78 50-59 years, male 121.4
GTEX-ZE9C-0011-R11a-SM-4WKGG 60-69 years, male 121.2
GTEX-1EKGG-0011-R11a-SM-9QEHZ 60-69 years, male 121.2
GTEX-13G51-0011-R11b-SM-5J2NE 60-69 years, male 121.0
GTEX-13OW7-0011-R11a-SM-5O9DY 50-59 years, male 121.0
GTEX-13QIC-0011-R11b-SM-5O9BU 60-69 years, female 120.7
GTEX-12WSD-0011-R11a-SM-9OSVC 60-69 years, female 120.7
GTEX-11PRG-0011-R11b-SM-DNZZY 50-59 years, male 120.6
GTEX-144GL-0011-R11b-SM-5P9F6 50-59 years, male 120.4
GTEX-15ER7-0011-R11a-SM-6LPIL 20-29 years, female 120.0
GTEX-YFC4-0011-R11a-SM-4SOK6 40-49 years, female 120.0
GTEX-1N2DW-0011-R11b-SM-EXOIL 50-59 years, male 119.7
GTEX-13JUV-0011-R11a-SM-5LZYH 40-49 years, female 119.3
GTEX-13X6K-0011-R11a-SM-5P9F5 60-69 years, female 119.2
GTEX-1IL2V-0011-R11a-SM-ARU6T 70-79 years, male 119.2
GTEX-1HGF4-0011-R11a-SM-C1YRR 60-69 years, male 118.7
GTEX-13FTY-0011-R11a-SM-5IJEA 40-49 years, female 118.4
GTEX-1IL2U-0011-R11a-SM-CE6SO 60-69 years, male 118.4
GTEX-1GF9W-0011-R11b-SM-9OSXG 60-69 years, male 117.6
GTEX-13X6J-0011-R11a-SM-5P9HE 50-59 years, male 117.4
GTEX-13FHO-0011-R11b-SM-5LZYQ 60-69 years, male 117.3
GTEX-13RTJ-0011-R11a-SM-5O9CK 60-69 years, male 117.1
GTEX-12ZZX-0011-R11a-SM-5DUVJ 40-49 years, female 116.2
GTEX-ZF28-0011-R11a-SM-4WWEI 60-69 years, male 116.2
GTEX-1IKK5-0011-R11a-SM-C1YRX 60-69 years, male 116.2
GTEX-1I1GR-0011-R11a-SM-CM2T5 60-69 years, male 115.8
GTEX-1IDJH-0011-R11b-SM-C1YRT 70-79 years, male 115.7
GTEX-14ABY-0011-R11a-SM-5SI7C 50-59 years, male 115.6
GTEX-UTHO-0011-R11A-SM-3GIJE 60-69 years, male 115.4
GTEX-1GTWX-0011-R11b-SM-C1YQJ 60-69 years, male 115.3
GTEX-1JMQJ-0011-R11a-SM-EXOJY 50-59 years, male 115.2
GTEX-11EI6-0011-R11a-SM-DO11V 60-69 years, male 115.0
GTEX-1N2EE-0011-R11b-SM-EXOIJ 60-69 years, male 115.0
GTEX-1JJ6O-0011-R11b-SM-EXUS2 60-69 years, male 114.7
GTEX-1313W-0011-R11a-SM-5DUXN 50-59 years, female 114.2
GTEX-13O3O-0011-R11b-SM-5KM4G 60-69 years, female 113.9
GTEX-11TTK-0011-R11b-SM-DO112 60-69 years, female 113.8
GTEX-18A6Q-0011-R11a-SM-72D6H 60-69 years, male 113.7
GTEX-1CB4G-0011-R11a-SM-9OSWG 60-69 years, male 113.7
GTEX-1IOXB-0011-R11a-SM-A9G1X 50-59 years, male 113.6
GTEX-1GZ4I-0011-R11b-SM-9OSWR 50-59 years, male 113.4
GTEX-1IGQW-0011-R11a-SM-C1YRV 60-69 years, male 112.9
GTEX-12ZZZ-0011-R11a-SM-5EGLC 60-69 years, male 112.7
GTEX-17EVQ-0011-R11a-SM-7LT9C 70-79 years, male 112.7
GTEX-11DXY-0011-R11a-SM-DNZZN 60-69 years, male 112.5
GTEX-1HSKV-0011-R11b-SM-AHZ2E 60-69 years, male 112.5
GTEX-13SLW-0011-R11a-SM-5SI8Q 70-79 years, male 112.1
GTEX-12WSM-0011-R11a-SM-5DUX8 60-69 years, male 111.9
GTEX-1B8SG-0011-R11a-SM-7P8PF 50-59 years, male 111.7
GTEX-1EMGI-0011-R11b-SM-9OSWX 60-69 years, male 111.2
GTEX-139TT-0011-R11b-SM-5LZV1 60-69 years, male 111.0
GTEX-139UW-0011-R11a-SM-5IJGN 60-69 years, male 110.9
GTEX-14BIN-0011-R11a-SM-5SI79 50-59 years, female 110.9
GTEX-ZVZQ-0011-R11a-SM-51MS6 60-69 years, female 110.4
GTEX-1I1GQ-0011-R11b-SM-CKZPA 50-59 years, male 110.4
GTEX-1JJEA-0011-R11a-SM-EXUTE 60-69 years, male 109.6
GTEX-13OW8-0011-R11a-SM-5L3GT 60-69 years, male 108.1
GTEX-14E6D-0011-R11b-SM-664NP 50-59 years, male 107.7
GTEX-17EVP-0011-R11a-SM-7EWDL 40-49 years, male 107.7
GTEX-1HB9E-0011-R11b-SM-ARU79 50-59 years, male 107.7
GTEX-Z93S-0011-R11a-SM-4RGNN 50-59 years, male 107.3
GTEX-1J8Q2-0011-R11a-SM-A9SKI 60-69 years, male 107.3
GTEX-ZDXO-0011-R11a-SM-4WWD9 60-69 years, male 107.2
GTEX-11H98-0011-R11b-SM-5NQ6U 50-59 years, male 107.0
GTEX-ZUA1-0011-R11b-SM-51MTI 40-49 years, male 107.0
GTEX-11ZTS-0011-R11a-SM-DO113 60-69 years, female 106.4
GTEX-Y8DK-0011-R11A-SM-4SOK2 60-69 years, male 106.1
GTEX-1399T-0011-R11a-SM-5J2O1 60-69 years, male 106.0
GTEX-1F75W-0011-R11b-SM-AHZ34 60-69 years, male 105.8
GTEX-1IKOH-0011-R11a-SM-AHZ38 60-69 years, female 104.4
GTEX-16XZZ-0011-R11a-SM-7EPI3 60-69 years, male 104.2
GTEX-1JMOU-0011-R11b-SM-EXUTA 60-69 years, female 103.9
GTEX-1H3O1-0011-R11a-SM-A96RV 60-69 years, male 103.1
GTEX-1H1DG-0011-R11a-SM-C1YQK 70-79 years, male 103.0
GTEX-16YQH-0011-R11b-SM-7LT98 30-39 years, male 102.8
GTEX-1H3NZ-0011-R11b-SM-CE6SF 60-69 years, male 102.7
GTEX-13OVJ-0011-R11a-SM-5P9H8 50-59 years, female 102.4
GTEX-1M4P7-0011-R11b-SM-EXOIK 60-69 years, male 101.1
GTEX-183WM-0011-R11a-SM-718A5 70-79 years, female 100.4
GTEX-1F48J-0011-R11b-SM-9OSWV 50-59 years, female 100.4
GTEX-17HII-0011-R11b-SM-7KFSX 50-59 years, male 100.2
GTEX-14ASI-0011-R11b-SM-6AJBJ 60-69 years, male 99.6
GTEX-12126-0011-R11a-SM-5BC6X 20-29 years, male 99.5
GTEX-131XW-0011-R11a-SM-5DUV9 50-59 years, female 99.5
GTEX-N7MT-0011-R11A-SM-2I3DZ 60-69 years, female 99.5
GTEX-13CZV-0011-R11b-SM-5N9FN 60-69 years, male 98.8
GTEX-ZVT3-0011-R11b-SM-57WBI 60-69 years, female 98.8
GTEX-S7SE-0011-R11A-SM-2XCDD 50-59 years, male 98.7
GTEX-ZAB4-0011-R11a-SM-4SOKI 40-49 years, male 98.5
GTEX-16NPV-0011-R11a-SM-7IGMK 50-59 years, female 98.5
GTEX-1R9PO-0011-R11b-SM-EZ6NB 60-69 years, female 98.4
GTEX-1HUB1-0011-R11b-SM-CE6SC 60-69 years, male 96.9
GTEX-1C64N-0011-R11b-SM-7P8Q6 50-59 years, male 96.6
GTEX-16GPK-0011-R11b-SM-7MKFF 60-69 years, male 96.3
GTEX-1E1VI-0011-R11a-SM-9OSWI 50-59 years, male 95.3
GTEX-1H3VE-0011-R11b-SM-C1YRP 40-49 years, male 94.5
GTEX-1LKK1-0011-R11a-SM-EXOIG 50-59 years, female 94.4
GTEX-TSE9-0011-R11A-SM-3DB7N 60-69 years, female 93.9
GTEX-14C39-0011-R11b-SM-5YYAF 40-49 years, male 93.7
GTEX-15EO6-0011-R11b-SM-6M47M 50-59 years, male 93.6
GTEX-17F97-0011-R11b-SM-7KFRQ 50-59 years, male 92.6
GTEX-15DCD-0011-R11a-SM-D4P1R 70-79 years, female 92.3
GTEX-15CHQ-0011-R11b-SM-686ZZ 60-69 years, male 91.5
GTEX-13PVQ-0011-R11a-SM-5O9DU 50-59 years, male 91.2
GTEX-1BAJH-0011-R11b-SM-7IGLM 70-79 years, male 90.4
GTEX-16Z82-0011-R11a-SM-79OKJ 60-69 years, male 90.0
GTEX-1CAV2-0011-R11a-SM-ARU8D 40-49 years, female 90.0
GTEX-1I1GS-0011-R11a-SM-C1YRU 60-69 years, male 88.3
GTEX-T6MN-0011-R11A-SM-32QOX 50-59 years, male 86.0
GTEX-OHPN-0011-R11A-SM-2I5FM 60-69 years, female 84.5
GTEX-1H1ZS-0011-R11a-SM-C1YQM 70-79 years, male 84.0
GTEX-QMR6-0011-R11A-SM-32PKK 50-59 years, male 83.3
GTEX-17HG3-0011-R11b-SM-7KFT4 30-39 years, female 82.9
GTEX-14E7W-0011-R11a-SM-5ZZVA 70-79 years, male 82.7
GTEX-QDT8-0011-R11A-SM-32PKD 30-39 years, female 76.5
GTEX-P44H-0011-R11A-SM-2XCER 40-49 years, male 71.1
Show allShow less
Brain - Cerebellum
Average nTPM: 125.7
Samples: 241

Max nTPM: 185.1
Min nTPM: 70.8
Std nTPM: 18.2
Median nTPM: 126.1
GTEX-WL46-2826-SM-3LK81 50-59 years, male 185.1
GTEX-ZAJG-3026-SM-5HL92 50-59 years, female 169.5
GTEX-1MJK2-3026-SM-EV7A5 50-59 years, male 167.3
GTEX-11DZ1-2926-SM-5A5KI 50-59 years, male 166.9
GTEX-WWYW-3026-SM-3NB36 50-59 years, female 162.3
GTEX-11O72-2826-SM-5HL6W 40-49 years, male 160.5
GTEX-1B8SG-1926-SM-73KUB 50-59 years, male 159.5
GTEX-WHSE-2926-SM-3NMBG 20-29 years, male 156.0
GTEX-13OW5-3126-SM-5MR3Y 60-69 years, male 155.8
GTEX-17F97-2926-SM-7DUEQ 50-59 years, male 155.6
GTEX-1F75A-2926-SM-7MXVN 50-59 years, male 155.5
GTEX-NPJ8-2626-SM-2D7W2 40-49 years, male 155.4
GTEX-14C5O-2926-SM-5RQI1 60-69 years, male 154.2
GTEX-11OC5-0626-SM-5HL6M 60-69 years, male 153.8
GTEX-12WSH-3126-SM-5LZW8 50-59 years, male 153.7
GTEX-N7MS-2526-SM-2D7W3 60-69 years, male 152.1
GTEX-1A3MX-2926-SM-718B7 60-69 years, male 151.4
GTEX-ZUA1-2926-SM-59HL3 40-49 years, male 151.3
GTEX-1I1CD-2926-SM-A96SJ 60-69 years, female 151.0
GTEX-145LU-2626-SM-5LU9Z 50-59 years, male 149.9
GTEX-12WSC-2926-SM-5BC5Z 50-59 years, male 149.6
GTEX-12WSE-2926-SM-5RQJ9 20-29 years, male 149.3
GTEX-X261-3126-SM-4PQZC 50-59 years, male 149.1
GTEX-13NYB-3226-SM-5J2ND 40-49 years, male 148.7
GTEX-1HBPI-2726-SM-9WPPF 50-59 years, male 148.1
GTEX-ZYFD-2926-SM-5GID9 50-59 years, male 147.1
GTEX-1B933-3026-SM-731DB 50-59 years, female 146.7
GTEX-13N2G-3126-SM-5IJGL 60-69 years, male 146.6
GTEX-T5JC-2326-SM-32PMR 20-29 years, male 146.5
GTEX-ZDXO-2926-SM-4WKFM 60-69 years, male 146.5
GTEX-14PN4-3026-SM-664O4 50-59 years, male 146.3
GTEX-147F4-3026-SM-5Q5BJ 50-59 years, male 146.0
GTEX-1H4P4-2726-SM-9JGGB 50-59 years, male 146.0
GTEX-14DAQ-3026-SM-5S2QZ 60-69 years, female 145.1
GTEX-1IKOH-2826-SM-CNNRC 60-69 years, female 144.7
GTEX-13O3Q-3026-SM-5IJGD 50-59 years, male 143.7
GTEX-1JMLX-3026-SM-EV79Q 50-59 years, male 143.4
GTEX-15G19-2826-SM-6M48K 60-69 years, male 143.2
GTEX-1128S-2826-SM-5N9DI 60-69 years, female 143.0
GTEX-13SLX-3226-SM-5YYA6 50-59 years, female 142.7
GTEX-YJ89-2926-SM-5P9IT 60-69 years, male 142.7
GTEX-11GSP-3126-SM-5A5LL 60-69 years, female 141.7
GTEX-11EMC-3326-SM-5P9JH 60-69 years, female 141.6
GTEX-1192X-3226-SM-5987D 50-59 years, male 141.2
GTEX-1B8L1-3226-SM-7P8OX 60-69 years, male 141.2
GTEX-14ABY-3026-SM-664NE 50-59 years, male 141.1
GTEX-1NV8Z-3026-SM-DTX8Z 60-69 years, male 140.4
GTEX-131XH-2926-SM-5LZU4 50-59 years, male 139.5
GTEX-1C6WA-3326-SM-7MKGN 60-69 years, male 139.0
GTEX-Q2AG-2826-SM-2HMJQ 40-49 years, female 139.0
GTEX-X4EP-3026-SM-3P5YP 60-69 years, female 138.8
GTEX-11ZUS-2826-SM-5EQKW 30-39 years, male 138.6
GTEX-17HHY-2926-SM-79OJW 50-59 years, male 138.5
GTEX-11DXW-1026-SM-5H11K 40-49 years, male 138.4
GTEX-14JIY-2326-SM-6AJAJ 60-69 years, male 138.4
GTEX-13OVH-2926-SM-5IJFH 70-79 years, male 138.3
GTEX-1GZHY-3026-SM-7MXVA 50-59 years, female 137.8
GTEX-1KD4Q-3026-SM-EV7A7 40-49 years, male 137.3
GTEX-T2IS-2926-SM-32QPO 20-29 years, female 137.1
GTEX-13FHP-2926-SM-5IJG9 50-59 years, male 136.9
GTEX-X4XX-2926-SM-3NMB1 60-69 years, male 136.9
GTEX-11GSO-3026-SM-5Q5AL 60-69 years, male 136.7
GTEX-Y111-2826-SM-4TT3O 50-59 years, male 136.7
GTEX-ZF28-2926-SM-4WKG1 60-69 years, male 136.7
GTEX-13X6K-2826-SM-5O9DS 60-69 years, female 136.4
GTEX-1A8G7-3026-SM-73KTT 60-69 years, male 136.2
GTEX-1JN1M-3126-SM-AHZ4E 60-69 years, female 136.2
GTEX-13G51-3126-SM-5IJG7 60-69 years, male 135.9
GTEX-ZAK1-2926-SM-5HL9S 50-59 years, female 135.4
GTEX-11NV4-2226-SM-5BC4T 60-69 years, male 135.0
GTEX-1EKGG-3126-SM-9WPO5 60-69 years, male 135.0
GTEX-WVLH-2926-SM-3MJG5 50-59 years, male 134.9
GTEX-XMD1-2826-SM-4AT5F 60-69 years, male 134.9
GTEX-147GR-3126-SM-5S2PM 60-69 years, male 134.8
GTEX-139TS-3126-SM-5LZWX 60-69 years, male 134.4
GTEX-17EVQ-2726-SM-7EWDT 70-79 years, male 134.3
GTEX-13OW7-2926-SM-5MR3Z 50-59 years, male 133.9
GTEX-15ER7-3026-SM-6M47W 20-29 years, female 133.8
GTEX-1P4AB-3026-SM-EXOJS 50-59 years, male 133.8
GTEX-13FXS-3026-SM-5LZYO 50-59 years, male 133.7
GTEX-12WSM-2126-SM-5GCOC 60-69 years, male 133.5
GTEX-131YS-3026-SM-5EGHY 60-69 years, female 132.9
GTEX-17HII-2926-SM-79OMK 50-59 years, male 132.7
GTEX-QVJO-1325-SM-2S1QX 60-69 years, female 132.7
GTEX-UTHO-2926-SM-3P5Z9 60-69 years, male 132.5
GTEX-1GZ2Q-3026-SM-9JGG3 40-49 years, male 132.5
GTEX-13VXU-3026-SM-5LU3K 50-59 years, male 132.2
GTEX-1GTWX-2926-SM-7MXV4 60-69 years, male 132.1
GTEX-1HBPH-3026-SM-9WPNY 40-49 years, female 131.7
GTEX-1I1GV-3026-SM-CNNR9 60-69 years, male 131.6
GTEX-1PIIG-2826-SM-DTX7O 30-39 years, male 131.5
GTEX-1POEN-2726-SM-E9U6B 30-39 years, female 131.4
GTEX-11ZTS-3226-SM-5EGID 60-69 years, female 131.0
GTEX-16YQH-2926-SM-6LPJE 30-39 years, male 130.4
GTEX-11DXY-3126-SM-5N9BT 60-69 years, male 130.2
GTEX-13OW6-2926-SM-5KM29 50-59 years, male 129.7
GTEX-14BIM-3126-SM-5Q5C7 60-69 years, female 129.7
GTEX-1H1CY-3026-SM-9OSW7 60-69 years, female 129.6
GTEX-14BMV-2926-SM-5TDEE 50-59 years, male 129.5
GTEX-1EX96-3126-SM-9JGGC 50-59 years, male 129.5
GTEX-1313W-3026-SM-5LZUZ 50-59 years, female 129.4
GTEX-1F6I4-3026-SM-7P8SI 60-69 years, male 129.3
GTEX-117XS-3126-SM-5GIDP 60-69 years, male 129.2
GTEX-11ZVC-3026-SM-59HJM 50-59 years, female 129.1
GTEX-1EU9M-2926-SM-793DF 60-69 years, male 129.1
GTEX-Z93S-2826-SM-57WBL 50-59 years, male 129.0
GTEX-13CF2-3026-SM-5IFFX 60-69 years, male 128.9
GTEX-13QIC-3026-SM-5LU58 60-69 years, female 128.6
GTEX-1HSKV-2926-SM-B2LWJ 60-69 years, male 128.4
GTEX-14E6D-2926-SM-664OP 50-59 years, male 128.3
GTEX-1F6IF-3026-SM-7P8QN 60-69 years, male 128.0
GTEX-145LS-3026-SM-5O99S 60-69 years, female 127.9
GTEX-1J1OQ-3126-SM-D4P2O 40-49 years, female 127.6
GTEX-1QP6S-3026-SM-EAZ4N 40-49 years, male 127.4
GTEX-13S7M-3026-SM-5S2QQ 60-69 years, female 127.3
GTEX-1C6VR-3026-SM-7IGLW 60-69 years, male 127.2
GTEX-1LG7Y-3126-SM-EV7AS 50-59 years, male 127.2
GTEX-145MF-2826-SM-7EPGU 50-59 years, male 127.0
GTEX-11DYG-2926-SM-5H132 60-69 years, male 126.8
GTEX-1GN73-3026-SM-7MXV8 60-69 years, male 126.7
GTEX-14BIN-3326-SM-5Q5E6 50-59 years, female 126.1
GTEX-1IY9M-3126-SM-AHZ3A 60-69 years, male 126.1
GTEX-11PRG-2826-SM-5BC54 50-59 years, male 126.0
GTEX-11ONC-3026-SM-5985W 60-69 years, male 125.9
GTEX-P44G-2526-SM-2I5EK 30-39 years, male 125.8
GTEX-145MH-2926-SM-5Q5D2 50-59 years, male 125.6
GTEX-14JG1-2926-SM-686ZK 40-49 years, male 125.5
GTEX-13X6I-2926-SM-5Q5C3 60-69 years, male 125.3
GTEX-17EVP-2926-SM-793BU 40-49 years, male 125.3
GTEX-RU72-2926-SM-2TF66 50-59 years, female 125.1
GTEX-1H1DG-2826-SM-9JGHB 70-79 years, male 125.1
GTEX-1LSVX-2826-SM-EVR58 60-69 years, male 125.0
GTEX-13FHO-2926-SM-5L3ES 60-69 years, male 124.9
GTEX-1A8G6-3126-SM-731D8 60-69 years, male 124.7
GTEX-12WSD-3026-SM-5LZU7 60-69 years, female 124.5
GTEX-1JMQK-2926-SM-D4P2T 60-69 years, male 124.3
GTEX-132Q8-2926-SM-5IFFP 60-69 years, male 124.1
GTEX-1IL2V-3026-SM-CYPSA 70-79 years, male 124.1
GTEX-1B8SF-3026-SM-731DX 60-69 years, male 123.1
GTEX-17JCI-3026-SM-7EWDR 60-69 years, female 123.0
GTEX-1HSMO-2926-SM-C1YR5 60-69 years, male 122.9
GTEX-Y8DK-0726-SM-4TT3S 60-69 years, male 122.8
GTEX-144GL-2926-SM-5O99F 50-59 years, male 122.7
GTEX-1B996-2926-SM-7MXUH 60-69 years, male 122.7
GTEX-18465-2926-SM-7KFSE 50-59 years, male 122.5
GTEX-1IDJH-3126-SM-C1YQS 70-79 years, male 122.2
GTEX-1R9PO-2826-SM-E6CPV 60-69 years, female 122.2
GTEX-1399T-3126-SM-5IJFS 60-69 years, male 121.8
GTEX-111FC-3326-SM-5GZYV 60-69 years, male 121.4
GTEX-1JMQJ-3126-SM-EV79G 50-59 years, male 120.9
GTEX-1269C-3126-SM-5EGI6 60-69 years, female 120.6
GTEX-13OVL-3026-SM-5IJF1 50-59 years, male 120.6
GTEX-14JFF-2826-SM-6871Q 60-69 years, male 120.4
GTEX-1JJ6O-3026-SM-C1YQH 60-69 years, male 120.4
GTEX-14ASI-2926-SM-5Q5DG 60-69 years, male 120.3
GTEX-15EO6-2926-SM-6M48D 50-59 years, male 120.1
GTEX-11EI6-2926-SM-5985U 60-69 years, male 119.9
GTEX-WZTO-2826-SM-3NM8P 40-49 years, male 119.8
GTEX-1I1HK-2726-SM-AHZ2M 60-69 years, male 119.7
GTEX-1RDX4-3226-SM-DPS14 50-59 years, female 119.3
GTEX-145MG-3126-SM-5Q5D3 50-59 years, male 119.0
GTEX-YFC4-3026-SM-5IFJK 40-49 years, female 118.9
GTEX-11TTK-2826-SM-5GU5K 60-69 years, female 118.8
GTEX-1F52S-3026-SM-7P8PV 60-69 years, female 118.6
GTEX-13JVG-3226-SM-5IJGJ 60-69 years, male 118.5
GTEX-1H3O1-1826-SM-A96TO 60-69 years, male 118.3
GTEX-1CB4G-2926-SM-7MKFQ 60-69 years, male 118.1
GTEX-17HG3-2826-SM-7EPGO 30-39 years, female 117.8
GTEX-1GF9V-3026-SM-7P8R8 60-69 years, male 117.8
GTEX-1HCVE-2926-SM-9WPPJ 50-59 years, male 117.8
GTEX-R55E-2526-SM-2TC6H 20-29 years, male 117.6
GTEX-PWO3-1026-SM-2I5F2 60-69 years, female 117.3
GTEX-1GZ4I-2926-SM-9JGGO 50-59 years, male 117.3
GTEX-12ZZX-2826-SM-5BC6K 40-49 years, female 116.9
GTEX-1JJE9-3026-SM-CNNPA 70-79 years, male 116.4
GTEX-12ZZZ-3126-SM-5LZU6 60-69 years, male 116.0
GTEX-NPJ7-2826-SM-2I3FU 60-69 years, female 115.8
GTEX-13RTJ-3126-SM-5S2Q4 60-69 years, male 115.5
GTEX-1C64N-3126-SM-79OO3 50-59 years, male 115.2
GTEX-ZYY3-3026-SM-5GIEJ 60-69 years, female 113.9
GTEX-12126-0926-SM-5FQTW 20-29 years, male 113.7
GTEX-ZAB4-2926-SM-57WCV 40-49 years, male 113.7
GTEX-XLM4-2926-SM-4AT59 60-69 years, male 113.6
GTEX-ZZPT-2926-SM-5EQ5S 50-59 years, male 113.4
GTEX-1JJEA-2926-SM-C1YSK 60-69 years, male 113.4
GTEX-1EWIQ-3026-SM-7IGOJ 70-79 years, female 113.3
GTEX-13JUV-3026-SM-5K7WX 40-49 years, female 113.1
GTEX-14C39-3026-SM-5S2QE 40-49 years, male 113.0
GTEX-1F75W-3126-SM-7P8SJ 60-69 years, male 112.9
GTEX-14E7W-2926-SM-5S2R8 70-79 years, male 112.6
GTEX-1R46S-3126-SM-DPRZ9 60-69 years, female 112.4
GTEX-183WM-2726-SM-7KFRF 70-79 years, female 112.2
GTEX-ZVT3-2926-SM-5GU6M 60-69 years, female 112.2
GTEX-1EMGI-3126-SM-7MXUR 60-69 years, male 111.9
GTEX-13X6J-2926-SM-7EPGP 50-59 years, male 111.8
GTEX-13112-2926-SM-5DUWT 50-59 years, male 111.6
GTEX-13O3O-3026-SM-5KM42 60-69 years, female 111.3
GTEX-1JMPZ-2826-SM-C1YRA 30-39 years, male 110.9
GTEX-13OW8-2926-SM-5L3FV 60-69 years, male 110.7
GTEX-15DYW-3026-SM-7KFRM 60-69 years, female 110.7
GTEX-11NUK-3026-SM-5986K 50-59 years, male 110.1
GTEX-13OVJ-2726-SM-5IJG6 50-59 years, female 110.0
GTEX-T6MN-2526-SM-32PMN 50-59 years, male 109.8
GTEX-1QEPI-3026-SM-EXOIW 60-69 years, female 109.6
GTEX-12ZZY-2926-SM-5DUXO 60-69 years, male 109.5
GTEX-RNOR-2226-SM-2TF5O 50-59 years, female 109.5
GTEX-139TT-2626-SM-5LZUB 60-69 years, male 109.2
GTEX-QVUS-2926-SM-3GIJB 60-69 years, female 107.6
GTEX-1JMOU-2826-SM-EV79R 60-69 years, female 107.5
GTEX-14PJM-3026-SM-6LLHM 50-59 years, female 107.4
GTEX-N7MT-1226-SM-DKPOK 60-69 years, female 107.2
GTEX-18A6Q-2826-SM-7LTAO 60-69 years, male 107.1
GTEX-16XZZ-2926-SM-6LPK4 60-69 years, male 107.0
GTEX-16Z82-2926-SM-6LPJJ 60-69 years, male 106.9
GTEX-1KANB-3226-SM-D4P3G 50-59 years, male 106.7
GTEX-1CB4H-3026-SM-79OLX 60-69 years, female 105.7
GTEX-1RQEC-3026-SM-DPRXM 60-69 years, male 104.3
GTEX-1RNSC-3126-SM-EVR4V 60-69 years, male 104.2
GTEX-1F48J-2726-SM-7P8PW 50-59 years, female 103.6
GTEX-1E2YA-2926-SM-7MGWX 50-59 years, male 103.0
GTEX-1KWVE-2226-SM-CXZKN 30-39 years, male 102.3
GTEX-1E1VI-2926-SM-7IGLT 50-59 years, male 99.5
GTEX-PVOW-2626-SM-32PL8 40-49 years, male 97.6
GTEX-QDT8-3026-SM-32PKB 30-39 years, female 97.0
GTEX-15SHU-3026-SM-6LPIB 40-49 years, female 95.9
GTEX-S7SE-2526-SM-2XCDL 50-59 years, male 95.5
GTEX-OHPN-2626-SM-2I5H1 60-69 years, female 94.8
GTEX-1HB9E-3126-SM-AHZ4M 50-59 years, male 94.6
GTEX-1EH9U-3126-SM-7MXU5 60-69 years, male 93.3
GTEX-14A5I-2826-SM-5SIBF 50-59 years, female 92.5
GTEX-14PJO-2926-SM-686ZI 60-69 years, male 91.8
GTEX-13PVQ-2926-SM-5L3HJ 50-59 years, male 89.9
GTEX-1GF9W-2726-SM-9JGGW 60-69 years, male 85.6
GTEX-TSE9-2926-SM-3DB77 60-69 years, female 85.5
GTEX-QMR6-1326-SM-32PLB 50-59 years, male 84.4
GTEX-1BAJH-3126-SM-7MGXY 70-79 years, male 84.2
GTEX-1H1ZS-2926-SM-9WPP2 70-79 years, male 82.3
GTEX-1H3NZ-2926-SM-9WPQ8 60-69 years, male 79.6
GTEX-1PWST-3026-SM-EAZ3H 70-79 years, male 75.4
GTEX-1H3VE-2826-SM-9WPOL 40-49 years, male 73.0
GTEX-P44H-2426-SM-2XCEJ 40-49 years, male 70.8
Show allShow less

CEREBELLUM - FANTOM5 CAGEi

RNA expression in human tissues obtained through Cap Analysis of Gene Expression (CAGE) generated by the FANTOM5 project are reported as Scaled Tags Per Million.

Max subtype Scaled Tags Per Millioni

Max subtype Scaled Tags Per Million is the value for the subtype with the largest average Scaled Tags Per Million across the subtype samples.

542.8
FANTOM5 sample id Sample description Scaled Tags Per Million
Cerebellum
Scaled Tags Per Million: 542.8
FF:10166-103B4 76 years, female 628.0
FF:10083-102B2 22-68 years, mixed 457.6

CEREBELLUM - Pig RNA-seqi

RNA-seq data obtained from pig brain is reported as nTPM .

Normal distribution across the dataset is visualized with box plots, shown as median and 25th and 75th percentiles. Points are displayed as outliers if they are above or below 1.5 times the interquartile range. nTPM values of the individual samples are presented next to the box plot.
Max subtype nTPMi

Max subtype nTPM is the value for the subtype with the largest average nTPM across the subtype samples.

134.2
Pig sample Sample description nTPM
Cerebellum
nTPM: 134.2
Samples: 4

Max nTPM: 191.9
Min nTPM: 103.7
Sample A Female 191.9
Sample B Female 124.6
Sample C Male 103.7
Sample D Male 116.6

CEREBELLUM - Mouse RNA-seqi

RNA-seq data obtained from mouse brain is reported as nTPM .

Normal distribution across the dataset is visualized with box plots, shown as median and 25th and 75th percentiles. Points are displayed as outliers if they are above or below 1.5 times the interquartile range. nTPM values of the individual samples are presented next to the box plot.
Max subtype nTPMi

Max subtype nTPM is the value for the subtype with the largest average nTPM across the subtype samples.

101.2
Mouse sample Sample description nTPM
Cerebellum
nTPM: 101.2
Samples: 4

Max nTPM: 106.4
Min nTPM: 95.9
Sample A Male 106.4
Sample B Male 95.9
Sample C Female 102.7
Sample D Female 99.8

CEREBELLUM - Allen Mouse ISHi

In situ hybridization (ISH) data generated by the Allen brain atlas from mouse brain is reported as expression energy. For more details about a particular experiment, click on the corresponding Allen experiment ID.

Max subtype Expression energyi

Max subtype Expression energy is the value for the subtype with the largest average Expression energy across the subtype samples.

9.3
Allen experiment id Experiment description Expression energy
Cerebellum
Expression energy: 9.3
79556696 Antisense, RP_071204_01_D02, Mouse strain C57BL/6J (56 days, male) 9.3
80525654 Antisense, RP_071204_01_D02, Mouse strain C57BL/6J (56 days, male) 5.8

Contact

  • NEWS ARTICLES
  • PRESS ROOM

The Project

  • INTRODUCTION
  • ORGANIZATION
  • PUBLICATIONS

The Human Protein Atlas

  • DOWNLOADABLE DATA
  • LICENCE & CITATION
  • HELP & FAQ
The Human Protein Atlas project is funded
by the Knut & Alice Wallenberg Foundation.


contact@proteinatlas.org